We use cookies to enhance the usability of our website. If you continue, we'll assume that you are happy to receive all cookies. More information. Don't show this again.
PPP1R12C
HPA
RESOURCES
  • TISSUE
  • BRAIN
  • SINGLE CELL
  • SUBCELLULAR
  • CANCER
  • BLOOD
  • CELL LINE
  • STRUCTURE & INTERACTION
ABOUT
  • INTRODUCTION
  • HISTORY
  • ORGANIZATION
  • PUBLICATIONS
  • ANTIBODY SUBMISSION
  • ANTIBODY AVAILABILITY
  • ACKNOWLEDGMENTS
  • CONTACT
NEWS
  • NEWS ARTICLES
  • PRESS ROOM
LEARN
  • DICTIONARY
  • PROTEIN CLASSES
  • PROTEIN EVIDENCE
  • METHODS
  • EDUCATIONAL VIDEOS
DATA
  • DOWNLOADABLE DATA
  • PUBLICATION DATA
  • RELEASE HISTORY
HELP
  • ANTIBODY VALIDATION
  • ASSAYS & ANNOTATION
  • DISCLAIMER
  • HELP & FAQ
  • PRIVACY STATEMENT
  • LICENCE & CITATION
Fields »
Search result

Field
Term
Gene name
Class
Subclass
Class
Keyword
Chromosome
External id
Tissue
Cell type
Expression
Antibody panel
Tissue
Main location
Patient ID
Annotation
Tissue
Category
Tau score
Cluster
Reliability
Brain region
Category
Tau score
Brain region
Category
Tau score
Brain region
Category
Tau score
Cluster
Reliability
Tissue
Cell type
Enrichment
Cell type
Category
Tau score
Cell type
Category
Tau score
Cell type
Category
Tau score
Cell lineage
Category
Tau score
Cluster
Cluster
Location
Searches
Location
Cell line
Class
Type
Phase
Reliability
Cancer
Prognosis
Cancer
Category
Cancer
Category
Tau score
Cluster
Variants
Interacting gene (ensg_id)
Type
Number of interactions
Pathway
Category
Score
Score
Score
Validation
Validation
Validation
Validation
Antibodies
Data type
Column


  • SUMMARY

  • TISSUE

  • BRAIN

  • SINGLE CELL

  • SUBCELL

  • CANCER

  • BLOOD

  • CELL LINE

  • STRUCT & INT

  • PPP1R12C
TISSUE PRIMARY DATA SKIN Show tissue menu
ADIPOSE TISSUE ADRENAL GLAND AMYGDALA APPENDIX BASAL GANGLIA BONE MARROW BREAST BRONCHUS CEREBELLUM CEREBRAL CORTEX CERVIX CHOROID PLEXUS COLON DUODENUM
ENDOMETRIUM EPIDIDYMIS ESOPHAGUS FALLOPIAN TUBE GALLBLADDER HEART MUSCLE HIPPOCAMPAL FORMATION HYPOTHALAMUS KIDNEY LIVER LUNG LYMPH NODE MIDBRAIN NASOPHARYNX
ORAL MUCOSA OVARY PANCREAS PARATHYROID GLAND PITUITARY GLAND PLACENTA PROSTATE RECTUM RETINA SALIVARY GLAND SEMINAL VESICLE SKELETAL MUSCLE SKIN SMALL INTESTINE
SMOOTH MUSCLE SOFT TISSUE SPINAL CORD SPLEEN STOMACH TESTIS THYMUS THYROID GLAND TONGUE TONSIL URINARY BLADDER VAGINA
ANTIBODIES
AND
VALIDATION
Dictionary
Skin
Tissue proteome
Skin
SKIN - Expression summary
Protein expression
Skini

On the top, protein expression in current human tissue, based on all annotated cell types, is reported with the units not detected (n), low (l), medium (m) and high (h). Underneath, protein expression in each annotated cell type are reported using the same units.

Protein expression data is based on knowledge-based annotation. For genes where more than one antibody has been used, a collective score is set.

If knowledge-based annotation could not be performed for a gene, no data is displayed here. View antibody staining data further down this page.

h
m
l
n
Fibroblasts: Medium
Keratinocytes: Medium
Langerhans: Medium
Melanocytes: Medium
RNA expressioni

A summary of mRNA expression data available for current tissue based on several datasets. The mRNA expression levels in human tissues are based on RNA-seq data generated by the Human Protein Atlas (HPA), Genotype-Tissue Expression (GTEx) portal and CAGE data generated by the FANTOM5 consortium. Consensus normalized expression levels for human tissues was created by combining the data from HPA and GTEx datasets.

The mRNA expression levels in pig are based on RNA-seq data generated by the Human Protein Atlas (HPA), and for mouse, HPA data and in situ hybridization generated by the Allen brain atlas are reported.

Scroll down to view mRNA expression data in more detail.
Consensus:72.6 nTPM
HPA:39.4 nTPM
GTEx:72.6 nTPM

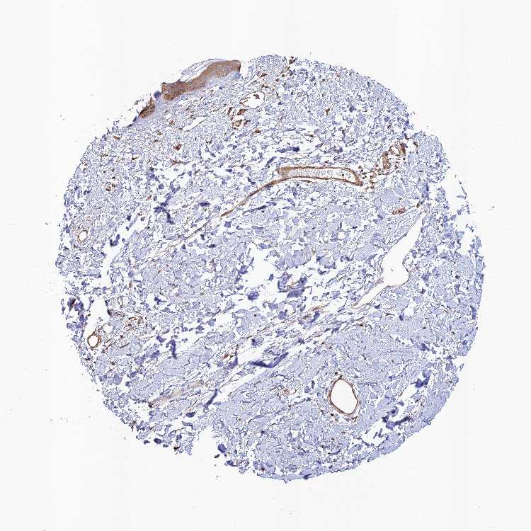
SKIN 1 - Antibody stainingi

Antibody staining in the annotated cell types in the current human tissue is reported as not detected, low, medium, or high, based on conventional immunohistochemistry profiling in selected tissues. This score is based on the combination of the staining intensity and fraction of stained cells.

Each image is clickable and will lead to virtual microscopy that enables deeper exploration of all samples and also displays staining intensity scores, fraction scores and subcellular localization as well as patient and tissue information for each sample.

Antibody HPA043532
Langerhans Medium
Fibroblasts Medium
Keratinocytes Medium
Melanocytes Medium


SKIN - HPA RNA-seqi

The RNA-seq details section shows detailed information about the individual samples used for the transcript profiling and results of the RNA-seq analysis.

Information about each individual sample is listed below, including gender, age, a tissue section image and estimated fractions of cell types. nTPM (normalized transcripts per million) values give a quantification of the gene abundance which is comparable between different genes and samples.
Average nTPMi

Max subtype nTPM is the value for the subtype with the largest average nTPM across the subtype samples.

39.4
overview
Female, age 34
Skin sample 225
nTPM: 20.7
Cell types%
Keratinocytes:
60

Other cell types:
40

overview
Female, age 30
Skin sample 226
nTPM: 9
Cell types%
Keratinocytes:
55

Other cell types:
45

N/A
Male, age 57
Skin sample 227
nTPM: 88.6

SKIN - GTEx RNA-seqi

RNA-Seq data generated by the Genotype-Tissue Expression (GTEx) project from human tissues is reported as mean nTPM. More information can be found on the GTEx portal.

Distribution across the dataset is visualized with box plots, shown as median and 25th and 75th percentiles. Points are displayed as outliers if they are above or below 1.5 times the interquartile range. nTPM values of the individual samples are presented next to the box plot.
Max subtype nTPMi

Max subtype nTPM is the value for the subtype with the largest average nTPM across the subtype samples.

72.6
GTEx sample id Sample description nTPM
Skin - Not Sun Exposed (Suprapubic)
Average nTPM: 70.3
Samples: 604

Max nTPM: 149.8
Min nTPM: 33.0
Std nTPM: 18.9
Median nTPM: 66.9
GTEX-1IDJI-0126-SM-CMKHS 50-59 years, female 149.8
GTEX-ZPCL-1126-SM-4WWFE 60-69 years, female 141.2
GTEX-1HCUA-0826-SM-ADEHM 50-59 years, female 134.9
GTEX-ZLFU-1826-SM-4WWBV 40-49 years, male 131.2
GTEX-16MTA-0926-SM-6M47Z 50-59 years, male 130.3
GTEX-1LSNM-0826-SM-DIPG8 50-59 years, male 129.3
GTEX-XPVG-2126-SM-4B667 50-59 years, male 123.5
GTEX-Y9LG-1126-SM-4VBQ7 30-39 years, male 123.3
GTEX-ZU9S-1826-SM-5NQ9E 30-39 years, male 121.7
GTEX-12WSJ-1126-SM-5LZVJ 40-49 years, female 121.1
GTEX-ZVT2-0126-SM-5GIDQ 50-59 years, female 121.1
GTEX-17EVQ-0126-SM-7IGLR 70-79 years, male 120.9
GTEX-1HCU8-2526-SM-CE6RX 60-69 years, female 120.8
GTEX-1JKYN-0826-SM-ARU8S 30-39 years, male 120.8
GTEX-15RIG-0726-SM-7KUM7 40-49 years, male 120.4
GTEX-X585-2426-SM-46MW2 50-59 years, male 119.5
GTEX-XQ8I-0926-SM-4BOOF 50-59 years, male 117.1
GTEX-14PK6-0226-SM-62LF5 70-79 years, female 116.6
GTEX-1LVAN-0626-SM-CNPOQ 50-59 years, female 115.8
GTEX-1RMOY-1326-SM-E9TIH 50-59 years, male 114.6
GTEX-1I4MK-0126-SM-CY8G6 50-59 years, female 114.3
GTEX-1LBAC-0826-SM-CY8IJ 20-29 years, male 114.1
GTEX-14PKV-1126-SM-6LLJ1 20-29 years, female 113.4
GTEX-1399R-1326-SM-5PNYS 30-39 years, male 112.9
GTEX-1K2DA-1026-SM-CGQGF 50-59 years, male 112.5
GTEX-1R9PN-0426-SM-DTXDT 40-49 years, female 111.9
GTEX-X4EP-0626-SM-3P621 60-69 years, female 109.8
GTEX-ZTSS-1426-SM-5985P 40-49 years, male 109.7
GTEX-18D9B-0926-SM-7LG4U 60-69 years, male 108.7
GTEX-X3Y1-2026-SM-3P5YM 40-49 years, male 108.2
GTEX-14A5H-0826-SM-5QGPJ 60-69 years, male 107.0
GTEX-14DAR-1226-SM-73KYV 50-59 years, male 107.0
GTEX-1LG7Z-1626-SM-CXKYR 30-39 years, male 105.9
GTEX-1HBPN-0126-SM-CGQEF 50-59 years, male 105.0
GTEX-1JMOU-1026-SM-CYPSS 60-69 years, female 104.8
GTEX-ZVP2-0326-SM-57WBP 50-59 years, male 104.5
GTEX-1MCC2-1826-SM-DIPEX 30-39 years, female 104.1
GTEX-XUW1-0926-SM-4BONX 50-59 years, female 104.0
GTEX-XBEC-0726-SM-4QARZ 50-59 years, male 103.4
GTEX-XAJ8-1426-SM-47JYM 40-49 years, male 103.1
GTEX-17HII-1426-SM-7EPGG 50-59 years, male 103.0
GTEX-1H1ZS-2726-SM-9WG75 70-79 years, male 102.8
GTEX-ZYFG-1526-SM-5GZYM 60-69 years, female 102.6
GTEX-1S3DN-2126-SM-E9TIN 50-59 years, male 102.6
GTEX-14E6E-0526-SM-793DN 30-39 years, male 102.4
GTEX-1RAZQ-1326-SM-E9TK6 30-39 years, male 102.1
GTEX-1399S-0126-SM-5IJCF 30-39 years, female 101.7
GTEX-15FZZ-0526-SM-7KUGD 30-39 years, female 101.6
GTEX-17F96-0126-SM-7EWDU 70-79 years, male 101.5
GTEX-ZLV1-1526-SM-DO91J 60-69 years, female 101.1
GTEX-Y5V6-2326-SM-4VDSA 60-69 years, male 100.9
GTEX-WI4N-2726-SM-3LK7Y 40-49 years, female 100.7
GTEX-ZP4G-1426-SM-4WWCL 20-29 years, female 100.7
GTEX-1J1R8-2026-SM-CL53Y 40-49 years, male 100.7
GTEX-145ME-1726-SM-5Q5EU 40-49 years, female 100.3
GTEX-ZAB4-2126-SM-5HL8U 40-49 years, male 99.4
GTEX-ZVZP-1226-SM-5GID7 50-59 years, male 98.5
GTEX-1MCYP-0526-SM-E9U6Q 20-29 years, female 97.9
GTEX-WXYG-2026-SM-4E3IY 50-59 years, female 97.3
GTEX-18D9A-1426-SM-7LT8M 30-39 years, female 97.3
GTEX-17F97-2626-SM-7IGM5 50-59 years, male 97.1
GTEX-15CHR-1126-SM-7EWF4 50-59 years, male 97.0
GTEX-1S831-1826-SM-EWROF 20-29 years, male 96.9
GTEX-111CU-1126-SM-5EGIM 50-59 years, male 96.6
GTEX-1CAMR-1326-SM-7PC1F 20-29 years, male 96.3
GTEX-1I1GT-1026-SM-ARZLV 60-69 years, female 95.2
GTEX-15CHQ-0326-SM-69LQD 60-69 years, male 95.0
GTEX-XV7Q-1826-SM-4BRUV 40-49 years, female 94.6
GTEX-Y8LW-1526-SM-5IFHL 50-59 years, female 94.3
GTEX-1GZ4H-0526-SM-9KNU9 50-59 years, female 94.1
GTEX-1QP2A-1726-SM-E76QC 50-59 years, male 93.6
GTEX-12BJ1-0926-SM-5EQ62 60-69 years, male 93.5
GTEX-YFCO-1226-SM-5LUAT 40-49 years, male 93.3
GTEX-1LVAO-2726-SM-E9TJ8 60-69 years, male 93.2
GTEX-1117F-2926-SM-5GZYI 60-69 years, female 92.9
GTEX-ZF3C-0626-SM-DO92O 50-59 years, female 92.9
GTEX-ZGAY-1826-SM-DO91Q 40-49 years, female 92.4
GTEX-1PPH8-0126-SM-EWRN8 20-29 years, male 92.2
GTEX-1QP29-1826-SM-DTX9S 50-59 years, male 92.1
GTEX-1HUB1-1426-SM-CGQF5 60-69 years, male 92.0
GTEX-1JMLX-0626-SM-ARL8T 50-59 years, male 92.0
GTEX-ZZPU-0826-SM-5GZX5 50-59 years, female 91.4
GTEX-1QP9N-1226-SM-E76QN 30-39 years, male 91.1
GTEX-111FC-2526-SM-5GZXU 60-69 years, male 90.8
GTEX-1S82P-2126-SM-E6CI5 60-69 years, female 90.8
GTEX-XBEW-1126-SM-4QARW 40-49 years, male 90.5
GTEX-1JMPY-0226-SM-CKZOK 30-39 years, male 90.5
GTEX-13FH7-1126-SM-5K7UG 50-59 years, female 89.9
GTEX-ZA64-1026-SM-5HL8R 20-29 years, male 89.8
GTEX-ZYW4-0626-SM-59HJR 60-69 years, male 89.8
GTEX-YB5K-2026-SM-4VDT3 40-49 years, female 89.7
GTEX-1B996-0426-SM-7EWF8 60-69 years, male 89.1
GTEX-1HKZK-0726-SM-ACKW2 40-49 years, male 89.1
GTEX-13FTW-0326-SM-5K7UW 40-49 years, male 89.0
GTEX-1HB9E-0126-SM-CM2S5 50-59 years, male 88.6
GTEX-WYVS-1626-SM-3NM9R 40-49 years, female 88.5
GTEX-1IDJU-1726-SM-CMKHU 60-69 years, female 88.5
GTEX-1H23P-0626-SM-9WG6T 60-69 years, male 88.1
GTEX-ZLWG-0826-SM-59888 50-59 years, female 88.0
GTEX-1GMR2-0826-SM-7PC3V 50-59 years, male 87.7
GTEX-14PJ6-2626-SM-6EU2T 60-69 years, female 87.5
GTEX-WFG7-2026-SM-5SI7P 20-29 years, male 87.1
GTEX-Y5LM-0926-SM-6LLJG 40-49 years, female 87.1
GTEX-117YX-1926-SM-5GIEC 50-59 years, male 86.8
GTEX-1CB4I-0126-SM-7RHGG 50-59 years, male 86.8
GTEX-16AAH-0626-SM-793C9 50-59 years, male 86.7
GTEX-1LKK1-2626-SM-DKPQE 50-59 years, female 86.6
GTEX-1OJC3-1226-SM-DTXER 20-29 years, male 86.6
GTEX-11DZ1-2426-SM-5GZZX 50-59 years, male 86.4
GTEX-1KAFJ-0126-SM-DIPEK 50-59 years, male 86.4
GTEX-145MN-1526-SM-5SI9T 30-39 years, male 86.2
GTEX-1HFI7-2326-SM-CGQFS 50-59 years, female 85.9
GTEX-1POEN-2326-SM-E9J2L 30-39 years, female 85.3
GTEX-U8XE-0226-SM-4E3J3 30-39 years, male 84.8
GTEX-1K9T9-1526-SM-DIPFR 50-59 years, female 84.8
GTEX-11WQK-1026-SM-5EQLX 50-59 years, male 84.6
GTEX-WFG8-2126-SM-3GIKQ 20-29 years, male 84.0
GTEX-XOT4-0626-SM-4B66L 60-69 years, female 84.0
GTEX-12WSA-0426-SM-5EQ5X 60-69 years, male 83.9
GTEX-ZDTT-0426-SM-4WKFL 60-69 years, male 83.9
GTEX-13W3W-0726-SM-5IJDQ 60-69 years, female 83.8
GTEX-13SLX-2226-SM-62LEP 50-59 years, female 83.4
GTEX-14PJ4-0226-SM-5YY92 60-69 years, male 83.4
GTEX-WHSE-0126-SM-3NMBT 20-29 years, male 83.2
GTEX-Y3I4-1726-SM-4TT89 50-59 years, male 83.0
GTEX-WH7G-2026-SM-3NMBL 40-49 years, male 82.7
GTEX-14E1K-2026-SM-7DUEI 50-59 years, male 82.6
GTEX-13113-1626-SM-5EQ4I 60-69 years, female 82.5
GTEX-1CB4H-1126-SM-7MKGL 60-69 years, female 82.4
GTEX-12ZZZ-0726-SM-5GCNZ 60-69 years, male 82.2
GTEX-11EM3-1226-SM-5N9DD 20-29 years, female 82.0
GTEX-14BMU-1226-SM-5S2OR 20-29 years, female 82.0
GTEX-1PPH7-1126-SM-DTX9A 40-49 years, male 81.6
GTEX-Y3IK-1626-SM-4YCF5 50-59 years, female 81.2
GTEX-ZTX8-1326-SM-4YCEL 20-29 years, male 80.9
GTEX-1PIGE-1826-SM-E8VOU 20-29 years, male 80.9
GTEX-WHSB-1326-SM-3LK6W 50-59 years, male 80.7
GTEX-XYKS-1426-SM-4BRUO 60-69 years, female 80.7
GTEX-ZY6K-1426-SM-5GZX2 50-59 years, male 80.7
GTEX-1K2DU-1226-SM-CYPT4 20-29 years, male 80.7
GTEX-1B8KE-1126-SM-7EPHI 50-59 years, male 80.6
GTEX-ZF29-0926-SM-4WKFZ 60-69 years, female 80.6
GTEX-11OF3-0126-SM-5PNYF 60-69 years, male 80.5
GTEX-1C2JI-1026-SM-73KY1 50-59 years, male 80.5
GTEX-13NYS-0626-SM-5L3F1 60-69 years, male 80.4
GTEX-17HHE-1326-SM-7EWDZ 50-59 years, male 80.3
GTEX-11P81-2226-SM-5PNYI 30-39 years, female 80.2
GTEX-13OVJ-0826-SM-5J1OK 50-59 years, female 79.7
GTEX-17F9E-2326-SM-79OKD 50-59 years, male 79.7
GTEX-1OJC4-2726-SM-E76PJ 50-59 years, female 79.6
GTEX-11UD2-2526-SM-5CVNU 50-59 years, male 79.3
GTEX-11TT1-1826-SM-5EQLV 20-29 years, male 79.1
GTEX-1212Z-0126-SM-59HK4 60-69 years, male 78.9
GTEX-ZWKS-0626-SM-5GIDV 30-39 years, male 78.9
GTEX-1IDJD-2326-SM-ACKWX 30-39 years, male 78.9
GTEX-132AR-0326-SM-5KM2C 50-59 years, female 78.8
GTEX-13OW8-1026-SM-5J1NQ 60-69 years, male 78.7
GTEX-1192X-2726-SM-5N9DN 50-59 years, male 78.6
GTEX-13QBU-1226-SM-5LU4G 40-49 years, female 78.6
GTEX-1CAMS-2226-SM-7PBXQ 40-49 years, female 78.6
GTEX-1LGRB-0926-SM-COH3K 50-59 years, female 78.5
GTEX-1R7EU-1626-SM-DTXG3 60-69 years, male 78.5
GTEX-13FTX-1526-SM-5K7VJ 20-29 years, female 78.2
GTEX-18465-2826-SM-7LT9J 50-59 years, male 78.2
GTEX-1QPFJ-1926-SM-EVYBD 30-39 years, female 78.2
GTEX-16BQI-1326-SM-6M486 30-39 years, female 77.9
GTEX-18A7B-2726-SM-7LG56 70-79 years, male 77.8
GTEX-14PHY-1226-SM-5ZZWK 60-69 years, female 77.6
GTEX-1HC8U-1326-SM-9YFMJ 40-49 years, female 77.5
GTEX-1O9I2-0226-SM-EYYXD 50-59 years, male 77.5
GTEX-17EVP-2626-SM-7IGMA 40-49 years, male 77.4
GTEX-11VI4-1126-SM-5EQMD 40-49 years, female 77.3
GTEX-13O61-1426-SM-5KM3D 60-69 years, male 77.3
GTEX-13N2G-0226-SM-5K7VF 60-69 years, male 77.0
GTEX-1AX9J-1326-SM-731BJ 60-69 years, male 77.0
GTEX-1S82U-1026-SM-E6CJK 30-39 years, female 77.0
GTEX-139T8-0626-SM-5KLZX 60-69 years, male 76.7
GTEX-1EWIQ-0326-SM-7DHMQ 70-79 years, female 76.7
GTEX-139TU-0726-SM-5L3EK 60-69 years, male 76.6
GTEX-1F75W-2726-SM-7SB8H 60-69 years, male 76.6
GTEX-12WSL-2026-SM-5GCML 50-59 years, male 76.5
GTEX-131XH-0126-SM-5LZUY 50-59 years, male 76.5
GTEX-1R9PM-1926-SM-EVR3O 20-29 years, male 76.5
GTEX-1JMQK-1226-SM-D4P2S 60-69 years, male 76.4
GTEX-11NSD-0626-SM-5A5LU 20-29 years, male 76.2
GTEX-ZT9W-1126-SM-57WDR 50-59 years, male 76.2
GTEX-1H3VE-0726-SM-9YFL5 40-49 years, male 76.2
GTEX-1AMEY-0826-SM-72D65 30-39 years, female 75.9
GTEX-1JMQJ-0826-SM-CNPP7 50-59 years, male 75.8
GTEX-1GPI7-1826-SM-9KNU1 20-29 years, male 75.6
GTEX-1N2EE-0626-SM-E76PW 60-69 years, male 75.3
GTEX-139YR-1026-SM-5LZYN 50-59 years, male 75.2
GTEX-1C475-1326-SM-7SB73 40-49 years, female 75.2
GTEX-1JJE9-2626-SM-ARZMT 70-79 years, male 74.9
GTEX-Y114-2126-SM-4TT8B 50-59 years, female 74.8
GTEX-1EMGI-2326-SM-7PBYA 60-69 years, male 74.5
GTEX-1HBPM-0726-SM-9YFL7 60-69 years, female 74.5
GTEX-16XZZ-0726-SM-7KUF2 60-69 years, male 74.4
GTEX-13OVK-1426-SM-6PAN7 40-49 years, male 74.3
GTEX-ZYFD-0626-SM-5E44E 50-59 years, male 74.3
GTEX-YEC3-1326-SM-DO92X 50-59 years, male 74.0
GTEX-18QFQ-1826-SM-72D52 30-39 years, male 73.9
GTEX-11LCK-2226-SM-5HL4Q 30-39 years, male 73.7
GTEX-13OVG-1626-SM-5J1NF 60-69 years, male 73.6
GTEX-11ZTT-2126-SM-5CVLO 60-69 years, female 73.5
GTEX-1CB4E-0926-SM-7EPHT 60-69 years, male 73.4
GTEX-1I1HK-2326-SM-CKZOH 60-69 years, male 73.4
GTEX-18D9U-0126-SM-731BM 40-49 years, male 73.1
GTEX-1CAV2-0126-SM-7IGN7 40-49 years, female 72.9
GTEX-11GSP-2326-SM-5HL63 60-69 years, female 72.8
GTEX-11EQ8-0926-SM-5H12V 60-69 years, male 72.7
GTEX-14PJ3-1126-SM-5ZZVX 50-59 years, male 72.7
GTEX-1QCLZ-2426-SM-EVYBW 60-69 years, female 72.7
GTEX-16YQH-2226-SM-7IGM2 30-39 years, male 72.6
GTEX-1211K-1526-SM-5FQU4 60-69 years, female 72.5
GTEX-111VG-1626-SM-5EGIO 60-69 years, male 72.4
GTEX-ZPIC-0526-SM-DO91W 40-49 years, female 72.4
GTEX-17MF6-2626-SM-79OKQ 40-49 years, male 72.3
GTEX-1HSGN-0826-SM-ACKW3 40-49 years, female 72.3
GTEX-145MG-1526-SM-5Q5EM 50-59 years, male 72.1
GTEX-X5EB-1926-SM-4E3IW 40-49 years, male 72.0
GTEX-Y5V5-0126-SM-5S2NW 60-69 years, female 72.0
GTEX-15UF6-1926-SM-7KUDV 70-79 years, female 71.9
GTEX-13O3Q-0126-SM-5KM34 50-59 years, male 71.8
GTEX-15DYW-2726-SM-6EU2I 60-69 years, female 71.8
GTEX-1ICG6-1226-SM-A9SLN 70-79 years, female 71.7
GTEX-1H2FU-0926-SM-9WPPT 60-69 years, female 71.5
GTEX-1QP28-1126-SM-EVYC4 50-59 years, female 71.5
GTEX-13RTJ-0126-SM-5S2NN 60-69 years, male 71.4
GTEX-1477Z-0326-SM-7IGLA 60-69 years, male 71.3
GTEX-1LB8K-0726-SM-D5OV2 50-59 years, male 71.1
GTEX-14LLW-2626-SM-62LDZ 70-79 years, female 71.0
GTEX-ZAK1-0626-SM-5HL8E 50-59 years, female 71.0
GTEX-1JJ6O-2726-SM-CNPOG 60-69 years, male 71.0
GTEX-13JVG-0726-SM-5KM16 60-69 years, male 70.9
GTEX-14C39-1726-SM-5RQIL 40-49 years, male 70.9
GTEX-ZVTK-0226-SM-51MRG 20-29 years, male 70.9
GTEX-1IKOE-1426-SM-CE6T7 30-39 years, female 70.9
GTEX-1EN7A-2426-SM-793DB 40-49 years, male 70.7
GTEX-ZPU1-1126-SM-4YCF3 40-49 years, male 70.7
GTEX-1IDJV-0126-SM-COH3Y 60-69 years, male 70.7
GTEX-13QJC-0126-SM-5ZZWJ 60-69 years, female 70.6
GTEX-WHWD-1826-SM-3LK6I 50-59 years, male 70.6
GTEX-1A3MX-2626-SM-7PC24 60-69 years, male 70.6
GTEX-1J8EW-2726-SM-CY8HR 60-69 years, female 70.6
GTEX-1PIIG-2326-SM-DTXFR 30-39 years, male 70.5
GTEX-13IVO-0726-SM-5LZYV 70-79 years, male 70.3
GTEX-16MT9-0126-SM-7EPI8 60-69 years, female 70.3
GTEX-1GMR8-0626-SM-7RHI7 50-59 years, female 70.3
GTEX-145LT-0526-SM-5LUB2 40-49 years, male 70.1
GTEX-17JCI-2926-SM-7DUFF 60-69 years, female 70.1
GTEX-1F88F-0126-SM-9WYSZ 60-69 years, female 70.1
GTEX-1399U-1126-SM-5L3DB 50-59 years, female 69.9
GTEX-WFON-1926-SM-3LK7L 40-49 years, male 69.9
GTEX-1HGF4-0126-SM-CNPPX 60-69 years, male 69.9
GTEX-12584-0726-SM-5FQTK 40-49 years, male 69.8
GTEX-12WSK-2126-SM-5CVNC 40-49 years, female 69.8
GTEX-16MT8-2926-SM-7DUFO 60-69 years, female 69.8
GTEX-XK95-0226-SM-4AT58 40-49 years, male 69.8
GTEX-12WSF-1626-SM-7KUG5 70-79 years, male 69.7
GTEX-13JUV-2026-SM-5K7UA 40-49 years, female 69.7
GTEX-16Z82-2626-SM-7KULU 60-69 years, male 69.7
GTEX-1JN6P-2926-SM-CL54D 60-69 years, male 69.7
GTEX-1MJK3-0726-SM-E6CJC 20-29 years, male 69.7
GTEX-1HFI6-0126-SM-CNPPI 40-49 years, male 69.4
GTEX-1KANA-1326-SM-DIPFA 20-29 years, male 69.4
GTEX-1KXAM-1626-SM-D3LAD 60-69 years, male 69.3
GTEX-1313W-0626-SM-5EQ4H 50-59 years, female 69.2
GTEX-145LS-0626-SM-7EPG7 60-69 years, female 69.2
GTEX-YEC4-1826-SM-4W1YP 40-49 years, male 69.2
GTEX-ZDXO-3126-SM-5IJDF 60-69 years, male 69.2
GTEX-1J8Q3-0526-SM-ARL8U 60-69 years, male 69.2
GTEX-1IDJE-1426-SM-ADEIW 50-59 years, female 69.1
GTEX-WYJK-0526-SM-3NM8Z 50-59 years, male 69.0
GTEX-1KANC-1226-SM-CYPT7 50-59 years, female 69.0
GTEX-11P82-1426-SM-DTXFY 20-29 years, male 68.9
GTEX-14JG6-1426-SM-9WG7C 30-39 years, female 68.7
GTEX-133LE-2326-SM-5K7W3 20-29 years, female 68.6
GTEX-1C64O-1326-SM-7MGWR 60-69 years, male 68.6
GTEX-15RJE-2826-SM-7KUM9 40-49 years, male 68.4
GTEX-1AX8Z-0726-SM-73KTS 60-69 years, male 68.3
GTEX-1122O-1026-SM-9WYSF 60-69 years, female 68.3
GTEX-1GN2E-0226-SM-9WG6K 60-69 years, male 68.3
GTEX-1C6WA-2626-SM-7MKGM 60-69 years, male 68.2
GTEX-ZC5H-1526-SM-5HL9Y 40-49 years, female 68.2
GTEX-1E2YA-2126-SM-7MXUO 50-59 years, male 67.9
GTEX-1I6K6-1726-SM-CGQFD 30-39 years, male 67.9
GTEX-1J1OQ-0126-SM-D4P2N 40-49 years, female 67.9
GTEX-1N2DV-1526-SM-DTXEP 40-49 years, male 67.9
GTEX-1NSGN-0726-SM-DTXEF 50-59 years, male 67.9
GTEX-12WSH-1526-SM-5BC5W 50-59 years, male 67.8
GTEX-13PDP-0726-SM-5L3HP 60-69 years, male 67.8
GTEX-13X6I-1826-SM-5SIAO 60-69 years, male 67.8
GTEX-ZYY3-2926-SM-5GIEB 60-69 years, female 67.8
GTEX-13VXT-1926-SM-5K7UO 20-29 years, female 67.4
GTEX-15CHC-1126-SM-6LLHQ 60-69 years, female 67.3
GTEX-13NYC-0126-SM-5L3F4 60-69 years, male 67.2
GTEX-1RB15-1326-SM-E76Q9 60-69 years, male 67.1
GTEX-131XF-2626-SM-5EQ6K 60-69 years, male 67.0
GTEX-13OVH-0526-SM-5L3E6 70-79 years, male 66.9
GTEX-1A32A-0626-SM-731AQ 50-59 years, female 66.9
GTEX-1R46S-2426-SM-E76QA 60-69 years, female 66.9
GTEX-1RLM8-2926-SM-E8VON 50-59 years, male 66.9
GTEX-1CB4F-1026-SM-7DUH1 60-69 years, male 66.8
GTEX-15D1Q-2826-SM-6LLH7 40-49 years, male 66.6
GTEX-XXEK-1626-SM-4BRUZ 50-59 years, male 66.6
GTEX-ZVE1-0726-SM-51MRN 50-59 years, female 66.6
GTEX-13U4I-2226-SM-5LU5H 40-49 years, female 66.5
GTEX-1GL5R-1326-SM-7RHHF 50-59 years, male 66.5
GTEX-1GZ2Q-0126-SM-9WG6M 40-49 years, male 66.5
GTEX-1HCVE-2726-SM-CL54F 50-59 years, male 66.5
GTEX-11DXX-2126-SM-5PNYR 60-69 years, female 66.4
GTEX-11EQ9-1626-SM-5PNY8 30-39 years, male 66.4
GTEX-11O72-0626-SM-5PNYE 40-49 years, male 66.4
GTEX-1QEPI-2626-SM-DTXF4 60-69 years, female 66.4
GTEX-1R9K4-2826-SM-DTX8F 60-69 years, male 66.4
GTEX-ZT9X-1526-SM-5DUXD 40-49 years, male 66.3
GTEX-1KANB-2826-SM-CY8I6 50-59 years, male 66.3
GTEX-ZF2S-1626-SM-57WES 50-59 years, female 66.2
GTEX-17F9Y-0126-SM-79OKX 70-79 years, female 66.1
GTEX-1JMQL-2226-SM-CNPP4 50-59 years, female 66.1
GTEX-111YS-1526-SM-5GZYW 60-69 years, male 65.9
GTEX-144GO-2026-SM-5O99P 60-69 years, male 65.9
GTEX-XQ3S-1426-SM-4BOPR 20-29 years, male 65.9
GTEX-1399Q-2326-SM-5KM2X 40-49 years, male 65.7
GTEX-13N1W-2426-SM-5IJD1 70-79 years, male 65.7
GTEX-1EKGG-0626-SM-7DUGJ 60-69 years, male 65.7
GTEX-1F6I4-2326-SM-7RHGL 60-69 years, male 65.7
GTEX-1L5NE-1126-SM-D3L9P 50-59 years, male 65.7
GTEX-1F52S-2926-SM-7MKGA 60-69 years, female 65.5
GTEX-1CAMQ-1326-SM-7P8RV 40-49 years, male 65.5
GTEX-14ABY-2026-SM-62LDL 50-59 years, male 65.4
GTEX-VUSG-2326-SM-4KL1U 50-59 years, male 65.4
GTEX-X8HC-0626-SM-4E3HQ 50-59 years, female 65.4
GTEX-YECK-0326-SM-4W1YS 60-69 years, male 65.3
GTEX-14PJO-2526-SM-6AJBQ 60-69 years, male 65.2
GTEX-WY7C-2126-SM-3NB2R 50-59 years, male 65.2
GTEX-147F4-0726-SM-5TDDD 50-59 years, male 65.1
GTEX-14PJ5-1526-SM-6LLIL 60-69 years, female 65.1
GTEX-14B4R-1326-SM-5Q5EZ 30-39 years, male 65.0
GTEX-11DXZ-2026-SM-5987S 50-59 years, male 64.9
GTEX-ZE7O-2726-SM-51MT5 50-59 years, female 64.9
GTEX-11DXY-0126-SM-5H11Q 60-69 years, male 64.8
GTEX-14PKU-0126-SM-6LLHV 40-49 years, female 64.8
GTEX-1LG7Y-2526-SM-EWRO7 50-59 years, male 64.8
GTEX-WHPG-2626-SM-3NMBR 50-59 years, male 64.7
GTEX-1I1CD-0626-SM-CE6SW 60-69 years, female 64.6
GTEX-13X6H-0926-SM-5SIB2 50-59 years, female 64.4
GTEX-13PVR-0426-SM-5RQK2 60-69 years, female 64.2
GTEX-11PRG-0726-SM-5EGL1 50-59 years, male 64.1
GTEX-14E6C-2426-SM-5S2NF 40-49 years, male 64.1
GTEX-15DDE-2926-SM-6LLJ3 50-59 years, female 64.0
GTEX-1H1CY-0126-SM-9YFLY 60-69 years, female 63.9
GTEX-Y111-0626-SM-4SOIT 50-59 years, male 63.8
GTEX-1ICLZ-0326-SM-ARL82 60-69 years, male 63.8
GTEX-11EI6-2826-SM-5H11D 60-69 years, male 63.7
GTEX-139TS-2126-SM-5K7XC 60-69 years, male 63.7
GTEX-11GS4-0226-SM-5HL77 60-69 years, male 63.6
GTEX-1C6VR-0126-SM-7RHGB 60-69 years, male 63.5
GTEX-1M4P7-0726-SM-E6CJ3 60-69 years, male 63.5
GTEX-15EO6-2426-SM-6PALZ 50-59 years, male 63.4
GTEX-13D11-0926-SM-5J2NC 50-59 years, female 63.3
GTEX-1EH9U-2826-SM-7DUGT 60-69 years, male 63.3
GTEX-14PII-0726-SM-6EU2B 60-69 years, male 63.0
GTEX-1F5PK-2226-SM-7SB6N 50-59 years, male 63.0
GTEX-1QW4Y-1126-SM-DTXE3 30-39 years, male 63.0
GTEX-1497J-0226-SM-5QGPU 60-69 years, male 62.9
GTEX-1A3MW-0626-SM-731CB 60-69 years, female 62.8
GTEX-1GF9X-1326-SM-7PC2Y 40-49 years, female 62.8
GTEX-14C5O-0326-SM-5ZZUX 60-69 years, male 62.7
GTEX-1H11D-1826-SM-9QEHM 40-49 years, male 62.7
GTEX-147F3-1726-SM-5SIAW 50-59 years, female 62.6
GTEX-XBED-1926-SM-47JYP 60-69 years, male 62.6
GTEX-14LZ3-0126-SM-69LPM 60-69 years, female 62.5
GTEX-1PPGY-1626-SM-EVYBL 60-69 years, male 62.5
GTEX-17HG3-2626-SM-7DUF2 30-39 years, female 62.1
GTEX-WRHU-2826-SM-3MJG8 50-59 years, female 62.1
GTEX-1B97I-0626-SM-73KUZ 40-49 years, male 62.0
GTEX-1AYD5-2626-SM-7PBXY 50-59 years, male 62.0
GTEX-1NV5F-0626-SM-DTXEG 60-69 years, female 62.0
GTEX-XMD2-2126-SM-4YCF8 60-69 years, female 61.8
GTEX-Z93S-1626-SM-5CVMB 50-59 years, male 61.8
GTEX-1JMQI-1726-SM-ARL93 50-59 years, male 61.8
GTEX-1KD5A-0126-SM-E9U54 50-59 years, male 61.8
GTEX-14DAQ-0626-SM-793DS 60-69 years, female 61.7
GTEX-14ICL-1626-SM-5YYAO 30-39 years, male 61.7
GTEX-17F98-1326-SM-7DUEP 40-49 years, female 61.7
GTEX-14AS3-1526-SM-5Q5ED 40-49 years, female 61.6
GTEX-ZUA1-2626-SM-5NQ92 40-49 years, male 61.6
GTEX-1QAET-0326-SM-EVR3U 50-59 years, male 61.6
GTEX-13NZ9-2626-SM-5L3FK 50-59 years, male 61.5
GTEX-13OW5-2326-SM-5L3HO 60-69 years, male 61.5
GTEX-1N5O9-0926-SM-E9J3C 60-69 years, male 61.4
GTEX-1269C-0126-SM-5EQ5L 60-69 years, female 61.3
GTEX-16NGA-0726-SM-731AO 40-49 years, female 61.3
GTEX-1GZHY-0626-SM-9KNVC 50-59 years, female 61.3
GTEX-13O3O-2326-SM-5IJD6 60-69 years, female 61.1
GTEX-ZYT6-2326-SM-5GZY3 30-39 years, male 61.1
GTEX-131YS-2826-SM-5EQ47 60-69 years, female 61.0
GTEX-14753-0726-SM-5QGQO 60-69 years, male 61.0
GTEX-11ZU8-0126-SM-5EQ58 60-69 years, male 60.9
GTEX-ZXG5-2126-SM-59HKD 60-69 years, male 60.9
GTEX-1HSMQ-2626-SM-A9SML 50-59 years, male 60.9
GTEX-ZDTS-0826-SM-4WKHL 60-69 years, male 60.8
GTEX-17HGU-2326-SM-7DUFE 50-59 years, male 60.7
GTEX-1F75B-0726-SM-7PC3R 50-59 years, male 60.6
GTEX-1F48J-0726-SM-7RHGS 50-59 years, female 60.5
GTEX-139TT-2126-SM-5LZWC 60-69 years, male 60.3
GTEX-13PVQ-0626-SM-5LU47 50-59 years, male 60.3
GTEX-ZZ64-1026-SM-5GZXG 20-29 years, male 60.3
GTEX-13NZ8-1226-SM-5KM4A 60-69 years, female 59.8
GTEX-15RIE-1926-SM-7KUKJ 60-69 years, male 59.8
GTEX-1GF9V-0826-SM-9KNUV 60-69 years, male 59.8
GTEX-147GR-2426-SM-5ZZWQ 60-69 years, male 59.7
GTEX-13FHO-0426-SM-5L3F5 60-69 years, male 59.5
GTEX-1I1GS-2626-SM-B2LY3 60-69 years, male 59.5
GTEX-1RAZR-2126-SM-E9U6T 40-49 years, male 59.5
GTEX-139D8-1126-SM-5LU8W 30-39 years, female 59.4
GTEX-YF7O-1526-SM-5IFI6 50-59 years, male 59.3
GTEX-ZDYS-2426-SM-4WKGI 50-59 years, male 59.3
GTEX-1HCU7-0726-SM-A9SL1 50-59 years, male 59.3
GTEX-131XW-0626-SM-5PNVD 50-59 years, female 59.2
GTEX-X4EO-2926-SM-4E3JH 60-69 years, female 59.2
GTEX-13112-0126-SM-5P9IU 50-59 years, male 59.1
GTEX-131XG-0326-SM-5L3DX 50-59 years, female 59.1
GTEX-11P7K-1126-SM-5HL4L 30-39 years, male 59.0
GTEX-16GPK-0626-SM-7KFSF 60-69 years, male 59.0
GTEX-15EU6-2226-SM-6EU2L 50-59 years, male 58.7
GTEX-1IL2V-1926-SM-B2LW8 70-79 years, male 58.7
GTEX-1J8QM-2426-SM-A9SLS 60-69 years, female 58.7
GTEX-15ER7-0626-SM-6PANF 20-29 years, female 58.6
GTEX-1AMFI-1326-SM-7939R 50-59 years, female 58.5
GTEX-1LSVX-2526-SM-DIPEU 60-69 years, male 58.4
GTEX-183WM-0326-SM-72D5V 70-79 years, female 58.3
GTEX-1J8Q2-2626-SM-ACKWQ 60-69 years, male 58.3
GTEX-1I19N-0126-SM-CYPSF 70-79 years, male 58.0
GTEX-1IOXB-2726-SM-CM2RI 50-59 years, male 58.0
GTEX-1LGOU-1326-SM-D3L8M 20-29 years, female 57.9
GTEX-ZVE2-2826-SM-5GU51 50-59 years, male 57.8
GTEX-11NUK-2726-SM-5A5MC 50-59 years, male 57.7
GTEX-13OW6-2726-SM-5J2OE 50-59 years, male 57.6
GTEX-15G19-2426-SM-7KUMR 60-69 years, male 57.6
GTEX-15SHW-0226-SM-7LTAT 60-69 years, male 57.6
GTEX-1B8SF-0126-SM-7DUG3 60-69 years, male 57.4
GTEX-ZE9C-2526-SM-5IJDR 60-69 years, male 57.4
GTEX-14PHX-2226-SM-6EU2P 50-59 years, male 57.3
GTEX-13OVL-0126-SM-5L3GJ 50-59 years, male 57.2
GTEX-13OW7-0426-SM-5K7VK 50-59 years, male 57.2
GTEX-146FQ-2126-SM-5RQHU 30-39 years, male 57.2
GTEX-1IDJH-0126-SM-D3L92 70-79 years, male 57.2
GTEX-1H4P4-2126-SM-9WYSL 50-59 years, male 57.1
GTEX-11DXW-0826-SM-5H118 40-49 years, male 57.0
GTEX-12ZZX-2426-SM-5GCOE 40-49 years, female 57.0
GTEX-13VXU-0626-SM-5L3F9 50-59 years, male 57.0
GTEX-1JK1U-0226-SM-ARZMX 60-69 years, male 56.9
GTEX-1A8G6-2726-SM-731AR 60-69 years, male 56.8
GTEX-1GTWX-2026-SM-9YFLM 60-69 years, male 56.8
GTEX-1HCU9-0426-SM-9WYSD 20-29 years, male 56.8
GTEX-1KWVE-1026-SM-D3L9O 30-39 years, male 56.7
GTEX-1LVAM-0726-SM-E6CIL 50-59 years, female 56.7
GTEX-1QP66-1226-SM-DTX7U 50-59 years, male 56.7
GTEX-12126-0826-SM-5FQTZ 20-29 years, male 56.6
GTEX-1C64N-2626-SM-7PC2N 50-59 years, male 56.5
GTEX-1JKYR-0626-SM-ARL8R 20-29 years, male 56.5
GTEX-13NYB-0126-SM-5J1MD 40-49 years, male 56.4
GTEX-ZAJG-1526-SM-5CVML 50-59 years, female 56.4
GTEX-ZYVF-0926-SM-5E44J 50-59 years, female 56.3
GTEX-1F5PL-0926-SM-7PC2W 40-49 years, female 56.2
GTEX-13G51-1826-SM-5KLZH 60-69 years, male 55.9
GTEX-1J8JJ-0626-SM-ARZMQ 60-69 years, female 55.9
GTEX-1JJEA-1826-SM-ARU8P 60-69 years, male 55.9
GTEX-YJ8O-2526-SM-5HL85 40-49 years, female 55.8
GTEX-ZYFC-0426-SM-5GICQ 50-59 years, male 55.8
GTEX-1H1E6-0426-SM-9WYUS 30-39 years, male 55.8
GTEX-1QMI2-2526-SM-E8VNZ 60-69 years, male 55.7
GTEX-12WSC-2826-SM-5BC5Y 50-59 years, male 55.6
GTEX-1JN1M-2726-SM-CY8I4 60-69 years, female 55.6
GTEX-1F75I-2226-SM-7SB8U 40-49 years, male 55.5
GTEX-145MI-0626-SM-5SI8S 60-69 years, female 55.3
GTEX-12696-0126-SM-5EQ4L 60-69 years, male 55.1
GTEX-1IDJC-1526-SM-B2LW4 50-59 years, male 55.0
GTEX-1QCLY-0226-SM-EWRNH 30-39 years, male 55.0
GTEX-1HSMO-0626-SM-ACKXC 60-69 years, male 54.8
GTEX-11ZUS-2626-SM-5FQUR 30-39 years, male 54.7
GTEX-14BIN-1126-SM-5RQJZ 50-59 years, female 54.7
GTEX-1I1GV-0626-SM-ARL7M 60-69 years, male 54.6
GTEX-13FTY-2126-SM-5IFFB 40-49 years, female 54.5
GTEX-14XAO-1226-SM-6EU1C 60-69 years, female 54.2
GTEX-1E1VI-0326-SM-793D1 50-59 years, male 54.1
GTEX-1PBJJ-1026-SM-E76OS 30-39 years, male 54.1
GTEX-ZTTD-2826-SM-4YCFA 50-59 years, male 53.8
GTEX-18A7A-0126-SM-731AH 50-59 years, female 53.6
GTEX-1F88E-1626-SM-7SB8Z 60-69 years, female 53.6
GTEX-1H1DE-1326-SM-9KNUG 20-29 years, male 53.4
GTEX-14PJN-1826-SM-6AJ98 30-39 years, male 53.2
GTEX-11WQC-1826-SM-5GU59 60-69 years, male 53.1
GTEX-1JMPZ-0726-SM-CY8HZ 30-39 years, male 53.1
GTEX-1LSNL-2726-SM-E9TKJ 50-59 years, male 53.1
GTEX-1I6K7-1926-SM-B2LXR 40-49 years, male 53.0
GTEX-1IDJF-2026-SM-CL53V 20-29 years, male 53.0
GTEX-12WSM-1926-SM-5BC65 60-69 years, male 52.9
GTEX-13YAN-0226-SM-5TDC6 60-69 years, male 52.8
GTEX-17MFQ-1526-SM-7KFRR 20-29 years, male 52.8
GTEX-1H3O1-1326-SM-9MQLD 60-69 years, male 52.7
GTEX-13N11-2326-SM-5IJBF 50-59 years, female 52.5
GTEX-144FL-0626-SM-5LU43 50-59 years, male 52.5
GTEX-18A66-0626-SM-7LT8Z 60-69 years, male 52.5
GTEX-1F6IF-0926-SM-7SB7M 60-69 years, male 52.5
GTEX-1HT8W-0626-SM-A9G2H 30-39 years, male 52.5
GTEX-16NPX-0726-SM-7KULC 50-59 years, male 52.4
GTEX-1B933-2426-SM-7DHMD 50-59 years, female 52.4
GTEX-1GMRU-2126-SM-7P8RA 50-59 years, male 52.4
GTEX-11DYG-1526-SM-5A5JS 60-69 years, male 52.2
GTEX-145LU-1926-SM-79OJN 50-59 years, male 52.2
GTEX-1I1GU-0926-SM-ACKVS 40-49 years, male 52.2
GTEX-1HR98-2226-SM-ADEI2 60-69 years, male 52.0
GTEX-1H3NZ-2726-SM-9WYTQ 60-69 years, male 51.9
GTEX-1RAZS-2526-SM-E6CHT 50-59 years, male 51.9
GTEX-178AV-1726-SM-7KUL8 40-49 years, male 51.7
GTEX-145MO-2826-SM-5LU96 60-69 years, male 51.6
GTEX-1HSMP-0926-SM-A9SKX 70-79 years, male 51.5
GTEX-17HHY-0426-SM-7DHLC 50-59 years, male 51.3
GTEX-1A3MV-1826-SM-731CD 30-39 years, male 51.3
GTEX-1JN76-0626-SM-CKZOQ 20-29 years, female 51.3
GTEX-1B932-2326-SM-79OL5 40-49 years, female 51.1
GTEX-144GM-0526-SM-79OJO 20-29 years, male 51.0
GTEX-1A8G7-1326-SM-73KVM 60-69 years, male 51.0
GTEX-V1D1-2026-SM-3GAF4 50-59 years, male 50.8
GTEX-13FLV-0126-SM-5K7WT 50-59 years, male 50.7
GTEX-12C56-1526-SM-5FQUQ 20-29 years, male 50.6
GTEX-13X6J-0626-SM-5LU5F 50-59 years, male 50.6
GTEX-183FY-1026-SM-7939A 20-29 years, male 50.6
GTEX-1LVA9-2626-SM-EVYD4 50-59 years, male 50.6
GTEX-1PDJ9-1226-SM-EXUSX 20-29 years, male 50.5
GTEX-WEY5-2326-SM-3GIKK 40-49 years, female 50.4
GTEX-14A6H-2026-SM-5Q5DD 30-39 years, male 50.3
GTEX-1GF9W-1426-SM-7PBYM 60-69 years, male 50.3
GTEX-ZVT4-2426-SM-5GIEI 50-59 years, female 50.2
GTEX-WK11-2726-SM-3NMAQ 50-59 years, male 49.9
GTEX-1HSKV-1226-SM-ADEI4 60-69 years, male 49.8
GTEX-1BAJH-2426-SM-7IGP8 70-79 years, male 49.7
GTEX-12ZZY-0726-SM-5EQ66 60-69 years, male 49.6
GTEX-13SLW-0626-SM-5Q5ER 70-79 years, male 49.6
GTEX-1H1DF-1126-SM-9WG7G 40-49 years, female 49.6
GTEX-1IY9M-2826-SM-ARU8H 60-69 years, male 49.5
GTEX-1H1DG-2426-SM-9QEHJ 70-79 years, male 49.2
GTEX-1HCU6-2526-SM-ADEHL 60-69 years, female 49.1
GTEX-14BMV-2826-SM-5TDED 50-59 years, male 49.0
GTEX-14JG1-1526-SM-5YY9X 40-49 years, male 48.9
GTEX-WYBS-0626-SM-3NMAS 60-69 years, female 48.9
GTEX-1GN1U-0626-SM-9MQL9 50-59 years, female 48.9
GTEX-14JFF-0626-SM-5ZZVT 60-69 years, male 48.8
GTEX-1C6VQ-1226-SM-73KYD 50-59 years, male 48.6
GTEX-1F6RS-2026-SM-7RHHC 60-69 years, female 48.4
GTEX-17KNJ-2126-SM-718AM 50-59 years, male 48.3
GTEX-1GZ4I-2626-SM-9KNU3 50-59 years, male 48.3
GTEX-1RAZA-2226-SM-E9U4X 20-29 years, male 48.2
GTEX-13PL6-1126-SM-5L3IE 40-49 years, female 48.1
GTEX-15G1A-1626-SM-7KUKN 30-39 years, male 48.0
GTEX-W5X1-2526-SM-3GILC 40-49 years, female 48.0
GTEX-1GMR3-0126-SM-A9SLW 40-49 years, male 47.9
GTEX-Y8E4-2026-SM-5IFJB 40-49 years, male 47.7
GTEX-1314G-1326-SM-5BC6E 30-39 years, male 47.6
GTEX-1IKJJ-2226-SM-CJI4C 60-69 years, male 47.6
GTEX-1CB4J-1326-SM-7P8RX 60-69 years, male 47.5
GTEX-145MH-2826-SM-5RQJF 50-59 years, male 47.4
GTEX-1GN73-0726-SM-7P8TJ 60-69 years, male 47.2
GTEX-145MF-0926-SM-5Q5EA 50-59 years, male 47.1
GTEX-11TUW-0626-SM-5LU9M 60-69 years, male 46.6
GTEX-1GN1W-2426-SM-9KNUU 50-59 years, female 46.5
GTEX-147JS-0226-SM-5S2U9 60-69 years, male 46.4
GTEX-1ICLY-0826-SM-CMKG1 50-59 years, male 46.4
GTEX-144GL-0626-SM-5LU4D 50-59 years, male 46.0
GTEX-1AX9I-2226-SM-73KUO 60-69 years, male 45.7
GTEX-1GPI6-1926-SM-9KNV7 60-69 years, male 45.7
GTEX-14PJ2-0626-SM-6LLII 50-59 years, male 45.5
GTEX-15RJ7-2126-SM-6PAMD 40-49 years, male 45.4
GTEX-1IE54-1126-SM-A9G2Z 40-49 years, female 45.4
GTEX-18A67-1626-SM-7LT9T 50-59 years, male 45.3
GTEX-1B8KZ-0326-SM-73KY4 50-59 years, male 45.3
GTEX-1I1GP-1326-SM-A9G28 50-59 years, male 45.3
GTEX-12WSD-0626-SM-5GCMW 60-69 years, female 45.2
GTEX-1GN1V-2826-SM-9JGIA 60-69 years, male 44.8
GTEX-UPK5-0426-SM-3GAEK 40-49 years, male 44.6
GTEX-1S83E-1326-SM-E6CJM 40-49 years, male 44.4
GTEX-UPJH-0226-SM-3GADV 50-59 years, male 44.1
GTEX-1HR9M-2226-SM-CNPPY 60-69 years, male 44.0
GTEX-1GF9U-2026-SM-7SB92 40-49 years, female 42.9
GTEX-14C38-0726-SM-5SI6M 50-59 years, male 42.3
GTEX-1EX96-1026-SM-7MKG2 50-59 years, male 41.9
GTEX-1F75A-0726-SM-7RHHD 50-59 years, male 41.7
GTEX-1S5ZU-2526-SM-E6CIF 20-29 years, female 41.4
GTEX-1B8L1-2226-SM-7P8PT 60-69 years, male 41.1
GTEX-1IDFM-0326-SM-ARL7V 60-69 years, male 40.9
GTEX-13X6K-0626-SM-5LU5D 60-69 years, female 40.4
GTEX-1EU9M-1426-SM-793AI 60-69 years, male 40.2
GTEX-12KS4-2126-SM-5FQUT 30-39 years, male 38.7
GTEX-1A8FM-0626-SM-7PC25 50-59 years, female 37.9
GTEX-18A6Q-0626-SM-7KFRP 60-69 years, male 37.0
GTEX-148VJ-0626-SM-5LUAW 70-79 years, male 36.6
GTEX-VJYA-1526-SM-3GIJV 60-69 years, male 35.7
GTEX-139UW-0326-SM-5J1ML 60-69 years, male 35.5
GTEX-15SKB-2826-SM-6PAMH 60-69 years, male 33.0
GTEX-1HBPI-2126-SM-ARL9K 50-59 years, male 33.0
Show allShow less
Skin - Sun Exposed (Lower leg)
Average nTPM: 72.6
Samples: 701

Max nTPM: 160.5
Min nTPM: 28.8
Std nTPM: 18.2
Median nTPM: 70.6
GTEX-NPJ8-0126-SM-2YUNR 40-49 years, male 160.5
GTEX-RTLS-0126-SM-447CA 60-69 years, female 153.1
GTEX-P4PQ-0126-SM-2S1NM 60-69 years, male 146.7
GTEX-ZF28-0126-SM-4WKGK 60-69 years, male 142.6
GTEX-P4PP-0126-SM-3LK69 30-39 years, female 138.3
GTEX-1HCVE-0126-SM-CGQEU 50-59 years, male 135.5
GTEX-QDT8-0126-SM-48TZ1 30-39 years, female 134.7
GTEX-XUZC-1726-SM-4BRWS 30-39 years, female 134.4
GTEX-O5YW-0126-SM-3LK6D 50-59 years, male 132.6
GTEX-OXRL-0126-SM-2YUMP 50-59 years, male 131.4
GTEX-ZAJG-0126-SM-5HL94 50-59 years, female 128.6
GTEX-ZXES-1826-SM-5E43S 30-39 years, female 125.6
GTEX-ZYY3-0126-SM-5GZY5 60-69 years, female 124.4
GTEX-1HBPM-0226-SM-ARL9F 60-69 years, female 121.0
GTEX-1H1ZS-0426-SM-9WG6G 70-79 years, male 120.9
GTEX-1JN1M-0326-SM-CYPT3 60-69 years, female 120.8
GTEX-1399U-2326-SM-5K7WY 50-59 years, female 120.2
GTEX-R45C-0126-SM-EAZ2R 60-69 years, female 117.5
GTEX-X4EP-0126-SM-3P5YV 60-69 years, female 112.1
GTEX-ZYFG-2326-SM-5E44B 60-69 years, female 111.6
GTEX-14PK6-1926-SM-6ETZU 70-79 years, female 110.7
GTEX-1OJC4-0126-SM-E9J2E 50-59 years, female 110.6
GTEX-PLZ4-0126-SM-5SI8O 50-59 years, female 109.4
GTEX-11TTK-0126-SM-5987B 60-69 years, female 109.0
GTEX-PLZ5-2026-SM-2S1O4 50-59 years, male 108.4
GTEX-17F97-0326-SM-7LG5B 50-59 years, male 106.7
GTEX-1HSEH-0126-SM-ACKXN 60-69 years, male 106.7
GTEX-P4QT-0126-SM-2I3FL 50-59 years, female 106.6
GTEX-ZAB4-0226-SM-5N9F5 40-49 years, male 106.5
GTEX-WH7G-2326-SM-3NMBC 40-49 years, male 106.3
GTEX-13FTY-0526-SM-5L3EV 40-49 years, female 106.1
GTEX-ZZPT-0226-SM-5E43X 50-59 years, male 105.9
GTEX-X4XX-0126-SM-3NMC2 60-69 years, male 105.3
GTEX-S95S-1226-SM-4GICG 60-69 years, male 104.7
GTEX-WI4N-1026-SM-3LK7N 40-49 years, female 104.6
GTEX-SN8G-0126-SM-32PLI 50-59 years, female 103.4
GTEX-U3ZM-1526-SM-3DB9D 40-49 years, male 103.1
GTEX-1MCYP-1926-SM-E9J2R 20-29 years, female 103.0
GTEX-1RAZQ-0726-SM-EAZ43 30-39 years, male 102.3
GTEX-17MF6-0126-SM-7LG4F 40-49 years, male 102.2
GTEX-NFK9-0226-SM-2HMKQ 40-49 years, male 101.7
GTEX-15EOM-0126-SM-7KUGG 20-29 years, female 101.1
GTEX-SUCS-1926-SM-32PM3 70-79 years, male 101.1
GTEX-X62O-0126-SM-4E3JN 50-59 years, male 100.5
GTEX-145MN-2226-SM-5SIAU 30-39 years, male 100.4
GTEX-16MT8-0426-SM-7KUEY 60-69 years, female 100.3
GTEX-13NZ8-0826-SM-5MR3I 60-69 years, female 100.2
GTEX-1LC47-0326-SM-E9TJP 60-69 years, male 100.1
GTEX-Q734-1926-SM-2I5EV 40-49 years, female 100.0
GTEX-TMZS-0126-SM-3DB9Q 60-69 years, male 100.0
GTEX-R55G-2526-SM-2TC6D 40-49 years, female 99.6
GTEX-139T4-0226-SM-5HL5S 50-59 years, female 98.9
GTEX-1PFEY-1526-SM-E76PP 30-39 years, male 98.7
GTEX-13NZB-2526-SM-5J1OM 30-39 years, male 98.6
GTEX-XV7Q-2526-SM-4BRV9 40-49 years, female 98.4
GTEX-131XG-2626-SM-5KM17 50-59 years, female 98.2
GTEX-RUSQ-1526-SM-2TF62 50-59 years, male 98.1
GTEX-14A5H-0426-SM-5QGQF 60-69 years, male 97.6
GTEX-146FR-1326-SM-E9J48 60-69 years, female 97.5
GTEX-14PJ6-2126-SM-6EU1V 60-69 years, female 97.2
GTEX-1RLM8-2326-SM-EWRN4 50-59 years, male 97.2
GTEX-13RTJ-2426-SM-5S2Q2 60-69 years, male 96.8
GTEX-14E6C-0126-SM-5RQIP 40-49 years, male 96.7
GTEX-Y5LM-1926-SM-5RQJH 40-49 years, female 96.3
GTEX-139D8-0226-SM-5KLZO 30-39 years, female 96.2
GTEX-169BO-1326-SM-9MQK2 50-59 years, male 96.2
GTEX-QV44-1926-SM-2S1RF 50-59 years, male 95.8
GTEX-1JMLX-0226-SM-CM2RO 50-59 years, male 95.8
GTEX-XXEK-2226-SM-4BRUM 50-59 years, male 95.7
GTEX-WOFL-0126-SM-3MJG2 60-69 years, male 95.6
GTEX-11DXX-2426-SM-5GZZW 60-69 years, female 95.5
GTEX-11VI4-1726-SM-5CVLH 40-49 years, female 95.2
GTEX-11P7K-2126-SM-5GU7G 30-39 years, male 94.9
GTEX-11UD1-0126-SM-5PNYG 40-49 years, female 94.8
GTEX-Y8LW-1826-SM-5S2MV 50-59 years, female 94.8
GTEX-1HKZK-0326-SM-9WYUH 40-49 years, male 94.8
GTEX-1HSMO-0126-SM-CL547 60-69 years, male 94.7
GTEX-13NYS-0126-SM-5MR3W 60-69 years, male 94.6
GTEX-117XS-2726-SM-5N9BL 60-69 years, male 93.9
GTEX-1AYCT-2426-SM-7IGQ3 50-59 years, male 93.9
GTEX-OHPL-0126-SM-2HMJ7 60-69 years, female 93.6
GTEX-1LH75-2426-SM-E9TJE 50-59 years, female 93.6
GTEX-13RTL-0126-SM-7LG5S 40-49 years, male 93.5
GTEX-1GTWX-0126-SM-9YFLK 60-69 years, male 93.5
GTEX-XQ8I-0426-SM-4BOPO 50-59 years, male 93.3
GTEX-X585-0226-SM-4QAS2 50-59 years, male 92.9
GTEX-X5EB-2226-SM-46MW4 40-49 years, male 92.7
GTEX-1R46S-0626-SM-E9J41 60-69 years, female 92.6
GTEX-1122O-2126-SM-5EGIR 60-69 years, female 92.2
GTEX-1JMPY-1326-SM-ARL8Y 30-39 years, male 92.2
GTEX-X638-0126-SM-47JZ8 70-79 years, female 91.7
GTEX-WYJK-0126-SM-3NMAB 50-59 years, male 91.5
GTEX-1H2FU-0126-SM-9WYSI 60-69 years, female 91.4
GTEX-18A67-0126-SM-7LG5P 50-59 years, male 91.2
GTEX-OXRO-0126-SM-2YUN4 60-69 years, female 91.2
GTEX-1QP29-0626-SM-EWRMX 50-59 years, male 91.2
GTEX-1R9PM-2026-SM-E76OY 20-29 years, male 91.1
GTEX-13O3P-0126-SM-5KM4S 50-59 years, male 91.0
GTEX-15CHC-2126-SM-6EU21 60-69 years, female 91.0
GTEX-12WSJ-1826-SM-5GCNY 40-49 years, female 90.9
GTEX-U412-0426-SM-3DB9O 60-69 years, male 90.9
GTEX-UJHI-1526-SM-3DB99 50-59 years, female 90.9
GTEX-14BIM-0226-SM-7IGLD 60-69 years, female 90.7
GTEX-18QFQ-0126-SM-731BE 30-39 years, male 90.7
GTEX-17EVQ-0226-SM-7LG4P 70-79 years, male 90.3
GTEX-ZF29-2326-SM-DO92K 60-69 years, female 90.2
GTEX-1A3MW-0126-SM-73KXX 60-69 years, female 90.1
GTEX-Z93T-0126-SM-5HL5N 50-59 years, male 90.1
GTEX-ZEX8-2426-SM-4WKG4 50-59 years, male 90.1
GTEX-1LVAN-0226-SM-COH3S 50-59 years, female 90.1
GTEX-16NGA-1726-SM-731B4 40-49 years, female 89.9
GTEX-PWCY-1826-SM-DHXIZ 20-29 years, female 89.9
GTEX-U3ZN-2326-SM-3DB7W 30-39 years, female 89.8
GTEX-ZVT2-2526-SM-51MT1 50-59 years, female 89.7
GTEX-15RIG-0226-SM-7KFTL 40-49 years, male 89.6
GTEX-OHPM-0126-SM-2YUN9 50-59 years, male 89.5
GTEX-13O21-1426-SM-5K7XI 50-59 years, male 89.4
GTEX-YEC4-2126-SM-5IFJH 40-49 years, male 89.3
GTEX-147F4-0226-SM-5QGPW 50-59 years, male 89.2
GTEX-1I1GT-0626-SM-CGQER 60-69 years, female 89.1
GTEX-11GSO-2426-SM-5A5LY 60-69 years, male 88.9
GTEX-1QP67-1626-SM-EAZ3X 40-49 years, female 88.8
GTEX-11EMC-2926-SM-5EQ4F 60-69 years, female 88.7
GTEX-13IVO-0126-SM-5J1NG 70-79 years, male 88.7
GTEX-11P82-1626-SM-59879 20-29 years, male 88.6
GTEX-1HUB1-0426-SM-E9U4U 60-69 years, male 88.6
GTEX-18D9U-0226-SM-718BP 40-49 years, male 88.4
GTEX-13W46-0226-SM-5SIAG 50-59 years, male 88.2
GTEX-14LZ3-0226-SM-62LET 60-69 years, female 88.1
GTEX-13113-5016-SM-7EPIP 60-69 years, female 87.9
GTEX-OIZH-0126-SM-2HMIS 50-59 years, male 87.9
GTEX-1I1HK-0126-SM-COH49 60-69 years, male 87.4
GTEX-13QJ3-0326-SM-5S2RA 50-59 years, male 87.3
GTEX-Y5V6-2426-SM-4VDSB 60-69 years, male 87.3
GTEX-13OW7-0126-SM-5MR3B 50-59 years, male 87.2
GTEX-1I1GS-0126-SM-B2LVW 60-69 years, male 86.9
GTEX-1LNCM-1126-SM-E9U5E 50-59 years, female 86.7
GTEX-W5X1-3026-SM-EAZAX 40-49 years, female 86.7
GTEX-145LT-1726-SM-5QGP3 40-49 years, male 85.8
GTEX-ZDXO-3026-SM-5J1N5 60-69 years, male 85.8
GTEX-Q2AI-1326-SM-2S1PL 40-49 years, male 85.7
GTEX-XAJ8-0826-SM-47JY6 40-49 years, male 85.7
GTEX-13PDP-0126-SM-5L3HD 60-69 years, male 85.6
GTEX-OXRK-0226-SM-3NB2G 50-59 years, female 85.6
GTEX-13O3O-0126-SM-E9J49 60-69 years, female 85.6
GTEX-1RAZA-0126-SM-E6CI3 20-29 years, male 85.6
GTEX-1NV5F-0226-SM-E8VNY 60-69 years, female 85.4
GTEX-ZUA1-0126-SM-5GU76 40-49 years, male 85.3
GTEX-ZY6K-1826-SM-5GZXK 50-59 years, male 85.3
GTEX-146FQ-0126-SM-5NQA9 30-39 years, male 85.2
GTEX-113IC-0126-SM-5HL6T 60-69 years, male 84.8
GTEX-18A7B-0126-SM-7LG64 70-79 years, male 84.6
GTEX-1A32A-0126-SM-718B1 50-59 years, female 84.6
GTEX-1QP9N-1426-SM-DTXFL 30-39 years, male 84.5
GTEX-13OW8-1326-SM-5J1OW 60-69 years, male 84.3
GTEX-1QCLY-0326-SM-E8VOG 30-39 years, male 84.3
GTEX-1192W-2626-SM-5Q5AF 60-69 years, male 84.2
GTEX-PWO3-1526-SM-48TCM 60-69 years, female 84.2
GTEX-13N11-2526-SM-5K7UE 50-59 years, female 84.1
GTEX-RVPV-0126-SM-EAZAW 60-69 years, male 84.1
GTEX-1192X-0226-SM-5H12D 50-59 years, male 83.8
GTEX-1IDFM-0126-SM-COH2V 60-69 years, male 83.8
GTEX-1J1OQ-0226-SM-CYPSH 40-49 years, female 83.8
GTEX-1F52S-0126-SM-9MQJU 60-69 years, female 83.7
GTEX-1K2DU-2326-SM-E9TIV 20-29 years, male 83.7
GTEX-1HBPN-0226-SM-9YFM1 50-59 years, male 83.4
GTEX-X8HC-0126-SM-4E3JW 50-59 years, female 83.3
GTEX-1J8EW-0126-SM-CJI4F 60-69 years, female 83.2
GTEX-111VG-2426-SM-5GZXD 60-69 years, male 83.0
GTEX-OOBJ-0126-SM-E6CJW 60-69 years, male 82.9
GTEX-1LBAC-0126-SM-DIPEZ 20-29 years, male 82.7
GTEX-1HBPH-0426-SM-B2LW5 40-49 years, female 82.6
GTEX-ZTPG-0326-SM-5O9AX 20-29 years, female 82.5
GTEX-1KWVE-1426-SM-E9TJO 30-39 years, male 82.2
GTEX-1CB4I-0226-SM-79OLH 50-59 years, male 82.1
GTEX-11NSD-2226-SM-5986V 20-29 years, male 81.8
GTEX-YB5K-2126-SM-4WWDJ 40-49 years, female 81.8
GTEX-11EQ9-2426-SM-5HL5T 30-39 years, male 81.7
GTEX-1S3DN-2226-SM-EVYCD 50-59 years, male 81.7
GTEX-RM2N-1426-SM-2TF4H 50-59 years, male 81.6
GTEX-Z93S-0126-SM-5HL7M 50-59 years, male 81.5
GTEX-11OC5-0126-SM-5HL6A 60-69 years, male 81.3
GTEX-14BMU-2226-SM-5TDE9 20-29 years, female 81.3
GTEX-1LGOU-2026-SM-DIPFF 20-29 years, female 81.3
GTEX-1ICG6-2526-SM-CGQFZ 70-79 years, female 81.0
GTEX-1128S-2326-SM-5GZZY 60-69 years, female 80.9
GTEX-133LE-1826-SM-5J1MV 20-29 years, female 80.9
GTEX-1497J-2426-SM-7IGNX 60-69 years, male 80.8
GTEX-1MCQQ-0826-SM-DLHC2 60-69 years, male 80.8
GTEX-131XE-2326-SM-5PNZ2 50-59 years, male 80.6
GTEX-XUW1-0426-SM-4BOOT 50-59 years, female 80.4
GTEX-1GN1V-0126-SM-9WPOS 60-69 years, male 80.4
GTEX-1JJE9-0326-SM-CL53Z 70-79 years, male 80.4
GTEX-QLQW-1126-SM-2S1Q8 30-39 years, male 80.3
GTEX-11GSP-2526-SM-5N9BP 60-69 years, female 80.2
GTEX-SIU8-0126-SM-2XCDT 50-59 years, male 80.2
GTEX-ZGAY-0526-SM-4WWBB 40-49 years, female 80.2
GTEX-12ZZZ-0626-SM-5DUXI 60-69 years, male 80.1
GTEX-15DCD-0126-SM-7KUEK 70-79 years, female 80.1
GTEX-QLQ7-1626-SM-2S1R8 60-69 years, male 80.1
GTEX-Y114-2426-SM-4TT8A 50-59 years, female 80.1
GTEX-ZAB5-1826-SM-5HL7C 50-59 years, male 79.9
GTEX-1JMQL-0226-SM-CNPP5 50-59 years, female 79.8
GTEX-1MGNQ-0126-SM-EVYCJ 40-49 years, male 79.8
GTEX-13NZA-0226-SM-5K7Z7 60-69 years, male 79.6
GTEX-15SDE-2226-SM-7IGLO 50-59 years, female 79.6
GTEX-1CAMQ-0226-SM-7IGPK 40-49 years, male 79.6
GTEX-1PBJI-0526-SM-E8VNK 20-29 years, female 79.5
GTEX-WZTO-0126-SM-3NM95 40-49 years, male 79.3
GTEX-131XF-5016-SM-7MGWE 60-69 years, male 79.3
GTEX-1QP66-1726-SM-E8VO1 50-59 years, male 79.3
GTEX-RU72-0926-SM-2TF6B 50-59 years, female 79.2
GTEX-14753-0426-SM-5NQAM 60-69 years, male 79.1
GTEX-14ICK-0226-SM-6EU25 40-49 years, male 79.1
GTEX-14A6H-0126-SM-5QGPK 30-39 years, male 79.0
GTEX-RN64-0126-SM-2TC68 50-59 years, male 79.0
GTEX-U4B1-1826-SM-4DXSU 40-49 years, male 78.9
GTEX-13O3Q-2426-SM-5IJBR 50-59 years, male 78.7
GTEX-17MFQ-1726-SM-793C7 20-29 years, male 78.7
GTEX-1LSNM-1926-SM-E6CII 50-59 years, male 78.6
GTEX-12WSD-0126-SM-59HKN 60-69 years, female 78.5
GTEX-ZC5H-0226-SM-4WAY9 40-49 years, female 78.4
GTEX-1H11D-0226-SM-9WG6Z 40-49 years, male 78.4
GTEX-PSDG-0226-SM-DKPOZ 50-59 years, male 78.4
GTEX-18D9A-1926-SM-7LG6P 30-39 years, female 78.3
GTEX-145LV-2126-SM-5LU8N 50-59 years, male 78.2
GTEX-O5YT-0126-SM-48TBW 20-29 years, male 78.2
GTEX-1OFPY-2426-SM-DTXEJ 60-69 years, male 78.2
GTEX-TKQ1-1026-SM-4GICL 30-39 years, male 78.1
GTEX-1L5NE-2526-SM-E6CIE 50-59 years, male 78.1
GTEX-1R7EV-2426-SM-EVYBG 40-49 years, male 78.1
GTEX-13N1W-0126-SM-5K7VT 70-79 years, male 78.0
GTEX-14JG6-2226-SM-6EU2G 30-39 years, female 77.9
GTEX-15UF6-0826-SM-6PALJ 70-79 years, female 77.9
GTEX-1GF9X-2026-SM-7PC3A 40-49 years, female 77.9
GTEX-R55E-0126-SM-2TC5Y 20-29 years, male 77.8
GTEX-147F3-0526-SM-5SI98 50-59 years, female 77.7
GTEX-12WSG-2826-SM-E9J4H 50-59 years, female 77.7
GTEX-11ZTT-2426-SM-5EQLS 60-69 years, female 77.6
GTEX-WXYG-2326-SM-4E3I6 50-59 years, female 77.6
GTEX-117YW-2626-SM-5GZZH 50-59 years, male 77.5
GTEX-YB5E-2026-SM-5IFIS 40-49 years, male 77.5
GTEX-14JIY-0126-SM-6LLH6 60-69 years, male 77.4
GTEX-13OVJ-0126-SM-5KM36 50-59 years, female 77.3
GTEX-1J1R8-1726-SM-ARL8M 40-49 years, male 77.3
GTEX-139T8-0126-SM-5K7XZ 60-69 years, male 77.2
GTEX-ZDTS-0126-SM-4WAY5 60-69 years, male 77.1
GTEX-1IL2U-0226-SM-CE6T8 60-69 years, male 77.1
GTEX-ZE7O-0126-SM-57WC1 50-59 years, female 77.0
GTEX-ZQG8-1626-SM-DHXIT 60-69 years, female 77.0
GTEX-1M4P7-0226-SM-DIPEV 60-69 years, male 76.9
GTEX-PW2O-1526-SM-7RHHB 20-29 years, male 76.9
GTEX-WVJS-0126-SM-4MVOT 50-59 years, male 76.8
GTEX-1M5QR-1226-SM-EWROB 40-49 years, male 76.8
GTEX-132NY-0326-SM-5IJBL 60-69 years, male 76.7
GTEX-1I1GV-0526-SM-A9G29 60-69 years, male 76.7
GTEX-1N2EF-0226-SM-EYYXB 60-69 years, male 76.7
GTEX-13FH7-2026-SM-E9J4I 50-59 years, female 76.6
GTEX-12C56-1726-SM-5EQ61 20-29 years, male 76.5
GTEX-S33H-1026-SM-EZ6L6 30-39 years, male 76.3
GTEX-17JCI-0126-SM-7LG5G 60-69 years, female 76.1
GTEX-1IDJU-2626-SM-CM2RT 60-69 years, female 76.1
GTEX-1KAFJ-2026-SM-CY8ID 50-59 years, male 75.9
GTEX-Y3I4-2126-SM-4TT7C 50-59 years, male 75.8
GTEX-11ZUS-0626-SM-59885 30-39 years, male 75.7
GTEX-X88G-0126-SM-47JZ3 30-39 years, male 75.7
GTEX-1H1DG-0126-SM-9WYU2 70-79 years, male 75.7
GTEX-1K9T9-0126-SM-EVYCF 50-59 years, female 75.6
GTEX-17EUY-0426-SM-793BD 20-29 years, male 75.5
GTEX-13PVR-2326-SM-5QGR1 60-69 years, female 75.4
GTEX-13FTW-2626-SM-5K7WL 40-49 years, male 75.3
GTEX-15ETS-0126-SM-7KUMW 40-49 years, female 75.3
GTEX-139TS-2826-SM-5J1OO 60-69 years, male 75.2
GTEX-14LLW-0126-SM-6LLIO 70-79 years, female 75.2
GTEX-1KD5A-0226-SM-D5OV3 50-59 years, male 75.2
GTEX-1QPFJ-0226-SM-E76PB 30-39 years, female 75.2
GTEX-13OVI-1426-SM-5L3EY 60-69 years, female 75.0
GTEX-1GN1W-0526-SM-9MQJQ 50-59 years, female 74.9
GTEX-14PN3-2426-SM-6LLHS 60-69 years, female 74.8
GTEX-ZDTT-2726-SM-4WKF8 60-69 years, male 74.8
GTEX-15SB6-1726-SM-6PAME 50-59 years, female 74.7
GTEX-16YQH-0126-SM-7DUFJ 30-39 years, male 74.7
GTEX-V1D1-2226-SM-3NMAX 50-59 years, male 74.7
GTEX-1HCU8-0626-SM-A9SM9 60-69 years, female 74.6
GTEX-1H3NZ-0126-SM-ACKX7 60-69 years, male 74.5
GTEX-1B933-0126-SM-7PC29 50-59 years, female 74.4
GTEX-12126-0326-SM-5PNW3 20-29 years, male 74.3
GTEX-WFON-2126-SM-3LK7O 40-49 years, male 74.1
GTEX-11H98-0126-SM-5EGHG 50-59 years, male 74.0
GTEX-144GN-2326-SM-5LU4F 50-59 years, male 74.0
GTEX-OOBK-0126-SM-2YUND 40-49 years, male 73.9
GTEX-ZTX8-1426-SM-5DUVO 20-29 years, male 73.9
GTEX-13FTX-1826-SM-5J1NX 20-29 years, female 73.8
GTEX-W5WG-1826-SM-4KL2Y 50-59 years, female 73.8
GTEX-1HR98-0126-SM-B2LWI 60-69 years, male 73.7
GTEX-1LG7Y-0526-SM-DKPQC 50-59 years, male 73.6
GTEX-13VXU-0126-SM-5SI9F 50-59 years, male 73.4
GTEX-14DAR-2026-SM-5S2O3 50-59 years, male 73.4
GTEX-XYKS-2126-SM-4E3IB 60-69 years, female 73.4
GTEX-ZWKS-0126-SM-5SIAA 30-39 years, male 73.4
GTEX-ZYW4-0126-SM-5E44A 60-69 years, male 73.4
GTEX-1GF9U-2126-SM-7SB7L 40-49 years, female 73.3
GTEX-11DZ1-0126-SM-5985Q 50-59 years, male 73.2
GTEX-11WQK-0526-SM-5EQLD 50-59 years, male 73.2
GTEX-1OJC3-0126-SM-E76QX 20-29 years, male 73.0
GTEX-15SHU-0126-SM-7KUEH 40-49 years, female 72.9
GTEX-1GMR8-0126-SM-9WYTM 50-59 years, female 72.9
GTEX-13OVG-1926-SM-5L3DK 60-69 years, male 72.7
GTEX-POMQ-2226-SM-2I5FK 20-29 years, female 72.7
GTEX-1MA7W-2026-SM-E9TJ6 20-29 years, female 72.7
GTEX-16BQI-0226-SM-7KUEX 30-39 years, female 72.6
GTEX-T6MN-0126-SM-32PLP 50-59 years, male 72.6
GTEX-ZVZO-0126-SM-5A5L9 40-49 years, male 72.4
GTEX-X261-0126-SM-3NMD6 50-59 years, male 72.3
GTEX-1KXAM-2226-SM-CYPTC 60-69 years, male 72.3
GTEX-1MUQO-0126-SM-EAZ58 60-69 years, male 72.3
GTEX-U8XE-0326-SM-3DB8P 30-39 years, male 72.2
GTEX-WRHK-1426-SM-3MJF9 20-29 years, female 72.2
GTEX-ZE9C-2726-SM-57WB5 60-69 years, male 72.2
GTEX-1H4P4-0726-SM-9YFLR 50-59 years, male 72.2
GTEX-1QEPI-0126-SM-EWRMQ 60-69 years, female 72.2
GTEX-1S5ZA-0126-SM-EVYCV 20-29 years, male 72.2
GTEX-13OVH-0126-SM-5MR4B 70-79 years, male 72.1
GTEX-ZVZP-2426-SM-59HKJ 50-59 years, male 72.1
GTEX-1J8QM-2126-SM-CYPSJ 60-69 years, female 72.0
GTEX-1S82Y-2026-SM-EVYCM 40-49 years, male 72.0
GTEX-1GZ4H-1726-SM-7PBZJ 50-59 years, female 71.9
GTEX-1HCU9-1526-SM-A9SL7 20-29 years, male 71.9
GTEX-111FC-0126-SM-5N9DL 60-69 years, male 71.8
GTEX-1211K-2026-SM-5EQ4Z 60-69 years, female 71.8
GTEX-WY7C-2326-SM-3NB2U 50-59 years, male 71.8
GTEX-113JC-2326-SM-5EQ4E 50-59 years, female 71.7
GTEX-1CB4H-0226-SM-7PBXM 60-69 years, female 71.7
GTEX-1AMEY-1326-SM-73KYK 30-39 years, female 71.5
GTEX-1C6VS-0526-SM-7DUEN 60-69 years, male 71.5
GTEX-1H23P-0126-SM-ADEJ3 60-69 years, male 71.5
GTEX-13OVK-2026-SM-7KUEO 40-49 years, male 71.4
GTEX-ZQUD-1426-SM-57WER 30-39 years, male 71.4
GTEX-1IKOH-0226-SM-COH4E 60-69 years, female 71.4
GTEX-14PHW-0126-SM-6LLJI 60-69 years, female 71.3
GTEX-ZF3C-0126-SM-DO92D 50-59 years, female 71.3
GTEX-XBEW-0626-SM-4QASP 40-49 years, male 71.2
GTEX-XPVG-2626-SM-4B669 50-59 years, male 71.1
GTEX-1KANA-0726-SM-D3L9I 20-29 years, male 71.1
GTEX-T2IS-0126-SM-4DM6O 20-29 years, female 71.0
GTEX-X4EO-0326-SM-3P5YO 60-69 years, female 71.0
GTEX-1HSMP-0126-SM-E6CJS 70-79 years, male 71.0
GTEX-1AYD5-2426-SM-73KXR 50-59 years, male 70.8
GTEX-1CAMR-1926-SM-7EPI2 20-29 years, male 70.8
GTEX-1314G-1526-SM-5EGK2 30-39 years, male 70.7
GTEX-1AMFI-2026-SM-731BH 50-59 years, female 70.6
GTEX-1F6I4-0126-SM-9MQL2 60-69 years, male 70.5
GTEX-1J8Q2-0526-SM-CM2RW 60-69 years, male 70.5
GTEX-14C5O-0126-SM-5SI6N 60-69 years, male 70.3
GTEX-T6MO-1626-SM-32QOM 40-49 years, female 70.3
GTEX-1RQEC-0426-SM-E6CHU 60-69 years, male 70.3
GTEX-TMMY-0226-SM-33HBA 40-49 years, female 70.1
GTEX-1HCUA-2426-SM-ADEIS 50-59 years, female 70.1
GTEX-1269C-2526-SM-5EGJ3 60-69 years, female 70.0
GTEX-1IL2V-0126-SM-CM2TX 70-79 years, male 70.0
GTEX-13VXT-0126-SM-5LU4I 20-29 years, female 69.9
GTEX-14PN4-0126-SM-6EU2V 50-59 years, male 69.9
GTEX-13NYB-2526-SM-5K7Z6 40-49 years, male 69.8
GTEX-WQUQ-0426-SM-3MJFU 60-69 years, male 69.7
GTEX-1C64O-0126-SM-7SB8P 60-69 years, male 69.6
GTEX-14E6D-0126-SM-62LDV 50-59 years, male 69.5
GTEX-U8T8-0126-SM-3DB94 60-69 years, male 69.5
GTEX-17F98-0626-SM-79OMX 40-49 years, female 69.4
GTEX-1I1GP-2226-SM-CGQFK 50-59 years, male 69.3
GTEX-13SLW-0126-SM-5SI6C 70-79 years, male 69.2
GTEX-QDVN-2026-SM-3GAEP 50-59 years, male 69.2
GTEX-ZVTK-0426-SM-51MRS 20-29 years, male 69.2
GTEX-11ZTS-0126-SM-5EQ6M 60-69 years, female 69.1
GTEX-1PPH8-0226-SM-E8VND 20-29 years, male 69.1
GTEX-11DXW-0226-SM-5H122 40-49 years, male 69.0
GTEX-18A7A-0226-SM-718BH 50-59 years, female 69.0
GTEX-1PIIG-0226-SM-EWRN6 30-39 years, male 69.0
GTEX-1N2DV-0226-SM-E6CJ6 40-49 years, male 68.8
GTEX-1399T-2826-SM-5KLYZ 60-69 years, male 68.7
GTEX-1O97I-0326-SM-EYYX7 60-69 years, male 68.4
GTEX-1LB8K-0226-SM-EWRNW 50-59 years, male 68.3
GTEX-YFC4-0126-SM-5CVLY 40-49 years, female 68.0
GTEX-117YX-2326-SM-5H12W 50-59 years, male 67.9
GTEX-11DXY-2626-SM-5GIE7 60-69 years, male 67.9
GTEX-QESD-1426-SM-2S1R9 20-29 years, male 67.9
GTEX-11ZVC-2526-SM-5FQTE 50-59 years, female 67.8
GTEX-ZVT3-0126-SM-5GU6I 60-69 years, female 67.8
GTEX-1IKK5-0626-SM-ARL8A 60-69 years, male 67.7
GTEX-1PIGE-0126-SM-EVYBJ 20-29 years, male 67.6
GTEX-1K2DA-1826-SM-CGQGT 50-59 years, male 67.5
GTEX-131YS-0126-SM-5KM1M 60-69 years, female 67.4
GTEX-14JG1-0426-SM-6ETZZ 40-49 years, male 67.4
GTEX-1I1CD-0126-SM-CM2TK 60-69 years, female 67.4
GTEX-12WSE-0526-SM-793B2 20-29 years, male 67.3
GTEX-11EM3-2426-SM-59861 20-29 years, female 67.2
GTEX-13W3W-2426-SM-5LU5B 60-69 years, female 67.1
GTEX-1C2JI-1826-SM-73KXC 50-59 years, male 67.1
GTEX-ZXG5-0126-SM-5GIEU 60-69 years, male 67.1
GTEX-17F96-1626-SM-7DUFL 70-79 years, male 67.0
GTEX-1NHNU-1026-SM-E9J2A 50-59 years, male 67.0
GTEX-1PWST-0226-SM-E76QJ 70-79 years, male 67.0
GTEX-18D9B-0526-SM-7LTAS 60-69 years, male 66.9
GTEX-XMD2-0126-SM-4YCDU 60-69 years, female 66.9
GTEX-1F6RS-0126-SM-9MQKZ 60-69 years, female 66.9
GTEX-1R9K4-0126-SM-DTX9X 60-69 years, male 66.9
GTEX-1GZHY-0326-SM-9QEHI 50-59 years, female 66.8
GTEX-13CF2-2526-SM-5LZYX 60-69 years, male 66.7
GTEX-1CAV2-2226-SM-7P8P2 40-49 years, female 66.7
GTEX-RWS6-2026-SM-2XCB5 60-69 years, female 66.6
GTEX-1399R-2726-SM-5IJBA 30-39 years, male 66.3
GTEX-13D11-2426-SM-5KM1V 50-59 years, female 66.3
GTEX-1EKGG-0226-SM-9WYTH 60-69 years, male 66.3
GTEX-1313W-0126-SM-5LZUN 50-59 years, female 66.2
GTEX-ZV6S-2326-SM-4YCEY 40-49 years, female 66.2
GTEX-1J8Q3-1626-SM-CMKGC 60-69 years, male 66.2
GTEX-RNOR-0126-SM-E9J4R 50-59 years, female 66.1
GTEX-1A3MX-0126-SM-731BR 60-69 years, male 66.0
GTEX-1LGRB-2526-SM-CNPPQ 50-59 years, female 66.0
GTEX-T5JW-1626-SM-3GADZ 20-29 years, female 65.9
GTEX-Y3IK-2426-SM-4WWDU 50-59 years, female 65.9
GTEX-1R7EU-0226-SM-EVR4G 60-69 years, male 65.9
GTEX-1GMR3-1926-SM-9KNUZ 40-49 years, male 65.7
GTEX-1HSGN-0226-SM-CGQFV 40-49 years, female 65.7
GTEX-17HII-0226-SM-7LG4E 50-59 years, male 65.4
GTEX-TSE9-0126-SM-3DB83 60-69 years, female 65.4
GTEX-1RB15-2126-SM-E9TIM 60-69 years, male 65.4
GTEX-16XZY-2126-SM-79OK1 70-79 years, male 65.3
GTEX-WYVS-2126-SM-3NMA3 40-49 years, female 65.3
GTEX-1QAET-0926-SM-E76QM 50-59 years, male 65.3
GTEX-1S82Z-0826-SM-E6CHY 30-39 years, female 65.3
GTEX-17HGU-0226-SM-7DHKV 50-59 years, male 65.1
GTEX-Y111-0126-SM-4SOIV 50-59 years, male 65.1
GTEX-1E2YA-0126-SM-9KNUC 50-59 years, male 65.1
GTEX-1JMOU-1526-SM-CL54I 60-69 years, female 65.1
GTEX-17HHY-0126-SM-7LG5D 50-59 years, male 65.0
GTEX-1JJ6O-0126-SM-E6CI8 60-69 years, male 65.0
GTEX-ZDYS-2026-SM-5HL5L 50-59 years, male 64.8
GTEX-ZVE2-0226-SM-59HJB 50-59 years, male 64.8
GTEX-ZYFC-0226-SM-5NQ75 50-59 years, male 64.8
GTEX-R3RS-0126-SM-3GIJL 40-49 years, female 64.7
GTEX-T2YK-0526-SM-32QPJ 50-59 years, male 64.7
GTEX-1LG7Z-1726-SM-D3LA4 30-39 years, male 64.7
GTEX-1PDJ9-0326-SM-DTX95 20-29 years, male 64.7
GTEX-Y8E4-0626-SM-4WWDL 40-49 years, male 64.6
GTEX-16NPX-0226-SM-79OMT 50-59 years, male 64.5
GTEX-QEG4-0226-SM-2S1PY 30-39 years, male 64.5
GTEX-QVJO-1626-SM-2S1QW 60-69 years, female 64.5
GTEX-145LS-0126-SM-5QGP1 60-69 years, female 64.4
GTEX-12WSA-0226-SM-5BC5V 60-69 years, male 64.2
GTEX-145ME-1826-SM-5SI9G 40-49 years, female 64.2
GTEX-VUSG-2526-SM-4KL1V 50-59 years, male 64.2
GTEX-1JKYR-0126-SM-CNPOJ 20-29 years, male 64.2
GTEX-14PJ3-1826-SM-62LEX 50-59 years, male 64.1
GTEX-1I1GQ-0126-SM-COH3H 50-59 years, male 64.1
GTEX-1B8KE-2126-SM-73KYX 50-59 years, male 64.0
GTEX-13OW5-0126-SM-DTXFS 60-69 years, male 64.0
GTEX-1KANB-0526-SM-E6CJH 50-59 years, male 64.0
GTEX-ZPIC-1726-SM-DHXIU 40-49 years, female 64.0
GTEX-13CF3-2426-SM-5IFGX 60-69 years, female 63.9
GTEX-13O1R-0126-SM-5L3EH 60-69 years, male 63.9
GTEX-ZTSS-1926-SM-57WEW 40-49 years, male 63.9
GTEX-1PPH7-2326-SM-EVYB8 40-49 years, male 63.9
GTEX-14BIL-0126-SM-5SI92 50-59 years, male 63.8
GTEX-14BMV-0126-SM-5S2PO 50-59 years, male 63.8
GTEX-1I6K6-0126-SM-A9SLE 30-39 years, male 63.8
GTEX-12ZZX-0126-SM-5EGK9 40-49 years, female 63.7
GTEX-1C64N-0126-SM-793D7 50-59 years, male 63.7
GTEX-Z9EW-1626-SM-5CVMN 40-49 years, male 63.6
GTEX-1F5PL-0326-SM-7P8PQ 40-49 years, female 63.6
GTEX-1H3VE-0326-SM-9YFLH 40-49 years, male 63.6
GTEX-1KANC-1526-SM-D3LAB 50-59 years, female 63.6
GTEX-1S83E-0126-SM-EWRO4 40-49 years, male 63.6
GTEX-PLZ6-1426-SM-DKPOT 30-39 years, male 63.6
GTEX-1IE54-0126-SM-CMKHW 40-49 years, female 63.5
GTEX-144FL-0126-SM-5TDC8 50-59 years, male 63.4
GTEX-13N2G-2626-SM-5J1OT 60-69 years, male 63.3
GTEX-16XZZ-0126-SM-793DV 60-69 years, male 63.3
GTEX-Y5V5-2326-SM-4V6GA 60-69 years, female 63.3
GTEX-1F75I-0326-SM-9YFLU 40-49 years, male 63.3
GTEX-1F7RK-0126-SM-7PC2S 20-29 years, female 63.3
GTEX-1I1GU-2226-SM-CGQFA 40-49 years, male 63.3
GTEX-13FHO-0226-SM-5IFGY 60-69 years, male 63.2
GTEX-1C6WA-0126-SM-7PC2B 60-69 years, male 63.0
GTEX-1HGF4-2426-SM-ACKXM 60-69 years, male 63.0
GTEX-1IGQW-0126-SM-COH42 60-69 years, male 63.0
GTEX-ZV68-0126-SM-59HKS 50-59 years, female 62.7
GTEX-12WSK-2326-SM-5GCOH 40-49 years, female 62.6
GTEX-1ICLY-0126-SM-D4P36 50-59 years, male 62.6
GTEX-11LCK-1026-SM-5A5KB 30-39 years, male 62.4
GTEX-1QP2A-0126-SM-E9J43 50-59 years, male 62.4
GTEX-ZVT4-0126-SM-DTXFN 50-59 years, female 62.3
GTEX-YJ8A-0426-SM-5IFID 20-29 years, male 62.2
GTEX-1GZ2Q-0226-SM-7P8TL 40-49 years, male 62.2
GTEX-T5JC-0426-SM-32PLO 20-29 years, male 62.1
GTEX-15DYW-0126-SM-7KULE 60-69 years, female 62.0
GTEX-1CAMS-0426-SM-7P8T2 40-49 years, female 62.0
GTEX-145MF-0626-SM-5LUAI 50-59 years, male 61.8
GTEX-1GPI7-0126-SM-9MQL8 20-29 years, male 61.8
GTEX-1JK1U-2026-SM-CM2RZ 60-69 years, male 61.8
GTEX-1ICLZ-0126-SM-CKZPO 60-69 years, male 61.7
GTEX-13RTK-1426-SM-5QGQJ 20-29 years, male 61.6
GTEX-OXRN-0126-SM-48TDM 50-59 years, male 61.6
GTEX-ZU9S-0226-SM-5E441 30-39 years, male 61.6
GTEX-ZF2S-2326-SM-4WWCE 50-59 years, female 61.5
GTEX-1KD4Q-0226-SM-E9TJ9 40-49 years, male 61.5
GTEX-11UD2-0226-SM-5EQKY 50-59 years, male 61.4
GTEX-1GF9W-0326-SM-9KNUN 60-69 years, male 61.4
GTEX-13OW6-0426-SM-5L3HM 50-59 years, male 61.2
GTEX-147GR-0526-SM-5S2MY 60-69 years, male 61.2
GTEX-14DAQ-0126-SM-5S2MQ 60-69 years, female 61.2
GTEX-1GN2E-0426-SM-9MQKX 60-69 years, male 61.2
GTEX-17KNJ-2326-SM-7DHLQ 50-59 years, male 61.1
GTEX-1JMQJ-0526-SM-CYPSU 50-59 years, male 61.1
GTEX-14PHX-2326-SM-62LEM 50-59 years, male 61.0
GTEX-1CB4E-2226-SM-793DC 60-69 years, male 60.9
GTEX-139TU-0126-SM-5K7WH 60-69 years, male 60.7
GTEX-14E7W-0126-SM-6LLJ9 70-79 years, male 60.7
GTEX-OIZG-0726-SM-33HBL 50-59 years, male 60.6
GTEX-S7PM-0126-SM-4AD6S 60-69 years, male 60.6
GTEX-1HFI6-0226-SM-ADEHZ 40-49 years, male 60.6
GTEX-11XUK-2026-SM-5EQLF 40-49 years, female 60.4
GTEX-1HB9E-0226-SM-E9U4R 50-59 years, male 60.4
GTEX-13X6I-0626-SM-5QGP9 60-69 years, male 60.3
GTEX-12WSC-0126-SM-5EQ4P 50-59 years, male 60.1
GTEX-13OVL-0226-SM-5L3E9 50-59 years, male 60.0
GTEX-15UKP-0426-SM-7KUFQ 20-29 years, male 60.0
GTEX-1JMQI-2226-SM-CM2SD 50-59 years, male 59.9
GTEX-Y8DK-0126-SM-4TT3L 60-69 years, male 59.8
GTEX-1JMQK-0226-SM-CL543 60-69 years, male 59.8
GTEX-TML8-1926-SM-32QOS 40-49 years, female 59.6
GTEX-ZAK1-0126-SM-5IJD3 50-59 years, female 59.6
GTEX-131XH-2226-SM-5DUXJ 50-59 years, male 59.5
GTEX-11ZU8-2526-SM-5EQKI 60-69 years, male 59.4
GTEX-148VI-1626-SM-5SI6E 60-69 years, female 59.4
GTEX-15SHW-0326-SM-6PAML 60-69 years, male 59.4
GTEX-1AX9J-0226-SM-73KXM 60-69 years, male 59.4
GTEX-VJWN-0126-SM-3GIK7 50-59 years, female 59.3
GTEX-11TT1-2526-SM-5EGIB 20-29 years, male 59.2
GTEX-139TT-0126-SM-5K7Y5 60-69 years, male 59.2
GTEX-1C6VQ-0126-SM-7P8RI 50-59 years, male 59.2
GTEX-145MO-0326-SM-5Q5B3 60-69 years, male 59.0
GTEX-17HHE-2026-SM-79OKF 50-59 years, male 58.9
GTEX-1BAJH-0526-SM-793CQ 70-79 years, male 58.9
GTEX-183WM-0126-SM-7LTAB 70-79 years, female 58.8
GTEX-11P81-2326-SM-59875 30-39 years, female 58.7
GTEX-13FHP-0126-SM-5IJBG 50-59 years, male 58.7
GTEX-PX3G-0126-SM-2I3EN 20-29 years, female 58.7
GTEX-OXRP-0126-SM-3NB32 60-69 years, female 58.6
GTEX-1IOXB-0126-SM-ARL8G 50-59 years, male 58.6
GTEX-1CB4J-0626-SM-7DHMP 60-69 years, male 58.5
GTEX-1212Z-2526-SM-5EGKP 60-69 years, male 58.3
GTEX-1JKYN-1326-SM-CGQG9 30-39 years, male 58.3
GTEX-XBED-2226-SM-47JYQ 60-69 years, male 58.2
GTEX-1GF9V-0326-SM-7RHI5 60-69 years, male 58.2
GTEX-14PII-0226-SM-6EU1T 60-69 years, male 58.0
GTEX-11EI6-0126-SM-5985R 60-69 years, male 57.8
GTEX-1GN73-0226-SM-9WG67 60-69 years, male 57.6
GTEX-17GQL-2026-SM-718BA 60-69 years, male 57.5
GTEX-1H3O1-0426-SM-9YFKY 60-69 years, male 57.5
GTEX-13FXS-0226-SM-5IJCK 50-59 years, male 57.4
GTEX-183FY-0126-SM-7LT9P 20-29 years, male 57.3
GTEX-X4XY-0226-SM-4E3IZ 60-69 years, male 57.3
GTEX-11DYG-0126-SM-59883 60-69 years, male 57.2
GTEX-1A3MV-1926-SM-718BT 30-39 years, male 57.2
GTEX-1GMRU-0126-SM-9YFLV 50-59 years, male 57.2
GTEX-1HCU7-0226-SM-CL545 50-59 years, male 57.2
GTEX-13SLX-0526-SM-5S2ON 50-59 years, female 57.0
GTEX-XUYS-0126-SM-47JWZ 50-59 years, male 57.0
GTEX-1H3VY-0126-SM-ACKXD 50-59 years, male 56.9
GTEX-1I19N-0326-SM-ACKVX 70-79 years, male 56.8
GTEX-XQ3S-1526-SM-4BOOC 20-29 years, male 56.7
GTEX-11NUK-0126-SM-5A5L3 50-59 years, male 56.5
GTEX-1E1VI-0126-SM-7DHMZ 50-59 years, male 56.5
GTEX-13JUV-2726-SM-5LZZ8 40-49 years, female 56.3
GTEX-1R9PO-2126-SM-E9J4O 60-69 years, female 56.3
GTEX-13111-1626-SM-5EGJY 50-59 years, male 56.1
GTEX-12696-2426-SM-5EQ6H 60-69 years, male 55.9
GTEX-14XAO-2326-SM-6EU1B 60-69 years, female 55.9
GTEX-15F5U-1526-SM-6PANO 40-49 years, male 55.9
GTEX-S7SE-0126-SM-2XCD5 50-59 years, male 55.9
GTEX-1IDJF-0126-SM-CM2RS 20-29 years, male 55.7
GTEX-11GS4-2726-SM-5A5LE 60-69 years, male 55.5
GTEX-139UW-2826-SM-5L3E7 60-69 years, male 55.5
GTEX-144GL-0126-SM-5TDE2 50-59 years, male 55.5
GTEX-1H1CY-2826-SM-9MQM3 60-69 years, female 55.5
GTEX-Q2AH-1626-SM-3GAF8 40-49 years, male 55.4
GTEX-14PJM-0226-SM-62LF1 50-59 years, female 55.3
GTEX-18A66-0226-SM-718BD 60-69 years, male 55.3
GTEX-1F5PK-2426-SM-7RHHY 50-59 years, male 55.1
GTEX-1MJK2-0426-SM-DTXE5 50-59 years, male 55.0
GTEX-1F75A-0126-SM-7RHGM 50-59 years, male 54.9
GTEX-1B8L1-2526-SM-9WYTF 60-69 years, male 54.8
GTEX-15D1Q-0126-SM-7KUG6 40-49 years, male 54.7
GTEX-18465-0126-SM-731BN 50-59 years, male 54.7
GTEX-14BIN-0626-SM-793DP 50-59 years, female 54.3
GTEX-1JMPZ-0226-SM-CNPP1 30-39 years, male 54.2
GTEX-13X6J-0126-SM-5QGOU 50-59 years, male 54.1
GTEX-ZZ64-1726-SM-5GZYB 20-29 years, male 54.0
GTEX-1I4MK-2226-SM-ACKWD 50-59 years, female 53.7
GTEX-11WQC-2526-SM-5CVLE 60-69 years, male 53.6
GTEX-1GPI6-0126-SM-9WG69 60-69 years, male 53.6
GTEX-11O72-0126-SM-59887 40-49 years, male 53.5
GTEX-1HFI7-1826-SM-ACKXH 50-59 years, female 53.5
GTEX-145MI-0526-SM-5O9A8 60-69 years, female 53.4
GTEX-1EWIQ-0126-SM-7RHH2 70-79 years, female 53.4
GTEX-1EN7A-0126-SM-7SB81 40-49 years, male 53.3
GTEX-11DXZ-2326-SM-5EGGV 50-59 years, male 53.2
GTEX-12ZZY-0226-SM-5LZVE 60-69 years, male 53.2
GTEX-1F6IF-0726-SM-7P8TW 60-69 years, male 53.2
GTEX-1HT8W-0126-SM-CNPPP 30-39 years, male 53.2
GTEX-1B8SF-1426-SM-7DUGL 60-69 years, male 53.1
GTEX-1AX9K-2326-SM-73KWU 50-59 years, male 53.0
GTEX-1F75B-0126-SM-9KNVL 50-59 years, male 53.0
GTEX-18A6Q-0126-SM-731BZ 60-69 years, male 52.9
GTEX-12584-0126-SM-5EGKQ 40-49 years, male 52.8
GTEX-SNMC-1226-SM-2XCFP 20-29 years, male 52.8
GTEX-13S7M-0126-SM-5SI6A 60-69 years, female 52.7
GTEX-15DDE-0126-SM-6LPKH 50-59 years, female 52.7
GTEX-YJ89-0126-SM-4TT3X 60-69 years, male 52.7
GTEX-131XW-0426-SM-5LZWP 50-59 years, female 52.5
GTEX-14ABY-0226-SM-5TDCQ 50-59 years, male 52.5
GTEX-Q2AG-0126-SM-33HBV 40-49 years, female 52.4
GTEX-1GL5R-1826-SM-9KNUY 50-59 years, male 52.4
GTEX-1HCU6-0126-SM-CL54K 60-69 years, female 52.4
GTEX-1HSKV-0226-SM-A9SKJ 60-69 years, male 52.4
GTEX-1B996-0226-SM-7RHGO 60-69 years, male 52.3
GTEX-1IDJH-0326-SM-A9SLQ 70-79 years, male 52.2
GTEX-1IY9M-0126-SM-D3L8S 60-69 years, male 52.1
GTEX-12WSN-5019-SM-79OM6 40-49 years, male 51.8
GTEX-16GPK-0126-SM-7DHLE 60-69 years, male 51.7
GTEX-13112-2826-SM-5DUWH 50-59 years, male 51.6
GTEX-1C6VR-2426-SM-79OLD 60-69 years, male 51.5
GTEX-1QMI2-0226-SM-EVYBX 60-69 years, male 51.5
GTEX-1F48J-0126-SM-7P8TT 50-59 years, female 51.3
GTEX-1N2DW-0226-SM-E9TK2 50-59 years, male 51.2
GTEX-QDVJ-1726-SM-2I5FX 50-59 years, male 51.1
GTEX-13U4I-0126-SM-5LU38 40-49 years, female 51.0
GTEX-13YAN-0326-SM-5O9DF 60-69 years, male 51.0
GTEX-17HG3-2226-SM-7938L 30-39 years, female 50.9
GTEX-T8EM-1026-SM-3DB7M 40-49 years, male 50.9
GTEX-1A8FM-0226-SM-7SB7Q 50-59 years, female 50.9
GTEX-1EMGI-0126-SM-9KNUE 60-69 years, male 50.9
GTEX-1H1E6-1726-SM-ACKVK 30-39 years, male 50.9
GTEX-1HSMQ-1226-SM-CGQFX 50-59 years, male 50.9
GTEX-1F88F-2726-SM-7PBZZ 60-69 years, female 50.8
GTEX-12WSL-2526-SM-5GCNJ 50-59 years, male 50.7
GTEX-1C4CL-0526-SM-73KVK 30-39 years, male 50.5
GTEX-1B8KZ-2026-SM-7DHMB 50-59 years, male 50.4
GTEX-11TUW-2726-SM-E9J4M 60-69 years, male 50.3
GTEX-ZYFD-0126-SM-5GIDL 50-59 years, male 49.8
GTEX-1JN6P-0126-SM-D3L98 60-69 years, male 49.8
GTEX-QCQG-1726-SM-3GIJ9 50-59 years, female 49.7
GTEX-1AX8Z-0126-SM-7DHM6 60-69 years, male 49.4
GTEX-RWSA-0126-SM-2XCBB 40-49 years, male 49.3
GTEX-U3ZH-2026-SM-3DB78 30-39 years, male 49.0
GTEX-1EX96-1626-SM-7PBXR 50-59 years, male 48.9
GTEX-16AAH-1726-SM-7939C 50-59 years, male 48.6
GTEX-1JN76-0126-SM-CNPPE 20-29 years, female 48.5
GTEX-ZYT6-0226-SM-5NQ6T 30-39 years, male 48.3
GTEX-13G51-2526-SM-5LZYK 60-69 years, male 48.2
GTEX-12KS4-0326-SM-5EQ41 30-39 years, male 48.1
GTEX-13X6H-2126-SM-7EWD5 50-59 years, female 48.1
GTEX-1EU9M-0226-SM-7P8SP 60-69 years, male 48.1
GTEX-1H1DE-2126-SM-9WG6R 20-29 years, male 48.1
GTEX-145LU-0126-SM-5TDCB 50-59 years, male 48.0
GTEX-OIZF-0126-SM-7SB8I 60-69 years, male 48.0
GTEX-1J8JJ-0226-SM-CL53I 60-69 years, female 47.9
GTEX-1C475-1826-SM-73KWA 40-49 years, female 47.3
GTEX-1RDX4-0126-SM-E9J4P 50-59 years, female 47.3
GTEX-13NYC-0326-SM-E9J4S 60-69 years, male 47.2
GTEX-1GN1U-0126-SM-7PBZK 50-59 years, female 47.1
GTEX-1HBPI-1526-SM-C1YQ1 50-59 years, male 47.1
GTEX-14E6E-1826-SM-5S2R7 30-39 years, male 46.9
GTEX-15G19-0126-SM-6PANQ 60-69 years, male 46.9
GTEX-146FH-0126-SM-5QGPP 50-59 years, female 46.8
GTEX-1B97I-1626-SM-73KYO 40-49 years, male 46.8
GTEX-11OF3-2626-SM-5GU7F 60-69 years, male 46.4
GTEX-15ER7-0326-SM-7KUEV 20-29 years, female 46.4
GTEX-SSA3-0126-SM-32QPU 60-69 years, male 46.4
GTEX-148VJ-0126-SM-5TDDN 70-79 years, male 46.2
GTEX-1CB4G-0226-SM-7PC3O 60-69 years, male 46.2
GTEX-1I1GR-0126-SM-CL55F 60-69 years, male 46.0
GTEX-1IKJJ-0126-SM-CNPQB 60-69 years, male 45.7
GTEX-17EVP-0326-SM-7DHLG 40-49 years, male 45.6
GTEX-1CB4F-0426-SM-9KNV4 60-69 years, male 45.0
GTEX-SE5C-1626-SM-2XCE3 40-49 years, female 43.7
GTEX-1JJEA-0326-SM-CNPOT 60-69 years, male 43.5
GTEX-14A5I-0126-SM-5TDEA 50-59 years, female 43.2
GTEX-1MA7X-2226-SM-E6CIY 60-69 years, male 43.2
GTEX-1POEN-0126-SM-EYYXJ 30-39 years, female 43.1
GTEX-1B8SG-0126-SM-73KZ3 50-59 years, male 42.9
GTEX-UPJH-0326-SM-3GADU 50-59 years, male 42.9
GTEX-VJYA-1126-SM-3GIJU 60-69 years, male 42.0
GTEX-1AX9I-0126-SM-7SB74 60-69 years, male 41.7
GTEX-1QW4Y-1526-SM-EAZ3Z 30-39 years, male 41.3
GTEX-WFG8-2226-SM-3GIL9 20-29 years, male 39.5
GTEX-S32W-2126-SM-2XCB1 50-59 years, female 39.1
GTEX-15EU6-0426-SM-6PAN5 50-59 years, male 38.9
GTEX-SJXC-0126-SM-2XCFF 60-69 years, male 38.3
GTEX-PVOW-0126-SM-2XCFA 40-49 years, male 35.2
GTEX-P44H-0226-SM-2XCEU 40-49 years, male 28.8
Show allShow less

Contact

  • NEWS ARTICLES
  • PRESS ROOM

The Project

  • INTRODUCTION
  • ORGANIZATION
  • PUBLICATIONS

The Human Protein Atlas

  • DOWNLOADABLE DATA
  • LICENCE & CITATION
  • HELP & FAQ
The Human Protein Atlas project is funded
by the Knut & Alice Wallenberg Foundation.


contact@proteinatlas.org