We use cookies to enhance the usability of our website. If you continue, we'll assume that you are happy to receive all cookies. More information. Don't show this again.
TRIP10
HPA
RESOURCES
  • TISSUE
  • BRAIN
  • SINGLE CELL
  • SUBCELLULAR
  • CANCER
  • BLOOD
  • CELL LINE
  • STRUCTURE & INTERACTION
ABOUT
  • INTRODUCTION
  • HISTORY
  • ORGANIZATION
  • PUBLICATIONS
  • ANTIBODY SUBMISSION
  • ANTIBODY AVAILABILITY
  • ACKNOWLEDGMENTS
  • CONTACT
NEWS
  • NEWS ARTICLES
  • PRESS ROOM
LEARN
  • DICTIONARY
  • PROTEIN CLASSES
  • PROTEIN EVIDENCE
  • METHODS
  • EDUCATIONAL VIDEOS
DATA
  • DOWNLOADABLE DATA
  • PUBLICATION DATA
  • RELEASE HISTORY
HELP
  • ANTIBODY VALIDATION
  • ASSAYS & ANNOTATION
  • DISCLAIMER
  • HELP & FAQ
  • PRIVACY STATEMENT
  • LICENCE & CITATION
Fields »
Search result

Field
Term
Gene name
Class
Subclass
Class
Keyword
Chromosome
External id
Tissue
Cell type
Expression
Antibody panel
Tissue
Main location
Patient ID
Annotation
Tissue
Category
Tau score
Cluster
Reliability
Brain region
Category
Tau score
Brain region
Category
Tau score
Brain region
Category
Tau score
Cluster
Reliability
Tissue
Cell type
Enrichment
Cell type
Category
Tau score
Cell type
Category
Tau score
Cell type
Category
Tau score
Cell lineage
Category
Tau score
Cluster
Cluster
Location
Searches
Location
Cell line
Class
Type
Phase
Reliability
Cancer
Prognosis
Cancer
Category
Cancer
Category
Tau score
Cluster
Variants
Interacting gene (ensg_id)
Type
Number of interactions
Pathway
Category
Score
Score
Score
Validation
Validation
Validation
Validation
Antibodies
Data type
Column


  • SUMMARY

  • TISSUE

  • BRAIN

  • SINGLE CELL

  • SUBCELL

  • CANCER

  • BLOOD

  • CELL LINE

  • STRUCT & INT

  • TRIP10
TISSUE PRIMARY DATA BREAST Show tissue menu
ADIPOSE TISSUE ADRENAL GLAND AMYGDALA APPENDIX BASAL GANGLIA BONE MARROW BREAST BRONCHUS CEREBELLUM CEREBRAL CORTEX CERVIX CHOROID PLEXUS COLON DUODENUM
ENDOMETRIUM EPIDIDYMIS ESOPHAGUS FALLOPIAN TUBE GALLBLADDER HEART MUSCLE HIPPOCAMPAL FORMATION HYPOTHALAMUS KIDNEY LIVER LUNG LYMPH NODE MIDBRAIN NASOPHARYNX
ORAL MUCOSA OVARY PANCREAS PARATHYROID GLAND PITUITARY GLAND PLACENTA PROSTATE RECTUM RETINA SALIVARY GLAND SEMINAL VESICLE SKELETAL MUSCLE SKIN SMALL INTESTINE
SMOOTH MUSCLE SOFT TISSUE SPINAL CORD SPLEEN STOMACH TESTIS THYMUS THYROID GLAND TONGUE TONSIL URINARY BLADDER VAGINA
ANTIBODIES
AND
VALIDATION
Dictionary
Breast
Tissue proteome
Breast
BREAST - Expression summary
Protein expression
Breasti

On the top, protein expression in current human tissue, based on all annotated cell types, is reported with the units not detected (n), low (l), medium (m) and high (h). Underneath, protein expression in each annotated cell type are reported using the same units.

Protein expression data is based on knowledge-based annotation. For genes where more than one antibody has been used, a collective score is set.

If knowledge-based annotation could not be performed for a gene, no data is displayed here. View antibody staining data further down this page.

h
m
l
n
Adipocytes: Not detected
Glandular cells: Medium
Myoepithelial cells: Not detected
RNA expressioni

A summary of mRNA expression data available for current tissue based on several datasets. The mRNA expression levels in human tissues are based on RNA-seq data generated by the Human Protein Atlas (HPA), Genotype-Tissue Expression (GTEx) portal and CAGE data generated by the FANTOM5 consortium. Consensus normalized expression levels for human tissues was created by combining the data from HPA and GTEx datasets.

The mRNA expression levels in pig are based on RNA-seq data generated by the Human Protein Atlas (HPA), and for mouse, HPA data and in situ hybridization generated by the Allen brain atlas are reported.

Scroll down to view mRNA expression data in more detail.
Consensus:89.2 nTPM
HPA:17.7 nTPM
GTEx:89.2 nTPM
FANTOM5:20.6 Scaled Tags Per Million

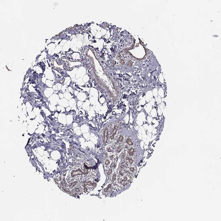
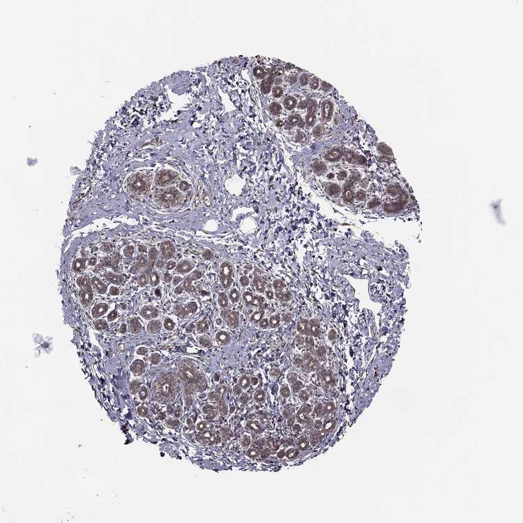
BREAST - Antibody stainingi

Antibody staining in the annotated cell types in the current human tissue is reported as not detected, low, medium, or high, based on conventional immunohistochemistry profiling in selected tissues. This score is based on the combination of the staining intensity and fraction of stained cells.

Each image is clickable and will lead to virtual microscopy that enables deeper exploration of all samples and also displays staining intensity scores, fraction scores and subcellular localization as well as patient and tissue information for each sample.

Antibody HPA072625Antibody HPA073886
Adipocytes Not detectedLow
Glandular cells MediumMedium
Myoepithelial cells Not detectedMedium





BREAST - HPA RNA-seqi

The RNA-seq details section shows detailed information about the individual samples used for the transcript profiling and results of the RNA-seq analysis.

Information about each individual sample is listed below, including gender, age, a tissue section image and estimated fractions of cell types. nTPM (normalized transcripts per million) values give a quantification of the gene abundance which is comparable between different genes and samples.
Average nTPMi

Max subtype nTPM is the value for the subtype with the largest average nTPM across the subtype samples.

17.7
overview
Female, age 52
Breast sample 373
nTPM: 16.8
Cell types%
Glandular cells:
15

Adipocytes:
5

Other cell types:
80

overview
Female, age 80
Breast sample 390
nTPM: 33.1
Cell types%
Glandular cells:
5

Adipocytes:
15

Other cell types:
80

overview
Female, age 47
Breast sample 405
nTPM: 12.6
Cell types%
Glandular cells:
5

Adipocytes:
5

Other cell types:
90

overview
Female, age 38
Breast sample 410
nTPM: 8.4
Cell types%
Glandular cells:
40

Adipocytes:
5

Other cell types:
55


BREAST - GTEx RNA-seqi

RNA-Seq data generated by the Genotype-Tissue Expression (GTEx) project from human tissues is reported as mean nTPM. More information can be found on the GTEx portal.

Distribution across the dataset is visualized with box plots, shown as median and 25th and 75th percentiles. Points are displayed as outliers if they are above or below 1.5 times the interquartile range. nTPM values of the individual samples are presented next to the box plot.
Max subtype nTPMi

Max subtype nTPM is the value for the subtype with the largest average nTPM across the subtype samples.

89.2
GTEx sample id Sample description nTPM
Breast - Mammary Tissue
Average nTPM: 89.2
Samples: 459

Max nTPM: 227.5
Min nTPM: 32.9
Std nTPM: 30.8
Median nTPM: 83.2
GTEX-1N2EF-2226-SM-E9J33 60-69 years, male 227.5
GTEX-13N1W-0626-SM-5MR4U 70-79 years, male 216.8
GTEX-13PVQ-1026-SM-5KM3M 50-59 years, male 201.1
GTEX-XMK1-1126-SM-4IHJ8 40-49 years, male 195.9
GTEX-14753-2426-SM-5LU8U 60-69 years, male 191.8
GTEX-11WQK-2426-SM-5GU5C 50-59 years, male 181.7
GTEX-U8XE-0826-SM-4E3J1 30-39 years, male 174.5
GTEX-1I1GP-0426-SM-COH3N 50-59 years, male 171.0
GTEX-144GM-0926-SM-5O994 20-29 years, male 165.5
GTEX-U412-1826-SM-4DXTJ 60-69 years, male 164.5
GTEX-14E6C-1326-SM-62LEQ 40-49 years, male 162.9
GTEX-132NY-0826-SM-5K7Y7 60-69 years, male 160.9
GTEX-11ZUS-0826-SM-5FQUY 30-39 years, male 158.0
GTEX-1M4P7-2626-SM-E9U5F 60-69 years, male 154.8
GTEX-1IDFM-0426-SM-B2LVV 60-69 years, male 151.5
GTEX-13O3O-0826-SM-5K7WE 60-69 years, female 151.3
GTEX-11TUW-1826-SM-5BC5D 60-69 years, male 151.2
GTEX-ZYT6-0126-SM-5E45J 30-39 years, male 151.1
GTEX-1JN6P-2426-SM-ARL99 60-69 years, male 149.9
GTEX-X4XY-0926-SM-4E3JD 60-69 years, male 149.6
GTEX-X4EP-2926-SM-3P5YQ 60-69 years, female 147.9
GTEX-14PN4-0626-SM-62LFP 50-59 years, male 146.0
GTEX-11OF3-1926-SM-59889 60-69 years, male 144.5
GTEX-11NV4-2026-SM-5N9DG 60-69 years, male 144.4
GTEX-1I19N-2826-SM-CL55D 70-79 years, male 143.5
GTEX-1H1DG-0526-SM-9YFLN 70-79 years, male 143.4
GTEX-XGQ4-0926-SM-4AT4U 50-59 years, male 140.9
GTEX-11NSD-0926-SM-5N9DR 20-29 years, male 140.4
GTEX-XQ8I-2426-SM-4WAXY 50-59 years, male 140.0
GTEX-14DAR-1326-SM-7DUEG 50-59 years, male 139.5
GTEX-Y5V6-2126-SM-4WWFX 60-69 years, male 139.2
GTEX-1C6WA-2426-SM-7SB86 60-69 years, male 137.2
GTEX-XQ3S-1326-SM-4BOPQ 20-29 years, male 136.1
GTEX-17HGU-1326-SM-79OKB 50-59 years, male 135.4
GTEX-ZYW4-0826-SM-5GIDG 60-69 years, male 134.1
GTEX-S7SE-0826-SM-4AT4D 50-59 years, male 134.0
GTEX-14BMV-0626-SM-793AU 50-59 years, male 133.5
GTEX-1IOXB-1926-SM-ARL8E 50-59 years, male 133.4
GTEX-1HT8W-2226-SM-CGQEC 30-39 years, male 132.3
GTEX-139T6-1626-SM-5PNYZ 50-59 years, male 131.6
GTEX-1IDJF-2326-SM-ARL86 20-29 years, male 131.5
GTEX-1NV8Z-2826-SM-E8VME 60-69 years, male 131.5
GTEX-ZAB4-2526-SM-5HL8M 40-49 years, male 130.5
GTEX-ZYFC-0826-SM-5E44K 50-59 years, male 130.4
GTEX-ZQUD-1926-SM-51MSA 30-39 years, male 130.3
GTEX-17F96-2426-SM-7IGLN 70-79 years, male 128.7
GTEX-ZT9W-2026-SM-51MRA 50-59 years, male 128.4
GTEX-1QMI2-0726-SM-E9J4F 60-69 years, male 128.4
GTEX-R55D-0826-SM-48FEA 50-59 years, male 127.6
GTEX-13FTW-1426-SM-5LZWZ 40-49 years, male 127.5
GTEX-11I78-2226-SM-5PNYA 50-59 years, female 127.1
GTEX-13S86-1226-SM-5S2OA 40-49 years, male 127.1
GTEX-12WSN-1326-SM-5GCNT 40-49 years, male 126.6
GTEX-YFCO-1826-SM-4W1YH 40-49 years, male 126.6
GTEX-16YQH-2826-SM-6PAMY 30-39 years, male 126.4
GTEX-ZWKS-2826-SM-5NQ74 30-39 years, male 126.4
GTEX-1NHNU-0926-SM-E9J2T 50-59 years, male 126.2
GTEX-1GF9U-1726-SM-7MGY5 40-49 years, female 125.5
GTEX-18A6Q-0926-SM-7LG4N 60-69 years, male 125.4
GTEX-XMD1-0826-SM-4AT52 60-69 years, male 125.3
GTEX-1ICLY-1726-SM-B2LVT 50-59 years, male 124.9
GTEX-Y9LG-1426-SM-5IFJZ 30-39 years, male 123.8
GTEX-144GL-2026-SM-5LU3O 50-59 years, male 123.6
GTEX-TKQ1-0226-SM-33HB5 30-39 years, male 122.6
GTEX-1R7EV-1526-SM-E8VOD 40-49 years, male 122.5
GTEX-18465-2026-SM-718AP 50-59 years, male 121.8
GTEX-14E7W-0826-SM-62LEJ 70-79 years, male 121.7
GTEX-ZV6S-1826-SM-5NQ8D 40-49 years, female 121.7
GTEX-1PPH7-0826-SM-E8VNX 40-49 years, male 121.1
GTEX-1MA7X-1626-SM-E9U5B 60-69 years, male 120.9
GTEX-1I6K6-0826-SM-ARL7Z 30-39 years, male 120.6
GTEX-TKQ2-1826-SM-33HB2 50-59 years, male 120.5
GTEX-1313W-0826-SM-5EQ4T 50-59 years, female 120.4
GTEX-11DXZ-1926-SM-5GZZL 50-59 years, male 120.0
GTEX-11LCK-2426-SM-5HL5F 30-39 years, male 119.6
GTEX-1QW4Y-1026-SM-DTXE2 30-39 years, male 119.5
GTEX-1R9PM-1826-SM-EVYBH 20-29 years, male 119.4
GTEX-ZZ64-1226-SM-5E43R 20-29 years, male 119.1
GTEX-1E2YA-2726-SM-7IGPW 50-59 years, male 118.1
GTEX-17KNJ-2026-SM-7LG53 50-59 years, male 117.7
GTEX-11DXY-2326-SM-5GICW 60-69 years, male 117.5
GTEX-ZDTT-2126-SM-DKPOM 60-69 years, male 117.3
GTEX-1AX9J-1126-SM-731B7 60-69 years, male 116.9
GTEX-S4Q7-1126-SM-4AD6R 20-29 years, male 116.9
GTEX-17EVQ-0426-SM-7LG57 70-79 years, male 116.6
GTEX-13D11-1026-SM-5IJFB 50-59 years, female 116.0
GTEX-X62O-0526-SM-EWRMA 50-59 years, male 116.0
GTEX-1AX9I-0726-SM-73KWV 60-69 years, male 115.9
GTEX-18A7B-2626-SM-7LG55 70-79 years, male 115.8
GTEX-15RJE-2626-SM-7KFT1 40-49 years, male 115.4
GTEX-13O3P-0826-SM-5L3DH 50-59 years, male 114.9
GTEX-PSDG-1626-SM-48TCQ 50-59 years, male 114.9
GTEX-ZA64-1526-SM-5CVMD 20-29 years, male 114.7
GTEX-1LBAC-0926-SM-CXKY9 20-29 years, male 114.6
GTEX-13OW8-0226-SM-5K7UP 60-69 years, male 114.5
GTEX-WI4N-1426-SM-3LK7H 40-49 years, female 114.4
GTEX-139TU-0626-SM-5KM3X 60-69 years, male 114.3
GTEX-1KD5A-1926-SM-DKPQA 50-59 years, male 114.0
GTEX-REY6-2426-SM-48FF5 60-69 years, male 113.2
GTEX-1IDJH-2226-SM-E6CJV 70-79 years, male 113.2
GTEX-1H4P4-2226-SM-9MQKQ 50-59 years, male 112.8
GTEX-1HCU7-1026-SM-ADEIP 50-59 years, male 112.8
GTEX-169BO-1126-SM-7MGWN 50-59 years, male 112.5
GTEX-X261-0626-SM-3NMD9 50-59 years, male 112.4
GTEX-13CF3-2126-SM-5IFJP 60-69 years, female 112.2
GTEX-13W46-0826-SM-5LU3H 50-59 years, male 112.2
GTEX-1IGQW-0926-SM-ADEH6 60-69 years, male 112.1
GTEX-ZLFU-2126-SM-DO931 40-49 years, male 111.7
GTEX-S32W-2026-SM-4AD6E 50-59 years, female 111.4
GTEX-145MO-0826-SM-5NQBL 60-69 years, male 110.8
GTEX-RUSQ-2026-SM-4GIAK 50-59 years, male 110.5
GTEX-1PPGY-1526-SM-EVYBK 60-69 years, male 110.5
GTEX-ZEX8-2226-SM-57WC6 50-59 years, male 110.2
GTEX-ZUA1-1526-SM-59HLS 40-49 years, male 109.2
GTEX-1A3MX-2726-SM-718B6 60-69 years, male 108.4
GTEX-Z9EW-1526-SM-EZ6LU 40-49 years, male 108.4
GTEX-V955-2026-SM-3GAFA 60-69 years, male 108.0
GTEX-11EQ9-1826-SM-5Q5AJ 30-39 years, male 107.9
GTEX-1H23P-0726-SM-9WG7K 60-69 years, male 107.5
GTEX-14LLW-0626-SM-62LFC 70-79 years, female 106.9
GTEX-QVJO-1826-SM-447C9 60-69 years, female 106.7
GTEX-1I1GU-1026-SM-ADEHJ 40-49 years, male 106.7
GTEX-145ME-1526-SM-5Q5F2 40-49 years, female 106.3
GTEX-1JKYN-0726-SM-ARZMY 30-39 years, male 106.1
GTEX-1HFI7-0126-SM-CGQFQ 50-59 years, female 105.2
GTEX-117XS-1926-SM-5GICO 60-69 years, male 104.8
GTEX-1LG7Z-0726-SM-CXKYD 30-39 years, male 104.7
GTEX-1EKGG-2626-SM-7IGPY 60-69 years, male 104.2
GTEX-Y8E4-1626-SM-5S2MW 40-49 years, male 104.1
GTEX-1KAFJ-0226-SM-DIPEL 50-59 years, male 103.7
GTEX-1JMOU-2026-SM-CMKGU 60-69 years, female 103.5
GTEX-1LSVX-2426-SM-E6CJX 60-69 years, male 103.2
GTEX-13O3Q-2226-SM-5KM4O 50-59 years, male 102.9
GTEX-1IDJU-1826-SM-CMKHV 60-69 years, female 102.8
GTEX-QMRM-1626-SM-D4P1U 50-59 years, male 102.8
GTEX-18QFQ-0826-SM-718AX 30-39 years, male 102.6
GTEX-145MF-2226-SM-7EPIR 50-59 years, male 102.5
GTEX-1HR98-0426-SM-COH36 60-69 years, male 102.5
GTEX-13NZ9-1026-SM-5MR5K 50-59 years, male 102.3
GTEX-ZAJG-0626-SM-5HL8X 50-59 years, female 102.2
GTEX-14E6E-1326-SM-5S2NR 30-39 years, male 101.5
GTEX-17MFQ-0926-SM-7LG4S 20-29 years, male 101.4
GTEX-YECK-0726-SM-EZ6LV 60-69 years, male 101.4
GTEX-1ICLZ-0426-SM-B2LW2 60-69 years, male 100.5
GTEX-183WM-0726-SM-7LTAA 70-79 years, female 100.4
GTEX-11ZTT-2326-SM-5EQLG 60-69 years, female 100.3
GTEX-145MN-1926-SM-5SIAI 30-39 years, male 99.9
GTEX-ZDYS-1126-SM-5K7UB 50-59 years, male 99.9
GTEX-11O72-2126-SM-5N9FO 40-49 years, male 99.7
GTEX-1I1GT-1126-SM-ARL7J 60-69 years, female 99.6
GTEX-13FTX-1126-SM-5N9EN 20-29 years, female 99.2
GTEX-12KS4-0126-SM-5Q5A5 30-39 years, male 99.1
GTEX-XV7Q-2326-SM-4BRVZ 40-49 years, female 98.7
GTEX-14PKU-0426-SM-6EU1P 40-49 years, female 98.5
GTEX-1LNCM-0226-SM-DIPF4 50-59 years, female 98.0
GTEX-13VXU-2826-SM-664MA 50-59 years, male 96.9
GTEX-11GSO-1926-SM-5A5K3 60-69 years, male 96.8
GTEX-1CB4J-1826-SM-7EWF9 60-69 years, male 96.8
GTEX-UTHO-1026-SM-3GAF7 60-69 years, male 96.6
GTEX-12BJ1-1826-SM-5HL9N 60-69 years, male 96.5
GTEX-132Q8-1426-SM-5EGK7 60-69 years, male 96.3
GTEX-14PJ4-2126-SM-6ETZJ 60-69 years, male 96.3
GTEX-17F97-2526-SM-7EWDV 50-59 years, male 96.3
GTEX-11DZ1-0326-SM-5N9BN 50-59 years, male 95.9
GTEX-1JJE9-2326-SM-ARL8Q 70-79 years, male 95.9
GTEX-WHSB-1926-SM-EXOHH 50-59 years, male 94.8
GTEX-13NZB-2126-SM-5MR4Y 30-39 years, male 94.7
GTEX-WOFL-0826-SM-3MJG1 60-69 years, male 94.6
GTEX-1HSEH-2026-SM-ADEHN 60-69 years, male 94.4
GTEX-1JKYR-0926-SM-CMKGJ 20-29 years, male 94.4
GTEX-1GF9V-2526-SM-7SB8K 60-69 years, male 94.3
GTEX-Y3I4-1526-SM-4TT7K 50-59 years, male 94.0
GTEX-17F9E-2526-SM-7MGW2 50-59 years, male 93.5
GTEX-YEC3-1026-SM-5IFI5 50-59 years, male 93.4
GTEX-1HSMO-0826-SM-ADEIV 60-69 years, male 93.4
GTEX-1F75B-0626-SM-7SB8A 50-59 years, male 93.1
GTEX-1QPFJ-2026-SM-EVYBE 30-39 years, female 93.1
GTEX-1OKEX-0826-SM-E9J2B 60-69 years, male 92.4
GTEX-WY7C-2726-SM-3NB3P 50-59 years, male 92.3
GTEX-13FHO-0826-SM-5L3E8 60-69 years, male 92.1
GTEX-15EOM-5019-SM-793DK 20-29 years, female 92.1
GTEX-14B4R-1226-SM-5TDDT 30-39 years, male 92.0
GTEX-YB5K-1626-SM-5IFIN 40-49 years, female 92.0
GTEX-YJ8O-2226-SM-5IFHW 40-49 years, female 92.0
GTEX-Y8LW-1626-SM-5IFHX 50-59 years, female 91.7
GTEX-ZY6K-1626-SM-5GZWV 50-59 years, male 91.6
GTEX-YB5E-1726-SM-5IFJ3 40-49 years, male 91.5
GTEX-11GSP-0926-SM-9WYSG 60-69 years, female 91.3
GTEX-17EVP-0226-SM-79OND 40-49 years, male 91.0
GTEX-1K9T9-1426-SM-DIPFQ 50-59 years, female 91.0
GTEX-WFG8-2026-SM-EXOHO 20-29 years, male 90.8
GTEX-1EWIQ-1726-SM-7SB7T 70-79 years, female 90.2
GTEX-1F75A-1826-SM-7SB8G 50-59 years, male 90.0
GTEX-15UF7-0726-SM-6M46D 40-49 years, male 89.3
GTEX-14PHY-1926-SM-5YY95 60-69 years, female 89.1
GTEX-18D9A-1526-SM-7LG4J 30-39 years, female 88.7
GTEX-1R9JW-0326-SM-EAZ45 30-39 years, female 88.7
GTEX-1QP28-1226-SM-E9J2M 50-59 years, female 88.6
GTEX-1122O-1226-SM-5H113 60-69 years, female 88.4
GTEX-ZDXO-0126-SM-5S2ND 60-69 years, male 87.7
GTEX-13SLW-2526-SM-62LDQ 70-79 years, male 87.5
GTEX-WRHU-0326-SM-3MJFY 50-59 years, female 87.5
GTEX-17HHE-1426-SM-7EPH4 50-59 years, male 87.4
GTEX-1JN1M-3026-SM-CMKGK 60-69 years, female 87.3
GTEX-12WSM-1726-SM-5BC6J 60-69 years, male 87.2
GTEX-1117F-2826-SM-5GZXL 60-69 years, female 86.3
GTEX-VUSG-2226-SM-4KKZO 50-59 years, male 86.1
GTEX-1R9PN-0326-SM-DTX85 40-49 years, female 86.0
GTEX-1JMLX-2026-SM-CMKGN 50-59 years, male 85.9
GTEX-1192X-2326-SM-5987X 50-59 years, male 85.8
GTEX-17MF6-0326-SM-7EPH5 40-49 years, male 85.5
GTEX-1QP9N-1826-SM-E8VMP 30-39 years, male 85.4
GTEX-11EI6-0626-SM-5985T 60-69 years, male 85.3
GTEX-1P4AB-1826-SM-E76PU 50-59 years, male 85.3
GTEX-1J8Q2-2726-SM-A9G2X 60-69 years, male 85.2
GTEX-XMD2-0926-SM-4WWEF 60-69 years, female 85.1
GTEX-1I1GV-2426-SM-CGQFM 60-69 years, male 85.1
GTEX-1AX8Z-0926-SM-731AW 60-69 years, male 84.2
GTEX-1KXAM-1026-SM-CY8IA 60-69 years, male 84.1
GTEX-13CF2-2026-SM-5K7VI 60-69 years, male 83.7
GTEX-1EN7A-1426-SM-7PBY4 40-49 years, male 83.7
GTEX-ZPIC-1126-SM-5BC7F 40-49 years, female 83.5
GTEX-1GN2E-2226-SM-9WG6J 60-69 years, male 83.5
GTEX-11ONC-2126-SM-5HL6E 60-69 years, male 83.4
GTEX-11WQC-1726-SM-5GU4W 60-69 years, male 83.4
GTEX-18A7A-0726-SM-7LTAI 50-59 years, female 83.4
GTEX-1211K-1926-SM-5EQLB 60-69 years, female 83.3
GTEX-17GQL-0326-SM-7LG5U 60-69 years, male 83.3
GTEX-1S82Z-0726-SM-E6CHX 30-39 years, female 83.3
GTEX-1JJEA-2726-SM-ARL8V 60-69 years, male 83.2
GTEX-1CB4G-2326-SM-79OOI 60-69 years, male 83.1
GTEX-S33H-0326-SM-4AD6N 30-39 years, male 83.1
GTEX-17JCI-0726-SM-7EPH1 60-69 years, female 82.9
GTEX-1314G-1226-SM-5BC6D 30-39 years, male 82.8
GTEX-1HBPM-0126-SM-ARL9E 60-69 years, female 82.7
GTEX-1C6VS-0726-SM-7EPHF 60-69 years, male 82.6
GTEX-T2IS-1526-SM-32QPR 20-29 years, female 82.6
GTEX-1IE54-0626-SM-ARL8D 40-49 years, female 82.5
GTEX-1PDJ9-1126-SM-EXUSW 20-29 years, male 82.4
GTEX-15UF6-0126-SM-6PAMB 70-79 years, female 81.9
GTEX-1JMPZ-1626-SM-COH31 30-39 years, male 81.8
GTEX-1LC47-1226-SM-D4P44 60-69 years, male 81.8
GTEX-ZVT4-1026-SM-57WC4 50-59 years, female 81.7
GTEX-1QEPI-0926-SM-DTXF3 60-69 years, female 81.7
GTEX-1MJK3-1126-SM-E9J3F 20-29 years, male 81.1
GTEX-133LE-1726-SM-5K7VQ 20-29 years, female 80.9
GTEX-1KD4Q-2326-SM-D4P3M 40-49 years, male 80.7
GTEX-16BQI-1026-SM-7KUEA 30-39 years, female 80.2
GTEX-Y111-2026-SM-4SOJA 50-59 years, male 80.2
GTEX-13O61-1826-SM-5KM4I 60-69 years, male 80.1
GTEX-UPK5-2326-SM-3P5Z8 40-49 years, male 80.1
GTEX-1LSNL-2826-SM-E9U5L 50-59 years, male 79.9
GTEX-RWS6-1926-SM-47JXY 60-69 years, female 79.5
GTEX-1JK1U-1826-SM-ARL8W 60-69 years, male 79.5
GTEX-1JMQK-2626-SM-COH2W 60-69 years, male 79.4
GTEX-XBED-1626-SM-47JYN 60-69 years, male 79.0
GTEX-1C6VQ-0426-SM-79OOX 50-59 years, male 78.8
GTEX-1HC8U-0826-SM-ADEIL 40-49 years, female 78.8
GTEX-1HCVE-2626-SM-ADEJ8 50-59 years, male 78.5
GTEX-1HUB1-1626-SM-CM2SL 60-69 years, male 78.4
GTEX-18A66-1726-SM-7LG5N 60-69 years, male 78.3
GTEX-T2YK-2226-SM-32QPT 50-59 years, male 78.2
GTEX-T5JC-2126-SM-32PMO 20-29 years, male 78.1
GTEX-ZVE2-1226-SM-5NQ8R 50-59 years, male 77.9
GTEX-13PVR-2226-SM-7DHKP 60-69 years, female 77.8
GTEX-1B97J-0426-SM-79OLQ 50-59 years, female 77.8
GTEX-XUW1-2326-SM-4BOO5 50-59 years, female 77.8
GTEX-ZVTK-0326-SM-51MRR 20-29 years, male 77.7
GTEX-1I1HK-2426-SM-ADEHX 60-69 years, male 77.7
GTEX-1B933-2526-SM-7IGO5 50-59 years, female 77.6
GTEX-1GZ4H-0326-SM-7P8QX 50-59 years, female 77.3
GTEX-146FH-0826-SM-5SI8T 50-59 years, female 77.2
GTEX-14PJO-0726-SM-69LO8 60-69 years, male 77.1
GTEX-1AMEY-1026-SM-718AA 30-39 years, female 76.9
GTEX-U3ZN-1926-SM-4DXSG 30-39 years, female 76.9
GTEX-1GZHY-0726-SM-9WG6B 50-59 years, female 76.9
GTEX-147F4-2826-SM-5NQBN 50-59 years, male 76.6
GTEX-1C64O-0726-SM-7DUFU 60-69 years, male 76.5
GTEX-WYBS-0926-SM-3NM94 60-69 years, female 76.5
GTEX-12WSK-2226-SM-5GCO5 40-49 years, female 76.0
GTEX-139T8-0826-SM-5L3DE 60-69 years, male 75.8
GTEX-Y5V5-2126-SM-4WWFO 60-69 years, female 75.8
GTEX-WFON-1826-SM-3GILG 40-49 years, male 75.6
GTEX-ZTX8-1226-SM-4YCE9 20-29 years, male 75.5
GTEX-1J8Q3-1326-SM-CMKI1 60-69 years, male 75.5
GTEX-SE5C-2126-SM-4BRUJ 40-49 years, female 75.3
GTEX-1B8SG-1226-SM-7IGPF 50-59 years, male 75.2
GTEX-1I6K7-1026-SM-A9SLK 40-49 years, male 75.2
GTEX-WYJK-1326-SM-3NB2T 50-59 years, male 75.0
GTEX-R53T-1526-SM-48FEK 50-59 years, female 74.9
GTEX-11DXW-0626-SM-5N9ER 40-49 years, male 74.8
GTEX-1H1ZS-0126-SM-9YFKQ 70-79 years, male 74.6
GTEX-1MCYP-0126-SM-E6CIS 20-29 years, female 74.6
GTEX-15FZZ-0726-SM-7KUFZ 30-39 years, female 74.4
GTEX-1B8KE-1226-SM-73KWK 50-59 years, male 74.3
GTEX-1K2DA-1726-SM-CGQGS 50-59 years, male 74.2
GTEX-ZVZQ-0826-SM-51MRF 60-69 years, female 74.1
GTEX-13QJ3-0826-SM-7DHKK 50-59 years, male 74.0
GTEX-ZU9S-1926-SM-5NQBP 30-39 years, male 74.0
GTEX-132AR-0826-SM-5EGK6 50-59 years, female 73.8
GTEX-1J8QM-2026-SM-ARZMW 60-69 years, female 73.8
GTEX-1L5NE-2126-SM-CY8IH 50-59 years, male 73.8
GTEX-1A8G7-2426-SM-731AK 60-69 years, male 73.6
GTEX-1LSNM-1326-SM-E9TJ1 50-59 years, male 73.3
GTEX-ZLWG-1926-SM-DO92J 50-59 years, female 73.2
GTEX-1GMR3-2626-SM-7RHHG 40-49 years, male 72.4
GTEX-1IKOH-2326-SM-CM2TW 60-69 years, female 72.4
GTEX-ZV7C-1826-SM-5NQ83 50-59 years, male 72.3
GTEX-1NUQO-2226-SM-E9U68 20-29 years, female 72.3
GTEX-1I4MK-1626-SM-CM2TJ 50-59 years, female 71.7
GTEX-1S82U-1126-SM-E9U6I 30-39 years, female 71.3
GTEX-1IKJJ-2326-SM-COH3U 60-69 years, male 71.2
GTEX-1B8KZ-1526-SM-7DUG7 50-59 years, male 71.1
GTEX-1KANC-1426-SM-CYPT9 50-59 years, female 71.1
GTEX-1B8L1-2426-SM-9WYTE 60-69 years, male 71.0
GTEX-1GPI7-0926-SM-7PC3J 20-29 years, male 71.0
GTEX-13NZ8-0126-SM-5IJCT 60-69 years, female 70.9
GTEX-1BAJH-0826-SM-7EWEF 70-79 years, male 70.8
GTEX-1GZ4I-2826-SM-9MQK5 50-59 years, male 70.7
GTEX-R3RS-0626-SM-48FE1 40-49 years, female 70.5
GTEX-QEG5-0726-SM-D4P1T 20-29 years, male 70.5
GTEX-X15G-1626-SM-3NMB3 50-59 years, female 70.2
GTEX-ZAK1-1326-SM-EVYAS 50-59 years, female 70.1
GTEX-1HKZK-1826-SM-ADEJ2 40-49 years, male 69.7
GTEX-1HCU8-0126-SM-ADEHH 60-69 years, female 69.4
GTEX-1HCU9-0326-SM-9WYSC 20-29 years, male 68.9
GTEX-11TT1-2126-SM-5GU5Y 20-29 years, male 68.8
GTEX-17EUY-1926-SM-7DUF6 20-29 years, male 68.7
GTEX-17F98-0526-SM-79OK5 40-49 years, female 68.7
GTEX-1QCLZ-2326-SM-DTXDO 60-69 years, female 68.7
GTEX-1MCC2-2126-SM-EWRON 30-39 years, female 68.6
GTEX-145LT-0726-SM-5S2VM 40-49 years, male 68.5
GTEX-1H3VY-0926-SM-ACKXE 50-59 years, male 68.5
GTEX-RU72-0626-SM-46MUI 50-59 years, female 68.4
GTEX-1LGRB-1826-SM-CNPQL 50-59 years, female 68.4
GTEX-ZLV1-1426-SM-DO92Z 60-69 years, female 68.4
GTEX-131YS-0626-SM-5EGKL 60-69 years, female 68.1
GTEX-1HCUA-0726-SM-ACKVU 50-59 years, female 68.1
GTEX-1H1CY-2226-SM-9WG7E 60-69 years, female 67.9
GTEX-1GMRU-0826-SM-9WYT7 50-59 years, male 67.7
GTEX-1GMR2-1926-SM-9MQLZ 50-59 years, male 67.5
GTEX-1C475-1226-SM-7SB72 40-49 years, female 67.4
GTEX-14ICK-2426-SM-6EU27 40-49 years, male 67.3
GTEX-15G19-2126-SM-6M48J 60-69 years, male 67.1
GTEX-15SHW-1326-SM-6PAL8 60-69 years, male 67.1
GTEX-UJHI-1426-SM-3DB9C 50-59 years, female 67.1
GTEX-183FY-1126-SM-7DHLJ 20-29 years, male 67.0
GTEX-S4P3-1326-SM-4AD6V 50-59 years, female 65.8
GTEX-1B97I-0426-SM-79OL7 40-49 years, male 65.5
GTEX-17HG3-0126-SM-7IGNH 30-39 years, female 65.1
GTEX-1RAZQ-1226-SM-EWRNL 30-39 years, male 64.8
GTEX-ZQG8-0726-SM-5P9H9 60-69 years, female 64.7
GTEX-13W3W-1226-SM-5LU4H 60-69 years, female 64.6
GTEX-1RLM8-2226-SM-EVYD1 50-59 years, male 64.6
GTEX-T6MN-0726-SM-32PML 50-59 years, male 64.5
GTEX-XYKS-1326-SM-4BRUN 60-69 years, female 64.5
GTEX-Q2AG-0326-SM-48U1O 40-49 years, female 64.3
GTEX-ZF3C-2326-SM-5S2NC 50-59 years, female 64.3
GTEX-1F6I4-2526-SM-7SB8F 60-69 years, male 64.1
GTEX-11GS4-2126-SM-5A5KR 60-69 years, male 63.6
GTEX-1RQEC-2026-SM-DTXDM 60-69 years, male 63.5
GTEX-ZTTD-1026-SM-51MRD 50-59 years, male 63.4
GTEX-1GPI6-0626-SM-7RHHJ 60-69 years, male 63.2
GTEX-1H11D-1526-SM-9MQJY 40-49 years, male 63.1
GTEX-17HHY-0926-SM-793C1 50-59 years, male 62.9
GTEX-1MJK2-2226-SM-EVYCR 50-59 years, male 62.9
GTEX-S341-1526-SM-4AD6K 40-49 years, female 62.6
GTEX-1GF9X-1026-SM-ACKX2 40-49 years, female 62.6
GTEX-1MA7W-1026-SM-DKPQK 20-29 years, female 62.4
GTEX-14ABY-2126-SM-5QGQZ 50-59 years, male 62.1
GTEX-RU1J-0626-SM-4WAWY 20-29 years, female 62.1
GTEX-1CAMR-1426-SM-793BO 20-29 years, male 61.9
GTEX-13PL6-2926-SM-5L3I2 40-49 years, female 61.4
GTEX-11EMC-2026-SM-5A5JV 60-69 years, female 61.3
GTEX-1F5PL-1026-SM-7RHI1 40-49 years, female 61.3
GTEX-1R7EU-1226-SM-E8VMR 60-69 years, male 61.2
GTEX-1CAMS-1426-SM-7IGPM 40-49 years, female 60.7
GTEX-T6MO-0326-SM-32QOK 40-49 years, female 60.7
GTEX-1F5PK-2126-SM-7PC28 50-59 years, male 60.7
GTEX-S4UY-0726-SM-4AD6X 40-49 years, female 60.3
GTEX-1HBPN-2326-SM-9WPPU 50-59 years, male 60.3
GTEX-WXYG-2226-SM-4E3IM 50-59 years, female 59.9
GTEX-1399U-1826-SM-5PNZ1 50-59 years, female 59.8
GTEX-YFC4-1426-SM-5IFJG 40-49 years, female 59.8
GTEX-13OW5-2226-SM-5L3HC 60-69 years, male 59.7
GTEX-1GN1U-0526-SM-9KNTT 50-59 years, female 59.5
GTEX-1EU9M-2826-SM-7EWFH 60-69 years, male 59.1
GTEX-1GMR8-0726-SM-9KNVI 50-59 years, female 59.1
GTEX-QEL4-2126-SM-447AE 50-59 years, male 59.0
GTEX-ZZPU-0626-SM-5E43T 50-59 years, female 59.0
GTEX-13SLX-2326-SM-5ZZWE 50-59 years, female 58.8
GTEX-1269C-2426-SM-5FQSN 60-69 years, female 58.3
GTEX-U3ZH-1426-SM-4DXSR 30-39 years, male 58.2
GTEX-1IKOE-1326-SM-CE6T6 30-39 years, female 58.1
GTEX-ZGAY-1726-SM-DO91P 40-49 years, female 58.0
GTEX-14H4A-2526-SM-5YYAY 40-49 years, female 57.8
GTEX-1CB4E-0226-SM-79OLW 60-69 years, male 57.8
GTEX-VJWN-0726-SM-3GIJ8 50-59 years, female 57.7
GTEX-14A5I-0726-SM-5TDEB 50-59 years, female 56.7
GTEX-11P7K-0726-SM-5EGKX 30-39 years, male 56.6
GTEX-1N2EE-2126-SM-E8VNN 60-69 years, male 56.3
GTEX-Y5LM-1726-SM-4VDSX 40-49 years, female 56.2
GTEX-ZC5H-2626-SM-5J2MG 40-49 years, female 56.1
GTEX-11P81-1926-SM-5BC53 30-39 years, female 55.1
GTEX-16NGA-0826-SM-718AF 40-49 years, female 54.9
GTEX-11PRG-0826-SM-5EQ6A 50-59 years, male 54.6
GTEX-1A3MV-1626-SM-731C1 30-39 years, male 54.5
GTEX-1GZ2Q-2626-SM-7MXV9 40-49 years, male 54.5
GTEX-13N11-1726-SM-5J1OJ 50-59 years, female 54.4
GTEX-117YX-1426-SM-5H12H 50-59 years, male 54.3
GTEX-12ZZX-1126-SM-5EGKB 40-49 years, female 54.3
GTEX-1B932-0826-SM-73KXG 40-49 years, female 54.3
GTEX-ZVT2-1826-SM-5NQ8W 50-59 years, female 54.1
GTEX-TML8-1226-SM-32QON 40-49 years, female 53.9
GTEX-111YS-1926-SM-5GICC 60-69 years, male 53.8
GTEX-1R46S-2526-SM-E8VN2 60-69 years, female 53.8
GTEX-13113-5013-SM-7SB7G 60-69 years, female 53.7
GTEX-ZF29-1926-SM-5S2P1 60-69 years, female 53.5
GTEX-14AS3-1626-SM-5S2OY 40-49 years, female 53.1
GTEX-1J8EW-2626-SM-CL53E 60-69 years, female 53.1
GTEX-1F75I-2026-SM-7SB7N 40-49 years, male 52.9
GTEX-1N5O9-1126-SM-DTXEQ 60-69 years, male 52.7
GTEX-1QP29-1726-SM-E8VMQ 50-59 years, male 52.7
GTEX-W5X1-2326-SM-3GIL6 40-49 years, female 52.6
GTEX-1KANA-2026-SM-DIPFB 20-29 years, male 52.6
GTEX-13FTY-2226-SM-5J1ND 40-49 years, female 52.2
GTEX-TMMY-0726-SM-33HBE 40-49 years, female 52.2
GTEX-Y114-2026-SM-4TT7L 50-59 years, female 52.2
GTEX-XOT4-0726-SM-4GIAW 60-69 years, female 51.7
GTEX-1GN1W-1926-SM-7P8TH 50-59 years, female 51.4
GTEX-1H1E6-0926-SM-9YFLT 30-39 years, male 51.1
GTEX-Y3IK-2326-SM-4WWDT 50-59 years, female 50.8
GTEX-1HR9M-2426-SM-ACKXI 60-69 years, male 50.7
GTEX-1M5QR-2526-SM-E9U5P 40-49 years, male 50.5
GTEX-1QCLY-1626-SM-DTXDW 30-39 years, male 50.4
GTEX-1IY9M-2726-SM-CMKG5 60-69 years, male 49.5
GTEX-1LVAN-1326-SM-CNPQE 50-59 years, female 49.5
GTEX-QDT8-0626-SM-48TYW 30-39 years, female 49.4
GTEX-1IDJE-0826-SM-CKZNZ 50-59 years, female 49.1
GTEX-15ETS-0626-SM-7KUMX 40-49 years, female 48.6
GTEX-ZTPG-2826-SM-57WGA 20-29 years, female 48.6
GTEX-11P82-1326-SM-5HL62 20-29 years, male 48.5
GTEX-14BMU-1626-SM-5TDE7 20-29 years, female 48.0
GTEX-131XW-0726-SM-5EGK3 50-59 years, female 47.7
GTEX-XUZC-1626-SM-4BRVP 30-39 years, female 47.6
GTEX-1RAZS-1226-SM-E8VMT 50-59 years, male 47.1
GTEX-15ER7-1626-SM-6PAMZ 20-29 years, female 46.8
GTEX-WYVS-1726-SM-3NMAY 40-49 years, female 46.6
GTEX-11EM3-1326-SM-5N9C6 20-29 years, female 45.2
GTEX-ZXES-0826-SM-5E43C 30-39 years, female 44.8
GTEX-1ICG6-1326-SM-ACKWR 70-79 years, female 44.3
GTEX-1LVAM-0926-SM-E9TJ2 50-59 years, female 44.3
GTEX-ZF2S-2026-SM-5E461 50-59 years, female 44.2
GTEX-1JMPY-0526-SM-CL54O 30-39 years, male 43.8
GTEX-1HSGN-1526-SM-A9SMO 40-49 years, female 41.9
GTEX-1HSKV-2026-SM-CMKGX 60-69 years, male 39.6
GTEX-T5JW-2026-SM-4DM63 20-29 years, female 38.3
GTEX-13QIC-2326-SM-5LU5N 60-69 years, female 37.2
GTEX-1POEN-0926-SM-DTX88 30-39 years, female 32.9
Show allShow less

BREAST - FANTOM5 CAGEi

RNA expression in human tissues obtained through Cap Analysis of Gene Expression (CAGE) generated by the FANTOM5 project are reported as Scaled Tags Per Million.

Max subtype Scaled Tags Per Millioni

Max subtype Scaled Tags Per Million is the value for the subtype with the largest average Scaled Tags Per Million across the subtype samples.

20.6
FANTOM5 sample id Sample description Scaled Tags Per Million
Breast
Scaled Tags Per Million: 20.6
FF:10080-102A8 77 years, female 20.6

Contact

  • NEWS ARTICLES
  • PRESS ROOM

The Project

  • INTRODUCTION
  • ORGANIZATION
  • PUBLICATIONS

The Human Protein Atlas

  • DOWNLOADABLE DATA
  • LICENCE & CITATION
  • HELP & FAQ
The Human Protein Atlas project is funded
by the Knut & Alice Wallenberg Foundation.


contact@proteinatlas.org