We use cookies to enhance the usability of our website. If you continue, we'll assume that you are happy to receive all cookies. More information. Don't show this again.
MKKS
HPA
RESOURCES
  • TISSUE
  • BRAIN
  • SINGLE CELL
  • SUBCELLULAR
  • CANCER
  • BLOOD
  • CELL LINE
  • STRUCTURE & INTERACTION
ABOUT
  • INTRODUCTION
  • HISTORY
  • ORGANIZATION
  • PUBLICATIONS
  • ANTIBODY SUBMISSION
  • ANTIBODY AVAILABILITY
  • ACKNOWLEDGMENTS
  • CONTACT
NEWS
  • NEWS ARTICLES
  • PRESS ROOM
LEARN
  • DICTIONARY
  • PROTEIN CLASSES
  • PROTEIN EVIDENCE
  • METHODS
  • EDUCATIONAL VIDEOS
DATA
  • DOWNLOADABLE DATA
  • PUBLICATION DATA
  • RELEASE HISTORY
HELP
  • ANTIBODY VALIDATION
  • ASSAYS & ANNOTATION
  • DISCLAIMER
  • HELP & FAQ
  • PRIVACY STATEMENT
  • LICENCE & CITATION
Fields »
Search result

Field
Term
Gene name
Class
Subclass
Class
Keyword
Chromosome
External id
Tissue
Cell type
Expression
Antibody panel
Tissue
Main location
Patient ID
Annotation
Tissue
Category
Tau score
Cluster
Reliability
Brain region
Category
Tau score
Brain region
Category
Tau score
Brain region
Category
Tau score
Cluster
Reliability
Tissue
Cell type
Enrichment
Cell type
Category
Tau score
Cell type
Category
Tau score
Cell type
Category
Tau score
Cell lineage
Category
Tau score
Cluster
Cluster
Location
Searches
Location
Cell line
Class
Type
Phase
Reliability
Cancer
Prognosis
Cancer
Category
Cancer
Category
Tau score
Cluster
Variants
Interacting gene (ensg_id)
Type
Number of interactions
Pathway
Category
Score
Score
Score
Validation
Validation
Validation
Validation
Antibodies
Data type
Column


  • SUMMARY

  • TISSUE

  • BRAIN

  • SINGLE CELL

  • SUBCELL

  • CANCER

  • BLOOD

  • CELL LINE

  • STRUCT & INT

  • MKKS
TISSUE PRIMARY DATA SKIN Show tissue menu
ADIPOSE TISSUE ADRENAL GLAND AMYGDALA APPENDIX BASAL GANGLIA BONE MARROW BREAST BRONCHUS CEREBELLUM CEREBRAL CORTEX CERVIX CHOROID PLEXUS COLON DUODENUM
ENDOMETRIUM EPIDIDYMIS ESOPHAGUS FALLOPIAN TUBE GALLBLADDER HEART MUSCLE HIPPOCAMPAL FORMATION HYPOTHALAMUS KIDNEY LIVER LUNG LYMPH NODE MIDBRAIN NASOPHARYNX
ORAL MUCOSA OVARY PANCREAS PARATHYROID GLAND PITUITARY GLAND PLACENTA PROSTATE RECTUM RETINA SALIVARY GLAND SEMINAL VESICLE SKELETAL MUSCLE SKIN SMALL INTESTINE
SMOOTH MUSCLE SOFT TISSUE SPINAL CORD SPLEEN STOMACH TESTIS THYMUS THYROID GLAND TONGUE TONSIL URINARY BLADDER VAGINA
ANTIBODIES
AND
VALIDATION
Dictionary
Skin
Tissue proteome
Skin
SKIN - Expression summary
Protein expression
Skini

On the top, protein expression in current human tissue, based on all annotated cell types, is reported with the units not detected (n), low (l), medium (m) and high (h). Underneath, protein expression in each annotated cell type are reported using the same units.

Protein expression data is based on knowledge-based annotation. For genes where more than one antibody has been used, a collective score is set.

If knowledge-based annotation could not be performed for a gene, no data is displayed here. View antibody staining data further down this page.

h
m
l
n
Epidermal cells: Medium
Fibroblasts: Not detected
Keratinocytes: Low
Langerhans: Low
Melanocytes: Medium
RNA expressioni

A summary of mRNA expression data available for current tissue based on several datasets. The mRNA expression levels in human tissues are based on RNA-seq data generated by the Human Protein Atlas (HPA), Genotype-Tissue Expression (GTEx) portal and CAGE data generated by the FANTOM5 consortium. Consensus normalized expression levels for human tissues was created by combining the data from HPA and GTEx datasets.

The mRNA expression levels in pig are based on RNA-seq data generated by the Human Protein Atlas (HPA), and for mouse, HPA data and in situ hybridization generated by the Allen brain atlas are reported.

Scroll down to view mRNA expression data in more detail.
Consensus:9.0 nTPM
HPA:8.4 nTPM
GTEx:9.0 nTPM

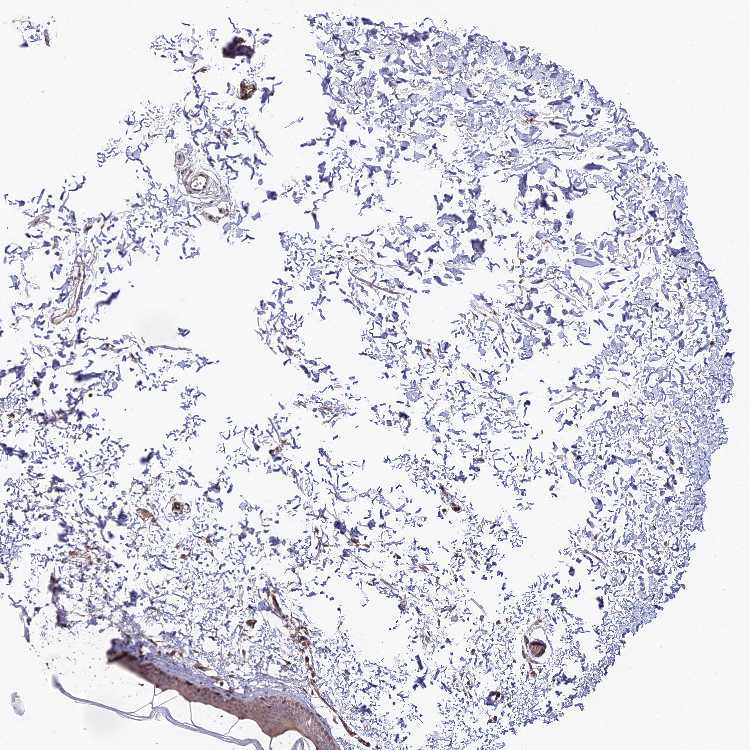
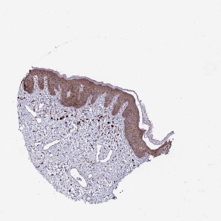
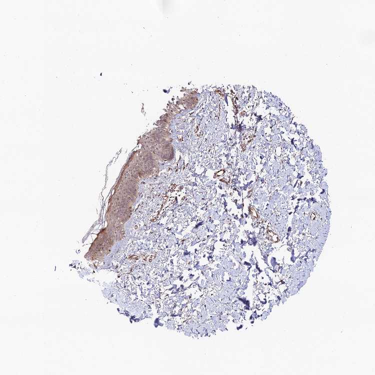
SKIN 1 - Antibody stainingi

Antibody staining in the annotated cell types in the current human tissue is reported as not detected, low, medium, or high, based on conventional immunohistochemistry profiling in selected tissues. This score is based on the combination of the staining intensity and fraction of stained cells.

Each image is clickable and will lead to virtual microscopy that enables deeper exploration of all samples and also displays staining intensity scores, fraction scores and subcellular localization as well as patient and tissue information for each sample.

Antibody HPA041071Antibody HPA044233
Langerhans LowLow
Fibroblasts MediumNot detected
Keratinocytes MediumLow
Melanocytes MediumMedium



SKIN 2 - Antibody stainingi

Antibody staining in the annotated cell types in the current human tissue is reported as not detected, low, medium, or high, based on conventional immunohistochemistry profiling in selected tissues. This score is based on the combination of the staining intensity and fraction of stained cells.

Each image is clickable and will lead to virtual microscopy that enables deeper exploration of all samples and also displays staining intensity scores, fraction scores and subcellular localization as well as patient and tissue information for each sample.

Antibody HPA041071Antibody HPA044233
Epidermal cells MediumMedium
  
  
  




SKIN - HPA RNA-seqi

The RNA-seq details section shows detailed information about the individual samples used for the transcript profiling and results of the RNA-seq analysis.

Information about each individual sample is listed below, including gender, age, a tissue section image and estimated fractions of cell types. nTPM (normalized transcripts per million) values give a quantification of the gene abundance which is comparable between different genes and samples.
Average nTPMi

Max subtype nTPM is the value for the subtype with the largest average nTPM across the subtype samples.

8.4
overview
Female, age 34
Skin sample 225
nTPM: 10.3
Cell types%
Keratinocytes:
60

Other cell types:
40

overview
Female, age 30
Skin sample 226
nTPM: 8.6
Cell types%
Keratinocytes:
55

Other cell types:
45

N/A
Male, age 57
Skin sample 227
nTPM: 6.4

SKIN - GTEx RNA-seqi

RNA-Seq data generated by the Genotype-Tissue Expression (GTEx) project from human tissues is reported as mean nTPM. More information can be found on the GTEx portal.

Distribution across the dataset is visualized with box plots, shown as median and 25th and 75th percentiles. Points are displayed as outliers if they are above or below 1.5 times the interquartile range. nTPM values of the individual samples are presented next to the box plot.
Max subtype nTPMi

Max subtype nTPM is the value for the subtype with the largest average nTPM across the subtype samples.

9.0
GTEx sample id Sample description nTPM
Skin - Not Sun Exposed (Suprapubic)
Average nTPM: 9.0
Samples: 604

Max nTPM: 18.4
Min nTPM: 3.8
Std nTPM: 2.2
Median nTPM: 8.9
GTEX-15RIE-1926-SM-7KUKJ 60-69 years, male 18.4
GTEX-UPK5-0426-SM-3GAEK 40-49 years, male 17.5
GTEX-1399Q-2326-SM-5KM2X 40-49 years, male 16.5
GTEX-13PDP-0726-SM-5L3HP 60-69 years, male 15.9
GTEX-1GF9X-1326-SM-7PC2Y 40-49 years, female 15.7
GTEX-1I19N-0126-SM-CYPSF 70-79 years, male 15.3
GTEX-13NZ9-2626-SM-5L3FK 50-59 years, male 15.0
GTEX-1HFI6-0126-SM-CNPPI 40-49 years, male 14.9
GTEX-13NZ8-1226-SM-5KM4A 60-69 years, female 14.8
GTEX-14PJ2-0626-SM-6LLII 50-59 years, male 14.8
GTEX-ZVE1-0726-SM-51MRN 50-59 years, female 14.6
GTEX-Y5V6-2326-SM-4VDSA 60-69 years, male 14.5
GTEX-1PIGE-1826-SM-E8VOU 20-29 years, male 14.4
GTEX-1I6K6-1726-SM-CGQFD 30-39 years, male 14.2
GTEX-15G19-2426-SM-7KUMR 60-69 years, male 13.9
GTEX-1HR98-2226-SM-ADEI2 60-69 years, male 13.9
GTEX-ZWKS-0626-SM-5GIDV 30-39 years, male 13.8
GTEX-11EQ8-0926-SM-5H12V 60-69 years, male 13.6
GTEX-1L5NE-1126-SM-D3L9P 50-59 years, male 13.5
GTEX-111YS-1526-SM-5GZYW 60-69 years, male 13.4
GTEX-1IDJV-0126-SM-COH3Y 60-69 years, male 13.4
GTEX-117YX-1926-SM-5GIEC 50-59 years, male 13.3
GTEX-139D8-1126-SM-5LU8W 30-39 years, female 13.3
GTEX-ZTTD-2826-SM-4YCFA 50-59 years, male 13.3
GTEX-14A6H-2026-SM-5Q5DD 30-39 years, male 13.2
GTEX-11DXY-0126-SM-5H11Q 60-69 years, male 13.1
GTEX-17MFQ-1526-SM-7KFRR 20-29 years, male 13.1
GTEX-YB5K-2026-SM-4VDT3 40-49 years, female 13.1
GTEX-147GR-2426-SM-5ZZWQ 60-69 years, male 13.0
GTEX-14XAO-1226-SM-6EU1C 60-69 years, female 13.0
GTEX-13SLW-0626-SM-5Q5ER 70-79 years, male 12.9
GTEX-1F75W-2726-SM-7SB8H 60-69 years, male 12.8
GTEX-ZYT6-2326-SM-5GZY3 30-39 years, male 12.7
GTEX-1F6RS-2026-SM-7RHHC 60-69 years, female 12.6
GTEX-1B932-2326-SM-79OL5 40-49 years, female 12.5
GTEX-1EU9M-1426-SM-793AI 60-69 years, male 12.5
GTEX-1KANB-2826-SM-CY8I6 50-59 years, male 12.5
GTEX-1RAZA-2226-SM-E9U4X 20-29 years, male 12.5
GTEX-1399R-1326-SM-5PNYS 30-39 years, male 12.4
GTEX-14C38-0726-SM-5SI6M 50-59 years, male 12.4
GTEX-16MT9-0126-SM-7EPI8 60-69 years, female 12.4
GTEX-1GZ2Q-0126-SM-9WG6M 40-49 years, male 12.4
GTEX-1KANC-1226-SM-CYPT7 50-59 years, female 12.4
GTEX-183WM-0326-SM-72D5V 70-79 years, female 12.3
GTEX-18A67-1626-SM-7LT9T 50-59 years, male 12.3
GTEX-ZPCL-1126-SM-4WWFE 60-69 years, female 12.3
GTEX-ZVTK-0226-SM-51MRG 20-29 years, male 12.3
GTEX-ZXG5-2126-SM-59HKD 60-69 years, male 12.3
GTEX-1H1DF-1126-SM-9WG7G 40-49 years, female 12.3
GTEX-1LSNL-2726-SM-E9TKJ 50-59 years, male 12.3
GTEX-17HG3-2626-SM-7DUF2 30-39 years, female 12.2
GTEX-1RAZR-2126-SM-E9U6T 40-49 years, male 12.2
GTEX-144FL-0626-SM-5LU43 50-59 years, male 12.1
GTEX-1F5PL-0926-SM-7PC2W 40-49 years, female 12.1
GTEX-XMD2-2126-SM-4YCF8 60-69 years, female 12.0
GTEX-11DXW-0826-SM-5H118 40-49 years, male 11.9
GTEX-1BAJH-2426-SM-7IGP8 70-79 years, male 11.9
GTEX-1H1DG-2426-SM-9QEHJ 70-79 years, male 11.9
GTEX-13SLX-2226-SM-62LEP 50-59 years, female 11.8
GTEX-VUSG-2326-SM-4KL1U 50-59 years, male 11.8
GTEX-ZVZP-1226-SM-5GID7 50-59 years, male 11.8
GTEX-1E2YA-2126-SM-7MXUO 50-59 years, male 11.8
GTEX-1MCC2-1826-SM-DIPEX 30-39 years, female 11.8
GTEX-111FC-2526-SM-5GZXU 60-69 years, male 11.7
GTEX-15CHC-1126-SM-6LLHQ 60-69 years, female 11.7
GTEX-ZY6K-1426-SM-5GZX2 50-59 years, male 11.7
GTEX-1EWIQ-0326-SM-7DHMQ 70-79 years, female 11.6
GTEX-1F52S-2926-SM-7MKGA 60-69 years, female 11.6
GTEX-1A8FM-0626-SM-7PC25 50-59 years, female 11.6
GTEX-11DXX-2126-SM-5PNYR 60-69 years, female 11.5
GTEX-14753-0726-SM-5QGQO 60-69 years, male 11.5
GTEX-16YQH-2226-SM-7IGM2 30-39 years, male 11.5
GTEX-XYKS-1426-SM-4BRUO 60-69 years, female 11.5
GTEX-14JFF-0626-SM-5ZZVT 60-69 years, male 11.5
GTEX-1LG7Y-2526-SM-EWRO7 50-59 years, male 11.5
GTEX-14DAQ-0626-SM-793DS 60-69 years, female 11.4
GTEX-14LZ3-0126-SM-69LPM 60-69 years, female 11.4
GTEX-15DDE-2926-SM-6LLJ3 50-59 years, female 11.4
GTEX-1E1VI-0326-SM-793D1 50-59 years, male 11.4
GTEX-VJYA-1526-SM-3GIJV 60-69 years, male 11.4
GTEX-1HR9M-2226-SM-CNPPY 60-69 years, male 11.4
GTEX-1HSMO-0626-SM-ACKXC 60-69 years, male 11.4
GTEX-1JJEA-1826-SM-ARU8P 60-69 years, male 11.4
GTEX-13112-0126-SM-5P9IU 50-59 years, male 11.3
GTEX-14LLW-2626-SM-62LDZ 70-79 years, female 11.3
GTEX-1I1HK-2326-SM-CKZOH 60-69 years, male 11.3
GTEX-1ICLY-0826-SM-CMKG1 50-59 years, male 11.3
GTEX-1IL2V-1926-SM-B2LW8 70-79 years, male 11.3
GTEX-1313W-0626-SM-5EQ4H 50-59 years, female 11.2
GTEX-144GL-0626-SM-5LU4D 50-59 years, male 11.2
GTEX-14PKU-0126-SM-6LLHV 40-49 years, female 11.2
GTEX-Y5LM-0926-SM-6LLJG 40-49 years, female 11.2
GTEX-1GZ4I-2626-SM-9KNU3 50-59 years, male 11.2
GTEX-1H3VE-0726-SM-9YFL5 40-49 years, male 11.2
GTEX-1HCU9-0426-SM-9WYSD 20-29 years, male 11.2
GTEX-1HCVE-2726-SM-CL54F 50-59 years, male 11.2
GTEX-1K2DA-1026-SM-CGQGF 50-59 years, male 11.2
GTEX-139TS-2126-SM-5K7XC 60-69 years, male 11.1
GTEX-13N2G-0226-SM-5K7VF 60-69 years, male 11.1
GTEX-14A5H-0826-SM-5QGPJ 60-69 years, male 11.1
GTEX-14JG1-1526-SM-5YY9X 40-49 years, male 11.1
GTEX-1B8L1-2226-SM-7P8PT 60-69 years, male 11.1
GTEX-1ICG6-1226-SM-A9SLN 70-79 years, female 11.1
GTEX-1R7EU-1626-SM-DTXG3 60-69 years, male 11.1
GTEX-1314G-1326-SM-5BC6E 30-39 years, male 11.0
GTEX-YECK-0326-SM-4W1YS 60-69 years, male 11.0
GTEX-1IKOE-1426-SM-CE6T7 30-39 years, female 11.0
GTEX-1R9PM-1926-SM-EVR3O 20-29 years, male 11.0
GTEX-12WSA-0426-SM-5EQ5X 60-69 years, male 10.9
GTEX-13X6J-0626-SM-5LU5F 50-59 years, male 10.9
GTEX-15EU6-2226-SM-6EU2L 50-59 years, male 10.9
GTEX-17KNJ-2126-SM-718AM 50-59 years, male 10.9
GTEX-1KXAM-1626-SM-D3LAD 60-69 years, male 10.9
GTEX-1OJC4-2726-SM-E76PJ 50-59 years, female 10.9
GTEX-15RJE-2826-SM-7KUM9 40-49 years, male 10.8
GTEX-1JKYR-0626-SM-ARL8R 20-29 years, male 10.8
GTEX-13OVL-0126-SM-5L3GJ 50-59 years, male 10.7
GTEX-144GO-2026-SM-5O99P 60-69 years, male 10.7
GTEX-15G1A-1626-SM-7KUKN 30-39 years, male 10.7
GTEX-1GF9U-2026-SM-7SB92 40-49 years, female 10.7
GTEX-1HT8W-0626-SM-A9G2H 30-39 years, male 10.7
GTEX-1JN76-0626-SM-CKZOQ 20-29 years, female 10.7
GTEX-1LSVX-2526-SM-DIPEU 60-69 years, male 10.7
GTEX-1LVA9-2626-SM-EVYD4 50-59 years, male 10.7
GTEX-145MI-0626-SM-5SI8S 60-69 years, female 10.6
GTEX-14PII-0726-SM-6EU2B 60-69 years, male 10.6
GTEX-16Z82-2626-SM-7KULU 60-69 years, male 10.6
GTEX-18465-2826-SM-7LT9J 50-59 years, male 10.6
GTEX-18A7B-2726-SM-7LG56 70-79 years, male 10.6
GTEX-WK11-2726-SM-3NMAQ 50-59 years, male 10.6
GTEX-1F75A-0726-SM-7RHHD 50-59 years, male 10.6
GTEX-1GN1V-2826-SM-9JGIA 60-69 years, male 10.6
GTEX-1IDJF-2026-SM-CL53V 20-29 years, male 10.6
GTEX-1QP66-1226-SM-DTX7U 50-59 years, male 10.6
GTEX-145MO-2826-SM-5LU96 60-69 years, male 10.5
GTEX-183FY-1026-SM-7939A 20-29 years, male 10.5
GTEX-1AMEY-0826-SM-72D65 30-39 years, female 10.5
GTEX-ZDTT-0426-SM-4WKFL 60-69 years, male 10.5
GTEX-1F88E-1626-SM-7SB8Z 60-69 years, female 10.5
GTEX-1HCU7-0726-SM-A9SL1 50-59 years, male 10.5
GTEX-1AMFI-1326-SM-7939R 50-59 years, female 10.4
GTEX-1KD5A-0126-SM-E9U54 50-59 years, male 10.4
GTEX-12WSL-2026-SM-5GCML 50-59 years, male 10.3
GTEX-12WSM-1926-SM-5BC65 60-69 years, male 10.3
GTEX-13IVO-0726-SM-5LZYV 70-79 years, male 10.3
GTEX-1F6IF-0926-SM-7SB7M 60-69 years, male 10.3
GTEX-1F88F-0126-SM-9WYSZ 60-69 years, female 10.3
GTEX-1IDFM-0326-SM-ARL7V 60-69 years, male 10.3
GTEX-1KWVE-1026-SM-D3L9O 30-39 years, male 10.3
GTEX-1QMI2-2526-SM-E8VNZ 60-69 years, male 10.3
GTEX-YEC3-1326-SM-DO92X 50-59 years, male 10.3
GTEX-12126-0826-SM-5FQTZ 20-29 years, male 10.2
GTEX-132AR-0326-SM-5KM2C 50-59 years, female 10.2
GTEX-13FLV-0126-SM-5K7WT 50-59 years, male 10.2
GTEX-13X6I-1826-SM-5SIAO 60-69 years, male 10.2
GTEX-145MG-1526-SM-5Q5EM 50-59 years, male 10.2
GTEX-14AS3-1526-SM-5Q5ED 40-49 years, female 10.2
GTEX-18A6Q-0626-SM-7KFRP 60-69 years, male 10.2
GTEX-ZVT2-0126-SM-5GIDQ 50-59 years, female 10.2
GTEX-1O9I2-0226-SM-EYYXD 50-59 years, male 10.2
GTEX-12BJ1-0926-SM-5EQ62 60-69 years, male 10.1
GTEX-12WSC-2826-SM-5BC5Y 50-59 years, male 10.1
GTEX-131XH-0126-SM-5LZUY 50-59 years, male 10.1
GTEX-13FTY-2126-SM-5IFFB 40-49 years, female 10.1
GTEX-13W3W-0726-SM-5IJDQ 60-69 years, female 10.1
GTEX-14E6E-0526-SM-793DN 30-39 years, male 10.1
GTEX-17HHY-0426-SM-7DHLC 50-59 years, male 10.1
GTEX-1A8G6-2726-SM-731AR 60-69 years, male 10.1
GTEX-ZPU1-1126-SM-4YCF3 40-49 years, male 10.1
GTEX-1IDJD-2326-SM-ACKWX 30-39 years, male 10.1
GTEX-1POEN-2326-SM-E9J2L 30-39 years, female 10.1
GTEX-12WSD-0626-SM-5GCMW 60-69 years, female 10.0
GTEX-XAJ8-1426-SM-47JYM 40-49 years, male 10.0
GTEX-Y5V5-0126-SM-5S2NW 60-69 years, female 10.0
GTEX-ZZPU-0826-SM-5GZX5 50-59 years, female 10.0
GTEX-1H3O1-1326-SM-9MQLD 60-69 years, male 10.0
GTEX-1HC8U-1326-SM-9YFMJ 40-49 years, female 10.0
GTEX-1I1CD-0626-SM-CE6SW 60-69 years, female 10.0
GTEX-1IDJC-1526-SM-B2LW4 50-59 years, male 10.0
GTEX-1IDJE-1426-SM-ADEIW 50-59 years, female 10.0
GTEX-11EQ9-1626-SM-5PNY8 30-39 years, male 9.9
GTEX-11ZUS-2626-SM-5FQUR 30-39 years, male 9.9
GTEX-13NYS-0626-SM-5L3F1 60-69 years, male 9.9
GTEX-16NPX-0726-SM-7KULC 50-59 years, male 9.9
GTEX-18D9B-0926-SM-7LG4U 60-69 years, male 9.9
GTEX-1AX9I-2226-SM-73KUO 60-69 years, male 9.9
GTEX-1C6VQ-1226-SM-73KYD 50-59 years, male 9.9
GTEX-XQ3S-1426-SM-4BOPR 20-29 years, male 9.9
GTEX-1CB4I-0126-SM-7RHGG 50-59 years, male 9.9
GTEX-1IDJH-0126-SM-D3L92 70-79 years, male 9.9
GTEX-1IOXB-2726-SM-CM2RI 50-59 years, male 9.9
GTEX-1K9T9-1526-SM-DIPFR 50-59 years, female 9.9
GTEX-ZF3C-0626-SM-DO92O 50-59 years, female 9.9
GTEX-12ZZX-2426-SM-5GCOE 40-49 years, female 9.8
GTEX-1399S-0126-SM-5IJCF 30-39 years, female 9.8
GTEX-13FHO-0426-SM-5L3F5 60-69 years, male 9.8
GTEX-13OVH-0526-SM-5L3E6 70-79 years, male 9.8
GTEX-XXEK-1626-SM-4BRUZ 50-59 years, male 9.8
GTEX-1122O-1026-SM-9WYSF 60-69 years, female 9.8
GTEX-1H1ZS-2726-SM-9WG75 70-79 years, male 9.8
GTEX-1JMPZ-0726-SM-CY8HZ 30-39 years, male 9.8
GTEX-1LGOU-1326-SM-D3L8M 20-29 years, female 9.8
GTEX-1LGRB-0926-SM-COH3K 50-59 years, female 9.8
GTEX-15RIG-0726-SM-7KUM7 40-49 years, male 9.7
GTEX-178AV-1726-SM-7KUL8 40-49 years, male 9.7
GTEX-XK95-0226-SM-4AT58 40-49 years, male 9.7
GTEX-ZU9S-1826-SM-5NQ9E 30-39 years, male 9.7
GTEX-1GMR8-0626-SM-7RHI7 50-59 years, female 9.7
GTEX-1HBPM-0726-SM-9YFL7 60-69 years, female 9.7
GTEX-1HSMP-0926-SM-A9SKX 70-79 years, male 9.7
GTEX-1J8EW-2726-SM-CY8HR 60-69 years, female 9.7
GTEX-1JKYN-0826-SM-ARU8S 30-39 years, male 9.7
GTEX-1KANA-1326-SM-DIPFA 20-29 years, male 9.7
GTEX-1RB15-1326-SM-E76Q9 60-69 years, male 9.7
GTEX-1H1CY-0126-SM-9YFLY 60-69 years, female 9.6
GTEX-1HB9E-0126-SM-CM2S5 50-59 years, male 9.6
GTEX-1HBPN-0126-SM-CGQEF 50-59 years, male 9.6
GTEX-1HSGN-0826-SM-ACKW3 40-49 years, female 9.6
GTEX-1N2EE-0626-SM-E76PW 60-69 years, male 9.6
GTEX-1PPH7-1126-SM-DTX9A 40-49 years, male 9.6
GTEX-11NUK-2726-SM-5A5MC 50-59 years, male 9.5
GTEX-16MTA-0926-SM-6M47Z 50-59 years, male 9.5
GTEX-WHWD-1826-SM-3LK6I 50-59 years, male 9.5
GTEX-XBED-1926-SM-47JYP 60-69 years, male 9.5
GTEX-YFCO-1226-SM-5LUAT 40-49 years, male 9.5
GTEX-ZAJG-1526-SM-5CVML 50-59 years, female 9.5
GTEX-ZAK1-0626-SM-5HL8E 50-59 years, female 9.5
GTEX-1H1E6-0426-SM-9WYUS 30-39 years, male 9.5
GTEX-1JJ6O-2726-SM-CNPOG 60-69 years, male 9.5
GTEX-11P81-2226-SM-5PNYI 30-39 years, female 9.4
GTEX-17EVP-2626-SM-7IGMA 40-49 years, male 9.4
GTEX-X4EP-0626-SM-3P621 60-69 years, female 9.4
GTEX-1C64N-2626-SM-7PC2N 50-59 years, male 9.4
GTEX-1F5PK-2226-SM-7SB6N 50-59 years, male 9.4
GTEX-1J1R8-2026-SM-CL53Y 40-49 years, male 9.4
GTEX-1LG7Z-1626-SM-CXKYR 30-39 years, male 9.4
GTEX-1LVAO-2726-SM-E9TJ8 60-69 years, male 9.4
GTEX-1QCLY-0226-SM-EWRNH 30-39 years, male 9.4
GTEX-1RAZS-2526-SM-E6CHT 50-59 years, male 9.4
GTEX-ZGAY-1826-SM-DO91Q 40-49 years, female 9.4
GTEX-11DZ1-2426-SM-5GZZX 50-59 years, male 9.3
GTEX-1269C-0126-SM-5EQ5L 60-69 years, female 9.3
GTEX-14E1K-2026-SM-7DUEI 50-59 years, male 9.3
GTEX-16GPK-0626-SM-7KFSF 60-69 years, male 9.3
GTEX-17HGU-2326-SM-7DUFE 50-59 years, male 9.3
GTEX-18A66-0626-SM-7LT8Z 60-69 years, male 9.3
GTEX-ZE7O-2726-SM-51MT5 50-59 years, female 9.3
GTEX-ZE9C-2526-SM-5IJDR 60-69 years, male 9.3
GTEX-ZYFG-1526-SM-5GZYM 60-69 years, female 9.3
GTEX-1GN73-0726-SM-7P8TJ 60-69 years, male 9.3
GTEX-1H11D-1826-SM-9QEHM 40-49 years, male 9.3
GTEX-1H3NZ-2726-SM-9WYTQ 60-69 years, male 9.3
GTEX-1LKK1-2626-SM-DKPQE 50-59 years, female 9.3
GTEX-1QP2A-1726-SM-E76QC 50-59 years, male 9.3
GTEX-11TT1-1826-SM-5EQLV 20-29 years, male 9.2
GTEX-12ZZY-0726-SM-5EQ66 60-69 years, male 9.2
GTEX-139TU-0726-SM-5L3EK 60-69 years, male 9.2
GTEX-145LU-1926-SM-79OJN 50-59 years, male 9.2
GTEX-14BMV-2826-SM-5TDED 50-59 years, male 9.2
GTEX-15ER7-0626-SM-6PANF 20-29 years, female 9.2
GTEX-WHSB-1326-SM-3LK6W 50-59 years, male 9.2
GTEX-X585-2426-SM-46MW2 50-59 years, male 9.2
GTEX-XV7Q-1826-SM-4BRUV 40-49 years, female 9.2
GTEX-YEC4-1826-SM-4W1YP 40-49 years, male 9.2
GTEX-YF7O-1526-SM-5IFI6 50-59 years, male 9.2
GTEX-1C6VR-0126-SM-7RHGB 60-69 years, male 9.2
GTEX-1GL5R-1326-SM-7RHHF 50-59 years, male 9.2
GTEX-1IKJJ-2226-SM-CJI4C 60-69 years, male 9.2
GTEX-1QEPI-2626-SM-DTXF4 60-69 years, female 9.2
GTEX-1RMOY-1326-SM-E9TIH 50-59 years, male 9.2
GTEX-13O3Q-0126-SM-5KM34 50-59 years, male 9.1
GTEX-13VXU-0626-SM-5L3F9 50-59 years, male 9.1
GTEX-145MH-2826-SM-5RQJF 50-59 years, male 9.1
GTEX-14BMU-1226-SM-5S2OR 20-29 years, female 9.1
GTEX-14DAR-1226-SM-73KYV 50-59 years, male 9.1
GTEX-14PHY-1226-SM-5ZZWK 60-69 years, female 9.1
GTEX-15EO6-2426-SM-6PALZ 50-59 years, male 9.1
GTEX-WFG8-2126-SM-3GIKQ 20-29 years, male 9.1
GTEX-ZP4G-1426-SM-4WWCL 20-29 years, female 9.1
GTEX-1J8JJ-0626-SM-ARZMQ 60-69 years, female 9.1
GTEX-1QP9N-1226-SM-E76QN 30-39 years, male 9.1
GTEX-13OW8-1026-SM-5J1NQ 60-69 years, male 9.0
GTEX-145MF-0926-SM-5Q5EA 50-59 years, male 9.0
GTEX-XOT4-0626-SM-4B66L 60-69 years, female 9.0
GTEX-ZT9X-1526-SM-5DUXD 40-49 years, male 9.0
GTEX-ZVT4-2426-SM-5GIEI 50-59 years, female 9.0
GTEX-ZYFC-0426-SM-5GICQ 50-59 years, male 9.0
GTEX-1IDJU-1726-SM-CMKHU 60-69 years, female 9.0
GTEX-1J1OQ-0126-SM-D4P2N 40-49 years, female 9.0
GTEX-11OF3-0126-SM-5PNYF 60-69 years, male 8.9
GTEX-11PRG-0726-SM-5EGL1 50-59 years, male 8.9
GTEX-13YAN-0226-SM-5TDC6 60-69 years, male 8.9
GTEX-145ME-1726-SM-5Q5EU 40-49 years, female 8.9
GTEX-147F3-1726-SM-5SIAW 50-59 years, female 8.9
GTEX-17F9Y-0126-SM-79OKX 70-79 years, female 8.9
GTEX-V1D1-2026-SM-3GAF4 50-59 years, male 8.9
GTEX-WY7C-2126-SM-3NB2R 50-59 years, male 8.9
GTEX-XBEC-0726-SM-4QARZ 50-59 years, male 8.9
GTEX-ZF29-0926-SM-4WKFZ 60-69 years, female 8.9
GTEX-ZLFU-1826-SM-4WWBV 40-49 years, male 8.9
GTEX-ZLWG-0826-SM-59888 50-59 years, female 8.9
GTEX-ZYVF-0926-SM-5E44J 50-59 years, female 8.9
GTEX-1QPFJ-1926-SM-EVYBD 30-39 years, female 8.9
GTEX-14PJ6-2626-SM-6EU2T 60-69 years, female 8.8
GTEX-18A7A-0126-SM-731AH 50-59 years, female 8.8
GTEX-1B8KZ-0326-SM-73KY4 50-59 years, male 8.8
GTEX-1CAV2-0126-SM-7IGN7 40-49 years, female 8.8
GTEX-1JK1U-0226-SM-ARZMX 60-69 years, male 8.8
GTEX-1LSNM-0826-SM-DIPG8 50-59 years, male 8.8
GTEX-1LVAM-0726-SM-E6CIL 50-59 years, female 8.8
GTEX-1QCLZ-2426-SM-EVYBW 60-69 years, female 8.8
GTEX-1S82U-1026-SM-E6CJK 30-39 years, female 8.8
GTEX-139TT-2126-SM-5LZWC 60-69 years, male 8.7
GTEX-13FTX-1526-SM-5K7VJ 20-29 years, female 8.7
GTEX-13JUV-2026-SM-5K7UA 40-49 years, female 8.7
GTEX-13QJC-0126-SM-5ZZWJ 60-69 years, female 8.7
GTEX-144GM-0526-SM-79OJO 20-29 years, male 8.7
GTEX-14ABY-2026-SM-62LDL 50-59 years, male 8.7
GTEX-14PJ5-1526-SM-6LLIL 60-69 years, female 8.7
GTEX-1A8G7-1326-SM-73KVM 60-69 years, male 8.7
GTEX-ZF2S-1626-SM-57WES 50-59 years, female 8.7
GTEX-ZYW4-0626-SM-59HJR 60-69 years, male 8.7
GTEX-1GF9V-0826-SM-9KNUV 60-69 years, male 8.7
GTEX-1GMR2-0826-SM-7PC3V 50-59 years, male 8.7
GTEX-1GPI6-1926-SM-9KNV7 60-69 years, male 8.7
GTEX-1J8QM-2426-SM-A9SLS 60-69 years, female 8.7
GTEX-1KAFJ-0126-SM-DIPEK 50-59 years, male 8.7
GTEX-11EI6-2826-SM-5H11D 60-69 years, male 8.6
GTEX-11WQC-1826-SM-5GU59 60-69 years, male 8.6
GTEX-12696-0126-SM-5EQ4L 60-69 years, male 8.6
GTEX-12WSF-1626-SM-7KUG5 70-79 years, male 8.6
GTEX-13FTW-0326-SM-5K7UW 40-49 years, male 8.6
GTEX-13PVR-0426-SM-5RQK2 60-69 years, female 8.6
GTEX-13VXT-1926-SM-5K7UO 20-29 years, female 8.6
GTEX-146FQ-2126-SM-5RQHU 30-39 years, male 8.6
GTEX-14BIN-1126-SM-5RQJZ 50-59 years, female 8.6
GTEX-17HHE-1326-SM-7EWDZ 50-59 years, male 8.6
GTEX-17JCI-2926-SM-7DUFF 60-69 years, female 8.6
GTEX-1EKGG-0626-SM-7DUGJ 60-69 years, male 8.6
GTEX-X5EB-1926-SM-4E3IW 40-49 years, male 8.6
GTEX-ZUA1-2626-SM-5NQ92 40-49 years, male 8.6
GTEX-1A3MX-2626-SM-7PC24 60-69 years, male 8.6
GTEX-1GN1W-2426-SM-9KNUU 50-59 years, female 8.6
GTEX-111VG-1626-SM-5EGIO 60-69 years, male 8.5
GTEX-1192X-2726-SM-5N9DN 50-59 years, male 8.5
GTEX-12KS4-2126-SM-5FQUT 30-39 years, male 8.5
GTEX-13NYB-0126-SM-5J1MD 40-49 years, male 8.5
GTEX-WYBS-0626-SM-3NMAS 60-69 years, female 8.5
GTEX-Y3I4-1726-SM-4TT89 50-59 years, male 8.5
GTEX-1GN2E-0226-SM-9WG6K 60-69 years, male 8.5
GTEX-1I6K7-1926-SM-B2LXR 40-49 years, male 8.5
GTEX-1JMQL-2226-SM-CNPP4 50-59 years, female 8.5
GTEX-ZLV1-1526-SM-DO91J 60-69 years, female 8.5
GTEX-11NSD-0626-SM-5A5LU 20-29 years, male 8.4
GTEX-12584-0726-SM-5FQTK 40-49 years, male 8.4
GTEX-133LE-2326-SM-5K7W3 20-29 years, female 8.4
GTEX-13FH7-1126-SM-5K7UG 50-59 years, female 8.4
GTEX-13OW6-2726-SM-5J2OE 50-59 years, male 8.4
GTEX-18QFQ-1826-SM-72D52 30-39 years, male 8.4
GTEX-1A3MW-0626-SM-731CB 60-69 years, female 8.4
GTEX-1C2JI-1026-SM-73KY1 50-59 years, male 8.4
GTEX-UPJH-0226-SM-3GADV 50-59 years, male 8.4
GTEX-WRHU-2826-SM-3MJG8 50-59 years, female 8.4
GTEX-WXYG-2026-SM-4E3IY 50-59 years, female 8.4
GTEX-Y111-0626-SM-4SOIT 50-59 years, male 8.4
GTEX-1CAMS-2226-SM-7PBXQ 40-49 years, female 8.4
GTEX-1J8Q2-2626-SM-ACKWQ 60-69 years, male 8.4
GTEX-11GS4-0226-SM-5HL77 60-69 years, male 8.3
GTEX-11VI4-1126-SM-5EQMD 40-49 years, female 8.3
GTEX-11ZTT-2126-SM-5CVLO 60-69 years, female 8.3
GTEX-13G51-1826-SM-5KLZH 60-69 years, male 8.3
GTEX-13PL6-1126-SM-5L3IE 40-49 years, female 8.3
GTEX-16NGA-0726-SM-731AO 40-49 years, female 8.3
GTEX-1B933-2426-SM-7DHMD 50-59 years, female 8.3
GTEX-1J8Q3-0526-SM-ARL8U 60-69 years, male 8.3
GTEX-1JMQJ-0826-SM-CNPP7 50-59 years, male 8.3
GTEX-1PBJJ-1026-SM-E76OS 30-39 years, male 8.3
GTEX-131YS-2826-SM-5EQ47 60-69 years, female 8.2
GTEX-13NYC-0126-SM-5L3F4 60-69 years, male 8.2
GTEX-14C5O-0326-SM-5ZZUX 60-69 years, male 8.2
GTEX-15SHW-0226-SM-7LTAT 60-69 years, male 8.2
GTEX-1AX8Z-0726-SM-73KTS 60-69 years, male 8.2
GTEX-1C475-1326-SM-7SB73 40-49 years, female 8.2
GTEX-1I1GU-0926-SM-ACKVS 40-49 years, male 8.2
GTEX-1K2DU-1226-SM-CYPT4 20-29 years, male 8.2
GTEX-1LVAN-0626-SM-CNPOQ 50-59 years, female 8.2
GTEX-1R9PN-0426-SM-DTXDT 40-49 years, female 8.2
GTEX-11WQK-1026-SM-5EQLX 50-59 years, male 8.1
GTEX-13X6H-0926-SM-5SIB2 50-59 years, female 8.1
GTEX-1477Z-0326-SM-7IGLA 60-69 years, male 8.1
GTEX-14PK6-0226-SM-62LF5 70-79 years, female 8.1
GTEX-14PKV-1126-SM-6LLJ1 20-29 years, female 8.1
GTEX-15SKB-2826-SM-6PAMH 60-69 years, male 8.1
GTEX-1CB4H-1126-SM-7MKGL 60-69 years, female 8.1
GTEX-WYJK-0526-SM-3NM8Z 50-59 years, male 8.1
GTEX-XUW1-0926-SM-4BONX 50-59 years, female 8.1
GTEX-ZYY3-2926-SM-5GIEB 60-69 years, female 8.1
GTEX-ZZ64-1026-SM-5GZXG 20-29 years, male 8.1
GTEX-1CAMQ-1326-SM-7P8RV 40-49 years, male 8.1
GTEX-1CAMR-1326-SM-7PC1F 20-29 years, male 8.1
GTEX-1GMR3-0126-SM-A9SLW 40-49 years, male 8.1
GTEX-1GTWX-2026-SM-9YFLM 60-69 years, male 8.1
GTEX-1HCUA-0826-SM-ADEHM 50-59 years, female 8.1
GTEX-1JMQK-1226-SM-D4P2S 60-69 years, male 8.1
GTEX-1QW4Y-1126-SM-DTXE3 30-39 years, male 8.1
GTEX-1S831-1826-SM-EWROF 20-29 years, male 8.1
GTEX-11LCK-2226-SM-5HL4Q 30-39 years, male 8.0
GTEX-145LT-0526-SM-5LUB2 40-49 years, male 8.0
GTEX-14PJ4-0226-SM-5YY92 60-69 years, male 8.0
GTEX-17F96-0126-SM-7EWDU 70-79 years, male 8.0
GTEX-1AYD5-2626-SM-7PBXY 50-59 years, male 8.0
GTEX-1HCU8-2526-SM-CE6RX 60-69 years, female 8.0
GTEX-1JN1M-2726-SM-CY8I4 60-69 years, female 8.0
GTEX-1S83E-1326-SM-E6CJM 40-49 years, male 8.0
GTEX-139YR-1026-SM-5LZYN 50-59 years, male 7.9
GTEX-13OW5-2326-SM-5L3HO 60-69 years, male 7.9
GTEX-1EN7A-2426-SM-793DB 40-49 years, male 7.9
GTEX-YJ8O-2526-SM-5HL85 40-49 years, female 7.9
GTEX-ZC5H-1526-SM-5HL9Y 40-49 years, female 7.9
GTEX-ZDTS-0826-SM-4WKHL 60-69 years, male 7.9
GTEX-1GMRU-2126-SM-7P8RA 50-59 years, male 7.9
GTEX-1GZ4H-0526-SM-9KNU9 50-59 years, female 7.9
GTEX-1I1GT-1026-SM-ARZLV 60-69 years, female 7.9
GTEX-1R9K4-2826-SM-DTX8F 60-69 years, male 7.9
GTEX-1117F-2926-SM-5GZYI 60-69 years, female 7.8
GTEX-1212Z-0126-SM-59HK4 60-69 years, male 7.8
GTEX-145LS-0626-SM-7EPG7 60-69 years, female 7.8
GTEX-14C39-1726-SM-5RQIL 40-49 years, male 7.8
GTEX-16XZZ-0726-SM-7KUF2 60-69 years, male 7.8
GTEX-1AX9J-1326-SM-731BJ 60-69 years, male 7.8
GTEX-1C6WA-2626-SM-7MKGM 60-69 years, male 7.8
GTEX-1CB4E-0926-SM-7EPHT 60-69 years, male 7.8
GTEX-X3Y1-2026-SM-3P5YM 40-49 years, male 7.8
GTEX-ZT9W-1126-SM-57WDR 50-59 years, male 7.8
GTEX-1QP28-1126-SM-EVYC4 50-59 years, female 7.8
GTEX-13OVG-1626-SM-5J1NF 60-69 years, male 7.7
GTEX-17EVQ-0126-SM-7IGLR 70-79 years, male 7.7
GTEX-1B8SF-0126-SM-7DUG3 60-69 years, male 7.7
GTEX-WH7G-2026-SM-3NMBL 40-49 years, male 7.7
GTEX-X4EO-2926-SM-4E3JH 60-69 years, female 7.7
GTEX-1MCYP-0526-SM-E9U6Q 20-29 years, female 7.7
GTEX-1PPGY-1626-SM-EVYBL 60-69 years, male 7.7
GTEX-11UD2-2526-SM-5CVNU 50-59 years, male 7.6
GTEX-1EH9U-2826-SM-7DUGT 60-69 years, male 7.6
GTEX-ZDYS-2426-SM-4WKGI 50-59 years, male 7.6
GTEX-18D9A-1426-SM-7LT8M 30-39 years, female 7.6
GTEX-1F75B-0726-SM-7PC3R 50-59 years, male 7.6
GTEX-1PPH8-0126-SM-EWRN8 20-29 years, male 7.6
GTEX-12WSK-2126-SM-5CVNC 40-49 years, female 7.5
GTEX-17F9E-2326-SM-79OKD 50-59 years, male 7.5
GTEX-WFON-1926-SM-3LK7L 40-49 years, male 7.5
GTEX-WYVS-1626-SM-3NM9R 40-49 years, female 7.5
GTEX-ZTSS-1426-SM-5985P 40-49 years, male 7.5
GTEX-1EMGI-2326-SM-7PBYA 60-69 years, male 7.5
GTEX-12C56-1526-SM-5FQUQ 20-29 years, male 7.4
GTEX-12WSH-1526-SM-5BC5W 50-59 years, male 7.4
GTEX-13RTJ-0126-SM-5S2NN 60-69 years, male 7.4
GTEX-145MN-1526-SM-5SI9T 30-39 years, male 7.4
GTEX-15D1Q-2826-SM-6LLH7 40-49 years, male 7.4
GTEX-17F97-2626-SM-7IGM5 50-59 years, male 7.4
GTEX-1EX96-1026-SM-7MKG2 50-59 years, male 7.4
GTEX-W5X1-2526-SM-3GILC 40-49 years, female 7.4
GTEX-ZYFD-0626-SM-5E44E 50-59 years, male 7.4
GTEX-1GF9W-1426-SM-7PBYM 60-69 years, male 7.4
GTEX-1RAZQ-1326-SM-E9TK6 30-39 years, male 7.4
GTEX-1RLM8-2926-SM-E8VON 50-59 years, male 7.4
GTEX-15UF6-1926-SM-7KUDV 70-79 years, female 7.3
GTEX-WEY5-2326-SM-3GIKK 40-49 years, female 7.3
GTEX-ZDXO-3126-SM-5IJDF 60-69 years, male 7.3
GTEX-1F48J-0726-SM-7RHGS 50-59 years, female 7.3
GTEX-1GPI7-1826-SM-9KNU1 20-29 years, male 7.3
GTEX-ZPIC-0526-SM-DO91W 40-49 years, female 7.3
GTEX-139UW-0326-SM-5J1ML 60-69 years, male 7.2
GTEX-147JS-0226-SM-5S2U9 60-69 years, male 7.2
GTEX-1B8KE-1126-SM-7EPHI 50-59 years, male 7.2
GTEX-U8XE-0226-SM-4E3J3 30-39 years, male 7.2
GTEX-1JMOU-1026-SM-CYPSS 60-69 years, female 7.2
GTEX-1JMQI-1726-SM-ARL93 50-59 years, male 7.2
GTEX-111CU-1126-SM-5EGIM 50-59 years, male 7.1
GTEX-1399U-1126-SM-5L3DB 50-59 years, female 7.1
GTEX-14PJ3-1126-SM-5ZZVX 50-59 years, male 7.1
GTEX-18D9U-0126-SM-731BM 40-49 years, male 7.1
GTEX-XQ8I-0926-SM-4BOOF 50-59 years, male 7.1
GTEX-1LB8K-0726-SM-D5OV2 50-59 years, male 7.1
GTEX-1NSGN-0726-SM-DTXEF 50-59 years, male 7.1
GTEX-16BQI-1326-SM-6M486 30-39 years, female 7.0
GTEX-Z93S-1626-SM-5CVMB 50-59 years, male 7.0
GTEX-ZVE2-2826-SM-5GU51 50-59 years, male 7.0
GTEX-14JG6-1426-SM-9WG7C 30-39 years, female 7.0
GTEX-1H1DE-1326-SM-9KNUG 20-29 years, male 7.0
GTEX-1HFI7-2326-SM-CGQFS 50-59 years, female 7.0
GTEX-1HSMQ-2626-SM-A9SML 50-59 years, male 7.0
GTEX-1I4MK-0126-SM-CY8G6 50-59 years, female 7.0
GTEX-1S3DN-2126-SM-E9TIN 50-59 years, male 7.0
GTEX-13OW7-0426-SM-5K7VK 50-59 years, male 6.9
GTEX-ZAB4-2126-SM-5HL8U 40-49 years, male 6.9
GTEX-1F75I-2226-SM-7SB8U 40-49 years, male 6.9
GTEX-1H4P4-2126-SM-9WYSL 50-59 years, male 6.9
GTEX-1IY9M-2826-SM-ARU8H 60-69 years, male 6.9
GTEX-1N5O9-0926-SM-E9J3C 60-69 years, male 6.9
GTEX-11GSP-2326-SM-5HL63 60-69 years, female 6.8
GTEX-1211K-1526-SM-5FQU4 60-69 years, female 6.8
GTEX-13QBU-1226-SM-5LU4G 40-49 years, female 6.8
GTEX-13U4I-2226-SM-5LU5H 40-49 years, female 6.8
GTEX-17MF6-2626-SM-79OKQ 40-49 years, male 6.8
GTEX-1B97I-0626-SM-73KUZ 40-49 years, male 6.8
GTEX-1C64O-1326-SM-7MGWR 60-69 years, male 6.8
GTEX-1JN6P-2926-SM-CL54D 60-69 years, male 6.8
GTEX-1S5ZU-2526-SM-E6CIF 20-29 years, female 6.8
GTEX-131XF-2626-SM-5EQ6K 60-69 years, male 6.7
GTEX-13O3O-2326-SM-5IJD6 60-69 years, female 6.7
GTEX-16AAH-0626-SM-793C9 50-59 years, male 6.7
GTEX-1PDJ9-1226-SM-EXUSX 20-29 years, male 6.7
GTEX-1S82P-2126-SM-E6CI5 60-69 years, female 6.7
GTEX-13N11-2326-SM-5IJBF 50-59 years, female 6.6
GTEX-13X6K-0626-SM-5LU5D 60-69 years, female 6.6
GTEX-14PHX-2226-SM-6EU2P 50-59 years, male 6.6
GTEX-1H2FU-0926-SM-9WPPT 60-69 years, female 6.6
GTEX-1R46S-2426-SM-E76QA 60-69 years, female 6.6
GTEX-11EM3-1226-SM-5N9DD 20-29 years, female 6.5
GTEX-139T8-0626-SM-5KLZX 60-69 years, male 6.5
GTEX-XPVG-2126-SM-4B667 50-59 years, male 6.5
GTEX-1GN1U-0626-SM-9MQL9 50-59 years, female 6.5
GTEX-1HUB1-1426-SM-CGQF5 60-69 years, male 6.5
GTEX-1M4P7-0726-SM-E6CJ3 60-69 years, male 6.5
GTEX-1MJK3-0726-SM-E6CJC 20-29 years, male 6.5
GTEX-11TUW-0626-SM-5LU9M 60-69 years, male 6.4
GTEX-13113-1626-SM-5EQ4I 60-69 years, female 6.4
GTEX-13O61-1426-SM-5KM3D 60-69 years, male 6.4
GTEX-15CHR-1126-SM-7EWF4 50-59 years, male 6.4
GTEX-1B996-0426-SM-7EWF8 60-69 years, male 6.4
GTEX-1CB4J-1326-SM-7P8RX 60-69 years, male 6.4
GTEX-1F6I4-2326-SM-7RHGL 60-69 years, male 6.4
GTEX-1HBPI-2126-SM-ARL9K 50-59 years, male 6.4
GTEX-1HCU6-2526-SM-ADEHL 60-69 years, female 6.4
GTEX-1HSKV-1226-SM-ADEI4 60-69 years, male 6.4
GTEX-1I1GS-2626-SM-B2LY3 60-69 years, male 6.4
GTEX-11P7K-1126-SM-5HL4L 30-39 years, male 6.3
GTEX-131XG-0326-SM-5L3DX 50-59 years, female 6.3
GTEX-131XW-0626-SM-5PNVD 50-59 years, female 6.3
GTEX-13PVQ-0626-SM-5LU47 50-59 years, male 6.3
GTEX-14PJN-1826-SM-6AJ98 30-39 years, male 6.3
GTEX-15DYW-2726-SM-6EU2I 60-69 years, female 6.3
GTEX-Y8E4-2026-SM-5IFJB 40-49 years, male 6.3
GTEX-ZA64-1026-SM-5HL8R 20-29 years, male 6.3
GTEX-ZTX8-1326-SM-4YCEL 20-29 years, male 6.3
GTEX-1LBAC-0826-SM-CY8IJ 20-29 years, male 6.3
GTEX-148VJ-0626-SM-5LUAW 70-79 years, male 6.2
GTEX-1JJE9-2626-SM-ARZMT 70-79 years, male 6.2
GTEX-1H23P-0626-SM-9WG6T 60-69 years, male 6.1
GTEX-1I1GP-1326-SM-A9G28 50-59 years, male 6.1
GTEX-1IE54-1126-SM-A9G2Z 40-49 years, female 6.1
GTEX-1PIIG-2326-SM-DTXFR 30-39 years, male 6.1
GTEX-13D11-0926-SM-5J2NC 50-59 years, female 6.0
GTEX-11DXZ-2026-SM-5987S 50-59 years, male 5.9
GTEX-Y9LG-1126-SM-4VBQ7 30-39 years, male 5.9
GTEX-147F4-0726-SM-5TDDD 50-59 years, male 5.8
GTEX-1497J-0226-SM-5QGPU 60-69 years, male 5.8
GTEX-1HKZK-0726-SM-ACKW2 40-49 years, male 5.8
GTEX-1JMPY-0226-SM-CKZOK 30-39 years, male 5.8
GTEX-1QAET-0326-SM-EVR3U 50-59 years, male 5.8
GTEX-1QP29-1826-SM-DTX9S 50-59 years, male 5.8
GTEX-1A3MV-1826-SM-731CD 30-39 years, male 5.7
GTEX-1I1GV-0626-SM-ARL7M 60-69 years, male 5.7
GTEX-X8HC-0626-SM-4E3HQ 50-59 years, female 5.6
GTEX-11P82-1426-SM-DTXFY 20-29 years, male 5.6
GTEX-1HGF4-0126-SM-CNPPX 60-69 years, male 5.6
GTEX-13N1W-2426-SM-5IJD1 70-79 years, male 5.5
GTEX-14E6C-2426-SM-5S2NF 40-49 years, male 5.5
GTEX-15CHQ-0326-SM-69LQD 60-69 years, male 5.5
GTEX-16MT8-2926-SM-7DUFO 60-69 years, female 5.5
GTEX-17F98-1326-SM-7DUEP 40-49 years, female 5.5
GTEX-WHPG-2626-SM-3NMBR 50-59 years, male 5.5
GTEX-XBEW-1126-SM-4QARW 40-49 years, male 5.5
GTEX-1GZHY-0626-SM-9KNVC 50-59 years, female 5.5
GTEX-1NV5F-0626-SM-DTXEG 60-69 years, female 5.5
GTEX-17HII-1426-SM-7EPGG 50-59 years, male 5.4
GTEX-12WSJ-1126-SM-5LZVJ 40-49 years, female 5.3
GTEX-1A32A-0626-SM-731AQ 50-59 years, female 5.3
GTEX-WHSE-0126-SM-3NMBT 20-29 years, male 5.3
GTEX-12ZZZ-0726-SM-5GCNZ 60-69 years, male 5.2
GTEX-Y3IK-1626-SM-4YCF5 50-59 years, female 5.2
GTEX-ZVP2-0326-SM-57WBP 50-59 years, male 5.2
GTEX-14B4R-1326-SM-5Q5EZ 30-39 years, male 5.1
GTEX-14PJO-2526-SM-6AJBQ 60-69 years, male 5.1
GTEX-Y8LW-1526-SM-5IFHL 50-59 years, female 5.0
GTEX-14ICL-1626-SM-5YYAO 30-39 years, male 4.9
GTEX-13OVJ-0826-SM-5J1OK 50-59 years, female 4.8
GTEX-15RJ7-2126-SM-6PAMD 40-49 years, male 4.8
GTEX-11O72-0626-SM-5PNYE 40-49 years, male 4.7
GTEX-11ZU8-0126-SM-5EQ58 60-69 years, male 4.7
GTEX-13JVG-0726-SM-5KM16 60-69 years, male 4.7
GTEX-1JMLX-0626-SM-ARL8T 50-59 years, male 4.7
GTEX-1OJC3-1226-SM-DTXER 20-29 years, male 4.7
GTEX-WFG7-2026-SM-5SI7P 20-29 years, male 4.6
GTEX-1N2DV-1526-SM-DTXEP 40-49 years, male 4.6
GTEX-15FZZ-0526-SM-7KUGD 30-39 years, female 4.5
GTEX-Y114-2126-SM-4TT8B 50-59 years, female 4.5
GTEX-WI4N-2726-SM-3LK7Y 40-49 years, female 4.2
GTEX-13OVK-1426-SM-6PAN7 40-49 years, male 4.1
GTEX-11DYG-1526-SM-5A5JS 60-69 years, male 4.0
GTEX-1CB4F-1026-SM-7DUH1 60-69 years, male 3.8
GTEX-1ICLZ-0326-SM-ARL82 60-69 years, male 3.8
GTEX-1IDJI-0126-SM-CMKHS 50-59 years, female 3.8
Show allShow less
Skin - Sun Exposed (Lower leg)
Average nTPM: 8.0
Samples: 701

Max nTPM: 32.8
Min nTPM: 2.0
Std nTPM: 2.2
Median nTPM: 7.9
GTEX-SE5C-1626-SM-2XCE3 40-49 years, female 32.8
GTEX-O5YT-0126-SM-48TBW 20-29 years, male 15.6
GTEX-1JKYN-1326-SM-CGQG9 30-39 years, male 14.7
GTEX-1RAZQ-0726-SM-EAZ43 30-39 years, male 14.6
GTEX-1QW4Y-1526-SM-EAZ3Z 30-39 years, male 14.0
GTEX-Z9EW-1626-SM-5CVMN 40-49 years, male 13.9
GTEX-1AX9K-2326-SM-73KWU 50-59 years, male 13.3
GTEX-OIZH-0126-SM-2HMIS 50-59 years, male 13.3
GTEX-WVJS-0126-SM-4MVOT 50-59 years, male 13.3
GTEX-SNMC-1226-SM-2XCFP 20-29 years, male 13.2
GTEX-ZZPT-0226-SM-5E43X 50-59 years, male 13.2
GTEX-POMQ-2226-SM-2I5FK 20-29 years, female 13.0
GTEX-131XF-5016-SM-7MGWE 60-69 years, male 13.0
GTEX-Y5V6-2426-SM-4VDSB 60-69 years, male 12.9
GTEX-1LNCM-1126-SM-E9U5E 50-59 years, female 12.9
GTEX-14E6E-1826-SM-5S2R7 30-39 years, male 12.8
GTEX-OXRK-0226-SM-3NB2G 50-59 years, female 12.8
GTEX-1F75I-0326-SM-9YFLU 40-49 years, male 12.8
GTEX-1GF9U-2126-SM-7SB7L 40-49 years, female 12.8
GTEX-13W3W-2426-SM-5LU5B 60-69 years, female 12.7
GTEX-1F7RK-0126-SM-7PC2S 20-29 years, female 12.7
GTEX-1IE54-0126-SM-CMKHW 40-49 years, female 12.7
GTEX-U4B1-1826-SM-4DXSU 40-49 years, male 12.6
GTEX-XMD2-0126-SM-4YCDU 60-69 years, female 12.6
GTEX-1GF9X-2026-SM-7PC3A 40-49 years, female 12.6
GTEX-1CAMS-0426-SM-7P8T2 40-49 years, female 12.5
GTEX-1L5NE-2526-SM-E6CIE 50-59 years, male 12.5
GTEX-1F52S-0126-SM-9MQJU 60-69 years, female 12.3
GTEX-1QP67-1626-SM-EAZ3X 40-49 years, female 12.3
GTEX-18A67-0126-SM-7LG5P 50-59 years, male 12.2
GTEX-14A5H-0426-SM-5QGQF 60-69 years, male 12.1
GTEX-15G19-0126-SM-6PANQ 60-69 years, male 12.0
GTEX-1C64N-0126-SM-793D7 50-59 years, male 12.0
GTEX-1GZ4H-1726-SM-7PBZJ 50-59 years, female 12.0
GTEX-1HBPH-0426-SM-B2LW5 40-49 years, female 12.0
GTEX-X62O-0126-SM-4E3JN 50-59 years, male 11.8
GTEX-1F5PK-2426-SM-7RHHY 50-59 years, male 11.8
GTEX-RVPV-0126-SM-EAZAW 60-69 years, male 11.8
GTEX-11ZUS-0626-SM-59885 30-39 years, male 11.7
GTEX-S7SE-0126-SM-2XCD5 50-59 years, male 11.7
GTEX-145LT-1726-SM-5QGP3 40-49 years, male 11.6
GTEX-146FR-1326-SM-E9J48 60-69 years, female 11.6
GTEX-1IDFM-0126-SM-COH2V 60-69 years, male 11.6
GTEX-1JK1U-2026-SM-CM2RZ 60-69 years, male 11.6
GTEX-11EQ9-2426-SM-5HL5T 30-39 years, male 11.5
GTEX-12WSE-0526-SM-793B2 20-29 years, male 11.5
GTEX-14PHW-0126-SM-6LLJI 60-69 years, female 11.5
GTEX-TMMY-0226-SM-33HBA 40-49 years, female 11.5
GTEX-13NYC-0326-SM-E9J4S 60-69 years, male 11.5
GTEX-1122O-2126-SM-5EGIR 60-69 years, female 11.4
GTEX-ZE9C-2726-SM-57WB5 60-69 years, male 11.4
GTEX-111FC-0126-SM-5N9DL 60-69 years, male 11.3
GTEX-13OVK-2026-SM-7KUEO 40-49 years, male 11.3
GTEX-OHPL-0126-SM-2HMJ7 60-69 years, female 11.3
GTEX-XAJ8-0826-SM-47JY6 40-49 years, male 11.3
GTEX-11OC5-0126-SM-5HL6A 60-69 years, male 11.2
GTEX-1HCU7-0226-SM-CL545 50-59 years, male 11.2
GTEX-1I6K6-0126-SM-A9SLE 30-39 years, male 11.2
GTEX-1NHNU-1026-SM-E9J2A 50-59 years, male 11.2
GTEX-11WQK-0526-SM-5EQLD 50-59 years, male 11.1
GTEX-183WM-0126-SM-7LTAB 70-79 years, female 11.1
GTEX-ZU9S-0226-SM-5E441 30-39 years, male 11.1
GTEX-1H1E6-1726-SM-ACKVK 30-39 years, male 11.1
GTEX-15SB6-1726-SM-6PAME 50-59 years, female 11.0
GTEX-18D9B-0526-SM-7LTAS 60-69 years, male 11.0
GTEX-PVOW-0126-SM-2XCFA 40-49 years, male 11.0
GTEX-11O72-0126-SM-59887 40-49 years, male 10.9
GTEX-XQ8I-0426-SM-4BOPO 50-59 years, male 10.9
GTEX-1IDJU-2626-SM-CM2RT 60-69 years, female 10.9
GTEX-15EU6-0426-SM-6PAN5 50-59 years, male 10.8
GTEX-18465-0126-SM-731BN 50-59 years, male 10.8
GTEX-XBEW-0626-SM-4QASP 40-49 years, male 10.8
GTEX-1I19N-0326-SM-ACKVX 70-79 years, male 10.8
GTEX-ZVT2-2526-SM-51MT1 50-59 years, female 10.7
GTEX-1I1GT-0626-SM-CGQER 60-69 years, female 10.7
GTEX-1KXAM-2226-SM-CYPTC 60-69 years, male 10.7
GTEX-13PVR-2326-SM-5QGR1 60-69 years, female 10.6
GTEX-14BIM-0226-SM-7IGLD 60-69 years, female 10.6
GTEX-16AAH-1726-SM-7939C 50-59 years, male 10.6
GTEX-1CAMR-1926-SM-7EPI2 20-29 years, male 10.6
GTEX-TMZS-0126-SM-3DB9Q 60-69 years, male 10.6
GTEX-1GF9V-0326-SM-7RHI5 60-69 years, male 10.6
GTEX-1GZ2Q-0226-SM-7P8TL 40-49 years, male 10.6
GTEX-117YX-2326-SM-5H12W 50-59 years, male 10.5
GTEX-14PK6-1926-SM-6ETZU 70-79 years, female 10.5
GTEX-PWO3-1526-SM-48TCM 60-69 years, female 10.5
GTEX-QDVN-2026-SM-3GAEP 50-59 years, male 10.5
GTEX-WFON-2126-SM-3LK7O 40-49 years, male 10.5
GTEX-ZZ64-1726-SM-5GZYB 20-29 years, male 10.5
GTEX-139T8-0126-SM-5K7XZ 60-69 years, male 10.4
GTEX-QV44-1926-SM-2S1RF 50-59 years, male 10.4
GTEX-13OW5-0126-SM-DTXFS 60-69 years, male 10.4
GTEX-1GN1W-0526-SM-9MQJQ 50-59 years, female 10.4
GTEX-11OF3-2626-SM-5GU7F 60-69 years, male 10.3
GTEX-13N2G-2626-SM-5J1OT 60-69 years, male 10.3
GTEX-1KANA-0726-SM-D3L9I 20-29 years, male 10.3
GTEX-1R9K4-0126-SM-DTX9X 60-69 years, male 10.3
GTEX-16NPX-0226-SM-79OMT 50-59 years, male 10.2
GTEX-1AMFI-2026-SM-731BH 50-59 years, female 10.2
GTEX-RWS6-2026-SM-2XCB5 60-69 years, female 10.2
GTEX-ZC5H-0226-SM-4WAY9 40-49 years, female 10.2
GTEX-1EX96-1626-SM-7PBXR 50-59 years, male 10.2
GTEX-1ICG6-2526-SM-CGQFZ 70-79 years, female 10.2
GTEX-1MCYP-1926-SM-E9J2R 20-29 years, female 10.2
GTEX-14LZ3-0226-SM-62LET 60-69 years, female 10.1
GTEX-183FY-0126-SM-7LT9P 20-29 years, male 10.1
GTEX-V1D1-2226-SM-3NMAX 50-59 years, male 10.1
GTEX-ZDTT-2726-SM-4WKF8 60-69 years, male 10.1
GTEX-1HT8W-0126-SM-CNPPP 30-39 years, male 10.1
GTEX-13D11-2426-SM-5KM1V 50-59 years, female 10.0
GTEX-17KNJ-2326-SM-7DHLQ 50-59 years, male 10.0
GTEX-ZAB5-1826-SM-5HL7C 50-59 years, male 10.0
GTEX-1F88F-2726-SM-7PBZZ 60-69 years, female 10.0
GTEX-1PDJ9-0326-SM-DTX95 20-29 years, male 10.0
GTEX-OIZF-0126-SM-7SB8I 60-69 years, male 10.0
GTEX-11WQC-2526-SM-5CVLE 60-69 years, male 9.9
GTEX-14DAQ-0126-SM-5S2MQ 60-69 years, female 9.9
GTEX-VUSG-2526-SM-4KL1V 50-59 years, male 9.9
GTEX-W5WG-1826-SM-4KL2Y 50-59 years, female 9.9
GTEX-1K9T9-0126-SM-EVYCF 50-59 years, female 9.9
GTEX-1OJC4-0126-SM-E9J2E 50-59 years, female 9.9
GTEX-13VXT-0126-SM-5LU4I 20-29 years, female 9.8
GTEX-145ME-1826-SM-5SI9G 40-49 years, female 9.8
GTEX-1F5PL-0326-SM-7P8PQ 40-49 years, female 9.8
GTEX-1HR98-0126-SM-B2LWI 60-69 years, male 9.8
GTEX-1KD5A-0226-SM-D5OV3 50-59 years, male 9.8
GTEX-1LG7Z-1726-SM-D3LA4 30-39 years, male 9.8
GTEX-1QP2A-0126-SM-E9J43 50-59 years, male 9.8
GTEX-14PN3-2426-SM-6LLHS 60-69 years, female 9.7
GTEX-OIZG-0726-SM-33HBL 50-59 years, male 9.7
GTEX-SIU8-0126-SM-2XCDT 50-59 years, male 9.7
GTEX-VJYA-1126-SM-3GIJU 60-69 years, male 9.7
GTEX-1B996-0226-SM-7RHGO 60-69 years, male 9.7
GTEX-1EU9M-0226-SM-7P8SP 60-69 years, male 9.7
GTEX-1HKZK-0326-SM-9WYUH 40-49 years, male 9.7
GTEX-1R9PO-2126-SM-E9J4O 60-69 years, female 9.7
GTEX-11DXX-2426-SM-5GZZW 60-69 years, female 9.6
GTEX-11DXY-2626-SM-5GIE7 60-69 years, male 9.6
GTEX-17F96-1626-SM-7DUFL 70-79 years, male 9.6
GTEX-18A66-0226-SM-718BD 60-69 years, male 9.6
GTEX-1B8SF-1426-SM-7DUGL 60-69 years, male 9.6
GTEX-R3RS-0126-SM-3GIJL 40-49 years, female 9.6
GTEX-1HCUA-2426-SM-ADEIS 50-59 years, female 9.6
GTEX-1JJEA-0326-SM-CNPOT 60-69 years, male 9.6
GTEX-1M4P7-0226-SM-DIPEV 60-69 years, male 9.6
GTEX-1M5QR-1226-SM-EWROB 40-49 years, male 9.6
GTEX-1192X-0226-SM-5H12D 50-59 years, male 9.5
GTEX-13S7M-0126-SM-5SI6A 60-69 years, female 9.5
GTEX-147F3-0526-SM-5SI98 50-59 years, female 9.5
GTEX-14JIY-0126-SM-6LLH6 60-69 years, male 9.5
GTEX-1C6VR-2426-SM-79OLD 60-69 years, male 9.5
GTEX-SSA3-0126-SM-32QPU 60-69 years, male 9.5
GTEX-X261-0126-SM-3NMD6 50-59 years, male 9.5
GTEX-X4XX-0126-SM-3NMC2 60-69 years, male 9.5
GTEX-1B933-0126-SM-7PC29 50-59 years, female 9.5
GTEX-1EWIQ-0126-SM-7RHH2 70-79 years, female 9.5
GTEX-1IL2V-0126-SM-CM2TX 70-79 years, male 9.5
GTEX-1JJE9-0326-SM-CL53Z 70-79 years, male 9.5
GTEX-1RB15-2126-SM-E9TIM 60-69 years, male 9.5
GTEX-11ZTT-2426-SM-5EQLS 60-69 years, female 9.4
GTEX-13G51-2526-SM-5LZYK 60-69 years, male 9.4
GTEX-13NYS-0126-SM-5MR3W 60-69 years, male 9.4
GTEX-15SHU-0126-SM-7KUEH 40-49 years, female 9.4
GTEX-ZYT6-0226-SM-5NQ6T 30-39 years, male 9.4
GTEX-1F6RS-0126-SM-9MQKZ 60-69 years, female 9.4
GTEX-1GL5R-1826-SM-9KNUY 50-59 years, male 9.4
GTEX-1J8Q3-1626-SM-CMKGC 60-69 years, male 9.4
GTEX-1JKYR-0126-SM-CNPOJ 20-29 years, male 9.4
GTEX-1R7EV-2426-SM-EVYBG 40-49 years, male 9.4
GTEX-12ZZY-0226-SM-5LZVE 60-69 years, male 9.3
GTEX-147GR-0526-SM-5S2MY 60-69 years, male 9.3
GTEX-18D9A-1926-SM-7LG6P 30-39 years, female 9.3
GTEX-1AMEY-1326-SM-73KYK 30-39 years, female 9.3
GTEX-WZTO-0126-SM-3NM95 40-49 years, male 9.3
GTEX-1HSEH-0126-SM-ACKXN 60-69 years, male 9.3
GTEX-1IKJJ-0126-SM-CNPQB 60-69 years, male 9.3
GTEX-17JCI-0126-SM-7LG5G 60-69 years, female 9.2
GTEX-1CB4J-0626-SM-7DHMP 60-69 years, male 9.2
GTEX-WY7C-2326-SM-3NB2U 50-59 years, male 9.2
GTEX-XQ3S-1526-SM-4BOOC 20-29 years, male 9.2
GTEX-ZV6S-2326-SM-4YCEY 40-49 years, female 9.2
GTEX-ZVZP-2426-SM-59HKJ 50-59 years, male 9.2
GTEX-1HBPN-0226-SM-9YFM1 50-59 years, male 9.2
GTEX-1ICLZ-0126-SM-CKZPO 60-69 years, male 9.2
GTEX-1R9PM-2026-SM-E76OY 20-29 years, male 9.2
GTEX-12ZZX-0126-SM-5EGK9 40-49 years, female 9.1
GTEX-14BIN-0626-SM-793DP 50-59 years, female 9.1
GTEX-SUCS-1926-SM-32PM3 70-79 years, male 9.1
GTEX-1IGQW-0126-SM-COH42 60-69 years, male 9.1
GTEX-1MCQQ-0826-SM-DLHC2 60-69 years, male 9.1
GTEX-1MUQO-0126-SM-EAZ58 60-69 years, male 9.1
GTEX-1PPH7-2326-SM-EVYB8 40-49 years, male 9.1
GTEX-133LE-1826-SM-5J1MV 20-29 years, female 9.0
GTEX-139TT-0126-SM-5K7Y5 60-69 years, male 9.0
GTEX-13FHO-0226-SM-5IFGY 60-69 years, male 9.0
GTEX-13O3Q-2426-SM-5IJBR 50-59 years, male 9.0
GTEX-13RTK-1426-SM-5QGQJ 20-29 years, male 9.0
GTEX-14753-0426-SM-5NQAM 60-69 years, male 9.0
GTEX-14ICK-0226-SM-6EU25 40-49 years, male 9.0
GTEX-15DDE-0126-SM-6LPKH 50-59 years, female 9.0
GTEX-17HG3-2226-SM-7938L 30-39 years, female 9.0
GTEX-1CB4I-0226-SM-79OLH 50-59 years, male 9.0
GTEX-ZTSS-1926-SM-57WEW 40-49 years, male 9.0
GTEX-1HCU9-1526-SM-A9SL7 20-29 years, male 9.0
GTEX-1IDJF-0126-SM-CM2RS 20-29 years, male 9.0
GTEX-1R7EU-0226-SM-EVR4G 60-69 years, male 9.0
GTEX-12WSC-0126-SM-5EQ4P 50-59 years, male 8.9
GTEX-12WSL-2526-SM-5GCNJ 50-59 years, male 8.9
GTEX-13112-2826-SM-5DUWH 50-59 years, male 8.9
GTEX-13O21-1426-SM-5K7XI 50-59 years, male 8.9
GTEX-15D1Q-0126-SM-7KUG6 40-49 years, male 8.9
GTEX-XUYS-0126-SM-47JWZ 50-59 years, male 8.9
GTEX-1HFI6-0226-SM-ADEHZ 40-49 years, male 8.9
GTEX-1KD4Q-0226-SM-E9TJ9 40-49 years, male 8.9
GTEX-1MJK2-0426-SM-DTXE5 50-59 years, male 8.9
GTEX-1O97I-0326-SM-EYYX7 60-69 years, male 8.9
GTEX-1OFPY-2426-SM-DTXEJ 60-69 years, male 8.9
GTEX-1269C-2526-SM-5EGJ3 60-69 years, female 8.8
GTEX-14DAR-2026-SM-5S2O3 50-59 years, male 8.8
GTEX-Q2AG-0126-SM-33HBV 40-49 years, female 8.8
GTEX-XV7Q-2526-SM-4BRV9 40-49 years, female 8.8
GTEX-1C6WA-0126-SM-7PC2B 60-69 years, male 8.8
GTEX-1JMQI-2226-SM-CM2SD 50-59 years, male 8.8
GTEX-1QP29-0626-SM-EWRMX 50-59 years, male 8.8
GTEX-1RAZA-0126-SM-E6CI3 20-29 years, male 8.8
GTEX-11EI6-0126-SM-5985R 60-69 years, male 8.7
GTEX-13SLX-0526-SM-5S2ON 50-59 years, female 8.7
GTEX-14PJ6-2126-SM-6EU1V 60-69 years, female 8.7
GTEX-X585-0226-SM-4QAS2 50-59 years, male 8.7
GTEX-1B8L1-2526-SM-9WYTF 60-69 years, male 8.7
GTEX-1GN2E-0426-SM-9MQKX 60-69 years, male 8.7
GTEX-1J8EW-0126-SM-CJI4F 60-69 years, female 8.7
GTEX-1LGRB-2526-SM-CNPPQ 50-59 years, female 8.7
GTEX-1QCLY-0326-SM-E8VOG 30-39 years, male 8.7
GTEX-1QPFJ-0226-SM-E76PB 30-39 years, female 8.7
GTEX-PW2O-1526-SM-7RHHB 20-29 years, male 8.7
GTEX-12WSN-5019-SM-79OM6 40-49 years, male 8.6
GTEX-13O3P-0126-SM-5KM4S 50-59 years, male 8.6
GTEX-148VI-1626-SM-5SI6E 60-69 years, female 8.6
GTEX-1B8SG-0126-SM-73KZ3 50-59 years, male 8.6
GTEX-1C2JI-1826-SM-73KXC 50-59 years, male 8.6
GTEX-QDVJ-1726-SM-2I5FX 50-59 years, male 8.6
GTEX-X638-0126-SM-47JZ8 70-79 years, female 8.6
GTEX-1GMR3-1926-SM-9KNUZ 40-49 years, male 8.6
GTEX-1HSGN-0226-SM-CGQFV 40-49 years, female 8.6
GTEX-1J8Q2-0526-SM-CM2RW 60-69 years, male 8.6
GTEX-1K2DA-1826-SM-CGQGT 50-59 years, male 8.6
GTEX-1PIGE-0126-SM-EVYBJ 20-29 years, male 8.6
GTEX-11DXW-0226-SM-5H122 40-49 years, male 8.5
GTEX-1212Z-2526-SM-5EGKP 60-69 years, male 8.5
GTEX-13JUV-2726-SM-5LZZ8 40-49 years, female 8.5
GTEX-13OW6-0426-SM-5L3HM 50-59 years, male 8.5
GTEX-13RTL-0126-SM-7LG5S 40-49 years, male 8.5
GTEX-14ABY-0226-SM-5TDCQ 50-59 years, male 8.5
GTEX-18QFQ-0126-SM-731BE 30-39 years, male 8.5
GTEX-1C475-1826-SM-73KWA 40-49 years, female 8.5
GTEX-OOBK-0126-SM-2YUND 40-49 years, male 8.5
GTEX-Q734-1926-SM-2I5EV 40-49 years, female 8.5
GTEX-U3ZM-1526-SM-3DB9D 40-49 years, male 8.5
GTEX-WYJK-0126-SM-3NMAB 50-59 years, male 8.5
GTEX-ZY6K-1826-SM-5GZXK 50-59 years, male 8.5
GTEX-1CB4G-0226-SM-7PC3O 60-69 years, male 8.5
GTEX-1GMR8-0126-SM-9WYTM 50-59 years, female 8.5
GTEX-1H3NZ-0126-SM-ACKX7 60-69 years, male 8.5
GTEX-1J8JJ-0226-SM-CL53I 60-69 years, female 8.5
GTEX-1KANB-0526-SM-E6CJH 50-59 years, male 8.5
GTEX-1N2DW-0226-SM-E9TK2 50-59 years, male 8.5
GTEX-1PIIG-0226-SM-EWRN6 30-39 years, male 8.5
GTEX-ZQG8-1626-SM-DHXIT 60-69 years, female 8.5
GTEX-13PDP-0126-SM-5L3HD 60-69 years, male 8.4
GTEX-13SLW-0126-SM-5SI6C 70-79 years, male 8.4
GTEX-13X6I-0626-SM-5QGP9 60-69 years, male 8.4
GTEX-15RIG-0226-SM-7KFTL 40-49 years, male 8.4
GTEX-15UKP-0426-SM-7KUFQ 20-29 years, male 8.4
GTEX-18A7A-0226-SM-718BH 50-59 years, female 8.4
GTEX-1BAJH-0526-SM-793CQ 70-79 years, male 8.4
GTEX-OHPM-0126-SM-2YUN9 50-59 years, male 8.4
GTEX-RN64-0126-SM-2TC68 50-59 years, male 8.4
GTEX-WXYG-2326-SM-4E3I6 50-59 years, female 8.4
GTEX-1F48J-0126-SM-7P8TT 50-59 years, female 8.4
GTEX-1GPI7-0126-SM-9MQL8 20-29 years, male 8.4
GTEX-1ICLY-0126-SM-D4P36 50-59 years, male 8.4
GTEX-1KAFJ-2026-SM-CY8ID 50-59 years, male 8.4
GTEX-12126-0326-SM-5PNW3 20-29 years, male 8.3
GTEX-13NZ8-0826-SM-5MR3I 60-69 years, female 8.3
GTEX-13NZB-2526-SM-5J1OM 30-39 years, male 8.3
GTEX-15CHC-2126-SM-6EU21 60-69 years, female 8.3
GTEX-15EOM-0126-SM-7KUGG 20-29 years, female 8.3
GTEX-1AX9J-0226-SM-73KXM 60-69 years, male 8.3
GTEX-NPJ8-0126-SM-2YUNR 40-49 years, male 8.3
GTEX-PLZ5-2026-SM-2S1O4 50-59 years, male 8.3
GTEX-T6MO-1626-SM-32QOM 40-49 years, female 8.3
GTEX-U8T8-0126-SM-3DB94 60-69 years, male 8.3
GTEX-UJHI-1526-SM-3DB99 50-59 years, female 8.3
GTEX-XPVG-2626-SM-4B669 50-59 years, male 8.3
GTEX-Y8E4-0626-SM-4WWDL 40-49 years, male 8.3
GTEX-ZYFG-2326-SM-5E44B 60-69 years, female 8.3
GTEX-1EKGG-0226-SM-9WYTH 60-69 years, male 8.3
GTEX-1399R-2726-SM-5IJBA 30-39 years, male 8.2
GTEX-13X6J-0126-SM-5QGOU 50-59 years, male 8.2
GTEX-14PJ3-1826-SM-62LEX 50-59 years, male 8.2
GTEX-1C4CL-0526-SM-73KVK 30-39 years, male 8.2
GTEX-RM2N-1426-SM-2TF4H 50-59 years, male 8.2
GTEX-YFC4-0126-SM-5CVLY 40-49 years, female 8.2
GTEX-1F75A-0126-SM-7RHGM 50-59 years, male 8.2
GTEX-1I1GQ-0126-SM-COH3H 50-59 years, male 8.2
GTEX-1JN76-0126-SM-CNPPE 20-29 years, female 8.2
GTEX-1LC47-0326-SM-E9TJP 60-69 years, male 8.2
GTEX-11NUK-0126-SM-5A5L3 50-59 years, male 8.1
GTEX-139D8-0226-SM-5KLZO 30-39 years, female 8.1
GTEX-13NYB-2526-SM-5K7Z6 40-49 years, male 8.1
GTEX-13OVL-0226-SM-5L3E9 50-59 years, male 8.1
GTEX-14A6H-0126-SM-5QGPK 30-39 years, male 8.1
GTEX-16XZY-2126-SM-79OK1 70-79 years, male 8.1
GTEX-17HGU-0226-SM-7DHKV 50-59 years, male 8.1
GTEX-OXRN-0126-SM-48TDM 50-59 years, male 8.1
GTEX-SJXC-0126-SM-2XCFF 60-69 years, male 8.1
GTEX-XBED-2226-SM-47JYQ 60-69 years, male 8.1
GTEX-XUW1-0426-SM-4BOOT 50-59 years, female 8.1
GTEX-XYKS-2126-SM-4E3IB 60-69 years, female 8.1
GTEX-Y5V5-2326-SM-4V6GA 60-69 years, female 8.1
GTEX-Z93S-0126-SM-5HL7M 50-59 years, male 8.1
GTEX-ZVE2-0226-SM-59HJB 50-59 years, male 8.1
GTEX-ZXG5-0126-SM-5GIEU 60-69 years, male 8.1
GTEX-1AX9I-0126-SM-7SB74 60-69 years, male 8.1
GTEX-1HSMQ-1226-SM-CGQFX 50-59 years, male 8.1
GTEX-1QEPI-0126-SM-EWRMQ 60-69 years, female 8.1
GTEX-1RQEC-0426-SM-E6CHU 60-69 years, male 8.1
GTEX-1S3DN-2226-SM-EVYCD 50-59 years, male 8.1
GTEX-1E1VI-0126-SM-7DHMZ 50-59 years, male 8.0
GTEX-OXRP-0126-SM-3NB32 60-69 years, female 8.0
GTEX-P4PP-0126-SM-3LK69 30-39 years, female 8.0
GTEX-YEC4-2126-SM-5IFJH 40-49 years, male 8.0
GTEX-ZDYS-2026-SM-5HL5L 50-59 years, male 8.0
GTEX-1CB4H-0226-SM-7PBXM 60-69 years, female 8.0
GTEX-1IDJH-0326-SM-A9SLQ 70-79 years, male 8.0
GTEX-1JMQL-0226-SM-CNPP5 50-59 years, female 8.0
GTEX-1LGOU-2026-SM-DIPFF 20-29 years, female 8.0
GTEX-1MGNQ-0126-SM-EVYCJ 40-49 years, male 8.0
GTEX-1PBJI-0526-SM-E8VNK 20-29 years, female 8.0
GTEX-1128S-2326-SM-5GZZY 60-69 years, female 7.9
GTEX-11NSD-2226-SM-5986V 20-29 years, male 7.9
GTEX-131XG-2626-SM-5KM17 50-59 years, female 7.9
GTEX-13OVG-1926-SM-5L3DK 60-69 years, male 7.9
GTEX-145MF-0626-SM-5LUAI 50-59 years, male 7.9
GTEX-16BQI-0226-SM-7KUEX 30-39 years, female 7.9
GTEX-18D9U-0226-SM-718BP 40-49 years, male 7.9
GTEX-1AX8Z-0126-SM-7DHM6 60-69 years, male 7.9
GTEX-1B8KZ-2026-SM-7DHMB 50-59 years, male 7.9
GTEX-NFK9-0226-SM-2HMKQ 40-49 years, male 7.9
GTEX-OXRL-0126-SM-2YUMP 50-59 years, male 7.9
GTEX-RUSQ-1526-SM-2TF62 50-59 years, male 7.9
GTEX-ZVT3-0126-SM-5GU6I 60-69 years, female 7.9
GTEX-1C6VQ-0126-SM-7P8RI 50-59 years, male 7.9
GTEX-1GTWX-0126-SM-9YFLK 60-69 years, male 7.9
GTEX-1H1CY-2826-SM-9MQM3 60-69 years, female 7.9
GTEX-1H23P-0126-SM-ADEJ3 60-69 years, male 7.9
GTEX-1I1GV-0526-SM-A9G29 60-69 years, male 7.9
GTEX-1497J-2426-SM-7IGNX 60-69 years, male 7.8
GTEX-1A32A-0126-SM-718B1 50-59 years, female 7.8
GTEX-Y8LW-1826-SM-5S2MV 50-59 years, female 7.8
GTEX-ZWKS-0126-SM-5SIAA 30-39 years, male 7.8
GTEX-1A8FM-0226-SM-7SB7Q 50-59 years, female 7.8
GTEX-1H1DG-0126-SM-9WYU2 70-79 years, male 7.8
GTEX-11P81-2326-SM-59875 30-39 years, female 7.7
GTEX-12WSA-0226-SM-5BC5V 60-69 years, male 7.7
GTEX-1313W-0126-SM-5LZUN 50-59 years, female 7.7
GTEX-13IVO-0126-SM-5J1NG 70-79 years, male 7.7
GTEX-13U4I-0126-SM-5LU38 40-49 years, female 7.7
GTEX-145LU-0126-SM-5TDCB 50-59 years, male 7.7
GTEX-16GPK-0126-SM-7DHLE 60-69 years, male 7.7
GTEX-16NGA-1726-SM-731B4 40-49 years, female 7.7
GTEX-YJ8A-0426-SM-5IFID 20-29 years, male 7.7
GTEX-ZF2S-2326-SM-4WWCE 50-59 years, female 7.7
GTEX-ZXES-1826-SM-5E43S 30-39 years, female 7.7
GTEX-1C64O-0126-SM-7SB8P 60-69 years, male 7.7
GTEX-1J8QM-2126-SM-CYPSJ 60-69 years, female 7.7
GTEX-1LSNM-1926-SM-E6CII 50-59 years, male 7.7
GTEX-1MA7X-2226-SM-E6CIY 60-69 years, male 7.7
GTEX-1RLM8-2326-SM-EWRN4 50-59 years, male 7.7
GTEX-S33H-1026-SM-EZ6L6 30-39 years, male 7.7
GTEX-117XS-2726-SM-5N9BL 60-69 years, male 7.6
GTEX-11VI4-1726-SM-5CVLH 40-49 years, female 7.6
GTEX-13FTX-1826-SM-5J1NX 20-29 years, female 7.6
GTEX-147F4-0226-SM-5QGPW 50-59 years, male 7.6
GTEX-14XAO-2326-SM-6EU1B 60-69 years, female 7.6
GTEX-18A7B-0126-SM-7LG64 70-79 years, male 7.6
GTEX-PLZ4-0126-SM-5SI8O 50-59 years, female 7.6
GTEX-T8EM-1026-SM-3DB7M 40-49 years, male 7.6
GTEX-ZAK1-0126-SM-5IJD3 50-59 years, female 7.6
GTEX-ZUA1-0126-SM-5GU76 40-49 years, male 7.6
GTEX-1GN1V-0126-SM-9WPOS 60-69 years, male 7.6
GTEX-1GPI6-0126-SM-9WG69 60-69 years, male 7.6
GTEX-1H1ZS-0426-SM-9WG6G 70-79 years, male 7.6
GTEX-1JMQK-0226-SM-CL543 60-69 years, male 7.6
GTEX-1LVAN-0226-SM-COH3S 50-59 years, female 7.6
GTEX-1S82Z-0826-SM-E6CHY 30-39 years, female 7.6
GTEX-1192W-2626-SM-5Q5AF 60-69 years, male 7.5
GTEX-12KS4-0326-SM-5EQ41 30-39 years, male 7.5
GTEX-1399T-2826-SM-5KLYZ 60-69 years, male 7.5
GTEX-O5YW-0126-SM-3LK6D 50-59 years, male 7.5
GTEX-1IKOH-0226-SM-COH4E 60-69 years, female 7.5
GTEX-1NV5F-0226-SM-E8VNY 60-69 years, female 7.5
GTEX-111VG-2426-SM-5GZXD 60-69 years, male 7.4
GTEX-113IC-0126-SM-5HL6T 60-69 years, male 7.4
GTEX-11EMC-2926-SM-5EQ4F 60-69 years, female 7.4
GTEX-13VXU-0126-SM-5SI9F 50-59 years, male 7.4
GTEX-13W46-0226-SM-5SIAG 50-59 years, male 7.4
GTEX-144FL-0126-SM-5TDC8 50-59 years, male 7.4
GTEX-145MI-0526-SM-5O9A8 60-69 years, female 7.4
GTEX-14E6D-0126-SM-62LDV 50-59 years, male 7.4
GTEX-QESD-1426-SM-2S1R9 20-29 years, male 7.4
GTEX-QLQW-1126-SM-2S1Q8 30-39 years, male 7.4
GTEX-QVJO-1626-SM-2S1QW 60-69 years, female 7.4
GTEX-U3ZH-2026-SM-3DB78 30-39 years, male 7.4
GTEX-U412-0426-SM-3DB9O 60-69 years, male 7.4
GTEX-X4EP-0126-SM-3P5YV 60-69 years, female 7.4
GTEX-X5EB-2226-SM-46MW4 40-49 years, male 7.4
GTEX-Y5LM-1926-SM-5RQJH 40-49 years, female 7.4
GTEX-1HB9E-0226-SM-E9U4R 50-59 years, male 7.4
GTEX-1HUB1-0426-SM-E9U4U 60-69 years, male 7.4
GTEX-1J1R8-1726-SM-ARL8M 40-49 years, male 7.4
GTEX-1MA7W-2026-SM-E9TJ6 20-29 years, female 7.4
GTEX-1S82Y-2026-SM-EVYCM 40-49 years, male 7.4
GTEX-13CF3-2426-SM-5IFGX 60-69 years, female 7.3
GTEX-144GL-0126-SM-5TDE2 50-59 years, male 7.3
GTEX-144GN-2326-SM-5LU4F 50-59 years, male 7.3
GTEX-14PJM-0226-SM-62LF1 50-59 years, female 7.3
GTEX-15DYW-0126-SM-7KULE 60-69 years, female 7.3
GTEX-15ETS-0126-SM-7KUMW 40-49 years, female 7.3
GTEX-17GQL-2026-SM-718BA 60-69 years, male 7.3
GTEX-1A3MX-0126-SM-731BR 60-69 years, male 7.3
GTEX-1C6VS-0526-SM-7DUEN 60-69 years, male 7.3
GTEX-P4PQ-0126-SM-2S1NM 60-69 years, male 7.3
GTEX-S95S-1226-SM-4GICG 60-69 years, male 7.3
GTEX-Z93T-0126-SM-5HL5N 50-59 years, male 7.3
GTEX-ZDXO-3026-SM-5J1N5 60-69 years, male 7.3
GTEX-ZEX8-2426-SM-4WKG4 50-59 years, male 7.3
GTEX-1H11D-0226-SM-9WG6Z 40-49 years, male 7.3
GTEX-1H3O1-0426-SM-9YFKY 60-69 years, male 7.3
GTEX-1I1GU-2226-SM-CGQFA 40-49 years, male 7.3
GTEX-1I1HK-0126-SM-COH49 60-69 years, male 7.3
GTEX-1IOXB-0126-SM-ARL8G 50-59 years, male 7.3
GTEX-1LB8K-0226-SM-EWRNW 50-59 years, male 7.3
GTEX-PSDG-0226-SM-DKPOZ 50-59 years, male 7.3
GTEX-14JG6-2226-SM-6EU2G 30-39 years, female 7.2
GTEX-15SDE-2226-SM-7IGLO 50-59 years, female 7.2
GTEX-QEG4-0226-SM-2S1PY 30-39 years, male 7.2
GTEX-R55E-0126-SM-2TC5Y 20-29 years, male 7.2
GTEX-ZE7O-0126-SM-57WC1 50-59 years, female 7.2
GTEX-1HCVE-0126-SM-CGQEU 50-59 years, male 7.2
GTEX-1J1OQ-0226-SM-CYPSH 40-49 years, female 7.2
GTEX-1PFEY-1526-SM-E76PP 30-39 years, male 7.2
GTEX-1S83E-0126-SM-EWRO4 40-49 years, male 7.2
GTEX-11GS4-2726-SM-5A5LE 60-69 years, male 7.1
GTEX-139TU-0126-SM-5K7WH 60-69 years, male 7.1
GTEX-13FHP-0126-SM-5IJBG 50-59 years, male 7.1
GTEX-145MO-0326-SM-5Q5B3 60-69 years, male 7.1
GTEX-U3ZN-2326-SM-3DB7W 30-39 years, female 7.1
GTEX-1H4P4-0726-SM-9YFLR 50-59 years, male 7.1
GTEX-1HBPI-1526-SM-C1YQ1 50-59 years, male 7.1
GTEX-1I1CD-0126-SM-CM2TK 60-69 years, female 7.1
GTEX-1I1GP-2226-SM-CGQFK 50-59 years, male 7.1
GTEX-PWCY-1826-SM-DHXIZ 20-29 years, female 7.1
GTEX-11ZU8-2526-SM-5EQKI 60-69 years, male 7.0
GTEX-12696-2426-SM-5EQ6H 60-69 years, male 7.0
GTEX-131XW-0426-SM-5LZWP 50-59 years, female 7.0
GTEX-145LS-0126-SM-5QGP1 60-69 years, female 7.0
GTEX-17MFQ-1726-SM-793C7 20-29 years, male 7.0
GTEX-RWSA-0126-SM-2XCBB 40-49 years, male 7.0
GTEX-U8XE-0326-SM-3DB8P 30-39 years, male 7.0
GTEX-12WSG-2826-SM-E9J4H 50-59 years, female 7.0
GTEX-169BO-1326-SM-9MQK2 50-59 years, male 7.0
GTEX-1F6I4-0126-SM-9MQL2 60-69 years, male 7.0
GTEX-1GF9W-0326-SM-9KNUN 60-69 years, male 7.0
GTEX-1KWVE-1426-SM-E9TJO 30-39 years, male 7.0
GTEX-OOBJ-0126-SM-E6CJW 60-69 years, male 7.0
GTEX-11UD2-0226-SM-5EQKY 50-59 years, male 6.9
GTEX-11ZVC-2526-SM-5FQTE 50-59 years, female 6.9
GTEX-12WSK-2326-SM-5GCOH 40-49 years, female 6.9
GTEX-12ZZZ-0626-SM-5DUXI 60-69 years, male 6.9
GTEX-13RTJ-2426-SM-5S2Q2 60-69 years, male 6.9
GTEX-146FQ-0126-SM-5NQA9 30-39 years, male 6.9
GTEX-14BMU-2226-SM-5TDE9 20-29 years, female 6.9
GTEX-14PII-0226-SM-6EU1T 60-69 years, male 6.9
GTEX-15DCD-0126-SM-7KUEK 70-79 years, female 6.9
GTEX-1AYCT-2426-SM-7IGQ3 50-59 years, male 6.9
GTEX-1AYD5-2426-SM-73KXR 50-59 years, male 6.9
GTEX-PX3G-0126-SM-2I3EN 20-29 years, female 6.9
GTEX-R55G-2526-SM-2TC6D 40-49 years, female 6.9
GTEX-T5JC-0426-SM-32PLO 20-29 years, male 6.9
GTEX-WQUQ-0426-SM-3MJFU 60-69 years, male 6.9
GTEX-Y8DK-0126-SM-4TT3L 60-69 years, male 6.9
GTEX-YB5E-2026-SM-5IFIS 40-49 years, male 6.9
GTEX-ZQUD-1426-SM-57WER 30-39 years, male 6.9
GTEX-13O3O-0126-SM-E9J49 60-69 years, female 6.9
GTEX-1F6IF-0726-SM-7P8TW 60-69 years, male 6.9
GTEX-1HCU8-0626-SM-A9SM9 60-69 years, female 6.9
GTEX-1HSMP-0126-SM-E6CJS 70-79 years, male 6.9
GTEX-PLZ6-1426-SM-DKPOT 30-39 years, male 6.9
GTEX-W5X1-3026-SM-EAZAX 40-49 years, female 6.9
GTEX-11DZ1-0126-SM-5985Q 50-59 years, male 6.8
GTEX-11P82-1626-SM-59879 20-29 years, male 6.8
GTEX-131YS-0126-SM-5KM1M 60-69 years, female 6.8
GTEX-17F97-0326-SM-7LG5B 50-59 years, male 6.8
GTEX-17F98-0626-SM-79OMX 40-49 years, female 6.8
GTEX-1A3MW-0126-SM-73KXX 60-69 years, female 6.8
GTEX-1B97I-1626-SM-73KYO 40-49 years, male 6.8
GTEX-TSE9-0126-SM-3DB83 60-69 years, female 6.8
GTEX-1I1GR-0126-SM-CL55F 60-69 years, male 6.8
GTEX-1399U-2326-SM-5K7WY 50-59 years, female 6.7
GTEX-145LV-2126-SM-5LU8N 50-59 years, male 6.7
GTEX-17EVQ-0226-SM-7LG4P 70-79 years, male 6.7
GTEX-P44H-0226-SM-2XCEU 40-49 years, male 6.7
GTEX-QCQG-1726-SM-3GIJ9 50-59 years, female 6.7
GTEX-UPJH-0326-SM-3GADU 50-59 years, male 6.7
GTEX-1GN73-0226-SM-9WG67 60-69 years, male 6.7
GTEX-1LBAC-0126-SM-DIPEZ 20-29 years, male 6.7
GTEX-1N2DV-0226-SM-E6CJ6 40-49 years, male 6.7
GTEX-11TTK-0126-SM-5987B 60-69 years, female 6.6
GTEX-14C5O-0126-SM-5SI6N 60-69 years, male 6.6
GTEX-14JG1-0426-SM-6ETZZ 40-49 years, male 6.6
GTEX-15F5U-1526-SM-6PANO 40-49 years, male 6.6
GTEX-1CB4E-2226-SM-793DC 60-69 years, male 6.6
GTEX-T2IS-0126-SM-4DM6O 20-29 years, female 6.6
GTEX-XXEK-2226-SM-4BRUM 50-59 years, male 6.6
GTEX-ZVZO-0126-SM-5A5L9 40-49 years, male 6.6
GTEX-1E2YA-0126-SM-9KNUC 50-59 years, male 6.6
GTEX-1I4MK-2226-SM-ACKWD 50-59 years, female 6.6
GTEX-1IL2U-0226-SM-CE6T8 60-69 years, male 6.6
GTEX-1POEN-0126-SM-EYYXJ 30-39 years, female 6.6
GTEX-1S5ZA-0126-SM-EVYCV 20-29 years, male 6.6
GTEX-139T4-0226-SM-5HL5S 50-59 years, female 6.5
GTEX-18A6Q-0126-SM-731BZ 60-69 years, male 6.5
GTEX-P4QT-0126-SM-2I3FL 50-59 years, female 6.5
GTEX-11TUW-2726-SM-E9J4M 60-69 years, male 6.5
GTEX-1H1DE-2126-SM-9WG6R 20-29 years, male 6.5
GTEX-1IY9M-0126-SM-D3L8S 60-69 years, male 6.5
GTEX-1K2DU-2326-SM-E9TIV 20-29 years, male 6.5
GTEX-R45C-0126-SM-EAZ2R 60-69 years, female 6.5
GTEX-113JC-2326-SM-5EQ4E 50-59 years, female 6.4
GTEX-1314G-1526-SM-5EGK2 30-39 years, male 6.4
GTEX-13N1W-0126-SM-5K7VT 70-79 years, male 6.4
GTEX-13QJ3-0326-SM-5S2RA 50-59 years, male 6.4
GTEX-17EUY-0426-SM-793BD 20-29 years, male 6.4
GTEX-QLQ7-1626-SM-2S1R8 60-69 years, male 6.4
GTEX-WFG8-2226-SM-3GIL9 20-29 years, male 6.4
GTEX-WOFL-0126-SM-3MJG2 60-69 years, male 6.4
GTEX-YJ89-0126-SM-4TT3X 60-69 years, male 6.4
GTEX-1GN1U-0126-SM-7PBZK 50-59 years, female 6.4
GTEX-1LG7Y-0526-SM-DKPQC 50-59 years, male 6.4
GTEX-1R46S-0626-SM-E9J41 60-69 years, female 6.4
GTEX-139TS-2826-SM-5J1OO 60-69 years, male 6.3
GTEX-14BMV-0126-SM-5S2PO 50-59 years, male 6.3
GTEX-14LLW-0126-SM-6LLIO 70-79 years, female 6.3
GTEX-15ER7-0326-SM-7KUEV 20-29 years, female 6.3
GTEX-17HHY-0126-SM-7LG5D 50-59 years, male 6.3
GTEX-S32W-2126-SM-2XCB1 50-59 years, female 6.3
GTEX-S7PM-0126-SM-4AD6S 60-69 years, male 6.3
GTEX-T2YK-0526-SM-32QPJ 50-59 years, male 6.3
GTEX-T5JW-1626-SM-3GADZ 20-29 years, female 6.3
GTEX-ZF28-0126-SM-4WKGK 60-69 years, male 6.3
GTEX-1HFI7-1826-SM-ACKXH 50-59 years, female 6.3
GTEX-1PWST-0226-SM-E76QJ 70-79 years, male 6.3
GTEX-1RDX4-0126-SM-E9J4P 50-59 years, female 6.3
GTEX-117YW-2626-SM-5GZZH 50-59 years, male 6.2
GTEX-11LCK-1026-SM-5A5KB 30-39 years, male 6.2
GTEX-11XUK-2026-SM-5EQLF 40-49 years, female 6.2
GTEX-1211K-2026-SM-5EQ4Z 60-69 years, female 6.2
GTEX-131XH-2226-SM-5DUXJ 50-59 years, male 6.2
GTEX-15UF6-0826-SM-6PALJ 70-79 years, female 6.2
GTEX-17HHE-2026-SM-79OKF 50-59 years, male 6.2
GTEX-RU72-0926-SM-2TF6B 50-59 years, female 6.2
GTEX-WH7G-2326-SM-3NMBC 40-49 years, male 6.2
GTEX-X88G-0126-SM-47JZ3 30-39 years, male 6.2
GTEX-1CB4F-0426-SM-9KNV4 60-69 years, male 6.2
GTEX-1H3VY-0126-SM-ACKXD 50-59 years, male 6.2
GTEX-1JMPZ-0226-SM-CNPP1 30-39 years, male 6.2
GTEX-1JMQJ-0526-SM-CYPSU 50-59 years, male 6.2
GTEX-1LH75-2426-SM-E9TJE 50-59 years, female 6.2
GTEX-1OJC3-0126-SM-E76QX 20-29 years, male 6.2
GTEX-13NZA-0226-SM-5K7Z7 60-69 years, male 6.1
GTEX-16XZZ-0126-SM-793DV 60-69 years, male 6.1
GTEX-1A3MV-1926-SM-718BT 30-39 years, male 6.1
GTEX-1CAMQ-0226-SM-7IGPK 40-49 years, male 6.1
GTEX-WRHK-1426-SM-3MJF9 20-29 years, female 6.1
GTEX-Y3I4-2126-SM-4TT7C 50-59 years, male 6.1
GTEX-1KANC-1526-SM-D3LAB 50-59 years, female 6.1
GTEX-1QP9N-1426-SM-DTXFL 30-39 years, male 6.1
GTEX-12584-0126-SM-5EGKQ 40-49 years, male 6.0
GTEX-13X6H-2126-SM-7EWD5 50-59 years, female 6.0
GTEX-145MN-2226-SM-5SIAU 30-39 years, male 6.0
GTEX-16MT8-0426-SM-7KUEY 60-69 years, female 6.0
GTEX-Y111-0126-SM-4SOIV 50-59 years, male 6.0
GTEX-ZDTS-0126-SM-4WAY5 60-69 years, male 6.0
GTEX-1GMRU-0126-SM-9YFLV 50-59 years, male 6.0
GTEX-RNOR-0126-SM-E9J4R 50-59 years, female 6.0
GTEX-ZPIC-1726-SM-DHXIU 40-49 years, female 6.0
GTEX-11GSP-2526-SM-5N9BP 60-69 years, female 5.9
GTEX-11ZTS-0126-SM-5EQ6M 60-69 years, female 5.9
GTEX-132NY-0326-SM-5IJBL 60-69 years, male 5.9
GTEX-13N11-2526-SM-5K7UE 50-59 years, female 5.9
GTEX-14A5I-0126-SM-5TDEA 50-59 years, female 5.9
GTEX-14PHX-2326-SM-62LEM 50-59 years, male 5.9
GTEX-QDT8-0126-SM-48TZ1 30-39 years, female 5.9
GTEX-WYVS-2126-SM-3NMA3 40-49 years, female 5.9
GTEX-ZTX8-1426-SM-5DUVO 20-29 years, male 5.9
GTEX-1JMPY-1326-SM-ARL8Y 30-39 years, male 5.9
GTEX-ZVT4-0126-SM-DTXFN 50-59 years, female 5.9
GTEX-12WSD-0126-SM-59HKN 60-69 years, female 5.8
GTEX-13OW7-0126-SM-5MR3B 50-59 years, male 5.8
GTEX-146FH-0126-SM-5QGPP 50-59 years, female 5.8
GTEX-VJWN-0126-SM-3GIK7 50-59 years, female 5.8
GTEX-ZTPG-0326-SM-5O9AX 20-29 years, female 5.8
GTEX-13FH7-2026-SM-E9J4I 50-59 years, female 5.8
GTEX-1GZHY-0326-SM-9QEHI 50-59 years, female 5.8
GTEX-1H2FU-0126-SM-9WYSI 60-69 years, female 5.8
GTEX-1QMI2-0226-SM-EVYBX 60-69 years, male 5.8
GTEX-12C56-1726-SM-5EQ61 20-29 years, male 5.7
GTEX-13OVH-0126-SM-5MR4B 70-79 years, male 5.7
GTEX-14E7W-0126-SM-6LLJ9 70-79 years, male 5.7
GTEX-X4EO-0326-SM-3P5YO 60-69 years, female 5.7
GTEX-YB5K-2126-SM-4WWDJ 40-49 years, female 5.7
GTEX-ZGAY-0526-SM-4WWBB 40-49 years, female 5.7
GTEX-1EN7A-0126-SM-7SB81 40-49 years, male 5.7
GTEX-1QP66-1726-SM-E8VO1 50-59 years, male 5.7
GTEX-X4XY-0226-SM-4E3IZ 60-69 years, male 5.6
GTEX-1F75B-0126-SM-9KNVL 50-59 years, male 5.6
GTEX-11P7K-2126-SM-5GU7G 30-39 years, male 5.5
GTEX-ZV68-0126-SM-59HKS 50-59 years, female 5.5
GTEX-1I1GS-0126-SM-B2LVW 60-69 years, male 5.5
GTEX-1JMOU-1526-SM-CL54I 60-69 years, female 5.5
GTEX-139UW-2826-SM-5L3E7 60-69 years, male 5.4
GTEX-13FTW-2626-SM-5K7WL 40-49 years, male 5.4
GTEX-T6MN-0126-SM-32PLP 50-59 years, male 5.4
GTEX-1EMGI-0126-SM-9KNUE 60-69 years, male 5.4
GTEX-1IKK5-0626-SM-ARL8A 60-69 years, male 5.4
GTEX-1JJ6O-0126-SM-E6CI8 60-69 years, male 5.4
GTEX-12WSJ-1826-SM-5GCNY 40-49 years, female 5.3
GTEX-14PN4-0126-SM-6EU2V 50-59 years, male 5.3
GTEX-17MF6-0126-SM-7LG4F 40-49 years, male 5.3
GTEX-Q2AH-1626-SM-3GAF8 40-49 years, male 5.3
GTEX-TML8-1926-SM-32QOS 40-49 years, female 5.3
GTEX-11TT1-2526-SM-5EGIB 20-29 years, male 5.2
GTEX-14BIL-0126-SM-5SI92 50-59 years, male 5.2
GTEX-17EVP-0326-SM-7DHLG 40-49 years, male 5.2
GTEX-X8HC-0126-SM-4E3JW 50-59 years, female 5.2
GTEX-ZYW4-0126-SM-5E44A 60-69 years, male 5.2
GTEX-ZYY3-0126-SM-5GZY5 60-69 years, female 5.2
GTEX-1HSKV-0226-SM-A9SKJ 60-69 years, male 5.2
GTEX-ZVTK-0426-SM-51MRS 20-29 years, male 5.1
GTEX-ZYFD-0126-SM-5GIDL 50-59 years, male 5.1
GTEX-11GSO-2426-SM-5A5LY 60-69 years, male 5.0
GTEX-13113-5016-SM-7EPIP 60-69 years, female 5.0
GTEX-13FTY-0526-SM-5L3EV 40-49 years, female 5.0
GTEX-XUZC-1726-SM-4BRWS 30-39 years, female 5.0
GTEX-1B8KE-2126-SM-73KYX 50-59 years, male 4.9
GTEX-1H3VE-0326-SM-9YFLH 40-49 years, male 4.9
GTEX-1PPH8-0226-SM-E8VND 20-29 years, male 4.9
GTEX-ZF29-2326-SM-DO92K 60-69 years, female 4.9
GTEX-11DXZ-2326-SM-5EGGV 50-59 years, male 4.8
GTEX-11EM3-2426-SM-59861 20-29 years, female 4.8
GTEX-16YQH-0126-SM-7DUFJ 30-39 years, male 4.8
GTEX-13OVI-1426-SM-5L3EY 60-69 years, female 4.7
GTEX-13O1R-0126-SM-5L3EH 60-69 years, male 4.6
GTEX-13OW8-1326-SM-5J1OW 60-69 years, male 4.6
GTEX-ZYFC-0226-SM-5NQ75 50-59 years, male 4.6
GTEX-1N2EF-0226-SM-EYYXB 60-69 years, male 4.6
GTEX-15SHW-0326-SM-6PAML 60-69 years, male 4.5
GTEX-Q2AI-1326-SM-2S1PL 40-49 years, male 4.5
GTEX-SN8G-0126-SM-32PLI 50-59 years, female 4.5
GTEX-TKQ1-1026-SM-4GICL 30-39 years, male 4.5
GTEX-13111-1626-SM-5EGJY 50-59 years, male 4.4
GTEX-RTLS-0126-SM-447CA 60-69 years, female 4.4
GTEX-Y114-2426-SM-4TT8A 50-59 years, female 4.4
GTEX-ZAB4-0226-SM-5N9F5 40-49 years, male 4.4
GTEX-ZAJG-0126-SM-5HL94 50-59 years, female 4.4
GTEX-1JN1M-0326-SM-CYPT3 60-69 years, female 4.4
GTEX-13CF2-2526-SM-5LZYX 60-69 years, male 4.3
GTEX-Y3IK-2426-SM-4WWDU 50-59 years, female 4.3
GTEX-1HGF4-2426-SM-ACKXM 60-69 years, male 4.3
GTEX-148VJ-0126-SM-5TDDN 70-79 years, male 4.2
GTEX-1QAET-0926-SM-E76QM 50-59 years, male 4.2
GTEX-13OVJ-0126-SM-5KM36 50-59 years, female 4.1
GTEX-1CAV2-2226-SM-7P8P2 40-49 years, female 4.1
GTEX-1JMLX-0226-SM-CM2RO 50-59 years, male 4.1
GTEX-11DYG-0126-SM-59883 60-69 years, male 4.0
GTEX-OXRO-0126-SM-2YUN4 60-69 years, female 4.0
GTEX-1HBPM-0226-SM-ARL9F 60-69 years, female 4.0
GTEX-1HSMO-0126-SM-CL547 60-69 years, male 4.0
GTEX-13FXS-0226-SM-5IJCK 50-59 years, male 3.7
GTEX-1JN6P-0126-SM-D3L98 60-69 years, male 3.7
GTEX-13YAN-0326-SM-5O9DF 60-69 years, male 3.6
GTEX-1HCU6-0126-SM-CL54K 60-69 years, female 3.6
GTEX-WI4N-1026-SM-3LK7N 40-49 years, female 3.5
GTEX-11H98-0126-SM-5EGHG 50-59 years, male 3.4
GTEX-11UD1-0126-SM-5PNYG 40-49 years, female 3.4
GTEX-ZF3C-0126-SM-DO92D 50-59 years, female 3.3
GTEX-131XE-2326-SM-5PNZ2 50-59 years, male 3.1
GTEX-17HII-0226-SM-7LG4E 50-59 years, male 2.9
GTEX-14E6C-0126-SM-5RQIP 40-49 years, male 2.0
Show allShow less

Contact

  • NEWS ARTICLES
  • PRESS ROOM

The Project

  • INTRODUCTION
  • ORGANIZATION
  • PUBLICATIONS

The Human Protein Atlas

  • DOWNLOADABLE DATA
  • LICENCE & CITATION
  • HELP & FAQ
The Human Protein Atlas project is funded
by the Knut & Alice Wallenberg Foundation.


contact@proteinatlas.org