We use cookies to enhance the usability of our website. If you continue, we'll assume that you are happy to receive all cookies. More information. Don't show this again.
ERGIC3
HPA
RESOURCES
  • TISSUE
  • BRAIN
  • SINGLE CELL
  • SUBCELLULAR
  • CANCER
  • BLOOD
  • CELL LINE
  • STRUCTURE & INTERACTION
ABOUT
  • INTRODUCTION
  • HISTORY
  • ORGANIZATION
  • PUBLICATIONS
  • ANTIBODY SUBMISSION
  • ANTIBODY AVAILABILITY
  • ACKNOWLEDGMENTS
  • CONTACT
NEWS
  • NEWS ARTICLES
  • PRESS ROOM
LEARN
  • DICTIONARY
  • PROTEIN CLASSES
  • PROTEIN EVIDENCE
  • METHODS
  • EDUCATIONAL VIDEOS
DATA
  • DOWNLOADABLE DATA
  • PUBLICATION DATA
  • RELEASE HISTORY
HELP
  • ANTIBODY VALIDATION
  • ASSAYS & ANNOTATION
  • DISCLAIMER
  • HELP & FAQ
  • PRIVACY STATEMENT
  • LICENCE & CITATION
Fields »
Search result

Field
Term
Gene name
Class
Subclass
Class
Keyword
Chromosome
External id
Tissue
Cell type
Expression
Antibody panel
Tissue
Main location
Patient ID
Annotation
Tissue
Category
Tau score
Cluster
Reliability
Brain region
Category
Tau score
Brain region
Category
Tau score
Brain region
Category
Tau score
Cluster
Reliability
Tissue
Cell type
Enrichment
Cell type
Category
Tau score
Cell type
Category
Tau score
Cell type
Category
Tau score
Cell lineage
Category
Tau score
Cluster
Cluster
Location
Searches
Location
Cell line
Class
Type
Phase
Reliability
Cancer
Prognosis
Cancer
Category
Cancer
Category
Tau score
Cluster
Variants
Interacting gene (ensg_id)
Type
Number of interactions
Pathway
Category
Score
Score
Score
Validation
Validation
Validation
Validation
Antibodies
Data type
Column


  • SUMMARY

  • TISSUE

  • BRAIN

  • SINGLE CELL

  • SUBCELL

  • CANCER

  • BLOOD

  • CELL LINE

  • STRUCT & INT

  • ERGIC3
BRAIN CEREBELLUM Show tissue menu
AMYGDALA BASAL GANGLIA CEREBELLUM CEREBRAL CORTEX CHOROID PLEXUS HIPPOCAMPAL FORMATION HYPOTHALAMUS MEDULLA OBLONGATA
MIDBRAIN OLFACTORY BULB PITUITARY GLAND PONS RETINA SPINAL CORD THALAMUS WHITE MATTER
ANTIBODIES
AND
VALIDATION
Brain proteome
Cerebellum
CEREBELLUM - Expression summary
Protein expression
Cerebellumi

On the top, protein expression in current human tissue, based on all annotated cell types, is reported with the units not detected (n), low (l), medium (m) and high (h). Underneath, protein expression in each annotated cell type are reported using the same units.

Protein expression data is based on knowledge-based annotation. For genes where more than one antibody has been used, a collective score is set.

If knowledge-based annotation could not be performed for a gene, no data is displayed here. View antibody staining data further down this page.

h
m
l
n
Cells in granular layer: Not detected
Cells in molecular layer: Not detected
Purkinje cells: High
RNA expressioni

A summary of mRNA expression data available for current tissue based on several datasets. The mRNA expression levels in human tissues are based on RNA-seq data generated by the Human Protein Atlas (HPA), Genotype-Tissue Expression (GTEx) portal and CAGE data generated by the FANTOM5 consortium. Consensus normalized expression levels for human tissues was created by combining the data from HPA and GTEx datasets.

The mRNA expression levels in pig are based on RNA-seq data generated by the Human Protein Atlas (HPA), and for mouse, HPA data and in situ hybridization generated by the Allen brain atlas are reported.

Scroll down to view mRNA expression data in more detail.
Consensus:68.3 nTPM
HPA Brain:61.6 nTPM
GTEx:68.3 nTPM
FANTOM5:43.7 Scaled Tags Per Million
Pig:51.8 nTPM
Mouse:222.1 nTPM
Allen mouse:8.3 Expression energy

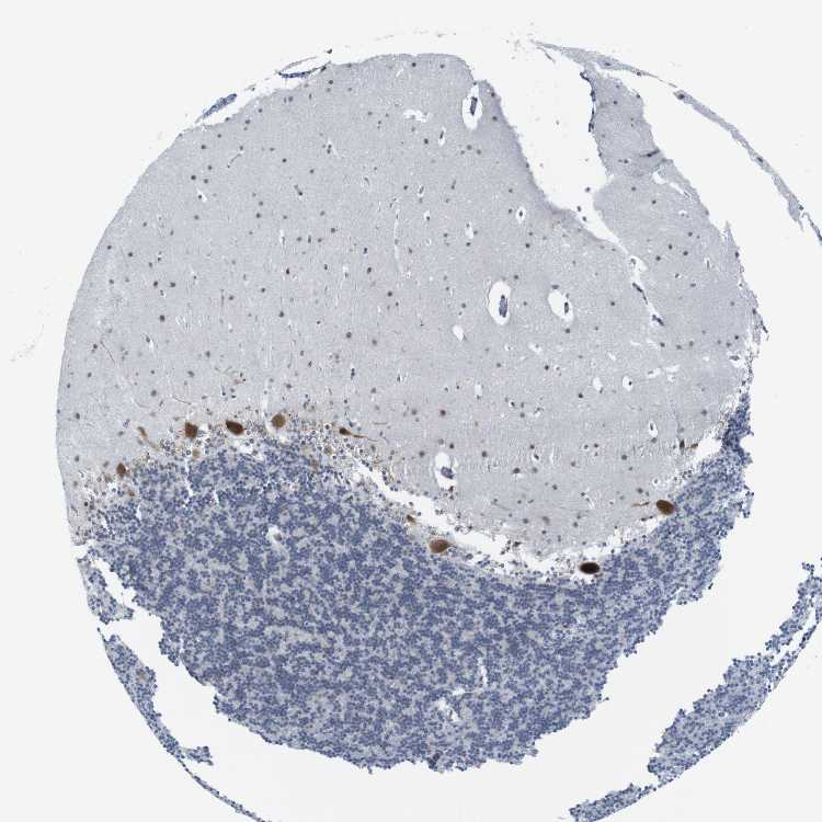
CEREBELLUM - Antibody stainingi

Antibody staining in the annotated cell types in the current human tissue is reported as not detected, low, medium, or high, based on conventional immunohistochemistry profiling in selected tissues. This score is based on the combination of the staining intensity and fraction of stained cells.

Each image is clickable and will lead to virtual microscopy that enables deeper exploration of all samples and also displays staining intensity scores, fraction scores and subcellular localization as well as patient and tissue information for each sample.

Antibody HPA015242Antibody HPA015968
Purkinje cells HighMedium
Cells in granular layer Not detectedLow
Cells in molecular layer Not detectedNot detected





CEREBELLUM - HPA Brain RNA-seq
Max subtype nTPMi

Max subtype nTPM is the value for the subtype with the largest average nTPM across the subtype samples.

61.6
Sample id Sample description nTPM
Cerebellar cortex
nTPM: 46.9
1768 Female, age 72, unknown 61.3
2003 Female, age 85, right hemisphere 48.3
1774 Male, age 80, left hemisphere 45.9
2101 Male, age 74, right hemisphere 45.5
2006 Male, age 61, right hemisphere 44.6
2055 Female, age 91, right hemisphere 44.6
1788 Male, age 55, unknown 42.6
1769 Male, age 76, right hemisphere 41.9
Cerebellar nuclei
nTPM: 61.6
2175 Male, age 61, right hemisphere 73.9
2783 Female, age 72, unknown 73.1
1966 Female, age 91, left hemisphere 63.8
2005 Male, age 80, left hemisphere 63.7
1871 Male, age 74, unknown 62.1
2882 Male, age 76, left hemisphere 59.7
2177 Female, age 85, both hemispheres 59.3
1879 Male, age 55, unknown 51.2
2318 Male, age 74, left hemisphere 47.6
Flocculonodular lobe
nTPM: 42.6
1771 Male, age 80, left hemisphere 51.5
1792 Male, age 74, unknown 46.0
1835 Female, age 85, right hemisphere 44.4
1765 Male, age 55, unknown 42.8
2176 Female, age 91, right hemisphere 42.0
2004 Male, age 61, right hemisphere 38.9
1767 Male, age 76, left hemisphere 32.9
Vermis
nTPM: 45.5
1766 Male, age 55, unknown 54.1
1928 Female, age 72, unknown 50.9
1778 Female, age 91, left hemisphere 49.3
1751 Male, age 74, right hemisphere 49.0
1770 Male, age 76, left hemisphere 46.0
1825 Male, age 74, unknown 45.5
2834 Male, age 80, left hemisphere 45.4
2460 Male, age 61, both hemispheres 35.0
1988 Female, age 85, left hemisphere 34.0

CEREBELLUM - GTEx RNA-seqi

RNA-Seq data generated by the Genotype-Tissue Expression (GTEx) project from human tissues is reported as mean nTPM. More information can be found on the GTEx portal.

Distribution across the dataset is visualized with box plots, shown as median and 25th and 75th percentiles. Points are displayed as outliers if they are above or below 1.5 times the interquartile range. nTPM values of the individual samples are presented next to the box plot.
Max subtype nTPMi

Max subtype nTPM is the value for the subtype with the largest average nTPM across the subtype samples.

68.3
GTEx sample id Sample description nTPM
Brain - Cerebellar Hemisphere
Average nTPM: 68.3
Samples: 215

Max nTPM: 129.2
Min nTPM: 31.0
Std nTPM: 13.3
Median nTPM: 66.1
GTEX-13FLV-0011-R11a-SM-5LZZ7 50-59 years, male 129.2
GTEX-1B933-0011-R11a-SM-7P8PM 50-59 years, female 114.1
GTEX-13X6J-0011-R11a-SM-5P9HE 50-59 years, male 110.3
GTEX-NL4W-0011-R11A-SM-2I3DW 50-59 years, male 108.1
GTEX-N7MS-0011-R11A-SM-2HMJS 60-69 years, male 107.3
GTEX-131XW-0011-R11a-SM-5DUV9 50-59 years, female 100.1
GTEX-1LKK1-0011-R11a-SM-EXOIG 50-59 years, female 100.0
GTEX-1R9K4-0011-R11a-SM-EZ6N9 60-69 years, male 98.1
GTEX-13JUV-0011-R11a-SM-5LZYH 40-49 years, female 96.7
GTEX-1313W-0011-R11a-SM-5DUXN 50-59 years, female 95.7
GTEX-16Z82-0011-R11a-SM-79OKJ 60-69 years, male 93.3
GTEX-132Q8-0011-R11b-SM-5DUW9 60-69 years, male 92.8
GTEX-1CAV2-0011-R11a-SM-ARU8D 40-49 years, female 91.3
GTEX-1F75W-0011-R11b-SM-AHZ34 60-69 years, male 90.0
GTEX-139UW-0011-R11a-SM-5IJGN 60-69 years, male 88.9
GTEX-11ZUS-0011-R11b-SM-5BC7B 30-39 years, male 87.5
GTEX-1F6I4-0011-R11b-SM-9OSWS 60-69 years, male 86.3
GTEX-12WSI-0011-R11b-SM-5P9EZ 50-59 years, male 85.1
GTEX-16YQH-0011-R11b-SM-7LT98 30-39 years, male 84.7
GTEX-13G51-0011-R11b-SM-5J2NE 60-69 years, male 84.5
GTEX-13X6I-0011-R11a-SM-5P9HN 60-69 years, male 84.1
GTEX-17EVP-0011-R11a-SM-7EWDL 40-49 years, male 84.0
GTEX-WL46-0011-R11A-SM-3MJFT 50-59 years, male 83.3
GTEX-145MH-0011-R11a-SM-5P9HQ 50-59 years, male 82.8
GTEX-139TT-0011-R11b-SM-5LZV1 60-69 years, male 82.2
GTEX-1HBPI-0011-R11b-SM-CE6SH 50-59 years, male 82.2
GTEX-1HSKV-0011-R11b-SM-AHZ2E 60-69 years, male 82.2
GTEX-1KD4Q-0011-R11b-SM-EXOIE 40-49 years, male 82.0
GTEX-1F75A-0011-R11a-SM-AHZ35 50-59 years, male 81.5
GTEX-11DYG-0011-R11a-SM-DNZZP 60-69 years, male 81.2
GTEX-18A6Q-0011-R11a-SM-72D6H 60-69 years, male 80.4
GTEX-1IY9M-0011-R11b-SM-A96TI 60-69 years, male 80.3
GTEX-1IOXB-0011-R11a-SM-A9G1X 50-59 years, male 80.0
GTEX-1B8L1-0011-R11b-SM-793DJ 60-69 years, male 79.6
GTEX-1EKGG-0011-R11a-SM-9QEHZ 60-69 years, male 79.6
GTEX-1F7RK-0011-R11b-SM-9QEI2 20-29 years, female 78.8
GTEX-1H3VE-0011-R11b-SM-C1YRP 40-49 years, male 78.6
GTEX-1GMR8-0011-R11b-SM-9OSX2 50-59 years, female 78.5
GTEX-OHPN-0011-R11A-SM-2I5FM 60-69 years, female 78.3
GTEX-1GF9W-0011-R11b-SM-9OSXG 60-69 years, male 78.3
GTEX-14ASI-0011-R11b-SM-6AJBJ 60-69 years, male 77.9
GTEX-11ZTS-0011-R11a-SM-DO113 60-69 years, female 77.7
GTEX-15CHQ-0011-R11b-SM-686ZZ 60-69 years, male 77.4
GTEX-1JJ6O-0011-R11b-SM-EXUS2 60-69 years, male 77.1
GTEX-1H1CY-0011-R11a-SM-C1YQR 60-69 years, female 76.7
GTEX-14PN4-0011-R11a-SM-686ZW 50-59 years, male 76.4
GTEX-1CB4G-0011-R11a-SM-9OSWG 60-69 years, male 76.0
GTEX-T2IS-0011-R11A-SM-32QPC 20-29 years, female 75.9
GTEX-13OVH-0011-R11b-SM-5KM4X 70-79 years, male 75.8
GTEX-YJ89-0011-R11a-SM-4SOKA 60-69 years, male 75.7
GTEX-1B8SG-0011-R11a-SM-7P8PF 50-59 years, male 75.4
GTEX-1GZHY-0011-R11a-SM-C1YRQ 50-59 years, female 75.4
GTEX-1LG7Y-0011-R11a-SM-EXOIH 50-59 years, male 75.3
GTEX-NL3H-0011-R11A-SM-2I3E6 60-69 years, male 75.2
GTEX-1HFI6-0011-R11b-SM-A96RU 40-49 years, male 75.1
GTEX-12WSC-0011-R11a-SM-5GU5J 50-59 years, male 74.9
GTEX-11OF3-0011-R11a-SM-57WCR 60-69 years, male 74.7
GTEX-14ABY-0011-R11a-SM-5SI7C 50-59 years, male 74.4
GTEX-16GPK-0011-R11b-SM-7MKFF 60-69 years, male 74.3
GTEX-17EVQ-0011-R11a-SM-7LT9C 70-79 years, male 74.3
GTEX-N7MT-0011-R11A-SM-2I3DZ 60-69 years, female 73.7
GTEX-13N2G-0011-R11a-SM-5MR3F 60-69 years, male 73.0
GTEX-17F97-0011-R11b-SM-7KFRQ 50-59 years, male 72.8
GTEX-17JCI-0011-R11a-SM-7189Y 60-69 years, female 72.4
GTEX-WWYW-0011-R11A-SM-3NB38 50-59 years, female 72.3
GTEX-1F52S-0011-R11a-SM-CJI23 60-69 years, female 72.2
GTEX-12WSD-0011-R11a-SM-9OSVC 60-69 years, female 72.1
GTEX-1I1GV-0011-R11a-SM-CJI3Z 60-69 years, male 72.1
GTEX-1JMQJ-0011-R11a-SM-EXOJY 50-59 years, male 72.0
GTEX-ZUA1-0011-R11b-SM-51MTI 40-49 years, male 71.6
GTEX-12ZZZ-0011-R11a-SM-5EGLC 60-69 years, male 71.5
GTEX-T5JC-0011-R11A-SM-32PMB 20-29 years, male 71.5
GTEX-1I1GS-0011-R11a-SM-C1YRU 60-69 years, male 71.3
GTEX-13OW6-0011-R11a-SM-5L3H2 50-59 years, male 71.1
GTEX-14E7W-0011-R11a-SM-5ZZVA 70-79 years, male 71.0
GTEX-X261-0011-R11A-SM-4E3JY 50-59 years, male 70.8
GTEX-1HGF4-0011-R11a-SM-C1YRR 60-69 years, male 70.8
GTEX-1EMGI-0011-R11b-SM-9OSWX 60-69 years, male 70.6
GTEX-S7SE-0011-R11A-SM-2XCDD 50-59 years, male 70.5
GTEX-1J1OQ-0011-R11a-SM-A96S3 40-49 years, female 70.5
GTEX-Z93S-0011-R11a-SM-4RGNN 50-59 years, male 70.4
GTEX-1ICLZ-0011-R11a-SM-CJI3N 60-69 years, male 70.3
GTEX-13VXU-0011-R11b-SM-5O9DJ 50-59 years, male 70.2
GTEX-11DZ1-0011-R11b-SM-DO11W 50-59 years, male 69.8
GTEX-11DXY-0011-R11a-SM-DNZZN 60-69 years, male 69.5
GTEX-1H4P4-0011-R11b-SM-CE6S8 50-59 years, male 69.3
GTEX-12WSM-0011-R11a-SM-5DUX8 60-69 years, male 69.1
GTEX-16XZZ-0011-R11a-SM-7EPI3 60-69 years, male 68.6
GTEX-11EI6-0011-R11a-SM-DO11V 60-69 years, male 68.3
GTEX-1N2EE-0011-R11b-SM-EXOIJ 60-69 years, male 68.3
GTEX-ZF28-0011-R11a-SM-4WWEI 60-69 years, male 68.1
GTEX-1J8Q2-0011-R11a-SM-A9SKI 60-69 years, male 68.0
GTEX-13FXS-0011-R11a-SM-5L3DM 50-59 years, male 67.9
GTEX-1JJEA-0011-R11a-SM-EXUTE 60-69 years, male 67.9
GTEX-12WSE-0011-R11b-SM-5P9JW 20-29 years, male 67.8
GTEX-14E6D-0011-R11b-SM-664NP 50-59 years, male 67.6
GTEX-WZTO-0011-R11A-SM-4E3K9 40-49 years, male 67.5
GTEX-1IGQW-0011-R11a-SM-C1YRV 60-69 years, male 67.5
GTEX-YFC4-0011-R11a-SM-4SOK6 40-49 years, female 67.1
GTEX-1IDJH-0011-R11b-SM-C1YRT 70-79 years, male 67.1
GTEX-145MI-0011-R11a-SM-5P9JZ 60-69 years, female 66.9
GTEX-1H1DG-0011-R11a-SM-C1YQK 70-79 years, male 66.9
GTEX-13O3Q-0011-R11b-SM-5KM2W 50-59 years, male 66.8
GTEX-14C39-0011-R11b-SM-5YYAF 40-49 years, male 66.8
GTEX-11PRG-0011-R11b-SM-DNZZY 50-59 years, male 66.7
GTEX-1I1GQ-0011-R11b-SM-CKZPA 50-59 years, male 66.5
GTEX-1I19N-0011-R11b-SM-ARU6Y 70-79 years, male 66.2
GTEX-13NYS-0011-R11b-SM-5MR4P 60-69 years, male 66.1
GTEX-16NPV-0011-R11a-SM-7IGMK 50-59 years, female 66.1
GTEX-1GZ4I-0011-R11b-SM-9OSWR 50-59 years, male 65.8
GTEX-12WSF-0011-R11a-SM-5LZVT 70-79 years, male 65.6
GTEX-15ER7-0011-R11a-SM-6LPIL 20-29 years, female 65.6
GTEX-ZVZQ-0011-R11a-SM-51MS6 60-69 years, female 65.6
GTEX-1H3O1-0011-R11a-SM-A96RV 60-69 years, male 65.6
GTEX-13PLJ-0011-R11b-SM-5O9BS 60-69 years, female 65.5
GTEX-ZDXO-0011-R11a-SM-4WWD9 60-69 years, male 65.4
GTEX-P44G-0011-R11A-SM-2I3FD 30-39 years, male 65.1
GTEX-WHSE-0011-R11A-SM-3P5YY 20-29 years, male 65.0
GTEX-13OW7-0011-R11a-SM-5O9DY 50-59 years, male 64.9
GTEX-144GL-0011-R11b-SM-5P9F6 50-59 years, male 64.7
GTEX-1N2DW-0011-R11b-SM-EXOIL 50-59 years, male 64.6
GTEX-131YS-0011-R11b-SM-5EGLM 60-69 years, female 64.4
GTEX-ZVT3-0011-R11b-SM-57WBI 60-69 years, female 64.4
GTEX-1F48J-0011-R11b-SM-9OSWV 50-59 years, female 64.4
GTEX-13S7M-0011-R11b-SM-5P9HU 60-69 years, female 64.1
GTEX-13SLX-0011-R11b-SM-5O9C8 50-59 years, female 64.0
GTEX-1IKK5-0011-R11a-SM-C1YRX 60-69 years, male 64.0
GTEX-1LVAO-0011-R11b-SM-EXOI8 60-69 years, male 64.0
GTEX-1R9PO-0011-R11b-SM-EZ6NB 60-69 years, female 64.0
GTEX-1M4P7-0011-R11b-SM-EXOIK 60-69 years, male 63.7
GTEX-1A3MX-0011-R11b-SM-7DUGP 60-69 years, male 63.6
GTEX-NPJ7-0011-R11A-SM-2I3E8 60-69 years, female 63.6
GTEX-1GN73-0011-R11b-SM-9OSX4 60-69 years, male 63.5
GTEX-18465-0011-R11a-SM-72D78 50-59 years, male 63.4
GTEX-11WQC-0011-R11b-SM-57WD6 60-69 years, male 63.3
GTEX-RU72-0011-R11A-SM-CM2U1 50-59 years, female 63.3
GTEX-13OVL-0011-R11b-SM-5L3G7 50-59 years, male 63.2
GTEX-UTHO-0011-R11A-SM-3GIJE 60-69 years, male 63.2
GTEX-13RTJ-0011-R11a-SM-5O9CK 60-69 years, male 63.1
GTEX-145LU-0011-R11b-SM-5P9JX 50-59 years, male 62.7
GTEX-1I1GR-0011-R11a-SM-CM2T5 60-69 years, male 62.5
GTEX-13X6K-0011-R11a-SM-5P9F5 60-69 years, female 62.4
GTEX-RVPV-0011-R11A-SM-2TF6F 60-69 years, male 62.3
GTEX-1AX9I-0011-R11b-SM-7DHN4 60-69 years, male 62.2
GTEX-1GTWX-0011-R11b-SM-C1YQJ 60-69 years, male 62.0
GTEX-15DCD-0011-R11a-SM-D4P1R 70-79 years, female 61.9
GTEX-13FHO-0011-R11b-SM-5LZYQ 60-69 years, male 61.8
GTEX-11EMC-0011-R11b-SM-DNZZK 60-69 years, female 61.8
GTEX-1B8SF-0011-R11a-SM-79OOP 60-69 years, male 61.7
GTEX-18464-0011-R11a-SM-72D76 50-59 years, male 61.5
GTEX-11GSP-0011-R11b-SM-5NQ7V 60-69 years, female 61.4
GTEX-ZE7O-0011-R11a-SM-57WBC 50-59 years, female 61.4
GTEX-131XH-0011-R11a-SM-5EGLN 50-59 years, male 61.3
GTEX-15DYW-0011-R11a-SM-6LPIT 60-69 years, female 61.3
GTEX-13NZA-0011-R11b-SM-5KM4W 60-69 years, male 61.2
GTEX-17HII-0011-R11b-SM-7KFSX 50-59 years, male 61.0
GTEX-1I1HK-0011-R11a-SM-B2LVN 60-69 years, male 61.0
GTEX-1E1VI-0011-R11a-SM-9OSWI 50-59 years, male 60.9
GTEX-12126-0011-R11a-SM-5BC6X 20-29 years, male 60.7
GTEX-11TTK-0011-R11b-SM-DO112 60-69 years, female 60.6
GTEX-15EO6-0011-R11b-SM-6M47M 50-59 years, male 60.4
GTEX-1C64N-0011-R11b-SM-7P8Q6 50-59 years, male 60.1
GTEX-NPJ8-0011-R11A-SM-2YUMS 40-49 years, male 59.8
GTEX-1H1ZS-0011-R11a-SM-C1YQM 70-79 years, male 59.4
GTEX-12ZZX-0011-R11a-SM-5DUVJ 40-49 years, female 59.3
GTEX-Y8DK-0011-R11A-SM-4SOK2 60-69 years, male 59.3
GTEX-13FTY-0011-R11a-SM-5IJEA 40-49 years, female 59.2
GTEX-13OW5-0011-R11b-SM-5L3GG 60-69 years, male 59.0
GTEX-1HB9E-0011-R11b-SM-ARU79 50-59 years, male 59.0
GTEX-1BAJH-0011-R11b-SM-7IGLM 70-79 years, male 58.6
GTEX-13CZV-0011-R11b-SM-5N9FN 60-69 years, male 58.4
GTEX-1GMRU-0011-R11b-SM-C1YQ4 50-59 years, male 57.9
GTEX-Q2AG-0011-R11A-SM-2HMKZ 40-49 years, female 57.7
GTEX-1HCU6-0011-R11b-SM-AHZ2F 60-69 years, female 57.7
GTEX-1J8EW-0011-R11a-SM-AHZ37 60-69 years, female 57.7
GTEX-13NYB-0011-R11a-SM-5KM3Q 40-49 years, male 57.6
GTEX-WVLH-0011-R11A-SM-3MJFO 50-59 years, male 57.2
GTEX-11H98-0011-R11b-SM-5NQ6U 50-59 years, male 57.1
GTEX-1IL2U-0011-R11a-SM-CE6SO 60-69 years, male 56.7
GTEX-13JVG-0011-R11a-SM-5KM53 60-69 years, male 56.6
GTEX-1399T-0011-R11a-SM-5J2O1 60-69 years, male 56.5
GTEX-13FHP-0011-R11b-SM-5LZXP 50-59 years, male 56.4
GTEX-14BIM-0011-R11b-SM-5S2RN 60-69 years, female 56.2
GTEX-13SLW-0011-R11a-SM-5SI8Q 70-79 years, male 56.1
GTEX-1IL2V-0011-R11a-SM-ARU6T 70-79 years, male 56.1
GTEX-R55E-0011-R11A-SM-2TC6I 20-29 years, male 56.0
GTEX-1LSVX-0011-R11b-SM-EXOIA 60-69 years, male 55.9
GTEX-P44H-0011-R11A-SM-2XCER 40-49 years, male 55.2
GTEX-15G19-0011-R11b-SM-6LPIH 60-69 years, male 54.9
GTEX-14DAQ-0011-R11a-SM-664NO 60-69 years, female 54.3
GTEX-13PVQ-0011-R11a-SM-5O9DU 50-59 years, male 53.8
GTEX-14BIN-0011-R11a-SM-5SI79 50-59 years, female 53.5
GTEX-13CF2-0011-R11b-SM-5LZXO 60-69 years, male 53.4
GTEX-13OVJ-0011-R11a-SM-5P9H8 50-59 years, female 53.0
GTEX-1H3NZ-0011-R11b-SM-CE6SF 60-69 years, male 53.0
GTEX-183WM-0011-R11a-SM-718A5 70-79 years, female 52.9
GTEX-13OW8-0011-R11a-SM-5L3GT 60-69 years, male 52.7
GTEX-17HG3-0011-R11b-SM-7KFT4 30-39 years, female 52.7
GTEX-ZAB4-0011-R11a-SM-4SOKI 40-49 years, male 52.5
GTEX-TSE9-0011-R11A-SM-3DB7N 60-69 years, female 52.4
GTEX-XMD1-0011-R11A-SM-4AT5J 60-69 years, male 52.2
GTEX-ZE9C-0011-R11a-SM-4WKGG 60-69 years, male 52.0
GTEX-13O3O-0011-R11b-SM-5KM4G 60-69 years, female 51.5
GTEX-QMR6-0011-R11A-SM-32PKK 50-59 years, male 51.5
GTEX-12WSH-0011-R11a-SM-5LZVM 50-59 years, male 51.4
GTEX-14C5O-0011-R11b-SM-6872H 60-69 years, male 51.3
GTEX-1JMOU-0011-R11b-SM-EXUTA 60-69 years, female 50.9
GTEX-X585-0011-R11B-SM-46MUZ 50-59 years, male 50.8
GTEX-T6MN-0011-R11A-SM-32QOX 50-59 years, male 50.6
GTEX-1IKOH-0011-R11a-SM-AHZ38 60-69 years, female 48.6
GTEX-1HUB1-0011-R11b-SM-CE6SC 60-69 years, male 47.5
GTEX-X4XX-0011-R11A-SM-46MWQ 60-69 years, male 44.5
GTEX-QDT8-0011-R11A-SM-32PKD 30-39 years, female 43.8
GTEX-X4EP-0011-R11B-SM-4QASK 60-69 years, female 40.6
GTEX-13QIC-0011-R11b-SM-5O9BU 60-69 years, female 31.0
Show allShow less
Brain - Cerebellum
Average nTPM: 63.9
Samples: 241

Max nTPM: 89.7
Min nTPM: 37.5
Std nTPM: 8.5
Median nTPM: 64.0
GTEX-1EH9U-3126-SM-7MXU5 60-69 years, male 89.7
GTEX-1H3VE-2826-SM-9WPOL 40-49 years, male 84.7
GTEX-1B8L1-3226-SM-7P8OX 60-69 years, male 83.9
GTEX-R55E-2526-SM-2TC6H 20-29 years, male 83.3
GTEX-1JMQJ-3126-SM-EV79G 50-59 years, male 82.5
GTEX-1C6WA-3326-SM-7MKGN 60-69 years, male 82.2
GTEX-WL46-2826-SM-3LK81 50-59 years, male 82.2
GTEX-13OW7-2926-SM-5MR3Z 50-59 years, male 79.7
GTEX-1RNSC-3126-SM-EVR4V 60-69 years, male 79.4
GTEX-1F75A-2926-SM-7MXVN 50-59 years, male 78.0
GTEX-1MJK2-3026-SM-EV7A5 50-59 years, male 78.0
GTEX-1313W-3026-SM-5LZUZ 50-59 years, female 76.6
GTEX-17F97-2926-SM-7DUEQ 50-59 years, male 76.2
GTEX-1KD4Q-3026-SM-EV7A7 40-49 years, male 75.9
GTEX-131YS-3026-SM-5EGHY 60-69 years, female 75.6
GTEX-ZAK1-2926-SM-5HL9S 50-59 years, female 75.3
GTEX-11GSP-3126-SM-5A5LL 60-69 years, female 75.0
GTEX-1F48J-2726-SM-7P8PW 50-59 years, female 75.0
GTEX-13N2G-3126-SM-5IJGL 60-69 years, male 74.9
GTEX-T6MN-2526-SM-32PMN 50-59 years, male 74.9
GTEX-13G51-3126-SM-5IJG7 60-69 years, male 74.6
GTEX-16YQH-2926-SM-6LPJE 30-39 years, male 74.3
GTEX-14E6D-2926-SM-664OP 50-59 years, male 74.2
GTEX-1GZHY-3026-SM-7MXVA 50-59 years, female 74.1
GTEX-14ABY-3026-SM-664NE 50-59 years, male 74.0
GTEX-N7MS-2526-SM-2D7W3 60-69 years, male 74.0
GTEX-1NV8Z-3026-SM-DTX8Z 60-69 years, male 74.0
GTEX-11ONC-3026-SM-5985W 60-69 years, male 73.9
GTEX-15DYW-3026-SM-7KFRM 60-69 years, female 73.6
GTEX-1192X-3226-SM-5987D 50-59 years, male 73.5
GTEX-13O3Q-3026-SM-5IJGD 50-59 years, male 73.1
GTEX-T5JC-2326-SM-32PMR 20-29 years, male 72.6
GTEX-ZUA1-2926-SM-59HL3 40-49 years, male 72.5
GTEX-ZDXO-2926-SM-4WKFM 60-69 years, male 72.4
GTEX-1HBPI-2726-SM-9WPPF 50-59 years, male 72.4
GTEX-NPJ8-2626-SM-2D7W2 40-49 years, male 72.2
GTEX-T2IS-2926-SM-32QPO 20-29 years, female 72.2
GTEX-12WSM-2126-SM-5GCOC 60-69 years, male 72.1
GTEX-13OW5-3126-SM-5MR3Y 60-69 years, male 71.9
GTEX-1F75W-3126-SM-7P8SJ 60-69 years, male 71.9
GTEX-13VXU-3026-SM-5LU3K 50-59 years, male 71.7
GTEX-11NUK-3026-SM-5986K 50-59 years, male 71.5
GTEX-Y111-2826-SM-4TT3O 50-59 years, male 71.5
GTEX-11O72-2826-SM-5HL6W 40-49 years, male 71.3
GTEX-PWO3-1026-SM-2I5F2 60-69 years, female 71.2
GTEX-WVLH-2926-SM-3MJG5 50-59 years, male 71.2
GTEX-X261-3126-SM-4PQZC 50-59 years, male 71.2
GTEX-WWYW-3026-SM-3NB36 50-59 years, female 71.0
GTEX-11DXY-3126-SM-5N9BT 60-69 years, male 70.9
GTEX-13112-2926-SM-5DUWT 50-59 years, male 70.9
GTEX-11ZUS-2826-SM-5EQKW 30-39 years, male 70.8
GTEX-15ER7-3026-SM-6M47W 20-29 years, female 70.7
GTEX-13NYB-3226-SM-5J2ND 40-49 years, male 70.6
GTEX-XLM4-2926-SM-4AT59 60-69 years, male 70.5
GTEX-1E1VI-2926-SM-7IGLT 50-59 years, male 70.4
GTEX-14BIM-3126-SM-5Q5C7 60-69 years, female 70.2
GTEX-YJ89-2926-SM-5P9IT 60-69 years, male 70.2
GTEX-139TT-2626-SM-5LZUB 60-69 years, male 70.1
GTEX-YFC4-3026-SM-5IFJK 40-49 years, female 70.1
GTEX-11ZTS-3226-SM-5EGID 60-69 years, female 69.7
GTEX-Q2AG-2826-SM-2HMJQ 40-49 years, female 69.7
GTEX-12WSE-2926-SM-5RQJ9 20-29 years, male 69.6
GTEX-13FXS-3026-SM-5LZYO 50-59 years, male 69.6
GTEX-WHSE-2926-SM-3NMBG 20-29 years, male 69.6
GTEX-1E2YA-2926-SM-7MGWX 50-59 years, male 69.5
GTEX-1HB9E-3126-SM-AHZ4M 50-59 years, male 69.4
GTEX-OHPN-2626-SM-2I5H1 60-69 years, female 69.3
GTEX-UTHO-2926-SM-3P5Z9 60-69 years, male 69.3
GTEX-1HSKV-2926-SM-B2LWJ 60-69 years, male 69.3
GTEX-1JN1M-3126-SM-AHZ4E 60-69 years, female 69.3
GTEX-145MF-2826-SM-7EPGU 50-59 years, male 69.2
GTEX-1F6IF-3026-SM-7P8QN 60-69 years, male 69.1
GTEX-1I1CD-2926-SM-A96SJ 60-69 years, female 69.1
GTEX-1GF9W-2726-SM-9JGGW 60-69 years, male 68.9
GTEX-131XH-2926-SM-5LZU4 50-59 years, male 68.8
GTEX-1RDX4-3226-SM-DPS14 50-59 years, female 68.8
GTEX-1B933-3026-SM-731DB 50-59 years, female 68.5
GTEX-11DZ1-2926-SM-5A5KI 50-59 years, male 68.4
GTEX-ZYFD-2926-SM-5GID9 50-59 years, male 68.4
GTEX-1IKOH-2826-SM-CNNRC 60-69 years, female 68.4
GTEX-Z93S-2826-SM-57WBL 50-59 years, male 68.3
GTEX-1F6I4-3026-SM-7P8SI 60-69 years, male 68.2
GTEX-1399T-3126-SM-5IJFS 60-69 years, male 68.1
GTEX-1JMLX-3026-SM-EV79Q 50-59 years, male 67.8
GTEX-13OVL-3026-SM-5IJF1 50-59 years, male 67.6
GTEX-1A3MX-2926-SM-718B7 60-69 years, male 67.6
GTEX-14PN4-3026-SM-664O4 50-59 years, male 67.5
GTEX-14BMV-2926-SM-5TDEE 50-59 years, male 67.4
GTEX-1HBPH-3026-SM-9WPNY 40-49 years, female 67.4
GTEX-1CB4G-2926-SM-7MKFQ 60-69 years, male 67.3
GTEX-17EVP-2926-SM-793BU 40-49 years, male 67.1
GTEX-12ZZY-2926-SM-5DUXO 60-69 years, male 67.0
GTEX-13RTJ-3126-SM-5S2Q4 60-69 years, male 67.0
GTEX-11DXW-1026-SM-5H11K 40-49 years, male 66.9
GTEX-1B8SG-1926-SM-73KUB 50-59 years, male 66.9
GTEX-13JUV-3026-SM-5K7WX 40-49 years, female 66.8
GTEX-1EMGI-3126-SM-7MXUR 60-69 years, male 66.7
GTEX-1PIIG-2826-SM-DTX7O 30-39 years, male 66.7
GTEX-14JIY-2326-SM-6AJAJ 60-69 years, male 66.5
GTEX-1BAJH-3126-SM-7MGXY 70-79 years, male 66.5
GTEX-1H3O1-1826-SM-A96TO 60-69 years, male 66.5
GTEX-11EMC-3326-SM-5P9JH 60-69 years, female 66.4
GTEX-RU72-2926-SM-2TF66 50-59 years, female 66.4
GTEX-1POEN-2726-SM-E9U6B 30-39 years, female 66.4
GTEX-1EKGG-3126-SM-9WPO5 60-69 years, male 66.2
GTEX-1JJ6O-3026-SM-C1YQH 60-69 years, male 66.1
GTEX-13X6K-2826-SM-5O9DS 60-69 years, female 66.0
GTEX-15SHU-3026-SM-6LPIB 40-49 years, female 65.7
GTEX-ZF28-2926-SM-4WKG1 60-69 years, male 65.7
GTEX-1269C-3126-SM-5EGI6 60-69 years, female 65.6
GTEX-16XZZ-2926-SM-6LPK4 60-69 years, male 65.6
GTEX-1H1CY-3026-SM-9OSW7 60-69 years, female 65.5
GTEX-12WSD-3026-SM-5LZU7 60-69 years, female 65.4
GTEX-14JG1-2926-SM-686ZK 40-49 years, male 65.3
GTEX-13FHO-2926-SM-5L3ES 60-69 years, male 64.8
GTEX-145MH-2926-SM-5Q5D2 50-59 years, male 64.3
GTEX-1JMPZ-2826-SM-C1YRA 30-39 years, male 64.2
GTEX-13OVH-2926-SM-5IJFH 70-79 years, male 64.1
GTEX-12ZZZ-3126-SM-5LZU6 60-69 years, male 64.0
GTEX-18A6Q-2826-SM-7LTAO 60-69 years, male 64.0
GTEX-1H1DG-2826-SM-9JGHB 70-79 years, male 64.0
GTEX-14BIN-3326-SM-5Q5E6 50-59 years, female 63.9
GTEX-1H1ZS-2926-SM-9WPP2 70-79 years, male 63.9
GTEX-1QP6S-3026-SM-EAZ4N 40-49 years, male 63.9
GTEX-139TS-3126-SM-5LZWX 60-69 years, male 63.7
GTEX-1GN73-3026-SM-7MXV8 60-69 years, male 63.5
GTEX-111FC-3326-SM-5GZYV 60-69 years, male 63.3
GTEX-ZAB4-2926-SM-57WCV 40-49 years, male 62.9
GTEX-1I1GV-3026-SM-CNNR9 60-69 years, male 62.8
GTEX-1C6VR-3026-SM-7IGLW 60-69 years, male 62.7
GTEX-1LG7Y-3126-SM-EV7AS 50-59 years, male 62.7
GTEX-12WSC-2926-SM-5BC5Z 50-59 years, male 62.6
GTEX-13SLX-3226-SM-5YYA6 50-59 years, female 62.6
GTEX-17HG3-2826-SM-7EPGO 30-39 years, female 62.5
GTEX-ZZPT-2926-SM-5EQ5S 50-59 years, male 62.3
GTEX-1RQEC-3026-SM-DPRXM 60-69 years, male 62.2
GTEX-12126-0926-SM-5FQTW 20-29 years, male 62.1
GTEX-13OVJ-2726-SM-5IJG6 50-59 years, female 62.1
GTEX-13OW6-2926-SM-5KM29 50-59 years, male 61.9
GTEX-15EO6-2926-SM-6M48D 50-59 years, male 61.9
GTEX-183WM-2726-SM-7KFRF 70-79 years, female 61.9
GTEX-1JMQK-2926-SM-D4P2T 60-69 years, male 61.9
GTEX-1GF9V-3026-SM-7P8R8 60-69 years, male 61.8
GTEX-1J1OQ-3126-SM-D4P2O 40-49 years, female 61.8
GTEX-11DYG-2926-SM-5H132 60-69 years, male 61.7
GTEX-1GZ2Q-3026-SM-9JGG3 40-49 years, male 61.6
GTEX-XMD1-2826-SM-4AT5F 60-69 years, male 61.3
GTEX-1IDJH-3126-SM-C1YQS 70-79 years, male 61.3
GTEX-13X6I-2926-SM-5Q5C3 60-69 years, male 61.2
GTEX-NPJ7-2826-SM-2I3FU 60-69 years, female 61.2
GTEX-11EI6-2926-SM-5985U 60-69 years, male 61.1
GTEX-14ASI-2926-SM-5Q5DG 60-69 years, male 61.1
GTEX-14PJM-3026-SM-6LLHM 50-59 years, female 61.1
GTEX-17JCI-3026-SM-7EWDR 60-69 years, female 61.1
GTEX-1128S-2826-SM-5N9DI 60-69 years, female 61.0
GTEX-117XS-3126-SM-5GIDP 60-69 years, male 60.9
GTEX-145LU-2626-SM-5LU9Z 50-59 years, male 60.9
GTEX-1GTWX-2926-SM-7MXV4 60-69 years, male 60.9
GTEX-13CF2-3026-SM-5IFFX 60-69 years, male 60.8
GTEX-11TTK-2826-SM-5GU5K 60-69 years, female 60.6
GTEX-13FHP-2926-SM-5IJG9 50-59 years, male 60.4
GTEX-14E7W-2926-SM-5S2R8 70-79 years, male 60.4
GTEX-QVJO-1325-SM-2S1QX 60-69 years, female 60.3
GTEX-14A5I-2826-SM-5SIBF 50-59 years, female 60.2
GTEX-1JJEA-2926-SM-C1YSK 60-69 years, male 60.2
GTEX-145LS-3026-SM-5O99S 60-69 years, female 60.0
GTEX-132Q8-2926-SM-5IFFP 60-69 years, male 59.8
GTEX-17HHY-2926-SM-79OJW 50-59 years, male 59.8
GTEX-1C64N-3126-SM-79OO3 50-59 years, male 59.8
GTEX-QVUS-2926-SM-3GIJB 60-69 years, female 59.5
GTEX-RNOR-2226-SM-2TF5O 50-59 years, female 59.5
GTEX-1R46S-3126-SM-DPRZ9 60-69 years, female 59.4
GTEX-147F4-3026-SM-5Q5BJ 50-59 years, male 59.3
GTEX-Y8DK-0726-SM-4TT3S 60-69 years, male 59.2
GTEX-ZYY3-3026-SM-5GIEJ 60-69 years, female 59.2
GTEX-P44G-2526-SM-2I5EK 30-39 years, male 59.0
GTEX-1LSVX-2826-SM-EVR58 60-69 years, male 59.0
GTEX-11GSO-3026-SM-5Q5AL 60-69 years, male 58.8
GTEX-N7MT-1226-SM-DKPOK 60-69 years, female 58.7
GTEX-1H4P4-2726-SM-9JGGB 50-59 years, male 58.5
GTEX-18465-2926-SM-7KFSE 50-59 years, male 58.3
GTEX-1B8SF-3026-SM-731DX 60-69 years, male 58.0
GTEX-S7SE-2526-SM-2XCDL 50-59 years, male 58.0
GTEX-1R9PO-2826-SM-E6CPV 60-69 years, female 58.0
GTEX-11NV4-2226-SM-5BC4T 60-69 years, male 57.9
GTEX-1P4AB-3026-SM-EXOJS 50-59 years, male 57.7
GTEX-11PRG-2826-SM-5BC54 50-59 years, male 57.6
GTEX-PVOW-2626-SM-32PL8 40-49 years, male 57.4
GTEX-1EU9M-2926-SM-793DF 60-69 years, male 57.3
GTEX-1I1HK-2726-SM-AHZ2M 60-69 years, male 57.1
GTEX-12ZZX-2826-SM-5BC6K 40-49 years, female 57.0
GTEX-15G19-2826-SM-6M48K 60-69 years, male 57.0
GTEX-1EWIQ-3026-SM-7IGOJ 70-79 years, female 56.8
GTEX-17HII-2926-SM-79OMK 50-59 years, male 56.6
GTEX-13S7M-3026-SM-5S2QQ 60-69 years, female 56.5
GTEX-13JVG-3226-SM-5IJGJ 60-69 years, male 56.1
GTEX-144GL-2926-SM-5O99F 50-59 years, male 56.1
GTEX-1HSMO-2926-SM-C1YR5 60-69 years, male 56.0
GTEX-1HCVE-2926-SM-9WPPJ 50-59 years, male 55.8
GTEX-1QEPI-3026-SM-EXOIW 60-69 years, female 55.7
GTEX-1EX96-3126-SM-9JGGC 50-59 years, male 55.5
GTEX-1IL2V-3026-SM-CYPSA 70-79 years, male 55.3
GTEX-13PVQ-2926-SM-5L3HJ 50-59 years, male 55.2
GTEX-14DAQ-3026-SM-5S2QZ 60-69 years, female 55.2
GTEX-QMR6-1326-SM-32PLB 50-59 years, male 55.1
GTEX-17EVQ-2726-SM-7EWDT 70-79 years, male 54.9
GTEX-QDT8-3026-SM-32PKB 30-39 years, female 54.7
GTEX-1IY9M-3126-SM-AHZ3A 60-69 years, male 54.4
GTEX-13OW8-2926-SM-5L3FV 60-69 years, male 54.3
GTEX-11ZVC-3026-SM-59HJM 50-59 years, female 54.2
GTEX-1KWVE-2226-SM-CXZKN 30-39 years, male 53.7
GTEX-ZAJG-3026-SM-5HL92 50-59 years, female 53.6
GTEX-14JFF-2826-SM-6871Q 60-69 years, male 53.3
GTEX-12WSH-3126-SM-5LZW8 50-59 years, male 53.2
GTEX-16Z82-2926-SM-6LPJJ 60-69 years, male 53.1
GTEX-1A8G7-3026-SM-73KTT 60-69 years, male 52.9
GTEX-1PWST-3026-SM-EAZ3H 70-79 years, male 52.8
GTEX-145MG-3126-SM-5Q5D3 50-59 years, male 52.5
GTEX-13O3O-3026-SM-5KM42 60-69 years, female 52.0
GTEX-1GZ4I-2926-SM-9JGGO 50-59 years, male 52.0
GTEX-14PJO-2926-SM-686ZI 60-69 years, male 51.9
GTEX-1JJE9-3026-SM-CNNPA 70-79 years, male 51.5
GTEX-147GR-3126-SM-5S2PM 60-69 years, male 51.4
GTEX-ZVT3-2926-SM-5GU6M 60-69 years, female 50.9
GTEX-X4XX-2926-SM-3NMB1 60-69 years, male 50.3
GTEX-TSE9-2926-SM-3DB77 60-69 years, female 50.0
GTEX-1KANB-3226-SM-D4P3G 50-59 years, male 49.9
GTEX-14C39-3026-SM-5S2QE 40-49 years, male 49.8
GTEX-WZTO-2826-SM-3NM8P 40-49 years, male 49.4
GTEX-1JMOU-2826-SM-EV79R 60-69 years, female 48.9
GTEX-13X6J-2926-SM-7EPGP 50-59 years, male 48.5
GTEX-1A8G6-3126-SM-731D8 60-69 years, male 47.7
GTEX-11OC5-0626-SM-5HL6M 60-69 years, male 47.6
GTEX-X4EP-3026-SM-3P5YP 60-69 years, female 47.3
GTEX-1CB4H-3026-SM-79OLX 60-69 years, female 46.5
GTEX-1F52S-3026-SM-7P8PV 60-69 years, female 46.4
GTEX-P44H-2426-SM-2XCEJ 40-49 years, male 46.3
GTEX-14C5O-2926-SM-5RQI1 60-69 years, male 46.1
GTEX-1B996-2926-SM-7MXUH 60-69 years, male 45.9
GTEX-1H3NZ-2926-SM-9WPQ8 60-69 years, male 42.5
GTEX-13QIC-3026-SM-5LU58 60-69 years, female 37.5
Show allShow less

CEREBELLUM - FANTOM5 CAGEi

RNA expression in human tissues obtained through Cap Analysis of Gene Expression (CAGE) generated by the FANTOM5 project are reported as Scaled Tags Per Million.

Max subtype Scaled Tags Per Millioni

Max subtype Scaled Tags Per Million is the value for the subtype with the largest average Scaled Tags Per Million across the subtype samples.

43.7
FANTOM5 sample id Sample description Scaled Tags Per Million
Cerebellum
Scaled Tags Per Million: 43.7
FF:10083-102B2 22-68 years, mixed 60.8
FF:10166-103B4 76 years, female 26.6

CEREBELLUM - Pig RNA-seqi

RNA-seq data obtained from pig brain is reported as nTPM .

Normal distribution across the dataset is visualized with box plots, shown as median and 25th and 75th percentiles. Points are displayed as outliers if they are above or below 1.5 times the interquartile range. nTPM values of the individual samples are presented next to the box plot.
Max subtype nTPMi

Max subtype nTPM is the value for the subtype with the largest average nTPM across the subtype samples.

51.8
Pig sample Sample description nTPM
Cerebellum
nTPM: 51.8
Samples: 4

Max nTPM: 81.7
Min nTPM: 38.8
Sample A Female 81.7
Sample B Female 42.0
Sample C Male 38.8
Sample D Male 44.7

CEREBELLUM - Mouse RNA-seqi

RNA-seq data obtained from mouse brain is reported as nTPM .

Normal distribution across the dataset is visualized with box plots, shown as median and 25th and 75th percentiles. Points are displayed as outliers if they are above or below 1.5 times the interquartile range. nTPM values of the individual samples are presented next to the box plot.
Max subtype nTPMi

Max subtype nTPM is the value for the subtype with the largest average nTPM across the subtype samples.

222.1
Mouse sample Sample description nTPM
Cerebellum
nTPM: 222.1
Samples: 4

Max nTPM: 228.6
Min nTPM: 217.3
Sample A Male 223.8
Sample B Male 217.3
Sample C Female 228.6
Sample D Female 218.5

CEREBELLUM - Allen Mouse ISHi

In situ hybridization (ISH) data generated by the Allen brain atlas from mouse brain is reported as expression energy. For more details about a particular experiment, click on the corresponding Allen experiment ID.

Max subtype Expression energyi

Max subtype Expression energy is the value for the subtype with the largest average Expression energy across the subtype samples.

8.3
Allen experiment id Experiment description Expression energy
Cerebellum
Expression energy: 8.3
68920713 Antisense, RP_050303_01_A12, Mouse strain C57BL/6J (56 days, male) 8.3

Contact

  • NEWS ARTICLES
  • PRESS ROOM

The Project

  • INTRODUCTION
  • ORGANIZATION
  • PUBLICATIONS

The Human Protein Atlas

  • DOWNLOADABLE DATA
  • LICENCE & CITATION
  • HELP & FAQ
The Human Protein Atlas project is funded
by the Knut & Alice Wallenberg Foundation.


contact@proteinatlas.org