We use cookies to enhance the usability of our website. If you continue, we'll assume that you are happy to receive all cookies. More information. Don't show this again.
KLC1
HPA
RESOURCES
  • TISSUE
  • BRAIN
  • SINGLE CELL
  • SUBCELLULAR
  • CANCER
  • BLOOD
  • CELL LINE
  • STRUCTURE & INTERACTION
ABOUT
  • INTRODUCTION
  • HISTORY
  • ORGANIZATION
  • PUBLICATIONS
  • ANTIBODY SUBMISSION
  • ANTIBODY AVAILABILITY
  • ACKNOWLEDGMENTS
  • CONTACT
NEWS
  • NEWS ARTICLES
  • PRESS ROOM
LEARN
  • DICTIONARY
  • PROTEIN CLASSES
  • PROTEIN EVIDENCE
  • METHODS
  • EDUCATIONAL VIDEOS
DATA
  • DOWNLOADABLE DATA
  • PUBLICATION DATA
  • RELEASE HISTORY
HELP
  • ANTIBODY VALIDATION
  • ASSAYS & ANNOTATION
  • DISCLAIMER
  • HELP & FAQ
  • PRIVACY STATEMENT
  • LICENCE & CITATION
Fields »
Search result

Field
Term
Gene name
Class
Subclass
Class
Keyword
Chromosome
External id
Tissue
Cell type
Expression
Antibody panel
Tissue
Main location
Patient ID
Annotation
Tissue
Category
Tau score
Cluster
Reliability
Brain region
Category
Tau score
Brain region
Category
Tau score
Brain region
Category
Tau score
Cluster
Reliability
Tissue
Cell type
Enrichment
Cell type
Category
Tau score
Cell type
Category
Tau score
Cell type
Category
Tau score
Cell lineage
Category
Tau score
Cluster
Cluster
Location
Searches
Location
Cell line
Class
Type
Phase
Reliability
Cancer
Prognosis
Cancer
Category
Cancer
Category
Tau score
Cluster
Variants
Interacting gene (ensg_id)
Type
Number of interactions
Pathway
Category
Score
Score
Score
Validation
Validation
Validation
Validation
Antibodies
Data type
Column


  • SUMMARY

  • TISSUE

  • BRAIN

  • SINGLE CELL

  • SUBCELL

  • CANCER

  • BLOOD

  • CELL LINE

  • STRUCT & INT

  • KLC1
TISSUE PRIMARY DATA BREAST Show tissue menu
ADIPOSE TISSUE ADRENAL GLAND AMYGDALA APPENDIX BASAL GANGLIA BONE MARROW BREAST BRONCHUS CEREBELLUM CEREBRAL CORTEX CERVIX CHOROID PLEXUS COLON DUODENUM
ENDOMETRIUM EPIDIDYMIS ESOPHAGUS FALLOPIAN TUBE GALLBLADDER HEART MUSCLE HIPPOCAMPAL FORMATION HYPOTHALAMUS KIDNEY LIVER LUNG LYMPH NODE MIDBRAIN NASOPHARYNX
ORAL MUCOSA OVARY PANCREAS PARATHYROID GLAND PITUITARY GLAND PLACENTA PROSTATE RECTUM RETINA SALIVARY GLAND SEMINAL VESICLE SKELETAL MUSCLE SKIN SMALL INTESTINE
SMOOTH MUSCLE SOFT TISSUE SPINAL CORD SPLEEN STOMACH TESTIS THYMUS THYROID GLAND TONGUE TONSIL URINARY BLADDER VAGINA
ANTIBODIES
AND
VALIDATION
Dictionary
Breast
Tissue proteome
Breast
BREAST - Expression summary
Protein expression
Breasti

On the top, protein expression in current human tissue, based on all annotated cell types, is reported with the units not detected (n), low (l), medium (m) and high (h). Underneath, protein expression in each annotated cell type are reported using the same units.

Protein expression data is based on knowledge-based annotation. For genes where more than one antibody has been used, a collective score is set.

If knowledge-based annotation could not be performed for a gene, no data is displayed here. View antibody staining data further down this page.

h
m
l
n
Adipocytes: Not detected
Glandular cells: Not detected
Myoepithelial cells: Not detected
RNA expressioni

A summary of mRNA expression data available for current tissue based on several datasets. The mRNA expression levels in human tissues are based on RNA-seq data generated by the Human Protein Atlas (HPA), Genotype-Tissue Expression (GTEx) portal and CAGE data generated by the FANTOM5 consortium. Consensus normalized expression levels for human tissues was created by combining the data from HPA and GTEx datasets.

The mRNA expression levels in pig are based on RNA-seq data generated by the Human Protein Atlas (HPA), and for mouse, HPA data and in situ hybridization generated by the Allen brain atlas are reported.

Scroll down to view mRNA expression data in more detail.
Consensus:60.9 nTPM
HPA:39.2 nTPM
GTEx:60.9 nTPM
FANTOM5:110.3 Scaled Tags Per Million

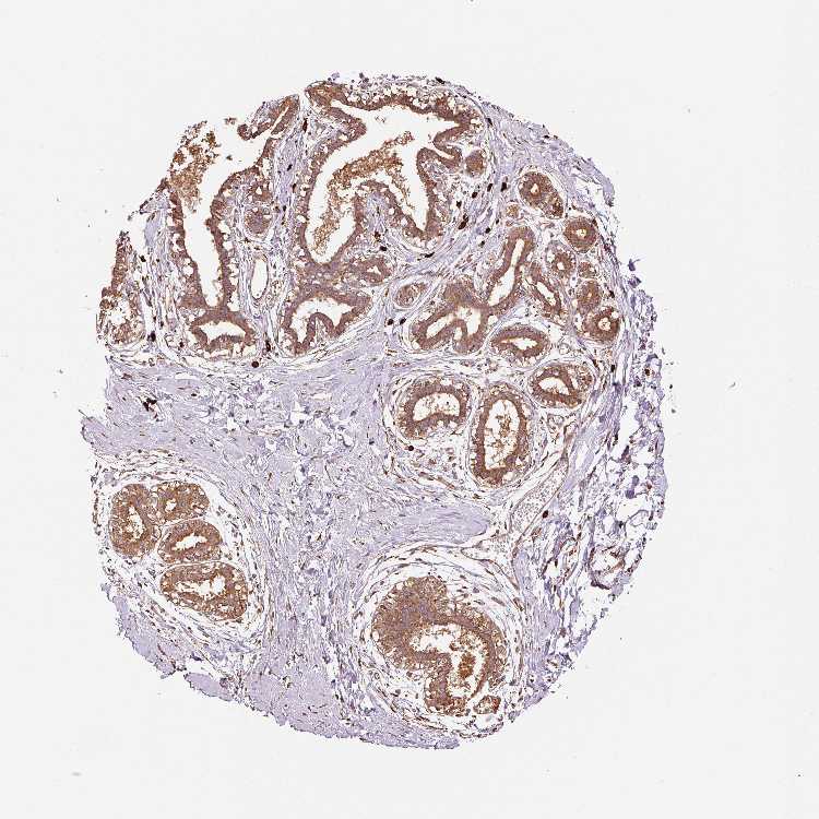
BREAST - Antibody stainingi

Antibody staining in the annotated cell types in the current human tissue is reported as not detected, low, medium, or high, based on conventional immunohistochemistry profiling in selected tissues. This score is based on the combination of the staining intensity and fraction of stained cells.

Each image is clickable and will lead to virtual microscopy that enables deeper exploration of all samples and also displays staining intensity scores, fraction scores and subcellular localization as well as patient and tissue information for each sample.

Antibody HPA044617Antibody HPA052450Antibody CAB009798
Adipocytes Not detected-Not detected
Glandular cells MediumHighLow
Myoepithelial cells MediumMediumNot detected




BREAST - HPA RNA-seqi

The RNA-seq details section shows detailed information about the individual samples used for the transcript profiling and results of the RNA-seq analysis.

Information about each individual sample is listed below, including gender, age, a tissue section image and estimated fractions of cell types. nTPM (normalized transcripts per million) values give a quantification of the gene abundance which is comparable between different genes and samples.
Average nTPMi

Max subtype nTPM is the value for the subtype with the largest average nTPM across the subtype samples.

39.2
overview
Female, age 52
Breast sample 373
nTPM: 36
Cell types%
Glandular cells:
15

Adipocytes:
5

Other cell types:
80

overview
Female, age 80
Breast sample 390
nTPM: 44.4
Cell types%
Glandular cells:
5

Adipocytes:
15

Other cell types:
80

overview
Female, age 47
Breast sample 405
nTPM: 35.7
Cell types%
Glandular cells:
5

Adipocytes:
5

Other cell types:
90

overview
Female, age 38
Breast sample 410
nTPM: 40.9
Cell types%
Glandular cells:
40

Adipocytes:
5

Other cell types:
55


BREAST - GTEx RNA-seqi

RNA-Seq data generated by the Genotype-Tissue Expression (GTEx) project from human tissues is reported as mean nTPM. More information can be found on the GTEx portal.

Distribution across the dataset is visualized with box plots, shown as median and 25th and 75th percentiles. Points are displayed as outliers if they are above or below 1.5 times the interquartile range. nTPM values of the individual samples are presented next to the box plot.
Max subtype nTPMi

Max subtype nTPM is the value for the subtype with the largest average nTPM across the subtype samples.

60.9
GTEx sample id Sample description nTPM
Breast - Mammary Tissue
Average nTPM: 60.9
Samples: 459

Max nTPM: 100.5
Min nTPM: 36.6
Std nTPM: 10.7
Median nTPM: 60.2
GTEX-1IDFM-0426-SM-B2LVV 60-69 years, male 100.5
GTEX-1IDJH-2226-SM-E6CJV 70-79 years, male 99.4
GTEX-11WQK-2426-SM-5GU5C 50-59 years, male 94.9
GTEX-1N2EF-2226-SM-E9J33 60-69 years, male 91.1
GTEX-17MF6-0326-SM-7EPH5 40-49 years, male 87.7
GTEX-1C6WA-2426-SM-7SB86 60-69 years, male 87.2
GTEX-1F75B-0626-SM-7SB8A 50-59 years, male 87.1
GTEX-1PPH7-0826-SM-E8VNX 40-49 years, male 86.8
GTEX-1JMOU-2026-SM-CMKGU 60-69 years, female 85.8
GTEX-1LSVX-2426-SM-E6CJX 60-69 years, male 85.4
GTEX-1HBPM-0126-SM-ARL9E 60-69 years, female 85.0
GTEX-1NV8Z-2826-SM-E8VME 60-69 years, male 85.0
GTEX-13N1W-0626-SM-5MR4U 70-79 years, male 84.5
GTEX-1IGQW-0926-SM-ADEH6 60-69 years, male 83.3
GTEX-1GF9V-2526-SM-7SB8K 60-69 years, male 83.2
GTEX-1JN6P-2426-SM-ARL99 60-69 years, male 82.5
GTEX-11TUW-1826-SM-5BC5D 60-69 years, male 82.4
GTEX-17EVQ-0426-SM-7LG57 70-79 years, male 81.7
GTEX-14753-2426-SM-5LU8U 60-69 years, male 81.5
GTEX-13VXU-2826-SM-664MA 50-59 years, male 81.4
GTEX-1JMLX-2026-SM-CMKGN 50-59 years, male 80.7
GTEX-XQ8I-2426-SM-4WAXY 50-59 years, male 80.4
GTEX-13W46-0826-SM-5LU3H 50-59 years, male 80.0
GTEX-1I1GP-0426-SM-COH3N 50-59 years, male 80.0
GTEX-1JN1M-3026-SM-CMKGK 60-69 years, female 79.8
GTEX-14DAR-1326-SM-7DUEG 50-59 years, male 79.4
GTEX-1I19N-2826-SM-CL55D 70-79 years, male 79.4
GTEX-YFCO-1826-SM-4W1YH 40-49 years, male 78.9
GTEX-1KD5A-1926-SM-DKPQA 50-59 years, male 78.9
GTEX-11OF3-1926-SM-59889 60-69 years, male 78.5
GTEX-1H23P-0726-SM-9WG7K 60-69 years, male 78.5
GTEX-1R7EV-1526-SM-E8VOD 40-49 years, male 78.2
GTEX-12WSM-1726-SM-5BC6J 60-69 years, male 78.0
GTEX-14PJ4-2126-SM-6ETZJ 60-69 years, male 77.9
GTEX-1KAFJ-0226-SM-DIPEL 50-59 years, male 77.9
GTEX-14E7W-0826-SM-62LEJ 70-79 years, male 77.6
GTEX-ZLFU-2126-SM-DO931 40-49 years, male 77.6
GTEX-1MA7X-1626-SM-E9U5B 60-69 years, male 77.4
GTEX-1KD4Q-2326-SM-D4P3M 40-49 years, male 77.3
GTEX-13PVQ-1026-SM-5KM3M 50-59 years, male 77.1
GTEX-1JKYR-0926-SM-CMKGJ 20-29 years, male 77.0
GTEX-1HSEH-2026-SM-ADEHN 60-69 years, male 76.8
GTEX-YJ8O-2226-SM-5IFHW 40-49 years, female 76.7
GTEX-1IOXB-1926-SM-ARL8E 50-59 years, male 76.7
GTEX-17GQL-0326-SM-7LG5U 60-69 years, male 76.6
GTEX-1PPGY-1526-SM-EVYBK 60-69 years, male 76.4
GTEX-X62O-0526-SM-EWRMA 50-59 years, male 76.4
GTEX-1JMPZ-1626-SM-COH31 30-39 years, male 76.1
GTEX-ZVT4-1026-SM-57WC4 50-59 years, female 76.0
GTEX-1HSMO-0826-SM-ADEIV 60-69 years, male 76.0
GTEX-1EKGG-2626-SM-7IGPY 60-69 years, male 75.6
GTEX-1JKYN-0726-SM-ARZMY 30-39 years, male 74.7
GTEX-1L5NE-2126-SM-CY8IH 50-59 years, male 74.7
GTEX-ZZ64-1226-SM-5E43R 20-29 years, male 74.4
GTEX-1MJK3-1126-SM-E9J3F 20-29 years, male 74.4
GTEX-1HT8W-2226-SM-CGQEC 30-39 years, male 74.2
GTEX-ZUA1-1526-SM-59HLS 40-49 years, male 74.0
GTEX-1KXAM-1026-SM-CY8IA 60-69 years, male 73.7
GTEX-YEC3-1026-SM-5IFI5 50-59 years, male 73.3
GTEX-1AX9J-1126-SM-731B7 60-69 years, male 73.2
GTEX-XMD1-0826-SM-4AT52 60-69 years, male 73.2
GTEX-1QMI2-0726-SM-E9J4F 60-69 years, male 73.0
GTEX-11P82-1326-SM-5HL62 20-29 years, male 72.9
GTEX-145MF-2226-SM-7EPIR 50-59 years, male 72.5
GTEX-15UF6-0126-SM-6PAMB 70-79 years, female 72.2
GTEX-1B8L1-2426-SM-9WYTE 60-69 years, male 72.0
GTEX-1E2YA-2726-SM-7IGPW 50-59 years, male 71.6
GTEX-17F9E-2526-SM-7MGW2 50-59 years, male 71.6
GTEX-1M4P7-2626-SM-E9U5F 60-69 years, male 71.6
GTEX-1117F-2826-SM-5GZXL 60-69 years, female 71.5
GTEX-1QW4Y-1026-SM-DTXE2 30-39 years, male 71.1
GTEX-18A7B-2626-SM-7LG55 70-79 years, male 70.9
GTEX-XGQ4-0926-SM-4AT4U 50-59 years, male 70.9
GTEX-13O3Q-2226-SM-5KM4O 50-59 years, male 70.8
GTEX-1A3MX-2726-SM-718B6 60-69 years, male 70.7
GTEX-PSDG-1626-SM-48TCQ 50-59 years, male 70.7
GTEX-ZT9W-2026-SM-51MRA 50-59 years, male 70.6
GTEX-1EN7A-1426-SM-7PBY4 40-49 years, male 70.6
GTEX-15RJE-2626-SM-7KFT1 40-49 years, male 70.5
GTEX-1JK1U-1826-SM-ARL8W 60-69 years, male 70.4
GTEX-12WSK-2226-SM-5GCO5 40-49 years, female 70.3
GTEX-12ZZX-1126-SM-5EGKB 40-49 years, female 70.3
GTEX-S7SE-0826-SM-4AT4D 50-59 years, male 70.2
GTEX-12KS4-0126-SM-5Q5A5 30-39 years, male 70.1
GTEX-ZA64-1526-SM-5CVMD 20-29 years, male 70.0
GTEX-1HCU8-0126-SM-ADEHH 60-69 years, female 69.9
GTEX-144GL-2026-SM-5LU3O 50-59 years, male 69.7
GTEX-1EWIQ-1726-SM-7SB7T 70-79 years, female 69.7
GTEX-13O61-1826-SM-5KM4I 60-69 years, male 69.4
GTEX-1KANC-1426-SM-CYPT9 50-59 years, female 69.4
GTEX-14E6C-1326-SM-62LEQ 40-49 years, male 69.2
GTEX-S32W-2026-SM-4AD6E 50-59 years, female 69.2
GTEX-11DXY-2326-SM-5GICW 60-69 years, male 69.0
GTEX-11O72-2126-SM-5N9FO 40-49 years, male 69.0
GTEX-ZDXO-0126-SM-5S2ND 60-69 years, male 69.0
GTEX-1HR98-0426-SM-COH36 60-69 years, male 69.0
GTEX-18A6Q-0926-SM-7LG4N 60-69 years, male 68.8
GTEX-1HCU7-1026-SM-ADEIP 50-59 years, male 68.6
GTEX-11ZTT-2326-SM-5EQLG 60-69 years, female 68.5
GTEX-12WSN-1326-SM-5GCNT 40-49 years, male 68.5
GTEX-132NY-0826-SM-5K7Y7 60-69 years, male 68.5
GTEX-ZYW4-0826-SM-5GIDG 60-69 years, male 68.5
GTEX-1I1GU-1026-SM-ADEHJ 40-49 years, male 68.4
GTEX-12BJ1-1826-SM-5HL9N 60-69 years, male 68.3
GTEX-1B8KZ-1526-SM-7DUG7 50-59 years, male 68.3
GTEX-1H11D-1526-SM-9MQJY 40-49 years, male 68.3
GTEX-1GN1U-0526-SM-9KNTT 50-59 years, female 68.1
GTEX-1GPI7-0926-SM-7PC3J 20-29 years, male 68.1
GTEX-13113-5013-SM-7SB7G 60-69 years, female 67.9
GTEX-1F6I4-2526-SM-7SB8F 60-69 years, male 67.9
GTEX-1JJE9-2326-SM-ARL8Q 70-79 years, male 67.7
GTEX-1NHNU-0926-SM-E9J2T 50-59 years, male 67.7
GTEX-13OW8-0226-SM-5K7UP 60-69 years, male 67.6
GTEX-1HFI7-0126-SM-CGQFQ 50-59 years, female 67.6
GTEX-11NV4-2026-SM-5N9DG 60-69 years, male 67.4
GTEX-R55D-0826-SM-48FEA 50-59 years, male 67.4
GTEX-14A5I-0726-SM-5TDEB 50-59 years, female 67.3
GTEX-183WM-0726-SM-7LTAA 70-79 years, female 67.3
GTEX-1MJK2-2226-SM-EVYCR 50-59 years, male 67.1
GTEX-117XS-1926-SM-5GICO 60-69 years, male 67.0
GTEX-X4XY-0926-SM-4E3JD 60-69 years, male 67.0
GTEX-1I6K6-0826-SM-ARL7Z 30-39 years, male 67.0
GTEX-1IDJU-1826-SM-CMKHV 60-69 years, female 66.9
GTEX-1C64O-0726-SM-7DUFU 60-69 years, male 66.8
GTEX-13O3P-0826-SM-5L3DH 50-59 years, male 66.7
GTEX-14BMV-0626-SM-793AU 50-59 years, male 66.5
GTEX-1JMQK-2626-SM-COH2W 60-69 years, male 66.5
GTEX-1F75A-1826-SM-7SB8G 50-59 years, male 66.4
GTEX-QVJO-1826-SM-447C9 60-69 years, female 66.3
GTEX-ZWKS-2826-SM-5NQ74 30-39 years, male 66.2
GTEX-1192X-2326-SM-5987X 50-59 years, male 66.1
GTEX-11EI6-0626-SM-5985T 60-69 years, male 66.0
GTEX-1AX9I-0726-SM-73KWV 60-69 years, male 66.0
GTEX-RU72-0626-SM-46MUI 50-59 years, female 65.8
GTEX-ZV6S-1826-SM-5NQ8D 40-49 years, female 65.7
GTEX-ZYFC-0826-SM-5E44K 50-59 years, male 65.7
GTEX-145ME-1526-SM-5Q5F2 40-49 years, female 65.4
GTEX-145MN-1926-SM-5SIAI 30-39 years, male 65.4
GTEX-WHSB-1926-SM-EXOHH 50-59 years, male 65.4
GTEX-1LC47-1226-SM-D4P44 60-69 years, male 65.3
GTEX-183FY-1126-SM-7DHLJ 20-29 years, male 65.1
GTEX-18A7A-0726-SM-7LTAI 50-59 years, female 65.1
GTEX-1OKEX-0826-SM-E9J2B 60-69 years, male 65.1
GTEX-REY6-2426-SM-48FF5 60-69 years, male 65.0
GTEX-1IDJF-2326-SM-ARL86 20-29 years, male 64.9
GTEX-17JCI-0726-SM-7EPH1 60-69 years, female 64.8
GTEX-11EMC-2026-SM-5A5JV 60-69 years, female 64.4
GTEX-ZAB4-2526-SM-5HL8M 40-49 years, male 64.4
GTEX-1C475-1226-SM-7SB72 40-49 years, female 64.4
GTEX-18465-2026-SM-718AP 50-59 years, male 64.3
GTEX-WOFL-0826-SM-3MJG1 60-69 years, male 64.3
GTEX-T2IS-1526-SM-32QPR 20-29 years, female 64.2
GTEX-X4EP-2926-SM-3P5YQ 60-69 years, female 64.2
GTEX-U3ZH-1426-SM-4DXSR 30-39 years, male 64.1
GTEX-1ICLY-1726-SM-B2LVT 50-59 years, male 64.1
GTEX-1IKOH-2326-SM-CM2TW 60-69 years, female 64.1
GTEX-17HGU-1326-SM-79OKB 50-59 years, male 63.9
GTEX-147F4-2826-SM-5NQBN 50-59 years, male 63.8
GTEX-X261-0626-SM-3NMD9 50-59 years, male 63.7
GTEX-ZU9S-1926-SM-5NQBP 30-39 years, male 63.7
GTEX-169BO-1126-SM-7MGWN 50-59 years, male 63.7
GTEX-11ZUS-0826-SM-5FQUY 30-39 years, male 63.6
GTEX-14E6E-1326-SM-5S2NR 30-39 years, male 63.6
GTEX-ZVE2-1226-SM-5NQ8R 50-59 years, male 63.6
GTEX-18D9A-1526-SM-7LG4J 30-39 years, female 63.5
GTEX-11GS4-2126-SM-5A5KR 60-69 years, male 63.4
GTEX-17F96-2426-SM-7IGLN 70-79 years, male 63.4
GTEX-17MFQ-0926-SM-7LG4S 20-29 years, male 63.4
GTEX-1J8Q2-2726-SM-A9G2X 60-69 years, male 63.4
GTEX-145MO-0826-SM-5NQBL 60-69 years, male 63.3
GTEX-1I1HK-2426-SM-ADEHX 60-69 years, male 63.3
GTEX-ZAK1-1326-SM-EVYAS 50-59 years, female 63.3
GTEX-1QP28-1226-SM-E9J2M 50-59 years, female 63.1
GTEX-ZDTT-2126-SM-DKPOM 60-69 years, male 63.1
GTEX-11EQ9-1826-SM-5Q5AJ 30-39 years, male 63.0
GTEX-1GF9U-1726-SM-7MGY5 40-49 years, female 63.0
GTEX-139T6-1626-SM-5PNYZ 50-59 years, male 62.9
GTEX-ZF3C-2326-SM-5S2NC 50-59 years, female 62.9
GTEX-1GF9X-1026-SM-ACKX2 40-49 years, female 62.8
GTEX-1GMRU-0826-SM-9WYT7 50-59 years, male 62.8
GTEX-1LNCM-0226-SM-DIPF4 50-59 years, female 62.8
GTEX-1314G-1226-SM-5BC6D 30-39 years, male 62.7
GTEX-UJHI-1426-SM-3DB9C 50-59 years, female 62.7
GTEX-Y8E4-1626-SM-5S2MW 40-49 years, male 62.7
GTEX-R3RS-0626-SM-48FE1 40-49 years, female 62.6
GTEX-11LCK-2426-SM-5HL5F 30-39 years, male 62.5
GTEX-1313W-0826-SM-5EQ4T 50-59 years, female 62.4
GTEX-S4Q7-1126-SM-4AD6R 20-29 years, male 62.4
GTEX-1K2DA-1726-SM-CGQGS 50-59 years, male 62.4
GTEX-1N5O9-1126-SM-DTXEQ 60-69 years, male 62.3
GTEX-11DXW-0626-SM-5N9ER 40-49 years, male 62.2
GTEX-139T8-0826-SM-5L3DE 60-69 years, male 62.2
GTEX-14LLW-0626-SM-62LFC 70-79 years, female 62.2
GTEX-ZYT6-0126-SM-5E45J 30-39 years, male 62.2
GTEX-13O3O-0826-SM-5K7WE 60-69 years, female 62.1
GTEX-1AMEY-1026-SM-718AA 30-39 years, female 62.1
GTEX-Y5V6-2126-SM-4WWFX 60-69 years, male 62.1
GTEX-1GZ4I-2826-SM-9MQK5 50-59 years, male 62.1
GTEX-1B8KE-1226-SM-73KWK 50-59 years, male 62.0
GTEX-1HCVE-2626-SM-ADEJ8 50-59 years, male 62.0
GTEX-1IKJJ-2326-SM-COH3U 60-69 years, male 62.0
GTEX-11WQC-1726-SM-5GU4W 60-69 years, male 61.9
GTEX-15EOM-5019-SM-793DK 20-29 years, female 61.9
GTEX-13W3W-1226-SM-5LU4H 60-69 years, female 61.8
GTEX-Y111-2026-SM-4SOJA 50-59 years, male 61.8
GTEX-1HUB1-1626-SM-CM2SL 60-69 years, male 61.8
GTEX-WYJK-1326-SM-3NB2T 50-59 years, male 61.7
GTEX-1B932-0826-SM-73KXG 40-49 years, female 61.6
GTEX-1GMR8-0726-SM-9KNVI 50-59 years, female 61.6
GTEX-132Q8-1426-SM-5EGK7 60-69 years, male 61.5
GTEX-1LVAN-1326-SM-CNPQE 50-59 years, female 61.4
GTEX-1MCYP-0126-SM-E6CIS 20-29 years, female 61.4
GTEX-1269C-2426-SM-5FQSN 60-69 years, female 61.3
GTEX-15ER7-1626-SM-6PAMZ 20-29 years, female 61.3
GTEX-U8XE-0826-SM-4E3J1 30-39 years, male 61.2
GTEX-ZDYS-1126-SM-5K7UB 50-59 years, male 61.2
GTEX-YECK-0726-SM-EZ6LV 60-69 years, male 61.2
GTEX-17F97-2526-SM-7EWDV 50-59 years, male 61.0
GTEX-1HCUA-0726-SM-ACKVU 50-59 years, female 60.8
GTEX-13OW5-2226-SM-5L3HC 60-69 years, male 60.7
GTEX-WYBS-0926-SM-3NM94 60-69 years, female 60.7
GTEX-T2YK-2226-SM-32QPT 50-59 years, male 60.6
GTEX-1S82U-1126-SM-E9U6I 30-39 years, female 60.6
GTEX-1GZHY-0726-SM-9WG6B 50-59 years, female 60.5
GTEX-1MCC2-2126-SM-EWRON 30-39 years, female 60.5
GTEX-13SLX-2326-SM-5ZZWE 50-59 years, female 60.4
GTEX-13NZ8-0126-SM-5IJCT 60-69 years, female 60.3
GTEX-1C6VQ-0426-SM-79OOX 50-59 years, male 60.3
GTEX-ZQG8-0726-SM-5P9H9 60-69 years, female 60.3
GTEX-V955-2026-SM-3GAFA 60-69 years, male 60.2
GTEX-13SLW-2526-SM-62LDQ 70-79 years, male 60.1
GTEX-ZQUD-1926-SM-51MSA 30-39 years, male 60.1
GTEX-1HR9M-2426-SM-ACKXI 60-69 years, male 60.1
GTEX-XUW1-2326-SM-4BOO5 50-59 years, female 60.0
GTEX-1H1CY-2226-SM-9WG7E 60-69 years, female 60.0
GTEX-1GZ4H-0326-SM-7P8QX 50-59 years, female 59.8
GTEX-11GSO-1926-SM-5A5K3 60-69 years, male 59.7
GTEX-13D11-1026-SM-5IJFB 50-59 years, female 59.7
GTEX-1HCU9-0326-SM-9WYSC 20-29 years, male 59.7
GTEX-11GSP-0926-SM-9WYSG 60-69 years, female 59.6
GTEX-18A66-1726-SM-7LG5N 60-69 years, male 59.6
GTEX-1C6VS-0726-SM-7EPHF 60-69 years, male 59.5
GTEX-ZV7C-1826-SM-5NQ83 50-59 years, male 59.5
GTEX-1LGRB-1826-SM-CNPQL 50-59 years, female 59.5
GTEX-WXYG-2226-SM-4E3IM 50-59 years, female 59.4
GTEX-1H3VY-0926-SM-ACKXE 50-59 years, male 59.4
GTEX-Y9LG-1426-SM-5IFJZ 30-39 years, male 59.3
GTEX-1M5QR-2526-SM-E9U5P 40-49 years, male 59.3
GTEX-UTHO-1026-SM-3GAF7 60-69 years, male 59.2
GTEX-ZAJG-0626-SM-5HL8X 50-59 years, female 59.1
GTEX-1HSKV-2026-SM-CMKGX 60-69 years, male 59.1
GTEX-1S82Z-0726-SM-E6CHX 30-39 years, female 59.1
GTEX-11DXZ-1926-SM-5GZZL 50-59 years, male 58.9
GTEX-1K9T9-1426-SM-DIPFQ 50-59 years, female 58.9
GTEX-U412-1826-SM-4DXTJ 60-69 years, male 58.8
GTEX-13CF3-2126-SM-5IFJP 60-69 years, female 58.7
GTEX-14AS3-1626-SM-5S2OY 40-49 years, female 58.6
GTEX-XQ3S-1326-SM-4BOPQ 20-29 years, male 58.6
GTEX-132AR-0826-SM-5EGK6 50-59 years, female 58.5
GTEX-WI4N-1426-SM-3LK7H 40-49 years, female 58.5
GTEX-13FTW-1426-SM-5LZWZ 40-49 years, male 58.4
GTEX-1R46S-2526-SM-E8VN2 60-69 years, female 58.4
GTEX-1HSGN-1526-SM-A9SMO 40-49 years, female 58.3
GTEX-1LG7Z-0726-SM-CXKYD 30-39 years, male 58.3
GTEX-14B4R-1226-SM-5TDDT 30-39 years, male 58.2
GTEX-WY7C-2726-SM-3NB3P 50-59 years, male 58.2
GTEX-1GMR3-2626-SM-7RHHG 40-49 years, male 58.2
GTEX-13PL6-2926-SM-5L3I2 40-49 years, female 58.1
GTEX-XMD2-0926-SM-4WWEF 60-69 years, female 58.1
GTEX-Y5V5-2126-SM-4WWFO 60-69 years, female 58.1
GTEX-1J8Q3-1326-SM-CMKI1 60-69 years, male 58.1
GTEX-ZLWG-1926-SM-DO92J 50-59 years, female 57.9
GTEX-146FH-0826-SM-5SI8T 50-59 years, female 57.8
GTEX-14PKU-0426-SM-6EU1P 40-49 years, female 57.8
GTEX-17KNJ-2026-SM-7LG53 50-59 years, male 57.7
GTEX-15SHW-1326-SM-6PAL8 60-69 years, male 57.6
GTEX-RUSQ-2026-SM-4GIAK 50-59 years, male 57.6
GTEX-1P4AB-1826-SM-E76PU 50-59 years, male 57.6
GTEX-QMRM-1626-SM-D4P1U 50-59 years, male 57.5
GTEX-TKQ1-0226-SM-33HB5 30-39 years, male 57.4
GTEX-1GN1W-1926-SM-7P8TH 50-59 years, female 57.4
GTEX-15UF7-0726-SM-6M46D 40-49 years, male 57.3
GTEX-RWS6-1926-SM-47JXY 60-69 years, female 57.3
GTEX-1I1GV-2426-SM-CGQFM 60-69 years, male 57.3
GTEX-1IY9M-2726-SM-CMKG5 60-69 years, male 57.3
GTEX-13FHO-0826-SM-5L3E8 60-69 years, male 57.2
GTEX-1ICLZ-0426-SM-B2LW2 60-69 years, male 57.1
GTEX-1H1ZS-0126-SM-9YFKQ 70-79 years, male 57.0
GTEX-11I78-2226-SM-5PNYA 50-59 years, female 56.9
GTEX-UPK5-2326-SM-3P5Z8 40-49 years, male 56.9
GTEX-1GPI6-0626-SM-7RHHJ 60-69 years, male 56.9
GTEX-1IE54-0626-SM-ARL8D 40-49 years, female 56.9
GTEX-1J8EW-2626-SM-CL53E 60-69 years, female 56.9
GTEX-1QP9N-1826-SM-E8VMP 30-39 years, male 56.9
GTEX-1I4MK-1626-SM-CM2TJ 50-59 years, female 56.8
GTEX-1R9PM-1826-SM-EVYBH 20-29 years, male 56.8
GTEX-13PVR-2226-SM-7DHKP 60-69 years, female 56.6
GTEX-1A8G7-2426-SM-731AK 60-69 years, male 56.6
GTEX-1QPFJ-2026-SM-EVYBE 30-39 years, female 56.6
GTEX-ZC5H-2626-SM-5J2MG 40-49 years, female 56.5
GTEX-1LBAC-0926-SM-CXKY9 20-29 years, male 56.5
GTEX-1CB4J-1826-SM-7EWF9 60-69 years, male 56.3
GTEX-1122O-1226-SM-5H113 60-69 years, female 56.1
GTEX-1EU9M-2826-SM-7EWFH 60-69 years, male 56.1
GTEX-ZEX8-2226-SM-57WC6 50-59 years, male 56.0
GTEX-XOT4-0726-SM-4GIAW 60-69 years, female 55.9
GTEX-1CB4G-2326-SM-79OOI 60-69 years, male 55.8
GTEX-R53T-1526-SM-48FEK 50-59 years, female 55.8
GTEX-1J8QM-2026-SM-ARZMW 60-69 years, female 55.8
GTEX-117YX-1426-SM-5H12H 50-59 years, male 55.7
GTEX-17HHY-0926-SM-793C1 50-59 years, male 55.7
GTEX-11ONC-2126-SM-5HL6E 60-69 years, male 55.6
GTEX-1H4P4-2226-SM-9MQKQ 50-59 years, male 55.6
GTEX-13CF2-2026-SM-5K7VI 60-69 years, male 55.5
GTEX-YB5K-1626-SM-5IFIN 40-49 years, female 55.4
GTEX-11PRG-0826-SM-5EQ6A 50-59 years, male 55.2
GTEX-Y8LW-1626-SM-5IFHX 50-59 years, female 55.2
GTEX-1F5PL-1026-SM-7RHI1 40-49 years, female 55.2
GTEX-1HKZK-1826-SM-ADEJ2 40-49 years, male 55.2
GTEX-1LSNL-2826-SM-E9U5L 50-59 years, male 55.2
GTEX-144GM-0926-SM-5O994 20-29 years, male 55.1
GTEX-11NSD-0926-SM-5N9DR 20-29 years, male 54.9
GTEX-18QFQ-0826-SM-718AX 30-39 years, male 54.9
GTEX-YB5E-1726-SM-5IFJ3 40-49 years, male 54.9
GTEX-ZY6K-1626-SM-5GZWV 50-59 years, male 54.9
GTEX-17EUY-1926-SM-7DUF6 20-29 years, male 54.8
GTEX-1GZ2Q-2626-SM-7MXV9 40-49 years, male 54.8
GTEX-1RAZS-1226-SM-E8VMT 50-59 years, male 54.8
GTEX-13FTY-2226-SM-5J1ND 40-49 years, female 54.7
GTEX-1H1DG-0526-SM-9YFLN 70-79 years, male 54.7
GTEX-1RLM8-2226-SM-EVYD1 50-59 years, male 54.7
GTEX-U3ZN-1926-SM-4DXSG 30-39 years, female 54.6
GTEX-1JJEA-2726-SM-ARL8V 60-69 years, male 54.5
GTEX-13FTX-1126-SM-5N9EN 20-29 years, female 54.4
GTEX-133LE-1726-SM-5K7VQ 20-29 years, female 54.3
GTEX-13QIC-2326-SM-5LU5N 60-69 years, female 54.3
GTEX-16BQI-1026-SM-7KUEA 30-39 years, female 54.3
GTEX-1R9JW-0326-SM-EAZ45 30-39 years, female 54.3
GTEX-Z9EW-1526-SM-EZ6LU 40-49 years, male 54.3
GTEX-1CAMS-1426-SM-7IGPM 40-49 years, female 54.0
GTEX-1211K-1926-SM-5EQLB 60-69 years, female 53.9
GTEX-13NZB-2126-SM-5MR4Y 30-39 years, male 53.8
GTEX-S4UY-0726-SM-4AD6X 40-49 years, female 53.8
GTEX-WYVS-1726-SM-3NMAY 40-49 years, female 53.6
GTEX-XV7Q-2326-SM-4BRVZ 40-49 years, female 53.6
GTEX-111YS-1926-SM-5GICC 60-69 years, male 53.5
GTEX-13S86-1226-SM-5S2OA 40-49 years, male 53.5
GTEX-1F5PK-2126-SM-7PC28 50-59 years, male 53.5
GTEX-13QJ3-0826-SM-7DHKK 50-59 years, male 53.3
GTEX-1B97I-0426-SM-79OL7 40-49 years, male 53.2
GTEX-QDT8-0626-SM-48TYW 30-39 years, female 53.2
GTEX-1QCLZ-2326-SM-DTXDO 60-69 years, female 53.1
GTEX-17HHE-1426-SM-7EPH4 50-59 years, male 53.0
GTEX-YFC4-1426-SM-5IFJG 40-49 years, female 53.0
GTEX-ZLV1-1426-SM-DO92Z 60-69 years, female 53.0
GTEX-XBED-1626-SM-47JYN 60-69 years, male 52.9
GTEX-1A3MV-1626-SM-731C1 30-39 years, male 52.7
GTEX-1BAJH-0826-SM-7EWEF 70-79 years, male 52.7
GTEX-ZPIC-1126-SM-5BC7F 40-49 years, female 52.7
GTEX-1I6K7-1026-SM-A9SLK 40-49 years, male 52.4
GTEX-1KANA-2026-SM-DIPFB 20-29 years, male 52.4
GTEX-1QEPI-0926-SM-DTXF3 60-69 years, female 52.4
GTEX-11DZ1-0326-SM-5N9BN 50-59 years, male 52.3
GTEX-17EVP-0226-SM-79OND 40-49 years, male 52.3
GTEX-1LSNM-1326-SM-E9TJ1 50-59 years, male 52.3
GTEX-TML8-1226-SM-32QON 40-49 years, female 52.0
GTEX-WRHU-0326-SM-3MJFY 50-59 years, female 51.9
GTEX-1GMR2-1926-SM-9MQLZ 50-59 years, male 51.8
GTEX-17F98-0526-SM-79OK5 40-49 years, female 51.7
GTEX-Q2AG-0326-SM-48U1O 40-49 years, female 51.6
GTEX-1R9PN-0326-SM-DTX85 40-49 years, female 51.6
GTEX-1B933-2526-SM-7IGO5 50-59 years, female 51.5
GTEX-1B97J-0426-SM-79OLQ 50-59 years, female 51.5
GTEX-ZF29-1926-SM-5S2P1 60-69 years, female 51.5
GTEX-131YS-0626-SM-5EGKL 60-69 years, female 51.3
GTEX-14BMU-1626-SM-5TDE7 20-29 years, female 51.3
GTEX-1N2EE-2126-SM-E8VNN 60-69 years, male 51.3
GTEX-1ICG6-1326-SM-ACKWR 70-79 years, female 51.1
GTEX-1399U-1826-SM-5PNZ1 50-59 years, female 50.9
GTEX-QEL4-2126-SM-447AE 50-59 years, male 50.9
GTEX-ZVZQ-0826-SM-51MRF 60-69 years, female 50.9
GTEX-1HBPN-2326-SM-9WPPU 50-59 years, male 50.9
GTEX-1CAMR-1426-SM-793BO 20-29 years, male 50.7
GTEX-16YQH-2826-SM-6PAMY 30-39 years, male 50.6
GTEX-1AX8Z-0926-SM-731AW 60-69 years, male 50.6
GTEX-1I1GT-1126-SM-ARL7J 60-69 years, female 50.6
GTEX-131XW-0726-SM-5EGK3 50-59 years, female 50.4
GTEX-Y3I4-1526-SM-4TT7K 50-59 years, male 50.4
GTEX-14ICK-2426-SM-6EU27 40-49 years, male 50.3
GTEX-16NGA-0826-SM-718AF 40-49 years, female 50.3
GTEX-T6MO-0326-SM-32QOK 40-49 years, female 50.3
GTEX-ZZPU-0626-SM-5E43T 50-59 years, female 50.3
GTEX-1QP29-1726-SM-E8VMQ 50-59 years, male 50.3
GTEX-11P81-1926-SM-5BC53 30-39 years, female 50.2
GTEX-139TU-0626-SM-5KM3X 60-69 years, male 50.1
GTEX-WFON-1826-SM-3GILG 40-49 years, male 50.0
GTEX-1H1E6-0926-SM-9YFLT 30-39 years, male 50.0
GTEX-ZTX8-1226-SM-4YCE9 20-29 years, male 49.9
GTEX-1HC8U-0826-SM-ADEIL 40-49 years, female 49.5
GTEX-WFG8-2026-SM-EXOHO 20-29 years, male 49.2
GTEX-15G19-2126-SM-6M48J 60-69 years, male 49.0
GTEX-RU1J-0626-SM-4WAWY 20-29 years, female 49.0
GTEX-1IKOE-1326-SM-CE6T6 30-39 years, female 49.0
GTEX-Y3IK-2326-SM-4WWDT 50-59 years, female 48.8
GTEX-QEG5-0726-SM-D4P1T 20-29 years, male 48.8
GTEX-1JMPY-0526-SM-CL54O 30-39 years, male 48.7
GTEX-14PJO-0726-SM-69LO8 60-69 years, male 48.5
GTEX-13NZ9-1026-SM-5MR5K 50-59 years, male 48.4
GTEX-S341-1526-SM-4AD6K 40-49 years, female 48.4
GTEX-1MA7W-1026-SM-DKPQK 20-29 years, female 48.2
GTEX-1GN2E-2226-SM-9WG6J 60-69 years, male 48.0
GTEX-1PDJ9-1126-SM-EXUSW 20-29 years, male 47.9
GTEX-11P7K-0726-SM-5EGKX 30-39 years, male 47.8
GTEX-ZXES-0826-SM-5E43C 30-39 years, female 47.6
GTEX-1R7EU-1226-SM-E8VMR 60-69 years, male 47.6
GTEX-15ETS-0626-SM-7KUMX 40-49 years, female 47.4
GTEX-W5X1-2326-SM-3GIL6 40-49 years, female 47.3
GTEX-17HG3-0126-SM-7IGNH 30-39 years, female 47.2
GTEX-T5JC-2126-SM-32PMO 20-29 years, male 47.2
GTEX-T6MN-0726-SM-32PML 50-59 years, male 46.5
GTEX-S4P3-1326-SM-4AD6V 50-59 years, female 46.4
GTEX-TMMY-0726-SM-33HBE 40-49 years, female 46.1
GTEX-ZGAY-1726-SM-DO91P 40-49 years, female 45.9
GTEX-1LVAM-0926-SM-E9TJ2 50-59 years, female 45.6
GTEX-14ABY-2126-SM-5QGQZ 50-59 years, male 45.4
GTEX-14PHY-1926-SM-5YY95 60-69 years, female 45.3
GTEX-1POEN-0926-SM-DTX88 30-39 years, female 45.2
GTEX-1IDJE-0826-SM-CKZNZ 50-59 years, female 45.1
GTEX-14PN4-0626-SM-62LFP 50-59 years, male 44.7
GTEX-1CB4E-0226-SM-79OLW 60-69 years, male 44.7
GTEX-ZF2S-2026-SM-5E461 50-59 years, female 44.7
GTEX-X15G-1626-SM-3NMB3 50-59 years, female 44.4
GTEX-13N11-1726-SM-5J1OJ 50-59 years, female 44.3
GTEX-Y5LM-1726-SM-4VDSX 40-49 years, female 44.3
GTEX-14H4A-2526-SM-5YYAY 40-49 years, female 44.2
GTEX-S33H-0326-SM-4AD6N 30-39 years, male 44.2
GTEX-SE5C-2126-SM-4BRUJ 40-49 years, female 44.2
GTEX-1RAZQ-1226-SM-EWRNL 30-39 years, male 44.2
GTEX-11TT1-2126-SM-5GU5Y 20-29 years, male 44.1
GTEX-1B8SG-1226-SM-7IGPF 50-59 years, male 44.1
GTEX-TKQ2-1826-SM-33HB2 50-59 years, male 43.9
GTEX-ZVTK-0326-SM-51MRR 20-29 years, male 43.5
GTEX-Y114-2026-SM-4TT7L 50-59 years, female 43.4
GTEX-11EM3-1326-SM-5N9C6 20-29 years, female 42.9
GTEX-XYKS-1326-SM-4BRUN 60-69 years, female 42.9
GTEX-VUSG-2226-SM-4KKZO 50-59 years, male 42.8
GTEX-ZVT2-1826-SM-5NQ8W 50-59 years, female 42.7
GTEX-15FZZ-0726-SM-7KUFZ 30-39 years, female 42.5
GTEX-VJWN-0726-SM-3GIJ8 50-59 years, female 42.4
GTEX-1F75I-2026-SM-7SB7N 40-49 years, male 42.0
GTEX-ZTPG-2826-SM-57WGA 20-29 years, female 41.5
GTEX-145LT-0726-SM-5S2VM 40-49 years, male 40.5
GTEX-XMK1-1126-SM-4IHJ8 40-49 years, male 40.4
GTEX-ZTTD-1026-SM-51MRD 50-59 years, male 39.9
GTEX-T5JW-2026-SM-4DM63 20-29 years, female 38.6
GTEX-1RQEC-2026-SM-DTXDM 60-69 years, male 38.5
GTEX-1QCLY-1626-SM-DTXDW 30-39 years, male 38.0
GTEX-1NUQO-2226-SM-E9U68 20-29 years, female 37.2
GTEX-XUZC-1626-SM-4BRVP 30-39 years, female 36.6
Show allShow less

BREAST - FANTOM5 CAGEi

RNA expression in human tissues obtained through Cap Analysis of Gene Expression (CAGE) generated by the FANTOM5 project are reported as Scaled Tags Per Million.

Max subtype Scaled Tags Per Millioni

Max subtype Scaled Tags Per Million is the value for the subtype with the largest average Scaled Tags Per Million across the subtype samples.

110.3
FANTOM5 sample id Sample description Scaled Tags Per Million
Breast
Scaled Tags Per Million: 110.3
FF:10080-102A8 77 years, female 110.3

Contact

  • NEWS ARTICLES
  • PRESS ROOM

The Project

  • INTRODUCTION
  • ORGANIZATION
  • PUBLICATIONS

The Human Protein Atlas

  • DOWNLOADABLE DATA
  • LICENCE & CITATION
  • HELP & FAQ
The Human Protein Atlas project is funded
by the Knut & Alice Wallenberg Foundation.


contact@proteinatlas.org