We use cookies to enhance the usability of our website. If you continue, we'll assume that you are happy to receive all cookies. More information. Don't show this again.
KLC1
HPA
RESOURCES
  • TISSUE
  • BRAIN
  • SINGLE CELL
  • SUBCELLULAR
  • CANCER
  • BLOOD
  • CELL LINE
  • STRUCTURE & INTERACTION
ABOUT
  • INTRODUCTION
  • HISTORY
  • ORGANIZATION
  • PUBLICATIONS
  • ANTIBODY SUBMISSION
  • ANTIBODY AVAILABILITY
  • ACKNOWLEDGMENTS
  • CONTACT
NEWS
  • NEWS ARTICLES
  • PRESS ROOM
LEARN
  • DICTIONARY
  • PROTEIN CLASSES
  • PROTEIN EVIDENCE
  • METHODS
  • EDUCATIONAL VIDEOS
DATA
  • DOWNLOADABLE DATA
  • PUBLICATION DATA
  • RELEASE HISTORY
HELP
  • ANTIBODY VALIDATION
  • ASSAYS & ANNOTATION
  • DISCLAIMER
  • HELP & FAQ
  • PRIVACY STATEMENT
  • LICENCE & CITATION
Fields »
Search result

Field
Term
Gene name
Class
Subclass
Class
Keyword
Chromosome
External id
Tissue
Cell type
Expression
Antibody panel
Tissue
Main location
Patient ID
Annotation
Tissue
Category
Tau score
Cluster
Reliability
Brain region
Category
Tau score
Brain region
Category
Tau score
Brain region
Category
Tau score
Cluster
Reliability
Tissue
Cell type
Enrichment
Cell type
Category
Tau score
Cell type
Category
Tau score
Cell type
Category
Tau score
Cell lineage
Category
Tau score
Cluster
Cluster
Location
Searches
Location
Cell line
Class
Type
Phase
Reliability
Cancer
Prognosis
Cancer
Category
Cancer
Category
Tau score
Cluster
Variants
Interacting gene (ensg_id)
Type
Number of interactions
Pathway
Category
Score
Score
Score
Validation
Validation
Validation
Validation
Antibodies
Data type
Column


  • SUMMARY

  • TISSUE

  • BRAIN

  • SINGLE CELL

  • SUBCELL

  • CANCER

  • BLOOD

  • CELL LINE

  • STRUCT & INT

  • KLC1
TISSUE PRIMARY DATA CAUDATE Show tissue menu
ADIPOSE TISSUE ADRENAL GLAND AMYGDALA APPENDIX BASAL GANGLIA BONE MARROW BREAST BRONCHUS CEREBELLUM CEREBRAL CORTEX CERVIX CHOROID PLEXUS COLON DUODENUM
ENDOMETRIUM EPIDIDYMIS ESOPHAGUS FALLOPIAN TUBE GALLBLADDER HEART MUSCLE HIPPOCAMPAL FORMATION HYPOTHALAMUS KIDNEY LIVER LUNG LYMPH NODE MIDBRAIN NASOPHARYNX
ORAL MUCOSA OVARY PANCREAS PARATHYROID GLAND PITUITARY GLAND PLACENTA PROSTATE RECTUM RETINA SALIVARY GLAND SEMINAL VESICLE SKELETAL MUSCLE SKIN SMALL INTESTINE
SMOOTH MUSCLE SOFT TISSUE SPINAL CORD SPLEEN STOMACH TESTIS THYMUS THYROID GLAND TONGUE TONSIL URINARY BLADDER VAGINA
ANTIBODIES
AND
VALIDATION
Dictionary
Caudate
Tissue proteome
CAUDATE - Expression summary
Protein expression
Caudatei

On the top, protein expression in current human tissue, based on all annotated cell types, is reported with the units not detected (n), low (l), medium (m) and high (h). Underneath, protein expression in each annotated cell type are reported using the same units.

Protein expression data is based on knowledge-based annotation. For genes where more than one antibody has been used, a collective score is set.

If knowledge-based annotation could not be performed for a gene, no data is displayed here. View antibody staining data further down this page.

h
m
l
n
Glial cells: Not detected
Neuronal cells: Not detected
RNA expressioni

A summary of mRNA expression data available for current tissue based on several datasets. The mRNA expression levels in human tissues are based on RNA-seq data generated by the Human Protein Atlas (HPA), Genotype-Tissue Expression (GTEx) portal and CAGE data generated by the FANTOM5 consortium. Consensus normalized expression levels for human tissues was created by combining the data from HPA and GTEx datasets.

The mRNA expression levels in pig are based on RNA-seq data generated by the Human Protein Atlas (HPA), and for mouse, HPA data and in situ hybridization generated by the Allen brain atlas are reported.

Scroll down to view mRNA expression data in more detail.
GTEx:185.9 nTPM
FANTOM5:219.0 Scaled Tags Per Million
Pig:167.8 nTPM

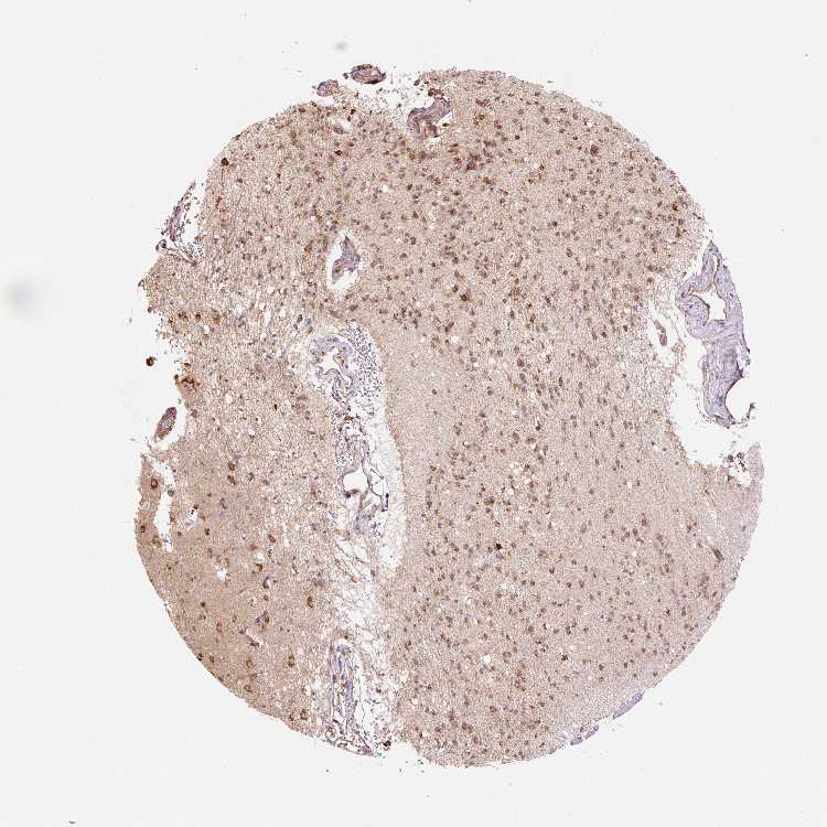
CAUDATE - Antibody stainingi

Antibody staining in the annotated cell types in the current human tissue is reported as not detected, low, medium, or high, based on conventional immunohistochemistry profiling in selected tissues. This score is based on the combination of the staining intensity and fraction of stained cells.

Each image is clickable and will lead to virtual microscopy that enables deeper exploration of all samples and also displays staining intensity scores, fraction scores and subcellular localization as well as patient and tissue information for each sample.

Antibody HPA044617Antibody HPA052450Antibody CAB009798
Glial cells MediumHighNot detected
Neuronal cells HighHighNot detected







CAUDATE - GTEx RNA-seqi

RNA-Seq data generated by the Genotype-Tissue Expression (GTEx) project from human tissues is reported as mean nTPM. More information can be found on the GTEx portal.

Distribution across the dataset is visualized with box plots, shown as median and 25th and 75th percentiles. Points are displayed as outliers if they are above or below 1.5 times the interquartile range. nTPM values of the individual samples are presented next to the box plot.
Max subtype nTPMi

Max subtype nTPM is the value for the subtype with the largest average nTPM across the subtype samples.

185.9
GTEx sample id Sample description nTPM
Brain - Caudate (basal ganglia)
Average nTPM: 185.9
Samples: 246

Max nTPM: 477.4
Min nTPM: 83.9
Std nTPM: 51.8
Median nTPM: 182.5
GTEX-RNOR-0011-R5A-SM-2TF4J 50-59 years, female 477.4
GTEX-139TT-0011-R5b-SM-5K7W8 60-69 years, male 323.6
GTEX-11DYG-0011-R5a-SM-DO928 60-69 years, male 319.2
GTEX-1C6WA-0011-R5a-SM-9WG5X 60-69 years, male 316.0
GTEX-14JIY-0011-R5b-SM-62LE7 60-69 years, male 309.0
GTEX-1E1VI-0011-R5b-SM-9WG5V 50-59 years, male 305.1
GTEX-1HT8W-0011-R5b-SM-CJI3P 30-39 years, male 303.9
GTEX-1F75A-0011-R5a-SM-ARZMJ 50-59 years, male 296.7
GTEX-1H3O1-0011-R5b-SM-ADEH8 60-69 years, male 282.4
GTEX-11PRG-0011-R5b-SM-DNZZS 50-59 years, male 280.4
GTEX-1F7RK-0011-R5b-SM-9WG5S 20-29 years, female 277.6
GTEX-12WSC-0011-R5b-SM-5CVNS 50-59 years, male 275.1
GTEX-16YQH-0011-R5b-SM-7938U 30-39 years, male 269.7
GTEX-1313W-0011-R5b-SM-5L3EP 50-59 years, female 268.1
GTEX-WL46-0011-R5A-SM-3LK6V 50-59 years, male 262.4
GTEX-12WSM-0011-R5a-SM-5EQ4Y 60-69 years, male 261.5
GTEX-1AX9I-0011-R5b-SM-793DI 60-69 years, male 258.0
GTEX-13NYB-0011-R5a-SM-5MR45 40-49 years, male 256.4
GTEX-Z93S-0011-R5b-SM-4RGNI 50-59 years, male 255.7
GTEX-13X6J-0011-R5b-SM-5PNWT 50-59 years, male 252.1
GTEX-14JG1-0011-R5a-SM-62LED 40-49 years, male 250.8
GTEX-1LG7Y-0011-R5a-SM-EZ6MU 50-59 years, male 248.6
GTEX-1HCVE-0011-R5b-SM-CKZP7 50-59 years, male 248.5
GTEX-17EVP-0011-R5b-SM-7DHKW 40-49 years, male 248.1
GTEX-TSE9-0011-R5A-SM-3DB7J 60-69 years, female 248.1
GTEX-14PN4-0011-R5a-SM-686ZV 50-59 years, male 247.0
GTEX-145MH-0011-R5a-SM-5P9JT 50-59 years, male 246.4
GTEX-12WSH-0011-R5b-SM-5P9F3 50-59 years, male 244.8
GTEX-1HB9E-0011-R5b-SM-ARU78 50-59 years, male 244.1
GTEX-1R9K4-0011-R5b-SM-EZ6N8 60-69 years, male 241.7
GTEX-1R9PO-0011-R5a-SM-EZ6NA 60-69 years, female 240.2
GTEX-18464-0011-R5b-SM-718A6 50-59 years, male 238.7
GTEX-1B933-0011-R5b-SM-7P8SA 50-59 years, female 237.8
GTEX-ZUA1-0011-R5b-SM-51MTG 40-49 years, male 237.5
GTEX-13RTJ-0011-R5a-SM-5P9HR 60-69 years, male 237.3
GTEX-12ZZY-0011-R5a-SM-5EGL9 60-69 years, male 237.2
GTEX-13O3Q-0011-R5b-SM-5P9H4 50-59 years, male 236.3
GTEX-1IKK5-0011-R5b-SM-CL55B 60-69 years, male 232.9
GTEX-1EX96-0011-R5a-SM-ARU83 50-59 years, male 232.3
GTEX-13SLX-0011-R5a-SM-5O9BV 50-59 years, female 232.2
GTEX-1I1GR-0011-R5a-SM-CMKHD 60-69 years, male 232.2
GTEX-1F6IF-0011-R5b-SM-CM2RH 60-69 years, male 232.0
GTEX-1J1OQ-0011-R5a-SM-D3L8K 40-49 years, female 231.7
GTEX-13G51-0011-R5a-SM-5L3EB 60-69 years, male 231.0
GTEX-1JMPZ-0011-R5b-SM-EYYWY 30-39 years, male 229.6
GTEX-1EMGI-0011-R5a-SM-CJI2E 60-69 years, male 229.3
GTEX-13X6K-0011-R5b-SM-5PNUE 60-69 years, female 228.7
GTEX-WZTO-0011-R5B-SM-3NMC5 40-49 years, male 228.2
GTEX-1399T-0011-R5b-SM-5IJDK 60-69 years, male 228.0
GTEX-1GN73-0011-R5a-SM-9QEIM 60-69 years, male 226.9
GTEX-15ER7-0011-R5b-SM-6M46T 20-29 years, female 226.0
GTEX-11NV4-0011-R5a-SM-5NQ88 60-69 years, male 225.0
GTEX-T2IS-0011-R5A-SM-32QP4 20-29 years, female 224.5
GTEX-1HBPI-0011-R5a-SM-CKZOW 50-59 years, male 223.2
GTEX-1H3NZ-0011-R5a-SM-CM2SP 60-69 years, male 220.7
GTEX-15CHQ-0011-R5b-SM-6AJAN 60-69 years, male 220.4
GTEX-15DYW-0011-R5a-SM-6M46W 60-69 years, female 219.7
GTEX-131YS-0011-R5b-SM-5K7YB 60-69 years, female 218.6
GTEX-14ABY-0011-R5b-SM-5SI7B 50-59 years, male 218.3
GTEX-13VXU-0011-R5a-SM-5O9D7 50-59 years, male 218.2
GTEX-X585-0011-R5A-SM-46MVI 50-59 years, male 216.9
GTEX-13FHO-0011-R5b-SM-5LZZ3 60-69 years, male 216.8
GTEX-13S7M-0011-R5b-SM-5P9HS 60-69 years, female 215.1
GTEX-1HGF4-0011-R5b-SM-CM2ST 60-69 years, male 214.7
GTEX-T6MN-0011-R5A-SM-32QPD 50-59 years, male 214.5
GTEX-1I1GQ-0011-R5a-SM-CMKHJ 50-59 years, male 214.4
GTEX-1JMQJ-0011-R5a-SM-EYYXO 50-59 years, male 213.8
GTEX-13O3O-0011-R5b-SM-5KM44 60-69 years, female 213.6
GTEX-1IDJH-0011-R5a-SM-CE6SR 70-79 years, male 213.5
GTEX-11DXW-0011-R5b-SM-DO11D 40-49 years, male 212.7
GTEX-11DXY-0011-R5b-SM-DNZZL 60-69 years, male 212.6
GTEX-13FLW-0011-R5a-SM-5LZX6 50-59 years, male 212.3
GTEX-13FXS-0011-R5b-SM-5LZYE 50-59 years, male 210.9
GTEX-ZAB4-0011-R5a-SM-4SOKC 40-49 years, male 210.3
GTEX-ZE9C-0011-R5a-SM-5EGLO 60-69 years, male 209.5
GTEX-1F75W-0011-R5b-SM-9QEGV 60-69 years, male 208.7
GTEX-1192X-0011-R5a-SM-DNZZA 50-59 years, male 208.6
GTEX-11OF3-0011-R5a-SM-57WB4 60-69 years, male 208.3
GTEX-14LLW-0011-R5b-SM-5ZZU6 70-79 years, female 206.3
GTEX-14BMV-0011-R5b-SM-62LFT 50-59 years, male 206.2
GTEX-1IKJJ-0011-R5b-SM-CE6SL 60-69 years, male 204.9
GTEX-11DZ1-0011-R5a-SM-DO11J 50-59 years, male 204.6
GTEX-T5JC-0011-R5A-SM-32PLK 20-29 years, male 203.1
GTEX-12WSD-0011-R5b-SM-5CVNG 60-69 years, female 202.5
GTEX-11ONC-0011-R5b-SM-DO93I 60-69 years, male 201.7
GTEX-1GTWX-0011-R5b-SM-CKZO6 60-69 years, male 201.0
GTEX-11H98-0011-R5b-SM-57WCF 50-59 years, male 200.9
GTEX-13NYS-0011-R5a-SM-5MR4D 60-69 years, male 200.8
GTEX-1B996-0011-R5a-SM-7P8PN 60-69 years, male 200.1
GTEX-1B8SF-0011-R5a-SM-79OOO 60-69 years, male 198.9
GTEX-12ZZX-0011-R5a-SM-5HL89 40-49 years, female 198.2
GTEX-UTHO-0011-R5A-SM-3GIJD 60-69 years, male 197.7
GTEX-13FLV-0011-R5a-SM-5LZWT 50-59 years, male 197.2
GTEX-14E6D-0011-R5b-SM-69LQR 50-59 years, male 196.2
GTEX-14BIM-0011-R5b-SM-5S2RM 60-69 years, female 196.0
GTEX-14DAQ-0011-R5b-SM-5YYAK 60-69 years, female 195.9
GTEX-12WSA-0011-R5b-SM-5GU5I 60-69 years, male 195.7
GTEX-1IY9M-0011-R5a-SM-A9SLX 60-69 years, male 194.8
GTEX-17HII-0011-R5a-SM-7LG51 50-59 years, male 194.2
GTEX-P44G-0011-R5A-SM-2I3FA 30-39 years, male 193.6
GTEX-1GF9W-0011-R5a-SM-CKZO4 60-69 years, male 193.2
GTEX-1HSKV-0011-R5b-SM-ARZLN 60-69 years, male 192.5
GTEX-13OVL-0011-R5b-SM-5L3FU 50-59 years, male 192.1
GTEX-1HBPH-0011-R5b-SM-A9G1R 40-49 years, female 192.0
GTEX-1N2DW-0011-R5a-SM-EYYX3 50-59 years, male 192.0
GTEX-YJ89-0011-R5a-SM-4V6GM 60-69 years, male 191.6
GTEX-14C39-0011-R5b-SM-5ZZV1 40-49 years, male 191.5
GTEX-15EO6-0011-R5b-SM-7KUDZ 50-59 years, male 190.7
GTEX-QDT8-0011-R5A-SM-32PKN 30-39 years, female 190.7
GTEX-1J8Q2-0011-R5b-SM-A9SKH 60-69 years, male 190.3
GTEX-ZF28-0011-R5a-SM-4WWCZ 60-69 years, male 190.2
GTEX-14ASI-0011-R5b-SM-6EU2M 60-69 years, male 189.6
GTEX-S7SE-0011-R5A-SM-2XCDA 50-59 years, male 188.9
GTEX-14BIN-0011-R5b-SM-5SI78 50-59 years, female 188.5
GTEX-1HFI6-0011-R5a-SM-A9G1J 40-49 years, male 188.3
GTEX-Q2AG-0011-R5A-SM-2HMJH 40-49 years, female 187.9
GTEX-1I1GS-0011-R5a-SM-CKZPC 60-69 years, male 187.2
GTEX-1RNSC-0011-R5a-SM-EZ6N5 60-69 years, male 186.1
GTEX-1HUB1-0011-R5a-SM-CKZOY 60-69 years, male 185.6
GTEX-1B8L1-0011-R5a-SM-7DHN5 60-69 years, male 184.9
GTEX-13OW8-0011-R5b-SM-5L3FQ 60-69 years, male 183.2
GTEX-13OW5-0011-R5b-SM-5L3FR 60-69 years, male 182.9
GTEX-Y8DK-0011-R5B-SM-4RTW6 60-69 years, male 182.9
GTEX-139T8-0011-R5b-SM-5J1MO 60-69 years, male 182.1
GTEX-1GZ4I-0011-R5a-SM-9OSWQ 50-59 years, male 182.0
GTEX-13CZV-0011-R5a-SM-5K7XA 60-69 years, male 181.9
GTEX-13N1W-0011-R5b-SM-5MR5Q 70-79 years, male 181.9
GTEX-1GZ2Q-0011-R5a-SM-A96RQ 40-49 years, male 181.6
GTEX-11GSP-0011-R5a-SM-57WBE 60-69 years, female 180.9
GTEX-1H1ZS-0011-R5b-SM-CL53L 70-79 years, male 180.7
GTEX-11NUK-0011-R5a-SM-DO93N 50-59 years, male 180.5
GTEX-13OVH-0011-R5b-SM-5KM4L 70-79 years, male 180.4
GTEX-1H1DG-0011-R5b-SM-CJI33 70-79 years, male 180.4
GTEX-17HG3-0011-R5a-SM-7DUEW 30-39 years, female 180.2
GTEX-WVLH-0011-R5A-SM-3MJFW 50-59 years, male 179.9
GTEX-12ZZZ-0011-R5a-SM-5EQ4M 60-69 years, male 178.5
GTEX-QVJO-0011-R5A-SM-2S1QM 60-69 years, female 178.2
GTEX-13OW7-0011-R5b-SM-5O9DM 50-59 years, male 176.6
GTEX-13FHP-0011-R5b-SM-5LZY2 50-59 years, male 176.2
GTEX-1GMRU-0011-R5a-SM-CKZNS 50-59 years, male 175.3
GTEX-132Q8-0011-R5a-SM-5IJDM 60-69 years, male 175.0
GTEX-14PJO-0011-R5a-SM-6AJBZ 60-69 years, male 174.4
GTEX-11TTK-0011-R5a-SM-DNZZV 60-69 years, female 174.1
GTEX-12WSF-0011-R5a-SM-5HL8K 70-79 years, male 173.6
GTEX-12ZZW-0011-R5a-SM-5DUVN 50-59 years, male 173.2
GTEX-1H1CY-0011-R5a-SM-CM2SN 60-69 years, female 172.9
GTEX-1I19N-0011-R5b-SM-ARU6X 70-79 years, male 172.9
GTEX-NPJ7-0011-R5a-SM-33HBK 60-69 years, female 172.8
GTEX-N7MT-0011-R5a-SM-2I3G6 60-69 years, female 172.7
GTEX-QMR6-0011-R5A-SM-32PKT 50-59 years, male 172.4
GTEX-RU72-0011-R5A-SM-2TF6U 50-59 years, female 172.0
GTEX-13JUV-0011-R5a-SM-5LZY5 40-49 years, female 171.2
GTEX-N7MS-0011-R5a-SM-2HMK8 60-69 years, male 170.9
GTEX-R55E-0011-R5A-SM-2TC5N 20-29 years, male 170.8
GTEX-15DCD-0011-R5a-SM-CXZKZ 70-79 years, female 170.7
GTEX-15SHU-0011-R5a-SM-7938Q 40-49 years, female 169.0
GTEX-WWYW-0011-R5A-SM-3NB3E 50-59 years, female 168.5
GTEX-1EKGG-0011-R5a-SM-9OSVQ 60-69 years, male 168.5
GTEX-17F97-0011-R5a-SM-7LG4Z 50-59 years, male 167.4
GTEX-PVOW-0011-R5A-SM-32PL7 40-49 years, male 167.0
GTEX-13X6I-0011-R5a-SM-5PNWW 60-69 years, male 166.4
GTEX-1IL2U-0011-R5a-SM-CE6SN 60-69 years, male 166.2
GTEX-13JVG-0011-R5a-SM-5MR4O 60-69 years, male 166.1
GTEX-1GF9V-0011-R5a-SM-9QEI8 60-69 years, male 164.9
GTEX-11UD1-0011-R5b-SM-5P9FP 40-49 years, female 164.7
GTEX-13OW6-0011-R5a-SM-5O9BK 50-59 years, male 164.7
GTEX-ZXG5-0011-R5b-SM-57WBN 60-69 years, male 164.7
GTEX-1F6I4-0011-R5b-SM-9QEHA 60-69 years, male 163.8
GTEX-P44H-0011-R5A-SM-2XCEX 40-49 years, male 163.1
GTEX-145LS-0011-R5a-SM-5SI65 60-69 years, female 162.9
GTEX-NL3H-0011-R5a-SM-2I3GB 60-69 years, male 161.2
GTEX-13CIG-0011-R5b-SM-5L3F2 50-59 years, male 160.4
GTEX-X4XX-0011-R5A-SM-46MWN 60-69 years, male 158.9
GTEX-1GMR8-0011-R5b-SM-9QEIH 50-59 years, female 157.9
GTEX-1A3MX-0011-R5a-SM-79OM5 60-69 years, male 156.5
GTEX-13CF2-0011-R5a-SM-5LZWS 60-69 years, male 155.9
GTEX-ZE7O-0011-R5a-SM-57WBO 50-59 years, female 154.2
GTEX-16Z82-0011-R5a-SM-7EPGB 60-69 years, male 153.8
GTEX-1GN2E-0011-R5b-SM-CJI2M 60-69 years, male 153.0
GTEX-YFC4-0011-R5a-SM-4RGLR 40-49 years, female 151.4
GTEX-1CB4G-0011-R5a-SM-CKZNM 60-69 years, male 151.3
GTEX-1CAV2-0011-R5b-SM-9QEH4 40-49 years, female 150.8
GTEX-17EVQ-0011-R5a-SM-7LT92 70-79 years, male 148.9
GTEX-11O72-0011-R5a-SM-DO922 40-49 years, male 148.2
GTEX-18465-0011-R5a-SM-72D5J 50-59 years, male 147.5
GTEX-1IGQW-0011-R5b-SM-CJI44 60-69 years, male 147.5
GTEX-1F48J-0011-R5b-SM-9OSVZ 50-59 years, female 146.9
GTEX-13OVJ-0011-R5a-SM-5P9H7 50-59 years, female 145.1
GTEX-17HHY-0011-R5b-SM-79OMZ 50-59 years, male 144.7
GTEX-145MG-0011-R5b-SM-5S2VU 50-59 years, male 143.7
GTEX-ZVZQ-0011-R5b-SM-57WDC 60-69 years, female 142.2
GTEX-OXRN-0011-R5A-SM-2I5EF 50-59 years, male 140.8
GTEX-OXRO-0011-R5A-SM-2I5EG 60-69 years, female 140.3
GTEX-14PQA-0011-R5b-SM-6AJC2 50-59 years, female 138.6
GTEX-17MF6-0011-R5a-SM-731BA 40-49 years, male 138.6
GTEX-NL4W-0011-R5a-SM-2I3GD 50-59 years, male 137.7
GTEX-14753-0011-R5a-SM-5S2VW 60-69 years, male 136.7
GTEX-1GN1U-0011-R5a-SM-9QEIS 50-59 years, female 135.3
GTEX-1HCU6-0011-R5a-SM-ARU76 60-69 years, female 135.0
GTEX-NPJ8-0011-R5a-SM-2HMJY 40-49 years, male 134.5
GTEX-13SLW-0011-R5b-SM-5SI6Z 70-79 years, male 133.0
GTEX-PWO3-0011-R5A-SM-2I5EZ 60-69 years, female 132.9
GTEX-1C6VR-0011-R5a-SM-9QEH1 60-69 years, male 132.6
GTEX-ZV68-0011-R5a-SM-4YCDW 50-59 years, female 131.9
GTEX-ZDXO-0011-R5a-SM-4WKG5 60-69 years, male 131.0
GTEX-144GL-0011-R5b-SM-5PNUJ 50-59 years, male 130.9
GTEX-ZVT3-0011-R5a-SM-51MSI 60-69 years, female 130.9
GTEX-1IKOH-0011-R5a-SM-ARU8C 60-69 years, female 130.8
GTEX-14LZ3-0011-R5b-SM-5ZZV8 60-69 years, female 130.6
GTEX-13112-0011-R5b-SM-5DUV8 50-59 years, male 130.3
GTEX-RVPV-0011-R5A-SM-2TF69 60-69 years, male 128.4
GTEX-X261-0011-R5A-SM-3NMB4 50-59 years, male 128.2
GTEX-1H23P-0011-R5a-SM-CKZOI 60-69 years, male 127.7
GTEX-1CB4H-0011-R5b-SM-9QEGN 60-69 years, female 127.5
GTEX-1I1GV-0011-R5b-SM-CKZPD 60-69 years, male 126.9
GTEX-16NPV-0011-R5a-SM-7EPGK 50-59 years, female 126.4
GTEX-1H2FU-0011-R5b-SM-CL552 60-69 years, female 124.5
GTEX-144GO-0011-R5a-SM-5PNUR 60-69 years, male 124.2
GTEX-1HR98-0011-R5a-SM-A9G1V 60-69 years, male 124.0
GTEX-11WQC-0011-R5a-SM-5BC74 60-69 years, male 123.7
GTEX-183WM-0011-R5a-SM-718A4 70-79 years, female 123.5
GTEX-XMD1-0011-R5A-SM-4AT47 60-69 years, male 123.3
GTEX-1F52S-0011-R5a-SM-CJI22 60-69 years, female 120.4
GTEX-13PVQ-0011-R5b-SM-5O9DI 50-59 years, male 120.2
GTEX-1GPI6-0011-R5a-SM-CJI2W 60-69 years, male 119.7
GTEX-13NZA-0011-R5b-SM-5KM4K 60-69 years, male 119.3
GTEX-1445S-0011-R5a-SM-5PNUS 60-69 years, male 118.6
GTEX-1H3VE-0011-R5a-SM-CKZOU 40-49 years, male 118.0
GTEX-13PL6-0011-R5b-SM-5O9BI 40-49 years, female 117.7
GTEX-1EH9U-0011-R5a-SM-CJI2K 60-69 years, male 117.7
GTEX-1J8JJ-0011-R5a-SM-D4P2G 60-69 years, female 115.7
GTEX-1I1HK-0011-R5b-SM-ARU6S 60-69 years, male 114.2
GTEX-1HR9M-0011-R5a-SM-ARU72 60-69 years, male 112.5
GTEX-1C6VS-0011-R5a-SM-7MXU9 60-69 years, male 112.2
GTEX-1EN7A-0011-R5a-SM-9QEH6 40-49 years, male 106.8
GTEX-139TU-0011-R5b-SM-5L3E1 60-69 years, male 106.1
GTEX-1A8G6-0011-R5b-SM-7IGQG 60-69 years, male 104.7
GTEX-1J8EW-0011-R5b-SM-ARU8B 60-69 years, female 103.3
GTEX-1477Z-0011-R5b-SM-5PNUO 60-69 years, male 102.1
GTEX-15G19-0011-R5b-SM-6M46P 60-69 years, male 102.0
GTEX-13PLJ-0011-R5a-SM-5O9BG 60-69 years, female 101.4
GTEX-1E2YA-0011-R5a-SM-9QEGT 50-59 years, male 101.1
GTEX-139TS-0011-R5b-SM-5J2MZ 60-69 years, male 99.7
GTEX-S7PM-0011-R5A-SM-3NM8G 60-69 years, male 97.2
GTEX-1IL2V-0011-R5a-SM-ARL78 70-79 years, male 96.0
GTEX-1F75B-0011-R5a-SM-9QEHC 50-59 years, male 83.9
Show allShow less

CAUDATE - FANTOM5 CAGEi

RNA expression in human tissues obtained through Cap Analysis of Gene Expression (CAGE) generated by the FANTOM5 project are reported as Scaled Tags Per Million.

Max subtype Scaled Tags Per Millioni

Max subtype Scaled Tags Per Million is the value for the subtype with the largest average Scaled Tags Per Million across the subtype samples.

219.0
FANTOM5 sample id Sample description Scaled Tags Per Million
Caudate nucleus
Scaled Tags Per Million: 219.0
FF:10164-103B2 76 years, female 219.0

CAUDATE - Pig RNA-seqi

RNA-seq data obtained from pig brain is reported as nTPM .

Normal distribution across the dataset is visualized with box plots, shown as median and 25th and 75th percentiles. Points are displayed as outliers if they are above or below 1.5 times the interquartile range. nTPM values of the individual samples are presented next to the box plot.
Max subtype nTPMi

Max subtype nTPM is the value for the subtype with the largest average nTPM across the subtype samples.

167.8
Pig sample Sample description nTPM
Caudate
nTPM: 167.9
Samples: 4

Max nTPM: 189.6
Min nTPM: 150.1
Sample A Female 150.1
Sample B Female 162.9
Sample C Male 189.6
Sample D Male 168.8

Contact

  • NEWS ARTICLES
  • PRESS ROOM

The Project

  • INTRODUCTION
  • ORGANIZATION
  • PUBLICATIONS

The Human Protein Atlas

  • DOWNLOADABLE DATA
  • LICENCE & CITATION
  • HELP & FAQ
The Human Protein Atlas project is funded
by the Knut & Alice Wallenberg Foundation.


contact@proteinatlas.org