We use cookies to enhance the usability of our website. If you continue, we'll assume that you are happy to receive all cookies. More information. Don't show this again.
SLURP1
HPA
RESOURCES
  • TISSUE
  • BRAIN
  • SINGLE CELL
  • SUBCELLULAR
  • CANCER
  • BLOOD
  • CELL LINE
  • STRUCTURE & INTERACTION
ABOUT
  • INTRODUCTION
  • HISTORY
  • ORGANIZATION
  • PUBLICATIONS
  • ANTIBODY SUBMISSION
  • ANTIBODY AVAILABILITY
  • ACKNOWLEDGMENTS
  • CONTACT
NEWS
  • NEWS ARTICLES
  • PRESS ROOM
LEARN
  • DICTIONARY
  • PROTEIN CLASSES
  • PROTEIN EVIDENCE
  • METHODS
  • EDUCATIONAL VIDEOS
DATA
  • DOWNLOADABLE DATA
  • PUBLICATION DATA
  • RELEASE HISTORY
HELP
  • ANTIBODY VALIDATION
  • ASSAYS & ANNOTATION
  • DISCLAIMER
  • HELP & FAQ
  • PRIVACY STATEMENT
  • LICENCE & CITATION
Fields »
Search result

Field
Term
Gene name
Class
Subclass
Class
Keyword
Chromosome
External id
Tissue
Cell type
Expression
Antibody panel
Tissue
Main location
Patient ID
Annotation
Tissue
Category
Tau score
Cluster
Reliability
Brain region
Category
Tau score
Brain region
Category
Tau score
Brain region
Category
Tau score
Cluster
Reliability
Tissue
Cell type
Enrichment
Cell type
Category
Tau score
Cell type
Category
Tau score
Cell type
Category
Tau score
Cell lineage
Category
Tau score
Cluster
Cluster
Location
Searches
Location
Cell line
Class
Type
Phase
Reliability
Cancer
Prognosis
Cancer
Category
Cancer
Category
Tau score
Cluster
Variants
Interacting gene (ensg_id)
Type
Number of interactions
Pathway
Category
Score
Score
Score
Validation
Validation
Validation
Validation
Antibodies
Data type
Column


  • SUMMARY

  • TISSUE

  • BRAIN

  • SINGLE CELL

  • SUBCELL

  • CANCER

  • BLOOD

  • CELL LINE

  • STRUCT & INT

  • SLURP1
TISSUE PRIMARY DATA SKIN Show tissue menu
ADIPOSE TISSUE ADRENAL GLAND AMYGDALA APPENDIX BASAL GANGLIA BONE MARROW BREAST BRONCHUS CEREBELLUM CEREBRAL CORTEX CERVIX CHOROID PLEXUS COLON DUODENUM
ENDOMETRIUM EPIDIDYMIS ESOPHAGUS FALLOPIAN TUBE GALLBLADDER HEART MUSCLE HIPPOCAMPAL FORMATION HYPOTHALAMUS KIDNEY LIVER LUNG LYMPH NODE MIDBRAIN NASOPHARYNX
ORAL MUCOSA OVARY PANCREAS PARATHYROID GLAND PITUITARY GLAND PLACENTA PROSTATE RECTUM RETINA SALIVARY GLAND SEMINAL VESICLE SKELETAL MUSCLE SKIN SMALL INTESTINE
SMOOTH MUSCLE SOFT TISSUE SPINAL CORD SPLEEN STOMACH TESTIS THYMUS THYROID GLAND TONGUE TONSIL URINARY BLADDER VAGINA
ANTIBODIES
AND
VALIDATION
Dictionary
Skin
Tissue proteome
Skin
SKIN - Expression summary
Protein expression
Skini

On the top, protein expression in current human tissue, based on all annotated cell types, is reported with the units not detected (n), low (l), medium (m) and high (h). Underneath, protein expression in each annotated cell type are reported using the same units.

Protein expression data is based on knowledge-based annotation. For genes where more than one antibody has been used, a collective score is set.

If knowledge-based annotation could not be performed for a gene, no data is displayed here. View antibody staining data further down this page.

h
m
l
n
Epidermal cells: Low
Fibroblasts: Not detected
Keratinocytes: Medium
Langerhans: Not detected
Melanocytes: Not detected
RNA expressioni

A summary of mRNA expression data available for current tissue based on several datasets. The mRNA expression levels in human tissues are based on RNA-seq data generated by the Human Protein Atlas (HPA), Genotype-Tissue Expression (GTEx) portal and CAGE data generated by the FANTOM5 consortium. Consensus normalized expression levels for human tissues was created by combining the data from HPA and GTEx datasets.

The mRNA expression levels in pig are based on RNA-seq data generated by the Human Protein Atlas (HPA), and for mouse, HPA data and in situ hybridization generated by the Allen brain atlas are reported.

Scroll down to view mRNA expression data in more detail.
Consensus:831.0 nTPM
HPA:255.5 nTPM
GTEx:831.0 nTPM

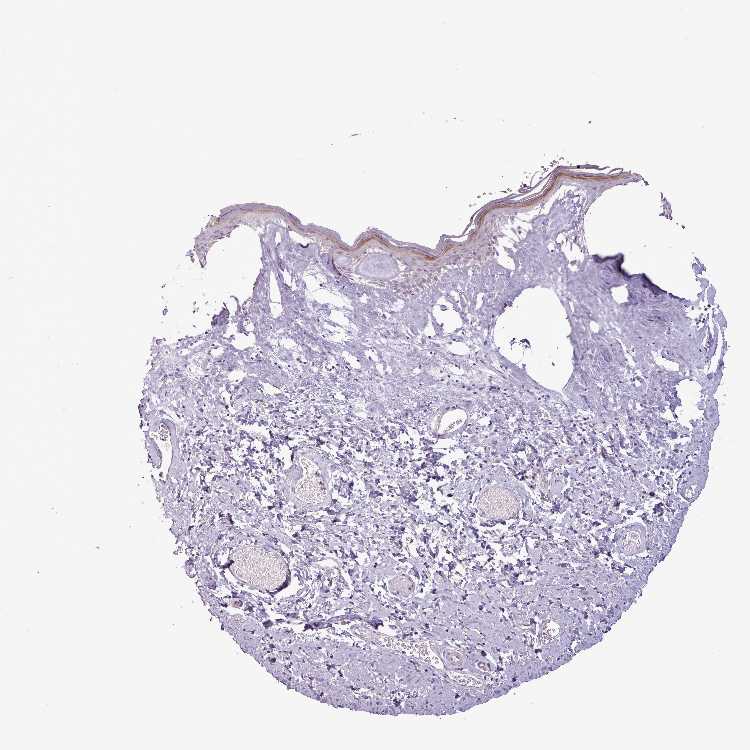
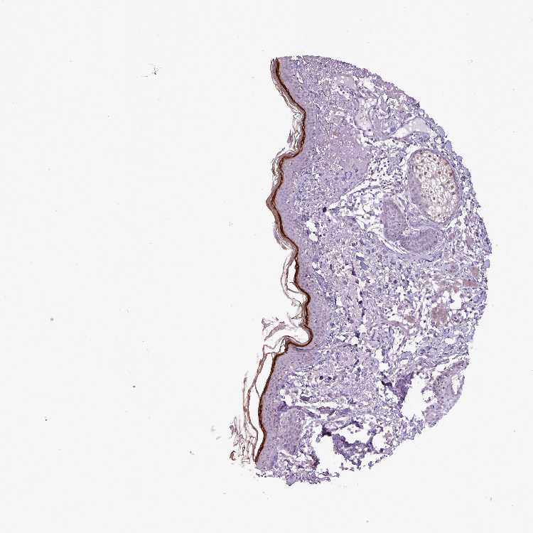
SKIN 1 - Antibody stainingi

Antibody staining in the annotated cell types in the current human tissue is reported as not detected, low, medium, or high, based on conventional immunohistochemistry profiling in selected tissues. This score is based on the combination of the staining intensity and fraction of stained cells.

Each image is clickable and will lead to virtual microscopy that enables deeper exploration of all samples and also displays staining intensity scores, fraction scores and subcellular localization as well as patient and tissue information for each sample.

Antibody HPA050967
Langerhans Not detected
Fibroblasts Not detected
Keratinocytes Medium
Melanocytes Not detected


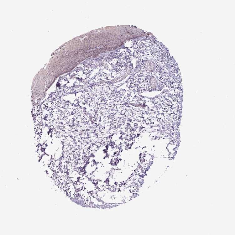
SKIN 2 - Antibody stainingi

Antibody staining in the annotated cell types in the current human tissue is reported as not detected, low, medium, or high, based on conventional immunohistochemistry profiling in selected tissues. This score is based on the combination of the staining intensity and fraction of stained cells.

Each image is clickable and will lead to virtual microscopy that enables deeper exploration of all samples and also displays staining intensity scores, fraction scores and subcellular localization as well as patient and tissue information for each sample.

Antibody HPA050967
Epidermal cells Low
 
 
 


SKIN - HPA RNA-seqi

The RNA-seq details section shows detailed information about the individual samples used for the transcript profiling and results of the RNA-seq analysis.

Information about each individual sample is listed below, including gender, age, a tissue section image and estimated fractions of cell types. nTPM (normalized transcripts per million) values give a quantification of the gene abundance which is comparable between different genes and samples.
Average nTPMi

Max subtype nTPM is the value for the subtype with the largest average nTPM across the subtype samples.

255.5
overview
Female, age 34
Skin sample 225
nTPM: 263.4
Cell types%
Keratinocytes:
60

Other cell types:
40

overview
Female, age 30
Skin sample 226
nTPM: 84.9
Cell types%
Keratinocytes:
55

Other cell types:
45

N/A
Male, age 57
Skin sample 227
nTPM: 418.2

SKIN - GTEx RNA-seqi

RNA-Seq data generated by the Genotype-Tissue Expression (GTEx) project from human tissues is reported as mean nTPM. More information can be found on the GTEx portal.

Distribution across the dataset is visualized with box plots, shown as median and 25th and 75th percentiles. Points are displayed as outliers if they are above or below 1.5 times the interquartile range. nTPM values of the individual samples are presented next to the box plot.
Max subtype nTPMi

Max subtype nTPM is the value for the subtype with the largest average nTPM across the subtype samples.

831.0
GTEx sample id Sample description nTPM
Skin - Not Sun Exposed (Suprapubic)
Average nTPM: 552.1
Samples: 604

Max nTPM: 2657.1
Min nTPM: 0.7
Std nTPM: 362.9
Median nTPM: 473.8
GTEX-Y114-2126-SM-4TT8B 50-59 years, female 2657.1
GTEX-ZTX8-1326-SM-4YCEL 20-29 years, male 2563.7
GTEX-ZPCL-1126-SM-4WWFE 60-69 years, female 2206.2
GTEX-15RIG-0726-SM-7KUM7 40-49 years, male 2078.6
GTEX-1OJC3-1226-SM-DTXER 20-29 years, male 2016.5
GTEX-ZP4G-1426-SM-4WWCL 20-29 years, female 1978.3
GTEX-WHSB-1326-SM-3LK6W 50-59 years, male 1824.4
GTEX-1QP9N-1226-SM-E76QN 30-39 years, male 1790.9
GTEX-XBEW-1126-SM-4QARW 40-49 years, male 1724.6
GTEX-1JMPY-0226-SM-CKZOK 30-39 years, male 1647.0
GTEX-WFG7-2026-SM-5SI7P 20-29 years, male 1643.8
GTEX-1RMOY-1326-SM-E9TIH 50-59 years, male 1585.0
GTEX-1PPH8-0126-SM-EWRN8 20-29 years, male 1569.6
GTEX-1399S-0126-SM-5IJCF 30-39 years, female 1532.1
GTEX-1RAZQ-1326-SM-E9TK6 30-39 years, male 1531.2
GTEX-1HCUA-0826-SM-ADEHM 50-59 years, female 1508.8
GTEX-147F4-0726-SM-5TDDD 50-59 years, male 1500.1
GTEX-16MTA-0926-SM-6M47Z 50-59 years, male 1493.3
GTEX-1IKOE-1426-SM-CE6T7 30-39 years, female 1437.1
GTEX-1QP2A-1726-SM-E76QC 50-59 years, male 1431.1
GTEX-14DAR-1226-SM-73KYV 50-59 years, male 1383.4
GTEX-YFCO-1226-SM-5LUAT 40-49 years, male 1336.9
GTEX-1PIGE-1826-SM-E8VOU 20-29 years, male 1312.1
GTEX-111VG-1626-SM-5EGIO 60-69 years, male 1301.4
GTEX-17F97-2626-SM-7IGM5 50-59 years, male 1275.3
GTEX-X585-2426-SM-46MW2 50-59 years, male 1273.6
GTEX-12WSJ-1126-SM-5LZVJ 40-49 years, female 1271.2
GTEX-ZLFU-1826-SM-4WWBV 40-49 years, male 1271.2
GTEX-ZVZP-1226-SM-5GID7 50-59 years, male 1248.7
GTEX-Y3I4-1726-SM-4TT89 50-59 years, male 1245.9
GTEX-YECK-0326-SM-4W1YS 60-69 years, male 1218.8
GTEX-WI4N-2726-SM-3LK7Y 40-49 years, female 1199.4
GTEX-1S3DN-2126-SM-E9TIN 50-59 years, male 1190.1
GTEX-14E1K-2026-SM-7DUEI 50-59 years, male 1189.7
GTEX-1CAMS-2226-SM-7PBXQ 40-49 years, female 1189.3
GTEX-ZF29-0926-SM-4WKFZ 60-69 years, female 1181.0
GTEX-1B97I-0626-SM-73KUZ 40-49 years, male 1172.5
GTEX-1MJK3-0726-SM-E6CJC 20-29 years, male 1142.4
GTEX-1R9PM-1926-SM-EVR3O 20-29 years, male 1122.4
GTEX-14PJ3-1126-SM-5ZZVX 50-59 years, male 1116.6
GTEX-ZF3C-0626-SM-DO92O 50-59 years, female 1113.2
GTEX-1QP29-1826-SM-DTX9S 50-59 years, male 1111.0
GTEX-14PII-0726-SM-6EU2B 60-69 years, male 1094.7
GTEX-1JK1U-0226-SM-ARZMX 60-69 years, male 1078.0
GTEX-1I1GT-1026-SM-ARZLV 60-69 years, female 1072.9
GTEX-1LVAN-0626-SM-CNPOQ 50-59 years, female 1062.9
GTEX-1LB8K-0726-SM-D5OV2 50-59 years, male 1057.8
GTEX-1PBJJ-1026-SM-E76OS 30-39 years, male 1046.9
GTEX-1GMRU-2126-SM-7P8RA 50-59 years, male 1040.0
GTEX-144FL-0626-SM-5LU43 50-59 years, male 1036.8
GTEX-1CAMR-1326-SM-7PC1F 20-29 years, male 1033.0
GTEX-145MG-1526-SM-5Q5EM 50-59 years, male 1031.0
GTEX-Y3IK-1626-SM-4YCF5 50-59 years, female 1027.6
GTEX-111CU-1126-SM-5EGIM 50-59 years, male 1022.3
GTEX-1PIIG-2326-SM-DTXFR 30-39 years, male 1012.9
GTEX-W5X1-2526-SM-3GILC 40-49 years, female 1003.8
GTEX-17HHE-1326-SM-7EWDZ 50-59 years, male 996.2
GTEX-ZVP2-0326-SM-57WBP 50-59 years, male 994.7
GTEX-1399U-1126-SM-5L3DB 50-59 years, female 993.4
GTEX-1EMGI-2326-SM-7PBYA 60-69 years, male 992.7
GTEX-13PDP-0726-SM-5L3HP 60-69 years, male 991.9
GTEX-13O61-1426-SM-5KM3D 60-69 years, male 990.5
GTEX-14PK6-0226-SM-62LF5 70-79 years, female 982.9
GTEX-131XG-0326-SM-5L3DX 50-59 years, female 981.8
GTEX-1AYD5-2626-SM-7PBXY 50-59 years, male 977.3
GTEX-13FTX-1526-SM-5K7VJ 20-29 years, female 973.9
GTEX-1CAMQ-1326-SM-7P8RV 40-49 years, male 963.4
GTEX-1OJC4-2726-SM-E76PJ 50-59 years, female 959.7
GTEX-WHPG-2626-SM-3NMBR 50-59 years, male 954.5
GTEX-ZZPU-0826-SM-5GZX5 50-59 years, female 953.0
GTEX-1QPFJ-1926-SM-EVYBD 30-39 years, female 952.6
GTEX-17HII-1426-SM-7EPGG 50-59 years, male 950.8
GTEX-Y9LG-1126-SM-4VBQ7 30-39 years, male 950.7
GTEX-14C39-1726-SM-5RQIL 40-49 years, male 943.0
GTEX-1H11D-1826-SM-9QEHM 40-49 years, male 941.9
GTEX-1KANB-2826-SM-CY8I6 50-59 years, male 931.1
GTEX-139UW-0326-SM-5J1ML 60-69 years, male 924.0
GTEX-1R46S-2426-SM-E76QA 60-69 years, female 909.1
GTEX-ZXG5-2126-SM-59HKD 60-69 years, male 908.9
GTEX-1HBPN-0126-SM-CGQEF 50-59 years, male 907.0
GTEX-ZDTT-0426-SM-4WKFL 60-69 years, male 904.3
GTEX-1F52S-2926-SM-7MKGA 60-69 years, female 895.6
GTEX-1R9K4-2826-SM-DTX8F 60-69 years, male 891.2
GTEX-12ZZZ-0726-SM-5GCNZ 60-69 years, male 884.2
GTEX-ZT9X-1526-SM-5DUXD 40-49 years, male 880.6
GTEX-13FTY-2126-SM-5IFFB 40-49 years, female 878.7
GTEX-11WQC-1826-SM-5GU59 60-69 years, male 871.9
GTEX-1J8EW-2726-SM-CY8HR 60-69 years, female 869.2
GTEX-1JMQJ-0826-SM-CNPP7 50-59 years, male 863.6
GTEX-15RJE-2826-SM-7KUM9 40-49 years, male 863.1
GTEX-XOT4-0626-SM-4B66L 60-69 years, female 863.0
GTEX-1NSGN-0726-SM-DTXEF 50-59 years, male 863.0
GTEX-1C6WA-2626-SM-7MKGM 60-69 years, male 853.6
GTEX-15CHR-1126-SM-7EWF4 50-59 years, male 851.4
GTEX-1IKJJ-2226-SM-CJI4C 60-69 years, male 848.0
GTEX-1399Q-2326-SM-5KM2X 40-49 years, male 840.3
GTEX-Y5V6-2326-SM-4VDSA 60-69 years, male 837.2
GTEX-1H3O1-1326-SM-9MQLD 60-69 years, male 828.1
GTEX-11DYG-1526-SM-5A5JS 60-69 years, male 820.7
GTEX-ZDYS-2426-SM-4WKGI 50-59 years, male 818.6
GTEX-1JMLX-0626-SM-ARL8T 50-59 years, male 807.4
GTEX-ZLV1-1526-SM-DO91J 60-69 years, female 807.0
GTEX-1GZ4H-0526-SM-9KNU9 50-59 years, female 806.9
GTEX-11DXY-0126-SM-5H11Q 60-69 years, male 806.6
GTEX-1RAZS-2526-SM-E6CHT 50-59 years, male 796.3
GTEX-ZTTD-2826-SM-4YCFA 50-59 years, male 795.8
GTEX-1R7EU-1626-SM-DTXG3 60-69 years, male 795.1
GTEX-15G19-2426-SM-7KUMR 60-69 years, male 793.7
GTEX-YEC4-1826-SM-4W1YP 40-49 years, male 790.1
GTEX-11GS4-0226-SM-5HL77 60-69 years, male 784.5
GTEX-1QP28-1126-SM-EVYC4 50-59 years, female 780.0
GTEX-1122O-1026-SM-9WYSF 60-69 years, female 779.9
GTEX-1C2JI-1026-SM-73KY1 50-59 years, male 773.7
GTEX-14PJ4-0226-SM-5YY92 60-69 years, male 768.8
GTEX-11DXZ-2026-SM-5987S 50-59 years, male 768.0
GTEX-1JMQK-1226-SM-D4P2S 60-69 years, male 765.0
GTEX-15DYW-2726-SM-6EU2I 60-69 years, female 763.4
GTEX-WXYG-2026-SM-4E3IY 50-59 years, female 761.7
GTEX-1HSMQ-2626-SM-A9SML 50-59 years, male 761.6
GTEX-139YR-1026-SM-5LZYN 50-59 years, male 760.6
GTEX-12ZZX-2426-SM-5GCOE 40-49 years, female 753.4
GTEX-XYKS-1426-SM-4BRUO 60-69 years, female 753.3
GTEX-1313W-0626-SM-5EQ4H 50-59 years, female 752.9
GTEX-11LCK-2226-SM-5HL4Q 30-39 years, male 752.8
GTEX-1KAFJ-0126-SM-DIPEK 50-59 years, male 743.9
GTEX-1EKGG-0626-SM-7DUGJ 60-69 years, male 741.0
GTEX-11ZU8-0126-SM-5EQ58 60-69 years, male 739.9
GTEX-1B8KE-1126-SM-7EPHI 50-59 years, male 739.9
GTEX-1GN1V-2826-SM-9JGIA 60-69 years, male 735.8
GTEX-1J8Q2-2626-SM-ACKWQ 60-69 years, male 735.7
GTEX-13PL6-1126-SM-5L3IE 40-49 years, female 733.6
GTEX-14ICL-1626-SM-5YYAO 30-39 years, male 732.2
GTEX-X5EB-1926-SM-4E3IW 40-49 years, male 732.0
GTEX-1JJEA-1826-SM-ARU8P 60-69 years, male 732.0
GTEX-1CB4E-0926-SM-7EPHT 60-69 years, male 729.5
GTEX-1F6I4-2326-SM-7RHGL 60-69 years, male 727.9
GTEX-1R9PN-0426-SM-DTXDT 40-49 years, female 724.9
GTEX-13D11-0926-SM-5J2NC 50-59 years, female 724.4
GTEX-1192X-2726-SM-5N9DN 50-59 years, male 722.4
GTEX-144GM-0526-SM-79OJO 20-29 years, male 722.1
GTEX-1497J-0226-SM-5QGPU 60-69 years, male 721.7
GTEX-12WSH-1526-SM-5BC5W 50-59 years, male 719.7
GTEX-Y8E4-2026-SM-5IFJB 40-49 years, male 719.5
GTEX-ZY6K-1426-SM-5GZX2 50-59 years, male 716.6
GTEX-1GN1U-0626-SM-9MQL9 50-59 years, female 715.5
GTEX-13G51-1826-SM-5KLZH 60-69 years, male 715.3
GTEX-WY7C-2126-SM-3NB2R 50-59 years, male 715.3
GTEX-1I1GV-0626-SM-ARL7M 60-69 years, male 715.3
GTEX-1269C-0126-SM-5EQ5L 60-69 years, female 711.4
GTEX-1I1HK-2326-SM-CKZOH 60-69 years, male 709.2
GTEX-UPJH-0226-SM-3GADV 50-59 years, male 707.2
GTEX-11GSP-2326-SM-5HL63 60-69 years, female 703.8
GTEX-11OF3-0126-SM-5PNYF 60-69 years, male 703.8
GTEX-18QFQ-1826-SM-72D52 30-39 years, male 702.8
GTEX-1J1R8-2026-SM-CL53Y 40-49 years, male 701.4
GTEX-1QAET-0326-SM-EVR3U 50-59 years, male 701.3
GTEX-17MFQ-1526-SM-7KFRR 20-29 years, male 701.1
GTEX-1N2EE-0626-SM-E76PW 60-69 years, male 700.6
GTEX-1HGF4-0126-SM-CNPPX 60-69 years, male 695.5
GTEX-13OW5-2326-SM-5L3HO 60-69 years, male 695.4
GTEX-1H23P-0626-SM-9WG6T 60-69 years, male 692.4
GTEX-1S831-1826-SM-EWROF 20-29 years, male 691.6
GTEX-13SLX-2226-SM-62LEP 50-59 years, female 691.2
GTEX-1LBAC-0826-SM-CY8IJ 20-29 years, male 689.6
GTEX-13NYB-0126-SM-5J1MD 40-49 years, male 689.2
GTEX-XBED-1926-SM-47JYP 60-69 years, male 686.6
GTEX-14PJO-2526-SM-6AJBQ 60-69 years, male 684.6
GTEX-ZF2S-1626-SM-57WES 50-59 years, female 684.4
GTEX-1HC8U-1326-SM-9YFMJ 40-49 years, female 684.0
GTEX-1HCU7-0726-SM-A9SL1 50-59 years, male 682.4
GTEX-18A67-1626-SM-7LT9T 50-59 years, male 679.7
GTEX-14C38-0726-SM-5SI6M 50-59 years, male 679.2
GTEX-11NSD-0626-SM-5A5LU 20-29 years, male 678.3
GTEX-1E2YA-2126-SM-7MXUO 50-59 years, male 678.3
GTEX-1J1OQ-0126-SM-D4P2N 40-49 years, female 671.9
GTEX-1LGRB-0926-SM-COH3K 50-59 years, female 671.8
GTEX-ZE7O-2726-SM-51MT5 50-59 years, female 670.8
GTEX-139TU-0726-SM-5L3EK 60-69 years, male 670.7
GTEX-144GL-0626-SM-5LU4D 50-59 years, male 661.3
GTEX-1C64N-2626-SM-7PC2N 50-59 years, male 659.2
GTEX-11DXX-2126-SM-5PNYR 60-69 years, female 659.1
GTEX-1B8SF-0126-SM-7DUG3 60-69 years, male 658.0
GTEX-Y111-0626-SM-4SOIT 50-59 years, male 658.0
GTEX-XAJ8-1426-SM-47JYM 40-49 years, male 657.6
GTEX-1S83E-1326-SM-E6CJM 40-49 years, male 656.2
GTEX-14XAO-1226-SM-6EU1C 60-69 years, female 655.4
GTEX-WHWD-1826-SM-3LK6I 50-59 years, male 646.6
GTEX-15FZZ-0526-SM-7KUGD 30-39 years, female 646.0
GTEX-13W3W-0726-SM-5IJDQ 60-69 years, female 644.3
GTEX-1QEPI-2626-SM-DTXF4 60-69 years, female 642.7
GTEX-14PKV-1126-SM-6LLJ1 20-29 years, female 642.0
GTEX-1CB4J-1326-SM-7P8RX 60-69 years, male 641.4
GTEX-131XF-2626-SM-5EQ6K 60-69 years, male 636.7
GTEX-1IDJD-2326-SM-ACKWX 30-39 years, male 636.0
GTEX-1H2FU-0926-SM-9WPPT 60-69 years, female 635.6
GTEX-1HBPI-2126-SM-ARL9K 50-59 years, male 635.5
GTEX-1HFI7-2326-SM-CGQFS 50-59 years, female 635.0
GTEX-13QJC-0126-SM-5ZZWJ 60-69 years, female 633.0
GTEX-1LVAM-0726-SM-E6CIL 50-59 years, female 632.0
GTEX-1C6VQ-1226-SM-73KYD 50-59 years, male 631.5
GTEX-133LE-2326-SM-5K7W3 20-29 years, female 631.4
GTEX-1EX96-1026-SM-7MKG2 50-59 years, male 630.3
GTEX-13FTW-0326-SM-5K7UW 40-49 years, male 629.8
GTEX-17F9E-2326-SM-79OKD 50-59 years, male 629.8
GTEX-1ICLZ-0326-SM-ARL82 60-69 years, male 629.0
GTEX-14PJ6-2626-SM-6EU2T 60-69 years, female 628.8
GTEX-ZAK1-0626-SM-5HL8E 50-59 years, female 628.7
GTEX-1QW4Y-1126-SM-DTXE3 30-39 years, male 628.1
GTEX-18A6Q-0626-SM-7KFRP 60-69 years, male 625.3
GTEX-ZTSS-1426-SM-5985P 40-49 years, male 621.5
GTEX-1HB9E-0126-SM-CM2S5 50-59 years, male 618.5
GTEX-13SLW-0626-SM-5Q5ER 70-79 years, male 617.4
GTEX-17F9Y-0126-SM-79OKX 70-79 years, female 615.4
GTEX-15EO6-2426-SM-6PALZ 50-59 years, male 615.2
GTEX-18465-2826-SM-7LT9J 50-59 years, male 613.2
GTEX-145ME-1726-SM-5Q5EU 40-49 years, female 611.8
GTEX-XPVG-2126-SM-4B667 50-59 years, male 608.5
GTEX-17EVP-2626-SM-7IGMA 40-49 years, male 606.4
GTEX-13FHO-0426-SM-5L3F5 60-69 years, male 606.3
GTEX-13IVO-0726-SM-5LZYV 70-79 years, male 600.8
GTEX-1GN2E-0226-SM-9WG6K 60-69 years, male 597.4
GTEX-18D9U-0126-SM-731BM 40-49 years, male 596.8
GTEX-1M4P7-0726-SM-E6CJ3 60-69 years, male 596.8
GTEX-ZE9C-2526-SM-5IJDR 60-69 years, male 594.3
GTEX-148VJ-0626-SM-5LUAW 70-79 years, male 592.5
GTEX-1PDJ9-1226-SM-EXUSX 20-29 years, male 591.3
GTEX-1S82P-2126-SM-E6CI5 60-69 years, female 591.1
GTEX-16MT9-0126-SM-7EPI8 60-69 years, female 587.4
GTEX-WH7G-2026-SM-3NMBL 40-49 years, male 584.8
GTEX-15RJ7-2126-SM-6PAMD 40-49 years, male 580.5
GTEX-ZPU1-1126-SM-4YCF3 40-49 years, male 578.7
GTEX-13OVJ-0826-SM-5J1OK 50-59 years, female 576.5
GTEX-18D9A-1426-SM-7LT8M 30-39 years, female 575.6
GTEX-1LSNM-0826-SM-DIPG8 50-59 years, male 574.6
GTEX-15G1A-1626-SM-7KUKN 30-39 years, male 573.4
GTEX-ZAB4-2126-SM-5HL8U 40-49 years, male 571.4
GTEX-1K2DU-1226-SM-CYPT4 20-29 years, male 569.4
GTEX-1JJ6O-2726-SM-CNPOG 60-69 years, male 568.0
GTEX-ZPIC-0526-SM-DO91W 40-49 years, female 566.1
GTEX-15RIE-1926-SM-7KUKJ 60-69 years, male 565.3
GTEX-YEC3-1326-SM-DO92X 50-59 years, male 562.8
GTEX-1HSKV-1226-SM-ADEI4 60-69 years, male 561.7
GTEX-1N2DV-1526-SM-DTXEP 40-49 years, male 552.6
GTEX-1GF9V-0826-SM-9KNUV 60-69 years, male 551.9
GTEX-145MN-1526-SM-5SI9T 30-39 years, male 551.8
GTEX-1C6VR-0126-SM-7RHGB 60-69 years, male 550.7
GTEX-1117F-2926-SM-5GZYI 60-69 years, female 550.5
GTEX-ZC5H-1526-SM-5HL9Y 40-49 years, female 550.5
GTEX-17KNJ-2126-SM-718AM 50-59 years, male 548.7
GTEX-1F75A-0726-SM-7RHHD 50-59 years, male 544.9
GTEX-1HCU6-2526-SM-ADEHL 60-69 years, female 544.6
GTEX-1H4P4-2126-SM-9WYSL 50-59 years, male 543.9
GTEX-ZYT6-2326-SM-5GZY3 30-39 years, male 541.3
GTEX-1IE54-1126-SM-A9G2Z 40-49 years, female 541.1
GTEX-1CB4H-1126-SM-7MKGL 60-69 years, female 540.3
GTEX-145MH-2826-SM-5RQJF 50-59 years, male 540.0
GTEX-1KXAM-1626-SM-D3LAD 60-69 years, male 538.7
GTEX-1A3MV-1826-SM-731CD 30-39 years, male 537.2
GTEX-1I1GU-0926-SM-ACKVS 40-49 years, male 537.2
GTEX-1477Z-0326-SM-7IGLA 60-69 years, male 536.3
GTEX-11P7K-1126-SM-5HL4L 30-39 years, male 535.1
GTEX-ZVT2-0126-SM-5GIDQ 50-59 years, female 535.0
GTEX-1GPI6-1926-SM-9KNV7 60-69 years, male 533.5
GTEX-ZLWG-0826-SM-59888 50-59 years, female 531.1
GTEX-14PHY-1226-SM-5ZZWK 60-69 years, female 530.3
GTEX-1PPGY-1626-SM-EVYBL 60-69 years, male 529.2
GTEX-Y5V5-0126-SM-5S2NW 60-69 years, female 526.9
GTEX-17F96-0126-SM-7EWDU 70-79 years, male 525.7
GTEX-17F98-1326-SM-7DUEP 40-49 years, female 524.0
GTEX-1POEN-2326-SM-E9J2L 30-39 years, female 523.3
GTEX-15CHQ-0326-SM-69LQD 60-69 years, male 523.1
GTEX-1GZ4I-2626-SM-9KNU3 50-59 years, male 521.1
GTEX-XUW1-0926-SM-4BONX 50-59 years, female 520.5
GTEX-15UF6-1926-SM-7KUDV 70-79 years, female 518.4
GTEX-16AAH-0626-SM-793C9 50-59 years, male 515.6
GTEX-16YQH-2226-SM-7IGM2 30-39 years, male 514.9
GTEX-U8XE-0226-SM-4E3J3 30-39 years, male 510.8
GTEX-1C475-1326-SM-7SB73 40-49 years, female 508.7
GTEX-13OVK-1426-SM-6PAN7 40-49 years, male 508.2
GTEX-13NYC-0126-SM-5L3F4 60-69 years, male 508.0
GTEX-ZYW4-0626-SM-59HJR 60-69 years, male 499.6
GTEX-ZYFC-0426-SM-5GICQ 50-59 years, male 493.7
GTEX-1QCLY-0226-SM-EWRNH 30-39 years, male 493.4
GTEX-ZVT4-2426-SM-5GIEI 50-59 years, female 491.5
GTEX-1I4MK-0126-SM-CY8G6 50-59 years, female 490.1
GTEX-VUSG-2326-SM-4KL1U 50-59 years, male 487.0
GTEX-13OW7-0426-SM-5K7VK 50-59 years, male 486.8
GTEX-1212Z-0126-SM-59HK4 60-69 years, male 486.0
GTEX-1MCYP-0526-SM-E9U6Q 20-29 years, female 486.0
GTEX-ZWKS-0626-SM-5GIDV 30-39 years, male 484.8
GTEX-1B8L1-2226-SM-7P8PT 60-69 years, male 483.8
GTEX-1PPH7-1126-SM-DTX9A 40-49 years, male 483.2
GTEX-1EWIQ-0326-SM-7DHMQ 70-79 years, female 482.9
GTEX-12126-0826-SM-5FQTZ 20-29 years, male 480.4
GTEX-1CB4F-1026-SM-7DUH1 60-69 years, male 479.0
GTEX-15ER7-0626-SM-6PANF 20-29 years, female 477.0
GTEX-1GL5R-1326-SM-7RHHF 50-59 years, male 476.6
GTEX-17HGU-2326-SM-7DUFE 50-59 years, male 475.7
GTEX-1GF9X-1326-SM-7PC2Y 40-49 years, female 475.5
GTEX-X3Y1-2026-SM-3P5YM 40-49 years, male 474.8
GTEX-1HR9M-2226-SM-CNPPY 60-69 years, male 474.7
GTEX-1HSGN-0826-SM-ACKW3 40-49 years, female 474.6
GTEX-145LS-0626-SM-7EPG7 60-69 years, female 473.0
GTEX-1C64O-1326-SM-7MGWR 60-69 years, male 472.1
GTEX-14JG1-1526-SM-5YY9X 40-49 years, male 470.1
GTEX-13YAN-0226-SM-5TDC6 60-69 years, male 469.5
GTEX-14PKU-0126-SM-6LLHV 40-49 years, female 468.2
GTEX-11O72-0626-SM-5PNYE 40-49 years, male 466.2
GTEX-1HSMP-0926-SM-A9SKX 70-79 years, male 463.6
GTEX-12WSK-2126-SM-5CVNC 40-49 years, female 461.1
GTEX-13O3Q-0126-SM-5KM34 50-59 years, male 459.8
GTEX-1BAJH-2426-SM-7IGP8 70-79 years, male 459.6
GTEX-1JKYN-0826-SM-ARU8S 30-39 years, male 459.6
GTEX-12ZZY-0726-SM-5EQ66 60-69 years, male 459.5
GTEX-12WSM-1926-SM-5BC65 60-69 years, male 456.2
GTEX-147GR-2426-SM-5ZZWQ 60-69 years, male 455.0
GTEX-13112-0126-SM-5P9IU 50-59 years, male 454.0
GTEX-XBEC-0726-SM-4QARZ 50-59 years, male 452.3
GTEX-14B4R-1326-SM-5Q5EZ 30-39 years, male 452.0
GTEX-Z93S-1626-SM-5CVMB 50-59 years, male 451.7
GTEX-1K9T9-1526-SM-DIPFR 50-59 years, female 451.7
GTEX-14A6H-2026-SM-5Q5DD 30-39 years, male 451.0
GTEX-11VI4-1126-SM-5EQMD 40-49 years, female 445.7
GTEX-14PHX-2226-SM-6EU2P 50-59 years, male 443.0
GTEX-15SKB-2826-SM-6PAMH 60-69 years, male 443.0
GTEX-1HCVE-2726-SM-CL54F 50-59 years, male 442.9
GTEX-12C56-1526-SM-5FQUQ 20-29 years, male 440.8
GTEX-ZDTS-0826-SM-4WKHL 60-69 years, male 440.4
GTEX-139T8-0626-SM-5KLZX 60-69 years, male 439.8
GTEX-1I1GP-1326-SM-A9G28 50-59 years, male 439.7
GTEX-1IDJU-1726-SM-CMKHU 60-69 years, female 438.8
GTEX-1KWVE-1026-SM-D3L9O 30-39 years, male 436.1
GTEX-13PVQ-0626-SM-5LU47 50-59 years, male 435.9
GTEX-1HT8W-0626-SM-A9G2H 30-39 years, male 435.3
GTEX-1F75I-2226-SM-7SB8U 40-49 years, male 433.5
GTEX-145LU-1926-SM-79OJN 50-59 years, male 430.6
GTEX-1KANA-1326-SM-DIPFA 20-29 years, male 429.1
GTEX-131XW-0626-SM-5PNVD 50-59 years, female 427.7
GTEX-17HHY-0426-SM-7DHLC 50-59 years, male 426.7
GTEX-11EQ8-0926-SM-5H12V 60-69 years, male 424.2
GTEX-14C5O-0326-SM-5ZZUX 60-69 years, male 424.2
GTEX-XXEK-1626-SM-4BRUZ 50-59 years, male 424.0
GTEX-1LVAO-2726-SM-E9TJ8 60-69 years, male 424.0
GTEX-14PJN-1826-SM-6AJ98 30-39 years, male 423.8
GTEX-1ICG6-1226-SM-A9SLN 70-79 years, female 423.5
GTEX-14JFF-0626-SM-5ZZVT 60-69 years, male 423.1
GTEX-1K2DA-1026-SM-CGQGF 50-59 years, male 422.3
GTEX-11PRG-0726-SM-5EGL1 50-59 years, male 422.2
GTEX-11ZTT-2126-SM-5CVLO 60-69 years, female 420.7
GTEX-1GTWX-2026-SM-9YFLM 60-69 years, male 418.6
GTEX-1J8QM-2426-SM-A9SLS 60-69 years, female 417.3
GTEX-X4EO-2926-SM-4E3JH 60-69 years, female 417.0
GTEX-14LZ3-0126-SM-69LPM 60-69 years, female 415.7
GTEX-1JMOU-1026-SM-CYPSS 60-69 years, female 414.1
GTEX-1JMQL-2226-SM-CNPP4 50-59 years, female 411.6
GTEX-X8HC-0626-SM-4E3HQ 50-59 years, female 410.9
GTEX-16BQI-1326-SM-6M486 30-39 years, female 410.4
GTEX-11TUW-0626-SM-5LU9M 60-69 years, male 410.3
GTEX-1EU9M-1426-SM-793AI 60-69 years, male 410.2
GTEX-14E6E-0526-SM-793DN 30-39 years, male 409.7
GTEX-1JN76-0626-SM-CKZOQ 20-29 years, female 409.1
GTEX-ZYFG-1526-SM-5GZYM 60-69 years, female 406.2
GTEX-1QMI2-2526-SM-E8VNZ 60-69 years, male 405.9
GTEX-1LSVX-2526-SM-DIPEU 60-69 years, male 405.7
GTEX-1LSNL-2726-SM-E9TKJ 50-59 years, male 403.0
GTEX-14BIN-1126-SM-5RQJZ 50-59 years, female 401.9
GTEX-1MCC2-1826-SM-DIPEX 30-39 years, female 401.6
GTEX-18A7A-0126-SM-731AH 50-59 years, female 401.2
GTEX-ZU9S-1826-SM-5NQ9E 30-39 years, male 399.2
GTEX-1GN73-0726-SM-7P8TJ 60-69 years, male 398.8
GTEX-YJ8O-2526-SM-5HL85 40-49 years, female 397.6
GTEX-1F88E-1626-SM-7SB8Z 60-69 years, female 396.8
GTEX-147F3-1726-SM-5SIAW 50-59 years, female 395.0
GTEX-13FH7-1126-SM-5K7UG 50-59 years, female 394.4
GTEX-183WM-0326-SM-72D5V 70-79 years, female 394.2
GTEX-14AS3-1526-SM-5Q5ED 40-49 years, female 393.4
GTEX-11NUK-2726-SM-5A5MC 50-59 years, male 393.0
GTEX-1RAZR-2126-SM-E9U6T 40-49 years, male 392.8
GTEX-14753-0726-SM-5QGQO 60-69 years, male 392.5
GTEX-1JKYR-0626-SM-ARL8R 20-29 years, male 392.0
GTEX-1GF9W-1426-SM-7PBYM 60-69 years, male 391.0
GTEX-13N11-2326-SM-5IJBF 50-59 years, female 390.6
GTEX-1F5PK-2226-SM-7SB6N 50-59 years, male 389.5
GTEX-1IY9M-2826-SM-ARU8H 60-69 years, male 389.1
GTEX-1H1E6-0426-SM-9WYUS 30-39 years, male 386.3
GTEX-1H1DG-2426-SM-9QEHJ 70-79 years, male 385.4
GTEX-14PJ5-1526-SM-6LLIL 60-69 years, female 384.4
GTEX-13JVG-0726-SM-5KM16 60-69 years, male 384.0
GTEX-132AR-0326-SM-5KM2C 50-59 years, female 383.3
GTEX-16MT8-2926-SM-7DUFO 60-69 years, female 382.2
GTEX-1AMFI-1326-SM-7939R 50-59 years, female 381.8
GTEX-1H1ZS-2726-SM-9WG75 70-79 years, male 379.7
GTEX-1GZHY-0626-SM-9KNVC 50-59 years, female 377.7
GTEX-1GPI7-1826-SM-9KNU1 20-29 years, male 376.3
GTEX-131XH-0126-SM-5LZUY 50-59 years, male 376.1
GTEX-1F5PL-0926-SM-7PC2W 40-49 years, female 374.5
GTEX-ZYY3-2926-SM-5GIEB 60-69 years, female 374.4
GTEX-WRHU-2826-SM-3MJG8 50-59 years, female 374.3
GTEX-1ICLY-0826-SM-CMKG1 50-59 years, male 371.6
GTEX-11UD2-2526-SM-5CVNU 50-59 years, male 370.1
GTEX-15DDE-2926-SM-6LLJ3 50-59 years, female 369.7
GTEX-13X6I-1826-SM-5SIAO 60-69 years, male 368.7
GTEX-1LG7Y-2526-SM-EWRO7 50-59 years, male 366.3
GTEX-14A5H-0826-SM-5QGPJ 60-69 years, male 366.1
GTEX-145MI-0626-SM-5SI8S 60-69 years, female 362.9
GTEX-15SHW-0226-SM-7LTAT 60-69 years, male 362.6
GTEX-1IL2V-1926-SM-B2LW8 70-79 years, male 361.9
GTEX-1JN1M-2726-SM-CY8I4 60-69 years, female 361.2
GTEX-ZGAY-1826-SM-DO91Q 40-49 years, female 360.2
GTEX-11P81-2226-SM-5PNYI 30-39 years, female 360.1
GTEX-ZA64-1026-SM-5HL8R 20-29 years, male 359.9
GTEX-1IDJH-0126-SM-D3L92 70-79 years, male 359.7
GTEX-XK95-0226-SM-4AT58 40-49 years, male 359.0
GTEX-1H1DE-1326-SM-9KNUG 20-29 years, male 358.8
GTEX-XMD2-2126-SM-4YCF8 60-69 years, female 358.0
GTEX-18D9B-0926-SM-7LG4U 60-69 years, male 357.3
GTEX-13OW6-2726-SM-5J2OE 50-59 years, male 354.4
GTEX-111YS-1526-SM-5GZYW 60-69 years, male 353.1
GTEX-11DZ1-2426-SM-5GZZX 50-59 years, male 353.0
GTEX-1CB4I-0126-SM-7RHGG 50-59 years, male 349.5
GTEX-14LLW-2626-SM-62LDZ 70-79 years, female 349.4
GTEX-14BMU-1226-SM-5S2OR 20-29 years, female 349.1
GTEX-12KS4-2126-SM-5FQUT 30-39 years, male 348.6
GTEX-1RLM8-2926-SM-E8VON 50-59 years, male 348.2
GTEX-ZVE2-2826-SM-5GU51 50-59 years, male 347.9
GTEX-11EQ9-1626-SM-5PNY8 30-39 years, male 347.2
GTEX-1IOXB-2726-SM-CM2RI 50-59 years, male 346.0
GTEX-11EM3-1226-SM-5N9DD 20-29 years, female 345.5
GTEX-Y8LW-1526-SM-5IFHL 50-59 years, female 344.9
GTEX-15CHC-1126-SM-6LLHQ 60-69 years, female 343.8
GTEX-15EU6-2226-SM-6EU2L 50-59 years, male 342.4
GTEX-139TS-2126-SM-5K7XC 60-69 years, male 339.2
GTEX-1I1CD-0626-SM-CE6SW 60-69 years, female 339.1
GTEX-1F88F-0126-SM-9WYSZ 60-69 years, female 339.0
GTEX-13FLV-0126-SM-5K7WT 50-59 years, male 338.5
GTEX-1B8KZ-0326-SM-73KY4 50-59 years, male 338.4
GTEX-WYVS-1626-SM-3NM9R 40-49 years, female 338.4
GTEX-1B996-0426-SM-7EWF8 60-69 years, male 337.4
GTEX-13NZ8-1226-SM-5KM4A 60-69 years, female 335.3
GTEX-16NPX-0726-SM-7KULC 50-59 years, male 333.8
GTEX-1S5ZU-2526-SM-E6CIF 20-29 years, female 332.8
GTEX-13O3O-2326-SM-5IJD6 60-69 years, female 332.5
GTEX-13N2G-0226-SM-5K7VF 60-69 years, male 328.5
GTEX-V1D1-2026-SM-3GAF4 50-59 years, male 327.8
GTEX-1EN7A-2426-SM-793DB 40-49 years, male 326.4
GTEX-X4EP-0626-SM-3P621 60-69 years, female 326.0
GTEX-1KD5A-0126-SM-E9U54 50-59 years, male 324.2
GTEX-13VXT-1926-SM-5K7UO 20-29 years, female 323.6
GTEX-1IDFM-0326-SM-ARL7V 60-69 years, male 322.2
GTEX-1LKK1-2626-SM-DKPQE 50-59 years, female 321.9
GTEX-13RTJ-0126-SM-5S2NN 60-69 years, male 321.4
GTEX-13OW8-1026-SM-5J1NQ 60-69 years, male 320.6
GTEX-1HKZK-0726-SM-ACKW2 40-49 years, male 317.5
GTEX-14ABY-2026-SM-62LDL 50-59 years, male 316.5
GTEX-13N1W-2426-SM-5IJD1 70-79 years, male 315.9
GTEX-1IDJI-0126-SM-CMKHS 50-59 years, female 314.4
GTEX-183FY-1026-SM-7939A 20-29 years, male 313.8
GTEX-XQ8I-0926-SM-4BOOF 50-59 years, male 312.3
GTEX-1KANC-1226-SM-CYPT7 50-59 years, female 312.3
GTEX-12WSD-0626-SM-5GCMW 60-69 years, female 308.8
GTEX-12WSA-0426-SM-5EQ5X 60-69 years, male 307.5
GTEX-1F75B-0726-SM-7PC3R 50-59 years, male 306.2
GTEX-16NGA-0726-SM-731AO 40-49 years, female 305.8
GTEX-1A3MW-0626-SM-731CB 60-69 years, female 304.3
GTEX-11P82-1426-SM-DTXFY 20-29 years, male 304.3
GTEX-139D8-1126-SM-5LU8W 30-39 years, female 304.2
GTEX-1NV5F-0626-SM-DTXEG 60-69 years, female 301.7
GTEX-1AMEY-0826-SM-72D65 30-39 years, female 301.4
GTEX-1B933-2426-SM-7DHMD 50-59 years, female 299.6
GTEX-1314G-1326-SM-5BC6E 30-39 years, male 298.2
GTEX-1S82U-1026-SM-E6CJK 30-39 years, female 297.5
GTEX-1I1GS-2626-SM-B2LY3 60-69 years, male 296.3
GTEX-1GMR8-0626-SM-7RHI7 50-59 years, female 293.8
GTEX-1GMR2-0826-SM-7PC3V 50-59 years, male 293.3
GTEX-WEY5-2326-SM-3GIKK 40-49 years, female 290.3
GTEX-1GN1W-2426-SM-9KNUU 50-59 years, female 289.2
GTEX-13U4I-2226-SM-5LU5H 40-49 years, female 287.6
GTEX-1I6K6-1726-SM-CGQFD 30-39 years, male 286.7
GTEX-13NZ9-2626-SM-5L3FK 50-59 years, male 283.9
GTEX-139TT-2126-SM-5LZWC 60-69 years, male 283.5
GTEX-XV7Q-1826-SM-4BRUV 40-49 years, female 280.7
GTEX-1LVA9-2626-SM-EVYD4 50-59 years, male 280.5
GTEX-1H3VE-0726-SM-9YFL5 40-49 years, male 279.3
GTEX-1N5O9-0926-SM-E9J3C 60-69 years, male 276.8
GTEX-1HR98-2226-SM-ADEI2 60-69 years, male 276.1
GTEX-12696-0126-SM-5EQ4L 60-69 years, male 274.3
GTEX-16Z82-2626-SM-7KULU 60-69 years, male 274.0
GTEX-1JMPZ-0726-SM-CY8HZ 30-39 years, male 273.0
GTEX-ZDXO-3126-SM-5IJDF 60-69 years, male 272.2
GTEX-1F48J-0726-SM-7RHGS 50-59 years, female 271.6
GTEX-13PVR-0426-SM-5RQK2 60-69 years, female 269.8
GTEX-1B932-2326-SM-79OL5 40-49 years, female 269.8
GTEX-144GO-2026-SM-5O99P 60-69 years, male 266.4
GTEX-18A66-0626-SM-7LT8Z 60-69 years, male 265.5
GTEX-1JJE9-2626-SM-ARZMT 70-79 years, male 265.0
GTEX-14DAQ-0626-SM-793DS 60-69 years, female 263.8
GTEX-13OVG-1626-SM-5J1NF 60-69 years, male 260.2
GTEX-1AX8Z-0726-SM-73KTS 60-69 years, male 257.1
GTEX-13QBU-1226-SM-5LU4G 40-49 years, female 256.3
GTEX-WHSE-0126-SM-3NMBT 20-29 years, male 256.3
GTEX-1HCU8-2526-SM-CE6RX 60-69 years, female 250.1
GTEX-1CAV2-0126-SM-7IGN7 40-49 years, female 246.7
GTEX-1IDJF-2026-SM-CL53V 20-29 years, male 246.1
GTEX-131YS-2826-SM-5EQ47 60-69 years, female 242.1
GTEX-ZAJG-1526-SM-5CVML 50-59 years, female 242.0
GTEX-1EH9U-2826-SM-7DUGT 60-69 years, male 240.8
GTEX-16XZZ-0726-SM-7KUF2 60-69 years, male 240.7
GTEX-117YX-1926-SM-5GIEC 50-59 years, male 240.2
GTEX-15D1Q-2826-SM-6LLH7 40-49 years, male 238.3
GTEX-1AX9I-2226-SM-73KUO 60-69 years, male 234.9
GTEX-13VXU-0626-SM-5L3F9 50-59 years, male 234.6
GTEX-1J8Q3-0526-SM-ARL8U 60-69 years, male 234.4
GTEX-13X6H-0926-SM-5SIB2 50-59 years, female 233.7
GTEX-13OVH-0526-SM-5L3E6 70-79 years, male 232.8
GTEX-1LG7Z-1626-SM-CXKYR 30-39 years, male 231.7
GTEX-1JMQI-1726-SM-ARL93 50-59 years, male 231.1
GTEX-1A8G6-2726-SM-731AR 60-69 years, male 229.1
GTEX-ZYVF-0926-SM-5E44J 50-59 years, female 228.2
GTEX-VJYA-1526-SM-3GIJV 60-69 years, male 225.4
GTEX-1I6K7-1926-SM-B2LXR 40-49 years, male 221.8
GTEX-13NYS-0626-SM-5L3F1 60-69 years, male 221.4
GTEX-145MF-0926-SM-5Q5EA 50-59 years, male 220.1
GTEX-12WSL-2026-SM-5GCML 50-59 years, male 214.9
GTEX-146FQ-2126-SM-5RQHU 30-39 years, male 213.0
GTEX-11DXW-0826-SM-5H118 40-49 years, male 211.6
GTEX-12WSC-2826-SM-5BC5Y 50-59 years, male 211.6
GTEX-WK11-2726-SM-3NMAQ 50-59 years, male 210.1
GTEX-1H1DF-1126-SM-9WG7G 40-49 years, female 208.2
GTEX-1H3NZ-2726-SM-9WYTQ 60-69 years, male 205.9
GTEX-XQ3S-1426-SM-4BOPR 20-29 years, male 205.2
GTEX-1F6RS-2026-SM-7RHHC 60-69 years, female 205.2
GTEX-WFG8-2126-SM-3GIKQ 20-29 years, male 205.1
GTEX-178AV-1726-SM-7KUL8 40-49 years, male 203.5
GTEX-1IDJV-0126-SM-COH3Y 60-69 years, male 200.3
GTEX-11WQK-1026-SM-5EQLX 50-59 years, male 198.8
GTEX-1QCLZ-2426-SM-EVYBW 60-69 years, female 197.5
GTEX-13OVL-0126-SM-5L3GJ 50-59 years, male 196.6
GTEX-12BJ1-0926-SM-5EQ62 60-69 years, male 194.8
GTEX-11ZUS-2626-SM-5FQUR 30-39 years, male 194.4
GTEX-1H1CY-0126-SM-9YFLY 60-69 years, female 193.3
GTEX-17HG3-2626-SM-7DUF2 30-39 years, female 193.1
GTEX-13X6J-0626-SM-5LU5F 50-59 years, male 191.2
GTEX-1IDJC-1526-SM-B2LW4 50-59 years, male 187.9
GTEX-1O9I2-0226-SM-EYYXD 50-59 years, male 187.7
GTEX-Y5LM-0926-SM-6LLJG 40-49 years, female 186.5
GTEX-11EI6-2826-SM-5H11D 60-69 years, male 186.3
GTEX-18A7B-2726-SM-7LG56 70-79 years, male 186.2
GTEX-14JG6-1426-SM-9WG7C 30-39 years, female 185.9
GTEX-14PJ2-0626-SM-6LLII 50-59 years, male 185.0
GTEX-1A8G7-1326-SM-73KVM 60-69 years, male 184.0
GTEX-12584-0726-SM-5FQTK 40-49 years, male 174.8
GTEX-1211K-1526-SM-5FQU4 60-69 years, female 172.8
GTEX-1RB15-1326-SM-E76Q9 60-69 years, male 171.2
GTEX-WYBS-0626-SM-3NMAS 60-69 years, female 168.6
GTEX-1IDJE-1426-SM-ADEIW 50-59 years, female 165.8
GTEX-17MF6-2626-SM-79OKQ 40-49 years, male 163.2
GTEX-WFON-1926-SM-3LK7L 40-49 years, male 162.8
GTEX-1JN6P-2926-SM-CL54D 60-69 years, male 161.7
GTEX-1LGOU-1326-SM-D3L8M 20-29 years, female 159.4
GTEX-ZZ64-1026-SM-5GZXG 20-29 years, male 159.1
GTEX-WYJK-0526-SM-3NM8Z 50-59 years, male 158.9
GTEX-1HCU9-0426-SM-9WYSD 20-29 years, male 156.0
GTEX-13113-1626-SM-5EQ4I 60-69 years, female 155.3
GTEX-1HSMO-0626-SM-ACKXC 60-69 years, male 153.9
GTEX-145MO-2826-SM-5LU96 60-69 years, male 148.6
GTEX-1A8FM-0626-SM-7PC25 50-59 years, female 145.9
GTEX-ZYFD-0626-SM-5E44E 50-59 years, male 143.1
GTEX-1A32A-0626-SM-731AQ 50-59 years, female 140.3
GTEX-147JS-0226-SM-5S2U9 60-69 years, male 139.2
GTEX-14BMV-2826-SM-5TDED 50-59 years, male 137.7
GTEX-1A3MX-2626-SM-7PC24 60-69 years, male 137.1
GTEX-YB5K-2026-SM-4VDT3 40-49 years, female 134.7
GTEX-12WSF-1626-SM-7KUG5 70-79 years, male 130.5
GTEX-1HFI6-0126-SM-CNPPI 40-49 years, male 128.1
GTEX-13X6K-0626-SM-5LU5D 60-69 years, female 127.7
GTEX-1GMR3-0126-SM-A9SLW 40-49 years, male 115.6
GTEX-17JCI-2926-SM-7DUFF 60-69 years, female 115.0
GTEX-145LT-0526-SM-5LUB2 40-49 years, male 114.7
GTEX-1HUB1-1426-SM-CGQF5 60-69 years, male 114.0
GTEX-UPK5-0426-SM-3GAEK 40-49 years, male 105.8
GTEX-1QP66-1226-SM-DTX7U 50-59 years, male 101.6
GTEX-ZT9W-1126-SM-57WDR 50-59 years, male 96.6
GTEX-1GZ2Q-0126-SM-9WG6M 40-49 years, male 95.6
GTEX-1J8JJ-0626-SM-ARZMQ 60-69 years, female 94.9
GTEX-14E6C-2426-SM-5S2NF 40-49 years, male 91.7
GTEX-1HBPM-0726-SM-9YFL7 60-69 years, female 82.2
GTEX-11TT1-1826-SM-5EQLV 20-29 years, male 81.4
GTEX-13JUV-2026-SM-5K7UA 40-49 years, female 77.9
GTEX-1I19N-0126-SM-CYPSF 70-79 years, male 74.0
GTEX-ZVE1-0726-SM-51MRN 50-59 years, female 71.2
GTEX-1F6IF-0926-SM-7SB7M 60-69 years, male 60.8
GTEX-1399R-1326-SM-5PNYS 30-39 years, male 55.8
GTEX-1RAZA-2226-SM-E9U4X 20-29 years, male 32.3
GTEX-YF7O-1526-SM-5IFI6 50-59 years, male 7.4
GTEX-1F75W-2726-SM-7SB8H 60-69 years, male 6.8
GTEX-1E1VI-0326-SM-793D1 50-59 years, male 5.9
GTEX-111FC-2526-SM-5GZXU 60-69 years, male 2.1
GTEX-1GF9U-2026-SM-7SB92 40-49 years, female 1.8
GTEX-1AX9J-1326-SM-731BJ 60-69 years, male 1.4
GTEX-1L5NE-1126-SM-D3L9P 50-59 years, male 1.4
GTEX-17EVQ-0126-SM-7IGLR 70-79 years, male 1.3
GTEX-ZVTK-0226-SM-51MRG 20-29 years, male 1.2
GTEX-16GPK-0626-SM-7KFSF 60-69 years, male 0.8
GTEX-ZUA1-2626-SM-5NQ92 40-49 years, male 0.7
Show allShow less
Skin - Sun Exposed (Lower leg)
Average nTPM: 831.0
Samples: 701

Max nTPM: 3205.3
Min nTPM: 0.1
Std nTPM: 503.7
Median nTPM: 729.2
GTEX-1JMLX-0226-SM-CM2RO 50-59 years, male 3205.3
GTEX-U412-0426-SM-3DB9O 60-69 years, male 3080.6
GTEX-15SB6-1726-SM-6PAME 50-59 years, female 2915.7
GTEX-1R9PM-2026-SM-E76OY 20-29 years, male 2870.1
GTEX-1399U-2326-SM-5K7WY 50-59 years, female 2834.3
GTEX-ZGAY-0526-SM-4WWBB 40-49 years, female 2638.2
GTEX-W5X1-3026-SM-EAZAX 40-49 years, female 2551.4
GTEX-Y3IK-2426-SM-4WWDU 50-59 years, female 2440.9
GTEX-UJHI-1526-SM-3DB99 50-59 years, female 2376.2
GTEX-P4QT-0126-SM-2I3FL 50-59 years, female 2348.5
GTEX-Y114-2426-SM-4TT8A 50-59 years, female 2322.5
GTEX-1F5PL-0326-SM-7P8PQ 40-49 years, female 2309.8
GTEX-111FC-0126-SM-5N9DL 60-69 years, male 2275.3
GTEX-Z93T-0126-SM-5HL5N 50-59 years, male 2210.2
GTEX-18D9A-1926-SM-7LG6P 30-39 years, female 2209.5
GTEX-1CAV2-2226-SM-7P8P2 40-49 years, female 2205.6
GTEX-ZXES-1826-SM-5E43S 30-39 years, female 2186.0
GTEX-1KANC-1526-SM-D3LAB 50-59 years, female 2149.6
GTEX-17JCI-0126-SM-7LG5G 60-69 years, female 2145.0
GTEX-XUZC-1726-SM-4BRWS 30-39 years, female 2127.1
GTEX-ZVTK-0426-SM-51MRS 20-29 years, male 2127.0
GTEX-1I1GV-0526-SM-A9G29 60-69 years, male 2118.7
GTEX-T6MN-0126-SM-32PLP 50-59 years, male 2108.1
GTEX-11UD1-0126-SM-5PNYG 40-49 years, female 2048.3
GTEX-OOBJ-0126-SM-E6CJW 60-69 years, male 2014.2
GTEX-1122O-2126-SM-5EGIR 60-69 years, female 2009.6
GTEX-11DYG-0126-SM-59883 60-69 years, male 2003.3
GTEX-1OFPY-2426-SM-DTXEJ 60-69 years, male 1983.0
GTEX-13FXS-0226-SM-5IJCK 50-59 years, male 1976.9
GTEX-X4XX-0126-SM-3NMC2 60-69 years, male 1969.3
GTEX-1LB8K-0226-SM-EWRNW 50-59 years, male 1968.9
GTEX-13FTW-2626-SM-5K7WL 40-49 years, male 1958.6
GTEX-POMQ-2226-SM-2I5FK 20-29 years, female 1952.7
GTEX-XBEW-0626-SM-4QASP 40-49 years, male 1916.8
GTEX-1PIIG-0226-SM-EWRN6 30-39 years, male 1889.7
GTEX-117XS-2726-SM-5N9BL 60-69 years, male 1853.1
GTEX-131XE-2326-SM-5PNZ2 50-59 years, male 1843.7
GTEX-1S3DN-2226-SM-EVYCD 50-59 years, male 1835.1
GTEX-1LG7Z-1726-SM-D3LA4 30-39 years, male 1815.4
GTEX-O5YW-0126-SM-3LK6D 50-59 years, male 1805.2
GTEX-1EWIQ-0126-SM-7RHH2 70-79 years, female 1794.8
GTEX-ZF3C-0126-SM-DO92D 50-59 years, female 1754.3
GTEX-OIZG-0726-SM-33HBL 50-59 years, male 1754.0
GTEX-1JMPY-1326-SM-ARL8Y 30-39 years, male 1728.7
GTEX-1OJC3-0126-SM-E76QX 20-29 years, male 1727.3
GTEX-YB5E-2026-SM-5IFIS 40-49 years, male 1707.1
GTEX-1B8SF-1426-SM-7DUGL 60-69 years, male 1677.2
GTEX-1M5QR-1226-SM-EWROB 40-49 years, male 1675.4
GTEX-1399R-2726-SM-5IJBA 30-39 years, male 1673.1
GTEX-139UW-2826-SM-5L3E7 60-69 years, male 1669.7
GTEX-1PFEY-1526-SM-E76PP 30-39 years, male 1662.6
GTEX-15RIG-0226-SM-7KFTL 40-49 years, male 1652.9
GTEX-ZPIC-1726-SM-DHXIU 40-49 years, female 1636.3
GTEX-ZVT2-2526-SM-51MT1 50-59 years, female 1627.8
GTEX-133LE-1826-SM-5J1MV 20-29 years, female 1627.7
GTEX-1MJK2-0426-SM-DTXE5 50-59 years, male 1627.3
GTEX-O5YT-0126-SM-48TBW 20-29 years, male 1623.3
GTEX-145MO-0326-SM-5Q5B3 60-69 years, male 1605.3
GTEX-SUCS-1926-SM-32PM3 70-79 years, male 1600.4
GTEX-13111-1626-SM-5EGJY 50-59 years, male 1564.0
GTEX-1QP9N-1426-SM-DTXFL 30-39 years, male 1563.1
GTEX-WI4N-1026-SM-3LK7N 40-49 years, female 1559.0
GTEX-U8XE-0326-SM-3DB8P 30-39 years, male 1554.3
GTEX-ZVZO-0126-SM-5A5L9 40-49 years, male 1545.8
GTEX-1S83E-0126-SM-EWRO4 40-49 years, male 1538.2
GTEX-1CB4I-0226-SM-79OLH 50-59 years, male 1535.6
GTEX-1J8EW-0126-SM-CJI4F 60-69 years, female 1528.4
GTEX-14PII-0226-SM-6EU1T 60-69 years, male 1516.2
GTEX-U8T8-0126-SM-3DB94 60-69 years, male 1513.5
GTEX-1LGOU-2026-SM-DIPFF 20-29 years, female 1501.9
GTEX-X5EB-2226-SM-46MW4 40-49 years, male 1500.0
GTEX-1F52S-0126-SM-9MQJU 60-69 years, female 1490.0
GTEX-14PN4-0126-SM-6EU2V 50-59 years, male 1482.4
GTEX-Y8E4-0626-SM-4WWDL 40-49 years, male 1480.9
GTEX-NPJ8-0126-SM-2YUNR 40-49 years, male 1451.8
GTEX-WYJK-0126-SM-3NMAB 50-59 years, male 1450.2
GTEX-14ICK-0226-SM-6EU25 40-49 years, male 1449.9
GTEX-1LBAC-0126-SM-DIPEZ 20-29 years, male 1448.0
GTEX-1269C-2526-SM-5EGJ3 60-69 years, female 1437.6
GTEX-WQUQ-0426-SM-3MJFU 60-69 years, male 1436.6
GTEX-ZTX8-1426-SM-5DUVO 20-29 years, male 1431.2
GTEX-15ETS-0126-SM-7KUMW 40-49 years, female 1428.2
GTEX-1PIGE-0126-SM-EVYBJ 20-29 years, male 1411.5
GTEX-14PK6-1926-SM-6ETZU 70-79 years, female 1393.5
GTEX-OIZH-0126-SM-2HMIS 50-59 years, male 1377.6
GTEX-1H1CY-2826-SM-9MQM3 60-69 years, female 1374.4
GTEX-PSDG-0226-SM-DKPOZ 50-59 years, male 1370.2
GTEX-NFK9-0226-SM-2HMKQ 40-49 years, male 1364.5
GTEX-1GF9V-0326-SM-7RHI5 60-69 years, male 1355.9
GTEX-1C4CL-0526-SM-73KVK 30-39 years, male 1355.3
GTEX-12WSG-2826-SM-E9J4H 50-59 years, female 1339.9
GTEX-145MN-2226-SM-5SIAU 30-39 years, male 1337.8
GTEX-PX3G-0126-SM-2I3EN 20-29 years, female 1336.7
GTEX-ZYFC-0226-SM-5NQ75 50-59 years, male 1334.2
GTEX-1C475-1826-SM-73KWA 40-49 years, female 1329.6
GTEX-QDVJ-1726-SM-2I5FX 50-59 years, male 1323.7
GTEX-13JUV-2726-SM-5LZZ8 40-49 years, female 1305.1
GTEX-1H4P4-0726-SM-9YFLR 50-59 years, male 1304.4
GTEX-ZYT6-0226-SM-5NQ6T 30-39 years, male 1301.9
GTEX-U3ZN-2326-SM-3DB7W 30-39 years, female 1298.7
GTEX-15ER7-0326-SM-7KUEV 20-29 years, female 1294.9
GTEX-S7SE-0126-SM-2XCD5 50-59 years, male 1277.3
GTEX-1QCLY-0326-SM-E8VOG 30-39 years, male 1276.8
GTEX-ZVZP-2426-SM-59HKJ 50-59 years, male 1274.8
GTEX-18A6Q-0126-SM-731BZ 60-69 years, male 1272.4
GTEX-1S5ZA-0126-SM-EVYCV 20-29 years, male 1271.3
GTEX-14E6D-0126-SM-62LDV 50-59 years, male 1270.8
GTEX-13O21-1426-SM-5K7XI 50-59 years, male 1267.1
GTEX-Y5V6-2426-SM-4VDSB 60-69 years, male 1265.7
GTEX-Y5V5-2326-SM-4V6GA 60-69 years, female 1263.6
GTEX-14JG1-0426-SM-6ETZZ 40-49 years, male 1246.2
GTEX-1J8QM-2126-SM-CYPSJ 60-69 years, female 1243.0
GTEX-13NYB-2526-SM-5K7Z6 40-49 years, male 1231.5
GTEX-1I1GT-0626-SM-CGQER 60-69 years, female 1231.4
GTEX-SN8G-0126-SM-32PLI 50-59 years, female 1222.2
GTEX-1L5NE-2526-SM-E6CIE 50-59 years, male 1218.6
GTEX-1KXAM-2226-SM-CYPTC 60-69 years, male 1212.2
GTEX-12126-0326-SM-5PNW3 20-29 years, male 1208.0
GTEX-1PDJ9-0326-SM-DTX95 20-29 years, male 1206.3
GTEX-S33H-1026-SM-EZ6L6 30-39 years, male 1205.8
GTEX-1B97I-1626-SM-73KYO 40-49 years, male 1194.3
GTEX-1KANA-0726-SM-D3L9I 20-29 years, male 1193.2
GTEX-1313W-0126-SM-5LZUN 50-59 years, female 1191.8
GTEX-13OW5-0126-SM-DTXFS 60-69 years, male 1190.2
GTEX-1JMQL-0226-SM-CNPP5 50-59 years, female 1186.6
GTEX-1HSKV-0226-SM-A9SKJ 60-69 years, male 1180.3
GTEX-14753-0426-SM-5NQAM 60-69 years, male 1178.9
GTEX-169BO-1326-SM-9MQK2 50-59 years, male 1178.2
GTEX-14XAO-2326-SM-6EU1B 60-69 years, female 1177.6
GTEX-1GF9W-0326-SM-9KNUN 60-69 years, male 1174.5
GTEX-1AX9J-0226-SM-73KXM 60-69 years, male 1161.9
GTEX-RM2N-1426-SM-2TF4H 50-59 years, male 1158.6
GTEX-ZAJG-0126-SM-5HL94 50-59 years, female 1158.2
GTEX-1C64N-0126-SM-793D7 50-59 years, male 1157.7
GTEX-1J1OQ-0226-SM-CYPSH 40-49 years, female 1157.4
GTEX-13PDP-0126-SM-5L3HD 60-69 years, male 1150.0
GTEX-14DAR-2026-SM-5S2O3 50-59 years, male 1148.5
GTEX-18D9U-0226-SM-718BP 40-49 years, male 1145.5
GTEX-1QAET-0926-SM-E76QM 50-59 years, male 1143.5
GTEX-1MCQQ-0826-SM-DLHC2 60-69 years, male 1137.2
GTEX-13NZB-2526-SM-5J1OM 30-39 years, male 1135.6
GTEX-1MGNQ-0126-SM-EVYCJ 40-49 years, male 1129.1
GTEX-145ME-1826-SM-5SI9G 40-49 years, female 1125.2
GTEX-ZWKS-0126-SM-5SIAA 30-39 years, male 1121.1
GTEX-14BMU-2226-SM-5TDE9 20-29 years, female 1120.8
GTEX-ZV68-0126-SM-59HKS 50-59 years, female 1120.7
GTEX-12ZZZ-0626-SM-5DUXI 60-69 years, male 1119.0
GTEX-11ZTS-0126-SM-5EQ6M 60-69 years, female 1118.3
GTEX-1HSGN-0226-SM-CGQFV 40-49 years, female 1118.1
GTEX-P4PP-0126-SM-3LK69 30-39 years, female 1117.1
GTEX-1GMRU-0126-SM-9YFLV 50-59 years, male 1116.0
GTEX-1GZHY-0326-SM-9QEHI 50-59 years, female 1113.1
GTEX-13FH7-2026-SM-E9J4I 50-59 years, female 1104.9
GTEX-11EQ9-2426-SM-5HL5T 30-39 years, male 1092.1
GTEX-1LVAN-0226-SM-COH3S 50-59 years, female 1091.8
GTEX-1EMGI-0126-SM-9KNUE 60-69 years, male 1090.6
GTEX-11EI6-0126-SM-5985R 60-69 years, male 1076.2
GTEX-12WSJ-1826-SM-5GCNY 40-49 years, female 1075.7
GTEX-TMMY-0226-SM-33HBA 40-49 years, female 1075.4
GTEX-T2YK-0526-SM-32QPJ 50-59 years, male 1067.6
GTEX-1MA7W-2026-SM-E9TJ6 20-29 years, female 1061.0
GTEX-1IL2U-0226-SM-CE6T8 60-69 years, male 1058.1
GTEX-X88G-0126-SM-47JZ3 30-39 years, male 1052.1
GTEX-14A5H-0426-SM-5QGQF 60-69 years, male 1051.7
GTEX-XYKS-2126-SM-4E3IB 60-69 years, female 1049.3
GTEX-S95S-1226-SM-4GICG 60-69 years, male 1048.1
GTEX-14PJM-0226-SM-62LF1 50-59 years, female 1043.7
GTEX-1CAMQ-0226-SM-7IGPK 40-49 years, male 1042.9
GTEX-1IDJH-0326-SM-A9SLQ 70-79 years, male 1042.2
GTEX-13SLW-0126-SM-5SI6C 70-79 years, male 1041.7
GTEX-ZDYS-2026-SM-5HL5L 50-59 years, male 1037.3
GTEX-13IVO-0126-SM-5J1NG 70-79 years, male 1036.4
GTEX-ZAB4-0226-SM-5N9F5 40-49 years, male 1035.9
GTEX-RNOR-0126-SM-E9J4R 50-59 years, female 1035.6
GTEX-145LS-0126-SM-5QGP1 60-69 years, female 1034.7
GTEX-1KWVE-1426-SM-E9TJO 30-39 years, male 1033.7
GTEX-1IL2V-0126-SM-CM2TX 70-79 years, male 1031.3
GTEX-1BAJH-0526-SM-793CQ 70-79 years, male 1028.5
GTEX-1CB4E-2226-SM-793DC 60-69 years, male 1027.1
GTEX-139TS-2826-SM-5J1OO 60-69 years, male 1025.3
GTEX-ZDTS-0126-SM-4WAY5 60-69 years, male 1025.2
GTEX-XAJ8-0826-SM-47JY6 40-49 years, male 1019.0
GTEX-13CF2-2526-SM-5LZYX 60-69 years, male 1018.7
GTEX-T5JW-1626-SM-3GADZ 20-29 years, female 1015.9
GTEX-1212Z-2526-SM-5EGKP 60-69 years, male 1012.9
GTEX-1H1DG-0126-SM-9WYU2 70-79 years, male 1011.8
GTEX-15DYW-0126-SM-7KULE 60-69 years, female 1011.5
GTEX-1GF9X-2026-SM-7PC3A 40-49 years, female 1010.6
GTEX-1GN1U-0126-SM-7PBZK 50-59 years, female 1009.1
GTEX-1HSEH-0126-SM-ACKXN 60-69 years, male 1007.6
GTEX-1K2DA-1826-SM-CGQGT 50-59 years, male 1007.0
GTEX-TML8-1926-SM-32QOS 40-49 years, female 1006.5
GTEX-1QMI2-0226-SM-EVYBX 60-69 years, male 1005.3
GTEX-13PVR-2326-SM-5QGR1 60-69 years, female 1005.2
GTEX-ZTSS-1926-SM-57WEW 40-49 years, male 1004.8
GTEX-1H11D-0226-SM-9WG6Z 40-49 years, male 1002.6
GTEX-1JMQK-0226-SM-CL543 60-69 years, male 1002.5
GTEX-1QPFJ-0226-SM-E76PB 30-39 years, female 999.6
GTEX-1R7EU-0226-SM-EVR4G 60-69 years, male 997.9
GTEX-12WSE-0526-SM-793B2 20-29 years, male 996.4
GTEX-Z93S-0126-SM-5HL7M 50-59 years, male 996.2
GTEX-1B8KE-2126-SM-73KYX 50-59 years, male 995.9
GTEX-ZE9C-2726-SM-57WB5 60-69 years, male 994.8
GTEX-Y8DK-0126-SM-4TT3L 60-69 years, male 993.5
GTEX-131YS-0126-SM-5KM1M 60-69 years, female 990.7
GTEX-ZAK1-0126-SM-5IJD3 50-59 years, female 989.8
GTEX-13OVK-2026-SM-7KUEO 40-49 years, male 987.4
GTEX-13FHP-0126-SM-5IJBG 50-59 years, male 984.0
GTEX-1CB4H-0226-SM-7PBXM 60-69 years, female 982.5
GTEX-1J1R8-1726-SM-ARL8M 40-49 years, male 980.8
GTEX-OXRK-0226-SM-3NB2G 50-59 years, female 976.9
GTEX-11DXZ-2326-SM-5EGGV 50-59 years, male 976.6
GTEX-YB5K-2126-SM-4WWDJ 40-49 years, female 976.6
GTEX-1B8L1-2526-SM-9WYTF 60-69 years, male 976.6
GTEX-13FTY-0526-SM-5L3EV 40-49 years, female 973.5
GTEX-14PJ6-2126-SM-6EU1V 60-69 years, female 972.9
GTEX-17KNJ-2326-SM-7DHLQ 50-59 years, male 970.7
GTEX-1GN2E-0426-SM-9MQKX 60-69 years, male 967.2
GTEX-1HR98-0126-SM-B2LWI 60-69 years, male 966.0
GTEX-13FTX-1826-SM-5J1NX 20-29 years, female 964.4
GTEX-1JJ6O-0126-SM-E6CI8 60-69 years, male 962.4
GTEX-11GSO-2426-SM-5A5LY 60-69 years, male 961.9
GTEX-XXEK-2226-SM-4BRUM 50-59 years, male 958.1
GTEX-1H3VE-0326-SM-9YFLH 40-49 years, male 955.9
GTEX-OHPM-0126-SM-2YUN9 50-59 years, male 955.5
GTEX-18QFQ-0126-SM-731BE 30-39 years, male 953.4
GTEX-139TU-0126-SM-5K7WH 60-69 years, male 949.4
GTEX-132NY-0326-SM-5IJBL 60-69 years, male 948.9
GTEX-QCQG-1726-SM-3GIJ9 50-59 years, female 946.7
GTEX-X585-0226-SM-4QAS2 50-59 years, male 944.9
GTEX-13OW6-0426-SM-5L3HM 50-59 years, male 944.1
GTEX-1KAFJ-2026-SM-CY8ID 50-59 years, male 942.6
GTEX-1E2YA-0126-SM-9KNUC 50-59 years, male 937.8
GTEX-X8HC-0126-SM-4E3JW 50-59 years, female 934.4
GTEX-13G51-2526-SM-5LZYK 60-69 years, male 933.5
GTEX-1F6RS-0126-SM-9MQKZ 60-69 years, female 931.5
GTEX-14E6E-1826-SM-5S2R7 30-39 years, male 930.1
GTEX-131XH-2226-SM-5DUXJ 50-59 years, male 924.4
GTEX-ZYFG-2326-SM-5E44B 60-69 years, female 922.7
GTEX-12ZZX-0126-SM-5EGK9 40-49 years, female 922.2
GTEX-1PPH8-0226-SM-E8VND 20-29 years, male 919.3
GTEX-17F97-0326-SM-7LG5B 50-59 years, male 914.2
GTEX-1JMPZ-0226-SM-CNPP1 30-39 years, male 914.1
GTEX-111VG-2426-SM-5GZXD 60-69 years, male 907.7
GTEX-14E6C-0126-SM-5RQIP 40-49 years, male 907.1
GTEX-148VI-1626-SM-5SI6E 60-69 years, female 905.9
GTEX-1I4MK-2226-SM-ACKWD 50-59 years, female 904.4
GTEX-15SHU-0126-SM-7KUEH 40-49 years, female 904.2
GTEX-1I6K6-0126-SM-A9SLE 30-39 years, male 903.2
GTEX-UPJH-0326-SM-3GADU 50-59 years, male 901.4
GTEX-18465-0126-SM-731BN 50-59 years, male 895.2
GTEX-Y3I4-2126-SM-4TT7C 50-59 years, male 893.7
GTEX-1JN1M-0326-SM-CYPT3 60-69 years, female 892.9
GTEX-15UF6-0826-SM-6PALJ 70-79 years, female 891.5
GTEX-14LZ3-0226-SM-62LET 60-69 years, female 889.9
GTEX-ZU9S-0226-SM-5E441 30-39 years, male 889.6
GTEX-RTLS-0126-SM-447CA 60-69 years, female 887.2
GTEX-11GSP-2526-SM-5N9BP 60-69 years, female 884.4
GTEX-1HCUA-2426-SM-ADEIS 50-59 years, female 882.4
GTEX-1HSMP-0126-SM-E6CJS 70-79 years, male 882.4
GTEX-13NZ8-0826-SM-5MR3I 60-69 years, female 876.6
GTEX-18A7B-0126-SM-7LG64 70-79 years, male 876.6
GTEX-XUYS-0126-SM-47JWZ 50-59 years, male 875.9
GTEX-1IOXB-0126-SM-ARL8G 50-59 years, male 875.2
GTEX-QEG4-0226-SM-2S1PY 30-39 years, male 874.4
GTEX-1R46S-0626-SM-E9J41 60-69 years, female 874.3
GTEX-13O3P-0126-SM-5KM4S 50-59 years, male 873.2
GTEX-T6MO-1626-SM-32QOM 40-49 years, female 872.1
GTEX-1HCU6-0126-SM-CL54K 60-69 years, female 871.6
GTEX-16BQI-0226-SM-7KUEX 30-39 years, female 871.3
GTEX-146FQ-0126-SM-5NQA9 30-39 years, male 869.4
GTEX-1399T-2826-SM-5KLYZ 60-69 years, male 867.8
GTEX-11UD2-0226-SM-5EQKY 50-59 years, male 866.7
GTEX-12WSD-0126-SM-59HKN 60-69 years, female 866.7
GTEX-T2IS-0126-SM-4DM6O 20-29 years, female 863.2
GTEX-TSE9-0126-SM-3DB83 60-69 years, female 862.8
GTEX-X4EP-0126-SM-3P5YV 60-69 years, female 861.7
GTEX-QVJO-1626-SM-2S1QW 60-69 years, female 857.3
GTEX-13N11-2526-SM-5K7UE 50-59 years, female 856.3
GTEX-13RTK-1426-SM-5QGQJ 20-29 years, male 856.1
GTEX-ZYFD-0126-SM-5GIDL 50-59 years, male 852.8
GTEX-11XUK-2026-SM-5EQLF 40-49 years, female 851.8
GTEX-ZDTT-2726-SM-4WKF8 60-69 years, male 848.7
GTEX-13OVH-0126-SM-5MR4B 70-79 years, male 846.1
GTEX-1LGRB-2526-SM-CNPPQ 50-59 years, female 845.6
GTEX-RVPV-0126-SM-EAZAW 60-69 years, male 843.8
GTEX-1GZ4H-1726-SM-7PBZJ 50-59 years, female 842.8
GTEX-1JJEA-0326-SM-CNPOT 60-69 years, male 842.1
GTEX-WZTO-0126-SM-3NM95 40-49 years, male 837.8
GTEX-SNMC-1226-SM-2XCFP 20-29 years, male 837.5
GTEX-131XG-2626-SM-5KM17 50-59 years, female 836.8
GTEX-ZVT4-0126-SM-DTXFN 50-59 years, female 836.2
GTEX-RU72-0926-SM-2TF6B 50-59 years, female 829.4
GTEX-YFC4-0126-SM-5CVLY 40-49 years, female 825.4
GTEX-ZV6S-2326-SM-4YCEY 40-49 years, female 824.7
GTEX-1ICG6-2526-SM-CGQFZ 70-79 years, female 822.4
GTEX-WFON-2126-SM-3LK7O 40-49 years, male 820.2
GTEX-13SLX-0526-SM-5S2ON 50-59 years, female 818.7
GTEX-1HB9E-0226-SM-E9U4R 50-59 years, male 816.6
GTEX-WH7G-2326-SM-3NMBC 40-49 years, male 815.4
GTEX-15F5U-1526-SM-6PANO 40-49 years, male 813.1
GTEX-VJYA-1126-SM-3GIJU 60-69 years, male 812.3
GTEX-1J8Q2-0526-SM-CM2RW 60-69 years, male 806.7
GTEX-11NSD-2226-SM-5986V 20-29 years, male 795.7
GTEX-1J8JJ-0226-SM-CL53I 60-69 years, female 790.4
GTEX-1QP29-0626-SM-EWRMX 50-59 years, male 789.5
GTEX-1KANB-0526-SM-E6CJH 50-59 years, male 787.4
GTEX-RWSA-0126-SM-2XCBB 40-49 years, male 787.0
GTEX-11TUW-2726-SM-E9J4M 60-69 years, male 785.1
GTEX-1IKK5-0626-SM-ARL8A 60-69 years, male 780.6
GTEX-17HG3-2226-SM-7938L 30-39 years, female 779.4
GTEX-13OW8-1326-SM-5J1OW 60-69 years, male 779.1
GTEX-17GQL-2026-SM-718BA 60-69 years, male 778.6
GTEX-131XF-5016-SM-7MGWE 60-69 years, male 776.5
GTEX-1HCVE-0126-SM-CGQEU 50-59 years, male 775.4
GTEX-1314G-1526-SM-5EGK2 30-39 years, male 772.9
GTEX-17F96-1626-SM-7DUFL 70-79 years, male 772.7
GTEX-1KD4Q-0226-SM-E9TJ9 40-49 years, male 771.4
GTEX-ZQG8-1626-SM-DHXIT 60-69 years, female 770.9
GTEX-1HT8W-0126-SM-CNPPP 30-39 years, male 770.8
GTEX-14BIN-0626-SM-793DP 50-59 years, female 770.1
GTEX-13O3O-0126-SM-E9J49 60-69 years, female 769.2
GTEX-U3ZM-1526-SM-3DB9D 40-49 years, male 768.4
GTEX-WRHK-1426-SM-3MJF9 20-29 years, female 768.4
GTEX-TMZS-0126-SM-3DB9Q 60-69 years, male 767.9
GTEX-15DDE-0126-SM-6LPKH 50-59 years, female 762.7
GTEX-1GN73-0226-SM-9WG67 60-69 years, male 761.5
GTEX-11DXW-0226-SM-5H122 40-49 years, male 760.4
GTEX-13X6J-0126-SM-5QGOU 50-59 years, male 759.6
GTEX-1RDX4-0126-SM-E9J4P 50-59 years, female 758.1
GTEX-YJ89-0126-SM-4TT3X 60-69 years, male 757.8
GTEX-13FHO-0226-SM-5IFGY 60-69 years, male 757.0
GTEX-QESD-1426-SM-2S1R9 20-29 years, male 756.6
GTEX-WYVS-2126-SM-3NMA3 40-49 years, female 756.0
GTEX-1MUQO-0126-SM-EAZ58 60-69 years, male 755.1
GTEX-1C6VR-2426-SM-79OLD 60-69 years, male 753.7
GTEX-S32W-2126-SM-2XCB1 50-59 years, female 752.8
GTEX-17HII-0226-SM-7LG4E 50-59 years, male 749.7
GTEX-VUSG-2526-SM-4KL1V 50-59 years, male 748.3
GTEX-1RB15-2126-SM-E9TIM 60-69 years, male 748.0
GTEX-13O3Q-2426-SM-5IJBR 50-59 years, male 745.5
GTEX-Y5LM-1926-SM-5RQJH 40-49 years, female 743.5
GTEX-12ZZY-0226-SM-5LZVE 60-69 years, male 742.1
GTEX-13VXU-0126-SM-5SI9F 50-59 years, male 742.0
GTEX-15DCD-0126-SM-7KUEK 70-79 years, female 740.9
GTEX-15G19-0126-SM-6PANQ 60-69 years, male 738.6
GTEX-WXYG-2326-SM-4E3I6 50-59 years, female 738.2
GTEX-Q2AH-1626-SM-3GAF8 40-49 years, male 736.6
GTEX-12C56-1726-SM-5EQ61 20-29 years, male 733.5
GTEX-17EVP-0326-SM-7DHLG 40-49 years, male 730.1
GTEX-1GPI7-0126-SM-9MQL8 20-29 years, male 729.2
GTEX-1CAMR-1926-SM-7EPI2 20-29 years, male 728.2
GTEX-1GF9U-2126-SM-7SB7L 40-49 years, female 727.3
GTEX-18D9B-0526-SM-7LTAS 60-69 years, male 726.7
GTEX-1LH75-2426-SM-E9TJE 50-59 years, female 725.9
GTEX-S7PM-0126-SM-4AD6S 60-69 years, male 721.3
GTEX-R45C-0126-SM-EAZ2R 60-69 years, female 721.0
GTEX-11GS4-2726-SM-5A5LE 60-69 years, male 720.6
GTEX-17MFQ-1726-SM-793C7 20-29 years, male 719.2
GTEX-1NV5F-0226-SM-E8VNY 60-69 years, female 716.0
GTEX-18A67-0126-SM-7LG5P 50-59 years, male 715.4
GTEX-1JN6P-0126-SM-D3L98 60-69 years, male 713.8
GTEX-1IDJU-2626-SM-CM2RT 60-69 years, female 712.8
GTEX-1GMR3-1926-SM-9KNUZ 40-49 years, male 712.0
GTEX-144FL-0126-SM-5TDC8 50-59 years, male 711.7
GTEX-1K9T9-0126-SM-EVYCF 50-59 years, female 708.9
GTEX-1HBPI-1526-SM-C1YQ1 50-59 years, male 708.0
GTEX-1JKYR-0126-SM-CNPOJ 20-29 years, male 708.0
GTEX-X4EO-0326-SM-3P5YO 60-69 years, female 707.6
GTEX-Z9EW-1626-SM-5CVMN 40-49 years, male 706.7
GTEX-1A32A-0126-SM-718B1 50-59 years, female 703.3
GTEX-139D8-0226-SM-5KLZO 30-39 years, female 702.6
GTEX-1S82Z-0826-SM-E6CHY 30-39 years, female 702.1
GTEX-13NZA-0226-SM-5K7Z7 60-69 years, male 699.4
GTEX-ZF29-2326-SM-DO92K 60-69 years, female 698.6
GTEX-ZVT3-0126-SM-5GU6I 60-69 years, female 697.4
GTEX-1QP66-1726-SM-E8VO1 50-59 years, male 696.3
GTEX-1HCU9-1526-SM-A9SL7 20-29 years, male 694.4
GTEX-17HHY-0126-SM-7LG5D 50-59 years, male 692.9
GTEX-1497J-2426-SM-7IGNX 60-69 years, male 691.8
GTEX-1K2DU-2326-SM-E9TIV 20-29 years, male 690.1
GTEX-R3RS-0126-SM-3GIJL 40-49 years, female 689.1
GTEX-OHPL-0126-SM-2HMJ7 60-69 years, female 688.6
GTEX-16YQH-0126-SM-7DUFJ 30-39 years, male 685.3
GTEX-12696-2426-SM-5EQ6H 60-69 years, male 684.5
GTEX-1IDFM-0126-SM-COH2V 60-69 years, male 684.5
GTEX-1CAMS-0426-SM-7P8T2 40-49 years, female 683.3
GTEX-Q2AG-0126-SM-33HBV 40-49 years, female 682.7
GTEX-1CB4G-0226-SM-7PC3O 60-69 years, male 680.9
GTEX-WY7C-2326-SM-3NB2U 50-59 years, male 680.8
GTEX-13D11-2426-SM-5KM1V 50-59 years, female 679.9
GTEX-1HCU8-0626-SM-A9SM9 60-69 years, female 679.2
GTEX-XBED-2226-SM-47JYQ 60-69 years, male 676.8
GTEX-1JMQJ-0526-SM-CYPSU 50-59 years, male 673.8
GTEX-117YW-2626-SM-5GZZH 50-59 years, male 673.4
GTEX-1R7EV-2426-SM-EVYBG 40-49 years, male 673.0
GTEX-13OVG-1926-SM-5L3DK 60-69 years, male 670.2
GTEX-1B996-0226-SM-7RHGO 60-69 years, male 666.9
GTEX-13QJ3-0326-SM-5S2RA 50-59 years, male 664.6
GTEX-11DXY-2626-SM-5GIE7 60-69 years, male 664.4
GTEX-1IDJF-0126-SM-CM2RS 20-29 years, male 662.4
GTEX-ZXG5-0126-SM-5GIEU 60-69 years, male 656.3
GTEX-1IKOH-0226-SM-COH4E 60-69 years, female 655.2
GTEX-1O97I-0326-SM-EYYX7 60-69 years, male 654.5
GTEX-PWO3-1526-SM-48TCM 60-69 years, female 653.1
GTEX-ZE7O-0126-SM-57WC1 50-59 years, female 652.8
GTEX-XPVG-2626-SM-4B669 50-59 years, male 652.4
GTEX-145LT-1726-SM-5QGP3 40-49 years, male 652.0
GTEX-1F75A-0126-SM-7RHGM 50-59 years, male 649.4
GTEX-1CB4F-0426-SM-9KNV4 60-69 years, male 649.0
GTEX-1RAZA-0126-SM-E6CI3 20-29 years, male 648.9
GTEX-12WSK-2326-SM-5GCOH 40-49 years, female 648.3
GTEX-16MT8-0426-SM-7KUEY 60-69 years, female 647.1
GTEX-1QEPI-0126-SM-EWRMQ 60-69 years, female 643.7
GTEX-144GL-0126-SM-5TDE2 50-59 years, male 643.4
GTEX-14PHX-2326-SM-62LEM 50-59 years, male 642.9
GTEX-TKQ1-1026-SM-4GICL 30-39 years, male 641.7
GTEX-1EX96-1626-SM-7PBXR 50-59 years, male 639.7
GTEX-15SDE-2226-SM-7IGLO 50-59 years, female 639.3
GTEX-11H98-0126-SM-5EGHG 50-59 years, male 637.8
GTEX-1ICLZ-0126-SM-CKZPO 60-69 years, male 636.3
GTEX-17EVQ-0226-SM-7LG4P 70-79 years, male 636.0
GTEX-T8EM-1026-SM-3DB7M 40-49 years, male 634.5
GTEX-14A5I-0126-SM-5TDEA 50-59 years, female 633.7
GTEX-PVOW-0126-SM-2XCFA 40-49 years, male 633.7
GTEX-ZF2S-2326-SM-4WWCE 50-59 years, female 632.4
GTEX-OXRN-0126-SM-48TDM 50-59 years, male 627.5
GTEX-Y111-0126-SM-4SOIV 50-59 years, male 624.9
GTEX-16NGA-1726-SM-731B4 40-49 years, female 624.5
GTEX-16XZZ-0126-SM-793DV 60-69 years, male 624.5
GTEX-1H23P-0126-SM-ADEJ3 60-69 years, male 624.0
GTEX-1B8SG-0126-SM-73KZ3 50-59 years, male 623.2
GTEX-11LCK-1026-SM-5A5KB 30-39 years, male 622.6
GTEX-12WSL-2526-SM-5GCNJ 50-59 years, male 622.3
GTEX-1JK1U-2026-SM-CM2RZ 60-69 years, male 622.2
GTEX-1F6I4-0126-SM-9MQL2 60-69 years, male 620.2
GTEX-18A7A-0226-SM-718BH 50-59 years, female 619.2
GTEX-14C5O-0126-SM-5SI6N 60-69 years, male 618.7
GTEX-13CF3-2426-SM-5IFGX 60-69 years, female 618.0
GTEX-11OF3-2626-SM-5GU7F 60-69 years, male 614.1
GTEX-17EUY-0426-SM-793BD 20-29 years, male 613.9
GTEX-1A3MX-0126-SM-731BR 60-69 years, male 613.5
GTEX-1IKJJ-0126-SM-CNPQB 60-69 years, male 613.5
GTEX-PLZ6-1426-SM-DKPOT 30-39 years, male 608.9
GTEX-1H3O1-0426-SM-9YFKY 60-69 years, male 607.0
GTEX-13N2G-2626-SM-5J1OT 60-69 years, male 604.8
GTEX-ZY6K-1826-SM-5GZXK 50-59 years, male 601.7
GTEX-145MI-0526-SM-5O9A8 60-69 years, female 601.1
GTEX-1GZ2Q-0226-SM-7P8TL 40-49 years, male 598.7
GTEX-1C64O-0126-SM-7SB8P 60-69 years, male 595.3
GTEX-11EM3-2426-SM-59861 20-29 years, female 593.6
GTEX-1HGF4-2426-SM-ACKXM 60-69 years, male 591.1
GTEX-13S7M-0126-SM-5SI6A 60-69 years, female 580.5
GTEX-ZAB5-1826-SM-5HL7C 50-59 years, male 578.8
GTEX-1B933-0126-SM-7PC29 50-59 years, female 578.7
GTEX-1I1GQ-0126-SM-COH3H 50-59 years, male 577.0
GTEX-1GTWX-0126-SM-9YFLK 60-69 years, male 576.0
GTEX-1I1GR-0126-SM-CL55F 60-69 years, male 574.6
GTEX-1HFI6-0226-SM-ADEHZ 40-49 years, male 574.5
GTEX-PWCY-1826-SM-DHXIZ 20-29 years, female 573.7
GTEX-12WSA-0226-SM-5BC5V 60-69 years, male 573.5
GTEX-1H3VY-0126-SM-ACKXD 50-59 years, male 571.1
GTEX-1LSNM-1926-SM-E6CII 50-59 years, male 568.9
GTEX-ZQUD-1426-SM-57WER 30-39 years, male 568.1
GTEX-ZYY3-0126-SM-5GZY5 60-69 years, female 565.9
GTEX-XQ3S-1526-SM-4BOOC 20-29 years, male 565.5
GTEX-13OVJ-0126-SM-5KM36 50-59 years, female 564.9
GTEX-1KD5A-0226-SM-D5OV3 50-59 years, male 564.2
GTEX-WFG8-2226-SM-3GIL9 20-29 years, male 562.5
GTEX-11WQC-2526-SM-5CVLE 60-69 years, male 562.3
GTEX-16GPK-0126-SM-7DHLE 60-69 years, male 561.3
GTEX-17F98-0626-SM-79OMX 40-49 years, female 560.9
GTEX-XUW1-0426-SM-4BOOT 50-59 years, female 560.3
GTEX-16NPX-0226-SM-79OMT 50-59 years, male 559.8
GTEX-1GL5R-1826-SM-9KNUY 50-59 years, male 558.9
GTEX-PW2O-1526-SM-7RHHB 20-29 years, male 558.2
GTEX-RWS6-2026-SM-2XCB5 60-69 years, female 555.9
GTEX-SIU8-0126-SM-2XCDT 50-59 years, male 555.2
GTEX-ZF28-0126-SM-4WKGK 60-69 years, male 553.8
GTEX-T5JC-0426-SM-32PLO 20-29 years, male 553.4
GTEX-145MF-0626-SM-5LUAI 50-59 years, male 552.7
GTEX-12KS4-0326-SM-5EQ41 30-39 years, male 551.8
GTEX-ZDXO-3026-SM-5J1N5 60-69 years, male 549.2
GTEX-1RQEC-0426-SM-E6CHU 60-69 years, male 546.8
GTEX-14JG6-2226-SM-6EU2G 30-39 years, female 545.8
GTEX-1HFI7-1826-SM-ACKXH 50-59 years, female 543.9
GTEX-13X6H-2126-SM-7EWD5 50-59 years, female 543.2
GTEX-1EU9M-0226-SM-7P8SP 60-69 years, male 539.4
GTEX-R55G-2526-SM-2TC6D 40-49 years, female 538.2
GTEX-XMD2-0126-SM-4YCDU 60-69 years, female 537.3
GTEX-113JC-2326-SM-5EQ4E 50-59 years, female 535.6
GTEX-139TT-0126-SM-5K7Y5 60-69 years, male 530.1
GTEX-18A66-0226-SM-718BD 60-69 years, male 528.6
GTEX-131XW-0426-SM-5LZWP 50-59 years, female 527.9
GTEX-OOBK-0126-SM-2YUND 40-49 years, male 526.4
GTEX-13112-2826-SM-5DUWH 50-59 years, male 525.3
GTEX-17HGU-0226-SM-7DHKV 50-59 years, male 524.5
GTEX-11VI4-1726-SM-5CVLH 40-49 years, female 524.2
GTEX-WVJS-0126-SM-4MVOT 50-59 years, male 521.2
GTEX-1HSMQ-1226-SM-CGQFX 50-59 years, male 521.0
GTEX-ZZ64-1726-SM-5GZYB 20-29 years, male 517.1
GTEX-X261-0126-SM-3NMD6 50-59 years, male 516.5
GTEX-1EN7A-0126-SM-7SB81 40-49 years, male 514.8
GTEX-X638-0126-SM-47JZ8 70-79 years, female 514.4
GTEX-148VJ-0126-SM-5TDDN 70-79 years, male 512.8
GTEX-1A8FM-0226-SM-7SB7Q 50-59 years, female 510.8
GTEX-13OVI-1426-SM-5L3EY 60-69 years, female 506.5
GTEX-YEC4-2126-SM-5IFJH 40-49 years, male 506.2
GTEX-Q2AI-1326-SM-2S1PL 40-49 years, male 504.8
GTEX-1HKZK-0326-SM-9WYUH 40-49 years, male 504.2
GTEX-11P7K-2126-SM-5GU7G 30-39 years, male 503.8
GTEX-Q734-1926-SM-2I5EV 40-49 years, female 503.3
GTEX-VJWN-0126-SM-3GIK7 50-59 years, female 499.8
GTEX-13YAN-0326-SM-5O9DF 60-69 years, male 499.2
GTEX-1I1CD-0126-SM-CM2TK 60-69 years, female 496.9
GTEX-ZVE2-0226-SM-59HJB 50-59 years, male 496.7
GTEX-14BMV-0126-SM-5S2PO 50-59 years, male 495.8
GTEX-139T8-0126-SM-5K7XZ 60-69 years, male 492.8
GTEX-RUSQ-1526-SM-2TF62 50-59 years, male 492.5
GTEX-147F3-0526-SM-5SI98 50-59 years, female 489.0
GTEX-1JN76-0126-SM-CNPPE 20-29 years, female 488.4
GTEX-1N2DW-0226-SM-E9TK2 50-59 years, male 487.4
GTEX-13NYC-0326-SM-E9J4S 60-69 years, male 483.2
GTEX-12WSC-0126-SM-5EQ4P 50-59 years, male 481.7
GTEX-17HHE-2026-SM-79OKF 50-59 years, male 480.8
GTEX-1JMQI-2226-SM-CM2SD 50-59 years, male 479.3
GTEX-1AMFI-2026-SM-731BH 50-59 years, female 476.1
GTEX-1H1DE-2126-SM-9WG6R 20-29 years, male 475.9
GTEX-11ZVC-2526-SM-5FQTE 50-59 years, female 475.3
GTEX-1192W-2626-SM-5Q5AF 60-69 years, male 474.4
GTEX-13W46-0226-SM-5SIAG 50-59 years, male 472.7
GTEX-ZEX8-2426-SM-4WKG4 50-59 years, male 472.7
GTEX-11DXX-2426-SM-5GZZW 60-69 years, female 471.8
GTEX-1HBPN-0226-SM-9YFM1 50-59 years, male 471.7
GTEX-1C6VS-0526-SM-7DUEN 60-69 years, male 471.2
GTEX-1211K-2026-SM-5EQ4Z 60-69 years, female 470.1
GTEX-1EKGG-0226-SM-9WYTH 60-69 years, male 469.6
GTEX-145LV-2126-SM-5LU8N 50-59 years, male 468.8
GTEX-SJXC-0126-SM-2XCFF 60-69 years, male 467.8
GTEX-1F75B-0126-SM-9KNVL 50-59 years, male 467.0
GTEX-15EU6-0426-SM-6PAN5 50-59 years, male 466.4
GTEX-SSA3-0126-SM-32QPU 60-69 years, male 464.4
GTEX-1192X-0226-SM-5H12D 50-59 years, male 463.3
GTEX-1F7RK-0126-SM-7PC2S 20-29 years, female 463.2
GTEX-1ICLY-0126-SM-D4P36 50-59 years, male 462.7
GTEX-145LU-0126-SM-5TDCB 50-59 years, male 460.4
GTEX-1PWST-0226-SM-E76QJ 70-79 years, male 457.4
GTEX-1H2FU-0126-SM-9WYSI 60-69 years, female 455.2
GTEX-1HCU7-0226-SM-CL545 50-59 years, male 455.0
GTEX-1C6WA-0126-SM-7PC2B 60-69 years, male 454.3
GTEX-11DZ1-0126-SM-5985Q 50-59 years, male 449.0
GTEX-14DAQ-0126-SM-5S2MQ 60-69 years, female 447.9
GTEX-XQ8I-0426-SM-4BOPO 50-59 years, male 447.4
GTEX-1I1GP-2226-SM-CGQFK 50-59 years, male 447.4
GTEX-PLZ5-2026-SM-2S1O4 50-59 years, male 445.3
GTEX-117YX-2326-SM-5H12W 50-59 years, male 443.2
GTEX-1F6IF-0726-SM-7P8TW 60-69 years, male 443.2
GTEX-13O1R-0126-SM-5L3EH 60-69 years, male 442.9
GTEX-14PN3-2426-SM-6LLHS 60-69 years, female 442.4
GTEX-13OVL-0226-SM-5L3E9 50-59 years, male 439.9
GTEX-1LG7Y-0526-SM-DKPQC 50-59 years, male 437.5
GTEX-13NYS-0126-SM-5MR3W 60-69 years, male 435.1
GTEX-1GMR8-0126-SM-9WYTM 50-59 years, female 434.9
GTEX-11P81-2326-SM-59875 30-39 years, female 433.5
GTEX-OXRP-0126-SM-3NB32 60-69 years, female 431.8
GTEX-1POEN-0126-SM-EYYXJ 30-39 years, female 429.4
GTEX-1C2JI-1826-SM-73KXC 50-59 years, male 424.5
GTEX-P4PQ-0126-SM-2S1NM 60-69 years, male 423.1
GTEX-147F4-0226-SM-5QGPW 50-59 years, male 420.2
GTEX-OXRO-0126-SM-2YUN4 60-69 years, female 416.9
GTEX-1A3MV-1926-SM-718BT 30-39 years, male 411.8
GTEX-14PHW-0126-SM-6LLJI 60-69 years, female 410.6
GTEX-1E1VI-0126-SM-7DHMZ 50-59 years, male 410.4
GTEX-1QP2A-0126-SM-E9J43 50-59 years, male 408.7
GTEX-11O72-0126-SM-59887 40-49 years, male 407.6
GTEX-14BIM-0226-SM-7IGLD 60-69 years, female 406.7
GTEX-1AX9I-0126-SM-7SB74 60-69 years, male 406.7
GTEX-14E7W-0126-SM-6LLJ9 70-79 years, male 406.3
GTEX-1S82Y-2026-SM-EVYCM 40-49 years, male 405.3
GTEX-13U4I-0126-SM-5LU38 40-49 years, female 403.1
GTEX-1I1GU-2226-SM-CGQFA 40-49 years, male 401.1
GTEX-14PJ3-1826-SM-62LEX 50-59 years, male 397.4
GTEX-15CHC-2126-SM-6EU21 60-69 years, female 396.1
GTEX-Y8LW-1826-SM-5S2MV 50-59 years, female 396.1
GTEX-W5WG-1826-SM-4KL2Y 50-59 years, female 395.3
GTEX-146FH-0126-SM-5QGPP 50-59 years, female 395.2
GTEX-1N2EF-0226-SM-EYYXB 60-69 years, male 390.1
GTEX-13N1W-0126-SM-5K7VT 70-79 years, male 389.8
GTEX-183FY-0126-SM-7LT9P 20-29 years, male 387.8
GTEX-1C6VQ-0126-SM-7P8RI 50-59 years, male 387.8
GTEX-1AX8Z-0126-SM-7DHM6 60-69 years, male 384.2
GTEX-11EMC-2926-SM-5EQ4F 60-69 years, female 380.7
GTEX-1F88F-2726-SM-7PBZZ 60-69 years, female 379.7
GTEX-QDVN-2026-SM-3GAEP 50-59 years, male 379.3
GTEX-1128S-2326-SM-5GZZY 60-69 years, female 378.2
GTEX-ZYW4-0126-SM-5E44A 60-69 years, male 373.7
GTEX-OIZF-0126-SM-7SB8I 60-69 years, male 373.3
GTEX-1IE54-0126-SM-CMKHW 40-49 years, female 371.7
GTEX-U3ZH-2026-SM-3DB78 30-39 years, male 368.9
GTEX-1I1HK-0126-SM-COH49 60-69 years, male 367.3
GTEX-13RTL-0126-SM-7LG5S 40-49 years, male 366.4
GTEX-1M4P7-0226-SM-DIPEV 60-69 years, male 363.0
GTEX-11OC5-0126-SM-5HL6A 60-69 years, male 362.3
GTEX-QLQW-1126-SM-2S1Q8 30-39 years, male 360.2
GTEX-16AAH-1726-SM-7939C 50-59 years, male 358.4
GTEX-P44H-0226-SM-2XCEU 40-49 years, male 355.4
GTEX-15SHW-0326-SM-6PAML 60-69 years, male 354.4
GTEX-QLQ7-1626-SM-2S1R8 60-69 years, male 354.3
GTEX-1H3NZ-0126-SM-ACKX7 60-69 years, male 350.5
GTEX-QV44-1926-SM-2S1RF 50-59 years, male 346.9
GTEX-1GN1V-0126-SM-9WPOS 60-69 years, male 342.3
GTEX-1MA7X-2226-SM-E6CIY 60-69 years, male 341.1
GTEX-WOFL-0126-SM-3MJG2 60-69 years, male 339.9
GTEX-ZC5H-0226-SM-4WAY9 40-49 years, female 336.1
GTEX-1GPI6-0126-SM-9WG69 60-69 years, male 334.1
GTEX-144GN-2326-SM-5LU4F 50-59 years, male 332.0
GTEX-1CB4J-0626-SM-7DHMP 60-69 years, male 327.6
GTEX-13RTJ-2426-SM-5S2Q2 60-69 years, male 327.2
GTEX-1H1ZS-0426-SM-9WG6G 70-79 years, male 325.6
GTEX-1F5PK-2426-SM-7RHHY 50-59 years, male 324.9
GTEX-13W3W-2426-SM-5LU5B 60-69 years, female 323.2
GTEX-X4XY-0226-SM-4E3IZ 60-69 years, male 322.9
GTEX-13113-5016-SM-7EPIP 60-69 years, female 322.2
GTEX-147GR-0526-SM-5S2MY 60-69 years, male 322.0
GTEX-XV7Q-2526-SM-4BRV9 40-49 years, female 322.0
GTEX-1MCYP-1926-SM-E9J2R 20-29 years, female 320.1
GTEX-R55E-0126-SM-2TC5Y 20-29 years, male 317.7
GTEX-1N2DV-0226-SM-E6CJ6 40-49 years, male 316.6
GTEX-183WM-0126-SM-7LTAB 70-79 years, female 313.0
GTEX-1I1GS-0126-SM-B2LVW 60-69 years, male 309.7
GTEX-1J8Q3-1626-SM-CMKGC 60-69 years, male 309.1
GTEX-1B8KZ-2026-SM-7DHMB 50-59 years, male 309.0
GTEX-1IY9M-0126-SM-D3L8S 60-69 years, male 309.0
GTEX-1AX9K-2326-SM-73KWU 50-59 years, male 307.0
GTEX-1GN1W-0526-SM-9MQJQ 50-59 years, female 304.7
GTEX-PLZ4-0126-SM-5SI8O 50-59 years, female 303.8
GTEX-1LNCM-1126-SM-E9U5E 50-59 years, female 300.2
GTEX-1OJC4-0126-SM-E9J2E 50-59 years, female 299.7
GTEX-1IGQW-0126-SM-COH42 60-69 years, male 298.8
GTEX-1AYD5-2426-SM-73KXR 50-59 years, male 292.1
GTEX-1JJE9-0326-SM-CL53Z 70-79 years, male 290.1
GTEX-11TT1-2526-SM-5EGIB 20-29 years, male 285.4
GTEX-1AYCT-2426-SM-7IGQ3 50-59 years, male 284.9
GTEX-13VXT-0126-SM-5LU4I 20-29 years, female 283.2
GTEX-1PPH7-2326-SM-EVYB8 40-49 years, male 275.3
GTEX-11ZU8-2526-SM-5EQKI 60-69 years, male 275.2
GTEX-12584-0126-SM-5EGKQ 40-49 years, male 275.2
GTEX-14ABY-0226-SM-5TDCQ 50-59 years, male 275.0
GTEX-1AMEY-1326-SM-73KYK 30-39 years, female 274.2
GTEX-14LLW-0126-SM-6LLIO 70-79 years, female 274.1
GTEX-13OW7-0126-SM-5MR3B 50-59 years, male 273.4
GTEX-1NHNU-1026-SM-E9J2A 50-59 years, male 272.7
GTEX-15D1Q-0126-SM-7KUG6 40-49 years, male 272.0
GTEX-ZUA1-0126-SM-5GU76 40-49 years, male 271.4
GTEX-OXRL-0126-SM-2YUMP 50-59 years, male 271.0
GTEX-1JKYN-1326-SM-CGQG9 30-39 years, male 264.3
GTEX-1HSMO-0126-SM-CL547 60-69 years, male 260.8
GTEX-ZTPG-0326-SM-5O9AX 20-29 years, female 259.0
GTEX-14BIL-0126-SM-5SI92 50-59 years, male 258.4
GTEX-V1D1-2226-SM-3NMAX 50-59 years, male 248.7
GTEX-12WSN-5019-SM-79OM6 40-49 years, male 248.0
GTEX-11NUK-0126-SM-5A5L3 50-59 years, male 245.1
GTEX-1JMOU-1526-SM-CL54I 60-69 years, female 235.8
GTEX-QDT8-0126-SM-48TZ1 30-39 years, female 232.4
GTEX-11WQK-0526-SM-5EQLD 50-59 years, male 230.7
GTEX-YJ8A-0426-SM-5IFID 20-29 years, male 223.7
GTEX-11P82-1626-SM-59879 20-29 years, male 220.2
GTEX-1I19N-0326-SM-ACKVX 70-79 years, male 219.0
GTEX-15EOM-0126-SM-7KUGG 20-29 years, female 218.9
GTEX-13X6I-0626-SM-5QGP9 60-69 years, male 208.1
GTEX-11TTK-0126-SM-5987B 60-69 years, female 207.3
GTEX-15UKP-0426-SM-7KUFQ 20-29 years, male 207.1
GTEX-14A6H-0126-SM-5QGPK 30-39 years, male 206.0
GTEX-113IC-0126-SM-5HL6T 60-69 years, male 201.0
GTEX-1LC47-0326-SM-E9TJP 60-69 years, male 198.0
GTEX-1HBPM-0226-SM-ARL9F 60-69 years, female 197.1
GTEX-17MF6-0126-SM-7LG4F 40-49 years, male 194.0
GTEX-11ZTT-2426-SM-5EQLS 60-69 years, female 188.9
GTEX-16XZY-2126-SM-79OK1 70-79 years, male 188.8
GTEX-ZZPT-0226-SM-5E43X 50-59 years, male 184.2
GTEX-1A3MW-0126-SM-73KXX 60-69 years, female 182.0
GTEX-RN64-0126-SM-2TC68 50-59 years, male 173.5
GTEX-1H1E6-1726-SM-ACKVK 30-39 years, male 172.2
GTEX-SE5C-1626-SM-2XCE3 40-49 years, female 162.1
GTEX-1F48J-0126-SM-7P8TT 50-59 years, female 150.5
GTEX-1R9K4-0126-SM-DTX9X 60-69 years, male 143.6
GTEX-1HUB1-0426-SM-E9U4U 60-69 years, male 129.0
GTEX-1PBJI-0526-SM-E8VNK 20-29 years, female 112.2
GTEX-X62O-0126-SM-4E3JN 50-59 years, male 91.9
GTEX-1RLM8-2326-SM-EWRN4 50-59 years, male 88.5
GTEX-139T4-0226-SM-5HL5S 50-59 years, female 53.9
GTEX-1F75I-0326-SM-9YFLU 40-49 years, male 48.1
GTEX-1R9PO-2126-SM-E9J4O 60-69 years, female 30.9
GTEX-1QP67-1626-SM-EAZ3X 40-49 years, female 16.9
GTEX-11ZUS-0626-SM-59885 30-39 years, male 2.9
GTEX-1QW4Y-1526-SM-EAZ3Z 30-39 years, male 1.1
GTEX-1RAZQ-0726-SM-EAZ43 30-39 years, male 0.7
GTEX-146FR-1326-SM-E9J48 60-69 years, female 0.5
GTEX-1HBPH-0426-SM-B2LW5 40-49 years, female 0.2
GTEX-14JIY-0126-SM-6LLH6 60-69 years, male 0.1
GTEX-U4B1-1826-SM-4DXSU 40-49 years, male 0.1
Show allShow less

Contact

  • NEWS ARTICLES
  • PRESS ROOM

The Project

  • INTRODUCTION
  • ORGANIZATION
  • PUBLICATIONS

The Human Protein Atlas

  • DOWNLOADABLE DATA
  • LICENCE & CITATION
  • HELP & FAQ
The Human Protein Atlas project is funded
by the Knut & Alice Wallenberg Foundation.


contact@proteinatlas.org