We use cookies to enhance the usability of our website. If you continue, we'll assume that you are happy to receive all cookies. More information. Don't show this again.
FRMD8
HPA
RESOURCES
  • TISSUE
  • BRAIN
  • SINGLE CELL
  • SUBCELLULAR
  • CANCER
  • BLOOD
  • CELL LINE
  • STRUCTURE & INTERACTION
ABOUT
  • INTRODUCTION
  • HISTORY
  • ORGANIZATION
  • PUBLICATIONS
  • ANTIBODY SUBMISSION
  • ANTIBODY AVAILABILITY
  • ACKNOWLEDGMENTS
  • CONTACT
NEWS
  • NEWS ARTICLES
  • PRESS ROOM
LEARN
  • DICTIONARY
  • PROTEIN CLASSES
  • PROTEIN EVIDENCE
  • METHODS
  • EDUCATIONAL VIDEOS
DATA
  • DOWNLOADABLE DATA
  • PUBLICATION DATA
  • RELEASE HISTORY
HELP
  • ANTIBODY VALIDATION
  • ASSAYS & ANNOTATION
  • DISCLAIMER
  • HELP & FAQ
  • PRIVACY STATEMENT
  • LICENCE & CITATION
Fields »
Search result

Field
Term
Gene name
Class
Subclass
Class
Keyword
Chromosome
External id
Tissue
Cell type
Expression
Antibody panel
Tissue
Main location
Patient ID
Annotation
Tissue
Category
Tau score
Cluster
Reliability
Brain region
Category
Tau score
Brain region
Category
Tau score
Brain region
Category
Tau score
Cluster
Reliability
Tissue
Cell type
Enrichment
Cell type
Category
Tau score
Cell type
Category
Tau score
Cell type
Category
Tau score
Cell lineage
Category
Tau score
Cluster
Cluster
Location
Searches
Location
Cell line
Class
Type
Phase
Reliability
Cancer
Prognosis
Cancer
Category
Cancer
Category
Tau score
Cluster
Variants
Interacting gene (ensg_id)
Type
Number of interactions
Pathway
Category
Score
Score
Score
Validation
Validation
Validation
Validation
Antibodies
Data type
Column


  • SUMMARY

  • TISSUE

  • BRAIN

  • SINGLE CELL

  • SUBCELL

  • CANCER

  • BLOOD

  • CELL LINE

  • STRUCT & INT

  • FRMD8
TISSUE PRIMARY DATA STOMACH Show tissue menu
ADIPOSE TISSUE ADRENAL GLAND AMYGDALA APPENDIX BASAL GANGLIA BONE MARROW BREAST BRONCHUS CEREBELLUM CEREBRAL CORTEX CERVIX CHOROID PLEXUS COLON DUODENUM
ENDOMETRIUM EPIDIDYMIS ESOPHAGUS FALLOPIAN TUBE GALLBLADDER HEART MUSCLE HIPPOCAMPAL FORMATION HYPOTHALAMUS KIDNEY LIVER LUNG LYMPH NODE MIDBRAIN NASOPHARYNX
ORAL MUCOSA OVARY PANCREAS PARATHYROID GLAND PITUITARY GLAND PLACENTA PROSTATE RECTUM RETINA SALIVARY GLAND SEMINAL VESICLE SKELETAL MUSCLE SKIN SMALL INTESTINE
SMOOTH MUSCLE SOFT TISSUE SPINAL CORD SPLEEN STOMACH TESTIS THYMUS THYROID GLAND TONGUE TONSIL URINARY BLADDER VAGINA
ANTIBODIES
AND
VALIDATION
Dictionary
Tissue proteome
Stomach
STOMACH - Expression summary
Protein expression
Stomachi

On the top, protein expression in current human tissue, based on all annotated cell types, is reported with the units not detected (n), low (l), medium (m) and high (h). Underneath, protein expression in each annotated cell type are reported using the same units.

Protein expression data is based on knowledge-based annotation. For genes where more than one antibody has been used, a collective score is set.

If knowledge-based annotation could not be performed for a gene, no data is displayed here. View antibody staining data further down this page.

h
m
l
n
Glandular cells: Medium
RNA expressioni

A summary of mRNA expression data available for current tissue based on several datasets. The mRNA expression levels in human tissues are based on RNA-seq data generated by the Human Protein Atlas (HPA), Genotype-Tissue Expression (GTEx) portal and CAGE data generated by the FANTOM5 consortium. Consensus normalized expression levels for human tissues was created by combining the data from HPA and GTEx datasets.

The mRNA expression levels in pig are based on RNA-seq data generated by the Human Protein Atlas (HPA), and for mouse, HPA data and in situ hybridization generated by the Allen brain atlas are reported.

Scroll down to view mRNA expression data in more detail.
Consensus:13.0 nTPM
HPA:10.0 nTPM
GTEx:13.0 nTPM

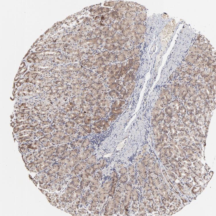
STOMACH 1 - Antibody stainingi

Antibody staining in the annotated cell types in the current human tissue is reported as not detected, low, medium, or high, based on conventional immunohistochemistry profiling in selected tissues. This score is based on the combination of the staining intensity and fraction of stained cells.

Each image is clickable and will lead to virtual microscopy that enables deeper exploration of all samples and also displays staining intensity scores, fraction scores and subcellular localization as well as patient and tissue information for each sample.

Antibody HPA002861
Glandular cells Medium


STOMACH 2 - Antibody stainingi

Antibody staining in the annotated cell types in the current human tissue is reported as not detected, low, medium, or high, based on conventional immunohistochemistry profiling in selected tissues. This score is based on the combination of the staining intensity and fraction of stained cells.

Each image is clickable and will lead to virtual microscopy that enables deeper exploration of all samples and also displays staining intensity scores, fraction scores and subcellular localization as well as patient and tissue information for each sample.

Antibody HPA002861
Glandular cells Medium



STOMACH - HPA RNA-seqi

The RNA-seq details section shows detailed information about the individual samples used for the transcript profiling and results of the RNA-seq analysis.

Information about each individual sample is listed below, including gender, age, a tissue section image and estimated fractions of cell types. nTPM (normalized transcripts per million) values give a quantification of the gene abundance which is comparable between different genes and samples.
Average nTPMi

Max subtype nTPM is the value for the subtype with the largest average nTPM across the subtype samples.

10.0
overview
Female, age 33
Stomach sample 61
nTPM: 7.3
Cell types%
Glandular cells:
60

Smooth muscle cells:
5

Other cell types:
35

N/A
Male, age 82
Stomach sample 240
nTPM: 6.8
Cell types%
Glandular cells:
65

Smooth muscle cells:
5

Other cell types:
30

overview
Male, age 71
Stomach sample 241
nTPM: 20.8
Cell types%
Glandular cells:
50

Smooth muscle cells:
5

Other cell types:
45

overview
Female, age 66
Stomach sample 369
nTPM: 5
Cell types%
Glandular cells:
50

Smooth muscle cells:
10

Other cell types:
40


STOMACH - GTEx RNA-seqi

RNA-Seq data generated by the Genotype-Tissue Expression (GTEx) project from human tissues is reported as mean nTPM. More information can be found on the GTEx portal.

Distribution across the dataset is visualized with box plots, shown as median and 25th and 75th percentiles. Points are displayed as outliers if they are above or below 1.5 times the interquartile range. nTPM values of the individual samples are presented next to the box plot.
Max subtype nTPMi

Max subtype nTPM is the value for the subtype with the largest average nTPM across the subtype samples.

13.0
GTEx sample id Sample description nTPM
Stomach
Average nTPM: 13.0
Samples: 359

Max nTPM: 31.0
Min nTPM: 5.6
Std nTPM: 3.7
Median nTPM: 12.3
GTEX-P4QT-1526-SM-3NMCT 50-59 years, female 31.0
GTEX-13PVQ-2126-SM-5L3FW 50-59 years, male 30.4
GTEX-144GM-1726-SM-5O9AS 20-29 years, male 28.7
GTEX-15G19-1526-SM-6LPKP 60-69 years, male 27.9
GTEX-1JMPY-0926-SM-ARL92 30-39 years, male 23.9
GTEX-13S7M-1826-SM-5RQK6 60-69 years, female 23.8
GTEX-11TT1-0726-SM-5GU5A 20-29 years, male 23.1
GTEX-117YW-2226-SM-5N9DB 50-59 years, male 22.9
GTEX-17EUY-1526-SM-793CA 20-29 years, male 22.7
GTEX-1JN1M-2926-SM-CNNPJ 60-69 years, female 22.5
GTEX-11NUK-2426-SM-5BC4U 50-59 years, male 22.4
GTEX-U4B1-1026-SM-4DXT1 40-49 years, male 21.7
GTEX-13CF3-1926-SM-5K7WF 60-69 years, female 21.6
GTEX-Y5LM-1326-SM-5RQIS 40-49 years, female 21.3
GTEX-1HBPI-0726-SM-9WG7Z 50-59 years, male 21.2
GTEX-1QMI2-2126-SM-DPRXQ 60-69 years, male 21.2
GTEX-ZYY3-1726-SM-5EGH3 60-69 years, female 21.1
GTEX-YJ8A-1526-SM-5P9FT 20-29 years, male 21.0
GTEX-1MCYP-1126-SM-E9J2P 20-29 years, female 20.7
GTEX-1F5PL-1426-SM-7MKFH 40-49 years, female 20.0
GTEX-11EQ9-1226-SM-5987E 30-39 years, male 19.8
GTEX-131XG-1226-SM-5EGH9 50-59 years, female 19.8
GTEX-Q2AH-1126-SM-48TZM 40-49 years, male 19.6
GTEX-1HSEH-1526-SM-B2LXG 60-69 years, male 19.6
GTEX-1JMLX-2426-SM-CXZJQ 50-59 years, male 19.1
GTEX-1HCUA-1626-SM-A9SMG 50-59 years, female 18.8
GTEX-QDVN-1226-SM-48TZ5 50-59 years, male 18.5
GTEX-13FTW-1726-SM-5KM2B 40-49 years, male 18.4
GTEX-1CAMR-0726-SM-7EPIE 20-29 years, male 18.4
GTEX-WHPG-0426-SM-4M1XW 50-59 years, male 18.2
GTEX-ZVP2-1626-SM-5GU5D 50-59 years, male 18.1
GTEX-1L5NE-1526-SM-DIPFW 50-59 years, male 18.1
GTEX-QDVJ-1426-SM-48U1Y 50-59 years, male 18.0
GTEX-S4Z8-1226-SM-4AD6W 60-69 years, male 18.0
GTEX-QLQ7-0826-SM-447B3 60-69 years, male 17.9
GTEX-Y9LG-1026-SM-5IFJN 30-39 years, male 17.8
GTEX-12BJ1-1726-SM-5HL9B 60-69 years, male 17.5
GTEX-1A3MX-1926-SM-72D7F 60-69 years, male 17.5
GTEX-OHPK-1526-SM-3MJGM 50-59 years, female 17.4
GTEX-WYJK-2526-SM-4ONDF 50-59 years, male 17.4
GTEX-POMQ-0826-SM-3P61H 20-29 years, female 17.0
GTEX-ZVT3-2126-SM-59HL2 60-69 years, female 17.0
GTEX-13RTK-0226-SM-5RQHR 20-29 years, male 16.9
GTEX-18A67-2626-SM-718AD 50-59 years, male 16.9
GTEX-RTLS-2626-SM-46MUJ 60-69 years, female 16.9
GTEX-1R7EU-1126-SM-EAZ4M 60-69 years, male 16.9
GTEX-13OW6-2526-SM-5IJEC 50-59 years, male 16.7
GTEX-145MO-2226-SM-5Q5BN 60-69 years, male 16.7
GTEX-15UF7-1226-SM-6M46G 40-49 years, male 16.7
GTEX-17HGU-2126-SM-7IGOV 50-59 years, male 16.6
GTEX-1LGRB-1726-SM-CNNRA 50-59 years, female 16.6
GTEX-SNOS-0826-SM-4DM5N 40-49 years, male 16.4
GTEX-WFG8-1326-SM-4LVN3 20-29 years, male 16.4
GTEX-1PIGE-1126-SM-EWRMV 20-29 years, male 16.4
GTEX-11WQK-2626-SM-5EQ4K 50-59 years, male 16.2
GTEX-12WSG-2026-SM-5FQUU 50-59 years, female 16.2
GTEX-XV7Q-1326-SM-4BRWM 40-49 years, female 16.1
GTEX-1IDJD-2426-SM-C1YS6 30-39 years, male 16.1
GTEX-XBED-1226-SM-4AT5V 60-69 years, male 16.0
GTEX-1I6K7-1726-SM-B2LXQ 40-49 years, male 16.0
GTEX-1QP29-2326-SM-EXOJO 50-59 years, male 16.0
GTEX-1H23P-2726-SM-9JGHN 60-69 years, male 15.9
GTEX-15G1A-1226-SM-7KUF3 30-39 years, male 15.8
GTEX-132QS-1826-SM-5IFFN 60-69 years, male 15.7
GTEX-14PKV-1826-SM-69LO9 20-29 years, female 15.6
GTEX-1HCU8-1326-SM-C1YQQ 60-69 years, female 15.6
GTEX-Q2AI-0826-SM-48TZO 40-49 years, male 15.5
GTEX-ZY6K-0726-SM-5A5L8 50-59 years, male 15.5
GTEX-14B4R-0726-SM-5TDDR 30-39 years, male 15.4
GTEX-ZYVF-2726-SM-5GID4 50-59 years, female 15.3
GTEX-1H3VY-2326-SM-9WG81 50-59 years, male 15.3
GTEX-Y3I4-1626-SM-4TT7W 50-59 years, male 15.2
GTEX-11DXX-1326-SM-5GIDZ 60-69 years, female 15.1
GTEX-XXEK-0826-SM-4BRWG 50-59 years, male 15.1
GTEX-13X6J-2126-SM-5TDCV 50-59 years, male 15.0
GTEX-14BMU-1126-SM-5RQJ8 20-29 years, female 15.0
GTEX-15RIE-1026-SM-6LPJQ 60-69 years, male 15.0
GTEX-S3XE-1026-SM-4AD4O 50-59 years, male 15.0
GTEX-XUZC-0726-SM-4BOPH 30-39 years, female 15.0
GTEX-ZQUD-0826-SM-57WDQ 30-39 years, male 15.0
GTEX-1GMRU-2526-SM-9WG7T 50-59 years, male 15.0
GTEX-1JMPZ-1826-SM-CXZJT 30-39 years, male 14.9
GTEX-117YX-1026-SM-5H11V 50-59 years, male 14.8
GTEX-11P82-0726-SM-5PNYL 20-29 years, male 14.8
GTEX-1399S-1626-SM-5P9GI 30-39 years, female 14.8
GTEX-14PJ4-1626-SM-664OB 60-69 years, male 14.8
GTEX-1F75I-1826-SM-7MKGX 40-49 years, male 14.8
GTEX-QCQG-0526-SM-48U2A 50-59 years, female 14.8
GTEX-QXCU-1926-SM-48FE4 50-59 years, male 14.8
GTEX-ZVZP-1726-SM-5GZWY 50-59 years, male 14.8
GTEX-1JKYN-1726-SM-AHZ48 30-39 years, male 14.8
GTEX-16AAH-1226-SM-79OO9 50-59 years, male 14.7
GTEX-WY7C-1726-SM-4ONCC 50-59 years, male 14.7
GTEX-1A8G6-1426-SM-731EZ 60-69 years, male 14.5
GTEX-1AYCT-1326-SM-7MKHB 50-59 years, male 14.5
GTEX-T6MO-0726-SM-4DM58 40-49 years, female 14.5
GTEX-ZLFU-1326-SM-DO11R 40-49 years, male 14.5
GTEX-13QBU-1126-SM-5LU44 40-49 years, female 14.4
GTEX-S4Q7-0726-SM-4AD5F 20-29 years, male 14.4
GTEX-S341-0626-SM-4AD5T 40-49 years, female 14.3
GTEX-1GF9U-1126-SM-AHZ4H 40-49 years, female 14.3
GTEX-12WSD-2326-SM-59HKQ 60-69 years, female 14.2
GTEX-1B8KE-1326-SM-73KVI 50-59 years, male 14.2
GTEX-PWN1-1526-SM-48TDA 40-49 years, female 14.2
GTEX-T8EM-1226-SM-4DM5J 40-49 years, male 14.2
GTEX-1LVAN-2426-SM-CNNPZ 50-59 years, female 14.2
GTEX-1122O-1926-SM-5EGIQ 60-69 years, female 14.1
GTEX-12C56-0526-SM-5FQST 20-29 years, male 14.1
GTEX-139YR-1926-SM-5LZXM 50-59 years, male 14.1
GTEX-R55C-1026-SM-48FCM 40-49 years, male 14.1
GTEX-RWS6-0926-SM-47JXE 60-69 years, female 14.1
GTEX-144GN-1226-SM-5O991 50-59 years, male 13.9
GTEX-1A3MV-1226-SM-718BW 30-39 years, male 13.9
GTEX-V1D1-1726-SM-4JBHB 50-59 years, male 13.9
GTEX-XQ8I-2026-SM-4BOOL 50-59 years, male 13.9
GTEX-Y114-1226-SM-4TT88 50-59 years, female 13.9
GTEX-R55D-1526-SM-48FEJ 50-59 years, male 13.8
GTEX-WHSB-1226-SM-4M1XR 50-59 years, male 13.8
GTEX-Y8LW-0826-SM-4WWDO 50-59 years, female 13.8
GTEX-1AMFI-1226-SM-731CZ 50-59 years, female 13.7
GTEX-14PJ3-1426-SM-664O8 50-59 years, male 13.6
GTEX-17F9E-2226-SM-7IGNC 50-59 years, male 13.6
GTEX-18D9B-2226-SM-718BM 60-69 years, male 13.6
GTEX-1C475-1026-SM-7MKFJ 40-49 years, female 13.6
GTEX-11GSP-2126-SM-5HL5E 60-69 years, female 13.4
GTEX-1LSNM-1026-SM-DHXL2 50-59 years, male 13.4
GTEX-1QP2A-2126-SM-DPRZ7 50-59 years, male 13.4
GTEX-TKQ1-0526-SM-4DXTG 30-39 years, male 13.3
GTEX-WXYG-1626-SM-4ONCR 50-59 years, female 13.3
GTEX-XAJ8-0326-SM-47JYI 40-49 years, male 13.3
GTEX-OXRL-1526-SM-E6CHQ 50-59 years, male 13.3
GTEX-132AR-2426-SM-5IFFD 50-59 years, female 13.2
GTEX-145ME-1026-SM-5O9B4 40-49 years, female 13.2
GTEX-RM2N-0826-SM-48FD3 50-59 years, male 13.2
GTEX-YFCO-0826-SM-5LUAG 40-49 years, male 13.2
GTEX-1GN1W-2126-SM-9JGI7 50-59 years, female 13.2
GTEX-1RQEC-2126-SM-DPS15 60-69 years, male 13.2
GTEX-VJYA-1026-SM-4KL21 60-69 years, male 13.1
GTEX-WH7G-1526-SM-4LVMX 40-49 years, male 13.1
GTEX-1QCLY-1126-SM-EAZ4J 30-39 years, male 13.1
GTEX-13113-0726-SM-5LZUF 60-69 years, female 13.0
GTEX-15SHW-2126-SM-6M46Y 60-69 years, male 13.0
GTEX-ZLV1-0826-SM-DO11P 60-69 years, female 13.0
GTEX-13PVR-2126-SM-73KVR 60-69 years, female 12.9
GTEX-145LT-1426-SM-5O9B3 40-49 years, male 12.9
GTEX-18A66-2226-SM-7189E 60-69 years, male 12.9
GTEX-1B97J-1826-SM-7IGPP 50-59 years, female 12.9
GTEX-WFJO-1126-SM-4LVLZ 30-39 years, male 12.9
GTEX-1I4MK-0926-SM-A9SLD 50-59 years, female 12.9
GTEX-13111-1226-SM-5GCNC 50-59 years, male 12.8
GTEX-17F98-1526-SM-7EWD8 40-49 years, female 12.8
GTEX-P4PP-1526-SM-3P61M 30-39 years, female 12.8
GTEX-QMRM-1126-SM-447BN 50-59 years, male 12.8
GTEX-X15G-1126-SM-4PQZG 50-59 years, female 12.8
GTEX-ZT9W-1526-SM-4YCDE 50-59 years, male 12.8
GTEX-1LBAC-1426-SM-CXZKT 20-29 years, male 12.8
GTEX-ZLWG-1526-SM-DO12F 50-59 years, female 12.8
GTEX-12696-1726-SM-5EQLH 60-69 years, male 12.7
GTEX-S95S-0826-SM-4B64N 60-69 years, male 12.7
GTEX-ZPIC-2026-SM-57WG3 40-49 years, female 12.7
GTEX-ZV7C-1626-SM-5NQ7E 50-59 years, male 12.7
GTEX-14JG6-1226-SM-664O6 30-39 years, female 12.6
GTEX-SNMC-0626-SM-4DM6H 20-29 years, male 12.6
GTEX-1HBPN-1626-SM-9WPNP 50-59 years, male 12.6
GTEX-1MGNQ-1826-SM-DPRYI 40-49 years, male 12.6
GTEX-1MUQO-1926-SM-EAZ59 60-69 years, male 12.6
GTEX-11EM3-1026-SM-5A5KL 20-29 years, female 12.5
GTEX-13N1W-2026-SM-5K7YU 70-79 years, male 12.5
GTEX-18A7A-2726-SM-7LG6U 50-59 years, female 12.5
GTEX-1I1HK-2026-SM-CNNRB 60-69 years, male 12.5
GTEX-1MJIX-1126-SM-EV7AO 40-49 years, male 12.5
GTEX-O5YV-1926-SM-EV797 60-69 years, female 12.5
GTEX-111YS-1126-SM-5GZYQ 60-69 years, male 12.4
GTEX-131XF-1226-SM-5HL8V 60-69 years, male 12.4
GTEX-14PJ5-0826-SM-6AJAR 60-69 years, female 12.4
GTEX-ZVT2-1626-SM-51MRC 50-59 years, female 12.4
GTEX-1211K-1426-SM-5FQTF 60-69 years, female 12.3
GTEX-14BIL-1926-SM-73KYI 50-59 years, male 12.3
GTEX-SUCS-0926-SM-4DM4Z 70-79 years, male 12.3
GTEX-V955-1326-SM-4JBHR 60-69 years, male 12.3
GTEX-ZAB4-1526-SM-5CVN7 40-49 years, male 12.3
GTEX-ZXES-1426-SM-5NQ8S 30-39 years, female 12.3
GTEX-1S831-1126-SM-EWROI 20-29 years, male 12.3
GTEX-OHPM-1526-SM-EV796 50-59 years, male 12.3
GTEX-UJMC-1226-SM-4IHLI 50-59 years, male 12.2
GTEX-WHWD-1426-SM-4OORU 50-59 years, male 12.2
GTEX-1H1DG-2126-SM-9WPPB 70-79 years, male 12.2
GTEX-1LG7Z-1226-SM-DHXK4 30-39 years, male 12.2
GTEX-1399U-1626-SM-5P9J3 50-59 years, female 12.1
GTEX-13O21-0926-SM-5IFGT 50-59 years, male 12.1
GTEX-1IDJU-1526-SM-CNNR3 60-69 years, female 12.1
GTEX-1J8EW-2226-SM-AHZ3T 60-69 years, female 12.1
GTEX-13D11-2126-SM-5IFH2 50-59 years, female 12.0
GTEX-14E6E-0926-SM-664N8 30-39 years, male 12.0
GTEX-14PHX-1026-SM-664OL 50-59 years, male 12.0
GTEX-17GQL-1226-SM-7KFTS 60-69 years, male 12.0
GTEX-17HII-2426-SM-7KFTT 50-59 years, male 12.0
GTEX-U3ZN-2026-SM-4DXUC 30-39 years, female 12.0
GTEX-WEY5-1226-SM-4LMIQ 40-49 years, female 12.0
GTEX-ZA64-0826-SM-5HL9U 20-29 years, male 12.0
GTEX-1B97I-1226-SM-7MGWQ 40-49 years, male 12.0
GTEX-1QPFJ-1526-SM-DPRXT 30-39 years, female 12.0
GTEX-RUSQ-1126-SM-EAZAU 50-59 years, male 12.0
GTEX-14ICL-0826-SM-5YY9W 30-39 years, male 11.9
GTEX-18D9A-0626-SM-7KFTY 30-39 years, female 11.9
GTEX-OOBJ-1526-SM-3NB1Q 60-69 years, male 11.9
GTEX-P78B-1826-SM-3P5YX 40-49 years, female 11.9
GTEX-PW2O-1226-SM-48TCH 20-29 years, male 11.9
GTEX-T5JW-0926-SM-4DM5K 20-29 years, female 11.9
GTEX-ZTX8-0426-SM-59HLG 20-29 years, male 11.9
GTEX-1GL5R-1926-SM-9WG7U 50-59 years, male 11.9
GTEX-1N2DV-0926-SM-E9TJT 40-49 years, male 11.9
GTEX-14PJ6-0826-SM-686Z9 60-69 years, female 11.8
GTEX-15DZA-1126-SM-6LPK8 30-39 years, female 11.8
GTEX-15EU6-2526-SM-7KUGB 50-59 years, male 11.8
GTEX-1AX9J-2626-SM-731EK 60-69 years, male 11.8
GTEX-UPK5-2126-SM-4JBJK 40-49 years, male 11.8
GTEX-YB5E-1126-SM-664NU 40-49 years, male 11.8
GTEX-1KXAM-0926-SM-CXZKA 60-69 years, male 11.8
GTEX-12WSJ-0926-SM-5P9JD 40-49 years, female 11.7
GTEX-12WSK-1426-SM-5CVNN 40-49 years, female 11.7
GTEX-13X6H-1626-SM-5Q5CT 50-59 years, female 11.7
GTEX-TMMY-1626-SM-4DXTY 40-49 years, female 11.7
GTEX-YEC4-1426-SM-5IFHS 40-49 years, male 11.7
GTEX-ZDYS-1926-SM-5HL59 50-59 years, male 11.7
GTEX-111CU-0926-SM-5EGIK 50-59 years, male 11.6
GTEX-PWCY-0926-SM-48TD7 20-29 years, female 11.6
GTEX-1GZ4H-1026-SM-9OSXL 50-59 years, female 11.6
GTEX-1HKZK-1526-SM-B2LWG 40-49 years, male 11.6
GTEX-WFON-1126-SM-4LVMA 40-49 years, male 11.5
GTEX-1F5PK-1826-SM-7RHHX 50-59 years, male 11.5
GTEX-1339X-1426-SM-5K7YO 40-49 years, male 11.4
GTEX-14DAR-0926-SM-73KUQ 50-59 years, male 11.4
GTEX-15DCE-1626-SM-6LPJM 20-29 years, male 11.4
GTEX-WRHK-0626-SM-4MVOE 20-29 years, female 11.4
GTEX-ZV6S-0926-SM-57WGB 40-49 years, female 11.4
GTEX-1KANA-1126-SM-D3L9M 20-29 years, male 11.3
GTEX-13FH7-1026-SM-5IJGF 50-59 years, female 11.2
GTEX-145MN-1326-SM-5NQ9S 30-39 years, male 11.2
GTEX-S4UY-1626-SM-4AD55 40-49 years, female 11.2
GTEX-UJHI-1026-SM-4IHJP 50-59 years, female 11.2
GTEX-Y5V6-1326-SM-4VDTF 60-69 years, male 11.2
GTEX-1I1GT-1726-SM-C1YS3 60-69 years, female 11.2
GTEX-1ICG6-1826-SM-AHZ2O 70-79 years, female 11.2
GTEX-1LVAM-1426-SM-E9TJ4 50-59 years, female 11.2
GTEX-1PPH8-1326-SM-DTXFO 20-29 years, male 11.2
GTEX-13QJ3-2726-SM-5SI6L 50-59 years, male 11.1
GTEX-ZZPU-1426-SM-5GZZ6 50-59 years, female 11.1
GTEX-1RAZR-1526-SM-EAZ4U 40-49 years, male 11.1
GTEX-1RB15-1026-SM-E9U6V 60-69 years, male 11.1
GTEX-OXRK-1626-SM-3NB17 50-59 years, female 11.0
GTEX-S4P3-0726-SM-4AD57 50-59 years, female 11.0
GTEX-ZP4G-1226-SM-4WWCJ 20-29 years, female 11.0
GTEX-ZZ64-0426-SM-5E43F 20-29 years, male 11.0
GTEX-18QFQ-1226-SM-718AE 30-39 years, male 10.9
GTEX-WFG7-1326-SM-4LMK1 20-29 years, male 10.9
GTEX-ZPU1-1626-SM-4WWB2 40-49 years, male 10.9
GTEX-11I78-1726-SM-5A5M3 50-59 years, female 10.8
GTEX-1B8KZ-1226-SM-793CP 50-59 years, male 10.8
GTEX-PLZ6-0826-SM-3P61K 30-39 years, male 10.8
GTEX-1RMOY-1126-SM-EV79E 50-59 years, male 10.8
GTEX-1399R-1126-SM-5IFIO 30-39 years, male 10.7
GTEX-13OVI-2426-SM-5KM4J 60-69 years, female 10.7
GTEX-13U4I-2526-SM-5SI8Z 40-49 years, female 10.7
GTEX-R55G-1126-SM-48FDG 40-49 years, female 10.7
GTEX-1H1DE-1226-SM-9JGHH 20-29 years, male 10.7
GTEX-1IDJF-1426-SM-ACKWK 20-29 years, male 10.7
GTEX-146FR-2026-SM-5NQAI 60-69 years, female 10.6
GTEX-15CHR-1326-SM-79OLT 50-59 years, male 10.6
GTEX-QLQW-0726-SM-447AA 30-39 years, male 10.6
GTEX-ZF29-1526-SM-4WKF7 60-69 years, female 10.6
GTEX-1E1VI-2826-SM-7MGWU 50-59 years, male 10.6
GTEX-1JK1U-1326-SM-AHZ45 60-69 years, male 10.6
GTEX-11NSD-1426-SM-5HL67 20-29 years, male 10.5
GTEX-139D8-2326-SM-5IFGE 30-39 years, female 10.5
GTEX-13FTX-0726-SM-5N9BI 20-29 years, female 10.5
GTEX-14PKU-1126-SM-69LOU 40-49 years, female 10.5
GTEX-ZF2S-1426-SM-57WET 50-59 years, female 10.5
GTEX-ZYFG-1326-SM-5GICJ 60-69 years, female 10.5
GTEX-1H1E6-1626-SM-9OSWC 30-39 years, male 10.5
GTEX-1J8Q3-1926-SM-C1YSJ 60-69 years, male 10.5
GTEX-PX3G-1526-SM-48U11 20-29 years, female 10.4
GTEX-1HSMQ-2426-SM-CE6RY 50-59 years, male 10.4
GTEX-1J8JJ-1726-SM-C1YQG 60-69 years, female 10.3
GTEX-1R9K5-1026-SM-EAZ4F 50-59 years, male 10.3
GTEX-14PHY-0926-SM-5ZZWL 60-69 years, female 10.2
GTEX-OIZH-1526-SM-3NB1J 50-59 years, male 10.2
GTEX-Q734-1026-SM-48U16 40-49 years, female 10.2
GTEX-W5WG-1726-SM-4LMI5 50-59 years, female 10.2
GTEX-1HR9M-2326-SM-CNPPZ 60-69 years, male 10.2
GTEX-1LGOU-1526-SM-D3LAJ 20-29 years, female 10.2
GTEX-NFK9-1526-SM-3LK7B 40-49 years, male 10.1
GTEX-Y3IK-1426-SM-4YCES 50-59 years, female 10.1
GTEX-ZEX8-1626-SM-4WKG7 50-59 years, male 10.1
GTEX-1S82Z-1726-SM-E6CHZ 30-39 years, female 10.1
GTEX-13O61-1126-SM-5L3FI 60-69 years, male 10.0
GTEX-17MF6-2126-SM-7KFS7 40-49 years, male 10.0
GTEX-1HFI7-1526-SM-9WG7W 50-59 years, female 10.0
GTEX-PLZ5-1226-SM-EXOHA 50-59 years, male 10.0
GTEX-133LE-1326-SM-5IFGO 20-29 years, female 9.9
GTEX-14PN3-1326-SM-6AJ9U 60-69 years, female 9.9
GTEX-ZGAY-1626-SM-DNZZ3 40-49 years, female 9.9
GTEX-11P7K-1726-SM-5GU6F 30-39 years, male 9.8
GTEX-131XE-2226-SM-5PNYX 50-59 years, male 9.8
GTEX-WZTO-2126-SM-4PQYW 40-49 years, male 9.8
GTEX-XPVG-1526-SM-4B66C 50-59 years, male 9.8
GTEX-1QP28-2126-SM-DTX8B 50-59 years, female 9.8
GTEX-1H11D-2226-SM-9OSXN 40-49 years, male 9.7
GTEX-1J8QM-1126-SM-C1YQB 60-69 years, female 9.7
GTEX-1QCLZ-1826-SM-DPRXP 60-69 years, female 9.7
GTEX-17HHE-1026-SM-79ON6 50-59 years, male 9.6
GTEX-1AMEY-1226-SM-731DU 30-39 years, female 9.6
GTEX-1C64O-2226-SM-73KTV 60-69 years, male 9.6
GTEX-RU1J-0526-SM-46MUT 20-29 years, female 9.6
GTEX-146FH-2126-SM-5SI9U 50-59 years, female 9.5
GTEX-XMK1-1526-SM-EYYVO 40-49 years, male 9.5
GTEX-11VI4-0326-SM-5EQ6L 40-49 years, female 9.4
GTEX-17KNJ-1526-SM-7LTA9 50-59 years, male 9.4
GTEX-QV31-0626-SM-447C5 30-39 years, male 9.4
GTEX-XBEW-1826-SM-4RTWX 40-49 years, male 9.3
GTEX-O5YW-1526-SM-3MJGL 50-59 years, male 9.2
GTEX-Y8E4-1526-SM-4WWDI 40-49 years, male 9.2
GTEX-ZE7O-3026-SM-51MS4 50-59 years, female 9.1
GTEX-1GPI7-1326-SM-9KNVA 20-29 years, male 9.1
GTEX-YEC3-1426-SM-D4P1S 50-59 years, male 9.0
GTEX-QDT8-2026-SM-EZ6LS 30-39 years, female 8.9
GTEX-QV44-1226-SM-CJI1S 50-59 years, male 8.9
GTEX-11EI6-2426-SM-5PNVS 60-69 years, male 8.8
GTEX-14BMV-2226-SM-5RQHX 50-59 years, male 8.8
GTEX-14DAQ-2826-SM-664MU 60-69 years, female 8.8
GTEX-1EH9U-2226-SM-7PBXX 60-69 years, male 8.8
GTEX-1E2YA-2426-SM-7EPIG 50-59 years, male 8.7
GTEX-S7SF-0626-SM-4AD4V 20-29 years, female 8.7
GTEX-16NGA-1526-SM-72D56 40-49 years, female 8.6
GTEX-17JCI-2226-SM-7LTA1 60-69 years, female 8.5
GTEX-TKQ2-0926-SM-4DXU5 50-59 years, male 8.5
GTEX-P4PQ-1526-SM-3NMCK 60-69 years, male 8.4
GTEX-1S3DN-1526-SM-EVYCB 50-59 years, male 8.4
GTEX-OIZF-1526-SM-2I5GR 60-69 years, male 8.4
GTEX-13OVK-0926-SM-7KUFX 40-49 years, male 8.3
GTEX-1CB4E-1326-SM-7DUGD 60-69 years, male 8.3
GTEX-1K2DA-0826-SM-CGQGD 50-59 years, male 8.2
GTEX-WYVS-1326-SM-4ONCQ 40-49 years, female 8.1
GTEX-1HT8W-2326-SM-A9SLA 30-39 years, male 8.1
GTEX-T5JC-1926-SM-4DM6Q 20-29 years, male 8.0
GTEX-1KD5A-1426-SM-D4P3V 50-59 years, male 8.0
GTEX-1CB4H-2426-SM-7PBYR 60-69 years, female 7.9
GTEX-1JN76-0926-SM-ARZNH 20-29 years, female 7.7
GTEX-1H3NZ-2226-SM-9WYUT 60-69 years, male 7.6
GTEX-1JMQJ-1326-SM-D4P3B 50-59 years, male 7.6
GTEX-1B8L1-1526-SM-79OLK 60-69 years, male 7.5
GTEX-1QP67-1026-SM-EVR47 40-49 years, female 7.5
GTEX-1QW4Y-0726-SM-DTX8E 30-39 years, male 7.1
GTEX-R53T-1226-SM-48FCT 50-59 years, female 6.9
GTEX-15RIF-1126-SM-7KUG2 20-29 years, male 6.7
GTEX-1NSGN-1926-SM-E9J36 50-59 years, male 6.5
GTEX-13O3Q-2126-SM-5KM4C 50-59 years, male 6.4
GTEX-14E1K-1526-SM-664MN 50-59 years, male 6.0
GTEX-1IL2V-2026-SM-ARZMA 70-79 years, male 5.6
Show allShow less

Contact

  • NEWS ARTICLES
  • PRESS ROOM

The Project

  • INTRODUCTION
  • ORGANIZATION
  • PUBLICATIONS

The Human Protein Atlas

  • DOWNLOADABLE DATA
  • LICENCE & CITATION
  • HELP & FAQ
The Human Protein Atlas project is funded
by the Knut & Alice Wallenberg Foundation.


contact@proteinatlas.org