We use cookies to enhance the usability of our website. If you continue, we'll assume that you are happy to receive all cookies. More information. Don't show this again.
TRAP1
HPA
RESOURCES
  • TISSUE
  • BRAIN
  • SINGLE CELL
  • SUBCELLULAR
  • CANCER
  • BLOOD
  • CELL LINE
  • STRUCTURE & INTERACTION
ABOUT
  • INTRODUCTION
  • HISTORY
  • ORGANIZATION
  • PUBLICATIONS
  • ANTIBODY SUBMISSION
  • ANTIBODY AVAILABILITY
  • ACKNOWLEDGMENTS
  • CONTACT
NEWS
  • NEWS ARTICLES
  • PRESS ROOM
LEARN
  • DICTIONARY
  • PROTEIN CLASSES
  • PROTEIN EVIDENCE
  • METHODS
  • EDUCATIONAL VIDEOS
DATA
  • DOWNLOADABLE DATA
  • PUBLICATION DATA
  • RELEASE HISTORY
HELP
  • ANTIBODY VALIDATION
  • ASSAYS & ANNOTATION
  • DISCLAIMER
  • HELP & FAQ
  • PRIVACY STATEMENT
  • LICENCE & CITATION
Fields »
Search result

Field
Term
Gene name
Class
Subclass
Class
Keyword
Chromosome
External id
Tissue
Cell type
Expression
Antibody panel
Tissue
Main location
Patient ID
Annotation
Tissue
Category
Tau score
Cluster
Reliability
Brain region
Category
Tau score
Brain region
Category
Tau score
Brain region
Category
Tau score
Cluster
Reliability
Tissue
Cell type
Enrichment
Cell type
Category
Tau score
Cell type
Category
Tau score
Cell type
Category
Tau score
Cell lineage
Category
Tau score
Cluster
Cluster
Location
Searches
Location
Cell line
Class
Type
Phase
Reliability
Cancer
Prognosis
Cancer
Category
Cancer
Category
Tau score
Cluster
Variants
Interacting gene (ensg_id)
Type
Number of interactions
Pathway
Category
Score
Score
Score
Validation
Validation
Validation
Validation
Antibodies
Data type
Column


  • SUMMARY

  • TISSUE

  • BRAIN

  • SINGLE CELL

  • SUBCELL

  • CANCER

  • BLOOD

  • CELL LINE

  • STRUCT & INT

  • TRAP1
TISSUE PRIMARY DATA SKIN Show tissue menu
ADIPOSE TISSUE ADRENAL GLAND AMYGDALA APPENDIX BASAL GANGLIA BONE MARROW BREAST BRONCHUS CEREBELLUM CEREBRAL CORTEX CERVIX CHOROID PLEXUS COLON DUODENUM
ENDOMETRIUM EPIDIDYMIS ESOPHAGUS FALLOPIAN TUBE GALLBLADDER HEART MUSCLE HIPPOCAMPAL FORMATION HYPOTHALAMUS KIDNEY LIVER LUNG LYMPH NODE MIDBRAIN NASOPHARYNX
ORAL MUCOSA OVARY PANCREAS PARATHYROID GLAND PITUITARY GLAND PLACENTA PROSTATE RECTUM RETINA SALIVARY GLAND SEMINAL VESICLE SKELETAL MUSCLE SKIN SMALL INTESTINE
SMOOTH MUSCLE SOFT TISSUE SPINAL CORD SPLEEN STOMACH TESTIS THYMUS THYROID GLAND TONGUE TONSIL URINARY BLADDER VAGINA
ANTIBODIES
AND
VALIDATION
Dictionary
Skin
Tissue proteome
Skin
SKIN - Expression summary
Protein expression
Skini

On the top, protein expression in current human tissue, based on all annotated cell types, is reported with the units not detected (n), low (l), medium (m) and high (h). Underneath, protein expression in each annotated cell type are reported using the same units.

Protein expression data is based on knowledge-based annotation. For genes where more than one antibody has been used, a collective score is set.

If knowledge-based annotation could not be performed for a gene, no data is displayed here. View antibody staining data further down this page.

h
m
l
n
Cells in basal layer: High
Cells in corneal layer: Not detected
Cells in granular layer: Medium
Cells in spinous layer: Medium
Endothelial cells: High
Extracellular matrix: Not detected
Fibrohistiocytic cells: High
Langerhans cells: Medium
Lymphocytes: High
Melanocytes: High
Vascular mural cells: Medium
RNA expressioni

A summary of mRNA expression data available for current tissue based on several datasets. The mRNA expression levels in human tissues are based on RNA-seq data generated by the Human Protein Atlas (HPA), Genotype-Tissue Expression (GTEx) portal and CAGE data generated by the FANTOM5 consortium. Consensus normalized expression levels for human tissues was created by combining the data from HPA and GTEx datasets.

The mRNA expression levels in pig are based on RNA-seq data generated by the Human Protein Atlas (HPA), and for mouse, HPA data and in situ hybridization generated by the Allen brain atlas are reported.

Scroll down to view mRNA expression data in more detail.
Consensus:65.8 nTPM
HPA:65.8 nTPM
GTEx:62.7 nTPM

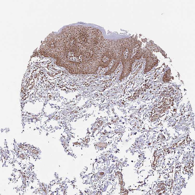
SKIN 1 - Antibody stainingi

Antibody staining in the annotated cell types in the current human tissue is reported as not detected, low, medium, or high, based on conventional immunohistochemistry profiling in selected tissues. This score is based on the combination of the staining intensity and fraction of stained cells.

Each image is clickable and will lead to virtual microscopy that enables deeper exploration of all samples and also displays staining intensity scores, fraction scores and subcellular localization as well as patient and tissue information for each sample.

Antibody HPA041082Antibody HPA044227
Langerhans -High
Cells in basal layer Medium-
Cells in corneal layer Not detected-
Cells in granular layer Medium-
Cells in spinous layer Medium-
Endothelial cells High-
Extracellular matrix Not detected-
Fibroblasts -High
Fibrohistiocytic cells High-
Keratinocytes -High
Langerhans cells Medium-
Lymphocytes High-
Melanocytes HighHigh
Vascular mural cells Medium-



SKIN 2 - Antibody stainingi

Antibody staining in the annotated cell types in the current human tissue is reported as not detected, low, medium, or high, based on conventional immunohistochemistry profiling in selected tissues. This score is based on the combination of the staining intensity and fraction of stained cells.

Each image is clickable and will lead to virtual microscopy that enables deeper exploration of all samples and also displays staining intensity scores, fraction scores and subcellular localization as well as patient and tissue information for each sample.

Antibody HPA041082Antibody HPA044227
Cells in basal layer High-
Cells in corneal layer Not detected-
Cells in granular layer Medium-
Cells in spinous layer Medium-
Endothelial cells High-
Epidermal cells -High
Extracellular matrix Not detected-
Fibrohistiocytic cells High-
Langerhans cells Medium-
Lymphocytes High-
Melanocytes High-
Vascular mural cells Not detected-
  
  



SKIN - HPA RNA-seqi

The RNA-seq details section shows detailed information about the individual samples used for the transcript profiling and results of the RNA-seq analysis.

Information about each individual sample is listed below, including gender, age, a tissue section image and estimated fractions of cell types. nTPM (normalized transcripts per million) values give a quantification of the gene abundance which is comparable between different genes and samples.
Average nTPMi

Max subtype nTPM is the value for the subtype with the largest average nTPM across the subtype samples.

65.8
overview
Female, age 34
Skin sample 225
nTPM: 61
Cell types%
Keratinocytes:
60

Other cell types:
40

overview
Female, age 30
Skin sample 226
nTPM: 52.9
Cell types%
Keratinocytes:
55

Other cell types:
45

N/A
Male, age 57
Skin sample 227
nTPM: 83.4

SKIN - GTEx RNA-seqi

RNA-Seq data generated by the Genotype-Tissue Expression (GTEx) project from human tissues is reported as mean nTPM. More information can be found on the GTEx portal.

Distribution across the dataset is visualized with box plots, shown as median and 25th and 75th percentiles. Points are displayed as outliers if they are above or below 1.5 times the interquartile range. nTPM values of the individual samples are presented next to the box plot.
Max subtype nTPMi

Max subtype nTPM is the value for the subtype with the largest average nTPM across the subtype samples.

62.7
GTEx sample id Sample description nTPM
Skin - Not Sun Exposed (Suprapubic)
Average nTPM: 62.7
Samples: 604

Max nTPM: 125.0
Min nTPM: 30.0
Std nTPM: 14.1
Median nTPM: 60.9
GTEX-14XAO-1226-SM-6EU1C 60-69 years, female 125.0
GTEX-WI4N-2726-SM-3LK7Y 40-49 years, female 119.6
GTEX-1I1GU-0926-SM-ACKVS 40-49 years, male 118.5
GTEX-13NYC-0126-SM-5L3F4 60-69 years, male 114.8
GTEX-1CB4J-1326-SM-7P8RX 60-69 years, male 114.1
GTEX-Y5LM-0926-SM-6LLJG 40-49 years, female 112.8
GTEX-1S5ZU-2526-SM-E6CIF 20-29 years, female 112.5
GTEX-14C38-0726-SM-5SI6M 50-59 years, male 110.4
GTEX-11DXX-2126-SM-5PNYR 60-69 years, female 109.1
GTEX-1J1OQ-0126-SM-D4P2N 40-49 years, female 108.9
GTEX-14PJ3-1126-SM-5ZZVX 50-59 years, male 99.1
GTEX-1HSMP-0926-SM-A9SKX 70-79 years, male 97.5
GTEX-ZYY3-2926-SM-5GIEB 60-69 years, female 97.0
GTEX-1M4P7-0726-SM-E6CJ3 60-69 years, male 96.9
GTEX-13U4I-2226-SM-5LU5H 40-49 years, female 96.3
GTEX-16MTA-0926-SM-6M47Z 50-59 years, male 94.6
GTEX-Y9LG-1126-SM-4VBQ7 30-39 years, male 94.2
GTEX-1J8Q2-2626-SM-ACKWQ 60-69 years, male 93.4
GTEX-1CB4E-0926-SM-7EPHT 60-69 years, male 92.9
GTEX-1RAZQ-1326-SM-E9TK6 30-39 years, male 92.8
GTEX-ZF3C-0626-SM-DO92O 50-59 years, female 92.7
GTEX-ZU9S-1826-SM-5NQ9E 30-39 years, male 91.8
GTEX-11WQK-1026-SM-5EQLX 50-59 years, male 91.6
GTEX-1A3MX-2626-SM-7PC24 60-69 years, male 91.3
GTEX-13W3W-0726-SM-5IJDQ 60-69 years, female 91.2
GTEX-1R9PN-0426-SM-DTXDT 40-49 years, female 90.1
GTEX-Y5V6-2326-SM-4VDSA 60-69 years, male 89.9
GTEX-14PJ4-0226-SM-5YY92 60-69 years, male 89.8
GTEX-Y114-2126-SM-4TT8B 50-59 years, female 89.6
GTEX-1JMOU-1026-SM-CYPSS 60-69 years, female 89.3
GTEX-XBEW-1126-SM-4QARW 40-49 years, male 89.1
GTEX-131XG-0326-SM-5L3DX 50-59 years, female 88.7
GTEX-1CB4I-0126-SM-7RHGG 50-59 years, male 87.2
GTEX-1PPH7-1126-SM-DTX9A 40-49 years, male 86.8
GTEX-X585-2426-SM-46MW2 50-59 years, male 86.6
GTEX-12WSJ-1126-SM-5LZVJ 40-49 years, female 86.3
GTEX-1B8KE-1126-SM-7EPHI 50-59 years, male 86.3
GTEX-1QAET-0326-SM-EVR3U 50-59 years, male 86.1
GTEX-1JMQL-2226-SM-CNPP4 50-59 years, female 86.0
GTEX-WH7G-2026-SM-3NMBL 40-49 years, male 85.8
GTEX-17HII-1426-SM-7EPGG 50-59 years, male 85.5
GTEX-1LVAM-0726-SM-E6CIL 50-59 years, female 85.0
GTEX-1A3MW-0626-SM-731CB 60-69 years, female 84.9
GTEX-1JN1M-2726-SM-CY8I4 60-69 years, female 84.4
GTEX-1H11D-1826-SM-9QEHM 40-49 years, male 84.1
GTEX-15G1A-1626-SM-7KUKN 30-39 years, male 83.6
GTEX-1E2YA-2126-SM-7MXUO 50-59 years, male 83.5
GTEX-U8XE-0226-SM-4E3J3 30-39 years, male 82.8
GTEX-1K9T9-1526-SM-DIPFR 50-59 years, female 82.6
GTEX-1LKK1-2626-SM-DKPQE 50-59 years, female 82.6
GTEX-14PKV-1126-SM-6LLJ1 20-29 years, female 82.4
GTEX-1399Q-2326-SM-5KM2X 40-49 years, male 82.1
GTEX-WHSE-0126-SM-3NMBT 20-29 years, male 81.9
GTEX-1J8Q3-0526-SM-ARL8U 60-69 years, male 81.6
GTEX-15RIE-1926-SM-7KUKJ 60-69 years, male 81.5
GTEX-ZPIC-0526-SM-DO91W 40-49 years, female 81.3
GTEX-ZDXO-3126-SM-5IJDF 60-69 years, male 81.2
GTEX-1PPH8-0126-SM-EWRN8 20-29 years, male 80.9
GTEX-ZPCL-1126-SM-4WWFE 60-69 years, female 80.7
GTEX-1JN6P-2926-SM-CL54D 60-69 years, male 80.6
GTEX-1S82U-1026-SM-E6CJK 30-39 years, female 80.4
GTEX-1OJC3-1226-SM-DTXER 20-29 years, male 80.3
GTEX-1CAMR-1326-SM-7PC1F 20-29 years, male 80.0
GTEX-15G19-2426-SM-7KUMR 60-69 years, male 79.8
GTEX-1IKOE-1426-SM-CE6T7 30-39 years, female 79.8
GTEX-14C39-1726-SM-5RQIL 40-49 years, male 79.6
GTEX-15CHR-1126-SM-7EWF4 50-59 years, male 79.6
GTEX-1HGF4-0126-SM-CNPPX 60-69 years, male 79.6
GTEX-1EN7A-2426-SM-793DB 40-49 years, male 79.0
GTEX-13OVH-0526-SM-5L3E6 70-79 years, male 78.7
GTEX-11GSP-2326-SM-5HL63 60-69 years, female 78.5
GTEX-13O3O-2326-SM-5IJD6 60-69 years, female 78.4
GTEX-11UD2-2526-SM-5CVNU 50-59 years, male 78.3
GTEX-XPVG-2126-SM-4B667 50-59 years, male 78.3
GTEX-1F88F-0126-SM-9WYSZ 60-69 years, female 78.2
GTEX-1GZ4H-0526-SM-9KNU9 50-59 years, female 78.0
GTEX-1N2EE-0626-SM-E76PW 60-69 years, male 77.8
GTEX-1RMOY-1326-SM-E9TIH 50-59 years, male 77.8
GTEX-1I1HK-2326-SM-CKZOH 60-69 years, male 77.5
GTEX-17JCI-2926-SM-7DUFF 60-69 years, female 77.3
GTEX-1C6WA-2626-SM-7MKGM 60-69 years, male 77.1
GTEX-1IDJD-2326-SM-ACKWX 30-39 years, male 76.9
GTEX-1LG7Y-2526-SM-EWRO7 50-59 years, male 76.9
GTEX-ZZPU-0826-SM-5GZX5 50-59 years, female 76.7
GTEX-XQ3S-1426-SM-4BOPR 20-29 years, male 76.5
GTEX-1H1DF-1126-SM-9WG7G 40-49 years, female 76.3
GTEX-1IDJU-1726-SM-CMKHU 60-69 years, female 76.3
GTEX-WHSB-1326-SM-3LK6W 50-59 years, male 76.0
GTEX-XK95-0226-SM-4AT58 40-49 years, male 76.0
GTEX-1LB8K-0726-SM-D5OV2 50-59 years, male 76.0
GTEX-1S3DN-2126-SM-E9TIN 50-59 years, male 75.8
GTEX-1LSNM-0826-SM-DIPG8 50-59 years, male 75.7
GTEX-13112-0126-SM-5P9IU 50-59 years, male 75.6
GTEX-WFG8-2126-SM-3GIKQ 20-29 years, male 75.6
GTEX-144FL-0626-SM-5LU43 50-59 years, male 75.0
GTEX-XUW1-0926-SM-4BONX 50-59 years, female 75.0
GTEX-ZT9X-1526-SM-5DUXD 40-49 years, male 75.0
GTEX-11TT1-1826-SM-5EQLV 20-29 years, male 74.9
GTEX-147F4-0726-SM-5TDDD 50-59 years, male 74.9
GTEX-1AMFI-1326-SM-7939R 50-59 years, female 74.9
GTEX-ZVP2-0326-SM-57WBP 50-59 years, male 74.7
GTEX-1GF9V-0826-SM-9KNUV 60-69 years, male 74.6
GTEX-16MT8-2926-SM-7DUFO 60-69 years, female 74.5
GTEX-1GPI7-1826-SM-9KNU1 20-29 years, male 74.4
GTEX-WFON-1926-SM-3LK7L 40-49 years, male 74.3
GTEX-17F9Y-0126-SM-79OKX 70-79 years, female 74.2
GTEX-Y111-0626-SM-4SOIT 50-59 years, male 73.9
GTEX-ZYW4-0626-SM-59HJR 60-69 years, male 73.7
GTEX-1R9PM-1926-SM-EVR3O 20-29 years, male 73.7
GTEX-12696-0126-SM-5EQ4L 60-69 years, male 73.5
GTEX-11ZUS-2626-SM-5FQUR 30-39 years, male 73.4
GTEX-1JMQK-1226-SM-D4P2S 60-69 years, male 73.4
GTEX-14PJO-2526-SM-6AJBQ 60-69 years, male 73.3
GTEX-1MJK3-0726-SM-E6CJC 20-29 years, male 73.3
GTEX-1R46S-2426-SM-E76QA 60-69 years, female 73.3
GTEX-144GM-0526-SM-79OJO 20-29 years, male 73.2
GTEX-13OW7-0426-SM-5K7VK 50-59 years, male 73.1
GTEX-ZYVF-0926-SM-5E44J 50-59 years, female 73.1
GTEX-1399S-0126-SM-5IJCF 30-39 years, female 73.0
GTEX-1O9I2-0226-SM-EYYXD 50-59 years, male 72.7
GTEX-13D11-0926-SM-5J2NC 50-59 years, female 72.6
GTEX-1EKGG-0626-SM-7DUGJ 60-69 years, male 72.5
GTEX-ZDTS-0826-SM-4WKHL 60-69 years, male 72.5
GTEX-1A8G7-1326-SM-73KVM 60-69 years, male 72.4
GTEX-1B996-0426-SM-7EWF8 60-69 years, male 72.4
GTEX-1GTWX-2026-SM-9YFLM 60-69 years, male 72.3
GTEX-1N5O9-0926-SM-E9J3C 60-69 years, male 72.0
GTEX-14LLW-2626-SM-62LDZ 70-79 years, female 71.9
GTEX-11ZTT-2126-SM-5CVLO 60-69 years, female 71.8
GTEX-1S82P-2126-SM-E6CI5 60-69 years, female 71.8
GTEX-12ZZZ-0726-SM-5GCNZ 60-69 years, male 71.4
GTEX-17HG3-2626-SM-7DUF2 30-39 years, female 71.4
GTEX-1AX9J-1326-SM-731BJ 60-69 years, male 71.4
GTEX-1KAFJ-0126-SM-DIPEK 50-59 years, male 71.3
GTEX-15D1Q-2826-SM-6LLH7 40-49 years, male 71.2
GTEX-ZVZP-1226-SM-5GID7 50-59 years, male 71.2
GTEX-17HGU-2326-SM-7DUFE 50-59 years, male 71.0
GTEX-111FC-2526-SM-5GZXU 60-69 years, male 70.8
GTEX-1HCUA-0826-SM-ADEHM 50-59 years, female 70.8
GTEX-1N2DV-1526-SM-DTXEP 40-49 years, male 70.8
GTEX-ZVT2-0126-SM-5GIDQ 50-59 years, female 70.7
GTEX-1GPI6-1926-SM-9KNV7 60-69 years, male 70.7
GTEX-1JMQI-1726-SM-ARL93 50-59 years, male 70.7
GTEX-1PIGE-1826-SM-E8VOU 20-29 years, male 70.7
GTEX-14ABY-2026-SM-62LDL 50-59 years, male 70.6
GTEX-13X6K-0626-SM-5LU5D 60-69 years, female 70.5
GTEX-XOT4-0626-SM-4B66L 60-69 years, female 70.5
GTEX-15RJE-2826-SM-7KUM9 40-49 years, male 70.4
GTEX-WFG7-2026-SM-5SI7P 20-29 years, male 70.4
GTEX-1H3VE-0726-SM-9YFL5 40-49 years, male 70.3
GTEX-1LVA9-2626-SM-EVYD4 50-59 years, male 70.3
GTEX-13FTX-1526-SM-5K7VJ 20-29 years, female 70.1
GTEX-1QW4Y-1126-SM-DTXE3 30-39 years, male 70.1
GTEX-11NUK-2726-SM-5A5MC 50-59 years, male 70.0
GTEX-139TS-2126-SM-5K7XC 60-69 years, male 70.0
GTEX-XBEC-0726-SM-4QARZ 50-59 years, male 70.0
GTEX-ZY6K-1426-SM-5GZX2 50-59 years, male 69.9
GTEX-1LSNL-2726-SM-E9TKJ 50-59 years, male 69.9
GTEX-14B4R-1326-SM-5Q5EZ 30-39 years, male 69.8
GTEX-1ICG6-1226-SM-A9SLN 70-79 years, female 69.8
GTEX-144GL-0626-SM-5LU4D 50-59 years, male 69.7
GTEX-17F97-2626-SM-7IGM5 50-59 years, male 69.7
GTEX-1B97I-0626-SM-73KUZ 40-49 years, male 69.7
GTEX-1J1R8-2026-SM-CL53Y 40-49 years, male 69.6
GTEX-1212Z-0126-SM-59HK4 60-69 years, male 69.5
GTEX-ZYFD-0626-SM-5E44E 50-59 years, male 69.4
GTEX-ZYFG-1526-SM-5GZYM 60-69 years, female 69.4
GTEX-13OW6-2726-SM-5J2OE 50-59 years, male 69.3
GTEX-1LSVX-2526-SM-DIPEU 60-69 years, male 69.2
GTEX-1GZ2Q-0126-SM-9WG6M 40-49 years, male 69.0
GTEX-1PPGY-1626-SM-EVYBL 60-69 years, male 69.0
GTEX-148VJ-0626-SM-5LUAW 70-79 years, male 68.9
GTEX-14A6H-2026-SM-5Q5DD 30-39 years, male 68.8
GTEX-ZTX8-1326-SM-4YCEL 20-29 years, male 68.7
GTEX-1H1DG-2426-SM-9QEHJ 70-79 years, male 68.7
GTEX-183WM-0326-SM-72D5V 70-79 years, female 68.4
GTEX-13G51-1826-SM-5KLZH 60-69 years, male 68.3
GTEX-1EX96-1026-SM-7MKG2 50-59 years, male 68.3
GTEX-1HCU8-2526-SM-CE6RX 60-69 years, female 68.3
GTEX-13FH7-1126-SM-5K7UG 50-59 years, female 68.2
GTEX-1F6I4-2326-SM-7RHGL 60-69 years, male 68.1
GTEX-W5X1-2526-SM-3GILC 40-49 years, female 68.0
GTEX-1JMLX-0626-SM-ARL8T 50-59 years, male 68.0
GTEX-1C6VQ-1226-SM-73KYD 50-59 years, male 67.9
GTEX-WY7C-2126-SM-3NB2R 50-59 years, male 67.9
GTEX-1S83E-1326-SM-E6CJM 40-49 years, male 67.9
GTEX-17HHE-1326-SM-7EWDZ 50-59 years, male 67.8
GTEX-11DXY-0126-SM-5H11Q 60-69 years, male 67.6
GTEX-14BIN-1126-SM-5RQJZ 50-59 years, female 67.2
GTEX-1JN76-0626-SM-CKZOQ 20-29 years, female 67.2
GTEX-1LVAO-2726-SM-E9TJ8 60-69 years, male 67.2
GTEX-12ZZY-0726-SM-5EQ66 60-69 years, male 67.1
GTEX-X8HC-0626-SM-4E3HQ 50-59 years, female 67.1
GTEX-15DDE-2926-SM-6LLJ3 50-59 years, female 67.0
GTEX-15RIG-0726-SM-7KUM7 40-49 years, male 67.0
GTEX-VUSG-2326-SM-4KL1U 50-59 years, male 67.0
GTEX-11ZU8-0126-SM-5EQ58 60-69 years, male 66.9
GTEX-WEY5-2326-SM-3GIKK 40-49 years, female 66.9
GTEX-145MI-0626-SM-5SI8S 60-69 years, female 66.8
GTEX-1J8QM-2426-SM-A9SLS 60-69 years, female 66.8
GTEX-12WSA-0426-SM-5EQ5X 60-69 years, male 66.6
GTEX-1LVAN-0626-SM-CNPOQ 50-59 years, female 66.5
GTEX-11TUW-0626-SM-5LU9M 60-69 years, male 66.4
GTEX-145LS-0626-SM-7EPG7 60-69 years, female 66.4
GTEX-11DXW-0826-SM-5H118 40-49 years, male 66.3
GTEX-1H1ZS-2726-SM-9WG75 70-79 years, male 66.3
GTEX-1HCU6-2526-SM-ADEHL 60-69 years, female 66.2
GTEX-1KXAM-1626-SM-D3LAD 60-69 years, male 66.1
GTEX-1313W-0626-SM-5EQ4H 50-59 years, female 65.9
GTEX-13OVG-1626-SM-5J1NF 60-69 years, male 65.9
GTEX-132AR-0326-SM-5KM2C 50-59 years, female 65.8
GTEX-1CAMS-2226-SM-7PBXQ 40-49 years, female 65.8
GTEX-WHPG-2626-SM-3NMBR 50-59 years, male 65.7
GTEX-139TT-2126-SM-5LZWC 60-69 years, male 65.6
GTEX-15FZZ-0526-SM-7KUGD 30-39 years, female 65.6
GTEX-V1D1-2026-SM-3GAF4 50-59 years, male 65.6
GTEX-111VG-1626-SM-5EGIO 60-69 years, male 65.5
GTEX-13JVG-0726-SM-5KM16 60-69 years, male 65.5
GTEX-1H2FU-0926-SM-9WPPT 60-69 years, female 65.5
GTEX-12ZZX-2426-SM-5GCOE 40-49 years, female 65.4
GTEX-WK11-2726-SM-3NMAQ 50-59 years, male 65.4
GTEX-1CAMQ-1326-SM-7P8RV 40-49 years, male 65.3
GTEX-11OF3-0126-SM-5PNYF 60-69 years, male 65.2
GTEX-139TU-0726-SM-5L3EK 60-69 years, male 65.2
GTEX-1HCU9-0426-SM-9WYSD 20-29 years, male 65.0
GTEX-1IDJI-0126-SM-CMKHS 50-59 years, female 65.0
GTEX-11GS4-0226-SM-5HL77 60-69 years, male 64.9
GTEX-1H23P-0626-SM-9WG6T 60-69 years, male 64.8
GTEX-1IDJV-0126-SM-COH3Y 60-69 years, male 64.8
GTEX-15UF6-1926-SM-7KUDV 70-79 years, female 64.7
GTEX-15EU6-2226-SM-6EU2L 50-59 years, male 64.6
GTEX-1JK1U-0226-SM-ARZMX 60-69 years, male 64.5
GTEX-11DXZ-2026-SM-5987S 50-59 years, male 64.4
GTEX-17F98-1326-SM-7DUEP 40-49 years, female 64.4
GTEX-1HFI6-0126-SM-CNPPI 40-49 years, male 64.3
GTEX-1JMPZ-0726-SM-CY8HZ 30-39 years, male 64.2
GTEX-13X6I-1826-SM-5SIAO 60-69 years, male 64.1
GTEX-1B8SF-0126-SM-7DUG3 60-69 years, male 64.0
GTEX-1KANA-1326-SM-DIPFA 20-29 years, male 64.0
GTEX-1AX8Z-0726-SM-73KTS 60-69 years, male 63.7
GTEX-1GMR3-0126-SM-A9SLW 40-49 years, male 63.7
GTEX-1K2DU-1226-SM-CYPT4 20-29 years, male 63.7
GTEX-1E1VI-0326-SM-793D1 50-59 years, male 63.6
GTEX-13PVQ-0626-SM-5LU47 50-59 years, male 63.3
GTEX-14JFF-0626-SM-5ZZVT 60-69 years, male 63.3
GTEX-1HSGN-0826-SM-ACKW3 40-49 years, female 63.3
GTEX-12584-0726-SM-5FQTK 40-49 years, male 63.2
GTEX-139D8-1126-SM-5LU8W 30-39 years, female 63.2
GTEX-XBED-1926-SM-47JYP 60-69 years, male 63.2
GTEX-X4EO-2926-SM-4E3JH 60-69 years, female 63.0
GTEX-1I1GT-1026-SM-ARZLV 60-69 years, female 63.0
GTEX-1IY9M-2826-SM-ARU8H 60-69 years, male 63.0
GTEX-1GN1W-2426-SM-9KNUU 50-59 years, female 62.9
GTEX-14PII-0726-SM-6EU2B 60-69 years, male 62.7
GTEX-178AV-1726-SM-7KUL8 40-49 years, male 62.7
GTEX-11P82-1426-SM-DTXFY 20-29 years, male 62.7
GTEX-1GMRU-2126-SM-7P8RA 50-59 years, male 62.6
GTEX-12126-0826-SM-5FQTZ 20-29 years, male 62.5
GTEX-13O3Q-0126-SM-5KM34 50-59 years, male 62.5
GTEX-13X6H-0926-SM-5SIB2 50-59 years, female 62.5
GTEX-17EVP-2626-SM-7IGMA 40-49 years, male 62.5
GTEX-1C2JI-1026-SM-73KY1 50-59 years, male 62.5
GTEX-1GN1V-2826-SM-9JGIA 60-69 years, male 62.5
GTEX-1KWVE-1026-SM-D3L9O 30-39 years, male 62.5
GTEX-13RTJ-0126-SM-5S2NN 60-69 years, male 62.4
GTEX-1F75B-0726-SM-7PC3R 50-59 years, male 62.4
GTEX-1HCU7-0726-SM-A9SL1 50-59 years, male 62.3
GTEX-1IDFM-0326-SM-ARL7V 60-69 years, male 62.3
GTEX-14PHY-1226-SM-5ZZWK 60-69 years, female 62.2
GTEX-16YQH-2226-SM-7IGM2 30-39 years, male 62.2
GTEX-1EH9U-2826-SM-7DUGT 60-69 years, male 62.2
GTEX-1F75I-2226-SM-7SB8U 40-49 years, male 62.2
GTEX-1PBJJ-1026-SM-E76OS 30-39 years, male 62.2
GTEX-1IKJJ-2226-SM-CJI4C 60-69 years, male 62.1
GTEX-1JKYR-0626-SM-ARL8R 20-29 years, male 62.1
GTEX-144GO-2026-SM-5O99P 60-69 years, male 61.8
GTEX-Y8LW-1526-SM-5IFHL 50-59 years, female 61.8
GTEX-1117F-2926-SM-5GZYI 60-69 years, female 61.7
GTEX-11DYG-1526-SM-5A5JS 60-69 years, male 61.7
GTEX-18D9U-0126-SM-731BM 40-49 years, male 61.7
GTEX-XXEK-1626-SM-4BRUZ 50-59 years, male 61.7
GTEX-1HT8W-0626-SM-A9G2H 30-39 years, male 61.7
GTEX-17KNJ-2126-SM-718AM 50-59 years, male 61.6
GTEX-1I19N-0126-SM-CYPSF 70-79 years, male 61.6
GTEX-1JMPY-0226-SM-CKZOK 30-39 years, male 61.6
GTEX-1PDJ9-1226-SM-EXUSX 20-29 years, male 61.6
GTEX-14PJ6-2626-SM-6EU2T 60-69 years, female 61.5
GTEX-15ER7-0626-SM-6PANF 20-29 years, female 61.5
GTEX-1HKZK-0726-SM-ACKW2 40-49 years, male 61.4
GTEX-14A5H-0826-SM-5QGPJ 60-69 years, male 61.3
GTEX-YECK-0326-SM-4W1YS 60-69 years, male 61.3
GTEX-Y3I4-1726-SM-4TT89 50-59 years, male 61.2
GTEX-ZVTK-0226-SM-51MRG 20-29 years, male 61.2
GTEX-11LCK-2226-SM-5HL4Q 30-39 years, male 61.1
GTEX-145LT-0526-SM-5LUB2 40-49 years, male 61.1
GTEX-WHWD-1826-SM-3LK6I 50-59 years, male 61.1
GTEX-ZAK1-0626-SM-5HL8E 50-59 years, female 61.1
GTEX-11VI4-1126-SM-5EQMD 40-49 years, female 61.0
GTEX-12WSF-1626-SM-7KUG5 70-79 years, male 61.0
GTEX-131YS-2826-SM-5EQ47 60-69 years, female 61.0
GTEX-1JJ6O-2726-SM-CNPOG 60-69 years, male 61.0
GTEX-13SLX-2226-SM-62LEP 50-59 years, female 60.9
GTEX-17F9E-2326-SM-79OKD 50-59 years, male 60.9
GTEX-1QP9N-1226-SM-E76QN 30-39 years, male 60.9
GTEX-14DAR-1226-SM-73KYV 50-59 years, male 60.8
GTEX-1GZHY-0626-SM-9KNVC 50-59 years, female 60.8
GTEX-1IE54-1126-SM-A9G2Z 40-49 years, female 60.8
GTEX-15SHW-0226-SM-7LTAT 60-69 years, male 60.7
GTEX-1HR9M-2226-SM-CNPPY 60-69 years, male 60.7
GTEX-1QP2A-1726-SM-E76QC 50-59 years, male 60.7
GTEX-13NYB-0126-SM-5J1MD 40-49 years, male 60.6
GTEX-16GPK-0626-SM-7KFSF 60-69 years, male 60.6
GTEX-17F96-0126-SM-7EWDU 70-79 years, male 60.6
GTEX-1AMEY-0826-SM-72D65 30-39 years, female 60.6
GTEX-ZYT6-2326-SM-5GZY3 30-39 years, male 60.6
GTEX-133LE-2326-SM-5K7W3 20-29 years, female 60.5
GTEX-ZUA1-2626-SM-5NQ92 40-49 years, male 60.4
GTEX-1HFI7-2326-SM-CGQFS 50-59 years, female 60.4
GTEX-1ICLZ-0326-SM-ARL82 60-69 years, male 60.4
GTEX-145ME-1726-SM-5Q5EU 40-49 years, female 60.2
GTEX-ZTTD-2826-SM-4YCFA 50-59 years, male 60.2
GTEX-12WSH-1526-SM-5BC5W 50-59 years, male 60.1
GTEX-131XH-0126-SM-5LZUY 50-59 years, male 59.9
GTEX-13OVK-1426-SM-6PAN7 40-49 years, male 59.8
GTEX-147GR-2426-SM-5ZZWQ 60-69 years, male 59.8
GTEX-1LGRB-0926-SM-COH3K 50-59 years, female 59.8
GTEX-145MG-1526-SM-5Q5EM 50-59 years, male 59.7
GTEX-XQ8I-0926-SM-4BOOF 50-59 years, male 59.7
GTEX-ZXG5-2126-SM-59HKD 60-69 years, male 59.7
GTEX-17MFQ-1526-SM-7KFRR 20-29 years, male 59.6
GTEX-WRHU-2826-SM-3MJG8 50-59 years, female 59.6
GTEX-13PVR-0426-SM-5RQK2 60-69 years, female 59.5
GTEX-145MH-2826-SM-5RQJF 50-59 years, male 59.5
GTEX-1POEN-2326-SM-E9J2L 30-39 years, female 59.5
GTEX-13X6J-0626-SM-5LU5F 50-59 years, male 59.4
GTEX-ZA64-1026-SM-5HL8R 20-29 years, male 59.4
GTEX-13N1W-2426-SM-5IJD1 70-79 years, male 59.3
GTEX-1HSKV-1226-SM-ADEI4 60-69 years, male 59.3
GTEX-ZC5H-1526-SM-5HL9Y 40-49 years, female 59.2
GTEX-1OJC4-2726-SM-E76PJ 50-59 years, female 59.2
GTEX-14JG1-1526-SM-5YY9X 40-49 years, male 59.0
GTEX-18465-2826-SM-7LT9J 50-59 years, male 59.0
GTEX-ZWKS-0626-SM-5GIDV 30-39 years, male 59.0
GTEX-13VXU-0626-SM-5L3F9 50-59 years, male 58.9
GTEX-1J8JJ-0626-SM-ARZMQ 60-69 years, female 58.9
GTEX-1RB15-1326-SM-E76Q9 60-69 years, male 58.9
GTEX-13OVJ-0826-SM-5J1OK 50-59 years, female 58.8
GTEX-14LZ3-0126-SM-69LPM 60-69 years, female 58.8
GTEX-XYKS-1426-SM-4BRUO 60-69 years, female 58.8
GTEX-XV7Q-1826-SM-4BRUV 40-49 years, female 58.7
GTEX-Z93S-1626-SM-5CVMB 50-59 years, male 58.7
GTEX-13FTW-0326-SM-5K7UW 40-49 years, male 58.6
GTEX-1GN73-0726-SM-7P8TJ 60-69 years, male 58.6
GTEX-1H4P4-2126-SM-9WYSL 50-59 years, male 58.5
GTEX-11NSD-0626-SM-5A5LU 20-29 years, male 58.4
GTEX-1211K-1526-SM-5FQU4 60-69 years, female 58.3
GTEX-14E6C-2426-SM-5S2NF 40-49 years, male 58.3
GTEX-15CHC-1126-SM-6LLHQ 60-69 years, female 58.3
GTEX-YFCO-1226-SM-5LUAT 40-49 years, male 58.3
GTEX-147JS-0226-SM-5S2U9 60-69 years, male 58.2
GTEX-ZPU1-1126-SM-4YCF3 40-49 years, male 58.2
GTEX-YEC3-1326-SM-DO92X 50-59 years, male 58.1
GTEX-1I1CD-0626-SM-CE6SW 60-69 years, female 58.0
GTEX-14DAQ-0626-SM-793DS 60-69 years, female 57.9
GTEX-1I1GP-1326-SM-A9G28 50-59 years, male 57.9
GTEX-16XZZ-0726-SM-7KUF2 60-69 years, male 57.8
GTEX-ZLFU-1826-SM-4WWBV 40-49 years, male 57.8
GTEX-1F5PK-2226-SM-7SB6N 50-59 years, male 57.8
GTEX-12WSD-0626-SM-5GCMW 60-69 years, female 57.7
GTEX-16MT9-0126-SM-7EPI8 60-69 years, female 57.6
GTEX-1HC8U-1326-SM-9YFMJ 40-49 years, female 57.6
GTEX-ZLV1-1526-SM-DO91J 60-69 years, female 57.6
GTEX-139UW-0326-SM-5J1ML 60-69 years, male 57.5
GTEX-15DYW-2726-SM-6EU2I 60-69 years, female 57.5
GTEX-ZF2S-1626-SM-57WES 50-59 years, female 57.5
GTEX-1RAZS-2526-SM-E6CHT 50-59 years, male 57.5
GTEX-13FTY-2126-SM-5IFFB 40-49 years, female 57.4
GTEX-18D9B-0926-SM-7LG4U 60-69 years, male 57.2
GTEX-ZVE1-0726-SM-51MRN 50-59 years, female 57.2
GTEX-1H1CY-0126-SM-9YFLY 60-69 years, female 57.2
GTEX-14BMV-2826-SM-5TDED 50-59 years, male 57.0
GTEX-WYVS-1626-SM-3NM9R 40-49 years, female 56.9
GTEX-18A7A-0126-SM-731AH 50-59 years, female 56.7
GTEX-1I4MK-0126-SM-CY8G6 50-59 years, female 56.7
GTEX-13OW5-2326-SM-5L3HO 60-69 years, male 56.6
GTEX-1HSMO-0626-SM-ACKXC 60-69 years, male 56.6
GTEX-1NV5F-0626-SM-DTXEG 60-69 years, female 56.6
GTEX-ZP4G-1426-SM-4WWCL 20-29 years, female 56.5
GTEX-1IDJC-1526-SM-B2LW4 50-59 years, male 56.5
GTEX-1MCYP-0526-SM-E9U6Q 20-29 years, female 56.5
GTEX-145MF-0926-SM-5Q5EA 50-59 years, male 56.4
GTEX-1192X-2726-SM-5N9DN 50-59 years, male 56.3
GTEX-ZF29-0926-SM-4WKFZ 60-69 years, female 56.3
GTEX-1R9K4-2826-SM-DTX8F 60-69 years, male 56.3
GTEX-17EVQ-0126-SM-7IGLR 70-79 years, male 56.1
GTEX-1QCLY-0226-SM-EWRNH 30-39 years, male 56.1
GTEX-13113-1626-SM-5EQ4I 60-69 years, female 56.0
GTEX-15EO6-2426-SM-6PALZ 50-59 years, male 56.0
GTEX-1H1E6-0426-SM-9WYUS 30-39 years, male 56.0
GTEX-1I6K6-1726-SM-CGQFD 30-39 years, male 56.0
GTEX-1399U-1126-SM-5L3DB 50-59 years, female 55.9
GTEX-1B933-2426-SM-7DHMD 50-59 years, female 55.9
GTEX-1HB9E-0126-SM-CM2S5 50-59 years, male 55.9
GTEX-11WQC-1826-SM-5GU59 60-69 years, male 55.8
GTEX-Y5V5-0126-SM-5S2NW 60-69 years, female 55.8
GTEX-1K2DA-1026-SM-CGQGF 50-59 years, male 55.8
GTEX-117YX-1926-SM-5GIEC 50-59 years, male 55.7
GTEX-11PRG-0726-SM-5EGL1 50-59 years, male 55.7
GTEX-ZE7O-2726-SM-51MT5 50-59 years, female 55.7
GTEX-1AX9I-2226-SM-73KUO 60-69 years, male 55.6
GTEX-X5EB-1926-SM-4E3IW 40-49 years, male 55.6
GTEX-1PIIG-2326-SM-DTXFR 30-39 years, male 55.6
GTEX-1QP29-1826-SM-DTX9S 50-59 years, male 55.6
GTEX-1BAJH-2426-SM-7IGP8 70-79 years, male 55.5
GTEX-1GN1U-0626-SM-9MQL9 50-59 years, female 55.5
GTEX-12WSM-1926-SM-5BC65 60-69 years, male 55.3
GTEX-WXYG-2026-SM-4E3IY 50-59 years, female 55.3
GTEX-XMD2-2126-SM-4YCF8 60-69 years, female 55.3
GTEX-1F48J-0726-SM-7RHGS 50-59 years, female 55.3
GTEX-1H1DE-1326-SM-9KNUG 20-29 years, male 55.3
GTEX-1IL2V-1926-SM-B2LW8 70-79 years, male 55.3
GTEX-16Z82-2626-SM-7KULU 60-69 years, male 55.1
GTEX-YEC4-1826-SM-4W1YP 40-49 years, male 55.1
GTEX-18D9A-1426-SM-7LT8M 30-39 years, female 55.1
GTEX-1C6VR-0126-SM-7RHGB 60-69 years, male 55.0
GTEX-131XW-0626-SM-5PNVD 50-59 years, female 54.9
GTEX-1I6K7-1926-SM-B2LXR 40-49 years, male 54.9
GTEX-14PHX-2226-SM-6EU2P 50-59 years, male 54.8
GTEX-1S831-1826-SM-EWROF 20-29 years, male 54.8
GTEX-11EI6-2826-SM-5H11D 60-69 years, male 54.7
GTEX-13NZ8-1226-SM-5KM4A 60-69 years, female 54.5
GTEX-14ICL-1626-SM-5YYAO 30-39 years, male 54.5
GTEX-1EU9M-1426-SM-793AI 60-69 years, male 54.4
GTEX-131XF-2626-SM-5EQ6K 60-69 years, male 54.3
GTEX-1AYD5-2626-SM-7PBXY 50-59 years, male 54.3
GTEX-1MCC2-1826-SM-DIPEX 30-39 years, female 54.3
GTEX-13NZ9-2626-SM-5L3FK 50-59 years, male 54.2
GTEX-ZZ64-1026-SM-5GZXG 20-29 years, male 54.2
GTEX-1GZ4I-2626-SM-9KNU3 50-59 years, male 54.2
GTEX-11P7K-1126-SM-5HL4L 30-39 years, male 54.0
GTEX-WYJK-0526-SM-3NM8Z 50-59 years, male 53.9
GTEX-ZGAY-1826-SM-DO91Q 40-49 years, female 53.9
GTEX-13IVO-0726-SM-5LZYV 70-79 years, male 53.8
GTEX-18A6Q-0626-SM-7KFRP 60-69 years, male 53.8
GTEX-UPJH-0226-SM-3GADV 50-59 years, male 53.8
GTEX-1HSMQ-2626-SM-A9SML 50-59 years, male 53.8
GTEX-1122O-1026-SM-9WYSF 60-69 years, female 53.6
GTEX-13VXT-1926-SM-5K7UO 20-29 years, female 53.4
GTEX-18A66-0626-SM-7LT8Z 60-69 years, male 53.4
GTEX-1I1GS-2626-SM-B2LY3 60-69 years, male 53.4
GTEX-13OW8-1026-SM-5J1NQ 60-69 years, male 53.3
GTEX-1R7EU-1626-SM-DTXG3 60-69 years, male 53.3
GTEX-ZT9W-1126-SM-57WDR 50-59 years, male 53.2
GTEX-13FHO-0426-SM-5L3F5 60-69 years, male 53.1
GTEX-1B932-2326-SM-79OL5 40-49 years, female 53.0
GTEX-139YR-1026-SM-5LZYN 50-59 years, male 52.9
GTEX-13PDP-0726-SM-5L3HP 60-69 years, male 52.9
GTEX-14753-0726-SM-5QGQO 60-69 years, male 52.8
GTEX-1C64N-2626-SM-7PC2N 50-59 years, male 52.8
GTEX-11O72-0626-SM-5PNYE 40-49 years, male 52.7
GTEX-16NPX-0726-SM-7KULC 50-59 years, male 52.7
GTEX-1IDJH-0126-SM-D3L92 70-79 years, male 52.7
GTEX-1B8KZ-0326-SM-73KY4 50-59 years, male 52.6
GTEX-1I1GV-0626-SM-ARL7M 60-69 years, male 52.6
GTEX-15RJ7-2126-SM-6PAMD 40-49 years, male 52.5
GTEX-1A8FM-0626-SM-7PC25 50-59 years, female 52.5
GTEX-1JJEA-1826-SM-ARU8P 60-69 years, male 52.5
GTEX-16AAH-0626-SM-793C9 50-59 years, male 52.4
GTEX-15SKB-2826-SM-6PAMH 60-69 years, male 52.3
GTEX-18A67-1626-SM-7LT9T 50-59 years, male 52.3
GTEX-1JJE9-2626-SM-ARZMT 70-79 years, male 52.3
GTEX-1ICLY-0826-SM-CMKG1 50-59 years, male 52.2
GTEX-1HBPI-2126-SM-ARL9K 50-59 years, male 52.1
GTEX-1HBPN-0126-SM-CGQEF 50-59 years, male 52.1
GTEX-1LBAC-0826-SM-CY8IJ 20-29 years, male 52.1
GTEX-1LG7Z-1626-SM-CXKYR 30-39 years, male 52.1
GTEX-13OVL-0126-SM-5L3GJ 50-59 years, male 52.0
GTEX-1EWIQ-0326-SM-7DHMQ 70-79 years, female 52.0
GTEX-1KANB-2826-SM-CY8I6 50-59 years, male 52.0
GTEX-13PL6-1126-SM-5L3IE 40-49 years, female 51.9
GTEX-12KS4-2126-SM-5FQUT 30-39 years, male 51.8
GTEX-14E6E-0526-SM-793DN 30-39 years, male 51.8
GTEX-1LGOU-1326-SM-D3L8M 20-29 years, female 51.7
GTEX-13N2G-0226-SM-5K7VF 60-69 years, male 51.4
GTEX-1A3MV-1826-SM-731CD 30-39 years, male 51.4
GTEX-14PJ5-1526-SM-6LLIL 60-69 years, female 51.2
GTEX-14PK6-0226-SM-62LF5 70-79 years, female 51.1
GTEX-14PJN-1826-SM-6AJ98 30-39 years, male 51.0
GTEX-ZDTT-0426-SM-4WKFL 60-69 years, male 51.0
GTEX-ZYFC-0426-SM-5GICQ 50-59 years, male 51.0
GTEX-18A7B-2726-SM-7LG56 70-79 years, male 50.9
GTEX-1JMQJ-0826-SM-CNPP7 50-59 years, male 50.9
GTEX-12BJ1-0926-SM-5EQ62 60-69 years, male 50.8
GTEX-1477Z-0326-SM-7IGLA 60-69 years, male 50.7
GTEX-ZVE2-2826-SM-5GU51 50-59 years, male 50.7
GTEX-ZDYS-2426-SM-4WKGI 50-59 years, male 50.6
GTEX-17MF6-2626-SM-79OKQ 40-49 years, male 50.4
GTEX-1F88E-1626-SM-7SB8Z 60-69 years, female 50.4
GTEX-13QJC-0126-SM-5ZZWJ 60-69 years, female 50.2
GTEX-1QCLZ-2426-SM-EVYBW 60-69 years, female 50.2
GTEX-1QP66-1226-SM-DTX7U 50-59 years, male 50.1
GTEX-1269C-0126-SM-5EQ5L 60-69 years, female 50.0
GTEX-ZE9C-2526-SM-5IJDR 60-69 years, male 49.9
GTEX-1L5NE-1126-SM-D3L9P 50-59 years, male 49.9
GTEX-14PJ2-0626-SM-6LLII 50-59 years, male 49.7
GTEX-11EQ9-1626-SM-5PNY8 30-39 years, male 49.6
GTEX-YJ8O-2526-SM-5HL85 40-49 years, female 49.5
GTEX-145LU-1926-SM-79OJN 50-59 years, male 49.4
GTEX-1C475-1326-SM-7SB73 40-49 years, female 49.4
GTEX-15CHQ-0326-SM-69LQD 60-69 years, male 49.3
GTEX-1F52S-2926-SM-7MKGA 60-69 years, female 49.2
GTEX-1JKYN-0826-SM-ARU8S 30-39 years, male 49.2
GTEX-14E1K-2026-SM-7DUEI 50-59 years, male 49.0
GTEX-1HBPM-0726-SM-9YFL7 60-69 years, female 49.0
GTEX-1A8G6-2726-SM-731AR 60-69 years, male 48.9
GTEX-16BQI-1326-SM-6M486 30-39 years, female 48.8
GTEX-1HUB1-1426-SM-CGQF5 60-69 years, male 48.6
GTEX-1RAZA-2226-SM-E9U4X 20-29 years, male 48.6
GTEX-Y8E4-2026-SM-5IFJB 40-49 years, male 48.5
GTEX-1IOXB-2726-SM-CM2RI 50-59 years, male 48.5
GTEX-1J8EW-2726-SM-CY8HR 60-69 years, female 48.5
GTEX-Y3IK-1626-SM-4YCF5 50-59 years, female 48.3
GTEX-1B8L1-2226-SM-7P8PT 60-69 years, male 48.2
GTEX-147F3-1726-SM-5SIAW 50-59 years, female 48.1
GTEX-YB5K-2026-SM-4VDT3 40-49 years, female 48.1
GTEX-1F5PL-0926-SM-7PC2W 40-49 years, female 48.1
GTEX-1GMR2-0826-SM-7PC3V 50-59 years, male 48.1
GTEX-13O61-1426-SM-5KM3D 60-69 years, male 48.0
GTEX-14PKU-0126-SM-6LLHV 40-49 years, female 48.0
GTEX-13NYS-0626-SM-5L3F1 60-69 years, male 47.9
GTEX-1KD5A-0126-SM-E9U54 50-59 years, male 47.7
GTEX-ZLWG-0826-SM-59888 50-59 years, female 47.6
GTEX-17HHY-0426-SM-7DHLC 50-59 years, male 47.5
GTEX-111YS-1526-SM-5GZYW 60-69 years, male 47.4
GTEX-13N11-2326-SM-5IJBF 50-59 years, female 47.3
GTEX-13SLW-0626-SM-5Q5ER 70-79 years, male 47.3
GTEX-1CB4F-1026-SM-7DUH1 60-69 years, male 47.3
GTEX-X4EP-0626-SM-3P621 60-69 years, female 47.3
GTEX-XAJ8-1426-SM-47JYM 40-49 years, male 47.2
GTEX-ZVT4-2426-SM-5GIEI 50-59 years, female 47.2
GTEX-14C5O-0326-SM-5ZZUX 60-69 years, male 46.8
GTEX-1GF9X-1326-SM-7PC2Y 40-49 years, female 46.8
GTEX-18QFQ-1826-SM-72D52 30-39 years, male 46.7
GTEX-1F75A-0726-SM-7RHHD 50-59 years, male 46.7
GTEX-ZAB4-2126-SM-5HL8U 40-49 years, male 46.6
GTEX-14AS3-1526-SM-5Q5ED 40-49 years, female 46.5
GTEX-1HR98-2226-SM-ADEI2 60-69 years, male 46.4
GTEX-1C64O-1326-SM-7MGWR 60-69 years, male 46.3
GTEX-1H3O1-1326-SM-9MQLD 60-69 years, male 46.2
GTEX-12C56-1526-SM-5FQUQ 20-29 years, male 45.9
GTEX-1QPFJ-1926-SM-EVYBD 30-39 years, female 45.9
GTEX-1EMGI-2326-SM-7PBYA 60-69 years, male 45.7
GTEX-16NGA-0726-SM-731AO 40-49 years, female 45.6
GTEX-1IDJE-1426-SM-ADEIW 50-59 years, female 45.6
GTEX-11DZ1-2426-SM-5GZZX 50-59 years, male 45.1
GTEX-1H3NZ-2726-SM-9WYTQ 60-69 years, male 45.1
GTEX-11P81-2226-SM-5PNYI 30-39 years, female 44.9
GTEX-145MO-2826-SM-5LU96 60-69 years, male 44.9
GTEX-1RLM8-2926-SM-E8VON 50-59 years, male 44.9
GTEX-1GF9W-1426-SM-7PBYM 60-69 years, male 44.8
GTEX-1KANC-1226-SM-CYPT7 50-59 years, female 44.8
GTEX-13YAN-0226-SM-5TDC6 60-69 years, male 44.6
GTEX-1NSGN-0726-SM-DTXEF 50-59 years, male 44.6
GTEX-12WSK-2126-SM-5CVNC 40-49 years, female 44.4
GTEX-139T8-0626-SM-5KLZX 60-69 years, male 44.4
GTEX-1HCVE-2726-SM-CL54F 50-59 years, male 44.4
GTEX-13FLV-0126-SM-5K7WT 50-59 years, male 44.3
GTEX-13QBU-1226-SM-5LU4G 40-49 years, female 44.3
GTEX-1GN2E-0226-SM-9WG6K 60-69 years, male 43.8
GTEX-1399R-1326-SM-5PNYS 30-39 years, male 43.6
GTEX-1GMR8-0626-SM-7RHI7 50-59 years, female 43.3
GTEX-111CU-1126-SM-5EGIM 50-59 years, male 43.2
GTEX-1497J-0226-SM-5QGPU 60-69 years, male 43.2
GTEX-ZAJG-1526-SM-5CVML 50-59 years, female 43.2
GTEX-1QP28-1126-SM-EVYC4 50-59 years, female 43.2
GTEX-1QEPI-2626-SM-DTXF4 60-69 years, female 43.1
GTEX-146FQ-2126-SM-5RQHU 30-39 years, male 42.9
GTEX-1CAV2-0126-SM-7IGN7 40-49 years, female 42.7
GTEX-1A32A-0626-SM-731AQ 50-59 years, female 42.4
GTEX-1F6IF-0926-SM-7SB7M 60-69 years, male 41.9
GTEX-12WSC-2826-SM-5BC5Y 50-59 years, male 41.7
GTEX-1CB4H-1126-SM-7MKGL 60-69 years, female 41.7
GTEX-1314G-1326-SM-5BC6E 30-39 years, male 41.6
GTEX-11EM3-1226-SM-5N9DD 20-29 years, female 41.4
GTEX-183FY-1026-SM-7939A 20-29 years, male 41.4
GTEX-1QMI2-2526-SM-E8VNZ 60-69 years, male 41.1
GTEX-1RAZR-2126-SM-E9U6T 40-49 years, male 41.0
GTEX-YF7O-1526-SM-5IFI6 50-59 years, male 40.7
GTEX-1GF9U-2026-SM-7SB92 40-49 years, female 40.7
GTEX-1F75W-2726-SM-7SB8H 60-69 years, male 40.4
GTEX-1IDJF-2026-SM-CL53V 20-29 years, male 40.4
GTEX-145MN-1526-SM-5SI9T 30-39 years, male 40.2
GTEX-ZTSS-1426-SM-5985P 40-49 years, male 39.8
GTEX-11EQ8-0926-SM-5H12V 60-69 years, male 39.5
GTEX-12WSL-2026-SM-5GCML 50-59 years, male 38.9
GTEX-X3Y1-2026-SM-3P5YM 40-49 years, male 38.8
GTEX-1F6RS-2026-SM-7RHHC 60-69 years, female 35.9
GTEX-UPK5-0426-SM-3GAEK 40-49 years, male 35.6
GTEX-14BMU-1226-SM-5S2OR 20-29 years, female 35.4
GTEX-WYBS-0626-SM-3NMAS 60-69 years, female 35.1
GTEX-14JG6-1426-SM-9WG7C 30-39 years, female 34.6
GTEX-1GL5R-1326-SM-7RHHF 50-59 years, male 34.3
GTEX-VJYA-1526-SM-3GIJV 60-69 years, male 32.4
GTEX-13JUV-2026-SM-5K7UA 40-49 years, female 30.0
Show allShow less
Skin - Sun Exposed (Lower leg)
Average nTPM: 59.7
Samples: 701

Max nTPM: 147.8
Min nTPM: 22.8
Std nTPM: 13.8
Median nTPM: 57.5
GTEX-1L5NE-2526-SM-E6CIE 50-59 years, male 147.8
GTEX-1JMQL-0226-SM-CNPP5 50-59 years, female 135.9
GTEX-XUZC-1726-SM-4BRWS 30-39 years, female 126.9
GTEX-139UW-2826-SM-5L3E7 60-69 years, male 115.1
GTEX-O5YT-0126-SM-48TBW 20-29 years, male 113.6
GTEX-SE5C-1626-SM-2XCE3 40-49 years, female 111.1
GTEX-X4XY-0226-SM-4E3IZ 60-69 years, male 109.4
GTEX-W5X1-3026-SM-EAZAX 40-49 years, female 105.9
GTEX-11TT1-2526-SM-5EGIB 20-29 years, male 104.2
GTEX-1LH75-2426-SM-E9TJE 50-59 years, female 104.2
GTEX-1HBPH-0426-SM-B2LW5 40-49 years, female 104.1
GTEX-1A3MX-0126-SM-731BR 60-69 years, male 102.0
GTEX-15UKP-0426-SM-7KUFQ 20-29 years, male 101.7
GTEX-Y5V6-2426-SM-4VDSB 60-69 years, male 101.1
GTEX-1H1ZS-0426-SM-9WG6G 70-79 years, male 99.2
GTEX-14XAO-2326-SM-6EU1B 60-69 years, female 97.1
GTEX-POMQ-2226-SM-2I5FK 20-29 years, female 94.7
GTEX-169BO-1326-SM-9MQK2 50-59 years, male 94.6
GTEX-1J8Q2-0526-SM-CM2RW 60-69 years, male 94.0
GTEX-1HSMP-0126-SM-E6CJS 70-79 years, male 92.8
GTEX-11GSO-2426-SM-5A5LY 60-69 years, male 92.4
GTEX-QDT8-0126-SM-48TZ1 30-39 years, female 92.3
GTEX-ZYY3-0126-SM-5GZY5 60-69 years, female 92.3
GTEX-P4QT-0126-SM-2I3FL 50-59 years, female 88.9
GTEX-RUSQ-1526-SM-2TF62 50-59 years, male 87.8
GTEX-1JJ6O-0126-SM-E6CI8 60-69 years, male 87.5
GTEX-OHPL-0126-SM-2HMJ7 60-69 years, female 86.9
GTEX-WI4N-1026-SM-3LK7N 40-49 years, female 86.4
GTEX-14E6E-1826-SM-5S2R7 30-39 years, male 86.3
GTEX-1192W-2626-SM-5Q5AF 60-69 years, male 85.9
GTEX-13RTL-0126-SM-7LG5S 40-49 years, male 85.4
GTEX-1QAET-0926-SM-E76QM 50-59 years, male 84.8
GTEX-14PN4-0126-SM-6EU2V 50-59 years, male 83.6
GTEX-13OVH-0126-SM-5MR4B 70-79 years, male 82.4
GTEX-ZYFD-0126-SM-5GIDL 50-59 years, male 82.4
GTEX-OOBJ-0126-SM-E6CJW 60-69 years, male 82.2
GTEX-ZVZO-0126-SM-5A5L9 40-49 years, male 81.7
GTEX-ZDXO-3026-SM-5J1N5 60-69 years, male 81.2
GTEX-NPJ8-0126-SM-2YUNR 40-49 years, male 80.9
GTEX-1IKK5-0626-SM-ARL8A 60-69 years, male 80.8
GTEX-13NYB-2526-SM-5K7Z6 40-49 years, male 80.4
GTEX-1KWVE-1426-SM-E9TJO 30-39 years, male 80.0
GTEX-14JIY-0126-SM-6LLH6 60-69 years, male 79.8
GTEX-13OW7-0126-SM-5MR3B 50-59 years, male 79.7
GTEX-RU72-0926-SM-2TF6B 50-59 years, female 79.5
GTEX-U8XE-0326-SM-3DB8P 30-39 years, male 79.5
GTEX-145LS-0126-SM-5QGP1 60-69 years, female 79.4
GTEX-1RQEC-0426-SM-E6CHU 60-69 years, male 79.1
GTEX-13113-5016-SM-7EPIP 60-69 years, female 79.0
GTEX-13CF3-2426-SM-5IFGX 60-69 years, female 79.0
GTEX-1M5QR-1226-SM-EWROB 40-49 years, male 78.9
GTEX-QEG4-0226-SM-2S1PY 30-39 years, male 78.7
GTEX-11NUK-0126-SM-5A5L3 50-59 years, male 78.4
GTEX-Z93S-0126-SM-5HL7M 50-59 years, male 78.0
GTEX-1AMFI-2026-SM-731BH 50-59 years, female 77.8
GTEX-TMZS-0126-SM-3DB9Q 60-69 years, male 77.8
GTEX-1I1HK-0126-SM-COH49 60-69 years, male 77.7
GTEX-OXRO-0126-SM-2YUN4 60-69 years, female 77.6
GTEX-139TS-2826-SM-5J1OO 60-69 years, male 77.4
GTEX-U412-0426-SM-3DB9O 60-69 years, male 77.3
GTEX-ZUA1-0126-SM-5GU76 40-49 years, male 77.1
GTEX-OOBK-0126-SM-2YUND 40-49 years, male 76.8
GTEX-R55G-2526-SM-2TC6D 40-49 years, female 76.8
GTEX-ZYFG-2326-SM-5E44B 60-69 years, female 76.8
GTEX-1K2DU-2326-SM-E9TIV 20-29 years, male 76.8
GTEX-1LG7Y-0526-SM-DKPQC 50-59 years, male 76.7
GTEX-1I1GP-2226-SM-CGQFK 50-59 years, male 76.4
GTEX-14JG1-0426-SM-6ETZZ 40-49 years, male 76.0
GTEX-13CF2-2526-SM-5LZYX 60-69 years, male 75.8
GTEX-13FTY-0526-SM-5L3EV 40-49 years, female 75.8
GTEX-X4XX-0126-SM-3NMC2 60-69 years, male 75.4
GTEX-1JN1M-0326-SM-CYPT3 60-69 years, female 75.4
GTEX-1I1GU-2226-SM-CGQFA 40-49 years, male 75.3
GTEX-1MA7X-2226-SM-E6CIY 60-69 years, male 75.2
GTEX-144GL-0126-SM-5TDE2 50-59 years, male 75.1
GTEX-RTLS-0126-SM-447CA 60-69 years, female 74.9
GTEX-14A5H-0426-SM-5QGQF 60-69 years, male 74.8
GTEX-SN8G-0126-SM-32PLI 50-59 years, female 74.8
GTEX-1EKGG-0226-SM-9WYTH 60-69 years, male 74.8
GTEX-1HCU9-1526-SM-A9SL7 20-29 years, male 74.8
GTEX-13O3O-0126-SM-E9J49 60-69 years, female 74.7
GTEX-13NZA-0226-SM-5K7Z7 60-69 years, male 74.6
GTEX-15SB6-1726-SM-6PAME 50-59 years, female 74.4
GTEX-15D1Q-0126-SM-7KUG6 40-49 years, male 74.3
GTEX-1GZ2Q-0226-SM-7P8TL 40-49 years, male 74.3
GTEX-1C6VS-0526-SM-7DUEN 60-69 years, male 74.2
GTEX-YFC4-0126-SM-5CVLY 40-49 years, female 74.0
GTEX-RVPV-0126-SM-EAZAW 60-69 years, male 74.0
GTEX-Y8LW-1826-SM-5S2MV 50-59 years, female 73.8
GTEX-14E7W-0126-SM-6LLJ9 70-79 years, male 73.7
GTEX-16MT8-0426-SM-7KUEY 60-69 years, female 73.7
GTEX-T5JC-0426-SM-32PLO 20-29 years, male 73.7
GTEX-1HCVE-0126-SM-CGQEU 50-59 years, male 73.7
GTEX-1J1OQ-0226-SM-CYPSH 40-49 years, female 73.4
GTEX-17KNJ-2326-SM-7DHLQ 50-59 years, male 73.2
GTEX-18D9A-1926-SM-7LG6P 30-39 years, female 73.2
GTEX-1E2YA-0126-SM-9KNUC 50-59 years, male 73.1
GTEX-P4PP-0126-SM-3LK69 30-39 years, female 72.8
GTEX-13FH7-2026-SM-E9J4I 50-59 years, female 72.8
GTEX-1399U-2326-SM-5K7WY 50-59 years, female 72.7
GTEX-11LCK-1026-SM-5A5KB 30-39 years, male 72.2
GTEX-QESD-1426-SM-2S1R9 20-29 years, male 72.2
GTEX-QLQ7-1626-SM-2S1R8 60-69 years, male 72.2
GTEX-ZU9S-0226-SM-5E441 30-39 years, male 72.2
GTEX-Y114-2426-SM-4TT8A 50-59 years, female 72.1
GTEX-1EN7A-0126-SM-7SB81 40-49 years, male 71.9
GTEX-15UF6-0826-SM-6PALJ 70-79 years, female 71.7
GTEX-1M4P7-0226-SM-DIPEV 60-69 years, male 71.6
GTEX-11ZTS-0126-SM-5EQ6M 60-69 years, female 71.5
GTEX-ZV68-0126-SM-59HKS 50-59 years, female 71.4
GTEX-1GTWX-0126-SM-9YFLK 60-69 years, male 71.2
GTEX-117XS-2726-SM-5N9BL 60-69 years, male 71.1
GTEX-R45C-0126-SM-EAZ2R 60-69 years, female 71.0
GTEX-ZPIC-1726-SM-DHXIU 40-49 years, female 71.0
GTEX-132NY-0326-SM-5IJBL 60-69 years, male 70.9
GTEX-12ZZZ-0626-SM-5DUXI 60-69 years, male 70.8
GTEX-XQ3S-1526-SM-4BOOC 20-29 years, male 70.8
GTEX-1GMR3-1926-SM-9KNUZ 40-49 years, male 70.8
GTEX-1EU9M-0226-SM-7P8SP 60-69 years, male 70.7
GTEX-1K9T9-0126-SM-EVYCF 50-59 years, female 70.7
GTEX-13W3W-2426-SM-5LU5B 60-69 years, female 70.6
GTEX-146FH-0126-SM-5QGPP 50-59 years, female 70.4
GTEX-WY7C-2326-SM-3NB2U 50-59 years, male 70.4
GTEX-11TTK-0126-SM-5987B 60-69 years, female 70.3
GTEX-13IVO-0126-SM-5J1NG 70-79 years, male 70.3
GTEX-ZXG5-0126-SM-5GIEU 60-69 years, male 70.3
GTEX-11ZUS-0626-SM-59885 30-39 years, male 70.1
GTEX-R3RS-0126-SM-3GIJL 40-49 years, female 70.0
GTEX-12696-2426-SM-5EQ6H 60-69 years, male 69.7
GTEX-Y3IK-2426-SM-4WWDU 50-59 years, female 69.5
GTEX-17MFQ-1726-SM-793C7 20-29 years, male 69.4
GTEX-12WSA-0226-SM-5BC5V 60-69 years, male 69.3
GTEX-1LSNM-1926-SM-E6CII 50-59 years, male 69.3
GTEX-XYKS-2126-SM-4E3IB 60-69 years, female 69.2
GTEX-1PBJI-0526-SM-E8VNK 20-29 years, female 69.2
GTEX-14E6D-0126-SM-62LDV 50-59 years, male 69.0
GTEX-1A3MW-0126-SM-73KXX 60-69 years, female 69.0
GTEX-QLQW-1126-SM-2S1Q8 30-39 years, male 69.0
GTEX-18A7A-0226-SM-718BH 50-59 years, female 68.9
GTEX-17F97-0326-SM-7LG5B 50-59 years, male 68.8
GTEX-1F7RK-0126-SM-7PC2S 20-29 years, female 68.8
GTEX-1GF9W-0326-SM-9KNUN 60-69 years, male 68.8
GTEX-1HGF4-2426-SM-ACKXM 60-69 years, male 68.8
GTEX-1KANB-0526-SM-E6CJH 50-59 years, male 68.8
GTEX-1IKJJ-0126-SM-CNPQB 60-69 years, male 68.7
GTEX-11UD2-0226-SM-5EQKY 50-59 years, male 68.6
GTEX-WFON-2126-SM-3LK7O 40-49 years, male 68.4
GTEX-1B933-0126-SM-7PC29 50-59 years, female 68.4
GTEX-1JMLX-0226-SM-CM2RO 50-59 years, male 68.4
GTEX-11H98-0126-SM-5EGHG 50-59 years, male 68.3
GTEX-1HKZK-0326-SM-9WYUH 40-49 years, male 68.3
GTEX-11ZTT-2426-SM-5EQLS 60-69 years, female 68.2
GTEX-13QJ3-0326-SM-5S2RA 50-59 years, male 68.2
GTEX-ZTX8-1426-SM-5DUVO 20-29 years, male 68.2
GTEX-ZVTK-0426-SM-51MRS 20-29 years, male 68.2
GTEX-1CB4E-2226-SM-793DC 60-69 years, male 68.0
GTEX-1HCU8-0626-SM-A9SM9 60-69 years, female 68.0
GTEX-1CAMS-0426-SM-7P8T2 40-49 years, female 67.8
GTEX-ZF3C-0126-SM-DO92D 50-59 years, female 67.8
GTEX-11DXZ-2326-SM-5EGGV 50-59 years, male 67.7
GTEX-TKQ1-1026-SM-4GICL 30-39 years, male 67.7
GTEX-113JC-2326-SM-5EQ4E 50-59 years, female 67.6
GTEX-ZWKS-0126-SM-5SIAA 30-39 years, male 67.6
GTEX-13U4I-0126-SM-5LU38 40-49 years, female 67.5
GTEX-145MF-0626-SM-5LUAI 50-59 years, male 67.5
GTEX-11WQK-0526-SM-5EQLD 50-59 years, male 67.4
GTEX-RM2N-1426-SM-2TF4H 50-59 years, male 67.4
GTEX-145ME-1826-SM-5SI9G 40-49 years, female 67.3
GTEX-OIZH-0126-SM-2HMIS 50-59 years, male 67.3
GTEX-11EMC-2926-SM-5EQ4F 60-69 years, female 67.1
GTEX-1GN1V-0126-SM-9WPOS 60-69 years, male 67.1
GTEX-12WSL-2526-SM-5GCNJ 50-59 years, male 67.0
GTEX-T2IS-0126-SM-4DM6O 20-29 years, female 67.0
GTEX-RN64-0126-SM-2TC68 50-59 years, male 66.9
GTEX-SIU8-0126-SM-2XCDT 50-59 years, male 66.9
GTEX-U3ZN-2326-SM-3DB7W 30-39 years, female 66.8
GTEX-1OJC3-0126-SM-E76QX 20-29 years, male 66.8
GTEX-1CAMR-1926-SM-7EPI2 20-29 years, male 66.6
GTEX-1LGOU-2026-SM-DIPFF 20-29 years, female 66.6
GTEX-13OVG-1926-SM-5L3DK 60-69 years, male 66.4
GTEX-13111-1626-SM-5EGJY 50-59 years, male 66.3
GTEX-12WSE-0526-SM-793B2 20-29 years, male 65.9
GTEX-WFG8-2226-SM-3GIL9 20-29 years, male 65.9
GTEX-1HBPM-0226-SM-ARL9F 60-69 years, female 65.9
GTEX-WYVS-2126-SM-3NMA3 40-49 years, female 65.8
GTEX-1JMPZ-0226-SM-CNPP1 30-39 years, male 65.7
GTEX-U3ZM-1526-SM-3DB9D 40-49 years, male 65.6
GTEX-11DXY-2626-SM-5GIE7 60-69 years, male 65.5
GTEX-O5YW-0126-SM-3LK6D 50-59 years, male 65.5
GTEX-11UD1-0126-SM-5PNYG 40-49 years, female 65.4
GTEX-17HGU-0226-SM-7DHKV 50-59 years, male 65.4
GTEX-1LB8K-0226-SM-EWRNW 50-59 years, male 65.4
GTEX-1HB9E-0226-SM-E9U4R 50-59 years, male 65.3
GTEX-1HSKV-0226-SM-A9SKJ 60-69 years, male 65.3
GTEX-14PJ3-1826-SM-62LEX 50-59 years, male 65.2
GTEX-1H1DE-2126-SM-9WG6R 20-29 years, male 65.2
GTEX-XBED-2226-SM-47JYQ 60-69 years, male 65.1
GTEX-1I19N-0326-SM-ACKVX 70-79 years, male 65.1
GTEX-ZAJG-0126-SM-5HL94 50-59 years, female 65.0
GTEX-16YQH-0126-SM-7DUFJ 30-39 years, male 64.9
GTEX-14DAQ-0126-SM-5S2MQ 60-69 years, female 64.8
GTEX-13OW8-1326-SM-5J1OW 60-69 years, male 64.7
GTEX-11XUK-2026-SM-5EQLF 40-49 years, female 64.6
GTEX-13PDP-0126-SM-5L3HD 60-69 years, male 64.6
GTEX-15ER7-0326-SM-7KUEV 20-29 years, female 64.6
GTEX-147F4-0226-SM-5QGPW 50-59 years, male 64.4
GTEX-ZYW4-0126-SM-5E44A 60-69 years, male 64.4
GTEX-1H1DG-0126-SM-9WYU2 70-79 years, male 64.4
GTEX-1314G-1526-SM-5EGK2 30-39 years, male 64.3
GTEX-14E6C-0126-SM-5RQIP 40-49 years, male 64.3
GTEX-S32W-2126-SM-2XCB1 50-59 years, female 64.0
GTEX-11DXX-2426-SM-5GZZW 60-69 years, female 63.9
GTEX-11OC5-0126-SM-5HL6A 60-69 years, male 63.9
GTEX-Q2AI-1326-SM-2S1PL 40-49 years, male 63.9
GTEX-12126-0326-SM-5PNW3 20-29 years, male 63.8
GTEX-144GN-2326-SM-5LU4F 50-59 years, male 63.7
GTEX-14PK6-1926-SM-6ETZU 70-79 years, female 63.7
GTEX-PX3G-0126-SM-2I3EN 20-29 years, female 63.6
GTEX-14PJ6-2126-SM-6EU1V 60-69 years, female 63.5
GTEX-1H1CY-2826-SM-9MQM3 60-69 years, female 63.4
GTEX-XPVG-2626-SM-4B669 50-59 years, male 63.3
GTEX-YJ8A-0426-SM-5IFID 20-29 years, male 63.3
GTEX-1JN6P-0126-SM-D3L98 60-69 years, male 63.3
GTEX-WH7G-2326-SM-3NMBC 40-49 years, male 63.2
GTEX-S7PM-0126-SM-4AD6S 60-69 years, male 63.1
GTEX-X5EB-2226-SM-46MW4 40-49 years, male 63.1
GTEX-ZYFC-0226-SM-5NQ75 50-59 years, male 63.1
GTEX-RNOR-0126-SM-E9J4R 50-59 years, female 63.1
GTEX-14PII-0226-SM-6EU1T 60-69 years, male 62.8
GTEX-1S3DN-2226-SM-EVYCD 50-59 years, male 62.7
GTEX-11WQC-2526-SM-5CVLE 60-69 years, male 62.6
GTEX-146FQ-0126-SM-5NQA9 30-39 years, male 62.6
GTEX-13O3P-0126-SM-5KM4S 50-59 years, male 62.5
GTEX-14BIM-0226-SM-7IGLD 60-69 years, female 62.5
GTEX-1I6K6-0126-SM-A9SLE 30-39 years, male 62.5
GTEX-S7SE-0126-SM-2XCD5 50-59 years, male 62.4
GTEX-ZYT6-0226-SM-5NQ6T 30-39 years, male 62.4
GTEX-131XF-5016-SM-7MGWE 60-69 years, male 62.3
GTEX-1HT8W-0126-SM-CNPPP 30-39 years, male 62.2
GTEX-13FTW-2626-SM-5K7WL 40-49 years, male 62.0
GTEX-11DXW-0226-SM-5H122 40-49 years, male 61.9
GTEX-16BQI-0226-SM-7KUEX 30-39 years, female 61.9
GTEX-S95S-1226-SM-4GICG 60-69 years, male 61.9
GTEX-1H3VE-0326-SM-9YFLH 40-49 years, male 61.9
GTEX-17F98-0626-SM-79OMX 40-49 years, female 61.7
GTEX-1CB4J-0626-SM-7DHMP 60-69 years, male 61.7
GTEX-VUSG-2526-SM-4KL1V 50-59 years, male 61.7
GTEX-WOFL-0126-SM-3MJG2 60-69 years, male 61.7
GTEX-111FC-0126-SM-5N9DL 60-69 years, male 61.6
GTEX-1AYCT-2426-SM-7IGQ3 50-59 years, male 61.6
GTEX-1EX96-1626-SM-7PBXR 50-59 years, male 61.6
GTEX-11VI4-1726-SM-5CVLH 40-49 years, female 61.4
GTEX-12WSJ-1826-SM-5GCNY 40-49 years, female 61.4
GTEX-147F3-0526-SM-5SI98 50-59 years, female 61.4
GTEX-15SDE-2226-SM-7IGLO 50-59 years, female 61.4
GTEX-P4PQ-0126-SM-2S1NM 60-69 years, male 61.4
GTEX-1F6RS-0126-SM-9MQKZ 60-69 years, female 61.4
GTEX-17HHY-0126-SM-7LG5D 50-59 years, male 61.3
GTEX-1F75B-0126-SM-9KNVL 50-59 years, male 61.3
GTEX-1GF9V-0326-SM-7RHI5 60-69 years, male 61.3
GTEX-1O97I-0326-SM-EYYX7 60-69 years, male 61.3
GTEX-S33H-1026-SM-EZ6L6 30-39 years, male 61.3
GTEX-14BMV-0126-SM-5S2PO 50-59 years, male 61.2
GTEX-1JMPY-1326-SM-ARL8Y 30-39 years, male 61.1
GTEX-15CHC-2126-SM-6EU21 60-69 years, female 61.0
GTEX-ZDTS-0126-SM-4WAY5 60-69 years, male 61.0
GTEX-XXEK-2226-SM-4BRUM 50-59 years, male 60.9
GTEX-1NV5F-0226-SM-E8VNY 60-69 years, female 60.9
GTEX-WQUQ-0426-SM-3MJFU 60-69 years, male 60.8
GTEX-1J8EW-0126-SM-CJI4F 60-69 years, female 60.8
GTEX-1KANA-0726-SM-D3L9I 20-29 years, male 60.8
GTEX-16XZZ-0126-SM-793DV 60-69 years, male 60.7
GTEX-139D8-0226-SM-5KLZO 30-39 years, female 60.6
GTEX-17HG3-2226-SM-7938L 30-39 years, female 60.6
GTEX-Y5LM-1926-SM-5RQJH 40-49 years, female 60.6
GTEX-1F88F-2726-SM-7PBZZ 60-69 years, female 60.6
GTEX-1IKOH-0226-SM-COH4E 60-69 years, female 60.6
GTEX-SUCS-1926-SM-32PM3 70-79 years, male 60.5
GTEX-13O21-1426-SM-5K7XI 50-59 years, male 60.4
GTEX-17MF6-0126-SM-7LG4F 40-49 years, male 60.4
GTEX-183WM-0126-SM-7LTAB 70-79 years, female 60.3
GTEX-11TUW-2726-SM-E9J4M 60-69 years, male 60.3
GTEX-1S83E-0126-SM-EWRO4 40-49 years, male 60.3
GTEX-1CAMQ-0226-SM-7IGPK 40-49 years, male 60.2
GTEX-1E1VI-0126-SM-7DHMZ 50-59 years, male 60.2
GTEX-12WSD-0126-SM-59HKN 60-69 years, female 60.1
GTEX-13O3Q-2426-SM-5IJBR 50-59 years, male 60.1
GTEX-13RTJ-2426-SM-5S2Q2 60-69 years, male 60.1
GTEX-14PJM-0226-SM-62LF1 50-59 years, female 60.1
GTEX-YJ89-0126-SM-4TT3X 60-69 years, male 60.0
GTEX-ZVZP-2426-SM-59HKJ 50-59 years, male 60.0
GTEX-1B996-0226-SM-7RHGO 60-69 years, male 60.0
GTEX-Y111-0126-SM-4SOIV 50-59 years, male 59.9
GTEX-1R9PO-2126-SM-E9J4O 60-69 years, female 59.9
GTEX-17EVP-0326-SM-7DHLG 40-49 years, male 59.8
GTEX-X88G-0126-SM-47JZ3 30-39 years, male 59.8
GTEX-1GPI6-0126-SM-9WG69 60-69 years, male 59.8
GTEX-13NYC-0326-SM-E9J4S 60-69 years, male 59.7
GTEX-1HR98-0126-SM-B2LWI 60-69 years, male 59.7
GTEX-1ICLZ-0126-SM-CKZPO 60-69 years, male 59.7
GTEX-1PWST-0226-SM-E76QJ 70-79 years, male 59.7
GTEX-1R9K4-0126-SM-DTX9X 60-69 years, male 59.7
GTEX-12584-0126-SM-5EGKQ 40-49 years, male 59.6
GTEX-13VXU-0126-SM-5SI9F 50-59 years, male 59.6
GTEX-T6MN-0126-SM-32PLP 50-59 years, male 59.5
GTEX-1269C-2526-SM-5EGJ3 60-69 years, female 59.4
GTEX-13X6I-0626-SM-5QGP9 60-69 years, male 59.4
GTEX-ZF28-0126-SM-4WKGK 60-69 years, male 59.4
GTEX-14LZ3-0226-SM-62LET 60-69 years, female 59.3
GTEX-1KD4Q-0226-SM-E9TJ9 40-49 years, male 59.3
GTEX-12C56-1726-SM-5EQ61 20-29 years, male 59.2
GTEX-13112-2826-SM-5DUWH 50-59 years, male 59.2
GTEX-15SHW-0326-SM-6PAML 60-69 years, male 59.2
GTEX-18465-0126-SM-731BN 50-59 years, male 59.2
GTEX-TMMY-0226-SM-33HBA 40-49 years, female 59.2
GTEX-1R46S-0626-SM-E9J41 60-69 years, female 59.2
GTEX-1R9PM-2026-SM-E76OY 20-29 years, male 59.1
GTEX-131XH-2226-SM-5DUXJ 50-59 years, male 59.0
GTEX-17JCI-0126-SM-7LG5G 60-69 years, female 59.0
GTEX-1KXAM-2226-SM-CYPTC 60-69 years, male 58.8
GTEX-11ZVC-2526-SM-5FQTE 50-59 years, female 58.7
GTEX-13NZ8-0826-SM-5MR3I 60-69 years, female 58.7
GTEX-1C475-1826-SM-73KWA 40-49 years, female 58.6
GTEX-1F5PL-0326-SM-7P8PQ 40-49 years, female 58.6
GTEX-1IOXB-0126-SM-ARL8G 50-59 years, male 58.6
GTEX-11DYG-0126-SM-59883 60-69 years, male 58.5
GTEX-13S7M-0126-SM-5SI6A 60-69 years, female 58.5
GTEX-1LG7Z-1726-SM-D3LA4 30-39 years, male 58.5
GTEX-1212Z-2526-SM-5EGKP 60-69 years, male 58.4
GTEX-1313W-0126-SM-5LZUN 50-59 years, female 58.4
GTEX-WZTO-0126-SM-3NM95 40-49 years, male 58.4
GTEX-ZAK1-0126-SM-5IJD3 50-59 years, female 58.4
GTEX-1H23P-0126-SM-ADEJ3 60-69 years, male 58.4
GTEX-1KAFJ-2026-SM-CY8ID 50-59 years, male 58.4
GTEX-13OW6-0426-SM-5L3HM 50-59 years, male 58.3
GTEX-148VI-1626-SM-5SI6E 60-69 years, female 58.3
GTEX-1CB4I-0226-SM-79OLH 50-59 years, male 58.3
GTEX-1C6VQ-0126-SM-7P8RI 50-59 years, male 58.3
GTEX-1ICG6-2526-SM-CGQFZ 70-79 years, female 58.3
GTEX-QV44-1926-SM-2S1RF 50-59 years, male 58.1
GTEX-X585-0226-SM-4QAS2 50-59 years, male 58.1
GTEX-ZE9C-2726-SM-57WB5 60-69 years, male 58.1
GTEX-1C6WA-0126-SM-7PC2B 60-69 years, male 58.1
GTEX-1IDFM-0126-SM-COH2V 60-69 years, male 58.1
GTEX-1128S-2326-SM-5GZZY 60-69 years, female 57.9
GTEX-133LE-1826-SM-5J1MV 20-29 years, female 57.9
GTEX-U8T8-0126-SM-3DB94 60-69 years, male 57.8
GTEX-1HSEH-0126-SM-ACKXN 60-69 years, male 57.7
GTEX-1IGQW-0126-SM-COH42 60-69 years, male 57.7
GTEX-1JMQJ-0526-SM-CYPSU 50-59 years, male 57.6
GTEX-1N2DW-0226-SM-E9TK2 50-59 years, male 57.5
GTEX-1PPH7-2326-SM-EVYB8 40-49 years, male 57.5
GTEX-144FL-0126-SM-5TDC8 50-59 years, male 57.4
GTEX-1RLM8-2326-SM-EWRN4 50-59 years, male 57.4
GTEX-T5JW-1626-SM-3GADZ 20-29 years, female 57.3
GTEX-U3ZH-2026-SM-3DB78 30-39 years, male 57.3
GTEX-1HFI6-0226-SM-ADEHZ 40-49 years, male 57.3
GTEX-11EI6-0126-SM-5985R 60-69 years, male 57.2
GTEX-131XE-2326-SM-5PNZ2 50-59 years, male 57.2
GTEX-145MI-0526-SM-5O9A8 60-69 years, female 57.2
GTEX-1GF9U-2126-SM-7SB7L 40-49 years, female 57.2
GTEX-117YW-2626-SM-5GZZH 50-59 years, male 57.1
GTEX-18D9B-0526-SM-7LTAS 60-69 years, male 57.1
GTEX-1A32A-0126-SM-718B1 50-59 years, female 57.1
GTEX-W5WG-1826-SM-4KL2Y 50-59 years, female 57.1
GTEX-11NSD-2226-SM-5986V 20-29 years, male 57.0
GTEX-ZVE2-0226-SM-59HJB 50-59 years, male 57.0
GTEX-1IDJU-2626-SM-CM2RT 60-69 years, female 57.0
GTEX-13X6J-0126-SM-5QGOU 50-59 years, male 56.9
GTEX-XQ8I-0426-SM-4BOPO 50-59 years, male 56.9
GTEX-1IL2V-0126-SM-CM2TX 70-79 years, male 56.9
GTEX-1LBAC-0126-SM-DIPEZ 20-29 years, male 56.9
GTEX-1QP9N-1426-SM-DTXFL 30-39 years, male 56.9
GTEX-1GF9X-2026-SM-7PC3A 40-49 years, female 56.8
GTEX-1OFPY-2426-SM-DTXEJ 60-69 years, male 56.8
GTEX-V1D1-2226-SM-3NMAX 50-59 years, male 56.7
GTEX-1CB4G-0226-SM-7PC3O 60-69 years, male 56.7
GTEX-1CB4H-0226-SM-7PBXM 60-69 years, female 56.7
GTEX-1J8Q3-1626-SM-CMKGC 60-69 years, male 56.7
GTEX-13YAN-0326-SM-5O9DF 60-69 years, male 56.6
GTEX-16GPK-0126-SM-7DHLE 60-69 years, male 56.6
GTEX-ZZ64-1726-SM-5GZYB 20-29 years, male 56.6
GTEX-1MJK2-0426-SM-DTXE5 50-59 years, male 56.5
GTEX-1RB15-2126-SM-E9TIM 60-69 years, male 56.5
GTEX-1PDJ9-0326-SM-DTX95 20-29 years, male 56.4
GTEX-13G51-2526-SM-5LZYK 60-69 years, male 56.3
GTEX-14A5I-0126-SM-5TDEA 50-59 years, female 56.3
GTEX-PLZ6-1426-SM-DKPOT 30-39 years, male 56.3
GTEX-1GN73-0226-SM-9WG67 60-69 years, male 56.2
GTEX-1399T-2826-SM-5KLYZ 60-69 years, male 56.1
GTEX-ZE7O-0126-SM-57WC1 50-59 years, female 56.1
GTEX-1JMQK-0226-SM-CL543 60-69 years, male 56.1
GTEX-11GSP-2526-SM-5N9BP 60-69 years, female 56.0
GTEX-OIZG-0726-SM-33HBL 50-59 years, male 55.9
GTEX-1GMRU-0126-SM-9YFLV 50-59 years, male 55.9
GTEX-14LLW-0126-SM-6LLIO 70-79 years, female 55.8
GTEX-1C4CL-0526-SM-73KVK 30-39 years, male 55.8
GTEX-1B8SG-0126-SM-73KZ3 50-59 years, male 55.7
GTEX-UJHI-1526-SM-3DB99 50-59 years, female 55.7
GTEX-XBEW-0626-SM-4QASP 40-49 years, male 55.7
GTEX-15RIG-0226-SM-7KFTL 40-49 years, male 55.6
GTEX-YB5K-2126-SM-4WWDJ 40-49 years, female 55.6
GTEX-15F5U-1526-SM-6PANO 40-49 years, male 55.5
GTEX-1GN2E-0426-SM-9MQKX 60-69 years, male 55.5
GTEX-1HBPN-0226-SM-9YFM1 50-59 years, male 55.4
GTEX-1HCUA-2426-SM-ADEIS 50-59 years, female 55.4
GTEX-TSE9-0126-SM-3DB83 60-69 years, female 55.3
GTEX-U4B1-1826-SM-4DXSU 40-49 years, male 55.3
GTEX-WYJK-0126-SM-3NMAB 50-59 years, male 55.3
GTEX-ZXES-1826-SM-5E43S 30-39 years, female 55.3
GTEX-1I1GV-0526-SM-A9G29 60-69 years, male 55.3
GTEX-T6MO-1626-SM-32QOM 40-49 years, female 55.2
GTEX-11ZU8-2526-SM-5EQKI 60-69 years, male 55.1
GTEX-18A6Q-0126-SM-731BZ 60-69 years, male 55.1
GTEX-RWS6-2026-SM-2XCB5 60-69 years, female 55.1
GTEX-Y8DK-0126-SM-4TT3L 60-69 years, male 55.1
GTEX-1IY9M-0126-SM-D3L8S 60-69 years, male 55.1
GTEX-1R7EV-2426-SM-EVYBG 40-49 years, male 55.1
GTEX-147GR-0526-SM-5S2MY 60-69 years, male 55.0
GTEX-18A7B-0126-SM-7LG64 70-79 years, male 55.0
GTEX-13OVJ-0126-SM-5KM36 50-59 years, female 54.9
GTEX-1BAJH-0526-SM-793CQ 70-79 years, male 54.9
GTEX-12ZZY-0226-SM-5LZVE 60-69 years, male 54.8
GTEX-13FXS-0226-SM-5IJCK 50-59 years, male 54.7
GTEX-13N1W-0126-SM-5K7VT 70-79 years, male 54.7
GTEX-12KS4-0326-SM-5EQ41 30-39 years, male 54.6
GTEX-X261-0126-SM-3NMD6 50-59 years, male 54.6
GTEX-1GZHY-0326-SM-9QEHI 50-59 years, female 54.6
GTEX-11OF3-2626-SM-5GU7F 60-69 years, male 54.5
GTEX-NFK9-0226-SM-2HMKQ 40-49 years, male 54.5
GTEX-1A8FM-0226-SM-7SB7Q 50-59 years, female 54.5
GTEX-131YS-0126-SM-5KM1M 60-69 years, female 54.4
GTEX-1497J-2426-SM-7IGNX 60-69 years, male 54.4
GTEX-QDVJ-1726-SM-2I5FX 50-59 years, male 54.3
GTEX-1CAV2-2226-SM-7P8P2 40-49 years, female 54.3
GTEX-15DCD-0126-SM-7KUEK 70-79 years, female 54.2
GTEX-X638-0126-SM-47JZ8 70-79 years, female 54.2
GTEX-11DZ1-0126-SM-5985Q 50-59 years, male 54.1
GTEX-PLZ5-2026-SM-2S1O4 50-59 years, male 54.1
GTEX-QDVN-2026-SM-3GAEP 50-59 years, male 54.1
GTEX-T2YK-0526-SM-32QPJ 50-59 years, male 54.1
GTEX-X8HC-0126-SM-4E3JW 50-59 years, female 54.1
GTEX-1HCU6-0126-SM-CL54K 60-69 years, female 54.1
GTEX-PWCY-1826-SM-DHXIZ 20-29 years, female 54.1
GTEX-14A6H-0126-SM-5QGPK 30-39 years, male 54.0
GTEX-14BIN-0626-SM-793DP 50-59 years, female 54.0
GTEX-1RAZA-0126-SM-E6CI3 20-29 years, male 54.0
GTEX-139TT-0126-SM-5K7Y5 60-69 years, male 53.9
GTEX-13N2G-2626-SM-5J1OT 60-69 years, male 53.9
GTEX-PWO3-1526-SM-48TCM 60-69 years, female 53.9
GTEX-XMD2-0126-SM-4YCDU 60-69 years, female 53.9
GTEX-139TU-0126-SM-5K7WH 60-69 years, male 53.8
GTEX-X4EO-0326-SM-3P5YO 60-69 years, female 53.8
GTEX-1PIIG-0226-SM-EWRN6 30-39 years, male 53.8
GTEX-1R7EU-0226-SM-EVR4G 60-69 years, male 53.8
GTEX-1H11D-0226-SM-9WG6Z 40-49 years, male 53.7
GTEX-1N2EF-0226-SM-EYYXB 60-69 years, male 53.7
GTEX-ZAB4-0226-SM-5N9F5 40-49 years, male 53.6
GTEX-1K2DA-1826-SM-CGQGT 50-59 years, male 53.5
GTEX-1MGNQ-0126-SM-EVYCJ 40-49 years, male 53.5
GTEX-ZTPG-0326-SM-5O9AX 20-29 years, female 53.4
GTEX-1211K-2026-SM-5EQ4Z 60-69 years, female 53.3
GTEX-1C64N-0126-SM-793D7 50-59 years, male 53.3
GTEX-1LC47-0326-SM-E9TJP 60-69 years, male 53.3
GTEX-1PPH8-0226-SM-E8VND 20-29 years, male 53.3
GTEX-13NYS-0126-SM-5MR3W 60-69 years, male 53.2
GTEX-15EOM-0126-SM-7KUGG 20-29 years, female 53.2
GTEX-1AX9J-0226-SM-73KXM 60-69 years, male 53.2
GTEX-PLZ4-0126-SM-5SI8O 50-59 years, female 53.2
GTEX-11GS4-2726-SM-5A5LE 60-69 years, male 53.1
GTEX-1S5ZA-0126-SM-EVYCV 20-29 years, male 53.1
GTEX-12ZZX-0126-SM-5EGK9 40-49 years, female 53.0
GTEX-16NPX-0226-SM-79OMT 50-59 years, male 53.0
GTEX-PSDG-0226-SM-DKPOZ 50-59 years, male 52.9
GTEX-131XG-2626-SM-5KM17 50-59 years, female 52.8
GTEX-13FHP-0126-SM-5IJBG 50-59 years, male 52.8
GTEX-17HII-0226-SM-7LG4E 50-59 years, male 52.8
GTEX-12WSG-2826-SM-E9J4H 50-59 years, female 52.8
GTEX-17EUY-0426-SM-793BD 20-29 years, male 52.7
GTEX-1B8SF-1426-SM-7DUGL 60-69 years, male 52.6
GTEX-ZV6S-2326-SM-4YCEY 40-49 years, female 52.6
GTEX-1LNCM-1126-SM-E9U5E 50-59 years, female 52.4
GTEX-1JMOU-1526-SM-CL54I 60-69 years, female 52.3
GTEX-ZQUD-1426-SM-57WER 30-39 years, male 52.2
GTEX-13OVK-2026-SM-7KUEO 40-49 years, male 52.1
GTEX-Q2AH-1626-SM-3GAF8 40-49 years, male 52.1
GTEX-Y3I4-2126-SM-4TT7C 50-59 years, male 52.1
GTEX-1EWIQ-0126-SM-7RHH2 70-79 years, female 52.1
GTEX-14PN3-2426-SM-6LLHS 60-69 years, female 52.0
GTEX-X62O-0126-SM-4E3JN 50-59 years, male 52.0
GTEX-1I1GR-0126-SM-CL55F 60-69 years, male 52.0
GTEX-1I1GS-0126-SM-B2LVW 60-69 years, male 52.0
GTEX-15DDE-0126-SM-6LPKH 50-59 years, female 51.9
GTEX-15G19-0126-SM-6PANQ 60-69 years, male 51.9
GTEX-QVJO-1626-SM-2S1QW 60-69 years, female 51.9
GTEX-1EMGI-0126-SM-9KNUE 60-69 years, male 51.9
GTEX-1GN1U-0126-SM-7PBZK 50-59 years, female 51.9
GTEX-ZF29-2326-SM-DO92K 60-69 years, female 51.8
GTEX-13FHO-0226-SM-5IFGY 60-69 years, male 51.7
GTEX-OXRL-0126-SM-2YUMP 50-59 years, male 51.7
GTEX-13OVI-1426-SM-5L3EY 60-69 years, female 51.6
GTEX-13RTK-1426-SM-5QGQJ 20-29 years, male 51.6
GTEX-1MCQQ-0826-SM-DLHC2 60-69 years, male 51.6
GTEX-YB5E-2026-SM-5IFIS 40-49 years, male 51.5
GTEX-ZC5H-0226-SM-4WAY9 40-49 years, female 51.5
GTEX-1N2DV-0226-SM-E6CJ6 40-49 years, male 51.5
GTEX-WVJS-0126-SM-4MVOT 50-59 years, male 51.4
GTEX-ZGAY-0526-SM-4WWBB 40-49 years, female 51.4
GTEX-1F52S-0126-SM-9MQJU 60-69 years, female 51.4
GTEX-13X6H-2126-SM-7EWD5 50-59 years, female 51.3
GTEX-ZDYS-2026-SM-5HL5L 50-59 years, male 51.3
GTEX-12WSK-2326-SM-5GCOH 40-49 years, female 51.2
GTEX-1B8KE-2126-SM-73KYX 50-59 years, male 51.2
GTEX-13N11-2526-SM-5K7UE 50-59 years, female 51.1
GTEX-1GZ4H-1726-SM-7PBZJ 50-59 years, female 51.1
GTEX-Y5V5-2326-SM-4V6GA 60-69 years, female 51.0
GTEX-13OW5-0126-SM-DTXFS 60-69 years, male 51.0
GTEX-1B8L1-2526-SM-9WYTF 60-69 years, male 51.0
GTEX-1JKYR-0126-SM-CNPOJ 20-29 years, male 51.0
GTEX-1AMEY-1326-SM-73KYK 30-39 years, female 50.9
GTEX-RWSA-0126-SM-2XCBB 40-49 years, male 50.9
GTEX-PW2O-1526-SM-7RHHB 20-29 years, male 50.9
GTEX-XUYS-0126-SM-47JWZ 50-59 years, male 50.8
GTEX-1IDJF-0126-SM-CM2RS 20-29 years, male 50.8
GTEX-Q2AG-0126-SM-33HBV 40-49 years, female 50.7
GTEX-1I1GQ-0126-SM-COH3H 50-59 years, male 50.7
GTEX-1LVAN-0226-SM-COH3S 50-59 years, female 50.7
GTEX-13OVL-0226-SM-5L3E9 50-59 years, male 50.6
GTEX-13PVR-2326-SM-5QGR1 60-69 years, female 50.6
GTEX-13SLX-0526-SM-5S2ON 50-59 years, female 50.6
GTEX-X4EP-0126-SM-3P5YV 60-69 years, female 50.6
GTEX-1399R-2726-SM-5IJBA 30-39 years, male 50.5
GTEX-14753-0426-SM-5NQAM 60-69 years, male 50.5
GTEX-1HBPI-1526-SM-C1YQ1 50-59 years, male 50.3
GTEX-18D9U-0226-SM-718BP 40-49 years, male 50.2
GTEX-OXRK-0226-SM-3NB2G 50-59 years, female 50.2
GTEX-XAJ8-0826-SM-47JY6 40-49 years, male 50.2
GTEX-13FTX-1826-SM-5J1NX 20-29 years, female 50.1
GTEX-1J1R8-1726-SM-ARL8M 40-49 years, male 50.1
GTEX-1LGRB-2526-SM-CNPPQ 50-59 years, female 50.1
GTEX-14ICK-0226-SM-6EU25 40-49 years, male 50.0
GTEX-1QP29-0626-SM-EWRMX 50-59 years, male 50.0
GTEX-111VG-2426-SM-5GZXD 60-69 years, male 49.8
GTEX-14PHW-0126-SM-6LLJI 60-69 years, female 49.8
GTEX-1JMQI-2226-SM-CM2SD 50-59 years, male 49.8
GTEX-ZVT4-0126-SM-DTXFN 50-59 years, female 49.8
GTEX-1C6VR-2426-SM-79OLD 60-69 years, male 49.7
GTEX-1H3O1-0426-SM-9YFKY 60-69 years, male 49.7
GTEX-Z9EW-1626-SM-5CVMN 40-49 years, male 49.6
GTEX-1ICLY-0126-SM-D4P36 50-59 years, male 49.6
GTEX-11O72-0126-SM-59887 40-49 years, male 49.5
GTEX-1A3MV-1926-SM-718BT 30-39 years, male 49.5
GTEX-1AX8Z-0126-SM-7DHM6 60-69 years, male 49.5
GTEX-ZVT3-0126-SM-5GU6I 60-69 years, female 49.5
GTEX-1192X-0226-SM-5H12D 50-59 years, male 49.4
GTEX-1JJEA-0326-SM-CNPOT 60-69 years, male 49.4
GTEX-1QP66-1726-SM-E8VO1 50-59 years, male 49.4
GTEX-145LT-1726-SM-5QGP3 40-49 years, male 49.3
GTEX-1IDJH-0326-SM-A9SLQ 70-79 years, male 49.3
GTEX-11P7K-2126-SM-5GU7G 30-39 years, male 49.2
GTEX-14ABY-0226-SM-5TDCQ 50-59 years, male 49.1
GTEX-1RDX4-0126-SM-E9J4P 50-59 years, female 49.1
GTEX-145LV-2126-SM-5LU8N 50-59 years, male 49.0
GTEX-15EU6-0426-SM-6PAN5 50-59 years, male 49.0
GTEX-1QP2A-0126-SM-E9J43 50-59 years, male 49.0
GTEX-1122O-2126-SM-5EGIR 60-69 years, female 48.9
GTEX-14C5O-0126-SM-5SI6N 60-69 years, male 48.9
GTEX-1F75I-0326-SM-9YFLU 40-49 years, male 48.9
GTEX-1AX9I-0126-SM-7SB74 60-69 years, male 48.8
GTEX-1HSMO-0126-SM-CL547 60-69 years, male 48.6
GTEX-15DYW-0126-SM-7KULE 60-69 years, female 48.5
GTEX-1KANC-1526-SM-D3LAB 50-59 years, female 48.5
GTEX-145MO-0326-SM-5Q5B3 60-69 years, male 48.4
GTEX-XV7Q-2526-SM-4BRV9 40-49 years, female 48.4
GTEX-Z93T-0126-SM-5HL5N 50-59 years, male 48.4
GTEX-145MN-2226-SM-5SIAU 30-39 years, male 48.3
GTEX-18A67-0126-SM-7LG5P 50-59 years, male 48.3
GTEX-1F48J-0126-SM-7P8TT 50-59 years, female 48.3
GTEX-1NHNU-1026-SM-E9J2A 50-59 years, male 48.3
GTEX-1J8JJ-0226-SM-CL53I 60-69 years, female 48.1
GTEX-117YX-2326-SM-5H12W 50-59 years, male 48.0
GTEX-1HFI7-1826-SM-ACKXH 50-59 years, female 48.0
GTEX-P44H-0226-SM-2XCEU 40-49 years, male 47.9
GTEX-1I1CD-0126-SM-CM2TK 60-69 years, female 47.9
GTEX-1B97I-1626-SM-73KYO 40-49 years, male 47.8
GTEX-OXRP-0126-SM-3NB32 60-69 years, female 47.8
GTEX-ZVT2-2526-SM-51MT1 50-59 years, female 47.7
GTEX-145LU-0126-SM-5TDCB 50-59 years, male 47.6
GTEX-1PIGE-0126-SM-EVYBJ 20-29 years, male 47.6
GTEX-ZTSS-1926-SM-57WEW 40-49 years, male 47.4
GTEX-R55E-0126-SM-2TC5Y 20-29 years, male 47.3
GTEX-1H3VY-0126-SM-ACKXD 50-59 years, male 47.3
GTEX-WXYG-2326-SM-4E3I6 50-59 years, female 47.2
GTEX-Q734-1926-SM-2I5EV 40-49 years, female 47.1
GTEX-1H3NZ-0126-SM-ACKX7 60-69 years, male 47.1
GTEX-1PFEY-1526-SM-E76PP 30-39 years, male 47.1
GTEX-1S82Y-2026-SM-EVYCM 40-49 years, male 47.0
GTEX-1AX9K-2326-SM-73KWU 50-59 years, male 46.9
GTEX-1H4P4-0726-SM-9YFLR 50-59 years, male 46.9
GTEX-1CB4F-0426-SM-9KNV4 60-69 years, male 46.8
GTEX-13SLW-0126-SM-5SI6C 70-79 years, male 46.7
GTEX-14BMU-2226-SM-5TDE9 20-29 years, female 46.7
GTEX-PVOW-0126-SM-2XCFA 40-49 years, male 46.7
GTEX-1MA7W-2026-SM-E9TJ6 20-29 years, female 46.7
GTEX-1QMI2-0226-SM-EVYBX 60-69 years, male 46.7
GTEX-OHPM-0126-SM-2YUN9 50-59 years, male 46.6
GTEX-YEC4-2126-SM-5IFJH 40-49 years, male 46.6
GTEX-1F75A-0126-SM-7RHGM 50-59 years, male 46.6
GTEX-11EQ9-2426-SM-5HL5T 30-39 years, male 46.5
GTEX-12WSC-0126-SM-5EQ4P 50-59 years, male 46.5
GTEX-14DAR-2026-SM-5S2O3 50-59 years, male 46.5
GTEX-UPJH-0326-SM-3GADU 50-59 years, male 46.5
GTEX-113IC-0126-SM-5HL6T 60-69 years, male 46.4
GTEX-1F6IF-0726-SM-7P8TW 60-69 years, male 46.3
GTEX-1JK1U-2026-SM-CM2RZ 60-69 years, male 46.2
GTEX-1S82Z-0826-SM-E6CHY 30-39 years, female 46.2
GTEX-WRHK-1426-SM-3MJF9 20-29 years, female 46.1
GTEX-183FY-0126-SM-7LT9P 20-29 years, male 46.0
GTEX-1GPI7-0126-SM-9MQL8 20-29 years, male 46.0
GTEX-1POEN-0126-SM-EYYXJ 30-39 years, female 45.9
GTEX-1F6I4-0126-SM-9MQL2 60-69 years, male 45.8
GTEX-OIZF-0126-SM-7SB8I 60-69 years, male 45.8
GTEX-1QEPI-0126-SM-EWRMQ 60-69 years, female 45.7
GTEX-139T8-0126-SM-5K7XZ 60-69 years, male 45.6
GTEX-T8EM-1026-SM-3DB7M 40-49 years, male 45.6
GTEX-1I4MK-2226-SM-ACKWD 50-59 years, female 45.5
GTEX-1HUB1-0426-SM-E9U4U 60-69 years, male 45.4
GTEX-11P82-1626-SM-59879 20-29 years, male 45.3
GTEX-1IE54-0126-SM-CMKHW 40-49 years, female 45.3
GTEX-14PHX-2326-SM-62LEM 50-59 years, male 45.2
GTEX-1HSGN-0226-SM-CGQFV 40-49 years, female 45.2
GTEX-TML8-1926-SM-32QOS 40-49 years, female 45.1
GTEX-13JUV-2726-SM-5LZZ8 40-49 years, female 44.9
GTEX-17HHE-2026-SM-79OKF 50-59 years, male 44.9
GTEX-XUW1-0426-SM-4BOOT 50-59 years, female 44.9
GTEX-1H1E6-1726-SM-ACKVK 30-39 years, male 44.9
GTEX-1OJC4-0126-SM-E9J2E 50-59 years, female 44.9
GTEX-14BIL-0126-SM-5SI92 50-59 years, male 44.7
GTEX-12WSN-5019-SM-79OM6 40-49 years, male 44.6
GTEX-18A66-0226-SM-718BD 60-69 years, male 44.5
GTEX-1QPFJ-0226-SM-E76PB 30-39 years, female 44.5
GTEX-1C2JI-1826-SM-73KXC 50-59 years, male 44.3
GTEX-1B8KZ-2026-SM-7DHMB 50-59 years, male 44.2
GTEX-Y8E4-0626-SM-4WWDL 40-49 years, male 44.2
GTEX-1JN76-0126-SM-CNPPE 20-29 years, female 44.2
GTEX-15SHU-0126-SM-7KUEH 40-49 years, female 44.1
GTEX-15ETS-0126-SM-7KUMW 40-49 years, female 43.9
GTEX-16NGA-1726-SM-731B4 40-49 years, female 43.9
GTEX-1AYD5-2426-SM-73KXR 50-59 years, male 43.9
GTEX-16XZY-2126-SM-79OK1 70-79 years, male 43.7
GTEX-17F96-1626-SM-7DUFL 70-79 years, male 43.6
GTEX-ZEX8-2426-SM-4WKG4 50-59 years, male 43.6
GTEX-13NZB-2526-SM-5J1OM 30-39 years, male 43.3
GTEX-1KD5A-0226-SM-D5OV3 50-59 years, male 43.3
GTEX-131XW-0426-SM-5LZWP 50-59 years, female 43.2
GTEX-SSA3-0126-SM-32QPU 60-69 years, male 43.2
GTEX-ZQG8-1626-SM-DHXIT 60-69 years, female 43.2
GTEX-13W46-0226-SM-5SIAG 50-59 years, male 43.1
GTEX-VJWN-0126-SM-3GIK7 50-59 years, female 43.1
GTEX-17EVQ-0226-SM-7LG4P 70-79 years, male 43.0
GTEX-18QFQ-0126-SM-731BE 30-39 years, male 42.9
GTEX-11EM3-2426-SM-59861 20-29 years, female 42.8
GTEX-13VXT-0126-SM-5LU4I 20-29 years, female 42.8
GTEX-1H2FU-0126-SM-9WYSI 60-69 years, female 42.8
GTEX-1I1GT-0626-SM-CGQER 60-69 years, female 42.6
GTEX-13O1R-0126-SM-5L3EH 60-69 years, male 42.3
GTEX-OXRN-0126-SM-48TDM 50-59 years, male 42.3
GTEX-16AAH-1726-SM-7939C 50-59 years, male 42.1
GTEX-SJXC-0126-SM-2XCFF 60-69 years, male 41.8
GTEX-11P81-2326-SM-59875 30-39 years, female 41.5
GTEX-1JJE9-0326-SM-CL53Z 70-79 years, male 41.5
GTEX-1HCU7-0226-SM-CL545 50-59 years, male 41.3
GTEX-14JG6-2226-SM-6EU2G 30-39 years, female 40.7
GTEX-1QW4Y-1526-SM-EAZ3Z 30-39 years, male 40.7
GTEX-VJYA-1126-SM-3GIJU 60-69 years, male 40.5
GTEX-1GL5R-1826-SM-9KNUY 50-59 years, male 40.5
GTEX-13D11-2426-SM-5KM1V 50-59 years, female 40.4
GTEX-17GQL-2026-SM-718BA 60-69 years, male 40.2
GTEX-1QCLY-0326-SM-E8VOG 30-39 years, male 39.9
GTEX-146FR-1326-SM-E9J48 60-69 years, female 39.4
GTEX-1J8QM-2126-SM-CYPSJ 60-69 years, female 39.4
GTEX-1HSMQ-1226-SM-CGQFX 50-59 years, male 39.3
GTEX-1GN1W-0526-SM-9MQJQ 50-59 years, female 39.1
GTEX-ZDTT-2726-SM-4WKF8 60-69 years, male 39.0
GTEX-1RAZQ-0726-SM-EAZ43 30-39 years, male 38.5
GTEX-ZAB5-1826-SM-5HL7C 50-59 years, male 38.0
GTEX-1C64O-0126-SM-7SB8P 60-69 years, male 37.9
GTEX-1IL2U-0226-SM-CE6T8 60-69 years, male 37.9
GTEX-1MUQO-0126-SM-EAZ58 60-69 years, male 37.9
GTEX-QCQG-1726-SM-3GIJ9 50-59 years, female 37.6
GTEX-ZZPT-0226-SM-5E43X 50-59 years, male 37.5
GTEX-139T4-0226-SM-5HL5S 50-59 years, female 37.4
GTEX-ZY6K-1826-SM-5GZXK 50-59 years, male 37.3
GTEX-1JKYN-1326-SM-CGQG9 30-39 years, male 37.2
GTEX-1F5PK-2426-SM-7RHHY 50-59 years, male 37.0
GTEX-ZF2S-2326-SM-4WWCE 50-59 years, female 36.9
GTEX-SNMC-1226-SM-2XCFP 20-29 years, male 36.2
GTEX-148VJ-0126-SM-5TDDN 70-79 years, male 36.1
GTEX-1MCYP-1926-SM-E9J2R 20-29 years, female 34.0
GTEX-1QP67-1626-SM-EAZ3X 40-49 years, female 33.2
GTEX-1GMR8-0126-SM-9WYTM 50-59 years, female 22.8
Show allShow less

Contact

  • NEWS ARTICLES
  • PRESS ROOM

The Project

  • INTRODUCTION
  • ORGANIZATION
  • PUBLICATIONS

The Human Protein Atlas

  • DOWNLOADABLE DATA
  • LICENCE & CITATION
  • HELP & FAQ
The Human Protein Atlas project is funded
by the Knut & Alice Wallenberg Foundation.


contact@proteinatlas.org