We use cookies to enhance the usability of our website. If you continue, we'll assume that you are happy to receive all cookies. More information. Don't show this again.
TSPAN8
HPA
RESOURCES
  • TISSUE
  • BRAIN
  • SINGLE CELL
  • SUBCELLULAR
  • CANCER
  • BLOOD
  • CELL LINE
  • STRUCTURE & INTERACTION
ABOUT
  • INTRODUCTION
  • HISTORY
  • ORGANIZATION
  • PUBLICATIONS
  • ANTIBODY SUBMISSION
  • ANTIBODY AVAILABILITY
  • ACKNOWLEDGMENTS
  • CONTACT
NEWS
  • NEWS ARTICLES
  • PRESS ROOM
LEARN
  • DICTIONARY
  • PROTEIN CLASSES
  • PROTEIN EVIDENCE
  • METHODS
  • EDUCATIONAL VIDEOS
DATA
  • DOWNLOADABLE DATA
  • PUBLICATION DATA
  • RELEASE HISTORY
HELP
  • ANTIBODY VALIDATION
  • ASSAYS & ANNOTATION
  • DISCLAIMER
  • HELP & FAQ
  • PRIVACY STATEMENT
  • LICENCE & CITATION
Fields »
Search result

Field
Term
Gene name
Class
Subclass
Class
Keyword
Chromosome
External id
Tissue
Cell type
Expression
Antibody panel
Tissue
Main location
Patient ID
Annotation
Tissue
Category
Tau score
Cluster
Reliability
Brain region
Category
Tau score
Brain region
Category
Tau score
Brain region
Category
Tau score
Cluster
Reliability
Tissue
Cell type
Enrichment
Cell type
Category
Tau score
Cell type
Category
Tau score
Cell type
Category
Tau score
Cell lineage
Category
Tau score
Cluster
Cluster
Location
Searches
Location
Cell line
Class
Type
Phase
Reliability
Cancer
Prognosis
Cancer
Category
Cancer
Category
Tau score
Cluster
Variants
Interacting gene (ensg_id)
Type
Number of interactions
Pathway
Category
Score
Score
Score
Validation
Validation
Validation
Validation
Antibodies
Data type
Column


  • SUMMARY

  • TISSUE

  • BRAIN

  • SINGLE CELL

  • SUBCELL

  • CANCER

  • BLOOD

  • CELL LINE

  • STRUCT & INT

  • TSPAN8
TISSUE PRIMARY DATA STOMACH Show tissue menu
ADIPOSE TISSUE ADRENAL GLAND AMYGDALA APPENDIX BASAL GANGLIA BONE MARROW BREAST BRONCHUS CEREBELLUM CEREBRAL CORTEX CERVIX CHOROID PLEXUS COLON DUODENUM
ENDOMETRIUM EPIDIDYMIS ESOPHAGUS FALLOPIAN TUBE GALLBLADDER HEART MUSCLE HIPPOCAMPAL FORMATION HYPOTHALAMUS KIDNEY LIVER LUNG LYMPH NODE MIDBRAIN NASOPHARYNX
ORAL MUCOSA OVARY PANCREAS PARATHYROID GLAND PITUITARY GLAND PLACENTA PROSTATE RECTUM RETINA SALIVARY GLAND SEMINAL VESICLE SKELETAL MUSCLE SKIN SMALL INTESTINE
SMOOTH MUSCLE SOFT TISSUE SPINAL CORD SPLEEN STOMACH TESTIS THYMUS THYROID GLAND TONGUE TONSIL URINARY BLADDER VAGINA
ANTIBODIES
AND
VALIDATION
Dictionary
Tissue proteome
Stomach
STOMACH - Expression summary
Protein expression
Stomachi

On the top, protein expression in current human tissue, based on all annotated cell types, is reported with the units not detected (n), low (l), medium (m) and high (h). Underneath, protein expression in each annotated cell type are reported using the same units.

Protein expression data is based on knowledge-based annotation. For genes where more than one antibody has been used, a collective score is set.

If knowledge-based annotation could not be performed for a gene, no data is displayed here. View antibody staining data further down this page.

h
m
l
n
Glandular cells: High
RNA expressioni

A summary of mRNA expression data available for current tissue based on several datasets. The mRNA expression levels in human tissues are based on RNA-seq data generated by the Human Protein Atlas (HPA), Genotype-Tissue Expression (GTEx) portal and CAGE data generated by the FANTOM5 consortium. Consensus normalized expression levels for human tissues was created by combining the data from HPA and GTEx datasets.

The mRNA expression levels in pig are based on RNA-seq data generated by the Human Protein Atlas (HPA), and for mouse, HPA data and in situ hybridization generated by the Allen brain atlas are reported.

Scroll down to view mRNA expression data in more detail.
Consensus:614.5 nTPM
HPA:614.5 nTPM
GTEx:239.0 nTPM

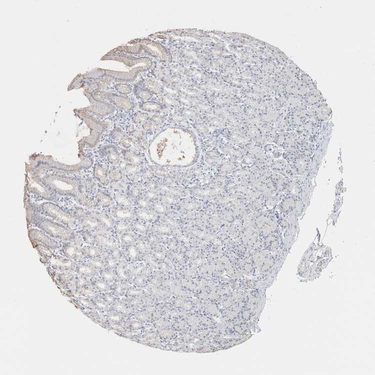
STOMACH 1 - Antibody stainingi

Antibody staining in the annotated cell types in the current human tissue is reported as not detected, low, medium, or high, based on conventional immunohistochemistry profiling in selected tissues. This score is based on the combination of the staining intensity and fraction of stained cells.

Each image is clickable and will lead to virtual microscopy that enables deeper exploration of all samples and also displays staining intensity scores, fraction scores and subcellular localization as well as patient and tissue information for each sample.

Antibody HPA044337Antibody CAB026009
Glandular cells HighLow



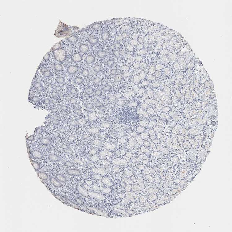
STOMACH 2 - Antibody stainingi

Antibody staining in the annotated cell types in the current human tissue is reported as not detected, low, medium, or high, based on conventional immunohistochemistry profiling in selected tissues. This score is based on the combination of the staining intensity and fraction of stained cells.

Each image is clickable and will lead to virtual microscopy that enables deeper exploration of all samples and also displays staining intensity scores, fraction scores and subcellular localization as well as patient and tissue information for each sample.

Antibody HPA044337Antibody CAB026009
Glandular cells HighMedium





STOMACH - HPA RNA-seqi

The RNA-seq details section shows detailed information about the individual samples used for the transcript profiling and results of the RNA-seq analysis.

Information about each individual sample is listed below, including gender, age, a tissue section image and estimated fractions of cell types. nTPM (normalized transcripts per million) values give a quantification of the gene abundance which is comparable between different genes and samples.
Average nTPMi

Max subtype nTPM is the value for the subtype with the largest average nTPM across the subtype samples.

614.5
overview
Female, age 33
Stomach sample 61
nTPM: 390.1
Cell types%
Glandular cells:
60

Smooth muscle cells:
5

Other cell types:
35

N/A
Male, age 82
Stomach sample 240
nTPM: 554.7
Cell types%
Glandular cells:
65

Smooth muscle cells:
5

Other cell types:
30

overview
Male, age 71
Stomach sample 241
nTPM: 788.2
Cell types%
Glandular cells:
50

Smooth muscle cells:
5

Other cell types:
45

overview
Female, age 66
Stomach sample 369
nTPM: 725.1
Cell types%
Glandular cells:
50

Smooth muscle cells:
10

Other cell types:
40


STOMACH - GTEx RNA-seqi

RNA-Seq data generated by the Genotype-Tissue Expression (GTEx) project from human tissues is reported as mean nTPM. More information can be found on the GTEx portal.

Distribution across the dataset is visualized with box plots, shown as median and 25th and 75th percentiles. Points are displayed as outliers if they are above or below 1.5 times the interquartile range. nTPM values of the individual samples are presented next to the box plot.
Max subtype nTPMi

Max subtype nTPM is the value for the subtype with the largest average nTPM across the subtype samples.

239.0
GTEx sample id Sample description nTPM
Stomach
Average nTPM: 239.0
Samples: 359

Max nTPM: 1076.9
Min nTPM: 0.2
Std nTPM: 203.5
Median nTPM: 241.1
GTEX-18A67-2626-SM-718AD 50-59 years, male 1076.9
GTEX-QCQG-0526-SM-48U2A 50-59 years, female 1043.7
GTEX-ZYY3-1726-SM-5EGH3 60-69 years, female 943.1
GTEX-Y3IK-1426-SM-4YCES 50-59 years, female 931.2
GTEX-1KANA-1126-SM-D3L9M 20-29 years, male 789.2
GTEX-117YX-1026-SM-5H11V 50-59 years, male 775.6
GTEX-13FTX-0726-SM-5N9BI 20-29 years, female 762.5
GTEX-1B97J-1826-SM-7IGPP 50-59 years, female 742.6
GTEX-11NUK-2426-SM-5BC4U 50-59 years, male 728.4
GTEX-OOBJ-1526-SM-3NB1Q 60-69 years, male 723.5
GTEX-1CAMR-0726-SM-7EPIE 20-29 years, male 659.7
GTEX-1B8KZ-1226-SM-793CP 50-59 years, male 641.4
GTEX-1399R-1126-SM-5IFIO 30-39 years, male 620.2
GTEX-WHPG-0426-SM-4M1XW 50-59 years, male 620.1
GTEX-1GMRU-2526-SM-9WG7T 50-59 years, male 619.6
GTEX-XMK1-1526-SM-EYYVO 40-49 years, male 613.6
GTEX-P4PP-1526-SM-3P61M 30-39 years, female 601.4
GTEX-OHPK-1526-SM-3MJGM 50-59 years, female 579.6
GTEX-1F75I-1826-SM-7MKGX 40-49 years, male 578.1
GTEX-T5JW-0926-SM-4DM5K 20-29 years, female 563.8
GTEX-1A3MV-1226-SM-718BW 30-39 years, male 559.2
GTEX-14PHX-1026-SM-664OL 50-59 years, male 555.3
GTEX-11DXX-1326-SM-5GIDZ 60-69 years, female 540.3
GTEX-13O21-0926-SM-5IFGT 50-59 years, male 537.0
GTEX-18D9A-0626-SM-7KFTY 30-39 years, female 534.9
GTEX-WY7C-1726-SM-4ONCC 50-59 years, male 534.8
GTEX-1HFI7-1526-SM-9WG7W 50-59 years, female 531.6
GTEX-U4B1-1026-SM-4DXT1 40-49 years, male 530.2
GTEX-RWS6-0926-SM-47JXE 60-69 years, female 529.3
GTEX-VJYA-1026-SM-4KL21 60-69 years, male 517.3
GTEX-13FTW-1726-SM-5KM2B 40-49 years, male 511.8
GTEX-PWN1-1526-SM-48TDA 40-49 years, female 510.5
GTEX-13OW6-2526-SM-5IJEC 50-59 years, male 509.7
GTEX-13PVQ-2126-SM-5L3FW 50-59 years, male 504.5
GTEX-1RAZR-1526-SM-EAZ4U 40-49 years, male 493.9
GTEX-1RB15-1026-SM-E9U6V 60-69 years, male 487.3
GTEX-S95S-0826-SM-4B64N 60-69 years, male 479.1
GTEX-WFON-1126-SM-4LVMA 40-49 years, male 477.0
GTEX-1399S-1626-SM-5P9GI 30-39 years, female 471.9
GTEX-ZLV1-0826-SM-DO11P 60-69 years, female 469.5
GTEX-QDVJ-1426-SM-48U1Y 50-59 years, male 463.5
GTEX-131XG-1226-SM-5EGH9 50-59 years, female 463.3
GTEX-111CU-0926-SM-5EGIK 50-59 years, male 462.6
GTEX-YEC4-1426-SM-5IFHS 40-49 years, male 459.6
GTEX-1LGOU-1526-SM-D3LAJ 20-29 years, female 458.5
GTEX-WFG8-1326-SM-4LVN3 20-29 years, male 458.2
GTEX-TMMY-1626-SM-4DXTY 40-49 years, female 457.1
GTEX-1JMPZ-1826-SM-CXZJT 30-39 years, male 456.5
GTEX-13113-0726-SM-5LZUF 60-69 years, female 454.8
GTEX-12WSD-2326-SM-59HKQ 60-69 years, female 449.8
GTEX-QV31-0626-SM-447C5 30-39 years, male 449.7
GTEX-11EM3-1026-SM-5A5KL 20-29 years, female 442.0
GTEX-RTLS-2626-SM-46MUJ 60-69 years, female 441.3
GTEX-1F5PL-1426-SM-7MKFH 40-49 years, female 439.2
GTEX-1GL5R-1926-SM-9WG7U 50-59 years, male 430.0
GTEX-14PJ6-0826-SM-686Z9 60-69 years, female 429.5
GTEX-15G19-1526-SM-6LPKP 60-69 years, male 428.2
GTEX-11GSP-2126-SM-5HL5E 60-69 years, female 426.8
GTEX-15DCE-1626-SM-6LPJM 20-29 years, male 426.4
GTEX-QDVN-1226-SM-48TZ5 50-59 years, male 424.8
GTEX-T6MO-0726-SM-4DM58 40-49 years, female 423.7
GTEX-1LG7Z-1226-SM-DHXK4 30-39 years, male 422.2
GTEX-12WSK-1426-SM-5CVNN 40-49 years, female 421.3
GTEX-13OVK-0926-SM-7KUFX 40-49 years, male 420.4
GTEX-S341-0626-SM-4AD5T 40-49 years, female 418.7
GTEX-15CHR-1326-SM-79OLT 50-59 years, male 417.3
GTEX-14PKV-1826-SM-69LO9 20-29 years, female 415.1
GTEX-12BJ1-1726-SM-5HL9B 60-69 years, male 414.5
GTEX-WHSB-1226-SM-4M1XR 50-59 years, male 412.3
GTEX-13S7M-1826-SM-5RQK6 60-69 years, female 409.1
GTEX-1I6K7-1726-SM-B2LXQ 40-49 years, male 404.0
GTEX-145ME-1026-SM-5O9B4 40-49 years, female 398.6
GTEX-S3XE-1026-SM-4AD4O 50-59 years, male 397.2
GTEX-1C475-1026-SM-7MKFJ 40-49 years, female 394.3
GTEX-ZXES-1426-SM-5NQ8S 30-39 years, female 389.2
GTEX-132QS-1826-SM-5IFFN 60-69 years, male 386.4
GTEX-ZZ64-0426-SM-5E43F 20-29 years, male 385.9
GTEX-XQ8I-2026-SM-4BOOL 50-59 years, male 385.7
GTEX-1MGNQ-1826-SM-DPRYI 40-49 years, male 380.8
GTEX-WFG7-1326-SM-4LMK1 20-29 years, male 373.7
GTEX-133LE-1326-SM-5IFGO 20-29 years, female 371.8
GTEX-T8EM-1226-SM-4DM5J 40-49 years, male 371.3
GTEX-18A66-2226-SM-7189E 60-69 years, male 371.1
GTEX-1AYCT-1326-SM-7MKHB 50-59 years, male 370.6
GTEX-14PJ4-1626-SM-664OB 60-69 years, male 368.4
GTEX-S4Q7-0726-SM-4AD5F 20-29 years, male 368.4
GTEX-11I78-1726-SM-5A5M3 50-59 years, female 367.8
GTEX-U3ZN-2026-SM-4DXUC 30-39 years, female 367.6
GTEX-Q2AH-1126-SM-48TZM 40-49 years, male 367.2
GTEX-145MN-1326-SM-5NQ9S 30-39 years, male 367.0
GTEX-1JK1U-1326-SM-AHZ45 60-69 years, male 366.9
GTEX-PWCY-0926-SM-48TD7 20-29 years, female 365.0
GTEX-1R9K5-1026-SM-EAZ4F 50-59 years, male 364.7
GTEX-WRHK-0626-SM-4MVOE 20-29 years, female 364.3
GTEX-11NSD-1426-SM-5HL67 20-29 years, male 363.3
GTEX-1KXAM-0926-SM-CXZKA 60-69 years, male 362.6
GTEX-Y8LW-0826-SM-4WWDO 50-59 years, female 360.2
GTEX-QV44-1226-SM-CJI1S 50-59 years, male 358.5
GTEX-1JKYN-1726-SM-AHZ48 30-39 years, male 356.3
GTEX-1HBPI-0726-SM-9WG7Z 50-59 years, male 355.9
GTEX-1QPFJ-1526-SM-DPRXT 30-39 years, female 354.8
GTEX-ZF29-1526-SM-4WKF7 60-69 years, female 350.5
GTEX-QXCU-1926-SM-48FE4 50-59 years, male 349.3
GTEX-ZDYS-1926-SM-5HL59 50-59 years, male 346.3
GTEX-PX3G-1526-SM-48U11 20-29 years, female 345.7
GTEX-15UF7-1226-SM-6M46G 40-49 years, male 344.3
GTEX-18A7A-2726-SM-7LG6U 50-59 years, female 344.2
GTEX-ZLFU-1326-SM-DO11R 40-49 years, male 344.1
GTEX-WYJK-2526-SM-4ONDF 50-59 years, male 342.6
GTEX-P78B-1826-SM-3P5YX 40-49 years, female 341.9
GTEX-ZYFG-1326-SM-5GICJ 60-69 years, female 339.7
GTEX-14PJ5-0826-SM-6AJAR 60-69 years, female 334.0
GTEX-ZVP2-1626-SM-5GU5D 50-59 years, male 333.9
GTEX-Q734-1026-SM-48U16 40-49 years, female 333.7
GTEX-1LBAC-1426-SM-CXZKT 20-29 years, male 332.1
GTEX-QLQ7-0826-SM-447B3 60-69 years, male 330.8
GTEX-S4UY-1626-SM-4AD55 40-49 years, female 328.9
GTEX-1A8G6-1426-SM-731EZ 60-69 years, male 326.3
GTEX-131XF-1226-SM-5HL8V 60-69 years, male 323.7
GTEX-1MJIX-1126-SM-EV7AO 40-49 years, male 323.5
GTEX-POMQ-0826-SM-3P61H 20-29 years, female 322.6
GTEX-ZF2S-1426-SM-57WET 50-59 years, female 316.4
GTEX-SUCS-0926-SM-4DM4Z 70-79 years, male 315.4
GTEX-13D11-2126-SM-5IFH2 50-59 years, female 314.8
GTEX-17F98-1526-SM-7EWD8 40-49 years, female 314.3
GTEX-ZQUD-0826-SM-57WDQ 30-39 years, male 310.5
GTEX-17HGU-2126-SM-7IGOV 50-59 years, male 310.1
GTEX-1MUQO-1926-SM-EAZ59 60-69 years, male 308.4
GTEX-XBEW-1826-SM-4RTWX 40-49 years, male 307.7
GTEX-17GQL-1226-SM-7KFTS 60-69 years, male 303.5
GTEX-SNMC-0626-SM-4DM6H 20-29 years, male 301.1
GTEX-1JMLX-2426-SM-CXZJQ 50-59 years, male 298.7
GTEX-ZLWG-1526-SM-DO12F 50-59 years, female 298.1
GTEX-13U4I-2526-SM-5SI8Z 40-49 years, female 295.0
GTEX-144GM-1726-SM-5O9AS 20-29 years, male 292.8
GTEX-1AMFI-1226-SM-731CZ 50-59 years, female 291.5
GTEX-RM2N-0826-SM-48FD3 50-59 years, male 290.6
GTEX-ZP4G-1226-SM-4WWCJ 20-29 years, female 290.1
GTEX-ZVZP-1726-SM-5GZWY 50-59 years, male 290.1
GTEX-15DZA-1126-SM-6LPK8 30-39 years, female 289.3
GTEX-ZY6K-0726-SM-5A5L8 50-59 years, male 285.1
GTEX-OHPM-1526-SM-EV796 50-59 years, male 284.1
GTEX-UJMC-1226-SM-4IHLI 50-59 years, male 281.6
GTEX-13X6J-2126-SM-5TDCV 50-59 years, male 279.8
GTEX-17F9E-2226-SM-7IGNC 50-59 years, male 279.6
GTEX-14JG6-1226-SM-664O6 30-39 years, female 278.0
GTEX-ZPU1-1626-SM-4WWB2 40-49 years, male 277.3
GTEX-Y9LG-1026-SM-5IFJN 30-39 years, male 277.0
GTEX-144GN-1226-SM-5O991 50-59 years, male 275.5
GTEX-14BMU-1126-SM-5RQJ8 20-29 years, female 275.4
GTEX-R53T-1226-SM-48FCT 50-59 years, female 274.0
GTEX-XUZC-0726-SM-4BOPH 30-39 years, female 272.8
GTEX-WXYG-1626-SM-4ONCR 50-59 years, female 272.7
GTEX-1QMI2-2126-SM-DPRXQ 60-69 years, male 272.0
GTEX-1QP2A-2126-SM-DPRZ7 50-59 years, male 271.5
GTEX-Q2AI-0826-SM-48TZO 40-49 years, male 270.3
GTEX-111YS-1126-SM-5GZYQ 60-69 years, male 269.2
GTEX-OIZF-1526-SM-2I5GR 60-69 years, male 267.5
GTEX-16AAH-1226-SM-79OO9 50-59 years, male 266.5
GTEX-1RMOY-1126-SM-EV79E 50-59 years, male 264.4
GTEX-ZV7C-1626-SM-5NQ7E 50-59 years, male 263.8
GTEX-XBED-1226-SM-4AT5V 60-69 years, male 263.2
GTEX-14BIL-1926-SM-73KYI 50-59 years, male 263.1
GTEX-1HBPN-1626-SM-9WPNP 50-59 years, male 260.3
GTEX-1B8KE-1326-SM-73KVI 50-59 years, male 259.6
GTEX-1J8Q3-1926-SM-C1YSJ 60-69 years, male 259.2
GTEX-V1D1-1726-SM-4JBHB 50-59 years, male 258.5
GTEX-1IDJU-1526-SM-CNNR3 60-69 years, female 257.5
GTEX-15RIE-1026-SM-6LPJQ 60-69 years, male 256.6
GTEX-1R7EU-1126-SM-EAZ4M 60-69 years, male 255.8
GTEX-ZZPU-1426-SM-5GZZ6 50-59 years, female 255.4
GTEX-ZA64-0826-SM-5HL9U 20-29 years, male 252.4
GTEX-12696-1726-SM-5EQLH 60-69 years, male 251.8
GTEX-13CF3-1926-SM-5K7WF 60-69 years, female 250.8
GTEX-14B4R-0726-SM-5TDDR 30-39 years, male 247.8
GTEX-YFCO-0826-SM-5LUAG 40-49 years, male 243.0
GTEX-ZVT2-1626-SM-51MRC 50-59 years, female 242.5
GTEX-14E6E-0926-SM-664N8 30-39 years, male 242.4
GTEX-Y5LM-1326-SM-5RQIS 40-49 years, female 241.5
GTEX-18QFQ-1226-SM-718AE 30-39 years, male 241.1
GTEX-QLQW-0726-SM-447AA 30-39 years, male 240.9
GTEX-1QCLY-1126-SM-EAZ4J 30-39 years, male 240.8
GTEX-1QCLZ-1826-SM-DPRXP 60-69 years, female 238.6
GTEX-1H3VY-2326-SM-9WG81 50-59 years, male 234.9
GTEX-ZVT3-2126-SM-59HL2 60-69 years, female 234.0
GTEX-14ICL-0826-SM-5YY9W 30-39 years, male 230.1
GTEX-SNOS-0826-SM-4DM5N 40-49 years, male 227.6
GTEX-XXEK-0826-SM-4BRWG 50-59 years, male 226.9
GTEX-14PJ3-1426-SM-664O8 50-59 years, male 223.3
GTEX-OXRL-1526-SM-E6CHQ 50-59 years, male 216.6
GTEX-V955-1326-SM-4JBHR 60-69 years, male 215.4
GTEX-WEY5-1226-SM-4LMIQ 40-49 years, female 214.8
GTEX-1AMEY-1226-SM-731DU 30-39 years, female 208.6
GTEX-1I1HK-2026-SM-CNNRB 60-69 years, male 207.4
GTEX-17HHE-1026-SM-79ON6 50-59 years, male 206.6
GTEX-16NGA-1526-SM-72D56 40-49 years, female 201.6
GTEX-O5YW-1526-SM-3MJGL 50-59 years, male 200.7
GTEX-1122O-1926-SM-5EGIQ 60-69 years, female 200.3
GTEX-1GZ4H-1026-SM-9OSXL 50-59 years, female 194.7
GTEX-1I4MK-0926-SM-A9SLD 50-59 years, female 193.5
GTEX-Y5V6-1326-SM-4VDTF 60-69 years, male 192.3
GTEX-13RTK-0226-SM-5RQHR 20-29 years, male 185.2
GTEX-XV7Q-1326-SM-4BRWM 40-49 years, female 184.2
GTEX-QMRM-1126-SM-447BN 50-59 years, male 183.3
GTEX-1B97I-1226-SM-7MGWQ 40-49 years, male 180.9
GTEX-1J8QM-1126-SM-C1YQB 60-69 years, female 179.9
GTEX-PW2O-1226-SM-48TCH 20-29 years, male 175.9
GTEX-ZGAY-1626-SM-DNZZ3 40-49 years, female 175.8
GTEX-1LGRB-1726-SM-CNNRA 50-59 years, female 173.4
GTEX-1HCU8-1326-SM-C1YQQ 60-69 years, female 172.3
GTEX-1ICG6-1826-SM-AHZ2O 70-79 years, female 172.3
GTEX-WHWD-1426-SM-4OORU 50-59 years, male 169.8
GTEX-13FH7-1026-SM-5IJGF 50-59 years, female 165.5
GTEX-132AR-2426-SM-5IFFD 50-59 years, female 164.3
GTEX-OXRK-1626-SM-3NB17 50-59 years, female 162.1
GTEX-1GN1W-2126-SM-9JGI7 50-59 years, female 162.1
GTEX-YB5E-1126-SM-664NU 40-49 years, male 161.6
GTEX-ZT9W-1526-SM-4YCDE 50-59 years, male 160.7
GTEX-1HKZK-1526-SM-B2LWG 40-49 years, male 159.2
GTEX-13PVR-2126-SM-73KVR 60-69 years, female 158.8
GTEX-12WSG-2026-SM-5FQUU 50-59 years, female 156.6
GTEX-117YW-2226-SM-5N9DB 50-59 years, male 155.4
GTEX-YJ8A-1526-SM-5P9FT 20-29 years, male 151.6
GTEX-1MCYP-1126-SM-E9J2P 20-29 years, female 150.4
GTEX-W5WG-1726-SM-4LMI5 50-59 years, female 149.5
GTEX-1F5PK-1826-SM-7RHHX 50-59 years, male 143.4
GTEX-14DAQ-2826-SM-664MU 60-69 years, female 143.2
GTEX-14DAR-0926-SM-73KUQ 50-59 years, male 142.8
GTEX-1H23P-2726-SM-9JGHN 60-69 years, male 141.5
GTEX-1J8JJ-1726-SM-C1YQG 60-69 years, female 140.3
GTEX-1H1E6-1626-SM-9OSWC 30-39 years, male 136.9
GTEX-1I1GT-1726-SM-C1YS3 60-69 years, female 136.3
GTEX-13QBU-1126-SM-5LU44 40-49 years, female 135.2
GTEX-ZAB4-1526-SM-5CVN7 40-49 years, male 128.8
GTEX-X15G-1126-SM-4PQZG 50-59 years, female 128.0
GTEX-ZEX8-1626-SM-4WKG7 50-59 years, male 127.6
GTEX-1IDJD-2426-SM-C1YS6 30-39 years, male 125.0
GTEX-1AX9J-2626-SM-731EK 60-69 years, male 123.7
GTEX-1J8EW-2226-SM-AHZ3T 60-69 years, female 123.4
GTEX-145LT-1426-SM-5O9B3 40-49 years, male 110.7
GTEX-NFK9-1526-SM-3LK7B 40-49 years, male 110.0
GTEX-139YR-1926-SM-5LZXM 50-59 years, male 97.9
GTEX-PLZ5-1226-SM-EXOHA 50-59 years, male 93.2
GTEX-11TT1-0726-SM-5GU5A 20-29 years, male 93.0
GTEX-14BMV-2226-SM-5RQHX 50-59 years, male 92.5
GTEX-145MO-2226-SM-5Q5BN 60-69 years, male 91.4
GTEX-1JMQJ-1326-SM-D4P3B 50-59 years, male 88.2
GTEX-Y8E4-1526-SM-4WWDI 40-49 years, male 88.0
GTEX-WYVS-1326-SM-4ONCQ 40-49 years, female 87.1
GTEX-17HII-2426-SM-7KFTT 50-59 years, male 78.4
GTEX-17MF6-2126-SM-7KFS7 40-49 years, male 77.2
GTEX-1HSEH-1526-SM-B2LXG 60-69 years, male 77.2
GTEX-1A3MX-1926-SM-72D7F 60-69 years, male 73.2
GTEX-S7SF-0626-SM-4AD4V 20-29 years, female 72.9
GTEX-1RQEC-2126-SM-DPS15 60-69 years, male 68.4
GTEX-1LVAN-2426-SM-CNNPZ 50-59 years, female 66.4
GTEX-1GF9U-1126-SM-AHZ4H 40-49 years, female 60.5
GTEX-1JN1M-2926-SM-CNNPJ 60-69 years, female 56.2
GTEX-1H1DG-2126-SM-9WPPB 70-79 years, male 55.5
GTEX-1LSNM-1026-SM-DHXL2 50-59 years, male 55.0
GTEX-O5YV-1926-SM-EV797 60-69 years, female 53.1
GTEX-1E1VI-2826-SM-7MGWU 50-59 years, male 52.8
GTEX-Y3I4-1626-SM-4TT7W 50-59 years, male 52.5
GTEX-1H11D-2226-SM-9OSXN 40-49 years, male 51.4
GTEX-1PPH8-1326-SM-DTXFO 20-29 years, male 44.7
GTEX-1QP29-2326-SM-EXOJO 50-59 years, male 39.1
GTEX-15G1A-1226-SM-7KUF3 30-39 years, male 32.4
GTEX-1211K-1426-SM-5FQTF 60-69 years, female 29.6
GTEX-139D8-2326-SM-5IFGE 30-39 years, female 27.2
GTEX-1KD5A-1426-SM-D4P3V 50-59 years, male 26.2
GTEX-14PKU-1126-SM-69LOU 40-49 years, female 24.8
GTEX-17JCI-2226-SM-7LTA1 60-69 years, female 23.9
GTEX-WZTO-2126-SM-4PQYW 40-49 years, male 22.0
GTEX-11EI6-2426-SM-5PNVS 60-69 years, male 21.6
GTEX-1JMPY-0926-SM-ARL92 30-39 years, male 20.3
GTEX-13OVI-2426-SM-5KM4J 60-69 years, female 18.6
GTEX-1HSMQ-2426-SM-CE6RY 50-59 years, male 18.6
GTEX-T5JC-1926-SM-4DM6Q 20-29 years, male 17.8
GTEX-11EQ9-1226-SM-5987E 30-39 years, male 17.5
GTEX-UPK5-2126-SM-4JBJK 40-49 years, male 17.4
GTEX-11VI4-0326-SM-5EQ6L 40-49 years, female 16.3
GTEX-1IL2V-2026-SM-ARZMA 70-79 years, male 15.3
GTEX-ZPIC-2026-SM-57WG3 40-49 years, female 15.0
GTEX-13O61-1126-SM-5L3FI 60-69 years, male 12.9
GTEX-1QW4Y-0726-SM-DTX8E 30-39 years, male 12.9
GTEX-14PN3-1326-SM-6AJ9U 60-69 years, female 12.2
GTEX-13O3Q-2126-SM-5KM4C 50-59 years, male 12.1
GTEX-1S3DN-1526-SM-EVYCB 50-59 years, male 12.0
GTEX-11P7K-1726-SM-5GU6F 30-39 years, male 11.6
GTEX-18D9B-2226-SM-718BM 60-69 years, male 11.6
GTEX-146FR-2026-SM-5NQAI 60-69 years, female 10.5
GTEX-1B8L1-1526-SM-79OLK 60-69 years, male 10.5
GTEX-UJHI-1026-SM-4IHJP 50-59 years, female 10.3
GTEX-15RIF-1126-SM-7KUG2 20-29 years, male 10.0
GTEX-ZE7O-3026-SM-51MS4 50-59 years, female 9.7
GTEX-1HCUA-1626-SM-A9SMG 50-59 years, female 9.1
GTEX-Y114-1226-SM-4TT88 50-59 years, female 9.0
GTEX-1NSGN-1926-SM-E9J36 50-59 years, male 9.0
GTEX-1K2DA-0826-SM-CGQGD 50-59 years, male 8.7
GTEX-12C56-0526-SM-5FQST 20-29 years, male 8.4
GTEX-1C64O-2226-SM-73KTV 60-69 years, male 8.3
GTEX-QDT8-2026-SM-EZ6LS 30-39 years, female 8.3
GTEX-1L5NE-1526-SM-DIPFW 50-59 years, male 7.7
GTEX-1QP67-1026-SM-EVR47 40-49 years, female 7.6
GTEX-1399U-1626-SM-5P9J3 50-59 years, female 7.5
GTEX-1QP28-2126-SM-DTX8B 50-59 years, female 7.4
GTEX-1CB4H-2426-SM-7PBYR 60-69 years, female 6.8
GTEX-1S831-1126-SM-EWROI 20-29 years, male 6.7
GTEX-13QJ3-2726-SM-5SI6L 50-59 years, male 6.3
GTEX-1EH9U-2226-SM-7PBXX 60-69 years, male 6.2
GTEX-1N2DV-0926-SM-E9TJT 40-49 years, male 5.8
GTEX-PLZ6-0826-SM-3P61K 30-39 years, male 5.6
GTEX-1JN76-0926-SM-ARZNH 20-29 years, female 5.5
GTEX-1LVAM-1426-SM-E9TJ4 50-59 years, female 5.2
GTEX-1CB4E-1326-SM-7DUGD 60-69 years, male 5.1
GTEX-S4Z8-1226-SM-4AD6W 60-69 years, male 5.1
GTEX-14PHY-0926-SM-5ZZWL 60-69 years, female 5.0
GTEX-WFJO-1126-SM-4LVLZ 30-39 years, male 4.9
GTEX-XAJ8-0326-SM-47JYI 40-49 years, male 4.6
GTEX-XPVG-1526-SM-4B66C 50-59 years, male 4.4
GTEX-OIZH-1526-SM-3NB1J 50-59 years, male 4.1
GTEX-YEC3-1426-SM-D4P1S 50-59 years, male 4.1
GTEX-1IDJF-1426-SM-ACKWK 20-29 years, male 3.9
GTEX-P4QT-1526-SM-3NMCT 50-59 years, female 3.8
GTEX-P4PQ-1526-SM-3NMCK 60-69 years, male 3.7
GTEX-1HR9M-2326-SM-CNPPZ 60-69 years, male 3.7
GTEX-14E1K-1526-SM-664MN 50-59 years, male 3.5
GTEX-11P82-0726-SM-5PNYL 20-29 years, male 3.4
GTEX-13N1W-2026-SM-5K7YU 70-79 years, male 3.4
GTEX-ZTX8-0426-SM-59HLG 20-29 years, male 3.4
GTEX-WH7G-1526-SM-4LVMX 40-49 years, male 3.3
GTEX-146FH-2126-SM-5SI9U 50-59 years, female 3.2
GTEX-17KNJ-1526-SM-7LTA9 50-59 years, male 3.2
GTEX-1S82Z-1726-SM-E6CHZ 30-39 years, female 3.2
GTEX-13111-1226-SM-5GCNC 50-59 years, male 3.0
GTEX-TKQ2-0926-SM-4DXU5 50-59 years, male 3.0
GTEX-R55C-1026-SM-48FCM 40-49 years, male 2.9
GTEX-TKQ1-0526-SM-4DXTG 30-39 years, male 2.7
GTEX-ZV6S-0926-SM-57WGB 40-49 years, female 2.7
GTEX-1E2YA-2426-SM-7EPIG 50-59 years, male 2.6
GTEX-1GPI7-1326-SM-9KNVA 20-29 years, male 2.6
GTEX-1HT8W-2326-SM-A9SLA 30-39 years, male 2.6
GTEX-1PIGE-1126-SM-EWRMV 20-29 years, male 2.6
GTEX-15SHW-2126-SM-6M46Y 60-69 years, male 2.4
GTEX-S4P3-0726-SM-4AD57 50-59 years, female 2.4
GTEX-12WSJ-0926-SM-5P9JD 40-49 years, female 2.0
GTEX-R55D-1526-SM-48FEJ 50-59 years, male 2.0
GTEX-R55G-1126-SM-48FDG 40-49 years, female 1.9
GTEX-RUSQ-1126-SM-EAZAU 50-59 years, male 1.9
GTEX-RU1J-0526-SM-46MUT 20-29 years, female 1.7
GTEX-131XE-2226-SM-5PNYX 50-59 years, male 1.6
GTEX-15EU6-2526-SM-7KUGB 50-59 years, male 1.6
GTEX-13X6H-1626-SM-5Q5CT 50-59 years, female 1.5
GTEX-ZYVF-2726-SM-5GID4 50-59 years, female 1.5
GTEX-1H1DE-1226-SM-9JGHH 20-29 years, male 1.5
GTEX-1H3NZ-2226-SM-9WYUT 60-69 years, male 1.5
GTEX-17EUY-1526-SM-793CA 20-29 years, male 1.1
GTEX-1339X-1426-SM-5K7YO 40-49 years, male 0.8
GTEX-11WQK-2626-SM-5EQ4K 50-59 years, male 0.2
Show allShow less

Contact

  • NEWS ARTICLES
  • PRESS ROOM

The Project

  • INTRODUCTION
  • ORGANIZATION
  • PUBLICATIONS

The Human Protein Atlas

  • DOWNLOADABLE DATA
  • LICENCE & CITATION
  • HELP & FAQ
The Human Protein Atlas project is funded
by the Knut & Alice Wallenberg Foundation.


contact@proteinatlas.org