We use cookies to enhance the usability of our website. If you continue, we'll assume that you are happy to receive all cookies. More information. Don't show this again.
ECHS1
HPA
RESOURCES
  • TISSUE
  • BRAIN
  • SINGLE CELL
  • SUBCELLULAR
  • CANCER
  • BLOOD
  • CELL LINE
  • STRUCTURE & INTERACTION
ABOUT
  • INTRODUCTION
  • HISTORY
  • ORGANIZATION
  • PUBLICATIONS
  • ANTIBODY SUBMISSION
  • ANTIBODY AVAILABILITY
  • ACKNOWLEDGMENTS
  • CONTACT
NEWS
  • NEWS ARTICLES
  • PRESS ROOM
LEARN
  • DICTIONARY
  • PROTEIN CLASSES
  • PROTEIN EVIDENCE
  • METHODS
  • EDUCATIONAL VIDEOS
DATA
  • DOWNLOADABLE DATA
  • PUBLICATION DATA
  • RELEASE HISTORY
HELP
  • ANTIBODY VALIDATION
  • ASSAYS & ANNOTATION
  • DISCLAIMER
  • HELP & FAQ
  • PRIVACY STATEMENT
  • LICENCE & CITATION
Fields »
Search result

Field
Term
Gene name
Class
Subclass
Class
Keyword
Chromosome
External id
Tissue
Cell type
Expression
Antibody panel
Tissue
Main location
Patient ID
Annotation
Tissue
Category
Tau score
Cluster
Reliability
Brain region
Category
Tau score
Brain region
Category
Tau score
Brain region
Category
Tau score
Cluster
Reliability
Tissue
Cell type
Enrichment
Cell type
Category
Tau score
Cell type
Category
Tau score
Cell type
Category
Tau score
Cell lineage
Category
Tau score
Cluster
Cluster
Location
Searches
Location
Cell line
Class
Type
Phase
Reliability
Cancer
Prognosis
Cancer
Category
Cancer
Category
Tau score
Cluster
Variants
Interacting gene (ensg_id)
Type
Number of interactions
Pathway
Category
Score
Score
Score
Validation
Validation
Validation
Validation
Antibodies
Data type
Column


  • SUMMARY

  • TISSUE

  • BRAIN

  • SINGLE CELL

  • SUBCELL

  • CANCER

  • BLOOD

  • CELL LINE

  • STRUCT & INT

  • ECHS1
TISSUE PRIMARY DATA ESOPHAGUS Show tissue menu
ADIPOSE TISSUE ADRENAL GLAND AMYGDALA APPENDIX BASAL GANGLIA BONE MARROW BREAST BRONCHUS CEREBELLUM CEREBRAL CORTEX CERVIX CHOROID PLEXUS COLON DUODENUM
ENDOMETRIUM EPIDIDYMIS ESOPHAGUS FALLOPIAN TUBE GALLBLADDER HEART MUSCLE HIPPOCAMPAL FORMATION HYPOTHALAMUS KIDNEY LIVER LUNG LYMPH NODE MIDBRAIN NASOPHARYNX
ORAL MUCOSA OVARY PANCREAS PARATHYROID GLAND PITUITARY GLAND PLACENTA PROSTATE RECTUM RETINA SALIVARY GLAND SEMINAL VESICLE SKELETAL MUSCLE SKIN SMALL INTESTINE
SMOOTH MUSCLE SOFT TISSUE SPINAL CORD SPLEEN STOMACH TESTIS THYMUS THYROID GLAND TONGUE TONSIL URINARY BLADDER VAGINA
ANTIBODIES
AND
VALIDATION
Dictionary
Esophagus
Tissue proteome
Esophagus
ESOPHAGUS - Expression summary
Protein expression
Esophagusi

On the top, protein expression in current human tissue, based on all annotated cell types, is reported with the units not detected (n), low (l), medium (m) and high (h). Underneath, protein expression in each annotated cell type are reported using the same units.

Protein expression data is based on knowledge-based annotation. For genes where more than one antibody has been used, a collective score is set.

If knowledge-based annotation could not be performed for a gene, no data is displayed here. View antibody staining data further down this page.

h
m
l
n
Squamous epithelial cells: High
RNA expressioni

A summary of mRNA expression data available for current tissue based on several datasets. The mRNA expression levels in human tissues are based on RNA-seq data generated by the Human Protein Atlas (HPA), Genotype-Tissue Expression (GTEx) portal and CAGE data generated by the FANTOM5 consortium. Consensus normalized expression levels for human tissues was created by combining the data from HPA and GTEx datasets.

The mRNA expression levels in pig are based on RNA-seq data generated by the Human Protein Atlas (HPA), and for mouse, HPA data and in situ hybridization generated by the Allen brain atlas are reported.

Scroll down to view mRNA expression data in more detail.
Consensus:104.4 nTPM
HPA:104.4 nTPM
GTEx:102.2 nTPM
FANTOM5:70.2 Scaled Tags Per Million

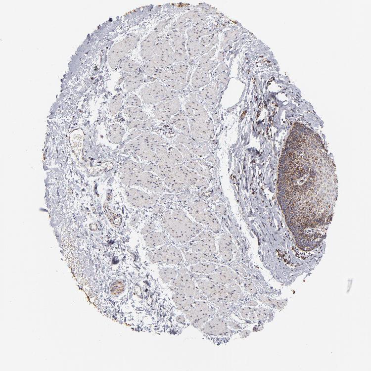
ESOPHAGUS - Antibody stainingi

Antibody staining in the annotated cell types in the current human tissue is reported as not detected, low, medium, or high, based on conventional immunohistochemistry profiling in selected tissues. This score is based on the combination of the staining intensity and fraction of stained cells.

Each image is clickable and will lead to virtual microscopy that enables deeper exploration of all samples and also displays staining intensity scores, fraction scores and subcellular localization as well as patient and tissue information for each sample.

Antibody HPA021995Antibody HPA022476Antibody CAB003783
Squamous epithelial cells HighHighHigh




ESOPHAGUS - HPA RNA-seqi

The RNA-seq details section shows detailed information about the individual samples used for the transcript profiling and results of the RNA-seq analysis.

Information about each individual sample is listed below, including gender, age, a tissue section image and estimated fractions of cell types. nTPM (normalized transcripts per million) values give a quantification of the gene abundance which is comparable between different genes and samples.
Average nTPMi

Max subtype nTPM is the value for the subtype with the largest average nTPM across the subtype samples.

104.4
overview
Female, age 70
Esophagus sample 130
nTPM: 129.7
Cell types%
Squamous epithelial cells:
35

Smooth muscle cells:
15

Skeletal muscle cells:
5

Other cell types:
45

overview
Male, age 38
Esophagus sample 131
nTPM: 89.6
Cell types%
Squamous epithelial cells:
60

Smooth muscle cells:
20

Other cell types:
20

overview
Male, age 76
Esophagus sample 132
nTPM: 93.8
Cell types%
Squamous epithelial cells:
45

Smooth muscle cells:
15

Other cell types:
40


ESOPHAGUS - GTEx RNA-seqi

RNA-Seq data generated by the Genotype-Tissue Expression (GTEx) project from human tissues is reported as mean nTPM. More information can be found on the GTEx portal.

Distribution across the dataset is visualized with box plots, shown as median and 25th and 75th percentiles. Points are displayed as outliers if they are above or below 1.5 times the interquartile range. nTPM values of the individual samples are presented next to the box plot.
Max subtype nTPMi

Max subtype nTPM is the value for the subtype with the largest average nTPM across the subtype samples.

102.2
GTEx sample id Sample description nTPM
Esophagus - Mucosa
Average nTPM: 102.2
Samples: 555

Max nTPM: 259.9
Min nTPM: 50.1
Std nTPM: 22.6
Median nTPM: 100.2
GTEX-15RIF-0826-SM-6M47C 20-29 years, male 259.9
GTEX-14PJ5-0526-SM-664OE 60-69 years, female 256.3
GTEX-1269C-1026-SM-5N9EY 60-69 years, female 176.0
GTEX-16A39-1026-SM-6LPJU 30-39 years, female 173.3
GTEX-XQ3S-1126-SM-4BOPK 20-29 years, male 169.9
GTEX-1MCQQ-1026-SM-EV7AX 60-69 years, male 167.6
GTEX-1NSGN-2026-SM-DPRYM 50-59 years, male 164.8
GTEX-145ME-5004-SM-7MGXP 40-49 years, female 164.5
GTEX-1JMPZ-2026-SM-C1YR8 30-39 years, male 163.6
GTEX-Q2AG-1326-SM-43V8K 40-49 years, female 154.9
GTEX-ZXES-1126-SM-5GZXN 30-39 years, female 152.8
GTEX-YEC3-2526-SM-CXZIH 50-59 years, male 152.7
GTEX-1N2EE-2426-SM-EXOIO 60-69 years, male 152.4
GTEX-1HCU8-2226-SM-9WPOV 60-69 years, female 151.8
GTEX-Y8E4-1726-SM-5LU9G 40-49 years, male 151.7
GTEX-YEC4-1026-SM-9WG7N 40-49 years, male 151.0
GTEX-1RDX4-2126-SM-EV7B3 50-59 years, female 148.0
GTEX-18D9U-2126-SM-7LG4Y 40-49 years, male 147.4
GTEX-1KANB-1826-SM-DHXJU 50-59 years, male 145.8
GTEX-15F5U-5010-SM-AHZ2D 40-49 years, male 142.8
GTEX-1CAMQ-2726-SM-7MKGD 40-49 years, male 142.8
GTEX-18QFQ-1026-SM-7LG6B 30-39 years, male 142.2
GTEX-1EX96-2226-SM-7MKGT 50-59 years, male 141.8
GTEX-18465-1126-SM-7LG6E 50-59 years, male 141.7
GTEX-1F88F-1126-SM-7MKHL 60-69 years, female 139.8
GTEX-1PPH8-1626-SM-E6CQP 20-29 years, male 139.7
GTEX-1GF9U-0826-SM-7MXTZ 40-49 years, female 139.2
GTEX-13OVI-2626-SM-5KM4T 60-69 years, female 137.3
GTEX-WOFM-0626-SM-4OOS3 20-29 years, male 137.3
GTEX-1H23P-1426-SM-9JGH5 60-69 years, male 135.9
GTEX-14PKV-1726-SM-6871U 20-29 years, female 135.6
GTEX-1399S-1326-SM-5P9GH 30-39 years, female 135.3
GTEX-16Z82-1926-SM-6M47U 60-69 years, male 135.2
GTEX-QV44-1126-SM-CL55C 50-59 years, male 134.6
GTEX-UPJH-1026-SM-EAZB2 50-59 years, male 134.6
GTEX-14ICK-2026-SM-6AJB2 40-49 years, male 134.0
GTEX-YFC4-1226-SM-5LU9R 40-49 years, female 133.2
GTEX-Y5LM-1026-SM-4VDSQ 40-49 years, female 132.5
GTEX-S7SF-0926-SM-4AD4M 20-29 years, female 131.9
GTEX-18A66-1426-SM-7KFRT 60-69 years, male 131.7
GTEX-18A6Q-1226-SM-7KFS9 60-69 years, male 131.7
GTEX-1RAZA-1326-SM-DPS12 20-29 years, male 131.7
GTEX-14E1K-1226-SM-5S2PD 50-59 years, male 131.5
GTEX-1CB4E-1026-SM-793AB 60-69 years, male 131.3
GTEX-1KXAM-0826-SM-CXZK9 60-69 years, male 131.3
GTEX-ZT9W-1326-SM-51MTB 50-59 years, male 131.2
GTEX-11DXY-1426-SM-5N9CN 60-69 years, male 131.1
GTEX-1MCC2-1926-SM-DHXJR 30-39 years, female 131.0
GTEX-WQUQ-1626-SM-4OOSH 60-69 years, male 130.8
GTEX-1AYD5-0926-SM-793AF 50-59 years, male 130.6
GTEX-15SB6-0726-SM-6M48F 50-59 years, female 130.5
GTEX-15RIE-0826-SM-6M47X 60-69 years, male 130.2
GTEX-15RJE-0926-SM-6LLHZ 40-49 years, male 130.1
GTEX-148VJ-1026-SM-5LU98 70-79 years, male 130.0
GTEX-T8EM-0526-SM-4DM64 40-49 years, male 129.7
GTEX-TML8-1526-SM-4DXUX 40-49 years, female 129.1
GTEX-X3Y1-1326-SM-4PQZB 40-49 years, male 129.0
GTEX-1C2JI-1126-SM-731FH 50-59 years, male 128.6
GTEX-13PVR-1826-SM-5Q5CC 60-69 years, female 127.6
GTEX-18A7A-2326-SM-7KFRH 50-59 years, female 127.3
GTEX-QDVJ-0726-SM-48U1W 50-59 years, male 126.3
GTEX-XMK1-1326-SM-4B65Q 40-49 years, male 126.0
GTEX-1F5PK-1526-SM-7MKGV 50-59 years, male 125.6
GTEX-148VI-1026-SM-5TDDJ 60-69 years, female 125.5
GTEX-1S83E-0826-SM-EV7B7 40-49 years, male 125.4
GTEX-1K2DA-0626-SM-CGQGO 50-59 years, male 125.1
GTEX-1399Q-1126-SM-5P9JA 40-49 years, male 124.8
GTEX-13NYB-0926-SM-5IFFA 40-49 years, male 124.8
GTEX-PLZ6-0526-SM-3P61C 30-39 years, male 124.7
GTEX-ZE9C-1126-SM-4WWBD 60-69 years, male 124.4
GTEX-1K2DU-1726-SM-EV79S 20-29 years, male 124.1
GTEX-S95S-0426-SM-4B64I 60-69 years, male 123.7
GTEX-1N2DV-2026-SM-EV7BL 40-49 years, male 123.3
GTEX-1KANA-0626-SM-D4P3I 20-29 years, male 123.2
GTEX-11ZTS-2626-SM-5EGIC 60-69 years, female 123.1
GTEX-13NZB-1226-SM-5J2MW 30-39 years, male 123.1
GTEX-ZTX8-0226-SM-5E44D 20-29 years, male 123.1
GTEX-1L5NE-1426-SM-DHXKV 50-59 years, male 123.0
GTEX-183FY-1526-SM-7IGOW 20-29 years, male 122.5
GTEX-1QP2A-1926-SM-EXOJ9 50-59 years, male 122.1
GTEX-OIZG-1026-SM-3LK5X 50-59 years, male 121.7
GTEX-1GPI7-1026-SM-7MGY2 20-29 years, male 121.6
GTEX-16NGA-1426-SM-718AC 40-49 years, female 121.0
GTEX-1122O-1726-SM-5GICM 60-69 years, female 120.9
GTEX-11NSD-1126-SM-5N9BQ 20-29 years, male 120.9
GTEX-1OKEX-1326-SM-E9J2U 60-69 years, male 120.9
GTEX-1RAZR-1226-SM-E6CRD 40-49 years, male 120.8
GTEX-1NUQO-1126-SM-DTX98 20-29 years, female 120.7
GTEX-1JMQJ-1226-SM-D3L97 50-59 years, male 119.9
GTEX-1RAZS-2626-SM-EV79C 50-59 years, male 119.9
GTEX-14DAR-0826-SM-73KYJ 50-59 years, male 119.5
GTEX-U4B1-0826-SM-4DXTW 40-49 years, male 119.5
GTEX-XGQ4-1526-SM-4AT6H 50-59 years, male 119.5
GTEX-1EKGG-1726-SM-7MXUP 60-69 years, male 119.5
GTEX-OIZF-0626-SM-7MKHG 60-69 years, male 119.5
GTEX-W5WG-1626-SM-4LMKG 50-59 years, female 119.3
GTEX-1EH9U-2426-SM-7EWFG 60-69 years, male 119.2
GTEX-1HKZK-1426-SM-A96U1 40-49 years, male 119.2
GTEX-11LCK-1726-SM-5S2OQ 30-39 years, male 118.9
GTEX-ZGAY-1126-SM-4WWBS 40-49 years, female 118.9
GTEX-ZG7Y-1126-SM-4WWEZ 50-59 years, male 118.8
GTEX-ZLWG-1326-SM-DNZYZ 50-59 years, female 118.8
GTEX-RWS6-0826-SM-47JXF 60-69 years, female 118.6
GTEX-14PJN-0526-SM-68724 30-39 years, male 118.5
GTEX-1I1GQ-1726-SM-B2LWZ 50-59 years, male 118.5
GTEX-ZLFU-1126-SM-DO11K 40-49 years, male 118.5
GTEX-1HSKV-2426-SM-A8N8K 60-69 years, male 118.4
GTEX-13FHP-1526-SM-5IJGE 50-59 years, male 118.1
GTEX-1S82Y-1226-SM-EV7BD 40-49 years, male 118.1
GTEX-11P82-0526-SM-5986P 20-29 years, male 117.9
GTEX-1MCYP-1026-SM-DPRYB 20-29 years, female 117.9
GTEX-1F75I-1726-SM-7MKGW 40-49 years, male 117.8
GTEX-RU1J-0326-SM-46MUM 20-29 years, female 117.8
GTEX-O5YV-1026-SM-3LK72 60-69 years, female 117.7
GTEX-17F98-1726-SM-7938O 40-49 years, female 117.6
GTEX-RN64-1026-SM-48FDX 50-59 years, male 117.6
GTEX-SNMC-0526-SM-4DM69 20-29 years, male 117.6
GTEX-Y5V5-1626-SM-4VDSG 60-69 years, female 117.4
GTEX-P4PQ-0626-SM-3NMCU 60-69 years, male 117.2
GTEX-1LVAN-2326-SM-CNNPY 50-59 years, female 117.2
GTEX-U3ZN-1726-SM-4DXUQ 30-39 years, female 117.1
GTEX-WRHK-0526-SM-4MVOF 20-29 years, female 117.0
GTEX-14ICL-0526-SM-5RQJ6 30-39 years, male 116.9
GTEX-1LG7Z-0926-SM-CXKYK 30-39 years, male 116.5
GTEX-1QCLY-1526-SM-DPRXX 30-39 years, male 116.5
GTEX-ZF2S-1226-SM-4WWAX 50-59 years, female 116.3
GTEX-POYW-1326-SM-48TCG 60-69 years, male 116.1
GTEX-17MFQ-0526-SM-7KFTX 20-29 years, male 115.7
GTEX-V1D1-1026-SM-4JBHE 50-59 years, male 115.7
GTEX-1EWIQ-1526-SM-79OO7 70-79 years, female 115.6
GTEX-PWN1-0626-SM-48TDT 40-49 years, female 115.5
GTEX-1B996-1826-SM-7MGY6 60-69 years, male 115.1
GTEX-1HCU6-1326-SM-A96TZ 60-69 years, female 115.1
GTEX-1I4MK-0426-SM-B2LWQ 50-59 years, female 115.1
GTEX-TKQ1-0326-SM-4DXSM 30-39 years, male 114.8
GTEX-1IKOE-1526-SM-C1YSD 30-39 years, female 114.7
GTEX-11NUK-1326-SM-5P9GN 50-59 years, male 114.6
GTEX-XQ8I-1526-SM-4BOOH 50-59 years, male 114.5
GTEX-1MGNQ-1626-SM-EAZ4Z 40-49 years, male 114.4
GTEX-17EVQ-1926-SM-7IGOF 70-79 years, male 114.3
GTEX-1LB8K-1326-SM-CXZKB 50-59 years, male 114.3
GTEX-1IDJH-2026-SM-CNNQX 70-79 years, male 114.0
GTEX-ZVP2-1326-SM-57WCE 50-59 years, male 113.8
GTEX-18D9A-0526-SM-7KFSW 30-39 years, female 113.6
GTEX-ZF29-1326-SM-DNZYV 60-69 years, female 113.6
GTEX-Y5V6-1026-SM-4VBS2 60-69 years, male 113.4
GTEX-1LG7Y-1726-SM-EV7AR 50-59 years, male 113.4
GTEX-12C56-1226-SM-5FQSU 20-29 years, male 113.1
GTEX-S33H-0826-SM-4AD5Y 30-39 years, male 113.0
GTEX-YF7O-0926-SM-5IFIF 50-59 years, male 112.8
GTEX-WFG8-1226-SM-4V6EI 20-29 years, male 112.7
GTEX-17HHE-0926-SM-7938K 50-59 years, male 112.2
GTEX-1EMGI-1926-SM-7938Y 60-69 years, male 112.1
GTEX-ZLV1-0526-SM-4WWD4 60-69 years, female 111.9
GTEX-R55C-0826-SM-48FCL 40-49 years, male 111.8
GTEX-11DXZ-1226-SM-5H11L 50-59 years, male 111.5
GTEX-S341-0526-SM-4AD5U 40-49 years, female 111.5
GTEX-ZTSS-0626-SM-59867 40-49 years, male 111.5
GTEX-117YW-1926-SM-5H121 50-59 years, male 111.3
GTEX-11I78-1526-SM-5A5K7 50-59 years, female 111.2
GTEX-14A6H-1326-SM-5NQBC 30-39 years, male 111.1
GTEX-1GMR2-1526-SM-7MXV6 50-59 years, male 111.1
GTEX-1J8EW-1326-SM-AHZ3S 60-69 years, female 111.0
GTEX-139YR-1726-SM-5IFFK 50-59 years, male 110.9
GTEX-S32W-0926-SM-4AD5X 50-59 years, female 110.8
GTEX-1LNCM-0626-SM-EV7AI 50-59 years, female 110.8
GTEX-132QS-1426-SM-5P9GE 60-69 years, male 110.7
GTEX-14PJ3-0626-SM-6UGC5 50-59 years, male 110.5
GTEX-1LSVX-1226-SM-DHXJN 60-69 years, male 110.5
GTEX-1J1R8-0326-SM-AHZ3D 40-49 years, male 110.4
GTEX-15ER7-2126-SM-7939E 20-29 years, female 110.1
GTEX-13111-0826-SM-5LZV3 50-59 years, male 110.0
GTEX-XBEW-1326-SM-4AT63 40-49 years, male 110.0
GTEX-WHPG-1126-SM-4M1XT 50-59 years, male 109.7
GTEX-U3ZH-1026-SM-4DXUZ 30-39 years, male 109.6
GTEX-1EN7A-1226-SM-7MGX9 40-49 years, male 109.6
GTEX-146FR-0426-SM-5SI97 60-69 years, female 109.5
GTEX-11ONC-1526-SM-5GU6S 60-69 years, male 109.4
GTEX-1B97I-0926-SM-731DZ 40-49 years, male 109.4
GTEX-1H1DE-1026-SM-9JGH6 20-29 years, male 109.4
GTEX-146FH-1726-SM-5QGQ2 50-59 years, female 109.3
GTEX-PWCY-0726-SM-48TCS 20-29 years, female 109.2
GTEX-T5JW-1326-SM-4DM5G 20-29 years, female 109.2
GTEX-14C38-2126-SM-5RQJO 50-59 years, male 109.1
GTEX-OXRK-1326-SM-3NB1A 50-59 years, female 108.9
GTEX-1R9PM-0926-SM-DPRYA 20-29 years, male 108.8
GTEX-1399R-0826-SM-5IJEL 30-39 years, male 108.7
GTEX-145LU-0926-SM-79OJL 50-59 years, male 108.6
GTEX-1AMEY-0226-SM-7189Q 30-39 years, female 108.6
GTEX-1QCLZ-1626-SM-E9U5R 60-69 years, female 108.4
GTEX-Y3IK-1126-SM-51MSV 50-59 years, female 108.3
GTEX-ZDTT-1326-SM-4WKFH 60-69 years, male 108.3
GTEX-14PJ4-1526-SM-664OA 60-69 years, male 108.1
GTEX-145LV-1326-SM-5S2QI 50-59 years, male 108.0
GTEX-14BIN-2726-SM-5RQIE 50-59 years, female 108.0
GTEX-QCQG-0626-SM-48U21 50-59 years, female 108.0
GTEX-ZVT2-1326-SM-5E45H 50-59 years, female 108.0
GTEX-12WSK-1126-SM-5LZV8 40-49 years, female 107.8
GTEX-11DXX-1126-SM-5GZZK 60-69 years, female 107.7
GTEX-1PIGE-0926-SM-E9U5Z 20-29 years, male 107.7
GTEX-17JCI-1226-SM-793D9 60-69 years, female 107.5
GTEX-T6MO-0526-SM-4DM6R 40-49 years, female 107.5
GTEX-1CB4G-1326-SM-7MKFP 60-69 years, male 107.4
GTEX-14JIY-0926-SM-6871D 60-69 years, male 107.3
GTEX-13X6H-1326-SM-5LU42 50-59 years, female 107.2
GTEX-YB5E-0926-SM-4WWDQ 40-49 years, male 107.0
GTEX-1R9JW-1526-SM-DPRZK 30-39 years, female 107.0
GTEX-X15G-0826-SM-4PQZD 50-59 years, female 106.9
GTEX-16BQI-1526-SM-6LLIE 30-39 years, female 106.8
GTEX-ZV68-0926-SM-59HK7 50-59 years, female 106.8
GTEX-WXYG-1226-SM-4ONCJ 50-59 years, female 106.7
GTEX-PLZ4-1626-SM-3P618 50-59 years, female 106.6
GTEX-1JKYN-1526-SM-CGQGA 30-39 years, male 106.5
GTEX-1MA7X-0726-SM-EV7AB 60-69 years, male 106.5
GTEX-R55G-1026-SM-48FDI 40-49 years, female 106.4
GTEX-1QP67-0726-SM-DPRY1 40-49 years, female 106.1
GTEX-1R7EU-0826-SM-DPRZL 60-69 years, male 106.0
GTEX-11GSP-1826-SM-5N9DQ 60-69 years, female 105.7
GTEX-1LVAM-1126-SM-DHXKP 50-59 years, female 105.4
GTEX-ZA64-0626-SM-5HL9O 20-29 years, male 105.3
GTEX-ZC5H-1326-SM-5HL7E 40-49 years, female 105.2
GTEX-1GMR3-1526-SM-9JGGL 40-49 years, male 105.1
GTEX-1OJC3-0826-SM-DPRYU 20-29 years, male 105.0
GTEX-S4P3-0426-SM-4AD56 50-59 years, female 104.9
GTEX-14AS3-0626-SM-5QGQD 40-49 years, female 104.8
GTEX-1IDJD-1626-SM-C1YRC 30-39 years, male 104.8
GTEX-OIZH-0626-SM-3NB1L 50-59 years, male 104.3
GTEX-1AX9J-1826-SM-731FM 60-69 years, male 104.1
GTEX-14PJM-1526-SM-664NY 50-59 years, female 104.0
GTEX-QEG5-1426-SM-447AS 20-29 years, male 104.0
GTEX-1MA7W-0426-SM-E9TJ5 20-29 years, female 104.0
GTEX-18A67-2426-SM-7LT95 50-59 years, male 103.9
GTEX-11P81-0826-SM-5P9GR 30-39 years, female 103.8
GTEX-Q2AI-0626-SM-48TZU 40-49 years, male 103.8
GTEX-18D9B-2026-SM-7LT96 60-69 years, male 103.7
GTEX-13U4I-1126-SM-5LU3S 40-49 years, female 103.6
GTEX-OOBK-0625-SM-3LK5P 40-49 years, male 103.6
GTEX-16NPX-1626-SM-6LLI5 50-59 years, male 103.5
GTEX-OIZI-1426-SM-3NB1T 40-49 years, male 103.5
GTEX-R55E-1326-SM-48FCR 20-29 years, male 103.4
GTEX-1J8QM-1926-SM-AHZ3Z 60-69 years, female 103.4
GTEX-NFK9-1126-SM-3LK78 40-49 years, male 103.3
GTEX-1QP9N-0926-SM-E9U5S 30-39 years, male 103.3
GTEX-QDVN-1026-SM-48TZA 50-59 years, male 103.1
GTEX-131XE-1426-SM-5HL7V 50-59 years, male 103.0
GTEX-131XF-0826-SM-5GICG 60-69 years, male 102.8
GTEX-14B4R-0326-SM-5TDDP 30-39 years, male 102.8
GTEX-1RAZQ-1726-SM-EAZ4T 30-39 years, male 102.8
GTEX-WFG7-1126-SM-4LMK3 20-29 years, male 102.7
GTEX-QLQW-0526-SM-4R1KS 30-39 years, male 102.6
GTEX-1IDJF-1226-SM-C1YPX 20-29 years, male 102.5
GTEX-OXRP-0926-SM-48TC1 60-69 years, female 102.4
GTEX-1GN1U-1826-SM-9JGH2 50-59 years, female 102.4
GTEX-1I1GR-1326-SM-ARU7B 60-69 years, male 102.4
GTEX-13FTX-0526-SM-5IFGS 20-29 years, female 102.3
GTEX-12WSL-1526-SM-5GCP8 50-59 years, male 102.2
GTEX-144GM-1426-SM-5LU31 20-29 years, male 102.1
GTEX-178AV-0526-SM-6LPJH 40-49 years, male 101.9
GTEX-WHSB-0426-SM-4M1XI 50-59 years, male 101.6
GTEX-1QEPI-1826-SM-EAZ3J 60-69 years, female 101.6
GTEX-1CB4I-1026-SM-7MKFZ 50-59 years, male 101.4
GTEX-1A32A-1826-SM-72D5G 50-59 years, female 101.3
GTEX-1HSMQ-2026-SM-B2LY1 50-59 years, male 101.3
GTEX-13OVK-1126-SM-6PAMR 40-49 years, male 101.2
GTEX-1HB9E-1526-SM-D3LA6 50-59 years, male 101.2
GTEX-1CB4F-1526-SM-7MKFM 60-69 years, male 101.0
GTEX-12WSD-1826-SM-5GCOA 60-69 years, female 100.9
GTEX-1QW4Y-0526-SM-EAZ3V 30-39 years, male 100.7
GTEX-11P7K-1326-SM-5BC5G 30-39 years, male 100.6
GTEX-169BO-0526-SM-793AK 50-59 years, male 100.6
GTEX-ZY6K-0626-SM-59HJL 50-59 years, male 100.6
GTEX-1JKYR-2126-SM-CNNPC 20-29 years, male 100.6
GTEX-13W3W-1626-SM-5LU35 60-69 years, female 100.5
GTEX-VJYA-0726-SM-4KL1T 60-69 years, male 100.5
GTEX-1HC8U-1526-SM-9WPO4 40-49 years, female 100.5
GTEX-ZYFG-1126-SM-5GICY 60-69 years, female 100.4
GTEX-1IKK5-1326-SM-AHZ2X 60-69 years, male 100.2
GTEX-1PPGY-1726-SM-EVR3S 60-69 years, male 100.2
GTEX-13SLX-1726-SM-5Q5E5 50-59 years, female 100.0
GTEX-RM2N-0726-SM-48FD5 50-59 years, male 100.0
GTEX-ZYY3-1526-SM-5SIA9 60-69 years, female 100.0
GTEX-13O3Q-0826-SM-5IFGF 50-59 years, male 99.8
GTEX-WYJK-1926-SM-4ONDP 50-59 years, male 99.8
GTEX-1I1GU-1426-SM-B2LX3 40-49 years, male 99.8
GTEX-13FTW-1626-SM-5KM4N 40-49 years, male 99.7
GTEX-1A3MV-1326-SM-7LG6C 30-39 years, male 99.7
GTEX-Z9EW-0526-SM-5HL8S 40-49 years, male 99.6
GTEX-R53T-1126-SM-48FD4 50-59 years, female 99.5
GTEX-12696-1326-SM-5FQTJ 60-69 years, male 99.4
GTEX-15SHU-1426-SM-6LPIN 40-49 years, female 99.2
GTEX-U3ZM-0526-SM-4DXTB 40-49 years, male 99.2
GTEX-UPK5-1226-SM-4IHL8 40-49 years, male 99.2
GTEX-SE5C-1226-SM-4BRWV 40-49 years, female 99.1
GTEX-WYVS-0726-SM-4ONDO 40-49 years, female 99.1
GTEX-XUZC-0426-SM-4BOPE 30-39 years, female 99.1
GTEX-13QBU-1026-SM-5LU3R 40-49 years, female 99.0
GTEX-1C64O-1826-SM-7DHM4 60-69 years, male 99.0
GTEX-13FLV-1126-SM-5J2NO 50-59 years, male 98.9
GTEX-133LE-0626-SM-5IFFJ 20-29 years, female 98.6
GTEX-WFJO-0826-SM-4LVM5 30-39 years, male 98.5
GTEX-ZDYS-0826-SM-4WWCR 50-59 years, male 98.3
GTEX-ZF3C-1626-SM-4WWB4 50-59 years, female 98.3
GTEX-14PJ6-1026-SM-686ZB 60-69 years, female 98.2
GTEX-1C475-0926-SM-7MKFI 40-49 years, female 98.2
GTEX-OXRL-0626-SM-3NM9C 50-59 years, male 98.2
GTEX-17HGU-1426-SM-7938G 50-59 years, male 98.1
GTEX-Q2AH-0826-SM-48TZN 40-49 years, male 98.1
GTEX-ZEX8-1426-SM-4WKHQ 50-59 years, male 98.1
GTEX-15DYW-1826-SM-6LPIY 60-69 years, female 97.9
GTEX-1KAFJ-0626-SM-D3L8X 50-59 years, male 97.9
GTEX-11ZU8-1526-SM-5EGHX 60-69 years, male 97.8
GTEX-1HBPI-0626-SM-9WPP4 50-59 years, male 97.8
GTEX-1AMFI-0226-SM-731D5 50-59 years, female 97.6
GTEX-OXRN-1726-SM-3NM9B 50-59 years, male 97.6
GTEX-ZPU1-1426-SM-4WWFU 40-49 years, male 97.6
GTEX-1I1GS-2126-SM-ARU7G 60-69 years, male 97.4
GTEX-1H11D-2126-SM-9OSXM 40-49 years, male 97.3
GTEX-1LSNL-2226-SM-DHXKM 50-59 years, male 97.3
GTEX-1B933-2026-SM-7EWFC 50-59 years, female 97.2
GTEX-QESD-0826-SM-47J4G 20-29 years, male 97.2
GTEX-13OVG-0626-SM-5IFEP 60-69 years, male 97.1
GTEX-X4XY-1726-SM-46MVO 60-69 years, male 97.1
GTEX-1LBAC-1226-SM-DHXK1 20-29 years, male 97.0
GTEX-YB5K-0826-SM-5YYB7 40-49 years, female 96.9
GTEX-11EM3-0826-SM-5N9CC 20-29 years, female 96.6
GTEX-145MO-1426-SM-DTX9W 60-69 years, male 96.4
GTEX-1I1CD-1726-SM-A9G3P 60-69 years, female 96.4
GTEX-147F3-0826-SM-5NQA7 50-59 years, female 96.3
GTEX-1A8FM-1526-SM-7MXTA 50-59 years, female 96.2
GTEX-1JK1U-1726-SM-CNNPM 60-69 years, male 96.2
GTEX-13G51-0926-SM-5IFFU 60-69 years, male 96.1
GTEX-14JG6-0926-SM-6871Y 30-39 years, female 96.1
GTEX-RU72-0726-SM-46MUW 50-59 years, female 96.0
GTEX-Y9LG-0626-SM-4WWDH 30-39 years, male 96.0
GTEX-13O21-0626-SM-5IJDI 50-59 years, male 95.8
GTEX-TMMY-1126-SM-4DXSX 40-49 years, female 95.8
GTEX-R3RS-1326-SM-48FE7 40-49 years, female 95.7
GTEX-ZUA1-1226-SM-5NQ6O 40-49 years, male 95.7
GTEX-13RTK-0526-SM-5S2QF 20-29 years, male 95.6
GTEX-13OW8-2326-SM-5L3I9 60-69 years, male 95.5
GTEX-14H4A-1626-SM-5SI69 40-49 years, female 95.5
GTEX-1AX9K-1126-SM-731DQ 50-59 years, male 95.3
GTEX-13FHO-1726-SM-DPRZX 60-69 years, male 95.3
GTEX-17HII-1526-SM-9OSVD 50-59 years, male 95.1
GTEX-1AX8Z-5016-SM-AHZ2B 60-69 years, male 95.0
GTEX-12KS4-0926-SM-5BC5S 30-39 years, male 94.9
GTEX-X4EO-1226-SM-4QARR 60-69 years, female 94.9
GTEX-1N2DW-1426-SM-EV7AZ 50-59 years, male 94.9
GTEX-Y8LW-0726-SM-5IFI1 50-59 years, female 94.8
GTEX-12ZZY-1426-SM-5N9EI 60-69 years, male 94.7
GTEX-ZTPG-1626-SM-5DUX2 20-29 years, female 94.6
GTEX-16XZY-0926-SM-7938M 70-79 years, male 94.4
GTEX-VUSG-1226-SM-4KKZF 50-59 years, male 94.4
GTEX-WFON-0826-SM-4LVMI 40-49 years, male 94.2
GTEX-PVOW-1626-SM-48TC9 40-49 years, male 94.1
GTEX-1I1GV-2226-SM-ARU7E 60-69 years, male 94.0
GTEX-13O1R-1326-SM-5IJF5 60-69 years, male 93.8
GTEX-144GN-0626-SM-5O9B2 50-59 years, male 93.7
GTEX-WVLH-1426-SM-4MVNX 50-59 years, male 93.7
GTEX-ZYVF-2226-SM-5GIDD 50-59 years, female 93.7
GTEX-WEY5-0926-SM-4LMI4 40-49 years, female 93.6
GTEX-Y3I4-1226-SM-4TT8N 50-59 years, male 93.5
GTEX-1HGF4-0926-SM-9WPP8 60-69 years, male 93.5
GTEX-145MN-1026-SM-5NQ9G 30-39 years, male 93.4
GTEX-15UF7-0926-SM-6M46F 40-49 years, male 93.4
GTEX-N7MT-0326-SM-48TDP 60-69 years, female 93.2
GTEX-QVUS-0626-SM-447CC 60-69 years, female 93.2
GTEX-139UW-1126-SM-5IJEJ 60-69 years, male 93.0
GTEX-Y114-0926-SM-4TT7J 50-59 years, female 93.0
GTEX-1J1OQ-2526-SM-AHZ3Q 40-49 years, female 93.0
GTEX-139T6-0626-SM-5IFF9 50-59 years, male 92.9
GTEX-1H1ZS-1526-SM-9OSXR 70-79 years, male 92.8
GTEX-12WSG-5007-SM-7DUGZ 50-59 years, female 92.6
GTEX-QEL4-1426-SM-447AC 50-59 years, male 92.6
GTEX-1LGRB-1626-SM-CNNR7 50-59 years, female 92.6
GTEX-XYKS-1526-SM-4BRUP 60-69 years, female 92.5
GTEX-1MJIX-0826-SM-DTXEO 40-49 years, male 92.5
GTEX-1H1DG-1226-SM-9JGH3 70-79 years, male 92.4
GTEX-12ZZX-1326-SM-5DUWI 40-49 years, female 92.2
GTEX-14BMU-0926-SM-5S2QB 20-29 years, female 91.8
GTEX-UJMC-0926-SM-4IHLK 50-59 years, male 91.8
GTEX-13D11-1926-SM-5IFGB 50-59 years, female 91.7
GTEX-15DCE-1326-SM-6LPJL 20-29 years, male 91.5
GTEX-1B8KE-1826-SM-731FD 50-59 years, male 91.5
GTEX-TSE9-1226-SM-4DXTM 60-69 years, female 91.5
GTEX-U8XE-1726-SM-4E3IF 30-39 years, male 91.5
GTEX-1399U-1026-SM-5J1OC 50-59 years, female 91.4
GTEX-X4LF-0626-SM-4QASB 50-59 years, male 91.4
GTEX-146FQ-1026-SM-5LU8I 30-39 years, male 91.3
GTEX-1B8KZ-0726-SM-7938W 50-59 years, male 91.3
GTEX-P4QT-0626-SM-3NMCP 50-59 years, female 91.3
GTEX-1212Z-2126-SM-5FQTM 60-69 years, male 91.2
GTEX-WH7G-0926-SM-4LVMJ 40-49 years, male 91.0
GTEX-11EI6-1526-SM-5P9GL 60-69 years, male 90.9
GTEX-13S86-0826-SM-5SI6J 40-49 years, male 90.9
GTEX-YJ89-1526-SM-5P9IR 60-69 years, male 90.9
GTEX-14E6E-0726-SM-5S2R3 30-39 years, male 90.6
GTEX-11EMC-2226-SM-5A5JW 60-69 years, female 90.3
GTEX-12BJ1-1626-SM-5HL8Y 60-69 years, male 90.3
GTEX-15DCD-1626-SM-6AJBH 70-79 years, female 90.2
GTEX-17F96-2526-SM-7DHL3 70-79 years, male 90.2
GTEX-1AX9I-1426-SM-7DHM8 60-69 years, male 90.2
GTEX-111CU-0726-SM-5GZYD 50-59 years, male 90.0
GTEX-13W46-1926-SM-5J2MF 50-59 years, male 90.0
GTEX-RNOR-1226-SM-48FDQ 50-59 years, female 89.8
GTEX-1HCVE-1226-SM-9WPPH 50-59 years, male 89.8
GTEX-1HCUA-1426-SM-9WPP7 50-59 years, female 89.6
GTEX-RVPV-0526-SM-47JYL 60-69 years, male 89.3
GTEX-QLQ7-0926-SM-447BC 60-69 years, male 89.2
GTEX-S4Q7-0626-SM-4AD5M 20-29 years, male 89.2
GTEX-1R9K5-1526-SM-DPRZA 50-59 years, male 89.2
GTEX-XBED-1026-SM-48TCB 60-69 years, male 89.1
GTEX-ZAB4-1126-SM-5HL86 40-49 years, male 89.0
GTEX-QEG4-0726-SM-CNNRF 30-39 years, male 89.0
GTEX-139TU-1226-SM-5J2NL 60-69 years, male 88.8
GTEX-1M5QR-0726-SM-DHXK7 40-49 years, male 88.8
GTEX-WHSE-1526-SM-4M1XH 20-29 years, male 88.5
GTEX-UJHI-0826-SM-4IHLM 50-59 years, female 88.4
GTEX-1QPFJ-1226-SM-EAZ3M 30-39 years, female 88.1
GTEX-13YAN-1926-SM-7EPH9 60-69 years, male 88.0
GTEX-YECK-1626-SM-5IFHQ 60-69 years, male 88.0
GTEX-1GN1W-2226-SM-9JGI5 50-59 years, female 88.0
GTEX-PSDG-1326-SM-48TD2 50-59 years, male 87.9
GTEX-1HFI6-1226-SM-A96SK 40-49 years, male 87.9
GTEX-144FL-2726-SM-5O98Z 50-59 years, male 87.6
GTEX-WHWD-0926-SM-4OORY 50-59 years, male 87.6
GTEX-1KD4Q-1126-SM-CXZKK 40-49 years, male 87.4
GTEX-1CB4H-1526-SM-7MXU4 60-69 years, female 87.3
GTEX-PLZ5-0926-SM-3TW8L 50-59 years, male 86.7
GTEX-13PL7-0226-SM-731DT 60-69 years, female 86.6
GTEX-15EU6-1626-SM-6LPKF 50-59 years, male 86.6
GTEX-SUCS-0726-SM-4DM7J 70-79 years, male 86.6
GTEX-ZQUD-0426-SM-57WFR 30-39 years, male 86.6
GTEX-111YS-0926-SM-5EGGI 60-69 years, male 86.4
GTEX-16MTA-0826-SM-6LLIC 50-59 years, male 86.4
GTEX-12WSA-1426-SM-5EGJU 60-69 years, male 86.1
GTEX-13PVQ-1726-SM-5IFF3 50-59 years, male 86.1
GTEX-13FH7-0526-SM-5IJF8 50-59 years, female 85.9
GTEX-1HBPH-1126-SM-A96TU 40-49 years, female 85.9
GTEX-145MF-1426-SM-5O9B6 50-59 years, male 85.8
GTEX-SJXC-1426-SM-EYYVB 60-69 years, male 85.3
GTEX-14PK6-1326-SM-686ZE 70-79 years, female 85.0
GTEX-V955-1126-SM-4JBH3 60-69 years, male 84.7
GTEX-XXEK-0326-SM-4BRVV 50-59 years, male 84.7
GTEX-R55D-1126-SM-48FEB 50-59 years, male 84.6
GTEX-WK11-1026-SM-4OOS8 50-59 years, male 84.5
GTEX-12WSN-5013-SM-7P8P9 40-49 years, male 84.5
GTEX-ZZ64-0226-SM-5E44X 20-29 years, male 84.3
GTEX-ZT9X-0526-SM-5GCOP 40-49 years, male 84.1
GTEX-1JMPY-0826-SM-AHZ4A 30-39 years, male 84.1
GTEX-131YS-1426-SM-5IJF7 60-69 years, female 84.0
GTEX-RTLS-1126-SM-46MUQ 60-69 years, female 83.9
GTEX-131XG-1026-SM-5GCMX 50-59 years, female 83.7
GTEX-13X6K-2126-SM-5O9D4 60-69 years, female 83.7
GTEX-11TT1-0526-SM-5P9JO 20-29 years, male 83.3
GTEX-1C6VQ-1826-SM-7EWEH 50-59 years, male 83.1
GTEX-1IY9M-1626-SM-AHZ39 60-69 years, male 83.0
GTEX-1PFEY-0826-SM-E9U6A 30-39 years, male 83.0
GTEX-1F5PL-1726-SM-9QEGL 40-49 years, female 82.8
GTEX-1LGOU-0526-SM-D3LAO 20-29 years, female 82.8
GTEX-132AR-2226-SM-5J2NT 50-59 years, female 82.7
GTEX-17EUY-1426-SM-7938X 20-29 years, male 82.7
GTEX-1JMLX-2326-SM-CXZJP 50-59 years, male 82.4
GTEX-1497J-2726-SM-5SI9W 60-69 years, male 82.2
GTEX-ZAB5-0926-SM-5CVMV 50-59 years, male 82.2
GTEX-13QJ3-1726-SM-5RQK9 50-59 years, male 82.1
GTEX-1EU9M-2326-SM-7MKGS 60-69 years, male 82.0
GTEX-P78B-1026-SM-3NMC4 40-49 years, female 82.0
GTEX-1B97J-1026-SM-7MXTE 50-59 years, female 82.0
GTEX-REY6-1326-SM-48FDO 60-69 years, male 81.9
GTEX-ZAK1-1526-SM-5S2OV 50-59 years, female 81.9
GTEX-12ZZW-1726-SM-5DUVD 50-59 years, male 81.6
GTEX-SNOS-0626-SM-4DM5F 40-49 years, male 81.5
GTEX-XK95-1026-SM-4GIDV 40-49 years, male 81.4
GTEX-1QP28-1826-SM-EAZ4L 50-59 years, female 81.2
GTEX-XLM4-2326-SM-4AT5E 60-69 years, male 81.1
GTEX-16AAH-0726-SM-793A9 50-59 years, male 80.6
GTEX-16MT8-1326-SM-6M47R 60-69 years, female 80.5
GTEX-T5JC-1726-SM-4DM6U 20-29 years, male 80.5
GTEX-14DAQ-1426-SM-5RQJD 60-69 years, female 80.4
GTEX-1HCU7-2126-SM-A96SG 50-59 years, male 80.0
GTEX-13O61-0926-SM-5IFFE 60-69 years, male 79.9
GTEX-183WM-1726-SM-7KFT5 70-79 years, female 79.9
GTEX-T2YK-1326-SM-4DM6S 50-59 years, male 79.9
GTEX-17KNJ-1326-SM-7KFTG 50-59 years, male 79.7
GTEX-1211K-0926-SM-5FQTL 60-69 years, female 79.6
GTEX-13CF3-1626-SM-5IFG9 60-69 years, female 79.6
GTEX-11EQ9-0726-SM-5A5K2 30-39 years, male 79.4
GTEX-P4QS-0626-SM-3NMD1 60-69 years, male 79.3
GTEX-OHPN-1026-SM-E9TI8 60-69 years, female 79.1
GTEX-T2IS-0826-SM-4DM6L 20-29 years, female 78.9
GTEX-15RJ7-0926-SM-6LPJO 40-49 years, male 78.8
GTEX-1I6K7-1426-SM-B2LXP 40-49 years, male 78.6
GTEX-XV7Q-1126-SM-4BRVS 40-49 years, female 78.5
GTEX-11VI4-0526-SM-5EQ48 40-49 years, female 78.4
GTEX-1K9T9-2026-SM-CXZK3 50-59 years, female 77.8
GTEX-ZPCL-1426-SM-57WEC 60-69 years, female 77.6
GTEX-15ETS-1926-SM-7KUN5 40-49 years, female 77.0
GTEX-1HSGN-1626-SM-A96U2 40-49 years, female 77.0
GTEX-1ICG6-1926-SM-ARU7L 70-79 years, female 76.8
GTEX-X62O-2226-SM-46MW3 50-59 years, male 76.6
GTEX-X585-1226-SM-46MW7 50-59 years, male 76.3
GTEX-1E1VI-1526-SM-7IGQ2 50-59 years, male 76.2
GTEX-17F9E-1926-SM-7IGQF 50-59 years, male 76.1
GTEX-1GTWX-1326-SM-9JGHU 60-69 years, male 76.1
GTEX-ZYFC-1626-SM-5N9EU 50-59 years, male 75.2
GTEX-ZAJG-1326-SM-5S2NV 50-59 years, female 75.0
GTEX-1LVA9-2126-SM-DLHBY 50-59 years, male 74.8
GTEX-1RLM8-0726-SM-E6CRH 50-59 years, male 74.6
GTEX-ZVE2-1326-SM-5NQ94 50-59 years, male 74.0
GTEX-ZYT6-1126-SM-5GZYR 30-39 years, male 73.9
GTEX-11DZ1-2026-SM-5A5KG 50-59 years, male 73.7
GTEX-11XUK-0826-SM-5GU6P 40-49 years, female 73.7
GTEX-13OVJ-1226-SM-5L3HA 50-59 years, female 73.5
GTEX-S3XE-0926-SM-4AD4S 50-59 years, male 73.2
GTEX-1JMQK-2026-SM-C1YQN 60-69 years, male 73.2
GTEX-P4PP-0626-SM-3NM9X 30-39 years, female 72.7
GTEX-1GL5R-1526-SM-7MKHO 50-59 years, male 72.6
GTEX-RUSQ-0826-SM-47JWW 50-59 years, male 72.5
GTEX-1H3VY-2026-SM-9JGHK 50-59 years, male 72.5
GTEX-11TUW-1326-SM-5EQKV 60-69 years, male 72.2
GTEX-15EOM-5013-SM-7MKF9 20-29 years, female 72.2
GTEX-1GN73-1926-SM-9JGGS 60-69 years, male 71.7
GTEX-13X6I-1026-SM-5LU4C 60-69 years, male 71.3
GTEX-15UF6-2326-SM-6M465 70-79 years, female 70.9
GTEX-145LS-1826-SM-5LUAZ 60-69 years, female 70.7
GTEX-1CB4J-2426-SM-7MXVC 60-69 years, male 70.3
GTEX-1F52S-1426-SM-7P8PU 60-69 years, female 69.5
GTEX-1HBPM-1426-SM-9WPPE 60-69 years, female 69.5
GTEX-1R9K4-1926-SM-DPRZW 60-69 years, male 69.4
GTEX-144GO-2726-SM-5O9A2 60-69 years, male 69.0
GTEX-Y111-1626-SM-57WCY 50-59 years, male 69.0
GTEX-14BIM-1326-SM-7EWD1 60-69 years, female 68.8
GTEX-X4EP-1626-SM-4QAS6 60-69 years, female 68.6
GTEX-132Q8-1826-SM-5EGIY 60-69 years, male 68.5
GTEX-NPJ8-1926-SM-3MJGB 40-49 years, male 67.0
GTEX-1I1GP-1026-SM-C1YRZ 50-59 years, male 66.3
GTEX-1QP29-2126-SM-E6CPZ 50-59 years, male 65.9
GTEX-1BAJH-2026-SM-7P8OZ 70-79 years, male 64.5
GTEX-1F7RK-1526-SM-7P8T6 20-29 years, female 63.1
GTEX-XMD2-1326-SM-4YCET 60-69 years, female 62.4
GTEX-14PHY-0626-SM-664NN 60-69 years, female 60.8
GTEX-ZYW4-1326-SM-5E45N 60-69 years, male 60.6
GTEX-14C5O-1626-SM-73KYH 60-69 years, male 60.5
GTEX-ZZPT-1426-SM-5N9C5 50-59 years, male 60.5
GTEX-11DYG-1326-SM-5N9DO 60-69 years, male 58.9
GTEX-R45C-1226-SM-48FEE 60-69 years, female 58.4
GTEX-1IDFM-1126-SM-A96SY 60-69 years, male 56.7
GTEX-15EO6-1026-SM-7KUG9 50-59 years, male 54.7
GTEX-1H3NZ-1326-SM-9JGHI 60-69 years, male 53.7
GTEX-13JVG-2026-SM-5KM1N 60-69 years, male 53.1
GTEX-17F97-1326-SM-7MGVO 50-59 years, male 53.1
GTEX-N7MS-1225-SM-3LK5G 60-69 years, male 51.6
GTEX-1GMR8-1826-SM-9WYUE 50-59 years, female 51.1
GTEX-145LT-1126-SM-5LUA1 40-49 years, male 50.1
Show allShow less

ESOPHAGUS - FANTOM5 CAGEi

RNA expression in human tissues obtained through Cap Analysis of Gene Expression (CAGE) generated by the FANTOM5 project are reported as Scaled Tags Per Million.

Max subtype Scaled Tags Per Millioni

Max subtype Scaled Tags Per Million is the value for the subtype with the largest average Scaled Tags Per Million across the subtype samples.

70.2
FANTOM5 sample id Sample description Scaled Tags Per Million
Esophagus
Scaled Tags Per Million: 70.2
FF:10015-101C6 68,74,75 years, mixed 70.2

Contact

  • NEWS ARTICLES
  • PRESS ROOM

The Project

  • INTRODUCTION
  • ORGANIZATION
  • PUBLICATIONS

The Human Protein Atlas

  • DOWNLOADABLE DATA
  • LICENCE & CITATION
  • HELP & FAQ
The Human Protein Atlas project is funded
by the Knut & Alice Wallenberg Foundation.


contact@proteinatlas.org