We use cookies to enhance the usability of our website. If you continue, we'll assume that you are happy to receive all cookies. More information. Don't show this again.
KLHDC10
HPA
RESOURCES
  • TISSUE
  • BRAIN
  • SINGLE CELL
  • SUBCELLULAR
  • CANCER
  • BLOOD
  • CELL LINE
  • STRUCTURE & INTERACTION
ABOUT
  • INTRODUCTION
  • HISTORY
  • ORGANIZATION
  • PUBLICATIONS
  • ANTIBODY SUBMISSION
  • ANTIBODY AVAILABILITY
  • ACKNOWLEDGMENTS
  • CONTACT
NEWS
  • NEWS ARTICLES
  • PRESS ROOM
LEARN
  • DICTIONARY
  • PROTEIN CLASSES
  • PROTEIN EVIDENCE
  • METHODS
  • EDUCATIONAL VIDEOS
DATA
  • DOWNLOADABLE DATA
  • PUBLICATION DATA
  • RELEASE HISTORY
HELP
  • ANTIBODY VALIDATION
  • ASSAYS & ANNOTATION
  • DISCLAIMER
  • HELP & FAQ
  • PRIVACY STATEMENT
  • LICENCE & CITATION
Fields »
Search result

Field
Term
Gene name
Class
Subclass
Class
Keyword
Chromosome
External id
Tissue
Cell type
Expression
Antibody panel
Tissue
Main location
Patient ID
Annotation
Tissue
Category
Tau score
Cluster
Reliability
Brain region
Category
Tau score
Brain region
Category
Tau score
Brain region
Category
Tau score
Cluster
Reliability
Tissue
Cell type
Enrichment
Cell type
Category
Tau score
Cell type
Category
Tau score
Cell type
Category
Tau score
Cell lineage
Category
Tau score
Cluster
Cluster
Location
Searches
Location
Cell line
Class
Type
Phase
Reliability
Cancer
Prognosis
Cancer
Category
Cancer
Category
Tau score
Cluster
Variants
Interacting gene (ensg_id)
Type
Number of interactions
Pathway
Category
Score
Score
Score
Validation
Validation
Validation
Validation
Antibodies
Data type
Column


  • SUMMARY

  • TISSUE

  • BRAIN

  • SINGLE CELL

  • SUBCELL

  • CANCER

  • BLOOD

  • CELL LINE

  • STRUCT & INT

  • KLHDC10
TISSUE PRIMARY DATA SKELETAL MUSCLE Show tissue menu
ADIPOSE TISSUE ADRENAL GLAND AMYGDALA APPENDIX BASAL GANGLIA BONE MARROW BREAST BRONCHUS CEREBELLUM CEREBRAL CORTEX CERVIX CHOROID PLEXUS COLON DUODENUM
ENDOMETRIUM EPIDIDYMIS ESOPHAGUS FALLOPIAN TUBE GALLBLADDER HEART MUSCLE HIPPOCAMPAL FORMATION HYPOTHALAMUS KIDNEY LIVER LUNG LYMPH NODE MIDBRAIN NASOPHARYNX
ORAL MUCOSA OVARY PANCREAS PARATHYROID GLAND PITUITARY GLAND PLACENTA PROSTATE RECTUM RETINA SALIVARY GLAND SEMINAL VESICLE SKELETAL MUSCLE SKIN SMALL INTESTINE
SMOOTH MUSCLE SOFT TISSUE SPINAL CORD SPLEEN STOMACH TESTIS THYMUS THYROID GLAND TONGUE TONSIL URINARY BLADDER VAGINA
ANTIBODIES
AND
VALIDATION
Dictionary
Skeletal muscle
Tissue proteome
Skeletal muscle
SKELETAL MUSCLE - Expression summary
Protein expression
Skeletal musclei

On the top, protein expression in current human tissue, based on all annotated cell types, is reported with the units not detected (n), low (l), medium (m) and high (h). Underneath, protein expression in each annotated cell type are reported using the same units.

Protein expression data is based on knowledge-based annotation. For genes where more than one antibody has been used, a collective score is set.

If knowledge-based annotation could not be performed for a gene, no data is displayed here. View antibody staining data further down this page.

h
m
l
n
Myocytes: Medium
RNA expressioni

A summary of mRNA expression data available for current tissue based on several datasets. The mRNA expression levels in human tissues are based on RNA-seq data generated by the Human Protein Atlas (HPA), Genotype-Tissue Expression (GTEx) portal and CAGE data generated by the FANTOM5 consortium. Consensus normalized expression levels for human tissues was created by combining the data from HPA and GTEx datasets.

The mRNA expression levels in pig are based on RNA-seq data generated by the Human Protein Atlas (HPA), and for mouse, HPA data and in situ hybridization generated by the Allen brain atlas are reported.

Scroll down to view mRNA expression data in more detail.
Consensus:23.1 nTPM
HPA:23.1 nTPM
GTEx:21.5 nTPM
FANTOM5:54.6 Scaled Tags Per Million

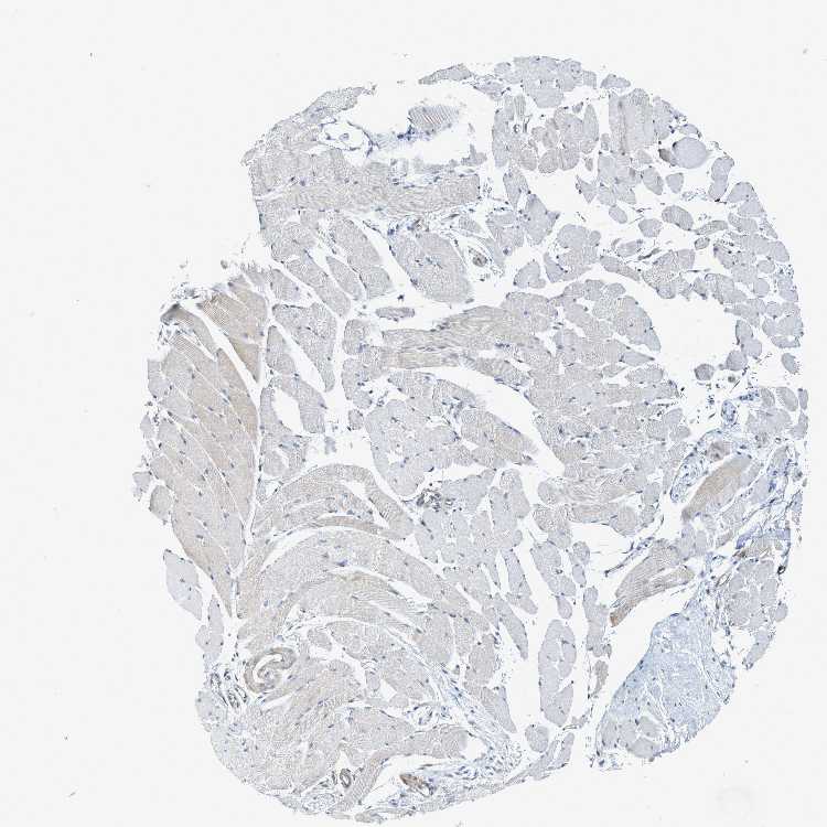
SKELETAL MUSCLE - Antibody stainingi

Antibody staining in the annotated cell types in the current human tissue is reported as not detected, low, medium, or high, based on conventional immunohistochemistry profiling in selected tissues. This score is based on the combination of the staining intensity and fraction of stained cells.

Each image is clickable and will lead to virtual microscopy that enables deeper exploration of all samples and also displays staining intensity scores, fraction scores and subcellular localization as well as patient and tissue information for each sample.

Antibody HPA020119
Myocytes Medium



SKELETAL MUSCLE - HPA RNA-seqi

The RNA-seq details section shows detailed information about the individual samples used for the transcript profiling and results of the RNA-seq analysis.

Information about each individual sample is listed below, including gender, age, a tissue section image and estimated fractions of cell types. nTPM (normalized transcripts per million) values give a quantification of the gene abundance which is comparable between different genes and samples.
Average nTPMi

Max subtype nTPM is the value for the subtype with the largest average nTPM across the subtype samples.

23.1
N/A
Male, age 23
Skeletal muscle sample 339
nTPM: 18.9
N/A
Female, age 25
Skeletal muscle sample 340
nTPM: 28.2
N/A
Female, age -
Skeletal muscle sample 341
nTPM: 22.8
N/A
Female, age 22
Skeletal muscle sample 342
nTPM: 21.9
N/A
Male, age 29
Skeletal muscle sample 343
nTPM: 23.9

SKELETAL MUSCLE - GTEx RNA-seqi

RNA-Seq data generated by the Genotype-Tissue Expression (GTEx) project from human tissues is reported as mean nTPM. More information can be found on the GTEx portal.

Distribution across the dataset is visualized with box plots, shown as median and 25th and 75th percentiles. Points are displayed as outliers if they are above or below 1.5 times the interquartile range. nTPM values of the individual samples are presented next to the box plot.
Max subtype nTPMi

Max subtype nTPM is the value for the subtype with the largest average nTPM across the subtype samples.

21.5
GTEx sample id Sample description nTPM
Muscle - Skeletal
Average nTPM: 21.5
Samples: 803

Max nTPM: 45.8
Min nTPM: 6.3
Std nTPM: 5.8
Median nTPM: 21.0
GTEX-Q2AI-1526-SM-3GIJ3 40-49 years, male 45.8
GTEX-U3ZM-1226-SM-3DB9G 40-49 years, male 41.3
GTEX-15F5U-1826-SM-6LLJF 40-49 years, male 39.9
GTEX-ZVP2-2126-SM-5GU6E 50-59 years, male 39.3
GTEX-UJMC-1826-SM-3GADT 50-59 years, male 39.2
GTEX-WY7C-2526-SM-3NB2N 50-59 years, male 37.8
GTEX-145LT-1626-SM-5O992 40-49 years, male 37.4
GTEX-13QBU-2426-SM-5LU4L 40-49 years, female 36.7
GTEX-TKQ1-1426-SM-4GICK 30-39 years, male 36.7
GTEX-1H1E6-2126-SM-9KNVM 30-39 years, male 36.5
GTEX-11I78-2426-SM-5A5K9 50-59 years, female 35.6
GTEX-OIZH-1626-SM-2HMKI 50-59 years, male 35.6
GTEX-SNOS-1526-SM-32PLW 40-49 years, male 35.0
GTEX-ZV6S-2126-SM-4YCEM 40-49 years, female 35.0
GTEX-1HCU9-1926-SM-9WYSE 20-29 years, male 35.0
GTEX-1211K-2126-SM-59HJZ 60-69 years, female 34.9
GTEX-11EQ9-2126-SM-5PNVW 30-39 years, male 34.8
GTEX-WFG8-2426-SM-3GILL 20-29 years, male 34.5
GTEX-ZV7C-2426-SM-5NQ7Q 50-59 years, male 34.5
GTEX-1GN1W-0726-SM-9KNTV 50-59 years, female 34.5
GTEX-14BMU-2026-SM-5S2W6 20-29 years, female 34.4
GTEX-16MTA-2026-SM-7KUL3 50-59 years, male 33.9
GTEX-14753-0526-SM-5QGPR 60-69 years, male 33.8
GTEX-1MCC2-2726-SM-EWRN3 30-39 years, female 33.7
GTEX-1497J-2626-SM-5SI9K 60-69 years, male 33.6
GTEX-PWN1-1626-SM-2S1OL 40-49 years, female 33.5
GTEX-1F75I-0526-SM-7RHI3 40-49 years, male 33.5
GTEX-1KANC-1626-SM-E6CIA 50-59 years, female 33.1
GTEX-U4B1-1626-SM-3DB8N 40-49 years, male 33.0
GTEX-13W3W-2626-SM-5SIA2 60-69 years, female 32.9
GTEX-14XAO-2226-SM-6LLHU 60-69 years, female 32.9
GTEX-1J8Q3-1426-SM-CKZPU 60-69 years, male 32.9
GTEX-14E6E-2026-SM-664N5 30-39 years, male 32.6
GTEX-15DZA-2026-SM-6PANE 30-39 years, female 32.6
GTEX-16BQI-0326-SM-6PAM4 30-39 years, female 32.6
GTEX-17F9E-0226-SM-79OKK 50-59 years, male 32.5
GTEX-1CAMS-0126-SM-79396 40-49 years, female 32.4
GTEX-1JKYR-0326-SM-CNPOL 20-29 years, male 32.4
GTEX-111CU-2026-SM-5GZZC 50-59 years, male 32.1
GTEX-QLQW-1326-SM-2S1QS 30-39 years, male 32.1
GTEX-SNMC-1426-SM-2XCFM 20-29 years, male 32.1
GTEX-WFG7-2226-SM-3GIKP 20-29 years, male 32.0
GTEX-17F98-1626-SM-7938R 40-49 years, female 31.9
GTEX-W5WG-1926-SM-4KKZK 50-59 years, female 31.8
GTEX-15SHV-2526-SM-6PAMG 60-69 years, male 31.7
GTEX-17EUY-0626-SM-793BE 20-29 years, male 31.7
GTEX-R55D-0626-SM-3GAD5 50-59 years, male 31.7
GTEX-1K2DA-2226-SM-CGQGM 50-59 years, male 31.5
GTEX-1QP9N-1926-SM-E6CPY 30-39 years, male 31.5
GTEX-1HSGN-0326-SM-ACKXQ 40-49 years, female 31.4
GTEX-13FH7-2126-SM-5L3DJ 50-59 years, female 31.3
GTEX-1AX9K-2726-SM-7DHMA 50-59 years, male 31.3
GTEX-R55G-2326-SM-2TC61 40-49 years, female 31.3
GTEX-XUZC-2126-SM-4BRW8 30-39 years, female 31.3
GTEX-1MCYP-2026-SM-DTXE4 20-29 years, female 31.3
GTEX-18D9U-0626-SM-7LTA4 40-49 years, male 31.1
GTEX-ZLV1-2126-SM-4WWD2 60-69 years, female 31.0
GTEX-ZVT2-2426-SM-57WCQ 50-59 years, female 30.8
GTEX-OOBJ-1626-SM-2I3F7 60-69 years, male 30.7
GTEX-QV31-1426-SM-2S1QD 30-39 years, male 30.6
GTEX-14PJ6-2326-SM-6ETZR 60-69 years, female 30.5
GTEX-111YS-2326-SM-5987L 60-69 years, male 30.4
GTEX-ZLWG-2126-SM-DO91M 50-59 years, female 30.4
GTEX-1FIGZ-1726-SM-9MQKS 40-49 years, male 30.2
GTEX-XBEW-1026-SM-4QARV 40-49 years, male 30.1
GTEX-ZYFG-2426-SM-5GIE8 60-69 years, female 30.0
GTEX-13VXT-0326-SM-5LU4U 20-29 years, female 29.9
GTEX-14PJ5-2026-SM-6LLIN 60-69 years, female 29.9
GTEX-1C2JI-2126-SM-793CG 50-59 years, male 29.9
GTEX-14ICL-1926-SM-5RQIZ 30-39 years, male 29.8
GTEX-11VI4-1926-SM-5CVLI 40-49 years, female 29.7
GTEX-14PK6-2126-SM-6ETZV 70-79 years, female 29.7
GTEX-13OVG-2126-SM-5KM1K 60-69 years, male 29.6
GTEX-15UKP-0326-SM-7KUFP 20-29 years, male 29.6
GTEX-P4QS-1626-SM-2S1NH 60-69 years, male 29.6
GTEX-1F75B-0526-SM-7P8T5 50-59 years, male 29.6
GTEX-1MUQO-0226-SM-E9TJL 60-69 years, male 29.6
GTEX-13PVR-2526-SM-5RQIT 60-69 years, female 29.5
GTEX-15ETS-0326-SM-6PANH 40-49 years, female 29.5
GTEX-18QFQ-0326-SM-731C3 30-39 years, male 29.5
GTEX-OOBK-1626-SM-2HMKG 40-49 years, male 29.5
GTEX-14C5O-0626-SM-664N2 60-69 years, male 29.4
GTEX-1J8QM-2226-SM-CYPSK 60-69 years, female 29.3
GTEX-15RIG-0426-SM-7KUF4 40-49 years, male 29.2
GTEX-17HHE-2126-SM-7DHLO 50-59 years, male 29.2
GTEX-ZLFU-2526-SM-DO91K 40-49 years, male 29.2
GTEX-RM2N-1626-SM-2TF5N 50-59 years, male 29.1
GTEX-14A5I-0326-SM-5NQ9J 50-59 years, female 29.0
GTEX-QV44-2026-SM-2S1RD 50-59 years, male 28.9
GTEX-QEL4-0626-SM-3GIJM 50-59 years, male 28.8
GTEX-WFON-2326-SM-3LK7M 40-49 years, male 28.8
GTEX-1QP2A-0526-SM-E8VN5 50-59 years, male 28.7
GTEX-1122O-2426-SM-5GIDN 60-69 years, female 28.6
GTEX-17HGU-0626-SM-7939Y 50-59 years, male 28.6
GTEX-133LE-2026-SM-5K7WM 20-29 years, female 28.5
GTEX-13FTW-2326-SM-5K7YS 40-49 years, male 28.5
GTEX-14PJ4-2426-SM-6EU1U 60-69 years, male 28.5
GTEX-U3ZN-2226-SM-3DB88 30-39 years, female 28.5
GTEX-1M5QR-1326-SM-EWROC 40-49 years, male 28.5
GTEX-11P7K-1926-SM-5GU6R 30-39 years, male 28.4
GTEX-144GN-2426-SM-5LU4R 50-59 years, male 28.4
GTEX-P44H-0426-SM-2XCEZ 40-49 years, male 28.4
GTEX-1I4MK-2326-SM-ADEHR 50-59 years, female 28.3
GTEX-PWCY-2026-SM-5SI8R 20-29 years, female 28.2
GTEX-TML8-1826-SM-32QOR 40-49 years, female 28.2
GTEX-XBED-2626-SM-4E3J5 60-69 years, male 28.2
GTEX-1QP28-0526-SM-E8VNR 50-59 years, female 28.2
GTEX-14JG6-2126-SM-6EU2F 30-39 years, female 28.1
GTEX-18A67-0326-SM-7LG5X 50-59 years, male 28.1
GTEX-131XG-2326-SM-5HL8F 50-59 years, female 28.0
GTEX-15UF7-2226-SM-6PAMQ 40-49 years, male 28.0
GTEX-1B97I-2026-SM-7DHN2 40-49 years, male 28.0
GTEX-YF7O-2526-SM-5IFJX 50-59 years, male 28.0
GTEX-ZT9X-1826-SM-57WDU 40-49 years, male 28.0
GTEX-1L5NE-2226-SM-CXZKS 50-59 years, male 28.0
GTEX-1CAMR-1726-SM-793CU 20-29 years, male 27.9
GTEX-RNOR-0526-SM-2TF4O 50-59 years, female 27.9
GTEX-146FR-1726-SM-5Q5DT 60-69 years, female 27.8
GTEX-15RIF-2126-SM-7KUM8 20-29 years, male 27.8
GTEX-1GZ4H-1626-SM-7PC3F 50-59 years, female 27.8
GTEX-1HCUA-2326-SM-ACKVJ 50-59 years, female 27.8
GTEX-1PDJ9-0526-SM-DTXDL 20-29 years, male 27.8
GTEX-12WSL-2726-SM-5CVNL 50-59 years, male 27.7
GTEX-145LV-2326-SM-5LU8Z 50-59 years, male 27.7
GTEX-16NGA-1926-SM-7LTA6 40-49 years, female 27.7
GTEX-17GQL-1926-SM-718B9 60-69 years, male 27.7
GTEX-O5YT-1626-SM-32PK6 20-29 years, male 27.7
GTEX-1F52S-0826-SM-7P8TQ 60-69 years, female 27.7
GTEX-11TT1-2326-SM-5GU6N 20-29 years, male 27.6
GTEX-11ZTT-2626-SM-5EQKK 60-69 years, female 27.6
GTEX-12WSJ-1726-SM-5LZVV 40-49 years, female 27.6
GTEX-14DAQ-0326-SM-664MR 60-69 years, female 27.5
GTEX-1H1DE-1726-SM-A9G3G 20-29 years, male 27.5
GTEX-1JK1U-2226-SM-CNNPL 60-69 years, male 27.5
GTEX-1B996-0326-SM-7DHMU 60-69 years, male 27.4
GTEX-1LGRB-2626-SM-CNPPR 50-59 years, female 27.4
GTEX-11OC5-0326-SM-5PNW5 60-69 years, male 27.3
GTEX-QLQ7-1726-SM-2S1QQ 60-69 years, male 27.3
GTEX-OHPK-1626-SM-2YUN3 50-59 years, female 27.2
GTEX-ZPCL-2026-SM-57WFD 60-69 years, female 27.2
GTEX-ZZPU-2626-SM-5E45Y 50-59 years, female 27.2
GTEX-14H4A-0926-SM-5ZZUU 40-49 years, female 27.1
GTEX-RU1J-1726-SM-2TF5S 20-29 years, female 27.1
GTEX-15G19-0526-SM-6PAMT 60-69 years, male 27.0
GTEX-1AMEY-1526-SM-73KYW 30-39 years, female 27.0
GTEX-11P82-1826-SM-5PNYJ 20-29 years, male 26.9
GTEX-ZVZP-2526-SM-57WBR 50-59 years, male 26.9
GTEX-ZY6K-2026-SM-5GZXQ 50-59 years, male 26.9
GTEX-1J8Q2-0126-SM-E9J2G 60-69 years, male 26.9
GTEX-1HKZK-0226-SM-9WYUG 40-49 years, male 26.8
GTEX-14AS3-2126-SM-5S2MK 40-49 years, female 26.6
GTEX-14DAR-1826-SM-664N1 50-59 years, male 26.6
GTEX-XUW1-0826-SM-4BOP6 50-59 years, female 26.6
GTEX-Y5V6-2626-SM-5IFIX 60-69 years, male 26.6
GTEX-117YX-2526-SM-5EQ4Q 50-59 years, male 26.5
GTEX-1AMFI-2226-SM-731C6 50-59 years, female 26.5
GTEX-T8EM-1326-SM-3DB7G 40-49 years, male 26.5
GTEX-1HSEH-0326-SM-A9G26 60-69 years, male 26.5
GTEX-11DXX-2726-SM-5PNXO 60-69 years, female 26.4
GTEX-OXRP-2326-SM-2S1NL 60-69 years, female 26.3
GTEX-WHSB-1826-SM-3TW8M 50-59 years, male 26.3
GTEX-1LVAN-0526-SM-CNNQ1 50-59 years, female 26.3
GTEX-1192X-0426-SM-5GIEE 50-59 years, male 26.2
GTEX-18D9A-1826-SM-718BK 30-39 years, female 26.2
GTEX-T5JW-1826-SM-3GAE1 20-29 years, female 26.1
GTEX-YB5K-2326-SM-5IFHD 40-49 years, female 26.1
GTEX-ZTX8-1626-SM-51MRY 20-29 years, male 26.1
GTEX-ZF29-2426-SM-DO92G 60-69 years, female 26.1
GTEX-1B8KE-2226-SM-7939K 50-59 years, male 26.0
GTEX-1K2DU-2526-SM-D3L8V 20-29 years, male 26.0
GTEX-ZGAY-0726-SM-DO91O 40-49 years, female 26.0
GTEX-1GPI7-0426-SM-7RHHP 20-29 years, male 25.9
GTEX-1E1VI-0426-SM-7DHN1 50-59 years, male 25.8
GTEX-1JN76-0326-SM-ARZNJ 20-29 years, female 25.8
GTEX-OIZF-1626-SM-2YUNE 60-69 years, male 25.8
GTEX-QEG4-0626-SM-2S1OY 30-39 years, male 25.7
GTEX-1JMPY-1226-SM-CJI3A 30-39 years, male 25.7
GTEX-1KXAM-2426-SM-DIPFC 60-69 years, male 25.6
GTEX-1MJK3-1426-SM-E9TK1 20-29 years, male 25.6
GTEX-15RIE-2426-SM-7KUDS 60-69 years, male 25.5
GTEX-SJXC-0526-SM-2XCFG 60-69 years, male 25.5
GTEX-1KANA-0926-SM-D3L9K 20-29 years, male 25.5
GTEX-1PIIG-0126-SM-E9J46 30-39 years, male 25.5
GTEX-1C4CL-0326-SM-7DHMH 30-39 years, male 25.4
GTEX-OXRL-1626-SM-2YUMU 50-59 years, male 25.4
GTEX-PLZ6-1526-SM-2S1OC 30-39 years, male 25.4
GTEX-PSDG-0426-SM-5SI86 50-59 years, male 25.3
GTEX-1H3VY-0326-SM-9WYU6 50-59 years, male 25.3
GTEX-1I6K7-0326-SM-B2LXO 40-49 years, male 25.3
GTEX-15DDE-0526-SM-6ETZQ 50-59 years, female 25.2
GTEX-UJHI-1726-SM-3DB9B 50-59 years, female 25.2
GTEX-WRHK-1626-SM-3MJFH 20-29 years, female 25.2
GTEX-1JJ6O-0926-SM-CYPT1 60-69 years, male 25.2
GTEX-1LBAC-0326-SM-DIPF1 20-29 years, male 25.2
GTEX-12BJ1-2526-SM-5FQUE 60-69 years, male 25.1
GTEX-15G1A-2026-SM-7KUFG 30-39 years, male 25.1
GTEX-15SHU-0626-SM-7KUFH 40-49 years, female 25.1
GTEX-11EM3-2126-SM-5H11M 20-29 years, female 25.0
GTEX-18A66-0126-SM-731CQ 60-69 years, male 25.0
GTEX-1C475-1726-SM-73KVX 40-49 years, female 25.0
GTEX-ZAJG-0526-SM-5S2MT 50-59 years, female 25.0
GTEX-183FY-0226-SM-7LG54 20-29 years, male 24.9
GTEX-1NHNU-1226-SM-DTX8I 50-59 years, male 24.9
GTEX-11DXZ-2426-SM-5N9DT 50-59 years, male 24.8
GTEX-13O61-2326-SM-5J1NJ 60-69 years, male 24.8
GTEX-14PJ3-2026-SM-5ZZVK 50-59 years, male 24.8
GTEX-RWSA-0726-SM-2XCBE 40-49 years, male 24.8
GTEX-X4XX-0626-SM-3NMC1 60-69 years, male 24.8
GTEX-1HFI7-1926-SM-A96TQ 50-59 years, female 24.8
GTEX-1C64O-0326-SM-73KVW 60-69 years, male 24.7
GTEX-R55C-1726-SM-3GADJ 40-49 years, male 24.7
GTEX-14BIM-0326-SM-5SI9B 60-69 years, female 24.6
GTEX-1CB4E-2126-SM-793AP 60-69 years, male 24.6
GTEX-PLZ5-1726-SM-2I5F6 50-59 years, male 24.6
GTEX-XPT6-2026-SM-4B64V 20-29 years, male 24.6
GTEX-1GMR8-0326-SM-9KNUO 50-59 years, female 24.6
GTEX-1JKYN-1826-SM-ARZMZ 30-39 years, male 24.6
GTEX-13N2G-2326-SM-5J1ON 60-69 years, male 24.5
GTEX-15SB6-1826-SM-6PALN 50-59 years, female 24.5
GTEX-P78B-1626-SM-5SI85 40-49 years, female 24.5
GTEX-RU72-1326-SM-2TF6T 50-59 years, female 24.5
GTEX-V955-2426-SM-3GAEF 60-69 years, male 24.5
GTEX-Y8E4-1026-SM-4VBQ5 40-49 years, male 24.5
GTEX-ZVT3-0526-SM-5GIE9 60-69 years, female 24.5
GTEX-1B97J-1226-SM-7PBZR 50-59 years, female 24.5
GTEX-1IDJC-2026-SM-ADEIK 50-59 years, male 24.5
GTEX-1PPH7-2526-SM-E76OJ 40-49 years, male 24.5
GTEX-13NZB-2626-SM-5J2M7 30-39 years, male 24.4
GTEX-R55E-0526-SM-2TC6B 20-29 years, male 24.3
GTEX-1NUQO-0726-SM-E9J3K 20-29 years, female 24.3
GTEX-145MO-0726-SM-5NQB9 60-69 years, male 24.2
GTEX-16NPX-0626-SM-7KULB 50-59 years, male 24.2
GTEX-1B932-0526-SM-73KU7 40-49 years, female 24.2
GTEX-1I19N-2026-SM-ACKXJ 70-79 years, male 24.2
GTEX-1RAZA-0526-SM-E76R2 20-29 years, male 24.2
GTEX-15ER7-0226-SM-7KUEU 20-29 years, female 24.1
GTEX-12WSN-2526-SM-5LZU8 40-49 years, male 24.0
GTEX-VJYA-1926-SM-3GIJJ 60-69 years, male 24.0
GTEX-Z9EW-1726-SM-5CVMO 40-49 years, male 24.0
GTEX-ZZ64-1526-SM-5E43K 20-29 years, male 24.0
GTEX-13JUV-2326-SM-5IJCE 40-49 years, female 23.9
GTEX-14PJN-2126-SM-6AJBM 30-39 years, male 23.9
GTEX-1CB4I-0326-SM-7DHMM 50-59 years, male 23.9
GTEX-1F6I4-0326-SM-7P8T8 60-69 years, male 23.9
GTEX-1RAZQ-0426-SM-DTXFQ 30-39 years, male 23.9
GTEX-S33H-2226-SM-DKPOP 30-39 years, male 23.9
GTEX-1399U-2526-SM-5L3DL 50-59 years, female 23.8
GTEX-WZTO-0826-SM-3NM8Q 40-49 years, male 23.8
GTEX-Y114-2526-SM-4TT8M 50-59 years, female 23.8
GTEX-YFCO-1926-SM-4W212 40-49 years, male 23.8
GTEX-1LVAM-0326-SM-DIPFL 50-59 years, female 23.8
GTEX-11EQ8-0526-SM-5N9BC 60-69 years, male 23.7
GTEX-WHPG-2226-SM-3NMBO 50-59 years, male 23.7
GTEX-1H11D-0326-SM-9WG71 40-49 years, male 23.7
GTEX-1HCVE-0326-SM-CGQEW 50-59 years, male 23.7
GTEX-1KD5A-0726-SM-DIPEO 50-59 years, male 23.7
GTEX-1LGOU-2126-SM-DIPFG 20-29 years, female 23.7
GTEX-17HG3-2726-SM-7DHL5 30-39 years, female 23.6
GTEX-POYW-0526-SM-2XCEY 60-69 years, male 23.6
GTEX-ZP4G-2026-SM-57WEH 20-29 years, female 23.6
GTEX-1C6VS-0126-SM-7PC2H 60-69 years, male 23.6
GTEX-1GF9V-0126-SM-9WYT2 60-69 years, male 23.6
GTEX-1QCLY-0426-SM-E8VOH 30-39 years, male 23.6
GTEX-1RAZR-0326-SM-EWRNM 40-49 years, male 23.6
GTEX-1HSMQ-1326-SM-ADEHS 50-59 years, male 23.5
GTEX-P4QT-1626-SM-DHXIR 50-59 years, female 23.5
GTEX-WEY5-2026-SM-CYPRC 40-49 years, female 23.5
GTEX-12126-0526-SM-5PNW4 20-29 years, male 23.4
GTEX-Q734-2026-SM-3GADA 40-49 years, female 23.4
GTEX-RWS6-2126-SM-2XCAV 60-69 years, female 23.4
GTEX-WK11-2526-SM-3NM9Y 50-59 years, male 23.4
GTEX-ZF2S-2126-SM-4WWAY 50-59 years, female 23.4
GTEX-1F5PL-0426-SM-7P8PR 40-49 years, female 23.4
GTEX-1IDJE-2426-SM-ACKWF 50-59 years, female 23.4
GTEX-1IDJF-0326-SM-ADEIG 20-29 years, male 23.4
GTEX-1JMQI-2126-SM-CM2SC 50-59 years, male 23.4
GTEX-1S5ZA-0526-SM-EWRO1 20-29 years, male 23.4
GTEX-Q2AG-0426-SM-2S1PU 40-49 years, female 23.3
GTEX-Y5V5-2526-SM-4VBQ4 60-69 years, female 23.3
GTEX-1ICG6-2726-SM-CKZPN 70-79 years, female 23.3
GTEX-13111-2226-SM-5LZUE 50-59 years, male 23.2
GTEX-16AAH-1826-SM-7939D 50-59 years, male 23.2
GTEX-TKQ2-0826-SM-33HB6 50-59 years, male 23.2
GTEX-1E2YA-0526-SM-7P8RY 50-59 years, male 23.2
GTEX-1212Z-2626-SM-5YY8P 60-69 years, male 23.1
GTEX-1313W-0526-SM-5P9FZ 50-59 years, female 23.1
GTEX-17EVP-1326-SM-7DHMR 40-49 years, male 23.1
GTEX-17HHY-0326-SM-7938H 50-59 years, male 23.1
GTEX-17MFQ-1926-SM-793A6 20-29 years, male 23.1
GTEX-1A3MV-2026-SM-718BU 30-39 years, male 23.1
GTEX-VUSG-2626-SM-4KKZI 50-59 years, male 23.1
GTEX-1RQEC-0126-SM-E9J2H 60-69 years, male 23.1
GTEX-1445S-0626-SM-5LU3C 60-69 years, male 23.0
GTEX-15RJ7-2426-SM-6M48L 40-49 years, male 23.0
GTEX-1PIEJ-0326-SM-EVYB5 20-29 years, female 23.0
GTEX-QCQG-2126-SM-DTXFV 50-59 years, female 23.0
GTEX-13VXU-0326-SM-5LU36 50-59 years, male 22.9
GTEX-OIZG-1326-SM-2HMIQ 50-59 years, male 22.9
GTEX-1H2FU-0526-SM-ACKXO 60-69 years, female 22.9
GTEX-1IDJD-1326-SM-CM2TQ 30-39 years, male 22.9
GTEX-11EMC-2626-SM-59864 60-69 years, female 22.8
GTEX-11OF3-2526-SM-5P9JL 60-69 years, male 22.8
GTEX-1HGF4-2626-SM-CM2SJ 60-69 years, male 22.8
GTEX-1KWVE-0926-SM-CXZKP 30-39 years, male 22.8
GTEX-147F4-0326-SM-5TDCK 50-59 years, male 22.7
GTEX-14E1K-2326-SM-664MP 50-59 years, male 22.7
GTEX-ZPIC-2526-SM-57WDP 40-49 years, female 22.7
GTEX-1AX8Z-5004-SM-ARZLD 60-69 years, male 22.7
GTEX-1GF9W-0526-SM-9MQJP 60-69 years, male 22.7
GTEX-1HCU6-0526-SM-A9SKU 60-69 years, female 22.7
GTEX-11NSD-2026-SM-5HL5U 20-29 years, male 22.6
GTEX-139T6-2026-SM-5IFFL 50-59 years, male 22.6
GTEX-13NYS-0326-SM-5MR4L 60-69 years, male 22.6
GTEX-U3ZH-1926-SM-4DXTR 30-39 years, male 22.6
GTEX-1F48J-0526-SM-9WYSX 50-59 years, female 22.6
GTEX-1H1ZS-0626-SM-CNPPU 70-79 years, male 22.6
GTEX-1LSNL-0126-SM-EWRNR 50-59 years, male 22.6
GTEX-145ME-2026-SM-5SIA5 40-49 years, female 22.5
GTEX-145MH-0326-SM-5LU8H 50-59 years, male 22.5
GTEX-NFK9-0626-SM-2HMIV 40-49 years, male 22.5
GTEX-1GMR2-2126-SM-7P8TX 50-59 years, male 22.5
GTEX-1QP6S-0426-SM-DTXG4 40-49 years, male 22.5
GTEX-1R9PN-1826-SM-E8VO4 40-49 years, female 22.5
GTEX-111VG-2626-SM-5GZY2 60-69 years, male 22.4
GTEX-18A7A-0626-SM-718BJ 50-59 years, female 22.4
GTEX-SIU8-0526-SM-2XCDP 50-59 years, male 22.4
GTEX-Z93S-1326-SM-5CVMR 50-59 years, male 22.4
GTEX-1HR9M-0326-SM-CL549 60-69 years, male 22.4
GTEX-1HUB1-0526-SM-CL54N 60-69 years, male 22.4
GTEX-13X6J-0326-SM-7EPGD 50-59 years, male 22.3
GTEX-POMQ-1926-SM-3NB1Y 20-29 years, female 22.3
GTEX-QEG5-0426-SM-2I5GJ 20-29 years, male 22.3
GTEX-R53T-1826-SM-3GIJX 50-59 years, female 22.3
GTEX-ZA64-2026-SM-5PNXT 20-29 years, male 22.3
GTEX-ZAB5-2126-SM-5K7UN 50-59 years, male 22.3
GTEX-1IDJV-0426-SM-COH3Z 60-69 years, male 22.3
GTEX-1JMQJ-0126-SM-E6CI2 50-59 years, male 22.3
GTEX-1QP67-1826-SM-DTX8D 40-49 years, female 22.3
GTEX-131XF-2326-SM-5BC6B 60-69 years, male 22.2
GTEX-V1D1-2426-SM-3GAER 50-59 years, male 22.2
GTEX-1MA7W-1826-SM-DIPFP 20-29 years, female 22.2
GTEX-1PPH8-0326-SM-E76PR 20-29 years, male 22.2
GTEX-1S83E-2126-SM-EWRO6 40-49 years, male 22.2
GTEX-1A3MW-0526-SM-731BY 60-69 years, female 22.1
GTEX-117YW-2426-SM-5Q5AE 50-59 years, male 22.0
GTEX-ZXG5-0326-SM-5GICH 60-69 years, male 22.0
GTEX-1HSMP-0326-SM-A9SMC 70-79 years, male 22.0
GTEX-1RB15-2226-SM-DTXFZ 60-69 years, male 22.0
GTEX-11EI6-0326-SM-5EQ6G 60-69 years, male 21.9
GTEX-1314G-1726-SM-5LZUX 30-39 years, male 21.9
GTEX-145LU-2026-SM-5Q5E8 50-59 years, male 21.9
GTEX-PW2O-1726-SM-2S1OO 20-29 years, male 21.9
GTEX-TMMY-0426-SM-33HBB 40-49 years, female 21.9
GTEX-1I1GU-2126-SM-CGQF9 40-49 years, male 21.9
GTEX-1J1R8-2326-SM-CKZPS 40-49 years, male 21.9
GTEX-18465-0326-SM-7LTAD 50-59 years, male 21.8
GTEX-T6MN-0526-SM-32PMS 50-59 years, male 21.8
GTEX-1399R-2526-SM-5IFG2 30-39 years, male 21.7
GTEX-13PL6-0326-SM-5IJCP 40-49 years, female 21.7
GTEX-16YQH-0426-SM-7KUL7 30-39 years, male 21.7
GTEX-13O21-1726-SM-5MR5A 50-59 years, male 21.6
GTEX-13S86-2326-SM-5RQK1 40-49 years, male 21.6
GTEX-REY6-0826-SM-2TF4S 60-69 years, male 21.6
GTEX-ZVTK-0626-SM-5GU6Y 20-29 years, male 21.6
GTEX-1LG7Z-2126-SM-CXKYU 30-39 years, male 21.6
GTEX-11GSP-2726-SM-5A5LJ 60-69 years, female 21.5
GTEX-13FHP-0526-SM-5K7UY 50-59 years, male 21.5
GTEX-145MG-0226-SM-5TDDB 50-59 years, male 21.5
GTEX-17F96-2726-SM-7LT9F 70-79 years, male 21.5
GTEX-OXRK-1826-SM-2HMJE 50-59 years, female 21.5
GTEX-YEC3-2126-SM-4YCDB 50-59 years, male 21.5
GTEX-ZYT6-1626-SM-5E45R 30-39 years, male 21.5
GTEX-11LCK-1226-SM-5Q5AM 30-39 years, male 21.4
GTEX-SE5C-1826-SM-2XCE4 40-49 years, female 21.4
GTEX-T2IS-2626-SM-32QPP 20-29 years, female 21.4
GTEX-13D11-2526-SM-5KM28 50-59 years, female 21.3
GTEX-13N1W-0526-SM-5MR4I 70-79 years, male 21.3
GTEX-14E6D-0326-SM-62LDX 50-59 years, male 21.3
GTEX-18A6Q-0326-SM-718AT 60-69 years, male 21.3
GTEX-1B933-0426-SM-7DHMC 50-59 years, female 21.3
GTEX-WWYW-0526-SM-3NB2W 50-59 years, female 21.3
GTEX-1GMRU-0326-SM-9WYT6 50-59 years, male 21.3
GTEX-1GN1U-2226-SM-9MQK1 50-59 years, female 21.3
GTEX-1IKK5-0426-SM-CL53X 60-69 years, male 21.3
GTEX-132AR-1026-SM-5PNVL 50-59 years, female 21.2
GTEX-QDVN-2426-SM-2S1Q4 50-59 years, male 21.2
GTEX-1GF9X-2126-SM-7PBXN 40-49 years, female 21.2
GTEX-1I1GT-0726-SM-B2LWN 60-69 years, female 21.2
GTEX-117XS-2526-SM-5H11G 60-69 years, male 21.1
GTEX-12KS4-0826-SM-5BC5R 30-39 years, male 21.1
GTEX-13SLX-0326-SM-5Q5E4 50-59 years, female 21.1
GTEX-P44G-0526-SM-2XCD1 30-39 years, male 21.1
GTEX-Y111-0326-SM-4SOIX 50-59 years, male 21.1
GTEX-1PPGY-0426-SM-DTXFE 60-69 years, male 21.1
GTEX-13NZ9-0626-SM-5IJCO 50-59 years, male 21.0
GTEX-147F3-0226-SM-5NQBV 50-59 years, female 21.0
GTEX-14ABY-0126-SM-62LDI 50-59 years, male 21.0
GTEX-O5YV-2026-SM-2D7VS 60-69 years, female 21.0
GTEX-ZC5H-0326-SM-5HL9F 40-49 years, female 21.0
GTEX-1CAV2-2426-SM-7P8QF 40-49 years, female 21.0
GTEX-1GMR3-2126-SM-9WYTZ 40-49 years, male 21.0
GTEX-1GZHY-0126-SM-9WYUQ 50-59 years, female 21.0
GTEX-11NV4-0326-SM-5HL58 60-69 years, male 20.9
GTEX-1339X-2426-SM-5KLYU 40-49 years, male 20.9
GTEX-13O3P-0626-SM-5L3D5 50-59 years, male 20.9
GTEX-SN8G-0326-SM-32PLG 50-59 years, female 20.9
GTEX-WRHU-0826-SM-3MJFN 50-59 years, female 20.9
GTEX-XAJ8-1026-SM-47JY9 40-49 years, male 20.9
GTEX-1GF9U-2326-SM-7RHH9 40-49 years, female 20.9
GTEX-139T8-0526-SM-5KLZL 60-69 years, male 20.8
GTEX-145MN-2426-SM-5NQA5 30-39 years, male 20.8
GTEX-YEC4-2226-SM-5IFJT 40-49 years, male 20.8
GTEX-YFC4-1026-SM-5RQJM 40-49 years, female 20.8
GTEX-1I1HK-0326-SM-ACKW5 60-69 years, male 20.8
GTEX-1JJEA-0126-SM-D3L8A 60-69 years, male 20.8
GTEX-1R9JW-2426-SM-DTXFI 30-39 years, female 20.8
GTEX-11WQC-2626-SM-5CVLF 60-69 years, male 20.7
GTEX-13FTX-2026-SM-5L3D6 20-29 years, female 20.7
GTEX-13NZA-0526-SM-5L3D7 60-69 years, male 20.7
GTEX-WYJK-1726-SM-3NM9U 50-59 years, male 20.7
GTEX-XQ3S-0426-SM-4BOOA 20-29 years, male 20.7
GTEX-XUYS-0326-SM-47JX2 50-59 years, male 20.7
GTEX-1IDJU-2426-SM-ARZM9 60-69 years, female 20.7
GTEX-1QP66-1626-SM-E76PC 50-59 years, male 20.7
GTEX-11XUK-2226-SM-5CVLL 40-49 years, female 20.6
GTEX-12ZZY-0626-SM-5EQ5T 60-69 years, male 20.6
GTEX-15CHC-2426-SM-6EU22 60-69 years, female 20.6
GTEX-WXYG-2526-SM-3NB3F 50-59 years, female 20.6
GTEX-XPVG-2526-SM-4B66D 50-59 years, male 20.6
GTEX-1JN6P-0526-SM-COH33 60-69 years, male 20.6
GTEX-1269C-2626-SM-5EQ5C 60-69 years, female 20.5
GTEX-13OW5-0326-SM-5L3HK 60-69 years, male 20.5
GTEX-16XZZ-0526-SM-7KUF1 60-69 years, male 20.5
GTEX-RN64-0326-SM-2TC5J 50-59 years, male 20.5
GTEX-1IKJJ-0326-SM-CL55L 60-69 years, male 20.5
GTEX-14PJM-0426-SM-5ZZVN 50-59 years, female 20.4
GTEX-15SDE-2326-SM-6PAL4 50-59 years, female 20.4
GTEX-1I1GV-0126-SM-CL55G 60-69 years, male 20.4
GTEX-1LB8K-0126-SM-EVYCN 50-59 years, male 20.4
GTEX-13X6H-2326-SM-7EWEB 50-59 years, female 20.3
GTEX-14BIL-0326-SM-5SI9Q 50-59 years, male 20.3
GTEX-17JCI-0326-SM-7LG5H 60-69 years, female 20.3
GTEX-SSA3-0326-SM-32QPS 60-69 years, male 20.3
GTEX-13112-2626-SM-5BC66 50-59 years, male 20.2
GTEX-131YS-0526-SM-5EGKJ 60-69 years, female 20.2
GTEX-PX3G-1626-SM-2S1PT 20-29 years, female 20.2
GTEX-ZDTS-0526-SM-4WKH9 60-69 years, male 20.2
GTEX-1F5PK-2626-SM-7RHH6 50-59 years, male 20.2
GTEX-1LC47-0626-SM-DIPFE 60-69 years, male 20.2
GTEX-11ZUS-1426-SM-5FQSP 30-39 years, male 20.1
GTEX-1B8L1-2726-SM-793AL 60-69 years, male 20.1
GTEX-QDVJ-1926-SM-2S1PJ 50-59 years, male 20.1
GTEX-S95S-1426-SM-2XCDM 60-69 years, male 20.1
GTEX-WOFM-1326-SM-3MJFR 20-29 years, male 20.1
GTEX-ZQG8-1226-SM-51MRX 60-69 years, female 20.1
GTEX-1EMGI-0326-SM-9MQM5 60-69 years, male 20.1
GTEX-1F7RK-0326-SM-7RHH7 20-29 years, female 20.1
GTEX-1I6K6-0326-SM-CJI4A 30-39 years, male 20.1
GTEX-12WSH-2526-SM-5CVNH 50-59 years, male 20.0
GTEX-1399T-2426-SM-5L3FJ 60-69 years, male 20.0
GTEX-13O3O-0526-SM-5J1NL 60-69 years, female 20.0
GTEX-1A8G6-0126-SM-7DUFY 60-69 years, male 20.0
GTEX-X261-0326-SM-3NMD4 50-59 years, male 20.0
GTEX-ZVT4-0326-SM-51MS5 50-59 years, female 20.0
GTEX-VJWN-0426-SM-3GIJI 50-59 years, female 19.9
GTEX-1QCLZ-0326-SM-DTXG2 60-69 years, female 19.9
GTEX-1S82U-1426-SM-E6CJL 30-39 years, female 19.9
GTEX-13CF2-2726-SM-5LZWW 60-69 years, male 19.8
GTEX-15D79-0526-SM-6ETZP 50-59 years, male 19.8
GTEX-1AX9I-0326-SM-73KXQ 60-69 years, male 19.8
GTEX-1H3NZ-0326-SM-9MQL6 60-69 years, male 19.8
GTEX-1P4AB-0326-SM-EXUT3 50-59 years, male 19.8
GTEX-1S82Y-2226-SM-EWRNV 40-49 years, male 19.8
GTEX-1128S-2426-SM-5H11B 60-69 years, female 19.7
GTEX-12WSC-0326-SM-5EQ5E 50-59 years, male 19.7
GTEX-1BAJH-0126-SM-7DHMF 70-79 years, male 19.7
GTEX-XGQ4-2326-SM-4AT53 50-59 years, male 19.7
GTEX-XOT4-0526-SM-4B66O 60-69 years, female 19.7
GTEX-1S82P-0326-SM-E9TIR 60-69 years, female 19.7
GTEX-13OVH-0626-SM-5L3EI 70-79 years, male 19.6
GTEX-14LZ3-0626-SM-5ZZWP 60-69 years, female 19.6
GTEX-16MT8-0326-SM-6PAM5 60-69 years, female 19.6
GTEX-1GZ2Q-0426-SM-9WPOU 40-49 years, male 19.6
GTEX-1H1DG-0326-SM-9QEHK 70-79 years, male 19.6
GTEX-13QJ3-0726-SM-5SI68 50-59 years, male 19.5
GTEX-15EO6-2826-SM-6PANB 50-59 years, male 19.5
GTEX-1AX9J-0126-SM-73KY2 60-69 years, male 19.5
GTEX-S7PM-0526-SM-3NM92 60-69 years, male 19.5
GTEX-1EH9U-0326-SM-7P8S2 60-69 years, male 19.5
GTEX-139TT-0426-SM-5IJFA 60-69 years, male 19.4
GTEX-14C39-2426-SM-5S2U5 40-49 years, male 19.4
GTEX-16GPK-0526-SM-7KUER 60-69 years, male 19.4
GTEX-Y8DK-0326-SM-4TT3P 60-69 years, male 19.4
GTEX-1HCU7-0426-SM-D3L8Q 50-59 years, male 19.4
GTEX-13OW7-0326-SM-5J1MP 50-59 years, male 19.3
GTEX-14PQA-0526-SM-7KUFS 50-59 years, female 19.3
GTEX-15SKB-2526-SM-6PALP 60-69 years, male 19.3
GTEX-QESD-1626-SM-2S1RB 20-29 years, male 19.3
GTEX-UTHO-0726-SM-3GAEN 60-69 years, male 19.3
GTEX-1GN73-0126-SM-CNPPT 60-69 years, male 19.3
GTEX-1KAFJ-2326-SM-D3L8Z 50-59 years, male 19.3
GTEX-11ONC-2426-SM-5GU7H 60-69 years, male 19.2
GTEX-13OW6-0626-SM-5L3IB 50-59 years, male 19.2
GTEX-S32W-2326-SM-2XCAW 50-59 years, female 19.2
GTEX-U412-0326-SM-3DB9L 60-69 years, male 19.2
GTEX-Y5LM-2126-SM-4VDSY 40-49 years, female 19.2
GTEX-ZAK1-0526-SM-5K7X4 50-59 years, female 19.2
GTEX-ZVE2-0626-SM-5GU7I 50-59 years, male 19.2
GTEX-1IDJH-0226-SM-CYPSB 70-79 years, male 19.2
GTEX-13PL7-0626-SM-5IJCD 60-69 years, female 19.1
GTEX-P4PP-1626-SM-2HMJF 30-39 years, female 19.1
GTEX-RTLS-0526-SM-2TF64 60-69 years, female 19.1
GTEX-1CB4G-0426-SM-7MXUN 60-69 years, male 19.1
GTEX-1IOXB-0326-SM-CL55M 50-59 years, male 19.1
GTEX-1S5VW-0526-SM-E6CHL 60-69 years, male 19.1
GTEX-11O72-0326-SM-5986D 40-49 years, male 19.0
GTEX-14JG1-0126-SM-5ZZUP 40-49 years, male 19.0
GTEX-18A7B-0326-SM-7LG65 70-79 years, male 19.0
GTEX-Y3I4-2326-SM-4TT81 50-59 years, male 19.0
GTEX-1JMLX-0326-SM-CM2RP 50-59 years, male 19.0
GTEX-147JS-0526-SM-5TDD3 60-69 years, male 18.9
GTEX-1IE54-0326-SM-ARZMD 40-49 years, female 18.9
GTEX-1N2DW-0426-SM-E9TK4 50-59 years, male 18.9
GTEX-12WSD-0526-SM-5EQ6F 60-69 years, female 18.8
GTEX-11NUK-0226-SM-5A5L4 50-59 years, male 18.7
GTEX-12WSA-0726-SM-5FQU2 60-69 years, male 18.7
GTEX-XQ8I-0626-SM-4BOPT 50-59 years, male 18.7
GTEX-1QAET-2026-SM-E9J3S 50-59 years, male 18.7
GTEX-11DXY-2726-SM-5GID2 60-69 years, male 18.6
GTEX-14PJO-0526-SM-6EU2O 60-69 years, male 18.6
GTEX-QVJO-0126-SM-3GIK4 60-69 years, female 18.6
GTEX-1C64N-0326-SM-7P8QC 50-59 years, male 18.6
GTEX-1CB4J-1226-SM-7P8P3 60-69 years, male 18.6
GTEX-1HBPM-0426-SM-CKZOO 60-69 years, female 18.6
GTEX-1HSKV-0126-SM-E6CI1 60-69 years, male 18.6
GTEX-1N2DV-0526-SM-DTX8W 40-49 years, male 18.6
GTEX-1R9PO-2426-SM-EVYBS 60-69 years, female 18.6
GTEX-ZEX8-2526-SM-DO92M 50-59 years, male 18.6
GTEX-131XE-2726-SM-5P9G7 50-59 years, male 18.5
GTEX-14LLW-0526-SM-62LFB 70-79 years, female 18.5
GTEX-17KNJ-2426-SM-7DHLR 50-59 years, male 18.5
GTEX-1C6VQ-0326-SM-7DHMS 50-59 years, male 18.5
GTEX-1399S-2726-SM-5KM22 30-39 years, female 18.4
GTEX-139YR-2526-SM-5IJC6 50-59 years, male 18.4
GTEX-144GL-0326-SM-5QGOY 50-59 years, male 18.4
GTEX-1A8G7-0326-SM-72D5B 60-69 years, male 18.4
GTEX-ZTPG-0126-SM-5O9AL 20-29 years, female 18.4
GTEX-1F88F-2526-SM-7PC2R 60-69 years, female 18.4
GTEX-1IL2U-0726-SM-EAZ2Y 60-69 years, male 18.4
GTEX-139TS-2626-SM-5J1MT 60-69 years, male 18.3
GTEX-Q2AH-1826-SM-2S1Q2 40-49 years, male 18.3
GTEX-1HB9E-0326-SM-D3LA5 50-59 years, male 18.3
GTEX-1IY9M-0326-SM-ARZMN 60-69 years, male 18.3
GTEX-1J8JJ-0126-SM-D3L93 60-69 years, female 18.3
GTEX-1PIGE-0226-SM-E76OT 20-29 years, male 18.3
GTEX-11P81-2526-SM-5GU6H 30-39 years, female 18.2
GTEX-SUCS-1626-SM-32PLS 70-79 years, male 18.2
GTEX-1PBJJ-0326-SM-E8VNT 30-39 years, male 18.2
GTEX-12C56-1926-SM-5FQUG 20-29 years, male 18.1
GTEX-13OVL-1426-SM-5IJC1 50-59 years, male 18.1
GTEX-17HII-0426-SM-793A3 50-59 years, male 18.1
GTEX-XYKS-2426-SM-4AT43 60-69 years, female 18.1
GTEX-1HBPN-0526-SM-A9SM6 50-59 years, male 18.1
GTEX-1LG7Y-0126-SM-E6CJ8 50-59 years, male 18.1
GTEX-11ZU8-2326-SM-5EQMJ 60-69 years, male 18.0
GTEX-13X6K-0326-SM-5Q5D6 60-69 years, female 18.0
GTEX-U8T8-1426-SM-3DB9H 60-69 years, male 18.0
GTEX-1GN2E-0726-SM-9MQLU 60-69 years, male 18.0
GTEX-1IKOH-0126-SM-COH4D 60-69 years, female 18.0
GTEX-13OVK-1926-SM-6M48G 40-49 years, male 17.9
GTEX-1LNCM-1226-SM-E9U5C 50-59 years, female 17.9
GTEX-1LSNM-2326-SM-EWRO8 50-59 years, male 17.9
GTEX-1LVA9-0326-SM-DLHBU 50-59 years, male 17.9
GTEX-1OFPY-2526-SM-DTXEK 60-69 years, male 17.9
GTEX-131XW-0326-SM-5KM1J 50-59 years, female 17.8
GTEX-13FXS-0326-SM-5K7TV 50-59 years, male 17.8
GTEX-13JVG-0126-SM-5L3D3 60-69 years, male 17.8
GTEX-13RTK-1626-SM-5QGQS 20-29 years, male 17.8
GTEX-OIZI-0626-SM-2XCEH 40-49 years, male 17.8
GTEX-TMZS-0326-SM-3DB9P 60-69 years, male 17.8
GTEX-1F75A-0626-SM-7PBYI 50-59 years, male 17.8
GTEX-1GTWX-0326-SM-9WYTP 60-69 years, male 17.8
GTEX-1HT8W-0326-SM-CM2SG 30-39 years, male 17.8
GTEX-1N2EF-0526-SM-E76OK 60-69 years, male 17.8
GTEX-11DXW-0726-SM-5H12J 40-49 years, male 17.7
GTEX-13N11-2726-SM-5L3ER 50-59 years, female 17.7
GTEX-YJ8O-2826-SM-5CVM4 40-49 years, female 17.7
GTEX-ZVZO-0326-SM-5HL4N 40-49 years, male 17.7
GTEX-11H98-0326-SM-5HL4S 50-59 years, male 17.6
GTEX-1B8KZ-2126-SM-73KYG 50-59 years, male 17.6
GTEX-TSE9-0526-SM-3DB7Z 60-69 years, female 17.6
GTEX-ZAKK-0326-SM-5EGHA 70-79 years, male 17.6
GTEX-ZV68-0526-SM-59HKI 50-59 years, female 17.6
GTEX-1I1GP-2126-SM-CKZPJ 50-59 years, male 17.6
GTEX-1I1GS-0326-SM-ARL7X 60-69 years, male 17.6
GTEX-11ZVC-2726-SM-5FQSZ 50-59 years, female 17.5
GTEX-14BMV-0326-SM-5RQHW 50-59 years, male 17.5
GTEX-14JIY-0426-SM-62LF7 60-69 years, male 17.5
GTEX-T5JC-0626-SM-3NMA6 20-29 years, male 17.5
GTEX-XBEC-0626-SM-4QARY 50-59 years, male 17.5
GTEX-1I1GQ-0326-SM-A9SKS 50-59 years, male 17.5
GTEX-11DZ1-0926-SM-5EQ5R 50-59 years, male 17.4
GTEX-11GSO-2526-SM-5PNVX 60-69 years, male 17.4
GTEX-WHSE-0526-SM-5GZZD 20-29 years, male 17.4
GTEX-ZDXO-0326-SM-4WKHJ 60-69 years, male 17.4
GTEX-1K9T9-0326-SM-EWRNQ 50-59 years, female 17.4
GTEX-13OVI-1726-SM-5L3DW 60-69 years, female 17.3
GTEX-13U4I-1826-SM-5IJD2 40-49 years, female 17.3
GTEX-1A8FM-0526-SM-7P8SF 50-59 years, female 17.3
GTEX-1LH75-2626-SM-E9TKL 50-59 years, female 17.3
GTEX-12WSM-0326-SM-5LZVI 60-69 years, male 17.2
GTEX-1C6VR-2526-SM-7DHMT 60-69 years, male 17.2
GTEX-YB5E-2226-SM-5IFJ5 40-49 years, male 17.2
GTEX-1F75W-0326-SM-7PC2Q 60-69 years, male 17.2
GTEX-1H1CY-2726-SM-9MQLR 60-69 years, female 17.2
GTEX-1I1GR-0326-SM-CKZPI 60-69 years, male 17.2
GTEX-139TU-0526-SM-5J2M8 60-69 years, male 17.1
GTEX-1KD4Q-0326-SM-E9TJA 40-49 years, male 17.1
GTEX-11ZTS-0526-SM-5CVL9 60-69 years, female 17.0
GTEX-QXCU-1726-SM-2TC6L 50-59 years, male 17.0
GTEX-ZWKS-0326-SM-5NQ7G 30-39 years, male 17.0
GTEX-1HFI6-0426-SM-B2LXB 40-49 years, male 17.0
GTEX-12ZZX-0326-SM-5DUVH 40-49 years, female 16.9
GTEX-144GM-2026-SM-5LU3D 20-29 years, male 16.9
GTEX-144GO-1326-SM-5Q5EL 60-69 years, male 16.9
GTEX-16Z82-0126-SM-7DHLF 60-69 years, male 16.9
GTEX-17F97-0526-SM-7DUF8 50-59 years, male 16.9
GTEX-11WQK-0726-SM-5GU71 50-59 years, male 16.8
GTEX-13O3Q-2726-SM-5KM51 50-59 years, male 16.8
GTEX-169BO-1526-SM-9KNVR 50-59 years, male 16.8
GTEX-1GN1V-0326-SM-9WYTO 60-69 years, male 16.8
GTEX-1HBPI-0226-SM-ADEJ7 50-59 years, male 16.8
GTEX-13QIC-1226-SM-5K7YR 60-69 years, female 16.7
GTEX-1A3MX-0526-SM-718A9 60-69 years, male 16.7
GTEX-QVUS-0226-SM-3GIJY 60-69 years, female 16.7
GTEX-13FTY-0226-SM-5IJBW 40-49 years, female 16.6
GTEX-13FTZ-2226-SM-5LZXI 60-69 years, male 16.6
GTEX-14C38-0426-SM-5TDDZ 50-59 years, male 16.6
GTEX-1B8SF-0426-SM-79OL4 60-69 years, male 16.6
GTEX-1R7EV-2026-SM-DTX83 40-49 years, male 16.6
GTEX-139D8-0726-SM-5P9GJ 30-39 years, female 16.5
GTEX-13FHO-0726-SM-5IJDG 60-69 years, male 16.5
GTEX-XV7Q-2926-SM-4BRUL 40-49 years, female 16.5
GTEX-Y3IK-2626-SM-4WWDK 50-59 years, female 16.5
GTEX-ZYW4-0526-SM-5GZZ5 60-69 years, male 16.5
GTEX-11GS4-2526-SM-5A5KT 60-69 years, male 16.4
GTEX-11PRG-0326-SM-5GU53 50-59 years, male 16.4
GTEX-OXRN-1326-SM-3LK5V 50-59 years, male 16.4
GTEX-Y9LG-1926-SM-5IFHY 30-39 years, male 16.4
GTEX-1EWIQ-0626-SM-7PBYW 70-79 years, female 16.4
GTEX-1F6IF-0226-SM-7PBZ6 60-69 years, male 16.4
GTEX-1HC8U-2626-SM-CNPPH 40-49 years, female 16.4
GTEX-QDT8-0526-SM-3NMD8 30-39 years, female 16.3
GTEX-X638-0326-SM-47JY1 70-79 years, female 16.3
GTEX-ZDYS-1726-SM-5HL4Y 50-59 years, male 16.3
GTEX-WL46-0626-SM-3LK7R 50-59 years, male 16.2
GTEX-1EN7A-0326-SM-7P8T1 40-49 years, male 16.2
GTEX-1GPI6-0326-SM-9MQM6 60-69 years, male 16.2
GTEX-13PVQ-0326-SM-5K7YF 50-59 years, male 16.1
GTEX-OHPL-1626-SM-2HMIR 60-69 years, female 16.1
GTEX-X5EB-2326-SM-46MW5 40-49 years, male 16.1
GTEX-X88G-0326-SM-47JZ4 30-39 years, male 16.1
GTEX-16XZY-2226-SM-7938N 70-79 years, male 16.0
GTEX-ZF28-0526-SM-4WKGW 60-69 years, male 16.0
GTEX-1RQED-0426-SM-E6CJP 60-69 years, male 16.0
GTEX-113JC-2726-SM-5EGIS 50-59 years, female 15.9
GTEX-13W46-0726-SM-5LU3Z 50-59 years, male 15.9
GTEX-14PII-0626-SM-69LPY 60-69 years, male 15.9
GTEX-1EX96-1526-SM-7PBXK 50-59 years, male 15.9
GTEX-1MJIX-2126-SM-E9J3A 40-49 years, male 15.9
GTEX-1QMI2-0526-SM-DTXFU 60-69 years, male 15.9
GTEX-131XH-2726-SM-5GCO2 50-59 years, male 15.8
GTEX-139UW-2626-SM-5K7W1 60-69 years, male 15.8
GTEX-13OVJ-0226-SM-5L3GK 50-59 years, female 15.8
GTEX-1AYD5-2226-SM-73KX3 50-59 years, male 15.8
GTEX-UPJH-0526-SM-4IHK8 50-59 years, male 15.8
GTEX-ZVE1-0526-SM-5NQ71 50-59 years, female 15.8
GTEX-ZYFC-0526-SM-5GIDF 50-59 years, male 15.8
GTEX-1QW4Y-1726-SM-EWRN1 30-39 years, male 15.8
GTEX-14A6H-5019-SM-793DH 30-39 years, male 15.7
GTEX-P4PQ-1626-SM-2HMKK 60-69 years, male 15.7
GTEX-U8XE-0726-SM-3DB8O 30-39 years, male 15.7
GTEX-111FC-0326-SM-5GZZ1 60-69 years, male 15.6
GTEX-132NY-0726-SM-5KLZM 60-69 years, male 15.6
GTEX-1C6WA-0326-SM-7DUGE 60-69 years, male 15.6
GTEX-1R46S-0326-SM-EWRNE 60-69 years, female 15.6
GTEX-XMD1-0626-SM-EZ6MC 60-69 years, male 15.6
GTEX-13OW8-1426-SM-5IJDT 60-69 years, male 15.5
GTEX-16NPV-2426-SM-6M482 50-59 years, female 15.5
GTEX-X4EO-0526-SM-3P5Z3 60-69 years, female 15.5
GTEX-1H4P4-0626-SM-9YFKZ 50-59 years, male 15.5
GTEX-1HBPH-0826-SM-ARZNB 40-49 years, female 15.5
GTEX-1MCQQ-0626-SM-E9U5Q 60-69 years, male 15.5
GTEX-13NYB-2726-SM-5J2MT 40-49 years, male 15.4
GTEX-ZF3C-0326-SM-4WWBF 50-59 years, female 15.4
GTEX-12WSF-0926-SM-6PALU 70-79 years, male 15.3
GTEX-147GR-0126-SM-62LER 60-69 years, male 15.3
GTEX-14PJ2-0326-SM-6EU2Q 50-59 years, male 15.3
GTEX-1O9I2-0526-SM-EYYXI 50-59 years, male 15.3
GTEX-1QPFJ-0326-SM-E8VO2 30-39 years, female 15.3
GTEX-15CHR-2426-SM-7DUFX 50-59 years, male 15.2
GTEX-1CB4F-0326-SM-9MQKD 60-69 years, male 15.2
GTEX-1EU9M-0126-SM-7P8P8 60-69 years, male 15.2
GTEX-12ZZZ-0226-SM-59HKU 60-69 years, male 15.1
GTEX-15SHW-0726-SM-7KUEI 60-69 years, male 15.1
GTEX-1H3O1-0626-SM-9MQM4 60-69 years, male 15.1
GTEX-11TTK-0326-SM-5BC5N 60-69 years, female 15.0
GTEX-144FL-0326-SM-5O99O 50-59 years, male 15.0
GTEX-1R7EU-0626-SM-DTX9N 60-69 years, male 15.0
GTEX-1R9K4-0626-SM-E76OZ 60-69 years, male 14.9
GTEX-15UF6-1026-SM-7KUF7 70-79 years, female 14.8
GTEX-1B8SG-0326-SM-73KXW 50-59 years, male 14.8
GTEX-ZUA1-0326-SM-5NQA3 40-49 years, male 14.8
GTEX-1H3VE-0126-SM-9WYTW 40-49 years, male 14.8
GTEX-1R9PM-2226-SM-E8VOC 20-29 years, male 14.8
GTEX-12584-0526-SM-5FQTS 40-49 years, male 14.7
GTEX-13RTL-0326-SM-7LT89 40-49 years, male 14.7
GTEX-145LS-0526-SM-5LU8Y 60-69 years, female 14.7
GTEX-ZE9C-2326-SM-5J1NT 60-69 years, male 14.7
GTEX-1CAMQ-0326-SM-7MXUI 40-49 years, male 14.7
GTEX-148VJ-0326-SM-5QGQE 70-79 years, male 14.6
GTEX-17MF6-2026-SM-7LG5I 40-49 years, male 14.6
GTEX-Y8LW-2026-SM-4V6G8 50-59 years, female 14.6
GTEX-1J1OQ-0426-SM-A9SLI 40-49 years, female 14.6
GTEX-12696-2826-SM-5FQTY 60-69 years, male 14.5
GTEX-13RTJ-2726-SM-73KVG 60-69 years, male 14.5
GTEX-15DCD-0626-SM-7KUG7 70-79 years, female 14.5
GTEX-YECK-0626-SM-4W1ZE 60-69 years, male 14.5
GTEX-1J8EW-0326-SM-CYPSX 60-69 years, female 14.5
GTEX-1A32A-0526-SM-731B9 50-59 years, female 14.4
GTEX-WYVS-2326-SM-3NMAI 40-49 years, female 14.4
GTEX-ZYY3-0526-SM-5E45G 60-69 years, female 14.4
GTEX-13S7M-0326-SM-5S2PH 60-69 years, female 14.3
GTEX-ZYFD-0326-SM-5NQ8I 50-59 years, male 14.2
GTEX-1R9K5-0326-SM-EWRNG 50-59 years, male 14.2
GTEX-14PN4-0326-SM-6EU2N 50-59 years, male 14.1
GTEX-15CHQ-0726-SM-6EU18 60-69 years, male 14.1
GTEX-1JMQK-0326-SM-ARZN5 60-69 years, male 14.1
GTEX-11UD2-0326-SM-5EQLE 50-59 years, male 14.0
GTEX-146FQ-0326-SM-5NQAX 30-39 years, male 14.0
GTEX-13IVO-0626-SM-5LZYJ 70-79 years, male 13.9
GTEX-1JMPZ-0126-SM-CNPOZ 30-39 years, male 13.9
GTEX-13G51-2726-SM-5LZZ9 60-69 years, male 13.8
GTEX-146FH-0526-SM-5QGQ3 50-59 years, female 13.8
GTEX-18D9B-0426-SM-7LTAR 60-69 years, male 13.8
GTEX-1GZ4I-0526-SM-9YFLX 50-59 years, male 13.8
GTEX-1KANB-0126-SM-E6CJT 50-59 years, male 13.8
GTEX-RUSQ-1726-SM-2TF68 50-59 years, male 13.7
GTEX-YBZK-0326-SM-59HLN 50-59 years, female 13.7
GTEX-N7MS-0426-SM-2YUN6 60-69 years, male 13.6
GTEX-R3RS-0526-SM-3GADG 40-49 years, female 13.6
GTEX-1M4P7-0126-SM-DKPQF 60-69 years, male 13.5
GTEX-13X6I-0526-SM-5QGP8 60-69 years, male 13.4
GTEX-ZQUD-1726-SM-7P8ON 30-39 years, male 13.4
GTEX-13CF3-1826-SM-5J1NK 60-69 years, female 13.3
GTEX-1477Z-1626-SM-5SIA8 60-69 years, male 13.3
GTEX-PLZ4-0926-SM-2S1OI 50-59 years, female 13.3
GTEX-ZE7O-0326-SM-51MTH 50-59 years, female 13.3
GTEX-1HSMO-0526-SM-ACKXB 60-69 years, male 13.2
GTEX-132Q8-0626-SM-5L3F3 60-69 years, male 12.9
GTEX-XMD2-0526-SM-4YCDI 60-69 years, female 12.9
GTEX-1399Q-2426-SM-5J2MO 40-49 years, male 12.8
GTEX-13PDP-0326-SM-5K7XP 60-69 years, male 12.8
GTEX-X8HC-0526-SM-4E3JA 50-59 years, female 12.8
GTEX-1IGQW-0526-SM-CKZO3 60-69 years, male 12.7
GTEX-1IL2V-0526-SM-ARL8B 70-79 years, male 12.7
GTEX-1PWST-0426-SM-E76QV 70-79 years, male 12.6
GTEX-X4XY-0626-SM-4E3IN 60-69 years, male 12.4
GTEX-11TUW-2526-SM-5EQKN 60-69 years, male 12.3
GTEX-14E6C-1526-SM-664ND 40-49 years, male 12.3
GTEX-13113-5019-SM-7EPH2 60-69 years, female 12.2
GTEX-13YAN-0526-SM-5O9BE 60-69 years, male 12.2
GTEX-ZZPT-0626-SM-5GZXT 50-59 years, male 12.2
GTEX-1QEPI-0526-SM-E76QF 60-69 years, female 12.2
GTEX-U3ZG-0326-SM-47JXN 50-59 years, male 12.1
GTEX-1JMQL-0126-SM-CY8HN 50-59 years, female 11.9
GTEX-1117F-0426-SM-5EGHI 60-69 years, female 11.8
GTEX-1IDFM-1526-SM-ARL7U 60-69 years, male 11.8
GTEX-1CB4H-0426-SM-7MXTL 60-69 years, female 11.7
GTEX-13SLW-0326-SM-5RQK5 70-79 years, male 11.4
GTEX-13NYC-0726-SM-5J2NQ 60-69 years, male 11.3
GTEX-13PLJ-0326-SM-5L3I7 60-69 years, female 11.3
GTEX-183WM-0426-SM-731B1 70-79 years, female 11.3
GTEX-Y8E5-0326-SM-57WBM 60-69 years, male 11.3
GTEX-1F88E-1826-SM-9MQLV 60-69 years, female 11.3
GTEX-OHPN-2726-SM-2I5H4 60-69 years, female 11.0
GTEX-ZAB4-0426-SM-5HL7N 40-49 years, male 11.0
GTEX-WWTW-0626-SM-4MVNS 50-59 years, male 10.8
GTEX-1ICLZ-0626-SM-ARL83 60-69 years, male 10.7
GTEX-17EVQ-1226-SM-7LG59 70-79 years, male 10.4
GTEX-139T4-0326-SM-5K7XN 50-59 years, female 10.2
GTEX-13O1R-0526-SM-5K7XU 60-69 years, male 10.2
GTEX-14A5H-0326-SM-5RQIB 60-69 years, male 10.2
GTEX-11UD1-0326-SM-5EQKX 40-49 years, female 10.1
GTEX-1ICLY-0326-SM-ARL7S 50-59 years, male 10.0
GTEX-12WSG-5016-SM-7SB84 50-59 years, female 9.9
GTEX-WOFL-0626-SM-3MJG3 60-69 years, male 9.8
GTEX-1H23P-0526-SM-9WG6S 60-69 years, male 9.6
GTEX-14ASI-0526-SM-5QGQP 60-69 years, male 9.0
GTEX-OXRO-1726-SM-3LK6C 60-69 years, female 8.4
GTEX-1JN1M-0526-SM-CJI3D 60-69 years, female 8.4
GTEX-145MI-0326-SM-5Q5EV 60-69 years, female 8.3
GTEX-1LVAO-0526-SM-EWRNS 60-69 years, male 6.3
Show allShow less

SKELETAL MUSCLE - FANTOM5 CAGEi

RNA expression in human tissues obtained through Cap Analysis of Gene Expression (CAGE) generated by the FANTOM5 project are reported as Scaled Tags Per Million.

Max subtype Scaled Tags Per Millioni

Max subtype Scaled Tags Per Million is the value for the subtype with the largest average Scaled Tags Per Million across the subtype samples.

54.6
FANTOM5 sample id Sample description Scaled Tags Per Million
Skeletal muscle
Scaled Tags Per Million: 54.6
FF:10023-101D5 55,79,79 years, mixed 54.6
Skeletal muscle - soleus muscle
Scaled Tags Per Million: 32.3
FF:10282-104F3 male 32.3

Contact

  • NEWS ARTICLES
  • PRESS ROOM

The Project

  • INTRODUCTION
  • ORGANIZATION
  • PUBLICATIONS

The Human Protein Atlas

  • DOWNLOADABLE DATA
  • LICENCE & CITATION
  • HELP & FAQ
The Human Protein Atlas project is funded
by the Knut & Alice Wallenberg Foundation.


contact@proteinatlas.org