We use cookies to enhance the usability of our website. If you continue, we'll assume that you are happy to receive all cookies. More information. Don't show this again.
LOXL1
HPA
RESOURCES
  • TISSUE
  • BRAIN
  • SINGLE CELL
  • SUBCELLULAR
  • CANCER
  • BLOOD
  • CELL LINE
  • STRUCTURE & INTERACTION
ABOUT
  • INTRODUCTION
  • HISTORY
  • ORGANIZATION
  • PUBLICATIONS
  • ANTIBODY SUBMISSION
  • ANTIBODY AVAILABILITY
  • ACKNOWLEDGMENTS
  • CONTACT
NEWS
  • NEWS ARTICLES
  • PRESS ROOM
LEARN
  • DICTIONARY
  • PROTEIN CLASSES
  • PROTEIN EVIDENCE
  • METHODS
  • EDUCATIONAL VIDEOS
DATA
  • DOWNLOADABLE DATA
  • PUBLICATION DATA
  • RELEASE HISTORY
HELP
  • ANTIBODY VALIDATION
  • ASSAYS & ANNOTATION
  • DISCLAIMER
  • HELP & FAQ
  • PRIVACY STATEMENT
  • LICENCE & CITATION
Fields »
Search result

Field
Term
Gene name
Class
Subclass
Class
Keyword
Chromosome
External id
Tissue
Cell type
Expression
Antibody panel
Tissue
Main location
Patient ID
Annotation
Tissue
Category
Tau score
Cluster
Reliability
Brain region
Category
Tau score
Brain region
Category
Tau score
Brain region
Category
Tau score
Cluster
Reliability
Tissue
Cell type
Enrichment
Cell type
Category
Tau score
Cell type
Category
Tau score
Cell type
Category
Tau score
Cell lineage
Category
Tau score
Cluster
Cluster
Location
Searches
Location
Cell line
Class
Type
Phase
Reliability
Cancer
Prognosis
Cancer
Category
Cancer
Category
Tau score
Cluster
Variants
Interacting gene (ensg_id)
Type
Number of interactions
Pathway
Category
Score
Score
Score
Validation
Validation
Validation
Validation
Antibodies
Data type
Column


  • SUMMARY

  • TISSUE

  • BRAIN

  • SINGLE CELL

  • SUBCELL

  • CANCER

  • BLOOD

  • CELL LINE

  • STRUCT & INT

  • LOXL1
TISSUE PRIMARY DATA HEART MUSCLE Show tissue menu
ADIPOSE TISSUE ADRENAL GLAND AMYGDALA APPENDIX BASAL GANGLIA BONE MARROW BREAST BRONCHUS CEREBELLUM CEREBRAL CORTEX CERVIX CHOROID PLEXUS COLON DUODENUM
ENDOMETRIUM EPIDIDYMIS ESOPHAGUS FALLOPIAN TUBE GALLBLADDER HEART MUSCLE HIPPOCAMPAL FORMATION HYPOTHALAMUS KIDNEY LIVER LUNG LYMPH NODE MIDBRAIN NASOPHARYNX
ORAL MUCOSA OVARY PANCREAS PARATHYROID GLAND PITUITARY GLAND PLACENTA PROSTATE RECTUM RETINA SALIVARY GLAND SEMINAL VESICLE SKELETAL MUSCLE SKIN SMALL INTESTINE
SMOOTH MUSCLE SOFT TISSUE SPINAL CORD SPLEEN STOMACH TESTIS THYMUS THYROID GLAND TONGUE TONSIL URINARY BLADDER VAGINA
ANTIBODIES
AND
VALIDATION
Dictionary
Heart muscle
Tissue proteome
Heart
HEART MUSCLE - Expression summary
Protein expression
Heart musclei

On the top, protein expression in current human tissue, based on all annotated cell types, is reported with the units not detected (n), low (l), medium (m) and high (h). Underneath, protein expression in each annotated cell type are reported using the same units.

Protein expression data is based on knowledge-based annotation. For genes where more than one antibody has been used, a collective score is set.

If knowledge-based annotation could not be performed for a gene, no data is displayed here. View antibody staining data further down this page.

h
m
l
n
Cardiomyocytes: Medium
RNA expressioni

A summary of mRNA expression data available for current tissue based on several datasets. The mRNA expression levels in human tissues are based on RNA-seq data generated by the Human Protein Atlas (HPA), Genotype-Tissue Expression (GTEx) portal and CAGE data generated by the FANTOM5 consortium. Consensus normalized expression levels for human tissues was created by combining the data from HPA and GTEx datasets.

The mRNA expression levels in pig are based on RNA-seq data generated by the Human Protein Atlas (HPA), and for mouse, HPA data and in situ hybridization generated by the Allen brain atlas are reported.

Scroll down to view mRNA expression data in more detail.
Consensus:27.0 nTPM
HPA:15.1 nTPM
GTEx:27.0 nTPM
FANTOM5:41.3 Scaled Tags Per Million

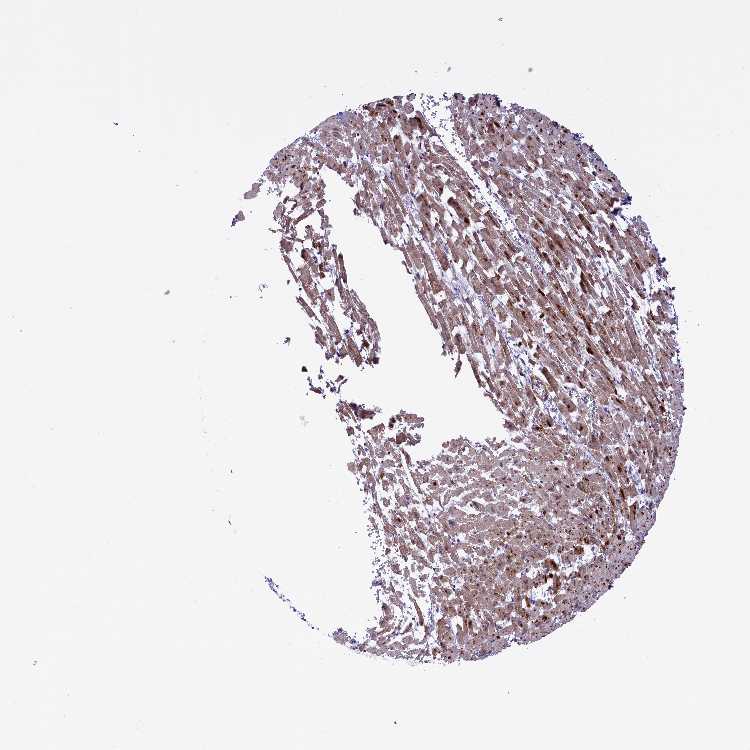
HEART MUSCLE - Antibody stainingi

Antibody staining in the annotated cell types in the current human tissue is reported as not detected, low, medium, or high, based on conventional immunohistochemistry profiling in selected tissues. This score is based on the combination of the staining intensity and fraction of stained cells.

Each image is clickable and will lead to virtual microscopy that enables deeper exploration of all samples and also displays staining intensity scores, fraction scores and subcellular localization as well as patient and tissue information for each sample.

Antibody HPA042111
Cardiomyocytes Medium



HEART MUSCLE - HPA RNA-seqi

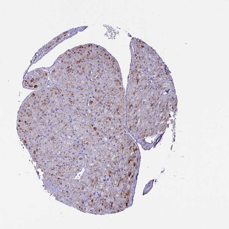
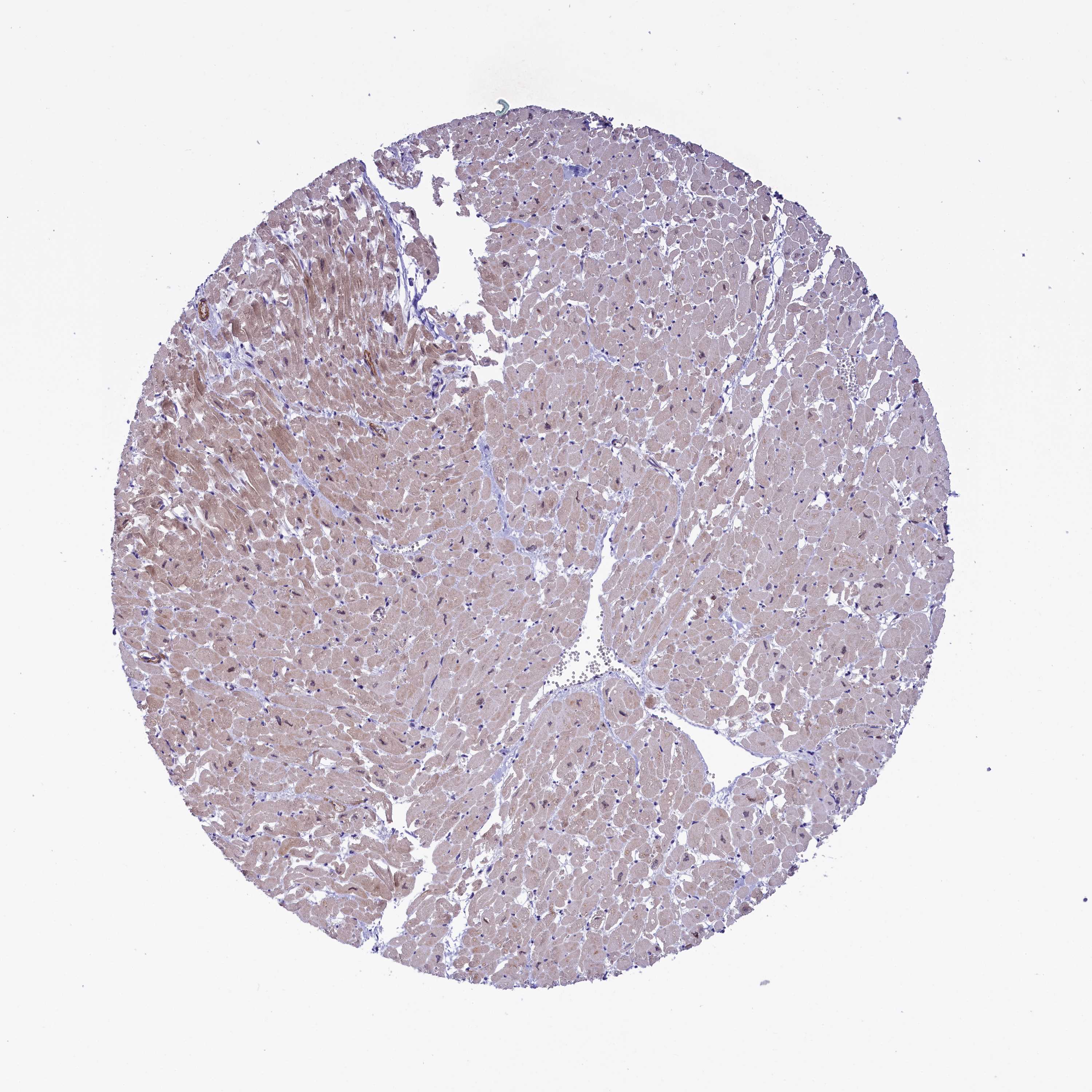
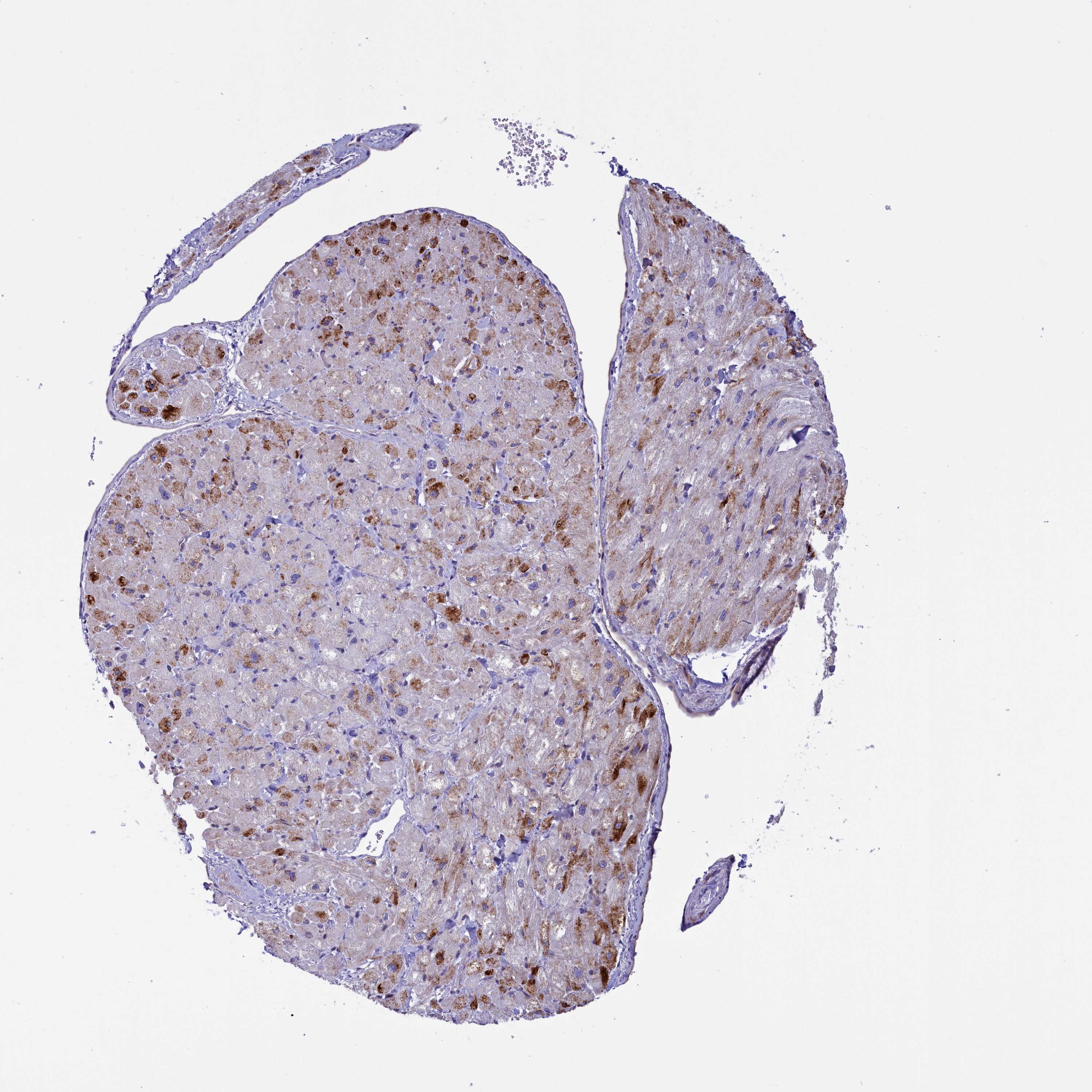
The RNA-seq details section shows detailed information about the individual samples used for the transcript profiling and results of the RNA-seq analysis.

Information about each individual sample is listed below, including gender, age, a tissue section image and estimated fractions of cell types. nTPM (normalized transcripts per million) values give a quantification of the gene abundance which is comparable between different genes and samples.
Average nTPMi

Max subtype nTPM is the value for the subtype with the largest average nTPM across the subtype samples.

15.1
overview
Female, age 48
Heart muscle sample 149
nTPM: 14.8
Cell types%
Myocytes:
15

Fibroblasts:
55

Endothelial cells:
25

Other cell types:
5

overview
Female, age 42
Heart muscle sample 150
nTPM: 20.3
Cell types%
Myocytes:
20

Fibroblasts:
45

Endothelial cells:
30

Other cell types:
5

overview
Male, age 53
Heart muscle sample 151
nTPM: 9.2
Cell types%
Myocytes:
20

Fibroblasts:
45

Endothelial cells:
30

Other cell types:
5

overview
Female, age 69
Heart muscle sample 152
nTPM: 16.3
Cell types%
Myocytes:
20

Fibroblasts:
45

Endothelial cells:
30

Other cell types:
5


HEART MUSCLE - GTEx RNA-seqi

RNA-Seq data generated by the Genotype-Tissue Expression (GTEx) project from human tissues is reported as mean nTPM. More information can be found on the GTEx portal.

Distribution across the dataset is visualized with box plots, shown as median and 25th and 75th percentiles. Points are displayed as outliers if they are above or below 1.5 times the interquartile range. nTPM values of the individual samples are presented next to the box plot.
Max subtype nTPMi

Max subtype nTPM is the value for the subtype with the largest average nTPM across the subtype samples.

27.0
GTEx sample id Sample description nTPM
Heart - Atrial Appendage
Average nTPM: 27.0
Samples: 429

Max nTPM: 141.2
Min nTPM: 3.8
Std nTPM: 21.5
Median nTPM: 19.1
GTEX-1GZ2Q-0926-SM-7RHHN 40-49 years, male 141.2
GTEX-1JMLX-1826-SM-CNPOX 50-59 years, male 124.5
GTEX-11ONC-1026-SM-5GU64 60-69 years, male 120.1
GTEX-X62O-0826-SM-46MW8 50-59 years, male 115.9
GTEX-1IL2V-1126-SM-CMKGH 70-79 years, male 110.7
GTEX-XQ3S-0526-SM-4BOQA 20-29 years, male 107.4
GTEX-1QEPI-1126-SM-E8VN7 60-69 years, female 95.9
GTEX-1J1OQ-2226-SM-A96SS 40-49 years, female 94.8
GTEX-1212Z-0726-SM-5EGI5 60-69 years, male 94.7
GTEX-1H1ZS-1026-SM-9WG6E 70-79 years, male 93.4
GTEX-1H3O1-0226-SM-9WYSW 60-69 years, male 84.4
GTEX-132Q8-1126-SM-5K7XS 60-69 years, male 84.3
GTEX-1C6VQ-0826-SM-7PBZT 50-59 years, male 84.0
GTEX-14C39-0726-SM-5RQIK 40-49 years, male 82.5
GTEX-1C6WA-0826-SM-7PBXS 60-69 years, male 81.7
GTEX-1H1CY-0426-SM-9KNVD 60-69 years, female 79.6
GTEX-145LS-1326-SM-5Q5EP 60-69 years, female 78.4
GTEX-11DXY-1026-SM-5987V 60-69 years, male 78.1
GTEX-1GN1V-1026-SM-CNPPS 60-69 years, male 77.6
GTEX-11GS4-0426-SM-5N9CD 60-69 years, male 75.6
GTEX-XYKS-0226-SM-4BRW3 60-69 years, female 73.8
GTEX-1IKJJ-0626-SM-CY8GF 60-69 years, male 73.7
GTEX-12584-1026-SM-59HK3 40-49 years, male 73.0
GTEX-11GSP-1226-SM-5985M 60-69 years, female 72.3
GTEX-1477Z-1126-SM-5P9GK 60-69 years, male 71.8
GTEX-1HFI6-0826-SM-9YFM2 40-49 years, male 71.1
GTEX-1H3NZ-1026-SM-A9SM5 60-69 years, male 70.3
GTEX-1192W-0226-SM-5EGGT 60-69 years, male 68.1
GTEX-12ZZY-1226-SM-5GCNK 60-69 years, male 67.5
GTEX-1KD5A-0926-SM-D4P3U 50-59 years, male 67.0
GTEX-1HUB1-0726-SM-CGQF4 60-69 years, male 66.5
GTEX-1LH75-0526-SM-DIPG2 50-59 years, female 66.1
GTEX-13PDP-1326-SM-5K7U9 60-69 years, male 65.0
GTEX-13SLX-0926-SM-5S2NM 50-59 years, female 63.9
GTEX-13FTZ-0326-SM-5J1O1 60-69 years, male 62.2
GTEX-1I19N-0626-SM-A9SKY 70-79 years, male 61.6
GTEX-ZVT4-1326-SM-5NQ8E 50-59 years, female 60.6
GTEX-WL46-0726-SM-3LK5Z 50-59 years, male 59.5
GTEX-1B8SF-1326-SM-7IGQJ 60-69 years, male 59.4
GTEX-13NZA-0826-SM-5K7WS 60-69 years, male 59.0
GTEX-13CF2-0226-SM-5L3DV 60-69 years, male 55.9
GTEX-15D1Q-0426-SM-6AJ9G 40-49 years, male 55.8
GTEX-1I1GR-1026-SM-A9SLC 60-69 years, male 55.4
GTEX-1A8FM-1026-SM-7PC26 50-59 years, female 54.9
GTEX-1HT8W-1326-SM-CGQEN 30-39 years, male 53.2
GTEX-12WSI-0426-SM-5EQ5J 50-59 years, male 52.9
GTEX-15CHQ-1326-SM-6871Z 60-69 years, male 52.8
GTEX-1F75A-1026-SM-7PC3W 50-59 years, male 52.7
GTEX-1IOXB-0726-SM-A9G32 50-59 years, male 51.8
GTEX-13SLW-0826-SM-5QGP7 70-79 years, male 51.4
GTEX-XLM4-2026-SM-4AT4X 60-69 years, male 51.2
GTEX-1CAMQ-0726-SM-7P8SG 40-49 years, male 51.2
GTEX-132QS-0526-SM-5IJC7 60-69 years, male 50.5
GTEX-1E2YA-0626-SM-7P8P4 50-59 years, male 50.1
GTEX-13JUV-0226-SM-5IJCC 40-49 years, female 49.3
GTEX-15ER7-0826-SM-6PALW 20-29 years, female 49.1
GTEX-13X6J-1226-SM-79OMF 50-59 years, male 48.9
GTEX-1LVAO-0626-SM-EWRNT 60-69 years, male 48.9
GTEX-13FHO-1226-SM-5L3EF 60-69 years, male 48.7
GTEX-YECK-1226-SM-4W21G 60-69 years, male 48.5
GTEX-18465-0726-SM-7LG4L 50-59 years, male 48.2
GTEX-16GPK-1226-SM-7LTAU 60-69 years, male 47.6
GTEX-18A6Q-1526-SM-731CO 60-69 years, male 47.0
GTEX-13FHP-0826-SM-5K7V5 50-59 years, male 46.8
GTEX-WRHU-1026-SM-4E3ID 50-59 years, female 46.3
GTEX-Z93S-0326-SM-5HL84 50-59 years, male 46.1
GTEX-YF7O-0526-SM-5P9IO 50-59 years, male 45.2
GTEX-1K2DU-0226-SM-DIPF6 20-29 years, male 43.3
GTEX-1EX96-2626-SM-9MQJV 50-59 years, male 43.0
GTEX-1MJK2-1626-SM-EVYCQ 50-59 years, male 42.9
GTEX-1IKOH-0926-SM-A9SLU 60-69 years, female 42.5
GTEX-1B933-0826-SM-79OMW 50-59 years, female 41.9
GTEX-1E1VI-1426-SM-793CY 50-59 years, male 41.9
GTEX-ZZPU-1126-SM-5N9CW 50-59 years, female 41.8
GTEX-11EMC-0826-SM-59862 60-69 years, female 41.5
GTEX-WOFL-1226-SM-4OOST 60-69 years, male 41.0
GTEX-111VG-0326-SM-5GZX7 60-69 years, male 39.8
GTEX-148VJ-1426-SM-5TDE3 70-79 years, male 39.3
GTEX-1EMGI-1126-SM-9KNUF 60-69 years, male 39.3
GTEX-1OFPY-0926-SM-DTX8Q 60-69 years, male 39.3
GTEX-12WSC-1026-SM-5EQ5Y 50-59 years, male 39.0
GTEX-ZAB4-0926-SM-5CVN4 40-49 years, male 39.0
GTEX-12WSD-1226-SM-5HL9Q 60-69 years, female 38.9
GTEX-1F88F-0326-SM-9KNV3 60-69 years, female 38.6
GTEX-14E7W-1126-SM-5ZZVS 70-79 years, male 38.3
GTEX-1JJ6O-2226-SM-AHZ3I 60-69 years, male 38.1
GTEX-11O72-1026-SM-5986B 40-49 years, male 37.8
GTEX-147F4-1126-SM-5TDDE 50-59 years, male 37.8
GTEX-13O3Q-0326-SM-5L3FE 50-59 years, male 37.4
GTEX-1GN2E-1426-SM-7RHHI 60-69 years, male 37.0
GTEX-11NV4-0826-SM-5BC4S 60-69 years, male 36.6
GTEX-ZDTS-1226-SM-4WKGL 60-69 years, male 36.5
GTEX-1M5QR-1626-SM-E9U5O 40-49 years, male 36.3
GTEX-13D11-1526-SM-5J2NA 50-59 years, female 36.0
GTEX-ZUA1-0726-SM-4YCD9 40-49 years, male 35.7
GTEX-1399T-0726-SM-5J1MH 60-69 years, male 35.5
GTEX-1IL2U-1226-SM-CL53P 60-69 years, male 35.5
GTEX-Y114-0126-SM-4TT8K 50-59 years, female 35.1
GTEX-1BAJH-1026-SM-7EWEG 70-79 years, male 34.6
GTEX-12BJ1-0326-SM-5FQUB 60-69 years, male 33.9
GTEX-1JN6P-0826-SM-ARL97 60-69 years, male 33.4
GTEX-ZPU1-0726-SM-5HL6O 40-49 years, male 33.2
GTEX-1QP6S-1026-SM-DTXFW 40-49 years, male 33.2
GTEX-11TUW-1126-SM-5EQKJ 60-69 years, male 33.1
GTEX-14PJM-0826-SM-6LLIW 50-59 years, female 33.0
GTEX-1A8G6-1826-SM-73KY8 60-69 years, male 33.0
GTEX-1GN1W-0226-SM-7P8QY 50-59 years, female 32.8
GTEX-1LSNL-0626-SM-DIPFJ 50-59 years, male 32.8
GTEX-131XG-0526-SM-5DUWF 50-59 years, female 32.6
GTEX-1GN73-2326-SM-9MQKV 60-69 years, male 32.6
GTEX-1LB8K-0926-SM-D4P42 50-59 years, male 32.5
GTEX-1GMRU-1326-SM-9WYUI 50-59 years, male 32.4
GTEX-13NZ9-0126-SM-5K7XV 50-59 years, male 32.3
GTEX-1EWIQ-1126-SM-7EPIK 70-79 years, female 31.8
GTEX-17EVP-0526-SM-7EPGY 40-49 years, male 31.7
GTEX-XPVG-0726-SM-4B658 50-59 years, male 31.6
GTEX-YFC4-0426-SM-4TT3J 40-49 years, female 31.5
GTEX-ZDXO-0426-SM-4WKF6 60-69 years, male 31.4
GTEX-ZXG5-0626-SM-5NQ85 60-69 years, male 31.4
GTEX-1GF9V-1726-SM-9KNW4 60-69 years, male 31.4
GTEX-13PL6-0826-SM-5IJBI 40-49 years, female 31.3
GTEX-1IDJU-0626-SM-CKZOG 60-69 years, female 31.3
GTEX-14BIN-2126-SM-793AX 50-59 years, female 30.9
GTEX-XBEC-1226-SM-4AT65 50-59 years, male 30.9
GTEX-1HSMQ-0426-SM-ADEIM 50-59 years, male 30.7
GTEX-1GMR8-1026-SM-9MQLA 50-59 years, female 30.2
GTEX-11ZUS-0326-SM-5EQ4W 30-39 years, male 30.1
GTEX-12696-1226-SM-5FQSM 60-69 years, male 30.1
GTEX-1IY9M-0626-SM-D4P2L 60-69 years, male 30.0
GTEX-1IKK5-1726-SM-CM2RU 60-69 years, male 29.6
GTEX-14PHY-0326-SM-62LE3 60-69 years, female 29.5
GTEX-ZVZQ-0726-SM-51MR3 60-69 years, female 29.5
GTEX-13FXS-1026-SM-62LFQ 50-59 years, male 28.5
GTEX-1C64O-0926-SM-79OLN 60-69 years, male 28.3
GTEX-ZEX8-0326-SM-DO92C 50-59 years, male 28.1
GTEX-1GF9U-0526-SM-7P8SK 40-49 years, female 27.7
GTEX-1IDJF-0826-SM-ARU7N 20-29 years, male 27.4
GTEX-1P4AB-0926-SM-E76PV 50-59 years, male 27.3
GTEX-117YW-0426-SM-5GZZZ 50-59 years, male 27.2
GTEX-1PPGY-0926-SM-DTXFF 60-69 years, male 26.9
GTEX-X4EP-0326-SM-3P5Z6 60-69 years, female 26.8
GTEX-1GN1U-1426-SM-7P8TF 50-59 years, female 26.8
GTEX-1AX9I-1026-SM-73KYF 60-69 years, male 26.6
GTEX-WY7C-1126-SM-3NB3A 50-59 years, male 26.6
GTEX-1I1HK-0626-SM-CNPQM 60-69 years, male 26.6
GTEX-13O3P-1426-SM-5L3DT 50-59 years, male 26.4
GTEX-13112-0526-SM-5EQ4S 50-59 years, male 26.1
GTEX-XV7Q-0726-SM-4BRV6 40-49 years, female 25.8
GTEX-13JVG-1126-SM-5KM2M 60-69 years, male 25.7
GTEX-15SHV-0526-SM-7KUEN 60-69 years, male 25.6
GTEX-14PJ2-1126-SM-69LOD 50-59 years, male 25.4
GTEX-17HGU-1126-SM-793BP 50-59 years, male 25.4
GTEX-X4XX-1126-SM-3NMBY 60-69 years, male 25.3
GTEX-1F6I4-0826-SM-7RHGK 60-69 years, male 25.3
GTEX-11NUK-0926-SM-5HL57 50-59 years, male 25.0
GTEX-16YQH-0726-SM-7IGM1 30-39 years, male 25.0
GTEX-144GL-1026-SM-5O99R 50-59 years, male 24.9
GTEX-14BIL-0926-SM-7DHKN 50-59 years, male 24.9
GTEX-1192X-0726-SM-5987R 50-59 years, male 24.6
GTEX-17F9Y-1226-SM-7EPGE 70-79 years, female 24.6
GTEX-1B996-1026-SM-793CF 60-69 years, male 24.6
GTEX-1HFI7-0526-SM-A9SMA 50-59 years, female 24.6
GTEX-1JJEA-0926-SM-CYPSO 60-69 years, male 24.4
GTEX-14PJO-0826-SM-6ETZK 60-69 years, male 24.3
GTEX-1I1CD-1326-SM-A9SMM 60-69 years, female 24.3
GTEX-13O3O-1426-SM-5KM2S 60-69 years, female 24.2
GTEX-13OW7-1626-SM-5IJDH 50-59 years, male 23.8
GTEX-1HC8U-0626-SM-B2LWB 40-49 years, female 23.8
GTEX-1IDJD-0226-SM-CKZOA 30-39 years, male 23.8
GTEX-145MN-0726-SM-5NQBH 30-39 years, male 23.7
GTEX-1POEN-0726-SM-DTXDU 30-39 years, female 23.5
GTEX-1RB15-0426-SM-E9U4Y 60-69 years, male 23.4
GTEX-132NY-1426-SM-5J1MJ 60-69 years, male 23.3
GTEX-15CHC-0326-SM-5ZZVP 60-69 years, female 23.1
GTEX-16XZZ-1026-SM-7DHKS 60-69 years, male 22.5
GTEX-ZPCL-0526-SM-DO91R 60-69 years, female 22.5
GTEX-11DXX-0526-SM-5PNVR 60-69 years, female 22.3
GTEX-11DYG-1026-SM-5A5JQ 60-69 years, male 22.2
GTEX-ZF2S-0826-SM-4WWBI 50-59 years, female 22.2
GTEX-ZF29-0426-SM-4WKFN 60-69 years, female 22.1
GTEX-X261-0926-SM-3NMCY 50-59 years, male 22.0
GTEX-1HSMO-1126-SM-CGQF2 60-69 years, male 21.9
GTEX-11DXZ-0326-SM-5EGH1 50-59 years, male 21.8
GTEX-1EU9M-1926-SM-7RHH4 60-69 years, male 21.8
GTEX-13PVQ-1326-SM-5LU4J 50-59 years, male 21.7
GTEX-1QPFJ-0926-SM-EVR3K 30-39 years, female 21.7
GTEX-12WSG-1226-SM-5EQ4C 50-59 years, female 21.4
GTEX-WK11-0626-SM-3NMAV 50-59 years, male 21.4
GTEX-13RTJ-0526-SM-62LDP 60-69 years, male 21.3
GTEX-1B8L1-0426-SM-7SB76 60-69 years, male 21.3
GTEX-1HCVE-0826-SM-CM2SF 50-59 years, male 21.3
GTEX-1LVAN-1526-SM-CNPQN 50-59 years, female 21.2
GTEX-11EQ8-1326-SM-5EGJQ 60-69 years, male 21.1
GTEX-12ZZX-0726-SM-5EGKA 40-49 years, female 21.1
GTEX-12WSN-0226-SM-5DUXH 40-49 years, male 21.0
GTEX-183WM-0926-SM-718AN 70-79 years, female 21.0
GTEX-13O21-0326-SM-5J1N9 50-59 years, male 20.8
GTEX-145LV-0226-SM-5S2QG 50-59 years, male 20.7
GTEX-XOT4-1126-SM-4B66E 60-69 years, female 20.7
GTEX-1RLM8-0226-SM-E6CJY 50-59 years, male 20.7
GTEX-15RJE-0726-SM-7KUEG 40-49 years, male 20.6
GTEX-1B8SG-0726-SM-79ONS 50-59 years, male 20.1
GTEX-1J8EW-0626-SM-CM2TY 60-69 years, female 20.1
GTEX-11UD2-0926-SM-5CVL6 50-59 years, male 20.0
GTEX-13OVI-0326-SM-5K7X1 60-69 years, female 20.0
GTEX-1HBPM-1026-SM-ARL9D 60-69 years, female 20.0
GTEX-14PK6-0726-SM-6LLIX 70-79 years, female 19.9
GTEX-X8HC-1026-SM-46MWH 50-59 years, female 19.9
GTEX-UTHO-1226-SM-3GAEE 60-69 years, male 19.6
GTEX-18A67-1026-SM-731CE 50-59 years, male 19.4
GTEX-147JS-1326-SM-5SI6D 60-69 years, male 19.3
GTEX-1HSKV-0726-SM-ACKWE 60-69 years, male 19.3
GTEX-1122O-0626-SM-5N9B9 60-69 years, female 19.1
GTEX-1399S-0826-SM-5KM23 30-39 years, female 19.1
GTEX-139TU-1926-SM-5J2OC 60-69 years, male 19.1
GTEX-ZZPT-0926-SM-5GICZ 50-59 years, male 19.1
GTEX-1H2FU-0826-SM-9WYSU 60-69 years, female 19.1
GTEX-Y5V5-0726-SM-4VBPY 60-69 years, female 19.0
GTEX-16NPX-0826-SM-6M489 50-59 years, male 18.9
GTEX-146FH-1126-SM-5NQAT 50-59 years, female 18.8
GTEX-ZAK1-1126-SM-5PNXU 50-59 years, female 18.7
GTEX-1EH9U-0626-SM-7PC33 60-69 years, male 18.7
GTEX-1HBPH-0226-SM-9WYSM 40-49 years, female 18.7
GTEX-13W3W-0526-SM-5LU3X 60-69 years, female 18.6
GTEX-14XAO-0926-SM-69LPZ 60-69 years, female 18.5
GTEX-15RIE-1326-SM-6PAMM 60-69 years, male 18.5
GTEX-15SDE-1826-SM-7KUFN 50-59 years, female 18.5
GTEX-1AX8Z-1126-SM-731CS 60-69 years, male 18.5
GTEX-1HR98-1026-SM-CKZOM 60-69 years, male 18.4
GTEX-111FC-0626-SM-5N9CU 60-69 years, male 18.3
GTEX-14C5O-1226-SM-664N3 60-69 years, male 18.3
GTEX-11ZVC-0526-SM-5N9G1 50-59 years, female 18.2
GTEX-1AX9K-0426-SM-73KUG 50-59 years, male 18.1
GTEX-Y3IK-1026-SM-51MR7 50-59 years, female 18.1
GTEX-1IKOE-0626-SM-A9G31 30-39 years, female 18.1
GTEX-13N11-0726-SM-5L3DP 50-59 years, female 18.0
GTEX-13OW6-0926-SM-5L3GM 50-59 years, male 18.0
GTEX-14JG1-0826-SM-5ZZWR 40-49 years, male 17.9
GTEX-ZYFG-0526-SM-5GZXX 60-69 years, female 17.9
GTEX-ZE7O-0626-SM-57WCD 50-59 years, female 17.8
GTEX-YJ8O-0826-SM-5CVM3 40-49 years, female 17.7
GTEX-1HCU7-1226-SM-B2LX8 50-59 years, male 17.7
GTEX-1LGRB-1026-SM-CNPQD 50-59 years, female 17.7
GTEX-VJWN-1026-SM-4M1ZN 50-59 years, female 17.6
GTEX-1F48J-1126-SM-9WYSY 50-59 years, female 17.6
GTEX-1H1DG-0826-SM-9QEIW 70-79 years, male 17.6
GTEX-1313W-1126-SM-5EQ5U 50-59 years, female 17.5
GTEX-1J8Q3-1126-SM-ARU8N 60-69 years, male 17.3
GTEX-1117F-0726-SM-5GIEN 60-69 years, female 17.2
GTEX-1CB4J-0226-SM-7P8T4 60-69 years, male 17.1
GTEX-1GZ4I-0826-SM-9WG6O 50-59 years, male 17.0
GTEX-146FR-0926-SM-5QGPE 60-69 years, female 16.9
GTEX-ZVT3-0826-SM-5GIC8 60-69 years, female 16.9
GTEX-1C64N-0826-SM-7RHGQ 50-59 years, male 16.9
GTEX-15UF7-1526-SM-6LPI7 40-49 years, male 16.8
GTEX-16XZY-0526-SM-7DHKY 70-79 years, male 16.7
GTEX-13X6K-1726-SM-7IGLG 60-69 years, female 16.6
GTEX-1KANB-1126-SM-DHXJT 50-59 years, male 16.6
GTEX-14BIM-2726-SM-5Q5EG 60-69 years, female 16.5
GTEX-17MF6-0926-SM-7LTAL 40-49 years, male 16.5
GTEX-WQUQ-1326-SM-3MJFF 60-69 years, male 16.5
GTEX-ZG7Y-1426-SM-4WWBM 50-59 years, male 16.5
GTEX-WHSE-0826-SM-4SOJU 20-29 years, male 16.4
GTEX-18A7A-1226-SM-7LTAJ 50-59 years, female 16.3
GTEX-1I1GQ-1226-SM-CL55J 50-59 years, male 16.3
GTEX-14A5I-1026-SM-5Q5E3 50-59 years, female 16.1
GTEX-117XS-0726-SM-5H131 60-69 years, male 15.9
GTEX-132AR-1926-SM-5EGK5 50-59 years, female 15.9
GTEX-13FTW-0826-SM-5K7XR 40-49 years, male 15.9
GTEX-13QBU-0226-SM-5LU48 40-49 years, female 15.9
GTEX-1A32A-1326-SM-73KWW 50-59 years, female 15.8
GTEX-1H11D-1026-SM-9QEIU 40-49 years, male 15.8
GTEX-1ICG6-0726-SM-B2LY5 70-79 years, female 15.8
GTEX-1LSNM-0426-SM-E9TIZ 50-59 years, male 15.7
GTEX-14PN4-0826-SM-69LON 50-59 years, male 15.6
GTEX-1B97J-0326-SM-7939H 50-59 years, female 15.6
GTEX-ZVT2-0926-SM-5GICE 50-59 years, female 15.6
GTEX-ZYVF-1826-SM-5E44F 50-59 years, female 15.6
GTEX-131YS-0826-SM-5PNYV 60-69 years, female 15.5
GTEX-14A6H-0326-SM-5NQAN 30-39 years, male 15.5
GTEX-ZYFC-1026-SM-5GZX9 50-59 years, male 15.5
GTEX-1I1GP-0626-SM-ARL7H 50-59 years, male 15.5
GTEX-UPK5-0226-SM-3GAEV 40-49 years, male 15.3
GTEX-ZDTT-0326-SM-4WKF9 60-69 years, male 15.3
GTEX-ZTPG-1326-SM-51MSQ 20-29 years, female 15.1
GTEX-1QMI2-1026-SM-DTX7T 60-69 years, male 15.1
GTEX-13NYS-1926-SM-5IJCB 60-69 years, male 15.0
GTEX-15CHR-0326-SM-7DHN3 50-59 years, male 15.0
GTEX-1AX9J-0926-SM-73KXA 60-69 years, male 15.0
GTEX-1HCUA-0626-SM-ACKVT 50-59 years, female 15.0
GTEX-1399R-1726-SM-5K7YJ 30-39 years, male 14.9
GTEX-14DAQ-1026-SM-793B1 60-69 years, female 14.9
GTEX-14PJ6-0626-SM-686Z6 60-69 years, female 14.9
GTEX-V1D1-0626-SM-4JBHN 50-59 years, male 14.9
GTEX-ZYT6-0926-SM-5GIEM 30-39 years, male 14.7
GTEX-14PN3-0726-SM-6EU14 60-69 years, female 14.6
GTEX-1IDJH-1126-SM-COH3R 70-79 years, male 14.6
GTEX-1GTWX-0926-SM-9MQKM 60-69 years, male 14.5
GTEX-1I1GV-1426-SM-B2LXN 60-69 years, male 14.5
GTEX-13PL7-0726-SM-5KM1S 60-69 years, female 14.4
GTEX-1CB4H-0626-SM-7IGN3 60-69 years, female 14.4
GTEX-WI4N-0726-SM-3TW93 40-49 years, female 14.4
GTEX-13N1W-0926-SM-5MR36 70-79 years, male 14.3
GTEX-1JMQK-0926-SM-ARL96 60-69 years, male 14.2
GTEX-12WSA-1126-SM-5EGKU 60-69 years, male 14.1
GTEX-1CB4G-0726-SM-79OOJ 60-69 years, male 14.1
GTEX-1KANC-0226-SM-E9TIW 50-59 years, female 14.1
GTEX-XXEK-2026-SM-4BRVE 50-59 years, male 13.8
GTEX-1JMOU-0326-SM-ARL8X 60-69 years, female 13.8
GTEX-WHWD-0326-SM-3LK6L 50-59 years, male 13.7
GTEX-WYBS-1226-SM-3NM9N 60-69 years, female 13.7
GTEX-14E1K-0826-SM-5ZZW9 50-59 years, male 13.5
GTEX-ZLFU-0326-SM-4WWBK 40-49 years, male 13.5
GTEX-11ZTT-0526-SM-5EQLA 60-69 years, female 13.4
GTEX-W5X1-0826-SM-3GILN 40-49 years, female 13.3
GTEX-1JMQL-1026-SM-CMKGV 50-59 years, female 13.3
GTEX-1399U-0726-SM-5KM1D 50-59 years, female 13.2
GTEX-13S86-0326-SM-5SI6K 40-49 years, male 13.2
GTEX-17JCI-0826-SM-7LT8W 60-69 years, female 13.2
GTEX-1KXAM-1426-SM-D3LAC 60-69 years, male 13.2
GTEX-14PII-1026-SM-5ZZVW 60-69 years, male 13.1
GTEX-17KNJ-0626-SM-7LT9L 50-59 years, male 13.1
GTEX-ZAB5-0126-SM-5CVMT 50-59 years, male 13.1
GTEX-1H3VY-1126-SM-A96TP 50-59 years, male 13.1
GTEX-14C38-1326-SM-62LDK 50-59 years, male 13.0
GTEX-ZT9W-0526-SM-57WFG 50-59 years, male 13.0
GTEX-1211K-0226-SM-59HJY 60-69 years, female 12.9
GTEX-13FH7-0826-SM-5J2NW 50-59 years, female 12.9
GTEX-13NYB-0326-SM-5IJDP 40-49 years, male 12.9
GTEX-YEC3-0426-SM-CYPS8 50-59 years, male 12.9
GTEX-1A3MX-1226-SM-731B3 60-69 years, male 12.8
GTEX-1LG7Y-1426-SM-D4P31 50-59 years, male 12.8
GTEX-1LGOU-0326-SM-D3LAM 20-29 years, female 12.8
GTEX-13OVG-0426-SM-5KM2T 60-69 years, male 12.6
GTEX-1C2JI-0626-SM-7DHM1 50-59 years, male 12.4
GTEX-YB5K-0226-SM-5IFJE 40-49 years, female 12.4
GTEX-13U4I-0626-SM-5LU5L 40-49 years, female 12.3
GTEX-1HBPN-0926-SM-CGQEG 50-59 years, male 12.3
GTEX-1MJIX-0426-SM-DTXEN 40-49 years, male 12.3
GTEX-1NSGN-1226-SM-E76OL 50-59 years, male 12.3
GTEX-1QP29-1426-SM-DTX9Q 50-59 years, male 12.3
GTEX-1339X-0326-SM-5K7Z8 40-49 years, male 12.0
GTEX-1F75B-1126-SM-7RHGP 50-59 years, male 12.0
GTEX-1JK1U-0626-SM-CKZOJ 60-69 years, male 12.0
GTEX-1L5NE-0526-SM-DIPG5 50-59 years, male 12.0
GTEX-WHPG-1026-SM-3NMBA 50-59 years, male 11.9
GTEX-1NHNU-0626-SM-E6CP1 50-59 years, male 11.9
GTEX-ZV7C-0526-SM-9WPNK 50-59 years, male 11.9
GTEX-11P81-0526-SM-59873 30-39 years, female 11.8
GTEX-14E6C-0326-SM-5Q5EE 40-49 years, male 11.7
GTEX-17F9E-0726-SM-793A1 50-59 years, male 11.6
GTEX-Y8E4-0426-SM-4V6GB 40-49 years, male 11.4
GTEX-VUSG-0726-SM-3GIK1 50-59 years, male 11.3
GTEX-1QCLZ-1126-SM-EWRNB 60-69 years, female 11.3
GTEX-111YS-0326-SM-5GZZ3 60-69 years, male 11.2
GTEX-11LCK-0826-SM-5PNYD 30-39 years, male 11.2
GTEX-13VXT-0726-SM-5SIAD 20-29 years, female 11.1
GTEX-15SHU-0926-SM-6PAMK 40-49 years, female 11.1
GTEX-117YX-0626-SM-5EGJI 50-59 years, male 10.9
GTEX-12WSE-0926-SM-5S2VX 20-29 years, male 10.9
GTEX-17GQL-0626-SM-731CN 60-69 years, male 10.9
GTEX-1445S-1226-SM-5O9BF 60-69 years, male 10.7
GTEX-18A66-1126-SM-731C5 60-69 years, male 10.7
GTEX-11EM3-0426-SM-5N9BZ 20-29 years, female 10.6
GTEX-12WSK-0526-SM-5CVNA 40-49 years, female 10.6
GTEX-14PJ4-0926-SM-5YY98 60-69 years, male 10.6
GTEX-X5EB-0626-SM-46MVQ 40-49 years, male 10.6
GTEX-ZPIC-0426-SM-DO91V 40-49 years, female 10.3
GTEX-11WQK-0226-SM-5EQLI 50-59 years, male 10.2
GTEX-15EU6-1326-SM-6PANG 50-59 years, male 10.2
GTEX-1F75I-1326-SM-7PBZX 40-49 years, male 10.2
GTEX-13O1R-0926-SM-5L3DS 60-69 years, male 10.0
GTEX-17F96-0826-SM-7DHLU 70-79 years, male 10.0
GTEX-ZAJG-0926-SM-5Q5AB 50-59 years, female 10.0
GTEX-WH7G-0326-SM-3NMBH 40-49 years, male 9.9
GTEX-ZDYS-0326-SM-5HL4W 50-59 years, male 9.9
GTEX-1B8KE-0326-SM-73KTY 50-59 years, male 9.8
GTEX-V955-0826-SM-CYPR5 60-69 years, male 9.8
GTEX-11TT1-1426-SM-5EGIA 20-29 years, male 9.7
GTEX-WFG8-0726-SM-3GILP 20-29 years, male 9.7
GTEX-131XE-0526-SM-5K7YT 50-59 years, male 9.6
GTEX-14BMV-1026-SM-5SI6B 50-59 years, male 9.6
GTEX-ZF3C-1126-SM-57WEG 50-59 years, female 9.6
GTEX-1R9K4-1026-SM-EXUT1 60-69 years, male 9.6
GTEX-1GMR2-1326-SM-9KNUT 50-59 years, male 9.5
GTEX-1R7EV-0426-SM-DTX7Z 40-49 years, male 9.4
GTEX-14ASI-0826-SM-5Q5EB 60-69 years, male 9.3
GTEX-1J8Q2-1026-SM-ARU8I 60-69 years, male 9.3
GTEX-1CAMS-1126-SM-7MXUQ 40-49 years, female 9.2
GTEX-1GL5R-0426-SM-9WPOP 50-59 years, male 9.2
GTEX-YEC4-0226-SM-4W1YG 40-49 years, male 9.0
GTEX-XQ8I-0226-SM-4BOPM 50-59 years, male 8.9
GTEX-1J8QM-0326-SM-CL53D 60-69 years, female 8.9
GTEX-16MT8-0826-SM-7KULO 60-69 years, female 8.7
GTEX-1CB4I-1526-SM-7DHMY 50-59 years, male 8.7
GTEX-U8XE-0926-SM-3DB8V 30-39 years, male 8.7
GTEX-WEY5-0226-SM-3GIKN 40-49 years, female 8.7
GTEX-1AYCT-0526-SM-7RHHS 50-59 years, male 8.7
GTEX-13O61-0426-SM-5L3ET 60-69 years, male 8.4
GTEX-1HSGN-0926-SM-CNNQM 40-49 years, female 8.3
GTEX-1MCC2-0226-SM-EVYD5 30-39 years, female 8.3
GTEX-15SKB-0926-SM-7KUFC 60-69 years, male 8.2
GTEX-1GMR3-0426-SM-7PC17 40-49 years, male 8.2
GTEX-13PVR-0926-SM-5S2RB 60-69 years, female 8.1
GTEX-131XF-0426-SM-5HL7U 60-69 years, male 7.9
GTEX-139YR-0526-SM-5L3DG 50-59 years, male 7.9
GTEX-18D9U-1426-SM-718BO 40-49 years, male 7.9
GTEX-18D9B-1126-SM-7KFSH 60-69 years, male 7.7
GTEX-XGQ4-0526-SM-4AT6C 50-59 years, male 7.6
GTEX-1R9JW-0426-SM-E76QL 30-39 years, female 7.6
GTEX-XPT6-0226-SM-4B65L 20-29 years, male 7.5
GTEX-14H4A-0426-SM-5ZZWO 40-49 years, female 7.4
GTEX-ZGAY-0226-SM-4WWAL 40-49 years, female 7.1
GTEX-13YAN-1426-SM-7EPG8 60-69 years, male 6.9
GTEX-X3Y1-0226-SM-3P5Z5 40-49 years, male 6.6
GTEX-Y3I4-0526-SM-4TT6X 50-59 years, male 6.6
GTEX-14PHX-0626-SM-5YY8Z 50-59 years, male 6.4
GTEX-ZTTD-0626-SM-4YCCY 50-59 years, male 6.2
GTEX-13NZB-0426-SM-5KM26 30-39 years, male 6.1
GTEX-WYJK-1126-SM-3NM9Z 50-59 years, male 6.1
GTEX-1CB4E-0626-SM-7DHMW 60-69 years, male 5.7
GTEX-13OW5-0926-SM-5L3GZ 60-69 years, male 5.5
GTEX-15DCE-0826-SM-7KULW 20-29 years, male 5.3
GTEX-WZTO-1226-SM-3NMAZ 40-49 years, male 4.8
GTEX-1B932-1326-SM-79OM4 40-49 years, female 4.7
GTEX-WFON-0226-SM-3GIKR 40-49 years, male 4.6
GTEX-WWYW-1126-SM-3NB2Q 50-59 years, female 4.5
GTEX-ZYFD-2026-SM-5E459 50-59 years, male 4.3
GTEX-WFG7-0826-SM-3GIKU 20-29 years, male 3.8
Show allShow less
Heart - Left Ventricle
Average nTPM: 21.5
Samples: 432

Max nTPM: 178.4
Min nTPM: 1.8
Std nTPM: 21.1
Median nTPM: 14.5
GTEX-1C6VQ-1126-SM-7EWET 50-59 years, male 178.4
GTEX-14PJM-1126-SM-6LLHK 50-59 years, female 148.3
GTEX-1IKJJ-0826-SM-A96SP 60-69 years, male 114.2
GTEX-147JS-1526-SM-5ZZWF 60-69 years, male 104.4
GTEX-1H1CY-0326-SM-9QEIZ 60-69 years, female 103.5
GTEX-14XAO-1126-SM-6EU11 60-69 years, female 99.6
GTEX-1399T-0426-SM-5PNVJ 60-69 years, male 90.9
GTEX-1JMLX-1626-SM-ARZMV 50-59 years, male 90.8
GTEX-1GN2E-1326-SM-9KNVG 60-69 years, male 86.0
GTEX-ZUA1-0826-SM-4YCDL 40-49 years, male 84.8
GTEX-1GN1W-0326-SM-9JGHF 50-59 years, female 84.7
GTEX-ZF3C-1226-SM-4WWCB 50-59 years, female 79.1
GTEX-13W3W-0426-SM-5SI9D 60-69 years, female 76.3
GTEX-1J8QM-0426-SM-AHZ3X 60-69 years, female 75.6
GTEX-1GMRU-1526-SM-9WYT5 50-59 years, male 73.8
GTEX-1212Z-0626-SM-5FQTB 60-69 years, male 73.0
GTEX-1LG7Y-1226-SM-CXZKD 50-59 years, male 70.2
GTEX-1EKGG-1126-SM-7MGXB 60-69 years, male 69.8
GTEX-13NYB-0226-SM-5N9G4 40-49 years, male 68.8
GTEX-1M5QR-1026-SM-DHXK9 40-49 years, male 66.1
GTEX-1K9T9-1126-SM-D3L9E 50-59 years, female 65.9
GTEX-13O1R-1226-SM-5J1NU 60-69 years, male 65.1
GTEX-SIU8-0826-SM-2XCDQ 50-59 years, male 64.9
GTEX-12WSK-0626-SM-5LZUJ 40-49 years, female 63.5
GTEX-13OW6-1126-SM-5L3HL 50-59 years, male 63.5
GTEX-R45C-0926-SM-3GAD4 60-69 years, female 62.7
GTEX-YF7O-0426-SM-5P9FS 50-59 years, male 62.6
GTEX-14C39-0926-SM-5TDDV 40-49 years, male 62.1
GTEX-R55G-0526-SM-2TC5O 40-49 years, female 61.2
GTEX-1IDJU-0726-SM-CNPQ9 60-69 years, female 59.3
GTEX-18A6Q-1626-SM-7KFTA 60-69 years, male 59.0
GTEX-1EX96-2526-SM-7RHGW 50-59 years, male 55.9
GTEX-1I6K7-0626-SM-ARL7Q 40-49 years, male 54.6
GTEX-WH7G-0426-SM-3NMBJ 40-49 years, male 54.2
GTEX-11ONC-0126-SM-5PNW6 60-69 years, male 53.7
GTEX-14E7W-1226-SM-5RQIU 70-79 years, male 50.9
GTEX-15CHQ-1526-SM-69LPW 60-69 years, male 50.6
GTEX-1JMOU-0226-SM-CNNPD 60-69 years, female 49.8
GTEX-1HSMQ-0226-SM-C1YQL 50-59 years, male 49.2
GTEX-OIZI-0926-SM-E6CHF 40-49 years, male 47.6
GTEX-11I78-0826-SM-5A5K4 50-59 years, female 47.1
GTEX-O5YV-0326-SM-2I5H2 60-69 years, female 46.4
GTEX-1R9K5-1326-SM-E6CPR 50-59 years, male 45.9
GTEX-148VJ-1526-SM-5Q5DU 70-79 years, male 45.8
GTEX-17HHY-1426-SM-7EWDQ 50-59 years, male 45.3
GTEX-ZPIC-0826-SM-4WWFJ 40-49 years, female 45.0
GTEX-14E6D-0926-SM-5S2QV 50-59 years, male 44.9
GTEX-PWCY-0526-SM-5P9HG 20-29 years, female 43.9
GTEX-1IDJF-0726-SM-CJI1U 20-29 years, male 42.8
GTEX-1B8SG-0826-SM-7EWF7 50-59 years, male 42.1
GTEX-1NV8Z-1526-SM-DTX8X 60-69 years, male 41.8
GTEX-1122O-0826-SM-5GICV 60-69 years, female 41.5
GTEX-11GSP-1326-SM-5A5KY 60-69 years, female 40.3
GTEX-145MN-0626-SM-5QGRH 30-39 years, male 40.1
GTEX-ZVT2-1026-SM-5GU55 50-59 years, female 39.3
GTEX-N7MS-0826-SM-2HML4 60-69 years, male 38.1
GTEX-YB5K-0126-SM-5IFJ2 40-49 years, female 38.1
GTEX-ZAJG-0826-SM-5PNVA 50-59 years, female 38.0
GTEX-13SLX-1026-SM-5ZZUQ 50-59 years, female 37.8
GTEX-1IL2U-1326-SM-A9G2O 60-69 years, male 36.9
GTEX-13JVG-1326-SM-5N9F8 60-69 years, male 36.8
GTEX-13N1W-1026-SM-5IJC5 70-79 years, male 36.5
GTEX-13X6K-1826-SM-5O9CR 60-69 years, female 36.4
GTEX-1H11D-1226-SM-9WPQ2 40-49 years, male 36.4
GTEX-11GS4-0526-SM-5A5KQ 60-69 years, male 36.3
GTEX-1QP2A-1126-SM-EVR3H 50-59 years, male 36.3
GTEX-1JMPZ-1426-SM-CJI3C 30-39 years, male 36.2
GTEX-15DYW-1126-SM-6LPK5 60-69 years, female 36.0
GTEX-131XE-0626-SM-5HL98 50-59 years, male 35.9
GTEX-18A66-1226-SM-7LT8G 60-69 years, male 35.2
GTEX-ZF2S-1026-SM-9QEGK 50-59 years, female 34.8
GTEX-13OW5-1126-SM-5J1NR 60-69 years, male 33.2
GTEX-1211K-0626-SM-5FQUZ 60-69 years, female 32.6
GTEX-132QS-0426-SM-5KLZ6 60-69 years, male 32.4
GTEX-P78B-0426-SM-2I5F5 40-49 years, female 32.4
GTEX-17JCI-1126-SM-7IGMM 60-69 years, female 31.8
GTEX-U4B1-0326-SM-3DB8K 40-49 years, male 31.8
GTEX-1LVA9-0926-SM-EVR5G 50-59 years, male 30.8
GTEX-18465-0926-SM-731AY 50-59 years, male 30.4
GTEX-1B97J-0726-SM-7RHG3 50-59 years, female 30.2
GTEX-12ZZW-1026-SM-5GCMM 50-59 years, male 30.0
GTEX-17GQL-0526-SM-72D5N 60-69 years, male 29.7
GTEX-1RB15-0326-SM-E6CQB 60-69 years, male 29.7
GTEX-117YW-0326-SM-5N9CY 50-59 years, male 29.3
GTEX-14C5O-1326-SM-5S2UW 60-69 years, male 29.0
GTEX-1EWIQ-1426-SM-7IGOS 70-79 years, female 29.0
GTEX-1F6I4-0726-SM-7PC2P 60-69 years, male 28.9
GTEX-13112-0426-SM-5PNVC 50-59 years, male 28.8
GTEX-1I1GQ-1426-SM-B2LWY 50-59 years, male 28.7
GTEX-1LB8K-1026-SM-DHXJJ 50-59 years, male 27.9
GTEX-16NPX-0926-SM-7KUEZ 50-59 years, male 27.5
GTEX-1CB4J-0326-SM-7PBZO 60-69 years, male 27.3
GTEX-1HT8W-1726-SM-CNNQB 30-39 years, male 27.0
GTEX-1F6IF-2526-SM-7P8TV 60-69 years, male 26.8
GTEX-WL46-0926-SM-3LK7T 50-59 years, male 26.7
GTEX-13FTZ-0226-SM-5K7X6 60-69 years, male 26.6
GTEX-145LV-0326-SM-5Q5BW 50-59 years, male 26.6
GTEX-1J8Q2-1226-SM-A9G2W 60-69 years, male 26.2
GTEX-1O97I-0826-SM-E8VNE 60-69 years, male 26.2
GTEX-13PVQ-1226-SM-5IJDC 50-59 years, male 25.9
GTEX-1B8L1-0526-SM-79ONX 60-69 years, male 25.8
GTEX-15RIE-1726-SM-7KUMU 60-69 years, male 25.6
GTEX-QVJO-1926-SM-2S1QZ 60-69 years, female 25.4
GTEX-1GF9U-0426-SM-7RHHA 40-49 years, female 25.2
GTEX-131XH-0226-SM-5LZVB 50-59 years, male 24.8
GTEX-1A3MX-1326-SM-72D58 60-69 years, male 24.8
GTEX-RTLS-0826-SM-2TF5Q 60-69 years, female 24.8
GTEX-ZPU1-0626-SM-4YCDM 40-49 years, male 24.8
GTEX-1GTWX-1026-SM-7P8QW 60-69 years, male 24.8
GTEX-11TUW-1026-SM-5GU7D 60-69 years, male 24.6
GTEX-1RAZS-0826-SM-E76QP 50-59 years, male 24.6
GTEX-P4QS-0326-SM-2I3EU 60-69 years, male 24.5
GTEX-1BAJH-1626-SM-73KUV 70-79 years, male 24.4
GTEX-1H3NZ-1126-SM-9WYT9 60-69 years, male 24.3
GTEX-15DDE-1126-SM-6LLHN 50-59 years, female 24.1
GTEX-SUCS-0326-SM-32PLL 70-79 years, male 24.0
GTEX-131XG-0626-SM-5GCMP 50-59 years, female 23.7
GTEX-1POEN-0626-SM-EVR4B 30-39 years, female 23.7
GTEX-1EN7A-0726-SM-7PBXT 40-49 years, male 23.6
GTEX-1HC8U-0726-SM-ACKXL 40-49 years, female 23.6
GTEX-13FH7-0926-SM-5J2MR 50-59 years, female 23.3
GTEX-1ICLZ-1026-SM-A9SLF 60-69 years, male 23.3
GTEX-1LGOU-0726-SM-E9TIY 20-29 years, female 23.2
GTEX-YEC4-0326-SM-4W216 40-49 years, male 23.1
GTEX-ZGAY-0326-SM-57WF5 40-49 years, female 23.0
GTEX-X8HC-1626-SM-46MWE 50-59 years, female 22.7
GTEX-1IDJH-1026-SM-E9TKH 70-79 years, male 22.6
GTEX-12ZZY-1126-SM-5DUWQ 60-69 years, male 22.5
GTEX-11EM3-0626-SM-5H12Z 20-29 years, female 22.4
GTEX-P44H-0726-SM-48TBT 40-49 years, male 22.3
GTEX-1CB4E-0526-SM-7MXTK 60-69 years, male 22.3
GTEX-12WSD-1126-SM-5EGJD 60-69 years, female 22.2
GTEX-18D9B-1226-SM-72D6V 60-69 years, male 22.1
GTEX-WRHU-1226-SM-4E3IJ 50-59 years, female 22.0
GTEX-1I1HK-0726-SM-B2LY4 60-69 years, male 21.9
GTEX-1J8Q3-1226-SM-CKZPT 60-69 years, male 21.9
GTEX-11DXX-0326-SM-5PNWC 60-69 years, female 21.8
GTEX-OIZG-1126-SM-2HMIU 50-59 years, male 21.8
GTEX-WQUQ-1426-SM-3MJFD 60-69 years, male 21.8
GTEX-RN64-0826-SM-2TC62 50-59 years, male 21.7
GTEX-1PPGY-1126-SM-E76OU 60-69 years, male 21.7
GTEX-1HFI7-0826-SM-A9G23 50-59 years, female 21.4
GTEX-1JN1M-1026-SM-CNPOS 60-69 years, female 21.4
GTEX-15EOM-5007-SM-793DG 20-29 years, female 21.3
GTEX-1IKOE-1026-SM-ARZMF 30-39 years, female 21.3
GTEX-1R9K4-1326-SM-DTX8G 60-69 years, male 21.2
GTEX-12696-1126-SM-5FQTI 60-69 years, male 21.1
GTEX-17F9Y-1326-SM-7MGW9 70-79 years, female 20.6
GTEX-1J8EW-0926-SM-A9G33 60-69 years, female 20.5
GTEX-ZYT6-1726-SM-5E44P 30-39 years, male 20.3
GTEX-13O3O-1526-SM-5KM1C 60-69 years, female 20.1
GTEX-17MF6-0726-SM-7LT8E 40-49 years, male 19.9
GTEX-15RJ7-0226-SM-7KUMN 40-49 years, male 19.8
GTEX-PVOW-0426-SM-5MR5R 40-49 years, male 19.7
GTEX-14E6C-0426-SM-5YYA8 40-49 years, male 19.6
GTEX-18A67-1226-SM-7KFRS 50-59 years, male 19.6
GTEX-X261-1426-SM-4PQZ1 50-59 years, male 19.6
GTEX-1GN1V-0826-SM-9KNU6 60-69 years, male 19.6
GTEX-14PHY-0226-SM-5ZZWM 60-69 years, female 19.4
GTEX-ZDXO-0726-SM-57WBT 60-69 years, male 19.3
GTEX-147F4-1226-SM-5NQAY 50-59 years, male 19.1
GTEX-ZDYS-0226-SM-5HL4K 50-59 years, male 19.1
GTEX-1I1GV-1326-SM-A96SE 60-69 years, male 19.1
GTEX-ZF29-0226-SM-4WKHO 60-69 years, female 19.0
GTEX-XV7Q-0826-SM-4BRV7 40-49 years, female 18.8
GTEX-15RJE-0626-SM-7KUKR 40-49 years, male 18.7
GTEX-1LSNM-0526-SM-DIPG6 50-59 years, male 18.7
GTEX-1H1ZS-1126-SM-9MQLJ 70-79 years, male 18.6
GTEX-PX3G-0326-SM-2I3EO 20-29 years, female 18.5
GTEX-146FH-1026-SM-5RQIF 50-59 years, female 18.4
GTEX-16YQH-0926-SM-793BC 30-39 years, male 18.1
GTEX-1497J-1226-SM-5Q5BL 60-69 years, male 18.0
GTEX-T6MN-0926-SM-32PLX 50-59 years, male 18.0
GTEX-1I1GP-0826-SM-A96SD 50-59 years, male 18.0
GTEX-11DXY-0826-SM-5EGGR 60-69 years, male 17.9
GTEX-1PWST-1026-SM-DTXF2 70-79 years, male 17.9
GTEX-XBED-0526-SM-47JY3 60-69 years, male 17.7
GTEX-WK11-0826-SM-EZ6LH 50-59 years, male 17.6
GTEX-13CF2-0426-SM-5KM1H 60-69 years, male 17.5
GTEX-QDVN-0326-SM-2I3FS 50-59 years, male 17.5
GTEX-1HBPH-0126-SM-CNNQ7 40-49 years, female 17.3
GTEX-QDVJ-0426-SM-2I5FW 50-59 years, male 17.2
GTEX-ZLFU-0226-SM-4WWFH 40-49 years, male 17.1
GTEX-ZV7C-0326-SM-57WB1 50-59 years, male 17.1
GTEX-1KXAM-1326-SM-E9TJW 60-69 years, male 17.1
GTEX-1MUQO-1226-SM-E9TJK 60-69 years, male 17.1
GTEX-111YS-0426-SM-5987O 60-69 years, male 17.0
GTEX-ZEX8-0426-SM-DO92Y 50-59 years, male 16.9
GTEX-14H4A-0626-SM-5ZZUT 40-49 years, female 16.8
GTEX-ZPCL-0426-SM-DNZZ4 60-69 years, female 16.8
GTEX-13QBU-0426-SM-5J2O4 40-49 years, female 16.7
GTEX-148VI-0326-SM-5RQK7 60-69 years, female 16.6
GTEX-14BIL-1126-SM-79OMC 50-59 years, male 16.4
GTEX-O5YW-0326-SM-2I5EI 50-59 years, male 16.4
GTEX-1HCVE-1126-SM-9WPPG 50-59 years, male 16.3
GTEX-13CF3-0726-SM-5J2MY 60-69 years, female 16.2
GTEX-15ER7-1726-SM-6PAMX 20-29 years, female 16.2
GTEX-17HII-1326-SM-7IGOB 50-59 years, male 16.2
GTEX-WHPG-0826-SM-3NMBF 50-59 years, male 16.2
GTEX-15SHU-1126-SM-7KUMB 40-49 years, female 16.0
GTEX-ZAB4-1026-SM-5HL7T 40-49 years, male 16.0
GTEX-ZVZP-0226-SM-5NQ73 50-59 years, male 15.9
GTEX-WWYW-1326-SM-3NB2S 50-59 years, female 15.8
GTEX-145MO-1126-SM-5NQBX 60-69 years, male 15.7
GTEX-U3ZN-1426-SM-3DB87 30-39 years, female 15.6
GTEX-1HCU6-1026-SM-A9G25 60-69 years, female 15.2
GTEX-1EU9M-1826-SM-7DUGU 60-69 years, male 15.1
GTEX-WEY5-0426-SM-3GIKT 40-49 years, female 15.1
GTEX-1IDJE-0326-SM-CM2TD 50-59 years, female 15.1
GTEX-13FHP-1026-SM-5K7Y2 50-59 years, male 15.0
GTEX-17HGU-1026-SM-79OKL 50-59 years, male 14.8
GTEX-Y5V5-0626-SM-4VBPX 60-69 years, female 14.7
GTEX-1RMOY-0626-SM-E9TIE 50-59 years, male 14.7
GTEX-ZYFC-1126-SM-5E44W 50-59 years, male 14.6
GTEX-1339X-0426-SM-5KLZY 40-49 years, male 14.5
GTEX-16BQI-0926-SM-6M485 30-39 years, female 14.5
GTEX-1JN6P-1126-SM-CKZON 60-69 years, male 14.5
GTEX-1AX9K-0526-SM-73KV1 50-59 years, male 14.4
GTEX-XQ3S-0626-SM-4BOOB 20-29 years, male 14.4
GTEX-13X6I-1426-SM-5SI9Z 60-69 years, male 14.3
GTEX-14PJ2-1026-SM-6EU1M 50-59 years, male 14.3
GTEX-1GF9V-1626-SM-7PBXL 60-69 years, male 14.3
GTEX-1LGRB-1126-SM-CNPP2 50-59 years, female 14.3
GTEX-13OW8-2126-SM-5J1OS 60-69 years, male 14.1
GTEX-15CHC-0426-SM-6LLHI 60-69 years, female 13.9
GTEX-1B996-1126-SM-73KWN 60-69 years, male 13.9
GTEX-REY6-1026-SM-2TF4Y 60-69 years, male 13.9
GTEX-1OKEX-0726-SM-DPRYE 60-69 years, male 13.9
GTEX-1QCLZ-0926-SM-E6CQZ 60-69 years, female 13.9
GTEX-14JG1-1026-SM-6ETZY 40-49 years, male 13.8
GTEX-1CB4I-1626-SM-7RHGV 50-59 years, male 13.8
GTEX-1F75I-1126-SM-9WYUO 40-49 years, male 13.8
GTEX-1E1VI-1326-SM-7IGQD 50-59 years, male 13.7
GTEX-1EH9U-0826-SM-7IGPT 60-69 years, male 13.6
GTEX-1O9I2-1126-SM-DTXEA 50-59 years, male 13.5
GTEX-RWSA-0626-SM-2XCBD 40-49 years, male 13.4
GTEX-XGQ4-0326-SM-4GIEE 50-59 years, male 13.4
GTEX-1S3DN-0726-SM-E9TIO 50-59 years, male 13.2
GTEX-1313W-1426-SM-5KLZU 50-59 years, female 13.1
GTEX-13VXT-1126-SM-5LU3A 20-29 years, female 13.1
GTEX-15CHR-0226-SM-7PC2Z 50-59 years, male 13.0
GTEX-YEC3-0726-SM-CMKFH 50-59 years, male 12.9
GTEX-13O21-2326-SM-5MR3X 50-59 years, male 12.8
GTEX-13O61-0526-SM-5J2M1 60-69 years, male 12.8
GTEX-R55E-1026-SM-2TC5S 20-29 years, male 12.8
GTEX-13D11-1726-SM-5IFGQ 50-59 years, female 12.6
GTEX-14BIN-2226-SM-5YYA1 50-59 years, female 12.5
GTEX-1JJ6O-2126-SM-CNNP6 60-69 years, male 12.5
GTEX-1MCC2-0326-SM-EV7AK 30-39 years, female 12.5
GTEX-11ZUS-0226-SM-5FQT8 30-39 years, male 12.4
GTEX-1ICLY-1326-SM-CJI47 50-59 years, male 12.3
GTEX-1C64O-0826-SM-79OKZ 60-69 years, male 12.2
GTEX-WY7C-0526-SM-3NB3D 50-59 years, male 12.2
GTEX-1JJE9-1426-SM-ARL8P 70-79 years, male 12.2
GTEX-11EMC-0726-SM-5EGJO 60-69 years, female 12.1
GTEX-132NY-1726-SM-5EGKK 60-69 years, male 12.1
GTEX-11LCK-0926-SM-5A5KA 30-39 years, male 12.0
GTEX-Y114-0226-SM-4TT8W 50-59 years, female 12.0
GTEX-1OFPY-1026-SM-EXUSO 60-69 years, male 12.0
GTEX-ZDTS-1326-SM-6LLHE 60-69 years, male 11.9
GTEX-1A8G6-1626-SM-7MGWO 60-69 years, male 11.9
GTEX-1ICG6-0626-SM-ACKWS 70-79 years, female 11.9
GTEX-13OVG-0526-SM-5K7YD 60-69 years, male 11.8
GTEX-1CB4G-0826-SM-7DUGF 60-69 years, male 11.7
GTEX-1F5PK-0326-SM-9KNUD 50-59 years, male 11.7
GTEX-1GL5R-0326-SM-9WYTJ 50-59 years, male 11.7
GTEX-1KD5A-1026-SM-CY8I8 50-59 years, male 11.7
GTEX-1RQEC-0926-SM-EWROG 60-69 years, male 11.7
GTEX-12WSC-1126-SM-5EQ4G 50-59 years, male 11.6
GTEX-14A6H-0226-SM-5Q5DX 30-39 years, male 11.6
GTEX-14E1K-1026-SM-73KUR 50-59 years, male 11.6
GTEX-WHSE-0926-SM-3NMBS 20-29 years, male 11.6
GTEX-YFC4-0526-SM-5ZZVI 40-49 years, female 11.5
GTEX-1JMQK-0626-SM-D4P2R 60-69 years, male 11.5
GTEX-13O3P-1626-SM-5K7X3 50-59 years, male 11.4
GTEX-12BJ1-0226-SM-5LUA2 60-69 years, male 11.3
GTEX-RU72-0326-SM-2TF5T 50-59 years, female 11.3
GTEX-ZYW4-0926-SM-59HJS 60-69 years, male 11.3
GTEX-ZZPU-0926-SM-5GZYT 50-59 years, female 11.3
GTEX-1GN73-2426-SM-7RHFQ 60-69 years, male 11.3
GTEX-YJ8O-0926-SM-EAZ2Z 40-49 years, female 11.3
GTEX-13FTW-1026-SM-5L3E3 40-49 years, male 11.2
GTEX-OIZH-0326-SM-2HMKC 50-59 years, male 11.2
GTEX-13OVL-0526-SM-5KLZQ 50-59 years, male 11.0
GTEX-1B8KE-0126-SM-793AM 50-59 years, male 10.9
GTEX-13FLV-0926-SM-5L3DZ 50-59 years, male 10.8
GTEX-1A3MW-1326-SM-7189P 60-69 years, female 10.7
GTEX-OHPL-0326-SM-33HC8 60-69 years, female 10.7
GTEX-OXRL-0326-SM-2I3F2 50-59 years, male 10.7
GTEX-ZYFG-0426-SM-5E43M 60-69 years, female 10.7
GTEX-1KD4Q-0726-SM-DIPGE 40-49 years, male 10.7
GTEX-13PVR-1026-SM-5QGQW 60-69 years, female 10.6
GTEX-1H23P-1226-SM-9QEJ2 60-69 years, male 10.5
GTEX-1PPH7-2026-SM-E9J3N 40-49 years, male 10.5
GTEX-146FR-0626-SM-5RQJ1 60-69 years, female 10.4
GTEX-1EMGI-1226-SM-793DD 60-69 years, male 10.4
GTEX-1HSMO-1226-SM-CL548 60-69 years, male 10.4
GTEX-WFG7-0726-SM-3GIKO 20-29 years, male 10.2
GTEX-12WSG-0526-SM-5FQTH 50-59 years, female 10.0
GTEX-PLZ5-0626-SM-2I5F8 50-59 years, male 10.0
GTEX-SE5C-0626-SM-2XCDV 40-49 years, female 10.0
GTEX-11TT1-1326-SM-5PNYM 20-29 years, male 9.9
GTEX-1LVAN-1726-SM-CNNR1 50-59 years, female 9.9
GTEX-13N11-0426-SM-5KM3O 50-59 years, female 9.8
GTEX-1N2EF-2826-SM-E6CQF 60-69 years, male 9.8
GTEX-12584-0926-SM-5FQTN 40-49 years, male 9.7
GTEX-1JJEA-0826-SM-CL53T 60-69 years, male 9.7
GTEX-1QPFJ-1026-SM-E6CR6 30-39 years, female 9.7
GTEX-13NZB-0226-SM-5KM1T 30-39 years, male 9.6
GTEX-14C38-1426-SM-5RQHZ 50-59 years, male 9.6
GTEX-14PJ4-1126-SM-5YY91 60-69 years, male 9.6
GTEX-OHPK-0326-SM-2HMJO 50-59 years, female 9.6
GTEX-WFG8-0626-SM-3GILJ 20-29 years, male 9.6
GTEX-QEG5-0926-SM-2TC64 20-29 years, male 9.4
GTEX-11DXZ-0626-SM-5GU77 50-59 years, male 9.3
GTEX-14DAQ-1126-SM-664MT 60-69 years, female 9.3
GTEX-UJMC-0526-SM-3GAE3 50-59 years, male 9.2
GTEX-XPT6-0126-SM-4B65S 20-29 years, male 9.2
GTEX-1AX8Z-5007-SM-AHZ36 60-69 years, male 9.2
GTEX-1HBPM-1226-SM-A9SM8 60-69 years, female 9.2
GTEX-Y8E4-0326-SM-4VBRR 40-49 years, male 9.1
GTEX-1JK1U-0526-SM-CYPSQ 60-69 years, male 9.1
GTEX-WI4N-0626-SM-3TW8Z 40-49 years, female 9.0
GTEX-1399R-1926-SM-5K7X8 30-39 years, male 8.9
GTEX-1AX9I-1126-SM-7EPHH 60-69 years, male 8.8
GTEX-UPK5-0326-SM-CYPR4 40-49 years, male 8.7
GTEX-14PJ6-0726-SM-69LOL 60-69 years, female 8.6
GTEX-XBEC-1326-SM-4AT69 50-59 years, male 8.6
GTEX-1R9PO-0326-SM-DTXA1 60-69 years, female 8.6
GTEX-Y3I4-0626-SM-4TT7A 50-59 years, male 8.5
GTEX-1AYCT-0426-SM-73KVZ 50-59 years, male 8.3
GTEX-1C2JI-0526-SM-7EWEQ 50-59 years, male 8.3
GTEX-1L5NE-0426-SM-E9TIX 50-59 years, male 8.3
GTEX-16MT8-0926-SM-6M487 60-69 years, female 8.2
GTEX-NFK9-0926-SM-2HMJU 40-49 years, male 8.2
GTEX-WHWD-0426-SM-3LK83 50-59 years, male 8.2
GTEX-16XZY-0426-SM-793BI 70-79 years, male 8.1
GTEX-V1D1-0526-SM-4JBGW 50-59 years, male 8.1
GTEX-1399S-1026-SM-5KLZ9 30-39 years, female 8.0
GTEX-XPVG-0826-SM-4B654 50-59 years, male 8.0
GTEX-QEG4-0426-SM-33HC3 30-39 years, male 7.9
GTEX-U8XE-1126-SM-3DB8W 30-39 years, male 7.9
GTEX-1CAMS-1326-SM-79OJR 40-49 years, female 7.8
GTEX-S33H-0526-SM-COH1W 30-39 years, male 7.8
GTEX-1GMR2-1426-SM-7RHHK 50-59 years, male 7.7
GTEX-1LC47-1026-SM-D3LAH 60-69 years, male 7.7
GTEX-1R7EV-0326-SM-E76PA 40-49 years, male 7.7
GTEX-11ZVC-0426-SM-5CVLD 50-59 years, female 7.6
GTEX-R53T-0926-SM-3GADH 50-59 years, female 7.6
GTEX-XXEK-0926-SM-4BRWH 50-59 years, male 7.6
GTEX-1MJIX-0326-SM-EVR42 40-49 years, male 7.6
GTEX-1314G-0126-SM-5LZUL 30-39 years, male 7.5
GTEX-Q2AH-0526-SM-2I3ED 40-49 years, male 7.5
GTEX-14PK6-0826-SM-5ZZVO 70-79 years, female 7.4
GTEX-POMQ-0326-SM-2I5FO 20-29 years, female 7.4
GTEX-QLQ7-0526-SM-2I5G3 60-69 years, male 7.4
GTEX-1F48J-1026-SM-7P8SO 50-59 years, female 7.4
GTEX-1LH75-0426-SM-E9TJF 50-59 years, female 7.4
GTEX-O5YT-0326-SM-32PKA 20-29 years, male 7.3
GTEX-14JIY-1126-SM-6EU28 60-69 years, male 7.2
GTEX-XQ8I-0126-SM-4BOPL 50-59 years, male 7.2
GTEX-111FC-0826-SM-5GZWO 60-69 years, male 7.1
GTEX-12WSN-5001-SM-7DHMK 40-49 years, male 7.1
GTEX-12ZZZ-1726-SM-59HK5 60-69 years, male 7.1
GTEX-17F9E-0926-SM-7IGMG 50-59 years, male 7.1
GTEX-1R9JW-0526-SM-EWRNK 30-39 years, female 7.0
GTEX-11O72-1126-SM-5N9E2 40-49 years, male 6.9
GTEX-18D9U-1126-SM-72D5Y 40-49 years, male 6.9
GTEX-WFON-0326-SM-3GIKX 40-49 years, male 6.9
GTEX-ZDTT-0726-SM-4WKFK 60-69 years, male 6.9
GTEX-13RTJ-0726-SM-5QGQN 60-69 years, male 6.8
GTEX-U3ZH-0326-SM-3DB7A 30-39 years, male 6.8
GTEX-UJHI-0426-SM-3DB8Y 50-59 years, female 6.7
GTEX-WZTO-1326-SM-3NM8X 40-49 years, male 6.6
GTEX-OIZF-0326-SM-3MJGY 60-69 years, male 6.6
GTEX-13U4I-0826-SM-5SIBD 40-49 years, female 6.5
GTEX-14A5I-1226-SM-5NQBW 50-59 years, female 6.5
GTEX-1HCUA-0526-SM-A9SMH 50-59 years, female 6.4
GTEX-QESD-0526-SM-2I5G5 20-29 years, male 6.3
GTEX-Y5V6-0826-SM-4VBRU 60-69 years, male 6.3
GTEX-1QP29-1526-SM-EXUSY 50-59 years, male 6.2
GTEX-T2IS-0426-SM-32QPE 20-29 years, female 6.1
GTEX-X15G-0426-SM-4PQZ6 50-59 years, female 6.1
GTEX-ZG7Y-0926-SM-5EQ6O 50-59 years, male 6.1
GTEX-1AX9J-1026-SM-72D6E 60-69 years, male 6.0
GTEX-139YR-0826-SM-5LZXY 50-59 years, male 5.9
GTEX-P4PQ-0326-SM-2HMJ8 60-69 years, male 5.9
GTEX-1HCU7-1326-SM-CNPPW 50-59 years, male 5.9
GTEX-1GMR3-0326-SM-7P8QT 40-49 years, male 5.8
GTEX-117YX-1126-SM-5H128 50-59 years, male 5.7
GTEX-P4PP-0326-SM-33HC4 30-39 years, female 5.7
GTEX-14PHX-2126-SM-6EU2U 50-59 years, male 5.6
GTEX-17KNJ-0826-SM-793A4 50-59 years, male 5.6
GTEX-Y3IK-0826-SM-51MT8 50-59 years, female 5.5
GTEX-S32W-0626-SM-2XCBG 50-59 years, female 5.4
GTEX-1KANC-0426-SM-CXZK5 50-59 years, female 5.4
GTEX-X3Y1-0426-SM-3P5Z4 40-49 years, male 5.3
GTEX-ZAB5-0226-SM-5CVMH 50-59 years, male 5.3
GTEX-1HSGN-1126-SM-CJI4G 40-49 years, female 5.3
GTEX-1IKK5-1526-SM-CKZPW 60-69 years, male 5.3
GTEX-1269C-0826-SM-5N9EM 60-69 years, female 5.2
GTEX-13YAN-1326-SM-5Q5F1 60-69 years, male 5.2
GTEX-1GZ4I-1026-SM-9KNV5 50-59 years, male 5.2
GTEX-OXRO-2026-SM-2YUMZ 60-69 years, female 5.1
GTEX-QEL4-0926-SM-3GAD1 50-59 years, male 4.9
GTEX-QMRM-0526-SM-2I5GA 50-59 years, male 4.9
GTEX-131XF-5001-SM-7DHLY 60-69 years, male 4.7
GTEX-13X6H-0426-SM-5LU4E 50-59 years, female 4.6
GTEX-1IDJI-1026-SM-A96TE 50-59 years, female 4.6
GTEX-14PN3-0526-SM-69LQF 60-69 years, female 4.5
GTEX-N7MT-1326-SM-2I3FV 60-69 years, female 4.5
GTEX-OXRK-0826-SM-2HMK7 50-59 years, female 4.5
GTEX-1399U-0526-SM-5K7YM 50-59 years, female 4.4
GTEX-SNMC-0126-SM-2XCFO 20-29 years, male 4.4
GTEX-NPJ8-0426-SM-2HMK6 40-49 years, male 4.3
GTEX-ZTPG-1226-SM-4YCDO 20-29 years, female 4.1
GTEX-15SHW-1226-SM-6M46C 60-69 years, male 3.8
GTEX-RWS6-0326-SM-2XCAP 60-69 years, female 3.8
GTEX-QV44-0526-SM-2S1RE 50-59 years, male 3.6
GTEX-PSDG-0926-SM-2I5FP 50-59 years, male 3.5
GTEX-RNOR-0826-SM-2TF5C 50-59 years, female 3.4
GTEX-132AR-2026-SM-5IJG4 50-59 years, female 3.3
GTEX-1B932-1026-SM-793CL 40-49 years, female 3.3
GTEX-R55C-0326-SM-3GAF1 40-49 years, male 3.1
GTEX-WYJK-1026-SM-3NM8W 50-59 years, male 3.0
GTEX-RUSQ-0526-SM-2TF72 50-59 years, male 2.7
GTEX-13S86-0226-SM-5S2PJ 40-49 years, male 2.6
GTEX-OOBJ-0326-SM-33HBO 60-69 years, male 2.6
GTEX-ZQUD-1526-SM-7IGO2 30-39 years, male 2.6
GTEX-P44G-0826-SM-2I5ES 30-39 years, male 2.3
GTEX-V955-0726-SM-3GAFG 60-69 years, male 2.1
GTEX-OHPM-0326-SM-33HCA 50-59 years, male 1.8
Show allShow less

HEART MUSCLE - FANTOM5 CAGEi

RNA expression in human tissues obtained through Cap Analysis of Gene Expression (CAGE) generated by the FANTOM5 project are reported as Scaled Tags Per Million.

Max subtype Scaled Tags Per Millioni

Max subtype Scaled Tags Per Million is the value for the subtype with the largest average Scaled Tags Per Million across the subtype samples.

41.3
FANTOM5 sample id Sample description Scaled Tags Per Million
Heart
Scaled Tags Per Million: 20.5
FF:10016-101C7 70,73,74 years, mixed 20.5
Left atrium
Scaled Tags Per Million: 41.3
FF:10079-102A7 40 years, male 41.3
Left ventricle
Scaled Tags Per Million: 23.2
FF:10078-102A6 73 years, female 23.2

Contact

  • NEWS ARTICLES
  • PRESS ROOM

The Project

  • INTRODUCTION
  • ORGANIZATION
  • PUBLICATIONS

The Human Protein Atlas

  • DOWNLOADABLE DATA
  • LICENCE & CITATION
  • HELP & FAQ
The Human Protein Atlas project is funded
by the Knut & Alice Wallenberg Foundation.


contact@proteinatlas.org