We use cookies to enhance the usability of our website. If you continue, we'll assume that you are happy to receive all cookies. More information. Don't show this again.
DCTD
HPA
RESOURCES
  • TISSUE
  • BRAIN
  • SINGLE CELL
  • SUBCELLULAR
  • CANCER
  • BLOOD
  • CELL LINE
  • STRUCTURE & INTERACTION
ABOUT
  • INTRODUCTION
  • HISTORY
  • ORGANIZATION
  • PUBLICATIONS
  • ANTIBODY SUBMISSION
  • ANTIBODY AVAILABILITY
  • ACKNOWLEDGMENTS
  • CONTACT
NEWS
  • NEWS ARTICLES
  • PRESS ROOM
LEARN
  • DICTIONARY
  • PROTEIN CLASSES
  • PROTEIN EVIDENCE
  • METHODS
  • EDUCATIONAL VIDEOS
DATA
  • DOWNLOADABLE DATA
  • PUBLICATION DATA
  • RELEASE HISTORY
HELP
  • ANTIBODY VALIDATION
  • ASSAYS & ANNOTATION
  • DISCLAIMER
  • HELP & FAQ
  • PRIVACY STATEMENT
  • LICENCE & CITATION
Fields »
Search result

Field
Term
Gene name
Class
Subclass
Class
Keyword
Chromosome
External id
Tissue
Cell type
Expression
Antibody panel
Tissue
Main location
Patient ID
Annotation
Tissue
Category
Tau score
Cluster
Reliability
Brain region
Category
Tau score
Brain region
Category
Tau score
Brain region
Category
Tau score
Cluster
Reliability
Tissue
Cell type
Enrichment
Cell type
Category
Tau score
Cell type
Category
Tau score
Cell type
Category
Tau score
Cell lineage
Category
Tau score
Cluster
Cluster
Location
Searches
Location
Cell line
Class
Type
Phase
Reliability
Cancer
Prognosis
Cancer
Category
Cancer
Category
Tau score
Cluster
Variants
Interacting gene (ensg_id)
Type
Number of interactions
Pathway
Category
Score
Score
Score
Validation
Validation
Validation
Validation
Antibodies
Data type
Column


  • SUMMARY

  • TISSUE

  • BRAIN

  • SINGLE CELL

  • SUBCELL

  • CANCER

  • BLOOD

  • CELL LINE

  • STRUCT & INT

  • DCTD
TISSUE PRIMARY DATA PANCREAS Show tissue menu
ADIPOSE TISSUE ADRENAL GLAND AMYGDALA APPENDIX BASAL GANGLIA BONE MARROW BREAST BRONCHUS CEREBELLUM CEREBRAL CORTEX CERVIX CHOROID PLEXUS COLON DUODENUM
ENDOMETRIUM EPIDIDYMIS ESOPHAGUS FALLOPIAN TUBE GALLBLADDER HEART MUSCLE HIPPOCAMPAL FORMATION HYPOTHALAMUS KIDNEY LIVER LUNG LYMPH NODE MIDBRAIN NASOPHARYNX
ORAL MUCOSA OVARY PANCREAS PARATHYROID GLAND PITUITARY GLAND PLACENTA PROSTATE RECTUM RETINA SALIVARY GLAND SEMINAL VESICLE SKELETAL MUSCLE SKIN SMALL INTESTINE
SMOOTH MUSCLE SOFT TISSUE SPINAL CORD SPLEEN STOMACH TESTIS THYMUS THYROID GLAND TONGUE TONSIL URINARY BLADDER VAGINA
ANTIBODIES
AND
VALIDATION
Dictionary
Pancreas
Tissue proteome
Pancreas
PANCREAS - Expression summary
Protein expression
Pancreasi

On the top, protein expression in current human tissue, based on all annotated cell types, is reported with the units not detected (n), low (l), medium (m) and high (h). Underneath, protein expression in each annotated cell type are reported using the same units.

Protein expression data is based on knowledge-based annotation. For genes where more than one antibody has been used, a collective score is set.

If knowledge-based annotation could not be performed for a gene, no data is displayed here. View antibody staining data further down this page.

h
m
l
n
Exocrine glandular cells: Medium
Pancreatic endocrine cells: Medium
RNA expressioni

A summary of mRNA expression data available for current tissue based on several datasets. The mRNA expression levels in human tissues are based on RNA-seq data generated by the Human Protein Atlas (HPA), Genotype-Tissue Expression (GTEx) portal and CAGE data generated by the FANTOM5 consortium. Consensus normalized expression levels for human tissues was created by combining the data from HPA and GTEx datasets.

The mRNA expression levels in pig are based on RNA-seq data generated by the Human Protein Atlas (HPA), and for mouse, HPA data and in situ hybridization generated by the Allen brain atlas are reported.

Scroll down to view mRNA expression data in more detail.
Consensus:53.3 nTPM
HPA:52.4 nTPM
GTEx:53.3 nTPM
FANTOM5:90.7 Scaled Tags Per Million

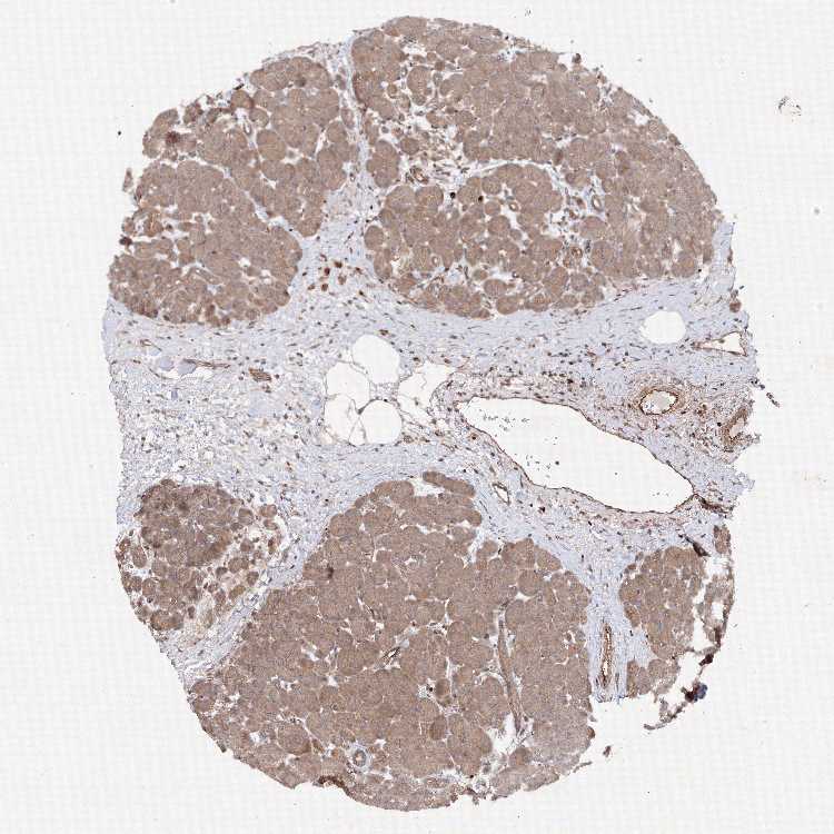
PANCREAS - Antibody stainingi

Antibody staining in the annotated cell types in the current human tissue is reported as not detected, low, medium, or high, based on conventional immunohistochemistry profiling in selected tissues. This score is based on the combination of the staining intensity and fraction of stained cells.

Each image is clickable and will lead to virtual microscopy that enables deeper exploration of all samples and also displays staining intensity scores, fraction scores and subcellular localization as well as patient and tissue information for each sample.

Antibody HPA035894
Exocrine glandular cells Medium
Pancreatic endocrine cells Medium



PANCREAS - HPA RNA-seqi

The RNA-seq details section shows detailed information about the individual samples used for the transcript profiling and results of the RNA-seq analysis.

Information about each individual sample is listed below, including gender, age, a tissue section image and estimated fractions of cell types. nTPM (normalized transcripts per million) values give a quantification of the gene abundance which is comparable between different genes and samples.
Average nTPMi

Max subtype nTPM is the value for the subtype with the largest average nTPM across the subtype samples.

52.4
overview
Female, age 59
Pancreas sample 194
nTPM: 53.5
Cell types%
Exocrine glandular cells:
75

Pancreatic endocrine cells:
10

Ductal cells:
5

Other cell types:
10

overview
Male, age 60
Pancreas sample 195
nTPM: 51.3
Cell types%
Exocrine glandular cells:
90

Pancreatic endocrine cells:
5

Ductal cells:
5


PANCREAS - GTEx RNA-seqi

RNA-Seq data generated by the Genotype-Tissue Expression (GTEx) project from human tissues is reported as mean nTPM. More information can be found on the GTEx portal.

Distribution across the dataset is visualized with box plots, shown as median and 25th and 75th percentiles. Points are displayed as outliers if they are above or below 1.5 times the interquartile range. nTPM values of the individual samples are presented next to the box plot.
Max subtype nTPMi

Max subtype nTPM is the value for the subtype with the largest average nTPM across the subtype samples.

53.3
GTEx sample id Sample description nTPM
Pancreas
Average nTPM: 53.3
Samples: 328

Max nTPM: 90.8
Min nTPM: 35.2
Std nTPM: 7.3
Median nTPM: 52.9
GTEX-13O1R-1826-SM-5KM3B 60-69 years, male 90.8
GTEX-S33H-1226-SM-4AD69 30-39 years, male 83.9
GTEX-1H1DG-1426-SM-9OSXP 70-79 years, male 71.3
GTEX-15RJ7-0826-SM-6LLI8 40-49 years, male 70.7
GTEX-1F5PL-0726-SM-7MKH8 40-49 years, female 70.5
GTEX-148VI-0826-SM-5TDDI 60-69 years, female 70.0
GTEX-15FZZ-0626-SM-7KFTO 30-39 years, female 69.8
GTEX-15RIF-0626-SM-6LLI3 20-29 years, male 69.5
GTEX-1QW4Y-0926-SM-DPRY2 30-39 years, male 69.2
GTEX-14JG6-0426-SM-68715 30-39 years, female 68.4
GTEX-QLQW-0326-SM-447A8 30-39 years, male 68.4
GTEX-Y8E4-1326-SM-5IFIY 40-49 years, male 68.0
GTEX-1128S-0826-SM-5GZZI 60-69 years, female 67.8
GTEX-1CB4F-1226-SM-7DHKU 60-69 years, male 67.5
GTEX-12WSG-1026-SM-5EGII 50-59 years, female 67.1
GTEX-WRHK-0226-SM-4MVOH 20-29 years, female 67.1
GTEX-ZPIC-0926-SM-4WWFK 40-49 years, female 66.8
GTEX-1HSMO-2026-SM-CNNQO 60-69 years, male 65.5
GTEX-TKQ2-0426-SM-4DXUO 50-59 years, male 65.1
GTEX-ZYY3-0826-SM-5E44R 60-69 years, female 65.1
GTEX-1B996-1326-SM-731EO 60-69 years, male 64.5
GTEX-14PJ4-0726-SM-6872E 60-69 years, male 64.4
GTEX-11NSD-0526-SM-5A5LT 20-29 years, male 64.3
GTEX-144FL-1526-SM-5Q5CA 50-59 years, male 64.3
GTEX-1CAMQ-1626-SM-7MGXG 40-49 years, male 64.3
GTEX-13VXT-1226-SM-5LU3M 20-29 years, female 64.2
GTEX-1R7EV-1126-SM-DPRXU 40-49 years, male 64.1
GTEX-144GM-0726-SM-79OJQ 20-29 years, male 64.0
GTEX-ZPU1-0226-SM-4WWC9 40-49 years, male 64.0
GTEX-1399S-0326-SM-5IFFS 30-39 years, female 63.5
GTEX-TML8-0526-SM-32QOQ 40-49 years, female 63.5
GTEX-18A67-1726-SM-7KFT9 50-59 years, male 63.0
GTEX-ZLFU-0726-SM-57WF6 40-49 years, male 63.0
GTEX-ZEX8-1026-SM-4WKHE 50-59 years, male 62.9
GTEX-17MF6-1426-SM-7IGOX 40-49 years, male 62.7
GTEX-ZT9W-0926-SM-57WFS 50-59 years, male 62.7
GTEX-1122O-0726-SM-5GIEV 60-69 years, female 62.6
GTEX-1QAET-1326-SM-E9U64 50-59 years, male 62.5
GTEX-OIZI-1526-SM-E6CHI 40-49 years, male 62.1
GTEX-YF7O-1326-SM-4W1ZR 50-59 years, male 62.0
GTEX-OIZF-1026-SM-2HML5 60-69 years, male 61.9
GTEX-1211K-1126-SM-5EGGB 60-69 years, female 61.3
GTEX-XMK1-0326-SM-4B652 40-49 years, male 61.2
GTEX-1I4MK-1026-SM-AHZ2H 50-59 years, female 60.8
GTEX-146FR-0126-SM-5Q5F3 60-69 years, female 60.6
GTEX-1AX8Z-1726-SM-731DE 60-69 years, male 60.6
GTEX-O5YT-1026-SM-3MJGF 20-29 years, male 60.6
GTEX-145MN-1426-SM-5SI9H 30-39 years, male 60.4
GTEX-1PFEY-1126-SM-DPRZ3 30-39 years, male 60.3
GTEX-1N2EF-2126-SM-DPRYL 60-69 years, male 60.2
GTEX-P4PP-1026-SM-3NM9O 30-39 years, female 60.0
GTEX-1LSNM-0726-SM-DHXL1 50-59 years, male 60.0
GTEX-13OVI-0526-SM-5IFFQ 60-69 years, female 59.9
GTEX-T8EM-0826-SM-4DM76 40-49 years, male 59.9
GTEX-1OFPY-0626-SM-EXOJ4 60-69 years, male 59.8
GTEX-131XG-1426-SM-5GCMO 50-59 years, female 59.5
GTEX-17HGU-2026-SM-79OKS 50-59 years, male 59.5
GTEX-1J8Q3-0626-SM-AHZ3V 60-69 years, male 59.5
GTEX-17KNJ-1926-SM-7KFRV 50-59 years, male 59.4
GTEX-ZP4G-0426-SM-4YCER 20-29 years, female 59.4
GTEX-14C39-1026-SM-73KWG 40-49 years, male 59.3
GTEX-UJHI-0626-SM-3DB8T 50-59 years, female 59.2
GTEX-1A8FM-1826-SM-7MGXO 50-59 years, female 59.1
GTEX-PX3G-1026-SM-48TZW 20-29 years, female 59.0
GTEX-Q734-0426-SM-48TZX 40-49 years, female 59.0
GTEX-11I78-0626-SM-5A5LZ 50-59 years, female 58.9
GTEX-18A6Q-1726-SM-7LT9A 60-69 years, male 58.9
GTEX-1HSGN-1426-SM-A8NAA 40-49 years, female 58.9
GTEX-13FTW-0526-SM-5IFIP 40-49 years, male 58.8
GTEX-11P7K-0526-SM-5BC5I 30-39 years, male 58.6
GTEX-WFG8-0326-SM-4LVN4 20-29 years, male 58.6
GTEX-13CF3-1026-SM-5LZWY 60-69 years, female 58.4
GTEX-17F98-0426-SM-79ONZ 40-49 years, female 57.9
GTEX-1JKYN-0426-SM-CGQG2 30-39 years, male 57.8
GTEX-1AYCT-1226-SM-7EPGH 50-59 years, male 57.6
GTEX-146FQ-1526-SM-5Q5CX 30-39 years, male 57.5
GTEX-S3XE-0526-SM-4AD4G 50-59 years, male 57.5
GTEX-1GMR3-1226-SM-7MGY1 40-49 years, male 57.5
GTEX-1H1E6-0826-SM-9WG83 30-39 years, male 57.5
GTEX-15DYW-1626-SM-6LLI1 60-69 years, female 57.4
GTEX-13O61-2126-SM-5IJEO 60-69 years, male 57.2
GTEX-Y3IK-0426-SM-4WWE2 50-59 years, female 57.2
GTEX-1S82P-1026-SM-EAZ4W 60-69 years, female 57.2
GTEX-ZG7Y-0326-SM-4WWEY 50-59 years, male 57.1
GTEX-1339X-1026-SM-5IFH5 40-49 years, male 57.0
GTEX-1C2JI-0926-SM-731F1 50-59 years, male 57.0
GTEX-1C6VQ-1726-SM-7IGLQ 50-59 years, male 57.0
GTEX-11DXX-0926-SM-5H112 60-69 years, female 56.9
GTEX-14PJM-2126-SM-6AJAS 50-59 years, female 56.9
GTEX-14PK6-1026-SM-664NZ 70-79 years, female 56.8
GTEX-U8XE-2026-SM-3DB8S 30-39 years, male 56.8
GTEX-W5WG-0826-SM-4RGNE 50-59 years, female 56.8
GTEX-WHPG-0326-SM-4M1XV 50-59 years, male 56.8
GTEX-178AV-0226-SM-793B7 40-49 years, male 56.7
GTEX-YFCO-1026-SM-5LU9S 40-49 years, male 56.6
GTEX-13U4I-1526-SM-5IFFF 40-49 years, female 56.5
GTEX-15SHV-1526-SM-6LLIB 60-69 years, male 56.5
GTEX-1R9K5-1226-SM-E6CPQ 50-59 years, male 56.5
GTEX-1I1GQ-2226-SM-B2LX1 50-59 years, male 56.4
GTEX-1KXAM-0226-SM-EV7AP 60-69 years, male 56.3
GTEX-1QEPI-1626-SM-EAZ3I 60-69 years, female 56.3
GTEX-11GSP-0426-SM-5A5KX 60-69 years, female 56.2
GTEX-P4QS-1026-SM-3NMCW 60-69 years, male 56.2
GTEX-Q2AI-0426-SM-48U13 40-49 years, male 56.1
GTEX-Y3I4-0826-SM-4TT2A 50-59 years, male 56.1
GTEX-1S83E-1426-SM-EV7B8 40-49 years, male 55.9
GTEX-1IDJC-0526-SM-AHZ2Q 50-59 years, male 55.8
GTEX-1RAZA-1626-SM-EV79I 20-29 years, male 55.6
GTEX-15UF7-0826-SM-6M46E 40-49 years, male 55.5
GTEX-PLZ6-0726-SM-3P619 30-39 years, male 55.5
GTEX-117YX-0226-SM-5EGH6 50-59 years, male 55.4
GTEX-ZAB4-1726-SM-5HL8C 40-49 years, male 55.4
GTEX-1S831-0626-SM-EV79N 20-29 years, male 55.3
GTEX-14ICL-1126-SM-5S2RE 30-39 years, male 55.2
GTEX-Y5LM-0526-SM-4V6G3 40-49 years, female 55.1
GTEX-1I1GT-0926-SM-AHZ2G 60-69 years, female 55.1
GTEX-12WSK-0226-SM-5BC62 40-49 years, female 55.0
GTEX-15EU6-1126-SM-68721 50-59 years, male 54.9
GTEX-14E6E-1426-SM-5RQI2 30-39 years, male 54.8
GTEX-17F9E-1426-SM-793BG 50-59 years, male 54.7
GTEX-WI4N-1826-SM-4OOSF 40-49 years, female 54.7
GTEX-15ER7-1326-SM-6LPK9 20-29 years, female 54.6
GTEX-SNOS-0926-SM-4DM7A 40-49 years, male 54.5
GTEX-14PN3-0126-SM-6AJAU 60-69 years, female 54.4
GTEX-XBEW-1626-SM-4SOJP 40-49 years, male 54.4
GTEX-1H11D-0926-SM-9OSXO 40-49 years, male 54.4
GTEX-OOBK-1026-SM-48TC2 40-49 years, male 54.3
GTEX-Q2AH-0926-SM-48TZK 40-49 years, male 54.3
GTEX-XXEK-1726-SM-4BRVB 50-59 years, male 54.3
GTEX-1IDJD-0126-SM-C1YQZ 30-39 years, male 54.3
GTEX-1IDJU-0326-SM-CGQEE 60-69 years, female 54.3
GTEX-111CU-0526-SM-5EGHK 50-59 years, male 54.2
GTEX-12WSL-0426-SM-5GCNX 50-59 years, male 54.2
GTEX-13PL7-2226-SM-5L3IC 60-69 years, female 54.2
GTEX-145MO-2126-SM-5Q5CZ 60-69 years, male 54.2
GTEX-1OKEX-1726-SM-E9U4F 60-69 years, male 54.2
GTEX-1RAZQ-1426-SM-EV7B2 30-39 years, male 54.2
GTEX-15SDE-0826-SM-6M463 50-59 years, female 54.1
GTEX-12WSD-1626-SM-5GCNR 60-69 years, female 54.0
GTEX-139YR-1526-SM-5IFJ1 50-59 years, male 54.0
GTEX-OHPL-1026-SM-3MJGI 60-69 years, female 54.0
GTEX-WFON-0626-SM-4LVLX 40-49 years, male 54.0
GTEX-131XE-1926-SM-5IFER 50-59 years, male 53.9
GTEX-13D11-2226-SM-5IFEO 50-59 years, female 53.9
GTEX-18A7A-1726-SM-7LT93 50-59 years, female 53.8
GTEX-132QS-0926-SM-5P9GB 60-69 years, male 53.7
GTEX-13X6H-0626-SM-5LU53 50-59 years, female 53.7
GTEX-111YS-1226-SM-5EGGJ 60-69 years, male 53.6
GTEX-15UF6-1826-SM-6LLI9 70-79 years, female 53.6
GTEX-1CAMR-1126-SM-7MGXF 20-29 years, male 53.6
GTEX-1LGRB-0426-SM-CNNRD 50-59 years, female 53.6
GTEX-1NSGN-1726-SM-EXOJG 50-59 years, male 53.6
GTEX-QLQ7-0626-SM-CE6QX 60-69 years, male 53.5
GTEX-X15G-0726-SM-4PQZ5 50-59 years, female 53.4
GTEX-1497J-0426-SM-5Q5CO 60-69 years, male 53.3
GTEX-13PVR-0726-SM-5S2PX 60-69 years, female 53.2
GTEX-11TT1-0326-SM-5LUAY 20-29 years, male 53.1
GTEX-14PJN-1526-SM-6AJBP 30-39 years, male 53.1
GTEX-QDVJ-1226-SM-48U1V 50-59 years, male 53.1
GTEX-1AX9K-2026-SM-731D1 50-59 years, male 53.0
GTEX-ZV7C-0726-SM-59HKH 50-59 years, male 53.0
GTEX-1QPFJ-2226-SM-EXOJW 30-39 years, female 53.0
GTEX-YEC3-0626-SM-CMKFG 50-59 years, male 53.0
GTEX-11ONC-0526-SM-5BC57 60-69 years, male 52.9
GTEX-18D9U-1626-SM-7KFTW 40-49 years, male 52.9
GTEX-XPVG-0326-SM-4B653 50-59 years, male 52.9
GTEX-WYVS-0926-SM-4SOJV 40-49 years, female 52.8
GTEX-Y9LG-0726-SM-4VDS3 30-39 years, male 52.8
GTEX-14PJ6-0926-SM-686ZA 60-69 years, female 52.7
GTEX-QCQG-0426-SM-48U29 50-59 years, female 52.7
GTEX-ZYFG-0826-SM-5BC5T 60-69 years, female 52.7
GTEX-1IL2U-2326-SM-CNNQV 60-69 years, male 52.7
GTEX-14PJ3-0426-SM-6LLHF 50-59 years, male 52.6
GTEX-1C4CL-0926-SM-79OL2 30-39 years, male 52.5
GTEX-1K2DU-1026-SM-DHXKC 20-29 years, male 52.5
GTEX-14PJ2-1526-SM-686Z4 50-59 years, male 52.4
GTEX-18A66-2126-SM-7189D 60-69 years, male 52.4
GTEX-1R7EU-0726-SM-DPRZM 60-69 years, male 52.4
GTEX-144GN-0826-SM-5LU5G 50-59 years, male 52.3
GTEX-1CAMS-1926-SM-7DUEU 40-49 years, female 52.3
GTEX-1JK1U-1026-SM-AHZ44 60-69 years, male 52.3
GTEX-11XUK-0626-SM-5N9ES 40-49 years, female 52.2
GTEX-S95S-0726-SM-4B64H 60-69 years, male 52.2
GTEX-1L5NE-0826-SM-DHXKU 50-59 years, male 52.2
GTEX-1GN1U-1126-SM-9WPPZ 50-59 years, female 52.1
GTEX-S4P3-0626-SM-4AD59 50-59 years, female 52.0
GTEX-13FLV-0626-SM-5IFEY 50-59 years, male 51.9
GTEX-14PJO-1826-SM-69LPR 60-69 years, male 51.9
GTEX-OOBJ-1026-SM-3NB2L 60-69 years, male 51.9
GTEX-1CB4G-1826-SM-7MKGO 60-69 years, male 51.8
GTEX-ZLWG-0326-SM-4WWC7 50-59 years, female 51.8
GTEX-R55G-0326-SM-48FDM 40-49 years, female 51.7
GTEX-ZVZP-0626-SM-59HL5 50-59 years, male 51.6
GTEX-1LVAN-1226-SM-CNNQY 50-59 years, female 51.6
GTEX-11LCK-0226-SM-5A5M6 30-39 years, male 51.5
GTEX-OXRK-1526-SM-E6CHJ 50-59 years, female 51.5
GTEX-ZDTT-1126-SM-4WKFW 60-69 years, male 51.4
GTEX-12WSN-0826-SM-5GCOF 40-49 years, male 51.3
GTEX-T5JW-0226-SM-4DM7I 20-29 years, female 51.3
GTEX-14PKV-0926-SM-6AJB4 20-29 years, female 51.2
GTEX-VJYA-0826-SM-4KL1M 60-69 years, male 51.2
GTEX-ZVP2-0726-SM-59HKY 50-59 years, male 51.2
GTEX-1QP28-1026-SM-EAZ4K 50-59 years, female 51.2
GTEX-14DAR-0526-SM-664MX 50-59 years, male 51.0
GTEX-1GZ4H-0626-SM-9OSXJ 50-59 years, female 51.0
GTEX-X4LF-0326-SM-4QAS9 50-59 years, male 50.9
GTEX-16Z82-1726-SM-7MGX3 60-69 years, male 50.9
GTEX-1JKYR-1026-SM-CGQGI 20-29 years, male 50.9
GTEX-14PHY-1126-SM-664OR 60-69 years, female 50.8
GTEX-1KANA-1526-SM-CXZKG 20-29 years, male 50.7
GTEX-QMRM-0326-SM-CKZNB 50-59 years, male 50.7
GTEX-WH7G-0826-SM-4LVMR 40-49 years, male 50.5
GTEX-YEC4-1326-SM-5IFHG 40-49 years, male 50.5
GTEX-1QP29-1926-SM-DPRZO 50-59 years, male 50.5
GTEX-YB5E-0526-SM-4VDSD 40-49 years, male 50.4
GTEX-14PKU-0626-SM-6EU1Q 40-49 years, female 50.3
GTEX-XGQ4-0226-SM-4GIDS 50-59 years, male 50.3
GTEX-13N11-0226-SM-5KM3C 50-59 years, female 50.2
GTEX-14PHX-2026-SM-6872C 50-59 years, male 50.2
GTEX-SE5C-0326-SM-4BRWX 40-49 years, female 50.1
GTEX-1N2DV-1726-SM-DPRYR 40-49 years, male 50.0
GTEX-1PPH8-2326-SM-EAZ48 20-29 years, male 50.0
GTEX-1PBJI-2126-SM-DPRYG 20-29 years, female 49.9
GTEX-132AR-1826-SM-5EGHR 50-59 years, female 49.8
GTEX-1A3MW-1926-SM-7IGM8 60-69 years, female 49.8
GTEX-QDVN-0926-SM-2I5GL 50-59 years, male 49.8
GTEX-R53T-0426-SM-48FEM 50-59 years, female 49.6
GTEX-Y114-0826-SM-4TT77 50-59 years, female 49.6
GTEX-1LG7Z-0326-SM-DHXK3 30-39 years, male 49.6
GTEX-WFG7-0426-SM-4LMK5 20-29 years, male 49.5
GTEX-131XF-1426-SM-5BC68 60-69 years, male 49.4
GTEX-13SLX-1326-SM-5S2QS 50-59 years, female 49.4
GTEX-1C64O-1426-SM-7EWER 60-69 years, male 49.4
GTEX-1I1GU-0326-SM-AHZ2K 40-49 years, male 49.4
GTEX-ZAB5-0826-SM-5P9FU 50-59 years, male 49.3
GTEX-13YAN-2126-SM-5Q5C4 60-69 years, male 49.1
GTEX-N7MT-1626-SM-3LK71 60-69 years, female 49.1
GTEX-17HHE-0526-SM-7DUGR 50-59 years, male 48.9
GTEX-1AMFI-0726-SM-731D9 50-59 years, female 48.9
GTEX-ZDYS-2526-SM-4WKGU 50-59 years, male 48.9
GTEX-RM2N-0326-SM-48FD8 50-59 years, male 48.8
GTEX-YB5K-1826-SM-5IFJC 40-49 years, female 48.6
GTEX-QV31-0226-SM-447BO 30-39 years, male 48.5
GTEX-XV7Q-0926-SM-4BRVQ 40-49 years, female 48.5
GTEX-1GN1W-1126-SM-9OSW3 50-59 years, female 48.5
GTEX-WY7C-1026-SM-4OND3 50-59 years, male 48.4
GTEX-NFK9-1626-SM-3LK5J 40-49 years, male 48.3
GTEX-15SB6-0226-SM-6LLIA 50-59 years, female 48.2
GTEX-1AYD5-0326-SM-7EWEO 50-59 years, male 48.2
GTEX-1399U-0926-SM-5IFHA 50-59 years, female 48.0
GTEX-11VI4-0426-SM-5EGHZ 40-49 years, female 47.9
GTEX-TMMY-1326-SM-4DXU9 40-49 years, female 47.9
GTEX-Y8LW-1026-SM-5IFJY 50-59 years, female 47.9
GTEX-1O97I-1726-SM-EXOIP 60-69 years, male 47.7
GTEX-R55D-1426-SM-48FEN 50-59 years, male 47.6
GTEX-1R46S-1426-SM-EXOJD 60-69 years, female 47.6
GTEX-11EQ9-1026-SM-5H134 30-39 years, male 47.4
GTEX-P4PQ-1026-SM-3NMCN 60-69 years, male 47.4
GTEX-ZAK1-2326-SM-5CVMY 50-59 years, female 47.4
GTEX-1B97J-1526-SM-79ONI 50-59 years, female 47.2
GTEX-1B8KZ-0926-SM-731D7 50-59 years, male 47.1
GTEX-PW2O-0826-SM-48TC5 20-29 years, male 47.1
GTEX-S32W-0826-SM-4AD5Z 50-59 years, female 47.1
GTEX-V1D1-0726-SM-4JBH7 50-59 years, male 47.1
GTEX-1M5QR-0926-SM-DHXK8 40-49 years, male 47.1
GTEX-WQUQ-2126-SM-4OOSO 60-69 years, male 47.0
GTEX-OHPM-1026-SM-3LK74 50-59 years, male 46.9
GTEX-1NUQO-0826-SM-DPS16 20-29 years, female 46.9
GTEX-1K2DA-0326-SM-CGQGX 50-59 years, male 46.8
GTEX-12BJ1-1126-SM-5EGGG 60-69 years, male 46.7
GTEX-16MT8-1726-SM-7EWE7 60-69 years, female 46.7
GTEX-XUW1-1726-SM-4BOOZ 50-59 years, female 46.7
GTEX-ZYW4-2126-SM-59HJ9 60-69 years, male 46.7
GTEX-14PN4-1626-SM-6AJB5 50-59 years, male 46.6
GTEX-1B932-1626-SM-731EA 40-49 years, female 46.6
GTEX-ZF29-1126-SM-4WKGO 60-69 years, female 46.5
GTEX-1MGNQ-1226-SM-EV7BM 40-49 years, male 46.5
GTEX-13FH7-1426-SM-5IFIC 50-59 years, female 46.4
GTEX-ZF3C-2026-SM-4WWB5 50-59 years, female 46.4
GTEX-13W3W-1026-SM-5IFG4 60-69 years, female 46.3
GTEX-WXYG-0826-SM-4ONC7 50-59 years, female 46.2
GTEX-ZYT6-1326-SM-5E453 30-39 years, male 46.1
GTEX-1399R-0426-SM-5IJE3 30-39 years, male 46.0
GTEX-ZTPG-1026-SM-5DUWP 20-29 years, female 45.6
GTEX-SUCS-1426-SM-4DM5W 70-79 years, male 45.4
GTEX-1J8EW-1926-SM-CGQGR 60-69 years, female 45.4
GTEX-14AS3-0326-SM-5Q5DB 40-49 years, female 45.3
GTEX-13FTX-1226-SM-5IFGN 20-29 years, female 45.2
GTEX-X3Y1-0726-SM-3P5YU 40-49 years, male 45.1
GTEX-XQ8I-1926-SM-4BOOK 50-59 years, male 45.1
GTEX-ZC5H-0826-SM-5N9FH 40-49 years, female 45.0
GTEX-VUSG-0326-SM-3GIJ7 50-59 years, male 44.7
GTEX-PSDG-1526-SM-48TCY 50-59 years, male 44.5
GTEX-ZPCL-0726-SM-DO91S 60-69 years, female 44.5
GTEX-15UKP-1326-SM-6LPI8 20-29 years, male 44.4
GTEX-WYJK-2426-SM-4ONDQ 50-59 years, male 44.4
GTEX-XBED-0226-SM-47JY8 60-69 years, male 44.0
GTEX-1H23P-2026-SM-9OSXY 60-69 years, male 44.0
GTEX-ZZPU-0726-SM-5N9C8 50-59 years, female 43.6
GTEX-QESD-0226-SM-447BH 20-29 years, male 43.5
GTEX-1GL5R-0926-SM-9JGFO 50-59 years, male 43.5
GTEX-1HKZK-1126-SM-9WG82 40-49 years, male 43.5
GTEX-RWS6-1126-SM-47JXC 60-69 years, female 43.4
GTEX-WFJO-0626-SM-4LVMC 30-39 years, male 43.3
GTEX-X5EB-0526-SM-46MVP 40-49 years, male 43.3
GTEX-1JMPZ-1026-SM-CXZJS 30-39 years, male 43.3
GTEX-WHWD-0726-SM-4OORX 50-59 years, male 43.0
GTEX-1MUQO-1426-SM-DPRYJ 60-69 years, male 43.0
GTEX-1B933-1726-SM-731FC 50-59 years, female 42.8
GTEX-15CHR-2026-SM-7MXU2 50-59 years, male 42.8
GTEX-1GF9X-1126-SM-7MKHC 40-49 years, female 42.5
GTEX-1AX9J-1726-SM-731FF 60-69 years, male 42.4
GTEX-1B8KE-0726-SM-72D7G 50-59 years, male 42.4
GTEX-1K9T9-1726-SM-CXZK1 50-59 years, female 42.4
GTEX-QV44-0426-SM-4R1KF 50-59 years, male 42.3
GTEX-1QP2A-1326-SM-EAZ3K 50-59 years, male 42.0
GTEX-WHSB-0726-SM-4M1XQ 50-59 years, male 41.7
GTEX-QEL4-1326-SM-447AD 50-59 years, male 41.3
GTEX-1PWST-1526-SM-EXOIT 70-79 years, male 41.1
GTEX-14BMU-0726-SM-73KXS 20-29 years, female 40.7
GTEX-1CB4I-1326-SM-79OLY 50-59 years, male 40.7
GTEX-U4B1-0726-SM-4DXUA 40-49 years, male 40.7
GTEX-NPJ8-2126-SM-3MJGK 40-49 years, male 40.6
GTEX-145ME-0326-SM-5S2QO 40-49 years, female 40.5
GTEX-V955-0326-SM-4JBGV 60-69 years, male 39.6
GTEX-XYKS-1226-SM-4BRVI 60-69 years, female 39.2
GTEX-ZVT2-2026-SM-5NQ8Q 50-59 years, female 38.3
GTEX-UJMC-1126-SM-3GADP 50-59 years, male 35.2
Show allShow less

PANCREAS - FANTOM5 CAGEi

RNA expression in human tissues obtained through Cap Analysis of Gene Expression (CAGE) generated by the FANTOM5 project are reported as Scaled Tags Per Million.

Max subtype Scaled Tags Per Millioni

Max subtype Scaled Tags Per Million is the value for the subtype with the largest average Scaled Tags Per Million across the subtype samples.

90.7
FANTOM5 sample id Sample description Scaled Tags Per Million
Pancreas
Scaled Tags Per Million: 90.7
FF:10049-101G4 52 years, male 90.7

Contact

  • NEWS ARTICLES
  • PRESS ROOM

The Project

  • INTRODUCTION
  • ORGANIZATION
  • PUBLICATIONS

The Human Protein Atlas

  • DOWNLOADABLE DATA
  • LICENCE & CITATION
  • HELP & FAQ
The Human Protein Atlas project is funded
by the Knut & Alice Wallenberg Foundation.


contact@proteinatlas.org