We use cookies to enhance the usability of our website. If you continue, we'll assume that you are happy to receive all cookies. More information. Don't show this again.
CD68
HPA
RESOURCES
  • TISSUE
  • BRAIN
  • SINGLE CELL
  • SUBCELLULAR
  • CANCER
  • BLOOD
  • CELL LINE
  • STRUCTURE & INTERACTION
ABOUT
  • INTRODUCTION
  • HISTORY
  • ORGANIZATION
  • PUBLICATIONS
  • ANTIBODY SUBMISSION
  • ANTIBODY AVAILABILITY
  • ACKNOWLEDGMENTS
  • CONTACT
NEWS
  • NEWS ARTICLES
  • PRESS ROOM
LEARN
  • DICTIONARY
  • PROTEIN CLASSES
  • PROTEIN EVIDENCE
  • METHODS
  • EDUCATIONAL VIDEOS
DATA
  • DOWNLOADABLE DATA
  • PUBLICATION DATA
  • RELEASE HISTORY
HELP
  • ANTIBODY VALIDATION
  • ASSAYS & ANNOTATION
  • DISCLAIMER
  • HELP & FAQ
  • PRIVACY STATEMENT
  • LICENCE & CITATION
Fields »
Search result

Field
Term
Gene name
Class
Subclass
Class
Keyword
Chromosome
External id
Tissue
Cell type
Expression
Antibody panel
Tissue
Main location
Patient ID
Annotation
Tissue
Category
Tau score
Cluster
Reliability
Brain region
Category
Tau score
Brain region
Category
Tau score
Brain region
Category
Tau score
Cluster
Reliability
Tissue
Cell type
Enrichment
Cell type
Category
Tau score
Cell type
Category
Tau score
Cell type
Category
Tau score
Cell lineage
Category
Tau score
Cluster
Cluster
Location
Searches
Location
Cell line
Class
Type
Phase
Reliability
Cancer
Prognosis
Cancer
Category
Cancer
Category
Tau score
Cluster
Variants
Interacting gene (ensg_id)
Type
Number of interactions
Pathway
Category
Score
Score
Score
Validation
Validation
Validation
Validation
Antibodies
Data type
Column


  • SUMMARY

  • TISSUE

  • BRAIN

  • SINGLE CELL

  • SUBCELL

  • CANCER

  • BLOOD

  • CELL LINE

  • STRUCT & INT

  • CD68
TISSUE PRIMARY DATA SKIN Show tissue menu
ADIPOSE TISSUE ADRENAL GLAND AMYGDALA APPENDIX BASAL GANGLIA BONE MARROW BREAST BRONCHUS CEREBELLUM CEREBRAL CORTEX CERVIX CHOROID PLEXUS COLON DUODENUM
ENDOMETRIUM EPIDIDYMIS ESOPHAGUS FALLOPIAN TUBE GALLBLADDER HEART MUSCLE HIPPOCAMPAL FORMATION HYPOTHALAMUS KIDNEY LIVER LUNG LYMPH NODE MIDBRAIN NASOPHARYNX
ORAL MUCOSA OVARY PANCREAS PARATHYROID GLAND PITUITARY GLAND PLACENTA PROSTATE RECTUM RETINA SALIVARY GLAND SEMINAL VESICLE SKELETAL MUSCLE SKIN SMALL INTESTINE
SMOOTH MUSCLE SOFT TISSUE SPINAL CORD SPLEEN STOMACH TESTIS THYMUS THYROID GLAND TONGUE TONSIL URINARY BLADDER VAGINA
ANTIBODIES
AND
VALIDATION
Dictionary
Skin
Tissue proteome
Skin
SKIN - Expression summary
Protein expression
Skini

On the top, protein expression in current human tissue, based on all annotated cell types, is reported with the units not detected (n), low (l), medium (m) and high (h). Underneath, protein expression in each annotated cell type are reported using the same units.

Protein expression data is based on knowledge-based annotation. For genes where more than one antibody has been used, a collective score is set.

If knowledge-based annotation could not be performed for a gene, no data is displayed here. View antibody staining data further down this page.

h
m
l
n
Cells in basal layer: Not detected
Cells in corneal layer: Not detected
Cells in granular layer: Not detected
Cells in spinous layer: Not detected
Endothelial cells: Not detected
Extracellular matrix: Not detected
Fibrohistiocytic cells: High
Hair follicles: Not detected
Langerhans cells: Medium
Lymphocytes: Not detected
Melanocytes: Not detected
Vascular mural cells: Not detected
RNA expressioni

A summary of mRNA expression data available for current tissue based on several datasets. The mRNA expression levels in human tissues are based on RNA-seq data generated by the Human Protein Atlas (HPA), Genotype-Tissue Expression (GTEx) portal and CAGE data generated by the FANTOM5 consortium. Consensus normalized expression levels for human tissues was created by combining the data from HPA and GTEx datasets.

The mRNA expression levels in pig are based on RNA-seq data generated by the Human Protein Atlas (HPA), and for mouse, HPA data and in situ hybridization generated by the Allen brain atlas are reported.

Scroll down to view mRNA expression data in more detail.
Consensus:24.0 nTPM
HPA:16.0 nTPM
GTEx:24.0 nTPM

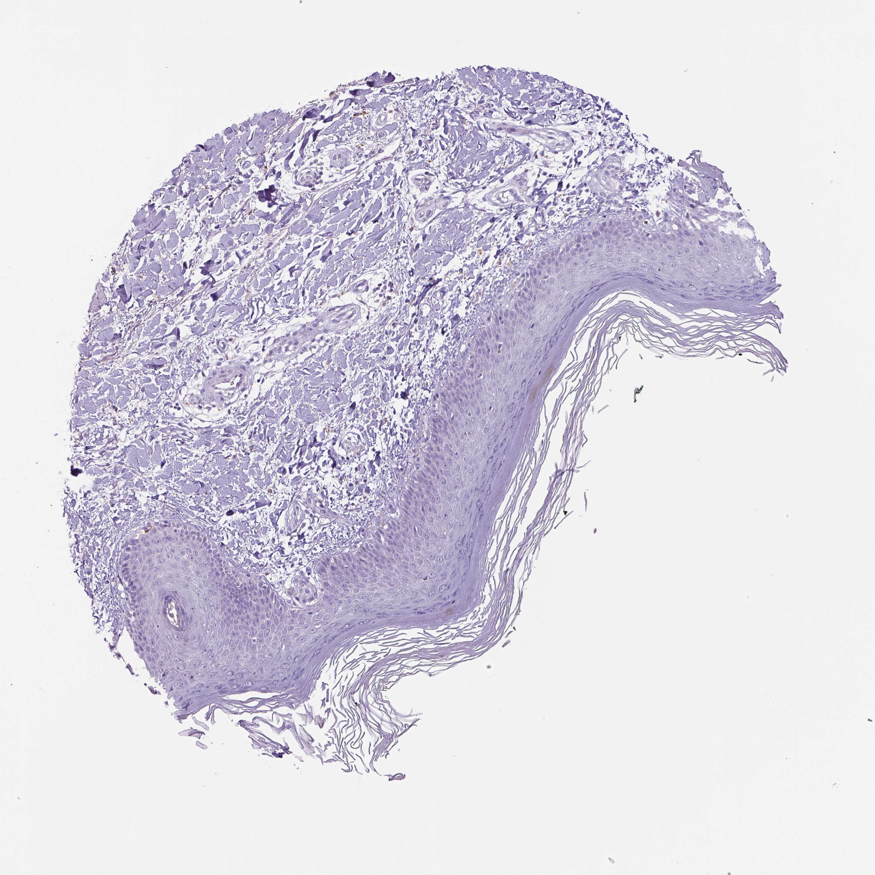
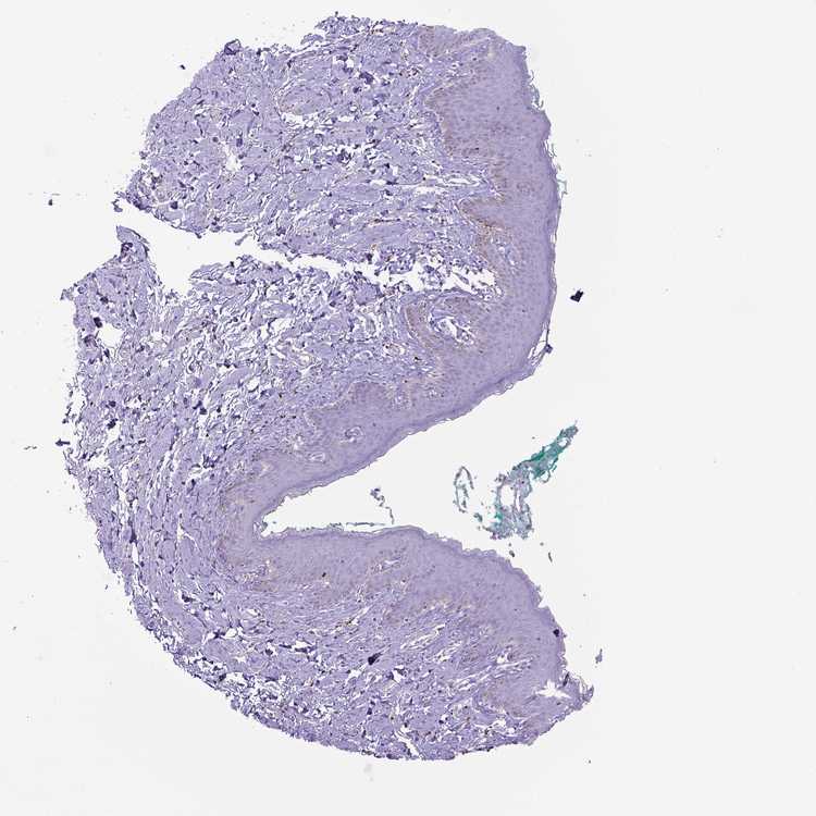
SKIN 1 - Antibody stainingi

Antibody staining in the annotated cell types in the current human tissue is reported as not detected, low, medium, or high, based on conventional immunohistochemistry profiling in selected tissues. This score is based on the combination of the staining intensity and fraction of stained cells.

Each image is clickable and will lead to virtual microscopy that enables deeper exploration of all samples and also displays staining intensity scores, fraction scores and subcellular localization as well as patient and tissue information for each sample.

Antibody HPA048982Antibody CAB000051Antibody CAB000066Antibody CAB072861Antibody CAB072862
Langerhans LowNot detectedNot detectedNot detected-
Cells in basal layer ----Not detected
Cells in corneal layer ----Not detected
Cells in granular layer ----Not detected
Cells in spinous layer ----Not detected
Endothelial cells ----Not detected
Extracellular matrix ----Not detected
Fibroblasts Not detectedNot detectedNot detectedNot detected-
Fibrohistiocytic cells ----High
Hair follicles ----Not detected
Keratinocytes Not detectedNot detectedNot detectedNot detected-
Langerhans cells ----Medium
Lymphocytes ----Not detected
Melanocytes Not detectedNot detectedNot detectedNot detectedNot detected
Vascular mural cells ----Not detected








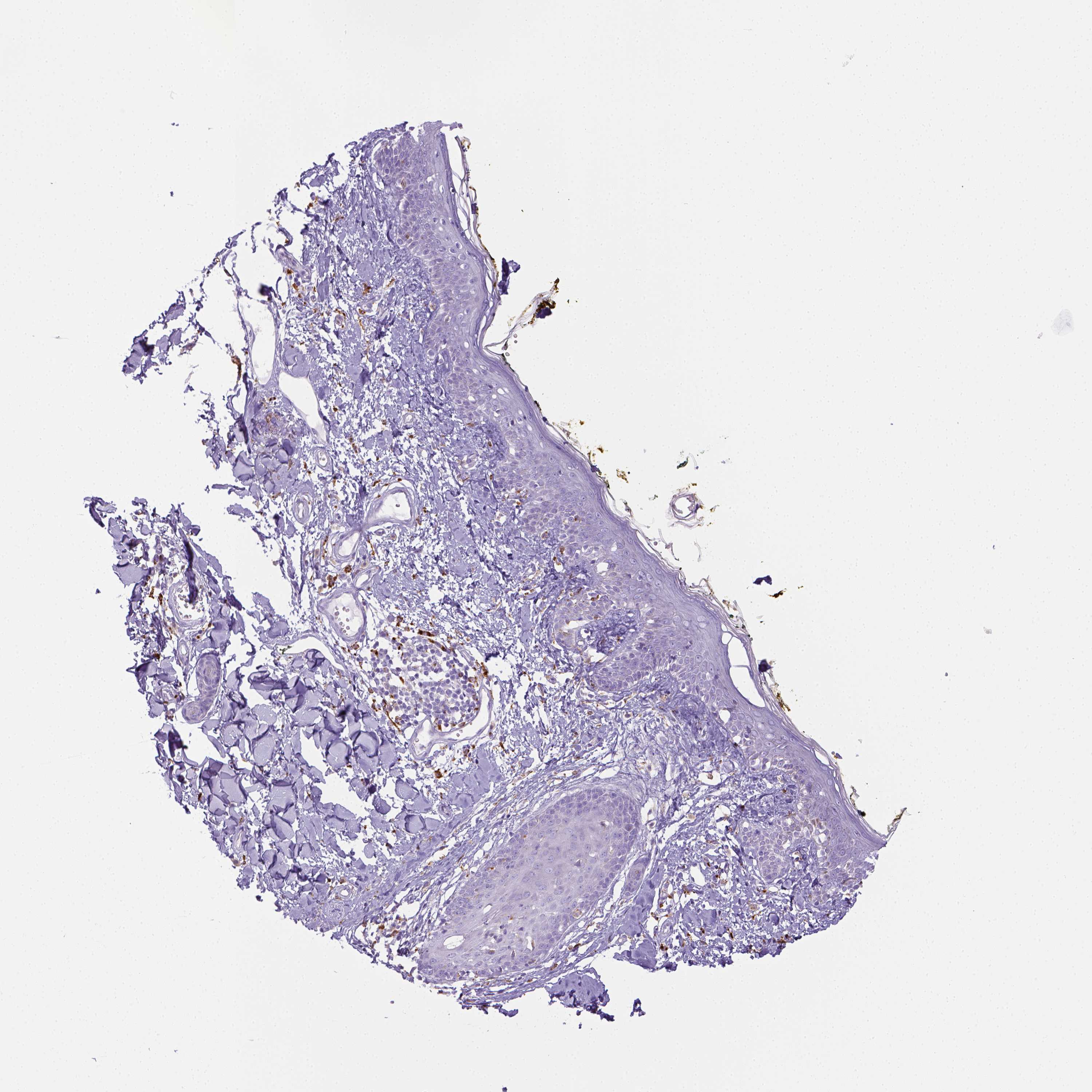
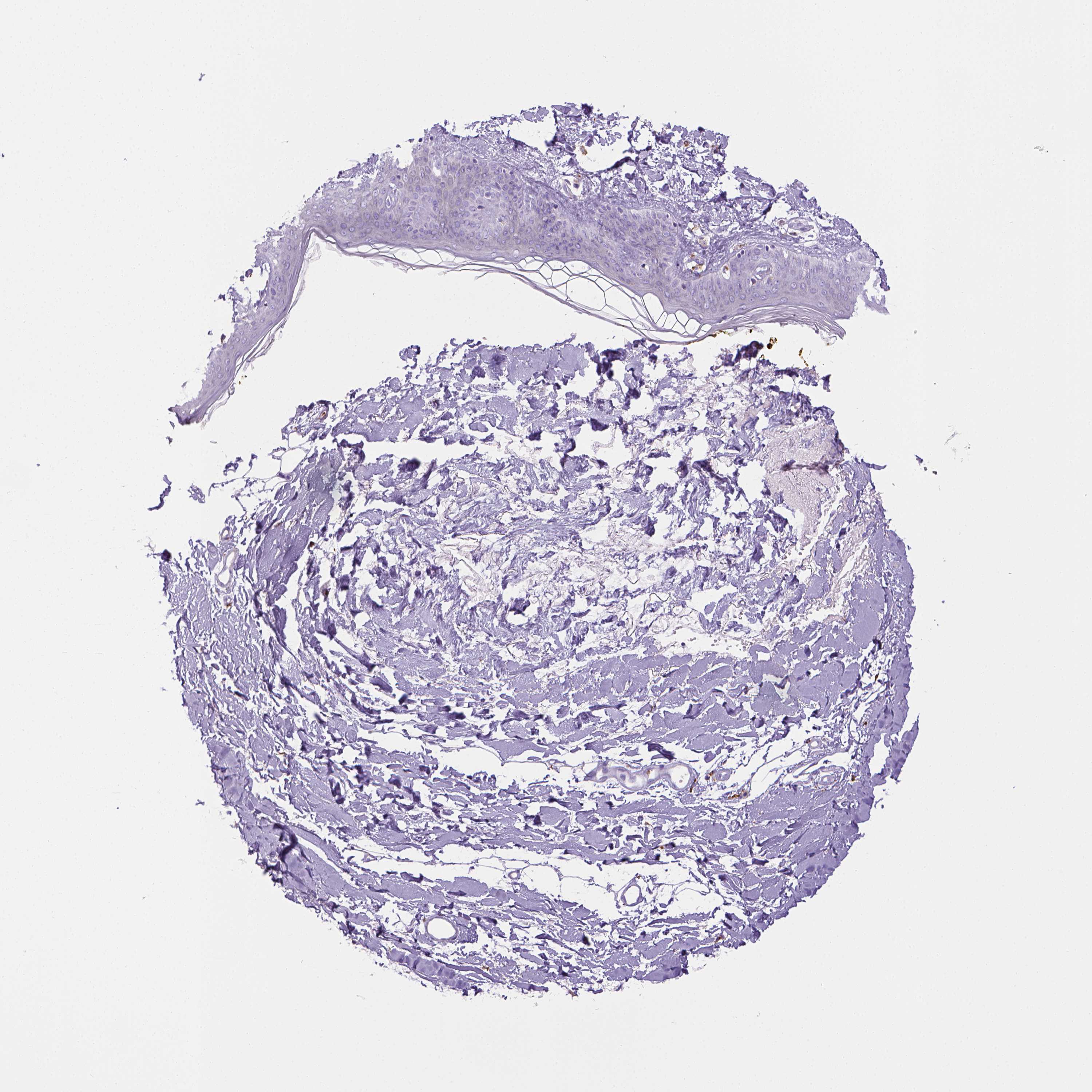
SKIN 2 - Antibody stainingi

Antibody staining in the annotated cell types in the current human tissue is reported as not detected, low, medium, or high, based on conventional immunohistochemistry profiling in selected tissues. This score is based on the combination of the staining intensity and fraction of stained cells.

Each image is clickable and will lead to virtual microscopy that enables deeper exploration of all samples and also displays staining intensity scores, fraction scores and subcellular localization as well as patient and tissue information for each sample.

Antibody HPA048982Antibody CAB000051Antibody CAB000066Antibody CAB072861Antibody CAB072862
Cells in basal layer ----Not detected
Cells in corneal layer ----Not detected
Cells in granular layer ----Not detected
Cells in spinous layer ----Not detected
Endothelial cells ----Not detected
Epidermal cells Not detectedNot detectedNot detectedNot detected-
Extracellular matrix ----Not detected
Fibrohistiocytic cells ----High
Langerhans cells ----Low
Lymphocytes ----Not detected
Melanocytes ----Not detected
Vascular mural cells ----Not detected
     
     
     










SKIN - HPA RNA-seqi

The RNA-seq details section shows detailed information about the individual samples used for the transcript profiling and results of the RNA-seq analysis.

Information about each individual sample is listed below, including gender, age, a tissue section image and estimated fractions of cell types. nTPM (normalized transcripts per million) values give a quantification of the gene abundance which is comparable between different genes and samples.
Average nTPMi

Max subtype nTPM is the value for the subtype with the largest average nTPM across the subtype samples.

16.0
overview
Female, age 34
Skin sample 225
nTPM: 20
Cell types%
Keratinocytes:
60

Other cell types:
40

overview
Female, age 30
Skin sample 226
nTPM: 11.3
Cell types%
Keratinocytes:
55

Other cell types:
45

N/A
Male, age 57
Skin sample 227
nTPM: 16.6

SKIN - GTEx RNA-seqi

RNA-Seq data generated by the Genotype-Tissue Expression (GTEx) project from human tissues is reported as mean nTPM. More information can be found on the GTEx portal.

Distribution across the dataset is visualized with box plots, shown as median and 25th and 75th percentiles. Points are displayed as outliers if they are above or below 1.5 times the interquartile range. nTPM values of the individual samples are presented next to the box plot.
Max subtype nTPMi

Max subtype nTPM is the value for the subtype with the largest average nTPM across the subtype samples.

24.0
GTEx sample id Sample description nTPM
Skin - Not Sun Exposed (Suprapubic)
Average nTPM: 17.8
Samples: 604

Max nTPM: 172.2
Min nTPM: 0.1
Std nTPM: 21.4
Median nTPM: 10.5
GTEX-1RLM8-2926-SM-E8VON 50-59 years, male 172.2
GTEX-13113-1626-SM-5EQ4I 60-69 years, female 152.6
GTEX-139YR-1026-SM-5LZYN 50-59 years, male 125.5
GTEX-18D9B-0926-SM-7LG4U 60-69 years, male 119.9
GTEX-1IDJI-0126-SM-CMKHS 50-59 years, female 117.4
GTEX-1JMOU-1026-SM-CYPSS 60-69 years, female 106.4
GTEX-1117F-2926-SM-5GZYI 60-69 years, female 104.7
GTEX-Y3IK-1626-SM-4YCF5 50-59 years, female 102.4
GTEX-1399R-1326-SM-5PNYS 30-39 years, male 98.5
GTEX-14BMU-1226-SM-5S2OR 20-29 years, female 87.7
GTEX-14DAR-1226-SM-73KYV 50-59 years, male 87.5
GTEX-1HC8U-1326-SM-9YFMJ 40-49 years, female 87.1
GTEX-12584-0726-SM-5FQTK 40-49 years, male 86.5
GTEX-1497J-0226-SM-5QGPU 60-69 years, male 85.4
GTEX-1H1ZS-2726-SM-9WG75 70-79 years, male 82.0
GTEX-1H3NZ-2726-SM-9WYTQ 60-69 years, male 77.1
GTEX-17EVQ-0126-SM-7IGLR 70-79 years, male 76.6
GTEX-WXYG-2026-SM-4E3IY 50-59 years, female 75.8
GTEX-1S82P-2126-SM-E6CI5 60-69 years, female 74.3
GTEX-1F48J-0726-SM-7RHGS 50-59 years, female 73.0
GTEX-YF7O-1526-SM-5IFI6 50-59 years, male 69.7
GTEX-1IDJE-1426-SM-ADEIW 50-59 years, female 68.4
GTEX-ZLWG-0826-SM-59888 50-59 years, female 67.4
GTEX-ZGAY-1826-SM-DO91Q 40-49 years, female 67.4
GTEX-14JG6-1426-SM-9WG7C 30-39 years, female 65.1
GTEX-13OVK-1426-SM-6PAN7 40-49 years, male 62.7
GTEX-1LBAC-0826-SM-CY8IJ 20-29 years, male 61.9
GTEX-ZYFG-1526-SM-5GZYM 60-69 years, female 58.5
GTEX-11DZ1-2426-SM-5GZZX 50-59 years, male 57.3
GTEX-1JN1M-2726-SM-CY8I4 60-69 years, female 57.3
GTEX-13YAN-0226-SM-5TDC6 60-69 years, male 57.0
GTEX-ZT9W-1126-SM-57WDR 50-59 years, male 56.5
GTEX-12WSL-2026-SM-5GCML 50-59 years, male 55.5
GTEX-X4EP-0626-SM-3P621 60-69 years, female 55.5
GTEX-146FQ-2126-SM-5RQHU 30-39 years, male 53.9
GTEX-ZZPU-0826-SM-5GZX5 50-59 years, female 53.6
GTEX-1QP29-1826-SM-DTX9S 50-59 years, male 52.1
GTEX-145MN-1526-SM-5SI9T 30-39 years, male 51.6
GTEX-U8XE-0226-SM-4E3J3 30-39 years, male 51.6
GTEX-WEY5-2326-SM-3GIKK 40-49 years, female 51.4
GTEX-XYKS-1426-SM-4BRUO 60-69 years, female 51.2
GTEX-1477Z-0326-SM-7IGLA 60-69 years, male 50.8
GTEX-13OW5-2326-SM-5L3HO 60-69 years, male 50.5
GTEX-14E6C-2426-SM-5S2NF 40-49 years, male 50.5
GTEX-13NYS-0626-SM-5L3F1 60-69 years, male 50.3
GTEX-1H2FU-0926-SM-9WPPT 60-69 years, female 49.6
GTEX-1H3VE-0726-SM-9YFL5 40-49 years, male 49.1
GTEX-WYBS-0626-SM-3NMAS 60-69 years, female 48.7
GTEX-18A66-0626-SM-7LT8Z 60-69 years, male 48.6
GTEX-15UF6-1926-SM-7KUDV 70-79 years, female 47.5
GTEX-1CAMR-1326-SM-7PC1F 20-29 years, male 47.5
GTEX-YB5K-2026-SM-4VDT3 40-49 years, female 47.2
GTEX-WFG8-2126-SM-3GIKQ 20-29 years, male 46.6
GTEX-12C56-1526-SM-5FQUQ 20-29 years, male 46.5
GTEX-117YX-1926-SM-5GIEC 50-59 years, male 46.4
GTEX-WHSE-0126-SM-3NMBT 20-29 years, male 46.2
GTEX-11EM3-1226-SM-5N9DD 20-29 years, female 45.7
GTEX-XK95-0226-SM-4AT58 40-49 years, male 45.7
GTEX-11NSD-0626-SM-5A5LU 20-29 years, male 45.6
GTEX-139T8-0626-SM-5KLZX 60-69 years, male 45.5
GTEX-1RAZR-2126-SM-E9U6T 40-49 years, male 45.5
GTEX-X3Y1-2026-SM-3P5YM 40-49 years, male 44.8
GTEX-ZLFU-1826-SM-4WWBV 40-49 years, male 44.0
GTEX-1IDJD-2326-SM-ACKWX 30-39 years, male 43.8
GTEX-ZPIC-0526-SM-DO91W 40-49 years, female 43.5
GTEX-13OVJ-0826-SM-5J1OK 50-59 years, female 43.1
GTEX-1B8KE-1126-SM-7EPHI 50-59 years, male 41.8
GTEX-1IDJC-1526-SM-B2LW4 50-59 years, male 41.3
GTEX-1HUB1-1426-SM-CGQF5 60-69 years, male 41.0
GTEX-13N11-2326-SM-5IJBF 50-59 years, female 40.5
GTEX-1F75B-0726-SM-7PC3R 50-59 years, male 39.9
GTEX-11ZTT-2126-SM-5CVLO 60-69 years, female 39.8
GTEX-Y5LM-0926-SM-6LLJG 40-49 years, female 39.7
GTEX-15RJ7-2126-SM-6PAMD 40-49 years, male 39.3
GTEX-12WSK-2126-SM-5CVNC 40-49 years, female 38.1
GTEX-1C475-1326-SM-7SB73 40-49 years, female 37.8
GTEX-1JMQL-2226-SM-CNPP4 50-59 years, female 37.7
GTEX-ZVP2-0326-SM-57WBP 50-59 years, male 37.3
GTEX-145ME-1726-SM-5Q5EU 40-49 years, female 37.2
GTEX-WYVS-1626-SM-3NM9R 40-49 years, female 36.9
GTEX-ZZ64-1026-SM-5GZXG 20-29 years, male 36.4
GTEX-11P82-1426-SM-DTXFY 20-29 years, male 35.8
GTEX-1QCLZ-2426-SM-EVYBW 60-69 years, female 35.2
GTEX-1LVAO-2726-SM-E9TJ8 60-69 years, male 35.1
GTEX-11WQK-1026-SM-5EQLX 50-59 years, male 34.7
GTEX-WHPG-2626-SM-3NMBR 50-59 years, male 34.4
GTEX-Y8LW-1526-SM-5IFHL 50-59 years, female 33.9
GTEX-1F75I-2226-SM-7SB8U 40-49 years, male 33.5
GTEX-12ZZZ-0726-SM-5GCNZ 60-69 years, male 33.4
GTEX-VJYA-1526-SM-3GIJV 60-69 years, male 33.2
GTEX-ZA64-1026-SM-5HL8R 20-29 years, male 33.2
GTEX-1A3MW-0626-SM-731CB 60-69 years, female 32.6
GTEX-18D9U-0126-SM-731BM 40-49 years, male 32.4
GTEX-1GMR2-0826-SM-7PC3V 50-59 years, male 32.4
GTEX-1QP66-1226-SM-DTX7U 50-59 years, male 32.4
GTEX-11VI4-1126-SM-5EQMD 40-49 years, female 32.2
GTEX-1HSMO-0626-SM-ACKXC 60-69 years, male 32.1
GTEX-16BQI-1326-SM-6M486 30-39 years, female 32.0
GTEX-1A32A-0626-SM-731AQ 50-59 years, female 31.7
GTEX-1LGOU-1326-SM-D3L8M 20-29 years, female 31.6
GTEX-14PJN-1826-SM-6AJ98 30-39 years, male 31.5
GTEX-WY7C-2126-SM-3NB2R 50-59 years, male 31.0
GTEX-YJ8O-2526-SM-5HL85 40-49 years, female 30.9
GTEX-17F97-2626-SM-7IGM5 50-59 years, male 30.8
GTEX-ZAK1-0626-SM-5HL8E 50-59 years, female 30.5
GTEX-11EQ9-1626-SM-5PNY8 30-39 years, male 30.0
GTEX-1MJK3-0726-SM-E6CJC 20-29 years, male 30.0
GTEX-13VXT-1926-SM-5K7UO 20-29 years, female 29.6
GTEX-11P81-2226-SM-5PNYI 30-39 years, female 29.4
GTEX-X5EB-1926-SM-4E3IW 40-49 years, male 29.3
GTEX-1R9PN-0426-SM-DTXDT 40-49 years, female 29.3
GTEX-133LE-2326-SM-5K7W3 20-29 years, female 29.2
GTEX-132AR-0326-SM-5KM2C 50-59 years, female 29.0
GTEX-1PIGE-1826-SM-E8VOU 20-29 years, male 28.8
GTEX-15CHQ-0326-SM-69LQD 60-69 years, male 28.7
GTEX-1CB4H-1126-SM-7MKGL 60-69 years, female 28.2
GTEX-14PK6-0226-SM-62LF5 70-79 years, female 28.1
GTEX-145LT-0526-SM-5LUB2 40-49 years, male 27.7
GTEX-ZVT2-0126-SM-5GIDQ 50-59 years, female 27.4
GTEX-13QBU-1226-SM-5LU4G 40-49 years, female 27.3
GTEX-WI4N-2726-SM-3LK7Y 40-49 years, female 27.3
GTEX-1S831-1826-SM-EWROF 20-29 years, male 27.3
GTEX-ZP4G-1426-SM-4WWCL 20-29 years, female 27.2
GTEX-Y8E4-2026-SM-5IFJB 40-49 years, male 26.9
GTEX-1L5NE-1126-SM-D3L9P 50-59 years, male 26.9
GTEX-16MT8-2926-SM-7DUFO 60-69 years, female 26.8
GTEX-17MF6-2626-SM-79OKQ 40-49 years, male 26.6
GTEX-1211K-1526-SM-5FQU4 60-69 years, female 26.2
GTEX-13X6H-0926-SM-5SIB2 50-59 years, female 26.0
GTEX-1F75W-2726-SM-7SB8H 60-69 years, male 26.0
GTEX-1KANC-1226-SM-CYPT7 50-59 years, female 26.0
GTEX-15FZZ-0526-SM-7KUGD 30-39 years, female 25.9
GTEX-13O61-1426-SM-5KM3D 60-69 years, male 25.7
GTEX-17F98-1326-SM-7DUEP 40-49 years, female 25.7
GTEX-131XF-2626-SM-5EQ6K 60-69 years, male 25.6
GTEX-XV7Q-1826-SM-4BRUV 40-49 years, female 25.4
GTEX-13FTX-1526-SM-5K7VJ 20-29 years, female 25.1
GTEX-1CAV2-0126-SM-7IGN7 40-49 years, female 24.8
GTEX-ZDYS-2426-SM-4WKGI 50-59 years, male 24.8
GTEX-ZVE2-2826-SM-5GU51 50-59 years, male 24.6
GTEX-1HKZK-0726-SM-ACKW2 40-49 years, male 24.6
GTEX-ZYW4-0626-SM-59HJR 60-69 years, male 24.5
GTEX-WH7G-2026-SM-3NMBL 40-49 years, male 24.4
GTEX-1F75A-0726-SM-7RHHD 50-59 years, male 24.3
GTEX-1GF9W-1426-SM-7PBYM 60-69 years, male 24.3
GTEX-1JMLX-0626-SM-ARL8T 50-59 years, male 24.3
GTEX-144FL-0626-SM-5LU43 50-59 years, male 24.2
GTEX-WFON-1926-SM-3LK7L 40-49 years, male 24.2
GTEX-XBEW-1126-SM-4QARW 40-49 years, male 24.1
GTEX-1JMQK-1226-SM-D4P2S 60-69 years, male 23.9
GTEX-ZF2S-1626-SM-57WES 50-59 years, female 23.5
GTEX-1EWIQ-0326-SM-7DHMQ 70-79 years, female 23.2
GTEX-147F3-1726-SM-5SIAW 50-59 years, female 23.1
GTEX-1H1DF-1126-SM-9WG7G 40-49 years, female 23.0
GTEX-Y3I4-1726-SM-4TT89 50-59 years, male 22.9
GTEX-1IDJF-2026-SM-CL53V 20-29 years, male 22.9
GTEX-13FH7-1126-SM-5K7UG 50-59 years, female 22.8
GTEX-XBED-1926-SM-47JYP 60-69 years, male 22.8
GTEX-14PHX-2226-SM-6EU2P 50-59 years, male 22.7
GTEX-11DYG-1526-SM-5A5JS 60-69 years, male 22.6
GTEX-14PJO-2526-SM-6AJBQ 60-69 years, male 22.6
GTEX-15EU6-2226-SM-6EU2L 50-59 years, male 22.6
GTEX-1LGRB-0926-SM-COH3K 50-59 years, female 22.6
GTEX-1J8Q3-0526-SM-ARL8U 60-69 years, male 22.5
GTEX-WFG7-2026-SM-5SI7P 20-29 years, male 22.3
GTEX-14E1K-2026-SM-7DUEI 50-59 years, male 21.9
GTEX-18D9A-1426-SM-7LT8M 30-39 years, female 21.9
GTEX-1H23P-0626-SM-9WG6T 60-69 years, male 21.8
GTEX-13FTW-0326-SM-5K7UW 40-49 years, male 21.1
GTEX-1LG7Z-1626-SM-CXKYR 30-39 years, male 21.0
GTEX-1H1CY-0126-SM-9YFLY 60-69 years, female 20.9
GTEX-1F52S-2926-SM-7MKGA 60-69 years, female 20.6
GTEX-1ICLZ-0326-SM-ARL82 60-69 years, male 20.5
GTEX-1RAZA-2226-SM-E9U4X 20-29 years, male 20.5
GTEX-111CU-1126-SM-5EGIM 50-59 years, male 20.4
GTEX-XQ8I-0926-SM-4BOOF 50-59 years, male 20.4
GTEX-1MCC2-1826-SM-DIPEX 30-39 years, female 20.2
GTEX-1QP9N-1226-SM-E76QN 30-39 years, male 20.2
GTEX-W5X1-2526-SM-3GILC 40-49 years, female 20.1
GTEX-1IKOE-1426-SM-CE6T7 30-39 years, female 20.0
GTEX-15D1Q-2826-SM-6LLH7 40-49 years, male 19.9
GTEX-15G1A-1626-SM-7KUKN 30-39 years, male 19.8
GTEX-139D8-1126-SM-5LU8W 30-39 years, female 19.5
GTEX-1GZ4H-0526-SM-9KNU9 50-59 years, female 19.5
GTEX-1I6K7-1926-SM-B2LXR 40-49 years, male 19.4
GTEX-15CHC-1126-SM-6LLHQ 60-69 years, female 19.3
GTEX-YFCO-1226-SM-5LUAT 40-49 years, male 19.3
GTEX-X8HC-0626-SM-4E3HQ 50-59 years, female 19.2
GTEX-1JKYN-0826-SM-ARU8S 30-39 years, male 19.1
GTEX-11P7K-1126-SM-5HL4L 30-39 years, male 18.6
GTEX-17F9E-2326-SM-79OKD 50-59 years, male 18.4
GTEX-1GTWX-2026-SM-9YFLM 60-69 years, male 18.4
GTEX-183FY-1026-SM-7939A 20-29 years, male 18.3
GTEX-1AX8Z-0726-SM-73KTS 60-69 years, male 18.3
GTEX-1K2DA-1026-SM-CGQGF 50-59 years, male 18.3
GTEX-Y5V5-0126-SM-5S2NW 60-69 years, female 18.2
GTEX-15SHW-0226-SM-7LTAT 60-69 years, male 18.1
GTEX-1HCU6-2526-SM-ADEHL 60-69 years, female 18.1
GTEX-1KANA-1326-SM-DIPFA 20-29 years, male 18.0
GTEX-12WSJ-1126-SM-5LZVJ 40-49 years, female 17.8
GTEX-16NGA-0726-SM-731AO 40-49 years, female 17.7
GTEX-1F88E-1626-SM-7SB8Z 60-69 years, female 17.7
GTEX-14AS3-1526-SM-5Q5ED 40-49 years, female 17.6
GTEX-11EI6-2826-SM-5H11D 60-69 years, male 17.5
GTEX-131XH-0126-SM-5LZUY 50-59 years, male 17.5
GTEX-ZPU1-1126-SM-4YCF3 40-49 years, male 17.3
GTEX-14A5H-0826-SM-5QGPJ 60-69 years, male 17.2
GTEX-17F96-0126-SM-7EWDU 70-79 years, male 17.2
GTEX-1GN1U-0626-SM-9MQL9 50-59 years, female 17.0
GTEX-14C38-0726-SM-5SI6M 50-59 years, male 16.9
GTEX-13U4I-2226-SM-5LU5H 40-49 years, female 16.8
GTEX-178AV-1726-SM-7KUL8 40-49 years, male 16.8
GTEX-11DXX-2126-SM-5PNYR 60-69 years, female 16.7
GTEX-13D11-0926-SM-5J2NC 50-59 years, female 16.7
GTEX-13IVO-0726-SM-5LZYV 70-79 years, male 16.7
GTEX-12BJ1-0926-SM-5EQ62 60-69 years, male 16.3
GTEX-1GF9U-2026-SM-7SB92 40-49 years, female 16.3
GTEX-1S82U-1026-SM-E6CJK 30-39 years, female 16.3
GTEX-X585-2426-SM-46MW2 50-59 years, male 16.2
GTEX-1F5PL-0926-SM-7PC2W 40-49 years, female 16.2
GTEX-1IDJU-1726-SM-CMKHU 60-69 years, female 16.2
GTEX-13FHO-0426-SM-5L3F5 60-69 years, male 16.1
GTEX-13X6I-1826-SM-5SIAO 60-69 years, male 16.1
GTEX-17HG3-2626-SM-7DUF2 30-39 years, female 16.0
GTEX-17HGU-2326-SM-7DUFE 50-59 years, male 15.9
GTEX-1HCU9-0426-SM-9WYSD 20-29 years, male 15.9
GTEX-1OJC3-1226-SM-DTXER 20-29 years, male 15.8
GTEX-1IE54-1126-SM-A9G2Z 40-49 years, female 15.6
GTEX-1S3DN-2126-SM-E9TIN 50-59 years, male 15.5
GTEX-1GPI7-1826-SM-9KNU1 20-29 years, male 15.4
GTEX-1EX96-1026-SM-7MKG2 50-59 years, male 15.3
GTEX-ZAJG-1526-SM-5CVML 50-59 years, female 15.3
GTEX-148VJ-0626-SM-5LUAW 70-79 years, male 15.2
GTEX-ZAB4-2126-SM-5HL8U 40-49 years, male 15.1
GTEX-ZTX8-1326-SM-4YCEL 20-29 years, male 14.9
GTEX-1I19N-0126-SM-CYPSF 70-79 years, male 14.9
GTEX-1O9I2-0226-SM-EYYXD 50-59 years, male 14.8
GTEX-UPK5-0426-SM-3GAEK 40-49 years, male 14.7
GTEX-1QAET-0326-SM-EVR3U 50-59 years, male 14.7
GTEX-13PVR-0426-SM-5RQK2 60-69 years, female 14.6
GTEX-1GZHY-0626-SM-9KNVC 50-59 years, female 14.6
GTEX-183WM-0326-SM-72D5V 70-79 years, female 14.4
GTEX-14PJ3-1126-SM-5ZZVX 50-59 years, male 14.3
GTEX-ZC5H-1526-SM-5HL9Y 40-49 years, female 14.2
GTEX-1314G-1326-SM-5BC6E 30-39 years, male 14.1
GTEX-145MO-2826-SM-5LU96 60-69 years, male 14.1
GTEX-1QPFJ-1926-SM-EVYBD 30-39 years, female 14.1
GTEX-14PKV-1126-SM-6LLJ1 20-29 years, female 14.0
GTEX-1HSGN-0826-SM-ACKW3 40-49 years, female 13.8
GTEX-1F6IF-0926-SM-7SB7M 60-69 years, male 13.7
GTEX-14PJ5-1526-SM-6LLIL 60-69 years, female 13.6
GTEX-1I4MK-0126-SM-CY8G6 50-59 years, female 13.5
GTEX-1J8QM-2426-SM-A9SLS 60-69 years, female 13.5
GTEX-1I1CD-0626-SM-CE6SW 60-69 years, female 13.4
GTEX-Y5V6-2326-SM-4VDSA 60-69 years, male 13.3
GTEX-1RB15-1326-SM-E76Q9 60-69 years, male 13.3
GTEX-11TT1-1826-SM-5EQLV 20-29 years, male 13.2
GTEX-12KS4-2126-SM-5FQUT 30-39 years, male 13.2
GTEX-17HII-1426-SM-7EPGG 50-59 years, male 13.2
GTEX-1122O-1026-SM-9WYSF 60-69 years, female 13.2
GTEX-12WSD-0626-SM-5GCMW 60-69 years, female 13.0
GTEX-WHWD-1826-SM-3LK6I 50-59 years, male 13.0
GTEX-YEC4-1826-SM-4W1YP 40-49 years, male 13.0
GTEX-13N2G-0226-SM-5K7VF 60-69 years, male 12.7
GTEX-1IY9M-2826-SM-ARU8H 60-69 years, male 12.7
GTEX-1N2DV-1526-SM-DTXEP 40-49 years, male 12.7
GTEX-11LCK-2226-SM-5HL4Q 30-39 years, male 12.5
GTEX-11ZU8-0126-SM-5EQ58 60-69 years, male 12.3
GTEX-139TS-2126-SM-5K7XC 60-69 years, male 12.2
GTEX-13JVG-0726-SM-5KM16 60-69 years, male 12.2
GTEX-ZDTT-0426-SM-4WKFL 60-69 years, male 12.1
GTEX-1CB4J-1326-SM-7P8RX 60-69 years, male 12.1
GTEX-1I1GS-2626-SM-B2LY3 60-69 years, male 12.1
GTEX-14E6E-0526-SM-793DN 30-39 years, male 11.7
GTEX-1B8KZ-0326-SM-73KY4 50-59 years, male 11.6
GTEX-ZYFC-0426-SM-5GICQ 50-59 years, male 11.6
GTEX-11O72-0626-SM-5PNYE 40-49 years, male 11.5
GTEX-1AX9J-1326-SM-731BJ 60-69 years, male 11.5
GTEX-1GL5R-1326-SM-7RHHF 50-59 years, male 11.5
GTEX-1JK1U-0226-SM-ARZMX 60-69 years, male 11.5
GTEX-14PHY-1226-SM-5ZZWK 60-69 years, female 11.3
GTEX-1AX9I-2226-SM-73KUO 60-69 years, male 11.3
GTEX-1B97I-0626-SM-73KUZ 40-49 years, male 11.3
GTEX-1JJ6O-2726-SM-CNPOG 60-69 years, male 11.3
GTEX-ZF3C-0626-SM-DO92O 50-59 years, female 11.3
GTEX-18A7A-0126-SM-731AH 50-59 years, female 11.2
GTEX-1HCUA-0826-SM-ADEHM 50-59 years, female 11.2
GTEX-1KXAM-1626-SM-D3LAD 60-69 years, male 11.2
GTEX-1EU9M-1426-SM-793AI 60-69 years, male 11.1
GTEX-1GN1W-2426-SM-9KNUU 50-59 years, female 11.1
GTEX-13OVG-1626-SM-5J1NF 60-69 years, male 11.0
GTEX-18QFQ-1826-SM-72D52 30-39 years, male 11.0
GTEX-ZYVF-0926-SM-5E44J 50-59 years, female 11.0
GTEX-1CB4I-0126-SM-7RHGG 50-59 years, male 10.9
GTEX-1AYD5-2626-SM-7PBXY 50-59 years, male 10.8
GTEX-16XZZ-0726-SM-7KUF2 60-69 years, male 10.7
GTEX-13NYB-0126-SM-5J1MD 40-49 years, male 10.6
GTEX-1KD5A-0126-SM-E9U54 50-59 years, male 10.6
GTEX-1R9K4-2826-SM-DTX8F 60-69 years, male 10.6
GTEX-XOT4-0626-SM-4B66L 60-69 years, female 10.5
GTEX-XXEK-1626-SM-4BRUZ 50-59 years, male 10.5
GTEX-1GMRU-2126-SM-7P8RA 50-59 years, male 10.5
GTEX-ZT9X-1526-SM-5DUXD 40-49 years, male 10.4
GTEX-YEC3-1326-SM-DO92X 50-59 years, male 10.4
GTEX-11WQC-1826-SM-5GU59 60-69 years, male 10.3
GTEX-14ICL-1626-SM-5YYAO 30-39 years, male 10.3
GTEX-17F9Y-0126-SM-79OKX 70-79 years, female 10.3
GTEX-XUW1-0926-SM-4BONX 50-59 years, female 10.3
GTEX-1K2DU-1226-SM-CYPT4 20-29 years, male 10.3
GTEX-1CB4F-1026-SM-7DUH1 60-69 years, male 10.2
GTEX-15RIG-0726-SM-7KUM7 40-49 years, male 10.1
GTEX-1192X-2726-SM-5N9DN 50-59 years, male 10.0
GTEX-16AAH-0626-SM-793C9 50-59 years, male 10.0
GTEX-1A3MV-1826-SM-731CD 30-39 years, male 10.0
GTEX-1E2YA-2126-SM-7MXUO 50-59 years, male 10.0
GTEX-1JKYR-0626-SM-ARL8R 20-29 years, male 10.0
GTEX-1E1VI-0326-SM-793D1 50-59 years, male 9.9
GTEX-1HBPM-0726-SM-9YFL7 60-69 years, female 9.7
GTEX-1LSNM-0826-SM-DIPG8 50-59 years, male 9.6
GTEX-1LVAN-0626-SM-CNPOQ 50-59 years, female 9.6
GTEX-16MTA-0926-SM-6M47Z 50-59 years, male 9.5
GTEX-1HSKV-1226-SM-ADEI4 60-69 years, male 9.3
GTEX-1N5O9-0926-SM-E9J3C 60-69 years, male 9.3
GTEX-ZDTS-0826-SM-4WKHL 60-69 years, male 9.2
GTEX-1ICG6-1226-SM-A9SLN 70-79 years, female 9.2
GTEX-WRHU-2826-SM-3MJG8 50-59 years, female 9.1
GTEX-1F6I4-2326-SM-7RHGL 60-69 years, male 9.1
GTEX-13X6K-0626-SM-5LU5D 60-69 years, female 9.0
GTEX-1C64O-1326-SM-7MGWR 60-69 years, male 8.9
GTEX-1HCU8-2526-SM-CE6RX 60-69 years, female 8.9
GTEX-1QP28-1126-SM-EVYC4 50-59 years, female 8.8
GTEX-12696-0126-SM-5EQ4L 60-69 years, male 8.7
GTEX-ZY6K-1426-SM-5GZX2 50-59 years, male 8.7
GTEX-14PJ6-2626-SM-6EU2T 60-69 years, female 8.6
GTEX-15EO6-2426-SM-6PALZ 50-59 years, male 8.6
GTEX-17HHY-0426-SM-7DHLC 50-59 years, male 8.6
GTEX-Y114-2126-SM-4TT8B 50-59 years, female 8.6
GTEX-14XAO-1226-SM-6EU1C 60-69 years, female 8.5
GTEX-15RIE-1926-SM-7KUKJ 60-69 years, male 8.5
GTEX-XPVG-2126-SM-4B667 50-59 years, male 8.5
GTEX-145LS-0626-SM-7EPG7 60-69 years, female 8.4
GTEX-14B4R-1326-SM-5Q5EZ 30-39 years, male 8.3
GTEX-16YQH-2226-SM-7IGM2 30-39 years, male 8.3
GTEX-12WSF-1626-SM-7KUG5 70-79 years, male 8.2
GTEX-13JUV-2026-SM-5K7UA 40-49 years, female 8.1
GTEX-16NPX-0726-SM-7KULC 50-59 years, male 8.1
GTEX-18A6Q-0626-SM-7KFRP 60-69 years, male 8.1
GTEX-ZTSS-1426-SM-5985P 40-49 years, male 8.1
GTEX-ZXG5-2126-SM-59HKD 60-69 years, male 8.1
GTEX-1HSMQ-2626-SM-A9SML 50-59 years, male 8.1
GTEX-1I1GU-0926-SM-ACKVS 40-49 years, male 8.1
GTEX-1GZ2Q-0126-SM-9WG6M 40-49 years, male 8.0
GTEX-1H1E6-0426-SM-9WYUS 30-39 years, male 8.0
GTEX-15DYW-2726-SM-6EU2I 60-69 years, female 7.9
GTEX-1JN76-0626-SM-CKZOQ 20-29 years, female 7.8
GTEX-ZPCL-1126-SM-4WWFE 60-69 years, female 7.7
GTEX-1HFI7-2326-SM-CGQFS 50-59 years, female 7.6
GTEX-12WSH-1526-SM-5BC5W 50-59 years, male 7.5
GTEX-14PJ2-0626-SM-6LLII 50-59 years, male 7.4
GTEX-18A7B-2726-SM-7LG56 70-79 years, male 7.4
GTEX-XBEC-0726-SM-4QARZ 50-59 years, male 7.4
GTEX-1H11D-1826-SM-9QEHM 40-49 years, male 7.4
GTEX-1PBJJ-1026-SM-E76OS 30-39 years, male 7.4
GTEX-1QMI2-2526-SM-E8VNZ 60-69 years, male 7.4
GTEX-11DXW-0826-SM-5H118 40-49 years, male 7.3
GTEX-13O3Q-0126-SM-5KM34 50-59 years, male 7.3
GTEX-1JMQI-1726-SM-ARL93 50-59 years, male 7.3
GTEX-139TU-0726-SM-5L3EK 60-69 years, male 7.2
GTEX-13N1W-2426-SM-5IJD1 70-79 years, male 7.2
GTEX-14PKU-0126-SM-6LLHV 40-49 years, female 7.2
GTEX-1KAFJ-0126-SM-DIPEK 50-59 years, male 7.2
GTEX-111YS-1526-SM-5GZYW 60-69 years, male 7.1
GTEX-13PVQ-0626-SM-5LU47 50-59 years, male 7.1
GTEX-147JS-0226-SM-5S2U9 60-69 years, male 7.0
GTEX-14C39-1726-SM-5RQIL 40-49 years, male 7.0
GTEX-1HSMP-0926-SM-A9SKX 70-79 years, male 7.0
GTEX-1I1GV-0626-SM-ARL7M 60-69 years, male 7.0
GTEX-1RAZQ-1326-SM-E9TK6 30-39 years, male 7.0
GTEX-1PPH8-0126-SM-EWRN8 20-29 years, male 6.9
GTEX-13FLV-0126-SM-5K7WT 50-59 years, male 6.8
GTEX-144GM-0526-SM-79OJO 20-29 years, male 6.8
GTEX-13X6J-0626-SM-5LU5F 50-59 years, male 6.7
GTEX-WHSB-1326-SM-3LK6W 50-59 years, male 6.7
GTEX-1R46S-2426-SM-E76QA 60-69 years, female 6.7
GTEX-131XG-0326-SM-5L3DX 50-59 years, female 6.5
GTEX-1AMFI-1326-SM-7939R 50-59 years, female 6.5
GTEX-1HB9E-0126-SM-CM2S5 50-59 years, male 6.5
GTEX-1J8JJ-0626-SM-ARZMQ 60-69 years, female 6.5
GTEX-14ABY-2026-SM-62LDL 50-59 years, male 6.4
GTEX-1A8FM-0626-SM-7PC25 50-59 years, female 6.4
GTEX-111VG-1626-SM-5EGIO 60-69 years, male 6.3
GTEX-13W3W-0726-SM-5IJDQ 60-69 years, female 6.2
GTEX-15ER7-0626-SM-6PANF 20-29 years, female 6.2
GTEX-17JCI-2926-SM-7DUFF 60-69 years, female 6.2
GTEX-X4EO-2926-SM-4E3JH 60-69 years, female 6.2
GTEX-1GMR3-0126-SM-A9SLW 40-49 years, male 6.2
GTEX-1QEPI-2626-SM-DTXF4 60-69 years, female 6.1
GTEX-1H1DE-1326-SM-9KNUG 20-29 years, male 6.0
GTEX-1I1GP-1326-SM-A9G28 50-59 years, male 6.0
GTEX-145MG-1526-SM-5Q5EM 50-59 years, male 5.9
GTEX-1BAJH-2426-SM-7IGP8 70-79 years, male 5.9
GTEX-1HBPI-2126-SM-ARL9K 50-59 years, male 5.9
GTEX-ZVT4-2426-SM-5GIEI 50-59 years, female 5.8
GTEX-1LVA9-2626-SM-EVYD4 50-59 years, male 5.8
GTEX-139UW-0326-SM-5J1ML 60-69 years, male 5.7
GTEX-13PDP-0726-SM-5L3HP 60-69 years, male 5.7
GTEX-17KNJ-2126-SM-718AM 50-59 years, male 5.7
GTEX-17MFQ-1526-SM-7KFRR 20-29 years, male 5.7
GTEX-1I6K6-1726-SM-CGQFD 30-39 years, male 5.7
GTEX-11EQ8-0926-SM-5H12V 60-69 years, male 5.6
GTEX-Z93S-1626-SM-5CVMB 50-59 years, male 5.6
GTEX-1GF9X-1326-SM-7PC2Y 40-49 years, female 5.6
GTEX-13RTJ-0126-SM-5S2NN 60-69 years, male 5.5
GTEX-ZLV1-1526-SM-DO91J 60-69 years, female 5.5
GTEX-15G19-2426-SM-7KUMR 60-69 years, male 5.4
GTEX-17HHE-1326-SM-7EWDZ 50-59 years, male 5.4
GTEX-1AMEY-0826-SM-72D65 30-39 years, female 5.4
GTEX-1H3O1-1326-SM-9MQLD 60-69 years, male 5.4
GTEX-1JJE9-2626-SM-ARZMT 70-79 years, male 5.4
GTEX-1JMPZ-0726-SM-CY8HZ 30-39 years, male 5.4
GTEX-1LSVX-2526-SM-DIPEU 60-69 years, male 5.4
GTEX-1B933-2426-SM-7DHMD 50-59 years, female 5.3
GTEX-1NSGN-0726-SM-DTXEF 50-59 years, male 5.3
GTEX-1RAZS-2526-SM-E6CHT 50-59 years, male 5.3
GTEX-15CHR-1126-SM-7EWF4 50-59 years, male 5.2
GTEX-14753-0726-SM-5QGQO 60-69 years, male 5.1
GTEX-13NZ9-2626-SM-5L3FK 50-59 years, male 4.9
GTEX-15SKB-2826-SM-6PAMH 60-69 years, male 4.9
GTEX-Y111-0626-SM-4SOIT 50-59 years, male 4.9
GTEX-14JFF-0626-SM-5ZZVT 60-69 years, male 4.9
GTEX-1C64N-2626-SM-7PC2N 50-59 years, male 4.9
GTEX-13PL6-1126-SM-5L3IE 40-49 years, female 4.8
GTEX-1QCLY-0226-SM-EWRNH 30-39 years, male 4.7
GTEX-1S5ZU-2526-SM-E6CIF 20-29 years, female 4.7
GTEX-11DXZ-2026-SM-5987S 50-59 years, male 4.6
GTEX-14C5O-0326-SM-5ZZUX 60-69 years, male 4.6
GTEX-1B8SF-0126-SM-7DUG3 60-69 years, male 4.6
GTEX-1B996-0426-SM-7EWF8 60-69 years, male 4.6
GTEX-1A3MX-2626-SM-7PC24 60-69 years, male 4.6
GTEX-1F6RS-2026-SM-7RHHC 60-69 years, female 4.5
GTEX-1GF9V-0826-SM-9KNUV 60-69 years, male 4.5
GTEX-131XW-0626-SM-5PNVD 50-59 years, female 4.4
GTEX-14JG1-1526-SM-5YY9X 40-49 years, male 4.4
GTEX-14LZ3-0126-SM-69LPM 60-69 years, female 4.4
GTEX-1B932-2326-SM-79OL5 40-49 years, female 4.3
GTEX-1CB4E-0926-SM-7EPHT 60-69 years, male 4.3
GTEX-1HBPN-0126-SM-CGQEF 50-59 years, male 4.3
GTEX-11DXY-0126-SM-5H11Q 60-69 years, male 4.2
GTEX-16MT9-0126-SM-7EPI8 60-69 years, female 4.2
GTEX-ZU9S-1826-SM-5NQ9E 30-39 years, male 4.2
GTEX-1CAMQ-1326-SM-7P8RV 40-49 years, male 4.2
GTEX-1399U-1126-SM-5L3DB 50-59 years, female 4.1
GTEX-13G51-1826-SM-5KLZH 60-69 years, male 4.1
GTEX-13O3O-2326-SM-5IJD6 60-69 years, female 4.1
GTEX-144GL-0626-SM-5LU4D 50-59 years, male 4.1
GTEX-1GMR8-0626-SM-7RHI7 50-59 years, female 4.1
GTEX-1EMGI-2326-SM-7PBYA 60-69 years, male 4.0
GTEX-ZVTK-0226-SM-51MRG 20-29 years, male 3.9
GTEX-1F5PK-2226-SM-7SB6N 50-59 years, male 3.9
GTEX-1NV5F-0626-SM-DTXEG 60-69 years, female 3.9
GTEX-11UD2-2526-SM-5CVNU 50-59 years, male 3.8
GTEX-13OVH-0526-SM-5L3E6 70-79 years, male 3.8
GTEX-15RJE-2826-SM-7KUM9 40-49 years, male 3.8
GTEX-1H1DG-2426-SM-9QEHJ 70-79 years, male 3.8
GTEX-1RMOY-1326-SM-E9TIH 50-59 years, male 3.8
GTEX-1C6VQ-1226-SM-73KYD 50-59 years, male 3.7
GTEX-ZVE1-0726-SM-51MRN 50-59 years, female 3.7
GTEX-11GS4-0226-SM-5HL77 60-69 years, male 3.6
GTEX-12126-0826-SM-5FQTZ 20-29 years, male 3.5
GTEX-ZF29-0926-SM-4WKFZ 60-69 years, female 3.5
GTEX-12ZZX-2426-SM-5GCOE 40-49 years, female 3.4
GTEX-Y9LG-1126-SM-4VBQ7 30-39 years, male 3.4
GTEX-1J1R8-2026-SM-CL53Y 40-49 years, male 3.4
GTEX-1R7EU-1626-SM-DTXG3 60-69 years, male 3.3
GTEX-11GSP-2326-SM-5HL63 60-69 years, female 3.2
GTEX-11OF3-0126-SM-5PNYF 60-69 years, male 3.2
GTEX-1C6WA-2626-SM-7MKGM 60-69 years, male 3.2
GTEX-1J8Q2-2626-SM-ACKWQ 60-69 years, male 3.2
GTEX-1LVAM-0726-SM-E6CIL 50-59 years, female 3.2
GTEX-1M4P7-0726-SM-E6CJ3 60-69 years, male 3.2
GTEX-12WSA-0426-SM-5EQ5X 60-69 years, male 3.1
GTEX-14DAQ-0626-SM-793DS 60-69 years, female 3.1
GTEX-ZTTD-2826-SM-4YCFA 50-59 years, male 3.1
GTEX-1KWVE-1026-SM-D3L9O 30-39 years, male 3.1
GTEX-111FC-2526-SM-5GZXU 60-69 years, male 3.0
GTEX-YECK-0326-SM-4W1YS 60-69 years, male 3.0
GTEX-1CAMS-2226-SM-7PBXQ 40-49 years, female 3.0
GTEX-1J8EW-2726-SM-CY8HR 60-69 years, female 3.0
GTEX-1LB8K-0726-SM-D5OV2 50-59 years, male 3.0
GTEX-1QW4Y-1126-SM-DTXE3 30-39 years, male 3.0
GTEX-VUSG-2326-SM-4KL1U 50-59 years, male 2.9
GTEX-WYJK-0526-SM-3NM8Z 50-59 years, male 2.9
GTEX-1JMQJ-0826-SM-CNPP7 50-59 years, male 2.9
GTEX-1K9T9-1526-SM-DIPFR 50-59 years, female 2.9
GTEX-13NYC-0126-SM-5L3F4 60-69 years, male 2.8
GTEX-145LU-1926-SM-79OJN 50-59 years, male 2.8
GTEX-1HR98-2226-SM-ADEI2 60-69 years, male 2.8
GTEX-131YS-2826-SM-5EQ47 60-69 years, female 2.7
GTEX-144GO-2026-SM-5O99P 60-69 years, male 2.7
GTEX-1LSNL-2726-SM-E9TKJ 50-59 years, male 2.7
GTEX-1S83E-1326-SM-E6CJM 40-49 years, male 2.7
GTEX-1399S-0126-SM-5IJCF 30-39 years, female 2.6
GTEX-14BMV-2826-SM-5TDED 50-59 years, male 2.6
GTEX-XAJ8-1426-SM-47JYM 40-49 years, male 2.6
GTEX-1H4P4-2126-SM-9WYSL 50-59 years, male 2.6
GTEX-1IKJJ-2226-SM-CJI4C 60-69 years, male 2.6
GTEX-1LKK1-2626-SM-DKPQE 50-59 years, female 2.6
GTEX-11NUK-2726-SM-5A5MC 50-59 years, male 2.5
GTEX-147GR-2426-SM-5ZZWQ 60-69 years, male 2.5
GTEX-16Z82-2626-SM-7KULU 60-69 years, male 2.5
GTEX-13OVL-0126-SM-5L3GJ 50-59 years, male 2.4
GTEX-145MH-2826-SM-5RQJF 50-59 years, male 2.4
GTEX-1N2EE-0626-SM-E76PW 60-69 years, male 2.4
GTEX-12WSC-2826-SM-5BC5Y 50-59 years, male 2.3
GTEX-12ZZY-0726-SM-5EQ66 60-69 years, male 2.3
GTEX-ZDXO-3126-SM-5IJDF 60-69 years, male 2.3
GTEX-1IDJV-0126-SM-COH3Y 60-69 years, male 2.3
GTEX-13OW6-2726-SM-5J2OE 50-59 years, male 2.2
GTEX-14PJ4-0226-SM-5YY92 60-69 years, male 2.2
GTEX-1EH9U-2826-SM-7DUGT 60-69 years, male 2.2
GTEX-1GN2E-0226-SM-9WG6K 60-69 years, male 2.2
GTEX-1IL2V-1926-SM-B2LW8 70-79 years, male 2.2
GTEX-1EKGG-0626-SM-7DUGJ 60-69 years, male 2.1
GTEX-1B8L1-2226-SM-7P8PT 60-69 years, male 2.1
GTEX-1GN73-0726-SM-7P8TJ 60-69 years, male 2.1
GTEX-1HCVE-2726-SM-CL54F 50-59 years, male 2.1
GTEX-1I1GT-1026-SM-ARZLV 60-69 years, female 2.1
GTEX-1313W-0626-SM-5EQ4H 50-59 years, female 2.0
GTEX-UPJH-0226-SM-3GADV 50-59 years, male 2.0
GTEX-V1D1-2026-SM-3GAF4 50-59 years, male 2.0
GTEX-1GPI6-1926-SM-9KNV7 60-69 years, male 2.0
GTEX-WK11-2726-SM-3NMAQ 50-59 years, male 1.9
GTEX-1JJEA-1826-SM-ARU8P 60-69 years, male 1.9
GTEX-1KANB-2826-SM-CY8I6 50-59 years, male 1.9
GTEX-1PDJ9-1226-SM-EXUSX 20-29 years, male 1.9
GTEX-13SLX-2226-SM-62LEP 50-59 years, female 1.8
GTEX-14LLW-2626-SM-62LDZ 70-79 years, female 1.8
GTEX-18465-2826-SM-7LT9J 50-59 years, male 1.8
GTEX-ZUA1-2626-SM-5NQ92 40-49 years, male 1.8
GTEX-13QJC-0126-SM-5ZZWJ 60-69 years, female 1.7
GTEX-1A8G7-1326-SM-73KVM 60-69 years, male 1.7
GTEX-XQ3S-1426-SM-4BOPR 20-29 years, male 1.7
GTEX-ZE7O-2726-SM-51MT5 50-59 years, female 1.7
GTEX-13SLW-0626-SM-5Q5ER 70-79 years, male 1.6
GTEX-1ICLY-0826-SM-CMKG1 50-59 years, male 1.6
GTEX-1R9PM-1926-SM-EVR3O 20-29 years, male 1.6
GTEX-11ZUS-2626-SM-5FQUR 30-39 years, male 1.5
GTEX-13OW8-1026-SM-5J1NQ 60-69 years, male 1.5
GTEX-16GPK-0626-SM-7KFSF 60-69 years, male 1.5
GTEX-1C2JI-1026-SM-73KY1 50-59 years, male 1.5
GTEX-1C6VR-0126-SM-7RHGB 60-69 years, male 1.5
GTEX-1HFI6-0126-SM-CNPPI 40-49 years, male 1.5
GTEX-1IDJH-0126-SM-D3L92 70-79 years, male 1.5
GTEX-12WSM-1926-SM-5BC65 60-69 years, male 1.4
GTEX-13OW7-0426-SM-5K7VK 50-59 years, male 1.4
GTEX-1EN7A-2426-SM-793DB 40-49 years, male 1.4
GTEX-1PPH7-1126-SM-DTX9A 40-49 years, male 1.4
GTEX-1212Z-0126-SM-59HK4 60-69 years, male 1.3
GTEX-ZVZP-1226-SM-5GID7 50-59 years, male 1.3
GTEX-ZYFD-0626-SM-5E44E 50-59 years, male 1.3
GTEX-1HCU7-0726-SM-A9SL1 50-59 years, male 1.3
GTEX-1PPGY-1626-SM-EVYBL 60-69 years, male 1.3
GTEX-1269C-0126-SM-5EQ5L 60-69 years, female 1.2
GTEX-17EVP-2626-SM-7IGMA 40-49 years, male 1.2
GTEX-ZE9C-2526-SM-5IJDR 60-69 years, male 1.2
GTEX-1GZ4I-2626-SM-9KNU3 50-59 years, male 1.2
GTEX-1HGF4-0126-SM-CNPPX 60-69 years, male 1.2
GTEX-13112-0126-SM-5P9IU 50-59 years, male 1.1
GTEX-ZWKS-0626-SM-5GIDV 30-39 years, male 1.1
GTEX-ZYY3-2926-SM-5GIEB 60-69 years, female 1.1
GTEX-1PIIG-2326-SM-DTXFR 30-39 years, male 1.1
GTEX-1POEN-2326-SM-E9J2L 30-39 years, female 1.1
GTEX-13VXU-0626-SM-5L3F9 50-59 years, male 1.0
GTEX-1A8G6-2726-SM-731AR 60-69 years, male 1.0
GTEX-1HT8W-0626-SM-A9G2H 30-39 years, male 1.0
GTEX-139TT-2126-SM-5LZWC 60-69 years, male 0.9
GTEX-13FTY-2126-SM-5IFFB 40-49 years, female 0.9
GTEX-147F4-0726-SM-5TDDD 50-59 years, male 0.9
GTEX-1J1OQ-0126-SM-D4P2N 40-49 years, female 0.9
GTEX-1QP2A-1726-SM-E76QC 50-59 years, male 0.9
GTEX-1I1HK-2326-SM-CKZOH 60-69 years, male 0.8
GTEX-11PRG-0726-SM-5EGL1 50-59 years, male 0.7
GTEX-145MI-0626-SM-5SI8S 60-69 years, female 0.7
GTEX-14A6H-2026-SM-5Q5DD 30-39 years, male 0.7
GTEX-14BIN-1126-SM-5RQJZ 50-59 years, female 0.7
GTEX-14PII-0726-SM-6EU2B 60-69 years, male 0.7
GTEX-18A67-1626-SM-7LT9T 50-59 years, male 0.7
GTEX-1JMPY-0226-SM-CKZOK 30-39 years, male 0.7
GTEX-1MCYP-0526-SM-E9U6Q 20-29 years, female 0.7
GTEX-1399Q-2326-SM-5KM2X 40-49 years, male 0.6
GTEX-ZYT6-2326-SM-5GZY3 30-39 years, male 0.6
GTEX-1IDFM-0326-SM-ARL7V 60-69 years, male 0.6
GTEX-1LG7Y-2526-SM-EWRO7 50-59 years, male 0.6
GTEX-15DDE-2926-SM-6LLJ3 50-59 years, female 0.5
GTEX-1IOXB-2726-SM-CM2RI 50-59 years, male 0.5
GTEX-1JN6P-2926-SM-CL54D 60-69 years, male 0.5
GTEX-11TUW-0626-SM-5LU9M 60-69 years, male 0.4
GTEX-XMD2-2126-SM-4YCF8 60-69 years, female 0.4
GTEX-145MF-0926-SM-5Q5EA 50-59 years, male 0.3
GTEX-1F88F-0126-SM-9WYSZ 60-69 years, female 0.3
GTEX-1HR9M-2226-SM-CNPPY 60-69 years, male 0.3
GTEX-1OJC4-2726-SM-E76PJ 50-59 years, female 0.3
GTEX-1GN1V-2826-SM-9JGIA 60-69 years, male 0.2
GTEX-13NZ8-1226-SM-5KM4A 60-69 years, female 0.1
Show allShow less
Skin - Sun Exposed (Lower leg)
Average nTPM: 24.0
Samples: 701

Max nTPM: 185.3
Min nTPM: 0.3
Std nTPM: 23.5
Median nTPM: 17.7
GTEX-ZTPG-0326-SM-5O9AX 20-29 years, female 185.3
GTEX-11TTK-0126-SM-5987B 60-69 years, female 183.3
GTEX-13VXT-0126-SM-5LU4I 20-29 years, female 138.3
GTEX-PLZ4-0126-SM-5SI8O 50-59 years, female 136.2
GTEX-1PWST-0226-SM-E76QJ 70-79 years, male 134.4
GTEX-1H2FU-0126-SM-9WYSI 60-69 years, female 123.2
GTEX-Y3I4-2126-SM-4TT7C 50-59 years, male 116.9
GTEX-1F48J-0126-SM-7P8TT 50-59 years, female 116.3
GTEX-WI4N-1026-SM-3LK7N 40-49 years, female 114.7
GTEX-QDT8-0126-SM-48TZ1 30-39 years, female 112.2
GTEX-11H98-0126-SM-5EGHG 50-59 years, male 109.5
GTEX-14E6C-0126-SM-5RQIP 40-49 years, male 108.6
GTEX-139D8-0226-SM-5KLZO 30-39 years, female 104.1
GTEX-1A3MW-0126-SM-73KXX 60-69 years, female 102.9
GTEX-P4PQ-0126-SM-2S1NM 60-69 years, male 102.8
GTEX-1QP67-1626-SM-EAZ3X 40-49 years, female 101.3
GTEX-1LC47-0326-SM-E9TJP 60-69 years, male 92.4
GTEX-13OVJ-0126-SM-5KM36 50-59 years, female 88.5
GTEX-13NYS-0126-SM-5MR3W 60-69 years, male 87.1
GTEX-11P82-1626-SM-59879 20-29 years, male 87.0
GTEX-14BIL-0126-SM-5SI92 50-59 years, male 85.6
GTEX-1H3VE-0326-SM-9YFLH 40-49 years, male 84.0
GTEX-X4EP-0126-SM-3P5YV 60-69 years, female 83.6
GTEX-1HBPM-0226-SM-ARL9F 60-69 years, female 82.4
GTEX-ZAB4-0226-SM-5N9F5 40-49 years, male 81.5
GTEX-RUSQ-1526-SM-2TF62 50-59 years, male 78.0
GTEX-1H3NZ-0126-SM-ACKX7 60-69 years, male 76.2
GTEX-ZQG8-1626-SM-DHXIT 60-69 years, female 75.5
GTEX-11EMC-2926-SM-5EQ4F 60-69 years, female 73.0
GTEX-11DZ1-0126-SM-5985Q 50-59 years, male 72.9
GTEX-1AYD5-2426-SM-73KXR 50-59 years, male 71.8
GTEX-RTLS-0126-SM-447CA 60-69 years, female 70.2
GTEX-1HSMO-0126-SM-CL547 60-69 years, male 69.6
GTEX-145LV-2126-SM-5LU8N 50-59 years, male 66.2
GTEX-17EVQ-0226-SM-7LG4P 70-79 years, male 66.2
GTEX-15EOM-0126-SM-7KUGG 20-29 years, female 65.8
GTEX-1I1GS-0126-SM-B2LVW 60-69 years, male 64.7
GTEX-111VG-2426-SM-5GZXD 60-69 years, male 64.3
GTEX-1H1ZS-0426-SM-9WG6G 70-79 years, male 64.1
GTEX-1192X-0226-SM-5H12D 50-59 years, male 63.6
GTEX-15UF6-0826-SM-6PALJ 70-79 years, female 62.5
GTEX-ZF28-0126-SM-4WKGK 60-69 years, male 61.9
GTEX-X88G-0126-SM-47JZ3 30-39 years, male 61.5
GTEX-12584-0126-SM-5EGKQ 40-49 years, male 61.3
GTEX-WY7C-2326-SM-3NB2U 50-59 years, male 59.9
GTEX-11VI4-1726-SM-5CVLH 40-49 years, female 59.7
GTEX-OXRK-0226-SM-3NB2G 50-59 years, female 59.6
GTEX-ZYY3-0126-SM-5GZY5 60-69 years, female 59.3
GTEX-1211K-2026-SM-5EQ4Z 60-69 years, female 58.8
GTEX-1GZ4H-1726-SM-7PBZJ 50-59 years, female 58.6
GTEX-144GN-2326-SM-5LU4F 50-59 years, male 58.0
GTEX-O5YW-0126-SM-3LK6D 50-59 years, male 57.9
GTEX-113IC-0126-SM-5HL6T 60-69 years, male 57.6
GTEX-13OVG-1926-SM-5L3DK 60-69 years, male 57.5
GTEX-Q734-1926-SM-2I5EV 40-49 years, female 57.3
GTEX-1H23P-0126-SM-ADEJ3 60-69 years, male 57.2
GTEX-ZF3C-0126-SM-DO92D 50-59 years, female 57.1
GTEX-1ICG6-2526-SM-CGQFZ 70-79 years, female 57.0
GTEX-ZVT2-2526-SM-51MT1 50-59 years, female 56.2
GTEX-144FL-0126-SM-5TDC8 50-59 years, male 54.7
GTEX-13X6I-0626-SM-5QGP9 60-69 years, male 54.2
GTEX-OOBK-0126-SM-2YUND 40-49 years, male 54.0
GTEX-1R46S-0626-SM-E9J41 60-69 years, female 54.0
GTEX-1HGF4-2426-SM-ACKXM 60-69 years, male 53.9
GTEX-13OVI-1426-SM-5L3EY 60-69 years, female 53.5
GTEX-XV7Q-2526-SM-4BRV9 40-49 years, female 53.1
GTEX-146FQ-0126-SM-5NQA9 30-39 years, male 53.0
GTEX-14753-0426-SM-5NQAM 60-69 years, male 52.6
GTEX-13YAN-0326-SM-5O9DF 60-69 years, male 51.9
GTEX-1HBPH-0426-SM-B2LW5 40-49 years, female 51.7
GTEX-16MT8-0426-SM-7KUEY 60-69 years, female 51.3
GTEX-11DXX-2426-SM-5GZZW 60-69 years, female 50.6
GTEX-12KS4-0326-SM-5EQ41 30-39 years, male 50.1
GTEX-14JIY-0126-SM-6LLH6 60-69 years, male 50.0
GTEX-1KD5A-0226-SM-D5OV3 50-59 years, male 49.7
GTEX-WOFL-0126-SM-3MJG2 60-69 years, male 48.7
GTEX-U3ZM-1526-SM-3DB9D 40-49 years, male 48.1
GTEX-1C6VQ-0126-SM-7P8RI 50-59 years, male 47.6
GTEX-1497J-2426-SM-7IGNX 60-69 years, male 46.8
GTEX-SN8G-0126-SM-32PLI 50-59 years, female 46.8
GTEX-13X6H-2126-SM-7EWD5 50-59 years, female 46.7
GTEX-1HUB1-0426-SM-E9U4U 60-69 years, male 46.6
GTEX-12C56-1726-SM-5EQ61 20-29 years, male 46.0
GTEX-OXRL-0126-SM-2YUMP 50-59 years, male 45.7
GTEX-Z93T-0126-SM-5HL5N 50-59 years, male 45.5
GTEX-ZE7O-0126-SM-57WC1 50-59 years, female 45.1
GTEX-145MN-2226-SM-5SIAU 30-39 years, male 44.6
GTEX-13O1R-0126-SM-5L3EH 60-69 years, male 44.3
GTEX-18A66-0226-SM-718BD 60-69 years, male 44.3
GTEX-R45C-0126-SM-EAZ2R 60-69 years, female 44.3
GTEX-TMZS-0126-SM-3DB9Q 60-69 years, male 44.2
GTEX-1JN1M-0326-SM-CYPT3 60-69 years, female 43.7
GTEX-WH7G-2326-SM-3NMBC 40-49 years, male 43.6
GTEX-11TT1-2526-SM-5EGIB 20-29 years, male 43.3
GTEX-ZY6K-1826-SM-5GZXK 50-59 years, male 43.2
GTEX-1MGNQ-0126-SM-EVYCJ 40-49 years, male 43.2
GTEX-1JKYN-1326-SM-CGQG9 30-39 years, male 43.1
GTEX-Y5LM-1926-SM-5RQJH 40-49 years, female 43.0
GTEX-QDVN-2026-SM-3GAEP 50-59 years, male 42.9
GTEX-1S82Z-0826-SM-E6CHY 30-39 years, female 42.9
GTEX-145MO-0326-SM-5Q5B3 60-69 years, male 42.6
GTEX-13D11-2426-SM-5KM1V 50-59 years, female 42.3
GTEX-W5X1-3026-SM-EAZAX 40-49 years, female 42.3
GTEX-1JK1U-2026-SM-CM2RZ 60-69 years, male 42.2
GTEX-ZVE2-0226-SM-59HJB 50-59 years, male 42.0
GTEX-1ICLZ-0126-SM-CKZPO 60-69 years, male 42.0
GTEX-TSE9-0126-SM-3DB83 60-69 years, female 41.9
GTEX-17HII-0226-SM-7LG4E 50-59 years, male 41.7
GTEX-Q2AI-1326-SM-2S1PL 40-49 years, male 41.7
GTEX-1JMOU-1526-SM-CL54I 60-69 years, female 41.7
GTEX-139T8-0126-SM-5K7XZ 60-69 years, male 41.6
GTEX-1N2DV-0226-SM-E6CJ6 40-49 years, male 41.5
GTEX-14XAO-2326-SM-6EU1B 60-69 years, female 41.1
GTEX-U4B1-1826-SM-4DXSU 40-49 years, male 41.1
GTEX-ZPIC-1726-SM-DHXIU 40-49 years, female 41.1
GTEX-ZC5H-0226-SM-4WAY9 40-49 years, female 40.9
GTEX-1RLM8-2326-SM-EWRN4 50-59 years, male 40.8
GTEX-15SB6-1726-SM-6PAME 50-59 years, female 40.1
GTEX-X638-0126-SM-47JZ8 70-79 years, female 40.1
GTEX-X62O-0126-SM-4E3JN 50-59 years, male 40.0
GTEX-139T4-0226-SM-5HL5S 50-59 years, female 39.6
GTEX-11P81-2326-SM-59875 30-39 years, female 39.5
GTEX-13N11-2526-SM-5K7UE 50-59 years, female 39.4
GTEX-1RAZQ-0726-SM-EAZ43 30-39 years, male 39.2
GTEX-17F98-0626-SM-79OMX 40-49 years, female 39.0
GTEX-15D1Q-0126-SM-7KUG6 40-49 years, male 38.9
GTEX-13O21-1426-SM-5K7XI 50-59 years, male 38.1
GTEX-14PHW-0126-SM-6LLJI 60-69 years, female 38.1
GTEX-11ZTT-2426-SM-5EQLS 60-69 years, female 37.3
GTEX-145LT-1726-SM-5QGP3 40-49 years, male 37.1
GTEX-15SHU-0126-SM-7KUEH 40-49 years, female 37.1
GTEX-Y3IK-2426-SM-4WWDU 50-59 years, female 37.0
GTEX-1AX8Z-0126-SM-7DHM6 60-69 years, male 36.7
GTEX-18D9B-0526-SM-7LTAS 60-69 years, male 36.6
GTEX-TML8-1926-SM-32QOS 40-49 years, female 36.5
GTEX-OXRN-0126-SM-48TDM 50-59 years, male 36.4
GTEX-PLZ5-2026-SM-2S1O4 50-59 years, male 36.3
GTEX-OOBJ-0126-SM-E6CJW 60-69 years, male 35.9
GTEX-148VJ-0126-SM-5TDDN 70-79 years, male 35.8
GTEX-1CAV2-2226-SM-7P8P2 40-49 years, female 35.8
GTEX-1I1CD-0126-SM-CM2TK 60-69 years, female 35.6
GTEX-14PN4-0126-SM-6EU2V 50-59 years, male 35.4
GTEX-17MF6-0126-SM-7LG4F 40-49 years, male 35.2
GTEX-12WSN-5019-SM-79OM6 40-49 years, male 35.1
GTEX-OIZF-0126-SM-7SB8I 60-69 years, male 35.1
GTEX-X585-0226-SM-4QAS2 50-59 years, male 35.0
GTEX-117YX-2326-SM-5H12W 50-59 years, male 34.9
GTEX-11ZVC-2526-SM-5FQTE 50-59 years, female 34.7
GTEX-SE5C-1626-SM-2XCE3 40-49 years, female 34.5
GTEX-13W46-0226-SM-5SIAG 50-59 years, male 34.2
GTEX-NPJ8-0126-SM-2YUNR 40-49 years, male 34.2
GTEX-WRHK-1426-SM-3MJF9 20-29 years, female 34.1
GTEX-17F97-0326-SM-7LG5B 50-59 years, male 34.0
GTEX-U3ZH-2026-SM-3DB78 30-39 years, male 34.0
GTEX-TMMY-0226-SM-33HBA 40-49 years, female 33.9
GTEX-13FHO-0226-SM-5IFGY 60-69 years, male 33.8
GTEX-1F5PK-2426-SM-7RHHY 50-59 years, male 33.8
GTEX-XBED-2226-SM-47JYQ 60-69 years, male 33.7
GTEX-X5EB-2226-SM-46MW4 40-49 years, male 33.6
GTEX-QVJO-1626-SM-2S1QW 60-69 years, female 33.0
GTEX-1C64O-0126-SM-7SB8P 60-69 years, male 33.0
GTEX-11XUK-2026-SM-5EQLF 40-49 years, female 32.9
GTEX-1AX9K-2326-SM-73KWU 50-59 years, male 32.9
GTEX-146FR-1326-SM-E9J48 60-69 years, female 32.9
GTEX-14PHX-2326-SM-62LEM 50-59 years, male 32.2
GTEX-14PJ3-1826-SM-62LEX 50-59 years, male 32.1
GTEX-12WSJ-1826-SM-5GCNY 40-49 years, female 32.0
GTEX-1H1DG-0126-SM-9WYU2 70-79 years, male 31.9
GTEX-13U4I-0126-SM-5LU38 40-49 years, female 31.6
GTEX-1RAZA-0126-SM-E6CI3 20-29 years, male 31.5
GTEX-13RTJ-2426-SM-5S2Q2 60-69 years, male 31.3
GTEX-13IVO-0126-SM-5J1NG 70-79 years, male 31.2
GTEX-183FY-0126-SM-7LT9P 20-29 years, male 31.0
GTEX-ZAJG-0126-SM-5HL94 50-59 years, female 31.0
GTEX-WXYG-2326-SM-4E3I6 50-59 years, female 30.8
GTEX-1CB4G-0226-SM-7PC3O 60-69 years, male 30.8
GTEX-13QJ3-0326-SM-5S2RA 50-59 years, male 30.7
GTEX-ZYW4-0126-SM-5E44A 60-69 years, male 30.5
GTEX-1GMR8-0126-SM-9WYTM 50-59 years, female 30.5
GTEX-ZXES-1826-SM-5E43S 30-39 years, female 30.4
GTEX-XUW1-0426-SM-4BOOT 50-59 years, female 30.3
GTEX-1HSMP-0126-SM-E6CJS 70-79 years, male 30.2
GTEX-11EM3-2426-SM-59861 20-29 years, female 30.1
GTEX-Q2AG-0126-SM-33HBV 40-49 years, female 30.1
GTEX-1GN1U-0126-SM-7PBZK 50-59 years, female 30.1
GTEX-1JMQK-0226-SM-CL543 60-69 years, male 30.0
GTEX-1HCU6-0126-SM-CL54K 60-69 years, female 29.8
GTEX-1N2EF-0226-SM-EYYXB 60-69 years, male 29.7
GTEX-ZDYS-2026-SM-5HL5L 50-59 years, male 29.5
GTEX-11WQK-0526-SM-5EQLD 50-59 years, male 29.4
GTEX-18A7A-0226-SM-718BH 50-59 years, female 29.3
GTEX-R55G-2526-SM-2TC6D 40-49 years, female 29.2
GTEX-1LNCM-1126-SM-E9U5E 50-59 years, female 29.2
GTEX-1CAMS-0426-SM-7P8T2 40-49 years, female 29.1
GTEX-ZEX8-2426-SM-4WKG4 50-59 years, male 29.0
GTEX-1399U-2326-SM-5K7WY 50-59 years, female 28.8
GTEX-1PPH7-2326-SM-EVYB8 40-49 years, male 28.6
GTEX-1QP66-1726-SM-E8VO1 50-59 years, male 28.3
GTEX-12WSK-2326-SM-5GCOH 40-49 years, female 28.2
GTEX-1S82Y-2026-SM-EVYCM 40-49 years, male 28.0
GTEX-13OW7-0126-SM-5MR3B 50-59 years, male 27.9
GTEX-XQ8I-0426-SM-4BOPO 50-59 years, male 27.7
GTEX-183WM-0126-SM-7LTAB 70-79 years, female 27.6
GTEX-11GSO-2426-SM-5A5LY 60-69 years, male 27.5
GTEX-13FTX-1826-SM-5J1NX 20-29 years, female 27.5
GTEX-1GTWX-0126-SM-9YFLK 60-69 years, male 27.5
GTEX-ZGAY-0526-SM-4WWBB 40-49 years, female 27.4
GTEX-1HCUA-2426-SM-ADEIS 50-59 years, female 27.4
GTEX-1RB15-2126-SM-E9TIM 60-69 years, male 27.0
GTEX-1F52S-0126-SM-9MQJU 60-69 years, female 26.9
GTEX-U3ZN-2326-SM-3DB7W 30-39 years, female 26.8
GTEX-11ZUS-0626-SM-59885 30-39 years, male 26.7
GTEX-1H3VY-0126-SM-ACKXD 50-59 years, male 26.7
GTEX-14A6H-0126-SM-5QGPK 30-39 years, male 26.6
GTEX-14ICK-0226-SM-6EU25 40-49 years, male 26.4
GTEX-15SHW-0326-SM-6PAML 60-69 years, male 26.3
GTEX-14DAR-2026-SM-5S2O3 50-59 years, male 26.2
GTEX-17HGU-0226-SM-7DHKV 50-59 years, male 26.2
GTEX-NFK9-0226-SM-2HMKQ 40-49 years, male 26.2
GTEX-1PIGE-0126-SM-EVYBJ 20-29 years, male 26.2
GTEX-1R9PO-2126-SM-E9J4O 60-69 years, female 26.1
GTEX-XYKS-2126-SM-4E3IB 60-69 years, female 26.0
GTEX-11P7K-2126-SM-5GU7G 30-39 years, male 25.8
GTEX-T8EM-1026-SM-3DB7M 40-49 years, male 25.8
GTEX-113JC-2326-SM-5EQ4E 50-59 years, female 25.5
GTEX-11UD1-0126-SM-5PNYG 40-49 years, female 25.5
GTEX-1314G-1526-SM-5EGK2 30-39 years, male 25.5
GTEX-T2IS-0126-SM-4DM6O 20-29 years, female 25.5
GTEX-1OJC4-0126-SM-E9J2E 50-59 years, female 25.5
GTEX-13CF2-2526-SM-5LZYX 60-69 years, male 25.4
GTEX-14BMU-2226-SM-5TDE9 20-29 years, female 25.4
GTEX-QCQG-1726-SM-3GIJ9 50-59 years, female 25.4
GTEX-UPJH-0326-SM-3GADU 50-59 years, male 25.4
GTEX-Q2AH-1626-SM-3GAF8 40-49 years, male 25.3
GTEX-ZVT3-0126-SM-5GU6I 60-69 years, female 25.2
GTEX-1CB4H-0226-SM-7PBXM 60-69 years, female 25.2
GTEX-14PK6-1926-SM-6ETZU 70-79 years, female 25.1
GTEX-RM2N-1426-SM-2TF4H 50-59 years, male 25.1
GTEX-S7PM-0126-SM-4AD6S 60-69 years, male 25.1
GTEX-ZDTT-2726-SM-4WKF8 60-69 years, male 25.1
GTEX-ZF29-2326-SM-DO92K 60-69 years, female 25.1
GTEX-1HKZK-0326-SM-9WYUH 40-49 years, male 25.0
GTEX-15G19-0126-SM-6PANQ 60-69 years, male 24.9
GTEX-1H11D-0226-SM-9WG6Z 40-49 years, male 24.9
GTEX-1R7EV-2426-SM-EVYBG 40-49 years, male 24.8
GTEX-P4PP-0126-SM-3LK69 30-39 years, female 24.6
GTEX-PWCY-1826-SM-DHXIZ 20-29 years, female 24.4
GTEX-13RTK-1426-SM-5QGQJ 20-29 years, male 24.3
GTEX-1MUQO-0126-SM-EAZ58 60-69 years, male 24.3
GTEX-1GN1V-0126-SM-9WPOS 60-69 years, male 24.2
GTEX-P44H-0226-SM-2XCEU 40-49 years, male 24.1
GTEX-13RTL-0126-SM-7LG5S 40-49 years, male 24.0
GTEX-18QFQ-0126-SM-731BE 30-39 years, male 24.0
GTEX-15SDE-2226-SM-7IGLO 50-59 years, female 23.8
GTEX-YEC4-2126-SM-5IFJH 40-49 years, male 23.8
GTEX-YJ8A-0426-SM-5IFID 20-29 years, male 23.8
GTEX-15UKP-0426-SM-7KUFQ 20-29 years, male 23.7
GTEX-1H1E6-1726-SM-ACKVK 30-39 years, male 23.7
GTEX-Z9EW-1626-SM-5CVMN 40-49 years, male 23.5
GTEX-1F6IF-0726-SM-7P8TW 60-69 years, male 23.4
GTEX-1J8EW-0126-SM-CJI4F 60-69 years, female 23.2
GTEX-S33H-1026-SM-EZ6L6 30-39 years, male 23.2
GTEX-ZQUD-1426-SM-57WER 30-39 years, male 23.1
GTEX-1QP29-0626-SM-EWRMX 50-59 years, male 23.1
GTEX-1GF9W-0326-SM-9KNUN 60-69 years, male 23.0
GTEX-1LGOU-2026-SM-DIPFF 20-29 years, female 23.0
GTEX-1CB4J-0626-SM-7DHMP 60-69 years, male 22.9
GTEX-14LLW-0126-SM-6LLIO 70-79 years, female 22.8
GTEX-16XZZ-0126-SM-793DV 60-69 years, male 22.8
GTEX-QV44-1926-SM-2S1RF 50-59 years, male 22.8
GTEX-1J1OQ-0226-SM-CYPSH 40-49 years, female 22.8
GTEX-13SLX-0526-SM-5S2ON 50-59 years, female 22.6
GTEX-117YW-2626-SM-5GZZH 50-59 years, male 22.5
GTEX-146FH-0126-SM-5QGPP 50-59 years, female 22.5
GTEX-OXRP-0126-SM-3NB32 60-69 years, female 22.3
GTEX-QDVJ-1726-SM-2I5FX 50-59 years, male 22.2
GTEX-PLZ6-1426-SM-DKPOT 30-39 years, male 22.2
GTEX-1B8KE-2126-SM-73KYX 50-59 years, male 22.1
GTEX-T2YK-0526-SM-32QPJ 50-59 years, male 22.1
GTEX-U8T8-0126-SM-3DB94 60-69 years, male 22.1
GTEX-1I4MK-2226-SM-ACKWD 50-59 years, female 22.1
GTEX-11LCK-1026-SM-5A5KB 30-39 years, male 22.0
GTEX-1NHNU-1026-SM-E9J2A 50-59 years, male 22.0
GTEX-PSDG-0226-SM-DKPOZ 50-59 years, male 22.0
GTEX-1IDJF-0126-SM-CM2RS 20-29 years, male 21.8
GTEX-1S5ZA-0126-SM-EVYCV 20-29 years, male 21.8
GTEX-XMD2-0126-SM-4YCDU 60-69 years, female 21.5
GTEX-ZDXO-3026-SM-5J1N5 60-69 years, male 21.5
GTEX-1QW4Y-1526-SM-EAZ3Z 30-39 years, male 21.5
GTEX-RWS6-2026-SM-2XCB5 60-69 years, female 21.4
GTEX-Y114-2426-SM-4TT8A 50-59 years, female 21.3
GTEX-1A3MX-0126-SM-731BR 60-69 years, male 21.1
GTEX-1HB9E-0226-SM-E9U4R 50-59 years, male 21.0
GTEX-14ABY-0226-SM-5TDCQ 50-59 years, male 20.9
GTEX-11ZU8-2526-SM-5EQKI 60-69 years, male 20.8
GTEX-R55E-0126-SM-2TC5Y 20-29 years, male 20.8
GTEX-UJHI-1526-SM-3DB99 50-59 years, female 20.7
GTEX-12WSL-2526-SM-5GCNJ 50-59 years, male 20.4
GTEX-18D9U-0226-SM-718BP 40-49 years, male 20.4
GTEX-1269C-2526-SM-5EGJ3 60-69 years, female 20.3
GTEX-1M4P7-0226-SM-DIPEV 60-69 years, male 20.3
GTEX-YB5K-2126-SM-4WWDJ 40-49 years, female 20.2
GTEX-Y8LW-1826-SM-5S2MV 50-59 years, female 20.1
GTEX-12WSG-2826-SM-E9J4H 50-59 years, female 20.1
GTEX-16XZY-2126-SM-79OK1 70-79 years, male 20.0
GTEX-RN64-0126-SM-2TC68 50-59 years, male 20.0
GTEX-1HBPN-0226-SM-9YFM1 50-59 years, male 20.0
GTEX-139TT-0126-SM-5K7Y5 60-69 years, male 19.9
GTEX-1I1GU-2226-SM-CGQFA 40-49 years, male 19.9
GTEX-12ZZX-0126-SM-5EGK9 40-49 years, female 19.8
GTEX-ZTSS-1926-SM-57WEW 40-49 years, male 19.6
GTEX-1A8FM-0226-SM-7SB7Q 50-59 years, female 19.6
GTEX-1JN76-0126-SM-CNPPE 20-29 years, female 19.6
GTEX-13N1W-0126-SM-5K7VT 70-79 years, male 19.5
GTEX-1C6WA-0126-SM-7PC2B 60-69 years, male 19.5
GTEX-13O3P-0126-SM-5KM4S 50-59 years, male 19.3
GTEX-Y8E4-0626-SM-4WWDL 40-49 years, male 19.3
GTEX-1B933-0126-SM-7PC29 50-59 years, female 19.3
GTEX-1ICLY-0126-SM-D4P36 50-59 years, male 19.3
GTEX-1IDJU-2626-SM-CM2RT 60-69 years, female 19.3
GTEX-1K2DA-1826-SM-CGQGT 50-59 years, male 19.3
GTEX-11EI6-0126-SM-5985R 60-69 years, male 19.2
GTEX-15ETS-0126-SM-7KUMW 40-49 years, female 19.2
GTEX-1NV5F-0226-SM-E8VNY 60-69 years, female 19.2
GTEX-13SLW-0126-SM-5SI6C 70-79 years, male 19.1
GTEX-1C2JI-1826-SM-73KXC 50-59 years, male 19.1
GTEX-13NZA-0226-SM-5K7Z7 60-69 years, male 18.9
GTEX-1A32A-0126-SM-718B1 50-59 years, female 18.9
GTEX-SSA3-0126-SM-32QPU 60-69 years, male 18.9
GTEX-Y111-0126-SM-4SOIV 50-59 years, male 18.9
GTEX-11O72-0126-SM-59887 40-49 years, male 18.7
GTEX-ZZPT-0226-SM-5E43X 50-59 years, male 18.7
GTEX-QLQ7-1626-SM-2S1R8 60-69 years, male 18.6
GTEX-148VI-1626-SM-5SI6E 60-69 years, female 18.5
GTEX-1B8KZ-2026-SM-7DHMB 50-59 years, male 18.4
GTEX-YFC4-0126-SM-5CVLY 40-49 years, female 18.4
GTEX-WYJK-0126-SM-3NMAB 50-59 years, male 18.2
GTEX-13O3O-0126-SM-E9J49 60-69 years, female 18.2
GTEX-1K9T9-0126-SM-EVYCF 50-59 years, female 18.2
GTEX-T6MO-1626-SM-32QOM 40-49 years, female 18.1
GTEX-XAJ8-0826-SM-47JY6 40-49 years, male 18.0
GTEX-XBEW-0626-SM-4QASP 40-49 years, male 18.0
GTEX-ZXG5-0126-SM-5GIEU 60-69 years, male 18.0
GTEX-11OF3-2626-SM-5GU7F 60-69 years, male 17.9
GTEX-131XG-2626-SM-5KM17 50-59 years, female 17.9
GTEX-1J1R8-1726-SM-ARL8M 40-49 years, male 17.9
GTEX-13FTW-2626-SM-5K7WL 40-49 years, male 17.8
GTEX-18A67-0126-SM-7LG5P 50-59 years, male 17.8
GTEX-W5WG-1826-SM-4KL2Y 50-59 years, female 17.7
GTEX-1HFI6-0226-SM-ADEHZ 40-49 years, male 17.7
GTEX-1J8Q3-1626-SM-CMKGC 60-69 years, male 17.7
GTEX-1S3DN-2226-SM-EVYCD 50-59 years, male 17.7
GTEX-RNOR-0126-SM-E9J4R 50-59 years, female 17.7
GTEX-1192W-2626-SM-5Q5AF 60-69 years, male 17.6
GTEX-1PFEY-1526-SM-E76PP 30-39 years, male 17.6
GTEX-11DXZ-2326-SM-5EGGV 50-59 years, male 17.5
GTEX-13NZ8-0826-SM-5MR3I 60-69 years, female 17.5
GTEX-14C5O-0126-SM-5SI6N 60-69 years, male 17.5
GTEX-12WSD-0126-SM-59HKN 60-69 years, female 17.4
GTEX-ZUA1-0126-SM-5GU76 40-49 years, male 17.4
GTEX-1AYCT-2426-SM-7IGQ3 50-59 years, male 17.3
GTEX-XUYS-0126-SM-47JWZ 50-59 years, male 17.0
GTEX-WQUQ-0426-SM-3MJFU 60-69 years, male 16.9
GTEX-1IY9M-0126-SM-D3L8S 60-69 years, male 16.9
GTEX-WYVS-2126-SM-3NMA3 40-49 years, female 16.8
GTEX-133LE-1826-SM-5J1MV 20-29 years, female 16.7
GTEX-PWO3-1526-SM-48TCM 60-69 years, female 16.7
GTEX-17EUY-0426-SM-793BD 20-29 years, male 16.6
GTEX-1B8L1-2526-SM-9WYTF 60-69 years, male 16.6
GTEX-ZVZO-0126-SM-5A5L9 40-49 years, male 16.5
GTEX-1GN1W-0526-SM-9MQJQ 50-59 years, female 16.5
GTEX-ZAB5-1826-SM-5HL7C 50-59 years, male 16.4
GTEX-13G51-2526-SM-5LZYK 60-69 years, male 16.3
GTEX-16NGA-1726-SM-731B4 40-49 years, female 16.2
GTEX-1QPFJ-0226-SM-E76PB 30-39 years, female 16.2
GTEX-11GSP-2526-SM-5N9BP 60-69 years, female 16.1
GTEX-1CAMR-1926-SM-7EPI2 20-29 years, male 16.1
GTEX-ZV6S-2326-SM-4YCEY 40-49 years, female 16.1
GTEX-11GS4-2726-SM-5A5LE 60-69 years, male 15.9
GTEX-12696-2426-SM-5EQ6H 60-69 years, male 15.9
GTEX-13113-5016-SM-7EPIP 60-69 years, female 15.8
GTEX-QLQW-1126-SM-2S1Q8 30-39 years, male 15.7
GTEX-WFG8-2226-SM-3GIL9 20-29 years, male 15.7
GTEX-1R9K4-0126-SM-DTX9X 60-69 years, male 15.7
GTEX-1GPI7-0126-SM-9MQL8 20-29 years, male 15.6
GTEX-14PN3-2426-SM-6LLHS 60-69 years, female 15.5
GTEX-ZZ64-1726-SM-5GZYB 20-29 years, male 15.5
GTEX-1F6I4-0126-SM-9MQL2 60-69 years, male 15.5
GTEX-11NUK-0126-SM-5A5L3 50-59 years, male 15.4
GTEX-13W3W-2426-SM-5LU5B 60-69 years, female 15.4
GTEX-X4XY-0226-SM-4E3IZ 60-69 years, male 15.4
GTEX-15DYW-0126-SM-7KULE 60-69 years, female 15.2
GTEX-X8HC-0126-SM-4E3JW 50-59 years, female 15.0
GTEX-147GR-0526-SM-5S2MY 60-69 years, male 14.9
GTEX-16BQI-0226-SM-7KUEX 30-39 years, female 14.9
GTEX-SUCS-1926-SM-32PM3 70-79 years, male 14.9
GTEX-X4EO-0326-SM-3P5YO 60-69 years, female 14.9
GTEX-ZAK1-0126-SM-5IJD3 50-59 years, female 14.8
GTEX-1MA7X-2226-SM-E6CIY 60-69 years, male 14.7
GTEX-17HHY-0126-SM-7LG5D 50-59 years, male 14.5
GTEX-ZV68-0126-SM-59HKS 50-59 years, female 14.5
GTEX-1F75B-0126-SM-9KNVL 50-59 years, male 14.5
GTEX-1C6VS-0526-SM-7DUEN 60-69 years, male 14.4
GTEX-1RQEC-0426-SM-E6CHU 60-69 years, male 14.3
GTEX-1JMQI-2226-SM-CM2SD 50-59 years, male 14.2
GTEX-1IDFM-0126-SM-COH2V 60-69 years, male 14.1
GTEX-T5JC-0426-SM-32PLO 20-29 years, male 14.0
GTEX-1I19N-0326-SM-ACKVX 70-79 years, male 14.0
GTEX-O5YT-0126-SM-48TBW 20-29 years, male 13.9
GTEX-1QP9N-1426-SM-DTXFL 30-39 years, male 13.8
GTEX-1B996-0226-SM-7RHGO 60-69 years, male 13.5
GTEX-ZYFD-0126-SM-5GIDL 50-59 years, male 13.4
GTEX-1GN73-0226-SM-9WG67 60-69 years, male 13.4
GTEX-1HSMQ-1226-SM-CGQFX 50-59 years, male 13.4
GTEX-1POEN-0126-SM-EYYXJ 30-39 years, female 13.4
GTEX-1AX9J-0226-SM-73KXM 60-69 years, male 13.3
GTEX-QEG4-0226-SM-2S1PY 30-39 years, male 13.3
GTEX-1F6RS-0126-SM-9MQKZ 60-69 years, female 13.3
GTEX-1QEPI-0126-SM-EWRMQ 60-69 years, female 13.3
GTEX-13OVL-0226-SM-5L3E9 50-59 years, male 13.2
GTEX-18A6Q-0126-SM-731BZ 60-69 years, male 13.2
GTEX-18A7B-0126-SM-7LG64 70-79 years, male 13.2
GTEX-1EMGI-0126-SM-9KNUE 60-69 years, male 13.2
GTEX-1F75A-0126-SM-7RHGM 50-59 years, male 13.2
GTEX-1313W-0126-SM-5LZUN 50-59 years, female 13.1
GTEX-VUSG-2526-SM-4KL1V 50-59 years, male 13.1
GTEX-1MCYP-1926-SM-E9J2R 20-29 years, female 13.1
GTEX-13PVR-2326-SM-5QGR1 60-69 years, female 13.0
GTEX-14PJM-0226-SM-62LF1 50-59 years, female 13.0
GTEX-1EX96-1626-SM-7PBXR 50-59 years, male 13.0
GTEX-1HFI7-1826-SM-ACKXH 50-59 years, female 13.0
GTEX-132NY-0326-SM-5IJBL 60-69 years, male 12.9
GTEX-1EU9M-0226-SM-7P8SP 60-69 years, male 12.9
GTEX-17F96-1626-SM-7DUFL 70-79 years, male 12.8
GTEX-1IE54-0126-SM-CMKHW 40-49 years, female 12.8
GTEX-1GF9X-2026-SM-7PC3A 40-49 years, female 12.7
GTEX-1GZ2Q-0226-SM-7P8TL 40-49 years, male 12.7
GTEX-11DXW-0226-SM-5H122 40-49 years, male 12.5
GTEX-QESD-1426-SM-2S1R9 20-29 years, male 12.5
GTEX-1HR98-0126-SM-B2LWI 60-69 years, male 12.5
GTEX-1JKYR-0126-SM-CNPOJ 20-29 years, male 12.5
GTEX-ZYFG-2326-SM-5E44B 60-69 years, female 12.4
GTEX-145LS-0126-SM-5QGP1 60-69 years, female 12.3
GTEX-13S7M-0126-SM-5SI6A 60-69 years, female 12.2
GTEX-S95S-1226-SM-4GICG 60-69 years, male 12.2
GTEX-1F75I-0326-SM-9YFLU 40-49 years, male 12.2
GTEX-139TU-0126-SM-5K7WH 60-69 years, male 12.0
GTEX-1KANB-0526-SM-E6CJH 50-59 years, male 12.0
GTEX-147F3-0526-SM-5SI98 50-59 years, female 11.9
GTEX-14BIM-0226-SM-7IGLD 60-69 years, female 11.9
GTEX-1IL2U-0226-SM-CE6T8 60-69 years, male 11.9
GTEX-1MA7W-2026-SM-E9TJ6 20-29 years, female 11.9
GTEX-1CB4E-2226-SM-793DC 60-69 years, male 11.8
GTEX-TKQ1-1026-SM-4GICL 30-39 years, male 11.8
GTEX-U8XE-0326-SM-3DB8P 30-39 years, male 11.8
GTEX-YB5E-2026-SM-5IFIS 40-49 years, male 11.7
GTEX-11OC5-0126-SM-5HL6A 60-69 years, male 11.6
GTEX-1LH75-2426-SM-E9TJE 50-59 years, female 11.6
GTEX-SNMC-1226-SM-2XCFP 20-29 years, male 11.5
GTEX-1LBAC-0126-SM-DIPEZ 20-29 years, male 11.5
GTEX-ZDTS-0126-SM-4WAY5 60-69 years, male 11.4
GTEX-1H1DE-2126-SM-9WG6R 20-29 years, male 11.4
GTEX-13CF3-2426-SM-5IFGX 60-69 years, female 11.3
GTEX-15DDE-0126-SM-6LPKH 50-59 years, female 11.3
GTEX-1H3O1-0426-SM-9YFKY 60-69 years, male 11.3
GTEX-13OW6-0426-SM-5L3HM 50-59 years, male 11.2
GTEX-14JG6-2226-SM-6EU2G 30-39 years, female 11.2
GTEX-X4XX-0126-SM-3NMC2 60-69 years, male 11.2
GTEX-1HSGN-0226-SM-CGQFV 40-49 years, female 11.2
GTEX-11WQC-2526-SM-5CVLE 60-69 years, male 11.1
GTEX-13VXU-0126-SM-5SI9F 50-59 years, male 11.1
GTEX-17GQL-2026-SM-718BA 60-69 years, male 11.1
GTEX-SIU8-0126-SM-2XCDT 50-59 years, male 11.1
GTEX-13NZB-2526-SM-5J1OM 30-39 years, male 11.0
GTEX-15CHC-2126-SM-6EU21 60-69 years, female 11.0
GTEX-131XF-5016-SM-7MGWE 60-69 years, male 11.0
GTEX-1GMRU-0126-SM-9YFLV 50-59 years, male 11.0
GTEX-1MCQQ-0826-SM-DLHC2 60-69 years, male 11.0
GTEX-XUZC-1726-SM-4BRWS 30-39 years, female 10.9
GTEX-13PDP-0126-SM-5L3HD 60-69 years, male 10.7
GTEX-XPVG-2626-SM-4B669 50-59 years, male 10.7
GTEX-OHPM-0126-SM-2YUN9 50-59 years, male 10.6
GTEX-1AX9I-0126-SM-7SB74 60-69 years, male 10.6
GTEX-1EN7A-0126-SM-7SB81 40-49 years, male 10.6
GTEX-1HSEH-0126-SM-ACKXN 60-69 years, male 10.6
GTEX-12WSC-0126-SM-5EQ4P 50-59 years, male 10.5
GTEX-1A3MV-1926-SM-718BT 30-39 years, male 10.5
GTEX-P4QT-0126-SM-2I3FL 50-59 years, female 10.4
GTEX-Y5V5-2326-SM-4V6GA 60-69 years, female 10.4
GTEX-ZVTK-0426-SM-51MRS 20-29 years, male 10.4
GTEX-ZVZP-2426-SM-59HKJ 50-59 years, male 10.4
GTEX-1GPI6-0126-SM-9WG69 60-69 years, male 10.4
GTEX-1HCVE-0126-SM-CGQEU 50-59 years, male 10.4
GTEX-R3RS-0126-SM-3GIJL 40-49 years, female 10.3
GTEX-1QAET-0926-SM-E76QM 50-59 years, male 10.3
GTEX-OIZH-0126-SM-2HMIS 50-59 years, male 10.2
GTEX-ZVT4-0126-SM-DTXFN 50-59 years, female 10.2
GTEX-15F5U-1526-SM-6PANO 40-49 years, male 9.9
GTEX-15DCD-0126-SM-7KUEK 70-79 years, female 9.7
GTEX-RWSA-0126-SM-2XCBB 40-49 years, male 9.7
GTEX-ZU9S-0226-SM-5E441 30-39 years, male 9.7
GTEX-1JMPZ-0226-SM-CNPP1 30-39 years, male 9.7
GTEX-1AMEY-1326-SM-73KYK 30-39 years, female 9.6
GTEX-RU72-0926-SM-2TF6B 50-59 years, female 9.6
GTEX-13FH7-2026-SM-E9J4I 50-59 years, female 9.6
GTEX-1K2DU-2326-SM-E9TIV 20-29 years, male 9.6
GTEX-VJYA-1126-SM-3GIJU 60-69 years, male 9.5
GTEX-16GPK-0126-SM-7DHLE 60-69 years, male 9.4
GTEX-1J8QM-2126-SM-CYPSJ 60-69 years, female 9.4
GTEX-1JMPY-1326-SM-ARL8Y 30-39 years, male 9.4
GTEX-17HHE-2026-SM-79OKF 50-59 years, male 9.3
GTEX-1KD4Q-0226-SM-E9TJ9 40-49 years, male 9.3
GTEX-16AAH-1726-SM-7939C 50-59 years, male 9.2
GTEX-1LVAN-0226-SM-COH3S 50-59 years, female 9.1
GTEX-1GN2E-0426-SM-9MQKX 60-69 years, male 9.0
GTEX-11DXY-2626-SM-5GIE7 60-69 years, male 8.9
GTEX-11ZTS-0126-SM-5EQ6M 60-69 years, female 8.9
GTEX-139TS-2826-SM-5J1OO 60-69 years, male 8.9
GTEX-11DYG-0126-SM-59883 60-69 years, male 8.8
GTEX-13N2G-2626-SM-5J1OT 60-69 years, male 8.8
GTEX-15ER7-0326-SM-7KUEV 20-29 years, female 8.8
GTEX-1JN6P-0126-SM-D3L98 60-69 years, male 8.8
GTEX-POMQ-2226-SM-2I5FK 20-29 years, female 8.7
GTEX-XXEK-2226-SM-4BRUM 50-59 years, male 8.7
GTEX-169BO-1326-SM-9MQK2 50-59 years, male 8.7
GTEX-1EWIQ-0126-SM-7RHH2 70-79 years, female 8.7
GTEX-13111-1626-SM-5EGJY 50-59 years, male 8.6
GTEX-14A5I-0126-SM-5TDEA 50-59 years, female 8.6
GTEX-1E1VI-0126-SM-7DHMZ 50-59 years, male 8.6
GTEX-1EKGG-0226-SM-9WYTH 60-69 years, male 8.6
GTEX-1I6K6-0126-SM-A9SLE 30-39 years, male 8.6
GTEX-14LZ3-0226-SM-62LET 60-69 years, female 8.5
GTEX-1GZHY-0326-SM-9QEHI 50-59 years, female 8.5
GTEX-1122O-2126-SM-5EGIR 60-69 years, female 8.4
GTEX-VJWN-0126-SM-3GIK7 50-59 years, female 8.4
GTEX-11TUW-2726-SM-E9J4M 60-69 years, male 8.4
GTEX-1IKK5-0626-SM-ARL8A 60-69 years, male 8.4
GTEX-1PDJ9-0326-SM-DTX95 20-29 years, male 8.4
GTEX-1B97I-1626-SM-73KYO 40-49 years, male 8.3
GTEX-1LGRB-2526-SM-CNPPQ 50-59 years, female 8.1
GTEX-1N2DW-0226-SM-E9TK2 50-59 years, male 8.1
GTEX-1PPH8-0226-SM-E8VND 20-29 years, male 8.0
GTEX-1QMI2-0226-SM-EVYBX 60-69 years, male 7.9
GTEX-14PII-0226-SM-6EU1T 60-69 years, male 7.8
GTEX-PW2O-1526-SM-7RHHB 20-29 years, male 7.8
GTEX-13OVK-2026-SM-7KUEO 40-49 years, male 7.7
GTEX-18465-0126-SM-731BN 50-59 years, male 7.7
GTEX-WVJS-0126-SM-4MVOT 50-59 years, male 7.7
GTEX-1I1GV-0526-SM-A9G29 60-69 years, male 7.7
GTEX-1J8JJ-0226-SM-CL53I 60-69 years, female 7.7
GTEX-12ZZY-0226-SM-5LZVE 60-69 years, male 7.6
GTEX-1B8SG-0126-SM-73KZ3 50-59 years, male 7.6
GTEX-ZF2S-2326-SM-4WWCE 50-59 years, female 7.6
GTEX-1F88F-2726-SM-7PBZZ 60-69 years, female 7.6
GTEX-1KXAM-2226-SM-CYPTC 60-69 years, male 7.6
GTEX-11NSD-2226-SM-5986V 20-29 years, male 7.3
GTEX-15EU6-0426-SM-6PAN5 50-59 years, male 7.3
GTEX-16YQH-0126-SM-7DUFJ 30-39 years, male 7.3
GTEX-131XW-0426-SM-5LZWP 50-59 years, female 7.2
GTEX-WZTO-0126-SM-3NM95 40-49 years, male 7.2
GTEX-XQ3S-1526-SM-4BOOC 20-29 years, male 7.2
GTEX-11EQ9-2426-SM-5HL5T 30-39 years, male 7.1
GTEX-145MI-0526-SM-5O9A8 60-69 years, female 7.1
GTEX-1E2YA-0126-SM-9KNUC 50-59 years, male 7.1
GTEX-1LG7Z-1726-SM-D3LA4 30-39 years, male 7.1
GTEX-1M5QR-1226-SM-EWROB 40-49 years, male 7.1
GTEX-1C4CL-0526-SM-73KVK 30-39 years, male 7.0
GTEX-1CB4I-0226-SM-79OLH 50-59 years, male 7.0
GTEX-Z93S-0126-SM-5HL7M 50-59 years, male 7.0
GTEX-131YS-0126-SM-5KM1M 60-69 years, female 6.9
GTEX-11UD2-0226-SM-5EQKY 50-59 years, male 6.8
GTEX-18D9A-1926-SM-7LG6P 30-39 years, female 6.8
GTEX-WFON-2126-SM-3LK7O 40-49 years, male 6.8
GTEX-1IGQW-0126-SM-COH42 60-69 years, male 6.8
GTEX-13OW5-0126-SM-DTXFS 60-69 years, male 6.7
GTEX-131XE-2326-SM-5PNZ2 50-59 years, male 6.5
GTEX-17HG3-2226-SM-7938L 30-39 years, female 6.5
GTEX-14DAQ-0126-SM-5S2MQ 60-69 years, female 6.4
GTEX-ZYT6-0226-SM-5NQ6T 30-39 years, male 6.4
GTEX-1O97I-0326-SM-EYYX7 60-69 years, male 6.3
GTEX-13112-2826-SM-5DUWH 50-59 years, male 6.1
GTEX-1R7EU-0226-SM-EVR4G 60-69 years, male 6.1
GTEX-1I1GR-0126-SM-CL55F 60-69 years, male 6.0
GTEX-12ZZZ-0626-SM-5DUXI 60-69 years, male 5.9
GTEX-14BIN-0626-SM-793DP 50-59 years, female 5.9
GTEX-1BAJH-0526-SM-793CQ 70-79 years, male 5.9
GTEX-1HCU7-0226-SM-CL545 50-59 years, male 5.9
GTEX-1KANC-1526-SM-D3LAB 50-59 years, female 5.9
GTEX-1PBJI-0526-SM-E8VNK 20-29 years, female 5.9
GTEX-1OFPY-2426-SM-DTXEJ 60-69 years, male 5.8
GTEX-1QCLY-0326-SM-E8VOG 30-39 years, male 5.8
GTEX-13X6J-0126-SM-5QGOU 50-59 years, male 5.7
GTEX-ZTX8-1426-SM-5DUVO 20-29 years, male 5.7
GTEX-1F5PL-0326-SM-7P8PQ 40-49 years, female 5.7
GTEX-1I1HK-0126-SM-COH49 60-69 years, male 5.7
GTEX-1JJ6O-0126-SM-E6CI8 60-69 years, male 5.7
GTEX-1LB8K-0226-SM-EWRNW 50-59 years, male 5.7
GTEX-1128S-2326-SM-5GZZY 60-69 years, female 5.6
GTEX-13FXS-0226-SM-5IJCK 50-59 years, male 5.6
GTEX-Y8DK-0126-SM-4TT3L 60-69 years, male 5.6
GTEX-1LSNM-1926-SM-E6CII 50-59 years, male 5.6
GTEX-14PJ6-2126-SM-6EU1V 60-69 years, female 5.5
GTEX-17EVP-0326-SM-7DHLG 40-49 years, male 5.5
GTEX-OHPL-0126-SM-2HMJ7 60-69 years, female 5.5
GTEX-13NYC-0326-SM-E9J4S 60-69 years, male 5.5
GTEX-1C6VR-2426-SM-79OLD 60-69 years, male 5.4
GTEX-1JMQJ-0526-SM-CYPSU 50-59 years, male 5.4
GTEX-1S83E-0126-SM-EWRO4 40-49 years, male 5.4
GTEX-PVOW-0126-SM-2XCFA 40-49 years, male 5.3
GTEX-1OJC3-0126-SM-E76QX 20-29 years, male 5.3
GTEX-PX3G-0126-SM-2I3EN 20-29 years, female 5.2
GTEX-U412-0426-SM-3DB9O 60-69 years, male 5.2
GTEX-1JMLX-0226-SM-CM2RO 50-59 years, male 5.1
GTEX-1F7RK-0126-SM-7PC2S 20-29 years, female 5.0
GTEX-1RDX4-0126-SM-E9J4P 50-59 years, female 5.0
GTEX-OXRO-0126-SM-2YUN4 60-69 years, female 4.9
GTEX-1JJE9-0326-SM-CL53Z 70-79 years, male 4.9
GTEX-117XS-2726-SM-5N9BL 60-69 years, male 4.8
GTEX-17MFQ-1726-SM-793C7 20-29 years, male 4.8
GTEX-OIZG-0726-SM-33HBL 50-59 years, male 4.8
GTEX-X261-0126-SM-3NMD6 50-59 years, male 4.8
GTEX-1HBPI-1526-SM-C1YQ1 50-59 years, male 4.7
GTEX-1I1GP-2226-SM-CGQFK 50-59 years, male 4.7
GTEX-SJXC-0126-SM-2XCFF 60-69 years, male 4.6
GTEX-14E6D-0126-SM-62LDV 50-59 years, male 4.5
GTEX-1QP2A-0126-SM-E9J43 50-59 years, male 4.5
GTEX-16NPX-0226-SM-79OMT 50-59 years, male 4.4
GTEX-V1D1-2226-SM-3NMAX 50-59 years, male 4.4
GTEX-1C475-1826-SM-73KWA 40-49 years, female 4.3
GTEX-ZYFC-0226-SM-5NQ75 50-59 years, male 4.3
GTEX-1GL5R-1826-SM-9KNUY 50-59 years, male 4.3
GTEX-17KNJ-2326-SM-7DHLQ 50-59 years, male 4.2
GTEX-13FHP-0126-SM-5IJBG 50-59 years, male 4.1
GTEX-14JG1-0426-SM-6ETZZ 40-49 years, male 4.1
GTEX-T5JW-1626-SM-3GADZ 20-29 years, female 4.1
GTEX-1J8Q2-0526-SM-CM2RW 60-69 years, male 4.1
GTEX-1LG7Y-0526-SM-DKPQC 50-59 years, male 4.1
GTEX-13FTY-0526-SM-5L3EV 40-49 years, female 4.0
GTEX-1GMR3-1926-SM-9KNUZ 40-49 years, male 4.0
GTEX-RVPV-0126-SM-EAZAW 60-69 years, male 4.0
GTEX-15RIG-0226-SM-7KFTL 40-49 years, male 3.9
GTEX-1B8SF-1426-SM-7DUGL 60-69 years, male 3.9
GTEX-ZE9C-2726-SM-57WB5 60-69 years, male 3.9
GTEX-131XH-2226-SM-5DUXJ 50-59 years, male 3.8
GTEX-139UW-2826-SM-5L3E7 60-69 years, male 3.8
GTEX-14BMV-0126-SM-5S2PO 50-59 years, male 3.8
GTEX-1I1GT-0626-SM-CGQER 60-69 years, female 3.8
GTEX-1399R-2726-SM-5IJBA 30-39 years, male 3.7
GTEX-14E7W-0126-SM-6LLJ9 70-79 years, male 3.7
GTEX-1H1CY-2826-SM-9MQM3 60-69 years, female 3.7
GTEX-1HSKV-0226-SM-A9SKJ 60-69 years, male 3.7
GTEX-1MJK2-0426-SM-DTXE5 50-59 years, male 3.6
GTEX-12WSA-0226-SM-5BC5V 60-69 years, male 3.5
GTEX-1HCU8-0626-SM-A9SM9 60-69 years, female 3.5
GTEX-1IKOH-0226-SM-COH4E 60-69 years, female 3.5
GTEX-147F4-0226-SM-5QGPW 50-59 years, male 3.4
GTEX-111FC-0126-SM-5N9DL 60-69 years, male 3.3
GTEX-T6MN-0126-SM-32PLP 50-59 years, male 3.3
GTEX-1399T-2826-SM-5KLYZ 60-69 years, male 3.1
GTEX-14E6E-1826-SM-5S2R7 30-39 years, male 3.1
GTEX-1IOXB-0126-SM-ARL8G 50-59 years, male 3.1
GTEX-145ME-1826-SM-5SI9G 40-49 years, female 3.0
GTEX-Y5V6-2426-SM-4VDSB 60-69 years, male 2.9
GTEX-1HCU9-1526-SM-A9SL7 20-29 years, male 2.8
GTEX-1AMFI-2026-SM-731BH 50-59 years, female 2.7
GTEX-13JUV-2726-SM-5LZZ8 40-49 years, female 2.5
GTEX-1KAFJ-2026-SM-CY8ID 50-59 years, male 2.4
GTEX-1212Z-2526-SM-5EGKP 60-69 years, male 2.2
GTEX-145LU-0126-SM-5TDCB 50-59 years, male 2.2
GTEX-1GF9U-2126-SM-7SB7L 40-49 years, female 2.2
GTEX-144GL-0126-SM-5TDE2 50-59 years, male 2.0
GTEX-17JCI-0126-SM-7LG5G 60-69 years, female 2.0
GTEX-S7SE-0126-SM-2XCD5 50-59 years, male 2.0
GTEX-ZWKS-0126-SM-5SIAA 30-39 years, male 2.0
GTEX-1GF9V-0326-SM-7RHI5 60-69 years, male 2.0
GTEX-YJ89-0126-SM-4TT3X 60-69 years, male 1.9
GTEX-1I1GQ-0126-SM-COH3H 50-59 years, male 1.9
GTEX-1C64N-0126-SM-793D7 50-59 years, male 1.7
GTEX-S32W-2126-SM-2XCB1 50-59 years, female 1.7
GTEX-1H4P4-0726-SM-9YFLR 50-59 years, male 1.7
GTEX-145MF-0626-SM-5LUAI 50-59 years, male 1.6
GTEX-1CB4F-0426-SM-9KNV4 60-69 years, male 1.5
GTEX-14A5H-0426-SM-5QGQF 60-69 years, male 1.4
GTEX-1CAMQ-0226-SM-7IGPK 40-49 years, male 1.3
GTEX-1KANA-0726-SM-D3L9I 20-29 years, male 1.3
GTEX-13OVH-0126-SM-5MR4B 70-79 years, male 1.2
GTEX-12126-0326-SM-5PNW3 20-29 years, male 1.1
GTEX-1IDJH-0326-SM-A9SLQ 70-79 years, male 1.1
GTEX-1KWVE-1426-SM-E9TJO 30-39 years, male 1.1
GTEX-13OW8-1326-SM-5J1OW 60-69 years, male 1.0
GTEX-13NYB-2526-SM-5K7Z6 40-49 years, male 0.9
GTEX-1HT8W-0126-SM-CNPPP 30-39 years, male 0.8
GTEX-1IL2V-0126-SM-CM2TX 70-79 years, male 0.8
GTEX-1JMQL-0226-SM-CNPP5 50-59 years, female 0.8
GTEX-13O3Q-2426-SM-5IJBR 50-59 years, male 0.6
GTEX-1R9PM-2026-SM-E76OY 20-29 years, male 0.6
GTEX-1JJEA-0326-SM-CNPOT 60-69 years, male 0.5
GTEX-1L5NE-2526-SM-E6CIE 50-59 years, male 0.4
GTEX-1PIIG-0226-SM-EWRN6 30-39 years, male 0.4
GTEX-12WSE-0526-SM-793B2 20-29 years, male 0.3
GTEX-1IKJJ-0126-SM-CNPQB 60-69 years, male 0.3
Show allShow less

Contact

  • NEWS ARTICLES
  • PRESS ROOM

The Project

  • INTRODUCTION
  • ORGANIZATION
  • PUBLICATIONS

The Human Protein Atlas

  • DOWNLOADABLE DATA
  • LICENCE & CITATION
  • HELP & FAQ
The Human Protein Atlas project is funded
by the Knut & Alice Wallenberg Foundation.


contact@proteinatlas.org