We use cookies to enhance the usability of our website. If you continue, we'll assume that you are happy to receive all cookies. More information. Don't show this again.
FOXJ1
HPA
RESOURCES
  • TISSUE
  • BRAIN
  • SINGLE CELL
  • SUBCELLULAR
  • CANCER
  • BLOOD
  • CELL LINE
  • STRUCTURE & INTERACTION
ABOUT
  • INTRODUCTION
  • HISTORY
  • ORGANIZATION
  • PUBLICATIONS
  • ANTIBODY SUBMISSION
  • ANTIBODY AVAILABILITY
  • ACKNOWLEDGMENTS
  • CONTACT
NEWS
  • NEWS ARTICLES
  • PRESS ROOM
LEARN
  • DICTIONARY
  • PROTEIN CLASSES
  • PROTEIN EVIDENCE
  • METHODS
  • EDUCATIONAL VIDEOS
DATA
  • DOWNLOADABLE DATA
  • PUBLICATION DATA
  • RELEASE HISTORY
HELP
  • ANTIBODY VALIDATION
  • ASSAYS & ANNOTATION
  • DISCLAIMER
  • HELP & FAQ
  • PRIVACY STATEMENT
  • LICENCE & CITATION
Fields »
Search result

Field
Term
Gene name
Class
Subclass
Class
Keyword
Chromosome
External id
Tissue
Cell type
Expression
Antibody panel
Tissue
Main location
Patient ID
Annotation
Tissue
Category
Tau score
Cluster
Reliability
Brain region
Category
Tau score
Brain region
Category
Tau score
Brain region
Category
Tau score
Cluster
Reliability
Tissue
Cell type
Enrichment
Cell type
Category
Tau score
Cell type
Category
Tau score
Cell type
Category
Tau score
Cell lineage
Category
Tau score
Cluster
Cluster
Location
Searches
Location
Cell line
Class
Type
Phase
Reliability
Cancer
Prognosis
Cancer
Category
Cancer
Category
Tau score
Cluster
Variants
Interacting gene (ensg_id)
Type
Number of interactions
Pathway
Category
Score
Score
Score
Validation
Validation
Validation
Validation
Antibodies
Data type
Column


  • SUMMARY

  • TISSUE

  • BRAIN

  • SINGLE CELL

  • SUBCELL

  • CANCER

  • BLOOD

  • CELL LINE

  • STRUCT & INT

  • FOXJ1
TISSUE PRIMARY DATA PANCREAS Show tissue menu
ADIPOSE TISSUE ADRENAL GLAND AMYGDALA APPENDIX BASAL GANGLIA BONE MARROW BREAST BRONCHUS CEREBELLUM CEREBRAL CORTEX CERVIX CHOROID PLEXUS COLON DUODENUM
ENDOMETRIUM EPIDIDYMIS ESOPHAGUS FALLOPIAN TUBE GALLBLADDER HEART MUSCLE HIPPOCAMPAL FORMATION HYPOTHALAMUS KIDNEY LIVER LUNG LYMPH NODE MIDBRAIN NASOPHARYNX
OVARY PANCREAS PARATHYROID GLAND PITUITARY GLAND PLACENTA PROSTATE RECTUM RETINA SALIVARY GLAND SEMINAL VESICLE SKELETAL MUSCLE SKIN SMALL INTESTINE SMOOTH MUSCLE
SOFT TISSUE SPINAL CORD SPLEEN STOMACH TESTIS THYMUS THYROID GLAND TONGUE TONSIL URINARY BLADDER VAGINA
ANTIBODIES
AND
VALIDATION
Dictionary
Pancreas
Tissue proteome
Pancreas
PANCREAS - Expression summary
Protein expression
Pancreasi

On the top, protein expression in current human tissue, based on all annotated cell types, is reported with the units not detected (n), low (l), medium (m) and high (h). Underneath, protein expression in each annotated cell type are reported using the same units.

Protein expression data is based on knowledge-based annotation. For genes where more than one antibody has been used, a collective score is set.

If knowledge-based annotation could not be performed for a gene, no data is displayed here. View antibody staining data further down this page.

h
m
l
n
Exocrine glandular cells: Not detected
Pancreatic endocrine cells: Not detected
RNA expressioni

A summary of mRNA expression data available for current tissue based on several datasets. The mRNA expression levels in human tissues are based on RNA-seq data generated by the Human Protein Atlas (HPA), Genotype-Tissue Expression (GTEx) portal and CAGE data generated by the FANTOM5 consortium. Consensus normalized expression levels for human tissues was created by combining the data from HPA and GTEx datasets.

The mRNA expression levels in pig are based on RNA-seq data generated by the Human Protein Atlas (HPA), and for mouse, HPA data and in situ hybridization generated by the Allen brain atlas are reported.

Scroll down to view mRNA expression data in more detail.
Consensus:0.9 nTPM
HPA:0.9 nTPM
GTEx:0.5 nTPM
FANTOM5:0.0 Scaled Tags Per Million

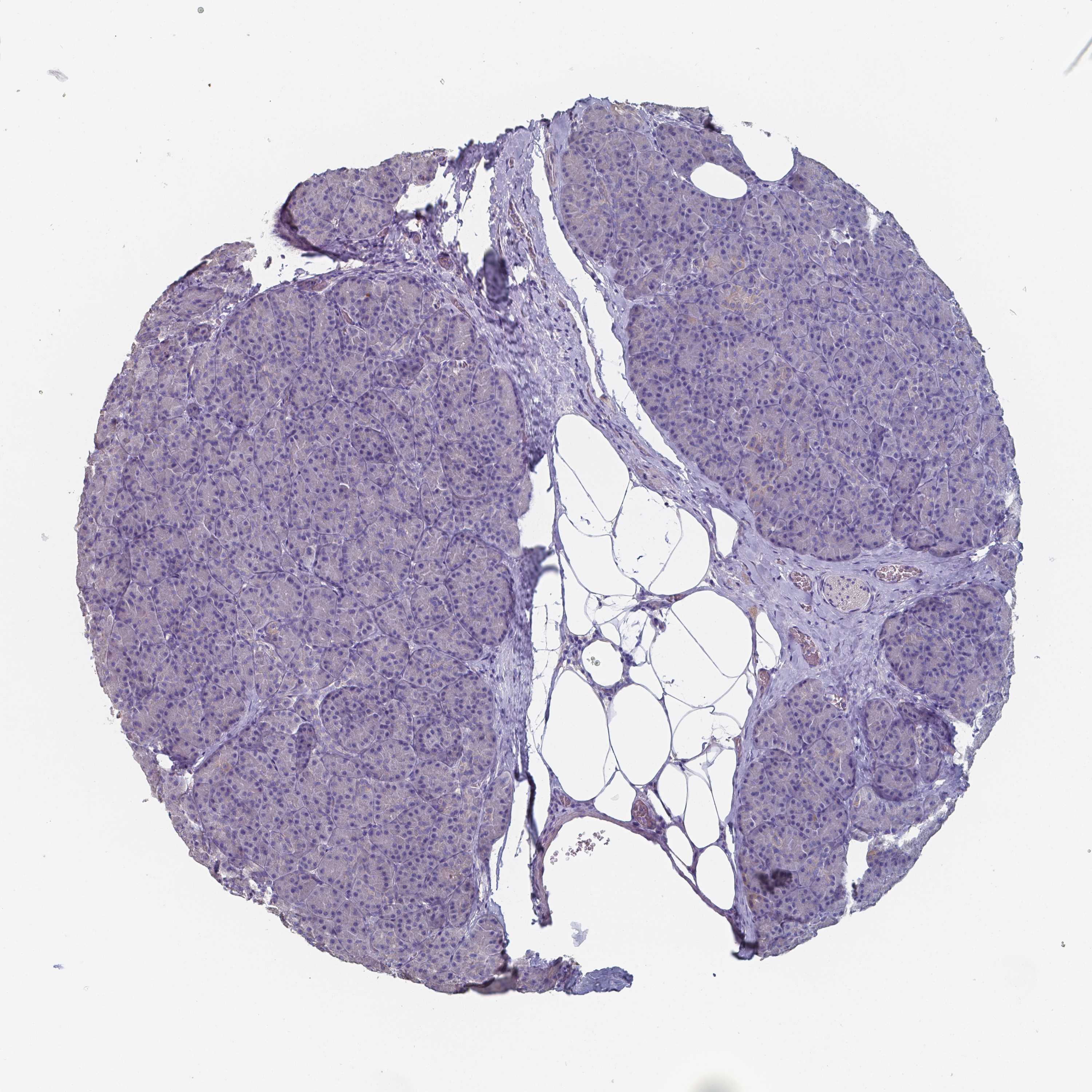
PANCREAS - Antibody stainingi

Antibody staining in the annotated cell types in the current human tissue is reported as not detected, low, medium, or high, based on conventional immunohistochemistry profiling in selected tissues. This score is based on the combination of the staining intensity and fraction of stained cells.

Each image is clickable and will lead to virtual microscopy that enables deeper exploration of all samples and also displays staining intensity scores, fraction scores and subcellular localization as well as patient and tissue information for each sample.

Antibody HPA005714
Exocrine glandular cells Not detected
Pancreatic endocrine cells Not detected



PANCREAS - HPA RNA-seqi

The RNA-seq details section shows detailed information about the individual samples used for the transcript profiling and results of the RNA-seq analysis.

Information about each individual sample is listed below, including gender, age, a tissue section image and estimated fractions of cell types. nTPM (normalized transcripts per million) values give a quantification of the gene abundance which is comparable between different genes and samples.
Average nTPMi

Max subtype nTPM is the value for the subtype with the largest average nTPM across the subtype samples.

0.9
overview
Female, age 59
Pancreas sample 194
nTPM: 1.1
Cell types%
Exocrine glandular cells:
75

Pancreatic endocrine cells:
10

Ductal cells:
5

Other cell types:
10

overview
Male, age 60
Pancreas sample 195
nTPM: 0.7
Cell types%
Exocrine glandular cells:
90

Pancreatic endocrine cells:
5

Ductal cells:
5


PANCREAS - GTEx RNA-seqi

RNA-Seq data generated by the Genotype-Tissue Expression (GTEx) project from human tissues is reported as mean nTPM. More information can be found on the GTEx portal.

Distribution across the dataset is visualized with box plots, shown as median and 25th and 75th percentiles. Points are displayed as outliers if they are above or below 1.5 times the interquartile range. nTPM values of the individual samples are presented next to the box plot.
Max subtype nTPMi

Max subtype nTPM is the value for the subtype with the largest average nTPM across the subtype samples.

0.5
GTEx sample id Sample description nTPM
Pancreas
Average nTPM: 0.5
Samples: 328

Max nTPM: 2.4
Min nTPM: 0.0
Std nTPM: 0.3
Median nTPM: 0.5
GTEX-XYKS-1226-SM-4BRVI 60-69 years, female 2.4
GTEX-ZZPU-0726-SM-5N9C8 50-59 years, female 1.9
GTEX-145ME-0326-SM-5S2QO 40-49 years, female 1.7
GTEX-14ICL-1126-SM-5S2RE 30-39 years, male 1.7
GTEX-ZF3C-2026-SM-4WWB5 50-59 years, female 1.7
GTEX-1GZ4H-0626-SM-9OSXJ 50-59 years, female 1.7
GTEX-13FTX-1226-SM-5IFGN 20-29 years, female 1.6
GTEX-1CB4G-1826-SM-7MKGO 60-69 years, male 1.5
GTEX-1PWST-1526-SM-EXOIT 70-79 years, male 1.5
GTEX-14DAR-0526-SM-664MX 50-59 years, male 1.4
GTEX-1GN1W-1126-SM-9OSW3 50-59 years, female 1.4
GTEX-WXYG-0826-SM-4ONC7 50-59 years, female 1.3
GTEX-Y114-0826-SM-4TT77 50-59 years, female 1.3
GTEX-ZPIC-0926-SM-4WWFK 40-49 years, female 1.3
GTEX-WQUQ-2126-SM-4OOSO 60-69 years, male 1.2
GTEX-1KANA-1526-SM-CXZKG 20-29 years, male 1.2
GTEX-11I78-0626-SM-5A5LZ 50-59 years, female 1.1
GTEX-13N11-0226-SM-5KM3C 50-59 years, female 1.1
GTEX-13YAN-2126-SM-5Q5C4 60-69 years, male 1.1
GTEX-Q2AH-0926-SM-48TZK 40-49 years, male 1.1
GTEX-T5JW-0226-SM-4DM7I 20-29 years, female 1.1
GTEX-Y9LG-0726-SM-4VDS3 30-39 years, male 1.1
GTEX-ZPCL-0726-SM-DO91S 60-69 years, female 1.1
GTEX-1C6VQ-1726-SM-7IGLQ 50-59 years, male 1.0
GTEX-OHPM-1026-SM-3LK74 50-59 years, male 1.0
GTEX-PLZ6-0726-SM-3P619 30-39 years, male 1.0
GTEX-SNOS-0926-SM-4DM7A 40-49 years, male 1.0
GTEX-X4LF-0326-SM-4QAS9 50-59 years, male 1.0
GTEX-XBED-0226-SM-47JY8 60-69 years, male 1.0
GTEX-1HSGN-1426-SM-A8NAA 40-49 years, female 1.0
GTEX-1LG7Z-0326-SM-DHXK3 30-39 years, male 1.0
GTEX-1LSNM-0726-SM-DHXL1 50-59 years, male 1.0
GTEX-QLQ7-0626-SM-CE6QX 60-69 years, male 1.0
GTEX-12WSL-0426-SM-5GCNX 50-59 years, male 0.9
GTEX-13OVI-0526-SM-5IFFQ 60-69 years, female 0.9
GTEX-13PVR-0726-SM-5S2PX 60-69 years, female 0.9
GTEX-18D9U-1626-SM-7KFTW 40-49 years, male 0.9
GTEX-1B933-1726-SM-731FC 50-59 years, female 0.9
GTEX-1C2JI-0926-SM-731F1 50-59 years, male 0.9
GTEX-TKQ2-0426-SM-4DXUO 50-59 years, male 0.9
GTEX-WYJK-2426-SM-4ONDQ 50-59 years, male 0.9
GTEX-Y8LW-1026-SM-5IFJY 50-59 years, female 0.9
GTEX-ZDYS-2526-SM-4WKGU 50-59 years, male 0.9
GTEX-ZF29-1126-SM-4WKGO 60-69 years, female 0.9
GTEX-ZLWG-0326-SM-4WWC7 50-59 years, female 0.9
GTEX-1K2DU-1026-SM-DHXKC 20-29 years, male 0.9
GTEX-1LVAN-1226-SM-CNNQY 50-59 years, female 0.9
GTEX-1QW4Y-0926-SM-DPRY2 30-39 years, male 0.9
GTEX-1R7EV-1126-SM-DPRXU 40-49 years, male 0.9
GTEX-OIZI-1526-SM-E6CHI 40-49 years, male 0.9
GTEX-144GN-0826-SM-5LU5G 50-59 years, male 0.8
GTEX-146FQ-1526-SM-5Q5CX 30-39 years, male 0.8
GTEX-14PKU-0626-SM-6EU1Q 40-49 years, female 0.8
GTEX-15EU6-1126-SM-68721 50-59 years, male 0.8
GTEX-1AYD5-0326-SM-7EWEO 50-59 years, male 0.8
GTEX-1CAMS-1926-SM-7DUEU 40-49 years, female 0.8
GTEX-NFK9-1626-SM-3LK5J 40-49 years, male 0.8
GTEX-OOBK-1026-SM-48TC2 40-49 years, male 0.8
GTEX-T8EM-0826-SM-4DM76 40-49 years, male 0.8
GTEX-WHWD-0726-SM-4OORX 50-59 years, male 0.8
GTEX-YF7O-1326-SM-4W1ZR 50-59 years, male 0.8
GTEX-ZLFU-0726-SM-57WF6 40-49 years, male 0.8
GTEX-ZYT6-1326-SM-5E453 30-39 years, male 0.8
GTEX-1GMR3-1226-SM-7MGY1 40-49 years, male 0.8
GTEX-1PFEY-1126-SM-DPRZ3 30-39 years, male 0.8
GTEX-1QPFJ-2226-SM-EXOJW 30-39 years, female 0.8
GTEX-1RAZQ-1426-SM-EV7B2 30-39 years, male 0.8
GTEX-1122O-0726-SM-5GIEV 60-69 years, female 0.7
GTEX-117YX-0226-SM-5EGH6 50-59 years, male 0.7
GTEX-13FH7-1426-SM-5IFIC 50-59 years, female 0.7
GTEX-13O1R-1826-SM-5KM3B 60-69 years, male 0.7
GTEX-14PHY-1126-SM-664OR 60-69 years, female 0.7
GTEX-14PJ4-0726-SM-6872E 60-69 years, male 0.7
GTEX-14PK6-1026-SM-664NZ 70-79 years, female 0.7
GTEX-14PN4-1626-SM-6AJB5 50-59 years, male 0.7
GTEX-18A66-2126-SM-7189D 60-69 years, male 0.7
GTEX-1AX9J-1726-SM-731FF 60-69 years, male 0.7
GTEX-1AYCT-1226-SM-7EPGH 50-59 years, male 0.7
GTEX-1B996-1326-SM-731EO 60-69 years, male 0.7
GTEX-NPJ8-2126-SM-3MJGK 40-49 years, male 0.7
GTEX-OOBJ-1026-SM-3NB2L 60-69 years, male 0.7
GTEX-PSDG-1526-SM-48TCY 50-59 years, male 0.7
GTEX-RWS6-1126-SM-47JXC 60-69 years, female 0.7
GTEX-S95S-0726-SM-4B64H 60-69 years, male 0.7
GTEX-SE5C-0326-SM-4BRWX 40-49 years, female 0.7
GTEX-V1D1-0726-SM-4JBH7 50-59 years, male 0.7
GTEX-XXEK-1726-SM-4BRVB 50-59 years, male 0.7
GTEX-YB5E-0526-SM-4VDSD 40-49 years, male 0.7
GTEX-1CAMR-1126-SM-7MGXF 20-29 years, male 0.7
GTEX-1HSMO-2026-SM-CNNQO 60-69 years, male 0.7
GTEX-1JKYN-0426-SM-CGQG2 30-39 years, male 0.7
GTEX-1QP29-1926-SM-DPRZO 50-59 years, male 0.7
GTEX-1QP2A-1326-SM-EAZ3K 50-59 years, male 0.7
GTEX-1S82P-1026-SM-EAZ4W 60-69 years, female 0.7
GTEX-111YS-1226-SM-5EGGJ 60-69 years, male 0.6
GTEX-12BJ1-1126-SM-5EGGG 60-69 years, male 0.6
GTEX-12WSN-0826-SM-5GCOF 40-49 years, male 0.6
GTEX-1399R-0426-SM-5IJE3 30-39 years, male 0.6
GTEX-13D11-2226-SM-5IFEO 50-59 years, female 0.6
GTEX-13X6H-0626-SM-5LU53 50-59 years, female 0.6
GTEX-14BMU-0726-SM-73KXS 20-29 years, female 0.6
GTEX-14PJN-1526-SM-6AJBP 30-39 years, male 0.6
GTEX-14PJO-1826-SM-69LPR 60-69 years, male 0.6
GTEX-14PN3-0126-SM-6AJAU 60-69 years, female 0.6
GTEX-15FZZ-0626-SM-7KFTO 30-39 years, female 0.6
GTEX-15RIF-0626-SM-6LLI3 20-29 years, male 0.6
GTEX-15SDE-0826-SM-6M463 50-59 years, female 0.6
GTEX-15SHV-1526-SM-6LLIB 60-69 years, male 0.6
GTEX-17F9E-1426-SM-793BG 50-59 years, male 0.6
GTEX-1AMFI-0726-SM-731D9 50-59 years, female 0.6
GTEX-1B8KE-0726-SM-72D7G 50-59 years, male 0.6
GTEX-P4PQ-1026-SM-3NMCN 60-69 years, male 0.6
GTEX-QDVJ-1226-SM-48U1V 50-59 years, male 0.6
GTEX-QESD-0226-SM-447BH 20-29 years, male 0.6
GTEX-QLQW-0326-SM-447A8 30-39 years, male 0.6
GTEX-WFJO-0626-SM-4LVMC 30-39 years, male 0.6
GTEX-WH7G-0826-SM-4LVMR 40-49 years, male 0.6
GTEX-X15G-0726-SM-4PQZ5 50-59 years, female 0.6
GTEX-XBEW-1626-SM-4SOJP 40-49 years, male 0.6
GTEX-XPVG-0326-SM-4B653 50-59 years, male 0.6
GTEX-ZVZP-0626-SM-59HL5 50-59 years, male 0.6
GTEX-ZYFG-0826-SM-5BC5T 60-69 years, female 0.6
GTEX-1H11D-0926-SM-9OSXO 40-49 years, male 0.6
GTEX-1IDJD-0126-SM-C1YQZ 30-39 years, male 0.6
GTEX-1JMPZ-1026-SM-CXZJS 30-39 years, male 0.6
GTEX-1LGRB-0426-SM-CNNRD 50-59 years, female 0.6
GTEX-1PPH8-2326-SM-EAZ48 20-29 years, male 0.6
GTEX-1RAZA-1626-SM-EV79I 20-29 years, male 0.6
GTEX-QMRM-0326-SM-CKZNB 50-59 years, male 0.6
GTEX-1211K-1126-SM-5EGGB 60-69 years, female 0.5
GTEX-12WSK-0226-SM-5BC62 40-49 years, female 0.5
GTEX-13PL7-2226-SM-5L3IC 60-69 years, female 0.5
GTEX-13VXT-1226-SM-5LU3M 20-29 years, female 0.5
GTEX-14PHX-2026-SM-6872C 50-59 years, male 0.5
GTEX-14PJ2-1526-SM-686Z4 50-59 years, male 0.5
GTEX-14PJ6-0926-SM-686ZA 60-69 years, female 0.5
GTEX-14PKV-0926-SM-6AJB4 20-29 years, female 0.5
GTEX-15UF6-1826-SM-6LLI9 70-79 years, female 0.5
GTEX-15UF7-0826-SM-6M46E 40-49 years, male 0.5
GTEX-178AV-0226-SM-793B7 40-49 years, male 0.5
GTEX-1B97J-1526-SM-79ONI 50-59 years, female 0.5
GTEX-OHPL-1026-SM-3MJGI 60-69 years, female 0.5
GTEX-PW2O-0826-SM-48TC5 20-29 years, male 0.5
GTEX-R55D-1426-SM-48FEN 50-59 years, male 0.5
GTEX-S32W-0826-SM-4AD5Z 50-59 years, female 0.5
GTEX-UJMC-1126-SM-3GADP 50-59 years, male 0.5
GTEX-WI4N-1826-SM-4OOSF 40-49 years, female 0.5
GTEX-X3Y1-0726-SM-3P5YU 40-49 years, male 0.5
GTEX-XMK1-0326-SM-4B652 40-49 years, male 0.5
GTEX-Y8E4-1326-SM-5IFIY 40-49 years, male 0.5
GTEX-ZC5H-0826-SM-5N9FH 40-49 years, female 0.5
GTEX-ZDTT-1126-SM-4WKFW 60-69 years, male 0.5
GTEX-ZVT2-2026-SM-5NQ8Q 50-59 years, female 0.5
GTEX-1A8FM-1826-SM-7MGXO 50-59 years, female 0.5
GTEX-1GF9X-1126-SM-7MKHC 40-49 years, female 0.5
GTEX-1I1GT-0926-SM-AHZ2G 60-69 years, female 0.5
GTEX-1IDJU-0326-SM-CGQEE 60-69 years, female 0.5
GTEX-1IL2U-2326-SM-CNNQV 60-69 years, male 0.5
GTEX-1K9T9-1726-SM-CXZK1 50-59 years, female 0.5
GTEX-1M5QR-0926-SM-DHXK8 40-49 years, male 0.5
GTEX-1MUQO-1426-SM-DPRYJ 60-69 years, male 0.5
GTEX-1N2DV-1726-SM-DPRYR 40-49 years, male 0.5
GTEX-1N2EF-2126-SM-DPRYL 60-69 years, male 0.5
GTEX-1O97I-1726-SM-EXOIP 60-69 years, male 0.5
GTEX-1S83E-1426-SM-EV7B8 40-49 years, male 0.5
GTEX-11GSP-0426-SM-5A5KX 60-69 years, female 0.4
GTEX-11LCK-0226-SM-5A5M6 30-39 years, male 0.4
GTEX-11NSD-0526-SM-5A5LT 20-29 years, male 0.4
GTEX-11XUK-0626-SM-5N9ES 40-49 years, female 0.4
GTEX-132AR-1826-SM-5EGHR 50-59 years, female 0.4
GTEX-13CF3-1026-SM-5LZWY 60-69 years, female 0.4
GTEX-146FR-0126-SM-5Q5F3 60-69 years, female 0.4
GTEX-1497J-0426-SM-5Q5CO 60-69 years, male 0.4
GTEX-14E6E-1426-SM-5RQI2 30-39 years, male 0.4
GTEX-14PJM-2126-SM-6AJAS 50-59 years, female 0.4
GTEX-16MT8-1726-SM-7EWE7 60-69 years, female 0.4
GTEX-18A67-1726-SM-7KFT9 50-59 years, male 0.4
GTEX-1C64O-1426-SM-7EWER 60-69 years, male 0.4
GTEX-1CB4F-1226-SM-7DHKU 60-69 years, male 0.4
GTEX-1F5PL-0726-SM-7MKH8 40-49 years, female 0.4
GTEX-N7MT-1626-SM-3LK71 60-69 years, female 0.4
GTEX-O5YT-1026-SM-3MJGF 20-29 years, male 0.4
GTEX-PX3G-1026-SM-48TZW 20-29 years, female 0.4
GTEX-Q734-0426-SM-48TZX 40-49 years, female 0.4
GTEX-QCQG-0426-SM-48U29 50-59 years, female 0.4
GTEX-QDVN-0926-SM-2I5GL 50-59 years, male 0.4
GTEX-S33H-1226-SM-4AD69 30-39 years, male 0.4
GTEX-S4P3-0626-SM-4AD59 50-59 years, female 0.4
GTEX-TML8-0526-SM-32QOQ 40-49 years, female 0.4
GTEX-TMMY-1326-SM-4DXU9 40-49 years, female 0.4
GTEX-U4B1-0726-SM-4DXUA 40-49 years, male 0.4
GTEX-VJYA-0826-SM-4KL1M 60-69 years, male 0.4
GTEX-W5WG-0826-SM-4RGNE 50-59 years, female 0.4
GTEX-WFG8-0326-SM-4LVN4 20-29 years, male 0.4
GTEX-WFON-0626-SM-4LVLX 40-49 years, male 0.4
GTEX-WHSB-0726-SM-4M1XQ 50-59 years, male 0.4
GTEX-WRHK-0226-SM-4MVOH 20-29 years, female 0.4
GTEX-X5EB-0526-SM-46MVP 40-49 years, male 0.4
GTEX-Y3IK-0426-SM-4WWE2 50-59 years, female 0.4
GTEX-Y5LM-0526-SM-4V6G3 40-49 years, female 0.4
GTEX-YFCO-1026-SM-5LU9S 40-49 years, male 0.4
GTEX-ZAB5-0826-SM-5P9FU 50-59 years, male 0.4
GTEX-ZG7Y-0326-SM-4WWEY 50-59 years, male 0.4
GTEX-ZV7C-0726-SM-59HKH 50-59 years, male 0.4
GTEX-ZYW4-2126-SM-59HJ9 60-69 years, male 0.4
GTEX-1CAMQ-1626-SM-7MGXG 40-49 years, male 0.4
GTEX-1H23P-2026-SM-9OSXY 60-69 years, male 0.4
GTEX-1JK1U-1026-SM-AHZ44 60-69 years, male 0.4
GTEX-1JKYR-1026-SM-CGQGI 20-29 years, male 0.4
GTEX-1KXAM-0226-SM-EV7AP 60-69 years, male 0.4
GTEX-1MGNQ-1226-SM-EV7BM 40-49 years, male 0.4
GTEX-1NSGN-1726-SM-EXOJG 50-59 years, male 0.4
GTEX-1PBJI-2126-SM-DPRYG 20-29 years, female 0.4
GTEX-1QAET-1326-SM-E9U64 50-59 years, male 0.4
GTEX-1R46S-1426-SM-EXOJD 60-69 years, female 0.4
GTEX-1R7EU-0726-SM-DPRZM 60-69 years, male 0.4
GTEX-1R9K5-1226-SM-E6CPQ 50-59 years, male 0.4
GTEX-1S831-0626-SM-EV79N 20-29 years, male 0.4
GTEX-111CU-0526-SM-5EGHK 50-59 years, male 0.3
GTEX-11TT1-0326-SM-5LUAY 20-29 years, male 0.3
GTEX-11VI4-0426-SM-5EGHZ 40-49 years, female 0.3
GTEX-132QS-0926-SM-5P9GB 60-69 years, male 0.3
GTEX-139YR-1526-SM-5IFJ1 50-59 years, male 0.3
GTEX-13SLX-1326-SM-5S2QS 50-59 years, female 0.3
GTEX-13U4I-1526-SM-5IFFF 40-49 years, female 0.3
GTEX-13W3W-1026-SM-5IFG4 60-69 years, female 0.3
GTEX-144GM-0726-SM-79OJQ 20-29 years, male 0.3
GTEX-148VI-0826-SM-5TDDI 60-69 years, female 0.3
GTEX-14C39-1026-SM-73KWG 40-49 years, male 0.3
GTEX-14PJ3-0426-SM-6LLHF 50-59 years, male 0.3
GTEX-15SB6-0226-SM-6LLIA 50-59 years, female 0.3
GTEX-17HGU-2026-SM-79OKS 50-59 years, male 0.3
GTEX-17KNJ-1926-SM-7KFRV 50-59 years, male 0.3
GTEX-17MF6-1426-SM-7IGOX 40-49 years, male 0.3
GTEX-18A6Q-1726-SM-7LT9A 60-69 years, male 0.3
GTEX-1A3MW-1926-SM-7IGM8 60-69 years, female 0.3
GTEX-1CB4I-1326-SM-79OLY 50-59 years, male 0.3
GTEX-P4PP-1026-SM-3NM9O 30-39 years, female 0.3
GTEX-P4QS-1026-SM-3NMCW 60-69 years, male 0.3
GTEX-QV44-0426-SM-4R1KF 50-59 years, male 0.3
GTEX-RM2N-0326-SM-48FD8 50-59 years, male 0.3
GTEX-S3XE-0526-SM-4AD4G 50-59 years, male 0.3
GTEX-SUCS-1426-SM-4DM5W 70-79 years, male 0.3
GTEX-U8XE-2026-SM-3DB8S 30-39 years, male 0.3
GTEX-V955-0326-SM-4JBGV 60-69 years, male 0.3
GTEX-WHPG-0326-SM-4M1XV 50-59 years, male 0.3
GTEX-WYVS-0926-SM-4SOJV 40-49 years, female 0.3
GTEX-XQ8I-1926-SM-4BOOK 50-59 years, male 0.3
GTEX-XUW1-1726-SM-4BOOZ 50-59 years, female 0.3
GTEX-XV7Q-0926-SM-4BRVQ 40-49 years, female 0.3
GTEX-YB5K-1826-SM-5IFJC 40-49 years, female 0.3
GTEX-ZYY3-0826-SM-5E44R 60-69 years, female 0.3
GTEX-16Z82-1726-SM-7MGX3 60-69 years, male 0.3
GTEX-1GL5R-0926-SM-9JGFO 50-59 years, male 0.3
GTEX-1GN1U-1126-SM-9WPPZ 50-59 years, female 0.3
GTEX-1H1E6-0826-SM-9WG83 30-39 years, male 0.3
GTEX-1HKZK-1126-SM-9WG82 40-49 years, male 0.3
GTEX-1I1GQ-2226-SM-B2LX1 50-59 years, male 0.3
GTEX-1I4MK-1026-SM-AHZ2H 50-59 years, female 0.3
GTEX-1IDJC-0526-SM-AHZ2Q 50-59 years, male 0.3
GTEX-1J8Q3-0626-SM-AHZ3V 60-69 years, male 0.3
GTEX-1K2DA-0326-SM-CGQGX 50-59 years, male 0.3
GTEX-1L5NE-0826-SM-DHXKU 50-59 years, male 0.3
GTEX-1OFPY-0626-SM-EXOJ4 60-69 years, male 0.3
GTEX-1OKEX-1726-SM-E9U4F 60-69 years, male 0.3
GTEX-1QP28-1026-SM-EAZ4K 50-59 years, female 0.3
GTEX-OIZF-1026-SM-2HML5 60-69 years, male 0.3
GTEX-11P7K-0526-SM-5BC5I 30-39 years, male 0.2
GTEX-131XF-1426-SM-5BC68 60-69 years, male 0.2
GTEX-131XG-1426-SM-5GCMO 50-59 years, female 0.2
GTEX-1399S-0326-SM-5IFFS 30-39 years, female 0.2
GTEX-1399U-0926-SM-5IFHA 50-59 years, female 0.2
GTEX-13FLV-0626-SM-5IFEY 50-59 years, male 0.2
GTEX-13FTW-0526-SM-5IFIP 40-49 years, male 0.2
GTEX-13O61-2126-SM-5IJEO 60-69 years, male 0.2
GTEX-144FL-1526-SM-5Q5CA 50-59 years, male 0.2
GTEX-145MO-2126-SM-5Q5CZ 60-69 years, male 0.2
GTEX-14AS3-0326-SM-5Q5DB 40-49 years, female 0.2
GTEX-14JG6-0426-SM-68715 30-39 years, female 0.2
GTEX-15DYW-1626-SM-6LLI1 60-69 years, female 0.2
GTEX-15ER7-1326-SM-6LPK9 20-29 years, female 0.2
GTEX-17F98-0426-SM-79ONZ 40-49 years, female 0.2
GTEX-17HHE-0526-SM-7DUGR 50-59 years, male 0.2
GTEX-1AX8Z-1726-SM-731DE 60-69 years, male 0.2
GTEX-1B932-1626-SM-731EA 40-49 years, female 0.2
GTEX-1C4CL-0926-SM-79OL2 30-39 years, male 0.2
GTEX-Q2AI-0426-SM-48U13 40-49 years, male 0.2
GTEX-QEL4-1326-SM-447AD 50-59 years, male 0.2
GTEX-QV31-0226-SM-447BO 30-39 years, male 0.2
GTEX-R53T-0426-SM-48FEM 50-59 years, female 0.2
GTEX-R55G-0326-SM-48FDM 40-49 years, female 0.2
GTEX-VUSG-0326-SM-3GIJ7 50-59 years, male 0.2
GTEX-WFG7-0426-SM-4LMK5 20-29 years, male 0.2
GTEX-WY7C-1026-SM-4OND3 50-59 years, male 0.2
GTEX-YEC4-1326-SM-5IFHG 40-49 years, male 0.2
GTEX-ZAB4-1726-SM-5HL8C 40-49 years, male 0.2
GTEX-ZP4G-0426-SM-4YCER 20-29 years, female 0.2
GTEX-ZTPG-1026-SM-5DUWP 20-29 years, female 0.2
GTEX-ZVP2-0726-SM-59HKY 50-59 years, male 0.2
GTEX-15CHR-2026-SM-7MXU2 50-59 years, male 0.2
GTEX-1H1DG-1426-SM-9OSXP 70-79 years, male 0.2
GTEX-1NUQO-0826-SM-DPS16 20-29 years, female 0.2
GTEX-YEC3-0626-SM-CMKFG 50-59 years, male 0.2
GTEX-11EQ9-1026-SM-5H134 30-39 years, male 0.1
GTEX-11ONC-0526-SM-5BC57 60-69 years, male 0.1
GTEX-12WSD-1626-SM-5GCNR 60-69 years, female 0.1
GTEX-12WSG-1026-SM-5EGII 50-59 years, female 0.1
GTEX-131XE-1926-SM-5IFER 50-59 years, male 0.1
GTEX-1339X-1026-SM-5IFH5 40-49 years, male 0.1
GTEX-145MN-1426-SM-5SI9H 30-39 years, male 0.1
GTEX-15RJ7-0826-SM-6LLI8 40-49 years, male 0.1
GTEX-15UKP-1326-SM-6LPI8 20-29 years, male 0.1
GTEX-18A7A-1726-SM-7LT93 50-59 years, female 0.1
GTEX-1AX9K-2026-SM-731D1 50-59 years, male 0.1
GTEX-1B8KZ-0926-SM-731D7 50-59 years, male 0.1
GTEX-UJHI-0626-SM-3DB8T 50-59 years, female 0.1
GTEX-Y3I4-0826-SM-4TT2A 50-59 years, male 0.1
GTEX-ZAK1-2326-SM-5CVMY 50-59 years, female 0.1
GTEX-ZEX8-1026-SM-4WKHE 50-59 years, male 0.1
GTEX-ZPU1-0226-SM-4WWC9 40-49 years, male 0.1
GTEX-ZT9W-0926-SM-57WFS 50-59 years, male 0.1
GTEX-1J8EW-1926-SM-CGQGR 60-69 years, female 0.1
GTEX-1QEPI-1626-SM-EAZ3I 60-69 years, female 0.1
GTEX-OXRK-1526-SM-E6CHJ 50-59 years, female 0.1
GTEX-1128S-0826-SM-5GZZI 60-69 years, female 0.0
GTEX-11DXX-0926-SM-5H112 60-69 years, female 0.0
GTEX-XGQ4-0226-SM-4GIDS 50-59 years, male 0.0
GTEX-1I1GU-0326-SM-AHZ2K 40-49 years, male 0.0
Show allShow less

PANCREAS - FANTOM5 CAGEi

RNA expression in human tissues obtained through Cap Analysis of Gene Expression (CAGE) generated by the FANTOM5 project are reported as Scaled Tags Per Million.

Max subtype Scaled Tags Per Millioni

Max subtype Scaled Tags Per Million is the value for the subtype with the largest average Scaled Tags Per Million across the subtype samples.

0
FANTOM5 sample id Sample description Scaled Tags Per Million
Pancreas
Scaled Tags Per Million: 0.0
FF:10049-101G4 52 years, male 0.0

Contact

  • NEWS ARTICLES
  • PRESS ROOM

The Project

  • INTRODUCTION
  • ORGANIZATION
  • PUBLICATIONS

The Human Protein Atlas

  • DOWNLOADABLE DATA
  • LICENCE & CITATION
  • HELP & FAQ
The Human Protein Atlas project is funded
by the Knut & Alice Wallenberg Foundation.


contact@proteinatlas.org