We use cookies to enhance the usability of our website. If you continue, we'll assume that you are happy to receive all cookies. More information. Don't show this again.
PGAP6
HPA
RESOURCES
  • TISSUE
  • BRAIN
  • SINGLE CELL
  • SUBCELLULAR
  • CANCER
  • BLOOD
  • CELL LINE
  • STRUCTURE & INTERACTION
ABOUT
  • INTRODUCTION
  • HISTORY
  • ORGANIZATION
  • PUBLICATIONS
  • ANTIBODY SUBMISSION
  • ANTIBODY AVAILABILITY
  • ACKNOWLEDGMENTS
  • CONTACT
NEWS
  • NEWS ARTICLES
  • PRESS ROOM
LEARN
  • DICTIONARY
  • PROTEIN CLASSES
  • PROTEIN EVIDENCE
  • METHODS
  • EDUCATIONAL VIDEOS
DATA
  • DOWNLOADABLE DATA
  • PUBLICATION DATA
  • RELEASE HISTORY
HELP
  • ANTIBODY VALIDATION
  • ASSAYS & ANNOTATION
  • DISCLAIMER
  • HELP & FAQ
  • PRIVACY STATEMENT
  • LICENCE & CITATION
Fields »
Search result

Field
Term
Gene name
Class
Subclass
Class
Keyword
Chromosome
External id
Tissue
Cell type
Expression
Antibody panel
Tissue
Main location
Patient ID
Annotation
Tissue
Category
Tau score
Cluster
Reliability
Brain region
Category
Tau score
Brain region
Category
Tau score
Brain region
Category
Tau score
Cluster
Reliability
Tissue
Cell type
Enrichment
Cell type
Category
Tau score
Cell type
Category
Tau score
Cell type
Category
Tau score
Cell lineage
Category
Tau score
Cluster
Cluster
Location
Searches
Location
Cell line
Class
Type
Phase
Reliability
Cancer
Prognosis
Cancer
Category
Cancer
Category
Tau score
Cluster
Variants
Interacting gene (ensg_id)
Type
Number of interactions
Pathway
Category
Score
Score
Score
Validation
Validation
Validation
Validation
Antibodies
Data type
Column


  • SUMMARY

  • TISSUE

  • BRAIN

  • SINGLE CELL

  • SUBCELL

  • CANCER

  • BLOOD

  • CELL LINE

  • STRUCT & INT

  • PGAP6
TISSUE PRIMARY DATA STOMACH Show tissue menu
ADIPOSE TISSUE ADRENAL GLAND AMYGDALA APPENDIX BASAL GANGLIA BONE MARROW BREAST BRONCHUS CEREBELLUM CEREBRAL CORTEX CERVIX CHOROID PLEXUS COLON DUODENUM
ENDOMETRIUM EPIDIDYMIS ESOPHAGUS FALLOPIAN TUBE GALLBLADDER HEART MUSCLE HIPPOCAMPAL FORMATION HYPOTHALAMUS KIDNEY LIVER LUNG LYMPH NODE MIDBRAIN NASOPHARYNX
ORAL MUCOSA OVARY PANCREAS PARATHYROID GLAND PITUITARY GLAND PLACENTA PROSTATE RECTUM RETINA SALIVARY GLAND SEMINAL VESICLE SKELETAL MUSCLE SKIN SMALL INTESTINE
SMOOTH MUSCLE SOFT TISSUE SPINAL CORD SPLEEN STOMACH TESTIS THYMUS THYROID GLAND TONGUE TONSIL URINARY BLADDER VAGINA
ANTIBODIES
AND
VALIDATION
Dictionary
Tissue proteome
Stomach
STOMACH - Expression summary
Protein expression
Stomachi

On the top, protein expression in current human tissue, based on all annotated cell types, is reported with the units not detected (n), low (l), medium (m) and high (h). Underneath, protein expression in each annotated cell type are reported using the same units.

Protein expression data is based on knowledge-based annotation. For genes where more than one antibody has been used, a collective score is set.

If knowledge-based annotation could not be performed for a gene, no data is displayed here. View antibody staining data further down this page.

h
m
l
n
Glandular cells: Medium
RNA expressioni

A summary of mRNA expression data available for current tissue based on several datasets. The mRNA expression levels in human tissues are based on RNA-seq data generated by the Human Protein Atlas (HPA), Genotype-Tissue Expression (GTEx) portal and CAGE data generated by the FANTOM5 consortium. Consensus normalized expression levels for human tissues was created by combining the data from HPA and GTEx datasets.

The mRNA expression levels in pig are based on RNA-seq data generated by the Human Protein Atlas (HPA), and for mouse, HPA data and in situ hybridization generated by the Allen brain atlas are reported.

Scroll down to view mRNA expression data in more detail.
Consensus:52.4 nTPM
HPA:30.6 nTPM
GTEx:52.4 nTPM

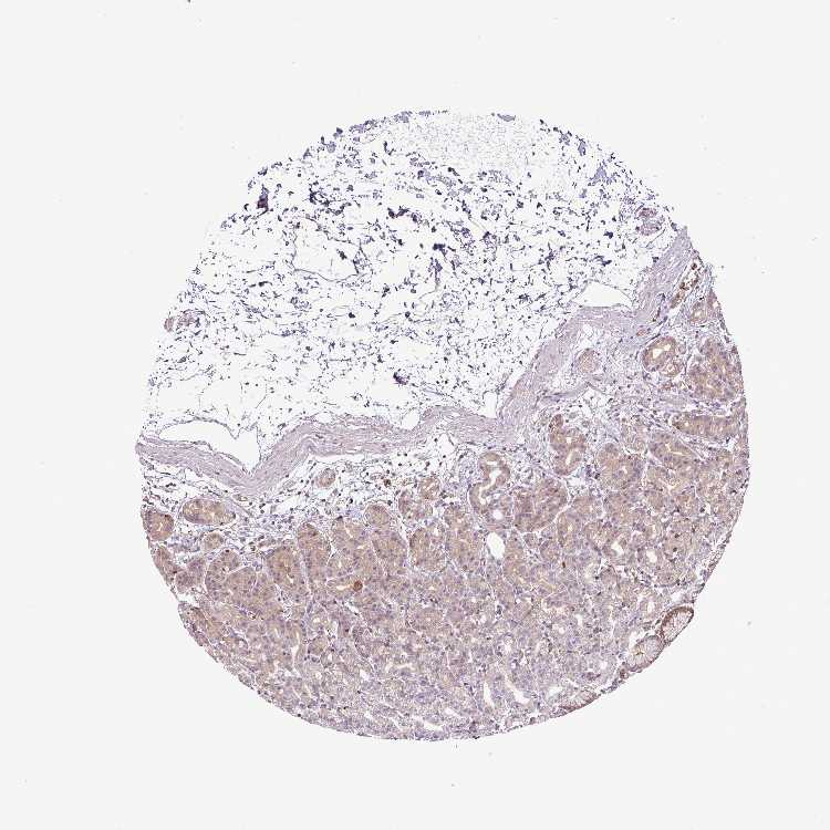
STOMACH 1 - Antibody stainingi

Antibody staining in the annotated cell types in the current human tissue is reported as not detected, low, medium, or high, based on conventional immunohistochemistry profiling in selected tissues. This score is based on the combination of the staining intensity and fraction of stained cells.

Each image is clickable and will lead to virtual microscopy that enables deeper exploration of all samples and also displays staining intensity scores, fraction scores and subcellular localization as well as patient and tissue information for each sample.

Antibody HPA051281
Glandular cells Low

STOMACH 2 - Antibody stainingi

Antibody staining in the annotated cell types in the current human tissue is reported as not detected, low, medium, or high, based on conventional immunohistochemistry profiling in selected tissues. This score is based on the combination of the staining intensity and fraction of stained cells.

Each image is clickable and will lead to virtual microscopy that enables deeper exploration of all samples and also displays staining intensity scores, fraction scores and subcellular localization as well as patient and tissue information for each sample.

Antibody HPA051281
Glandular cells Medium



STOMACH - HPA RNA-seqi

The RNA-seq details section shows detailed information about the individual samples used for the transcript profiling and results of the RNA-seq analysis.

Information about each individual sample is listed below, including gender, age, a tissue section image and estimated fractions of cell types. nTPM (normalized transcripts per million) values give a quantification of the gene abundance which is comparable between different genes and samples.
Average nTPMi

Max subtype nTPM is the value for the subtype with the largest average nTPM across the subtype samples.

30.6
overview
Female, age 33
Stomach sample 61
nTPM: 33.1
Cell types%
Glandular cells:
60

Smooth muscle cells:
5

Other cell types:
35

N/A
Male, age 82
Stomach sample 240
nTPM: 23.5
Cell types%
Glandular cells:
65

Smooth muscle cells:
5

Other cell types:
30

overview
Male, age 71
Stomach sample 241
nTPM: 48.7
Cell types%
Glandular cells:
50

Smooth muscle cells:
5

Other cell types:
45

overview
Female, age 66
Stomach sample 369
nTPM: 16.9
Cell types%
Glandular cells:
50

Smooth muscle cells:
10

Other cell types:
40


STOMACH - GTEx RNA-seqi

RNA-Seq data generated by the Genotype-Tissue Expression (GTEx) project from human tissues is reported as mean nTPM. More information can be found on the GTEx portal.

Distribution across the dataset is visualized with box plots, shown as median and 25th and 75th percentiles. Points are displayed as outliers if they are above or below 1.5 times the interquartile range. nTPM values of the individual samples are presented next to the box plot.
Max subtype nTPMi

Max subtype nTPM is the value for the subtype with the largest average nTPM across the subtype samples.

52.4
GTEx sample id Sample description nTPM
Stomach
Average nTPM: 52.4
Samples: 359

Max nTPM: 112.5
Min nTPM: 13.3
Std nTPM: 22.5
Median nTPM: 55.2
GTEX-T6MO-0726-SM-4DM58 40-49 years, female 112.5
GTEX-RWS6-0926-SM-47JXE 60-69 years, female 110.6
GTEX-13CF3-1926-SM-5K7WF 60-69 years, female 96.5
GTEX-ZZ64-0426-SM-5E43F 20-29 years, male 95.5
GTEX-1QP2A-2126-SM-DPRZ7 50-59 years, male 93.0
GTEX-1J8JJ-1726-SM-C1YQG 60-69 years, female 92.5
GTEX-1LVAN-2426-SM-CNNPZ 50-59 years, female 91.4
GTEX-1GF9U-1126-SM-AHZ4H 40-49 years, female 90.9
GTEX-ZT9W-1526-SM-4YCDE 50-59 years, male 90.3
GTEX-XXEK-0826-SM-4BRWG 50-59 years, male 89.9
GTEX-QLQW-0726-SM-447AA 30-39 years, male 89.8
GTEX-14PKV-1826-SM-69LO9 20-29 years, female 89.4
GTEX-Q2AI-0826-SM-48TZO 40-49 years, male 89.4
GTEX-17HII-2426-SM-7KFTT 50-59 years, male 88.5
GTEX-XUZC-0726-SM-4BOPH 30-39 years, female 88.0
GTEX-P4PP-1526-SM-3P61M 30-39 years, female 86.8
GTEX-Y8LW-0826-SM-4WWDO 50-59 years, female 86.8
GTEX-14PJ6-0826-SM-686Z9 60-69 years, female 86.0
GTEX-11GSP-2126-SM-5HL5E 60-69 years, female 85.8
GTEX-S3XE-1026-SM-4AD4O 50-59 years, male 85.6
GTEX-13O21-0926-SM-5IFGT 50-59 years, male 85.5
GTEX-1ICG6-1826-SM-AHZ2O 70-79 years, female 85.2
GTEX-PX3G-1526-SM-48U11 20-29 years, female 85.0
GTEX-13FTW-1726-SM-5KM2B 40-49 years, male 84.9
GTEX-14PJ4-1626-SM-664OB 60-69 years, male 84.5
GTEX-UJMC-1226-SM-4IHLI 50-59 years, male 84.4
GTEX-YEC4-1426-SM-5IFHS 40-49 years, male 84.4
GTEX-1399S-1626-SM-5P9GI 30-39 years, female 84.1
GTEX-ZAB4-1526-SM-5CVN7 40-49 years, male 83.9
GTEX-14PJ5-0826-SM-6AJAR 60-69 years, female 83.3
GTEX-1GL5R-1926-SM-9WG7U 50-59 years, male 83.1
GTEX-WFON-1126-SM-4LVMA 40-49 years, male 82.8
GTEX-144GM-1726-SM-5O9AS 20-29 years, male 82.0
GTEX-144GN-1226-SM-5O991 50-59 years, male 82.0
GTEX-T5JW-0926-SM-4DM5K 20-29 years, female 82.0
GTEX-YB5E-1126-SM-664NU 40-49 years, male 81.8
GTEX-ZVP2-1626-SM-5GU5D 50-59 years, male 81.7
GTEX-1B97I-1226-SM-7MGWQ 40-49 years, male 81.7
GTEX-12696-1726-SM-5EQLH 60-69 years, male 81.1
GTEX-1CAMR-0726-SM-7EPIE 20-29 years, male 80.9
GTEX-1RB15-1026-SM-E9U6V 60-69 years, male 80.4
GTEX-WFG8-1326-SM-4LVN3 20-29 years, male 80.3
GTEX-PWN1-1526-SM-48TDA 40-49 years, female 80.2
GTEX-14PHX-1026-SM-664OL 50-59 years, male 80.0
GTEX-15DZA-1126-SM-6LPK8 30-39 years, female 79.9
GTEX-1LG7Z-1226-SM-DHXK4 30-39 years, male 79.7
GTEX-ZYY3-1726-SM-5EGH3 60-69 years, female 79.4
GTEX-15DCE-1626-SM-6LPJM 20-29 years, male 79.2
GTEX-1MGNQ-1826-SM-DPRYI 40-49 years, male 79.1
GTEX-18A7A-2726-SM-7LG6U 50-59 years, female 78.6
GTEX-S95S-0826-SM-4B64N 60-69 years, male 78.6
GTEX-QDVJ-1426-SM-48U1Y 50-59 years, male 78.5
GTEX-OOBJ-1526-SM-3NB1Q 60-69 years, male 78.3
GTEX-1H1E6-1626-SM-9OSWC 30-39 years, male 78.1
GTEX-ZLFU-1326-SM-DO11R 40-49 years, male 78.0
GTEX-111CU-0926-SM-5EGIK 50-59 years, male 77.4
GTEX-1122O-1926-SM-5EGIQ 60-69 years, female 77.4
GTEX-ZYFG-1326-SM-5GICJ 60-69 years, female 77.1
GTEX-15RIE-1026-SM-6LPJQ 60-69 years, male 76.8
GTEX-12BJ1-1726-SM-5HL9B 60-69 years, male 76.6
GTEX-1I6K7-1726-SM-B2LXQ 40-49 years, male 76.5
GTEX-1LSNM-1026-SM-DHXL2 50-59 years, male 76.4
GTEX-12WSG-2026-SM-5FQUU 50-59 years, female 75.8
GTEX-S341-0626-SM-4AD5T 40-49 years, female 75.6
GTEX-1B97J-1826-SM-7IGPP 50-59 years, female 75.3
GTEX-ZVZP-1726-SM-5GZWY 50-59 years, male 74.8
GTEX-131XG-1226-SM-5EGH9 50-59 years, female 74.2
GTEX-1LBAC-1426-SM-CXZKT 20-29 years, male 74.2
GTEX-145LT-1426-SM-5O9B3 40-49 years, male 73.6
GTEX-1R7EU-1126-SM-EAZ4M 60-69 years, male 72.7
GTEX-OHPK-1526-SM-3MJGM 50-59 years, female 72.5
GTEX-ZPU1-1626-SM-4WWB2 40-49 years, male 72.5
GTEX-OXRL-1526-SM-E6CHQ 50-59 years, male 72.5
GTEX-ZY6K-0726-SM-5A5L8 50-59 years, male 71.9
GTEX-17F9E-2226-SM-7IGNC 50-59 years, male 71.8
GTEX-QLQ7-0826-SM-447B3 60-69 years, male 71.8
GTEX-11DXX-1326-SM-5GIDZ 60-69 years, female 71.5
GTEX-13PVR-2126-SM-73KVR 60-69 years, female 71.1
GTEX-XBED-1226-SM-4AT5V 60-69 years, male 70.9
GTEX-WXYG-1626-SM-4ONCR 50-59 years, female 70.6
GTEX-1KXAM-0926-SM-CXZKA 60-69 years, male 70.4
GTEX-ZLV1-0826-SM-DO11P 60-69 years, female 70.4
GTEX-ZDYS-1926-SM-5HL59 50-59 years, male 70.2
GTEX-QV44-1226-SM-CJI1S 50-59 years, male 70.0
GTEX-1JK1U-1326-SM-AHZ45 60-69 years, male 69.9
GTEX-1HBPN-1626-SM-9WPNP 50-59 years, male 69.8
GTEX-WYJK-2526-SM-4ONDF 50-59 years, male 69.6
GTEX-ZP4G-1226-SM-4WWCJ 20-29 years, female 69.6
GTEX-111YS-1126-SM-5GZYQ 60-69 years, male 69.4
GTEX-1AYCT-1326-SM-7MKHB 50-59 years, male 68.9
GTEX-13OW6-2526-SM-5IJEC 50-59 years, male 68.8
GTEX-1MJIX-1126-SM-EV7AO 40-49 years, male 68.8
GTEX-VJYA-1026-SM-4KL21 60-69 years, male 68.7
GTEX-RM2N-0826-SM-48FD3 50-59 years, male 68.3
GTEX-117YW-2226-SM-5N9DB 50-59 years, male 68.2
GTEX-13FH7-1026-SM-5IJGF 50-59 years, female 68.2
GTEX-1AMFI-1226-SM-731CZ 50-59 years, female 68.0
GTEX-1F5PL-1426-SM-7MKFH 40-49 years, female 68.0
GTEX-17HHE-1026-SM-79ON6 50-59 years, male 67.8
GTEX-1IDJD-2426-SM-C1YS6 30-39 years, male 67.4
GTEX-W5WG-1726-SM-4LMI5 50-59 years, female 67.2
GTEX-SUCS-0926-SM-4DM4Z 70-79 years, male 66.8
GTEX-Y9LG-1026-SM-5IFJN 30-39 years, male 66.8
GTEX-ZLWG-1526-SM-DO12F 50-59 years, female 66.7
GTEX-145MN-1326-SM-5NQ9S 30-39 years, male 66.5
GTEX-1B8KE-1326-SM-73KVI 50-59 years, male 66.4
GTEX-1HKZK-1526-SM-B2LWG 40-49 years, male 66.1
GTEX-XQ8I-2026-SM-4BOOL 50-59 years, male 66.0
GTEX-11NSD-1426-SM-5HL67 20-29 years, male 65.7
GTEX-OIZF-1526-SM-2I5GR 60-69 years, male 65.7
GTEX-14BIL-1926-SM-73KYI 50-59 years, male 65.3
GTEX-14E6E-0926-SM-664N8 30-39 years, male 65.3
GTEX-QV31-0626-SM-447C5 30-39 years, male 65.0
GTEX-15CHR-1326-SM-79OLT 50-59 years, male 64.7
GTEX-U3ZN-2026-SM-4DXUC 30-39 years, female 64.7
GTEX-Q2AH-1126-SM-48TZM 40-49 years, male 64.6
GTEX-ZEX8-1626-SM-4WKG7 50-59 years, male 64.6
GTEX-ZF29-1526-SM-4WKF7 60-69 years, female 64.6
GTEX-X15G-1126-SM-4PQZG 50-59 years, female 64.5
GTEX-12WSK-1426-SM-5CVNN 40-49 years, female 64.3
GTEX-13113-0726-SM-5LZUF 60-69 years, female 63.8
GTEX-WHSB-1226-SM-4M1XR 50-59 years, male 63.7
GTEX-132QS-1826-SM-5IFFN 60-69 years, male 63.6
GTEX-13FTX-0726-SM-5N9BI 20-29 years, female 63.5
GTEX-QCQG-0526-SM-48U2A 50-59 years, female 63.4
GTEX-Y5V6-1326-SM-4VDTF 60-69 years, male 63.2
GTEX-ZXES-1426-SM-5NQ8S 30-39 years, female 63.2
GTEX-ZV7C-1626-SM-5NQ7E 50-59 years, male 62.9
GTEX-13OVK-0926-SM-7KUFX 40-49 years, male 62.8
GTEX-18QFQ-1226-SM-718AE 30-39 years, male 62.8
GTEX-18A66-2226-SM-7189E 60-69 years, male 62.7
GTEX-V1D1-1726-SM-4JBHB 50-59 years, male 62.7
GTEX-ZQUD-0826-SM-57WDQ 30-39 years, male 62.7
GTEX-1J8Q3-1926-SM-C1YSJ 60-69 years, male 62.7
GTEX-11TT1-0726-SM-5GU5A 20-29 years, male 62.6
GTEX-1J8QM-1126-SM-C1YQB 60-69 years, female 62.2
GTEX-117YX-1026-SM-5H11V 50-59 years, male 61.9
GTEX-18A67-2626-SM-718AD 50-59 years, male 61.4
GTEX-S4Q7-0726-SM-4AD5F 20-29 years, male 61.4
GTEX-1A8G6-1426-SM-731EZ 60-69 years, male 61.3
GTEX-1C475-1026-SM-7MKFJ 40-49 years, female 61.3
GTEX-QXCU-1926-SM-48FE4 50-59 years, male 61.3
GTEX-131XF-1226-SM-5HL8V 60-69 years, male 61.2
GTEX-1KANA-1126-SM-D3L9M 20-29 years, male 61.2
GTEX-TMMY-1626-SM-4DXTY 40-49 years, female 61.0
GTEX-1JKYN-1726-SM-AHZ48 30-39 years, male 61.0
GTEX-V955-1326-SM-4JBHR 60-69 years, male 60.9
GTEX-ZA64-0826-SM-5HL9U 20-29 years, male 60.8
GTEX-1A3MX-1926-SM-72D7F 60-69 years, male 60.6
GTEX-1399R-1126-SM-5IFIO 30-39 years, male 60.5
GTEX-POMQ-0826-SM-3P61H 20-29 years, female 60.3
GTEX-QMRM-1126-SM-447BN 50-59 years, male 60.2
GTEX-ZVT2-1626-SM-51MRC 50-59 years, female 60.1
GTEX-1RMOY-1126-SM-EV79E 50-59 years, male 60.1
GTEX-U4B1-1026-SM-4DXT1 40-49 years, male 60.0
GTEX-1QCLY-1126-SM-EAZ4J 30-39 years, male 59.7
GTEX-1HSEH-1526-SM-B2LXG 60-69 years, male 59.6
GTEX-1GZ4H-1026-SM-9OSXL 50-59 years, female 59.4
GTEX-1I1HK-2026-SM-CNNRB 60-69 years, male 59.4
GTEX-139YR-1926-SM-5LZXM 50-59 years, male 59.2
GTEX-S4UY-1626-SM-4AD55 40-49 years, female 59.2
GTEX-1QPFJ-1526-SM-DPRXT 30-39 years, female 59.1
GTEX-PWCY-0926-SM-48TD7 20-29 years, female 58.8
GTEX-1MUQO-1926-SM-EAZ59 60-69 years, male 58.8
GTEX-NFK9-1526-SM-3LK7B 40-49 years, male 58.5
GTEX-QDVN-1226-SM-48TZ5 50-59 years, male 58.4
GTEX-145ME-1026-SM-5O9B4 40-49 years, female 58.2
GTEX-15UF7-1226-SM-6M46G 40-49 years, male 58.2
GTEX-13PVQ-2126-SM-5L3FW 50-59 years, male 58.0
GTEX-18D9A-0626-SM-7KFTY 30-39 years, female 57.8
GTEX-1LGOU-1526-SM-D3LAJ 20-29 years, female 57.1
GTEX-1H3VY-2326-SM-9WG81 50-59 years, male 56.3
GTEX-SNMC-0626-SM-4DM6H 20-29 years, male 56.2
GTEX-17GQL-1226-SM-7KFTS 60-69 years, male 56.1
GTEX-17F98-1526-SM-7EWD8 40-49 years, female 56.0
GTEX-1LGRB-1726-SM-CNNRA 50-59 years, female 55.9
GTEX-Y3I4-1626-SM-4TT7W 50-59 years, male 55.8
GTEX-1R9K5-1026-SM-EAZ4F 50-59 years, male 55.8
GTEX-14ICL-0826-SM-5YY9W 30-39 years, male 55.3
GTEX-SNOS-0826-SM-4DM5N 40-49 years, male 55.2
GTEX-16AAH-1226-SM-79OO9 50-59 years, male 55.0
GTEX-XV7Q-1326-SM-4BRWM 40-49 years, female 55.0
GTEX-1E1VI-2826-SM-7MGWU 50-59 years, male 55.0
GTEX-11NUK-2426-SM-5BC4U 50-59 years, male 54.7
GTEX-YFCO-0826-SM-5LUAG 40-49 years, male 54.7
GTEX-14DAR-0926-SM-73KUQ 50-59 years, male 54.5
GTEX-14PJ3-1426-SM-664O8 50-59 years, male 54.4
GTEX-YJ8A-1526-SM-5P9FT 20-29 years, male 54.2
GTEX-PW2O-1226-SM-48TCH 20-29 years, male 53.8
GTEX-11I78-1726-SM-5A5M3 50-59 years, female 53.4
GTEX-Q734-1026-SM-48U16 40-49 years, female 53.4
GTEX-1RQEC-2126-SM-DPS15 60-69 years, male 53.3
GTEX-RTLS-2626-SM-46MUJ 60-69 years, female 53.2
GTEX-13QBU-1126-SM-5LU44 40-49 years, female 53.1
GTEX-13S7M-1826-SM-5RQK6 60-69 years, female 53.0
GTEX-1HBPI-0726-SM-9WG7Z 50-59 years, male 52.8
GTEX-1QMI2-2126-SM-DPRXQ 60-69 years, male 52.7
GTEX-WRHK-0626-SM-4MVOE 20-29 years, female 52.6
GTEX-Y3IK-1426-SM-4YCES 50-59 years, female 52.6
GTEX-14DAQ-2826-SM-664MU 60-69 years, female 52.4
GTEX-11EM3-1026-SM-5A5KL 20-29 years, female 52.3
GTEX-Y5LM-1326-SM-5RQIS 40-49 years, female 51.7
GTEX-1J8EW-2226-SM-AHZ3T 60-69 years, female 51.6
GTEX-XMK1-1526-SM-EYYVO 40-49 years, male 51.3
GTEX-1QCLZ-1826-SM-DPRXP 60-69 years, female 51.0
GTEX-1F75I-1826-SM-7MKGX 40-49 years, male 50.7
GTEX-1H1DG-2126-SM-9WPPB 70-79 years, male 50.6
GTEX-1IDJU-1526-SM-CNNR3 60-69 years, female 50.6
GTEX-1RAZR-1526-SM-EAZ4U 40-49 years, male 50.2
GTEX-WHPG-0426-SM-4M1XW 50-59 years, male 49.8
GTEX-WY7C-1726-SM-4ONCC 50-59 years, male 49.7
GTEX-ZGAY-1626-SM-DNZZ3 40-49 years, female 49.7
GTEX-P78B-1826-SM-3P5YX 40-49 years, female 49.4
GTEX-ZVT3-2126-SM-59HL2 60-69 years, female 49.4
GTEX-1GMRU-2526-SM-9WG7T 50-59 years, male 49.1
GTEX-14BMU-1126-SM-5RQJ8 20-29 years, female 48.6
GTEX-1B8KZ-1226-SM-793CP 50-59 years, male 48.5
GTEX-17HGU-2126-SM-7IGOV 50-59 years, male 48.2
GTEX-12WSD-2326-SM-59HKQ 60-69 years, female 48.1
GTEX-13D11-2126-SM-5IFH2 50-59 years, female 47.9
GTEX-1HFI7-1526-SM-9WG7W 50-59 years, female 47.8
GTEX-1I1GT-1726-SM-C1YS3 60-69 years, female 47.8
GTEX-OXRK-1626-SM-3NB17 50-59 years, female 47.7
GTEX-1JMLX-2426-SM-CXZJQ 50-59 years, male 47.3
GTEX-14B4R-0726-SM-5TDDR 30-39 years, male 47.1
GTEX-139D8-2326-SM-5IFGE 30-39 years, female 46.6
GTEX-13U4I-2526-SM-5SI8Z 40-49 years, female 46.6
GTEX-ZF2S-1426-SM-57WET 50-59 years, female 46.6
GTEX-OHPM-1526-SM-EV796 50-59 years, male 46.6
GTEX-WHWD-1426-SM-4OORU 50-59 years, male 46.3
GTEX-1H23P-2726-SM-9JGHN 60-69 years, male 46.2
GTEX-1QP29-2326-SM-EXOJO 50-59 years, male 45.8
GTEX-14JG6-1226-SM-664O6 30-39 years, female 45.6
GTEX-WFG7-1326-SM-4LMK1 20-29 years, male 45.1
GTEX-R53T-1226-SM-48FCT 50-59 years, female 44.5
GTEX-T8EM-1226-SM-4DM5J 40-49 years, male 44.3
GTEX-ZZPU-1426-SM-5GZZ6 50-59 years, female 43.8
GTEX-17MF6-2126-SM-7KFS7 40-49 years, male 42.8
GTEX-1I4MK-0926-SM-A9SLD 50-59 years, female 42.8
GTEX-WEY5-1226-SM-4LMIQ 40-49 years, female 42.7
GTEX-13RTK-0226-SM-5RQHR 20-29 years, male 41.8
GTEX-133LE-1326-SM-5IFGO 20-29 years, female 40.8
GTEX-17EUY-1526-SM-793CA 20-29 years, male 40.6
GTEX-1AX9J-2626-SM-731EK 60-69 years, male 40.2
GTEX-O5YW-1526-SM-3MJGL 50-59 years, male 39.4
GTEX-1F5PK-1826-SM-7RHHX 50-59 years, male 39.3
GTEX-1GN1W-2126-SM-9JGI7 50-59 years, female 38.6
GTEX-1JMPZ-1826-SM-CXZJT 30-39 years, male 38.2
GTEX-1A3MV-1226-SM-718BW 30-39 years, male 38.1
GTEX-O5YV-1926-SM-EV797 60-69 years, female 37.7
GTEX-1JMQJ-1326-SM-D4P3B 50-59 years, male 37.2
GTEX-15G19-1526-SM-6LPKP 60-69 years, male 36.9
GTEX-XBEW-1826-SM-4RTWX 40-49 years, male 36.9
GTEX-Y8E4-1526-SM-4WWDI 40-49 years, male 36.0
GTEX-13X6J-2126-SM-5TDCV 50-59 years, male 35.7
GTEX-1339X-1426-SM-5K7YO 40-49 years, male 35.5
GTEX-145MO-2226-SM-5Q5BN 60-69 years, male 35.1
GTEX-1AMEY-1226-SM-731DU 30-39 years, female 33.7
GTEX-P4QT-1526-SM-3NMCT 50-59 years, female 33.3
GTEX-12WSJ-0926-SM-5P9JD 40-49 years, female 31.3
GTEX-1HCUA-1626-SM-A9SMG 50-59 years, female 31.2
GTEX-WYVS-1326-SM-4ONCQ 40-49 years, female 30.9
GTEX-PLZ5-1226-SM-EXOHA 50-59 years, male 30.9
GTEX-1H1DE-1226-SM-9JGHH 20-29 years, male 30.7
GTEX-14PKU-1126-SM-69LOU 40-49 years, female 29.9
GTEX-15G1A-1226-SM-7KUF3 30-39 years, male 29.5
GTEX-1E2YA-2426-SM-7EPIG 50-59 years, male 29.4
GTEX-WZTO-2126-SM-4PQYW 40-49 years, male 29.2
GTEX-11WQK-2626-SM-5EQ4K 50-59 years, male 28.9
GTEX-OIZH-1526-SM-3NB1J 50-59 years, male 28.9
GTEX-1JN1M-2926-SM-CNNPJ 60-69 years, female 28.9
GTEX-18D9B-2226-SM-718BM 60-69 years, male 28.4
GTEX-S4P3-0726-SM-4AD57 50-59 years, female 28.3
GTEX-14BMV-2226-SM-5RQHX 50-59 years, male 28.2
GTEX-S4Z8-1226-SM-4AD6W 60-69 years, male 28.0
GTEX-16NGA-1526-SM-72D56 40-49 years, female 27.8
GTEX-R55C-1026-SM-48FCM 40-49 years, male 27.4
GTEX-13X6H-1626-SM-5Q5CT 50-59 years, female 27.2
GTEX-14PHY-0926-SM-5ZZWL 60-69 years, female 27.1
GTEX-TKQ1-0526-SM-4DXTG 30-39 years, male 27.1
GTEX-RU1J-0526-SM-46MUT 20-29 years, female 27.0
GTEX-WH7G-1526-SM-4LVMX 40-49 years, male 26.8
GTEX-1HSMQ-2426-SM-CE6RY 50-59 years, male 26.6
GTEX-11EQ9-1226-SM-5987E 30-39 years, male 26.5
GTEX-R55D-1526-SM-48FEJ 50-59 years, male 26.5
GTEX-ZV6S-0926-SM-57WGB 40-49 years, female 26.5
GTEX-146FH-2126-SM-5SI9U 50-59 years, female 26.4
GTEX-1L5NE-1526-SM-DIPFW 50-59 years, male 25.9
GTEX-13OVI-2426-SM-5KM4J 60-69 years, female 25.8
GTEX-1211K-1426-SM-5FQTF 60-69 years, female 25.7
GTEX-14E1K-1526-SM-664MN 50-59 years, male 25.2
GTEX-1S82Z-1726-SM-E6CHZ 30-39 years, female 25.1
GTEX-T5JC-1926-SM-4DM6Q 20-29 years, male 25.0
GTEX-1QP28-2126-SM-DTX8B 50-59 years, female 25.0
GTEX-17JCI-2226-SM-7LTA1 60-69 years, female 24.9
GTEX-1H11D-2226-SM-9OSXN 40-49 years, male 24.9
GTEX-UPK5-2126-SM-4JBJK 40-49 years, male 24.3
GTEX-15RIF-1126-SM-7KUG2 20-29 years, male 24.1
GTEX-1HCU8-1326-SM-C1YQQ 60-69 years, female 24.0
GTEX-S7SF-0626-SM-4AD4V 20-29 years, female 23.8
GTEX-1N2DV-0926-SM-E9TJT 40-49 years, male 23.8
GTEX-132AR-2426-SM-5IFFD 50-59 years, female 23.5
GTEX-13O61-1126-SM-5L3FI 60-69 years, male 23.3
GTEX-UJHI-1026-SM-4IHJP 50-59 years, female 23.3
GTEX-P4PQ-1526-SM-3NMCK 60-69 years, male 23.0
GTEX-XPVG-1526-SM-4B66C 50-59 years, male 23.0
GTEX-1MCYP-1126-SM-E9J2P 20-29 years, female 23.0
GTEX-XAJ8-0326-SM-47JYI 40-49 years, male 22.8
GTEX-1PPH8-1326-SM-DTXFO 20-29 years, male 22.8
GTEX-14PN3-1326-SM-6AJ9U 60-69 years, female 22.7
GTEX-TKQ2-0926-SM-4DXU5 50-59 years, male 22.7
GTEX-13111-1226-SM-5GCNC 50-59 years, male 22.1
GTEX-WFJO-1126-SM-4LVLZ 30-39 years, male 22.0
GTEX-146FR-2026-SM-5NQAI 60-69 years, female 21.9
GTEX-YEC3-1426-SM-D4P1S 50-59 years, male 21.6
GTEX-1K2DA-0826-SM-CGQGD 50-59 years, male 21.4
GTEX-1LVAM-1426-SM-E9TJ4 50-59 years, female 21.3
GTEX-11VI4-0326-SM-5EQ6L 40-49 years, female 21.2
GTEX-1EH9U-2226-SM-7PBXX 60-69 years, male 21.1
GTEX-11EI6-2426-SM-5PNVS 60-69 years, male 20.9
GTEX-1GPI7-1326-SM-9KNVA 20-29 years, male 20.6
GTEX-13N1W-2026-SM-5K7YU 70-79 years, male 20.3
GTEX-15SHW-2126-SM-6M46Y 60-69 years, male 20.3
GTEX-1HR9M-2326-SM-CNPPZ 60-69 years, male 20.3
GTEX-ZPIC-2026-SM-57WG3 40-49 years, female 20.1
GTEX-1JMPY-0926-SM-ARL92 30-39 years, male 20.0
GTEX-1NSGN-1926-SM-E9J36 50-59 years, male 20.0
GTEX-ZYVF-2726-SM-5GID4 50-59 years, female 19.8
GTEX-1S831-1126-SM-EWROI 20-29 years, male 19.8
GTEX-1JN76-0926-SM-ARZNH 20-29 years, female 19.7
GTEX-131XE-2226-SM-5PNYX 50-59 years, male 19.6
GTEX-1KD5A-1426-SM-D4P3V 50-59 years, male 19.3
GTEX-1399U-1626-SM-5P9J3 50-59 years, female 19.2
GTEX-R55G-1126-SM-48FDG 40-49 years, female 19.2
GTEX-1S3DN-1526-SM-EVYCB 50-59 years, male 19.2
GTEX-1QW4Y-0726-SM-DTX8E 30-39 years, male 19.0
GTEX-15EU6-2526-SM-7KUGB 50-59 years, male 18.7
GTEX-ZTX8-0426-SM-59HLG 20-29 years, male 18.7
GTEX-1PIGE-1126-SM-EWRMV 20-29 years, male 18.7
GTEX-1HT8W-2326-SM-A9SLA 30-39 years, male 18.6
GTEX-RUSQ-1126-SM-EAZAU 50-59 years, male 18.3
GTEX-11P82-0726-SM-5PNYL 20-29 years, male 18.2
GTEX-1CB4E-1326-SM-7DUGD 60-69 years, male 18.2
GTEX-13O3Q-2126-SM-5KM4C 50-59 years, male 18.0
GTEX-1IL2V-2026-SM-ARZMA 70-79 years, male 18.0
GTEX-QDT8-2026-SM-EZ6LS 30-39 years, female 17.5
GTEX-17KNJ-1526-SM-7LTA9 50-59 years, male 17.0
GTEX-1B8L1-1526-SM-79OLK 60-69 years, male 16.9
GTEX-12C56-0526-SM-5FQST 20-29 years, male 16.7
GTEX-1IDJF-1426-SM-ACKWK 20-29 years, male 16.3
GTEX-13QJ3-2726-SM-5SI6L 50-59 years, male 15.8
GTEX-ZE7O-3026-SM-51MS4 50-59 years, female 15.8
GTEX-Y114-1226-SM-4TT88 50-59 years, female 15.2
GTEX-PLZ6-0826-SM-3P61K 30-39 years, male 15.0
GTEX-1H3NZ-2226-SM-9WYUT 60-69 years, male 15.0
GTEX-1C64O-2226-SM-73KTV 60-69 years, male 14.8
GTEX-1CB4H-2426-SM-7PBYR 60-69 years, female 14.6
GTEX-11P7K-1726-SM-5GU6F 30-39 years, male 13.8
GTEX-1QP67-1026-SM-EVR47 40-49 years, female 13.3
Show allShow less

Contact

  • NEWS ARTICLES
  • PRESS ROOM

The Project

  • INTRODUCTION
  • ORGANIZATION
  • PUBLICATIONS

The Human Protein Atlas

  • DOWNLOADABLE DATA
  • LICENCE & CITATION
  • HELP & FAQ
The Human Protein Atlas project is funded
by the Knut & Alice Wallenberg Foundation.


contact@proteinatlas.org