We use cookies to enhance the usability of our website. If you continue, we'll assume that you are happy to receive all cookies. More information. Don't show this again.
NECTIN2
HPA
RESOURCES
  • TISSUE
  • BRAIN
  • SINGLE CELL
  • SUBCELLULAR
  • CANCER
  • BLOOD
  • CELL LINE
  • STRUCTURE & INTERACTION
ABOUT
  • INTRODUCTION
  • HISTORY
  • ORGANIZATION
  • PUBLICATIONS
  • ANTIBODY SUBMISSION
  • ANTIBODY AVAILABILITY
  • ACKNOWLEDGMENTS
  • CONTACT
NEWS
  • NEWS ARTICLES
  • PRESS ROOM
LEARN
  • DICTIONARY
  • PROTEIN CLASSES
  • PROTEIN EVIDENCE
  • METHODS
  • EDUCATIONAL VIDEOS
DATA
  • DOWNLOADABLE DATA
  • PUBLICATION DATA
  • RELEASE HISTORY
HELP
  • ANTIBODY VALIDATION
  • ASSAYS & ANNOTATION
  • DISCLAIMER
  • HELP & FAQ
  • PRIVACY STATEMENT
  • LICENCE & CITATION
Fields »
Search result

Field
Term
Gene name
Class
Subclass
Class
Keyword
Chromosome
External id
Tissue
Cell type
Expression
Antibody panel
Tissue
Main location
Patient ID
Annotation
Tissue
Category
Tau score
Cluster
Reliability
Brain region
Category
Tau score
Brain region
Category
Tau score
Brain region
Category
Tau score
Cluster
Reliability
Tissue
Cell type
Enrichment
Cell type
Category
Tau score
Cell type
Category
Tau score
Cell type
Category
Tau score
Cell lineage
Category
Tau score
Cluster
Cluster
Location
Searches
Location
Cell line
Class
Type
Phase
Reliability
Cancer
Prognosis
Cancer
Category
Cancer
Category
Tau score
Cluster
Variants
Interacting gene (ensg_id)
Type
Number of interactions
Pathway
Category
Score
Score
Score
Validation
Validation
Validation
Validation
Antibodies
Data type
Column


  • SUMMARY

  • TISSUE

  • BRAIN

  • SINGLE CELL

  • SUBCELL

  • CANCER

  • BLOOD

  • CELL LINE

  • STRUCT & INT

  • NECTIN2
TISSUE PRIMARY DATA STOMACH Show tissue menu
ADIPOSE TISSUE ADRENAL GLAND AMYGDALA APPENDIX BASAL GANGLIA BONE MARROW BREAST BRONCHUS CEREBELLUM CEREBRAL CORTEX CERVIX CHOROID PLEXUS COLON DUODENUM
ENDOMETRIUM EPIDIDYMIS ESOPHAGUS FALLOPIAN TUBE GALLBLADDER HEART MUSCLE HIPPOCAMPAL FORMATION HYPOTHALAMUS KIDNEY LIVER LUNG LYMPH NODE MIDBRAIN NASOPHARYNX
ORAL MUCOSA OVARY PANCREAS PARATHYROID GLAND PITUITARY GLAND PLACENTA PROSTATE RECTUM RETINA SALIVARY GLAND SEMINAL VESICLE SKELETAL MUSCLE SKIN SMALL INTESTINE
SMOOTH MUSCLE SOFT TISSUE SPINAL CORD SPLEEN STOMACH TESTIS THYMUS THYROID GLAND TONGUE TONSIL URINARY BLADDER VAGINA
ANTIBODIES
AND
VALIDATION
Dictionary
Tissue proteome
Stomach
STOMACH - Expression summary
Protein expression
Stomachi

On the top, protein expression in current human tissue, based on all annotated cell types, is reported with the units not detected (n), low (l), medium (m) and high (h). Underneath, protein expression in each annotated cell type are reported using the same units.

Protein expression data is based on knowledge-based annotation. For genes where more than one antibody has been used, a collective score is set.

If knowledge-based annotation could not be performed for a gene, no data is displayed here. View antibody staining data further down this page.

h
m
l
n
Glandular cells: Medium
RNA expressioni

A summary of mRNA expression data available for current tissue based on several datasets. The mRNA expression levels in human tissues are based on RNA-seq data generated by the Human Protein Atlas (HPA), Genotype-Tissue Expression (GTEx) portal and CAGE data generated by the FANTOM5 consortium. Consensus normalized expression levels for human tissues was created by combining the data from HPA and GTEx datasets.

The mRNA expression levels in pig are based on RNA-seq data generated by the Human Protein Atlas (HPA), and for mouse, HPA data and in situ hybridization generated by the Allen brain atlas are reported.

Scroll down to view mRNA expression data in more detail.
Consensus:73.3 nTPM
HPA:54.9 nTPM
GTEx:73.3 nTPM

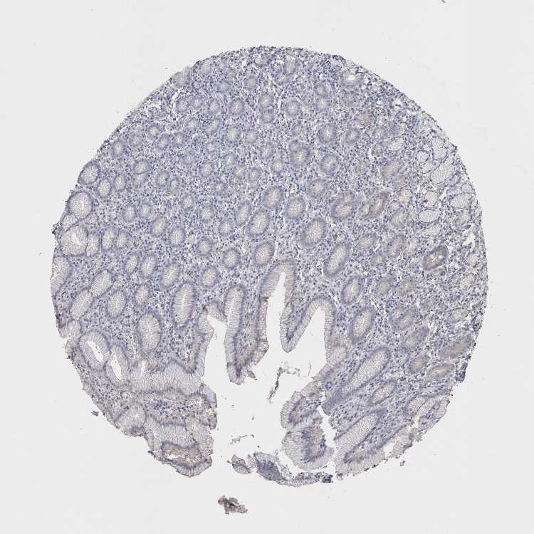
STOMACH 1 - Antibody stainingi

Antibody staining in the annotated cell types in the current human tissue is reported as not detected, low, medium, or high, based on conventional immunohistochemistry profiling in selected tissues. This score is based on the combination of the staining intensity and fraction of stained cells.

Each image is clickable and will lead to virtual microscopy that enables deeper exploration of all samples and also displays staining intensity scores, fraction scores and subcellular localization as well as patient and tissue information for each sample.

Antibody HPA012759Antibody CAB026138
Glandular cells MediumLow




STOMACH 2 - Antibody stainingi

Antibody staining in the annotated cell types in the current human tissue is reported as not detected, low, medium, or high, based on conventional immunohistochemistry profiling in selected tissues. This score is based on the combination of the staining intensity and fraction of stained cells.

Each image is clickable and will lead to virtual microscopy that enables deeper exploration of all samples and also displays staining intensity scores, fraction scores and subcellular localization as well as patient and tissue information for each sample.

Antibody HPA012759Antibody CAB026138
Glandular cells HighLow





STOMACH - HPA RNA-seqi

The RNA-seq details section shows detailed information about the individual samples used for the transcript profiling and results of the RNA-seq analysis.

Information about each individual sample is listed below, including gender, age, a tissue section image and estimated fractions of cell types. nTPM (normalized transcripts per million) values give a quantification of the gene abundance which is comparable between different genes and samples.
Average nTPMi

Max subtype nTPM is the value for the subtype with the largest average nTPM across the subtype samples.

54.9
overview
Female, age 33
Stomach sample 61
nTPM: 41.5
Cell types%
Glandular cells:
60

Smooth muscle cells:
5

Other cell types:
35

N/A
Male, age 82
Stomach sample 240
nTPM: 48
Cell types%
Glandular cells:
65

Smooth muscle cells:
5

Other cell types:
30

overview
Male, age 71
Stomach sample 241
nTPM: 87.3
Cell types%
Glandular cells:
50

Smooth muscle cells:
5

Other cell types:
45

overview
Female, age 66
Stomach sample 369
nTPM: 43
Cell types%
Glandular cells:
50

Smooth muscle cells:
10

Other cell types:
40


STOMACH - GTEx RNA-seqi

RNA-Seq data generated by the Genotype-Tissue Expression (GTEx) project from human tissues is reported as mean nTPM. More information can be found on the GTEx portal.

Distribution across the dataset is visualized with box plots, shown as median and 25th and 75th percentiles. Points are displayed as outliers if they are above or below 1.5 times the interquartile range. nTPM values of the individual samples are presented next to the box plot.
Max subtype nTPMi

Max subtype nTPM is the value for the subtype with the largest average nTPM across the subtype samples.

73.3
GTEx sample id Sample description nTPM
Stomach
Average nTPM: 73.3
Samples: 359

Max nTPM: 248.3
Min nTPM: 19.2
Std nTPM: 32.5
Median nTPM: 77.4
GTEX-ZYY3-1726-SM-5EGH3 60-69 years, female 248.3
GTEX-11NUK-2426-SM-5BC4U 50-59 years, male 199.5
GTEX-1JMLX-2426-SM-CXZJQ 50-59 years, male 190.2
GTEX-13OW6-2526-SM-5IJEC 50-59 years, male 186.3
GTEX-117YW-2226-SM-5N9DB 50-59 years, male 173.9
GTEX-144GM-1726-SM-5O9AS 20-29 years, male 172.4
GTEX-11GSP-2126-SM-5HL5E 60-69 years, female 164.2
GTEX-13CF3-1926-SM-5K7WF 60-69 years, female 148.9
GTEX-WHPG-0426-SM-4M1XW 50-59 years, male 147.0
GTEX-18A7A-2726-SM-7LG6U 50-59 years, female 142.5
GTEX-15G19-1526-SM-6LPKP 60-69 years, male 141.3
GTEX-11EM3-1026-SM-5A5KL 20-29 years, female 128.0
GTEX-13PVQ-2126-SM-5L3FW 50-59 years, male 123.9
GTEX-14PKV-1826-SM-69LO9 20-29 years, female 123.4
GTEX-1CAMR-0726-SM-7EPIE 20-29 years, male 122.7
GTEX-14PJ4-1626-SM-664OB 60-69 years, male 120.4
GTEX-131XG-1226-SM-5EGH9 50-59 years, female 115.7
GTEX-XUZC-0726-SM-4BOPH 30-39 years, female 115.2
GTEX-T6MO-0726-SM-4DM58 40-49 years, female 114.5
GTEX-18A67-2626-SM-718AD 50-59 years, male 113.8
GTEX-ZLWG-1526-SM-DO12F 50-59 years, female 113.4
GTEX-12WSG-2026-SM-5FQUU 50-59 years, female 113.1
GTEX-1QMI2-2126-SM-DPRXQ 60-69 years, male 112.6
GTEX-1HBPI-0726-SM-9WG7Z 50-59 years, male 110.5
GTEX-Y5LM-1326-SM-5RQIS 40-49 years, female 110.2
GTEX-ZPU1-1626-SM-4WWB2 40-49 years, male 109.2
GTEX-Q2AI-0826-SM-48TZO 40-49 years, male 109.0
GTEX-1QPFJ-1526-SM-DPRXT 30-39 years, female 108.7
GTEX-13S7M-1826-SM-5RQK6 60-69 years, female 108.6
GTEX-QXCU-1926-SM-48FE4 50-59 years, male 107.8
GTEX-POMQ-0826-SM-3P61H 20-29 years, female 107.6
GTEX-QCQG-0526-SM-48U2A 50-59 years, female 107.4
GTEX-RTLS-2626-SM-46MUJ 60-69 years, female 107.4
GTEX-1J8JJ-1726-SM-C1YQG 60-69 years, female 107.2
GTEX-1JMPZ-1826-SM-CXZJT 30-39 years, male 107.2
GTEX-1GMRU-2526-SM-9WG7T 50-59 years, male 107.1
GTEX-12WSK-1426-SM-5CVNN 40-49 years, female 107.0
GTEX-1JMPY-0926-SM-ARL92 30-39 years, male 107.0
GTEX-QLQ7-0826-SM-447B3 60-69 years, male 106.2
GTEX-13FTW-1726-SM-5KM2B 40-49 years, male 106.0
GTEX-P4PP-1526-SM-3P61M 30-39 years, female 106.0
GTEX-WFG7-1326-SM-4LMK1 20-29 years, male 105.6
GTEX-U4B1-1026-SM-4DXT1 40-49 years, male 105.2
GTEX-11TT1-0726-SM-5GU5A 20-29 years, male 105.1
GTEX-14PHX-1026-SM-664OL 50-59 years, male 104.5
GTEX-SNMC-0626-SM-4DM6H 20-29 years, male 104.3
GTEX-12BJ1-1726-SM-5HL9B 60-69 years, male 103.7
GTEX-1HBPN-1626-SM-9WPNP 50-59 years, male 103.2
GTEX-1C475-1026-SM-7MKFJ 40-49 years, female 103.0
GTEX-1JKYN-1726-SM-AHZ48 30-39 years, male 102.9
GTEX-1HSEH-1526-SM-B2LXG 60-69 years, male 102.7
GTEX-15UF7-1226-SM-6M46G 40-49 years, male 102.5
GTEX-ZVT3-2126-SM-59HL2 60-69 years, female 102.0
GTEX-ZY6K-0726-SM-5A5L8 50-59 years, male 101.2
GTEX-ZA64-0826-SM-5HL9U 20-29 years, male 101.1
GTEX-ZQUD-0826-SM-57WDQ 30-39 years, male 100.4
GTEX-WHSB-1226-SM-4M1XR 50-59 years, male 100.2
GTEX-YJ8A-1526-SM-5P9FT 20-29 years, male 100.1
GTEX-1I6K7-1726-SM-B2LXQ 40-49 years, male 100.0
GTEX-1RQEC-2126-SM-DPS15 60-69 years, male 100.0
GTEX-13X6J-2126-SM-5TDCV 50-59 years, male 99.4
GTEX-13FTX-0726-SM-5N9BI 20-29 years, female 99.2
GTEX-13O21-0926-SM-5IFGT 50-59 years, male 98.1
GTEX-1KANA-1126-SM-D3L9M 20-29 years, male 97.9
GTEX-W5WG-1726-SM-4LMI5 50-59 years, female 97.7
GTEX-YFCO-0826-SM-5LUAG 40-49 years, male 97.6
GTEX-15DZA-1126-SM-6LPK8 30-39 years, female 97.5
GTEX-17HII-2426-SM-7KFTT 50-59 years, male 96.7
GTEX-ZP4G-1226-SM-4WWCJ 20-29 years, female 96.4
GTEX-1399S-1626-SM-5P9GI 30-39 years, female 96.3
GTEX-131XF-1226-SM-5HL8V 60-69 years, male 95.8
GTEX-ZVP2-1626-SM-5GU5D 50-59 years, male 95.8
GTEX-QDVN-1226-SM-48TZ5 50-59 years, male 95.5
GTEX-S4Q7-0726-SM-4AD5F 20-29 years, male 95.3
GTEX-1LSNM-1026-SM-DHXL2 50-59 years, male 95.3
GTEX-QDVJ-1426-SM-48U1Y 50-59 years, male 95.1
GTEX-14PJ6-0826-SM-686Z9 60-69 years, female 94.5
GTEX-1A3MV-1226-SM-718BW 30-39 years, male 94.4
GTEX-1AYCT-1326-SM-7MKHB 50-59 years, male 94.4
GTEX-15RIE-1026-SM-6LPJQ 60-69 years, male 94.1
GTEX-YEC4-1426-SM-5IFHS 40-49 years, male 94.1
GTEX-Q2AH-1126-SM-48TZM 40-49 years, male 93.8
GTEX-17F98-1526-SM-7EWD8 40-49 years, female 93.7
GTEX-1I1HK-2026-SM-CNNRB 60-69 years, male 93.7
GTEX-ZLFU-1326-SM-DO11R 40-49 years, male 93.7
GTEX-1122O-1926-SM-5EGIQ 60-69 years, female 93.2
GTEX-PWN1-1526-SM-48TDA 40-49 years, female 92.6
GTEX-1H1E6-1626-SM-9OSWC 30-39 years, male 92.6
GTEX-SNOS-0826-SM-4DM5N 40-49 years, male 92.4
GTEX-13113-0726-SM-5LZUF 60-69 years, female 91.7
GTEX-1LGRB-1726-SM-CNNRA 50-59 years, female 91.2
GTEX-1LVAN-2426-SM-CNNPZ 50-59 years, female 91.2
GTEX-ZLV1-0826-SM-DO11P 60-69 years, female 91.2
GTEX-12WSD-2326-SM-59HKQ 60-69 years, female 91.1
GTEX-1A8G6-1426-SM-731EZ 60-69 years, male 90.9
GTEX-1AMFI-1226-SM-731CZ 50-59 years, female 90.6
GTEX-RWS6-0926-SM-47JXE 60-69 years, female 90.4
GTEX-U3ZN-2026-SM-4DXUC 30-39 years, female 90.3
GTEX-WEY5-1226-SM-4LMIQ 40-49 years, female 90.0
GTEX-WXYG-1626-SM-4ONCR 50-59 years, female 89.8
GTEX-RM2N-0826-SM-48FD3 50-59 years, male 89.7
GTEX-1LG7Z-1226-SM-DHXK4 30-39 years, male 89.5
GTEX-15DCE-1626-SM-6LPJM 20-29 years, male 89.4
GTEX-ZYFG-1326-SM-5GICJ 60-69 years, female 89.2
GTEX-T5JW-0926-SM-4DM5K 20-29 years, female 89.1
GTEX-ZZ64-0426-SM-5E43F 20-29 years, male 88.5
GTEX-1E1VI-2826-SM-7MGWU 50-59 years, male 88.5
GTEX-ZT9W-1526-SM-4YCDE 50-59 years, male 88.0
GTEX-111CU-0926-SM-5EGIK 50-59 years, male 87.9
GTEX-XBED-1226-SM-4AT5V 60-69 years, male 87.7
GTEX-14DAR-0926-SM-73KUQ 50-59 years, male 87.6
GTEX-1F75I-1826-SM-7MKGX 40-49 years, male 87.5
GTEX-TMMY-1626-SM-4DXTY 40-49 years, female 87.3
GTEX-1R7EU-1126-SM-EAZ4M 60-69 years, male 87.3
GTEX-1B97J-1826-SM-7IGPP 50-59 years, female 87.2
GTEX-18A66-2226-SM-7189E 60-69 years, male 87.1
GTEX-PWCY-0926-SM-48TD7 20-29 years, female 87.0
GTEX-XV7Q-1326-SM-4BRWM 40-49 years, female 86.2
GTEX-PW2O-1226-SM-48TCH 20-29 years, male 86.1
GTEX-1399R-1126-SM-5IFIO 30-39 years, male 85.9
GTEX-14E6E-0926-SM-664N8 30-39 years, male 85.8
GTEX-Y9LG-1026-SM-5IFJN 30-39 years, male 85.7
GTEX-1IDJD-2426-SM-C1YS6 30-39 years, male 85.3
GTEX-WFG8-1326-SM-4LVN3 20-29 years, male 85.2
GTEX-V1D1-1726-SM-4JBHB 50-59 years, male 85.0
GTEX-1RAZR-1526-SM-EAZ4U 40-49 years, male 84.7
GTEX-139YR-1926-SM-5LZXM 50-59 years, male 84.6
GTEX-117YX-1026-SM-5H11V 50-59 years, male 84.4
GTEX-ZGAY-1626-SM-DNZZ3 40-49 years, female 84.3
GTEX-PX3G-1526-SM-48U11 20-29 years, female 84.2
GTEX-ZXES-1426-SM-5NQ8S 30-39 years, female 84.0
GTEX-QV31-0626-SM-447C5 30-39 years, male 83.8
GTEX-UJMC-1226-SM-4IHLI 50-59 years, male 83.8
GTEX-1JK1U-1326-SM-AHZ45 60-69 years, male 83.5
GTEX-OXRL-1526-SM-E6CHQ 50-59 years, male 83.5
GTEX-13U4I-2526-SM-5SI8Z 40-49 years, female 83.4
GTEX-XXEK-0826-SM-4BRWG 50-59 years, male 83.3
GTEX-16AAH-1226-SM-79OO9 50-59 years, male 83.2
GTEX-OHPK-1526-SM-3MJGM 50-59 years, female 83.1
GTEX-17HGU-2126-SM-7IGOV 50-59 years, male 82.7
GTEX-1GL5R-1926-SM-9WG7U 50-59 years, male 82.7
GTEX-1F5PL-1426-SM-7MKFH 40-49 years, female 82.6
GTEX-1MUQO-1926-SM-EAZ59 60-69 years, male 82.5
GTEX-S341-0626-SM-4AD5T 40-49 years, female 82.3
GTEX-WY7C-1726-SM-4ONCC 50-59 years, male 82.3
GTEX-11NSD-1426-SM-5HL67 20-29 years, male 82.2
GTEX-1H3VY-2326-SM-9WG81 50-59 years, male 82.1
GTEX-1H23P-2726-SM-9JGHN 60-69 years, male 81.8
GTEX-133LE-1326-SM-5IFGO 20-29 years, female 81.7
GTEX-1KXAM-0926-SM-CXZKA 60-69 years, male 81.7
GTEX-X15G-1126-SM-4PQZG 50-59 years, female 81.4
GTEX-13QBU-1126-SM-5LU44 40-49 years, female 81.0
GTEX-YB5E-1126-SM-664NU 40-49 years, male 81.0
GTEX-1HFI7-1526-SM-9WG7W 50-59 years, female 80.8
GTEX-13PVR-2126-SM-73KVR 60-69 years, female 80.7
GTEX-17MF6-2126-SM-7KFS7 40-49 years, male 80.7
GTEX-1IDJU-1526-SM-CNNR3 60-69 years, female 80.5
GTEX-144GN-1226-SM-5O991 50-59 years, male 80.4
GTEX-17HHE-1026-SM-79ON6 50-59 years, male 80.1
GTEX-145LT-1426-SM-5O9B3 40-49 years, male 79.9
GTEX-ZVZP-1726-SM-5GZWY 50-59 years, male 79.7
GTEX-1MJIX-1126-SM-EV7AO 40-49 years, male 79.4
GTEX-14BMU-1126-SM-5RQJ8 20-29 years, female 79.3
GTEX-OHPM-1526-SM-EV796 50-59 years, male 79.0
GTEX-Y5V6-1326-SM-4VDTF 60-69 years, male 78.9
GTEX-T8EM-1226-SM-4DM5J 40-49 years, male 78.7
GTEX-14BIL-1926-SM-73KYI 50-59 years, male 78.3
GTEX-1H1DG-2126-SM-9WPPB 70-79 years, male 78.3
GTEX-1QP2A-2126-SM-DPRZ7 50-59 years, male 78.2
GTEX-12696-1726-SM-5EQLH 60-69 years, male 78.1
GTEX-14B4R-0726-SM-5TDDR 30-39 years, male 78.1
GTEX-1HKZK-1526-SM-B2LWG 40-49 years, male 78.1
GTEX-OIZF-1526-SM-2I5GR 60-69 years, male 78.1
GTEX-15CHR-1326-SM-79OLT 50-59 years, male 77.9
GTEX-S3XE-1026-SM-4AD4O 50-59 years, male 77.9
GTEX-ZF29-1526-SM-4WKF7 60-69 years, female 77.9
GTEX-1GF9U-1126-SM-AHZ4H 40-49 years, female 77.8
GTEX-QMRM-1126-SM-447BN 50-59 years, male 77.6
GTEX-13OVK-0926-SM-7KUFX 40-49 years, male 77.4
GTEX-1ICG6-1826-SM-AHZ2O 70-79 years, female 77.4
GTEX-132QS-1826-SM-5IFFN 60-69 years, male 77.1
GTEX-145MN-1326-SM-5NQ9S 30-39 years, male 77.1
GTEX-11DXX-1326-SM-5GIDZ 60-69 years, female 76.2
GTEX-1GZ4H-1026-SM-9OSXL 50-59 years, female 75.9
GTEX-14PJ3-1426-SM-664O8 50-59 years, male 75.6
GTEX-SUCS-0926-SM-4DM4Z 70-79 years, male 75.6
GTEX-Y3IK-1426-SM-4YCES 50-59 years, female 75.6
GTEX-1MGNQ-1826-SM-DPRYI 40-49 years, male 75.6
GTEX-145ME-1026-SM-5O9B4 40-49 years, female 75.5
GTEX-ZVT2-1626-SM-51MRC 50-59 years, female 75.5
GTEX-ZEX8-1626-SM-4WKG7 50-59 years, male 75.2
GTEX-1J8Q3-1926-SM-C1YSJ 60-69 years, male 75.2
GTEX-1RMOY-1126-SM-EV79E 50-59 years, male 75.0
GTEX-WYJK-2526-SM-4ONDF 50-59 years, male 74.7
GTEX-S4UY-1626-SM-4AD55 40-49 years, female 74.4
GTEX-1LGOU-1526-SM-D3LAJ 20-29 years, female 74.4
GTEX-17F9E-2226-SM-7IGNC 50-59 years, male 74.2
GTEX-1B97I-1226-SM-7MGWQ 40-49 years, male 74.1
GTEX-111YS-1126-SM-5GZYQ 60-69 years, male 74.0
GTEX-OOBJ-1526-SM-3NB1Q 60-69 years, male 74.0
GTEX-Y8LW-0826-SM-4WWDO 50-59 years, female 73.8
GTEX-14PJ5-0826-SM-6AJAR 60-69 years, female 73.4
GTEX-QV44-1226-SM-CJI1S 50-59 years, male 73.4
GTEX-ZAB4-1526-SM-5CVN7 40-49 years, male 72.9
GTEX-V955-1326-SM-4JBHR 60-69 years, male 72.0
GTEX-WFON-1126-SM-4LVMA 40-49 years, male 71.9
GTEX-VJYA-1026-SM-4KL21 60-69 years, male 71.5
GTEX-ZV7C-1626-SM-5NQ7E 50-59 years, male 71.4
GTEX-QLQW-0726-SM-447AA 30-39 years, male 71.3
GTEX-S95S-0826-SM-4B64N 60-69 years, male 71.3
GTEX-1HCU8-1326-SM-C1YQQ 60-69 years, female 71.0
GTEX-18QFQ-1226-SM-718AE 30-39 years, male 70.6
GTEX-14ICL-0826-SM-5YY9W 30-39 years, male 70.5
GTEX-Q734-1026-SM-48U16 40-49 years, female 70.2
GTEX-14JG6-1226-SM-664O6 30-39 years, female 70.1
GTEX-1J8QM-1126-SM-C1YQB 60-69 years, female 69.4
GTEX-13D11-2126-SM-5IFH2 50-59 years, female 68.9
GTEX-1J8EW-2226-SM-AHZ3T 60-69 years, female 68.1
GTEX-13N1W-2026-SM-5K7YU 70-79 years, male 67.8
GTEX-1R9K5-1026-SM-EAZ4F 50-59 years, male 67.7
GTEX-17GQL-1226-SM-7KFTS 60-69 years, male 67.5
GTEX-XMK1-1526-SM-EYYVO 40-49 years, male 67.2
GTEX-1A3MX-1926-SM-72D7F 60-69 years, male 66.7
GTEX-1B8KZ-1226-SM-793CP 50-59 years, male 66.6
GTEX-1RB15-1026-SM-E9U6V 60-69 years, male 66.6
GTEX-1B8KE-1326-SM-73KVI 50-59 years, male 66.4
GTEX-OXRK-1626-SM-3NB17 50-59 years, female 66.3
GTEX-1QCLY-1126-SM-EAZ4J 30-39 years, male 65.6
GTEX-1QP29-2326-SM-EXOJO 50-59 years, male 65.0
GTEX-R53T-1226-SM-48FCT 50-59 years, female 64.4
GTEX-1PIGE-1126-SM-EWRMV 20-29 years, male 64.3
GTEX-11I78-1726-SM-5A5M3 50-59 years, female 64.1
GTEX-13FH7-1026-SM-5IJGF 50-59 years, female 64.1
GTEX-WRHK-0626-SM-4MVOE 20-29 years, female 63.4
GTEX-ZDYS-1926-SM-5HL59 50-59 years, male 62.3
GTEX-1JN1M-2926-SM-CNNPJ 60-69 years, female 62.1
GTEX-13RTK-0226-SM-5RQHR 20-29 years, male 61.9
GTEX-139D8-2326-SM-5IFGE 30-39 years, female 61.7
GTEX-145MO-2226-SM-5Q5BN 60-69 years, male 61.4
GTEX-XQ8I-2026-SM-4BOOL 50-59 years, male 61.2
GTEX-1L5NE-1526-SM-DIPFW 50-59 years, male 61.2
GTEX-1LBAC-1426-SM-CXZKT 20-29 years, male 60.5
GTEX-11EQ9-1226-SM-5987E 30-39 years, male 59.2
GTEX-18D9A-0626-SM-7KFTY 30-39 years, female 59.2
GTEX-17EUY-1526-SM-793CA 20-29 years, male 58.4
GTEX-P4QT-1526-SM-3NMCT 50-59 years, female 58.1
GTEX-1QCLZ-1826-SM-DPRXP 60-69 years, female 58.0
GTEX-1AMEY-1226-SM-731DU 30-39 years, female 57.7
GTEX-14DAQ-2826-SM-664MU 60-69 years, female 57.4
GTEX-Y3I4-1626-SM-4TT7W 50-59 years, male 56.4
GTEX-ZF2S-1426-SM-57WET 50-59 years, female 56.0
GTEX-WHWD-1426-SM-4OORU 50-59 years, male 55.8
GTEX-1MCYP-1126-SM-E9J2P 20-29 years, female 54.7
GTEX-1I4MK-0926-SM-A9SLD 50-59 years, female 53.5
GTEX-O5YW-1526-SM-3MJGL 50-59 years, male 52.6
GTEX-12WSJ-0926-SM-5P9JD 40-49 years, female 52.5
GTEX-11P82-0726-SM-5PNYL 20-29 years, male 52.1
GTEX-ZZPU-1426-SM-5GZZ6 50-59 years, female 51.9
GTEX-1I1GT-1726-SM-C1YS3 60-69 years, female 51.9
GTEX-PLZ5-1226-SM-EXOHA 50-59 years, male 51.5
GTEX-11WQK-2626-SM-5EQ4K 50-59 years, male 50.8
GTEX-1F5PK-1826-SM-7RHHX 50-59 years, male 50.7
GTEX-13O61-1126-SM-5L3FI 60-69 years, male 50.3
GTEX-P78B-1826-SM-3P5YX 40-49 years, female 50.0
GTEX-XBEW-1826-SM-4RTWX 40-49 years, male 49.6
GTEX-14PKU-1126-SM-69LOU 40-49 years, female 49.5
GTEX-NFK9-1526-SM-3LK7B 40-49 years, male 48.9
GTEX-1GN1W-2126-SM-9JGI7 50-59 years, female 48.7
GTEX-Y8E4-1526-SM-4WWDI 40-49 years, male 48.0
GTEX-17JCI-2226-SM-7LTA1 60-69 years, female 47.5
GTEX-1H11D-2226-SM-9OSXN 40-49 years, male 47.5
GTEX-WFJO-1126-SM-4LVLZ 30-39 years, male 46.7
GTEX-15SHW-2126-SM-6M46Y 60-69 years, male 45.7
GTEX-13111-1226-SM-5GCNC 50-59 years, male 45.2
GTEX-WYVS-1326-SM-4ONCQ 40-49 years, female 44.6
GTEX-14BMV-2226-SM-5RQHX 50-59 years, male 44.0
GTEX-1AX9J-2626-SM-731EK 60-69 years, male 43.8
GTEX-1HCUA-1626-SM-A9SMG 50-59 years, female 43.6
GTEX-UPK5-2126-SM-4JBJK 40-49 years, male 42.7
GTEX-1JMQJ-1326-SM-D4P3B 50-59 years, male 42.3
GTEX-TKQ1-0526-SM-4DXTG 30-39 years, male 42.2
GTEX-12C56-0526-SM-5FQST 20-29 years, male 41.9
GTEX-15G1A-1226-SM-7KUF3 30-39 years, male 41.6
GTEX-11EI6-2426-SM-5PNVS 60-69 years, male 40.6
GTEX-WZTO-2126-SM-4PQYW 40-49 years, male 40.3
GTEX-16NGA-1526-SM-72D56 40-49 years, female 40.1
GTEX-ZV6S-0926-SM-57WGB 40-49 years, female 40.0
GTEX-1211K-1426-SM-5FQTF 60-69 years, female 39.7
GTEX-132AR-2426-SM-5IFFD 50-59 years, female 39.7
GTEX-QDT8-2026-SM-EZ6LS 30-39 years, female 38.8
GTEX-UJHI-1026-SM-4IHJP 50-59 years, female 38.3
GTEX-131XE-2226-SM-5PNYX 50-59 years, male 37.3
GTEX-1PPH8-1326-SM-DTXFO 20-29 years, male 36.9
GTEX-S4P3-0726-SM-4AD57 50-59 years, female 36.5
GTEX-1S831-1126-SM-EWROI 20-29 years, male 36.4
GTEX-R55D-1526-SM-48FEJ 50-59 years, male 36.3
GTEX-R55G-1126-SM-48FDG 40-49 years, female 36.3
GTEX-1GPI7-1326-SM-9KNVA 20-29 years, male 36.2
GTEX-1S82Z-1726-SM-E6CHZ 30-39 years, female 36.1
GTEX-O5YV-1926-SM-EV797 60-69 years, female 36.0
GTEX-13QJ3-2726-SM-5SI6L 50-59 years, male 35.8
GTEX-WH7G-1526-SM-4LVMX 40-49 years, male 34.6
GTEX-XPVG-1526-SM-4B66C 50-59 years, male 34.4
GTEX-13X6H-1626-SM-5Q5CT 50-59 years, female 34.3
GTEX-S7SF-0626-SM-4AD4V 20-29 years, female 33.9
GTEX-ZTX8-0426-SM-59HLG 20-29 years, male 33.8
GTEX-R55C-1026-SM-48FCM 40-49 years, male 33.4
GTEX-ZE7O-3026-SM-51MS4 50-59 years, female 33.4
GTEX-1HSMQ-2426-SM-CE6RY 50-59 years, male 33.4
GTEX-ZPIC-2026-SM-57WG3 40-49 years, female 33.2
GTEX-1HT8W-2326-SM-A9SLA 30-39 years, male 32.8
GTEX-1H3NZ-2226-SM-9WYUT 60-69 years, male 32.6
GTEX-15EU6-2526-SM-7KUGB 50-59 years, male 32.5
GTEX-146FR-2026-SM-5NQAI 60-69 years, female 32.4
GTEX-1H1DE-1226-SM-9JGHH 20-29 years, male 32.0
GTEX-1N2DV-0926-SM-E9TJT 40-49 years, male 32.0
GTEX-18D9B-2226-SM-718BM 60-69 years, male 31.3
GTEX-1EH9U-2226-SM-7PBXX 60-69 years, male 31.2
GTEX-1339X-1426-SM-5K7YO 40-49 years, male 30.8
GTEX-14PHY-0926-SM-5ZZWL 60-69 years, female 30.8
GTEX-S4Z8-1226-SM-4AD6W 60-69 years, male 30.5
GTEX-RU1J-0526-SM-46MUT 20-29 years, female 29.9
GTEX-ZYVF-2726-SM-5GID4 50-59 years, female 29.3
GTEX-15RIF-1126-SM-7KUG2 20-29 years, male 29.1
GTEX-Y114-1226-SM-4TT88 50-59 years, female 29.1
GTEX-11P7K-1726-SM-5GU6F 30-39 years, male 28.9
GTEX-146FH-2126-SM-5SI9U 50-59 years, female 28.6
GTEX-17KNJ-1526-SM-7LTA9 50-59 years, male 28.6
GTEX-13OVI-2426-SM-5KM4J 60-69 years, female 28.3
GTEX-YEC3-1426-SM-D4P1S 50-59 years, male 28.2
GTEX-1E2YA-2426-SM-7EPIG 50-59 years, male 28.0
GTEX-T5JC-1926-SM-4DM6Q 20-29 years, male 27.9
GTEX-OIZH-1526-SM-3NB1J 50-59 years, male 27.5
GTEX-RUSQ-1126-SM-EAZAU 50-59 years, male 26.6
GTEX-13O3Q-2126-SM-5KM4C 50-59 years, male 26.5
GTEX-1399U-1626-SM-5P9J3 50-59 years, female 26.2
GTEX-1HR9M-2326-SM-CNPPZ 60-69 years, male 25.4
GTEX-1LVAM-1426-SM-E9TJ4 50-59 years, female 25.4
GTEX-P4PQ-1526-SM-3NMCK 60-69 years, male 25.3
GTEX-PLZ6-0826-SM-3P61K 30-39 years, male 25.2
GTEX-1IL2V-2026-SM-ARZMA 70-79 years, male 25.1
GTEX-1CB4E-1326-SM-7DUGD 60-69 years, male 24.8
GTEX-1CB4H-2426-SM-7PBYR 60-69 years, female 24.8
GTEX-1NSGN-1926-SM-E9J36 50-59 years, male 24.8
GTEX-1IDJF-1426-SM-ACKWK 20-29 years, male 24.5
GTEX-TKQ2-0926-SM-4DXU5 50-59 years, male 24.1
GTEX-1QP67-1026-SM-EVR47 40-49 years, female 23.9
GTEX-11VI4-0326-SM-5EQ6L 40-49 years, female 22.9
GTEX-14E1K-1526-SM-664MN 50-59 years, male 22.7
GTEX-1B8L1-1526-SM-79OLK 60-69 years, male 22.7
GTEX-14PN3-1326-SM-6AJ9U 60-69 years, female 22.6
GTEX-1S3DN-1526-SM-EVYCB 50-59 years, male 22.2
GTEX-1KD5A-1426-SM-D4P3V 50-59 years, male 21.8
GTEX-1QP28-2126-SM-DTX8B 50-59 years, female 21.2
GTEX-1K2DA-0826-SM-CGQGD 50-59 years, male 20.9
GTEX-XAJ8-0326-SM-47JYI 40-49 years, male 20.3
GTEX-1QW4Y-0726-SM-DTX8E 30-39 years, male 19.9
GTEX-1JN76-0926-SM-ARZNH 20-29 years, female 19.8
GTEX-1C64O-2226-SM-73KTV 60-69 years, male 19.2
Show allShow less

Contact

  • NEWS ARTICLES
  • PRESS ROOM

The Project

  • INTRODUCTION
  • ORGANIZATION
  • PUBLICATIONS

The Human Protein Atlas

  • DOWNLOADABLE DATA
  • LICENCE & CITATION
  • HELP & FAQ
The Human Protein Atlas project is funded
by the Knut & Alice Wallenberg Foundation.


contact@proteinatlas.org