We use cookies to enhance the usability of our website. If you continue, we'll assume that you are happy to receive all cookies. More information. Don't show this again.
ACTN4
HPA
RESOURCES
  • TISSUE
  • BRAIN
  • SINGLE CELL
  • SUBCELLULAR
  • CANCER
  • BLOOD
  • CELL LINE
  • STRUCTURE & INTERACTION
ABOUT
  • INTRODUCTION
  • HISTORY
  • ORGANIZATION
  • PUBLICATIONS
  • ANTIBODY SUBMISSION
  • ANTIBODY AVAILABILITY
  • ACKNOWLEDGMENTS
  • CONTACT
NEWS
  • NEWS ARTICLES
  • PRESS ROOM
LEARN
  • DICTIONARY
  • PROTEIN CLASSES
  • PROTEIN EVIDENCE
  • METHODS
  • EDUCATIONAL VIDEOS
DATA
  • DOWNLOADABLE DATA
  • PUBLICATION DATA
  • RELEASE HISTORY
HELP
  • ANTIBODY VALIDATION
  • ASSAYS & ANNOTATION
  • DISCLAIMER
  • HELP & FAQ
  • PRIVACY STATEMENT
  • LICENCE & CITATION
Fields »
Search result

Field
Term
Gene name
Class
Subclass
Class
Keyword
Chromosome
External id
Tissue
Cell type
Expression
Antibody panel
Tissue
Main location
Patient ID
Annotation
Tissue
Category
Tau score
Cluster
Reliability
Brain region
Category
Tau score
Brain region
Category
Tau score
Brain region
Category
Tau score
Cluster
Reliability
Tissue
Cell type
Enrichment
Cell type
Category
Tau score
Cell type
Category
Tau score
Cell type
Category
Tau score
Cell lineage
Category
Tau score
Cluster
Cluster
Location
Searches
Location
Cell line
Class
Type
Phase
Reliability
Cancer
Prognosis
Cancer
Category
Cancer
Category
Tau score
Cluster
Variants
Interacting gene (ensg_id)
Type
Number of interactions
Pathway
Category
Score
Score
Score
Validation
Validation
Validation
Validation
Antibodies
Data type
Column


  • SUMMARY

  • TISSUE

  • BRAIN

  • SINGLE CELL

  • SUBCELL

  • CANCER

  • BLOOD

  • CELL LINE

  • STRUCT & INT

  • ACTN4
TISSUE PRIMARY DATA SKIN Show tissue menu
ADIPOSE TISSUE ADRENAL GLAND AMYGDALA APPENDIX BASAL GANGLIA BONE MARROW BREAST BRONCHUS CEREBELLUM CEREBRAL CORTEX CERVIX CHOROID PLEXUS COLON DUODENUM
ENDOMETRIUM EPIDIDYMIS ESOPHAGUS FALLOPIAN TUBE GALLBLADDER HEART MUSCLE HIPPOCAMPAL FORMATION HYPOTHALAMUS KIDNEY LIVER LUNG LYMPH NODE MIDBRAIN NASOPHARYNX
ORAL MUCOSA OVARY PANCREAS PARATHYROID GLAND PITUITARY GLAND PLACENTA PROSTATE RECTUM RETINA SALIVARY GLAND SEMINAL VESICLE SKELETAL MUSCLE SKIN SMALL INTESTINE
SMOOTH MUSCLE SOFT TISSUE SPINAL CORD SPLEEN STOMACH TESTIS THYMUS THYROID GLAND TONGUE TONSIL URINARY BLADDER VAGINA
ANTIBODIES
AND
VALIDATION
Dictionary
Skin
Tissue proteome
Skin
SKIN - Expression summary
Protein expression
Skini

On the top, protein expression in current human tissue, based on all annotated cell types, is reported with the units not detected (n), low (l), medium (m) and high (h). Underneath, protein expression in each annotated cell type are reported using the same units.

Protein expression data is based on knowledge-based annotation. For genes where more than one antibody has been used, a collective score is set.

If knowledge-based annotation could not be performed for a gene, no data is displayed here. View antibody staining data further down this page.

h
m
l
n
Cells in basal layer: Medium
Cells in corneal layer: Not detected
Cells in granular layer: Medium
Cells in spinous layer: Medium
Endothelial cells: Medium
Extracellular matrix: Not detected
Fibrohistiocytic cells: High
Langerhans cells: Medium
Lymphocytes: High
Melanocytes: Medium
Vascular mural cells: Medium
RNA expressioni

A summary of mRNA expression data available for current tissue based on several datasets. The mRNA expression levels in human tissues are based on RNA-seq data generated by the Human Protein Atlas (HPA), Genotype-Tissue Expression (GTEx) portal and CAGE data generated by the FANTOM5 consortium. Consensus normalized expression levels for human tissues was created by combining the data from HPA and GTEx datasets.

The mRNA expression levels in pig are based on RNA-seq data generated by the Human Protein Atlas (HPA), and for mouse, HPA data and in situ hybridization generated by the Allen brain atlas are reported.

Scroll down to view mRNA expression data in more detail.
Consensus:177.5 nTPM
HPA:80.3 nTPM
GTEx:177.5 nTPM

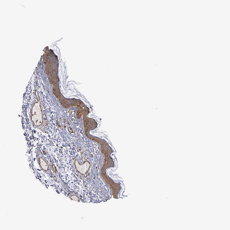
SKIN 1 - Antibody stainingi

Antibody staining in the annotated cell types in the current human tissue is reported as not detected, low, medium, or high, based on conventional immunohistochemistry profiling in selected tissues. This score is based on the combination of the staining intensity and fraction of stained cells.

Each image is clickable and will lead to virtual microscopy that enables deeper exploration of all samples and also displays staining intensity scores, fraction scores and subcellular localization as well as patient and tissue information for each sample.

Antibody HPA001873Antibody HPA006035
Langerhans -Medium
Cells in basal layer Medium-
Cells in corneal layer Not detected-
Cells in granular layer Medium-
Cells in spinous layer Medium-
Endothelial cells Medium-
Extracellular matrix Not detected-
Fibroblasts -Medium
Fibrohistiocytic cells High-
Keratinocytes -Medium
Langerhans cells Medium-
Lymphocytes High-
Melanocytes MediumMedium
Vascular mural cells Medium-

SKIN 2 - Antibody stainingi

Antibody staining in the annotated cell types in the current human tissue is reported as not detected, low, medium, or high, based on conventional immunohistochemistry profiling in selected tissues. This score is based on the combination of the staining intensity and fraction of stained cells.

Each image is clickable and will lead to virtual microscopy that enables deeper exploration of all samples and also displays staining intensity scores, fraction scores and subcellular localization as well as patient and tissue information for each sample.

Antibody HPA006035
Epidermal cells High
 
 
 
 
 
 
 
 
 
 
 
 
 


SKIN - HPA RNA-seqi

The RNA-seq details section shows detailed information about the individual samples used for the transcript profiling and results of the RNA-seq analysis.

Information about each individual sample is listed below, including gender, age, a tissue section image and estimated fractions of cell types. nTPM (normalized transcripts per million) values give a quantification of the gene abundance which is comparable between different genes and samples.
Average nTPMi

Max subtype nTPM is the value for the subtype with the largest average nTPM across the subtype samples.

80.3
overview
Female, age 34
Skin sample 225
nTPM: 92.8
Cell types%
Keratinocytes:
60

Other cell types:
40

overview
Female, age 30
Skin sample 226
nTPM: 58.9
Cell types%
Keratinocytes:
55

Other cell types:
45

N/A
Male, age 57
Skin sample 227
nTPM: 89.2

SKIN - GTEx RNA-seqi

RNA-Seq data generated by the Genotype-Tissue Expression (GTEx) project from human tissues is reported as mean nTPM. More information can be found on the GTEx portal.

Distribution across the dataset is visualized with box plots, shown as median and 25th and 75th percentiles. Points are displayed as outliers if they are above or below 1.5 times the interquartile range. nTPM values of the individual samples are presented next to the box plot.
Max subtype nTPMi

Max subtype nTPM is the value for the subtype with the largest average nTPM across the subtype samples.

177.5
GTEx sample id Sample description nTPM
Skin - Not Sun Exposed (Suprapubic)
Average nTPM: 164.6
Samples: 604

Max nTPM: 358.9
Min nTPM: 71.8
Std nTPM: 41.6
Median nTPM: 160.8
GTEX-14E6C-2426-SM-5S2NF 40-49 years, male 358.9
GTEX-1OJC3-1226-SM-DTXER 20-29 years, male 341.8
GTEX-148VJ-0626-SM-5LUAW 70-79 years, male 327.2
GTEX-11DYG-1526-SM-5A5JS 60-69 years, male 326.1
GTEX-WHSE-0126-SM-3NMBT 20-29 years, male 313.8
GTEX-ZTX8-1326-SM-4YCEL 20-29 years, male 296.0
GTEX-1H2FU-0926-SM-9WPPT 60-69 years, female 291.4
GTEX-1JMLX-0626-SM-ARL8T 50-59 years, male 288.1
GTEX-15UF6-1926-SM-7KUDV 70-79 years, female 283.1
GTEX-1ICLZ-0326-SM-ARL82 60-69 years, male 277.7
GTEX-1PPH8-0126-SM-EWRN8 20-29 years, male 277.7
GTEX-1HCU6-2526-SM-ADEHL 60-69 years, female 274.3
GTEX-12ZZX-2426-SM-5GCOE 40-49 years, female 272.7
GTEX-Y114-2126-SM-4TT8B 50-59 years, female 268.0
GTEX-X585-2426-SM-46MW2 50-59 years, male 260.6
GTEX-1PIIG-2326-SM-DTXFR 30-39 years, male 257.8
GTEX-11WQC-1826-SM-5GU59 60-69 years, male 257.5
GTEX-1I1GP-1326-SM-A9G28 50-59 years, male 257.5
GTEX-1F6I4-2326-SM-7RHGL 60-69 years, male 256.4
GTEX-11O72-0626-SM-5PNYE 40-49 years, male 254.4
GTEX-1N2DV-1526-SM-DTXEP 40-49 years, male 253.3
GTEX-1H1CY-0126-SM-9YFLY 60-69 years, female 251.9
GTEX-1JN1M-2726-SM-CY8I4 60-69 years, female 251.3
GTEX-1IE54-1126-SM-A9G2Z 40-49 years, female 248.1
GTEX-13O3O-2326-SM-5IJD6 60-69 years, female 242.3
GTEX-1IKJJ-2226-SM-CJI4C 60-69 years, male 242.2
GTEX-145MH-2826-SM-5RQJF 50-59 years, male 241.8
GTEX-1A8G6-2726-SM-731AR 60-69 years, male 241.7
GTEX-1I1GV-0626-SM-ARL7M 60-69 years, male 239.0
GTEX-18A7B-2726-SM-7LG56 70-79 years, male 238.6
GTEX-1PBJJ-1026-SM-E76OS 30-39 years, male 238.3
GTEX-11WQK-1026-SM-5EQLX 50-59 years, male 238.2
GTEX-1F6RS-2026-SM-7RHHC 60-69 years, female 235.7
GTEX-139UW-0326-SM-5J1ML 60-69 years, male 235.5
GTEX-1R9PN-0426-SM-DTXDT 40-49 years, female 234.9
GTEX-1LSVX-2526-SM-DIPEU 60-69 years, male 234.3
GTEX-15CHQ-0326-SM-69LQD 60-69 years, male 233.1
GTEX-14C39-1726-SM-5RQIL 40-49 years, male 232.7
GTEX-13OVJ-0826-SM-5J1OK 50-59 years, female 228.7
GTEX-1HGF4-0126-SM-CNPPX 60-69 years, male 227.3
GTEX-1CAV2-0126-SM-7IGN7 40-49 years, female 226.4
GTEX-13YAN-0226-SM-5TDC6 60-69 years, male 225.3
GTEX-1B933-2426-SM-7DHMD 50-59 years, female 225.2
GTEX-14PJO-2526-SM-6AJBQ 60-69 years, male 225.0
GTEX-X8HC-0626-SM-4E3HQ 50-59 years, female 224.9
GTEX-1F75I-2226-SM-7SB8U 40-49 years, male 224.5
GTEX-12ZZY-0726-SM-5EQ66 60-69 years, male 224.3
GTEX-ZE7O-2726-SM-51MT5 50-59 years, female 223.6
GTEX-1HBPI-2126-SM-ARL9K 50-59 years, male 222.8
GTEX-12WSD-0626-SM-5GCMW 60-69 years, female 222.5
GTEX-ZDTS-0826-SM-4WKHL 60-69 years, male 221.9
GTEX-1GMRU-2126-SM-7P8RA 50-59 years, male 221.7
GTEX-13G51-1826-SM-5KLZH 60-69 years, male 220.5
GTEX-144GL-0626-SM-5LU4D 50-59 years, male 220.2
GTEX-1AX9J-1326-SM-731BJ 60-69 years, male 220.2
GTEX-111VG-1626-SM-5EGIO 60-69 years, male 218.2
GTEX-1JMQI-1726-SM-ARL93 50-59 years, male 217.6
GTEX-15RJE-2826-SM-7KUM9 40-49 years, male 217.5
GTEX-15DDE-2926-SM-6LLJ3 50-59 years, female 217.4
GTEX-1497J-0226-SM-5QGPU 60-69 years, male 215.9
GTEX-13IVO-0726-SM-5LZYV 70-79 years, male 215.6
GTEX-14PJ3-1126-SM-5ZZVX 50-59 years, male 215.6
GTEX-1A32A-0626-SM-731AQ 50-59 years, female 214.4
GTEX-11DZ1-2426-SM-5GZZX 50-59 years, male 213.9
GTEX-1GN1U-0626-SM-9MQL9 50-59 years, female 213.3
GTEX-12126-0826-SM-5FQTZ 20-29 years, male 212.7
GTEX-14BIN-1126-SM-5RQJZ 50-59 years, female 211.3
GTEX-1C64N-2626-SM-7PC2N 50-59 years, male 211.3
GTEX-WH7G-2026-SM-3NMBL 40-49 years, male 211.0
GTEX-17F98-1326-SM-7DUEP 40-49 years, female 210.8
GTEX-13N1W-2426-SM-5IJD1 70-79 years, male 210.4
GTEX-13RTJ-0126-SM-5S2NN 60-69 years, male 210.1
GTEX-145LS-0626-SM-7EPG7 60-69 years, female 209.9
GTEX-17EVQ-0126-SM-7IGLR 70-79 years, male 209.4
GTEX-WHPG-2626-SM-3NMBR 50-59 years, male 209.2
GTEX-11P82-1426-SM-DTXFY 20-29 years, male 209.0
GTEX-17F97-2626-SM-7IGM5 50-59 years, male 208.9
GTEX-ZVT4-2426-SM-5GIEI 50-59 years, female 208.9
GTEX-ZC5H-1526-SM-5HL9Y 40-49 years, female 208.8
GTEX-1HSMP-0926-SM-A9SKX 70-79 years, male 208.8
GTEX-1H3O1-1326-SM-9MQLD 60-69 years, male 208.0
GTEX-1IY9M-2826-SM-ARU8H 60-69 years, male 208.0
GTEX-1N5O9-0926-SM-E9J3C 60-69 years, male 208.0
GTEX-1GN73-0726-SM-7P8TJ 60-69 years, male 207.5
GTEX-145MI-0626-SM-5SI8S 60-69 years, female 207.2
GTEX-13JVG-0726-SM-5KM16 60-69 years, male 207.0
GTEX-11P7K-1126-SM-5HL4L 30-39 years, male 206.7
GTEX-17F9Y-0126-SM-79OKX 70-79 years, female 206.6
GTEX-1EX96-1026-SM-7MKG2 50-59 years, male 206.5
GTEX-13OVK-1426-SM-6PAN7 40-49 years, male 206.4
GTEX-1H23P-0626-SM-9WG6T 60-69 years, male 206.0
GTEX-131XF-2626-SM-5EQ6K 60-69 years, male 205.9
GTEX-Y111-0626-SM-4SOIT 50-59 years, male 205.5
GTEX-1GF9V-0826-SM-9KNUV 60-69 years, male 205.5
GTEX-16MT8-2926-SM-7DUFO 60-69 years, female 205.1
GTEX-12ZZZ-0726-SM-5GCNZ 60-69 years, male 204.8
GTEX-1S5ZU-2526-SM-E6CIF 20-29 years, female 204.3
GTEX-13FTX-1526-SM-5K7VJ 20-29 years, female 203.2
GTEX-XK95-0226-SM-4AT58 40-49 years, male 203.2
GTEX-1JMQK-1226-SM-D4P2S 60-69 years, male 203.2
GTEX-13JUV-2026-SM-5K7UA 40-49 years, female 202.4
GTEX-1IKOE-1426-SM-CE6T7 30-39 years, female 201.9
GTEX-11DXY-0126-SM-5H11Q 60-69 years, male 201.7
GTEX-1EH9U-2826-SM-7DUGT 60-69 years, male 201.1
GTEX-13O61-1426-SM-5KM3D 60-69 years, male 200.7
GTEX-WFG7-2026-SM-5SI7P 20-29 years, male 200.3
GTEX-12584-0726-SM-5FQTK 40-49 years, male 200.0
GTEX-11ZU8-0126-SM-5EQ58 60-69 years, male 199.9
GTEX-14ICL-1626-SM-5YYAO 30-39 years, male 199.4
GTEX-139TS-2126-SM-5K7XC 60-69 years, male 199.0
GTEX-13OW5-2326-SM-5L3HO 60-69 years, male 198.5
GTEX-1HCU7-0726-SM-A9SL1 50-59 years, male 198.5
GTEX-133LE-2326-SM-5K7W3 20-29 years, female 198.1
GTEX-18A66-0626-SM-7LT8Z 60-69 years, male 197.6
GTEX-1S82U-1026-SM-E6CJK 30-39 years, female 197.5
GTEX-16AAH-0626-SM-793C9 50-59 years, male 197.3
GTEX-WI4N-2726-SM-3LK7Y 40-49 years, female 196.7
GTEX-13NYB-0126-SM-5J1MD 40-49 years, male 196.6
GTEX-17F9E-2326-SM-79OKD 50-59 years, male 196.1
GTEX-139TU-0726-SM-5L3EK 60-69 years, male 195.7
GTEX-1192X-2726-SM-5N9DN 50-59 years, male 195.4
GTEX-1A3MV-1826-SM-731CD 30-39 years, male 193.9
GTEX-1IDJC-1526-SM-B2LW4 50-59 years, male 193.7
GTEX-12WSF-1626-SM-7KUG5 70-79 years, male 193.3
GTEX-1RB15-1326-SM-E76Q9 60-69 years, male 193.3
GTEX-131XG-0326-SM-5L3DX 50-59 years, female 193.2
GTEX-1O9I2-0226-SM-EYYXD 50-59 years, male 193.0
GTEX-WHWD-1826-SM-3LK6I 50-59 years, male 192.5
GTEX-139TT-2126-SM-5LZWC 60-69 years, male 192.4
GTEX-ZUA1-2626-SM-5NQ92 40-49 years, male 192.4
GTEX-1GZ4I-2626-SM-9KNU3 50-59 years, male 191.6
GTEX-1LVA9-2626-SM-EVYD4 50-59 years, male 191.5
GTEX-1NSGN-0726-SM-DTXEF 50-59 years, male 190.7
GTEX-12WSK-2126-SM-5CVNC 40-49 years, female 190.0
GTEX-17HHY-0426-SM-7DHLC 50-59 years, male 189.7
GTEX-1HSMQ-2626-SM-A9SML 50-59 years, male 189.5
GTEX-13PL6-1126-SM-5L3IE 40-49 years, female 189.3
GTEX-1J8Q2-2626-SM-ACKWQ 60-69 years, male 189.3
GTEX-1R9K4-2826-SM-DTX8F 60-69 years, male 189.3
GTEX-1GN1V-2826-SM-9JGIA 60-69 years, male 188.8
GTEX-147F4-0726-SM-5TDDD 50-59 years, male 188.6
GTEX-11DXW-0826-SM-5H118 40-49 years, male 187.7
GTEX-WFON-1926-SM-3LK7L 40-49 years, male 187.2
GTEX-ZE9C-2526-SM-5IJDR 60-69 years, male 187.1
GTEX-UPJH-0226-SM-3GADV 50-59 years, male 186.9
GTEX-ZYFC-0426-SM-5GICQ 50-59 years, male 186.8
GTEX-1B8SF-0126-SM-7DUG3 60-69 years, male 186.7
GTEX-ZAJG-1526-SM-5CVML 50-59 years, female 186.5
GTEX-1IL2V-1926-SM-B2LW8 70-79 years, male 186.2
GTEX-11VI4-1126-SM-5EQMD 40-49 years, female 186.1
GTEX-ZY6K-1426-SM-5GZX2 50-59 years, male 185.9
GTEX-1E2YA-2126-SM-7MXUO 50-59 years, male 185.9
GTEX-145MO-2826-SM-5LU96 60-69 years, male 185.8
GTEX-16GPK-0626-SM-7KFSF 60-69 years, male 185.3
GTEX-1QMI2-2526-SM-E8VNZ 60-69 years, male 185.3
GTEX-11DXZ-2026-SM-5987S 50-59 years, male 185.2
GTEX-1QCLY-0226-SM-EWRNH 30-39 years, male 185.1
GTEX-1MJK3-0726-SM-E6CJC 20-29 years, male 184.8
GTEX-1F75B-0726-SM-7PC3R 50-59 years, male 184.7
GTEX-ZYW4-0626-SM-59HJR 60-69 years, male 184.6
GTEX-1PPGY-1626-SM-EVYBL 60-69 years, male 184.5
GTEX-1269C-0126-SM-5EQ5L 60-69 years, female 184.1
GTEX-1CAMQ-1326-SM-7P8RV 40-49 years, male 184.0
GTEX-1H11D-1826-SM-9QEHM 40-49 years, male 184.0
GTEX-15DYW-2726-SM-6EU2I 60-69 years, female 183.9
GTEX-1JJEA-1826-SM-ARU8P 60-69 years, male 183.8
GTEX-1QAET-0326-SM-EVR3U 50-59 years, male 183.7
GTEX-1CB4J-1326-SM-7P8RX 60-69 years, male 183.5
GTEX-1JMPY-0226-SM-CKZOK 30-39 years, male 183.5
GTEX-15RJ7-2126-SM-6PAMD 40-49 years, male 183.4
GTEX-1GPI6-1926-SM-9KNV7 60-69 years, male 183.4
GTEX-16XZZ-0726-SM-7KUF2 60-69 years, male 183.1
GTEX-1NV5F-0626-SM-DTXEG 60-69 years, female 182.8
GTEX-Z93S-1626-SM-5CVMB 50-59 years, male 182.7
GTEX-13X6J-0626-SM-5LU5F 50-59 years, male 182.5
GTEX-1117F-2926-SM-5GZYI 60-69 years, female 182.4
GTEX-13NYC-0126-SM-5L3F4 60-69 years, male 182.4
GTEX-1HR98-2226-SM-ADEI2 60-69 years, male 182.3
GTEX-1F75A-0726-SM-7RHHD 50-59 years, male 182.1
GTEX-YF7O-1526-SM-5IFI6 50-59 years, male 181.7
GTEX-1IDFM-0326-SM-ARL7V 60-69 years, male 181.4
GTEX-15EO6-2426-SM-6PALZ 50-59 years, male 181.3
GTEX-1C64O-1326-SM-7MGWR 60-69 years, male 181.3
GTEX-1M4P7-0726-SM-E6CJ3 60-69 years, male 181.1
GTEX-1CB4F-1026-SM-7DUH1 60-69 years, male 180.8
GTEX-XOT4-0626-SM-4B66L 60-69 years, female 180.8
GTEX-Y8E4-2026-SM-5IFJB 40-49 years, male 180.4
GTEX-13X6K-0626-SM-5LU5D 60-69 years, female 180.1
GTEX-17HHE-1326-SM-7EWDZ 50-59 years, male 179.8
GTEX-13PDP-0726-SM-5L3HP 60-69 years, male 179.6
GTEX-139YR-1026-SM-5LZYN 50-59 years, male 179.4
GTEX-1313W-0626-SM-5EQ4H 50-59 years, female 179.3
GTEX-12WSJ-1126-SM-5LZVJ 40-49 years, female 179.2
GTEX-WYBS-0626-SM-3NMAS 60-69 years, female 179.0
GTEX-13SLX-2226-SM-62LEP 50-59 years, female 178.5
GTEX-14PHX-2226-SM-6EU2P 50-59 years, male 178.3
GTEX-1I1GT-1026-SM-ARZLV 60-69 years, female 178.3
GTEX-15SKB-2826-SM-6PAMH 60-69 years, male 178.1
GTEX-X4EO-2926-SM-4E3JH 60-69 years, female 178.1
GTEX-1J8JJ-0626-SM-ARZMQ 60-69 years, female 178.0
GTEX-1E1VI-0326-SM-793D1 50-59 years, male 177.9
GTEX-1QP28-1126-SM-EVYC4 50-59 years, female 177.6
GTEX-XUW1-0926-SM-4BONX 50-59 years, female 177.5
GTEX-15SHW-0226-SM-7LTAT 60-69 years, male 177.4
GTEX-1J8EW-2726-SM-CY8HR 60-69 years, female 177.4
GTEX-15ER7-0626-SM-6PANF 20-29 years, female 177.3
GTEX-1HT8W-0626-SM-A9G2H 30-39 years, male 177.2
GTEX-18A6Q-0626-SM-7KFRP 60-69 years, male 176.9
GTEX-144FL-0626-SM-5LU43 50-59 years, male 176.8
GTEX-WHSB-1326-SM-3LK6W 50-59 years, male 176.8
GTEX-ZXG5-2126-SM-59HKD 60-69 years, male 176.8
GTEX-14LZ3-0126-SM-69LPM 60-69 years, female 176.4
GTEX-1JJE9-2626-SM-ARZMT 70-79 years, male 176.4
GTEX-1POEN-2326-SM-E9J2L 30-39 years, female 176.4
GTEX-17HII-1426-SM-7EPGG 50-59 years, male 176.3
GTEX-ZAB4-2126-SM-5HL8U 40-49 years, male 176.3
GTEX-1HSKV-1226-SM-ADEI4 60-69 years, male 175.9
GTEX-X4EP-0626-SM-3P621 60-69 years, female 175.4
GTEX-12KS4-2126-SM-5FQUT 30-39 years, male 175.1
GTEX-12696-0126-SM-5EQ4L 60-69 years, male 175.0
GTEX-ZVP2-0326-SM-57WBP 50-59 years, male 175.0
GTEX-1BAJH-2426-SM-7IGP8 70-79 years, male 174.9
GTEX-1211K-1526-SM-5FQU4 60-69 years, female 174.3
GTEX-1A8FM-0626-SM-7PC25 50-59 years, female 173.9
GTEX-1H4P4-2126-SM-9WYSL 50-59 years, male 173.8
GTEX-13QJC-0126-SM-5ZZWJ 60-69 years, female 173.7
GTEX-1399U-1126-SM-5L3DB 50-59 years, female 173.5
GTEX-WRHU-2826-SM-3MJG8 50-59 years, female 173.1
GTEX-1KWVE-1026-SM-D3L9O 30-39 years, male 173.1
GTEX-11NUK-2726-SM-5A5MC 50-59 years, male 173.0
GTEX-14JFF-0626-SM-5ZZVT 60-69 years, male 172.7
GTEX-11DXX-2126-SM-5PNYR 60-69 years, female 172.6
GTEX-1B97I-0626-SM-73KUZ 40-49 years, male 172.4
GTEX-XYKS-1426-SM-4BRUO 60-69 years, female 172.4
GTEX-1R9PM-1926-SM-EVR3O 20-29 years, male 172.4
GTEX-1AX9I-2226-SM-73KUO 60-69 years, male 172.2
GTEX-ZDYS-2426-SM-4WKGI 50-59 years, male 171.9
GTEX-XBEW-1126-SM-4QARW 40-49 years, male 171.4
GTEX-ZYFD-0626-SM-5E44E 50-59 years, male 171.4
GTEX-13OW7-0426-SM-5K7VK 50-59 years, male 171.2
GTEX-ZYVF-0926-SM-5E44J 50-59 years, female 170.5
GTEX-13FHO-0426-SM-5L3F5 60-69 years, male 170.2
GTEX-11PRG-0726-SM-5EGL1 50-59 years, male 170.0
GTEX-1GZHY-0626-SM-9KNVC 50-59 years, female 169.9
GTEX-13VXU-0626-SM-5L3F9 50-59 years, male 169.3
GTEX-13FTY-2126-SM-5IFFB 40-49 years, female 169.1
GTEX-1CB4E-0926-SM-7EPHT 60-69 years, male 169.0
GTEX-1LKK1-2626-SM-DKPQE 50-59 years, female 168.9
GTEX-11TUW-0626-SM-5LU9M 60-69 years, male 168.8
GTEX-1A3MW-0626-SM-731CB 60-69 years, female 168.8
GTEX-17F96-0126-SM-7EWDU 70-79 years, male 168.5
GTEX-1QP9N-1226-SM-E76QN 30-39 years, male 168.4
GTEX-13OW6-2726-SM-5J2OE 50-59 years, male 168.3
GTEX-1GF9W-1426-SM-7PBYM 60-69 years, male 168.1
GTEX-13O3Q-0126-SM-5KM34 50-59 years, male 167.9
GTEX-1F88E-1626-SM-7SB8Z 60-69 years, female 167.9
GTEX-1C6WA-2626-SM-7MKGM 60-69 years, male 167.8
GTEX-14A5H-0826-SM-5QGPJ 60-69 years, male 167.7
GTEX-ZVTK-0226-SM-51MRG 20-29 years, male 167.5
GTEX-1GN2E-0226-SM-9WG6K 60-69 years, male 167.3
GTEX-144GO-2026-SM-5O99P 60-69 years, male 167.2
GTEX-147GR-2426-SM-5ZZWQ 60-69 years, male 167.0
GTEX-18QFQ-1826-SM-72D52 30-39 years, male 166.9
GTEX-13OVH-0526-SM-5L3E6 70-79 years, male 166.8
GTEX-14DAQ-0626-SM-793DS 60-69 years, female 166.6
GTEX-13OVL-0126-SM-5L3GJ 50-59 years, male 166.4
GTEX-1EWIQ-0326-SM-7DHMQ 70-79 years, female 166.2
GTEX-1K2DU-1226-SM-CYPT4 20-29 years, male 166.0
GTEX-1C6VQ-1226-SM-73KYD 50-59 years, male 165.8
GTEX-WY7C-2126-SM-3NB2R 50-59 years, male 165.8
GTEX-1JMPZ-0726-SM-CY8HZ 30-39 years, male 165.8
GTEX-1GTWX-2026-SM-9YFLM 60-69 years, male 165.7
GTEX-13PVQ-0626-SM-5LU47 50-59 years, male 165.6
GTEX-18A7A-0126-SM-731AH 50-59 years, female 165.6
GTEX-1GMR3-0126-SM-A9SLW 40-49 years, male 165.6
GTEX-11OF3-0126-SM-5PNYF 60-69 years, male 165.5
GTEX-1KAFJ-0126-SM-DIPEK 50-59 years, male 165.1
GTEX-1GN1W-2426-SM-9KNUU 50-59 years, female 165.0
GTEX-1PDJ9-1226-SM-EXUSX 20-29 years, male 165.0
GTEX-1JMQJ-0826-SM-CNPP7 50-59 years, male 164.9
GTEX-1N2EE-0626-SM-E76PW 60-69 years, male 164.8
GTEX-13VXT-1926-SM-5K7UO 20-29 years, female 164.7
GTEX-14C5O-0326-SM-5ZZUX 60-69 years, male 164.6
GTEX-1I1GS-2626-SM-B2LY3 60-69 years, male 164.6
GTEX-14LLW-2626-SM-62LDZ 70-79 years, female 164.4
GTEX-11EQ9-1626-SM-5PNY8 30-39 years, male 164.2
GTEX-13NZ9-2626-SM-5L3FK 50-59 years, male 164.2
GTEX-1QEPI-2626-SM-DTXF4 60-69 years, female 164.1
GTEX-1EN7A-2426-SM-793DB 40-49 years, male 164.0
GTEX-147JS-0226-SM-5S2U9 60-69 years, male 163.4
GTEX-12WSM-1926-SM-5BC65 60-69 years, male 163.2
GTEX-XQ3S-1426-SM-4BOPR 20-29 years, male 163.2
GTEX-1HCVE-2726-SM-CL54F 50-59 years, male 162.7
GTEX-111FC-2526-SM-5GZXU 60-69 years, male 162.2
GTEX-11LCK-2226-SM-5HL4Q 30-39 years, male 162.1
GTEX-14PII-0726-SM-6EU2B 60-69 years, male 161.7
GTEX-14753-0726-SM-5QGQO 60-69 years, male 161.6
GTEX-11GS4-0226-SM-5HL77 60-69 years, male 161.4
GTEX-14JG6-1426-SM-9WG7C 30-39 years, female 161.4
GTEX-1LSNL-2726-SM-E9TKJ 50-59 years, male 161.0
GTEX-145MF-0926-SM-5Q5EA 50-59 years, male 160.9
GTEX-17HGU-2326-SM-7DUFE 50-59 years, male 160.8
GTEX-1MCC2-1826-SM-DIPEX 30-39 years, female 160.8
GTEX-1RAZS-2526-SM-E6CHT 50-59 years, male 160.8
GTEX-1B8KE-1126-SM-7EPHI 50-59 years, male 160.0
GTEX-131XW-0626-SM-5PNVD 50-59 years, female 159.9
GTEX-1QP2A-1726-SM-E76QC 50-59 years, male 159.7
GTEX-139T8-0626-SM-5KLZX 60-69 years, male 159.4
GTEX-1EKGG-0626-SM-7DUGJ 60-69 years, male 159.4
GTEX-15CHR-1126-SM-7EWF4 50-59 years, male 159.3
GTEX-1GZ2Q-0126-SM-9WG6M 40-49 years, male 159.3
GTEX-11EI6-2826-SM-5H11D 60-69 years, male 159.2
GTEX-13FLV-0126-SM-5K7WT 50-59 years, male 159.2
GTEX-139D8-1126-SM-5LU8W 30-39 years, female 159.1
GTEX-1R46S-2426-SM-E76QA 60-69 years, female 159.1
GTEX-1A8G7-1326-SM-73KVM 60-69 years, male 159.0
GTEX-1OJC4-2726-SM-E76PJ 50-59 years, female 159.0
GTEX-U8XE-0226-SM-4E3J3 30-39 years, male 158.5
GTEX-1KANB-2826-SM-CY8I6 50-59 years, male 158.1
GTEX-YEC3-1326-SM-DO92X 50-59 years, male 158.1
GTEX-1RLM8-2926-SM-E8VON 50-59 years, male 157.6
GTEX-111CU-1126-SM-5EGIM 50-59 years, male 157.4
GTEX-11GSP-2326-SM-5HL63 60-69 years, female 157.3
GTEX-1F52S-2926-SM-7MKGA 60-69 years, female 157.2
GTEX-1KANA-1326-SM-DIPFA 20-29 years, male 157.2
GTEX-146FQ-2126-SM-5RQHU 30-39 years, male 157.1
GTEX-1399S-0126-SM-5IJCF 30-39 years, female 157.0
GTEX-183FY-1026-SM-7939A 20-29 years, male 156.9
GTEX-1QP66-1226-SM-DTX7U 50-59 years, male 156.9
GTEX-1F88F-0126-SM-9WYSZ 60-69 years, female 156.8
GTEX-131YS-2826-SM-5EQ47 60-69 years, female 156.7
GTEX-1EU9M-1426-SM-793AI 60-69 years, male 156.7
GTEX-1MCYP-0526-SM-E9U6Q 20-29 years, female 156.6
GTEX-1C6VR-0126-SM-7RHGB 60-69 years, male 156.4
GTEX-1HB9E-0126-SM-CM2S5 50-59 years, male 155.4
GTEX-1HR9M-2226-SM-CNPPY 60-69 years, male 155.4
GTEX-XBED-1926-SM-47JYP 60-69 years, male 155.2
GTEX-14PHY-1226-SM-5ZZWK 60-69 years, female 155.0
GTEX-18465-2826-SM-7LT9J 50-59 years, male 155.0
GTEX-144GM-0526-SM-79OJO 20-29 years, male 154.7
GTEX-YECK-0326-SM-4W1YS 60-69 years, male 154.5
GTEX-1JMOU-1026-SM-CYPSS 60-69 years, female 154.3
GTEX-13112-0126-SM-5P9IU 50-59 years, male 153.6
GTEX-15EU6-2226-SM-6EU2L 50-59 years, male 153.5
GTEX-ZVE2-2826-SM-5GU51 50-59 years, male 153.3
GTEX-1HSMO-0626-SM-ACKXC 60-69 years, male 153.2
GTEX-1I1HK-2326-SM-CKZOH 60-69 years, male 153.2
GTEX-YFCO-1226-SM-5LUAT 40-49 years, male 153.1
GTEX-1QPFJ-1926-SM-EVYBD 30-39 years, female 152.9
GTEX-1KD5A-0126-SM-E9U54 50-59 years, male 152.7
GTEX-1GPI7-1826-SM-9KNU1 20-29 years, male 152.5
GTEX-1CAMR-1326-SM-7PC1F 20-29 years, male 152.3
GTEX-14BMV-2826-SM-5TDED 50-59 years, male 152.2
GTEX-1RAZQ-1326-SM-E9TK6 30-39 years, male 151.8
GTEX-1GF9U-2026-SM-7SB92 40-49 years, female 151.6
GTEX-131XH-0126-SM-5LZUY 50-59 years, male 151.3
GTEX-YJ8O-2526-SM-5HL85 40-49 years, female 151.3
GTEX-14PJ5-1526-SM-6LLIL 60-69 years, female 151.2
GTEX-145MG-1526-SM-5Q5EM 50-59 years, male 151.1
GTEX-1H1DF-1126-SM-9WG7G 40-49 years, female 151.0
GTEX-ZLFU-1826-SM-4WWBV 40-49 years, male 150.8
GTEX-XXEK-1626-SM-4BRUZ 50-59 years, male 150.6
GTEX-1IDJH-0126-SM-D3L92 70-79 years, male 150.2
GTEX-1JN6P-2926-SM-CL54D 60-69 years, male 149.7
GTEX-15D1Q-2826-SM-6LLH7 40-49 years, male 149.2
GTEX-1J1OQ-0126-SM-D4P2N 40-49 years, female 148.9
GTEX-1JK1U-0226-SM-ARZMX 60-69 years, male 148.8
GTEX-1LB8K-0726-SM-D5OV2 50-59 years, male 148.8
GTEX-18D9U-0126-SM-731BM 40-49 years, male 148.7
GTEX-ZT9X-1526-SM-5DUXD 40-49 years, male 148.7
GTEX-11ZUS-2626-SM-5FQUR 30-39 years, male 148.4
GTEX-1JKYR-0626-SM-ARL8R 20-29 years, male 148.4
GTEX-ZZ64-1026-SM-5GZXG 20-29 years, male 148.1
GTEX-1LBAC-0826-SM-CY8IJ 20-29 years, male 147.8
GTEX-13SLW-0626-SM-5Q5ER 70-79 years, male 147.7
GTEX-14JG1-1526-SM-5YY9X 40-49 years, male 147.5
GTEX-17KNJ-2126-SM-718AM 50-59 years, male 146.8
GTEX-XMD2-2126-SM-4YCF8 60-69 years, female 146.6
GTEX-1H1DG-2426-SM-9QEHJ 70-79 years, male 146.0
GTEX-18A67-1626-SM-7LT9T 50-59 years, male 145.8
GTEX-ZAK1-0626-SM-5HL8E 50-59 years, female 145.8
GTEX-ZF2S-1626-SM-57WES 50-59 years, female 145.7
GTEX-11EQ8-0926-SM-5H12V 60-69 years, male 145.6
GTEX-11UD2-2526-SM-5CVNU 50-59 years, male 145.5
GTEX-1HBPM-0726-SM-9YFL7 60-69 years, female 145.5
GTEX-145LU-1926-SM-79OJN 50-59 years, male 145.1
GTEX-1H1E6-0426-SM-9WYUS 30-39 years, male 145.1
GTEX-17HG3-2626-SM-7DUF2 30-39 years, female 145.0
GTEX-1GMR8-0626-SM-7RHI7 50-59 years, female 145.0
GTEX-12WSL-2026-SM-5GCML 50-59 years, male 144.6
GTEX-1I19N-0126-SM-CYPSF 70-79 years, male 144.0
GTEX-ZU9S-1826-SM-5NQ9E 30-39 years, male 143.7
GTEX-1H1DE-1326-SM-9KNUG 20-29 years, male 143.5
GTEX-14E1K-2026-SM-7DUEI 50-59 years, male 143.4
GTEX-1I6K7-1926-SM-B2LXR 40-49 years, male 143.3
GTEX-ZLV1-1526-SM-DO91J 60-69 years, female 143.3
GTEX-Y8LW-1526-SM-5IFHL 50-59 years, female 142.9
GTEX-13D11-0926-SM-5J2NC 50-59 years, female 142.4
GTEX-1GZ4H-0526-SM-9KNU9 50-59 years, female 142.4
GTEX-1HFI7-2326-SM-CGQFS 50-59 years, female 142.3
GTEX-ZF29-0926-SM-4WKFZ 60-69 years, female 142.2
GTEX-1HKZK-0726-SM-ACKW2 40-49 years, male 141.9
GTEX-ZYT6-2326-SM-5GZY3 30-39 years, male 141.8
GTEX-ZDTT-0426-SM-4WKFL 60-69 years, male 141.6
GTEX-13NYS-0626-SM-5L3F1 60-69 years, male 141.5
GTEX-ZWKS-0626-SM-5GIDV 30-39 years, male 141.5
GTEX-1HCUA-0826-SM-ADEHM 50-59 years, female 141.4
GTEX-1I1CD-0626-SM-CE6SW 60-69 years, female 141.4
GTEX-ZP4G-1426-SM-4WWCL 20-29 years, female 141.3
GTEX-ZT9W-1126-SM-57WDR 50-59 years, male 141.1
GTEX-1IOXB-2726-SM-CM2RI 50-59 years, male 141.1
GTEX-1H3NZ-2726-SM-9WYTQ 60-69 years, male 141.0
GTEX-18D9A-1426-SM-7LT8M 30-39 years, female 140.8
GTEX-11EM3-1226-SM-5N9DD 20-29 years, female 140.7
GTEX-1RAZR-2126-SM-E9U6T 40-49 years, male 140.6
GTEX-1F48J-0726-SM-7RHGS 50-59 years, female 140.4
GTEX-11ZTT-2126-SM-5CVLO 60-69 years, female 140.3
GTEX-17JCI-2926-SM-7DUFF 60-69 years, female 139.9
GTEX-1RMOY-1326-SM-E9TIH 50-59 years, male 139.9
GTEX-1212Z-0126-SM-59HK4 60-69 years, male 139.4
GTEX-1HBPN-0126-SM-CGQEF 50-59 years, male 139.4
GTEX-1S82P-2126-SM-E6CI5 60-69 years, female 139.2
GTEX-1F6IF-0926-SM-7SB7M 60-69 years, male 139.1
GTEX-14C38-0726-SM-5SI6M 50-59 years, male 139.0
GTEX-1QW4Y-1126-SM-DTXE3 30-39 years, male 138.9
GTEX-1I1GU-0926-SM-ACKVS 40-49 years, male 138.8
GTEX-1HUB1-1426-SM-CGQF5 60-69 years, male 138.4
GTEX-1HC8U-1326-SM-9YFMJ 40-49 years, female 138.3
GTEX-ZYY3-2926-SM-5GIEB 60-69 years, female 138.2
GTEX-11P81-2226-SM-5PNYI 30-39 years, female 138.0
GTEX-145MN-1526-SM-5SI9T 30-39 years, male 137.7
GTEX-ZDXO-3126-SM-5IJDF 60-69 years, male 137.7
GTEX-1ICG6-1226-SM-A9SLN 70-79 years, female 137.7
GTEX-1LGRB-0926-SM-COH3K 50-59 years, female 137.3
GTEX-15G1A-1626-SM-7KUKN 30-39 years, male 137.0
GTEX-1S3DN-2126-SM-E9TIN 50-59 years, male 136.8
GTEX-147F3-1726-SM-5SIAW 50-59 years, female 136.5
GTEX-1PPH7-1126-SM-DTX9A 40-49 years, male 136.3
GTEX-1F75W-2726-SM-7SB8H 60-69 years, male 135.6
GTEX-1JMQL-2226-SM-CNPP4 50-59 years, female 135.4
GTEX-16NGA-0726-SM-731AO 40-49 years, female 135.1
GTEX-17MFQ-1526-SM-7KFRR 20-29 years, male 135.1
GTEX-1S831-1826-SM-EWROF 20-29 years, male 135.1
GTEX-ZTTD-2826-SM-4YCFA 50-59 years, male 135.0
GTEX-14ABY-2026-SM-62LDL 50-59 years, male 134.4
GTEX-1B8L1-2226-SM-7P8PT 60-69 years, male 134.3
GTEX-14PJN-1826-SM-6AJ98 30-39 years, male 134.0
GTEX-ZLWG-0826-SM-59888 50-59 years, female 134.0
GTEX-1LGOU-1326-SM-D3L8M 20-29 years, female 134.0
GTEX-13N2G-0226-SM-5K7VF 60-69 years, male 133.7
GTEX-14PJ2-0626-SM-6LLII 50-59 years, male 133.6
GTEX-1C475-1326-SM-7SB73 40-49 years, female 133.6
GTEX-1B996-0426-SM-7EWF8 60-69 years, male 133.5
GTEX-1IDJE-1426-SM-ADEIW 50-59 years, female 133.5
GTEX-1QP29-1826-SM-DTX9S 50-59 years, male 133.4
GTEX-14BMU-1226-SM-5S2OR 20-29 years, female 133.3
GTEX-Y3I4-1726-SM-4TT89 50-59 years, male 133.1
GTEX-WYVS-1626-SM-3NM9R 40-49 years, female 132.9
GTEX-WYJK-0526-SM-3NM8Z 50-59 years, male 132.8
GTEX-12WSC-2826-SM-5BC5Y 50-59 years, male 132.7
GTEX-1C2JI-1026-SM-73KY1 50-59 years, male 132.6
GTEX-13NZ8-1226-SM-5KM4A 60-69 years, female 132.4
GTEX-111YS-1526-SM-5GZYW 60-69 years, male 132.3
GTEX-12WSH-1526-SM-5BC5W 50-59 years, male 132.2
GTEX-1B8KZ-0326-SM-73KY4 50-59 years, male 132.0
GTEX-17EVP-2626-SM-7IGMA 40-49 years, male 131.8
GTEX-1HCU9-0426-SM-9WYSD 20-29 years, male 131.6
GTEX-1CB4H-1126-SM-7MKGL 60-69 years, female 131.5
GTEX-13FTW-0326-SM-5K7UW 40-49 years, male 131.4
GTEX-16YQH-2226-SM-7IGM2 30-39 years, male 131.4
GTEX-15CHC-1126-SM-6LLHQ 60-69 years, female 131.3
GTEX-1GF9X-1326-SM-7PC2Y 40-49 years, female 131.3
GTEX-11TT1-1826-SM-5EQLV 20-29 years, male 130.9
GTEX-XQ8I-0926-SM-4BOOF 50-59 years, male 130.3
GTEX-1LG7Y-2526-SM-EWRO7 50-59 years, male 130.3
GTEX-15RIG-0726-SM-7KUM7 40-49 years, male 130.0
GTEX-1LVAM-0726-SM-E6CIL 50-59 years, female 129.9
GTEX-12C56-1526-SM-5FQUQ 20-29 years, male 129.6
GTEX-14PJ6-2626-SM-6EU2T 60-69 years, female 129.5
GTEX-17MF6-2626-SM-79OKQ 40-49 years, male 129.5
GTEX-1AX8Z-0726-SM-73KTS 60-69 years, male 129.3
GTEX-1J8Q3-0526-SM-ARL8U 60-69 years, male 128.9
GTEX-XAJ8-1426-SM-47JYM 40-49 years, male 128.8
GTEX-1EMGI-2326-SM-7PBYA 60-69 years, male 128.5
GTEX-1314G-1326-SM-5BC6E 30-39 years, male 128.2
GTEX-1S83E-1326-SM-E6CJM 40-49 years, male 127.9
GTEX-ZA64-1026-SM-5HL8R 20-29 years, male 127.8
GTEX-Y3IK-1626-SM-4YCF5 50-59 years, female 127.5
GTEX-1KANC-1226-SM-CYPT7 50-59 years, female 127.3
GTEX-1122O-1026-SM-9WYSF 60-69 years, female 127.2
GTEX-15FZZ-0526-SM-7KUGD 30-39 years, female 127.0
GTEX-Y9LG-1126-SM-4VBQ7 30-39 years, male 127.0
GTEX-1HFI6-0126-SM-CNPPI 40-49 years, male 126.8
GTEX-1LVAO-2726-SM-E9TJ8 60-69 years, male 126.8
GTEX-1A3MX-2626-SM-7PC24 60-69 years, male 126.7
GTEX-ZVE1-0726-SM-51MRN 50-59 years, female 126.6
GTEX-WK11-2726-SM-3NMAQ 50-59 years, male 126.5
GTEX-13OW8-1026-SM-5J1NQ 60-69 years, male 126.3
GTEX-1AYD5-2626-SM-7PBXY 50-59 years, male 126.0
GTEX-117YX-1926-SM-5GIEC 50-59 years, male 125.5
GTEX-14PJ4-0226-SM-5YY92 60-69 years, male 125.1
GTEX-13N11-2326-SM-5IJBF 50-59 years, female 125.0
GTEX-14PK6-0226-SM-62LF5 70-79 years, female 124.7
GTEX-1LVAN-0626-SM-CNPOQ 50-59 years, female 124.7
GTEX-1QCLZ-2426-SM-EVYBW 60-69 years, female 124.5
GTEX-14DAR-1226-SM-73KYV 50-59 years, male 124.4
GTEX-13X6H-0926-SM-5SIB2 50-59 years, female 124.2
GTEX-1JKYN-0826-SM-ARU8S 30-39 years, male 124.1
GTEX-14AS3-1526-SM-5Q5ED 40-49 years, female 124.0
GTEX-145LT-0526-SM-5LUB2 40-49 years, male 123.7
GTEX-WXYG-2026-SM-4E3IY 50-59 years, female 123.1
GTEX-13PVR-0426-SM-5RQK2 60-69 years, female 122.9
GTEX-W5X1-2526-SM-3GILC 40-49 years, female 122.9
GTEX-14B4R-1326-SM-5Q5EZ 30-39 years, male 122.7
GTEX-16Z82-2626-SM-7KULU 60-69 years, male 122.7
GTEX-183WM-0326-SM-72D5V 70-79 years, female 122.6
GTEX-11NSD-0626-SM-5A5LU 20-29 years, male 122.1
GTEX-1F5PL-0926-SM-7PC2W 40-49 years, female 122.1
GTEX-1ICLY-0826-SM-CMKG1 50-59 years, male 122.0
GTEX-ZPIC-0526-SM-DO91W 40-49 years, female 122.0
GTEX-16NPX-0726-SM-7KULC 50-59 years, male 121.6
GTEX-1PIGE-1826-SM-E8VOU 20-29 years, male 121.5
GTEX-1JN76-0626-SM-CKZOQ 20-29 years, female 121.4
GTEX-1J8QM-2426-SM-A9SLS 60-69 years, female 121.3
GTEX-1CB4I-0126-SM-7RHGG 50-59 years, male 121.0
GTEX-1IDJV-0126-SM-COH3Y 60-69 years, male 120.9
GTEX-1HCU8-2526-SM-CE6RX 60-69 years, female 120.7
GTEX-16BQI-1326-SM-6M486 30-39 years, female 120.5
GTEX-1LSNM-0826-SM-DIPG8 50-59 years, male 120.5
GTEX-1I6K6-1726-SM-CGQFD 30-39 years, male 120.1
GTEX-VUSG-2326-SM-4KL1U 50-59 years, male 120.0
GTEX-13113-1626-SM-5EQ4I 60-69 years, female 119.7
GTEX-18D9B-0926-SM-7LG4U 60-69 years, male 119.5
GTEX-13OVG-1626-SM-5J1NF 60-69 years, male 119.1
GTEX-1H3VE-0726-SM-9YFL5 40-49 years, male 119.1
GTEX-1F5PK-2226-SM-7SB6N 50-59 years, male 119.0
GTEX-15G19-2426-SM-7KUMR 60-69 years, male 118.6
GTEX-16MT9-0126-SM-7EPI8 60-69 years, female 118.6
GTEX-1IDJI-0126-SM-CMKHS 50-59 years, female 118.2
GTEX-1477Z-0326-SM-7IGLA 60-69 years, male 118.1
GTEX-14PKV-1126-SM-6LLJ1 20-29 years, female 117.9
GTEX-1LG7Z-1626-SM-CXKYR 30-39 years, male 117.5
GTEX-13X6I-1826-SM-5SIAO 60-69 years, male 117.0
GTEX-ZF3C-0626-SM-DO92O 50-59 years, female 117.0
GTEX-13FH7-1126-SM-5K7UG 50-59 years, female 116.3
GTEX-1L5NE-1126-SM-D3L9P 50-59 years, male 116.0
GTEX-12BJ1-0926-SM-5EQ62 60-69 years, male 115.9
GTEX-ZPU1-1126-SM-4YCF3 40-49 years, male 115.9
GTEX-12WSA-0426-SM-5EQ5X 60-69 years, male 115.8
GTEX-14E6E-0526-SM-793DN 30-39 years, male 115.8
GTEX-13U4I-2226-SM-5LU5H 40-49 years, female 115.7
GTEX-1JJ6O-2726-SM-CNPOG 60-69 years, male 115.7
GTEX-13W3W-0726-SM-5IJDQ 60-69 years, female 115.5
GTEX-ZZPU-0826-SM-5GZX5 50-59 years, female 115.1
GTEX-1R7EU-1626-SM-DTXG3 60-69 years, male 115.1
GTEX-X5EB-1926-SM-4E3IW 40-49 years, male 114.7
GTEX-1KXAM-1626-SM-D3LAD 60-69 years, male 114.5
GTEX-YEC4-1826-SM-4W1YP 40-49 years, male 113.4
GTEX-ZYFG-1526-SM-5GZYM 60-69 years, female 113.4
GTEX-1K9T9-1526-SM-DIPFR 50-59 years, female 113.4
GTEX-Y5LM-0926-SM-6LLJG 40-49 years, female 113.3
GTEX-1B932-2326-SM-79OL5 40-49 years, female 113.1
GTEX-X3Y1-2026-SM-3P5YM 40-49 years, male 113.0
GTEX-1HSGN-0826-SM-ACKW3 40-49 years, female 112.6
GTEX-1399Q-2326-SM-5KM2X 40-49 years, male 112.5
GTEX-XBEC-0726-SM-4QARZ 50-59 years, male 112.1
GTEX-WEY5-2326-SM-3GIKK 40-49 years, female 112.0
GTEX-ZVZP-1226-SM-5GID7 50-59 years, male 111.9
GTEX-14A6H-2026-SM-5Q5DD 30-39 years, male 111.8
GTEX-14XAO-1226-SM-6EU1C 60-69 years, female 111.8
GTEX-ZGAY-1826-SM-DO91Q 40-49 years, female 111.1
GTEX-132AR-0326-SM-5KM2C 50-59 years, female 110.4
GTEX-1J1R8-2026-SM-CL53Y 40-49 years, male 110.4
GTEX-1AMFI-1326-SM-7939R 50-59 years, female 110.2
GTEX-15RIE-1926-SM-7KUKJ 60-69 years, male 109.9
GTEX-YB5K-2026-SM-4VDT3 40-49 years, female 109.4
GTEX-1GL5R-1326-SM-7RHHF 50-59 years, male 109.0
GTEX-1GMR2-0826-SM-7PC3V 50-59 years, male 109.0
GTEX-1IDJU-1726-SM-CMKHU 60-69 years, female 108.3
GTEX-Y5V5-0126-SM-5S2NW 60-69 years, female 108.2
GTEX-1RAZA-2226-SM-E9U4X 20-29 years, male 107.2
GTEX-ZVT2-0126-SM-5GIDQ 50-59 years, female 107.1
GTEX-1IDJF-2026-SM-CL53V 20-29 years, male 107.0
GTEX-14PKU-0126-SM-6LLHV 40-49 years, female 106.7
GTEX-ZPCL-1126-SM-4WWFE 60-69 years, female 106.5
GTEX-178AV-1726-SM-7KUL8 40-49 years, male 103.9
GTEX-145ME-1726-SM-5Q5EU 40-49 years, female 103.0
GTEX-1I4MK-0126-SM-CY8G6 50-59 years, female 103.0
GTEX-1IDJD-2326-SM-ACKWX 30-39 years, male 103.0
GTEX-WFG8-2126-SM-3GIKQ 20-29 years, male 101.6
GTEX-16MTA-0926-SM-6M47Z 50-59 years, male 101.0
GTEX-1CAMS-2226-SM-7PBXQ 40-49 years, female 100.1
GTEX-1H1ZS-2726-SM-9WG75 70-79 years, male 99.2
GTEX-XV7Q-1826-SM-4BRUV 40-49 years, female 97.3
GTEX-1AMEY-0826-SM-72D65 30-39 years, female 94.0
GTEX-13QBU-1226-SM-5LU4G 40-49 years, female 93.0
GTEX-XPVG-2126-SM-4B667 50-59 years, male 90.2
GTEX-1K2DA-1026-SM-CGQGF 50-59 years, male 89.8
GTEX-ZTSS-1426-SM-5985P 40-49 years, male 89.3
GTEX-VJYA-1526-SM-3GIJV 60-69 years, male 89.2
GTEX-Y5V6-2326-SM-4VDSA 60-69 years, male 86.9
GTEX-UPK5-0426-SM-3GAEK 40-49 years, male 77.6
GTEX-V1D1-2026-SM-3GAF4 50-59 years, male 72.8
GTEX-1399R-1326-SM-5PNYS 30-39 years, male 71.8
Show allShow less
Skin - Sun Exposed (Lower leg)
Average nTPM: 177.5
Samples: 701

Max nTPM: 520.8
Min nTPM: 55.1
Std nTPM: 48.4
Median nTPM: 168.5
GTEX-11DXZ-2326-SM-5EGGV 50-59 years, male 520.8
GTEX-ZTX8-1426-SM-5DUVO 20-29 years, male 385.0
GTEX-X4XY-0226-SM-4E3IZ 60-69 years, male 363.3
GTEX-14E6C-0126-SM-5RQIP 40-49 years, male 351.9
GTEX-15ETS-0126-SM-7KUMW 40-49 years, female 349.2
GTEX-13CF2-2526-SM-5LZYX 60-69 years, male 348.5
GTEX-1CAV2-2226-SM-7P8P2 40-49 years, female 346.8
GTEX-1HSMO-0126-SM-CL547 60-69 years, male 335.4
GTEX-ZE7O-0126-SM-57WC1 50-59 years, female 329.4
GTEX-139UW-2826-SM-5L3E7 60-69 years, male 327.9
GTEX-T2YK-0526-SM-32QPJ 50-59 years, male 317.3
GTEX-Y3IK-2426-SM-4WWDU 50-59 years, female 316.0
GTEX-1K2DU-2326-SM-E9TIV 20-29 years, male 315.4
GTEX-14PN4-0126-SM-6EU2V 50-59 years, male 300.4
GTEX-TKQ1-1026-SM-4GICL 30-39 years, male 293.4
GTEX-11H98-0126-SM-5EGHG 50-59 years, male 291.0
GTEX-ZTPG-0326-SM-5O9AX 20-29 years, female 285.7
GTEX-ZYFD-0126-SM-5GIDL 50-59 years, male 283.8
GTEX-12584-0126-SM-5EGKQ 40-49 years, male 282.3
GTEX-14A5I-0126-SM-5TDEA 50-59 years, female 277.9
GTEX-15ER7-0326-SM-7KUEV 20-29 years, female 277.4
GTEX-1F6I4-0126-SM-9MQL2 60-69 years, male 275.1
GTEX-WI4N-1026-SM-3LK7N 40-49 years, female 275.0
GTEX-RTLS-0126-SM-447CA 60-69 years, female 273.8
GTEX-139TS-2826-SM-5J1OO 60-69 years, male 273.6
GTEX-13FXS-0226-SM-5IJCK 50-59 years, male 273.1
GTEX-1PIIG-0226-SM-EWRN6 30-39 years, male 271.6
GTEX-QEG4-0226-SM-2S1PY 30-39 years, male 270.3
GTEX-1HBPN-0226-SM-9YFM1 50-59 years, male 268.7
GTEX-16XZZ-0126-SM-793DV 60-69 years, male 268.5
GTEX-ZVT4-0126-SM-DTXFN 50-59 years, female 265.4
GTEX-S7PM-0126-SM-4AD6S 60-69 years, male 263.6
GTEX-ZGAY-0526-SM-4WWBB 40-49 years, female 263.3
GTEX-15UF6-0826-SM-6PALJ 70-79 years, female 262.6
GTEX-1N2EF-0226-SM-EYYXB 60-69 years, male 261.7
GTEX-T5JC-0426-SM-32PLO 20-29 years, male 261.2
GTEX-P4QT-0126-SM-2I3FL 50-59 years, female 260.7
GTEX-13111-1626-SM-5EGJY 50-59 years, male 259.4
GTEX-1QAET-0926-SM-E76QM 50-59 years, male 257.1
GTEX-1IKK5-0626-SM-ARL8A 60-69 years, male 256.4
GTEX-OOBK-0126-SM-2YUND 40-49 years, male 255.9
GTEX-148VJ-0126-SM-5TDDN 70-79 years, male 255.8
GTEX-131XE-2326-SM-5PNZ2 50-59 years, male 254.0
GTEX-1LBAC-0126-SM-DIPEZ 20-29 years, male 254.0
GTEX-T6MN-0126-SM-32PLP 50-59 years, male 253.4
GTEX-QESD-1426-SM-2S1R9 20-29 years, male 250.5
GTEX-ZV6S-2326-SM-4YCEY 40-49 years, female 249.8
GTEX-OXRO-0126-SM-2YUN4 60-69 years, female 249.7
GTEX-11TUW-2726-SM-E9J4M 60-69 years, male 249.7
GTEX-1JMLX-0226-SM-CM2RO 50-59 years, male 249.7
GTEX-11DYG-0126-SM-59883 60-69 years, male 249.2
GTEX-1R46S-0626-SM-E9J41 60-69 years, female 249.1
GTEX-131YS-0126-SM-5KM1M 60-69 years, female 247.3
GTEX-13YAN-0326-SM-5O9DF 60-69 years, male 247.3
GTEX-1OJC3-0126-SM-E76QX 20-29 years, male 247.2
GTEX-XUZC-1726-SM-4BRWS 30-39 years, female 246.6
GTEX-13N2G-2626-SM-5J1OT 60-69 years, male 246.5
GTEX-1H1CY-2826-SM-9MQM3 60-69 years, female 246.0
GTEX-XYKS-2126-SM-4E3IB 60-69 years, female 244.9
GTEX-PX3G-0126-SM-2I3EN 20-29 years, female 244.8
GTEX-1H3O1-0426-SM-9YFKY 60-69 years, male 244.8
GTEX-1BAJH-0526-SM-793CQ 70-79 years, male 244.1
GTEX-147F4-0226-SM-5QGPW 50-59 years, male 243.8
GTEX-1B8KE-2126-SM-73KYX 50-59 years, male 242.8
GTEX-11TT1-2526-SM-5EGIB 20-29 years, male 242.5
GTEX-Y114-2426-SM-4TT8A 50-59 years, female 242.5
GTEX-1JN1M-0326-SM-CYPT3 60-69 years, female 242.4
GTEX-1KD5A-0226-SM-D5OV3 50-59 years, male 242.1
GTEX-1EMGI-0126-SM-9KNUE 60-69 years, male 241.7
GTEX-1H4P4-0726-SM-9YFLR 50-59 years, male 240.7
GTEX-18A6Q-0126-SM-731BZ 60-69 years, male 240.5
GTEX-1GZHY-0326-SM-9QEHI 50-59 years, female 239.3
GTEX-SN8G-0126-SM-32PLI 50-59 years, female 239.2
GTEX-17HII-0226-SM-7LG4E 50-59 years, male 238.6
GTEX-Y8DK-0126-SM-4TT3L 60-69 years, male 238.2
GTEX-1HCU6-0126-SM-CL54K 60-69 years, female 237.8
GTEX-132NY-0326-SM-5IJBL 60-69 years, male 237.5
GTEX-1C6WA-0126-SM-7PC2B 60-69 years, male 237.5
GTEX-16GPK-0126-SM-7DHLE 60-69 years, male 236.3
GTEX-1H1DG-0126-SM-9WYU2 70-79 years, male 235.8
GTEX-ZF3C-0126-SM-DO92D 50-59 years, female 235.3
GTEX-1KANC-1526-SM-D3LAB 50-59 years, female 235.1
GTEX-13O1R-0126-SM-5L3EH 60-69 years, male 233.6
GTEX-131XH-2226-SM-5DUXJ 50-59 years, male 233.0
GTEX-T8EM-1026-SM-3DB7M 40-49 years, male 232.9
GTEX-ZDTS-0126-SM-4WAY5 60-69 years, male 232.0
GTEX-1A3MX-0126-SM-731BR 60-69 years, male 231.7
GTEX-12ZZX-0126-SM-5EGK9 40-49 years, female 231.5
GTEX-1EWIQ-0126-SM-7RHH2 70-79 years, female 231.1
GTEX-12WSJ-1826-SM-5GCNY 40-49 years, female 230.9
GTEX-1GMR3-1926-SM-9KNUZ 40-49 years, male 230.4
GTEX-1HGF4-2426-SM-ACKXM 60-69 years, male 229.9
GTEX-1RDX4-0126-SM-E9J4P 50-59 years, female 228.1
GTEX-1AX9I-0126-SM-7SB74 60-69 years, male 228.0
GTEX-13FTW-2626-SM-5K7WL 40-49 years, male 227.3
GTEX-YJ8A-0426-SM-5IFID 20-29 years, male 226.7
GTEX-X4EO-0326-SM-3P5YO 60-69 years, female 226.4
GTEX-11GS4-2726-SM-5A5LE 60-69 years, male 226.0
GTEX-18D9A-1926-SM-7LG6P 30-39 years, female 224.9
GTEX-ZV68-0126-SM-59HKS 50-59 years, female 224.4
GTEX-117YW-2626-SM-5GZZH 50-59 years, male 224.3
GTEX-15SHU-0126-SM-7KUEH 40-49 years, female 224.0
GTEX-RNOR-0126-SM-E9J4R 50-59 years, female 223.8
GTEX-1CB4G-0226-SM-7PC3O 60-69 years, male 223.5
GTEX-1QCLY-0326-SM-E8VOG 30-39 years, male 223.3
GTEX-1N2DW-0226-SM-E9TK2 50-59 years, male 223.2
GTEX-14JIY-0126-SM-6LLH6 60-69 years, male 222.4
GTEX-16YQH-0126-SM-7DUFJ 30-39 years, male 222.4
GTEX-U8T8-0126-SM-3DB94 60-69 years, male 222.1
GTEX-1IOXB-0126-SM-ARL8G 50-59 years, male 222.1
GTEX-ZVTK-0426-SM-51MRS 20-29 years, male 221.8
GTEX-13OVH-0126-SM-5MR4B 70-79 years, male 221.7
GTEX-17HG3-2226-SM-7938L 30-39 years, female 221.7
GTEX-1JMQL-0226-SM-CNPP5 50-59 years, female 221.5
GTEX-1AYCT-2426-SM-7IGQ3 50-59 years, male 221.3
GTEX-145MO-0326-SM-5Q5B3 60-69 years, male 220.9
GTEX-YJ89-0126-SM-4TT3X 60-69 years, male 220.3
GTEX-1KWVE-1426-SM-E9TJO 30-39 years, male 220.2
GTEX-1497J-2426-SM-7IGNX 60-69 years, male 220.1
GTEX-1JMQI-2226-SM-CM2SD 50-59 years, male 219.5
GTEX-1GN1U-0126-SM-7PBZK 50-59 years, female 219.1
GTEX-15F5U-1526-SM-6PANO 40-49 years, male 219.0
GTEX-ZU9S-0226-SM-5E441 30-39 years, male 218.9
GTEX-1F6RS-0126-SM-9MQKZ 60-69 years, female 218.9
GTEX-1HFI6-0226-SM-ADEHZ 40-49 years, male 218.8
GTEX-1B8SF-1426-SM-7DUGL 60-69 years, male 218.3
GTEX-1313W-0126-SM-5LZUN 50-59 years, female 217.9
GTEX-14XAO-2326-SM-6EU1B 60-69 years, female 217.5
GTEX-1S3DN-2226-SM-EVYCD 50-59 years, male 217.5
GTEX-1H3VE-0326-SM-9YFLH 40-49 years, male 217.4
GTEX-1JN6P-0126-SM-D3L98 60-69 years, male 217.2
GTEX-14PJM-0226-SM-62LF1 50-59 years, female 216.8
GTEX-13FHP-0126-SM-5IJBG 50-59 years, male 216.6
GTEX-1PIGE-0126-SM-EVYBJ 20-29 years, male 216.5
GTEX-Y111-0126-SM-4SOIV 50-59 years, male 215.7
GTEX-18A7A-0226-SM-718BH 50-59 years, female 215.4
GTEX-1A8FM-0226-SM-7SB7Q 50-59 years, female 215.4
GTEX-PSDG-0226-SM-DKPOZ 50-59 years, male 214.7
GTEX-1PPH8-0226-SM-E8VND 20-29 years, male 214.3
GTEX-1399U-2326-SM-5K7WY 50-59 years, female 212.8
GTEX-13G51-2526-SM-5LZYK 60-69 years, male 212.8
GTEX-1GMRU-0126-SM-9YFLV 50-59 years, male 212.5
GTEX-1JMPY-1326-SM-ARL8Y 30-39 years, male 212.3
GTEX-1C475-1826-SM-73KWA 40-49 years, female 211.9
GTEX-U412-0426-SM-3DB9O 60-69 years, male 211.8
GTEX-1HBPM-0226-SM-ARL9F 60-69 years, female 211.2
GTEX-11UD1-0126-SM-5PNYG 40-49 years, female 210.8
GTEX-1F6IF-0726-SM-7P8TW 60-69 years, male 210.8
GTEX-X8HC-0126-SM-4E3JW 50-59 years, female 210.6
GTEX-1CB4J-0626-SM-7DHMP 60-69 years, male 210.5
GTEX-131XW-0426-SM-5LZWP 50-59 years, female 210.3
GTEX-13NYS-0126-SM-5MR3W 60-69 years, male 209.1
GTEX-13X6J-0126-SM-5QGOU 50-59 years, male 209.0
GTEX-1KD4Q-0226-SM-E9TJ9 40-49 years, male 208.9
GTEX-14BIN-0626-SM-793DP 50-59 years, female 208.0
GTEX-18A66-0226-SM-718BD 60-69 years, male 208.0
GTEX-1GZ2Q-0226-SM-7P8TL 40-49 years, male 208.0
GTEX-13NZ8-0826-SM-5MR3I 60-69 years, female 207.7
GTEX-ZF2S-2326-SM-4WWCE 50-59 years, female 207.6
GTEX-1GN2E-0426-SM-9MQKX 60-69 years, male 207.5
GTEX-145MI-0526-SM-5O9A8 60-69 years, female 207.4
GTEX-17GQL-2026-SM-718BA 60-69 years, male 207.3
GTEX-ZPIC-1726-SM-DHXIU 40-49 years, female 207.2
GTEX-14PII-0226-SM-6EU1T 60-69 years, male 207.0
GTEX-1H2FU-0126-SM-9WYSI 60-69 years, female 207.0
GTEX-1PFEY-1526-SM-E76PP 30-39 years, male 207.0
GTEX-139TU-0126-SM-5K7WH 60-69 years, male 206.9
GTEX-1M4P7-0226-SM-DIPEV 60-69 years, male 206.9
GTEX-12696-2426-SM-5EQ6H 60-69 years, male 205.8
GTEX-1AYD5-2426-SM-73KXR 50-59 years, male 205.8
GTEX-1LB8K-0226-SM-EWRNW 50-59 years, male 205.8
GTEX-1A3MV-1926-SM-718BT 30-39 years, male 205.5
GTEX-11UD2-0226-SM-5EQKY 50-59 years, male 205.2
GTEX-1J8JJ-0226-SM-CL53I 60-69 years, female 205.1
GTEX-1H1DE-2126-SM-9WG6R 20-29 years, male 204.8
GTEX-1B8L1-2526-SM-9WYTF 60-69 years, male 204.5
GTEX-17JCI-0126-SM-7LG5G 60-69 years, female 203.8
GTEX-1I1GV-0526-SM-A9G29 60-69 years, male 203.6
GTEX-1I4MK-2226-SM-ACKWD 50-59 years, female 203.6
GTEX-15D1Q-0126-SM-7KUG6 40-49 years, male 203.4
GTEX-1B8SG-0126-SM-73KZ3 50-59 years, male 203.2
GTEX-14ICK-0226-SM-6EU25 40-49 years, male 203.1
GTEX-113JC-2326-SM-5EQ4E 50-59 years, female 202.1
GTEX-13VXU-0126-SM-5SI9F 50-59 years, male 202.1
GTEX-14C5O-0126-SM-5SI6N 60-69 years, male 202.0
GTEX-11ZVC-2526-SM-5FQTE 50-59 years, female 201.9
GTEX-1CAMR-1926-SM-7EPI2 20-29 years, male 201.8
GTEX-117XS-2726-SM-5N9BL 60-69 years, male 201.6
GTEX-12126-0326-SM-5PNW3 20-29 years, male 201.6
GTEX-12WSK-2326-SM-5GCOH 40-49 years, female 201.6
GTEX-ZF29-2326-SM-DO92K 60-69 years, female 201.6
GTEX-UPJH-0326-SM-3GADU 50-59 years, male 201.5
GTEX-RU72-0926-SM-2TF6B 50-59 years, female 201.1
GTEX-1GTWX-0126-SM-9YFLK 60-69 years, male 201.1
GTEX-1JMQJ-0526-SM-CYPSU 50-59 years, male 200.6
GTEX-YB5E-2026-SM-5IFIS 40-49 years, male 200.2
GTEX-1LSNM-1926-SM-E6CII 50-59 years, male 200.0
GTEX-11ZUS-0626-SM-59885 30-39 years, male 199.4
GTEX-1399T-2826-SM-5KLYZ 60-69 years, male 199.2
GTEX-1GF9V-0326-SM-7RHI5 60-69 years, male 199.0
GTEX-15EOM-0126-SM-7KUGG 20-29 years, female 198.9
GTEX-17EVQ-0226-SM-7LG4P 70-79 years, male 198.3
GTEX-OHPM-0126-SM-2YUN9 50-59 years, male 198.3
GTEX-1HBPI-1526-SM-C1YQ1 50-59 years, male 198.3
GTEX-17EVP-0326-SM-7DHLG 40-49 years, male 198.2
GTEX-1MGNQ-0126-SM-EVYCJ 40-49 years, male 198.1
GTEX-15DDE-0126-SM-6LPKH 50-59 years, female 197.5
GTEX-1HUB1-0426-SM-E9U4U 60-69 years, male 197.3
GTEX-1HCUA-2426-SM-ADEIS 50-59 years, female 197.0
GTEX-1LG7Z-1726-SM-D3LA4 30-39 years, male 197.0
GTEX-1PDJ9-0326-SM-DTX95 20-29 years, male 197.0
GTEX-1F75B-0126-SM-9KNVL 50-59 years, male 196.9
GTEX-1MA7W-2026-SM-E9TJ6 20-29 years, female 196.5
GTEX-13OVK-2026-SM-7KUEO 40-49 years, male 196.3
GTEX-1R9PO-2126-SM-E9J4O 60-69 years, female 196.2
GTEX-1IKJJ-0126-SM-CNPQB 60-69 years, male 196.0
GTEX-WH7G-2326-SM-3NMBC 40-49 years, male 195.9
GTEX-11GSP-2526-SM-5N9BP 60-69 years, female 195.8
GTEX-1K2DA-1826-SM-CGQGT 50-59 years, male 195.3
GTEX-1NV5F-0226-SM-E8VNY 60-69 years, female 195.2
GTEX-1269C-2526-SM-5EGJ3 60-69 years, female 195.1
GTEX-11WQK-0526-SM-5EQLD 50-59 years, male 194.7
GTEX-1QMI2-0226-SM-EVYBX 60-69 years, male 193.1
GTEX-ZAK1-0126-SM-5IJD3 50-59 years, female 192.4
GTEX-16MT8-0426-SM-7KUEY 60-69 years, female 192.3
GTEX-1POEN-0126-SM-EYYXJ 30-39 years, female 192.1
GTEX-11ZTS-0126-SM-5EQ6M 60-69 years, female 191.6
GTEX-13X6H-2126-SM-7EWD5 50-59 years, female 191.4
GTEX-12WSG-2826-SM-E9J4H 50-59 years, female 191.4
GTEX-1CB4I-0226-SM-79OLH 50-59 years, male 191.0
GTEX-12WSD-0126-SM-59HKN 60-69 years, female 190.6
GTEX-12ZZZ-0626-SM-5DUXI 60-69 years, male 190.5
GTEX-111VG-2426-SM-5GZXD 60-69 years, male 190.3
GTEX-SIU8-0126-SM-2XCDT 50-59 years, male 189.7
GTEX-1IL2U-0226-SM-CE6T8 60-69 years, male 189.3
GTEX-14DAQ-0126-SM-5S2MQ 60-69 years, female 188.8
GTEX-OXRP-0126-SM-3NB32 60-69 years, female 188.2
GTEX-1399R-2726-SM-5IJBA 30-39 years, male 188.0
GTEX-Z93S-0126-SM-5HL7M 50-59 years, male 188.0
GTEX-1HSKV-0226-SM-A9SKJ 60-69 years, male 188.0
GTEX-13O3P-0126-SM-5KM4S 50-59 years, male 187.8
GTEX-1HFI7-1826-SM-ACKXH 50-59 years, female 187.5
GTEX-13N1W-0126-SM-5K7VT 70-79 years, male 187.0
GTEX-W5X1-3026-SM-EAZAX 40-49 years, female 187.0
GTEX-1S82Y-2026-SM-EVYCM 40-49 years, male 186.2
GTEX-14E6D-0126-SM-62LDV 50-59 years, male 186.1
GTEX-1OFPY-2426-SM-DTXEJ 60-69 years, male 186.0
GTEX-13112-2826-SM-5DUWH 50-59 years, male 185.8
GTEX-11EM3-2426-SM-59861 20-29 years, female 185.5
GTEX-Q2AI-1326-SM-2S1PL 40-49 years, male 185.5
GTEX-X62O-0126-SM-4E3JN 50-59 years, male 185.5
GTEX-ZYW4-0126-SM-5E44A 60-69 years, male 184.6
GTEX-1R9PM-2026-SM-E76OY 20-29 years, male 184.5
GTEX-11P7K-2126-SM-5GU7G 30-39 years, male 184.4
GTEX-ZAB4-0226-SM-5N9F5 40-49 years, male 184.3
GTEX-13FTX-1826-SM-5J1NX 20-29 years, female 183.6
GTEX-1QP9N-1426-SM-DTXFL 30-39 years, male 183.6
GTEX-U8XE-0326-SM-3DB8P 30-39 years, male 183.3
GTEX-13W46-0226-SM-5SIAG 50-59 years, male 183.1
GTEX-V1D1-2226-SM-3NMAX 50-59 years, male 183.1
GTEX-145MN-2226-SM-5SIAU 30-39 years, male 183.0
GTEX-1IDJH-0326-SM-A9SLQ 70-79 years, male 182.9
GTEX-1MJK2-0426-SM-DTXE5 50-59 years, male 182.6
GTEX-SUCS-1926-SM-32PM3 70-79 years, male 182.4
GTEX-ZE9C-2726-SM-57WB5 60-69 years, male 182.4
GTEX-1RAZQ-0726-SM-EAZ43 30-39 years, male 182.4
GTEX-WRHK-1426-SM-3MJF9 20-29 years, female 182.1
GTEX-1C6VR-2426-SM-79OLD 60-69 years, male 181.8
GTEX-13O3O-0126-SM-E9J49 60-69 years, female 181.8
GTEX-1211K-2026-SM-5EQ4Z 60-69 years, female 181.6
GTEX-OHPL-0126-SM-2HMJ7 60-69 years, female 181.4
GTEX-145MF-0626-SM-5LUAI 50-59 years, male 181.2
GTEX-1C4CL-0526-SM-73KVK 30-39 years, male 181.1
GTEX-1H3VY-0126-SM-ACKXD 50-59 years, male 181.0
GTEX-13JUV-2726-SM-5LZZ8 40-49 years, female 180.9
GTEX-RN64-0126-SM-2TC68 50-59 years, male 180.9
GTEX-1I6K6-0126-SM-A9SLE 30-39 years, male 180.9
GTEX-1E2YA-0126-SM-9KNUC 50-59 years, male 180.8
GTEX-13OVL-0226-SM-5L3E9 50-59 years, male 180.7
GTEX-S7SE-0126-SM-2XCD5 50-59 years, male 180.7
GTEX-UJHI-1526-SM-3DB99 50-59 years, female 180.4
GTEX-11WQC-2526-SM-5CVLE 60-69 years, male 180.1
GTEX-S32W-2126-SM-2XCB1 50-59 years, female 180.1
GTEX-1A3MW-0126-SM-73KXX 60-69 years, female 179.8
GTEX-X261-0126-SM-3NMD6 50-59 years, male 179.7
GTEX-1CB4F-0426-SM-9KNV4 60-69 years, male 179.4
GTEX-1B933-0126-SM-7PC29 50-59 years, female 178.9
GTEX-1LNCM-1126-SM-E9U5E 50-59 years, female 178.9
GTEX-WYVS-2126-SM-3NMA3 40-49 years, female 178.5
GTEX-RWSA-0126-SM-2XCBB 40-49 years, male 178.2
GTEX-139TT-0126-SM-5K7Y5 60-69 years, male 177.9
GTEX-146FQ-0126-SM-5NQA9 30-39 years, male 177.9
GTEX-1B996-0226-SM-7RHGO 60-69 years, male 177.9
GTEX-11XUK-2026-SM-5EQLF 40-49 years, female 177.8
GTEX-12WSE-0526-SM-793B2 20-29 years, male 177.8
GTEX-1IGQW-0126-SM-COH42 60-69 years, male 177.4
GTEX-X4EP-0126-SM-3P5YV 60-69 years, female 177.1
GTEX-1I1HK-0126-SM-COH49 60-69 years, male 177.1
GTEX-11OF3-2626-SM-5GU7F 60-69 years, male 176.9
GTEX-18465-0126-SM-731BN 50-59 years, male 176.5
GTEX-1J1OQ-0226-SM-CYPSH 40-49 years, female 176.3
GTEX-14A5H-0426-SM-5QGQF 60-69 years, male 176.2
GTEX-13PDP-0126-SM-5L3HD 60-69 years, male 176.0
GTEX-1LC47-0326-SM-E9TJP 60-69 years, male 175.9
GTEX-1HR98-0126-SM-B2LWI 60-69 years, male 175.8
GTEX-15DYW-0126-SM-7KULE 60-69 years, female 175.7
GTEX-ZZPT-0226-SM-5E43X 50-59 years, male 175.6
GTEX-1JN76-0126-SM-CNPPE 20-29 years, female 175.5
GTEX-13PVR-2326-SM-5QGR1 60-69 years, female 175.3
GTEX-1E1VI-0126-SM-7DHMZ 50-59 years, male 175.1
GTEX-1J8QM-2126-SM-CYPSJ 60-69 years, female 175.1
GTEX-1CB4E-2226-SM-793DC 60-69 years, male 174.8
GTEX-R55E-0126-SM-2TC5Y 20-29 years, male 174.6
GTEX-139D8-0226-SM-5KLZO 30-39 years, female 174.4
GTEX-1A32A-0126-SM-718B1 50-59 years, female 174.4
GTEX-13OW6-0426-SM-5L3HM 50-59 years, male 174.3
GTEX-ZYT6-0226-SM-5NQ6T 30-39 years, male 174.2
GTEX-1RLM8-2326-SM-EWRN4 50-59 years, male 174.2
GTEX-145LV-2126-SM-5LU8N 50-59 years, male 174.0
GTEX-PLZ6-1426-SM-DKPOT 30-39 years, male 173.4
GTEX-148VI-1626-SM-5SI6E 60-69 years, female 173.2
GTEX-13O21-1426-SM-5K7XI 50-59 years, male 172.9
GTEX-XQ8I-0426-SM-4BOPO 50-59 years, male 172.9
GTEX-1B8KZ-2026-SM-7DHMB 50-59 years, male 172.7
GTEX-146FH-0126-SM-5QGPP 50-59 years, female 172.6
GTEX-1GF9X-2026-SM-7PC3A 40-49 years, female 172.5
GTEX-139T8-0126-SM-5K7XZ 60-69 years, male 172.4
GTEX-11P81-2326-SM-59875 30-39 years, female 172.2
GTEX-13NYB-2526-SM-5K7Z6 40-49 years, male 172.2
GTEX-WQUQ-0426-SM-3MJFU 60-69 years, male 171.9
GTEX-1314G-1526-SM-5EGK2 30-39 years, male 171.7
GTEX-T2IS-0126-SM-4DM6O 20-29 years, female 171.6
GTEX-14BIL-0126-SM-5SI92 50-59 years, male 171.3
GTEX-17F98-0626-SM-79OMX 40-49 years, female 170.9
GTEX-1I1GS-0126-SM-B2LVW 60-69 years, male 170.9
GTEX-13SLX-0526-SM-5S2ON 50-59 years, female 170.8
GTEX-13U4I-0126-SM-5LU38 40-49 years, female 170.6
GTEX-14PHX-2326-SM-62LEM 50-59 years, male 170.5
GTEX-ZWKS-0126-SM-5SIAA 30-39 years, male 170.5
GTEX-1212Z-2526-SM-5EGKP 60-69 years, male 170.3
GTEX-14DAR-2026-SM-5S2O3 50-59 years, male 170.2
GTEX-YFC4-0126-SM-5CVLY 40-49 years, female 170.1
GTEX-17KNJ-2326-SM-7DHLQ 50-59 years, male 169.9
GTEX-1H1ZS-0426-SM-9WG6G 70-79 years, male 169.9
GTEX-131XG-2626-SM-5KM17 50-59 years, female 169.2
GTEX-111FC-0126-SM-5N9DL 60-69 years, male 169.1
GTEX-12WSC-0126-SM-5EQ4P 50-59 years, male 169.1
GTEX-OOBJ-0126-SM-E6CJW 60-69 years, male 168.9
GTEX-13OW7-0126-SM-5MR3B 50-59 years, male 168.8
GTEX-1GN73-0226-SM-9WG67 60-69 years, male 168.6
GTEX-1HSGN-0226-SM-CGQFV 40-49 years, female 168.5
GTEX-1L5NE-2526-SM-E6CIE 50-59 years, male 168.4
GTEX-1I1GR-0126-SM-CL55F 60-69 years, male 168.3
GTEX-S33H-1026-SM-EZ6L6 30-39 years, male 168.3
GTEX-13VXT-0126-SM-5LU4I 20-29 years, female 168.2
GTEX-Y5LM-1926-SM-5RQJH 40-49 years, female 168.0
GTEX-1F7RK-0126-SM-7PC2S 20-29 years, female 167.9
GTEX-1I19N-0326-SM-ACKVX 70-79 years, male 167.9
GTEX-14JG1-0426-SM-6ETZZ 40-49 years, male 167.8
GTEX-1122O-2126-SM-5EGIR 60-69 years, female 167.4
GTEX-13S7M-0126-SM-5SI6A 60-69 years, female 167.3
GTEX-WYJK-0126-SM-3NMAB 50-59 years, male 167.1
GTEX-18QFQ-0126-SM-731BE 30-39 years, male 167.0
GTEX-1GMR8-0126-SM-9WYTM 50-59 years, female 166.9
GTEX-1MCQQ-0826-SM-DLHC2 60-69 years, male 166.7
GTEX-1QP66-1726-SM-E8VO1 50-59 years, male 166.5
GTEX-ZZ64-1726-SM-5GZYB 20-29 years, male 165.8
GTEX-17HHE-2026-SM-79OKF 50-59 years, male 165.5
GTEX-13FTY-0526-SM-5L3EV 40-49 years, female 165.3
GTEX-14LLW-0126-SM-6LLIO 70-79 years, female 165.2
GTEX-16AAH-1726-SM-7939C 50-59 years, male 165.2
GTEX-17F96-1626-SM-7DUFL 70-79 years, male 165.2
GTEX-O5YW-0126-SM-3LK6D 50-59 years, male 165.2
GTEX-1JMOU-1526-SM-CL54I 60-69 years, female 165.1
GTEX-11DZ1-0126-SM-5985Q 50-59 years, male 164.9
GTEX-11GSO-2426-SM-5A5LY 60-69 years, male 164.8
GTEX-17HHY-0126-SM-7LG5D 50-59 years, male 164.8
GTEX-183FY-0126-SM-7LT9P 20-29 years, male 164.6
GTEX-1GF9W-0326-SM-9KNUN 60-69 years, male 164.6
GTEX-1HCU8-0626-SM-A9SM9 60-69 years, female 164.6
GTEX-PWCY-1826-SM-DHXIZ 20-29 years, female 164.6
GTEX-X585-0226-SM-4QAS2 50-59 years, male 164.5
GTEX-ZDYS-2026-SM-5HL5L 50-59 years, male 164.5
GTEX-PVOW-0126-SM-2XCFA 40-49 years, male 164.4
GTEX-Y5V5-2326-SM-4V6GA 60-69 years, female 163.8
GTEX-OXRN-0126-SM-48TDM 50-59 years, male 163.6
GTEX-XBEW-0626-SM-4QASP 40-49 years, male 163.6
GTEX-1QPFJ-0226-SM-E76PB 30-39 years, female 163.6
GTEX-1GN1V-0126-SM-9WPOS 60-69 years, male 163.4
GTEX-P4PP-0126-SM-3LK69 30-39 years, female 163.2
GTEX-YB5K-2126-SM-4WWDJ 40-49 years, female 163.2
GTEX-1OJC4-0126-SM-E9J2E 50-59 years, female 163.2
GTEX-12ZZY-0226-SM-5LZVE 60-69 years, male 163.1
GTEX-1LG7Y-0526-SM-DKPQC 50-59 years, male 163.1
GTEX-T5JW-1626-SM-3GADZ 20-29 years, female 163.0
GTEX-1F75A-0126-SM-7RHGM 50-59 years, male 162.8
GTEX-18A7B-0126-SM-7LG64 70-79 years, male 162.7
GTEX-1JJ6O-0126-SM-E6CI8 60-69 years, male 162.7
GTEX-1QP2A-0126-SM-E9J43 50-59 years, male 162.7
GTEX-17EUY-0426-SM-793BD 20-29 years, male 162.6
GTEX-1J1R8-1726-SM-ARL8M 40-49 years, male 162.6
GTEX-1LGRB-2526-SM-CNPPQ 50-59 years, female 162.6
GTEX-11P82-1626-SM-59879 20-29 years, male 162.5
GTEX-13113-5016-SM-7EPIP 60-69 years, female 162.3
GTEX-1RB15-2126-SM-E9TIM 60-69 years, male 162.2
GTEX-13RTJ-2426-SM-5S2Q2 60-69 years, male 162.1
GTEX-1JMQK-0226-SM-CL543 60-69 years, male 162.1
GTEX-15SHW-0326-SM-6PAML 60-69 years, male 162.0
GTEX-1F5PL-0326-SM-7P8PQ 40-49 years, female 161.9
GTEX-1KAFJ-2026-SM-CY8ID 50-59 years, male 161.2
GTEX-1H23P-0126-SM-ADEJ3 60-69 years, male 161.1
GTEX-133LE-1826-SM-5J1MV 20-29 years, female 161.0
GTEX-1C64N-0126-SM-793D7 50-59 years, male 160.9
GTEX-1KXAM-2226-SM-CYPTC 60-69 years, male 160.9
GTEX-1EU9M-0226-SM-7P8SP 60-69 years, male 160.4
GTEX-1C2JI-1826-SM-73KXC 50-59 years, male 160.3
GTEX-1S5ZA-0126-SM-EVYCV 20-29 years, male 160.3
GTEX-17MF6-0126-SM-7LG4F 40-49 years, male 160.2
GTEX-1GPI7-0126-SM-9MQL8 20-29 years, male 160.2
GTEX-13OVI-1426-SM-5L3EY 60-69 years, female 160.0
GTEX-1R7EU-0226-SM-EVR4G 60-69 years, male 159.6
GTEX-1HT8W-0126-SM-CNPPP 30-39 years, male 159.4
GTEX-144GL-0126-SM-5TDE2 50-59 years, male 159.1
GTEX-WFON-2126-SM-3LK7O 40-49 years, male 159.1
GTEX-1CB4H-0226-SM-7PBXM 60-69 years, female 158.9
GTEX-13IVO-0126-SM-5J1NG 70-79 years, male 158.8
GTEX-1B97I-1626-SM-73KYO 40-49 years, male 158.8
GTEX-TML8-1926-SM-32QOS 40-49 years, female 158.7
GTEX-13NZA-0226-SM-5K7Z7 60-69 years, male 158.4
GTEX-14BMV-0126-SM-5S2PO 50-59 years, male 158.4
GTEX-1AX9J-0226-SM-73KXM 60-69 years, male 158.4
GTEX-XUYS-0126-SM-47JWZ 50-59 years, male 158.4
GTEX-145LS-0126-SM-5QGP1 60-69 years, female 158.3
GTEX-11TTK-0126-SM-5987B 60-69 years, female 158.2
GTEX-ZYFC-0226-SM-5NQ75 50-59 years, male 158.2
GTEX-1GN1W-0526-SM-9MQJQ 50-59 years, female 158.1
GTEX-145ME-1826-SM-5SI9G 40-49 years, female 158.0
GTEX-11DXW-0226-SM-5H122 40-49 years, male 157.7
GTEX-QLQ7-1626-SM-2S1R8 60-69 years, male 157.7
GTEX-1LH75-2426-SM-E9TJE 50-59 years, female 157.7
GTEX-QLQW-1126-SM-2S1Q8 30-39 years, male 157.6
GTEX-1IKOH-0226-SM-COH4E 60-69 years, female 157.5
GTEX-1J8EW-0126-SM-CJI4F 60-69 years, female 157.5
GTEX-NPJ8-0126-SM-2YUNR 40-49 years, male 157.4
GTEX-1HBPH-0426-SM-B2LW5 40-49 years, female 157.3
GTEX-ZDTT-2726-SM-4WKF8 60-69 years, male 157.2
GTEX-15SDE-2226-SM-7IGLO 50-59 years, female 157.1
GTEX-X88G-0126-SM-47JZ3 30-39 years, male 156.8
GTEX-14E7W-0126-SM-6LLJ9 70-79 years, male 156.6
GTEX-RM2N-1426-SM-2TF4H 50-59 years, male 156.6
GTEX-ZVE2-0226-SM-59HJB 50-59 years, male 156.6
GTEX-13SLW-0126-SM-5SI6C 70-79 years, male 156.4
GTEX-1EKGG-0226-SM-9WYTH 60-69 years, male 156.2
GTEX-1PBJI-0526-SM-E8VNK 20-29 years, female 156.1
GTEX-13OVJ-0126-SM-5KM36 50-59 years, female 155.9
GTEX-QVJO-1626-SM-2S1QW 60-69 years, female 155.7
GTEX-1LGOU-2026-SM-DIPFF 20-29 years, female 155.7
GTEX-146FR-1326-SM-E9J48 60-69 years, female 155.6
GTEX-18A67-0126-SM-7LG5P 50-59 years, male 155.3
GTEX-ZEX8-2426-SM-4WKG4 50-59 years, male 155.3
GTEX-NFK9-0226-SM-2HMKQ 40-49 years, male 154.9
GTEX-11ZU8-2526-SM-5EQKI 60-69 years, male 154.6
GTEX-144FL-0126-SM-5TDC8 50-59 years, male 154.3
GTEX-R55G-2526-SM-2TC6D 40-49 years, female 154.1
GTEX-XQ3S-1526-SM-4BOOC 20-29 years, male 154.0
GTEX-1C6VQ-0126-SM-7P8RI 50-59 years, male 154.0
GTEX-1JMPZ-0226-SM-CNPP1 30-39 years, male 153.9
GTEX-1GPI6-0126-SM-9WG69 60-69 years, male 153.6
GTEX-1192X-0226-SM-5H12D 50-59 years, male 153.5
GTEX-13OW8-1326-SM-5J1OW 60-69 years, male 153.0
GTEX-1F88F-2726-SM-7PBZZ 60-69 years, female 152.8
GTEX-145LT-1726-SM-5QGP3 40-49 years, male 152.5
GTEX-ZQUD-1426-SM-57WER 30-39 years, male 152.5
GTEX-13OW5-0126-SM-DTXFS 60-69 years, male 152.5
GTEX-1I1CD-0126-SM-CM2TK 60-69 years, female 152.4
GTEX-15UKP-0426-SM-7KUFQ 20-29 years, male 152.2
GTEX-14LZ3-0226-SM-62LET 60-69 years, female 152.1
GTEX-1PPH7-2326-SM-EVYB8 40-49 years, male 152.1
GTEX-1IY9M-0126-SM-D3L8S 60-69 years, male 151.9
GTEX-12KS4-0326-SM-5EQ41 30-39 years, male 151.7
GTEX-1O97I-0326-SM-EYYX7 60-69 years, male 151.7
GTEX-XAJ8-0826-SM-47JY6 40-49 years, male 151.5
GTEX-13N11-2526-SM-5K7UE 50-59 years, female 151.3
GTEX-Y8E4-0626-SM-4WWDL 40-49 years, male 151.2
GTEX-13NYC-0326-SM-E9J4S 60-69 years, male 151.2
GTEX-QV44-1926-SM-2S1RF 50-59 years, male 150.9
GTEX-T6MO-1626-SM-32QOM 40-49 years, female 150.7
GTEX-ZVT2-2526-SM-51MT1 50-59 years, female 150.7
GTEX-1HSMQ-1226-SM-CGQFX 50-59 years, male 150.7
GTEX-1I1GP-2226-SM-CGQFK 50-59 years, male 150.6
GTEX-ZVZO-0126-SM-5A5L9 40-49 years, male 150.5
GTEX-1GZ4H-1726-SM-7PBZJ 50-59 years, female 150.4
GTEX-XUW1-0426-SM-4BOOT 50-59 years, female 150.2
GTEX-1RAZA-0126-SM-E6CI3 20-29 years, male 150.2
GTEX-17MFQ-1726-SM-793C7 20-29 years, male 150.1
GTEX-15CHC-2126-SM-6EU21 60-69 years, female 150.0
GTEX-131XF-5016-SM-7MGWE 60-69 years, male 149.7
GTEX-ZTSS-1926-SM-57WEW 40-49 years, male 149.3
GTEX-11DXY-2626-SM-5GIE7 60-69 years, male 149.0
GTEX-1JJEA-0326-SM-CNPOT 60-69 years, male 148.9
GTEX-ZAJG-0126-SM-5HL94 50-59 years, female 148.8
GTEX-14A6H-0126-SM-5QGPK 30-39 years, male 148.3
GTEX-1EN7A-0126-SM-7SB81 40-49 years, male 148.3
GTEX-11LCK-1026-SM-5A5KB 30-39 years, male 147.9
GTEX-13RTL-0126-SM-7LG5S 40-49 years, male 147.9
GTEX-1F75I-0326-SM-9YFLU 40-49 years, male 147.7
GTEX-1QP29-0626-SM-EWRMX 50-59 years, male 147.5
GTEX-14PJ3-1826-SM-62LEX 50-59 years, male 147.2
GTEX-1H11D-0226-SM-9WG6Z 40-49 years, male 147.2
GTEX-11EMC-2926-SM-5EQ4F 60-69 years, female 147.0
GTEX-183WM-0126-SM-7LTAB 70-79 years, female 147.0
GTEX-YEC4-2126-SM-5IFJH 40-49 years, male 147.0
GTEX-1HCU7-0226-SM-CL545 50-59 years, male 146.9
GTEX-P4PQ-0126-SM-2S1NM 60-69 years, male 146.3
GTEX-SJXC-0126-SM-2XCFF 60-69 years, male 145.8
GTEX-1S83E-0126-SM-EWRO4 40-49 years, male 145.8
GTEX-W5WG-1826-SM-4KL2Y 50-59 years, female 145.6
GTEX-1LVAN-0226-SM-COH3S 50-59 years, female 145.6
GTEX-16NGA-1726-SM-731B4 40-49 years, female 145.5
GTEX-1IDJF-0126-SM-CM2RS 20-29 years, male 145.3
GTEX-13NZB-2526-SM-5J1OM 30-39 years, male 145.2
GTEX-144GN-2326-SM-5LU4F 50-59 years, male 144.2
GTEX-13QJ3-0326-SM-5S2RA 50-59 years, male 144.0
GTEX-ZC5H-0226-SM-4WAY9 40-49 years, female 143.8
GTEX-147GR-0526-SM-5S2MY 60-69 years, male 143.7
GTEX-RUSQ-1526-SM-2TF62 50-59 years, male 143.6
GTEX-1ICLY-0126-SM-D4P36 50-59 years, male 143.4
GTEX-17F97-0326-SM-7LG5B 50-59 years, male 143.1
GTEX-ZXES-1826-SM-5E43S 30-39 years, female 142.9
GTEX-139T4-0226-SM-5HL5S 50-59 years, female 142.7
GTEX-XPVG-2626-SM-4B669 50-59 years, male 142.2
GTEX-1C64O-0126-SM-7SB8P 60-69 years, male 142.2
GTEX-OXRK-0226-SM-3NB2G 50-59 years, female 141.9
GTEX-15EU6-0426-SM-6PAN5 50-59 years, male 141.7
GTEX-1MUQO-0126-SM-EAZ58 60-69 years, male 141.7
GTEX-WOFL-0126-SM-3MJG2 60-69 years, male 141.6
GTEX-1CAMQ-0226-SM-7IGPK 40-49 years, male 141.4
GTEX-13RTK-1426-SM-5QGQJ 20-29 years, male 141.2
GTEX-12C56-1726-SM-5EQ61 20-29 years, male 141.0
GTEX-117YX-2326-SM-5H12W 50-59 years, male 140.6
GTEX-WZTO-0126-SM-3NM95 40-49 years, male 140.6
GTEX-1N2DV-0226-SM-E6CJ6 40-49 years, male 140.5
GTEX-ZQG8-1626-SM-DHXIT 60-69 years, female 140.5
GTEX-18D9U-0226-SM-718BP 40-49 years, male 140.4
GTEX-QDT8-0126-SM-48TZ1 30-39 years, female 140.4
GTEX-ZVZP-2426-SM-59HKJ 50-59 years, male 140.1
GTEX-1HSMP-0126-SM-E6CJS 70-79 years, male 140.0
GTEX-VJWN-0126-SM-3GIK7 50-59 years, female 139.8
GTEX-Z93T-0126-SM-5HL5N 50-59 years, male 139.8
GTEX-1HKZK-0326-SM-9WYUH 40-49 years, male 139.7
GTEX-RVPV-0126-SM-EAZAW 60-69 years, male 139.6
GTEX-14PJ6-2126-SM-6EU1V 60-69 years, female 139.4
GTEX-ZVT3-0126-SM-5GU6I 60-69 years, female 139.4
GTEX-1EX96-1626-SM-7PBXR 50-59 years, male 139.4
GTEX-14PN3-2426-SM-6LLHS 60-69 years, female 139.2
GTEX-1QEPI-0126-SM-EWRMQ 60-69 years, female 139.2
GTEX-1AX8Z-0126-SM-7DHM6 60-69 years, male 138.6
GTEX-13CF3-2426-SM-5IFGX 60-69 years, female 138.4
GTEX-OIZH-0126-SM-2HMIS 50-59 years, male 138.3
GTEX-11EQ9-2426-SM-5HL5T 30-39 years, male 138.2
GTEX-11NUK-0126-SM-5A5L3 50-59 years, male 137.8
GTEX-1IL2V-0126-SM-CM2TX 70-79 years, male 137.8
GTEX-PLZ4-0126-SM-5SI8O 50-59 years, female 137.5
GTEX-1F48J-0126-SM-7P8TT 50-59 years, female 137.5
GTEX-1192W-2626-SM-5Q5AF 60-69 years, male 137.4
GTEX-1ICG6-2526-SM-CGQFZ 70-79 years, female 137.4
GTEX-ZXG5-0126-SM-5GIEU 60-69 years, male 137.2
GTEX-1I1GQ-0126-SM-COH3H 50-59 years, male 137.2
GTEX-1AMFI-2026-SM-731BH 50-59 years, female 137.1
GTEX-1M5QR-1226-SM-EWROB 40-49 years, male 137.1
GTEX-U3ZH-2026-SM-3DB78 30-39 years, male 137.0
GTEX-X5EB-2226-SM-46MW4 40-49 years, male 136.9
GTEX-17HGU-0226-SM-7DHKV 50-59 years, male 136.7
GTEX-P44H-0226-SM-2XCEU 40-49 years, male 136.5
GTEX-TMZS-0126-SM-3DB9Q 60-69 years, male 136.4
GTEX-XXEK-2226-SM-4BRUM 50-59 years, male 136.4
GTEX-11DXX-2426-SM-5GZZW 60-69 years, female 136.2
GTEX-1KANA-0726-SM-D3L9I 20-29 years, male 136.2
GTEX-14E6E-1826-SM-5S2R7 30-39 years, male 136.1
GTEX-PWO3-1526-SM-48TCM 60-69 years, female 136.1
GTEX-1H1E6-1726-SM-ACKVK 30-39 years, male 135.9
GTEX-1MCYP-1926-SM-E9J2R 20-29 years, female 135.7
GTEX-11O72-0126-SM-59887 40-49 years, male 135.2
GTEX-15RIG-0226-SM-7KFTL 40-49 years, male 135.2
GTEX-X4XX-0126-SM-3NMC2 60-69 years, male 134.6
GTEX-1PWST-0226-SM-E76QJ 70-79 years, male 134.6
GTEX-13FHO-0226-SM-5IFGY 60-69 years, male 134.5
GTEX-OXRL-0126-SM-2YUMP 50-59 years, male 134.5
GTEX-1R7EV-2426-SM-EVYBG 40-49 years, male 134.5
GTEX-TSE9-0126-SM-3DB83 60-69 years, female 134.0
GTEX-145LU-0126-SM-5TDCB 50-59 years, male 133.9
GTEX-12WSA-0226-SM-5BC5V 60-69 years, male 133.6
GTEX-XBED-2226-SM-47JYQ 60-69 years, male 133.4
GTEX-Y3I4-2126-SM-4TT7C 50-59 years, male 133.4
GTEX-SNMC-1226-SM-2XCFP 20-29 years, male 133.2
GTEX-XV7Q-2526-SM-4BRV9 40-49 years, female 133.2
GTEX-11OC5-0126-SM-5HL6A 60-69 years, male 132.8
GTEX-11VI4-1726-SM-5CVLH 40-49 years, female 132.8
GTEX-1AMEY-1326-SM-73KYK 30-39 years, female 132.8
GTEX-11EI6-0126-SM-5985R 60-69 years, male 132.6
GTEX-12WSL-2526-SM-5GCNJ 50-59 years, male 132.2
GTEX-11NSD-2226-SM-5986V 20-29 years, male 131.5
GTEX-QDVJ-1726-SM-2I5FX 50-59 years, male 131.2
GTEX-WY7C-2326-SM-3NB2U 50-59 years, male 131.0
GTEX-1NHNU-1026-SM-E9J2A 50-59 years, male 131.0
GTEX-16BQI-0226-SM-7KUEX 30-39 years, female 130.9
GTEX-1RQEC-0426-SM-E6CHU 60-69 years, male 130.9
GTEX-XMD2-0126-SM-4YCDU 60-69 years, female 130.7
GTEX-15DCD-0126-SM-7KUEK 70-79 years, female 130.2
GTEX-1J8Q2-0526-SM-CM2RW 60-69 years, male 130.0
GTEX-1HCU9-1526-SM-A9SL7 20-29 years, male 129.9
GTEX-OIZF-0126-SM-7SB8I 60-69 years, male 129.6
GTEX-1I1GT-0626-SM-CGQER 60-69 years, female 129.3
GTEX-14BMU-2226-SM-5TDE9 20-29 years, female 128.8
GTEX-PW2O-1526-SM-7RHHB 20-29 years, male 128.6
GTEX-1JJE9-0326-SM-CL53Z 70-79 years, male 128.2
GTEX-POMQ-2226-SM-2I5FK 20-29 years, female 127.9
GTEX-1IE54-0126-SM-CMKHW 40-49 years, female 127.8
GTEX-1IDFM-0126-SM-COH2V 60-69 years, male 127.7
GTEX-13O3Q-2426-SM-5IJBR 50-59 years, male 127.6
GTEX-ZAB5-1826-SM-5HL7C 50-59 years, male 127.4
GTEX-ZY6K-1826-SM-5GZXK 50-59 years, male 127.0
GTEX-1AX9K-2326-SM-73KWU 50-59 years, male 126.8
GTEX-1HCVE-0126-SM-CGQEU 50-59 years, male 126.1
GTEX-1I1GU-2226-SM-CGQFA 40-49 years, male 126.1
GTEX-1JKYR-0126-SM-CNPOJ 20-29 years, male 126.0
GTEX-13D11-2426-SM-5KM1V 50-59 years, female 125.9
GTEX-14BIM-0226-SM-7IGLD 60-69 years, female 125.7
GTEX-VUSG-2526-SM-4KL1V 50-59 years, male 125.5
GTEX-1MA7X-2226-SM-E6CIY 60-69 years, male 125.2
GTEX-1F52S-0126-SM-9MQJU 60-69 years, female 125.1
GTEX-1ICLZ-0126-SM-CKZPO 60-69 years, male 125.1
GTEX-ZUA1-0126-SM-5GU76 40-49 years, male 124.9
GTEX-PLZ5-2026-SM-2S1O4 50-59 years, male 124.8
GTEX-1HB9E-0226-SM-E9U4R 50-59 years, male 124.7
GTEX-WXYG-2326-SM-4E3I6 50-59 years, female 124.2
GTEX-1GL5R-1826-SM-9KNUY 50-59 years, male 124.1
GTEX-16XZY-2126-SM-79OK1 70-79 years, male 124.0
GTEX-14ABY-0226-SM-5TDCQ 50-59 years, male 122.5
GTEX-113IC-0126-SM-5HL6T 60-69 years, male 122.2
GTEX-1KANB-0526-SM-E6CJH 50-59 years, male 122.1
GTEX-1JKYN-1326-SM-CGQG9 30-39 years, male 121.7
GTEX-U3ZM-1526-SM-3DB9D 40-49 years, male 121.3
GTEX-16NPX-0226-SM-79OMT 50-59 years, male 121.2
GTEX-U3ZN-2326-SM-3DB7W 30-39 years, female 121.0
GTEX-Q734-1926-SM-2I5EV 40-49 years, female 120.7
GTEX-1H3NZ-0126-SM-ACKX7 60-69 years, male 120.6
GTEX-WFG8-2226-SM-3GIL9 20-29 years, male 120.5
GTEX-1128S-2326-SM-5GZZY 60-69 years, female 120.3
GTEX-147F3-0526-SM-5SI98 50-59 years, female 120.2
GTEX-169BO-1326-SM-9MQK2 50-59 years, male 120.2
GTEX-1CAMS-0426-SM-7P8T2 40-49 years, female 120.0
GTEX-1C6VS-0526-SM-7DUEN 60-69 years, male 119.3
GTEX-RWS6-2026-SM-2XCB5 60-69 years, female 118.9
GTEX-WVJS-0126-SM-4MVOT 50-59 years, male 118.9
GTEX-13FH7-2026-SM-E9J4I 50-59 years, female 118.6
GTEX-R45C-0126-SM-EAZ2R 60-69 years, female 118.5
GTEX-13X6I-0626-SM-5QGP9 60-69 years, male 118.2
GTEX-ZDXO-3026-SM-5J1N5 60-69 years, male 117.7
GTEX-OIZG-0726-SM-33HBL 50-59 years, male 117.4
GTEX-VJYA-1126-SM-3GIJU 60-69 years, male 116.8
GTEX-15SB6-1726-SM-6PAME 50-59 years, female 116.6
GTEX-1QP67-1626-SM-EAZ3X 40-49 years, female 116.1
GTEX-1S82Z-0826-SM-E6CHY 30-39 years, female 115.9
GTEX-S95S-1226-SM-4GICG 60-69 years, male 115.7
GTEX-1QW4Y-1526-SM-EAZ3Z 30-39 years, male 115.5
GTEX-ZYFG-2326-SM-5E44B 60-69 years, female 115.4
GTEX-15G19-0126-SM-6PANQ 60-69 years, male 114.6
GTEX-Q2AG-0126-SM-33HBV 40-49 years, female 114.2
GTEX-1HSEH-0126-SM-ACKXN 60-69 years, male 113.6
GTEX-14753-0426-SM-5NQAM 60-69 years, male 113.3
GTEX-1IDJU-2626-SM-CM2RT 60-69 years, female 112.5
GTEX-14JG6-2226-SM-6EU2G 30-39 years, female 112.2
GTEX-O5YT-0126-SM-48TBW 20-29 years, male 111.7
GTEX-1K9T9-0126-SM-EVYCF 50-59 years, female 111.6
GTEX-11ZTT-2426-SM-5EQLS 60-69 years, female 111.0
GTEX-QCQG-1726-SM-3GIJ9 50-59 years, female 111.0
GTEX-13W3W-2426-SM-5LU5B 60-69 years, female 109.8
GTEX-14PHW-0126-SM-6LLJI 60-69 years, female 109.5
GTEX-1J8Q3-1626-SM-CMKGC 60-69 years, male 109.4
GTEX-TMMY-0226-SM-33HBA 40-49 years, female 108.7
GTEX-ZYY3-0126-SM-5GZY5 60-69 years, female 108.5
GTEX-1GF9U-2126-SM-7SB7L 40-49 years, female 107.8
GTEX-1F5PK-2426-SM-7RHHY 50-59 years, male 106.9
GTEX-Z9EW-1626-SM-5CVMN 40-49 years, male 106.8
GTEX-18D9B-0526-SM-7LTAS 60-69 years, male 106.1
GTEX-Y8LW-1826-SM-5S2MV 50-59 years, female 103.6
GTEX-12WSN-5019-SM-79OM6 40-49 years, male 102.7
GTEX-R3RS-0126-SM-3GIJL 40-49 years, female 101.9
GTEX-ZF28-0126-SM-4WKGK 60-69 years, male 101.8
GTEX-U4B1-1826-SM-4DXSU 40-49 years, male 101.5
GTEX-X638-0126-SM-47JZ8 70-79 years, female 99.4
GTEX-1JK1U-2026-SM-CM2RZ 60-69 years, male 99.2
GTEX-Y5V6-2426-SM-4VDSB 60-69 years, male 98.0
GTEX-14PK6-1926-SM-6ETZU 70-79 years, female 96.5
GTEX-Q2AH-1626-SM-3GAF8 40-49 years, male 94.9
GTEX-13OVG-1926-SM-5L3DK 60-69 years, male 94.2
GTEX-1R9K4-0126-SM-DTX9X 60-69 years, male 90.2
GTEX-SSA3-0126-SM-32QPU 60-69 years, male 86.4
GTEX-QDVN-2026-SM-3GAEP 50-59 years, male 78.0
GTEX-SE5C-1626-SM-2XCE3 40-49 years, female 55.1
Show allShow less

Contact

  • NEWS ARTICLES
  • PRESS ROOM

The Project

  • INTRODUCTION
  • ORGANIZATION
  • PUBLICATIONS

The Human Protein Atlas

  • DOWNLOADABLE DATA
  • LICENCE & CITATION
  • HELP & FAQ
The Human Protein Atlas project is funded
by the Knut & Alice Wallenberg Foundation.


contact@proteinatlas.org