We use cookies to enhance the usability of our website. If you continue, we'll assume that you are happy to receive all cookies. More information. Don't show this again.
NDUFA10
HPA
RESOURCES
  • TISSUE
  • BRAIN
  • SINGLE CELL
  • SUBCELLULAR
  • CANCER
  • BLOOD
  • CELL LINE
  • STRUCTURE & INTERACTION
ABOUT
  • INTRODUCTION
  • HISTORY
  • ORGANIZATION
  • PUBLICATIONS
  • ANTIBODY SUBMISSION
  • ANTIBODY AVAILABILITY
  • ACKNOWLEDGMENTS
  • CONTACT
NEWS
  • NEWS ARTICLES
  • PRESS ROOM
LEARN
  • DICTIONARY
  • PROTEIN CLASSES
  • PROTEIN EVIDENCE
  • METHODS
  • EDUCATIONAL VIDEOS
DATA
  • DOWNLOADABLE DATA
  • PUBLICATION DATA
  • RELEASE HISTORY
HELP
  • ANTIBODY VALIDATION
  • ASSAYS & ANNOTATION
  • DISCLAIMER
  • HELP & FAQ
  • PRIVACY STATEMENT
  • LICENCE & CITATION
Fields »
Search result

Field
Term
Gene name
Class
Subclass
Class
Keyword
Chromosome
External id
Tissue
Cell type
Expression
Antibody panel
Tissue
Main location
Patient ID
Annotation
Tissue
Category
Tau score
Cluster
Reliability
Brain region
Category
Tau score
Brain region
Category
Tau score
Brain region
Category
Tau score
Cluster
Reliability
Tissue
Cell type
Enrichment
Cell type
Category
Tau score
Cell type
Category
Tau score
Cell type
Category
Tau score
Cell lineage
Category
Tau score
Cluster
Cluster
Location
Searches
Location
Cell line
Class
Type
Phase
Reliability
Cancer
Prognosis
Cancer
Category
Cancer
Category
Tau score
Cluster
Variants
Interacting gene (ensg_id)
Type
Number of interactions
Pathway
Category
Score
Score
Score
Validation
Validation
Validation
Validation
Antibodies
Data type
Column


  • SUMMARY

  • TISSUE

  • BRAIN

  • SINGLE CELL

  • SUBCELL

  • CANCER

  • BLOOD

  • CELL LINE

  • STRUCT & INT

  • NDUFA10
TISSUE PRIMARY DATA SKIN Show tissue menu
ADIPOSE TISSUE ADRENAL GLAND AMYGDALA APPENDIX BASAL GANGLIA BONE MARROW BREAST BRONCHUS CEREBELLUM CEREBRAL CORTEX CERVIX CHOROID PLEXUS COLON DUODENUM
ENDOMETRIUM EPIDIDYMIS ESOPHAGUS FALLOPIAN TUBE GALLBLADDER HEART MUSCLE HIPPOCAMPAL FORMATION HYPOTHALAMUS KIDNEY LIVER LUNG LYMPH NODE MIDBRAIN NASOPHARYNX
ORAL MUCOSA OVARY PANCREAS PARATHYROID GLAND PITUITARY GLAND PLACENTA PROSTATE RECTUM RETINA SALIVARY GLAND SEMINAL VESICLE SKELETAL MUSCLE SKIN SMALL INTESTINE
SMOOTH MUSCLE SOFT TISSUE SPINAL CORD SPLEEN STOMACH TESTIS THYMUS THYROID GLAND TONGUE TONSIL URINARY BLADDER VAGINA
ANTIBODIES
AND
VALIDATION
Dictionary
Skin
Tissue proteome
Skin
SKIN - Expression summary
Protein expression
Skini

On the top, protein expression in current human tissue, based on all annotated cell types, is reported with the units not detected (n), low (l), medium (m) and high (h). Underneath, protein expression in each annotated cell type are reported using the same units.

Protein expression data is based on knowledge-based annotation. For genes where more than one antibody has been used, a collective score is set.

If knowledge-based annotation could not be performed for a gene, no data is displayed here. View antibody staining data further down this page.

h
m
l
n
Epidermal cells: Medium
Fibroblasts: Not detected
Keratinocytes: Not detected
Langerhans: Not detected
Melanocytes: Not detected
RNA expressioni

A summary of mRNA expression data available for current tissue based on several datasets. The mRNA expression levels in human tissues are based on RNA-seq data generated by the Human Protein Atlas (HPA), Genotype-Tissue Expression (GTEx) portal and CAGE data generated by the FANTOM5 consortium. Consensus normalized expression levels for human tissues was created by combining the data from HPA and GTEx datasets.

The mRNA expression levels in pig are based on RNA-seq data generated by the Human Protein Atlas (HPA), and for mouse, HPA data and in situ hybridization generated by the Allen brain atlas are reported.

Scroll down to view mRNA expression data in more detail.
Consensus:70.2 nTPM
HPA:43.8 nTPM
GTEx:70.2 nTPM

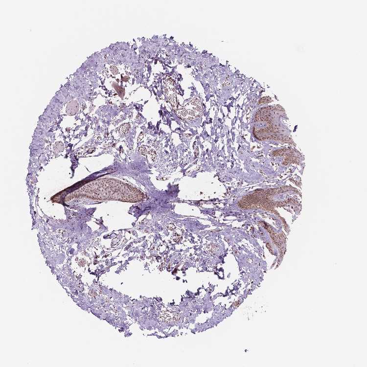
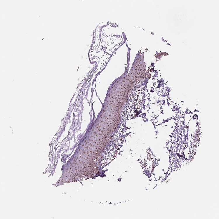
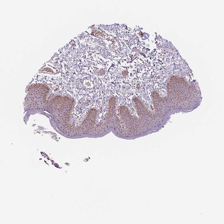
SKIN 1 - Antibody stainingi

Antibody staining in the annotated cell types in the current human tissue is reported as not detected, low, medium, or high, based on conventional immunohistochemistry profiling in selected tissues. This score is based on the combination of the staining intensity and fraction of stained cells.

Each image is clickable and will lead to virtual microscopy that enables deeper exploration of all samples and also displays staining intensity scores, fraction scores and subcellular localization as well as patient and tissue information for each sample.

Antibody HPA067045Antibody CAB070846
Langerhans HighNot detected
Fibroblasts HighNot detected
Keratinocytes HighNot detected
Melanocytes HighNot detected



SKIN 2 - Antibody stainingi

Antibody staining in the annotated cell types in the current human tissue is reported as not detected, low, medium, or high, based on conventional immunohistochemistry profiling in selected tissues. This score is based on the combination of the staining intensity and fraction of stained cells.

Each image is clickable and will lead to virtual microscopy that enables deeper exploration of all samples and also displays staining intensity scores, fraction scores and subcellular localization as well as patient and tissue information for each sample.

Antibody HPA067045Antibody CAB070846
Epidermal cells HighMedium
  
  
  




SKIN - HPA RNA-seqi

The RNA-seq details section shows detailed information about the individual samples used for the transcript profiling and results of the RNA-seq analysis.

Information about each individual sample is listed below, including gender, age, a tissue section image and estimated fractions of cell types. nTPM (normalized transcripts per million) values give a quantification of the gene abundance which is comparable between different genes and samples.
Average nTPMi

Max subtype nTPM is the value for the subtype with the largest average nTPM across the subtype samples.

43.8
overview
Female, age 34
Skin sample 225
nTPM: 53.7
Cell types%
Keratinocytes:
60

Other cell types:
40

overview
Female, age 30
Skin sample 226
nTPM: 41
Cell types%
Keratinocytes:
55

Other cell types:
45

N/A
Male, age 57
Skin sample 227
nTPM: 36.8

SKIN - GTEx RNA-seqi

RNA-Seq data generated by the Genotype-Tissue Expression (GTEx) project from human tissues is reported as mean nTPM. More information can be found on the GTEx portal.

Distribution across the dataset is visualized with box plots, shown as median and 25th and 75th percentiles. Points are displayed as outliers if they are above or below 1.5 times the interquartile range. nTPM values of the individual samples are presented next to the box plot.
Max subtype nTPMi

Max subtype nTPM is the value for the subtype with the largest average nTPM across the subtype samples.

70.2
GTEx sample id Sample description nTPM
Skin - Not Sun Exposed (Suprapubic)
Average nTPM: 70.2
Samples: 604

Max nTPM: 122.4
Min nTPM: 34.1
Std nTPM: 13.4
Median nTPM: 69.9
GTEX-1PIGE-1826-SM-E8VOU 20-29 years, male 122.4
GTEX-1N2DV-1526-SM-DTXEP 40-49 years, male 117.7
GTEX-14ICL-1626-SM-5YYAO 30-39 years, male 116.3
GTEX-1OJC3-1226-SM-DTXER 20-29 years, male 115.1
GTEX-1HSMP-0926-SM-A9SKX 70-79 years, male 111.6
GTEX-ZTTD-2826-SM-4YCFA 50-59 years, male 110.6
GTEX-1QCLY-0226-SM-EWRNH 30-39 years, male 108.6
GTEX-144FL-0626-SM-5LU43 50-59 years, male 105.6
GTEX-11P7K-1126-SM-5HL4L 30-39 years, male 104.1
GTEX-13NYB-0126-SM-5J1MD 40-49 years, male 104.1
GTEX-ZY6K-1426-SM-5GZX2 50-59 years, male 103.9
GTEX-13JVG-0726-SM-5KM16 60-69 years, male 103.8
GTEX-W5X1-2526-SM-3GILC 40-49 years, female 103.2
GTEX-1ICLZ-0326-SM-ARL82 60-69 years, male 103.2
GTEX-15RIG-0726-SM-7KUM7 40-49 years, male 102.8
GTEX-1NV5F-0626-SM-DTXEG 60-69 years, female 101.5
GTEX-1PPH8-0126-SM-EWRN8 20-29 years, male 100.7
GTEX-12WSJ-1126-SM-5LZVJ 40-49 years, female 99.1
GTEX-WFG7-2026-SM-5SI7P 20-29 years, male 98.6
GTEX-14PHX-2226-SM-6EU2P 50-59 years, male 98.1
GTEX-WHSB-1326-SM-3LK6W 50-59 years, male 97.9
GTEX-WI4N-2726-SM-3LK7Y 40-49 years, female 97.7
GTEX-ZYW4-0626-SM-59HJR 60-69 years, male 97.6
GTEX-1E2YA-2126-SM-7MXUO 50-59 years, male 97.5
GTEX-15RIE-1926-SM-7KUKJ 60-69 years, male 96.4
GTEX-14PJ3-1126-SM-5ZZVX 50-59 years, male 95.6
GTEX-139UW-0326-SM-5J1ML 60-69 years, male 95.5
GTEX-18A6Q-0626-SM-7KFRP 60-69 years, male 95.2
GTEX-11WQC-1826-SM-5GU59 60-69 years, male 95.1
GTEX-1S3DN-2126-SM-E9TIN 50-59 years, male 94.3
GTEX-ZTX8-1326-SM-4YCEL 20-29 years, male 93.7
GTEX-15SHW-0226-SM-7LTAT 60-69 years, male 93.6
GTEX-1I1GP-1326-SM-A9G28 50-59 years, male 92.4
GTEX-1JMLX-0626-SM-ARL8T 50-59 years, male 92.2
GTEX-1AYD5-2626-SM-7PBXY 50-59 years, male 92.1
GTEX-1QP9N-1226-SM-E76QN 30-39 years, male 91.9
GTEX-11DYG-1526-SM-5A5JS 60-69 years, male 91.4
GTEX-17F97-2626-SM-7IGM5 50-59 years, male 91.2
GTEX-15ER7-0626-SM-6PANF 20-29 years, female 90.7
GTEX-15G1A-1626-SM-7KUKN 30-39 years, male 90.6
GTEX-14XAO-1226-SM-6EU1C 60-69 years, female 90.3
GTEX-1PPH7-1126-SM-DTX9A 40-49 years, male 90.3
GTEX-11DXX-2126-SM-5PNYR 60-69 years, female 89.6
GTEX-18A67-1626-SM-7LT9T 50-59 years, male 89.6
GTEX-XBEW-1126-SM-4QARW 40-49 years, male 89.6
GTEX-1IKJJ-2226-SM-CJI4C 60-69 years, male 89.5
GTEX-YEC4-1826-SM-4W1YP 40-49 years, male 89.2
GTEX-1F5PK-2226-SM-7SB6N 50-59 years, male 88.6
GTEX-1F75I-2226-SM-7SB8U 40-49 years, male 88.6
GTEX-14PJ5-1526-SM-6LLIL 60-69 years, female 88.5
GTEX-11ZU8-0126-SM-5EQ58 60-69 years, male 87.9
GTEX-1QP2A-1726-SM-E76QC 50-59 years, male 87.8
GTEX-Y114-2126-SM-4TT8B 50-59 years, female 87.6
GTEX-ZYT6-2326-SM-5GZY3 30-39 years, male 87.6
GTEX-1H2FU-0926-SM-9WPPT 60-69 years, female 87.6
GTEX-144GO-2026-SM-5O99P 60-69 years, male 87.5
GTEX-12WSD-0626-SM-5GCMW 60-69 years, female 87.4
GTEX-14PJN-1826-SM-6AJ98 30-39 years, male 87.4
GTEX-ZT9X-1526-SM-5DUXD 40-49 years, male 87.4
GTEX-1RAZQ-1326-SM-E9TK6 30-39 years, male 87.1
GTEX-1RAZA-2226-SM-E9U4X 20-29 years, male 86.9
GTEX-UPJH-0226-SM-3GADV 50-59 years, male 86.8
GTEX-148VJ-0626-SM-5LUAW 70-79 years, male 86.7
GTEX-15SKB-2826-SM-6PAMH 60-69 years, male 86.7
GTEX-WHPG-2626-SM-3NMBR 50-59 years, male 86.6
GTEX-14PJ4-0226-SM-5YY92 60-69 years, male 86.0
GTEX-X8HC-0626-SM-4E3HQ 50-59 years, female 86.0
GTEX-1122O-1026-SM-9WYSF 60-69 years, female 86.0
GTEX-17KNJ-2126-SM-718AM 50-59 years, male 85.9
GTEX-ZE7O-2726-SM-51MT5 50-59 years, female 85.8
GTEX-1MJK3-0726-SM-E6CJC 20-29 years, male 85.8
GTEX-147GR-2426-SM-5ZZWQ 60-69 years, male 85.7
GTEX-ZVZP-1226-SM-5GID7 50-59 years, male 85.5
GTEX-ZXG5-2126-SM-59HKD 60-69 years, male 85.4
GTEX-YFCO-1226-SM-5LUAT 40-49 years, male 85.3
GTEX-1399Q-2326-SM-5KM2X 40-49 years, male 85.2
GTEX-14753-0726-SM-5QGQO 60-69 years, male 85.2
GTEX-1QAET-0326-SM-EVR3U 50-59 years, male 85.2
GTEX-14PII-0726-SM-6EU2B 60-69 years, male 84.9
GTEX-1C6VQ-1226-SM-73KYD 50-59 years, male 84.9
GTEX-14C5O-0326-SM-5ZZUX 60-69 years, male 84.8
GTEX-13G51-1826-SM-5KLZH 60-69 years, male 84.7
GTEX-X585-2426-SM-46MW2 50-59 years, male 84.7
GTEX-1HT8W-0626-SM-A9G2H 30-39 years, male 84.7
GTEX-1HCU7-0726-SM-A9SL1 50-59 years, male 84.5
GTEX-1IE54-1126-SM-A9G2Z 40-49 years, female 84.5
GTEX-14B4R-1326-SM-5Q5EZ 30-39 years, male 84.4
GTEX-131XG-0326-SM-5L3DX 50-59 years, female 84.1
GTEX-13RTJ-0126-SM-5S2NN 60-69 years, male 84.1
GTEX-145MH-2826-SM-5RQJF 50-59 years, male 83.9
GTEX-1S82P-2126-SM-E6CI5 60-69 years, female 83.7
GTEX-1A3MW-0626-SM-731CB 60-69 years, female 83.4
GTEX-WHWD-1826-SM-3LK6I 50-59 years, male 83.4
GTEX-18A66-0626-SM-7LT8Z 60-69 years, male 83.3
GTEX-11PRG-0726-SM-5EGL1 50-59 years, male 83.1
GTEX-1HBPI-2126-SM-ARL9K 50-59 years, male 83.1
GTEX-1JMPY-0226-SM-CKZOK 30-39 years, male 83.0
GTEX-ZPIC-0526-SM-DO91W 40-49 years, female 82.7
GTEX-12KS4-2126-SM-5FQUT 30-39 years, male 82.6
GTEX-1IKOE-1426-SM-CE6T7 30-39 years, female 82.6
GTEX-YECK-0326-SM-4W1YS 60-69 years, male 82.4
GTEX-1CAMQ-1326-SM-7P8RV 40-49 years, male 82.4
GTEX-1399U-1126-SM-5L3DB 50-59 years, female 82.3
GTEX-14E1K-2026-SM-7DUEI 50-59 years, male 82.2
GTEX-12ZZY-0726-SM-5EQ66 60-69 years, male 82.1
GTEX-ZDTS-0826-SM-4WKHL 60-69 years, male 82.0
GTEX-WK11-2726-SM-3NMAQ 50-59 years, male 81.9
GTEX-1GN1V-2826-SM-9JGIA 60-69 years, male 81.8
GTEX-13X6K-0626-SM-5LU5D 60-69 years, female 81.6
GTEX-1QP28-1126-SM-EVYC4 50-59 years, female 81.5
GTEX-11ZTT-2126-SM-5CVLO 60-69 years, female 81.3
GTEX-Y8E4-2026-SM-5IFJB 40-49 years, male 81.3
GTEX-1PBJJ-1026-SM-E76OS 30-39 years, male 81.2
GTEX-145MN-1526-SM-5SI9T 30-39 years, male 81.0
GTEX-UPK5-0426-SM-3GAEK 40-49 years, male 81.0
GTEX-1HCU6-2526-SM-ADEHL 60-69 years, female 80.8
GTEX-1EX96-1026-SM-7MKG2 50-59 years, male 80.7
GTEX-17HGU-2326-SM-7DUFE 50-59 years, male 80.5
GTEX-1CB4E-0926-SM-7EPHT 60-69 years, male 80.5
GTEX-1LSVX-2526-SM-DIPEU 60-69 years, male 80.5
GTEX-ZF3C-0626-SM-DO92O 50-59 years, female 80.4
GTEX-XMD2-2126-SM-4YCF8 60-69 years, female 80.3
GTEX-13D11-0926-SM-5J2NC 50-59 years, female 80.1
GTEX-14C39-1726-SM-5RQIL 40-49 years, male 80.1
GTEX-144GM-0526-SM-79OJO 20-29 years, male 80.0
GTEX-1GZ4H-0526-SM-9KNU9 50-59 years, female 80.0
GTEX-12126-0826-SM-5FQTZ 20-29 years, male 79.9
GTEX-17MFQ-1526-SM-7KFRR 20-29 years, male 79.7
GTEX-ZZ64-1026-SM-5GZXG 20-29 years, male 79.7
GTEX-11P81-2226-SM-5PNYI 30-39 years, female 79.5
GTEX-XBED-1926-SM-47JYP 60-69 years, male 79.5
GTEX-1IY9M-2826-SM-ARU8H 60-69 years, male 79.5
GTEX-WXYG-2026-SM-4E3IY 50-59 years, female 79.3
GTEX-1GZ4I-2626-SM-9KNU3 50-59 years, male 79.3
GTEX-14JFF-0626-SM-5ZZVT 60-69 years, male 79.2
GTEX-12WSK-2126-SM-5CVNC 40-49 years, female 79.0
GTEX-XQ3S-1426-SM-4BOPR 20-29 years, male 79.0
GTEX-1HBPN-0126-SM-CGQEF 50-59 years, male 79.0
GTEX-Y5V6-2326-SM-4VDSA 60-69 years, male 78.9
GTEX-111VG-1626-SM-5EGIO 60-69 years, male 78.8
GTEX-16BQI-1326-SM-6M486 30-39 years, female 78.8
GTEX-16YQH-2226-SM-7IGM2 30-39 years, male 78.8
GTEX-1C64N-2626-SM-7PC2N 50-59 years, male 78.8
GTEX-12ZZX-2426-SM-5GCOE 40-49 years, female 78.7
GTEX-13OVG-1626-SM-5J1NF 60-69 years, male 78.7
GTEX-13PL6-1126-SM-5L3IE 40-49 years, female 78.7
GTEX-1JJEA-1826-SM-ARU8P 60-69 years, male 78.7
GTEX-1LVA9-2626-SM-EVYD4 50-59 years, male 78.7
GTEX-13PVR-0426-SM-5RQK2 60-69 years, female 78.5
GTEX-Y3I4-1726-SM-4TT89 50-59 years, male 78.4
GTEX-1GMRU-2126-SM-7P8RA 50-59 years, male 78.4
GTEX-1LSNL-2726-SM-E9TKJ 50-59 years, male 78.4
GTEX-14PJO-2526-SM-6AJBQ 60-69 years, male 78.3
GTEX-139TS-2126-SM-5K7XC 60-69 years, male 77.9
GTEX-15RJ7-2126-SM-6PAMD 40-49 years, male 77.9
GTEX-1I1GU-0926-SM-ACKVS 40-49 years, male 77.9
GTEX-139TU-0726-SM-5L3EK 60-69 years, male 77.7
GTEX-1M4P7-0726-SM-E6CJ3 60-69 years, male 77.7
GTEX-1A8G6-2726-SM-731AR 60-69 years, male 77.6
GTEX-14JG1-1526-SM-5YY9X 40-49 years, male 77.5
GTEX-139TT-2126-SM-5LZWC 60-69 years, male 77.3
GTEX-14BIN-1126-SM-5RQJZ 50-59 years, female 77.3
GTEX-1E1VI-0326-SM-793D1 50-59 years, male 77.3
GTEX-111YS-1526-SM-5GZYW 60-69 years, male 77.2
GTEX-1HGF4-0126-SM-CNPPX 60-69 years, male 77.1
GTEX-144GL-0626-SM-5LU4D 50-59 years, male 77.0
GTEX-1A8FM-0626-SM-7PC25 50-59 years, female 77.0
GTEX-11O72-0626-SM-5PNYE 40-49 years, male 76.9
GTEX-13112-0126-SM-5P9IU 50-59 years, male 76.9
GTEX-Y111-0626-SM-4SOIT 50-59 years, male 76.8
GTEX-1J1OQ-0126-SM-D4P2N 40-49 years, female 76.8
GTEX-WEY5-2326-SM-3GIKK 40-49 years, female 76.7
GTEX-1192X-2726-SM-5N9DN 50-59 years, male 76.5
GTEX-1R9PM-1926-SM-EVR3O 20-29 years, male 76.5
GTEX-1H1CY-0126-SM-9YFLY 60-69 years, female 76.4
GTEX-1JMQJ-0826-SM-CNPP7 50-59 years, male 76.4
GTEX-13FHO-0426-SM-5L3F5 60-69 years, male 76.3
GTEX-15DYW-2726-SM-6EU2I 60-69 years, female 76.3
GTEX-11TUW-0626-SM-5LU9M 60-69 years, male 76.2
GTEX-1AX8Z-0726-SM-73KTS 60-69 years, male 76.2
GTEX-YB5K-2026-SM-4VDT3 40-49 years, female 76.2
GTEX-147F4-0726-SM-5TDDD 50-59 years, male 76.1
GTEX-14PHY-1226-SM-5ZZWK 60-69 years, female 76.1
GTEX-1GF9W-1426-SM-7PBYM 60-69 years, male 76.1
GTEX-WHSE-0126-SM-3NMBT 20-29 years, male 76.0
GTEX-13OVJ-0826-SM-5J1OK 50-59 years, female 75.9
GTEX-1I1GT-1026-SM-ARZLV 60-69 years, female 75.9
GTEX-1J8EW-2726-SM-CY8HR 60-69 years, female 75.9
GTEX-1JN76-0626-SM-CKZOQ 20-29 years, female 75.9
GTEX-1NSGN-0726-SM-DTXEF 50-59 years, male 75.9
GTEX-YEC3-1326-SM-DO92X 50-59 years, male 75.9
GTEX-15G19-2426-SM-7KUMR 60-69 years, male 75.7
GTEX-1JK1U-0226-SM-ARZMX 60-69 years, male 75.6
GTEX-1QW4Y-1126-SM-DTXE3 30-39 years, male 75.5
GTEX-131XF-2626-SM-5EQ6K 60-69 years, male 75.3
GTEX-1HFI7-2326-SM-CGQFS 50-59 years, female 75.3
GTEX-12ZZZ-0726-SM-5GCNZ 60-69 years, male 75.1
GTEX-18D9U-0126-SM-731BM 40-49 years, male 75.1
GTEX-1GMR3-0126-SM-A9SLW 40-49 years, male 75.1
GTEX-13PDP-0726-SM-5L3HP 60-69 years, male 75.0
GTEX-15D1Q-2826-SM-6LLH7 40-49 years, male 75.0
GTEX-1C6VR-0126-SM-7RHGB 60-69 years, male 75.0
GTEX-13O61-1426-SM-5KM3D 60-69 years, male 74.9
GTEX-ZVP2-0326-SM-57WBP 50-59 years, male 74.9
GTEX-1I19N-0126-SM-CYPSF 70-79 years, male 74.9
GTEX-11UD2-2526-SM-5CVNU 50-59 years, male 74.8
GTEX-15EU6-2226-SM-6EU2L 50-59 years, male 74.8
GTEX-14AS3-1526-SM-5Q5ED 40-49 years, female 74.6
GTEX-17F9Y-0126-SM-79OKX 70-79 years, female 74.6
GTEX-13OW5-2326-SM-5L3HO 60-69 years, male 74.4
GTEX-12BJ1-0926-SM-5EQ62 60-69 years, male 74.3
GTEX-1IDJH-0126-SM-D3L92 70-79 years, male 74.3
GTEX-ZPCL-1126-SM-4WWFE 60-69 years, female 74.2
GTEX-ZWKS-0626-SM-5GIDV 30-39 years, male 74.2
GTEX-11P82-1426-SM-DTXFY 20-29 years, male 74.2
GTEX-1OJC4-2726-SM-E76PJ 50-59 years, female 74.2
GTEX-1GN1W-2426-SM-9KNUU 50-59 years, female 74.1
GTEX-13YAN-0226-SM-5TDC6 60-69 years, male 74.0
GTEX-1PPGY-1626-SM-EVYBL 60-69 years, male 74.0
GTEX-1S82U-1026-SM-E6CJK 30-39 years, female 74.0
GTEX-Y5LM-0926-SM-6LLJG 40-49 years, female 73.9
GTEX-1I1GS-2626-SM-B2LY3 60-69 years, male 73.9
GTEX-14DAR-1226-SM-73KYV 50-59 years, male 73.8
GTEX-WH7G-2026-SM-3NMBL 40-49 years, male 73.8
GTEX-1GTWX-2026-SM-9YFLM 60-69 years, male 73.8
GTEX-1LKK1-2626-SM-DKPQE 50-59 years, female 73.8
GTEX-1HC8U-1326-SM-9YFMJ 40-49 years, female 73.6
GTEX-ZE9C-2526-SM-5IJDR 60-69 years, male 73.4
GTEX-ZVT4-2426-SM-5GIEI 50-59 years, female 73.4
GTEX-1RAZS-2526-SM-E6CHT 50-59 years, male 73.4
GTEX-1GPI6-1926-SM-9KNV7 60-69 years, male 73.3
GTEX-ZF29-0926-SM-4WKFZ 60-69 years, female 73.2
GTEX-1BAJH-2426-SM-7IGP8 70-79 years, male 73.1
GTEX-1JJ6O-2726-SM-CNPOG 60-69 years, male 73.1
GTEX-131XH-0126-SM-5LZUY 50-59 years, male 73.0
GTEX-147F3-1726-SM-5SIAW 50-59 years, female 72.9
GTEX-111CU-1126-SM-5EGIM 50-59 years, male 72.8
GTEX-16MT8-2926-SM-7DUFO 60-69 years, female 72.8
GTEX-1RLM8-2926-SM-E8VON 50-59 years, male 72.8
GTEX-ZDYS-2426-SM-4WKGI 50-59 years, male 72.7
GTEX-1I6K7-1926-SM-B2LXR 40-49 years, male 72.7
GTEX-ZPU1-1126-SM-4YCF3 40-49 years, male 72.6
GTEX-1GL5R-1326-SM-7RHHF 50-59 years, male 72.6
GTEX-1H3VE-0726-SM-9YFL5 40-49 years, male 72.6
GTEX-1LGOU-1326-SM-D3L8M 20-29 years, female 72.6
GTEX-14A6H-2026-SM-5Q5DD 30-39 years, male 72.5
GTEX-1IDFM-0326-SM-ARL7V 60-69 years, male 72.5
GTEX-1399S-0126-SM-5IJCF 30-39 years, female 72.4
GTEX-1F75B-0726-SM-7PC3R 50-59 years, male 72.4
GTEX-13FTX-1526-SM-5K7VJ 20-29 years, female 72.3
GTEX-15UF6-1926-SM-7KUDV 70-79 years, female 72.3
GTEX-1QPFJ-1926-SM-EVYBD 30-39 years, female 72.3
GTEX-ZA64-1026-SM-5HL8R 20-29 years, male 72.1
GTEX-1S5ZU-2526-SM-E6CIF 20-29 years, female 72.1
GTEX-1PDJ9-1226-SM-EXUSX 20-29 years, male 72.0
GTEX-ZYVF-0926-SM-5E44J 50-59 years, female 71.9
GTEX-11EQ9-1626-SM-5PNY8 30-39 years, male 71.8
GTEX-17F9E-2326-SM-79OKD 50-59 years, male 71.7
GTEX-12C56-1526-SM-5FQUQ 20-29 years, male 71.6
GTEX-139D8-1126-SM-5LU8W 30-39 years, female 71.6
GTEX-1C2JI-1026-SM-73KY1 50-59 years, male 71.6
GTEX-12696-0126-SM-5EQ4L 60-69 years, male 71.5
GTEX-13SLW-0626-SM-5Q5ER 70-79 years, male 71.5
GTEX-1B8KZ-0326-SM-73KY4 50-59 years, male 71.5
GTEX-1GN1U-0626-SM-9MQL9 50-59 years, female 71.5
GTEX-1269C-0126-SM-5EQ5L 60-69 years, female 71.4
GTEX-131XW-0626-SM-5PNVD 50-59 years, female 71.3
GTEX-1F6I4-2326-SM-7RHGL 60-69 years, male 71.3
GTEX-1K2DU-1226-SM-CYPT4 20-29 years, male 71.3
GTEX-11NSD-0626-SM-5A5LU 20-29 years, male 71.2
GTEX-13FTY-2126-SM-5IFFB 40-49 years, female 71.2
GTEX-145LT-0526-SM-5LUB2 40-49 years, male 71.1
GTEX-1GN73-0726-SM-7P8TJ 60-69 years, male 71.1
GTEX-16NGA-0726-SM-731AO 40-49 years, female 71.0
GTEX-Y3IK-1626-SM-4YCF5 50-59 years, female 71.0
GTEX-ZC5H-1526-SM-5HL9Y 40-49 years, female 71.0
GTEX-ZF2S-1626-SM-57WES 50-59 years, female 71.0
GTEX-17F98-1326-SM-7DUEP 40-49 years, female 70.9
GTEX-1B933-2426-SM-7DHMD 50-59 years, female 70.9
GTEX-ZAJG-1526-SM-5CVML 50-59 years, female 70.9
GTEX-1GPI7-1826-SM-9KNU1 20-29 years, male 70.9
GTEX-1A3MV-1826-SM-731CD 30-39 years, male 70.8
GTEX-1GF9V-0826-SM-9KNUV 60-69 years, male 70.8
GTEX-1HFI6-0126-SM-CNPPI 40-49 years, male 70.8
GTEX-11DXZ-2026-SM-5987S 50-59 years, male 70.7
GTEX-139T8-0626-SM-5KLZX 60-69 years, male 70.7
GTEX-13X6H-0926-SM-5SIB2 50-59 years, female 70.7
GTEX-1J8Q3-0526-SM-ARL8U 60-69 years, male 70.6
GTEX-11WQK-1026-SM-5EQLX 50-59 years, male 70.5
GTEX-12WSM-1926-SM-5BC65 60-69 years, male 70.5
GTEX-14C38-0726-SM-5SI6M 50-59 years, male 70.5
GTEX-1HR9M-2226-SM-CNPPY 60-69 years, male 70.4
GTEX-1313W-0626-SM-5EQ4H 50-59 years, female 70.3
GTEX-18D9A-1426-SM-7LT8M 30-39 years, female 70.3
GTEX-13O3Q-0126-SM-5KM34 50-59 years, male 70.2
GTEX-1EMGI-2326-SM-7PBYA 60-69 years, male 70.2
GTEX-1H1DG-2426-SM-9QEHJ 70-79 years, male 70.2
GTEX-1H1DE-1326-SM-9KNUG 20-29 years, male 70.1
GTEX-XQ8I-0926-SM-4BOOF 50-59 years, male 70.0
GTEX-1LB8K-0726-SM-D5OV2 50-59 years, male 70.0
GTEX-16AAH-0626-SM-793C9 50-59 years, male 69.9
GTEX-18QFQ-1826-SM-72D52 30-39 years, male 69.9
GTEX-1EN7A-2426-SM-793DB 40-49 years, male 69.9
GTEX-13IVO-0726-SM-5LZYV 70-79 years, male 69.8
GTEX-14LZ3-0126-SM-69LPM 60-69 years, female 69.8
GTEX-1JJE9-2626-SM-ARZMT 70-79 years, male 69.8
GTEX-145LU-1926-SM-79OJN 50-59 years, male 69.7
GTEX-17HHY-0426-SM-7DHLC 50-59 years, male 69.6
GTEX-ZYY3-2926-SM-5GIEB 60-69 years, female 69.6
GTEX-1F75A-0726-SM-7RHHD 50-59 years, male 69.6
GTEX-1PIIG-2326-SM-DTXFR 30-39 years, male 69.6
GTEX-14ABY-2026-SM-62LDL 50-59 years, male 69.3
GTEX-WRHU-2826-SM-3MJG8 50-59 years, female 69.3
GTEX-1KANB-2826-SM-CY8I6 50-59 years, male 69.2
GTEX-1117F-2926-SM-5GZYI 60-69 years, female 69.0
GTEX-15DDE-2926-SM-6LLJ3 50-59 years, female 69.0
GTEX-1H3O1-1326-SM-9MQLD 60-69 years, male 69.0
GTEX-11OF3-0126-SM-5PNYF 60-69 years, male 68.9
GTEX-X3Y1-2026-SM-3P5YM 40-49 years, male 68.9
GTEX-1HCVE-2726-SM-CL54F 50-59 years, male 68.8
GTEX-1HSMQ-2626-SM-A9SML 50-59 years, male 68.7
GTEX-1LVAM-0726-SM-E6CIL 50-59 years, female 68.6
GTEX-145MG-1526-SM-5Q5EM 50-59 years, male 68.5
GTEX-Z93S-1626-SM-5CVMB 50-59 years, male 68.5
GTEX-1QMI2-2526-SM-E8VNZ 60-69 years, male 68.2
GTEX-YJ8O-2526-SM-5HL85 40-49 years, female 68.1
GTEX-1HKZK-0726-SM-ACKW2 40-49 years, male 68.1
GTEX-1497J-0226-SM-5QGPU 60-69 years, male 67.9
GTEX-1AX9I-2226-SM-73KUO 60-69 years, male 67.9
GTEX-1F52S-2926-SM-7MKGA 60-69 years, female 67.9
GTEX-11LCK-2226-SM-5HL4Q 30-39 years, male 67.8
GTEX-13FTW-0326-SM-5K7UW 40-49 years, male 67.8
GTEX-13NYS-0626-SM-5L3F1 60-69 years, male 67.7
GTEX-1HR98-2226-SM-ADEI2 60-69 years, male 67.5
GTEX-14PJ6-2626-SM-6EU2T 60-69 years, female 67.4
GTEX-1CAMS-2226-SM-7PBXQ 40-49 years, female 67.3
GTEX-11GS4-0226-SM-5HL77 60-69 years, male 67.1
GTEX-1EU9M-1426-SM-793AI 60-69 years, male 67.1
GTEX-1R46S-2426-SM-E76QA 60-69 years, female 67.0
GTEX-15CHC-1126-SM-6LLHQ 60-69 years, female 66.9
GTEX-1LGRB-0926-SM-COH3K 50-59 years, female 66.9
GTEX-13VXU-0626-SM-5L3F9 50-59 years, male 66.8
GTEX-1R9K4-2826-SM-DTX8F 60-69 years, male 66.8
GTEX-13OVH-0526-SM-5L3E6 70-79 years, male 66.6
GTEX-1F88F-0126-SM-9WYSZ 60-69 years, female 66.6
GTEX-1IDJU-1726-SM-CMKHU 60-69 years, female 66.6
GTEX-1RMOY-1326-SM-E9TIH 50-59 years, male 66.6
GTEX-15EO6-2426-SM-6PALZ 50-59 years, male 66.5
GTEX-1B8SF-0126-SM-7DUG3 60-69 years, male 66.5
GTEX-1GMR8-0626-SM-7RHI7 50-59 years, female 66.5
GTEX-1GZHY-0626-SM-9KNVC 50-59 years, female 66.5
GTEX-1HSMO-0626-SM-ACKXC 60-69 years, male 66.5
GTEX-13SLX-2226-SM-62LEP 50-59 years, female 66.4
GTEX-13FLV-0126-SM-5K7WT 50-59 years, male 66.2
GTEX-1C6WA-2626-SM-7MKGM 60-69 years, male 66.2
GTEX-1EH9U-2826-SM-7DUGT 60-69 years, male 66.2
GTEX-13N11-2326-SM-5IJBF 50-59 years, female 66.1
GTEX-1IOXB-2726-SM-CM2RI 50-59 years, male 66.1
GTEX-1RAZR-2126-SM-E9U6T 40-49 years, male 66.1
GTEX-12WSF-1626-SM-7KUG5 70-79 years, male 66.0
GTEX-17F96-0126-SM-7EWDU 70-79 years, male 66.0
GTEX-11ZUS-2626-SM-5FQUR 30-39 years, male 65.9
GTEX-145MO-2826-SM-5LU96 60-69 years, male 65.9
GTEX-1IDJC-1526-SM-B2LW4 50-59 years, male 65.9
GTEX-178AV-1726-SM-7KUL8 40-49 years, male 65.8
GTEX-ZDTT-0426-SM-4WKFL 60-69 years, male 65.8
GTEX-1A8G7-1326-SM-73KVM 60-69 years, male 65.6
GTEX-1EKGG-0626-SM-7DUGJ 60-69 years, male 65.6
GTEX-1O9I2-0226-SM-EYYXD 50-59 years, male 65.6
GTEX-13U4I-2226-SM-5LU5H 40-49 years, female 65.5
GTEX-WFG8-2126-SM-3GIKQ 20-29 years, male 65.4
GTEX-14JG6-1426-SM-9WG7C 30-39 years, female 65.4
GTEX-17HG3-2626-SM-7DUF2 30-39 years, female 65.3
GTEX-1H23P-0626-SM-9WG6T 60-69 years, male 65.3
GTEX-X4EP-0626-SM-3P621 60-69 years, female 65.2
GTEX-XK95-0226-SM-4AT58 40-49 years, male 65.1
GTEX-12WSL-2026-SM-5GCML 50-59 years, male 65.0
GTEX-1CB4F-1026-SM-7DUH1 60-69 years, male 64.8
GTEX-11DXY-0126-SM-5H11Q 60-69 years, male 64.7
GTEX-ZDXO-3126-SM-5IJDF 60-69 years, male 64.7
GTEX-13NYC-0126-SM-5L3F4 60-69 years, male 64.6
GTEX-1H1E6-0426-SM-9WYUS 30-39 years, male 64.6
GTEX-11EM3-1226-SM-5N9DD 20-29 years, female 64.5
GTEX-13PVQ-0626-SM-5LU47 50-59 years, male 64.5
GTEX-13QJC-0126-SM-5ZZWJ 60-69 years, female 64.5
GTEX-1H1ZS-2726-SM-9WG75 70-79 years, male 64.5
GTEX-XAJ8-1426-SM-47JYM 40-49 years, male 64.4
GTEX-11VI4-1126-SM-5EQMD 40-49 years, female 64.2
GTEX-145MI-0626-SM-5SI8S 60-69 years, female 64.2
GTEX-1F6IF-0926-SM-7SB7M 60-69 years, male 64.2
GTEX-15RJE-2826-SM-7KUM9 40-49 years, male 64.0
GTEX-17HHE-1326-SM-7EWDZ 50-59 years, male 64.0
GTEX-WFON-1926-SM-3LK7L 40-49 years, male 64.0
GTEX-1HBPM-0726-SM-9YFL7 60-69 years, female 64.0
GTEX-14A5H-0826-SM-5QGPJ 60-69 years, male 63.9
GTEX-1I6K6-1726-SM-CGQFD 30-39 years, male 63.9
GTEX-12584-0726-SM-5FQTK 40-49 years, male 63.8
GTEX-16NPX-0726-SM-7KULC 50-59 years, male 63.8
GTEX-1KAFJ-0126-SM-DIPEK 50-59 years, male 63.5
GTEX-14PKU-0126-SM-6LLHV 40-49 years, female 63.4
GTEX-11GSP-2326-SM-5HL63 60-69 years, female 63.1
GTEX-1ICLY-0826-SM-CMKG1 50-59 years, male 63.1
GTEX-1H4P4-2126-SM-9WYSL 50-59 years, male 62.9
GTEX-1HB9E-0126-SM-CM2S5 50-59 years, male 62.9
GTEX-1QP66-1226-SM-DTX7U 50-59 years, male 62.9
GTEX-1LG7Y-2526-SM-EWRO7 50-59 years, male 62.8
GTEX-14BMV-2826-SM-5TDED 50-59 years, male 62.7
GTEX-ZLWG-0826-SM-59888 50-59 years, female 62.7
GTEX-ZVE2-2826-SM-5GU51 50-59 years, male 62.7
GTEX-14E6C-2426-SM-5S2NF 40-49 years, male 62.6
GTEX-18D9B-0926-SM-7LG4U 60-69 years, male 62.6
GTEX-XXEK-1626-SM-4BRUZ 50-59 years, male 62.6
GTEX-12WSH-1526-SM-5BC5W 50-59 years, male 62.4
GTEX-131YS-2826-SM-5EQ47 60-69 years, female 62.2
GTEX-WYJK-0526-SM-3NM8Z 50-59 years, male 62.2
GTEX-16MT9-0126-SM-7EPI8 60-69 years, female 62.1
GTEX-11DZ1-2426-SM-5GZZX 50-59 years, male 62.0
GTEX-13X6I-1826-SM-5SIAO 60-69 years, male 62.0
GTEX-VJYA-1526-SM-3GIJV 60-69 years, male 62.0
GTEX-1KXAM-1626-SM-D3LAD 60-69 years, male 62.0
GTEX-1S83E-1326-SM-E6CJM 40-49 years, male 62.0
GTEX-XOT4-0626-SM-4B66L 60-69 years, female 61.9
GTEX-ZVTK-0226-SM-51MRG 20-29 years, male 61.9
GTEX-11DXW-0826-SM-5H118 40-49 years, male 61.8
GTEX-13O3O-2326-SM-5IJD6 60-69 years, female 61.8
GTEX-13W3W-0726-SM-5IJDQ 60-69 years, female 61.8
GTEX-1212Z-0126-SM-59HK4 60-69 years, male 61.7
GTEX-117YX-1926-SM-5GIEC 50-59 years, male 61.6
GTEX-1F48J-0726-SM-7RHGS 50-59 years, female 61.6
GTEX-1GN2E-0226-SM-9WG6K 60-69 years, male 61.6
GTEX-1F88E-1626-SM-7SB8Z 60-69 years, female 61.5
GTEX-1N2EE-0626-SM-E76PW 60-69 years, male 61.5
GTEX-1B97I-0626-SM-73KUZ 40-49 years, male 61.4
GTEX-Y8LW-1526-SM-5IFHL 50-59 years, female 61.4
GTEX-ZYFD-0626-SM-5E44E 50-59 years, male 61.4
GTEX-1H11D-1826-SM-9QEHM 40-49 years, male 61.4
GTEX-1CAMR-1326-SM-7PC1F 20-29 years, male 61.3
GTEX-1B8KE-1126-SM-7EPHI 50-59 years, male 61.1
GTEX-VUSG-2326-SM-4KL1U 50-59 years, male 61.1
GTEX-X4EO-2926-SM-4E3JH 60-69 years, female 61.1
GTEX-1JKYR-0626-SM-ARL8R 20-29 years, male 61.1
GTEX-13OVL-0126-SM-5L3GJ 50-59 years, male 61.0
GTEX-1S831-1826-SM-EWROF 20-29 years, male 61.0
GTEX-17MF6-2626-SM-79OKQ 40-49 years, male 60.9
GTEX-WY7C-2126-SM-3NB2R 50-59 years, male 60.9
GTEX-WYBS-0626-SM-3NMAS 60-69 years, female 60.9
GTEX-1CB4I-0126-SM-7RHGG 50-59 years, male 60.9
GTEX-1JMQL-2226-SM-CNPP4 50-59 years, female 60.9
GTEX-X5EB-1926-SM-4E3IW 40-49 years, male 60.8
GTEX-15CHQ-0326-SM-69LQD 60-69 years, male 60.7
GTEX-1JMPZ-0726-SM-CY8HZ 30-39 years, male 60.7
GTEX-1N5O9-0926-SM-E9J3C 60-69 years, male 60.7
GTEX-14LLW-2626-SM-62LDZ 70-79 years, female 60.6
GTEX-1HCUA-0826-SM-ADEHM 50-59 years, female 60.5
GTEX-1KANC-1226-SM-CYPT7 50-59 years, female 60.5
GTEX-13113-1626-SM-5EQ4I 60-69 years, female 60.4
GTEX-1C64O-1326-SM-7MGWR 60-69 years, male 60.4
GTEX-11NUK-2726-SM-5A5MC 50-59 years, male 60.3
GTEX-13OVK-1426-SM-6PAN7 40-49 years, male 60.3
GTEX-145LS-0626-SM-7EPG7 60-69 years, female 60.3
GTEX-14DAQ-0626-SM-793DS 60-69 years, female 60.3
GTEX-183WM-0326-SM-72D5V 70-79 years, female 60.3
GTEX-13QBU-1226-SM-5LU4G 40-49 years, female 60.2
GTEX-V1D1-2026-SM-3GAF4 50-59 years, male 60.2
GTEX-ZLFU-1826-SM-4WWBV 40-49 years, male 60.2
GTEX-1GF9X-1326-SM-7PC2Y 40-49 years, female 60.2
GTEX-13X6J-0626-SM-5LU5F 50-59 years, male 60.1
GTEX-ZAK1-0626-SM-5HL8E 50-59 years, female 60.1
GTEX-ZYFC-0426-SM-5GICQ 50-59 years, male 59.9
GTEX-1J8QM-2426-SM-A9SLS 60-69 years, female 59.8
GTEX-1KANA-1326-SM-DIPFA 20-29 years, male 59.8
GTEX-1B8L1-2226-SM-7P8PT 60-69 years, male 59.7
GTEX-18A7A-0126-SM-731AH 50-59 years, female 59.6
GTEX-1J8JJ-0626-SM-ARZMQ 60-69 years, female 59.4
GTEX-1211K-1526-SM-5FQU4 60-69 years, female 59.2
GTEX-13NZ9-2626-SM-5L3FK 50-59 years, male 59.2
GTEX-1IDJF-2026-SM-CL53V 20-29 years, male 59.2
GTEX-1J1R8-2026-SM-CL53Y 40-49 years, male 59.2
GTEX-16MTA-0926-SM-6M47Z 50-59 years, male 59.1
GTEX-1I1GV-0626-SM-ARL7M 60-69 years, male 59.1
GTEX-146FQ-2126-SM-5RQHU 30-39 years, male 59.0
GTEX-13N1W-2426-SM-5IJD1 70-79 years, male 58.9
GTEX-1QP29-1826-SM-DTX9S 50-59 years, male 58.9
GTEX-ZGAY-1826-SM-DO91Q 40-49 years, female 58.9
GTEX-11TT1-1826-SM-5EQLV 20-29 years, male 58.8
GTEX-14E6E-0526-SM-793DN 30-39 years, male 58.8
GTEX-13JUV-2026-SM-5K7UA 40-49 years, female 58.7
GTEX-14PKV-1126-SM-6LLJ1 20-29 years, female 58.7
GTEX-ZAB4-2126-SM-5HL8U 40-49 years, male 58.6
GTEX-1J8Q2-2626-SM-ACKWQ 60-69 years, male 58.6
GTEX-1IDJE-1426-SM-ADEIW 50-59 years, female 58.5
GTEX-1R9PN-0426-SM-DTXDT 40-49 years, female 58.4
GTEX-1CB4H-1126-SM-7MKGL 60-69 years, female 58.3
GTEX-1GMR2-0826-SM-7PC3V 50-59 years, male 58.3
GTEX-1QCLZ-2426-SM-EVYBW 60-69 years, female 58.2
GTEX-1HSGN-0826-SM-ACKW3 40-49 years, female 58.1
GTEX-13NZ8-1226-SM-5KM4A 60-69 years, female 57.9
GTEX-16XZZ-0726-SM-7KUF2 60-69 years, male 57.9
GTEX-1F5PL-0926-SM-7PC2W 40-49 years, female 57.9
GTEX-1H1DF-1126-SM-9WG7G 40-49 years, female 57.9
GTEX-1HSKV-1226-SM-ADEI4 60-69 years, male 57.9
GTEX-ZT9W-1126-SM-57WDR 50-59 years, male 57.8
GTEX-16GPK-0626-SM-7KFSF 60-69 years, male 57.7
GTEX-U8XE-0226-SM-4E3J3 30-39 years, male 57.7
GTEX-13OW7-0426-SM-5K7VK 50-59 years, male 57.6
GTEX-132AR-0326-SM-5KM2C 50-59 years, female 57.3
GTEX-1EWIQ-0326-SM-7DHMQ 70-79 years, female 57.2
GTEX-XYKS-1426-SM-4BRUO 60-69 years, female 57.2
GTEX-1JMOU-1026-SM-CYPSS 60-69 years, female 57.2
GTEX-15CHR-1126-SM-7EWF4 50-59 years, male 57.0
GTEX-17EVQ-0126-SM-7IGLR 70-79 years, male 56.9
GTEX-139YR-1026-SM-5LZYN 50-59 years, male 56.8
GTEX-13OW8-1026-SM-5J1NQ 60-69 years, male 56.8
GTEX-133LE-2326-SM-5K7W3 20-29 years, female 56.7
GTEX-1QEPI-2626-SM-DTXF4 60-69 years, female 56.7
GTEX-15FZZ-0526-SM-7KUGD 30-39 years, female 56.5
GTEX-Y9LG-1126-SM-4VBQ7 30-39 years, male 56.5
GTEX-1A3MX-2626-SM-7PC24 60-69 years, male 56.5
GTEX-1I1CD-0626-SM-CE6SW 60-69 years, female 56.5
GTEX-1JMQK-1226-SM-D4P2S 60-69 years, male 56.5
GTEX-183FY-1026-SM-7939A 20-29 years, male 56.4
GTEX-1AMFI-1326-SM-7939R 50-59 years, female 56.4
GTEX-1R7EU-1626-SM-DTXG3 60-69 years, male 56.4
GTEX-ZVT2-0126-SM-5GIDQ 50-59 years, female 56.3
GTEX-1RB15-1326-SM-E76Q9 60-69 years, male 56.2
GTEX-ZLV1-1526-SM-DO91J 60-69 years, female 56.2
GTEX-1LSNM-0826-SM-DIPG8 50-59 years, male 56.1
GTEX-111FC-2526-SM-5GZXU 60-69 years, male 55.9
GTEX-1MCYP-0526-SM-E9U6Q 20-29 years, female 55.9
GTEX-147JS-0226-SM-5S2U9 60-69 years, male 55.8
GTEX-1I1HK-2326-SM-CKZOH 60-69 years, male 55.7
GTEX-1K9T9-1526-SM-DIPFR 50-59 years, female 55.7
GTEX-1KWVE-1026-SM-D3L9O 30-39 years, male 55.7
GTEX-1B996-0426-SM-7EWF8 60-69 years, male 55.6
GTEX-ZZPU-0826-SM-5GZX5 50-59 years, female 55.5
GTEX-13OW6-2726-SM-5J2OE 50-59 years, male 55.3
GTEX-14BMU-1226-SM-5S2OR 20-29 years, female 55.2
GTEX-12WSC-2826-SM-5BC5Y 50-59 years, male 55.1
GTEX-17EVP-2626-SM-7IGMA 40-49 years, male 55.1
GTEX-1JMQI-1726-SM-ARL93 50-59 years, male 55.0
GTEX-XPVG-2126-SM-4B667 50-59 years, male 54.8
GTEX-1F6RS-2026-SM-7RHHC 60-69 years, female 54.8
GTEX-13N2G-0226-SM-5K7VF 60-69 years, male 54.7
GTEX-XV7Q-1826-SM-4BRUV 40-49 years, female 54.7
GTEX-ZYFG-1526-SM-5GZYM 60-69 years, female 54.5
GTEX-1K2DA-1026-SM-CGQGF 50-59 years, male 54.5
GTEX-1KD5A-0126-SM-E9U54 50-59 years, male 54.2
GTEX-11EI6-2826-SM-5H11D 60-69 years, male 53.8
GTEX-14PK6-0226-SM-62LF5 70-79 years, female 53.8
GTEX-1H3NZ-2726-SM-9WYTQ 60-69 years, male 53.7
GTEX-1JN6P-2926-SM-CL54D 60-69 years, male 53.6
GTEX-ZP4G-1426-SM-4WWCL 20-29 years, female 53.5
GTEX-1HCU9-0426-SM-9WYSD 20-29 years, male 53.5
GTEX-1HUB1-1426-SM-CGQF5 60-69 years, male 53.5
GTEX-13VXT-1926-SM-5K7UO 20-29 years, female 53.3
GTEX-18A7B-2726-SM-7LG56 70-79 years, male 53.2
GTEX-1LBAC-0826-SM-CY8IJ 20-29 years, male 53.2
GTEX-1IDJI-0126-SM-CMKHS 50-59 years, female 53.1
GTEX-1IDJV-0126-SM-COH3Y 60-69 years, male 53.1
GTEX-13FH7-1126-SM-5K7UG 50-59 years, female 53.0
GTEX-WYVS-1626-SM-3NM9R 40-49 years, female 53.0
GTEX-1GZ2Q-0126-SM-9WG6M 40-49 years, male 52.9
GTEX-1ICG6-1226-SM-A9SLN 70-79 years, female 52.8
GTEX-18465-2826-SM-7LT9J 50-59 years, male 52.6
GTEX-1AMEY-0826-SM-72D65 30-39 years, female 52.5
GTEX-ZU9S-1826-SM-5NQ9E 30-39 years, male 52.5
GTEX-1AX9J-1326-SM-731BJ 60-69 years, male 52.3
GTEX-1L5NE-1126-SM-D3L9P 50-59 years, male 52.3
GTEX-1C475-1326-SM-7SB73 40-49 years, female 52.2
GTEX-1IL2V-1926-SM-B2LW8 70-79 years, male 52.0
GTEX-14PJ2-0626-SM-6LLII 50-59 years, male 51.9
GTEX-16Z82-2626-SM-7KULU 60-69 years, male 51.7
GTEX-XBEC-0726-SM-4QARZ 50-59 years, male 51.2
GTEX-1A32A-0626-SM-731AQ 50-59 years, female 50.5
GTEX-12WSA-0426-SM-5EQ5X 60-69 years, male 50.4
GTEX-1JKYN-0826-SM-ARU8S 30-39 years, male 50.2
GTEX-Y5V5-0126-SM-5S2NW 60-69 years, female 50.0
GTEX-YF7O-1526-SM-5IFI6 50-59 years, male 49.8
GTEX-1POEN-2326-SM-E9J2L 30-39 years, female 49.6
GTEX-ZVE1-0726-SM-51MRN 50-59 years, female 49.4
GTEX-145MF-0926-SM-5Q5EA 50-59 years, male 49.3
GTEX-1314G-1326-SM-5BC6E 30-39 years, male 48.5
GTEX-1JN1M-2726-SM-CY8I4 60-69 years, female 48.5
GTEX-1477Z-0326-SM-7IGLA 60-69 years, male 48.2
GTEX-1B932-2326-SM-79OL5 40-49 years, female 48.1
GTEX-1CAV2-0126-SM-7IGN7 40-49 years, female 47.6
GTEX-XUW1-0926-SM-4BONX 50-59 years, female 47.5
GTEX-1F75W-2726-SM-7SB8H 60-69 years, male 46.7
GTEX-1MCC2-1826-SM-DIPEX 30-39 years, female 46.3
GTEX-17JCI-2926-SM-7DUFF 60-69 years, female 46.1
GTEX-17HII-1426-SM-7EPGG 50-59 years, male 46.0
GTEX-ZUA1-2626-SM-5NQ92 40-49 years, male 45.8
GTEX-1CB4J-1326-SM-7P8RX 60-69 years, male 44.7
GTEX-1I4MK-0126-SM-CY8G6 50-59 years, female 44.7
GTEX-1LG7Z-1626-SM-CXKYR 30-39 years, male 44.7
GTEX-145ME-1726-SM-5Q5EU 40-49 years, female 44.6
GTEX-11EQ8-0926-SM-5H12V 60-69 years, male 44.4
GTEX-ZTSS-1426-SM-5985P 40-49 years, male 42.3
GTEX-1GF9U-2026-SM-7SB92 40-49 years, female 39.8
GTEX-1399R-1326-SM-5PNYS 30-39 years, male 39.1
GTEX-1LVAO-2726-SM-E9TJ8 60-69 years, male 38.6
GTEX-1HCU8-2526-SM-CE6RX 60-69 years, female 37.4
GTEX-1IDJD-2326-SM-ACKWX 30-39 years, male 36.9
GTEX-1LVAN-0626-SM-CNPOQ 50-59 years, female 34.1
Show allShow less
Skin - Sun Exposed (Lower leg)
Average nTPM: 69.9
Samples: 701

Max nTPM: 114.9
Min nTPM: 37.7
Std nTPM: 13.5
Median nTPM: 68.5
GTEX-OIZH-0126-SM-2HMIS 50-59 years, male 114.9
GTEX-P4QT-0126-SM-2I3FL 50-59 years, female 113.9
GTEX-Y3IK-2426-SM-4WWDU 50-59 years, female 113.8
GTEX-15SB6-1726-SM-6PAME 50-59 years, female 112.7
GTEX-145MO-0326-SM-5Q5B3 60-69 years, male 111.2
GTEX-18D9A-1926-SM-7LG6P 30-39 years, female 110.6
GTEX-POMQ-2226-SM-2I5FK 20-29 years, female 109.2
GTEX-1122O-2126-SM-5EGIR 60-69 years, female 107.5
GTEX-WI4N-1026-SM-3LK7N 40-49 years, female 104.9
GTEX-139UW-2826-SM-5L3E7 60-69 years, male 104.0
GTEX-14E6C-0126-SM-5RQIP 40-49 years, male 103.7
GTEX-PSDG-0226-SM-DKPOZ 50-59 years, male 103.0
GTEX-131XE-2326-SM-5PNZ2 50-59 years, male 102.7
GTEX-UJHI-1526-SM-3DB99 50-59 years, female 101.5
GTEX-1399U-2326-SM-5K7WY 50-59 years, female 101.1
GTEX-14PN4-0126-SM-6EU2V 50-59 years, male 101.1
GTEX-ZTX8-1426-SM-5DUVO 20-29 years, male 100.1
GTEX-1PIIG-0226-SM-EWRN6 30-39 years, male 99.5
GTEX-139TS-2826-SM-5J1OO 60-69 years, male 99.4
GTEX-S32W-2126-SM-2XCB1 50-59 years, female 99.4
GTEX-13CF2-2526-SM-5LZYX 60-69 years, male 98.6
GTEX-TML8-1926-SM-32QOS 40-49 years, female 98.5
GTEX-14PHX-2326-SM-62LEM 50-59 years, male 98.0
GTEX-13NYB-2526-SM-5K7Z6 40-49 years, male 97.8
GTEX-1R9PM-2026-SM-E76OY 20-29 years, male 97.2
GTEX-15ER7-0326-SM-7KUEV 20-29 years, female 96.8
GTEX-1K2DA-1826-SM-CGQGT 50-59 years, male 96.8
GTEX-1KANC-1526-SM-D3LAB 50-59 years, female 96.2
GTEX-1H1CY-2826-SM-9MQM3 60-69 years, female 95.9
GTEX-15ETS-0126-SM-7KUMW 40-49 years, female 95.6
GTEX-SJXC-0126-SM-2XCFF 60-69 years, male 95.6
GTEX-W5X1-3026-SM-EAZAX 40-49 years, female 95.6
GTEX-1JMLX-0226-SM-CM2RO 50-59 years, male 95.5
GTEX-14PII-0226-SM-6EU1T 60-69 years, male 95.2
GTEX-S7PM-0126-SM-4AD6S 60-69 years, male 94.9
GTEX-13FXS-0226-SM-5IJCK 50-59 years, male 94.4
GTEX-15UF6-0826-SM-6PALJ 70-79 years, female 93.6
GTEX-PX3G-0126-SM-2I3EN 20-29 years, female 93.6
GTEX-1L5NE-2526-SM-E6CIE 50-59 years, male 93.6
GTEX-T6MN-0126-SM-32PLP 50-59 years, male 93.2
GTEX-12WSJ-1826-SM-5GCNY 40-49 years, female 92.6
GTEX-1EMGI-0126-SM-9KNUE 60-69 years, male 92.2
GTEX-1JN6P-0126-SM-D3L98 60-69 years, male 92.2
GTEX-ZYT6-0226-SM-5NQ6T 30-39 years, male 92.0
GTEX-11DXZ-2326-SM-5EGGV 50-59 years, male 91.4
GTEX-1KD4Q-0226-SM-E9TJ9 40-49 years, male 91.2
GTEX-ZF3C-0126-SM-DO92D 50-59 years, female 91.2
GTEX-1HSMO-0126-SM-CL547 60-69 years, male 90.7
GTEX-1QAET-0926-SM-E76QM 50-59 years, male 90.7
GTEX-13111-1626-SM-5EGJY 50-59 years, male 90.6
GTEX-XBEW-0626-SM-4QASP 40-49 years, male 90.3
GTEX-Y114-2426-SM-4TT8A 50-59 years, female 90.3
GTEX-1MJK2-0426-SM-DTXE5 50-59 years, male 89.9
GTEX-1211K-2026-SM-5EQ4Z 60-69 years, female 89.7
GTEX-13FTW-2626-SM-5K7WL 40-49 years, male 89.7
GTEX-ZPIC-1726-SM-DHXIU 40-49 years, female 89.7
GTEX-ZE9C-2726-SM-57WB5 60-69 years, male 89.6
GTEX-WQUQ-0426-SM-3MJFU 60-69 years, male 89.4
GTEX-1PDJ9-0326-SM-DTX95 20-29 years, male 89.3
GTEX-1PPH8-0226-SM-E8VND 20-29 years, male 89.3
GTEX-14E6E-1826-SM-5S2R7 30-39 years, male 89.2
GTEX-1IDJH-0326-SM-A9SLQ 70-79 years, male 89.1
GTEX-O5YT-0126-SM-48TBW 20-29 years, male 88.9
GTEX-Y5V6-2426-SM-4VDSB 60-69 years, male 88.9
GTEX-11DYG-0126-SM-59883 60-69 years, male 88.8
GTEX-XUZC-1726-SM-4BRWS 30-39 years, female 88.7
GTEX-11UD2-0226-SM-5EQKY 50-59 years, male 88.4
GTEX-111FC-0126-SM-5N9DL 60-69 years, male 88.3
GTEX-WFON-2126-SM-3LK7O 40-49 years, male 88.2
GTEX-15D1Q-0126-SM-7KUG6 40-49 years, male 88.0
GTEX-WFG8-2226-SM-3GIL9 20-29 years, male 87.9
GTEX-RTLS-0126-SM-447CA 60-69 years, female 87.8
GTEX-1I4MK-2226-SM-ACKWD 50-59 years, female 87.8
GTEX-14753-0426-SM-5NQAM 60-69 years, male 87.7
GTEX-SN8G-0126-SM-32PLI 50-59 years, female 87.5
GTEX-ZVT2-2526-SM-51MT1 50-59 years, female 87.4
GTEX-X88G-0126-SM-47JZ3 30-39 years, male 87.2
GTEX-17JCI-0126-SM-7LG5G 60-69 years, female 87.1
GTEX-1NV5F-0226-SM-E8VNY 60-69 years, female 87.0
GTEX-1H3VE-0326-SM-9YFLH 40-49 years, male 86.8
GTEX-1B8SF-1426-SM-7DUGL 60-69 years, male 86.7
GTEX-WYJK-0126-SM-3NMAB 50-59 years, male 86.7
GTEX-ZVZP-2426-SM-59HKJ 50-59 years, male 86.4
GTEX-1B8KE-2126-SM-73KYX 50-59 years, male 86.3
GTEX-1OJC3-0126-SM-E76QX 20-29 years, male 86.3
GTEX-ZVTK-0426-SM-51MRS 20-29 years, male 86.2
GTEX-12696-2426-SM-5EQ6H 60-69 years, male 85.9
GTEX-144FL-0126-SM-5TDC8 50-59 years, male 85.9
GTEX-145LT-1726-SM-5QGP3 40-49 years, male 85.9
GTEX-16MT8-0426-SM-7KUEY 60-69 years, female 85.9
GTEX-ZV68-0126-SM-59HKS 50-59 years, female 85.9
GTEX-1PFEY-1526-SM-E76PP 30-39 years, male 85.9
GTEX-PLZ6-1426-SM-DKPOT 30-39 years, male 85.6
GTEX-XQ3S-1526-SM-4BOOC 20-29 years, male 85.5
GTEX-12WSE-0526-SM-793B2 20-29 years, male 85.4
GTEX-UPJH-0326-SM-3GADU 50-59 years, male 85.4
GTEX-XAJ8-0826-SM-47JY6 40-49 years, male 85.4
GTEX-17GQL-2026-SM-718BA 60-69 years, male 85.2
GTEX-14JG1-0426-SM-6ETZZ 40-49 years, male 85.0
GTEX-QESD-1426-SM-2S1R9 20-29 years, male 84.9
GTEX-1JMPY-1326-SM-ARL8Y 30-39 years, male 84.8
GTEX-1ICLZ-0126-SM-CKZPO 60-69 years, male 84.7
GTEX-14XAO-2326-SM-6EU1B 60-69 years, female 84.5
GTEX-1QMI2-0226-SM-EVYBX 60-69 years, male 84.5
GTEX-11H98-0126-SM-5EGHG 50-59 years, male 84.1
GTEX-Z93T-0126-SM-5HL5N 50-59 years, male 84.0
GTEX-11TUW-2726-SM-E9J4M 60-69 years, male 83.9
GTEX-13NZ8-0826-SM-5MR3I 60-69 years, female 83.8
GTEX-1269C-2526-SM-5EGJ3 60-69 years, female 83.7
GTEX-18A6Q-0126-SM-731BZ 60-69 years, male 83.7
GTEX-1JN76-0126-SM-CNPPE 20-29 years, female 83.7
GTEX-RVPV-0126-SM-EAZAW 60-69 years, male 83.6
GTEX-13FHO-0226-SM-5IFGY 60-69 years, male 83.5
GTEX-14BMU-2226-SM-5TDE9 20-29 years, female 83.5
GTEX-1JMPZ-0226-SM-CNPP1 30-39 years, male 83.5
GTEX-11TT1-2526-SM-5EGIB 20-29 years, male 83.4
GTEX-PWCY-1826-SM-DHXIZ 20-29 years, female 83.4
GTEX-1F75B-0126-SM-9KNVL 50-59 years, male 83.2
GTEX-1LGRB-2526-SM-CNPPQ 50-59 years, female 83.2
GTEX-1HGF4-2426-SM-ACKXM 60-69 years, male 83.1
GTEX-1LB8K-0226-SM-EWRNW 50-59 years, male 83.1
GTEX-1S3DN-2226-SM-EVYCD 50-59 years, male 83.1
GTEX-ZWKS-0126-SM-5SIAA 30-39 years, male 82.9
GTEX-1HCU6-0126-SM-CL54K 60-69 years, female 82.9
GTEX-12126-0326-SM-5PNW3 20-29 years, male 82.8
GTEX-11WQC-2526-SM-5CVLE 60-69 years, male 82.7
GTEX-OIZG-0726-SM-33HBL 50-59 years, male 82.7
GTEX-TKQ1-1026-SM-4GICL 30-39 years, male 82.7
GTEX-SUCS-1926-SM-32PM3 70-79 years, male 82.6
GTEX-1C6VQ-0126-SM-7P8RI 50-59 years, male 82.6
GTEX-15EU6-0426-SM-6PAN5 50-59 years, male 82.5
GTEX-NPJ8-0126-SM-2YUNR 40-49 years, male 82.5
GTEX-Y111-0126-SM-4SOIV 50-59 years, male 82.4
GTEX-1GN1U-0126-SM-7PBZK 50-59 years, female 82.4
GTEX-P4PP-0126-SM-3LK69 30-39 years, female 82.3
GTEX-13PVR-2326-SM-5QGR1 60-69 years, female 82.2
GTEX-1EWIQ-0126-SM-7RHH2 70-79 years, female 82.2
GTEX-U412-0426-SM-3DB9O 60-69 years, male 82.0
GTEX-Y8DK-0126-SM-4TT3L 60-69 years, male 82.0
GTEX-1PIGE-0126-SM-EVYBJ 20-29 years, male 82.0
GTEX-1GMR3-1926-SM-9KNUZ 40-49 years, male 81.9
GTEX-1JMQL-0226-SM-CNPP5 50-59 years, female 81.9
GTEX-WRHK-1426-SM-3MJF9 20-29 years, female 81.1
GTEX-1CAV2-2226-SM-7P8P2 40-49 years, female 81.1
GTEX-ZYFD-0126-SM-5GIDL 50-59 years, male 81.0
GTEX-X4XY-0226-SM-4E3IZ 60-69 years, male 80.9
GTEX-SE5C-1626-SM-2XCE3 40-49 years, female 80.9
GTEX-1A3MX-0126-SM-731BR 60-69 years, male 80.8
GTEX-12ZZY-0226-SM-5LZVE 60-69 years, male 80.7
GTEX-S7SE-0126-SM-2XCD5 50-59 years, male 80.7
GTEX-NFK9-0226-SM-2HMKQ 40-49 years, male 80.5
GTEX-X4XX-0126-SM-3NMC2 60-69 years, male 80.5
GTEX-1F6RS-0126-SM-9MQKZ 60-69 years, female 80.5
GTEX-1EX96-1626-SM-7PBXR 50-59 years, male 80.4
GTEX-U8T8-0126-SM-3DB94 60-69 years, male 80.3
GTEX-1JMQJ-0526-SM-CYPSU 50-59 years, male 80.2
GTEX-1LG7Z-1726-SM-D3LA4 30-39 years, male 80.2
GTEX-1S5ZA-0126-SM-EVYCV 20-29 years, male 80.1
GTEX-13113-5016-SM-7EPIP 60-69 years, female 80.0
GTEX-15SHU-0126-SM-7KUEH 40-49 years, female 80.0
GTEX-U8XE-0326-SM-3DB8P 30-39 years, male 79.8
GTEX-1H1DG-0126-SM-9WYU2 70-79 years, male 79.6
GTEX-132NY-0326-SM-5IJBL 60-69 years, male 79.3
GTEX-13JUV-2726-SM-5LZZ8 40-49 years, female 79.3
GTEX-Q2AI-1326-SM-2S1PL 40-49 years, male 79.3
GTEX-T2YK-0526-SM-32QPJ 50-59 years, male 79.3
GTEX-YJ89-0126-SM-4TT3X 60-69 years, male 79.3
GTEX-1AX8Z-0126-SM-7DHM6 60-69 years, male 79.1
GTEX-1AX9J-0226-SM-73KXM 60-69 years, male 79.1
GTEX-13IVO-0126-SM-5J1NG 70-79 years, male 79.0
GTEX-1CB4E-2226-SM-793DC 60-69 years, male 79.0
GTEX-1OFPY-2426-SM-DTXEJ 60-69 years, male 79.0
GTEX-14C5O-0126-SM-5SI6N 60-69 years, male 78.9
GTEX-1IOXB-0126-SM-ARL8G 50-59 years, male 78.9
GTEX-ZGAY-0526-SM-4WWBB 40-49 years, female 78.7
GTEX-1M5QR-1226-SM-EWROB 40-49 years, male 78.6
GTEX-1A3MW-0126-SM-73KXX 60-69 years, female 78.5
GTEX-1HBPI-1526-SM-C1YQ1 50-59 years, male 78.5
GTEX-1QP9N-1426-SM-DTXFL 30-39 years, male 78.4
GTEX-131YS-0126-SM-5KM1M 60-69 years, female 78.2
GTEX-1PWST-0226-SM-E76QJ 70-79 years, male 78.2
GTEX-1R7EU-0226-SM-EVR4G 60-69 years, male 78.2
GTEX-WXYG-2326-SM-4E3I6 50-59 years, female 78.1
GTEX-16GPK-0126-SM-7DHLE 60-69 years, male 78.0
GTEX-15RIG-0226-SM-7KFTL 40-49 years, male 77.9
GTEX-13FHP-0126-SM-5IJBG 50-59 years, male 77.8
GTEX-TMZS-0126-SM-3DB9Q 60-69 years, male 77.8
GTEX-X8HC-0126-SM-4E3JW 50-59 years, female 77.7
GTEX-YB5E-2026-SM-5IFIS 40-49 years, male 77.7
GTEX-1MA7W-2026-SM-E9TJ6 20-29 years, female 77.6
GTEX-14BIN-0626-SM-793DP 50-59 years, female 77.5
GTEX-Y8E4-0626-SM-4WWDL 40-49 years, male 77.5
GTEX-1IKJJ-0126-SM-CNPQB 60-69 years, male 77.4
GTEX-VJYA-1126-SM-3GIJU 60-69 years, male 77.3
GTEX-12WSK-2326-SM-5GCOH 40-49 years, female 77.2
GTEX-139T8-0126-SM-5K7XZ 60-69 years, male 77.2
GTEX-13U4I-0126-SM-5LU38 40-49 years, female 77.2
GTEX-1497J-2426-SM-7IGNX 60-69 years, male 77.2
GTEX-1CB4H-0226-SM-7PBXM 60-69 years, female 76.9
GTEX-17EVQ-0226-SM-7LG4P 70-79 years, male 76.8
GTEX-VJWN-0126-SM-3GIK7 50-59 years, female 76.8
GTEX-ZDYS-2026-SM-5HL5L 50-59 years, male 76.7
GTEX-13VXU-0126-SM-5SI9F 50-59 years, male 76.5
GTEX-17HHY-0126-SM-7LG5D 50-59 years, male 76.5
GTEX-ZU9S-0226-SM-5E441 30-39 years, male 76.5
GTEX-1212Z-2526-SM-5EGKP 60-69 years, male 76.4
GTEX-1GN2E-0426-SM-9MQKX 60-69 years, male 76.4
GTEX-1HCUA-2426-SM-ADEIS 50-59 years, female 76.4
GTEX-1HFI6-0226-SM-ADEHZ 40-49 years, male 76.4
GTEX-1JMQI-2226-SM-CM2SD 50-59 years, male 76.4
GTEX-14PJM-0226-SM-62LF1 50-59 years, female 76.2
GTEX-QV44-1926-SM-2S1RF 50-59 years, male 76.2
GTEX-QVJO-1626-SM-2S1QW 60-69 years, female 76.2
GTEX-XBED-2226-SM-47JYQ 60-69 years, male 76.2
GTEX-11DZ1-0126-SM-5985Q 50-59 years, male 76.1
GTEX-ZDTS-0126-SM-4WAY5 60-69 years, male 76.1
GTEX-1B8SG-0126-SM-73KZ3 50-59 years, male 76.0
GTEX-Z93S-0126-SM-5HL7M 50-59 years, male 76.0
GTEX-11GS4-2726-SM-5A5LE 60-69 years, male 75.9
GTEX-OHPM-0126-SM-2YUN9 50-59 years, male 75.8
GTEX-1GF9W-0326-SM-9KNUN 60-69 years, male 75.7
GTEX-1GZ4H-1726-SM-7PBZJ 50-59 years, female 75.7
GTEX-1HFI7-1826-SM-ACKXH 50-59 years, female 75.7
GTEX-13S7M-0126-SM-5SI6A 60-69 years, female 75.6
GTEX-P44H-0226-SM-2XCEU 40-49 years, male 75.6
GTEX-1HT8W-0126-SM-CNPPP 30-39 years, male 75.6
GTEX-ZV6S-2326-SM-4YCEY 40-49 years, female 75.5
GTEX-W5WG-1826-SM-4KL2Y 50-59 years, female 75.3
GTEX-1J1R8-1726-SM-ARL8M 40-49 years, male 75.2
GTEX-1GZHY-0326-SM-9QEHI 50-59 years, female 75.1
GTEX-16XZZ-0126-SM-793DV 60-69 years, male 75.0
GTEX-13OVH-0126-SM-5MR4B 70-79 years, male 74.9
GTEX-13O21-1426-SM-5K7XI 50-59 years, male 74.8
GTEX-1JJEA-0326-SM-CNPOT 60-69 years, male 74.8
GTEX-T5JW-1626-SM-3GADZ 20-29 years, female 74.7
GTEX-1GL5R-1826-SM-9KNUY 50-59 years, male 74.7
GTEX-1GZ2Q-0226-SM-7P8TL 40-49 years, male 74.4
GTEX-1LSNM-1926-SM-E6CII 50-59 years, male 74.4
GTEX-14DAR-2026-SM-5S2O3 50-59 years, male 74.2
GTEX-1I1GP-2226-SM-CGQFK 50-59 years, male 74.2
GTEX-YFC4-0126-SM-5CVLY 40-49 years, female 74.1
GTEX-X4EP-0126-SM-3P5YV 60-69 years, female 74.0
GTEX-12ZZX-0126-SM-5EGK9 40-49 years, female 73.9
GTEX-1J1OQ-0226-SM-CYPSH 40-49 years, female 73.9
GTEX-18D9U-0226-SM-718BP 40-49 years, male 73.7
GTEX-1JJ6O-0126-SM-E6CI8 60-69 years, male 73.7
GTEX-13YAN-0326-SM-5O9DF 60-69 years, male 73.6
GTEX-15F5U-1526-SM-6PANO 40-49 years, male 73.6
GTEX-1C475-1826-SM-73KWA 40-49 years, female 73.5
GTEX-1LGOU-2026-SM-DIPFF 20-29 years, female 73.5
GTEX-14A5I-0126-SM-5TDEA 50-59 years, female 73.4
GTEX-1BAJH-0526-SM-793CQ 70-79 years, male 73.4
GTEX-1N2EF-0226-SM-EYYXB 60-69 years, male 73.4
GTEX-QEG4-0226-SM-2S1PY 30-39 years, male 73.3
GTEX-T5JC-0426-SM-32PLO 20-29 years, male 73.3
GTEX-1IL2U-0226-SM-CE6T8 60-69 years, male 73.3
GTEX-YB5K-2126-SM-4WWDJ 40-49 years, female 73.1
GTEX-1HBPM-0226-SM-ARL9F 60-69 years, female 73.1
GTEX-1I6K6-0126-SM-A9SLE 30-39 years, male 73.1
GTEX-1J8QM-2126-SM-CYPSJ 60-69 years, female 72.9
GTEX-1399R-2726-SM-5IJBA 30-39 years, male 72.8
GTEX-17KNJ-2326-SM-7DHLQ 50-59 years, male 72.8
GTEX-PVOW-0126-SM-2XCFA 40-49 years, male 72.7
GTEX-148VJ-0126-SM-5TDDN 70-79 years, male 72.6
GTEX-131XH-2226-SM-5DUXJ 50-59 years, male 72.5
GTEX-ZAK1-0126-SM-5IJD3 50-59 years, female 72.5
GTEX-131XF-5016-SM-7MGWE 60-69 years, male 72.4
GTEX-1MUQO-0126-SM-EAZ58 60-69 years, male 72.4
GTEX-S33H-1026-SM-EZ6L6 30-39 years, male 72.4
GTEX-1HSGN-0226-SM-CGQFV 40-49 years, female 72.3
GTEX-1K2DU-2326-SM-E9TIV 20-29 years, male 72.3
GTEX-XUYS-0126-SM-47JWZ 50-59 years, male 72.2
GTEX-1J8EW-0126-SM-CJI4F 60-69 years, female 72.2
GTEX-13OVL-0226-SM-5L3E9 50-59 years, male 72.1
GTEX-Q2AG-0126-SM-33HBV 40-49 years, female 72.1
GTEX-1GMRU-0126-SM-9YFLV 50-59 years, male 72.0
GTEX-1I1GV-0526-SM-A9G29 60-69 years, male 72.0
GTEX-11OC5-0126-SM-5HL6A 60-69 years, male 71.9
GTEX-17HG3-2226-SM-7938L 30-39 years, female 71.8
GTEX-OXRO-0126-SM-2YUN4 60-69 years, female 71.8
GTEX-13SLW-0126-SM-5SI6C 70-79 years, male 71.7
GTEX-OOBJ-0126-SM-E6CJW 60-69 years, male 71.7
GTEX-13OVI-1426-SM-5L3EY 60-69 years, female 71.6
GTEX-1IKK5-0626-SM-ARL8A 60-69 years, male 71.4
GTEX-13D11-2426-SM-5KM1V 50-59 years, female 71.3
GTEX-X261-0126-SM-3NMD6 50-59 years, male 71.3
GTEX-11DXW-0226-SM-5H122 40-49 years, male 71.2
GTEX-13O1R-0126-SM-5L3EH 60-69 years, male 71.2
GTEX-15G19-0126-SM-6PANQ 60-69 years, male 71.2
GTEX-OXRN-0126-SM-48TDM 50-59 years, male 71.2
GTEX-1RDX4-0126-SM-E9J4P 50-59 years, female 71.2
GTEX-11EQ9-2426-SM-5HL5T 30-39 years, male 70.9
GTEX-131XW-0426-SM-5LZWP 50-59 years, female 70.9
GTEX-17F96-1626-SM-7DUFL 70-79 years, male 70.9
GTEX-11EM3-2426-SM-59861 20-29 years, female 70.8
GTEX-12WSA-0226-SM-5BC5V 60-69 years, male 70.8
GTEX-139D8-0226-SM-5KLZO 30-39 years, female 70.7
GTEX-13RTK-1426-SM-5QGQJ 20-29 years, male 70.7
GTEX-XQ8I-0426-SM-4BOPO 50-59 years, male 70.7
GTEX-13OVJ-0126-SM-5KM36 50-59 years, female 70.6
GTEX-145LS-0126-SM-5QGP1 60-69 years, female 70.6
GTEX-1KWVE-1426-SM-E9TJO 30-39 years, male 70.6
GTEX-1313W-0126-SM-5LZUN 50-59 years, female 70.5
GTEX-14JG6-2226-SM-6EU2G 30-39 years, female 70.5
GTEX-17F98-0626-SM-79OMX 40-49 years, female 70.5
GTEX-16BQI-0226-SM-7KUEX 30-39 years, female 70.4
GTEX-1C6VR-2426-SM-79OLD 60-69 years, male 70.4
GTEX-12ZZZ-0626-SM-5DUXI 60-69 years, male 70.3
GTEX-13O3P-0126-SM-5KM4S 50-59 years, male 70.3
GTEX-14ICK-0226-SM-6EU25 40-49 years, male 70.3
GTEX-16YQH-0126-SM-7DUFJ 30-39 years, male 70.3
GTEX-183WM-0126-SM-7LTAB 70-79 years, female 70.3
GTEX-113JC-2326-SM-5EQ4E 50-59 years, female 70.2
GTEX-17HGU-0226-SM-7DHKV 50-59 years, male 70.1
GTEX-RWS6-2026-SM-2XCB5 60-69 years, female 70.1
GTEX-RWSA-0126-SM-2XCBB 40-49 years, male 70.1
GTEX-1F5PL-0326-SM-7P8PQ 40-49 years, female 70.1
GTEX-ZYFC-0226-SM-5NQ75 50-59 years, male 70.0
GTEX-QCQG-1726-SM-3GIJ9 50-59 years, female 69.9
GTEX-1N2DW-0226-SM-E9TK2 50-59 years, male 69.9
GTEX-13W46-0226-SM-5SIAG 50-59 years, male 69.8
GTEX-SNMC-1226-SM-2XCFP 20-29 years, male 69.8
GTEX-1KANA-0726-SM-D3L9I 20-29 years, male 69.8
GTEX-TMMY-0226-SM-33HBA 40-49 years, female 69.7
GTEX-WVJS-0126-SM-4MVOT 50-59 years, male 69.7
GTEX-12C56-1726-SM-5EQ61 20-29 years, male 69.5
GTEX-15DDE-0126-SM-6LPKH 50-59 years, female 69.5
GTEX-T6MO-1626-SM-32QOM 40-49 years, female 69.5
GTEX-Y5LM-1926-SM-5RQJH 40-49 years, female 69.5
GTEX-1CAMQ-0226-SM-7IGPK 40-49 years, male 69.4
GTEX-1H2FU-0126-SM-9WYSI 60-69 years, female 69.4
GTEX-13X6H-2126-SM-7EWD5 50-59 years, female 69.3
GTEX-1B97I-1626-SM-73KYO 40-49 years, male 69.3
GTEX-RM2N-1426-SM-2TF4H 50-59 years, male 69.3
GTEX-ZZ64-1726-SM-5GZYB 20-29 years, male 69.3
GTEX-1KAFJ-2026-SM-CY8ID 50-59 years, male 69.3
GTEX-139TU-0126-SM-5K7WH 60-69 years, male 69.1
GTEX-13OW5-0126-SM-DTXFS 60-69 years, male 69.1
GTEX-12KS4-0326-SM-5EQ41 30-39 years, male 69.0
GTEX-1GN73-0226-SM-9WG67 60-69 years, male 69.0
GTEX-1C2JI-1826-SM-73KXC 50-59 years, male 68.9
GTEX-13OVK-2026-SM-7KUEO 40-49 years, male 68.8
GTEX-13PDP-0126-SM-5L3HD 60-69 years, male 68.8
GTEX-1S83E-0126-SM-EWRO4 40-49 years, male 68.8
GTEX-XYKS-2126-SM-4E3IB 60-69 years, female 68.7
GTEX-13G51-2526-SM-5LZYK 60-69 years, male 68.6
GTEX-1C4CL-0526-SM-73KVK 30-39 years, male 68.6
GTEX-1CAMS-0426-SM-7P8T2 40-49 years, female 68.6
GTEX-1S82Z-0826-SM-E6CHY 30-39 years, female 68.6
GTEX-13X6J-0126-SM-5QGOU 50-59 years, male 68.5
GTEX-OOBK-0126-SM-2YUND 40-49 years, male 68.5
GTEX-ZVZO-0126-SM-5A5L9 40-49 years, male 68.4
GTEX-ZYY3-0126-SM-5GZY5 60-69 years, female 68.4
GTEX-1CB4G-0226-SM-7PC3O 60-69 years, male 68.4
GTEX-1GF9V-0326-SM-7RHI5 60-69 years, male 68.4
GTEX-145MN-2226-SM-5SIAU 30-39 years, male 68.3
GTEX-1H1DE-2126-SM-9WG6R 20-29 years, male 68.3
GTEX-1AX9K-2326-SM-73KWU 50-59 years, male 68.2
GTEX-ZE7O-0126-SM-57WC1 50-59 years, female 68.2
GTEX-117XS-2726-SM-5N9BL 60-69 years, male 68.1
GTEX-144GL-0126-SM-5TDE2 50-59 years, male 68.1
GTEX-VUSG-2526-SM-4KL1V 50-59 years, male 68.1
GTEX-OHPL-0126-SM-2HMJ7 60-69 years, female 68.0
GTEX-1H23P-0126-SM-ADEJ3 60-69 years, male 68.0
GTEX-1B933-0126-SM-7PC29 50-59 years, female 67.9
GTEX-1F88F-2726-SM-7PBZZ 60-69 years, female 67.9
GTEX-11ZTS-0126-SM-5EQ6M 60-69 years, female 67.8
GTEX-1I1CD-0126-SM-CM2TK 60-69 years, female 67.8
GTEX-1R46S-0626-SM-E9J41 60-69 years, female 67.8
GTEX-1HB9E-0226-SM-E9U4R 50-59 years, male 67.6
GTEX-1F75A-0126-SM-7RHGM 50-59 years, male 67.5
GTEX-1JKYR-0126-SM-CNPOJ 20-29 years, male 67.3
GTEX-146FH-0126-SM-5QGPP 50-59 years, female 67.1
GTEX-ZTSS-1926-SM-57WEW 40-49 years, male 67.1
GTEX-13FTX-1826-SM-5J1NX 20-29 years, female 67.0
GTEX-1JMQK-0226-SM-CL543 60-69 years, male 67.0
GTEX-1O97I-0326-SM-EYYX7 60-69 years, male 67.0
GTEX-1I19N-0326-SM-ACKVX 70-79 years, male 66.9
GTEX-1LC47-0326-SM-E9TJP 60-69 years, male 66.9
GTEX-ZVT4-0126-SM-DTXFN 50-59 years, female 66.9
GTEX-145LV-2126-SM-5LU8N 50-59 years, male 66.8
GTEX-O5YW-0126-SM-3LK6D 50-59 years, male 66.7
GTEX-1H3O1-0426-SM-9YFKY 60-69 years, male 66.7
GTEX-14E6D-0126-SM-62LDV 50-59 years, male 66.6
GTEX-16AAH-1726-SM-7939C 50-59 years, male 66.6
GTEX-WZTO-0126-SM-3NM95 40-49 years, male 66.6
GTEX-1GPI6-0126-SM-9WG69 60-69 years, male 66.6
GTEX-X5EB-2226-SM-46MW4 40-49 years, male 66.5
GTEX-XMD2-0126-SM-4YCDU 60-69 years, female 66.5
GTEX-ZF2S-2326-SM-4WWCE 50-59 years, female 66.5
GTEX-1J8JJ-0226-SM-CL53I 60-69 years, female 66.5
GTEX-Y3I4-2126-SM-4TT7C 50-59 years, male 66.3
GTEX-1HSMQ-1226-SM-CGQFX 50-59 years, male 66.3
GTEX-1314G-1526-SM-5EGK2 30-39 years, male 66.2
GTEX-1R9K4-0126-SM-DTX9X 60-69 years, male 66.2
GTEX-146FQ-0126-SM-5NQA9 30-39 years, male 65.9
GTEX-T2IS-0126-SM-4DM6O 20-29 years, female 65.9
GTEX-Y5V5-2326-SM-4V6GA 60-69 years, female 65.9
GTEX-117YW-2626-SM-5GZZH 50-59 years, male 65.7
GTEX-YEC4-2126-SM-5IFJH 40-49 years, male 65.7
GTEX-1QCLY-0326-SM-E8VOG 30-39 years, male 65.7
GTEX-1RB15-2126-SM-E9TIM 60-69 years, male 65.7
GTEX-11O72-0126-SM-59887 40-49 years, male 65.6
GTEX-13O3Q-2426-SM-5IJBR 50-59 years, male 65.6
GTEX-11P81-2326-SM-59875 30-39 years, female 65.5
GTEX-133LE-1826-SM-5J1MV 20-29 years, female 65.5
GTEX-147GR-0526-SM-5S2MY 60-69 years, male 65.5
GTEX-1EU9M-0226-SM-7P8SP 60-69 years, male 65.4
GTEX-11ZU8-2526-SM-5EQKI 60-69 years, male 65.3
GTEX-11ZVC-2526-SM-5FQTE 50-59 years, female 65.3
GTEX-14PN3-2426-SM-6LLHS 60-69 years, female 65.3
GTEX-18465-0126-SM-731BN 50-59 years, male 65.3
GTEX-1QPFJ-0226-SM-E76PB 30-39 years, female 65.3
GTEX-QLQ7-1626-SM-2S1R8 60-69 years, male 65.2
GTEX-X585-0226-SM-4QAS2 50-59 years, male 65.2
GTEX-ZAJG-0126-SM-5HL94 50-59 years, female 65.2
GTEX-1F6I4-0126-SM-9MQL2 60-69 years, male 65.2
GTEX-14BIL-0126-SM-5SI92 50-59 years, male 65.1
GTEX-11GSO-2426-SM-5A5LY 60-69 years, male 65.0
GTEX-1C64N-0126-SM-793D7 50-59 years, male 64.9
GTEX-1R9PO-2126-SM-E9J4O 60-69 years, female 64.9
GTEX-1JKYN-1326-SM-CGQG9 30-39 years, male 64.8
GTEX-12WSC-0126-SM-5EQ4P 50-59 years, male 64.7
GTEX-13NYS-0126-SM-5MR3W 60-69 years, male 64.7
GTEX-YJ8A-0426-SM-5IFID 20-29 years, male 64.7
GTEX-11P82-1626-SM-59879 20-29 years, male 64.5
GTEX-1HSKV-0226-SM-A9SKJ 60-69 years, male 64.5
GTEX-ZQUD-1426-SM-57WER 30-39 years, male 64.4
GTEX-12WSD-0126-SM-59HKN 60-69 years, female 64.3
GTEX-18A66-0226-SM-718BD 60-69 years, male 64.3
GTEX-SIU8-0126-SM-2XCDT 50-59 years, male 64.3
GTEX-1E2YA-0126-SM-9KNUC 50-59 years, male 64.3
GTEX-1EKGG-0226-SM-9WYTH 60-69 years, male 64.3
GTEX-111VG-2426-SM-5GZXD 60-69 years, male 64.1
GTEX-14PJ3-1826-SM-62LEX 50-59 years, male 64.1
GTEX-1IDFM-0126-SM-COH2V 60-69 years, male 64.1
GTEX-183FY-0126-SM-7LT9P 20-29 years, male 64.0
GTEX-1H3VY-0126-SM-ACKXD 50-59 years, male 64.0
GTEX-148VI-1626-SM-5SI6E 60-69 years, female 63.9
GTEX-SSA3-0126-SM-32QPU 60-69 years, male 63.9
GTEX-Z9EW-1626-SM-5CVMN 40-49 years, male 63.9
GTEX-1EN7A-0126-SM-7SB81 40-49 years, male 63.9
GTEX-1GPI7-0126-SM-9MQL8 20-29 years, male 63.9
GTEX-117YX-2326-SM-5H12W 50-59 years, male 63.7
GTEX-ZQG8-1626-SM-DHXIT 60-69 years, female 63.7
GTEX-11UD1-0126-SM-5PNYG 40-49 years, female 63.6
GTEX-1B8L1-2526-SM-9WYTF 60-69 years, male 63.6
GTEX-1PPH7-2326-SM-EVYB8 40-49 years, male 63.6
GTEX-11TTK-0126-SM-5987B 60-69 years, female 63.5
GTEX-1S82Y-2026-SM-EVYCM 40-49 years, male 63.5
GTEX-11XUK-2026-SM-5EQLF 40-49 years, female 63.4
GTEX-ZYW4-0126-SM-5E44A 60-69 years, male 63.4
GTEX-1J8Q3-1626-SM-CMKGC 60-69 years, male 63.4
GTEX-1HBPN-0226-SM-9YFM1 50-59 years, male 63.3
GTEX-1MGNQ-0126-SM-EVYCJ 40-49 years, male 63.3
GTEX-OXRP-0126-SM-3NB32 60-69 years, female 63.2
GTEX-1HCU8-0626-SM-A9SM9 60-69 years, female 63.2
GTEX-1HR98-0126-SM-B2LWI 60-69 years, male 63.1
GTEX-11OF3-2626-SM-5GU7F 60-69 years, male 63.0
GTEX-11WQK-0526-SM-5EQLD 50-59 years, male 63.0
GTEX-1B996-0226-SM-7RHGO 60-69 years, male 63.0
GTEX-1HCVE-0126-SM-CGQEU 50-59 years, male 63.0
GTEX-11ZTT-2426-SM-5EQLS 60-69 years, female 62.9
GTEX-1N2DV-0226-SM-E6CJ6 40-49 years, male 62.9
GTEX-P4PQ-0126-SM-2S1NM 60-69 years, male 62.7
GTEX-ZVE2-0226-SM-59HJB 50-59 years, male 62.7
GTEX-1KXAM-2226-SM-CYPTC 60-69 years, male 62.7
GTEX-WYVS-2126-SM-3NMA3 40-49 years, female 62.6
GTEX-1F6IF-0726-SM-7P8TW 60-69 years, male 62.6
GTEX-1RLM8-2326-SM-EWRN4 50-59 years, male 62.6
GTEX-13OW8-1326-SM-5J1OW 60-69 years, male 62.5
GTEX-17MF6-0126-SM-7LG4F 40-49 years, male 62.5
GTEX-TSE9-0126-SM-3DB83 60-69 years, female 62.5
GTEX-1I1GT-0626-SM-CGQER 60-69 years, female 62.5
GTEX-144GN-2326-SM-5LU4F 50-59 years, male 62.4
GTEX-1CB4F-0426-SM-9KNV4 60-69 years, male 62.4
GTEX-1I1GR-0126-SM-CL55F 60-69 years, male 62.4
GTEX-11LCK-1026-SM-5A5KB 30-39 years, male 62.3
GTEX-13RTJ-2426-SM-5S2Q2 60-69 years, male 62.3
GTEX-1H4P4-0726-SM-9YFLR 50-59 years, male 62.3
GTEX-1399T-2826-SM-5KLYZ 60-69 years, male 62.2
GTEX-1HSMP-0126-SM-E6CJS 70-79 years, male 62.2
GTEX-1IL2V-0126-SM-CM2TX 70-79 years, male 62.2
GTEX-1KANB-0526-SM-E6CJH 50-59 years, male 62.2
GTEX-145MF-0626-SM-5LUAI 50-59 years, male 62.1
GTEX-14PJ6-2126-SM-6EU1V 60-69 years, female 62.0
GTEX-17F97-0326-SM-7LG5B 50-59 years, male 62.0
GTEX-ZDTT-2726-SM-4WKF8 60-69 years, male 62.0
GTEX-1JK1U-2026-SM-CM2RZ 60-69 years, male 62.0
GTEX-14DAQ-0126-SM-5S2MQ 60-69 years, female 61.9
GTEX-1R7EV-2426-SM-EVYBG 40-49 years, male 61.9
GTEX-1192X-0226-SM-5H12D 50-59 years, male 61.8
GTEX-1I1GU-2226-SM-CGQFA 40-49 years, male 61.8
GTEX-1GTWX-0126-SM-9YFLK 60-69 years, male 61.7
GTEX-1POEN-0126-SM-EYYXJ 30-39 years, female 61.7
GTEX-OXRK-0226-SM-3NB2G 50-59 years, female 61.6
GTEX-139TT-0126-SM-5K7Y5 60-69 years, male 61.5
GTEX-1CB4I-0226-SM-79OLH 50-59 years, male 61.5
GTEX-T8EM-1026-SM-3DB7M 40-49 years, male 61.5
GTEX-WOFL-0126-SM-3MJG2 60-69 years, male 61.5
GTEX-ZF29-2326-SM-DO92K 60-69 years, female 61.5
GTEX-13X6I-0626-SM-5QGP9 60-69 years, male 61.4
GTEX-16NGA-1726-SM-731B4 40-49 years, female 61.4
GTEX-QDVJ-1726-SM-2I5FX 50-59 years, male 61.4
GTEX-R55E-0126-SM-2TC5Y 20-29 years, male 61.4
GTEX-1RAZA-0126-SM-E6CI3 20-29 years, male 61.4
GTEX-17EUY-0426-SM-793BD 20-29 years, male 61.2
GTEX-ZY6K-1826-SM-5GZXK 50-59 years, male 61.2
GTEX-12584-0126-SM-5EGKQ 40-49 years, male 61.1
GTEX-S95S-1226-SM-4GICG 60-69 years, male 61.0
GTEX-ZXES-1826-SM-5E43S 30-39 years, female 61.0
GTEX-13OW6-0426-SM-5L3HM 50-59 years, male 60.9
GTEX-1QP66-1726-SM-E8VO1 50-59 years, male 60.9
GTEX-13112-2826-SM-5DUWH 50-59 years, male 60.8
GTEX-1IDJF-0126-SM-CM2RS 20-29 years, male 60.8
GTEX-13N11-2526-SM-5K7UE 50-59 years, female 60.7
GTEX-1MCQQ-0826-SM-DLHC2 60-69 years, male 60.7
GTEX-1128S-2326-SM-5GZZY 60-69 years, female 60.6
GTEX-QDVN-2026-SM-3GAEP 50-59 years, male 60.6
GTEX-12WSG-2826-SM-E9J4H 50-59 years, female 60.6
GTEX-169BO-1326-SM-9MQK2 50-59 years, male 60.6
GTEX-12WSL-2526-SM-5GCNJ 50-59 years, male 60.5
GTEX-ZYFG-2326-SM-5E44B 60-69 years, female 60.5
GTEX-1ICLY-0126-SM-D4P36 50-59 years, male 60.5
GTEX-14A5H-0426-SM-5QGQF 60-69 years, male 60.4
GTEX-14ABY-0226-SM-5TDCQ 50-59 years, male 60.4
GTEX-14PHW-0126-SM-6LLJI 60-69 years, female 60.4
GTEX-1A3MV-1926-SM-718BT 30-39 years, male 60.4
GTEX-17HII-0226-SM-7LG4E 50-59 years, male 60.3
GTEX-13SLX-0526-SM-5S2ON 50-59 years, female 60.1
GTEX-R3RS-0126-SM-3GIJL 40-49 years, female 60.1
GTEX-1IDJU-2626-SM-CM2RT 60-69 years, female 60.1
GTEX-11DXY-2626-SM-5GIE7 60-69 years, male 60.0
GTEX-11NUK-0126-SM-5A5L3 50-59 years, male 60.0
GTEX-13NZB-2526-SM-5J1OM 30-39 years, male 60.0
GTEX-1GF9X-2026-SM-7PC3A 40-49 years, female 60.0
GTEX-OIZF-0126-SM-7SB8I 60-69 years, male 60.0
GTEX-13CF3-2426-SM-5IFGX 60-69 years, female 59.8
GTEX-145LU-0126-SM-5TDCB 50-59 years, male 59.8
GTEX-15DYW-0126-SM-7KULE 60-69 years, female 59.8
GTEX-14BIM-0226-SM-7IGLD 60-69 years, female 59.7
GTEX-15DCD-0126-SM-7KUEK 70-79 years, female 59.7
GTEX-1HCU7-0226-SM-CL545 50-59 years, male 59.7
GTEX-1M4P7-0226-SM-DIPEV 60-69 years, male 59.7
GTEX-11P7K-2126-SM-5GU7G 30-39 years, male 59.6
GTEX-1LBAC-0126-SM-DIPEZ 20-29 years, male 59.6
GTEX-18A67-0126-SM-7LG5P 50-59 years, male 59.5
GTEX-1F75I-0326-SM-9YFLU 40-49 years, male 59.5
GTEX-13QJ3-0326-SM-5S2RA 50-59 years, male 59.4
GTEX-1F7RK-0126-SM-7PC2S 20-29 years, female 59.4
GTEX-1K9T9-0126-SM-EVYCF 50-59 years, female 59.4
GTEX-11DXX-2426-SM-5GZZW 60-69 years, female 59.3
GTEX-1B8KZ-2026-SM-7DHMB 50-59 years, male 59.3
GTEX-WH7G-2326-SM-3NMBC 40-49 years, male 59.3
GTEX-1IKOH-0226-SM-COH4E 60-69 years, female 59.3
GTEX-1LH75-2426-SM-E9TJE 50-59 years, female 59.3
GTEX-11NSD-2226-SM-5986V 20-29 years, male 59.2
GTEX-1AX9I-0126-SM-7SB74 60-69 years, male 59.1
GTEX-11ZUS-0626-SM-59885 30-39 years, male 58.9
GTEX-13FH7-2026-SM-E9J4I 50-59 years, female 58.8
GTEX-1ICG6-2526-SM-CGQFZ 70-79 years, female 58.8
GTEX-ZAB4-0226-SM-5N9F5 40-49 years, male 58.7
GTEX-1A8FM-0226-SM-7SB7Q 50-59 years, female 58.7
GTEX-1H1E6-1726-SM-ACKVK 30-39 years, male 58.6
GTEX-147F3-0526-SM-5SI98 50-59 years, female 58.5
GTEX-18A7B-0126-SM-7LG64 70-79 years, male 58.5
GTEX-1F52S-0126-SM-9MQJU 60-69 years, female 58.5
GTEX-1H3NZ-0126-SM-ACKX7 60-69 years, male 58.5
GTEX-1I1GQ-0126-SM-COH3H 50-59 years, male 58.5
GTEX-1JMOU-1526-SM-CL54I 60-69 years, female 58.5
GTEX-1CAMR-1926-SM-7EPI2 20-29 years, male 58.4
GTEX-18A7A-0226-SM-718BH 50-59 years, female 58.3
GTEX-13N1W-0126-SM-5K7VT 70-79 years, male 58.2
GTEX-1QP2A-0126-SM-E9J43 50-59 years, male 58.2
GTEX-1AYD5-2426-SM-73KXR 50-59 years, male 57.9
GTEX-17EVP-0326-SM-7DHLG 40-49 years, male 57.8
GTEX-18QFQ-0126-SM-731BE 30-39 years, male 57.8
GTEX-RU72-0926-SM-2TF6B 50-59 years, female 57.8
GTEX-1NHNU-1026-SM-E9J2A 50-59 years, male 57.7
GTEX-XXEK-2226-SM-4BRUM 50-59 years, male 57.6
GTEX-1GMR8-0126-SM-9WYTM 50-59 years, female 57.6
GTEX-15SHW-0326-SM-6PAML 60-69 years, male 57.5
GTEX-15UKP-0426-SM-7KUFQ 20-29 years, male 57.5
GTEX-X4EO-0326-SM-3P5YO 60-69 years, female 57.5
GTEX-1PBJI-0526-SM-E8VNK 20-29 years, female 57.5
GTEX-1F5PK-2426-SM-7RHHY 50-59 years, male 57.4
GTEX-1C6WA-0126-SM-7PC2B 60-69 years, male 57.3
GTEX-1I1GS-0126-SM-B2LVW 60-69 years, male 57.3
GTEX-1MA7X-2226-SM-E6CIY 60-69 years, male 57.2
GTEX-1RQEC-0426-SM-E6CHU 60-69 years, male 57.2
GTEX-145ME-1826-SM-5SI9G 40-49 years, female 57.1
GTEX-13NYC-0326-SM-E9J4S 60-69 years, male 57.1
GTEX-R45C-0126-SM-EAZ2R 60-69 years, female 57.1
GTEX-1E1VI-0126-SM-7DHMZ 50-59 years, male 56.9
GTEX-15CHC-2126-SM-6EU21 60-69 years, female 56.8
GTEX-16NPX-0226-SM-79OMT 50-59 years, male 56.8
GTEX-11VI4-1726-SM-5CVLH 40-49 years, female 56.6
GTEX-14A6H-0126-SM-5QGPK 30-39 years, male 56.6
GTEX-ZTPG-0326-SM-5O9AX 20-29 years, female 56.5
GTEX-11EI6-0126-SM-5985R 60-69 years, male 56.2
GTEX-1IY9M-0126-SM-D3L8S 60-69 years, male 56.2
GTEX-13N2G-2626-SM-5J1OT 60-69 years, male 56.1
GTEX-13RTL-0126-SM-7LG5S 40-49 years, male 56.1
GTEX-17HHE-2026-SM-79OKF 50-59 years, male 56.1
GTEX-14E7W-0126-SM-6LLJ9 70-79 years, male 56.0
GTEX-RNOR-0126-SM-E9J4R 50-59 years, female 56.0
GTEX-1IGQW-0126-SM-COH42 60-69 years, male 55.9
GTEX-1AMEY-1326-SM-73KYK 30-39 years, female 55.8
GTEX-1AMFI-2026-SM-731BH 50-59 years, female 55.8
GTEX-11GSP-2526-SM-5N9BP 60-69 years, female 55.7
GTEX-13OW7-0126-SM-5MR3B 50-59 years, male 55.7
GTEX-ZXG5-0126-SM-5GIEU 60-69 years, male 55.6
GTEX-U3ZM-1526-SM-3DB9D 40-49 years, male 55.5
GTEX-14LLW-0126-SM-6LLIO 70-79 years, female 55.3
GTEX-1192W-2626-SM-5Q5AF 60-69 years, male 55.2
GTEX-XUW1-0426-SM-4BOOT 50-59 years, female 55.2
GTEX-13OVG-1926-SM-5L3DK 60-69 years, male 55.1
GTEX-14BMV-0126-SM-5S2PO 50-59 years, male 55.1
GTEX-1LG7Y-0526-SM-DKPQC 50-59 years, male 55.1
GTEX-1AYCT-2426-SM-7IGQ3 50-59 years, male 54.8
GTEX-13NZA-0226-SM-5K7Z7 60-69 years, male 54.7
GTEX-PLZ5-2026-SM-2S1O4 50-59 years, male 54.6
GTEX-1HUB1-0426-SM-E9U4U 60-69 years, male 54.6
GTEX-1JJE9-0326-SM-CL53Z 70-79 years, male 54.6
GTEX-1RAZQ-0726-SM-EAZ43 30-39 years, male 54.6
GTEX-XPVG-2626-SM-4B669 50-59 years, male 54.5
GTEX-13W3W-2426-SM-5LU5B 60-69 years, female 54.4
GTEX-1HCU9-1526-SM-A9SL7 20-29 years, male 54.4
GTEX-U3ZH-2026-SM-3DB78 30-39 years, male 54.2
GTEX-1J8Q2-0526-SM-CM2RW 60-69 years, male 54.2
GTEX-131XG-2626-SM-5KM17 50-59 years, female 53.9
GTEX-17MFQ-1726-SM-793C7 20-29 years, male 53.9
GTEX-QDT8-0126-SM-48TZ1 30-39 years, female 53.7
GTEX-1QW4Y-1526-SM-EAZ3Z 30-39 years, male 53.6
GTEX-1A32A-0126-SM-718B1 50-59 years, female 53.5
GTEX-U4B1-1826-SM-4DXSU 40-49 years, male 53.5
GTEX-1F48J-0126-SM-7P8TT 50-59 years, female 53.5
GTEX-1HSEH-0126-SM-ACKXN 60-69 years, male 53.5
GTEX-145MI-0526-SM-5O9A8 60-69 years, female 53.4
GTEX-PWO3-1526-SM-48TCM 60-69 years, female 53.4
GTEX-1OJC4-0126-SM-E9J2E 50-59 years, female 53.4
GTEX-1QEPI-0126-SM-EWRMQ 60-69 years, female 53.4
GTEX-ZC5H-0226-SM-4WAY9 40-49 years, female 53.3
GTEX-1C64O-0126-SM-7SB8P 60-69 years, male 53.1
GTEX-12WSN-5019-SM-79OM6 40-49 years, male 52.9
GTEX-1JN1M-0326-SM-CYPT3 60-69 years, female 52.8
GTEX-1HKZK-0326-SM-9WYUH 40-49 years, male 52.7
GTEX-PW2O-1526-SM-7RHHB 20-29 years, male 52.6
GTEX-PLZ4-0126-SM-5SI8O 50-59 years, female 52.5
GTEX-13O3O-0126-SM-E9J49 60-69 years, female 52.5
GTEX-11EMC-2926-SM-5EQ4F 60-69 years, female 52.2
GTEX-147F4-0226-SM-5QGPW 50-59 years, male 52.0
GTEX-R55G-2526-SM-2TC6D 40-49 years, female 52.0
GTEX-X638-0126-SM-47JZ8 70-79 years, female 51.8
GTEX-1GN1V-0126-SM-9WPOS 60-69 years, male 51.8
GTEX-QLQW-1126-SM-2S1Q8 30-39 years, male 51.6
GTEX-V1D1-2226-SM-3NMAX 50-59 years, male 51.2
GTEX-Q2AH-1626-SM-3GAF8 40-49 years, male 51.0
GTEX-RUSQ-1526-SM-2TF62 50-59 years, male 50.9
GTEX-1IE54-0126-SM-CMKHW 40-49 years, female 50.7
GTEX-1QP29-0626-SM-EWRMX 50-59 years, male 50.6
GTEX-1GF9U-2126-SM-7SB7L 40-49 years, female 50.4
GTEX-ZDXO-3026-SM-5J1N5 60-69 years, male 50.3
GTEX-15SDE-2226-SM-7IGLO 50-59 years, female 50.2
GTEX-OXRL-0126-SM-2YUMP 50-59 years, male 50.2
GTEX-13VXT-0126-SM-5LU4I 20-29 years, female 49.9
GTEX-16XZY-2126-SM-79OK1 70-79 years, male 49.9
GTEX-1KD5A-0226-SM-D5OV3 50-59 years, male 49.9
GTEX-WY7C-2326-SM-3NB2U 50-59 years, male 49.8
GTEX-ZVT3-0126-SM-5GU6I 60-69 years, female 49.8
GTEX-1C6VS-0526-SM-7DUEN 60-69 years, male 49.7
GTEX-ZAB5-1826-SM-5HL7C 50-59 years, male 49.7
GTEX-139T4-0226-SM-5HL5S 50-59 years, female 49.1
GTEX-Y8LW-1826-SM-5S2MV 50-59 years, female 49.0
GTEX-1H1ZS-0426-SM-9WG6G 70-79 years, male 49.0
GTEX-1GN1W-0526-SM-9MQJQ 50-59 years, female 48.9
GTEX-14JIY-0126-SM-6LLH6 60-69 years, male 48.8
GTEX-RN64-0126-SM-2TC68 50-59 years, male 48.7
GTEX-1QP67-1626-SM-EAZ3X 40-49 years, female 48.6
GTEX-15EOM-0126-SM-7KUGG 20-29 years, female 48.5
GTEX-14LZ3-0226-SM-62LET 60-69 years, female 47.2
GTEX-13FTY-0526-SM-5L3EV 40-49 years, female 47.0
GTEX-1HBPH-0426-SM-B2LW5 40-49 years, female 46.9
GTEX-Q734-1926-SM-2I5EV 40-49 years, female 46.6
GTEX-XV7Q-2526-SM-4BRV9 40-49 years, female 46.3
GTEX-ZF28-0126-SM-4WKGK 60-69 years, male 46.3
GTEX-18D9B-0526-SM-7LTAS 60-69 years, male 46.2
GTEX-113IC-0126-SM-5HL6T 60-69 years, male 46.0
GTEX-ZZPT-0226-SM-5E43X 50-59 years, male 44.5
GTEX-U3ZN-2326-SM-3DB7W 30-39 years, female 44.4
GTEX-14PK6-1926-SM-6ETZU 70-79 years, female 44.2
GTEX-1H11D-0226-SM-9WG6Z 40-49 years, male 44.2
GTEX-X62O-0126-SM-4E3JN 50-59 years, male 43.7
GTEX-1MCYP-1926-SM-E9J2R 20-29 years, female 43.7
GTEX-1I1HK-0126-SM-COH49 60-69 years, male 42.9
GTEX-1LNCM-1126-SM-E9U5E 50-59 years, female 42.4
GTEX-146FR-1326-SM-E9J48 60-69 years, female 40.8
GTEX-1LVAN-0226-SM-COH3S 50-59 years, female 40.4
GTEX-ZEX8-2426-SM-4WKG4 50-59 years, male 39.9
GTEX-ZUA1-0126-SM-5GU76 40-49 years, male 39.7
GTEX-1CB4J-0626-SM-7DHMP 60-69 years, male 37.7
Show allShow less

Contact

  • NEWS ARTICLES
  • PRESS ROOM

The Project

  • INTRODUCTION
  • ORGANIZATION
  • PUBLICATIONS

The Human Protein Atlas

  • DOWNLOADABLE DATA
  • LICENCE & CITATION
  • HELP & FAQ
The Human Protein Atlas project is funded
by the Knut & Alice Wallenberg Foundation.


contact@proteinatlas.org