We use cookies to enhance the usability of our website. If you continue, we'll assume that you are happy to receive all cookies. More information. Don't show this again.
MAP1S
HPA
RESOURCES
  • TISSUE
  • BRAIN
  • SINGLE CELL
  • SUBCELLULAR
  • CANCER
  • BLOOD
  • CELL LINE
  • STRUCTURE & INTERACTION
ABOUT
  • INTRODUCTION
  • HISTORY
  • ORGANIZATION
  • PUBLICATIONS
  • ANTIBODY SUBMISSION
  • ANTIBODY AVAILABILITY
  • ACKNOWLEDGMENTS
  • CONTACT
NEWS
  • NEWS ARTICLES
  • PRESS ROOM
LEARN
  • DICTIONARY
  • PROTEIN CLASSES
  • PROTEIN EVIDENCE
  • METHODS
  • EDUCATIONAL VIDEOS
DATA
  • DOWNLOADABLE DATA
  • PUBLICATION DATA
  • RELEASE HISTORY
HELP
  • ANTIBODY VALIDATION
  • ASSAYS & ANNOTATION
  • DISCLAIMER
  • HELP & FAQ
  • PRIVACY STATEMENT
  • LICENCE & CITATION
Fields »
Search result

Field
Term
Gene name
Class
Subclass
Class
Keyword
Chromosome
External id
Tissue
Cell type
Expression
Antibody panel
Tissue
Main location
Patient ID
Annotation
Tissue
Category
Tau score
Cluster
Reliability
Brain region
Category
Tau score
Brain region
Category
Tau score
Brain region
Category
Tau score
Cluster
Reliability
Tissue
Cell type
Enrichment
Cell type
Category
Tau score
Cell type
Category
Tau score
Cell type
Category
Tau score
Cell lineage
Category
Tau score
Cluster
Cluster
Location
Searches
Location
Cell line
Class
Type
Phase
Reliability
Cancer
Prognosis
Cancer
Category
Cancer
Category
Tau score
Cluster
Variants
Interacting gene (ensg_id)
Type
Number of interactions
Pathway
Category
Score
Score
Score
Validation
Validation
Validation
Validation
Antibodies
Data type
Column


  • SUMMARY

  • TISSUE

  • BRAIN

  • SINGLE CELL

  • SUBCELL

  • CANCER

  • BLOOD

  • CELL LINE

  • STRUCT & INT

  • MAP1S
TISSUE PRIMARY DATA SKIN Show tissue menu
ADIPOSE TISSUE ADRENAL GLAND AMYGDALA APPENDIX BASAL GANGLIA BONE MARROW BREAST BRONCHUS CEREBELLUM CEREBRAL CORTEX CERVIX CHOROID PLEXUS COLON DUODENUM
ENDOMETRIUM EPIDIDYMIS ESOPHAGUS FALLOPIAN TUBE GALLBLADDER HEART MUSCLE HIPPOCAMPAL FORMATION HYPOTHALAMUS KIDNEY LIVER LUNG LYMPH NODE MIDBRAIN NASOPHARYNX
ORAL MUCOSA OVARY PANCREAS PARATHYROID GLAND PITUITARY GLAND PLACENTA PROSTATE RECTUM RETINA SALIVARY GLAND SEMINAL VESICLE SKELETAL MUSCLE SKIN SMALL INTESTINE
SMOOTH MUSCLE SOFT TISSUE SPINAL CORD SPLEEN STOMACH TESTIS THYMUS THYROID GLAND TONGUE TONSIL URINARY BLADDER VAGINA
ANTIBODIES
AND
VALIDATION
Dictionary
Skin
Tissue proteome
Skin
SKIN - Expression summary
Protein expression
Skini

On the top, protein expression in current human tissue, based on all annotated cell types, is reported with the units not detected (n), low (l), medium (m) and high (h). Underneath, protein expression in each annotated cell type are reported using the same units.

Protein expression data is based on knowledge-based annotation. For genes where more than one antibody has been used, a collective score is set.

If knowledge-based annotation could not be performed for a gene, no data is displayed here. View antibody staining data further down this page.

h
m
l
n
Epidermal cells: Low
Fibroblasts: Not detected
Keratinocytes: Not detected
Langerhans: Not detected
Melanocytes: Not detected
RNA expressioni

A summary of mRNA expression data available for current tissue based on several datasets. The mRNA expression levels in human tissues are based on RNA-seq data generated by the Human Protein Atlas (HPA), Genotype-Tissue Expression (GTEx) portal and CAGE data generated by the FANTOM5 consortium. Consensus normalized expression levels for human tissues was created by combining the data from HPA and GTEx datasets.

The mRNA expression levels in pig are based on RNA-seq data generated by the Human Protein Atlas (HPA), and for mouse, HPA data and in situ hybridization generated by the Allen brain atlas are reported.

Scroll down to view mRNA expression data in more detail.
Consensus:11.8 nTPM
HPA:3.3 nTPM
GTEx:11.8 nTPM

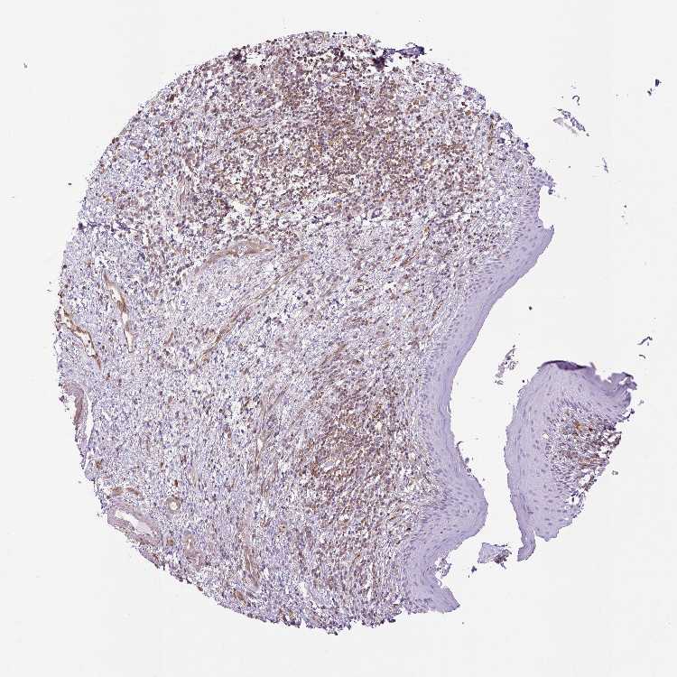
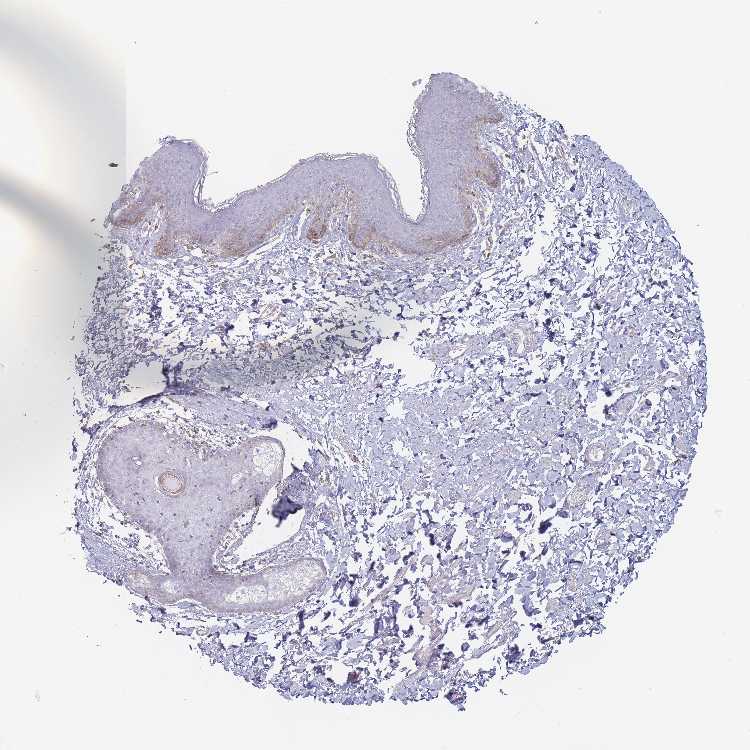
SKIN 1 - Antibody stainingi

Antibody staining in the annotated cell types in the current human tissue is reported as not detected, low, medium, or high, based on conventional immunohistochemistry profiling in selected tissues. This score is based on the combination of the staining intensity and fraction of stained cells.

Each image is clickable and will lead to virtual microscopy that enables deeper exploration of all samples and also displays staining intensity scores, fraction scores and subcellular localization as well as patient and tissue information for each sample.

Antibody HPA050934Antibody HPA054637
Langerhans Not detectedNot detected
Fibroblasts Not detectedNot detected
Keratinocytes Not detectedNot detected
Melanocytes Not detectedNot detected


SKIN 2 - Antibody stainingi

Antibody staining in the annotated cell types in the current human tissue is reported as not detected, low, medium, or high, based on conventional immunohistochemistry profiling in selected tissues. This score is based on the combination of the staining intensity and fraction of stained cells.

Each image is clickable and will lead to virtual microscopy that enables deeper exploration of all samples and also displays staining intensity scores, fraction scores and subcellular localization as well as patient and tissue information for each sample.

Antibody HPA050934Antibody HPA054637
Epidermal cells LowNot detected
  
  
  



SKIN - HPA RNA-seqi

The RNA-seq details section shows detailed information about the individual samples used for the transcript profiling and results of the RNA-seq analysis.

Information about each individual sample is listed below, including gender, age, a tissue section image and estimated fractions of cell types. nTPM (normalized transcripts per million) values give a quantification of the gene abundance which is comparable between different genes and samples.
Average nTPMi

Max subtype nTPM is the value for the subtype with the largest average nTPM across the subtype samples.

3.3
overview
Female, age 34
Skin sample 225
nTPM: 1.9
Cell types%
Keratinocytes:
60

Other cell types:
40

overview
Female, age 30
Skin sample 226
nTPM: 1.4
Cell types%
Keratinocytes:
55

Other cell types:
45

N/A
Male, age 57
Skin sample 227
nTPM: 6.5

SKIN - GTEx RNA-seqi

RNA-Seq data generated by the Genotype-Tissue Expression (GTEx) project from human tissues is reported as mean nTPM. More information can be found on the GTEx portal.

Distribution across the dataset is visualized with box plots, shown as median and 25th and 75th percentiles. Points are displayed as outliers if they are above or below 1.5 times the interquartile range. nTPM values of the individual samples are presented next to the box plot.
Max subtype nTPMi

Max subtype nTPM is the value for the subtype with the largest average nTPM across the subtype samples.

11.8
GTEx sample id Sample description nTPM
Skin - Not Sun Exposed (Suprapubic)
Average nTPM: 10.9
Samples: 604

Max nTPM: 32.9
Min nTPM: 3.5
Std nTPM: 4.0
Median nTPM: 10.4
GTEX-ZTX8-1326-SM-4YCEL 20-29 years, male 32.9
GTEX-16AAH-0626-SM-793C9 50-59 years, male 28.1
GTEX-1ICLZ-0326-SM-ARL82 60-69 years, male 27.9
GTEX-WI4N-2726-SM-3LK7Y 40-49 years, female 26.9
GTEX-WFG7-2026-SM-5SI7P 20-29 years, male 26.7
GTEX-1OJC3-1226-SM-DTXER 20-29 years, male 24.1
GTEX-16MTA-0926-SM-6M47Z 50-59 years, male 23.7
GTEX-13FH7-1126-SM-5K7UG 50-59 years, female 23.5
GTEX-12WSJ-1126-SM-5LZVJ 40-49 years, female 22.8
GTEX-1N2DV-1526-SM-DTXEP 40-49 years, male 22.1
GTEX-15UF6-1926-SM-7KUDV 70-79 years, female 21.8
GTEX-1RMOY-1326-SM-E9TIH 50-59 years, male 21.7
GTEX-14E6C-2426-SM-5S2NF 40-49 years, male 21.1
GTEX-17F96-0126-SM-7EWDU 70-79 years, male 19.8
GTEX-X585-2426-SM-46MW2 50-59 years, male 19.8
GTEX-X4EP-0626-SM-3P621 60-69 years, female 19.5
GTEX-132AR-0326-SM-5KM2C 50-59 years, female 19.3
GTEX-17F9E-2326-SM-79OKD 50-59 years, male 19.3
GTEX-X3Y1-2026-SM-3P5YM 40-49 years, male 19.2
GTEX-YB5K-2026-SM-4VDT3 40-49 years, female 19.1
GTEX-18D9B-0926-SM-7LG4U 60-69 years, male 19.0
GTEX-12WSL-2026-SM-5GCML 50-59 years, male 18.9
GTEX-1JMLX-0626-SM-ARL8T 50-59 years, male 18.7
GTEX-WHWD-1826-SM-3LK6I 50-59 years, male 18.5
GTEX-139TS-2126-SM-5K7XC 60-69 years, male 18.4
GTEX-13O61-1426-SM-5KM3D 60-69 years, male 18.3
GTEX-1497J-0226-SM-5QGPU 60-69 years, male 18.2
GTEX-14E1K-2026-SM-7DUEI 50-59 years, male 18.2
GTEX-14E6E-0526-SM-793DN 30-39 years, male 18.1
GTEX-YFCO-1226-SM-5LUAT 40-49 years, male 18.0
GTEX-139YR-1026-SM-5LZYN 50-59 years, male 17.5
GTEX-14PK6-0226-SM-62LF5 70-79 years, female 17.4
GTEX-17F97-2626-SM-7IGM5 50-59 years, male 17.4
GTEX-ZYW4-0626-SM-59HJR 60-69 years, male 17.4
GTEX-1LBAC-0826-SM-CY8IJ 20-29 years, male 17.4
GTEX-14PJO-2526-SM-6AJBQ 60-69 years, male 17.3
GTEX-1399R-1326-SM-5PNYS 30-39 years, male 17.2
GTEX-13VXT-1926-SM-5K7UO 20-29 years, female 17.1
GTEX-WXYG-2026-SM-4E3IY 50-59 years, female 17.1
GTEX-ZVP2-0326-SM-57WBP 50-59 years, male 17.0
GTEX-117YX-1926-SM-5GIEC 50-59 years, male 16.8
GTEX-ZA64-1026-SM-5HL8R 20-29 years, male 16.8
GTEX-11DYG-1526-SM-5A5JS 60-69 years, male 16.7
GTEX-15CHR-1126-SM-7EWF4 50-59 years, male 16.7
GTEX-16MT8-2926-SM-7DUFO 60-69 years, female 16.7
GTEX-WHSE-0126-SM-3NMBT 20-29 years, male 16.7
GTEX-XBEC-0726-SM-4QARZ 50-59 years, male 16.6
GTEX-Y5V6-2326-SM-4VDSA 60-69 years, male 16.6
GTEX-ZYFG-1526-SM-5GZYM 60-69 years, female 16.4
GTEX-1H23P-0626-SM-9WG6T 60-69 years, male 16.4
GTEX-ZT9X-1526-SM-5DUXD 40-49 years, male 16.3
GTEX-XK95-0226-SM-4AT58 40-49 years, male 16.2
GTEX-1QP9N-1226-SM-E76QN 30-39 years, male 16.2
GTEX-1S82P-2126-SM-E6CI5 60-69 years, female 16.2
GTEX-11P82-1426-SM-DTXFY 20-29 years, male 16.1
GTEX-18QFQ-1826-SM-72D52 30-39 years, male 16.0
GTEX-XOT4-0626-SM-4B66L 60-69 years, female 16.0
GTEX-ZLFU-1826-SM-4WWBV 40-49 years, male 16.0
GTEX-14BMU-1226-SM-5S2OR 20-29 years, female 15.9
GTEX-Y8LW-1526-SM-5IFHL 50-59 years, female 15.9
GTEX-15RJ7-2126-SM-6PAMD 40-49 years, male 15.8
GTEX-17HGU-2326-SM-7DUFE 50-59 years, male 15.8
GTEX-131XH-0126-SM-5LZUY 50-59 years, male 15.7
GTEX-1GMR2-0826-SM-7PC3V 50-59 years, male 15.7
GTEX-111CU-1126-SM-5EGIM 50-59 years, male 15.6
GTEX-146FQ-2126-SM-5RQHU 30-39 years, male 15.6
GTEX-14A5H-0826-SM-5QGPJ 60-69 years, male 15.6
GTEX-XYKS-1426-SM-4BRUO 60-69 years, female 15.6
GTEX-11TT1-1826-SM-5EQLV 20-29 years, male 15.5
GTEX-1GPI7-1826-SM-9KNU1 20-29 years, male 15.5
GTEX-12BJ1-0926-SM-5EQ62 60-69 years, male 15.4
GTEX-131XF-2626-SM-5EQ6K 60-69 years, male 15.4
GTEX-15G1A-1626-SM-7KUKN 30-39 years, male 15.4
GTEX-1H1ZS-2726-SM-9WG75 70-79 years, male 15.4
GTEX-1LVAN-0626-SM-CNPOQ 50-59 years, female 15.4
GTEX-13N2G-0226-SM-5K7VF 60-69 years, male 15.3
GTEX-XXEK-1626-SM-4BRUZ 50-59 years, male 15.3
GTEX-18A66-0626-SM-7LT8Z 60-69 years, male 15.2
GTEX-1IDJD-2326-SM-ACKWX 30-39 years, male 15.2
GTEX-13X6H-0926-SM-5SIB2 50-59 years, female 15.1
GTEX-1F75I-2226-SM-7SB8U 40-49 years, male 15.1
GTEX-1KANA-1326-SM-DIPFA 20-29 years, male 15.1
GTEX-13OVG-1626-SM-5J1NF 60-69 years, male 15.0
GTEX-145ME-1726-SM-5Q5EU 40-49 years, female 15.0
GTEX-Y8E4-2026-SM-5IFJB 40-49 years, male 15.0
GTEX-1LSNM-0826-SM-DIPG8 50-59 years, male 15.0
GTEX-1S831-1826-SM-EWROF 20-29 years, male 15.0
GTEX-12WSK-2126-SM-5CVNC 40-49 years, female 14.9
GTEX-1EWIQ-0326-SM-7DHMQ 70-79 years, female 14.9
GTEX-1C64O-1326-SM-7MGWR 60-69 years, male 14.9
GTEX-1JKYN-0826-SM-ARU8S 30-39 years, male 14.9
GTEX-1QP29-1826-SM-DTX9S 50-59 years, male 14.9
GTEX-1211K-1526-SM-5FQU4 60-69 years, female 14.8
GTEX-11DXZ-2026-SM-5987S 50-59 years, male 14.7
GTEX-12584-0726-SM-5FQTK 40-49 years, male 14.7
GTEX-11DZ1-2426-SM-5GZZX 50-59 years, male 14.6
GTEX-11EM3-1226-SM-5N9DD 20-29 years, female 14.6
GTEX-13W3W-0726-SM-5IJDQ 60-69 years, female 14.6
GTEX-WY7C-2126-SM-3NB2R 50-59 years, male 14.6
GTEX-1K2DA-1026-SM-CGQGF 50-59 years, male 14.6
GTEX-1IDJF-2026-SM-CL53V 20-29 years, male 14.5
GTEX-1IKOE-1426-SM-CE6T7 30-39 years, female 14.5
GTEX-1KAFJ-0126-SM-DIPEK 50-59 years, male 14.5
GTEX-12WSF-1626-SM-7KUG5 70-79 years, male 14.4
GTEX-14DAQ-0626-SM-793DS 60-69 years, female 14.4
GTEX-14PJ3-1126-SM-5ZZVX 50-59 years, male 14.4
GTEX-14PKV-1126-SM-6LLJ1 20-29 years, female 14.4
GTEX-1H1E6-0426-SM-9WYUS 30-39 years, male 14.4
GTEX-1R9K4-2826-SM-DTX8F 60-69 years, male 14.4
GTEX-13OVK-1426-SM-6PAN7 40-49 years, male 14.3
GTEX-1I4MK-0126-SM-CY8G6 50-59 years, female 14.3
GTEX-18A7B-2726-SM-7LG56 70-79 years, male 14.2
GTEX-1A32A-0626-SM-731AQ 50-59 years, female 14.2
GTEX-WH7G-2026-SM-3NMBL 40-49 years, male 14.2
GTEX-1H1DF-1126-SM-9WG7G 40-49 years, female 14.2
GTEX-1I6K7-1926-SM-B2LXR 40-49 years, male 14.2
GTEX-11NSD-0626-SM-5A5LU 20-29 years, male 14.1
GTEX-11OF3-0126-SM-5PNYF 60-69 years, male 14.1
GTEX-1CAV2-0126-SM-7IGN7 40-49 years, female 14.1
GTEX-1CB4F-1026-SM-7DUH1 60-69 years, male 14.0
GTEX-1JMOU-1026-SM-CYPSS 60-69 years, female 14.0
GTEX-1R9PN-0426-SM-DTXDT 40-49 years, female 14.0
GTEX-1B8KE-1126-SM-7EPHI 50-59 years, male 13.9
GTEX-WFG8-2126-SM-3GIKQ 20-29 years, male 13.8
GTEX-Y114-2126-SM-4TT8B 50-59 years, female 13.8
GTEX-ZT9W-1126-SM-57WDR 50-59 years, male 13.8
GTEX-1GN1W-2426-SM-9KNUU 50-59 years, female 13.8
GTEX-1NV5F-0626-SM-DTXEG 60-69 years, female 13.8
GTEX-13FTW-0326-SM-5K7UW 40-49 years, male 13.7
GTEX-17F98-1326-SM-7DUEP 40-49 years, female 13.7
GTEX-ZDTT-0426-SM-4WKFL 60-69 years, male 13.7
GTEX-1IDJE-1426-SM-ADEIW 50-59 years, female 13.7
GTEX-YEC3-1326-SM-DO92X 50-59 years, male 13.7
GTEX-11EQ9-1626-SM-5PNY8 30-39 years, male 13.6
GTEX-14DAR-1226-SM-73KYV 50-59 years, male 13.6
GTEX-1QW4Y-1126-SM-DTXE3 30-39 years, male 13.6
GTEX-WHPG-2626-SM-3NMBR 50-59 years, male 13.5
GTEX-1ICG6-1226-SM-A9SLN 70-79 years, female 13.5
GTEX-139TU-0726-SM-5L3EK 60-69 years, male 13.4
GTEX-145LS-0626-SM-7EPG7 60-69 years, female 13.4
GTEX-147JS-0226-SM-5S2U9 60-69 years, male 13.4
GTEX-ZDXO-3126-SM-5IJDF 60-69 years, male 13.4
GTEX-1HKZK-0726-SM-ACKW2 40-49 years, male 13.4
GTEX-1MCC2-1826-SM-DIPEX 30-39 years, female 13.4
GTEX-11WQC-1826-SM-5GU59 60-69 years, male 13.3
GTEX-131XG-0326-SM-5L3DX 50-59 years, female 13.3
GTEX-13OVH-0526-SM-5L3E6 70-79 years, male 13.3
GTEX-18D9U-0126-SM-731BM 40-49 years, male 13.3
GTEX-1LVAO-2726-SM-E9TJ8 60-69 years, male 13.3
GTEX-14C39-1726-SM-5RQIL 40-49 years, male 13.2
GTEX-WHSB-1326-SM-3LK6W 50-59 years, male 13.2
GTEX-XUW1-0926-SM-4BONX 50-59 years, female 13.2
GTEX-ZAB4-2126-SM-5HL8U 40-49 years, male 13.2
GTEX-11NUK-2726-SM-5A5MC 50-59 years, male 13.1
GTEX-ZLWG-0826-SM-59888 50-59 years, female 13.1
GTEX-ZU9S-1826-SM-5NQ9E 30-39 years, male 13.1
GTEX-1HCUA-0826-SM-ADEHM 50-59 years, female 13.1
GTEX-1IY9M-2826-SM-ARU8H 60-69 years, male 13.1
GTEX-14AS3-1526-SM-5Q5ED 40-49 years, female 13.0
GTEX-16XZZ-0726-SM-7KUF2 60-69 years, male 13.0
GTEX-1CB4E-0926-SM-7EPHT 60-69 years, male 13.0
GTEX-147F4-0726-SM-5TDDD 50-59 years, male 12.9
GTEX-1F52S-2926-SM-7MKGA 60-69 years, female 12.9
GTEX-1CAMQ-1326-SM-7P8RV 40-49 years, male 12.9
GTEX-12WSA-0426-SM-5EQ5X 60-69 years, male 12.8
GTEX-Y3IK-1626-SM-4YCF5 50-59 years, female 12.8
GTEX-ZDTS-0826-SM-4WKHL 60-69 years, male 12.8
GTEX-1F75B-0726-SM-7PC3R 50-59 years, male 12.8
GTEX-1I6K6-1726-SM-CGQFD 30-39 years, male 12.8
GTEX-1J1R8-2026-SM-CL53Y 40-49 years, male 12.8
GTEX-ZAK1-0626-SM-5HL8E 50-59 years, female 12.7
GTEX-1F6RS-2026-SM-7RHHC 60-69 years, female 12.7
GTEX-1HSMQ-2626-SM-A9SML 50-59 years, male 12.7
GTEX-1PIGE-1826-SM-E8VOU 20-29 years, male 12.7
GTEX-13JUV-2026-SM-5K7UA 40-49 years, female 12.6
GTEX-13OVJ-0826-SM-5J1OK 50-59 years, female 12.6
GTEX-ZVZP-1226-SM-5GID7 50-59 years, male 12.6
GTEX-1IDJC-1526-SM-B2LW4 50-59 years, male 12.6
GTEX-1MCYP-0526-SM-E9U6Q 20-29 years, female 12.6
GTEX-1QCLY-0226-SM-EWRNH 30-39 years, male 12.6
GTEX-1QCLZ-2426-SM-EVYBW 60-69 years, female 12.6
GTEX-1RAZR-2126-SM-E9U6T 40-49 years, male 12.6
GTEX-147F3-1726-SM-5SIAW 50-59 years, female 12.5
GTEX-ZVT2-0126-SM-5GIDQ 50-59 years, female 12.5
GTEX-1H3NZ-2726-SM-9WYTQ 60-69 years, male 12.5
GTEX-1LGOU-1326-SM-D3L8M 20-29 years, female 12.5
GTEX-13FTX-1526-SM-5K7VJ 20-29 years, female 12.4
GTEX-15EU6-2226-SM-6EU2L 50-59 years, male 12.4
GTEX-1NSGN-0726-SM-DTXEF 50-59 years, male 12.4
GTEX-13U4I-2226-SM-5LU5H 40-49 years, female 12.3
GTEX-14LLW-2626-SM-62LDZ 70-79 years, female 12.3
GTEX-WYVS-1626-SM-3NM9R 40-49 years, female 12.3
GTEX-YF7O-1526-SM-5IFI6 50-59 years, male 12.3
GTEX-12ZZX-2426-SM-5GCOE 40-49 years, female 12.2
GTEX-147GR-2426-SM-5ZZWQ 60-69 years, male 12.2
GTEX-14PJ5-1526-SM-6LLIL 60-69 years, female 12.2
GTEX-15CHQ-0326-SM-69LQD 60-69 years, male 12.2
GTEX-1HGF4-0126-SM-CNPPX 60-69 years, male 12.2
GTEX-1AX8Z-0726-SM-73KTS 60-69 years, male 12.1
GTEX-WEY5-2326-SM-3GIKK 40-49 years, female 12.1
GTEX-X4EO-2926-SM-4E3JH 60-69 years, female 12.1
GTEX-1HCU9-0426-SM-9WYSD 20-29 years, male 12.1
GTEX-1192X-2726-SM-5N9DN 50-59 years, male 12.0
GTEX-133LE-2326-SM-5K7W3 20-29 years, female 12.0
GTEX-16NPX-0726-SM-7KULC 50-59 years, male 12.0
GTEX-18A7A-0126-SM-731AH 50-59 years, female 12.0
GTEX-W5X1-2526-SM-3GILC 40-49 years, female 12.0
GTEX-Y3I4-1726-SM-4TT89 50-59 years, male 12.0
GTEX-12ZZZ-0726-SM-5GCNZ 60-69 years, male 11.9
GTEX-X5EB-1926-SM-4E3IW 40-49 years, male 11.9
GTEX-XBEW-1126-SM-4QARW 40-49 years, male 11.9
GTEX-ZDYS-2426-SM-4WKGI 50-59 years, male 11.9
GTEX-1K2DU-1226-SM-CYPT4 20-29 years, male 11.9
GTEX-1L5NE-1126-SM-D3L9P 50-59 years, male 11.9
GTEX-1MJK3-0726-SM-E6CJC 20-29 years, male 11.9
GTEX-1S82U-1026-SM-E6CJK 30-39 years, female 11.9
GTEX-11ZU8-0126-SM-5EQ58 60-69 years, male 11.8
GTEX-13IVO-0726-SM-5LZYV 70-79 years, male 11.8
GTEX-ZE7O-2726-SM-51MT5 50-59 years, female 11.8
GTEX-1H1DE-1326-SM-9KNUG 20-29 years, male 11.8
GTEX-1K9T9-1526-SM-DIPFR 50-59 years, female 11.8
GTEX-1RLM8-2926-SM-E8VON 50-59 years, male 11.8
GTEX-1399U-1126-SM-5L3DB 50-59 years, female 11.7
GTEX-14ICL-1626-SM-5YYAO 30-39 years, male 11.7
GTEX-U8XE-0226-SM-4E3J3 30-39 years, male 11.7
GTEX-ZZ64-1026-SM-5GZXG 20-29 years, male 11.7
GTEX-1KANC-1226-SM-CYPT7 50-59 years, female 11.7
GTEX-11WQK-1026-SM-5EQLX 50-59 years, male 11.6
GTEX-1477Z-0326-SM-7IGLA 60-69 years, male 11.6
GTEX-16NGA-0726-SM-731AO 40-49 years, female 11.6
GTEX-16YQH-2226-SM-7IGM2 30-39 years, male 11.6
GTEX-1A3MV-1826-SM-731CD 30-39 years, male 11.6
GTEX-ZF2S-1626-SM-57WES 50-59 years, female 11.6
GTEX-1KD5A-0126-SM-E9U54 50-59 years, male 11.6
GTEX-11P7K-1126-SM-5HL4L 30-39 years, male 11.5
GTEX-ZTSS-1426-SM-5985P 40-49 years, male 11.5
GTEX-1CAMR-1326-SM-7PC1F 20-29 years, male 11.5
GTEX-12C56-1526-SM-5FQUQ 20-29 years, male 11.4
GTEX-15RIE-1926-SM-7KUKJ 60-69 years, male 11.4
GTEX-15RIG-0726-SM-7KUM7 40-49 years, male 11.4
GTEX-ZP4G-1426-SM-4WWCL 20-29 years, female 11.4
GTEX-13OW5-2326-SM-5L3HO 60-69 years, male 11.3
GTEX-15DDE-2926-SM-6LLJ3 50-59 years, female 11.3
GTEX-1B996-0426-SM-7EWF8 60-69 years, male 11.3
GTEX-1A3MX-2626-SM-7PC24 60-69 years, male 11.3
GTEX-1JJE9-2626-SM-ARZMT 70-79 years, male 11.3
GTEX-1314G-1326-SM-5BC6E 30-39 years, male 11.2
GTEX-14C5O-0326-SM-5ZZUX 60-69 years, male 11.2
GTEX-WYBS-0626-SM-3NMAS 60-69 years, female 11.2
GTEX-X8HC-0626-SM-4E3HQ 50-59 years, female 11.2
GTEX-Y5LM-0926-SM-6LLJG 40-49 years, female 11.2
GTEX-1F5PK-2226-SM-7SB6N 50-59 years, male 11.2
GTEX-111YS-1526-SM-5GZYW 60-69 years, male 11.1
GTEX-13SLX-2226-SM-62LEP 50-59 years, female 11.1
GTEX-14PHX-2226-SM-6EU2P 50-59 years, male 11.1
GTEX-14PHY-1226-SM-5ZZWK 60-69 years, female 11.1
GTEX-15DYW-2726-SM-6EU2I 60-69 years, female 11.1
GTEX-16BQI-1326-SM-6M486 30-39 years, female 11.1
GTEX-VJYA-1526-SM-3GIJV 60-69 years, male 11.1
GTEX-18D9A-1426-SM-7LT8M 30-39 years, female 11.1
GTEX-1HCU6-2526-SM-ADEHL 60-69 years, female 11.1
GTEX-1QP2A-1726-SM-E76QC 50-59 years, male 11.1
GTEX-111FC-2526-SM-5GZXU 60-69 years, male 11.0
GTEX-13N11-2326-SM-5IJBF 50-59 years, female 11.0
GTEX-13X6I-1826-SM-5SIAO 60-69 years, male 11.0
GTEX-1A3MW-0626-SM-731CB 60-69 years, female 11.0
GTEX-1HC8U-1326-SM-9YFMJ 40-49 years, female 11.0
GTEX-1J8EW-2726-SM-CY8HR 60-69 years, female 11.0
GTEX-1JN76-0626-SM-CKZOQ 20-29 years, female 11.0
GTEX-145MN-1526-SM-5SI9T 30-39 years, male 10.9
GTEX-14PJN-1826-SM-6AJ98 30-39 years, male 10.9
GTEX-1QP66-1226-SM-DTX7U 50-59 years, male 10.9
GTEX-ZGAY-1826-SM-DO91Q 40-49 years, female 10.9
GTEX-139D8-1126-SM-5LU8W 30-39 years, female 10.8
GTEX-13NZ9-2626-SM-5L3FK 50-59 years, male 10.8
GTEX-XPVG-2126-SM-4B667 50-59 years, male 10.8
GTEX-Y111-0626-SM-4SOIT 50-59 years, male 10.8
GTEX-1GZ2Q-0126-SM-9WG6M 40-49 years, male 10.8
GTEX-1HSMP-0926-SM-A9SKX 70-79 years, male 10.8
GTEX-13QJC-0126-SM-5ZZWJ 60-69 years, female 10.7
GTEX-13RTJ-0126-SM-5S2NN 60-69 years, male 10.7
GTEX-17EVQ-0126-SM-7IGLR 70-79 years, male 10.7
GTEX-1E2YA-2126-SM-7MXUO 50-59 years, male 10.7
GTEX-11GS4-0226-SM-5HL77 60-69 years, male 10.6
GTEX-13113-1626-SM-5EQ4I 60-69 years, female 10.6
GTEX-ZC5H-1526-SM-5HL9Y 40-49 years, female 10.6
GTEX-1QEPI-2626-SM-DTXF4 60-69 years, female 10.6
GTEX-11EQ8-0926-SM-5H12V 60-69 years, male 10.5
GTEX-11P81-2226-SM-5PNYI 30-39 years, female 10.5
GTEX-1212Z-0126-SM-59HK4 60-69 years, male 10.5
GTEX-VUSG-2326-SM-4KL1U 50-59 years, male 10.5
GTEX-XV7Q-1826-SM-4BRUV 40-49 years, female 10.5
GTEX-1F75W-2726-SM-7SB8H 60-69 years, male 10.5
GTEX-1H2FU-0926-SM-9WPPT 60-69 years, female 10.5
GTEX-1JMQI-1726-SM-ARL93 50-59 years, male 10.5
GTEX-1PPH8-0126-SM-EWRN8 20-29 years, male 10.5
GTEX-11ZTT-2126-SM-5CVLO 60-69 years, female 10.4
GTEX-145MG-1526-SM-5Q5EM 50-59 years, male 10.4
GTEX-14PJ2-0626-SM-6LLII 50-59 years, male 10.4
GTEX-15ER7-0626-SM-6PANF 20-29 years, female 10.4
GTEX-WFON-1926-SM-3LK7L 40-49 years, male 10.4
GTEX-ZPU1-1126-SM-4YCF3 40-49 years, male 10.4
GTEX-1H1CY-0126-SM-9YFLY 60-69 years, female 10.4
GTEX-1LG7Z-1626-SM-CXKYR 30-39 years, male 10.4
GTEX-1QPFJ-1926-SM-EVYBD 30-39 years, female 10.4
GTEX-13G51-1826-SM-5KLZH 60-69 years, male 10.3
GTEX-13JVG-0726-SM-5KM16 60-69 years, male 10.3
GTEX-13NYS-0626-SM-5L3F1 60-69 years, male 10.3
GTEX-14ABY-2026-SM-62LDL 50-59 years, male 10.3
GTEX-1J8QM-2426-SM-A9SLS 60-69 years, female 10.3
GTEX-1QP28-1126-SM-EVYC4 50-59 years, female 10.3
GTEX-ZF3C-0626-SM-DO92O 50-59 years, female 10.3
GTEX-11VI4-1126-SM-5EQMD 40-49 years, female 10.2
GTEX-12WSD-0626-SM-5GCMW 60-69 years, female 10.2
GTEX-13OVL-0126-SM-5L3GJ 50-59 years, male 10.2
GTEX-13QBU-1226-SM-5LU4G 40-49 years, female 10.2
GTEX-17JCI-2926-SM-7DUFF 60-69 years, female 10.2
GTEX-Y5V5-0126-SM-5S2NW 60-69 years, female 10.2
GTEX-Z93S-1626-SM-5CVMB 50-59 years, male 10.2
GTEX-ZYT6-2326-SM-5GZY3 30-39 years, male 10.2
GTEX-1F6I4-2326-SM-7RHGL 60-69 years, male 10.2
GTEX-1S3DN-2126-SM-E9TIN 50-59 years, male 10.2
GTEX-1C64N-2626-SM-7PC2N 50-59 years, male 10.1
GTEX-1JN1M-2726-SM-CY8I4 60-69 years, female 10.1
GTEX-1RAZA-2226-SM-E9U4X 20-29 years, male 10.1
GTEX-139T8-0626-SM-5KLZX 60-69 years, male 10.0
GTEX-17KNJ-2126-SM-718AM 50-59 years, male 10.0
GTEX-1E1VI-0326-SM-793D1 50-59 years, male 10.0
GTEX-1IDJI-0126-SM-CMKHS 50-59 years, female 10.0
GTEX-1N5O9-0926-SM-E9J3C 60-69 years, male 10.0
GTEX-17MFQ-1526-SM-7KFRR 20-29 years, male 9.9
GTEX-1AX9I-2226-SM-73KUO 60-69 years, male 9.9
GTEX-1GMRU-2126-SM-7P8RA 50-59 years, male 9.9
GTEX-1I1GT-1026-SM-ARZLV 60-69 years, female 9.9
GTEX-17HII-1426-SM-7EPGG 50-59 years, male 9.8
GTEX-XAJ8-1426-SM-47JYM 40-49 years, male 9.8
GTEX-1F75A-0726-SM-7RHHD 50-59 years, male 9.8
GTEX-1JK1U-0226-SM-ARZMX 60-69 years, male 9.8
GTEX-11DXW-0826-SM-5H118 40-49 years, male 9.7
GTEX-12696-0126-SM-5EQ4L 60-69 years, male 9.7
GTEX-18A6Q-0626-SM-7KFRP 60-69 years, male 9.7
GTEX-1EU9M-1426-SM-793AI 60-69 years, male 9.7
GTEX-WYJK-0526-SM-3NM8Z 50-59 years, male 9.7
GTEX-1C475-1326-SM-7SB73 40-49 years, female 9.7
GTEX-1GTWX-2026-SM-9YFLM 60-69 years, male 9.7
GTEX-1I1HK-2326-SM-CKZOH 60-69 years, male 9.7
GTEX-1117F-2926-SM-5GZYI 60-69 years, female 9.6
GTEX-11EI6-2826-SM-5H11D 60-69 years, male 9.6
GTEX-11O72-0626-SM-5PNYE 40-49 years, male 9.6
GTEX-13112-0126-SM-5P9IU 50-59 years, male 9.6
GTEX-14PJ4-0226-SM-5YY92 60-69 years, male 9.6
GTEX-1AX9J-1326-SM-731BJ 60-69 years, male 9.6
GTEX-XBED-1926-SM-47JYP 60-69 years, male 9.6
GTEX-XQ3S-1426-SM-4BOPR 20-29 years, male 9.6
GTEX-YEC4-1826-SM-4W1YP 40-49 years, male 9.6
GTEX-YJ8O-2526-SM-5HL85 40-49 years, female 9.6
GTEX-1AYD5-2626-SM-7PBXY 50-59 years, male 9.6
GTEX-1CAMS-2226-SM-7PBXQ 40-49 years, female 9.6
GTEX-1PPGY-1626-SM-EVYBL 60-69 years, male 9.6
GTEX-1R7EU-1626-SM-DTXG3 60-69 years, male 9.6
GTEX-13D11-0926-SM-5J2NC 50-59 years, female 9.5
GTEX-13PVQ-0626-SM-5LU47 50-59 years, male 9.5
GTEX-14PII-0726-SM-6EU2B 60-69 years, male 9.5
GTEX-14PJ6-2626-SM-6EU2T 60-69 years, female 9.5
GTEX-183FY-1026-SM-7939A 20-29 years, male 9.5
GTEX-1EH9U-2826-SM-7DUGT 60-69 years, male 9.5
GTEX-ZVTK-0226-SM-51MRG 20-29 years, male 9.5
GTEX-ZYFD-0626-SM-5E44E 50-59 years, male 9.5
GTEX-1F6IF-0926-SM-7SB7M 60-69 years, male 9.5
GTEX-1HFI7-2326-SM-CGQFS 50-59 years, female 9.5
GTEX-1HSMO-0626-SM-ACKXC 60-69 years, male 9.5
GTEX-1JKYR-0626-SM-ARL8R 20-29 years, male 9.5
GTEX-1PDJ9-1226-SM-EXUSX 20-29 years, male 9.5
GTEX-16MT9-0126-SM-7EPI8 60-69 years, female 9.4
GTEX-17HG3-2626-SM-7DUF2 30-39 years, female 9.4
GTEX-XQ8I-0926-SM-4BOOF 50-59 years, male 9.4
GTEX-1GMR8-0626-SM-7RHI7 50-59 years, female 9.4
GTEX-1H11D-1826-SM-9QEHM 40-49 years, male 9.4
GTEX-1KXAM-1626-SM-D3LAD 60-69 years, male 9.4
GTEX-13FTY-2126-SM-5IFFB 40-49 years, female 9.3
GTEX-15EO6-2426-SM-6PALZ 50-59 years, male 9.3
GTEX-ZTTD-2826-SM-4YCFA 50-59 years, male 9.3
GTEX-12126-0826-SM-5FQTZ 20-29 years, male 9.2
GTEX-13OW6-2726-SM-5J2OE 50-59 years, male 9.2
GTEX-145LT-0526-SM-5LUB2 40-49 years, male 9.2
GTEX-145MH-2826-SM-5RQJF 50-59 years, male 9.2
GTEX-15RJE-2826-SM-7KUM9 40-49 years, male 9.2
GTEX-ZZPU-0826-SM-5GZX5 50-59 years, female 9.2
GTEX-1I19N-0126-SM-CYPSF 70-79 years, male 9.2
GTEX-1JMQK-1226-SM-D4P2S 60-69 years, male 9.2
GTEX-1QAET-0326-SM-EVR3U 50-59 years, male 9.2
GTEX-17HHY-0426-SM-7DHLC 50-59 years, male 9.1
GTEX-ZXG5-2126-SM-59HKD 60-69 years, male 9.1
GTEX-1122O-1026-SM-9WYSF 60-69 years, female 9.1
GTEX-14JG6-1426-SM-9WG7C 30-39 years, female 9.1
GTEX-1HUB1-1426-SM-CGQF5 60-69 years, male 9.1
GTEX-1J8JJ-0626-SM-ARZMQ 60-69 years, female 9.1
GTEX-ZPIC-0526-SM-DO91W 40-49 years, female 9.1
GTEX-12WSH-1526-SM-5BC5W 50-59 years, male 9.0
GTEX-13FLV-0126-SM-5K7WT 50-59 years, male 9.0
GTEX-15G19-2426-SM-7KUMR 60-69 years, male 9.0
GTEX-ZAJG-1526-SM-5CVML 50-59 years, female 9.0
GTEX-1IDJU-1726-SM-CMKHU 60-69 years, female 9.0
GTEX-1JJ6O-2726-SM-CNPOG 60-69 years, male 9.0
GTEX-11DXX-2126-SM-5PNYR 60-69 years, female 8.9
GTEX-16GPK-0626-SM-7KFSF 60-69 years, male 8.9
GTEX-1C2JI-1026-SM-73KY1 50-59 years, male 8.9
GTEX-UPJH-0226-SM-3GADV 50-59 years, male 8.9
GTEX-1GZHY-0626-SM-9KNVC 50-59 years, female 8.9
GTEX-1LSVX-2526-SM-DIPEU 60-69 years, male 8.9
GTEX-1RB15-1326-SM-E76Q9 60-69 years, male 8.9
GTEX-139TT-2126-SM-5LZWC 60-69 years, male 8.8
GTEX-13PL6-1126-SM-5L3IE 40-49 years, female 8.8
GTEX-14PKU-0126-SM-6LLHV 40-49 years, female 8.8
GTEX-1B932-2326-SM-79OL5 40-49 years, female 8.8
GTEX-1BAJH-2426-SM-7IGP8 70-79 years, male 8.8
GTEX-1JJEA-1826-SM-ARU8P 60-69 years, male 8.8
GTEX-13OW8-1026-SM-5J1NQ 60-69 years, male 8.7
GTEX-1HCU8-2526-SM-CE6RX 60-69 years, female 8.7
GTEX-1IL2V-1926-SM-B2LW8 70-79 years, male 8.7
GTEX-1269C-0126-SM-5EQ5L 60-69 years, female 8.6
GTEX-1GZ4H-0526-SM-9KNU9 50-59 years, female 8.6
GTEX-1HCU7-0726-SM-A9SL1 50-59 years, male 8.6
GTEX-1IDJH-0126-SM-D3L92 70-79 years, male 8.6
GTEX-1PPH7-1126-SM-DTX9A 40-49 years, male 8.6
GTEX-11ZUS-2626-SM-5FQUR 30-39 years, male 8.5
GTEX-15FZZ-0526-SM-7KUGD 30-39 years, female 8.5
GTEX-1CB4H-1126-SM-7MKGL 60-69 years, female 8.5
GTEX-ZUA1-2626-SM-5NQ92 40-49 years, male 8.5
GTEX-1GF9X-1326-SM-7PC2Y 40-49 years, female 8.5
GTEX-1I1GS-2626-SM-B2LY3 60-69 years, male 8.5
GTEX-1JN6P-2926-SM-CL54D 60-69 years, male 8.5
GTEX-1RAZS-2526-SM-E6CHT 50-59 years, male 8.5
GTEX-13PDP-0726-SM-5L3HP 60-69 years, male 8.4
GTEX-14753-0726-SM-5QGQO 60-69 years, male 8.4
GTEX-18A67-1626-SM-7LT9T 50-59 years, male 8.4
GTEX-1LVAM-0726-SM-E6CIL 50-59 years, female 8.4
GTEX-131XW-0626-SM-5PNVD 50-59 years, female 8.3
GTEX-13NZ8-1226-SM-5KM4A 60-69 years, female 8.3
GTEX-16Z82-2626-SM-7KULU 60-69 years, male 8.3
GTEX-178AV-1726-SM-7KUL8 40-49 years, male 8.3
GTEX-1F48J-0726-SM-7RHGS 50-59 years, female 8.3
GTEX-139UW-0326-SM-5J1ML 60-69 years, male 8.2
GTEX-13FHO-0426-SM-5L3F5 60-69 years, male 8.2
GTEX-ZY6K-1426-SM-5GZX2 50-59 years, male 8.2
GTEX-1B8L1-2226-SM-7P8PT 60-69 years, male 8.2
GTEX-1GL5R-1326-SM-7RHHF 50-59 years, male 8.2
GTEX-1H1DG-2426-SM-9QEHJ 70-79 years, male 8.2
GTEX-12WSC-2826-SM-5BC5Y 50-59 years, male 8.1
GTEX-15CHC-1126-SM-6LLHQ 60-69 years, female 8.1
GTEX-15SHW-0226-SM-7LTAT 60-69 years, male 8.1
GTEX-1EN7A-2426-SM-793DB 40-49 years, male 8.1
GTEX-1HBPN-0126-SM-CGQEF 50-59 years, male 8.1
GTEX-1I1GP-1326-SM-A9G28 50-59 years, male 8.1
GTEX-1QMI2-2526-SM-E8VNZ 60-69 years, male 8.1
GTEX-11PRG-0726-SM-5EGL1 50-59 years, male 8.0
GTEX-11UD2-2526-SM-5CVNU 50-59 years, male 8.0
GTEX-145MO-2826-SM-5LU96 60-69 years, male 8.0
GTEX-ZE9C-2526-SM-5IJDR 60-69 years, male 8.0
GTEX-1HB9E-0126-SM-CM2S5 50-59 years, male 8.0
GTEX-ZLV1-1526-SM-DO91J 60-69 years, female 8.0
GTEX-11LCK-2226-SM-5HL4Q 30-39 years, male 7.9
GTEX-13X6K-0626-SM-5LU5D 60-69 years, female 7.9
GTEX-1EKGG-0626-SM-7DUGJ 60-69 years, male 7.9
GTEX-14JFF-0626-SM-5ZZVT 60-69 years, male 7.9
GTEX-1GF9V-0826-SM-9KNUV 60-69 years, male 7.9
GTEX-1GN2E-0226-SM-9WG6K 60-69 years, male 7.9
GTEX-1HBPM-0726-SM-9YFL7 60-69 years, female 7.9
GTEX-1O9I2-0226-SM-EYYXD 50-59 years, male 7.9
GTEX-11TUW-0626-SM-5LU9M 60-69 years, male 7.8
GTEX-13PVR-0426-SM-5RQK2 60-69 years, female 7.8
GTEX-14JG1-1526-SM-5YY9X 40-49 years, male 7.8
GTEX-1B8SF-0126-SM-7DUG3 60-69 years, male 7.8
GTEX-ZPCL-1126-SM-4WWFE 60-69 years, female 7.8
GTEX-1F5PL-0926-SM-7PC2W 40-49 years, female 7.8
GTEX-1J8Q3-0526-SM-ARL8U 60-69 years, male 7.8
GTEX-1LG7Y-2526-SM-EWRO7 50-59 years, male 7.8
GTEX-13YAN-0226-SM-5TDC6 60-69 years, male 7.7
GTEX-14C38-0726-SM-5SI6M 50-59 years, male 7.7
GTEX-1A8G6-2726-SM-731AR 60-69 years, male 7.7
GTEX-WRHU-2826-SM-3MJG8 50-59 years, female 7.7
GTEX-1JMPZ-0726-SM-CY8HZ 30-39 years, male 7.7
GTEX-1KANB-2826-SM-CY8I6 50-59 years, male 7.7
GTEX-1LVA9-2626-SM-EVYD4 50-59 years, male 7.7
GTEX-1POEN-2326-SM-E9J2L 30-39 years, female 7.7
GTEX-1EMGI-2326-SM-7PBYA 60-69 years, male 7.6
GTEX-1GF9U-2026-SM-7SB92 40-49 years, female 7.6
GTEX-1LGRB-0926-SM-COH3K 50-59 years, female 7.6
GTEX-1KWVE-1026-SM-D3L9O 30-39 years, male 7.5
GTEX-1N2EE-0626-SM-E76PW 60-69 years, male 7.5
GTEX-131YS-2826-SM-5EQ47 60-69 years, female 7.4
GTEX-13NYB-0126-SM-5J1MD 40-49 years, male 7.4
GTEX-1IDJV-0126-SM-COH3Y 60-69 years, male 7.4
GTEX-1LSNL-2726-SM-E9TKJ 50-59 years, male 7.4
GTEX-ZVE1-0726-SM-51MRN 50-59 years, female 7.3
GTEX-1J8Q2-2626-SM-ACKWQ 60-69 years, male 7.3
GTEX-13X6J-0626-SM-5LU5F 50-59 years, male 7.2
GTEX-1B97I-0626-SM-73KUZ 40-49 years, male 7.2
GTEX-ZWKS-0626-SM-5GIDV 30-39 years, male 7.2
GTEX-ZYFC-0426-SM-5GICQ 50-59 years, male 7.2
GTEX-1GZ4I-2626-SM-9KNU3 50-59 years, male 7.2
GTEX-1HR98-2226-SM-ADEI2 60-69 years, male 7.2
GTEX-1PBJJ-1026-SM-E76OS 30-39 years, male 7.2
GTEX-12ZZY-0726-SM-5EQ66 60-69 years, male 7.1
GTEX-14B4R-1326-SM-5Q5EZ 30-39 years, male 7.1
GTEX-1B8KZ-0326-SM-73KY4 50-59 years, male 7.1
GTEX-1B933-2426-SM-7DHMD 50-59 years, female 7.1
GTEX-1H3O1-1326-SM-9MQLD 60-69 years, male 7.1
GTEX-1IE54-1126-SM-A9G2Z 40-49 years, female 7.1
GTEX-1JMPY-0226-SM-CKZOK 30-39 years, male 7.1
GTEX-12KS4-2126-SM-5FQUT 30-39 years, male 7.0
GTEX-13N1W-2426-SM-5IJD1 70-79 years, male 7.0
GTEX-1JMQL-2226-SM-CNPP4 50-59 years, female 7.0
GTEX-1S83E-1326-SM-E6CJM 40-49 years, male 7.0
GTEX-17MF6-2626-SM-79OKQ 40-49 years, male 6.9
GTEX-1A8G7-1326-SM-73KVM 60-69 years, male 6.9
GTEX-1M4P7-0726-SM-E6CJ3 60-69 years, male 6.9
GTEX-1RAZQ-1326-SM-E9TK6 30-39 years, male 6.9
GTEX-11DXY-0126-SM-5H11Q 60-69 years, male 6.8
GTEX-12WSM-1926-SM-5BC65 60-69 years, male 6.8
GTEX-1399S-0126-SM-5IJCF 30-39 years, female 6.8
GTEX-13NYC-0126-SM-5L3F4 60-69 years, male 6.8
GTEX-145MI-0626-SM-5SI8S 60-69 years, female 6.8
GTEX-148VJ-0626-SM-5LUAW 70-79 years, male 6.8
GTEX-UPK5-0426-SM-3GAEK 40-49 years, male 6.8
GTEX-1LB8K-0726-SM-D5OV2 50-59 years, male 6.8
GTEX-1PIIG-2326-SM-DTXFR 30-39 years, male 6.8
GTEX-YECK-0326-SM-4W1YS 60-69 years, male 6.7
GTEX-144GM-0526-SM-79OJO 20-29 years, male 6.6
GTEX-15D1Q-2826-SM-6LLH7 40-49 years, male 6.6
GTEX-ZVE2-2826-SM-5GU51 50-59 years, male 6.6
GTEX-13VXU-0626-SM-5L3F9 50-59 years, male 6.5
GTEX-17HHE-1326-SM-7EWDZ 50-59 years, male 6.5
GTEX-1CB4J-1326-SM-7P8RX 60-69 years, male 6.5
GTEX-1F88E-1626-SM-7SB8Z 60-69 years, female 6.5
GTEX-1HT8W-0626-SM-A9G2H 30-39 years, male 6.5
GTEX-111VG-1626-SM-5EGIO 60-69 years, male 6.4
GTEX-13O3O-2326-SM-5IJD6 60-69 years, female 6.4
GTEX-144FL-0626-SM-5LU43 50-59 years, male 6.4
GTEX-1C6VR-0126-SM-7RHGB 60-69 years, male 6.4
GTEX-1H4P4-2126-SM-9WYSL 50-59 years, male 6.4
GTEX-1R46S-2426-SM-E76QA 60-69 years, female 6.4
GTEX-XMD2-2126-SM-4YCF8 60-69 years, female 6.3
GTEX-Y9LG-1126-SM-4VBQ7 30-39 years, male 6.3
GTEX-1HCVE-2726-SM-CL54F 50-59 years, male 6.3
GTEX-1I1CD-0626-SM-CE6SW 60-69 years, female 6.3
GTEX-144GO-2026-SM-5O99P 60-69 years, male 6.2
GTEX-18465-2826-SM-7LT9J 50-59 years, male 6.2
GTEX-1CB4I-0126-SM-7RHGG 50-59 years, male 6.2
GTEX-1J1OQ-0126-SM-D4P2N 40-49 years, female 6.2
GTEX-15SKB-2826-SM-6PAMH 60-69 years, male 6.1
GTEX-17EVP-2626-SM-7IGMA 40-49 years, male 6.1
GTEX-1EX96-1026-SM-7MKG2 50-59 years, male 6.1
GTEX-ZF29-0926-SM-4WKFZ 60-69 years, female 6.1
GTEX-13OW7-0426-SM-5K7VK 50-59 years, male 6.0
GTEX-1A8FM-0626-SM-7PC25 50-59 years, female 6.0
GTEX-1GMR3-0126-SM-A9SLW 40-49 years, male 5.9
GTEX-1H3VE-0726-SM-9YFL5 40-49 years, male 5.9
GTEX-1HBPI-2126-SM-ARL9K 50-59 years, male 5.9
GTEX-14BIN-1126-SM-5RQJZ 50-59 years, female 5.8
GTEX-1C6VQ-1226-SM-73KYD 50-59 years, male 5.8
GTEX-1GF9W-1426-SM-7PBYM 60-69 years, male 5.8
GTEX-1JMQJ-0826-SM-CNPP7 50-59 years, male 5.8
GTEX-1399Q-2326-SM-5KM2X 40-49 years, male 5.7
GTEX-14BMV-2826-SM-5TDED 50-59 years, male 5.7
GTEX-17F9Y-0126-SM-79OKX 70-79 years, female 5.7
GTEX-1AMFI-1326-SM-7939R 50-59 years, female 5.7
GTEX-ZVT4-2426-SM-5GIEI 50-59 years, female 5.7
GTEX-1F88F-0126-SM-9WYSZ 60-69 years, female 5.7
GTEX-1313W-0626-SM-5EQ4H 50-59 years, female 5.6
GTEX-145LU-1926-SM-79OJN 50-59 years, male 5.6
GTEX-ZYY3-2926-SM-5GIEB 60-69 years, female 5.6
GTEX-1HR9M-2226-SM-CNPPY 60-69 years, male 5.6
GTEX-1R9PM-1926-SM-EVR3O 20-29 years, male 5.6
GTEX-1S5ZU-2526-SM-E6CIF 20-29 years, female 5.6
GTEX-145MF-0926-SM-5Q5EA 50-59 years, male 5.5
GTEX-1AMEY-0826-SM-72D65 30-39 years, female 5.5
GTEX-1LKK1-2626-SM-DKPQE 50-59 years, female 5.5
GTEX-V1D1-2026-SM-3GAF4 50-59 years, male 5.4
GTEX-WK11-2726-SM-3NMAQ 50-59 years, male 5.4
GTEX-1HFI6-0126-SM-CNPPI 40-49 years, male 5.4
GTEX-13O3Q-0126-SM-5KM34 50-59 years, male 5.3
GTEX-183WM-0326-SM-72D5V 70-79 years, female 5.3
GTEX-ZYVF-0926-SM-5E44J 50-59 years, female 5.3
GTEX-1GN1V-2826-SM-9JGIA 60-69 years, male 5.2
GTEX-1GPI6-1926-SM-9KNV7 60-69 years, male 5.2
GTEX-1IOXB-2726-SM-CM2RI 50-59 years, male 5.2
GTEX-1C6WA-2626-SM-7MKGM 60-69 years, male 5.1
GTEX-1GN73-0726-SM-7P8TJ 60-69 years, male 5.1
GTEX-1I1GV-0626-SM-ARL7M 60-69 years, male 5.0
GTEX-14LZ3-0126-SM-69LPM 60-69 years, female 4.9
GTEX-14A6H-2026-SM-5Q5DD 30-39 years, male 4.8
GTEX-1IDFM-0326-SM-ARL7V 60-69 years, male 4.8
GTEX-14XAO-1226-SM-6EU1C 60-69 years, female 4.7
GTEX-1HSGN-0826-SM-ACKW3 40-49 years, female 4.7
GTEX-11GSP-2326-SM-5HL63 60-69 years, female 4.6
GTEX-1IKJJ-2226-SM-CJI4C 60-69 years, male 4.4
GTEX-144GL-0626-SM-5LU4D 50-59 years, male 4.2
GTEX-1ICLY-0826-SM-CMKG1 50-59 years, male 4.1
GTEX-13SLW-0626-SM-5Q5ER 70-79 years, male 4.0
GTEX-1GN1U-0626-SM-9MQL9 50-59 years, female 4.0
GTEX-1OJC4-2726-SM-E76PJ 50-59 years, female 4.0
GTEX-1HSKV-1226-SM-ADEI4 60-69 years, male 3.8
GTEX-1I1GU-0926-SM-ACKVS 40-49 years, male 3.5
Show allShow less
Skin - Sun Exposed (Lower leg)
Average nTPM: 11.8
Samples: 701

Max nTPM: 34.8
Min nTPM: 3.9
Std nTPM: 4.2
Median nTPM: 11.3
GTEX-O5YW-0126-SM-3LK6D 50-59 years, male 34.8
GTEX-1399U-2326-SM-5K7WY 50-59 years, female 32.3
GTEX-14E6C-0126-SM-5RQIP 40-49 years, male 31.6
GTEX-Q734-1926-SM-2I5EV 40-49 years, female 28.6
GTEX-RUSQ-1526-SM-2TF62 50-59 years, male 27.9
GTEX-RTLS-0126-SM-447CA 60-69 years, female 26.1
GTEX-OHPM-0126-SM-2YUN9 50-59 years, male 25.6
GTEX-SE5C-1626-SM-2XCE3 40-49 years, female 24.9
GTEX-OIZH-0126-SM-2HMIS 50-59 years, male 24.8
GTEX-1211K-2026-SM-5EQ4Z 60-69 years, female 24.3
GTEX-139T8-0126-SM-5K7XZ 60-69 years, male 23.9
GTEX-1AYCT-2426-SM-7IGQ3 50-59 years, male 22.7
GTEX-1HBPM-0226-SM-ARL9F 60-69 years, female 22.7
GTEX-1NV5F-0226-SM-E8VNY 60-69 years, female 22.7
GTEX-ZF28-0126-SM-4WKGK 60-69 years, male 22.6
GTEX-12WSJ-1826-SM-5GCNY 40-49 years, female 22.0
GTEX-WI4N-1026-SM-3LK7N 40-49 years, female 22.0
GTEX-146FQ-0126-SM-5NQA9 30-39 years, male 21.8
GTEX-OXRL-0126-SM-2YUMP 50-59 years, male 21.7
GTEX-1QP9N-1426-SM-DTXFL 30-39 years, male 21.6
GTEX-13D11-2426-SM-5KM1V 50-59 years, female 21.4
GTEX-ZDXO-3026-SM-5J1N5 60-69 years, male 21.2
GTEX-1QP67-1626-SM-EAZ3X 40-49 years, female 20.8
GTEX-X4EP-0126-SM-3P5YV 60-69 years, female 20.7
GTEX-ZZPT-0226-SM-5E43X 50-59 years, male 20.6
GTEX-YEC4-2126-SM-5IFJH 40-49 years, male 20.5
GTEX-ZTPG-0326-SM-5O9AX 20-29 years, female 20.5
GTEX-132NY-0326-SM-5IJBL 60-69 years, male 20.2
GTEX-144GN-2326-SM-5LU4F 50-59 years, male 20.2
GTEX-11WQK-0526-SM-5EQLD 50-59 years, male 19.8
GTEX-11P7K-2126-SM-5GU7G 30-39 years, male 19.7
GTEX-11UD1-0126-SM-5PNYG 40-49 years, female 19.7
GTEX-ZVT2-2526-SM-51MT1 50-59 years, female 19.7
GTEX-QEG4-0226-SM-2S1PY 30-39 years, male 19.4
GTEX-XYKS-2126-SM-4E3IB 60-69 years, female 19.4
GTEX-1CAV2-2226-SM-7P8P2 40-49 years, female 19.3
GTEX-13X6H-2126-SM-7EWD5 50-59 years, female 19.2
GTEX-1I6K6-0126-SM-A9SLE 30-39 years, male 19.1
GTEX-Y5LM-1926-SM-5RQJH 40-49 years, female 19.0
GTEX-Y3IK-2426-SM-4WWDU 50-59 years, female 18.9
GTEX-1H2FU-0126-SM-9WYSI 60-69 years, female 18.9
GTEX-15EOM-0126-SM-7KUGG 20-29 years, female 18.8
GTEX-RU72-0926-SM-2TF6B 50-59 years, female 18.7
GTEX-1497J-2426-SM-7IGNX 60-69 years, male 18.5
GTEX-P4PP-0126-SM-3LK69 30-39 years, female 18.5
GTEX-PX3G-0126-SM-2I3EN 20-29 years, female 18.4
GTEX-U3ZM-1526-SM-3DB9D 40-49 years, male 18.4
GTEX-17F97-0326-SM-7LG5B 50-59 years, male 18.2
GTEX-S7PM-0126-SM-4AD6S 60-69 years, male 18.2
GTEX-131XG-2626-SM-5KM17 50-59 years, female 18.0
GTEX-13NYS-0126-SM-5MR3W 60-69 years, male 18.0
GTEX-14ICK-0226-SM-6EU25 40-49 years, male 18.0
GTEX-14PK6-1926-SM-6ETZU 70-79 years, female 18.0
GTEX-PLZ4-0126-SM-5SI8O 50-59 years, female 18.0
GTEX-Q2AI-1326-SM-2S1PL 40-49 years, male 18.0
GTEX-13OW7-0126-SM-5MR3B 50-59 years, male 17.9
GTEX-146FR-1326-SM-E9J48 60-69 years, female 17.9
GTEX-1F75I-0326-SM-9YFLU 40-49 years, male 17.9
GTEX-13CF2-2526-SM-5LZYX 60-69 years, male 17.8
GTEX-11P82-1626-SM-59879 20-29 years, male 17.7
GTEX-13O21-1426-SM-5K7XI 50-59 years, male 17.6
GTEX-XXEK-2226-SM-4BRUM 50-59 years, male 17.6
GTEX-YB5E-2026-SM-5IFIS 40-49 years, male 17.6
GTEX-ZTX8-1426-SM-5DUVO 20-29 years, male 17.6
GTEX-13OVJ-0126-SM-5KM36 50-59 years, female 17.5
GTEX-13O3P-0126-SM-5KM4S 50-59 years, male 17.4
GTEX-1192X-0226-SM-5H12D 50-59 years, male 17.3
GTEX-TKQ1-1026-SM-4GICL 30-39 years, male 17.3
GTEX-SUCS-1926-SM-32PM3 70-79 years, male 17.2
GTEX-WH7G-2326-SM-3NMBC 40-49 years, male 17.2
GTEX-XUZC-1726-SM-4BRWS 30-39 years, female 17.2
GTEX-ZAB4-0226-SM-5N9F5 40-49 years, male 17.2
GTEX-WRHK-1426-SM-3MJF9 20-29 years, female 17.1
GTEX-1I1GS-0126-SM-B2LVW 60-69 years, male 17.0
GTEX-117YX-2326-SM-5H12W 50-59 years, male 16.9
GTEX-139TS-2826-SM-5J1OO 60-69 years, male 16.9
GTEX-13NZ8-0826-SM-5MR3I 60-69 years, female 16.9
GTEX-ZDTS-0126-SM-4WAY5 60-69 years, male 16.9
GTEX-12WSK-2326-SM-5GCOH 40-49 years, female 16.8
GTEX-15SB6-1726-SM-6PAME 50-59 years, female 16.8
GTEX-13PVR-2326-SM-5QGR1 60-69 years, female 16.7
GTEX-XV7Q-2526-SM-4BRV9 40-49 years, female 16.7
GTEX-1MCYP-1926-SM-E9J2R 20-29 years, female 16.6
GTEX-113IC-0126-SM-5HL6T 60-69 years, male 16.5
GTEX-11GS4-2726-SM-5A5LE 60-69 years, male 16.5
GTEX-139T4-0226-SM-5HL5S 50-59 years, female 16.5
GTEX-P4QT-0126-SM-2I3FL 50-59 years, female 16.5
GTEX-XQ8I-0426-SM-4BOPO 50-59 years, male 16.5
GTEX-1AYD5-2426-SM-73KXR 50-59 years, male 16.4
GTEX-X4XX-0126-SM-3NMC2 60-69 years, male 16.4
GTEX-1ICG6-2526-SM-CGQFZ 70-79 years, female 16.4
GTEX-1RLM8-2326-SM-EWRN4 50-59 years, male 16.3
GTEX-Y3I4-2126-SM-4TT7C 50-59 years, male 16.2
GTEX-ZC5H-0226-SM-4WAY9 40-49 years, female 16.2
GTEX-13YAN-0326-SM-5O9DF 60-69 years, male 16.1
GTEX-14753-0426-SM-5NQAM 60-69 years, male 16.1
GTEX-WYJK-0126-SM-3NMAB 50-59 years, male 16.1
GTEX-YJ8A-0426-SM-5IFID 20-29 years, male 16.1
GTEX-ZQG8-1626-SM-DHXIT 60-69 years, female 16.1
GTEX-ZGAY-0526-SM-4WWBB 40-49 years, female 16.0
GTEX-1IOXB-0126-SM-ARL8G 50-59 years, male 16.0
GTEX-1RB15-2126-SM-E9TIM 60-69 years, male 16.0
GTEX-SN8G-0126-SM-32PLI 50-59 years, female 15.9
GTEX-TMZS-0126-SM-3DB9Q 60-69 years, male 15.9
GTEX-U4B1-1826-SM-4DXSU 40-49 years, male 15.9
GTEX-1S5ZA-0126-SM-EVYCV 20-29 years, male 15.9
GTEX-1PFEY-1526-SM-E76PP 30-39 years, male 15.8
GTEX-S33H-1026-SM-EZ6L6 30-39 years, male 15.8
GTEX-11NSD-2226-SM-5986V 20-29 years, male 15.7
GTEX-1269C-2526-SM-5EGJ3 60-69 years, female 15.6
GTEX-15ETS-0126-SM-7KUMW 40-49 years, female 15.6
GTEX-15UF6-0826-SM-6PALJ 70-79 years, female 15.6
GTEX-YB5K-2126-SM-4WWDJ 40-49 years, female 15.6
GTEX-ZYFG-2326-SM-5E44B 60-69 years, female 15.5
GTEX-1J1R8-1726-SM-ARL8M 40-49 years, male 15.5
GTEX-QLQW-1126-SM-2S1Q8 30-39 years, male 15.4
GTEX-Y114-2426-SM-4TT8A 50-59 years, female 15.4
GTEX-13FTW-2626-SM-5K7WL 40-49 years, male 15.3
GTEX-S95S-1226-SM-4GICG 60-69 years, male 15.3
GTEX-13G51-2526-SM-5LZYK 60-69 years, male 15.2
GTEX-X5EB-2226-SM-46MW4 40-49 years, male 15.2
GTEX-ZF3C-0126-SM-DO92D 50-59 years, female 15.2
GTEX-11TTK-0126-SM-5987B 60-69 years, female 15.1
GTEX-1N2DV-0226-SM-E6CJ6 40-49 years, male 15.1
GTEX-17MF6-0126-SM-7LG4F 40-49 years, male 15.0
GTEX-OXRO-0126-SM-2YUN4 60-69 years, female 15.0
GTEX-RM2N-1426-SM-2TF4H 50-59 years, male 15.0
GTEX-Y111-0126-SM-4SOIV 50-59 years, male 15.0
GTEX-OHPL-0126-SM-2HMJ7 60-69 years, female 14.9
GTEX-OXRK-0226-SM-3NB2G 50-59 years, female 14.9
GTEX-UJHI-1526-SM-3DB99 50-59 years, female 14.9
GTEX-XUW1-0426-SM-4BOOT 50-59 years, female 14.9
GTEX-1C6WA-0126-SM-7PC2B 60-69 years, male 14.9
GTEX-11ZUS-0626-SM-59885 30-39 years, male 14.8
GTEX-14JIY-0126-SM-6LLH6 60-69 years, male 14.8
GTEX-QLQ7-1626-SM-2S1R8 60-69 years, male 14.8
GTEX-1S82Y-2026-SM-EVYCM 40-49 years, male 14.8
GTEX-147F4-0226-SM-5QGPW 50-59 years, male 14.7
GTEX-NFK9-0226-SM-2HMKQ 40-49 years, male 14.7
GTEX-NPJ8-0126-SM-2YUNR 40-49 years, male 14.7
GTEX-1H1DG-0126-SM-9WYU2 70-79 years, male 14.7
GTEX-13RTK-1426-SM-5QGQJ 20-29 years, male 14.6
GTEX-P4PQ-0126-SM-2S1NM 60-69 years, male 14.6
GTEX-R55G-2526-SM-2TC6D 40-49 years, female 14.6
GTEX-RN64-0126-SM-2TC68 50-59 years, male 14.6
GTEX-WVJS-0126-SM-4MVOT 50-59 years, male 14.6
GTEX-1EMGI-0126-SM-9KNUE 60-69 years, male 14.6
GTEX-11GSP-2526-SM-5N9BP 60-69 years, female 14.5
GTEX-11OC5-0126-SM-5HL6A 60-69 years, male 14.5
GTEX-18QFQ-0126-SM-731BE 30-39 years, male 14.5
GTEX-11DZ1-0126-SM-5985Q 50-59 years, male 14.4
GTEX-11ZTT-2426-SM-5EQLS 60-69 years, female 14.4
GTEX-14BMU-2226-SM-5TDE9 20-29 years, female 14.4
GTEX-QDT8-0126-SM-48TZ1 30-39 years, female 14.3
GTEX-1HUB1-0426-SM-E9U4U 60-69 years, male 14.3
GTEX-11EMC-2926-SM-5EQ4F 60-69 years, female 14.2
GTEX-13VXT-0126-SM-5LU4I 20-29 years, female 14.2
GTEX-QVJO-1626-SM-2S1QW 60-69 years, female 14.2
GTEX-Y8LW-1826-SM-5S2MV 50-59 years, female 14.2
GTEX-1LC47-0326-SM-E9TJP 60-69 years, male 14.2
GTEX-1OFPY-2426-SM-DTXEJ 60-69 years, male 14.2
GTEX-12584-0126-SM-5EGKQ 40-49 years, male 14.1
GTEX-14LLW-0126-SM-6LLIO 70-79 years, female 14.1
GTEX-X585-0226-SM-4QAS2 50-59 years, male 14.1
GTEX-1HBPH-0426-SM-B2LW5 40-49 years, female 14.1
GTEX-1R9PO-2126-SM-E9J4O 60-69 years, female 14.1
GTEX-12WSD-0126-SM-59HKN 60-69 years, female 14.0
GTEX-139D8-0226-SM-5KLZO 30-39 years, female 14.0
GTEX-13FTX-1826-SM-5J1NX 20-29 years, female 14.0
GTEX-OXRN-0126-SM-48TDM 50-59 years, male 14.0
GTEX-1HCUA-2426-SM-ADEIS 50-59 years, female 14.0
GTEX-1RAZA-0126-SM-E6CI3 20-29 years, male 14.0
GTEX-13W3W-2426-SM-5LU5B 60-69 years, female 13.9
GTEX-146FH-0126-SM-5QGPP 50-59 years, female 13.9
GTEX-1F6RS-0126-SM-9MQKZ 60-69 years, female 13.9
GTEX-117YW-2626-SM-5GZZH 50-59 years, male 13.8
GTEX-11NUK-0126-SM-5A5L3 50-59 years, male 13.8
GTEX-145MO-0326-SM-5Q5B3 60-69 years, male 13.8
GTEX-17EUY-0426-SM-793BD 20-29 years, male 13.8
GTEX-17F98-0626-SM-79OMX 40-49 years, female 13.8
GTEX-17GQL-2026-SM-718BA 60-69 years, male 13.8
GTEX-18A7A-0226-SM-718BH 50-59 years, female 13.8
GTEX-1JMPY-1326-SM-ARL8Y 30-39 years, male 13.8
GTEX-1LVAN-0226-SM-COH3S 50-59 years, female 13.8
GTEX-147GR-0526-SM-5S2MY 60-69 years, male 13.7
GTEX-14ABY-0226-SM-5TDCQ 50-59 years, male 13.7
GTEX-1AX8Z-0126-SM-7DHM6 60-69 years, male 13.7
GTEX-1C2JI-1826-SM-73KXC 50-59 years, male 13.7
GTEX-WOFL-0126-SM-3MJG2 60-69 years, male 13.7
GTEX-11XUK-2026-SM-5EQLF 40-49 years, female 13.6
GTEX-1IDJF-0126-SM-CM2RS 20-29 years, male 13.6
GTEX-1N2DW-0226-SM-E9TK2 50-59 years, male 13.6
GTEX-ZZ64-1726-SM-5GZYB 20-29 years, male 13.5
GTEX-1JMQI-2226-SM-CM2SD 50-59 years, male 13.5
GTEX-1QP29-0626-SM-EWRMX 50-59 years, male 13.5
GTEX-PWO3-1526-SM-48TCM 60-69 years, female 13.4
GTEX-131XF-5016-SM-7MGWE 60-69 years, male 13.4
GTEX-1H23P-0126-SM-ADEJ3 60-69 years, male 13.4
GTEX-1J8EW-0126-SM-CJI4F 60-69 years, female 13.4
GTEX-1QCLY-0326-SM-E8VOG 30-39 years, male 13.4
GTEX-13OVI-1426-SM-5L3EY 60-69 years, female 13.3
GTEX-QESD-1426-SM-2S1R9 20-29 years, male 13.3
GTEX-1H1CY-2826-SM-9MQM3 60-69 years, female 13.3
GTEX-1OJC3-0126-SM-E76QX 20-29 years, male 13.3
GTEX-11TT1-2526-SM-5EGIB 20-29 years, male 13.2
GTEX-XMD2-0126-SM-4YCDU 60-69 years, female 13.2
GTEX-1HSEH-0126-SM-ACKXN 60-69 years, male 13.2
GTEX-1IKK5-0626-SM-ARL8A 60-69 years, male 13.2
GTEX-1LNCM-1126-SM-E9U5E 50-59 years, female 13.2
GTEX-11EM3-2426-SM-59861 20-29 years, female 13.1
GTEX-18A6Q-0126-SM-731BZ 60-69 years, male 13.1
GTEX-18D9U-0226-SM-718BP 40-49 years, male 13.1
GTEX-1CB4E-2226-SM-793DC 60-69 years, male 13.1
GTEX-WXYG-2326-SM-4E3I6 50-59 years, female 13.1
GTEX-1GN1W-0526-SM-9MQJQ 50-59 years, female 13.1
GTEX-1KD5A-0226-SM-D5OV3 50-59 years, male 13.1
GTEX-ZF29-2326-SM-DO92K 60-69 years, female 13.1
GTEX-11DXX-2426-SM-5GZZW 60-69 years, female 13.0
GTEX-T6MO-1626-SM-32QOM 40-49 years, female 13.0
GTEX-1JN1M-0326-SM-CYPT3 60-69 years, female 13.0
GTEX-1MGNQ-0126-SM-EVYCJ 40-49 years, male 13.0
GTEX-PWCY-1826-SM-DHXIZ 20-29 years, female 13.0
GTEX-RNOR-0126-SM-E9J4R 50-59 years, female 13.0
GTEX-12126-0326-SM-5PNW3 20-29 years, male 12.9
GTEX-14DAR-2026-SM-5S2O3 50-59 years, male 12.9
GTEX-14PN4-0126-SM-6EU2V 50-59 years, male 12.9
GTEX-15SHW-0326-SM-6PAML 60-69 years, male 12.9
GTEX-1B8KZ-2026-SM-7DHMB 50-59 years, male 12.9
GTEX-1CB4J-0626-SM-7DHMP 60-69 years, male 12.9
GTEX-R55E-0126-SM-2TC5Y 20-29 years, male 12.9
GTEX-X638-0126-SM-47JZ8 70-79 years, female 12.9
GTEX-1B933-0126-SM-7PC29 50-59 years, female 12.9
GTEX-1F6I4-0126-SM-9MQL2 60-69 years, male 12.9
GTEX-1LGRB-2526-SM-CNPPQ 50-59 years, female 12.9
GTEX-1A3MX-0126-SM-731BR 60-69 years, male 12.8
GTEX-1HKZK-0326-SM-9WYUH 40-49 years, male 12.8
GTEX-1MCQQ-0826-SM-DLHC2 60-69 years, male 12.8
GTEX-1QW4Y-1526-SM-EAZ3Z 30-39 years, male 12.8
GTEX-12ZZX-0126-SM-5EGK9 40-49 years, female 12.7
GTEX-1314G-1526-SM-5EGK2 30-39 years, male 12.7
GTEX-13QJ3-0326-SM-5S2RA 50-59 years, male 12.7
GTEX-16MT8-0426-SM-7KUEY 60-69 years, female 12.7
GTEX-18A67-0126-SM-7LG5P 50-59 years, male 12.7
GTEX-ZVT3-0126-SM-5GU6I 60-69 years, female 12.7
GTEX-1GPI7-0126-SM-9MQL8 20-29 years, male 12.7
GTEX-1H3O1-0426-SM-9YFKY 60-69 years, male 12.7
GTEX-1N2EF-0226-SM-EYYXB 60-69 years, male 12.7
GTEX-12C56-1726-SM-5EQ61 20-29 years, male 12.6
GTEX-15SDE-2226-SM-7IGLO 50-59 years, female 12.6
GTEX-W5WG-1826-SM-4KL2Y 50-59 years, female 12.6
GTEX-1CB4F-0426-SM-9KNV4 60-69 years, male 12.6
GTEX-1HSMO-0126-SM-CL547 60-69 years, male 12.6
GTEX-1PPH7-2326-SM-EVYB8 40-49 years, male 12.6
GTEX-1QP2A-0126-SM-E9J43 50-59 years, male 12.6
GTEX-145MN-2226-SM-5SIAU 30-39 years, male 12.5
GTEX-14PN3-2426-SM-6LLHS 60-69 years, female 12.5
GTEX-16NPX-0226-SM-79OMT 50-59 years, male 12.5
GTEX-16XZZ-0126-SM-793DV 60-69 years, male 12.5
GTEX-1A32A-0126-SM-718B1 50-59 years, female 12.5
GTEX-X62O-0126-SM-4E3JN 50-59 years, male 12.5
GTEX-1GTWX-0126-SM-9YFLK 60-69 years, male 12.5
GTEX-1HSMP-0126-SM-E6CJS 70-79 years, male 12.5
GTEX-1KAFJ-2026-SM-CY8ID 50-59 years, male 12.5
GTEX-1QP66-1726-SM-E8VO1 50-59 years, male 12.5
GTEX-145LV-2126-SM-5LU8N 50-59 years, male 12.4
GTEX-X8HC-0126-SM-4E3JW 50-59 years, female 12.4
GTEX-ZE9C-2726-SM-57WB5 60-69 years, male 12.4
GTEX-1HGF4-2426-SM-ACKXM 60-69 years, male 12.4
GTEX-14PHX-2326-SM-62LEM 50-59 years, male 12.3
GTEX-15DCD-0126-SM-7KUEK 70-79 years, female 12.3
GTEX-OOBK-0126-SM-2YUND 40-49 years, male 12.3
GTEX-SIU8-0126-SM-2XCDT 50-59 years, male 12.3
GTEX-U8T8-0126-SM-3DB94 60-69 years, male 12.3
GTEX-WY7C-2326-SM-3NB2U 50-59 years, male 12.3
GTEX-ZAB5-1826-SM-5HL7C 50-59 years, male 12.3
GTEX-1GF9U-2126-SM-7SB7L 40-49 years, female 12.3
GTEX-1LBAC-0126-SM-DIPEZ 20-29 years, male 12.3
GTEX-1PWST-0226-SM-E76QJ 70-79 years, male 12.3
GTEX-1R46S-0626-SM-E9J41 60-69 years, female 12.3
GTEX-13OVL-0226-SM-5L3E9 50-59 years, male 12.2
GTEX-13RTJ-2426-SM-5S2Q2 60-69 years, male 12.2
GTEX-17EVQ-0226-SM-7LG4P 70-79 years, male 12.2
GTEX-18D9B-0526-SM-7LTAS 60-69 years, male 12.2
GTEX-1C4CL-0526-SM-73KVK 30-39 years, male 12.2
GTEX-X88G-0126-SM-47JZ3 30-39 years, male 12.2
GTEX-ZYW4-0126-SM-5E44A 60-69 years, male 12.2
GTEX-1F52S-0126-SM-9MQJU 60-69 years, female 12.2
GTEX-1J8QM-2126-SM-CYPSJ 60-69 years, female 12.2
GTEX-OOBJ-0126-SM-E6CJW 60-69 years, male 12.2
GTEX-1A3MW-0126-SM-73KXX 60-69 years, female 12.1
GTEX-1GZ4H-1726-SM-7PBZJ 50-59 years, female 12.1
GTEX-1H1DE-2126-SM-9WG6R 20-29 years, male 12.1
GTEX-1I1GV-0526-SM-A9G29 60-69 years, male 12.1
GTEX-1JMOU-1526-SM-CL54I 60-69 years, female 12.1
GTEX-1MA7X-2226-SM-E6CIY 60-69 years, male 12.1
GTEX-1OJC4-0126-SM-E9J2E 50-59 years, female 12.1
GTEX-PW2O-1526-SM-7RHHB 20-29 years, male 12.1
GTEX-11ZVC-2526-SM-5FQTE 50-59 years, female 12.0
GTEX-1313W-0126-SM-5LZUN 50-59 years, female 12.0
GTEX-13OVK-2026-SM-7KUEO 40-49 years, male 12.0
GTEX-O5YT-0126-SM-48TBW 20-29 years, male 12.0
GTEX-XAJ8-0826-SM-47JY6 40-49 years, male 12.0
GTEX-ZE7O-0126-SM-57WC1 50-59 years, female 12.0
GTEX-1H1E6-1726-SM-ACKVK 30-39 years, male 12.0
GTEX-1H3VE-0326-SM-9YFLH 40-49 years, male 12.0
GTEX-1HCU9-1526-SM-A9SL7 20-29 years, male 12.0
GTEX-1HFI6-0226-SM-ADEHZ 40-49 years, male 12.0
GTEX-1JKYN-1326-SM-CGQG9 30-39 years, male 12.0
GTEX-14BIM-0226-SM-7IGLD 60-69 years, female 11.9
GTEX-14XAO-2326-SM-6EU1B 60-69 years, female 11.9
GTEX-V1D1-2226-SM-3NMAX 50-59 years, male 11.9
GTEX-Z9EW-1626-SM-5CVMN 40-49 years, male 11.9
GTEX-ZYFD-0126-SM-5GIDL 50-59 years, male 11.9
GTEX-1F5PK-2426-SM-7RHHY 50-59 years, male 11.9
GTEX-1GF9X-2026-SM-7PC3A 40-49 years, female 11.9
GTEX-R45C-0126-SM-EAZ2R 60-69 years, female 11.9
GTEX-147F3-0526-SM-5SI98 50-59 years, female 11.8
GTEX-148VI-1626-SM-5SI6E 60-69 years, female 11.8
GTEX-YJ89-0126-SM-4TT3X 60-69 years, male 11.8
GTEX-ZEX8-2426-SM-4WKG4 50-59 years, male 11.8
GTEX-1RAZQ-0726-SM-EAZ43 30-39 years, male 11.8
GTEX-139TT-0126-SM-5K7Y5 60-69 years, male 11.7
GTEX-13W46-0226-SM-5SIAG 50-59 years, male 11.7
GTEX-14PII-0226-SM-6EU1T 60-69 years, male 11.7
GTEX-WQUQ-0426-SM-3MJFU 60-69 years, male 11.7
GTEX-169BO-1326-SM-9MQK2 50-59 years, male 11.7
GTEX-1I1GP-2226-SM-CGQFK 50-59 years, male 11.7
GTEX-W5X1-3026-SM-EAZAX 40-49 years, female 11.7
GTEX-12696-2426-SM-5EQ6H 60-69 years, male 11.6
GTEX-13VXU-0126-SM-5SI9F 50-59 years, male 11.6
GTEX-15RIG-0226-SM-7KFTL 40-49 years, male 11.6
GTEX-18A7B-0126-SM-7LG64 70-79 years, male 11.6
GTEX-ZPIC-1726-SM-DHXIU 40-49 years, female 11.6
GTEX-13N11-2526-SM-5K7UE 50-59 years, female 11.5
GTEX-14BIL-0126-SM-5SI92 50-59 years, male 11.5
GTEX-15DDE-0126-SM-6LPKH 50-59 years, female 11.5
GTEX-RWS6-2026-SM-2XCB5 60-69 years, female 11.5
GTEX-1F5PL-0326-SM-7P8PQ 40-49 years, female 11.5
GTEX-1HCU6-0126-SM-CL54K 60-69 years, female 11.5
GTEX-1J8JJ-0226-SM-CL53I 60-69 years, female 11.5
GTEX-1R7EU-0226-SM-EVR4G 60-69 years, male 11.5
GTEX-11DXZ-2326-SM-5EGGV 50-59 years, male 11.4
GTEX-15SHU-0126-SM-7KUEH 40-49 years, female 11.4
GTEX-16GPK-0126-SM-7DHLE 60-69 years, male 11.4
GTEX-PLZ5-2026-SM-2S1O4 50-59 years, male 11.4
GTEX-X4EO-0326-SM-3P5YO 60-69 years, female 11.4
GTEX-Y5V6-2426-SM-4VDSB 60-69 years, male 11.4
GTEX-1GL5R-1826-SM-9KNUY 50-59 years, male 11.4
GTEX-1H1ZS-0426-SM-9WG6G 70-79 years, male 11.4
GTEX-17HHY-0126-SM-7LG5D 50-59 years, male 11.3
GTEX-1AX9J-0226-SM-73KXM 60-69 years, male 11.3
GTEX-1AX9I-0126-SM-7SB74 60-69 years, male 11.3
GTEX-11P81-2326-SM-59875 30-39 years, female 11.2
GTEX-13SLW-0126-SM-5SI6C 70-79 years, male 11.2
GTEX-13U4I-0126-SM-5LU38 40-49 years, female 11.2
GTEX-145LT-1726-SM-5QGP3 40-49 years, male 11.2
GTEX-1B8KE-2126-SM-73KYX 50-59 years, male 11.2
GTEX-1C6VS-0526-SM-7DUEN 60-69 years, male 11.2
GTEX-13FH7-2026-SM-E9J4I 50-59 years, female 11.2
GTEX-13O3O-0126-SM-E9J49 60-69 years, female 11.2
GTEX-1H3NZ-0126-SM-ACKX7 60-69 years, male 11.2
GTEX-1MUQO-0126-SM-EAZ58 60-69 years, male 11.2
GTEX-1R7EV-2426-SM-EVYBG 40-49 years, male 11.2
GTEX-14A5I-0126-SM-5TDEA 50-59 years, female 11.1
GTEX-16AAH-1726-SM-7939C 50-59 years, male 11.1
GTEX-16XZY-2126-SM-79OK1 70-79 years, male 11.1
GTEX-183FY-0126-SM-7LT9P 20-29 years, male 11.1
GTEX-OXRP-0126-SM-3NB32 60-69 years, female 11.1
GTEX-Y8E4-0626-SM-4WWDL 40-49 years, male 11.1
GTEX-YFC4-0126-SM-5CVLY 40-49 years, female 11.1
GTEX-1GN1V-0126-SM-9WPOS 60-69 years, male 11.1
GTEX-1NHNU-1026-SM-E9J2A 50-59 years, male 11.1
GTEX-11VI4-1726-SM-5CVLH 40-49 years, female 11.0
GTEX-13IVO-0126-SM-5J1NG 70-79 years, male 11.0
GTEX-14PJ3-1826-SM-62LEX 50-59 years, male 11.0
GTEX-QDVJ-1726-SM-2I5FX 50-59 years, male 11.0
GTEX-QV44-1926-SM-2S1RF 50-59 years, male 11.0
GTEX-U412-0426-SM-3DB9O 60-69 years, male 11.0
GTEX-WZTO-0126-SM-3NM95 40-49 years, male 11.0
GTEX-ZUA1-0126-SM-5GU76 40-49 years, male 11.0
GTEX-1C64O-0126-SM-7SB8P 60-69 years, male 11.0
GTEX-1CB4H-0226-SM-7PBXM 60-69 years, female 11.0
GTEX-1GMR8-0126-SM-9WYTM 50-59 years, female 11.0
GTEX-1HSGN-0226-SM-CGQFV 40-49 years, female 11.0
GTEX-1LSNM-1926-SM-E6CII 50-59 years, male 11.0
GTEX-11H98-0126-SM-5EGHG 50-59 years, male 10.9
GTEX-13111-1626-SM-5EGJY 50-59 years, male 10.9
GTEX-131YS-0126-SM-5KM1M 60-69 years, female 10.9
GTEX-13FHO-0226-SM-5IFGY 60-69 years, male 10.9
GTEX-XBED-2226-SM-47JYQ 60-69 years, male 10.9
GTEX-1CAMS-0426-SM-7P8T2 40-49 years, female 10.9
GTEX-1ICLY-0126-SM-D4P36 50-59 years, male 10.9
GTEX-1IY9M-0126-SM-D3L8S 60-69 years, male 10.9
GTEX-1K2DU-2326-SM-E9TIV 20-29 years, male 10.9
GTEX-1128S-2326-SM-5GZZY 60-69 years, female 10.8
GTEX-13PDP-0126-SM-5L3HD 60-69 years, male 10.8
GTEX-16NGA-1726-SM-731B4 40-49 years, female 10.8
GTEX-1CAMR-1926-SM-7EPI2 20-29 years, male 10.8
GTEX-R3RS-0126-SM-3GIJL 40-49 years, female 10.8
GTEX-Z93T-0126-SM-5HL5N 50-59 years, male 10.8
GTEX-1HR98-0126-SM-B2LWI 60-69 years, male 10.8
GTEX-1I4MK-2226-SM-ACKWD 50-59 years, female 10.8
GTEX-11DXW-0226-SM-5H122 40-49 years, male 10.7
GTEX-14PHW-0126-SM-6LLJI 60-69 years, female 10.7
GTEX-1A3MV-1926-SM-718BT 30-39 years, male 10.7
GTEX-1CB4I-0226-SM-79OLH 50-59 years, male 10.7
GTEX-TML8-1926-SM-32QOS 40-49 years, female 10.7
GTEX-1HCVE-0126-SM-CGQEU 50-59 years, male 10.7
GTEX-1B8L1-2526-SM-9WYTF 60-69 years, male 10.6
GTEX-1F75A-0126-SM-7RHGM 50-59 years, male 10.6
GTEX-1F75B-0126-SM-9KNVL 50-59 years, male 10.6
GTEX-1K2DA-1826-SM-CGQGT 50-59 years, male 10.6
GTEX-1S3DN-2226-SM-EVYCD 50-59 years, male 10.6
GTEX-PSDG-0226-SM-DKPOZ 50-59 years, male 10.6
GTEX-1AMEY-1326-SM-73KYK 30-39 years, female 10.5
GTEX-1B996-0226-SM-7RHGO 60-69 years, male 10.5
GTEX-1GPI6-0126-SM-9WG69 60-69 years, male 10.5
GTEX-1H11D-0226-SM-9WG6Z 40-49 years, male 10.5
GTEX-PLZ6-1426-SM-DKPOT 30-39 years, male 10.5
GTEX-145MF-0626-SM-5LUAI 50-59 years, male 10.4
GTEX-14A6H-0126-SM-5QGPK 30-39 years, male 10.4
GTEX-14JG6-2226-SM-6EU2G 30-39 years, female 10.4
GTEX-1EKGG-0226-SM-9WYTH 60-69 years, male 10.4
GTEX-13112-2826-SM-5DUWH 50-59 years, male 10.3
GTEX-17HG3-2226-SM-7938L 30-39 years, female 10.3
GTEX-1AMFI-2026-SM-731BH 50-59 years, female 10.3
GTEX-ZAJG-0126-SM-5HL94 50-59 years, female 10.3
GTEX-ZTSS-1926-SM-57WEW 40-49 years, male 10.3
GTEX-ZU9S-0226-SM-5E441 30-39 years, male 10.3
GTEX-ZVZP-2426-SM-59HKJ 50-59 years, male 10.3
GTEX-131XH-2226-SM-5DUXJ 50-59 years, male 10.2
GTEX-13OVG-1926-SM-5L3DK 60-69 years, male 10.2
GTEX-SSA3-0126-SM-32QPU 60-69 years, male 10.2
GTEX-ZDYS-2026-SM-5HL5L 50-59 years, male 10.2
GTEX-11TUW-2726-SM-E9J4M 60-69 years, male 10.2
GTEX-1I1GU-2226-SM-CGQFA 40-49 years, male 10.2
GTEX-1IDJH-0326-SM-A9SLQ 70-79 years, male 10.2
GTEX-1IE54-0126-SM-CMKHW 40-49 years, female 10.2
GTEX-1JJE9-0326-SM-CL53Z 70-79 years, male 10.2
GTEX-11DYG-0126-SM-59883 60-69 years, male 10.1
GTEX-11ZTS-0126-SM-5EQ6M 60-69 years, female 10.1
GTEX-12WSN-5019-SM-79OM6 40-49 years, male 10.1
GTEX-15CHC-2126-SM-6EU21 60-69 years, female 10.1
GTEX-17HGU-0226-SM-7DHKV 50-59 years, male 10.1
GTEX-1AX9K-2326-SM-73KWU 50-59 years, male 10.1
GTEX-Q2AH-1626-SM-3GAF8 40-49 years, male 10.1
GTEX-1MA7W-2026-SM-E9TJ6 20-29 years, female 10.1
GTEX-14BIN-0626-SM-793DP 50-59 years, female 10.0
GTEX-1CB4G-0226-SM-7PC3O 60-69 years, male 10.0
GTEX-1HBPN-0226-SM-9YFM1 50-59 years, male 10.0
GTEX-1I1HK-0126-SM-COH49 60-69 years, male 10.0
GTEX-1192W-2626-SM-5Q5AF 60-69 years, male 9.9
GTEX-139TU-0126-SM-5K7WH 60-69 years, male 9.9
GTEX-T8EM-1026-SM-3DB7M 40-49 years, male 9.9
GTEX-1HFI7-1826-SM-ACKXH 50-59 years, female 9.9
GTEX-1IDFM-0126-SM-COH2V 60-69 years, male 9.9
GTEX-1LGOU-2026-SM-DIPFF 20-29 years, female 9.9
GTEX-13N2G-2626-SM-5J1OT 60-69 years, male 9.8
GTEX-148VJ-0126-SM-5TDDN 70-79 years, male 9.8
GTEX-15D1Q-0126-SM-7KUG6 40-49 years, male 9.8
GTEX-QCQG-1726-SM-3GIJ9 50-59 years, female 9.8
GTEX-U3ZN-2326-SM-3DB7W 30-39 years, female 9.8
GTEX-ZAK1-0126-SM-5IJD3 50-59 years, female 9.8
GTEX-ZVE2-0226-SM-59HJB 50-59 years, male 9.8
GTEX-1JK1U-2026-SM-CM2RZ 60-69 years, male 9.8
GTEX-1K9T9-0126-SM-EVYCF 50-59 years, female 9.8
GTEX-1PBJI-0526-SM-E8VNK 20-29 years, female 9.8
GTEX-11OF3-2626-SM-5GU7F 60-69 years, male 9.7
GTEX-131XW-0426-SM-5LZWP 50-59 years, female 9.7
GTEX-13NZA-0226-SM-5K7Z7 60-69 years, male 9.7
GTEX-13OVH-0126-SM-5MR4B 70-79 years, male 9.7
GTEX-17HHE-2026-SM-79OKF 50-59 years, male 9.7
GTEX-UPJH-0326-SM-3GADU 50-59 years, male 9.7
GTEX-WYVS-2126-SM-3NMA3 40-49 years, female 9.7
GTEX-Y5V5-2326-SM-4V6GA 60-69 years, female 9.7
GTEX-ZDTT-2726-SM-4WKF8 60-69 years, male 9.7
GTEX-ZV6S-2326-SM-4YCEY 40-49 years, female 9.7
GTEX-12WSG-2826-SM-E9J4H 50-59 years, female 9.7
GTEX-1F48J-0126-SM-7P8TT 50-59 years, female 9.7
GTEX-1F6IF-0726-SM-7P8TW 60-69 years, male 9.7
GTEX-1HBPI-1526-SM-C1YQ1 50-59 years, male 9.7
GTEX-1JMQJ-0526-SM-CYPSU 50-59 years, male 9.7
GTEX-1PIGE-0126-SM-EVYBJ 20-29 years, male 9.7
GTEX-12ZZZ-0626-SM-5DUXI 60-69 years, male 9.6
GTEX-133LE-1826-SM-5J1MV 20-29 years, female 9.6
GTEX-13RTL-0126-SM-7LG5S 40-49 years, male 9.6
GTEX-13X6J-0126-SM-5QGOU 50-59 years, male 9.6
GTEX-14PJM-0226-SM-62LF1 50-59 years, female 9.6
GTEX-15F5U-1526-SM-6PANO 40-49 years, male 9.6
GTEX-XQ3S-1526-SM-4BOOC 20-29 years, male 9.6
GTEX-14C5O-0126-SM-5SI6N 60-69 years, male 9.5
GTEX-183WM-0126-SM-7LTAB 70-79 years, female 9.5
GTEX-18A66-0226-SM-718BD 60-69 years, male 9.5
GTEX-Y8DK-0126-SM-4TT3L 60-69 years, male 9.5
GTEX-ZVZO-0126-SM-5A5L9 40-49 years, male 9.5
GTEX-1GZHY-0326-SM-9QEHI 50-59 years, female 9.5
GTEX-1JMQK-0226-SM-CL543 60-69 years, male 9.5
GTEX-1KANC-1526-SM-D3LAB 50-59 years, female 9.5
GTEX-111VG-2426-SM-5GZXD 60-69 years, male 9.4
GTEX-13OW6-0426-SM-5L3HM 50-59 years, male 9.4
GTEX-QDVN-2026-SM-3GAEP 50-59 years, male 9.4
GTEX-X261-0126-SM-3NMD6 50-59 years, male 9.4
GTEX-1GN2E-0426-SM-9MQKX 60-69 years, male 9.4
GTEX-1I1CD-0126-SM-CM2TK 60-69 years, female 9.4
GTEX-1KXAM-2226-SM-CYPTC 60-69 years, male 9.4
GTEX-1PDJ9-0326-SM-DTX95 20-29 years, male 9.4
GTEX-13FTY-0526-SM-5L3EV 40-49 years, female 9.3
GTEX-13N1W-0126-SM-5K7VT 70-79 years, male 9.3
GTEX-13NZB-2526-SM-5J1OM 30-39 years, male 9.3
GTEX-14DAQ-0126-SM-5S2MQ 60-69 years, female 9.3
GTEX-14JG1-0426-SM-6ETZZ 40-49 years, male 9.3
GTEX-T2YK-0526-SM-32QPJ 50-59 years, male 9.3
GTEX-ZYFC-0226-SM-5NQ75 50-59 years, male 9.3
GTEX-1EWIQ-0126-SM-7RHH2 70-79 years, female 9.3
GTEX-1H3VY-0126-SM-ACKXD 50-59 years, male 9.3
GTEX-11WQC-2526-SM-5CVLE 60-69 years, male 9.2
GTEX-13O1R-0126-SM-5L3EH 60-69 years, male 9.2
GTEX-14A5H-0426-SM-5QGQF 60-69 years, male 9.2
GTEX-11LCK-1026-SM-5A5KB 30-39 years, male 9.1
GTEX-POMQ-2226-SM-2I5FK 20-29 years, female 9.1
GTEX-U3ZH-2026-SM-3DB78 30-39 years, male 9.1
GTEX-1HCU8-0626-SM-A9SM9 60-69 years, female 9.1
GTEX-111FC-0126-SM-5N9DL 60-69 years, male 9.0
GTEX-13JUV-2726-SM-5LZZ8 40-49 years, female 9.0
GTEX-1BAJH-0526-SM-793CQ 70-79 years, male 9.0
GTEX-1HSMQ-1226-SM-CGQFX 50-59 years, male 9.0
GTEX-1ICLZ-0126-SM-CKZPO 60-69 years, male 9.0
GTEX-1J8Q3-1626-SM-CMKGC 60-69 years, male 9.0
GTEX-1122O-2126-SM-5EGIR 60-69 years, female 8.9
GTEX-113JC-2326-SM-5EQ4E 50-59 years, female 8.9
GTEX-17HII-0226-SM-7LG4E 50-59 years, male 8.9
GTEX-1F7RK-0126-SM-7PC2S 20-29 years, female 8.9
GTEX-1LG7Y-0526-SM-DKPQC 50-59 years, male 8.9
GTEX-ZQUD-1426-SM-57WER 30-39 years, male 8.8
GTEX-1IGQW-0126-SM-COH42 60-69 years, male 8.8
GTEX-1JMLX-0226-SM-CM2RO 50-59 years, male 8.8
GTEX-1QPFJ-0226-SM-E76PB 30-39 years, female 8.8
GTEX-14E6D-0126-SM-62LDV 50-59 years, male 8.7
GTEX-RWSA-0126-SM-2XCBB 40-49 years, male 8.7
GTEX-S7SE-0126-SM-2XCD5 50-59 years, male 8.7
GTEX-U8XE-0326-SM-3DB8P 30-39 years, male 8.7
GTEX-1C6VQ-0126-SM-7P8RI 50-59 years, male 8.7
GTEX-1GZ2Q-0226-SM-7P8TL 40-49 years, male 8.7
GTEX-11O72-0126-SM-59887 40-49 years, male 8.6
GTEX-12WSA-0226-SM-5BC5V 60-69 years, male 8.6
GTEX-1399T-2826-SM-5KLYZ 60-69 years, male 8.6
GTEX-13CF3-2426-SM-5IFGX 60-69 years, female 8.6
GTEX-17F96-1626-SM-7DUFL 70-79 years, male 8.6
GTEX-TMMY-0226-SM-33HBA 40-49 years, female 8.6
GTEX-1GMRU-0126-SM-9YFLV 50-59 years, male 8.6
GTEX-1I19N-0326-SM-ACKVX 70-79 years, male 8.6
GTEX-1M4P7-0226-SM-DIPEV 60-69 years, male 8.6
GTEX-1QAET-0926-SM-E76QM 50-59 years, male 8.6
GTEX-14LZ3-0226-SM-62LET 60-69 years, female 8.5
GTEX-1B8SG-0126-SM-73KZ3 50-59 years, male 8.5
GTEX-X4XY-0226-SM-4E3IZ 60-69 years, male 8.5
GTEX-XBEW-0626-SM-4QASP 40-49 years, male 8.5
GTEX-1KANB-0526-SM-E6CJH 50-59 years, male 8.5
GTEX-1M5QR-1226-SM-EWROB 40-49 years, male 8.5
GTEX-12KS4-0326-SM-5EQ41 30-39 years, male 8.4
GTEX-13FHP-0126-SM-5IJBG 50-59 years, male 8.4
GTEX-13X6I-0626-SM-5QGP9 60-69 years, male 8.4
GTEX-17EVP-0326-SM-7DHLG 40-49 years, male 8.4
GTEX-Q2AG-0126-SM-33HBV 40-49 years, female 8.4
GTEX-1GF9W-0326-SM-9KNUN 60-69 years, male 8.4
GTEX-11DXY-2626-SM-5GIE7 60-69 years, male 8.3
GTEX-13FXS-0226-SM-5IJCK 50-59 years, male 8.3
GTEX-17JCI-0126-SM-7LG5G 60-69 years, female 8.3
GTEX-13OW5-0126-SM-DTXFS 60-69 years, male 8.3
GTEX-1IKOH-0226-SM-COH4E 60-69 years, female 8.3
GTEX-1JMPZ-0226-SM-CNPP1 30-39 years, male 8.3
GTEX-144FL-0126-SM-5TDC8 50-59 years, male 8.2
GTEX-ZY6K-1826-SM-5GZXK 50-59 years, male 8.2
GTEX-1GN73-0226-SM-9WG67 60-69 years, male 8.2
GTEX-1IL2U-0226-SM-CE6T8 60-69 years, male 8.2
GTEX-1JKYR-0126-SM-CNPOJ 20-29 years, male 8.2
GTEX-1JN76-0126-SM-CNPPE 20-29 years, female 8.2
GTEX-1PPH8-0226-SM-E8VND 20-29 years, male 8.2
GTEX-1RQEC-0426-SM-E6CHU 60-69 years, male 8.2
GTEX-1S83E-0126-SM-EWRO4 40-49 years, male 8.2
GTEX-11GSO-2426-SM-5A5LY 60-69 years, male 8.1
GTEX-T5JW-1626-SM-3GADZ 20-29 years, female 8.1
GTEX-T6MN-0126-SM-32PLP 50-59 years, male 8.1
GTEX-1MJK2-0426-SM-DTXE5 50-59 years, male 8.1
GTEX-1PIIG-0226-SM-EWRN6 30-39 years, male 8.1
GTEX-15DYW-0126-SM-7KULE 60-69 years, female 8.0
GTEX-16BQI-0226-SM-7KUEX 30-39 years, female 8.0
GTEX-ZWKS-0126-SM-5SIAA 30-39 years, male 8.0
GTEX-1EU9M-0226-SM-7P8SP 60-69 years, male 8.0
GTEX-1QEPI-0126-SM-EWRMQ 60-69 years, female 8.0
GTEX-1R9K4-0126-SM-DTX9X 60-69 years, male 8.0
GTEX-12ZZY-0226-SM-5LZVE 60-69 years, male 7.9
GTEX-ZF2S-2326-SM-4WWCE 50-59 years, female 7.9
GTEX-1JN6P-0126-SM-D3L98 60-69 years, male 7.9
GTEX-1KD4Q-0226-SM-E9TJ9 40-49 years, male 7.9
GTEX-1RDX4-0126-SM-E9J4P 50-59 years, female 7.9
GTEX-131XE-2326-SM-5PNZ2 50-59 years, male 7.8
GTEX-15UKP-0426-SM-7KUFQ 20-29 years, male 7.8
GTEX-16YQH-0126-SM-7DUFJ 30-39 years, male 7.8
GTEX-T5JC-0426-SM-32PLO 20-29 years, male 7.8
GTEX-1E1VI-0126-SM-7DHMZ 50-59 years, male 7.7
GTEX-1KWVE-1426-SM-E9TJO 30-39 years, male 7.7
GTEX-1LH75-2426-SM-E9TJE 50-59 years, female 7.7
GTEX-1R9PM-2026-SM-E76OY 20-29 years, male 7.7
GTEX-OIZF-0126-SM-7SB8I 60-69 years, male 7.7
GTEX-145MI-0526-SM-5O9A8 60-69 years, female 7.6
GTEX-17MFQ-1726-SM-793C7 20-29 years, male 7.6
GTEX-SJXC-0126-SM-2XCFF 60-69 years, male 7.6
GTEX-VUSG-2526-SM-4KL1V 50-59 years, male 7.6
GTEX-XUYS-0126-SM-47JWZ 50-59 years, male 7.6
GTEX-1KANA-0726-SM-D3L9I 20-29 years, male 7.6
GTEX-15EU6-0426-SM-6PAN5 50-59 years, male 7.5
GTEX-17KNJ-2326-SM-7DHLQ 50-59 years, male 7.5
GTEX-SNMC-1226-SM-2XCFP 20-29 years, male 7.5
GTEX-1I1GT-0626-SM-CGQER 60-69 years, female 7.5
GTEX-WFON-2126-SM-3LK7O 40-49 years, male 7.4
GTEX-ZYY3-0126-SM-5GZY5 60-69 years, female 7.4
GTEX-1O97I-0326-SM-EYYX7 60-69 years, male 7.4
GTEX-11UD2-0226-SM-5EQKY 50-59 years, male 7.3
GTEX-18D9A-1926-SM-7LG6P 30-39 years, female 7.3
GTEX-117XS-2726-SM-5N9BL 60-69 years, male 7.2
GTEX-11EQ9-2426-SM-5HL5T 30-39 years, male 7.2
GTEX-18465-0126-SM-731BN 50-59 years, male 7.2
GTEX-1C64N-0126-SM-793D7 50-59 years, male 7.2
GTEX-1E2YA-0126-SM-9KNUC 50-59 years, male 7.2
GTEX-13SLX-0526-SM-5S2ON 50-59 years, female 7.1
GTEX-1B8SF-1426-SM-7DUGL 60-69 years, male 7.1
GTEX-ZVTK-0426-SM-51MRS 20-29 years, male 7.1
GTEX-ZXES-1826-SM-5E43S 30-39 years, female 7.1
GTEX-1J8Q2-0526-SM-CM2RW 60-69 years, male 7.1
GTEX-ZVT4-0126-SM-DTXFN 50-59 years, female 7.1
GTEX-13S7M-0126-SM-5SI6A 60-69 years, female 7.0
GTEX-1C6VR-2426-SM-79OLD 60-69 years, male 7.0
GTEX-ZXG5-0126-SM-5GIEU 60-69 years, male 7.0
GTEX-1J1OQ-0226-SM-CYPSH 40-49 years, female 7.0
GTEX-1399R-2726-SM-5IJBA 30-39 years, male 6.9
GTEX-13OW8-1326-SM-5J1OW 60-69 years, male 6.9
GTEX-14PJ6-2126-SM-6EU1V 60-69 years, female 6.9
GTEX-15ER7-0326-SM-7KUEV 20-29 years, female 6.9
GTEX-VJYA-1126-SM-3GIJU 60-69 years, male 6.9
GTEX-1HSKV-0226-SM-A9SKJ 60-69 years, male 6.9
GTEX-1IDJU-2626-SM-CM2RT 60-69 years, female 6.9
GTEX-1S82Z-0826-SM-E6CHY 30-39 years, female 6.9
GTEX-12WSL-2526-SM-5GCNJ 50-59 years, male 6.8
GTEX-15G19-0126-SM-6PANQ 60-69 years, male 6.8
GTEX-1HB9E-0226-SM-E9U4R 50-59 years, male 6.8
GTEX-1HCU7-0226-SM-CL545 50-59 years, male 6.8
GTEX-1LB8K-0226-SM-EWRNW 50-59 years, male 6.8
GTEX-RVPV-0126-SM-EAZAW 60-69 years, male 6.8
GTEX-1212Z-2526-SM-5EGKP 60-69 years, male 6.7
GTEX-WFG8-2226-SM-3GIL9 20-29 years, male 6.7
GTEX-1GF9V-0326-SM-7RHI5 60-69 years, male 6.7
GTEX-145LU-0126-SM-5TDCB 50-59 years, male 6.6
GTEX-VJWN-0126-SM-3GIK7 50-59 years, female 6.6
GTEX-1H4P4-0726-SM-9YFLR 50-59 years, male 6.6
GTEX-1HT8W-0126-SM-CNPPP 30-39 years, male 6.6
GTEX-13113-5016-SM-7EPIP 60-69 years, female 6.5
GTEX-13NYC-0326-SM-E9J4S 60-69 years, male 6.5
GTEX-1LG7Z-1726-SM-D3LA4 30-39 years, male 6.5
GTEX-11ZU8-2526-SM-5EQKI 60-69 years, male 6.4
GTEX-T2IS-0126-SM-4DM6O 20-29 years, female 6.4
GTEX-ZV68-0126-SM-59HKS 50-59 years, female 6.4
GTEX-1EX96-1626-SM-7PBXR 50-59 years, male 6.3
GTEX-139UW-2826-SM-5L3E7 60-69 years, male 6.2
GTEX-OIZG-0726-SM-33HBL 50-59 years, male 6.2
GTEX-XPVG-2626-SM-4B669 50-59 years, male 6.2
GTEX-Z93S-0126-SM-5HL7M 50-59 years, male 6.2
GTEX-1A8FM-0226-SM-7SB7Q 50-59 years, female 6.2
GTEX-1I1GR-0126-SM-CL55F 60-69 years, male 6.2
GTEX-1GN1U-0126-SM-7PBZK 50-59 years, female 6.1
GTEX-14E7W-0126-SM-6LLJ9 70-79 years, male 6.0
GTEX-1QMI2-0226-SM-EVYBX 60-69 years, male 6.0
GTEX-14E6E-1826-SM-5S2R7 30-39 years, male 5.9
GTEX-1B97I-1626-SM-73KYO 40-49 years, male 5.8
GTEX-P44H-0226-SM-2XCEU 40-49 years, male 5.8
GTEX-1POEN-0126-SM-EYYXJ 30-39 years, female 5.8
GTEX-13O3Q-2426-SM-5IJBR 50-59 years, male 5.7
GTEX-144GL-0126-SM-5TDE2 50-59 years, male 5.7
GTEX-145ME-1826-SM-5SI9G 40-49 years, female 5.7
GTEX-1IL2V-0126-SM-CM2TX 70-79 years, male 5.7
GTEX-12WSC-0126-SM-5EQ4P 50-59 years, male 5.4
GTEX-14BMV-0126-SM-5S2PO 50-59 years, male 5.4
GTEX-1F88F-2726-SM-7PBZZ 60-69 years, female 5.4
GTEX-S32W-2126-SM-2XCB1 50-59 years, female 5.3
GTEX-12WSE-0526-SM-793B2 20-29 years, male 5.2
GTEX-1JJEA-0326-SM-CNPOT 60-69 years, male 5.2
GTEX-1C475-1826-SM-73KWA 40-49 years, female 5.1
GTEX-ZYT6-0226-SM-5NQ6T 30-39 years, male 5.0
GTEX-1GMR3-1926-SM-9KNUZ 40-49 years, male 4.9
GTEX-145LS-0126-SM-5QGP1 60-69 years, female 4.8
GTEX-11EI6-0126-SM-5985R 60-69 years, male 4.7
GTEX-TSE9-0126-SM-3DB83 60-69 years, female 4.7
GTEX-1JJ6O-0126-SM-E6CI8 60-69 years, male 4.7
GTEX-1L5NE-2526-SM-E6CIE 50-59 years, male 4.7
GTEX-1CAMQ-0226-SM-7IGPK 40-49 years, male 4.6
GTEX-1I1GQ-0126-SM-COH3H 50-59 years, male 4.6
GTEX-1JMQL-0226-SM-CNPP5 50-59 years, female 4.6
GTEX-1EN7A-0126-SM-7SB81 40-49 years, male 4.5
GTEX-PVOW-0126-SM-2XCFA 40-49 years, male 4.1
GTEX-13NYB-2526-SM-5K7Z6 40-49 years, male 4.0
GTEX-1IKJJ-0126-SM-CNPQB 60-69 years, male 3.9
Show allShow less

Contact

  • NEWS ARTICLES
  • PRESS ROOM

The Project

  • INTRODUCTION
  • ORGANIZATION
  • PUBLICATIONS

The Human Protein Atlas

  • DOWNLOADABLE DATA
  • LICENCE & CITATION
  • HELP & FAQ
The Human Protein Atlas project is funded
by the Knut & Alice Wallenberg Foundation.


contact@proteinatlas.org