We use cookies to enhance the usability of our website. If you continue, we'll assume that you are happy to receive all cookies. More information. Don't show this again.
TNNT3
HPA
RESOURCES
  • TISSUE
  • BRAIN
  • SINGLE CELL
  • SUBCELLULAR
  • CANCER
  • BLOOD
  • CELL LINE
  • STRUCTURE & INTERACTION
ABOUT
  • INTRODUCTION
  • HISTORY
  • ORGANIZATION
  • PUBLICATIONS
  • ANTIBODY SUBMISSION
  • ANTIBODY AVAILABILITY
  • ACKNOWLEDGMENTS
  • CONTACT
NEWS
  • NEWS ARTICLES
  • PRESS ROOM
LEARN
  • DICTIONARY
  • PROTEIN CLASSES
  • PROTEIN EVIDENCE
  • METHODS
  • EDUCATIONAL VIDEOS
DATA
  • DOWNLOADABLE DATA
  • PUBLICATION DATA
  • RELEASE HISTORY
HELP
  • ANTIBODY VALIDATION
  • ASSAYS & ANNOTATION
  • DISCLAIMER
  • HELP & FAQ
  • PRIVACY STATEMENT
  • LICENCE & CITATION
Fields »
Search result

Field
Term
Gene name
Class
Subclass
Class
Keyword
Chromosome
External id
Tissue
Cell type
Expression
Antibody panel
Tissue
Main location
Patient ID
Annotation
Tissue
Category
Tau score
Cluster
Reliability
Brain region
Category
Tau score
Brain region
Category
Tau score
Brain region
Category
Tau score
Cluster
Reliability
Tissue
Cell type
Enrichment
Cell type
Category
Tau score
Cell type
Category
Tau score
Cell type
Category
Tau score
Cell lineage
Category
Tau score
Cluster
Cluster
Location
Searches
Location
Cell line
Class
Type
Phase
Reliability
Cancer
Prognosis
Cancer
Category
Cancer
Category
Tau score
Cluster
Variants
Interacting gene (ensg_id)
Type
Number of interactions
Pathway
Category
Score
Score
Score
Validation
Validation
Validation
Validation
Antibodies
Data type
Column


  • SUMMARY

  • TISSUE

  • BRAIN

  • SINGLE CELL

  • SUBCELL

  • CANCER

  • BLOOD

  • CELL LINE

  • STRUCT & INT

  • TNNT3
TISSUE PRIMARY DATA SKIN Show tissue menu
ADIPOSE TISSUE ADRENAL GLAND AMYGDALA APPENDIX BASAL GANGLIA BONE MARROW BREAST BRONCHUS CEREBELLUM CEREBRAL CORTEX CERVIX CHOROID PLEXUS COLON DUODENUM
ENDOMETRIUM EPIDIDYMIS ESOPHAGUS FALLOPIAN TUBE GALLBLADDER HEART MUSCLE HIPPOCAMPAL FORMATION HYPOTHALAMUS KIDNEY LIVER LUNG LYMPH NODE MIDBRAIN NASOPHARYNX
ORAL MUCOSA OVARY PANCREAS PARATHYROID GLAND PITUITARY GLAND PLACENTA PROSTATE RECTUM RETINA SALIVARY GLAND SEMINAL VESICLE SKELETAL MUSCLE SKIN SMALL INTESTINE
SMOOTH MUSCLE SOFT TISSUE SPINAL CORD SPLEEN STOMACH TESTIS THYMUS THYROID GLAND TONGUE TONSIL URINARY BLADDER VAGINA
ANTIBODIES
AND
VALIDATION
Dictionary
Skin
Tissue proteome
Skin
SKIN - Expression summary
Protein expression
Skini

On the top, protein expression in current human tissue, based on all annotated cell types, is reported with the units not detected (n), low (l), medium (m) and high (h). Underneath, protein expression in each annotated cell type are reported using the same units.

Protein expression data is based on knowledge-based annotation. For genes where more than one antibody has been used, a collective score is set.

If knowledge-based annotation could not be performed for a gene, no data is displayed here. View antibody staining data further down this page.

h
m
l
n
Arrector pili muscle cells: Not detected
Cells in basal layer: Not detected
Cells in corneal layer: Not detected
Cells in granular layer: Not detected
Cells in spinous layer: Not detected
Endothelial cells: Not detected
Extracellular matrix: Not detected
Fibrohistiocytic cells: Medium
Hair follicles: Not detected
Langerhans cells: Not detected
Lymphocytes: Not detected
Melanocytes: Not detected
Sebaceous glands: Not detected
Vascular mural cells: Not detected
RNA expressioni

A summary of mRNA expression data available for current tissue based on several datasets. The mRNA expression levels in human tissues are based on RNA-seq data generated by the Human Protein Atlas (HPA), Genotype-Tissue Expression (GTEx) portal and CAGE data generated by the FANTOM5 consortium. Consensus normalized expression levels for human tissues was created by combining the data from HPA and GTEx datasets.

The mRNA expression levels in pig are based on RNA-seq data generated by the Human Protein Atlas (HPA), and for mouse, HPA data and in situ hybridization generated by the Allen brain atlas are reported.

Scroll down to view mRNA expression data in more detail.
Consensus:8.5 nTPM
HPA:3.0 nTPM
GTEx:8.5 nTPM

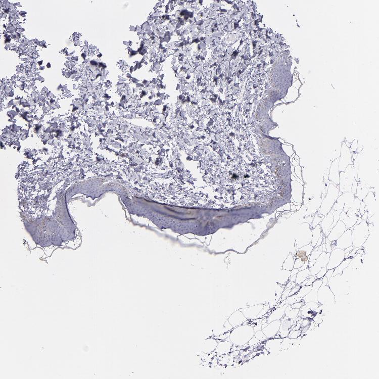
SKIN 1 - Antibody stainingi

Antibody staining in the annotated cell types in the current human tissue is reported as not detected, low, medium, or high, based on conventional immunohistochemistry profiling in selected tissues. This score is based on the combination of the staining intensity and fraction of stained cells.

Each image is clickable and will lead to virtual microscopy that enables deeper exploration of all samples and also displays staining intensity scores, fraction scores and subcellular localization as well as patient and tissue information for each sample.

Antibody HPA037810Antibody HPA056909Antibody CAB002451
Langerhans -Not detectedNot detected
Arrector pili muscle cells Not detected--
Cells in basal layer Not detected--
Cells in corneal layer Not detected--
Cells in granular layer Not detected--
Cells in spinous layer Not detected--
Endothelial cells Not detected--
Extracellular matrix Not detected--
Fibroblasts -Not detectedNot detected
Fibrohistiocytic cells Not detected--
Hair follicles Not detected--
Keratinocytes -Not detectedLow
Langerhans cells Not detected--
Lymphocytes Not detected--
Melanocytes Not detectedLowNot detected
Sebaceous glands Not detected--
Vascular mural cells Not detected--





SKIN 2 - Antibody stainingi

Antibody staining in the annotated cell types in the current human tissue is reported as not detected, low, medium, or high, based on conventional immunohistochemistry profiling in selected tissues. This score is based on the combination of the staining intensity and fraction of stained cells.

Each image is clickable and will lead to virtual microscopy that enables deeper exploration of all samples and also displays staining intensity scores, fraction scores and subcellular localization as well as patient and tissue information for each sample.

Antibody HPA037810Antibody HPA056909Antibody CAB002451
Cells in basal layer Not detected--
Cells in corneal layer Not detected--
Cells in granular layer Not detected--
Cells in spinous layer Not detected--
Endothelial cells Not detected--
Epidermal cells -Not detectedNot detected
Extracellular matrix Not detected--
Fibrohistiocytic cells Medium--
Hair follicles Not detected--
Langerhans cells Not detected--
Lymphocytes Not detected--
Melanocytes Not detected--
Vascular mural cells Not detected--
   
   
   
   





SKIN - HPA RNA-seqi

The RNA-seq details section shows detailed information about the individual samples used for the transcript profiling and results of the RNA-seq analysis.

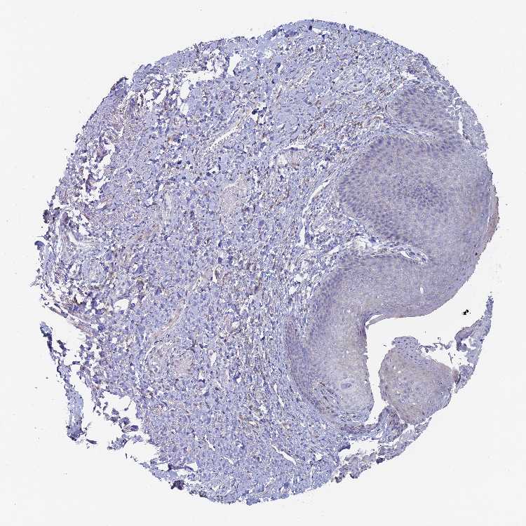
Information about each individual sample is listed below, including gender, age, a tissue section image and estimated fractions of cell types. nTPM (normalized transcripts per million) values give a quantification of the gene abundance which is comparable between different genes and samples.
Average nTPMi

Max subtype nTPM is the value for the subtype with the largest average nTPM across the subtype samples.

3.0
overview
Female, age 34
Skin sample 225
nTPM: 2.3
Cell types%
Keratinocytes:
60

Other cell types:
40

overview
Female, age 30
Skin sample 226
nTPM: 4.1
Cell types%
Keratinocytes:
55

Other cell types:
45

N/A
Male, age 57
Skin sample 227
nTPM: 2.7

SKIN - GTEx RNA-seqi

RNA-Seq data generated by the Genotype-Tissue Expression (GTEx) project from human tissues is reported as mean nTPM. More information can be found on the GTEx portal.

Distribution across the dataset is visualized with box plots, shown as median and 25th and 75th percentiles. Points are displayed as outliers if they are above or below 1.5 times the interquartile range. nTPM values of the individual samples are presented next to the box plot.
Max subtype nTPMi

Max subtype nTPM is the value for the subtype with the largest average nTPM across the subtype samples.

8.5
GTEx sample id Sample description nTPM
Skin - Not Sun Exposed (Suprapubic)
Average nTPM: 7.7
Samples: 604

Max nTPM: 139.2
Min nTPM: 0.9
Std nTPM: 7.6
Median nTPM: 6.2
GTEX-17HHE-1326-SM-7EWDZ 50-59 years, male 139.2
GTEX-1477Z-0326-SM-7IGLA 60-69 years, male 78.8
GTEX-1S82U-1026-SM-E6CJK 30-39 years, female 43.4
GTEX-Y111-0626-SM-4SOIT 50-59 years, male 28.8
GTEX-1GN73-0726-SM-7P8TJ 60-69 years, male 27.9
GTEX-Y9LG-1126-SM-4VBQ7 30-39 years, male 27.3
GTEX-13JVG-0726-SM-5KM16 60-69 years, male 24.7
GTEX-145MG-1526-SM-5Q5EM 50-59 years, male 24.7
GTEX-133LE-2326-SM-5K7W3 20-29 years, female 23.8
GTEX-ZE7O-2726-SM-51MT5 50-59 years, female 22.5
GTEX-13O3Q-0126-SM-5KM34 50-59 years, male 22.2
GTEX-1I1GT-1026-SM-ARZLV 60-69 years, female 21.6
GTEX-1AMEY-0826-SM-72D65 30-39 years, female 21.2
GTEX-XBEW-1126-SM-4QARW 40-49 years, male 20.2
GTEX-XQ8I-0926-SM-4BOOF 50-59 years, male 20.2
GTEX-13PL6-1126-SM-5L3IE 40-49 years, female 20.1
GTEX-1MCYP-0526-SM-E9U6Q 20-29 years, female 19.9
GTEX-13OVH-0526-SM-5L3E6 70-79 years, male 19.1
GTEX-14PJ6-2626-SM-6EU2T 60-69 years, female 18.7
GTEX-11P81-2226-SM-5PNYI 30-39 years, female 18.5
GTEX-11PRG-0726-SM-5EGL1 50-59 years, male 18.5
GTEX-145MH-2826-SM-5RQJF 50-59 years, male 18.5
GTEX-13SLW-0626-SM-5Q5ER 70-79 years, male 17.8
GTEX-14C39-1726-SM-5RQIL 40-49 years, male 17.8
GTEX-ZYT6-2326-SM-5GZY3 30-39 years, male 17.1
GTEX-1JJ6O-2726-SM-CNPOG 60-69 years, male 17.1
GTEX-ZLV1-1526-SM-DO91J 60-69 years, female 17.1
GTEX-12126-0826-SM-5FQTZ 20-29 years, male 16.9
GTEX-1HFI6-0126-SM-CNPPI 40-49 years, male 16.9
GTEX-14LLW-2626-SM-62LDZ 70-79 years, female 16.6
GTEX-1HSGN-0826-SM-ACKW3 40-49 years, female 16.4
GTEX-11OF3-0126-SM-5PNYF 60-69 years, male 16.2
GTEX-11ZUS-2626-SM-5FQUR 30-39 years, male 15.9
GTEX-18QFQ-1826-SM-72D52 30-39 years, male 15.7
GTEX-1F88F-0126-SM-9WYSZ 60-69 years, female 15.5
GTEX-1GF9V-0826-SM-9KNUV 60-69 years, male 15.5
GTEX-131XH-0126-SM-5LZUY 50-59 years, male 15.3
GTEX-15DYW-2726-SM-6EU2I 60-69 years, female 15.3
GTEX-1OJC3-1226-SM-DTXER 20-29 years, male 15.1
GTEX-1RMOY-1326-SM-E9TIH 50-59 years, male 15.1
GTEX-13O61-1426-SM-5KM3D 60-69 years, male 14.9
GTEX-1269C-0126-SM-5EQ5L 60-69 years, female 14.8
GTEX-1H3O1-1326-SM-9MQLD 60-69 years, male 14.7
GTEX-1HR9M-2226-SM-CNPPY 60-69 years, male 14.7
GTEX-13N1W-2426-SM-5IJD1 70-79 years, male 14.5
GTEX-14PII-0726-SM-6EU2B 60-69 years, male 14.5
GTEX-13N2G-0226-SM-5K7VF 60-69 years, male 14.3
GTEX-15CHQ-0326-SM-69LQD 60-69 years, male 14.3
GTEX-13VXU-0626-SM-5L3F9 50-59 years, male 14.2
GTEX-147F4-0726-SM-5TDDD 50-59 years, male 14.2
GTEX-1A8G7-1326-SM-73KVM 60-69 years, male 14.2
GTEX-ZU9S-1826-SM-5NQ9E 30-39 years, male 14.1
GTEX-139TS-2126-SM-5K7XC 60-69 years, male 14.0
GTEX-1HCU6-2526-SM-ADEHL 60-69 years, female 13.9
GTEX-1LVAN-0626-SM-CNPOQ 50-59 years, female 13.9
GTEX-1LBAC-0826-SM-CY8IJ 20-29 years, male 13.8
GTEX-15FZZ-0526-SM-7KUGD 30-39 years, female 13.7
GTEX-Y114-2126-SM-4TT8B 50-59 years, female 13.7
GTEX-145ME-1726-SM-5Q5EU 40-49 years, female 13.6
GTEX-1JMPY-0226-SM-CKZOK 30-39 years, male 13.5
GTEX-1K9T9-1526-SM-DIPFR 50-59 years, female 13.3
GTEX-145MI-0626-SM-5SI8S 60-69 years, female 13.1
GTEX-15SKB-2826-SM-6PAMH 60-69 years, male 13.0
GTEX-11VI4-1126-SM-5EQMD 40-49 years, female 12.8
GTEX-ZYY3-2926-SM-5GIEB 60-69 years, female 12.8
GTEX-1EN7A-2426-SM-793DB 40-49 years, male 12.7
GTEX-13VXT-1926-SM-5K7UO 20-29 years, female 12.4
GTEX-1CB4F-1026-SM-7DUH1 60-69 years, male 12.3
GTEX-1CB4I-0126-SM-7RHGG 50-59 years, male 12.3
GTEX-1PPGY-1626-SM-EVYBL 60-69 years, male 12.3
GTEX-XAJ8-1426-SM-47JYM 40-49 years, male 12.2
GTEX-12WSM-1926-SM-5BC65 60-69 years, male 12.1
GTEX-1EWIQ-0326-SM-7DHMQ 70-79 years, female 12.1
GTEX-ZTSS-1426-SM-5985P 40-49 years, male 12.1
GTEX-11GS4-0226-SM-5HL77 60-69 years, male 12.0
GTEX-YFCO-1226-SM-5LUAT 40-49 years, male 12.0
GTEX-1LG7Y-2526-SM-EWRO7 50-59 years, male 11.9
GTEX-1399R-1326-SM-5PNYS 30-39 years, male 11.8
GTEX-1NSGN-0726-SM-DTXEF 50-59 years, male 11.8
GTEX-145LS-0626-SM-7EPG7 60-69 years, female 11.7
GTEX-17EVP-2626-SM-7IGMA 40-49 years, male 11.7
GTEX-1H1DE-1326-SM-9KNUG 20-29 years, male 11.6
GTEX-1IKJJ-2226-SM-CJI4C 60-69 years, male 11.6
GTEX-1I1HK-2326-SM-CKZOH 60-69 years, male 11.5
GTEX-1N2EE-0626-SM-E76PW 60-69 years, male 11.5
GTEX-1RAZQ-1326-SM-E9TK6 30-39 years, male 11.5
GTEX-1EX96-1026-SM-7MKG2 50-59 years, male 11.4
GTEX-ZVZP-1226-SM-5GID7 50-59 years, male 11.4
GTEX-1EMGI-2326-SM-7PBYA 60-69 years, male 11.4
GTEX-15ER7-0626-SM-6PANF 20-29 years, female 11.3
GTEX-1AMFI-1326-SM-7939R 50-59 years, female 11.3
GTEX-ZF29-0926-SM-4WKFZ 60-69 years, female 11.3
GTEX-1F75A-0726-SM-7RHHD 50-59 years, male 11.3
GTEX-1ICLY-0826-SM-CMKG1 50-59 years, male 11.3
GTEX-1117F-2926-SM-5GZYI 60-69 years, female 11.2
GTEX-XBEC-0726-SM-4QARZ 50-59 years, male 11.2
GTEX-1JMQJ-0826-SM-CNPP7 50-59 years, male 11.1
GTEX-ZYFC-0426-SM-5GICQ 50-59 years, male 11.0
GTEX-12C56-1526-SM-5FQUQ 20-29 years, male 10.9
GTEX-14B4R-1326-SM-5Q5EZ 30-39 years, male 10.9
GTEX-16YQH-2226-SM-7IGM2 30-39 years, male 10.9
GTEX-15RIG-0726-SM-7KUM7 40-49 years, male 10.7
GTEX-1JJEA-1826-SM-ARU8P 60-69 years, male 10.7
GTEX-1JN6P-2926-SM-CL54D 60-69 years, male 10.7
GTEX-1OJC4-2726-SM-E76PJ 50-59 years, female 10.7
GTEX-13OVK-1426-SM-6PAN7 40-49 years, male 10.6
GTEX-14BMV-2826-SM-5TDED 50-59 years, male 10.6
GTEX-1EH9U-2826-SM-7DUGT 60-69 years, male 10.5
GTEX-1LSNM-0826-SM-DIPG8 50-59 years, male 10.5
GTEX-111FC-2526-SM-5GZXU 60-69 years, male 10.4
GTEX-12WSK-2126-SM-5CVNC 40-49 years, female 10.4
GTEX-ZXG5-2126-SM-59HKD 60-69 years, male 10.4
GTEX-13113-1626-SM-5EQ4I 60-69 years, female 10.3
GTEX-13FLV-0126-SM-5K7WT 50-59 years, male 10.3
GTEX-14A6H-2026-SM-5Q5DD 30-39 years, male 10.3
GTEX-16NPX-0726-SM-7KULC 50-59 years, male 10.3
GTEX-1QCLY-0226-SM-EWRNH 30-39 years, male 10.2
GTEX-1R7EU-1626-SM-DTXG3 60-69 years, male 10.2
GTEX-13W3W-0726-SM-5IJDQ 60-69 years, female 10.1
GTEX-14DAQ-0626-SM-793DS 60-69 years, female 10.1
GTEX-ZVT2-0126-SM-5GIDQ 50-59 years, female 10.1
GTEX-1J1R8-2026-SM-CL53Y 40-49 years, male 10.1
GTEX-1CAMR-1326-SM-7PC1F 20-29 years, male 10.0
GTEX-1HKZK-0726-SM-ACKW2 40-49 years, male 10.0
GTEX-XPVG-2126-SM-4B667 50-59 years, male 9.9
GTEX-15D1Q-2826-SM-6LLH7 40-49 years, male 9.8
GTEX-XUW1-0926-SM-4BONX 50-59 years, female 9.8
GTEX-ZVE1-0726-SM-51MRN 50-59 years, female 9.8
GTEX-1S83E-1326-SM-E6CJM 40-49 years, male 9.8
GTEX-14753-0726-SM-5QGQO 60-69 years, male 9.7
GTEX-14PKU-0126-SM-6LLHV 40-49 years, female 9.7
GTEX-W5X1-2526-SM-3GILC 40-49 years, female 9.7
GTEX-1KANB-2826-SM-CY8I6 50-59 years, male 9.7
GTEX-12KS4-2126-SM-5FQUT 30-39 years, male 9.6
GTEX-13OW6-2726-SM-5J2OE 50-59 years, male 9.6
GTEX-XOT4-0626-SM-4B66L 60-69 years, female 9.6
GTEX-1QW4Y-1126-SM-DTXE3 30-39 years, male 9.6
GTEX-13OVJ-0826-SM-5J1OK 50-59 years, female 9.5
GTEX-14BIN-1126-SM-5RQJZ 50-59 years, female 9.5
GTEX-1GF9X-1326-SM-7PC2Y 40-49 years, female 9.5
GTEX-1R46S-2426-SM-E76QA 60-69 years, female 9.5
GTEX-13OW8-1026-SM-5J1NQ 60-69 years, male 9.4
GTEX-1GTWX-2026-SM-9YFLM 60-69 years, male 9.4
GTEX-1N5O9-0926-SM-E9J3C 60-69 years, male 9.4
GTEX-1POEN-2326-SM-E9J2L 30-39 years, female 9.4
GTEX-1192X-2726-SM-5N9DN 50-59 years, male 9.3
GTEX-139UW-0326-SM-5J1ML 60-69 years, male 9.3
GTEX-147JS-0226-SM-5S2U9 60-69 years, male 9.3
GTEX-1A8G6-2726-SM-731AR 60-69 years, male 9.3
GTEX-Y5V6-2326-SM-4VDSA 60-69 years, male 9.3
GTEX-ZPU1-1126-SM-4YCF3 40-49 years, male 9.3
GTEX-ZYFG-1526-SM-5GZYM 60-69 years, female 9.3
GTEX-13X6K-0626-SM-5LU5D 60-69 years, female 9.2
GTEX-1B8SF-0126-SM-7DUG3 60-69 years, male 9.2
GTEX-WEY5-2326-SM-3GIKK 40-49 years, female 9.2
GTEX-ZVT4-2426-SM-5GIEI 50-59 years, female 9.2
GTEX-1HCUA-0826-SM-ADEHM 50-59 years, female 9.2
GTEX-1LGRB-0926-SM-COH3K 50-59 years, female 9.2
GTEX-111CU-1126-SM-5EGIM 50-59 years, male 9.1
GTEX-12WSA-0426-SM-5EQ5X 60-69 years, male 9.1
GTEX-1B8KE-1126-SM-7EPHI 50-59 years, male 9.1
GTEX-1GPI7-1826-SM-9KNU1 20-29 years, male 9.1
GTEX-1KANA-1326-SM-DIPFA 20-29 years, male 9.1
GTEX-13PVQ-0626-SM-5LU47 50-59 years, male 9.0
GTEX-16Z82-2626-SM-7KULU 60-69 years, male 9.0
GTEX-183WM-0326-SM-72D5V 70-79 years, female 8.9
GTEX-1GZ2Q-0126-SM-9WG6M 40-49 years, male 8.9
GTEX-1H3NZ-2726-SM-9WYTQ 60-69 years, male 8.9
GTEX-1HBPN-0126-SM-CGQEF 50-59 years, male 8.9
GTEX-1JMLX-0626-SM-ARL8T 50-59 years, male 8.9
GTEX-ZGAY-1826-SM-DO91Q 40-49 years, female 8.9
GTEX-18D9U-0126-SM-731BM 40-49 years, male 8.8
GTEX-ZE9C-2526-SM-5IJDR 60-69 years, male 8.8
GTEX-1GMR8-0626-SM-7RHI7 50-59 years, female 8.8
GTEX-13O3O-2326-SM-5IJD6 60-69 years, female 8.7
GTEX-13SLX-2226-SM-62LEP 50-59 years, female 8.7
GTEX-1HCU8-2526-SM-CE6RX 60-69 years, female 8.7
GTEX-1IDJV-0126-SM-COH3Y 60-69 years, male 8.7
GTEX-117YX-1926-SM-5GIEC 50-59 years, male 8.6
GTEX-1AX9I-2226-SM-73KUO 60-69 years, male 8.6
GTEX-YB5K-2026-SM-4VDT3 40-49 years, female 8.6
GTEX-1IDJU-1726-SM-CMKHU 60-69 years, female 8.6
GTEX-ZF3C-0626-SM-DO92O 50-59 years, female 8.6
GTEX-131XG-0326-SM-5L3DX 50-59 years, female 8.5
GTEX-18A67-1626-SM-7LT9T 50-59 years, male 8.5
GTEX-XQ3S-1426-SM-4BOPR 20-29 years, male 8.5
GTEX-ZVTK-0226-SM-51MRG 20-29 years, male 8.5
GTEX-1GN1V-2826-SM-9JGIA 60-69 years, male 8.5
GTEX-1GZHY-0626-SM-9KNVC 50-59 years, female 8.5
GTEX-11GSP-2326-SM-5HL63 60-69 years, female 8.4
GTEX-13OW7-0426-SM-5K7VK 50-59 years, male 8.4
GTEX-14ICL-1626-SM-5YYAO 30-39 years, male 8.4
GTEX-1H4P4-2126-SM-9WYSL 50-59 years, male 8.4
GTEX-1QP28-1126-SM-EVYC4 50-59 years, female 8.4
GTEX-14ABY-2026-SM-62LDL 50-59 years, male 8.3
GTEX-14PK6-0226-SM-62LF5 70-79 years, female 8.3
GTEX-WFG8-2126-SM-3GIKQ 20-29 years, male 8.3
GTEX-139TU-0726-SM-5L3EK 60-69 years, male 8.2
GTEX-Z93S-1626-SM-5CVMB 50-59 years, male 8.1
GTEX-11EI6-2826-SM-5H11D 60-69 years, male 8.0
GTEX-17F9E-2326-SM-79OKD 50-59 years, male 8.0
GTEX-WHWD-1826-SM-3LK6I 50-59 years, male 8.0
GTEX-ZYFD-0626-SM-5E44E 50-59 years, male 8.0
GTEX-ZZPU-0826-SM-5GZX5 50-59 years, female 8.0
GTEX-1PBJJ-1026-SM-E76OS 30-39 years, male 8.0
GTEX-11UD2-2526-SM-5CVNU 50-59 years, male 7.9
GTEX-1212Z-0126-SM-59HK4 60-69 years, male 7.9
GTEX-17MFQ-1526-SM-7KFRR 20-29 years, male 7.9
GTEX-UPK5-0426-SM-3GAEK 40-49 years, male 7.9
GTEX-ZAB4-2126-SM-5HL8U 40-49 years, male 7.9
GTEX-1HCU9-0426-SM-9WYSD 20-29 years, male 7.9
GTEX-13QJC-0126-SM-5ZZWJ 60-69 years, female 7.8
GTEX-15RJ7-2126-SM-6PAMD 40-49 years, male 7.8
GTEX-18465-2826-SM-7LT9J 50-59 years, male 7.8
GTEX-WYVS-1626-SM-3NM9R 40-49 years, female 7.8
GTEX-1F6I4-2326-SM-7RHGL 60-69 years, male 7.8
GTEX-1S82P-2126-SM-E6CI5 60-69 years, female 7.7
GTEX-1ICG6-1226-SM-A9SLN 70-79 years, female 7.6
GTEX-1N2DV-1526-SM-DTXEP 40-49 years, male 7.6
GTEX-13U4I-2226-SM-5LU5H 40-49 years, female 7.5
GTEX-145MF-0926-SM-5Q5EA 50-59 years, male 7.5
GTEX-1EKGG-0626-SM-7DUGJ 60-69 years, male 7.5
GTEX-X4EP-0626-SM-3P621 60-69 years, female 7.5
GTEX-Y3I4-1726-SM-4TT89 50-59 years, male 7.5
GTEX-Y5V5-0126-SM-5S2NW 60-69 years, female 7.5
GTEX-1QP2A-1726-SM-E76QC 50-59 years, male 7.5
GTEX-1RAZS-2526-SM-E6CHT 50-59 years, male 7.5
GTEX-1B996-0426-SM-7EWF8 60-69 years, male 7.4
GTEX-WHSE-0126-SM-3NMBT 20-29 years, male 7.4
GTEX-X8HC-0626-SM-4E3HQ 50-59 years, female 7.4
GTEX-11NUK-2726-SM-5A5MC 50-59 years, male 7.3
GTEX-11ZTT-2126-SM-5CVLO 60-69 years, female 7.3
GTEX-12WSC-2826-SM-5BC5Y 50-59 years, male 7.3
GTEX-X3Y1-2026-SM-3P5YM 40-49 years, male 7.3
GTEX-14JFF-0626-SM-5ZZVT 60-69 years, male 7.3
GTEX-1J8Q3-0526-SM-ARL8U 60-69 years, male 7.3
GTEX-1LVAM-0726-SM-E6CIL 50-59 years, female 7.3
GTEX-1QCLZ-2426-SM-EVYBW 60-69 years, female 7.3
GTEX-1313W-0626-SM-5EQ4H 50-59 years, female 7.2
GTEX-14AS3-1526-SM-5Q5ED 40-49 years, female 7.2
GTEX-ZT9X-1526-SM-5DUXD 40-49 years, male 7.2
GTEX-1J8EW-2726-SM-CY8HR 60-69 years, female 7.2
GTEX-11DXX-2126-SM-5PNYR 60-69 years, female 7.1
GTEX-12ZZX-2426-SM-5GCOE 40-49 years, female 7.1
GTEX-1HT8W-0626-SM-A9G2H 30-39 years, male 7.1
GTEX-1QEPI-2626-SM-DTXF4 60-69 years, female 7.1
GTEX-14E6C-2426-SM-5S2NF 40-49 years, male 7.0
GTEX-ZYW4-0626-SM-59HJR 60-69 years, male 7.0
GTEX-1J8QM-2426-SM-A9SLS 60-69 years, female 7.0
GTEX-ZDTS-0826-SM-4WKHL 60-69 years, male 6.9
GTEX-1122O-1026-SM-9WYSF 60-69 years, female 6.9
GTEX-1C6VR-0126-SM-7RHGB 60-69 years, male 6.9
GTEX-1K2DU-1226-SM-CYPT4 20-29 years, male 6.9
GTEX-1KWVE-1026-SM-D3L9O 30-39 years, male 6.9
GTEX-1QP9N-1226-SM-E76QN 30-39 years, male 6.9
GTEX-V1D1-2026-SM-3GAF4 50-59 years, male 6.8
GTEX-1IDJH-0126-SM-D3L92 70-79 years, male 6.8
GTEX-1MCC2-1826-SM-DIPEX 30-39 years, female 6.8
GTEX-111YS-1526-SM-5GZYW 60-69 years, male 6.7
GTEX-14PHY-1226-SM-5ZZWK 60-69 years, female 6.7
GTEX-17HII-1426-SM-7EPGG 50-59 years, male 6.7
GTEX-WXYG-2026-SM-4E3IY 50-59 years, female 6.7
GTEX-ZDXO-3126-SM-5IJDF 60-69 years, male 6.7
GTEX-11TUW-0626-SM-5LU9M 60-69 years, male 6.6
GTEX-13FH7-1126-SM-5K7UG 50-59 years, female 6.6
GTEX-1C6WA-2626-SM-7MKGM 60-69 years, male 6.6
GTEX-WK11-2726-SM-3NMAQ 50-59 years, male 6.6
GTEX-1GZ4I-2626-SM-9KNU3 50-59 years, male 6.6
GTEX-1H1DG-2426-SM-9QEHJ 70-79 years, male 6.6
GTEX-1H1ZS-2726-SM-9WG75 70-79 years, male 6.6
GTEX-1I4MK-0126-SM-CY8G6 50-59 years, female 6.6
GTEX-1IDJD-2326-SM-ACKWX 30-39 years, male 6.6
GTEX-11DXW-0826-SM-5H118 40-49 years, male 6.5
GTEX-11EM3-1226-SM-5N9DD 20-29 years, female 6.5
GTEX-11O72-0626-SM-5PNYE 40-49 years, male 6.5
GTEX-12WSH-1526-SM-5BC5W 50-59 years, male 6.5
GTEX-131YS-2826-SM-5EQ47 60-69 years, female 6.5
GTEX-13NYS-0626-SM-5L3F1 60-69 years, male 6.5
GTEX-147GR-2426-SM-5ZZWQ 60-69 years, male 6.5
GTEX-18A7B-2726-SM-7LG56 70-79 years, male 6.5
GTEX-XBED-1926-SM-47JYP 60-69 years, male 6.5
GTEX-ZDYS-2426-SM-4WKGI 50-59 years, male 6.5
GTEX-1GN1W-2426-SM-9KNUU 50-59 years, female 6.5
GTEX-1HB9E-0126-SM-CM2S5 50-59 years, male 6.5
GTEX-1IOXB-2726-SM-CM2RI 50-59 years, male 6.5
GTEX-1LSVX-2526-SM-DIPEU 60-69 years, male 6.5
GTEX-13FHO-0426-SM-5L3F5 60-69 years, male 6.4
GTEX-15CHR-1126-SM-7EWF4 50-59 years, male 6.4
GTEX-18A66-0626-SM-7LT8Z 60-69 years, male 6.4
GTEX-1B97I-0626-SM-73KUZ 40-49 years, male 6.4
GTEX-1CAV2-0126-SM-7IGN7 40-49 years, female 6.4
GTEX-WYJK-0526-SM-3NM8Z 50-59 years, male 6.4
GTEX-ZC5H-1526-SM-5HL9Y 40-49 years, female 6.4
GTEX-1H1CY-0126-SM-9YFLY 60-69 years, female 6.4
GTEX-1IKOE-1426-SM-CE6T7 30-39 years, female 6.4
GTEX-1JN76-0626-SM-CKZOQ 20-29 years, female 6.4
GTEX-1QPFJ-1926-SM-EVYBD 30-39 years, female 6.4
GTEX-13NYC-0126-SM-5L3F4 60-69 years, male 6.3
GTEX-1HGF4-0126-SM-CNPPX 60-69 years, male 6.3
GTEX-1KANC-1226-SM-CYPT7 50-59 years, female 6.3
GTEX-1LVA9-2626-SM-EVYD4 50-59 years, male 6.3
GTEX-13N11-2326-SM-5IJBF 50-59 years, female 6.2
GTEX-13NYB-0126-SM-5J1MD 40-49 years, male 6.2
GTEX-18A7A-0126-SM-731AH 50-59 years, female 6.2
GTEX-ZTX8-1326-SM-4YCEL 20-29 years, male 6.2
GTEX-1H23P-0626-SM-9WG6T 60-69 years, male 6.2
GTEX-1JN1M-2726-SM-CY8I4 60-69 years, female 6.2
GTEX-13X6I-1826-SM-5SIAO 60-69 years, male 6.1
GTEX-17JCI-2926-SM-7DUFF 60-69 years, female 6.1
GTEX-ZT9W-1126-SM-57WDR 50-59 years, male 6.1
GTEX-1GPI6-1926-SM-9KNV7 60-69 years, male 6.1
GTEX-1JMQL-2226-SM-CNPP4 50-59 years, female 6.1
GTEX-111VG-1626-SM-5EGIO 60-69 years, male 6.0
GTEX-11DXZ-2026-SM-5987S 50-59 years, male 6.0
GTEX-12WSF-1626-SM-7KUG5 70-79 years, male 6.0
GTEX-139TT-2126-SM-5LZWC 60-69 years, male 6.0
GTEX-14JG1-1526-SM-5YY9X 40-49 years, male 6.0
GTEX-1A32A-0626-SM-731AQ 50-59 years, female 6.0
GTEX-1MJK3-0726-SM-E6CJC 20-29 years, male 6.0
GTEX-1NV5F-0626-SM-DTXEG 60-69 years, female 6.0
GTEX-131XF-2626-SM-5EQ6K 60-69 years, male 5.9
GTEX-13OVL-0126-SM-5L3GJ 50-59 years, male 5.9
GTEX-144GM-0526-SM-79OJO 20-29 years, male 5.9
GTEX-1A3MX-2626-SM-7PC24 60-69 years, male 5.9
GTEX-1F75B-0726-SM-7PC3R 50-59 years, male 5.9
GTEX-12ZZY-0726-SM-5EQ66 60-69 years, male 5.8
GTEX-131XW-0626-SM-5PNVD 50-59 years, female 5.8
GTEX-14E6E-0526-SM-793DN 30-39 years, male 5.8
GTEX-14LZ3-0126-SM-69LPM 60-69 years, female 5.8
GTEX-15EU6-2226-SM-6EU2L 50-59 years, male 5.8
GTEX-17HGU-2326-SM-7DUFE 50-59 years, male 5.8
GTEX-UPJH-0226-SM-3GADV 50-59 years, male 5.8
GTEX-WRHU-2826-SM-3MJG8 50-59 years, female 5.8
GTEX-13112-0126-SM-5P9IU 50-59 years, male 5.7
GTEX-148VJ-0626-SM-5LUAW 70-79 years, male 5.7
GTEX-14C5O-0326-SM-5ZZUX 60-69 years, male 5.7
GTEX-14PJO-2526-SM-6AJBQ 60-69 years, male 5.7
GTEX-WHPG-2626-SM-3NMBR 50-59 years, male 5.7
GTEX-X4EO-2926-SM-4E3JH 60-69 years, female 5.7
GTEX-ZAJG-1526-SM-5CVML 50-59 years, female 5.7
GTEX-ZLWG-0826-SM-59888 50-59 years, female 5.7
GTEX-1PDJ9-1226-SM-EXUSX 20-29 years, male 5.7
GTEX-1RAZR-2126-SM-E9U6T 40-49 years, male 5.7
GTEX-12WSL-2026-SM-5GCML 50-59 years, male 5.6
GTEX-132AR-0326-SM-5KM2C 50-59 years, female 5.6
GTEX-13FTW-0326-SM-5K7UW 40-49 years, male 5.6
GTEX-14E1K-2026-SM-7DUEI 50-59 years, male 5.6
GTEX-17HHY-0426-SM-7DHLC 50-59 years, male 5.6
GTEX-VJYA-1526-SM-3GIJV 60-69 years, male 5.6
GTEX-ZDTT-0426-SM-4WKFL 60-69 years, male 5.6
GTEX-ZZ64-1026-SM-5GZXG 20-29 years, male 5.6
GTEX-1HSKV-1226-SM-ADEI4 60-69 years, male 5.6
GTEX-1IL2V-1926-SM-B2LW8 70-79 years, male 5.6
GTEX-U8XE-0226-SM-4E3J3 30-39 years, male 5.5
GTEX-WHSB-1326-SM-3LK6W 50-59 years, male 5.5
GTEX-ZUA1-2626-SM-5NQ92 40-49 years, male 5.5
GTEX-1LGOU-1326-SM-D3L8M 20-29 years, female 5.5
GTEX-11P7K-1126-SM-5HL4L 30-39 years, male 5.4
GTEX-12696-0126-SM-5EQ4L 60-69 years, male 5.4
GTEX-1399U-1126-SM-5L3DB 50-59 years, female 5.4
GTEX-16MT9-0126-SM-7EPI8 60-69 years, female 5.4
GTEX-17F96-0126-SM-7EWDU 70-79 years, male 5.4
GTEX-1AX8Z-0726-SM-73KTS 60-69 years, male 5.4
GTEX-1CB4H-1126-SM-7MKGL 60-69 years, female 5.4
GTEX-1LB8K-0726-SM-D5OV2 50-59 years, male 5.4
GTEX-1LSNL-2726-SM-E9TKJ 50-59 years, male 5.4
GTEX-ZPIC-0526-SM-DO91W 40-49 years, female 5.4
GTEX-11WQC-1826-SM-5GU59 60-69 years, male 5.3
GTEX-13YAN-0226-SM-5TDC6 60-69 years, male 5.3
GTEX-14BMU-1226-SM-5S2OR 20-29 years, female 5.3
GTEX-14PHX-2226-SM-6EU2P 50-59 years, male 5.3
GTEX-1B933-2426-SM-7DHMD 50-59 years, female 5.3
GTEX-VUSG-2326-SM-4KL1U 50-59 years, male 5.3
GTEX-WH7G-2026-SM-3NMBL 40-49 years, male 5.3
GTEX-1CAMS-2226-SM-7PBXQ 40-49 years, female 5.3
GTEX-1E2YA-2126-SM-7MXUO 50-59 years, male 5.3
GTEX-1HFI7-2326-SM-CGQFS 50-59 years, female 5.3
GTEX-11DYG-1526-SM-5A5JS 60-69 years, male 5.2
GTEX-12ZZZ-0726-SM-5GCNZ 60-69 years, male 5.2
GTEX-13FTY-2126-SM-5IFFB 40-49 years, female 5.2
GTEX-13IVO-0726-SM-5LZYV 70-79 years, male 5.2
GTEX-145LU-1926-SM-79OJN 50-59 years, male 5.2
GTEX-15RIE-1926-SM-7KUKJ 60-69 years, male 5.2
GTEX-16BQI-1326-SM-6M486 30-39 years, female 5.2
GTEX-16NGA-0726-SM-731AO 40-49 years, female 5.2
GTEX-1CB4E-0926-SM-7EPHT 60-69 years, male 5.2
GTEX-XYKS-1426-SM-4BRUO 60-69 years, female 5.2
GTEX-Y8E4-2026-SM-5IFJB 40-49 years, male 5.2
GTEX-ZVP2-0326-SM-57WBP 50-59 years, male 5.2
GTEX-1HSMQ-2626-SM-A9SML 50-59 years, male 5.2
GTEX-YEC3-1326-SM-DO92X 50-59 years, male 5.2
GTEX-13X6H-0926-SM-5SIB2 50-59 years, female 5.1
GTEX-1A8FM-0626-SM-7PC25 50-59 years, female 5.1
GTEX-1CAMQ-1326-SM-7P8RV 40-49 years, male 5.1
GTEX-1H1E6-0426-SM-9WYUS 30-39 years, male 5.1
GTEX-1IY9M-2826-SM-ARU8H 60-69 years, male 5.1
GTEX-1KAFJ-0126-SM-DIPEK 50-59 years, male 5.1
GTEX-139YR-1026-SM-5LZYN 50-59 years, male 5.0
GTEX-145MN-1526-SM-5SI9T 30-39 years, male 5.0
GTEX-1BAJH-2426-SM-7IGP8 70-79 years, male 5.0
GTEX-1C2JI-1026-SM-73KY1 50-59 years, male 5.0
GTEX-1F5PK-2226-SM-7SB6N 50-59 years, male 5.0
GTEX-1GN1U-0626-SM-9MQL9 50-59 years, female 5.0
GTEX-1H3VE-0726-SM-9YFL5 40-49 years, male 5.0
GTEX-1PPH7-1126-SM-DTX9A 40-49 years, male 5.0
GTEX-11NSD-0626-SM-5A5LU 20-29 years, male 4.9
GTEX-12BJ1-0926-SM-5EQ62 60-69 years, male 4.9
GTEX-ZP4G-1426-SM-4WWCL 20-29 years, female 4.9
GTEX-1HCU7-0726-SM-A9SL1 50-59 years, male 4.9
GTEX-1KD5A-0126-SM-E9U54 50-59 years, male 4.9
GTEX-11DXY-0126-SM-5H11Q 60-69 years, male 4.8
GTEX-11ZU8-0126-SM-5EQ58 60-69 years, male 4.8
GTEX-WI4N-2726-SM-3LK7Y 40-49 years, female 4.8
GTEX-1HBPI-2126-SM-ARL9K 50-59 years, male 4.8
GTEX-12WSD-0626-SM-5GCMW 60-69 years, female 4.7
GTEX-12WSJ-1126-SM-5LZVJ 40-49 years, female 4.7
GTEX-13QBU-1226-SM-5LU4G 40-49 years, female 4.7
GTEX-145MO-2826-SM-5LU96 60-69 years, male 4.7
GTEX-15CHC-1126-SM-6LLHQ 60-69 years, female 4.7
GTEX-1C6VQ-1226-SM-73KYD 50-59 years, male 4.7
GTEX-XXEK-1626-SM-4BRUZ 50-59 years, male 4.7
GTEX-Y3IK-1626-SM-4YCF5 50-59 years, female 4.7
GTEX-1GMR2-0826-SM-7PC3V 50-59 years, male 4.7
GTEX-1IDJI-0126-SM-CMKHS 50-59 years, female 4.7
GTEX-1KXAM-1626-SM-D3LAD 60-69 years, male 4.7
GTEX-11WQK-1026-SM-5EQLX 50-59 years, male 4.6
GTEX-12584-0726-SM-5FQTK 40-49 years, male 4.6
GTEX-14PJ3-1126-SM-5ZZVX 50-59 years, male 4.6
GTEX-1CB4J-1326-SM-7P8RX 60-69 years, male 4.6
GTEX-1HUB1-1426-SM-CGQF5 60-69 years, male 4.6
GTEX-1I1GP-1326-SM-A9G28 50-59 years, male 4.6
GTEX-1IE54-1126-SM-A9G2Z 40-49 years, female 4.6
GTEX-1J8JJ-0626-SM-ARZMQ 60-69 years, female 4.6
GTEX-1JK1U-0226-SM-ARZMX 60-69 years, male 4.6
GTEX-1399S-0126-SM-5IJCF 30-39 years, female 4.5
GTEX-13D11-0926-SM-5J2NC 50-59 years, female 4.5
GTEX-13NZ9-2626-SM-5L3FK 50-59 years, male 4.5
GTEX-146FQ-2126-SM-5RQHU 30-39 years, male 4.5
GTEX-18A6Q-0626-SM-7KFRP 60-69 years, male 4.5
GTEX-1EU9M-1426-SM-793AI 60-69 years, male 4.5
GTEX-ZA64-1026-SM-5HL8R 20-29 years, male 4.5
GTEX-1J8Q2-2626-SM-ACKWQ 60-69 years, male 4.5
GTEX-1PIIG-2326-SM-DTXFR 30-39 years, male 4.5
GTEX-14A5H-0826-SM-5QGPJ 60-69 years, male 4.4
GTEX-X5EB-1926-SM-4E3IW 40-49 years, male 4.4
GTEX-YECK-0326-SM-4W1YS 60-69 years, male 4.4
GTEX-13X6J-0626-SM-5LU5F 50-59 years, male 4.3
GTEX-15DDE-2926-SM-6LLJ3 50-59 years, female 4.3
GTEX-17F98-1326-SM-7DUEP 40-49 years, female 4.3
GTEX-WYBS-0626-SM-3NMAS 60-69 years, female 4.3
GTEX-1GL5R-1326-SM-7RHHF 50-59 years, male 4.3
GTEX-1HCVE-2726-SM-CL54F 50-59 years, male 4.3
GTEX-1HSMO-0626-SM-ACKXC 60-69 years, male 4.3
GTEX-1PPH8-0126-SM-EWRN8 20-29 years, male 4.3
GTEX-14PJ5-1526-SM-6LLIL 60-69 years, female 4.2
GTEX-183FY-1026-SM-7939A 20-29 years, male 4.2
GTEX-XMD2-2126-SM-4YCF8 60-69 years, female 4.2
GTEX-ZVE2-2826-SM-5GU51 50-59 years, male 4.2
GTEX-1C64O-1326-SM-7MGWR 60-69 years, male 4.2
GTEX-1GZ4H-0526-SM-9KNU9 50-59 years, female 4.2
GTEX-1HR98-2226-SM-ADEI2 60-69 years, male 4.2
GTEX-1RB15-1326-SM-E76Q9 60-69 years, male 4.2
GTEX-147F3-1726-SM-5SIAW 50-59 years, female 4.1
GTEX-1497J-0226-SM-5QGPU 60-69 years, male 4.1
GTEX-14C38-0726-SM-5SI6M 50-59 years, male 4.1
GTEX-15RJE-2826-SM-7KUM9 40-49 years, male 4.1
GTEX-16AAH-0626-SM-793C9 50-59 years, male 4.1
GTEX-1AX9J-1326-SM-731BJ 60-69 years, male 4.1
GTEX-X585-2426-SM-46MW2 50-59 years, male 4.1
GTEX-ZPCL-1126-SM-4WWFE 60-69 years, female 4.1
GTEX-1F75W-2726-SM-7SB8H 60-69 years, male 4.1
GTEX-13JUV-2026-SM-5K7UA 40-49 years, female 4.0
GTEX-14DAR-1226-SM-73KYV 50-59 years, male 4.0
GTEX-1F48J-0726-SM-7RHGS 50-59 years, female 4.0
GTEX-1JMQI-1726-SM-ARL93 50-59 years, male 4.0
GTEX-1QMI2-2526-SM-E8VNZ 60-69 years, male 4.0
GTEX-1R9PN-0426-SM-DTXDT 40-49 years, female 4.0
GTEX-11EQ9-1626-SM-5PNY8 30-39 years, male 3.9
GTEX-WFG7-2026-SM-5SI7P 20-29 years, male 3.9
GTEX-YJ8O-2526-SM-5HL85 40-49 years, female 3.9
GTEX-1HC8U-1326-SM-9YFMJ 40-49 years, female 3.9
GTEX-13RTJ-0126-SM-5S2NN 60-69 years, male 3.8
GTEX-16XZZ-0726-SM-7KUF2 60-69 years, male 3.8
GTEX-17F9Y-0126-SM-79OKX 70-79 years, female 3.8
GTEX-1C64N-2626-SM-7PC2N 50-59 years, male 3.8
GTEX-1I1GV-0626-SM-ARL7M 60-69 years, male 3.8
GTEX-1QP66-1226-SM-DTX7U 50-59 years, male 3.8
GTEX-1211K-1526-SM-5FQU4 60-69 years, female 3.7
GTEX-15UF6-1926-SM-7KUDV 70-79 years, female 3.7
GTEX-178AV-1726-SM-7KUL8 40-49 years, male 3.7
GTEX-1B8L1-2226-SM-7P8PT 60-69 years, male 3.7
GTEX-1K2DA-1026-SM-CGQGF 50-59 years, male 3.7
GTEX-1M4P7-0726-SM-E6CJ3 60-69 years, male 3.7
GTEX-1R9K4-2826-SM-DTX8F 60-69 years, male 3.7
GTEX-1S5ZU-2526-SM-E6CIF 20-29 years, female 3.7
GTEX-XV7Q-1826-SM-4BRUV 40-49 years, female 3.6
GTEX-1GN2E-0226-SM-9WG6K 60-69 years, male 3.6
GTEX-1I1CD-0626-SM-CE6SW 60-69 years, female 3.6
GTEX-1IDFM-0326-SM-ARL7V 60-69 years, male 3.6
GTEX-1S831-1826-SM-EWROF 20-29 years, male 3.6
GTEX-14PKV-1126-SM-6LLJ1 20-29 years, female 3.5
GTEX-15G19-2426-SM-7KUMR 60-69 years, male 3.5
GTEX-WFON-1926-SM-3LK7L 40-49 years, male 3.5
GTEX-YF7O-1526-SM-5IFI6 50-59 years, male 3.5
GTEX-ZY6K-1426-SM-5GZX2 50-59 years, male 3.5
GTEX-1GF9W-1426-SM-7PBYM 60-69 years, male 3.5
GTEX-1LG7Z-1626-SM-CXKYR 30-39 years, male 3.5
GTEX-1R9PM-1926-SM-EVR3O 20-29 years, male 3.5
GTEX-13OVG-1626-SM-5J1NF 60-69 years, male 3.4
GTEX-1B932-2326-SM-79OL5 40-49 years, female 3.4
GTEX-11P82-1426-SM-DTXFY 20-29 years, male 3.4
GTEX-1AYD5-2626-SM-7PBXY 50-59 years, male 3.4
GTEX-1F6IF-0926-SM-7SB7M 60-69 years, male 3.4
GTEX-1I6K7-1926-SM-B2LXR 40-49 years, male 3.4
GTEX-17MF6-2626-SM-79OKQ 40-49 years, male 3.3
GTEX-1A3MV-1826-SM-731CD 30-39 years, male 3.3
GTEX-1JJE9-2626-SM-ARZMT 70-79 years, male 3.3
GTEX-11TT1-1826-SM-5EQLV 20-29 years, male 3.2
GTEX-144FL-0626-SM-5LU43 50-59 years, male 3.2
GTEX-144GL-0626-SM-5LU4D 50-59 years, male 3.2
GTEX-15EO6-2426-SM-6PALZ 50-59 years, male 3.2
GTEX-17F97-2626-SM-7IGM5 50-59 years, male 3.2
GTEX-18D9B-0926-SM-7LG4U 60-69 years, male 3.2
GTEX-ZLFU-1826-SM-4WWBV 40-49 years, male 3.2
GTEX-11LCK-2226-SM-5HL4Q 30-39 years, male 3.1
GTEX-15G1A-1626-SM-7KUKN 30-39 years, male 3.1
GTEX-WY7C-2126-SM-3NB2R 50-59 years, male 3.1
GTEX-14JG6-1426-SM-9WG7C 30-39 years, female 3.1
GTEX-1I19N-0126-SM-CYPSF 70-79 years, male 3.1
GTEX-1I6K6-1726-SM-CGQFD 30-39 years, male 3.1
GTEX-1QP29-1826-SM-DTX9S 50-59 years, male 3.1
GTEX-11EQ8-0926-SM-5H12V 60-69 years, male 3.0
GTEX-13PDP-0726-SM-5L3HP 60-69 years, male 3.0
GTEX-14PJ4-0226-SM-5YY92 60-69 years, male 3.0
GTEX-17EVQ-0126-SM-7IGLR 70-79 years, male 3.0
GTEX-1IDJF-2026-SM-CL53V 20-29 years, male 3.0
GTEX-15SHW-0226-SM-7LTAT 60-69 years, male 2.9
GTEX-16GPK-0626-SM-7KFSF 60-69 years, male 2.9
GTEX-17KNJ-2126-SM-718AM 50-59 years, male 2.9
GTEX-YEC4-1826-SM-4W1YP 40-49 years, male 2.9
GTEX-ZF2S-1626-SM-57WES 50-59 years, female 2.9
GTEX-1H11D-1826-SM-9QEHM 40-49 years, male 2.9
GTEX-1IDJC-1526-SM-B2LW4 50-59 years, male 2.9
GTEX-1JMPZ-0726-SM-CY8HZ 30-39 years, male 2.9
GTEX-1O9I2-0226-SM-EYYXD 50-59 years, male 2.9
GTEX-13G51-1826-SM-5KLZH 60-69 years, male 2.8
GTEX-1ICLZ-0326-SM-ARL82 60-69 years, male 2.8
GTEX-1JMQK-1226-SM-D4P2S 60-69 years, male 2.8
GTEX-13OW5-2326-SM-5L3HO 60-69 years, male 2.7
GTEX-145LT-0526-SM-5LUB2 40-49 years, male 2.7
GTEX-14PJ2-0626-SM-6LLII 50-59 years, male 2.7
GTEX-17HG3-2626-SM-7DUF2 30-39 years, female 2.7
GTEX-XK95-0226-SM-4AT58 40-49 years, male 2.7
GTEX-ZAK1-0626-SM-5HL8E 50-59 years, female 2.7
GTEX-1I1GS-2626-SM-B2LY3 60-69 years, male 2.7
GTEX-1QAET-0326-SM-EVR3U 50-59 years, male 2.7
GTEX-1399Q-2326-SM-5KM2X 40-49 years, male 2.6
GTEX-13FTX-1526-SM-5K7VJ 20-29 years, female 2.6
GTEX-16MT8-2926-SM-7DUFO 60-69 years, female 2.6
GTEX-16MTA-0926-SM-6M47Z 50-59 years, male 2.6
GTEX-Y5LM-0926-SM-6LLJG 40-49 years, female 2.6
GTEX-ZWKS-0626-SM-5GIDV 30-39 years, male 2.6
GTEX-18D9A-1426-SM-7LT8M 30-39 years, female 2.6
GTEX-1GMRU-2126-SM-7P8RA 50-59 years, male 2.6
GTEX-1H1DF-1126-SM-9WG7G 40-49 years, female 2.6
GTEX-Y8LW-1526-SM-5IFHL 50-59 years, female 2.5
GTEX-1GMR3-0126-SM-A9SLW 40-49 years, male 2.5
GTEX-1HSMP-0926-SM-A9SKX 70-79 years, male 2.5
GTEX-1I1GU-0926-SM-ACKVS 40-49 years, male 2.4
GTEX-1J1OQ-0126-SM-D4P2N 40-49 years, female 2.4
GTEX-1PIGE-1826-SM-E8VOU 20-29 years, male 2.4
GTEX-1S3DN-2126-SM-E9TIN 50-59 years, male 2.4
GTEX-139T8-0626-SM-5KLZX 60-69 years, male 2.3
GTEX-13PVR-0426-SM-5RQK2 60-69 years, female 2.3
GTEX-1HBPM-0726-SM-9YFL7 60-69 years, female 2.3
GTEX-1JMOU-1026-SM-CYPSS 60-69 years, female 2.3
GTEX-1L5NE-1126-SM-D3L9P 50-59 years, male 2.3
GTEX-139D8-1126-SM-5LU8W 30-39 years, female 2.2
GTEX-144GO-2026-SM-5O99P 60-69 years, male 2.2
GTEX-ZYVF-0926-SM-5E44J 50-59 years, female 2.2
GTEX-1JKYN-0826-SM-ARU8S 30-39 years, male 2.2
GTEX-1E1VI-0326-SM-793D1 50-59 years, male 2.1
GTEX-1F52S-2926-SM-7MKGA 60-69 years, female 2.1
GTEX-1C475-1326-SM-7SB73 40-49 years, female 2.1
GTEX-1GF9U-2026-SM-7SB92 40-49 years, female 2.1
GTEX-14XAO-1226-SM-6EU1C 60-69 years, female 2.0
GTEX-1H2FU-0926-SM-9WPPT 60-69 years, female 2.0
GTEX-1IDJE-1426-SM-ADEIW 50-59 years, female 2.0
GTEX-11DZ1-2426-SM-5GZZX 50-59 years, male 1.9
GTEX-1314G-1326-SM-5BC6E 30-39 years, male 1.9
GTEX-1LVAO-2726-SM-E9TJ8 60-69 years, male 1.9
GTEX-1LKK1-2626-SM-DKPQE 50-59 years, female 1.8
GTEX-13NZ8-1226-SM-5KM4A 60-69 years, female 1.7
GTEX-1F75I-2226-SM-7SB8U 40-49 years, male 1.7
GTEX-1B8KZ-0326-SM-73KY4 50-59 years, male 1.6
GTEX-ZTTD-2826-SM-4YCFA 50-59 years, male 1.6
GTEX-1JKYR-0626-SM-ARL8R 20-29 years, male 1.6
GTEX-1RAZA-2226-SM-E9U4X 20-29 years, male 1.6
GTEX-1A3MW-0626-SM-731CB 60-69 years, female 1.4
GTEX-14PJN-1826-SM-6AJ98 30-39 years, male 1.3
GTEX-1F5PL-0926-SM-7PC2W 40-49 years, female 1.3
GTEX-1F6RS-2026-SM-7RHHC 60-69 years, female 1.3
GTEX-1F88E-1626-SM-7SB8Z 60-69 years, female 1.2
GTEX-1RLM8-2926-SM-E8VON 50-59 years, male 0.9
Show allShow less
Skin - Sun Exposed (Lower leg)
Average nTPM: 8.5
Samples: 701

Max nTPM: 1359.3
Min nTPM: 0.8
Std nTPM: 52.0
Median nTPM: 5.2
GTEX-SE5C-1626-SM-2XCE3 40-49 years, female 1359.3
GTEX-13NYB-2526-SM-5K7Z6 40-49 years, male 231.5
GTEX-1AYCT-2426-SM-7IGQ3 50-59 years, male 83.2
GTEX-11EQ9-2426-SM-5HL5T 30-39 years, male 46.0
GTEX-13OVH-0126-SM-5MR4B 70-79 years, male 28.1
GTEX-1R7EV-2426-SM-EVYBG 40-49 years, male 28.1
GTEX-15D1Q-0126-SM-7KUG6 40-49 years, male 28.0
GTEX-113IC-0126-SM-5HL6T 60-69 years, male 26.9
GTEX-132NY-0326-SM-5IJBL 60-69 years, male 25.7
GTEX-1PBJI-0526-SM-E8VNK 20-29 years, female 23.5
GTEX-Y8DK-0126-SM-4TT3L 60-69 years, male 22.8
GTEX-1RLM8-2326-SM-EWRN4 50-59 years, male 22.2
GTEX-1HCU9-1526-SM-A9SL7 20-29 years, male 18.6
GTEX-1399R-2726-SM-5IJBA 30-39 years, male 17.8
GTEX-13NZA-0226-SM-5K7Z7 60-69 years, male 17.7
GTEX-13O1R-0126-SM-5L3EH 60-69 years, male 17.7
GTEX-1RDX4-0126-SM-E9J4P 50-59 years, female 17.5
GTEX-ZYFG-2326-SM-5E44B 60-69 years, female 17.3
GTEX-TSE9-0126-SM-3DB83 60-69 years, female 17.2
GTEX-1GN1V-0126-SM-9WPOS 60-69 years, male 16.1
GTEX-QESD-1426-SM-2S1R9 20-29 years, male 16.0
GTEX-Q2AI-1326-SM-2S1PL 40-49 years, male 15.4
GTEX-1C6VQ-0126-SM-7P8RI 50-59 years, male 15.4
GTEX-14PK6-1926-SM-6ETZU 70-79 years, female 14.9
GTEX-16YQH-0126-SM-7DUFJ 30-39 years, male 14.5
GTEX-U412-0426-SM-3DB9O 60-69 years, male 14.3
GTEX-U8XE-0326-SM-3DB8P 30-39 years, male 14.1
GTEX-1NHNU-1026-SM-E9J2A 50-59 years, male 14.0
GTEX-1IDJH-0326-SM-A9SLQ 70-79 years, male 13.8
GTEX-TML8-1926-SM-32QOS 40-49 years, female 13.5
GTEX-1399T-2826-SM-5KLYZ 60-69 years, male 13.3
GTEX-1CB4I-0226-SM-79OLH 50-59 years, male 13.3
GTEX-1F7RK-0126-SM-7PC2S 20-29 years, female 13.2
GTEX-15ER7-0326-SM-7KUEV 20-29 years, female 13.1
GTEX-16GPK-0126-SM-7DHLE 60-69 years, male 12.9
GTEX-1JN1M-0326-SM-CYPT3 60-69 years, female 12.9
GTEX-SN8G-0126-SM-32PLI 50-59 years, female 12.8
GTEX-12126-0326-SM-5PNW3 20-29 years, male 12.7
GTEX-QV44-1926-SM-2S1RF 50-59 years, male 12.6
GTEX-1OJC3-0126-SM-E76QX 20-29 years, male 12.6
GTEX-15F5U-1526-SM-6PANO 40-49 years, male 12.5
GTEX-1IKK5-0626-SM-ARL8A 60-69 years, male 12.4
GTEX-ZYW4-0126-SM-5E44A 60-69 years, male 12.3
GTEX-147F4-0226-SM-5QGPW 50-59 years, male 12.2
GTEX-ZE7O-0126-SM-57WC1 50-59 years, female 12.2
GTEX-1C6WA-0126-SM-7PC2B 60-69 years, male 12.2
GTEX-1HUB1-0426-SM-E9U4U 60-69 years, male 12.1
GTEX-1EKGG-0226-SM-9WYTH 60-69 years, male 12.0
GTEX-12C56-1726-SM-5EQ61 20-29 years, male 11.9
GTEX-14E6C-0126-SM-5RQIP 40-49 years, male 11.8
GTEX-ZXG5-0126-SM-5GIEU 60-69 years, male 11.7
GTEX-133LE-1826-SM-5J1MV 20-29 years, female 11.5
GTEX-PLZ5-2026-SM-2S1O4 50-59 years, male 11.5
GTEX-SJXC-0126-SM-2XCFF 60-69 years, male 11.5
GTEX-145MO-0326-SM-5Q5B3 60-69 years, male 11.4
GTEX-15ETS-0126-SM-7KUMW 40-49 years, female 11.4
GTEX-U3ZM-1526-SM-3DB9D 40-49 years, male 11.4
GTEX-1B933-0126-SM-7PC29 50-59 years, female 11.4
GTEX-139TS-2826-SM-5J1OO 60-69 years, male 11.3
GTEX-13NZB-2526-SM-5J1OM 30-39 years, male 11.0
GTEX-13N1W-0126-SM-5K7VT 70-79 years, male 10.8
GTEX-1MCYP-1926-SM-E9J2R 20-29 years, female 10.8
GTEX-14JIY-0126-SM-6LLH6 60-69 years, male 10.7
GTEX-QDT8-0126-SM-48TZ1 30-39 years, female 10.7
GTEX-1HFI6-0226-SM-ADEHZ 40-49 years, male 10.7
GTEX-1KWVE-1426-SM-E9TJO 30-39 years, male 10.7
GTEX-131XE-2326-SM-5PNZ2 50-59 years, male 10.6
GTEX-17EUY-0426-SM-793BD 20-29 years, male 10.6
GTEX-PWO3-1526-SM-48TCM 60-69 years, female 10.6
GTEX-T5JW-1626-SM-3GADZ 20-29 years, female 10.5
GTEX-1OJC4-0126-SM-E9J2E 50-59 years, female 10.4
GTEX-1C6VS-0526-SM-7DUEN 60-69 years, male 10.3
GTEX-R55G-2526-SM-2TC6D 40-49 years, female 10.3
GTEX-RUSQ-1526-SM-2TF62 50-59 years, male 10.3
GTEX-OHPM-0126-SM-2YUN9 50-59 years, male 10.2
GTEX-1GF9V-0326-SM-7RHI5 60-69 years, male 10.2
GTEX-1HSMP-0126-SM-E6CJS 70-79 years, male 10.2
GTEX-RWSA-0126-SM-2XCBB 40-49 years, male 10.1
GTEX-13113-5016-SM-7EPIP 60-69 years, female 10.0
GTEX-13OVI-1426-SM-5L3EY 60-69 years, female 9.9
GTEX-SNMC-1226-SM-2XCFP 20-29 years, male 9.9
GTEX-11UD1-0126-SM-5PNYG 40-49 years, female 9.8
GTEX-1E1VI-0126-SM-7DHMZ 50-59 years, male 9.8
GTEX-14XAO-2326-SM-6EU1B 60-69 years, female 9.7
GTEX-QEG4-0226-SM-2S1PY 30-39 years, male 9.7
GTEX-T2IS-0126-SM-4DM6O 20-29 years, female 9.7
GTEX-VUSG-2526-SM-4KL1V 50-59 years, male 9.7
GTEX-1QP66-1726-SM-E8VO1 50-59 years, male 9.7
GTEX-18A67-0126-SM-7LG5P 50-59 years, male 9.6
GTEX-WZTO-0126-SM-3NM95 40-49 years, male 9.6
GTEX-ZEX8-2426-SM-4WKG4 50-59 years, male 9.6
GTEX-1KANB-0526-SM-E6CJH 50-59 years, male 9.6
GTEX-11EMC-2926-SM-5EQ4F 60-69 years, female 9.5
GTEX-145ME-1826-SM-5SI9G 40-49 years, female 9.5
GTEX-13O3O-0126-SM-E9J49 60-69 years, female 9.5
GTEX-1CB4G-0226-SM-7PC3O 60-69 years, male 9.5
GTEX-1LNCM-1126-SM-E9U5E 50-59 years, female 9.5
GTEX-OOBJ-0126-SM-E6CJW 60-69 years, male 9.5
GTEX-13O3Q-2426-SM-5IJBR 50-59 years, male 9.4
GTEX-13OVJ-0126-SM-5KM36 50-59 years, female 9.4
GTEX-145MN-2226-SM-5SIAU 30-39 years, male 9.4
GTEX-S7PM-0126-SM-4AD6S 60-69 years, male 9.4
GTEX-1LVAN-0226-SM-COH3S 50-59 years, female 9.4
GTEX-11EI6-0126-SM-5985R 60-69 years, male 9.3
GTEX-13OVG-1926-SM-5L3DK 60-69 years, male 9.3
GTEX-1AMEY-1326-SM-73KYK 30-39 years, female 9.3
GTEX-P4PQ-0126-SM-2S1NM 60-69 years, male 9.3
GTEX-SIU8-0126-SM-2XCDT 50-59 years, male 9.3
GTEX-1QP67-1626-SM-EAZ3X 40-49 years, female 9.3
GTEX-1RQEC-0426-SM-E6CHU 60-69 years, male 9.3
GTEX-T6MN-0126-SM-32PLP 50-59 years, male 9.2
GTEX-TMZS-0126-SM-3DB9Q 60-69 years, male 9.2
GTEX-1F48J-0126-SM-7P8TT 50-59 years, female 9.2
GTEX-X638-0126-SM-47JZ8 70-79 years, female 9.1
GTEX-14E7W-0126-SM-6LLJ9 70-79 years, male 9.0
GTEX-14PII-0226-SM-6EU1T 60-69 years, male 9.0
GTEX-Z93T-0126-SM-5HL5N 50-59 years, male 9.0
GTEX-1IKOH-0226-SM-COH4E 60-69 years, female 9.0
GTEX-1PFEY-1526-SM-E76PP 30-39 years, male 9.0
GTEX-1QP9N-1426-SM-DTXFL 30-39 years, male 9.0
GTEX-S33H-1026-SM-EZ6L6 30-39 years, male 9.0
GTEX-11DXW-0226-SM-5H122 40-49 years, male 8.9
GTEX-P4QT-0126-SM-2I3FL 50-59 years, female 8.9
GTEX-U8T8-0126-SM-3DB94 60-69 years, male 8.9
GTEX-YJ89-0126-SM-4TT3X 60-69 years, male 8.9
GTEX-1IOXB-0126-SM-ARL8G 50-59 years, male 8.9
GTEX-Y3I4-2126-SM-4TT7C 50-59 years, male 8.8
GTEX-ZYFD-0126-SM-5GIDL 50-59 years, male 8.8
GTEX-13U4I-0126-SM-5LU38 40-49 years, female 8.7
GTEX-1I1HK-0126-SM-COH49 60-69 years, male 8.7
GTEX-1S5ZA-0126-SM-EVYCV 20-29 years, male 8.7
GTEX-11TTK-0126-SM-5987B 60-69 years, female 8.6
GTEX-13CF2-2526-SM-5LZYX 60-69 years, male 8.6
GTEX-15SHW-0326-SM-6PAML 60-69 years, male 8.6
GTEX-17F97-0326-SM-7LG5B 50-59 years, male 8.6
GTEX-QCQG-1726-SM-3GIJ9 50-59 years, female 8.6
GTEX-SSA3-0126-SM-32QPU 60-69 years, male 8.6
GTEX-1JJ6O-0126-SM-E6CI8 60-69 years, male 8.6
GTEX-1AMFI-2026-SM-731BH 50-59 years, female 8.5
GTEX-1H3O1-0426-SM-9YFKY 60-69 years, male 8.5
GTEX-11OC5-0126-SM-5HL6A 60-69 years, male 8.4
GTEX-13VXU-0126-SM-5SI9F 50-59 years, male 8.4
GTEX-ZAB5-1826-SM-5HL7C 50-59 years, male 8.4
GTEX-ZTSS-1926-SM-57WEW 40-49 years, male 8.4
GTEX-1HSMO-0126-SM-CL547 60-69 years, male 8.4
GTEX-11ZTS-0126-SM-5EQ6M 60-69 years, female 8.3
GTEX-12KS4-0326-SM-5EQ41 30-39 years, male 8.3
GTEX-1CAMR-1926-SM-7EPI2 20-29 years, male 8.3
GTEX-1CB4H-0226-SM-7PBXM 60-69 years, female 8.3
GTEX-ZDXO-3026-SM-5J1N5 60-69 years, male 8.2
GTEX-1N2EF-0226-SM-EYYXB 60-69 years, male 8.2
GTEX-11VI4-1726-SM-5CVLH 40-49 years, female 8.1
GTEX-14DAQ-0126-SM-5S2MQ 60-69 years, female 8.1
GTEX-14PN4-0126-SM-6EU2V 50-59 years, male 8.1
GTEX-YFC4-0126-SM-5CVLY 40-49 years, female 8.1
GTEX-1EX96-1626-SM-7PBXR 50-59 years, male 8.1
GTEX-1F6I4-0126-SM-9MQL2 60-69 years, male 8.1
GTEX-1GZHY-0326-SM-9QEHI 50-59 years, female 8.1
GTEX-RNOR-0126-SM-E9J4R 50-59 years, female 8.1
GTEX-11OF3-2626-SM-5GU7F 60-69 years, male 8.0
GTEX-1269C-2526-SM-5EGJ3 60-69 years, female 8.0
GTEX-13O21-1426-SM-5K7XI 50-59 years, male 8.0
GTEX-1RB15-2126-SM-E9TIM 60-69 years, male 8.0
GTEX-15RIG-0226-SM-7KFTL 40-49 years, male 7.9
GTEX-OIZH-0126-SM-2HMIS 50-59 years, male 7.9
GTEX-QLQ7-1626-SM-2S1R8 60-69 years, male 7.9
GTEX-RU72-0926-SM-2TF6B 50-59 years, female 7.9
GTEX-WVJS-0126-SM-4MVOT 50-59 years, male 7.9
GTEX-WYJK-0126-SM-3NMAB 50-59 years, male 7.9
GTEX-1N2DV-0226-SM-E6CJ6 40-49 years, male 7.9
GTEX-13FTY-0526-SM-5L3EV 40-49 years, female 7.8
GTEX-NPJ8-0126-SM-2YUNR 40-49 years, male 7.8
GTEX-VJWN-0126-SM-3GIK7 50-59 years, female 7.8
GTEX-1QPFJ-0226-SM-E76PB 30-39 years, female 7.8
GTEX-1S82Y-2026-SM-EVYCM 40-49 years, male 7.8
GTEX-145LS-0126-SM-5QGP1 60-69 years, female 7.7
GTEX-UJHI-1526-SM-3DB99 50-59 years, female 7.7
GTEX-WH7G-2326-SM-3NMBC 40-49 years, male 7.7
GTEX-1H1CY-2826-SM-9MQM3 60-69 years, female 7.7
GTEX-1QCLY-0326-SM-E8VOG 30-39 years, male 7.7
GTEX-13FHP-0126-SM-5IJBG 50-59 years, male 7.6
GTEX-13OW8-1326-SM-5J1OW 60-69 years, male 7.6
GTEX-14LZ3-0226-SM-62LET 60-69 years, female 7.6
GTEX-QVJO-1626-SM-2S1QW 60-69 years, female 7.6
GTEX-XBEW-0626-SM-4QASP 40-49 years, male 7.6
GTEX-ZUA1-0126-SM-5GU76 40-49 years, male 7.6
GTEX-11GS4-2726-SM-5A5LE 60-69 years, male 7.5
GTEX-11GSO-2426-SM-5A5LY 60-69 years, male 7.5
GTEX-1GF9U-2126-SM-7SB7L 40-49 years, female 7.5
GTEX-1IKJJ-0126-SM-CNPQB 60-69 years, male 7.5
GTEX-PW2O-1526-SM-7RHHB 20-29 years, male 7.5
GTEX-1128S-2326-SM-5GZZY 60-69 years, female 7.4
GTEX-14ABY-0226-SM-5TDCQ 50-59 years, male 7.4
GTEX-1A32A-0126-SM-718B1 50-59 years, female 7.4
GTEX-X4EP-0126-SM-3P5YV 60-69 years, female 7.4
GTEX-1GTWX-0126-SM-9YFLK 60-69 years, male 7.4
GTEX-1JMPY-1326-SM-ARL8Y 30-39 years, male 7.4
GTEX-1JMLX-0226-SM-CM2RO 50-59 years, male 7.3
GTEX-1212Z-2526-SM-5EGKP 60-69 years, male 7.2
GTEX-145MI-0526-SM-5O9A8 60-69 years, female 7.2
GTEX-14BIL-0126-SM-5SI92 50-59 years, male 7.2
GTEX-17HGU-0226-SM-7DHKV 50-59 years, male 7.2
GTEX-1CB4E-2226-SM-793DC 60-69 years, male 7.2
GTEX-ZAB4-0226-SM-5N9F5 40-49 years, male 7.2
GTEX-1KANC-1526-SM-D3LAB 50-59 years, female 7.2
GTEX-RN64-0126-SM-2TC68 50-59 years, male 7.1
GTEX-XPVG-2626-SM-4B669 50-59 years, male 7.1
GTEX-YB5K-2126-SM-4WWDJ 40-49 years, female 7.1
GTEX-ZDTS-0126-SM-4WAY5 60-69 years, male 7.1
GTEX-ZGAY-0526-SM-4WWBB 40-49 years, female 7.1
GTEX-1ICG6-2526-SM-CGQFZ 70-79 years, female 7.1
GTEX-1MA7W-2026-SM-E9TJ6 20-29 years, female 7.1
GTEX-PLZ6-1426-SM-DKPOT 30-39 years, male 7.1
GTEX-17EVP-0326-SM-7DHLG 40-49 years, male 7.0
GTEX-ZYFC-0226-SM-5NQ75 50-59 years, male 7.0
GTEX-1GN1W-0526-SM-9MQJQ 50-59 years, female 7.0
GTEX-1HSGN-0226-SM-CGQFV 40-49 years, female 7.0
GTEX-1LGOU-2026-SM-DIPFF 20-29 years, female 7.0
GTEX-1R9PO-2126-SM-E9J4O 60-69 years, female 7.0
GTEX-13OW7-0126-SM-5MR3B 50-59 years, male 6.9
GTEX-13W46-0226-SM-5SIAG 50-59 years, male 6.9
GTEX-144GN-2326-SM-5LU4F 50-59 years, male 6.9
GTEX-14JG6-2226-SM-6EU2G 30-39 years, female 6.9
GTEX-14PJ6-2126-SM-6EU1V 60-69 years, female 6.9
GTEX-1B8SG-0126-SM-73KZ3 50-59 years, male 6.9
GTEX-OIZG-0726-SM-33HBL 50-59 years, male 6.9
GTEX-TKQ1-1026-SM-4GICL 30-39 years, male 6.9
GTEX-1F88F-2726-SM-7PBZZ 60-69 years, female 6.9
GTEX-1HBPI-1526-SM-C1YQ1 50-59 years, male 6.9
GTEX-1M4P7-0226-SM-DIPEV 60-69 years, male 6.9
GTEX-13RTL-0126-SM-7LG5S 40-49 years, male 6.8
GTEX-144FL-0126-SM-5TDC8 50-59 years, male 6.8
GTEX-14BMV-0126-SM-5S2PO 50-59 years, male 6.8
GTEX-16MT8-0426-SM-7KUEY 60-69 years, female 6.8
GTEX-ZYT6-0226-SM-5NQ6T 30-39 years, male 6.8
GTEX-1AX9I-0126-SM-7SB74 60-69 years, male 6.8
GTEX-1EWIQ-0126-SM-7RHH2 70-79 years, female 6.8
GTEX-1JN6P-0126-SM-D3L98 60-69 years, male 6.8
GTEX-131YS-0126-SM-5KM1M 60-69 years, female 6.7
GTEX-1LSNM-1926-SM-E6CII 50-59 years, male 6.7
GTEX-117YW-2626-SM-5GZZH 50-59 years, male 6.6
GTEX-13OVK-2026-SM-7KUEO 40-49 years, male 6.6
GTEX-14A6H-0126-SM-5QGPK 30-39 years, male 6.6
GTEX-PX3G-0126-SM-2I3EN 20-29 years, female 6.6
GTEX-S7SE-0126-SM-2XCD5 50-59 years, male 6.6
GTEX-W5WG-1826-SM-4KL2Y 50-59 years, female 6.6
GTEX-1RAZA-0126-SM-E6CI3 20-29 years, male 6.6
GTEX-13OVL-0226-SM-5L3E9 50-59 years, male 6.5
GTEX-18QFQ-0126-SM-731BE 30-39 years, male 6.5
GTEX-1AYD5-2426-SM-73KXR 50-59 years, male 6.5
GTEX-1CAMQ-0226-SM-7IGPK 40-49 years, male 6.5
GTEX-P4PP-0126-SM-3LK69 30-39 years, female 6.5
GTEX-T5JC-0426-SM-32PLO 20-29 years, male 6.5
GTEX-WI4N-1026-SM-3LK7N 40-49 years, female 6.5
GTEX-12WSG-2826-SM-E9J4H 50-59 years, female 6.5
GTEX-1HSEH-0126-SM-ACKXN 60-69 years, male 6.5
GTEX-1J1R8-1726-SM-ARL8M 40-49 years, male 6.5
GTEX-1192X-0226-SM-5H12D 50-59 years, male 6.4
GTEX-11UD2-0226-SM-5EQKY 50-59 years, male 6.4
GTEX-12WSD-0126-SM-59HKN 60-69 years, female 6.4
GTEX-15SB6-1726-SM-6PAME 50-59 years, female 6.4
GTEX-183FY-0126-SM-7LT9P 20-29 years, male 6.4
GTEX-UPJH-0326-SM-3GADU 50-59 years, male 6.4
GTEX-ZY6K-1826-SM-5GZXK 50-59 years, male 6.4
GTEX-1PPH7-2326-SM-EVYB8 40-49 years, male 6.4
GTEX-1QW4Y-1526-SM-EAZ3Z 30-39 years, male 6.4
GTEX-12WSC-0126-SM-5EQ4P 50-59 years, male 6.3
GTEX-13VXT-0126-SM-5LU4I 20-29 years, female 6.3
GTEX-16XZY-2126-SM-79OK1 70-79 years, male 6.3
GTEX-X585-0226-SM-4QAS2 50-59 years, male 6.3
GTEX-1IY9M-0126-SM-D3L8S 60-69 years, male 6.3
GTEX-1K2DU-2326-SM-E9TIV 20-29 years, male 6.3
GTEX-1QEPI-0126-SM-EWRMQ 60-69 years, female 6.3
GTEX-11ZUS-0626-SM-59885 30-39 years, male 6.2
GTEX-13FXS-0226-SM-5IJCK 50-59 years, male 6.2
GTEX-148VI-1626-SM-5SI6E 60-69 years, female 6.2
GTEX-17HG3-2226-SM-7938L 30-39 years, female 6.2
GTEX-Y114-2426-SM-4TT8A 50-59 years, female 6.2
GTEX-1EN7A-0126-SM-7SB81 40-49 years, male 6.2
GTEX-1GPI7-0126-SM-9MQL8 20-29 years, male 6.2
GTEX-1LG7Y-0526-SM-DKPQC 50-59 years, male 6.2
GTEX-1MCQQ-0826-SM-DLHC2 60-69 years, male 6.2
GTEX-ZVT4-0126-SM-DTXFN 50-59 years, female 6.2
GTEX-11P82-1626-SM-59879 20-29 years, male 6.1
GTEX-12584-0126-SM-5EGKQ 40-49 years, male 6.1
GTEX-OXRL-0126-SM-2YUMP 50-59 years, male 6.1
GTEX-XMD2-0126-SM-4YCDU 60-69 years, female 6.1
GTEX-ZVT3-0126-SM-5GU6I 60-69 years, female 6.1
GTEX-ZVZP-2426-SM-59HKJ 50-59 years, male 6.1
GTEX-1HGF4-2426-SM-ACKXM 60-69 years, male 6.1
GTEX-R45C-0126-SM-EAZ2R 60-69 years, female 6.1
GTEX-113JC-2326-SM-5EQ4E 50-59 years, female 6.0
GTEX-11DYG-0126-SM-59883 60-69 years, male 6.0
GTEX-12WSK-2326-SM-5GCOH 40-49 years, female 6.0
GTEX-13X6J-0126-SM-5QGOU 50-59 years, male 6.0
GTEX-OHPL-0126-SM-2HMJ7 60-69 years, female 6.0
GTEX-Y5V6-2426-SM-4VDSB 60-69 years, male 6.0
GTEX-1EMGI-0126-SM-9KNUE 60-69 years, male 6.0
GTEX-13111-1626-SM-5EGJY 50-59 years, male 5.9
GTEX-131XG-2626-SM-5KM17 50-59 years, female 5.9
GTEX-131XH-2226-SM-5DUXJ 50-59 years, male 5.9
GTEX-14E6D-0126-SM-62LDV 50-59 years, male 5.9
GTEX-15EU6-0426-SM-6PAN5 50-59 years, male 5.9
GTEX-1C4CL-0526-SM-73KVK 30-39 years, male 5.9
GTEX-QDVN-2026-SM-3GAEP 50-59 years, male 5.9
GTEX-XUYS-0126-SM-47JWZ 50-59 years, male 5.9
GTEX-ZZ64-1726-SM-5GZYB 20-29 years, male 5.9
GTEX-13PDP-0126-SM-5L3HD 60-69 years, male 5.8
GTEX-V1D1-2226-SM-3NMAX 50-59 years, male 5.8
GTEX-X4EO-0326-SM-3P5YO 60-69 years, female 5.8
GTEX-145MF-0626-SM-5LUAI 50-59 years, male 5.7
GTEX-WYVS-2126-SM-3NMA3 40-49 years, female 5.7
GTEX-1GZ2Q-0226-SM-7P8TL 40-49 years, male 5.7
GTEX-1HCU6-0126-SM-CL54K 60-69 years, female 5.7
GTEX-1JMQJ-0526-SM-CYPSU 50-59 years, male 5.7
GTEX-18D9U-0226-SM-718BP 40-49 years, male 5.6
GTEX-OXRO-0126-SM-2YUN4 60-69 years, female 5.6
GTEX-PVOW-0126-SM-2XCFA 40-49 years, male 5.6
GTEX-X62O-0126-SM-4E3JN 50-59 years, male 5.6
GTEX-Y111-0126-SM-4SOIV 50-59 years, male 5.6
GTEX-ZU9S-0226-SM-5E441 30-39 years, male 5.6
GTEX-1H3VY-0126-SM-ACKXD 50-59 years, male 5.6
GTEX-1PPH8-0226-SM-E8VND 20-29 years, male 5.6
GTEX-11P81-2326-SM-59875 30-39 years, female 5.5
GTEX-13N11-2526-SM-5K7UE 50-59 years, female 5.5
GTEX-13N2G-2626-SM-5J1OT 60-69 years, male 5.5
GTEX-13O3P-0126-SM-5KM4S 50-59 years, male 5.5
GTEX-1497J-2426-SM-7IGNX 60-69 years, male 5.5
GTEX-ZDYS-2026-SM-5HL5L 50-59 years, male 5.5
GTEX-1KD5A-0226-SM-D5OV3 50-59 years, male 5.5
GTEX-PWCY-1826-SM-DHXIZ 20-29 years, female 5.5
GTEX-ZQG8-1626-SM-DHXIT 60-69 years, female 5.5
GTEX-11EM3-2426-SM-59861 20-29 years, female 5.4
GTEX-146FQ-0126-SM-5NQA9 30-39 years, male 5.4
GTEX-14BIM-0226-SM-7IGLD 60-69 years, female 5.4
GTEX-ZYY3-0126-SM-5GZY5 60-69 years, female 5.4
GTEX-1C64O-0126-SM-7SB8P 60-69 years, male 5.4
GTEX-1LH75-2426-SM-E9TJE 50-59 years, female 5.4
GTEX-11ZVC-2526-SM-5FQTE 50-59 years, female 5.3
GTEX-131XW-0426-SM-5LZWP 50-59 years, female 5.3
GTEX-144GL-0126-SM-5TDE2 50-59 years, male 5.3
GTEX-XQ8I-0426-SM-4BOPO 50-59 years, male 5.3
GTEX-ZTX8-1426-SM-5DUVO 20-29 years, male 5.3
GTEX-1GZ4H-1726-SM-7PBZJ 50-59 years, female 5.3
GTEX-1HKZK-0326-SM-9WYUH 40-49 years, male 5.3
GTEX-1I4MK-2226-SM-ACKWD 50-59 years, female 5.3
GTEX-1RAZQ-0726-SM-EAZ43 30-39 years, male 5.3
GTEX-ZF29-2326-SM-DO92K 60-69 years, female 5.3
GTEX-13S7M-0126-SM-5SI6A 60-69 years, female 5.2
GTEX-13SLW-0126-SM-5SI6C 70-79 years, male 5.2
GTEX-14PJM-0226-SM-62LF1 50-59 years, female 5.2
GTEX-17KNJ-2326-SM-7DHLQ 50-59 years, male 5.2
GTEX-WFG8-2226-SM-3GIL9 20-29 years, male 5.2
GTEX-WOFL-0126-SM-3MJG2 60-69 years, male 5.2
GTEX-X4XX-0126-SM-3NMC2 60-69 years, male 5.2
GTEX-Y8LW-1826-SM-5S2MV 50-59 years, female 5.2
GTEX-1HCU7-0226-SM-CL545 50-59 years, male 5.2
GTEX-1MA7X-2226-SM-E6CIY 60-69 years, male 5.2
GTEX-1S83E-0126-SM-EWRO4 40-49 years, male 5.2
GTEX-111VG-2426-SM-5GZXD 60-69 years, male 5.1
GTEX-1399U-2326-SM-5K7WY 50-59 years, female 5.1
GTEX-13W3W-2426-SM-5LU5B 60-69 years, female 5.1
GTEX-15CHC-2126-SM-6EU21 60-69 years, female 5.1
GTEX-17HII-0226-SM-7LG4E 50-59 years, male 5.1
GTEX-T2YK-0526-SM-32QPJ 50-59 years, male 5.1
GTEX-Y5V5-2326-SM-4V6GA 60-69 years, female 5.1
GTEX-Y8E4-0626-SM-4WWDL 40-49 years, male 5.1
GTEX-ZVZO-0126-SM-5A5L9 40-49 years, male 5.1
GTEX-1JMPZ-0226-SM-CNPP1 30-39 years, male 5.1
GTEX-1JMQL-0226-SM-CNPP5 50-59 years, female 5.1
GTEX-1KXAM-2226-SM-CYPTC 60-69 years, male 5.1
GTEX-1LB8K-0226-SM-EWRNW 50-59 years, male 5.1
GTEX-ZPIC-1726-SM-DHXIU 40-49 years, female 5.1
GTEX-139TU-0126-SM-5K7WH 60-69 years, male 5.0
GTEX-139UW-2826-SM-5L3E7 60-69 years, male 5.0
GTEX-15DCD-0126-SM-7KUEK 70-79 years, female 5.0
GTEX-U3ZH-2026-SM-3DB78 30-39 years, male 5.0
GTEX-1CAV2-2226-SM-7P8P2 40-49 years, female 5.0
GTEX-1GN73-0226-SM-9WG67 60-69 years, male 5.0
GTEX-1H1ZS-0426-SM-9WG6G 70-79 years, male 5.0
GTEX-1LGRB-2526-SM-CNPPQ 50-59 years, female 5.0
GTEX-14PJ3-1826-SM-62LEX 50-59 years, male 4.9
GTEX-15DYW-0126-SM-7KULE 60-69 years, female 4.9
GTEX-17EVQ-0226-SM-7LG4P 70-79 years, male 4.9
GTEX-17MFQ-1726-SM-793C7 20-29 years, male 4.9
GTEX-1B8KZ-2026-SM-7DHMB 50-59 years, male 4.9
GTEX-R55E-0126-SM-2TC5Y 20-29 years, male 4.9
GTEX-RTLS-0126-SM-447CA 60-69 years, female 4.9
GTEX-ZF28-0126-SM-4WKGK 60-69 years, male 4.9
GTEX-1HBPH-0426-SM-B2LW5 40-49 years, female 4.9
GTEX-1I6K6-0126-SM-A9SLE 30-39 years, male 4.9
GTEX-1R7EU-0226-SM-EVR4G 60-69 years, male 4.9
GTEX-11DXZ-2326-SM-5EGGV 50-59 years, male 4.8
GTEX-13IVO-0126-SM-5J1NG 70-79 years, male 4.8
GTEX-14PHX-2326-SM-62LEM 50-59 years, male 4.8
GTEX-U3ZN-2326-SM-3DB7W 30-39 years, female 4.8
GTEX-Y5LM-1926-SM-5RQJH 40-49 years, female 4.8
GTEX-ZAJG-0126-SM-5HL94 50-59 years, female 4.8
GTEX-ZDTT-2726-SM-4WKF8 60-69 years, male 4.8
GTEX-ZV6S-2326-SM-4YCEY 40-49 years, female 4.8
GTEX-RVPV-0126-SM-EAZAW 60-69 years, male 4.8
GTEX-OXRN-0126-SM-48TDM 50-59 years, male 4.7
GTEX-QLQW-1126-SM-2S1Q8 30-39 years, male 4.7
GTEX-T6MO-1626-SM-32QOM 40-49 years, female 4.7
GTEX-T8EM-1026-SM-3DB7M 40-49 years, male 4.7
GTEX-ZV68-0126-SM-59HKS 50-59 years, female 4.7
GTEX-1GN2E-0426-SM-9MQKX 60-69 years, male 4.7
GTEX-1H4P4-0726-SM-9YFLR 50-59 years, male 4.7
GTEX-1J8JJ-0226-SM-CL53I 60-69 years, female 4.7
GTEX-11NUK-0126-SM-5A5L3 50-59 years, male 4.6
GTEX-146FH-0126-SM-5QGPP 50-59 years, female 4.6
GTEX-14A5H-0426-SM-5QGQF 60-69 years, male 4.6
GTEX-15UKP-0426-SM-7KUFQ 20-29 years, male 4.6
GTEX-18D9A-1926-SM-7LG6P 30-39 years, female 4.6
GTEX-Q2AH-1626-SM-3GAF8 40-49 years, male 4.6
GTEX-R3RS-0126-SM-3GIJL 40-49 years, female 4.6
GTEX-169BO-1326-SM-9MQK2 50-59 years, male 4.6
GTEX-1H23P-0126-SM-ADEJ3 60-69 years, male 4.6
GTEX-1MGNQ-0126-SM-EVYCJ 40-49 years, male 4.6
GTEX-12WSN-5019-SM-79OM6 40-49 years, male 4.5
GTEX-13112-2826-SM-5DUWH 50-59 years, male 4.5
GTEX-139T4-0226-SM-5HL5S 50-59 years, female 4.5
GTEX-13X6I-0626-SM-5QGP9 60-69 years, male 4.5
GTEX-18A7B-0126-SM-7LG64 70-79 years, male 4.5
GTEX-RM2N-1426-SM-2TF4H 50-59 years, male 4.5
GTEX-VJYA-1126-SM-3GIJU 60-69 years, male 4.5
GTEX-XBED-2226-SM-47JYQ 60-69 years, male 4.5
GTEX-XXEK-2226-SM-4BRUM 50-59 years, male 4.5
GTEX-YJ8A-0426-SM-5IFID 20-29 years, male 4.5
GTEX-1GMR8-0126-SM-9WYTM 50-59 years, female 4.5
GTEX-1H2FU-0126-SM-9WYSI 60-69 years, female 4.5
GTEX-1I1GQ-0126-SM-COH3H 50-59 years, male 4.5
GTEX-1IDJF-0126-SM-CM2RS 20-29 years, male 4.5
GTEX-1J8Q3-1626-SM-CMKGC 60-69 years, male 4.5
GTEX-1JMOU-1526-SM-CL54I 60-69 years, female 4.5
GTEX-14A5I-0126-SM-5TDEA 50-59 years, female 4.4
GTEX-14LLW-0126-SM-6LLIO 70-79 years, female 4.4
GTEX-15UF6-0826-SM-6PALJ 70-79 years, female 4.4
GTEX-ZVTK-0426-SM-51MRS 20-29 years, male 4.4
GTEX-1F75A-0126-SM-7RHGM 50-59 years, male 4.4
GTEX-1IL2V-0126-SM-CM2TX 70-79 years, male 4.4
GTEX-12WSE-0526-SM-793B2 20-29 years, male 4.3
GTEX-139TT-0126-SM-5K7Y5 60-69 years, male 4.3
GTEX-13D11-2426-SM-5KM1V 50-59 years, female 4.3
GTEX-13OW6-0426-SM-5L3HM 50-59 years, male 4.3
GTEX-14753-0426-SM-5NQAM 60-69 years, male 4.3
GTEX-17HHY-0126-SM-7LG5D 50-59 years, male 4.3
GTEX-18A66-0226-SM-718BD 60-69 years, male 4.3
GTEX-OXRP-0126-SM-3NB32 60-69 years, female 4.3
GTEX-WQUQ-0426-SM-3MJFU 60-69 years, male 4.3
GTEX-X88G-0126-SM-47JZ3 30-39 years, male 4.3
GTEX-X8HC-0126-SM-4E3JW 50-59 years, female 4.3
GTEX-1CB4F-0426-SM-9KNV4 60-69 years, male 4.3
GTEX-1F6IF-0726-SM-7P8TW 60-69 years, male 4.3
GTEX-11TT1-2526-SM-5EGIB 20-29 years, male 4.2
GTEX-11WQC-2526-SM-5CVLE 60-69 years, male 4.2
GTEX-13RTK-1426-SM-5QGQJ 20-29 years, male 4.2
GTEX-16NGA-1726-SM-731B4 40-49 years, female 4.2
GTEX-1B8KE-2126-SM-73KYX 50-59 years, male 4.2
GTEX-O5YW-0126-SM-3LK6D 50-59 years, male 4.2
GTEX-S95S-1226-SM-4GICG 60-69 years, male 4.2
GTEX-XYKS-2126-SM-4E3IB 60-69 years, female 4.2
GTEX-ZQUD-1426-SM-57WER 30-39 years, male 4.2
GTEX-1A8FM-0226-SM-7SB7Q 50-59 years, female 4.2
GTEX-1HSKV-0226-SM-A9SKJ 60-69 years, male 4.2
GTEX-1HT8W-0126-SM-CNPPP 30-39 years, male 4.2
GTEX-1IDJU-2626-SM-CM2RT 60-69 years, female 4.2
GTEX-11DXY-2626-SM-5GIE7 60-69 years, male 4.1
GTEX-1313W-0126-SM-5LZUN 50-59 years, female 4.1
GTEX-15SDE-2226-SM-7IGLO 50-59 years, female 4.1
GTEX-P44H-0226-SM-2XCEU 40-49 years, male 4.1
GTEX-XUW1-0426-SM-4BOOT 50-59 years, female 4.1
GTEX-1B996-0226-SM-7RHGO 60-69 years, male 4.1
GTEX-1HBPN-0226-SM-9YFM1 50-59 years, male 4.1
GTEX-1IGQW-0126-SM-COH42 60-69 years, male 4.1
GTEX-11P7K-2126-SM-5GU7G 30-39 years, male 4.0
GTEX-145LV-2126-SM-5LU8N 50-59 years, male 4.0
GTEX-14ICK-0226-SM-6EU25 40-49 years, male 4.0
GTEX-1A3MX-0126-SM-731BR 60-69 years, male 4.0
GTEX-OXRK-0226-SM-3NB2G 50-59 years, female 4.0
GTEX-QDVJ-1726-SM-2I5FX 50-59 years, male 4.0
GTEX-Z93S-0126-SM-5HL7M 50-59 years, male 4.0
GTEX-1F52S-0126-SM-9MQJU 60-69 years, female 4.0
GTEX-1J8EW-0126-SM-CJI4F 60-69 years, female 4.0
GTEX-1J8Q2-0526-SM-CM2RW 60-69 years, male 4.0
GTEX-1KAFJ-2026-SM-CY8ID 50-59 years, male 4.0
GTEX-1211K-2026-SM-5EQ4Z 60-69 years, female 3.9
GTEX-14BMU-2226-SM-5TDE9 20-29 years, female 3.9
GTEX-1A3MV-1926-SM-718BT 30-39 years, male 3.9
GTEX-Q734-1926-SM-2I5EV 40-49 years, female 3.9
GTEX-XAJ8-0826-SM-47JY6 40-49 years, male 3.9
GTEX-1GPI6-0126-SM-9WG69 60-69 years, male 3.9
GTEX-1ICLY-0126-SM-D4P36 50-59 years, male 3.9
GTEX-1L5NE-2526-SM-E6CIE 50-59 years, male 3.9
GTEX-1122O-2126-SM-5EGIR 60-69 years, female 3.8
GTEX-13FHO-0226-SM-5IFGY 60-69 years, male 3.8
GTEX-13PVR-2326-SM-5QGR1 60-69 years, female 3.8
GTEX-14JG1-0426-SM-6ETZZ 40-49 years, male 3.8
GTEX-14PN3-2426-SM-6LLHS 60-69 years, female 3.8
GTEX-18465-0126-SM-731BN 50-59 years, male 3.8
GTEX-1CB4J-0626-SM-7DHMP 60-69 years, male 3.8
GTEX-RWS6-2026-SM-2XCB5 60-69 years, female 3.8
GTEX-1K9T9-0126-SM-EVYCF 50-59 years, female 3.8
GTEX-1LG7Z-1726-SM-D3LA4 30-39 years, male 3.8
GTEX-W5X1-3026-SM-EAZAX 40-49 years, female 3.8
GTEX-13FTW-2626-SM-5K7WL 40-49 years, male 3.7
GTEX-13QJ3-0326-SM-5S2RA 50-59 years, male 3.7
GTEX-1AX8Z-0126-SM-7DHM6 60-69 years, male 3.7
GTEX-PLZ4-0126-SM-5SI8O 50-59 years, female 3.7
GTEX-X261-0126-SM-3NMD6 50-59 years, male 3.7
GTEX-YEC4-2126-SM-5IFJH 40-49 years, male 3.7
GTEX-1IE54-0126-SM-CMKHW 40-49 years, female 3.7
GTEX-1N2DW-0226-SM-E9TK2 50-59 years, male 3.7
GTEX-1POEN-0126-SM-EYYXJ 30-39 years, female 3.7
GTEX-1QP2A-0126-SM-E9J43 50-59 years, male 3.7
GTEX-11ZTT-2426-SM-5EQLS 60-69 years, female 3.6
GTEX-12WSL-2526-SM-5GCNJ 50-59 years, male 3.6
GTEX-147GR-0526-SM-5S2MY 60-69 years, male 3.6
GTEX-14DAR-2026-SM-5S2O3 50-59 years, male 3.6
GTEX-16XZZ-0126-SM-793DV 60-69 years, male 3.6
GTEX-18D9B-0526-SM-7LTAS 60-69 years, male 3.6
GTEX-1B97I-1626-SM-73KYO 40-49 years, male 3.6
GTEX-1C6VR-2426-SM-79OLD 60-69 years, male 3.6
GTEX-1GL5R-1826-SM-9KNUY 50-59 years, male 3.6
GTEX-1GN1U-0126-SM-7PBZK 50-59 years, female 3.6
GTEX-1H3NZ-0126-SM-ACKX7 60-69 years, male 3.6
GTEX-1J8QM-2126-SM-CYPSJ 60-69 years, female 3.6
GTEX-11DXX-2426-SM-5GZZW 60-69 years, female 3.5
GTEX-147F3-0526-SM-5SI98 50-59 years, female 3.5
GTEX-17MF6-0126-SM-7LG4F 40-49 years, male 3.5
GTEX-18A6Q-0126-SM-731BZ 60-69 years, male 3.5
GTEX-SUCS-1926-SM-32PM3 70-79 years, male 3.5
GTEX-WY7C-2326-SM-3NB2U 50-59 years, male 3.5
GTEX-ZE9C-2726-SM-57WB5 60-69 years, male 3.5
GTEX-ZXES-1826-SM-5E43S 30-39 years, female 3.5
GTEX-11TUW-2726-SM-E9J4M 60-69 years, male 3.5
GTEX-1CAMS-0426-SM-7P8T2 40-49 years, female 3.5
GTEX-1H1DE-2126-SM-9WG6R 20-29 years, male 3.5
GTEX-1I1GV-0526-SM-A9G29 60-69 years, male 3.5
GTEX-1IDFM-0126-SM-COH2V 60-69 years, male 3.5
GTEX-1KD4Q-0226-SM-E9TJ9 40-49 years, male 3.5
GTEX-12WSA-0226-SM-5BC5V 60-69 years, male 3.4
GTEX-13X6H-2126-SM-7EWD5 50-59 years, female 3.4
GTEX-145LT-1726-SM-5QGP3 40-49 years, male 3.4
GTEX-WXYG-2326-SM-4E3I6 50-59 years, female 3.4
GTEX-1HSMQ-1226-SM-CGQFX 50-59 years, male 3.4
GTEX-1I1GP-2226-SM-CGQFK 50-59 years, male 3.4
GTEX-1I1GS-0126-SM-B2LVW 60-69 years, male 3.4
GTEX-1PDJ9-0326-SM-DTX95 20-29 years, male 3.4
GTEX-1PIIG-0226-SM-EWRN6 30-39 years, male 3.4
GTEX-12ZZX-0126-SM-5EGK9 40-49 years, female 3.3
GTEX-12ZZZ-0626-SM-5DUXI 60-69 years, male 3.3
GTEX-15SHU-0126-SM-7KUEH 40-49 years, female 3.3
GTEX-1C64N-0126-SM-793D7 50-59 years, male 3.3
GTEX-TMMY-0226-SM-33HBA 40-49 years, female 3.3
GTEX-13FH7-2026-SM-E9J4I 50-59 years, female 3.3
GTEX-1F75B-0126-SM-9KNVL 50-59 years, male 3.3
GTEX-1KANA-0726-SM-D3L9I 20-29 years, male 3.3
GTEX-11DZ1-0126-SM-5985Q 50-59 years, male 3.2
GTEX-13SLX-0526-SM-5S2ON 50-59 years, female 3.2
GTEX-16AAH-1726-SM-7939C 50-59 years, male 3.2
GTEX-16NPX-0226-SM-79OMT 50-59 years, male 3.2
GTEX-NFK9-0226-SM-2HMKQ 40-49 years, male 3.2
GTEX-XQ3S-1526-SM-4BOOC 20-29 years, male 3.2
GTEX-ZAK1-0126-SM-5IJD3 50-59 years, female 3.2
GTEX-1JKYR-0126-SM-CNPOJ 20-29 years, male 3.2
GTEX-1JN76-0126-SM-CNPPE 20-29 years, female 3.2
GTEX-117YX-2326-SM-5H12W 50-59 years, male 3.1
GTEX-14C5O-0126-SM-5SI6N 60-69 years, male 3.1
GTEX-18A7A-0226-SM-718BH 50-59 years, female 3.1
GTEX-Y3IK-2426-SM-4WWDU 50-59 years, female 3.1
GTEX-1GF9W-0326-SM-9KNUN 60-69 years, male 3.1
GTEX-1HCU8-0626-SM-A9SM9 60-69 years, female 3.1
GTEX-1JJEA-0326-SM-CNPOT 60-69 years, male 3.1
GTEX-1MJK2-0426-SM-DTXE5 50-59 years, male 3.1
GTEX-1OFPY-2426-SM-DTXEJ 60-69 years, male 3.1
GTEX-1PWST-0226-SM-E76QJ 70-79 years, male 3.1
GTEX-11LCK-1026-SM-5A5KB 30-39 years, male 3.0
GTEX-11NSD-2226-SM-5986V 20-29 years, male 3.0
GTEX-11ZU8-2526-SM-5EQKI 60-69 years, male 3.0
GTEX-145LU-0126-SM-5TDCB 50-59 years, male 3.0
GTEX-1AX9K-2326-SM-73KWU 50-59 years, male 3.0
GTEX-OOBK-0126-SM-2YUND 40-49 years, male 3.0
GTEX-X5EB-2226-SM-46MW4 40-49 years, male 3.0
GTEX-ZC5H-0226-SM-4WAY9 40-49 years, female 3.0
GTEX-ZVT2-2526-SM-51MT1 50-59 years, female 3.0
GTEX-1ICLZ-0126-SM-CKZPO 60-69 years, male 3.0
GTEX-1LBAC-0126-SM-DIPEZ 20-29 years, male 3.0
GTEX-1R46S-0626-SM-E9J41 60-69 years, female 3.0
GTEX-11H98-0126-SM-5EGHG 50-59 years, male 2.9
GTEX-11WQK-0526-SM-5EQLD 50-59 years, male 2.9
GTEX-15EOM-0126-SM-7KUGG 20-29 years, female 2.9
GTEX-17JCI-0126-SM-7LG5G 60-69 years, female 2.9
GTEX-Q2AG-0126-SM-33HBV 40-49 years, female 2.9
GTEX-131XF-5016-SM-7MGWE 60-69 years, male 2.9
GTEX-1H1DG-0126-SM-9WYU2 70-79 years, male 2.9
GTEX-1HFI7-1826-SM-ACKXH 50-59 years, female 2.9
GTEX-1I19N-0326-SM-ACKVX 70-79 years, male 2.9
GTEX-1JMQK-0226-SM-CL543 60-69 years, male 2.9
GTEX-1M5QR-1226-SM-EWROB 40-49 years, male 2.9
GTEX-111FC-0126-SM-5N9DL 60-69 years, male 2.8
GTEX-WFON-2126-SM-3LK7O 40-49 years, male 2.8
GTEX-1E2YA-0126-SM-9KNUC 50-59 years, male 2.8
GTEX-1I1GT-0626-SM-CGQER 60-69 years, female 2.8
GTEX-1JJE9-0326-SM-CL53Z 70-79 years, male 2.8
GTEX-1LC47-0326-SM-E9TJP 60-69 years, male 2.8
GTEX-1PIGE-0126-SM-EVYBJ 20-29 years, male 2.8
GTEX-14BIN-0626-SM-793DP 50-59 years, female 2.7
GTEX-WRHK-1426-SM-3MJF9 20-29 years, female 2.7
GTEX-ZVE2-0226-SM-59HJB 50-59 years, male 2.7
GTEX-1HCVE-0126-SM-CGQEU 50-59 years, male 2.7
GTEX-1I1GR-0126-SM-CL55F 60-69 years, male 2.7
GTEX-1QAET-0926-SM-E76QM 50-59 years, male 2.7
GTEX-11XUK-2026-SM-5EQLF 40-49 years, female 2.6
GTEX-12696-2426-SM-5EQ6H 60-69 years, male 2.6
GTEX-12WSJ-1826-SM-5GCNY 40-49 years, female 2.6
GTEX-12ZZY-0226-SM-5LZVE 60-69 years, male 2.6
GTEX-15G19-0126-SM-6PANQ 60-69 years, male 2.6
GTEX-ZWKS-0126-SM-5SIAA 30-39 years, male 2.6
GTEX-1B8L1-2526-SM-9WYTF 60-69 years, male 2.6
GTEX-1GF9X-2026-SM-7PC3A 40-49 years, female 2.6
GTEX-13JUV-2726-SM-5LZZ8 40-49 years, female 2.5
GTEX-17GQL-2026-SM-718BA 60-69 years, male 2.5
GTEX-17HHE-2026-SM-79OKF 50-59 years, male 2.5
GTEX-Z9EW-1626-SM-5CVMN 40-49 years, male 2.5
GTEX-1EU9M-0226-SM-7P8SP 60-69 years, male 2.5
GTEX-1QMI2-0226-SM-EVYBX 60-69 years, male 2.5
GTEX-PSDG-0226-SM-DKPOZ 50-59 years, male 2.5
GTEX-13FTX-1826-SM-5J1NX 20-29 years, female 2.4
GTEX-13RTJ-2426-SM-5S2Q2 60-69 years, male 2.4
GTEX-ZZPT-0226-SM-5E43X 50-59 years, male 2.4
GTEX-1I1CD-0126-SM-CM2TK 60-69 years, female 2.4
GTEX-1JMQI-2226-SM-CM2SD 50-59 years, male 2.4
GTEX-1MUQO-0126-SM-EAZ58 60-69 years, male 2.4
GTEX-OIZF-0126-SM-7SB8I 60-69 years, male 2.4
GTEX-13YAN-0326-SM-5O9DF 60-69 years, male 2.3
GTEX-148VJ-0126-SM-5TDDN 70-79 years, male 2.3
GTEX-16BQI-0226-SM-7KUEX 30-39 years, female 2.3
GTEX-S32W-2126-SM-2XCB1 50-59 years, female 2.3
GTEX-1HBPM-0226-SM-ARL9F 60-69 years, female 2.3
GTEX-1IL2U-0226-SM-CE6T8 60-69 years, male 2.3
GTEX-1R9PM-2026-SM-E76OY 20-29 years, male 2.3
GTEX-11GSP-2526-SM-5N9BP 60-69 years, female 2.2
GTEX-13NZ8-0826-SM-5MR3I 60-69 years, female 2.2
GTEX-15DDE-0126-SM-6LPKH 50-59 years, female 2.2
GTEX-1C2JI-1826-SM-73KXC 50-59 years, male 2.2
GTEX-U4B1-1826-SM-4DXSU 40-49 years, male 2.2
GTEX-1H1E6-1726-SM-ACKVK 30-39 years, male 2.2
GTEX-1J1OQ-0226-SM-CYPSH 40-49 years, female 2.2
GTEX-11O72-0126-SM-59887 40-49 years, male 2.1
GTEX-17F98-0626-SM-79OMX 40-49 years, female 2.1
GTEX-1AX9J-0226-SM-73KXM 60-69 years, male 2.1
GTEX-ZTPG-0326-SM-5O9AX 20-29 years, female 2.1
GTEX-13NYC-0326-SM-E9J4S 60-69 years, male 2.1
GTEX-13OW5-0126-SM-DTXFS 60-69 years, male 2.1
GTEX-1GMRU-0126-SM-9YFLV 50-59 years, male 2.1
GTEX-1BAJH-0526-SM-793CQ 70-79 years, male 2.0
GTEX-1HB9E-0226-SM-E9U4R 50-59 years, male 2.0
GTEX-1HCUA-2426-SM-ADEIS 50-59 years, female 2.0
GTEX-1QP29-0626-SM-EWRMX 50-59 years, male 2.0
GTEX-13G51-2526-SM-5LZYK 60-69 years, male 1.9
GTEX-1A3MW-0126-SM-73KXX 60-69 years, female 1.9
GTEX-XUZC-1726-SM-4BRWS 30-39 years, female 1.9
GTEX-YB5E-2026-SM-5IFIS 40-49 years, male 1.9
GTEX-1K2DA-1826-SM-CGQGT 50-59 years, male 1.9
GTEX-1S82Z-0826-SM-E6CHY 30-39 years, female 1.9
GTEX-1B8SF-1426-SM-7DUGL 60-69 years, male 1.8
GTEX-1F5PK-2426-SM-7RHHY 50-59 years, male 1.8
GTEX-1F6RS-0126-SM-9MQKZ 60-69 years, female 1.8
GTEX-1F75I-0326-SM-9YFLU 40-49 years, male 1.8
GTEX-1JK1U-2026-SM-CM2RZ 60-69 years, male 1.8
GTEX-139T8-0126-SM-5K7XZ 60-69 years, male 1.7
GTEX-POMQ-2226-SM-2I5FK 20-29 years, female 1.7
GTEX-X4XY-0226-SM-4E3IZ 60-69 years, male 1.7
GTEX-1GMR3-1926-SM-9KNUZ 40-49 years, male 1.7
GTEX-1HR98-0126-SM-B2LWI 60-69 years, male 1.7
GTEX-1192W-2626-SM-5Q5AF 60-69 years, male 1.6
GTEX-13CF3-2426-SM-5IFGX 60-69 years, female 1.6
GTEX-14E6E-1826-SM-5S2R7 30-39 years, male 1.6
GTEX-14PHW-0126-SM-6LLJI 60-69 years, female 1.6
GTEX-183WM-0126-SM-7LTAB 70-79 years, female 1.6
GTEX-ZF2S-2326-SM-4WWCE 50-59 years, female 1.6
GTEX-146FR-1326-SM-E9J48 60-69 years, female 1.6
GTEX-1O97I-0326-SM-EYYX7 60-69 years, male 1.6
GTEX-1314G-1526-SM-5EGK2 30-39 years, male 1.5
GTEX-XV7Q-2526-SM-4BRV9 40-49 years, female 1.5
GTEX-1JKYN-1326-SM-CGQG9 30-39 years, male 1.5
GTEX-1S3DN-2226-SM-EVYCD 50-59 years, male 1.5
GTEX-ZF3C-0126-SM-DO92D 50-59 years, female 1.5
GTEX-139D8-0226-SM-5KLZO 30-39 years, female 1.4
GTEX-13NYS-0126-SM-5MR3W 60-69 years, male 1.4
GTEX-1H3VE-0326-SM-9YFLH 40-49 years, male 1.4
GTEX-117XS-2726-SM-5N9BL 60-69 years, male 1.3
GTEX-O5YT-0126-SM-48TBW 20-29 years, male 1.3
GTEX-1F5PL-0326-SM-7P8PQ 40-49 years, female 1.3
GTEX-1R9K4-0126-SM-DTX9X 60-69 years, male 1.3
GTEX-17F96-1626-SM-7DUFL 70-79 years, male 1.2
GTEX-1I1GU-2226-SM-CGQFA 40-49 years, male 1.1
GTEX-1C475-1826-SM-73KWA 40-49 years, female 1.0
GTEX-1NV5F-0226-SM-E8VNY 60-69 years, female 0.9
GTEX-1H11D-0226-SM-9WG6Z 40-49 years, male 0.8
Show allShow less

Contact

  • NEWS ARTICLES
  • PRESS ROOM

The Project

  • INTRODUCTION
  • ORGANIZATION
  • PUBLICATIONS

The Human Protein Atlas

  • DOWNLOADABLE DATA
  • LICENCE & CITATION
  • HELP & FAQ
The Human Protein Atlas project is funded
by the Knut & Alice Wallenberg Foundation.


contact@proteinatlas.org