We use cookies to enhance the usability of our website. If you continue, we'll assume that you are happy to receive all cookies. More information. Don't show this again.
AKAP12
HPA
RESOURCES
  • TISSUE
  • BRAIN
  • SINGLE CELL
  • SUBCELLULAR
  • CANCER
  • BLOOD
  • CELL LINE
  • STRUCTURE & INTERACTION
ABOUT
  • INTRODUCTION
  • HISTORY
  • ORGANIZATION
  • PUBLICATIONS
  • ANTIBODY SUBMISSION
  • ANTIBODY AVAILABILITY
  • ACKNOWLEDGMENTS
  • CONTACT
NEWS
  • NEWS ARTICLES
  • PRESS ROOM
LEARN
  • DICTIONARY
  • PROTEIN CLASSES
  • PROTEIN EVIDENCE
  • METHODS
  • EDUCATIONAL VIDEOS
DATA
  • DOWNLOADABLE DATA
  • PUBLICATION DATA
  • RELEASE HISTORY
HELP
  • ANTIBODY VALIDATION
  • ASSAYS & ANNOTATION
  • DISCLAIMER
  • HELP & FAQ
  • PRIVACY STATEMENT
  • LICENCE & CITATION
Fields »
Search result

Field
Term
Gene name
Class
Subclass
Class
Keyword
Chromosome
External id
Tissue
Cell type
Expression
Antibody panel
Tissue
Main location
Patient ID
Annotation
Tissue
Category
Tau score
Cluster
Reliability
Brain region
Category
Tau score
Brain region
Category
Tau score
Brain region
Category
Tau score
Cluster
Reliability
Tissue
Cell type
Enrichment
Cell type
Category
Tau score
Cell type
Category
Tau score
Cell type
Category
Tau score
Cell lineage
Category
Tau score
Cluster
Cluster
Location
Searches
Location
Cell line
Class
Type
Phase
Reliability
Cancer
Prognosis
Cancer
Category
Cancer
Category
Tau score
Cluster
Variants
Interacting gene (ensg_id)
Type
Number of interactions
Pathway
Category
Score
Score
Score
Validation
Validation
Validation
Validation
Antibodies
Data type
Column


  • SUMMARY

  • TISSUE

  • BRAIN

  • SINGLE CELL

  • SUBCELL

  • CANCER

  • BLOOD

  • CELL LINE

  • STRUCT & INT

  • AKAP12
TISSUE PRIMARY DATA SKIN Show tissue menu
ADIPOSE TISSUE ADRENAL GLAND AMYGDALA APPENDIX BASAL GANGLIA BONE MARROW BREAST BRONCHUS CEREBELLUM CEREBRAL CORTEX CERVIX CHOROID PLEXUS COLON DUODENUM
ENDOMETRIUM EPIDIDYMIS ESOPHAGUS FALLOPIAN TUBE GALLBLADDER HEART MUSCLE HIPPOCAMPAL FORMATION HYPOTHALAMUS KIDNEY LIVER LUNG LYMPH NODE MIDBRAIN NASOPHARYNX
ORAL MUCOSA OVARY PANCREAS PARATHYROID GLAND PITUITARY GLAND PLACENTA PROSTATE RECTUM RETINA SALIVARY GLAND SEMINAL VESICLE SKELETAL MUSCLE SKIN SMALL INTESTINE
SMOOTH MUSCLE SOFT TISSUE SPINAL CORD SPLEEN STOMACH TESTIS THYMUS THYROID GLAND TONGUE TONSIL URINARY BLADDER VAGINA
ANTIBODIES
AND
VALIDATION
Dictionary
Skin
Tissue proteome
Skin
SKIN - Expression summary
Protein expression
Skini

On the top, protein expression in current human tissue, based on all annotated cell types, is reported with the units not detected (n), low (l), medium (m) and high (h). Underneath, protein expression in each annotated cell type are reported using the same units.

Protein expression data is based on knowledge-based annotation. For genes where more than one antibody has been used, a collective score is set.

If knowledge-based annotation could not be performed for a gene, no data is displayed here. View antibody staining data further down this page.

h
m
l
n
Cells in basal layer: Not detected
Cells in corneal layer: Not detected
Cells in granular layer: Not detected
Cells in spinous layer: Not detected
Endothelial cells: Not detected
Extracellular matrix: Not detected
Fibrohistiocytic cells: Medium
Langerhans cells: Not detected
Lymphocytes: Not detected
Melanocytes: Not detected
Vascular mural cells: Not detected
RNA expressioni

A summary of mRNA expression data available for current tissue based on several datasets. The mRNA expression levels in human tissues are based on RNA-seq data generated by the Human Protein Atlas (HPA), Genotype-Tissue Expression (GTEx) portal and CAGE data generated by the FANTOM5 consortium. Consensus normalized expression levels for human tissues was created by combining the data from HPA and GTEx datasets.

The mRNA expression levels in pig are based on RNA-seq data generated by the Human Protein Atlas (HPA), and for mouse, HPA data and in situ hybridization generated by the Allen brain atlas are reported.

Scroll down to view mRNA expression data in more detail.
Consensus:9.1 nTPM
HPA:3.3 nTPM
GTEx:9.1 nTPM

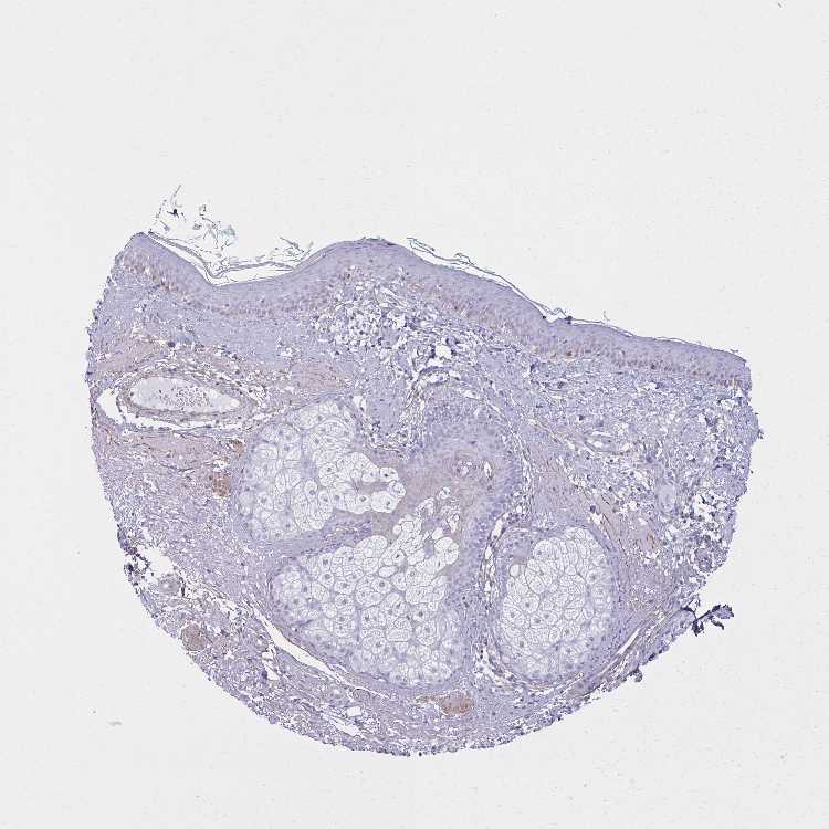
SKIN 1 - Antibody stainingi

Antibody staining in the annotated cell types in the current human tissue is reported as not detected, low, medium, or high, based on conventional immunohistochemistry profiling in selected tissues. This score is based on the combination of the staining intensity and fraction of stained cells.

Each image is clickable and will lead to virtual microscopy that enables deeper exploration of all samples and also displays staining intensity scores, fraction scores and subcellular localization as well as patient and tissue information for each sample.

Antibody HPA006344Antibody HPA056230Antibody CAB026379
Langerhans -Not detectedNot detected
Cells in basal layer Not detected--
Cells in corneal layer Not detected--
Cells in granular layer Not detected--
Cells in spinous layer Not detected--
Endothelial cells Not detected--
Extracellular matrix Not detected--
Fibroblasts -Not detectedNot detected
Fibrohistiocytic cells Not detected--
Keratinocytes -Not detectedNot detected
Langerhans cells Not detected--
Lymphocytes Not detected--
Melanocytes Not detectedLowNot detected
Vascular mural cells Not detected--




SKIN 2 - Antibody stainingi

Antibody staining in the annotated cell types in the current human tissue is reported as not detected, low, medium, or high, based on conventional immunohistochemistry profiling in selected tissues. This score is based on the combination of the staining intensity and fraction of stained cells.

Each image is clickable and will lead to virtual microscopy that enables deeper exploration of all samples and also displays staining intensity scores, fraction scores and subcellular localization as well as patient and tissue information for each sample.

Antibody HPA006344Antibody HPA056230Antibody CAB026379
Cells in basal layer Not detected--
Cells in corneal layer Not detected--
Cells in granular layer Not detected--
Cells in spinous layer Not detected--
Endothelial cells Not detected--
Epidermal cells -Not detectedNot detected
Extracellular matrix Not detected--
Fibrohistiocytic cells Medium--
Langerhans cells Not detected--
Lymphocytes Not detected--
Melanocytes Not detected--
Vascular mural cells Not detected--
   
   






SKIN - HPA RNA-seqi

The RNA-seq details section shows detailed information about the individual samples used for the transcript profiling and results of the RNA-seq analysis.

Information about each individual sample is listed below, including gender, age, a tissue section image and estimated fractions of cell types. nTPM (normalized transcripts per million) values give a quantification of the gene abundance which is comparable between different genes and samples.
Average nTPMi

Max subtype nTPM is the value for the subtype with the largest average nTPM across the subtype samples.

3.3
overview
Female, age 34
Skin sample 225
nTPM: 4.1
Cell types%
Keratinocytes:
60

Other cell types:
40

overview
Female, age 30
Skin sample 226
nTPM: 3
Cell types%
Keratinocytes:
55

Other cell types:
45

N/A
Male, age 57
Skin sample 227
nTPM: 2.7

SKIN - GTEx RNA-seqi

RNA-Seq data generated by the Genotype-Tissue Expression (GTEx) project from human tissues is reported as mean nTPM. More information can be found on the GTEx portal.

Distribution across the dataset is visualized with box plots, shown as median and 25th and 75th percentiles. Points are displayed as outliers if they are above or below 1.5 times the interquartile range. nTPM values of the individual samples are presented next to the box plot.
Max subtype nTPMi

Max subtype nTPM is the value for the subtype with the largest average nTPM across the subtype samples.

9.1
GTEx sample id Sample description nTPM
Skin - Not Sun Exposed (Suprapubic)
Average nTPM: 7.5
Samples: 604

Max nTPM: 64.9
Min nTPM: 0.9
Std nTPM: 5.5
Median nTPM: 6.1
GTEX-WYBS-0626-SM-3NMAS 60-69 years, female 64.9
GTEX-14E6C-2426-SM-5S2NF 40-49 years, male 46.8
GTEX-ZVE2-2826-SM-5GU51 50-59 years, male 32.8
GTEX-1A32A-0626-SM-731AQ 50-59 years, female 30.0
GTEX-13JUV-2026-SM-5K7UA 40-49 years, female 26.6
GTEX-1CAV2-0126-SM-7IGN7 40-49 years, female 26.6
GTEX-1JMQL-2226-SM-CNPP4 50-59 years, female 25.7
GTEX-XK95-0226-SM-4AT58 40-49 years, male 23.7
GTEX-11EM3-1226-SM-5N9DD 20-29 years, female 23.6
GTEX-18D9B-0926-SM-7LG4U 60-69 years, male 23.5
GTEX-1I4MK-0126-SM-CY8G6 50-59 years, female 23.3
GTEX-145LS-0626-SM-7EPG7 60-69 years, female 23.0
GTEX-1H3NZ-2726-SM-9WYTQ 60-69 years, male 22.7
GTEX-1H23P-0626-SM-9WG6T 60-69 years, male 22.0
GTEX-ZU9S-1826-SM-5NQ9E 30-39 years, male 21.0
GTEX-1F75B-0726-SM-7PC3R 50-59 years, male 20.5
GTEX-14BMU-1226-SM-5S2OR 20-29 years, female 20.2
GTEX-13QBU-1226-SM-5LU4G 40-49 years, female 20.0
GTEX-1JMQK-1226-SM-D4P2S 60-69 years, male 19.7
GTEX-YB5K-2026-SM-4VDT3 40-49 years, female 19.4
GTEX-ZVP2-0326-SM-57WBP 50-59 years, male 19.0
GTEX-WEY5-2326-SM-3GIKK 40-49 years, female 18.5
GTEX-1L5NE-1126-SM-D3L9P 50-59 years, male 18.2
GTEX-15SHW-0226-SM-7LTAT 60-69 years, male 18.0
GTEX-U8XE-0226-SM-4E3J3 30-39 years, male 18.0
GTEX-ZT9W-1126-SM-57WDR 50-59 years, male 17.8
GTEX-13FH7-1126-SM-5K7UG 50-59 years, female 17.6
GTEX-13N2G-0226-SM-5K7VF 60-69 years, male 17.5
GTEX-1HUB1-1426-SM-CGQF5 60-69 years, male 17.4
GTEX-13N1W-2426-SM-5IJD1 70-79 years, male 17.3
GTEX-WFG8-2126-SM-3GIKQ 20-29 years, male 17.3
GTEX-1IDJH-0126-SM-D3L92 70-79 years, male 17.3
GTEX-1JMOU-1026-SM-CYPSS 60-69 years, female 17.3
GTEX-X4EP-0626-SM-3P621 60-69 years, female 17.2
GTEX-WHSE-0126-SM-3NMBT 20-29 years, male 17.1
GTEX-ZYFG-1526-SM-5GZYM 60-69 years, female 16.9
GTEX-17EVQ-0126-SM-7IGLR 70-79 years, male 16.8
GTEX-12584-0726-SM-5FQTK 40-49 years, male 16.7
GTEX-ZAJG-1526-SM-5CVML 50-59 years, female 16.6
GTEX-ZA64-1026-SM-5HL8R 20-29 years, male 16.5
GTEX-1F88E-1626-SM-7SB8Z 60-69 years, female 16.5
GTEX-117YX-1926-SM-5GIEC 50-59 years, male 16.3
GTEX-ZLWG-0826-SM-59888 50-59 years, female 16.2
GTEX-1QP66-1226-SM-DTX7U 50-59 years, male 16.2
GTEX-12WSL-2026-SM-5GCML 50-59 years, male 16.0
GTEX-1HSMO-0626-SM-ACKXC 60-69 years, male 16.0
GTEX-1QCLZ-2426-SM-EVYBW 60-69 years, female 15.7
GTEX-13RTJ-0126-SM-5S2NN 60-69 years, male 15.6
GTEX-14A5H-0826-SM-5QGPJ 60-69 years, male 15.0
GTEX-1R9K4-2826-SM-DTX8F 60-69 years, male 14.9
GTEX-16AAH-0626-SM-793C9 50-59 years, male 14.7
GTEX-1RLM8-2926-SM-E8VON 50-59 years, male 14.7
GTEX-1JKYN-0826-SM-ARU8S 30-39 years, male 14.5
GTEX-17F96-0126-SM-7EWDU 70-79 years, male 14.2
GTEX-ZTSS-1426-SM-5985P 40-49 years, male 14.2
GTEX-1HKZK-0726-SM-ACKW2 40-49 years, male 14.1
GTEX-1F75W-2726-SM-7SB8H 60-69 years, male 14.0
GTEX-12C56-1526-SM-5FQUQ 20-29 years, male 13.9
GTEX-1I19N-0126-SM-CYPSF 70-79 years, male 13.8
GTEX-1497J-0226-SM-5QGPU 60-69 years, male 13.7
GTEX-14PK6-0226-SM-62LF5 70-79 years, female 13.7
GTEX-1117F-2926-SM-5GZYI 60-69 years, female 13.6
GTEX-1JJ6O-2726-SM-CNPOG 60-69 years, male 13.6
GTEX-Y8LW-1526-SM-5IFHL 50-59 years, female 13.5
GTEX-ZLV1-1526-SM-DO91J 60-69 years, female 13.4
GTEX-12WSF-1626-SM-7KUG5 70-79 years, male 12.9
GTEX-X8HC-0626-SM-4E3HQ 50-59 years, female 12.9
GTEX-14JG6-1426-SM-9WG7C 30-39 years, female 12.9
GTEX-1HCU8-2526-SM-CE6RX 60-69 years, female 12.9
GTEX-1IDJI-0126-SM-CMKHS 50-59 years, female 12.9
GTEX-1314G-1326-SM-5BC6E 30-39 years, male 12.7
GTEX-147JS-0226-SM-5S2U9 60-69 years, male 12.6
GTEX-1A3MW-0626-SM-731CB 60-69 years, female 12.6
GTEX-12WSK-2126-SM-5CVNC 40-49 years, female 12.5
GTEX-Y5LM-0926-SM-6LLJG 40-49 years, female 12.4
GTEX-YF7O-1526-SM-5IFI6 50-59 years, male 12.4
GTEX-ZVE1-0726-SM-51MRN 50-59 years, female 12.4
GTEX-ZLFU-1826-SM-4WWBV 40-49 years, male 12.3
GTEX-1GF9U-2026-SM-7SB92 40-49 years, female 12.3
GTEX-1IDJF-2026-SM-CL53V 20-29 years, male 12.3
GTEX-1LSNL-2726-SM-E9TKJ 50-59 years, male 12.3
GTEX-13OVJ-0826-SM-5J1OK 50-59 years, female 12.1
GTEX-1JJE9-2626-SM-ARZMT 70-79 years, male 12.0
GTEX-X3Y1-2026-SM-3P5YM 40-49 years, male 11.9
GTEX-18D9U-0126-SM-731BM 40-49 years, male 11.8
GTEX-ZZ64-1026-SM-5GZXG 20-29 years, male 11.8
GTEX-1HC8U-1326-SM-9YFMJ 40-49 years, female 11.7
GTEX-11DZ1-2426-SM-5GZZX 50-59 years, male 11.6
GTEX-14PJ5-1526-SM-6LLIL 60-69 years, female 11.6
GTEX-1LGOU-1326-SM-D3L8M 20-29 years, female 11.6
GTEX-13PVQ-0626-SM-5LU47 50-59 years, male 11.5
GTEX-13YAN-0226-SM-5TDC6 60-69 years, male 11.5
GTEX-1IDJE-1426-SM-ADEIW 50-59 years, female 11.5
GTEX-1GMR2-0826-SM-7PC3V 50-59 years, male 11.4
GTEX-12KS4-2126-SM-5FQUT 30-39 years, male 11.3
GTEX-14DAQ-0626-SM-793DS 60-69 years, female 11.2
GTEX-18A7B-2726-SM-7LG56 70-79 years, male 11.2
GTEX-1QP29-1826-SM-DTX9S 50-59 years, male 11.2
GTEX-13113-1626-SM-5EQ4I 60-69 years, female 11.1
GTEX-1ICG6-1226-SM-A9SLN 70-79 years, female 11.1
GTEX-12BJ1-0926-SM-5EQ62 60-69 years, male 11.0
GTEX-ZYW4-0626-SM-59HJR 60-69 years, male 11.0
GTEX-18D9A-1426-SM-7LT8M 30-39 years, female 11.0
GTEX-1AX9J-1326-SM-731BJ 60-69 years, male 10.9
GTEX-11P82-1426-SM-DTXFY 20-29 years, male 10.8
GTEX-14DAR-1226-SM-73KYV 50-59 years, male 10.7
GTEX-14E6E-0526-SM-793DN 30-39 years, male 10.7
GTEX-17F98-1326-SM-7DUEP 40-49 years, female 10.7
GTEX-1A8FM-0626-SM-7PC25 50-59 years, female 10.7
GTEX-1H1ZS-2726-SM-9WG75 70-79 years, male 10.7
GTEX-1KANC-1226-SM-CYPT7 50-59 years, female 10.6
GTEX-13X6I-1826-SM-5SIAO 60-69 years, male 10.5
GTEX-1A3MX-2626-SM-7PC24 60-69 years, male 10.5
GTEX-15CHQ-0326-SM-69LQD 60-69 years, male 10.4
GTEX-1F52S-2926-SM-7MKGA 60-69 years, female 10.3
GTEX-ZDXO-3126-SM-5IJDF 60-69 years, male 10.3
GTEX-139YR-1026-SM-5LZYN 50-59 years, male 10.2
GTEX-147F3-1726-SM-5SIAW 50-59 years, female 10.2
GTEX-14PJ2-0626-SM-6LLII 50-59 years, male 10.2
GTEX-14PJO-2526-SM-6AJBQ 60-69 years, male 10.2
GTEX-15UF6-1926-SM-7KUDV 70-79 years, female 10.2
GTEX-1F75I-2226-SM-7SB8U 40-49 years, male 10.2
GTEX-1LSNM-0826-SM-DIPG8 50-59 years, male 10.2
GTEX-18A66-0626-SM-7LT8Z 60-69 years, male 10.1
GTEX-ZAB4-2126-SM-5HL8U 40-49 years, male 10.1
GTEX-1GL5R-1326-SM-7RHHF 50-59 years, male 10.0
GTEX-1F48J-0726-SM-7RHGS 50-59 years, female 9.9
GTEX-1EWIQ-0326-SM-7DHMQ 70-79 years, female 9.8
GTEX-1H1DF-1126-SM-9WG7G 40-49 years, female 9.8
GTEX-1HCU6-2526-SM-ADEHL 60-69 years, female 9.8
GTEX-145MO-2826-SM-5LU96 60-69 years, male 9.7
GTEX-1CB4H-1126-SM-7MKGL 60-69 years, female 9.7
GTEX-1J8Q3-0526-SM-ARL8U 60-69 years, male 9.7
GTEX-13OVK-1426-SM-6PAN7 40-49 years, male 9.6
GTEX-ZDYS-2426-SM-4WKGI 50-59 years, male 9.6
GTEX-1ICLY-0826-SM-CMKG1 50-59 years, male 9.6
GTEX-11EI6-2826-SM-5H11D 60-69 years, male 9.5
GTEX-1211K-1526-SM-5FQU4 60-69 years, female 9.5
GTEX-16XZZ-0726-SM-7KUF2 60-69 years, male 9.5
GTEX-17F9E-2326-SM-79OKD 50-59 years, male 9.5
GTEX-1F6IF-0926-SM-7SB7M 60-69 years, male 9.5
GTEX-1E1VI-0326-SM-793D1 50-59 years, male 9.4
GTEX-1C475-1326-SM-7SB73 40-49 years, female 9.4
GTEX-1JN1M-2726-SM-CY8I4 60-69 years, female 9.4
GTEX-13NYC-0126-SM-5L3F4 60-69 years, male 9.3
GTEX-WXYG-2026-SM-4E3IY 50-59 years, female 9.3
GTEX-1GMR3-0126-SM-A9SLW 40-49 years, male 9.2
GTEX-1HCUA-0826-SM-ADEHM 50-59 years, female 9.2
GTEX-16MT8-2926-SM-7DUFO 60-69 years, female 9.1
GTEX-WYVS-1626-SM-3NM9R 40-49 years, female 9.1
GTEX-ZYFD-0626-SM-5E44E 50-59 years, male 9.1
GTEX-1S5ZU-2526-SM-E6CIF 20-29 years, female 9.1
GTEX-14LLW-2626-SM-62LDZ 70-79 years, female 9.0
GTEX-1K2DA-1026-SM-CGQGF 50-59 years, male 9.0
GTEX-1S831-1826-SM-EWROF 20-29 years, male 9.0
GTEX-13N11-2326-SM-5IJBF 50-59 years, female 8.9
GTEX-1A3MV-1826-SM-731CD 30-39 years, male 8.9
GTEX-1EH9U-2826-SM-7DUGT 60-69 years, male 8.9
GTEX-1I1HK-2326-SM-CKZOH 60-69 years, male 8.9
GTEX-11NSD-0626-SM-5A5LU 20-29 years, male 8.8
GTEX-1399R-1326-SM-5PNYS 30-39 years, male 8.8
GTEX-145ME-1726-SM-5Q5EU 40-49 years, female 8.8
GTEX-1CAMR-1326-SM-7PC1F 20-29 years, male 8.8
GTEX-1HB9E-0126-SM-CM2S5 50-59 years, male 8.8
GTEX-14E1K-2026-SM-7DUEI 50-59 years, male 8.7
GTEX-132AR-0326-SM-5KM2C 50-59 years, female 8.6
GTEX-1GMR8-0626-SM-7RHI7 50-59 years, female 8.6
GTEX-139UW-0326-SM-5J1ML 60-69 years, male 8.5
GTEX-1JMLX-0626-SM-ARL8T 50-59 years, male 8.5
GTEX-1LBAC-0826-SM-CY8IJ 20-29 years, male 8.5
GTEX-1LVAN-0626-SM-CNPOQ 50-59 years, female 8.5
GTEX-1LVAO-2726-SM-E9TJ8 60-69 years, male 8.5
GTEX-1MCC2-1826-SM-DIPEX 30-39 years, female 8.5
GTEX-1N5O9-0926-SM-E9J3C 60-69 years, male 8.5
GTEX-1477Z-0326-SM-7IGLA 60-69 years, male 8.4
GTEX-W5X1-2526-SM-3GILC 40-49 years, female 8.4
GTEX-Y3IK-1626-SM-4YCF5 50-59 years, female 8.4
GTEX-17JCI-2926-SM-7DUFF 60-69 years, female 8.3
GTEX-18A7A-0126-SM-731AH 50-59 years, female 8.3
GTEX-1GPI7-1826-SM-9KNU1 20-29 years, male 8.3
GTEX-14753-0726-SM-5QGQO 60-69 years, male 8.2
GTEX-1B996-0426-SM-7EWF8 60-69 years, male 8.2
GTEX-1HSMQ-2626-SM-A9SML 50-59 years, male 8.2
GTEX-1I1CD-0626-SM-CE6SW 60-69 years, female 8.2
GTEX-1KD5A-0126-SM-E9U54 50-59 years, male 8.2
GTEX-1NSGN-0726-SM-DTXEF 50-59 years, male 8.2
GTEX-11VI4-1126-SM-5EQMD 40-49 years, female 8.1
GTEX-145LT-0526-SM-5LUB2 40-49 years, male 8.1
GTEX-14AS3-1526-SM-5Q5ED 40-49 years, female 8.1
GTEX-16GPK-0626-SM-7KFSF 60-69 years, male 8.1
GTEX-VUSG-2326-SM-4KL1U 50-59 years, male 8.1
GTEX-1HR98-2226-SM-ADEI2 60-69 years, male 8.1
GTEX-1192X-2726-SM-5N9DN 50-59 years, male 8.0
GTEX-12WSJ-1126-SM-5LZVJ 40-49 years, female 8.0
GTEX-145MN-1526-SM-5SI9T 30-39 years, male 8.0
GTEX-16NGA-0726-SM-731AO 40-49 years, female 8.0
GTEX-WI4N-2726-SM-3LK7Y 40-49 years, female 8.0
GTEX-1KXAM-1626-SM-D3LAD 60-69 years, male 8.0
GTEX-ZGAY-1826-SM-DO91Q 40-49 years, female 8.0
GTEX-11ZTT-2126-SM-5CVLO 60-69 years, female 7.9
GTEX-13X6H-0926-SM-5SIB2 50-59 years, female 7.9
GTEX-XMD2-2126-SM-4YCF8 60-69 years, female 7.9
GTEX-1J8JJ-0626-SM-ARZMQ 60-69 years, female 7.9
GTEX-1JN6P-2926-SM-CL54D 60-69 years, male 7.9
GTEX-11LCK-2226-SM-5HL4Q 30-39 years, male 7.8
GTEX-11P7K-1126-SM-5HL4L 30-39 years, male 7.8
GTEX-17MF6-2626-SM-79OKQ 40-49 years, male 7.8
GTEX-1KANA-1326-SM-DIPFA 20-29 years, male 7.8
GTEX-12WSA-0426-SM-5EQ5X 60-69 years, male 7.7
GTEX-12WSH-1526-SM-5BC5W 50-59 years, male 7.7
GTEX-131YS-2826-SM-5EQ47 60-69 years, female 7.7
GTEX-13OW8-1026-SM-5J1NQ 60-69 years, male 7.7
GTEX-13PVR-0426-SM-5RQK2 60-69 years, female 7.7
GTEX-1A8G7-1326-SM-73KVM 60-69 years, male 7.7
GTEX-XUW1-0926-SM-4BONX 50-59 years, female 7.7
GTEX-1CAMS-2226-SM-7PBXQ 40-49 years, female 7.7
GTEX-1IDJC-1526-SM-B2LW4 50-59 years, male 7.7
GTEX-15EU6-2226-SM-6EU2L 50-59 years, male 7.6
GTEX-1GF9W-1426-SM-7PBYM 60-69 years, male 7.6
GTEX-1H1CY-0126-SM-9YFLY 60-69 years, female 7.6
GTEX-1I6K6-1726-SM-CGQFD 30-39 years, male 7.6
GTEX-1LG7Z-1626-SM-CXKYR 30-39 years, male 7.6
GTEX-1S82P-2126-SM-E6CI5 60-69 years, female 7.6
GTEX-16BQI-1326-SM-6M486 30-39 years, female 7.5
GTEX-11O72-0626-SM-5PNYE 40-49 years, male 7.4
GTEX-11TT1-1826-SM-5EQLV 20-29 years, male 7.4
GTEX-1GZ4H-0526-SM-9KNU9 50-59 years, female 7.4
GTEX-1RAZR-2126-SM-E9U6T 40-49 years, male 7.4
GTEX-17HG3-2626-SM-7DUF2 30-39 years, female 7.3
GTEX-XBEC-0726-SM-4QARZ 50-59 years, male 7.2
GTEX-XQ8I-0926-SM-4BOOF 50-59 years, male 7.2
GTEX-ZVT4-2426-SM-5GIEI 50-59 years, female 7.2
GTEX-ZYY3-2926-SM-5GIEB 60-69 years, female 7.2
GTEX-1I1GS-2626-SM-B2LY3 60-69 years, male 7.2
GTEX-1JMPZ-0726-SM-CY8HZ 30-39 years, male 7.2
GTEX-1LGRB-0926-SM-COH3K 50-59 years, female 7.2
GTEX-1MJK3-0726-SM-E6CJC 20-29 years, male 7.2
GTEX-11DXW-0826-SM-5H118 40-49 years, male 7.1
GTEX-11WQK-1026-SM-5EQLX 50-59 years, male 7.0
GTEX-139D8-1126-SM-5LU8W 30-39 years, female 7.0
GTEX-139T8-0626-SM-5KLZX 60-69 years, male 7.0
GTEX-17F97-2626-SM-7IGM5 50-59 years, male 7.0
GTEX-17F9Y-0126-SM-79OKX 70-79 years, female 7.0
GTEX-X5EB-1926-SM-4E3IW 40-49 years, male 7.0
GTEX-1IDJU-1726-SM-CMKHU 60-69 years, female 7.0
GTEX-111CU-1126-SM-5EGIM 50-59 years, male 6.9
GTEX-14PKU-0126-SM-6LLHV 40-49 years, female 6.9
GTEX-183FY-1026-SM-7939A 20-29 years, male 6.9
GTEX-18QFQ-1826-SM-72D52 30-39 years, male 6.9
GTEX-XYKS-1426-SM-4BRUO 60-69 years, female 6.9
GTEX-1IE54-1126-SM-A9G2Z 40-49 years, female 6.9
GTEX-1J8Q2-2626-SM-ACKWQ 60-69 years, male 6.9
GTEX-1LKK1-2626-SM-DKPQE 50-59 years, female 6.9
GTEX-13OVG-1626-SM-5J1NF 60-69 years, male 6.8
GTEX-WY7C-2126-SM-3NB2R 50-59 years, male 6.8
GTEX-X4EO-2926-SM-4E3JH 60-69 years, female 6.8
GTEX-XBED-1926-SM-47JYP 60-69 years, male 6.8
GTEX-XXEK-1626-SM-4BRUZ 50-59 years, male 6.8
GTEX-Y114-2126-SM-4TT8B 50-59 years, female 6.8
GTEX-Y5V5-0126-SM-5S2NW 60-69 years, female 6.8
GTEX-1IDJD-2326-SM-ACKWX 30-39 years, male 6.8
GTEX-1IL2V-1926-SM-B2LW8 70-79 years, male 6.8
GTEX-1M4P7-0726-SM-E6CJ3 60-69 years, male 6.8
GTEX-12696-0126-SM-5EQ4L 60-69 years, male 6.7
GTEX-144GM-0526-SM-79OJO 20-29 years, male 6.7
GTEX-14PKV-1126-SM-6LLJ1 20-29 years, female 6.7
GTEX-WYJK-0526-SM-3NM8Z 50-59 years, male 6.7
GTEX-1GN2E-0226-SM-9WG6K 60-69 years, male 6.7
GTEX-11UD2-2526-SM-5CVNU 50-59 years, male 6.6
GTEX-139TS-2126-SM-5K7XC 60-69 years, male 6.6
GTEX-15EO6-2426-SM-6PALZ 50-59 years, male 6.6
GTEX-18465-2826-SM-7LT9J 50-59 years, male 6.6
GTEX-XPVG-2126-SM-4B667 50-59 years, male 6.6
GTEX-1F5PL-0926-SM-7PC2W 40-49 years, female 6.6
GTEX-1LVA9-2626-SM-EVYD4 50-59 years, male 6.6
GTEX-11EQ9-1626-SM-5PNY8 30-39 years, male 6.5
GTEX-12WSD-0626-SM-5GCMW 60-69 years, female 6.5
GTEX-12ZZZ-0726-SM-5GCNZ 60-69 years, male 6.5
GTEX-13NYS-0626-SM-5L3F1 60-69 years, male 6.5
GTEX-13SLX-2226-SM-62LEP 50-59 years, female 6.5
GTEX-16MTA-0926-SM-6M47Z 50-59 years, male 6.5
GTEX-Y3I4-1726-SM-4TT89 50-59 years, male 6.5
GTEX-1GTWX-2026-SM-9YFLM 60-69 years, male 6.5
GTEX-11GSP-2326-SM-5HL63 60-69 years, female 6.4
GTEX-13FTW-0326-SM-5K7UW 40-49 years, male 6.4
GTEX-14PHX-2226-SM-6EU2P 50-59 years, male 6.4
GTEX-XOT4-0626-SM-4B66L 60-69 years, female 6.4
GTEX-ZAK1-0626-SM-5HL8E 50-59 years, female 6.4
GTEX-13OW5-2326-SM-5L3HO 60-69 years, male 6.3
GTEX-WH7G-2026-SM-3NMBL 40-49 years, male 6.3
GTEX-1GZ2Q-0126-SM-9WG6M 40-49 years, male 6.3
GTEX-1RB15-1326-SM-E76Q9 60-69 years, male 6.3
GTEX-YEC3-1326-SM-DO92X 50-59 years, male 6.3
GTEX-13W3W-0726-SM-5IJDQ 60-69 years, female 6.2
GTEX-1IDFM-0326-SM-ARL7V 60-69 years, male 6.2
GTEX-1J1R8-2026-SM-CL53Y 40-49 years, male 6.2
GTEX-14B4R-1326-SM-5Q5EZ 30-39 years, male 6.1
GTEX-15CHC-1126-SM-6LLHQ 60-69 years, female 6.1
GTEX-183WM-0326-SM-72D5V 70-79 years, female 6.1
GTEX-1AX8Z-0726-SM-73KTS 60-69 years, male 6.1
GTEX-1H1DG-2426-SM-9QEHJ 70-79 years, male 6.1
GTEX-1H3VE-0726-SM-9YFL5 40-49 years, male 6.1
GTEX-1HCVE-2726-SM-CL54F 50-59 years, male 6.1
GTEX-1R9PN-0426-SM-DTXDT 40-49 years, female 6.1
GTEX-146FQ-2126-SM-5RQHU 30-39 years, male 6.0
GTEX-1EX96-1026-SM-7MKG2 50-59 years, male 6.0
GTEX-1H1E6-0426-SM-9WYUS 30-39 years, male 6.0
GTEX-1HCU9-0426-SM-9WYSD 20-29 years, male 6.0
GTEX-1N2DV-1526-SM-DTXEP 40-49 years, male 6.0
GTEX-133LE-2326-SM-5K7W3 20-29 years, female 5.9
GTEX-13O61-1426-SM-5KM3D 60-69 years, male 5.9
GTEX-13QJC-0126-SM-5ZZWJ 60-69 years, female 5.9
GTEX-15D1Q-2826-SM-6LLH7 40-49 years, male 5.9
GTEX-Y8E4-2026-SM-5IFJB 40-49 years, male 5.9
GTEX-1C64N-2626-SM-7PC2N 50-59 years, male 5.9
GTEX-1HFI7-2326-SM-CGQFS 50-59 years, female 5.9
GTEX-11DXX-2126-SM-5PNYR 60-69 years, female 5.8
GTEX-131XF-2626-SM-5EQ6K 60-69 years, male 5.8
GTEX-1AMEY-0826-SM-72D65 30-39 years, female 5.8
GTEX-1B8KE-1126-SM-7EPHI 50-59 years, male 5.8
GTEX-1CB4I-0126-SM-7RHGG 50-59 years, male 5.8
GTEX-1HGF4-0126-SM-CNPPX 60-69 years, male 5.8
GTEX-1ICLZ-0326-SM-ARL82 60-69 years, male 5.8
GTEX-1K2DU-1226-SM-CYPT4 20-29 years, male 5.8
GTEX-1QP28-1126-SM-EVYC4 50-59 years, female 5.8
GTEX-111YS-1526-SM-5GZYW 60-69 years, male 5.7
GTEX-XV7Q-1826-SM-4BRUV 40-49 years, female 5.7
GTEX-1I6K7-1926-SM-B2LXR 40-49 years, male 5.7
GTEX-1LG7Y-2526-SM-EWRO7 50-59 years, male 5.7
GTEX-1O9I2-0226-SM-EYYXD 50-59 years, male 5.7
GTEX-139TU-0726-SM-5L3EK 60-69 years, male 5.6
GTEX-13O3O-2326-SM-5IJD6 60-69 years, female 5.6
GTEX-YEC4-1826-SM-4W1YP 40-49 years, male 5.6
GTEX-ZTX8-1326-SM-4YCEL 20-29 years, male 5.6
GTEX-1GN1W-2426-SM-9KNUU 50-59 years, female 5.6
GTEX-12126-0826-SM-5FQTZ 20-29 years, male 5.5
GTEX-131XG-0326-SM-5L3DX 50-59 years, female 5.5
GTEX-131XH-0126-SM-5LZUY 50-59 years, male 5.5
GTEX-131XW-0626-SM-5PNVD 50-59 years, female 5.5
GTEX-14PJ6-2626-SM-6EU2T 60-69 years, female 5.5
GTEX-14PJN-1826-SM-6AJ98 30-39 years, male 5.5
GTEX-1F75A-0726-SM-7RHHD 50-59 years, male 5.5
GTEX-1I1GP-1326-SM-A9G28 50-59 years, male 5.5
GTEX-ZPU1-1126-SM-4YCF3 40-49 years, male 5.4
GTEX-1AYD5-2626-SM-7PBXY 50-59 years, male 5.4
GTEX-1C64O-1326-SM-7MGWR 60-69 years, male 5.4
GTEX-1IKOE-1426-SM-CE6T7 30-39 years, female 5.4
GTEX-1QMI2-2526-SM-E8VNZ 60-69 years, male 5.4
GTEX-1RAZA-2226-SM-E9U4X 20-29 years, male 5.4
GTEX-111FC-2526-SM-5GZXU 60-69 years, male 5.3
GTEX-VJYA-1526-SM-3GIJV 60-69 years, male 5.3
GTEX-WHWD-1826-SM-3LK6I 50-59 years, male 5.3
GTEX-ZC5H-1526-SM-5HL9Y 40-49 years, female 5.3
GTEX-ZDTS-0826-SM-4WKHL 60-69 years, male 5.3
GTEX-ZVT2-0126-SM-5GIDQ 50-59 years, female 5.3
GTEX-ZYFC-0426-SM-5GICQ 50-59 years, male 5.3
GTEX-1JMQI-1726-SM-ARL93 50-59 years, male 5.3
GTEX-1QAET-0326-SM-EVR3U 50-59 years, male 5.3
GTEX-11DYG-1526-SM-5A5JS 60-69 years, male 5.2
GTEX-13FTX-1526-SM-5K7VJ 20-29 years, female 5.2
GTEX-148VJ-0626-SM-5LUAW 70-79 years, male 5.2
GTEX-14C5O-0326-SM-5ZZUX 60-69 years, male 5.2
GTEX-15ER7-0626-SM-6PANF 20-29 years, female 5.2
GTEX-1CB4F-1026-SM-7DUH1 60-69 years, male 5.2
GTEX-1GZHY-0626-SM-9KNVC 50-59 years, female 5.2
GTEX-1HBPM-0726-SM-9YFL7 60-69 years, female 5.2
GTEX-1I1GU-0926-SM-ACKVS 40-49 years, male 5.2
GTEX-1LSVX-2526-SM-DIPEU 60-69 years, male 5.2
GTEX-1R7EU-1626-SM-DTXG3 60-69 years, male 5.2
GTEX-12WSM-1926-SM-5BC65 60-69 years, male 5.1
GTEX-147F4-0726-SM-5TDDD 50-59 years, male 5.1
GTEX-14PJ4-0226-SM-5YY92 60-69 years, male 5.1
GTEX-1AMFI-1326-SM-7939R 50-59 years, female 5.1
GTEX-1AX9I-2226-SM-73KUO 60-69 years, male 5.1
GTEX-ZE7O-2726-SM-51MT5 50-59 years, female 5.1
GTEX-ZP4G-1426-SM-4WWCL 20-29 years, female 5.1
GTEX-ZF3C-0626-SM-DO92O 50-59 years, female 5.1
GTEX-ZPIC-0526-SM-DO91W 40-49 years, female 5.1
GTEX-11NUK-2726-SM-5A5MC 50-59 years, male 5.0
GTEX-15CHR-1126-SM-7EWF4 50-59 years, male 5.0
GTEX-17EVP-2626-SM-7IGMA 40-49 years, male 5.0
GTEX-17HII-1426-SM-7EPGG 50-59 years, male 5.0
GTEX-WHPG-2626-SM-3NMBR 50-59 years, male 5.0
GTEX-ZDTT-0426-SM-4WKFL 60-69 years, male 5.0
GTEX-1J8QM-2426-SM-A9SLS 60-69 years, female 5.0
GTEX-1PDJ9-1226-SM-EXUSX 20-29 years, male 5.0
GTEX-1QEPI-2626-SM-DTXF4 60-69 years, female 5.0
GTEX-13FLV-0126-SM-5K7WT 50-59 years, male 4.9
GTEX-13OVL-0126-SM-5L3GJ 50-59 years, male 4.9
GTEX-1B932-2326-SM-79OL5 40-49 years, female 4.9
GTEX-UPK5-0426-SM-3GAEK 40-49 years, male 4.9
GTEX-WFON-1926-SM-3LK7L 40-49 years, male 4.9
GTEX-YJ8O-2526-SM-5HL85 40-49 years, female 4.9
GTEX-ZUA1-2626-SM-5NQ92 40-49 years, male 4.9
GTEX-ZVTK-0226-SM-51MRG 20-29 years, male 4.9
GTEX-1GN1U-0626-SM-9MQL9 50-59 years, female 4.9
GTEX-1KAFJ-0126-SM-DIPEK 50-59 years, male 4.9
GTEX-1KANB-2826-SM-CY8I6 50-59 years, male 4.9
GTEX-15FZZ-0526-SM-7KUGD 30-39 years, female 4.8
GTEX-15RJ7-2126-SM-6PAMD 40-49 years, male 4.8
GTEX-17HHY-0426-SM-7DHLC 50-59 years, male 4.8
GTEX-17MFQ-1526-SM-7KFRR 20-29 years, male 4.8
GTEX-X585-2426-SM-46MW2 50-59 years, male 4.8
GTEX-1CAMQ-1326-SM-7P8RV 40-49 years, male 4.8
GTEX-1PPH7-1126-SM-DTX9A 40-49 years, male 4.8
GTEX-1QP2A-1726-SM-E76QC 50-59 years, male 4.8
GTEX-11EQ8-0926-SM-5H12V 60-69 years, male 4.7
GTEX-WFG7-2026-SM-5SI7P 20-29 years, male 4.7
GTEX-ZXG5-2126-SM-59HKD 60-69 years, male 4.7
GTEX-ZY6K-1426-SM-5GZX2 50-59 years, male 4.7
GTEX-1F6I4-2326-SM-7RHGL 60-69 years, male 4.7
GTEX-1KWVE-1026-SM-D3L9O 30-39 years, male 4.7
GTEX-1S3DN-2126-SM-E9TIN 50-59 years, male 4.7
GTEX-145MG-1526-SM-5Q5EM 50-59 years, male 4.6
GTEX-1HSKV-1226-SM-ADEI4 60-69 years, male 4.6
GTEX-13FHO-0426-SM-5L3F5 60-69 years, male 4.5
GTEX-14ICL-1626-SM-5YYAO 30-39 years, male 4.5
GTEX-14PHY-1226-SM-5ZZWK 60-69 years, female 4.5
GTEX-15G1A-1626-SM-7KUKN 30-39 years, male 4.5
GTEX-1B97I-0626-SM-73KUZ 40-49 years, male 4.5
GTEX-ZE9C-2526-SM-5IJDR 60-69 years, male 4.5
GTEX-ZZPU-0826-SM-5GZX5 50-59 years, female 4.5
GTEX-1CB4J-1326-SM-7P8RX 60-69 years, male 4.5
GTEX-1E2YA-2126-SM-7MXUO 50-59 years, male 4.5
GTEX-11DXY-0126-SM-5H11Q 60-69 years, male 4.4
GTEX-13OW6-2726-SM-5J2OE 50-59 years, male 4.4
GTEX-15SKB-2826-SM-6PAMH 60-69 years, male 4.4
GTEX-14JFF-0626-SM-5ZZVT 60-69 years, male 4.4
GTEX-1IY9M-2826-SM-ARU8H 60-69 years, male 4.4
GTEX-13NZ9-2626-SM-5L3FK 50-59 years, male 4.3
GTEX-13OVH-0526-SM-5L3E6 70-79 years, male 4.3
GTEX-13X6K-0626-SM-5LU5D 60-69 years, female 4.3
GTEX-145MI-0626-SM-5SI8S 60-69 years, female 4.3
GTEX-14PJ3-1126-SM-5ZZVX 50-59 years, male 4.3
GTEX-1EU9M-1426-SM-793AI 60-69 years, male 4.3
GTEX-1GMRU-2126-SM-7P8RA 50-59 years, male 4.3
GTEX-1HSMP-0926-SM-A9SKX 70-79 years, male 4.3
GTEX-1JMPY-0226-SM-CKZOK 30-39 years, male 4.3
GTEX-1B933-2426-SM-7DHMD 50-59 years, female 4.2
GTEX-1C2JI-1026-SM-73KY1 50-59 years, male 4.2
GTEX-1HSGN-0826-SM-ACKW3 40-49 years, female 4.2
GTEX-11P81-2226-SM-5PNYI 30-39 years, female 4.1
GTEX-1399U-1126-SM-5L3DB 50-59 years, female 4.1
GTEX-13U4I-2226-SM-5LU5H 40-49 years, female 4.1
GTEX-15RJE-2826-SM-7KUM9 40-49 years, male 4.1
GTEX-1C6WA-2626-SM-7MKGM 60-69 years, male 4.1
GTEX-WK11-2726-SM-3NMAQ 50-59 years, male 4.1
GTEX-XBEW-1126-SM-4QARW 40-49 years, male 4.1
GTEX-Y5V6-2326-SM-4VDSA 60-69 years, male 4.1
GTEX-1H2FU-0926-SM-9WPPT 60-69 years, female 4.1
GTEX-11TUW-0626-SM-5LU9M 60-69 years, male 4.0
GTEX-16NPX-0726-SM-7KULC 50-59 years, male 4.0
GTEX-16Z82-2626-SM-7KULU 60-69 years, male 4.0
GTEX-1B8KZ-0326-SM-73KY4 50-59 years, male 4.0
GTEX-1C6VQ-1226-SM-73KYD 50-59 years, male 4.0
GTEX-1F6RS-2026-SM-7RHHC 60-69 years, female 4.0
GTEX-1QP9N-1226-SM-E76QN 30-39 years, male 4.0
GTEX-13VXT-1926-SM-5K7UO 20-29 years, female 3.9
GTEX-14JG1-1526-SM-5YY9X 40-49 years, male 3.9
GTEX-1EN7A-2426-SM-793DB 40-49 years, male 3.9
GTEX-UPJH-0226-SM-3GADV 50-59 years, male 3.9
GTEX-V1D1-2026-SM-3GAF4 50-59 years, male 3.9
GTEX-ZTTD-2826-SM-4YCFA 50-59 years, male 3.9
GTEX-1HBPN-0126-SM-CGQEF 50-59 years, male 3.9
GTEX-1K9T9-1526-SM-DIPFR 50-59 years, female 3.9
GTEX-1212Z-0126-SM-59HK4 60-69 years, male 3.8
GTEX-15RIE-1926-SM-7KUKJ 60-69 years, male 3.8
GTEX-Z93S-1626-SM-5CVMB 50-59 years, male 3.8
GTEX-1OJC3-1226-SM-DTXER 20-29 years, male 3.8
GTEX-1269C-0126-SM-5EQ5L 60-69 years, female 3.7
GTEX-12WSC-2826-SM-5BC5Y 50-59 years, male 3.7
GTEX-14C38-0726-SM-5SI6M 50-59 years, male 3.7
GTEX-15DDE-2926-SM-6LLJ3 50-59 years, female 3.7
GTEX-17HGU-2326-SM-7DUFE 50-59 years, male 3.7
GTEX-18A6Q-0626-SM-7KFRP 60-69 years, male 3.7
GTEX-XAJ8-1426-SM-47JYM 40-49 years, male 3.7
GTEX-1H1DE-1326-SM-9KNUG 20-29 years, male 3.7
GTEX-1RMOY-1326-SM-E9TIH 50-59 years, male 3.7
GTEX-11GS4-0226-SM-5HL77 60-69 years, male 3.6
GTEX-11WQC-1826-SM-5GU59 60-69 years, male 3.6
GTEX-13IVO-0726-SM-5LZYV 70-79 years, male 3.6
GTEX-15DYW-2726-SM-6EU2I 60-69 years, female 3.6
GTEX-16YQH-2226-SM-7IGM2 30-39 years, male 3.6
GTEX-WRHU-2826-SM-3MJG8 50-59 years, female 3.6
GTEX-1F88F-0126-SM-9WYSZ 60-69 years, female 3.6
GTEX-1POEN-2326-SM-E9J2L 30-39 years, female 3.6
GTEX-1QCLY-0226-SM-EWRNH 30-39 years, male 3.6
GTEX-11DXZ-2026-SM-5987S 50-59 years, male 3.5
GTEX-144GO-2026-SM-5O99P 60-69 years, male 3.5
GTEX-15G19-2426-SM-7KUMR 60-69 years, male 3.5
GTEX-1GN73-0726-SM-7P8TJ 60-69 years, male 3.5
GTEX-1HCU7-0726-SM-A9SL1 50-59 years, male 3.5
GTEX-1QPFJ-1926-SM-EVYBD 30-39 years, female 3.5
GTEX-13PDP-0726-SM-5L3HP 60-69 years, male 3.4
GTEX-178AV-1726-SM-7KUL8 40-49 years, male 3.4
GTEX-ZF29-0926-SM-4WKFZ 60-69 years, female 3.4
GTEX-1J8EW-2726-SM-CY8HR 60-69 years, female 3.4
GTEX-1MCYP-0526-SM-E9U6Q 20-29 years, female 3.4
GTEX-1RAZS-2526-SM-E6CHT 50-59 years, male 3.4
GTEX-1S83E-1326-SM-E6CJM 40-49 years, male 3.4
GTEX-13D11-0926-SM-5J2NC 50-59 years, female 3.3
GTEX-14LZ3-0126-SM-69LPM 60-69 years, female 3.3
GTEX-15RIG-0726-SM-7KUM7 40-49 years, male 3.3
GTEX-17KNJ-2126-SM-718AM 50-59 years, male 3.3
GTEX-YFCO-1226-SM-5LUAT 40-49 years, male 3.3
GTEX-ZWKS-0626-SM-5GIDV 30-39 years, male 3.3
GTEX-1I1GT-1026-SM-ARZLV 60-69 years, female 3.3
GTEX-1IDJV-0126-SM-COH3Y 60-69 years, male 3.3
GTEX-1JKYR-0626-SM-ARL8R 20-29 years, male 3.3
GTEX-1JN76-0626-SM-CKZOQ 20-29 years, female 3.3
GTEX-12ZZY-0726-SM-5EQ66 60-69 years, male 3.2
GTEX-13PL6-1126-SM-5L3IE 40-49 years, female 3.2
GTEX-145LU-1926-SM-79OJN 50-59 years, male 3.2
GTEX-14PII-0726-SM-6EU2B 60-69 years, male 3.2
GTEX-17HHE-1326-SM-7EWDZ 50-59 years, male 3.2
GTEX-ZT9X-1526-SM-5DUXD 40-49 years, male 3.2
GTEX-1GF9V-0826-SM-9KNUV 60-69 years, male 3.2
GTEX-1N2EE-0626-SM-E76PW 60-69 years, male 3.2
GTEX-1S82U-1026-SM-E6CJK 30-39 years, female 3.2
GTEX-11ZU8-0126-SM-5EQ58 60-69 years, male 3.1
GTEX-13NZ8-1226-SM-5KM4A 60-69 years, female 3.1
GTEX-13OW7-0426-SM-5K7VK 50-59 years, male 3.1
GTEX-1A8G6-2726-SM-731AR 60-69 years, male 3.1
GTEX-1122O-1026-SM-9WYSF 60-69 years, female 3.1
GTEX-1H4P4-2126-SM-9WYSL 50-59 years, male 3.1
GTEX-1PIGE-1826-SM-E8VOU 20-29 years, male 3.1
GTEX-1PIIG-2326-SM-DTXFR 30-39 years, male 3.1
GTEX-14ABY-2026-SM-62LDL 50-59 years, male 3.0
GTEX-1CB4E-0926-SM-7EPHT 60-69 years, male 3.0
GTEX-ZF2S-1626-SM-57WES 50-59 years, female 3.0
GTEX-ZYVF-0926-SM-5E44J 50-59 years, female 3.0
GTEX-1PBJJ-1026-SM-E76OS 30-39 years, male 3.0
GTEX-1R46S-2426-SM-E76QA 60-69 years, female 3.0
GTEX-145MF-0926-SM-5Q5EA 50-59 years, male 2.9
GTEX-14C39-1726-SM-5RQIL 40-49 years, male 2.9
GTEX-WHSB-1326-SM-3LK6W 50-59 years, male 2.9
GTEX-1IKJJ-2226-SM-CJI4C 60-69 years, male 2.9
GTEX-1PPGY-1626-SM-EVYBL 60-69 years, male 2.9
GTEX-1QW4Y-1126-SM-DTXE3 30-39 years, male 2.9
GTEX-1399S-0126-SM-5IJCF 30-39 years, female 2.8
GTEX-13NYB-0126-SM-5J1MD 40-49 years, male 2.8
GTEX-13X6J-0626-SM-5LU5F 50-59 years, male 2.8
GTEX-144FL-0626-SM-5LU43 50-59 years, male 2.8
GTEX-1GZ4I-2626-SM-9KNU3 50-59 years, male 2.8
GTEX-1HBPI-2126-SM-ARL9K 50-59 years, male 2.8
GTEX-1JK1U-0226-SM-ARZMX 60-69 years, male 2.8
GTEX-139TT-2126-SM-5LZWC 60-69 years, male 2.7
GTEX-13O3Q-0126-SM-5KM34 50-59 years, male 2.7
GTEX-13SLW-0626-SM-5Q5ER 70-79 years, male 2.7
GTEX-1F5PK-2226-SM-7SB6N 50-59 years, male 2.7
GTEX-1I1GV-0626-SM-ARL7M 60-69 years, male 2.7
GTEX-1PPH8-0126-SM-EWRN8 20-29 years, male 2.7
GTEX-13JVG-0726-SM-5KM16 60-69 years, male 2.6
GTEX-14BMV-2826-SM-5TDED 50-59 years, male 2.6
GTEX-1EKGG-0626-SM-7DUGJ 60-69 years, male 2.6
GTEX-ZVZP-1226-SM-5GID7 50-59 years, male 2.6
GTEX-1EMGI-2326-SM-7PBYA 60-69 years, male 2.6
GTEX-1H3O1-1326-SM-9MQLD 60-69 years, male 2.6
GTEX-1HFI6-0126-SM-CNPPI 40-49 years, male 2.6
GTEX-1J1OQ-0126-SM-D4P2N 40-49 years, female 2.6
GTEX-13VXU-0626-SM-5L3F9 50-59 years, male 2.5
GTEX-18A67-1626-SM-7LT9T 50-59 years, male 2.5
GTEX-1BAJH-2426-SM-7IGP8 70-79 years, male 2.5
GTEX-Y9LG-1126-SM-4VBQ7 30-39 years, male 2.5
GTEX-1JMQJ-0826-SM-CNPP7 50-59 years, male 2.5
GTEX-1RAZQ-1326-SM-E9TK6 30-39 years, male 2.5
GTEX-11ZUS-2626-SM-5FQUR 30-39 years, male 2.4
GTEX-14BIN-1126-SM-5RQJZ 50-59 years, female 2.4
GTEX-16MT9-0126-SM-7EPI8 60-69 years, female 2.4
GTEX-1LVAM-0726-SM-E6CIL 50-59 years, female 2.4
GTEX-1R9PM-1926-SM-EVR3O 20-29 years, male 2.4
GTEX-13112-0126-SM-5P9IU 50-59 years, male 2.3
GTEX-1B8L1-2226-SM-7P8PT 60-69 years, male 2.3
GTEX-1GF9X-1326-SM-7PC2Y 40-49 years, female 2.3
GTEX-1HR9M-2226-SM-CNPPY 60-69 years, male 2.3
GTEX-11OF3-0126-SM-5PNYF 60-69 years, male 2.2
GTEX-12ZZX-2426-SM-5GCOE 40-49 years, female 2.2
GTEX-1313W-0626-SM-5EQ4H 50-59 years, female 2.2
GTEX-13FTY-2126-SM-5IFFB 40-49 years, female 2.2
GTEX-XQ3S-1426-SM-4BOPR 20-29 years, male 2.2
GTEX-1OJC4-2726-SM-E76PJ 50-59 years, female 2.1
GTEX-1GPI6-1926-SM-9KNV7 60-69 years, male 2.0
GTEX-1IOXB-2726-SM-CM2RI 50-59 years, male 2.0
GTEX-13G51-1826-SM-5KLZH 60-69 years, male 1.9
GTEX-14A6H-2026-SM-5Q5DD 30-39 years, male 1.9
GTEX-1B8SF-0126-SM-7DUG3 60-69 years, male 1.9
GTEX-ZPCL-1126-SM-4WWFE 60-69 years, female 1.9
GTEX-1HT8W-0626-SM-A9G2H 30-39 years, male 1.9
GTEX-1LB8K-0726-SM-D5OV2 50-59 years, male 1.9
GTEX-144GL-0626-SM-5LU4D 50-59 years, male 1.8
GTEX-145MH-2826-SM-5RQJF 50-59 years, male 1.8
GTEX-147GR-2426-SM-5ZZWQ 60-69 years, male 1.8
GTEX-Y111-0626-SM-4SOIT 50-59 years, male 1.8
GTEX-1NV5F-0626-SM-DTXEG 60-69 years, female 1.8
GTEX-14XAO-1226-SM-6EU1C 60-69 years, female 1.7
GTEX-1H11D-1826-SM-9QEHM 40-49 years, male 1.7
GTEX-1JJEA-1826-SM-ARU8P 60-69 years, male 1.5
GTEX-111VG-1626-SM-5EGIO 60-69 years, male 1.4
GTEX-ZYT6-2326-SM-5GZY3 30-39 years, male 1.3
GTEX-1C6VR-0126-SM-7RHGB 60-69 years, male 1.3
GTEX-YECK-0326-SM-4W1YS 60-69 years, male 1.2
GTEX-11PRG-0726-SM-5EGL1 50-59 years, male 1.0
GTEX-1GN1V-2826-SM-9JGIA 60-69 years, male 1.0
GTEX-1399Q-2326-SM-5KM2X 40-49 years, male 0.9
Show allShow less
Skin - Sun Exposed (Lower leg)
Average nTPM: 9.1
Samples: 701

Max nTPM: 45.4
Min nTPM: 1.3
Std nTPM: 5.8
Median nTPM: 7.7
GTEX-15EOM-0126-SM-7KUGG 20-29 years, female 45.4
GTEX-1QP67-1626-SM-EAZ3X 40-49 years, female 43.3
GTEX-1RAZQ-0726-SM-EAZ43 30-39 years, male 36.9
GTEX-146FR-1326-SM-E9J48 60-69 years, female 35.6
GTEX-WOFL-0126-SM-3MJG2 60-69 years, male 34.7
GTEX-1HUB1-0426-SM-E9U4U 60-69 years, male 34.7
GTEX-14E6C-0126-SM-5RQIP 40-49 years, male 32.5
GTEX-13W46-0226-SM-5SIAG 50-59 years, male 31.5
GTEX-11TTK-0126-SM-5987B 60-69 years, female 30.0
GTEX-1GN1W-0526-SM-9MQJQ 50-59 years, female 27.9
GTEX-U4B1-1826-SM-4DXSU 40-49 years, male 26.3
GTEX-ZTPG-0326-SM-5O9AX 20-29 years, female 25.3
GTEX-15SHW-0326-SM-6PAML 60-69 years, male 25.2
GTEX-ZZPT-0226-SM-5E43X 50-59 years, male 25.1
GTEX-11P82-1626-SM-59879 20-29 years, male 24.9
GTEX-1IDFM-0126-SM-COH2V 60-69 years, male 24.6
GTEX-139D8-0226-SM-5KLZO 30-39 years, female 24.4
GTEX-RUSQ-1526-SM-2TF62 50-59 years, male 24.3
GTEX-13FTX-1826-SM-5J1NX 20-29 years, female 23.4
GTEX-1H1E6-1726-SM-ACKVK 30-39 years, male 23.2
GTEX-144GN-2326-SM-5LU4F 50-59 years, male 23.0
GTEX-OXRO-0126-SM-2YUN4 60-69 years, female 22.9
GTEX-1QP29-0626-SM-EWRMX 50-59 years, male 22.8
GTEX-Y3I4-2126-SM-4TT7C 50-59 years, male 22.7
GTEX-13NZA-0226-SM-5K7Z7 60-69 years, male 22.6
GTEX-1N2DV-0226-SM-E6CJ6 40-49 years, male 22.4
GTEX-1RLM8-2326-SM-EWRN4 50-59 years, male 22.3
GTEX-1IE54-0126-SM-CMKHW 40-49 years, female 21.8
GTEX-1PBJI-0526-SM-E8VNK 20-29 years, female 21.8
GTEX-14JIY-0126-SM-6LLH6 60-69 years, male 21.7
GTEX-1OJC4-0126-SM-E9J2E 50-59 years, female 21.3
GTEX-14BIL-0126-SM-5SI92 50-59 years, male 21.1
GTEX-WRHK-1426-SM-3MJF9 20-29 years, female 21.0
GTEX-13RTJ-2426-SM-5S2Q2 60-69 years, male 20.7
GTEX-1QP2A-0126-SM-E9J43 50-59 years, male 20.7
GTEX-17F97-0326-SM-7LG5B 50-59 years, male 20.5
GTEX-145LV-2126-SM-5LU8N 50-59 years, male 19.8
GTEX-12WSN-5019-SM-79OM6 40-49 years, male 19.6
GTEX-1AYCT-2426-SM-7IGQ3 50-59 years, male 19.3
GTEX-11DXX-2426-SM-5GZZW 60-69 years, female 19.2
GTEX-1HSMQ-1226-SM-CGQFX 50-59 years, male 19.2
GTEX-Y5LM-1926-SM-5RQJH 40-49 years, female 19.1
GTEX-ZYW4-0126-SM-5E44A 60-69 years, male 18.9
GTEX-1H3VE-0326-SM-9YFLH 40-49 years, male 18.9
GTEX-1JKYN-1326-SM-CGQG9 30-39 years, male 18.9
GTEX-1H23P-0126-SM-ADEJ3 60-69 years, male 18.7
GTEX-ZF28-0126-SM-4WKGK 60-69 years, male 18.6
GTEX-14PHW-0126-SM-6LLJI 60-69 years, female 18.5
GTEX-1N2EF-0226-SM-EYYXB 60-69 years, male 18.3
GTEX-1JN1M-0326-SM-CYPT3 60-69 years, female 18.1
GTEX-13O1R-0126-SM-5L3EH 60-69 years, male 18.0
GTEX-YJ8A-0426-SM-5IFID 20-29 years, male 17.7
GTEX-ZE7O-0126-SM-57WC1 50-59 years, female 17.7
GTEX-OXRL-0126-SM-2YUMP 50-59 years, male 17.6
GTEX-ZU9S-0226-SM-5E441 30-39 years, male 17.6
GTEX-1HSMO-0126-SM-CL547 60-69 years, male 17.6
GTEX-1I1GU-2226-SM-CGQFA 40-49 years, male 17.5
GTEX-X62O-0126-SM-4E3JN 50-59 years, male 17.4
GTEX-1F48J-0126-SM-7P8TT 50-59 years, female 17.4
GTEX-14ICK-0226-SM-6EU25 40-49 years, male 17.3
GTEX-1R9PO-2126-SM-E9J4O 60-69 years, female 17.2
GTEX-Q734-1926-SM-2I5EV 40-49 years, female 17.1
GTEX-R55G-2526-SM-2TC6D 40-49 years, female 17.1
GTEX-16XZY-2126-SM-79OK1 70-79 years, male 17.0
GTEX-148VJ-0126-SM-5TDDN 70-79 years, male 16.8
GTEX-WH7G-2326-SM-3NMBC 40-49 years, male 16.8
GTEX-YEC4-2126-SM-5IFJH 40-49 years, male 16.7
GTEX-1HKZK-0326-SM-9WYUH 40-49 years, male 16.7
GTEX-P4PQ-0126-SM-2S1NM 60-69 years, male 16.5
GTEX-PWCY-1826-SM-DHXIZ 20-29 years, female 16.5
GTEX-1AMEY-1326-SM-73KYK 30-39 years, female 16.4
GTEX-117YX-2326-SM-5H12W 50-59 years, male 16.3
GTEX-1J8Q3-1626-SM-CMKGC 60-69 years, male 16.3
GTEX-PLZ4-0126-SM-5SI8O 50-59 years, female 16.2
GTEX-1HSMP-0126-SM-E6CJS 70-79 years, male 16.0
GTEX-1H2FU-0126-SM-9WYSI 60-69 years, female 15.8
GTEX-11ZUS-0626-SM-59885 30-39 years, male 15.6
GTEX-1C6VS-0526-SM-7DUEN 60-69 years, male 15.6
GTEX-XUW1-0426-SM-4BOOT 50-59 years, female 15.6
GTEX-13OVJ-0126-SM-5KM36 50-59 years, female 15.5
GTEX-17EUY-0426-SM-793BD 20-29 years, male 15.4
GTEX-1AX9K-2326-SM-73KWU 50-59 years, male 15.4
GTEX-1MCYP-1926-SM-E9J2R 20-29 years, female 15.3
GTEX-113IC-0126-SM-5HL6T 60-69 years, male 15.2
GTEX-Y8LW-1826-SM-5S2MV 50-59 years, female 15.2
GTEX-1AYD5-2426-SM-73KXR 50-59 years, male 15.1
GTEX-1I1HK-0126-SM-COH49 60-69 years, male 15.1
GTEX-131XG-2626-SM-5KM17 50-59 years, female 15.0
GTEX-ZDTT-2726-SM-4WKF8 60-69 years, male 15.0
GTEX-1497J-2426-SM-7IGNX 60-69 years, male 14.9
GTEX-12KS4-0326-SM-5EQ41 30-39 years, male 14.8
GTEX-14LLW-0126-SM-6LLIO 70-79 years, female 14.8
GTEX-11VI4-1726-SM-5CVLH 40-49 years, female 14.7
GTEX-139T4-0226-SM-5HL5S 50-59 years, female 14.7
GTEX-1F6I4-0126-SM-9MQL2 60-69 years, male 14.7
GTEX-1R7EV-2426-SM-EVYBG 40-49 years, male 14.7
GTEX-R45C-0126-SM-EAZ2R 60-69 years, female 14.7
GTEX-14PN3-2426-SM-6LLHS 60-69 years, female 14.6
GTEX-OOBK-0126-SM-2YUND 40-49 years, male 14.6
GTEX-11DZ1-0126-SM-5985Q 50-59 years, male 14.5
GTEX-11EM3-2426-SM-59861 20-29 years, female 14.5
GTEX-1A32A-0126-SM-718B1 50-59 years, female 14.5
GTEX-ZAJG-0126-SM-5HL94 50-59 years, female 14.5
GTEX-1C64O-0126-SM-7SB8P 60-69 years, male 14.5
GTEX-13N1W-0126-SM-5K7VT 70-79 years, male 14.4
GTEX-13OVI-1426-SM-5L3EY 60-69 years, female 14.4
GTEX-16AAH-1726-SM-7939C 50-59 years, male 14.3
GTEX-1HBPH-0426-SM-B2LW5 40-49 years, female 14.2
GTEX-1HCVE-0126-SM-CGQEU 50-59 years, male 14.1
GTEX-1HSEH-0126-SM-ACKXN 60-69 years, male 14.1
GTEX-1A3MW-0126-SM-73KXX 60-69 years, female 14.0
GTEX-1PPH7-2326-SM-EVYB8 40-49 years, male 14.0
GTEX-1MUQO-0126-SM-EAZ58 60-69 years, male 13.9
GTEX-11EMC-2926-SM-5EQ4F 60-69 years, female 13.8
GTEX-12WSJ-1826-SM-5GCNY 40-49 years, female 13.8
GTEX-OHPM-0126-SM-2YUN9 50-59 years, male 13.7
GTEX-XV7Q-2526-SM-4BRV9 40-49 years, female 13.7
GTEX-ZF29-2326-SM-DO92K 60-69 years, female 13.7
GTEX-1MGNQ-0126-SM-EVYCJ 40-49 years, male 13.6
GTEX-1I4MK-2226-SM-ACKWD 50-59 years, female 13.4
GTEX-13W3W-2426-SM-5LU5B 60-69 years, female 13.3
GTEX-WI4N-1026-SM-3LK7N 40-49 years, female 13.3
GTEX-18QFQ-0126-SM-731BE 30-39 years, male 13.2
GTEX-RWS6-2026-SM-2XCB5 60-69 years, female 13.2
GTEX-QLQ7-1626-SM-2S1R8 60-69 years, male 13.1
GTEX-OXRK-0226-SM-3NB2G 50-59 years, female 12.9
GTEX-RTLS-0126-SM-447CA 60-69 years, female 12.9
GTEX-1C6WA-0126-SM-7PC2B 60-69 years, male 12.9
GTEX-1HBPM-0226-SM-ARL9F 60-69 years, female 12.9
GTEX-1ICLY-0126-SM-D4P36 50-59 years, male 12.9
GTEX-183WM-0126-SM-7LTAB 70-79 years, female 12.8
GTEX-RM2N-1426-SM-2TF4H 50-59 years, male 12.8
GTEX-ZF3C-0126-SM-DO92D 50-59 years, female 12.8
GTEX-1C2JI-1826-SM-73KXC 50-59 years, male 12.7
GTEX-1LC47-0326-SM-E9TJP 60-69 years, male 12.7
GTEX-1S3DN-2226-SM-EVYCD 50-59 years, male 12.7
GTEX-18A66-0226-SM-718BD 60-69 years, male 12.6
GTEX-1A3MV-1926-SM-718BT 30-39 years, male 12.6
GTEX-ZDXO-3026-SM-5J1N5 60-69 years, male 12.6
GTEX-12C56-1726-SM-5EQ61 20-29 years, male 12.5
GTEX-Q2AI-1326-SM-2S1PL 40-49 years, male 12.5
GTEX-ZAB5-1826-SM-5HL7C 50-59 years, male 12.5
GTEX-11NSD-2226-SM-5986V 20-29 years, male 12.4
GTEX-1JMOU-1526-SM-CL54I 60-69 years, female 12.4
GTEX-1LBAC-0126-SM-DIPEZ 20-29 years, male 12.4
GTEX-OXRP-0126-SM-3NB32 60-69 years, female 12.3
GTEX-QDVJ-1726-SM-2I5FX 50-59 years, male 12.3
GTEX-11TT1-2526-SM-5EGIB 20-29 years, male 12.2
GTEX-18D9B-0526-SM-7LTAS 60-69 years, male 12.2
GTEX-1CAMS-0426-SM-7P8T2 40-49 years, female 12.2
GTEX-1S5ZA-0126-SM-EVYCV 20-29 years, male 12.2
GTEX-1K9T9-0126-SM-EVYCF 50-59 years, female 12.1
GTEX-13OVG-1926-SM-5L3DK 60-69 years, male 12.0
GTEX-13VXT-0126-SM-5LU4I 20-29 years, female 12.0
GTEX-1J1R8-1726-SM-ARL8M 40-49 years, male 12.0
GTEX-11P7K-2126-SM-5GU7G 30-39 years, male 11.9
GTEX-1GN1V-0126-SM-9WPOS 60-69 years, male 11.9
GTEX-1LNCM-1126-SM-E9U5E 50-59 years, female 11.9
GTEX-1PWST-0226-SM-E76QJ 70-79 years, male 11.8
GTEX-1QW4Y-1526-SM-EAZ3Z 30-39 years, male 11.8
GTEX-T6MO-1626-SM-32QOM 40-49 years, female 11.7
GTEX-1HCUA-2426-SM-ADEIS 50-59 years, female 11.7
GTEX-131XW-0426-SM-5LZWP 50-59 years, female 11.6
GTEX-QCQG-1726-SM-3GIJ9 50-59 years, female 11.6
GTEX-1H3VY-0126-SM-ACKXD 50-59 years, male 11.6
GTEX-12584-0126-SM-5EGKQ 40-49 years, male 11.4
GTEX-14C5O-0126-SM-5SI6N 60-69 years, male 11.4
GTEX-NFK9-0226-SM-2HMKQ 40-49 years, male 11.4
GTEX-1HCU8-0626-SM-A9SM9 60-69 years, female 11.4
GTEX-V1D1-2226-SM-3NMAX 50-59 years, male 11.3
GTEX-ZEX8-2426-SM-4WKG4 50-59 years, male 11.3
GTEX-ZYFD-0126-SM-5GIDL 50-59 years, male 11.3
GTEX-1JJE9-0326-SM-CL53Z 70-79 years, male 11.3
GTEX-1RAZA-0126-SM-E6CI3 20-29 years, male 11.3
GTEX-11LCK-1026-SM-5A5KB 30-39 years, male 11.2
GTEX-1KD5A-0226-SM-D5OV3 50-59 years, male 11.2
GTEX-1R46S-0626-SM-E9J41 60-69 years, female 11.2
GTEX-15ETS-0126-SM-7KUMW 40-49 years, female 11.1
GTEX-17F98-0626-SM-79OMX 40-49 years, female 11.1
GTEX-X8HC-0126-SM-4E3JW 50-59 years, female 11.1
GTEX-1M4P7-0226-SM-DIPEV 60-69 years, male 11.1
GTEX-1F52S-0126-SM-9MQJU 60-69 years, female 11.0
GTEX-113JC-2326-SM-5EQ4E 50-59 years, female 10.9
GTEX-1211K-2026-SM-5EQ4Z 60-69 years, female 10.9
GTEX-147F4-0226-SM-5QGPW 50-59 years, male 10.9
GTEX-14BIM-0226-SM-7IGLD 60-69 years, female 10.9
GTEX-14PK6-1926-SM-6ETZU 70-79 years, female 10.9
GTEX-16XZZ-0126-SM-793DV 60-69 years, male 10.9
GTEX-QLQW-1126-SM-2S1Q8 30-39 years, male 10.9
GTEX-1F75I-0326-SM-9YFLU 40-49 years, male 10.9
GTEX-T5JC-0426-SM-32PLO 20-29 years, male 10.8
GTEX-WY7C-2326-SM-3NB2U 50-59 years, male 10.8
GTEX-139T8-0126-SM-5K7XZ 60-69 years, male 10.7
GTEX-ZVE2-0226-SM-59HJB 50-59 years, male 10.7
GTEX-13RTL-0126-SM-7LG5S 40-49 years, male 10.6
GTEX-14DAR-2026-SM-5S2O3 50-59 years, male 10.6
GTEX-WXYG-2326-SM-4E3I6 50-59 years, female 10.6
GTEX-XYKS-2126-SM-4E3IB 60-69 years, female 10.6
GTEX-11ZTT-2426-SM-5EQLS 60-69 years, female 10.5
GTEX-1399U-2326-SM-5K7WY 50-59 years, female 10.5
GTEX-146FQ-0126-SM-5NQA9 30-39 years, male 10.5
GTEX-T2YK-0526-SM-32QPJ 50-59 years, male 10.5
GTEX-XAJ8-0826-SM-47JY6 40-49 years, male 10.5
GTEX-13OW7-0126-SM-5MR3B 50-59 years, male 10.4
GTEX-13X6I-0626-SM-5QGP9 60-69 years, male 10.4
GTEX-1H3NZ-0126-SM-ACKX7 60-69 years, male 10.4
GTEX-1ICG6-2526-SM-CGQFZ 70-79 years, female 10.4
GTEX-13CF2-2526-SM-5LZYX 60-69 years, male 10.3
GTEX-145LT-1726-SM-5QGP3 40-49 years, male 10.3
GTEX-1F75B-0126-SM-9KNVL 50-59 years, male 10.3
GTEX-1HCU6-0126-SM-CL54K 60-69 years, female 10.3
GTEX-11ZVC-2526-SM-5FQTE 50-59 years, female 10.2
GTEX-X4EO-0326-SM-3P5YO 60-69 years, female 10.2
GTEX-1QCLY-0326-SM-E8VOG 30-39 years, male 10.2
GTEX-117YW-2626-SM-5GZZH 50-59 years, male 10.1
GTEX-12WSK-2326-SM-5GCOH 40-49 years, female 10.1
GTEX-ZQG8-1626-SM-DHXIT 60-69 years, female 10.1
GTEX-147F3-0526-SM-5SI98 50-59 years, female 10.0
GTEX-15UKP-0426-SM-7KUFQ 20-29 years, male 10.0
GTEX-13X6H-2126-SM-7EWD5 50-59 years, female 9.9
GTEX-WFG8-2226-SM-3GIL9 20-29 years, male 9.9
GTEX-X638-0126-SM-47JZ8 70-79 years, female 9.9
GTEX-13FH7-2026-SM-E9J4I 50-59 years, female 9.9
GTEX-1A8FM-0226-SM-7SB7Q 50-59 years, female 9.9
GTEX-1B996-0226-SM-7RHGO 60-69 years, male 9.9
GTEX-1H1ZS-0426-SM-9WG6G 70-79 years, male 9.9
GTEX-OIZF-0126-SM-7SB8I 60-69 years, male 9.9
GTEX-12WSL-2526-SM-5GCNJ 50-59 years, male 9.8
GTEX-15UF6-0826-SM-6PALJ 70-79 years, female 9.8
GTEX-SNMC-1226-SM-2XCFP 20-29 years, male 9.8
GTEX-U3ZM-1526-SM-3DB9D 40-49 years, male 9.8
GTEX-ZAB4-0226-SM-5N9F5 40-49 years, male 9.8
GTEX-1QP66-1726-SM-E8VO1 50-59 years, male 9.8
GTEX-QDT8-0126-SM-48TZ1 30-39 years, female 9.7
GTEX-U8XE-0326-SM-3DB8P 30-39 years, male 9.7
GTEX-1PIGE-0126-SM-EVYBJ 20-29 years, male 9.7
GTEX-11H98-0126-SM-5EGHG 50-59 years, male 9.6
GTEX-11XUK-2026-SM-5EQLF 40-49 years, female 9.6
GTEX-14BMU-2226-SM-5TDE9 20-29 years, female 9.6
GTEX-1GF9X-2026-SM-7PC3A 40-49 years, female 9.6
GTEX-1192X-0226-SM-5H12D 50-59 years, male 9.5
GTEX-13O21-1426-SM-5K7XI 50-59 years, male 9.5
GTEX-13YAN-0326-SM-5O9DF 60-69 years, male 9.5
GTEX-14A6H-0126-SM-5QGPK 30-39 years, male 9.5
GTEX-15SDE-2226-SM-7IGLO 50-59 years, female 9.5
GTEX-13O3O-0126-SM-E9J49 60-69 years, female 9.5
GTEX-1E2YA-0126-SM-9KNUC 50-59 years, male 9.5
GTEX-1IKOH-0226-SM-COH4E 60-69 years, female 9.5
GTEX-1JN76-0126-SM-CNPPE 20-29 years, female 9.5
GTEX-1S82Z-0826-SM-E6CHY 30-39 years, female 9.5
GTEX-11O72-0126-SM-59887 40-49 years, male 9.4
GTEX-14DAQ-0126-SM-5S2MQ 60-69 years, female 9.4
GTEX-16NGA-1726-SM-731B4 40-49 years, female 9.4
GTEX-ZQUD-1426-SM-57WER 30-39 years, male 9.4
GTEX-1I1GS-0126-SM-B2LVW 60-69 years, male 9.4
GTEX-1RDX4-0126-SM-E9J4P 50-59 years, female 9.4
GTEX-11GSP-2526-SM-5N9BP 60-69 years, female 9.3
GTEX-OXRN-0126-SM-48TDM 50-59 years, male 9.3
GTEX-S95S-1226-SM-4GICG 60-69 years, male 9.3
GTEX-XXEK-2226-SM-4BRUM 50-59 years, male 9.3
GTEX-ZDYS-2026-SM-5HL5L 50-59 years, male 9.3
GTEX-1I1CD-0126-SM-CM2TK 60-69 years, female 9.3
GTEX-1NHNU-1026-SM-E9J2A 50-59 years, male 9.3
GTEX-139UW-2826-SM-5L3E7 60-69 years, male 9.2
GTEX-13FHO-0226-SM-5IFGY 60-69 years, male 9.2
GTEX-13N11-2526-SM-5K7UE 50-59 years, female 9.2
GTEX-14JG6-2226-SM-6EU2G 30-39 years, female 9.2
GTEX-14PJ3-1826-SM-62LEX 50-59 years, male 9.2
GTEX-15SHU-0126-SM-7KUEH 40-49 years, female 9.2
GTEX-18A67-0126-SM-7LG5P 50-59 years, male 9.2
GTEX-SN8G-0126-SM-32PLI 50-59 years, female 9.2
GTEX-TSE9-0126-SM-3DB83 60-69 years, female 9.2
GTEX-1EX96-1626-SM-7PBXR 50-59 years, male 9.2
GTEX-1GMR8-0126-SM-9WYTM 50-59 years, female 9.2
GTEX-1GTWX-0126-SM-9YFLK 60-69 years, male 9.2
GTEX-1HFI7-1826-SM-ACKXH 50-59 years, female 9.2
GTEX-13NZ8-0826-SM-5MR3I 60-69 years, female 9.1
GTEX-14753-0426-SM-5NQAM 60-69 years, male 9.1
GTEX-NPJ8-0126-SM-2YUNR 40-49 years, male 9.1
GTEX-PLZ6-1426-SM-DKPOT 30-39 years, male 9.1
GTEX-139TS-2826-SM-5J1OO 60-69 years, male 9.0
GTEX-Q2AH-1626-SM-3GAF8 40-49 years, male 9.0
GTEX-QVJO-1626-SM-2S1QW 60-69 years, female 9.0
GTEX-X4XY-0226-SM-4E3IZ 60-69 years, male 9.0
GTEX-1GZ4H-1726-SM-7PBZJ 50-59 years, female 9.0
GTEX-1JMPY-1326-SM-ARL8Y 30-39 years, male 9.0
GTEX-1LGOU-2026-SM-DIPFF 20-29 years, female 9.0
GTEX-1LGRB-2526-SM-CNPPQ 50-59 years, female 9.0
GTEX-13RTK-1426-SM-5QGQJ 20-29 years, male 8.9
GTEX-16YQH-0126-SM-7DUFJ 30-39 years, male 8.9
GTEX-18D9U-0226-SM-718BP 40-49 years, male 8.9
GTEX-Z93T-0126-SM-5HL5N 50-59 years, male 8.9
GTEX-1F6RS-0126-SM-9MQKZ 60-69 years, female 8.9
GTEX-1H1DE-2126-SM-9WG6R 20-29 years, male 8.9
GTEX-11GS4-2726-SM-5A5LE 60-69 years, male 8.8
GTEX-13PDP-0126-SM-5L3HD 60-69 years, male 8.8
GTEX-OHPL-0126-SM-2HMJ7 60-69 years, female 8.8
GTEX-11WQK-0526-SM-5EQLD 50-59 years, male 8.7
GTEX-17EVQ-0226-SM-7LG4P 70-79 years, male 8.7
GTEX-QDVN-2026-SM-3GAEP 50-59 years, male 8.7
GTEX-Y114-2426-SM-4TT8A 50-59 years, female 8.7
GTEX-1F88F-2726-SM-7PBZZ 60-69 years, female 8.7
GTEX-1MCQQ-0826-SM-DLHC2 60-69 years, male 8.7
GTEX-PLZ5-2026-SM-2S1O4 50-59 years, male 8.6
GTEX-SSA3-0126-SM-32QPU 60-69 years, male 8.6
GTEX-VJWN-0126-SM-3GIK7 50-59 years, female 8.6
GTEX-169BO-1326-SM-9MQK2 50-59 years, male 8.6
GTEX-1B933-0126-SM-7PC29 50-59 years, female 8.6
GTEX-1H3O1-0426-SM-9YFKY 60-69 years, male 8.5
GTEX-1HGF4-2426-SM-ACKXM 60-69 years, male 8.5
GTEX-132NY-0326-SM-5IJBL 60-69 years, male 8.4
GTEX-13N2G-2626-SM-5J1OT 60-69 years, male 8.4
GTEX-146FH-0126-SM-5QGPP 50-59 years, female 8.4
GTEX-17HHE-2026-SM-79OKF 50-59 years, male 8.4
GTEX-1AX8Z-0126-SM-7DHM6 60-69 years, male 8.4
GTEX-1I19N-0326-SM-ACKVX 70-79 years, male 8.4
GTEX-1IDJU-2626-SM-CM2RT 60-69 years, female 8.4
GTEX-13PVR-2326-SM-5QGR1 60-69 years, female 8.3
GTEX-SUCS-1926-SM-32PM3 70-79 years, male 8.3
GTEX-TMMY-0226-SM-33HBA 40-49 years, female 8.3
GTEX-ZUA1-0126-SM-5GU76 40-49 years, male 8.3
GTEX-1F5PK-2426-SM-7RHHY 50-59 years, male 8.3
GTEX-XMD2-0126-SM-4YCDU 60-69 years, female 8.2
GTEX-1IDJF-0126-SM-CM2RS 20-29 years, male 8.2
GTEX-1LSNM-1926-SM-E6CII 50-59 years, male 8.2
GTEX-12WSD-0126-SM-59HKN 60-69 years, female 8.1
GTEX-12ZZZ-0626-SM-5DUXI 60-69 years, male 8.1
GTEX-14ABY-0226-SM-5TDCQ 50-59 years, male 8.1
GTEX-X585-0226-SM-4QAS2 50-59 years, male 8.1
GTEX-YB5K-2126-SM-4WWDJ 40-49 years, female 8.1
GTEX-ZTSS-1926-SM-57WEW 40-49 years, male 8.1
GTEX-1HBPN-0226-SM-9YFM1 50-59 years, male 8.1
GTEX-18A7A-0226-SM-718BH 50-59 years, female 8.0
GTEX-1CAMR-1926-SM-7EPI2 20-29 years, male 8.0
GTEX-ZC5H-0226-SM-4WAY9 40-49 years, female 8.0
GTEX-ZYY3-0126-SM-5GZY5 60-69 years, female 8.0
GTEX-1S82Y-2026-SM-EVYCM 40-49 years, male 8.0
GTEX-13QJ3-0326-SM-5S2RA 50-59 years, male 7.9
GTEX-15DDE-0126-SM-6LPKH 50-59 years, female 7.9
GTEX-S7PM-0126-SM-4AD6S 60-69 years, male 7.9
GTEX-X5EB-2226-SM-46MW4 40-49 years, male 7.9
GTEX-1GPI7-0126-SM-9MQL8 20-29 years, male 7.9
GTEX-1QPFJ-0226-SM-E76PB 30-39 years, female 7.9
GTEX-OOBJ-0126-SM-E6CJW 60-69 years, male 7.9
GTEX-183FY-0126-SM-7LT9P 20-29 years, male 7.8
GTEX-QESD-1426-SM-2S1R9 20-29 years, male 7.8
GTEX-R55E-0126-SM-2TC5Y 20-29 years, male 7.8
GTEX-U3ZN-2326-SM-3DB7W 30-39 years, female 7.8
GTEX-1J8QM-2126-SM-CYPSJ 60-69 years, female 7.8
GTEX-1314G-1526-SM-5EGK2 30-39 years, male 7.7
GTEX-P44H-0226-SM-2XCEU 40-49 years, male 7.7
GTEX-1JK1U-2026-SM-CM2RZ 60-69 years, male 7.7
GTEX-RNOR-0126-SM-E9J4R 50-59 years, female 7.7
GTEX-1313W-0126-SM-5LZUN 50-59 years, female 7.6
GTEX-139TT-0126-SM-5K7Y5 60-69 years, male 7.6
GTEX-139TU-0126-SM-5K7WH 60-69 years, male 7.6
GTEX-13CF3-2426-SM-5IFGX 60-69 years, female 7.6
GTEX-13VXU-0126-SM-5SI9F 50-59 years, male 7.6
GTEX-17HHY-0126-SM-7LG5D 50-59 years, male 7.6
GTEX-18A7B-0126-SM-7LG64 70-79 years, male 7.6
GTEX-WQUQ-0426-SM-3MJFU 60-69 years, male 7.6
GTEX-X261-0126-SM-3NMD6 50-59 years, male 7.6
GTEX-ZV6S-2326-SM-4YCEY 40-49 years, female 7.6
GTEX-ZVT2-2526-SM-51MT1 50-59 years, female 7.6
GTEX-ZXES-1826-SM-5E43S 30-39 years, female 7.6
GTEX-1PFEY-1526-SM-E76PP 30-39 years, male 7.6
GTEX-W5X1-3026-SM-EAZAX 40-49 years, female 7.6
GTEX-13SLX-0526-SM-5S2ON 50-59 years, female 7.5
GTEX-14PJM-0226-SM-62LF1 50-59 years, female 7.5
GTEX-O5YW-0126-SM-3LK6D 50-59 years, male 7.5
GTEX-RU72-0926-SM-2TF6B 50-59 years, female 7.5
GTEX-U8T8-0126-SM-3DB94 60-69 years, male 7.5
GTEX-1B8L1-2526-SM-9WYTF 60-69 years, male 7.5
GTEX-1CAV2-2226-SM-7P8P2 40-49 years, female 7.5
GTEX-1I6K6-0126-SM-A9SLE 30-39 years, male 7.5
GTEX-13D11-2426-SM-5KM1V 50-59 years, female 7.4
GTEX-14XAO-2326-SM-6EU1B 60-69 years, female 7.4
GTEX-16BQI-0226-SM-7KUEX 30-39 years, female 7.4
GTEX-X4EP-0126-SM-3P5YV 60-69 years, female 7.4
GTEX-1IY9M-0126-SM-D3L8S 60-69 years, male 7.4
GTEX-111VG-2426-SM-5GZXD 60-69 years, male 7.3
GTEX-11DXW-0226-SM-5H122 40-49 years, male 7.3
GTEX-13NYS-0126-SM-5MR3W 60-69 years, male 7.3
GTEX-145MO-0326-SM-5Q5B3 60-69 years, male 7.3
GTEX-17MFQ-1726-SM-793C7 20-29 years, male 7.3
GTEX-1B8KE-2126-SM-73KYX 50-59 years, male 7.3
GTEX-1B8KZ-2026-SM-7DHMB 50-59 years, male 7.3
GTEX-1C4CL-0526-SM-73KVK 30-39 years, male 7.3
GTEX-U412-0426-SM-3DB9O 60-69 years, male 7.3
GTEX-W5WG-1826-SM-4KL2Y 50-59 years, female 7.3
GTEX-ZZ64-1726-SM-5GZYB 20-29 years, male 7.3
GTEX-1LG7Y-0526-SM-DKPQC 50-59 years, male 7.3
GTEX-11WQC-2526-SM-5CVLE 60-69 years, male 7.2
GTEX-13O3P-0126-SM-5KM4S 50-59 years, male 7.2
GTEX-145MN-2226-SM-5SIAU 30-39 years, male 7.2
GTEX-15DYW-0126-SM-7KULE 60-69 years, female 7.2
GTEX-T8EM-1026-SM-3DB7M 40-49 years, male 7.1
GTEX-XQ8I-0426-SM-4BOPO 50-59 years, male 7.1
GTEX-ZGAY-0526-SM-4WWBB 40-49 years, female 7.1
GTEX-1F6IF-0726-SM-7P8TW 60-69 years, male 7.1
GTEX-ZPIC-1726-SM-DHXIU 40-49 years, female 7.1
GTEX-11UD1-0126-SM-5PNYG 40-49 years, female 7.0
GTEX-13SLW-0126-SM-5SI6C 70-79 years, male 7.0
GTEX-Z9EW-1626-SM-5CVMN 40-49 years, male 7.0
GTEX-1K2DU-2326-SM-E9TIV 20-29 years, male 7.0
GTEX-14PN4-0126-SM-6EU2V 50-59 years, male 6.9
GTEX-1AMFI-2026-SM-731BH 50-59 years, female 6.9
GTEX-RN64-0126-SM-2TC68 50-59 years, male 6.9
GTEX-ZVT3-0126-SM-5GU6I 60-69 years, female 6.9
GTEX-133LE-1826-SM-5J1MV 20-29 years, female 6.8
GTEX-17HGU-0226-SM-7DHKV 50-59 years, male 6.8
GTEX-18465-0126-SM-731BN 50-59 years, male 6.8
GTEX-R3RS-0126-SM-3GIJL 40-49 years, female 6.8
GTEX-WYJK-0126-SM-3NMAB 50-59 years, male 6.8
GTEX-XBEW-0626-SM-4QASP 40-49 years, male 6.8
GTEX-1AX9I-0126-SM-7SB74 60-69 years, male 6.8
GTEX-1GN2E-0426-SM-9MQKX 60-69 years, male 6.8
GTEX-1JMQK-0226-SM-CL543 60-69 years, male 6.8
GTEX-1LH75-2426-SM-E9TJE 50-59 years, female 6.8
GTEX-1MA7W-2026-SM-E9TJ6 20-29 years, female 6.8
GTEX-11ZU8-2526-SM-5EQKI 60-69 years, male 6.7
GTEX-13FTW-2626-SM-5K7WL 40-49 years, male 6.7
GTEX-17MF6-0126-SM-7LG4F 40-49 years, male 6.7
GTEX-1AX9J-0226-SM-73KXM 60-69 years, male 6.7
GTEX-TKQ1-1026-SM-4GICL 30-39 years, male 6.7
GTEX-ZE9C-2726-SM-57WB5 60-69 years, male 6.7
GTEX-1R7EU-0226-SM-EVR4G 60-69 years, male 6.7
GTEX-1RQEC-0426-SM-E6CHU 60-69 years, male 6.7
GTEX-1GN1U-0126-SM-7PBZK 50-59 years, female 6.6
GTEX-1K2DA-1826-SM-CGQGT 50-59 years, male 6.6
GTEX-Q2AG-0126-SM-33HBV 40-49 years, female 6.5
GTEX-1PPH8-0226-SM-E8VND 20-29 years, male 6.5
GTEX-13NZB-2526-SM-5J1OM 30-39 years, male 6.4
GTEX-16MT8-0426-SM-7KUEY 60-69 years, female 6.4
GTEX-1CB4J-0626-SM-7DHMP 60-69 years, male 6.4
GTEX-VUSG-2526-SM-4KL1V 50-59 years, male 6.4
GTEX-1GN73-0226-SM-9WG67 60-69 years, male 6.4
GTEX-S33H-1026-SM-EZ6L6 30-39 years, male 6.4
GTEX-11GSO-2426-SM-5A5LY 60-69 years, male 6.3
GTEX-11P81-2326-SM-59875 30-39 years, female 6.3
GTEX-13U4I-0126-SM-5LU38 40-49 years, female 6.3
GTEX-144FL-0126-SM-5TDC8 50-59 years, male 6.3
GTEX-VJYA-1126-SM-3GIJU 60-69 years, male 6.3
GTEX-ZY6K-1826-SM-5GZXK 50-59 years, male 6.3
GTEX-ZYFG-2326-SM-5E44B 60-69 years, female 6.3
GTEX-12WSG-2826-SM-E9J4H 50-59 years, female 6.3
GTEX-1CB4H-0226-SM-7PBXM 60-69 years, female 6.3
GTEX-14PHX-2326-SM-62LEM 50-59 years, male 6.2
GTEX-15CHC-2126-SM-6EU21 60-69 years, female 6.2
GTEX-1MA7X-2226-SM-E6CIY 60-69 years, male 6.2
GTEX-1PDJ9-0326-SM-DTX95 20-29 years, male 6.2
GTEX-ZVT4-0126-SM-DTXFN 50-59 years, female 6.2
GTEX-1128S-2326-SM-5GZZY 60-69 years, female 6.1
GTEX-11ZTS-0126-SM-5EQ6M 60-69 years, female 6.1
GTEX-15F5U-1526-SM-6PANO 40-49 years, male 6.1
GTEX-1A3MX-0126-SM-731BR 60-69 years, male 6.1
GTEX-1GPI6-0126-SM-9WG69 60-69 years, male 6.1
GTEX-1N2DW-0226-SM-E9TK2 50-59 years, male 6.1
GTEX-1NV5F-0226-SM-E8VNY 60-69 years, female 6.1
GTEX-13OVL-0226-SM-5L3E9 50-59 years, male 6.0
GTEX-14E7W-0126-SM-6LLJ9 70-79 years, male 6.0
GTEX-UPJH-0326-SM-3GADU 50-59 years, male 6.0
GTEX-XBED-2226-SM-47JYQ 60-69 years, male 6.0
GTEX-Y3IK-2426-SM-4WWDU 50-59 years, female 6.0
GTEX-11TUW-2726-SM-E9J4M 60-69 years, male 6.0
GTEX-1I1GT-0626-SM-CGQER 60-69 years, female 6.0
GTEX-1IKK5-0626-SM-ARL8A 60-69 years, male 6.0
GTEX-1J8JJ-0226-SM-CL53I 60-69 years, female 6.0
GTEX-1JMQI-2226-SM-CM2SD 50-59 years, male 6.0
GTEX-1M5QR-1226-SM-EWROB 40-49 years, male 6.0
GTEX-PW2O-1526-SM-7RHHB 20-29 years, male 6.0
GTEX-13S7M-0126-SM-5SI6A 60-69 years, female 5.9
GTEX-147GR-0526-SM-5S2MY 60-69 years, male 5.9
GTEX-17HII-0226-SM-7LG4E 50-59 years, male 5.9
GTEX-QV44-1926-SM-2S1RF 50-59 years, male 5.9
GTEX-TML8-1926-SM-32QOS 40-49 years, female 5.9
GTEX-WYVS-2126-SM-3NMA3 40-49 years, female 5.9
GTEX-13IVO-0126-SM-5J1NG 70-79 years, male 5.8
GTEX-YB5E-2026-SM-5IFIS 40-49 years, male 5.8
GTEX-ZDTS-0126-SM-4WAY5 60-69 years, male 5.8
GTEX-1GZ2Q-0226-SM-7P8TL 40-49 years, male 5.8
GTEX-1HFI6-0226-SM-ADEHZ 40-49 years, male 5.8
GTEX-15G19-0126-SM-6PANQ 60-69 years, male 5.7
GTEX-18A6Q-0126-SM-731BZ 60-69 years, male 5.7
GTEX-P4PP-0126-SM-3LK69 30-39 years, female 5.7
GTEX-1F75A-0126-SM-7RHGM 50-59 years, male 5.7
GTEX-1J8Q2-0526-SM-CM2RW 60-69 years, male 5.7
GTEX-11EQ9-2426-SM-5HL5T 30-39 years, male 5.6
GTEX-11NUK-0126-SM-5A5L3 50-59 years, male 5.6
GTEX-XUYS-0126-SM-47JWZ 50-59 years, male 5.6
GTEX-1CB4G-0226-SM-7PC3O 60-69 years, male 5.6
GTEX-1GL5R-1826-SM-9KNUY 50-59 years, male 5.6
GTEX-1J1OQ-0226-SM-CYPSH 40-49 years, female 5.6
GTEX-1POEN-0126-SM-EYYXJ 30-39 years, female 5.6
GTEX-1QP9N-1426-SM-DTXFL 30-39 years, male 5.6
GTEX-14A5H-0426-SM-5QGQF 60-69 years, male 5.5
GTEX-QEG4-0226-SM-2S1PY 30-39 years, male 5.5
GTEX-1QEPI-0126-SM-EWRMQ 60-69 years, female 5.5
GTEX-14BIN-0626-SM-793DP 50-59 years, female 5.4
GTEX-15D1Q-0126-SM-7KUG6 40-49 years, male 5.4
GTEX-T2IS-0126-SM-4DM6O 20-29 years, female 5.4
GTEX-1EU9M-0226-SM-7P8SP 60-69 years, male 5.4
GTEX-1H1DG-0126-SM-9WYU2 70-79 years, male 5.4
GTEX-1KANB-0526-SM-E6CJH 50-59 years, male 5.4
GTEX-1RB15-2126-SM-E9TIM 60-69 years, male 5.4
GTEX-145LU-0126-SM-5TDCB 50-59 years, male 5.3
GTEX-14A5I-0126-SM-5TDEA 50-59 years, female 5.3
GTEX-1JMPZ-0226-SM-CNPP1 30-39 years, male 5.3
GTEX-11DXZ-2326-SM-5EGGV 50-59 years, male 5.2
GTEX-145MI-0526-SM-5O9A8 60-69 years, female 5.2
GTEX-14PII-0226-SM-6EU1T 60-69 years, male 5.2
GTEX-15SB6-1726-SM-6PAME 50-59 years, female 5.2
GTEX-TMZS-0126-SM-3DB9Q 60-69 years, male 5.2
GTEX-1J8EW-0126-SM-CJI4F 60-69 years, female 5.2
GTEX-11DXY-2626-SM-5GIE7 60-69 years, male 5.1
GTEX-1GMRU-0126-SM-9YFLV 50-59 years, male 5.1
GTEX-1KAFJ-2026-SM-CY8ID 50-59 years, male 5.1
GTEX-PSDG-0226-SM-DKPOZ 50-59 years, male 5.1
GTEX-1122O-2126-SM-5EGIR 60-69 years, female 5.0
GTEX-12696-2426-SM-5EQ6H 60-69 years, male 5.0
GTEX-1269C-2526-SM-5EGJ3 60-69 years, female 5.0
GTEX-145ME-1826-SM-5SI9G 40-49 years, female 5.0
GTEX-148VI-1626-SM-5SI6E 60-69 years, female 5.0
GTEX-WVJS-0126-SM-4MVOT 50-59 years, male 5.0
GTEX-Y8E4-0626-SM-4WWDL 40-49 years, male 5.0
GTEX-ZXG5-0126-SM-5GIEU 60-69 years, male 5.0
GTEX-1EKGG-0226-SM-9WYTH 60-69 years, male 5.0
GTEX-1ICLZ-0126-SM-CKZPO 60-69 years, male 5.0
GTEX-17GQL-2026-SM-718BA 60-69 years, male 4.9
GTEX-1CB4E-2226-SM-793DC 60-69 years, male 4.9
GTEX-UJHI-1526-SM-3DB99 50-59 years, female 4.9
GTEX-ZVZP-2426-SM-59HKJ 50-59 years, male 4.9
GTEX-1GF9W-0326-SM-9KNUN 60-69 years, male 4.9
GTEX-1IGQW-0126-SM-COH42 60-69 years, male 4.9
GTEX-1CB4I-0226-SM-79OLH 50-59 years, male 4.8
GTEX-1E1VI-0126-SM-7DHMZ 50-59 years, male 4.8
GTEX-PVOW-0126-SM-2XCFA 40-49 years, male 4.8
GTEX-WZTO-0126-SM-3NM95 40-49 years, male 4.8
GTEX-YFC4-0126-SM-5CVLY 40-49 years, female 4.8
GTEX-1H11D-0226-SM-9WG6Z 40-49 years, male 4.8
GTEX-15DCD-0126-SM-7KUEK 70-79 years, female 4.7
GTEX-17F96-1626-SM-7DUFL 70-79 years, male 4.7
GTEX-U3ZH-2026-SM-3DB78 30-39 years, male 4.7
GTEX-ZAK1-0126-SM-5IJD3 50-59 years, female 4.7
GTEX-1GF9U-2126-SM-7SB7L 40-49 years, female 4.7
GTEX-1OFPY-2426-SM-DTXEJ 60-69 years, male 4.7
GTEX-131YS-0126-SM-5KM1M 60-69 years, female 4.6
GTEX-145LS-0126-SM-5QGP1 60-69 years, female 4.6
GTEX-14E6E-1826-SM-5S2R7 30-39 years, male 4.6
GTEX-PWO3-1526-SM-48TCM 60-69 years, female 4.6
GTEX-Y111-0126-SM-4SOIV 50-59 years, male 4.6
GTEX-1EWIQ-0126-SM-7RHH2 70-79 years, female 4.6
GTEX-1H4P4-0726-SM-9YFLR 50-59 years, male 4.6
GTEX-1I1GP-2226-SM-CGQFK 50-59 years, male 4.6
GTEX-1I1GR-0126-SM-CL55F 60-69 years, male 4.6
GTEX-13FTY-0526-SM-5L3EV 40-49 years, female 4.5
GTEX-13FXS-0226-SM-5IJCK 50-59 years, male 4.5
GTEX-13G51-2526-SM-5LZYK 60-69 years, male 4.5
GTEX-SJXC-0126-SM-2XCFF 60-69 years, male 4.5
GTEX-T5JW-1626-SM-3GADZ 20-29 years, female 4.5
GTEX-XPVG-2626-SM-4B669 50-59 years, male 4.5
GTEX-ZTX8-1426-SM-5DUVO 20-29 years, male 4.5
GTEX-1HSGN-0226-SM-CGQFV 40-49 years, female 4.5
GTEX-1IL2V-0126-SM-CM2TX 70-79 years, male 4.5
GTEX-1JJ6O-0126-SM-E6CI8 60-69 years, male 4.5
GTEX-11OF3-2626-SM-5GU7F 60-69 years, male 4.4
GTEX-12ZZX-0126-SM-5EGK9 40-49 years, female 4.4
GTEX-13OW8-1326-SM-5J1OW 60-69 years, male 4.4
GTEX-X4XX-0126-SM-3NMC2 60-69 years, male 4.4
GTEX-1JKYR-0126-SM-CNPOJ 20-29 years, male 4.4
GTEX-12WSC-0126-SM-5EQ4P 50-59 years, male 4.3
GTEX-14PJ6-2126-SM-6EU1V 60-69 years, female 4.3
GTEX-15RIG-0226-SM-7KFTL 40-49 years, male 4.3
GTEX-11OC5-0126-SM-5HL6A 60-69 years, male 4.2
GTEX-11UD2-0226-SM-5EQKY 50-59 years, male 4.2
GTEX-13X6J-0126-SM-5QGOU 50-59 years, male 4.2
GTEX-16GPK-0126-SM-7DHLE 60-69 years, male 4.2
GTEX-1C6VQ-0126-SM-7P8RI 50-59 years, male 4.2
GTEX-1HBPI-1526-SM-C1YQ1 50-59 years, male 4.2
GTEX-13OVK-2026-SM-7KUEO 40-49 years, male 4.1
GTEX-14E6D-0126-SM-62LDV 50-59 years, male 4.1
GTEX-1CAMQ-0226-SM-7IGPK 40-49 years, male 4.1
GTEX-RWSA-0126-SM-2XCBB 40-49 years, male 4.1
GTEX-Y5V6-2426-SM-4VDSB 60-69 years, male 4.1
GTEX-1GZHY-0326-SM-9QEHI 50-59 years, female 4.1
GTEX-1KANA-0726-SM-D3L9I 20-29 years, male 4.1
GTEX-1192W-2626-SM-5Q5AF 60-69 years, male 4.0
GTEX-14LZ3-0226-SM-62LET 60-69 years, female 4.0
GTEX-16NPX-0226-SM-79OMT 50-59 years, male 4.0
GTEX-1JN6P-0126-SM-D3L98 60-69 years, male 4.0
GTEX-1LVAN-0226-SM-COH3S 50-59 years, female 4.0
GTEX-XUZC-1726-SM-4BRWS 30-39 years, female 3.9
GTEX-1H1CY-2826-SM-9MQM3 60-69 years, female 3.9
GTEX-1IL2U-0226-SM-CE6T8 60-69 years, male 3.9
GTEX-1O97I-0326-SM-EYYX7 60-69 years, male 3.9
GTEX-131XH-2226-SM-5DUXJ 50-59 years, male 3.8
GTEX-18D9A-1926-SM-7LG6P 30-39 years, female 3.8
GTEX-Y5V5-2326-SM-4V6GA 60-69 years, female 3.8
GTEX-ZVTK-0426-SM-51MRS 20-29 years, male 3.8
GTEX-1EMGI-0126-SM-9KNUE 60-69 years, male 3.8
GTEX-1GMR3-1926-SM-9KNUZ 40-49 years, male 3.8
GTEX-1C475-1826-SM-73KWA 40-49 years, female 3.7
GTEX-1F5PL-0326-SM-7P8PQ 40-49 years, female 3.7
GTEX-1GF9V-0326-SM-7RHI5 60-69 years, male 3.7
GTEX-1KD4Q-0226-SM-E9TJ9 40-49 years, male 3.7
GTEX-1OJC3-0126-SM-E76QX 20-29 years, male 3.7
GTEX-13O3Q-2426-SM-5IJBR 50-59 years, male 3.6
GTEX-17HG3-2226-SM-7938L 30-39 years, female 3.6
GTEX-13OW5-0126-SM-DTXFS 60-69 years, male 3.6
GTEX-1F7RK-0126-SM-7PC2S 20-29 years, female 3.6
GTEX-1HB9E-0226-SM-E9U4R 50-59 years, male 3.6
GTEX-1HCU9-1526-SM-A9SL7 20-29 years, male 3.6
GTEX-1HR98-0126-SM-B2LWI 60-69 years, male 3.6
GTEX-1LB8K-0226-SM-EWRNW 50-59 years, male 3.6
GTEX-1R9K4-0126-SM-DTX9X 60-69 years, male 3.6
GTEX-11EI6-0126-SM-5985R 60-69 years, male 3.5
GTEX-17EVP-0326-SM-7DHLG 40-49 years, male 3.5
GTEX-P4QT-0126-SM-2I3FL 50-59 years, female 3.5
GTEX-ZV68-0126-SM-59HKS 50-59 years, female 3.5
GTEX-13NYC-0326-SM-E9J4S 60-69 years, male 3.5
GTEX-1EN7A-0126-SM-7SB81 40-49 years, male 3.5
GTEX-1KANC-1526-SM-D3LAB 50-59 years, female 3.5
GTEX-1KWVE-1426-SM-E9TJO 30-39 years, male 3.5
GTEX-SE5C-1626-SM-2XCE3 40-49 years, female 3.5
GTEX-Y8DK-0126-SM-4TT3L 60-69 years, male 3.4
GTEX-1HCU7-0226-SM-CL545 50-59 years, male 3.4
GTEX-1KXAM-2226-SM-CYPTC 60-69 years, male 3.4
GTEX-13113-5016-SM-7EPIP 60-69 years, female 3.3
GTEX-131XE-2326-SM-5PNZ2 50-59 years, male 3.3
GTEX-1B8SG-0126-SM-73KZ3 50-59 years, male 3.3
GTEX-1C64N-0126-SM-793D7 50-59 years, male 3.3
GTEX-ZYFC-0226-SM-5NQ75 50-59 years, male 3.3
GTEX-12126-0326-SM-5PNW3 20-29 years, male 3.2
GTEX-12WSA-0226-SM-5BC5V 60-69 years, male 3.2
GTEX-SIU8-0126-SM-2XCDT 50-59 years, male 3.2
GTEX-1IKJJ-0126-SM-CNPQB 60-69 years, male 3.2
GTEX-1QMI2-0226-SM-EVYBX 60-69 years, male 3.2
GTEX-1399R-2726-SM-5IJBA 30-39 years, male 3.1
GTEX-OIZH-0126-SM-2HMIS 50-59 years, male 3.1
GTEX-S32W-2126-SM-2XCB1 50-59 years, female 3.1
GTEX-1CB4F-0426-SM-9KNV4 60-69 years, male 3.1
GTEX-1HSKV-0226-SM-A9SKJ 60-69 years, male 3.1
GTEX-1IDJH-0326-SM-A9SLQ 70-79 years, male 3.1
GTEX-1JMQJ-0526-SM-CYPSU 50-59 years, male 3.1
GTEX-1PIIG-0226-SM-EWRN6 30-39 years, male 3.1
GTEX-13112-2826-SM-5DUWH 50-59 years, male 3.0
GTEX-OIZG-0726-SM-33HBL 50-59 years, male 3.0
GTEX-Z93S-0126-SM-5HL7M 50-59 years, male 3.0
GTEX-131XF-5016-SM-7MGWE 60-69 years, male 3.0
GTEX-1HT8W-0126-SM-CNPPP 30-39 years, male 3.0
GTEX-1JMQL-0226-SM-CNPP5 50-59 years, female 3.0
GTEX-13OVH-0126-SM-5MR4B 70-79 years, male 2.9
GTEX-15EU6-0426-SM-6PAN5 50-59 years, male 2.9
GTEX-17KNJ-2326-SM-7DHLQ 50-59 years, male 2.9
GTEX-O5YT-0126-SM-48TBW 20-29 years, male 2.9
GTEX-WFON-2126-SM-3LK7O 40-49 years, male 2.9
GTEX-RVPV-0126-SM-EAZAW 60-69 years, male 2.9
GTEX-11DYG-0126-SM-59883 60-69 years, male 2.8
GTEX-12ZZY-0226-SM-5LZVE 60-69 years, male 2.8
GTEX-13FHP-0126-SM-5IJBG 50-59 years, male 2.8
GTEX-15ER7-0326-SM-7KUEV 20-29 years, female 2.8
GTEX-1BAJH-0526-SM-793CQ 70-79 years, male 2.8
GTEX-1I1GV-0526-SM-A9G29 60-69 years, male 2.8
GTEX-1IOXB-0126-SM-ARL8G 50-59 years, male 2.8
GTEX-117XS-2726-SM-5N9BL 60-69 years, male 2.7
GTEX-1B97I-1626-SM-73KYO 40-49 years, male 2.7
GTEX-ZVZO-0126-SM-5A5L9 40-49 years, male 2.7
GTEX-1JMLX-0226-SM-CM2RO 50-59 years, male 2.7
GTEX-1S83E-0126-SM-EWRO4 40-49 years, male 2.7
GTEX-13JUV-2726-SM-5LZZ8 40-49 years, female 2.6
GTEX-1C6VR-2426-SM-79OLD 60-69 years, male 2.6
GTEX-1R9PM-2026-SM-E76OY 20-29 years, male 2.6
GTEX-111FC-0126-SM-5N9DL 60-69 years, male 2.5
GTEX-X88G-0126-SM-47JZ3 30-39 years, male 2.5
GTEX-XQ3S-1526-SM-4BOOC 20-29 years, male 2.5
GTEX-1QAET-0926-SM-E76QM 50-59 years, male 2.5
GTEX-1399T-2826-SM-5KLYZ 60-69 years, male 2.4
GTEX-1I1GQ-0126-SM-COH3H 50-59 years, male 2.4
GTEX-13OW6-0426-SM-5L3HM 50-59 years, male 2.3
GTEX-PX3G-0126-SM-2I3EN 20-29 years, female 2.3
GTEX-ZYT6-0226-SM-5NQ6T 30-39 years, male 2.3
GTEX-13111-1626-SM-5EGJY 50-59 years, male 2.2
GTEX-14BMV-0126-SM-5S2PO 50-59 years, male 2.2
GTEX-T6MN-0126-SM-32PLP 50-59 years, male 2.2
GTEX-1MJK2-0426-SM-DTXE5 50-59 years, male 2.2
GTEX-1212Z-2526-SM-5EGKP 60-69 years, male 2.1
GTEX-ZWKS-0126-SM-5SIAA 30-39 years, male 2.1
GTEX-14JG1-0426-SM-6ETZZ 40-49 years, male 2.0
GTEX-1B8SF-1426-SM-7DUGL 60-69 years, male 2.0
GTEX-S7SE-0126-SM-2XCD5 50-59 years, male 2.0
GTEX-ZF2S-2326-SM-4WWCE 50-59 years, female 2.0
GTEX-1LG7Z-1726-SM-D3LA4 30-39 years, male 2.0
GTEX-144GL-0126-SM-5TDE2 50-59 years, male 1.9
GTEX-13NYB-2526-SM-5K7Z6 40-49 years, male 1.8
GTEX-1L5NE-2526-SM-E6CIE 50-59 years, male 1.7
GTEX-145MF-0626-SM-5LUAI 50-59 years, male 1.6
GTEX-17JCI-0126-SM-7LG5G 60-69 years, female 1.6
GTEX-YJ89-0126-SM-4TT3X 60-69 years, male 1.6
GTEX-1JJEA-0326-SM-CNPOT 60-69 years, male 1.6
GTEX-POMQ-2226-SM-2I5FK 20-29 years, female 1.5
GTEX-12WSE-0526-SM-793B2 20-29 years, male 1.3
Show allShow less

Contact

  • NEWS ARTICLES
  • PRESS ROOM

The Project

  • INTRODUCTION
  • ORGANIZATION
  • PUBLICATIONS

The Human Protein Atlas

  • DOWNLOADABLE DATA
  • LICENCE & CITATION
  • HELP & FAQ
The Human Protein Atlas project is funded
by the Knut & Alice Wallenberg Foundation.


contact@proteinatlas.org