We use cookies to enhance the usability of our website. If you continue, we'll assume that you are happy to receive all cookies. More information. Don't show this again.
EMC8
HPA
RESOURCES
  • TISSUE
  • BRAIN
  • SINGLE CELL
  • SUBCELLULAR
  • CANCER
  • BLOOD
  • CELL LINE
  • STRUCTURE & INTERACTION
ABOUT
  • INTRODUCTION
  • HISTORY
  • ORGANIZATION
  • PUBLICATIONS
  • ANTIBODY SUBMISSION
  • ANTIBODY AVAILABILITY
  • ACKNOWLEDGMENTS
  • CONTACT
NEWS
  • NEWS ARTICLES
  • PRESS ROOM
LEARN
  • DICTIONARY
  • PROTEIN CLASSES
  • PROTEIN EVIDENCE
  • METHODS
  • EDUCATIONAL VIDEOS
DATA
  • DOWNLOADABLE DATA
  • PUBLICATION DATA
  • RELEASE HISTORY
HELP
  • ANTIBODY VALIDATION
  • ASSAYS & ANNOTATION
  • DISCLAIMER
  • HELP & FAQ
  • PRIVACY STATEMENT
  • LICENCE & CITATION
Fields »
Search result

Field
Term
Gene name
Class
Subclass
Class
Keyword
Chromosome
External id
Tissue
Cell type
Expression
Antibody panel
Tissue
Main location
Patient ID
Annotation
Tissue
Category
Tau score
Cluster
Reliability
Brain region
Category
Tau score
Brain region
Category
Tau score
Brain region
Category
Tau score
Cluster
Reliability
Tissue
Cell type
Enrichment
Cell type
Category
Tau score
Cell type
Category
Tau score
Cell type
Category
Tau score
Cell lineage
Category
Tau score
Cluster
Cluster
Location
Searches
Location
Cell line
Class
Type
Phase
Reliability
Cancer
Prognosis
Cancer
Category
Cancer
Category
Tau score
Cluster
Variants
Interacting gene (ensg_id)
Type
Number of interactions
Pathway
Category
Score
Score
Score
Validation
Validation
Validation
Validation
Antibodies
Data type
Column


  • SUMMARY

  • TISSUE

  • BRAIN

  • SINGLE CELL

  • SUBCELL

  • CANCER

  • BLOOD

  • CELL LINE

  • STRUCT & INT

  • EMC8
TISSUE PRIMARY DATA SKIN Show tissue menu
ADIPOSE TISSUE ADRENAL GLAND AMYGDALA APPENDIX BASAL GANGLIA BONE MARROW BREAST CEREBELLUM CEREBRAL CORTEX CERVIX CHOROID PLEXUS COLON DUODENUM
ENDOMETRIUM EPIDIDYMIS ESOPHAGUS FALLOPIAN TUBE GALLBLADDER HEART MUSCLE HIPPOCAMPAL FORMATION HYPOTHALAMUS KIDNEY LIVER LUNG LYMPH NODE MIDBRAIN
ORAL MUCOSA OVARY PANCREAS PARATHYROID GLAND PITUITARY GLAND PLACENTA PROSTATE RECTUM RETINA SALIVARY GLAND SEMINAL VESICLE SKELETAL MUSCLE SKIN
SMALL INTESTINE SMOOTH MUSCLE SOFT TISSUE SPINAL CORD SPLEEN STOMACH TESTIS THYMUS THYROID GLAND TONGUE TONSIL URINARY BLADDER VAGINA
ANTIBODIES
AND
VALIDATION
Dictionary
Skin
Tissue proteome
Skin
SKIN - Expression summary
Protein expression
Skini

On the top, protein expression in current human tissue, based on all annotated cell types, is reported with the units not detected (n), low (l), medium (m) and high (h). Underneath, protein expression in each annotated cell type are reported using the same units.

Protein expression data is based on knowledge-based annotation. For genes where more than one antibody has been used, a collective score is set.

If knowledge-based annotation could not be performed for a gene, no data is displayed here. View antibody staining data further down this page.

h
m
l
n
Epidermal cells: High
Fibroblasts: Not detected
Keratinocytes: High
Langerhans: Not detected
Melanocytes: Not detected
RNA expressioni

A summary of mRNA expression data available for current tissue based on several datasets. The mRNA expression levels in human tissues are based on RNA-seq data generated by the Human Protein Atlas (HPA), Genotype-Tissue Expression (GTEx) portal and CAGE data generated by the FANTOM5 consortium. Consensus normalized expression levels for human tissues was created by combining the data from HPA and GTEx datasets.

The mRNA expression levels in pig are based on RNA-seq data generated by the Human Protein Atlas (HPA), and for mouse, HPA data and in situ hybridization generated by the Allen brain atlas are reported.

Scroll down to view mRNA expression data in more detail.
Consensus:10.1 nTPM
HPA:6.4 nTPM
GTEx:10.1 nTPM

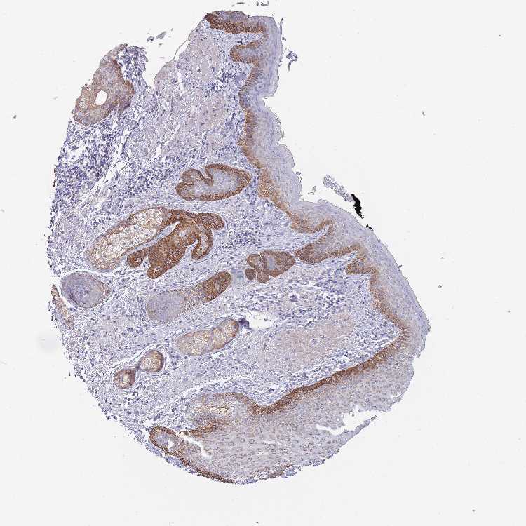
SKIN 1 - Antibody stainingi

Antibody staining in the annotated cell types in the current human tissue is reported as not detected, low, medium, or high, based on conventional immunohistochemistry profiling in selected tissues. This score is based on the combination of the staining intensity and fraction of stained cells.

Each image is clickable and will lead to virtual microscopy that enables deeper exploration of all samples and also displays staining intensity scores, fraction scores and subcellular localization as well as patient and tissue information for each sample.

Antibody HPA049476
Langerhans Not detected
Fibroblasts Not detected
Keratinocytes High
Melanocytes Not detected


SKIN 2 - Antibody stainingi

Antibody staining in the annotated cell types in the current human tissue is reported as not detected, low, medium, or high, based on conventional immunohistochemistry profiling in selected tissues. This score is based on the combination of the staining intensity and fraction of stained cells.

Each image is clickable and will lead to virtual microscopy that enables deeper exploration of all samples and also displays staining intensity scores, fraction scores and subcellular localization as well as patient and tissue information for each sample.

Antibody HPA049476
Epidermal cells High
 
 
 

SKIN - HPA RNA-seqi

The RNA-seq details section shows detailed information about the individual samples used for the transcript profiling and results of the RNA-seq analysis.

Information about each individual sample is listed below, including gender, age, a tissue section image and estimated fractions of cell types. nTPM (normalized transcripts per million) values give a quantification of the gene abundance which is comparable between different genes and samples.
Average nTPMi

Max subtype nTPM is the value for the subtype with the largest average nTPM across the subtype samples.

6.4
overview
Female, age 34
Skin sample 225
nTPM: 6.1
Cell types%
Keratinocytes:
60

Other cell types:
40

overview
Female, age 30
Skin sample 226
nTPM: 6.3
Cell types%
Keratinocytes:
55

Other cell types:
45

N/A
Male, age 57
Skin sample 227
nTPM: 7

SKIN - GTEx RNA-seqi

RNA-Seq data generated by the Genotype-Tissue Expression (GTEx) project from human tissues is reported as mean nTPM. More information can be found on the GTEx portal.

Distribution across the dataset is visualized with box plots, shown as median and 25th and 75th percentiles. Points are displayed as outliers if they are above or below 1.5 times the interquartile range. nTPM values of the individual samples are presented next to the box plot.
Max subtype nTPMi

Max subtype nTPM is the value for the subtype with the largest average nTPM across the subtype samples.

10.1
GTEx sample id Sample description nTPM
Skin - Not Sun Exposed (Suprapubic)
Average nTPM: 10.1
Samples: 604

Max nTPM: 20.9
Min nTPM: 5.9
Std nTPM: 2.1
Median nTPM: 9.8
GTEX-1PPH8-0126-SM-EWRN8 20-29 years, male 20.9
GTEX-11WQK-1026-SM-5EQLX 50-59 years, male 20.6
GTEX-ZY6K-1426-SM-5GZX2 50-59 years, male 20.0
GTEX-1R9PN-0426-SM-DTXDT 40-49 years, female 17.6
GTEX-ZTX8-1326-SM-4YCEL 20-29 years, male 17.0
GTEX-X585-2426-SM-46MW2 50-59 years, male 16.8
GTEX-1HSMP-0926-SM-A9SKX 70-79 years, male 16.7
GTEX-WH7G-2026-SM-3NMBL 40-49 years, male 16.6
GTEX-WHSE-0126-SM-3NMBT 20-29 years, male 16.6
GTEX-1399Q-2326-SM-5KM2X 40-49 years, male 16.5
GTEX-14A5H-0826-SM-5QGPJ 60-69 years, male 16.2
GTEX-11DZ1-2426-SM-5GZZX 50-59 years, male 16.1
GTEX-1JMQK-1226-SM-D4P2S 60-69 years, male 16.0
GTEX-147F4-0726-SM-5TDDD 50-59 years, male 15.7
GTEX-U8XE-0226-SM-4E3J3 30-39 years, male 15.4
GTEX-1MJK3-0726-SM-E6CJC 20-29 years, male 15.3
GTEX-131XH-0126-SM-5LZUY 50-59 years, male 14.9
GTEX-1C6WA-2626-SM-7MKGM 60-69 years, male 14.9
GTEX-12WSK-2126-SM-5CVNC 40-49 years, female 14.8
GTEX-1IKOE-1426-SM-CE6T7 30-39 years, female 14.8
GTEX-11WQC-1826-SM-5GU59 60-69 years, male 14.7
GTEX-XBEW-1126-SM-4QARW 40-49 years, male 14.6
GTEX-1NSGN-0726-SM-DTXEF 50-59 years, male 14.6
GTEX-11DYG-1526-SM-5A5JS 60-69 years, male 14.5
GTEX-18A67-1626-SM-7LT9T 50-59 years, male 14.5
GTEX-1E2YA-2126-SM-7MXUO 50-59 years, male 14.5
GTEX-13IVO-0726-SM-5LZYV 70-79 years, male 14.4
GTEX-XYKS-1426-SM-4BRUO 60-69 years, female 14.4
GTEX-Y5LM-0926-SM-6LLJG 40-49 years, female 14.4
GTEX-14PJ3-1126-SM-5ZZVX 50-59 years, male 14.3
GTEX-15RIE-1926-SM-7KUKJ 60-69 years, male 14.3
GTEX-16YQH-2226-SM-7IGM2 30-39 years, male 14.3
GTEX-1OJC3-1226-SM-DTXER 20-29 years, male 14.3
GTEX-ZLFU-1826-SM-4WWBV 40-49 years, male 14.2
GTEX-1LVAN-0626-SM-CNPOQ 50-59 years, female 14.0
GTEX-1399S-0126-SM-5IJCF 30-39 years, female 13.9
GTEX-15RIG-0726-SM-7KUM7 40-49 years, male 13.9
GTEX-Y114-2126-SM-4TT8B 50-59 years, female 13.9
GTEX-1PIGE-1826-SM-E8VOU 20-29 years, male 13.9
GTEX-14XAO-1226-SM-6EU1C 60-69 years, female 13.8
GTEX-145MG-1526-SM-5Q5EM 50-59 years, male 13.7
GTEX-14ICL-1626-SM-5YYAO 30-39 years, male 13.7
GTEX-1H11D-1826-SM-9QEHM 40-49 years, male 13.7
GTEX-17F9E-2326-SM-79OKD 50-59 years, male 13.6
GTEX-1JJEA-1826-SM-ARU8P 60-69 years, male 13.6
GTEX-11DXX-2126-SM-5PNYR 60-69 years, female 13.5
GTEX-12126-0826-SM-5FQTZ 20-29 years, male 13.5
GTEX-15G19-2426-SM-7KUMR 60-69 years, male 13.5
GTEX-12WSH-1526-SM-5BC5W 50-59 years, male 13.4
GTEX-131XG-0326-SM-5L3DX 50-59 years, female 13.4
GTEX-14PHY-1226-SM-5ZZWK 60-69 years, female 13.3
GTEX-16MTA-0926-SM-6M47Z 50-59 years, male 13.3
GTEX-WFG7-2026-SM-5SI7P 20-29 years, male 13.3
GTEX-1F6I4-2326-SM-7RHGL 60-69 years, male 13.3
GTEX-1ICLZ-0326-SM-ARL82 60-69 years, male 13.1
GTEX-11PRG-0726-SM-5EGL1 50-59 years, male 13.0
GTEX-13FTY-2126-SM-5IFFB 40-49 years, female 13.0
GTEX-ZPU1-1126-SM-4YCF3 40-49 years, male 13.0
GTEX-1H1DG-2426-SM-9QEHJ 70-79 years, male 13.0
GTEX-1RAZQ-1326-SM-E9TK6 30-39 years, male 13.0
GTEX-11EQ8-0926-SM-5H12V 60-69 years, male 12.9
GTEX-YFCO-1226-SM-5LUAT 40-49 years, male 12.9
GTEX-ZPCL-1126-SM-4WWFE 60-69 years, female 12.9
GTEX-1F75I-2226-SM-7SB8U 40-49 years, male 12.9
GTEX-14E1K-2026-SM-7DUEI 50-59 years, male 12.8
GTEX-YEC4-1826-SM-4W1YP 40-49 years, male 12.8
GTEX-1192X-2726-SM-5N9DN 50-59 years, male 12.7
GTEX-15SHW-0226-SM-7LTAT 60-69 years, male 12.7
GTEX-12ZZX-2426-SM-5GCOE 40-49 years, female 12.6
GTEX-144GL-0626-SM-5LU4D 50-59 years, male 12.6
GTEX-17F97-2626-SM-7IGM5 50-59 years, male 12.5
GTEX-1CAMS-2226-SM-7PBXQ 40-49 years, female 12.5
GTEX-1R9PM-1926-SM-EVR3O 20-29 years, male 12.5
GTEX-111VG-1626-SM-5EGIO 60-69 years, male 12.4
GTEX-13O61-1426-SM-5KM3D 60-69 years, male 12.4
GTEX-13RTJ-0126-SM-5S2NN 60-69 years, male 12.4
GTEX-ZVZP-1226-SM-5GID7 50-59 years, male 12.4
GTEX-1EMGI-2326-SM-7PBYA 60-69 years, male 12.4
GTEX-1S82U-1026-SM-E6CJK 30-39 years, female 12.4
GTEX-117YX-1926-SM-5GIEC 50-59 years, male 12.3
GTEX-14DAR-1226-SM-73KYV 50-59 years, male 12.3
GTEX-1497J-0226-SM-5QGPU 60-69 years, male 12.2
GTEX-18A6Q-0626-SM-7KFRP 60-69 years, male 12.2
GTEX-ZYT6-2326-SM-5GZY3 30-39 years, male 12.2
GTEX-1J8EW-2726-SM-CY8HR 60-69 years, female 12.2
GTEX-ZLV1-1526-SM-DO91J 60-69 years, female 12.2
GTEX-11ZU8-0126-SM-5EQ58 60-69 years, male 12.1
GTEX-13112-0126-SM-5P9IU 50-59 years, male 12.1
GTEX-15G1A-1626-SM-7KUKN 30-39 years, male 12.1
GTEX-17HII-1426-SM-7EPGG 50-59 years, male 12.1
GTEX-WXYG-2026-SM-4E3IY 50-59 years, female 12.1
GTEX-XXEK-1626-SM-4BRUZ 50-59 years, male 12.1
GTEX-Y5V6-2326-SM-4VDSA 60-69 years, male 12.1
GTEX-1AYD5-2626-SM-7PBXY 50-59 years, male 12.1
GTEX-1HCUA-0826-SM-ADEHM 50-59 years, female 12.1
GTEX-1QP9N-1226-SM-E76QN 30-39 years, male 12.1
GTEX-12WSJ-1126-SM-5LZVJ 40-49 years, female 12.0
GTEX-147GR-2426-SM-5ZZWQ 60-69 years, male 12.0
GTEX-YECK-0326-SM-4W1YS 60-69 years, male 12.0
GTEX-ZYW4-0626-SM-59HJR 60-69 years, male 12.0
GTEX-1LBAC-0826-SM-CY8IJ 20-29 years, male 12.0
GTEX-18D9B-0926-SM-7LG4U 60-69 years, male 11.9
GTEX-XK95-0226-SM-4AT58 40-49 years, male 11.9
GTEX-ZDTS-0826-SM-4WKHL 60-69 years, male 11.9
GTEX-1LKK1-2626-SM-DKPQE 50-59 years, female 11.9
GTEX-1QP2A-1726-SM-E76QC 50-59 years, male 11.9
GTEX-13NYC-0126-SM-5L3F4 60-69 years, male 11.8
GTEX-14E6C-2426-SM-5S2NF 40-49 years, male 11.8
GTEX-1F6RS-2026-SM-7RHHC 60-69 years, female 11.8
GTEX-1LSVX-2526-SM-DIPEU 60-69 years, male 11.8
GTEX-1N2DV-1526-SM-DTXEP 40-49 years, male 11.8
GTEX-11DXY-0126-SM-5H11Q 60-69 years, male 11.7
GTEX-Z93S-1626-SM-5CVMB 50-59 years, male 11.7
GTEX-1CB4J-1326-SM-7P8RX 60-69 years, male 11.7
GTEX-1JN76-0626-SM-CKZOQ 20-29 years, female 11.7
GTEX-1S82P-2126-SM-E6CI5 60-69 years, female 11.7
GTEX-13G51-1826-SM-5KLZH 60-69 years, male 11.6
GTEX-144GO-2026-SM-5O99P 60-69 years, male 11.6
GTEX-15RJ7-2126-SM-6PAMD 40-49 years, male 11.6
GTEX-17MFQ-1526-SM-7KFRR 20-29 years, male 11.6
GTEX-UPK5-0426-SM-3GAEK 40-49 years, male 11.6
GTEX-Y111-0626-SM-4SOIT 50-59 years, male 11.6
GTEX-1GN1V-2826-SM-9JGIA 60-69 years, male 11.6
GTEX-1HCU6-2526-SM-ADEHL 60-69 years, female 11.6
GTEX-1I1GU-0926-SM-ACKVS 40-49 years, male 11.6
GTEX-1JMQJ-0826-SM-CNPP7 50-59 years, male 11.6
GTEX-1LSNM-0826-SM-DIPG8 50-59 years, male 11.6
GTEX-1OJC4-2726-SM-E76PJ 50-59 years, female 11.6
GTEX-1PBJJ-1026-SM-E76OS 30-39 years, male 11.6
GTEX-1QCLY-0226-SM-EWRNH 30-39 years, male 11.6
GTEX-11OF3-0126-SM-5PNYF 60-69 years, male 11.5
GTEX-15DDE-2926-SM-6LLJ3 50-59 years, female 11.5
GTEX-1A3MW-0626-SM-731CB 60-69 years, female 11.5
GTEX-1BAJH-2426-SM-7IGP8 70-79 years, male 11.5
GTEX-W5X1-2526-SM-3GILC 40-49 years, female 11.5
GTEX-ZDXO-3126-SM-5IJDF 60-69 years, male 11.5
GTEX-1HBPN-0126-SM-CGQEF 50-59 years, male 11.5
GTEX-1JMLX-0626-SM-ARL8T 50-59 years, male 11.5
GTEX-1LVA9-2626-SM-EVYD4 50-59 years, male 11.5
GTEX-1R9K4-2826-SM-DTX8F 60-69 years, male 11.5
GTEX-11TUW-0626-SM-5LU9M 60-69 years, male 11.4
GTEX-13FTW-0326-SM-5K7UW 40-49 years, male 11.4
GTEX-13NYB-0126-SM-5J1MD 40-49 years, male 11.4
GTEX-13PDP-0726-SM-5L3HP 60-69 years, male 11.4
GTEX-16AAH-0626-SM-793C9 50-59 years, male 11.4
GTEX-1CAMR-1326-SM-7PC1F 20-29 years, male 11.4
GTEX-1PIIG-2326-SM-DTXFR 30-39 years, male 11.4
GTEX-1RB15-1326-SM-E76Q9 60-69 years, male 11.4
GTEX-1S831-1826-SM-EWROF 20-29 years, male 11.4
GTEX-1S83E-1326-SM-E6CJM 40-49 years, male 11.4
GTEX-13NZ8-1226-SM-5KM4A 60-69 years, female 11.3
GTEX-15RJE-2826-SM-7KUM9 40-49 years, male 11.3
GTEX-ZWKS-0626-SM-5GIDV 30-39 years, male 11.3
GTEX-1HT8W-0626-SM-A9G2H 30-39 years, male 11.3
GTEX-1IL2V-1926-SM-B2LW8 70-79 years, male 11.3
GTEX-11P7K-1126-SM-5HL4L 30-39 years, male 11.2
GTEX-13W3W-0726-SM-5IJDQ 60-69 years, female 11.2
GTEX-XQ3S-1426-SM-4BOPR 20-29 years, male 11.2
GTEX-ZF29-0926-SM-4WKFZ 60-69 years, female 11.2
GTEX-1JN1M-2726-SM-CY8I4 60-69 years, female 11.2
GTEX-11DXW-0826-SM-5H118 40-49 years, male 11.1
GTEX-13NZ9-2626-SM-5L3FK 50-59 years, male 11.1
GTEX-145MH-2826-SM-5RQJF 50-59 years, male 11.1
GTEX-YB5K-2026-SM-4VDT3 40-49 years, female 11.1
GTEX-ZTTD-2826-SM-4YCFA 50-59 years, male 11.1
GTEX-ZVP2-0326-SM-57WBP 50-59 years, male 11.1
GTEX-1GF9V-0826-SM-9KNUV 60-69 years, male 11.1
GTEX-12WSD-0626-SM-5GCMW 60-69 years, female 11.0
GTEX-139UW-0326-SM-5J1ML 60-69 years, male 11.0
GTEX-14PII-0726-SM-6EU2B 60-69 years, male 11.0
GTEX-14PK6-0226-SM-62LF5 70-79 years, female 11.0
GTEX-ZU9S-1826-SM-5NQ9E 30-39 years, male 11.0
GTEX-1F75A-0726-SM-7RHHD 50-59 years, male 11.0
GTEX-1GF9X-1326-SM-7PC2Y 40-49 years, female 11.0
GTEX-1GPI7-1826-SM-9KNU1 20-29 years, male 11.0
GTEX-1HFI6-0126-SM-CNPPI 40-49 years, male 11.0
GTEX-1KANC-1226-SM-CYPT7 50-59 years, female 11.0
GTEX-1QPFJ-1926-SM-EVYBD 30-39 years, female 11.0
GTEX-131YS-2826-SM-5EQ47 60-69 years, female 10.9
GTEX-139TS-2126-SM-5K7XC 60-69 years, male 10.9
GTEX-14753-0726-SM-5QGQO 60-69 years, male 10.9
GTEX-17HHY-0426-SM-7DHLC 50-59 years, male 10.9
GTEX-ZYFD-0626-SM-5E44E 50-59 years, male 10.9
GTEX-ZYVF-0926-SM-5E44J 50-59 years, female 10.9
GTEX-1CB4I-0126-SM-7RHGG 50-59 years, male 10.9
GTEX-1RMOY-1326-SM-E9TIH 50-59 years, male 10.9
GTEX-139YR-1026-SM-5LZYN 50-59 years, male 10.8
GTEX-13FTX-1526-SM-5K7VJ 20-29 years, female 10.8
GTEX-17EVQ-0126-SM-7IGLR 70-79 years, male 10.8
GTEX-18QFQ-1826-SM-72D52 30-39 years, male 10.8
GTEX-1B996-0426-SM-7EWF8 60-69 years, male 10.8
GTEX-VUSG-2326-SM-4KL1U 50-59 years, male 10.8
GTEX-ZE7O-2726-SM-51MT5 50-59 years, female 10.8
GTEX-1F88F-0126-SM-9WYSZ 60-69 years, female 10.8
GTEX-1QAET-0326-SM-EVR3U 50-59 years, male 10.8
GTEX-1QW4Y-1126-SM-DTXE3 30-39 years, male 10.8
GTEX-13PL6-1126-SM-5L3IE 40-49 years, female 10.7
GTEX-14LZ3-0126-SM-69LPM 60-69 years, female 10.7
GTEX-1E1VI-0326-SM-793D1 50-59 years, male 10.7
GTEX-ZAJG-1526-SM-5CVML 50-59 years, female 10.7
GTEX-ZT9X-1526-SM-5DUXD 40-49 years, male 10.7
GTEX-ZZ64-1026-SM-5GZXG 20-29 years, male 10.7
GTEX-1C64N-2626-SM-7PC2N 50-59 years, male 10.7
GTEX-1H2FU-0926-SM-9WPPT 60-69 years, female 10.7
GTEX-1KAFJ-0126-SM-DIPEK 50-59 years, male 10.7
GTEX-1KANB-2826-SM-CY8I6 50-59 years, male 10.7
GTEX-1QP29-1826-SM-DTX9S 50-59 years, male 10.7
GTEX-YEC3-1326-SM-DO92X 50-59 years, male 10.7
GTEX-ZF3C-0626-SM-DO92O 50-59 years, female 10.7
GTEX-13N11-2326-SM-5IJBF 50-59 years, female 10.6
GTEX-148VJ-0626-SM-5LUAW 70-79 years, male 10.6
GTEX-17F9Y-0126-SM-79OKX 70-79 years, female 10.6
GTEX-1CAV2-0126-SM-7IGN7 40-49 years, female 10.6
GTEX-Y3I4-1726-SM-4TT89 50-59 years, male 10.6
GTEX-ZXG5-2126-SM-59HKD 60-69 years, male 10.6
GTEX-1CAMQ-1326-SM-7P8RV 40-49 years, male 10.6
GTEX-1H1CY-0126-SM-9YFLY 60-69 years, female 10.6
GTEX-1K2DA-1026-SM-CGQGF 50-59 years, male 10.6
GTEX-1L5NE-1126-SM-D3L9P 50-59 years, male 10.6
GTEX-11DXZ-2026-SM-5987S 50-59 years, male 10.5
GTEX-11NUK-2726-SM-5A5MC 50-59 years, male 10.5
GTEX-12ZZY-0726-SM-5EQ66 60-69 years, male 10.5
GTEX-13OVK-1426-SM-6PAN7 40-49 years, male 10.5
GTEX-144FL-0626-SM-5LU43 50-59 years, male 10.5
GTEX-14PJ6-2626-SM-6EU2T 60-69 years, female 10.5
GTEX-14PKV-1126-SM-6LLJ1 20-29 years, female 10.5
GTEX-17KNJ-2126-SM-718AM 50-59 years, male 10.5
GTEX-ZAK1-0626-SM-5HL8E 50-59 years, female 10.5
GTEX-ZDTT-0426-SM-4WKFL 60-69 years, male 10.5
GTEX-1H3O1-1326-SM-9MQLD 60-69 years, male 10.5
GTEX-1IDJC-1526-SM-B2LW4 50-59 years, male 10.5
GTEX-1R7EU-1626-SM-DTXG3 60-69 years, male 10.5
GTEX-11ZUS-2626-SM-5FQUR 30-39 years, male 10.4
GTEX-14AS3-1526-SM-5Q5ED 40-49 years, female 10.4
GTEX-14PJ5-1526-SM-6LLIL 60-69 years, female 10.4
GTEX-1C64O-1326-SM-7MGWR 60-69 years, male 10.4
GTEX-1GN73-0726-SM-7P8TJ 60-69 years, male 10.4
GTEX-1I1HK-2326-SM-CKZOH 60-69 years, male 10.4
GTEX-1IDJH-0126-SM-D3L92 70-79 years, male 10.4
GTEX-1LVAO-2726-SM-E9TJ8 60-69 years, male 10.4
GTEX-1N5O9-0926-SM-E9J3C 60-69 years, male 10.4
GTEX-1QP28-1126-SM-EVYC4 50-59 years, female 10.4
GTEX-1313W-0626-SM-5EQ4H 50-59 years, female 10.3
GTEX-131XW-0626-SM-5PNVD 50-59 years, female 10.3
GTEX-144GM-0526-SM-79OJO 20-29 years, male 10.3
GTEX-17HHE-1326-SM-7EWDZ 50-59 years, male 10.3
GTEX-1F52S-2926-SM-7MKGA 60-69 years, female 10.3
GTEX-WHSB-1326-SM-3LK6W 50-59 years, male 10.3
GTEX-ZF2S-1626-SM-57WES 50-59 years, female 10.3
GTEX-1GMRU-2126-SM-7P8RA 50-59 years, male 10.3
GTEX-1GZ4H-0526-SM-9KNU9 50-59 years, female 10.3
GTEX-1GZ4I-2626-SM-9KNU3 50-59 years, male 10.3
GTEX-1J1OQ-0126-SM-D4P2N 40-49 years, female 10.3
GTEX-12WSL-2026-SM-5GCML 50-59 years, male 10.2
GTEX-13OW6-2726-SM-5J2OE 50-59 years, male 10.2
GTEX-145ME-1726-SM-5Q5EU 40-49 years, female 10.2
GTEX-16MT9-0126-SM-7EPI8 60-69 years, female 10.2
GTEX-XPVG-2126-SM-4B667 50-59 years, male 10.2
GTEX-1LGRB-0926-SM-COH3K 50-59 years, female 10.2
GTEX-1MCC2-1826-SM-DIPEX 30-39 years, female 10.2
GTEX-11EQ9-1626-SM-5PNY8 30-39 years, male 10.1
GTEX-11UD2-2526-SM-5CVNU 50-59 years, male 10.1
GTEX-11ZTT-2126-SM-5CVLO 60-69 years, female 10.1
GTEX-132AR-0326-SM-5KM2C 50-59 years, female 10.1
GTEX-139TT-2126-SM-5LZWC 60-69 years, male 10.1
GTEX-145MO-2826-SM-5LU96 60-69 years, male 10.1
GTEX-14PJO-2526-SM-6AJBQ 60-69 years, male 10.1
GTEX-18A66-0626-SM-7LT8Z 60-69 years, male 10.1
GTEX-YF7O-1526-SM-5IFI6 50-59 years, male 10.1
GTEX-ZP4G-1426-SM-4WWCL 20-29 years, female 10.1
GTEX-1F5PL-0926-SM-7PC2W 40-49 years, female 10.1
GTEX-1IKJJ-2226-SM-CJI4C 60-69 years, male 10.1
GTEX-111CU-1126-SM-5EGIM 50-59 years, male 10.0
GTEX-1399U-1126-SM-5L3DB 50-59 years, female 10.0
GTEX-17F96-0126-SM-7EWDU 70-79 years, male 10.0
GTEX-WFG8-2126-SM-3GIKQ 20-29 years, male 10.0
GTEX-WFON-1926-SM-3LK7L 40-49 years, male 10.0
GTEX-WI4N-2726-SM-3LK7Y 40-49 years, female 10.0
GTEX-X8HC-0626-SM-4E3HQ 50-59 years, female 10.0
GTEX-Y3IK-1626-SM-4YCF5 50-59 years, female 10.0
GTEX-1HC8U-1326-SM-9YFMJ 40-49 years, female 10.0
GTEX-1I1GP-1326-SM-A9G28 50-59 years, male 10.0
GTEX-1JMPY-0226-SM-CKZOK 30-39 years, male 10.0
GTEX-1KANA-1326-SM-DIPFA 20-29 years, male 10.0
GTEX-1LG7Z-1626-SM-CXKYR 30-39 years, male 10.0
GTEX-1LVAM-0726-SM-E6CIL 50-59 years, female 10.0
GTEX-1MCYP-0526-SM-E9U6Q 20-29 years, female 10.0
GTEX-1S3DN-2126-SM-E9TIN 50-59 years, male 10.0
GTEX-13113-1626-SM-5EQ4I 60-69 years, female 9.9
GTEX-133LE-2326-SM-5K7W3 20-29 years, female 9.9
GTEX-14C38-0726-SM-5SI6M 50-59 years, male 9.9
GTEX-14PHX-2226-SM-6EU2P 50-59 years, male 9.9
GTEX-17HGU-2326-SM-7DUFE 50-59 years, male 9.9
GTEX-1CB4F-1026-SM-7DUH1 60-69 years, male 9.9
GTEX-1EX96-1026-SM-7MKG2 50-59 years, male 9.9
GTEX-ZVTK-0226-SM-51MRG 20-29 years, male 9.9
GTEX-1HGF4-0126-SM-CNPPX 60-69 years, male 9.9
GTEX-1IE54-1126-SM-A9G2Z 40-49 years, female 9.9
GTEX-1LSNL-2726-SM-E9TKJ 50-59 years, male 9.9
GTEX-1PPGY-1626-SM-EVYBL 60-69 years, male 9.9
GTEX-11VI4-1126-SM-5EQMD 40-49 years, female 9.8
GTEX-131XF-2626-SM-5EQ6K 60-69 years, male 9.8
GTEX-13SLX-2226-SM-62LEP 50-59 years, female 9.8
GTEX-16GPK-0626-SM-7KFSF 60-69 years, male 9.8
GTEX-1B8KE-1126-SM-7EPHI 50-59 years, male 9.8
GTEX-ZDYS-2426-SM-4WKGI 50-59 years, male 9.8
GTEX-1F6IF-0926-SM-7SB7M 60-69 years, male 9.8
GTEX-1GN2E-0226-SM-9WG6K 60-69 years, male 9.8
GTEX-1LG7Y-2526-SM-EWRO7 50-59 years, male 9.8
GTEX-1N2EE-0626-SM-E76PW 60-69 years, male 9.8
GTEX-111FC-2526-SM-5GZXU 60-69 years, male 9.7
GTEX-12ZZZ-0726-SM-5GCNZ 60-69 years, male 9.7
GTEX-139D8-1126-SM-5LU8W 30-39 years, female 9.7
GTEX-13OW5-2326-SM-5L3HO 60-69 years, male 9.7
GTEX-16Z82-2626-SM-7KULU 60-69 years, male 9.7
GTEX-1B97I-0626-SM-73KUZ 40-49 years, male 9.7
GTEX-1C2JI-1026-SM-73KY1 50-59 years, male 9.7
GTEX-ZE9C-2526-SM-5IJDR 60-69 years, male 9.7
GTEX-ZT9W-1126-SM-57WDR 50-59 years, male 9.7
GTEX-1ICG6-1226-SM-A9SLN 70-79 years, female 9.7
GTEX-1JK1U-0226-SM-ARZMX 60-69 years, male 9.7
GTEX-11GS4-0226-SM-5HL77 60-69 years, male 9.6
GTEX-13OVG-1626-SM-5J1NF 60-69 years, male 9.6
GTEX-13OVH-0526-SM-5L3E6 70-79 years, male 9.6
GTEX-146FQ-2126-SM-5RQHU 30-39 years, male 9.6
GTEX-15ER7-0626-SM-6PANF 20-29 years, female 9.6
GTEX-WHWD-1826-SM-3LK6I 50-59 years, male 9.6
GTEX-Y8E4-2026-SM-5IFJB 40-49 years, male 9.6
GTEX-ZYFG-1526-SM-5GZYM 60-69 years, female 9.6
GTEX-1HR98-2226-SM-ADEI2 60-69 years, male 9.6
GTEX-1K2DU-1226-SM-CYPT4 20-29 years, male 9.6
GTEX-1O9I2-0226-SM-EYYXD 50-59 years, male 9.6
GTEX-1QP66-1226-SM-DTX7U 50-59 years, male 9.6
GTEX-13NYS-0626-SM-5L3F1 60-69 years, male 9.5
GTEX-13SLW-0626-SM-5Q5ER 70-79 years, male 9.5
GTEX-145LU-1926-SM-79OJN 50-59 years, male 9.5
GTEX-145MF-0926-SM-5Q5EA 50-59 years, male 9.5
GTEX-14JG1-1526-SM-5YY9X 40-49 years, male 9.5
GTEX-14PKU-0126-SM-6LLHV 40-49 years, female 9.5
GTEX-1A8G6-2726-SM-731AR 60-69 years, male 9.5
GTEX-1B8SF-0126-SM-7DUG3 60-69 years, male 9.5
GTEX-X4EP-0626-SM-3P621 60-69 years, female 9.5
GTEX-11P82-1426-SM-DTXFY 20-29 years, male 9.5
GTEX-18D9A-1426-SM-7LT8M 30-39 years, female 9.5
GTEX-1H4P4-2126-SM-9WYSL 50-59 years, male 9.5
GTEX-1I6K6-1726-SM-CGQFD 30-39 years, male 9.5
GTEX-1IY9M-2826-SM-ARU8H 60-69 years, male 9.5
GTEX-1NV5F-0626-SM-DTXEG 60-69 years, female 9.5
GTEX-14ABY-2026-SM-62LDL 50-59 years, male 9.4
GTEX-16BQI-1326-SM-6M486 30-39 years, female 9.4
GTEX-17F98-1326-SM-7DUEP 40-49 years, female 9.4
GTEX-1EWIQ-0326-SM-7DHMQ 70-79 years, female 9.4
GTEX-11TT1-1826-SM-5EQLV 20-29 years, male 9.3
GTEX-1212Z-0126-SM-59HK4 60-69 years, male 9.3
GTEX-1399R-1326-SM-5PNYS 30-39 years, male 9.3
GTEX-13X6J-0626-SM-5LU5F 50-59 years, male 9.3
GTEX-145LT-0526-SM-5LUB2 40-49 years, male 9.3
GTEX-145MN-1526-SM-5SI9T 30-39 years, male 9.3
GTEX-18465-2826-SM-7LT9J 50-59 years, male 9.3
GTEX-1AX9I-2226-SM-73KUO 60-69 years, male 9.3
GTEX-XAJ8-1426-SM-47JYM 40-49 years, male 9.3
GTEX-1GMR2-0826-SM-7PC3V 50-59 years, male 9.3
GTEX-1GN1U-0626-SM-9MQL9 50-59 years, female 9.3
GTEX-1H1E6-0426-SM-9WYUS 30-39 years, male 9.3
GTEX-1HCVE-2726-SM-CL54F 50-59 years, male 9.3
GTEX-1HSMQ-2626-SM-A9SML 50-59 years, male 9.3
GTEX-1JMQL-2226-SM-CNPP4 50-59 years, female 9.3
GTEX-1RAZS-2526-SM-E6CHT 50-59 years, male 9.3
GTEX-12696-0126-SM-5EQ4L 60-69 years, male 9.2
GTEX-12WSA-0426-SM-5EQ5X 60-69 years, male 9.2
GTEX-139TU-0726-SM-5L3EK 60-69 years, male 9.2
GTEX-145LS-0626-SM-7EPG7 60-69 years, female 9.2
GTEX-15CHQ-0326-SM-69LQD 60-69 years, male 9.2
GTEX-15CHR-1126-SM-7EWF4 50-59 years, male 9.2
GTEX-17HG3-2626-SM-7DUF2 30-39 years, female 9.2
GTEX-1A3MV-1826-SM-731CD 30-39 years, male 9.2
GTEX-1AX9J-1326-SM-731BJ 60-69 years, male 9.2
GTEX-ZZPU-0826-SM-5GZX5 50-59 years, female 9.2
GTEX-1C6VR-0126-SM-7RHGB 60-69 years, male 9.2
GTEX-1GMR3-0126-SM-A9SLW 40-49 years, male 9.2
GTEX-1H1DE-1326-SM-9KNUG 20-29 years, male 9.2
GTEX-1J8Q2-2626-SM-ACKWQ 60-69 years, male 9.2
GTEX-1JKYR-0626-SM-ARL8R 20-29 years, male 9.2
GTEX-1JMOU-1026-SM-CYPSS 60-69 years, female 9.2
GTEX-1RAZA-2226-SM-E9U4X 20-29 years, male 9.2
GTEX-11GSP-2326-SM-5HL63 60-69 years, female 9.1
GTEX-12BJ1-0926-SM-5EQ62 60-69 years, male 9.1
GTEX-13VXT-1926-SM-5K7UO 20-29 years, female 9.1
GTEX-15DYW-2726-SM-6EU2I 60-69 years, female 9.1
GTEX-16NGA-0726-SM-731AO 40-49 years, female 9.1
GTEX-183FY-1026-SM-7939A 20-29 years, male 9.1
GTEX-18A7B-2726-SM-7LG56 70-79 years, male 9.1
GTEX-1AX8Z-0726-SM-73KTS 60-69 years, male 9.1
GTEX-1EU9M-1426-SM-793AI 60-69 years, male 9.1
GTEX-X5EB-1926-SM-4E3IW 40-49 years, male 9.1
GTEX-ZA64-1026-SM-5HL8R 20-29 years, male 9.1
GTEX-1GZ2Q-0126-SM-9WG6M 40-49 years, male 9.1
GTEX-1HCU9-0426-SM-9WYSD 20-29 years, male 9.1
GTEX-1I1GV-0626-SM-ARL7M 60-69 years, male 9.1
GTEX-1ICLY-0826-SM-CMKG1 50-59 years, male 9.1
GTEX-1J8QM-2426-SM-A9SLS 60-69 years, female 9.1
GTEX-1LGOU-1326-SM-D3L8M 20-29 years, female 9.1
GTEX-111YS-1526-SM-5GZYW 60-69 years, male 9.0
GTEX-13FLV-0126-SM-5K7WT 50-59 years, male 9.0
GTEX-13O3O-2326-SM-5IJD6 60-69 years, female 9.0
GTEX-15SKB-2826-SM-6PAMH 60-69 years, male 9.0
GTEX-1B933-2426-SM-7DHMD 50-59 years, female 9.0
GTEX-WYJK-0526-SM-3NM8Z 50-59 years, male 9.0
GTEX-XQ8I-0926-SM-4BOOF 50-59 years, male 9.0
GTEX-ZVE1-0726-SM-51MRN 50-59 years, female 9.0
GTEX-1GF9W-1426-SM-7PBYM 60-69 years, male 9.0
GTEX-1HCU7-0726-SM-A9SL1 50-59 years, male 9.0
GTEX-1HKZK-0726-SM-ACKW2 40-49 years, male 9.0
GTEX-1HR9M-2226-SM-CNPPY 60-69 years, male 9.0
GTEX-1IDJF-2026-SM-CL53V 20-29 years, male 9.0
GTEX-147JS-0226-SM-5S2U9 60-69 years, male 8.9
GTEX-17EVP-2626-SM-7IGMA 40-49 years, male 8.9
GTEX-18D9U-0126-SM-731BM 40-49 years, male 8.9
GTEX-XOT4-0626-SM-4B66L 60-69 years, female 8.9
GTEX-Y9LG-1126-SM-4VBQ7 30-39 years, male 8.9
GTEX-ZC5H-1526-SM-5HL9Y 40-49 years, female 8.9
GTEX-ZTSS-1426-SM-5985P 40-49 years, male 8.9
GTEX-ZVT4-2426-SM-5GIEI 50-59 years, female 8.9
GTEX-1F75B-0726-SM-7PC3R 50-59 years, male 8.9
GTEX-1H1ZS-2726-SM-9WG75 70-79 years, male 8.9
GTEX-1HB9E-0126-SM-CM2S5 50-59 years, male 8.9
GTEX-1HUB1-1426-SM-CGQF5 60-69 years, male 8.9
GTEX-1PDJ9-1226-SM-EXUSX 20-29 years, male 8.9
GTEX-12KS4-2126-SM-5FQUT 30-39 years, male 8.8
GTEX-12WSC-2826-SM-5BC5Y 50-59 years, male 8.8
GTEX-13OVJ-0826-SM-5J1OK 50-59 years, female 8.8
GTEX-16NPX-0726-SM-7KULC 50-59 years, male 8.8
GTEX-1A8G7-1326-SM-73KVM 60-69 years, male 8.8
GTEX-WY7C-2126-SM-3NB2R 50-59 years, male 8.8
GTEX-XV7Q-1826-SM-4BRUV 40-49 years, female 8.8
GTEX-1GL5R-1326-SM-7RHHF 50-59 years, male 8.8
GTEX-1I1CD-0626-SM-CE6SW 60-69 years, female 8.8
GTEX-1JJ6O-2726-SM-CNPOG 60-69 years, male 8.8
GTEX-1KD5A-0126-SM-E9U54 50-59 years, male 8.8
GTEX-1POEN-2326-SM-E9J2L 30-39 years, female 8.8
GTEX-1RAZR-2126-SM-E9U6T 40-49 years, male 8.8
GTEX-14DAQ-0626-SM-793DS 60-69 years, female 8.7
GTEX-15CHC-1126-SM-6LLHQ 60-69 years, female 8.7
GTEX-16MT8-2926-SM-7DUFO 60-69 years, female 8.7
GTEX-1QEPI-2626-SM-DTXF4 60-69 years, female 8.7
GTEX-11EM3-1226-SM-5N9DD 20-29 years, female 8.6
GTEX-13VXU-0626-SM-5L3F9 50-59 years, male 8.6
GTEX-13X6I-1826-SM-5SIAO 60-69 years, male 8.6
GTEX-14C39-1726-SM-5RQIL 40-49 years, male 8.6
GTEX-15EO6-2426-SM-6PALZ 50-59 years, male 8.6
GTEX-17MF6-2626-SM-79OKQ 40-49 years, male 8.6
GTEX-1B8KZ-0326-SM-73KY4 50-59 years, male 8.6
GTEX-X3Y1-2026-SM-3P5YM 40-49 years, male 8.6
GTEX-YJ8O-2526-SM-5HL85 40-49 years, female 8.6
GTEX-ZVT2-0126-SM-5GIDQ 50-59 years, female 8.6
GTEX-1A8FM-0626-SM-7PC25 50-59 years, female 8.6
GTEX-1GTWX-2026-SM-9YFLM 60-69 years, male 8.6
GTEX-1JKYN-0826-SM-ARU8S 30-39 years, male 8.6
GTEX-1JMPZ-0726-SM-CY8HZ 30-39 years, male 8.6
GTEX-1QMI2-2526-SM-E8VNZ 60-69 years, male 8.6
GTEX-ZPIC-0526-SM-DO91W 40-49 years, female 8.6
GTEX-1117F-2926-SM-5GZYI 60-69 years, female 8.5
GTEX-13D11-0926-SM-5J2NC 50-59 years, female 8.5
GTEX-14A6H-2026-SM-5Q5DD 30-39 years, male 8.5
GTEX-14E6E-0526-SM-793DN 30-39 years, male 8.5
GTEX-14LLW-2626-SM-62LDZ 70-79 years, female 8.5
GTEX-15EU6-2226-SM-6EU2L 50-59 years, male 8.5
GTEX-1EN7A-2426-SM-793DB 40-49 years, male 8.5
GTEX-WRHU-2826-SM-3MJG8 50-59 years, female 8.5
GTEX-ZYFC-0426-SM-5GICQ 50-59 years, male 8.5
GTEX-1B8L1-2226-SM-7P8PT 60-69 years, male 8.5
GTEX-1F48J-0726-SM-7RHGS 50-59 years, female 8.5
GTEX-1GF9U-2026-SM-7SB92 40-49 years, female 8.5
GTEX-1GPI6-1926-SM-9KNV7 60-69 years, male 8.5
GTEX-1IDJE-1426-SM-ADEIW 50-59 years, female 8.5
GTEX-11NSD-0626-SM-5A5LU 20-29 years, male 8.4
GTEX-12WSM-1926-SM-5BC65 60-69 years, male 8.4
GTEX-13OW7-0426-SM-5K7VK 50-59 years, male 8.4
GTEX-13PVR-0426-SM-5RQK2 60-69 years, female 8.4
GTEX-13YAN-0226-SM-5TDC6 60-69 years, male 8.4
GTEX-WHPG-2626-SM-3NMBR 50-59 years, male 8.4
GTEX-XMD2-2126-SM-4YCF8 60-69 years, female 8.4
GTEX-1C475-1326-SM-7SB73 40-49 years, female 8.4
GTEX-1F5PK-2226-SM-7SB6N 50-59 years, male 8.4
GTEX-1GZHY-0626-SM-9KNVC 50-59 years, female 8.4
GTEX-1KXAM-1626-SM-D3LAD 60-69 years, male 8.4
GTEX-1LB8K-0726-SM-D5OV2 50-59 years, male 8.4
GTEX-1211K-1526-SM-5FQU4 60-69 years, female 8.3
GTEX-14BIN-1126-SM-5RQJZ 50-59 years, female 8.3
GTEX-14BMU-1226-SM-5S2OR 20-29 years, female 8.3
GTEX-1A32A-0626-SM-731AQ 50-59 years, female 8.3
GTEX-1B932-2326-SM-79OL5 40-49 years, female 8.3
GTEX-1C6VQ-1226-SM-73KYD 50-59 years, male 8.3
GTEX-WK11-2726-SM-3NMAQ 50-59 years, male 8.3
GTEX-X4EO-2926-SM-4E3JH 60-69 years, female 8.3
GTEX-1F88E-1626-SM-7SB8Z 60-69 years, female 8.3
GTEX-1HFI7-2326-SM-CGQFS 50-59 years, female 8.3
GTEX-1HSMO-0626-SM-ACKXC 60-69 years, male 8.3
GTEX-1I1GS-2626-SM-B2LY3 60-69 years, male 8.3
GTEX-1I1GT-1026-SM-ARZLV 60-69 years, female 8.3
GTEX-1JN6P-2926-SM-CL54D 60-69 years, male 8.3
GTEX-12584-0726-SM-5FQTK 40-49 years, male 8.2
GTEX-12WSF-1626-SM-7KUG5 70-79 years, male 8.2
GTEX-13JVG-0726-SM-5KM16 60-69 years, male 8.2
GTEX-13O3Q-0126-SM-5KM34 50-59 years, male 8.2
GTEX-16XZZ-0726-SM-7KUF2 60-69 years, male 8.2
GTEX-178AV-1726-SM-7KUL8 40-49 years, male 8.2
GTEX-14JFF-0626-SM-5ZZVT 60-69 years, male 8.2
GTEX-1R46S-2426-SM-E76QA 60-69 years, female 8.2
GTEX-11O72-0626-SM-5PNYE 40-49 years, male 8.1
GTEX-13PVQ-0626-SM-5LU47 50-59 years, male 8.1
GTEX-13X6K-0626-SM-5LU5D 60-69 years, female 8.1
GTEX-14PJ4-0226-SM-5YY92 60-69 years, male 8.1
GTEX-18A7A-0126-SM-731AH 50-59 years, female 8.1
GTEX-1F75W-2726-SM-7SB8H 60-69 years, male 8.1
GTEX-1HBPM-0726-SM-9YFL7 60-69 years, female 8.1
GTEX-1IOXB-2726-SM-CM2RI 50-59 years, male 8.1
GTEX-1314G-1326-SM-5BC6E 30-39 years, male 8.0
GTEX-13N2G-0226-SM-5K7VF 60-69 years, male 8.0
GTEX-13QJC-0126-SM-5ZZWJ 60-69 years, female 8.0
GTEX-14B4R-1326-SM-5Q5EZ 30-39 years, male 8.0
GTEX-14BMV-2826-SM-5TDED 50-59 years, male 8.0
GTEX-ZLWG-0826-SM-59888 50-59 years, female 8.0
GTEX-1GN1W-2426-SM-9KNUU 50-59 years, female 8.0
GTEX-1IDJV-0126-SM-COH3Y 60-69 years, male 8.0
GTEX-1KWVE-1026-SM-D3L9O 30-39 years, male 8.0
GTEX-1QCLZ-2426-SM-EVYBW 60-69 years, female 8.0
GTEX-1RLM8-2926-SM-E8VON 50-59 years, male 8.0
GTEX-1477Z-0326-SM-7IGLA 60-69 years, male 7.9
GTEX-XUW1-0926-SM-4BONX 50-59 years, female 7.9
GTEX-ZUA1-2626-SM-5NQ92 40-49 years, male 7.9
GTEX-1122O-1026-SM-9WYSF 60-69 years, female 7.9
GTEX-1A3MX-2626-SM-7PC24 60-69 years, male 7.9
GTEX-1HSKV-1226-SM-ADEI4 60-69 years, male 7.9
GTEX-13FH7-1126-SM-5K7UG 50-59 years, female 7.8
GTEX-1CB4E-0926-SM-7EPHT 60-69 years, male 7.8
GTEX-1CB4H-1126-SM-7MKGL 60-69 years, female 7.8
GTEX-1EH9U-2826-SM-7DUGT 60-69 years, male 7.8
GTEX-1EKGG-0626-SM-7DUGJ 60-69 years, male 7.8
GTEX-XBEC-0726-SM-4QARZ 50-59 years, male 7.8
GTEX-139T8-0626-SM-5KLZX 60-69 years, male 7.7
GTEX-17JCI-2926-SM-7DUFF 60-69 years, female 7.7
GTEX-UPJH-0226-SM-3GADV 50-59 years, male 7.7
GTEX-WEY5-2326-SM-3GIKK 40-49 years, female 7.7
GTEX-WYBS-0626-SM-3NMAS 60-69 years, female 7.7
GTEX-1H3NZ-2726-SM-9WYTQ 60-69 years, male 7.7
GTEX-1J1R8-2026-SM-CL53Y 40-49 years, male 7.7
GTEX-ZGAY-1826-SM-DO91Q 40-49 years, female 7.7
GTEX-13JUV-2026-SM-5K7UA 40-49 years, female 7.6
GTEX-147F3-1726-SM-5SIAW 50-59 years, female 7.6
GTEX-14C5O-0326-SM-5ZZUX 60-69 years, male 7.6
GTEX-14PJN-1826-SM-6AJ98 30-39 years, male 7.6
GTEX-1AMEY-0826-SM-72D65 30-39 years, female 7.6
GTEX-WYVS-1626-SM-3NM9R 40-49 years, female 7.6
GTEX-1H23P-0626-SM-9WG6T 60-69 years, male 7.6
GTEX-1HBPI-2126-SM-ARL9K 50-59 years, male 7.6
GTEX-1I19N-0126-SM-CYPSF 70-79 years, male 7.6
GTEX-1I4MK-0126-SM-CY8G6 50-59 years, female 7.6
GTEX-1IDFM-0326-SM-ARL7V 60-69 years, male 7.6
GTEX-11EI6-2826-SM-5H11D 60-69 years, male 7.5
GTEX-13OVL-0126-SM-5L3GJ 50-59 years, male 7.5
GTEX-13X6H-0926-SM-5SIB2 50-59 years, female 7.5
GTEX-1GMR8-0626-SM-7RHI7 50-59 years, female 7.5
GTEX-1H3VE-0726-SM-9YFL5 40-49 years, male 7.5
GTEX-11P81-2226-SM-5PNYI 30-39 years, female 7.4
GTEX-13FHO-0426-SM-5L3F5 60-69 years, male 7.4
GTEX-1AMFI-1326-SM-7939R 50-59 years, female 7.4
GTEX-14JG6-1426-SM-9WG7C 30-39 years, female 7.4
GTEX-1H1DF-1126-SM-9WG7G 40-49 years, female 7.4
GTEX-1I6K7-1926-SM-B2LXR 40-49 years, male 7.4
GTEX-1IDJD-2326-SM-ACKWX 30-39 years, male 7.4
GTEX-1IDJU-1726-SM-CMKHU 60-69 years, female 7.4
GTEX-13N1W-2426-SM-5IJD1 70-79 years, male 7.3
GTEX-145MI-0626-SM-5SI8S 60-69 years, female 7.3
GTEX-ZYY3-2926-SM-5GIEB 60-69 years, female 7.3
GTEX-1269C-0126-SM-5EQ5L 60-69 years, female 7.2
GTEX-13OW8-1026-SM-5J1NQ 60-69 years, male 7.2
GTEX-13U4I-2226-SM-5LU5H 40-49 years, female 7.2
GTEX-183WM-0326-SM-72D5V 70-79 years, female 7.2
GTEX-XBED-1926-SM-47JYP 60-69 years, male 7.2
GTEX-Y5V5-0126-SM-5S2NW 60-69 years, female 7.2
GTEX-Y8LW-1526-SM-5IFHL 50-59 years, female 7.2
GTEX-1J8JJ-0626-SM-ARZMQ 60-69 years, female 7.2
GTEX-1K9T9-1526-SM-DIPFR 50-59 years, female 7.2
GTEX-13QBU-1226-SM-5LU4G 40-49 years, female 7.1
GTEX-15D1Q-2826-SM-6LLH7 40-49 years, male 7.1
GTEX-ZVE2-2826-SM-5GU51 50-59 years, male 7.1
GTEX-1HCU8-2526-SM-CE6RX 60-69 years, female 7.1
GTEX-1IDJI-0126-SM-CMKHS 50-59 years, female 7.1
GTEX-1J8Q3-0526-SM-ARL8U 60-69 years, male 7.1
GTEX-1PPH7-1126-SM-DTX9A 40-49 years, male 7.1
GTEX-VJYA-1526-SM-3GIJV 60-69 years, male 7.0
GTEX-ZAB4-2126-SM-5HL8U 40-49 years, male 7.0
GTEX-1M4P7-0726-SM-E6CJ3 60-69 years, male 6.9
GTEX-12C56-1526-SM-5FQUQ 20-29 years, male 6.7
GTEX-14PJ2-0626-SM-6LLII 50-59 years, male 6.7
GTEX-1JMQI-1726-SM-ARL93 50-59 years, male 6.7
GTEX-15UF6-1926-SM-7KUDV 70-79 years, female 6.6
GTEX-V1D1-2026-SM-3GAF4 50-59 years, male 6.6
GTEX-1JJE9-2626-SM-ARZMT 70-79 years, male 6.6
GTEX-15FZZ-0526-SM-7KUGD 30-39 years, female 6.3
GTEX-11LCK-2226-SM-5HL4Q 30-39 years, male 6.0
GTEX-1S5ZU-2526-SM-E6CIF 20-29 years, female 6.0
GTEX-1HSGN-0826-SM-ACKW3 40-49 years, female 5.9
Show allShow less
Skin - Sun Exposed (Lower leg)
Average nTPM: 10.0
Samples: 701

Max nTPM: 28.9
Min nTPM: 5.3
Std nTPM: 2.1
Median nTPM: 9.7
GTEX-SE5C-1626-SM-2XCE3 40-49 years, female 28.9
GTEX-Y3IK-2426-SM-4WWDU 50-59 years, female 22.0
GTEX-W5X1-3026-SM-EAZAX 40-49 years, female 20.8
GTEX-U8T8-0126-SM-3DB94 60-69 years, male 18.8
GTEX-11WQK-0526-SM-5EQLD 50-59 years, male 18.5
GTEX-POMQ-2226-SM-2I5FK 20-29 years, female 18.3
GTEX-XYKS-2126-SM-4E3IB 60-69 years, female 17.3
GTEX-1399U-2326-SM-5K7WY 50-59 years, female 16.4
GTEX-ZU9S-0226-SM-5E441 30-39 years, male 16.3
GTEX-12126-0326-SM-5PNW3 20-29 years, male 16.2
GTEX-1LBAC-0126-SM-DIPEZ 20-29 years, male 15.2
GTEX-131XG-2626-SM-5KM17 50-59 years, female 14.9
GTEX-U8XE-0326-SM-3DB8P 30-39 years, male 14.8
GTEX-14PN4-0126-SM-6EU2V 50-59 years, male 14.5
GTEX-15SB6-1726-SM-6PAME 50-59 years, female 14.5
GTEX-1CAV2-2226-SM-7P8P2 40-49 years, female 14.5
GTEX-12WSL-2526-SM-5GCNJ 50-59 years, male 14.4
GTEX-1MJK2-0426-SM-DTXE5 50-59 years, male 14.4
GTEX-X4XY-0226-SM-4E3IZ 60-69 years, male 14.3
GTEX-11DYG-0126-SM-59883 60-69 years, male 14.0
GTEX-X88G-0126-SM-47JZ3 30-39 years, male 14.0
GTEX-Y114-2426-SM-4TT8A 50-59 years, female 13.9
GTEX-1R9PM-2026-SM-E76OY 20-29 years, male 13.9
GTEX-14ICK-0226-SM-6EU25 40-49 years, male 13.8
GTEX-S7PM-0126-SM-4AD6S 60-69 years, male 13.8
GTEX-1EWIQ-0126-SM-7RHH2 70-79 years, female 13.8
GTEX-RVPV-0126-SM-EAZAW 60-69 years, male 13.8
GTEX-11UD2-0226-SM-5EQKY 50-59 years, male 13.7
GTEX-12WSA-0226-SM-5BC5V 60-69 years, male 13.7
GTEX-1GF9X-2026-SM-7PC3A 40-49 years, female 13.7
GTEX-X585-0226-SM-4QAS2 50-59 years, male 13.6
GTEX-X8HC-0126-SM-4E3JW 50-59 years, female 13.6
GTEX-111FC-0126-SM-5N9DL 60-69 years, male 13.5
GTEX-XBEW-0626-SM-4QASP 40-49 years, male 13.5
GTEX-ZWKS-0126-SM-5SIAA 30-39 years, male 13.5
GTEX-ZYFD-0126-SM-5GIDL 50-59 years, male 13.4
GTEX-1JMQK-0226-SM-CL543 60-69 years, male 13.4
GTEX-1122O-2126-SM-5EGIR 60-69 years, female 13.3
GTEX-145LT-1726-SM-5QGP3 40-49 years, male 13.3
GTEX-146FH-0126-SM-5QGPP 50-59 years, female 13.3
GTEX-O5YT-0126-SM-48TBW 20-29 years, male 13.3
GTEX-1F5PL-0326-SM-7P8PQ 40-49 years, female 13.3
GTEX-1J8EW-0126-SM-CJI4F 60-69 years, female 13.2
GTEX-13G51-2526-SM-5LZYK 60-69 years, male 13.1
GTEX-15ER7-0326-SM-7KUEV 20-29 years, female 13.0
GTEX-T2YK-0526-SM-32QPJ 50-59 years, male 13.0
GTEX-X5EB-2226-SM-46MW4 40-49 years, male 13.0
GTEX-13RTJ-2426-SM-5S2Q2 60-69 years, male 12.9
GTEX-18A6Q-0126-SM-731BZ 60-69 years, male 12.9
GTEX-OHPL-0126-SM-2HMJ7 60-69 years, female 12.8
GTEX-ZVT2-2526-SM-51MT1 50-59 years, female 12.8
GTEX-ZVZO-0126-SM-5A5L9 40-49 years, male 12.8
GTEX-1CAMS-0426-SM-7P8T2 40-49 years, female 12.8
GTEX-1EMGI-0126-SM-9KNUE 60-69 years, male 12.8
GTEX-1I1GV-0526-SM-A9G29 60-69 years, male 12.8
GTEX-1LG7Z-1726-SM-D3LA4 30-39 years, male 12.8
GTEX-11DXZ-2326-SM-5EGGV 50-59 years, male 12.7
GTEX-11UD1-0126-SM-5PNYG 40-49 years, female 12.7
GTEX-139UW-2826-SM-5L3E7 60-69 years, male 12.7
GTEX-1GN2E-0426-SM-9MQKX 60-69 years, male 12.7
GTEX-11DXW-0226-SM-5H122 40-49 years, male 12.6
GTEX-13O1R-0126-SM-5L3EH 60-69 years, male 12.6
GTEX-132NY-0326-SM-5IJBL 60-69 years, male 12.5
GTEX-13FXS-0226-SM-5IJCK 50-59 years, male 12.5
GTEX-1B8SF-1426-SM-7DUGL 60-69 years, male 12.5
GTEX-NPJ8-0126-SM-2YUNR 40-49 years, male 12.5
GTEX-OIZG-0726-SM-33HBL 50-59 years, male 12.5
GTEX-OIZH-0126-SM-2HMIS 50-59 years, male 12.5
GTEX-T2IS-0126-SM-4DM6O 20-29 years, female 12.5
GTEX-XUZC-1726-SM-4BRWS 30-39 years, female 12.5
GTEX-ZDTS-0126-SM-4WAY5 60-69 years, male 12.5
GTEX-1H1DG-0126-SM-9WYU2 70-79 years, male 12.5
GTEX-UJHI-1526-SM-3DB99 50-59 years, female 12.4
GTEX-Y8DK-0126-SM-4TT3L 60-69 years, male 12.4
GTEX-1GF9V-0326-SM-7RHI5 60-69 years, male 12.4
GTEX-11OF3-2626-SM-5GU7F 60-69 years, male 12.3
GTEX-13RTK-1426-SM-5QGQJ 20-29 years, male 12.3
GTEX-14A5H-0426-SM-5QGQF 60-69 years, male 12.3
GTEX-14PII-0226-SM-6EU1T 60-69 years, male 12.3
GTEX-1B8KE-2126-SM-73KYX 50-59 years, male 12.3
GTEX-ZTSS-1926-SM-57WEW 40-49 years, male 12.3
GTEX-1H1CY-2826-SM-9MQM3 60-69 years, female 12.3
GTEX-1LVAN-0226-SM-COH3S 50-59 years, female 12.3
GTEX-1PIIG-0226-SM-EWRN6 30-39 years, male 12.3
GTEX-117XS-2726-SM-5N9BL 60-69 years, male 12.2
GTEX-131XH-2226-SM-5DUXJ 50-59 years, male 12.2
GTEX-13CF2-2526-SM-5LZYX 60-69 years, male 12.2
GTEX-WVJS-0126-SM-4MVOT 50-59 years, male 12.2
GTEX-XXEK-2226-SM-4BRUM 50-59 years, male 12.2
GTEX-17GQL-2026-SM-718BA 60-69 years, male 12.1
GTEX-1C4CL-0526-SM-73KVK 30-39 years, male 12.1
GTEX-QESD-1426-SM-2S1R9 20-29 years, male 12.1
GTEX-1GMR3-1926-SM-9KNUZ 40-49 years, male 12.1
GTEX-15UF6-0826-SM-6PALJ 70-79 years, female 12.0
GTEX-1A3MX-0126-SM-731BR 60-69 years, male 12.0
GTEX-1C6WA-0126-SM-7PC2B 60-69 years, male 12.0
GTEX-1JN76-0126-SM-CNPPE 20-29 years, female 12.0
GTEX-1KD4Q-0226-SM-E9TJ9 40-49 years, male 12.0
GTEX-1OJC3-0126-SM-E76QX 20-29 years, male 12.0
GTEX-PWCY-1826-SM-DHXIZ 20-29 years, female 12.0
GTEX-145MO-0326-SM-5Q5B3 60-69 years, male 11.9
GTEX-ZGAY-0526-SM-4WWBB 40-49 years, female 11.9
GTEX-1H1DE-2126-SM-9WG6R 20-29 years, male 11.9
GTEX-1N2EF-0226-SM-EYYXB 60-69 years, male 11.9
GTEX-14753-0426-SM-5NQAM 60-69 years, male 11.8
GTEX-14XAO-2326-SM-6EU1B 60-69 years, female 11.8
GTEX-17JCI-0126-SM-7LG5G 60-69 years, female 11.8
GTEX-X4XX-0126-SM-3NMC2 60-69 years, male 11.8
GTEX-ZVTK-0426-SM-51MRS 20-29 years, male 11.8
GTEX-ZYT6-0226-SM-5NQ6T 30-39 years, male 11.8
GTEX-1GZ2Q-0226-SM-7P8TL 40-49 years, male 11.8
GTEX-1JMQL-0226-SM-CNPP5 50-59 years, female 11.8
GTEX-1JN1M-0326-SM-CYPT3 60-69 years, female 11.8
GTEX-1OFPY-2426-SM-DTXEJ 60-69 years, male 11.8
GTEX-12584-0126-SM-5EGKQ 40-49 years, male 11.7
GTEX-17F98-0626-SM-79OMX 40-49 years, female 11.7
GTEX-S7SE-0126-SM-2XCD5 50-59 years, male 11.7
GTEX-Z93T-0126-SM-5HL5N 50-59 years, male 11.7
GTEX-1GF9W-0326-SM-9KNUN 60-69 years, male 11.7
GTEX-1HR98-0126-SM-B2LWI 60-69 years, male 11.7
GTEX-1JN6P-0126-SM-D3L98 60-69 years, male 11.7
GTEX-1KANC-1526-SM-D3LAB 50-59 years, female 11.7
GTEX-1LSNM-1926-SM-E6CII 50-59 years, male 11.7
GTEX-13FTW-2626-SM-5K7WL 40-49 years, male 11.6
GTEX-13X6H-2126-SM-7EWD5 50-59 years, female 11.6
GTEX-145LV-2126-SM-5LU8N 50-59 years, male 11.6
GTEX-WQUQ-0426-SM-3MJFU 60-69 years, male 11.6
GTEX-Z93S-0126-SM-5HL7M 50-59 years, male 11.6
GTEX-12WSG-2826-SM-E9J4H 50-59 years, female 11.6
GTEX-1B8L1-2526-SM-9WYTF 60-69 years, male 11.6
GTEX-1C6VQ-0126-SM-7P8RI 50-59 years, male 11.6
GTEX-1JJEA-0326-SM-CNPOT 60-69 years, male 11.6
GTEX-12ZZX-0126-SM-5EGK9 40-49 years, female 11.5
GTEX-ZE7O-0126-SM-57WC1 50-59 years, female 11.5
GTEX-ZTX8-1426-SM-5DUVO 20-29 years, male 11.5
GTEX-1B933-0126-SM-7PC29 50-59 years, female 11.5
GTEX-1HFI6-0226-SM-ADEHZ 40-49 years, male 11.5
GTEX-1IOXB-0126-SM-ARL8G 50-59 years, male 11.5
GTEX-1RDX4-0126-SM-E9J4P 50-59 years, female 11.5
GTEX-1S5ZA-0126-SM-EVYCV 20-29 years, male 11.5
GTEX-13NYB-2526-SM-5K7Z6 40-49 years, male 11.4
GTEX-U412-0426-SM-3DB9O 60-69 years, male 11.4
GTEX-XAJ8-0826-SM-47JY6 40-49 years, male 11.4
GTEX-YJ8A-0426-SM-5IFID 20-29 years, male 11.4
GTEX-1JMPZ-0226-SM-CNPP1 30-39 years, male 11.4
GTEX-1N2DW-0226-SM-E9TK2 50-59 years, male 11.4
GTEX-111VG-2426-SM-5GZXD 60-69 years, male 11.3
GTEX-12WSD-0126-SM-59HKN 60-69 years, female 11.3
GTEX-13OW6-0426-SM-5L3HM 50-59 years, male 11.3
GTEX-1497J-2426-SM-7IGNX 60-69 years, male 11.3
GTEX-17KNJ-2326-SM-7DHLQ 50-59 years, male 11.3
GTEX-YFC4-0126-SM-5CVLY 40-49 years, female 11.3
GTEX-ZYW4-0126-SM-5E44A 60-69 years, male 11.3
GTEX-1F6I4-0126-SM-9MQL2 60-69 years, male 11.3
GTEX-12ZZY-0226-SM-5LZVE 60-69 years, male 11.2
GTEX-131YS-0126-SM-5KM1M 60-69 years, female 11.2
GTEX-18A7A-0226-SM-718BH 50-59 years, female 11.2
GTEX-18QFQ-0126-SM-731BE 30-39 years, male 11.2
GTEX-131XF-5016-SM-7MGWE 60-69 years, male 11.2
GTEX-1I4MK-2226-SM-ACKWD 50-59 years, female 11.2
GTEX-1J8JJ-0226-SM-CL53I 60-69 years, female 11.2
GTEX-1K2DA-1826-SM-CGQGT 50-59 years, male 11.2
GTEX-1PPH8-0226-SM-E8VND 20-29 years, male 11.2
GTEX-1R9K4-0126-SM-DTX9X 60-69 years, male 11.2
GTEX-1RB15-2126-SM-E9TIM 60-69 years, male 11.2
GTEX-139TS-2826-SM-5J1OO 60-69 years, male 11.1
GTEX-146FQ-0126-SM-5NQA9 30-39 years, male 11.1
GTEX-14PK6-1926-SM-6ETZU 70-79 years, female 11.1
GTEX-Y5LM-1926-SM-5RQJH 40-49 years, female 11.1
GTEX-ZDXO-3026-SM-5J1N5 60-69 years, male 11.1
GTEX-1HCU6-0126-SM-CL54K 60-69 years, female 11.1
GTEX-1IKJJ-0126-SM-CNPQB 60-69 years, male 11.1
GTEX-1PWST-0226-SM-E76QJ 70-79 years, male 11.1
GTEX-11ZTS-0126-SM-5EQ6M 60-69 years, female 11.0
GTEX-13CF3-2426-SM-5IFGX 60-69 years, female 11.0
GTEX-13VXU-0126-SM-5SI9F 50-59 years, male 11.0
GTEX-16MT8-0426-SM-7KUEY 60-69 years, female 11.0
GTEX-1B8SG-0126-SM-73KZ3 50-59 years, male 11.0
GTEX-PX3G-0126-SM-2I3EN 20-29 years, female 11.0
GTEX-T5JW-1626-SM-3GADZ 20-29 years, female 11.0
GTEX-T6MN-0126-SM-32PLP 50-59 years, male 11.0
GTEX-TMZS-0126-SM-3DB9Q 60-69 years, male 11.0
GTEX-XQ8I-0426-SM-4BOPO 50-59 years, male 11.0
GTEX-YJ89-0126-SM-4TT3X 60-69 years, male 11.0
GTEX-ZE9C-2726-SM-57WB5 60-69 years, male 11.0
GTEX-11TUW-2726-SM-E9J4M 60-69 years, male 11.0
GTEX-1F6RS-0126-SM-9MQKZ 60-69 years, female 11.0
GTEX-1MCQQ-0826-SM-DLHC2 60-69 years, male 11.0
GTEX-13112-2826-SM-5DUWH 50-59 years, male 10.9
GTEX-133LE-1826-SM-5J1MV 20-29 years, female 10.9
GTEX-145ME-1826-SM-5SI9G 40-49 years, female 10.9
GTEX-14PJM-0226-SM-62LF1 50-59 years, female 10.9
GTEX-15SHW-0326-SM-6PAML 60-69 years, male 10.9
GTEX-WXYG-2326-SM-4E3I6 50-59 years, female 10.9
GTEX-WZTO-0126-SM-3NM95 40-49 years, male 10.9
GTEX-XQ3S-1526-SM-4BOOC 20-29 years, male 10.9
GTEX-Y5V6-2426-SM-4VDSB 60-69 years, male 10.9
GTEX-ZZPT-0226-SM-5E43X 50-59 years, male 10.9
GTEX-1B996-0226-SM-7RHGO 60-69 years, male 10.9
GTEX-1M5QR-1226-SM-EWROB 40-49 years, male 10.9
GTEX-ZF3C-0126-SM-DO92D 50-59 years, female 10.9
GTEX-131XE-2326-SM-5PNZ2 50-59 years, male 10.8
GTEX-13FHP-0126-SM-5IJBG 50-59 years, male 10.8
GTEX-18A67-0126-SM-7LG5P 50-59 years, male 10.8
GTEX-1AX9J-0226-SM-73KXM 60-69 years, male 10.8
GTEX-SIU8-0126-SM-2XCDT 50-59 years, male 10.8
GTEX-WI4N-1026-SM-3LK7N 40-49 years, female 10.8
GTEX-ZXES-1826-SM-5E43S 30-39 years, female 10.8
GTEX-1HSKV-0226-SM-A9SKJ 60-69 years, male 10.8
GTEX-1JMLX-0226-SM-CM2RO 50-59 years, male 10.8
GTEX-OOBJ-0126-SM-E6CJW 60-69 years, male 10.8
GTEX-11TT1-2526-SM-5EGIB 20-29 years, male 10.7
GTEX-13IVO-0126-SM-5J1NG 70-79 years, male 10.7
GTEX-13PVR-2326-SM-5QGR1 60-69 years, female 10.7
GTEX-14E6C-0126-SM-5RQIP 40-49 years, male 10.7
GTEX-14E6D-0126-SM-62LDV 50-59 years, male 10.7
GTEX-1A32A-0126-SM-718B1 50-59 years, female 10.7
GTEX-P4QT-0126-SM-2I3FL 50-59 years, female 10.7
GTEX-PVOW-0126-SM-2XCFA 40-49 years, male 10.7
GTEX-XUYS-0126-SM-47JWZ 50-59 years, male 10.7
GTEX-1LB8K-0226-SM-EWRNW 50-59 years, male 10.7
GTEX-11GS4-2726-SM-5A5LE 60-69 years, male 10.6
GTEX-1212Z-2526-SM-5EGKP 60-69 years, male 10.6
GTEX-13FHO-0226-SM-5IFGY 60-69 years, male 10.6
GTEX-1JMPY-1326-SM-ARL8Y 30-39 years, male 10.6
GTEX-117YX-2326-SM-5H12W 50-59 years, male 10.5
GTEX-1192W-2626-SM-5Q5AF 60-69 years, male 10.5
GTEX-11DXX-2426-SM-5GZZW 60-69 years, female 10.5
GTEX-11DZ1-0126-SM-5985Q 50-59 years, male 10.5
GTEX-11GSO-2426-SM-5A5LY 60-69 years, male 10.5
GTEX-12WSE-0526-SM-793B2 20-29 years, male 10.5
GTEX-13OVK-2026-SM-7KUEO 40-49 years, male 10.5
GTEX-144GN-2326-SM-5LU4F 50-59 years, male 10.5
GTEX-148VI-1626-SM-5SI6E 60-69 years, female 10.5
GTEX-1CB4J-0626-SM-7DHMP 60-69 years, male 10.5
GTEX-X4EO-0326-SM-3P5YO 60-69 years, female 10.5
GTEX-Y3I4-2126-SM-4TT7C 50-59 years, male 10.5
GTEX-ZAB4-0226-SM-5N9F5 40-49 years, male 10.5
GTEX-1CB4G-0226-SM-7PC3O 60-69 years, male 10.5
GTEX-1F6IF-0726-SM-7P8TW 60-69 years, male 10.5
GTEX-1HBPN-0226-SM-9YFM1 50-59 years, male 10.5
GTEX-1LGOU-2026-SM-DIPFF 20-29 years, female 10.5
GTEX-1QCLY-0326-SM-E8VOG 30-39 years, male 10.5
GTEX-PSDG-0226-SM-DKPOZ 50-59 years, male 10.5
GTEX-117YW-2626-SM-5GZZH 50-59 years, male 10.4
GTEX-1192X-0226-SM-5H12D 50-59 years, male 10.4
GTEX-1313W-0126-SM-5LZUN 50-59 years, female 10.4
GTEX-13NYS-0126-SM-5MR3W 60-69 years, male 10.4
GTEX-14DAR-2026-SM-5S2O3 50-59 years, male 10.4
GTEX-14JG1-0426-SM-6ETZZ 40-49 years, male 10.4
GTEX-ZYFC-0226-SM-5NQ75 50-59 years, male 10.4
GTEX-13O3O-0126-SM-E9J49 60-69 years, female 10.4
GTEX-1GZ4H-1726-SM-7PBZJ 50-59 years, female 10.4
GTEX-1HSMO-0126-SM-CL547 60-69 years, male 10.4
GTEX-1IKK5-0626-SM-ARL8A 60-69 years, male 10.4
GTEX-1KD5A-0226-SM-D5OV3 50-59 years, male 10.4
GTEX-1KXAM-2226-SM-CYPTC 60-69 years, male 10.4
GTEX-1QAET-0926-SM-E76QM 50-59 years, male 10.4
GTEX-1QP9N-1426-SM-DTXFL 30-39 years, male 10.4
GTEX-11P82-1626-SM-59879 20-29 years, male 10.3
GTEX-139TT-0126-SM-5K7Y5 60-69 years, male 10.3
GTEX-14BIN-0626-SM-793DP 50-59 years, female 10.3
GTEX-14E6E-1826-SM-5S2R7 30-39 years, male 10.3
GTEX-Q2AI-1326-SM-2S1PL 40-49 years, male 10.3
GTEX-SJXC-0126-SM-2XCFF 60-69 years, male 10.3
GTEX-W5WG-1826-SM-4KL2Y 50-59 years, female 10.3
GTEX-ZAJG-0126-SM-5HL94 50-59 years, female 10.3
GTEX-ZVZP-2426-SM-59HKJ 50-59 years, male 10.3
GTEX-13OW5-0126-SM-DTXFS 60-69 years, male 10.3
GTEX-1ICG6-2526-SM-CGQFZ 70-79 years, female 10.3
GTEX-1J1OQ-0226-SM-CYPSH 40-49 years, female 10.3
GTEX-1JMQJ-0526-SM-CYPSU 50-59 years, male 10.3
GTEX-13O3Q-2426-SM-5IJBR 50-59 years, male 10.2
GTEX-13S7M-0126-SM-5SI6A 60-69 years, female 10.2
GTEX-145MN-2226-SM-5SIAU 30-39 years, male 10.2
GTEX-1AX8Z-0126-SM-7DHM6 60-69 years, male 10.2
GTEX-OXRK-0226-SM-3NB2G 50-59 years, female 10.2
GTEX-T6MO-1626-SM-32QOM 40-49 years, female 10.2
GTEX-WYJK-0126-SM-3NMAB 50-59 years, male 10.2
GTEX-1EX96-1626-SM-7PBXR 50-59 years, male 10.2
GTEX-1GN1U-0126-SM-7PBZK 50-59 years, female 10.2
GTEX-1HCUA-2426-SM-ADEIS 50-59 years, female 10.2
GTEX-1HGF4-2426-SM-ACKXM 60-69 years, male 10.2
GTEX-1I6K6-0126-SM-A9SLE 30-39 years, male 10.2
GTEX-1RAZQ-0726-SM-EAZ43 30-39 years, male 10.2
GTEX-1399R-2726-SM-5IJBA 30-39 years, male 10.1
GTEX-13OVH-0126-SM-5MR4B 70-79 years, male 10.1
GTEX-15UKP-0426-SM-7KUFQ 20-29 years, male 10.1
GTEX-18465-0126-SM-731BN 50-59 years, male 10.1
GTEX-Q2AH-1626-SM-3GAF8 40-49 years, male 10.1
GTEX-WFON-2126-SM-3LK7O 40-49 years, male 10.1
GTEX-WY7C-2326-SM-3NB2U 50-59 years, male 10.1
GTEX-Y111-0126-SM-4SOIV 50-59 years, male 10.1
GTEX-ZAK1-0126-SM-5IJD3 50-59 years, female 10.1
GTEX-1F75A-0126-SM-7RHGM 50-59 years, male 10.1
GTEX-1GN73-0226-SM-9WG67 60-69 years, male 10.1
GTEX-1K2DU-2326-SM-E9TIV 20-29 years, male 10.1
GTEX-11O72-0126-SM-59887 40-49 years, male 10.0
GTEX-11ZTT-2426-SM-5EQLS 60-69 years, female 10.0
GTEX-1BAJH-0526-SM-793CQ 70-79 years, male 10.0
GTEX-SUCS-1926-SM-32PM3 70-79 years, male 10.0
GTEX-T5JC-0426-SM-32PLO 20-29 years, male 10.0
GTEX-YB5E-2026-SM-5IFIS 40-49 years, male 10.0
GTEX-YB5K-2126-SM-4WWDJ 40-49 years, female 10.0
GTEX-ZDYS-2026-SM-5HL5L 50-59 years, male 10.0
GTEX-1GPI7-0126-SM-9MQL8 20-29 years, male 10.0
GTEX-1IDJH-0326-SM-A9SLQ 70-79 years, male 10.0
GTEX-1PFEY-1526-SM-E76PP 30-39 years, male 10.0
GTEX-1QMI2-0226-SM-EVYBX 60-69 years, male 10.0
GTEX-1S83E-0126-SM-EWRO4 40-49 years, male 10.0
GTEX-11EMC-2926-SM-5EQ4F 60-69 years, female 9.9
GTEX-11EQ9-2426-SM-5HL5T 30-39 years, male 9.9
GTEX-11WQC-2526-SM-5CVLE 60-69 years, male 9.9
GTEX-12696-2426-SM-5EQ6H 60-69 years, male 9.9
GTEX-13X6J-0126-SM-5QGOU 50-59 years, male 9.9
GTEX-145LS-0126-SM-5QGP1 60-69 years, female 9.9
GTEX-14ABY-0226-SM-5TDCQ 50-59 years, male 9.9
GTEX-18D9A-1926-SM-7LG6P 30-39 years, female 9.9
GTEX-1CAMR-1926-SM-7EPI2 20-29 years, male 9.9
GTEX-OXRO-0126-SM-2YUN4 60-69 years, female 9.9
GTEX-WH7G-2326-SM-3NMBC 40-49 years, male 9.9
GTEX-X4EP-0126-SM-3P5YV 60-69 years, female 9.9
GTEX-XV7Q-2526-SM-4BRV9 40-49 years, female 9.9
GTEX-1IL2U-0226-SM-CE6T8 60-69 years, male 9.9
GTEX-1JMOU-1526-SM-CL54I 60-69 years, female 9.9
GTEX-1KANA-0726-SM-D3L9I 20-29 years, male 9.9
GTEX-1KWVE-1426-SM-E9TJO 30-39 years, male 9.9
GTEX-1LGRB-2526-SM-CNPPQ 50-59 years, female 9.9
GTEX-1R46S-0626-SM-E9J41 60-69 years, female 9.9
GTEX-1R7EU-0226-SM-EVR4G 60-69 years, male 9.9
GTEX-11NSD-2226-SM-5986V 20-29 years, male 9.8
GTEX-11NUK-0126-SM-5A5L3 50-59 years, male 9.8
GTEX-1211K-2026-SM-5EQ4Z 60-69 years, female 9.8
GTEX-13N11-2526-SM-5K7UE 50-59 years, female 9.8
GTEX-145MF-0626-SM-5LUAI 50-59 years, male 9.8
GTEX-145MI-0526-SM-5O9A8 60-69 years, female 9.8
GTEX-14BMU-2226-SM-5TDE9 20-29 years, female 9.8
GTEX-14LZ3-0226-SM-62LET 60-69 years, female 9.8
GTEX-NFK9-0226-SM-2HMKQ 40-49 years, male 9.8
GTEX-SNMC-1226-SM-2XCFP 20-29 years, male 9.8
GTEX-UPJH-0326-SM-3GADU 50-59 years, male 9.8
GTEX-VUSG-2526-SM-4KL1V 50-59 years, male 9.8
GTEX-WRHK-1426-SM-3MJF9 20-29 years, female 9.8
GTEX-1ICLZ-0126-SM-CKZPO 60-69 years, male 9.8
GTEX-1L5NE-2526-SM-E6CIE 50-59 years, male 9.8
GTEX-1PDJ9-0326-SM-DTX95 20-29 years, male 9.8
GTEX-S33H-1026-SM-EZ6L6 30-39 years, male 9.8
GTEX-113JC-2326-SM-5EQ4E 50-59 years, female 9.7
GTEX-12WSC-0126-SM-5EQ4P 50-59 years, male 9.7
GTEX-13113-5016-SM-7EPIP 60-69 years, female 9.7
GTEX-13SLX-0526-SM-5S2ON 50-59 years, female 9.7
GTEX-16XZZ-0126-SM-793DV 60-69 years, male 9.7
GTEX-1C475-1826-SM-73KWA 40-49 years, female 9.7
GTEX-P4PP-0126-SM-3LK69 30-39 years, female 9.7
GTEX-S95S-1226-SM-4GICG 60-69 years, male 9.7
GTEX-TML8-1926-SM-32QOS 40-49 years, female 9.7
GTEX-1F75B-0126-SM-9KNVL 50-59 years, male 9.7
GTEX-1GZHY-0326-SM-9QEHI 50-59 years, female 9.7
GTEX-1HT8W-0126-SM-CNPPP 30-39 years, male 9.7
GTEX-1JJ6O-0126-SM-E6CI8 60-69 years, male 9.7
GTEX-1RQEC-0426-SM-E6CHU 60-69 years, male 9.7
GTEX-ZVT4-0126-SM-DTXFN 50-59 years, female 9.7
GTEX-11GSP-2526-SM-5N9BP 60-69 years, female 9.6
GTEX-13O21-1426-SM-5K7XI 50-59 years, male 9.6
GTEX-16GPK-0126-SM-7DHLE 60-69 years, male 9.6
GTEX-17HII-0226-SM-7LG4E 50-59 years, male 9.6
GTEX-18A7B-0126-SM-7LG64 70-79 years, male 9.6
GTEX-OOBK-0126-SM-2YUND 40-49 years, male 9.6
GTEX-ZQUD-1426-SM-57WER 30-39 years, male 9.6
GTEX-1EKGG-0226-SM-9WYTH 60-69 years, male 9.6
GTEX-1F7RK-0126-SM-7PC2S 20-29 years, female 9.6
GTEX-1H11D-0226-SM-9WG6Z 40-49 years, male 9.6
GTEX-1H4P4-0726-SM-9YFLR 50-59 years, male 9.6
GTEX-1QPFJ-0226-SM-E76PB 30-39 years, female 9.6
GTEX-11H98-0126-SM-5EGHG 50-59 years, male 9.5
GTEX-12WSJ-1826-SM-5GCNY 40-49 years, female 9.5
GTEX-13D11-2426-SM-5KM1V 50-59 years, female 9.5
GTEX-13FTX-1826-SM-5J1NX 20-29 years, female 9.5
GTEX-13N1W-0126-SM-5K7VT 70-79 years, male 9.5
GTEX-13OVL-0226-SM-5L3E9 50-59 years, male 9.5
GTEX-147F4-0226-SM-5QGPW 50-59 years, male 9.5
GTEX-14PHX-2326-SM-62LEM 50-59 years, male 9.5
GTEX-14PJ3-1826-SM-62LEX 50-59 years, male 9.5
GTEX-15DDE-0126-SM-6LPKH 50-59 years, female 9.5
GTEX-15DYW-0126-SM-7KULE 60-69 years, female 9.5
GTEX-16YQH-0126-SM-7DUFJ 30-39 years, male 9.5
GTEX-183WM-0126-SM-7LTAB 70-79 years, female 9.5
GTEX-1C64N-0126-SM-793D7 50-59 years, male 9.5
GTEX-OXRP-0126-SM-3NB32 60-69 years, female 9.5
GTEX-QEG4-0226-SM-2S1PY 30-39 years, male 9.5
GTEX-R3RS-0126-SM-3GIJL 40-49 years, female 9.5
GTEX-RTLS-0126-SM-447CA 60-69 years, female 9.5
GTEX-T8EM-1026-SM-3DB7M 40-49 years, male 9.5
GTEX-VJYA-1126-SM-3GIJU 60-69 years, male 9.5
GTEX-X261-0126-SM-3NMD6 50-59 years, male 9.5
GTEX-YEC4-2126-SM-5IFJH 40-49 years, male 9.5
GTEX-1HCU8-0626-SM-A9SM9 60-69 years, female 9.5
GTEX-1KAFJ-2026-SM-CY8ID 50-59 years, male 9.5
GTEX-1LNCM-1126-SM-E9U5E 50-59 years, female 9.5
GTEX-1POEN-0126-SM-EYYXJ 30-39 years, female 9.5
GTEX-1QEPI-0126-SM-EWRMQ 60-69 years, female 9.5
GTEX-15RIG-0226-SM-7KFTL 40-49 years, male 9.4
GTEX-P44H-0226-SM-2XCEU 40-49 years, male 9.4
GTEX-RUSQ-1526-SM-2TF62 50-59 years, male 9.4
GTEX-X638-0126-SM-47JZ8 70-79 years, female 9.4
GTEX-ZV68-0126-SM-59HKS 50-59 years, female 9.4
GTEX-ZV6S-2326-SM-4YCEY 40-49 years, female 9.4
GTEX-ZYFG-2326-SM-5E44B 60-69 years, female 9.4
GTEX-1AX9I-0126-SM-7SB74 60-69 years, male 9.4
GTEX-1H2FU-0126-SM-9WYSI 60-69 years, female 9.4
GTEX-1HBPI-1526-SM-C1YQ1 50-59 years, male 9.4
GTEX-1HSMP-0126-SM-E6CJS 70-79 years, male 9.4
GTEX-1I1CD-0126-SM-CM2TK 60-69 years, female 9.4
GTEX-1J8Q2-0526-SM-CM2RW 60-69 years, male 9.4
GTEX-1JK1U-2026-SM-CM2RZ 60-69 years, male 9.4
GTEX-1JMQI-2226-SM-CM2SD 50-59 years, male 9.4
GTEX-1MA7W-2026-SM-E9TJ6 20-29 years, female 9.4
GTEX-1NV5F-0226-SM-E8VNY 60-69 years, female 9.4
GTEX-1O97I-0326-SM-EYYX7 60-69 years, male 9.4
GTEX-1PBJI-0526-SM-E8VNK 20-29 years, female 9.4
GTEX-14BIM-0226-SM-7IGLD 60-69 years, female 9.3
GTEX-15G19-0126-SM-6PANQ 60-69 years, male 9.3
GTEX-P4PQ-0126-SM-2S1NM 60-69 years, male 9.3
GTEX-TKQ1-1026-SM-4GICL 30-39 years, male 9.3
GTEX-XMD2-0126-SM-4YCDU 60-69 years, female 9.3
GTEX-ZYY3-0126-SM-5GZY5 60-69 years, female 9.3
GTEX-1CB4F-0426-SM-9KNV4 60-69 years, male 9.3
GTEX-1EU9M-0226-SM-7P8SP 60-69 years, male 9.3
GTEX-1GTWX-0126-SM-9YFLK 60-69 years, male 9.3
GTEX-1H3O1-0426-SM-9YFKY 60-69 years, male 9.3
GTEX-1LG7Y-0526-SM-DKPQC 50-59 years, male 9.3
GTEX-1S3DN-2226-SM-EVYCD 50-59 years, male 9.3
GTEX-11DXY-2626-SM-5GIE7 60-69 years, male 9.2
GTEX-18D9B-0526-SM-7LTAS 60-69 years, male 9.2
GTEX-1CB4E-2226-SM-793DC 60-69 years, male 9.2
GTEX-RWSA-0126-SM-2XCBB 40-49 years, male 9.2
GTEX-ZTPG-0326-SM-5O9AX 20-29 years, female 9.2
GTEX-ZZ64-1726-SM-5GZYB 20-29 years, male 9.2
GTEX-1E2YA-0126-SM-9KNUC 50-59 years, male 9.2
GTEX-1EN7A-0126-SM-7SB81 40-49 years, male 9.2
GTEX-1GMRU-0126-SM-9YFLV 50-59 years, male 9.2
GTEX-1HSEH-0126-SM-ACKXN 60-69 years, male 9.2
GTEX-1I1GS-0126-SM-B2LVW 60-69 years, male 9.2
GTEX-1IL2V-0126-SM-CM2TX 70-79 years, male 9.2
GTEX-1MCYP-1926-SM-E9J2R 20-29 years, female 9.2
GTEX-1MUQO-0126-SM-EAZ58 60-69 years, male 9.2
GTEX-1NHNU-1026-SM-E9J2A 50-59 years, male 9.2
GTEX-ZPIC-1726-SM-DHXIU 40-49 years, female 9.2
GTEX-12WSK-2326-SM-5GCOH 40-49 years, female 9.1
GTEX-139T8-0126-SM-5K7XZ 60-69 years, male 9.1
GTEX-13SLW-0126-SM-5SI6C 70-79 years, male 9.1
GTEX-14PN3-2426-SM-6LLHS 60-69 years, female 9.1
GTEX-17HGU-0226-SM-7DHKV 50-59 years, male 9.1
GTEX-WYVS-2126-SM-3NMA3 40-49 years, female 9.1
GTEX-Z9EW-1626-SM-5CVMN 40-49 years, male 9.1
GTEX-1I1GU-2226-SM-CGQFA 40-49 years, male 9.1
GTEX-11P7K-2126-SM-5GU7G 30-39 years, male 9.0
GTEX-11ZU8-2526-SM-5EQKI 60-69 years, male 9.0
GTEX-13NZA-0226-SM-5K7Z7 60-69 years, male 9.0
GTEX-13O3P-0126-SM-5KM4S 50-59 years, male 9.0
GTEX-1C6VR-2426-SM-79OLD 60-69 years, male 9.0
GTEX-O5YW-0126-SM-3LK6D 50-59 years, male 9.0
GTEX-R55E-0126-SM-2TC5Y 20-29 years, male 9.0
GTEX-1HCVE-0126-SM-CGQEU 50-59 years, male 9.0
GTEX-1IDFM-0126-SM-COH2V 60-69 years, male 9.0
GTEX-1S82Z-0826-SM-E6CHY 30-39 years, female 9.0
GTEX-ZF29-2326-SM-DO92K 60-69 years, female 9.0
GTEX-13NZ8-0826-SM-5MR3I 60-69 years, female 8.9
GTEX-13NZB-2526-SM-5J1OM 30-39 years, male 8.9
GTEX-15EOM-0126-SM-7KUGG 20-29 years, female 8.9
GTEX-17HHY-0126-SM-7LG5D 50-59 years, male 8.9
GTEX-17MFQ-1726-SM-793C7 20-29 years, male 8.9
GTEX-1E1VI-0126-SM-7DHMZ 50-59 years, male 8.9
GTEX-Q734-1926-SM-2I5EV 40-49 years, female 8.9
GTEX-QDVJ-1726-SM-2I5FX 50-59 years, male 8.9
GTEX-ZAB5-1826-SM-5HL7C 50-59 years, male 8.9
GTEX-169BO-1326-SM-9MQK2 50-59 years, male 8.9
GTEX-1C64O-0126-SM-7SB8P 60-69 years, male 8.9
GTEX-1GN1V-0126-SM-9WPOS 60-69 years, male 8.9
GTEX-1J8QM-2126-SM-CYPSJ 60-69 years, female 8.9
GTEX-13U4I-0126-SM-5LU38 40-49 years, female 8.8
GTEX-144GL-0126-SM-5TDE2 50-59 years, male 8.8
GTEX-14JIY-0126-SM-6LLH6 60-69 years, male 8.8
GTEX-14PJ6-2126-SM-6EU1V 60-69 years, female 8.8
GTEX-17EVQ-0226-SM-7LG4P 70-79 years, male 8.8
GTEX-17MF6-0126-SM-7LG4F 40-49 years, male 8.8
GTEX-1C2JI-1826-SM-73KXC 50-59 years, male 8.8
GTEX-OHPM-0126-SM-2YUN9 50-59 years, male 8.8
GTEX-QVJO-1626-SM-2S1QW 60-69 years, female 8.8
GTEX-ZDTT-2726-SM-4WKF8 60-69 years, male 8.8
GTEX-ZVT3-0126-SM-5GU6I 60-69 years, female 8.8
GTEX-1HSGN-0226-SM-CGQFV 40-49 years, female 8.8
GTEX-1PIGE-0126-SM-EVYBJ 20-29 years, male 8.8
GTEX-1RLM8-2326-SM-EWRN4 50-59 years, male 8.8
GTEX-PLZ6-1426-SM-DKPOT 30-39 years, male 8.8
GTEX-15SDE-2226-SM-7IGLO 50-59 years, female 8.7
GTEX-15SHU-0126-SM-7KUEH 40-49 years, female 8.7
GTEX-183FY-0126-SM-7LT9P 20-29 years, male 8.7
GTEX-U3ZH-2026-SM-3DB78 30-39 years, male 8.7
GTEX-XBED-2226-SM-47JYQ 60-69 years, male 8.7
GTEX-Y8E4-0626-SM-4WWDL 40-49 years, male 8.7
GTEX-13NYC-0326-SM-E9J4S 60-69 years, male 8.7
GTEX-1IY9M-0126-SM-D3L8S 60-69 years, male 8.7
GTEX-139TU-0126-SM-5K7WH 60-69 years, male 8.6
GTEX-144FL-0126-SM-5TDC8 50-59 years, male 8.6
GTEX-145LU-0126-SM-5TDCB 50-59 years, male 8.6
GTEX-15ETS-0126-SM-7KUMW 40-49 years, female 8.6
GTEX-PLZ4-0126-SM-5SI8O 50-59 years, female 8.6
GTEX-QDVN-2026-SM-3GAEP 50-59 years, male 8.6
GTEX-RU72-0926-SM-2TF6B 50-59 years, female 8.6
GTEX-1HUB1-0426-SM-E9U4U 60-69 years, male 8.6
GTEX-1KANB-0526-SM-E6CJH 50-59 years, male 8.6
GTEX-RNOR-0126-SM-E9J4R 50-59 years, female 8.6
GTEX-11ZVC-2526-SM-5FQTE 50-59 years, female 8.5
GTEX-12ZZZ-0626-SM-5DUXI 60-69 years, male 8.5
GTEX-13111-1626-SM-5EGJY 50-59 years, male 8.5
GTEX-13OW7-0126-SM-5MR3B 50-59 years, male 8.5
GTEX-13VXT-0126-SM-5LU4I 20-29 years, female 8.5
GTEX-13X6I-0626-SM-5QGP9 60-69 years, male 8.5
GTEX-16XZY-2126-SM-79OK1 70-79 years, male 8.5
GTEX-17EUY-0426-SM-793BD 20-29 years, male 8.5
GTEX-1CAMQ-0226-SM-7IGPK 40-49 years, male 8.5
GTEX-S32W-2126-SM-2XCB1 50-59 years, female 8.5
GTEX-SN8G-0126-SM-32PLI 50-59 years, female 8.5
GTEX-XPVG-2626-SM-4B669 50-59 years, male 8.5
GTEX-1GN1W-0526-SM-9MQJQ 50-59 years, female 8.5
GTEX-1HBPM-0226-SM-ARL9F 60-69 years, female 8.5
GTEX-1IDJF-0126-SM-CM2RS 20-29 years, male 8.5
GTEX-1399T-2826-SM-5KLYZ 60-69 years, male 8.4
GTEX-14DAQ-0126-SM-5S2MQ 60-69 years, female 8.4
GTEX-16BQI-0226-SM-7KUEX 30-39 years, female 8.4
GTEX-17F97-0326-SM-7LG5B 50-59 years, male 8.4
GTEX-1A3MW-0126-SM-73KXX 60-69 years, female 8.4
GTEX-U3ZM-1526-SM-3DB9D 40-49 years, male 8.4
GTEX-Y5V5-2326-SM-4V6GA 60-69 years, female 8.4
GTEX-ZC5H-0226-SM-4WAY9 40-49 years, female 8.4
GTEX-1H23P-0126-SM-ADEJ3 60-69 years, male 8.4
GTEX-1HSMQ-1226-SM-CGQFX 50-59 years, male 8.4
GTEX-1I1GQ-0126-SM-COH3H 50-59 years, male 8.4
GTEX-1I1GR-0126-SM-CL55F 60-69 years, male 8.4
GTEX-1JKYR-0126-SM-CNPOJ 20-29 years, male 8.4
GTEX-1N2DV-0226-SM-E6CJ6 40-49 years, male 8.4
GTEX-1R7EV-2426-SM-EVYBG 40-49 years, male 8.4
GTEX-1S82Y-2026-SM-EVYCM 40-49 years, male 8.4
GTEX-11OC5-0126-SM-5HL6A 60-69 years, male 8.3
GTEX-139D8-0226-SM-5KLZO 30-39 years, female 8.3
GTEX-13OVJ-0126-SM-5KM36 50-59 years, female 8.3
GTEX-17HG3-2226-SM-7938L 30-39 years, female 8.3
GTEX-1CB4I-0226-SM-79OLH 50-59 years, male 8.3
GTEX-QCQG-1726-SM-3GIJ9 50-59 years, female 8.3
GTEX-XUW1-0426-SM-4BOOT 50-59 years, female 8.3
GTEX-1A8FM-0226-SM-7SB7Q 50-59 years, female 8.3
GTEX-1GPI6-0126-SM-9WG69 60-69 years, male 8.3
GTEX-1I19N-0326-SM-ACKVX 70-79 years, male 8.3
GTEX-1IE54-0126-SM-CMKHW 40-49 years, female 8.3
GTEX-1K9T9-0126-SM-EVYCF 50-59 years, female 8.3
GTEX-1PPH7-2326-SM-EVYB8 40-49 years, male 8.3
GTEX-1128S-2326-SM-5GZZY 60-69 years, female 8.2
GTEX-11TTK-0126-SM-5987B 60-69 years, female 8.2
GTEX-11ZUS-0626-SM-59885 30-39 years, male 8.2
GTEX-1AYD5-2426-SM-73KXR 50-59 years, male 8.2
GTEX-Q2AG-0126-SM-33HBV 40-49 years, female 8.2
GTEX-ZF28-0126-SM-4WKGK 60-69 years, male 8.2
GTEX-ZF2S-2326-SM-4WWCE 50-59 years, female 8.2
GTEX-ZVE2-0226-SM-59HJB 50-59 years, male 8.2
GTEX-1H3VE-0326-SM-9YFLH 40-49 years, male 8.2
GTEX-1I1GP-2226-SM-CGQFK 50-59 years, male 8.2
GTEX-1QP66-1726-SM-E8VO1 50-59 years, male 8.2
GTEX-1QP67-1626-SM-EAZ3X 40-49 years, female 8.2
GTEX-14BIL-0126-SM-5SI92 50-59 years, male 8.1
GTEX-15DCD-0126-SM-7KUEK 70-79 years, female 8.1
GTEX-17F96-1626-SM-7DUFL 70-79 years, male 8.1
GTEX-1AYCT-2426-SM-7IGQ3 50-59 years, male 8.1
GTEX-QDT8-0126-SM-48TZ1 30-39 years, female 8.1
GTEX-QLQW-1126-SM-2S1Q8 30-39 years, male 8.1
GTEX-QV44-1926-SM-2S1RF 50-59 years, male 8.1
GTEX-SSA3-0126-SM-32QPU 60-69 years, male 8.1
GTEX-X62O-0126-SM-4E3JN 50-59 years, male 8.1
GTEX-ZEX8-2426-SM-4WKG4 50-59 years, male 8.1
GTEX-1CB4H-0226-SM-7PBXM 60-69 years, female 8.1
GTEX-1F52S-0126-SM-9MQJU 60-69 years, female 8.1
GTEX-1H1ZS-0426-SM-9WG6G 70-79 years, male 8.1
GTEX-1JKYN-1326-SM-CGQG9 30-39 years, male 8.1
GTEX-PW2O-1526-SM-7RHHB 20-29 years, male 8.1
GTEX-R45C-0126-SM-EAZ2R 60-69 years, female 8.1
GTEX-ZQG8-1626-SM-DHXIT 60-69 years, female 8.1
GTEX-1314G-1526-SM-5EGK2 30-39 years, male 8.0
GTEX-14BMV-0126-SM-5S2PO 50-59 years, male 8.0
GTEX-16AAH-1726-SM-7939C 50-59 years, male 8.0
GTEX-17EVP-0326-SM-7DHLG 40-49 years, male 8.0
GTEX-RWS6-2026-SM-2XCB5 60-69 years, female 8.0
GTEX-1IGQW-0126-SM-COH42 60-69 years, male 8.0
GTEX-1M4P7-0226-SM-DIPEV 60-69 years, male 8.0
GTEX-1RAZA-0126-SM-E6CI3 20-29 years, male 8.0
GTEX-131XW-0426-SM-5LZWP 50-59 years, female 7.9
GTEX-13RTL-0126-SM-7LG5S 40-49 years, male 7.9
GTEX-14A5I-0126-SM-5TDEA 50-59 years, female 7.9
GTEX-17HHE-2026-SM-79OKF 50-59 years, male 7.9
GTEX-18D9U-0226-SM-718BP 40-49 years, male 7.9
GTEX-1B8KZ-2026-SM-7DHMB 50-59 years, male 7.9
GTEX-RM2N-1426-SM-2TF4H 50-59 years, male 7.9
GTEX-ZUA1-0126-SM-5GU76 40-49 years, male 7.9
GTEX-1I1GT-0626-SM-CGQER 60-69 years, female 7.9
GTEX-1ICLY-0126-SM-D4P36 50-59 years, male 7.9
GTEX-1J8Q3-1626-SM-CMKGC 60-69 years, male 7.9
GTEX-11EI6-0126-SM-5985R 60-69 years, male 7.8
GTEX-11XUK-2026-SM-5EQLF 40-49 years, female 7.8
GTEX-1269C-2526-SM-5EGJ3 60-69 years, female 7.8
GTEX-13OVG-1926-SM-5L3DK 60-69 years, male 7.8
GTEX-13PDP-0126-SM-5L3HD 60-69 years, male 7.8
GTEX-14A6H-0126-SM-5QGPK 30-39 years, male 7.8
GTEX-18A66-0226-SM-718BD 60-69 years, male 7.8
GTEX-1AX9K-2326-SM-73KWU 50-59 years, male 7.8
GTEX-1B97I-1626-SM-73KYO 40-49 years, male 7.8
GTEX-1C6VS-0526-SM-7DUEN 60-69 years, male 7.8
GTEX-WOFL-0126-SM-3MJG2 60-69 years, male 7.8
GTEX-1GL5R-1826-SM-9KNUY 50-59 years, male 7.8
GTEX-1HFI7-1826-SM-ACKXH 50-59 years, female 7.8
GTEX-1I1HK-0126-SM-COH49 60-69 years, male 7.8
GTEX-1IKOH-0226-SM-COH4E 60-69 years, female 7.8
GTEX-1MA7X-2226-SM-E6CIY 60-69 years, male 7.8
GTEX-13N2G-2626-SM-5J1OT 60-69 years, male 7.7
GTEX-147GR-0526-SM-5S2MY 60-69 years, male 7.7
GTEX-14PHW-0126-SM-6LLJI 60-69 years, female 7.7
GTEX-15EU6-0426-SM-6PAN5 50-59 years, male 7.7
GTEX-1A3MV-1926-SM-718BT 30-39 years, male 7.7
GTEX-PWO3-1526-SM-48TCM 60-69 years, female 7.7
GTEX-R55G-2526-SM-2TC6D 40-49 years, female 7.7
GTEX-RN64-0126-SM-2TC68 50-59 years, male 7.7
GTEX-1F5PK-2426-SM-7RHHY 50-59 years, male 7.7
GTEX-1F75I-0326-SM-9YFLU 40-49 years, male 7.7
GTEX-1F88F-2726-SM-7PBZZ 60-69 years, female 7.7
GTEX-1H1E6-1726-SM-ACKVK 30-39 years, male 7.7
GTEX-1HCU9-1526-SM-A9SL7 20-29 years, male 7.7
GTEX-1HKZK-0326-SM-9WYUH 40-49 years, male 7.7
GTEX-1LC47-0326-SM-E9TJP 60-69 years, male 7.7
GTEX-1LH75-2426-SM-E9TJE 50-59 years, female 7.7
GTEX-13FTY-0526-SM-5L3EV 40-49 years, female 7.6
GTEX-OXRN-0126-SM-48TDM 50-59 years, male 7.6
GTEX-QLQ7-1626-SM-2S1R8 60-69 years, male 7.6
GTEX-1GF9U-2126-SM-7SB7L 40-49 years, female 7.6
GTEX-1H3VY-0126-SM-ACKXD 50-59 years, male 7.6
GTEX-1HCU7-0226-SM-CL545 50-59 years, male 7.6
GTEX-12KS4-0326-SM-5EQ41 30-39 years, male 7.5
GTEX-139T4-0226-SM-5HL5S 50-59 years, female 7.5
GTEX-13OW8-1326-SM-5J1OW 60-69 years, male 7.5
GTEX-15D1Q-0126-SM-7KUG6 40-49 years, male 7.5
GTEX-ZY6K-1826-SM-5GZXK 50-59 years, male 7.5
GTEX-1F48J-0126-SM-7P8TT 50-59 years, female 7.5
GTEX-13YAN-0326-SM-5O9DF 60-69 years, male 7.4
GTEX-147F3-0526-SM-5SI98 50-59 years, female 7.4
GTEX-15CHC-2126-SM-6EU21 60-69 years, female 7.4
GTEX-16NPX-0226-SM-79OMT 50-59 years, male 7.4
GTEX-OXRL-0126-SM-2YUMP 50-59 years, male 7.4
GTEX-146FR-1326-SM-E9J48 60-69 years, female 7.4
GTEX-1J1R8-1726-SM-ARL8M 40-49 years, male 7.4
GTEX-1QP2A-0126-SM-E9J43 50-59 years, male 7.4
GTEX-1R9PO-2126-SM-E9J4O 60-69 years, female 7.4
GTEX-11P81-2326-SM-59875 30-39 years, female 7.3
GTEX-13JUV-2726-SM-5LZZ8 40-49 years, female 7.3
GTEX-16NGA-1726-SM-731B4 40-49 years, female 7.3
GTEX-13FH7-2026-SM-E9J4I 50-59 years, female 7.3
GTEX-1HB9E-0226-SM-E9U4R 50-59 years, male 7.3
GTEX-1OJC4-0126-SM-E9J2E 50-59 years, female 7.3
GTEX-1QW4Y-1526-SM-EAZ3Z 30-39 years, male 7.3
GTEX-12C56-1726-SM-5EQ61 20-29 years, male 7.2
GTEX-13QJ3-0326-SM-5S2RA 50-59 years, male 7.2
GTEX-13W3W-2426-SM-5LU5B 60-69 years, female 7.2
GTEX-1AMEY-1326-SM-73KYK 30-39 years, female 7.2
GTEX-11VI4-1726-SM-5CVLH 40-49 years, female 7.1
GTEX-148VJ-0126-SM-5TDDN 70-79 years, male 7.1
GTEX-14C5O-0126-SM-5SI6N 60-69 years, male 7.1
GTEX-1AMFI-2026-SM-731BH 50-59 years, female 7.1
GTEX-TMMY-0226-SM-33HBA 40-49 years, female 7.1
GTEX-Y8LW-1826-SM-5S2MV 50-59 years, female 7.1
GTEX-11EM3-2426-SM-59861 20-29 years, female 7.0
GTEX-12WSN-5019-SM-79OM6 40-49 years, male 7.0
GTEX-14E7W-0126-SM-6LLJ9 70-79 years, male 7.0
GTEX-15F5U-1526-SM-6PANO 40-49 years, male 7.0
GTEX-1QP29-0626-SM-EWRMX 50-59 years, male 7.0
GTEX-113IC-0126-SM-5HL6T 60-69 years, male 6.9
GTEX-11LCK-1026-SM-5A5KB 30-39 years, male 6.9
GTEX-U4B1-1826-SM-4DXSU 40-49 years, male 6.8
GTEX-1GMR8-0126-SM-9WYTM 50-59 years, female 6.8
GTEX-1H3NZ-0126-SM-ACKX7 60-69 years, male 6.8
GTEX-13OVI-1426-SM-5L3EY 60-69 years, female 6.6
GTEX-14LLW-0126-SM-6LLIO 70-79 years, female 6.6
GTEX-WFG8-2226-SM-3GIL9 20-29 years, male 6.6
GTEX-ZXG5-0126-SM-5GIEU 60-69 years, male 6.6
GTEX-1MGNQ-0126-SM-EVYCJ 40-49 years, male 6.6
GTEX-13W46-0226-SM-5SIAG 50-59 years, male 6.5
GTEX-V1D1-2226-SM-3NMAX 50-59 years, male 6.5
GTEX-1HBPH-0426-SM-B2LW5 40-49 years, female 6.5
GTEX-1IDJU-2626-SM-CM2RT 60-69 years, female 6.5
GTEX-1JJE9-0326-SM-CL53Z 70-79 years, male 6.5
GTEX-OIZF-0126-SM-7SB8I 60-69 years, male 6.5
GTEX-14JG6-2226-SM-6EU2G 30-39 years, female 6.3
GTEX-TSE9-0126-SM-3DB83 60-69 years, female 6.3
GTEX-PLZ5-2026-SM-2S1O4 50-59 years, male 5.8
GTEX-VJWN-0126-SM-3GIK7 50-59 years, female 5.8
GTEX-U3ZN-2326-SM-3DB7W 30-39 years, female 5.3
Show allShow less

Contact

  • NEWS ARTICLES
  • PRESS ROOM

The Project

  • INTRODUCTION
  • ORGANIZATION
  • PUBLICATIONS

The Human Protein Atlas

  • DOWNLOADABLE DATA
  • LICENCE & CITATION
  • HELP & FAQ
The Human Protein Atlas project is funded
by the Knut & Alice Wallenberg Foundation.


contact@proteinatlas.org