We use cookies to enhance the usability of our website. If you continue, we'll assume that you are happy to receive all cookies. More information. Don't show this again.
F12
HPA
RESOURCES
  • TISSUE
  • BRAIN
  • SINGLE CELL
  • SUBCELLULAR
  • CANCER
  • BLOOD
  • CELL LINE
  • STRUCTURE & INTERACTION
ABOUT
  • INTRODUCTION
  • HISTORY
  • ORGANIZATION
  • PUBLICATIONS
  • ANTIBODY SUBMISSION
  • ANTIBODY AVAILABILITY
  • ACKNOWLEDGMENTS
  • CONTACT
NEWS
  • NEWS ARTICLES
  • PRESS ROOM
LEARN
  • DICTIONARY
  • PROTEIN CLASSES
  • PROTEIN EVIDENCE
  • METHODS
  • EDUCATIONAL VIDEOS
DATA
  • DOWNLOADABLE DATA
  • PUBLICATION DATA
  • RELEASE HISTORY
HELP
  • ANTIBODY VALIDATION
  • ASSAYS & ANNOTATION
  • DISCLAIMER
  • HELP & FAQ
  • PRIVACY STATEMENT
  • LICENCE & CITATION
Fields »
Search result

Field
Term
Gene name
Class
Subclass
Class
Keyword
Chromosome
External id
Tissue
Cell type
Expression
Antibody panel
Tissue
Main location
Patient ID
Annotation
Tissue
Category
Tau score
Cluster
Reliability
Brain region
Category
Tau score
Brain region
Category
Tau score
Brain region
Category
Tau score
Cluster
Reliability
Tissue
Cell type
Enrichment
Cell type
Category
Tau score
Cell type
Category
Tau score
Cell type
Category
Tau score
Cell lineage
Category
Tau score
Cluster
Cluster
Location
Searches
Location
Cell line
Class
Type
Phase
Reliability
Cancer
Prognosis
Cancer
Category
Cancer
Category
Tau score
Cluster
Variants
Interacting gene (ensg_id)
Type
Number of interactions
Pathway
Category
Score
Score
Score
Validation
Validation
Validation
Validation
Antibodies
Data type
Column


  • SUMMARY

  • TISSUE

  • BRAIN

  • SINGLE CELL

  • SUBCELL

  • CANCER

  • BLOOD

  • CELL LINE

  • STRUCT & INT

  • F12
TISSUE PRIMARY DATA SPLEEN Show tissue menu
ADIPOSE TISSUE ADRENAL GLAND AMYGDALA APPENDIX BASAL GANGLIA BONE MARROW BREAST BRONCHUS CEREBELLUM CEREBRAL CORTEX CERVIX CHOROID PLEXUS COLON DUODENUM
ENDOMETRIUM EPIDIDYMIS ESOPHAGUS FALLOPIAN TUBE GALLBLADDER HEART MUSCLE HIPPOCAMPAL FORMATION HYPOTHALAMUS KIDNEY LIVER LUNG LYMPH NODE MIDBRAIN NASOPHARYNX
ORAL MUCOSA OVARY PANCREAS PARATHYROID GLAND PITUITARY GLAND PLACENTA PROSTATE RECTUM RETINA SALIVARY GLAND SEMINAL VESICLE SKELETAL MUSCLE SKIN SMALL INTESTINE
SMOOTH MUSCLE SOFT TISSUE SPINAL CORD SPLEEN STOMACH TESTIS THYMUS THYROID GLAND TONGUE TONSIL URINARY BLADDER VAGINA
ANTIBODIES
AND
VALIDATION
Dictionary
Spleen
Tissue proteome
Lymphoid tissue
SPLEEN - Expression summary
Protein expression
Spleeni

On the top, protein expression in current human tissue, based on all annotated cell types, is reported with the units not detected (n), low (l), medium (m) and high (h). Underneath, protein expression in each annotated cell type are reported using the same units.

Protein expression data is based on knowledge-based annotation. For genes where more than one antibody has been used, a collective score is set.

If knowledge-based annotation could not be performed for a gene, no data is displayed here. View antibody staining data further down this page.

h
m
l
n
Cells in red pulp: Not detected
Cells in white pulp: Not detected
RNA expressioni

A summary of mRNA expression data available for current tissue based on several datasets. The mRNA expression levels in human tissues are based on RNA-seq data generated by the Human Protein Atlas (HPA), Genotype-Tissue Expression (GTEx) portal and CAGE data generated by the FANTOM5 consortium. Consensus normalized expression levels for human tissues was created by combining the data from HPA and GTEx datasets.

The mRNA expression levels in pig are based on RNA-seq data generated by the Human Protein Atlas (HPA), and for mouse, HPA data and in situ hybridization generated by the Allen brain atlas are reported.

Scroll down to view mRNA expression data in more detail.
Consensus:0.9 nTPM
HPA:0.0 nTPM
GTEx:0.9 nTPM
FANTOM5:0.0 Scaled Tags Per Million

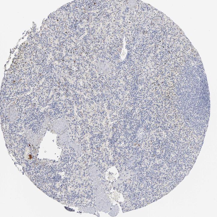
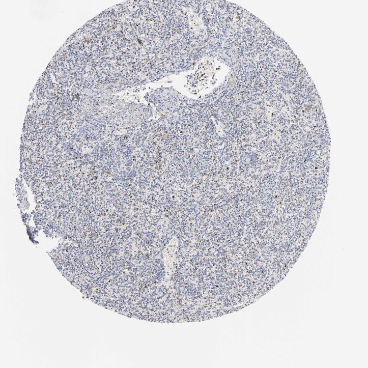
SPLEEN - Antibody stainingi

Antibody staining in the annotated cell types in the current human tissue is reported as not detected, low, medium, or high, based on conventional immunohistochemistry profiling in selected tissues. This score is based on the combination of the staining intensity and fraction of stained cells.

Each image is clickable and will lead to virtual microscopy that enables deeper exploration of all samples and also displays staining intensity scores, fraction scores and subcellular localization as well as patient and tissue information for each sample.

Antibody HPA003825
Cells in red pulp Not detected
Cells in white pulp Not detected



SPLEEN - HPA RNA-seqi

The RNA-seq details section shows detailed information about the individual samples used for the transcript profiling and results of the RNA-seq analysis.

Information about each individual sample is listed below, including gender, age, a tissue section image and estimated fractions of cell types. nTPM (normalized transcripts per million) values give a quantification of the gene abundance which is comparable between different genes and samples.
Average nTPMi

Max subtype nTPM is the value for the subtype with the largest average nTPM across the subtype samples.

0.0
overview
Female, age 60
Spleen sample 236
nTPM: 0
Cell types%
Lymphocytes:
40

Macrophages:
30

Endothelial cells:
15

Fibroblasts:
5

Other cell types:
10

overview
Male, age 17
Spleen sample 237
nTPM: 0
Cell types%
Lymphocytes:
40

Macrophages:
35

Endothelial cells:
15

Fibroblasts:
5

Other cell types:
5

overview
Male, age 20
Spleen sample 238
nTPM: 0
Cell types%
Lymphocytes:
40

Macrophages:
30

Endothelial cells:
15

Fibroblasts:
5

Other cell types:
10

overview
Female, age 19
Spleen sample 239
nTPM: 0
Cell types%
Lymphocytes:
40

Macrophages:
30

Endothelial cells:
15

Fibroblasts:
10

Other cell types:
5

overview
Female, age 65
Spleen sample 378
nTPM: 0
Cell types%
Lymphocytes:
35

Macrophages:
30

Endothelial cells:
20

Fibroblasts:
10

Other cell types:
5


SPLEEN - GTEx RNA-seqi

RNA-Seq data generated by the Genotype-Tissue Expression (GTEx) project from human tissues is reported as mean nTPM. More information can be found on the GTEx portal.

Distribution across the dataset is visualized with box plots, shown as median and 25th and 75th percentiles. Points are displayed as outliers if they are above or below 1.5 times the interquartile range. nTPM values of the individual samples are presented next to the box plot.
Max subtype nTPMi

Max subtype nTPM is the value for the subtype with the largest average nTPM across the subtype samples.

0.9
GTEx sample id Sample description nTPM
Spleen
Average nTPM: 0.9
Samples: 241

Max nTPM: 58.6
Min nTPM: 0.0
Std nTPM: 3.7
Median nTPM: 0.6
GTEX-111CU-0426-SM-5GZY1 50-59 years, male 58.6
GTEX-13X6H-0726-SM-5Q5BX 50-59 years, female 3.1
GTEX-QDT8-1526-SM-EXOHP 30-39 years, female 2.6
GTEX-16XZY-0126-SM-7IGQ9 70-79 years, male 2.5
GTEX-P4PQ-0926-SM-E9U4D 60-69 years, male 2.5
GTEX-ZV6S-0826-SM-5NQ6Z 40-49 years, female 2.1
GTEX-16MT8-1826-SM-7EWE8 60-69 years, female 2.0
GTEX-YEC4-0126-SM-4W21T 40-49 years, male 2.0
GTEX-146FQ-0626-SM-5LU9U 30-39 years, male 1.9
GTEX-ZZPU-0126-SM-5E446 50-59 years, female 1.9
GTEX-1C64O-1626-SM-731EN 60-69 years, male 1.7
GTEX-1B97I-0126-SM-731DH 40-49 years, male 1.6
GTEX-14PJ4-0526-SM-6871G 60-69 years, male 1.5
GTEX-QLQW-0126-SM-447BK 30-39 years, male 1.5
GTEX-1CB4F-0226-SM-7EPHS 60-69 years, male 1.4
GTEX-1JMQK-1126-SM-CXZJW 60-69 years, male 1.4
GTEX-1MJK3-0126-SM-DPRYY 20-29 years, male 1.4
GTEX-WFON-0126-SM-4LVM9 40-49 years, male 1.3
GTEX-O5YT-0926-SM-48TDG 20-29 years, male 1.2
GTEX-QV31-0126-SM-447BP 30-39 years, male 1.2
GTEX-S4Z8-0226-SM-4AD5K 60-69 years, male 1.2
GTEX-ZVP2-0526-SM-51MSC 50-59 years, male 1.2
GTEX-1QW4Y-0126-SM-DPRZQ 30-39 years, male 1.2
GTEX-1RAZQ-0126-SM-EV7B1 30-39 years, male 1.2
GTEX-11VI4-0126-SM-5GU6Z 40-49 years, female 1.1
GTEX-13FH7-1326-SM-5IFG8 50-59 years, female 1.1
GTEX-13OVK-0426-SM-7KFT8 40-49 years, male 1.1
GTEX-14PJ6-0226-SM-6AJ9K 60-69 years, female 1.1
GTEX-15F5U-0126-SM-6LPKA 40-49 years, male 1.1
GTEX-Q734-0226-SM-48U1A 40-49 years, female 1.1
GTEX-U3ZH-0126-SM-4DXUK 30-39 years, male 1.1
GTEX-Y5LM-0326-SM-4VBRN 40-49 years, female 1.1
GTEX-17F98-0126-SM-7MGW3 40-49 years, female 1.1
GTEX-1F5PK-0726-SM-7MGXN 50-59 years, male 1.1
GTEX-1HCU9-0126-SM-9WG7M 20-29 years, male 1.1
GTEX-1R7EV-0126-SM-EAZ3O 40-49 years, male 1.1
GTEX-11LCK-0126-SM-5A5M5 30-39 years, male 1.0
GTEX-1AX9K-0226-SM-793CM 50-59 years, male 1.0
GTEX-PLZ6-0126-SM-48TC6 30-39 years, male 1.0
GTEX-PX3G-0926-SM-48U12 20-29 years, female 1.0
GTEX-WY7C-0126-SM-4ONCO 50-59 years, male 1.0
GTEX-X4LF-0226-SM-4QAS8 50-59 years, male 1.0
GTEX-XGQ4-0126-SM-4AT4H 50-59 years, male 1.0
GTEX-ZDYS-1026-SM-4WKHC 50-59 years, male 1.0
GTEX-1H3O1-1126-SM-9WPO9 60-69 years, male 1.0
GTEX-1HCU7-1426-SM-CNNQK 50-59 years, male 1.0
GTEX-1KANA-1226-SM-DHXKE 20-29 years, male 1.0
GTEX-1MCC2-0826-SM-EV7AM 30-39 years, female 1.0
GTEX-1PDJ9-0226-SM-DPRYX 20-29 years, male 1.0
GTEX-1QAET-2326-SM-EXOJ1 50-59 years, male 1.0
GTEX-ZPIC-0126-SM-DNZZ9 40-49 years, female 1.0
GTEX-12BJ1-0726-SM-5EGGF 60-69 years, male 0.9
GTEX-12WSG-0926-SM-5EGIH 50-59 years, female 0.9
GTEX-12WSN-0126-SM-5DUX5 40-49 years, male 0.9
GTEX-147F3-0126-SM-5NQBJ 50-59 years, female 0.9
GTEX-15CHC-0726-SM-6AJ9D 60-69 years, female 0.9
GTEX-15RIG-0126-SM-6PAN4 40-49 years, male 0.9
GTEX-1A3MV-0126-SM-731FQ 30-39 years, male 0.9
GTEX-1AYD5-0226-SM-79ONV 50-59 years, male 0.9
GTEX-1FIGZ-0126-SM-7MKGZ 40-49 years, male 0.9
GTEX-U3ZN-0126-SM-4DXUM 30-39 years, female 0.9
GTEX-Y3IK-0126-SM-4WWE9 50-59 years, female 0.9
GTEX-Y8LW-0126-SM-4VBS1 50-59 years, female 0.9
GTEX-1K2DA-0126-SM-CGQGV 50-59 years, male 0.9
GTEX-1LSVX-1426-SM-DHXJO 60-69 years, male 0.9
GTEX-1N2EF-1526-SM-EXOIY 60-69 years, male 0.9
GTEX-1OFPY-0126-SM-EXOJ3 60-69 years, male 0.9
GTEX-1QP29-0126-SM-EAZ3S 50-59 years, male 0.9
GTEX-QESD-0126-SM-EXOHG 20-29 years, male 0.9
GTEX-QV44-0126-SM-CJI1X 50-59 years, male 0.9
GTEX-12WSJ-0526-SM-5GCOZ 40-49 years, female 0.8
GTEX-12WSK-0126-SM-5GCO7 40-49 years, female 0.8
GTEX-13111-0126-SM-5EGHO 50-59 years, male 0.8
GTEX-132QS-0226-SM-5IFFZ 60-69 years, male 0.8
GTEX-1399S-0226-SM-5IFFG 30-39 years, female 0.8
GTEX-13N11-0126-SM-5KM2Z 50-59 years, female 0.8
GTEX-13VXT-1326-SM-5LU3Y 20-29 years, female 0.8
GTEX-145MN-0126-SM-5RQHY 30-39 years, male 0.8
GTEX-P4QS-0926-SM-48TBS 60-69 years, male 0.8
GTEX-QCQG-0226-SM-48U28 50-59 years, female 0.8
GTEX-T5JW-0126-SM-4DM6K 20-29 years, female 0.8
GTEX-UJHI-0126-SM-4IHLP 50-59 years, female 0.8
GTEX-XQ8I-1726-SM-4BOQB 50-59 years, male 0.8
GTEX-Z9EW-0726-SM-5HL9H 40-49 years, male 0.8
GTEX-ZYFG-0726-SM-5GIDX 60-69 years, female 0.8
GTEX-1GF9U-0126-SM-AHZ4G 40-49 years, female 0.8
GTEX-1IDJC-0126-SM-C1YQC 50-59 years, male 0.8
GTEX-1JMPZ-0926-SM-CXZJR 30-39 years, male 0.8
GTEX-1PWST-1626-SM-EXOIU 70-79 years, male 0.8
GTEX-QMRM-0226-SM-CL55S 50-59 years, male 0.8
GTEX-1122O-0526-SM-5N9DM 60-69 years, female 0.7
GTEX-11EQ9-0426-SM-5A5JY 30-39 years, male 0.7
GTEX-139YR-0426-SM-5IFFV 50-59 years, male 0.7
GTEX-14E6E-1226-SM-5S2R5 30-39 years, male 0.7
GTEX-14ICL-0126-SM-664NG 30-39 years, male 0.7
GTEX-14PK6-0526-SM-69LOF 70-79 years, female 0.7
GTEX-14PKU-0526-SM-6871A 40-49 years, female 0.7
GTEX-15SB6-0126-SM-6LPJR 50-59 years, female 0.7
GTEX-17F9E-1126-SM-79OMO 50-59 years, male 0.7
GTEX-1B8KZ-0226-SM-7EWF6 50-59 years, male 0.7
GTEX-U4B1-0526-SM-4DXTK 40-49 years, male 0.7
GTEX-W5WG-0626-SM-4SOID 50-59 years, female 0.7
GTEX-WYJK-0726-SM-4ONC9 50-59 years, male 0.7
GTEX-X585-1826-SM-4QAS3 50-59 years, male 0.7
GTEX-XMK1-0126-SM-4B65F 40-49 years, male 0.7
GTEX-YB5E-0426-SM-5IFHR 40-49 years, male 0.7
GTEX-ZDTT-1026-SM-5KM19 60-69 years, male 0.7
GTEX-1KAFJ-1026-SM-D4P2Z 50-59 years, male 0.7
GTEX-1LGRB-0126-SM-CNNR6 50-59 years, female 0.7
GTEX-1MGNQ-1126-SM-EAZ4Y 40-49 years, male 0.7
GTEX-1QCLY-0126-SM-DPRZV 30-39 years, male 0.7
GTEX-1QP2A-2526-SM-EXOJB 50-59 years, male 0.7
GTEX-1S831-0726-SM-EV79O 20-29 years, male 0.7
GTEX-R55C-0126-SM-48FEQ 40-49 years, male 0.7
GTEX-111FC-1326-SM-5N9D9 60-69 years, male 0.6
GTEX-117YX-2126-SM-5GIEL 50-59 years, male 0.6
GTEX-13U4I-1626-SM-5IFFR 40-49 years, female 0.6
GTEX-144GN-2126-SM-5O99D 50-59 years, male 0.6
GTEX-146FR-1926-SM-5NQA6 60-69 years, female 0.6
GTEX-14JG6-0226-SM-6872A 30-39 years, female 0.6
GTEX-15DZA-0126-SM-6PAMV 30-39 years, female 0.6
GTEX-15ETS-3126-SM-6LPKN 40-49 years, female 0.6
GTEX-15RJ7-0126-SM-6LPJN 40-49 years, male 0.6
GTEX-169BO-0126-SM-79OLS 50-59 years, male 0.6
GTEX-18A66-1826-SM-7KFSU 60-69 years, male 0.6
GTEX-1C6VQ-2126-SM-7IGNL 50-59 years, male 0.6
GTEX-1CB4E-0126-SM-7DHMX 60-69 years, male 0.6
GTEX-P4PP-0926-SM-48TBZ 30-39 years, female 0.6
GTEX-POMQ-0126-SM-48TD6 20-29 years, female 0.6
GTEX-Q2AH-0226-SM-48U1I 40-49 years, male 0.6
GTEX-QDVN-0526-SM-48TZ4 50-59 years, male 0.6
GTEX-VJYA-0126-SM-4KL1P 60-69 years, male 0.6
GTEX-Y114-0726-SM-4TT6U 50-59 years, female 0.6
GTEX-Y3I4-0126-SM-4TT26 50-59 years, male 0.6
GTEX-YB5K-1926-SM-4VDT4 40-49 years, female 0.6
GTEX-YFCO-0926-SM-5LUA5 40-49 years, male 0.6
GTEX-ZF2S-0326-SM-4WKGD 50-59 years, female 0.6
GTEX-ZLWG-0426-SM-4WWFA 50-59 years, female 0.6
GTEX-1HSMQ-0126-SM-D4P2I 50-59 years, male 0.6
GTEX-1JK1U-0126-SM-C1YQY 60-69 years, male 0.6
GTEX-1KD5A-1526-SM-D4P3W 50-59 years, male 0.6
GTEX-1QP66-0126-SM-EAZ3N 50-59 years, male 0.6
GTEX-1R9JW-0126-SM-EAZ4P 30-39 years, female 0.6
GTEX-1RMOY-0726-SM-EV79D 50-59 years, male 0.6
GTEX-P4QT-0926-SM-EZ6KQ 50-59 years, female 0.6
GTEX-11NSD-0426-SM-5N9CR 20-29 years, male 0.5
GTEX-11P7K-0426-SM-5BC5H 30-39 years, male 0.5
GTEX-11P81-1326-SM-5GU5S 30-39 years, female 0.5
GTEX-1399R-0226-SM-5IJGG 30-39 years, male 0.5
GTEX-13PL7-1126-SM-5MR5O 60-69 years, female 0.5
GTEX-15SHV-0126-SM-6LPIS 60-69 years, male 0.5
GTEX-15UF7-1926-SM-6LPJT 40-49 years, male 0.5
GTEX-18A67-1526-SM-7LG6F 50-59 years, male 0.5
GTEX-S3XE-0626-SM-4AD6B 50-59 years, male 0.5
GTEX-UPK5-1626-SM-4JBHI 40-49 years, male 0.5
GTEX-XAJ8-0126-SM-47JYG 40-49 years, male 0.5
GTEX-ZLFU-0526-SM-4WWBN 40-49 years, male 0.5
GTEX-ZP4G-0326-SM-4YCEF 20-29 years, female 0.5
GTEX-1F75I-0226-SM-7MKHQ 40-49 years, male 0.5
GTEX-1J8QM-0926-SM-C1YQ9 60-69 years, female 0.5
GTEX-1JKYR-1126-SM-CGQGJ 20-29 years, male 0.5
GTEX-1LSNM-0126-SM-EAZ57 50-59 years, male 0.5
GTEX-1RNTQ-1026-SM-EV7B4 20-29 years, female 0.5
GTEX-P78B-1226-SM-EZ6KP 40-49 years, female 0.5
GTEX-11XUK-0426-SM-5EQML 40-49 years, female 0.4
GTEX-1211K-0426-SM-5FQTP 60-69 years, female 0.4
GTEX-131XG-0426-SM-5IFGD 50-59 years, female 0.4
GTEX-139T6-0226-SM-5IFGZ 50-59 years, male 0.4
GTEX-13S86-0126-SM-5S2PI 40-49 years, male 0.4
GTEX-14DAR-0326-SM-5S2PS 50-59 years, male 0.4
GTEX-15ER7-1526-SM-6LLHO 20-29 years, female 0.4
GTEX-15SDE-0126-SM-793BA 50-59 years, female 0.4
GTEX-17F96-1426-SM-7IGQA 70-79 years, male 0.4
GTEX-17F97-1626-SM-72D6W 50-59 years, male 0.4
GTEX-17GQL-0126-SM-72D5Q 60-69 years, male 0.4
GTEX-17HHE-0326-SM-793BH 50-59 years, male 0.4
GTEX-OOBJ-0926-SM-48TDO 60-69 years, male 0.4
GTEX-RUSQ-0126-SM-47JWV 50-59 years, male 0.4
GTEX-X3Y1-0126-SM-4PQZA 40-49 years, male 0.4
GTEX-XPVG-0626-SM-4B65B 50-59 years, male 0.4
GTEX-XXEK-0126-SM-4BRVU 50-59 years, male 0.4
GTEX-ZF29-0626-SM-4WKHD 60-69 years, female 0.4
GTEX-ZPU1-1026-SM-4YCEQ 40-49 years, male 0.4
GTEX-1C475-1126-SM-7MGY7 40-49 years, female 0.4
GTEX-1IDJE-0126-SM-C1YQ6 50-59 years, female 0.4
GTEX-1J8Q3-0126-SM-C1YSI 60-69 years, male 0.4
GTEX-1JKYN-0326-SM-AHZ4D 30-39 years, male 0.4
GTEX-1LG7Z-0126-SM-EV79V 30-39 years, male 0.4
GTEX-1LNCM-0426-SM-DHXK6 50-59 years, female 0.4
GTEX-1PIIG-1226-SM-EXOIQ 30-39 years, male 0.4
GTEX-1PPH7-0126-SM-E6CPB 40-49 years, male 0.4
GTEX-1QMI2-1526-SM-EXOJT 60-69 years, male 0.4
GTEX-1R9K4-1526-SM-DPRY5 60-69 years, male 0.4
GTEX-1R9K5-1126-SM-EAZ4G 50-59 years, male 0.4
GTEX-1R9PM-0126-SM-DPRY6 20-29 years, male 0.4
GTEX-ZPCL-0626-SM-DNZZ6 60-69 years, female 0.4
GTEX-11DXX-0726-SM-5H12X 60-69 years, female 0.3
GTEX-12WSD-1726-SM-5GCN4 60-69 years, female 0.3
GTEX-13CF3-0226-SM-5J1NW 60-69 years, female 0.3
GTEX-14BMU-0426-SM-73KYT 20-29 years, female 0.3
GTEX-14PJ5-0326-SM-664OD 60-69 years, female 0.3
GTEX-1C4CL-0626-SM-731DM 30-39 years, male 0.3
GTEX-WHWD-0126-SM-4OORS 50-59 years, male 0.3
GTEX-WXYG-0126-SM-4OND7 50-59 years, female 0.3
GTEX-WYVS-0126-SM-4ONDH 40-49 years, female 0.3
GTEX-1L5NE-0926-SM-D4P3P 50-59 years, male 0.3
GTEX-1LVAN-1026-SM-CNNQZ 50-59 years, female 0.3
GTEX-1QCLZ-1026-SM-E6CR1 60-69 years, female 0.3
GTEX-1RAZA-1026-SM-E6CQ9 20-29 years, male 0.3
GTEX-1RAZR-1626-SM-EAZ4V 40-49 years, male 0.3
GTEX-NFK9-1426-SM-43ISG 40-49 years, male 0.3
GTEX-OIZF-0926-SM-7MKH7 60-69 years, male 0.3
GTEX-13PVR-0326-SM-5RQJY 60-69 years, female 0.2
GTEX-14E1K-0126-SM-664NL 50-59 years, male 0.2
GTEX-15CHQ-1226-SM-6ETZL 60-69 years, male 0.2
GTEX-15RIF-0526-SM-6LLI2 20-29 years, male 0.2
GTEX-16MT9-1726-SM-6M47P 60-69 years, female 0.2
GTEX-1AMFI-0926-SM-731E4 50-59 years, female 0.2
GTEX-1B97J-1926-SM-7IGQB 50-59 years, female 0.2
GTEX-1CB4I-1426-SM-79OLZ 50-59 years, male 0.2
GTEX-PW2O-0126-SM-48TC8 20-29 years, male 0.2
GTEX-R55G-0226-SM-48FEI 40-49 years, female 0.2
GTEX-ZEX8-0726-SM-4WKH8 50-59 years, male 0.2
GTEX-ZTTD-1726-SM-57WEL 50-59 years, male 0.2
GTEX-1JMLX-1426-SM-CNNPO 50-59 years, male 0.2
GTEX-1MCYP-0226-SM-EV7A3 20-29 years, female 0.2
GTEX-1MUQO-1326-SM-EV7AE 60-69 years, male 0.2
GTEX-Y5V5-1126-SM-EVYAR 60-69 years, female 0.2
GTEX-ZG7Y-2026-SM-DO91N 50-59 years, male 0.2
GTEX-131XE-1126-SM-5EGHW 50-59 years, male 0.1
GTEX-14PN3-0226-SM-6871K 60-69 years, female 0.1
GTEX-15DYW-1426-SM-6LPIW 60-69 years, female 0.1
GTEX-OIZH-0926-SM-48TBR 50-59 years, male 0.1
GTEX-XV7Q-0126-SM-4BRVK 40-49 years, female 0.1
GTEX-ZAB5-0526-SM-5CVMU 50-59 years, male 0.1
GTEX-ZVZP-0726-SM-59HKA 50-59 years, male 0.1
GTEX-1F5PL-2226-SM-7MKHE 40-49 years, female 0.1
GTEX-1GZ4H-0126-SM-9JGGI 50-59 years, female 0.1
GTEX-1H3VY-1526-SM-9WG7S 50-59 years, male 0.1
GTEX-1K9T9-0626-SM-CXZKY 50-59 years, female 0.1
GTEX-1R7EU-2026-SM-E9U63 60-69 years, male 0.0
Show allShow less

SPLEEN - FANTOM5 CAGEi

RNA expression in human tissues obtained through Cap Analysis of Gene Expression (CAGE) generated by the FANTOM5 project are reported as Scaled Tags Per Million.

Max subtype Scaled Tags Per Millioni

Max subtype Scaled Tags Per Million is the value for the subtype with the largest average Scaled Tags Per Million across the subtype samples.

0
FANTOM5 sample id Sample description Scaled Tags Per Million
Spleen
Scaled Tags Per Million: 0.0
FF:10025-101D7 39,50,70 years, male 0.0

Contact

  • NEWS ARTICLES
  • PRESS ROOM

The Project

  • INTRODUCTION
  • ORGANIZATION
  • PUBLICATIONS

The Human Protein Atlas

  • DOWNLOADABLE DATA
  • LICENCE & CITATION
  • HELP & FAQ
The Human Protein Atlas project is funded
by the Knut & Alice Wallenberg Foundation.


contact@proteinatlas.org