We use cookies to enhance the usability of our website. If you continue, we'll assume that you are happy to receive all cookies. More information. Don't show this again.
MRPS25
HPA
RESOURCES
  • TISSUE
  • BRAIN
  • SINGLE CELL
  • SUBCELLULAR
  • CANCER
  • BLOOD
  • CELL LINE
  • STRUCTURE & INTERACTION
ABOUT
  • INTRODUCTION
  • HISTORY
  • ORGANIZATION
  • PUBLICATIONS
  • ANTIBODY SUBMISSION
  • ANTIBODY AVAILABILITY
  • ACKNOWLEDGMENTS
  • CONTACT
NEWS
  • NEWS ARTICLES
  • PRESS ROOM
LEARN
  • DICTIONARY
  • PROTEIN CLASSES
  • PROTEIN EVIDENCE
  • METHODS
  • EDUCATIONAL VIDEOS
DATA
  • DOWNLOADABLE DATA
  • PUBLICATION DATA
  • RELEASE HISTORY
HELP
  • ANTIBODY VALIDATION
  • ASSAYS & ANNOTATION
  • DISCLAIMER
  • HELP & FAQ
  • PRIVACY STATEMENT
  • LICENCE & CITATION
Fields »
Search result

Field
Term
Gene name
Class
Subclass
Class
Keyword
Chromosome
External id
Tissue
Cell type
Expression
Antibody panel
Tissue
Main location
Patient ID
Annotation
Tissue
Category
Tau score
Cluster
Reliability
Brain region
Category
Tau score
Brain region
Category
Tau score
Brain region
Category
Tau score
Cluster
Reliability
Tissue
Cell type
Enrichment
Cell type
Category
Tau score
Cell type
Category
Tau score
Cell type
Category
Tau score
Cell lineage
Category
Tau score
Cluster
Cluster
Location
Searches
Location
Cell line
Class
Type
Phase
Reliability
Cancer
Prognosis
Cancer
Category
Cancer
Category
Tau score
Cluster
Variants
Interacting gene (ensg_id)
Type
Number of interactions
Pathway
Category
Score
Score
Score
Validation
Validation
Validation
Validation
Antibodies
Data type
Column


  • SUMMARY

  • TISSUE

  • BRAIN

  • SINGLE CELL

  • SUBCELL

  • CANCER

  • BLOOD

  • CELL LINE

  • STRUCT & INT

  • MRPS25
TISSUE PRIMARY DATA COLON Show tissue menu
ADIPOSE TISSUE ADRENAL GLAND AMYGDALA APPENDIX BASAL GANGLIA BONE MARROW BREAST BRONCHUS CEREBELLUM CEREBRAL CORTEX CERVIX CHOROID PLEXUS COLON DUODENUM
ENDOMETRIUM EPIDIDYMIS ESOPHAGUS FALLOPIAN TUBE GALLBLADDER HEART MUSCLE HIPPOCAMPAL FORMATION HYPOTHALAMUS KIDNEY LIVER LUNG LYMPH NODE MIDBRAIN NASOPHARYNX
ORAL MUCOSA OVARY PANCREAS PARATHYROID GLAND PITUITARY GLAND PLACENTA PROSTATE RECTUM RETINA SALIVARY GLAND SEMINAL VESICLE SKELETAL MUSCLE SKIN SMALL INTESTINE
SMOOTH MUSCLE SOFT TISSUE SPINAL CORD SPLEEN STOMACH TESTIS THYMUS THYROID GLAND TONGUE TONSIL URINARY BLADDER VAGINA
ANTIBODIES
AND
VALIDATION
Dictionary
Colon
Tissue proteome
Intestine
COLON - Expression summary
Protein expression
Coloni

On the top, protein expression in current human tissue, based on all annotated cell types, is reported with the units not detected (n), low (l), medium (m) and high (h). Underneath, protein expression in each annotated cell type are reported using the same units.

Protein expression data is based on knowledge-based annotation. For genes where more than one antibody has been used, a collective score is set.

If knowledge-based annotation could not be performed for a gene, no data is displayed here. View antibody staining data further down this page.

h
m
l
n
Endothelial cells: Not detected
Glandular cells: High
Peripheral nerve/ganglion: Medium
RNA expressioni

A summary of mRNA expression data available for current tissue based on several datasets. The mRNA expression levels in human tissues are based on RNA-seq data generated by the Human Protein Atlas (HPA), Genotype-Tissue Expression (GTEx) portal and CAGE data generated by the FANTOM5 consortium. Consensus normalized expression levels for human tissues was created by combining the data from HPA and GTEx datasets.

The mRNA expression levels in pig are based on RNA-seq data generated by the Human Protein Atlas (HPA), and for mouse, HPA data and in situ hybridization generated by the Allen brain atlas are reported.

Scroll down to view mRNA expression data in more detail.
Consensus:32.0 nTPM
HPA:8.1 nTPM
GTEx:32.0 nTPM
FANTOM5:65.0 Scaled Tags Per Million

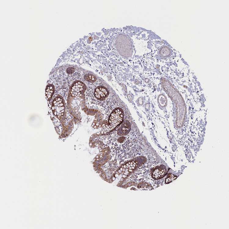
COLON - Antibody stainingi

Antibody staining in the annotated cell types in the current human tissue is reported as not detected, low, medium, or high, based on conventional immunohistochemistry profiling in selected tissues. This score is based on the combination of the staining intensity and fraction of stained cells.

Each image is clickable and will lead to virtual microscopy that enables deeper exploration of all samples and also displays staining intensity scores, fraction scores and subcellular localization as well as patient and tissue information for each sample.

Antibody HPA043490
Endothelial cells Not detected
Glandular cells High
Peripheral nerve/ganglion Medium


COLON - HPA RNA-seqi

The RNA-seq details section shows detailed information about the individual samples used for the transcript profiling and results of the RNA-seq analysis.

Information about each individual sample is listed below, including gender, age, a tissue section image and estimated fractions of cell types. nTPM (normalized transcripts per million) values give a quantification of the gene abundance which is comparable between different genes and samples.
Average nTPMi

Max subtype nTPM is the value for the subtype with the largest average nTPM across the subtype samples.

8.1
overview
Male, age 54
Colon sample 67
nTPM: 10.5
Cell types%
Glandular cells:
65

Smooth muscle cells:
10

Other cell types:
25

overview
Female, age 57
Colon sample 68
nTPM: 13.1
Cell types%
Glandular cells:
40

Smooth muscle cells:
5

Other cell types:
55

overview
Male, age 80
Colon sample 69
nTPM: 19.8
Cell types%
Glandular cells:
55

Smooth muscle cells:
5

Other cell types:
40

overview
Male, age 68
Colon sample 70
nTPM: 7.4
Cell types%
Glandular cells:
35

Smooth muscle cells:
10

Other cell types:
55

overview
Female, age 68
Colon sample 76
nTPM: 9.1
Cell types%
Glandular cells:
25

Smooth muscle cells:
5

Other cell types:
70

overview
Female, age 61
Colon sample 299
nTPM: 5
Cell types%
Glandular cells:
5

Smooth muscle cells:
65

Other cell types:
30

overview
Male, age 80
Colon sample 300
nTPM: 6.4
Cell types%
Glandular cells:
15

Smooth muscle cells:
20

Other cell types:
65

overview
Female, age 78
Colon sample 368
nTPM: 8
Cell types%
Glandular cells:
45

Smooth muscle cells:
5

Other cell types:
50

overview
Male, age 84
Colon sample 381
nTPM: 5.8
Cell types%
Glandular cells:
50

Smooth muscle cells:
15

Other cell types:
35

overview
Male, age 80
Colon sample 384
nTPM: 6
Cell types%
Glandular cells:
20

Smooth muscle cells:
35

Other cell types:
45

overview
Female, age 78
Colon sample 389
nTPM: 6.2
Cell types%
Glandular cells:
35

Smooth muscle cells:
10

Other cell types:
55

overview
Female, age 69
Colon sample 391
nTPM: 4.3
Cell types%
Glandular cells:
10

Smooth muscle cells:
45

Other cell types:
45

overview
Female, age 72
Colon sample 403
nTPM: 3.2
Cell types%
Glandular cells:
20

Smooth muscle cells:
15

Other cell types:
65


COLON - GTEx RNA-seqi

RNA-Seq data generated by the Genotype-Tissue Expression (GTEx) project from human tissues is reported as mean nTPM. More information can be found on the GTEx portal.

Distribution across the dataset is visualized with box plots, shown as median and 25th and 75th percentiles. Points are displayed as outliers if they are above or below 1.5 times the interquartile range. nTPM values of the individual samples are presented next to the box plot.
Max subtype nTPMi

Max subtype nTPM is the value for the subtype with the largest average nTPM across the subtype samples.

32.0
GTEx sample id Sample description nTPM
Colon - Sigmoid
Average nTPM: 31.6
Samples: 373

Max nTPM: 51.8
Min nTPM: 11.9
Std nTPM: 6.4
Median nTPM: 31.0
GTEX-1LB8K-2526-SM-DIPEQ 50-59 years, male 51.8
GTEX-13CF2-1826-SM-5N9GK 60-69 years, male 50.8
GTEX-ZYFD-2226-SM-5E43P 50-59 years, male 50.6
GTEX-XUW1-1826-SM-4BOQD 50-59 years, female 48.4
GTEX-17F96-2126-SM-7KFSM 70-79 years, male 48.3
GTEX-13W3W-2226-SM-5LU4M 60-69 years, female 48.1
GTEX-1RAZQ-2026-SM-E76P7 30-39 years, male 47.3
GTEX-1EH9U-1926-SM-7P8QM 60-69 years, male 47.2
GTEX-1HSEH-1926-SM-A96SB 60-69 years, male 45.8
GTEX-17HGU-2626-SM-79OKN 50-59 years, male 44.8
GTEX-W5WG-2026-SM-4LMIB 50-59 years, female 44.5
GTEX-1GMR3-2526-SM-7P8QS 40-49 years, male 44.4
GTEX-1QCLZ-2026-SM-EAZ4A 60-69 years, female 44.4
GTEX-12KS4-2326-SM-5EGJB 30-39 years, male 44.3
GTEX-1J8EW-2426-SM-CE6T5 60-69 years, female 44.2
GTEX-1H1ZS-2626-SM-9QEIX 70-79 years, male 44.0
GTEX-11ZTS-1526-SM-5N9G7 60-69 years, female 43.7
GTEX-WYJK-2326-SM-4ONDN 50-59 years, male 43.7
GTEX-139UW-2326-SM-5KM1Y 60-69 years, male 43.5
GTEX-1GZ4H-1326-SM-7P8TE 50-59 years, female 43.2
GTEX-1212Z-1826-SM-5FQSH 60-69 years, male 43.1
GTEX-1QP28-2226-SM-DTX8C 50-59 years, female 43.1
GTEX-13QBU-2026-SM-5KLZB 40-49 years, female 42.5
GTEX-1GF9X-1426-SM-7RHGX 40-49 years, female 42.4
GTEX-11EMC-1426-SM-5N9E4 60-69 years, female 42.2
GTEX-15DYW-2426-SM-7KUG8 60-69 years, female 42.2
GTEX-1QW4Y-1426-SM-E76P3 30-39 years, male 42.2
GTEX-1HSGN-2226-SM-A9SL6 40-49 years, female 42.1
GTEX-1RDX4-1926-SM-E6CJJ 50-59 years, female 42.0
GTEX-1JMLX-2526-SM-CY8HX 50-59 years, male 41.8
GTEX-1K9T9-2926-SM-E9TKD 50-59 years, female 41.8
GTEX-16XZZ-2726-SM-7EWDO 60-69 years, male 41.6
GTEX-18A6Q-2226-SM-7LG61 60-69 years, male 40.8
GTEX-1QCLY-2026-SM-EVR4C 30-39 years, male 40.8
GTEX-1QP9N-0826-SM-DTX9O 30-39 years, male 40.7
GTEX-1HSMO-2526-SM-A9SKP 60-69 years, male 40.6
GTEX-13N2G-2226-SM-5IJCU 60-69 years, male 40.5
GTEX-15EO6-2326-SM-6LPKK 50-59 years, male 40.3
GTEX-14JG6-1626-SM-5YYBC 30-39 years, female 40.2
GTEX-13PL7-2426-SM-5J2N3 60-69 years, female 40.0
GTEX-1H23P-2626-SM-9KNVN 60-69 years, male 39.9
GTEX-17JCI-2826-SM-7IGNA 60-69 years, female 39.7
GTEX-13OW5-2826-SM-5KM1G 60-69 years, male 39.6
GTEX-WH7G-1426-SM-4LVMU 40-49 years, male 39.6
GTEX-13U4I-2626-SM-5SI9C 40-49 years, female 39.4
GTEX-1I1CD-2826-SM-A9SL4 60-69 years, female 39.4
GTEX-12WSL-1826-SM-5LZW9 50-59 years, male 39.3
GTEX-13FHO-2726-SM-5K7VG 60-69 years, male 39.3
GTEX-1PDJ9-2026-SM-E76PT 20-29 years, male 39.3
GTEX-XQ8I-2326-SM-4BOQC 50-59 years, male 39.1
GTEX-V955-1726-SM-4JBHF 60-69 years, male 38.9
GTEX-1R9PO-2026-SM-E9J4N 60-69 years, female 38.8
GTEX-1S5ZA-1426-SM-E6CJQ 20-29 years, male 38.8
GTEX-13OW8-2726-SM-5L3FZ 60-69 years, male 38.7
GTEX-13OW6-2226-SM-5N9FL 50-59 years, male 38.4
GTEX-Y5V6-1626-SM-4VDT2 60-69 years, male 38.3
GTEX-1LVAO-2826-SM-E9TJH 60-69 years, male 38.2
GTEX-14PKV-1926-SM-686YU 20-29 years, female 38.1
GTEX-ZYY3-2226-SM-5E45A 60-69 years, female 38.1
GTEX-1OJC3-1826-SM-DTX93 20-29 years, male 38.1
GTEX-12WSM-1426-SM-5GCPA 60-69 years, male 38.0
GTEX-1C4CL-1626-SM-7DUF3 30-39 years, male 38.0
GTEX-11ONC-1926-SM-5GU75 60-69 years, male 37.8
GTEX-12WSD-2626-SM-5EGJE 60-69 years, female 37.8
GTEX-147JS-2626-SM-5S2UX 60-69 years, male 37.8
GTEX-X15G-1526-SM-4PQZM 50-59 years, female 37.8
GTEX-1QP29-2526-SM-E6CQ3 50-59 years, male 37.8
GTEX-1GPI7-1926-SM-9KNUH 20-29 years, male 37.7
GTEX-YECK-2826-SM-5IFHF 60-69 years, male 37.3
GTEX-1PFEY-1726-SM-DPRZ4 30-39 years, male 37.2
GTEX-YJ8O-1426-SM-5PNV9 40-49 years, female 36.9
GTEX-131YS-2926-SM-5EGKI 60-69 years, female 36.8
GTEX-Z93S-2626-SM-57WBX 50-59 years, male 36.8
GTEX-ZE9C-2126-SM-4WKGY 60-69 years, male 36.7
GTEX-1J8QM-1226-SM-CY8HI 60-69 years, female 36.7
GTEX-1PIGE-1526-SM-DTXFC 20-29 years, male 36.6
GTEX-1PBJI-2526-SM-E6CP4 20-29 years, female 36.5
GTEX-1I1GR-2226-SM-ARL7F 60-69 years, male 36.4
GTEX-13113-1426-SM-5EGHU 60-69 years, female 36.3
GTEX-ZVT3-2826-SM-5GU6A 60-69 years, female 36.2
GTEX-131XE-1026-SM-5EGKE 50-59 years, male 36.1
GTEX-1N2DV-1826-SM-E6CJ5 40-49 years, male 36.1
GTEX-1LKK1-2426-SM-DIPES 50-59 years, female 36.0
GTEX-1N2EF-1726-SM-EXUSI 60-69 years, male 36.0
GTEX-1JMPZ-2626-SM-ARU8Z 30-39 years, male 35.9
GTEX-15RJ7-1726-SM-6PAL3 40-49 years, male 35.7
GTEX-ZQUD-1026-SM-4YCEZ 30-39 years, male 35.7
GTEX-1IDJU-1926-SM-CL53W 60-69 years, female 35.6
GTEX-18D9A-1326-SM-7LT8P 30-39 years, female 35.5
GTEX-1C64N-2226-SM-7SB7C 50-59 years, male 35.5
GTEX-1ICG6-2226-SM-B2LY7 70-79 years, female 35.5
GTEX-1C6VQ-2626-SM-7IGMQ 50-59 years, male 35.4
GTEX-1HSMQ-2526-SM-A9SMK 50-59 years, male 35.3
GTEX-1E2YA-2526-SM-7IGOU 50-59 years, male 35.2
GTEX-12ZZX-2726-SM-5N9FT 40-49 years, female 35.1
GTEX-145LT-0826-SM-5S2QL 40-49 years, male 35.1
GTEX-1C64O-2426-SM-7P8R3 60-69 years, male 35.1
GTEX-1HBPM-2626-SM-9WYU5 60-69 years, female 35.1
GTEX-1HSKV-2326-SM-A9SL9 60-69 years, male 35.1
GTEX-1HKZK-2026-SM-9WYUF 40-49 years, male 35.0
GTEX-13FTW-2126-SM-5K7YG 40-49 years, male 34.9
GTEX-1GMR8-2926-SM-9KNW5 50-59 years, female 34.9
GTEX-1KANA-1726-SM-CY8IG 20-29 years, male 34.8
GTEX-1CB4G-2726-SM-79OO4 60-69 years, male 34.7
GTEX-XXEK-1826-SM-4BRVC 50-59 years, male 34.7
GTEX-ZVT4-2626-SM-5N9GJ 50-59 years, female 34.7
GTEX-1H1E6-1826-SM-A9G21 30-39 years, male 34.6
GTEX-1I1GT-2026-SM-CKZPK 60-69 years, female 34.6
GTEX-13PVQ-2726-SM-5L3H7 50-59 years, male 34.5
GTEX-1477Z-2126-SM-5Q5CM 60-69 years, male 34.4
GTEX-ZC5H-2426-SM-4WAZ6 40-49 years, female 34.4
GTEX-ZDTS-2726-SM-5L3E2 60-69 years, male 34.4
GTEX-1HCVE-2326-SM-9WYUD 50-59 years, male 34.4
GTEX-15RIF-1426-SM-7KUKQ 20-29 years, male 34.3
GTEX-1HCUA-1926-SM-B2LWE 50-59 years, female 34.3
GTEX-1JJE9-2526-SM-ARU8K 70-79 years, male 34.3
GTEX-1R7EU-1826-SM-DTX9L 60-69 years, male 34.3
GTEX-139TS-2226-SM-5J2N1 60-69 years, male 34.2
GTEX-ZG7Y-1826-SM-4WWD3 50-59 years, male 34.2
GTEX-X4EO-2726-SM-4E3HS 60-69 years, female 34.1
GTEX-1LG7Y-2226-SM-E9U5K 50-59 years, male 34.1
GTEX-1JJEA-2526-SM-CY8HJ 60-69 years, male 34.0
GTEX-13RTJ-1926-SM-5YYA2 60-69 years, male 33.9
GTEX-1A32A-2626-SM-73KX9 50-59 years, female 33.9
GTEX-1J1OQ-2826-SM-D3L88 40-49 years, female 33.9
GTEX-WXYG-1726-SM-4ONCU 50-59 years, female 33.8
GTEX-1H1DE-1626-SM-9KNU5 20-29 years, male 33.8
GTEX-15G19-2726-SM-6LPKG 60-69 years, male 33.7
GTEX-1AX9K-1626-SM-73KUS 50-59 years, male 33.7
GTEX-WYVS-1126-SM-4SOJX 40-49 years, female 33.6
GTEX-14C39-1626-SM-5S2P4 40-49 years, male 33.4
GTEX-X5EB-1126-SM-46MVV 40-49 years, male 33.4
GTEX-ZF28-2526-SM-57WFH 60-69 years, male 33.4
GTEX-1GMR2-1826-SM-9KNUP 50-59 years, male 33.4
GTEX-1JMQJ-2626-SM-CY8HQ 50-59 years, male 33.4
GTEX-1LSNL-1626-SM-E9TJY 50-59 years, male 33.4
GTEX-11GS4-1826-SM-5HL4T 60-69 years, male 33.3
GTEX-ZYT6-2826-SM-5GICX 30-39 years, male 33.3
GTEX-1HB9E-2526-SM-D4P35 50-59 years, male 33.3
GTEX-1JMQK-2326-SM-ARZN4 60-69 years, male 33.3
GTEX-1F75W-2126-SM-7RHIA 60-69 years, male 33.2
GTEX-1LGOU-1726-SM-D3L8P 20-29 years, female 33.2
GTEX-145MO-2626-SM-5QGPD 60-69 years, male 33.0
GTEX-1GMRU-2626-SM-9WPPM 50-59 years, male 33.0
GTEX-1122O-1426-SM-5H11R 60-69 years, female 32.9
GTEX-11TUW-2326-SM-5EQMO 60-69 years, male 32.9
GTEX-12WSJ-1426-SM-5GCON 40-49 years, female 32.9
GTEX-VJYA-2126-SM-4KL1O 60-69 years, male 32.9
GTEX-1GTWX-2626-SM-9WPOT 60-69 years, male 32.9
GTEX-17MFQ-1226-SM-7KFSA 20-29 years, male 32.8
GTEX-1J8Q3-2426-SM-CL53S 60-69 years, male 32.8
GTEX-ZLWG-1826-SM-DO11I 50-59 years, female 32.7
GTEX-1A3MX-2326-SM-718B4 60-69 years, male 32.6
GTEX-1LVAN-2626-SM-CNPQF 50-59 years, female 32.6
GTEX-13D11-0626-SM-5LZYY 50-59 years, female 32.5
GTEX-15FZZ-1826-SM-6LLJP 30-39 years, female 32.4
GTEX-1HCU7-2726-SM-A9G3D 50-59 years, male 32.3
GTEX-1LG7Z-1326-SM-DIPF3 30-39 years, male 32.3
GTEX-13OVJ-1826-SM-5KM2D 50-59 years, female 32.2
GTEX-11TT1-0926-SM-5GU5M 20-29 years, male 32.1
GTEX-1CAMS-2626-SM-7PBY3 40-49 years, female 32.0
GTEX-1LSNM-1426-SM-E6CIH 50-59 years, male 32.0
GTEX-145MH-2726-SM-5QGQ6 50-59 years, male 31.9
GTEX-1HCU6-2926-SM-B2LWV 60-69 years, female 31.9
GTEX-ZY6K-1326-SM-5GZWP 50-59 years, male 31.8
GTEX-1HBPN-2026-SM-B2LWA 50-59 years, male 31.8
GTEX-1MGNQ-2126-SM-EV7AC 40-49 years, male 31.8
GTEX-Y8E4-2326-SM-EAZAZ 40-49 years, male 31.8
GTEX-13VXT-2026-SM-5L3EW 20-29 years, female 31.7
GTEX-12BJ1-2026-SM-5FQUH 60-69 years, male 31.5
GTEX-15UF6-2726-SM-7KULY 70-79 years, female 31.5
GTEX-1CB4F-1926-SM-7MKFN 60-69 years, male 31.5
GTEX-WOFM-1926-SM-4OOSP 20-29 years, male 31.5
GTEX-1LGRB-2026-SM-COH47 50-59 years, female 31.5
GTEX-17F9Y-2626-SM-7IGN9 70-79 years, female 31.4
GTEX-1B996-2726-SM-7DUGG 60-69 years, male 31.4
GTEX-1BAJH-2726-SM-7IGNJ 70-79 years, male 31.4
GTEX-1EMGI-2626-SM-7IGNR 60-69 years, male 31.4
GTEX-1H3VY-2526-SM-9KNW1 50-59 years, male 31.4
GTEX-18QFQ-1726-SM-731C9 30-39 years, male 31.3
GTEX-1AMEY-1826-SM-72D5L 30-39 years, female 31.3
GTEX-1R9JW-2126-SM-E76QT 30-39 years, female 31.3
GTEX-WY7C-1926-SM-4ONCI 50-59 years, male 31.2
GTEX-1K2DA-1626-SM-CGQGB 50-59 years, male 31.2
GTEX-14E6E-1726-SM-5S2R6 30-39 years, male 31.1
GTEX-16BQI-2026-SM-7KULQ 30-39 years, female 31.0
GTEX-ZP4G-1526-SM-57WE5 20-29 years, female 31.0
GTEX-1S82P-2026-SM-E9TIQ 60-69 years, female 31.0
GTEX-15UF7-1326-SM-7KUKV 40-49 years, male 30.9
GTEX-145ME-1126-SM-5SIAT 40-49 years, female 30.8
GTEX-14DAQ-2926-SM-664MV 60-69 years, female 30.8
GTEX-1HBPI-2226-SM-9WYTY 50-59 years, male 30.8
GTEX-15CHQ-2626-SM-686YZ 60-69 years, male 30.7
GTEX-XUZC-1526-SM-4BRV4 30-39 years, female 30.7
GTEX-1IDJI-2226-SM-CKZPM 50-59 years, female 30.7
GTEX-1PIEJ-1826-SM-EWRMN 20-29 years, female 30.7
GTEX-117XS-2226-SM-5GIE1 60-69 years, male 30.6
GTEX-14A5H-1626-SM-5SIAN 60-69 years, male 30.6
GTEX-1B97I-1526-SM-73KUK 40-49 years, male 30.6
GTEX-1EU9M-2726-SM-7P8QD 60-69 years, male 30.6
GTEX-11EI6-2626-SM-5PNVT 60-69 years, male 30.4
GTEX-17GQL-1626-SM-7LG69 60-69 years, male 30.4
GTEX-1IDJH-2826-SM-CJI49 70-79 years, male 30.4
GTEX-14AS3-1026-SM-5TDD7 40-49 years, female 30.3
GTEX-18A67-2226-SM-7LT9Z 50-59 years, male 30.3
GTEX-1AMFI-1826-SM-73KWB 50-59 years, female 30.3
GTEX-ZV6S-1126-SM-57WE9 40-49 years, female 30.3
GTEX-12696-1926-SM-5EGJT 60-69 years, male 30.2
GTEX-14PK6-1826-SM-69LOM 70-79 years, female 30.2
GTEX-1J8JJ-2426-SM-D4P4A 60-69 years, female 30.2
GTEX-1PPH8-2226-SM-EWRN7 20-29 years, male 30.2
GTEX-111YS-1826-SM-5GIEP 60-69 years, male 30.1
GTEX-1399U-2226-SM-5KLZI 50-59 years, female 30.1
GTEX-146FH-2426-SM-5Q5EW 50-59 years, female 30.1
GTEX-14BIN-2426-SM-5TDCF 50-59 years, female 30.1
GTEX-17HHE-1626-SM-7DHLN 50-59 years, male 30.1
GTEX-1RMOY-1726-SM-EVYC9 50-59 years, male 30.1
GTEX-132NY-2726-SM-5PNY2 60-69 years, male 30.0
GTEX-ZTTD-2626-SM-57WEX 50-59 years, male 30.0
GTEX-1GL5R-1726-SM-9KNUX 50-59 years, male 30.0
GTEX-1JKYR-2026-SM-CNPON 20-29 years, male 30.0
GTEX-WHWD-1526-SM-4OORV 50-59 years, male 29.9
GTEX-1F5PK-1726-SM-7RHHW 50-59 years, male 29.9
GTEX-1H3VE-2326-SM-9KNVU 40-49 years, male 29.9
GTEX-WQUQ-2626-SM-4MVNP 60-69 years, male 29.8
GTEX-1OFPY-1226-SM-E76OM 60-69 years, male 29.8
GTEX-1JK1U-1426-SM-CNPOW 60-69 years, male 29.7
GTEX-18465-2726-SM-7LT9I 50-59 years, male 29.6
GTEX-15ER7-2826-SM-6PAN2 20-29 years, female 29.5
GTEX-11DXY-2026-SM-5N9CZ 60-69 years, male 29.4
GTEX-13SLW-2826-SM-5Q5ES 70-79 years, male 29.4
GTEX-14A5I-2426-SM-5Q5CP 50-59 years, female 29.4
GTEX-11EM3-1626-SM-5N9CO 20-29 years, female 29.2
GTEX-13O1R-2426-SM-5KLZZ 60-69 years, male 29.2
GTEX-Y9LG-1326-SM-4VBQB 30-39 years, male 29.2
GTEX-ZPU1-1726-SM-4WWFV 40-49 years, male 29.2
GTEX-12WSG-2426-SM-5EQLZ 50-59 years, female 29.1
GTEX-1GN73-2726-SM-9WYUB 60-69 years, male 29.1
GTEX-117YX-0526-SM-5EGJH 50-59 years, male 29.0
GTEX-11PRG-2026-SM-5GU5F 50-59 years, male 28.9
GTEX-11ZTT-1626-SM-5EQKR 60-69 years, female 28.9
GTEX-1C2JI-1726-SM-73KUW 50-59 years, male 28.8
GTEX-ZPIC-2626-SM-57WE2 40-49 years, female 28.8
GTEX-1H3NZ-2526-SM-9KNVO 60-69 years, male 28.8
GTEX-1I1GP-2826-SM-A9SKZ 50-59 years, male 28.8
GTEX-183FY-1426-SM-7DHLM 20-29 years, male 28.7
GTEX-15DZA-1026-SM-6PAND 30-39 years, female 28.6
GTEX-17KNJ-1826-SM-7LT9N 50-59 years, male 28.5
GTEX-ZAJG-2626-SM-5S2NU 50-59 years, female 28.5
GTEX-13G51-2126-SM-5IJD9 60-69 years, male 28.4
GTEX-14PHX-1126-SM-5YYA5 50-59 years, male 28.4
GTEX-11I78-1326-SM-5PNY9 50-59 years, female 28.3
GTEX-1F5PL-1926-SM-7MXTP 40-49 years, female 28.3
GTEX-1LSVX-2026-SM-E9TJD 60-69 years, male 28.3
GTEX-11DXZ-1626-SM-5GIDI 50-59 years, male 28.2
GTEX-14BMU-1326-SM-5RQIH 20-29 years, female 28.2
GTEX-1HFI7-1626-SM-9WYTR 50-59 years, female 28.2
GTEX-1LBAC-1726-SM-D3L9W 20-29 years, male 28.2
GTEX-1S831-1726-SM-EWROJ 20-29 years, male 28.2
GTEX-1LVAM-1726-SM-DHXKQ 50-59 years, female 28.1
GTEX-11DXX-1926-SM-5EGJK 60-69 years, female 28.0
GTEX-Y3I4-1126-SM-4TT7Y 50-59 years, male 28.0
GTEX-ZF29-1826-SM-4WKG8 60-69 years, female 28.0
GTEX-ZVT2-1726-SM-51MRO 50-59 years, female 28.0
GTEX-1R9K5-2226-SM-DTX9G 50-59 years, male 28.0
GTEX-13PVR-1726-SM-5Q5EC 60-69 years, female 27.9
GTEX-ZT9W-1726-SM-51MS3 50-59 years, male 27.9
GTEX-1QP67-1426-SM-E8VOO 40-49 years, female 27.9
GTEX-1RAZR-2026-SM-E9TKE 40-49 years, male 27.8
GTEX-144GM-1126-SM-79OJK 20-29 years, male 27.7
GTEX-YEC3-2026-SM-DKPOL 50-59 years, male 27.7
GTEX-1HBPH-2526-SM-ACKXK 40-49 years, female 27.6
GTEX-1RQEC-2626-SM-EVR3Z 60-69 years, male 27.6
GTEX-13CF3-1326-SM-5LZXZ 60-69 years, female 27.5
GTEX-13FH7-1626-SM-5J2O9 50-59 years, female 27.5
GTEX-14C5O-2626-SM-5RQI5 60-69 years, male 27.5
GTEX-ZYFG-1826-SM-5GZWX 60-69 years, female 27.5
GTEX-16NGA-0926-SM-718AG 40-49 years, female 27.4
GTEX-1B932-2126-SM-7IGMU 40-49 years, female 27.3
GTEX-ZAB5-1426-SM-5HL9D 50-59 years, male 27.3
GTEX-13X6K-2726-SM-5O9DG 60-69 years, female 27.2
GTEX-1I6K6-1926-SM-A96SN 30-39 years, male 27.2
GTEX-1399R-2126-SM-5K7WZ 30-39 years, male 27.1
GTEX-1AX9J-2526-SM-73KUY 60-69 years, male 27.1
GTEX-11ZU8-1126-SM-5EQ5K 60-69 years, male 27.0
GTEX-13X6J-2826-SM-7EPGA 50-59 years, male 27.0
GTEX-14PN3-1926-SM-6EU1Y 60-69 years, female 26.9
GTEX-ZA64-1426-SM-5CVMC 20-29 years, male 26.9
GTEX-ZE7O-2626-SM-51MSS 50-59 years, female 26.9
GTEX-ZAB4-2426-SM-5HL8A 40-49 years, male 26.8
GTEX-ZF2S-1826-SM-4WKFF 50-59 years, female 26.8
GTEX-14E6C-2226-SM-5QGQG 40-49 years, male 26.7
GTEX-16MTA-1626-SM-6M47N 50-59 years, male 26.7
GTEX-XV7Q-2226-SM-4BRVY 40-49 years, female 26.7
GTEX-Y5LM-1426-SM-5RQJL 40-49 years, female 26.7
GTEX-1A3MV-1026-SM-72D5U 30-39 years, male 26.6
GTEX-11EQ9-1526-SM-5PNY7 30-39 years, male 26.4
GTEX-11VI4-1426-SM-5GU6O 40-49 years, female 26.4
GTEX-145LS-2926-SM-5O99G 60-69 years, female 26.4
GTEX-15ETS-2326-SM-7KUGC 40-49 years, female 26.4
GTEX-WHPG-1626-SM-4M1ZL 50-59 years, male 26.4
GTEX-13OVK-1026-SM-7KFTC 40-49 years, male 26.3
GTEX-1339X-1726-SM-5P9J9 40-49 years, male 26.2
GTEX-Y8LW-1126-SM-4VDS4 50-59 years, female 26.2
GTEX-12ZZW-2426-SM-5DUWE 50-59 years, male 26.0
GTEX-ZPCL-1626-SM-57WGC 60-69 years, female 26.0
GTEX-148VJ-2426-SM-5NQ9Y 70-79 years, male 25.8
GTEX-XBED-1726-SM-47JYO 60-69 years, male 25.8
GTEX-15G1A-1926-SM-7KUFF 30-39 years, male 25.8
GTEX-WFG7-1626-SM-4LVMF 20-29 years, male 25.7
GTEX-ZTSS-1226-SM-51MSZ 40-49 years, male 25.7
GTEX-12ZZY-2726-SM-5EQ45 60-69 years, male 25.6
GTEX-13O61-1526-SM-5KM3P 60-69 years, male 25.6
GTEX-ZLV1-1326-SM-DO11Q 60-69 years, female 25.5
GTEX-139T6-1426-SM-5P9J7 50-59 years, male 25.4
GTEX-WI4N-2226-SM-4OOS9 40-49 years, female 25.4
GTEX-YFCO-1526-SM-5YYB8 40-49 years, male 25.4
GTEX-1IL2U-2526-SM-C1YQV 60-69 years, male 25.4
GTEX-1JN76-1326-SM-ARU94 20-29 years, female 25.4
GTEX-1L5NE-1926-SM-D3L9R 50-59 years, male 25.4
GTEX-1QPFJ-2426-SM-EVR3L 30-39 years, female 25.4
GTEX-14PJ4-1826-SM-5YY97 60-69 years, male 25.2
GTEX-ZXES-1726-SM-5E43G 30-39 years, female 25.2
GTEX-1KXAM-1926-SM-D3LAG 60-69 years, male 25.2
GTEX-1QP2A-2226-SM-DTXF6 50-59 years, male 25.1
GTEX-11P81-1426-SM-5P9JN 30-39 years, female 25.0
GTEX-139D8-2926-SM-5IJBM 30-39 years, female 24.9
GTEX-13OVI-2126-SM-5KM3U 60-69 years, female 24.8
GTEX-14PJ3-1226-SM-5ZZVY 50-59 years, male 24.8
GTEX-11P7K-1826-SM-5HL5A 30-39 years, male 24.7
GTEX-13X6I-2726-SM-5Q5ET 60-69 years, male 24.6
GTEX-1IKOE-2126-SM-A96T5 30-39 years, female 24.6
GTEX-XAJ8-0726-SM-47JY5 40-49 years, male 24.5
GTEX-111CU-1226-SM-5EGIN 50-59 years, male 24.4
GTEX-1B8L1-1926-SM-7IGND 60-69 years, male 24.4
GTEX-1CAMR-1026-SM-7P8QI 20-29 years, male 24.2
GTEX-1PBJJ-2026-SM-DTX8U 30-39 years, male 24.1
GTEX-1J1R8-1426-SM-CL55O 40-49 years, male 23.7
GTEX-13111-1926-SM-5GCOL 50-59 years, male 23.6
GTEX-131XG-1526-SM-5GCNQ 50-59 years, female 23.6
GTEX-1P4AB-2626-SM-DTXEU 50-59 years, male 23.6
GTEX-YF7O-1626-SM-5IFII 50-59 years, male 23.4
GTEX-1PIIG-2126-SM-EXUSD 30-39 years, male 23.4
GTEX-1RLM8-1726-SM-E9TKF 50-59 years, male 23.3
GTEX-ZQG8-2426-SM-57WEE 60-69 years, female 23.2
GTEX-17EUY-1726-SM-79OK4 20-29 years, male 23.1
GTEX-WFG8-1726-SM-4LVM6 20-29 years, male 23.0
GTEX-1211K-1826-SM-5EGJ2 60-69 years, female 22.9
GTEX-1JN6P-2126-SM-ARL98 60-69 years, male 22.9
GTEX-18A66-2626-SM-72D67 60-69 years, male 22.7
GTEX-183WM-2526-SM-731BP 70-79 years, female 22.6
GTEX-1B8KE-1526-SM-7DUG2 50-59 years, male 22.2
GTEX-1JKYN-2226-SM-ARZNE 30-39 years, male 22.0
GTEX-YJ8A-1726-SM-5P9IQ 20-29 years, male 21.7
GTEX-147GR-2826-SM-5RQK8 60-69 years, male 21.6
GTEX-14E1K-1626-SM-664MO 50-59 years, male 21.2
GTEX-1C475-1526-SM-7DHM3 40-49 years, female 21.2
GTEX-1JMPY-1026-SM-ARZN1 30-39 years, male 21.2
GTEX-132AR-2826-SM-5IJFV 50-59 years, female 21.1
GTEX-WFON-1326-SM-4LVMN 40-49 years, male 21.1
GTEX-ZLFU-1426-SM-4WWEU 40-49 years, male 21.0
GTEX-15RJE-2226-SM-6M46A 40-49 years, male 20.1
GTEX-ZZ64-0826-SM-5E449 20-29 years, male 19.8
GTEX-15F5U-1426-SM-7KUN2 40-49 years, male 19.7
GTEX-15RIE-2026-SM-7KFRW 60-69 years, male 18.6
GTEX-Y114-1626-SM-4TT7I 50-59 years, female 18.3
GTEX-1AYCT-1926-SM-793AE 50-59 years, male 18.2
GTEX-WRHK-1126-SM-4MVOJ 20-29 years, female 17.7
GTEX-ZVZQ-2626-SM-59HLB 60-69 years, female 17.7
GTEX-WHSE-2726-SM-EZ6ML 20-29 years, male 17.7
GTEX-16Z82-2426-SM-7KUMS 60-69 years, male 17.3
GTEX-17HG3-1126-SM-7DUFC 30-39 years, female 17.1
GTEX-11EQ8-2626-SM-5N9BO 60-69 years, male 11.9
Show allShow less
Colon - Transverse
Average nTPM: 32.0
Samples: 406

Max nTPM: 53.9
Min nTPM: 11.5
Std nTPM: 7.2
Median nTPM: 31.7
GTEX-YEC3-2426-SM-DO11A 50-59 years, male 53.9
GTEX-OOBJ-1426-SM-E6CHH 60-69 years, male 52.7
GTEX-XPVG-1826-SM-4B64X 50-59 years, male 52.0
GTEX-11LCK-2026-SM-5A5MA 30-39 years, male 50.3
GTEX-13O21-2426-SM-5MR4A 50-59 years, male 49.3
GTEX-1399R-2226-SM-5P9JB 30-39 years, male 48.7
GTEX-11GSP-1626-SM-5986N 60-69 years, female 48.6
GTEX-UJMC-1326-SM-4IHLS 50-59 years, male 48.0
GTEX-1K2DA-2026-SM-CGQGK 50-59 years, male 47.9
GTEX-1N2DV-1426-SM-DPRYQ 40-49 years, male 47.7
GTEX-YF7O-1726-SM-5IFJ9 50-59 years, male 47.5
GTEX-11I78-1226-SM-5A5K6 50-59 years, female 47.1
GTEX-17HGU-2426-SM-7EWDP 50-59 years, male 46.3
GTEX-1HSEH-1726-SM-B2LXH 60-69 years, male 46.2
GTEX-YB5E-1626-SM-5IFIQ 40-49 years, male 45.6
GTEX-T5JW-1126-SM-4DM5V 20-29 years, female 45.5
GTEX-S4P3-1226-SM-4AD4Y 50-59 years, female 45.3
GTEX-1JN76-1226-SM-C1YRM 20-29 years, female 45.3
GTEX-1HSMQ-2726-SM-C1YRE 50-59 years, male 45.0
GTEX-1RAZR-1926-SM-E6CRF 40-49 years, male 44.9
GTEX-1C4CL-2126-SM-7IGQC 30-39 years, male 44.4
GTEX-1S83E-1626-SM-EV7B9 40-49 years, male 44.1
GTEX-1B8KZ-1326-SM-7DUG6 50-59 years, male 44.0
GTEX-R55D-1826-SM-48FEF 50-59 years, male 43.9
GTEX-13QBU-1826-SM-5IJG3 40-49 years, female 43.8
GTEX-1F5PK-1926-SM-7MXT7 50-59 years, male 43.5
GTEX-1JMLX-2726-SM-CM2SB 50-59 years, male 43.4
GTEX-1QCLY-1726-SM-DPRXY 30-39 years, male 43.3
GTEX-1RAZA-1726-SM-DPS13 20-29 years, male 43.3
GTEX-1GF9U-1526-SM-7MXUW 40-49 years, female 43.1
GTEX-1LGRB-1426-SM-CNNPT 50-59 years, female 42.9
GTEX-RWS6-1826-SM-47JXX 60-69 years, female 42.8
GTEX-Q2AI-0926-SM-48U1F 40-49 years, male 42.6
GTEX-1IKOE-2026-SM-AHZ31 30-39 years, female 42.6
GTEX-1KANC-0926-SM-D3LA9 50-59 years, female 42.6
GTEX-146FQ-1926-SM-5NQBY 30-39 years, male 42.3
GTEX-ZDTT-1926-SM-5HL5W 60-69 years, male 42.1
GTEX-1399S-1926-SM-5J2M5 30-39 years, female 41.8
GTEX-XBEW-1926-SM-4SOJO 40-49 years, male 41.5
GTEX-1RDX4-1826-SM-EVR54 50-59 years, female 41.4
GTEX-14PJ4-1926-SM-6LLHG 60-69 years, male 41.2
GTEX-1NSGN-2326-SM-E9U5X 50-59 years, male 41.1
GTEX-14JG6-1726-SM-69LPL 30-39 years, female 40.8
GTEX-1211K-1726-SM-5FQUJ 60-69 years, female 40.7
GTEX-15ER7-2926-SM-7KUFK 20-29 years, female 40.7
GTEX-1JKYN-2326-SM-CGQG7 30-39 years, male 40.7
GTEX-14DAR-1526-SM-5RQIX 50-59 years, male 40.6
GTEX-17GQL-1526-SM-7LTAC 60-69 years, male 40.5
GTEX-U4B1-1126-SM-4DXV3 40-49 years, male 40.5
GTEX-ZEX8-1926-SM-4WKFR 50-59 years, male 40.5
GTEX-ZPIC-2226-SM-57WDX 40-49 years, female 40.3
GTEX-PLZ5-1126-SM-3P613 50-59 years, male 40.2
GTEX-1J1R8-1126-SM-CNPQ3 40-49 years, male 40.1
GTEX-1R7EU-1926-SM-E9U62 60-69 years, male 40.1
GTEX-1122O-1526-SM-5N9CL 60-69 years, female 40.0
GTEX-14PKV-2126-SM-664O3 20-29 years, female 39.9
GTEX-PLZ6-0926-SM-3P5ZQ 30-39 years, male 39.9
GTEX-Y3IK-1826-SM-4WWDS 50-59 years, female 39.9
GTEX-1PFEY-1426-SM-E9U6U 30-39 years, male 39.8
GTEX-1GF9X-1526-SM-7P8QP 40-49 years, female 39.7
GTEX-145LT-0926-SM-5LU9C 40-49 years, male 39.4
GTEX-11DXZ-1726-SM-5H12M 50-59 years, male 39.3
GTEX-W5WG-2426-SM-4LMI6 50-59 years, female 39.3
GTEX-ZVP2-1526-SM-5NQ82 50-59 years, male 39.2
GTEX-1R9PM-1526-SM-DPRY8 20-29 years, male 39.2
GTEX-18A7A-2226-SM-7LT8K 50-59 years, female 39.1
GTEX-TML8-1326-SM-4DXTO 40-49 years, female 39.1
GTEX-Y9LG-1526-SM-4WWDR 30-39 years, male 39.1
GTEX-1CAMR-0926-SM-7MXTD 20-29 years, male 39.1
GTEX-1KANA-1926-SM-DHXKF 20-29 years, male 39.1
GTEX-1LVAM-1626-SM-EV79Y 50-59 years, female 39.0
GTEX-14PHX-1526-SM-68717 50-59 years, male 38.9
GTEX-17HHE-1826-SM-79OKE 50-59 years, male 38.9
GTEX-ZYVF-2826-SM-5GIDK 50-59 years, female 38.9
GTEX-U3ZM-1126-SM-4DXUB 40-49 years, male 38.8
GTEX-ZYFC-2626-SM-5NQ6S 50-59 years, male 38.8
GTEX-1QP9N-1026-SM-E6CPX 30-39 years, male 38.8
GTEX-1JK1U-1526-SM-AHZ46 60-69 years, male 38.6
GTEX-12BJ1-2126-SM-5BC5O 60-69 years, male 38.5
GTEX-ZT9W-1826-SM-51MQX 50-59 years, male 38.4
GTEX-139T6-1326-SM-5IFFO 50-59 years, male 38.3
GTEX-ZV7C-1526-SM-5NQ72 50-59 years, male 38.3
GTEX-1H1E6-1926-SM-9OSWD 30-39 years, male 38.3
GTEX-11TUW-2026-SM-5EQL8 60-69 years, male 38.2
GTEX-15CHR-1426-SM-7DUGV 50-59 years, male 38.1
GTEX-1B8KE-1926-SM-731EE 50-59 years, male 38.1
GTEX-P4QT-1426-SM-3NMCX 50-59 years, female 38.0
GTEX-OHPM-1426-SM-3TW8Y 50-59 years, male 37.9
GTEX-131XE-0826-SM-5HL9W 50-59 years, male 37.8
GTEX-XV7Q-2126-SM-4BRVX 40-49 years, female 37.7
GTEX-S7SF-1926-SM-4AT5B 20-29 years, female 37.6
GTEX-178AV-1326-SM-6LPJX 40-49 years, male 37.4
GTEX-1H3VY-2426-SM-9WPPD 50-59 years, male 37.4
GTEX-133LE-1526-SM-5IFEN 20-29 years, female 37.3
GTEX-139TS-1926-SM-5IJFO 60-69 years, male 37.3
GTEX-U3ZN-2126-SM-4DXU1 30-39 years, female 37.3
GTEX-ZVT2-1926-SM-5GU5T 50-59 years, female 37.3
GTEX-ZLV1-1226-SM-4WWBX 60-69 years, female 37.2
GTEX-1LG7Y-2126-SM-DIPER 50-59 years, male 37.2
GTEX-PWCY-1026-SM-48TD4 20-29 years, female 37.1
GTEX-PWN1-1426-SM-48TDF 40-49 years, female 37.1
GTEX-Q2AH-1226-SM-48TZL 40-49 years, male 37.1
GTEX-RM2N-0926-SM-48FD1 50-59 years, male 37.1
GTEX-R55G-1226-SM-48FDC 40-49 years, female 37.0
GTEX-T6MO-0826-SM-4DM51 40-49 years, female 37.0
GTEX-1MGNQ-2026-SM-EAZ51 40-49 years, male 37.0
GTEX-1QP67-1326-SM-EAZ4D 40-49 years, female 37.0
GTEX-14C39-1926-SM-5ZZW5 40-49 years, male 36.9
GTEX-QCQG-1626-SM-48U26 50-59 years, female 36.9
GTEX-WFG7-1526-SM-4LVMG 20-29 years, male 36.9
GTEX-18D9U-1926-SM-7KFTM 40-49 years, male 36.5
GTEX-SE5C-1526-SM-4BRWU 40-49 years, female 36.5
GTEX-18D9B-2526-SM-718BN 60-69 years, male 36.4
GTEX-1AMFI-1726-SM-7189L 50-59 years, female 36.4
GTEX-145MN-1726-SM-5SIA6 30-39 years, male 36.3
GTEX-XQ8I-2126-SM-4BOOM 50-59 years, male 36.2
GTEX-XUZC-1326-SM-4BRV2 30-39 years, female 36.2
GTEX-13U4I-2426-SM-5LU34 40-49 years, female 36.1
GTEX-UJHI-1126-SM-4IHLN 50-59 years, female 36.1
GTEX-13111-0726-SM-5DUVE 50-59 years, male 36.0
GTEX-1N5O9-2726-SM-E76QH 60-69 years, male 35.9
GTEX-11DXX-1826-SM-5H126 60-69 years, female 35.8
GTEX-147F3-1926-SM-5SIB9 50-59 years, female 35.7
GTEX-147GR-2726-SM-664OO 60-69 years, male 35.7
GTEX-R53T-1326-SM-48FCQ 50-59 years, female 35.7
GTEX-1GMR3-2826-SM-9WPOG 40-49 years, male 35.7
GTEX-13PL7-2526-SM-5IFGR 60-69 years, female 35.6
GTEX-QV31-0826-SM-CKZNC 30-39 years, male 35.6
GTEX-ZTSS-1126-SM-5985O 40-49 years, male 35.5
GTEX-14PJM-2626-SM-686ZD 50-59 years, female 35.4
GTEX-13D11-0826-SM-5KLZJ 50-59 years, female 35.3
GTEX-VJYA-2026-SM-4KL1K 60-69 years, male 35.3
GTEX-1HSGN-2626-SM-CE6S1 40-49 years, female 35.3
GTEX-11P82-1026-SM-5BC5J 20-29 years, male 35.2
GTEX-WHSB-0926-SM-4M1XJ 50-59 years, male 35.2
GTEX-X3Y1-1726-SM-4PQZL 40-49 years, male 35.2
GTEX-XYKS-2226-SM-4E3IU 60-69 years, female 35.2
GTEX-OIZF-1426-SM-2HML2 60-69 years, male 35.1
GTEX-1128S-1626-SM-5H12O 60-69 years, female 35.0
GTEX-1RAZQ-2126-SM-DTX9V 30-39 years, male 35.0
GTEX-13FH7-1526-SM-5J2N6 50-59 years, female 34.7
GTEX-XMK1-1726-SM-4B64Z 40-49 years, male 34.7
GTEX-1MUQO-2626-SM-EWRO3 60-69 years, male 34.7
GTEX-11ONC-2026-SM-5HL61 60-69 years, male 34.6
GTEX-13OW5-2626-SM-5MR3M 60-69 years, male 34.6
GTEX-14H4A-1926-SM-5ZZWN 40-49 years, female 34.6
GTEX-S4Q7-0826-SM-4AD5E 20-29 years, male 34.6
GTEX-TKQ2-1326-SM-4DXT9 50-59 years, male 34.6
GTEX-12C56-0626-SM-5EGGC 20-29 years, male 34.4
GTEX-15RIF-1326-SM-6LPKO 20-29 years, male 34.4
GTEX-WH7G-1326-SM-4LVMS 40-49 years, male 34.4
GTEX-XUW1-1926-SM-4BOP1 50-59 years, female 34.4
GTEX-111CU-1426-SM-5GZYP 50-59 years, male 34.3
GTEX-U3ZH-1326-SM-4DXSF 30-39 years, male 34.3
GTEX-1QW4Y-1326-SM-EWRMZ 30-39 years, male 34.2
GTEX-17F96-2026-SM-79ON4 70-79 years, male 34.1
GTEX-1LG7Z-1426-SM-CXKYV 30-39 years, male 34.1
GTEX-17EUY-1826-SM-7DUEZ 20-29 years, male 33.9
GTEX-WFON-1426-SM-4LVMT 40-49 years, male 33.9
GTEX-15SB6-1226-SM-7KUMP 50-59 years, female 33.8
GTEX-Y5LM-1526-SM-4VDTA 40-49 years, female 33.8
GTEX-1HCU9-1326-SM-B2LXT 20-29 years, male 33.8
GTEX-1QMI2-2626-SM-E6CR4 60-69 years, male 33.6
GTEX-WOFM-2026-SM-4OOSQ 20-29 years, male 33.5
GTEX-ZLWG-1726-SM-DNZZ2 50-59 years, female 33.5
GTEX-1IDJU-2026-SM-A9SLM 60-69 years, female 33.4
GTEX-1JKYR-1926-SM-C1YR7 20-29 years, male 33.4
GTEX-1S3DN-1826-SM-EV79K 50-59 years, male 33.4
GTEX-1LH75-2126-SM-EVR5F 50-59 years, female 33.3
GTEX-13FTW-1826-SM-5IJEN 40-49 years, male 33.1
GTEX-14BMU-1526-SM-5TDE6 20-29 years, female 33.1
GTEX-1NHNU-2326-SM-E6CQE 50-59 years, male 33.1
GTEX-11ZVC-2126-SM-5EGJ1 50-59 years, female 33.0
GTEX-1CAMS-2526-SM-7EPH7 40-49 years, female 33.0
GTEX-RU1J-1326-SM-46MUL 20-29 years, female 33.0
GTEX-V955-1626-SM-4JBHJ 60-69 years, male 33.0
GTEX-1F75I-2426-SM-9WPOY 40-49 years, male 33.0
GTEX-WHWD-1226-SM-4OOS1 50-59 years, male 32.9
GTEX-11EM3-1526-SM-5A5KN 20-29 years, female 32.8
GTEX-QLQW-0426-SM-447A7 30-39 years, male 32.8
GTEX-1PIGE-1426-SM-E9U61 20-29 years, male 32.8
GTEX-11VI4-1526-SM-5EQKC 40-49 years, female 32.7
GTEX-XBED-1526-SM-4AT5W 60-69 years, male 32.7
GTEX-14XAO-2026-SM-69LOI 60-69 years, female 32.6
GTEX-15DZA-0926-SM-69LQ3 30-39 years, female 32.6
GTEX-145MO-2426-SM-5NQ9W 60-69 years, male 32.5
GTEX-16AAH-1326-SM-7KFRG 50-59 years, male 32.5
GTEX-X4EO-2526-SM-EWRM8 60-69 years, female 32.5
GTEX-13S86-1626-SM-5Q5C5 40-49 years, male 32.4
GTEX-12KS4-2426-SM-5LU8P 30-39 years, male 32.3
GTEX-13PVR-1626-SM-73KVF 60-69 years, female 32.3
GTEX-QEL4-1926-SM-D3L8D 50-59 years, male 32.3
GTEX-WQUQ-2526-SM-4MVNO 60-69 years, male 32.2
GTEX-WYJK-2226-SM-4ONDJ 50-59 years, male 32.1
GTEX-1L5NE-2026-SM-CXZKR 50-59 years, male 32.1
GTEX-1PPGY-2826-SM-DTX9H 60-69 years, male 32.1
GTEX-13OW6-2126-SM-5N9GL 50-59 years, male 32.0
GTEX-1HCU6-2726-SM-A9SKV 60-69 years, female 32.0
GTEX-1K9T9-2826-SM-D4P3F 50-59 years, female 32.0
GTEX-S341-1426-SM-4AD6U 40-49 years, female 31.8
GTEX-16NPV-2626-SM-6M484 50-59 years, female 31.7
GTEX-XXEK-1926-SM-4BRVD 50-59 years, male 31.7
GTEX-OXRO-0726-SM-E9U4C 60-69 years, female 31.7
GTEX-QMRM-1226-SM-447C6 50-59 years, male 31.6
GTEX-11TTK-2426-SM-5PNYO 60-69 years, female 31.4
GTEX-1PPH8-2026-SM-DTX7P 20-29 years, male 31.4
GTEX-13O3P-2326-SM-5KM55 50-59 years, male 31.3
GTEX-R55C-1126-SM-48FCJ 40-49 years, male 31.3
GTEX-ZP4G-1726-SM-4WWCM 20-29 years, female 31.3
GTEX-1GZ4H-1226-SM-9KNUA 50-59 years, female 31.3
GTEX-117YW-1826-SM-5PNY5 50-59 years, male 31.2
GTEX-12WSL-1626-SM-5GCMU 50-59 years, male 31.2
GTEX-11P81-1126-SM-5GU5G 30-39 years, female 31.1
GTEX-1I6K6-1826-SM-B2LX5 30-39 years, male 30.9
GTEX-PX3G-1426-SM-48U1J 20-29 years, female 30.7
GTEX-X15G-1326-SM-4PQZJ 50-59 years, female 30.7
GTEX-1PIEJ-2026-SM-E6CPA 20-29 years, female 30.7
GTEX-15CHC-1626-SM-5ZZWS 60-69 years, female 30.6
GTEX-P78B-1726-SM-3P5ZV 40-49 years, female 30.6
GTEX-1F5PL-2126-SM-7PC2O 40-49 years, female 30.6
GTEX-1GPI7-1726-SM-7P8R1 20-29 years, male 30.6
GTEX-ZG7Y-2126-SM-DO117 50-59 years, male 30.6
GTEX-S4UY-0826-SM-4AD4Z 40-49 years, female 30.5
GTEX-SNOS-1226-SM-4DM5H 40-49 years, male 30.5
GTEX-ZY6K-1226-SM-5GZYL 50-59 years, male 30.4
GTEX-14AS3-1126-SM-5Q5CR 40-49 years, female 30.3
GTEX-14PJ3-0926-SM-69LQG 50-59 years, male 30.3
GTEX-OXRL-1426-SM-3NM9E 50-59 years, male 30.3
GTEX-1AYD5-1726-SM-7RHFW 50-59 years, male 30.3
GTEX-OXRK-1726-SM-3NB16 50-59 years, female 30.2
GTEX-QDVN-1326-SM-48TZ3 50-59 years, male 30.2
GTEX-11NSD-1626-SM-5986U 20-29 years, male 30.1
GTEX-144GN-1126-SM-5LU33 50-59 years, male 30.1
GTEX-14PK6-1726-SM-6871J 70-79 years, female 30.1
GTEX-Q734-1126-SM-48TZY 40-49 years, female 30.1
GTEX-Y8LW-1226-SM-4WWDP 50-59 years, female 30.1
GTEX-ZF2S-1926-SM-4WWAN 50-59 years, female 30.0
GTEX-U412-1726-SM-EZ6KX 60-69 years, male 30.0
GTEX-XGQ4-1226-SM-4AT67 50-59 years, male 29.9
GTEX-Y3I4-1426-SM-4TT9C 50-59 years, male 29.9
GTEX-139YR-2126-SM-5KM11 50-59 years, male 29.8
GTEX-14PJ5-0926-SM-6LLIK 60-69 years, female 29.8
GTEX-16XZZ-2626-SM-6M47S 60-69 years, male 29.8
GTEX-ZPCL-1826-SM-57WF1 60-69 years, female 29.8
GTEX-14E6E-1526-SM-5RQIG 30-39 years, male 29.7
GTEX-18A66-2426-SM-7KFSQ 60-69 years, male 29.7
GTEX-1CB4I-2226-SM-7P8SL 50-59 years, male 29.7
GTEX-1NV5F-2226-SM-DTX8O 60-69 years, female 29.7
GTEX-111YS-1626-SM-5GZZ9 60-69 years, male 29.6
GTEX-17KNJ-1726-SM-7LG6A 50-59 years, male 29.5
GTEX-Y8E4-2426-SM-4WWDN 40-49 years, male 29.5
GTEX-1H11D-2626-SM-9JGH4 40-49 years, male 29.5
GTEX-1JJE9-2426-SM-D3L8T 70-79 years, male 29.5
GTEX-1399U-1926-SM-5IFH7 50-59 years, female 29.4
GTEX-1C2JI-1626-SM-7EPHC 50-59 years, male 29.4
GTEX-OIZH-1426-SM-3NB1O 50-59 years, male 29.3
GTEX-P4PP-1426-SM-3NM9L 30-39 years, female 29.3
GTEX-YEC4-1926-SM-5IFHJ 40-49 years, male 29.3
GTEX-1S82U-0726-SM-E9TKI 30-39 years, female 29.2
GTEX-PSDG-1826-SM-EAZ2S 50-59 years, male 29.2
GTEX-14DAQ-2726-SM-5S2QY 60-69 years, female 29.1
GTEX-1AYCT-1826-SM-731EG 50-59 years, male 29.1
GTEX-1IDJF-1826-SM-CKZOE 20-29 years, male 29.1
GTEX-O5YW-1426-SM-3MJHF 50-59 years, male 29.0
GTEX-1MJK3-0926-SM-EV7AY 20-29 years, male 29.0
GTEX-QDVJ-1326-SM-48U1X 50-59 years, male 28.8
GTEX-1GN73-2626-SM-9KNUQ 60-69 years, male 28.8
GTEX-18A7B-2026-SM-72D71 70-79 years, male 28.7
GTEX-1MA7W-0626-SM-EV79Z 20-29 years, female 28.7
GTEX-13VXT-2426-SM-5LU46 20-29 years, female 28.6
GTEX-15RIE-1826-SM-6M48P 60-69 years, male 28.6
GTEX-WYVS-1826-SM-4OND6 40-49 years, female 28.5
GTEX-14BIN-3026-SM-5ZZUS 50-59 years, female 28.4
GTEX-WEY5-1426-SM-4LMJ3 40-49 years, female 28.4
GTEX-1LBAC-1626-SM-CXZKV 20-29 years, male 28.4
GTEX-18D9A-1126-SM-7KFRJ 30-39 years, female 28.3
GTEX-17MF6-2426-SM-7LTAM 40-49 years, male 28.2
GTEX-S3XE-1126-SM-4AD4N 50-59 years, male 28.2
GTEX-1JMPY-0426-SM-C1YQ3 30-39 years, male 28.2
GTEX-1EH9U-2026-SM-7PBYS 60-69 years, male 28.1
GTEX-1I4MK-1126-SM-B2LWS 50-59 years, female 28.1
GTEX-131XG-1826-SM-5LZV4 50-59 years, female 28.0
GTEX-13FHP-2426-SM-5KLZ5 50-59 years, male 28.0
GTEX-NFK9-2026-SM-3LK5K 40-49 years, male 28.0
GTEX-ZDYS-2326-SM-4WKG6 50-59 years, male 28.0
GTEX-1KANB-1526-SM-CXZK4 50-59 years, male 27.9
GTEX-1IDJC-1326-SM-CL53H 50-59 years, male 27.8
GTEX-1BAJH-2326-SM-7IGMO 70-79 years, male 27.7
GTEX-1POEN-2026-SM-E6CRL 30-39 years, female 27.6
GTEX-11P7K-1526-SM-5EGI7 30-39 years, male 27.5
GTEX-1HCVE-2526-SM-A9G2G 50-59 years, male 27.5
GTEX-1HFI7-1726-SM-A9G22 50-59 years, female 27.5
GTEX-1IKK5-2726-SM-CNPQ6 60-69 years, male 27.5
GTEX-13O61-1626-SM-5KM3T 60-69 years, male 27.4
GTEX-WY7C-1626-SM-4ONC8 50-59 years, male 27.4
GTEX-1HSMP-2326-SM-D3L8R 70-79 years, male 27.4
GTEX-144GM-1226-SM-5LU52 20-29 years, male 27.3
GTEX-1C64O-2326-SM-73KU8 60-69 years, male 27.0
GTEX-ZYFG-1926-SM-5GID5 60-69 years, female 27.0
GTEX-145LS-2726-SM-5Q5D8 60-69 years, female 26.8
GTEX-15UF6-2626-SM-6M466 70-79 years, female 26.8
GTEX-1RMOY-1626-SM-EVYC8 50-59 years, male 26.8
GTEX-148VJ-2626-SM-5QGPI 70-79 years, male 26.7
GTEX-14C5O-2526-SM-73KU2 60-69 years, male 26.7
GTEX-1GL5R-2426-SM-7MXV1 50-59 years, male 26.7
GTEX-1JJ6O-2426-SM-ARU8J 60-69 years, male 26.7
GTEX-16MT8-2726-SM-7IGLJ 60-69 years, female 26.6
GTEX-1I1GR-2526-SM-CNNQF 60-69 years, male 26.6
GTEX-11TT1-1026-SM-5PNW7 20-29 years, male 26.5
GTEX-145ME-0826-SM-5O9AF 40-49 years, female 26.5
GTEX-15DCE-2026-SM-7KUFE 20-29 years, male 26.5
GTEX-1GZ4I-2426-SM-9WPPP 50-59 years, male 26.5
GTEX-ZV6S-1226-SM-59HLH 40-49 years, female 26.3
GTEX-R45C-2126-SM-EZ6KZ 60-69 years, female 26.3
GTEX-17HII-2726-SM-7MGVM 50-59 years, male 26.2
GTEX-13X6H-1926-SM-7EWD3 50-59 years, female 26.1
GTEX-15G1A-1826-SM-7KUKO 30-39 years, male 26.1
GTEX-1HKZK-2126-SM-A9SL3 40-49 years, male 26.1
GTEX-1QCLZ-1926-SM-E6CR3 60-69 years, female 26.1
GTEX-14E1K-1826-SM-793DT 50-59 years, male 26.0
GTEX-ZPU1-1926-SM-57WDT 40-49 years, male 26.0
GTEX-17F9E-1826-SM-7IGMC 50-59 years, male 25.9
GTEX-1ICLZ-2426-SM-CKZOD 60-69 years, male 25.9
GTEX-QLQ7-1126-SM-CYPRB 60-69 years, male 25.9
GTEX-1339X-1626-SM-5IJDN 40-49 years, male 25.8
GTEX-ZGAY-2126-SM-4YCFB 40-49 years, female 25.8
GTEX-OXRN-2026-SM-E6CHK 50-59 years, male 25.8
GTEX-16NGA-1026-SM-7KFS3 40-49 years, female 25.7
GTEX-16Z82-2226-SM-6LPJ7 60-69 years, male 25.7
GTEX-SNMC-1126-SM-4DM5M 20-29 years, male 25.7
GTEX-Y114-1526-SM-4TT79 50-59 years, female 25.7
GTEX-1N2EF-1926-SM-DTX8M 60-69 years, male 25.7
GTEX-1QPFJ-2326-SM-E6CR7 30-39 years, female 25.7
GTEX-1A3MV-1126-SM-718BS 30-39 years, male 25.6
GTEX-ZZ64-0726-SM-5GZX4 20-29 years, male 25.6
GTEX-1PWST-2426-SM-EWRMP 70-79 years, male 25.6
GTEX-1B996-2626-SM-73KZ1 60-69 years, male 25.5
GTEX-1H1DE-1526-SM-ARL9B 20-29 years, male 25.4
GTEX-Z93S-2426-SM-5HL8N 50-59 years, male 25.3
GTEX-18QFQ-1526-SM-72D57 30-39 years, male 25.2
GTEX-1AX9I-2626-SM-73KU5 60-69 years, male 25.2
GTEX-ZAB4-2226-SM-5HL97 40-49 years, male 25.2
GTEX-TKQ1-0626-SM-4DXTS 30-39 years, male 24.9
GTEX-1H1DG-2226-SM-9WPPC 70-79 years, male 24.9
GTEX-147JS-2526-SM-5S2Q8 60-69 years, male 24.8
GTEX-1B932-2826-SM-73KUD 40-49 years, female 24.8
GTEX-1JMPZ-2426-SM-C1YQP 30-39 years, male 24.8
GTEX-1AMEY-1926-SM-73KVT 30-39 years, female 24.5
GTEX-17JCI-2626-SM-7EWE6 60-69 years, female 24.4
GTEX-1LVAN-2526-SM-CNPPC 50-59 years, female 24.3
GTEX-OHPN-2026-SM-E9TIA 60-69 years, female 24.2
GTEX-12WSJ-1526-SM-5GCNI 40-49 years, female 24.0
GTEX-ZF29-1726-SM-4WKFV 60-69 years, female 24.0
GTEX-11EQ9-1426-SM-5987G 30-39 years, male 23.9
GTEX-X5EB-0926-SM-46MVT 40-49 years, male 23.9
GTEX-1GMR2-1726-SM-9JGI2 50-59 years, male 23.9
GTEX-14ICL-1226-SM-5S2RD 30-39 years, male 23.7
GTEX-1F75B-2726-SM-7P8QO 50-59 years, male 23.7
GTEX-1R9JW-2026-SM-EAZ4O 30-39 years, female 23.7
GTEX-11O72-2226-SM-5PNW2 40-49 years, male 23.6
GTEX-1OKEX-1226-SM-DTXEC 60-69 years, male 23.6
GTEX-1C475-1626-SM-731FP 40-49 years, female 23.5
GTEX-1IGQW-2326-SM-CE6RV 60-69 years, male 23.2
GTEX-1KXAM-2126-SM-CY8I9 60-69 years, male 22.8
GTEX-132AR-2726-SM-5PNVN 50-59 years, female 22.6
GTEX-13CF3-1426-SM-5K7YY 60-69 years, female 22.5
GTEX-SJXC-2226-SM-EVYAK 60-69 years, male 22.5
GTEX-117YX-0826-SM-5H11J 50-59 years, male 22.4
GTEX-XAJ8-0426-SM-47JYJ 40-49 years, male 22.4
GTEX-1HCU7-2626-SM-C1YQO 50-59 years, male 22.3
GTEX-13OVK-0826-SM-7KULZ 40-49 years, male 22.0
GTEX-13W3W-2126-SM-5K7UX 60-69 years, female 21.9
GTEX-O5YT-1426-SM-3MJHC 20-29 years, male 21.9
GTEX-1IDJD-2226-SM-A96TD 30-39 years, male 21.9
GTEX-1CB4F-2026-SM-79OLU 60-69 years, male 21.7
GTEX-1S5VW-2926-SM-E9U6H 60-69 years, male 21.7
GTEX-1LSVX-1726-SM-DHXJP 60-69 years, male 21.6
GTEX-1R9K5-2126-SM-E8VN1 50-59 years, male 21.5
GTEX-17EVQ-1826-SM-7IGPH 70-79 years, male 21.3
GTEX-1C6VQ-2726-SM-73KUL 50-59 years, male 21.2
GTEX-1AX8Z-2726-SM-73KUC 60-69 years, male 21.1
GTEX-1MCC2-1626-SM-DIPEW 30-39 years, female 21.1
GTEX-13OVJ-1726-SM-5IJDZ 50-59 years, female 20.2
GTEX-14ICK-1026-SM-6AJA4 40-49 years, male 20.1
GTEX-13QJ3-2626-SM-9OSXQ 50-59 years, male 19.7
GTEX-1JN1M-2626-SM-CY8I3 60-69 years, female 19.7
GTEX-WVJS-2426-SM-EZ6LI 50-59 years, male 19.7
GTEX-15SHU-2526-SM-6M47D 40-49 years, female 19.6
GTEX-1E2YA-2626-SM-7MGWW 50-59 years, male 19.4
GTEX-1I1GT-1926-SM-ARU7D 60-69 years, female 19.4
GTEX-13OVI-2026-SM-5J1MU 60-69 years, female 19.3
GTEX-1IOXB-2626-SM-CJI2N 50-59 years, male 19.2
GTEX-15DYW-2326-SM-6PAMU 60-69 years, female 19.1
GTEX-ZXES-1626-SM-5NQ7L 30-39 years, female 19.1
GTEX-15CHQ-2526-SM-6EU24 60-69 years, male 19.0
GTEX-1J1OQ-2726-SM-AHZ3R 40-49 years, female 18.5
GTEX-111VG-2226-SM-5N9DU 60-69 years, male 18.3
GTEX-1LGOU-1626-SM-D3LAK 20-29 years, female 18.3
GTEX-12ZZZ-2426-SM-5GCNN 60-69 years, male 18.2
GTEX-144GL-2526-SM-5TDDL 50-59 years, male 18.0
GTEX-14JIY-3326-SM-6871E 60-69 years, male 18.0
GTEX-1EMGI-2726-SM-7P8S4 60-69 years, male 17.6
GTEX-14BMV-2426-SM-5S2PP 50-59 years, male 17.5
GTEX-13O3O-2526-SM-5L3DR 60-69 years, female 15.0
GTEX-17F98-1026-SM-7IGO8 40-49 years, female 14.8
GTEX-13OVG-1426-SM-5K7VP 60-69 years, male 11.5
Show allShow less

COLON - FANTOM5 CAGEi

RNA expression in human tissues obtained through Cap Analysis of Gene Expression (CAGE) generated by the FANTOM5 project are reported as Scaled Tags Per Million.

Max subtype Scaled Tags Per Millioni

Max subtype Scaled Tags Per Million is the value for the subtype with the largest average Scaled Tags Per Million across the subtype samples.

65.0
FANTOM5 sample id Sample description Scaled Tags Per Million
Colon
Scaled Tags Per Million: 65.0
FF:10014-101C5 62,83,84 years, mixed 65.0

Contact

  • NEWS ARTICLES
  • PRESS ROOM

The Project

  • INTRODUCTION
  • ORGANIZATION
  • PUBLICATIONS

The Human Protein Atlas

  • DOWNLOADABLE DATA
  • LICENCE & CITATION
  • HELP & FAQ
The Human Protein Atlas project is funded
by the Knut & Alice Wallenberg Foundation.


contact@proteinatlas.org