We use cookies to enhance the usability of our website. If you continue, we'll assume that you are happy to receive all cookies. More information. Don't show this again.
PDLIM4
HPA
RESOURCES
  • TISSUE
  • BRAIN
  • SINGLE CELL
  • SUBCELLULAR
  • CANCER
  • BLOOD
  • CELL LINE
  • STRUCTURE & INTERACTION
ABOUT
  • INTRODUCTION
  • HISTORY
  • ORGANIZATION
  • PUBLICATIONS
  • ANTIBODY SUBMISSION
  • ANTIBODY AVAILABILITY
  • ACKNOWLEDGMENTS
  • CONTACT
NEWS
  • NEWS ARTICLES
  • PRESS ROOM
LEARN
  • DICTIONARY
  • PROTEIN CLASSES
  • PROTEIN EVIDENCE
  • METHODS
  • EDUCATIONAL VIDEOS
DATA
  • DOWNLOADABLE DATA
  • PUBLICATION DATA
  • RELEASE HISTORY
HELP
  • ANTIBODY VALIDATION
  • ASSAYS & ANNOTATION
  • DISCLAIMER
  • HELP & FAQ
  • PRIVACY STATEMENT
  • LICENCE & CITATION
Fields »
Search result

Field
Term
Gene name
Class
Subclass
Class
Keyword
Chromosome
External id
Tissue
Cell type
Expression
Antibody panel
Tissue
Main location
Patient ID
Annotation
Tissue
Category
Tau score
Cluster
Reliability
Brain region
Category
Tau score
Brain region
Category
Tau score
Brain region
Category
Tau score
Cluster
Reliability
Tissue
Cell type
Enrichment
Cell type
Category
Tau score
Cell type
Category
Tau score
Cell type
Category
Tau score
Cell lineage
Category
Tau score
Cluster
Cluster
Location
Searches
Location
Cell line
Class
Type
Phase
Reliability
Cancer
Prognosis
Cancer
Category
Cancer
Category
Tau score
Cluster
Variants
Interacting gene (ensg_id)
Type
Number of interactions
Pathway
Category
Score
Score
Score
Validation
Validation
Validation
Validation
Antibodies
Data type
Column


  • SUMMARY

  • TISSUE

  • BRAIN

  • SINGLE CELL

  • SUBCELL

  • CANCER

  • BLOOD

  • CELL LINE

  • STRUCT & INT

  • PDLIM4
TISSUE PRIMARY DATA SKIN Show tissue menu
ADIPOSE TISSUE ADRENAL GLAND AMYGDALA APPENDIX BASAL GANGLIA BONE MARROW BREAST BRONCHUS CEREBELLUM CEREBRAL CORTEX CERVIX CHOROID PLEXUS COLON DUODENUM
ENDOMETRIUM EPIDIDYMIS ESOPHAGUS FALLOPIAN TUBE GALLBLADDER HEART MUSCLE HIPPOCAMPAL FORMATION HYPOTHALAMUS KIDNEY LIVER LUNG LYMPH NODE MIDBRAIN NASOPHARYNX
ORAL MUCOSA OVARY PANCREAS PARATHYROID GLAND PITUITARY GLAND PLACENTA PROSTATE RECTUM RETINA SALIVARY GLAND SEMINAL VESICLE SKELETAL MUSCLE SKIN SMALL INTESTINE
SMOOTH MUSCLE SOFT TISSUE SPINAL CORD SPLEEN STOMACH TESTIS THYMUS THYROID GLAND TONGUE TONSIL URINARY BLADDER VAGINA
ANTIBODIES
AND
VALIDATION
Dictionary
Skin
Tissue proteome
Skin
SKIN - Expression summary
Protein expression
Skini

On the top, protein expression in current human tissue, based on all annotated cell types, is reported with the units not detected (n), low (l), medium (m) and high (h). Underneath, protein expression in each annotated cell type are reported using the same units.

Protein expression data is based on knowledge-based annotation. For genes where more than one antibody has been used, a collective score is set.

If knowledge-based annotation could not be performed for a gene, no data is displayed here. View antibody staining data further down this page.

h
m
l
n
Epidermal cells: Low
Fibroblasts: Not detected
Keratinocytes: Not detected
Langerhans: Not detected
Melanocytes: Not detected
RNA expressioni

A summary of mRNA expression data available for current tissue based on several datasets. The mRNA expression levels in human tissues are based on RNA-seq data generated by the Human Protein Atlas (HPA), Genotype-Tissue Expression (GTEx) portal and CAGE data generated by the FANTOM5 consortium. Consensus normalized expression levels for human tissues was created by combining the data from HPA and GTEx datasets.

The mRNA expression levels in pig are based on RNA-seq data generated by the Human Protein Atlas (HPA), and for mouse, HPA data and in situ hybridization generated by the Allen brain atlas are reported.

Scroll down to view mRNA expression data in more detail.
Consensus:62.3 nTPM
HPA:19.6 nTPM
GTEx:62.3 nTPM

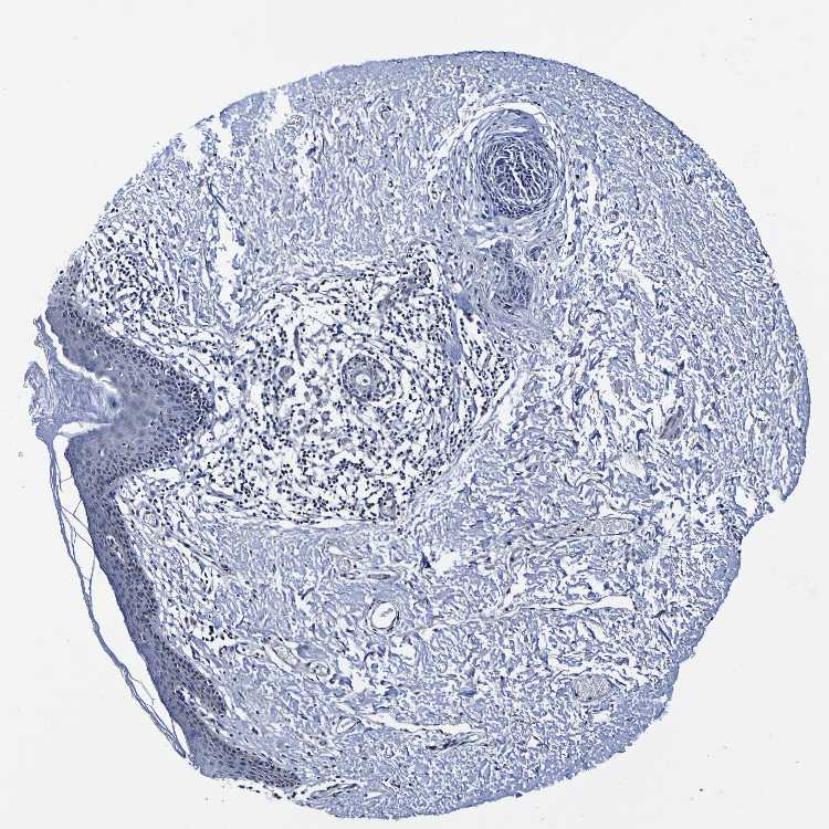
SKIN 1 - Antibody stainingi

Antibody staining in the annotated cell types in the current human tissue is reported as not detected, low, medium, or high, based on conventional immunohistochemistry profiling in selected tissues. This score is based on the combination of the staining intensity and fraction of stained cells.

Each image is clickable and will lead to virtual microscopy that enables deeper exploration of all samples and also displays staining intensity scores, fraction scores and subcellular localization as well as patient and tissue information for each sample.

Antibody HPA011912
Langerhans Not detected
Fibroblasts Not detected
Keratinocytes Not detected
Melanocytes Not detected


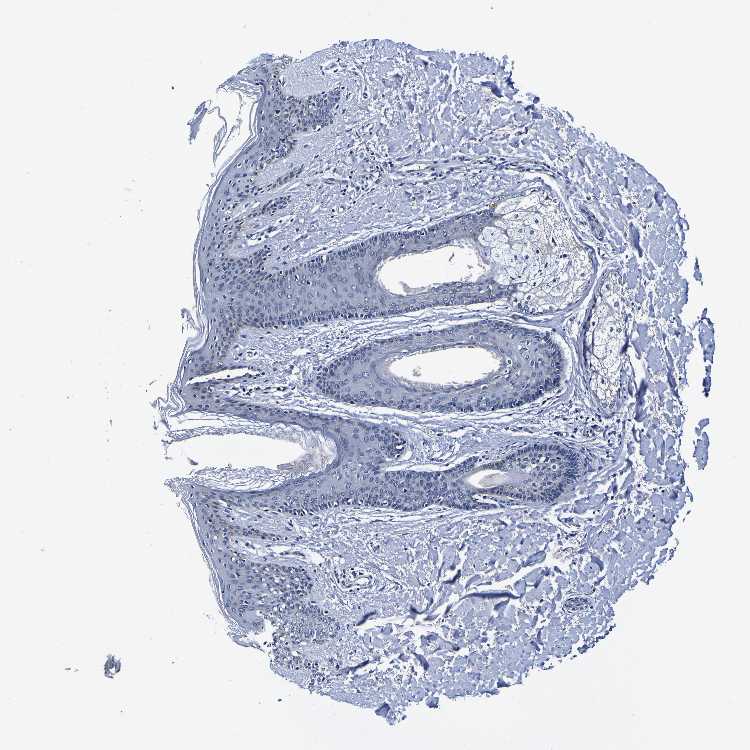
SKIN 2 - Antibody stainingi

Antibody staining in the annotated cell types in the current human tissue is reported as not detected, low, medium, or high, based on conventional immunohistochemistry profiling in selected tissues. This score is based on the combination of the staining intensity and fraction of stained cells.

Each image is clickable and will lead to virtual microscopy that enables deeper exploration of all samples and also displays staining intensity scores, fraction scores and subcellular localization as well as patient and tissue information for each sample.

Antibody HPA011912
Epidermal cells Low
 
 
 



SKIN - HPA RNA-seqi

The RNA-seq details section shows detailed information about the individual samples used for the transcript profiling and results of the RNA-seq analysis.

Information about each individual sample is listed below, including gender, age, a tissue section image and estimated fractions of cell types. nTPM (normalized transcripts per million) values give a quantification of the gene abundance which is comparable between different genes and samples.
Average nTPMi

Max subtype nTPM is the value for the subtype with the largest average nTPM across the subtype samples.

19.6
overview
Female, age 34
Skin sample 225
nTPM: 24.5
Cell types%
Keratinocytes:
60

Other cell types:
40

overview
Female, age 30
Skin sample 226
nTPM: 12.7
Cell types%
Keratinocytes:
55

Other cell types:
45

N/A
Male, age 57
Skin sample 227
nTPM: 21.6

SKIN - GTEx RNA-seqi

RNA-Seq data generated by the Genotype-Tissue Expression (GTEx) project from human tissues is reported as mean nTPM. More information can be found on the GTEx portal.

Distribution across the dataset is visualized with box plots, shown as median and 25th and 75th percentiles. Points are displayed as outliers if they are above or below 1.5 times the interquartile range. nTPM values of the individual samples are presented next to the box plot.
Max subtype nTPMi

Max subtype nTPM is the value for the subtype with the largest average nTPM across the subtype samples.

62.3
GTEx sample id Sample description nTPM
Skin - Not Sun Exposed (Suprapubic)
Average nTPM: 51.4
Samples: 604

Max nTPM: 161.4
Min nTPM: 14.2
Std nTPM: 20.6
Median nTPM: 47.7
GTEX-14E6C-2426-SM-5S2NF 40-49 years, male 161.4
GTEX-1LGOU-1326-SM-D3L8M 20-29 years, female 136.7
GTEX-1JMLX-0626-SM-ARL8T 50-59 years, male 130.9
GTEX-1QP9N-1226-SM-E76QN 30-39 years, male 130.2
GTEX-WHSE-0126-SM-3NMBT 20-29 years, male 129.0
GTEX-1C64O-1326-SM-7MGWR 60-69 years, male 128.5
GTEX-1HCU6-2526-SM-ADEHL 60-69 years, female 126.7
GTEX-18A7B-2726-SM-7LG56 70-79 years, male 121.2
GTEX-11TT1-1826-SM-5EQLV 20-29 years, male 116.9
GTEX-139TS-2126-SM-5K7XC 60-69 years, male 114.5
GTEX-148VJ-0626-SM-5LUAW 70-79 years, male 110.9
GTEX-14PJO-2526-SM-6AJBQ 60-69 years, male 109.5
GTEX-Y114-2126-SM-4TT8B 50-59 years, female 108.6
GTEX-11EM3-1226-SM-5N9DD 20-29 years, female 107.5
GTEX-1E2YA-2126-SM-7MXUO 50-59 years, male 105.3
GTEX-13JUV-2026-SM-5K7UA 40-49 years, female 105.0
GTEX-WI4N-2726-SM-3LK7Y 40-49 years, female 103.6
GTEX-ZAJG-1526-SM-5CVML 50-59 years, female 103.2
GTEX-ZYW4-0626-SM-59HJR 60-69 years, male 102.3
GTEX-YEC3-1326-SM-DO92X 50-59 years, male 95.6
GTEX-Y5V6-2326-SM-4VDSA 60-69 years, male 94.4
GTEX-WH7G-2026-SM-3NMBL 40-49 years, male 94.3
GTEX-131XH-0126-SM-5LZUY 50-59 years, male 94.1
GTEX-ZVP2-0326-SM-57WBP 50-59 years, male 93.3
GTEX-1PIGE-1826-SM-E8VOU 20-29 years, male 92.6
GTEX-1I19N-0126-SM-CYPSF 70-79 years, male 90.8
GTEX-1H23P-0626-SM-9WG6T 60-69 years, male 90.3
GTEX-139TU-0726-SM-5L3EK 60-69 years, male 89.6
GTEX-11P7K-1126-SM-5HL4L 30-39 years, male 89.4
GTEX-1KANA-1326-SM-DIPFA 20-29 years, male 89.3
GTEX-14PKV-1126-SM-6LLJ1 20-29 years, female 88.2
GTEX-1497J-0226-SM-5QGPU 60-69 years, male 87.9
GTEX-XK95-0226-SM-4AT58 40-49 years, male 87.6
GTEX-ZYFD-0626-SM-5E44E 50-59 years, male 87.0
GTEX-1QP66-1226-SM-DTX7U 50-59 years, male 86.7
GTEX-14DAR-1226-SM-73KYV 50-59 years, male 86.6
GTEX-1OJC3-1226-SM-DTXER 20-29 years, male 86.3
GTEX-1N2DV-1526-SM-DTXEP 40-49 years, male 86.0
GTEX-1E1VI-0326-SM-793D1 50-59 years, male 85.7
GTEX-1N5O9-0926-SM-E9J3C 60-69 years, male 85.4
GTEX-ZTX8-1326-SM-4YCEL 20-29 years, male 84.3
GTEX-XOT4-0626-SM-4B66L 60-69 years, female 84.0
GTEX-ZT9W-1126-SM-57WDR 50-59 years, male 83.1
GTEX-ZU9S-1826-SM-5NQ9E 30-39 years, male 82.8
GTEX-13OVJ-0826-SM-5J1OK 50-59 years, female 82.1
GTEX-17F9E-2326-SM-79OKD 50-59 years, male 82.0
GTEX-1HSMP-0926-SM-A9SKX 70-79 years, male 81.8
GTEX-12BJ1-0926-SM-5EQ62 60-69 years, male 81.1
GTEX-11EQ9-1626-SM-5PNY8 30-39 years, male 81.0
GTEX-145MG-1526-SM-5Q5EM 50-59 years, male 80.7
GTEX-1RMOY-1326-SM-E9TIH 50-59 years, male 80.7
GTEX-11DYG-1526-SM-5A5JS 60-69 years, male 80.6
GTEX-11DXY-0126-SM-5H11Q 60-69 years, male 80.2
GTEX-1QCLY-0226-SM-EWRNH 30-39 years, male 80.2
GTEX-117YX-1926-SM-5GIEC 50-59 years, male 80.1
GTEX-145MO-2826-SM-5LU96 60-69 years, male 80.0
GTEX-17F97-2626-SM-7IGM5 50-59 years, male 79.5
GTEX-12696-0126-SM-5EQ4L 60-69 years, male 79.2
GTEX-1KANC-1226-SM-CYPT7 50-59 years, female 78.9
GTEX-12WSJ-1126-SM-5LZVJ 40-49 years, female 78.8
GTEX-ZE7O-2726-SM-51MT5 50-59 years, female 78.1
GTEX-1B996-0426-SM-7EWF8 60-69 years, male 77.1
GTEX-1JMQJ-0826-SM-CNPP7 50-59 years, male 77.1
GTEX-1IY9M-2826-SM-ARU8H 60-69 years, male 76.9
GTEX-111FC-2526-SM-5GZXU 60-69 years, male 76.4
GTEX-16MT8-2926-SM-7DUFO 60-69 years, female 76.3
GTEX-XBEW-1126-SM-4QARW 40-49 years, male 75.9
GTEX-14ICL-1626-SM-5YYAO 30-39 years, male 75.7
GTEX-ZDTS-0826-SM-4WKHL 60-69 years, male 74.7
GTEX-14A5H-0826-SM-5QGPJ 60-69 years, male 74.1
GTEX-X8HC-0626-SM-4E3HQ 50-59 years, female 74.1
GTEX-12WSF-1626-SM-7KUG5 70-79 years, male 73.6
GTEX-Y5LM-0926-SM-6LLJG 40-49 years, female 73.3
GTEX-16XZZ-0726-SM-7KUF2 60-69 years, male 73.1
GTEX-YEC4-1826-SM-4W1YP 40-49 years, male 72.8
GTEX-1F75I-2226-SM-7SB8U 40-49 years, male 72.7
GTEX-13O3O-2326-SM-5IJD6 60-69 years, female 72.6
GTEX-YB5K-2026-SM-4VDT3 40-49 years, female 72.5
GTEX-WXYG-2026-SM-4E3IY 50-59 years, female 71.6
GTEX-1192X-2726-SM-5N9DN 50-59 years, male 71.2
GTEX-1H1ZS-2726-SM-9WG75 70-79 years, male 70.8
GTEX-131XW-0626-SM-5PNVD 50-59 years, female 70.7
GTEX-1O9I2-0226-SM-EYYXD 50-59 years, male 70.6
GTEX-14PHY-1226-SM-5ZZWK 60-69 years, female 70.4
GTEX-16NGA-0726-SM-731AO 40-49 years, female 70.4
GTEX-1JMQK-1226-SM-D4P2S 60-69 years, male 70.0
GTEX-111YS-1526-SM-5GZYW 60-69 years, male 69.9
GTEX-17F96-0126-SM-7EWDU 70-79 years, male 69.9
GTEX-1HGF4-0126-SM-CNPPX 60-69 years, male 69.9
GTEX-XPVG-2126-SM-4B667 50-59 years, male 69.7
GTEX-11WQK-1026-SM-5EQLX 50-59 years, male 69.6
GTEX-1H1CY-0126-SM-9YFLY 60-69 years, female 69.6
GTEX-1211K-1526-SM-5FQU4 60-69 years, female 69.4
GTEX-YFCO-1226-SM-5LUAT 40-49 years, male 69.2
GTEX-1IDJH-0126-SM-D3L92 70-79 years, male 69.1
GTEX-12WSM-1926-SM-5BC65 60-69 years, male 68.9
GTEX-1HCU9-0426-SM-9WYSD 20-29 years, male 68.9
GTEX-1JKYN-0826-SM-ARU8S 30-39 years, male 68.7
GTEX-18D9A-1426-SM-7LT8M 30-39 years, female 68.6
GTEX-ZVT4-2426-SM-5GIEI 50-59 years, female 68.5
GTEX-1A32A-0626-SM-731AQ 50-59 years, female 68.4
GTEX-1LVAN-0626-SM-CNPOQ 50-59 years, female 68.2
GTEX-1GTWX-2026-SM-9YFLM 60-69 years, male 68.1
GTEX-ZVTK-0226-SM-51MRG 20-29 years, male 67.8
GTEX-1PPH8-0126-SM-EWRN8 20-29 years, male 67.6
GTEX-13OVG-1626-SM-5J1NF 60-69 years, male 67.2
GTEX-14LLW-2626-SM-62LDZ 70-79 years, female 67.2
GTEX-14PHX-2226-SM-6EU2P 50-59 years, male 67.2
GTEX-1313W-0626-SM-5EQ4H 50-59 years, female 67.1
GTEX-YF7O-1526-SM-5IFI6 50-59 years, male 67.0
GTEX-131XG-0326-SM-5L3DX 50-59 years, female 66.8
GTEX-1CAV2-0126-SM-7IGN7 40-49 years, female 66.7
GTEX-1L5NE-1126-SM-D3L9P 50-59 years, male 66.6
GTEX-13RTJ-0126-SM-5S2NN 60-69 years, male 66.5
GTEX-1HB9E-0126-SM-CM2S5 50-59 years, male 66.4
GTEX-12584-0726-SM-5FQTK 40-49 years, male 66.2
GTEX-WFG8-2126-SM-3GIKQ 20-29 years, male 66.0
GTEX-1POEN-2326-SM-E9J2L 30-39 years, female 66.0
GTEX-1LSNM-0826-SM-DIPG8 50-59 years, male 65.8
GTEX-ZLWG-0826-SM-59888 50-59 years, female 65.7
GTEX-1R9K4-2826-SM-DTX8F 60-69 years, male 65.7
GTEX-Y8E4-2026-SM-5IFJB 40-49 years, male 65.6
GTEX-139TT-2126-SM-5LZWC 60-69 years, male 65.4
GTEX-1CAMR-1326-SM-7PC1F 20-29 years, male 65.4
GTEX-1C475-1326-SM-7SB73 40-49 years, female 65.2
GTEX-12WSD-0626-SM-5GCMW 60-69 years, female 65.0
GTEX-14E1K-2026-SM-7DUEI 50-59 years, male 64.9
GTEX-13112-0126-SM-5P9IU 50-59 years, male 64.8
GTEX-16AAH-0626-SM-793C9 50-59 years, male 64.7
GTEX-ZZ64-1026-SM-5GZXG 20-29 years, male 64.5
GTEX-ZF3C-0626-SM-DO92O 50-59 years, female 64.1
GTEX-11DXX-2126-SM-5PNYR 60-69 years, female 63.7
GTEX-11UD2-2526-SM-5CVNU 50-59 years, male 63.6
GTEX-1F6I4-2326-SM-7RHGL 60-69 years, male 63.2
GTEX-11GSP-2326-SM-5HL63 60-69 years, female 63.0
GTEX-12126-0826-SM-5FQTZ 20-29 years, male 62.9
GTEX-15DYW-2726-SM-6EU2I 60-69 years, female 62.7
GTEX-1RAZS-2526-SM-E6CHT 50-59 years, male 62.5
GTEX-15RIG-0726-SM-7KUM7 40-49 years, male 62.4
GTEX-1LSVX-2526-SM-DIPEU 60-69 years, male 62.4
GTEX-13PL6-1126-SM-5L3IE 40-49 years, female 62.3
GTEX-1C6WA-2626-SM-7MKGM 60-69 years, male 62.1
GTEX-1HBPN-0126-SM-CGQEF 50-59 years, male 62.1
GTEX-1JMPY-0226-SM-CKZOK 30-39 years, male 62.1
GTEX-15D1Q-2826-SM-6LLH7 40-49 years, male 61.8
GTEX-X4EO-2926-SM-4E3JH 60-69 years, female 61.3
GTEX-11DZ1-2426-SM-5GZZX 50-59 years, male 61.2
GTEX-1CAMQ-1326-SM-7P8RV 40-49 years, male 61.0
GTEX-ZDTT-0426-SM-4WKFL 60-69 years, male 60.9
GTEX-1RAZA-2226-SM-E9U4X 20-29 years, male 60.8
GTEX-1RLM8-2926-SM-E8VON 50-59 years, male 60.7
GTEX-12WSL-2026-SM-5GCML 50-59 years, male 60.6
GTEX-15CHQ-0326-SM-69LQD 60-69 years, male 60.6
GTEX-U8XE-0226-SM-4E3J3 30-39 years, male 60.5
GTEX-1I1GP-1326-SM-A9G28 50-59 years, male 60.5
GTEX-15RIE-1926-SM-7KUKJ 60-69 years, male 60.4
GTEX-11WQC-1826-SM-5GU59 60-69 years, male 60.3
GTEX-13FTX-1526-SM-5K7VJ 20-29 years, female 60.2
GTEX-14BMU-1226-SM-5S2OR 20-29 years, female 60.1
GTEX-1IKJJ-2226-SM-CJI4C 60-69 years, male 60.1
GTEX-145MN-1526-SM-5SI9T 30-39 years, male 60.0
GTEX-1GN73-0726-SM-7P8TJ 60-69 years, male 59.6
GTEX-18465-2826-SM-7LT9J 50-59 years, male 59.3
GTEX-1212Z-0126-SM-59HK4 60-69 years, male 59.1
GTEX-Z93S-1626-SM-5CVMB 50-59 years, male 59.1
GTEX-ZWKS-0626-SM-5GIDV 30-39 years, male 59.1
GTEX-1S831-1826-SM-EWROF 20-29 years, male 59.1
GTEX-13NYB-0126-SM-5J1MD 40-49 years, male 59.0
GTEX-15UF6-1926-SM-7KUDV 70-79 years, female 58.8
GTEX-1J1R8-2026-SM-CL53Y 40-49 years, male 58.7
GTEX-18A66-0626-SM-7LT8Z 60-69 years, male 58.6
GTEX-18D9U-0126-SM-731BM 40-49 years, male 58.6
GTEX-18A7A-0126-SM-731AH 50-59 years, female 58.5
GTEX-14PII-0726-SM-6EU2B 60-69 years, male 58.4
GTEX-1EH9U-2826-SM-7DUGT 60-69 years, male 58.4
GTEX-144GO-2026-SM-5O99P 60-69 years, male 58.2
GTEX-XQ3S-1426-SM-4BOPR 20-29 years, male 58.2
GTEX-15RJE-2826-SM-7KUM9 40-49 years, male 58.0
GTEX-11O72-0626-SM-5PNYE 40-49 years, male 57.8
GTEX-1HUB1-1426-SM-CGQF5 60-69 years, male 57.8
GTEX-13SLX-2226-SM-62LEP 50-59 years, female 57.7
GTEX-1JMPZ-0726-SM-CY8HZ 30-39 years, male 57.7
GTEX-1QP28-1126-SM-EVYC4 50-59 years, female 57.7
GTEX-1S3DN-2126-SM-E9TIN 50-59 years, male 57.7
GTEX-1F75W-2726-SM-7SB8H 60-69 years, male 57.5
GTEX-1H1E6-0426-SM-9WYUS 30-39 years, male 57.5
GTEX-13FH7-1126-SM-5K7UG 50-59 years, female 57.4
GTEX-1HCUA-0826-SM-ADEHM 50-59 years, female 57.4
GTEX-1JN1M-2726-SM-CY8I4 60-69 years, female 57.2
GTEX-1KAFJ-0126-SM-DIPEK 50-59 years, male 57.2
GTEX-13YAN-0226-SM-5TDC6 60-69 years, male 57.1
GTEX-16YQH-2226-SM-7IGM2 30-39 years, male 57.1
GTEX-1B933-2426-SM-7DHMD 50-59 years, female 57.1
GTEX-ZTTD-2826-SM-4YCFA 50-59 years, male 57.1
GTEX-1GMRU-2126-SM-7P8RA 50-59 years, male 57.1
GTEX-12C56-1526-SM-5FQUQ 20-29 years, male 57.0
GTEX-WHWD-1826-SM-3LK6I 50-59 years, male 57.0
GTEX-1M4P7-0726-SM-E6CJ3 60-69 years, male 57.0
GTEX-1N2EE-0626-SM-E76PW 60-69 years, male 57.0
GTEX-11OF3-0126-SM-5PNYF 60-69 years, male 56.9
GTEX-147GR-2426-SM-5ZZWQ 60-69 years, male 56.8
GTEX-14PJ3-1126-SM-5ZZVX 50-59 years, male 56.8
GTEX-1KWVE-1026-SM-D3L9O 30-39 years, male 56.7
GTEX-1I6K7-1926-SM-B2LXR 40-49 years, male 56.6
GTEX-14DAQ-0626-SM-793DS 60-69 years, female 56.4
GTEX-15SHW-0226-SM-7LTAT 60-69 years, male 56.4
GTEX-WRHU-2826-SM-3MJG8 50-59 years, female 56.4
GTEX-1IDJC-1526-SM-B2LW4 50-59 years, male 56.4
GTEX-1MCYP-0526-SM-E9U6Q 20-29 years, female 56.4
GTEX-13JVG-0726-SM-5KM16 60-69 years, male 56.2
GTEX-145MH-2826-SM-5RQJF 50-59 years, male 56.2
GTEX-ZDYS-2426-SM-4WKGI 50-59 years, male 55.9
GTEX-XMD2-2126-SM-4YCF8 60-69 years, female 55.8
GTEX-ZUA1-2626-SM-5NQ92 40-49 years, male 55.6
GTEX-12ZZY-0726-SM-5EQ66 60-69 years, male 55.5
GTEX-11TUW-0626-SM-5LU9M 60-69 years, male 55.2
GTEX-1PBJJ-1026-SM-E76OS 30-39 years, male 55.2
GTEX-1QMI2-2526-SM-E8VNZ 60-69 years, male 55.2
GTEX-X3Y1-2026-SM-3P5YM 40-49 years, male 55.1
GTEX-ZYFG-1526-SM-5GZYM 60-69 years, female 55.0
GTEX-1GZ4I-2626-SM-9KNU3 50-59 years, male 55.0
GTEX-1GMR2-0826-SM-7PC3V 50-59 years, male 54.9
GTEX-16GPK-0626-SM-7KFSF 60-69 years, male 54.8
GTEX-17EVQ-0126-SM-7IGLR 70-79 years, male 54.8
GTEX-1QEPI-2626-SM-DTXF4 60-69 years, female 54.7
GTEX-1A3MV-1826-SM-731CD 30-39 years, male 54.6
GTEX-1GF9V-0826-SM-9KNUV 60-69 years, male 54.5
GTEX-13PVQ-0626-SM-5LU47 50-59 years, male 54.4
GTEX-13OVL-0126-SM-5L3GJ 50-59 years, male 54.3
GTEX-18D9B-0926-SM-7LG4U 60-69 years, male 54.3
GTEX-XUW1-0926-SM-4BONX 50-59 years, female 54.3
GTEX-13OVH-0526-SM-5L3E6 70-79 years, male 54.1
GTEX-13N1W-2426-SM-5IJD1 70-79 years, male 54.0
GTEX-1I1GV-0626-SM-ARL7M 60-69 years, male 53.8
GTEX-1CB4I-0126-SM-7RHGG 50-59 years, male 53.7
GTEX-1H3O1-1326-SM-9MQLD 60-69 years, male 53.7
GTEX-1JJEA-1826-SM-ARU8P 60-69 years, male 53.7
GTEX-1MCC2-1826-SM-DIPEX 30-39 years, female 53.7
GTEX-14PJ5-1526-SM-6LLIL 60-69 years, female 53.6
GTEX-13D11-0926-SM-5J2NC 50-59 years, female 53.2
GTEX-ZPCL-1126-SM-4WWFE 60-69 years, female 53.2
GTEX-1GZ2Q-0126-SM-9WG6M 40-49 years, male 53.2
GTEX-1JN6P-2926-SM-CL54D 60-69 years, male 53.2
GTEX-12ZZX-2426-SM-5GCOE 40-49 years, female 53.0
GTEX-1CAMS-2226-SM-7PBXQ 40-49 years, female 53.0
GTEX-133LE-2326-SM-5K7W3 20-29 years, female 52.9
GTEX-16NPX-0726-SM-7KULC 50-59 years, male 52.9
GTEX-1B8KE-1126-SM-7EPHI 50-59 years, male 52.9
GTEX-1JJ6O-2726-SM-CNPOG 60-69 years, male 52.8
GTEX-ZYT6-2326-SM-5GZY3 30-39 years, male 52.7
GTEX-1KD5A-0126-SM-E9U54 50-59 years, male 52.7
GTEX-1GZHY-0626-SM-9KNVC 50-59 years, female 52.4
GTEX-1HSGN-0826-SM-ACKW3 40-49 years, female 52.3
GTEX-131XF-2626-SM-5EQ6K 60-69 years, male 52.2
GTEX-1IE54-1126-SM-A9G2Z 40-49 years, female 52.0
GTEX-XV7Q-1826-SM-4BRUV 40-49 years, female 51.9
GTEX-17F98-1326-SM-7DUEP 40-49 years, female 51.8
GTEX-1BAJH-2426-SM-7IGP8 70-79 years, male 51.8
GTEX-1HFI6-0126-SM-CNPPI 40-49 years, male 51.6
GTEX-WHPG-2626-SM-3NMBR 50-59 years, male 51.5
GTEX-WK11-2726-SM-3NMAQ 50-59 years, male 51.5
GTEX-ZDXO-3126-SM-5IJDF 60-69 years, male 51.5
GTEX-139UW-0326-SM-5J1ML 60-69 years, male 51.4
GTEX-1H1DG-2426-SM-9QEHJ 70-79 years, male 51.2
GTEX-145ME-1726-SM-5Q5EU 40-49 years, female 51.1
GTEX-1J8EW-2726-SM-CY8HR 60-69 years, female 51.0
GTEX-1QCLZ-2426-SM-EVYBW 60-69 years, female 51.0
GTEX-14C39-1726-SM-5RQIL 40-49 years, male 50.8
GTEX-15RJ7-2126-SM-6PAMD 40-49 years, male 50.8
GTEX-13OVK-1426-SM-6PAN7 40-49 years, male 50.7
GTEX-145MI-0626-SM-5SI8S 60-69 years, female 50.7
GTEX-17HII-1426-SM-7EPGG 50-59 years, male 50.7
GTEX-12KS4-2126-SM-5FQUT 30-39 years, male 50.6
GTEX-WYJK-0526-SM-3NM8Z 50-59 years, male 50.6
GTEX-ZC5H-1526-SM-5HL9Y 40-49 years, female 50.5
GTEX-11NUK-2726-SM-5A5MC 50-59 years, male 50.4
GTEX-14753-0726-SM-5QGQO 60-69 years, male 50.4
GTEX-18A6Q-0626-SM-7KFRP 60-69 years, male 50.3
GTEX-18QFQ-1826-SM-72D52 30-39 years, male 50.3
GTEX-Y8LW-1526-SM-5IFHL 50-59 years, female 50.3
GTEX-147F4-0726-SM-5TDDD 50-59 years, male 50.1
GTEX-1RB15-1326-SM-E76Q9 60-69 years, male 50.1
GTEX-145LT-0526-SM-5LUB2 40-49 years, male 49.9
GTEX-Y3IK-1626-SM-4YCF5 50-59 years, female 49.5
GTEX-1AX9I-2226-SM-73KUO 60-69 years, male 49.4
GTEX-X5EB-1926-SM-4E3IW 40-49 years, male 49.4
GTEX-17JCI-2926-SM-7DUFF 60-69 years, female 49.3
GTEX-1J8Q2-2626-SM-ACKWQ 60-69 years, male 49.3
GTEX-X585-2426-SM-46MW2 50-59 years, male 49.0
GTEX-14JFF-0626-SM-5ZZVT 60-69 years, male 48.9
GTEX-145LS-0626-SM-7EPG7 60-69 years, female 48.8
GTEX-15CHR-1126-SM-7EWF4 50-59 years, male 48.8
GTEX-Y3I4-1726-SM-4TT89 50-59 years, male 48.8
GTEX-11DXZ-2026-SM-5987S 50-59 years, male 48.7
GTEX-1PDJ9-1226-SM-EXUSX 20-29 years, male 48.7
GTEX-11DXW-0826-SM-5H118 40-49 years, male 48.4
GTEX-1QW4Y-1126-SM-DTXE3 30-39 years, male 48.3
GTEX-131YS-2826-SM-5EQ47 60-69 years, female 48.2
GTEX-1JMOU-1026-SM-CYPSS 60-69 years, female 48.0
GTEX-11P82-1426-SM-DTXFY 20-29 years, male 47.9
GTEX-13N2G-0226-SM-5K7VF 60-69 years, male 47.7
GTEX-14ABY-2026-SM-62LDL 50-59 years, male 47.7
GTEX-ZVZP-1226-SM-5GID7 50-59 years, male 47.7
GTEX-1R9PM-1926-SM-EVR3O 20-29 years, male 47.7
GTEX-15DDE-2926-SM-6LLJ3 50-59 years, female 47.6
GTEX-13NYS-0626-SM-5L3F1 60-69 years, male 47.3
GTEX-ZAB4-2126-SM-5HL8U 40-49 years, male 47.3
GTEX-ZF29-0926-SM-4WKFZ 60-69 years, female 47.3
GTEX-14PJ2-0626-SM-6LLII 50-59 years, male 47.2
GTEX-1EN7A-2426-SM-793DB 40-49 years, male 47.1
GTEX-1IDJE-1426-SM-ADEIW 50-59 years, female 47.1
GTEX-1K2DU-1226-SM-CYPT4 20-29 years, male 47.1
GTEX-Y111-0626-SM-4SOIT 50-59 years, male 47.0
GTEX-14C5O-0326-SM-5ZZUX 60-69 years, male 46.9
GTEX-1R9PN-0426-SM-DTXDT 40-49 years, female 46.9
GTEX-111VG-1626-SM-5EGIO 60-69 years, male 46.8
GTEX-ZLFU-1826-SM-4WWBV 40-49 years, male 46.8
GTEX-WFON-1926-SM-3LK7L 40-49 years, male 46.7
GTEX-17MFQ-1526-SM-7KFRR 20-29 years, male 46.6
GTEX-1LKK1-2626-SM-DKPQE 50-59 years, female 46.6
GTEX-1F52S-2926-SM-7MKGA 60-69 years, female 46.4
GTEX-YECK-0326-SM-4W1YS 60-69 years, male 46.3
GTEX-1LVAM-0726-SM-E6CIL 50-59 years, female 46.3
GTEX-1117F-2926-SM-5GZYI 60-69 years, female 46.1
GTEX-13FTW-0326-SM-5K7UW 40-49 years, male 46.1
GTEX-147F3-1726-SM-5SIAW 50-59 years, female 46.1
GTEX-1HCVE-2726-SM-CL54F 50-59 years, male 46.1
GTEX-1I1GS-2626-SM-B2LY3 60-69 years, male 46.1
GTEX-12WSA-0426-SM-5EQ5X 60-69 years, male 45.9
GTEX-13FTY-2126-SM-5IFFB 40-49 years, female 45.9
GTEX-1H2FU-0926-SM-9WPPT 60-69 years, female 45.9
GTEX-1JMQL-2226-SM-CNPP4 50-59 years, female 45.8
GTEX-WY7C-2126-SM-3NB2R 50-59 years, male 45.7
GTEX-WEY5-2326-SM-3GIKK 40-49 years, female 45.6
GTEX-13OW6-2726-SM-5J2OE 50-59 years, male 45.5
GTEX-ZVE1-0726-SM-51MRN 50-59 years, female 45.4
GTEX-1LG7Z-1626-SM-CXKYR 30-39 years, male 45.4
GTEX-ZXG5-2126-SM-59HKD 60-69 years, male 45.2
GTEX-13O61-1426-SM-5KM3D 60-69 years, male 45.1
GTEX-1AX8Z-0726-SM-73KTS 60-69 years, male 45.1
GTEX-XXEK-1626-SM-4BRUZ 50-59 years, male 45.1
GTEX-X4EP-0626-SM-3P621 60-69 years, female 45.0
GTEX-13W3W-0726-SM-5IJDQ 60-69 years, female 44.9
GTEX-1K2DA-1026-SM-CGQGF 50-59 years, male 44.8
GTEX-XBEC-0726-SM-4QARZ 50-59 years, male 44.5
GTEX-1K9T9-1526-SM-DIPFR 50-59 years, female 44.5
GTEX-WFG7-2026-SM-5SI7P 20-29 years, male 44.4
GTEX-1H4P4-2126-SM-9WYSL 50-59 years, male 44.4
GTEX-1PPGY-1626-SM-EVYBL 60-69 years, male 44.4
GTEX-1KANB-2826-SM-CY8I6 50-59 years, male 44.3
GTEX-13PVR-0426-SM-5RQK2 60-69 years, female 44.2
GTEX-XBED-1926-SM-47JYP 60-69 years, male 44.2
GTEX-1J8JJ-0626-SM-ARZMQ 60-69 years, female 44.2
GTEX-1MJK3-0726-SM-E6CJC 20-29 years, male 44.2
GTEX-XAJ8-1426-SM-47JYM 40-49 years, male 44.1
GTEX-11ZUS-2626-SM-5FQUR 30-39 years, male 44.0
GTEX-1JJE9-2626-SM-ARZMT 70-79 years, male 44.0
GTEX-WHSB-1326-SM-3LK6W 50-59 years, male 43.9
GTEX-1JMQI-1726-SM-ARL93 50-59 years, male 43.8
GTEX-1PIIG-2326-SM-DTXFR 30-39 years, male 43.8
GTEX-1LVAO-2726-SM-E9TJ8 60-69 years, male 43.6
GTEX-13OW7-0426-SM-5K7VK 50-59 years, male 43.5
GTEX-146FQ-2126-SM-5RQHU 30-39 years, male 43.4
GTEX-14B4R-1326-SM-5Q5EZ 30-39 years, male 43.4
GTEX-ZTSS-1426-SM-5985P 40-49 years, male 43.4
GTEX-1I6K6-1726-SM-CGQFD 30-39 years, male 43.4
GTEX-1NSGN-0726-SM-DTXEF 50-59 years, male 43.4
GTEX-1PPH7-1126-SM-DTX9A 40-49 years, male 43.4
GTEX-12ZZZ-0726-SM-5GCNZ 60-69 years, male 43.3
GTEX-1B8SF-0126-SM-7DUG3 60-69 years, male 43.3
GTEX-1HR98-2226-SM-ADEI2 60-69 years, male 43.3
GTEX-11VI4-1126-SM-5EQMD 40-49 years, female 43.2
GTEX-1GPI7-1826-SM-9KNU1 20-29 years, male 43.2
GTEX-13X6I-1826-SM-5SIAO 60-69 years, male 43.1
GTEX-ZT9X-1526-SM-5DUXD 40-49 years, male 43.1
GTEX-1F75B-0726-SM-7PC3R 50-59 years, male 43.1
GTEX-1H3NZ-2726-SM-9WYTQ 60-69 years, male 42.9
GTEX-1I1GT-1026-SM-ARZLV 60-69 years, female 42.9
GTEX-ZA64-1026-SM-5HL8R 20-29 years, male 42.8
GTEX-144FL-0626-SM-5LU43 50-59 years, male 42.7
GTEX-1LG7Y-2526-SM-EWRO7 50-59 years, male 42.7
GTEX-1CB4J-1326-SM-7P8RX 60-69 years, male 42.6
GTEX-UPJH-0226-SM-3GADV 50-59 years, male 42.5
GTEX-YJ8O-2526-SM-5HL85 40-49 years, female 42.5
GTEX-1J1OQ-0126-SM-D4P2N 40-49 years, female 42.5
GTEX-13X6K-0626-SM-5LU5D 60-69 years, female 42.4
GTEX-1GMR3-0126-SM-A9SLW 40-49 years, male 42.4
GTEX-1S82P-2126-SM-E6CI5 60-69 years, female 42.4
GTEX-13113-1626-SM-5EQ4I 60-69 years, female 42.3
GTEX-14BMV-2826-SM-5TDED 50-59 years, male 42.3
GTEX-183FY-1026-SM-7939A 20-29 years, male 42.3
GTEX-1LB8K-0726-SM-D5OV2 50-59 years, male 42.3
GTEX-1RAZQ-1326-SM-E9TK6 30-39 years, male 42.2
GTEX-11PRG-0726-SM-5EGL1 50-59 years, male 42.1
GTEX-18A67-1626-SM-7LT9T 50-59 years, male 42.1
GTEX-W5X1-2526-SM-3GILC 40-49 years, female 41.7
GTEX-1QAET-0326-SM-EVR3U 50-59 years, male 41.7
GTEX-ZVE2-2826-SM-5GU51 50-59 years, male 41.6
GTEX-11P81-2226-SM-5PNYI 30-39 years, female 41.5
GTEX-16BQI-1326-SM-6M486 30-39 years, female 41.5
GTEX-17HHY-0426-SM-7DHLC 50-59 years, male 41.4
GTEX-1F6IF-0926-SM-7SB7M 60-69 years, male 41.3
GTEX-145MF-0926-SM-5Q5EA 50-59 years, male 41.2
GTEX-15EU6-2226-SM-6EU2L 50-59 years, male 40.9
GTEX-1GN1W-2426-SM-9KNUU 50-59 years, female 40.9
GTEX-UPK5-0426-SM-3GAEK 40-49 years, male 40.8
GTEX-ZAK1-0626-SM-5HL8E 50-59 years, female 40.8
GTEX-111CU-1126-SM-5EGIM 50-59 years, male 40.7
GTEX-13FLV-0126-SM-5K7WT 50-59 years, male 40.7
GTEX-1AYD5-2626-SM-7PBXY 50-59 years, male 40.7
GTEX-17HHE-1326-SM-7EWDZ 50-59 years, male 40.6
GTEX-1IKOE-1426-SM-CE6T7 30-39 years, female 40.5
GTEX-1S5ZU-2526-SM-E6CIF 20-29 years, female 40.5
GTEX-12WSH-1526-SM-5BC5W 50-59 years, male 40.4
GTEX-XYKS-1426-SM-4BRUO 60-69 years, female 40.4
GTEX-17MF6-2626-SM-79OKQ 40-49 years, male 40.2
GTEX-ZP4G-1426-SM-4WWCL 20-29 years, female 40.2
GTEX-11EI6-2826-SM-5H11D 60-69 years, male 40.1
GTEX-13X6J-0626-SM-5LU5F 50-59 years, male 40.1
GTEX-14LZ3-0126-SM-69LPM 60-69 years, female 40.1
GTEX-1IDJF-2026-SM-CL53V 20-29 years, male 40.1
GTEX-13OW5-2326-SM-5L3HO 60-69 years, male 40.0
GTEX-1B8L1-2226-SM-7P8PT 60-69 years, male 40.0
GTEX-1F88E-1626-SM-7SB8Z 60-69 years, female 39.8
GTEX-1IL2V-1926-SM-B2LW8 70-79 years, male 39.8
GTEX-1RAZR-2126-SM-E9U6T 40-49 years, male 39.8
GTEX-WYBS-0626-SM-3NMAS 60-69 years, female 39.6
GTEX-11LCK-2226-SM-5HL4Q 30-39 years, male 39.5
GTEX-1IDJU-1726-SM-CMKHU 60-69 years, female 39.4
GTEX-13N11-2326-SM-5IJBF 50-59 years, female 39.3
GTEX-1GN1U-0626-SM-9MQL9 50-59 years, female 38.9
GTEX-1HT8W-0626-SM-A9G2H 30-39 years, male 38.9
GTEX-145LU-1926-SM-79OJN 50-59 years, male 38.8
GTEX-1GF9W-1426-SM-7PBYM 60-69 years, male 38.8
GTEX-1I4MK-0126-SM-CY8G6 50-59 years, female 38.8
GTEX-1B97I-0626-SM-73KUZ 40-49 years, male 38.7
GTEX-13VXU-0626-SM-5L3F9 50-59 years, male 38.5
GTEX-Y9LG-1126-SM-4VBQ7 30-39 years, male 38.5
GTEX-11NSD-0626-SM-5A5LU 20-29 years, male 38.4
GTEX-13IVO-0726-SM-5LZYV 70-79 years, male 38.4
GTEX-17HGU-2326-SM-7DUFE 50-59 years, male 38.3
GTEX-XQ8I-0926-SM-4BOOF 50-59 years, male 38.3
GTEX-ZYVF-0926-SM-5E44J 50-59 years, female 38.2
GTEX-1JN76-0626-SM-CKZOQ 20-29 years, female 38.2
GTEX-1OJC4-2726-SM-E76PJ 50-59 years, female 38.2
GTEX-VUSG-2326-SM-4KL1U 50-59 years, male 38.0
GTEX-1HSMQ-2626-SM-A9SML 50-59 years, male 38.0
GTEX-1HBPI-2126-SM-ARL9K 50-59 years, male 37.9
GTEX-1HFI7-2326-SM-CGQFS 50-59 years, female 37.9
GTEX-1I1GU-0926-SM-ACKVS 40-49 years, male 37.9
GTEX-1269C-0126-SM-5EQ5L 60-69 years, female 37.8
GTEX-1A8FM-0626-SM-7PC25 50-59 years, female 37.8
GTEX-14PJ6-2626-SM-6EU2T 60-69 years, female 37.7
GTEX-1EWIQ-0326-SM-7DHMQ 70-79 years, female 37.6
GTEX-1AX9J-1326-SM-731BJ 60-69 years, male 37.5
GTEX-1HCU7-0726-SM-A9SL1 50-59 years, male 37.5
GTEX-1399U-1126-SM-5L3DB 50-59 years, female 37.4
GTEX-13NZ9-2626-SM-5L3FK 50-59 years, male 37.4
GTEX-13FHO-0426-SM-5L3F5 60-69 years, male 37.3
GTEX-14JG1-1526-SM-5YY9X 40-49 years, male 37.3
GTEX-1CB4E-0926-SM-7EPHT 60-69 years, male 37.2
GTEX-1HSMO-0626-SM-ACKXC 60-69 years, male 37.1
GTEX-ZGAY-1826-SM-DO91Q 40-49 years, female 37.1
GTEX-132AR-0326-SM-5KM2C 50-59 years, female 37.0
GTEX-1399S-0126-SM-5IJCF 30-39 years, female 37.0
GTEX-14JG6-1426-SM-9WG7C 30-39 years, female 37.0
GTEX-1GN2E-0226-SM-9WG6K 60-69 years, male 37.0
GTEX-1C64N-2626-SM-7PC2N 50-59 years, male 36.7
GTEX-144GM-0526-SM-79OJO 20-29 years, male 36.4
GTEX-1I1CD-0626-SM-CE6SW 60-69 years, female 36.4
GTEX-1AMEY-0826-SM-72D65 30-39 years, female 36.3
GTEX-139YR-1026-SM-5LZYN 50-59 years, male 36.2
GTEX-1CB4F-1026-SM-7DUH1 60-69 years, male 36.2
GTEX-15G19-2426-SM-7KUMR 60-69 years, male 36.1
GTEX-16Z82-2626-SM-7KULU 60-69 years, male 36.1
GTEX-14E6E-0526-SM-793DN 30-39 years, male 36.0
GTEX-ZYFC-0426-SM-5GICQ 50-59 years, male 36.0
GTEX-1A8G6-2726-SM-731AR 60-69 years, male 35.7
GTEX-14BIN-1126-SM-5RQJZ 50-59 years, female 35.4
GTEX-ZZPU-0826-SM-5GZX5 50-59 years, female 35.4
GTEX-1LBAC-0826-SM-CY8IJ 20-29 years, male 35.3
GTEX-1GMR8-0626-SM-7RHI7 50-59 years, female 35.2
GTEX-ZLV1-1526-SM-DO91J 60-69 years, female 35.2
GTEX-13QJC-0126-SM-5ZZWJ 60-69 years, female 34.9
GTEX-1S82U-1026-SM-E6CJK 30-39 years, female 34.8
GTEX-12WSK-2126-SM-5CVNC 40-49 years, female 34.7
GTEX-1B8KZ-0326-SM-73KY4 50-59 years, male 34.7
GTEX-1EMGI-2326-SM-7PBYA 60-69 years, male 34.7
GTEX-1A3MX-2626-SM-7PC24 60-69 years, male 34.6
GTEX-1399R-1326-SM-5PNYS 30-39 years, male 34.5
GTEX-1QP29-1826-SM-DTX9S 50-59 years, male 34.3
GTEX-13G51-1826-SM-5KLZH 60-69 years, male 34.1
GTEX-15FZZ-0526-SM-7KUGD 30-39 years, female 33.9
GTEX-1LGRB-0926-SM-COH3K 50-59 years, female 33.9
GTEX-14PK6-0226-SM-62LF5 70-79 years, female 33.8
GTEX-1LVA9-2626-SM-EVYD4 50-59 years, male 33.8
GTEX-ZPU1-1126-SM-4YCF3 40-49 years, male 33.7
GTEX-1F48J-0726-SM-7RHGS 50-59 years, female 33.6
GTEX-ZPIC-0526-SM-DO91W 40-49 years, female 33.6
GTEX-1F75A-0726-SM-7RHHD 50-59 years, male 33.5
GTEX-1J8QM-2426-SM-A9SLS 60-69 years, female 33.3
GTEX-11ZU8-0126-SM-5EQ58 60-69 years, male 33.2
GTEX-14AS3-1526-SM-5Q5ED 40-49 years, female 33.2
GTEX-1ICG6-1226-SM-A9SLN 70-79 years, female 33.1
GTEX-13U4I-2226-SM-5LU5H 40-49 years, female 32.9
GTEX-1GZ4H-0526-SM-9KNU9 50-59 years, female 32.9
GTEX-15EO6-2426-SM-6PALZ 50-59 years, male 32.8
GTEX-15CHC-1126-SM-6LLHQ 60-69 years, female 32.7
GTEX-1C2JI-1026-SM-73KY1 50-59 years, male 32.7
GTEX-1EX96-1026-SM-7MKG2 50-59 years, male 32.7
GTEX-1HKZK-0726-SM-ACKW2 40-49 years, male 32.7
GTEX-16MTA-0926-SM-6M47Z 50-59 years, male 32.4
GTEX-1JK1U-0226-SM-ARZMX 60-69 years, male 32.3
GTEX-ZF2S-1626-SM-57WES 50-59 years, female 32.1
GTEX-15SKB-2826-SM-6PAMH 60-69 years, male 32.0
GTEX-1HC8U-1326-SM-9YFMJ 40-49 years, female 32.0
GTEX-1314G-1326-SM-5BC6E 30-39 years, male 31.9
GTEX-13VXT-1926-SM-5K7UO 20-29 years, female 31.8
GTEX-183WM-0326-SM-72D5V 70-79 years, female 31.8
GTEX-1QPFJ-1926-SM-EVYBD 30-39 years, female 31.8
GTEX-1HBPM-0726-SM-9YFL7 60-69 years, female 31.7
GTEX-1EU9M-1426-SM-793AI 60-69 years, male 31.4
GTEX-1R7EU-1626-SM-DTXG3 60-69 years, male 31.3
GTEX-1F5PL-0926-SM-7PC2W 40-49 years, female 31.2
GTEX-1GF9U-2026-SM-7SB92 40-49 years, female 31.2
GTEX-17KNJ-2126-SM-718AM 50-59 years, male 30.7
GTEX-1A3MW-0626-SM-731CB 60-69 years, female 30.4
GTEX-1122O-1026-SM-9WYSF 60-69 years, female 30.4
GTEX-1A8G7-1326-SM-73KVM 60-69 years, male 30.2
GTEX-1JKYR-0626-SM-ARL8R 20-29 years, male 29.9
GTEX-12WSC-2826-SM-5BC5Y 50-59 years, male 29.8
GTEX-147JS-0226-SM-5S2U9 60-69 years, male 29.7
GTEX-1H1DE-1326-SM-9KNUG 20-29 years, male 29.7
GTEX-11ZTT-2126-SM-5CVLO 60-69 years, female 29.6
GTEX-1QP2A-1726-SM-E76QC 50-59 years, male 29.5
GTEX-1IDJD-2326-SM-ACKWX 30-39 years, male 29.4
GTEX-14XAO-1226-SM-6EU1C 60-69 years, female 29.2
GTEX-Y5V5-0126-SM-5S2NW 60-69 years, female 29.1
GTEX-1ICLZ-0326-SM-ARL82 60-69 years, male 28.9
GTEX-13OW8-1026-SM-5J1NQ 60-69 years, male 28.7
GTEX-ZE9C-2526-SM-5IJDR 60-69 years, male 28.7
GTEX-139T8-0626-SM-5KLZX 60-69 years, male 28.5
GTEX-1HSKV-1226-SM-ADEI4 60-69 years, male 28.5
GTEX-13SLW-0626-SM-5Q5ER 70-79 years, male 28.4
GTEX-13NZ8-1226-SM-5KM4A 60-69 years, female 28.3
GTEX-1HCU8-2526-SM-CE6RX 60-69 years, female 28.2
GTEX-15G1A-1626-SM-7KUKN 30-39 years, male 28.1
GTEX-WYVS-1626-SM-3NM9R 40-49 years, female 27.9
GTEX-1GPI6-1926-SM-9KNV7 60-69 years, male 27.9
GTEX-ZYY3-2926-SM-5GIEB 60-69 years, female 27.8
GTEX-1CB4H-1126-SM-7MKGL 60-69 years, female 27.7
GTEX-1F6RS-2026-SM-7RHHC 60-69 years, female 27.7
GTEX-14PJN-1826-SM-6AJ98 30-39 years, male 27.6
GTEX-1EKGG-0626-SM-7DUGJ 60-69 years, male 27.5
GTEX-ZY6K-1426-SM-5GZX2 50-59 years, male 27.5
GTEX-13O3Q-0126-SM-5KM34 50-59 years, male 27.4
GTEX-1F88F-0126-SM-9WYSZ 60-69 years, female 27.3
GTEX-1H1DF-1126-SM-9WG7G 40-49 years, female 27.3
GTEX-17F9Y-0126-SM-79OKX 70-79 years, female 27.1
GTEX-11GS4-0226-SM-5HL77 60-69 years, male 26.8
GTEX-1GL5R-1326-SM-7RHHF 50-59 years, male 26.7
GTEX-1H3VE-0726-SM-9YFL5 40-49 years, male 26.7
GTEX-1I1HK-2326-SM-CKZOH 60-69 years, male 26.6
GTEX-13NYC-0126-SM-5L3F4 60-69 years, male 26.4
GTEX-1IDJV-0126-SM-COH3Y 60-69 years, male 26.4
GTEX-1S83E-1326-SM-E6CJM 40-49 years, male 26.4
GTEX-1HR9M-2226-SM-CNPPY 60-69 years, male 26.2
GTEX-17EVP-2626-SM-7IGMA 40-49 years, male 26.1
GTEX-1IOXB-2726-SM-CM2RI 50-59 years, male 26.0
GTEX-13X6H-0926-SM-5SIB2 50-59 years, female 25.6
GTEX-1J8Q3-0526-SM-ARL8U 60-69 years, male 25.6
GTEX-V1D1-2026-SM-3GAF4 50-59 years, male 25.5
GTEX-1IDFM-0326-SM-ARL7V 60-69 years, male 25.2
GTEX-178AV-1726-SM-7KUL8 40-49 years, male 25.0
GTEX-139D8-1126-SM-5LU8W 30-39 years, female 24.9
GTEX-1399Q-2326-SM-5KM2X 40-49 years, male 23.6
GTEX-VJYA-1526-SM-3GIJV 60-69 years, male 23.5
GTEX-1LSNL-2726-SM-E9TKJ 50-59 years, male 23.3
GTEX-13QBU-1226-SM-5LU4G 40-49 years, female 23.2
GTEX-1H11D-1826-SM-9QEHM 40-49 years, male 23.1
GTEX-1GN1V-2826-SM-9JGIA 60-69 years, male 23.0
GTEX-15ER7-0626-SM-6PANF 20-29 years, female 22.7
GTEX-1C6VQ-1226-SM-73KYD 50-59 years, male 22.7
GTEX-11EQ8-0926-SM-5H12V 60-69 years, male 22.3
GTEX-1477Z-0326-SM-7IGLA 60-69 years, male 22.2
GTEX-14C38-0726-SM-5SI6M 50-59 years, male 22.1
GTEX-1KXAM-1626-SM-D3LAD 60-69 years, male 22.0
GTEX-1C6VR-0126-SM-7RHGB 60-69 years, male 21.4
GTEX-14PKU-0126-SM-6LLHV 40-49 years, female 21.3
GTEX-1AMFI-1326-SM-7939R 50-59 years, female 20.4
GTEX-1F5PK-2226-SM-7SB6N 50-59 years, male 20.4
GTEX-1IDJI-0126-SM-CMKHS 50-59 years, female 20.3
GTEX-1NV5F-0626-SM-DTXEG 60-69 years, female 20.1
GTEX-14A6H-2026-SM-5Q5DD 30-39 years, male 19.8
GTEX-1GF9X-1326-SM-7PC2Y 40-49 years, female 19.2
GTEX-1ICLY-0826-SM-CMKG1 50-59 years, male 19.2
GTEX-13PDP-0726-SM-5L3HP 60-69 years, male 18.9
GTEX-ZVT2-0126-SM-5GIDQ 50-59 years, female 18.9
GTEX-1R46S-2426-SM-E76QA 60-69 years, female 18.5
GTEX-17HG3-2626-SM-7DUF2 30-39 years, female 18.2
GTEX-16MT9-0126-SM-7EPI8 60-69 years, female 17.9
GTEX-14PJ4-0226-SM-5YY92 60-69 years, male 17.3
GTEX-1B932-2326-SM-79OL5 40-49 years, female 15.5
GTEX-144GL-0626-SM-5LU4D 50-59 years, male 14.2
Show allShow less
Skin - Sun Exposed (Lower leg)
Average nTPM: 62.3
Samples: 701

Max nTPM: 202.1
Min nTPM: 11.6
Std nTPM: 23.0
Median nTPM: 58.9
GTEX-14E6C-0126-SM-5RQIP 40-49 years, male 202.1
GTEX-U412-0426-SM-3DB9O 60-69 years, male 155.8
GTEX-U8T8-0126-SM-3DB94 60-69 years, male 155.1
GTEX-ZYFD-0126-SM-5GIDL 50-59 years, male 145.7
GTEX-11TT1-2526-SM-5EGIB 20-29 years, male 140.3
GTEX-1CAV2-2226-SM-7P8P2 40-49 years, female 137.9
GTEX-11UD1-0126-SM-5PNYG 40-49 years, female 137.3
GTEX-1IKK5-0626-SM-ARL8A 60-69 years, male 132.9
GTEX-Y3IK-2426-SM-4WWDU 50-59 years, female 132.0
GTEX-139TS-2826-SM-5J1OO 60-69 years, male 131.5
GTEX-1H1CY-2826-SM-9MQM3 60-69 years, female 128.5
GTEX-X4XY-0226-SM-4E3IZ 60-69 years, male 125.2
GTEX-1HSMO-0126-SM-CL547 60-69 years, male 122.6
GTEX-14PN4-0126-SM-6EU2V 50-59 years, male 119.0
GTEX-1N2EF-0226-SM-EYYXB 60-69 years, male 117.1
GTEX-1F75I-0326-SM-9YFLU 40-49 years, male 116.9
GTEX-1JMLX-0226-SM-CM2RO 50-59 years, male 116.8
GTEX-1QP9N-1426-SM-DTXFL 30-39 years, male 116.8
GTEX-131YS-0126-SM-5KM1M 60-69 years, female 115.8
GTEX-1HCU6-0126-SM-CL54K 60-69 years, female 114.2
GTEX-13FTW-2626-SM-5K7WL 40-49 years, male 114.0
GTEX-11P7K-2126-SM-5GU7G 30-39 years, male 113.7
GTEX-14A5I-0126-SM-5TDEA 50-59 years, female 113.2
GTEX-1PFEY-1526-SM-E76PP 30-39 years, male 113.0
GTEX-X8HC-0126-SM-4E3JW 50-59 years, female 111.9
GTEX-1NV5F-0226-SM-E8VNY 60-69 years, female 111.5
GTEX-13O21-1426-SM-5K7XI 50-59 years, male 111.0
GTEX-15D1Q-0126-SM-7KUG6 40-49 years, male 110.4
GTEX-S95S-1226-SM-4GICG 60-69 years, male 110.1
GTEX-O5YW-0126-SM-3LK6D 50-59 years, male 109.4
GTEX-145MO-0326-SM-5Q5B3 60-69 years, male 109.3
GTEX-OXRL-0126-SM-2YUMP 50-59 years, male 109.1
GTEX-1H1DG-0126-SM-9WYU2 70-79 years, male 109.0
GTEX-1497J-2426-SM-7IGNX 60-69 years, male 108.6
GTEX-WI4N-1026-SM-3LK7N 40-49 years, female 107.2
GTEX-14ICK-0226-SM-6EU25 40-49 years, male 105.7
GTEX-1N2DV-0226-SM-E6CJ6 40-49 years, male 103.4
GTEX-1NHNU-1026-SM-E9J2A 50-59 years, male 103.0
GTEX-13O1R-0126-SM-5L3EH 60-69 years, male 102.9
GTEX-X4XX-0126-SM-3NMC2 60-69 years, male 102.9
GTEX-ZU9S-0226-SM-5E441 30-39 years, male 102.9
GTEX-16XZZ-0126-SM-793DV 60-69 years, male 102.8
GTEX-1R9PO-2126-SM-E9J4O 60-69 years, female 102.4
GTEX-U4B1-1826-SM-4DXSU 40-49 years, male 101.9
GTEX-15SB6-1726-SM-6PAME 50-59 years, female 101.3
GTEX-14753-0426-SM-5NQAM 60-69 years, male 101.0
GTEX-1PPH7-2326-SM-EVYB8 40-49 years, male 99.8
GTEX-13113-5016-SM-7EPIP 60-69 years, female 99.4
GTEX-15UF6-0826-SM-6PALJ 70-79 years, female 99.3
GTEX-1OFPY-2426-SM-DTXEJ 60-69 years, male 98.4
GTEX-12126-0326-SM-5PNW3 20-29 years, male 98.3
GTEX-X62O-0126-SM-4E3JN 50-59 years, male 97.8
GTEX-1AX9I-0126-SM-7SB74 60-69 years, male 97.2
GTEX-1CAMR-1926-SM-7EPI2 20-29 years, male 97.1
GTEX-RTLS-0126-SM-447CA 60-69 years, female 96.7
GTEX-1H1DE-2126-SM-9WG6R 20-29 years, male 96.6
GTEX-W5X1-3026-SM-EAZAX 40-49 years, female 96.5
GTEX-1QP66-1726-SM-E8VO1 50-59 years, male 96.3
GTEX-Y5V6-2426-SM-4VDSB 60-69 years, male 96.2
GTEX-1I1GP-2226-SM-CGQFK 50-59 years, male 96.2
GTEX-15ER7-0326-SM-7KUEV 20-29 years, female 95.5
GTEX-XQ8I-0426-SM-4BOPO 50-59 years, male 95.4
GTEX-14DAR-2026-SM-5S2O3 50-59 years, male 94.9
GTEX-ZE7O-0126-SM-57WC1 50-59 years, female 94.8
GTEX-Y114-2426-SM-4TT8A 50-59 years, female 94.6
GTEX-ZDTS-0126-SM-4WAY5 60-69 years, male 94.4
GTEX-13CF2-2526-SM-5LZYX 60-69 years, male 94.3
GTEX-1KANC-1526-SM-D3LAB 50-59 years, female 94.0
GTEX-12WSD-0126-SM-59HKN 60-69 years, female 93.8
GTEX-TKQ1-1026-SM-4GICL 30-39 years, male 93.8
GTEX-131XH-2226-SM-5DUXJ 50-59 years, male 93.6
GTEX-YB5K-2126-SM-4WWDJ 40-49 years, female 93.6
GTEX-1211K-2026-SM-5EQ4Z 60-69 years, female 93.5
GTEX-T5JC-0426-SM-32PLO 20-29 years, male 93.5
GTEX-131XF-5016-SM-7MGWE 60-69 years, male 93.4
GTEX-QEG4-0226-SM-2S1PY 30-39 years, male 93.1
GTEX-ZPIC-1726-SM-DHXIU 40-49 years, female 92.6
GTEX-1JKYN-1326-SM-CGQG9 30-39 years, male 92.0
GTEX-RU72-0926-SM-2TF6B 50-59 years, female 91.9
GTEX-1QCLY-0326-SM-E8VOG 30-39 years, male 91.7
GTEX-12584-0126-SM-5EGKQ 40-49 years, male 91.6
GTEX-1B996-0226-SM-7RHGO 60-69 years, male 91.1
GTEX-SN8G-0126-SM-32PLI 50-59 years, female 90.6
GTEX-1H23P-0126-SM-ADEJ3 60-69 years, male 90.1
GTEX-12WSJ-1826-SM-5GCNY 40-49 years, female 90.0
GTEX-OXRO-0126-SM-2YUN4 60-69 years, female 89.8
GTEX-131XG-2626-SM-5KM17 50-59 years, female 89.7
GTEX-PWCY-1826-SM-DHXIZ 20-29 years, female 89.0
GTEX-146FH-0126-SM-5QGPP 50-59 years, female 88.9
GTEX-OHPL-0126-SM-2HMJ7 60-69 years, female 88.8
GTEX-P4QT-0126-SM-2I3FL 50-59 years, female 88.4
GTEX-1JMQJ-0526-SM-CYPSU 50-59 years, male 88.3
GTEX-1AX8Z-0126-SM-7DHM6 60-69 years, male 88.0
GTEX-11EM3-2426-SM-59861 20-29 years, female 87.6
GTEX-ZVT2-2526-SM-51MT1 50-59 years, female 87.6
GTEX-145LT-1726-SM-5QGP3 40-49 years, male 87.5
GTEX-145ME-1826-SM-5SI9G 40-49 years, female 87.3
GTEX-OXRP-0126-SM-3NB32 60-69 years, female 87.1
GTEX-1I1GV-0526-SM-A9G29 60-69 years, male 86.8
GTEX-X4EO-0326-SM-3P5YO 60-69 years, female 86.6
GTEX-1RLM8-2326-SM-EWRN4 50-59 years, male 86.4
GTEX-OHPM-0126-SM-2YUN9 50-59 years, male 86.3
GTEX-1JMPY-1326-SM-ARL8Y 30-39 years, male 86.2
GTEX-ZAJG-0126-SM-5HL94 50-59 years, female 86.0
GTEX-11UD2-0226-SM-5EQKY 50-59 years, male 85.9
GTEX-UJHI-1526-SM-3DB99 50-59 years, female 85.7
GTEX-ZF3C-0126-SM-DO92D 50-59 years, female 85.1
GTEX-UPJH-0326-SM-3GADU 50-59 years, male 85.0
GTEX-1CAMS-0426-SM-7P8T2 40-49 years, female 85.0
GTEX-1MCYP-1926-SM-E9J2R 20-29 years, female 84.5
GTEX-1PDJ9-0326-SM-DTX95 20-29 years, male 84.1
GTEX-13YAN-0326-SM-5O9DF 60-69 years, male 83.6
GTEX-13NZ8-0826-SM-5MR3I 60-69 years, female 82.8
GTEX-ZYW4-0126-SM-5E44A 60-69 years, male 82.6
GTEX-WXYG-2326-SM-4E3I6 50-59 years, female 82.4
GTEX-11ZUS-0626-SM-59885 30-39 years, male 81.9
GTEX-1QP2A-0126-SM-E9J43 50-59 years, male 81.3
GTEX-1R7EU-0226-SM-EVR4G 60-69 years, male 81.1
GTEX-131XW-0426-SM-5LZWP 50-59 years, female 80.2
GTEX-1B933-0126-SM-7PC29 50-59 years, female 80.2
GTEX-18D9U-0226-SM-718BP 40-49 years, male 79.7
GTEX-XPVG-2626-SM-4B669 50-59 years, male 79.4
GTEX-1PBJI-0526-SM-E8VNK 20-29 years, female 79.4
GTEX-W5WG-1826-SM-4KL2Y 50-59 years, female 79.2
GTEX-WYJK-0126-SM-3NMAB 50-59 years, male 79.2
GTEX-ZAB4-0226-SM-5N9F5 40-49 years, male 79.0
GTEX-132NY-0326-SM-5IJBL 60-69 years, male 78.8
GTEX-WRHK-1426-SM-3MJF9 20-29 years, female 78.8
GTEX-1QW4Y-1526-SM-EAZ3Z 30-39 years, male 78.8
GTEX-1J8JJ-0226-SM-CL53I 60-69 years, female 78.6
GTEX-YB5E-2026-SM-5IFIS 40-49 years, male 78.5
GTEX-1JMQL-0226-SM-CNPP5 50-59 years, female 78.5
GTEX-1LSNM-1926-SM-E6CII 50-59 years, male 78.4
GTEX-1A3MX-0126-SM-731BR 60-69 years, male 78.3
GTEX-1HBPM-0226-SM-ARL9F 60-69 years, female 78.3
GTEX-TML8-1926-SM-32QOS 40-49 years, female 78.2
GTEX-1S5ZA-0126-SM-EVYCV 20-29 years, male 78.1
GTEX-12ZZX-0126-SM-5EGK9 40-49 years, female 78.0
GTEX-14BIL-0126-SM-5SI92 50-59 years, male 77.9
GTEX-1JMOU-1526-SM-CL54I 60-69 years, female 77.9
GTEX-U8XE-0326-SM-3DB8P 30-39 years, male 77.8
GTEX-ZVTK-0426-SM-51MRS 20-29 years, male 77.8
GTEX-1399U-2326-SM-5K7WY 50-59 years, female 77.7
GTEX-1CB4J-0626-SM-7DHMP 60-69 years, male 77.7
GTEX-T2YK-0526-SM-32QPJ 50-59 years, male 77.7
GTEX-16GPK-0126-SM-7DHLE 60-69 years, male 77.6
GTEX-S7PM-0126-SM-4AD6S 60-69 years, male 77.4
GTEX-15DDE-0126-SM-6LPKH 50-59 years, female 76.6
GTEX-1HSMP-0126-SM-E6CJS 70-79 years, male 76.3
GTEX-13VXU-0126-SM-5SI9F 50-59 years, male 76.2
GTEX-17F98-0626-SM-79OMX 40-49 years, female 76.1
GTEX-1122O-2126-SM-5EGIR 60-69 years, female 75.9
GTEX-139TU-0126-SM-5K7WH 60-69 years, male 75.8
GTEX-14PII-0226-SM-6EU1T 60-69 years, male 75.8
GTEX-P4PQ-0126-SM-2S1NM 60-69 years, male 75.5
GTEX-117YW-2626-SM-5GZZH 50-59 years, male 75.4
GTEX-1B8KE-2126-SM-73KYX 50-59 years, male 75.3
GTEX-X5EB-2226-SM-46MW4 40-49 years, male 75.2
GTEX-1GTWX-0126-SM-9YFLK 60-69 years, male 75.2
GTEX-17GQL-2026-SM-718BA 60-69 years, male 75.1
GTEX-1JN1M-0326-SM-CYPT3 60-69 years, female 75.1
GTEX-ZTX8-1426-SM-5DUVO 20-29 years, male 74.9
GTEX-1LG7Y-0526-SM-DKPQC 50-59 years, male 74.6
GTEX-1HGF4-2426-SM-ACKXM 60-69 years, male 74.4
GTEX-1K2DU-2326-SM-E9TIV 20-29 years, male 74.3
GTEX-113JC-2326-SM-5EQ4E 50-59 years, female 73.9
GTEX-14JIY-0126-SM-6LLH6 60-69 years, male 73.7
GTEX-18A6Q-0126-SM-731BZ 60-69 years, male 73.4
GTEX-RWSA-0126-SM-2XCBB 40-49 years, male 73.3
GTEX-P4PP-0126-SM-3LK69 30-39 years, female 73.2
GTEX-1H3VE-0326-SM-9YFLH 40-49 years, male 73.2
GTEX-145MI-0526-SM-5O9A8 60-69 years, female 73.1
GTEX-Z93S-0126-SM-5HL7M 50-59 years, male 73.1
GTEX-ZTPG-0326-SM-5O9AX 20-29 years, female 73.1
GTEX-15EOM-0126-SM-7KUGG 20-29 years, female 73.0
GTEX-18465-0126-SM-731BN 50-59 years, male 72.9
GTEX-139T4-0226-SM-5HL5S 50-59 years, female 72.7
GTEX-SUCS-1926-SM-32PM3 70-79 years, male 72.6
GTEX-18A7B-0126-SM-7LG64 70-79 years, male 72.5
GTEX-1KWVE-1426-SM-E9TJO 30-39 years, male 72.4
GTEX-14LLW-0126-SM-6LLIO 70-79 years, female 72.3
GTEX-1EWIQ-0126-SM-7RHH2 70-79 years, female 72.3
GTEX-ZV6S-2326-SM-4YCEY 40-49 years, female 71.9
GTEX-1J8QM-2126-SM-CYPSJ 60-69 years, female 71.9
GTEX-14PHX-2326-SM-62LEM 50-59 years, male 71.7
GTEX-1AMEY-1326-SM-73KYK 30-39 years, female 71.7
GTEX-OOBJ-0126-SM-E6CJW 60-69 years, male 71.7
GTEX-13FXS-0226-SM-5IJCK 50-59 years, male 71.6
GTEX-1J1OQ-0226-SM-CYPSH 40-49 years, female 71.5
GTEX-13NYS-0126-SM-5MR3W 60-69 years, male 71.4
GTEX-RN64-0126-SM-2TC68 50-59 years, male 71.2
GTEX-RVPV-0126-SM-EAZAW 60-69 years, male 71.1
GTEX-1HCUA-2426-SM-ADEIS 50-59 years, female 70.9
GTEX-14A5H-0426-SM-5QGQF 60-69 years, male 70.8
GTEX-QESD-1426-SM-2S1R9 20-29 years, male 70.8
GTEX-1GF9V-0326-SM-7RHI5 60-69 years, male 70.8
GTEX-1313W-0126-SM-5LZUN 50-59 years, female 70.6
GTEX-Q2AI-1326-SM-2S1PL 40-49 years, male 70.6
GTEX-YJ8A-0426-SM-5IFID 20-29 years, male 70.1
GTEX-12WSK-2326-SM-5GCOH 40-49 years, female 70.0
GTEX-Y8DK-0126-SM-4TT3L 60-69 years, male 70.0
GTEX-PLZ6-1426-SM-DKPOT 30-39 years, male 69.8
GTEX-11DYG-0126-SM-59883 60-69 years, male 69.7
GTEX-13W3W-2426-SM-5LU5B 60-69 years, female 69.6
GTEX-U3ZM-1526-SM-3DB9D 40-49 years, male 69.4
GTEX-13O3O-0126-SM-E9J49 60-69 years, female 69.4
GTEX-1KD4Q-0226-SM-E9TJ9 40-49 years, male 69.4
GTEX-ZVT4-0126-SM-DTXFN 50-59 years, female 69.4
GTEX-QLQW-1126-SM-2S1Q8 30-39 years, male 69.3
GTEX-1GPI6-0126-SM-9WG69 60-69 years, male 69.3
GTEX-1JJ6O-0126-SM-E6CI8 60-69 years, male 69.3
GTEX-1KANA-0726-SM-D3L9I 20-29 years, male 69.3
GTEX-1PPH8-0226-SM-E8VND 20-29 years, male 69.3
GTEX-13VXT-0126-SM-5LU4I 20-29 years, female 69.2
GTEX-17EUY-0426-SM-793BD 20-29 years, male 69.2
GTEX-XBED-2226-SM-47JYQ 60-69 years, male 69.2
GTEX-S32W-2126-SM-2XCB1 50-59 years, female 69.1
GTEX-1HSGN-0226-SM-CGQFV 40-49 years, female 69.1
GTEX-NFK9-0226-SM-2HMKQ 40-49 years, male 69.0
GTEX-ZVZP-2426-SM-59HKJ 50-59 years, male 68.8
GTEX-1GPI7-0126-SM-9MQL8 20-29 years, male 68.8
GTEX-12C56-1726-SM-5EQ61 20-29 years, male 68.6
GTEX-148VJ-0126-SM-5TDDN 70-79 years, male 68.6
GTEX-1F75B-0126-SM-9KNVL 50-59 years, male 68.6
GTEX-11ZTS-0126-SM-5EQ6M 60-69 years, female 68.5
GTEX-OIZH-0126-SM-2HMIS 50-59 years, male 68.3
GTEX-S7SE-0126-SM-2XCD5 50-59 years, male 68.3
GTEX-1J1R8-1726-SM-ARL8M 40-49 years, male 68.3
GTEX-13JUV-2726-SM-5LZZ8 40-49 years, female 68.0
GTEX-14E6D-0126-SM-62LDV 50-59 years, male 68.0
GTEX-17HII-0226-SM-7LG4E 50-59 years, male 67.9
GTEX-18QFQ-0126-SM-731BE 30-39 years, male 67.8
GTEX-1C2JI-1826-SM-73KXC 50-59 years, male 67.8
GTEX-T6MN-0126-SM-32PLP 50-59 years, male 67.6
GTEX-1E2YA-0126-SM-9KNUC 50-59 years, male 67.6
GTEX-1GZ2Q-0226-SM-7P8TL 40-49 years, male 67.6
GTEX-1A32A-0126-SM-718B1 50-59 years, female 67.5
GTEX-ZGAY-0526-SM-4WWBB 40-49 years, female 67.4
GTEX-1F7RK-0126-SM-7PC2S 20-29 years, female 67.3
GTEX-WQUQ-0426-SM-3MJFU 60-69 years, male 67.1
GTEX-1C64O-0126-SM-7SB8P 60-69 years, male 67.1
GTEX-139UW-2826-SM-5L3E7 60-69 years, male 67.0
GTEX-13O3Q-2426-SM-5IJBR 50-59 years, male 67.0
GTEX-T2IS-0126-SM-4DM6O 20-29 years, female 67.0
GTEX-1CB4G-0226-SM-7PC3O 60-69 years, male 66.8
GTEX-117YX-2326-SM-5H12W 50-59 years, male 66.7
GTEX-1QP29-0626-SM-EWRMX 50-59 years, male 66.6
GTEX-1BAJH-0526-SM-793CQ 70-79 years, male 66.5
GTEX-1GN2E-0426-SM-9MQKX 60-69 years, male 66.5
GTEX-1ICLY-0126-SM-D4P36 50-59 years, male 66.4
GTEX-13RTL-0126-SM-7LG5S 40-49 years, male 66.3
GTEX-16MT8-0426-SM-7KUEY 60-69 years, female 66.2
GTEX-1CB4I-0226-SM-79OLH 50-59 years, male 66.2
GTEX-11GSO-2426-SM-5A5LY 60-69 years, male 66.0
GTEX-11H98-0126-SM-5EGHG 50-59 years, male 66.0
GTEX-14PJ3-1826-SM-62LEX 50-59 years, male 65.9
GTEX-13FH7-2026-SM-E9J4I 50-59 years, female 65.9
GTEX-1KD5A-0226-SM-D5OV3 50-59 years, male 65.8
GTEX-WZTO-0126-SM-3NM95 40-49 years, male 65.7
GTEX-X4EP-0126-SM-3P5YV 60-69 years, female 65.6
GTEX-11DXY-2626-SM-5GIE7 60-69 years, male 65.5
GTEX-WY7C-2326-SM-3NB2U 50-59 years, male 65.5
GTEX-TMZS-0126-SM-3DB9Q 60-69 years, male 65.4
GTEX-XAJ8-0826-SM-47JY6 40-49 years, male 65.4
GTEX-1JN6P-0126-SM-D3L98 60-69 years, male 65.4
GTEX-13S7M-0126-SM-5SI6A 60-69 years, female 65.3
GTEX-1AX9J-0226-SM-73KXM 60-69 years, male 65.3
GTEX-17MF6-0126-SM-7LG4F 40-49 years, male 65.1
GTEX-1I6K6-0126-SM-A9SLE 30-39 years, male 65.0
GTEX-13G51-2526-SM-5LZYK 60-69 years, male 64.9
GTEX-QVJO-1626-SM-2S1QW 60-69 years, female 64.9
GTEX-R55G-2526-SM-2TC6D 40-49 years, female 64.9
GTEX-14PJM-0226-SM-62LF1 50-59 years, female 64.7
GTEX-1F6I4-0126-SM-9MQL2 60-69 years, male 64.7
GTEX-1HBPH-0426-SM-B2LW5 40-49 years, female 64.7
GTEX-1I19N-0326-SM-ACKVX 70-79 years, male 64.5
GTEX-1C6VS-0526-SM-7DUEN 60-69 years, male 64.4
GTEX-QLQ7-1626-SM-2S1R8 60-69 years, male 64.4
GTEX-ZZ64-1726-SM-5GZYB 20-29 years, male 64.3
GTEX-1IDJH-0326-SM-A9SLQ 70-79 years, male 64.3
GTEX-1JN76-0126-SM-CNPPE 20-29 years, female 64.2
GTEX-17EVQ-0226-SM-7LG4P 70-79 years, male 64.0
GTEX-17HHE-2026-SM-79OKF 50-59 years, male 64.0
GTEX-1HBPN-0226-SM-9YFM1 50-59 years, male 63.8
GTEX-SIU8-0126-SM-2XCDT 50-59 years, male 63.5
GTEX-1GMRU-0126-SM-9YFLV 50-59 years, male 63.5
GTEX-147F4-0226-SM-5QGPW 50-59 years, male 63.4
GTEX-1M5QR-1226-SM-EWROB 40-49 years, male 63.3
GTEX-1B8L1-2526-SM-9WYTF 60-69 years, male 63.2
GTEX-13PVR-2326-SM-5QGR1 60-69 years, female 63.0
GTEX-XQ3S-1526-SM-4BOOC 20-29 years, male 63.0
GTEX-11TUW-2726-SM-E9J4M 60-69 years, male 62.9
GTEX-1LB8K-0226-SM-EWRNW 50-59 years, male 62.9
GTEX-1R7EV-2426-SM-EVYBG 40-49 years, male 62.9
GTEX-1OJC3-0126-SM-E76QX 20-29 years, male 62.8
GTEX-14C5O-0126-SM-5SI6N 60-69 years, male 62.6
GTEX-QV44-1926-SM-2S1RF 50-59 years, male 62.6
GTEX-13OVH-0126-SM-5MR4B 70-79 years, male 62.5
GTEX-1H3O1-0426-SM-9YFKY 60-69 years, male 62.3
GTEX-11GSP-2526-SM-5N9BP 60-69 years, female 62.0
GTEX-15EU6-0426-SM-6PAN5 50-59 years, male 62.0
GTEX-13IVO-0126-SM-5J1NG 70-79 years, male 61.9
GTEX-13OVI-1426-SM-5L3EY 60-69 years, female 61.8
GTEX-1IDJF-0126-SM-CM2RS 20-29 years, male 61.6
GTEX-S33H-1026-SM-EZ6L6 30-39 years, male 61.5
GTEX-YFC4-0126-SM-5CVLY 40-49 years, female 61.4
GTEX-1GN73-0226-SM-9WG67 60-69 years, male 61.4
GTEX-1HSMQ-1226-SM-CGQFX 50-59 years, male 61.4
GTEX-ZXES-1826-SM-5E43S 30-39 years, female 61.3
GTEX-11NUK-0126-SM-5A5L3 50-59 years, male 61.1
GTEX-16AAH-1726-SM-7939C 50-59 years, male 61.1
GTEX-ZQUD-1426-SM-57WER 30-39 years, male 61.1
GTEX-1ICG6-2526-SM-CGQFZ 70-79 years, female 61.1
GTEX-RNOR-0126-SM-E9J4R 50-59 years, female 61.1
GTEX-18D9A-1926-SM-7LG6P 30-39 years, female 61.0
GTEX-133LE-1826-SM-5J1MV 20-29 years, female 60.8
GTEX-1RDX4-0126-SM-E9J4P 50-59 years, female 60.8
GTEX-16NGA-1726-SM-731B4 40-49 years, female 60.6
GTEX-WVJS-0126-SM-4MVOT 50-59 years, male 60.6
GTEX-1399T-2826-SM-5KLYZ 60-69 years, male 60.5
GTEX-1C6WA-0126-SM-7PC2B 60-69 years, male 60.4
GTEX-OXRK-0226-SM-3NB2G 50-59 years, female 60.3
GTEX-VJWN-0126-SM-3GIK7 50-59 years, female 60.3
GTEX-13RTJ-2426-SM-5S2Q2 60-69 years, male 60.2
GTEX-NPJ8-0126-SM-2YUNR 40-49 years, male 60.2
GTEX-1JKYR-0126-SM-CNPOJ 20-29 years, male 60.2
GTEX-1LGRB-2526-SM-CNPPQ 50-59 years, female 60.1
GTEX-11P81-2326-SM-59875 30-39 years, female 60.0
GTEX-11ZU8-2526-SM-5EQKI 60-69 years, male 60.0
GTEX-1S3DN-2226-SM-EVYCD 50-59 years, male 60.0
GTEX-RM2N-1426-SM-2TF4H 50-59 years, male 59.8
GTEX-117XS-2726-SM-5N9BL 60-69 years, male 59.6
GTEX-13O3P-0126-SM-5KM4S 50-59 years, male 59.6
GTEX-1AYCT-2426-SM-7IGQ3 50-59 years, male 59.6
GTEX-13112-2826-SM-5DUWH 50-59 years, male 59.5
GTEX-13OVK-2026-SM-7KUEO 40-49 years, male 59.5
GTEX-13OW6-0426-SM-5L3HM 50-59 years, male 59.5
GTEX-OIZG-0726-SM-33HBL 50-59 years, male 59.5
GTEX-146FQ-0126-SM-5NQA9 30-39 years, male 59.4
GTEX-18A7A-0226-SM-718BH 50-59 years, female 59.4
GTEX-11ZVC-2526-SM-5FQTE 50-59 years, female 59.3
GTEX-15SHW-0326-SM-6PAML 60-69 years, male 59.3
GTEX-1K2DA-1826-SM-CGQGT 50-59 years, male 59.2
GTEX-13RTK-1426-SM-5QGQJ 20-29 years, male 59.1
GTEX-15SHU-0126-SM-7KUEH 40-49 years, female 59.1
GTEX-1H1E6-1726-SM-ACKVK 30-39 years, male 59.1
GTEX-1J8Q2-0526-SM-CM2RW 60-69 years, male 59.1
GTEX-XXEK-2226-SM-4BRUM 50-59 years, male 59.0
GTEX-12KS4-0326-SM-5EQ41 30-39 years, male 58.9
GTEX-1JMQI-2226-SM-CM2SD 50-59 years, male 58.9
GTEX-1LC47-0326-SM-E9TJP 60-69 years, male 58.9
GTEX-1128S-2326-SM-5GZZY 60-69 years, female 58.8
GTEX-XUW1-0426-SM-4BOOT 50-59 years, female 58.8
GTEX-1LGOU-2026-SM-DIPFF 20-29 years, female 58.8
GTEX-14E7W-0126-SM-6LLJ9 70-79 years, male 58.7
GTEX-XYKS-2126-SM-4E3IB 60-69 years, female 58.7
GTEX-ZDTT-2726-SM-4WKF8 60-69 years, male 58.7
GTEX-1I1GU-2226-SM-CGQFA 40-49 years, male 58.6
GTEX-1IKOH-0226-SM-COH4E 60-69 years, female 58.6
GTEX-1IOXB-0126-SM-ARL8G 50-59 years, male 58.5
GTEX-Y5LM-1926-SM-5RQJH 40-49 years, female 58.4
GTEX-1GZHY-0326-SM-9QEHI 50-59 years, female 58.4
GTEX-1KXAM-2226-SM-CYPTC 60-69 years, male 58.3
GTEX-145LV-2126-SM-5LU8N 50-59 years, male 58.1
GTEX-1GN1U-0126-SM-7PBZK 50-59 years, female 58.1
GTEX-1I4MK-2226-SM-ACKWD 50-59 years, female 58.1
GTEX-YEC4-2126-SM-5IFJH 40-49 years, male 58.0
GTEX-1GF9W-0326-SM-9KNUN 60-69 years, male 58.0
GTEX-11OC5-0126-SM-5HL6A 60-69 years, male 57.9
GTEX-1HCVE-0126-SM-CGQEU 50-59 years, male 57.9
GTEX-13FTX-1826-SM-5J1NX 20-29 years, female 57.8
GTEX-13OW7-0126-SM-5MR3B 50-59 years, male 57.8
GTEX-1GZ4H-1726-SM-7PBZJ 50-59 years, female 57.8
GTEX-1C6VQ-0126-SM-7P8RI 50-59 years, male 57.7
GTEX-15ETS-0126-SM-7KUMW 40-49 years, female 57.5
GTEX-169BO-1326-SM-9MQK2 50-59 years, male 57.4
GTEX-O5YT-0126-SM-48TBW 20-29 years, male 57.3
GTEX-X261-0126-SM-3NMD6 50-59 years, male 57.3
GTEX-1EMGI-0126-SM-9KNUE 60-69 years, male 57.3
GTEX-1JMPZ-0226-SM-CNPP1 30-39 years, male 57.3
GTEX-13111-1626-SM-5EGJY 50-59 years, male 57.2
GTEX-13OVL-0226-SM-5L3E9 50-59 years, male 57.1
GTEX-17F96-1626-SM-7DUFL 70-79 years, male 57.1
GTEX-XBEW-0626-SM-4QASP 40-49 years, male 57.1
GTEX-1MUQO-0126-SM-EAZ58 60-69 years, male 57.1
GTEX-11ZTT-2426-SM-5EQLS 60-69 years, female 56.9
GTEX-13QJ3-0326-SM-5S2RA 50-59 years, male 56.9
GTEX-13SLW-0126-SM-5SI6C 70-79 years, male 56.9
GTEX-1QMI2-0226-SM-EVYBX 60-69 years, male 56.9
GTEX-1RB15-2126-SM-E9TIM 60-69 years, male 56.9
GTEX-1GF9X-2026-SM-7PC3A 40-49 years, female 56.8
GTEX-1MA7W-2026-SM-E9TJ6 20-29 years, female 56.7
GTEX-11WQC-2526-SM-5CVLE 60-69 years, male 56.6
GTEX-XV7Q-2526-SM-4BRV9 40-49 years, female 56.4
GTEX-1MCQQ-0826-SM-DLHC2 60-69 years, male 56.4
GTEX-Q2AH-1626-SM-3GAF8 40-49 years, male 56.2
GTEX-1F5PL-0326-SM-7P8PQ 40-49 years, female 56.1
GTEX-PWO3-1526-SM-48TCM 60-69 years, female 55.8
GTEX-13X6J-0126-SM-5QGOU 50-59 years, male 55.6
GTEX-TSE9-0126-SM-3DB83 60-69 years, female 55.6
GTEX-X585-0226-SM-4QAS2 50-59 years, male 55.6
GTEX-Y111-0126-SM-4SOIV 50-59 years, male 55.6
GTEX-13D11-2426-SM-5KM1V 50-59 years, female 55.4
GTEX-15CHC-2126-SM-6EU21 60-69 years, female 55.4
GTEX-1H2FU-0126-SM-9WYSI 60-69 years, female 55.3
GTEX-1R46S-0626-SM-E9J41 60-69 years, female 55.3
GTEX-PSDG-0226-SM-DKPOZ 50-59 years, male 55.3
GTEX-11EQ9-2426-SM-5HL5T 30-39 years, male 55.2
GTEX-1H4P4-0726-SM-9YFLR 50-59 years, male 55.1
GTEX-1I1GR-0126-SM-CL55F 60-69 years, male 55.1
GTEX-14BMU-2226-SM-5TDE9 20-29 years, female 54.9
GTEX-1HCU8-0626-SM-A9SM9 60-69 years, female 54.9
GTEX-1314G-1526-SM-5EGK2 30-39 years, male 54.8
GTEX-ZDYS-2026-SM-5HL5L 50-59 years, male 54.8
GTEX-1LVAN-0226-SM-COH3S 50-59 years, female 54.8
GTEX-PX3G-0126-SM-2I3EN 20-29 years, female 54.7
GTEX-ZQG8-1626-SM-DHXIT 60-69 years, female 54.7
GTEX-1JMQK-0226-SM-CL543 60-69 years, male 54.6
GTEX-1S82Y-2026-SM-EVYCM 40-49 years, male 54.5
GTEX-11TTK-0126-SM-5987B 60-69 years, female 54.4
GTEX-ZVZO-0126-SM-5A5L9 40-49 years, male 54.4
GTEX-R55E-0126-SM-2TC5Y 20-29 years, male 54.3
GTEX-1LH75-2426-SM-E9TJE 50-59 years, female 54.2
GTEX-131XE-2326-SM-5PNZ2 50-59 years, male 54.1
GTEX-14PN3-2426-SM-6LLHS 60-69 years, female 54.1
GTEX-1I1GT-0626-SM-CGQER 60-69 years, female 54.0
GTEX-14DAQ-0126-SM-5S2MQ 60-69 years, female 53.9
GTEX-1212Z-2526-SM-5EGKP 60-69 years, male 53.8
GTEX-12ZZY-0226-SM-5LZVE 60-69 years, male 53.7
GTEX-13NZA-0226-SM-5K7Z7 60-69 years, male 53.6
GTEX-1H3VY-0126-SM-ACKXD 50-59 years, male 53.6
GTEX-1AX9K-2326-SM-73KWU 50-59 years, male 53.5
GTEX-13N1W-0126-SM-5K7VT 70-79 years, male 53.4
GTEX-1GMR3-1926-SM-9KNUZ 40-49 years, male 53.4
GTEX-1HBPI-1526-SM-C1YQ1 50-59 years, male 53.4
GTEX-12WSL-2526-SM-5GCNJ 50-59 years, male 53.3
GTEX-1I1GQ-0126-SM-COH3H 50-59 years, male 53.3
GTEX-1HT8W-0126-SM-CNPPP 30-39 years, male 53.0
GTEX-145MF-0626-SM-5LUAI 50-59 years, male 52.9
GTEX-1I1GS-0126-SM-B2LVW 60-69 years, male 52.9
GTEX-11LCK-1026-SM-5A5KB 30-39 years, male 52.8
GTEX-1QAET-0926-SM-E76QM 50-59 years, male 52.8
GTEX-ZAK1-0126-SM-5IJD3 50-59 years, female 52.7
GTEX-WYVS-2126-SM-3NMA3 40-49 years, female 52.6
GTEX-14XAO-2326-SM-6EU1B 60-69 years, female 52.4
GTEX-1PIIG-0226-SM-EWRN6 30-39 years, male 52.4
GTEX-1MJK2-0426-SM-DTXE5 50-59 years, male 52.3
GTEX-12WSE-0526-SM-793B2 20-29 years, male 52.2
GTEX-PLZ4-0126-SM-5SI8O 50-59 years, female 52.2
GTEX-1HFI6-0226-SM-ADEHZ 40-49 years, male 52.2
GTEX-1IDFM-0126-SM-COH2V 60-69 years, male 52.2
GTEX-145MN-2226-SM-5SIAU 30-39 years, male 52.1
GTEX-15UKP-0426-SM-7KUFQ 20-29 years, male 52.1
GTEX-16YQH-0126-SM-7DUFJ 30-39 years, male 52.0
GTEX-XUZC-1726-SM-4BRWS 30-39 years, female 52.0
GTEX-1HR98-0126-SM-B2LWI 60-69 years, male 52.0
GTEX-12WSA-0226-SM-5BC5V 60-69 years, male 51.9
GTEX-1IY9M-0126-SM-D3L8S 60-69 years, male 51.8
GTEX-11EMC-2926-SM-5EQ4F 60-69 years, female 51.7
GTEX-XMD2-0126-SM-4YCDU 60-69 years, female 51.7
GTEX-YJ89-0126-SM-4TT3X 60-69 years, male 51.7
GTEX-11GS4-2726-SM-5A5LE 60-69 years, male 51.5
GTEX-14JG1-0426-SM-6ETZZ 40-49 years, male 51.5
GTEX-1PIGE-0126-SM-EVYBJ 20-29 years, male 51.5
GTEX-1JJEA-0326-SM-CNPOT 60-69 years, male 51.4
GTEX-15F5U-1526-SM-6PANO 40-49 years, male 51.3
GTEX-1A3MW-0126-SM-73KXX 60-69 years, female 51.3
GTEX-T8EM-1026-SM-3DB7M 40-49 years, male 51.2
GTEX-1269C-2526-SM-5EGJ3 60-69 years, female 51.1
GTEX-1F6RS-0126-SM-9MQKZ 60-69 years, female 51.1
GTEX-1F75A-0126-SM-7RHGM 50-59 years, male 51.0
GTEX-111FC-0126-SM-5N9DL 60-69 years, male 50.9
GTEX-13CF3-2426-SM-5IFGX 60-69 years, female 50.9
GTEX-14PK6-1926-SM-6ETZU 70-79 years, female 50.7
GTEX-1A3MV-1926-SM-718BT 30-39 years, male 50.7
GTEX-Z93T-0126-SM-5HL5N 50-59 years, male 50.7
GTEX-1A8FM-0226-SM-7SB7Q 50-59 years, female 50.7
GTEX-1POEN-0126-SM-EYYXJ 30-39 years, female 50.7
GTEX-18D9B-0526-SM-7LTAS 60-69 years, male 50.6
GTEX-17HG3-2226-SM-7938L 30-39 years, female 50.5
GTEX-1C4CL-0526-SM-73KVK 30-39 years, male 50.5
GTEX-1GN1W-0526-SM-9MQJQ 50-59 years, female 50.5
GTEX-16NPX-0226-SM-79OMT 50-59 years, male 50.4
GTEX-13OVJ-0126-SM-5KM36 50-59 years, female 50.3
GTEX-Y3I4-2126-SM-4TT7C 50-59 years, male 50.1
GTEX-WH7G-2326-SM-3NMBC 40-49 years, male 50.0
GTEX-QDVN-2026-SM-3GAEP 50-59 years, male 49.9
GTEX-1J8Q3-1626-SM-CMKGC 60-69 years, male 49.8
GTEX-1B8KZ-2026-SM-7DHMB 50-59 years, male 49.7
GTEX-1MA7X-2226-SM-E6CIY 60-69 years, male 49.6
GTEX-11DXZ-2326-SM-5EGGV 50-59 years, male 49.5
GTEX-1HKZK-0326-SM-9WYUH 40-49 years, male 49.4
GTEX-11WQK-0526-SM-5EQLD 50-59 years, male 49.3
GTEX-1GN1V-0126-SM-9WPOS 60-69 years, male 49.3
GTEX-1HSEH-0126-SM-ACKXN 60-69 years, male 49.3
GTEX-139TT-0126-SM-5K7Y5 60-69 years, male 49.1
GTEX-14A6H-0126-SM-5QGPK 30-39 years, male 49.0
GTEX-QDVJ-1726-SM-2I5FX 50-59 years, male 48.9
GTEX-1HCU9-1526-SM-A9SL7 20-29 years, male 48.9
GTEX-ZF29-2326-SM-DO92K 60-69 years, female 48.7
GTEX-111VG-2426-SM-5GZXD 60-69 years, male 48.6
GTEX-144FL-0126-SM-5TDC8 50-59 years, male 48.6
GTEX-16BQI-0226-SM-7KUEX 30-39 years, female 48.6
GTEX-T6MO-1626-SM-32QOM 40-49 years, female 48.6
GTEX-1J8EW-0126-SM-CJI4F 60-69 years, female 48.6
GTEX-13X6I-0626-SM-5QGP9 60-69 years, male 48.2
GTEX-ZE9C-2726-SM-57WB5 60-69 years, male 48.2
GTEX-13FTY-0526-SM-5L3EV 40-49 years, female 48.1
GTEX-1RQEC-0426-SM-E6CHU 60-69 years, male 48.1
GTEX-1B8SG-0126-SM-73KZ3 50-59 years, male 48.0
GTEX-1E1VI-0126-SM-7DHMZ 50-59 years, male 48.0
GTEX-15DYW-0126-SM-7KULE 60-69 years, female 47.9
GTEX-1F6IF-0726-SM-7P8TW 60-69 years, male 47.9
GTEX-V1D1-2226-SM-3NMAX 50-59 years, male 47.8
GTEX-ZYFC-0226-SM-5NQ75 50-59 years, male 47.8
GTEX-12696-2426-SM-5EQ6H 60-69 years, male 47.5
GTEX-144GN-2326-SM-5LU4F 50-59 years, male 47.4
GTEX-1MGNQ-0126-SM-EVYCJ 40-49 years, male 47.4
GTEX-1R9PM-2026-SM-E76OY 20-29 years, male 47.1
GTEX-ZVT3-0126-SM-5GU6I 60-69 years, female 46.9
GTEX-Y5V5-2326-SM-4V6GA 60-69 years, female 46.8
GTEX-1CB4F-0426-SM-9KNV4 60-69 years, male 46.8
GTEX-1IGQW-0126-SM-COH42 60-69 years, male 46.8
GTEX-1IKJJ-0126-SM-CNPQB 60-69 years, male 46.8
GTEX-1RAZA-0126-SM-E6CI3 20-29 years, male 46.6
GTEX-Y8LW-1826-SM-5S2MV 50-59 years, female 46.5
GTEX-ZV68-0126-SM-59HKS 50-59 years, female 46.5
GTEX-1HUB1-0426-SM-E9U4U 60-69 years, male 46.5
GTEX-1192X-0226-SM-5H12D 50-59 years, male 46.3
GTEX-12ZZZ-0626-SM-5DUXI 60-69 years, male 46.3
GTEX-1KAFJ-2026-SM-CY8ID 50-59 years, male 46.3
GTEX-13NYB-2526-SM-5K7Z6 40-49 years, male 46.2
GTEX-17F97-0326-SM-7LG5B 50-59 years, male 46.2
GTEX-17JCI-0126-SM-7LG5G 60-69 years, female 46.2
GTEX-OOBK-0126-SM-2YUND 40-49 years, male 46.2
GTEX-ZWKS-0126-SM-5SIAA 30-39 years, male 46.0
GTEX-139D8-0226-SM-5KLZO 30-39 years, female 45.8
GTEX-ZDXO-3026-SM-5J1N5 60-69 years, male 45.8
GTEX-17HHY-0126-SM-7LG5D 50-59 years, male 45.7
GTEX-11DZ1-0126-SM-5985Q 50-59 years, male 45.5
GTEX-1399R-2726-SM-5IJBA 30-39 years, male 45.4
GTEX-1GL5R-1826-SM-9KNUY 50-59 years, male 45.4
GTEX-1M4P7-0226-SM-DIPEV 60-69 years, male 45.4
GTEX-1O97I-0326-SM-EYYX7 60-69 years, male 45.2
GTEX-11OF3-2626-SM-5GU7F 60-69 years, male 45.1
GTEX-139T8-0126-SM-5K7XZ 60-69 years, male 44.9
GTEX-1JJE9-0326-SM-CL53Z 70-79 years, male 44.8
GTEX-13FHO-0226-SM-5IFGY 60-69 years, male 44.7
GTEX-1F52S-0126-SM-9MQJU 60-69 years, female 44.7
GTEX-1IE54-0126-SM-CMKHW 40-49 years, female 44.6
GTEX-13W46-0226-SM-5SIAG 50-59 years, male 44.5
GTEX-14LZ3-0226-SM-62LET 60-69 years, female 44.5
GTEX-11O72-0126-SM-59887 40-49 years, male 44.4
GTEX-1AMFI-2026-SM-731BH 50-59 years, female 44.4
GTEX-ZYY3-0126-SM-5GZY5 60-69 years, female 44.4
GTEX-1EU9M-0226-SM-7P8SP 60-69 years, male 44.4
GTEX-12WSG-2826-SM-E9J4H 50-59 years, female 44.3
GTEX-1F48J-0126-SM-7P8TT 50-59 years, female 44.3
GTEX-13PDP-0126-SM-5L3HD 60-69 years, male 44.0
GTEX-16XZY-2126-SM-79OK1 70-79 years, male 44.0
GTEX-1IL2V-0126-SM-CM2TX 70-79 years, male 43.9
GTEX-17EVP-0326-SM-7DHLG 40-49 years, male 43.5
GTEX-WFON-2126-SM-3LK7O 40-49 years, male 43.5
GTEX-11DXW-0226-SM-5H122 40-49 years, male 43.4
GTEX-1IL2U-0226-SM-CE6T8 60-69 years, male 43.4
GTEX-QCQG-1726-SM-3GIJ9 50-59 years, female 43.2
GTEX-14BIM-0226-SM-7IGLD 60-69 years, female 43.1
GTEX-RUSQ-1526-SM-2TF62 50-59 years, male 43.0
GTEX-148VI-1626-SM-5SI6E 60-69 years, female 42.9
GTEX-1CB4E-2226-SM-793DC 60-69 years, male 42.9
GTEX-ZTSS-1926-SM-57WEW 40-49 years, male 42.8
GTEX-1LNCM-1126-SM-E9U5E 50-59 years, female 42.6
GTEX-1QPFJ-0226-SM-E76PB 30-39 years, female 42.6
GTEX-13N11-2526-SM-5K7UE 50-59 years, female 42.5
GTEX-1H1ZS-0426-SM-9WG6G 70-79 years, male 42.4
GTEX-17HGU-0226-SM-7DHKV 50-59 years, male 42.3
GTEX-1AYD5-2426-SM-73KXR 50-59 years, male 42.3
GTEX-X88G-0126-SM-47JZ3 30-39 years, male 42.3
GTEX-13U4I-0126-SM-5LU38 40-49 years, female 42.2
GTEX-PW2O-1526-SM-7RHHB 20-29 years, male 42.2
GTEX-17MFQ-1726-SM-793C7 20-29 years, male 42.0
GTEX-15RIG-0226-SM-7KFTL 40-49 years, male 41.9
GTEX-1S83E-0126-SM-EWRO4 40-49 years, male 41.8
GTEX-14BMV-0126-SM-5S2PO 50-59 years, male 41.7
GTEX-11NSD-2226-SM-5986V 20-29 years, male 41.5
GTEX-13SLX-0526-SM-5S2ON 50-59 years, female 41.5
GTEX-XUYS-0126-SM-47JWZ 50-59 years, male 41.4
GTEX-1EKGG-0226-SM-9WYTH 60-69 years, male 41.4
GTEX-13NZB-2526-SM-5J1OM 30-39 years, male 41.2
GTEX-1CAMQ-0226-SM-7IGPK 40-49 years, male 41.1
GTEX-145LU-0126-SM-5TDCB 50-59 years, male 41.0
GTEX-183FY-0126-SM-7LT9P 20-29 years, male 40.9
GTEX-1HSKV-0226-SM-A9SKJ 60-69 years, male 40.9
GTEX-11DXX-2426-SM-5GZZW 60-69 years, female 40.8
GTEX-1IDJU-2626-SM-CM2RT 60-69 years, female 40.8
GTEX-1C475-1826-SM-73KWA 40-49 years, female 40.7
GTEX-11XUK-2026-SM-5EQLF 40-49 years, female 40.6
GTEX-146FR-1326-SM-E9J48 60-69 years, female 40.6
GTEX-ZEX8-2426-SM-4WKG4 50-59 years, male 40.4
GTEX-1N2DW-0226-SM-E9TK2 50-59 years, male 40.3
GTEX-13N2G-2626-SM-5J1OT 60-69 years, male 40.0
GTEX-1EN7A-0126-SM-7SB81 40-49 years, male 40.0
GTEX-U3ZH-2026-SM-3DB78 30-39 years, male 39.9
GTEX-ZF2S-2326-SM-4WWCE 50-59 years, female 39.9
GTEX-15SDE-2226-SM-7IGLO 50-59 years, female 39.7
GTEX-18A66-0226-SM-718BD 60-69 years, male 39.7
GTEX-WOFL-0126-SM-3MJG2 60-69 years, male 39.6
GTEX-ZAB5-1826-SM-5HL7C 50-59 years, male 39.6
GTEX-147GR-0526-SM-5S2MY 60-69 years, male 39.3
GTEX-1RAZQ-0726-SM-EAZ43 30-39 years, male 39.3
GTEX-15DCD-0126-SM-7KUEK 70-79 years, female 39.1
GTEX-1B97I-1626-SM-73KYO 40-49 years, male 38.5
GTEX-13OW8-1326-SM-5J1OW 60-69 years, male 38.4
GTEX-SJXC-0126-SM-2XCFF 60-69 years, male 38.4
GTEX-1LG7Z-1726-SM-D3LA4 30-39 years, male 38.4
GTEX-PVOW-0126-SM-2XCFA 40-49 years, male 38.2
GTEX-13X6H-2126-SM-7EWD5 50-59 years, female 38.0
GTEX-14PJ6-2126-SM-6EU1V 60-69 years, female 38.0
GTEX-ZF28-0126-SM-4WKGK 60-69 years, male 38.0
GTEX-QDT8-0126-SM-48TZ1 30-39 years, female 37.8
GTEX-1I1CD-0126-SM-CM2TK 60-69 years, female 37.6
GTEX-1OJC4-0126-SM-E9J2E 50-59 years, female 37.6
GTEX-OXRN-0126-SM-48TDM 50-59 years, male 37.5
GTEX-PLZ5-2026-SM-2S1O4 50-59 years, male 37.4
GTEX-145LS-0126-SM-5QGP1 60-69 years, female 37.2
GTEX-11VI4-1726-SM-5CVLH 40-49 years, female 36.9
GTEX-13NYC-0326-SM-E9J4S 60-69 years, male 36.9
GTEX-ZXG5-0126-SM-5GIEU 60-69 years, male 36.7
GTEX-ZYFG-2326-SM-5E44B 60-69 years, female 36.7
GTEX-ZC5H-0226-SM-4WAY9 40-49 years, female 36.6
GTEX-ZVE2-0226-SM-59HJB 50-59 years, male 36.6
GTEX-1192W-2626-SM-5Q5AF 60-69 years, male 36.5
GTEX-1PWST-0226-SM-E76QJ 70-79 years, male 36.5
GTEX-1S82Z-0826-SM-E6CHY 30-39 years, female 36.5
GTEX-1EX96-1626-SM-7PBXR 50-59 years, male 36.4
GTEX-WFG8-2226-SM-3GIL9 20-29 years, male 36.2
GTEX-Y8E4-0626-SM-4WWDL 40-49 years, male 36.2
GTEX-144GL-0126-SM-5TDE2 50-59 years, male 36.1
GTEX-R3RS-0126-SM-3GIJL 40-49 years, female 36.1
GTEX-Z9EW-1626-SM-5CVMN 40-49 years, male 36.1
GTEX-1QP67-1626-SM-EAZ3X 40-49 years, female 35.8
GTEX-17KNJ-2326-SM-7DHLQ 50-59 years, male 35.7
GTEX-13FHP-0126-SM-5IJBG 50-59 years, male 35.6
GTEX-1CB4H-0226-SM-7PBXM 60-69 years, female 35.4
GTEX-18A67-0126-SM-7LG5P 50-59 years, male 35.3
GTEX-X638-0126-SM-47JZ8 70-79 years, female 35.3
GTEX-1HFI7-1826-SM-ACKXH 50-59 years, female 35.1
GTEX-1B8SF-1426-SM-7DUGL 60-69 years, male 34.8
GTEX-OIZF-0126-SM-7SB8I 60-69 years, male 34.8
GTEX-12WSC-0126-SM-5EQ4P 50-59 years, male 34.7
GTEX-Q2AG-0126-SM-33HBV 40-49 years, female 34.6
GTEX-ZUA1-0126-SM-5GU76 40-49 years, male 34.6
GTEX-1GF9U-2126-SM-7SB7L 40-49 years, female 34.4
GTEX-1H3NZ-0126-SM-ACKX7 60-69 years, male 34.3
GTEX-147F3-0526-SM-5SI98 50-59 years, female 34.2
GTEX-1QEPI-0126-SM-EWRMQ 60-69 years, female 33.5
GTEX-13OW5-0126-SM-DTXFS 60-69 years, male 33.4
GTEX-14E6E-1826-SM-5S2R7 30-39 years, male 33.3
GTEX-ZYT6-0226-SM-5NQ6T 30-39 years, male 33.2
GTEX-1C6VR-2426-SM-79OLD 60-69 years, male 33.1
GTEX-1C64N-0126-SM-793D7 50-59 years, male 33.0
GTEX-15G19-0126-SM-6PANQ 60-69 years, male 32.8
GTEX-VUSG-2526-SM-4KL1V 50-59 years, male 32.2
GTEX-T5JW-1626-SM-3GADZ 20-29 years, female 32.1
GTEX-SNMC-1226-SM-2XCFP 20-29 years, male 31.6
GTEX-1GMR8-0126-SM-9WYTM 50-59 years, female 31.5
GTEX-R45C-0126-SM-EAZ2R 60-69 years, female 31.5
GTEX-Q734-1926-SM-2I5EV 40-49 years, female 31.4
GTEX-U3ZN-2326-SM-3DB7W 30-39 years, female 31.1
GTEX-TMMY-0226-SM-33HBA 40-49 years, female 31.0
GTEX-12WSN-5019-SM-79OM6 40-49 years, male 30.4
GTEX-14ABY-0226-SM-5TDCQ 50-59 years, male 30.4
GTEX-POMQ-2226-SM-2I5FK 20-29 years, female 30.4
GTEX-1KANB-0526-SM-E6CJH 50-59 years, male 30.4
GTEX-RWS6-2026-SM-2XCB5 60-69 years, female 30.2
GTEX-11P82-1626-SM-59879 20-29 years, male 30.1
GTEX-1K9T9-0126-SM-EVYCF 50-59 years, female 29.7
GTEX-1I1HK-0126-SM-COH49 60-69 years, male 29.5
GTEX-1F88F-2726-SM-7PBZZ 60-69 years, female 29.0
GTEX-VJYA-1126-SM-3GIJU 60-69 years, male 27.6
GTEX-14BIN-0626-SM-793DP 50-59 years, female 27.1
GTEX-1HB9E-0226-SM-E9U4R 50-59 years, male 27.1
GTEX-ZY6K-1826-SM-5GZXK 50-59 years, male 26.9
GTEX-P44H-0226-SM-2XCEU 40-49 years, male 26.8
GTEX-113IC-0126-SM-5HL6T 60-69 years, male 26.7
GTEX-11EI6-0126-SM-5985R 60-69 years, male 26.5
GTEX-14JG6-2226-SM-6EU2G 30-39 years, female 26.5
GTEX-183WM-0126-SM-7LTAB 70-79 years, female 26.5
GTEX-14PHW-0126-SM-6LLJI 60-69 years, female 26.0
GTEX-1JK1U-2026-SM-CM2RZ 60-69 years, male 26.0
GTEX-1LBAC-0126-SM-DIPEZ 20-29 years, male 25.8
GTEX-1H11D-0226-SM-9WG6Z 40-49 years, male 24.8
GTEX-ZZPT-0226-SM-5E43X 50-59 years, male 24.7
GTEX-1F5PK-2426-SM-7RHHY 50-59 years, male 24.7
GTEX-13OVG-1926-SM-5L3DK 60-69 years, male 22.8
GTEX-SSA3-0126-SM-32QPU 60-69 years, male 22.6
GTEX-1ICLZ-0126-SM-CKZPO 60-69 years, male 21.1
GTEX-1L5NE-2526-SM-E6CIE 50-59 years, male 20.2
GTEX-1HCU7-0226-SM-CL545 50-59 years, male 18.7
GTEX-1R9K4-0126-SM-DTX9X 60-69 years, male 15.8
GTEX-SE5C-1626-SM-2XCE3 40-49 years, female 11.6
Show allShow less

Contact

  • NEWS ARTICLES
  • PRESS ROOM

The Project

  • INTRODUCTION
  • ORGANIZATION
  • PUBLICATIONS

The Human Protein Atlas

  • DOWNLOADABLE DATA
  • LICENCE & CITATION
  • HELP & FAQ
The Human Protein Atlas project is funded
by the Knut & Alice Wallenberg Foundation.


contact@proteinatlas.org