We use cookies to enhance the usability of our website. If you continue, we'll assume that you are happy to receive all cookies. More information. Don't show this again.
AOC3
HPA
RESOURCES
  • TISSUE
  • BRAIN
  • SINGLE CELL
  • SUBCELLULAR
  • CANCER
  • BLOOD
  • CELL LINE
  • STRUCTURE & INTERACTION
ABOUT
  • INTRODUCTION
  • HISTORY
  • ORGANIZATION
  • PUBLICATIONS
  • ANTIBODY SUBMISSION
  • ANTIBODY AVAILABILITY
  • ACKNOWLEDGMENTS
  • CONTACT
NEWS
  • NEWS ARTICLES
  • PRESS ROOM
LEARN
  • DICTIONARY
  • PROTEIN CLASSES
  • PROTEIN EVIDENCE
  • METHODS
  • EDUCATIONAL VIDEOS
DATA
  • DOWNLOADABLE DATA
  • PUBLICATION DATA
  • RELEASE HISTORY
HELP
  • ANTIBODY VALIDATION
  • ASSAYS & ANNOTATION
  • DISCLAIMER
  • HELP & FAQ
  • PRIVACY STATEMENT
  • LICENCE & CITATION
Fields »
Search result

Field
Term
Gene name
Class
Subclass
Class
Keyword
Chromosome
External id
Tissue
Cell type
Expression
Antibody panel
Tissue
Main location
Patient ID
Annotation
Tissue
Category
Tau score
Cluster
Reliability
Brain region
Category
Tau score
Brain region
Category
Tau score
Brain region
Category
Tau score
Cluster
Reliability
Tissue
Cell type
Enrichment
Cell type
Category
Tau score
Cell type
Category
Tau score
Cell type
Category
Tau score
Cell lineage
Category
Tau score
Cluster
Cluster
Location
Searches
Location
Cell line
Class
Type
Phase
Reliability
Cancer
Prognosis
Cancer
Category
Cancer
Category
Tau score
Cluster
Variants
Interacting gene (ensg_id)
Type
Number of interactions
Pathway
Category
Score
Score
Score
Validation
Validation
Validation
Validation
Antibodies
Data type
Column


  • SUMMARY

  • TISSUE

  • BRAIN

  • SINGLE CELL

  • SUBCELL

  • CANCER

  • BLOOD

  • CELL LINE

  • STRUCT & INT

  • AOC3
TISSUE PRIMARY DATA SKIN Show tissue menu
ADIPOSE TISSUE ADRENAL GLAND AMYGDALA APPENDIX BASAL GANGLIA BONE MARROW BREAST BRONCHUS CEREBELLUM CEREBRAL CORTEX CERVIX CHOROID PLEXUS COLON DUODENUM
ENDOMETRIUM EPIDIDYMIS ESOPHAGUS FALLOPIAN TUBE GALLBLADDER HEART MUSCLE HIPPOCAMPAL FORMATION HYPOTHALAMUS KIDNEY LIVER LUNG LYMPH NODE MIDBRAIN NASOPHARYNX
ORAL MUCOSA OVARY PANCREAS PARATHYROID GLAND PITUITARY GLAND PLACENTA PROSTATE RECTUM RETINA SALIVARY GLAND SEMINAL VESICLE SKELETAL MUSCLE SKIN SMALL INTESTINE
SMOOTH MUSCLE SOFT TISSUE SPINAL CORD SPLEEN STOMACH TESTIS THYMUS THYROID GLAND TONGUE TONSIL URINARY BLADDER VAGINA
ANTIBODIES
AND
VALIDATION
Dictionary
Skin
Tissue proteome
Skin
SKIN - Expression summary
Protein expression
Skini

On the top, protein expression in current human tissue, based on all annotated cell types, is reported with the units not detected (n), low (l), medium (m) and high (h). Underneath, protein expression in each annotated cell type are reported using the same units.

Protein expression data is based on knowledge-based annotation. For genes where more than one antibody has been used, a collective score is set.

If knowledge-based annotation could not be performed for a gene, no data is displayed here. View antibody staining data further down this page.

h
m
l
n
Cells in basal layer: Not detected
Cells in corneal layer: Not detected
Cells in granular layer: Not detected
Cells in spinous layer: Not detected
Endothelial cells: High
Extracellular matrix: Not detected
Fibrohistiocytic cells: Not detected
Hair follicles: Not detected
Langerhans cells: Not detected
Lymphocytes: Not detected
Melanocytes: Not detected
Vascular mural cells: High
RNA expressioni

A summary of mRNA expression data available for current tissue based on several datasets. The mRNA expression levels in human tissues are based on RNA-seq data generated by the Human Protein Atlas (HPA), Genotype-Tissue Expression (GTEx) portal and CAGE data generated by the FANTOM5 consortium. Consensus normalized expression levels for human tissues was created by combining the data from HPA and GTEx datasets.

The mRNA expression levels in pig are based on RNA-seq data generated by the Human Protein Atlas (HPA), and for mouse, HPA data and in situ hybridization generated by the Allen brain atlas are reported.

Scroll down to view mRNA expression data in more detail.
Consensus:23.8 nTPM
HPA:5.5 nTPM
GTEx:23.8 nTPM

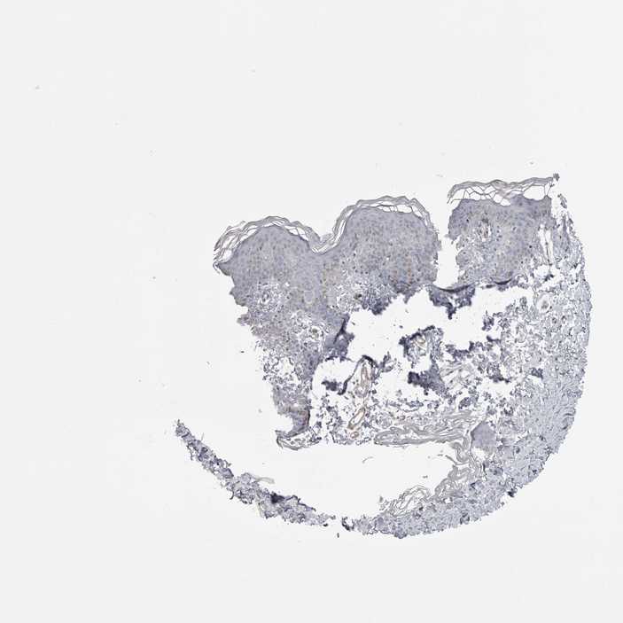
SKIN 1 - Antibody stainingi

Antibody staining in the annotated cell types in the current human tissue is reported as not detected, low, medium, or high, based on conventional immunohistochemistry profiling in selected tissues. This score is based on the combination of the staining intensity and fraction of stained cells.

Each image is clickable and will lead to virtual microscopy that enables deeper exploration of all samples and also displays staining intensity scores, fraction scores and subcellular localization as well as patient and tissue information for each sample.

Antibody HPA000980Antibody CAB025797
Langerhans Not detected-
Cells in basal layer -Not detected
Cells in corneal layer -Not detected
Cells in granular layer -Not detected
Cells in spinous layer -Not detected
Endothelial cells -High
Extracellular matrix -Not detected
Fibroblasts Not detected-
Fibrohistiocytic cells -Not detected
Hair follicles -Not detected
Keratinocytes Not detected-
Langerhans cells -Not detected
Lymphocytes -Not detected
Melanocytes Not detectedNot detected
Vascular mural cells -High




SKIN 2 - Antibody stainingi

Antibody staining in the annotated cell types in the current human tissue is reported as not detected, low, medium, or high, based on conventional immunohistochemistry profiling in selected tissues. This score is based on the combination of the staining intensity and fraction of stained cells.

Each image is clickable and will lead to virtual microscopy that enables deeper exploration of all samples and also displays staining intensity scores, fraction scores and subcellular localization as well as patient and tissue information for each sample.

Antibody HPA000980Antibody CAB025797
Cells in basal layer -Not detected
Cells in corneal layer -Not detected
Cells in granular layer -Not detected
Cells in spinous layer -Not detected
Endothelial cells -High
Epidermal cells Not detected-
Extracellular matrix -Not detected
Fibrohistiocytic cells -Not detected
Langerhans cells -Not detected
Lymphocytes -Not detected
Melanocytes -Not detected
Vascular mural cells -High
  
  
  





SKIN - HPA RNA-seqi

The RNA-seq details section shows detailed information about the individual samples used for the transcript profiling and results of the RNA-seq analysis.

Information about each individual sample is listed below, including gender, age, a tissue section image and estimated fractions of cell types. nTPM (normalized transcripts per million) values give a quantification of the gene abundance which is comparable between different genes and samples.
Average nTPMi

Max subtype nTPM is the value for the subtype with the largest average nTPM across the subtype samples.

5.5
overview
Female, age 34
Skin sample 225
nTPM: 5.4
Cell types%
Keratinocytes:
60

Other cell types:
40

overview
Female, age 30
Skin sample 226
nTPM: 5.9
Cell types%
Keratinocytes:
55

Other cell types:
45

N/A
Male, age 57
Skin sample 227
nTPM: 5.3

SKIN - GTEx RNA-seqi

RNA-Seq data generated by the Genotype-Tissue Expression (GTEx) project from human tissues is reported as mean nTPM. More information can be found on the GTEx portal.

Distribution across the dataset is visualized with box plots, shown as median and 25th and 75th percentiles. Points are displayed as outliers if they are above or below 1.5 times the interquartile range. nTPM values of the individual samples are presented next to the box plot.
Max subtype nTPMi

Max subtype nTPM is the value for the subtype with the largest average nTPM across the subtype samples.

23.8
GTEx sample id Sample description nTPM
Skin - Not Sun Exposed (Suprapubic)
Average nTPM: 17.7
Samples: 604

Max nTPM: 146.5
Min nTPM: 2.3
Std nTPM: 12.5
Median nTPM: 14.9
GTEX-YB5K-2026-SM-4VDT3 40-49 years, female 146.5
GTEX-1GF9U-2026-SM-7SB92 40-49 years, female 87.6
GTEX-WEY5-2326-SM-3GIKK 40-49 years, female 75.2
GTEX-1F75W-2726-SM-7SB8H 60-69 years, male 67.1
GTEX-1CAV2-0126-SM-7IGN7 40-49 years, female 65.6
GTEX-14PJ2-0626-SM-6LLII 50-59 years, male 57.4
GTEX-UPK5-0426-SM-3GAEK 40-49 years, male 56.2
GTEX-14E6C-2426-SM-5S2NF 40-49 years, male 53.9
GTEX-ZU9S-1826-SM-5NQ9E 30-39 years, male 52.6
GTEX-WFG8-2126-SM-3GIKQ 20-29 years, male 51.2
GTEX-1ICG6-1226-SM-A9SLN 70-79 years, female 50.7
GTEX-13FH7-1126-SM-5K7UG 50-59 years, female 50.2
GTEX-13JUV-2026-SM-5K7UA 40-49 years, female 50.2
GTEX-17EVQ-0126-SM-7IGLR 70-79 years, male 47.2
GTEX-1AX9J-1326-SM-731BJ 60-69 years, male 46.7
GTEX-1399R-1326-SM-5PNYS 30-39 years, male 46.6
GTEX-1IDJE-1426-SM-ADEIW 50-59 years, female 46.6
GTEX-11NSD-0626-SM-5A5LU 20-29 years, male 46.2
GTEX-1F6IF-0926-SM-7SB7M 60-69 years, male 46.2
GTEX-13N2G-0226-SM-5K7VF 60-69 years, male 45.9
GTEX-1QCLZ-2426-SM-EVYBW 60-69 years, female 45.9
GTEX-1I4MK-0126-SM-CY8G6 50-59 years, female 44.1
GTEX-1RB15-1326-SM-E76Q9 60-69 years, male 43.9
GTEX-1O9I2-0226-SM-EYYXD 50-59 years, male 43.4
GTEX-1HC8U-1326-SM-9YFMJ 40-49 years, female 42.0
GTEX-111FC-2526-SM-5GZXU 60-69 years, male 41.6
GTEX-12WSL-2026-SM-5GCML 50-59 years, male 41.4
GTEX-17HG3-2626-SM-7DUF2 30-39 years, female 41.4
GTEX-1A32A-0626-SM-731AQ 50-59 years, female 41.3
GTEX-1H1CY-0126-SM-9YFLY 60-69 years, female 41.2
GTEX-ZYFG-1526-SM-5GZYM 60-69 years, female 40.3
GTEX-18A66-0626-SM-7LT8Z 60-69 years, male 39.4
GTEX-17JCI-2926-SM-7DUFF 60-69 years, female 38.9
GTEX-13SLX-2226-SM-62LEP 50-59 years, female 38.8
GTEX-1GMR2-0826-SM-7PC3V 50-59 years, male 38.4
GTEX-ZUA1-2626-SM-5NQ92 40-49 years, male 38.3
GTEX-1QP66-1226-SM-DTX7U 50-59 years, male 38.3
GTEX-1C64N-2626-SM-7PC2N 50-59 years, male 38.2
GTEX-1LVA9-2626-SM-EVYD4 50-59 years, male 38.1
GTEX-13OVJ-0826-SM-5J1OK 50-59 years, female 37.6
GTEX-ZYFC-0426-SM-5GICQ 50-59 years, male 37.3
GTEX-139TS-2126-SM-5K7XC 60-69 years, male 36.8
GTEX-11DZ1-2426-SM-5GZZX 50-59 years, male 36.5
GTEX-16GPK-0626-SM-7KFSF 60-69 years, male 36.2
GTEX-ZVTK-0226-SM-51MRG 20-29 years, male 36.2
GTEX-1HUB1-1426-SM-CGQF5 60-69 years, male 36.1
GTEX-1GZ2Q-0126-SM-9WG6M 40-49 years, male 35.9
GTEX-1HR98-2226-SM-ADEI2 60-69 years, male 35.8
GTEX-1HCU8-2526-SM-CE6RX 60-69 years, female 35.6
GTEX-ZDTS-0826-SM-4WKHL 60-69 years, male 34.6
GTEX-1IDJF-2026-SM-CL53V 20-29 years, male 34.6
GTEX-18A7B-2726-SM-7LG56 70-79 years, male 34.3
GTEX-11EI6-2826-SM-5H11D 60-69 years, male 34.1
GTEX-1LGOU-1326-SM-D3L8M 20-29 years, female 34.0
GTEX-14BMU-1226-SM-5S2OR 20-29 years, female 33.7
GTEX-14DAQ-0626-SM-793DS 60-69 years, female 33.6
GTEX-12584-0726-SM-5FQTK 40-49 years, male 33.2
GTEX-14JG6-1426-SM-9WG7C 30-39 years, female 32.8
GTEX-1JN6P-2926-SM-CL54D 60-69 years, male 32.8
GTEX-ZVE2-2826-SM-5GU51 50-59 years, male 32.7
GTEX-1IL2V-1926-SM-B2LW8 70-79 years, male 32.7
GTEX-1CAMR-1326-SM-7PC1F 20-29 years, male 32.5
GTEX-1KANC-1226-SM-CYPT7 50-59 years, female 32.3
GTEX-1J8JJ-0626-SM-ARZMQ 60-69 years, female 32.0
GTEX-X3Y1-2026-SM-3P5YM 40-49 years, male 31.6
GTEX-1KANB-2826-SM-CY8I6 50-59 years, male 31.6
GTEX-1H3NZ-2726-SM-9WYTQ 60-69 years, male 31.0
GTEX-WFON-1926-SM-3LK7L 40-49 years, male 30.8
GTEX-11P7K-1126-SM-5HL4L 30-39 years, male 30.7
GTEX-11P82-1426-SM-DTXFY 20-29 years, male 30.7
GTEX-18465-2826-SM-7LT9J 50-59 years, male 30.5
GTEX-1KWVE-1026-SM-D3L9O 30-39 years, male 30.5
GTEX-ZLFU-1826-SM-4WWBV 40-49 years, male 30.2
GTEX-1JMQK-1226-SM-D4P2S 60-69 years, male 30.2
GTEX-ZDXO-3126-SM-5IJDF 60-69 years, male 30.0
GTEX-1I19N-0126-SM-CYPSF 70-79 years, male 30.0
GTEX-1L5NE-1126-SM-D3L9P 50-59 years, male 29.6
GTEX-13N11-2326-SM-5IJBF 50-59 years, female 29.4
GTEX-11DYG-1526-SM-5A5JS 60-69 years, male 29.2
GTEX-145LS-0626-SM-7EPG7 60-69 years, female 29.2
GTEX-Y8LW-1526-SM-5IFHL 50-59 years, female 29.1
GTEX-1F75B-0726-SM-7PC3R 50-59 years, male 29.1
GTEX-11DXW-0826-SM-5H118 40-49 years, male 29.0
GTEX-11TT1-1826-SM-5EQLV 20-29 years, male 28.9
GTEX-1HCU6-2526-SM-ADEHL 60-69 years, female 28.9
GTEX-1EWIQ-0326-SM-7DHMQ 70-79 years, female 28.7
GTEX-13N1W-2426-SM-5IJD1 70-79 years, male 28.6
GTEX-1E1VI-0326-SM-793D1 50-59 years, male 28.6
GTEX-ZT9W-1126-SM-57WDR 50-59 years, male 28.5
GTEX-1RAZR-2126-SM-E9U6T 40-49 years, male 28.5
GTEX-1LSNM-0826-SM-DIPG8 50-59 years, male 28.3
GTEX-WYVS-1626-SM-3NM9R 40-49 years, female 28.2
GTEX-12C56-1526-SM-5FQUQ 20-29 years, male 28.1
GTEX-XK95-0226-SM-4AT58 40-49 years, male 28.1
GTEX-132AR-0326-SM-5KM2C 50-59 years, female 28.0
GTEX-1LSNL-2726-SM-E9TKJ 50-59 years, male 27.9
GTEX-1M4P7-0726-SM-E6CJ3 60-69 years, male 27.9
GTEX-145ME-1726-SM-5Q5EU 40-49 years, female 27.8
GTEX-16XZZ-0726-SM-7KUF2 60-69 years, male 27.5
GTEX-12WSF-1626-SM-7KUG5 70-79 years, male 27.3
GTEX-16BQI-1326-SM-6M486 30-39 years, female 27.2
GTEX-1IY9M-2826-SM-ARU8H 60-69 years, male 27.2
GTEX-1LBAC-0826-SM-CY8IJ 20-29 years, male 26.9
GTEX-1JMPZ-0726-SM-CY8HZ 30-39 years, male 26.8
GTEX-1LG7Z-1626-SM-CXKYR 30-39 years, male 26.8
GTEX-131YS-2826-SM-5EQ47 60-69 years, female 26.7
GTEX-139YR-1026-SM-5LZYN 50-59 years, male 26.6
GTEX-1HSMO-0626-SM-ACKXC 60-69 years, male 26.6
GTEX-1RAZA-2226-SM-E9U4X 20-29 years, male 26.6
GTEX-14PJO-2526-SM-6AJBQ 60-69 years, male 26.5
GTEX-15CHQ-0326-SM-69LQD 60-69 years, male 26.5
GTEX-117YX-1926-SM-5GIEC 50-59 years, male 26.1
GTEX-1JMQL-2226-SM-CNPP4 50-59 years, female 26.1
GTEX-WXYG-2026-SM-4E3IY 50-59 years, female 26.0
GTEX-18A7A-0126-SM-731AH 50-59 years, female 25.9
GTEX-131XH-0126-SM-5LZUY 50-59 years, male 25.8
GTEX-ZYW4-0626-SM-59HJR 60-69 years, male 25.8
GTEX-12126-0826-SM-5FQTZ 20-29 years, male 25.5
GTEX-U8XE-0226-SM-4E3J3 30-39 years, male 25.5
GTEX-YJ8O-2526-SM-5HL85 40-49 years, female 25.4
GTEX-15UF6-1926-SM-7KUDV 70-79 years, female 25.1
GTEX-15DYW-2726-SM-6EU2I 60-69 years, female 24.9
GTEX-1HCU9-0426-SM-9WYSD 20-29 years, male 24.9
GTEX-1AX8Z-0726-SM-73KTS 60-69 years, male 24.5
GTEX-XBEC-0726-SM-4QARZ 50-59 years, male 24.3
GTEX-Z93S-1626-SM-5CVMB 50-59 years, male 24.3
GTEX-1A8FM-0626-SM-7PC25 50-59 years, female 24.3
GTEX-14PJ5-1526-SM-6LLIL 60-69 years, female 24.2
GTEX-1JKYN-0826-SM-ARU8S 30-39 years, male 24.2
GTEX-1LSVX-2526-SM-DIPEU 60-69 years, male 24.2
GTEX-1314G-1326-SM-5BC6E 30-39 years, male 24.0
GTEX-1JMQI-1726-SM-ARL93 50-59 years, male 23.9
GTEX-13OW8-1026-SM-5J1NQ 60-69 years, male 23.8
GTEX-12WSD-0626-SM-5GCMW 60-69 years, female 23.7
GTEX-WHPG-2626-SM-3NMBR 50-59 years, male 23.7
GTEX-11EM3-1226-SM-5N9DD 20-29 years, female 23.6
GTEX-X8HC-0626-SM-4E3HQ 50-59 years, female 23.6
GTEX-1K2DA-1026-SM-CGQGF 50-59 years, male 23.3
GTEX-ZLWG-0826-SM-59888 50-59 years, female 23.2
GTEX-WYBS-0626-SM-3NMAS 60-69 years, female 23.1
GTEX-145MG-1526-SM-5Q5EM 50-59 years, male 22.9
GTEX-13OW5-2326-SM-5L3HO 60-69 years, male 22.8
GTEX-15D1Q-2826-SM-6LLH7 40-49 years, male 22.8
GTEX-16MT8-2926-SM-7DUFO 60-69 years, female 22.6
GTEX-1POEN-2326-SM-E9J2L 30-39 years, female 22.6
GTEX-1I1CD-0626-SM-CE6SW 60-69 years, female 22.5
GTEX-131XW-0626-SM-5PNVD 50-59 years, female 22.4
GTEX-13NZ9-2626-SM-5L3FK 50-59 years, male 22.3
GTEX-Y3IK-1626-SM-4YCF5 50-59 years, female 22.2
GTEX-13X6K-0626-SM-5LU5D 60-69 years, female 22.1
GTEX-1H1DF-1126-SM-9WG7G 40-49 years, female 21.8
GTEX-ZE7O-2726-SM-51MT5 50-59 years, female 21.7
GTEX-1QMI2-2526-SM-E8VNZ 60-69 years, male 21.7
GTEX-147F3-1726-SM-5SIAW 50-59 years, female 21.6
GTEX-15ER7-0626-SM-6PANF 20-29 years, female 21.6
GTEX-XXEK-1626-SM-4BRUZ 50-59 years, male 21.6
GTEX-139T8-0626-SM-5KLZX 60-69 years, male 21.5
GTEX-1IDJH-0126-SM-D3L92 70-79 years, male 21.5
GTEX-1LVAO-2726-SM-E9TJ8 60-69 years, male 21.5
GTEX-11O72-0626-SM-5PNYE 40-49 years, male 21.3
GTEX-XPVG-2126-SM-4B667 50-59 years, male 21.3
GTEX-13OVL-0126-SM-5L3GJ 50-59 years, male 21.2
GTEX-1IDJD-2326-SM-ACKWX 30-39 years, male 21.2
GTEX-WI4N-2726-SM-3LK7Y 40-49 years, female 21.1
GTEX-1F6I4-2326-SM-7RHGL 60-69 years, male 21.1
GTEX-16Z82-2626-SM-7KULU 60-69 years, male 21.0
GTEX-1B933-2426-SM-7DHMD 50-59 years, female 20.9
GTEX-1I1GP-1326-SM-A9G28 50-59 years, male 20.9
GTEX-1QEPI-2626-SM-DTXF4 60-69 years, female 20.9
GTEX-XOT4-0626-SM-4B66L 60-69 years, female 20.7
GTEX-145MN-1526-SM-5SI9T 30-39 years, male 20.6
GTEX-1H1ZS-2726-SM-9WG75 70-79 years, male 20.6
GTEX-1JJE9-2626-SM-ARZMT 70-79 years, male 20.6
GTEX-16MT9-0126-SM-7EPI8 60-69 years, female 20.5
GTEX-17F96-0126-SM-7EWDU 70-79 years, male 20.5
GTEX-1EN7A-2426-SM-793DB 40-49 years, male 20.4
GTEX-13X6I-1826-SM-5SIAO 60-69 years, male 20.3
GTEX-15SHW-0226-SM-7LTAT 60-69 years, male 20.3
GTEX-16NPX-0726-SM-7KULC 50-59 years, male 20.3
GTEX-1JMOU-1026-SM-CYPSS 60-69 years, female 20.3
GTEX-147JS-0226-SM-5S2U9 60-69 years, male 20.2
GTEX-183FY-1026-SM-7939A 20-29 years, male 20.2
GTEX-ZVE1-0726-SM-51MRN 50-59 years, female 20.2
GTEX-1MCC2-1826-SM-DIPEX 30-39 years, female 20.2
GTEX-1N5O9-0926-SM-E9J3C 60-69 years, male 20.1
GTEX-1GMR8-0626-SM-7RHI7 50-59 years, female 20.0
GTEX-ZC5H-1526-SM-5HL9Y 40-49 years, female 19.9
GTEX-ZVP2-0326-SM-57WBP 50-59 years, male 19.9
GTEX-1192X-2726-SM-5N9DN 50-59 years, male 19.8
GTEX-13PVQ-0626-SM-5LU47 50-59 years, male 19.8
GTEX-14DAR-1226-SM-73KYV 50-59 years, male 19.8
GTEX-1PIGE-1826-SM-E8VOU 20-29 years, male 19.8
GTEX-139TU-0726-SM-5L3EK 60-69 years, male 19.7
GTEX-Y8E4-2026-SM-5IFJB 40-49 years, male 19.7
GTEX-1477Z-0326-SM-7IGLA 60-69 years, male 19.5
GTEX-WHSE-0126-SM-3NMBT 20-29 years, male 19.5
GTEX-1LVAN-0626-SM-CNPOQ 50-59 years, female 19.4
GTEX-WRHU-2826-SM-3MJG8 50-59 years, female 19.3
GTEX-11NUK-2726-SM-5A5MC 50-59 years, male 19.1
GTEX-11WQC-1826-SM-5GU59 60-69 years, male 19.1
GTEX-1117F-2926-SM-5GZYI 60-69 years, female 19.0
GTEX-12KS4-2126-SM-5FQUT 30-39 years, male 19.0
GTEX-WK11-2726-SM-3NMAQ 50-59 years, male 19.0
GTEX-1F75A-0726-SM-7RHHD 50-59 years, male 19.0
GTEX-1C6WA-2626-SM-7MKGM 60-69 years, male 18.9
GTEX-WY7C-2126-SM-3NB2R 50-59 years, male 18.9
GTEX-1HFI6-0126-SM-CNPPI 40-49 years, male 18.9
GTEX-XQ3S-1426-SM-4BOPR 20-29 years, male 18.8
GTEX-1I6K6-1726-SM-CGQFD 30-39 years, male 18.8
GTEX-15RIE-1926-SM-7KUKJ 60-69 years, male 18.7
GTEX-17F98-1326-SM-7DUEP 40-49 years, female 18.7
GTEX-WH7G-2026-SM-3NMBL 40-49 years, male 18.7
GTEX-1C475-1326-SM-7SB73 40-49 years, female 18.7
GTEX-18D9B-0926-SM-7LG4U 60-69 years, male 18.6
GTEX-13O3O-2326-SM-5IJD6 60-69 years, female 18.5
GTEX-1AX9I-2226-SM-73KUO 60-69 years, male 18.5
GTEX-1HSMP-0926-SM-A9SKX 70-79 years, male 18.5
GTEX-1QP29-1826-SM-DTX9S 50-59 years, male 18.4
GTEX-14LLW-2626-SM-62LDZ 70-79 years, female 18.2
GTEX-ZAB4-2126-SM-5HL8U 40-49 years, male 18.1
GTEX-ZAK1-0626-SM-5HL8E 50-59 years, female 18.1
GTEX-1I1HK-2326-SM-CKZOH 60-69 years, male 18.1
GTEX-YF7O-1526-SM-5IFI6 50-59 years, male 18.0
GTEX-14A5H-0826-SM-5QGPJ 60-69 years, male 17.9
GTEX-14PKV-1126-SM-6LLJ1 20-29 years, female 17.9
GTEX-1B932-2326-SM-79OL5 40-49 years, female 17.9
GTEX-1497J-0226-SM-5QGPU 60-69 years, male 17.8
GTEX-14JG1-1526-SM-5YY9X 40-49 years, male 17.8
GTEX-16YQH-2226-SM-7IGM2 30-39 years, male 17.8
GTEX-ZAJG-1526-SM-5CVML 50-59 years, female 17.8
GTEX-17F9E-2326-SM-79OKD 50-59 years, male 17.7
GTEX-12ZZY-0726-SM-5EQ66 60-69 years, male 17.6
GTEX-1GL5R-1326-SM-7RHHF 50-59 years, male 17.6
GTEX-13X6J-0626-SM-5LU5F 50-59 years, male 17.5
GTEX-VUSG-2326-SM-4KL1U 50-59 years, male 17.5
GTEX-1HFI7-2326-SM-CGQFS 50-59 years, female 17.5
GTEX-1J1R8-2026-SM-CL53Y 40-49 years, male 17.5
GTEX-1CB4F-1026-SM-7DUH1 60-69 years, male 17.4
GTEX-XMD2-2126-SM-4YCF8 60-69 years, female 17.4
GTEX-1A3MX-2626-SM-7PC24 60-69 years, male 17.4
GTEX-145MO-2826-SM-5LU96 60-69 years, male 17.3
GTEX-1F48J-0726-SM-7RHGS 50-59 years, female 17.3
GTEX-1GN2E-0226-SM-9WG6K 60-69 years, male 17.3
GTEX-1IDJC-1526-SM-B2LW4 50-59 years, male 17.3
GTEX-139TT-2126-SM-5LZWC 60-69 years, male 17.2
GTEX-17MF6-2626-SM-79OKQ 40-49 years, male 17.2
GTEX-15EU6-2226-SM-6EU2L 50-59 years, male 17.1
GTEX-Y5V5-0126-SM-5S2NW 60-69 years, female 17.1
GTEX-1GF9W-1426-SM-7PBYM 60-69 years, male 17.1
GTEX-1PPGY-1626-SM-EVYBL 60-69 years, male 17.1
GTEX-1RLM8-2926-SM-E8VON 50-59 years, male 17.1
GTEX-12WSC-2826-SM-5BC5Y 50-59 years, male 17.0
GTEX-1GMR3-0126-SM-A9SLW 40-49 years, male 17.0
GTEX-17MFQ-1526-SM-7KFRR 20-29 years, male 16.8
GTEX-1KD5A-0126-SM-E9U54 50-59 years, male 16.8
GTEX-12BJ1-0926-SM-5EQ62 60-69 years, male 16.7
GTEX-1A3MW-0626-SM-731CB 60-69 years, female 16.7
GTEX-11OF3-0126-SM-5PNYF 60-69 years, male 16.6
GTEX-1HB9E-0126-SM-CM2S5 50-59 years, male 16.6
GTEX-12ZZX-2426-SM-5GCOE 40-49 years, female 16.5
GTEX-14753-0726-SM-5QGQO 60-69 years, male 16.5
GTEX-ZF3C-0626-SM-DO92O 50-59 years, female 16.5
GTEX-146FQ-2126-SM-5RQHU 30-39 years, male 16.4
GTEX-X4EO-2926-SM-4E3JH 60-69 years, female 16.4
GTEX-X585-2426-SM-46MW2 50-59 years, male 16.4
GTEX-15DDE-2926-SM-6LLJ3 50-59 years, female 16.3
GTEX-16AAH-0626-SM-793C9 50-59 years, male 16.3
GTEX-11UD2-2526-SM-5CVNU 50-59 years, male 16.2
GTEX-1CAMQ-1326-SM-7P8RV 40-49 years, male 16.2
GTEX-1HCVE-2726-SM-CL54F 50-59 years, male 16.2
GTEX-13OW7-0426-SM-5K7VK 50-59 years, male 16.1
GTEX-YEC3-1326-SM-DO92X 50-59 years, male 16.1
GTEX-1CB4I-0126-SM-7RHGG 50-59 years, male 16.0
GTEX-13113-1626-SM-5EQ4I 60-69 years, female 15.9
GTEX-12WSM-1926-SM-5BC65 60-69 years, male 15.8
GTEX-15CHR-1126-SM-7EWF4 50-59 years, male 15.8
GTEX-1E2YA-2126-SM-7MXUO 50-59 years, male 15.8
GTEX-13OVG-1626-SM-5J1NF 60-69 years, male 15.6
GTEX-18D9U-0126-SM-731BM 40-49 years, male 15.6
GTEX-XYKS-1426-SM-4BRUO 60-69 years, female 15.6
GTEX-18A6Q-0626-SM-7KFRP 60-69 years, male 15.5
GTEX-X4EP-0626-SM-3P621 60-69 years, female 15.5
GTEX-147F4-0726-SM-5TDDD 50-59 years, male 15.4
GTEX-VJYA-1526-SM-3GIJV 60-69 years, male 15.4
GTEX-1QCLY-0226-SM-EWRNH 30-39 years, male 15.4
GTEX-14PK6-0226-SM-62LF5 70-79 years, female 15.3
GTEX-17F97-2626-SM-7IGM5 50-59 years, male 15.3
GTEX-XUW1-0926-SM-4BONX 50-59 years, female 15.3
GTEX-1I6K7-1926-SM-B2LXR 40-49 years, male 15.3
GTEX-1211K-1526-SM-5FQU4 60-69 years, female 15.2
GTEX-13RTJ-0126-SM-5S2NN 60-69 years, male 15.2
GTEX-14JFF-0626-SM-5ZZVT 60-69 years, male 15.2
GTEX-15RIG-0726-SM-7KUM7 40-49 years, male 15.1
GTEX-1MJK3-0726-SM-E6CJC 20-29 years, male 15.1
GTEX-11GSP-2326-SM-5HL63 60-69 years, female 15.0
GTEX-13U4I-2226-SM-5LU5H 40-49 years, female 15.0
GTEX-Y5V6-2326-SM-4VDSA 60-69 years, male 15.0
GTEX-1JMLX-0626-SM-ARL8T 50-59 years, male 15.0
GTEX-13OVK-1426-SM-6PAN7 40-49 years, male 14.9
GTEX-14E6E-0526-SM-793DN 30-39 years, male 14.9
GTEX-17HHY-0426-SM-7DHLC 50-59 years, male 14.9
GTEX-WHWD-1826-SM-3LK6I 50-59 years, male 14.9
GTEX-ZZ64-1026-SM-5GZXG 20-29 years, male 14.9
GTEX-1R9K4-2826-SM-DTX8F 60-69 years, male 14.9
GTEX-14ABY-2026-SM-62LDL 50-59 years, male 14.8
GTEX-11DXY-0126-SM-5H11Q 60-69 years, male 14.7
GTEX-1A8G6-2726-SM-731AR 60-69 years, male 14.7
GTEX-1GTWX-2026-SM-9YFLM 60-69 years, male 14.7
GTEX-139UW-0326-SM-5J1ML 60-69 years, male 14.6
GTEX-1C64O-1326-SM-7MGWR 60-69 years, male 14.6
GTEX-15EO6-2426-SM-6PALZ 50-59 years, male 14.5
GTEX-1F75I-2226-SM-7SB8U 40-49 years, male 14.5
GTEX-13112-0126-SM-5P9IU 50-59 years, male 14.4
GTEX-WYJK-0526-SM-3NM8Z 50-59 years, male 14.4
GTEX-YEC4-1826-SM-4W1YP 40-49 years, male 14.4
GTEX-ZYFD-0626-SM-5E44E 50-59 years, male 14.4
GTEX-18D9A-1426-SM-7LT8M 30-39 years, female 14.4
GTEX-1JJ6O-2726-SM-CNPOG 60-69 years, male 14.4
GTEX-14LZ3-0126-SM-69LPM 60-69 years, female 14.3
GTEX-1B996-0426-SM-7EWF8 60-69 years, male 14.3
GTEX-1KAFJ-0126-SM-DIPEK 50-59 years, male 14.3
GTEX-13VXU-0626-SM-5L3F9 50-59 years, male 14.2
GTEX-1H1DG-2426-SM-9QEHJ 70-79 years, male 14.1
GTEX-1HKZK-0726-SM-ACKW2 40-49 years, male 14.0
GTEX-11EQ9-1626-SM-5PNY8 30-39 years, male 13.8
GTEX-1H23P-0626-SM-9WG6T 60-69 years, male 13.8
GTEX-ZGAY-1826-SM-DO91Q 40-49 years, female 13.8
GTEX-139D8-1126-SM-5LU8W 30-39 years, female 13.7
GTEX-133LE-2326-SM-5K7W3 20-29 years, female 13.6
GTEX-1GMRU-2126-SM-7P8RA 50-59 years, male 13.6
GTEX-1IDJU-1726-SM-CMKHU 60-69 years, female 13.6
GTEX-14E1K-2026-SM-7DUEI 50-59 years, male 13.5
GTEX-11DXZ-2026-SM-5987S 50-59 years, male 13.4
GTEX-13O61-1426-SM-5KM3D 60-69 years, male 13.4
GTEX-1EX96-1026-SM-7MKG2 50-59 years, male 13.4
GTEX-12WSH-1526-SM-5BC5W 50-59 years, male 13.3
GTEX-15RJE-2826-SM-7KUM9 40-49 years, male 13.3
GTEX-14BMV-2826-SM-5TDED 50-59 years, male 13.2
GTEX-1N2EE-0626-SM-E76PW 60-69 years, male 13.2
GTEX-1212Z-0126-SM-59HK4 60-69 years, male 13.1
GTEX-17HII-1426-SM-7EPGG 50-59 years, male 13.1
GTEX-1LGRB-0926-SM-COH3K 50-59 years, female 13.1
GTEX-13VXT-1926-SM-5K7UO 20-29 years, female 13.0
GTEX-1A8G7-1326-SM-73KVM 60-69 years, male 13.0
GTEX-ZE9C-2526-SM-5IJDR 60-69 years, male 13.0
GTEX-ZPU1-1126-SM-4YCF3 40-49 years, male 13.0
GTEX-ZTSS-1426-SM-5985P 40-49 years, male 13.0
GTEX-ZXG5-2126-SM-59HKD 60-69 years, male 13.0
GTEX-1GPI7-1826-SM-9KNU1 20-29 years, male 13.0
GTEX-1LKK1-2626-SM-DKPQE 50-59 years, female 13.0
GTEX-13G51-1826-SM-5KLZH 60-69 years, male 12.9
GTEX-13NYC-0126-SM-5L3F4 60-69 years, male 12.9
GTEX-145MI-0626-SM-5SI8S 60-69 years, female 12.9
GTEX-1BAJH-2426-SM-7IGP8 70-79 years, male 12.9
GTEX-1CB4H-1126-SM-7MKGL 60-69 years, female 12.9
GTEX-1ICLY-0826-SM-CMKG1 50-59 years, male 12.9
GTEX-17HGU-2326-SM-7DUFE 50-59 years, male 12.7
GTEX-1A3MV-1826-SM-731CD 30-39 years, male 12.7
GTEX-UPJH-0226-SM-3GADV 50-59 years, male 12.7
GTEX-YFCO-1226-SM-5LUAT 40-49 years, male 12.7
GTEX-1H1E6-0426-SM-9WYUS 30-39 years, male 12.7
GTEX-1HGF4-0126-SM-CNPPX 60-69 years, male 12.7
GTEX-1F88E-1626-SM-7SB8Z 60-69 years, female 12.6
GTEX-1RAZS-2526-SM-E6CHT 50-59 years, male 12.6
GTEX-111YS-1526-SM-5GZYW 60-69 years, male 12.5
GTEX-12WSK-2126-SM-5CVNC 40-49 years, female 12.5
GTEX-144GO-2026-SM-5O99P 60-69 years, male 12.5
GTEX-XBEW-1126-SM-4QARW 40-49 years, male 12.5
GTEX-XQ8I-0926-SM-4BOOF 50-59 years, male 12.5
GTEX-1HSKV-1226-SM-ADEI4 60-69 years, male 12.5
GTEX-11VI4-1126-SM-5EQMD 40-49 years, female 12.4
GTEX-11ZTT-2126-SM-5CVLO 60-69 years, female 12.4
GTEX-13FTW-0326-SM-5K7UW 40-49 years, male 12.3
GTEX-1IDJV-0126-SM-COH3Y 60-69 years, male 12.3
GTEX-12WSA-0426-SM-5EQ5X 60-69 years, male 12.1
GTEX-14AS3-1526-SM-5Q5ED 40-49 years, female 12.1
GTEX-15RJ7-2126-SM-6PAMD 40-49 years, male 12.1
GTEX-1F52S-2926-SM-7MKGA 60-69 years, female 12.1
GTEX-XV7Q-1826-SM-4BRUV 40-49 years, female 12.1
GTEX-1HBPI-2126-SM-ARL9K 50-59 years, male 12.1
GTEX-11EQ8-0926-SM-5H12V 60-69 years, male 12.0
GTEX-13PVR-0426-SM-5RQK2 60-69 years, female 12.0
GTEX-ZTTD-2826-SM-4YCFA 50-59 years, male 12.0
GTEX-1IDJI-0126-SM-CMKHS 50-59 years, female 12.0
GTEX-1NSGN-0726-SM-DTXEF 50-59 years, male 12.0
GTEX-144FL-0626-SM-5LU43 50-59 years, male 11.9
GTEX-1LG7Y-2526-SM-EWRO7 50-59 years, male 11.9
GTEX-1H4P4-2126-SM-9WYSL 50-59 years, male 11.7
GTEX-1JMQJ-0826-SM-CNPP7 50-59 years, male 11.7
GTEX-1EH9U-2826-SM-7DUGT 60-69 years, male 11.6
GTEX-1S831-1826-SM-EWROF 20-29 years, male 11.5
GTEX-13OW6-2726-SM-5J2OE 50-59 years, male 11.4
GTEX-15G19-2426-SM-7KUMR 60-69 years, male 11.4
GTEX-1S82P-2126-SM-E6CI5 60-69 years, female 11.4
GTEX-1269C-0126-SM-5EQ5L 60-69 years, female 11.3
GTEX-12WSJ-1126-SM-5LZVJ 40-49 years, female 11.1
GTEX-17F9Y-0126-SM-79OKX 70-79 years, female 11.1
GTEX-X5EB-1926-SM-4E3IW 40-49 years, male 11.1
GTEX-XAJ8-1426-SM-47JYM 40-49 years, male 11.1
GTEX-1HBPN-0126-SM-CGQEF 50-59 years, male 11.1
GTEX-13QBU-1226-SM-5LU4G 40-49 years, female 11.0
GTEX-131XF-2626-SM-5EQ6K 60-69 years, male 10.9
GTEX-1H3O1-1326-SM-9MQLD 60-69 years, male 10.9
GTEX-1I1GV-0626-SM-ARL7M 60-69 years, male 10.9
GTEX-1PPH8-0126-SM-EWRN8 20-29 years, male 10.8
GTEX-13X6H-0926-SM-5SIB2 50-59 years, female 10.7
GTEX-145MF-0926-SM-5Q5EA 50-59 years, male 10.7
GTEX-15CHC-1126-SM-6LLHQ 60-69 years, female 10.7
GTEX-178AV-1726-SM-7KUL8 40-49 years, male 10.7
GTEX-1JN1M-2726-SM-CY8I4 60-69 years, female 10.7
GTEX-1S5ZU-2526-SM-E6CIF 20-29 years, female 10.7
GTEX-1PIIG-2326-SM-DTXFR 30-39 years, male 10.6
GTEX-13W3W-0726-SM-5IJDQ 60-69 years, female 10.5
GTEX-13YAN-0226-SM-5TDC6 60-69 years, male 10.5
GTEX-Y5LM-0926-SM-6LLJG 40-49 years, female 10.5
GTEX-14PHX-2226-SM-6EU2P 50-59 years, male 10.4
GTEX-183WM-0326-SM-72D5V 70-79 years, female 10.4
GTEX-ZDYS-2426-SM-4WKGI 50-59 years, male 10.4
GTEX-1J8EW-2726-SM-CY8HR 60-69 years, female 10.4
GTEX-1RMOY-1326-SM-E9TIH 50-59 years, male 10.4
GTEX-145LT-0526-SM-5LUB2 40-49 years, male 10.2
GTEX-18QFQ-1826-SM-72D52 30-39 years, male 10.2
GTEX-13FLV-0126-SM-5K7WT 50-59 years, male 10.1
GTEX-13NYB-0126-SM-5J1MD 40-49 years, male 10.1
GTEX-13NZ8-1226-SM-5KM4A 60-69 years, female 10.1
GTEX-111CU-1126-SM-5EGIM 50-59 years, male 10.0
GTEX-131XG-0326-SM-5L3DX 50-59 years, female 10.0
GTEX-16NGA-0726-SM-731AO 40-49 years, female 10.0
GTEX-1HCUA-0826-SM-ADEHM 50-59 years, female 10.0
GTEX-1QP9N-1226-SM-E76QN 30-39 years, male 10.0
GTEX-1R9PM-1926-SM-EVR3O 20-29 years, male 10.0
GTEX-17EVP-2626-SM-7IGMA 40-49 years, male 9.9
GTEX-1F5PK-2226-SM-7SB6N 50-59 years, male 9.9
GTEX-1HSGN-0826-SM-ACKW3 40-49 years, female 9.9
GTEX-1IOXB-2726-SM-CM2RI 50-59 years, male 9.9
GTEX-1QAET-0326-SM-EVR3U 50-59 years, male 9.9
GTEX-13O3Q-0126-SM-5KM34 50-59 years, male 9.8
GTEX-145LU-1926-SM-79OJN 50-59 years, male 9.7
GTEX-148VJ-0626-SM-5LUAW 70-79 years, male 9.7
GTEX-17KNJ-2126-SM-718AM 50-59 years, male 9.7
GTEX-Y114-2126-SM-4TT8B 50-59 years, female 9.7
GTEX-14PJ3-1126-SM-5ZZVX 50-59 years, male 9.6
GTEX-1B8SF-0126-SM-7DUG3 60-69 years, male 9.6
GTEX-ZP4G-1426-SM-4WWCL 20-29 years, female 9.6
GTEX-1K9T9-1526-SM-DIPFR 50-59 years, female 9.6
GTEX-13NYS-0626-SM-5L3F1 60-69 years, male 9.5
GTEX-145MH-2826-SM-5RQJF 50-59 years, male 9.5
GTEX-1H2FU-0926-SM-9WPPT 60-69 years, female 9.5
GTEX-1KANA-1326-SM-DIPFA 20-29 years, male 9.5
GTEX-11P81-2226-SM-5PNYI 30-39 years, female 9.4
GTEX-12ZZZ-0726-SM-5GCNZ 60-69 years, male 9.4
GTEX-1AYD5-2626-SM-7PBXY 50-59 years, male 9.4
GTEX-1GZHY-0626-SM-9KNVC 50-59 years, female 9.4
GTEX-1R7EU-1626-SM-DTXG3 60-69 years, male 9.4
GTEX-ZA64-1026-SM-5HL8R 20-29 years, male 9.3
GTEX-1GZ4I-2626-SM-9KNU3 50-59 years, male 9.3
GTEX-11ZUS-2626-SM-5FQUR 30-39 years, male 9.2
GTEX-1J8Q2-2626-SM-ACKWQ 60-69 years, male 9.2
GTEX-1PBJJ-1026-SM-E76OS 30-39 years, male 9.2
GTEX-1R9PN-0426-SM-DTXDT 40-49 years, female 9.2
GTEX-ZYVF-0926-SM-5E44J 50-59 years, female 9.1
GTEX-1PPH7-1126-SM-DTX9A 40-49 years, male 9.1
GTEX-1EKGG-0626-SM-7DUGJ 60-69 years, male 9.0
GTEX-Y111-0626-SM-4SOIT 50-59 years, male 9.0
GTEX-ZLV1-1526-SM-DO91J 60-69 years, female 9.0
GTEX-12696-0126-SM-5EQ4L 60-69 years, male 8.9
GTEX-15FZZ-0526-SM-7KUGD 30-39 years, female 8.9
GTEX-15G1A-1626-SM-7KUKN 30-39 years, male 8.9
GTEX-WFG7-2026-SM-5SI7P 20-29 years, male 8.9
GTEX-ZVT4-2426-SM-5GIEI 50-59 years, female 8.9
GTEX-1QW4Y-1126-SM-DTXE3 30-39 years, male 8.9
GTEX-13FTX-1526-SM-5K7VJ 20-29 years, female 8.8
GTEX-13OVH-0526-SM-5L3E6 70-79 years, male 8.8
GTEX-14C38-0726-SM-5SI6M 50-59 years, male 8.7
GTEX-1B97I-0626-SM-73KUZ 40-49 years, male 8.6
GTEX-ZWKS-0626-SM-5GIDV 30-39 years, male 8.6
GTEX-1N2DV-1526-SM-DTXEP 40-49 years, male 8.6
GTEX-1S3DN-2126-SM-E9TIN 50-59 years, male 8.6
GTEX-13FHO-0426-SM-5L3F5 60-69 years, male 8.5
GTEX-1I1GS-2626-SM-B2LY3 60-69 years, male 8.5
GTEX-1J1OQ-0126-SM-D4P2N 40-49 years, female 8.5
GTEX-1LVAM-0726-SM-E6CIL 50-59 years, female 8.5
GTEX-16MTA-0926-SM-6M47Z 50-59 years, male 8.4
GTEX-XBED-1926-SM-47JYP 60-69 years, male 8.4
GTEX-1HBPM-0726-SM-9YFL7 60-69 years, female 8.4
GTEX-1IKOE-1426-SM-CE6T7 30-39 years, female 8.4
GTEX-1J8Q3-0526-SM-ARL8U 60-69 years, male 8.4
GTEX-14A6H-2026-SM-5Q5DD 30-39 years, male 8.2
GTEX-V1D1-2026-SM-3GAF4 50-59 years, male 8.2
GTEX-1KXAM-1626-SM-D3LAD 60-69 years, male 8.2
GTEX-1S82U-1026-SM-E6CJK 30-39 years, female 8.2
GTEX-147GR-2426-SM-5ZZWQ 60-69 years, male 8.1
GTEX-1F88F-0126-SM-9WYSZ 60-69 years, female 8.1
GTEX-14BIN-1126-SM-5RQJZ 50-59 years, female 8.0
GTEX-15SKB-2826-SM-6PAMH 60-69 years, male 8.0
GTEX-1HCU7-0726-SM-A9SL1 50-59 years, male 8.0
GTEX-1HSMQ-2626-SM-A9SML 50-59 years, male 8.0
GTEX-1HT8W-0626-SM-A9G2H 30-39 years, male 8.0
GTEX-13FTY-2126-SM-5IFFB 40-49 years, female 7.9
GTEX-1IDFM-0326-SM-ARL7V 60-69 years, male 7.9
GTEX-ZPIC-0526-SM-DO91W 40-49 years, female 7.9
GTEX-Y3I4-1726-SM-4TT89 50-59 years, male 7.8
GTEX-1F5PL-0926-SM-7PC2W 40-49 years, female 7.8
GTEX-1F6RS-2026-SM-7RHHC 60-69 years, female 7.8
GTEX-13IVO-0726-SM-5LZYV 70-79 years, male 7.7
GTEX-13PDP-0726-SM-5L3HP 60-69 years, male 7.7
GTEX-14PHY-1226-SM-5ZZWK 60-69 years, female 7.7
GTEX-1B8KE-1126-SM-7EPHI 50-59 years, male 7.7
GTEX-ZYT6-2326-SM-5GZY3 30-39 years, male 7.7
GTEX-1GN1U-0626-SM-9MQL9 50-59 years, female 7.7
GTEX-1JK1U-0226-SM-ARZMX 60-69 years, male 7.7
GTEX-1QPFJ-1926-SM-EVYBD 30-39 years, female 7.7
GTEX-11WQK-1026-SM-5EQLX 50-59 years, male 7.6
GTEX-1K2DU-1226-SM-CYPT4 20-29 years, male 7.6
GTEX-1J8QM-2426-SM-A9SLS 60-69 years, female 7.5
GTEX-ZZPU-0826-SM-5GZX5 50-59 years, female 7.4
GTEX-1GF9V-0826-SM-9KNUV 60-69 years, male 7.4
GTEX-1H1DE-1326-SM-9KNUG 20-29 years, male 7.4
GTEX-1JKYR-0626-SM-ARL8R 20-29 years, male 7.4
GTEX-14PII-0726-SM-6EU2B 60-69 years, male 7.3
GTEX-17HHE-1326-SM-7EWDZ 50-59 years, male 7.3
GTEX-ZDTT-0426-SM-4WKFL 60-69 years, male 7.3
GTEX-1GN1W-2426-SM-9KNUU 50-59 years, female 7.3
GTEX-1ICLZ-0326-SM-ARL82 60-69 years, male 7.3
GTEX-1LB8K-0726-SM-D5OV2 50-59 years, male 7.3
GTEX-11GS4-0226-SM-5HL77 60-69 years, male 7.2
GTEX-11LCK-2226-SM-5HL4Q 30-39 years, male 7.2
GTEX-14B4R-1326-SM-5Q5EZ 30-39 years, male 7.2
GTEX-ZF2S-1626-SM-57WES 50-59 years, female 7.2
GTEX-13QJC-0126-SM-5ZZWJ 60-69 years, female 7.1
GTEX-144GM-0526-SM-79OJO 20-29 years, male 7.1
GTEX-11ZU8-0126-SM-5EQ58 60-69 years, male 7.0
GTEX-1OJC3-1226-SM-DTXER 20-29 years, male 7.0
GTEX-1B8KZ-0326-SM-73KY4 50-59 years, male 6.9
GTEX-ZVT2-0126-SM-5GIDQ 50-59 years, female 6.9
GTEX-1IKJJ-2226-SM-CJI4C 60-69 years, male 6.9
GTEX-1JMPY-0226-SM-CKZOK 30-39 years, male 6.8
GTEX-1PDJ9-1226-SM-EXUSX 20-29 years, male 6.8
GTEX-14C5O-0326-SM-5ZZUX 60-69 years, male 6.7
GTEX-1AMFI-1326-SM-7939R 50-59 years, female 6.7
GTEX-W5X1-2526-SM-3GILC 40-49 years, female 6.6
GTEX-13PL6-1126-SM-5L3IE 40-49 years, female 6.4
GTEX-1IE54-1126-SM-A9G2Z 40-49 years, female 6.4
GTEX-1QP28-1126-SM-EVYC4 50-59 years, female 6.3
GTEX-ZY6K-1426-SM-5GZX2 50-59 years, male 6.1
GTEX-11TUW-0626-SM-5LU9M 60-69 years, male 6.0
GTEX-1CB4J-1326-SM-7P8RX 60-69 years, male 6.0
GTEX-14PJ6-2626-SM-6EU2T 60-69 years, female 5.9
GTEX-1GF9X-1326-SM-7PC2Y 40-49 years, female 5.9
GTEX-1EMGI-2326-SM-7PBYA 60-69 years, male 5.8
GTEX-18A67-1626-SM-7LT9T 50-59 years, male 5.7
GTEX-ZPCL-1126-SM-4WWFE 60-69 years, female 5.7
GTEX-14PJN-1826-SM-6AJ98 30-39 years, male 5.6
GTEX-1C6VQ-1226-SM-73KYD 50-59 years, male 5.5
GTEX-1CB4E-0926-SM-7EPHT 60-69 years, male 5.5
GTEX-1EU9M-1426-SM-793AI 60-69 years, male 5.4
GTEX-YECK-0326-SM-4W1YS 60-69 years, male 5.4
GTEX-14ICL-1626-SM-5YYAO 30-39 years, male 5.3
GTEX-1AMEY-0826-SM-72D65 30-39 years, female 5.3
GTEX-1H11D-1826-SM-9QEHM 40-49 years, male 5.3
GTEX-1399U-1126-SM-5L3DB 50-59 years, female 5.2
GTEX-13SLW-0626-SM-5Q5ER 70-79 years, male 5.2
GTEX-1C2JI-1026-SM-73KY1 50-59 years, male 5.2
GTEX-1C6VR-0126-SM-7RHGB 60-69 years, male 5.2
GTEX-1GZ4H-0526-SM-9KNU9 50-59 years, female 5.2
GTEX-111VG-1626-SM-5EGIO 60-69 years, male 5.1
GTEX-13D11-0926-SM-5J2NC 50-59 years, female 5.1
GTEX-14C39-1726-SM-5RQIL 40-49 years, male 5.1
GTEX-1H3VE-0726-SM-9YFL5 40-49 years, male 5.1
GTEX-14PKU-0126-SM-6LLHV 40-49 years, female 5.0
GTEX-1CAMS-2226-SM-7PBXQ 40-49 years, female 4.8
GTEX-1399Q-2326-SM-5KM2X 40-49 years, male 4.6
GTEX-1GPI6-1926-SM-9KNV7 60-69 years, male 4.6
GTEX-ZYY3-2926-SM-5GIEB 60-69 years, female 4.5
GTEX-ZTX8-1326-SM-4YCEL 20-29 years, male 4.4
GTEX-1122O-1026-SM-9WYSF 60-69 years, female 4.4
GTEX-1GN73-0726-SM-7P8TJ 60-69 years, male 4.4
GTEX-11DXX-2126-SM-5PNYR 60-69 years, female 4.3
GTEX-14XAO-1226-SM-6EU1C 60-69 years, female 4.3
GTEX-1JN76-0626-SM-CKZOQ 20-29 years, female 4.3
GTEX-1399S-0126-SM-5IJCF 30-39 years, female 4.2
GTEX-Y9LG-1126-SM-4VBQ7 30-39 years, male 4.2
GTEX-1RAZQ-1326-SM-E9TK6 30-39 years, male 4.2
GTEX-1B8L1-2226-SM-7P8PT 60-69 years, male 4.0
GTEX-1I1GU-0926-SM-ACKVS 40-49 years, male 4.0
GTEX-1OJC4-2726-SM-E76PJ 50-59 years, female 4.0
GTEX-13JVG-0726-SM-5KM16 60-69 years, male 3.8
GTEX-ZF29-0926-SM-4WKFZ 60-69 years, female 3.8
GTEX-1S83E-1326-SM-E6CJM 40-49 years, male 3.8
GTEX-144GL-0626-SM-5LU4D 50-59 years, male 3.7
GTEX-1HR9M-2226-SM-CNPPY 60-69 years, male 3.7
GTEX-1313W-0626-SM-5EQ4H 50-59 years, female 3.6
GTEX-1JJEA-1826-SM-ARU8P 60-69 years, male 3.6
GTEX-1QP2A-1726-SM-E76QC 50-59 years, male 3.6
GTEX-ZVZP-1226-SM-5GID7 50-59 years, male 3.5
GTEX-11PRG-0726-SM-5EGL1 50-59 years, male 3.4
GTEX-1I1GT-1026-SM-ARZLV 60-69 years, female 3.4
GTEX-1R46S-2426-SM-E76QA 60-69 years, female 3.4
GTEX-1MCYP-0526-SM-E9U6Q 20-29 years, female 3.2
GTEX-ZT9X-1526-SM-5DUXD 40-49 years, male 3.0
GTEX-1GN1V-2826-SM-9JGIA 60-69 years, male 2.7
GTEX-14PJ4-0226-SM-5YY92 60-69 years, male 2.4
GTEX-WHSB-1326-SM-3LK6W 50-59 years, male 2.3
GTEX-1NV5F-0626-SM-DTXEG 60-69 years, female 2.3
Show allShow less
Skin - Sun Exposed (Lower leg)
Average nTPM: 23.8
Samples: 701

Max nTPM: 191.0
Min nTPM: 2.4
Std nTPM: 17.8
Median nTPM: 20.0
GTEX-1RAZQ-0726-SM-EAZ43 30-39 years, male 191.0
GTEX-1OJC4-0126-SM-E9J2E 50-59 years, female 149.4
GTEX-1QP67-1626-SM-EAZ3X 40-49 years, female 131.7
GTEX-1AYD5-2426-SM-73KXR 50-59 years, male 116.6
GTEX-ZZPT-0226-SM-5E43X 50-59 years, male 102.3
GTEX-1HUB1-0426-SM-E9U4U 60-69 years, male 99.8
GTEX-146FR-1326-SM-E9J48 60-69 years, female 91.1
GTEX-14JIY-0126-SM-6LLH6 60-69 years, male 89.3
GTEX-1AYCT-2426-SM-7IGQ3 50-59 years, male 88.8
GTEX-14A6H-0126-SM-5QGPK 30-39 years, male 87.4
GTEX-RUSQ-1526-SM-2TF62 50-59 years, male 85.7
GTEX-11P7K-2126-SM-5GU7G 30-39 years, male 85.1
GTEX-V1D1-2226-SM-3NMAX 50-59 years, male 82.9
GTEX-11ZUS-0626-SM-59885 30-39 years, male 80.4
GTEX-147F4-0226-SM-5QGPW 50-59 years, male 76.9
GTEX-1I1HK-0126-SM-COH49 60-69 years, male 75.5
GTEX-1GN1W-0526-SM-9MQJQ 50-59 years, female 72.1
GTEX-Y3I4-2126-SM-4TT7C 50-59 years, male 71.8
GTEX-113IC-0126-SM-5HL6T 60-69 years, male 69.4
GTEX-Q734-1926-SM-2I5EV 40-49 years, female 69.0
GTEX-QEG4-0226-SM-2S1PY 30-39 years, male 68.2
GTEX-144GN-2326-SM-5LU4F 50-59 years, male 65.8
GTEX-1IDFM-0126-SM-COH2V 60-69 years, male 65.8
GTEX-ZE7O-0126-SM-57WC1 50-59 years, female 64.9
GTEX-16YQH-0126-SM-7DUFJ 30-39 years, male 64.8
GTEX-11GSP-2526-SM-5N9BP 60-69 years, female 63.8
GTEX-1QW4Y-1526-SM-EAZ3Z 30-39 years, male 62.7
GTEX-1R9PO-2126-SM-E9J4O 60-69 years, female 62.5
GTEX-1F6I4-0126-SM-9MQL2 60-69 years, male 61.4
GTEX-13N1W-0126-SM-5K7VT 70-79 years, male 61.2
GTEX-1HBPH-0426-SM-B2LW5 40-49 years, female 61.2
GTEX-1C6WA-0126-SM-7PC2B 60-69 years, male 58.8
GTEX-1QCLY-0326-SM-E8VOG 30-39 years, male 58.6
GTEX-13OW7-0126-SM-5MR3B 50-59 years, male 58.0
GTEX-1MCYP-1926-SM-E9J2R 20-29 years, female 58.0
GTEX-ZE9C-2726-SM-57WB5 60-69 years, male 56.0
GTEX-1LNCM-1126-SM-E9U5E 50-59 years, female 56.0
GTEX-1I19N-0326-SM-ACKVX 70-79 years, male 55.4
GTEX-1PBJI-0526-SM-E8VNK 20-29 years, female 55.1
GTEX-WH7G-2326-SM-3NMBC 40-49 years, male 54.7
GTEX-X638-0126-SM-47JZ8 70-79 years, female 54.1
GTEX-ZEX8-2426-SM-4WKG4 50-59 years, male 52.2
GTEX-11P82-1626-SM-59879 20-29 years, male 51.0
GTEX-113JC-2326-SM-5EQ4E 50-59 years, female 50.9
GTEX-Y8LW-1826-SM-5S2MV 50-59 years, female 50.5
GTEX-11GS4-2726-SM-5A5LE 60-69 years, male 49.3
GTEX-ZDTS-0126-SM-4WAY5 60-69 years, male 48.3
GTEX-139TT-0126-SM-5K7Y5 60-69 years, male 47.1
GTEX-RNOR-0126-SM-E9J4R 50-59 years, female 46.7
GTEX-132NY-0326-SM-5IJBL 60-69 years, male 46.6
GTEX-13W46-0226-SM-5SIAG 50-59 years, male 46.3
GTEX-ZVT2-2526-SM-51MT1 50-59 years, female 46.3
GTEX-131XG-2626-SM-5KM17 50-59 years, female 45.3
GTEX-12WSG-2826-SM-E9J4H 50-59 years, female 45.2
GTEX-QLQ7-1626-SM-2S1R8 60-69 years, male 45.0
GTEX-1RQEC-0426-SM-E6CHU 60-69 years, male 44.2
GTEX-ZUA1-0126-SM-5GU76 40-49 years, male 43.8
GTEX-1AMEY-1326-SM-73KYK 30-39 years, female 43.6
GTEX-R45C-0126-SM-EAZ2R 60-69 years, female 43.1
GTEX-16XZY-2126-SM-79OK1 70-79 years, male 42.3
GTEX-OOBK-0126-SM-2YUND 40-49 years, male 41.9
GTEX-131XW-0426-SM-5LZWP 50-59 years, female 41.6
GTEX-13FTX-1826-SM-5J1NX 20-29 years, female 40.9
GTEX-WZTO-0126-SM-3NM95 40-49 years, male 40.9
GTEX-ZF29-2326-SM-DO92K 60-69 years, female 40.8
GTEX-117YW-2626-SM-5GZZH 50-59 years, male 40.5
GTEX-RN64-0126-SM-2TC68 50-59 years, male 40.3
GTEX-1PIGE-0126-SM-EVYBJ 20-29 years, male 40.3
GTEX-ZTPG-0326-SM-5O9AX 20-29 years, female 40.2
GTEX-1F6IF-0726-SM-7P8TW 60-69 years, male 40.2
GTEX-1RLM8-2326-SM-EWRN4 50-59 years, male 40.2
GTEX-Q2AI-1326-SM-2S1PL 40-49 years, male 39.6
GTEX-1POEN-0126-SM-EYYXJ 30-39 years, female 39.6
GTEX-RTLS-0126-SM-447CA 60-69 years, female 39.4
GTEX-X585-0226-SM-4QAS2 50-59 years, male 39.3
GTEX-1GN1V-0126-SM-9WPOS 60-69 years, male 39.3
GTEX-15SDE-2226-SM-7IGLO 50-59 years, female 39.2
GTEX-XAJ8-0826-SM-47JY6 40-49 years, male 39.1
GTEX-Z93T-0126-SM-5HL5N 50-59 years, male 39.1
GTEX-11TT1-2526-SM-5EGIB 20-29 years, male 38.8
GTEX-14DAQ-0126-SM-5S2MQ 60-69 years, female 38.8
GTEX-XUYS-0126-SM-47JWZ 50-59 years, male 38.7
GTEX-QDT8-0126-SM-48TZ1 30-39 years, female 38.3
GTEX-1LBAC-0126-SM-DIPEZ 20-29 years, male 38.3
GTEX-OOBJ-0126-SM-E6CJW 60-69 years, male 38.2
GTEX-P4PQ-0126-SM-2S1NM 60-69 years, male 37.9
GTEX-R55E-0126-SM-2TC5Y 20-29 years, male 37.8
GTEX-1MGNQ-0126-SM-EVYCJ 40-49 years, male 37.8
GTEX-1QP29-0626-SM-EWRMX 50-59 years, male 37.8
GTEX-X62O-0126-SM-4E3JN 50-59 years, male 37.4
GTEX-SIU8-0126-SM-2XCDT 50-59 years, male 37.3
GTEX-1F7RK-0126-SM-7PC2S 20-29 years, female 37.2
GTEX-S7PM-0126-SM-4AD6S 60-69 years, male 37.1
GTEX-1H3O1-0426-SM-9YFKY 60-69 years, male 37.1
GTEX-1N2DV-0226-SM-E6CJ6 40-49 years, male 37.1
GTEX-OXRL-0126-SM-2YUMP 50-59 years, male 36.9
GTEX-1B8L1-2526-SM-9WYTF 60-69 years, male 36.7
GTEX-YJ8A-0426-SM-5IFID 20-29 years, male 36.6
GTEX-1GZ2Q-0226-SM-7P8TL 40-49 years, male 36.6
GTEX-139T4-0226-SM-5HL5S 50-59 years, female 36.5
GTEX-1AX9K-2326-SM-73KWU 50-59 years, male 36.4
GTEX-1GTWX-0126-SM-9YFLK 60-69 years, male 35.3
GTEX-17F98-0626-SM-79OMX 40-49 years, female 34.9
GTEX-11TUW-2726-SM-E9J4M 60-69 years, male 34.8
GTEX-1B933-0126-SM-7PC29 50-59 years, female 34.7
GTEX-13CF2-2526-SM-5LZYX 60-69 years, male 34.6
GTEX-1CB4G-0226-SM-7PC3O 60-69 years, male 34.4
GTEX-RWS6-2026-SM-2XCB5 60-69 years, female 34.3
GTEX-1HCU6-0126-SM-CL54K 60-69 years, female 33.9
GTEX-13N11-2526-SM-5K7UE 50-59 years, female 33.8
GTEX-13VXT-0126-SM-5LU4I 20-29 years, female 33.7
GTEX-1M4P7-0226-SM-DIPEV 60-69 years, male 33.7
GTEX-X4EO-0326-SM-3P5YO 60-69 years, female 33.4
GTEX-T5JC-0426-SM-32PLO 20-29 years, male 33.3
GTEX-1399U-2326-SM-5K7WY 50-59 years, female 33.0
GTEX-139T8-0126-SM-5K7XZ 60-69 years, male 33.0
GTEX-1IGQW-0126-SM-COH42 60-69 years, male 33.0
GTEX-13OVL-0226-SM-5L3E9 50-59 years, male 32.9
GTEX-RU72-0926-SM-2TF6B 50-59 years, female 32.9
GTEX-12ZZX-0126-SM-5EGK9 40-49 years, female 32.8
GTEX-17HHE-2026-SM-79OKF 50-59 years, male 32.6
GTEX-1I1GP-2226-SM-CGQFK 50-59 years, male 32.6
GTEX-1AX9I-0126-SM-7SB74 60-69 years, male 32.5
GTEX-1GN73-0226-SM-9WG67 60-69 years, male 32.4
GTEX-1HKZK-0326-SM-9WYUH 40-49 years, male 32.4
GTEX-SSA3-0126-SM-32QPU 60-69 years, male 32.1
GTEX-1H1ZS-0426-SM-9WG6G 70-79 years, male 32.1
GTEX-ZDXO-3026-SM-5J1N5 60-69 years, male 32.0
GTEX-1GPI6-0126-SM-9WG69 60-69 years, male 32.0
GTEX-OXRK-0226-SM-3NB2G 50-59 years, female 31.9
GTEX-13VXU-0126-SM-5SI9F 50-59 years, male 31.7
GTEX-13O3O-0126-SM-E9J49 60-69 years, female 31.7
GTEX-PLZ4-0126-SM-5SI8O 50-59 years, female 31.6
GTEX-QDVJ-1726-SM-2I5FX 50-59 years, male 31.5
GTEX-XUW1-0426-SM-4BOOT 50-59 years, female 31.3
GTEX-11UD1-0126-SM-5PNYG 40-49 years, female 31.1
GTEX-16GPK-0126-SM-7DHLE 60-69 years, male 31.0
GTEX-183FY-0126-SM-7LT9P 20-29 years, male 31.0
GTEX-1HBPI-1526-SM-C1YQ1 50-59 years, male 31.0
GTEX-17F97-0326-SM-7LG5B 50-59 years, male 30.8
GTEX-QV44-1926-SM-2S1RF 50-59 years, male 30.8
GTEX-18A7A-0226-SM-718BH 50-59 years, female 30.6
GTEX-14E6C-0126-SM-5RQIP 40-49 years, male 30.5
GTEX-15DDE-0126-SM-6LPKH 50-59 years, female 30.4
GTEX-SUCS-1926-SM-32PM3 70-79 years, male 30.4
GTEX-14BIM-0226-SM-7IGLD 60-69 years, female 30.3
GTEX-1C4CL-0526-SM-73KVK 30-39 years, male 30.3
GTEX-1KWVE-1426-SM-E9TJO 30-39 years, male 30.3
GTEX-Q2AG-0126-SM-33HBV 40-49 years, female 30.2
GTEX-1H1E6-1726-SM-ACKVK 30-39 years, male 30.2
GTEX-1HSMP-0126-SM-E6CJS 70-79 years, male 30.2
GTEX-139TS-2826-SM-5J1OO 60-69 years, male 30.0
GTEX-1J8Q3-1626-SM-CMKGC 60-69 years, male 30.0
GTEX-PWCY-1826-SM-DHXIZ 20-29 years, female 30.0
GTEX-1IY9M-0126-SM-D3L8S 60-69 years, male 29.8
GTEX-1192X-0226-SM-5H12D 50-59 years, male 29.7
GTEX-14E7W-0126-SM-6LLJ9 70-79 years, male 29.7
GTEX-1314G-1526-SM-5EGK2 30-39 years, male 29.6
GTEX-1RAZA-0126-SM-E6CI3 20-29 years, male 29.5
GTEX-OHPM-0126-SM-2YUN9 50-59 years, male 29.4
GTEX-1S3DN-2226-SM-EVYCD 50-59 years, male 29.4
GTEX-1ICG6-2526-SM-CGQFZ 70-79 years, female 29.1
GTEX-15EOM-0126-SM-7KUGG 20-29 years, female 28.9
GTEX-17HG3-2226-SM-7938L 30-39 years, female 28.9
GTEX-OXRO-0126-SM-2YUN4 60-69 years, female 28.9
GTEX-TMZS-0126-SM-3DB9Q 60-69 years, male 28.9
GTEX-Y111-0126-SM-4SOIV 50-59 years, male 28.9
GTEX-18A6Q-0126-SM-731BZ 60-69 years, male 28.7
GTEX-131YS-0126-SM-5KM1M 60-69 years, female 28.5
GTEX-ZAK1-0126-SM-5IJD3 50-59 years, female 28.5
GTEX-13NZA-0226-SM-5K7Z7 60-69 years, male 28.4
GTEX-WY7C-2326-SM-3NB2U 50-59 years, male 28.4
GTEX-1KAFJ-2026-SM-CY8ID 50-59 years, male 28.4
GTEX-11EMC-2926-SM-5EQ4F 60-69 years, female 28.3
GTEX-11OF3-2626-SM-5GU7F 60-69 years, male 28.3
GTEX-1H1CY-2826-SM-9MQM3 60-69 years, female 28.3
GTEX-1N2DW-0226-SM-E9TK2 50-59 years, male 28.3
GTEX-145LV-2126-SM-5LU8N 50-59 years, male 28.2
GTEX-UPJH-0326-SM-3GADU 50-59 years, male 28.2
GTEX-1EKGG-0226-SM-9WYTH 60-69 years, male 28.2
GTEX-146FH-0126-SM-5QGPP 50-59 years, female 28.1
GTEX-12C56-1726-SM-5EQ61 20-29 years, male 28.0
GTEX-1A32A-0126-SM-718B1 50-59 years, female 28.0
GTEX-WVJS-0126-SM-4MVOT 50-59 years, male 28.0
GTEX-XBEW-0626-SM-4QASP 40-49 years, male 28.0
GTEX-1J1R8-1726-SM-ARL8M 40-49 years, male 28.0
GTEX-131XH-2226-SM-5DUXJ 50-59 years, male 27.9
GTEX-147GR-0526-SM-5S2MY 60-69 years, male 27.9
GTEX-ZC5H-0226-SM-4WAY9 40-49 years, female 27.9
GTEX-13O1R-0126-SM-5L3EH 60-69 years, male 27.7
GTEX-15DYW-0126-SM-7KULE 60-69 years, female 27.7
GTEX-XYKS-2126-SM-4E3IB 60-69 years, female 27.7
GTEX-1J8EW-0126-SM-CJI4F 60-69 years, female 27.7
GTEX-11H98-0126-SM-5EGHG 50-59 years, male 27.5
GTEX-Z93S-0126-SM-5HL7M 50-59 years, male 27.5
GTEX-1IE54-0126-SM-CMKHW 40-49 years, female 27.4
GTEX-1F75A-0126-SM-7RHGM 50-59 years, male 27.3
GTEX-R55G-2526-SM-2TC6D 40-49 years, female 27.2
GTEX-U4B1-1826-SM-4DXSU 40-49 years, male 27.2
GTEX-13X6J-0126-SM-5QGOU 50-59 years, male 27.1
GTEX-145LT-1726-SM-5QGP3 40-49 years, male 27.0
GTEX-1C2JI-1826-SM-73KXC 50-59 years, male 27.0
GTEX-12WSN-5019-SM-79OM6 40-49 years, male 26.9
GTEX-1J8JJ-0226-SM-CL53I 60-69 years, female 26.9
GTEX-S33H-1026-SM-EZ6L6 30-39 years, male 26.9
GTEX-WXYG-2326-SM-4E3I6 50-59 years, female 26.8
GTEX-NPJ8-0126-SM-2YUNR 40-49 years, male 26.7
GTEX-1R46S-0626-SM-E9J41 60-69 years, female 26.7
GTEX-ZGAY-0526-SM-4WWBB 40-49 years, female 26.6
GTEX-1F88F-2726-SM-7PBZZ 60-69 years, female 26.6
GTEX-U3ZN-2326-SM-3DB7W 30-39 years, female 26.5
GTEX-1F75I-0326-SM-9YFLU 40-49 years, male 26.5
GTEX-1MA7X-2226-SM-E6CIY 60-69 years, male 26.5
GTEX-1313W-0126-SM-5LZUN 50-59 years, female 26.4
GTEX-11DZ1-0126-SM-5985Q 50-59 years, male 26.3
GTEX-14ABY-0226-SM-5TDCQ 50-59 years, male 26.3
GTEX-18A67-0126-SM-7LG5P 50-59 years, male 26.3
GTEX-1QP2A-0126-SM-E9J43 50-59 years, male 26.3
GTEX-11DXW-0226-SM-5H122 40-49 years, male 26.2
GTEX-QDVN-2026-SM-3GAEP 50-59 years, male 26.2
GTEX-13OW8-1326-SM-5J1OW 60-69 years, male 26.1
GTEX-18A66-0226-SM-718BD 60-69 years, male 26.0
GTEX-YEC4-2126-SM-5IFJH 40-49 years, male 26.0
GTEX-YFC4-0126-SM-5CVLY 40-49 years, female 26.0
GTEX-ZAB5-1826-SM-5HL7C 50-59 years, male 26.0
GTEX-13OVJ-0126-SM-5KM36 50-59 years, female 25.7
GTEX-13RTJ-2426-SM-5S2Q2 60-69 years, male 25.6
GTEX-QLQW-1126-SM-2S1Q8 30-39 years, male 25.6
GTEX-1HFI6-0226-SM-ADEHZ 40-49 years, male 25.6
GTEX-1S82Z-0826-SM-E6CHY 30-39 years, female 25.6
GTEX-11NUK-0126-SM-5A5L3 50-59 years, male 25.5
GTEX-1H3VY-0126-SM-ACKXD 50-59 years, male 25.5
GTEX-12KS4-0326-SM-5EQ41 30-39 years, male 25.3
GTEX-ZYFD-0126-SM-5GIDL 50-59 years, male 25.3
GTEX-1HCU8-0626-SM-A9SM9 60-69 years, female 25.2
GTEX-T2IS-0126-SM-4DM6O 20-29 years, female 25.1
GTEX-13O3Q-2426-SM-5IJBR 50-59 years, male 25.0
GTEX-12126-0326-SM-5PNW3 20-29 years, male 24.9
GTEX-13OVK-2026-SM-7KUEO 40-49 years, male 24.8
GTEX-X8HC-0126-SM-4E3JW 50-59 years, female 24.8
GTEX-T6MO-1626-SM-32QOM 40-49 years, female 24.6
GTEX-1GF9U-2126-SM-7SB7L 40-49 years, female 24.6
GTEX-XV7Q-2526-SM-4BRV9 40-49 years, female 24.5
GTEX-13QJ3-0326-SM-5S2RA 50-59 years, male 24.4
GTEX-12WSD-0126-SM-59HKN 60-69 years, female 24.2
GTEX-14BIL-0126-SM-5SI92 50-59 years, male 24.2
GTEX-18QFQ-0126-SM-731BE 30-39 years, male 24.2
GTEX-1LG7Y-0526-SM-DKPQC 50-59 years, male 24.2
GTEX-XXEK-2226-SM-4BRUM 50-59 years, male 24.1
GTEX-13NZ8-0826-SM-5MR3I 60-69 years, female 24.0
GTEX-11ZTS-0126-SM-5EQ6M 60-69 years, female 23.9
GTEX-1HSEH-0126-SM-ACKXN 60-69 years, male 23.9
GTEX-1JJE9-0326-SM-CL53Z 70-79 years, male 23.9
GTEX-1QP66-1726-SM-E8VO1 50-59 years, male 23.9
GTEX-1S82Y-2026-SM-EVYCM 40-49 years, male 23.9
GTEX-11OC5-0126-SM-5HL6A 60-69 years, male 23.8
GTEX-13O21-1426-SM-5K7XI 50-59 years, male 23.8
GTEX-14LLW-0126-SM-6LLIO 70-79 years, female 23.8
GTEX-16NGA-1726-SM-731B4 40-49 years, female 23.8
GTEX-1LC47-0326-SM-E9TJP 60-69 years, male 23.8
GTEX-1H4P4-0726-SM-9YFLR 50-59 years, male 23.7
GTEX-1I1GU-2226-SM-CGQFA 40-49 years, male 23.7
GTEX-13FTY-0526-SM-5L3EV 40-49 years, female 23.6
GTEX-15D1Q-0126-SM-7KUG6 40-49 years, male 23.5
GTEX-1EWIQ-0126-SM-7RHH2 70-79 years, female 23.5
GTEX-11WQC-2526-SM-5CVLE 60-69 years, male 23.4
GTEX-13FHO-0226-SM-5IFGY 60-69 years, male 23.4
GTEX-14XAO-2326-SM-6EU1B 60-69 years, female 23.4
GTEX-U8T8-0126-SM-3DB94 60-69 years, male 23.4
GTEX-1I1GS-0126-SM-B2LVW 60-69 years, male 23.4
GTEX-1PPH7-2326-SM-EVYB8 40-49 years, male 23.4
GTEX-PW2O-1526-SM-7RHHB 20-29 years, male 23.4
GTEX-11O72-0126-SM-59887 40-49 years, male 23.3
GTEX-15SHU-0126-SM-7KUEH 40-49 years, female 23.3
GTEX-OXRP-0126-SM-3NB32 60-69 years, female 23.3
GTEX-11NSD-2226-SM-5986V 20-29 years, male 23.2
GTEX-13X6I-0626-SM-5QGP9 60-69 years, male 23.2
GTEX-1GZHY-0326-SM-9QEHI 50-59 years, female 23.2
GTEX-1EX96-1626-SM-7PBXR 50-59 years, male 23.1
GTEX-WOFL-0126-SM-3MJG2 60-69 years, male 23.0
GTEX-ZAB4-0226-SM-5N9F5 40-49 years, male 23.0
GTEX-13G51-2526-SM-5LZYK 60-69 years, male 22.9
GTEX-SJXC-0126-SM-2XCFF 60-69 years, male 22.9
GTEX-ZVT3-0126-SM-5GU6I 60-69 years, female 22.9
GTEX-1CB4F-0426-SM-9KNV4 60-69 years, male 22.7
GTEX-ZF28-0126-SM-4WKGK 60-69 years, male 22.6
GTEX-RM2N-1426-SM-2TF4H 50-59 years, male 22.4
GTEX-1GPI7-0126-SM-9MQL8 20-29 years, male 22.4
GTEX-U412-0426-SM-3DB9O 60-69 years, male 22.3
GTEX-X4XY-0226-SM-4E3IZ 60-69 years, male 22.3
GTEX-ZYFC-0226-SM-5NQ75 50-59 years, male 22.3
GTEX-T2YK-0526-SM-32QPJ 50-59 years, male 22.2
GTEX-ZQUD-1426-SM-57WER 30-39 years, male 22.2
GTEX-11DXX-2426-SM-5GZZW 60-69 years, female 22.1
GTEX-11UD2-0226-SM-5EQKY 50-59 years, male 22.1
GTEX-1B8KZ-2026-SM-7DHMB 50-59 years, male 22.1
GTEX-XQ8I-0426-SM-4BOPO 50-59 years, male 22.1
GTEX-1JMPY-1326-SM-ARL8Y 30-39 years, male 22.1
GTEX-11ZVC-2526-SM-5FQTE 50-59 years, female 22.0
GTEX-139TU-0126-SM-5K7WH 60-69 years, male 22.0
GTEX-14E6D-0126-SM-62LDV 50-59 years, male 22.0
GTEX-14PN3-2426-SM-6LLHS 60-69 years, female 22.0
GTEX-ZU9S-0226-SM-5E441 30-39 years, male 22.0
GTEX-OHPL-0126-SM-2HMJ7 60-69 years, female 21.9
GTEX-1HSMO-0126-SM-CL547 60-69 years, male 21.9
GTEX-15SB6-1726-SM-6PAME 50-59 years, female 21.8
GTEX-WYVS-2126-SM-3NMA3 40-49 years, female 21.8
GTEX-ZYW4-0126-SM-5E44A 60-69 years, male 21.8
GTEX-13SLX-0526-SM-5S2ON 50-59 years, female 21.7
GTEX-13W3W-2426-SM-5LU5B 60-69 years, female 21.7
GTEX-1KD4Q-0226-SM-E9TJ9 40-49 years, male 21.7
GTEX-1LB8K-0226-SM-EWRNW 50-59 years, male 21.7
GTEX-16NPX-0226-SM-79OMT 50-59 years, male 21.6
GTEX-U8XE-0326-SM-3DB8P 30-39 years, male 21.6
GTEX-1GN2E-0426-SM-9MQKX 60-69 years, male 21.6
GTEX-1IDJF-0126-SM-CM2RS 20-29 years, male 21.6
GTEX-13U4I-0126-SM-5LU38 40-49 years, female 21.5
GTEX-P44H-0226-SM-2XCEU 40-49 years, male 21.4
GTEX-QCQG-1726-SM-3GIJ9 50-59 years, female 21.4
GTEX-148VJ-0126-SM-5TDDN 70-79 years, male 21.3
GTEX-17HHY-0126-SM-7LG5D 50-59 years, male 21.3
GTEX-1AX8Z-0126-SM-7DHM6 60-69 years, male 21.3
GTEX-1EU9M-0226-SM-7P8SP 60-69 years, male 21.3
GTEX-1N2EF-0226-SM-EYYXB 60-69 years, male 21.3
GTEX-14BMU-2226-SM-5TDE9 20-29 years, female 21.2
GTEX-11DXY-2626-SM-5GIE7 60-69 years, male 21.1
GTEX-1GN1U-0126-SM-7PBZK 50-59 years, female 21.1
GTEX-14ICK-0226-SM-6EU25 40-49 years, male 21.0
GTEX-1A3MV-1926-SM-718BT 30-39 years, male 21.0
GTEX-1E1VI-0126-SM-7DHMZ 50-59 years, male 21.0
GTEX-1H3NZ-0126-SM-ACKX7 60-69 years, male 21.0
GTEX-139D8-0226-SM-5KLZO 30-39 years, female 20.9
GTEX-148VI-1626-SM-5SI6E 60-69 years, female 20.9
GTEX-14PJM-0226-SM-62LF1 50-59 years, female 20.9
GTEX-QVJO-1626-SM-2S1QW 60-69 years, female 20.9
GTEX-1CAMQ-0226-SM-7IGPK 40-49 years, male 20.8
GTEX-1HCUA-2426-SM-ADEIS 50-59 years, female 20.8
GTEX-TML8-1926-SM-32QOS 40-49 years, female 20.7
GTEX-13PVR-2326-SM-5QGR1 60-69 years, female 20.6
GTEX-17MF6-0126-SM-7LG4F 40-49 years, male 20.5
GTEX-S95S-1226-SM-4GICG 60-69 years, male 20.5
GTEX-13NZB-2526-SM-5J1OM 30-39 years, male 20.4
GTEX-15SHW-0326-SM-6PAML 60-69 years, male 20.4
GTEX-OIZF-0126-SM-7SB8I 60-69 years, male 20.4
GTEX-17EUY-0426-SM-793BD 20-29 years, male 20.3
GTEX-1R7EV-2426-SM-EVYBG 40-49 years, male 20.3
GTEX-1BAJH-0526-SM-793CQ 70-79 years, male 20.2
GTEX-O5YW-0126-SM-3LK6D 50-59 years, male 20.1
GTEX-1JKYN-1326-SM-CGQG9 30-39 years, male 20.1
GTEX-17HGU-0226-SM-7DHKV 50-59 years, male 20.0
GTEX-RWSA-0126-SM-2XCBB 40-49 years, male 20.0
GTEX-1I1GR-0126-SM-CL55F 60-69 years, male 20.0
GTEX-1IL2V-0126-SM-CM2TX 70-79 years, male 20.0
GTEX-144FL-0126-SM-5TDC8 50-59 years, male 19.9
GTEX-14JG6-2226-SM-6EU2G 30-39 years, female 19.9
GTEX-1CAV2-2226-SM-7P8P2 40-49 years, female 19.9
GTEX-1MUQO-0126-SM-EAZ58 60-69 years, male 19.9
GTEX-14PK6-1926-SM-6ETZU 70-79 years, female 19.8
GTEX-PVOW-0126-SM-2XCFA 40-49 years, male 19.8
GTEX-X4EP-0126-SM-3P5YV 60-69 years, female 19.8
GTEX-1GMR8-0126-SM-9WYTM 50-59 years, female 19.8
GTEX-11VI4-1726-SM-5CVLH 40-49 years, female 19.7
GTEX-111VG-2426-SM-5GZXD 60-69 years, male 19.6
GTEX-1B8SG-0126-SM-73KZ3 50-59 years, male 19.6
GTEX-PWO3-1526-SM-48TCM 60-69 years, female 19.6
GTEX-QESD-1426-SM-2S1R9 20-29 years, male 19.6
GTEX-WRHK-1426-SM-3MJF9 20-29 years, female 19.6
GTEX-1H1DG-0126-SM-9WYU2 70-79 years, male 19.6
GTEX-13S7M-0126-SM-5SI6A 60-69 years, female 19.5
GTEX-183WM-0126-SM-7LTAB 70-79 years, female 19.5
GTEX-1MCQQ-0826-SM-DLHC2 60-69 years, male 19.5
GTEX-1QEPI-0126-SM-EWRMQ 60-69 years, female 19.5
GTEX-14PJ3-1826-SM-62LEX 50-59 years, male 19.4
GTEX-1I1GV-0526-SM-A9G29 60-69 years, male 19.4
GTEX-1KD5A-0226-SM-D5OV3 50-59 years, male 19.4
GTEX-18465-0126-SM-731BN 50-59 years, male 19.3
GTEX-W5X1-3026-SM-EAZAX 40-49 years, female 19.3
GTEX-146FQ-0126-SM-5NQA9 30-39 years, male 19.2
GTEX-1269C-2526-SM-5EGJ3 60-69 years, female 19.1
GTEX-1IKOH-0226-SM-COH4E 60-69 years, female 19.1
GTEX-139UW-2826-SM-5L3E7 60-69 years, male 19.0
GTEX-1C6VS-0526-SM-7DUEN 60-69 years, male 19.0
GTEX-X88G-0126-SM-47JZ3 30-39 years, male 18.9
GTEX-1A8FM-0226-SM-7SB7Q 50-59 years, female 18.9
GTEX-1JMOU-1526-SM-CL54I 60-69 years, female 18.9
GTEX-11EM3-2426-SM-59861 20-29 years, female 18.8
GTEX-11ZU8-2526-SM-5EQKI 60-69 years, male 18.8
GTEX-12WSC-0126-SM-5EQ4P 50-59 years, male 18.8
GTEX-1ICLY-0126-SM-D4P36 50-59 years, male 18.8
GTEX-ZPIC-1726-SM-DHXIU 40-49 years, female 18.8
GTEX-1GMRU-0126-SM-9YFLV 50-59 years, male 18.7
GTEX-1H3VE-0326-SM-9YFLH 40-49 years, male 18.7
GTEX-1LSNM-1926-SM-E6CII 50-59 years, male 18.7
GTEX-16XZZ-0126-SM-793DV 60-69 years, male 18.6
GTEX-1122O-2126-SM-5EGIR 60-69 years, female 18.5
GTEX-13RTL-0126-SM-7LG5S 40-49 years, male 18.5
GTEX-1HR98-0126-SM-B2LWI 60-69 years, male 18.5
GTEX-U3ZM-1526-SM-3DB9D 40-49 years, male 18.4
GTEX-1497J-2426-SM-7IGNX 60-69 years, male 18.3
GTEX-1CAMR-1926-SM-7EPI2 20-29 years, male 18.3
GTEX-1C64O-0126-SM-7SB8P 60-69 years, male 18.3
GTEX-1211K-2026-SM-5EQ4Z 60-69 years, female 18.2
GTEX-W5WG-1826-SM-4KL2Y 50-59 years, female 18.2
GTEX-Y8E4-0626-SM-4WWDL 40-49 years, male 18.2
GTEX-1NV5F-0226-SM-E8VNY 60-69 years, female 18.2
GTEX-12584-0126-SM-5EGKQ 40-49 years, male 18.0
GTEX-12WSK-2326-SM-5GCOH 40-49 years, female 18.0
GTEX-Y5LM-1926-SM-5RQJH 40-49 years, female 18.0
GTEX-1F6RS-0126-SM-9MQKZ 60-69 years, female 18.0
GTEX-11GSO-2426-SM-5A5LY 60-69 years, male 17.9
GTEX-12WSL-2526-SM-5GCNJ 50-59 years, male 17.9
GTEX-1399T-2826-SM-5KLYZ 60-69 years, male 17.8
GTEX-17EVQ-0226-SM-7LG4P 70-79 years, male 17.8
GTEX-VJWN-0126-SM-3GIK7 50-59 years, female 17.8
GTEX-ZVE2-0226-SM-59HJB 50-59 years, male 17.8
GTEX-13PDP-0126-SM-5L3HD 60-69 years, male 17.7
GTEX-Y5V6-2426-SM-4VDSB 60-69 years, male 17.7
GTEX-11XUK-2026-SM-5EQLF 40-49 years, female 17.5
GTEX-1B996-0226-SM-7RHGO 60-69 years, male 17.5
GTEX-12ZZY-0226-SM-5LZVE 60-69 years, male 17.4
GTEX-14C5O-0126-SM-5SI6N 60-69 years, male 17.4
GTEX-15G19-0126-SM-6PANQ 60-69 years, male 17.4
GTEX-14DAR-2026-SM-5S2O3 50-59 years, male 17.3
GTEX-1I1CD-0126-SM-CM2TK 60-69 years, female 17.3
GTEX-1O97I-0326-SM-EYYX7 60-69 years, male 17.3
GTEX-169BO-1326-SM-9MQK2 50-59 years, male 17.2
GTEX-13112-2826-SM-5DUWH 50-59 years, male 17.1
GTEX-SNMC-1226-SM-2XCFP 20-29 years, male 17.1
GTEX-1H2FU-0126-SM-9WYSI 60-69 years, female 17.1
GTEX-1S5ZA-0126-SM-EVYCV 20-29 years, male 17.1
GTEX-ZDTT-2726-SM-4WKF8 60-69 years, male 17.0
GTEX-1HGF4-2426-SM-ACKXM 60-69 years, male 17.0
GTEX-17MFQ-1726-SM-793C7 20-29 years, male 16.8
GTEX-12WSJ-1826-SM-5GCNY 40-49 years, female 16.7
GTEX-13OVI-1426-SM-5L3EY 60-69 years, female 16.7
GTEX-145MO-0326-SM-5Q5B3 60-69 years, male 16.7
GTEX-YB5K-2126-SM-4WWDJ 40-49 years, female 16.7
GTEX-13RTK-1426-SM-5QGQJ 20-29 years, male 16.6
GTEX-15UF6-0826-SM-6PALJ 70-79 years, female 16.5
GTEX-1AMFI-2026-SM-731BH 50-59 years, female 16.5
GTEX-T8EM-1026-SM-3DB7M 40-49 years, male 16.3
GTEX-1H1DE-2126-SM-9WG6R 20-29 years, male 16.3
GTEX-PLZ6-1426-SM-DKPOT 30-39 years, male 16.3
GTEX-14PHW-0126-SM-6LLJI 60-69 years, female 16.2
GTEX-15DCD-0126-SM-7KUEK 70-79 years, female 16.1
GTEX-17HII-0226-SM-7LG4E 50-59 years, male 16.1
GTEX-NFK9-0226-SM-2HMKQ 40-49 years, male 16.1
GTEX-1JMQK-0226-SM-CL543 60-69 years, male 16.1
GTEX-XQ3S-1526-SM-4BOOC 20-29 years, male 16.0
GTEX-Y114-2426-SM-4TT8A 50-59 years, female 16.0
GTEX-1HBPM-0226-SM-ARL9F 60-69 years, female 16.0
GTEX-WQUQ-0426-SM-3MJFU 60-69 years, male 15.9
GTEX-XBED-2226-SM-47JYQ 60-69 years, male 15.9
GTEX-WI4N-1026-SM-3LK7N 40-49 years, female 15.8
GTEX-Y8DK-0126-SM-4TT3L 60-69 years, male 15.8
GTEX-ZVT4-0126-SM-DTXFN 50-59 years, female 15.8
GTEX-1A3MW-0126-SM-73KXX 60-69 years, female 15.7
GTEX-1128S-2326-SM-5GZZY 60-69 years, female 15.6
GTEX-14LZ3-0226-SM-62LET 60-69 years, female 15.6
GTEX-14PII-0226-SM-6EU1T 60-69 years, male 15.6
GTEX-U3ZH-2026-SM-3DB78 30-39 years, male 15.6
GTEX-VUSG-2526-SM-4KL1V 50-59 years, male 15.6
GTEX-1J8QM-2126-SM-CYPSJ 60-69 years, female 15.6
GTEX-13OVG-1926-SM-5L3DK 60-69 years, male 15.5
GTEX-14PHX-2326-SM-62LEM 50-59 years, male 15.5
GTEX-1NHNU-1026-SM-E9J2A 50-59 years, male 15.5
GTEX-11LCK-1026-SM-5A5KB 30-39 years, male 15.4
GTEX-13NYS-0126-SM-5MR3W 60-69 years, male 15.4
GTEX-13FH7-2026-SM-E9J4I 50-59 years, female 15.4
GTEX-1F48J-0126-SM-7P8TT 50-59 years, female 15.4
GTEX-11ZTT-2426-SM-5EQLS 60-69 years, female 15.3
GTEX-16MT8-0426-SM-7KUEY 60-69 years, female 15.3
GTEX-ZDYS-2026-SM-5HL5L 50-59 years, male 15.3
GTEX-1F75B-0126-SM-9KNVL 50-59 years, male 15.3
GTEX-1HFI7-1826-SM-ACKXH 50-59 years, female 15.3
GTEX-ZF3C-0126-SM-DO92D 50-59 years, female 15.3
GTEX-15CHC-2126-SM-6EU21 60-69 years, female 15.2
GTEX-X5EB-2226-SM-46MW4 40-49 years, male 15.2
GTEX-1I4MK-2226-SM-ACKWD 50-59 years, female 15.2
GTEX-13O3P-0126-SM-5KM4S 50-59 years, male 15.1
GTEX-1IKK5-0626-SM-ARL8A 60-69 years, male 15.1
GTEX-1HT8W-0126-SM-CNPPP 30-39 years, male 15.0
GTEX-15UKP-0426-SM-7KUFQ 20-29 years, male 14.9
GTEX-1JN6P-0126-SM-D3L98 60-69 years, male 14.8
GTEX-1PPH8-0226-SM-E8VND 20-29 years, male 14.7
GTEX-PLZ5-2026-SM-2S1O4 50-59 years, male 14.6
GTEX-TMMY-0226-SM-33HBA 40-49 years, female 14.6
GTEX-1ICLZ-0126-SM-CKZPO 60-69 years, male 14.6
GTEX-1C64N-0126-SM-793D7 50-59 years, male 14.5
GTEX-1CB4J-0626-SM-7DHMP 60-69 years, male 14.5
GTEX-SN8G-0126-SM-32PLI 50-59 years, female 14.5
GTEX-TKQ1-1026-SM-4GICL 30-39 years, male 14.5
GTEX-ZVTK-0426-SM-51MRS 20-29 years, male 14.5
GTEX-1GMR3-1926-SM-9KNUZ 40-49 years, male 14.5
GTEX-117YX-2326-SM-5H12W 50-59 years, male 14.4
GTEX-12ZZZ-0626-SM-5DUXI 60-69 years, male 14.4
GTEX-14BIN-0626-SM-793DP 50-59 years, female 14.4
GTEX-1C6VQ-0126-SM-7P8RI 50-59 years, male 14.4
GTEX-11TTK-0126-SM-5987B 60-69 years, female 14.3
GTEX-1399R-2726-SM-5IJBA 30-39 years, male 14.3
GTEX-1C6VR-2426-SM-79OLD 60-69 years, male 14.3
GTEX-1GF9X-2026-SM-7PC3A 40-49 years, female 14.3
GTEX-1IOXB-0126-SM-ARL8G 50-59 years, male 14.3
GTEX-15RIG-0226-SM-7KFTL 40-49 years, male 14.2
GTEX-Y3IK-2426-SM-4WWDU 50-59 years, female 14.2
GTEX-13IVO-0126-SM-5J1NG 70-79 years, male 14.1
GTEX-14753-0426-SM-5NQAM 60-69 years, male 14.1
GTEX-14PN4-0126-SM-6EU2V 50-59 years, male 14.1
GTEX-P4PP-0126-SM-3LK69 30-39 years, female 14.1
GTEX-1HSMQ-1226-SM-CGQFX 50-59 years, male 14.1
GTEX-13113-5016-SM-7EPIP 60-69 years, female 14.0
GTEX-1HB9E-0226-SM-E9U4R 50-59 years, male 14.0
GTEX-1K9T9-0126-SM-EVYCF 50-59 years, female 14.0
GTEX-14BMV-0126-SM-5S2PO 50-59 years, male 13.9
GTEX-S7SE-0126-SM-2XCD5 50-59 years, male 13.9
GTEX-ZY6K-1826-SM-5GZXK 50-59 years, male 13.9
GTEX-1HSKV-0226-SM-A9SKJ 60-69 years, male 13.8
GTEX-1JN76-0126-SM-CNPPE 20-29 years, female 13.7
GTEX-1192W-2626-SM-5Q5AF 60-69 years, male 13.6
GTEX-13CF3-2426-SM-5IFGX 60-69 years, female 13.6
GTEX-13FXS-0226-SM-5IJCK 50-59 years, male 13.6
GTEX-145MF-0626-SM-5LUAI 50-59 years, male 13.6
GTEX-18A7B-0126-SM-7LG64 70-79 years, male 13.6
GTEX-18D9U-0226-SM-718BP 40-49 years, male 13.6
GTEX-13OW5-0126-SM-DTXFS 60-69 years, male 13.4
GTEX-1KANB-0526-SM-E6CJH 50-59 years, male 13.4
GTEX-111FC-0126-SM-5N9DL 60-69 years, male 13.3
GTEX-1JMQJ-0526-SM-CYPSU 50-59 years, male 13.3
GTEX-1H11D-0226-SM-9WG6Z 40-49 years, male 13.2
GTEX-1JMPZ-0226-SM-CNPP1 30-39 years, male 13.2
GTEX-1JMQI-2226-SM-CM2SD 50-59 years, male 13.2
GTEX-13SLW-0126-SM-5SI6C 70-79 years, male 13.1
GTEX-15ETS-0126-SM-7KUMW 40-49 years, female 13.1
GTEX-1HBPN-0226-SM-9YFM1 50-59 years, male 13.1
GTEX-1J8Q2-0526-SM-CM2RW 60-69 years, male 13.1
GTEX-OXRN-0126-SM-48TDM 50-59 years, male 12.9
GTEX-13X6H-2126-SM-7EWD5 50-59 years, female 12.8
GTEX-145ME-1826-SM-5SI9G 40-49 years, female 12.8
GTEX-147F3-0526-SM-5SI98 50-59 years, female 12.8
GTEX-1A3MX-0126-SM-731BR 60-69 years, male 12.8
GTEX-X261-0126-SM-3NMD6 50-59 years, male 12.8
GTEX-Y5V5-2326-SM-4V6GA 60-69 years, female 12.8
GTEX-1JKYR-0126-SM-CNPOJ 20-29 years, male 12.8
GTEX-1I6K6-0126-SM-A9SLE 30-39 years, male 12.7
GTEX-1F5PK-2426-SM-7RHHY 50-59 years, male 12.6
GTEX-OIZG-0726-SM-33HBL 50-59 years, male 12.5
GTEX-11P81-2326-SM-59875 30-39 years, female 12.4
GTEX-X4XX-0126-SM-3NMC2 60-69 years, male 12.4
GTEX-1RDX4-0126-SM-E9J4P 50-59 years, female 12.4
GTEX-1HCVE-0126-SM-CGQEU 50-59 years, male 12.3
GTEX-XMD2-0126-SM-4YCDU 60-69 years, female 12.1
GTEX-1IDJH-0326-SM-A9SLQ 70-79 years, male 12.1
GTEX-13FHP-0126-SM-5IJBG 50-59 years, male 12.0
GTEX-YB5E-2026-SM-5IFIS 40-49 years, male 12.0
GTEX-1GZ4H-1726-SM-7PBZJ 50-59 years, female 12.0
GTEX-RVPV-0126-SM-EAZAW 60-69 years, male 12.0
GTEX-WFG8-2226-SM-3GIL9 20-29 years, male 11.9
GTEX-14PJ6-2126-SM-6EU1V 60-69 years, female 11.8
GTEX-Q2AH-1626-SM-3GAF8 40-49 years, male 11.8
GTEX-145MI-0526-SM-5O9A8 60-69 years, female 11.7
GTEX-1K2DU-2326-SM-E9TIV 20-29 years, male 11.7
GTEX-14JG1-0426-SM-6ETZZ 40-49 years, male 11.6
GTEX-VJYA-1126-SM-3GIJU 60-69 years, male 11.6
GTEX-1CAMS-0426-SM-7P8T2 40-49 years, female 11.6
GTEX-1RB15-2126-SM-E9TIM 60-69 years, male 11.6
GTEX-13N2G-2626-SM-5J1OT 60-69 years, male 11.5
GTEX-14A5I-0126-SM-5TDEA 50-59 years, female 11.5
GTEX-1I1GQ-0126-SM-COH3H 50-59 years, male 11.5
GTEX-1LGRB-2526-SM-CNPPQ 50-59 years, female 11.5
GTEX-16AAH-1726-SM-7939C 50-59 years, male 11.4
GTEX-14A5H-0426-SM-5QGQF 60-69 years, male 11.3
GTEX-17KNJ-2326-SM-7DHLQ 50-59 years, male 11.2
GTEX-R3RS-0126-SM-3GIJL 40-49 years, female 11.1
GTEX-TSE9-0126-SM-3DB83 60-69 years, female 11.1
GTEX-1LGOU-2026-SM-DIPFF 20-29 years, female 11.0
GTEX-15ER7-0326-SM-7KUEV 20-29 years, female 10.8
GTEX-WYJK-0126-SM-3NMAB 50-59 years, male 10.8
GTEX-1PIIG-0226-SM-EWRN6 30-39 years, male 10.8
GTEX-PSDG-0226-SM-DKPOZ 50-59 years, male 10.7
GTEX-P4QT-0126-SM-2I3FL 50-59 years, female 10.6
GTEX-XPVG-2626-SM-4B669 50-59 years, male 10.6
GTEX-145LU-0126-SM-5TDCB 50-59 years, male 10.5
GTEX-1GF9W-0326-SM-9KNUN 60-69 years, male 10.5
GTEX-1QP9N-1426-SM-DTXFL 30-39 years, male 10.5
GTEX-13D11-2426-SM-5KM1V 50-59 years, female 10.4
GTEX-ZZ64-1726-SM-5GZYB 20-29 years, male 10.4
GTEX-1J1OQ-0226-SM-CYPSH 40-49 years, female 10.4
GTEX-145MN-2226-SM-5SIAU 30-39 years, male 10.3
GTEX-11DYG-0126-SM-59883 60-69 years, male 10.2
GTEX-1E2YA-0126-SM-9KNUC 50-59 years, male 10.2
GTEX-ZQG8-1626-SM-DHXIT 60-69 years, female 10.2
GTEX-13FTW-2626-SM-5K7WL 40-49 years, male 10.1
GTEX-1IDJU-2626-SM-CM2RT 60-69 years, female 10.0
GTEX-1F52S-0126-SM-9MQJU 60-69 years, female 9.8
GTEX-1MA7W-2026-SM-E9TJ6 20-29 years, female 9.7
GTEX-11EI6-0126-SM-5985R 60-69 years, male 9.6
GTEX-13NYC-0326-SM-E9J4S 60-69 years, male 9.6
GTEX-17EVP-0326-SM-7DHLG 40-49 years, male 9.5
GTEX-131XF-5016-SM-7MGWE 60-69 years, male 9.5
GTEX-133LE-1826-SM-5J1MV 20-29 years, female 9.4
GTEX-ZAJG-0126-SM-5HL94 50-59 years, female 9.3
GTEX-11DXZ-2326-SM-5EGGV 50-59 years, male 9.2
GTEX-11WQK-0526-SM-5EQLD 50-59 years, male 9.2
GTEX-13OW6-0426-SM-5L3HM 50-59 years, male 9.2
GTEX-18D9B-0526-SM-7LTAS 60-69 years, male 9.2
GTEX-O5YT-0126-SM-48TBW 20-29 years, male 9.2
GTEX-Z9EW-1626-SM-5CVMN 40-49 years, male 9.2
GTEX-1JN1M-0326-SM-CYPT3 60-69 years, female 9.2
GTEX-T6MN-0126-SM-32PLP 50-59 years, male 9.1
GTEX-ZV6S-2326-SM-4YCEY 40-49 years, female 9.1
GTEX-1EMGI-0126-SM-9KNUE 60-69 years, male 9.0
GTEX-1EN7A-0126-SM-7SB81 40-49 years, male 9.0
GTEX-144GL-0126-SM-5TDE2 50-59 years, male 8.9
GTEX-17GQL-2026-SM-718BA 60-69 years, male 8.9
GTEX-1K2DA-1826-SM-CGQGT 50-59 years, male 8.9
GTEX-1LH75-2426-SM-E9TJE 50-59 years, female 8.9
GTEX-PX3G-0126-SM-2I3EN 20-29 years, female 8.8
GTEX-1GF9V-0326-SM-7RHI5 60-69 years, male 8.8
GTEX-1QPFJ-0226-SM-E76PB 30-39 years, female 8.8
GTEX-117XS-2726-SM-5N9BL 60-69 years, male 8.7
GTEX-12WSA-0226-SM-5BC5V 60-69 years, male 8.7
GTEX-ZTSS-1926-SM-57WEW 40-49 years, male 8.7
GTEX-ZXG5-0126-SM-5GIEU 60-69 years, male 8.7
GTEX-1H23P-0126-SM-ADEJ3 60-69 years, male 8.7
GTEX-1QMI2-0226-SM-EVYBX 60-69 years, male 8.7
GTEX-15F5U-1526-SM-6PANO 40-49 years, male 8.6
GTEX-1HCU9-1526-SM-A9SL7 20-29 years, male 8.6
GTEX-SE5C-1626-SM-2XCE3 40-49 years, female 8.6
GTEX-OIZH-0126-SM-2HMIS 50-59 years, male 8.5
GTEX-1HSGN-0226-SM-CGQFV 40-49 years, female 8.4
GTEX-1IKJJ-0126-SM-CNPQB 60-69 years, male 8.4
GTEX-YJ89-0126-SM-4TT3X 60-69 years, male 8.3
GTEX-ZXES-1826-SM-5E43S 30-39 years, female 8.3
GTEX-1R9PM-2026-SM-E76OY 20-29 years, male 8.3
GTEX-14E6E-1826-SM-5S2R7 30-39 years, male 8.2
GTEX-1R9K4-0126-SM-DTX9X 60-69 years, male 8.2
GTEX-1CB4E-2226-SM-793DC 60-69 years, male 8.1
GTEX-1JK1U-2026-SM-CM2RZ 60-69 years, male 8.1
GTEX-1QAET-0926-SM-E76QM 50-59 years, male 8.1
GTEX-11EQ9-2426-SM-5HL5T 30-39 years, male 8.0
GTEX-1B8KE-2126-SM-73KYX 50-59 years, male 8.0
GTEX-XUZC-1726-SM-4BRWS 30-39 years, female 8.0
GTEX-1OFPY-2426-SM-DTXEJ 60-69 years, male 8.0
GTEX-13NYB-2526-SM-5K7Z6 40-49 years, male 7.9
GTEX-1HCU7-0226-SM-CL545 50-59 years, male 7.9
GTEX-1PDJ9-0326-SM-DTX95 20-29 years, male 7.9
GTEX-131XE-2326-SM-5PNZ2 50-59 years, male 7.8
GTEX-13OVH-0126-SM-5MR4B 70-79 years, male 7.8
GTEX-UJHI-1526-SM-3DB99 50-59 years, female 7.8
GTEX-ZYFG-2326-SM-5E44B 60-69 years, female 7.8
GTEX-12696-2426-SM-5EQ6H 60-69 years, male 7.7
GTEX-1B8SF-1426-SM-7DUGL 60-69 years, male 7.7
GTEX-ZYY3-0126-SM-5GZY5 60-69 years, female 7.7
GTEX-13JUV-2726-SM-5LZZ8 40-49 years, female 7.6
GTEX-POMQ-2226-SM-2I5FK 20-29 years, female 7.6
GTEX-1LVAN-0226-SM-COH3S 50-59 years, female 7.6
GTEX-ZYT6-0226-SM-5NQ6T 30-39 years, male 7.5
GTEX-1IL2U-0226-SM-CE6T8 60-69 years, male 7.5
GTEX-1PWST-0226-SM-E76QJ 70-79 years, male 7.5
GTEX-1212Z-2526-SM-5EGKP 60-69 years, male 7.4
GTEX-1KXAM-2226-SM-CYPTC 60-69 years, male 7.4
GTEX-1R7EU-0226-SM-EVR4G 60-69 years, male 7.4
GTEX-17F96-1626-SM-7DUFL 70-79 years, male 7.3
GTEX-1I1GT-0626-SM-CGQER 60-69 years, female 7.2
GTEX-13YAN-0326-SM-5O9DF 60-69 years, male 7.1
GTEX-1CB4I-0226-SM-79OLH 50-59 years, male 7.0
GTEX-ZVZP-2426-SM-59HKJ 50-59 years, male 6.9
GTEX-1M5QR-1226-SM-EWROB 40-49 years, male 6.8
GTEX-1CB4H-0226-SM-7PBXM 60-69 years, female 6.5
GTEX-12WSE-0526-SM-793B2 20-29 years, male 6.4
GTEX-1JJ6O-0126-SM-E6CI8 60-69 years, male 6.4
GTEX-1KANA-0726-SM-D3L9I 20-29 years, male 6.3
GTEX-1JMLX-0226-SM-CM2RO 50-59 years, male 6.2
GTEX-1PFEY-1526-SM-E76PP 30-39 years, male 6.2
GTEX-T5JW-1626-SM-3GADZ 20-29 years, female 6.0
GTEX-1B97I-1626-SM-73KYO 40-49 years, male 5.9
GTEX-16BQI-0226-SM-7KUEX 30-39 years, female 5.8
GTEX-1S83E-0126-SM-EWRO4 40-49 years, male 5.8
GTEX-1F5PL-0326-SM-7P8PQ 40-49 years, female 5.7
GTEX-1GL5R-1826-SM-9KNUY 50-59 years, male 5.7
GTEX-1OJC3-0126-SM-E76QX 20-29 years, male 5.7
GTEX-1JJEA-0326-SM-CNPOT 60-69 years, male 5.6
GTEX-1KANC-1526-SM-D3LAB 50-59 years, female 5.5
GTEX-17JCI-0126-SM-7LG5G 60-69 years, female 5.4
GTEX-1JMQL-0226-SM-CNPP5 50-59 years, female 5.3
GTEX-S32W-2126-SM-2XCB1 50-59 years, female 5.2
GTEX-ZWKS-0126-SM-5SIAA 30-39 years, male 5.2
GTEX-18D9A-1926-SM-7LG6P 30-39 years, female 5.0
GTEX-ZVZO-0126-SM-5A5L9 40-49 years, male 5.0
GTEX-ZV68-0126-SM-59HKS 50-59 years, female 4.9
GTEX-145LS-0126-SM-5QGP1 60-69 years, female 4.8
GTEX-15EU6-0426-SM-6PAN5 50-59 years, male 4.8
GTEX-1AX9J-0226-SM-73KXM 60-69 years, male 4.7
GTEX-WFON-2126-SM-3LK7O 40-49 years, male 4.7
GTEX-ZF2S-2326-SM-4WWCE 50-59 years, female 4.5
GTEX-1MJK2-0426-SM-DTXE5 50-59 years, male 4.5
GTEX-1LG7Z-1726-SM-D3LA4 30-39 years, male 4.2
GTEX-1C475-1826-SM-73KWA 40-49 years, female 3.3
GTEX-1L5NE-2526-SM-E6CIE 50-59 years, male 3.1
GTEX-ZTX8-1426-SM-5DUVO 20-29 years, male 2.7
GTEX-13111-1626-SM-5EGJY 50-59 years, male 2.4
Show allShow less

Contact

  • NEWS ARTICLES
  • PRESS ROOM

The Project

  • INTRODUCTION
  • ORGANIZATION
  • PUBLICATIONS

The Human Protein Atlas

  • DOWNLOADABLE DATA
  • LICENCE & CITATION
  • HELP & FAQ
The Human Protein Atlas project is funded
by the Knut & Alice Wallenberg Foundation.


contact@proteinatlas.org