We use cookies to enhance the usability of our website. If you continue, we'll assume that you are happy to receive all cookies. More information. Don't show this again.
ANO1
HPA
RESOURCES
  • TISSUE
  • BRAIN
  • SINGLE CELL
  • SUBCELLULAR
  • CANCER
  • BLOOD
  • CELL LINE
  • STRUCTURE & INTERACTION
ABOUT
  • INTRODUCTION
  • HISTORY
  • ORGANIZATION
  • PUBLICATIONS
  • ANTIBODY SUBMISSION
  • ANTIBODY AVAILABILITY
  • ACKNOWLEDGMENTS
  • CONTACT
NEWS
  • NEWS ARTICLES
  • PRESS ROOM
LEARN
  • DICTIONARY
  • PROTEIN CLASSES
  • PROTEIN EVIDENCE
  • METHODS
  • EDUCATIONAL VIDEOS
DATA
  • DOWNLOADABLE DATA
  • PUBLICATION DATA
  • RELEASE HISTORY
HELP
  • ANTIBODY VALIDATION
  • ASSAYS & ANNOTATION
  • DISCLAIMER
  • HELP & FAQ
  • PRIVACY STATEMENT
  • LICENCE & CITATION
Fields »
Search result

Field
Term
Gene name
Class
Subclass
Class
Keyword
Chromosome
External id
Tissue
Cell type
Expression
Antibody panel
Tissue
Main location
Patient ID
Annotation
Tissue
Category
Tau score
Cluster
Reliability
Brain region
Category
Tau score
Brain region
Category
Tau score
Brain region
Category
Tau score
Cluster
Reliability
Tissue
Cell type
Enrichment
Cell type
Category
Tau score
Cell type
Category
Tau score
Cell type
Category
Tau score
Cell lineage
Category
Tau score
Cluster
Cluster
Location
Searches
Location
Cell line
Class
Type
Phase
Reliability
Cancer
Prognosis
Cancer
Category
Cancer
Category
Tau score
Cluster
Variants
Interacting gene (ensg_id)
Type
Number of interactions
Pathway
Category
Score
Score
Score
Validation
Validation
Validation
Validation
Antibodies
Data type
Column


  • SUMMARY

  • TISSUE

  • BRAIN

  • SINGLE CELL

  • SUBCELL

  • CANCER

  • BLOOD

  • CELL LINE

  • STRUCT & INT

  • ANO1
TISSUE PRIMARY DATA BREAST Show tissue menu
ADIPOSE TISSUE ADRENAL GLAND AMYGDALA APPENDIX BASAL GANGLIA BONE MARROW BREAST BRONCHUS CEREBELLUM CEREBRAL CORTEX CERVIX CHOROID PLEXUS COLON DUODENUM
ENDOMETRIUM EPIDIDYMIS ESOPHAGUS FALLOPIAN TUBE GALLBLADDER HEART MUSCLE HIPPOCAMPAL FORMATION HYPOTHALAMUS KIDNEY LIVER LUNG LYMPH NODE MIDBRAIN NASOPHARYNX
ORAL MUCOSA OVARY PANCREAS PARATHYROID GLAND PITUITARY GLAND PLACENTA PROSTATE RECTUM RETINA SALIVARY GLAND SEMINAL VESICLE SKELETAL MUSCLE SKIN SMALL INTESTINE
SMOOTH MUSCLE SOFT TISSUE SPINAL CORD SPLEEN STOMACH TESTIS THYMUS THYROID GLAND TONGUE TONSIL URINARY BLADDER VAGINA
ANTIBODIES
AND
VALIDATION
Dictionary
Breast
Tissue proteome
Breast
BREAST - Expression summary
Protein expression
Breasti

On the top, protein expression in current human tissue, based on all annotated cell types, is reported with the units not detected (n), low (l), medium (m) and high (h). Underneath, protein expression in each annotated cell type are reported using the same units.

Protein expression data is based on knowledge-based annotation. For genes where more than one antibody has been used, a collective score is set.

If knowledge-based annotation could not be performed for a gene, no data is displayed here. View antibody staining data further down this page.

h
m
l
n
Adipocytes: Not detected
Glandular cells: Not detected
Myoepithelial cells: High
RNA expressioni

A summary of mRNA expression data available for current tissue based on several datasets. The mRNA expression levels in human tissues are based on RNA-seq data generated by the Human Protein Atlas (HPA), Genotype-Tissue Expression (GTEx) portal and CAGE data generated by the FANTOM5 consortium. Consensus normalized expression levels for human tissues was created by combining the data from HPA and GTEx datasets.

The mRNA expression levels in pig are based on RNA-seq data generated by the Human Protein Atlas (HPA), and for mouse, HPA data and in situ hybridization generated by the Allen brain atlas are reported.

Scroll down to view mRNA expression data in more detail.
Consensus:38.2 nTPM
HPA:38.2 nTPM
GTEx:26.2 nTPM
FANTOM5:15.4 Scaled Tags Per Million

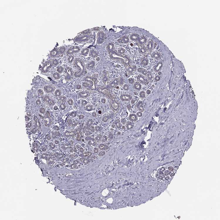
BREAST - Antibody stainingi

Antibody staining in the annotated cell types in the current human tissue is reported as not detected, low, medium, or high, based on conventional immunohistochemistry profiling in selected tissues. This score is based on the combination of the staining intensity and fraction of stained cells.

Each image is clickable and will lead to virtual microscopy that enables deeper exploration of all samples and also displays staining intensity scores, fraction scores and subcellular localization as well as patient and tissue information for each sample.

Antibody HPA032148Antibody HPA057356
Adipocytes Not detectedNot detected
Glandular cells Not detectedNot detected
Myoepithelial cells HighMedium




BREAST - HPA RNA-seqi

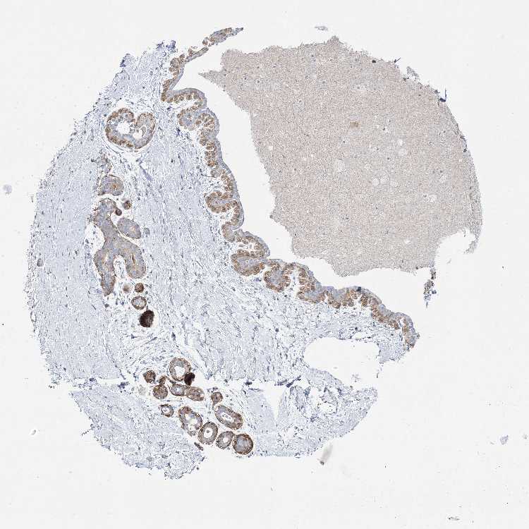
The RNA-seq details section shows detailed information about the individual samples used for the transcript profiling and results of the RNA-seq analysis.

Information about each individual sample is listed below, including gender, age, a tissue section image and estimated fractions of cell types. nTPM (normalized transcripts per million) values give a quantification of the gene abundance which is comparable between different genes and samples.
Average nTPMi

Max subtype nTPM is the value for the subtype with the largest average nTPM across the subtype samples.

38.2
overview
Female, age 52
Breast sample 373
nTPM: 45.6
Cell types%
Glandular cells:
15

Adipocytes:
5

Other cell types:
80

overview
Female, age 80
Breast sample 390
nTPM: 22.5
Cell types%
Glandular cells:
5

Adipocytes:
15

Other cell types:
80

overview
Female, age 47
Breast sample 405
nTPM: 31.9
Cell types%
Glandular cells:
5

Adipocytes:
5

Other cell types:
90

overview
Female, age 38
Breast sample 410
nTPM: 52.7
Cell types%
Glandular cells:
40

Adipocytes:
5

Other cell types:
55


BREAST - GTEx RNA-seqi

RNA-Seq data generated by the Genotype-Tissue Expression (GTEx) project from human tissues is reported as mean nTPM. More information can be found on the GTEx portal.

Distribution across the dataset is visualized with box plots, shown as median and 25th and 75th percentiles. Points are displayed as outliers if they are above or below 1.5 times the interquartile range. nTPM values of the individual samples are presented next to the box plot.
Max subtype nTPMi

Max subtype nTPM is the value for the subtype with the largest average nTPM across the subtype samples.

26.2
GTEx sample id Sample description nTPM
Breast - Mammary Tissue
Average nTPM: 26.2
Samples: 459

Max nTPM: 116.8
Min nTPM: 2.2
Std nTPM: 21.3
Median nTPM: 21.4
GTEX-1H1CY-2226-SM-9WG7E 60-69 years, female 116.8
GTEX-15FZZ-0726-SM-7KUFZ 30-39 years, female 95.5
GTEX-13PL6-2926-SM-5L3I2 40-49 years, female 95.3
GTEX-1GN1U-0526-SM-9KNTT 50-59 years, female 95.3
GTEX-1HSGN-1526-SM-A9SMO 40-49 years, female 94.6
GTEX-15ER7-1626-SM-6PAMZ 20-29 years, female 92.4
GTEX-WYBS-0926-SM-3NM94 60-69 years, female 90.0
GTEX-12ZZX-1126-SM-5EGKB 40-49 years, female 88.4
GTEX-17JCI-0726-SM-7EPH1 60-69 years, female 85.4
GTEX-Y3IK-2326-SM-4WWDT 50-59 years, female 84.0
GTEX-1IDJE-0826-SM-CKZNZ 50-59 years, female 80.9
GTEX-131YS-0626-SM-5EGKL 60-69 years, female 80.0
GTEX-X15G-1626-SM-3NMB3 50-59 years, female 79.4
GTEX-11PRG-0826-SM-5EQ6A 50-59 years, male 75.2
GTEX-T2IS-1526-SM-32QPR 20-29 years, female 74.6
GTEX-1HSKV-2026-SM-CMKGX 60-69 years, male 72.3
GTEX-YFC4-1426-SM-5IFJG 40-49 years, female 72.2
GTEX-13SLX-2326-SM-5ZZWE 50-59 years, female 72.0
GTEX-1N5O9-1126-SM-DTXEQ 60-69 years, male 71.8
GTEX-1GN1W-1926-SM-7P8TH 50-59 years, female 71.3
GTEX-133LE-1726-SM-5K7VQ 20-29 years, female 70.6
GTEX-ZVT2-1826-SM-5NQ8W 50-59 years, female 70.2
GTEX-ZF3C-2326-SM-5S2NC 50-59 years, female 70.2
GTEX-1LVAM-0926-SM-E9TJ2 50-59 years, female 69.3
GTEX-1RAZS-1226-SM-E8VMT 50-59 years, male 69.0
GTEX-XOT4-0726-SM-4GIAW 60-69 years, female 68.2
GTEX-ZC5H-2626-SM-5J2MG 40-49 years, female 67.6
GTEX-1KANA-2026-SM-DIPFB 20-29 years, male 66.7
GTEX-WXYG-2226-SM-4E3IM 50-59 years, female 66.4
GTEX-1B932-0826-SM-73KXG 40-49 years, female 65.7
GTEX-1269C-2426-SM-5FQSN 60-69 years, female 65.5
GTEX-131XW-0726-SM-5EGK3 50-59 years, female 65.5
GTEX-17HG3-0126-SM-7IGNH 30-39 years, female 65.5
GTEX-14AS3-1626-SM-5S2OY 40-49 years, female 65.2
GTEX-1POEN-0926-SM-DTX88 30-39 years, female 65.2
GTEX-18A7A-0726-SM-7LTAI 50-59 years, female 64.8
GTEX-ZAK1-1326-SM-EVYAS 50-59 years, female 64.1
GTEX-ZLV1-1426-SM-DO92Z 60-69 years, female 64.0
GTEX-1IKOH-2326-SM-CM2TW 60-69 years, female 61.7
GTEX-1GPI6-0626-SM-7RHHJ 60-69 years, male 61.5
GTEX-QDT8-0626-SM-48TYW 30-39 years, female 61.4
GTEX-RU72-0626-SM-46MUI 50-59 years, female 61.3
GTEX-WYVS-1726-SM-3NMAY 40-49 years, female 61.1
GTEX-1I1GT-1126-SM-ARL7J 60-69 years, female 61.0
GTEX-R3RS-0626-SM-48FE1 40-49 years, female 60.6
GTEX-13FTY-2226-SM-5J1ND 40-49 years, female 58.3
GTEX-15UF6-0126-SM-6PAMB 70-79 years, female 58.0
GTEX-14BMU-1626-SM-5TDE7 20-29 years, female 57.6
GTEX-1QEPI-0926-SM-DTXF3 60-69 years, female 57.1
GTEX-147F4-2826-SM-5NQBN 50-59 years, male 56.8
GTEX-1MA7W-1026-SM-DKPQK 20-29 years, female 56.8
GTEX-X4EP-2926-SM-3P5YQ 60-69 years, female 56.0
GTEX-1J8EW-2626-SM-CL53E 60-69 years, female 55.6
GTEX-1R9PN-0326-SM-DTX85 40-49 years, female 54.9
GTEX-11P7K-0726-SM-5EGKX 30-39 years, male 54.5
GTEX-ZXES-0826-SM-5E43C 30-39 years, female 53.2
GTEX-ZZPU-0626-SM-5E43T 50-59 years, female 53.2
GTEX-1RAZQ-1226-SM-EWRNL 30-39 years, male 52.5
GTEX-UJHI-1426-SM-3DB9C 50-59 years, female 52.0
GTEX-1GZHY-0726-SM-9WG6B 50-59 years, female 52.0
GTEX-13QIC-2326-SM-5LU5N 60-69 years, female 51.2
GTEX-ZF29-1926-SM-5S2P1 60-69 years, female 51.0
GTEX-1CB4E-0226-SM-79OLW 60-69 years, male 50.3
GTEX-1MCC2-2126-SM-EWRON 30-39 years, female 49.8
GTEX-1GMR3-2626-SM-7RHHG 40-49 years, male 49.5
GTEX-RWS6-1926-SM-47JXY 60-69 years, female 49.3
GTEX-1HCUA-0726-SM-ACKVU 50-59 years, female 49.1
GTEX-11P81-1926-SM-5BC53 30-39 years, female 48.4
GTEX-1EU9M-2826-SM-7EWFH 60-69 years, male 48.3
GTEX-15ETS-0626-SM-7KUMX 40-49 years, female 48.1
GTEX-ZGAY-1726-SM-DO91P 40-49 years, female 46.9
GTEX-Y5V5-2126-SM-4WWFO 60-69 years, female 45.6
GTEX-13CF2-2026-SM-5K7VI 60-69 years, male 45.3
GTEX-1IKJJ-2326-SM-COH3U 60-69 years, male 44.5
GTEX-13W3W-1226-SM-5LU4H 60-69 years, female 44.3
GTEX-Q2AG-0326-SM-48U1O 40-49 years, female 44.3
GTEX-1CB4G-2326-SM-79OOI 60-69 years, male 44.2
GTEX-11EMC-2026-SM-5A5JV 60-69 years, female 43.6
GTEX-ZF2S-2026-SM-5E461 50-59 years, female 43.5
GTEX-1JMPY-0526-SM-CL54O 30-39 years, male 43.5
GTEX-SE5C-2126-SM-4BRUJ 40-49 years, female 43.4
GTEX-1HCVE-2626-SM-ADEJ8 50-59 years, male 43.4
GTEX-1IY9M-2726-SM-CMKG5 60-69 years, male 43.3
GTEX-1C64O-0726-SM-7DUFU 60-69 years, male 43.0
GTEX-WRHU-0326-SM-3MJFY 50-59 years, female 42.9
GTEX-13PVR-2226-SM-7DHKP 60-69 years, female 42.8
GTEX-1GMR8-0726-SM-9KNVI 50-59 years, female 42.3
GTEX-1LVAN-1326-SM-CNPQE 50-59 years, female 42.0
GTEX-16NGA-0826-SM-718AF 40-49 years, female 41.6
GTEX-S4P3-1326-SM-4AD6V 50-59 years, female 41.3
GTEX-11WQC-1726-SM-5GU4W 60-69 years, male 41.0
GTEX-U3ZH-1426-SM-4DXSR 30-39 years, male 41.0
GTEX-1K9T9-1426-SM-DIPFQ 50-59 years, female 40.8
GTEX-1GMRU-0826-SM-9WYT7 50-59 years, male 40.6
GTEX-1J8QM-2026-SM-ARZMW 60-69 years, female 40.6
GTEX-Y111-2026-SM-4SOJA 50-59 years, male 40.3
GTEX-13NZB-2126-SM-5MR4Y 30-39 years, male 40.1
GTEX-1MCYP-0126-SM-E6CIS 20-29 years, female 39.8
GTEX-11EM3-1326-SM-5N9C6 20-29 years, female 39.7
GTEX-TML8-1226-SM-32QON 40-49 years, female 39.7
GTEX-1BAJH-0826-SM-7EWEF 70-79 years, male 39.5
GTEX-T6MO-0326-SM-32QOK 40-49 years, female 39.2
GTEX-XUW1-2326-SM-4BOO5 50-59 years, female 38.9
GTEX-13113-5013-SM-7SB7G 60-69 years, female 38.8
GTEX-17HHY-0926-SM-793C1 50-59 years, male 38.3
GTEX-RU1J-0626-SM-4WAWY 20-29 years, female 38.0
GTEX-1GF9X-1026-SM-ACKX2 40-49 years, female 38.0
GTEX-S341-1526-SM-4AD6K 40-49 years, female 37.7
GTEX-WI4N-1426-SM-3LK7H 40-49 years, female 37.4
GTEX-1QCLY-1626-SM-DTXDW 30-39 years, male 37.4
GTEX-1S82U-1126-SM-E9U6I 30-39 years, female 37.4
GTEX-VJWN-0726-SM-3GIJ8 50-59 years, female 37.3
GTEX-1IKOE-1326-SM-CE6T6 30-39 years, female 37.2
GTEX-11GS4-2126-SM-5A5KR 60-69 years, male 37.1
GTEX-1B933-2526-SM-7IGO5 50-59 years, female 37.1
GTEX-1R46S-2526-SM-E8VN2 60-69 years, female 37.1
GTEX-ZY6K-1626-SM-5GZWV 50-59 years, male 36.8
GTEX-Y5LM-1726-SM-4VDSX 40-49 years, female 36.2
GTEX-17EVP-0226-SM-79OND 40-49 years, male 36.1
GTEX-1F6I4-2526-SM-7SB8F 60-69 years, male 36.1
GTEX-1LSNM-1326-SM-E9TJ1 50-59 years, male 36.0
GTEX-14A5I-0726-SM-5TDEB 50-59 years, female 35.9
GTEX-1A8G7-2426-SM-731AK 60-69 years, male 35.9
GTEX-1HUB1-1626-SM-CM2SL 60-69 years, male 35.8
GTEX-14H4A-2526-SM-5YYAY 40-49 years, female 35.7
GTEX-1IE54-0626-SM-ARL8D 40-49 years, female 35.6
GTEX-ZAJG-0626-SM-5HL8X 50-59 years, female 35.4
GTEX-1I4MK-1626-SM-CM2TJ 50-59 years, female 35.2
GTEX-1MJK2-2226-SM-EVYCR 50-59 years, male 35.2
GTEX-13OW5-2226-SM-5L3HC 60-69 years, male 35.1
GTEX-1A3MV-1626-SM-731C1 30-39 years, male 34.8
GTEX-T5JC-2126-SM-32PMO 20-29 years, male 34.5
GTEX-1399U-1826-SM-5PNZ1 50-59 years, female 34.4
GTEX-W5X1-2326-SM-3GIL6 40-49 years, female 34.4
GTEX-ZVE2-1226-SM-5NQ8R 50-59 years, male 34.3
GTEX-ZVZQ-0826-SM-51MRF 60-69 years, female 34.3
GTEX-1N2EE-2126-SM-E8VNN 60-69 years, male 34.1
GTEX-1QP29-1726-SM-E8VMQ 50-59 years, male 34.0
GTEX-14ABY-2126-SM-5QGQZ 50-59 years, male 33.9
GTEX-XUZC-1626-SM-4BRVP 30-39 years, female 33.9
GTEX-11GSP-0926-SM-9WYSG 60-69 years, female 33.6
GTEX-1I1HK-2426-SM-ADEHX 60-69 years, male 33.6
GTEX-13O3O-0826-SM-5K7WE 60-69 years, female 33.4
GTEX-1M5QR-2526-SM-E9U5P 40-49 years, male 33.4
GTEX-17HHE-1426-SM-7EPH4 50-59 years, male 33.1
GTEX-ZVT4-1026-SM-57WC4 50-59 years, female 32.9
GTEX-1GN2E-2226-SM-9WG6J 60-69 years, male 32.9
GTEX-1B97J-0426-SM-79OLQ 50-59 years, female 32.8
GTEX-XMD2-0926-SM-4WWEF 60-69 years, female 32.8
GTEX-TMMY-0726-SM-33HBE 40-49 years, female 32.7
GTEX-XYKS-1326-SM-4BRUN 60-69 years, female 32.3
GTEX-1HKZK-1826-SM-ADEJ2 40-49 years, male 32.3
GTEX-1F75I-2026-SM-7SB7N 40-49 years, male 32.1
GTEX-U3ZN-1926-SM-4DXSG 30-39 years, female 31.9
GTEX-ZVTK-0326-SM-51MRR 20-29 years, male 31.9
GTEX-14LLW-0626-SM-62LFC 70-79 years, female 31.8
GTEX-17EUY-1926-SM-7DUF6 20-29 years, male 31.7
GTEX-111YS-1926-SM-5GICC 60-69 years, male 31.4
GTEX-13NZ8-0126-SM-5IJCT 60-69 years, female 31.0
GTEX-T5JW-2026-SM-4DM63 20-29 years, female 31.0
GTEX-T6MN-0726-SM-32PML 50-59 years, male 30.7
GTEX-1GZ4I-2826-SM-9MQK5 50-59 years, male 30.7
GTEX-13N11-1726-SM-5J1OJ 50-59 years, female 30.6
GTEX-13SLW-2526-SM-62LDQ 70-79 years, male 30.6
GTEX-1LNCM-0226-SM-DIPF4 50-59 years, female 29.8
GTEX-1R7EU-1226-SM-E8VMR 60-69 years, male 29.7
GTEX-1C6VS-0726-SM-7EPHF 60-69 years, male 29.6
GTEX-UPK5-2326-SM-3P5Z8 40-49 years, male 29.6
GTEX-17F98-0526-SM-79OK5 40-49 years, female 29.5
GTEX-1B97I-0426-SM-79OL7 40-49 years, male 29.4
GTEX-1313W-0826-SM-5EQ4T 50-59 years, female 28.7
GTEX-1CB4J-1826-SM-7EWF9 60-69 years, male 28.6
GTEX-1K2DA-1726-SM-CGQGS 50-59 years, male 28.6
GTEX-1KAFJ-0226-SM-DIPEL 50-59 years, male 28.5
GTEX-1F5PL-1026-SM-7RHI1 40-49 years, female 28.4
GTEX-1QPFJ-2026-SM-EVYBE 30-39 years, female 28.3
GTEX-ZU9S-1926-SM-5NQBP 30-39 years, male 28.2
GTEX-ZV7C-1826-SM-5NQ83 50-59 years, male 28.1
GTEX-145LT-0726-SM-5S2VM 40-49 years, male 28.0
GTEX-1CAMS-1426-SM-7IGPM 40-49 years, female 28.0
GTEX-1H1E6-0926-SM-9YFLT 30-39 years, male 28.0
GTEX-1RQEC-2026-SM-DTXDM 60-69 years, male 27.9
GTEX-139T8-0826-SM-5L3DE 60-69 years, male 27.5
GTEX-18QFQ-0826-SM-718AX 30-39 years, male 27.2
GTEX-13D11-1026-SM-5IJFB 50-59 years, female 27.1
GTEX-14ICK-2426-SM-6EU27 40-49 years, male 27.0
GTEX-1B8L1-2426-SM-9WYTE 60-69 years, male 27.0
GTEX-QVJO-1826-SM-447C9 60-69 years, female 26.9
GTEX-13OW8-0226-SM-5K7UP 60-69 years, male 26.4
GTEX-14PHY-1926-SM-5YY95 60-69 years, female 26.4
GTEX-1F75A-1826-SM-7SB8G 50-59 years, male 26.4
GTEX-1QCLZ-2326-SM-DTXDO 60-69 years, female 26.2
GTEX-1122O-1226-SM-5H113 60-69 years, female 26.0
GTEX-13NZ9-1026-SM-5MR5K 50-59 years, male 25.8
GTEX-1GZ2Q-2626-SM-7MXV9 40-49 years, male 25.8
GTEX-1B8KE-1226-SM-73KWK 50-59 years, male 25.2
GTEX-1I6K7-1026-SM-A9SLK 40-49 years, male 25.1
GTEX-S4UY-0726-SM-4AD6X 40-49 years, female 25.0
GTEX-WYJK-1326-SM-3NB2T 50-59 years, male 25.0
GTEX-14PKU-0426-SM-6EU1P 40-49 years, female 24.6
GTEX-1AX8Z-0926-SM-731AW 60-69 years, male 24.6
GTEX-1JK1U-1826-SM-ARL8W 60-69 years, male 24.0
GTEX-11DXW-0626-SM-5N9ER 40-49 years, male 23.9
GTEX-132Q8-1426-SM-5EGK7 60-69 years, male 23.9
GTEX-11EI6-0626-SM-5985T 60-69 years, male 23.8
GTEX-13O3P-0826-SM-5L3DH 50-59 years, male 23.8
GTEX-1E2YA-2726-SM-7IGPW 50-59 years, male 23.8
GTEX-XMD1-0826-SM-4AT52 60-69 years, male 23.8
GTEX-1NV8Z-2826-SM-E8VME 60-69 years, male 23.6
GTEX-U412-1826-SM-4DXTJ 60-69 years, male 23.5
GTEX-XBED-1626-SM-47JYN 60-69 years, male 23.5
GTEX-1LGRB-1826-SM-CNPQL 50-59 years, female 23.3
GTEX-Y114-2026-SM-4TT7L 50-59 years, female 23.0
GTEX-1GZ4H-0326-SM-7P8QX 50-59 years, female 23.0
GTEX-ZEX8-2226-SM-57WC6 50-59 years, male 22.7
GTEX-1192X-2326-SM-5987X 50-59 years, male 22.6
GTEX-1B8KZ-1526-SM-7DUG7 50-59 years, male 22.6
GTEX-QEL4-2126-SM-447AE 50-59 years, male 22.6
GTEX-ZPIC-1126-SM-5BC7F 40-49 years, female 22.5
GTEX-1HCU8-0126-SM-ADEHH 60-69 years, female 22.2
GTEX-13VXU-2826-SM-664MA 50-59 years, male 22.1
GTEX-1JJEA-2726-SM-ARL8V 60-69 years, male 22.0
GTEX-1HC8U-0826-SM-ADEIL 40-49 years, female 21.9
GTEX-R53T-1526-SM-48FEK 50-59 years, female 21.8
GTEX-145MO-0826-SM-5NQBL 60-69 years, male 21.7
GTEX-1117F-2826-SM-5GZXL 60-69 years, female 21.5
GTEX-13FHO-0826-SM-5L3E8 60-69 years, male 21.5
GTEX-145MF-2226-SM-7EPIR 50-59 years, male 21.5
GTEX-1B8SG-1226-SM-7IGPF 50-59 years, male 21.4
GTEX-1P4AB-1826-SM-E76PU 50-59 years, male 21.4
GTEX-1JMPZ-1626-SM-COH31 30-39 years, male 21.3
GTEX-ZTTD-1026-SM-51MRD 50-59 years, male 21.1
GTEX-1J8Q2-2726-SM-A9G2X 60-69 years, male 21.1
GTEX-1GMR2-1926-SM-9MQLZ 50-59 years, male 21.0
GTEX-YJ8O-2226-SM-5IFHW 40-49 years, female 20.9
GTEX-11I78-2226-SM-5PNYA 50-59 years, female 20.8
GTEX-VUSG-2226-SM-4KKZO 50-59 years, male 20.8
GTEX-1JJE9-2326-SM-ARL8Q 70-79 years, male 20.6
GTEX-15SHW-1326-SM-6PAL8 60-69 years, male 20.4
GTEX-1PPGY-1526-SM-EVYBK 60-69 years, male 20.0
GTEX-1EWIQ-1726-SM-7SB7T 70-79 years, female 19.7
GTEX-1QP28-1226-SM-E9J2M 50-59 years, female 19.5
GTEX-1EKGG-2626-SM-7IGPY 60-69 years, male 19.2
GTEX-1314G-1226-SM-5BC6D 30-39 years, male 19.0
GTEX-16BQI-1026-SM-7KUEA 30-39 years, female 18.2
GTEX-ZUA1-1526-SM-59HLS 40-49 years, male 17.2
GTEX-1IDJH-2226-SM-E6CJV 70-79 years, male 17.2
GTEX-1PDJ9-1126-SM-EXUSW 20-29 years, male 17.0
GTEX-1R9PM-1826-SM-EVYBH 20-29 years, male 17.0
GTEX-1JMQK-2626-SM-COH2W 60-69 years, male 16.9
GTEX-1I19N-2826-SM-CL55D 70-79 years, male 16.7
GTEX-1MA7X-1626-SM-E9U5B 60-69 years, male 16.7
GTEX-1KD4Q-2326-SM-D4P3M 40-49 years, male 16.6
GTEX-T2YK-2226-SM-32QPT 50-59 years, male 16.4
GTEX-11NV4-2026-SM-5N9DG 60-69 years, male 16.3
GTEX-1ICG6-1326-SM-ACKWR 70-79 years, female 16.3
GTEX-1HCU9-0326-SM-9WYSC 20-29 years, male 16.2
GTEX-1KXAM-1026-SM-CY8IA 60-69 years, male 15.9
GTEX-11OF3-1926-SM-59889 60-69 years, male 15.7
GTEX-117XS-1926-SM-5GICO 60-69 years, male 15.6
GTEX-11TT1-2126-SM-5GU5Y 20-29 years, male 15.6
GTEX-Y8LW-1626-SM-5IFHX 50-59 years, female 15.6
GTEX-1HR98-0426-SM-COH36 60-69 years, male 15.6
GTEX-1JN1M-3026-SM-CMKGK 60-69 years, female 15.6
GTEX-14PN4-0626-SM-62LFP 50-59 years, male 15.3
GTEX-WOFL-0826-SM-3MJG1 60-69 years, male 15.2
GTEX-13O3Q-2226-SM-5KM4O 50-59 years, male 15.0
GTEX-146FH-0826-SM-5SI8T 50-59 years, female 15.0
GTEX-18A6Q-0926-SM-7LG4N 60-69 years, male 15.0
GTEX-S7SE-0826-SM-4AT4D 50-59 years, male 15.0
GTEX-ZTX8-1226-SM-4YCE9 20-29 years, male 15.0
GTEX-WFG8-2026-SM-EXOHO 20-29 years, male 15.0
GTEX-1EN7A-1426-SM-7PBY4 40-49 years, male 14.7
GTEX-1IOXB-1926-SM-ARL8E 50-59 years, male 14.7
GTEX-17KNJ-2026-SM-7LG53 50-59 years, male 14.6
GTEX-1H1DG-0526-SM-9YFLN 70-79 years, male 14.6
GTEX-1211K-1926-SM-5EQLB 60-69 years, female 14.4
GTEX-139TU-0626-SM-5KM3X 60-69 years, male 14.4
GTEX-1HBPN-2326-SM-9WPPU 50-59 years, male 14.3
GTEX-QEG5-0726-SM-D4P1T 20-29 years, male 14.2
GTEX-1HT8W-2226-SM-CGQEC 30-39 years, male 14.0
GTEX-144GL-2026-SM-5LU3O 50-59 years, male 13.9
GTEX-1JMOU-2026-SM-CMKGU 60-69 years, female 13.9
GTEX-11LCK-2426-SM-5HL5F 30-39 years, male 13.7
GTEX-14E7W-0826-SM-62LEJ 70-79 years, male 13.5
GTEX-1JN6P-2426-SM-ARL99 60-69 years, male 13.1
GTEX-1C6WA-2426-SM-7SB86 60-69 years, male 13.0
GTEX-ZLWG-1926-SM-DO92J 50-59 years, female 12.8
GTEX-14PJO-0726-SM-69LO8 60-69 years, male 12.6
GTEX-18465-2026-SM-718AP 50-59 years, male 12.6
GTEX-1HR9M-2426-SM-ACKXI 60-69 years, male 12.6
GTEX-15EOM-5019-SM-793DK 20-29 years, female 12.5
GTEX-1JMLX-2026-SM-CMKGN 50-59 years, male 12.3
GTEX-ZYFC-0826-SM-5E44K 50-59 years, male 12.2
GTEX-11DXY-2326-SM-5GICW 60-69 years, male 12.0
GTEX-15G19-2126-SM-6M48J 60-69 years, male 12.0
GTEX-11O72-2126-SM-5N9FO 40-49 years, male 11.9
GTEX-XV7Q-2326-SM-4BRVZ 40-49 years, female 11.8
GTEX-1GF9U-1726-SM-7MGY5 40-49 years, female 11.6
GTEX-16YQH-2826-SM-6PAMY 30-39 years, male 11.5
GTEX-Y3I4-1526-SM-4TT7K 50-59 years, male 11.3
GTEX-1HBPM-0126-SM-ARL9E 60-69 years, female 11.3
GTEX-1KANC-1426-SM-CYPT9 50-59 years, female 11.3
GTEX-17F9E-2526-SM-7MGW2 50-59 years, male 11.1
GTEX-1H3VY-0926-SM-ACKXE 50-59 years, male 11.1
GTEX-1IDJU-1826-SM-CMKHV 60-69 years, female 11.0
GTEX-12WSK-2226-SM-5GCO5 40-49 years, female 10.8
GTEX-X261-0626-SM-3NMD9 50-59 years, male 10.8
GTEX-1H4P4-2226-SM-9MQKQ 50-59 years, male 10.8
GTEX-1NUQO-2226-SM-E9U68 20-29 years, female 10.8
GTEX-ZV6S-1826-SM-5NQ8D 40-49 years, female 10.6
GTEX-1QMI2-0726-SM-E9J4F 60-69 years, male 10.6
GTEX-1IGQW-0926-SM-ADEH6 60-69 years, male 10.5
GTEX-144GM-0926-SM-5O994 20-29 years, male 10.4
GTEX-1I1GV-2426-SM-CGQFM 60-69 years, male 10.4
GTEX-YECK-0726-SM-EZ6LV 60-69 years, male 10.4
GTEX-1IDFM-0426-SM-B2LVV 60-69 years, male 10.2
GTEX-14BMV-0626-SM-793AU 50-59 years, male 10.1
GTEX-WFON-1826-SM-3GILG 40-49 years, male 10.1
GTEX-1I6K6-0826-SM-ARL7Z 30-39 years, male 10.1
GTEX-1AX9I-0726-SM-73KWV 60-69 years, male 10.0
GTEX-YB5K-1626-SM-5IFIN 40-49 years, female 10.0
GTEX-ZYT6-0126-SM-5E45J 30-39 years, male 10.0
GTEX-1LSVX-2426-SM-E6CJX 60-69 years, male 10.0
GTEX-S33H-0326-SM-4AD6N 30-39 years, male 9.9
GTEX-Z9EW-1526-SM-EZ6LU 40-49 years, male 9.7
GTEX-13W46-0826-SM-5LU3H 50-59 years, male 9.6
GTEX-1KD5A-1926-SM-DKPQA 50-59 years, male 9.6
GTEX-13PVQ-1026-SM-5KM3M 50-59 years, male 9.5
GTEX-17F97-2526-SM-7EWDV 50-59 years, male 9.3
GTEX-XQ3S-1326-SM-4BOPQ 20-29 years, male 9.3
GTEX-15RJE-2626-SM-7KFT1 40-49 years, male 9.2
GTEX-12WSM-1726-SM-5BC6J 60-69 years, male 9.0
GTEX-ZDXO-0126-SM-5S2ND 60-69 years, male 9.0
GTEX-17HGU-1326-SM-79OKB 50-59 years, male 8.9
GTEX-ZWKS-2826-SM-5NQ74 30-39 years, male 8.9
GTEX-1F75B-0626-SM-7SB8A 50-59 years, male 8.9
GTEX-1HSMO-0826-SM-ADEIV 60-69 years, male 8.8
GTEX-13N1W-0626-SM-5MR4U 70-79 years, male 8.7
GTEX-14753-2426-SM-5LU8U 60-69 years, male 8.7
GTEX-17MFQ-0926-SM-7LG4S 20-29 years, male 8.7
GTEX-X62O-0526-SM-EWRMA 50-59 years, male 8.7
GTEX-11GSO-1926-SM-5A5K3 60-69 years, male 8.6
GTEX-YB5E-1726-SM-5IFJ3 40-49 years, male 8.5
GTEX-1HFI7-0126-SM-CGQFQ 50-59 years, female 8.5
GTEX-QMRM-1626-SM-D4P1U 50-59 years, male 8.5
GTEX-13FTW-1426-SM-5LZWZ 40-49 years, male 8.4
GTEX-145MN-1926-SM-5SIAI 30-39 years, male 8.4
GTEX-1PPH7-0826-SM-E8VNX 40-49 years, male 8.4
GTEX-R55D-0826-SM-48FEA 50-59 years, male 8.3
GTEX-TKQ2-1826-SM-33HB2 50-59 years, male 8.3
GTEX-XMK1-1126-SM-4IHJ8 40-49 years, male 8.1
GTEX-ZYW4-0826-SM-5GIDG 60-69 years, male 8.1
GTEX-1I1GP-0426-SM-COH3N 50-59 years, male 8.1
GTEX-1QW4Y-1026-SM-DTXE2 30-39 years, male 8.1
GTEX-132NY-0826-SM-5K7Y7 60-69 years, male 7.9
GTEX-11ZUS-0826-SM-5FQUY 30-39 years, male 7.8
GTEX-1N2EF-2226-SM-E9J33 60-69 years, male 7.8
GTEX-11DXZ-1926-SM-5GZZL 50-59 years, male 7.7
GTEX-13S86-1226-SM-5S2OA 40-49 years, male 7.7
GTEX-183FY-1126-SM-7DHLJ 20-29 years, male 7.7
GTEX-1JKYR-0926-SM-CMKGJ 20-29 years, male 7.7
GTEX-WHSB-1926-SM-EXOHH 50-59 years, male 7.6
GTEX-ZDTT-2126-SM-DKPOM 60-69 years, male 7.6
GTEX-18D9A-1526-SM-7LG4J 30-39 years, female 7.5
GTEX-18A66-1726-SM-7LG5N 60-69 years, male 7.5
GTEX-17F96-2426-SM-7IGLN 70-79 years, male 7.4
GTEX-1ICLY-1726-SM-B2LVT 50-59 years, male 7.3
GTEX-14E6E-1326-SM-5S2NR 30-39 years, male 7.2
GTEX-11DZ1-0326-SM-5N9BN 50-59 years, male 7.1
GTEX-18A7B-2626-SM-7LG55 70-79 years, male 7.1
GTEX-1GF9V-2526-SM-7SB8K 60-69 years, male 7.1
GTEX-1H11D-1526-SM-9MQJY 40-49 years, male 7.1
GTEX-1OKEX-0826-SM-E9J2B 60-69 years, male 7.1
GTEX-183WM-0726-SM-7LTAA 70-79 years, female 7.0
GTEX-1A3MX-2726-SM-718B6 60-69 years, male 7.0
GTEX-1J8Q3-1326-SM-CMKI1 60-69 years, male 7.0
GTEX-1LSNL-2826-SM-E9U5L 50-59 years, male 7.0
GTEX-12KS4-0126-SM-5Q5A5 30-39 years, male 6.9
GTEX-XQ8I-2426-SM-4WAXY 50-59 years, male 6.9
GTEX-169BO-1126-SM-7MGWN 50-59 years, male 6.9
GTEX-1HCU7-1026-SM-ADEIP 50-59 years, male 6.9
GTEX-12BJ1-1826-SM-5HL9N 60-69 years, male 6.8
GTEX-13O61-1826-SM-5KM4I 60-69 years, male 6.8
GTEX-1NHNU-0926-SM-E9J2T 50-59 years, male 6.8
GTEX-1M4P7-2626-SM-E9U5F 60-69 years, male 6.6
GTEX-17MF6-0326-SM-7EPH5 40-49 years, male 6.5
GTEX-17EVQ-0426-SM-7LG57 70-79 years, male 6.4
GTEX-X4XY-0926-SM-4E3JD 60-69 years, male 6.3
GTEX-1R9JW-0326-SM-EAZ45 30-39 years, female 6.3
GTEX-WY7C-2726-SM-3NB3P 50-59 years, male 6.2
GTEX-11NSD-0926-SM-5N9DR 20-29 years, male 6.1
GTEX-139T6-1626-SM-5PNYZ 50-59 years, male 6.1
GTEX-1C475-1226-SM-7SB72 40-49 years, female 6.1
GTEX-1I1GU-1026-SM-ADEHJ 40-49 years, male 6.1
GTEX-ZTPG-2826-SM-57WGA 20-29 years, female 6.1
GTEX-12WSN-1326-SM-5GCNT 40-49 years, male 5.9
GTEX-1AX9J-1126-SM-731B7 60-69 years, male 5.9
GTEX-Y8E4-1626-SM-5S2MW 40-49 years, male 5.9
GTEX-1IDJF-2326-SM-ARL86 20-29 years, male 5.9
GTEX-11EQ9-1826-SM-5Q5AJ 30-39 years, male 5.8
GTEX-11ONC-2126-SM-5HL6E 60-69 years, male 5.8
GTEX-17GQL-0326-SM-7LG5U 60-69 years, male 5.8
GTEX-RUSQ-2026-SM-4GIAK 50-59 years, male 5.8
GTEX-15UF7-0726-SM-6M46D 40-49 years, male 5.6
GTEX-PSDG-1626-SM-48TCQ 50-59 years, male 5.6
GTEX-1GPI7-0926-SM-7PC3J 20-29 years, male 5.6
GTEX-13FTX-1126-SM-5N9EN 20-29 years, female 5.5
GTEX-1ICLZ-0426-SM-B2LW2 60-69 years, male 5.5
GTEX-1H23P-0726-SM-9WG7K 60-69 years, male 5.4
GTEX-YEC3-1026-SM-5IFI5 50-59 years, male 5.3
GTEX-V955-2026-SM-3GAFA 60-69 years, male 5.2
GTEX-ZDYS-1126-SM-5K7UB 50-59 years, male 5.2
GTEX-1LC47-1226-SM-D4P44 60-69 years, male 5.2
GTEX-14DAR-1326-SM-7DUEG 50-59 years, male 5.1
GTEX-S32W-2026-SM-4AD6E 50-59 years, female 5.1
GTEX-1QP9N-1826-SM-E8VMP 30-39 years, male 5.1
GTEX-117YX-1426-SM-5H12H 50-59 years, male 5.0
GTEX-14E6C-1326-SM-62LEQ 40-49 years, male 5.0
GTEX-Y5V6-2126-SM-4WWFX 60-69 years, male 5.0
GTEX-1LBAC-0926-SM-CXKY9 20-29 years, male 5.0
GTEX-11P82-1326-SM-5HL62 20-29 years, male 4.9
GTEX-TKQ1-0226-SM-33HB5 30-39 years, male 4.8
GTEX-1LG7Z-0726-SM-CXKYD 30-39 years, male 4.7
GTEX-ZAB4-2526-SM-5HL8M 40-49 years, male 4.6
GTEX-1CAMR-1426-SM-793BO 20-29 years, male 4.5
GTEX-UTHO-1026-SM-3GAF7 60-69 years, male 4.5
GTEX-YFCO-1826-SM-4W1YH 40-49 years, male 4.4
GTEX-ZQUD-1926-SM-51MSA 30-39 years, male 4.4
GTEX-13QJ3-0826-SM-7DHKK 50-59 years, male 4.3
GTEX-REY6-2426-SM-48FF5 60-69 years, male 4.3
GTEX-1MJK3-1126-SM-E9J3F 20-29 years, male 4.3
GTEX-1S82Z-0726-SM-E6CHX 30-39 years, female 4.3
GTEX-11TUW-1826-SM-5BC5D 60-69 years, male 4.2
GTEX-14B4R-1226-SM-5TDDT 30-39 years, male 4.2
GTEX-14PJ4-2126-SM-6ETZJ 60-69 years, male 4.2
GTEX-S4Q7-1126-SM-4AD6R 20-29 years, male 4.2
GTEX-U8XE-0826-SM-4E3J1 30-39 years, male 4.2
GTEX-XGQ4-0926-SM-4AT4U 50-59 years, male 4.2
GTEX-11ZTT-2326-SM-5EQLG 60-69 years, female 4.1
GTEX-ZQG8-0726-SM-5P9H9 60-69 years, female 4.1
GTEX-ZZ64-1226-SM-5E43R 20-29 years, male 4.1
GTEX-1H1ZS-0126-SM-9YFKQ 70-79 years, male 4.1
GTEX-1L5NE-2126-SM-CY8IH 50-59 years, male 4.0
GTEX-1RLM8-2226-SM-EVYD1 50-59 years, male 4.0
GTEX-ZA64-1526-SM-5CVMD 20-29 years, male 3.8
GTEX-1HSEH-2026-SM-ADEHN 60-69 years, male 3.6
GTEX-132AR-0826-SM-5EGK6 50-59 years, female 3.5
GTEX-13CF3-2126-SM-5IFJP 60-69 years, female 3.5
GTEX-1C6VQ-0426-SM-79OOX 50-59 years, male 3.5
GTEX-145ME-1526-SM-5Q5F2 40-49 years, female 3.4
GTEX-1AMEY-1026-SM-718AA 30-39 years, female 3.4
GTEX-ZLFU-2126-SM-DO931 40-49 years, male 3.3
GTEX-1R7EV-1526-SM-E8VOD 40-49 years, male 3.1
GTEX-11WQK-2426-SM-5GU5C 50-59 years, male 3.0
GTEX-ZT9W-2026-SM-51MRA 50-59 years, male 2.8
GTEX-1JKYN-0726-SM-ARZMY 30-39 years, male 2.7
GTEX-1F5PK-2126-SM-7PC28 50-59 years, male 2.3
GTEX-Y9LG-1426-SM-5IFJZ 30-39 years, male 2.2
Show allShow less

BREAST - FANTOM5 CAGEi

RNA expression in human tissues obtained through Cap Analysis of Gene Expression (CAGE) generated by the FANTOM5 project are reported as Scaled Tags Per Million.

Max subtype Scaled Tags Per Millioni

Max subtype Scaled Tags Per Million is the value for the subtype with the largest average Scaled Tags Per Million across the subtype samples.

15.4
FANTOM5 sample id Sample description Scaled Tags Per Million
Breast
Scaled Tags Per Million: 15.4
FF:10080-102A8 77 years, female 15.4

Contact

  • NEWS ARTICLES
  • PRESS ROOM

The Project

  • INTRODUCTION
  • ORGANIZATION
  • PUBLICATIONS

The Human Protein Atlas

  • DOWNLOADABLE DATA
  • LICENCE & CITATION
  • HELP & FAQ
The Human Protein Atlas project is funded
by the Knut & Alice Wallenberg Foundation.


contact@proteinatlas.org