We use cookies to enhance the usability of our website. If you continue, we'll assume that you are happy to receive all cookies. More information. Don't show this again.
PPFIA1
HPA
RESOURCES
  • TISSUE
  • BRAIN
  • SINGLE CELL
  • SUBCELLULAR
  • CANCER
  • BLOOD
  • CELL LINE
  • STRUCTURE & INTERACTION
ABOUT
  • INTRODUCTION
  • HISTORY
  • ORGANIZATION
  • PUBLICATIONS
  • ANTIBODY SUBMISSION
  • ANTIBODY AVAILABILITY
  • ACKNOWLEDGMENTS
  • CONTACT
NEWS
  • NEWS ARTICLES
  • PRESS ROOM
LEARN
  • DICTIONARY
  • PROTEIN CLASSES
  • PROTEIN EVIDENCE
  • METHODS
  • EDUCATIONAL VIDEOS
DATA
  • DOWNLOADABLE DATA
  • PUBLICATION DATA
  • RELEASE HISTORY
HELP
  • ANTIBODY VALIDATION
  • ASSAYS & ANNOTATION
  • DISCLAIMER
  • HELP & FAQ
  • PRIVACY STATEMENT
  • LICENCE & CITATION
Fields »
Search result

Field
Term
Gene name
Class
Subclass
Class
Keyword
Chromosome
External id
Tissue
Cell type
Expression
Antibody panel
Tissue
Main location
Patient ID
Annotation
Tissue
Category
Tau score
Cluster
Reliability
Brain region
Category
Tau score
Brain region
Category
Tau score
Brain region
Category
Tau score
Cluster
Reliability
Tissue
Cell type
Enrichment
Cell type
Category
Tau score
Cell type
Category
Tau score
Cell type
Category
Tau score
Cell lineage
Category
Tau score
Cluster
Cluster
Location
Searches
Location
Cell line
Class
Type
Phase
Reliability
Cancer
Prognosis
Cancer
Category
Cancer
Category
Tau score
Cluster
Variants
Interacting gene (ensg_id)
Type
Number of interactions
Pathway
Category
Score
Score
Score
Validation
Validation
Validation
Validation
Antibodies
Data type
Column


  • SUMMARY

  • TISSUE

  • BRAIN

  • SINGLE CELL

  • SUBCELL

  • CANCER

  • BLOOD

  • CELL LINE

  • STRUCT & INT

  • PPFIA1
TISSUE PRIMARY DATA SKELETAL MUSCLE Show tissue menu
ADIPOSE TISSUE ADRENAL GLAND AMYGDALA APPENDIX BASAL GANGLIA BONE MARROW BREAST BRONCHUS CEREBELLUM CEREBRAL CORTEX CERVIX CHOROID PLEXUS COLON DUODENUM
ENDOMETRIUM EPIDIDYMIS ESOPHAGUS FALLOPIAN TUBE GALLBLADDER HEART MUSCLE HIPPOCAMPAL FORMATION HYPOTHALAMUS KIDNEY LIVER LUNG LYMPH NODE MIDBRAIN NASOPHARYNX
ORAL MUCOSA OVARY PANCREAS PARATHYROID GLAND PITUITARY GLAND PLACENTA PROSTATE RECTUM RETINA SALIVARY GLAND SEMINAL VESICLE SKELETAL MUSCLE SKIN SMALL INTESTINE
SMOOTH MUSCLE SOFT TISSUE SPINAL CORD SPLEEN STOMACH TESTIS THYMUS THYROID GLAND TONGUE TONSIL URINARY BLADDER VAGINA
ANTIBODIES
AND
VALIDATION
Dictionary
Skeletal muscle
Tissue proteome
Skeletal muscle
SKELETAL MUSCLE - Expression summary
Protein expression
Skeletal musclei

On the top, protein expression in current human tissue, based on all annotated cell types, is reported with the units not detected (n), low (l), medium (m) and high (h). Underneath, protein expression in each annotated cell type are reported using the same units.

Protein expression data is based on knowledge-based annotation. For genes where more than one antibody has been used, a collective score is set.

If knowledge-based annotation could not be performed for a gene, no data is displayed here. View antibody staining data further down this page.

h
m
l
n
Myocytes: Not detected
RNA expressioni

A summary of mRNA expression data available for current tissue based on several datasets. The mRNA expression levels in human tissues are based on RNA-seq data generated by the Human Protein Atlas (HPA), Genotype-Tissue Expression (GTEx) portal and CAGE data generated by the FANTOM5 consortium. Consensus normalized expression levels for human tissues was created by combining the data from HPA and GTEx datasets.

The mRNA expression levels in pig are based on RNA-seq data generated by the Human Protein Atlas (HPA), and for mouse, HPA data and in situ hybridization generated by the Allen brain atlas are reported.

Scroll down to view mRNA expression data in more detail.
Consensus:30.5 nTPM
HPA:21.7 nTPM
GTEx:30.5 nTPM
FANTOM5:70.6 Scaled Tags Per Million

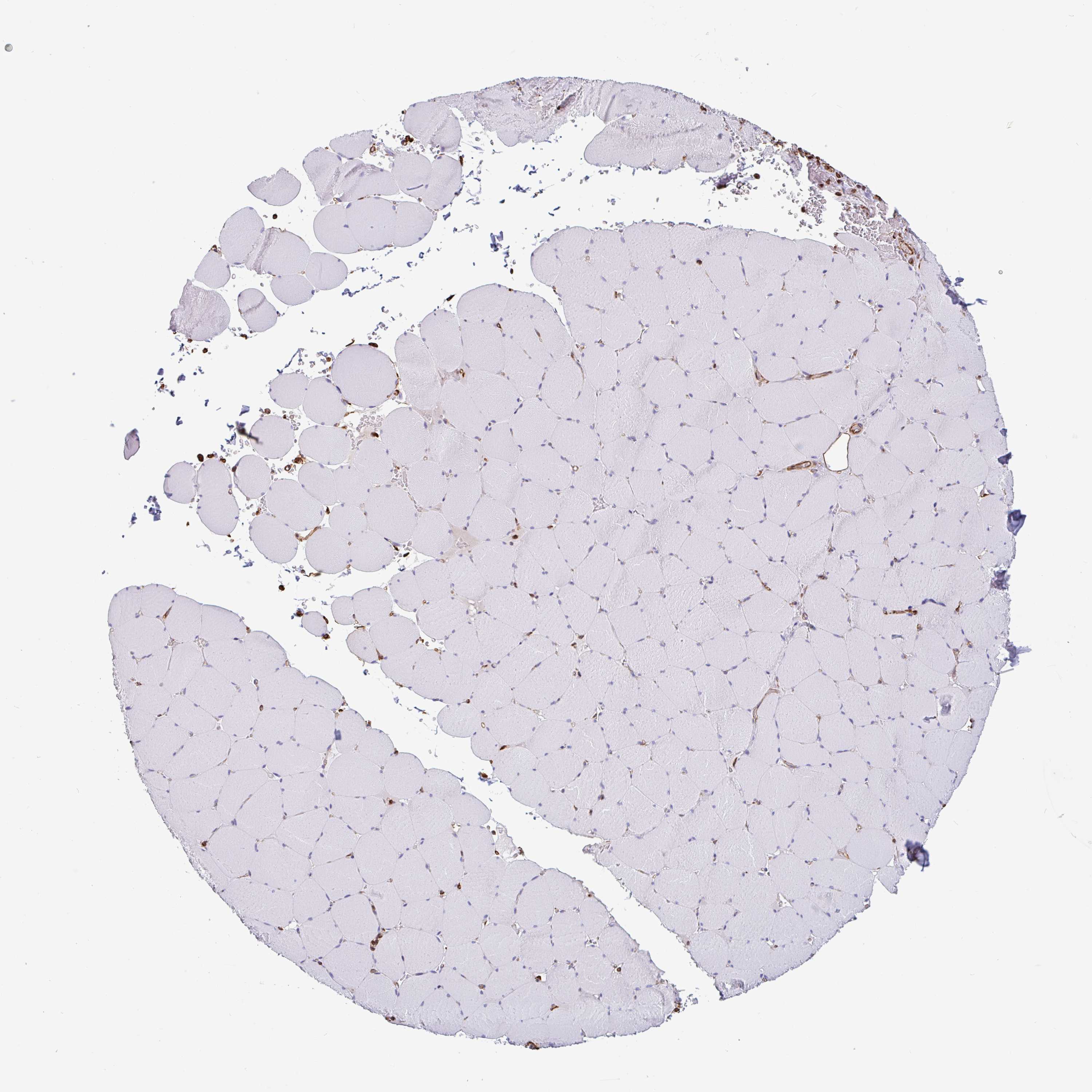
SKELETAL MUSCLE - Antibody stainingi

Antibody staining in the annotated cell types in the current human tissue is reported as not detected, low, medium, or high, based on conventional immunohistochemistry profiling in selected tissues. This score is based on the combination of the staining intensity and fraction of stained cells.

Each image is clickable and will lead to virtual microscopy that enables deeper exploration of all samples and also displays staining intensity scores, fraction scores and subcellular localization as well as patient and tissue information for each sample.

Antibody HPA042271Antibody CAB017032
Myocytes Not detectedLow





SKELETAL MUSCLE - HPA RNA-seqi

The RNA-seq details section shows detailed information about the individual samples used for the transcript profiling and results of the RNA-seq analysis.

Information about each individual sample is listed below, including gender, age, a tissue section image and estimated fractions of cell types. nTPM (normalized transcripts per million) values give a quantification of the gene abundance which is comparable between different genes and samples.
Average nTPMi

Max subtype nTPM is the value for the subtype with the largest average nTPM across the subtype samples.

21.7
N/A
Male, age 23
Skeletal muscle sample 339
nTPM: 24
N/A
Female, age 25
Skeletal muscle sample 340
nTPM: 25.8
N/A
Female, age -
Skeletal muscle sample 341
nTPM: 18.1
N/A
Female, age 22
Skeletal muscle sample 342
nTPM: 15.8
N/A
Male, age 29
Skeletal muscle sample 343
nTPM: 24.7

SKELETAL MUSCLE - GTEx RNA-seqi

RNA-Seq data generated by the Genotype-Tissue Expression (GTEx) project from human tissues is reported as mean nTPM. More information can be found on the GTEx portal.

Distribution across the dataset is visualized with box plots, shown as median and 25th and 75th percentiles. Points are displayed as outliers if they are above or below 1.5 times the interquartile range. nTPM values of the individual samples are presented next to the box plot.
Max subtype nTPMi

Max subtype nTPM is the value for the subtype with the largest average nTPM across the subtype samples.

30.5
GTEx sample id Sample description nTPM
Muscle - Skeletal
Average nTPM: 30.5
Samples: 803

Max nTPM: 67.5
Min nTPM: 4.3
Std nTPM: 7.4
Median nTPM: 29.7
GTEX-TMMY-0426-SM-33HBB 40-49 years, female 67.5
GTEX-13OVI-1726-SM-5L3DW 60-69 years, female 57.7
GTEX-1S82P-0326-SM-E9TIR 60-69 years, female 55.6
GTEX-T8EM-1326-SM-3DB7G 40-49 years, male 50.4
GTEX-YB5K-2326-SM-5IFHD 40-49 years, female 49.6
GTEX-12BJ1-2526-SM-5FQUE 60-69 years, male 48.6
GTEX-15F5U-1826-SM-6LLJF 40-49 years, male 48.5
GTEX-132Q8-0626-SM-5L3F3 60-69 years, male 48.2
GTEX-15RIE-2426-SM-7KUDS 60-69 years, male 48.0
GTEX-SNOS-1526-SM-32PLW 40-49 years, male 47.9
GTEX-1B996-0326-SM-7DHMU 60-69 years, male 47.8
GTEX-16MTA-2026-SM-7KUL3 50-59 years, male 47.5
GTEX-1QCLY-0426-SM-E8VOH 30-39 years, male 47.5
GTEX-1AX9K-2726-SM-7DHMA 50-59 years, male 47.3
GTEX-RM2N-1626-SM-2TF5N 50-59 years, male 46.9
GTEX-ZVP2-2126-SM-5GU6E 50-59 years, male 46.9
GTEX-18D9A-1826-SM-718BK 30-39 years, female 46.5
GTEX-1JMPY-1226-SM-CJI3A 30-39 years, male 46.5
GTEX-1B8KE-2226-SM-7939K 50-59 years, male 46.1
GTEX-1192X-0426-SM-5GIEE 50-59 years, male 46.0
GTEX-UJMC-1826-SM-3GADT 50-59 years, male 46.0
GTEX-13NZB-2626-SM-5J2M7 30-39 years, male 45.7
GTEX-OIZF-1626-SM-2YUNE 60-69 years, male 45.7
GTEX-1HSMQ-1326-SM-ADEHS 50-59 years, male 45.5
GTEX-1LH75-2626-SM-E9TKL 50-59 years, female 45.1
GTEX-ZV6S-2126-SM-4YCEM 40-49 years, female 44.8
GTEX-1JKYR-0326-SM-CNPOL 20-29 years, male 44.8
GTEX-14PJ5-2026-SM-6LLIN 60-69 years, female 44.6
GTEX-12WSN-2526-SM-5LZU8 40-49 years, male 44.5
GTEX-1AX9J-0126-SM-73KY2 60-69 years, male 44.5
GTEX-1L5NE-2226-SM-CXZKS 50-59 years, male 44.5
GTEX-P4QS-1626-SM-2S1NH 60-69 years, male 44.3
GTEX-1K2DU-2526-SM-D3L8V 20-29 years, male 44.3
GTEX-12696-2826-SM-5FQTY 60-69 years, male 44.2
GTEX-1HCU9-1926-SM-9WYSE 20-29 years, male 44.1
GTEX-1KANC-1626-SM-E6CIA 50-59 years, female 44.1
GTEX-Y8LW-2026-SM-4V6G8 50-59 years, female 43.9
GTEX-1QP2A-0526-SM-E8VN5 50-59 years, male 43.9
GTEX-QEL4-0626-SM-3GIJM 50-59 years, male 43.8
GTEX-ZLFU-2526-SM-DO91K 40-49 years, male 43.8
GTEX-14ICL-1926-SM-5RQIZ 30-39 years, male 43.5
GTEX-1CAMR-1726-SM-793CU 20-29 years, male 43.5
GTEX-1QCLZ-0326-SM-DTXG2 60-69 years, female 43.4
GTEX-1J8Q2-0126-SM-E9J2G 60-69 years, male 43.3
GTEX-17MFQ-1926-SM-793A6 20-29 years, male 43.2
GTEX-1GZ4H-1626-SM-7PC3F 50-59 years, female 43.2
GTEX-1117F-0426-SM-5EGHI 60-69 years, female 42.6
GTEX-RU1J-1726-SM-2TF5S 20-29 years, female 42.6
GTEX-1MCC2-2726-SM-EWRN3 30-39 years, female 42.6
GTEX-13JUV-2326-SM-5IJCE 40-49 years, female 42.5
GTEX-PWCY-2026-SM-5SI8R 20-29 years, female 42.4
GTEX-QLQW-1326-SM-2S1QS 30-39 years, male 42.3
GTEX-1I4MK-2326-SM-ADEHR 50-59 years, female 42.3
GTEX-YF7O-2526-SM-5IFJX 50-59 years, male 42.2
GTEX-ZAB4-0426-SM-5HL7N 40-49 years, male 41.9
GTEX-1LG7Y-0126-SM-E6CJ8 50-59 years, male 41.9
GTEX-13OW5-0326-SM-5L3HK 60-69 years, male 41.8
GTEX-1HSMO-0526-SM-ACKXB 60-69 years, male 41.8
GTEX-1HSEH-0326-SM-A9G26 60-69 years, male 41.7
GTEX-18A67-0326-SM-7LG5X 50-59 years, male 41.6
GTEX-OXRK-1826-SM-2HMJE 50-59 years, female 41.6
GTEX-REY6-0826-SM-2TF4S 60-69 years, male 41.6
GTEX-ZXG5-0326-SM-5GICH 60-69 years, male 41.5
GTEX-1JKYN-1826-SM-ARZMZ 30-39 years, male 41.5
GTEX-11EQ9-2126-SM-5PNVW 30-39 years, male 41.4
GTEX-1I6K6-0326-SM-CJI4A 30-39 years, male 41.3
GTEX-1HCU7-0426-SM-D3L8Q 50-59 years, male 41.2
GTEX-VUSG-2626-SM-4KKZI 50-59 years, male 41.1
GTEX-U4B1-1626-SM-3DB8N 40-49 years, male 41.0
GTEX-1I1GS-0326-SM-ARL7X 60-69 years, male 41.0
GTEX-1HCUA-2326-SM-ACKVJ 50-59 years, female 40.9
GTEX-1128S-2426-SM-5H11B 60-69 years, female 40.8
GTEX-14PJN-2126-SM-6AJBM 30-39 years, male 40.8
GTEX-15RIG-0426-SM-7KUF4 40-49 years, male 40.8
GTEX-16MT8-0326-SM-6PAM5 60-69 years, female 40.8
GTEX-1CAMS-0126-SM-79396 40-49 years, female 40.8
GTEX-PWN1-1626-SM-2S1OL 40-49 years, female 40.8
GTEX-X8HC-0526-SM-4E3JA 50-59 years, female 40.7
GTEX-1CB4I-0326-SM-7DHMM 50-59 years, male 40.6
GTEX-P78B-1626-SM-5SI85 40-49 years, female 40.6
GTEX-QESD-1626-SM-2S1RB 20-29 years, male 40.6
GTEX-ZA64-2026-SM-5PNXT 20-29 years, male 40.6
GTEX-111YS-2326-SM-5987L 60-69 years, male 40.5
GTEX-1B8SG-0326-SM-73KXW 50-59 years, male 40.5
GTEX-RWS6-2126-SM-2XCAV 60-69 years, female 40.5
GTEX-WY7C-2526-SM-3NB2N 50-59 years, male 40.5
GTEX-X5EB-2326-SM-46MW5 40-49 years, male 40.4
GTEX-12WSJ-1726-SM-5LZVV 40-49 years, female 40.3
GTEX-13QBU-2426-SM-5LU4L 40-49 years, female 40.3
GTEX-ZAB5-2126-SM-5K7UN 50-59 years, male 40.2
GTEX-14C5O-0626-SM-664N2 60-69 years, male 40.1
GTEX-18A66-0126-SM-731CQ 60-69 years, male 40.1
GTEX-1122O-2426-SM-5GIDN 60-69 years, female 40.0
GTEX-V955-2426-SM-3GAEF 60-69 years, male 40.0
GTEX-1JJ6O-0926-SM-CYPT1 60-69 years, male 40.0
GTEX-15ETS-0326-SM-6PANH 40-49 years, female 39.9
GTEX-OIZH-1626-SM-2HMKI 50-59 years, male 39.9
GTEX-11I78-2426-SM-5A5K9 50-59 years, female 39.6
GTEX-1211K-2126-SM-59HJZ 60-69 years, female 39.6
GTEX-16BQI-0326-SM-6PAM4 30-39 years, female 39.6
GTEX-1HSGN-0326-SM-ACKXQ 40-49 years, female 39.6
GTEX-133LE-2026-SM-5K7WM 20-29 years, female 39.4
GTEX-VJYA-1926-SM-3GIJJ 60-69 years, male 39.4
GTEX-X261-0326-SM-3NMD4 50-59 years, male 39.4
GTEX-1I1GU-2126-SM-CGQF9 40-49 years, male 39.3
GTEX-11P7K-1926-SM-5GU6R 30-39 years, male 39.1
GTEX-O5YV-2026-SM-2D7VS 60-69 years, female 39.1
GTEX-1PIGE-0226-SM-E76OT 20-29 years, male 39.1
GTEX-17F9E-0226-SM-79OKK 50-59 years, male 39.0
GTEX-1H1DG-0326-SM-9QEHK 70-79 years, male 39.0
GTEX-145LT-1626-SM-5O992 40-49 years, male 38.9
GTEX-P44H-0426-SM-2XCEZ 40-49 years, male 38.9
GTEX-TSE9-0526-SM-3DB7Z 60-69 years, female 38.9
GTEX-1M5QR-1326-SM-EWROC 40-49 years, male 38.8
GTEX-1PWST-0426-SM-E76QV 70-79 years, male 38.8
GTEX-14E1K-2326-SM-664MP 50-59 years, male 38.7
GTEX-131XF-2326-SM-5BC6B 60-69 years, male 38.6
GTEX-13O3P-0626-SM-5L3D5 50-59 years, male 38.6
GTEX-SN8G-0326-SM-32PLG 50-59 years, female 38.6
GTEX-12WSL-2726-SM-5CVNL 50-59 years, male 38.5
GTEX-13O61-2326-SM-5J1NJ 60-69 years, male 38.5
GTEX-OHPK-1626-SM-2YUN3 50-59 years, female 38.5
GTEX-16NGA-1926-SM-7LTA6 40-49 years, female 38.4
GTEX-16NPX-0626-SM-7KULB 50-59 years, male 38.4
GTEX-1S82U-1426-SM-E6CJL 30-39 years, female 38.4
GTEX-183FY-0226-SM-7LG54 20-29 years, male 38.3
GTEX-U3ZM-1226-SM-3DB9G 40-49 years, male 38.2
GTEX-1J8Q3-1426-SM-CKZPU 60-69 years, male 38.2
GTEX-TKQ1-1426-SM-4GICK 30-39 years, male 38.1
GTEX-XUW1-0826-SM-4BOP6 50-59 years, female 38.1
GTEX-WYJK-1726-SM-3NM9U 50-59 years, male 38.0
GTEX-Y5V5-2526-SM-4VBQ4 60-69 years, female 38.0
GTEX-1CB4J-1226-SM-7P8P3 60-69 years, male 38.0
GTEX-17HHE-2126-SM-7DHLO 50-59 years, male 37.9
GTEX-15SHV-2526-SM-6PAMG 60-69 years, male 37.8
GTEX-1RAZQ-0426-SM-DTXFQ 30-39 years, male 37.7
GTEX-11DXX-2726-SM-5PNXO 60-69 years, female 37.6
GTEX-ZYW4-0526-SM-5GZZ5 60-69 years, male 37.6
GTEX-1QP67-1826-SM-DTX8D 40-49 years, female 37.6
GTEX-1R7EV-2026-SM-DTX83 40-49 years, male 37.6
GTEX-1399U-2526-SM-5L3DL 50-59 years, female 37.5
GTEX-OXRO-1726-SM-3LK6C 60-69 years, female 37.4
GTEX-14PK6-2126-SM-6ETZV 70-79 years, female 37.3
GTEX-1GPI7-0426-SM-7RHHP 20-29 years, male 37.3
GTEX-1399R-2526-SM-5IFG2 30-39 years, male 37.2
GTEX-R55C-1726-SM-3GADJ 40-49 years, male 37.2
GTEX-11GSO-2526-SM-5PNVX 60-69 years, male 37.1
GTEX-1GMR8-0326-SM-9KNUO 50-59 years, female 37.1
GTEX-14BMU-2026-SM-5S2W6 20-29 years, female 37.0
GTEX-1AMFI-2226-SM-731C6 50-59 years, female 36.9
GTEX-14E6D-0326-SM-62LDX 50-59 years, male 36.8
GTEX-18D9U-0626-SM-7LTA4 40-49 years, male 36.8
GTEX-18QFQ-0326-SM-731C3 30-39 years, male 36.8
GTEX-ZZPU-2626-SM-5E45Y 50-59 years, female 36.8
GTEX-PLZ6-1526-SM-2S1OC 30-39 years, male 36.7
GTEX-SNMC-1426-SM-2XCFM 20-29 years, male 36.7
GTEX-WFON-2326-SM-3LK7M 40-49 years, male 36.7
GTEX-13CF3-1826-SM-5J1NK 60-69 years, female 36.6
GTEX-11EQ8-0526-SM-5N9BC 60-69 years, male 36.5
GTEX-17HII-0426-SM-793A3 50-59 years, male 36.5
GTEX-1PPH7-2526-SM-E76OJ 40-49 years, male 36.5
GTEX-ZZ64-1526-SM-5E43K 20-29 years, male 36.4
GTEX-1IDJU-2426-SM-ARZM9 60-69 years, female 36.4
GTEX-Z9EW-1726-SM-5CVMO 40-49 years, male 36.3
GTEX-117YW-2426-SM-5Q5AE 50-59 years, male 36.2
GTEX-1B97I-2026-SM-7DHN2 40-49 years, male 36.2
GTEX-PLZ4-0926-SM-2S1OI 50-59 years, female 36.1
GTEX-1I19N-2026-SM-ACKXJ 70-79 years, male 36.1
GTEX-146FR-1726-SM-5Q5DT 60-69 years, female 36.0
GTEX-15SB6-1826-SM-6PALN 50-59 years, female 36.0
GTEX-ZVZP-2526-SM-57WBR 50-59 years, male 36.0
GTEX-1HFI7-1926-SM-A96TQ 50-59 years, female 36.0
GTEX-12WSA-0726-SM-5FQU2 60-69 years, male 35.9
GTEX-13U4I-1826-SM-5IJD2 40-49 years, female 35.9
GTEX-14AS3-2126-SM-5S2MK 40-49 years, female 35.9
GTEX-14DAR-1826-SM-664N1 50-59 years, male 35.9
GTEX-PSDG-0426-SM-5SI86 50-59 years, male 35.9
GTEX-YEC4-2226-SM-5IFJT 40-49 years, male 35.9
GTEX-145MO-0726-SM-5NQB9 60-69 years, male 35.8
GTEX-17F96-2726-SM-7LT9F 70-79 years, male 35.8
GTEX-14C39-2426-SM-5S2U5 40-49 years, male 35.7
GTEX-14PJO-0526-SM-6EU2O 60-69 years, male 35.7
GTEX-ZPCL-2026-SM-57WFD 60-69 years, female 35.7
GTEX-1JK1U-2226-SM-CNNPL 60-69 years, male 35.7
GTEX-ZTPG-0126-SM-5O9AL 20-29 years, female 35.6
GTEX-1IE54-0326-SM-ARZMD 40-49 years, female 35.6
GTEX-145MN-2426-SM-5NQA5 30-39 years, male 35.5
GTEX-17EVP-1326-SM-7DHMR 40-49 years, male 35.5
GTEX-1F48J-0526-SM-9WYSX 50-59 years, female 35.5
GTEX-1JN6P-0526-SM-COH33 60-69 years, male 35.5
GTEX-UJHI-1726-SM-3DB9B 50-59 years, female 35.4
GTEX-Y5V6-2626-SM-5IFIX 60-69 years, male 35.4
GTEX-1MCYP-2026-SM-DTXE4 20-29 years, female 35.4
GTEX-1C64O-0326-SM-73KVW 60-69 years, male 35.3
GTEX-1GMR2-2126-SM-7P8TX 50-59 years, male 35.3
GTEX-1H1E6-2126-SM-9KNVM 30-39 years, male 35.3
GTEX-13PVR-2526-SM-5RQIT 60-69 years, female 35.2
GTEX-17F98-1626-SM-7938R 40-49 years, female 35.2
GTEX-WHSB-1826-SM-3TW8M 50-59 years, male 35.2
GTEX-ZC5H-0326-SM-5HL9F 40-49 years, female 35.1
GTEX-1NUQO-0726-SM-E9J3K 20-29 years, female 35.1
GTEX-13N2G-2326-SM-5J1ON 60-69 years, male 35.0
GTEX-15EO6-2826-SM-6PANB 50-59 years, male 35.0
GTEX-1EN7A-0326-SM-7P8T1 40-49 years, male 35.0
GTEX-139T6-2026-SM-5IFFL 50-59 years, male 34.9
GTEX-1E1VI-0426-SM-7DHN1 50-59 years, male 34.9
GTEX-ZYT6-1626-SM-5E45R 30-39 years, male 34.9
GTEX-1F75I-0526-SM-7RHI3 40-49 years, male 34.9
GTEX-1LVAM-0326-SM-DIPFL 50-59 years, female 34.9
GTEX-ZF29-2426-SM-DO92G 60-69 years, female 34.9
GTEX-14JG6-2126-SM-6EU2F 30-39 years, female 34.8
GTEX-1C2JI-2126-SM-793CG 50-59 years, male 34.8
GTEX-11DXZ-2426-SM-5N9DT 50-59 years, male 34.7
GTEX-131XG-2326-SM-5HL8F 50-59 years, female 34.7
GTEX-SUCS-1626-SM-32PLS 70-79 years, male 34.7
GTEX-W5WG-1926-SM-4KKZK 50-59 years, female 34.7
GTEX-1R9PN-1826-SM-E8VO4 40-49 years, female 34.7
GTEX-1LBAC-0326-SM-DIPF1 20-29 years, male 34.6
GTEX-1QP28-0526-SM-E8VNR 50-59 years, female 34.6
GTEX-14ABY-0126-SM-62LDI 50-59 years, male 34.5
GTEX-1CB4E-2126-SM-793AP 60-69 years, male 34.5
GTEX-1H11D-0326-SM-9WG71 40-49 years, male 34.5
GTEX-1FIGZ-1726-SM-9MQKS 40-49 years, male 34.4
GTEX-144GM-2026-SM-5LU3D 20-29 years, male 34.3
GTEX-16AAH-1826-SM-7939D 50-59 years, male 34.3
GTEX-XBEW-1026-SM-4QARV 40-49 years, male 34.3
GTEX-ZLV1-2126-SM-4WWD2 60-69 years, female 34.3
GTEX-1HBPM-0426-SM-CKZOO 60-69 years, female 34.3
GTEX-ZGAY-0726-SM-DO91O 40-49 years, female 34.3
GTEX-1399S-2726-SM-5KM22 30-39 years, female 34.2
GTEX-1GN1W-0726-SM-9KNTV 50-59 years, female 34.1
GTEX-1GTWX-0326-SM-9WYTP 60-69 years, male 34.1
GTEX-1I6K7-0326-SM-B2LXO 40-49 years, male 34.1
GTEX-QCQG-2126-SM-DTXFV 50-59 years, female 34.1
GTEX-ZLWG-2126-SM-DO91M 50-59 years, female 34.1
GTEX-WFG8-2426-SM-3GILL 20-29 years, male 34.0
GTEX-XPVG-2526-SM-4B66D 50-59 years, male 34.0
GTEX-1H3O1-0626-SM-9MQM4 60-69 years, male 34.0
GTEX-1IDJC-2026-SM-ADEIK 50-59 years, male 34.0
GTEX-1J8QM-2226-SM-CYPSK 60-69 years, female 34.0
GTEX-14E6E-2026-SM-664N5 30-39 years, male 33.9
GTEX-QV44-2026-SM-2S1RD 50-59 years, male 33.9
GTEX-YEC3-2126-SM-4YCDB 50-59 years, male 33.9
GTEX-ZYFG-2426-SM-5GIE8 60-69 years, female 33.9
GTEX-1GN73-0126-SM-CNPPT 60-69 years, male 33.9
GTEX-1MJK3-1426-SM-E9TK1 20-29 years, male 33.9
GTEX-11ZTT-2626-SM-5EQKK 60-69 years, female 33.8
GTEX-ZVE2-0626-SM-5GU7I 50-59 years, male 33.8
GTEX-1MUQO-0226-SM-E9TJL 60-69 years, male 33.7
GTEX-13O21-1726-SM-5MR5A 50-59 years, male 33.6
GTEX-QVUS-0226-SM-3GIJY 60-69 years, female 33.6
GTEX-1S83E-2126-SM-EWRO6 40-49 years, male 33.6
GTEX-1A3MV-2026-SM-718BU 30-39 years, male 33.5
GTEX-1B97J-1226-SM-7PBZR 50-59 years, female 33.5
GTEX-1H3NZ-0326-SM-9MQL6 60-69 years, male 33.5
GTEX-1K2DA-2226-SM-CGQGM 50-59 years, male 33.5
GTEX-OOBJ-1626-SM-2I3F7 60-69 years, male 33.4
GTEX-U8XE-0726-SM-3DB8O 30-39 years, male 33.4
GTEX-ZAJG-0526-SM-5S2MT 50-59 years, female 33.4
GTEX-1HGF4-2626-SM-CM2SJ 60-69 years, male 33.4
GTEX-1JMQK-0326-SM-ARZN5 60-69 years, male 33.4
GTEX-1KANA-0926-SM-D3L9K 20-29 years, male 33.3
GTEX-169BO-1526-SM-9KNVR 50-59 years, male 33.2
GTEX-14753-0526-SM-5QGPR 60-69 years, male 33.1
GTEX-XQ3S-0426-SM-4BOOA 20-29 years, male 33.1
GTEX-1H1ZS-0626-SM-CNPPU 70-79 years, male 33.1
GTEX-13VXT-0326-SM-5LU4U 20-29 years, female 33.0
GTEX-17HHY-0326-SM-7938H 50-59 years, male 33.0
GTEX-OIZG-1326-SM-2HMIQ 50-59 years, male 33.0
GTEX-1F52S-0826-SM-7P8TQ 60-69 years, female 33.0
GTEX-1OFPY-2526-SM-DTXEK 60-69 years, male 33.0
GTEX-14PJ6-2326-SM-6ETZR 60-69 years, female 32.9
GTEX-17HG3-2726-SM-7DHL5 30-39 years, female 32.9
GTEX-18A6Q-0326-SM-718AT 60-69 years, male 32.9
GTEX-14PJ4-2426-SM-6EU1U 60-69 years, male 32.8
GTEX-WFG7-2226-SM-3GIKP 20-29 years, male 32.8
GTEX-1KXAM-2426-SM-DIPFC 60-69 years, male 32.8
GTEX-11EI6-0326-SM-5EQ6G 60-69 years, male 32.7
GTEX-11P82-1826-SM-5PNYJ 20-29 years, male 32.7
GTEX-15SKB-2526-SM-6PALP 60-69 years, male 32.6
GTEX-1F75B-0526-SM-7P8T5 50-59 years, male 32.6
GTEX-11ZUS-1426-SM-5FQSP 30-39 years, male 32.5
GTEX-1IDJH-0226-SM-CYPSB 70-79 years, male 32.5
GTEX-TML8-1826-SM-32QOR 40-49 years, female 32.4
GTEX-WHPG-2226-SM-3NMBO 50-59 years, male 32.4
GTEX-1GF9W-0526-SM-9MQJP 60-69 years, male 32.4
GTEX-12ZZY-0626-SM-5EQ5T 60-69 years, male 32.3
GTEX-13NYS-0326-SM-5MR4L 60-69 years, male 32.3
GTEX-1LGOU-2126-SM-DIPFG 20-29 years, female 32.3
GTEX-1R46S-0326-SM-EWRNE 60-69 years, female 32.3
GTEX-WRHK-1626-SM-3MJFH 20-29 years, female 32.2
GTEX-1I1GR-0326-SM-CKZPI 60-69 years, male 32.2
GTEX-1RB15-2226-SM-DTXFZ 60-69 years, male 32.2
GTEX-11ZU8-2326-SM-5EQMJ 60-69 years, male 32.1
GTEX-13OVG-2126-SM-5KM1K 60-69 years, male 32.1
GTEX-13PVQ-0326-SM-5K7YF 50-59 years, male 32.1
GTEX-16GPK-0526-SM-7KUER 60-69 years, male 32.1
GTEX-17HGU-0626-SM-7939Y 50-59 years, male 32.1
GTEX-P44G-0526-SM-2XCD1 30-39 years, male 32.1
GTEX-QLQ7-1726-SM-2S1QQ 60-69 years, male 32.1
GTEX-1F5PK-2626-SM-7RHH6 50-59 years, male 32.1
GTEX-1H3VE-0126-SM-9WYTW 40-49 years, male 32.1
GTEX-R55D-0626-SM-3GAD5 50-59 years, male 32.0
GTEX-1497J-2626-SM-5SI9K 60-69 years, male 31.9
GTEX-1C64N-0326-SM-7P8QC 50-59 years, male 31.9
GTEX-14PN4-0326-SM-6EU2N 50-59 years, male 31.8
GTEX-R53T-1826-SM-3GIJX 50-59 years, female 31.8
GTEX-UPJH-0526-SM-4IHK8 50-59 years, male 31.8
GTEX-ZVTK-0626-SM-5GU6Y 20-29 years, male 31.8
GTEX-13RTK-1626-SM-5QGQS 20-29 years, male 31.7
GTEX-16XZZ-0526-SM-7KUF1 60-69 years, male 31.7
GTEX-YB5E-2226-SM-5IFJ5 40-49 years, male 31.7
GTEX-148VJ-0326-SM-5QGQE 70-79 years, male 31.6
GTEX-14E6C-1526-SM-664ND 40-49 years, male 31.6
GTEX-SJXC-0526-SM-2XCFG 60-69 years, male 31.6
GTEX-1F5PL-0426-SM-7P8PR 40-49 years, female 31.6
GTEX-1LSNM-2326-SM-EWRO8 50-59 years, male 31.6
GTEX-13FTW-2326-SM-5K7YS 40-49 years, male 31.5
GTEX-13FTX-2026-SM-5L3D6 20-29 years, female 31.5
GTEX-147F3-0226-SM-5NQBV 50-59 years, female 31.5
GTEX-TKQ2-0826-SM-33HB6 50-59 years, male 31.5
GTEX-13QJ3-0726-SM-5SI68 50-59 years, male 31.4
GTEX-144GN-2426-SM-5LU4R 50-59 years, male 31.4
GTEX-11LCK-1226-SM-5Q5AM 30-39 years, male 31.3
GTEX-1S5VW-0526-SM-E6CHL 60-69 years, male 31.3
GTEX-13OW6-0626-SM-5L3IB 50-59 years, male 31.2
GTEX-145LV-2326-SM-5LU8Z 50-59 years, male 31.2
GTEX-XBEC-0626-SM-4QARY 50-59 years, male 31.2
GTEX-ZV7C-2426-SM-5NQ7Q 50-59 years, male 31.2
GTEX-ZVE1-0526-SM-5NQ71 50-59 years, female 31.2
GTEX-1HCVE-0326-SM-CGQEW 50-59 years, male 31.2
GTEX-1K9T9-0326-SM-EWRNQ 50-59 years, female 31.2
GTEX-1R9JW-2426-SM-DTXFI 30-39 years, female 31.2
GTEX-1HBPN-0526-SM-A9SM6 50-59 years, male 31.1
GTEX-1IKK5-0426-SM-CL53X 60-69 years, male 31.1
GTEX-1LB8K-0126-SM-EVYCN 50-59 years, male 31.1
GTEX-17EUY-0626-SM-793BE 20-29 years, male 31.0
GTEX-1JMLX-0326-SM-CM2RP 50-59 years, male 31.0
GTEX-1MCQQ-0626-SM-E9U5Q 60-69 years, male 31.0
GTEX-1R7EU-0626-SM-DTX9N 60-69 years, male 31.0
GTEX-11TT1-2326-SM-5GU6N 20-29 years, male 30.9
GTEX-131XW-0326-SM-5KM1J 50-59 years, female 30.9
GTEX-1445S-0626-SM-5LU3C 60-69 years, male 30.9
GTEX-WOFM-1326-SM-3MJFR 20-29 years, male 30.9
GTEX-139TU-0526-SM-5J2M8 60-69 years, male 30.8
GTEX-14JG1-0126-SM-5ZZUP 40-49 years, male 30.8
GTEX-14LLW-0526-SM-62LFB 70-79 years, female 30.8
GTEX-15CHC-2426-SM-6EU22 60-69 years, female 30.8
GTEX-15DZA-2026-SM-6PANE 30-39 years, female 30.8
GTEX-Y9LG-1926-SM-5IFHY 30-39 years, male 30.8
GTEX-ZTX8-1626-SM-51MRY 20-29 years, male 30.8
GTEX-1PIIG-0126-SM-E9J46 30-39 years, male 30.8
GTEX-14BIL-0326-SM-5SI9Q 50-59 years, male 30.7
GTEX-OOBK-1626-SM-2HMKG 40-49 years, male 30.7
GTEX-OXRL-1626-SM-2YUMU 50-59 years, male 30.7
GTEX-POYW-0526-SM-2XCEY 60-69 years, male 30.7
GTEX-Q734-2026-SM-3GADA 40-49 years, female 30.7
GTEX-13112-2626-SM-5BC66 50-59 years, male 30.6
GTEX-ZF3C-0326-SM-4WWBF 50-59 years, female 30.6
GTEX-1PPGY-0426-SM-DTXFE 60-69 years, male 30.6
GTEX-12WSM-0326-SM-5LZVI 60-69 years, male 30.5
GTEX-13D11-2526-SM-5KM28 50-59 years, female 30.5
GTEX-UTHO-0726-SM-3GAEN 60-69 years, male 30.5
GTEX-13W3W-2626-SM-5SIA2 60-69 years, female 30.4
GTEX-14LZ3-0626-SM-5ZZWP 60-69 years, female 30.4
GTEX-1BAJH-0126-SM-7DHMF 70-79 years, male 30.4
GTEX-ZAK1-0526-SM-5K7X4 50-59 years, female 30.4
GTEX-1GF9X-2126-SM-7PBXN 40-49 years, female 30.4
GTEX-14A5I-0326-SM-5NQ9J 50-59 years, female 30.3
GTEX-14BIM-0326-SM-5SI9B 60-69 years, female 30.3
GTEX-15RIF-2126-SM-7KUM8 20-29 years, male 30.3
GTEX-17KNJ-2426-SM-7DHLR 50-59 years, male 30.3
GTEX-1C475-1726-SM-73KVX 40-49 years, female 30.3
GTEX-QXCU-1726-SM-2TC6L 50-59 years, male 30.3
GTEX-ZDTS-0526-SM-4WKH9 60-69 years, male 30.3
GTEX-1GMR3-2126-SM-9WYTZ 40-49 years, male 30.3
GTEX-1212Z-2626-SM-5YY8P 60-69 years, male 30.2
GTEX-16XZY-2226-SM-7938N 70-79 years, male 30.2
GTEX-RNOR-0526-SM-2TF4O 50-59 years, female 30.2
GTEX-13FHP-0526-SM-5K7UY 50-59 years, male 30.1
GTEX-15RJ7-2426-SM-6M48L 40-49 years, male 30.1
GTEX-ZF2S-2126-SM-4WWAY 50-59 years, female 30.1
GTEX-14DAQ-0326-SM-664MR 60-69 years, female 30.0
GTEX-1C4CL-0326-SM-7DHMH 30-39 years, male 30.0
GTEX-RWSA-0726-SM-2XCBE 40-49 years, male 30.0
GTEX-ZT9X-1826-SM-57WDU 40-49 years, male 30.0
GTEX-111VG-2626-SM-5GZY2 60-69 years, male 29.9
GTEX-13PL7-0626-SM-5IJCD 60-69 years, female 29.9
GTEX-1B932-0526-SM-73KU7 40-49 years, female 29.9
GTEX-T2IS-2626-SM-32QPP 20-29 years, female 29.9
GTEX-1AX8Z-5004-SM-ARZLD 60-69 years, male 29.9
GTEX-1KWVE-0926-SM-CXZKP 30-39 years, male 29.9
GTEX-11TTK-0326-SM-5BC5N 60-69 years, female 29.8
GTEX-16YQH-0426-SM-7KUL7 30-39 years, male 29.8
GTEX-XQ8I-0626-SM-4BOPT 50-59 years, male 29.8
GTEX-1QP6S-0426-SM-DTXG4 40-49 years, male 29.8
GTEX-P4QT-1626-SM-DHXIR 50-59 years, female 29.8
GTEX-139TT-0426-SM-5IJFA 60-69 years, male 29.7
GTEX-1AMEY-1526-SM-73KYW 30-39 years, female 29.7
GTEX-1EU9M-0126-SM-7P8P8 60-69 years, male 29.7
GTEX-1J1OQ-0426-SM-A9SLI 40-49 years, female 29.7
GTEX-1LG7Z-2126-SM-CXKYU 30-39 years, male 29.7
GTEX-1N2EF-0526-SM-E76OK 60-69 years, male 29.7
GTEX-1R9PM-2226-SM-E8VOC 20-29 years, male 29.7
GTEX-11EM3-2126-SM-5H11M 20-29 years, female 29.6
GTEX-11VI4-1926-SM-5CVLI 40-49 years, female 29.6
GTEX-12126-0526-SM-5PNW4 20-29 years, male 29.6
GTEX-POMQ-1926-SM-3NB1Y 20-29 years, female 29.6
GTEX-1HR9M-0326-SM-CL549 60-69 years, male 29.6
GTEX-S32W-2326-SM-2XCAW 50-59 years, female 29.5
GTEX-1CB4G-0426-SM-7MXUN 60-69 years, male 29.5
GTEX-11WQK-0726-SM-5GU71 50-59 years, male 29.4
GTEX-147F4-0326-SM-5TDCK 50-59 years, male 29.4
GTEX-WK11-2526-SM-3NM9Y 50-59 years, male 29.4
GTEX-ZUA1-0326-SM-5NQA3 40-49 years, male 29.4
GTEX-1E2YA-0526-SM-7P8RY 50-59 years, male 29.4
GTEX-11TUW-2526-SM-5EQKN 60-69 years, male 29.3
GTEX-1J8JJ-0126-SM-D3L93 60-69 years, female 29.3
GTEX-1JMQI-2126-SM-CM2SC 50-59 years, male 29.3
GTEX-1RAZR-0326-SM-EWRNM 40-49 years, male 29.3
GTEX-12WSH-2526-SM-5CVNH 50-59 years, male 29.2
GTEX-13111-2226-SM-5LZUE 50-59 years, male 29.2
GTEX-1J1R8-2326-SM-CKZPS 40-49 years, male 29.2
GTEX-1R9PO-2426-SM-EVYBS 60-69 years, female 29.2
GTEX-13OW7-0326-SM-5J1MP 50-59 years, male 29.1
GTEX-15UF6-1026-SM-7KUF7 70-79 years, female 29.1
GTEX-1A3MX-0526-SM-718A9 60-69 years, male 29.1
GTEX-1I1GT-0726-SM-B2LWN 60-69 years, female 29.1
GTEX-1QAET-2026-SM-E9J3S 50-59 years, male 29.1
GTEX-1RAZA-0526-SM-E76R2 20-29 years, male 29.1
GTEX-12C56-1926-SM-5FQUG 20-29 years, male 29.0
GTEX-PW2O-1726-SM-2S1OO 20-29 years, male 29.0
GTEX-U412-0326-SM-3DB9L 60-69 years, male 29.0
GTEX-XPT6-2026-SM-4B64V 20-29 years, male 29.0
GTEX-1KAFJ-2326-SM-D3L8Z 50-59 years, male 29.0
GTEX-1PBJJ-0326-SM-E8VNT 30-39 years, male 29.0
GTEX-1QP9N-1926-SM-E6CPY 30-39 years, male 29.0
GTEX-14BMV-0326-SM-5RQHW 50-59 years, male 28.9
GTEX-14PQA-0526-SM-7KUFS 50-59 years, female 28.9
GTEX-15SHW-0726-SM-7KUEI 60-69 years, male 28.9
GTEX-R3RS-0526-SM-3GADG 40-49 years, female 28.9
GTEX-1R9K4-0626-SM-E76OZ 60-69 years, male 28.9
GTEX-11DXW-0726-SM-5H12J 40-49 years, male 28.8
GTEX-11EMC-2626-SM-59864 60-69 years, female 28.8
GTEX-12KS4-0826-SM-5BC5R 30-39 years, male 28.8
GTEX-13N1W-0526-SM-5MR4I 70-79 years, male 28.8
GTEX-13W46-0726-SM-5LU3Z 50-59 years, male 28.8
GTEX-145MH-0326-SM-5LU8H 50-59 years, male 28.8
GTEX-14H4A-0926-SM-5ZZUU 40-49 years, female 28.8
GTEX-15CHR-2426-SM-7DUFX 50-59 years, male 28.8
GTEX-OHPL-1626-SM-2HMIR 60-69 years, female 28.8
GTEX-1IY9M-0326-SM-ARZMN 60-69 years, male 28.8
GTEX-1JN76-0326-SM-ARZNJ 20-29 years, female 28.8
GTEX-1PPH8-0326-SM-E76PR 20-29 years, male 28.8
GTEX-13OVH-0626-SM-5L3EI 70-79 years, male 28.7
GTEX-13VXU-0326-SM-5LU36 50-59 years, male 28.7
GTEX-1AYD5-2226-SM-73KX3 50-59 years, male 28.7
GTEX-Y114-2526-SM-4TT8M 50-59 years, female 28.7
GTEX-ZF28-0526-SM-4WKGW 60-69 years, male 28.7
GTEX-13NYC-0726-SM-5J2NQ 60-69 years, male 28.6
GTEX-PX3G-1626-SM-2S1PT 20-29 years, female 28.6
GTEX-R55G-2326-SM-2TC61 40-49 years, female 28.6
GTEX-ZVT2-2426-SM-57WCQ 50-59 years, female 28.6
GTEX-14JIY-0426-SM-62LF7 60-69 years, male 28.5
GTEX-14PJ3-2026-SM-5ZZVK 50-59 years, male 28.5
GTEX-1C6VR-2526-SM-7DHMT 60-69 years, male 28.5
GTEX-QEG4-0626-SM-2S1OY 30-39 years, male 28.5
GTEX-T5JW-1826-SM-3GAE1 20-29 years, female 28.5
GTEX-13PL6-0326-SM-5IJCP 40-49 years, female 28.4
GTEX-13X6K-0326-SM-5Q5D6 60-69 years, female 28.4
GTEX-144GO-1326-SM-5Q5EL 60-69 years, male 28.4
GTEX-15ER7-0226-SM-7KUEU 20-29 years, female 28.4
GTEX-ZY6K-2026-SM-5GZXQ 50-59 years, male 28.4
GTEX-13JVG-0126-SM-5L3D3 60-69 years, male 28.3
GTEX-1CB4H-0426-SM-7MXTL 60-69 years, female 28.3
GTEX-117XS-2526-SM-5H11G 60-69 years, male 28.2
GTEX-11NSD-2026-SM-5HL5U 20-29 years, male 28.2
GTEX-12ZZX-0326-SM-5DUVH 40-49 years, female 28.2
GTEX-18465-0326-SM-7LTAD 50-59 years, male 28.2
GTEX-1B933-0426-SM-7DHMC 50-59 years, female 28.2
GTEX-Z93S-1326-SM-5CVMR 50-59 years, male 28.2
GTEX-1EH9U-0326-SM-7P8S2 60-69 years, male 28.2
GTEX-1KD5A-0726-SM-DIPEO 50-59 years, male 28.2
GTEX-1PDJ9-0526-SM-DTXDL 20-29 years, male 28.2
GTEX-11NUK-0226-SM-5A5L4 50-59 years, male 28.1
GTEX-11ZVC-2726-SM-5FQSZ 50-59 years, female 28.1
GTEX-1A3MW-0526-SM-731BY 60-69 years, female 28.1
GTEX-1RQEC-0126-SM-E9J2H 60-69 years, male 28.1
GTEX-11ONC-2426-SM-5GU7H 60-69 years, male 28.0
GTEX-12WSC-0326-SM-5EQ5E 50-59 years, male 28.0
GTEX-12WSD-0526-SM-5EQ6F 60-69 years, female 28.0
GTEX-1339X-2426-SM-5KLYU 40-49 years, male 28.0
GTEX-13FH7-2126-SM-5L3DJ 50-59 years, female 28.0
GTEX-15G19-0526-SM-6PAMT 60-69 years, male 28.0
GTEX-ZV68-0526-SM-59HKI 50-59 years, female 28.0
GTEX-1CAV2-2426-SM-7P8QF 40-49 years, female 28.0
GTEX-17GQL-1926-SM-718B9 60-69 years, male 27.9
GTEX-1N2DV-0526-SM-DTX8W 40-49 years, male 27.9
GTEX-13N11-2726-SM-5L3ER 50-59 years, female 27.8
GTEX-14A6H-5019-SM-793DH 30-39 years, male 27.8
GTEX-15UF7-2226-SM-6PAMQ 40-49 years, male 27.8
GTEX-S7PM-0526-SM-3NM92 60-69 years, male 27.8
GTEX-1I1GP-2126-SM-CKZPJ 50-59 years, male 27.8
GTEX-XMD1-0626-SM-EZ6MC 60-69 years, male 27.8
GTEX-14PJ2-0326-SM-6EU2Q 50-59 years, male 27.7
GTEX-R55E-0526-SM-2TC6B 20-29 years, male 27.7
GTEX-1HKZK-0226-SM-9WYUG 40-49 years, male 27.7
GTEX-1LSNL-0126-SM-EWRNR 50-59 years, male 27.7
GTEX-13SLX-0326-SM-5Q5E4 50-59 years, female 27.6
GTEX-1A8G7-0326-SM-72D5B 60-69 years, male 27.6
GTEX-YFC4-1026-SM-5RQJM 40-49 years, female 27.6
GTEX-ZVZO-0326-SM-5HL4N 40-49 years, male 27.6
GTEX-1NHNU-1226-SM-DTX8I 50-59 years, male 27.6
GTEX-1QPFJ-0326-SM-E8VO2 30-39 years, female 27.6
GTEX-11DXY-2726-SM-5GID2 60-69 years, male 27.4
GTEX-Q2AG-0426-SM-2S1PU 40-49 years, female 27.4
GTEX-1F6I4-0326-SM-7P8T8 60-69 years, male 27.4
GTEX-11P81-2526-SM-5GU6H 30-39 years, female 27.3
GTEX-1313W-0526-SM-5P9FZ 50-59 years, female 27.3
GTEX-13YAN-0526-SM-5O9BE 60-69 years, male 27.3
GTEX-QDVN-2426-SM-2S1Q4 50-59 years, male 27.3
GTEX-ZYY3-0526-SM-5E45G 60-69 years, female 27.3
GTEX-1HSMP-0326-SM-A9SMC 70-79 years, male 27.3
GTEX-1LGRB-2626-SM-CNPPR 50-59 years, female 27.3
GTEX-1314G-1726-SM-5LZUX 30-39 years, male 27.2
GTEX-13NZ9-0626-SM-5IJCO 50-59 years, male 27.2
GTEX-13O1R-0526-SM-5K7XU 60-69 years, male 27.2
GTEX-OXRN-1326-SM-3LK5V 50-59 years, male 27.2
GTEX-XGQ4-2326-SM-4AT53 50-59 years, male 27.2
GTEX-11O72-0326-SM-5986D 40-49 years, male 27.1
GTEX-146FH-0526-SM-5QGQ3 50-59 years, female 27.1
GTEX-QV31-1426-SM-2S1QD 30-39 years, male 27.1
GTEX-U3ZH-1926-SM-4DXTR 30-39 years, male 27.1
GTEX-WWYW-0526-SM-3NB2W 50-59 years, female 27.1
GTEX-1C6VS-0126-SM-7PC2H 60-69 years, male 27.1
GTEX-1IKJJ-0326-SM-CL55L 60-69 years, male 27.1
GTEX-111FC-0326-SM-5GZZ1 60-69 years, male 27.0
GTEX-13X6J-0326-SM-7EPGD 50-59 years, male 27.0
GTEX-1477Z-1626-SM-5SIA8 60-69 years, male 27.0
GTEX-1IDFM-1526-SM-ARL7U 60-69 years, male 27.0
GTEX-1IL2V-0526-SM-ARL8B 70-79 years, male 27.0
GTEX-144GL-0326-SM-5QGOY 50-59 years, male 26.9
GTEX-1HUB1-0526-SM-CL54N 60-69 years, male 26.9
GTEX-145ME-2026-SM-5SIA5 40-49 years, female 26.8
GTEX-1AX9I-0326-SM-73KXQ 60-69 years, male 26.8
GTEX-P4PQ-1626-SM-2HMKK 60-69 years, male 26.8
GTEX-SIU8-0526-SM-2XCDP 50-59 years, male 26.8
GTEX-WRHU-0826-SM-3MJFN 50-59 years, female 26.8
GTEX-ZDYS-1726-SM-5HL4Y 50-59 years, male 26.8
GTEX-1QMI2-0526-SM-DTXFU 60-69 years, male 26.8
GTEX-WEY5-2026-SM-CYPRC 40-49 years, female 26.8
GTEX-11GSP-2726-SM-5A5LJ 60-69 years, female 26.7
GTEX-11OC5-0326-SM-5PNW5 60-69 years, male 26.7
GTEX-WZTO-0826-SM-3NM8Q 40-49 years, male 26.7
GTEX-X4EO-0526-SM-3P5Z3 60-69 years, female 26.7
GTEX-ZWKS-0326-SM-5NQ7G 30-39 years, male 26.7
GTEX-1I1GQ-0326-SM-A9SKS 50-59 years, male 26.7
GTEX-12584-0526-SM-5FQTS 40-49 years, male 26.6
GTEX-132AR-1026-SM-5PNVL 50-59 years, female 26.6
GTEX-15DDE-0526-SM-6ETZQ 50-59 years, female 26.6
GTEX-18A7A-0626-SM-718BJ 50-59 years, female 26.6
GTEX-Y8DK-0326-SM-4TT3P 60-69 years, male 26.6
GTEX-ZVT3-0526-SM-5GIE9 60-69 years, female 26.6
GTEX-1HB9E-0326-SM-D3LA5 50-59 years, male 26.6
GTEX-1R9K5-0326-SM-EWRNG 50-59 years, male 26.6
GTEX-139YR-2526-SM-5IJC6 50-59 years, male 26.5
GTEX-13NZA-0526-SM-5L3D7 60-69 years, male 26.5
GTEX-1B8L1-2726-SM-793AL 60-69 years, male 26.5
GTEX-1EMGI-0326-SM-9MQM5 60-69 years, male 26.5
GTEX-1GN2E-0726-SM-9MQLU 60-69 years, male 26.5
GTEX-13OVJ-0226-SM-5L3GK 50-59 years, female 26.4
GTEX-XBED-2626-SM-4E3J5 60-69 years, male 26.4
GTEX-XOT4-0526-SM-4B66O 60-69 years, female 26.4
GTEX-XUZC-2126-SM-4BRW8 30-39 years, female 26.4
GTEX-113JC-2726-SM-5EGIS 50-59 years, female 26.3
GTEX-14PII-0626-SM-69LPY 60-69 years, male 26.3
GTEX-RTLS-0526-SM-2TF64 60-69 years, female 26.3
GTEX-1H3VY-0326-SM-9WYU6 50-59 years, male 26.3
GTEX-1I1HK-0326-SM-ACKW5 60-69 years, male 26.3
GTEX-13OW8-1426-SM-5IJDT 60-69 years, male 26.2
GTEX-1C6WA-0326-SM-7DUGE 60-69 years, male 26.2
GTEX-O5YT-1626-SM-32PK6 20-29 years, male 26.2
GTEX-U8T8-1426-SM-3DB9H 60-69 years, male 26.2
GTEX-1O9I2-0526-SM-EYYXI 50-59 years, male 26.2
GTEX-1C6VQ-0326-SM-7DHMS 50-59 years, male 26.1
GTEX-1HCU6-0526-SM-A9SKU 60-69 years, female 26.1
GTEX-RU72-1326-SM-2TF6T 50-59 years, female 26.0
GTEX-WHSE-0526-SM-5GZZD 20-29 years, male 26.0
GTEX-YFCO-1926-SM-4W212 40-49 years, male 26.0
GTEX-ZYFD-0326-SM-5NQ8I 50-59 years, male 26.0
GTEX-XUYS-0326-SM-47JX2 50-59 years, male 25.9
GTEX-ZZPT-0626-SM-5GZXT 50-59 years, male 25.9
GTEX-117YX-2526-SM-5EQ4Q 50-59 years, male 25.8
GTEX-139TS-2626-SM-5J1MT 60-69 years, male 25.8
GTEX-1N2DW-0426-SM-E9TK4 50-59 years, male 25.8
GTEX-139T8-0526-SM-5KLZL 60-69 years, male 25.7
GTEX-13X6H-2326-SM-7EWEB 50-59 years, female 25.7
GTEX-15DCD-0626-SM-7KUG7 70-79 years, female 25.7
GTEX-Y8E4-1026-SM-4VBQ5 40-49 years, male 25.7
GTEX-1ICLY-0326-SM-ARL7S 50-59 years, male 25.7
GTEX-1IDJF-0326-SM-ADEIG 20-29 years, male 25.7
GTEX-111CU-2026-SM-5GZZC 50-59 years, male 25.6
GTEX-13RTJ-2726-SM-73KVG 60-69 years, male 25.6
GTEX-P4PP-1626-SM-2HMJF 30-39 years, female 25.6
GTEX-1GF9V-0126-SM-9WYT2 60-69 years, male 25.6
GTEX-1HBPH-0826-SM-ARZNB 40-49 years, female 25.6
GTEX-1QW4Y-1726-SM-EWRN1 30-39 years, male 25.6
GTEX-17F97-0526-SM-7DUF8 50-59 years, male 25.5
GTEX-WL46-0626-SM-3LK7R 50-59 years, male 25.5
GTEX-Y111-0326-SM-4SOIX 50-59 years, male 25.5
GTEX-17JCI-0326-SM-7LG5H 60-69 years, female 25.4
GTEX-ZQG8-1226-SM-51MRX 60-69 years, female 25.4
GTEX-1GN1U-2226-SM-9MQK1 50-59 years, female 25.4
GTEX-1PIEJ-0326-SM-EVYB5 20-29 years, female 25.4
GTEX-13FHO-0726-SM-5IJDG 60-69 years, male 25.3
GTEX-13OVK-1926-SM-6M48G 40-49 years, male 25.3
GTEX-OIZI-0626-SM-2XCEH 40-49 years, male 25.3
GTEX-S95S-1426-SM-2XCDM 60-69 years, male 25.3
GTEX-1CAMQ-0326-SM-7MXUI 40-49 years, male 25.3
GTEX-1EX96-1526-SM-7PBXK 50-59 years, male 25.3
GTEX-1LVAN-0526-SM-CNNQ1 50-59 years, female 25.3
GTEX-18A7B-0326-SM-7LG65 70-79 years, male 25.2
GTEX-QEG5-0426-SM-2I5GJ 20-29 years, male 25.2
GTEX-131XE-2726-SM-5P9G7 50-59 years, male 25.1
GTEX-13FTZ-2226-SM-5LZXI 60-69 years, male 25.1
GTEX-T6MN-0526-SM-32PMS 50-59 years, male 25.1
GTEX-1JMQJ-0126-SM-E6CI2 50-59 years, male 25.1
GTEX-1LNCM-1226-SM-E9U5C 50-59 years, female 25.1
GTEX-1S82Y-2226-SM-EWRNV 40-49 years, male 25.1
GTEX-145LU-2026-SM-5Q5E8 50-59 years, male 25.0
GTEX-RN64-0326-SM-2TC5J 50-59 years, male 25.0
GTEX-T5JC-0626-SM-3NMA6 20-29 years, male 25.0
GTEX-1GMRU-0326-SM-9WYT6 50-59 years, male 25.0
GTEX-1IKOH-0126-SM-COH4D 60-69 years, female 25.0
GTEX-1KD4Q-0326-SM-E9TJA 40-49 years, male 25.0
GTEX-1LC47-0626-SM-DIPFE 60-69 years, male 25.0
GTEX-1LVA9-0326-SM-DLHBU 50-59 years, male 25.0
GTEX-1MA7W-1826-SM-DIPFP 20-29 years, female 25.0
GTEX-13PDP-0326-SM-5K7XP 60-69 years, male 24.9
GTEX-15D79-0526-SM-6ETZP 50-59 years, male 24.9
GTEX-15G1A-2026-SM-7KUFG 30-39 years, male 24.9
GTEX-Q2AH-1826-SM-2S1Q2 40-49 years, male 24.9
GTEX-1HT8W-0326-SM-CM2SG 30-39 years, male 24.9
GTEX-1JN1M-0526-SM-CJI3D 60-69 years, female 24.9
GTEX-S33H-2226-SM-DKPOP 30-39 years, male 24.9
GTEX-ZEX8-2526-SM-DO92M 50-59 years, male 24.9
GTEX-139UW-2626-SM-5K7W1 60-69 years, male 24.8
GTEX-15SDE-2326-SM-6PAL4 50-59 years, female 24.8
GTEX-15SHU-0626-SM-7KUFH 40-49 years, female 24.8
GTEX-1S5ZA-0526-SM-EWRO1 20-29 years, male 24.8
GTEX-1GN1V-0326-SM-9WYTO 60-69 years, male 24.7
GTEX-16Z82-0126-SM-7DHLF 60-69 years, male 24.6
GTEX-1A8G6-0126-SM-7DUFY 60-69 years, male 24.6
GTEX-OXRP-2326-SM-2S1NL 60-69 years, female 24.6
GTEX-SE5C-1826-SM-2XCE4 40-49 years, female 24.6
GTEX-ZPIC-2526-SM-57WDP 40-49 years, female 24.6
GTEX-13CF2-2726-SM-5LZWW 60-69 years, male 24.5
GTEX-QDVJ-1926-SM-2S1PJ 50-59 years, male 24.5
GTEX-1H1DE-1726-SM-A9G3G 20-29 years, male 24.5
GTEX-1HSKV-0126-SM-E6CI1 60-69 years, male 24.5
GTEX-1MJIX-2126-SM-E9J3A 40-49 years, male 24.5
GTEX-13OVL-1426-SM-5IJC1 50-59 years, male 24.4
GTEX-XAJ8-1026-SM-47JY9 40-49 years, male 24.4
GTEX-1F7RK-0326-SM-7RHH7 20-29 years, female 24.4
GTEX-1B8SF-0426-SM-79OL4 60-69 years, male 24.3
GTEX-NFK9-0626-SM-2HMIV 40-49 years, male 24.3
GTEX-Y3IK-2626-SM-4WWDK 50-59 years, female 24.3
GTEX-1RQED-0426-SM-E6CJP 60-69 years, male 24.3
GTEX-1GPI6-0326-SM-9MQM6 60-69 years, male 24.0
GTEX-1GZ2Q-0426-SM-9WPOU 40-49 years, male 24.0
GTEX-131YS-0526-SM-5EGKJ 60-69 years, female 23.9
GTEX-132NY-0726-SM-5KLZM 60-69 years, male 23.9
GTEX-17MF6-2026-SM-7LG5I 40-49 years, male 23.9
GTEX-PLZ5-1726-SM-2I5F6 50-59 years, male 23.8
GTEX-145LS-0526-SM-5LU8Y 60-69 years, female 23.7
GTEX-QVJO-0126-SM-3GIK4 60-69 years, female 23.7
GTEX-WYVS-2326-SM-3NMAI 40-49 years, female 23.7
GTEX-XYKS-2426-SM-4AT43 60-69 years, female 23.7
GTEX-1F75A-0626-SM-7PBYI 50-59 years, male 23.7
GTEX-1I1GV-0126-SM-CL55G 60-69 years, male 23.7
GTEX-1J8EW-0326-SM-CYPSX 60-69 years, female 23.7
GTEX-145MG-0226-SM-5TDDB 50-59 years, male 23.6
GTEX-V1D1-2426-SM-3GAER 50-59 years, male 23.6
GTEX-U3ZN-2226-SM-3DB88 30-39 years, female 23.5
GTEX-1CB4F-0326-SM-9MQKD 60-69 years, male 23.5
GTEX-1GZHY-0126-SM-9WYUQ 50-59 years, female 23.5
GTEX-1HBPI-0226-SM-ADEJ7 50-59 years, male 23.5
GTEX-1399T-2426-SM-5L3FJ 60-69 years, male 23.4
GTEX-13FXS-0326-SM-5K7TV 50-59 years, male 23.4
GTEX-1EWIQ-0626-SM-7PBYW 70-79 years, female 23.4
GTEX-1IDJD-1326-SM-CM2TQ 30-39 years, male 23.4
GTEX-1JMPZ-0126-SM-CNPOZ 30-39 years, male 23.4
GTEX-11GS4-2526-SM-5A5KT 60-69 years, male 23.3
GTEX-14C38-0426-SM-5TDDZ 50-59 years, male 23.3
GTEX-1IDJV-0426-SM-COH3Z 60-69 years, male 23.3
GTEX-11PRG-0326-SM-5GU53 50-59 years, male 23.2
GTEX-11XUK-2226-SM-5CVLL 40-49 years, female 23.2
GTEX-13O3O-0526-SM-5J1NL 60-69 years, female 23.2
GTEX-N7MS-0426-SM-2YUN6 60-69 years, male 23.2
GTEX-VJWN-0426-SM-3GIJI 50-59 years, female 23.2
GTEX-Y3I4-2326-SM-4TT81 50-59 years, male 23.2
GTEX-11NV4-0326-SM-5HL58 60-69 years, male 23.1
GTEX-ZDXO-0326-SM-4WKHJ 60-69 years, male 23.1
GTEX-1IOXB-0326-SM-CL55M 50-59 years, male 23.1
GTEX-11H98-0326-SM-5HL4S 50-59 years, male 23.0
GTEX-13RTL-0326-SM-7LT89 40-49 years, male 23.0
GTEX-14PJM-0426-SM-5ZZVN 50-59 years, female 22.9
GTEX-ZYFC-0526-SM-5GIDF 50-59 years, male 22.9
GTEX-1JJEA-0126-SM-D3L8A 60-69 years, male 22.8
GTEX-18D9B-0426-SM-7LTAR 60-69 years, male 22.7
GTEX-X4XX-0626-SM-3NMC1 60-69 years, male 22.7
GTEX-139D8-0726-SM-5P9GJ 30-39 years, female 22.6
GTEX-15CHQ-0726-SM-6EU18 60-69 years, male 22.6
GTEX-1269C-2626-SM-5EQ5C 60-69 years, female 22.5
GTEX-1QP66-1626-SM-E76PC 50-59 years, male 22.5
GTEX-1GZ4I-0526-SM-9YFLX 50-59 years, male 22.4
GTEX-QDT8-0526-SM-3NMD8 30-39 years, female 22.3
GTEX-ZE9C-2326-SM-5J1NT 60-69 years, male 22.3
GTEX-13FTY-0226-SM-5IJBW 40-49 years, female 22.2
GTEX-13S86-2326-SM-5RQK1 40-49 years, male 22.2
GTEX-147JS-0526-SM-5TDD3 60-69 years, male 22.1
GTEX-11OF3-2526-SM-5P9JL 60-69 years, male 22.0
GTEX-15UKP-0326-SM-7KUFP 20-29 years, male 22.0
GTEX-1H2FU-0526-SM-ACKXO 60-69 years, female 22.0
GTEX-1QEPI-0526-SM-E76QF 60-69 years, female 22.0
GTEX-11UD2-0326-SM-5EQLE 50-59 years, male 21.9
GTEX-131XH-2726-SM-5GCO2 50-59 years, male 21.9
GTEX-144FL-0326-SM-5O99O 50-59 years, male 21.9
GTEX-RUSQ-1726-SM-2TF68 50-59 years, male 21.8
GTEX-13NYB-2726-SM-5J2MT 40-49 years, male 21.7
GTEX-Q2AI-1526-SM-3GIJ3 40-49 years, male 21.7
GTEX-ZVT4-0326-SM-51MS5 50-59 years, female 21.7
GTEX-1H1CY-2726-SM-9MQLR 60-69 years, female 21.7
GTEX-13X6I-0526-SM-5QGP8 60-69 years, male 21.6
GTEX-1GF9U-2326-SM-7RHH9 40-49 years, female 21.6
GTEX-11DZ1-0926-SM-5EQ5R 50-59 years, male 21.5
GTEX-11ZTS-0526-SM-5CVL9 60-69 years, female 21.5
GTEX-YJ8O-2826-SM-5CVM4 40-49 years, female 21.5
GTEX-1F6IF-0226-SM-7PBZ6 60-69 years, male 21.4
GTEX-13O3Q-2726-SM-5KM51 50-59 years, male 21.3
GTEX-X4XY-0626-SM-4E3IN 60-69 years, male 21.2
GTEX-17EVQ-1226-SM-7LG59 70-79 years, male 21.0
GTEX-1F88E-1826-SM-9MQLV 60-69 years, female 20.9
GTEX-1IL2U-0726-SM-EAZ2Y 60-69 years, male 20.9
GTEX-1A32A-0526-SM-731B9 50-59 years, female 20.8
GTEX-1H23P-0526-SM-9WG6S 60-69 years, male 20.8
GTEX-WOFL-0626-SM-3MJG3 60-69 years, male 20.6
GTEX-1F75W-0326-SM-7PC2Q 60-69 years, male 20.6
GTEX-1HFI6-0426-SM-B2LXB 40-49 years, male 20.6
GTEX-1ICLZ-0626-SM-ARL83 60-69 years, male 20.6
GTEX-ZP4G-2026-SM-57WEH 20-29 years, female 20.5
GTEX-1A8FM-0526-SM-7P8SF 50-59 years, female 20.5
GTEX-1P4AB-0326-SM-EXUT3 50-59 years, male 20.3
GTEX-13S7M-0326-SM-5S2PH 60-69 years, female 20.1
GTEX-X638-0326-SM-47JY1 70-79 years, female 20.1
GTEX-13113-5019-SM-7EPH2 60-69 years, female 20.0
GTEX-13PLJ-0326-SM-5L3I7 60-69 years, female 19.9
GTEX-SSA3-0326-SM-32QPS 60-69 years, male 19.8
GTEX-YECK-0626-SM-4W1ZE 60-69 years, male 19.6
GTEX-1ICG6-2726-SM-CKZPN 70-79 years, female 19.4
GTEX-13G51-2726-SM-5LZZ9 60-69 years, male 19.2
GTEX-Y5LM-2126-SM-4VDSY 40-49 years, female 19.2
GTEX-ZAKK-0326-SM-5EGHA 70-79 years, male 19.2
GTEX-1B8KZ-2126-SM-73KYG 50-59 years, male 19.1
GTEX-13IVO-0626-SM-5LZYJ 70-79 years, male 18.9
GTEX-1HC8U-2626-SM-CNPPH 40-49 years, female 18.9
GTEX-X88G-0326-SM-47JZ4 30-39 years, male 18.8
GTEX-12ZZZ-0226-SM-59HKU 60-69 years, male 18.7
GTEX-13QIC-1226-SM-5K7YR 60-69 years, female 18.7
GTEX-1KANB-0126-SM-E6CJT 50-59 years, male 18.7
GTEX-11UD1-0326-SM-5EQKX 40-49 years, female 18.6
GTEX-YBZK-0326-SM-59HLN 50-59 years, female 18.5
GTEX-1IDJE-2426-SM-ACKWF 50-59 years, female 18.3
GTEX-14XAO-2226-SM-6LLHU 60-69 years, female 18.2
GTEX-12WSG-5016-SM-7SB84 50-59 years, female 18.1
GTEX-139T4-0326-SM-5K7XN 50-59 years, female 17.9
GTEX-16NPV-2426-SM-6M482 50-59 years, female 17.7
GTEX-XV7Q-2926-SM-4BRUL 40-49 years, female 17.7
GTEX-13SLW-0326-SM-5RQK5 70-79 years, male 17.5
GTEX-TMZS-0326-SM-3DB9P 60-69 years, male 17.5
GTEX-1IGQW-0526-SM-CKZO3 60-69 years, male 17.5
GTEX-147GR-0126-SM-62LER 60-69 years, male 17.4
GTEX-XMD2-0526-SM-4YCDI 60-69 years, female 17.3
GTEX-12WSF-0926-SM-6PALU 70-79 years, male 16.8
GTEX-WXYG-2526-SM-3NB3F 50-59 years, female 16.5
GTEX-11WQC-2626-SM-5CVLF 60-69 years, male 16.3
GTEX-1M4P7-0126-SM-DKPQF 60-69 years, male 16.2
GTEX-146FQ-0326-SM-5NQAX 30-39 years, male 16.1
GTEX-183WM-0426-SM-731B1 70-79 years, female 15.6
GTEX-14ASI-0526-SM-5QGQP 60-69 years, male 14.5
GTEX-OHPN-2726-SM-2I5H4 60-69 years, female 14.5
GTEX-145MI-0326-SM-5Q5EV 60-69 years, female 14.0
GTEX-1JMQL-0126-SM-CY8HN 50-59 years, female 13.9
GTEX-1F88F-2526-SM-7PC2R 60-69 years, female 13.8
GTEX-U3ZG-0326-SM-47JXN 50-59 years, male 13.2
GTEX-14A5H-0326-SM-5RQIB 60-69 years, male 12.9
GTEX-WWTW-0626-SM-4MVNS 50-59 years, male 12.9
GTEX-1399Q-2426-SM-5J2MO 40-49 years, male 12.2
GTEX-1LVAO-0526-SM-EWRNS 60-69 years, male 11.7
GTEX-1H4P4-0626-SM-9YFKZ 50-59 years, male 10.3
GTEX-ZE7O-0326-SM-51MTH 50-59 years, female 10.0
GTEX-Y8E5-0326-SM-57WBM 60-69 years, male 9.4
GTEX-ZQUD-1726-SM-7P8ON 30-39 years, male 4.3
Show allShow less

SKELETAL MUSCLE - FANTOM5 CAGEi

RNA expression in human tissues obtained through Cap Analysis of Gene Expression (CAGE) generated by the FANTOM5 project are reported as Scaled Tags Per Million.

Max subtype Scaled Tags Per Millioni

Max subtype Scaled Tags Per Million is the value for the subtype with the largest average Scaled Tags Per Million across the subtype samples.

70.6
FANTOM5 sample id Sample description Scaled Tags Per Million
Skeletal muscle
Scaled Tags Per Million: 60.5
FF:10023-101D5 55,79,79 years, mixed 60.5
Skeletal muscle - soleus muscle
Scaled Tags Per Million: 70.6
FF:10282-104F3 male 70.6

Contact

  • NEWS ARTICLES
  • PRESS ROOM

The Project

  • INTRODUCTION
  • ORGANIZATION
  • PUBLICATIONS

The Human Protein Atlas

  • DOWNLOADABLE DATA
  • LICENCE & CITATION
  • HELP & FAQ
The Human Protein Atlas project is funded
by the Knut & Alice Wallenberg Foundation.


contact@proteinatlas.org