We use cookies to enhance the usability of our website. If you continue, we'll assume that you are happy to receive all cookies. More information. Don't show this again.
CKMT2
HPA
RESOURCES
  • TISSUE
  • BRAIN
  • SINGLE CELL
  • SUBCELLULAR
  • CANCER
  • BLOOD
  • CELL LINE
  • STRUCTURE & INTERACTION
ABOUT
  • INTRODUCTION
  • HISTORY
  • ORGANIZATION
  • PUBLICATIONS
  • ANTIBODY SUBMISSION
  • ANTIBODY AVAILABILITY
  • ACKNOWLEDGMENTS
  • CONTACT
NEWS
  • NEWS ARTICLES
  • PRESS ROOM
LEARN
  • DICTIONARY
  • PROTEIN CLASSES
  • PROTEIN EVIDENCE
  • METHODS
  • EDUCATIONAL VIDEOS
DATA
  • DOWNLOADABLE DATA
  • PUBLICATION DATA
  • RELEASE HISTORY
HELP
  • ANTIBODY VALIDATION
  • ASSAYS & ANNOTATION
  • DISCLAIMER
  • HELP & FAQ
  • PRIVACY STATEMENT
  • LICENCE & CITATION
Fields »
Search result

Field
Term
Gene name
Class
Subclass
Class
Keyword
Chromosome
External id
Tissue
Cell type
Expression
Antibody panel
Tissue
Main location
Patient ID
Annotation
Tissue
Category
Tau score
Cluster
Reliability
Brain region
Category
Tau score
Brain region
Category
Tau score
Brain region
Category
Tau score
Cluster
Reliability
Tissue
Cell type
Enrichment
Cell type
Category
Tau score
Cell type
Category
Tau score
Cell type
Category
Tau score
Cell lineage
Category
Tau score
Cluster
Cluster
Location
Searches
Location
Cell line
Class
Type
Phase
Reliability
Cancer
Prognosis
Cancer
Category
Cancer
Category
Tau score
Cluster
Variants
Interacting gene (ensg_id)
Type
Number of interactions
Pathway
Category
Score
Score
Score
Validation
Validation
Validation
Validation
Antibodies
Data type
Column


  • SUMMARY

  • TISSUE

  • BRAIN

  • SINGLE CELL

  • SUBCELL

  • CANCER

  • BLOOD

  • CELL LINE

  • STRUCT & INT

  • CKMT2
TISSUE PRIMARY DATA STOMACH Show tissue menu
ADIPOSE TISSUE ADRENAL GLAND AMYGDALA APPENDIX BASAL GANGLIA BONE MARROW BREAST BRONCHUS CEREBELLUM CEREBRAL CORTEX CERVIX CHOROID PLEXUS COLON DUODENUM
ENDOMETRIUM EPIDIDYMIS ESOPHAGUS FALLOPIAN TUBE GALLBLADDER HEART MUSCLE HIPPOCAMPAL FORMATION HYPOTHALAMUS KIDNEY LIVER LUNG LYMPH NODE MIDBRAIN NASOPHARYNX
ORAL MUCOSA OVARY PANCREAS PARATHYROID GLAND PITUITARY GLAND PLACENTA PROSTATE RECTUM RETINA SALIVARY GLAND SEMINAL VESICLE SKELETAL MUSCLE SKIN SMALL INTESTINE
SMOOTH MUSCLE SOFT TISSUE SPINAL CORD SPLEEN STOMACH TESTIS THYMUS THYROID GLAND TONGUE TONSIL URINARY BLADDER VAGINA
ANTIBODIES
AND
VALIDATION
Dictionary
Tissue proteome
Stomach
STOMACH - Expression summary
Protein expression
Stomachi

On the top, protein expression in current human tissue, based on all annotated cell types, is reported with the units not detected (n), low (l), medium (m) and high (h). Underneath, protein expression in each annotated cell type are reported using the same units.

Protein expression data is based on knowledge-based annotation. For genes where more than one antibody has been used, a collective score is set.

If knowledge-based annotation could not be performed for a gene, no data is displayed here. View antibody staining data further down this page.

h
m
l
n
Glandular cells: Low
RNA expressioni

A summary of mRNA expression data available for current tissue based on several datasets. The mRNA expression levels in human tissues are based on RNA-seq data generated by the Human Protein Atlas (HPA), Genotype-Tissue Expression (GTEx) portal and CAGE data generated by the FANTOM5 consortium. Consensus normalized expression levels for human tissues was created by combining the data from HPA and GTEx datasets.

The mRNA expression levels in pig are based on RNA-seq data generated by the Human Protein Atlas (HPA), and for mouse, HPA data and in situ hybridization generated by the Allen brain atlas are reported.

Scroll down to view mRNA expression data in more detail.
Consensus:17.4 nTPM
HPA:13.8 nTPM
GTEx:17.4 nTPM

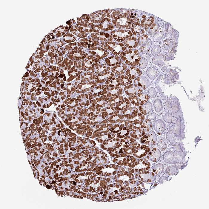
STOMACH 1 - Antibody stainingi

Antibody staining in the annotated cell types in the current human tissue is reported as not detected, low, medium, or high, based on conventional immunohistochemistry profiling in selected tissues. This score is based on the combination of the staining intensity and fraction of stained cells.

Each image is clickable and will lead to virtual microscopy that enables deeper exploration of all samples and also displays staining intensity scores, fraction scores and subcellular localization as well as patient and tissue information for each sample.

Antibody HPA051880
Glandular cells High


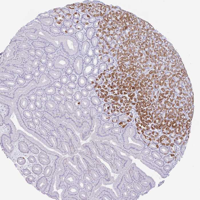
STOMACH 2 - Antibody stainingi

Antibody staining in the annotated cell types in the current human tissue is reported as not detected, low, medium, or high, based on conventional immunohistochemistry profiling in selected tissues. This score is based on the combination of the staining intensity and fraction of stained cells.

Each image is clickable and will lead to virtual microscopy that enables deeper exploration of all samples and also displays staining intensity scores, fraction scores and subcellular localization as well as patient and tissue information for each sample.

Antibody HPA051880
Glandular cells High



STOMACH - HPA RNA-seqi

The RNA-seq details section shows detailed information about the individual samples used for the transcript profiling and results of the RNA-seq analysis.

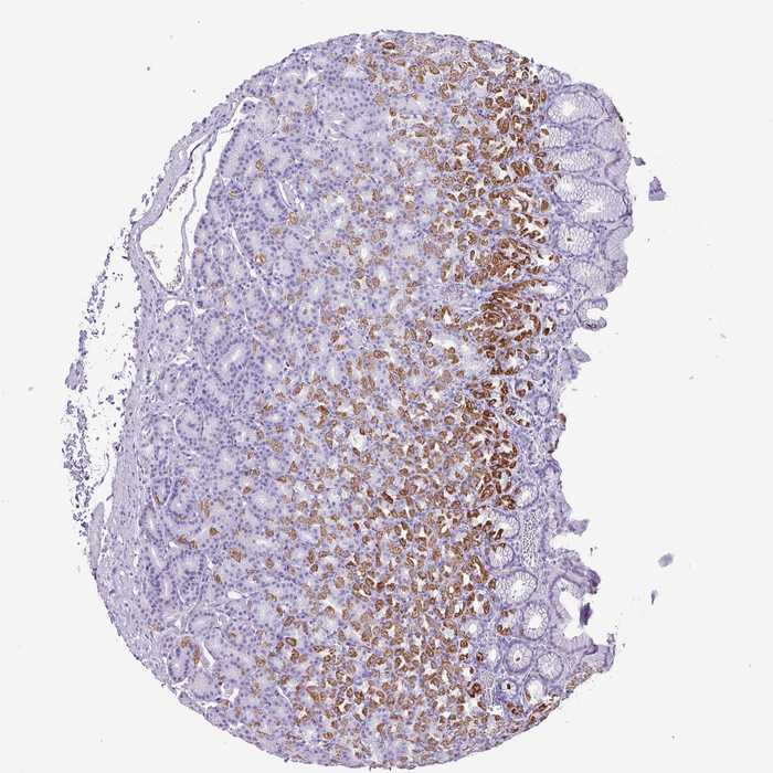
Information about each individual sample is listed below, including gender, age, a tissue section image and estimated fractions of cell types. nTPM (normalized transcripts per million) values give a quantification of the gene abundance which is comparable between different genes and samples.
Average nTPMi

Max subtype nTPM is the value for the subtype with the largest average nTPM across the subtype samples.

13.8
overview
Female, age 33
Stomach sample 61
nTPM: 29.5
Cell types%
Glandular cells:
60

Smooth muscle cells:
5

Other cell types:
35

N/A
Male, age 82
Stomach sample 240
nTPM: 0.9
Cell types%
Glandular cells:
65

Smooth muscle cells:
5

Other cell types:
30

overview
Male, age 71
Stomach sample 241
nTPM: 0.8
Cell types%
Glandular cells:
50

Smooth muscle cells:
5

Other cell types:
45

overview
Female, age 66
Stomach sample 369
nTPM: 23.8
Cell types%
Glandular cells:
50

Smooth muscle cells:
10

Other cell types:
40


STOMACH - GTEx RNA-seqi

RNA-Seq data generated by the Genotype-Tissue Expression (GTEx) project from human tissues is reported as mean nTPM. More information can be found on the GTEx portal.

Distribution across the dataset is visualized with box plots, shown as median and 25th and 75th percentiles. Points are displayed as outliers if they are above or below 1.5 times the interquartile range. nTPM values of the individual samples are presented next to the box plot.
Max subtype nTPMi

Max subtype nTPM is the value for the subtype with the largest average nTPM across the subtype samples.

17.4
GTEx sample id Sample description nTPM
Stomach
Average nTPM: 17.4
Samples: 359

Max nTPM: 70.0
Min nTPM: 1.0
Std nTPM: 12.4
Median nTPM: 15.0
GTEX-OOBJ-1526-SM-3NB1Q 60-69 years, male 70.0
GTEX-14PJ6-0826-SM-686Z9 60-69 years, female 68.9
GTEX-12WSD-2326-SM-59HKQ 60-69 years, female 62.3
GTEX-WFON-1126-SM-4LVMA 40-49 years, male 58.3
GTEX-1GL5R-1926-SM-9WG7U 50-59 years, male 53.5
GTEX-OIZF-1526-SM-2I5GR 60-69 years, male 51.2
GTEX-RWS6-0926-SM-47JXE 60-69 years, female 51.1
GTEX-YB5E-1126-SM-664NU 40-49 years, male 50.4
GTEX-PX3G-1526-SM-48U11 20-29 years, female 45.1
GTEX-QXCU-1926-SM-48FE4 50-59 years, male 45.1
GTEX-15DCE-1626-SM-6LPJM 20-29 years, male 45.0
GTEX-17GQL-1226-SM-7KFTS 60-69 years, male 44.6
GTEX-1JK1U-1326-SM-AHZ45 60-69 years, male 43.6
GTEX-1RB15-1026-SM-E9U6V 60-69 years, male 41.8
GTEX-14BIL-1926-SM-73KYI 50-59 years, male 40.8
GTEX-Q2AI-0826-SM-48TZO 40-49 years, male 40.6
GTEX-ZXES-1426-SM-5NQ8S 30-39 years, female 40.5
GTEX-144GM-1726-SM-5O9AS 20-29 years, male 39.0
GTEX-QV44-1226-SM-CJI1S 50-59 years, male 39.0
GTEX-QV31-0626-SM-447C5 30-39 years, male 38.5
GTEX-14E6E-0926-SM-664N8 30-39 years, male 38.4
GTEX-1KXAM-0926-SM-CXZKA 60-69 years, male 37.5
GTEX-OXRL-1526-SM-E6CHQ 50-59 years, male 37.5
GTEX-S95S-0826-SM-4B64N 60-69 years, male 37.4
GTEX-XBED-1226-SM-4AT5V 60-69 years, male 37.3
GTEX-RM2N-0826-SM-48FD3 50-59 years, male 37.0
GTEX-1QMI2-2126-SM-DPRXQ 60-69 years, male 36.8
GTEX-1LG7Z-1226-SM-DHXK4 30-39 years, male 36.7
GTEX-1RMOY-1126-SM-EV79E 50-59 years, male 36.4
GTEX-QLQW-0726-SM-447AA 30-39 years, male 36.2
GTEX-ZLWG-1526-SM-DO12F 50-59 years, female 36.1
GTEX-T5JW-0926-SM-4DM5K 20-29 years, female 35.5
GTEX-11NSD-1426-SM-5HL67 20-29 years, male 35.2
GTEX-145LT-1426-SM-5O9B3 40-49 years, male 35.2
GTEX-ZYFG-1326-SM-5GICJ 60-69 years, female 35.1
GTEX-VJYA-1026-SM-4KL21 60-69 years, male 34.8
GTEX-S341-0626-SM-4AD5T 40-49 years, female 34.5
GTEX-RTLS-2626-SM-46MUJ 60-69 years, female 34.1
GTEX-ZYY3-1726-SM-5EGH3 60-69 years, female 33.8
GTEX-1B97J-1826-SM-7IGPP 50-59 years, female 33.5
GTEX-ZQUD-0826-SM-57WDQ 30-39 years, male 33.3
GTEX-OHPM-1526-SM-EV796 50-59 years, male 33.3
GTEX-1HBPI-0726-SM-9WG7Z 50-59 years, male 33.2
GTEX-WXYG-1626-SM-4ONCR 50-59 years, female 33.0
GTEX-Q734-1026-SM-48U16 40-49 years, female 32.9
GTEX-X15G-1126-SM-4PQZG 50-59 years, female 32.7
GTEX-ZP4G-1226-SM-4WWCJ 20-29 years, female 32.5
GTEX-V1D1-1726-SM-4JBHB 50-59 years, male 32.3
GTEX-17F9E-2226-SM-7IGNC 50-59 years, male 32.1
GTEX-R53T-1226-SM-48FCT 50-59 years, female 32.0
GTEX-1QCLZ-1826-SM-DPRXP 60-69 years, female 31.5
GTEX-1LGOU-1526-SM-D3LAJ 20-29 years, female 31.4
GTEX-14ICL-0826-SM-5YY9W 30-39 years, male 31.3
GTEX-YEC4-1426-SM-5IFHS 40-49 years, male 30.8
GTEX-ZLV1-0826-SM-DO11P 60-69 years, female 30.8
GTEX-18QFQ-1226-SM-718AE 30-39 years, male 30.5
GTEX-15CHR-1326-SM-79OLT 50-59 years, male 30.4
GTEX-1AMFI-1226-SM-731CZ 50-59 years, female 30.3
GTEX-UJMC-1226-SM-4IHLI 50-59 years, male 30.0
GTEX-U3ZN-2026-SM-4DXUC 30-39 years, female 29.8
GTEX-111CU-0926-SM-5EGIK 50-59 years, male 29.7
GTEX-ZPU1-1626-SM-4WWB2 40-49 years, male 29.6
GTEX-1LBAC-1426-SM-CXZKT 20-29 years, male 29.5
GTEX-Y5V6-1326-SM-4VDTF 60-69 years, male 28.9
GTEX-WHSB-1226-SM-4M1XR 50-59 years, male 28.5
GTEX-1A3MV-1226-SM-718BW 30-39 years, male 28.4
GTEX-17HHE-1026-SM-79ON6 50-59 years, male 28.2
GTEX-13FH7-1026-SM-5IJGF 50-59 years, female 28.1
GTEX-13OVK-0926-SM-7KUFX 40-49 years, male 28.0
GTEX-1A8G6-1426-SM-731EZ 60-69 years, male 27.9
GTEX-1QPFJ-1526-SM-DPRXT 30-39 years, female 27.9
GTEX-13OW6-2526-SM-5IJEC 50-59 years, male 27.5
GTEX-14B4R-0726-SM-5TDDR 30-39 years, male 27.4
GTEX-NFK9-1526-SM-3LK7B 40-49 years, male 27.4
GTEX-1B8KE-1326-SM-73KVI 50-59 years, male 27.1
GTEX-T6MO-0726-SM-4DM58 40-49 years, female 26.9
GTEX-1KANA-1126-SM-D3L9M 20-29 years, male 26.9
GTEX-1ICG6-1826-SM-AHZ2O 70-79 years, female 26.7
GTEX-1399S-1626-SM-5P9GI 30-39 years, female 26.5
GTEX-1C475-1026-SM-7MKFJ 40-49 years, female 26.5
GTEX-ZF2S-1426-SM-57WET 50-59 years, female 26.5
GTEX-12WSK-1426-SM-5CVNN 40-49 years, female 26.4
GTEX-1H1E6-1626-SM-9OSWC 30-39 years, male 26.2
GTEX-14PJ5-0826-SM-6AJAR 60-69 years, female 26.1
GTEX-QLQ7-0826-SM-447B3 60-69 years, male 26.1
GTEX-18A7A-2726-SM-7LG6U 50-59 years, female 25.8
GTEX-1HFI7-1526-SM-9WG7W 50-59 years, female 25.8
GTEX-QDVJ-1426-SM-48U1Y 50-59 years, male 25.5
GTEX-S4UY-1626-SM-4AD55 40-49 years, female 25.1
GTEX-OHPK-1526-SM-3MJGM 50-59 years, female 25.0
GTEX-131XF-1226-SM-5HL8V 60-69 years, male 24.9
GTEX-11NUK-2426-SM-5BC4U 50-59 years, male 24.8
GTEX-13O21-0926-SM-5IFGT 50-59 years, male 24.7
GTEX-ZGAY-1626-SM-DNZZ3 40-49 years, female 24.7
GTEX-17HGU-2126-SM-7IGOV 50-59 years, male 24.5
GTEX-XMK1-1526-SM-EYYVO 40-49 years, male 24.2
GTEX-11EM3-1026-SM-5A5KL 20-29 years, female 24.1
GTEX-13PVQ-2126-SM-5L3FW 50-59 years, male 24.0
GTEX-XUZC-0726-SM-4BOPH 30-39 years, female 24.0
GTEX-1HKZK-1526-SM-B2LWG 40-49 years, male 24.0
GTEX-18D9A-0626-SM-7KFTY 30-39 years, female 23.6
GTEX-1HBPN-1626-SM-9WPNP 50-59 years, male 23.4
GTEX-11GSP-2126-SM-5HL5E 60-69 years, female 23.3
GTEX-1R9K5-1026-SM-EAZ4F 50-59 years, male 23.2
GTEX-SNMC-0626-SM-4DM6H 20-29 years, male 23.0
GTEX-XQ8I-2026-SM-4BOOL 50-59 years, male 22.8
GTEX-111YS-1126-SM-5GZYQ 60-69 years, male 22.1
GTEX-15DZA-1126-SM-6LPK8 30-39 years, female 22.1
GTEX-ZVP2-1626-SM-5GU5D 50-59 years, male 22.1
GTEX-132QS-1826-SM-5IFFN 60-69 years, male 22.0
GTEX-1GMRU-2526-SM-9WG7T 50-59 years, male 21.9
GTEX-1J8QM-1126-SM-C1YQB 60-69 years, female 21.9
GTEX-13CF3-1926-SM-5K7WF 60-69 years, female 21.8
GTEX-1J8Q3-1926-SM-C1YSJ 60-69 years, male 21.8
GTEX-16AAH-1226-SM-79OO9 50-59 years, male 21.5
GTEX-QCQG-0526-SM-48U2A 50-59 years, female 21.2
GTEX-13D11-2126-SM-5IFH2 50-59 years, female 21.0
GTEX-1MGNQ-1826-SM-DPRYI 40-49 years, male 21.0
GTEX-1IDJU-1526-SM-CNNR3 60-69 years, female 20.8
GTEX-1QP2A-2126-SM-DPRZ7 50-59 years, male 20.8
GTEX-17F98-1526-SM-7EWD8 40-49 years, female 20.4
GTEX-1MUQO-1926-SM-EAZ59 60-69 years, male 20.4
GTEX-1122O-1926-SM-5EGIQ 60-69 years, female 20.2
GTEX-14PJ3-1426-SM-664O8 50-59 years, male 20.2
GTEX-15G19-1526-SM-6LPKP 60-69 years, male 20.2
GTEX-ZZ64-0426-SM-5E43F 20-29 years, male 19.9
GTEX-1F5PK-1826-SM-7RHHX 50-59 years, male 19.7
GTEX-P4PP-1526-SM-3P61M 30-39 years, female 19.6
GTEX-Y8LW-0826-SM-4WWDO 50-59 years, female 19.6
GTEX-13113-0726-SM-5LZUF 60-69 years, female 19.3
GTEX-14PKV-1826-SM-69LO9 20-29 years, female 19.3
GTEX-ZDYS-1926-SM-5HL59 50-59 years, male 19.3
GTEX-133LE-1326-SM-5IFGO 20-29 years, female 19.2
GTEX-11DXX-1326-SM-5GIDZ 60-69 years, female 19.1
GTEX-PWN1-1526-SM-48TDA 40-49 years, female 19.1
GTEX-ZV7C-1626-SM-5NQ7E 50-59 years, male 19.1
GTEX-14PJ4-1626-SM-664OB 60-69 years, male 19.0
GTEX-1JMLX-2426-SM-CXZJQ 50-59 years, male 19.0
GTEX-WEY5-1226-SM-4LMIQ 40-49 years, female 18.8
GTEX-WRHK-0626-SM-4MVOE 20-29 years, female 18.8
GTEX-1AYCT-1326-SM-7MKHB 50-59 years, male 18.7
GTEX-1B8KZ-1226-SM-793CP 50-59 years, male 18.6
GTEX-1AMEY-1226-SM-731DU 30-39 years, female 18.5
GTEX-WYJK-2526-SM-4ONDF 50-59 years, male 18.5
GTEX-1F5PL-1426-SM-7MKFH 40-49 years, female 18.4
GTEX-ZVZP-1726-SM-5GZWY 50-59 years, male 18.3
GTEX-11I78-1726-SM-5A5M3 50-59 years, female 18.2
GTEX-Y3IK-1426-SM-4YCES 50-59 years, female 18.1
GTEX-1399R-1126-SM-5IFIO 30-39 years, male 17.9
GTEX-144GN-1226-SM-5O991 50-59 years, male 17.9
GTEX-SUCS-0926-SM-4DM4Z 70-79 years, male 17.9
GTEX-13FTW-1726-SM-5KM2B 40-49 years, male 17.6
GTEX-145MN-1326-SM-5NQ9S 30-39 years, male 17.4
GTEX-PWCY-0926-SM-48TD7 20-29 years, female 17.4
GTEX-V955-1326-SM-4JBHR 60-69 years, male 17.4
GTEX-14PHX-1026-SM-664OL 50-59 years, male 17.2
GTEX-ZZPU-1426-SM-5GZZ6 50-59 years, female 17.1
GTEX-117YX-1026-SM-5H11V 50-59 years, male 16.8
GTEX-13X6J-2126-SM-5TDCV 50-59 years, male 16.8
GTEX-13FTX-0726-SM-5N9BI 20-29 years, female 16.7
GTEX-Y5LM-1326-SM-5RQIS 40-49 years, female 16.7
GTEX-ZLFU-1326-SM-DO11R 40-49 years, male 16.6
GTEX-ZF29-1526-SM-4WKF7 60-69 years, female 16.5
GTEX-14DAR-0926-SM-73KUQ 50-59 years, male 16.3
GTEX-1R7EU-1126-SM-EAZ4M 60-69 years, male 16.3
GTEX-18A66-2226-SM-7189E 60-69 years, male 16.2
GTEX-ZA64-0826-SM-5HL9U 20-29 years, male 16.2
GTEX-1RQEC-2126-SM-DPS15 60-69 years, male 16.1
GTEX-1B97I-1226-SM-7MGWQ 40-49 years, male 15.9
GTEX-1I6K7-1726-SM-B2LXQ 40-49 years, male 15.8
GTEX-Q2AH-1126-SM-48TZM 40-49 years, male 15.7
GTEX-13QBU-1126-SM-5LU44 40-49 years, female 15.6
GTEX-QMRM-1126-SM-447BN 50-59 years, male 15.6
GTEX-W5WG-1726-SM-4LMI5 50-59 years, female 15.6
GTEX-WHWD-1426-SM-4OORU 50-59 years, male 15.6
GTEX-YFCO-0826-SM-5LUAG 40-49 years, male 15.4
GTEX-YJ8A-1526-SM-5P9FT 20-29 years, male 15.2
GTEX-ZVT2-1626-SM-51MRC 50-59 years, female 15.2
GTEX-XV7Q-1326-SM-4BRWM 40-49 years, female 15.0
GTEX-1QCLY-1126-SM-EAZ4J 30-39 years, male 15.0
GTEX-PW2O-1226-SM-48TCH 20-29 years, male 14.9
GTEX-1F75I-1826-SM-7MKGX 40-49 years, male 14.5
GTEX-ZPIC-2026-SM-57WG3 40-49 years, female 14.4
GTEX-XXEK-0826-SM-4BRWG 50-59 years, male 14.2
GTEX-WFG8-1326-SM-4LVN3 20-29 years, male 14.0
GTEX-1LGRB-1726-SM-CNNRA 50-59 years, female 13.9
GTEX-S4Q7-0726-SM-4AD5F 20-29 years, male 13.8
GTEX-1HSEH-1526-SM-B2LXG 60-69 years, male 13.7
GTEX-1J8EW-2226-SM-AHZ3T 60-69 years, female 13.7
GTEX-POMQ-0826-SM-3P61H 20-29 years, female 13.6
GTEX-SNOS-0826-SM-4DM5N 40-49 years, male 13.6
GTEX-14DAQ-2826-SM-664MU 60-69 years, female 13.5
GTEX-1GZ4H-1026-SM-9OSXL 50-59 years, female 13.5
GTEX-13PVR-2126-SM-73KVR 60-69 years, female 13.4
GTEX-Y8E4-1526-SM-4WWDI 40-49 years, male 13.4
GTEX-Y9LG-1026-SM-5IFJN 30-39 years, male 13.4
GTEX-14E1K-1526-SM-664MN 50-59 years, male 13.3
GTEX-12696-1726-SM-5EQLH 60-69 years, male 13.2
GTEX-16NGA-1526-SM-72D56 40-49 years, female 13.0
GTEX-1MJIX-1126-SM-EV7AO 40-49 years, male 13.0
GTEX-15RIE-1026-SM-6LPJQ 60-69 years, male 12.9
GTEX-S3XE-1026-SM-4AD4O 50-59 years, male 12.9
GTEX-XBEW-1826-SM-4RTWX 40-49 years, male 12.8
GTEX-1JMPZ-1826-SM-CXZJT 30-39 years, male 12.7
GTEX-145MO-2226-SM-5Q5BN 60-69 years, male 12.6
GTEX-1I1GT-1726-SM-C1YS3 60-69 years, female 12.6
GTEX-1LSNM-1026-SM-DHXL2 50-59 years, male 12.6
GTEX-1H3VY-2326-SM-9WG81 50-59 years, male 12.4
GTEX-15UF7-1226-SM-6M46G 40-49 years, male 12.3
GTEX-14JG6-1226-SM-664O6 30-39 years, female 12.1
GTEX-13S7M-1826-SM-5RQK6 60-69 years, female 11.7
GTEX-TMMY-1626-SM-4DXTY 40-49 years, female 11.7
GTEX-ZT9W-1526-SM-4YCDE 50-59 years, male 11.7
GTEX-TKQ2-0926-SM-4DXU5 50-59 years, male 11.6
GTEX-1CAMR-0726-SM-7EPIE 20-29 years, male 11.5
GTEX-1IDJD-2426-SM-C1YS6 30-39 years, male 11.5
GTEX-OXRK-1626-SM-3NB17 50-59 years, female 11.3
GTEX-P78B-1826-SM-3P5YX 40-49 years, female 11.3
GTEX-T5JC-1926-SM-4DM6Q 20-29 years, male 11.1
GTEX-PLZ5-1226-SM-EXOHA 50-59 years, male 11.1
GTEX-T8EM-1226-SM-4DM5J 40-49 years, male 11.0
GTEX-1QW4Y-0726-SM-DTX8E 30-39 years, male 11.0
GTEX-14BMU-1126-SM-5RQJ8 20-29 years, female 10.9
GTEX-QDVN-1226-SM-48TZ5 50-59 years, male 10.8
GTEX-1I1HK-2026-SM-CNNRB 60-69 years, male 10.8
GTEX-117YW-2226-SM-5N9DB 50-59 years, male 10.6
GTEX-1IL2V-2026-SM-ARZMA 70-79 years, male 10.6
GTEX-WFG7-1326-SM-4LMK1 20-29 years, male 10.5
GTEX-WY7C-1726-SM-4ONCC 50-59 years, male 10.4
GTEX-1CB4E-1326-SM-7DUGD 60-69 years, male 10.3
GTEX-1GN1W-2126-SM-9JGI7 50-59 years, female 10.3
GTEX-1H1DG-2126-SM-9WPPB 70-79 years, male 10.2
GTEX-1K2DA-0826-SM-CGQGD 50-59 years, male 10.0
GTEX-13N1W-2026-SM-5K7YU 70-79 years, male 9.9
GTEX-13U4I-2526-SM-5SI8Z 40-49 years, female 9.9
GTEX-17MF6-2126-SM-7KFS7 40-49 years, male 9.9
GTEX-1H11D-2226-SM-9OSXN 40-49 years, male 9.9
GTEX-ZY6K-0726-SM-5A5L8 50-59 years, male 9.8
GTEX-1NSGN-1926-SM-E9J36 50-59 years, male 9.8
GTEX-13111-1226-SM-5GCNC 50-59 years, male 9.6
GTEX-O5YW-1526-SM-3MJGL 50-59 years, male 9.3
GTEX-UJHI-1026-SM-4IHJP 50-59 years, female 9.3
GTEX-15RIF-1126-SM-7KUG2 20-29 years, male 9.2
GTEX-1HT8W-2326-SM-A9SLA 30-39 years, male 9.2
GTEX-12BJ1-1726-SM-5HL9B 60-69 years, male 9.1
GTEX-1HCU8-1326-SM-C1YQQ 60-69 years, female 9.1
GTEX-1JN76-0926-SM-ARZNH 20-29 years, female 9.1
GTEX-1PIGE-1126-SM-EWRMV 20-29 years, male 9.0
GTEX-13O3Q-2126-SM-5KM4C 50-59 years, male 8.9
GTEX-1E2YA-2426-SM-7EPIG 50-59 years, male 8.9
GTEX-WYVS-1326-SM-4ONCQ 40-49 years, female 8.5
GTEX-YEC3-1426-SM-D4P1S 50-59 years, male 8.5
GTEX-S4Z8-1226-SM-4AD6W 60-69 years, male 8.4
GTEX-WZTO-2126-SM-4PQYW 40-49 years, male 8.4
GTEX-1RAZR-1526-SM-EAZ4U 40-49 years, male 8.3
GTEX-13O61-1126-SM-5L3FI 60-69 years, male 8.1
GTEX-12WSG-2026-SM-5FQUU 50-59 years, female 8.0
GTEX-1B8L1-1526-SM-79OLK 60-69 years, male 7.9
GTEX-1GPI7-1326-SM-9KNVA 20-29 years, male 7.7
GTEX-17JCI-2226-SM-7LTA1 60-69 years, female 7.5
GTEX-ZAB4-1526-SM-5CVN7 40-49 years, male 7.5
GTEX-1AX9J-2626-SM-731EK 60-69 years, male 7.4
GTEX-R55D-1526-SM-48FEJ 50-59 years, male 7.4
GTEX-1PPH8-1326-SM-DTXFO 20-29 years, male 7.4
GTEX-1S82Z-1726-SM-E6CHZ 30-39 years, female 7.3
GTEX-1H3NZ-2226-SM-9WYUT 60-69 years, male 7.2
GTEX-1LVAN-2426-SM-CNNPZ 50-59 years, female 7.2
GTEX-145ME-1026-SM-5O9B4 40-49 years, female 7.1
GTEX-UPK5-2126-SM-4JBJK 40-49 years, male 7.1
GTEX-1EH9U-2226-SM-7PBXX 60-69 years, male 7.1
GTEX-13OVI-2426-SM-5KM4J 60-69 years, female 7.0
GTEX-139YR-1926-SM-5LZXM 50-59 years, male 6.8
GTEX-11TT1-0726-SM-5GU5A 20-29 years, male 6.5
GTEX-131XE-2226-SM-5PNYX 50-59 years, male 6.5
GTEX-XPVG-1526-SM-4B66C 50-59 years, male 6.5
GTEX-ZEX8-1626-SM-4WKG7 50-59 years, male 6.5
GTEX-ZVT3-2126-SM-59HL2 60-69 years, female 6.4
GTEX-1KD5A-1426-SM-D4P3V 50-59 years, male 6.4
GTEX-14BMV-2226-SM-5RQHX 50-59 years, male 6.3
GTEX-U4B1-1026-SM-4DXT1 40-49 years, male 6.3
GTEX-11VI4-0326-SM-5EQ6L 40-49 years, female 6.2
GTEX-1I4MK-0926-SM-A9SLD 50-59 years, female 6.2
GTEX-15EU6-2526-SM-7KUGB 50-59 years, male 6.1
GTEX-17HII-2426-SM-7KFTT 50-59 years, male 6.1
GTEX-18A67-2626-SM-718AD 50-59 years, male 6.1
GTEX-11P7K-1726-SM-5GU6F 30-39 years, male 6.0
GTEX-146FR-2026-SM-5NQAI 60-69 years, female 5.9
GTEX-1H1DE-1226-SM-9JGHH 20-29 years, male 5.9
GTEX-14PHY-0926-SM-5ZZWL 60-69 years, female 5.6
GTEX-S4P3-0726-SM-4AD57 50-59 years, female 5.6
GTEX-1QP67-1026-SM-EVR47 40-49 years, female 5.6
GTEX-17KNJ-1526-SM-7LTA9 50-59 years, male 5.5
GTEX-1QP28-2126-SM-DTX8B 50-59 years, female 5.5
GTEX-R55G-1126-SM-48FDG 40-49 years, female 5.3
GTEX-WHPG-0426-SM-4M1XW 50-59 years, male 5.3
GTEX-Y3I4-1626-SM-4TT7W 50-59 years, male 5.3
GTEX-QDT8-2026-SM-EZ6LS 30-39 years, female 5.2
GTEX-11P82-0726-SM-5PNYL 20-29 years, male 5.1
GTEX-1MCYP-1126-SM-E9J2P 20-29 years, female 5.1
GTEX-1211K-1426-SM-5FQTF 60-69 years, female 5.0
GTEX-132AR-2426-SM-5IFFD 50-59 years, female 4.9
GTEX-1S3DN-1526-SM-EVYCB 50-59 years, male 4.8
GTEX-WH7G-1526-SM-4LVMX 40-49 years, male 4.7
GTEX-1JKYN-1726-SM-AHZ48 30-39 years, male 4.6
GTEX-11EQ9-1226-SM-5987E 30-39 years, male 4.5
GTEX-12C56-0526-SM-5FQST 20-29 years, male 4.5
GTEX-S7SF-0626-SM-4AD4V 20-29 years, female 4.5
GTEX-XAJ8-0326-SM-47JYI 40-49 years, male 4.5
GTEX-13RTK-0226-SM-5RQHR 20-29 years, male 4.4
GTEX-PLZ6-0826-SM-3P61K 30-39 years, male 4.4
GTEX-1LVAM-1426-SM-E9TJ4 50-59 years, female 4.4
GTEX-139D8-2326-SM-5IFGE 30-39 years, female 4.3
GTEX-1HSMQ-2426-SM-CE6RY 50-59 years, male 4.3
GTEX-11EI6-2426-SM-5PNVS 60-69 years, male 4.2
GTEX-WFJO-1126-SM-4LVLZ 30-39 years, male 4.2
GTEX-RU1J-0526-SM-46MUT 20-29 years, female 4.1
GTEX-1L5NE-1526-SM-DIPFW 50-59 years, male 4.0
GTEX-1399U-1626-SM-5P9J3 50-59 years, female 3.9
GTEX-13QJ3-2726-SM-5SI6L 50-59 years, male 3.9
GTEX-17EUY-1526-SM-793CA 20-29 years, male 3.9
GTEX-1C64O-2226-SM-73KTV 60-69 years, male 3.9
GTEX-P4PQ-1526-SM-3NMCK 60-69 years, male 3.9
GTEX-P4QT-1526-SM-3NMCT 50-59 years, female 3.8
GTEX-1N2DV-0926-SM-E9TJT 40-49 years, male 3.8
GTEX-1QP29-2326-SM-EXOJO 50-59 years, male 3.8
GTEX-ZTX8-0426-SM-59HLG 20-29 years, male 3.7
GTEX-1JMPY-0926-SM-ARL92 30-39 years, male 3.7
GTEX-1A3MX-1926-SM-72D7F 60-69 years, male 3.6
GTEX-1E1VI-2826-SM-7MGWU 50-59 years, male 3.6
GTEX-1JMQJ-1326-SM-D4P3B 50-59 years, male 3.6
GTEX-12WSJ-0926-SM-5P9JD 40-49 years, female 3.5
GTEX-13X6H-1626-SM-5Q5CT 50-59 years, female 3.5
GTEX-Y114-1226-SM-4TT88 50-59 years, female 3.5
GTEX-146FH-2126-SM-5SI9U 50-59 years, female 3.4
GTEX-1IDJF-1426-SM-ACKWK 20-29 years, male 3.4
GTEX-ZYVF-2726-SM-5GID4 50-59 years, female 3.3
GTEX-1H23P-2726-SM-9JGHN 60-69 years, male 3.3
GTEX-1J8JJ-1726-SM-C1YQG 60-69 years, female 3.3
GTEX-1339X-1426-SM-5K7YO 40-49 years, male 3.2
GTEX-15G1A-1226-SM-7KUF3 30-39 years, male 3.2
GTEX-OIZH-1526-SM-3NB1J 50-59 years, male 3.2
GTEX-ZV6S-0926-SM-57WGB 40-49 years, female 3.1
GTEX-18D9B-2226-SM-718BM 60-69 years, male 3.0
GTEX-1CB4H-2426-SM-7PBYR 60-69 years, female 3.0
GTEX-1GF9U-1126-SM-AHZ4H 40-49 years, female 3.0
GTEX-131XG-1226-SM-5EGH9 50-59 years, female 2.9
GTEX-1S831-1126-SM-EWROI 20-29 years, male 2.8
GTEX-O5YV-1926-SM-EV797 60-69 years, female 2.8
GTEX-11WQK-2626-SM-5EQ4K 50-59 years, male 2.7
GTEX-14PN3-1326-SM-6AJ9U 60-69 years, female 2.6
GTEX-R55C-1026-SM-48FCM 40-49 years, male 2.5
GTEX-15SHW-2126-SM-6M46Y 60-69 years, male 2.4
GTEX-TKQ1-0526-SM-4DXTG 30-39 years, male 2.4
GTEX-ZE7O-3026-SM-51MS4 50-59 years, female 2.4
GTEX-1JN1M-2926-SM-CNNPJ 60-69 years, female 2.4
GTEX-14PKU-1126-SM-69LOU 40-49 years, female 2.3
GTEX-1HR9M-2326-SM-CNPPZ 60-69 years, male 2.3
GTEX-1HCUA-1626-SM-A9SMG 50-59 years, female 1.1
GTEX-RUSQ-1126-SM-EAZAU 50-59 years, male 1.0
Show allShow less

Contact

  • NEWS ARTICLES
  • PRESS ROOM

The Project

  • INTRODUCTION
  • ORGANIZATION
  • PUBLICATIONS

The Human Protein Atlas

  • DOWNLOADABLE DATA
  • LICENCE & CITATION
  • HELP & FAQ
The Human Protein Atlas project is funded
by the Knut & Alice Wallenberg Foundation.


contact@proteinatlas.org