We use cookies to enhance the usability of our website. If you continue, we'll assume that you are happy to receive all cookies. More information. Don't show this again.
TOP2A
HPA
RESOURCES
  • TISSUE
  • BRAIN
  • SINGLE CELL
  • SUBCELLULAR
  • CANCER
  • BLOOD
  • CELL LINE
  • STRUCTURE & INTERACTION
ABOUT
  • INTRODUCTION
  • HISTORY
  • ORGANIZATION
  • PUBLICATIONS
  • ANTIBODY SUBMISSION
  • ANTIBODY AVAILABILITY
  • ACKNOWLEDGMENTS
  • CONTACT
NEWS
  • NEWS ARTICLES
  • PRESS ROOM
LEARN
  • DICTIONARY
  • PROTEIN CLASSES
  • PROTEIN EVIDENCE
  • METHODS
  • EDUCATIONAL VIDEOS
DATA
  • DOWNLOADABLE DATA
  • PUBLICATION DATA
  • RELEASE HISTORY
HELP
  • ANTIBODY VALIDATION
  • ASSAYS & ANNOTATION
  • DISCLAIMER
  • HELP & FAQ
  • PRIVACY STATEMENT
  • LICENCE & CITATION
Fields »
Search result

Field
Term
Gene name
Class
Subclass
Class
Keyword
Chromosome
External id
Tissue
Cell type
Expression
Antibody panel
Tissue
Main location
Patient ID
Annotation
Tissue
Category
Tau score
Cluster
Reliability
Brain region
Category
Tau score
Brain region
Category
Tau score
Brain region
Category
Tau score
Cluster
Reliability
Tissue
Cell type
Enrichment
Cell type
Category
Tau score
Cell type
Category
Tau score
Cell type
Category
Tau score
Cell lineage
Category
Tau score
Cluster
Cluster
Location
Searches
Location
Cell line
Class
Type
Phase
Reliability
Cancer
Prognosis
Cancer
Category
Cancer
Category
Tau score
Cluster
Variants
Interacting gene (ensg_id)
Type
Number of interactions
Pathway
Category
Score
Score
Score
Validation
Validation
Validation
Validation
Antibodies
Data type
Column


  • SUMMARY

  • TISSUE

  • BRAIN

  • SINGLE CELL

  • SUBCELL

  • CANCER

  • BLOOD

  • CELL LINE

  • STRUCT & INT

  • TOP2A
TISSUE PRIMARY DATA SKIN Show tissue menu
ADIPOSE TISSUE ADRENAL GLAND AMYGDALA APPENDIX BASAL GANGLIA BONE MARROW BREAST BRONCHUS CEREBELLUM CEREBRAL CORTEX CERVIX CHOROID PLEXUS COLON DUODENUM
ENDOMETRIUM EPIDIDYMIS ESOPHAGUS FALLOPIAN TUBE GALLBLADDER HEART MUSCLE HIPPOCAMPAL FORMATION HYPOTHALAMUS KIDNEY LIVER LUNG LYMPH NODE MIDBRAIN NASOPHARYNX
ORAL MUCOSA OVARY PANCREAS PARATHYROID GLAND PITUITARY GLAND PLACENTA PROSTATE RECTUM RETINA SALIVARY GLAND SEMINAL VESICLE SKELETAL MUSCLE SKIN SMALL INTESTINE
SMOOTH MUSCLE SOFT TISSUE SPINAL CORD SPLEEN STOMACH TESTIS THYMUS THYROID GLAND TONGUE TONSIL URINARY BLADDER VAGINA
ANTIBODIES
AND
VALIDATION
Dictionary
Skin
Tissue proteome
Skin
SKIN - Expression summary
Protein expression
Skini

On the top, protein expression in current human tissue, based on all annotated cell types, is reported with the units not detected (n), low (l), medium (m) and high (h). Underneath, protein expression in each annotated cell type are reported using the same units.

Protein expression data is based on knowledge-based annotation. For genes where more than one antibody has been used, a collective score is set.

If knowledge-based annotation could not be performed for a gene, no data is displayed here. View antibody staining data further down this page.

h
m
l
n
Cells in basal layer: High
Cells in corneal layer: Not detected
Cells in granular layer: Not detected
Cells in spinous layer: Medium
Endothelial cells: Not detected
Extracellular matrix: Not detected
Fibrohistiocytic cells: Medium
Langerhans cells: Not detected
Lymphocytes: Not detected
Melanocytes: Medium
Vascular mural cells: Not detected
RNA expressioni

A summary of mRNA expression data available for current tissue based on several datasets. The mRNA expression levels in human tissues are based on RNA-seq data generated by the Human Protein Atlas (HPA), Genotype-Tissue Expression (GTEx) portal and CAGE data generated by the FANTOM5 consortium. Consensus normalized expression levels for human tissues was created by combining the data from HPA and GTEx datasets.

The mRNA expression levels in pig are based on RNA-seq data generated by the Human Protein Atlas (HPA), and for mouse, HPA data and in situ hybridization generated by the Allen brain atlas are reported.

Scroll down to view mRNA expression data in more detail.
Consensus:14.9 nTPM
HPA:14.9 nTPM
GTEx:8.4 nTPM

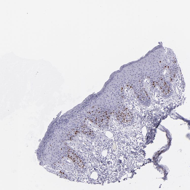
SKIN 1 - Antibody stainingi

Antibody staining in the annotated cell types in the current human tissue is reported as not detected, low, medium, or high, based on conventional immunohistochemistry profiling in selected tissues. This score is based on the combination of the staining intensity and fraction of stained cells.

Each image is clickable and will lead to virtual microscopy that enables deeper exploration of all samples and also displays staining intensity scores, fraction scores and subcellular localization as well as patient and tissue information for each sample.

Antibody HPA006458Antibody HPA026773Antibody CAB002448
Langerhans -LowHigh
Cells in basal layer Medium--
Cells in corneal layer Not detected--
Cells in granular layer Not detected--
Cells in spinous layer Not detected--
Endothelial cells Not detected--
Extracellular matrix Not detected--
Fibroblasts -Not detectedNot detected
Fibrohistiocytic cells Not detected--
Keratinocytes -LowMedium
Langerhans cells Not detected--
Lymphocytes Not detected--
Melanocytes Not detectedNot detectedNot detected
Vascular mural cells Not detected--



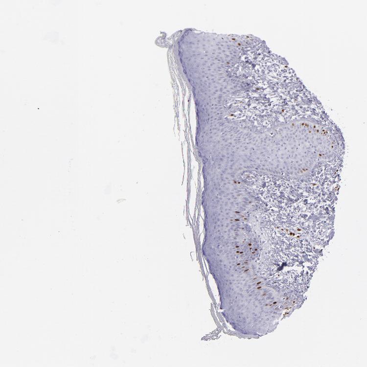
SKIN 2 - Antibody stainingi

Antibody staining in the annotated cell types in the current human tissue is reported as not detected, low, medium, or high, based on conventional immunohistochemistry profiling in selected tissues. This score is based on the combination of the staining intensity and fraction of stained cells.

Each image is clickable and will lead to virtual microscopy that enables deeper exploration of all samples and also displays staining intensity scores, fraction scores and subcellular localization as well as patient and tissue information for each sample.

Antibody HPA006458Antibody HPA026773Antibody CAB002448
Cells in basal layer High--
Cells in corneal layer Not detected--
Cells in granular layer Not detected--
Cells in spinous layer Medium--
Endothelial cells Not detected--
Epidermal cells -MediumMedium
Extracellular matrix Not detected--
Fibrohistiocytic cells Medium--
Langerhans cells Not detected--
Lymphocytes Not detected--
Melanocytes Medium--
Vascular mural cells Not detected--
   
   



SKIN - HPA RNA-seqi

The RNA-seq details section shows detailed information about the individual samples used for the transcript profiling and results of the RNA-seq analysis.

Information about each individual sample is listed below, including gender, age, a tissue section image and estimated fractions of cell types. nTPM (normalized transcripts per million) values give a quantification of the gene abundance which is comparable between different genes and samples.
Average nTPMi

Max subtype nTPM is the value for the subtype with the largest average nTPM across the subtype samples.

14.9
overview
Female, age 34
Skin sample 225
nTPM: 15.2
Cell types%
Keratinocytes:
60

Other cell types:
40

overview
Female, age 30
Skin sample 226
nTPM: 16.5
Cell types%
Keratinocytes:
55

Other cell types:
45

N/A
Male, age 57
Skin sample 227
nTPM: 12.9

SKIN - GTEx RNA-seqi

RNA-Seq data generated by the Genotype-Tissue Expression (GTEx) project from human tissues is reported as mean nTPM. More information can be found on the GTEx portal.

Distribution across the dataset is visualized with box plots, shown as median and 25th and 75th percentiles. Points are displayed as outliers if they are above or below 1.5 times the interquartile range. nTPM values of the individual samples are presented next to the box plot.
Max subtype nTPMi

Max subtype nTPM is the value for the subtype with the largest average nTPM across the subtype samples.

8.4
GTEx sample id Sample description nTPM
Skin - Not Sun Exposed (Suprapubic)
Average nTPM: 8.4
Samples: 604

Max nTPM: 31.9
Min nTPM: 0.3
Std nTPM: 5.6
Median nTPM: 6.9
GTEX-1F6RS-2026-SM-7RHHC 60-69 years, female 31.9
GTEX-ZAB4-2126-SM-5HL8U 40-49 years, male 31.5
GTEX-1399Q-2326-SM-5KM2X 40-49 years, male 31.0
GTEX-13N11-2326-SM-5IJBF 50-59 years, female 26.9
GTEX-ZTTD-2826-SM-4YCFA 50-59 years, male 26.8
GTEX-ZVTK-0226-SM-51MRG 20-29 years, male 26.7
GTEX-15SHW-0226-SM-7LTAT 60-69 years, male 26.3
GTEX-1E2YA-2126-SM-7MXUO 50-59 years, male 25.8
GTEX-111VG-1626-SM-5EGIO 60-69 years, male 25.7
GTEX-13NYB-0126-SM-5J1MD 40-49 years, male 25.5
GTEX-W5X1-2526-SM-3GILC 40-49 years, female 25.2
GTEX-12WSK-2126-SM-5CVNC 40-49 years, female 25.1
GTEX-1J1OQ-0126-SM-D4P2N 40-49 years, female 25.0
GTEX-1O9I2-0226-SM-EYYXD 50-59 years, male 25.0
GTEX-1JMQL-2226-SM-CNPP4 50-59 years, female 24.9
GTEX-15DDE-2926-SM-6LLJ3 50-59 years, female 23.9
GTEX-1GN1U-0626-SM-9MQL9 50-59 years, female 23.4
GTEX-16GPK-0626-SM-7KFSF 60-69 years, male 22.9
GTEX-ZC5H-1526-SM-5HL9Y 40-49 years, female 22.9
GTEX-ZE9C-2526-SM-5IJDR 60-69 years, male 22.8
GTEX-15ER7-0626-SM-6PANF 20-29 years, female 22.7
GTEX-1ICG6-1226-SM-A9SLN 70-79 years, female 22.6
GTEX-1J8EW-2726-SM-CY8HR 60-69 years, female 21.8
GTEX-1313W-0626-SM-5EQ4H 50-59 years, female 21.5
GTEX-1QAET-0326-SM-EVR3U 50-59 years, male 21.5
GTEX-1GN1V-2826-SM-9JGIA 60-69 years, male 21.1
GTEX-16MT9-0126-SM-7EPI8 60-69 years, female 20.7
GTEX-1HC8U-1326-SM-9YFMJ 40-49 years, female 20.6
GTEX-1AX9J-1326-SM-731BJ 60-69 years, male 20.4
GTEX-13JVG-0726-SM-5KM16 60-69 years, male 20.3
GTEX-1KD5A-0126-SM-E9U54 50-59 years, male 20.3
GTEX-18A6Q-0626-SM-7KFRP 60-69 years, male 20.2
GTEX-1B8KZ-0326-SM-73KY4 50-59 years, male 20.2
GTEX-ZYY3-2926-SM-5GIEB 60-69 years, female 19.5
GTEX-17HG3-2626-SM-7DUF2 30-39 years, female 19.0
GTEX-13FHO-0426-SM-5L3F5 60-69 years, male 18.9
GTEX-ZT9X-1526-SM-5DUXD 40-49 years, male 18.9
GTEX-13NZ8-1226-SM-5KM4A 60-69 years, female 18.8
GTEX-WYBS-0626-SM-3NMAS 60-69 years, female 18.7
GTEX-144GO-2026-SM-5O99P 60-69 years, male 18.6
GTEX-1EU9M-1426-SM-793AI 60-69 years, male 18.5
GTEX-12WSD-0626-SM-5GCMW 60-69 years, female 18.4
GTEX-14C38-0726-SM-5SI6M 50-59 years, male 18.4
GTEX-15DYW-2726-SM-6EU2I 60-69 years, female 18.4
GTEX-17KNJ-2126-SM-718AM 50-59 years, male 18.1
GTEX-18A67-1626-SM-7LT9T 50-59 years, male 17.9
GTEX-WXYG-2026-SM-4E3IY 50-59 years, female 17.9
GTEX-145MF-0926-SM-5Q5EA 50-59 years, male 17.8
GTEX-1I1GP-1326-SM-A9G28 50-59 years, male 17.8
GTEX-ZE7O-2726-SM-51MT5 50-59 years, female 17.7
GTEX-ZYT6-2326-SM-5GZY3 30-39 years, male 17.4
GTEX-1POEN-2326-SM-E9J2L 30-39 years, female 17.4
GTEX-1GL5R-1326-SM-7RHHF 50-59 years, male 17.0
GTEX-1LSNL-2726-SM-E9TKJ 50-59 years, male 17.0
GTEX-145MG-1526-SM-5Q5EM 50-59 years, male 16.8
GTEX-15SKB-2826-SM-6PAMH 60-69 years, male 16.4
GTEX-11PRG-0726-SM-5EGL1 50-59 years, male 16.1
GTEX-1B8L1-2226-SM-7P8PT 60-69 years, male 16.1
GTEX-1H3O1-1326-SM-9MQLD 60-69 years, male 16.0
GTEX-14BMV-2826-SM-5TDED 50-59 years, male 15.9
GTEX-12WSC-2826-SM-5BC5Y 50-59 years, male 15.8
GTEX-YECK-0326-SM-4W1YS 60-69 years, male 15.8
GTEX-13PL6-1126-SM-5L3IE 40-49 years, female 15.7
GTEX-16YQH-2226-SM-7IGM2 30-39 years, male 15.7
GTEX-183WM-0326-SM-72D5V 70-79 years, female 15.7
GTEX-XAJ8-1426-SM-47JYM 40-49 years, male 15.7
GTEX-1A8FM-0626-SM-7PC25 50-59 years, female 15.6
GTEX-1AYD5-2626-SM-7PBXY 50-59 years, male 15.4
GTEX-11GSP-2326-SM-5HL63 60-69 years, female 15.3
GTEX-13FTY-2126-SM-5IFFB 40-49 years, female 15.3
GTEX-139UW-0326-SM-5J1ML 60-69 years, male 15.2
GTEX-1269C-0126-SM-5EQ5L 60-69 years, female 15.1
GTEX-1OJC4-2726-SM-E76PJ 50-59 years, female 15.0
GTEX-147GR-2426-SM-5ZZWQ 60-69 years, male 14.8
GTEX-WYJK-0526-SM-3NM8Z 50-59 years, male 14.4
GTEX-XK95-0226-SM-4AT58 40-49 years, male 14.4
GTEX-17EVQ-0126-SM-7IGLR 70-79 years, male 14.0
GTEX-1R9PM-1926-SM-EVR3O 20-29 years, male 14.0
GTEX-11P7K-1126-SM-5HL4L 30-39 years, male 13.9
GTEX-1IL2V-1926-SM-B2LW8 70-79 years, male 13.8
GTEX-WFG7-2026-SM-5SI7P 20-29 years, male 13.7
GTEX-1C6VR-0126-SM-7RHGB 60-69 years, male 13.7
GTEX-1IDFM-0326-SM-ARL7V 60-69 years, male 13.7
GTEX-12696-0126-SM-5EQ4L 60-69 years, male 13.6
GTEX-11GS4-0226-SM-5HL77 60-69 years, male 13.5
GTEX-13N1W-2426-SM-5IJD1 70-79 years, male 13.5
GTEX-1A8G7-1326-SM-73KVM 60-69 years, male 13.5
GTEX-XOT4-0626-SM-4B66L 60-69 years, female 13.5
GTEX-12KS4-2126-SM-5FQUT 30-39 years, male 13.4
GTEX-1RLM8-2926-SM-E8VON 50-59 years, male 13.4
GTEX-13RTJ-0126-SM-5S2NN 60-69 years, male 13.3
GTEX-145MH-2826-SM-5RQJF 50-59 years, male 13.3
GTEX-16NPX-0726-SM-7KULC 50-59 years, male 13.3
GTEX-1C6VQ-1226-SM-73KYD 50-59 years, male 13.3
GTEX-1S5ZU-2526-SM-E6CIF 20-29 years, female 13.3
GTEX-14PHY-1226-SM-5ZZWK 60-69 years, female 13.2
GTEX-15UF6-1926-SM-7KUDV 70-79 years, female 13.2
GTEX-1HBPI-2126-SM-ARL9K 50-59 years, male 13.2
GTEX-1A8G6-2726-SM-731AR 60-69 years, male 13.1
GTEX-XMD2-2126-SM-4YCF8 60-69 years, female 13.1
GTEX-1F6I4-2326-SM-7RHGL 60-69 years, male 13.1
GTEX-11DXW-0826-SM-5H118 40-49 years, male 13.0
GTEX-12ZZX-2426-SM-5GCOE 40-49 years, female 13.0
GTEX-13NZ9-2626-SM-5L3FK 50-59 years, male 13.0
GTEX-1BAJH-2426-SM-7IGP8 70-79 years, male 13.0
GTEX-132AR-0326-SM-5KM2C 50-59 years, female 12.9
GTEX-13X6K-0626-SM-5LU5D 60-69 years, female 12.9
GTEX-15EO6-2426-SM-6PALZ 50-59 years, male 12.9
GTEX-1JMOU-1026-SM-CYPSS 60-69 years, female 12.9
GTEX-1JMPZ-0726-SM-CY8HZ 30-39 years, male 12.9
GTEX-1GF9U-2026-SM-7SB92 40-49 years, female 12.8
GTEX-1H1CY-0126-SM-9YFLY 60-69 years, female 12.8
GTEX-ZUA1-2626-SM-5NQ92 40-49 years, male 12.7
GTEX-ZYFC-0426-SM-5GICQ 50-59 years, male 12.7
GTEX-145LS-0626-SM-7EPG7 60-69 years, female 12.6
GTEX-1F5PL-0926-SM-7PC2W 40-49 years, female 12.6
GTEX-13G51-1826-SM-5KLZH 60-69 years, male 12.5
GTEX-144GL-0626-SM-5LU4D 50-59 years, male 12.5
GTEX-WFON-1926-SM-3LK7L 40-49 years, male 12.5
GTEX-1122O-1026-SM-9WYSF 60-69 years, female 12.5
GTEX-1KANB-2826-SM-CY8I6 50-59 years, male 12.5
GTEX-11ZUS-2626-SM-5FQUR 30-39 years, male 12.4
GTEX-1N5O9-0926-SM-E9J3C 60-69 years, male 12.4
GTEX-11O72-0626-SM-5PNYE 40-49 years, male 12.3
GTEX-1JN76-0626-SM-CKZOQ 20-29 years, female 12.3
GTEX-13X6J-0626-SM-5LU5F 50-59 years, male 12.2
GTEX-ZDTT-0426-SM-4WKFL 60-69 years, male 12.2
GTEX-1GN2E-0226-SM-9WG6K 60-69 years, male 12.2
GTEX-1KWVE-1026-SM-D3L9O 30-39 years, male 12.2
GTEX-1GMR3-0126-SM-A9SLW 40-49 years, male 12.1
GTEX-13SLX-2226-SM-62LEP 50-59 years, female 12.0
GTEX-1I1HK-2326-SM-CKZOH 60-69 years, male 12.0
GTEX-WRHU-2826-SM-3MJG8 50-59 years, female 11.9
GTEX-ZVT4-2426-SM-5GIEI 50-59 years, female 11.9
GTEX-18A7A-0126-SM-731AH 50-59 years, female 11.7
GTEX-1LB8K-0726-SM-D5OV2 50-59 years, male 11.7
GTEX-1MCYP-0526-SM-E9U6Q 20-29 years, female 11.7
GTEX-13O3O-2326-SM-5IJD6 60-69 years, female 11.6
GTEX-14A6H-2026-SM-5Q5DD 30-39 years, male 11.5
GTEX-14PHX-2226-SM-6EU2P 50-59 years, male 11.5
GTEX-1JJE9-2626-SM-ARZMT 70-79 years, male 11.5
GTEX-1PIGE-1826-SM-E8VOU 20-29 years, male 11.5
GTEX-145LU-1926-SM-79OJN 50-59 years, male 11.4
GTEX-1I19N-0126-SM-CYPSF 70-79 years, male 11.4
GTEX-1IOXB-2726-SM-CM2RI 50-59 years, male 11.4
GTEX-1314G-1326-SM-5BC6E 30-39 years, male 11.3
GTEX-1F6IF-0926-SM-7SB7M 60-69 years, male 11.3
GTEX-1RAZA-2226-SM-E9U4X 20-29 years, male 11.3
GTEX-11WQK-1026-SM-5EQLX 50-59 years, male 11.2
GTEX-147JS-0226-SM-5S2U9 60-69 years, male 11.1
GTEX-14ABY-2026-SM-62LDL 50-59 years, male 11.1
GTEX-18465-2826-SM-7LT9J 50-59 years, male 11.1
GTEX-1JMQJ-0826-SM-CNPP7 50-59 years, male 11.1
GTEX-X4EO-2926-SM-4E3JH 60-69 years, female 11.0
GTEX-WY7C-2126-SM-3NB2R 50-59 years, male 10.9
GTEX-13X6I-1826-SM-5SIAO 60-69 years, male 10.8
GTEX-WK11-2726-SM-3NMAQ 50-59 years, male 10.7
GTEX-ZVE1-0726-SM-51MRN 50-59 years, female 10.7
GTEX-1H1DG-2426-SM-9QEHJ 70-79 years, male 10.7
GTEX-13D11-0926-SM-5J2NC 50-59 years, female 10.6
GTEX-13NYC-0126-SM-5L3F4 60-69 years, male 10.6
GTEX-ZF29-0926-SM-4WKFZ 60-69 years, female 10.6
GTEX-1I1GV-0626-SM-ARL7M 60-69 years, male 10.6
GTEX-1K2DU-1226-SM-CYPT4 20-29 years, male 10.5
GTEX-1QPFJ-1926-SM-EVYBD 30-39 years, female 10.5
GTEX-12WSM-1926-SM-5BC65 60-69 years, male 10.4
GTEX-14C5O-0326-SM-5ZZUX 60-69 years, male 10.4
GTEX-14JG1-1526-SM-5YY9X 40-49 years, male 10.4
GTEX-1E1VI-0326-SM-793D1 50-59 years, male 10.4
GTEX-1212Z-0126-SM-59HK4 60-69 years, male 10.3
GTEX-Y5V6-2326-SM-4VDSA 60-69 years, male 10.2
GTEX-ZYFD-0626-SM-5E44E 50-59 years, male 10.2
GTEX-ZLV1-1526-SM-DO91J 60-69 years, female 10.2
GTEX-13VXU-0626-SM-5L3F9 50-59 years, male 10.0
GTEX-WFG8-2126-SM-3GIKQ 20-29 years, male 10.0
GTEX-14JFF-0626-SM-5ZZVT 60-69 years, male 10.0
GTEX-1CAMS-2226-SM-7PBXQ 40-49 years, female 10.0
GTEX-X3Y1-2026-SM-3P5YM 40-49 years, male 9.9
GTEX-1HCUA-0826-SM-ADEHM 50-59 years, female 9.8
GTEX-1QMI2-2526-SM-E8VNZ 60-69 years, male 9.7
GTEX-ZDTS-0826-SM-4WKHL 60-69 years, male 9.6
GTEX-ZYVF-0926-SM-5E44J 50-59 years, female 9.6
GTEX-1I1GU-0926-SM-ACKVS 40-49 years, male 9.6
GTEX-13OW6-2726-SM-5J2OE 50-59 years, male 9.5
GTEX-XQ3S-1426-SM-4BOPR 20-29 years, male 9.5
GTEX-131XW-0626-SM-5PNVD 50-59 years, female 9.4
GTEX-16MT8-2926-SM-7DUFO 60-69 years, female 9.4
GTEX-17F9Y-0126-SM-79OKX 70-79 years, female 9.4
GTEX-1F88E-1626-SM-7SB8Z 60-69 years, female 9.4
GTEX-1H1DE-1326-SM-9KNUG 20-29 years, male 9.4
GTEX-1J8Q3-0526-SM-ARL8U 60-69 years, male 9.4
GTEX-1LKK1-2626-SM-DKPQE 50-59 years, female 9.4
GTEX-13QBU-1226-SM-5LU4G 40-49 years, female 9.2
GTEX-14E6E-0526-SM-793DN 30-39 years, male 9.2
GTEX-17MFQ-1526-SM-7KFRR 20-29 years, male 9.2
GTEX-1B8SF-0126-SM-7DUG3 60-69 years, male 9.2
GTEX-XBED-1926-SM-47JYP 60-69 years, male 9.2
GTEX-1RB15-1326-SM-E76Q9 60-69 years, male 9.2
GTEX-12C56-1526-SM-5FQUQ 20-29 years, male 9.1
GTEX-15RJ7-2126-SM-6PAMD 40-49 years, male 9.1
GTEX-1B933-2426-SM-7DHMD 50-59 years, female 9.1
GTEX-1EMGI-2326-SM-7PBYA 60-69 years, male 9.1
GTEX-1GF9V-0826-SM-9KNUV 60-69 years, male 9.1
GTEX-1AX8Z-0726-SM-73KTS 60-69 years, male 9.0
GTEX-1HCU6-2526-SM-ADEHL 60-69 years, female 9.0
GTEX-1EKGG-0626-SM-7DUGJ 60-69 years, male 8.9
GTEX-X585-2426-SM-46MW2 50-59 years, male 8.9
GTEX-ZYW4-0626-SM-59HJR 60-69 years, male 8.9
GTEX-1HT8W-0626-SM-A9G2H 30-39 years, male 8.9
GTEX-1IKOE-1426-SM-CE6T7 30-39 years, female 8.9
GTEX-13X6H-0926-SM-5SIB2 50-59 years, female 8.8
GTEX-1LG7Y-2526-SM-EWRO7 50-59 years, male 8.8
GTEX-1N2EE-0626-SM-E76PW 60-69 years, male 8.8
GTEX-139TU-0726-SM-5L3EK 60-69 years, male 8.7
GTEX-YEC4-1826-SM-4W1YP 40-49 years, male 8.7
GTEX-1IDJC-1526-SM-B2LW4 50-59 years, male 8.7
GTEX-1211K-1526-SM-5FQU4 60-69 years, female 8.6
GTEX-1C475-1326-SM-7SB73 40-49 years, female 8.6
GTEX-1HSMQ-2626-SM-A9SML 50-59 years, male 8.6
GTEX-1B932-2326-SM-79OL5 40-49 years, female 8.5
GTEX-Y9LG-1126-SM-4VBQ7 30-39 years, male 8.5
GTEX-11WQC-1826-SM-5GU59 60-69 years, male 8.4
GTEX-14PKU-0126-SM-6LLHV 40-49 years, female 8.4
GTEX-1AX9I-2226-SM-73KUO 60-69 years, male 8.4
GTEX-1J8QM-2426-SM-A9SLS 60-69 years, female 8.4
GTEX-139TT-2126-SM-5LZWC 60-69 years, male 8.3
GTEX-14LZ3-0126-SM-69LPM 60-69 years, female 8.3
GTEX-1A32A-0626-SM-731AQ 50-59 years, female 8.3
GTEX-1H1DF-1126-SM-9WG7G 40-49 years, female 8.3
GTEX-1HBPN-0126-SM-CGQEF 50-59 years, male 8.3
GTEX-13112-0126-SM-5P9IU 50-59 years, male 8.2
GTEX-WHPG-2626-SM-3NMBR 50-59 years, male 8.2
GTEX-ZDXO-3126-SM-5IJDF 60-69 years, male 8.2
GTEX-11P81-2226-SM-5PNYI 30-39 years, female 8.1
GTEX-16NGA-0726-SM-731AO 40-49 years, female 8.1
GTEX-V1D1-2026-SM-3GAF4 50-59 years, male 8.1
GTEX-YJ8O-2526-SM-5HL85 40-49 years, female 8.1
GTEX-ZAK1-0626-SM-5HL8E 50-59 years, female 8.0
GTEX-1C64N-2626-SM-7PC2N 50-59 years, male 8.0
GTEX-1F75A-0726-SM-7RHHD 50-59 years, male 8.0
GTEX-1H1E6-0426-SM-9WYUS 30-39 years, male 8.0
GTEX-1J8JJ-0626-SM-ARZMQ 60-69 years, female 8.0
GTEX-11UD2-2526-SM-5CVNU 50-59 years, male 7.9
GTEX-13IVO-0726-SM-5LZYV 70-79 years, male 7.9
GTEX-15RIE-1926-SM-7KUKJ 60-69 years, male 7.9
GTEX-1EN7A-2426-SM-793DB 40-49 years, male 7.9
GTEX-XXEK-1626-SM-4BRUZ 50-59 years, male 7.9
GTEX-1F75W-2726-SM-7SB8H 60-69 years, male 7.9
GTEX-1GMRU-2126-SM-7P8RA 50-59 years, male 7.9
GTEX-1M4P7-0726-SM-E6CJ3 60-69 years, male 7.9
GTEX-1CB4H-1126-SM-7MKGL 60-69 years, female 7.8
GTEX-ZZPU-0826-SM-5GZX5 50-59 years, female 7.8
GTEX-11TUW-0626-SM-5LU9M 60-69 years, male 7.7
GTEX-13OW5-2326-SM-5L3HO 60-69 years, male 7.7
GTEX-17HII-1426-SM-7EPGG 50-59 years, male 7.7
GTEX-183FY-1026-SM-7939A 20-29 years, male 7.7
GTEX-1JMLX-0626-SM-ARL8T 50-59 years, male 7.7
GTEX-111CU-1126-SM-5EGIM 50-59 years, male 7.6
GTEX-12ZZY-0726-SM-5EQ66 60-69 years, male 7.6
GTEX-131XG-0326-SM-5L3DX 50-59 years, female 7.6
GTEX-14E1K-2026-SM-7DUEI 50-59 years, male 7.6
GTEX-1HFI7-2326-SM-CGQFS 50-59 years, female 7.6
GTEX-1PPH7-1126-SM-DTX9A 40-49 years, male 7.6
GTEX-11ZU8-0126-SM-5EQ58 60-69 years, male 7.5
GTEX-145LT-0526-SM-5LUB2 40-49 years, male 7.5
GTEX-145MI-0626-SM-5SI8S 60-69 years, female 7.5
GTEX-1F52S-2926-SM-7MKGA 60-69 years, female 7.5
GTEX-YF7O-1526-SM-5IFI6 50-59 years, male 7.5
GTEX-1HSKV-1226-SM-ADEI4 60-69 years, male 7.5
GTEX-111YS-1526-SM-5GZYW 60-69 years, male 7.4
GTEX-13FLV-0126-SM-5K7WT 50-59 years, male 7.4
GTEX-14753-0726-SM-5QGQO 60-69 years, male 7.4
GTEX-14B4R-1326-SM-5Q5EZ 30-39 years, male 7.4
GTEX-ZZ64-1026-SM-5GZXG 20-29 years, male 7.4
GTEX-11TT1-1826-SM-5EQLV 20-29 years, male 7.3
GTEX-13FTW-0326-SM-5K7UW 40-49 years, male 7.3
GTEX-13YAN-0226-SM-5TDC6 60-69 years, male 7.3
GTEX-14PJ5-1526-SM-6LLIL 60-69 years, female 7.3
GTEX-1H1ZS-2726-SM-9WG75 70-79 years, male 7.3
GTEX-13SLW-0626-SM-5Q5ER 70-79 years, male 7.2
GTEX-13U4I-2226-SM-5LU5H 40-49 years, female 7.2
GTEX-145MO-2826-SM-5LU96 60-69 years, male 7.2
GTEX-17HHY-0426-SM-7DHLC 50-59 years, male 7.2
GTEX-WHSB-1326-SM-3LK6W 50-59 years, male 7.2
GTEX-XBEC-0726-SM-4QARZ 50-59 years, male 7.2
GTEX-1HFI6-0126-SM-CNPPI 40-49 years, male 7.2
GTEX-1IE54-1126-SM-A9G2Z 40-49 years, female 7.2
GTEX-1L5NE-1126-SM-D3L9P 50-59 years, male 7.2
GTEX-1LG7Z-1626-SM-CXKYR 30-39 years, male 7.2
GTEX-1PIIG-2326-SM-DTXFR 30-39 years, male 7.2
GTEX-11LCK-2226-SM-5HL4Q 30-39 years, male 7.1
GTEX-12126-0826-SM-5FQTZ 20-29 years, male 7.1
GTEX-13OVL-0126-SM-5L3GJ 50-59 years, male 7.1
GTEX-XPVG-2126-SM-4B667 50-59 years, male 7.1
GTEX-ZF2S-1626-SM-57WES 50-59 years, female 7.1
GTEX-1I1CD-0626-SM-CE6SW 60-69 years, female 7.1
GTEX-14XAO-1226-SM-6EU1C 60-69 years, female 7.0
GTEX-1CB4E-0926-SM-7EPHT 60-69 years, male 7.0
GTEX-1HR98-2226-SM-ADEI2 60-69 years, male 7.0
GTEX-1HR9M-2226-SM-CNPPY 60-69 years, male 7.0
GTEX-1QEPI-2626-SM-DTXF4 60-69 years, female 7.0
GTEX-1RAZS-2526-SM-E6CHT 50-59 years, male 7.0
GTEX-11VI4-1126-SM-5EQMD 40-49 years, female 6.9
GTEX-15RJE-2826-SM-7KUM9 40-49 years, male 6.9
GTEX-WH7G-2026-SM-3NMBL 40-49 years, male 6.9
GTEX-1GN73-0726-SM-7P8TJ 60-69 years, male 6.9
GTEX-1HSMP-0926-SM-A9SKX 70-79 years, male 6.9
GTEX-1I6K7-1926-SM-B2LXR 40-49 years, male 6.9
GTEX-1LVA9-2626-SM-EVYD4 50-59 years, male 6.9
GTEX-1LVAM-0726-SM-E6CIL 50-59 years, female 6.9
GTEX-1JMPY-0226-SM-CKZOK 30-39 years, male 6.8
GTEX-ZWKS-0626-SM-5GIDV 30-39 years, male 6.7
GTEX-1JJEA-1826-SM-ARU8P 60-69 years, male 6.7
GTEX-14PII-0726-SM-6EU2B 60-69 years, male 6.6
GTEX-1HB9E-0126-SM-CM2S5 50-59 years, male 6.6
GTEX-1HCVE-2726-SM-CL54F 50-59 years, male 6.6
GTEX-1LGRB-0926-SM-COH3K 50-59 years, female 6.6
GTEX-11DXY-0126-SM-5H11Q 60-69 years, male 6.5
GTEX-11NUK-2726-SM-5A5MC 50-59 years, male 6.5
GTEX-12WSA-0426-SM-5EQ5X 60-69 years, male 6.5
GTEX-13PDP-0726-SM-5L3HP 60-69 years, male 6.5
GTEX-144GM-0526-SM-79OJO 20-29 years, male 6.5
GTEX-1B996-0426-SM-7EWF8 60-69 years, male 6.5
GTEX-1C6WA-2626-SM-7MKGM 60-69 years, male 6.5
GTEX-1F75B-0726-SM-7PC3R 50-59 years, male 6.5
GTEX-1GZHY-0626-SM-9KNVC 50-59 years, female 6.5
GTEX-1IDJV-0126-SM-COH3Y 60-69 years, male 6.5
GTEX-1JJ6O-2726-SM-CNPOG 60-69 years, male 6.5
GTEX-1PPGY-1626-SM-EVYBL 60-69 years, male 6.5
GTEX-131YS-2826-SM-5EQ47 60-69 years, female 6.4
GTEX-13NYS-0626-SM-5L3F1 60-69 years, male 6.4
GTEX-14DAQ-0626-SM-793DS 60-69 years, female 6.4
GTEX-1AMEY-0826-SM-72D65 30-39 years, female 6.4
GTEX-Z93S-1626-SM-5CVMB 50-59 years, male 6.4
GTEX-1JMQI-1726-SM-ARL93 50-59 years, male 6.4
GTEX-11EM3-1226-SM-5N9DD 20-29 years, female 6.3
GTEX-11NSD-0626-SM-5A5LU 20-29 years, male 6.3
GTEX-15G19-2426-SM-7KUMR 60-69 years, male 6.3
GTEX-WYVS-1626-SM-3NM9R 40-49 years, female 6.3
GTEX-1H23P-0626-SM-9WG6T 60-69 years, male 6.3
GTEX-139TS-2126-SM-5K7XC 60-69 years, male 6.2
GTEX-14BIN-1126-SM-5RQJZ 50-59 years, female 6.2
GTEX-178AV-1726-SM-7KUL8 40-49 years, male 6.2
GTEX-1GMR8-0626-SM-7RHI7 50-59 years, female 6.2
GTEX-1GPI6-1926-SM-9KNV7 60-69 years, male 6.2
GTEX-1GZ4I-2626-SM-9KNU3 50-59 years, male 6.2
GTEX-1LGOU-1326-SM-D3L8M 20-29 years, female 6.2
GTEX-13PVR-0426-SM-5RQK2 60-69 years, female 6.1
GTEX-148VJ-0626-SM-5LUAW 70-79 years, male 6.1
GTEX-14PJ6-2626-SM-6EU2T 60-69 years, female 6.1
GTEX-16BQI-1326-SM-6M486 30-39 years, female 6.1
GTEX-ZVE2-2826-SM-5GU51 50-59 years, male 6.1
GTEX-1IDJH-0126-SM-D3L92 70-79 years, male 6.1
GTEX-YEC3-1326-SM-DO92X 50-59 years, male 6.1
GTEX-13PVQ-0626-SM-5LU47 50-59 years, male 6.0
GTEX-14C39-1726-SM-5RQIL 40-49 years, male 6.0
GTEX-17EVP-2626-SM-7IGMA 40-49 years, male 6.0
GTEX-XYKS-1426-SM-4BRUO 60-69 years, female 6.0
GTEX-1HSGN-0826-SM-ACKW3 40-49 years, female 6.0
GTEX-1R7EU-1626-SM-DTXG3 60-69 years, male 6.0
GTEX-ZPIC-0526-SM-DO91W 40-49 years, female 6.0
GTEX-1H3VE-0726-SM-9YFL5 40-49 years, male 5.9
GTEX-1IDJF-2026-SM-CL53V 20-29 years, male 5.9
GTEX-1LSVX-2526-SM-DIPEU 60-69 years, male 5.9
GTEX-13OW8-1026-SM-5J1NQ 60-69 years, male 5.8
GTEX-14PK6-0226-SM-62LF5 70-79 years, female 5.8
GTEX-ZPCL-1126-SM-4WWFE 60-69 years, female 5.8
GTEX-ZPU1-1126-SM-4YCF3 40-49 years, male 5.8
GTEX-1F48J-0726-SM-7RHGS 50-59 years, female 5.8
GTEX-1GN1W-2426-SM-9KNUU 50-59 years, female 5.8
GTEX-1RAZR-2126-SM-E9U6T 40-49 years, male 5.8
GTEX-1S831-1826-SM-EWROF 20-29 years, male 5.8
GTEX-13FTX-1526-SM-5K7VJ 20-29 years, female 5.7
GTEX-1HSMO-0626-SM-ACKXC 60-69 years, male 5.7
GTEX-1IKJJ-2226-SM-CJI4C 60-69 years, male 5.7
GTEX-1PDJ9-1226-SM-EXUSX 20-29 years, male 5.7
GTEX-11DYG-1526-SM-5A5JS 60-69 years, male 5.6
GTEX-15FZZ-0526-SM-7KUGD 30-39 years, female 5.6
GTEX-ZVT2-0126-SM-5GIDQ 50-59 years, female 5.6
GTEX-1J1R8-2026-SM-CL53Y 40-49 years, male 5.6
GTEX-1J8Q2-2626-SM-ACKWQ 60-69 years, male 5.6
GTEX-1PBJJ-1026-SM-E76OS 30-39 years, male 5.6
GTEX-11OF3-0126-SM-5PNYF 60-69 years, male 5.5
GTEX-13OVJ-0826-SM-5J1OK 50-59 years, female 5.5
GTEX-18A7B-2726-SM-7LG56 70-79 years, male 5.5
GTEX-18D9B-0926-SM-7LG4U 60-69 years, male 5.5
GTEX-1QW4Y-1126-SM-DTXE3 30-39 years, male 5.5
GTEX-12WSF-1626-SM-7KUG5 70-79 years, male 5.4
GTEX-13O3Q-0126-SM-5KM34 50-59 years, male 5.4
GTEX-13OVG-1626-SM-5J1NF 60-69 years, male 5.4
GTEX-144FL-0626-SM-5LU43 50-59 years, male 5.4
GTEX-15CHQ-0326-SM-69LQD 60-69 years, male 5.4
GTEX-15EU6-2226-SM-6EU2L 50-59 years, male 5.4
GTEX-ZY6K-1426-SM-5GZX2 50-59 years, male 5.4
GTEX-1CAMQ-1326-SM-7P8RV 40-49 years, male 5.4
GTEX-1F88F-0126-SM-9WYSZ 60-69 years, female 5.4
GTEX-1HCU7-0726-SM-A9SL1 50-59 years, male 5.4
GTEX-1IDJE-1426-SM-ADEIW 50-59 years, female 5.4
GTEX-1QP66-1226-SM-DTX7U 50-59 years, male 5.4
GTEX-11ZTT-2126-SM-5CVLO 60-69 years, female 5.3
GTEX-131XH-0126-SM-5LZUY 50-59 years, male 5.3
GTEX-17MF6-2626-SM-79OKQ 40-49 years, male 5.3
GTEX-WI4N-2726-SM-3LK7Y 40-49 years, female 5.3
GTEX-1H11D-1826-SM-9QEHM 40-49 years, male 5.3
GTEX-1IDJU-1726-SM-CMKHU 60-69 years, female 5.3
GTEX-1IY9M-2826-SM-ARU8H 60-69 years, male 5.3
GTEX-147F4-0726-SM-5TDDD 50-59 years, male 5.2
GTEX-14LLW-2626-SM-62LDZ 70-79 years, female 5.2
GTEX-17F96-0126-SM-7EWDU 70-79 years, male 5.2
GTEX-17JCI-2926-SM-7DUFF 60-69 years, female 5.2
GTEX-1EWIQ-0326-SM-7DHMQ 70-79 years, female 5.2
GTEX-ZDYS-2426-SM-4WKGI 50-59 years, male 5.2
GTEX-1GZ2Q-0126-SM-9WG6M 40-49 years, male 5.2
GTEX-1KAFJ-0126-SM-DIPEK 50-59 years, male 5.2
GTEX-1LSNM-0826-SM-DIPG8 50-59 years, male 5.2
GTEX-13QJC-0126-SM-5ZZWJ 60-69 years, female 5.1
GTEX-17HGU-2326-SM-7DUFE 50-59 years, male 5.1
GTEX-UPK5-0426-SM-3GAEK 40-49 years, male 5.1
GTEX-X8HC-0626-SM-4E3HQ 50-59 years, female 5.1
GTEX-1R9K4-2826-SM-DTX8F 60-69 years, male 5.1
GTEX-11DXX-2126-SM-5PNYR 60-69 years, female 5.0
GTEX-13N2G-0226-SM-5K7VF 60-69 years, male 5.0
GTEX-13OW7-0426-SM-5K7VK 50-59 years, male 5.0
GTEX-15CHC-1126-SM-6LLHQ 60-69 years, female 5.0
GTEX-Y5V5-0126-SM-5S2NW 60-69 years, female 5.0
GTEX-Y8LW-1526-SM-5IFHL 50-59 years, female 5.0
GTEX-1JMQK-1226-SM-D4P2S 60-69 years, male 5.0
GTEX-1JN1M-2726-SM-CY8I4 60-69 years, female 5.0
GTEX-1S3DN-2126-SM-E9TIN 50-59 years, male 5.0
GTEX-1117F-2926-SM-5GZYI 60-69 years, female 4.9
GTEX-14PJ2-0626-SM-6LLII 50-59 years, male 4.9
GTEX-Y8E4-2026-SM-5IFJB 40-49 years, male 4.9
GTEX-1I6K6-1726-SM-CGQFD 30-39 years, male 4.9
GTEX-1NSGN-0726-SM-DTXEF 50-59 years, male 4.9
GTEX-1QP2A-1726-SM-E76QC 50-59 years, male 4.9
GTEX-1QP9N-1226-SM-E76QN 30-39 years, male 4.9
GTEX-11EQ8-0926-SM-5H12V 60-69 years, male 4.8
GTEX-12WSH-1526-SM-5BC5W 50-59 years, male 4.8
GTEX-14AS3-1526-SM-5Q5ED 40-49 years, female 4.8
GTEX-1CB4F-1026-SM-7DUH1 60-69 years, male 4.8
GTEX-1A3MX-2626-SM-7PC24 60-69 years, male 4.8
GTEX-11EQ9-1626-SM-5PNY8 30-39 years, male 4.7
GTEX-147F3-1726-SM-5SIAW 50-59 years, female 4.7
GTEX-1CB4I-0126-SM-7RHGG 50-59 years, male 4.7
GTEX-1H4P4-2126-SM-9WYSL 50-59 years, male 4.7
GTEX-1IDJD-2326-SM-ACKWX 30-39 years, male 4.7
GTEX-1K9T9-1526-SM-DIPFR 50-59 years, female 4.7
GTEX-1QP29-1826-SM-DTX9S 50-59 years, male 4.7
GTEX-131XF-2626-SM-5EQ6K 60-69 years, male 4.6
GTEX-13FH7-1126-SM-5K7UG 50-59 years, female 4.6
GTEX-1B97I-0626-SM-73KUZ 40-49 years, male 4.6
GTEX-UPJH-0226-SM-3GADV 50-59 years, male 4.6
GTEX-ZTX8-1326-SM-4YCEL 20-29 years, male 4.6
GTEX-1HCU9-0426-SM-9WYSD 20-29 years, male 4.6
GTEX-1HGF4-0126-SM-CNPPX 60-69 years, male 4.6
GTEX-11DZ1-2426-SM-5GZZX 50-59 years, male 4.5
GTEX-14PJ4-0226-SM-5YY92 60-69 years, male 4.5
GTEX-VJYA-1526-SM-3GIJV 60-69 years, male 4.5
GTEX-Y114-2126-SM-4TT8B 50-59 years, female 4.5
GTEX-ZLWG-0826-SM-59888 50-59 years, female 4.5
GTEX-ZXG5-2126-SM-59HKD 60-69 years, male 4.5
GTEX-1JN6P-2926-SM-CL54D 60-69 years, male 4.5
GTEX-1K2DA-1026-SM-CGQGF 50-59 years, male 4.5
GTEX-1OJC3-1226-SM-DTXER 20-29 years, male 4.5
GTEX-12WSL-2026-SM-5GCML 50-59 years, male 4.4
GTEX-14A5H-0826-SM-5QGPJ 60-69 years, male 4.4
GTEX-15G1A-1626-SM-7KUKN 30-39 years, male 4.4
GTEX-14JG6-1426-SM-9WG7C 30-39 years, female 4.4
GTEX-11DXZ-2026-SM-5987S 50-59 years, male 4.3
GTEX-139T8-0626-SM-5KLZX 60-69 years, male 4.3
GTEX-14E6C-2426-SM-5S2NF 40-49 years, male 4.3
GTEX-ZT9W-1126-SM-57WDR 50-59 years, male 4.3
GTEX-ZVZP-1226-SM-5GID7 50-59 years, male 4.3
GTEX-1LVAO-2726-SM-E9TJ8 60-69 years, male 4.3
GTEX-1QP28-1126-SM-EVYC4 50-59 years, female 4.3
GTEX-14PKV-1126-SM-6LLJ1 20-29 years, female 4.2
GTEX-18D9A-1426-SM-7LT8M 30-39 years, female 4.2
GTEX-1H2FU-0926-SM-9WPPT 60-69 years, female 4.2
GTEX-ZF3C-0626-SM-DO92O 50-59 years, female 4.2
GTEX-13JUV-2026-SM-5K7UA 40-49 years, female 4.1
GTEX-WHWD-1826-SM-3LK6I 50-59 years, male 4.1
GTEX-XV7Q-1826-SM-4BRUV 40-49 years, female 4.1
GTEX-ZP4G-1426-SM-4WWCL 20-29 years, female 4.1
GTEX-111FC-2526-SM-5GZXU 60-69 years, male 4.0
GTEX-U8XE-0226-SM-4E3J3 30-39 years, male 4.0
GTEX-1F5PK-2226-SM-7SB6N 50-59 years, male 4.0
GTEX-11EI6-2826-SM-5H11D 60-69 years, male 3.9
GTEX-145ME-1726-SM-5Q5EU 40-49 years, female 3.9
GTEX-145MN-1526-SM-5SI9T 30-39 years, male 3.9
GTEX-15D1Q-2826-SM-6LLH7 40-49 years, male 3.9
GTEX-1R9PN-0426-SM-DTXDT 40-49 years, female 3.9
GTEX-12WSJ-1126-SM-5LZVJ 40-49 years, female 3.8
GTEX-12ZZZ-0726-SM-5GCNZ 60-69 years, male 3.8
GTEX-18A66-0626-SM-7LT8Z 60-69 years, male 3.8
GTEX-1A3MV-1826-SM-731CD 30-39 years, male 3.8
GTEX-VUSG-2326-SM-4KL1U 50-59 years, male 3.8
GTEX-YB5K-2026-SM-4VDT3 40-49 years, female 3.8
GTEX-ZAJG-1526-SM-5CVML 50-59 years, female 3.8
GTEX-1GPI7-1826-SM-9KNU1 20-29 years, male 3.8
GTEX-1JKYR-0626-SM-ARL8R 20-29 years, male 3.8
GTEX-1KANA-1326-SM-DIPFA 20-29 years, male 3.8
GTEX-XUW1-0926-SM-4BONX 50-59 years, female 3.7
GTEX-1KXAM-1626-SM-D3LAD 60-69 years, male 3.7
GTEX-1477Z-0326-SM-7IGLA 60-69 years, male 3.6
GTEX-16MTA-0926-SM-6M47Z 50-59 years, male 3.6
GTEX-16Z82-2626-SM-7KULU 60-69 years, male 3.6
GTEX-1C2JI-1026-SM-73KY1 50-59 years, male 3.6
GTEX-Y111-0626-SM-4SOIT 50-59 years, male 3.6
GTEX-1S83E-1326-SM-E6CJM 40-49 years, male 3.6
GTEX-12584-0726-SM-5FQTK 40-49 years, male 3.5
GTEX-1CAV2-0126-SM-7IGN7 40-49 years, female 3.5
GTEX-Y3I4-1726-SM-4TT89 50-59 years, male 3.5
GTEX-1HUB1-1426-SM-CGQF5 60-69 years, male 3.5
GTEX-1QCLZ-2426-SM-EVYBW 60-69 years, female 3.5
GTEX-1497J-0226-SM-5QGPU 60-69 years, male 3.4
GTEX-XQ8I-0926-SM-4BOOF 50-59 years, male 3.4
GTEX-1CB4J-1326-SM-7P8RX 60-69 years, male 3.4
GTEX-1H3NZ-2726-SM-9WYTQ 60-69 years, male 3.4
GTEX-1HCU8-2526-SM-CE6RX 60-69 years, female 3.4
GTEX-1399R-1326-SM-5PNYS 30-39 years, male 3.3
GTEX-14ICL-1626-SM-5YYAO 30-39 years, male 3.3
GTEX-1A3MW-0626-SM-731CB 60-69 years, female 3.3
GTEX-1EX96-1026-SM-7MKG2 50-59 years, male 3.3
GTEX-1GF9X-1326-SM-7PC2Y 40-49 years, female 3.3
GTEX-1I1GS-2626-SM-B2LY3 60-69 years, male 3.3
GTEX-1399U-1126-SM-5L3DB 50-59 years, female 3.2
GTEX-14DAR-1226-SM-73KYV 50-59 years, male 3.2
GTEX-14PJ3-1126-SM-5ZZVX 50-59 years, male 3.2
GTEX-1EH9U-2826-SM-7DUGT 60-69 years, male 3.2
GTEX-Y5LM-0926-SM-6LLJG 40-49 years, female 3.2
GTEX-11P82-1426-SM-DTXFY 20-29 years, male 3.2
GTEX-15RIG-0726-SM-7KUM7 40-49 years, male 3.1
GTEX-WHSE-0126-SM-3NMBT 20-29 years, male 3.1
GTEX-14PJO-2526-SM-6AJBQ 60-69 years, male 3.0
GTEX-15CHR-1126-SM-7EWF4 50-59 years, male 3.0
GTEX-17F97-2626-SM-7IGM5 50-59 years, male 3.0
GTEX-17F98-1326-SM-7DUEP 40-49 years, female 3.0
GTEX-1B8KE-1126-SM-7EPHI 50-59 years, male 3.0
GTEX-1I1GT-1026-SM-ARZLV 60-69 years, female 3.0
GTEX-13W3W-0726-SM-5IJDQ 60-69 years, female 2.9
GTEX-1HKZK-0726-SM-ACKW2 40-49 years, male 2.9
GTEX-1JKYN-0826-SM-ARU8S 30-39 years, male 2.9
GTEX-1N2DV-1526-SM-DTXEP 40-49 years, male 2.9
GTEX-13OVH-0526-SM-5L3E6 70-79 years, male 2.8
GTEX-13OVK-1426-SM-6PAN7 40-49 years, male 2.8
GTEX-14BMU-1226-SM-5S2OR 20-29 years, female 2.8
GTEX-X5EB-1926-SM-4E3IW 40-49 years, male 2.8
GTEX-1399S-0126-SM-5IJCF 30-39 years, female 2.7
GTEX-16XZZ-0726-SM-7KUF2 60-69 years, male 2.7
GTEX-1HBPM-0726-SM-9YFL7 60-69 years, female 2.7
GTEX-1MJK3-0726-SM-E6CJC 20-29 years, male 2.6
GTEX-ZVP2-0326-SM-57WBP 50-59 years, male 2.5
GTEX-ZGAY-1826-SM-DO91Q 40-49 years, female 2.5
GTEX-16AAH-0626-SM-793C9 50-59 years, male 2.4
GTEX-ZTSS-1426-SM-5985P 40-49 years, male 2.4
GTEX-ZU9S-1826-SM-5NQ9E 30-39 years, male 2.4
GTEX-1GTWX-2026-SM-9YFLM 60-69 years, male 2.4
GTEX-1ICLY-0826-SM-CMKG1 50-59 years, male 2.4
GTEX-1IDJI-0126-SM-CMKHS 50-59 years, female 2.3
GTEX-1KANC-1226-SM-CYPT7 50-59 years, female 2.2
GTEX-1MCC2-1826-SM-DIPEX 30-39 years, female 2.2
GTEX-14PJN-1826-SM-6AJ98 30-39 years, male 2.1
GTEX-18D9U-0126-SM-731BM 40-49 years, male 2.1
GTEX-1GF9W-1426-SM-7PBYM 60-69 years, male 2.1
GTEX-1RMOY-1326-SM-E9TIH 50-59 years, male 2.1
GTEX-133LE-2326-SM-5K7W3 20-29 years, female 2.0
GTEX-1GMR2-0826-SM-7PC3V 50-59 years, male 2.0
GTEX-1LBAC-0826-SM-CY8IJ 20-29 years, male 2.0
GTEX-1NV5F-0626-SM-DTXEG 60-69 years, female 2.0
GTEX-Y3IK-1626-SM-4YCF5 50-59 years, female 1.9
GTEX-1F75I-2226-SM-7SB8U 40-49 years, male 1.9
GTEX-WEY5-2326-SM-3GIKK 40-49 years, female 1.8
GTEX-ZA64-1026-SM-5HL8R 20-29 years, male 1.8
GTEX-1GZ4H-0526-SM-9KNU9 50-59 years, female 1.8
GTEX-1AMFI-1326-SM-7939R 50-59 years, female 1.7
GTEX-ZLFU-1826-SM-4WWBV 40-49 years, male 1.7
GTEX-12BJ1-0926-SM-5EQ62 60-69 years, male 1.6
GTEX-13113-1626-SM-5EQ4I 60-69 years, female 1.6
GTEX-13VXT-1926-SM-5K7UO 20-29 years, female 1.6
GTEX-18QFQ-1826-SM-72D52 30-39 years, male 1.6
GTEX-ZYFG-1526-SM-5GZYM 60-69 years, female 1.6
GTEX-1PPH8-0126-SM-EWRN8 20-29 years, male 1.6
GTEX-1RAZQ-1326-SM-E9TK6 30-39 years, male 1.6
GTEX-1S82P-2126-SM-E6CI5 60-69 years, female 1.6
GTEX-1192X-2726-SM-5N9DN 50-59 years, male 1.4
GTEX-139D8-1126-SM-5LU8W 30-39 years, female 1.4
GTEX-1CAMR-1326-SM-7PC1F 20-29 years, male 1.4
GTEX-17HHE-1326-SM-7EWDZ 50-59 years, male 1.3
GTEX-YFCO-1226-SM-5LUAT 40-49 years, male 1.3
GTEX-1ICLZ-0326-SM-ARL82 60-69 years, male 1.3
GTEX-1LVAN-0626-SM-CNPOQ 50-59 years, female 1.2
GTEX-1QCLY-0226-SM-EWRNH 30-39 years, male 1.2
GTEX-X4EP-0626-SM-3P621 60-69 years, female 1.1
GTEX-1I4MK-0126-SM-CY8G6 50-59 years, female 1.1
GTEX-139YR-1026-SM-5LZYN 50-59 years, male 1.0
GTEX-146FQ-2126-SM-5RQHU 30-39 years, male 1.0
GTEX-XBEW-1126-SM-4QARW 40-49 years, male 1.0
GTEX-1R46S-2426-SM-E76QA 60-69 years, female 0.9
GTEX-17F9E-2326-SM-79OKD 50-59 years, male 0.8
GTEX-1C64O-1326-SM-7MGWR 60-69 years, male 0.7
GTEX-1S82U-1026-SM-E6CJK 30-39 years, female 0.7
GTEX-13O61-1426-SM-5KM3D 60-69 years, male 0.6
GTEX-1JK1U-0226-SM-ARZMX 60-69 years, male 0.4
GTEX-117YX-1926-SM-5GIEC 50-59 years, male 0.3
Show allShow less
Skin - Sun Exposed (Lower leg)
Average nTPM: 7.6
Samples: 701

Max nTPM: 49.8
Min nTPM: 0.3
Std nTPM: 5.2
Median nTPM: 6.5
GTEX-POMQ-2226-SM-2I5FK 20-29 years, female 49.8
GTEX-144FL-0126-SM-5TDC8 50-59 years, male 41.1
GTEX-15SHU-0126-SM-7KUEH 40-49 years, female 31.0
GTEX-1R9K4-0126-SM-DTX9X 60-69 years, male 28.9
GTEX-1EX96-1626-SM-7PBXR 50-59 years, male 26.5
GTEX-183WM-0126-SM-7LTAB 70-79 years, female 26.1
GTEX-1C475-1826-SM-73KWA 40-49 years, female 24.5
GTEX-1MJK2-0426-SM-DTXE5 50-59 years, male 23.7
GTEX-ZQG8-1626-SM-DHXIT 60-69 years, female 23.2
GTEX-13FHP-0126-SM-5IJBG 50-59 years, male 22.9
GTEX-13FHO-0226-SM-5IFGY 60-69 years, male 22.4
GTEX-1M4P7-0226-SM-DIPEV 60-69 years, male 22.1
GTEX-13N11-2526-SM-5K7UE 50-59 years, female 22.0
GTEX-1CB4H-0226-SM-7PBXM 60-69 years, female 20.5
GTEX-1ICLZ-0126-SM-CKZPO 60-69 years, male 20.5
GTEX-1122O-2126-SM-5EGIR 60-69 years, female 19.6
GTEX-1GL5R-1826-SM-9KNUY 50-59 years, male 19.4
GTEX-13IVO-0126-SM-5J1NG 70-79 years, male 19.3
GTEX-1EU9M-0226-SM-7P8SP 60-69 years, male 18.5
GTEX-ZWKS-0126-SM-5SIAA 30-39 years, male 18.4
GTEX-WZTO-0126-SM-3NM95 40-49 years, male 18.3
GTEX-WFG8-2226-SM-3GIL9 20-29 years, male 18.1
GTEX-1192W-2626-SM-5Q5AF 60-69 years, male 17.7
GTEX-1H3VE-0326-SM-9YFLH 40-49 years, male 17.7
GTEX-Z93S-0126-SM-5HL7M 50-59 years, male 17.4
GTEX-1212Z-2526-SM-5EGKP 60-69 years, male 17.2
GTEX-13NYB-2526-SM-5K7Z6 40-49 years, male 17.2
GTEX-14E6E-1826-SM-5S2R7 30-39 years, male 17.0
GTEX-1EWIQ-0126-SM-7RHH2 70-79 years, female 16.9
GTEX-13YAN-0326-SM-5O9DF 60-69 years, male 16.8
GTEX-Q734-1926-SM-2I5EV 40-49 years, female 16.8
GTEX-ZU9S-0226-SM-5E441 30-39 years, male 16.8
GTEX-14753-0426-SM-5NQAM 60-69 years, male 16.7
GTEX-13JUV-2726-SM-5LZZ8 40-49 years, female 16.4
GTEX-1J8EW-0126-SM-CJI4F 60-69 years, female 16.4
GTEX-U3ZH-2026-SM-3DB78 30-39 years, male 16.2
GTEX-1M5QR-1226-SM-EWROB 40-49 years, male 16.1
GTEX-1KD5A-0226-SM-D5OV3 50-59 years, male 16.0
GTEX-1E2YA-0126-SM-9KNUC 50-59 years, male 15.9
GTEX-14PJ6-2126-SM-6EU1V 60-69 years, female 15.7
GTEX-1O97I-0326-SM-EYYX7 60-69 years, male 15.7
GTEX-1B8SF-1426-SM-7DUGL 60-69 years, male 15.6
GTEX-X88G-0126-SM-47JZ3 30-39 years, male 15.5
GTEX-1BAJH-0526-SM-793CQ 70-79 years, male 15.3
GTEX-1399T-2826-SM-5KLYZ 60-69 years, male 15.2
GTEX-SJXC-0126-SM-2XCFF 60-69 years, male 15.1
GTEX-1QAET-0926-SM-E76QM 50-59 years, male 15.1
GTEX-16NGA-1726-SM-731B4 40-49 years, female 15.0
GTEX-1H1CY-2826-SM-9MQM3 60-69 years, female 15.0
GTEX-147F3-0526-SM-5SI98 50-59 years, female 14.8
GTEX-PX3G-0126-SM-2I3EN 20-29 years, female 14.8
GTEX-139T8-0126-SM-5K7XZ 60-69 years, male 14.7
GTEX-ZE9C-2726-SM-57WB5 60-69 years, male 14.7
GTEX-1H3VY-0126-SM-ACKXD 50-59 years, male 14.7
GTEX-1LH75-2426-SM-E9TJE 50-59 years, female 14.7
GTEX-11TT1-2526-SM-5EGIB 20-29 years, male 14.6
GTEX-15G19-0126-SM-6PANQ 60-69 years, male 14.6
GTEX-17HG3-2226-SM-7938L 30-39 years, female 14.6
GTEX-13OW6-0426-SM-5L3HM 50-59 years, male 14.5
GTEX-13RTJ-2426-SM-5S2Q2 60-69 years, male 14.5
GTEX-13OW5-0126-SM-DTXFS 60-69 years, male 14.5
GTEX-1HSMQ-1226-SM-CGQFX 50-59 years, male 14.4
GTEX-T2IS-0126-SM-4DM6O 20-29 years, female 14.3
GTEX-XQ3S-1526-SM-4BOOC 20-29 years, male 14.3
GTEX-1PDJ9-0326-SM-DTX95 20-29 years, male 14.3
GTEX-U8XE-0326-SM-3DB8P 30-39 years, male 14.2
GTEX-1HR98-0126-SM-B2LWI 60-69 years, male 14.2
GTEX-15SDE-2226-SM-7IGLO 50-59 years, female 14.1
GTEX-1QPFJ-0226-SM-E76PB 30-39 years, female 14.1
GTEX-13FTY-0526-SM-5L3EV 40-49 years, female 14.0
GTEX-1A32A-0126-SM-718B1 50-59 years, female 14.0
GTEX-1HT8W-0126-SM-CNPPP 30-39 years, male 14.0
GTEX-YJ89-0126-SM-4TT3X 60-69 years, male 13.9
GTEX-ZV6S-2326-SM-4YCEY 40-49 years, female 13.9
GTEX-1I1GQ-0126-SM-COH3H 50-59 years, male 13.9
GTEX-145LU-0126-SM-5TDCB 50-59 years, male 13.8
GTEX-1J1OQ-0226-SM-CYPSH 40-49 years, female 13.8
GTEX-13CF3-2426-SM-5IFGX 60-69 years, female 13.7
GTEX-OIZH-0126-SM-2HMIS 50-59 years, male 13.7
GTEX-13NYC-0326-SM-E9J4S 60-69 years, male 13.7
GTEX-1R9PM-2026-SM-E76OY 20-29 years, male 13.7
GTEX-13OW8-1326-SM-5J1OW 60-69 years, male 13.6
GTEX-1KD4Q-0226-SM-E9TJ9 40-49 years, male 13.6
GTEX-15DCD-0126-SM-7KUEK 70-79 years, female 13.5
GTEX-148VI-1626-SM-5SI6E 60-69 years, female 13.4
GTEX-1GZ2Q-0226-SM-7P8TL 40-49 years, male 13.4
GTEX-1POEN-0126-SM-EYYXJ 30-39 years, female 13.4
GTEX-11WQC-2526-SM-5CVLE 60-69 years, male 13.3
GTEX-1C6VQ-0126-SM-7P8RI 50-59 years, male 13.2
GTEX-1EN7A-0126-SM-7SB81 40-49 years, male 13.2
GTEX-1F7RK-0126-SM-7PC2S 20-29 years, female 13.1
GTEX-14A5I-0126-SM-5TDEA 50-59 years, female 13.0
GTEX-S32W-2126-SM-2XCB1 50-59 years, female 13.0
GTEX-ZC5H-0226-SM-4WAY9 40-49 years, female 13.0
GTEX-ZVTK-0426-SM-51MRS 20-29 years, male 13.0
GTEX-1IDFM-0126-SM-COH2V 60-69 years, male 13.0
GTEX-13X6I-0626-SM-5QGP9 60-69 years, male 12.9
GTEX-S7SE-0126-SM-2XCD5 50-59 years, male 12.9
GTEX-1F5PL-0326-SM-7P8PQ 40-49 years, female 12.9
GTEX-1JJE9-0326-SM-CL53Z 70-79 years, male 12.9
GTEX-12ZZY-0226-SM-5LZVE 60-69 years, male 12.8
GTEX-ZTX8-1426-SM-5DUVO 20-29 years, male 12.7
GTEX-ZV68-0126-SM-59HKS 50-59 years, female 12.7
GTEX-PSDG-0226-SM-DKPOZ 50-59 years, male 12.7
GTEX-139TS-2826-SM-5J1OO 60-69 years, male 12.6
GTEX-13SLX-0526-SM-5S2ON 50-59 years, female 12.6
GTEX-1C6VR-2426-SM-79OLD 60-69 years, male 12.6
GTEX-X4XX-0126-SM-3NMC2 60-69 years, male 12.6
GTEX-ZVT3-0126-SM-5GU6I 60-69 years, female 12.6
GTEX-1QMI2-0226-SM-EVYBX 60-69 years, male 12.6
GTEX-131XE-2326-SM-5PNZ2 50-59 years, male 12.5
GTEX-1CB4J-0626-SM-7DHMP 60-69 years, male 12.5
GTEX-1GMR3-1926-SM-9KNUZ 40-49 years, male 12.5
GTEX-1ICG6-2526-SM-CGQFZ 70-79 years, female 12.5
GTEX-111VG-2426-SM-5GZXD 60-69 years, male 12.4
GTEX-12KS4-0326-SM-5EQ41 30-39 years, male 12.4
GTEX-14BIN-0626-SM-793DP 50-59 years, female 12.4
GTEX-1F75A-0126-SM-7RHGM 50-59 years, male 12.4
GTEX-1HB9E-0226-SM-E9U4R 50-59 years, male 12.4
GTEX-1IDJH-0326-SM-A9SLQ 70-79 years, male 12.4
GTEX-11P7K-2126-SM-5GU7G 30-39 years, male 12.3
GTEX-17JCI-0126-SM-7LG5G 60-69 years, female 12.2
GTEX-11TUW-2726-SM-E9J4M 60-69 years, male 12.2
GTEX-1LBAC-0126-SM-DIPEZ 20-29 years, male 12.2
GTEX-11NSD-2226-SM-5986V 20-29 years, male 12.0
GTEX-14BMV-0126-SM-5S2PO 50-59 years, male 12.0
GTEX-11EI6-0126-SM-5985R 60-69 years, male 11.9
GTEX-1MA7W-2026-SM-E9TJ6 20-29 years, female 11.9
GTEX-12WSA-0226-SM-5BC5V 60-69 years, male 11.8
GTEX-1HFI7-1826-SM-ACKXH 50-59 years, female 11.7
GTEX-11DYG-0126-SM-59883 60-69 years, male 11.6
GTEX-1399R-2726-SM-5IJBA 30-39 years, male 11.6
GTEX-1HFI6-0226-SM-ADEHZ 40-49 years, male 11.6
GTEX-1IKJJ-0126-SM-CNPQB 60-69 years, male 11.5
GTEX-11DXZ-2326-SM-5EGGV 50-59 years, male 11.4
GTEX-15DDE-0126-SM-6LPKH 50-59 years, female 11.4
GTEX-O5YT-0126-SM-48TBW 20-29 years, male 11.4
GTEX-1A8FM-0226-SM-7SB7Q 50-59 years, female 11.3
GTEX-13G51-2526-SM-5LZYK 60-69 years, male 11.2
GTEX-144GL-0126-SM-5TDE2 50-59 years, male 11.2
GTEX-U412-0426-SM-3DB9O 60-69 years, male 11.2
GTEX-15DYW-0126-SM-7KULE 60-69 years, female 11.1
GTEX-15ER7-0326-SM-7KUEV 20-29 years, female 11.1
GTEX-ZVZP-2426-SM-59HKJ 50-59 years, male 11.1
GTEX-1N2DW-0226-SM-E9TK2 50-59 years, male 11.0
GTEX-11XUK-2026-SM-5EQLF 40-49 years, female 10.9
GTEX-12WSE-0526-SM-793B2 20-29 years, male 10.9
GTEX-12ZZZ-0626-SM-5DUXI 60-69 years, male 10.9
GTEX-1313W-0126-SM-5LZUN 50-59 years, female 10.9
GTEX-13SLW-0126-SM-5SI6C 70-79 years, male 10.9
GTEX-1LB8K-0226-SM-EWRNW 50-59 years, male 10.9
GTEX-117XS-2726-SM-5N9BL 60-69 years, male 10.8
GTEX-X585-0226-SM-4QAS2 50-59 years, male 10.8
GTEX-ZQUD-1426-SM-57WER 30-39 years, male 10.8
GTEX-ZVT4-0126-SM-DTXFN 50-59 years, female 10.8
GTEX-14JG1-0426-SM-6ETZZ 40-49 years, male 10.7
GTEX-14PJM-0226-SM-62LF1 50-59 years, female 10.7
GTEX-17EVP-0326-SM-7DHLG 40-49 years, male 10.7
GTEX-1EKGG-0226-SM-9WYTH 60-69 years, male 10.7
GTEX-1GF9V-0326-SM-7RHI5 60-69 years, male 10.7
GTEX-1H4P4-0726-SM-9YFLR 50-59 years, male 10.7
GTEX-1HBPI-1526-SM-C1YQ1 50-59 years, male 10.7
GTEX-14E6D-0126-SM-62LDV 50-59 years, male 10.6
GTEX-P44H-0226-SM-2XCEU 40-49 years, male 10.6
GTEX-Y8DK-0126-SM-4TT3L 60-69 years, male 10.6
GTEX-1HCVE-0126-SM-CGQEU 50-59 years, male 10.6
GTEX-PVOW-0126-SM-2XCFA 40-49 years, male 10.5
GTEX-1F75B-0126-SM-9KNVL 50-59 years, male 10.5
GTEX-14C5O-0126-SM-5SI6N 60-69 years, male 10.4
GTEX-16GPK-0126-SM-7DHLE 60-69 years, male 10.4
GTEX-1269C-2526-SM-5EGJ3 60-69 years, female 10.3
GTEX-1AYD5-2426-SM-73KXR 50-59 years, male 10.3
GTEX-1B8SG-0126-SM-73KZ3 50-59 years, male 10.3
GTEX-1F6RS-0126-SM-9MQKZ 60-69 years, female 10.3
GTEX-1IDJF-0126-SM-CM2RS 20-29 years, male 10.3
GTEX-11OC5-0126-SM-5HL6A 60-69 years, male 10.2
GTEX-11ZU8-2526-SM-5EQKI 60-69 years, male 10.2
GTEX-15SHW-0326-SM-6PAML 60-69 years, male 10.2
GTEX-WOFL-0126-SM-3MJG2 60-69 years, male 10.2
GTEX-1CB4F-0426-SM-9KNV4 60-69 years, male 10.2
GTEX-111FC-0126-SM-5N9DL 60-69 years, male 10.1
GTEX-11NUK-0126-SM-5A5L3 50-59 years, male 10.1
GTEX-14PK6-1926-SM-6ETZU 70-79 years, female 10.1
GTEX-ZVZO-0126-SM-5A5L9 40-49 years, male 10.1
GTEX-1GZHY-0326-SM-9QEHI 50-59 years, female 10.1
GTEX-1IL2U-0226-SM-CE6T8 60-69 years, male 10.1
GTEX-1LGOU-2026-SM-DIPFF 20-29 years, female 10.1
GTEX-11WQK-0526-SM-5EQLD 50-59 years, male 10.0
GTEX-1CB4G-0226-SM-7PC3O 60-69 years, male 10.0
GTEX-1JMLX-0226-SM-CM2RO 50-59 years, male 10.0
GTEX-1KWVE-1426-SM-E9TJO 30-39 years, male 10.0
GTEX-1QEPI-0126-SM-EWRMQ 60-69 years, female 10.0
GTEX-12ZZX-0126-SM-5EGK9 40-49 years, female 9.9
GTEX-ZYT6-0226-SM-5NQ6T 30-39 years, male 9.9
GTEX-11O72-0126-SM-59887 40-49 years, male 9.8
GTEX-147GR-0526-SM-5S2MY 60-69 years, male 9.8
GTEX-18A7A-0226-SM-718BH 50-59 years, female 9.8
GTEX-1F88F-2726-SM-7PBZZ 60-69 years, female 9.8
GTEX-1IGQW-0126-SM-COH42 60-69 years, male 9.8
GTEX-OXRP-0126-SM-3NB32 60-69 years, female 9.7
GTEX-X4EO-0326-SM-3P5YO 60-69 years, female 9.7
GTEX-Y8LW-1826-SM-5S2MV 50-59 years, female 9.7
GTEX-13O3O-0126-SM-E9J49 60-69 years, female 9.7
GTEX-1GN1U-0126-SM-7PBZK 50-59 years, female 9.7
GTEX-1MCQQ-0826-SM-DLHC2 60-69 years, male 9.7
GTEX-13O3Q-2426-SM-5IJBR 50-59 years, male 9.6
GTEX-14JG6-2226-SM-6EU2G 30-39 years, female 9.6
GTEX-S95S-1226-SM-4GICG 60-69 years, male 9.6
GTEX-1I1GR-0126-SM-CL55F 60-69 years, male 9.6
GTEX-12696-2426-SM-5EQ6H 60-69 years, male 9.5
GTEX-12WSC-0126-SM-5EQ4P 50-59 years, male 9.5
GTEX-SSA3-0126-SM-32QPU 60-69 years, male 9.5
GTEX-ZYY3-0126-SM-5GZY5 60-69 years, female 9.5
GTEX-1JMQJ-0526-SM-CYPSU 50-59 years, male 9.5
GTEX-17MFQ-1726-SM-793C7 20-29 years, male 9.4
GTEX-11P81-2326-SM-59875 30-39 years, female 9.3
GTEX-17KNJ-2326-SM-7DHLQ 50-59 years, male 9.3
GTEX-1C64N-0126-SM-793D7 50-59 years, male 9.3
GTEX-1F6IF-0726-SM-7P8TW 60-69 years, male 9.3
GTEX-1PIIG-0226-SM-EWRN6 30-39 years, male 9.3
GTEX-11DXW-0226-SM-5H122 40-49 years, male 9.2
GTEX-131XW-0426-SM-5LZWP 50-59 years, female 9.2
GTEX-13QJ3-0326-SM-5S2RA 50-59 years, male 9.2
GTEX-15SB6-1726-SM-6PAME 50-59 years, female 9.2
GTEX-1KANB-0526-SM-E6CJH 50-59 years, male 9.2
GTEX-13111-1626-SM-5EGJY 50-59 years, male 9.1
GTEX-1314G-1526-SM-5EGK2 30-39 years, male 9.1
GTEX-139UW-2826-SM-5L3E7 60-69 years, male 9.1
GTEX-1C6VS-0526-SM-7DUEN 60-69 years, male 9.1
GTEX-RN64-0126-SM-2TC68 50-59 years, male 9.1
GTEX-1J8JJ-0226-SM-CL53I 60-69 years, female 9.1
GTEX-183FY-0126-SM-7LT9P 20-29 years, male 9.0
GTEX-1HCU8-0626-SM-A9SM9 60-69 years, female 9.0
GTEX-1JMQL-0226-SM-CNPP5 50-59 years, female 9.0
GTEX-1RQEC-0426-SM-E6CHU 60-69 years, male 9.0
GTEX-12WSK-2326-SM-5GCOH 40-49 years, female 8.9
GTEX-145MF-0626-SM-5LUAI 50-59 years, male 8.9
GTEX-1AX9J-0226-SM-73KXM 60-69 years, male 8.9
GTEX-TMZS-0126-SM-3DB9Q 60-69 years, male 8.9
GTEX-XXEK-2226-SM-4BRUM 50-59 years, male 8.9
GTEX-13FH7-2026-SM-E9J4I 50-59 years, female 8.9
GTEX-1GN2E-0426-SM-9MQKX 60-69 years, male 8.9
GTEX-1B8KZ-2026-SM-7DHMB 50-59 years, male 8.8
GTEX-Y5V5-2326-SM-4V6GA 60-69 years, female 8.8
GTEX-Y5V6-2426-SM-4VDSB 60-69 years, male 8.8
GTEX-1GF9U-2126-SM-7SB7L 40-49 years, female 8.8
GTEX-1K2DU-2326-SM-E9TIV 20-29 years, male 8.8
GTEX-1L5NE-2526-SM-E6CIE 50-59 years, male 8.8
GTEX-145ME-1826-SM-5SI9G 40-49 years, female 8.7
GTEX-113JC-2326-SM-5EQ4E 50-59 years, female 8.6
GTEX-14BIM-0226-SM-7IGLD 60-69 years, female 8.6
GTEX-17F96-1626-SM-7DUFL 70-79 years, male 8.6
GTEX-18465-0126-SM-731BN 50-59 years, male 8.6
GTEX-WFON-2126-SM-3LK7O 40-49 years, male 8.6
GTEX-Y3I4-2126-SM-4TT7C 50-59 years, male 8.6
GTEX-1H1DG-0126-SM-9WYU2 70-79 years, male 8.6
GTEX-1HCU9-1526-SM-A9SL7 20-29 years, male 8.6
GTEX-117YW-2626-SM-5GZZH 50-59 years, male 8.5
GTEX-148VJ-0126-SM-5TDDN 70-79 years, male 8.5
GTEX-S7PM-0126-SM-4AD6S 60-69 years, male 8.5
GTEX-1EMGI-0126-SM-9KNUE 60-69 years, male 8.5
GTEX-1HSKV-0226-SM-A9SKJ 60-69 years, male 8.5
GTEX-11H98-0126-SM-5EGHG 50-59 years, male 8.4
GTEX-1LG7Y-0526-SM-DKPQC 50-59 years, male 8.4
GTEX-13OVJ-0126-SM-5KM36 50-59 years, female 8.3
GTEX-13U4I-0126-SM-5LU38 40-49 years, female 8.3
GTEX-16NPX-0226-SM-79OMT 50-59 years, male 8.3
GTEX-Y8E4-0626-SM-4WWDL 40-49 years, male 8.3
GTEX-YFC4-0126-SM-5CVLY 40-49 years, female 8.3
GTEX-131YS-0126-SM-5KM1M 60-69 years, female 8.2
GTEX-14BMU-2226-SM-5TDE9 20-29 years, female 8.2
GTEX-14PII-0226-SM-6EU1T 60-69 years, male 8.2
GTEX-QEG4-0226-SM-2S1PY 30-39 years, male 8.2
GTEX-1I19N-0326-SM-ACKVX 70-79 years, male 8.2
GTEX-11OF3-2626-SM-5GU7F 60-69 years, male 8.1
GTEX-Z9EW-1626-SM-5CVMN 40-49 years, male 8.1
GTEX-1CAV2-2226-SM-7P8P2 40-49 years, female 8.1
GTEX-11EMC-2926-SM-5EQ4F 60-69 years, female 8.0
GTEX-139TU-0126-SM-5K7WH 60-69 years, male 8.0
GTEX-13X6J-0126-SM-5QGOU 50-59 years, male 8.0
GTEX-WXYG-2326-SM-4E3I6 50-59 years, female 8.0
GTEX-WY7C-2326-SM-3NB2U 50-59 years, male 8.0
GTEX-1IL2V-0126-SM-CM2TX 70-79 years, male 8.0
GTEX-1J8Q3-1626-SM-CMKGC 60-69 years, male 8.0
GTEX-12126-0326-SM-5PNW3 20-29 years, male 7.8
GTEX-QVJO-1626-SM-2S1QW 60-69 years, female 7.8
GTEX-1JMQI-2226-SM-CM2SD 50-59 years, male 7.8
GTEX-QESD-1426-SM-2S1R9 20-29 years, male 7.7
GTEX-1GMRU-0126-SM-9YFLV 50-59 years, male 7.7
GTEX-13D11-2426-SM-5KM1V 50-59 years, female 7.6
GTEX-13NZA-0226-SM-5K7Z7 60-69 years, male 7.6
GTEX-WQUQ-0426-SM-3MJFU 60-69 years, male 7.6
GTEX-XUYS-0126-SM-47JWZ 50-59 years, male 7.6
GTEX-13X6H-2126-SM-7EWD5 50-59 years, female 7.5
GTEX-14ABY-0226-SM-5TDCQ 50-59 years, male 7.5
GTEX-14LZ3-0226-SM-62LET 60-69 years, female 7.5
GTEX-R55G-2526-SM-2TC6D 40-49 years, female 7.5
GTEX-T6MN-0126-SM-32PLP 50-59 years, male 7.5
GTEX-1B996-0226-SM-7RHGO 60-69 years, male 7.5
GTEX-1211K-2026-SM-5EQ4Z 60-69 years, female 7.4
GTEX-12WSJ-1826-SM-5GCNY 40-49 years, female 7.4
GTEX-145LS-0126-SM-5QGP1 60-69 years, female 7.4
GTEX-14PHX-2326-SM-62LEM 50-59 years, male 7.4
GTEX-1CAMR-1926-SM-7EPI2 20-29 years, male 7.4
GTEX-ZAK1-0126-SM-5IJD3 50-59 years, female 7.4
GTEX-1I1CD-0126-SM-CM2TK 60-69 years, female 7.4
GTEX-1JN6P-0126-SM-D3L98 60-69 years, male 7.4
GTEX-11EM3-2426-SM-59861 20-29 years, female 7.3
GTEX-144GN-2326-SM-5LU4F 50-59 years, male 7.3
GTEX-18A6Q-0126-SM-731BZ 60-69 years, male 7.3
GTEX-ZF2S-2326-SM-4WWCE 50-59 years, female 7.3
GTEX-1128S-2326-SM-5GZZY 60-69 years, female 7.2
GTEX-1GN1V-0126-SM-9WPOS 60-69 years, male 7.2
GTEX-1I1HK-0126-SM-COH49 60-69 years, male 7.2
GTEX-1JN1M-0326-SM-CYPT3 60-69 years, female 7.2
GTEX-15EU6-0426-SM-6PAN5 50-59 years, male 7.1
GTEX-ZVT2-2526-SM-51MT1 50-59 years, female 7.1
GTEX-11ZVC-2526-SM-5FQTE 50-59 years, female 7.0
GTEX-13FXS-0226-SM-5IJCK 50-59 years, male 7.0
GTEX-15D1Q-0126-SM-7KUG6 40-49 years, male 7.0
GTEX-TKQ1-1026-SM-4GICL 30-39 years, male 7.0
GTEX-1B8L1-2526-SM-9WYTF 60-69 years, male 7.0
GTEX-1I1GT-0626-SM-CGQER 60-69 years, female 7.0
GTEX-1IY9M-0126-SM-D3L8S 60-69 years, male 7.0
GTEX-RVPV-0126-SM-EAZAW 60-69 years, male 7.0
GTEX-QDVJ-1726-SM-2I5FX 50-59 years, male 6.9
GTEX-WVJS-0126-SM-4MVOT 50-59 years, male 6.9
GTEX-XBED-2226-SM-47JYQ 60-69 years, male 6.9
GTEX-ZUA1-0126-SM-5GU76 40-49 years, male 6.9
GTEX-13112-2826-SM-5DUWH 50-59 years, male 6.8
GTEX-146FH-0126-SM-5QGPP 50-59 years, female 6.8
GTEX-14DAQ-0126-SM-5S2MQ 60-69 years, female 6.8
GTEX-16BQI-0226-SM-7KUEX 30-39 years, female 6.8
GTEX-17EUY-0426-SM-793BD 20-29 years, male 6.8
GTEX-UJHI-1526-SM-3DB99 50-59 years, female 6.8
GTEX-YB5K-2126-SM-4WWDJ 40-49 years, female 6.8
GTEX-ZYFC-0226-SM-5NQ75 50-59 years, male 6.8
GTEX-ZYW4-0126-SM-5E44A 60-69 years, male 6.8
GTEX-PW2O-1526-SM-7RHHB 20-29 years, male 6.8
GTEX-XPVG-2626-SM-4B669 50-59 years, male 6.7
GTEX-ZDXO-3026-SM-5J1N5 60-69 years, male 6.7
GTEX-1LGRB-2526-SM-CNPPQ 50-59 years, female 6.7
GTEX-1RAZQ-0726-SM-EAZ43 30-39 years, male 6.7
GTEX-1CB4E-2226-SM-793DC 60-69 years, male 6.6
GTEX-RWS6-2026-SM-2XCB5 60-69 years, female 6.6
GTEX-V1D1-2226-SM-3NMAX 50-59 years, male 6.6
GTEX-WYVS-2126-SM-3NMA3 40-49 years, female 6.6
GTEX-X638-0126-SM-47JZ8 70-79 years, female 6.6
GTEX-1CAMS-0426-SM-7P8T2 40-49 years, female 6.6
GTEX-13PVR-2326-SM-5QGR1 60-69 years, female 6.5
GTEX-17HGU-0226-SM-7DHKV 50-59 years, male 6.5
GTEX-17HHY-0126-SM-7LG5D 50-59 years, male 6.5
GTEX-Y111-0126-SM-4SOIV 50-59 years, male 6.5
GTEX-1AX9I-0126-SM-7SB74 60-69 years, male 6.5
GTEX-1IE54-0126-SM-CMKHW 40-49 years, female 6.5
GTEX-1JJEA-0326-SM-CNPOT 60-69 years, male 6.5
GTEX-145LT-1726-SM-5QGP3 40-49 years, male 6.4
GTEX-X261-0126-SM-3NMD6 50-59 years, male 6.4
GTEX-1RDX4-0126-SM-E9J4P 50-59 years, female 6.4
GTEX-13OVG-1926-SM-5L3DK 60-69 years, male 6.3
GTEX-17F97-0326-SM-7LG5B 50-59 years, male 6.3
GTEX-QDVN-2026-SM-3GAEP 50-59 years, male 6.3
GTEX-1PWST-0226-SM-E76QJ 70-79 years, male 6.3
GTEX-13W3W-2426-SM-5LU5B 60-69 years, female 6.2
GTEX-17EVQ-0226-SM-7LG4P 70-79 years, male 6.2
GTEX-11UD1-0126-SM-5PNYG 40-49 years, female 6.1
GTEX-T5JW-1626-SM-3GADZ 20-29 years, female 6.1
GTEX-XAJ8-0826-SM-47JY6 40-49 years, male 6.1
GTEX-YJ8A-0426-SM-5IFID 20-29 years, male 6.1
GTEX-Z93T-0126-SM-5HL5N 50-59 years, male 6.1
GTEX-1IOXB-0126-SM-ARL8G 50-59 years, male 6.1
GTEX-1JMQK-0226-SM-CL543 60-69 years, male 6.1
GTEX-1KAFJ-2026-SM-CY8ID 50-59 years, male 6.1
GTEX-14A6H-0126-SM-5QGPK 30-39 years, male 6.0
GTEX-14PN4-0126-SM-6EU2V 50-59 years, male 6.0
GTEX-15RIG-0226-SM-7KFTL 40-49 years, male 6.0
GTEX-OIZG-0726-SM-33HBL 50-59 years, male 6.0
GTEX-1N2EF-0226-SM-EYYXB 60-69 years, male 6.0
GTEX-11DXY-2626-SM-5GIE7 60-69 years, male 5.9
GTEX-16XZZ-0126-SM-793DV 60-69 years, male 5.9
GTEX-1A3MV-1926-SM-718BT 30-39 years, male 5.9
GTEX-1E1VI-0126-SM-7DHMZ 50-59 years, male 5.9
GTEX-Q2AH-1626-SM-3GAF8 40-49 years, male 5.9
GTEX-X8HC-0126-SM-4E3JW 50-59 years, female 5.9
GTEX-ZDTS-0126-SM-4WAY5 60-69 years, male 5.9
GTEX-1J8Q2-0526-SM-CM2RW 60-69 years, male 5.9
GTEX-13N2G-2626-SM-5J1OT 60-69 years, male 5.8
GTEX-Q2AG-0126-SM-33HBV 40-49 years, female 5.8
GTEX-1B933-0126-SM-7PC29 50-59 years, female 5.8
GTEX-1C6WA-0126-SM-7PC2B 60-69 years, male 5.8
GTEX-1I1GV-0526-SM-A9G29 60-69 years, male 5.8
GTEX-1PPH7-2326-SM-EVYB8 40-49 years, male 5.8
GTEX-ZF3C-0126-SM-DO92D 50-59 years, female 5.8
GTEX-139TT-0126-SM-5K7Y5 60-69 years, male 5.7
GTEX-1JMPZ-0226-SM-CNPP1 30-39 years, male 5.7
GTEX-1AX9K-2326-SM-73KWU 50-59 years, male 5.6
GTEX-YEC4-2126-SM-5IFJH 40-49 years, male 5.6
GTEX-ZTSS-1926-SM-57WEW 40-49 years, male 5.6
GTEX-1H23P-0126-SM-ADEJ3 60-69 years, male 5.6
GTEX-1H3NZ-0126-SM-ACKX7 60-69 years, male 5.6
GTEX-1I6K6-0126-SM-A9SLE 30-39 years, male 5.6
GTEX-1399U-2326-SM-5K7WY 50-59 years, female 5.5
GTEX-13N1W-0126-SM-5K7VT 70-79 years, male 5.5
GTEX-145MI-0526-SM-5O9A8 60-69 years, female 5.5
GTEX-P4PP-0126-SM-3LK69 30-39 years, female 5.5
GTEX-RTLS-0126-SM-447CA 60-69 years, female 5.5
GTEX-T5JC-0426-SM-32PLO 20-29 years, male 5.5
GTEX-1R7EU-0226-SM-EVR4G 60-69 years, male 5.5
GTEX-131XG-2626-SM-5KM17 50-59 years, female 5.4
GTEX-14E6C-0126-SM-5RQIP 40-49 years, male 5.4
GTEX-18A7B-0126-SM-7LG64 70-79 years, male 5.4
GTEX-1GMR8-0126-SM-9WYTM 50-59 years, female 5.4
GTEX-1JJ6O-0126-SM-E6CI8 60-69 years, male 5.4
GTEX-13NZ8-0826-SM-5MR3I 60-69 years, female 5.3
GTEX-1B97I-1626-SM-73KYO 40-49 years, male 5.3
GTEX-ZE7O-0126-SM-57WC1 50-59 years, female 5.3
GTEX-1F6I4-0126-SM-9MQL2 60-69 years, male 5.3
GTEX-11GSO-2426-SM-5A5LY 60-69 years, male 5.2
GTEX-11UD2-0226-SM-5EQKY 50-59 years, male 5.2
GTEX-1497J-2426-SM-7IGNX 60-69 years, male 5.2
GTEX-16YQH-0126-SM-7DUFJ 30-39 years, male 5.2
GTEX-ZZ64-1726-SM-5GZYB 20-29 years, male 5.2
GTEX-1RLM8-2326-SM-EWRN4 50-59 years, male 5.2
GTEX-1S3DN-2226-SM-EVYCD 50-59 years, male 5.2
GTEX-ZPIC-1726-SM-DHXIU 40-49 years, female 5.2
GTEX-11GSP-2526-SM-5N9BP 60-69 years, female 5.1
GTEX-12WSL-2526-SM-5GCNJ 50-59 years, male 5.1
GTEX-13CF2-2526-SM-5LZYX 60-69 years, male 5.1
GTEX-XQ8I-0426-SM-4BOPO 50-59 years, male 5.1
GTEX-14E7W-0126-SM-6LLJ9 70-79 years, male 5.0
GTEX-16AAH-1726-SM-7939C 50-59 years, male 5.0
GTEX-1A3MX-0126-SM-731BR 60-69 years, male 5.0
GTEX-QLQ7-1626-SM-2S1R8 60-69 years, male 5.0
GTEX-R55E-0126-SM-2TC5Y 20-29 years, male 5.0
GTEX-1GN73-0226-SM-9WG67 60-69 years, male 5.0
GTEX-1IKOH-0226-SM-COH4E 60-69 years, female 5.0
GTEX-1J8QM-2126-SM-CYPSJ 60-69 years, female 5.0
GTEX-1K9T9-0126-SM-EVYCF 50-59 years, female 5.0
GTEX-RNOR-0126-SM-E9J4R 50-59 years, female 5.0
GTEX-13OVK-2026-SM-7KUEO 40-49 years, male 4.9
GTEX-14A5H-0426-SM-5QGQF 60-69 years, male 4.9
GTEX-OOBK-0126-SM-2YUND 40-49 years, male 4.9
GTEX-QLQW-1126-SM-2S1Q8 30-39 years, male 4.9
GTEX-X5EB-2226-SM-46MW4 40-49 years, male 4.9
GTEX-YB5E-2026-SM-5IFIS 40-49 years, male 4.9
GTEX-1GF9X-2026-SM-7PC3A 40-49 years, female 4.9
GTEX-1R7EV-2426-SM-EVYBG 40-49 years, male 4.9
GTEX-131XH-2226-SM-5DUXJ 50-59 years, male 4.8
GTEX-15CHC-2126-SM-6EU21 60-69 years, female 4.8
GTEX-WYJK-0126-SM-3NMAB 50-59 years, male 4.8
GTEX-1HSGN-0226-SM-CGQFV 40-49 years, female 4.8
GTEX-1QP9N-1426-SM-DTXFL 30-39 years, male 4.8
GTEX-11DZ1-0126-SM-5985Q 50-59 years, male 4.7
GTEX-13OVL-0226-SM-5L3E9 50-59 years, male 4.7
GTEX-13RTL-0126-SM-7LG5S 40-49 years, male 4.7
GTEX-17F98-0626-SM-79OMX 40-49 years, female 4.7
GTEX-SIU8-0126-SM-2XCDT 50-59 years, male 4.7
GTEX-XUW1-0426-SM-4BOOT 50-59 years, female 4.7
GTEX-11EQ9-2426-SM-5HL5T 30-39 years, male 4.6
GTEX-11GS4-2726-SM-5A5LE 60-69 years, male 4.6
GTEX-12584-0126-SM-5EGKQ 40-49 years, male 4.6
GTEX-NFK9-0226-SM-2HMKQ 40-49 years, male 4.6
GTEX-QV44-1926-SM-2S1RF 50-59 years, male 4.6
GTEX-SN8G-0126-SM-32PLI 50-59 years, female 4.6
GTEX-Y5LM-1926-SM-5RQJH 40-49 years, female 4.6
GTEX-131XF-5016-SM-7MGWE 60-69 years, male 4.6
GTEX-1GPI6-0126-SM-9WG69 60-69 years, male 4.6
GTEX-1HCU7-0226-SM-CL545 50-59 years, male 4.6
GTEX-1PBJI-0526-SM-E8VNK 20-29 years, female 4.6
GTEX-11LCK-1026-SM-5A5KB 30-39 years, male 4.5
GTEX-132NY-0326-SM-5IJBL 60-69 years, male 4.5
GTEX-1CB4I-0226-SM-79OLH 50-59 years, male 4.5
GTEX-OHPL-0126-SM-2HMJ7 60-69 years, female 4.5
GTEX-T6MO-1626-SM-32QOM 40-49 years, female 4.5
GTEX-TSE9-0126-SM-3DB83 60-69 years, female 4.5
GTEX-1H1DE-2126-SM-9WG6R 20-29 years, male 4.5
GTEX-1HCUA-2426-SM-ADEIS 50-59 years, female 4.5
GTEX-1KANA-0726-SM-D3L9I 20-29 years, male 4.5
GTEX-1LNCM-1126-SM-E9U5E 50-59 years, female 4.5
GTEX-14BIL-0126-SM-5SI92 50-59 years, male 4.4
GTEX-15UKP-0426-SM-7KUFQ 20-29 years, male 4.4
GTEX-1H3O1-0426-SM-9YFKY 60-69 years, male 4.4
GTEX-1KXAM-2226-SM-CYPTC 60-69 years, male 4.4
GTEX-13O3P-0126-SM-5KM4S 50-59 years, male 4.3
GTEX-13OW7-0126-SM-5MR3B 50-59 years, male 4.3
GTEX-U3ZM-1526-SM-3DB9D 40-49 years, male 4.3
GTEX-ZDTT-2726-SM-4WKF8 60-69 years, male 4.3
GTEX-ZGAY-0526-SM-4WWBB 40-49 years, female 4.3
GTEX-ZYFD-0126-SM-5GIDL 50-59 years, male 4.3
GTEX-1HGF4-2426-SM-ACKXM 60-69 years, male 4.3
GTEX-1HUB1-0426-SM-E9U4U 60-69 years, male 4.3
GTEX-1JKYN-1326-SM-CGQG9 30-39 years, male 4.3
GTEX-OOBJ-0126-SM-E6CJW 60-69 years, male 4.3
GTEX-147F4-0226-SM-5QGPW 50-59 years, male 4.2
GTEX-14LLW-0126-SM-6LLIO 70-79 years, female 4.2
GTEX-1AMEY-1326-SM-73KYK 30-39 years, female 4.2
GTEX-WRHK-1426-SM-3MJF9 20-29 years, female 4.2
GTEX-1IKK5-0626-SM-ARL8A 60-69 years, male 4.2
GTEX-12C56-1726-SM-5EQ61 20-29 years, male 4.1
GTEX-139T4-0226-SM-5HL5S 50-59 years, female 4.1
GTEX-17GQL-2026-SM-718BA 60-69 years, male 4.1
GTEX-TMMY-0226-SM-33HBA 40-49 years, female 4.1
GTEX-U8T8-0126-SM-3DB94 60-69 years, male 4.1
GTEX-VJYA-1126-SM-3GIJU 60-69 years, male 4.1
GTEX-1GF9W-0326-SM-9KNUN 60-69 years, male 4.1
GTEX-13PDP-0126-SM-5L3HD 60-69 years, male 4.0
GTEX-1GN1W-0526-SM-9MQJQ 50-59 years, female 4.0
GTEX-1NV5F-0226-SM-E8VNY 60-69 years, female 4.0
GTEX-11P82-1626-SM-59879 20-29 years, male 3.9
GTEX-13VXU-0126-SM-5SI9F 50-59 years, male 3.9
GTEX-18A66-0226-SM-718BD 60-69 years, male 3.9
GTEX-OXRO-0126-SM-2YUN4 60-69 years, female 3.9
GTEX-RWSA-0126-SM-2XCBB 40-49 years, male 3.9
GTEX-1HKZK-0326-SM-9WYUH 40-49 years, male 3.9
GTEX-1JMPY-1326-SM-ARL8Y 30-39 years, male 3.9
GTEX-11ZTS-0126-SM-5EQ6M 60-69 years, female 3.8
GTEX-PWO3-1526-SM-48TCM 60-69 years, female 3.8
GTEX-1I1GP-2226-SM-CGQFK 50-59 years, male 3.8
GTEX-1OJC4-0126-SM-E9J2E 50-59 years, female 3.8
GTEX-13O1R-0126-SM-5L3EH 60-69 years, male 3.7
GTEX-14XAO-2326-SM-6EU1B 60-69 years, female 3.7
GTEX-16XZY-2126-SM-79OK1 70-79 years, male 3.7
GTEX-18D9B-0526-SM-7LTAS 60-69 years, male 3.7
GTEX-1AX8Z-0126-SM-7DHM6 60-69 years, male 3.7
GTEX-RM2N-1426-SM-2TF4H 50-59 years, male 3.7
GTEX-U3ZN-2326-SM-3DB7W 30-39 years, female 3.7
GTEX-Y3IK-2426-SM-4WWDU 50-59 years, female 3.7
GTEX-1H2FU-0126-SM-9WYSI 60-69 years, female 3.7
GTEX-1HBPH-0426-SM-B2LW5 40-49 years, female 3.7
GTEX-1HBPN-0226-SM-9YFM1 50-59 years, male 3.7
GTEX-1I1GU-2226-SM-CGQFA 40-49 years, male 3.7
GTEX-1JMOU-1526-SM-CL54I 60-69 years, female 3.7
GTEX-OIZF-0126-SM-7SB8I 60-69 years, male 3.7
GTEX-13113-5016-SM-7EPIP 60-69 years, female 3.6
GTEX-17MF6-0126-SM-7LG4F 40-49 years, male 3.6
GTEX-ZDYS-2026-SM-5HL5L 50-59 years, male 3.6
GTEX-1OJC3-0126-SM-E76QX 20-29 years, male 3.6
GTEX-1QP2A-0126-SM-E9J43 50-59 years, male 3.6
GTEX-S33H-1026-SM-EZ6L6 30-39 years, male 3.6
GTEX-11ZTT-2426-SM-5EQLS 60-69 years, female 3.5
GTEX-12WSD-0126-SM-59HKN 60-69 years, female 3.5
GTEX-13O21-1426-SM-5K7XI 50-59 years, male 3.5
GTEX-13S7M-0126-SM-5SI6A 60-69 years, female 3.5
GTEX-Q2AI-1326-SM-2S1PL 40-49 years, male 3.5
GTEX-WH7G-2326-SM-3NMBC 40-49 years, male 3.5
GTEX-1IDJU-2626-SM-CM2RT 60-69 years, female 3.5
GTEX-1MA7X-2226-SM-E6CIY 60-69 years, male 3.5
GTEX-1MCYP-1926-SM-E9J2R 20-29 years, female 3.5
GTEX-13FTW-2626-SM-5K7WL 40-49 years, male 3.4
GTEX-145MO-0326-SM-5Q5B3 60-69 years, male 3.4
GTEX-15UF6-0826-SM-6PALJ 70-79 years, female 3.4
GTEX-1A3MW-0126-SM-73KXX 60-69 years, female 3.4
GTEX-TML8-1926-SM-32QOS 40-49 years, female 3.4
GTEX-X4XY-0226-SM-4E3IZ 60-69 years, male 3.4
GTEX-ZTPG-0326-SM-5O9AX 20-29 years, female 3.4
GTEX-1JN76-0126-SM-CNPPE 20-29 years, female 3.4
GTEX-1QP29-0626-SM-EWRMX 50-59 years, male 3.4
GTEX-14PN3-2426-SM-6LLHS 60-69 years, female 3.3
GTEX-17HII-0226-SM-7LG4E 50-59 years, male 3.3
GTEX-1AYCT-2426-SM-7IGQ3 50-59 years, male 3.3
GTEX-OXRN-0126-SM-48TDM 50-59 years, male 3.3
GTEX-UPJH-0326-SM-3GADU 50-59 years, male 3.3
GTEX-XMD2-0126-SM-4YCDU 60-69 years, female 3.3
GTEX-ZXG5-0126-SM-5GIEU 60-69 years, male 3.3
GTEX-ZY6K-1826-SM-5GZXK 50-59 years, male 3.3
GTEX-1I4MK-2226-SM-ACKWD 50-59 years, female 3.3
GTEX-1KANC-1526-SM-D3LAB 50-59 years, female 3.3
GTEX-1PIGE-0126-SM-EVYBJ 20-29 years, male 3.3
GTEX-13OVH-0126-SM-5MR4B 70-79 years, male 3.2
GTEX-14DAR-2026-SM-5S2O3 50-59 years, male 3.2
GTEX-18D9A-1926-SM-7LG6P 30-39 years, female 3.2
GTEX-18D9U-0226-SM-718BP 40-49 years, male 3.2
GTEX-P4QT-0126-SM-2I3FL 50-59 years, female 3.2
GTEX-W5WG-1826-SM-4KL2Y 50-59 years, female 3.2
GTEX-ZF28-0126-SM-4WKGK 60-69 years, male 3.2
GTEX-1LG7Z-1726-SM-D3LA4 30-39 years, male 3.2
GTEX-1S5ZA-0126-SM-EVYCV 20-29 years, male 3.2
GTEX-1S83E-0126-SM-EWRO4 40-49 years, male 3.2
GTEX-1HBPM-0226-SM-ARL9F 60-69 years, female 3.1
GTEX-1MUQO-0126-SM-EAZ58 60-69 years, male 3.1
GTEX-OXRL-0126-SM-2YUMP 50-59 years, male 3.0
GTEX-QCQG-1726-SM-3GIJ9 50-59 years, female 3.0
GTEX-XV7Q-2526-SM-4BRV9 40-49 years, female 3.0
GTEX-XYKS-2126-SM-4E3IB 60-69 years, female 3.0
GTEX-ZVE2-0226-SM-59HJB 50-59 years, male 3.0
GTEX-18A67-0126-SM-7LG5P 50-59 years, male 2.9
GTEX-1C2JI-1826-SM-73KXC 50-59 years, male 2.9
GTEX-ZXES-1826-SM-5E43S 30-39 years, female 2.9
GTEX-1HCU6-0126-SM-CL54K 60-69 years, female 2.9
GTEX-1OFPY-2426-SM-DTXEJ 60-69 years, male 2.9
GTEX-1QP66-1726-SM-E8VO1 50-59 years, male 2.9
GTEX-ZF29-2326-SM-DO92K 60-69 years, female 2.9
GTEX-15EOM-0126-SM-7KUGG 20-29 years, female 2.8
GTEX-T2YK-0526-SM-32QPJ 50-59 years, male 2.8
GTEX-Y114-2426-SM-4TT8A 50-59 years, female 2.8
GTEX-1F52S-0126-SM-9MQJU 60-69 years, female 2.8
GTEX-13NYS-0126-SM-5MR3W 60-69 years, male 2.7
GTEX-13OVI-1426-SM-5L3EY 60-69 years, female 2.7
GTEX-1B8KE-2126-SM-73KYX 50-59 years, male 2.7
GTEX-XBEW-0626-SM-4QASP 40-49 years, male 2.7
GTEX-XUZC-1726-SM-4BRWS 30-39 years, female 2.7
GTEX-ZYFG-2326-SM-5E44B 60-69 years, female 2.7
GTEX-1I1GS-0126-SM-B2LVW 60-69 years, male 2.7
GTEX-1K2DA-1826-SM-CGQGT 50-59 years, male 2.7
GTEX-ZAJG-0126-SM-5HL94 50-59 years, female 2.6
GTEX-1F5PK-2426-SM-7RHHY 50-59 years, male 2.6
GTEX-1GPI7-0126-SM-9MQL8 20-29 years, male 2.6
GTEX-1H1E6-1726-SM-ACKVK 30-39 years, male 2.6
GTEX-1J1R8-1726-SM-ARL8M 40-49 years, male 2.6
GTEX-1MGNQ-0126-SM-EVYCJ 40-49 years, male 2.6
GTEX-1PFEY-1526-SM-E76PP 30-39 years, male 2.6
GTEX-W5X1-3026-SM-EAZAX 40-49 years, female 2.6
GTEX-12WSN-5019-SM-79OM6 40-49 years, male 2.5
GTEX-NPJ8-0126-SM-2YUNR 40-49 years, male 2.5
GTEX-R3RS-0126-SM-3GIJL 40-49 years, female 2.5
GTEX-X4EP-0126-SM-3P5YV 60-69 years, female 2.5
GTEX-1GZ4H-1726-SM-7PBZJ 50-59 years, female 2.5
GTEX-14PJ3-1826-SM-62LEX 50-59 years, male 2.4
GTEX-SUCS-1926-SM-32PM3 70-79 years, male 2.4
GTEX-1H1ZS-0426-SM-9WG6G 70-79 years, male 2.4
GTEX-1PPH8-0226-SM-E8VND 20-29 years, male 2.4
GTEX-113IC-0126-SM-5HL6T 60-69 years, male 2.3
GTEX-11DXX-2426-SM-5GZZW 60-69 years, female 2.3
GTEX-145MN-2226-SM-5SIAU 30-39 years, male 2.3
GTEX-SNMC-1226-SM-2XCFP 20-29 years, male 2.3
GTEX-VUSG-2526-SM-4KL1V 50-59 years, male 2.3
GTEX-ZAB5-1826-SM-5HL7C 50-59 years, male 2.3
GTEX-1S82Y-2026-SM-EVYCM 40-49 years, male 2.3
GTEX-PWCY-1826-SM-DHXIZ 20-29 years, female 2.3
GTEX-R45C-0126-SM-EAZ2R 60-69 years, female 2.3
GTEX-15F5U-1526-SM-6PANO 40-49 years, male 2.2
GTEX-P4PQ-0126-SM-2S1NM 60-69 years, male 2.2
GTEX-PLZ5-2026-SM-2S1O4 50-59 years, male 2.2
GTEX-X62O-0126-SM-4E3JN 50-59 years, male 2.2
GTEX-1F48J-0126-SM-7P8TT 50-59 years, female 2.2
GTEX-1H11D-0226-SM-9WG6Z 40-49 years, male 2.2
GTEX-11VI4-1726-SM-5CVLH 40-49 years, female 2.1
GTEX-133LE-1826-SM-5J1MV 20-29 years, female 2.1
GTEX-15ETS-0126-SM-7KUMW 40-49 years, female 2.1
GTEX-1C4CL-0526-SM-73KVK 30-39 years, male 2.1
GTEX-ZEX8-2426-SM-4WKG4 50-59 years, male 2.1
GTEX-1RB15-2126-SM-E9TIM 60-69 years, male 2.1
GTEX-13W46-0226-SM-5SIAG 50-59 years, male 2.0
GTEX-RU72-0926-SM-2TF6B 50-59 years, female 2.0
GTEX-T8EM-1026-SM-3DB7M 40-49 years, male 2.0
GTEX-13NZB-2526-SM-5J1OM 30-39 years, male 1.9
GTEX-17HHE-2026-SM-79OKF 50-59 years, male 1.9
GTEX-WI4N-1026-SM-3LK7N 40-49 years, female 1.9
GTEX-18QFQ-0126-SM-731BE 30-39 years, male 1.8
GTEX-VJWN-0126-SM-3GIK7 50-59 years, female 1.8
GTEX-ZZPT-0226-SM-5E43X 50-59 years, male 1.8
GTEX-1RAZA-0126-SM-E6CI3 20-29 years, male 1.8
GTEX-PLZ6-1426-SM-DKPOT 30-39 years, male 1.8
GTEX-1192X-0226-SM-5H12D 50-59 years, male 1.7
GTEX-13FTX-1826-SM-5J1NX 20-29 years, female 1.7
GTEX-1AMFI-2026-SM-731BH 50-59 years, female 1.7
GTEX-1S82Z-0826-SM-E6CHY 30-39 years, female 1.7
GTEX-13VXT-0126-SM-5LU4I 20-29 years, female 1.6
GTEX-PLZ4-0126-SM-5SI8O 50-59 years, female 1.6
GTEX-QDT8-0126-SM-48TZ1 30-39 years, female 1.6
GTEX-12WSG-2826-SM-E9J4H 50-59 years, female 1.6
GTEX-1F75I-0326-SM-9YFLU 40-49 years, male 1.6
GTEX-1HSEH-0126-SM-ACKXN 60-69 years, male 1.6
GTEX-1JKYR-0126-SM-CNPOJ 20-29 years, male 1.6
GTEX-1R9PO-2126-SM-E9J4O 60-69 years, female 1.5
GTEX-16MT8-0426-SM-7KUEY 60-69 years, female 1.4
GTEX-RUSQ-1526-SM-2TF62 50-59 years, male 1.4
GTEX-1ICLY-0126-SM-D4P36 50-59 years, male 1.4
GTEX-13RTK-1426-SM-5QGQJ 20-29 years, male 1.3
GTEX-1JK1U-2026-SM-CM2RZ 60-69 years, male 1.3
GTEX-1QCLY-0326-SM-E8VOG 30-39 years, male 1.3
GTEX-ZAB4-0226-SM-5N9F5 40-49 years, male 1.2
GTEX-1NHNU-1026-SM-E9J2A 50-59 years, male 1.2
GTEX-OHPM-0126-SM-2YUN9 50-59 years, male 1.1
GTEX-1GTWX-0126-SM-9YFLK 60-69 years, male 1.1
GTEX-1LC47-0326-SM-E9TJP 60-69 years, male 1.1
GTEX-1LVAN-0226-SM-COH3S 50-59 years, female 1.0
GTEX-11ZUS-0626-SM-59885 30-39 years, male 0.9
GTEX-14ICK-0226-SM-6EU25 40-49 years, male 0.9
GTEX-169BO-1326-SM-9MQK2 50-59 years, male 0.9
GTEX-1N2DV-0226-SM-E6CJ6 40-49 years, male 0.9
GTEX-1HSMO-0126-SM-CL547 60-69 years, male 0.8
GTEX-1LSNM-1926-SM-E6CII 50-59 years, male 0.8
GTEX-1QW4Y-1526-SM-EAZ3Z 30-39 years, male 0.8
GTEX-1R46S-0626-SM-E9J41 60-69 years, female 0.8
GTEX-117YX-2326-SM-5H12W 50-59 years, male 0.7
GTEX-11TTK-0126-SM-5987B 60-69 years, female 0.7
GTEX-1QP67-1626-SM-EAZ3X 40-49 years, female 0.7
GTEX-SE5C-1626-SM-2XCE3 40-49 years, female 0.7
GTEX-14JIY-0126-SM-6LLH6 60-69 years, male 0.6
GTEX-O5YW-0126-SM-3LK6D 50-59 years, male 0.6
GTEX-1C64O-0126-SM-7SB8P 60-69 years, male 0.6
GTEX-139D8-0226-SM-5KLZO 30-39 years, female 0.5
GTEX-145LV-2126-SM-5LU8N 50-59 years, male 0.5
GTEX-14PHW-0126-SM-6LLJI 60-69 years, female 0.5
GTEX-1CAMQ-0226-SM-7IGPK 40-49 years, male 0.5
GTEX-146FR-1326-SM-E9J48 60-69 years, female 0.5
GTEX-146FQ-0126-SM-5NQA9 30-39 years, male 0.4
GTEX-U4B1-1826-SM-4DXSU 40-49 years, male 0.4
GTEX-OXRK-0226-SM-3NB2G 50-59 years, female 0.3
GTEX-1HSMP-0126-SM-E6CJS 70-79 years, male 0.3
Show allShow less

Contact

  • NEWS ARTICLES
  • PRESS ROOM

The Project

  • INTRODUCTION
  • ORGANIZATION
  • PUBLICATIONS

The Human Protein Atlas

  • DOWNLOADABLE DATA
  • LICENCE & CITATION
  • HELP & FAQ
The Human Protein Atlas project is funded
by the Knut & Alice Wallenberg Foundation.


contact@proteinatlas.org