We use cookies to enhance the usability of our website. If you continue, we'll assume that you are happy to receive all cookies. More information. Don't show this again.
RHPN2
HPA
RESOURCES
  • TISSUE
  • BRAIN
  • SINGLE CELL
  • SUBCELLULAR
  • CANCER
  • BLOOD
  • CELL LINE
  • STRUCTURE & INTERACTION
ABOUT
  • INTRODUCTION
  • HISTORY
  • ORGANIZATION
  • PUBLICATIONS
  • ANTIBODY SUBMISSION
  • ANTIBODY AVAILABILITY
  • ACKNOWLEDGMENTS
  • CONTACT
NEWS
  • NEWS ARTICLES
  • PRESS ROOM
LEARN
  • DICTIONARY
  • PROTEIN CLASSES
  • PROTEIN EVIDENCE
  • METHODS
  • EDUCATIONAL VIDEOS
DATA
  • DOWNLOADABLE DATA
  • PUBLICATION DATA
  • RELEASE HISTORY
HELP
  • ANTIBODY VALIDATION
  • ASSAYS & ANNOTATION
  • DISCLAIMER
  • HELP & FAQ
  • PRIVACY STATEMENT
  • LICENCE & CITATION
Fields »
Search result

Field
Term
Gene name
Class
Subclass
Class
Keyword
Chromosome
External id
Tissue
Cell type
Expression
Antibody panel
Tissue
Main location
Patient ID
Annotation
Tissue
Category
Tau score
Cluster
Reliability
Brain region
Category
Tau score
Brain region
Category
Tau score
Brain region
Category
Tau score
Cluster
Reliability
Tissue
Cell type
Enrichment
Cell type
Category
Tau score
Cell type
Category
Tau score
Cell type
Category
Tau score
Cell lineage
Category
Tau score
Cluster
Cluster
Location
Searches
Location
Cell line
Class
Type
Phase
Reliability
Cancer
Prognosis
Cancer
Category
Cancer
Category
Tau score
Cluster
Variants
Interacting gene (ensg_id)
Type
Number of interactions
Pathway
Category
Score
Score
Score
Validation
Validation
Validation
Validation
Antibodies
Data type
Column


  • SUMMARY

  • TISSUE

  • BRAIN

  • SINGLE CELL

  • SUBCELL

  • CANCER

  • BLOOD

  • CELL LINE

  • STRUCT & INT

  • RHPN2
TISSUE PRIMARY DATA SKIN Show tissue menu
ADIPOSE TISSUE ADRENAL GLAND AMYGDALA APPENDIX BASAL GANGLIA BONE MARROW BREAST BRONCHUS CEREBELLUM CEREBRAL CORTEX CERVIX CHOROID PLEXUS COLON DUODENUM
ENDOMETRIUM EPIDIDYMIS ESOPHAGUS FALLOPIAN TUBE GALLBLADDER HEART MUSCLE HIPPOCAMPAL FORMATION HYPOTHALAMUS KIDNEY LIVER LUNG LYMPH NODE MIDBRAIN NASOPHARYNX
ORAL MUCOSA OVARY PANCREAS PARATHYROID GLAND PITUITARY GLAND PLACENTA PROSTATE RECTUM RETINA SALIVARY GLAND SEMINAL VESICLE SKELETAL MUSCLE SKIN SMALL INTESTINE
SMOOTH MUSCLE SOFT TISSUE SPINAL CORD SPLEEN STOMACH TESTIS THYMUS THYROID GLAND TONGUE TONSIL URINARY BLADDER VAGINA
ANTIBODIES
AND
VALIDATION
Dictionary
Skin
Tissue proteome
Skin
SKIN - Expression summary
Protein expression
Skini

On the top, protein expression in current human tissue, based on all annotated cell types, is reported with the units not detected (n), low (l), medium (m) and high (h). Underneath, protein expression in each annotated cell type are reported using the same units.

Protein expression data is based on knowledge-based annotation. For genes where more than one antibody has been used, a collective score is set.

If knowledge-based annotation could not be performed for a gene, no data is displayed here. View antibody staining data further down this page.

h
m
l
n
Epidermal cells: Medium
Fibroblasts: Low
Keratinocytes: Medium
Langerhans: Low
Melanocytes: Not detected
RNA expressioni

A summary of mRNA expression data available for current tissue based on several datasets. The mRNA expression levels in human tissues are based on RNA-seq data generated by the Human Protein Atlas (HPA), Genotype-Tissue Expression (GTEx) portal and CAGE data generated by the FANTOM5 consortium. Consensus normalized expression levels for human tissues was created by combining the data from HPA and GTEx datasets.

The mRNA expression levels in pig are based on RNA-seq data generated by the Human Protein Atlas (HPA), and for mouse, HPA data and in situ hybridization generated by the Allen brain atlas are reported.

Scroll down to view mRNA expression data in more detail.
Consensus:10.2 nTPM
HPA:0.4 nTPM
GTEx:10.2 nTPM

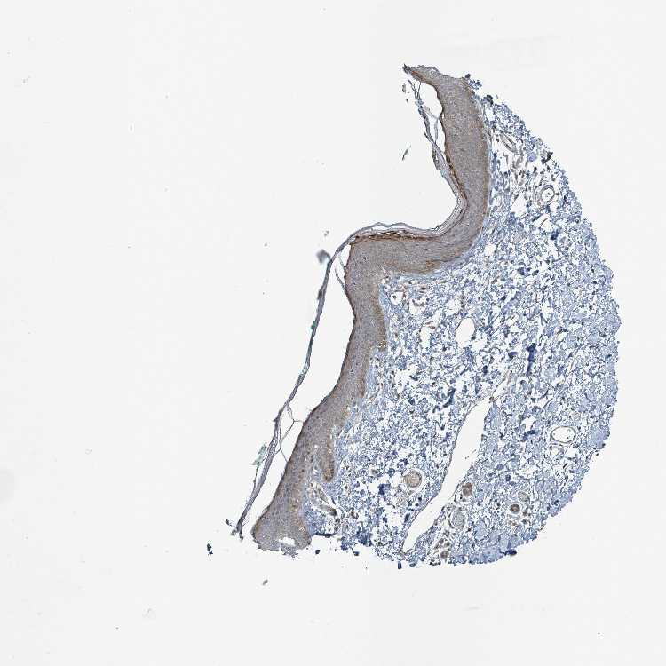
SKIN 1 - Antibody stainingi

Antibody staining in the annotated cell types in the current human tissue is reported as not detected, low, medium, or high, based on conventional immunohistochemistry profiling in selected tissues. This score is based on the combination of the staining intensity and fraction of stained cells.

Each image is clickable and will lead to virtual microscopy that enables deeper exploration of all samples and also displays staining intensity scores, fraction scores and subcellular localization as well as patient and tissue information for each sample.

Antibody HPA051749
Langerhans Low
Fibroblasts Low
Keratinocytes Medium
Melanocytes Not detected

SKIN 2 - Antibody stainingi

Antibody staining in the annotated cell types in the current human tissue is reported as not detected, low, medium, or high, based on conventional immunohistochemistry profiling in selected tissues. This score is based on the combination of the staining intensity and fraction of stained cells.

Each image is clickable and will lead to virtual microscopy that enables deeper exploration of all samples and also displays staining intensity scores, fraction scores and subcellular localization as well as patient and tissue information for each sample.

Antibody HPA051749
Epidermal cells Medium
 
 
 

SKIN - HPA RNA-seqi

The RNA-seq details section shows detailed information about the individual samples used for the transcript profiling and results of the RNA-seq analysis.

Information about each individual sample is listed below, including gender, age, a tissue section image and estimated fractions of cell types. nTPM (normalized transcripts per million) values give a quantification of the gene abundance which is comparable between different genes and samples.
Average nTPMi

Max subtype nTPM is the value for the subtype with the largest average nTPM across the subtype samples.

0.4
overview
Female, age 34
Skin sample 225
nTPM: 0.3
Cell types%
Keratinocytes:
60

Other cell types:
40

overview
Female, age 30
Skin sample 226
nTPM: 0.2
Cell types%
Keratinocytes:
55

Other cell types:
45

N/A
Male, age 57
Skin sample 227
nTPM: 0.5

SKIN - GTEx RNA-seqi

RNA-Seq data generated by the Genotype-Tissue Expression (GTEx) project from human tissues is reported as mean nTPM. More information can be found on the GTEx portal.

Distribution across the dataset is visualized with box plots, shown as median and 25th and 75th percentiles. Points are displayed as outliers if they are above or below 1.5 times the interquartile range. nTPM values of the individual samples are presented next to the box plot.
Max subtype nTPMi

Max subtype nTPM is the value for the subtype with the largest average nTPM across the subtype samples.

10.2
GTEx sample id Sample description nTPM
Skin - Not Sun Exposed (Suprapubic)
Average nTPM: 7.7
Samples: 604

Max nTPM: 55.8
Min nTPM: 0.0
Std nTPM: 8.1
Median nTPM: 5.4
GTEX-XMD2-2126-SM-4YCF8 60-69 years, female 55.8
GTEX-XOT4-0626-SM-4B66L 60-69 years, female 46.2
GTEX-14DAQ-0626-SM-793DS 60-69 years, female 44.7
GTEX-14PJ2-0626-SM-6LLII 50-59 years, male 41.5
GTEX-1QP66-1226-SM-DTX7U 50-59 years, male 40.5
GTEX-1L5NE-1126-SM-D3L9P 50-59 years, male 40.3
GTEX-12696-0126-SM-5EQ4L 60-69 years, male 36.5
GTEX-1RAZA-2226-SM-E9U4X 20-29 years, male 35.2
GTEX-13JUV-2026-SM-5K7UA 40-49 years, female 33.1
GTEX-12WSF-1626-SM-7KUG5 70-79 years, male 31.9
GTEX-1HCU9-0426-SM-9WYSD 20-29 years, male 31.9
GTEX-1KWVE-1026-SM-D3L9O 30-39 years, male 31.2
GTEX-12WSL-2026-SM-5GCML 50-59 years, male 30.5
GTEX-14E6C-2426-SM-5S2NF 40-49 years, male 29.4
GTEX-145MG-1526-SM-5Q5EM 50-59 years, male 28.6
GTEX-1F75W-2726-SM-7SB8H 60-69 years, male 28.0
GTEX-13NZ9-2626-SM-5L3FK 50-59 years, male 27.9
GTEX-145MO-2826-SM-5LU96 60-69 years, male 27.7
GTEX-18A7B-2726-SM-7LG56 70-79 years, male 27.6
GTEX-1A32A-0626-SM-731AQ 50-59 years, female 27.3
GTEX-1QEPI-2626-SM-DTXF4 60-69 years, female 27.3
GTEX-1I19N-0126-SM-CYPSF 70-79 years, male 26.9
GTEX-139TS-2126-SM-5K7XC 60-69 years, male 26.2
GTEX-131XH-0126-SM-5LZUY 50-59 years, male 26.1
GTEX-145LS-0626-SM-7EPG7 60-69 years, female 26.1
GTEX-13FH7-1126-SM-5K7UG 50-59 years, female 25.7
GTEX-XK95-0226-SM-4AT58 40-49 years, male 25.7
GTEX-ZAJG-1526-SM-5CVML 50-59 years, female 25.7
GTEX-1IDJE-1426-SM-ADEIW 50-59 years, female 25.0
GTEX-147GR-2426-SM-5ZZWQ 60-69 years, male 24.9
GTEX-1N5O9-0926-SM-E9J3C 60-69 years, male 24.8
GTEX-UPK5-0426-SM-3GAEK 40-49 years, male 24.7
GTEX-17JCI-2926-SM-7DUFF 60-69 years, female 24.4
GTEX-1IL2V-1926-SM-B2LW8 70-79 years, male 24.2
GTEX-ZUA1-2626-SM-5NQ92 40-49 years, male 23.8
GTEX-ZVE2-2826-SM-5GU51 50-59 years, male 23.8
GTEX-1HR98-2226-SM-ADEI2 60-69 years, male 23.5
GTEX-1IDJC-1526-SM-B2LW4 50-59 years, male 23.5
GTEX-1CAV2-0126-SM-7IGN7 40-49 years, female 23.3
GTEX-1C64O-1326-SM-7MGWR 60-69 years, male 23.3
GTEX-111FC-2526-SM-5GZXU 60-69 years, male 23.1
GTEX-12BJ1-0926-SM-5EQ62 60-69 years, male 23.0
GTEX-YF7O-1526-SM-5IFI6 50-59 years, male 22.9
GTEX-1212Z-0126-SM-59HK4 60-69 years, male 22.7
GTEX-ZT9W-1126-SM-57WDR 50-59 years, male 22.5
GTEX-13OVL-0126-SM-5L3GJ 50-59 years, male 22.3
GTEX-11DXW-0826-SM-5H118 40-49 years, male 21.6
GTEX-1F52S-2926-SM-7MKGA 60-69 years, female 21.5
GTEX-1LGOU-1326-SM-D3L8M 20-29 years, female 21.4
GTEX-16MT8-2926-SM-7DUFO 60-69 years, female 21.3
GTEX-117YX-1926-SM-5GIEC 50-59 years, male 21.0
GTEX-11DXY-0126-SM-5H11Q 60-69 years, male 20.8
GTEX-1H1CY-0126-SM-9YFLY 60-69 years, female 20.5
GTEX-11EM3-1226-SM-5N9DD 20-29 years, female 20.2
GTEX-WK11-2726-SM-3NMAQ 50-59 years, male 19.8
GTEX-VUSG-2326-SM-4KL1U 50-59 years, male 19.3
GTEX-1H3NZ-2726-SM-9WYTQ 60-69 years, male 19.2
GTEX-1LG7Z-1626-SM-CXKYR 30-39 years, male 19.2
GTEX-ZDTS-0826-SM-4WKHL 60-69 years, male 19.1
GTEX-YB5K-2026-SM-4VDT3 40-49 years, female 19.0
GTEX-ZYW4-0626-SM-59HJR 60-69 years, male 18.9
GTEX-1F75B-0726-SM-7PC3R 50-59 years, male 18.6
GTEX-139TT-2126-SM-5LZWC 60-69 years, male 18.5
GTEX-17EVQ-0126-SM-7IGLR 70-79 years, male 18.4
GTEX-1KANC-1226-SM-CYPT7 50-59 years, female 18.1
GTEX-14LLW-2626-SM-62LDZ 70-79 years, female 17.9
GTEX-1A3MX-2626-SM-7PC24 60-69 years, male 17.9
GTEX-WFG8-2126-SM-3GIKQ 20-29 years, male 17.7
GTEX-1R9K4-2826-SM-DTX8F 60-69 years, male 17.5
GTEX-18A6Q-0626-SM-7KFRP 60-69 years, male 17.3
GTEX-1B996-0426-SM-7EWF8 60-69 years, male 17.1
GTEX-ZYFG-1526-SM-5GZYM 60-69 years, female 17.1
GTEX-1O9I2-0226-SM-EYYXD 50-59 years, male 17.0
GTEX-1JJ6O-2726-SM-CNPOG 60-69 years, male 16.9
GTEX-1KANA-1326-SM-DIPFA 20-29 years, male 16.8
GTEX-16GPK-0626-SM-7KFSF 60-69 years, male 16.7
GTEX-17F96-0126-SM-7EWDU 70-79 years, male 16.6
GTEX-ZDXO-3126-SM-5IJDF 60-69 years, male 16.6
GTEX-12584-0726-SM-5FQTK 40-49 years, male 16.5
GTEX-1H1E6-0426-SM-9WYUS 30-39 years, male 16.5
GTEX-11EI6-2826-SM-5H11D 60-69 years, male 16.2
GTEX-14JG1-1526-SM-5YY9X 40-49 years, male 16.2
GTEX-1E1VI-0326-SM-793D1 50-59 years, male 16.1
GTEX-1J8JJ-0626-SM-ARZMQ 60-69 years, female 16.1
GTEX-1M4P7-0726-SM-E6CJ3 60-69 years, male 15.4
GTEX-Y8E4-2026-SM-5IFJB 40-49 years, male 15.3
GTEX-16NGA-0726-SM-731AO 40-49 years, female 15.0
GTEX-13OVH-0526-SM-5L3E6 70-79 years, male 14.9
GTEX-X8HC-0626-SM-4E3HQ 50-59 years, female 14.6
GTEX-11GSP-2326-SM-5HL63 60-69 years, female 14.5
GTEX-14BMU-1226-SM-5S2OR 20-29 years, female 14.5
GTEX-13FLV-0126-SM-5K7WT 50-59 years, male 14.3
GTEX-11NSD-0626-SM-5A5LU 20-29 years, male 14.2
GTEX-WHPG-2626-SM-3NMBR 50-59 years, male 14.2
GTEX-1KD5A-0126-SM-E9U54 50-59 years, male 14.2
GTEX-ZVE1-0726-SM-51MRN 50-59 years, female 14.1
GTEX-1JMPZ-0726-SM-CY8HZ 30-39 years, male 14.1
GTEX-1NSGN-0726-SM-DTXEF 50-59 years, male 14.1
GTEX-1GZ4I-2626-SM-9KNU3 50-59 years, male 14.0
GTEX-12WSM-1926-SM-5BC65 60-69 years, male 13.9
GTEX-11NUK-2726-SM-5A5MC 50-59 years, male 13.8
GTEX-14PJO-2526-SM-6AJBQ 60-69 years, male 13.8
GTEX-11EQ9-1626-SM-5PNY8 30-39 years, male 13.7
GTEX-1RAZS-2526-SM-E6CHT 50-59 years, male 13.7
GTEX-18A7A-0126-SM-731AH 50-59 years, female 13.4
GTEX-ZLWG-0826-SM-59888 50-59 years, female 13.2
GTEX-1LSNM-0826-SM-DIPG8 50-59 years, male 13.2
GTEX-11TT1-1826-SM-5EQLV 20-29 years, male 13.1
GTEX-12WSA-0426-SM-5EQ5X 60-69 years, male 13.1
GTEX-12ZZY-0726-SM-5EQ66 60-69 years, male 13.0
GTEX-1K2DA-1026-SM-CGQGF 50-59 years, male 13.0
GTEX-WY7C-2126-SM-3NB2R 50-59 years, male 12.9
GTEX-13X6I-1826-SM-5SIAO 60-69 years, male 12.8
GTEX-X4EP-0626-SM-3P621 60-69 years, female 12.8
GTEX-1314G-1326-SM-5BC6E 30-39 years, male 12.7
GTEX-1IY9M-2826-SM-ARU8H 60-69 years, male 12.5
GTEX-V1D1-2026-SM-3GAF4 50-59 years, male 12.4
GTEX-XXEK-1626-SM-4BRUZ 50-59 years, male 12.1
GTEX-11OF3-0126-SM-5PNYF 60-69 years, male 12.0
GTEX-1192X-2726-SM-5N9DN 50-59 years, male 11.9
GTEX-13SLX-2226-SM-62LEP 50-59 years, female 11.9
GTEX-WYJK-0526-SM-3NM8Z 50-59 years, male 11.9
GTEX-ZVTK-0226-SM-51MRG 20-29 years, male 11.9
GTEX-131XW-0626-SM-5PNVD 50-59 years, female 11.8
GTEX-16Z82-2626-SM-7KULU 60-69 years, male 11.8
GTEX-1GF9W-1426-SM-7PBYM 60-69 years, male 11.8
GTEX-14E1K-2026-SM-7DUEI 50-59 years, male 11.6
GTEX-ZU9S-1826-SM-5NQ9E 30-39 years, male 11.6
GTEX-1RAZR-2126-SM-E9U6T 40-49 years, male 11.6
GTEX-WHSE-0126-SM-3NMBT 20-29 years, male 11.4
GTEX-ZXG5-2126-SM-59HKD 60-69 years, male 11.3
GTEX-1HB9E-0126-SM-CM2S5 50-59 years, male 11.3
GTEX-1PPGY-1626-SM-EVYBL 60-69 years, male 11.2
GTEX-13OW8-1026-SM-5J1NQ 60-69 years, male 11.1
GTEX-13N2G-0226-SM-5K7VF 60-69 years, male 11.0
GTEX-16XZZ-0726-SM-7KUF2 60-69 years, male 11.0
GTEX-ZE9C-2526-SM-5IJDR 60-69 years, male 11.0
GTEX-1ICG6-1226-SM-A9SLN 70-79 years, female 11.0
GTEX-1K9T9-1526-SM-DIPFR 50-59 years, female 11.0
GTEX-1KANB-2826-SM-CY8I6 50-59 years, male 11.0
GTEX-1AX8Z-0726-SM-73KTS 60-69 years, male 10.9
GTEX-1CB4I-0126-SM-7RHGG 50-59 years, male 10.9
GTEX-1J8Q2-2626-SM-ACKWQ 60-69 years, male 10.9
GTEX-14BMV-2826-SM-5TDED 50-59 years, male 10.7
GTEX-1A3MV-1826-SM-731CD 30-39 years, male 10.7
GTEX-1GZ2Q-0126-SM-9WG6M 40-49 years, male 10.7
GTEX-1F6IF-0926-SM-7SB7M 60-69 years, male 10.6
GTEX-11P82-1426-SM-DTXFY 20-29 years, male 10.5
GTEX-1LG7Y-2526-SM-EWRO7 50-59 years, male 10.4
GTEX-1QMI2-2526-SM-E8VNZ 60-69 years, male 10.4
GTEX-139TU-0726-SM-5L3EK 60-69 years, male 10.3
GTEX-1I6K6-1726-SM-CGQFD 30-39 years, male 10.3
GTEX-1LVAO-2726-SM-E9TJ8 60-69 years, male 10.3
GTEX-11EQ8-0926-SM-5H12V 60-69 years, male 10.2
GTEX-12KS4-2126-SM-5FQUT 30-39 years, male 10.2
GTEX-WEY5-2326-SM-3GIKK 40-49 years, female 10.2
GTEX-Y5LM-0926-SM-6LLJG 40-49 years, female 10.1
GTEX-1LBAC-0826-SM-CY8IJ 20-29 years, male 10.1
GTEX-12126-0826-SM-5FQTZ 20-29 years, male 10.0
GTEX-145LT-0526-SM-5LUB2 40-49 years, male 10.0
GTEX-15G1A-1626-SM-7KUKN 30-39 years, male 10.0
GTEX-1GMR3-0126-SM-A9SLW 40-49 years, male 10.0
GTEX-12C56-1526-SM-5FQUQ 20-29 years, male 9.9
GTEX-145MF-0926-SM-5Q5EA 50-59 years, male 9.9
GTEX-15UF6-1926-SM-7KUDV 70-79 years, female 9.9
GTEX-18D9U-0126-SM-731BM 40-49 years, male 9.9
GTEX-1GF9U-2026-SM-7SB92 40-49 years, female 9.9
GTEX-1HUB1-1426-SM-CGQF5 60-69 years, male 9.8
GTEX-13112-0126-SM-5P9IU 50-59 years, male 9.7
GTEX-WHWD-1826-SM-3LK6I 50-59 years, male 9.7
GTEX-ZWKS-0626-SM-5GIDV 30-39 years, male 9.7
GTEX-1JN6P-2926-SM-CL54D 60-69 years, male 9.7
GTEX-13NZ8-1226-SM-5KM4A 60-69 years, female 9.6
GTEX-X4EO-2926-SM-4E3JH 60-69 years, female 9.6
GTEX-1I6K7-1926-SM-B2LXR 40-49 years, male 9.6
GTEX-147F4-0726-SM-5TDDD 50-59 years, male 9.5
GTEX-XBED-1926-SM-47JYP 60-69 years, male 9.5
GTEX-Y5V5-0126-SM-5S2NW 60-69 years, female 9.5
GTEX-ZDTT-0426-SM-4WKFL 60-69 years, male 9.5
GTEX-YEC3-1326-SM-DO92X 50-59 years, male 9.5
GTEX-1F75I-2226-SM-7SB8U 40-49 years, male 9.4
GTEX-1IDJU-1726-SM-CMKHU 60-69 years, female 9.4
GTEX-14JFF-0626-SM-5ZZVT 60-69 years, male 9.3
GTEX-1GMR2-0826-SM-7PC3V 50-59 years, male 9.3
GTEX-1IDJV-0126-SM-COH3Y 60-69 years, male 9.3
GTEX-13OVG-1626-SM-5J1NF 60-69 years, male 9.2
GTEX-1JMLX-0626-SM-ARL8T 50-59 years, male 9.2
GTEX-1497J-0226-SM-5QGPU 60-69 years, male 9.1
GTEX-15CHQ-0326-SM-69LQD 60-69 years, male 9.1
GTEX-VJYA-1526-SM-3GIJV 60-69 years, male 9.0
GTEX-Y5V6-2326-SM-4VDSA 60-69 years, male 9.0
GTEX-1GTWX-2026-SM-9YFLM 60-69 years, male 9.0
GTEX-1QP9N-1226-SM-E76QN 30-39 years, male 9.0
GTEX-15SHW-0226-SM-7LTAT 60-69 years, male 8.8
GTEX-18465-2826-SM-7LT9J 50-59 years, male 8.7
GTEX-1IDJH-0126-SM-D3L92 70-79 years, male 8.7
GTEX-1HCVE-2726-SM-CL54F 50-59 years, male 8.6
GTEX-1POEN-2326-SM-E9J2L 30-39 years, female 8.6
GTEX-1F88E-1626-SM-7SB8Z 60-69 years, female 8.5
GTEX-1H1DF-1126-SM-9WG7G 40-49 years, female 8.5
GTEX-1I1GS-2626-SM-B2LY3 60-69 years, male 8.5
GTEX-ZYFD-0626-SM-5E44E 50-59 years, male 8.4
GTEX-11ZUS-2626-SM-5FQUR 30-39 years, male 8.3
GTEX-YECK-0326-SM-4W1YS 60-69 years, male 8.2
GTEX-1H1ZS-2726-SM-9WG75 70-79 years, male 8.2
GTEX-1RLM8-2926-SM-E8VON 50-59 years, male 8.2
GTEX-1S82P-2126-SM-E6CI5 60-69 years, female 8.2
GTEX-1C475-1326-SM-7SB73 40-49 years, female 8.1
GTEX-1GMR8-0626-SM-7RHI7 50-59 years, female 8.1
GTEX-1399R-1326-SM-5PNYS 30-39 years, male 8.0
GTEX-1A8FM-0626-SM-7PC25 50-59 years, female 8.0
GTEX-1IDFM-0326-SM-ARL7V 60-69 years, male 8.0
GTEX-11P7K-1126-SM-5HL4L 30-39 years, male 7.9
GTEX-15RJE-2826-SM-7KUM9 40-49 years, male 7.9
GTEX-1B932-2326-SM-79OL5 40-49 years, female 7.9
GTEX-ZVP2-0326-SM-57WBP 50-59 years, male 7.9
GTEX-131YS-2826-SM-5EQ47 60-69 years, female 7.8
GTEX-13N11-2326-SM-5IJBF 50-59 years, female 7.8
GTEX-1477Z-0326-SM-7IGLA 60-69 years, male 7.8
GTEX-ZDYS-2426-SM-4WKGI 50-59 years, male 7.8
GTEX-ZTTD-2826-SM-4YCFA 50-59 years, male 7.8
GTEX-1RB15-1326-SM-E76Q9 60-69 years, male 7.8
GTEX-1HSMO-0626-SM-ACKXC 60-69 years, male 7.7
GTEX-12WSC-2826-SM-5BC5Y 50-59 years, male 7.6
GTEX-YJ8O-2526-SM-5HL85 40-49 years, female 7.6
GTEX-11UD2-2526-SM-5CVNU 50-59 years, male 7.5
GTEX-1PIGE-1826-SM-E8VOU 20-29 years, male 7.5
GTEX-132AR-0326-SM-5KM2C 50-59 years, female 7.4
GTEX-148VJ-0626-SM-5LUAW 70-79 years, male 7.4
GTEX-14DAR-1226-SM-73KYV 50-59 years, male 7.4
GTEX-17F9E-2326-SM-79OKD 50-59 years, male 7.4
GTEX-18A66-0626-SM-7LT8Z 60-69 years, male 7.4
GTEX-18D9B-0926-SM-7LG4U 60-69 years, male 7.4
GTEX-1HCU6-2526-SM-ADEHL 60-69 years, female 7.4
GTEX-15D1Q-2826-SM-6LLH7 40-49 years, male 7.2
GTEX-13RTJ-0126-SM-5S2NN 60-69 years, male 7.1
GTEX-WYBS-0626-SM-3NMAS 60-69 years, female 7.1
GTEX-1H2FU-0926-SM-9WPPT 60-69 years, female 7.1
GTEX-1F6I4-2326-SM-7RHGL 60-69 years, male 7.0
GTEX-16YQH-2226-SM-7IGM2 30-39 years, male 6.9
GTEX-ZYT6-2326-SM-5GZY3 30-39 years, male 6.9
GTEX-1HSMP-0926-SM-A9SKX 70-79 years, male 6.9
GTEX-1PPH7-1126-SM-DTX9A 40-49 years, male 6.8
GTEX-1A3MW-0626-SM-731CB 60-69 years, female 6.7
GTEX-1IDJD-2326-SM-ACKWX 30-39 years, male 6.7
GTEX-1JMQI-1726-SM-ARL93 50-59 years, male 6.7
GTEX-1QCLY-0226-SM-EWRNH 30-39 years, male 6.7
GTEX-15EU6-2226-SM-6EU2L 50-59 years, male 6.6
GTEX-YFCO-1226-SM-5LUAT 40-49 years, male 6.6
GTEX-18D9A-1426-SM-7LT8M 30-39 years, female 6.5
GTEX-15G19-2426-SM-7KUMR 60-69 years, male 6.4
GTEX-1F88F-0126-SM-9WYSZ 60-69 years, female 6.4
GTEX-1JJE9-2626-SM-ARZMT 70-79 years, male 6.4
GTEX-11WQC-1826-SM-5GU59 60-69 years, male 6.3
GTEX-13N1W-2426-SM-5IJD1 70-79 years, male 6.3
GTEX-13W3W-0726-SM-5IJDQ 60-69 years, female 6.3
GTEX-14AS3-1526-SM-5Q5ED 40-49 years, female 6.3
GTEX-15DDE-2926-SM-6LLJ3 50-59 years, female 6.3
GTEX-17HHY-0426-SM-7DHLC 50-59 years, male 6.3
GTEX-183FY-1026-SM-7939A 20-29 years, male 6.3
GTEX-ZYFC-0426-SM-5GICQ 50-59 years, male 6.3
GTEX-1PBJJ-1026-SM-E76OS 30-39 years, male 6.3
GTEX-14PKV-1126-SM-6LLJ1 20-29 years, female 6.2
GTEX-17MF6-2626-SM-79OKQ 40-49 years, male 6.2
GTEX-1CAMQ-1326-SM-7P8RV 40-49 years, male 6.2
GTEX-1JN1M-2726-SM-CY8I4 60-69 years, female 6.2
GTEX-1LVAN-0626-SM-CNPOQ 50-59 years, female 6.2
GTEX-12WSD-0626-SM-5GCMW 60-69 years, female 6.1
GTEX-16NPX-0726-SM-7KULC 50-59 years, male 6.1
GTEX-11O72-0626-SM-5PNYE 40-49 years, male 6.0
GTEX-146FQ-2126-SM-5RQHU 30-39 years, male 6.0
GTEX-15EO6-2426-SM-6PALZ 50-59 years, male 6.0
GTEX-1QCLZ-2426-SM-EVYBW 60-69 years, female 6.0
GTEX-1R9PM-1926-SM-EVR3O 20-29 years, male 6.0
GTEX-12ZZX-2426-SM-5GCOE 40-49 years, female 5.9
GTEX-13U4I-2226-SM-5LU5H 40-49 years, female 5.9
GTEX-17HG3-2626-SM-7DUF2 30-39 years, female 5.9
GTEX-WI4N-2726-SM-3LK7Y 40-49 years, female 5.9
GTEX-1JKYN-0826-SM-ARU8S 30-39 years, male 5.9
GTEX-14JG6-1426-SM-9WG7C 30-39 years, female 5.8
GTEX-1HSGN-0826-SM-ACKW3 40-49 years, female 5.8
GTEX-13FTY-2126-SM-5IFFB 40-49 years, female 5.7
GTEX-13NYS-0626-SM-5L3F1 60-69 years, male 5.7
GTEX-13OW6-2726-SM-5J2OE 50-59 years, male 5.7
GTEX-17MFQ-1526-SM-7KFRR 20-29 years, male 5.7
GTEX-Z93S-1626-SM-5CVMB 50-59 years, male 5.7
GTEX-ZAK1-0626-SM-5HL8E 50-59 years, female 5.7
GTEX-1CAMR-1326-SM-7PC1F 20-29 years, male 5.7
GTEX-14PHX-2226-SM-6EU2P 50-59 years, male 5.6
GTEX-ZC5H-1526-SM-5HL9Y 40-49 years, female 5.6
GTEX-ZPU1-1126-SM-4YCF3 40-49 years, male 5.6
GTEX-1F48J-0726-SM-7RHGS 50-59 years, female 5.6
GTEX-139T8-0626-SM-5KLZX 60-69 years, male 5.5
GTEX-139YR-1026-SM-5LZYN 50-59 years, male 5.5
GTEX-18QFQ-1826-SM-72D52 30-39 years, male 5.5
GTEX-XPVG-2126-SM-4B667 50-59 years, male 5.5
GTEX-1GN1U-0626-SM-9MQL9 50-59 years, female 5.5
GTEX-1H1DG-2426-SM-9QEHJ 70-79 years, male 5.5
GTEX-145ME-1726-SM-5Q5EU 40-49 years, female 5.4
GTEX-14753-0726-SM-5QGQO 60-69 years, male 5.4
GTEX-14PHY-1226-SM-5ZZWK 60-69 years, female 5.4
GTEX-1B8KE-1126-SM-7EPHI 50-59 years, male 5.4
GTEX-Y8LW-1526-SM-5IFHL 50-59 years, female 5.4
GTEX-1H23P-0626-SM-9WG6T 60-69 years, male 5.4
GTEX-13D11-0926-SM-5J2NC 50-59 years, female 5.3
GTEX-1HGF4-0126-SM-CNPPX 60-69 years, male 5.3
GTEX-1MJK3-0726-SM-E6CJC 20-29 years, male 5.3
GTEX-13OW5-2326-SM-5L3HO 60-69 years, male 5.2
GTEX-XBEC-0726-SM-4QARZ 50-59 years, male 5.2
GTEX-1K2DU-1226-SM-CYPT4 20-29 years, male 5.2
GTEX-1B933-2426-SM-7DHMD 50-59 years, female 5.1
GTEX-1B97I-0626-SM-73KUZ 40-49 years, male 5.1
GTEX-1I4MK-0126-SM-CY8G6 50-59 years, female 5.1
GTEX-1IDJF-2026-SM-CL53V 20-29 years, male 5.1
GTEX-13NYC-0126-SM-5L3F4 60-69 years, male 5.0
GTEX-1EH9U-2826-SM-7DUGT 60-69 years, male 5.0
GTEX-1GN1W-2426-SM-9KNUU 50-59 years, female 5.0
GTEX-1LSVX-2526-SM-DIPEU 60-69 years, male 5.0
GTEX-1I1GP-1326-SM-A9G28 50-59 years, male 4.9
GTEX-1QW4Y-1126-SM-DTXE3 30-39 years, male 4.9
GTEX-WH7G-2026-SM-3NMBL 40-49 years, male 4.8
GTEX-X585-2426-SM-46MW2 50-59 years, male 4.8
GTEX-1HFI7-2326-SM-CGQFS 50-59 years, female 4.8
GTEX-1JKYR-0626-SM-ARL8R 20-29 years, male 4.8
GTEX-ZTSS-1426-SM-5985P 40-49 years, male 4.7
GTEX-1F75A-0726-SM-7RHHD 50-59 years, male 4.7
GTEX-11TUW-0626-SM-5LU9M 60-69 years, male 4.6
GTEX-15CHC-1126-SM-6LLHQ 60-69 years, female 4.6
GTEX-1GL5R-1326-SM-7RHHF 50-59 years, male 4.6
GTEX-1GPI7-1826-SM-9KNU1 20-29 years, male 4.5
GTEX-1I1GV-0626-SM-ARL7M 60-69 years, male 4.5
GTEX-13OVJ-0826-SM-5J1OK 50-59 years, female 4.4
GTEX-1AMEY-0826-SM-72D65 30-39 years, female 4.4
GTEX-1C6WA-2626-SM-7MKGM 60-69 years, male 4.4
GTEX-1LGRB-0926-SM-COH3K 50-59 years, female 4.4
GTEX-14BIN-1126-SM-5RQJZ 50-59 years, female 4.3
GTEX-ZA64-1026-SM-5HL8R 20-29 years, male 4.3
GTEX-1H4P4-2126-SM-9WYSL 50-59 years, male 4.3
GTEX-1LSNL-2726-SM-E9TKJ 50-59 years, male 4.3
GTEX-1RMOY-1326-SM-E9TIH 50-59 years, male 4.3
GTEX-13OW7-0426-SM-5K7VK 50-59 years, male 4.2
GTEX-145MN-1526-SM-5SI9T 30-39 years, male 4.2
GTEX-1EWIQ-0326-SM-7DHMQ 70-79 years, female 4.2
GTEX-XQ8I-0926-SM-4BOOF 50-59 years, male 4.2
GTEX-ZYVF-0926-SM-5E44J 50-59 years, female 4.2
GTEX-1S5ZU-2526-SM-E6CIF 20-29 years, female 4.2
GTEX-1S831-1826-SM-EWROF 20-29 years, male 4.2
GTEX-1211K-1526-SM-5FQU4 60-69 years, female 4.1
GTEX-1HBPN-0126-SM-CGQEF 50-59 years, male 4.1
GTEX-1HC8U-1326-SM-9YFMJ 40-49 years, female 4.1
GTEX-1JMQJ-0826-SM-CNPP7 50-59 years, male 4.1
GTEX-11DZ1-2426-SM-5GZZX 50-59 years, male 4.0
GTEX-1BAJH-2426-SM-7IGP8 70-79 years, male 4.0
GTEX-WRHU-2826-SM-3MJG8 50-59 years, female 4.0
GTEX-XQ3S-1426-SM-4BOPR 20-29 years, male 4.0
GTEX-1F5PL-0926-SM-7PC2W 40-49 years, female 4.0
GTEX-1F6RS-2026-SM-7RHHC 60-69 years, female 4.0
GTEX-1LVAM-0726-SM-E6CIL 50-59 years, female 4.0
GTEX-11DXZ-2026-SM-5987S 50-59 years, male 3.9
GTEX-14ABY-2026-SM-62LDL 50-59 years, male 3.9
GTEX-1B8SF-0126-SM-7DUG3 60-69 years, male 3.9
GTEX-17F97-2626-SM-7IGM5 50-59 years, male 3.8
GTEX-Y111-0626-SM-4SOIT 50-59 years, male 3.8
GTEX-Y3IK-1626-SM-4YCF5 50-59 years, female 3.8
GTEX-13YAN-0226-SM-5TDC6 60-69 years, male 3.7
GTEX-1HSKV-1226-SM-ADEI4 60-69 years, male 3.7
GTEX-1S83E-1326-SM-E6CJM 40-49 years, male 3.7
GTEX-144GO-2026-SM-5O99P 60-69 years, male 3.5
GTEX-ZP4G-1426-SM-4WWCL 20-29 years, female 3.5
GTEX-1117F-2926-SM-5GZYI 60-69 years, female 3.4
GTEX-UPJH-0226-SM-3GADV 50-59 years, male 3.4
GTEX-11DYG-1526-SM-5A5JS 60-69 years, male 3.3
GTEX-13NYB-0126-SM-5J1MD 40-49 years, male 3.3
GTEX-147F3-1726-SM-5SIAW 50-59 years, female 3.3
GTEX-1HCU7-0726-SM-A9SL1 50-59 years, male 3.3
GTEX-1I1CD-0626-SM-CE6SW 60-69 years, female 3.3
GTEX-13G51-1826-SM-5KLZH 60-69 years, male 3.2
GTEX-18A67-1626-SM-7LT9T 50-59 years, male 3.2
GTEX-1AMFI-1326-SM-7939R 50-59 years, female 3.2
GTEX-1J1OQ-0126-SM-D4P2N 40-49 years, female 3.2
GTEX-111CU-1126-SM-5EGIM 50-59 years, male 3.1
GTEX-13OVK-1426-SM-6PAN7 40-49 years, male 3.0
GTEX-13PVQ-0626-SM-5LU47 50-59 years, male 3.0
GTEX-ZLFU-1826-SM-4WWBV 40-49 years, male 3.0
GTEX-1GF9X-1326-SM-7PC2Y 40-49 years, female 3.0
GTEX-131XF-2626-SM-5EQ6K 60-69 years, male 2.9
GTEX-183WM-0326-SM-72D5V 70-79 years, female 2.9
GTEX-1J1R8-2026-SM-CL53Y 40-49 years, male 2.9
GTEX-13X6H-0926-SM-5SIB2 50-59 years, female 2.8
GTEX-1B8KZ-0326-SM-73KY4 50-59 years, male 2.8
GTEX-1OJC3-1226-SM-DTXER 20-29 years, male 2.8
GTEX-13113-1626-SM-5EQ4I 60-69 years, female 2.7
GTEX-17HGU-2326-SM-7DUFE 50-59 years, male 2.7
GTEX-ZZ64-1026-SM-5GZXG 20-29 years, male 2.7
GTEX-1JMQK-1226-SM-D4P2S 60-69 years, male 2.7
GTEX-13PVR-0426-SM-5RQK2 60-69 years, female 2.6
GTEX-14A5H-0826-SM-5QGPJ 60-69 years, male 2.6
GTEX-14PJ6-2626-SM-6EU2T 60-69 years, female 2.6
GTEX-14PK6-0226-SM-62LF5 70-79 years, female 2.6
GTEX-XAJ8-1426-SM-47JYM 40-49 years, male 2.6
GTEX-1C64N-2626-SM-7PC2N 50-59 years, male 2.6
GTEX-1H1DE-1326-SM-9KNUG 20-29 years, male 2.6
GTEX-1HBPI-2126-SM-ARL9K 50-59 years, male 2.6
GTEX-1PPH8-0126-SM-EWRN8 20-29 years, male 2.6
GTEX-ZF3C-0626-SM-DO92O 50-59 years, female 2.6
GTEX-11LCK-2226-SM-5HL4Q 30-39 years, male 2.5
GTEX-WXYG-2026-SM-4E3IY 50-59 years, female 2.5
GTEX-XUW1-0926-SM-4BONX 50-59 years, female 2.5
GTEX-1E2YA-2126-SM-7MXUO 50-59 years, male 2.5
GTEX-1RAZQ-1326-SM-E9TK6 30-39 years, male 2.5
GTEX-12WSK-2126-SM-5CVNC 40-49 years, female 2.4
GTEX-13FTX-1526-SM-5K7VJ 20-29 years, female 2.4
GTEX-1B8L1-2226-SM-7P8PT 60-69 years, male 2.4
GTEX-1ICLY-0826-SM-CMKG1 50-59 years, male 2.4
GTEX-ZGAY-1826-SM-DO91Q 40-49 years, female 2.4
GTEX-133LE-2326-SM-5K7W3 20-29 years, female 2.3
GTEX-1399U-1126-SM-5L3DB 50-59 years, female 2.3
GTEX-14A6H-2026-SM-5Q5DD 30-39 years, male 2.3
GTEX-WYVS-1626-SM-3NM9R 40-49 years, female 2.3
GTEX-XYKS-1426-SM-4BRUO 60-69 years, female 2.3
GTEX-1S3DN-2126-SM-E9TIN 50-59 years, male 2.3
GTEX-11P81-2226-SM-5PNYI 30-39 years, female 2.2
GTEX-14PII-0726-SM-6EU2B 60-69 years, male 2.2
GTEX-17F9Y-0126-SM-79OKX 70-79 years, female 2.2
GTEX-1C2JI-1026-SM-73KY1 50-59 years, male 2.2
GTEX-ZYY3-2926-SM-5GIEB 60-69 years, female 2.2
GTEX-ZZPU-0826-SM-5GZX5 50-59 years, female 2.2
GTEX-1HFI6-0126-SM-CNPPI 40-49 years, male 2.2
GTEX-1IKOE-1426-SM-CE6T7 30-39 years, female 2.2
GTEX-1LKK1-2626-SM-DKPQE 50-59 years, female 2.2
GTEX-1MCC2-1826-SM-DIPEX 30-39 years, female 2.2
GTEX-1R9PN-0426-SM-DTXDT 40-49 years, female 2.2
GTEX-14ICL-1626-SM-5YYAO 30-39 years, male 2.1
GTEX-14PJ5-1526-SM-6LLIL 60-69 years, female 2.1
GTEX-15RIE-1926-SM-7KUKJ 60-69 years, male 2.1
GTEX-17KNJ-2126-SM-718AM 50-59 years, male 2.1
GTEX-1I1HK-2326-SM-CKZOH 60-69 years, male 2.1
GTEX-1IE54-1126-SM-A9G2Z 40-49 years, female 2.1
GTEX-1KAFJ-0126-SM-DIPEK 50-59 years, male 2.1
GTEX-1LVA9-2626-SM-EVYD4 50-59 years, male 2.1
GTEX-1R7EU-1626-SM-DTXG3 60-69 years, male 2.1
GTEX-13X6K-0626-SM-5LU5D 60-69 years, female 2.0
GTEX-14LZ3-0126-SM-69LPM 60-69 years, female 2.0
GTEX-17EVP-2626-SM-7IGMA 40-49 years, male 2.0
GTEX-1CB4E-0926-SM-7EPHT 60-69 years, male 2.0
GTEX-1PIIG-2326-SM-DTXFR 30-39 years, male 2.0
GTEX-11DXX-2126-SM-5PNYR 60-69 years, female 1.9
GTEX-13O3Q-0126-SM-5KM34 50-59 years, male 1.9
GTEX-13O61-1426-SM-5KM3D 60-69 years, male 1.9
GTEX-144GM-0526-SM-79OJO 20-29 years, male 1.9
GTEX-145LU-1926-SM-79OJN 50-59 years, male 1.9
GTEX-178AV-1726-SM-7KUL8 40-49 years, male 1.9
GTEX-17HHE-1326-SM-7EWDZ 50-59 years, male 1.9
GTEX-1EN7A-2426-SM-793DB 40-49 years, male 1.9
GTEX-13O3O-2326-SM-5IJD6 60-69 years, female 1.8
GTEX-16AAH-0626-SM-793C9 50-59 years, male 1.8
GTEX-ZF2S-1626-SM-57WES 50-59 years, female 1.8
GTEX-1N2DV-1526-SM-DTXEP 40-49 years, male 1.8
GTEX-1PDJ9-1226-SM-EXUSX 20-29 years, male 1.8
GTEX-111YS-1526-SM-5GZYW 60-69 years, male 1.7
GTEX-139D8-1126-SM-5LU8W 30-39 years, female 1.7
GTEX-U8XE-0226-SM-4E3J3 30-39 years, male 1.7
GTEX-1CAMS-2226-SM-7PBXQ 40-49 years, female 1.7
GTEX-139UW-0326-SM-5J1ML 60-69 years, male 1.6
GTEX-15RIG-0726-SM-7KUM7 40-49 years, male 1.6
GTEX-1269C-0126-SM-5EQ5L 60-69 years, female 1.5
GTEX-1399Q-2326-SM-5KM2X 40-49 years, male 1.5
GTEX-144FL-0626-SM-5LU43 50-59 years, male 1.5
GTEX-WFON-1926-SM-3LK7L 40-49 years, male 1.5
GTEX-ZE7O-2726-SM-51MT5 50-59 years, female 1.5
GTEX-1HCU8-2526-SM-CE6RX 60-69 years, female 1.5
GTEX-1S82U-1026-SM-E6CJK 30-39 years, female 1.5
GTEX-11WQK-1026-SM-5EQLX 50-59 years, male 1.4
GTEX-131XG-0326-SM-5L3DX 50-59 years, female 1.4
GTEX-13FTW-0326-SM-5K7UW 40-49 years, male 1.4
GTEX-13QBU-1226-SM-5LU4G 40-49 years, female 1.4
GTEX-147JS-0226-SM-5S2U9 60-69 years, male 1.4
GTEX-14XAO-1226-SM-6EU1C 60-69 years, female 1.4
GTEX-15DYW-2726-SM-6EU2I 60-69 years, female 1.4
GTEX-16BQI-1326-SM-6M486 30-39 years, female 1.4
GTEX-1HR9M-2226-SM-CNPPY 60-69 years, male 1.4
GTEX-1HT8W-0626-SM-A9G2H 30-39 years, male 1.4
GTEX-15RJ7-2126-SM-6PAMD 40-49 years, male 1.3
GTEX-1CB4F-1026-SM-7DUH1 60-69 years, male 1.3
GTEX-1H3VE-0726-SM-9YFL5 40-49 years, male 1.3
GTEX-11VI4-1126-SM-5EQMD 40-49 years, female 1.2
GTEX-1EKGG-0626-SM-7DUGJ 60-69 years, male 1.2
GTEX-1HSMQ-2626-SM-A9SML 50-59 years, male 1.2
GTEX-1JMOU-1026-SM-CYPSS 60-69 years, female 1.2
GTEX-13VXU-0626-SM-5L3F9 50-59 years, male 1.1
GTEX-1EU9M-1426-SM-793AI 60-69 years, male 1.1
GTEX-X3Y1-2026-SM-3P5YM 40-49 years, male 1.1
GTEX-X5EB-1926-SM-4E3IW 40-49 years, male 1.1
GTEX-ZF29-0926-SM-4WKFZ 60-69 years, female 1.1
GTEX-1HKZK-0726-SM-ACKW2 40-49 years, male 1.1
GTEX-1QP28-1126-SM-EVYC4 50-59 years, female 1.1
GTEX-1AX9J-1326-SM-731BJ 60-69 years, male 1.0
GTEX-Y114-2126-SM-4TT8B 50-59 years, female 1.0
GTEX-YEC4-1826-SM-4W1YP 40-49 years, male 1.0
GTEX-1I1GU-0926-SM-ACKVS 40-49 years, male 1.0
GTEX-1IOXB-2726-SM-CM2RI 50-59 years, male 1.0
GTEX-1JK1U-0226-SM-ARZMX 60-69 years, male 1.0
GTEX-111VG-1626-SM-5EGIO 60-69 years, male 0.9
GTEX-1313W-0626-SM-5EQ4H 50-59 years, female 0.9
GTEX-13IVO-0726-SM-5LZYV 70-79 years, male 0.9
GTEX-13QJC-0126-SM-5ZZWJ 60-69 years, female 0.9
GTEX-145MI-0626-SM-5SI8S 60-69 years, female 0.9
GTEX-15CHR-1126-SM-7EWF4 50-59 years, male 0.9
GTEX-1AX9I-2226-SM-73KUO 60-69 years, male 0.9
GTEX-12WSH-1526-SM-5BC5W 50-59 years, male 0.8
GTEX-13SLW-0626-SM-5Q5ER 70-79 years, male 0.8
GTEX-13X6J-0626-SM-5LU5F 50-59 years, male 0.8
GTEX-15ER7-0626-SM-6PANF 20-29 years, female 0.8
GTEX-XV7Q-1826-SM-4BRUV 40-49 years, female 0.8
GTEX-1GZ4H-0526-SM-9KNU9 50-59 years, female 0.8
GTEX-1KXAM-1626-SM-D3LAD 60-69 years, male 0.8
GTEX-ZVZP-1226-SM-5GID7 50-59 years, male 0.7
GTEX-1JMQL-2226-SM-CNPP4 50-59 years, female 0.7
GTEX-1JN76-0626-SM-CKZOQ 20-29 years, female 0.7
GTEX-14PKU-0126-SM-6LLHV 40-49 years, female 0.6
GTEX-ZAB4-2126-SM-5HL8U 40-49 years, male 0.6
GTEX-ZPCL-1126-SM-4WWFE 60-69 years, female 0.6
GTEX-ZT9X-1526-SM-5DUXD 40-49 years, male 0.6
GTEX-1IDJI-0126-SM-CMKHS 50-59 years, female 0.6
GTEX-1MCYP-0526-SM-E9U6Q 20-29 years, female 0.6
GTEX-ZPIC-0526-SM-DO91W 40-49 years, female 0.6
GTEX-11ZTT-2126-SM-5CVLO 60-69 years, female 0.5
GTEX-13JVG-0726-SM-5KM16 60-69 years, male 0.5
GTEX-13PDP-0726-SM-5L3HP 60-69 years, male 0.5
GTEX-144GL-0626-SM-5LU4D 50-59 years, male 0.5
GTEX-1A8G6-2726-SM-731AR 60-69 years, male 0.5
GTEX-1A8G7-1326-SM-73KVM 60-69 years, male 0.5
GTEX-1GN2E-0226-SM-9WG6K 60-69 years, male 0.5
GTEX-1HBPM-0726-SM-9YFL7 60-69 years, female 0.5
GTEX-1ICLZ-0326-SM-ARL82 60-69 years, male 0.5
GTEX-1J8Q3-0526-SM-ARL8U 60-69 years, male 0.5
GTEX-1OJC4-2726-SM-E76PJ 50-59 years, female 0.5
GTEX-ZLV1-1526-SM-DO91J 60-69 years, female 0.5
GTEX-11PRG-0726-SM-5EGL1 50-59 years, male 0.4
GTEX-13FHO-0426-SM-5L3F5 60-69 years, male 0.4
GTEX-13PL6-1126-SM-5L3IE 40-49 years, female 0.4
GTEX-13VXT-1926-SM-5K7UO 20-29 years, female 0.4
GTEX-14C39-1726-SM-5RQIL 40-49 years, male 0.4
GTEX-14C5O-0326-SM-5ZZUX 60-69 years, male 0.4
GTEX-15SKB-2826-SM-6PAMH 60-69 years, male 0.4
GTEX-17F98-1326-SM-7DUEP 40-49 years, female 0.4
GTEX-1CB4H-1126-SM-7MKGL 60-69 years, female 0.4
GTEX-WFG7-2026-SM-5SI7P 20-29 years, male 0.4
GTEX-XBEW-1126-SM-4QARW 40-49 years, male 0.4
GTEX-Y9LG-1126-SM-4VBQ7 30-39 years, male 0.4
GTEX-1122O-1026-SM-9WYSF 60-69 years, female 0.4
GTEX-1CB4J-1326-SM-7P8RX 60-69 years, male 0.4
GTEX-1F5PK-2226-SM-7SB6N 50-59 years, male 0.4
GTEX-1GPI6-1926-SM-9KNV7 60-69 years, male 0.4
GTEX-1QPFJ-1926-SM-EVYBD 30-39 years, female 0.4
GTEX-11ZU8-0126-SM-5EQ58 60-69 years, male 0.3
GTEX-12WSJ-1126-SM-5LZVJ 40-49 years, female 0.3
GTEX-12ZZZ-0726-SM-5GCNZ 60-69 years, male 0.3
GTEX-1399S-0126-SM-5IJCF 30-39 years, female 0.3
GTEX-145MH-2826-SM-5RQJF 50-59 years, male 0.3
GTEX-14B4R-1326-SM-5Q5EZ 30-39 years, male 0.3
GTEX-14PJN-1826-SM-6AJ98 30-39 years, male 0.3
GTEX-15FZZ-0526-SM-7KUGD 30-39 years, female 0.3
GTEX-16MTA-0926-SM-6M47Z 50-59 years, male 0.3
GTEX-17HII-1426-SM-7EPGG 50-59 years, male 0.3
GTEX-1C6VQ-1226-SM-73KYD 50-59 years, male 0.3
GTEX-WHSB-1326-SM-3LK6W 50-59 years, male 0.3
GTEX-ZTX8-1326-SM-4YCEL 20-29 years, male 0.3
GTEX-ZVT4-2426-SM-5GIEI 50-59 years, female 0.3
GTEX-ZY6K-1426-SM-5GZX2 50-59 years, male 0.3
GTEX-1AYD5-2626-SM-7PBXY 50-59 years, male 0.3
GTEX-1C6VR-0126-SM-7RHGB 60-69 years, male 0.3
GTEX-1GMRU-2126-SM-7P8RA 50-59 years, male 0.3
GTEX-1GN1V-2826-SM-9JGIA 60-69 years, male 0.3
GTEX-1H3O1-1326-SM-9MQLD 60-69 years, male 0.3
GTEX-1HCUA-0826-SM-ADEHM 50-59 years, female 0.3
GTEX-1J8QM-2426-SM-A9SLS 60-69 years, female 0.3
GTEX-1N2EE-0626-SM-E76PW 60-69 years, male 0.3
GTEX-1QAET-0326-SM-EVR3U 50-59 years, male 0.3
GTEX-11GS4-0226-SM-5HL77 60-69 years, male 0.2
GTEX-14C38-0726-SM-5SI6M 50-59 years, male 0.2
GTEX-14E6E-0526-SM-793DN 30-39 years, male 0.2
GTEX-14PJ3-1126-SM-5ZZVX 50-59 years, male 0.2
GTEX-14PJ4-0226-SM-5YY92 60-69 years, male 0.2
GTEX-16MT9-0126-SM-7EPI8 60-69 years, female 0.2
GTEX-Y3I4-1726-SM-4TT89 50-59 years, male 0.2
GTEX-ZVT2-0126-SM-5GIDQ 50-59 years, female 0.2
GTEX-1GN73-0726-SM-7P8TJ 60-69 years, male 0.2
GTEX-1GZHY-0626-SM-9KNVC 50-59 years, female 0.2
GTEX-1H11D-1826-SM-9QEHM 40-49 years, male 0.2
GTEX-1IKJJ-2226-SM-CJI4C 60-69 years, male 0.2
GTEX-1J8EW-2726-SM-CY8HR 60-69 years, female 0.2
GTEX-1JMPY-0226-SM-CKZOK 30-39 years, male 0.2
GTEX-1LB8K-0726-SM-D5OV2 50-59 years, male 0.2
GTEX-1QP29-1826-SM-DTX9S 50-59 years, male 0.2
GTEX-1R46S-2426-SM-E76QA 60-69 years, female 0.2
GTEX-1EX96-1026-SM-7MKG2 50-59 years, male 0.1
GTEX-1EMGI-2326-SM-7PBYA 60-69 years, male 0.1
GTEX-1GF9V-0826-SM-9KNUV 60-69 years, male 0.1
GTEX-1I1GT-1026-SM-ARZLV 60-69 years, female 0.1
GTEX-1JJEA-1826-SM-ARU8P 60-69 years, male 0.1
GTEX-1NV5F-0626-SM-DTXEG 60-69 years, female 0.1
GTEX-1QP2A-1726-SM-E76QC 50-59 years, male 0.1
GTEX-W5X1-2526-SM-3GILC 40-49 years, female 0.0
Show allShow less
Skin - Sun Exposed (Lower leg)
Average nTPM: 10.2
Samples: 701

Max nTPM: 59.4
Min nTPM: 0.1
Std nTPM: 8.3
Median nTPM: 8.1
GTEX-1GPI6-0126-SM-9WG69 60-69 years, male 59.4
GTEX-U4B1-1826-SM-4DXSU 40-49 years, male 48.7
GTEX-1R9PO-2126-SM-E9J4O 60-69 years, female 45.9
GTEX-1QW4Y-1526-SM-EAZ3Z 30-39 years, male 45.2
GTEX-1F75B-0126-SM-9KNVL 50-59 years, male 44.7
GTEX-1HBPH-0426-SM-B2LW5 40-49 years, female 44.0
GTEX-1PBJI-0526-SM-E8VNK 20-29 years, female 41.8
GTEX-11ZUS-0626-SM-59885 30-39 years, male 41.2
GTEX-14JIY-0126-SM-6LLH6 60-69 years, male 40.1
GTEX-1AMEY-1326-SM-73KYK 30-39 years, female 38.4
GTEX-1I1GP-2226-SM-CGQFK 50-59 years, male 37.1
GTEX-1QP2A-0126-SM-E9J43 50-59 years, male 35.7
GTEX-1NHNU-1026-SM-E9J2A 50-59 years, male 34.6
GTEX-1F75I-0326-SM-9YFLU 40-49 years, male 34.0
GTEX-VJWN-0126-SM-3GIK7 50-59 years, female 33.2
GTEX-1IDFM-0126-SM-COH2V 60-69 years, male 33.0
GTEX-1IGQW-0126-SM-COH42 60-69 years, male 32.9
GTEX-17HHE-2026-SM-79OKF 50-59 years, male 32.6
GTEX-18465-0126-SM-731BN 50-59 years, male 31.8
GTEX-1PPH7-2326-SM-EVYB8 40-49 years, male 30.9
GTEX-ZE9C-2726-SM-57WB5 60-69 years, male 30.5
GTEX-1F75A-0126-SM-7RHGM 50-59 years, male 30.2
GTEX-1RAZQ-0726-SM-EAZ43 30-39 years, male 29.9
GTEX-V1D1-2226-SM-3NMAX 50-59 years, male 29.7
GTEX-OXRL-0126-SM-2YUMP 50-59 years, male 29.6
GTEX-1AX9I-0126-SM-7SB74 60-69 years, male 29.2
GTEX-1AX8Z-0126-SM-7DHM6 60-69 years, male 28.6
GTEX-14E7W-0126-SM-6LLJ9 70-79 years, male 27.9
GTEX-1IKK5-0626-SM-ARL8A 60-69 years, male 27.9
GTEX-11UD1-0126-SM-5PNYG 40-49 years, female 27.8
GTEX-1AYCT-2426-SM-7IGQ3 50-59 years, male 27.8
GTEX-12WSN-5019-SM-79OM6 40-49 years, male 27.6
GTEX-15SHW-0326-SM-6PAML 60-69 years, male 27.6
GTEX-XMD2-0126-SM-4YCDU 60-69 years, female 27.6
GTEX-OHPM-0126-SM-2YUN9 50-59 years, male 27.3
GTEX-WOFL-0126-SM-3MJG2 60-69 years, male 27.0
GTEX-14DAQ-0126-SM-5S2MQ 60-69 years, female 26.6
GTEX-1H1CY-2826-SM-9MQM3 60-69 years, female 26.6
GTEX-WRHK-1426-SM-3MJF9 20-29 years, female 26.3
GTEX-U3ZM-1526-SM-3DB9D 40-49 years, male 26.2
GTEX-RN64-0126-SM-2TC68 50-59 years, male 26.1
GTEX-1C2JI-1826-SM-73KXC 50-59 years, male 25.7
GTEX-12WSD-0126-SM-59HKN 60-69 years, female 25.4
GTEX-1F6RS-0126-SM-9MQKZ 60-69 years, female 25.2
GTEX-1GN1V-0126-SM-9WPOS 60-69 years, male 24.9
GTEX-13W3W-2426-SM-5LU5B 60-69 years, female 24.2
GTEX-1AX9K-2326-SM-73KWU 50-59 years, male 24.2
GTEX-1H3O1-0426-SM-9YFKY 60-69 years, male 24.0
GTEX-16XZZ-0126-SM-793DV 60-69 years, male 23.9
GTEX-1HSEH-0126-SM-ACKXN 60-69 years, male 23.6
GTEX-T5JC-0426-SM-32PLO 20-29 years, male 23.4
GTEX-139T4-0226-SM-5HL5S 50-59 years, female 23.3
GTEX-113JC-2326-SM-5EQ4E 50-59 years, female 23.1
GTEX-QEG4-0226-SM-2S1PY 30-39 years, male 23.0
GTEX-1H1E6-1726-SM-ACKVK 30-39 years, male 22.8
GTEX-15D1Q-0126-SM-7KUG6 40-49 years, male 22.3
GTEX-1HSMQ-1226-SM-CGQFX 50-59 years, male 22.2
GTEX-1I19N-0326-SM-ACKVX 70-79 years, male 22.1
GTEX-1QP67-1626-SM-EAZ3X 40-49 years, female 21.9
GTEX-13OW7-0126-SM-5MR3B 50-59 years, male 21.6
GTEX-14A6H-0126-SM-5QGPK 30-39 years, male 21.6
GTEX-131XW-0426-SM-5LZWP 50-59 years, female 21.3
GTEX-1RLM8-2326-SM-EWRN4 50-59 years, male 21.3
GTEX-11OF3-2626-SM-5GU7F 60-69 years, male 21.2
GTEX-14PN3-2426-SM-6LLHS 60-69 years, female 20.7
GTEX-1ICLY-0126-SM-D4P36 50-59 years, male 20.4
GTEX-1N2DV-0226-SM-E6CJ6 40-49 years, male 20.4
GTEX-1QCLY-0326-SM-E8VOG 30-39 years, male 20.3
GTEX-ZDTS-0126-SM-4WAY5 60-69 years, male 20.2
GTEX-139T8-0126-SM-5K7XZ 60-69 years, male 20.1
GTEX-X62O-0126-SM-4E3JN 50-59 years, male 20.0
GTEX-1IL2V-0126-SM-CM2TX 70-79 years, male 20.0
GTEX-1MCYP-1926-SM-E9J2R 20-29 years, female 20.0
GTEX-131XF-5016-SM-7MGWE 60-69 years, male 19.9
GTEX-11WQC-2526-SM-5CVLE 60-69 years, male 19.8
GTEX-1GPI7-0126-SM-9MQL8 20-29 years, male 19.8
GTEX-R55E-0126-SM-2TC5Y 20-29 years, male 19.7
GTEX-1B933-0126-SM-7PC29 50-59 years, female 19.7
GTEX-1C64O-0126-SM-7SB8P 60-69 years, male 19.7
GTEX-1PIGE-0126-SM-EVYBJ 20-29 years, male 19.5
GTEX-13O21-1426-SM-5K7XI 50-59 years, male 19.4
GTEX-13O3Q-2426-SM-5IJBR 50-59 years, male 19.4
GTEX-11P7K-2126-SM-5GU7G 30-39 years, male 19.3
GTEX-1MA7X-2226-SM-E6CIY 60-69 years, male 19.3
GTEX-1IDJF-0126-SM-CM2RS 20-29 years, male 19.1
GTEX-PWO3-1526-SM-48TCM 60-69 years, female 19.0
GTEX-1HSMP-0126-SM-E6CJS 70-79 years, male 18.9
GTEX-XQ8I-0426-SM-4BOPO 50-59 years, male 18.8
GTEX-1128S-2326-SM-5GZZY 60-69 years, female 18.6
GTEX-T2YK-0526-SM-32QPJ 50-59 years, male 18.6
GTEX-1AMFI-2026-SM-731BH 50-59 years, female 18.4
GTEX-117YW-2626-SM-5GZZH 50-59 years, male 18.3
GTEX-XQ3S-1526-SM-4BOOC 20-29 years, male 18.3
GTEX-13FH7-2026-SM-E9J4I 50-59 years, female 18.3
GTEX-13W46-0226-SM-5SIAG 50-59 years, male 18.1
GTEX-11GS4-2726-SM-5A5LE 60-69 years, male 18.0
GTEX-1R7EV-2426-SM-EVYBG 40-49 years, male 17.8
GTEX-1B8KZ-2026-SM-7DHMB 50-59 years, male 17.6
GTEX-146FH-0126-SM-5QGPP 50-59 years, female 17.5
GTEX-S95S-1226-SM-4GICG 60-69 years, male 17.5
GTEX-1F6I4-0126-SM-9MQL2 60-69 years, male 17.5
GTEX-15SB6-1726-SM-6PAME 50-59 years, female 17.4
GTEX-1B996-0226-SM-7RHGO 60-69 years, male 17.4
GTEX-1H23P-0126-SM-ADEJ3 60-69 years, male 17.4
GTEX-1IE54-0126-SM-CMKHW 40-49 years, female 17.4
GTEX-W5X1-3026-SM-EAZAX 40-49 years, female 17.4
GTEX-PW2O-1526-SM-7RHHB 20-29 years, male 17.3
GTEX-O5YW-0126-SM-3LK6D 50-59 years, male 17.2
GTEX-1I1GV-0526-SM-A9G29 60-69 years, male 17.2
GTEX-15EU6-0426-SM-6PAN5 50-59 years, male 17.0
GTEX-1C6WA-0126-SM-7PC2B 60-69 years, male 17.0
GTEX-12126-0326-SM-5PNW3 20-29 years, male 16.8
GTEX-QDVJ-1726-SM-2I5FX 50-59 years, male 16.8
GTEX-13U4I-0126-SM-5LU38 40-49 years, female 16.7
GTEX-147F4-0226-SM-5QGPW 50-59 years, male 16.6
GTEX-16XZY-2126-SM-79OK1 70-79 years, male 16.6
GTEX-1H3VY-0126-SM-ACKXD 50-59 years, male 16.6
GTEX-117YX-2326-SM-5H12W 50-59 years, male 16.5
GTEX-147GR-0526-SM-5S2MY 60-69 years, male 16.5
GTEX-1H1DE-2126-SM-9WG6R 20-29 years, male 16.5
GTEX-1RB15-2126-SM-E9TIM 60-69 years, male 16.3
GTEX-11DXY-2626-SM-5GIE7 60-69 years, male 16.2
GTEX-1211K-2026-SM-5EQ4Z 60-69 years, female 16.2
GTEX-RU72-0926-SM-2TF6B 50-59 years, female 16.0
GTEX-UPJH-0326-SM-3GADU 50-59 years, male 16.0
GTEX-1GN1W-0526-SM-9MQJQ 50-59 years, female 15.9
GTEX-1HKZK-0326-SM-9WYUH 40-49 years, male 15.9
GTEX-1I1GU-2226-SM-CGQFA 40-49 years, male 15.9
GTEX-1LG7Y-0526-SM-DKPQC 50-59 years, male 15.9
GTEX-13NZA-0226-SM-5K7Z7 60-69 years, male 15.8
GTEX-1J8Q3-1626-SM-CMKGC 60-69 years, male 15.8
GTEX-1IY9M-0126-SM-D3L8S 60-69 years, male 15.7
GTEX-X4XY-0226-SM-4E3IZ 60-69 years, male 15.6
GTEX-1KD5A-0226-SM-D5OV3 50-59 years, male 15.6
GTEX-14A5H-0426-SM-5QGQF 60-69 years, male 15.5
GTEX-146FR-1326-SM-E9J48 60-69 years, female 15.5
GTEX-QVJO-1626-SM-2S1QW 60-69 years, female 15.3
GTEX-ZAB5-1826-SM-5HL7C 50-59 years, male 15.3
GTEX-139D8-0226-SM-5KLZO 30-39 years, female 15.1
GTEX-13RTK-1426-SM-5QGQJ 20-29 years, male 15.1
GTEX-ZQUD-1426-SM-57WER 30-39 years, male 15.1
GTEX-1HCU9-1526-SM-A9SL7 20-29 years, male 15.1
GTEX-1QP66-1726-SM-E8VO1 50-59 years, male 15.1
GTEX-144GN-2326-SM-5LU4F 50-59 years, male 15.0
GTEX-14BIL-0126-SM-5SI92 50-59 years, male 15.0
GTEX-1CAMR-1926-SM-7EPI2 20-29 years, male 15.0
GTEX-1GZ2Q-0226-SM-7P8TL 40-49 years, male 15.0
GTEX-146FQ-0126-SM-5NQA9 30-39 years, male 14.9
GTEX-PVOW-0126-SM-2XCFA 40-49 years, male 14.9
GTEX-11ZTT-2426-SM-5EQLS 60-69 years, female 14.8
GTEX-SIU8-0126-SM-2XCDT 50-59 years, male 14.8
GTEX-18A6Q-0126-SM-731BZ 60-69 years, male 14.7
GTEX-1F7RK-0126-SM-7PC2S 20-29 years, female 14.7
GTEX-13FTX-1826-SM-5J1NX 20-29 years, female 14.6
GTEX-1A3MV-1926-SM-718BT 30-39 years, male 14.6
GTEX-XBED-2226-SM-47JYQ 60-69 years, male 14.6
GTEX-1PPH8-0226-SM-E8VND 20-29 years, male 14.6
GTEX-13PDP-0126-SM-5L3HD 60-69 years, male 14.5
GTEX-OXRO-0126-SM-2YUN4 60-69 years, female 14.5
GTEX-YB5K-2126-SM-4WWDJ 40-49 years, female 14.5
GTEX-1JN6P-0126-SM-D3L98 60-69 years, male 14.5
GTEX-1MGNQ-0126-SM-EVYCJ 40-49 years, male 14.5
GTEX-1CB4J-0626-SM-7DHMP 60-69 years, male 14.4
GTEX-WQUQ-0426-SM-3MJFU 60-69 years, male 14.4
GTEX-1JMQJ-0526-SM-CYPSU 50-59 years, male 14.4
GTEX-U412-0426-SM-3DB9O 60-69 years, male 14.3
GTEX-X4EO-0326-SM-3P5YO 60-69 years, female 14.3
GTEX-OIZF-0126-SM-7SB8I 60-69 years, male 14.3
GTEX-17F96-1626-SM-7DUFL 70-79 years, male 14.2
GTEX-X8HC-0126-SM-4E3JW 50-59 years, female 14.2
GTEX-1JKYN-1326-SM-CGQG9 30-39 years, male 14.2
GTEX-QESD-1426-SM-2S1R9 20-29 years, male 14.1
GTEX-1QP29-0626-SM-EWRMX 50-59 years, male 14.1
GTEX-T6MO-1626-SM-32QOM 40-49 years, female 13.9
GTEX-RNOR-0126-SM-E9J4R 50-59 years, female 13.9
GTEX-13FHO-0226-SM-5IFGY 60-69 years, male 13.8
GTEX-13IVO-0126-SM-5J1NG 70-79 years, male 13.5
GTEX-QLQ7-1626-SM-2S1R8 60-69 years, male 13.5
GTEX-1LSNM-1926-SM-E6CII 50-59 years, male 13.5
GTEX-RVPV-0126-SM-EAZAW 60-69 years, male 13.5
GTEX-1JMQI-2226-SM-CM2SD 50-59 years, male 13.4
GTEX-13QJ3-0326-SM-5S2RA 50-59 years, male 13.3
GTEX-13VXT-0126-SM-5LU4I 20-29 years, female 13.3
GTEX-1C4CL-0526-SM-73KVK 30-39 years, male 13.3
GTEX-OXRK-0226-SM-3NB2G 50-59 years, female 13.3
GTEX-X261-0126-SM-3NMD6 50-59 years, male 13.3
GTEX-1IKOH-0226-SM-COH4E 60-69 years, female 13.3
GTEX-11NUK-0126-SM-5A5L3 50-59 years, male 13.2
GTEX-Y111-0126-SM-4SOIV 50-59 years, male 13.2
GTEX-148VJ-0126-SM-5TDDN 70-79 years, male 13.1
GTEX-15DCD-0126-SM-7KUEK 70-79 years, female 13.1
GTEX-17EUY-0426-SM-793BD 20-29 years, male 13.1
GTEX-13NYC-0326-SM-E9J4S 60-69 years, male 13.1
GTEX-145MI-0526-SM-5O9A8 60-69 years, female 13.0
GTEX-14BIM-0226-SM-7IGLD 60-69 years, female 13.0
GTEX-1I6K6-0126-SM-A9SLE 30-39 years, male 13.0
GTEX-1J8QM-2126-SM-CYPSJ 60-69 years, female 13.0
GTEX-1LNCM-1126-SM-E9U5E 50-59 years, female 13.0
GTEX-13O1R-0126-SM-5L3EH 60-69 years, male 12.9
GTEX-16NPX-0226-SM-79OMT 50-59 years, male 12.9
GTEX-18A7A-0226-SM-718BH 50-59 years, female 12.9
GTEX-12WSA-0226-SM-5BC5V 60-69 years, male 12.8
GTEX-NPJ8-0126-SM-2YUNR 40-49 years, male 12.8
GTEX-Y8E4-0626-SM-4WWDL 40-49 years, male 12.8
GTEX-ZTPG-0326-SM-5O9AX 20-29 years, female 12.8
GTEX-11TTK-0126-SM-5987B 60-69 years, female 12.7
GTEX-P4PQ-0126-SM-2S1NM 60-69 years, male 12.7
GTEX-WZTO-0126-SM-3NM95 40-49 years, male 12.7
GTEX-Y5LM-1926-SM-5RQJH 40-49 years, female 12.7
GTEX-11OC5-0126-SM-5HL6A 60-69 years, male 12.6
GTEX-131XH-2226-SM-5DUXJ 50-59 years, male 12.4
GTEX-13X6J-0126-SM-5QGOU 50-59 years, male 12.4
GTEX-1HSMO-0126-SM-CL547 60-69 years, male 12.4
GTEX-11NSD-2226-SM-5986V 20-29 years, male 12.3
GTEX-1S82Y-2026-SM-EVYCM 40-49 years, male 12.3
GTEX-15DDE-0126-SM-6LPKH 50-59 years, female 12.2
GTEX-ZE7O-0126-SM-57WC1 50-59 years, female 12.2
GTEX-1OFPY-2426-SM-DTXEJ 60-69 years, male 12.2
GTEX-14E6D-0126-SM-62LDV 50-59 years, male 12.1
GTEX-QV44-1926-SM-2S1RF 50-59 years, male 12.0
GTEX-1EU9M-0226-SM-7P8SP 60-69 years, male 12.0
GTEX-18D9U-0226-SM-718BP 40-49 years, male 11.9
GTEX-1A3MX-0126-SM-731BR 60-69 years, male 11.9
GTEX-1MCQQ-0826-SM-DLHC2 60-69 years, male 11.9
GTEX-1POEN-0126-SM-EYYXJ 30-39 years, female 11.9
GTEX-111VG-2426-SM-5GZXD 60-69 years, male 11.8
GTEX-QDVN-2026-SM-3GAEP 50-59 years, male 11.8
GTEX-PLZ6-1426-SM-DKPOT 30-39 years, male 11.8
GTEX-17HG3-2226-SM-7938L 30-39 years, female 11.7
GTEX-U8T8-0126-SM-3DB94 60-69 years, male 11.7
GTEX-1CB4F-0426-SM-9KNV4 60-69 years, male 11.7
GTEX-1RDX4-0126-SM-E9J4P 50-59 years, female 11.7
GTEX-1RQEC-0426-SM-E6CHU 60-69 years, male 11.7
GTEX-14PHW-0126-SM-6LLJI 60-69 years, female 11.6
GTEX-RM2N-1426-SM-2TF4H 50-59 years, male 11.6
GTEX-17F97-0326-SM-7LG5B 50-59 years, male 11.5
GTEX-17MFQ-1726-SM-793C7 20-29 years, male 11.5
GTEX-ZYFD-0126-SM-5GIDL 50-59 years, male 11.5
GTEX-1PFEY-1526-SM-E76PP 30-39 years, male 11.5
GTEX-1313W-0126-SM-5LZUN 50-59 years, female 11.4
GTEX-WY7C-2326-SM-3NB2U 50-59 years, male 11.4
GTEX-11TUW-2726-SM-E9J4M 60-69 years, male 11.4
GTEX-OXRP-0126-SM-3NB32 60-69 years, female 11.3
GTEX-15F5U-1526-SM-6PANO 40-49 years, male 11.2
GTEX-18QFQ-0126-SM-731BE 30-39 years, male 11.2
GTEX-S7SE-0126-SM-2XCD5 50-59 years, male 11.2
GTEX-1RAZA-0126-SM-E6CI3 20-29 years, male 11.2
GTEX-18D9B-0526-SM-7LTAS 60-69 years, male 11.1
GTEX-TMZS-0126-SM-3DB9Q 60-69 years, male 11.0
GTEX-Y3I4-2126-SM-4TT7C 50-59 years, male 11.0
GTEX-1I1GS-0126-SM-B2LVW 60-69 years, male 11.0
GTEX-1K2DA-1826-SM-CGQGT 50-59 years, male 10.9
GTEX-1A8FM-0226-SM-7SB7Q 50-59 years, female 10.8
GTEX-14DAR-2026-SM-5S2O3 50-59 years, male 10.7
GTEX-1GTWX-0126-SM-9YFLK 60-69 years, male 10.7
GTEX-1HGF4-2426-SM-ACKXM 60-69 years, male 10.7
GTEX-1399R-2726-SM-5IJBA 30-39 years, male 10.6
GTEX-17HGU-0226-SM-7DHKV 50-59 years, male 10.6
GTEX-RTLS-0126-SM-447CA 60-69 years, female 10.6
GTEX-XXEK-2226-SM-4BRUM 50-59 years, male 10.6
GTEX-12WSG-2826-SM-E9J4H 50-59 years, female 10.6
GTEX-1F88F-2726-SM-7PBZZ 60-69 years, female 10.6
GTEX-131YS-0126-SM-5KM1M 60-69 years, female 10.5
GTEX-148VI-1626-SM-5SI6E 60-69 years, female 10.5
GTEX-1JKYR-0126-SM-CNPOJ 20-29 years, male 10.5
GTEX-11ZU8-2526-SM-5EQKI 60-69 years, male 10.4
GTEX-SUCS-1926-SM-32PM3 70-79 years, male 10.4
GTEX-1IDJU-2626-SM-CM2RT 60-69 years, female 10.4
GTEX-11ZVC-2526-SM-5FQTE 50-59 years, female 10.3
GTEX-PLZ4-0126-SM-5SI8O 50-59 years, female 10.3
GTEX-X585-0226-SM-4QAS2 50-59 years, male 10.3
GTEX-13NZ8-0826-SM-5MR3I 60-69 years, female 10.2
GTEX-1EKGG-0226-SM-9WYTH 60-69 years, male 10.2
GTEX-13113-5016-SM-7EPIP 60-69 years, female 10.1
GTEX-13NYS-0126-SM-5MR3W 60-69 years, male 10.1
GTEX-13YAN-0326-SM-5O9DF 60-69 years, male 10.1
GTEX-1B8KE-2126-SM-73KYX 50-59 years, male 10.1
GTEX-RWSA-0126-SM-2XCBB 40-49 years, male 10.1
GTEX-X4XX-0126-SM-3NMC2 60-69 years, male 10.1
GTEX-YJ8A-0426-SM-5IFID 20-29 years, male 10.1
GTEX-144GL-0126-SM-5TDE2 50-59 years, male 10.0
GTEX-14ICK-0226-SM-6EU25 40-49 years, male 10.0
GTEX-PWCY-1826-SM-DHXIZ 20-29 years, female 10.0
GTEX-1E1VI-0126-SM-7DHMZ 50-59 years, male 9.9
GTEX-T2IS-0126-SM-4DM6O 20-29 years, female 9.9
GTEX-1HFI6-0226-SM-ADEHZ 40-49 years, male 9.9
GTEX-1MUQO-0126-SM-EAZ58 60-69 years, male 9.9
GTEX-13VXU-0126-SM-5SI9F 50-59 years, male 9.8
GTEX-Y5V6-2426-SM-4VDSB 60-69 years, male 9.8
GTEX-1J8Q2-0526-SM-CM2RW 60-69 years, male 9.8
GTEX-11EM3-2426-SM-59861 20-29 years, female 9.7
GTEX-12WSE-0526-SM-793B2 20-29 years, male 9.7
GTEX-1I1HK-0126-SM-COH49 60-69 years, male 9.7
GTEX-11DZ1-0126-SM-5985Q 50-59 years, male 9.6
GTEX-1314G-1526-SM-5EGK2 30-39 years, male 9.5
GTEX-16AAH-1726-SM-7939C 50-59 years, male 9.5
GTEX-R55G-2526-SM-2TC6D 40-49 years, female 9.5
GTEX-1CAV2-2226-SM-7P8P2 40-49 years, female 9.5
GTEX-1J8JJ-0226-SM-CL53I 60-69 years, female 9.5
GTEX-12KS4-0326-SM-5EQ41 30-39 years, male 9.4
GTEX-13JUV-2726-SM-5LZZ8 40-49 years, female 9.4
GTEX-1A32A-0126-SM-718B1 50-59 years, female 9.4
GTEX-1N2EF-0226-SM-EYYXB 60-69 years, male 9.4
GTEX-TSE9-0126-SM-3DB83 60-69 years, female 9.3
GTEX-XAJ8-0826-SM-47JY6 40-49 years, male 9.3
GTEX-Z93T-0126-SM-5HL5N 50-59 years, male 9.3
GTEX-1497J-2426-SM-7IGNX 60-69 years, male 9.2
GTEX-ZVT2-2526-SM-51MT1 50-59 years, female 9.2
GTEX-1HBPI-1526-SM-C1YQ1 50-59 years, male 9.2
GTEX-1ICG6-2526-SM-CGQFZ 70-79 years, female 9.2
GTEX-113IC-0126-SM-5HL6T 60-69 years, male 9.1
GTEX-13FTW-2626-SM-5K7WL 40-49 years, male 9.1
GTEX-1B8SG-0126-SM-73KZ3 50-59 years, male 9.1
GTEX-ZVT3-0126-SM-5GU6I 60-69 years, female 9.1
GTEX-1PDJ9-0326-SM-DTX95 20-29 years, male 9.1
GTEX-13G51-2526-SM-5LZYK 60-69 years, male 9.0
GTEX-13S7M-0126-SM-5SI6A 60-69 years, female 9.0
GTEX-183FY-0126-SM-7LT9P 20-29 years, male 9.0
GTEX-1J1R8-1726-SM-ARL8M 40-49 years, male 9.0
GTEX-VUSG-2526-SM-4KL1V 50-59 years, male 8.9
GTEX-YFC4-0126-SM-5CVLY 40-49 years, female 8.9
GTEX-1KANA-0726-SM-D3L9I 20-29 years, male 8.9
GTEX-1KANB-0526-SM-E6CJH 50-59 years, male 8.9
GTEX-OOBJ-0126-SM-E6CJW 60-69 years, male 8.8
GTEX-14A5I-0126-SM-5TDEA 50-59 years, female 8.7
GTEX-16MT8-0426-SM-7KUEY 60-69 years, female 8.7
GTEX-S7PM-0126-SM-4AD6S 60-69 years, male 8.7
GTEX-WXYG-2326-SM-4E3I6 50-59 years, female 8.7
GTEX-13RTJ-2426-SM-5S2Q2 60-69 years, male 8.6
GTEX-15G19-0126-SM-6PANQ 60-69 years, male 8.6
GTEX-ZVZP-2426-SM-59HKJ 50-59 years, male 8.6
GTEX-1HUB1-0426-SM-E9U4U 60-69 years, male 8.6
GTEX-12WSK-2326-SM-5GCOH 40-49 years, female 8.5
GTEX-18A7B-0126-SM-7LG64 70-79 years, male 8.5
GTEX-1CB4I-0226-SM-79OLH 50-59 years, male 8.5
GTEX-WVJS-0126-SM-4MVOT 50-59 years, male 8.5
GTEX-1I1GQ-0126-SM-COH3H 50-59 years, male 8.5
GTEX-11UD2-0226-SM-5EQKY 50-59 years, male 8.4
GTEX-1H2FU-0126-SM-9WYSI 60-69 years, female 8.4
GTEX-1KD4Q-0226-SM-E9TJ9 40-49 years, male 8.4
GTEX-1QP9N-1426-SM-DTXFL 30-39 years, male 8.4
GTEX-13FTY-0526-SM-5L3EV 40-49 years, female 8.3
GTEX-O5YT-0126-SM-48TBW 20-29 years, male 8.3
GTEX-14PJ3-1826-SM-62LEX 50-59 years, male 8.2
GTEX-13O3O-0126-SM-E9J49 60-69 years, female 8.2
GTEX-1HBPN-0226-SM-9YFM1 50-59 years, male 8.2
GTEX-1S82Z-0826-SM-E6CHY 30-39 years, female 8.2
GTEX-11DXX-2426-SM-5GZZW 60-69 years, female 8.1
GTEX-ZYW4-0126-SM-5E44A 60-69 years, male 8.1
GTEX-1HCU8-0626-SM-A9SM9 60-69 years, female 8.1
GTEX-1S3DN-2226-SM-EVYCD 50-59 years, male 8.1
GTEX-1S5ZA-0126-SM-EVYCV 20-29 years, male 8.1
GTEX-13NZB-2526-SM-5J1OM 30-39 years, male 8.0
GTEX-13OVL-0226-SM-5L3E9 50-59 years, male 8.0
GTEX-13X6I-0626-SM-5QGP9 60-69 years, male 8.0
GTEX-15UKP-0426-SM-7KUFQ 20-29 years, male 8.0
GTEX-QLQW-1126-SM-2S1Q8 30-39 years, male 8.0
GTEX-YEC4-2126-SM-5IFJH 40-49 years, male 8.0
GTEX-1GN1U-0126-SM-7PBZK 50-59 years, female 8.0
GTEX-11ZTS-0126-SM-5EQ6M 60-69 years, female 7.9
GTEX-SSA3-0126-SM-32QPU 60-69 years, male 7.9
GTEX-WYJK-0126-SM-3NMAB 50-59 years, male 7.9
GTEX-1GZ4H-1726-SM-7PBZJ 50-59 years, female 7.9
GTEX-1I1CD-0126-SM-CM2TK 60-69 years, female 7.9
GTEX-1KWVE-1426-SM-E9TJO 30-39 years, male 7.9
GTEX-13OVK-2026-SM-7KUEO 40-49 years, male 7.8
GTEX-15UF6-0826-SM-6PALJ 70-79 years, female 7.8
GTEX-Q2AH-1626-SM-3GAF8 40-49 years, male 7.8
GTEX-ZDTT-2726-SM-4WKF8 60-69 years, male 7.8
GTEX-13OW6-0426-SM-5L3HM 50-59 years, male 7.7
GTEX-14PHX-2326-SM-62LEM 50-59 years, male 7.7
GTEX-WI4N-1026-SM-3LK7N 40-49 years, female 7.7
GTEX-1GF9W-0326-SM-9KNUN 60-69 years, male 7.7
GTEX-1NV5F-0226-SM-E8VNY 60-69 years, female 7.7
GTEX-145MO-0326-SM-5Q5B3 60-69 years, male 7.6
GTEX-Z93S-0126-SM-5HL7M 50-59 years, male 7.6
GTEX-ZV6S-2326-SM-4YCEY 40-49 years, female 7.6
GTEX-12ZZX-0126-SM-5EGK9 40-49 years, female 7.5
GTEX-145MF-0626-SM-5LUAI 50-59 years, male 7.5
GTEX-17F98-0626-SM-79OMX 40-49 years, female 7.5
GTEX-TMMY-0226-SM-33HBA 40-49 years, female 7.5
GTEX-11XUK-2026-SM-5EQLF 40-49 years, female 7.4
GTEX-12C56-1726-SM-5EQ61 20-29 years, male 7.4
GTEX-14ABY-0226-SM-5TDCQ 50-59 years, male 7.4
GTEX-17HHY-0126-SM-7LG5D 50-59 years, male 7.4
GTEX-1B8L1-2526-SM-9WYTF 60-69 years, male 7.4
GTEX-1H1ZS-0426-SM-9WG6G 70-79 years, male 7.4
GTEX-145LV-2126-SM-5LU8N 50-59 years, male 7.3
GTEX-16NGA-1726-SM-731B4 40-49 years, female 7.3
GTEX-18A66-0226-SM-718BD 60-69 years, male 7.3
GTEX-Q2AI-1326-SM-2S1PL 40-49 years, male 7.3
GTEX-ZDXO-3026-SM-5J1N5 60-69 years, male 7.3
GTEX-ZVT4-0126-SM-DTXFN 50-59 years, female 7.3
GTEX-13SLW-0126-SM-5SI6C 70-79 years, male 7.2
GTEX-15SHU-0126-SM-7KUEH 40-49 years, female 7.1
GTEX-1AYD5-2426-SM-73KXR 50-59 years, male 7.1
GTEX-1OJC3-0126-SM-E76QX 20-29 years, male 7.1
GTEX-14LZ3-0226-SM-62LET 60-69 years, female 7.0
GTEX-OHPL-0126-SM-2HMJ7 60-69 years, female 7.0
GTEX-ZAB4-0226-SM-5N9F5 40-49 years, male 7.0
GTEX-1ICLZ-0126-SM-CKZPO 60-69 years, male 7.0
GTEX-1JJ6O-0126-SM-E6CI8 60-69 years, male 7.0
GTEX-1JN1M-0326-SM-CYPT3 60-69 years, female 7.0
GTEX-1LC47-0326-SM-E9TJP 60-69 years, male 7.0
GTEX-12584-0126-SM-5EGKQ 40-49 years, male 6.9
GTEX-132NY-0326-SM-5IJBL 60-69 years, male 6.9
GTEX-169BO-1326-SM-9MQK2 50-59 years, male 6.9
GTEX-1JJE9-0326-SM-CL53Z 70-79 years, male 6.9
GTEX-NFK9-0226-SM-2HMKQ 40-49 years, male 6.8
GTEX-WFG8-2226-SM-3GIL9 20-29 years, male 6.8
GTEX-Y5V5-2326-SM-4V6GA 60-69 years, female 6.8
GTEX-1I1GT-0626-SM-CGQER 60-69 years, female 6.8
GTEX-11EQ9-2426-SM-5HL5T 30-39 years, male 6.7
GTEX-11P81-2326-SM-59875 30-39 years, female 6.7
GTEX-139UW-2826-SM-5L3E7 60-69 years, male 6.7
GTEX-1LB8K-0226-SM-EWRNW 50-59 years, male 6.7
GTEX-139TT-0126-SM-5K7Y5 60-69 years, male 6.6
GTEX-VJYA-1126-SM-3GIJU 60-69 years, male 6.6
GTEX-ZF28-0126-SM-4WKGK 60-69 years, male 6.6
GTEX-1GMRU-0126-SM-9YFLV 50-59 years, male 6.6
GTEX-1GN2E-0426-SM-9MQKX 60-69 years, male 6.6
GTEX-1HSGN-0226-SM-CGQFV 40-49 years, female 6.6
GTEX-133LE-1826-SM-5J1MV 20-29 years, female 6.5
GTEX-ZGAY-0526-SM-4WWBB 40-49 years, female 6.5
GTEX-1F48J-0126-SM-7P8TT 50-59 years, female 6.5
GTEX-1JN76-0126-SM-CNPPE 20-29 years, female 6.5
GTEX-1LGRB-2526-SM-CNPPQ 50-59 years, female 6.5
GTEX-1399T-2826-SM-5KLYZ 60-69 years, male 6.4
GTEX-14JG1-0426-SM-6ETZZ 40-49 years, male 6.4
GTEX-1K2DU-2326-SM-E9TIV 20-29 years, male 6.4
GTEX-13N2G-2626-SM-5J1OT 60-69 years, male 6.3
GTEX-U8XE-0326-SM-3DB8P 30-39 years, male 6.3
GTEX-ZC5H-0226-SM-4WAY9 40-49 years, female 6.3
GTEX-1IOXB-0126-SM-ARL8G 50-59 years, male 6.3
GTEX-13FHP-0126-SM-5IJBG 50-59 years, male 6.2
GTEX-16YQH-0126-SM-7DUFJ 30-39 years, male 6.2
GTEX-1EWIQ-0126-SM-7RHH2 70-79 years, female 6.2
GTEX-1I1GR-0126-SM-CL55F 60-69 years, male 6.2
GTEX-1IL2U-0226-SM-CE6T8 60-69 years, male 6.2
GTEX-13OVI-1426-SM-5L3EY 60-69 years, female 6.1
GTEX-145LT-1726-SM-5QGP3 40-49 years, male 6.1
GTEX-YB5E-2026-SM-5IFIS 40-49 years, male 6.1
GTEX-131XG-2626-SM-5KM17 50-59 years, female 6.0
GTEX-13RTL-0126-SM-7LG5S 40-49 years, male 6.0
GTEX-ZZ64-1726-SM-5GZYB 20-29 years, male 6.0
GTEX-1CB4G-0226-SM-7PC3O 60-69 years, male 6.0
GTEX-11TT1-2526-SM-5EGIB 20-29 years, male 5.9
GTEX-13OVH-0126-SM-5MR4B 70-79 years, male 5.9
GTEX-13SLX-0526-SM-5S2ON 50-59 years, female 5.9
GTEX-144FL-0126-SM-5TDC8 50-59 years, male 5.9
GTEX-17EVQ-0226-SM-7LG4P 70-79 years, male 5.9
GTEX-T8EM-1026-SM-3DB7M 40-49 years, male 5.9
GTEX-ZVE2-0226-SM-59HJB 50-59 years, male 5.9
GTEX-1F52S-0126-SM-9MQJU 60-69 years, female 5.9
GTEX-1IDJH-0326-SM-A9SLQ 70-79 years, male 5.9
GTEX-1BAJH-0526-SM-793CQ 70-79 years, male 5.8
GTEX-X4EP-0126-SM-3P5YV 60-69 years, female 5.8
GTEX-1GF9U-2126-SM-7SB7L 40-49 years, female 5.8
GTEX-PSDG-0226-SM-DKPOZ 50-59 years, male 5.8
GTEX-14BMV-0126-SM-5S2PO 50-59 years, male 5.7
GTEX-14PJM-0226-SM-62LF1 50-59 years, female 5.7
GTEX-Y8DK-0126-SM-4TT3L 60-69 years, male 5.7
GTEX-1HBPM-0226-SM-ARL9F 60-69 years, female 5.7
GTEX-1KXAM-2226-SM-CYPTC 60-69 years, male 5.7
GTEX-17GQL-2026-SM-718BA 60-69 years, male 5.6
GTEX-OIZG-0726-SM-33HBL 50-59 years, male 5.6
GTEX-ZUA1-0126-SM-5GU76 40-49 years, male 5.6
GTEX-1I4MK-2226-SM-ACKWD 50-59 years, female 5.6
GTEX-1OJC4-0126-SM-E9J2E 50-59 years, female 5.6
GTEX-1S83E-0126-SM-EWRO4 40-49 years, male 5.6
GTEX-139TS-2826-SM-5J1OO 60-69 years, male 5.5
GTEX-1GZHY-0326-SM-9QEHI 50-59 years, female 5.5
GTEX-1K9T9-0126-SM-EVYCF 50-59 years, female 5.5
GTEX-1R9PM-2026-SM-E76OY 20-29 years, male 5.5
GTEX-S33H-1026-SM-EZ6L6 30-39 years, male 5.5
GTEX-139TU-0126-SM-5K7WH 60-69 years, male 5.4
GTEX-13N1W-0126-SM-5K7VT 70-79 years, male 5.4
GTEX-13PVR-2326-SM-5QGR1 60-69 years, female 5.4
GTEX-15EOM-0126-SM-7KUGG 20-29 years, female 5.4
GTEX-15ETS-0126-SM-7KUMW 40-49 years, female 5.4
GTEX-1C6VS-0526-SM-7DUEN 60-69 years, male 5.4
GTEX-1192X-0226-SM-5H12D 50-59 years, male 5.3
GTEX-11P82-1626-SM-59879 20-29 years, male 5.3
GTEX-14E6C-0126-SM-5RQIP 40-49 years, male 5.3
GTEX-TKQ1-1026-SM-4GICL 30-39 years, male 5.3
GTEX-1GF9X-2026-SM-7PC3A 40-49 years, female 5.3
GTEX-13CF2-2526-SM-5LZYX 60-69 years, male 5.2
GTEX-145MN-2226-SM-5SIAU 30-39 years, male 5.2
GTEX-14E6E-1826-SM-5S2R7 30-39 years, male 5.2
GTEX-Q734-1926-SM-2I5EV 40-49 years, female 5.2
GTEX-11GSO-2426-SM-5A5LY 60-69 years, male 5.1
GTEX-12ZZY-0226-SM-5LZVE 60-69 years, male 5.1
GTEX-SJXC-0126-SM-2XCFF 60-69 years, male 5.1
GTEX-1EN7A-0126-SM-7SB81 40-49 years, male 5.1
GTEX-1HCU6-0126-SM-CL54K 60-69 years, female 5.1
GTEX-11LCK-1026-SM-5A5KB 30-39 years, male 5.0
GTEX-13FXS-0226-SM-5IJCK 50-59 years, male 5.0
GTEX-OOBK-0126-SM-2YUND 40-49 years, male 5.0
GTEX-Q2AG-0126-SM-33HBV 40-49 years, female 5.0
GTEX-X638-0126-SM-47JZ8 70-79 years, female 5.0
GTEX-1F5PL-0326-SM-7P8PQ 40-49 years, female 5.0
GTEX-1JMOU-1526-SM-CL54I 60-69 years, female 5.0
GTEX-1192W-2626-SM-5Q5AF 60-69 years, male 4.9
GTEX-12WSL-2526-SM-5GCNJ 50-59 years, male 4.9
GTEX-14753-0426-SM-5NQAM 60-69 years, male 4.9
GTEX-1HCUA-2426-SM-ADEIS 50-59 years, female 4.9
GTEX-1HT8W-0126-SM-CNPPP 30-39 years, male 4.9
GTEX-1QEPI-0126-SM-EWRMQ 60-69 years, female 4.9
GTEX-UJHI-1526-SM-3DB99 50-59 years, female 4.8
GTEX-1F5PK-2426-SM-7RHHY 50-59 years, male 4.8
GTEX-1399U-2326-SM-5K7WY 50-59 years, female 4.7
GTEX-18D9A-1926-SM-7LG6P 30-39 years, female 4.7
GTEX-XV7Q-2526-SM-4BRV9 40-49 years, female 4.7
GTEX-1C6VQ-0126-SM-7P8RI 50-59 years, male 4.7
GTEX-14BMU-2226-SM-5TDE9 20-29 years, female 4.6
GTEX-SNMC-1226-SM-2XCFP 20-29 years, male 4.6
GTEX-1GL5R-1826-SM-9KNUY 50-59 years, male 4.6
GTEX-16GPK-0126-SM-7DHLE 60-69 years, male 4.5
GTEX-17KNJ-2326-SM-7DHLQ 50-59 years, male 4.5
GTEX-PX3G-0126-SM-2I3EN 20-29 years, female 4.5
GTEX-RUSQ-1526-SM-2TF62 50-59 years, male 4.5
GTEX-111FC-0126-SM-5N9DL 60-69 years, male 4.4
GTEX-17HII-0226-SM-7LG4E 50-59 years, male 4.4
GTEX-1C6VR-2426-SM-79OLD 60-69 years, male 4.4
GTEX-TML8-1926-SM-32QOS 40-49 years, female 4.4
GTEX-ZAK1-0126-SM-5IJD3 50-59 years, female 4.4
GTEX-1EMGI-0126-SM-9KNUE 60-69 years, male 4.4
GTEX-13D11-2426-SM-5KM1V 50-59 years, female 4.3
GTEX-14JG6-2226-SM-6EU2G 30-39 years, female 4.3
GTEX-XUYS-0126-SM-47JWZ 50-59 years, male 4.3
GTEX-ZZPT-0226-SM-5E43X 50-59 years, male 4.3
GTEX-1J8EW-0126-SM-CJI4F 60-69 years, female 4.3
GTEX-1JMPY-1326-SM-ARL8Y 30-39 years, male 4.3
GTEX-13NYB-2526-SM-5K7Z6 40-49 years, male 4.2
GTEX-14LLW-0126-SM-6LLIO 70-79 years, female 4.2
GTEX-14PK6-1926-SM-6ETZU 70-79 years, female 4.2
GTEX-ZEX8-2426-SM-4WKG4 50-59 years, male 4.2
GTEX-XPVG-2626-SM-4B669 50-59 years, male 4.1
GTEX-1H3NZ-0126-SM-ACKX7 60-69 years, male 4.1
GTEX-1HFI7-1826-SM-ACKXH 50-59 years, female 4.1
GTEX-14BIN-0626-SM-793DP 50-59 years, female 4.0
GTEX-15RIG-0226-SM-7KFTL 40-49 years, male 4.0
GTEX-17EVP-0326-SM-7DHLG 40-49 years, male 4.0
GTEX-U3ZH-2026-SM-3DB78 30-39 years, male 4.0
GTEX-W5WG-1826-SM-4KL2Y 50-59 years, female 4.0
GTEX-WH7G-2326-SM-3NMBC 40-49 years, male 4.0
GTEX-X5EB-2226-SM-46MW4 40-49 years, male 4.0
GTEX-1CAMS-0426-SM-7P8T2 40-49 years, female 4.0
GTEX-1JMPZ-0226-SM-CNPP1 30-39 years, male 4.0
GTEX-13OVJ-0126-SM-5KM36 50-59 years, female 3.9
GTEX-13OW8-1326-SM-5J1OW 60-69 years, male 3.9
GTEX-145LU-0126-SM-5TDCB 50-59 years, male 3.9
GTEX-14C5O-0126-SM-5SI6N 60-69 years, male 3.9
GTEX-16BQI-0226-SM-7KUEX 30-39 years, female 3.9
GTEX-SN8G-0126-SM-32PLI 50-59 years, female 3.9
GTEX-ZU9S-0226-SM-5E441 30-39 years, male 3.9
GTEX-1R46S-0626-SM-E9J41 60-69 years, female 3.9
GTEX-1R7EU-0226-SM-EVR4G 60-69 years, male 3.9
GTEX-13OVG-1926-SM-5L3DK 60-69 years, male 3.8
GTEX-WYVS-2126-SM-3NMA3 40-49 years, female 3.8
GTEX-ZAJG-0126-SM-5HL94 50-59 years, female 3.8
GTEX-ZF29-2326-SM-DO92K 60-69 years, female 3.8
GTEX-145ME-1826-SM-5SI9G 40-49 years, female 3.7
GTEX-1A3MW-0126-SM-73KXX 60-69 years, female 3.7
GTEX-U3ZN-2326-SM-3DB7W 30-39 years, female 3.7
GTEX-1M4P7-0226-SM-DIPEV 60-69 years, male 3.7
GTEX-OXRN-0126-SM-48TDM 50-59 years, male 3.6
GTEX-1HCVE-0126-SM-CGQEU 50-59 years, male 3.6
GTEX-ZPIC-1726-SM-DHXIU 40-49 years, female 3.6
GTEX-14XAO-2326-SM-6EU1B 60-69 years, female 3.5
GTEX-17MF6-0126-SM-7LG4F 40-49 years, male 3.5
GTEX-15CHC-2126-SM-6EU21 60-69 years, female 3.4
GTEX-QDT8-0126-SM-48TZ1 30-39 years, female 3.4
GTEX-S32W-2126-SM-2XCB1 50-59 years, female 3.4
GTEX-1O97I-0326-SM-EYYX7 60-69 years, male 3.4
GTEX-11GSP-2526-SM-5N9BP 60-69 years, female 3.3
GTEX-12ZZZ-0626-SM-5DUXI 60-69 years, male 3.3
GTEX-XUW1-0426-SM-4BOOT 50-59 years, female 3.3
GTEX-XYKS-2126-SM-4E3IB 60-69 years, female 3.3
GTEX-12696-2426-SM-5EQ6H 60-69 years, male 3.2
GTEX-14PII-0226-SM-6EU1T 60-69 years, male 3.2
GTEX-15SDE-2226-SM-7IGLO 50-59 years, female 3.2
GTEX-OIZH-0126-SM-2HMIS 50-59 years, male 3.2
GTEX-1LGOU-2026-SM-DIPFF 20-29 years, female 3.2
GTEX-13O3P-0126-SM-5KM4S 50-59 years, male 3.1
GTEX-15DYW-0126-SM-7KULE 60-69 years, female 3.1
GTEX-17JCI-0126-SM-7LG5G 60-69 years, female 3.1
GTEX-1E2YA-0126-SM-9KNUC 50-59 years, male 3.1
GTEX-1GN73-0226-SM-9WG67 60-69 years, male 3.1
GTEX-1HR98-0126-SM-B2LWI 60-69 years, male 3.1
GTEX-1JMQK-0226-SM-CL543 60-69 years, male 3.1
GTEX-1269C-2526-SM-5EGJ3 60-69 years, female 3.0
GTEX-145LS-0126-SM-5QGP1 60-69 years, female 3.0
GTEX-14PN4-0126-SM-6EU2V 50-59 years, male 3.0
GTEX-1H1DG-0126-SM-9WYU2 70-79 years, male 3.0
GTEX-11O72-0126-SM-59887 40-49 years, male 2.9
GTEX-R3RS-0126-SM-3GIJL 40-49 years, female 2.9
GTEX-Y3IK-2426-SM-4WWDU 50-59 years, female 2.9
GTEX-Y8LW-1826-SM-5S2MV 50-59 years, female 2.9
GTEX-1KAFJ-2026-SM-CY8ID 50-59 years, male 2.9
GTEX-1IKJJ-0126-SM-CNPQB 60-69 years, male 2.8
GTEX-1JK1U-2026-SM-CM2RZ 60-69 years, male 2.8
GTEX-11EMC-2926-SM-5EQ4F 60-69 years, female 2.7
GTEX-11VI4-1726-SM-5CVLH 40-49 years, female 2.7
GTEX-147F3-0526-SM-5SI98 50-59 years, female 2.7
GTEX-T6MN-0126-SM-32PLP 50-59 years, male 2.7
GTEX-1MA7W-2026-SM-E9TJ6 20-29 years, female 2.7
GTEX-1MJK2-0426-SM-DTXE5 50-59 years, male 2.7
GTEX-12WSJ-1826-SM-5GCNY 40-49 years, female 2.6
GTEX-18A67-0126-SM-7LG5P 50-59 years, male 2.6
GTEX-P44H-0226-SM-2XCEU 40-49 years, male 2.6
GTEX-YJ89-0126-SM-4TT3X 60-69 years, male 2.6
GTEX-1LH75-2426-SM-E9TJE 50-59 years, female 2.6
GTEX-R45C-0126-SM-EAZ2R 60-69 years, female 2.5
GTEX-13X6H-2126-SM-7EWD5 50-59 years, female 2.4
GTEX-QCQG-1726-SM-3GIJ9 50-59 years, female 2.4
GTEX-ZDYS-2026-SM-5HL5L 50-59 years, male 2.4
GTEX-1JMQL-0226-SM-CNPP5 50-59 years, female 2.4
GTEX-1QAET-0926-SM-E76QM 50-59 years, male 2.4
GTEX-13CF3-2426-SM-5IFGX 60-69 years, female 2.3
GTEX-P4PP-0126-SM-3LK69 30-39 years, female 2.3
GTEX-RWS6-2026-SM-2XCB5 60-69 years, female 2.3
GTEX-X88G-0126-SM-47JZ3 30-39 years, male 2.3
GTEX-1AX9J-0226-SM-73KXM 60-69 years, male 2.2
GTEX-13OW5-0126-SM-DTXFS 60-69 years, male 2.2
GTEX-1GMR8-0126-SM-9WYTM 50-59 years, female 2.2
GTEX-1QPFJ-0226-SM-E76PB 30-39 years, female 2.2
GTEX-1CAMQ-0226-SM-7IGPK 40-49 years, male 2.1
GTEX-PLZ5-2026-SM-2S1O4 50-59 years, male 2.1
GTEX-13112-2826-SM-5DUWH 50-59 years, male 2.0
GTEX-13N11-2526-SM-5K7UE 50-59 years, female 2.0
GTEX-15ER7-0326-SM-7KUEV 20-29 years, female 2.0
GTEX-Y114-2426-SM-4TT8A 50-59 years, female 2.0
GTEX-11WQK-0526-SM-5EQLD 50-59 years, male 1.9
GTEX-1N2DW-0226-SM-E9TK2 50-59 years, male 1.9
GTEX-ZQG8-1626-SM-DHXIT 60-69 years, female 1.9
GTEX-T5JW-1626-SM-3GADZ 20-29 years, female 1.8
GTEX-1PIIG-0226-SM-EWRN6 30-39 years, male 1.8
GTEX-1122O-2126-SM-5EGIR 60-69 years, female 1.7
GTEX-183WM-0126-SM-7LTAB 70-79 years, female 1.7
GTEX-ZYY3-0126-SM-5GZY5 60-69 years, female 1.7
GTEX-1CB4H-0226-SM-7PBXM 60-69 years, female 1.7
GTEX-1EX96-1626-SM-7PBXR 50-59 years, male 1.7
GTEX-1M5QR-1226-SM-EWROB 40-49 years, male 1.6
GTEX-POMQ-2226-SM-2I5FK 20-29 years, female 1.5
GTEX-1J1OQ-0226-SM-CYPSH 40-49 years, female 1.5
GTEX-ZF3C-0126-SM-DO92D 50-59 years, female 1.5
GTEX-1C475-1826-SM-73KWA 40-49 years, female 1.4
GTEX-ZYT6-0226-SM-5NQ6T 30-39 years, male 1.4
GTEX-11DXW-0226-SM-5H122 40-49 years, male 1.3
GTEX-11EI6-0126-SM-5985R 60-69 years, male 1.3
GTEX-1H11D-0226-SM-9WG6Z 40-49 years, male 1.3
GTEX-1KANC-1526-SM-D3LAB 50-59 years, female 1.3
GTEX-1LG7Z-1726-SM-D3LA4 30-39 years, male 1.3
GTEX-14PJ6-2126-SM-6EU1V 60-69 years, female 1.2
GTEX-ZVZO-0126-SM-5A5L9 40-49 years, male 1.2
GTEX-1HCU7-0226-SM-CL545 50-59 years, male 1.1
GTEX-1R9K4-0126-SM-DTX9X 60-69 years, male 1.1
GTEX-SE5C-1626-SM-2XCE3 40-49 years, female 1.0
GTEX-Z9EW-1626-SM-5CVMN 40-49 years, male 0.9
GTEX-1H3VE-0326-SM-9YFLH 40-49 years, male 0.9
GTEX-ZYFG-2326-SM-5E44B 60-69 years, female 0.8
GTEX-11H98-0126-SM-5EGHG 50-59 years, male 0.7
GTEX-1LBAC-0126-SM-DIPEZ 20-29 years, male 0.7
GTEX-1B97I-1626-SM-73KYO 40-49 years, male 0.6
GTEX-P4QT-0126-SM-2I3FL 50-59 years, female 0.6
GTEX-XBEW-0626-SM-4QASP 40-49 years, male 0.6
GTEX-ZY6K-1826-SM-5GZXK 50-59 years, male 0.6
GTEX-13111-1626-SM-5EGJY 50-59 years, male 0.5
GTEX-1C64N-0126-SM-793D7 50-59 years, male 0.5
GTEX-ZWKS-0126-SM-5SIAA 30-39 years, male 0.5
GTEX-1JMLX-0226-SM-CM2RO 50-59 years, male 0.5
GTEX-1PWST-0226-SM-E76QJ 70-79 years, male 0.5
GTEX-11DXZ-2326-SM-5EGGV 50-59 years, male 0.4
GTEX-12WSC-0126-SM-5EQ4P 50-59 years, male 0.4
GTEX-1B8SF-1426-SM-7DUGL 60-69 years, male 0.4
GTEX-XUZC-1726-SM-4BRWS 30-39 years, female 0.4
GTEX-ZTX8-1426-SM-5DUVO 20-29 years, male 0.4
GTEX-ZXG5-0126-SM-5GIEU 60-69 years, male 0.4
GTEX-1HB9E-0226-SM-E9U4R 50-59 years, male 0.4
GTEX-1212Z-2526-SM-5EGKP 60-69 years, male 0.3
GTEX-1CB4E-2226-SM-793DC 60-69 years, male 0.3
GTEX-ZF2S-2326-SM-4WWCE 50-59 years, female 0.3
GTEX-ZTSS-1926-SM-57WEW 40-49 years, male 0.3
GTEX-1F6IF-0726-SM-7P8TW 60-69 years, male 0.3
GTEX-1GF9V-0326-SM-7RHI5 60-69 years, male 0.3
GTEX-1H4P4-0726-SM-9YFLR 50-59 years, male 0.3
GTEX-1HSKV-0226-SM-A9SKJ 60-69 years, male 0.3
GTEX-1JJEA-0326-SM-CNPOT 60-69 years, male 0.3
GTEX-1QMI2-0226-SM-EVYBX 60-69 years, male 0.3
GTEX-117XS-2726-SM-5N9BL 60-69 years, male 0.2
GTEX-WFON-2126-SM-3LK7O 40-49 years, male 0.2
GTEX-ZV68-0126-SM-59HKS 50-59 years, female 0.2
GTEX-ZXES-1826-SM-5E43S 30-39 years, female 0.2
GTEX-1GMR3-1926-SM-9KNUZ 40-49 years, male 0.2
GTEX-1L5NE-2526-SM-E6CIE 50-59 years, male 0.2
GTEX-1LVAN-0226-SM-COH3S 50-59 years, female 0.2
GTEX-11DYG-0126-SM-59883 60-69 years, male 0.1
GTEX-131XE-2326-SM-5PNZ2 50-59 years, male 0.1
GTEX-ZVTK-0426-SM-51MRS 20-29 years, male 0.1
GTEX-ZYFC-0226-SM-5NQ75 50-59 years, male 0.1
Show allShow less

Contact

  • NEWS ARTICLES
  • PRESS ROOM

The Project

  • INTRODUCTION
  • ORGANIZATION
  • PUBLICATIONS

The Human Protein Atlas

  • DOWNLOADABLE DATA
  • LICENCE & CITATION
  • HELP & FAQ
The Human Protein Atlas project is funded
by the Knut & Alice Wallenberg Foundation.


contact@proteinatlas.org