We use cookies to enhance the usability of our website. If you continue, we'll assume that you are happy to receive all cookies. More information. Don't show this again.
SLX1A
HPA
RESOURCES
  • TISSUE
  • BRAIN
  • SINGLE CELL
  • SUBCELLULAR
  • CANCER
  • BLOOD
  • CELL LINE
  • STRUCTURE & INTERACTION
ABOUT
  • INTRODUCTION
  • HISTORY
  • ORGANIZATION
  • PUBLICATIONS
  • ANTIBODY SUBMISSION
  • ANTIBODY AVAILABILITY
  • ACKNOWLEDGMENTS
  • CONTACT
NEWS
  • NEWS ARTICLES
  • PRESS ROOM
LEARN
  • DICTIONARY
  • PROTEIN CLASSES
  • PROTEIN EVIDENCE
  • METHODS
  • EDUCATIONAL VIDEOS
DATA
  • DOWNLOADABLE DATA
  • PUBLICATION DATA
  • RELEASE HISTORY
HELP
  • ANTIBODY VALIDATION
  • ASSAYS & ANNOTATION
  • DISCLAIMER
  • HELP & FAQ
  • PRIVACY STATEMENT
  • LICENCE & CITATION
Fields »
Search result

Field
Term
Gene name
Class
Subclass
Class
Keyword
Chromosome
External id
Tissue
Cell type
Expression
Antibody panel
Tissue
Main location
Patient ID
Annotation
Tissue
Category
Tau score
Cluster
Reliability
Brain region
Category
Tau score
Brain region
Category
Tau score
Brain region
Category
Tau score
Cluster
Reliability
Tissue
Cell type
Enrichment
Cell type
Category
Tau score
Cell type
Category
Tau score
Cell type
Category
Tau score
Cell lineage
Category
Tau score
Cluster
Cluster
Location
Searches
Location
Cell line
Class
Type
Phase
Reliability
Cancer
Prognosis
Cancer
Category
Cancer
Category
Tau score
Cluster
Variants
Interacting gene (ensg_id)
Type
Number of interactions
Pathway
Category
Score
Score
Score
Validation
Validation
Validation
Validation
Antibodies
Data type
Column


  • SUMMARY

  • TISSUE

  • BRAIN

  • SINGLE CELL

  • SUBCELL

  • CANCER

  • BLOOD

  • CELL LINE

  • STRUCT & INT

  • SLX1A
TISSUE PRIMARY DATA SKIN Show tissue menu
ADIPOSE TISSUE ADRENAL GLAND AMYGDALA APPENDIX BASAL GANGLIA BONE MARROW BREAST BRONCHUS CEREBELLUM CEREBRAL CORTEX CERVIX CHOROID PLEXUS COLON DUODENUM
ENDOMETRIUM EPIDIDYMIS ESOPHAGUS FALLOPIAN TUBE GALLBLADDER HEART MUSCLE HIPPOCAMPAL FORMATION HYPOTHALAMUS KIDNEY LIVER LUNG LYMPH NODE MIDBRAIN NASOPHARYNX
ORAL MUCOSA OVARY PANCREAS PARATHYROID GLAND PITUITARY GLAND PLACENTA PROSTATE RECTUM RETINA SALIVARY GLAND SEMINAL VESICLE SKELETAL MUSCLE SKIN SMALL INTESTINE
SMOOTH MUSCLE SOFT TISSUE SPINAL CORD SPLEEN STOMACH TESTIS THYMUS THYROID GLAND TONGUE TONSIL URINARY BLADDER VAGINA
ANTIBODIES
AND
VALIDATION
Dictionary
Skin
Tissue proteome
Skin
SKIN - Expression summary
Protein expression
Skini

On the top, protein expression in current human tissue, based on all annotated cell types, is reported with the units not detected (n), low (l), medium (m) and high (h). Underneath, protein expression in each annotated cell type are reported using the same units.

Protein expression data is based on knowledge-based annotation. For genes where more than one antibody has been used, a collective score is set.

If knowledge-based annotation could not be performed for a gene, no data is displayed here. View antibody staining data further down this page.

h
m
l
n
Epidermal cells: Low
Fibroblasts: Not detected
Keratinocytes: Low
Langerhans: Not detected
Melanocytes: Low
RNA expressioni

A summary of mRNA expression data available for current tissue based on several datasets. The mRNA expression levels in human tissues are based on RNA-seq data generated by the Human Protein Atlas (HPA), Genotype-Tissue Expression (GTEx) portal and CAGE data generated by the FANTOM5 consortium. Consensus normalized expression levels for human tissues was created by combining the data from HPA and GTEx datasets.

The mRNA expression levels in pig are based on RNA-seq data generated by the Human Protein Atlas (HPA), and for mouse, HPA data and in situ hybridization generated by the Allen brain atlas are reported.

Scroll down to view mRNA expression data in more detail.
Consensus:16.3 nTPM
HPA:7.4 nTPM
GTEx:16.3 nTPM

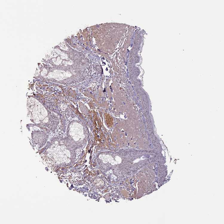
SKIN 1 - Antibody stainingi

Antibody staining in the annotated cell types in the current human tissue is reported as not detected, low, medium, or high, based on conventional immunohistochemistry profiling in selected tissues. This score is based on the combination of the staining intensity and fraction of stained cells.

Each image is clickable and will lead to virtual microscopy that enables deeper exploration of all samples and also displays staining intensity scores, fraction scores and subcellular localization as well as patient and tissue information for each sample.

Antibody HPA047038
Langerhans Not detected
Fibroblasts Not detected
Keratinocytes Low
Melanocytes Low


SKIN 2 - Antibody stainingi

Antibody staining in the annotated cell types in the current human tissue is reported as not detected, low, medium, or high, based on conventional immunohistochemistry profiling in selected tissues. This score is based on the combination of the staining intensity and fraction of stained cells.

Each image is clickable and will lead to virtual microscopy that enables deeper exploration of all samples and also displays staining intensity scores, fraction scores and subcellular localization as well as patient and tissue information for each sample.

Antibody HPA047038
Epidermal cells Low
 
 
 



SKIN - HPA RNA-seqi

The RNA-seq details section shows detailed information about the individual samples used for the transcript profiling and results of the RNA-seq analysis.

Information about each individual sample is listed below, including gender, age, a tissue section image and estimated fractions of cell types. nTPM (normalized transcripts per million) values give a quantification of the gene abundance which is comparable between different genes and samples.
Average nTPMi

Max subtype nTPM is the value for the subtype with the largest average nTPM across the subtype samples.

7.4
overview
Female, age 34
Skin sample 225
nTPM: 2.8
Cell types%
Keratinocytes:
60

Other cell types:
40

overview
Female, age 30
Skin sample 226
nTPM: 2.2
Cell types%
Keratinocytes:
55

Other cell types:
45

N/A
Male, age 57
Skin sample 227
nTPM: 17.1

SKIN - GTEx RNA-seqi

RNA-Seq data generated by the Genotype-Tissue Expression (GTEx) project from human tissues is reported as mean nTPM. More information can be found on the GTEx portal.

Distribution across the dataset is visualized with box plots, shown as median and 25th and 75th percentiles. Points are displayed as outliers if they are above or below 1.5 times the interquartile range. nTPM values of the individual samples are presented next to the box plot.
Max subtype nTPMi

Max subtype nTPM is the value for the subtype with the largest average nTPM across the subtype samples.

16.3
GTEx sample id Sample description nTPM
Skin - Not Sun Exposed (Suprapubic)
Average nTPM: 16.3
Samples: 604

Max nTPM: 62.1
Min nTPM: 0.0
Std nTPM: 10.5
Median nTPM: 15.4
GTEX-1PPH8-0126-SM-EWRN8 20-29 years, male 62.1
GTEX-X585-2426-SM-46MW2 50-59 years, male 56.3
GTEX-Y114-2126-SM-4TT8B 50-59 years, female 56.0
GTEX-ZTX8-1326-SM-4YCEL 20-29 years, male 48.0
GTEX-1399S-0126-SM-5IJCF 30-39 years, female 47.5
GTEX-ZF3C-0626-SM-DO92O 50-59 years, female 47.5
GTEX-1JMLX-0626-SM-ARL8T 50-59 years, male 46.9
GTEX-XBEW-1126-SM-4QARW 40-49 years, male 46.3
GTEX-1MJK3-0726-SM-E6CJC 20-29 years, male 46.2
GTEX-WFG7-2026-SM-5SI7P 20-29 years, male 44.6
GTEX-ZPCL-1126-SM-4WWFE 60-69 years, female 43.5
GTEX-1OJC3-1226-SM-DTXER 20-29 years, male 42.3
GTEX-1HSMP-0926-SM-A9SKX 70-79 years, male 41.2
GTEX-13FTX-1526-SM-5K7VJ 20-29 years, female 40.4
GTEX-14PJ3-1126-SM-5ZZVX 50-59 years, male 39.1
GTEX-11DXX-2126-SM-5PNYR 60-69 years, female 38.9
GTEX-WI4N-2726-SM-3LK7Y 40-49 years, female 38.8
GTEX-ZT9X-1526-SM-5DUXD 40-49 years, male 38.1
GTEX-1E2YA-2126-SM-7MXUO 50-59 years, male 38.0
GTEX-1N2DV-1526-SM-DTXEP 40-49 years, male 37.7
GTEX-WXYG-2026-SM-4E3IY 50-59 years, female 37.5
GTEX-16MTA-0926-SM-6M47Z 50-59 years, male 37.3
GTEX-11O72-0626-SM-5PNYE 40-49 years, male 37.1
GTEX-147F4-0726-SM-5TDDD 50-59 years, male 37.0
GTEX-1QCLY-0226-SM-EWRNH 30-39 years, male 36.9
GTEX-1KAFJ-0126-SM-DIPEK 50-59 years, male 36.6
GTEX-WHSB-1326-SM-3LK6W 50-59 years, male 36.2
GTEX-Y5V6-2326-SM-4VDSA 60-69 years, male 35.9
GTEX-ZXG5-2126-SM-59HKD 60-69 years, male 35.9
GTEX-ZYW4-0626-SM-59HJR 60-69 years, male 35.8
GTEX-ZE7O-2726-SM-51MT5 50-59 years, female 35.6
GTEX-17F97-2626-SM-7IGM5 50-59 years, male 35.4
GTEX-18465-2826-SM-7LT9J 50-59 years, male 35.3
GTEX-11WQK-1026-SM-5EQLX 50-59 years, male 35.1
GTEX-14XAO-1226-SM-6EU1C 60-69 years, female 35.0
GTEX-XQ3S-1426-SM-4BOPR 20-29 years, male 35.0
GTEX-1LVAM-0726-SM-E6CIL 50-59 years, female 34.7
GTEX-WFON-1926-SM-3LK7L 40-49 years, male 34.2
GTEX-131XH-0126-SM-5LZUY 50-59 years, male 33.9
GTEX-1A3MW-0626-SM-731CB 60-69 years, female 33.9
GTEX-145MG-1526-SM-5Q5EM 50-59 years, male 33.8
GTEX-1RMOY-1326-SM-E9TIH 50-59 years, male 33.5
GTEX-144GO-2026-SM-5O99P 60-69 years, male 33.3
GTEX-16MT8-2926-SM-7DUFO 60-69 years, female 33.1
GTEX-1JMQJ-0826-SM-CNPP7 50-59 years, male 33.0
GTEX-13RTJ-0126-SM-5S2NN 60-69 years, male 32.5
GTEX-1RAZS-2526-SM-E6CHT 50-59 years, male 32.4
GTEX-1S82P-2126-SM-E6CI5 60-69 years, female 32.4
GTEX-15RJE-2826-SM-7KUM9 40-49 years, male 32.2
GTEX-1R9K4-2826-SM-DTX8F 60-69 years, male 32.0
GTEX-1LVAN-0626-SM-CNPOQ 50-59 years, female 31.8
GTEX-14E6C-2426-SM-5S2NF 40-49 years, male 31.4
GTEX-U8XE-0226-SM-4E3J3 30-39 years, male 31.4
GTEX-17F9E-2326-SM-79OKD 50-59 years, male 31.3
GTEX-131XG-0326-SM-5L3DX 50-59 years, female 30.6
GTEX-1R9PN-0426-SM-DTXDT 40-49 years, female 30.4
GTEX-139TU-0726-SM-5L3EK 60-69 years, male 30.1
GTEX-17F96-0126-SM-7EWDU 70-79 years, male 30.1
GTEX-13O61-1426-SM-5KM3D 60-69 years, male 29.8
GTEX-16YQH-2226-SM-7IGM2 30-39 years, male 29.8
GTEX-ZYVF-0926-SM-5E44J 50-59 years, female 29.7
GTEX-1S3DN-2126-SM-E9TIN 50-59 years, male 29.7
GTEX-1HKZK-0726-SM-ACKW2 40-49 years, male 29.6
GTEX-11NSD-0626-SM-5A5LU 20-29 years, male 29.4
GTEX-14PHY-1226-SM-5ZZWK 60-69 years, female 29.4
GTEX-1S82U-1026-SM-E6CJK 30-39 years, female 29.3
GTEX-11TT1-1826-SM-5EQLV 20-29 years, male 29.0
GTEX-Z93S-1626-SM-5CVMB 50-59 years, male 29.0
GTEX-1LKK1-2626-SM-DKPQE 50-59 years, female 28.9
GTEX-15SHW-0226-SM-7LTAT 60-69 years, male 28.7
GTEX-14753-0726-SM-5QGQO 60-69 years, male 28.6
GTEX-15RIE-1926-SM-7KUKJ 60-69 years, male 28.4
GTEX-XBEC-0726-SM-4QARZ 50-59 years, male 28.3
GTEX-1RAZQ-1326-SM-E9TK6 30-39 years, male 28.3
GTEX-1MCYP-0526-SM-E9U6Q 20-29 years, female 28.1
GTEX-XK95-0226-SM-4AT58 40-49 years, male 28.0
GTEX-1F52S-2926-SM-7MKGA 60-69 years, female 27.9
GTEX-ZDTS-0826-SM-4WKHL 60-69 years, male 27.8
GTEX-1LSNM-0826-SM-DIPG8 50-59 years, male 27.7
GTEX-1S831-1826-SM-EWROF 20-29 years, male 27.7
GTEX-ZTTD-2826-SM-4YCFA 50-59 years, male 27.6
GTEX-1EMGI-2326-SM-7PBYA 60-69 years, male 27.6
GTEX-13OVG-1626-SM-5J1NF 60-69 years, male 27.5
GTEX-14A5H-0826-SM-5QGPJ 60-69 years, male 27.3
GTEX-ZPU1-1126-SM-4YCF3 40-49 years, male 27.3
GTEX-13FTW-0326-SM-5K7UW 40-49 years, male 27.2
GTEX-13SLX-2226-SM-62LEP 50-59 years, female 27.0
GTEX-17HII-1426-SM-7EPGG 50-59 years, male 27.0
GTEX-ZLFU-1826-SM-4WWBV 40-49 years, male 27.0
GTEX-1H1DG-2426-SM-9QEHJ 70-79 years, male 27.0
GTEX-1R9PM-1926-SM-EVR3O 20-29 years, male 26.8
GTEX-1I1GP-1326-SM-A9G28 50-59 years, male 26.7
GTEX-145ME-1726-SM-5Q5EU 40-49 years, female 26.6
GTEX-1C64O-1326-SM-7MGWR 60-69 years, male 26.6
GTEX-1CAMR-1326-SM-7PC1F 20-29 years, male 26.6
GTEX-1HT8W-0626-SM-A9G2H 30-39 years, male 26.5
GTEX-ZZ64-1026-SM-5GZXG 20-29 years, male 26.2
GTEX-1399Q-2326-SM-5KM2X 40-49 years, male 26.1
GTEX-XAJ8-1426-SM-47JYM 40-49 years, male 25.8
GTEX-1K2DA-1026-SM-CGQGF 50-59 years, male 25.8
GTEX-12WSJ-1126-SM-5LZVJ 40-49 years, female 25.7
GTEX-1E1VI-0326-SM-793D1 50-59 years, male 25.7
GTEX-1GZ4I-2626-SM-9KNU3 50-59 years, male 25.7
GTEX-1J8Q2-2626-SM-ACKWQ 60-69 years, male 25.7
GTEX-145MN-1526-SM-5SI9T 30-39 years, male 25.6
GTEX-1C475-1326-SM-7SB73 40-49 years, female 25.6
GTEX-1J8EW-2726-SM-CY8HR 60-69 years, female 25.6
GTEX-YF7O-1526-SM-5IFI6 50-59 years, male 25.4
GTEX-12WSK-2126-SM-5CVNC 40-49 years, female 25.3
GTEX-14C5O-0326-SM-5ZZUX 60-69 years, male 25.3
GTEX-ZDXO-3126-SM-5IJDF 60-69 years, male 25.3
GTEX-11DXZ-2026-SM-5987S 50-59 years, male 25.2
GTEX-X3Y1-2026-SM-3P5YM 40-49 years, male 25.0
GTEX-XOT4-0626-SM-4B66L 60-69 years, female 25.0
GTEX-1QPFJ-1926-SM-EVYBD 30-39 years, female 25.0
GTEX-X8HC-0626-SM-4E3HQ 50-59 years, female 24.9
GTEX-1CB4I-0126-SM-7RHGG 50-59 years, male 24.9
GTEX-15RIG-0726-SM-7KUM7 40-49 years, male 24.8
GTEX-18A7B-2726-SM-7LG56 70-79 years, male 24.8
GTEX-ZDYS-2426-SM-4WKGI 50-59 years, male 24.4
GTEX-ZVP2-0326-SM-57WBP 50-59 years, male 24.4
GTEX-1LBAC-0826-SM-CY8IJ 20-29 years, male 24.4
GTEX-1I19N-0126-SM-CYPSF 70-79 years, male 24.3
GTEX-1117F-2926-SM-5GZYI 60-69 years, female 24.2
GTEX-17EVQ-0126-SM-7IGLR 70-79 years, male 24.2
GTEX-11PRG-0726-SM-5EGL1 50-59 years, male 24.1
GTEX-18A67-1626-SM-7LT9T 50-59 years, male 24.1
GTEX-1MCC2-1826-SM-DIPEX 30-39 years, female 24.1
GTEX-11P7K-1126-SM-5HL4L 30-39 years, male 24.0
GTEX-139T8-0626-SM-5KLZX 60-69 years, male 24.0
GTEX-139TS-2126-SM-5K7XC 60-69 years, male 24.0
GTEX-1GL5R-1326-SM-7RHHF 50-59 years, male 24.0
GTEX-WH7G-2026-SM-3NMBL 40-49 years, male 23.9
GTEX-ZDTT-0426-SM-4WKFL 60-69 years, male 23.9
GTEX-14PKU-0126-SM-6LLHV 40-49 years, female 23.7
GTEX-1J1R8-2026-SM-CL53Y 40-49 years, male 23.7
GTEX-111YS-1526-SM-5GZYW 60-69 years, male 23.6
GTEX-18D9A-1426-SM-7LT8M 30-39 years, female 23.5
GTEX-11DXW-0826-SM-5H118 40-49 years, male 23.1
GTEX-183FY-1026-SM-7939A 20-29 years, male 23.1
GTEX-111VG-1626-SM-5EGIO 60-69 years, male 23.0
GTEX-1313W-0626-SM-5EQ4H 50-59 years, female 23.0
GTEX-1HCU6-2526-SM-ADEHL 60-69 years, female 22.9
GTEX-139YR-1026-SM-5LZYN 50-59 years, male 22.7
GTEX-ZU9S-1826-SM-5NQ9E 30-39 years, male 22.7
GTEX-13FH7-1126-SM-5K7UG 50-59 years, female 22.6
GTEX-13OVJ-0826-SM-5J1OK 50-59 years, female 22.6
GTEX-13OVL-0126-SM-5L3GJ 50-59 years, male 22.5
GTEX-16GPK-0626-SM-7KFSF 60-69 years, male 22.5
GTEX-XPVG-2126-SM-4B667 50-59 years, male 22.5
GTEX-1GN1U-0626-SM-9MQL9 50-59 years, female 22.5
GTEX-1AX9I-2226-SM-73KUO 60-69 years, male 22.4
GTEX-1PIGE-1826-SM-E8VOU 20-29 years, male 22.4
GTEX-12126-0826-SM-5FQTZ 20-29 years, male 22.3
GTEX-11TUW-0626-SM-5LU9M 60-69 years, male 22.1
GTEX-1M4P7-0726-SM-E6CJ3 60-69 years, male 22.1
GTEX-17HHE-1326-SM-7EWDZ 50-59 years, male 22.0
GTEX-ZA64-1026-SM-5HL8R 20-29 years, male 22.0
GTEX-1QP9N-1226-SM-E76QN 30-39 years, male 22.0
GTEX-11VI4-1126-SM-5EQMD 40-49 years, female 21.9
GTEX-15CHQ-0326-SM-69LQD 60-69 years, male 21.9
GTEX-18D9B-0926-SM-7LG4U 60-69 years, male 21.8
GTEX-YECK-0326-SM-4W1YS 60-69 years, male 21.8
GTEX-1IKOE-1426-SM-CE6T7 30-39 years, female 21.8
GTEX-1S5ZU-2526-SM-E6CIF 20-29 years, female 21.8
GTEX-111FC-2526-SM-5GZXU 60-69 years, male 21.7
GTEX-1211K-1526-SM-5FQU4 60-69 years, female 21.7
GTEX-18A6Q-0626-SM-7KFRP 60-69 years, male 21.7
GTEX-ZWKS-0626-SM-5GIDV 30-39 years, male 21.7
GTEX-1CAMS-2226-SM-7PBXQ 40-49 years, female 21.7
GTEX-1HCVE-2726-SM-CL54F 50-59 years, male 21.7
GTEX-1O9I2-0226-SM-EYYXD 50-59 years, male 21.7
GTEX-1399R-1326-SM-5PNYS 30-39 years, male 21.6
GTEX-1C6WA-2626-SM-7MKGM 60-69 years, male 21.6
GTEX-1497J-0226-SM-5QGPU 60-69 years, male 21.5
GTEX-YB5K-2026-SM-4VDT3 40-49 years, female 21.5
GTEX-12ZZY-0726-SM-5EQ66 60-69 years, male 21.4
GTEX-14ICL-1626-SM-5YYAO 30-39 years, male 21.4
GTEX-1GZ4H-0526-SM-9KNU9 50-59 years, female 21.4
GTEX-11WQC-1826-SM-5GU59 60-69 years, male 21.2
GTEX-13D11-0926-SM-5J2NC 50-59 years, female 21.2
GTEX-15EU6-2226-SM-6EU2L 50-59 years, male 21.2
GTEX-1H23P-0626-SM-9WG6T 60-69 years, male 21.2
GTEX-YEC4-1826-SM-4W1YP 40-49 years, male 21.1
GTEX-1JMPY-0226-SM-CKZOK 30-39 years, male 21.1
GTEX-YEC3-1326-SM-DO92X 50-59 years, male 21.1
GTEX-WHSE-0126-SM-3NMBT 20-29 years, male 20.9
GTEX-ZF29-0926-SM-4WKFZ 60-69 years, female 20.9
GTEX-1GN1W-2426-SM-9KNUU 50-59 years, female 20.9
GTEX-ZY6K-1426-SM-5GZX2 50-59 years, male 20.8
GTEX-17MFQ-1526-SM-7KFRR 20-29 years, male 20.7
GTEX-18D9U-0126-SM-731BM 40-49 years, male 20.7
GTEX-1B8KE-1126-SM-7EPHI 50-59 years, male 20.7
GTEX-1POEN-2326-SM-E9J2L 30-39 years, female 20.5
GTEX-ZTSS-1426-SM-5985P 40-49 years, male 20.4
GTEX-1212Z-0126-SM-59HK4 60-69 years, male 20.3
GTEX-Y3I4-1726-SM-4TT89 50-59 years, male 20.3
GTEX-1399U-1126-SM-5L3DB 50-59 years, female 20.1
GTEX-144FL-0626-SM-5LU43 50-59 years, male 20.1
GTEX-15DYW-2726-SM-6EU2I 60-69 years, female 20.1
GTEX-1H11D-1826-SM-9QEHM 40-49 years, male 20.1
GTEX-1H1CY-0126-SM-9YFLY 60-69 years, female 20.1
GTEX-11DZ1-2426-SM-5GZZX 50-59 years, male 20.0
GTEX-13112-0126-SM-5P9IU 50-59 years, male 20.0
GTEX-14E1K-2026-SM-7DUEI 50-59 years, male 20.0
GTEX-1HBPN-0126-SM-CGQEF 50-59 years, male 20.0
GTEX-WK11-2726-SM-3NMAQ 50-59 years, male 19.9
GTEX-ZYFD-0626-SM-5E44E 50-59 years, male 19.9
GTEX-16BQI-1326-SM-6M486 30-39 years, female 19.8
GTEX-1GMR3-0126-SM-A9SLW 40-49 years, male 19.8
GTEX-1GPI7-1826-SM-9KNU1 20-29 years, male 19.7
GTEX-1IDJI-0126-SM-CMKHS 50-59 years, female 19.7
GTEX-13FTY-2126-SM-5IFFB 40-49 years, female 19.6
GTEX-15RJ7-2126-SM-6PAMD 40-49 years, male 19.6
GTEX-1GF9V-0826-SM-9KNUV 60-69 years, male 19.6
GTEX-1HFI6-0126-SM-CNPPI 40-49 years, male 19.6
GTEX-13N11-2326-SM-5IJBF 50-59 years, female 19.5
GTEX-WHPG-2626-SM-3NMBR 50-59 years, male 19.4
GTEX-17EVP-2626-SM-7IGMA 40-49 years, male 19.3
GTEX-ZAJG-1526-SM-5CVML 50-59 years, female 19.2
GTEX-1F6IF-0926-SM-7SB7M 60-69 years, male 19.2
GTEX-1JMQK-1226-SM-D4P2S 60-69 years, male 19.2
GTEX-18A66-0626-SM-7LT8Z 60-69 years, male 19.1
GTEX-1IE54-1126-SM-A9G2Z 40-49 years, female 19.1
GTEX-1HCU7-0726-SM-A9SL1 50-59 years, male 18.9
GTEX-1KANA-1326-SM-DIPFA 20-29 years, male 18.8
GTEX-15G1A-1626-SM-7KUKN 30-39 years, male 18.7
GTEX-14C39-1726-SM-5RQIL 40-49 years, male 18.6
GTEX-1B996-0426-SM-7EWF8 60-69 years, male 18.6
GTEX-145MH-2826-SM-5RQJF 50-59 years, male 18.5
GTEX-14PK6-0226-SM-62LF5 70-79 years, female 18.5
GTEX-Y8LW-1526-SM-5IFHL 50-59 years, female 18.5
GTEX-1KD5A-0126-SM-E9U54 50-59 years, male 18.5
GTEX-11OF3-0126-SM-5PNYF 60-69 years, male 18.4
GTEX-WFG8-2126-SM-3GIKQ 20-29 years, male 18.4
GTEX-1IDJC-1526-SM-B2LW4 50-59 years, male 18.4
GTEX-131XW-0626-SM-5PNVD 50-59 years, female 18.3
GTEX-12696-0126-SM-5EQ4L 60-69 years, male 18.2
GTEX-13X6I-1826-SM-5SIAO 60-69 years, male 18.2
GTEX-16NPX-0726-SM-7KULC 50-59 years, male 18.2
GTEX-1PDJ9-1226-SM-EXUSX 20-29 years, male 18.2
GTEX-17HG3-2626-SM-7DUF2 30-39 years, female 18.1
GTEX-ZVZP-1226-SM-5GID7 50-59 years, male 18.1
GTEX-1LG7Y-2526-SM-EWRO7 50-59 years, male 18.1
GTEX-1GTWX-2026-SM-9YFLM 60-69 years, male 17.9
GTEX-1HCU9-0426-SM-9WYSD 20-29 years, male 17.9
GTEX-1JN76-0626-SM-CKZOQ 20-29 years, female 17.9
GTEX-1AYD5-2626-SM-7PBXY 50-59 years, male 17.8
GTEX-1JN1M-2726-SM-CY8I4 60-69 years, female 17.7
GTEX-1NSGN-0726-SM-DTXEF 50-59 years, male 17.6
GTEX-145MF-0926-SM-5Q5EA 50-59 years, male 17.5
GTEX-1F48J-0726-SM-7RHGS 50-59 years, female 17.5
GTEX-1J1OQ-0126-SM-D4P2N 40-49 years, female 17.5
GTEX-1QP2A-1726-SM-E76QC 50-59 years, male 17.5
GTEX-14JFF-0626-SM-5ZZVT 60-69 years, male 17.4
GTEX-11EQ9-1626-SM-5PNY8 30-39 years, male 17.3
GTEX-17KNJ-2126-SM-718AM 50-59 years, male 17.3
GTEX-ZAB4-2126-SM-5HL8U 40-49 years, male 17.3
GTEX-1RB15-1326-SM-E76Q9 60-69 years, male 17.3
GTEX-133LE-2326-SM-5K7W3 20-29 years, female 17.2
GTEX-144GM-0526-SM-79OJO 20-29 years, male 17.1
GTEX-11GSP-2326-SM-5HL63 60-69 years, female 16.9
GTEX-1N5O9-0926-SM-E9J3C 60-69 years, male 16.9
GTEX-16AAH-0626-SM-793C9 50-59 years, male 16.8
GTEX-Y5LM-0926-SM-6LLJG 40-49 years, female 16.8
GTEX-ZVT4-2426-SM-5GIEI 50-59 years, female 16.8
GTEX-1JN6P-2926-SM-CL54D 60-69 years, male 16.8
GTEX-14LZ3-0126-SM-69LPM 60-69 years, female 16.7
GTEX-1HSKV-1226-SM-ADEI4 60-69 years, male 16.7
GTEX-1CAMQ-1326-SM-7P8RV 40-49 years, male 16.6
GTEX-1LG7Z-1626-SM-CXKYR 30-39 years, male 16.6
GTEX-13VXT-1926-SM-5K7UO 20-29 years, female 16.5
GTEX-14PJ5-1526-SM-6LLIL 60-69 years, female 16.5
GTEX-16MT9-0126-SM-7EPI8 60-69 years, female 16.5
GTEX-1KXAM-1626-SM-D3LAD 60-69 years, male 16.5
GTEX-12WSH-1526-SM-5BC5W 50-59 years, male 16.4
GTEX-144GL-0626-SM-5LU4D 50-59 years, male 16.4
GTEX-17F98-1326-SM-7DUEP 40-49 years, female 16.4
GTEX-1HGF4-0126-SM-CNPPX 60-69 years, male 16.4
GTEX-1LGRB-0926-SM-COH3K 50-59 years, female 16.3
GTEX-WYJK-0526-SM-3NM8Z 50-59 years, male 16.2
GTEX-1H2FU-0926-SM-9WPPT 60-69 years, female 16.2
GTEX-ZUA1-2626-SM-5NQ92 40-49 years, male 16.1
GTEX-1F6I4-2326-SM-7RHGL 60-69 years, male 16.1
GTEX-XXEK-1626-SM-4BRUZ 50-59 years, male 16.0
GTEX-1IDJH-0126-SM-D3L92 70-79 years, male 16.0
GTEX-1S83E-1326-SM-E6CJM 40-49 years, male 16.0
GTEX-1F5PK-2226-SM-7SB6N 50-59 years, male 15.9
GTEX-1J8QM-2426-SM-A9SLS 60-69 years, female 15.9
GTEX-1LVAO-2726-SM-E9TJ8 60-69 years, male 15.9
GTEX-1L5NE-1126-SM-D3L9P 50-59 years, male 15.8
GTEX-1LB8K-0726-SM-D5OV2 50-59 years, male 15.8
GTEX-1192X-2726-SM-5N9DN 50-59 years, male 15.7
GTEX-13OW5-2326-SM-5L3HO 60-69 years, male 15.7
GTEX-131XF-2626-SM-5EQ6K 60-69 years, male 15.6
GTEX-13N1W-2426-SM-5IJD1 70-79 years, male 15.6
GTEX-13OVK-1426-SM-6PAN7 40-49 years, male 15.6
GTEX-1B8L1-2226-SM-7P8PT 60-69 years, male 15.5
GTEX-147F3-1726-SM-5SIAW 50-59 years, female 15.4
GTEX-ZF2S-1626-SM-57WES 50-59 years, female 15.4
GTEX-1C64N-2626-SM-7PC2N 50-59 years, male 15.4
GTEX-1GZHY-0626-SM-9KNVC 50-59 years, female 15.4
GTEX-1JJEA-1826-SM-ARU8P 60-69 years, male 15.3
GTEX-1LGOU-1326-SM-D3L8M 20-29 years, female 15.3
GTEX-Y3IK-1626-SM-4YCF5 50-59 years, female 15.2
GTEX-1HC8U-1326-SM-9YFMJ 40-49 years, female 15.2
GTEX-ZP4G-1426-SM-4WWCL 20-29 years, female 15.0
GTEX-1HCUA-0826-SM-ADEHM 50-59 years, female 15.0
GTEX-1I6K7-1926-SM-B2LXR 40-49 years, male 15.0
GTEX-1A8FM-0626-SM-7PC25 50-59 years, female 14.9
GTEX-1CB4J-1326-SM-7P8RX 60-69 years, male 14.8
GTEX-13O3O-2326-SM-5IJD6 60-69 years, female 14.7
GTEX-15G19-2426-SM-7KUMR 60-69 years, male 14.7
GTEX-X5EB-1926-SM-4E3IW 40-49 years, male 14.7
GTEX-1IDJD-2326-SM-ACKWX 30-39 years, male 14.7
GTEX-1N2EE-0626-SM-E76PW 60-69 years, male 14.7
GTEX-ZVTK-0226-SM-51MRG 20-29 years, male 14.6
GTEX-ZYT6-2326-SM-5GZY3 30-39 years, male 14.6
GTEX-1B8KZ-0326-SM-73KY4 50-59 years, male 14.5
GTEX-ZT9W-1126-SM-57WDR 50-59 years, male 14.5
GTEX-1JMQL-2226-SM-CNPP4 50-59 years, female 14.5
GTEX-1PIIG-2326-SM-DTXFR 30-39 years, male 14.5
GTEX-17HGU-2326-SM-7DUFE 50-59 years, male 14.4
GTEX-1AX9J-1326-SM-731BJ 60-69 years, male 14.4
GTEX-1I1GU-0926-SM-ACKVS 40-49 years, male 14.4
GTEX-14PJO-2526-SM-6AJBQ 60-69 years, male 14.3
GTEX-12WSF-1626-SM-7KUG5 70-79 years, male 14.2
GTEX-14DAR-1226-SM-73KYV 50-59 years, male 14.2
GTEX-1GMRU-2126-SM-7P8RA 50-59 years, male 14.2
GTEX-1HSMQ-2626-SM-A9SML 50-59 years, male 14.1
GTEX-13OW7-0426-SM-5K7VK 50-59 years, male 14.0
GTEX-13QBU-1226-SM-5LU4G 40-49 years, female 14.0
GTEX-UPK5-0426-SM-3GAEK 40-49 years, male 14.0
GTEX-1H4P4-2126-SM-9WYSL 50-59 years, male 14.0
GTEX-11ZUS-2626-SM-5FQUR 30-39 years, male 13.8
GTEX-1JMPZ-0726-SM-CY8HZ 30-39 years, male 13.8
GTEX-1QAET-0326-SM-EVR3U 50-59 years, male 13.8
GTEX-13O3Q-0126-SM-5KM34 50-59 years, male 13.7
GTEX-1ICLY-0826-SM-CMKG1 50-59 years, male 13.7
GTEX-117YX-1926-SM-5GIEC 50-59 years, male 13.6
GTEX-1PBJJ-1026-SM-E76OS 30-39 years, male 13.6
GTEX-12BJ1-0926-SM-5EQ62 60-69 years, male 13.5
GTEX-Y111-0626-SM-4SOIT 50-59 years, male 13.5
GTEX-1ICG6-1226-SM-A9SLN 70-79 years, female 13.5
GTEX-111CU-1126-SM-5EGIM 50-59 years, male 13.4
GTEX-1H3O1-1326-SM-9MQLD 60-69 years, male 13.4
GTEX-1IKJJ-2226-SM-CJI4C 60-69 years, male 13.4
GTEX-1JKYN-0826-SM-ARU8S 30-39 years, male 13.4
GTEX-14PHX-2226-SM-6EU2P 50-59 years, male 13.3
GTEX-YFCO-1226-SM-5LUAT 40-49 years, male 13.3
GTEX-ZZPU-0826-SM-5GZX5 50-59 years, female 13.3
GTEX-1KWVE-1026-SM-D3L9O 30-39 years, male 13.3
GTEX-13OW6-2726-SM-5J2OE 50-59 years, male 13.2
GTEX-15UF6-1926-SM-7KUDV 70-79 years, female 13.2
GTEX-ZLWG-0826-SM-59888 50-59 years, female 13.2
GTEX-14BIN-1126-SM-5RQJZ 50-59 years, female 13.1
GTEX-14JG1-1526-SM-5YY9X 40-49 years, male 13.1
GTEX-14LLW-2626-SM-62LDZ 70-79 years, female 13.1
GTEX-18QFQ-1826-SM-72D52 30-39 years, male 13.1
GTEX-ZGAY-1826-SM-DO91Q 40-49 years, female 12.9
GTEX-11DXY-0126-SM-5H11Q 60-69 years, male 12.8
GTEX-1CB4F-1026-SM-7DUH1 60-69 years, male 12.8
GTEX-W5X1-2526-SM-3GILC 40-49 years, female 12.8
GTEX-1K2DU-1226-SM-CYPT4 20-29 years, male 12.8
GTEX-1HSGN-0826-SM-ACKW3 40-49 years, female 12.7
GTEX-1IDJF-2026-SM-CL53V 20-29 years, male 12.7
GTEX-1RLM8-2926-SM-E8VON 50-59 years, male 12.7
GTEX-11EI6-2826-SM-5H11D 60-69 years, male 12.6
GTEX-1H1ZS-2726-SM-9WG75 70-79 years, male 12.6
GTEX-1LVA9-2626-SM-EVYD4 50-59 years, male 12.6
GTEX-1JMOU-1026-SM-CYPSS 60-69 years, female 12.5
GTEX-1H3NZ-2726-SM-9WYTQ 60-69 years, male 12.4
GTEX-13113-1626-SM-5EQ4I 60-69 years, female 12.3
GTEX-145MO-2826-SM-5LU96 60-69 years, male 12.3
GTEX-14BMU-1226-SM-5S2OR 20-29 years, female 12.3
GTEX-1J8JJ-0626-SM-ARZMQ 60-69 years, female 12.2
GTEX-YJ8O-2526-SM-5HL85 40-49 years, female 12.1
GTEX-12584-0726-SM-5FQTK 40-49 years, male 12.0
GTEX-1GN73-0726-SM-7P8TJ 60-69 years, male 12.0
GTEX-1HR9M-2226-SM-CNPPY 60-69 years, male 12.0
GTEX-14AS3-1526-SM-5Q5ED 40-49 years, female 11.9
GTEX-14PKV-1126-SM-6LLJ1 20-29 years, female 11.9
GTEX-1I1GV-0626-SM-ARL7M 60-69 years, male 11.9
GTEX-1A3MV-1826-SM-731CD 30-39 years, male 11.8
GTEX-12WSL-2026-SM-5GCML 50-59 years, male 11.7
GTEX-1314G-1326-SM-5BC6E 30-39 years, male 11.7
GTEX-ZAK1-0626-SM-5HL8E 50-59 years, female 11.7
GTEX-13JUV-2026-SM-5K7UA 40-49 years, female 11.6
GTEX-13PL6-1126-SM-5L3IE 40-49 years, female 11.5
GTEX-XV7Q-1826-SM-4BRUV 40-49 years, female 11.4
GTEX-12WSC-2826-SM-5BC5Y 50-59 years, male 11.3
GTEX-14C38-0726-SM-5SI6M 50-59 years, male 11.3
GTEX-X4EP-0626-SM-3P621 60-69 years, female 11.3
GTEX-ZYFG-1526-SM-5GZYM 60-69 years, female 11.3
GTEX-1GMR8-0626-SM-7RHI7 50-59 years, female 11.3
GTEX-1PPGY-1626-SM-EVYBL 60-69 years, male 11.3
GTEX-1QP29-1826-SM-DTX9S 50-59 years, male 11.3
GTEX-1PPH7-1126-SM-DTX9A 40-49 years, male 11.2
GTEX-11ZTT-2126-SM-5CVLO 60-69 years, female 11.1
GTEX-1NV5F-0626-SM-DTXEG 60-69 years, female 11.1
GTEX-Y9LG-1126-SM-4VBQ7 30-39 years, male 11.0
GTEX-1IDJE-1426-SM-ADEIW 50-59 years, female 11.0
GTEX-1RAZR-2126-SM-E9U6T 40-49 years, male 11.0
GTEX-1EKGG-0626-SM-7DUGJ 60-69 years, male 10.9
GTEX-1JJ6O-2726-SM-CNPOG 60-69 years, male 10.8
GTEX-15EO6-2426-SM-6PALZ 50-59 years, male 10.7
GTEX-1GMR2-0826-SM-7PC3V 50-59 years, male 10.7
GTEX-1CAV2-0126-SM-7IGN7 40-49 years, female 10.6
GTEX-1269C-0126-SM-5EQ5L 60-69 years, female 10.5
GTEX-1477Z-0326-SM-7IGLA 60-69 years, male 10.5
GTEX-1IL2V-1926-SM-B2LW8 70-79 years, male 10.4
GTEX-1GZ2Q-0126-SM-9WG6M 40-49 years, male 10.3
GTEX-1IDJU-1726-SM-CMKHU 60-69 years, female 10.3
GTEX-XYKS-1426-SM-4BRUO 60-69 years, female 10.2
GTEX-1QP66-1226-SM-DTX7U 50-59 years, male 10.2
GTEX-147GR-2426-SM-5ZZWQ 60-69 years, male 10.1
GTEX-ZVE1-0726-SM-51MRN 50-59 years, female 10.1
GTEX-12WSD-0626-SM-5GCMW 60-69 years, female 10.0
GTEX-14ABY-2026-SM-62LDL 50-59 years, male 10.0
GTEX-15DDE-2926-SM-6LLJ3 50-59 years, female 10.0
GTEX-1A8G7-1326-SM-73KVM 60-69 years, male 10.0
GTEX-1IY9M-2826-SM-ARU8H 60-69 years, male 9.9
GTEX-1R46S-2426-SM-E76QA 60-69 years, female 9.9
GTEX-1GN2E-0226-SM-9WG6K 60-69 years, male 9.8
GTEX-1HB9E-0126-SM-CM2S5 50-59 years, male 9.8
GTEX-13PVQ-0626-SM-5LU47 50-59 years, male 9.7
GTEX-1B97I-0626-SM-73KUZ 40-49 years, male 9.7
GTEX-13G51-1826-SM-5KLZH 60-69 years, male 9.6
GTEX-1K9T9-1526-SM-DIPFR 50-59 years, female 9.6
GTEX-145LT-0526-SM-5LUB2 40-49 years, male 9.5
GTEX-146FQ-2126-SM-5RQHU 30-39 years, male 9.5
GTEX-15CHR-1126-SM-7EWF4 50-59 years, male 9.5
GTEX-12WSA-0426-SM-5EQ5X 60-69 years, male 9.4
GTEX-145LS-0626-SM-7EPG7 60-69 years, female 9.4
GTEX-14PJN-1826-SM-6AJ98 30-39 years, male 9.4
GTEX-178AV-1726-SM-7KUL8 40-49 years, male 9.4
GTEX-1H1DE-1326-SM-9KNUG 20-29 years, male 9.4
GTEX-1AX8Z-0726-SM-73KTS 60-69 years, male 9.3
GTEX-1GF9W-1426-SM-7PBYM 60-69 years, male 9.3
GTEX-1JK1U-0226-SM-ARZMX 60-69 years, male 9.3
GTEX-13NYC-0126-SM-5L3F4 60-69 years, male 9.2
GTEX-ZYY3-2926-SM-5GIEB 60-69 years, female 9.2
GTEX-1F75W-2726-SM-7SB8H 60-69 years, male 9.2
GTEX-1HFI7-2326-SM-CGQFS 50-59 years, female 9.2
GTEX-13OW8-1026-SM-5J1NQ 60-69 years, male 9.1
GTEX-15FZZ-0526-SM-7KUGD 30-39 years, female 9.1
GTEX-15SKB-2826-SM-6PAMH 60-69 years, male 9.1
GTEX-16XZZ-0726-SM-7KUF2 60-69 years, male 9.1
GTEX-WY7C-2126-SM-3NB2R 50-59 years, male 9.1
GTEX-1HR98-2226-SM-ADEI2 60-69 years, male 9.1
GTEX-15D1Q-2826-SM-6LLH7 40-49 years, male 9.0
GTEX-1QW4Y-1126-SM-DTXE3 30-39 years, male 9.0
GTEX-13N2G-0226-SM-5K7VF 60-69 years, male 8.9
GTEX-13X6H-0926-SM-5SIB2 50-59 years, female 8.9
GTEX-13NYB-0126-SM-5J1MD 40-49 years, male 8.8
GTEX-1F75A-0726-SM-7RHHD 50-59 years, male 8.8
GTEX-1I6K6-1726-SM-CGQFD 30-39 years, male 8.8
GTEX-14A6H-2026-SM-5Q5DD 30-39 years, male 8.7
GTEX-1B933-2426-SM-7DHMD 50-59 years, female 8.7
GTEX-139TT-2126-SM-5LZWC 60-69 years, male 8.6
GTEX-16NGA-0726-SM-731AO 40-49 years, female 8.6
GTEX-WHWD-1826-SM-3LK6I 50-59 years, male 8.6
GTEX-V1D1-2026-SM-3GAF4 50-59 years, male 8.5
GTEX-1A3MX-2626-SM-7PC24 60-69 years, male 8.5
GTEX-18A7A-0126-SM-731AH 50-59 years, female 8.4
GTEX-15CHC-1126-SM-6LLHQ 60-69 years, female 8.3
GTEX-1B8SF-0126-SM-7DUG3 60-69 years, male 8.3
GTEX-ZVT2-0126-SM-5GIDQ 50-59 years, female 8.3
GTEX-X4EO-2926-SM-4E3JH 60-69 years, female 8.2
GTEX-ZC5H-1526-SM-5HL9Y 40-49 years, female 8.2
GTEX-14JG6-1426-SM-9WG7C 30-39 years, female 8.2
GTEX-13PDP-0726-SM-5L3HP 60-69 years, male 8.1
GTEX-145MI-0626-SM-5SI8S 60-69 years, female 8.1
GTEX-XUW1-0926-SM-4BONX 50-59 years, female 8.1
GTEX-11P82-1426-SM-DTXFY 20-29 years, male 8.0
GTEX-1C6VR-0126-SM-7RHGB 60-69 years, male 8.0
GTEX-Y5V5-0126-SM-5S2NW 60-69 years, female 7.9
GTEX-1H1DF-1126-SM-9WG7G 40-49 years, female 7.9
GTEX-1HUB1-1426-SM-CGQF5 60-69 years, male 7.9
GTEX-11LCK-2226-SM-5HL4Q 30-39 years, male 7.8
GTEX-1I4MK-0126-SM-CY8G6 50-59 years, female 7.8
GTEX-Y8E4-2026-SM-5IFJB 40-49 years, male 7.7
GTEX-1I1GT-1026-SM-ARZLV 60-69 years, female 7.7
GTEX-1JKYR-0626-SM-ARL8R 20-29 years, male 7.7
GTEX-12ZZX-2426-SM-5GCOE 40-49 years, female 7.5
GTEX-13IVO-0726-SM-5LZYV 70-79 years, male 7.5
GTEX-1HBPI-2126-SM-ARL9K 50-59 years, male 7.5
GTEX-ZPIC-0526-SM-DO91W 40-49 years, female 7.4
GTEX-131YS-2826-SM-5EQ47 60-69 years, female 7.3
GTEX-1LSNL-2726-SM-E9TKJ 50-59 years, male 7.3
GTEX-1I1HK-2326-SM-CKZOH 60-69 years, male 7.2
GTEX-17JCI-2926-SM-7DUFF 60-69 years, female 7.1
GTEX-1CB4E-0926-SM-7EPHT 60-69 years, male 6.9
GTEX-1HSMO-0626-SM-ACKXC 60-69 years, male 6.9
GTEX-1KANB-2826-SM-CY8I6 50-59 years, male 6.8
GTEX-11GS4-0226-SM-5HL77 60-69 years, male 6.7
GTEX-1GF9U-2026-SM-7SB92 40-49 years, female 6.7
GTEX-12ZZZ-0726-SM-5GCNZ 60-69 years, male 6.6
GTEX-WRHU-2826-SM-3MJG8 50-59 years, female 6.6
GTEX-1EWIQ-0326-SM-7DHMQ 70-79 years, female 6.5
GTEX-ZYFC-0426-SM-5GICQ 50-59 years, male 6.4
GTEX-17HHY-0426-SM-7DHLC 50-59 years, male 6.1
GTEX-WYVS-1626-SM-3NM9R 40-49 years, female 6.1
GTEX-1GF9X-1326-SM-7PC2Y 40-49 years, female 6.0
GTEX-1LSVX-2526-SM-DIPEU 60-69 years, male 5.9
GTEX-15ER7-0626-SM-6PANF 20-29 years, female 5.7
GTEX-11DYG-1526-SM-5A5JS 60-69 years, male 5.5
GTEX-1H1E6-0426-SM-9WYUS 30-39 years, male 5.5
GTEX-ZVE2-2826-SM-5GU51 50-59 years, male 5.4
GTEX-13W3W-0726-SM-5IJDQ 60-69 years, female 5.3
GTEX-1B932-2326-SM-79OL5 40-49 years, female 5.3
GTEX-13JVG-0726-SM-5KM16 60-69 years, male 4.8
GTEX-13U4I-2226-SM-5LU5H 40-49 years, female 4.8
GTEX-11UD2-2526-SM-5CVNU 50-59 years, male 4.7
GTEX-13NYS-0626-SM-5L3F1 60-69 years, male 4.5
GTEX-1ICLZ-0326-SM-ARL82 60-69 years, male 4.5
GTEX-1R7EU-1626-SM-DTXG3 60-69 years, male 4.5
GTEX-11P81-2226-SM-5PNYI 30-39 years, female 4.4
GTEX-1HCU8-2526-SM-CE6RX 60-69 years, female 4.4
GTEX-1AMFI-1326-SM-7939R 50-59 years, female 4.3
GTEX-1CB4H-1126-SM-7MKGL 60-69 years, female 4.3
GTEX-1RAZA-2226-SM-E9U4X 20-29 years, male 4.2
GTEX-WEY5-2326-SM-3GIKK 40-49 years, female 4.1
GTEX-1JJE9-2626-SM-ARZMT 70-79 years, male 4.1
GTEX-11NUK-2726-SM-5A5MC 50-59 years, male 3.8
GTEX-14DAQ-0626-SM-793DS 60-69 years, female 3.8
GTEX-13FLV-0126-SM-5K7WT 50-59 years, male 3.5
GTEX-1OJC4-2726-SM-E76PJ 50-59 years, female 3.5
GTEX-11EM3-1226-SM-5N9DD 20-29 years, female 3.4
GTEX-1QMI2-2526-SM-E8VNZ 60-69 years, male 3.3
GTEX-12KS4-2126-SM-5FQUT 30-39 years, male 3.2
GTEX-12C56-1526-SM-5FQUQ 20-29 years, male 3.1
GTEX-1C2JI-1026-SM-73KY1 50-59 years, male 3.1
GTEX-XMD2-2126-SM-4YCF8 60-69 years, female 3.0
GTEX-13NZ9-2626-SM-5L3FK 50-59 years, male 2.9
GTEX-14PJ6-2626-SM-6EU2T 60-69 years, female 2.8
GTEX-1A32A-0626-SM-731AQ 50-59 years, female 2.6
GTEX-1QEPI-2626-SM-DTXF4 60-69 years, female 2.6
GTEX-VUSG-2326-SM-4KL1U 50-59 years, male 2.5
GTEX-1IOXB-2726-SM-CM2RI 50-59 years, male 2.5
GTEX-1KANC-1226-SM-CYPT7 50-59 years, female 2.5
GTEX-13NZ8-1226-SM-5KM4A 60-69 years, female 2.4
GTEX-14BMV-2826-SM-5TDED 50-59 years, male 2.4
GTEX-VJYA-1526-SM-3GIJV 60-69 years, male 2.4
GTEX-1QP28-1126-SM-EVYC4 50-59 years, female 2.4
GTEX-13PVR-0426-SM-5RQK2 60-69 years, female 2.3
GTEX-13SLW-0626-SM-5Q5ER 70-79 years, male 2.1
GTEX-1F5PL-0926-SM-7PC2W 40-49 years, female 2.0
GTEX-ZLV1-1526-SM-DO91J 60-69 years, female 2.0
GTEX-14PJ4-0226-SM-5YY92 60-69 years, male 1.9
GTEX-UPJH-0226-SM-3GADV 50-59 years, male 1.8
GTEX-17MF6-2626-SM-79OKQ 40-49 years, male 1.7
GTEX-12WSM-1926-SM-5BC65 60-69 years, male 1.6
GTEX-13X6J-0626-SM-5LU5F 50-59 years, male 1.6
GTEX-13X6K-0626-SM-5LU5D 60-69 years, female 1.6
GTEX-147JS-0226-SM-5S2U9 60-69 years, male 1.6
GTEX-14B4R-1326-SM-5Q5EZ 30-39 years, male 1.6
GTEX-XBED-1926-SM-47JYP 60-69 years, male 1.6
GTEX-1I1CD-0626-SM-CE6SW 60-69 years, female 1.6
GTEX-1QCLZ-2426-SM-EVYBW 60-69 years, female 1.6
GTEX-132AR-0326-SM-5KM2C 50-59 years, female 1.5
GTEX-17F9Y-0126-SM-79OKX 70-79 years, female 1.5
GTEX-1GN1V-2826-SM-9JGIA 60-69 years, male 1.5
GTEX-14E6E-0526-SM-793DN 30-39 years, male 1.4
GTEX-183WM-0326-SM-72D5V 70-79 years, female 1.2
GTEX-1F75B-0726-SM-7PC3R 50-59 years, male 1.2
GTEX-14PJ2-0626-SM-6LLII 50-59 years, male 1.1
GTEX-XQ8I-0926-SM-4BOOF 50-59 years, male 1.1
GTEX-1I1GS-2626-SM-B2LY3 60-69 years, male 1.0
GTEX-11ZU8-0126-SM-5EQ58 60-69 years, male 0.9
GTEX-13QJC-0126-SM-5ZZWJ 60-69 years, female 0.9
GTEX-148VJ-0626-SM-5LUAW 70-79 years, male 0.9
GTEX-1EN7A-2426-SM-793DB 40-49 years, male 0.9
GTEX-1F75I-2226-SM-7SB8U 40-49 years, male 0.9
GTEX-139UW-0326-SM-5J1ML 60-69 years, male 0.7
GTEX-13OVH-0526-SM-5L3E6 70-79 years, male 0.7
GTEX-ZE9C-2526-SM-5IJDR 60-69 years, male 0.7
GTEX-1JMQI-1726-SM-ARL93 50-59 years, male 0.7
GTEX-1AMEY-0826-SM-72D65 30-39 years, female 0.6
GTEX-1GPI6-1926-SM-9KNV7 60-69 years, male 0.6
GTEX-139D8-1126-SM-5LU8W 30-39 years, female 0.5
GTEX-1EH9U-2826-SM-7DUGT 60-69 years, male 0.5
GTEX-1J8Q3-0526-SM-ARL8U 60-69 years, male 0.5
GTEX-13VXU-0626-SM-5L3F9 50-59 years, male 0.4
GTEX-13YAN-0226-SM-5TDC6 60-69 years, male 0.4
GTEX-WYBS-0626-SM-3NMAS 60-69 years, female 0.4
GTEX-1122O-1026-SM-9WYSF 60-69 years, female 0.4
GTEX-1HBPM-0726-SM-9YFL7 60-69 years, female 0.4
GTEX-1IDFM-0326-SM-ARL7V 60-69 years, male 0.4
GTEX-16Z82-2626-SM-7KULU 60-69 years, male 0.3
GTEX-1A8G6-2726-SM-731AR 60-69 years, male 0.3
GTEX-1C6VQ-1226-SM-73KYD 50-59 years, male 0.3
GTEX-1F6RS-2026-SM-7RHHC 60-69 years, female 0.3
GTEX-1IDJV-0126-SM-COH3Y 60-69 years, male 0.3
GTEX-11EQ8-0926-SM-5H12V 60-69 years, male 0.2
GTEX-145LU-1926-SM-79OJN 50-59 years, male 0.2
GTEX-1EX96-1026-SM-7MKG2 50-59 years, male 0.2
GTEX-1H3VE-0726-SM-9YFL5 40-49 years, male 0.2
GTEX-13FHO-0426-SM-5L3F5 60-69 years, male 0.1
GTEX-1EU9M-1426-SM-793AI 60-69 years, male 0.1
GTEX-1F88F-0126-SM-9WYSZ 60-69 years, female 0.1
GTEX-14PII-0726-SM-6EU2B 60-69 years, male 0.0
GTEX-1BAJH-2426-SM-7IGP8 70-79 years, male 0.0
GTEX-1F88E-1626-SM-7SB8Z 60-69 years, female 0.0
Show allShow less
Skin - Sun Exposed (Lower leg)
Average nTPM: 15.2
Samples: 701

Max nTPM: 84.5
Min nTPM: 0.0
Std nTPM: 10.8
Median nTPM: 14.1
GTEX-1399U-2326-SM-5K7WY 50-59 years, female 84.5
GTEX-XUZC-1726-SM-4BRWS 30-39 years, female 67.9
GTEX-POMQ-2226-SM-2I5FK 20-29 years, female 64.8
GTEX-O5YW-0126-SM-3LK6D 50-59 years, male 56.3
GTEX-Y3IK-2426-SM-4WWDU 50-59 years, female 51.5
GTEX-1IKK5-0626-SM-ARL8A 60-69 years, male 47.6
GTEX-14753-0426-SM-5NQAM 60-69 years, male 47.2
GTEX-O5YT-0126-SM-48TBW 20-29 years, male 47.1
GTEX-OOBJ-0126-SM-E6CJW 60-69 years, male 46.7
GTEX-Y114-2426-SM-4TT8A 50-59 years, female 46.6
GTEX-ZVZO-0126-SM-5A5L9 40-49 years, male 46.2
GTEX-14ICK-0226-SM-6EU25 40-49 years, male 45.1
GTEX-X8HC-0126-SM-4E3JW 50-59 years, female 44.2
GTEX-1I1GV-0526-SM-A9G29 60-69 years, male 43.8
GTEX-W5X1-3026-SM-EAZAX 40-49 years, female 42.9
GTEX-ZVTK-0426-SM-51MRS 20-29 years, male 42.7
GTEX-146FQ-0126-SM-5NQA9 30-39 years, male 42.5
GTEX-RTLS-0126-SM-447CA 60-69 years, female 42.1
GTEX-1CAV2-2226-SM-7P8P2 40-49 years, female 40.3
GTEX-P4PP-0126-SM-3LK69 30-39 years, female 39.2
GTEX-ZDXO-3026-SM-5J1N5 60-69 years, male 39.2
GTEX-1L5NE-2526-SM-E6CIE 50-59 years, male 39.0
GTEX-1LSNM-1926-SM-E6CII 50-59 years, male 37.9
GTEX-1N2DV-0226-SM-E6CJ6 40-49 years, male 37.6
GTEX-1JJ6O-0126-SM-E6CI8 60-69 years, male 37.0
GTEX-ZF3C-0126-SM-DO92D 50-59 years, female 36.9
GTEX-13O21-1426-SM-5K7XI 50-59 years, male 36.1
GTEX-WI4N-1026-SM-3LK7N 40-49 years, female 35.9
GTEX-14XAO-2326-SM-6EU1B 60-69 years, female 35.7
GTEX-13113-5016-SM-7EPIP 60-69 years, female 35.1
GTEX-1QP9N-1426-SM-DTXFL 30-39 years, male 35.1
GTEX-18QFQ-0126-SM-731BE 30-39 years, male 35.0
GTEX-YB5E-2026-SM-5IFIS 40-49 years, male 34.6
GTEX-X585-0226-SM-4QAS2 50-59 years, male 34.3
GTEX-11UD1-0126-SM-5PNYG 40-49 years, female 34.2
GTEX-XXEK-2226-SM-4BRUM 50-59 years, male 33.8
GTEX-1LVAN-0226-SM-COH3S 50-59 years, female 33.8
GTEX-131XG-2626-SM-5KM17 50-59 years, female 33.5
GTEX-1PPH8-0226-SM-E8VND 20-29 years, male 33.4
GTEX-S33H-1026-SM-EZ6L6 30-39 years, male 33.3
GTEX-1314G-1526-SM-5EGK2 30-39 years, male 32.8
GTEX-18D9A-1926-SM-7LG6P 30-39 years, female 32.6
GTEX-ZAJG-0126-SM-5HL94 50-59 years, female 32.2
GTEX-139UW-2826-SM-5L3E7 60-69 years, male 31.5
GTEX-Q734-1926-SM-2I5EV 40-49 years, female 31.4
GTEX-1CAMR-1926-SM-7EPI2 20-29 years, male 31.3
GTEX-1JMLX-0226-SM-CM2RO 50-59 years, male 31.2
GTEX-12126-0326-SM-5PNW3 20-29 years, male 31.1
GTEX-15SB6-1726-SM-6PAME 50-59 years, female 31.0
GTEX-ZVZP-2426-SM-59HKJ 50-59 years, male 30.9
GTEX-16MT8-0426-SM-7KUEY 60-69 years, female 30.5
GTEX-1HGF4-2426-SM-ACKXM 60-69 years, male 30.5
GTEX-139D8-0226-SM-5KLZO 30-39 years, female 30.3
GTEX-1HSMP-0126-SM-E6CJS 70-79 years, male 30.3
GTEX-12WSJ-1826-SM-5GCNY 40-49 years, female 30.2
GTEX-13FTX-1826-SM-5J1NX 20-29 years, female 30.2
GTEX-ZU9S-0226-SM-5E441 30-39 years, male 30.2
GTEX-13IVO-0126-SM-5J1NG 70-79 years, male 30.1
GTEX-17GQL-2026-SM-718BA 60-69 years, male 30.1
GTEX-1RAZQ-0726-SM-EAZ43 30-39 years, male 30.1
GTEX-15UKP-0426-SM-7KUFQ 20-29 years, male 29.8
GTEX-XAJ8-0826-SM-47JY6 40-49 years, male 29.6
GTEX-1QPFJ-0226-SM-E76PB 30-39 years, female 29.6
GTEX-11H98-0126-SM-5EGHG 50-59 years, male 29.5
GTEX-1N2DW-0226-SM-E9TK2 50-59 years, male 29.5
GTEX-11WQK-0526-SM-5EQLD 50-59 years, male 29.3
GTEX-QEG4-0226-SM-2S1PY 30-39 years, male 29.3
GTEX-Y5V6-2426-SM-4VDSB 60-69 years, male 29.0
GTEX-Z93S-0126-SM-5HL7M 50-59 years, male 29.0
GTEX-12ZZZ-0626-SM-5DUXI 60-69 years, male 28.9
GTEX-NFK9-0226-SM-2HMKQ 40-49 years, male 28.8
GTEX-ZXES-1826-SM-5E43S 30-39 years, female 28.7
GTEX-ZTSS-1926-SM-57WEW 40-49 years, male 28.6
GTEX-131YS-0126-SM-5KM1M 60-69 years, female 28.5
GTEX-ZZ64-1726-SM-5GZYB 20-29 years, male 28.5
GTEX-1LBAC-0126-SM-DIPEZ 20-29 years, male 28.5
GTEX-1MCYP-1926-SM-E9J2R 20-29 years, female 28.5
GTEX-13NYS-0126-SM-5MR3W 60-69 years, male 28.0
GTEX-1S3DN-2226-SM-EVYCD 50-59 years, male 28.0
GTEX-14E6C-0126-SM-5RQIP 40-49 years, male 27.7
GTEX-183WM-0126-SM-7LTAB 70-79 years, female 27.7
GTEX-R55G-2526-SM-2TC6D 40-49 years, female 27.7
GTEX-1HCUA-2426-SM-ADEIS 50-59 years, female 27.4
GTEX-15ER7-0326-SM-7KUEV 20-29 years, female 27.3
GTEX-XPVG-2626-SM-4B669 50-59 years, male 27.3
GTEX-1RAZA-0126-SM-E6CI3 20-29 years, male 27.3
GTEX-18465-0126-SM-731BN 50-59 years, male 27.2
GTEX-17JCI-0126-SM-7LG5G 60-69 years, female 27.1
GTEX-X4XX-0126-SM-3NMC2 60-69 years, male 26.9
GTEX-ZWKS-0126-SM-5SIAA 30-39 years, male 26.9
GTEX-13O3Q-2426-SM-5IJBR 50-59 years, male 26.8
GTEX-1122O-2126-SM-5EGIR 60-69 years, female 26.7
GTEX-12WSD-0126-SM-59HKN 60-69 years, female 26.7
GTEX-145MN-2226-SM-5SIAU 30-39 years, male 26.7
GTEX-ZYY3-0126-SM-5GZY5 60-69 years, female 26.6
GTEX-111VG-2426-SM-5GZXD 60-69 years, male 26.5
GTEX-ZGAY-0526-SM-4WWBB 40-49 years, female 26.4
GTEX-T2IS-0126-SM-4DM6O 20-29 years, female 26.2
GTEX-RU72-0926-SM-2TF6B 50-59 years, female 26.1
GTEX-1F5PL-0326-SM-7P8PQ 40-49 years, female 26.1
GTEX-1ICLY-0126-SM-D4P36 50-59 years, male 26.1
GTEX-13N11-2526-SM-5K7UE 50-59 years, female 26.0
GTEX-1H1DG-0126-SM-9WYU2 70-79 years, male 25.7
GTEX-1JMPY-1326-SM-ARL8Y 30-39 years, male 25.7
GTEX-11EM3-2426-SM-59861 20-29 years, female 25.6
GTEX-WZTO-0126-SM-3NM95 40-49 years, male 25.6
GTEX-X4XY-0226-SM-4E3IZ 60-69 years, male 25.6
GTEX-X88G-0126-SM-47JZ3 30-39 years, male 25.6
GTEX-15ETS-0126-SM-7KUMW 40-49 years, female 25.5
GTEX-1GMR3-1926-SM-9KNUZ 40-49 years, male 25.5
GTEX-183FY-0126-SM-7LT9P 20-29 years, male 25.1
GTEX-1OFPY-2426-SM-DTXEJ 60-69 years, male 25.0
GTEX-1QCLY-0326-SM-E8VOG 30-39 years, male 25.0
GTEX-ZAB4-0226-SM-5N9F5 40-49 years, male 24.8
GTEX-ZVT2-2526-SM-51MT1 50-59 years, female 24.7
GTEX-13RTK-1426-SM-5QGQJ 20-29 years, male 24.6
GTEX-ZEX8-2426-SM-4WKG4 50-59 years, male 24.2
GTEX-ZF28-0126-SM-4WKGK 60-69 years, male 24.2
GTEX-1H1CY-2826-SM-9MQM3 60-69 years, female 24.2
GTEX-1LG7Y-0526-SM-DKPQC 50-59 years, male 24.2
GTEX-13FTW-2626-SM-5K7WL 40-49 years, male 24.1
GTEX-1R7EV-2426-SM-EVYBG 40-49 years, male 24.0
GTEX-1HCU8-0626-SM-A9SM9 60-69 years, female 23.7
GTEX-ZQG8-1626-SM-DHXIT 60-69 years, female 23.7
GTEX-144GN-2326-SM-5LU4F 50-59 years, male 23.6
GTEX-ZAK1-0126-SM-5IJD3 50-59 years, female 23.6
GTEX-WY7C-2326-SM-3NB2U 50-59 years, male 23.5
GTEX-ZYFD-0126-SM-5GIDL 50-59 years, male 23.5
GTEX-13D11-2426-SM-5KM1V 50-59 years, female 23.4
GTEX-1GF9V-0326-SM-7RHI5 60-69 years, male 23.4
GTEX-15UF6-0826-SM-6PALJ 70-79 years, female 23.3
GTEX-QDVN-2026-SM-3GAEP 50-59 years, male 23.3
GTEX-ZDTS-0126-SM-4WAY5 60-69 years, male 23.3
GTEX-U412-0426-SM-3DB9O 60-69 years, male 23.1
GTEX-1S82Z-0826-SM-E6CHY 30-39 years, female 23.1
GTEX-13OVJ-0126-SM-5KM36 50-59 years, female 23.0
GTEX-14BMV-0126-SM-5S2PO 50-59 years, male 22.9
GTEX-1RQEC-0426-SM-E6CHU 60-69 years, male 22.9
GTEX-14DAR-2026-SM-5S2O3 50-59 years, male 22.8
GTEX-1R9PM-2026-SM-E76OY 20-29 years, male 22.8
GTEX-18A67-0126-SM-7LG5P 50-59 years, male 22.6
GTEX-11DXX-2426-SM-5GZZW 60-69 years, female 22.4
GTEX-14A5H-0426-SM-5QGQF 60-69 years, male 22.3
GTEX-ZE7O-0126-SM-57WC1 50-59 years, female 22.3
GTEX-1F75B-0126-SM-9KNVL 50-59 years, male 22.3
GTEX-1IDJH-0326-SM-A9SLQ 70-79 years, male 22.3
GTEX-1MJK2-0426-SM-DTXE5 50-59 years, male 22.3
GTEX-15RIG-0226-SM-7KFTL 40-49 years, male 22.2
GTEX-WVJS-0126-SM-4MVOT 50-59 years, male 22.2
GTEX-1JMQL-0226-SM-CNPP5 50-59 years, female 22.1
GTEX-14PK6-1926-SM-6ETZU 70-79 years, female 22.0
GTEX-1K2DU-2326-SM-E9TIV 20-29 years, male 22.0
GTEX-1PDJ9-0326-SM-DTX95 20-29 years, male 22.0
GTEX-147F4-0226-SM-5QGPW 50-59 years, male 21.9
GTEX-17KNJ-2326-SM-7DHLQ 50-59 years, male 21.9
GTEX-XQ8I-0426-SM-4BOPO 50-59 years, male 21.9
GTEX-13FTY-0526-SM-5L3EV 40-49 years, female 21.8
GTEX-17F96-1626-SM-7DUFL 70-79 years, male 21.8
GTEX-1192W-2626-SM-5Q5AF 60-69 years, male 21.7
GTEX-1JKYN-1326-SM-CGQG9 30-39 years, male 21.7
GTEX-RUSQ-1526-SM-2TF62 50-59 years, male 21.6
GTEX-16YQH-0126-SM-7DUFJ 30-39 years, male 21.5
GTEX-1211K-2026-SM-5EQ4Z 60-69 years, female 21.4
GTEX-1A32A-0126-SM-718B1 50-59 years, female 21.4
GTEX-X4EP-0126-SM-3P5YV 60-69 years, female 21.4
GTEX-111FC-0126-SM-5N9DL 60-69 years, male 21.2
GTEX-139T8-0126-SM-5K7XZ 60-69 years, male 21.2
GTEX-13CF2-2526-SM-5LZYX 60-69 years, male 21.2
GTEX-1MA7W-2026-SM-E9TJ6 20-29 years, female 21.2
GTEX-1MA7X-2226-SM-E6CIY 60-69 years, male 21.1
GTEX-1S5ZA-0126-SM-EVYCV 20-29 years, male 21.1
GTEX-QDT8-0126-SM-48TZ1 30-39 years, female 21.0
GTEX-1R7EU-0226-SM-EVR4G 60-69 years, male 21.0
GTEX-14PN4-0126-SM-6EU2V 50-59 years, male 20.9
GTEX-17EVP-0326-SM-7DHLG 40-49 years, male 20.9
GTEX-1LNCM-1126-SM-E9U5E 50-59 years, female 20.9
GTEX-1497J-2426-SM-7IGNX 60-69 years, male 20.8
GTEX-1J8Q2-0526-SM-CM2RW 60-69 years, male 20.8
GTEX-13G51-2526-SM-5LZYK 60-69 years, male 20.7
GTEX-117XS-2726-SM-5N9BL 60-69 years, male 20.6
GTEX-11EMC-2926-SM-5EQ4F 60-69 years, female 20.6
GTEX-145MO-0326-SM-5Q5B3 60-69 years, male 20.6
GTEX-1B8L1-2526-SM-9WYTF 60-69 years, male 20.6
GTEX-12WSA-0226-SM-5BC5V 60-69 years, male 20.5
GTEX-1JN1M-0326-SM-CYPT3 60-69 years, female 20.5
GTEX-1QP67-1626-SM-EAZ3X 40-49 years, female 20.4
GTEX-113JC-2326-SM-5EQ4E 50-59 years, female 20.3
GTEX-OHPL-0126-SM-2HMJ7 60-69 years, female 20.3
GTEX-1PFEY-1526-SM-E76PP 30-39 years, male 20.3
GTEX-117YW-2626-SM-5GZZH 50-59 years, male 20.2
GTEX-1128S-2326-SM-5GZZY 60-69 years, female 20.1
GTEX-1313W-0126-SM-5LZUN 50-59 years, female 20.1
GTEX-1AX9I-0126-SM-7SB74 60-69 years, male 20.1
GTEX-1J1OQ-0226-SM-CYPSH 40-49 years, female 20.1
GTEX-1M5QR-1226-SM-EWROB 40-49 years, male 20.1
GTEX-1B8KZ-2026-SM-7DHMB 50-59 years, male 20.0
GTEX-1E2YA-0126-SM-9KNUC 50-59 years, male 20.0
GTEX-1JMQI-2226-SM-CM2SD 50-59 years, male 20.0
GTEX-ZPIC-1726-SM-DHXIU 40-49 years, female 20.0
GTEX-13W3W-2426-SM-5LU5B 60-69 years, female 19.9
GTEX-1E1VI-0126-SM-7DHMZ 50-59 years, male 19.9
GTEX-XQ3S-1526-SM-4BOOC 20-29 years, male 19.9
GTEX-YB5K-2126-SM-4WWDJ 40-49 years, female 19.8
GTEX-P4PQ-0126-SM-2S1NM 60-69 years, male 19.7
GTEX-1QP29-0626-SM-EWRMX 50-59 years, male 19.7
GTEX-1IDJF-0126-SM-CM2RS 20-29 years, male 19.6
GTEX-Z93T-0126-SM-5HL5N 50-59 years, male 19.5
GTEX-13FXS-0226-SM-5IJCK 50-59 years, male 19.4
GTEX-XV7Q-2526-SM-4BRV9 40-49 years, female 19.4
GTEX-1LB8K-0226-SM-EWRNW 50-59 years, male 19.4
GTEX-1GN2E-0426-SM-9MQKX 60-69 years, male 19.3
GTEX-1J8QM-2126-SM-CYPSJ 60-69 years, female 19.3
GTEX-QESD-1426-SM-2S1R9 20-29 years, male 19.2
GTEX-U3ZM-1526-SM-3DB9D 40-49 years, male 19.2
GTEX-11GS4-2726-SM-5A5LE 60-69 years, male 19.1
GTEX-131XH-2226-SM-5DUXJ 50-59 years, male 19.1
GTEX-13OVK-2026-SM-7KUEO 40-49 years, male 19.1
GTEX-VUSG-2526-SM-4KL1V 50-59 years, male 19.1
GTEX-12584-0126-SM-5EGKQ 40-49 years, male 19.0
GTEX-16GPK-0126-SM-7DHLE 60-69 years, male 18.9
GTEX-17MFQ-1726-SM-793C7 20-29 years, male 18.9
GTEX-15SHW-0326-SM-6PAML 60-69 years, male 18.8
GTEX-PLZ4-0126-SM-5SI8O 50-59 years, female 18.8
GTEX-Y8DK-0126-SM-4TT3L 60-69 years, male 18.8
GTEX-1CB4F-0426-SM-9KNV4 60-69 years, male 18.8
GTEX-1QP66-1726-SM-E8VO1 50-59 years, male 18.8
GTEX-1R46S-0626-SM-E9J41 60-69 years, female 18.8
GTEX-WYJK-0126-SM-3NMAB 50-59 years, male 18.7
GTEX-YFC4-0126-SM-5CVLY 40-49 years, female 18.7
GTEX-1HBPN-0226-SM-9YFM1 50-59 years, male 18.7
GTEX-12696-2426-SM-5EQ6H 60-69 years, male 18.6
GTEX-1CB4I-0226-SM-79OLH 50-59 years, male 18.6
GTEX-WXYG-2326-SM-4E3I6 50-59 years, female 18.6
GTEX-ZDYS-2026-SM-5HL5L 50-59 years, male 18.6
GTEX-1H11D-0226-SM-9WG6Z 40-49 years, male 18.6
GTEX-1IDFM-0126-SM-COH2V 60-69 years, male 18.6
GTEX-1PPH7-2326-SM-EVYB8 40-49 years, male 18.6
GTEX-1JKYR-0126-SM-CNPOJ 20-29 years, male 18.5
GTEX-11VI4-1726-SM-5CVLH 40-49 years, female 18.4
GTEX-13RTL-0126-SM-7LG5S 40-49 years, male 18.4
GTEX-144FL-0126-SM-5TDC8 50-59 years, male 18.4
GTEX-RVPV-0126-SM-EAZAW 60-69 years, male 18.4
GTEX-11O72-0126-SM-59887 40-49 years, male 18.3
GTEX-11TTK-0126-SM-5987B 60-69 years, female 18.3
GTEX-XBED-2226-SM-47JYQ 60-69 years, male 18.3
GTEX-15SDE-2226-SM-7IGLO 50-59 years, female 18.2
GTEX-U4B1-1826-SM-4DXSU 40-49 years, male 18.2
GTEX-169BO-1326-SM-9MQK2 50-59 years, male 18.1
GTEX-11ZUS-0626-SM-59885 30-39 years, male 18.0
GTEX-146FH-0126-SM-5QGPP 50-59 years, female 18.0
GTEX-1B8SF-1426-SM-7DUGL 60-69 years, male 18.0
GTEX-1GN1V-0126-SM-9WPOS 60-69 years, male 18.0
GTEX-1NV5F-0226-SM-E8VNY 60-69 years, female 18.0
GTEX-12WSL-2526-SM-5GCNJ 50-59 years, male 17.9
GTEX-18D9U-0226-SM-718BP 40-49 years, male 17.9
GTEX-1HFI6-0226-SM-ADEHZ 40-49 years, male 17.9
GTEX-1HKZK-0326-SM-9WYUH 40-49 years, male 17.9
GTEX-13NZB-2526-SM-5J1OM 30-39 years, male 17.8
GTEX-ZF29-2326-SM-DO92K 60-69 years, female 17.8
GTEX-1AX8Z-0126-SM-7DHM6 60-69 years, male 17.6
GTEX-1EKGG-0226-SM-9WYTH 60-69 years, male 17.6
GTEX-13112-2826-SM-5DUWH 50-59 years, male 17.5
GTEX-1A3MX-0126-SM-731BR 60-69 years, male 17.5
GTEX-1ICLZ-0126-SM-CKZPO 60-69 years, male 17.5
GTEX-1MUQO-0126-SM-EAZ58 60-69 years, male 17.5
GTEX-11XUK-2026-SM-5EQLF 40-49 years, female 17.4
GTEX-ZYT6-0226-SM-5NQ6T 30-39 years, male 17.4
GTEX-OIZH-0126-SM-2HMIS 50-59 years, male 17.3
GTEX-XUW1-0426-SM-4BOOT 50-59 years, female 17.3
GTEX-ZQUD-1426-SM-57WER 30-39 years, male 17.3
GTEX-1H3VY-0126-SM-ACKXD 50-59 years, male 17.3
GTEX-13VXU-0126-SM-5SI9F 50-59 years, male 17.2
GTEX-11DXW-0226-SM-5H122 40-49 years, male 16.9
GTEX-ZZPT-0226-SM-5E43X 50-59 years, male 16.9
GTEX-1I4MK-2226-SM-ACKWD 50-59 years, female 16.9
GTEX-12WSK-2326-SM-5GCOH 40-49 years, female 16.8
GTEX-X62O-0126-SM-4E3JN 50-59 years, male 16.8
GTEX-131XF-5016-SM-7MGWE 60-69 years, male 16.8
GTEX-1F75A-0126-SM-7RHGM 50-59 years, male 16.8
GTEX-PWCY-1826-SM-DHXIZ 20-29 years, female 16.8
GTEX-17HGU-0226-SM-7DHKV 50-59 years, male 16.7
GTEX-1EWIQ-0126-SM-7RHH2 70-79 years, female 16.7
GTEX-1I19N-0326-SM-ACKVX 70-79 years, male 16.7
GTEX-1F6RS-0126-SM-9MQKZ 60-69 years, female 16.5
GTEX-1GZHY-0326-SM-9QEHI 50-59 years, female 16.5
GTEX-145MI-0526-SM-5O9A8 60-69 years, female 16.4
GTEX-1GF9X-2026-SM-7PC3A 40-49 years, female 16.4
GTEX-11DXZ-2326-SM-5EGGV 50-59 years, male 16.3
GTEX-1CAMQ-0226-SM-7IGPK 40-49 years, male 16.3
GTEX-S95S-1226-SM-4GICG 60-69 years, male 16.2
GTEX-Y3I4-2126-SM-4TT7C 50-59 years, male 16.2
GTEX-1EU9M-0226-SM-7P8SP 60-69 years, male 16.2
GTEX-1PWST-0226-SM-E76QJ 70-79 years, male 16.2
GTEX-1EMGI-0126-SM-9KNUE 60-69 years, male 16.1
GTEX-1GF9U-2126-SM-7SB7L 40-49 years, female 16.1
GTEX-1HT8W-0126-SM-CNPPP 30-39 years, male 16.1
GTEX-1IGQW-0126-SM-COH42 60-69 years, male 16.1
GTEX-ZYW4-0126-SM-5E44A 60-69 years, male 16.0
GTEX-13FH7-2026-SM-E9J4I 50-59 years, female 16.0
GTEX-1B933-0126-SM-7PC29 50-59 years, female 16.0
GTEX-13NZ8-0826-SM-5MR3I 60-69 years, female 15.9
GTEX-1A3MV-1926-SM-718BT 30-39 years, male 15.9
GTEX-1KD5A-0226-SM-D5OV3 50-59 years, male 15.9
GTEX-1399R-2726-SM-5IJBA 30-39 years, male 15.8
GTEX-1C4CL-0526-SM-73KVK 30-39 years, male 15.8
GTEX-1KD4Q-0226-SM-E9TJ9 40-49 years, male 15.8
GTEX-1MCQQ-0826-SM-DLHC2 60-69 years, male 15.8
GTEX-1QP2A-0126-SM-E9J43 50-59 years, male 15.7
GTEX-11DZ1-0126-SM-5985Q 50-59 years, male 15.6
GTEX-13OVI-1426-SM-5L3EY 60-69 years, female 15.6
GTEX-ZDTT-2726-SM-4WKF8 60-69 years, male 15.6
GTEX-1JJEA-0326-SM-CNPOT 60-69 years, male 15.6
GTEX-PLZ6-1426-SM-DKPOT 30-39 years, male 15.6
GTEX-1I6K6-0126-SM-A9SLE 30-39 years, male 15.4
GTEX-11NSD-2226-SM-5986V 20-29 years, male 15.3
GTEX-11OC5-0126-SM-5HL6A 60-69 years, male 15.3
GTEX-1PBJI-0526-SM-E8VNK 20-29 years, female 15.3
GTEX-11TT1-2526-SM-5EGIB 20-29 years, male 15.2
GTEX-17EUY-0426-SM-793BD 20-29 years, male 15.2
GTEX-17F98-0626-SM-79OMX 40-49 years, female 15.2
GTEX-ZTX8-1426-SM-5DUVO 20-29 years, male 15.2
GTEX-UJHI-1526-SM-3DB99 50-59 years, female 15.1
GTEX-Y111-0126-SM-4SOIV 50-59 years, male 15.0
GTEX-15D1Q-0126-SM-7KUG6 40-49 years, male 14.9
GTEX-1HSEH-0126-SM-ACKXN 60-69 years, male 14.9
GTEX-R45C-0126-SM-EAZ2R 60-69 years, female 14.9
GTEX-13OVH-0126-SM-5MR4B 70-79 years, male 14.8
GTEX-14PII-0226-SM-6EU1T 60-69 years, male 14.8
GTEX-P4QT-0126-SM-2I3FL 50-59 years, female 14.8
GTEX-XUYS-0126-SM-47JWZ 50-59 years, male 14.7
GTEX-ZVT4-0126-SM-DTXFN 50-59 years, female 14.7
GTEX-14PJ3-1826-SM-62LEX 50-59 years, male 14.6
GTEX-1JN6P-0126-SM-D3L98 60-69 years, male 14.6
GTEX-XMD2-0126-SM-4YCDU 60-69 years, female 14.5
GTEX-1J8Q3-1626-SM-CMKGC 60-69 years, male 14.5
GTEX-11GSO-2426-SM-5A5LY 60-69 years, male 14.4
GTEX-14C5O-0126-SM-5SI6N 60-69 years, male 14.4
GTEX-14LLW-0126-SM-6LLIO 70-79 years, female 14.4
GTEX-11TUW-2726-SM-E9J4M 60-69 years, male 14.4
GTEX-1PIGE-0126-SM-EVYBJ 20-29 years, male 14.4
GTEX-11DYG-0126-SM-59883 60-69 years, male 14.3
GTEX-13O3O-0126-SM-E9J49 60-69 years, female 14.3
GTEX-1KANB-0526-SM-E6CJH 50-59 years, male 14.3
GTEX-1KXAM-2226-SM-CYPTC 60-69 years, male 14.3
GTEX-13NYB-2526-SM-5K7Z6 40-49 years, male 14.2
GTEX-17HHE-2026-SM-79OKF 50-59 years, male 14.2
GTEX-1CAMS-0426-SM-7P8T2 40-49 years, female 14.2
GTEX-1KWVE-1426-SM-E9TJO 30-39 years, male 14.2
GTEX-11LCK-1026-SM-5A5KB 30-39 years, male 14.1
GTEX-145ME-1826-SM-5SI9G 40-49 years, female 14.1
GTEX-OXRN-0126-SM-48TDM 50-59 years, male 14.1
GTEX-1192X-0226-SM-5H12D 50-59 years, male 14.0
GTEX-15SHU-0126-SM-7KUEH 40-49 years, female 14.0
GTEX-PLZ5-2026-SM-2S1O4 50-59 years, male 14.0
GTEX-1CB4G-0226-SM-7PC3O 60-69 years, male 14.0
GTEX-1GN73-0226-SM-9WG67 60-69 years, male 14.0
GTEX-17F97-0326-SM-7LG5B 50-59 years, male 13.9
GTEX-1GPI6-0126-SM-9WG69 60-69 years, male 13.9
GTEX-13N1W-0126-SM-5K7VT 70-79 years, male 13.8
GTEX-1GZ2Q-0226-SM-7P8TL 40-49 years, male 13.8
GTEX-1MGNQ-0126-SM-EVYCJ 40-49 years, male 13.8
GTEX-1OJC3-0126-SM-E76QX 20-29 years, male 13.8
GTEX-1GF9W-0326-SM-9KNUN 60-69 years, male 13.7
GTEX-Y5LM-1926-SM-5RQJH 40-49 years, female 13.6
GTEX-1QW4Y-1526-SM-EAZ3Z 30-39 years, male 13.6
GTEX-SE5C-1626-SM-2XCE3 40-49 years, female 13.6
GTEX-1IKJJ-0126-SM-CNPQB 60-69 years, male 13.5
GTEX-1M4P7-0226-SM-DIPEV 60-69 years, male 13.5
GTEX-12WSG-2826-SM-E9J4H 50-59 years, female 13.4
GTEX-1F48J-0126-SM-7P8TT 50-59 years, female 13.4
GTEX-1LGRB-2526-SM-CNPPQ 50-59 years, female 13.4
GTEX-1F52S-0126-SM-9MQJU 60-69 years, female 13.2
GTEX-1NHNU-1026-SM-E9J2A 50-59 years, male 13.2
GTEX-ZC5H-0226-SM-4WAY9 40-49 years, female 13.1
GTEX-1C6WA-0126-SM-7PC2B 60-69 years, male 13.1
GTEX-11ZTS-0126-SM-5EQ6M 60-69 years, female 13.0
GTEX-11NUK-0126-SM-5A5L3 50-59 years, male 12.8
GTEX-WH7G-2326-SM-3NMBC 40-49 years, male 12.8
GTEX-1I1GS-0126-SM-B2LVW 60-69 years, male 12.7
GTEX-1AYCT-2426-SM-7IGQ3 50-59 years, male 12.6
GTEX-Y8LW-1826-SM-5S2MV 50-59 years, female 12.6
GTEX-1C6VQ-0126-SM-7P8RI 50-59 years, male 12.6
GTEX-1HSMO-0126-SM-CL547 60-69 years, male 12.6
GTEX-1I1GP-2226-SM-CGQFK 50-59 years, male 12.6
GTEX-131XE-2326-SM-5PNZ2 50-59 years, male 12.5
GTEX-14E6D-0126-SM-62LDV 50-59 years, male 12.5
GTEX-TKQ1-1026-SM-4GICL 30-39 years, male 12.5
GTEX-1H1DE-2126-SM-9WG6R 20-29 years, male 12.5
GTEX-13PDP-0126-SM-5L3HD 60-69 years, male 12.4
GTEX-145LV-2126-SM-5LU8N 50-59 years, male 12.4
GTEX-PWO3-1526-SM-48TCM 60-69 years, female 12.4
GTEX-1RDX4-0126-SM-E9J4P 50-59 years, female 12.4
GTEX-11P81-2326-SM-59875 30-39 years, female 12.3
GTEX-ZYFG-2326-SM-5E44B 60-69 years, female 12.3
GTEX-1HSGN-0226-SM-CGQFV 40-49 years, female 12.3
GTEX-1JMQK-0226-SM-CL543 60-69 years, male 12.3
GTEX-18A66-0226-SM-718BD 60-69 years, male 12.2
GTEX-1PIIG-0226-SM-EWRN6 30-39 years, male 12.2
GTEX-11ZVC-2526-SM-5FQTE 50-59 years, female 12.1
GTEX-1GMRU-0126-SM-9YFLV 50-59 years, male 12.1
GTEX-132NY-0326-SM-5IJBL 60-69 years, male 12.0
GTEX-WYVS-2126-SM-3NMA3 40-49 years, female 12.0
GTEX-1KANA-0726-SM-D3L9I 20-29 years, male 12.0
GTEX-13CF3-2426-SM-5IFGX 60-69 years, female 11.9
GTEX-13OW7-0126-SM-5MR3B 50-59 years, male 11.9
GTEX-17HHY-0126-SM-7LG5D 50-59 years, male 11.9
GTEX-11DXY-2626-SM-5GIE7 60-69 years, male 11.8
GTEX-1269C-2526-SM-5EGJ3 60-69 years, female 11.8
GTEX-148VI-1626-SM-5SI6E 60-69 years, female 11.8
GTEX-16BQI-0226-SM-7KUEX 30-39 years, female 11.8
GTEX-17EVQ-0226-SM-7LG4P 70-79 years, male 11.8
GTEX-1GL5R-1826-SM-9KNUY 50-59 years, male 11.8
GTEX-11P82-1626-SM-59879 20-29 years, male 11.7
GTEX-13OVG-1926-SM-5L3DK 60-69 years, male 11.7
GTEX-15DCD-0126-SM-7KUEK 70-79 years, female 11.7
GTEX-WQUQ-0426-SM-3MJFU 60-69 years, male 11.7
GTEX-1C64O-0126-SM-7SB8P 60-69 years, male 11.7
GTEX-1HR98-0126-SM-B2LWI 60-69 years, male 11.7
GTEX-1HUB1-0426-SM-E9U4U 60-69 years, male 11.7
GTEX-13RTJ-2426-SM-5S2Q2 60-69 years, male 11.6
GTEX-QDVJ-1726-SM-2I5FX 50-59 years, male 11.6
GTEX-U8T8-0126-SM-3DB94 60-69 years, male 11.6
GTEX-1HCU9-1526-SM-A9SL7 20-29 years, male 11.6
GTEX-PX3G-0126-SM-2I3EN 20-29 years, female 11.5
GTEX-ZF2S-2326-SM-4WWCE 50-59 years, female 11.5
GTEX-1LGOU-2026-SM-DIPFF 20-29 years, female 11.5
GTEX-1F75I-0326-SM-9YFLU 40-49 years, male 11.4
GTEX-1ICG6-2526-SM-CGQFZ 70-79 years, female 11.4
GTEX-1IDJU-2626-SM-CM2RT 60-69 years, female 11.4
GTEX-1QAET-0926-SM-E76QM 50-59 years, male 11.3
GTEX-1S83E-0126-SM-EWRO4 40-49 years, male 11.3
GTEX-1A3MW-0126-SM-73KXX 60-69 years, female 11.2
GTEX-1JJE9-0326-SM-CL53Z 70-79 years, male 11.2
GTEX-13QJ3-0326-SM-5S2RA 50-59 years, male 11.1
GTEX-1CB4E-2226-SM-793DC 60-69 years, male 11.1
GTEX-18A6Q-0126-SM-731BZ 60-69 years, male 11.0
GTEX-1H3VE-0326-SM-9YFLH 40-49 years, male 11.0
GTEX-11ZTT-2426-SM-5EQLS 60-69 years, female 10.9
GTEX-14BIM-0226-SM-7IGLD 60-69 years, female 10.9
GTEX-ZV6S-2326-SM-4YCEY 40-49 years, female 10.9
GTEX-13O3P-0126-SM-5KM4S 50-59 years, male 10.7
GTEX-13W46-0226-SM-5SIAG 50-59 years, male 10.7
GTEX-OXRP-0126-SM-3NB32 60-69 years, female 10.7
GTEX-139T4-0226-SM-5HL5S 50-59 years, female 10.6
GTEX-1JMPZ-0226-SM-CNPP1 30-39 years, male 10.6
GTEX-1C2JI-1826-SM-73KXC 50-59 years, male 10.5
GTEX-1AX9J-0226-SM-73KXM 60-69 years, male 10.4
GTEX-ZYFC-0226-SM-5NQ75 50-59 years, male 10.4
GTEX-1I1GR-0126-SM-CL55F 60-69 years, male 10.4
GTEX-1GPI7-0126-SM-9MQL8 20-29 years, male 10.3
GTEX-1HCU6-0126-SM-CL54K 60-69 years, female 10.3
GTEX-1S82Y-2026-SM-EVYCM 40-49 years, male 10.3
GTEX-14PN3-2426-SM-6LLHS 60-69 years, female 10.2
GTEX-113IC-0126-SM-5HL6T 60-69 years, male 10.0
GTEX-13OW6-0426-SM-5L3HM 50-59 years, male 10.0
GTEX-14JIY-0126-SM-6LLH6 60-69 years, male 10.0
GTEX-14PJM-0226-SM-62LF1 50-59 years, female 10.0
GTEX-11GSP-2526-SM-5N9BP 60-69 years, female 9.9
GTEX-13O1R-0126-SM-5L3EH 60-69 years, male 9.9
GTEX-1QEPI-0126-SM-EWRMQ 60-69 years, female 9.9
GTEX-11EQ9-2426-SM-5HL5T 30-39 years, male 9.8
GTEX-1F7RK-0126-SM-7PC2S 20-29 years, female 9.8
GTEX-1J1R8-1726-SM-ARL8M 40-49 years, male 9.8
GTEX-13VXT-0126-SM-5LU4I 20-29 years, female 9.7
GTEX-11P7K-2126-SM-5GU7G 30-39 years, male 9.6
GTEX-13YAN-0326-SM-5O9DF 60-69 years, male 9.6
GTEX-18A7B-0126-SM-7LG64 70-79 years, male 9.5
GTEX-Q2AI-1326-SM-2S1PL 40-49 years, male 9.5
GTEX-R55E-0126-SM-2TC5Y 20-29 years, male 9.5
GTEX-ZAB5-1826-SM-5HL7C 50-59 years, male 9.5
GTEX-1H3NZ-0126-SM-ACKX7 60-69 years, male 9.5
GTEX-1212Z-2526-SM-5EGKP 60-69 years, male 9.4
GTEX-14JG6-2226-SM-6EU2G 30-39 years, female 9.4
GTEX-OHPM-0126-SM-2YUN9 50-59 years, male 9.4
GTEX-1HCU7-0226-SM-CL545 50-59 years, male 9.4
GTEX-1JN76-0126-SM-CNPPE 20-29 years, female 9.4
GTEX-1LC47-0326-SM-E9TJP 60-69 years, male 9.4
GTEX-13U4I-0126-SM-5LU38 40-49 years, female 9.3
GTEX-QCQG-1726-SM-3GIJ9 50-59 years, female 9.3
GTEX-Y8E4-0626-SM-4WWDL 40-49 years, male 9.3
GTEX-1H3O1-0426-SM-9YFKY 60-69 years, male 9.3
GTEX-PSDG-0226-SM-DKPOZ 50-59 years, male 9.3
GTEX-12ZZX-0126-SM-5EGK9 40-49 years, female 9.2
GTEX-133LE-1826-SM-5J1MV 20-29 years, female 9.2
GTEX-14E7W-0126-SM-6LLJ9 70-79 years, male 9.2
GTEX-1HSMQ-1226-SM-CGQFX 50-59 years, male 9.2
GTEX-146FR-1326-SM-E9J48 60-69 years, female 9.1
GTEX-OXRL-0126-SM-2YUMP 50-59 years, male 9.0
GTEX-1IY9M-0126-SM-D3L8S 60-69 years, male 9.0
GTEX-16NPX-0226-SM-79OMT 50-59 years, male 8.9
GTEX-RM2N-1426-SM-2TF4H 50-59 years, male 8.9
GTEX-139TS-2826-SM-5J1OO 60-69 years, male 8.8
GTEX-145LS-0126-SM-5QGP1 60-69 years, female 8.7
GTEX-14JG1-0426-SM-6ETZZ 40-49 years, male 8.7
GTEX-1H2FU-0126-SM-9WYSI 60-69 years, female 8.7
GTEX-13X6H-2126-SM-7EWD5 50-59 years, female 8.4
GTEX-18D9B-0526-SM-7LTAS 60-69 years, male 8.4
GTEX-1BAJH-0526-SM-793CQ 70-79 years, male 8.4
GTEX-1C6VS-0526-SM-7DUEN 60-69 years, male 8.4
GTEX-1RB15-2126-SM-E9TIM 60-69 years, male 8.4
GTEX-13X6J-0126-SM-5QGOU 50-59 years, male 8.3
GTEX-YJ8A-0426-SM-5IFID 20-29 years, male 8.3
GTEX-1RLM8-2326-SM-EWRN4 50-59 years, male 8.3
GTEX-S7PM-0126-SM-4AD6S 60-69 years, male 8.2
GTEX-12WSC-0126-SM-5EQ4P 50-59 years, male 8.1
GTEX-SIU8-0126-SM-2XCDT 50-59 years, male 8.1
GTEX-1H1E6-1726-SM-ACKVK 30-39 years, male 8.1
GTEX-PW2O-1526-SM-7RHHB 20-29 years, male 8.0
GTEX-14PHX-2326-SM-62LEM 50-59 years, male 7.9
GTEX-QVJO-1626-SM-2S1QW 60-69 years, female 7.9
GTEX-1CB4H-0226-SM-7PBXM 60-69 years, female 7.9
GTEX-14ABY-0226-SM-5TDCQ 50-59 years, male 7.8
GTEX-15CHC-2126-SM-6EU21 60-69 years, female 7.8
GTEX-YEC4-2126-SM-5IFJH 40-49 years, male 7.8
GTEX-1GTWX-0126-SM-9YFLK 60-69 years, male 7.8
GTEX-OIZG-0726-SM-33HBL 50-59 years, male 7.7
GTEX-1OJC4-0126-SM-E9J2E 50-59 years, female 7.7
GTEX-14A6H-0126-SM-5QGPK 30-39 years, male 7.6
GTEX-1I1GT-0626-SM-CGQER 60-69 years, female 7.6
GTEX-T5JC-0426-SM-32PLO 20-29 years, male 7.5
GTEX-1JK1U-2026-SM-CM2RZ 60-69 years, male 7.5
GTEX-13PVR-2326-SM-5QGR1 60-69 years, female 7.4
GTEX-1B8KE-2126-SM-73KYX 50-59 years, male 7.4
GTEX-SN8G-0126-SM-32PLI 50-59 years, female 7.3
GTEX-Y5V5-2326-SM-4V6GA 60-69 years, female 7.3
GTEX-1I1GQ-0126-SM-COH3H 50-59 years, male 7.2
GTEX-145MF-0626-SM-5LUAI 50-59 years, male 7.1
GTEX-145LT-1726-SM-5QGP3 40-49 years, male 7.0
GTEX-TML8-1926-SM-32QOS 40-49 years, female 7.0
GTEX-13OVL-0226-SM-5L3E9 50-59 years, male 6.9
GTEX-TMZS-0126-SM-3DB9Q 60-69 years, male 6.9
GTEX-1K2DA-1826-SM-CGQGT 50-59 years, male 6.9
GTEX-147GR-0526-SM-5S2MY 60-69 years, male 6.8
GTEX-1C64N-0126-SM-793D7 50-59 years, male 6.8
GTEX-NPJ8-0126-SM-2YUNR 40-49 years, male 6.8
GTEX-1F6I4-0126-SM-9MQL2 60-69 years, male 6.8
GTEX-1HFI7-1826-SM-ACKXH 50-59 years, female 6.8
GTEX-139TT-0126-SM-5K7Y5 60-69 years, male 6.7
GTEX-1HSKV-0226-SM-A9SKJ 60-69 years, male 6.7
GTEX-1I1GU-2226-SM-CGQFA 40-49 years, male 6.7
GTEX-18A7A-0226-SM-718BH 50-59 years, female 6.6
GTEX-1AYD5-2426-SM-73KXR 50-59 years, male 6.6
GTEX-RN64-0126-SM-2TC68 50-59 years, male 6.6
GTEX-WRHK-1426-SM-3MJF9 20-29 years, female 6.6
GTEX-1J8JJ-0226-SM-CL53I 60-69 years, female 6.5
GTEX-131XW-0426-SM-5LZWP 50-59 years, female 6.4
GTEX-13SLW-0126-SM-5SI6C 70-79 years, male 6.4
GTEX-UPJH-0326-SM-3GADU 50-59 years, male 6.4
GTEX-X4EO-0326-SM-3P5YO 60-69 years, female 6.4
GTEX-1399T-2826-SM-5KLYZ 60-69 years, male 6.3
GTEX-YJ89-0126-SM-4TT3X 60-69 years, male 6.3
GTEX-1J8EW-0126-SM-CJI4F 60-69 years, female 6.3
GTEX-1N2EF-0226-SM-EYYXB 60-69 years, male 6.3
GTEX-1JMQJ-0526-SM-CYPSU 50-59 years, male 6.2
GTEX-15DYW-0126-SM-7KULE 60-69 years, female 6.1
GTEX-16XZY-2126-SM-79OK1 70-79 years, male 6.0
GTEX-17HII-0226-SM-7LG4E 50-59 years, male 5.8
GTEX-WFG8-2226-SM-3GIL9 20-29 years, male 5.8
GTEX-12C56-1726-SM-5EQ61 20-29 years, male 5.7
GTEX-14LZ3-0226-SM-62LET 60-69 years, female 5.7
GTEX-1GMR8-0126-SM-9WYTM 50-59 years, female 5.7
GTEX-145LU-0126-SM-5TDCB 50-59 years, male 5.6
GTEX-1EN7A-0126-SM-7SB81 40-49 years, male 5.6
GTEX-14PJ6-2126-SM-6EU1V 60-69 years, female 5.5
GTEX-RWSA-0126-SM-2XCBB 40-49 years, male 5.5
GTEX-WFON-2126-SM-3LK7O 40-49 years, male 5.4
GTEX-ZVE2-0226-SM-59HJB 50-59 years, male 5.4
GTEX-1EX96-1626-SM-7PBXR 50-59 years, male 5.4
GTEX-1K9T9-0126-SM-EVYCF 50-59 years, female 5.4
GTEX-1HBPH-0426-SM-B2LW5 40-49 years, female 5.3
GTEX-1R9K4-0126-SM-DTX9X 60-69 years, male 5.3
GTEX-1R9PO-2126-SM-E9J4O 60-69 years, female 5.3
GTEX-147F3-0526-SM-5SI98 50-59 years, female 5.2
GTEX-1A8FM-0226-SM-7SB7Q 50-59 years, female 5.2
GTEX-X638-0126-SM-47JZ8 70-79 years, female 5.0
GTEX-1JMOU-1526-SM-CL54I 60-69 years, female 5.0
GTEX-OIZF-0126-SM-7SB8I 60-69 years, male 5.0
GTEX-XYKS-2126-SM-4E3IB 60-69 years, female 4.9
GTEX-OXRO-0126-SM-2YUN4 60-69 years, female 4.8
GTEX-11OF3-2626-SM-5GU7F 60-69 years, male 4.7
GTEX-1B8SG-0126-SM-73KZ3 50-59 years, male 4.7
GTEX-ZV68-0126-SM-59HKS 50-59 years, female 4.7
GTEX-1GN1U-0126-SM-7PBZK 50-59 years, female 4.7
GTEX-1I1CD-0126-SM-CM2TK 60-69 years, female 4.7
GTEX-14BIL-0126-SM-5SI92 50-59 years, male 4.6
GTEX-14PHW-0126-SM-6LLJI 60-69 years, female 4.5
GTEX-T2YK-0526-SM-32QPJ 50-59 years, male 4.4
GTEX-139TU-0126-SM-5K7WH 60-69 years, male 4.3
GTEX-13NZA-0226-SM-5K7Z7 60-69 years, male 4.3
GTEX-TMMY-0226-SM-33HBA 40-49 years, female 4.2
GTEX-1IE54-0126-SM-CMKHW 40-49 years, female 4.2
GTEX-1IOXB-0126-SM-ARL8G 50-59 years, male 4.2
GTEX-117YX-2326-SM-5H12W 50-59 years, male 4.1
GTEX-11WQC-2526-SM-5CVLE 60-69 years, male 4.0
GTEX-1GZ4H-1726-SM-7PBZJ 50-59 years, female 3.9
GTEX-QLQ7-1626-SM-2S1R8 60-69 years, male 3.8
GTEX-ZXG5-0126-SM-5GIEU 60-69 years, male 3.8
GTEX-1B996-0226-SM-7RHGO 60-69 years, male 3.8
GTEX-1HCVE-0126-SM-CGQEU 50-59 years, male 3.8
GTEX-1LG7Z-1726-SM-D3LA4 30-39 years, male 3.8
GTEX-RNOR-0126-SM-E9J4R 50-59 years, female 3.7
GTEX-T6MO-1626-SM-32QOM 40-49 years, female 3.6
GTEX-U8XE-0326-SM-3DB8P 30-39 years, male 3.6
GTEX-144GL-0126-SM-5TDE2 50-59 years, male 3.5
GTEX-1H4P4-0726-SM-9YFLR 50-59 years, male 3.5
GTEX-1KAFJ-2026-SM-CY8ID 50-59 years, male 3.5
GTEX-15EU6-0426-SM-6PAN5 50-59 years, male 3.4
GTEX-15G19-0126-SM-6PANQ 60-69 years, male 3.4
GTEX-V1D1-2226-SM-3NMAX 50-59 years, male 3.4
GTEX-W5WG-1826-SM-4KL2Y 50-59 years, female 3.4
GTEX-WOFL-0126-SM-3MJG2 60-69 years, male 3.3
GTEX-16XZZ-0126-SM-793DV 60-69 years, male 3.2
GTEX-U3ZH-2026-SM-3DB78 30-39 years, male 3.2
GTEX-SNMC-1226-SM-2XCFP 20-29 years, male 3.0
GTEX-1H23P-0126-SM-ADEJ3 60-69 years, male 3.0
GTEX-QV44-1926-SM-2S1RF 50-59 years, male 2.8
GTEX-1POEN-0126-SM-EYYXJ 30-39 years, female 2.8
GTEX-14DAQ-0126-SM-5S2MQ 60-69 years, female 2.5
GTEX-17MF6-0126-SM-7LG4F 40-49 years, male 2.5
GTEX-1AMEY-1326-SM-73KYK 30-39 years, female 2.5
GTEX-Z9EW-1626-SM-5CVMN 40-49 years, male 2.5
GTEX-S7SE-0126-SM-2XCD5 50-59 years, male 2.4
GTEX-1F6IF-0726-SM-7P8TW 60-69 years, male 2.4
GTEX-13X6I-0626-SM-5QGP9 60-69 years, male 2.3
GTEX-15DDE-0126-SM-6LPKH 50-59 years, female 2.2
GTEX-OOBK-0126-SM-2YUND 40-49 years, male 2.2
GTEX-QLQW-1126-SM-2S1Q8 30-39 years, male 2.2
GTEX-VJYA-1126-SM-3GIJU 60-69 years, male 2.2
GTEX-15F5U-1526-SM-6PANO 40-49 years, male 2.1
GTEX-ZUA1-0126-SM-5GU76 40-49 years, male 2.1
GTEX-1IKOH-0226-SM-COH4E 60-69 years, female 2.1
GTEX-14BMU-2226-SM-5TDE9 20-29 years, female 2.0
GTEX-P44H-0226-SM-2XCEU 40-49 years, male 1.9
GTEX-RWS6-2026-SM-2XCB5 60-69 years, female 1.9
GTEX-1H1ZS-0426-SM-9WG6G 70-79 years, male 1.9
GTEX-12WSN-5019-SM-79OM6 40-49 years, male 1.8
GTEX-Q2AH-1626-SM-3GAF8 40-49 years, male 1.8
GTEX-XBEW-0626-SM-4QASP 40-49 years, male 1.8
GTEX-14E6E-1826-SM-5S2R7 30-39 years, male 1.7
GTEX-SSA3-0126-SM-32QPU 60-69 years, male 1.7
GTEX-SUCS-1926-SM-32PM3 70-79 years, male 1.7
GTEX-X261-0126-SM-3NMD6 50-59 years, male 1.6
GTEX-1F88F-2726-SM-7PBZZ 60-69 years, female 1.6
GTEX-16NGA-1726-SM-731B4 40-49 years, female 1.5
GTEX-13111-1626-SM-5EGJY 50-59 years, male 1.4
GTEX-15EOM-0126-SM-7KUGG 20-29 years, female 1.4
GTEX-17HG3-2226-SM-7938L 30-39 years, female 1.4
GTEX-OXRK-0226-SM-3NB2G 50-59 years, female 1.3
GTEX-Q2AG-0126-SM-33HBV 40-49 years, female 1.3
GTEX-ZE9C-2726-SM-57WB5 60-69 years, male 1.3
GTEX-11ZU8-2526-SM-5EQKI 60-69 years, male 1.2
GTEX-ZVT3-0126-SM-5GU6I 60-69 years, female 1.2
GTEX-14A5I-0126-SM-5TDEA 50-59 years, female 1.1
GTEX-1C6VR-2426-SM-79OLD 60-69 years, male 1.1
GTEX-ZTPG-0326-SM-5O9AX 20-29 years, female 1.1
GTEX-1GN1W-0526-SM-9MQJQ 50-59 years, female 1.1
GTEX-11UD2-0226-SM-5EQKY 50-59 years, male 1.0
GTEX-14BIN-0626-SM-793DP 50-59 years, female 1.0
GTEX-S32W-2126-SM-2XCB1 50-59 years, female 1.0
GTEX-T8EM-1026-SM-3DB7M 40-49 years, male 1.0
GTEX-1HB9E-0226-SM-E9U4R 50-59 years, male 1.0
GTEX-12KS4-0326-SM-5EQ41 30-39 years, male 0.9
GTEX-13FHP-0126-SM-5IJBG 50-59 years, male 0.9
GTEX-1C475-1826-SM-73KWA 40-49 years, female 0.9
GTEX-1HBPI-1526-SM-C1YQ1 50-59 years, male 0.9
GTEX-1QMI2-0226-SM-EVYBX 60-69 years, male 0.9
GTEX-PVOW-0126-SM-2XCFA 40-49 years, male 0.8
GTEX-1I1HK-0126-SM-COH49 60-69 years, male 0.8
GTEX-1IL2U-0226-SM-CE6T8 60-69 years, male 0.8
GTEX-11EI6-0126-SM-5985R 60-69 years, male 0.7
GTEX-13FHO-0226-SM-5IFGY 60-69 years, male 0.7
GTEX-1AX9K-2326-SM-73KWU 50-59 years, male 0.7
GTEX-1CB4J-0626-SM-7DHMP 60-69 years, male 0.7
GTEX-1KANC-1526-SM-D3LAB 50-59 years, female 0.7
GTEX-12ZZY-0226-SM-5LZVE 60-69 years, male 0.6
GTEX-13JUV-2726-SM-5LZZ8 40-49 years, female 0.6
GTEX-13OW8-1326-SM-5J1OW 60-69 years, male 0.6
GTEX-13SLX-0526-SM-5S2ON 50-59 years, female 0.6
GTEX-1IL2V-0126-SM-CM2TX 70-79 years, male 0.6
GTEX-13N2G-2626-SM-5J1OT 60-69 years, male 0.5
GTEX-16AAH-1726-SM-7939C 50-59 years, male 0.5
GTEX-1AMFI-2026-SM-731BH 50-59 years, female 0.5
GTEX-1B97I-1626-SM-73KYO 40-49 years, male 0.5
GTEX-R3RS-0126-SM-3GIJL 40-49 years, female 0.5
GTEX-1O97I-0326-SM-EYYX7 60-69 years, male 0.5
GTEX-13NYC-0326-SM-E9J4S 60-69 years, male 0.4
GTEX-148VJ-0126-SM-5TDDN 70-79 years, male 0.3
GTEX-SJXC-0126-SM-2XCFF 60-69 years, male 0.3
GTEX-X5EB-2226-SM-46MW4 40-49 years, male 0.3
GTEX-ZY6K-1826-SM-5GZXK 50-59 years, male 0.3
GTEX-1HBPM-0226-SM-ARL9F 60-69 years, female 0.3
GTEX-1LH75-2426-SM-E9TJE 50-59 years, female 0.3
GTEX-12WSE-0526-SM-793B2 20-29 years, male 0.2
GTEX-U3ZN-2326-SM-3DB7W 30-39 years, female 0.2
GTEX-VJWN-0126-SM-3GIK7 50-59 years, female 0.1
GTEX-1F5PK-2426-SM-7RHHY 50-59 years, male 0.1
GTEX-13S7M-0126-SM-5SI6A 60-69 years, female 0.0
GTEX-T5JW-1626-SM-3GADZ 20-29 years, female 0.0
GTEX-T6MN-0126-SM-32PLP 50-59 years, male 0.0
GTEX-TSE9-0126-SM-3DB83 60-69 years, female 0.0
GTEX-13OW5-0126-SM-DTXFS 60-69 years, male 0.0
Show allShow less

Contact

  • NEWS ARTICLES
  • PRESS ROOM

The Project

  • INTRODUCTION
  • ORGANIZATION
  • PUBLICATIONS

The Human Protein Atlas

  • DOWNLOADABLE DATA
  • LICENCE & CITATION
  • HELP & FAQ
The Human Protein Atlas project is funded
by the Knut & Alice Wallenberg Foundation.


contact@proteinatlas.org