We use cookies to enhance the usability of our website. If you continue, we'll assume that you are happy to receive all cookies. More information. Don't show this again.
IMMT
HPA
RESOURCES
  • TISSUE
  • BRAIN
  • SINGLE CELL
  • SUBCELLULAR
  • CANCER
  • BLOOD
  • CELL LINE
  • STRUCTURE & INTERACTION
ABOUT
  • INTRODUCTION
  • HISTORY
  • ORGANIZATION
  • PUBLICATIONS
  • ANTIBODY SUBMISSION
  • ANTIBODY AVAILABILITY
  • ACKNOWLEDGMENTS
  • CONTACT
NEWS
  • NEWS ARTICLES
  • PRESS ROOM
LEARN
  • DICTIONARY
  • PROTEIN CLASSES
  • PROTEIN EVIDENCE
  • METHODS
  • EDUCATIONAL VIDEOS
DATA
  • DOWNLOADABLE DATA
  • PUBLICATION DATA
  • RELEASE HISTORY
HELP
  • ANTIBODY VALIDATION
  • ASSAYS & ANNOTATION
  • DISCLAIMER
  • HELP & FAQ
  • PRIVACY STATEMENT
  • LICENCE & CITATION
Fields »
Search result

Field
Term
Gene name
Class
Subclass
Class
Keyword
Chromosome
External id
Tissue
Cell type
Expression
Antibody panel
Tissue
Main location
Patient ID
Annotation
Tissue
Category
Tau score
Cluster
Reliability
Brain region
Category
Tau score
Brain region
Category
Tau score
Brain region
Category
Tau score
Cluster
Reliability
Tissue
Cell type
Enrichment
Cell type
Category
Tau score
Cell type
Category
Tau score
Cell type
Category
Tau score
Cell lineage
Category
Tau score
Cluster
Cluster
Location
Searches
Location
Cell line
Class
Type
Phase
Reliability
Cancer
Prognosis
Cancer
Category
Cancer
Category
Tau score
Cluster
Variants
Interacting gene (ensg_id)
Type
Number of interactions
Pathway
Category
Score
Score
Score
Validation
Validation
Validation
Validation
Antibodies
Data type
Column


  • SUMMARY

  • TISSUE

  • BRAIN

  • SINGLE CELL

  • SUBCELL

  • CANCER

  • BLOOD

  • CELL LINE

  • STRUCT & INT

  • IMMT
TISSUE PRIMARY DATA STOMACH Show tissue menu
ADIPOSE TISSUE ADRENAL GLAND AMYGDALA APPENDIX BASAL GANGLIA BONE MARROW BREAST BRONCHUS CEREBELLUM CEREBRAL CORTEX CERVIX CHOROID PLEXUS COLON DUODENUM
ENDOMETRIUM EPIDIDYMIS ESOPHAGUS FALLOPIAN TUBE GALLBLADDER HEART MUSCLE HIPPOCAMPAL FORMATION HYPOTHALAMUS KIDNEY LIVER LUNG LYMPH NODE MIDBRAIN NASOPHARYNX
ORAL MUCOSA OVARY PANCREAS PARATHYROID GLAND PITUITARY GLAND PLACENTA PROSTATE RECTUM RETINA SALIVARY GLAND SEMINAL VESICLE SKELETAL MUSCLE SKIN SMALL INTESTINE
SMOOTH MUSCLE SOFT TISSUE SPINAL CORD SPLEEN STOMACH TESTIS THYMUS THYROID GLAND TONGUE TONSIL URINARY BLADDER VAGINA
ANTIBODIES
AND
VALIDATION
Dictionary
Tissue proteome
Stomach
STOMACH - Expression summary
Protein expression
Stomachi

On the top, protein expression in current human tissue, based on all annotated cell types, is reported with the units not detected (n), low (l), medium (m) and high (h). Underneath, protein expression in each annotated cell type are reported using the same units.

Protein expression data is based on knowledge-based annotation. For genes where more than one antibody has been used, a collective score is set.

If knowledge-based annotation could not be performed for a gene, no data is displayed here. View antibody staining data further down this page.

h
m
l
n
Glandular cells: High
RNA expressioni

A summary of mRNA expression data available for current tissue based on several datasets. The mRNA expression levels in human tissues are based on RNA-seq data generated by the Human Protein Atlas (HPA), Genotype-Tissue Expression (GTEx) portal and CAGE data generated by the FANTOM5 consortium. Consensus normalized expression levels for human tissues was created by combining the data from HPA and GTEx datasets.

The mRNA expression levels in pig are based on RNA-seq data generated by the Human Protein Atlas (HPA), and for mouse, HPA data and in situ hybridization generated by the Allen brain atlas are reported.

Scroll down to view mRNA expression data in more detail.
Consensus:47.4 nTPM
HPA:42.7 nTPM
GTEx:47.4 nTPM

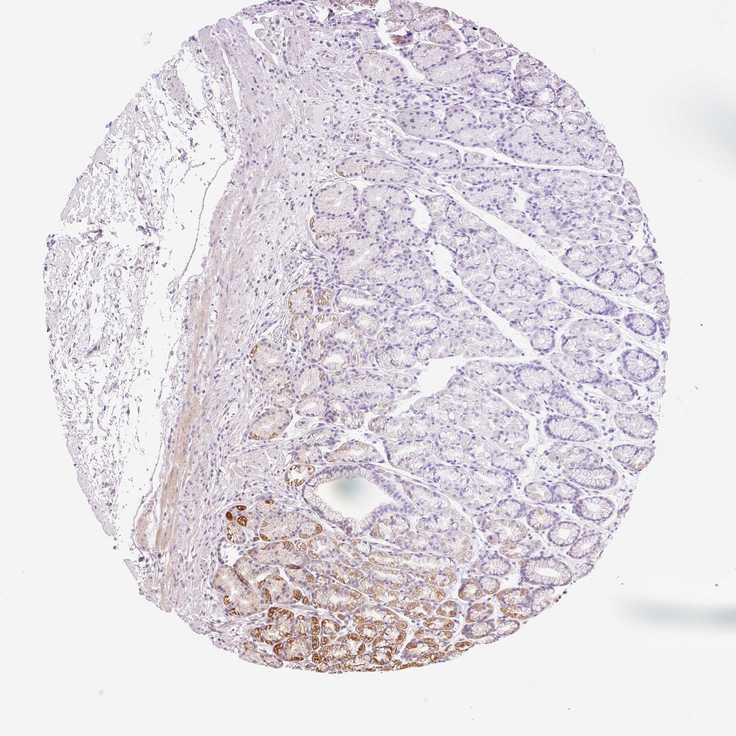
STOMACH 1 - Antibody stainingi

Antibody staining in the annotated cell types in the current human tissue is reported as not detected, low, medium, or high, based on conventional immunohistochemistry profiling in selected tissues. This score is based on the combination of the staining intensity and fraction of stained cells.

Each image is clickable and will lead to virtual microscopy that enables deeper exploration of all samples and also displays staining intensity scores, fraction scores and subcellular localization as well as patient and tissue information for each sample.

Antibody HPA036164Antibody HPA036165Antibody CAB022439
Glandular cells HighHighHigh






STOMACH 2 - Antibody stainingi

Antibody staining in the annotated cell types in the current human tissue is reported as not detected, low, medium, or high, based on conventional immunohistochemistry profiling in selected tissues. This score is based on the combination of the staining intensity and fraction of stained cells.

Each image is clickable and will lead to virtual microscopy that enables deeper exploration of all samples and also displays staining intensity scores, fraction scores and subcellular localization as well as patient and tissue information for each sample.

Antibody HPA036164Antibody HPA036165Antibody CAB022439
Glandular cells HighHighHigh






STOMACH - HPA RNA-seqi

The RNA-seq details section shows detailed information about the individual samples used for the transcript profiling and results of the RNA-seq analysis.

Information about each individual sample is listed below, including gender, age, a tissue section image and estimated fractions of cell types. nTPM (normalized transcripts per million) values give a quantification of the gene abundance which is comparable between different genes and samples.
Average nTPMi

Max subtype nTPM is the value for the subtype with the largest average nTPM across the subtype samples.

42.7
overview
Female, age 33
Stomach sample 61
nTPM: 44.1
Cell types%
Glandular cells:
60

Smooth muscle cells:
5

Other cell types:
35

N/A
Male, age 82
Stomach sample 240
nTPM: 30.1
Cell types%
Glandular cells:
65

Smooth muscle cells:
5

Other cell types:
30

overview
Male, age 71
Stomach sample 241
nTPM: 37.1
Cell types%
Glandular cells:
50

Smooth muscle cells:
5

Other cell types:
45

overview
Female, age 66
Stomach sample 369
nTPM: 59.5
Cell types%
Glandular cells:
50

Smooth muscle cells:
10

Other cell types:
40


STOMACH - GTEx RNA-seqi

RNA-Seq data generated by the Genotype-Tissue Expression (GTEx) project from human tissues is reported as mean nTPM. More information can be found on the GTEx portal.

Distribution across the dataset is visualized with box plots, shown as median and 25th and 75th percentiles. Points are displayed as outliers if they are above or below 1.5 times the interquartile range. nTPM values of the individual samples are presented next to the box plot.
Max subtype nTPMi

Max subtype nTPM is the value for the subtype with the largest average nTPM across the subtype samples.

47.4
GTEx sample id Sample description nTPM
Stomach
Average nTPM: 47.4
Samples: 359

Max nTPM: 95.0
Min nTPM: 21.2
Std nTPM: 13.0
Median nTPM: 46.7
GTEX-14PJ6-0826-SM-686Z9 60-69 years, female 95.0
GTEX-1GL5R-1926-SM-9WG7U 50-59 years, male 89.9
GTEX-OXRL-1526-SM-E6CHQ 50-59 years, male 83.5
GTEX-1399S-1626-SM-5P9GI 30-39 years, female 77.8
GTEX-OIZF-1526-SM-2I5GR 60-69 years, male 77.0
GTEX-1B97J-1826-SM-7IGPP 50-59 years, female 76.3
GTEX-S341-0626-SM-4AD5T 40-49 years, female 75.3
GTEX-YB5E-1126-SM-664NU 40-49 years, male 75.3
GTEX-RWS6-0926-SM-47JXE 60-69 years, female 75.1
GTEX-WFON-1126-SM-4LVMA 40-49 years, male 74.7
GTEX-1KANA-1126-SM-D3L9M 20-29 years, male 74.7
GTEX-OOBJ-1526-SM-3NB1Q 60-69 years, male 74.4
GTEX-1RMOY-1126-SM-EV79E 50-59 years, male 72.7
GTEX-17GQL-1226-SM-7KFTS 60-69 years, male 71.5
GTEX-1JK1U-1326-SM-AHZ45 60-69 years, male 71.1
GTEX-1CAMR-0726-SM-7EPIE 20-29 years, male 70.6
GTEX-ZLV1-0826-SM-DO11P 60-69 years, female 69.9
GTEX-ZYFG-1326-SM-5GICJ 60-69 years, female 68.8
GTEX-15DCE-1626-SM-6LPJM 20-29 years, male 68.7
GTEX-WXYG-1626-SM-4ONCR 50-59 years, female 68.7
GTEX-12WSK-1426-SM-5CVNN 40-49 years, female 68.4
GTEX-PX3G-1526-SM-48U11 20-29 years, female 67.4
GTEX-ZLWG-1526-SM-DO12F 50-59 years, female 66.8
GTEX-YEC4-1426-SM-5IFHS 40-49 years, male 66.7
GTEX-WHSB-1226-SM-4M1XR 50-59 years, male 66.6
GTEX-1LG7Z-1226-SM-DHXK4 30-39 years, male 66.6
GTEX-1RB15-1026-SM-E9U6V 60-69 years, male 66.1
GTEX-1H1E6-1626-SM-9OSWC 30-39 years, male 66.0
GTEX-1MUQO-1926-SM-EAZ59 60-69 years, male 65.3
GTEX-QCQG-0526-SM-48U2A 50-59 years, female 64.9
GTEX-1AMFI-1226-SM-731CZ 50-59 years, female 64.8
GTEX-14E6E-0926-SM-664N8 30-39 years, male 64.6
GTEX-OHPM-1526-SM-EV796 50-59 years, male 64.6
GTEX-14ICL-0826-SM-5YY9W 30-39 years, male 64.5
GTEX-QLQW-0726-SM-447AA 30-39 years, male 64.4
GTEX-14PHX-1026-SM-664OL 50-59 years, male 64.2
GTEX-ZP4G-1226-SM-4WWCJ 20-29 years, female 64.1
GTEX-17F9E-2226-SM-7IGNC 50-59 years, male 63.7
GTEX-14BIL-1926-SM-73KYI 50-59 years, male 63.6
GTEX-1MGNQ-1826-SM-DPRYI 40-49 years, male 63.4
GTEX-13O21-0926-SM-5IFGT 50-59 years, male 63.2
GTEX-1ICG6-1826-SM-AHZ2O 70-79 years, female 63.1
GTEX-16AAH-1226-SM-79OO9 50-59 years, male 63.0
GTEX-13PVQ-2126-SM-5L3FW 50-59 years, male 62.5
GTEX-1HFI7-1526-SM-9WG7W 50-59 years, female 62.2
GTEX-111CU-0926-SM-5EGIK 50-59 years, male 62.0
GTEX-XUZC-0726-SM-4BOPH 30-39 years, female 62.0
GTEX-1F75I-1826-SM-7MKGX 40-49 years, male 61.9
GTEX-11NSD-1426-SM-5HL67 20-29 years, male 61.6
GTEX-1A3MV-1226-SM-718BW 30-39 years, male 61.4
GTEX-1F5PL-1426-SM-7MKFH 40-49 years, female 61.4
GTEX-11NUK-2426-SM-5BC4U 50-59 years, male 61.0
GTEX-1QPFJ-1526-SM-DPRXT 30-39 years, female 61.0
GTEX-QV44-1226-SM-CJI1S 50-59 years, male 61.0
GTEX-S4UY-1626-SM-4AD55 40-49 years, female 60.8
GTEX-ZZ64-0426-SM-5E43F 20-29 years, male 60.8
GTEX-T5JW-0926-SM-4DM5K 20-29 years, female 60.7
GTEX-133LE-1326-SM-5IFGO 20-29 years, female 60.6
GTEX-1IDJU-1526-SM-CNNR3 60-69 years, female 60.5
GTEX-1LGOU-1526-SM-D3LAJ 20-29 years, female 60.4
GTEX-13FTX-0726-SM-5N9BI 20-29 years, female 60.3
GTEX-145LT-1426-SM-5O9B3 40-49 years, male 60.3
GTEX-1C475-1026-SM-7MKFJ 40-49 years, female 60.3
GTEX-ZQUD-0826-SM-57WDQ 30-39 years, male 60.2
GTEX-1QMI2-2126-SM-DPRXQ 60-69 years, male 60.0
GTEX-11DXX-1326-SM-5GIDZ 60-69 years, female 59.7
GTEX-15CHR-1326-SM-79OLT 50-59 years, male 59.7
GTEX-U3ZN-2026-SM-4DXUC 30-39 years, female 59.5
GTEX-ZVP2-1626-SM-5GU5D 50-59 years, male 59.4
GTEX-WFG8-1326-SM-4LVN3 20-29 years, male 59.3
GTEX-ZPU1-1626-SM-4WWB2 40-49 years, male 59.3
GTEX-145MN-1326-SM-5NQ9S 30-39 years, male 59.2
GTEX-1B8KE-1326-SM-73KVI 50-59 years, male 59.2
GTEX-1F5PK-1826-SM-7RHHX 50-59 years, male 59.2
GTEX-Y5V6-1326-SM-4VDTF 60-69 years, male 59.1
GTEX-1MJIX-1126-SM-EV7AO 40-49 years, male 59.1
GTEX-1HBPN-1626-SM-9WPNP 50-59 years, male 59.0
GTEX-12WSD-2326-SM-59HKQ 60-69 years, female 58.9
GTEX-S95S-0826-SM-4B64N 60-69 years, male 58.9
GTEX-14PJ4-1626-SM-664OB 60-69 years, male 58.7
GTEX-Q2AI-0826-SM-48TZO 40-49 years, male 58.5
GTEX-ZXES-1426-SM-5NQ8S 30-39 years, female 58.5
GTEX-SUCS-0926-SM-4DM4Z 70-79 years, male 58.2
GTEX-14PKV-1826-SM-69LO9 20-29 years, female 58.0
GTEX-QV31-0626-SM-447C5 30-39 years, male 58.0
GTEX-Y3IK-1426-SM-4YCES 50-59 years, female 57.9
GTEX-13OVK-0926-SM-7KUFX 40-49 years, male 57.6
GTEX-117YX-1026-SM-5H11V 50-59 years, male 57.5
GTEX-RM2N-0826-SM-48FD3 50-59 years, male 57.3
GTEX-1QCLY-1126-SM-EAZ4J 30-39 years, male 57.1
GTEX-SNMC-0626-SM-4DM6H 20-29 years, male 56.6
GTEX-1AYCT-1326-SM-7MKHB 50-59 years, male 56.4
GTEX-P4PP-1526-SM-3P61M 30-39 years, female 56.3
GTEX-T6MO-0726-SM-4DM58 40-49 years, female 56.3
GTEX-1RAZR-1526-SM-EAZ4U 40-49 years, male 56.3
GTEX-15DZA-1126-SM-6LPK8 30-39 years, female 56.2
GTEX-ZZPU-1426-SM-5GZZ6 50-59 years, female 56.1
GTEX-PWN1-1526-SM-48TDA 40-49 years, female 55.9
GTEX-ZYY3-1726-SM-5EGH3 60-69 years, female 55.9
GTEX-18A66-2226-SM-7189E 60-69 years, male 55.7
GTEX-OHPK-1526-SM-3MJGM 50-59 years, female 55.7
GTEX-11I78-1726-SM-5A5M3 50-59 years, female 55.4
GTEX-131XG-1226-SM-5EGH9 50-59 years, female 55.4
GTEX-UJMC-1226-SM-4IHLI 50-59 years, male 55.4
GTEX-1R7EU-1126-SM-EAZ4M 60-69 years, male 55.3
GTEX-18QFQ-1226-SM-718AE 30-39 years, male 55.2
GTEX-PWCY-0926-SM-48TD7 20-29 years, female 55.2
GTEX-WHPG-0426-SM-4M1XW 50-59 years, male 55.1
GTEX-R53T-1226-SM-48FCT 50-59 years, female 54.8
GTEX-XBED-1226-SM-4AT5V 60-69 years, male 54.8
GTEX-1QP2A-2126-SM-DPRZ7 50-59 years, male 54.8
GTEX-14PJ5-0826-SM-6AJAR 60-69 years, female 54.7
GTEX-X15G-1126-SM-4PQZG 50-59 years, female 54.5
GTEX-1B8KZ-1226-SM-793CP 50-59 years, male 54.4
GTEX-1QCLZ-1826-SM-DPRXP 60-69 years, female 54.4
GTEX-POMQ-0826-SM-3P61H 20-29 years, female 54.3
GTEX-VJYA-1026-SM-4KL21 60-69 years, male 54.3
GTEX-1AMEY-1226-SM-731DU 30-39 years, female 54.2
GTEX-13FTW-1726-SM-5KM2B 40-49 years, male 54.0
GTEX-YFCO-0826-SM-5LUAG 40-49 years, male 53.5
GTEX-1KXAM-0926-SM-CXZKA 60-69 years, male 53.5
GTEX-1R9K5-1026-SM-EAZ4F 50-59 years, male 53.4
GTEX-1122O-1926-SM-5EGIQ 60-69 years, female 53.3
GTEX-ZVZP-1726-SM-5GZWY 50-59 years, male 53.0
GTEX-144GM-1726-SM-5O9AS 20-29 years, male 52.9
GTEX-17HHE-1026-SM-79ON6 50-59 years, male 52.9
GTEX-ZT9W-1526-SM-4YCDE 50-59 years, male 52.5
GTEX-ZF29-1526-SM-4WKF7 60-69 years, female 52.4
GTEX-1J8Q3-1926-SM-C1YSJ 60-69 years, male 52.4
GTEX-14PJ3-1426-SM-664O8 50-59 years, male 52.3
GTEX-ZLFU-1326-SM-DO11R 40-49 years, male 52.2
GTEX-NFK9-1526-SM-3LK7B 40-49 years, male 52.1
GTEX-131XF-1226-SM-5HL8V 60-69 years, male 52.0
GTEX-ZV7C-1626-SM-5NQ7E 50-59 years, male 51.9
GTEX-ZA64-0826-SM-5HL9U 20-29 years, male 51.4
GTEX-1HBPI-0726-SM-9WG7Z 50-59 years, male 51.4
GTEX-QDVJ-1426-SM-48U1Y 50-59 years, male 51.3
GTEX-1B97I-1226-SM-7MGWQ 40-49 years, male 51.3
GTEX-13D11-2126-SM-5IFH2 50-59 years, female 51.0
GTEX-1LGRB-1726-SM-CNNRA 50-59 years, female 50.6
GTEX-ZGAY-1626-SM-DNZZ3 40-49 years, female 50.6
GTEX-WY7C-1726-SM-4ONCC 50-59 years, male 50.5
GTEX-Q734-1026-SM-48U16 40-49 years, female 50.4
GTEX-1LBAC-1426-SM-CXZKT 20-29 years, male 50.2
GTEX-1S82Z-1726-SM-E6CHZ 30-39 years, female 50.2
GTEX-111YS-1126-SM-5GZYQ 60-69 years, male 49.9
GTEX-15RIE-1026-SM-6LPJQ 60-69 years, male 49.9
GTEX-XQ8I-2026-SM-4BOOL 50-59 years, male 49.8
GTEX-13U4I-2526-SM-5SI8Z 40-49 years, female 49.7
GTEX-RTLS-2626-SM-46MUJ 60-69 years, female 49.7
GTEX-13CF3-1926-SM-5K7WF 60-69 years, female 49.5
GTEX-ZVT2-1626-SM-51MRC 50-59 years, female 49.5
GTEX-XBEW-1826-SM-4RTWX 40-49 years, male 49.4
GTEX-18A67-2626-SM-718AD 50-59 years, male 49.3
GTEX-QLQ7-0826-SM-447B3 60-69 years, male 49.3
GTEX-144GN-1226-SM-5O991 50-59 years, male 49.2
GTEX-14B4R-0726-SM-5TDDR 30-39 years, male 49.2
GTEX-132QS-1826-SM-5IFFN 60-69 years, male 49.1
GTEX-Y5LM-1326-SM-5RQIS 40-49 years, female 49.1
GTEX-XMK1-1526-SM-EYYVO 40-49 years, male 49.0
GTEX-17F98-1526-SM-7EWD8 40-49 years, female 48.8
GTEX-11EM3-1026-SM-5A5KL 20-29 years, female 48.6
GTEX-13FH7-1026-SM-5IJGF 50-59 years, female 48.4
GTEX-ZF2S-1426-SM-57WET 50-59 years, female 48.4
GTEX-1A8G6-1426-SM-731EZ 60-69 years, male 48.3
GTEX-WEY5-1226-SM-4LMIQ 40-49 years, female 48.2
GTEX-Y9LG-1026-SM-5IFJN 30-39 years, male 48.1
GTEX-TMMY-1626-SM-4DXTY 40-49 years, female 48.0
GTEX-WRHK-0626-SM-4MVOE 20-29 years, female 48.0
GTEX-1399R-1126-SM-5IFIO 30-39 years, male 47.8
GTEX-WYJK-2526-SM-4ONDF 50-59 years, male 47.8
GTEX-QXCU-1926-SM-48FE4 50-59 years, male 47.7
GTEX-1GZ4H-1026-SM-9OSXL 50-59 years, female 47.7
GTEX-ZDYS-1926-SM-5HL59 50-59 years, male 47.6
GTEX-13113-0726-SM-5LZUF 60-69 years, female 47.3
GTEX-18A7A-2726-SM-7LG6U 50-59 years, female 47.3
GTEX-1H3VY-2326-SM-9WG81 50-59 years, male 47.2
GTEX-XPVG-1526-SM-4B66C 50-59 years, male 47.1
GTEX-S4Q7-0726-SM-4AD5F 20-29 years, male 46.9
GTEX-WFG7-1326-SM-4LMK1 20-29 years, male 46.7
GTEX-1GMRU-2526-SM-9WG7T 50-59 years, male 46.6
GTEX-1I6K7-1726-SM-B2LXQ 40-49 years, male 46.6
GTEX-18D9A-0626-SM-7KFTY 30-39 years, female 46.5
GTEX-ZY6K-0726-SM-5A5L8 50-59 years, male 46.5
GTEX-14JG6-1226-SM-664O6 30-39 years, female 46.4
GTEX-XV7Q-1326-SM-4BRWM 40-49 years, female 46.4
GTEX-11GSP-2126-SM-5HL5E 60-69 years, female 46.3
GTEX-Q2AH-1126-SM-48TZM 40-49 years, male 46.3
GTEX-V1D1-1726-SM-4JBHB 50-59 years, male 46.3
GTEX-S3XE-1026-SM-4AD4O 50-59 years, male 46.2
GTEX-S4Z8-1226-SM-4AD6W 60-69 years, male 46.0
GTEX-11TT1-0726-SM-5GU5A 20-29 years, male 45.7
GTEX-T8EM-1226-SM-4DM5J 40-49 years, male 45.6
GTEX-13QBU-1126-SM-5LU44 40-49 years, female 45.4
GTEX-PW2O-1226-SM-48TCH 20-29 years, male 45.4
GTEX-Y8LW-0826-SM-4WWDO 50-59 years, female 45.3
GTEX-1AX9J-2626-SM-731EK 60-69 years, male 45.1
GTEX-R55D-1526-SM-48FEJ 50-59 years, male 45.1
GTEX-ZV6S-0926-SM-57WGB 40-49 years, female 45.0
GTEX-15RIF-1126-SM-7KUG2 20-29 years, male 44.8
GTEX-RU1J-0526-SM-46MUT 20-29 years, female 44.8
GTEX-O5YW-1526-SM-3MJGL 50-59 years, male 44.7
GTEX-1MCYP-1126-SM-E9J2P 20-29 years, female 44.7
GTEX-U4B1-1026-SM-4DXT1 40-49 years, male 44.2
GTEX-14DAR-0926-SM-73KUQ 50-59 years, male 44.1
GTEX-17HGU-2126-SM-7IGOV 50-59 years, male 43.9
GTEX-TKQ1-0526-SM-4DXTG 30-39 years, male 43.9
GTEX-1I1GT-1726-SM-C1YS3 60-69 years, female 43.9
GTEX-14BMU-1126-SM-5RQJ8 20-29 years, female 43.8
GTEX-YEC3-1426-SM-D4P1S 50-59 years, male 43.8
GTEX-13OW6-2526-SM-5IJEC 50-59 years, male 43.7
GTEX-11WQK-2626-SM-5EQ4K 50-59 years, male 43.6
GTEX-P78B-1826-SM-3P5YX 40-49 years, female 43.4
GTEX-1HSEH-1526-SM-B2LXG 60-69 years, male 43.2
GTEX-12BJ1-1726-SM-5HL9B 60-69 years, male 43.0
GTEX-1HKZK-1526-SM-B2LWG 40-49 years, male 43.0
GTEX-1J8QM-1126-SM-C1YQB 60-69 years, female 42.9
GTEX-1JKYN-1726-SM-AHZ48 30-39 years, male 42.9
GTEX-OIZH-1526-SM-3NB1J 50-59 years, male 42.8
GTEX-QDVN-1226-SM-48TZ5 50-59 years, male 42.6
GTEX-1JMPZ-1826-SM-CXZJT 30-39 years, male 42.5
GTEX-145ME-1026-SM-5O9B4 40-49 years, female 42.4
GTEX-WH7G-1526-SM-4LVMX 40-49 years, male 42.1
GTEX-1339X-1426-SM-5K7YO 40-49 years, male 41.9
GTEX-13PVR-2126-SM-73KVR 60-69 years, female 41.3
GTEX-Y8E4-1526-SM-4WWDI 40-49 years, male 41.3
GTEX-15G1A-1226-SM-7KUF3 30-39 years, male 41.1
GTEX-XXEK-0826-SM-4BRWG 50-59 years, male 40.9
GTEX-14PKU-1126-SM-69LOU 40-49 years, female 40.8
GTEX-12WSJ-0926-SM-5P9JD 40-49 years, female 40.7
GTEX-SNOS-0826-SM-4DM5N 40-49 years, male 40.5
GTEX-QMRM-1126-SM-447BN 50-59 years, male 40.3
GTEX-OXRK-1626-SM-3NB17 50-59 years, female 40.2
GTEX-W5WG-1726-SM-4LMI5 50-59 years, female 40.2
GTEX-P4QT-1526-SM-3NMCT 50-59 years, female 40.1
GTEX-Y114-1226-SM-4TT88 50-59 years, female 40.1
GTEX-1E2YA-2426-SM-7EPIG 50-59 years, male 40.0
GTEX-13X6H-1626-SM-5Q5CT 50-59 years, female 39.9
GTEX-1H1DE-1226-SM-9JGHH 20-29 years, male 39.9
GTEX-1HCUA-1626-SM-A9SMG 50-59 years, female 39.9
GTEX-PLZ5-1226-SM-EXOHA 50-59 years, male 39.8
GTEX-1JMLX-2426-SM-CXZJQ 50-59 years, male 39.5
GTEX-1399U-1626-SM-5P9J3 50-59 years, female 39.3
GTEX-1S831-1126-SM-EWROI 20-29 years, male 39.1
GTEX-1L5NE-1526-SM-DIPFW 50-59 years, male 38.8
GTEX-1K2DA-0826-SM-CGQGD 50-59 years, male 38.6
GTEX-V955-1326-SM-4JBHR 60-69 years, male 38.4
GTEX-17MF6-2126-SM-7KFS7 40-49 years, male 38.3
GTEX-1IL2V-2026-SM-ARZMA 70-79 years, male 38.3
GTEX-1H1DG-2126-SM-9WPPB 70-79 years, male 38.0
GTEX-13X6J-2126-SM-5TDCV 50-59 years, male 37.9
GTEX-17EUY-1526-SM-793CA 20-29 years, male 37.8
GTEX-R55G-1126-SM-48FDG 40-49 years, female 37.8
GTEX-13S7M-1826-SM-5RQK6 60-69 years, female 37.7
GTEX-16NGA-1526-SM-72D56 40-49 years, female 37.7
GTEX-1I1HK-2026-SM-CNNRB 60-69 years, male 37.7
GTEX-1LSNM-1026-SM-DHXL2 50-59 years, male 37.6
GTEX-15UF7-1226-SM-6M46G 40-49 years, male 37.5
GTEX-1I4MK-0926-SM-A9SLD 50-59 years, female 37.4
GTEX-1PPH8-1326-SM-DTXFO 20-29 years, male 37.4
GTEX-12696-1726-SM-5EQLH 60-69 years, male 37.3
GTEX-14E1K-1526-SM-664MN 50-59 years, male 37.1
GTEX-15EU6-2526-SM-7KUGB 50-59 years, male 36.9
GTEX-12WSG-2026-SM-5FQUU 50-59 years, female 36.8
GTEX-ZPIC-2026-SM-57WG3 40-49 years, female 36.8
GTEX-1RQEC-2126-SM-DPS15 60-69 years, male 36.8
GTEX-S4P3-0726-SM-4AD57 50-59 years, female 36.7
GTEX-1NSGN-1926-SM-E9J36 50-59 years, male 36.7
GTEX-1A3MX-1926-SM-72D7F 60-69 years, male 36.6
GTEX-1HSMQ-2426-SM-CE6RY 50-59 years, male 36.6
GTEX-13O61-1126-SM-5L3FI 60-69 years, male 36.5
GTEX-15G19-1526-SM-6LPKP 60-69 years, male 36.4
GTEX-P4PQ-1526-SM-3NMCK 60-69 years, male 36.1
GTEX-1H11D-2226-SM-9OSXN 40-49 years, male 36.1
GTEX-14PHY-0926-SM-5ZZWL 60-69 years, female 36.0
GTEX-R55C-1026-SM-48FCM 40-49 years, male 35.9
GTEX-ZYVF-2726-SM-5GID4 50-59 years, female 35.7
GTEX-1QP28-2126-SM-DTX8B 50-59 years, female 35.7
GTEX-RUSQ-1126-SM-EAZAU 50-59 years, male 35.6
GTEX-1J8EW-2226-SM-AHZ3T 60-69 years, female 35.5
GTEX-1N2DV-0926-SM-E9TJT 40-49 years, male 35.5
GTEX-11EQ9-1226-SM-5987E 30-39 years, male 35.4
GTEX-1CB4E-1326-SM-7DUGD 60-69 years, male 35.4
GTEX-1HCU8-1326-SM-C1YQQ 60-69 years, female 35.4
GTEX-14DAQ-2826-SM-664MU 60-69 years, female 35.2
GTEX-12C56-0526-SM-5FQST 20-29 years, male 35.1
GTEX-1EH9U-2226-SM-7PBXX 60-69 years, male 35.1
GTEX-1JN76-0926-SM-ARZNH 20-29 years, female 35.1
GTEX-13OVI-2426-SM-5KM4J 60-69 years, female 34.9
GTEX-YJ8A-1526-SM-5P9FT 20-29 years, male 34.9
GTEX-13RTK-0226-SM-5RQHR 20-29 years, male 34.7
GTEX-17HII-2426-SM-7KFTT 50-59 years, male 34.7
GTEX-PLZ6-0826-SM-3P61K 30-39 years, male 34.7
GTEX-UJHI-1026-SM-4IHJP 50-59 years, female 34.7
GTEX-1H3NZ-2226-SM-9WYUT 60-69 years, male 34.7
GTEX-1211K-1426-SM-5FQTF 60-69 years, female 34.6
GTEX-1GPI7-1326-SM-9KNVA 20-29 years, male 34.5
GTEX-1GN1W-2126-SM-9JGI7 50-59 years, female 34.3
GTEX-14PN3-1326-SM-6AJ9U 60-69 years, female 33.9
GTEX-1PIGE-1126-SM-EWRMV 20-29 years, male 33.9
GTEX-18D9B-2226-SM-718BM 60-69 years, male 33.8
GTEX-T5JC-1926-SM-4DM6Q 20-29 years, male 33.7
GTEX-1LVAN-2426-SM-CNNPZ 50-59 years, female 33.7
GTEX-146FH-2126-SM-5SI9U 50-59 years, female 33.6
GTEX-TKQ2-0926-SM-4DXU5 50-59 years, male 33.4
GTEX-ZTX8-0426-SM-59HLG 20-29 years, male 33.3
GTEX-1QP29-2326-SM-EXOJO 50-59 years, male 33.2
GTEX-131XE-2226-SM-5PNYX 50-59 years, male 33.1
GTEX-17JCI-2226-SM-7LTA1 60-69 years, female 32.9
GTEX-XAJ8-0326-SM-47JYI 40-49 years, male 32.8
GTEX-11P7K-1726-SM-5GU6F 30-39 years, male 32.4
GTEX-S7SF-0626-SM-4AD4V 20-29 years, female 32.4
GTEX-ZEX8-1626-SM-4WKG7 50-59 years, male 31.9
GTEX-WFJO-1126-SM-4LVLZ 30-39 years, male 31.8
GTEX-QDT8-2026-SM-EZ6LS 30-39 years, female 31.7
GTEX-11VI4-0326-SM-5EQ6L 40-49 years, female 31.6
GTEX-14BMV-2226-SM-5RQHX 50-59 years, male 31.6
GTEX-1IDJD-2426-SM-C1YS6 30-39 years, male 31.6
GTEX-17KNJ-1526-SM-7LTA9 50-59 years, male 31.2
GTEX-117YW-2226-SM-5N9DB 50-59 years, male 31.0
GTEX-139YR-1926-SM-5LZXM 50-59 years, male 31.0
GTEX-1S3DN-1526-SM-EVYCB 50-59 years, male 31.0
GTEX-WHWD-1426-SM-4OORU 50-59 years, male 30.9
GTEX-1H23P-2726-SM-9JGHN 60-69 years, male 30.9
GTEX-13N1W-2026-SM-5K7YU 70-79 years, male 30.8
GTEX-1GF9U-1126-SM-AHZ4H 40-49 years, female 30.7
GTEX-15SHW-2126-SM-6M46Y 60-69 years, male 30.5
GTEX-1B8L1-1526-SM-79OLK 60-69 years, male 30.4
GTEX-WZTO-2126-SM-4PQYW 40-49 years, male 30.4
GTEX-145MO-2226-SM-5Q5BN 60-69 years, male 30.3
GTEX-ZAB4-1526-SM-5CVN7 40-49 years, male 30.3
GTEX-1KD5A-1426-SM-D4P3V 50-59 years, male 30.3
GTEX-146FR-2026-SM-5NQAI 60-69 years, female 30.2
GTEX-1LVAM-1426-SM-E9TJ4 50-59 years, female 30.2
GTEX-Y3I4-1626-SM-4TT7W 50-59 years, male 29.9
GTEX-1C64O-2226-SM-73KTV 60-69 years, male 29.7
GTEX-1CB4H-2426-SM-7PBYR 60-69 years, female 29.6
GTEX-1J8JJ-1726-SM-C1YQG 60-69 years, female 29.6
GTEX-132AR-2426-SM-5IFFD 50-59 years, female 29.2
GTEX-1QP67-1026-SM-EVR47 40-49 years, female 29.1
GTEX-1QW4Y-0726-SM-DTX8E 30-39 years, male 29.1
GTEX-WYVS-1326-SM-4ONCQ 40-49 years, female 29.0
GTEX-1JMPY-0926-SM-ARL92 30-39 years, male 28.8
GTEX-13111-1226-SM-5GCNC 50-59 years, male 28.6
GTEX-1IDJF-1426-SM-ACKWK 20-29 years, male 28.6
GTEX-13O3Q-2126-SM-5KM4C 50-59 years, male 28.2
GTEX-11P82-0726-SM-5PNYL 20-29 years, male 27.8
GTEX-UPK5-2126-SM-4JBJK 40-49 years, male 27.6
GTEX-11EI6-2426-SM-5PNVS 60-69 years, male 27.2
GTEX-1HR9M-2326-SM-CNPPZ 60-69 years, male 26.8
GTEX-O5YV-1926-SM-EV797 60-69 years, female 25.8
GTEX-13QJ3-2726-SM-5SI6L 50-59 years, male 24.4
GTEX-ZVT3-2126-SM-59HL2 60-69 years, female 24.4
GTEX-1JMQJ-1326-SM-D4P3B 50-59 years, male 24.0
GTEX-1E1VI-2826-SM-7MGWU 50-59 years, male 23.6
GTEX-1HT8W-2326-SM-A9SLA 30-39 years, male 23.5
GTEX-1JN1M-2926-SM-CNNPJ 60-69 years, female 22.4
GTEX-139D8-2326-SM-5IFGE 30-39 years, female 22.3
GTEX-ZE7O-3026-SM-51MS4 50-59 years, female 21.2
Show allShow less

Contact

  • NEWS ARTICLES
  • PRESS ROOM

The Project

  • INTRODUCTION
  • ORGANIZATION
  • PUBLICATIONS

The Human Protein Atlas

  • DOWNLOADABLE DATA
  • LICENCE & CITATION
  • HELP & FAQ
The Human Protein Atlas project is funded
by the Knut & Alice Wallenberg Foundation.


contact@proteinatlas.org