We use cookies to enhance the usability of our website. If you continue, we'll assume that you are happy to receive all cookies. More information. Don't show this again.
TMEM128
HPA
RESOURCES
  • TISSUE
  • BRAIN
  • SINGLE CELL
  • SUBCELLULAR
  • CANCER
  • BLOOD
  • CELL LINE
  • STRUCTURE & INTERACTION
ABOUT
  • INTRODUCTION
  • HISTORY
  • ORGANIZATION
  • PUBLICATIONS
  • ANTIBODY SUBMISSION
  • ANTIBODY AVAILABILITY
  • ACKNOWLEDGMENTS
  • CONTACT
NEWS
  • NEWS ARTICLES
  • PRESS ROOM
LEARN
  • DICTIONARY
  • PROTEIN CLASSES
  • PROTEIN EVIDENCE
  • METHODS
  • EDUCATIONAL VIDEOS
DATA
  • DOWNLOADABLE DATA
  • PUBLICATION DATA
  • RELEASE HISTORY
HELP
  • ANTIBODY VALIDATION
  • ASSAYS & ANNOTATION
  • DISCLAIMER
  • HELP & FAQ
  • PRIVACY STATEMENT
  • LICENCE & CITATION
Fields »
Search result

Field
Term
Gene name
Class
Subclass
Class
Keyword
Chromosome
External id
Tissue
Cell type
Expression
Antibody panel
Tissue
Main location
Patient ID
Annotation
Tissue
Category
Tau score
Cluster
Reliability
Brain region
Category
Tau score
Brain region
Category
Tau score
Brain region
Category
Tau score
Cluster
Reliability
Tissue
Cell type
Enrichment
Cell type
Category
Tau score
Cell type
Category
Tau score
Cell type
Category
Tau score
Cell lineage
Category
Tau score
Cluster
Cluster
Location
Searches
Location
Cell line
Class
Type
Phase
Reliability
Cancer
Prognosis
Cancer
Category
Cancer
Category
Tau score
Cluster
Variants
Interacting gene (ensg_id)
Type
Number of interactions
Pathway
Category
Score
Score
Score
Validation
Validation
Validation
Validation
Antibodies
Data type
Column


  • SUMMARY

  • TISSUE

  • BRAIN

  • SINGLE CELL

  • SUBCELL

  • CANCER

  • BLOOD

  • CELL LINE

  • STRUCT & INT

  • TMEM128
TISSUE PRIMARY DATA STOMACH Show tissue menu
ADIPOSE TISSUE ADRENAL GLAND AMYGDALA APPENDIX BASAL GANGLIA BONE MARROW BREAST BRONCHUS CEREBELLUM CEREBRAL CORTEX CERVIX CHOROID PLEXUS COLON DUODENUM
ENDOMETRIUM EPIDIDYMIS ESOPHAGUS FALLOPIAN TUBE GALLBLADDER HEART MUSCLE HIPPOCAMPAL FORMATION HYPOTHALAMUS KIDNEY LIVER LUNG LYMPH NODE MIDBRAIN NASOPHARYNX
ORAL MUCOSA OVARY PANCREAS PARATHYROID GLAND PITUITARY GLAND PLACENTA PROSTATE RECTUM RETINA SALIVARY GLAND SEMINAL VESICLE SKELETAL MUSCLE SKIN SMALL INTESTINE
SMOOTH MUSCLE SOFT TISSUE SPINAL CORD SPLEEN STOMACH TESTIS THYMUS THYROID GLAND TONGUE TONSIL URINARY BLADDER VAGINA
ANTIBODIES
AND
VALIDATION
Dictionary
Tissue proteome
Stomach
STOMACH - Expression summary
Protein expression
Stomachi

On the top, protein expression in current human tissue, based on all annotated cell types, is reported with the units not detected (n), low (l), medium (m) and high (h). Underneath, protein expression in each annotated cell type are reported using the same units.

Protein expression data is based on knowledge-based annotation. For genes where more than one antibody has been used, a collective score is set.

If knowledge-based annotation could not be performed for a gene, no data is displayed here. View antibody staining data further down this page.

h
m
l
n
Glandular cells: Low
RNA expressioni

A summary of mRNA expression data available for current tissue based on several datasets. The mRNA expression levels in human tissues are based on RNA-seq data generated by the Human Protein Atlas (HPA), Genotype-Tissue Expression (GTEx) portal and CAGE data generated by the FANTOM5 consortium. Consensus normalized expression levels for human tissues was created by combining the data from HPA and GTEx datasets.

The mRNA expression levels in pig are based on RNA-seq data generated by the Human Protein Atlas (HPA), and for mouse, HPA data and in situ hybridization generated by the Allen brain atlas are reported.

Scroll down to view mRNA expression data in more detail.
Consensus:23.0 nTPM
HPA:23.0 nTPM
GTEx:18.1 nTPM

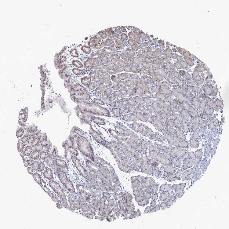
STOMACH 1 - Antibody stainingi

Antibody staining in the annotated cell types in the current human tissue is reported as not detected, low, medium, or high, based on conventional immunohistochemistry profiling in selected tissues. This score is based on the combination of the staining intensity and fraction of stained cells.

Each image is clickable and will lead to virtual microscopy that enables deeper exploration of all samples and also displays staining intensity scores, fraction scores and subcellular localization as well as patient and tissue information for each sample.

Antibody HPA044809
Glandular cells Not detected


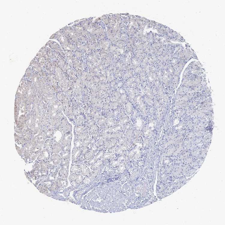
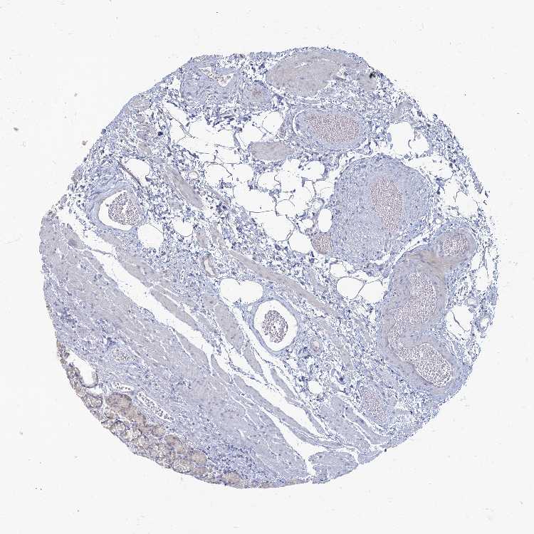
STOMACH 2 - Antibody stainingi

Antibody staining in the annotated cell types in the current human tissue is reported as not detected, low, medium, or high, based on conventional immunohistochemistry profiling in selected tissues. This score is based on the combination of the staining intensity and fraction of stained cells.

Each image is clickable and will lead to virtual microscopy that enables deeper exploration of all samples and also displays staining intensity scores, fraction scores and subcellular localization as well as patient and tissue information for each sample.

Antibody HPA044809
Glandular cells Low



STOMACH - HPA RNA-seqi

The RNA-seq details section shows detailed information about the individual samples used for the transcript profiling and results of the RNA-seq analysis.

Information about each individual sample is listed below, including gender, age, a tissue section image and estimated fractions of cell types. nTPM (normalized transcripts per million) values give a quantification of the gene abundance which is comparable between different genes and samples.
Average nTPMi

Max subtype nTPM is the value for the subtype with the largest average nTPM across the subtype samples.

23.0
overview
Female, age 33
Stomach sample 61
nTPM: 20.8
Cell types%
Glandular cells:
60

Smooth muscle cells:
5

Other cell types:
35

N/A
Male, age 82
Stomach sample 240
nTPM: 24.3
Cell types%
Glandular cells:
65

Smooth muscle cells:
5

Other cell types:
30

overview
Male, age 71
Stomach sample 241
nTPM: 19.9
Cell types%
Glandular cells:
50

Smooth muscle cells:
5

Other cell types:
45

overview
Female, age 66
Stomach sample 369
nTPM: 27
Cell types%
Glandular cells:
50

Smooth muscle cells:
10

Other cell types:
40


STOMACH - GTEx RNA-seqi

RNA-Seq data generated by the Genotype-Tissue Expression (GTEx) project from human tissues is reported as mean nTPM. More information can be found on the GTEx portal.

Distribution across the dataset is visualized with box plots, shown as median and 25th and 75th percentiles. Points are displayed as outliers if they are above or below 1.5 times the interquartile range. nTPM values of the individual samples are presented next to the box plot.
Max subtype nTPMi

Max subtype nTPM is the value for the subtype with the largest average nTPM across the subtype samples.

18.1
GTEx sample id Sample description nTPM
Stomach
Average nTPM: 18.1
Samples: 359

Max nTPM: 31.7
Min nTPM: 7.3
Std nTPM: 4.1
Median nTPM: 18.1
GTEX-1RB15-1026-SM-E9U6V 60-69 years, male 31.7
GTEX-XXEK-0826-SM-4BRWG 50-59 years, male 30.9
GTEX-ZE7O-3026-SM-51MS4 50-59 years, female 30.4
GTEX-ZDYS-1926-SM-5HL59 50-59 years, male 30.1
GTEX-14PJ4-1626-SM-664OB 60-69 years, male 29.1
GTEX-17HII-2426-SM-7KFTT 50-59 years, male 29.1
GTEX-18D9A-0626-SM-7KFTY 30-39 years, female 29.0
GTEX-1J8Q3-1926-SM-C1YSJ 60-69 years, male 29.0
GTEX-12696-1726-SM-5EQLH 60-69 years, male 27.1
GTEX-RWS6-0926-SM-47JXE 60-69 years, female 27.0
GTEX-1IDJD-2426-SM-C1YS6 30-39 years, male 26.4
GTEX-OHPK-1526-SM-3MJGM 50-59 years, female 26.0
GTEX-SUCS-0926-SM-4DM4Z 70-79 years, male 26.0
GTEX-WFON-1126-SM-4LVMA 40-49 years, male 25.7
GTEX-ZF29-1526-SM-4WKF7 60-69 years, female 25.6
GTEX-18QFQ-1226-SM-718AE 30-39 years, male 25.4
GTEX-T5JW-0926-SM-4DM5K 20-29 years, female 25.4
GTEX-ZAB4-1526-SM-5CVN7 40-49 years, male 25.4
GTEX-RM2N-0826-SM-48FD3 50-59 years, male 24.5
GTEX-1ICG6-1826-SM-AHZ2O 70-79 years, female 24.5
GTEX-ZLFU-1326-SM-DO11R 40-49 years, male 24.5
GTEX-ZZ64-0426-SM-5E43F 20-29 years, male 24.1
GTEX-WXYG-1626-SM-4ONCR 50-59 years, female 23.9
GTEX-ZP4G-1226-SM-4WWCJ 20-29 years, female 23.9
GTEX-1I1GT-1726-SM-C1YS3 60-69 years, female 23.9
GTEX-ZT9W-1526-SM-4YCDE 50-59 years, male 23.8
GTEX-PX3G-1526-SM-48U11 20-29 years, female 23.7
GTEX-XMK1-1526-SM-EYYVO 40-49 years, male 23.7
GTEX-WRHK-0626-SM-4MVOE 20-29 years, female 23.6
GTEX-1GZ4H-1026-SM-9OSXL 50-59 years, female 23.6
GTEX-1KXAM-0926-SM-CXZKA 60-69 years, male 23.6
GTEX-15RIF-1126-SM-7KUG2 20-29 years, male 23.4
GTEX-132QS-1826-SM-5IFFN 60-69 years, male 23.3
GTEX-S95S-0826-SM-4B64N 60-69 years, male 23.3
GTEX-Y8LW-0826-SM-4WWDO 50-59 years, female 23.3
GTEX-13O21-0926-SM-5IFGT 50-59 years, male 23.2
GTEX-S3XE-1026-SM-4AD4O 50-59 years, male 23.2
GTEX-ZPIC-2026-SM-57WG3 40-49 years, female 23.2
GTEX-ZV7C-1626-SM-5NQ7E 50-59 years, male 23.2
GTEX-14PKV-1826-SM-69LO9 20-29 years, female 23.1
GTEX-1F5PL-1426-SM-7MKFH 40-49 years, female 23.1
GTEX-QV31-0626-SM-447C5 30-39 years, male 23.1
GTEX-Y3IK-1426-SM-4YCES 50-59 years, female 23.0
GTEX-YFCO-0826-SM-5LUAG 40-49 years, male 23.0
GTEX-1JMQJ-1326-SM-D4P3B 50-59 years, male 22.9
GTEX-QV44-1226-SM-CJI1S 50-59 years, male 22.8
GTEX-1H1DG-2126-SM-9WPPB 70-79 years, male 22.7
GTEX-1J8QM-1126-SM-C1YQB 60-69 years, female 22.7
GTEX-12WSG-2026-SM-5FQUU 50-59 years, female 22.6
GTEX-14E6E-0926-SM-664N8 30-39 years, male 22.6
GTEX-QLQW-0726-SM-447AA 30-39 years, male 22.6
GTEX-T6MO-0726-SM-4DM58 40-49 years, female 22.4
GTEX-Y114-1226-SM-4TT88 50-59 years, female 22.3
GTEX-1399S-1626-SM-5P9GI 30-39 years, female 22.2
GTEX-1B97J-1826-SM-7IGPP 50-59 years, female 22.2
GTEX-145MN-1326-SM-5NQ9S 30-39 years, male 22.0
GTEX-QCQG-0526-SM-48U2A 50-59 years, female 22.0
GTEX-ZPU1-1626-SM-4WWB2 40-49 years, male 22.0
GTEX-OXRL-1526-SM-E6CHQ 50-59 years, male 22.0
GTEX-WHSB-1226-SM-4M1XR 50-59 years, male 21.9
GTEX-13FH7-1026-SM-5IJGF 50-59 years, female 21.8
GTEX-W5WG-1726-SM-4LMI5 50-59 years, female 21.8
GTEX-1GL5R-1926-SM-9WG7U 50-59 years, male 21.8
GTEX-S341-0626-SM-4AD5T 40-49 years, female 21.7
GTEX-1EH9U-2226-SM-7PBXX 60-69 years, male 21.7
GTEX-1JMPZ-1826-SM-CXZJT 30-39 years, male 21.7
GTEX-XBED-1226-SM-4AT5V 60-69 years, male 21.5
GTEX-1HFI7-1526-SM-9WG7W 50-59 years, female 21.5
GTEX-11I78-1726-SM-5A5M3 50-59 years, female 21.4
GTEX-16NGA-1526-SM-72D56 40-49 years, female 21.4
GTEX-ZF2S-1426-SM-57WET 50-59 years, female 21.4
GTEX-12WSK-1426-SM-5CVNN 40-49 years, female 21.3
GTEX-PWN1-1526-SM-48TDA 40-49 years, female 21.3
GTEX-VJYA-1026-SM-4KL21 60-69 years, male 21.3
GTEX-1JK1U-1326-SM-AHZ45 60-69 years, male 21.3
GTEX-PWCY-0926-SM-48TD7 20-29 years, female 21.2
GTEX-YEC4-1426-SM-5IFHS 40-49 years, male 21.2
GTEX-ZYFG-1326-SM-5GICJ 60-69 years, female 21.2
GTEX-1122O-1926-SM-5EGIQ 60-69 years, female 21.1
GTEX-UPK5-2126-SM-4JBJK 40-49 years, male 21.1
GTEX-1HKZK-1526-SM-B2LWG 40-49 years, male 21.1
GTEX-14BIL-1926-SM-73KYI 50-59 years, male 21.0
GTEX-16AAH-1226-SM-79OO9 50-59 years, male 20.9
GTEX-17F9E-2226-SM-7IGNC 50-59 years, male 20.9
GTEX-ZYVF-2726-SM-5GID4 50-59 years, female 20.9
GTEX-1QP2A-2126-SM-DPRZ7 50-59 years, male 20.9
GTEX-1HT8W-2326-SM-A9SLA 30-39 years, male 20.8
GTEX-12BJ1-1726-SM-5HL9B 60-69 years, male 20.7
GTEX-13D11-2126-SM-5IFH2 50-59 years, female 20.7
GTEX-X15G-1126-SM-4PQZG 50-59 years, female 20.7
GTEX-1CB4H-2426-SM-7PBYR 60-69 years, female 20.7
GTEX-OHPM-1526-SM-EV796 50-59 years, male 20.7
GTEX-14B4R-0726-SM-5TDDR 30-39 years, male 20.6
GTEX-Q2AI-0826-SM-48TZO 40-49 years, male 20.6
GTEX-1AMFI-1226-SM-731CZ 50-59 years, female 20.5
GTEX-WHPG-0426-SM-4M1XW 50-59 years, male 20.5
GTEX-OOBJ-1526-SM-3NB1Q 60-69 years, male 20.4
GTEX-Q2AH-1126-SM-48TZM 40-49 years, male 20.4
GTEX-S4Q7-0726-SM-4AD5F 20-29 years, male 20.4
GTEX-Y5V6-1326-SM-4VDTF 60-69 years, male 20.4
GTEX-U3ZN-2026-SM-4DXUC 30-39 years, female 20.3
GTEX-14PJ5-0826-SM-6AJAR 60-69 years, female 20.2
GTEX-1A3MV-1226-SM-718BW 30-39 years, male 20.2
GTEX-ZVT2-1626-SM-51MRC 50-59 years, female 20.2
GTEX-ZLWG-1526-SM-DO12F 50-59 years, female 20.2
GTEX-11EM3-1026-SM-5A5KL 20-29 years, female 20.1
GTEX-11NUK-2426-SM-5BC4U 50-59 years, male 20.0
GTEX-14PJ6-0826-SM-686Z9 60-69 years, female 20.0
GTEX-1C475-1026-SM-7MKFJ 40-49 years, female 20.0
GTEX-WFG8-1326-SM-4LVN3 20-29 years, male 20.0
GTEX-1KANA-1126-SM-D3L9M 20-29 years, male 20.0
GTEX-1LG7Z-1226-SM-DHXK4 30-39 years, male 20.0
GTEX-1LGOU-1526-SM-D3LAJ 20-29 years, female 19.9
GTEX-11TT1-0726-SM-5GU5A 20-29 years, male 19.8
GTEX-13FTX-0726-SM-5N9BI 20-29 years, female 19.8
GTEX-QDVJ-1426-SM-48U1Y 50-59 years, male 19.8
GTEX-QLQ7-0826-SM-447B3 60-69 years, male 19.8
GTEX-1QMI2-2126-SM-DPRXQ 60-69 years, male 19.8
GTEX-13CF3-1926-SM-5K7WF 60-69 years, female 19.7
GTEX-WEY5-1226-SM-4LMIQ 40-49 years, female 19.7
GTEX-1I6K7-1726-SM-B2LXQ 40-49 years, male 19.7
GTEX-1R9K5-1026-SM-EAZ4F 50-59 years, male 19.7
GTEX-13FTW-1726-SM-5KM2B 40-49 years, male 19.6
GTEX-13QBU-1126-SM-5LU44 40-49 years, female 19.6
GTEX-145LT-1426-SM-5O9B3 40-49 years, male 19.6
GTEX-1HBPN-1626-SM-9WPNP 50-59 years, male 19.6
GTEX-14BMV-2226-SM-5RQHX 50-59 years, male 19.5
GTEX-NFK9-1526-SM-3LK7B 40-49 years, male 19.5
GTEX-S4UY-1626-SM-4AD55 40-49 years, female 19.5
GTEX-1E1VI-2826-SM-7MGWU 50-59 years, male 19.5
GTEX-XUZC-0726-SM-4BOPH 30-39 years, female 19.4
GTEX-1H23P-2726-SM-9JGHN 60-69 years, male 19.4
GTEX-1I4MK-0926-SM-A9SLD 50-59 years, female 19.4
GTEX-13OW6-2526-SM-5IJEC 50-59 years, male 19.3
GTEX-17GQL-1226-SM-7KFTS 60-69 years, male 19.3
GTEX-117YX-1026-SM-5H11V 50-59 years, male 19.2
GTEX-1AX9J-2626-SM-731EK 60-69 years, male 19.2
GTEX-Y5LM-1326-SM-5RQIS 40-49 years, female 19.2
GTEX-ZA64-0826-SM-5HL9U 20-29 years, male 19.2
GTEX-111YS-1126-SM-5GZYQ 60-69 years, male 19.1
GTEX-13OVK-0926-SM-7KUFX 40-49 years, male 19.1
GTEX-15DZA-1126-SM-6LPK8 30-39 years, female 19.1
GTEX-UJMC-1226-SM-4IHLI 50-59 years, male 19.1
GTEX-ZGAY-1626-SM-DNZZ3 40-49 years, female 19.1
GTEX-1B8KZ-1226-SM-793CP 50-59 years, male 19.0
GTEX-XQ8I-2026-SM-4BOOL 50-59 years, male 19.0
GTEX-1QP29-2326-SM-EXOJO 50-59 years, male 19.0
GTEX-13QJ3-2726-SM-5SI6L 50-59 years, male 18.9
GTEX-17F98-1526-SM-7EWD8 40-49 years, female 18.9
GTEX-11DXX-1326-SM-5GIDZ 60-69 years, female 18.8
GTEX-131XF-1226-SM-5HL8V 60-69 years, male 18.8
GTEX-14BMU-1126-SM-5RQJ8 20-29 years, female 18.8
GTEX-15CHR-1326-SM-79OLT 50-59 years, male 18.8
GTEX-1CAMR-0726-SM-7EPIE 20-29 years, male 18.8
GTEX-11GSP-2126-SM-5HL5E 60-69 years, female 18.7
GTEX-14ICL-0826-SM-5YY9W 30-39 years, male 18.7
GTEX-17HGU-2126-SM-7IGOV 50-59 years, male 18.7
GTEX-1H3VY-2326-SM-9WG81 50-59 years, male 18.7
GTEX-1MUQO-1926-SM-EAZ59 60-69 years, male 18.7
GTEX-1RMOY-1126-SM-EV79E 50-59 years, male 18.7
GTEX-15G1A-1226-SM-7KUF3 30-39 years, male 18.6
GTEX-QDVN-1226-SM-48TZ5 50-59 years, male 18.6
GTEX-ZQUD-0826-SM-57WDQ 30-39 years, male 18.6
GTEX-13PVR-2126-SM-73KVR 60-69 years, female 18.5
GTEX-POMQ-0826-SM-3P61H 20-29 years, female 18.5
GTEX-V955-1326-SM-4JBHR 60-69 years, male 18.5
GTEX-12WSD-2326-SM-59HKQ 60-69 years, female 18.4
GTEX-ZXES-1426-SM-5NQ8S 30-39 years, female 18.4
GTEX-1B8KE-1326-SM-73KVI 50-59 years, male 18.3
GTEX-QMRM-1126-SM-447BN 50-59 years, male 18.3
GTEX-1S3DN-1526-SM-EVYCB 50-59 years, male 18.3
GTEX-14JG6-1226-SM-664O6 30-39 years, female 18.2
GTEX-14PJ3-1426-SM-664O8 50-59 years, male 18.2
GTEX-P4PQ-1526-SM-3NMCK 60-69 years, male 18.2
GTEX-XBEW-1826-SM-4RTWX 40-49 years, male 18.2
GTEX-111CU-0926-SM-5EGIK 50-59 years, male 18.1
GTEX-1399R-1126-SM-5IFIO 30-39 years, male 18.1
GTEX-17MF6-2126-SM-7KFS7 40-49 years, male 18.1
GTEX-1IDJF-1426-SM-ACKWK 20-29 years, male 18.1
GTEX-OIZF-1526-SM-2I5GR 60-69 years, male 18.1
GTEX-11NSD-1426-SM-5HL67 20-29 years, male 18.0
GTEX-15G19-1526-SM-6LPKP 60-69 years, male 18.0
GTEX-ZEX8-1626-SM-4WKG7 50-59 years, male 18.0
GTEX-13O3Q-2126-SM-5KM4C 50-59 years, male 17.9
GTEX-13X6H-1626-SM-5Q5CT 50-59 years, female 17.9
GTEX-15DCE-1626-SM-6LPJM 20-29 years, male 17.9
GTEX-P4PP-1526-SM-3P61M 30-39 years, female 17.9
GTEX-TMMY-1626-SM-4DXTY 40-49 years, female 17.9
GTEX-1I1HK-2026-SM-CNNRB 60-69 years, male 17.9
GTEX-OXRK-1626-SM-3NB17 50-59 years, female 17.8
GTEX-1H1E6-1626-SM-9OSWC 30-39 years, male 17.8
GTEX-1MJIX-1126-SM-EV7AO 40-49 years, male 17.8
GTEX-ZLV1-0826-SM-DO11P 60-69 years, female 17.8
GTEX-144GM-1726-SM-5O9AS 20-29 years, male 17.7
GTEX-14PHX-1026-SM-664OL 50-59 years, male 17.7
GTEX-1B8L1-1526-SM-79OLK 60-69 years, male 17.7
GTEX-T5JC-1926-SM-4DM6Q 20-29 years, male 17.7
GTEX-V1D1-1726-SM-4JBHB 50-59 years, male 17.7
GTEX-133LE-1326-SM-5IFGO 20-29 years, female 17.6
GTEX-SNMC-0626-SM-4DM6H 20-29 years, male 17.6
GTEX-U4B1-1026-SM-4DXT1 40-49 years, male 17.6
GTEX-145MO-2226-SM-5Q5BN 60-69 years, male 17.5
GTEX-WFG7-1326-SM-4LMK1 20-29 years, male 17.5
GTEX-1QCLY-1126-SM-EAZ4J 30-39 years, male 17.5
GTEX-144GN-1226-SM-5O991 50-59 years, male 17.3
GTEX-WY7C-1726-SM-4ONCC 50-59 years, male 17.3
GTEX-Y3I4-1626-SM-4TT7W 50-59 years, male 17.3
GTEX-1CB4E-1326-SM-7DUGD 60-69 years, male 17.2
GTEX-1F75I-1826-SM-7MKGX 40-49 years, male 17.2
GTEX-1IDJU-1526-SM-CNNR3 60-69 years, female 17.2
GTEX-1MGNQ-1826-SM-DPRYI 40-49 years, male 17.2
GTEX-11VI4-0326-SM-5EQ6L 40-49 years, female 17.1
GTEX-13111-1226-SM-5GCNC 50-59 years, male 17.1
GTEX-18A66-2226-SM-7189E 60-69 years, male 17.1
GTEX-ZVZP-1726-SM-5GZWY 50-59 years, male 17.1
GTEX-WH7G-1526-SM-4LVMX 40-49 years, male 17.0
GTEX-13U4I-2526-SM-5SI8Z 40-49 years, female 16.9
GTEX-WYJK-2526-SM-4ONDF 50-59 years, male 16.9
GTEX-WYVS-1326-SM-4ONCQ 40-49 years, female 16.9
GTEX-1GN1W-2126-SM-9JGI7 50-59 years, female 16.9
GTEX-14DAR-0926-SM-73KUQ 50-59 years, male 16.8
GTEX-O5YW-1526-SM-3MJGL 50-59 years, male 16.8
GTEX-ZYY3-1726-SM-5EGH3 60-69 years, female 16.8
GTEX-QDT8-2026-SM-EZ6LS 30-39 years, female 16.8
GTEX-P78B-1826-SM-3P5YX 40-49 years, female 16.7
GTEX-T8EM-1226-SM-4DM5J 40-49 years, male 16.7
GTEX-UJHI-1026-SM-4IHJP 50-59 years, female 16.6
GTEX-1B97I-1226-SM-7MGWQ 40-49 years, male 16.6
GTEX-1GF9U-1126-SM-AHZ4H 40-49 years, female 16.6
GTEX-1GMRU-2526-SM-9WG7T 50-59 years, male 16.6
GTEX-1QCLZ-1826-SM-DPRXP 60-69 years, female 16.6
GTEX-1QP67-1026-SM-EVR47 40-49 years, female 16.6
GTEX-1R7EU-1126-SM-EAZ4M 60-69 years, male 16.5
GTEX-1RAZR-1526-SM-EAZ4U 40-49 years, male 16.5
GTEX-ZZPU-1426-SM-5GZZ6 50-59 years, female 16.4
GTEX-1JKYN-1726-SM-AHZ48 30-39 years, male 16.4
GTEX-1QPFJ-1526-SM-DPRXT 30-39 years, female 16.4
GTEX-XPVG-1526-SM-4B66C 50-59 years, male 16.3
GTEX-13113-0726-SM-5LZUF 60-69 years, female 16.2
GTEX-1399U-1626-SM-5P9J3 50-59 years, female 16.1
GTEX-13OVI-2426-SM-5KM4J 60-69 years, female 16.1
GTEX-ZTX8-0426-SM-59HLG 20-29 years, male 16.1
GTEX-1J8JJ-1726-SM-C1YQG 60-69 years, female 16.1
GTEX-1LGRB-1726-SM-CNNRA 50-59 years, female 16.1
GTEX-14PN3-1326-SM-6AJ9U 60-69 years, female 16.0
GTEX-15EU6-2526-SM-7KUGB 50-59 years, male 16.0
GTEX-1H3NZ-2226-SM-9WYUT 60-69 years, male 16.0
GTEX-15UF7-1226-SM-6M46G 40-49 years, male 15.9
GTEX-XAJ8-0326-SM-47JYI 40-49 years, male 15.9
GTEX-ZVP2-1626-SM-5GU5D 50-59 years, male 15.9
GTEX-18A67-2626-SM-718AD 50-59 years, male 15.8
GTEX-1211K-1426-SM-5FQTF 60-69 years, female 15.7
GTEX-11P7K-1726-SM-5GU6F 30-39 years, male 15.6
GTEX-Y8E4-1526-SM-4WWDI 40-49 years, male 15.6
GTEX-1LBAC-1426-SM-CXZKT 20-29 years, male 15.6
GTEX-PLZ6-0826-SM-3P61K 30-39 years, male 15.5
GTEX-Q734-1026-SM-48U16 40-49 years, female 15.5
GTEX-RTLS-2626-SM-46MUJ 60-69 years, female 15.5
GTEX-ZVT3-2126-SM-59HL2 60-69 years, female 15.5
GTEX-ZY6K-0726-SM-5A5L8 50-59 years, male 15.5
GTEX-17HHE-1026-SM-79ON6 50-59 years, male 15.4
GTEX-18A7A-2726-SM-7LG6U 50-59 years, female 15.4
GTEX-O5YV-1926-SM-EV797 60-69 years, female 15.4
GTEX-PLZ5-1226-SM-EXOHA 50-59 years, male 15.4
GTEX-145ME-1026-SM-5O9B4 40-49 years, female 15.3
GTEX-15RIE-1026-SM-6LPJQ 60-69 years, male 15.3
GTEX-12C56-0526-SM-5FQST 20-29 years, male 15.2
GTEX-139YR-1926-SM-5LZXM 50-59 years, male 15.2
GTEX-13RTK-0226-SM-5RQHR 20-29 years, male 15.2
GTEX-Y9LG-1026-SM-5IFJN 30-39 years, male 15.2
GTEX-1K2DA-0826-SM-CGQGD 50-59 years, male 15.2
GTEX-1KD5A-1426-SM-D4P3V 50-59 years, male 15.2
GTEX-1S831-1126-SM-EWROI 20-29 years, male 15.2
GTEX-1A8G6-1426-SM-731EZ 60-69 years, male 15.1
GTEX-1AMEY-1226-SM-731DU 30-39 years, female 15.1
GTEX-1JN1M-2926-SM-CNNPJ 60-69 years, female 15.1
GTEX-13PVQ-2126-SM-5L3FW 50-59 years, male 15.0
GTEX-18D9B-2226-SM-718BM 60-69 years, male 14.9
GTEX-WHWD-1426-SM-4OORU 50-59 years, male 14.9
GTEX-1LVAN-2426-SM-CNNPZ 50-59 years, female 14.9
GTEX-1H11D-2226-SM-9OSXN 40-49 years, male 14.8
GTEX-1S82Z-1726-SM-E6CHZ 30-39 years, female 14.8
GTEX-11EI6-2426-SM-5PNVS 60-69 years, male 14.7
GTEX-11P82-0726-SM-5PNYL 20-29 years, male 14.7
GTEX-13X6J-2126-SM-5TDCV 50-59 years, male 14.7
GTEX-YB5E-1126-SM-664NU 40-49 years, male 14.6
GTEX-1C64O-2226-SM-73KTV 60-69 years, male 14.5
GTEX-WZTO-2126-SM-4PQYW 40-49 years, male 14.5
GTEX-1J8EW-2226-SM-AHZ3T 60-69 years, female 14.5
GTEX-14DAQ-2826-SM-664MU 60-69 years, female 14.4
GTEX-139D8-2326-SM-5IFGE 30-39 years, female 14.3
GTEX-15SHW-2126-SM-6M46Y 60-69 years, male 14.3
GTEX-1F5PK-1826-SM-7RHHX 50-59 years, male 14.3
GTEX-1A3MX-1926-SM-72D7F 60-69 years, male 14.2
GTEX-1LVAM-1426-SM-E9TJ4 50-59 years, female 14.2
GTEX-S4Z8-1226-SM-4AD6W 60-69 years, male 14.1
GTEX-1JN76-0926-SM-ARZNH 20-29 years, female 14.1
GTEX-14E1K-1526-SM-664MN 50-59 years, male 14.0
GTEX-WFJO-1126-SM-4LVLZ 30-39 years, male 14.0
GTEX-QXCU-1926-SM-48FE4 50-59 years, male 13.9
GTEX-1HBPI-0726-SM-9WG7Z 50-59 years, male 13.9
GTEX-1JMLX-2426-SM-CXZJQ 50-59 years, male 13.9
GTEX-146FR-2026-SM-5NQAI 60-69 years, female 13.8
GTEX-14PKU-1126-SM-69LOU 40-49 years, female 13.8
GTEX-1HR9M-2326-SM-CNPPZ 60-69 years, male 13.8
GTEX-1RQEC-2126-SM-DPS15 60-69 years, male 13.8
GTEX-1339X-1426-SM-5K7YO 40-49 years, male 13.7
GTEX-13O61-1126-SM-5L3FI 60-69 years, male 13.7
GTEX-PW2O-1226-SM-48TCH 20-29 years, male 13.7
GTEX-1MCYP-1126-SM-E9J2P 20-29 years, female 13.7
GTEX-117YW-2226-SM-5N9DB 50-59 years, male 13.6
GTEX-17JCI-2226-SM-7LTA1 60-69 years, female 13.6
GTEX-1E2YA-2426-SM-7EPIG 50-59 years, male 13.6
GTEX-1IL2V-2026-SM-ARZMA 70-79 years, male 13.6
GTEX-1QP28-2126-SM-DTX8B 50-59 years, female 13.6
GTEX-17EUY-1526-SM-793CA 20-29 years, male 13.5
GTEX-1AYCT-1326-SM-7MKHB 50-59 years, male 13.4
GTEX-1QW4Y-0726-SM-DTX8E 30-39 years, male 13.4
GTEX-1GPI7-1326-SM-9KNVA 20-29 years, male 13.3
GTEX-S7SF-0626-SM-4AD4V 20-29 years, female 13.2
GTEX-TKQ2-0926-SM-4DXU5 50-59 years, male 13.2
GTEX-YJ8A-1526-SM-5P9FT 20-29 years, male 13.2
GTEX-131XG-1226-SM-5EGH9 50-59 years, female 13.0
GTEX-SNOS-0826-SM-4DM5N 40-49 years, male 13.0
GTEX-14PHY-0926-SM-5ZZWL 60-69 years, female 12.9
GTEX-XV7Q-1326-SM-4BRWM 40-49 years, female 12.8
GTEX-R55D-1526-SM-48FEJ 50-59 years, male 12.7
GTEX-17KNJ-1526-SM-7LTA9 50-59 years, male 12.5
GTEX-R55G-1126-SM-48FDG 40-49 years, female 12.5
GTEX-1N2DV-0926-SM-E9TJT 40-49 years, male 12.5
GTEX-131XE-2226-SM-5PNYX 50-59 years, male 12.4
GTEX-YEC3-1426-SM-D4P1S 50-59 years, male 12.4
GTEX-11WQK-2626-SM-5EQ4K 50-59 years, male 12.3
GTEX-R55C-1026-SM-48FCM 40-49 years, male 12.3
GTEX-ZV6S-0926-SM-57WGB 40-49 years, female 12.1
GTEX-1H1DE-1226-SM-9JGHH 20-29 years, male 12.1
GTEX-1HSEH-1526-SM-B2LXG 60-69 years, male 11.7
GTEX-1HSMQ-2426-SM-CE6RY 50-59 years, male 11.7
GTEX-1L5NE-1526-SM-DIPFW 50-59 years, male 11.7
GTEX-S4P3-0726-SM-4AD57 50-59 years, female 11.5
GTEX-1LSNM-1026-SM-DHXL2 50-59 years, male 11.5
GTEX-146FH-2126-SM-5SI9U 50-59 years, female 11.4
GTEX-RU1J-0526-SM-46MUT 20-29 years, female 11.4
GTEX-TKQ1-0526-SM-4DXTG 30-39 years, male 11.4
GTEX-OIZH-1526-SM-3NB1J 50-59 years, male 11.3
GTEX-RUSQ-1126-SM-EAZAU 50-59 years, male 11.3
GTEX-1HCU8-1326-SM-C1YQQ 60-69 years, female 11.2
GTEX-11EQ9-1226-SM-5987E 30-39 years, male 11.1
GTEX-1PPH8-1326-SM-DTXFO 20-29 years, male 11.1
GTEX-13S7M-1826-SM-5RQK6 60-69 years, female 11.0
GTEX-1HCUA-1626-SM-A9SMG 50-59 years, female 11.0
GTEX-P4QT-1526-SM-3NMCT 50-59 years, female 10.9
GTEX-1NSGN-1926-SM-E9J36 50-59 years, male 10.9
GTEX-132AR-2426-SM-5IFFD 50-59 years, female 10.6
GTEX-13N1W-2026-SM-5K7YU 70-79 years, male 10.6
GTEX-1PIGE-1126-SM-EWRMV 20-29 years, male 10.5
GTEX-12WSJ-0926-SM-5P9JD 40-49 years, female 9.1
GTEX-R53T-1226-SM-48FCT 50-59 years, female 8.4
GTEX-1JMPY-0926-SM-ARL92 30-39 years, male 7.3
Show allShow less

Contact

  • NEWS ARTICLES
  • PRESS ROOM

The Project

  • INTRODUCTION
  • ORGANIZATION
  • PUBLICATIONS

The Human Protein Atlas

  • DOWNLOADABLE DATA
  • LICENCE & CITATION
  • HELP & FAQ
The Human Protein Atlas project is funded
by the Knut & Alice Wallenberg Foundation.


contact@proteinatlas.org