We use cookies to enhance the usability of our website. If you continue, we'll assume that you are happy to receive all cookies. More information. Don't show this again.
JCHAIN
HPA
RESOURCES
  • TISSUE
  • BRAIN
  • SINGLE CELL
  • SUBCELLULAR
  • CANCER
  • BLOOD
  • CELL LINE
  • STRUCTURE & INTERACTION
ABOUT
  • INTRODUCTION
  • HISTORY
  • ORGANIZATION
  • PUBLICATIONS
  • ANTIBODY SUBMISSION
  • ANTIBODY AVAILABILITY
  • ACKNOWLEDGMENTS
  • CONTACT
NEWS
  • NEWS ARTICLES
  • PRESS ROOM
LEARN
  • DICTIONARY
  • PROTEIN CLASSES
  • PROTEIN EVIDENCE
  • METHODS
  • EDUCATIONAL VIDEOS
DATA
  • DOWNLOADABLE DATA
  • PUBLICATION DATA
  • RELEASE HISTORY
HELP
  • ANTIBODY VALIDATION
  • ASSAYS & ANNOTATION
  • DISCLAIMER
  • HELP & FAQ
  • PRIVACY STATEMENT
  • LICENCE & CITATION
Fields »
Search result

Field
Term
Gene name
Class
Subclass
Class
Keyword
Chromosome
External id
Tissue
Cell type
Expression
Antibody panel
Tissue
Main location
Patient ID
Annotation
Tissue
Category
Tau score
Cluster
Reliability
Brain region
Category
Tau score
Brain region
Category
Tau score
Brain region
Category
Tau score
Cluster
Reliability
Tissue
Cell type
Enrichment
Cell type
Category
Tau score
Cell type
Category
Tau score
Cell type
Category
Tau score
Cell lineage
Category
Tau score
Cluster
Cluster
Location
Searches
Location
Cell line
Class
Type
Phase
Reliability
Cancer
Prognosis
Cancer
Category
Cancer
Category
Tau score
Cluster
Variants
Interacting gene (ensg_id)
Type
Number of interactions
Pathway
Category
Score
Score
Score
Validation
Validation
Validation
Validation
Antibodies
Data type
Column


  • SUMMARY

  • TISSUE

  • BRAIN

  • SINGLE CELL

  • SUBCELL

  • CANCER

  • BLOOD

  • CELL LINE

  • STRUCT & INT

  • JCHAIN
TISSUE PRIMARY DATA SPLEEN Show tissue menu
ADIPOSE TISSUE ADRENAL GLAND AMYGDALA APPENDIX BASAL GANGLIA BONE MARROW BREAST BRONCHUS CEREBELLUM CEREBRAL CORTEX CERVIX CHOROID PLEXUS COLON DUODENUM
ENDOMETRIUM EPIDIDYMIS ESOPHAGUS FALLOPIAN TUBE GALLBLADDER HEART MUSCLE HIPPOCAMPAL FORMATION HYPOTHALAMUS KIDNEY LIVER LUNG LYMPH NODE MIDBRAIN NASOPHARYNX
ORAL MUCOSA OVARY PANCREAS PARATHYROID GLAND PITUITARY GLAND PLACENTA PROSTATE RECTUM RETINA SALIVARY GLAND SEMINAL VESICLE SKELETAL MUSCLE SKIN SMALL INTESTINE
SMOOTH MUSCLE SOFT TISSUE SPINAL CORD SPLEEN STOMACH TESTIS THYMUS THYROID GLAND TONGUE TONSIL URINARY BLADDER VAGINA
ANTIBODIES
AND
VALIDATION
Dictionary
Spleen
Tissue proteome
Lymphoid tissue
SPLEEN - Expression summary
Protein expression
Spleeni

On the top, protein expression in current human tissue, based on all annotated cell types, is reported with the units not detected (n), low (l), medium (m) and high (h). Underneath, protein expression in each annotated cell type are reported using the same units.

Protein expression data is based on knowledge-based annotation. For genes where more than one antibody has been used, a collective score is set.

If knowledge-based annotation could not be performed for a gene, no data is displayed here. View antibody staining data further down this page.

h
m
l
n
Cells in red pulp: Medium
Cells in white pulp: Not detected
RNA expressioni

A summary of mRNA expression data available for current tissue based on several datasets. The mRNA expression levels in human tissues are based on RNA-seq data generated by the Human Protein Atlas (HPA), Genotype-Tissue Expression (GTEx) portal and CAGE data generated by the FANTOM5 consortium. Consensus normalized expression levels for human tissues was created by combining the data from HPA and GTEx datasets.

The mRNA expression levels in pig are based on RNA-seq data generated by the Human Protein Atlas (HPA), and for mouse, HPA data and in situ hybridization generated by the Allen brain atlas are reported.

Scroll down to view mRNA expression data in more detail.
Consensus:797.1 nTPM
HPA:797.1 nTPM
GTEx:342.0 nTPM
FANTOM5:1924.9 Scaled Tags Per Million

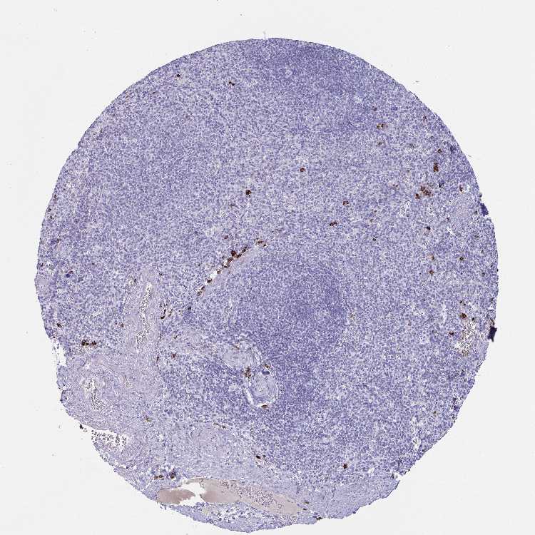
SPLEEN - Antibody stainingi

Antibody staining in the annotated cell types in the current human tissue is reported as not detected, low, medium, or high, based on conventional immunohistochemistry profiling in selected tissues. This score is based on the combination of the staining intensity and fraction of stained cells.

Each image is clickable and will lead to virtual microscopy that enables deeper exploration of all samples and also displays staining intensity scores, fraction scores and subcellular localization as well as patient and tissue information for each sample.

Antibody HPA044132Antibody CAB034436
Cells in red pulp MediumMedium
Cells in white pulp Not detectedNot detected





SPLEEN - HPA RNA-seqi

The RNA-seq details section shows detailed information about the individual samples used for the transcript profiling and results of the RNA-seq analysis.

Information about each individual sample is listed below, including gender, age, a tissue section image and estimated fractions of cell types. nTPM (normalized transcripts per million) values give a quantification of the gene abundance which is comparable between different genes and samples.
Average nTPMi

Max subtype nTPM is the value for the subtype with the largest average nTPM across the subtype samples.

797.1
overview
Female, age 60
Spleen sample 236
nTPM: 691.1
Cell types%
Lymphocytes:
40

Macrophages:
30

Endothelial cells:
15

Fibroblasts:
5

Other cell types:
10

overview
Male, age 17
Spleen sample 237
nTPM: 722.9
Cell types%
Lymphocytes:
40

Macrophages:
35

Endothelial cells:
15

Fibroblasts:
5

Other cell types:
5

overview
Male, age 20
Spleen sample 238
nTPM: 1293.6
Cell types%
Lymphocytes:
40

Macrophages:
30

Endothelial cells:
15

Fibroblasts:
5

Other cell types:
10

overview
Female, age 19
Spleen sample 239
nTPM: 230.3
Cell types%
Lymphocytes:
40

Macrophages:
30

Endothelial cells:
15

Fibroblasts:
10

Other cell types:
5

overview
Female, age 65
Spleen sample 378
nTPM: 1047.8
Cell types%
Lymphocytes:
35

Macrophages:
30

Endothelial cells:
20

Fibroblasts:
10

Other cell types:
5


SPLEEN - GTEx RNA-seqi

RNA-Seq data generated by the Genotype-Tissue Expression (GTEx) project from human tissues is reported as mean nTPM. More information can be found on the GTEx portal.

Distribution across the dataset is visualized with box plots, shown as median and 25th and 75th percentiles. Points are displayed as outliers if they are above or below 1.5 times the interquartile range. nTPM values of the individual samples are presented next to the box plot.
Max subtype nTPMi

Max subtype nTPM is the value for the subtype with the largest average nTPM across the subtype samples.

342.0
GTEx sample id Sample description nTPM
Spleen
Average nTPM: 342.0
Samples: 241

Max nTPM: 2390.4
Min nTPM: 0.7
Std nTPM: 389.4
Median nTPM: 218.7
GTEX-13U4I-1626-SM-5IFFR 40-49 years, female 2390.4
GTEX-Q734-0226-SM-48U1A 40-49 years, female 1987.3
GTEX-QV44-0126-SM-CJI1X 50-59 years, male 1700.2
GTEX-1JK1U-0126-SM-C1YQY 60-69 years, male 1640.9
GTEX-Y3IK-0126-SM-4WWE9 50-59 years, female 1620.7
GTEX-1IDJE-0126-SM-C1YQ6 50-59 years, female 1598.0
GTEX-1HCU7-1426-SM-CNNQK 50-59 years, male 1594.3
GTEX-13OVK-0426-SM-7KFT8 40-49 years, male 1579.1
GTEX-1RAZA-1026-SM-E6CQ9 20-29 years, male 1474.3
GTEX-PW2O-0126-SM-48TC8 20-29 years, male 1452.5
GTEX-1QP66-0126-SM-EAZ3N 50-59 years, male 1437.3
GTEX-12WSK-0126-SM-5GCO7 40-49 years, female 1436.0
GTEX-1A3MV-0126-SM-731FQ 30-39 years, male 1392.1
GTEX-139YR-0426-SM-5IFFV 50-59 years, male 1322.9
GTEX-14PJ6-0226-SM-6AJ9K 60-69 years, female 1092.0
GTEX-15SB6-0126-SM-6LPJR 50-59 years, female 1085.8
GTEX-1OFPY-0126-SM-EXOJ3 60-69 years, male 1084.6
GTEX-PX3G-0926-SM-48U12 20-29 years, female 1000.5
GTEX-ZF2S-0326-SM-4WKGD 50-59 years, female 940.0
GTEX-1IDJC-0126-SM-C1YQC 50-59 years, male 866.7
GTEX-1H3VY-1526-SM-9WG7S 50-59 years, male 860.8
GTEX-1QCLY-0126-SM-DPRZV 30-39 years, male 853.4
GTEX-15DZA-0126-SM-6PAMV 30-39 years, female 834.4
GTEX-1R9JW-0126-SM-EAZ4P 30-39 years, female 821.1
GTEX-18A66-1826-SM-7KFSU 60-69 years, male 814.9
GTEX-1399R-0226-SM-5IJGG 30-39 years, male 808.6
GTEX-1QP29-0126-SM-EAZ3S 50-59 years, male 752.1
GTEX-1LG7Z-0126-SM-EV79V 30-39 years, male 701.1
GTEX-1R7EV-0126-SM-EAZ3O 40-49 years, male 687.7
GTEX-P4QT-0926-SM-EZ6KQ 50-59 years, female 669.5
GTEX-17HHE-0326-SM-793BH 50-59 years, male 663.1
GTEX-1B8KZ-0226-SM-7EWF6 50-59 years, male 635.5
GTEX-P4PP-0926-SM-48TBZ 30-39 years, female 625.9
GTEX-169BO-0126-SM-79OLS 50-59 years, male 612.3
GTEX-U3ZH-0126-SM-4DXUK 30-39 years, male 606.7
GTEX-P4PQ-0926-SM-E9U4D 60-69 years, male 586.9
GTEX-11VI4-0126-SM-5GU6Z 40-49 years, female 546.5
GTEX-S4Z8-0226-SM-4AD5K 60-69 years, male 543.7
GTEX-1R9K5-1126-SM-EAZ4G 50-59 years, male 535.0
GTEX-1L5NE-0926-SM-D4P3P 50-59 years, male 532.4
GTEX-145MN-0126-SM-5RQHY 30-39 years, male 529.2
GTEX-15SDE-0126-SM-793BA 50-59 years, female 521.5
GTEX-Y114-0726-SM-4TT6U 50-59 years, female 519.0
GTEX-1QAET-2326-SM-EXOJ1 50-59 years, male 514.3
GTEX-15UF7-1926-SM-6LPJT 40-49 years, male 489.3
GTEX-ZAB5-0526-SM-5CVMU 50-59 years, male 489.1
GTEX-15CHC-0726-SM-6AJ9D 60-69 years, female 479.9
GTEX-1RAZQ-0126-SM-EV7B1 30-39 years, male 472.5
GTEX-117YX-2126-SM-5GIEL 50-59 years, male 470.4
GTEX-OIZF-0926-SM-7MKH7 60-69 years, male 469.9
GTEX-1C4CL-0626-SM-731DM 30-39 years, male 468.2
GTEX-UPK5-1626-SM-4JBHI 40-49 years, male 455.6
GTEX-12WSN-0126-SM-5DUX5 40-49 years, male 446.9
GTEX-1CB4F-0226-SM-7EPHS 60-69 years, male 444.2
GTEX-13PL7-1126-SM-5MR5O 60-69 years, female 433.7
GTEX-1LVAN-1026-SM-CNNQZ 50-59 years, female 430.0
GTEX-1MGNQ-1126-SM-EAZ4Y 40-49 years, male 423.3
GTEX-1F5PK-0726-SM-7MGXN 50-59 years, male 409.1
GTEX-1RNTQ-1026-SM-EV7B4 20-29 years, female 389.4
GTEX-1J8QM-0926-SM-C1YQ9 60-69 years, female 380.0
GTEX-ZLWG-0426-SM-4WWFA 50-59 years, female 378.9
GTEX-XV7Q-0126-SM-4BRVK 40-49 years, female 376.3
GTEX-1GF9U-0126-SM-AHZ4G 40-49 years, female 374.2
GTEX-18A67-1526-SM-7LG6F 50-59 years, male 369.6
GTEX-1PDJ9-0226-SM-DPRYX 20-29 years, male 364.2
GTEX-P78B-1226-SM-EZ6KP 40-49 years, female 358.7
GTEX-X4LF-0226-SM-4QAS8 50-59 years, male 356.4
GTEX-WYVS-0126-SM-4ONDH 40-49 years, female 354.9
GTEX-13VXT-1326-SM-5LU3Y 20-29 years, female 351.9
GTEX-1399S-0226-SM-5IFFG 30-39 years, female 342.2
GTEX-Y8LW-0126-SM-4VBS1 50-59 years, female 340.2
GTEX-OOBJ-0926-SM-48TDO 60-69 years, male 336.1
GTEX-ZEX8-0726-SM-4WKH8 50-59 years, male 333.8
GTEX-15ETS-3126-SM-6LPKN 40-49 years, female 332.5
GTEX-1MCC2-0826-SM-EV7AM 30-39 years, female 322.0
GTEX-XMK1-0126-SM-4B65F 40-49 years, male 320.7
GTEX-ZZPU-0126-SM-5E446 50-59 years, female 319.7
GTEX-1C475-1126-SM-7MGY7 40-49 years, female 318.2
GTEX-1LGRB-0126-SM-CNNR6 50-59 years, female 314.7
GTEX-1F5PL-2226-SM-7MKHE 40-49 years, female 307.4
GTEX-YFCO-0926-SM-5LUA5 40-49 years, male 302.2
GTEX-14E1K-0126-SM-664NL 50-59 years, male 298.4
GTEX-ZLFU-0526-SM-4WWBN 40-49 years, male 296.4
GTEX-1N2EF-1526-SM-EXOIY 60-69 years, male 296.1
GTEX-14PN3-0226-SM-6871K 60-69 years, female 294.1
GTEX-1RMOY-0726-SM-EV79D 50-59 years, male 292.3
GTEX-11P81-1326-SM-5GU5S 30-39 years, female 290.3
GTEX-1HSMQ-0126-SM-D4P2I 50-59 years, male 289.0
GTEX-11NSD-0426-SM-5N9CR 20-29 years, male 284.4
GTEX-15F5U-0126-SM-6LPKA 40-49 years, male 279.1
GTEX-ZPCL-0626-SM-DNZZ6 60-69 years, female 277.2
GTEX-1QCLZ-1026-SM-E6CR1 60-69 years, female 273.5
GTEX-Y3I4-0126-SM-4TT26 50-59 years, male 271.4
GTEX-1JKYN-0326-SM-AHZ4D 30-39 years, male 271.1
GTEX-1AMFI-0926-SM-731E4 50-59 years, female 270.5
GTEX-U3ZN-0126-SM-4DXUM 30-39 years, female 266.1
GTEX-14PJ5-0326-SM-664OD 60-69 years, female 265.5
GTEX-QCQG-0226-SM-48U28 50-59 years, female 264.5
GTEX-1B97J-1926-SM-7IGQB 50-59 years, female 262.3
GTEX-12WSG-0926-SM-5EGIH 50-59 years, female 261.6
GTEX-YB5E-0426-SM-5IFHR 40-49 years, male 260.7
GTEX-13FH7-1326-SM-5IFG8 50-59 years, female 256.9
GTEX-14JG6-0226-SM-6872A 30-39 years, female 256.5
GTEX-QDVN-0526-SM-48TZ4 50-59 years, male 255.6
GTEX-15RIG-0126-SM-6PAN4 40-49 years, male 254.1
GTEX-13CF3-0226-SM-5J1NW 60-69 years, female 246.0
GTEX-17F9E-1126-SM-79OMO 50-59 years, male 244.9
GTEX-XXEK-0126-SM-4BRVU 50-59 years, male 244.4
GTEX-1CB4E-0126-SM-7DHMX 60-69 years, male 240.3
GTEX-14DAR-0326-SM-5S2PS 50-59 years, male 237.0
GTEX-1CB4I-1426-SM-79OLZ 50-59 years, male 236.9
GTEX-14ICL-0126-SM-664NG 30-39 years, male 236.8
GTEX-1S831-0726-SM-EV79O 20-29 years, male 234.7
GTEX-146FR-1926-SM-5NQA6 60-69 years, female 233.2
GTEX-13111-0126-SM-5EGHO 50-59 years, male 232.5
GTEX-15RJ7-0126-SM-6LPJN 40-49 years, male 232.3
GTEX-131XE-1126-SM-5EGHW 50-59 years, male 229.4
GTEX-VJYA-0126-SM-4KL1P 60-69 years, male 224.2
GTEX-W5WG-0626-SM-4SOID 50-59 years, female 222.8
GTEX-144GN-2126-SM-5O99D 50-59 years, male 220.8
GTEX-1122O-0526-SM-5N9DM 60-69 years, female 218.7
GTEX-13X6H-0726-SM-5Q5BX 50-59 years, female 218.2
GTEX-17GQL-0126-SM-72D5Q 60-69 years, male 217.1
GTEX-1KAFJ-1026-SM-D4P2Z 50-59 years, male 213.6
GTEX-QMRM-0226-SM-CL55S 50-59 years, male 208.7
GTEX-WXYG-0126-SM-4OND7 50-59 years, female 207.4
GTEX-1QW4Y-0126-SM-DPRZQ 30-39 years, male 202.0
GTEX-R55G-0226-SM-48FEI 40-49 years, female 200.2
GTEX-1JKYR-1126-SM-CGQGJ 20-29 years, male 197.9
GTEX-11P7K-0426-SM-5BC5H 30-39 years, male 197.2
GTEX-Z9EW-0726-SM-5HL9H 40-49 years, male 192.8
GTEX-WFON-0126-SM-4LVM9 40-49 years, male 192.7
GTEX-1211K-0426-SM-5FQTP 60-69 years, female 191.7
GTEX-14E6E-1226-SM-5S2R5 30-39 years, male 189.5
GTEX-13N11-0126-SM-5KM2Z 50-59 years, female 187.8
GTEX-U4B1-0526-SM-4DXTK 40-49 years, male 187.4
GTEX-11LCK-0126-SM-5A5M5 30-39 years, male 186.0
GTEX-1AYD5-0226-SM-79ONV 50-59 years, male 183.3
GTEX-16XZY-0126-SM-7IGQ9 70-79 years, male 182.1
GTEX-POMQ-0126-SM-48TD6 20-29 years, female 181.5
GTEX-XQ8I-1726-SM-4BOQB 50-59 years, male 179.0
GTEX-WYJK-0726-SM-4ONC9 50-59 years, male 175.6
GTEX-1KD5A-1526-SM-D4P3W 50-59 years, male 170.9
GTEX-146FQ-0626-SM-5LU9U 30-39 years, male 169.3
GTEX-ZP4G-0326-SM-4YCEF 20-29 years, female 168.9
GTEX-XAJ8-0126-SM-47JYG 40-49 years, male 167.2
GTEX-S3XE-0626-SM-4AD6B 50-59 years, male 166.1
GTEX-1HCU9-0126-SM-9WG7M 20-29 years, male 163.7
GTEX-15SHV-0126-SM-6LPIS 60-69 years, male 163.0
GTEX-ZVP2-0526-SM-51MSC 50-59 years, male 162.8
GTEX-14BMU-0426-SM-73KYT 20-29 years, female 162.3
GTEX-WY7C-0126-SM-4ONCO 50-59 years, male 162.1
GTEX-1MUQO-1326-SM-EV7AE 60-69 years, male 161.2
GTEX-14PKU-0526-SM-6871A 40-49 years, female 159.0
GTEX-RUSQ-0126-SM-47JWV 50-59 years, male 157.8
GTEX-1JMQK-1126-SM-CXZJW 60-69 years, male 156.8
GTEX-1F75I-0226-SM-7MKHQ 40-49 years, male 156.3
GTEX-1GZ4H-0126-SM-9JGGI 50-59 years, female 152.1
GTEX-ZVZP-0726-SM-59HKA 50-59 years, male 150.8
GTEX-1KANA-1226-SM-DHXKE 20-29 years, male 149.1
GTEX-ZPU1-1026-SM-4YCEQ 40-49 years, male 147.3
GTEX-11XUK-0426-SM-5EQML 40-49 years, female 146.3
GTEX-ZF29-0626-SM-4WKHD 60-69 years, female 145.8
GTEX-1K2DA-0126-SM-CGQGV 50-59 years, male 145.6
GTEX-17F98-0126-SM-7MGW3 40-49 years, female 143.0
GTEX-OIZH-0926-SM-48TBR 50-59 years, male 142.5
GTEX-YEC4-0126-SM-4W21T 40-49 years, male 141.7
GTEX-1C64O-1626-SM-731EN 60-69 years, male 141.5
GTEX-ZDYS-1026-SM-4WKHC 50-59 years, male 139.6
GTEX-UJHI-0126-SM-4IHLP 50-59 years, female 138.9
GTEX-111CU-0426-SM-5GZY1 50-59 years, male 138.2
GTEX-132QS-0226-SM-5IFFZ 60-69 years, male 136.8
GTEX-1AX9K-0226-SM-793CM 50-59 years, male 136.8
GTEX-QLQW-0126-SM-447BK 30-39 years, male 130.4
GTEX-X585-1826-SM-4QAS3 50-59 years, male 130.3
GTEX-1JMPZ-0926-SM-CXZJR 30-39 years, male 129.4
GTEX-12BJ1-0726-SM-5EGGF 60-69 years, male 128.8
GTEX-WHWD-0126-SM-4OORS 50-59 years, male 125.7
GTEX-1R9PM-0126-SM-DPRY6 20-29 years, male 125.2
GTEX-14PJ4-0526-SM-6871G 60-69 years, male 121.2
GTEX-131XG-0426-SM-5IFGD 50-59 years, female 119.5
GTEX-14PK6-0526-SM-69LOF 70-79 years, female 119.5
GTEX-ZV6S-0826-SM-5NQ6Z 40-49 years, female 115.2
GTEX-XGQ4-0126-SM-4AT4H 50-59 years, male 114.2
GTEX-13S86-0126-SM-5S2PI 40-49 years, male 114.0
GTEX-X3Y1-0126-SM-4PQZA 40-49 years, male 112.9
GTEX-1MJK3-0126-SM-DPRYY 20-29 years, male 112.6
GTEX-11EQ9-0426-SM-5A5JY 30-39 years, male 105.5
GTEX-P4QS-0926-SM-48TBS 60-69 years, male 104.1
GTEX-QV31-0126-SM-447BP 30-39 years, male 103.6
GTEX-1MCYP-0226-SM-EV7A3 20-29 years, female 102.5
GTEX-T5JW-0126-SM-4DM6K 20-29 years, female 102.3
GTEX-1QP2A-2526-SM-EXOJB 50-59 years, male 97.4
GTEX-QDT8-1526-SM-EXOHP 30-39 years, female 91.0
GTEX-ZG7Y-2026-SM-DO91N 50-59 years, male 88.8
GTEX-147F3-0126-SM-5NQBJ 50-59 years, female 86.0
GTEX-R55C-0126-SM-48FEQ 40-49 years, male 80.4
GTEX-1R7EU-2026-SM-E9U63 60-69 years, male 73.9
GTEX-1K9T9-0626-SM-CXZKY 50-59 years, female 73.4
GTEX-1LSNM-0126-SM-EAZ57 50-59 years, male 70.7
GTEX-QESD-0126-SM-EXOHG 20-29 years, male 70.6
GTEX-Q2AH-0226-SM-48U1I 40-49 years, male 70.2
GTEX-NFK9-1426-SM-43ISG 40-49 years, male 69.7
GTEX-ZYFG-0726-SM-5GIDX 60-69 years, female 68.9
GTEX-17F96-1426-SM-7IGQA 70-79 years, male 68.1
GTEX-Y5V5-1126-SM-EVYAR 60-69 years, female 68.0
GTEX-13PVR-0326-SM-5RQJY 60-69 years, female 67.1
GTEX-PLZ6-0126-SM-48TC6 30-39 years, male 66.7
GTEX-YB5K-1926-SM-4VDT4 40-49 years, female 66.1
GTEX-139T6-0226-SM-5IFGZ 50-59 years, male 65.4
GTEX-1R9K4-1526-SM-DPRY5 60-69 years, male 65.1
GTEX-15CHQ-1226-SM-6ETZL 60-69 years, male 64.2
GTEX-ZDTT-1026-SM-5KM19 60-69 years, male 63.2
GTEX-ZPIC-0126-SM-DNZZ9 40-49 years, female 58.9
GTEX-1RAZR-1626-SM-EAZ4V 40-49 years, male 57.6
GTEX-O5YT-0926-SM-48TDG 20-29 years, male 54.3
GTEX-1JMLX-1426-SM-CNNPO 50-59 years, male 50.5
GTEX-1LNCM-0426-SM-DHXK6 50-59 years, female 50.0
GTEX-1QMI2-1526-SM-EXOJT 60-69 years, male 49.1
GTEX-Y5LM-0326-SM-4VBRN 40-49 years, female 44.5
GTEX-11DXX-0726-SM-5H12X 60-69 years, female 40.1
GTEX-1B97I-0126-SM-731DH 40-49 years, male 34.6
GTEX-1PWST-1626-SM-EXOIU 70-79 years, male 34.3
GTEX-12WSD-1726-SM-5GCN4 60-69 years, female 26.2
GTEX-12WSJ-0526-SM-5GCOZ 40-49 years, female 25.0
GTEX-17F97-1626-SM-72D6W 50-59 years, male 23.5
GTEX-1J8Q3-0126-SM-C1YSI 60-69 years, male 21.2
GTEX-1LSVX-1426-SM-DHXJO 60-69 years, male 20.2
GTEX-XPVG-0626-SM-4B65B 50-59 years, male 18.2
GTEX-1PIIG-1226-SM-EXOIQ 30-39 years, male 16.2
GTEX-1PPH7-0126-SM-E6CPB 40-49 years, male 13.8
GTEX-1FIGZ-0126-SM-7MKGZ 40-49 years, male 13.6
GTEX-1H3O1-1126-SM-9WPO9 60-69 years, male 11.7
GTEX-111FC-1326-SM-5N9D9 60-69 years, male 11.0
GTEX-15ER7-1526-SM-6LLHO 20-29 years, female 10.7
GTEX-ZTTD-1726-SM-57WEL 50-59 years, male 9.3
GTEX-15RIF-0526-SM-6LLI2 20-29 years, male 7.1
GTEX-15DYW-1426-SM-6LPIW 60-69 years, female 5.5
GTEX-16MT9-1726-SM-6M47P 60-69 years, female 5.2
GTEX-16MT8-1826-SM-7EWE8 60-69 years, female 2.1
GTEX-1C6VQ-2126-SM-7IGNL 50-59 years, male 0.7
Show allShow less

SPLEEN - FANTOM5 CAGEi

RNA expression in human tissues obtained through Cap Analysis of Gene Expression (CAGE) generated by the FANTOM5 project are reported as Scaled Tags Per Million.

Max subtype Scaled Tags Per Millioni

Max subtype Scaled Tags Per Million is the value for the subtype with the largest average Scaled Tags Per Million across the subtype samples.

1924.9
FANTOM5 sample id Sample description Scaled Tags Per Million
Spleen
Scaled Tags Per Million: 1924.9
FF:10025-101D7 39,50,70 years, male 1924.9

Contact

  • NEWS ARTICLES
  • PRESS ROOM

The Project

  • INTRODUCTION
  • ORGANIZATION
  • PUBLICATIONS

The Human Protein Atlas

  • DOWNLOADABLE DATA
  • LICENCE & CITATION
  • HELP & FAQ
The Human Protein Atlas project is funded
by the Knut & Alice Wallenberg Foundation.


contact@proteinatlas.org