We use cookies to enhance the usability of our website. If you continue, we'll assume that you are happy to receive all cookies. More information. Don't show this again.
PCNA
HPA
RESOURCES
  • TISSUE
  • BRAIN
  • SINGLE CELL
  • SUBCELLULAR
  • CANCER
  • BLOOD
  • CELL LINE
  • STRUCTURE & INTERACTION
ABOUT
  • INTRODUCTION
  • HISTORY
  • ORGANIZATION
  • PUBLICATIONS
  • ANTIBODY SUBMISSION
  • ANTIBODY AVAILABILITY
  • ACKNOWLEDGMENTS
  • CONTACT
NEWS
  • NEWS ARTICLES
  • PRESS ROOM
LEARN
  • DICTIONARY
  • PROTEIN CLASSES
  • PROTEIN EVIDENCE
  • METHODS
  • EDUCATIONAL VIDEOS
DATA
  • DOWNLOADABLE DATA
  • PUBLICATION DATA
  • RELEASE HISTORY
HELP
  • ANTIBODY VALIDATION
  • ASSAYS & ANNOTATION
  • DISCLAIMER
  • HELP & FAQ
  • PRIVACY STATEMENT
  • LICENCE & CITATION
Fields »
Search result

Field
Term
Gene name
Class
Subclass
Class
Keyword
Chromosome
External id
Tissue
Cell type
Expression
Antibody panel
Tissue
Main location
Patient ID
Annotation
Tissue
Category
Tau score
Cluster
Reliability
Brain region
Category
Tau score
Brain region
Category
Tau score
Brain region
Category
Tau score
Cluster
Reliability
Tissue
Cell type
Enrichment
Cell type
Category
Tau score
Cell type
Category
Tau score
Cell type
Category
Tau score
Cell lineage
Category
Tau score
Cluster
Cluster
Location
Searches
Location
Cell line
Class
Type
Phase
Reliability
Cancer
Prognosis
Cancer
Category
Cancer
Category
Tau score
Cluster
Variants
Interacting gene (ensg_id)
Type
Number of interactions
Pathway
Category
Score
Score
Score
Validation
Validation
Validation
Validation
Antibodies
Data type
Column


  • SUMMARY

  • TISSUE

  • BRAIN

  • SINGLE CELL

  • SUBCELL

  • CANCER

  • BLOOD

  • CELL LINE

  • STRUCT & INT

  • PCNA
TISSUE PRIMARY DATA LIVER Show tissue menu
ADIPOSE TISSUE ADRENAL GLAND AMYGDALA APPENDIX BASAL GANGLIA BONE MARROW BREAST BRONCHUS CEREBELLUM CEREBRAL CORTEX CERVIX CHOROID PLEXUS COLON DUODENUM
ENDOMETRIUM EPIDIDYMIS ESOPHAGUS FALLOPIAN TUBE GALLBLADDER HEART MUSCLE HIPPOCAMPAL FORMATION HYPOTHALAMUS KIDNEY LIVER LUNG LYMPH NODE MIDBRAIN NASOPHARYNX
ORAL MUCOSA OVARY PANCREAS PARATHYROID GLAND PITUITARY GLAND PLACENTA PROSTATE RECTUM RETINA SALIVARY GLAND SEMINAL VESICLE SKELETAL MUSCLE SKIN SMALL INTESTINE
SMOOTH MUSCLE SOFT TISSUE SPINAL CORD SPLEEN STOMACH TESTIS THYMUS THYROID GLAND TONGUE TONSIL URINARY BLADDER VAGINA
ANTIBODIES
AND
VALIDATION
Dictionary
Liver
Tissue proteome
Liver
LIVER - Expression summary
Protein expression
Liveri

On the top, protein expression in current human tissue, based on all annotated cell types, is reported with the units not detected (n), low (l), medium (m) and high (h). Underneath, protein expression in each annotated cell type are reported using the same units.

Protein expression data is based on knowledge-based annotation. For genes where more than one antibody has been used, a collective score is set.

If knowledge-based annotation could not be performed for a gene, no data is displayed here. View antibody staining data further down this page.

h
m
l
n
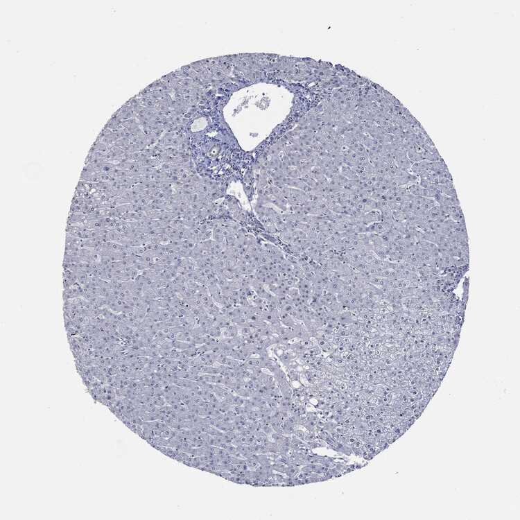
Cholangiocytes: Not detected
Hepatocytes: Not detected
RNA expressioni

A summary of mRNA expression data available for current tissue based on several datasets. The mRNA expression levels in human tissues are based on RNA-seq data generated by the Human Protein Atlas (HPA), Genotype-Tissue Expression (GTEx) portal and CAGE data generated by the FANTOM5 consortium. Consensus normalized expression levels for human tissues was created by combining the data from HPA and GTEx datasets.

The mRNA expression levels in pig are based on RNA-seq data generated by the Human Protein Atlas (HPA), and for mouse, HPA data and in situ hybridization generated by the Allen brain atlas are reported.

Scroll down to view mRNA expression data in more detail.
Consensus:53.6 nTPM
HPA:53.6 nTPM
GTEx:33.9 nTPM
FANTOM5:32.5 Scaled Tags Per Million

LIVER - Antibody stainingi

Antibody staining in the annotated cell types in the current human tissue is reported as not detected, low, medium, or high, based on conventional immunohistochemistry profiling in selected tissues. This score is based on the combination of the staining intensity and fraction of stained cells.

Each image is clickable and will lead to virtual microscopy that enables deeper exploration of all samples and also displays staining intensity scores, fraction scores and subcellular localization as well as patient and tissue information for each sample.

Antibody HPA030521Antibody HPA030522Antibody HPA030523Antibody CAB000148Antibody CAB080240Antibody CAB080241Antibody CAB080242
Cholangiocytes Not detectedNot detectedNot detectedNot detectedNot detectedLowNot detected
Hepatocytes Not detectedMediumNot detectedNot detectedNot detectedNot detectedNot detected















LIVER - HPA RNA-seqi

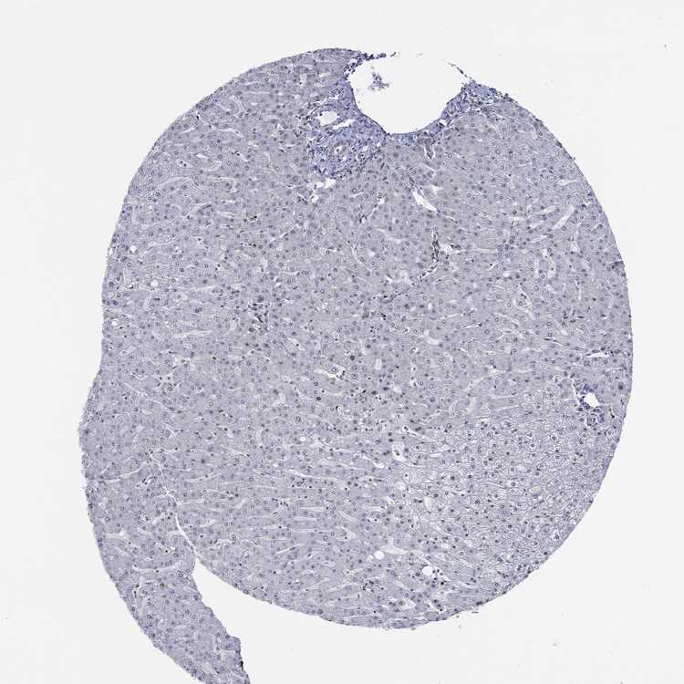
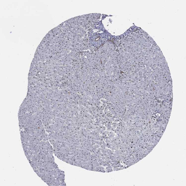
The RNA-seq details section shows detailed information about the individual samples used for the transcript profiling and results of the RNA-seq analysis.

Information about each individual sample is listed below, including gender, age, a tissue section image and estimated fractions of cell types. nTPM (normalized transcripts per million) values give a quantification of the gene abundance which is comparable between different genes and samples.
Average nTPMi

Max subtype nTPM is the value for the subtype with the largest average nTPM across the subtype samples.

53.6
N/A
Female, age 60
Liver sample 21
nTPM: 60.7
overview
Male, age 54
Liver sample 23
nTPM: 31
Cell types%
Hepatocytes:
80

Fibroblasts:
15

Other cell types:
5

overview
Male, age 74
Liver sample 24
nTPM: 76.2
Cell types%
Hepatocytes:
85

Fibroblasts:
5

Other cell types:
10

overview
Female, age 62
Liver sample 350
nTPM: 40
Cell types%
Hepatocytes:
70

Fibroblasts:
10

Other cell types:
20

overview
Male, age 78
Liver sample 351
nTPM: 62.5
Cell types%
Hepatocytes:
75

Fibroblasts:
5

Other cell types:
20

overview
Male, age 53
Liver sample 352
nTPM: 59.8
Cell types%
Hepatocytes:
80

Fibroblasts:
5

Other cell types:
15

overview
Male, age 77
Liver sample 353
nTPM: 55.1
Cell types%
Hepatocytes:
75

Fibroblasts:
5

Other cell types:
20

overview
Female, age 72
Liver sample 359
nTPM: 68.9
Cell types%
Hepatocytes:
50

Fibroblasts:
10

Other cell types:
40

overview
Male, age 70
Liver sample 367
nTPM: 42.6
Cell types%
Hepatocytes:
65

Fibroblasts:
10

Other cell types:
25

overview
Female, age 23
Liver sample 396
nTPM: 39.4
Cell types%
Hepatocytes:
70

Fibroblasts:
5

Other cell types:
25


LIVER - GTEx RNA-seqi

RNA-Seq data generated by the Genotype-Tissue Expression (GTEx) project from human tissues is reported as mean nTPM. More information can be found on the GTEx portal.

Distribution across the dataset is visualized with box plots, shown as median and 25th and 75th percentiles. Points are displayed as outliers if they are above or below 1.5 times the interquartile range. nTPM values of the individual samples are presented next to the box plot.
Max subtype nTPMi

Max subtype nTPM is the value for the subtype with the largest average nTPM across the subtype samples.

33.9
GTEx sample id Sample description nTPM
Liver
Average nTPM: 33.9
Samples: 226

Max nTPM: 141.4
Min nTPM: 13.7
Std nTPM: 17.2
Median nTPM: 30.6
GTEX-Y5LM-0426-SM-4VBRO 40-49 years, female 141.4
GTEX-13N11-0926-SM-5IJG2 50-59 years, female 137.6
GTEX-OIZF-0826-SM-3MJGO 60-69 years, male 120.2
GTEX-YB5E-0326-SM-5IFHU 40-49 years, male 119.3
GTEX-WY7C-0726-SM-4ONCB 50-59 years, male 88.5
GTEX-O5YT-0826-SM-3TW8N 20-29 years, male 88.3
GTEX-1LGRB-0626-SM-CNNQH 50-59 years, female 81.9
GTEX-13FTW-1126-SM-5J2NV 40-49 years, male 80.2
GTEX-1EH9U-1126-SM-7IGLU 60-69 years, male 65.0
GTEX-1QPFJ-1126-SM-E9U5V 30-39 years, female 64.6
GTEX-1H11D-0826-SM-9OSWB 40-49 years, male 62.2
GTEX-148VI-0626-SM-5TDDH 60-69 years, female 59.6
GTEX-12KS4-1326-SM-5LUB3 30-39 years, male 57.4
GTEX-1CB4F-1726-SM-7MGXH 60-69 years, male 55.3
GTEX-ZZPU-0426-SM-5GZYH 50-59 years, female 53.5
GTEX-P78B-1326-SM-3P611 40-49 years, female 52.7
GTEX-1B996-1426-SM-7EPIA 60-69 years, male 52.5
GTEX-ZEX8-0826-SM-4WKHK 50-59 years, male 50.6
GTEX-145MF-0826-SM-5QGQA 50-59 years, male 50.2
GTEX-1R9JW-0826-SM-DPRZJ 30-39 years, female 49.5
GTEX-11EQ9-0526-SM-5A5JZ 30-39 years, male 47.9
GTEX-11TT1-1726-SM-5EQLJ 20-29 years, male 47.5
GTEX-17HHE-0126-SM-79398 50-59 years, male 47.2
GTEX-U8XE-1526-SM-4E3HT 30-39 years, male 47.1
GTEX-12WSG-0626-SM-5FQTQ 50-59 years, female 46.2
GTEX-147F4-1426-SM-5LUA8 50-59 years, male 45.1
GTEX-1NV8Z-1626-SM-DPRYT 60-69 years, male 45.0
GTEX-ZVP2-0626-SM-51MSO 50-59 years, male 44.9
GTEX-1CB4J-0726-SM-7IGN8 60-69 years, male 44.5
GTEX-ZF29-2026-SM-DNZYW 60-69 years, female 44.1
GTEX-131XH-0626-SM-5LZWH 50-59 years, male 40.5
GTEX-14753-1626-SM-5NQ9L 60-69 years, male 40.5
GTEX-ZF2S-3026-SM-4WWCH 50-59 years, female 40.1
GTEX-WK11-1326-SM-4OOSI 50-59 years, male 40.0
GTEX-13FLV-0326-SM-5N9DJ 50-59 years, male 39.9
GTEX-1F75A-1626-SM-9JGGT 50-59 years, male 39.9
GTEX-1QP6S-1326-SM-DPRZ8 40-49 years, male 39.6
GTEX-13OW6-2626-SM-5IFF2 50-59 years, male 39.4
GTEX-12WSI-0226-SM-5GCNA 50-59 years, male 39.3
GTEX-17HII-1026-SM-7IGLY 50-59 years, male 39.3
GTEX-13FTZ-0726-SM-5IFFY 60-69 years, male 39.2
GTEX-13NYB-1026-SM-5IFH3 40-49 years, male 39.1
GTEX-1AX8Z-1026-SM-7189R 60-69 years, male 39.0
GTEX-12WSD-1426-SM-5GCN9 60-69 years, female 38.8
GTEX-17F96-1226-SM-79OK2 70-79 years, male 38.7
GTEX-PX3G-0826-SM-48TZS 20-29 years, female 38.6
GTEX-1GZ4I-1526-SM-9OSW9 50-59 years, male 38.4
GTEX-QEG4-1826-SM-CKZN9 30-39 years, male 38.4
GTEX-1BAJH-1526-SM-7RHGI 70-79 years, male 38.1
GTEX-1C6VQ-1626-SM-79OO1 50-59 years, male 37.9
GTEX-1GN73-1126-SM-9OSW5 60-69 years, male 37.6
GTEX-S32W-1926-SM-4AD63 50-59 years, female 37.1
GTEX-13PVQ-1526-SM-5IFEQ 50-59 years, male 36.8
GTEX-14AS3-0126-SM-5Q5F4 40-49 years, female 36.6
GTEX-12WSM-0726-SM-5GCOW 60-69 years, male 36.3
GTEX-13NZ9-1326-SM-5MR3V 50-59 years, male 36.3
GTEX-1497J-0726-SM-5Q5D1 60-69 years, male 35.9
GTEX-RM2N-1926-SM-48FCU 50-59 years, male 35.9
GTEX-1399R-1226-SM-5P9GF 30-39 years, male 35.8
GTEX-1ICG6-1026-SM-B2LY6 70-79 years, female 35.8
GTEX-18A6Q-2026-SM-718AQ 60-69 years, male 35.7
GTEX-1GF9X-0426-SM-7MKHN 40-49 years, female 35.7
GTEX-1HBPI-1026-SM-AHZ4N 50-59 years, male 35.7
GTEX-1GN2E-0926-SM-9WPOH 60-69 years, male 35.4
GTEX-TKQ2-1726-SM-4DXUP 50-59 years, male 35.3
GTEX-X261-1726-SM-4PQYT 50-59 years, male 35.2
GTEX-Y111-0726-SM-EYYVM 50-59 years, male 35.1
GTEX-11DXZ-0126-SM-5EGGY 50-59 years, male 34.9
GTEX-T6MN-1226-SM-3NMA5 50-59 years, male 34.9
GTEX-13X6J-1826-SM-5TDCT 50-59 years, male 34.7
GTEX-WYVS-1926-SM-4PQZ2 40-49 years, female 34.6
GTEX-13112-1426-SM-5EGH8 50-59 years, male 34.5
GTEX-WFON-1726-SM-4LVMQ 40-49 years, male 34.5
GTEX-1AMFI-0826-SM-731DV 50-59 years, female 34.4
GTEX-1RQEC-1126-SM-EAZ5E 60-69 years, male 34.3
GTEX-13SLX-1226-SM-5S2Q6 50-59 years, female 34.1
GTEX-1KD4Q-1526-SM-D4P3L 40-49 years, male 34.1
GTEX-1212Z-0226-SM-59HLF 60-69 years, male 34.0
GTEX-147JS-1126-SM-5RQIW 60-69 years, male 34.0
GTEX-11DXY-0526-SM-5EGGQ 60-69 years, male 33.9
GTEX-1JJEA-1526-SM-CNNPK 60-69 years, male 33.9
GTEX-12696-0826-SM-5EGGE 60-69 years, male 33.6
GTEX-13VXU-0926-SM-5IFFH 50-59 years, male 33.6
GTEX-14C38-1526-SM-5RQJ7 50-59 years, male 33.6
GTEX-17MF6-1126-SM-7DUFS 40-49 years, male 33.5
GTEX-RTLS-1326-SM-46MUN 60-69 years, female 33.5
GTEX-1399T-0826-SM-5IFES 60-69 years, male 33.4
GTEX-132AR-0426-SM-5IFH8 50-59 years, female 33.2
GTEX-OOBJ-0826-SM-3NB2K 60-69 years, male 33.1
GTEX-QEL4-1226-SM-447A4 50-59 years, male 33.0
GTEX-1EKGG-1226-SM-7IGNO 60-69 years, male 32.9
GTEX-R53T-0326-SM-48FEC 50-59 years, female 32.9
GTEX-15SHU-1826-SM-7KUKS 40-49 years, female 32.8
GTEX-1QP66-0226-SM-DPRXS 50-59 years, male 32.6
GTEX-139TU-0826-SM-5IJFG 60-69 years, male 32.4
GTEX-1JJ6O-0826-SM-CXZJL 60-69 years, male 32.1
GTEX-15RJ7-2026-SM-6LPJ4 40-49 years, male 31.7
GTEX-S4Z8-0526-SM-4AD4T 60-69 years, male 31.7
GTEX-1S82Y-1026-SM-EV7BJ 40-49 years, male 31.7
GTEX-U3ZN-0226-SM-3DB8D 30-39 years, female 31.6
GTEX-Z9EW-0426-SM-5CVM9 40-49 years, male 31.6
GTEX-145MO-2326-SM-5NQ9K 60-69 years, male 31.5
GTEX-1CAMQ-1426-SM-7MKFL 40-49 years, male 31.4
GTEX-RU72-1426-SM-46MUF 50-59 years, female 31.4
GTEX-1PIIG-1326-SM-EXOIR 30-39 years, male 31.4
GTEX-1QCLZ-1226-SM-EAZ49 60-69 years, female 31.4
GTEX-14BIL-1326-SM-79OMR 50-59 years, male 30.8
GTEX-1B933-1226-SM-731DW 50-59 years, female 30.8
GTEX-SJXC-1226-SM-4DM78 60-69 years, male 30.8
GTEX-1EN7A-2026-SM-7MGY4 40-49 years, male 30.8
GTEX-XXEK-1126-SM-4BRUX 50-59 years, male 30.7
GTEX-15SZO-1226-SM-6LPIP 50-59 years, male 30.6
GTEX-RN64-1826-SM-48FDV 50-59 years, male 30.6
GTEX-QV44-0326-SM-C1YQX 50-59 years, male 30.6
GTEX-QDVN-0826-SM-48TZ2 50-59 years, male 30.3
GTEX-13PVR-0126-SM-5S2PY 60-69 years, female 30.0
GTEX-ZAB5-0426-SM-5CVMI 50-59 years, male 30.0
GTEX-1GF9W-0826-SM-7MKHI 60-69 years, male 29.9
GTEX-11ZVC-0726-SM-5FQT9 50-59 years, female 29.8
GTEX-12WSL-0226-SM-5CVMJ 50-59 years, male 29.8
GTEX-14PHX-0526-SM-664NW 50-59 years, male 29.7
GTEX-1IKJJ-1526-SM-C1YSC 60-69 years, male 29.7
GTEX-14JG1-1626-SM-664NH 40-49 years, male 29.6
GTEX-YECK-1926-SM-4W21H 60-69 years, male 29.5
GTEX-146FH-1526-SM-5NQBU 50-59 years, female 29.3
GTEX-ZYT6-0626-SM-5E45V 30-39 years, male 29.2
GTEX-1S5VW-1826-SM-EAZ53 60-69 years, male 29.1
GTEX-14XAO-0226-SM-68728 60-69 years, female 29.0
GTEX-1EWIQ-0726-SM-7MKFW 70-79 years, female 28.9
GTEX-1KWVE-0326-SM-EV7AF 30-39 years, male 28.9
GTEX-14E7W-1526-SM-6871X 70-79 years, male 28.7
GTEX-P44G-1126-SM-3NM9D 30-39 years, male 28.6
GTEX-131YS-1626-SM-5HL6C 60-69 years, female 28.3
GTEX-18A66-2026-SM-7189C 60-69 years, male 28.2
GTEX-17EVP-1026-SM-7IGOZ 40-49 years, male 28.1
GTEX-WZTO-0626-SM-4PQYY 40-49 years, male 28.1
GTEX-WVLH-2126-SM-EYYWD 50-59 years, male 28.1
GTEX-15ER7-1826-SM-6LLI7 20-29 years, female 27.8
GTEX-RWSA-1426-SM-47JXA 40-49 years, male 27.8
GTEX-1HCVE-1526-SM-B2LWW 50-59 years, male 27.8
GTEX-15DYW-1326-SM-6LPIV 60-69 years, female 27.7
GTEX-ZVT3-1626-SM-5GU66 60-69 years, female 27.7
GTEX-1J8EW-1626-SM-C1YQ8 60-69 years, female 27.4
GTEX-139YR-0226-SM-5IFEM 50-59 years, male 27.2
GTEX-1A32A-0826-SM-72D5C 50-59 years, female 27.0
GTEX-Q734-0326-SM-48U15 40-49 years, female 27.0
GTEX-14E1K-0326-SM-5S2PE 50-59 years, male 26.9
GTEX-11WQC-0726-SM-5EQMR 60-69 years, male 26.8
GTEX-14DAQ-1726-SM-5S2R2 60-69 years, female 26.8
GTEX-UPK5-1426-SM-4JBHH 40-49 years, male 26.8
GTEX-1A8G7-1126-SM-731ED 60-69 years, male 26.7
GTEX-X3Y1-2726-SM-4PQZH 40-49 years, male 26.7
GTEX-1MJIX-0726-SM-DPRYP 40-49 years, male 26.7
GTEX-11NV4-1326-SM-5HL6V 60-69 years, male 26.5
GTEX-18D9B-1526-SM-7KFRK 60-69 years, male 26.5
GTEX-1I1GR-1526-SM-CNNQE 60-69 years, male 26.5
GTEX-132NY-0926-SM-5P9G3 60-69 years, male 26.4
GTEX-1KD5A-1226-SM-CXZK7 50-59 years, male 26.3
GTEX-X4XY-1626-SM-46MVN 60-69 years, male 26.1
GTEX-1JMLX-1326-SM-CXZJO 50-59 years, male 26.1
GTEX-18465-1626-SM-7LG6N 50-59 years, male 26.0
GTEX-QESD-2026-SM-447BI 20-29 years, male 26.0
GTEX-X4EO-1126-SM-4QARQ 60-69 years, female 25.6
GTEX-1AX9I-1626-SM-72D5D 60-69 years, male 25.5
GTEX-YEC4-0826-SM-5P9FV 40-49 years, male 25.4
GTEX-11ZUS-2526-SM-59872 30-39 years, male 25.2
GTEX-1PBJJ-0626-SM-DPRYO 30-39 years, male 25.1
GTEX-14A5I-1726-SM-5QGQ5 50-59 years, female 24.9
GTEX-13N2G-0926-SM-5IFGJ 60-69 years, male 24.8
GTEX-WQUQ-1926-SM-4OOSA 60-69 years, male 24.8
GTEX-1A8FM-1226-SM-7IGMD 50-59 years, female 24.7
GTEX-11GSP-0626-SM-5986T 60-69 years, female 24.6
GTEX-13QJC-0726-SM-5RQJK 60-69 years, female 24.5
GTEX-Y5V5-0926-SM-4VBPZ 60-69 years, female 24.5
GTEX-ZYY3-0626-SM-5NQ6W 60-69 years, female 24.5
GTEX-144GM-1326-SM-5LU5E 20-29 years, male 24.4
GTEX-REY6-1226-SM-48FDR 60-69 years, male 24.4
GTEX-1B8L1-0726-SM-7P8RT 60-69 years, male 24.3
GTEX-18A7A-1526-SM-72D69 50-59 years, female 24.2
GTEX-1GN1U-0926-SM-9WPPY 50-59 years, female 24.2
GTEX-144GL-1426-SM-79OMA 50-59 years, male 24.0
GTEX-1B8SG-1326-SM-79ONT 50-59 years, male 23.8
GTEX-Q2AG-1126-SM-48U1P 40-49 years, female 23.7
GTEX-13O1R-2026-SM-5KM3N 60-69 years, male 23.4
GTEX-ZTPG-1426-SM-51MT3 20-29 years, female 23.3
GTEX-139TS-1426-SM-5IFJD 60-69 years, male 23.1
GTEX-1B932-1426-SM-793AN 40-49 years, female 23.1
GTEX-1E2YA-1226-SM-7MGY3 50-59 years, male 23.1
GTEX-1GF9V-1226-SM-7MKGY 60-69 years, male 23.0
GTEX-1LH75-0926-SM-EAZ5C 50-59 years, female 22.9
GTEX-14PJO-1726-SM-68719 60-69 years, male 22.8
GTEX-1HT8W-0826-SM-C1YRJ 30-39 years, male 22.8
GTEX-11OF3-0726-SM-5BC4Z 60-69 years, male 22.7
GTEX-VUSG-0126-SM-4KL1X 50-59 years, male 22.7
GTEX-12ZZZ-1326-SM-59HKW 60-69 years, male 22.6
GTEX-17HGU-1826-SM-7IGQM 50-59 years, male 22.5
GTEX-13113-1326-SM-5GCOI 60-69 years, female 22.4
GTEX-1IKK5-0326-SM-C1YPY 60-69 years, male 22.2
GTEX-11ZTS-1426-SM-5EQMM 60-69 years, female 22.1
GTEX-ZPU1-0826-SM-57WG2 40-49 years, male 22.0
GTEX-1269C-0626-SM-5FQSS 60-69 years, female 21.9
GTEX-131XE-0326-SM-5LZVO 50-59 years, male 21.7
GTEX-145LU-1326-SM-5LU9N 50-59 years, male 21.7
GTEX-RNOR-1426-SM-48FDJ 50-59 years, female 21.7
GTEX-1HBPH-2626-SM-A96TV 40-49 years, female 21.6
GTEX-1KANB-2226-SM-DHXJW 50-59 years, male 21.6
GTEX-UTHO-2426-SM-4JBHD 60-69 years, male 21.3
GTEX-1I1HK-1126-SM-AHZ2L 60-69 years, male 21.3
GTEX-1HB9E-0626-SM-AHZ4K 50-59 years, male 20.7
GTEX-S33H-1626-SM-4AD68 30-39 years, male 20.6
GTEX-YFC4-1526-SM-5IFJS 40-49 years, female 20.5
GTEX-1HCU7-1726-SM-B2LX9 50-59 years, male 20.4
GTEX-1K9T9-0726-SM-CXZJZ 50-59 years, female 20.0
GTEX-147GR-1326-SM-7IGLB 60-69 years, male 19.9
GTEX-13O3O-1826-SM-5IFGW 60-69 years, female 18.9
GTEX-1ICLY-1526-SM-C1YS4 50-59 years, male 18.9
GTEX-11TUW-1726-SM-5BC5C 60-69 years, male 18.7
GTEX-ZVT4-0626-SM-5E45T 50-59 years, female 18.4
GTEX-15RJE-1126-SM-6LPI5 40-49 years, male 18.1
GTEX-X4EP-1026-SM-4QAS5 60-69 years, female 17.3
GTEX-11NUK-1226-SM-5P9GM 50-59 years, male 17.1
GTEX-O5YV-0726-SM-EV798 60-69 years, female 17.0
GTEX-13NZB-0626-SM-5IFH6 30-39 years, male 16.1
GTEX-XBEC-1526-SM-4AT68 50-59 years, male 16.1
GTEX-1KAFJ-0726-SM-CXZKF 50-59 years, male 15.3
GTEX-ZAB4-0826-SM-5LU9D 40-49 years, male 13.7
Show allShow less

LIVER - FANTOM5 CAGEi

RNA expression in human tissues obtained through Cap Analysis of Gene Expression (CAGE) generated by the FANTOM5 project are reported as Scaled Tags Per Million.

Max subtype Scaled Tags Per Millioni

Max subtype Scaled Tags Per Million is the value for the subtype with the largest average Scaled Tags Per Million across the subtype samples.

32.5
FANTOM5 sample id Sample description Scaled Tags Per Million
Liver
Scaled Tags Per Million: 32.5
FF:10018-101C9 64,69,70 years, mixed 32.5

Contact

  • NEWS ARTICLES
  • PRESS ROOM

The Project

  • INTRODUCTION
  • ORGANIZATION
  • PUBLICATIONS

The Human Protein Atlas

  • DOWNLOADABLE DATA
  • LICENCE & CITATION
  • HELP & FAQ
The Human Protein Atlas project is funded
by the Knut & Alice Wallenberg Foundation.


contact@proteinatlas.org