We use cookies to enhance the usability of our website. If you continue, we'll assume that you are happy to receive all cookies. More information. Don't show this again.
BHMT2
HPA
RESOURCES
  • TISSUE
  • BRAIN
  • SINGLE CELL
  • SUBCELLULAR
  • CANCER
  • BLOOD
  • CELL LINE
  • STRUCTURE & INTERACTION
ABOUT
  • INTRODUCTION
  • HISTORY
  • ORGANIZATION
  • PUBLICATIONS
  • ANTIBODY SUBMISSION
  • ANTIBODY AVAILABILITY
  • ACKNOWLEDGMENTS
  • CONTACT
NEWS
  • NEWS ARTICLES
  • PRESS ROOM
LEARN
  • DICTIONARY
  • PROTEIN CLASSES
  • PROTEIN EVIDENCE
  • METHODS
  • EDUCATIONAL VIDEOS
DATA
  • DOWNLOADABLE DATA
  • PUBLICATION DATA
  • RELEASE HISTORY
HELP
  • ANTIBODY VALIDATION
  • ASSAYS & ANNOTATION
  • DISCLAIMER
  • HELP & FAQ
  • PRIVACY STATEMENT
  • LICENCE & CITATION
Fields »
Search result

Field
Term
Gene name
Class
Subclass
Class
Keyword
Chromosome
External id
Tissue
Cell type
Expression
Antibody panel
Tissue
Main location
Patient ID
Annotation
Tissue
Category
Tau score
Cluster
Reliability
Brain region
Category
Tau score
Brain region
Category
Tau score
Brain region
Category
Tau score
Cluster
Reliability
Tissue
Cell type
Enrichment
Cell type
Category
Tau score
Cell type
Category
Tau score
Cell type
Category
Tau score
Cell lineage
Category
Tau score
Cluster
Cluster
Location
Searches
Location
Cell line
Class
Type
Phase
Reliability
Cancer
Prognosis
Cancer
Category
Cancer
Category
Tau score
Cluster
Variants
Interacting gene (ensg_id)
Type
Number of interactions
Pathway
Category
Score
Score
Score
Validation
Validation
Validation
Validation
Antibodies
Data type
Column


  • SUMMARY

  • TISSUE

  • BRAIN

  • SINGLE CELL

  • SUBCELL

  • CANCER

  • BLOOD

  • CELL LINE

  • STRUCT & INT

  • BHMT2
TISSUE PRIMARY DATA HEART MUSCLE Show tissue menu
ADIPOSE TISSUE ADRENAL GLAND AMYGDALA APPENDIX BASAL GANGLIA BONE MARROW BREAST BRONCHUS CEREBELLUM CEREBRAL CORTEX CERVIX CHOROID PLEXUS COLON DUODENUM
ENDOMETRIUM EPIDIDYMIS ESOPHAGUS FALLOPIAN TUBE GALLBLADDER HEART MUSCLE HIPPOCAMPAL FORMATION HYPOTHALAMUS KIDNEY LIVER LUNG LYMPH NODE MIDBRAIN NASOPHARYNX
ORAL MUCOSA OVARY PANCREAS PARATHYROID GLAND PITUITARY GLAND PLACENTA PROSTATE RECTUM RETINA SALIVARY GLAND SEMINAL VESICLE SKELETAL MUSCLE SKIN SMALL INTESTINE
SMOOTH MUSCLE SOFT TISSUE SPINAL CORD SPLEEN STOMACH TESTIS THYMUS THYROID GLAND TONGUE TONSIL URINARY BLADDER VAGINA
ANTIBODIES
AND
VALIDATION
Dictionary
Heart muscle
Tissue proteome
Heart
HEART MUSCLE - Expression summary
Protein expression
Heart musclei

On the top, protein expression in current human tissue, based on all annotated cell types, is reported with the units not detected (n), low (l), medium (m) and high (h). Underneath, protein expression in each annotated cell type are reported using the same units.

Protein expression data is based on knowledge-based annotation. For genes where more than one antibody has been used, a collective score is set.

If knowledge-based annotation could not be performed for a gene, no data is displayed here. View antibody staining data further down this page.

h
m
l
n
Cardiomyocytes: Not detected
RNA expressioni

A summary of mRNA expression data available for current tissue based on several datasets. The mRNA expression levels in human tissues are based on RNA-seq data generated by the Human Protein Atlas (HPA), Genotype-Tissue Expression (GTEx) portal and CAGE data generated by the FANTOM5 consortium. Consensus normalized expression levels for human tissues was created by combining the data from HPA and GTEx datasets.

The mRNA expression levels in pig are based on RNA-seq data generated by the Human Protein Atlas (HPA), and for mouse, HPA data and in situ hybridization generated by the Allen brain atlas are reported.

Scroll down to view mRNA expression data in more detail.
Consensus:13.1 nTPM
HPA:6.0 nTPM
GTEx:13.1 nTPM
FANTOM5:19.1 Scaled Tags Per Million

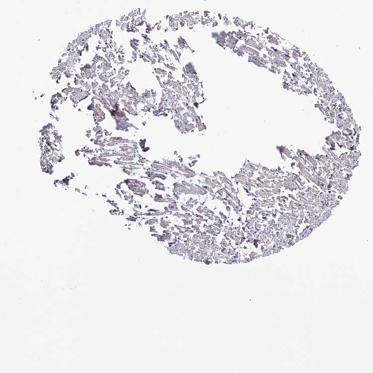
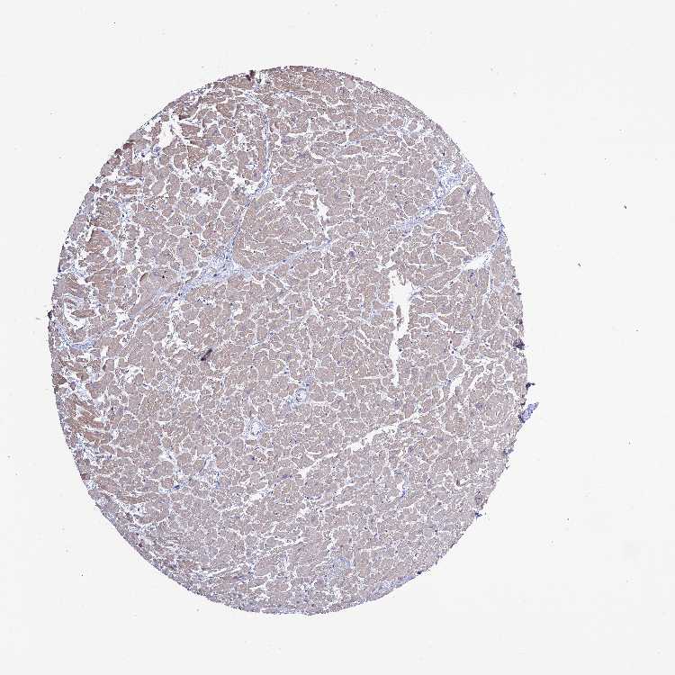
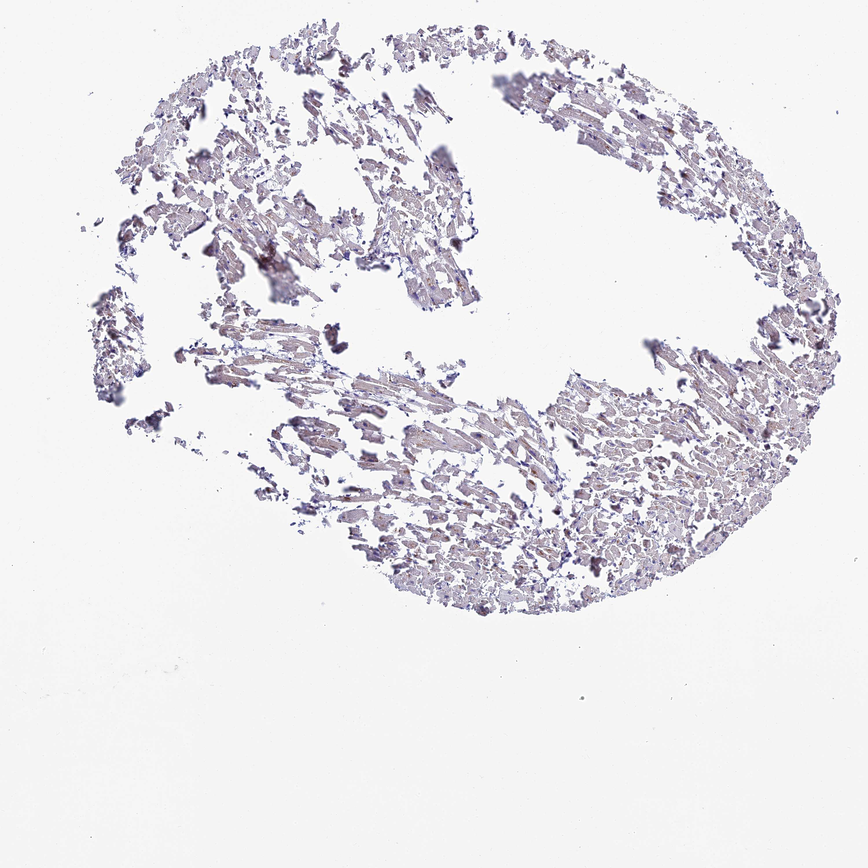
HEART MUSCLE - Antibody stainingi

Antibody staining in the annotated cell types in the current human tissue is reported as not detected, low, medium, or high, based on conventional immunohistochemistry profiling in selected tissues. This score is based on the combination of the staining intensity and fraction of stained cells.

Each image is clickable and will lead to virtual microscopy that enables deeper exploration of all samples and also displays staining intensity scores, fraction scores and subcellular localization as well as patient and tissue information for each sample.

Antibody HPA044573
Cardiomyocytes Low



HEART MUSCLE - HPA RNA-seqi

The RNA-seq details section shows detailed information about the individual samples used for the transcript profiling and results of the RNA-seq analysis.

Information about each individual sample is listed below, including gender, age, a tissue section image and estimated fractions of cell types. nTPM (normalized transcripts per million) values give a quantification of the gene abundance which is comparable between different genes and samples.
Average nTPMi

Max subtype nTPM is the value for the subtype with the largest average nTPM across the subtype samples.

6.0
overview
Female, age 48
Heart muscle sample 149
nTPM: 4.9
Cell types%
Myocytes:
15

Fibroblasts:
55

Endothelial cells:
25

Other cell types:
5

overview
Female, age 42
Heart muscle sample 150
nTPM: 3.8
Cell types%
Myocytes:
20

Fibroblasts:
45

Endothelial cells:
30

Other cell types:
5

overview
Male, age 53
Heart muscle sample 151
nTPM: 8.1
Cell types%
Myocytes:
20

Fibroblasts:
45

Endothelial cells:
30

Other cell types:
5

overview
Female, age 69
Heart muscle sample 152
nTPM: 7.2
Cell types%
Myocytes:
20

Fibroblasts:
45

Endothelial cells:
30

Other cell types:
5


HEART MUSCLE - GTEx RNA-seqi

RNA-Seq data generated by the Genotype-Tissue Expression (GTEx) project from human tissues is reported as mean nTPM. More information can be found on the GTEx portal.

Distribution across the dataset is visualized with box plots, shown as median and 25th and 75th percentiles. Points are displayed as outliers if they are above or below 1.5 times the interquartile range. nTPM values of the individual samples are presented next to the box plot.
Max subtype nTPMi

Max subtype nTPM is the value for the subtype with the largest average nTPM across the subtype samples.

13.1
GTEx sample id Sample description nTPM
Heart - Atrial Appendage
Average nTPM: 13.1
Samples: 429

Max nTPM: 31.2
Min nTPM: 2.9
Std nTPM: 4.9
Median nTPM: 12.7
GTEX-1AYCT-0526-SM-7RHHS 50-59 years, male 31.2
GTEX-1B8SF-1326-SM-7IGQJ 60-69 years, male 29.6
GTEX-1B8KE-0326-SM-73KTY 50-59 years, male 26.8
GTEX-ZF29-0426-SM-4WKFN 60-69 years, female 26.8
GTEX-VUSG-0726-SM-3GIK1 50-59 years, male 26.4
GTEX-1QCLZ-1126-SM-EWRNB 60-69 years, female 26.4
GTEX-13NZB-0426-SM-5KM26 30-39 years, male 25.0
GTEX-1GMR3-0426-SM-7PC17 40-49 years, male 24.9
GTEX-ZYT6-0926-SM-5GIEM 30-39 years, male 24.8
GTEX-16XZZ-1026-SM-7DHKS 60-69 years, male 24.7
GTEX-WY7C-1126-SM-3NB3A 50-59 years, male 24.7
GTEX-YEC3-0426-SM-CYPS8 50-59 years, male 24.6
GTEX-117YX-0626-SM-5EGJI 50-59 years, male 24.5
GTEX-11DXX-0526-SM-5PNVR 60-69 years, female 24.1
GTEX-X4EP-0326-SM-3P5Z6 60-69 years, female 23.9
GTEX-1B97J-0326-SM-7939H 50-59 years, female 23.8
GTEX-13O61-0426-SM-5L3ET 60-69 years, male 23.5
GTEX-1BAJH-1026-SM-7EWEG 70-79 years, male 23.1
GTEX-17F96-0826-SM-7DHLU 70-79 years, male 23.0
GTEX-17EVP-0526-SM-7EPGY 40-49 years, male 22.1
GTEX-1CB4G-0726-SM-79OOJ 60-69 years, male 22.1
GTEX-WEY5-0226-SM-3GIKN 40-49 years, female 22.1
GTEX-ZAB5-0126-SM-5CVMT 50-59 years, male 22.1
GTEX-1QPFJ-0926-SM-EVR3K 30-39 years, female 22.1
GTEX-YEC4-0226-SM-4W1YG 40-49 years, male 21.7
GTEX-18A67-1026-SM-731CE 50-59 years, male 21.6
GTEX-1GMR2-1326-SM-9KNUT 50-59 years, male 21.6
GTEX-16YQH-0726-SM-7IGM1 30-39 years, male 21.4
GTEX-1M5QR-1626-SM-E9U5O 40-49 years, male 21.1
GTEX-1J8QM-0326-SM-CL53D 60-69 years, female 21.0
GTEX-1GZ4I-0826-SM-9WG6O 50-59 years, male 20.8
GTEX-XQ8I-0226-SM-4BOPM 50-59 years, male 20.4
GTEX-1J8Q3-1126-SM-ARU8N 60-69 years, male 20.4
GTEX-1399S-0826-SM-5KM23 30-39 years, female 20.3
GTEX-1JJEA-0926-SM-CYPSO 60-69 years, male 20.3
GTEX-ZVT2-0926-SM-5GICE 50-59 years, female 20.1
GTEX-12WSC-1026-SM-5EQ5Y 50-59 years, male 19.9
GTEX-13OVG-0426-SM-5KM2T 60-69 years, male 19.9
GTEX-11DYG-1026-SM-5A5JQ 60-69 years, male 19.8
GTEX-11EQ8-1326-SM-5EGJQ 60-69 years, male 19.7
GTEX-13O21-0326-SM-5J1N9 50-59 years, male 19.7
GTEX-14E1K-0826-SM-5ZZW9 50-59 years, male 19.7
GTEX-Y114-0126-SM-4TT8K 50-59 years, female 19.7
GTEX-17GQL-0626-SM-731CN 60-69 years, male 19.6
GTEX-WH7G-0326-SM-3NMBH 40-49 years, male 19.6
GTEX-1HBPH-0226-SM-9WYSM 40-49 years, female 19.6
GTEX-1LG7Y-1426-SM-D4P31 50-59 years, male 19.4
GTEX-1OFPY-0926-SM-DTX8Q 60-69 years, male 19.4
GTEX-1RB15-0426-SM-E9U4Y 60-69 years, male 19.4
GTEX-12ZZX-0726-SM-5EGKA 40-49 years, female 19.3
GTEX-14PJ6-0626-SM-686Z6 60-69 years, female 19.3
GTEX-YB5K-0226-SM-5IFJE 40-49 years, female 19.3
GTEX-ZT9W-0526-SM-57WFG 50-59 years, male 19.3
GTEX-1QEPI-1126-SM-E8VN7 60-69 years, female 19.3
GTEX-1LGOU-0326-SM-D3LAM 20-29 years, female 19.1
GTEX-WL46-0726-SM-3LK5Z 50-59 years, male 18.9
GTEX-ZEX8-0326-SM-DO92C 50-59 years, male 18.9
GTEX-1445S-1226-SM-5O9BF 60-69 years, male 18.8
GTEX-15EU6-1326-SM-6PANG 50-59 years, male 18.8
GTEX-XBEC-1226-SM-4AT65 50-59 years, male 18.8
GTEX-132AR-1926-SM-5EGK5 50-59 years, female 18.7
GTEX-13OW6-0926-SM-5L3GM 50-59 years, male 18.6
GTEX-1P4AB-0926-SM-E76PV 50-59 years, male 18.6
GTEX-11LCK-0826-SM-5PNYD 30-39 years, male 18.5
GTEX-1R7EV-0426-SM-DTX7Z 40-49 years, male 18.5
GTEX-15ER7-0826-SM-6PALW 20-29 years, female 18.2
GTEX-XV7Q-0726-SM-4BRV6 40-49 years, female 18.2
GTEX-111YS-0326-SM-5GZZ3 60-69 years, male 18.1
GTEX-1IDJU-0626-SM-CKZOG 60-69 years, female 18.1
GTEX-XGQ4-0526-SM-4AT6C 50-59 years, male 18.0
GTEX-18D9U-1426-SM-718BO 40-49 years, male 17.9
GTEX-ZAB4-0926-SM-5CVN4 40-49 years, male 17.9
GTEX-ZDYS-0326-SM-5HL4W 50-59 years, male 17.8
GTEX-1HT8W-1326-SM-CGQEN 30-39 years, male 17.7
GTEX-1PPGY-0926-SM-DTXFF 60-69 years, male 17.7
GTEX-1R9JW-0426-SM-E76QL 30-39 years, female 17.7
GTEX-17JCI-0826-SM-7LT8W 60-69 years, female 17.6
GTEX-1MCC2-0226-SM-EVYD5 30-39 years, female 17.6
GTEX-11NUK-0926-SM-5HL57 50-59 years, male 17.5
GTEX-16NPX-0826-SM-6M489 50-59 years, male 17.5
GTEX-1HCUA-0626-SM-ACKVT 50-59 years, female 17.5
GTEX-13NZ9-0126-SM-5K7XV 50-59 years, male 17.3
GTEX-X3Y1-0226-SM-3P5Z5 40-49 years, male 17.3
GTEX-ZZPU-1126-SM-5N9CW 50-59 years, female 17.3
GTEX-1MJIX-0426-SM-DTXEN 40-49 years, male 17.3
GTEX-15CHR-0326-SM-7DHN3 50-59 years, male 17.2
GTEX-ZTTD-0626-SM-4YCCY 50-59 years, male 17.2
GTEX-1LVAN-1526-SM-CNPQN 50-59 years, female 17.2
GTEX-X62O-0826-SM-46MW8 50-59 years, male 17.1
GTEX-11ZTT-0526-SM-5EQLA 60-69 years, female 16.9
GTEX-13JUV-0226-SM-5IJCC 40-49 years, female 16.9
GTEX-WYJK-1126-SM-3NM9Z 50-59 years, male 16.9
GTEX-1IY9M-0626-SM-D4P2L 60-69 years, male 16.9
GTEX-11ZUS-0326-SM-5EQ4W 30-39 years, male 16.8
GTEX-14PJM-0826-SM-6LLIW 50-59 years, female 16.8
GTEX-139YR-0526-SM-5L3DG 50-59 years, male 16.7
GTEX-Z93S-0326-SM-5HL84 50-59 years, male 16.7
GTEX-1J8Q2-1026-SM-ARU8I 60-69 years, male 16.7
GTEX-16GPK-1226-SM-7LTAU 60-69 years, male 16.6
GTEX-1A32A-1326-SM-73KWW 50-59 years, female 16.6
GTEX-WK11-0626-SM-3NMAV 50-59 years, male 16.6
GTEX-1NHNU-0626-SM-E6CP1 50-59 years, male 16.5
GTEX-12WSG-1226-SM-5EQ4C 50-59 years, female 16.4
GTEX-145LV-0226-SM-5S2QG 50-59 years, male 16.4
GTEX-13FHP-0826-SM-5K7V5 50-59 years, male 16.3
GTEX-18A66-1126-SM-731C5 60-69 years, male 16.3
GTEX-1GN73-2326-SM-9MQKV 60-69 years, male 16.2
GTEX-1ICG6-0726-SM-B2LY5 70-79 years, female 16.1
GTEX-13O3P-1426-SM-5L3DT 50-59 years, male 16.0
GTEX-14PJ4-0926-SM-5YY98 60-69 years, male 15.9
GTEX-1313W-1126-SM-5EQ5U 50-59 years, female 15.8
GTEX-1I1GV-1426-SM-B2LXN 60-69 years, male 15.8
GTEX-111FC-0626-SM-5N9CU 60-69 years, male 15.6
GTEX-13PL7-0726-SM-5KM1S 60-69 years, female 15.6
GTEX-11DXZ-0326-SM-5EGH1 50-59 years, male 15.5
GTEX-1122O-0626-SM-5N9B9 60-69 years, female 15.4
GTEX-13W3W-0526-SM-5LU3X 60-69 years, female 15.4
GTEX-17F9E-0726-SM-793A1 50-59 years, male 15.4
GTEX-1AX9J-0926-SM-73KXA 60-69 years, male 15.4
GTEX-WFG7-0826-SM-3GIKU 20-29 years, male 15.4
GTEX-1LB8K-0926-SM-D4P42 50-59 years, male 15.4
GTEX-15UF7-1526-SM-6LPI7 40-49 years, male 15.3
GTEX-1CB4E-0626-SM-7DHMW 60-69 years, male 15.3
GTEX-1NSGN-1226-SM-E76OL 50-59 years, male 15.2
GTEX-14JG1-0826-SM-5ZZWR 40-49 years, male 15.1
GTEX-ZGAY-0226-SM-4WWAL 40-49 years, female 15.1
GTEX-1HSKV-0726-SM-ACKWE 60-69 years, male 15.1
GTEX-1I1GP-0626-SM-ARL7H 50-59 years, male 15.1
GTEX-11EM3-0426-SM-5N9BZ 20-29 years, female 15.0
GTEX-147JS-1326-SM-5SI6D 60-69 years, male 15.0
GTEX-18465-0726-SM-7LG4L 50-59 years, male 15.0
GTEX-UPK5-0226-SM-3GAEV 40-49 years, male 15.0
GTEX-1JK1U-0626-SM-CKZOJ 60-69 years, male 15.0
GTEX-13FTZ-0326-SM-5J1O1 60-69 years, male 14.9
GTEX-13QBU-0226-SM-5LU48 40-49 years, female 14.9
GTEX-146FR-0926-SM-5QGPE 60-69 years, female 14.9
GTEX-1AX9I-1026-SM-73KYF 60-69 years, male 14.9
GTEX-1AX9K-0426-SM-73KUG 50-59 years, male 14.9
GTEX-WFON-0226-SM-3GIKR 40-49 years, male 14.9
GTEX-X261-0926-SM-3NMCY 50-59 years, male 14.9
GTEX-1I1GQ-1226-SM-CL55J 50-59 years, male 14.9
GTEX-1L5NE-0526-SM-DIPG5 50-59 years, male 14.9
GTEX-131XG-0526-SM-5DUWF 50-59 years, female 14.8
GTEX-13D11-1526-SM-5J2NA 50-59 years, female 14.8
GTEX-13FTW-0826-SM-5K7XR 40-49 years, male 14.8
GTEX-1GL5R-0426-SM-9WPOP 50-59 years, male 14.8
GTEX-12WSK-0526-SM-5CVNA 40-49 years, female 14.7
GTEX-17F9Y-1226-SM-7EPGE 70-79 years, female 14.6
GTEX-ZF3C-1126-SM-57WEG 50-59 years, female 14.6
GTEX-ZYFC-1026-SM-5GZX9 50-59 years, male 14.6
GTEX-1CAMS-1126-SM-7MXUQ 40-49 years, female 14.6
GTEX-1J8EW-0626-SM-CM2TY 60-69 years, female 14.6
GTEX-1192X-0726-SM-5987R 50-59 years, male 14.5
GTEX-12WSE-0926-SM-5S2VX 20-29 years, male 14.5
GTEX-13U4I-0626-SM-5LU5L 40-49 years, female 14.5
GTEX-V955-0826-SM-CYPR5 60-69 years, male 14.5
GTEX-1B8SG-0726-SM-79ONS 50-59 years, male 14.4
GTEX-1F75A-1026-SM-7PC3W 50-59 years, male 14.4
GTEX-1GN2E-1426-SM-7RHHI 60-69 years, male 14.4
GTEX-14H4A-0426-SM-5ZZWO 40-49 years, female 14.3
GTEX-14PJ2-1126-SM-69LOD 50-59 years, male 14.3
GTEX-XOT4-1126-SM-4B66E 60-69 years, female 14.3
GTEX-ZZPT-0926-SM-5GICZ 50-59 years, male 14.3
GTEX-1LSNM-0426-SM-E9TIZ 50-59 years, male 14.3
GTEX-18A7A-1226-SM-7LTAJ 50-59 years, female 14.2
GTEX-1B8L1-0426-SM-7SB76 60-69 years, male 14.2
GTEX-1GMRU-1326-SM-9WYUI 50-59 years, male 14.2
GTEX-144GL-1026-SM-5O99R 50-59 years, male 14.1
GTEX-X5EB-0626-SM-46MVQ 40-49 years, male 14.1
GTEX-13N1W-0926-SM-5MR36 70-79 years, male 14.0
GTEX-YJ8O-0826-SM-5CVM3 40-49 years, female 14.0
GTEX-1GN1U-1426-SM-7P8TF 50-59 years, female 14.0
GTEX-1HFI7-0526-SM-A9SMA 50-59 years, female 14.0
GTEX-ZPCL-0526-SM-DO91R 60-69 years, female 14.0
GTEX-13OW7-1626-SM-5IJDH 50-59 years, male 13.8
GTEX-14XAO-0926-SM-69LPZ 60-69 years, female 13.8
GTEX-YECK-1226-SM-4W21G 60-69 years, male 13.8
GTEX-1IDJF-0826-SM-ARU7N 20-29 years, male 13.8
GTEX-1IKJJ-0626-SM-CY8GF 60-69 years, male 13.8
GTEX-132Q8-1126-SM-5K7XS 60-69 years, male 13.7
GTEX-1399U-0726-SM-5KM1D 50-59 years, female 13.7
GTEX-14PHX-0626-SM-5YY8Z 50-59 years, male 13.7
GTEX-WYBS-1226-SM-3NM9N 60-69 years, female 13.7
GTEX-1EU9M-1926-SM-7RHH4 60-69 years, male 13.7
GTEX-111VG-0326-SM-5GZX7 60-69 years, male 13.6
GTEX-131YS-0826-SM-5PNYV 60-69 years, female 13.6
GTEX-1C2JI-0626-SM-7DHM1 50-59 years, male 13.6
GTEX-ZPU1-0726-SM-5HL6O 40-49 years, male 13.6
GTEX-1GF9V-1726-SM-9KNW4 60-69 years, male 13.6
GTEX-1HSGN-0926-SM-CNNQM 40-49 years, female 13.6
GTEX-14DAQ-1026-SM-793B1 60-69 years, female 13.5
GTEX-1F88F-0326-SM-9KNV3 60-69 years, female 13.5
GTEX-13OVI-0326-SM-5K7X1 60-69 years, female 13.4
GTEX-13OW5-0926-SM-5L3GZ 60-69 years, male 13.4
GTEX-15RIE-1326-SM-6PAMM 60-69 years, male 13.4
GTEX-WQUQ-1326-SM-3MJFF 60-69 years, male 13.4
GTEX-12WSD-1226-SM-5HL9Q 60-69 years, female 13.3
GTEX-1GZ2Q-0926-SM-7RHHN 40-49 years, male 13.3
GTEX-1IKOE-0626-SM-A9G31 30-39 years, female 13.3
GTEX-1C64O-0926-SM-79OLN 60-69 years, male 13.1
GTEX-1EH9U-0626-SM-7PC33 60-69 years, male 13.1
GTEX-1IDJH-1126-SM-COH3R 70-79 years, male 13.1
GTEX-12BJ1-0326-SM-5FQUB 60-69 years, male 13.0
GTEX-14PII-1026-SM-5ZZVW 60-69 years, male 13.0
GTEX-XQ3S-0526-SM-4BOQA 20-29 years, male 13.0
GTEX-1F75I-1326-SM-7PBZX 40-49 years, male 13.0
GTEX-1H11D-1026-SM-9QEIU 40-49 years, male 13.0
GTEX-11GS4-0426-SM-5N9CD 60-69 years, male 12.9
GTEX-12584-1026-SM-59HK3 40-49 years, male 12.9
GTEX-13NYS-1926-SM-5IJCB 60-69 years, male 12.9
GTEX-1HUB1-0726-SM-CGQF4 60-69 years, male 12.9
GTEX-1KXAM-1426-SM-D3LAC 60-69 years, male 12.9
GTEX-1C64N-0826-SM-7RHGQ 50-59 years, male 12.8
GTEX-11UD2-0926-SM-5CVL6 50-59 years, male 12.7
GTEX-132NY-1426-SM-5J1MJ 60-69 years, male 12.7
GTEX-Y8E4-0426-SM-4V6GB 40-49 years, male 12.7
GTEX-14PHY-0326-SM-62LE3 60-69 years, female 12.6
GTEX-17KNJ-0626-SM-7LT9L 50-59 years, male 12.6
GTEX-WFG8-0726-SM-3GILP 20-29 years, male 12.6
GTEX-WRHU-1026-SM-4E3ID 50-59 years, female 12.6
GTEX-ZLFU-0326-SM-4WWBK 40-49 years, male 12.6
GTEX-1H3NZ-1026-SM-A9SM5 60-69 years, male 12.6
GTEX-1I1CD-1326-SM-A9SMM 60-69 years, female 12.6
GTEX-13N11-0726-SM-5L3DP 50-59 years, female 12.5
GTEX-1H3VY-1126-SM-A96TP 50-59 years, male 12.5
GTEX-1RLM8-0226-SM-E6CJY 50-59 years, male 12.5
GTEX-11DXY-1026-SM-5987V 60-69 years, male 12.4
GTEX-11ZVC-0526-SM-5N9G1 50-59 years, female 12.4
GTEX-15CHC-0326-SM-5ZZVP 60-69 years, female 12.3
GTEX-ZVT3-0826-SM-5GIC8 60-69 years, female 12.3
GTEX-13FH7-0826-SM-5J2NW 50-59 years, female 12.2
GTEX-13VXT-0726-SM-5SIAD 20-29 years, female 12.2
GTEX-XXEK-2026-SM-4BRVE 50-59 years, male 12.2
GTEX-ZDXO-0426-SM-4WKF6 60-69 years, male 12.2
GTEX-13PVR-0926-SM-5S2RB 60-69 years, female 12.1
GTEX-14ASI-0826-SM-5Q5EB 60-69 years, male 12.1
GTEX-1HSMQ-0426-SM-ADEIM 50-59 years, male 12.1
GTEX-15SHU-0926-SM-6PAMK 40-49 years, female 12.0
GTEX-W5X1-0826-SM-3GILN 40-49 years, female 12.0
GTEX-XPVG-0726-SM-4B658 50-59 years, male 12.0
GTEX-ZF2S-0826-SM-4WWBI 50-59 years, female 12.0
GTEX-ZPIC-0426-SM-DO91V 40-49 years, female 12.0
GTEX-11NV4-0826-SM-5BC4S 60-69 years, male 11.9
GTEX-1CB4I-1526-SM-7DHMY 50-59 years, male 11.9
GTEX-1F48J-1126-SM-9WYSY 50-59 years, female 11.9
GTEX-1GMR8-1026-SM-9MQLA 50-59 years, female 11.9
GTEX-1J1OQ-2226-SM-A96SS 40-49 years, female 11.9
GTEX-ZDTT-0326-SM-4WKF9 60-69 years, male 11.8
GTEX-11TT1-1426-SM-5EGIA 20-29 years, male 11.7
GTEX-WHWD-0326-SM-3LK6L 50-59 years, male 11.7
GTEX-1JJ6O-2226-SM-AHZ3I 60-69 years, male 11.7
GTEX-14C5O-1226-SM-664N3 60-69 years, male 11.6
GTEX-1LSNL-0626-SM-DIPFJ 50-59 years, male 11.6
GTEX-13X6K-1726-SM-7IGLG 60-69 years, female 11.5
GTEX-145LS-1326-SM-5Q5EP 60-69 years, female 11.5
GTEX-1CB4H-0626-SM-7IGN3 60-69 years, female 11.5
GTEX-12WSA-1126-SM-5EGKU 60-69 years, male 11.4
GTEX-Y3I4-0526-SM-4TT6X 50-59 years, male 11.4
GTEX-1A3MX-1226-SM-731B3 60-69 years, male 11.3
GTEX-1HR98-1026-SM-CKZOM 60-69 years, male 11.3
GTEX-11EMC-0826-SM-59862 60-69 years, female 11.2
GTEX-14BIM-2726-SM-5Q5EG 60-69 years, female 11.2
GTEX-1AX8Z-1126-SM-731CS 60-69 years, male 11.2
GTEX-ZYFG-0526-SM-5GZXX 60-69 years, female 11.2
GTEX-1CAMQ-0726-SM-7P8SG 40-49 years, male 11.2
GTEX-1HFI6-0826-SM-9YFM2 40-49 years, male 11.2
GTEX-1I1GR-1026-SM-A9SLC 60-69 years, male 11.2
GTEX-1JN6P-0826-SM-ARL97 60-69 years, male 11.2
GTEX-13O1R-0926-SM-5L3DS 60-69 years, male 11.1
GTEX-13SLW-0826-SM-5QGP7 70-79 years, male 11.1
GTEX-15CHQ-1326-SM-6871Z 60-69 years, male 11.1
GTEX-1IOXB-0726-SM-A9G32 50-59 years, male 11.1
GTEX-14A6H-0326-SM-5NQAN 30-39 years, male 11.0
GTEX-VJWN-1026-SM-4M1ZN 50-59 years, female 11.0
GTEX-ZE7O-0626-SM-57WCD 50-59 years, female 11.0
GTEX-1H2FU-0826-SM-9WYSU 60-69 years, female 11.0
GTEX-1GN1W-0226-SM-7P8QY 50-59 years, female 10.9
GTEX-1212Z-0726-SM-5EGI5 60-69 years, male 10.8
GTEX-V1D1-0626-SM-4JBHN 50-59 years, male 10.8
GTEX-15SHV-0526-SM-7KUEN 60-69 years, male 10.7
GTEX-YF7O-0526-SM-5P9IO 50-59 years, male 10.7
GTEX-14BMV-1026-SM-5SI6B 50-59 years, male 10.6
GTEX-1399R-1726-SM-5K7YJ 30-39 years, male 10.5
GTEX-13CF2-0226-SM-5L3DV 60-69 years, male 10.5
GTEX-1KANC-0226-SM-E9TIW 50-59 years, female 10.5
GTEX-12WSI-0426-SM-5EQ5J 50-59 years, male 10.4
GTEX-12WSN-0226-SM-5DUXH 40-49 years, male 10.4
GTEX-ZUA1-0726-SM-4YCD9 40-49 years, male 10.4
GTEX-1CB4J-0226-SM-7P8T4 60-69 years, male 10.4
GTEX-1IKK5-1726-SM-CM2RU 60-69 years, male 10.4
GTEX-11GSP-1226-SM-5985M 60-69 years, female 10.3
GTEX-X4XX-1126-SM-3NMBY 60-69 years, male 10.3
GTEX-ZYVF-1826-SM-5E44F 50-59 years, female 10.3
GTEX-1C6VQ-0826-SM-7PBZT 50-59 years, male 10.3
GTEX-1LGRB-1026-SM-CNPQD 50-59 years, female 10.3
GTEX-1MJK2-1626-SM-EVYCQ 50-59 years, male 10.3
GTEX-11O72-1026-SM-5986B 40-49 years, male 10.2
GTEX-13FHO-1226-SM-5L3EF 60-69 years, male 10.2
GTEX-13PDP-1326-SM-5K7U9 60-69 years, male 10.2
GTEX-ZG7Y-1426-SM-4WWBM 50-59 years, male 10.2
GTEX-ZXG5-0626-SM-5NQ85 60-69 years, male 10.2
GTEX-1EMGI-1126-SM-9KNUF 60-69 years, male 10.1
GTEX-13FXS-1026-SM-62LFQ 50-59 years, male 10.0
GTEX-13SLX-0926-SM-5S2NM 50-59 years, female 10.0
GTEX-14BIN-2126-SM-793AX 50-59 years, female 10.0
GTEX-14C38-1326-SM-62LDK 50-59 years, male 10.0
GTEX-WHPG-1026-SM-3NMBA 50-59 years, male 10.0
GTEX-13S86-0326-SM-5SI6K 40-49 years, male 9.9
GTEX-147F4-1126-SM-5TDDE 50-59 years, male 9.9
GTEX-1E2YA-0626-SM-7P8P4 50-59 years, male 9.9
GTEX-1339X-0326-SM-5K7Z8 40-49 years, male 9.8
GTEX-YFC4-0426-SM-4TT3J 40-49 years, female 9.8
GTEX-1F75B-1126-SM-7RHGP 50-59 years, male 9.8
GTEX-1H1CY-0426-SM-9KNVD 60-69 years, female 9.8
GTEX-1192W-0226-SM-5EGGT 60-69 years, male 9.7
GTEX-WZTO-1226-SM-3NMAZ 40-49 years, male 9.7
GTEX-ZTPG-1326-SM-51MSQ 20-29 years, female 9.7
GTEX-1QP29-1426-SM-DTX9Q 50-59 years, male 9.7
GTEX-13NYB-0326-SM-5IJDP 40-49 years, male 9.6
GTEX-1QP6S-1026-SM-DTXFW 40-49 years, male 9.6
GTEX-11P81-0526-SM-59873 30-39 years, female 9.5
GTEX-13PVQ-1326-SM-5LU4J 50-59 years, male 9.5
GTEX-X8HC-1026-SM-46MWH 50-59 years, female 9.5
GTEX-1IKOH-0926-SM-A9SLU 60-69 years, female 9.5
GTEX-1K2DU-0226-SM-DIPF6 20-29 years, male 9.5
GTEX-13112-0526-SM-5EQ4S 50-59 years, male 9.4
GTEX-WWYW-1126-SM-3NB2Q 50-59 years, female 9.4
GTEX-XLM4-2026-SM-4AT4X 60-69 years, male 9.4
GTEX-1IL2V-1126-SM-CMKGH 70-79 years, male 9.4
GTEX-ZAK1-1126-SM-5PNXU 50-59 years, female 9.3
GTEX-139TU-1926-SM-5J2OC 60-69 years, male 9.2
GTEX-146FH-1126-SM-5NQAT 50-59 years, female 9.2
GTEX-15DCE-0826-SM-7KULW 20-29 years, male 9.2
GTEX-1HC8U-0626-SM-B2LWB 40-49 years, female 9.2
GTEX-117XS-0726-SM-5H131 60-69 years, male 9.0
GTEX-1211K-0226-SM-59HJY 60-69 years, female 9.0
GTEX-14E7W-1126-SM-5ZZVS 70-79 years, male 9.0
GTEX-XPT6-0226-SM-4B65L 20-29 years, male 9.0
GTEX-1IL2U-1226-SM-CL53P 60-69 years, male 9.0
GTEX-13RTJ-0526-SM-62LDP 60-69 years, male 8.9
GTEX-1I19N-0626-SM-A9SKY 70-79 years, male 8.9
GTEX-1IDJD-0226-SM-CKZOA 30-39 years, male 8.9
GTEX-1B996-1026-SM-793CF 60-69 years, male 8.8
GTEX-17HGU-1126-SM-793BP 50-59 years, male 8.7
GTEX-183WM-0926-SM-718AN 70-79 years, female 8.7
GTEX-Y3IK-1026-SM-51MR7 50-59 years, female 8.7
GTEX-Y5V5-0726-SM-4VBPY 60-69 years, female 8.7
GTEX-131XF-0426-SM-5HL7U 60-69 years, male 8.6
GTEX-13JVG-1126-SM-5KM2M 60-69 years, male 8.6
GTEX-ZVZQ-0726-SM-51MR3 60-69 years, female 8.6
GTEX-1LH75-0526-SM-DIPG2 50-59 years, female 8.6
GTEX-1117F-0726-SM-5GIEN 60-69 years, female 8.5
GTEX-11TUW-1126-SM-5EQKJ 60-69 years, male 8.5
GTEX-1A8G6-1826-SM-73KY8 60-69 years, male 8.5
GTEX-ZVT4-1326-SM-5NQ8E 50-59 years, female 8.5
GTEX-13O3O-1426-SM-5KM2S 60-69 years, female 8.4
GTEX-1EWIQ-1126-SM-7EPIK 70-79 years, female 8.4
GTEX-1JMLX-1826-SM-CNPOX 50-59 years, male 8.4
GTEX-132QS-0526-SM-5IJC7 60-69 years, male 8.3
GTEX-1399T-0726-SM-5J1MH 60-69 years, male 8.3
GTEX-15SDE-1826-SM-7KUFN 50-59 years, female 8.3
GTEX-1HCVE-0826-SM-CM2SF 50-59 years, male 8.3
GTEX-17MF6-0926-SM-7LTAL 40-49 years, male 8.1
GTEX-WI4N-0726-SM-3TW93 40-49 years, female 8.1
GTEX-1C6WA-0826-SM-7PBXS 60-69 years, male 8.1
GTEX-1HSMO-1126-SM-CGQF2 60-69 years, male 8.1
GTEX-13PL6-0826-SM-5IJBI 40-49 years, female 8.0
GTEX-16MT8-0826-SM-7KULO 60-69 years, female 8.0
GTEX-1H1ZS-1026-SM-9WG6E 70-79 years, male 8.0
GTEX-ZV7C-0526-SM-9WPNK 50-59 years, male 8.0
GTEX-1HCU7-1226-SM-B2LX8 50-59 years, male 7.9
GTEX-14BIL-0926-SM-7DHKN 50-59 years, male 7.8
GTEX-ZDTS-1226-SM-4WKGL 60-69 years, male 7.8
GTEX-1JMQK-0926-SM-ARL96 60-69 years, male 7.7
GTEX-14PN3-0726-SM-6EU14 60-69 years, female 7.6
GTEX-U8XE-0926-SM-3DB8V 30-39 years, male 7.6
GTEX-1A8FM-1026-SM-7PC26 50-59 years, female 7.5
GTEX-1H1DG-0826-SM-9QEIW 70-79 years, male 7.5
GTEX-1KD5A-0926-SM-D4P3U 50-59 years, male 7.4
GTEX-131XE-0526-SM-5K7YT 50-59 years, male 7.3
GTEX-14A5I-1026-SM-5Q5E3 50-59 years, female 7.2
GTEX-1E1VI-1426-SM-793CY 50-59 years, male 7.2
GTEX-WHSE-0826-SM-4SOJU 20-29 years, male 7.2
GTEX-11ONC-1026-SM-5GU64 60-69 years, male 7.1
GTEX-ZYFD-2026-SM-5E459 50-59 years, male 7.1
GTEX-1KANB-1126-SM-DHXJT 50-59 years, male 7.1
GTEX-1GN1V-1026-SM-CNPPS 60-69 years, male 7.0
GTEX-1HBPM-1026-SM-ARL9D 60-69 years, female 6.9
GTEX-WOFL-1226-SM-4OOST 60-69 years, male 6.7
GTEX-13NZA-0826-SM-5K7WS 60-69 years, male 6.6
GTEX-1B932-1326-SM-79OM4 40-49 years, female 6.6
GTEX-1H3O1-0226-SM-9WYSW 60-69 years, male 6.6
GTEX-15D1Q-0426-SM-6AJ9G 40-49 years, male 6.5
GTEX-15RJE-0726-SM-7KUEG 40-49 years, male 6.5
GTEX-1B933-0826-SM-79OMW 50-59 years, female 6.5
GTEX-1JMOU-0326-SM-ARL8X 60-69 years, female 6.5
GTEX-1POEN-0726-SM-DTXDU 30-39 years, female 6.5
GTEX-12ZZY-1226-SM-5GCNK 60-69 years, male 6.4
GTEX-117YW-0426-SM-5GZZZ 50-59 years, male 6.3
GTEX-16XZY-0526-SM-7DHKY 70-79 years, male 6.3
GTEX-11WQK-0226-SM-5EQLI 50-59 years, male 6.2
GTEX-18A6Q-1526-SM-731CO 60-69 years, male 6.1
GTEX-1LVAO-0626-SM-EWRNT 60-69 years, male 6.1
GTEX-14PJO-0826-SM-6ETZK 60-69 years, male 5.8
GTEX-1I1HK-0626-SM-CNPQM 60-69 years, male 5.8
GTEX-1EX96-2626-SM-9MQJV 50-59 years, male 5.5
GTEX-1F6I4-0826-SM-7RHGK 60-69 years, male 5.5
GTEX-1R9K4-1026-SM-EXUT1 60-69 years, male 5.5
GTEX-13O3Q-0326-SM-5L3FE 50-59 years, male 5.4
GTEX-14PK6-0726-SM-6LLIX 70-79 years, female 5.4
GTEX-1GF9U-0526-SM-7P8SK 40-49 years, female 5.4
GTEX-12696-1226-SM-5FQSM 60-69 years, male 5.3
GTEX-18D9B-1126-SM-7KFSH 60-69 years, male 5.3
GTEX-14PN4-0826-SM-69LON 50-59 years, male 5.2
GTEX-UTHO-1226-SM-3GAEE 60-69 years, male 5.2
GTEX-13X6J-1226-SM-79OMF 50-59 years, male 5.0
GTEX-13YAN-1426-SM-7EPG8 60-69 years, male 5.0
GTEX-XYKS-0226-SM-4BRW3 60-69 years, female 5.0
GTEX-1HBPN-0926-SM-CGQEG 50-59 years, male 5.0
GTEX-1477Z-1126-SM-5P9GK 60-69 years, male 4.8
GTEX-1QMI2-1026-SM-DTX7T 60-69 years, male 4.8
GTEX-148VJ-1426-SM-5TDE3 70-79 years, male 4.4
GTEX-1GTWX-0926-SM-9MQKM 60-69 years, male 4.4
GTEX-145MN-0726-SM-5NQBH 30-39 years, male 4.1
GTEX-ZAJG-0926-SM-5Q5AB 50-59 years, female 4.0
GTEX-14E6C-0326-SM-5Q5EE 40-49 years, male 3.6
GTEX-15SKB-0926-SM-7KUFC 60-69 years, male 3.5
GTEX-1JMQL-1026-SM-CMKGV 50-59 years, female 3.4
GTEX-14C39-0726-SM-5RQIK 40-49 years, male 2.9
Show allShow less
Heart - Left Ventricle
Average nTPM: 6.0
Samples: 432

Max nTPM: 18.1
Min nTPM: 0.9
Std nTPM: 2.8
Median nTPM: 5.5
GTEX-1RB15-0326-SM-E6CQB 60-69 years, male 18.1
GTEX-ZVZP-0226-SM-5NQ73 50-59 years, male 17.4
GTEX-13O61-0526-SM-5J2M1 60-69 years, male 16.9
GTEX-1KANC-0426-SM-CXZK5 50-59 years, female 16.0
GTEX-ZEX8-0426-SM-DO92Y 50-59 years, male 15.4
GTEX-11DXX-0326-SM-5PNWC 60-69 years, female 14.1
GTEX-111YS-0426-SM-5987O 60-69 years, male 13.9
GTEX-12BJ1-0226-SM-5LUA2 60-69 years, male 13.3
GTEX-1MUQO-1226-SM-E9TJK 60-69 years, male 13.3
GTEX-1R9JW-0526-SM-EWRNK 30-39 years, female 12.7
GTEX-YEC4-0326-SM-4W216 40-49 years, male 12.6
GTEX-11LCK-0926-SM-5A5KA 30-39 years, male 12.5
GTEX-13FTZ-0226-SM-5K7X6 60-69 years, male 12.5
GTEX-13O21-2326-SM-5MR3X 50-59 years, male 12.5
GTEX-OIZF-0326-SM-3MJGY 60-69 years, male 12.2
GTEX-ZDTT-0726-SM-4WKFK 60-69 years, male 12.1
GTEX-ZF29-0226-SM-4WKHO 60-69 years, female 12.1
GTEX-12WSK-0626-SM-5LZUJ 40-49 years, female 11.9
GTEX-WL46-0926-SM-3LK7T 50-59 years, male 11.9
GTEX-1B97J-0726-SM-7RHG3 50-59 years, female 11.9
GTEX-ZAB5-0226-SM-5CVMH 50-59 years, male 11.8
GTEX-YEC3-0726-SM-CMKFH 50-59 years, male 11.7
GTEX-14PHY-0226-SM-5ZZWM 60-69 years, female 11.6
GTEX-13PVR-1026-SM-5QGQW 60-69 years, female 11.4
GTEX-1J8QM-0426-SM-AHZ3X 60-69 years, female 11.3
GTEX-13NZB-0226-SM-5KM1T 30-39 years, male 11.1
GTEX-1B8KE-0126-SM-793AM 50-59 years, male 11.0
GTEX-11ZUS-0226-SM-5FQT8 30-39 years, male 10.9
GTEX-18A67-1226-SM-7KFRS 50-59 years, male 10.9
GTEX-1GMRU-1526-SM-9WYT5 50-59 years, male 10.9
GTEX-1IDJE-0326-SM-CM2TD 50-59 years, female 10.9
GTEX-1L5NE-0426-SM-E9TIX 50-59 years, male 10.8
GTEX-1KD5A-1026-SM-CY8I8 50-59 years, male 10.7
GTEX-ZDYS-0226-SM-5HL4K 50-59 years, male 10.5
GTEX-XQ8I-0126-SM-4BOPL 50-59 years, male 10.4
GTEX-PSDG-0926-SM-2I5FP 50-59 years, male 10.3
GTEX-1IDJF-0726-SM-CJI1U 20-29 years, male 10.2
GTEX-1M5QR-1026-SM-DHXK9 40-49 years, male 10.2
GTEX-12ZZW-1026-SM-5GCMM 50-59 years, male 10.1
GTEX-13OVG-0526-SM-5K7YD 60-69 years, male 10.1
GTEX-1AYCT-0426-SM-73KVZ 50-59 years, male 10.1
GTEX-SE5C-0626-SM-2XCDV 40-49 years, female 10.1
GTEX-WH7G-0426-SM-3NMBJ 40-49 years, male 10.1
GTEX-Y3I4-0626-SM-4TT7A 50-59 years, male 10.0
GTEX-145LV-0326-SM-5Q5BW 50-59 years, male 9.9
GTEX-ZVT2-1026-SM-5GU55 50-59 years, female 9.9
GTEX-18D9U-1126-SM-72D5Y 40-49 years, male 9.8
GTEX-15RIE-1726-SM-7KUMU 60-69 years, male 9.6
GTEX-17F9Y-1326-SM-7MGW9 70-79 years, female 9.6
GTEX-1CAMS-1326-SM-79OJR 40-49 years, female 9.5
GTEX-WY7C-0526-SM-3NB3D 50-59 years, male 9.5
GTEX-13CF3-0726-SM-5J2MY 60-69 years, female 9.4
GTEX-T6MN-0926-SM-32PLX 50-59 years, male 9.4
GTEX-WYJK-1026-SM-3NM8W 50-59 years, male 9.4
GTEX-11I78-0826-SM-5A5K4 50-59 years, female 9.3
GTEX-13QBU-0426-SM-5J2O4 40-49 years, female 9.3
GTEX-13X6I-1426-SM-5SI9Z 60-69 years, male 9.3
GTEX-1C2JI-0526-SM-7EWEQ 50-59 years, male 9.3
GTEX-117YX-1126-SM-5H128 50-59 years, male 9.1
GTEX-14E6D-0926-SM-5S2QV 50-59 years, male 9.1
GTEX-1AX9J-1026-SM-72D6E 60-69 years, male 9.1
GTEX-QV44-0526-SM-2S1RE 50-59 years, male 9.1
GTEX-111FC-0826-SM-5GZWO 60-69 years, male 9.0
GTEX-1AX9I-1126-SM-7EPHH 60-69 years, male 9.0
GTEX-1MCC2-0326-SM-EV7AK 30-39 years, female 9.0
GTEX-132AR-2026-SM-5IJG4 50-59 years, female 8.8
GTEX-R55C-0326-SM-3GAF1 40-49 years, male 8.8
GTEX-1RQEC-0926-SM-EWROG 60-69 years, male 8.8
GTEX-13X6H-0426-SM-5LU4E 50-59 years, female 8.7
GTEX-1RMOY-0626-SM-E9TIE 50-59 years, male 8.7
GTEX-12WSC-1126-SM-5EQ4G 50-59 years, male 8.6
GTEX-O5YW-0326-SM-2I5EI 50-59 years, male 8.6
GTEX-131XF-5001-SM-7DHLY 60-69 years, male 8.5
GTEX-13U4I-0826-SM-5SIBD 40-49 years, female 8.5
GTEX-1NV8Z-1526-SM-DTX8X 60-69 years, male 8.5
GTEX-1H1CY-0326-SM-9QEIZ 60-69 years, female 8.4
GTEX-1HSGN-1126-SM-CJI4G 40-49 years, female 8.4
GTEX-1QPFJ-1026-SM-E6CR6 30-39 years, female 8.3
GTEX-1J8Q3-1226-SM-CKZPT 60-69 years, male 8.2
GTEX-OXRK-0826-SM-2HMK7 50-59 years, female 8.1
GTEX-1KXAM-1326-SM-E9TJW 60-69 years, male 8.1
GTEX-13D11-1726-SM-5IFGQ 50-59 years, female 8.0
GTEX-13O3P-1626-SM-5K7X3 50-59 years, male 8.0
GTEX-14PJ4-1126-SM-5YY91 60-69 years, male 8.0
GTEX-1CB4G-0826-SM-7DUGF 60-69 years, male 8.0
GTEX-11GS4-0526-SM-5A5KQ 60-69 years, male 7.9
GTEX-WZTO-1326-SM-3NM8X 40-49 years, male 7.9
GTEX-ZZPU-0926-SM-5GZYT 50-59 years, female 7.9
GTEX-1PPGY-1126-SM-E76OU 60-69 years, male 7.9
GTEX-13FTW-1026-SM-5L3E3 40-49 years, male 7.8
GTEX-14E1K-1026-SM-73KUR 50-59 years, male 7.8
GTEX-14C38-1426-SM-5RQHZ 50-59 years, male 7.6
GTEX-X261-1426-SM-4PQZ1 50-59 years, male 7.6
GTEX-XBED-0526-SM-47JY3 60-69 years, male 7.6
GTEX-ZPCL-0426-SM-DNZZ4 60-69 years, female 7.6
GTEX-11EMC-0726-SM-5EGJO 60-69 years, female 7.5
GTEX-13OW6-1126-SM-5L3HL 50-59 years, male 7.5
GTEX-16YQH-0926-SM-793BC 30-39 years, male 7.5
GTEX-1HC8U-0726-SM-ACKXL 40-49 years, female 7.5
GTEX-1313W-1426-SM-5KLZU 50-59 years, female 7.4
GTEX-139YR-0826-SM-5LZXY 50-59 years, male 7.4
GTEX-O5YV-0326-SM-2I5H2 60-69 years, female 7.4
GTEX-Q2AH-0526-SM-2I3ED 40-49 years, male 7.4
GTEX-UJMC-0526-SM-3GAE3 50-59 years, male 7.4
GTEX-ZV7C-0326-SM-57WB1 50-59 years, male 7.4
GTEX-1GF9V-1626-SM-7PBXL 60-69 years, male 7.4
GTEX-1GN1V-0826-SM-9KNU6 60-69 years, male 7.4
GTEX-1LVA9-0926-SM-EVR5G 50-59 years, male 7.4
GTEX-UPK5-0326-SM-CYPR4 40-49 years, male 7.4
GTEX-P4PQ-0326-SM-2HMJ8 60-69 years, male 7.3
GTEX-SNMC-0126-SM-2XCFO 20-29 years, male 7.3
GTEX-1IDJI-1026-SM-A96TE 50-59 years, female 7.3
GTEX-1JMQK-0626-SM-D4P2R 60-69 years, male 7.3
GTEX-16NPX-0926-SM-7KUEZ 50-59 years, male 7.2
GTEX-1H3NZ-1126-SM-9WYT9 60-69 years, male 7.2
GTEX-1OKEX-0726-SM-DPRYE 60-69 years, male 7.2
GTEX-1QCLZ-0926-SM-E6CQZ 60-69 years, female 7.2
GTEX-1R7EV-0326-SM-E76PA 40-49 years, male 7.2
GTEX-N7MS-0826-SM-2HML4 60-69 years, male 7.1
GTEX-R45C-0926-SM-3GAD4 60-69 years, female 7.1
GTEX-WEY5-0426-SM-3GIKT 40-49 years, female 7.0
GTEX-1LG7Y-1226-SM-CXZKD 50-59 years, male 7.0
GTEX-1R9K5-1326-SM-E6CPR 50-59 years, male 7.0
GTEX-POMQ-0326-SM-2I5FO 20-29 years, female 6.9
GTEX-PWCY-0526-SM-5P9HG 20-29 years, female 6.9
GTEX-ZTPG-1226-SM-4YCDO 20-29 years, female 6.9
GTEX-1HT8W-1726-SM-CNNQB 30-39 years, male 6.9
GTEX-1IDJU-0726-SM-CNPQ9 60-69 years, female 6.9
GTEX-13SLX-1026-SM-5ZZUQ 50-59 years, female 6.8
GTEX-QESD-0526-SM-2I5G5 20-29 years, male 6.8
GTEX-RNOR-0826-SM-2TF5C 50-59 years, female 6.8
GTEX-YB5K-0126-SM-5IFJ2 40-49 years, female 6.8
GTEX-ZLFU-0226-SM-4WWFH 40-49 years, male 6.8
GTEX-ZYFC-1126-SM-5E44W 50-59 years, male 6.8
GTEX-1HFI7-0826-SM-A9G23 50-59 years, female 6.8
GTEX-S33H-0526-SM-COH1W 30-39 years, male 6.8
GTEX-ZF2S-1026-SM-9QEGK 50-59 years, female 6.8
GTEX-15RJ7-0226-SM-7KUMN 40-49 years, male 6.7
GTEX-N7MT-1326-SM-2I3FV 60-69 years, female 6.7
GTEX-1314G-0126-SM-5LZUL 30-39 years, male 6.6
GTEX-17GQL-0526-SM-72D5N 60-69 years, male 6.6
GTEX-1B8L1-0526-SM-79ONX 60-69 years, male 6.6
GTEX-WWYW-1326-SM-3NB2S 50-59 years, female 6.6
GTEX-1F75I-1126-SM-9WYUO 40-49 years, male 6.6
GTEX-1GMR3-0326-SM-7P8QT 40-49 years, male 6.6
GTEX-1JJEA-0826-SM-CL53T 60-69 years, male 6.6
GTEX-132NY-1726-SM-5EGKK 60-69 years, male 6.5
GTEX-13OW5-1126-SM-5J1NR 60-69 years, male 6.5
GTEX-V955-0726-SM-3GAFG 60-69 years, male 6.5
GTEX-XXEK-0926-SM-4BRWH 50-59 years, male 6.5
GTEX-15CHR-0226-SM-7PC2Z 50-59 years, male 6.5
GTEX-13OVL-0526-SM-5KLZQ 50-59 years, male 6.4
GTEX-14PHX-2126-SM-6EU2U 50-59 years, male 6.4
GTEX-18A66-1226-SM-7LT8G 60-69 years, male 6.4
GTEX-WFON-0326-SM-3GIKX 40-49 years, male 6.4
GTEX-WQUQ-1426-SM-3MJFD 60-69 years, male 6.4
GTEX-1F48J-1026-SM-7P8SO 50-59 years, female 6.4
GTEX-1HSMO-1226-SM-CL548 60-69 years, male 6.4
GTEX-13VXT-1126-SM-5LU3A 20-29 years, female 6.3
GTEX-R53T-0926-SM-3GADH 50-59 years, female 6.3
GTEX-REY6-1026-SM-2TF4Y 60-69 years, male 6.3
GTEX-Y8E4-0326-SM-4VBRR 40-49 years, male 6.3
GTEX-1GN2E-1326-SM-9KNVG 60-69 years, male 6.3
GTEX-1HBPH-0126-SM-CNNQ7 40-49 years, female 6.3
GTEX-1I1GQ-1426-SM-B2LWY 50-59 years, male 6.3
GTEX-1LSNM-0526-SM-DIPG6 50-59 years, male 6.3
GTEX-Y5V6-0826-SM-4VBRU 60-69 years, male 6.2
GTEX-1H11D-1226-SM-9WPQ2 40-49 years, male 6.2
GTEX-1JJE9-1426-SM-ARL8P 70-79 years, male 6.2
GTEX-1O97I-0826-SM-E8VNE 60-69 years, male 6.2
GTEX-13N1W-1026-SM-5IJC5 70-79 years, male 6.1
GTEX-WHWD-0426-SM-3LK83 50-59 years, male 6.1
GTEX-1MJIX-0326-SM-EVR42 40-49 years, male 6.1
GTEX-1R9PO-0326-SM-DTXA1 60-69 years, female 6.1
GTEX-12584-0926-SM-5FQTN 40-49 years, male 6.0
GTEX-131XE-0626-SM-5HL98 50-59 years, male 6.0
GTEX-13JVG-1326-SM-5N9F8 60-69 years, male 6.0
GTEX-14C5O-1326-SM-5S2UW 60-69 years, male 6.0
GTEX-1AX8Z-5007-SM-AHZ36 60-69 years, male 6.0
GTEX-1JJ6O-2126-SM-CNNP6 60-69 years, male 6.0
GTEX-OIZI-0926-SM-E6CHF 40-49 years, male 6.0
GTEX-13S86-0226-SM-5S2PJ 40-49 years, male 5.9
GTEX-14PJ2-1026-SM-6EU1M 50-59 years, male 5.9
GTEX-14PJ6-0726-SM-69LOL 60-69 years, female 5.9
GTEX-14PJM-1126-SM-6LLHK 50-59 years, female 5.9
GTEX-1EH9U-0826-SM-7IGPT 60-69 years, male 5.9
GTEX-O5YT-0326-SM-32PKA 20-29 years, male 5.9
GTEX-SUCS-0326-SM-32PLL 70-79 years, male 5.9
GTEX-146FR-0626-SM-5RQJ1 60-69 years, female 5.8
GTEX-14BIN-2226-SM-5YYA1 50-59 years, female 5.8
GTEX-16BQI-0926-SM-6M485 30-39 years, female 5.8
GTEX-1BAJH-1626-SM-73KUV 70-79 years, male 5.8
GTEX-NFK9-0926-SM-2HMJU 40-49 years, male 5.8
GTEX-XQ3S-0626-SM-4BOOB 20-29 years, male 5.8
GTEX-1CB4E-0526-SM-7MXTK 60-69 years, male 5.8
GTEX-1EKGG-1126-SM-7MGXB 60-69 years, male 5.8
GTEX-1I1GP-0826-SM-A96SD 50-59 years, male 5.8
GTEX-1R9K4-1326-SM-DTX8G 60-69 years, male 5.8
GTEX-1RAZS-0826-SM-E76QP 50-59 years, male 5.8
GTEX-1EMGI-1226-SM-793DD 60-69 years, male 5.7
GTEX-QVJO-1926-SM-2S1QZ 60-69 years, female 5.7
GTEX-RWSA-0626-SM-2XCBD 40-49 years, male 5.7
GTEX-UJHI-0426-SM-3DB8Y 50-59 years, female 5.7
GTEX-X3Y1-0426-SM-3P5Z4 40-49 years, male 5.7
GTEX-ZPU1-0626-SM-4YCDM 40-49 years, male 5.7
GTEX-1I1GV-1326-SM-A96SE 60-69 years, male 5.7
GTEX-1LVAN-1726-SM-CNNR1 50-59 years, female 5.7
GTEX-11DXY-0826-SM-5EGGR 60-69 years, male 5.6
GTEX-1212Z-0626-SM-5FQTB 60-69 years, male 5.6
GTEX-13X6K-1826-SM-5O9CR 60-69 years, female 5.6
GTEX-1B8SG-0826-SM-7EWF7 50-59 years, male 5.6
GTEX-QDVN-0326-SM-2I3FS 50-59 years, male 5.6
GTEX-ZAB4-1026-SM-5HL7T 40-49 years, male 5.6
GTEX-ZDXO-0726-SM-57WBT 60-69 years, male 5.6
GTEX-12WSG-0526-SM-5FQTH 50-59 years, female 5.5
GTEX-12ZZZ-1726-SM-59HK5 60-69 years, male 5.5
GTEX-17HHY-1426-SM-7EWDQ 50-59 years, male 5.5
GTEX-XGQ4-0326-SM-4GIEE 50-59 years, male 5.5
GTEX-1A8G6-1626-SM-7MGWO 60-69 years, male 5.5
GTEX-1OFPY-1026-SM-EXUSO 60-69 years, male 5.5
GTEX-13FHP-1026-SM-5K7Y2 50-59 years, male 5.4
GTEX-15DDE-1126-SM-6LLHN 50-59 years, female 5.4
GTEX-RU72-0326-SM-2TF5T 50-59 years, female 5.4
GTEX-SIU8-0826-SM-2XCDQ 50-59 years, male 5.4
GTEX-1GN73-2426-SM-7RHFQ 60-69 years, male 5.4
GTEX-13RTJ-0726-SM-5QGQN 60-69 years, male 5.3
GTEX-1497J-1226-SM-5Q5BL 60-69 years, male 5.3
GTEX-P78B-0426-SM-2I5F5 40-49 years, female 5.3
GTEX-QLQ7-0526-SM-2I5G3 60-69 years, male 5.3
GTEX-1F5PK-0326-SM-9KNUD 50-59 years, male 5.3
GTEX-1S3DN-0726-SM-E9TIO 50-59 years, male 5.3
GTEX-WK11-0826-SM-EZ6LH 50-59 years, male 5.3
GTEX-147JS-1526-SM-5ZZWF 60-69 years, male 5.2
GTEX-148VI-0326-SM-5RQK7 60-69 years, female 5.2
GTEX-1AX9K-0526-SM-73KV1 50-59 years, male 5.2
GTEX-1B996-1126-SM-73KWN 60-69 years, male 5.2
GTEX-1399T-0426-SM-5PNVJ 60-69 years, male 5.1
GTEX-17JCI-1126-SM-7IGMM 60-69 years, female 5.1
GTEX-17KNJ-0826-SM-793A4 50-59 years, male 5.1
GTEX-QEG4-0426-SM-33HC3 30-39 years, male 5.1
GTEX-QEG5-0926-SM-2TC64 20-29 years, male 5.1
GTEX-1GN1W-0326-SM-9JGHF 50-59 years, female 5.1
GTEX-1JMLX-1626-SM-ARZMV 50-59 years, male 5.1
GTEX-1LC47-1026-SM-D3LAH 60-69 years, male 5.1
GTEX-13112-0426-SM-5PNVC 50-59 years, male 5.0
GTEX-13N11-0426-SM-5KM3O 50-59 years, female 5.0
GTEX-1C64O-0826-SM-79OKZ 60-69 years, male 5.0
GTEX-1C6VQ-1126-SM-7EWET 50-59 years, male 5.0
GTEX-OHPM-0326-SM-33HCA 50-59 years, male 5.0
GTEX-U4B1-0326-SM-3DB8K 40-49 years, male 5.0
GTEX-WHPG-0826-SM-3NMBF 50-59 years, male 5.0
GTEX-YF7O-0426-SM-5P9FS 50-59 years, male 5.0
GTEX-ZPIC-0826-SM-4WWFJ 40-49 years, female 5.0
GTEX-ZQUD-1526-SM-7IGO2 30-39 years, male 5.0
GTEX-ZYT6-1726-SM-5E44P 30-39 years, male 5.0
GTEX-1GZ4I-1026-SM-9KNV5 50-59 years, male 5.0
GTEX-1ICLY-1326-SM-CJI47 50-59 years, male 5.0
GTEX-1KD4Q-0726-SM-DIPGE 40-49 years, male 5.0
GTEX-11O72-1126-SM-5N9E2 40-49 years, male 4.9
GTEX-OXRO-2026-SM-2YUMZ 60-69 years, female 4.9
GTEX-P44H-0726-SM-48TBT 40-49 years, male 4.9
GTEX-RUSQ-0526-SM-2TF72 50-59 years, male 4.9
GTEX-XPVG-0826-SM-4B654 50-59 years, male 4.9
GTEX-YFC4-0526-SM-5ZZVI 40-49 years, female 4.9
GTEX-ZGAY-0326-SM-57WF5 40-49 years, female 4.9
GTEX-1LB8K-1026-SM-DHXJJ 50-59 years, male 4.9
GTEX-11TUW-1026-SM-5GU7D 60-69 years, male 4.8
GTEX-147F4-1226-SM-5NQAY 50-59 years, male 4.8
GTEX-14DAQ-1126-SM-664MT 60-69 years, female 4.8
GTEX-RN64-0826-SM-2TC62 50-59 years, male 4.8
GTEX-XV7Q-0826-SM-4BRV7 40-49 years, female 4.8
GTEX-1PPH7-2026-SM-E9J3N 40-49 years, male 4.8
GTEX-13FLV-0926-SM-5L3DZ 50-59 years, male 4.7
GTEX-17F9E-0926-SM-7IGMG 50-59 years, male 4.7
GTEX-1EU9M-1826-SM-7DUGU 60-69 years, male 4.7
GTEX-OXRL-0326-SM-2I3F2 50-59 years, male 4.7
GTEX-X8HC-1626-SM-46MWE 50-59 years, female 4.7
GTEX-1HBPM-1226-SM-A9SM8 60-69 years, female 4.7
GTEX-11TT1-1326-SM-5PNYM 20-29 years, male 4.6
GTEX-PVOW-0426-SM-5MR5R 40-49 years, male 4.6
GTEX-WHSE-0926-SM-3NMBS 20-29 years, male 4.6
GTEX-WI4N-0626-SM-3TW8Z 40-49 years, female 4.6
GTEX-ZAJG-0826-SM-5PNVA 50-59 years, female 4.6
GTEX-1JMPZ-1426-SM-CJI3C 30-39 years, male 4.6
GTEX-14H4A-0626-SM-5ZZUT 40-49 years, female 4.5
GTEX-15CHC-0426-SM-6LLHI 60-69 years, female 4.5
GTEX-18465-0926-SM-731AY 50-59 years, male 4.5
GTEX-R55G-0526-SM-2TC5O 40-49 years, female 4.5
GTEX-RTLS-0826-SM-2TF5Q 60-69 years, female 4.5
GTEX-RWS6-0326-SM-2XCAP 60-69 years, female 4.5
GTEX-1339X-0426-SM-5KLZY 40-49 years, male 4.4
GTEX-OHPK-0326-SM-2HMJO 50-59 years, female 4.4
GTEX-OHPL-0326-SM-33HC8 60-69 years, female 4.4
GTEX-ZYW4-0926-SM-59HJS 60-69 years, male 4.4
GTEX-1CB4J-0326-SM-7PBZO 60-69 years, male 4.4
GTEX-1GMR2-1426-SM-7RHHK 50-59 years, male 4.4
GTEX-1JK1U-0526-SM-CYPSQ 60-69 years, male 4.4
GTEX-1399S-1026-SM-5KLZ9 30-39 years, female 4.3
GTEX-13W3W-0426-SM-5SI9D 60-69 years, female 4.3
GTEX-OIZH-0326-SM-2HMKC 50-59 years, male 4.3
GTEX-1EN7A-0726-SM-7PBXT 40-49 years, male 4.3
GTEX-1ICG6-0626-SM-ACKWS 70-79 years, female 4.3
GTEX-1IKOE-1026-SM-ARZMF 30-39 years, female 4.3
GTEX-14A6H-0226-SM-5Q5DX 30-39 years, male 4.2
GTEX-T2IS-0426-SM-32QPE 20-29 years, female 4.2
GTEX-1GF9U-0426-SM-7RHHA 40-49 years, female 4.2
GTEX-1H23P-1226-SM-9QEJ2 60-69 years, male 4.2
GTEX-1HSMQ-0226-SM-C1YQL 50-59 years, male 4.2
GTEX-13OW8-2126-SM-5J1OS 60-69 years, male 4.1
GTEX-14JG1-1026-SM-6ETZY 40-49 years, male 4.1
GTEX-17HGU-1026-SM-79OKL 50-59 years, male 4.1
GTEX-1A3MX-1326-SM-72D58 60-69 years, male 4.1
GTEX-P4PP-0326-SM-33HC4 30-39 years, female 4.1
GTEX-P4QS-0326-SM-2I3EU 60-69 years, male 4.1
GTEX-U3ZH-0326-SM-3DB7A 30-39 years, male 4.1
GTEX-XBEC-1326-SM-4AT69 50-59 years, male 4.1
GTEX-Y5V5-0626-SM-4VBPX 60-69 years, female 4.1
GTEX-1LGRB-1126-SM-CNPP2 50-59 years, female 4.1
GTEX-1N2EF-2826-SM-E6CQF 60-69 years, male 4.1
GTEX-1399U-0526-SM-5K7YM 50-59 years, female 4.0
GTEX-146FH-1026-SM-5RQIF 50-59 years, female 4.0
GTEX-Y114-0226-SM-4TT8W 50-59 years, female 4.0
GTEX-1GL5R-0326-SM-9WYTJ 50-59 years, male 4.0
GTEX-1QP2A-1126-SM-EVR3H 50-59 years, male 4.0
GTEX-11ZVC-0426-SM-5CVLD 50-59 years, female 3.9
GTEX-1211K-0626-SM-5FQUZ 60-69 years, female 3.9
GTEX-NPJ8-0426-SM-2HMK6 40-49 years, male 3.9
GTEX-OIZG-1126-SM-2HMIU 50-59 years, male 3.9
GTEX-1CB4I-1626-SM-7RHGV 50-59 years, male 3.9
GTEX-1J8EW-0926-SM-A9G33 60-69 years, female 3.9
GTEX-1J8Q2-1226-SM-A9G2W 60-69 years, male 3.9
GTEX-1LGOU-0726-SM-E9TIY 20-29 years, female 3.9
GTEX-15CHQ-1526-SM-69LPW 60-69 years, male 3.8
GTEX-15EOM-5007-SM-793DG 20-29 years, female 3.8
GTEX-WFG7-0726-SM-3GIKO 20-29 years, male 3.8
GTEX-1ICLZ-1026-SM-A9SLF 60-69 years, male 3.8
GTEX-1IKJJ-0826-SM-A96SP 60-69 years, male 3.8
GTEX-13CF2-0426-SM-5KM1H 60-69 years, male 3.7
GTEX-145MO-1126-SM-5NQBX 60-69 years, male 3.7
GTEX-1A3MW-1326-SM-7189P 60-69 years, female 3.7
GTEX-1EWIQ-1426-SM-7IGOS 70-79 years, female 3.7
GTEX-ZG7Y-0926-SM-5EQ6O 50-59 years, male 3.7
GTEX-ZUA1-0826-SM-4YCDL 40-49 years, male 3.7
GTEX-1K9T9-1126-SM-D3L9E 50-59 years, female 3.7
GTEX-YJ8O-0926-SM-EAZ2Z 40-49 years, female 3.7
GTEX-1269C-0826-SM-5N9EM 60-69 years, female 3.6
GTEX-1399R-1926-SM-5K7X8 30-39 years, male 3.6
GTEX-13FH7-0926-SM-5J2MR 50-59 years, female 3.6
GTEX-13O3O-1526-SM-5KM1C 60-69 years, female 3.6
GTEX-14C39-0926-SM-5TDDV 40-49 years, male 3.6
GTEX-16XZY-0426-SM-793BI 70-79 years, male 3.6
GTEX-QDVJ-0426-SM-2I5FW 50-59 years, male 3.6
GTEX-R55E-1026-SM-2TC5S 20-29 years, male 3.6
GTEX-WFG8-0626-SM-3GILJ 20-29 years, male 3.6
GTEX-1HCVE-1126-SM-9WPPG 50-59 years, male 3.6
GTEX-1O9I2-1126-SM-DTXEA 50-59 years, male 3.6
GTEX-11GSP-1326-SM-5A5KY 60-69 years, female 3.5
GTEX-131XG-0626-SM-5GCMP 50-59 years, female 3.5
GTEX-13PVQ-1226-SM-5IJDC 50-59 years, male 3.5
GTEX-15ER7-1726-SM-6PAMX 20-29 years, female 3.5
GTEX-18A6Q-1626-SM-7KFTA 60-69 years, male 3.5
GTEX-U3ZN-1426-SM-3DB87 30-39 years, female 3.5
GTEX-WRHU-1226-SM-4E3IJ 50-59 years, female 3.5
GTEX-117YW-0326-SM-5N9CY 50-59 years, male 3.4
GTEX-QMRM-0526-SM-2I5GA 50-59 years, male 3.4
GTEX-1H1ZS-1126-SM-9MQLJ 70-79 years, male 3.4
GTEX-1IDJH-1026-SM-E9TKH 70-79 years, male 3.4
GTEX-14E7W-1226-SM-5RQIU 70-79 years, male 3.3
GTEX-1F6IF-2526-SM-7P8TV 60-69 years, male 3.3
GTEX-1HCU6-1026-SM-A9G25 60-69 years, female 3.3
GTEX-1122O-0826-SM-5GICV 60-69 years, female 3.2
GTEX-12ZZY-1126-SM-5DUWQ 60-69 years, male 3.2
GTEX-18D9B-1226-SM-72D6V 60-69 years, male 3.2
GTEX-1IKK5-1526-SM-CKZPW 60-69 years, male 3.2
GTEX-11ONC-0126-SM-5PNW6 60-69 years, male 3.1
GTEX-14BIL-1126-SM-79OMC 50-59 years, male 3.1
GTEX-1IL2U-1326-SM-A9G2O 60-69 years, male 3.1
GTEX-13NYB-0226-SM-5N9G4 40-49 years, male 3.0
GTEX-13O1R-1226-SM-5J1NU 60-69 years, male 3.0
GTEX-148VJ-1526-SM-5Q5DU 70-79 years, male 3.0
GTEX-PLZ5-0626-SM-2I5F8 50-59 years, male 3.0
GTEX-U8XE-1126-SM-3DB8W 30-39 years, male 3.0
GTEX-1QP29-1526-SM-EXUSY 50-59 years, male 3.0
GTEX-15DYW-1126-SM-6LPK5 60-69 years, female 2.9
GTEX-17MF6-0726-SM-7LT8E 40-49 years, male 2.9
GTEX-QEL4-0926-SM-3GAD1 50-59 years, male 2.9
GTEX-S32W-0626-SM-2XCBG 50-59 years, female 2.9
GTEX-ZF3C-1226-SM-4WWCB 50-59 years, female 2.9
GTEX-1JN6P-1126-SM-CKZON 60-69 years, male 2.9
GTEX-1PWST-1026-SM-DTXF2 70-79 years, male 2.9
GTEX-14A5I-1226-SM-5NQBW 50-59 years, female 2.8
GTEX-14JIY-1126-SM-6EU28 60-69 years, male 2.8
GTEX-ZDTS-1326-SM-6LLHE 60-69 years, male 2.8
GTEX-12WSN-5001-SM-7DHMK 40-49 years, male 2.7
GTEX-132QS-0426-SM-5KLZ6 60-69 years, male 2.7
GTEX-15SHU-1126-SM-7KUMB 40-49 years, female 2.7
GTEX-12WSD-1126-SM-5EGJD 60-69 years, female 2.6
GTEX-16MT8-0926-SM-6M487 60-69 years, female 2.6
GTEX-PX3G-0326-SM-2I3EO 20-29 years, female 2.6
GTEX-XPT6-0126-SM-4B65S 20-29 years, male 2.6
GTEX-1JN1M-1026-SM-CNPOS 60-69 years, female 2.6
GTEX-1POEN-0626-SM-EVR4B 30-39 years, female 2.6
GTEX-131XH-0226-SM-5LZVB 50-59 years, male 2.5
GTEX-145MN-0626-SM-5QGRH 30-39 years, male 2.5
GTEX-14XAO-1126-SM-6EU11 60-69 years, female 2.5
GTEX-15RJE-0626-SM-7KUKR 40-49 years, male 2.5
GTEX-P44G-0826-SM-2I5ES 30-39 years, male 2.5
GTEX-V1D1-0526-SM-4JBGW 50-59 years, male 2.5
GTEX-Y3IK-0826-SM-51MT8 50-59 years, female 2.5
GTEX-11EM3-0626-SM-5H12Z 20-29 years, female 2.4
GTEX-1I1HK-0726-SM-B2LY4 60-69 years, male 2.4
GTEX-12696-1126-SM-5FQTI 60-69 years, male 2.3
GTEX-1E1VI-1326-SM-7IGQD 50-59 years, male 2.3
GTEX-1GTWX-1026-SM-7P8QW 60-69 years, male 2.3
GTEX-1EX96-2526-SM-7RHGW 50-59 years, male 2.1
GTEX-17HII-1326-SM-7IGOB 50-59 years, male 2.0
GTEX-15SHW-1226-SM-6M46C 60-69 years, male 1.9
GTEX-1F6I4-0726-SM-7PC2P 60-69 years, male 1.9
GTEX-1JMOU-0226-SM-CNNPD 60-69 years, female 1.9
GTEX-1LH75-0426-SM-E9TJF 50-59 years, female 1.9
GTEX-1HCUA-0526-SM-A9SMH 50-59 years, female 1.8
GTEX-1I6K7-0626-SM-ARL7Q 40-49 years, male 1.8
GTEX-11DXZ-0626-SM-5GU77 50-59 years, male 1.7
GTEX-13YAN-1326-SM-5Q5F1 60-69 years, male 1.7
GTEX-14PK6-0826-SM-5ZZVO 70-79 years, female 1.7
GTEX-14E6C-0426-SM-5YYA8 40-49 years, male 1.6
GTEX-OOBJ-0326-SM-33HBO 60-69 years, male 1.6
GTEX-14PN3-0526-SM-69LQF 60-69 years, female 1.5
GTEX-1HCU7-1326-SM-CNPPW 50-59 years, male 1.5
GTEX-X15G-0426-SM-4PQZ6 50-59 years, female 1.1
GTEX-1B932-1026-SM-793CL 40-49 years, female 0.9
GTEX-ZYFG-0426-SM-5E43M 60-69 years, female 0.9
Show allShow less

HEART MUSCLE - FANTOM5 CAGEi

RNA expression in human tissues obtained through Cap Analysis of Gene Expression (CAGE) generated by the FANTOM5 project are reported as Scaled Tags Per Million.

Max subtype Scaled Tags Per Millioni

Max subtype Scaled Tags Per Million is the value for the subtype with the largest average Scaled Tags Per Million across the subtype samples.

19.1
FANTOM5 sample id Sample description Scaled Tags Per Million
Heart
Scaled Tags Per Million: 18.6
FF:10016-101C7 70,73,74 years, mixed 18.6
Left atrium
Scaled Tags Per Million: 19.1
FF:10079-102A7 40 years, male 19.1
Left ventricle
Scaled Tags Per Million: 9.5
FF:10078-102A6 73 years, female 9.5

Contact

  • NEWS ARTICLES
  • PRESS ROOM

The Project

  • INTRODUCTION
  • ORGANIZATION
  • PUBLICATIONS

The Human Protein Atlas

  • DOWNLOADABLE DATA
  • LICENCE & CITATION
  • HELP & FAQ
The Human Protein Atlas project is funded
by the Knut & Alice Wallenberg Foundation.


contact@proteinatlas.org