We use cookies to enhance the usability of our website. If you continue, we'll assume that you are happy to receive all cookies. More information. Don't show this again.
MYH11
HPA
RESOURCES
  • TISSUE
  • BRAIN
  • SINGLE CELL
  • SUBCELLULAR
  • CANCER
  • BLOOD
  • CELL LINE
  • STRUCTURE & INTERACTION
ABOUT
  • INTRODUCTION
  • HISTORY
  • ORGANIZATION
  • PUBLICATIONS
  • ANTIBODY SUBMISSION
  • ANTIBODY AVAILABILITY
  • ACKNOWLEDGMENTS
  • CONTACT
NEWS
  • NEWS ARTICLES
  • PRESS ROOM
LEARN
  • DICTIONARY
  • PROTEIN CLASSES
  • PROTEIN EVIDENCE
  • METHODS
  • EDUCATIONAL VIDEOS
DATA
  • DOWNLOADABLE DATA
  • PUBLICATION DATA
  • RELEASE HISTORY
HELP
  • ANTIBODY VALIDATION
  • ASSAYS & ANNOTATION
  • DISCLAIMER
  • HELP & FAQ
  • PRIVACY STATEMENT
  • LICENCE & CITATION
Fields »
Search result

Field
Term
Gene name
Class
Subclass
Class
Keyword
Chromosome
External id
Tissue
Cell type
Expression
Antibody panel
Tissue
Main location
Patient ID
Annotation
Tissue
Category
Tau score
Cluster
Reliability
Brain region
Category
Tau score
Brain region
Category
Tau score
Brain region
Category
Tau score
Cluster
Reliability
Tissue
Cell type
Enrichment
Cell type
Category
Tau score
Cell type
Category
Tau score
Cell type
Category
Tau score
Cell lineage
Category
Tau score
Cluster
Cluster
Location
Searches
Location
Cell line
Class
Type
Phase
Reliability
Cancer
Prognosis
Cancer
Category
Cancer
Category
Tau score
Cluster
Variants
Interacting gene (ensg_id)
Type
Number of interactions
Pathway
Category
Score
Score
Score
Validation
Validation
Validation
Validation
Antibodies
Data type
Column


  • SUMMARY

  • TISSUE

  • BRAIN

  • SINGLE CELL

  • SUBCELL

  • CANCER

  • BLOOD

  • CELL LINE

  • STRUCT & INT

  • MYH11
TISSUE PRIMARY DATA ESOPHAGUS Show tissue menu
ADIPOSE TISSUE ADRENAL GLAND AMYGDALA APPENDIX BASAL GANGLIA BONE MARROW BREAST BRONCHUS CEREBELLUM CEREBRAL CORTEX CERVIX CHOROID PLEXUS COLON DUODENUM
ENDOMETRIUM EPIDIDYMIS ESOPHAGUS FALLOPIAN TUBE GALLBLADDER HEART MUSCLE HIPPOCAMPAL FORMATION HYPOTHALAMUS KIDNEY LIVER LUNG LYMPH NODE MIDBRAIN NASOPHARYNX
ORAL MUCOSA OVARY PANCREAS PARATHYROID GLAND PITUITARY GLAND PLACENTA PROSTATE RECTUM RETINA SALIVARY GLAND SEMINAL VESICLE SKELETAL MUSCLE SKIN SMALL INTESTINE
SMOOTH MUSCLE SOFT TISSUE SPINAL CORD SPLEEN STOMACH TESTIS THYMUS THYROID GLAND TONGUE TONSIL URINARY BLADDER VAGINA
ANTIBODIES
AND
VALIDATION
Dictionary
Esophagus
Tissue proteome
Esophagus
ESOPHAGUS - Expression summary
Protein expression
Esophagusi

On the top, protein expression in current human tissue, based on all annotated cell types, is reported with the units not detected (n), low (l), medium (m) and high (h). Underneath, protein expression in each annotated cell type are reported using the same units.

Protein expression data is based on knowledge-based annotation. For genes where more than one antibody has been used, a collective score is set.

If knowledge-based annotation could not be performed for a gene, no data is displayed here. View antibody staining data further down this page.

h
m
l
n
Squamous epithelial cells: Not detected
RNA expressioni

A summary of mRNA expression data available for current tissue based on several datasets. The mRNA expression levels in human tissues are based on RNA-seq data generated by the Human Protein Atlas (HPA), Genotype-Tissue Expression (GTEx) portal and CAGE data generated by the FANTOM5 consortium. Consensus normalized expression levels for human tissues was created by combining the data from HPA and GTEx datasets.

The mRNA expression levels in pig are based on RNA-seq data generated by the Human Protein Atlas (HPA), and for mouse, HPA data and in situ hybridization generated by the Allen brain atlas are reported.

Scroll down to view mRNA expression data in more detail.
Consensus:735.7 nTPM
HPA:735.7 nTPM
GTEx:236.9 nTPM
FANTOM5:4942.3 Scaled Tags Per Million

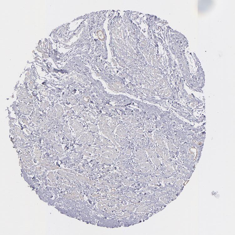
ESOPHAGUS - Antibody stainingi

Antibody staining in the annotated cell types in the current human tissue is reported as not detected, low, medium, or high, based on conventional immunohistochemistry profiling in selected tissues. This score is based on the combination of the staining intensity and fraction of stained cells.

Each image is clickable and will lead to virtual microscopy that enables deeper exploration of all samples and also displays staining intensity scores, fraction scores and subcellular localization as well as patient and tissue information for each sample.

Antibody HPA014539Antibody HPA015310Antibody CAB002302
Squamous epithelial cells Not detectedNot detectedNot detected







ESOPHAGUS - HPA RNA-seqi

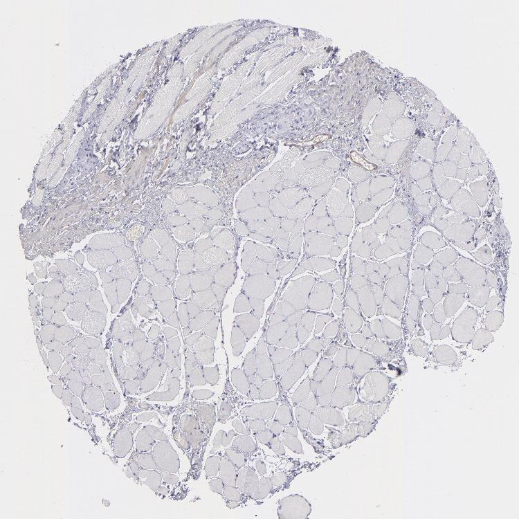
The RNA-seq details section shows detailed information about the individual samples used for the transcript profiling and results of the RNA-seq analysis.

Information about each individual sample is listed below, including gender, age, a tissue section image and estimated fractions of cell types. nTPM (normalized transcripts per million) values give a quantification of the gene abundance which is comparable between different genes and samples.
Average nTPMi

Max subtype nTPM is the value for the subtype with the largest average nTPM across the subtype samples.

735.7
overview
Female, age 70
Esophagus sample 130
nTPM: 237
Cell types%
Squamous epithelial cells:
35

Smooth muscle cells:
15

Skeletal muscle cells:
5

Other cell types:
45

overview
Male, age 38
Esophagus sample 131
nTPM: 1298.8
Cell types%
Squamous epithelial cells:
60

Smooth muscle cells:
20

Other cell types:
20

overview
Male, age 76
Esophagus sample 132
nTPM: 671.2
Cell types%
Squamous epithelial cells:
45

Smooth muscle cells:
15

Other cell types:
40


ESOPHAGUS - GTEx RNA-seqi

RNA-Seq data generated by the Genotype-Tissue Expression (GTEx) project from human tissues is reported as mean nTPM. More information can be found on the GTEx portal.

Distribution across the dataset is visualized with box plots, shown as median and 25th and 75th percentiles. Points are displayed as outliers if they are above or below 1.5 times the interquartile range. nTPM values of the individual samples are presented next to the box plot.
Max subtype nTPMi

Max subtype nTPM is the value for the subtype with the largest average nTPM across the subtype samples.

236.9
GTEx sample id Sample description nTPM
Esophagus - Mucosa
Average nTPM: 236.9
Samples: 555

Max nTPM: 2302.7
Min nTPM: 4.2
Std nTPM: 229.6
Median nTPM: 182.5
GTEX-WEY5-0926-SM-4LMI4 40-49 years, female 2302.7
GTEX-N7MS-1225-SM-3LK5G 60-69 years, male 1929.8
GTEX-1LGOU-0526-SM-D3LAO 20-29 years, female 1672.8
GTEX-13JVG-2026-SM-5KM1N 60-69 years, male 1365.5
GTEX-ZAK1-1526-SM-5S2OV 50-59 years, female 1261.9
GTEX-13FLV-1126-SM-5J2NO 50-59 years, male 1090.3
GTEX-11VI4-0526-SM-5EQ48 40-49 years, female 1071.8
GTEX-1QP29-2126-SM-E6CPZ 50-59 years, male 1044.5
GTEX-1399R-0826-SM-5IJEL 30-39 years, male 931.3
GTEX-1BAJH-2026-SM-7P8OZ 70-79 years, male 877.0
GTEX-14B4R-0326-SM-5TDDP 30-39 years, male 841.4
GTEX-17HHE-0926-SM-7938K 50-59 years, male 790.4
GTEX-ZF2S-1226-SM-4WWAX 50-59 years, female 790.1
GTEX-1GN1U-1826-SM-9JGH2 50-59 years, female 774.2
GTEX-1H3NZ-1326-SM-9JGHI 60-69 years, male 738.1
GTEX-1AMFI-0226-SM-731D5 50-59 years, female 736.0
GTEX-ZAB5-0926-SM-5CVMV 50-59 years, male 721.3
GTEX-14DAQ-1426-SM-5RQJD 60-69 years, female 716.2
GTEX-13O21-0626-SM-5IJDI 50-59 years, male 672.7
GTEX-R55C-0826-SM-48FCL 40-49 years, male 662.0
GTEX-1JKYN-1526-SM-CGQGA 30-39 years, male 659.8
GTEX-13X6K-2126-SM-5O9D4 60-69 years, female 656.8
GTEX-1OKEX-1326-SM-E9J2U 60-69 years, male 650.6
GTEX-17KNJ-1326-SM-7KFTG 50-59 years, male 640.6
GTEX-1QPFJ-1226-SM-EAZ3M 30-39 years, female 639.5
GTEX-1B97J-1026-SM-7MXTE 50-59 years, female 636.4
GTEX-1GMR2-1526-SM-7MXV6 50-59 years, male 629.5
GTEX-RTLS-1126-SM-46MUQ 60-69 years, female 590.2
GTEX-R53T-1126-SM-48FD4 50-59 years, female 584.8
GTEX-ZYW4-1326-SM-5E45N 60-69 years, male 584.8
GTEX-1JKYR-2126-SM-CNNPC 20-29 years, male 580.7
GTEX-11EM3-0826-SM-5N9CC 20-29 years, female 577.9
GTEX-1B8KE-1826-SM-731FD 50-59 years, male 574.3
GTEX-16AAH-0726-SM-793A9 50-59 years, male 569.3
GTEX-17F98-1726-SM-7938O 40-49 years, female 567.6
GTEX-13W3W-1626-SM-5LU35 60-69 years, female 561.9
GTEX-12WSK-1126-SM-5LZV8 40-49 years, female 558.0
GTEX-14C5O-1626-SM-73KYH 60-69 years, male 551.1
GTEX-Y9LG-0626-SM-4WWDH 30-39 years, male 548.8
GTEX-11TT1-0526-SM-5P9JO 20-29 years, male 540.1
GTEX-QCQG-0626-SM-48U21 50-59 years, female 533.2
GTEX-PLZ6-0526-SM-3P61C 30-39 years, male 527.8
GTEX-YB5K-0826-SM-5YYB7 40-49 years, female 523.6
GTEX-1212Z-2126-SM-5FQTM 60-69 years, male 523.0
GTEX-15UF7-0926-SM-6M46F 40-49 years, male 522.9
GTEX-1I1GQ-1726-SM-B2LWZ 50-59 years, male 513.7
GTEX-1MJIX-0826-SM-DTXEO 40-49 years, male 512.3
GTEX-111CU-0726-SM-5GZYD 50-59 years, male 506.7
GTEX-1F7RK-1526-SM-7P8T6 20-29 years, female 502.7
GTEX-ZPU1-1426-SM-4WWFU 40-49 years, male 502.2
GTEX-13OVK-1126-SM-6PAMR 40-49 years, male 498.3
GTEX-T6MO-0526-SM-4DM6R 40-49 years, female 495.2
GTEX-R55G-1026-SM-48FDI 40-49 years, female 486.6
GTEX-YEC4-1026-SM-9WG7N 40-49 years, male 483.2
GTEX-17F9E-1926-SM-7IGQF 50-59 years, male 476.1
GTEX-1LVAM-1126-SM-DHXKP 50-59 years, female 474.2
GTEX-1ICG6-1926-SM-ARU7L 70-79 years, female 470.5
GTEX-1A3MV-1326-SM-7LG6C 30-39 years, male 468.0
GTEX-ZEX8-1426-SM-4WKHQ 50-59 years, male 467.7
GTEX-13QBU-1026-SM-5LU3R 40-49 years, female 466.2
GTEX-P4PP-0626-SM-3NM9X 30-39 years, female 463.5
GTEX-1JMPY-0826-SM-AHZ4A 30-39 years, male 462.2
GTEX-1LG7Z-0926-SM-CXKYK 30-39 years, male 459.6
GTEX-PWCY-0726-SM-48TCS 20-29 years, female 458.7
GTEX-ZPCL-1426-SM-57WEC 60-69 years, female 449.9
GTEX-1CB4E-1026-SM-793AB 60-69 years, male 449.7
GTEX-Z9EW-0526-SM-5HL8S 40-49 years, male 449.7
GTEX-1R9JW-1526-SM-DPRZK 30-39 years, female 445.5
GTEX-PVOW-1626-SM-48TC9 40-49 years, male 444.7
GTEX-1A32A-1826-SM-72D5G 50-59 years, female 443.0
GTEX-1GN73-1926-SM-9JGGS 60-69 years, male 439.2
GTEX-XUZC-0426-SM-4BOPE 30-39 years, female 438.2
GTEX-13U4I-1126-SM-5LU3S 40-49 years, female 435.0
GTEX-15EO6-1026-SM-7KUG9 50-59 years, male 434.6
GTEX-P78B-1026-SM-3NMC4 40-49 years, female 432.4
GTEX-QESD-0826-SM-47J4G 20-29 years, male 428.8
GTEX-13PVR-1826-SM-5Q5CC 60-69 years, female 428.3
GTEX-15ER7-2126-SM-7939E 20-29 years, female 426.0
GTEX-14PJM-1526-SM-664NY 50-59 years, female 425.0
GTEX-S95S-0426-SM-4B64I 60-69 years, male 422.4
GTEX-15ETS-1926-SM-7KUN5 40-49 years, female 421.0
GTEX-1MCC2-1926-SM-DHXJR 30-39 years, female 419.2
GTEX-ZQUD-0426-SM-57WFR 30-39 years, male 416.1
GTEX-13FTX-0526-SM-5IFGS 20-29 years, female 415.7
GTEX-14PJ3-0626-SM-6UGC5 50-59 years, male 413.5
GTEX-145ME-5004-SM-7MGXP 40-49 years, female 408.4
GTEX-13OW8-2326-SM-5L3I9 60-69 years, male 408.0
GTEX-1LBAC-1226-SM-DHXK1 20-29 years, male 406.7
GTEX-ZDTT-1326-SM-4WKFH 60-69 years, male 406.1
GTEX-14E1K-1226-SM-5S2PD 50-59 years, male 406.0
GTEX-XV7Q-1126-SM-4BRVS 40-49 years, female 404.9
GTEX-ZTSS-0626-SM-59867 40-49 years, male 404.4
GTEX-ZF29-1326-SM-DNZYV 60-69 years, female 403.5
GTEX-13PL7-0226-SM-731DT 60-69 years, female 398.2
GTEX-1HCUA-1426-SM-9WPP7 50-59 years, female 381.8
GTEX-132QS-1426-SM-5P9GE 60-69 years, male 381.0
GTEX-1F5PL-1726-SM-9QEGL 40-49 years, female 380.1
GTEX-1LVAN-2326-SM-CNNPY 50-59 years, female 377.2
GTEX-178AV-0526-SM-6LPJH 40-49 years, male 376.8
GTEX-ZVT2-1326-SM-5E45H 50-59 years, female 374.7
GTEX-131YS-1426-SM-5IJF7 60-69 years, female 370.5
GTEX-ZG7Y-1126-SM-4WWEZ 50-59 years, male 367.8
GTEX-1JMQJ-1226-SM-D3L97 50-59 years, male 367.2
GTEX-1EKGG-1726-SM-7MXUP 60-69 years, male 366.8
GTEX-14E6E-0726-SM-5S2R3 30-39 years, male 363.9
GTEX-OXRP-0926-SM-48TC1 60-69 years, female 361.5
GTEX-ZLFU-1126-SM-DO11K 40-49 years, male 359.3
GTEX-1211K-0926-SM-5FQTL 60-69 years, female 355.1
GTEX-XQ8I-1526-SM-4BOOH 50-59 years, male 354.5
GTEX-U3ZM-0526-SM-4DXTB 40-49 years, male 349.8
GTEX-ZAB4-1126-SM-5HL86 40-49 years, male 348.7
GTEX-131XG-1026-SM-5GCMX 50-59 years, female 347.8
GTEX-13O61-0926-SM-5IFFE 60-69 years, male 346.3
GTEX-1AMEY-0226-SM-7189Q 30-39 years, female 344.9
GTEX-ZZ64-0226-SM-5E44X 20-29 years, male 344.9
GTEX-11EQ9-0726-SM-5A5K2 30-39 years, male 340.4
GTEX-RWS6-0826-SM-47JXF 60-69 years, female 339.7
GTEX-17MFQ-0526-SM-7KFTX 20-29 years, male 339.6
GTEX-1H1DE-1026-SM-9JGH6 20-29 years, male 337.0
GTEX-15DCD-1626-SM-6AJBH 70-79 years, female 335.0
GTEX-1E1VI-1526-SM-7IGQ2 50-59 years, male 327.4
GTEX-15SB6-0726-SM-6M48F 50-59 years, female 326.2
GTEX-1C475-0926-SM-7MKFI 40-49 years, female 324.8
GTEX-OOBK-0625-SM-3LK5P 40-49 years, male 324.7
GTEX-1F88F-1126-SM-7MKHL 60-69 years, female 319.7
GTEX-1MA7W-0426-SM-E9TJ5 20-29 years, female 318.1
GTEX-15EU6-1626-SM-6LPKF 50-59 years, male 317.7
GTEX-1R9K5-1526-SM-DPRZA 50-59 years, male 317.0
GTEX-1HCU7-2126-SM-A96SG 50-59 years, male 312.3
GTEX-13X6I-1026-SM-5LU4C 60-69 years, male 310.9
GTEX-15DYW-1826-SM-6LPIY 60-69 years, female 310.6
GTEX-Y8LW-0726-SM-5IFI1 50-59 years, female 309.4
GTEX-Y3IK-1126-SM-51MSV 50-59 years, female 308.6
GTEX-ZY6K-0626-SM-59HJL 50-59 years, male 306.8
GTEX-TML8-1526-SM-4DXUX 40-49 years, female 306.1
GTEX-11DXZ-1226-SM-5H11L 50-59 years, male 306.0
GTEX-145LT-1126-SM-5LUA1 40-49 years, male 305.3
GTEX-12ZZX-1326-SM-5DUWI 40-49 years, female 305.0
GTEX-12696-1326-SM-5FQTJ 60-69 years, male 304.7
GTEX-1AX9I-1426-SM-7DHM8 60-69 years, male 304.2
GTEX-OXRK-1326-SM-3NB1A 50-59 years, female 303.7
GTEX-13111-0826-SM-5LZV3 50-59 years, male 302.9
GTEX-11P82-0526-SM-5986P 20-29 years, male 301.9
GTEX-1N2DW-1426-SM-EV7AZ 50-59 years, male 299.8
GTEX-16A39-1026-SM-6LPJU 30-39 years, female 298.8
GTEX-13G51-0926-SM-5IFFU 60-69 years, male 297.7
GTEX-1CB4I-1026-SM-7MKFZ 50-59 years, male 296.7
GTEX-WFON-0826-SM-4LVMI 40-49 years, male 296.7
GTEX-YF7O-0926-SM-5IFIF 50-59 years, male 296.7
GTEX-13FH7-0526-SM-5IJF8 50-59 years, female 293.2
GTEX-14DAR-0826-SM-73KYJ 50-59 years, male 292.7
GTEX-OXRL-0626-SM-3NM9C 50-59 years, male 289.5
GTEX-1GL5R-1526-SM-7MKHO 50-59 years, male 288.9
GTEX-1MGNQ-1626-SM-EAZ4Z 40-49 years, male 288.8
GTEX-1OJC3-0826-SM-DPRYU 20-29 years, male 288.1
GTEX-17F97-1326-SM-7MGVO 50-59 years, male 287.9
GTEX-145MO-1426-SM-DTX9W 60-69 years, male 287.8
GTEX-SNMC-0526-SM-4DM69 20-29 years, male 287.1
GTEX-145MF-1426-SM-5O9B6 50-59 years, male 286.8
GTEX-SUCS-0726-SM-4DM7J 70-79 years, male 285.5
GTEX-PLZ5-0926-SM-3TW8L 50-59 years, male 283.4
GTEX-UJMC-0926-SM-4IHLK 50-59 years, male 283.4
GTEX-ZVP2-1326-SM-57WCE 50-59 years, male 282.0
GTEX-ZYT6-1126-SM-5GZYR 30-39 years, male 279.5
GTEX-Y3I4-1226-SM-4TT8N 50-59 years, male 278.4
GTEX-1HBPI-0626-SM-9WPP4 50-59 years, male 277.6
GTEX-WYVS-0726-SM-4ONDO 40-49 years, female 273.8
GTEX-12WSD-1826-SM-5GCOA 60-69 years, female 273.2
GTEX-11GSP-1826-SM-5N9DQ 60-69 years, female 273.0
GTEX-133LE-0626-SM-5IFFJ 20-29 years, female 270.2
GTEX-TSE9-1226-SM-4DXTM 60-69 years, female 268.8
GTEX-WHSE-1526-SM-4M1XH 20-29 years, male 266.7
GTEX-14PHY-0626-SM-664NN 60-69 years, female 265.7
GTEX-15RIF-0826-SM-6M47C 20-29 years, male 263.8
GTEX-11ZTS-2626-SM-5EGIC 60-69 years, female 258.7
GTEX-14H4A-1626-SM-5SI69 40-49 years, female 253.9
GTEX-1QP9N-0926-SM-E9U5S 30-39 years, male 253.7
GTEX-WH7G-0926-SM-4LVMJ 40-49 years, male 253.4
GTEX-13S86-0826-SM-5SI6J 40-49 years, male 252.3
GTEX-1I1GU-1426-SM-B2LX3 40-49 years, male 251.9
GTEX-U3ZH-1026-SM-4DXUZ 30-39 years, male 250.9
GTEX-T5JC-1726-SM-4DM6U 20-29 years, male 249.7
GTEX-11P81-0826-SM-5P9GR 30-39 years, female 248.9
GTEX-17HGU-1426-SM-7938G 50-59 years, male 248.5
GTEX-1GN1W-2226-SM-9JGI5 50-59 years, female 247.1
GTEX-13CF3-1626-SM-5IFG9 60-69 years, female 245.5
GTEX-1I1GS-2126-SM-ARU7G 60-69 years, male 244.3
GTEX-X15G-0826-SM-4PQZD 50-59 years, female 241.8
GTEX-ZLWG-1326-SM-DNZYZ 50-59 years, female 239.7
GTEX-XYKS-1526-SM-4BRUP 60-69 years, female 239.5
GTEX-XLM4-2326-SM-4AT5E 60-69 years, male 239.4
GTEX-144GM-1426-SM-5LU31 20-29 years, male 238.2
GTEX-14PKV-1726-SM-6871U 20-29 years, female 237.8
GTEX-XMD2-1326-SM-4YCET 60-69 years, female 237.7
GTEX-SE5C-1226-SM-4BRWV 40-49 years, female 236.4
GTEX-1F75I-1726-SM-7MKGW 40-49 years, male 236.2
GTEX-1QW4Y-0526-SM-EAZ3V 30-39 years, male 235.9
GTEX-169BO-0526-SM-793AK 50-59 years, male 235.0
GTEX-XQ3S-1126-SM-4BOPK 20-29 years, male 234.7
GTEX-V955-1126-SM-4JBH3 60-69 years, male 234.0
GTEX-15F5U-5010-SM-AHZ2D 40-49 years, male 233.3
GTEX-WRHK-0526-SM-4MVOF 20-29 years, female 233.0
GTEX-1B996-1826-SM-7MGY6 60-69 years, male 232.6
GTEX-TKQ1-0326-SM-4DXSM 30-39 years, male 232.3
GTEX-1R7EU-0826-SM-DPRZL 60-69 years, male 232.1
GTEX-RNOR-1226-SM-48FDQ 50-59 years, female 232.0
GTEX-15EOM-5013-SM-7MKF9 20-29 years, female 230.1
GTEX-QDVN-1026-SM-48TZA 50-59 years, male 229.8
GTEX-14BIM-1326-SM-7EWD1 60-69 years, female 229.5
GTEX-11NSD-1126-SM-5N9BQ 20-29 years, male 229.0
GTEX-1A8FM-1526-SM-7MXTA 50-59 years, female 228.3
GTEX-1HBPH-1126-SM-A96TU 40-49 years, female 227.2
GTEX-147F3-0826-SM-5NQA7 50-59 years, female 227.0
GTEX-16NGA-1426-SM-718AC 40-49 years, female 226.6
GTEX-14BMU-0926-SM-5S2QB 20-29 years, female 226.5
GTEX-1MCYP-1026-SM-DPRYB 20-29 years, female 226.5
GTEX-WFJO-0826-SM-4LVM5 30-39 years, male 226.1
GTEX-ZYFG-1126-SM-5GICY 60-69 years, female 225.8
GTEX-1122O-1726-SM-5GICM 60-69 years, female 223.7
GTEX-11TUW-1326-SM-5EQKV 60-69 years, male 223.3
GTEX-1F5PK-1526-SM-7MKGV 50-59 years, male 223.1
GTEX-ZXES-1126-SM-5GZXN 30-39 years, female 222.8
GTEX-13FHO-1726-SM-DPRZX 60-69 years, male 221.6
GTEX-1GMR8-1826-SM-9WYUE 50-59 years, female 221.0
GTEX-Y111-1626-SM-57WCY 50-59 years, male 220.8
GTEX-1I1GP-1026-SM-C1YRZ 50-59 years, male 219.7
GTEX-U3ZN-1726-SM-4DXUQ 30-39 years, female 219.0
GTEX-WK11-1026-SM-4OOS8 50-59 years, male 218.5
GTEX-12BJ1-1626-SM-5HL8Y 60-69 years, male 218.0
GTEX-13FTW-1626-SM-5KM4N 40-49 years, male 217.8
GTEX-15RIE-0826-SM-6M47X 60-69 years, male 217.6
GTEX-RM2N-0726-SM-48FD5 50-59 years, male 216.8
GTEX-X4LF-0626-SM-4QASB 50-59 years, male 216.1
GTEX-WHSB-0426-SM-4M1XI 50-59 years, male 216.0
GTEX-146FQ-1026-SM-5LU8I 30-39 years, male 214.8
GTEX-1R9K4-1926-SM-DPRZW 60-69 years, male 214.6
GTEX-139TU-1226-SM-5J2NL 60-69 years, male 213.5
GTEX-S4P3-0426-SM-4AD56 50-59 years, female 213.0
GTEX-1QCLZ-1626-SM-E9U5R 60-69 years, female 212.8
GTEX-REY6-1326-SM-48FDO 60-69 years, male 211.9
GTEX-1K2DA-0626-SM-CGQGO 50-59 years, male 211.5
GTEX-1B97I-0926-SM-731DZ 40-49 years, male 208.8
GTEX-YEC3-2526-SM-CXZIH 50-59 years, male 208.4
GTEX-1HSGN-1626-SM-A96U2 40-49 years, female 205.7
GTEX-RVPV-0526-SM-47JYL 60-69 years, male 204.7
GTEX-12C56-1226-SM-5FQSU 20-29 years, male 203.5
GTEX-1HC8U-1526-SM-9WPO4 40-49 years, female 202.4
GTEX-T2IS-0826-SM-4DM6L 20-29 years, female 201.7
GTEX-111YS-0926-SM-5EGGI 60-69 years, male 200.7
GTEX-XXEK-0326-SM-4BRVV 50-59 years, male 200.6
GTEX-12WSN-5013-SM-7P8P9 40-49 years, male 200.5
GTEX-139YR-1726-SM-5IFFK 50-59 years, male 200.1
GTEX-P4PQ-0626-SM-3NMCU 60-69 years, male 199.8
GTEX-18A7A-2326-SM-7KFRH 50-59 years, female 199.2
GTEX-1KD4Q-1126-SM-CXZKK 40-49 years, male 198.8
GTEX-15SHU-1426-SM-6LPIN 40-49 years, female 198.4
GTEX-XBED-1026-SM-48TCB 60-69 years, male 197.0
GTEX-U4B1-0826-SM-4DXTW 40-49 years, male 196.8
GTEX-14PJN-0526-SM-68724 30-39 years, male 196.4
GTEX-Q2AH-0826-SM-48TZN 40-49 years, male 196.4
GTEX-ZAJG-1326-SM-5S2NV 50-59 years, female 195.1
GTEX-1399U-1026-SM-5J1OC 50-59 years, female 194.8
GTEX-W5WG-1626-SM-4LMKG 50-59 years, female 194.5
GTEX-WHPG-1126-SM-4M1XT 50-59 years, male 194.0
GTEX-Y5V6-1026-SM-4VBS2 60-69 years, male 194.0
GTEX-1399S-1326-SM-5P9GH 30-39 years, female 192.6
GTEX-ZA64-0626-SM-5HL9O 20-29 years, male 192.5
GTEX-1HCVE-1226-SM-9WPPH 50-59 years, male 190.2
GTEX-RU1J-0326-SM-46MUM 20-29 years, female 189.6
GTEX-UPJH-1026-SM-EAZB2 50-59 years, male 188.4
GTEX-11DYG-1326-SM-5N9DO 60-69 years, male 187.6
GTEX-18D9U-2126-SM-7LG4Y 40-49 years, male 186.7
GTEX-ZT9W-1326-SM-51MTB 50-59 years, male 186.1
GTEX-1J1R8-0326-SM-AHZ3D 40-49 years, male 184.2
GTEX-1I6K7-1426-SM-B2LXP 40-49 years, male 183.5
GTEX-V1D1-1026-SM-4JBHE 50-59 years, male 183.4
GTEX-R55D-1126-SM-48FEB 50-59 years, male 182.8
GTEX-ZTPG-1626-SM-5DUX2 20-29 years, female 182.5
GTEX-145LU-0926-SM-79OJL 50-59 years, male 182.0
GTEX-15RJ7-0926-SM-6LPJO 40-49 years, male 181.8
GTEX-15UF6-2326-SM-6M465 70-79 years, female 179.7
GTEX-X4EO-1226-SM-4QARR 60-69 years, female 178.5
GTEX-146FR-0426-SM-5SI97 60-69 years, female 178.0
GTEX-T5JW-1326-SM-4DM5G 20-29 years, female 178.0
GTEX-UJHI-0826-SM-4IHLM 50-59 years, female 177.7
GTEX-1J8QM-1926-SM-AHZ3Z 60-69 years, female 176.0
GTEX-12KS4-0926-SM-5BC5S 30-39 years, male 175.9
GTEX-OIZI-1426-SM-3NB1T 40-49 years, male 175.4
GTEX-11EI6-1526-SM-5P9GL 60-69 years, male 174.6
GTEX-18A66-1426-SM-7KFRT 60-69 years, male 174.3
GTEX-13SLX-1726-SM-5Q5E5 50-59 years, female 173.6
GTEX-1R9PM-0926-SM-DPRYA 20-29 years, male 173.4
GTEX-XMK1-1326-SM-4B65Q 40-49 years, male 171.8
GTEX-UPK5-1226-SM-4IHL8 40-49 years, male 171.6
GTEX-14ICL-0526-SM-5RQJ6 30-39 years, male 168.7
GTEX-1KXAM-0826-SM-CXZK9 60-69 years, male 167.2
GTEX-OIZF-0626-SM-7MKHG 60-69 years, male 165.9
GTEX-1HCU6-1326-SM-A96TZ 60-69 years, female 165.2
GTEX-1AX8Z-5016-SM-AHZ2B 60-69 years, male 164.9
GTEX-1GMR3-1526-SM-9JGGL 40-49 years, male 163.8
GTEX-1LSNL-2226-SM-DHXKM 50-59 years, male 162.9
GTEX-144GO-2726-SM-5O9A2 60-69 years, male 162.4
GTEX-ZT9X-0526-SM-5GCOP 40-49 years, male 161.5
GTEX-ZDYS-0826-SM-4WWCR 50-59 years, male 160.5
GTEX-XBEW-1326-SM-4AT63 40-49 years, male 159.9
GTEX-1QP28-1826-SM-EAZ4L 50-59 years, female 159.8
GTEX-146FH-1726-SM-5QGQ2 50-59 years, female 157.5
GTEX-18A67-2426-SM-7LT95 50-59 years, male 157.1
GTEX-1H3VY-2026-SM-9JGHK 50-59 years, male 154.5
GTEX-12WSG-5007-SM-7DUGZ 50-59 years, female 154.4
GTEX-1CB4F-1526-SM-7MKFM 60-69 years, male 154.0
GTEX-1CB4J-2426-SM-7MXVC 60-69 years, male 154.0
GTEX-139UW-1126-SM-5IJEJ 60-69 years, male 153.9
GTEX-QEG4-0726-SM-CNNRF 30-39 years, male 153.9
GTEX-1B8KZ-0726-SM-7938W 50-59 years, male 153.6
GTEX-S341-0526-SM-4AD5U 40-49 years, female 152.6
GTEX-QLQ7-0926-SM-447BC 60-69 years, male 151.5
GTEX-PWN1-0626-SM-48TDT 40-49 years, female 151.0
GTEX-14AS3-0626-SM-5QGQD 40-49 years, female 150.9
GTEX-P4QS-0626-SM-3NMD1 60-69 years, male 150.7
GTEX-R3RS-1326-SM-48FE7 40-49 years, female 150.5
GTEX-1C2JI-1126-SM-731FH 50-59 years, male 150.2
GTEX-1IY9M-1626-SM-AHZ39 60-69 years, male 150.0
GTEX-11XUK-0826-SM-5GU6P 40-49 years, female 149.6
GTEX-S3XE-0926-SM-4AD4S 50-59 years, male 149.0
GTEX-17EUY-1426-SM-7938X 20-29 years, male 147.6
GTEX-Y5LM-1026-SM-4VDSQ 40-49 years, female 146.9
GTEX-P4QT-0626-SM-3NMCP 50-59 years, female 146.3
GTEX-QLQW-0526-SM-4R1KS 30-39 years, male 146.2
GTEX-11DXX-1126-SM-5GZZK 60-69 years, female 145.9
GTEX-1QCLY-1526-SM-DPRXX 30-39 years, male 144.8
GTEX-OIZG-1026-SM-3LK5X 50-59 years, male 144.1
GTEX-WYJK-1926-SM-4ONDP 50-59 years, male 144.0
GTEX-1IKOE-1526-SM-C1YSD 30-39 years, female 143.3
GTEX-ZGAY-1126-SM-4WWBS 40-49 years, female 143.1
GTEX-11DZ1-2026-SM-5A5KG 50-59 years, male 142.6
GTEX-13QJ3-1726-SM-5RQK9 50-59 years, male 142.6
GTEX-1PFEY-0826-SM-E9U6A 30-39 years, male 141.7
GTEX-1N2DV-2026-SM-EV7BL 40-49 years, male 141.3
GTEX-13OVJ-1226-SM-5L3HA 50-59 years, female 139.0
GTEX-OIZH-0626-SM-3NB1L 50-59 years, male 138.8
GTEX-1I4MK-0426-SM-B2LWQ 50-59 years, female 138.8
GTEX-13RTK-0526-SM-5S2QF 20-29 years, male 138.7
GTEX-1JMQK-2026-SM-C1YQN 60-69 years, male 137.9
GTEX-QEL4-1426-SM-447AC 50-59 years, male 136.9
GTEX-WFG7-1126-SM-4LMK3 20-29 years, male 136.9
GTEX-14PK6-1326-SM-686ZE 70-79 years, female 136.5
GTEX-ZZPT-1426-SM-5N9C5 50-59 years, male 135.6
GTEX-QDVJ-0726-SM-48U1W 50-59 years, male 135.2
GTEX-S4Q7-0626-SM-4AD5M 20-29 years, male 133.9
GTEX-13O3Q-0826-SM-5IFGF 50-59 years, male 133.8
GTEX-16XZY-0926-SM-7938M 70-79 years, male 132.9
GTEX-144GN-0626-SM-5O9B2 50-59 years, male 132.7
GTEX-1C6VQ-1826-SM-7EWEH 50-59 years, male 131.3
GTEX-X62O-2226-SM-46MW3 50-59 years, male 130.3
GTEX-132AR-2226-SM-5J2NT 50-59 years, female 128.8
GTEX-17JCI-1226-SM-793D9 60-69 years, female 128.8
GTEX-14JG6-0926-SM-6871Y 30-39 years, female 128.2
GTEX-SNOS-0626-SM-4DM5F 40-49 years, male 128.0
GTEX-VJYA-0726-SM-4KL1T 60-69 years, male 127.1
GTEX-VUSG-1226-SM-4KKZF 50-59 years, male 126.8
GTEX-139T6-0626-SM-5IFF9 50-59 years, male 124.8
GTEX-17F96-2526-SM-7DHL3 70-79 years, male 124.6
GTEX-Q2AG-1326-SM-43V8K 40-49 years, female 122.9
GTEX-1LSVX-1226-SM-DHXJN 60-69 years, male 122.7
GTEX-Y5V5-1626-SM-4VDSG 60-69 years, female 122.6
GTEX-1NUQO-1126-SM-DTX98 20-29 years, female 122.0
GTEX-1KANA-0626-SM-D4P3I 20-29 years, male 121.2
GTEX-WHWD-0926-SM-4OORY 50-59 years, male 121.1
GTEX-183FY-1526-SM-7IGOW 20-29 years, male 120.9
GTEX-1C64O-1826-SM-7DHM4 60-69 years, male 120.9
GTEX-12ZZY-1426-SM-5N9EI 60-69 years, male 117.2
GTEX-183WM-1726-SM-7KFT5 70-79 years, female 116.9
GTEX-WVLH-1426-SM-4MVNX 50-59 years, male 116.1
GTEX-XGQ4-1526-SM-4AT6H 50-59 years, male 116.1
GTEX-X3Y1-1326-SM-4PQZB 40-49 years, male 115.9
GTEX-1JMLX-2326-SM-CXZJP 50-59 years, male 115.0
GTEX-11NUK-1326-SM-5P9GN 50-59 years, male 114.6
GTEX-X585-1226-SM-46MW7 50-59 years, male 114.6
GTEX-1EWIQ-1526-SM-79OO7 70-79 years, female 114.0
GTEX-13OVG-0626-SM-5IFEP 60-69 years, male 113.8
GTEX-13YAN-1926-SM-7EPH9 60-69 years, male 112.0
GTEX-RN64-1026-SM-48FDX 50-59 years, male 111.8
GTEX-145LS-1826-SM-5LUAZ 60-69 years, female 110.5
GTEX-131XF-0826-SM-5GICG 60-69 years, male 109.9
GTEX-18QFQ-1026-SM-7LG6B 30-39 years, male 109.9
GTEX-ZYVF-2226-SM-5GIDD 50-59 years, female 109.2
GTEX-1LGRB-1626-SM-CNNR7 50-59 years, female 107.9
GTEX-1EN7A-1226-SM-7MGX9 40-49 years, male 107.4
GTEX-U8XE-1726-SM-4E3IF 30-39 years, male 107.2
GTEX-OHPN-1026-SM-E9TI8 60-69 years, female 106.7
GTEX-13D11-1926-SM-5IFGB 50-59 years, female 105.9
GTEX-1IKK5-1326-SM-AHZ2X 60-69 years, male 104.4
GTEX-16MT8-1326-SM-6M47R 60-69 years, female 104.2
GTEX-13PVQ-1726-SM-5IFF3 50-59 years, male 103.8
GTEX-1B933-2026-SM-7EWFC 50-59 years, female 103.6
GTEX-1J8EW-1326-SM-AHZ3S 60-69 years, female 102.8
GTEX-11I78-1526-SM-5A5K7 50-59 years, female 102.3
GTEX-1QEPI-1826-SM-EAZ3J 60-69 years, female 102.3
GTEX-1H11D-2126-SM-9OSXM 40-49 years, male 101.5
GTEX-1GPI7-1026-SM-7MGY2 20-29 years, male 101.0
GTEX-YFC4-1226-SM-5LU9R 40-49 years, female 100.4
GTEX-1K9T9-2026-SM-CXZK3 50-59 years, female 100.4
GTEX-WFG8-1226-SM-4V6EI 20-29 years, male 99.6
GTEX-NFK9-1126-SM-3LK78 40-49 years, male 99.5
GTEX-T8EM-0526-SM-4DM64 40-49 years, male 98.2
GTEX-1JK1U-1726-SM-CNNPM 60-69 years, male 97.9
GTEX-18D9A-0526-SM-7KFSW 30-39 years, female 97.7
GTEX-QV44-1126-SM-CL55C 50-59 years, male 97.7
GTEX-1IDJF-1226-SM-C1YPX 20-29 years, male 97.2
GTEX-ZV68-0926-SM-59HK7 50-59 years, female 97.1
GTEX-1H1ZS-1526-SM-9OSXR 70-79 years, male 96.6
GTEX-OXRN-1726-SM-3NM9B 50-59 years, male 94.8
GTEX-1MA7X-0726-SM-EV7AB 60-69 years, male 94.8
GTEX-13X6H-1326-SM-5LU42 50-59 years, female 94.6
GTEX-ZYFC-1626-SM-5N9EU 50-59 years, male 94.0
GTEX-16Z82-1926-SM-6M47U 60-69 years, male 93.9
GTEX-16BQI-1526-SM-6LLIE 30-39 years, female 93.8
GTEX-WXYG-1226-SM-4ONCJ 50-59 years, female 93.2
GTEX-14BIN-2726-SM-5RQIE 50-59 years, female 93.0
GTEX-S32W-0926-SM-4AD5X 50-59 years, female 92.6
GTEX-1LG7Y-1726-SM-EV7AR 50-59 years, male 92.3
GTEX-16MTA-0826-SM-6LLIC 50-59 years, male 91.7
GTEX-12WSL-1526-SM-5GCP8 50-59 years, male 91.4
GTEX-Y114-0926-SM-4TT7J 50-59 years, female 91.2
GTEX-17EVQ-1926-SM-7IGOF 70-79 years, male 91.0
GTEX-1HSMQ-2026-SM-B2LY1 50-59 years, male 90.9
GTEX-1QP67-0726-SM-DPRY1 40-49 years, female 90.8
GTEX-148VI-1026-SM-5TDDJ 60-69 years, female 90.7
GTEX-17HII-1526-SM-9OSVD 50-59 years, male 90.3
GTEX-1S83E-0826-SM-EV7B7 40-49 years, male 90.0
GTEX-RUSQ-0826-SM-47JWW 50-59 years, male 89.8
GTEX-R45C-1226-SM-48FEE 60-69 years, female 89.1
GTEX-1HFI6-1226-SM-A96SK 40-49 years, male 89.0
GTEX-1HKZK-1426-SM-A96U1 40-49 years, male 88.9
GTEX-18D9B-2026-SM-7LT96 60-69 years, male 88.8
GTEX-QEG5-1426-SM-447AS 20-29 years, male 88.7
GTEX-1CB4G-1326-SM-7MKFP 60-69 years, male 88.0
GTEX-11DXY-1426-SM-5N9CN 60-69 years, male 87.8
GTEX-1269C-1026-SM-5N9EY 60-69 years, female 85.1
GTEX-1LVA9-2126-SM-DLHBY 50-59 years, male 84.1
GTEX-12WSA-1426-SM-5EGJU 60-69 years, male 83.4
GTEX-1399Q-1126-SM-5P9JA 40-49 years, male 83.4
GTEX-ZLV1-0526-SM-4WWD4 60-69 years, female 83.1
GTEX-S7SF-0926-SM-4AD4M 20-29 years, female 81.1
GTEX-ZF3C-1626-SM-4WWB4 50-59 years, female 80.9
GTEX-14PJ6-1026-SM-686ZB 60-69 years, female 80.1
GTEX-N7MT-0326-SM-48TDP 60-69 years, female 77.2
GTEX-1H23P-1426-SM-9JGH5 60-69 years, male 76.6
GTEX-1JMPZ-2026-SM-C1YR8 30-39 years, male 75.5
GTEX-18A6Q-1226-SM-7KFS9 60-69 years, male 75.3
GTEX-1PIGE-0926-SM-E9U5Z 20-29 years, male 73.2
GTEX-ZYY3-1526-SM-5SIA9 60-69 years, female 72.0
GTEX-ZVE2-1326-SM-5NQ94 50-59 years, male 70.3
GTEX-1M5QR-0726-SM-DHXK7 40-49 years, male 69.4
GTEX-1GTWX-1326-SM-9JGHU 60-69 years, male 69.3
GTEX-15RJE-0926-SM-6LLHZ 40-49 years, male 68.9
GTEX-14PJ4-1526-SM-664OA 60-69 years, male 67.6
GTEX-145MN-1026-SM-5NQ9G 30-39 years, male 67.5
GTEX-TMMY-1126-SM-4DXSX 40-49 years, female 66.4
GTEX-1AX9J-1826-SM-731FM 60-69 years, male 65.6
GTEX-1LNCM-0626-SM-EV7AI 50-59 years, female 65.3
GTEX-YECK-1626-SM-5IFHQ 60-69 years, male 64.9
GTEX-1IDJH-2026-SM-CNNQX 70-79 years, male 64.5
GTEX-1EMGI-1926-SM-7938Y 60-69 years, male 64.2
GTEX-O5YV-1026-SM-3LK72 60-69 years, female 64.0
GTEX-Y8E4-1726-SM-5LU9G 40-49 years, male 63.5
GTEX-13W46-1926-SM-5J2MF 50-59 years, male 61.9
GTEX-12ZZW-1726-SM-5DUVD 50-59 years, male 61.5
GTEX-1HB9E-1526-SM-D3LA6 50-59 years, male 61.2
GTEX-1I1CD-1726-SM-A9G3P 60-69 years, female 60.8
GTEX-1PPGY-1726-SM-EVR3S 60-69 years, male 60.8
GTEX-POYW-1326-SM-48TCG 60-69 years, male 60.7
GTEX-1I1GR-1326-SM-ARU7B 60-69 years, male 60.7
GTEX-R55E-1326-SM-48FCR 20-29 years, male 60.5
GTEX-Q2AI-0626-SM-48TZU 40-49 years, male 59.1
GTEX-QVUS-0626-SM-447CC 60-69 years, female 58.8
GTEX-1IDJD-1626-SM-C1YRC 30-39 years, male 58.2
GTEX-131XE-1426-SM-5HL7V 50-59 years, male 57.8
GTEX-1AX9K-1126-SM-731DQ 50-59 years, male 57.8
GTEX-1H1DG-1226-SM-9JGH3 70-79 years, male 56.5
GTEX-1I1GV-2226-SM-ARU7E 60-69 years, male 56.2
GTEX-ZC5H-1326-SM-5HL7E 40-49 years, female 56.0
GTEX-1EU9M-2326-SM-7MKGS 60-69 years, male 54.8
GTEX-1RAZA-1326-SM-DPS12 20-29 years, male 54.8
GTEX-11LCK-1726-SM-5S2OQ 30-39 years, male 54.4
GTEX-WQUQ-1626-SM-4OOSH 60-69 years, male 54.4
GTEX-1RLM8-0726-SM-E6CRH 50-59 years, male 53.2
GTEX-SJXC-1426-SM-EYYVB 60-69 years, male 52.1
GTEX-1QP2A-1926-SM-EXOJ9 50-59 years, male 51.8
GTEX-144FL-2726-SM-5O98Z 50-59 years, male 51.5
GTEX-145LV-1326-SM-5S2QI 50-59 years, male 51.3
GTEX-13OVI-2626-SM-5KM4T 60-69 years, female 50.6
GTEX-13O1R-1326-SM-5IJF5 60-69 years, male 50.4
GTEX-XK95-1026-SM-4GIDV 40-49 years, male 49.3
GTEX-RU72-0726-SM-46MUW 50-59 years, female 48.6
GTEX-PSDG-1326-SM-48TD2 50-59 years, male 48.5
GTEX-14ICK-2026-SM-6AJB2 40-49 years, male 46.6
GTEX-15DCE-1326-SM-6LPJL 20-29 years, male 45.1
GTEX-1L5NE-1426-SM-DHXKV 50-59 years, male 45.0
GTEX-1GF9U-0826-SM-7MXTZ 40-49 years, female 44.8
GTEX-1CAMQ-2726-SM-7MKGD 40-49 years, male 43.0
GTEX-YJ89-1526-SM-5P9IR 60-69 years, male 42.6
GTEX-1RAZQ-1726-SM-EAZ4T 30-39 years, male 41.4
GTEX-PLZ4-1626-SM-3P618 50-59 years, female 41.1
GTEX-11EMC-2226-SM-5A5JW 60-69 years, female 40.7
GTEX-1J1OQ-2526-SM-AHZ3Q 40-49 years, female 40.5
GTEX-13FHP-1526-SM-5IJGE 50-59 years, male 39.7
GTEX-18465-1126-SM-7LG6E 50-59 years, male 39.0
GTEX-11ONC-1526-SM-5GU6S 60-69 years, male 38.4
GTEX-ZTX8-0226-SM-5E44D 20-29 years, male 38.0
GTEX-132Q8-1826-SM-5EGIY 60-69 years, male 37.8
GTEX-1F52S-1426-SM-7P8PU 60-69 years, female 36.7
GTEX-13NYB-0926-SM-5IFFA 40-49 years, male 36.2
GTEX-16NPX-1626-SM-6LLI5 50-59 years, male 36.1
GTEX-11P7K-1326-SM-5BC5G 30-39 years, male 35.3
GTEX-1RAZS-2626-SM-EV79C 50-59 years, male 35.2
GTEX-148VJ-1026-SM-5LU98 70-79 years, male 34.8
GTEX-14A6H-1326-SM-5NQBC 30-39 years, male 34.5
GTEX-1RAZR-1226-SM-E6CRD 40-49 years, male 34.4
GTEX-1EX96-2226-SM-7MKGT 50-59 years, male 33.5
GTEX-13NZB-1226-SM-5J2MW 30-39 years, male 32.3
GTEX-WOFM-0626-SM-4OOS3 20-29 years, male 31.6
GTEX-1KANB-1826-SM-DHXJU 50-59 years, male 31.4
GTEX-117YW-1926-SM-5H121 50-59 years, male 28.3
GTEX-1IDFM-1126-SM-A96SY 60-69 years, male 27.8
GTEX-11ZU8-1526-SM-5EGHX 60-69 years, male 26.6
GTEX-1K2DU-1726-SM-EV79S 20-29 years, male 25.9
GTEX-YB5E-0926-SM-4WWDQ 40-49 years, male 25.7
GTEX-1NSGN-2026-SM-DPRYM 50-59 years, male 25.5
GTEX-NPJ8-1926-SM-3MJGB 40-49 years, male 25.4
GTEX-1497J-2726-SM-5SI9W 60-69 years, male 24.7
GTEX-1HCU8-2226-SM-9WPOV 60-69 years, female 24.7
GTEX-1PPH8-1626-SM-E6CQP 20-29 years, male 24.1
GTEX-1HBPM-1426-SM-9WPPE 60-69 years, female 23.6
GTEX-ZE9C-1126-SM-4WWBD 60-69 years, male 23.5
GTEX-ZUA1-1226-SM-5NQ6O 40-49 years, male 23.2
GTEX-1HSKV-2426-SM-A8N8K 60-69 years, male 23.1
GTEX-14PJ5-0526-SM-664OE 60-69 years, female 22.7
GTEX-S33H-0826-SM-4AD5Y 30-39 years, male 22.1
GTEX-1LB8K-1326-SM-CXZKB 50-59 years, male 20.3
GTEX-1AYD5-0926-SM-793AF 50-59 years, male 20.2
GTEX-X4XY-1726-SM-46MVO 60-69 years, male 19.6
GTEX-1MCQQ-1026-SM-EV7AX 60-69 years, male 19.6
GTEX-1CB4H-1526-SM-7MXU4 60-69 years, female 18.8
GTEX-1KAFJ-0626-SM-D3L8X 50-59 years, male 18.2
GTEX-1S82Y-1226-SM-EV7BD 40-49 years, male 16.3
GTEX-X4EP-1626-SM-4QAS6 60-69 years, female 15.8
GTEX-T2YK-1326-SM-4DM6S 50-59 years, male 15.0
GTEX-14JIY-0926-SM-6871D 60-69 years, male 12.3
GTEX-1EH9U-2426-SM-7EWFG 60-69 years, male 11.2
GTEX-1HGF4-0926-SM-9WPP8 60-69 years, male 7.2
GTEX-1RDX4-2126-SM-EV7B3 50-59 years, female 6.9
GTEX-1N2EE-2426-SM-EXOIO 60-69 years, male 6.0
GTEX-14C38-2126-SM-5RQJO 50-59 years, male 4.2
Show allShow less

ESOPHAGUS - FANTOM5 CAGEi

RNA expression in human tissues obtained through Cap Analysis of Gene Expression (CAGE) generated by the FANTOM5 project are reported as Scaled Tags Per Million.

Max subtype Scaled Tags Per Millioni

Max subtype Scaled Tags Per Million is the value for the subtype with the largest average Scaled Tags Per Million across the subtype samples.

4942.3
FANTOM5 sample id Sample description Scaled Tags Per Million
Esophagus
Scaled Tags Per Million: 4942.3
FF:10015-101C6 68,74,75 years, mixed 4942.3

Contact

  • NEWS ARTICLES
  • PRESS ROOM

The Project

  • INTRODUCTION
  • ORGANIZATION
  • PUBLICATIONS

The Human Protein Atlas

  • DOWNLOADABLE DATA
  • LICENCE & CITATION
  • HELP & FAQ
The Human Protein Atlas project is funded
by the Knut & Alice Wallenberg Foundation.


contact@proteinatlas.org