We use cookies to enhance the usability of our website. If you continue, we'll assume that you are happy to receive all cookies. More information. Don't show this again.
DUSP26
HPA
RESOURCES
  • TISSUE
  • BRAIN
  • SINGLE CELL
  • SUBCELLULAR
  • CANCER
  • BLOOD
  • CELL LINE
  • STRUCTURE & INTERACTION
ABOUT
  • INTRODUCTION
  • HISTORY
  • ORGANIZATION
  • PUBLICATIONS
  • ANTIBODY SUBMISSION
  • ANTIBODY AVAILABILITY
  • ACKNOWLEDGMENTS
  • CONTACT
NEWS
  • NEWS ARTICLES
  • PRESS ROOM
LEARN
  • DICTIONARY
  • PROTEIN CLASSES
  • PROTEIN EVIDENCE
  • METHODS
  • EDUCATIONAL VIDEOS
DATA
  • DOWNLOADABLE DATA
  • PUBLICATION DATA
  • RELEASE HISTORY
HELP
  • ANTIBODY VALIDATION
  • ASSAYS & ANNOTATION
  • DISCLAIMER
  • HELP & FAQ
  • PRIVACY STATEMENT
  • LICENCE & CITATION
Fields »
Search result

Field
Term
Gene name
Class
Subclass
Class
Keyword
Chromosome
External id
Tissue
Cell type
Expression
Antibody panel
Tissue
Main location
Patient ID
Annotation
Tissue
Category
Tau score
Cluster
Reliability
Brain region
Category
Tau score
Brain region
Category
Tau score
Brain region
Category
Tau score
Cluster
Reliability
Tissue
Cell type
Enrichment
Cell type
Category
Tau score
Cell type
Category
Tau score
Cell type
Category
Tau score
Cell lineage
Category
Tau score
Cluster
Cluster
Location
Searches
Location
Cell line
Class
Type
Phase
Reliability
Cancer
Prognosis
Cancer
Category
Cancer
Category
Tau score
Cluster
Variants
Interacting gene (ensg_id)
Type
Number of interactions
Pathway
Category
Score
Score
Score
Validation
Validation
Validation
Validation
Antibodies
Data type
Column


  • SUMMARY

  • TISSUE

  • BRAIN

  • SINGLE CELL

  • SUBCELL

  • CANCER

  • BLOOD

  • CELL LINE

  • STRUCT & INT

  • DUSP26
BRAIN CEREBELLUM Show tissue menu
AMYGDALA BASAL GANGLIA CEREBELLUM CEREBRAL CORTEX CHOROID PLEXUS HIPPOCAMPAL FORMATION HYPOTHALAMUS MEDULLA OBLONGATA
MIDBRAIN OLFACTORY BULB PITUITARY GLAND PONS RETINA SPINAL CORD THALAMUS WHITE MATTER
ANTIBODIES
AND
VALIDATION
Brain proteome
Cerebellum
CEREBELLUM - Expression summary
Protein expression
Cerebellumi

On the top, protein expression in current human tissue, based on all annotated cell types, is reported with the units not detected (n), low (l), medium (m) and high (h). Underneath, protein expression in each annotated cell type are reported using the same units.

Protein expression data is based on knowledge-based annotation. For genes where more than one antibody has been used, a collective score is set.

If knowledge-based annotation could not be performed for a gene, no data is displayed here. View antibody staining data further down this page.

h
m
l
n
Cells in granular layer: Low
Cells in molecular layer: Medium
Purkinje cells: High
RNA expressioni

A summary of mRNA expression data available for current tissue based on several datasets. The mRNA expression levels in human tissues are based on RNA-seq data generated by the Human Protein Atlas (HPA), Genotype-Tissue Expression (GTEx) portal and CAGE data generated by the FANTOM5 consortium. Consensus normalized expression levels for human tissues was created by combining the data from HPA and GTEx datasets.

The mRNA expression levels in pig are based on RNA-seq data generated by the Human Protein Atlas (HPA), and for mouse, HPA data and in situ hybridization generated by the Allen brain atlas are reported.

Scroll down to view mRNA expression data in more detail.
Consensus:73.4 nTPM
HPA Brain:66.6 nTPM
GTEx:73.4 nTPM
FANTOM5:55.8 Scaled Tags Per Million
Pig:60.4 nTPM
Mouse:44.8 nTPM
Allen mouse:4.0 Expression energy

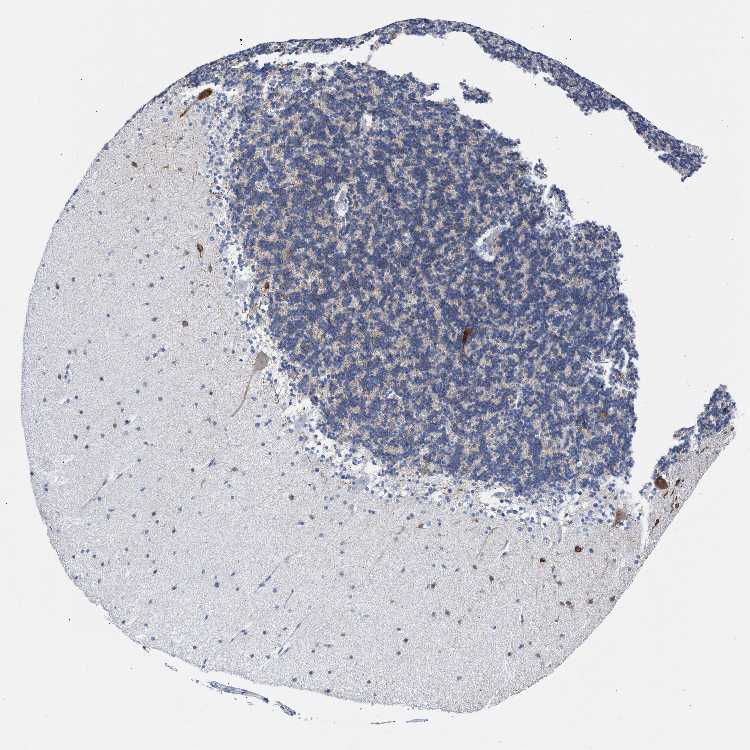
CEREBELLUM - Antibody stainingi

Antibody staining in the annotated cell types in the current human tissue is reported as not detected, low, medium, or high, based on conventional immunohistochemistry profiling in selected tissues. This score is based on the combination of the staining intensity and fraction of stained cells.

Each image is clickable and will lead to virtual microscopy that enables deeper exploration of all samples and also displays staining intensity scores, fraction scores and subcellular localization as well as patient and tissue information for each sample.

Antibody HPA018221
Purkinje cells High
Cells in granular layer Low
Cells in molecular layer Medium



CEREBELLUM - HPA Brain RNA-seq
Max subtype nTPMi

Max subtype nTPM is the value for the subtype with the largest average nTPM across the subtype samples.

66.6
Sample id Sample description nTPM
Cerebellar cortex
nTPM: 66.6
2101 Male, age 74, right hemisphere 82.0
2055 Female, age 91, right hemisphere 73.7
2006 Male, age 61, right hemisphere 69.3
1768 Female, age 72, unknown 68.8
1769 Male, age 76, right hemisphere 68.6
1774 Male, age 80, left hemisphere 66.2
1788 Male, age 55, unknown 55.3
2003 Female, age 85, right hemisphere 48.6
Cerebellar nuclei
nTPM: 27.1
2318 Male, age 74, left hemisphere 48.0
2783 Female, age 72, unknown 30.8
2175 Male, age 61, right hemisphere 29.8
1871 Male, age 74, unknown 27.8
1966 Female, age 91, left hemisphere 24.2
2882 Male, age 76, left hemisphere 22.2
1879 Male, age 55, unknown 21.5
2005 Male, age 80, left hemisphere 20.5
2177 Female, age 85, both hemispheres 18.8
Flocculonodular lobe
nTPM: 63.0
1771 Male, age 80, left hemisphere 72.9
2176 Female, age 91, right hemisphere 66.3
1792 Male, age 74, unknown 65.3
1767 Male, age 76, left hemisphere 62.4
2004 Male, age 61, right hemisphere 60.9
1835 Female, age 85, right hemisphere 58.3
1765 Male, age 55, unknown 55.2
Vermis
nTPM: 63.6
2460 Male, age 61, both hemispheres 74.4
1988 Female, age 85, left hemisphere 71.3
1751 Male, age 74, right hemisphere 70.5
1778 Female, age 91, left hemisphere 64.9
1770 Male, age 76, left hemisphere 64.8
2834 Male, age 80, left hemisphere 62.5
1928 Female, age 72, unknown 61.2
1825 Male, age 74, unknown 52.8
1766 Male, age 55, unknown 49.8

CEREBELLUM - GTEx RNA-seqi

RNA-Seq data generated by the Genotype-Tissue Expression (GTEx) project from human tissues is reported as mean nTPM. More information can be found on the GTEx portal.

Distribution across the dataset is visualized with box plots, shown as median and 25th and 75th percentiles. Points are displayed as outliers if they are above or below 1.5 times the interquartile range. nTPM values of the individual samples are presented next to the box plot.
Max subtype nTPMi

Max subtype nTPM is the value for the subtype with the largest average nTPM across the subtype samples.

73.4
GTEx sample id Sample description nTPM
Brain - Cerebellar Hemisphere
Average nTPM: 73.4
Samples: 215

Max nTPM: 159.6
Min nTPM: 33.1
Std nTPM: 16.2
Median nTPM: 71.8
GTEX-132Q8-0011-R11b-SM-5DUW9 60-69 years, male 159.6
GTEX-13FLV-0011-R11a-SM-5LZZ7 50-59 years, male 135.7
GTEX-NL4W-0011-R11A-SM-2I3DW 50-59 years, male 135.3
GTEX-13X6J-0011-R11a-SM-5P9HE 50-59 years, male 107.7
GTEX-1F75W-0011-R11b-SM-AHZ34 60-69 years, male 107.2
GTEX-13X6I-0011-R11a-SM-5P9HN 60-69 years, male 106.9
GTEX-1B933-0011-R11a-SM-7P8PM 50-59 years, female 105.7
GTEX-NPJ8-0011-R11A-SM-2YUMS 40-49 years, male 103.5
GTEX-14C5O-0011-R11b-SM-6872H 60-69 years, male 102.9
GTEX-1R9K4-0011-R11a-SM-EZ6N9 60-69 years, male 102.1
GTEX-NL3H-0011-R11A-SM-2I3E6 60-69 years, male 101.0
GTEX-12WSD-0011-R11a-SM-9OSVC 60-69 years, female 100.5
GTEX-1I19N-0011-R11b-SM-ARU6Y 70-79 years, male 99.8
GTEX-XMD1-0011-R11A-SM-4AT5J 60-69 years, male 99.5
GTEX-14ASI-0011-R11b-SM-6AJBJ 60-69 years, male 99.4
GTEX-13JUV-0011-R11a-SM-5LZYH 40-49 years, female 98.9
GTEX-1F52S-0011-R11a-SM-CJI23 60-69 years, female 98.7
GTEX-1JJ6O-0011-R11b-SM-EXUS2 60-69 years, male 98.7
GTEX-1313W-0011-R11a-SM-5DUXN 50-59 years, female 96.8
GTEX-17EVP-0011-R11a-SM-7EWDL 40-49 years, male 93.4
GTEX-N7MS-0011-R11A-SM-2HMJS 60-69 years, male 93.4
GTEX-1F48J-0011-R11b-SM-9OSWV 50-59 years, female 91.9
GTEX-13G51-0011-R11b-SM-5J2NE 60-69 years, male 91.4
GTEX-16YQH-0011-R11b-SM-7LT98 30-39 years, male 90.8
GTEX-1F6I4-0011-R11b-SM-9OSWS 60-69 years, male 90.3
GTEX-13OVH-0011-R11b-SM-5KM4X 70-79 years, male 89.7
GTEX-1HGF4-0011-R11a-SM-C1YRR 60-69 years, male 89.7
GTEX-17EVQ-0011-R11a-SM-7LT9C 70-79 years, male 89.5
GTEX-1LVAO-0011-R11b-SM-EXOI8 60-69 years, male 89.4
GTEX-11DZ1-0011-R11b-SM-DO11W 50-59 years, male 88.4
GTEX-1J1OQ-0011-R11a-SM-A96S3 40-49 years, female 88.1
GTEX-17JCI-0011-R11a-SM-7189Y 60-69 years, female 86.9
GTEX-1H3VE-0011-R11b-SM-C1YRP 40-49 years, male 86.8
GTEX-ZF28-0011-R11a-SM-4WWEI 60-69 years, male 86.6
GTEX-13SLX-0011-R11b-SM-5O9C8 50-59 years, female 86.4
GTEX-11TTK-0011-R11b-SM-DO112 60-69 years, female 86.2
GTEX-11ZUS-0011-R11b-SM-5BC7B 30-39 years, male 86.1
GTEX-Z93S-0011-R11a-SM-4RGNN 50-59 years, male 85.6
GTEX-1CB4G-0011-R11a-SM-9OSWG 60-69 years, male 85.6
GTEX-12WSI-0011-R11b-SM-5P9EZ 50-59 years, male 85.4
GTEX-13NYS-0011-R11b-SM-5MR4P 60-69 years, male 85.3
GTEX-1H1CY-0011-R11a-SM-C1YQR 60-69 years, female 84.7
GTEX-11DYG-0011-R11a-SM-DNZZP 60-69 years, male 84.2
GTEX-ZDXO-0011-R11a-SM-4WWD9 60-69 years, male 83.8
GTEX-145MH-0011-R11a-SM-5P9HQ 50-59 years, male 83.5
GTEX-1EMGI-0011-R11b-SM-9OSWX 60-69 years, male 83.4
GTEX-1ICLZ-0011-R11a-SM-CJI3N 60-69 years, male 83.3
GTEX-1F75A-0011-R11a-SM-AHZ35 50-59 years, male 83.2
GTEX-1HBPI-0011-R11b-SM-CE6SH 50-59 years, male 82.9
GTEX-WWYW-0011-R11A-SM-3NB38 50-59 years, female 82.5
GTEX-16Z82-0011-R11a-SM-79OKJ 60-69 years, male 82.3
GTEX-15G19-0011-R11b-SM-6LPIH 60-69 years, male 81.6
GTEX-T5JC-0011-R11A-SM-32PMB 20-29 years, male 81.3
GTEX-1GF9W-0011-R11b-SM-9OSXG 60-69 years, male 81.3
GTEX-14PN4-0011-R11a-SM-686ZW 50-59 years, male 81.2
GTEX-11EMC-0011-R11b-SM-DNZZK 60-69 years, female 80.8
GTEX-X261-0011-R11A-SM-4E3JY 50-59 years, male 80.6
GTEX-139TT-0011-R11b-SM-5LZV1 60-69 years, male 80.5
GTEX-1I1GS-0011-R11a-SM-C1YRU 60-69 years, male 79.8
GTEX-1IY9M-0011-R11b-SM-A96TI 60-69 years, male 79.4
GTEX-13FHO-0011-R11b-SM-5LZYQ 60-69 years, male 79.1
GTEX-17HII-0011-R11b-SM-7KFSX 50-59 years, male 78.3
GTEX-1J8Q2-0011-R11a-SM-A9SKI 60-69 years, male 78.3
GTEX-13O3O-0011-R11b-SM-5KM4G 60-69 years, female 78.2
GTEX-14BIM-0011-R11b-SM-5S2RN 60-69 years, female 78.2
GTEX-1H4P4-0011-R11b-SM-CE6S8 50-59 years, male 78.2
GTEX-13JVG-0011-R11a-SM-5KM53 60-69 years, male 78.0
GTEX-18A6Q-0011-R11a-SM-72D6H 60-69 years, male 78.0
GTEX-18464-0011-R11a-SM-72D76 50-59 years, male 77.8
GTEX-1B8L1-0011-R11b-SM-793DJ 60-69 years, male 77.7
GTEX-17F97-0011-R11b-SM-7KFRQ 50-59 years, male 77.6
GTEX-1LSVX-0011-R11b-SM-EXOIA 60-69 years, male 77.6
GTEX-13RTJ-0011-R11a-SM-5O9CK 60-69 years, male 77.2
GTEX-WHSE-0011-R11A-SM-3P5YY 20-29 years, male 77.2
GTEX-16GPK-0011-R11b-SM-7MKFF 60-69 years, male 77.1
GTEX-X4EP-0011-R11B-SM-4QASK 60-69 years, female 76.8
GTEX-12WSC-0011-R11a-SM-5GU5J 50-59 years, male 76.6
GTEX-ZE7O-0011-R11a-SM-57WBC 50-59 years, female 76.5
GTEX-11EI6-0011-R11a-SM-DO11V 60-69 years, male 76.4
GTEX-1EKGG-0011-R11a-SM-9QEHZ 60-69 years, male 76.3
GTEX-1I1HK-0011-R11a-SM-B2LVN 60-69 years, male 76.3
GTEX-12WSH-0011-R11a-SM-5LZVM 50-59 years, male 76.1
GTEX-1F7RK-0011-R11b-SM-9QEI2 20-29 years, female 76.1
GTEX-13O3Q-0011-R11b-SM-5KM2W 50-59 years, male 76.0
GTEX-1H1ZS-0011-R11a-SM-C1YQM 70-79 years, male 75.7
GTEX-144GL-0011-R11b-SM-5P9F6 50-59 years, male 75.4
GTEX-S7SE-0011-R11A-SM-2XCDD 50-59 years, male 74.7
GTEX-1GMRU-0011-R11b-SM-C1YQ4 50-59 years, male 74.6
GTEX-14ABY-0011-R11a-SM-5SI7C 50-59 years, male 73.7
GTEX-1GMR8-0011-R11b-SM-9OSX2 50-59 years, female 73.7
GTEX-1LG7Y-0011-R11a-SM-EXOIH 50-59 years, male 73.5
GTEX-1IOXB-0011-R11a-SM-A9G1X 50-59 years, male 73.4
GTEX-13QIC-0011-R11b-SM-5O9BU 60-69 years, female 73.1
GTEX-1IGQW-0011-R11a-SM-C1YRV 60-69 years, male 73.0
GTEX-1GZ4I-0011-R11b-SM-9OSWR 50-59 years, male 72.8
GTEX-1R9PO-0011-R11b-SM-EZ6NB 60-69 years, female 72.7
GTEX-1GTWX-0011-R11b-SM-C1YQJ 60-69 years, male 72.6
GTEX-183WM-0011-R11a-SM-718A5 70-79 years, female 72.4
GTEX-1GZHY-0011-R11a-SM-C1YRQ 50-59 years, female 72.4
GTEX-1HSKV-0011-R11b-SM-AHZ2E 60-69 years, male 72.2
GTEX-YJ89-0011-R11a-SM-4SOKA 60-69 years, male 72.1
GTEX-1B8SG-0011-R11a-SM-7P8PF 50-59 years, male 72.0
GTEX-P44G-0011-R11A-SM-2I3FD 30-39 years, male 71.9
GTEX-ZAB4-0011-R11a-SM-4SOKI 40-49 years, male 71.9
GTEX-11ZTS-0011-R11a-SM-DO113 60-69 years, female 71.9
GTEX-1E1VI-0011-R11a-SM-9OSWI 50-59 years, male 71.9
GTEX-1GN73-0011-R11b-SM-9OSX4 60-69 years, male 71.9
GTEX-WL46-0011-R11A-SM-3MJFT 50-59 years, male 71.8
GTEX-1IKK5-0011-R11a-SM-C1YRX 60-69 years, male 71.8
GTEX-145LU-0011-R11b-SM-5P9JX 50-59 years, male 71.7
GTEX-1KD4Q-0011-R11b-SM-EXOIE 40-49 years, male 71.7
GTEX-12WSM-0011-R11a-SM-5DUX8 60-69 years, male 71.5
GTEX-12ZZZ-0011-R11a-SM-5EGLC 60-69 years, male 71.4
GTEX-13SLW-0011-R11a-SM-5SI8Q 70-79 years, male 71.4
GTEX-ZVT3-0011-R11b-SM-57WBI 60-69 years, female 71.2
GTEX-1HFI6-0011-R11b-SM-A96RU 40-49 years, male 71.1
GTEX-13S7M-0011-R11b-SM-5P9HU 60-69 years, female 71.0
GTEX-15CHQ-0011-R11b-SM-686ZZ 60-69 years, male 71.0
GTEX-WZTO-0011-R11A-SM-4E3K9 40-49 years, male 70.8
GTEX-NPJ7-0011-R11A-SM-2I3E8 60-69 years, female 70.7
GTEX-1H3O1-0011-R11a-SM-A96RV 60-69 years, male 70.6
GTEX-1C64N-0011-R11b-SM-7P8Q6 50-59 years, male 70.3
GTEX-1LKK1-0011-R11a-SM-EXOIG 50-59 years, female 70.2
GTEX-13CZV-0011-R11b-SM-5N9FN 60-69 years, male 70.1
GTEX-14E6D-0011-R11b-SM-664NP 50-59 years, male 70.1
GTEX-ZVZQ-0011-R11a-SM-51MS6 60-69 years, female 70.1
GTEX-1JMOU-0011-R11b-SM-EXUTA 60-69 years, female 69.9
GTEX-11H98-0011-R11b-SM-5NQ6U 50-59 years, male 69.7
GTEX-1I1GQ-0011-R11b-SM-CKZPA 50-59 years, male 69.6
GTEX-1N2DW-0011-R11b-SM-EXOIL 50-59 years, male 69.6
GTEX-1IDJH-0011-R11b-SM-C1YRT 70-79 years, male 69.5
GTEX-13FTY-0011-R11a-SM-5IJEA 40-49 years, female 69.2
GTEX-11OF3-0011-R11a-SM-57WCR 60-69 years, male 68.6
GTEX-1M4P7-0011-R11b-SM-EXOIK 60-69 years, male 68.5
GTEX-13OW6-0011-R11a-SM-5L3H2 50-59 years, male 68.3
GTEX-13N2G-0011-R11a-SM-5MR3F 60-69 years, male 68.1
GTEX-TSE9-0011-R11A-SM-3DB7N 60-69 years, female 67.9
GTEX-1I1GV-0011-R11a-SM-CJI3Z 60-69 years, male 67.7
GTEX-16XZZ-0011-R11a-SM-7EPI3 60-69 years, male 67.5
GTEX-12WSF-0011-R11a-SM-5LZVT 70-79 years, male 67.4
GTEX-13FXS-0011-R11a-SM-5L3DM 50-59 years, male 67.4
GTEX-RVPV-0011-R11A-SM-2TF6F 60-69 years, male 66.9
GTEX-1HCU6-0011-R11b-SM-AHZ2F 60-69 years, female 66.7
GTEX-11WQC-0011-R11b-SM-57WD6 60-69 years, male 66.5
GTEX-12WSE-0011-R11b-SM-5P9JW 20-29 years, male 66.4
GTEX-ZE9C-0011-R11a-SM-4WKGG 60-69 years, male 65.8
GTEX-13OW7-0011-R11a-SM-5O9DY 50-59 years, male 65.6
GTEX-OHPN-0011-R11A-SM-2I5FM 60-69 years, female 65.4
GTEX-13X6K-0011-R11a-SM-5P9F5 60-69 years, female 65.0
GTEX-13NZA-0011-R11b-SM-5KM4W 60-69 years, male 64.9
GTEX-1I1GR-0011-R11a-SM-CM2T5 60-69 years, male 64.8
GTEX-1JJEA-0011-R11a-SM-EXUTE 60-69 years, male 64.7
GTEX-1JMQJ-0011-R11a-SM-EXOJY 50-59 years, male 64.6
GTEX-11DXY-0011-R11a-SM-DNZZN 60-69 years, male 64.5
GTEX-1HB9E-0011-R11b-SM-ARU79 50-59 years, male 64.0
GTEX-13OW5-0011-R11b-SM-5L3GG 60-69 years, male 63.5
GTEX-13VXU-0011-R11b-SM-5O9DJ 50-59 years, male 63.5
GTEX-P44H-0011-R11A-SM-2XCER 40-49 years, male 63.5
GTEX-11PRG-0011-R11b-SM-DNZZY 50-59 years, male 63.4
GTEX-15ER7-0011-R11a-SM-6LPIL 20-29 years, female 63.1
GTEX-1B8SF-0011-R11a-SM-79OOP 60-69 years, male 63.0
GTEX-131XH-0011-R11a-SM-5EGLN 50-59 years, male 62.9
GTEX-1AX9I-0011-R11b-SM-7DHN4 60-69 years, male 62.9
GTEX-18465-0011-R11a-SM-72D78 50-59 years, male 62.5
GTEX-12ZZX-0011-R11a-SM-5DUVJ 40-49 years, female 62.3
GTEX-1H3NZ-0011-R11b-SM-CE6SF 60-69 years, male 62.1
GTEX-16NPV-0011-R11a-SM-7IGMK 50-59 years, female 61.9
GTEX-1IKOH-0011-R11a-SM-AHZ38 60-69 years, female 61.7
GTEX-1BAJH-0011-R11b-SM-7IGLM 70-79 years, male 61.5
GTEX-13OW8-0011-R11a-SM-5L3GT 60-69 years, male 61.3
GTEX-131YS-0011-R11b-SM-5EGLM 60-69 years, female 60.9
GTEX-1399T-0011-R11a-SM-5J2O1 60-69 years, male 60.9
GTEX-131XW-0011-R11a-SM-5DUV9 50-59 years, female 60.8
GTEX-12126-0011-R11a-SM-5BC6X 20-29 years, male 60.7
GTEX-UTHO-0011-R11A-SM-3GIJE 60-69 years, male 60.7
GTEX-YFC4-0011-R11a-SM-4SOK6 40-49 years, female 60.6
GTEX-13OVL-0011-R11b-SM-5L3G7 50-59 years, male 60.4
GTEX-139UW-0011-R11a-SM-5IJGN 60-69 years, male 60.1
GTEX-1A3MX-0011-R11b-SM-7DUGP 60-69 years, male 60.0
GTEX-13NYB-0011-R11a-SM-5KM3Q 40-49 years, male 59.6
GTEX-11GSP-0011-R11b-SM-5NQ7V 60-69 years, female 59.4
GTEX-ZUA1-0011-R11b-SM-51MTI 40-49 years, male 59.4
GTEX-13FHP-0011-R11b-SM-5LZXP 50-59 years, male 59.1
GTEX-1H1DG-0011-R11a-SM-C1YQK 70-79 years, male 58.8
GTEX-17HG3-0011-R11b-SM-7KFT4 30-39 years, female 58.3
GTEX-1J8EW-0011-R11a-SM-AHZ37 60-69 years, female 58.3
GTEX-1IL2U-0011-R11a-SM-CE6SO 60-69 years, male 58.2
GTEX-14E7W-0011-R11a-SM-5ZZVA 70-79 years, male 58.1
GTEX-1CAV2-0011-R11a-SM-ARU8D 40-49 years, female 58.1
GTEX-15DYW-0011-R11a-SM-6LPIT 60-69 years, female 58.0
GTEX-QMR6-0011-R11A-SM-32PKK 50-59 years, male 56.9
GTEX-15EO6-0011-R11b-SM-6M47M 50-59 years, male 56.8
GTEX-1IL2V-0011-R11a-SM-ARU6T 70-79 years, male 56.8
GTEX-13PVQ-0011-R11a-SM-5O9DU 50-59 years, male 55.9
GTEX-Q2AG-0011-R11A-SM-2HMKZ 40-49 years, female 55.7
GTEX-RU72-0011-R11A-SM-CM2U1 50-59 years, female 55.7
GTEX-T2IS-0011-R11A-SM-32QPC 20-29 years, female 54.5
GTEX-1N2EE-0011-R11b-SM-EXOIJ 60-69 years, male 54.3
GTEX-QDT8-0011-R11A-SM-32PKD 30-39 years, female 53.9
GTEX-13PLJ-0011-R11b-SM-5O9BS 60-69 years, female 53.7
GTEX-14DAQ-0011-R11a-SM-664NO 60-69 years, female 52.5
GTEX-WVLH-0011-R11A-SM-3MJFO 50-59 years, male 52.5
GTEX-13CF2-0011-R11b-SM-5LZXO 60-69 years, male 52.2
GTEX-1HUB1-0011-R11b-SM-CE6SC 60-69 years, male 51.8
GTEX-X4XX-0011-R11A-SM-46MWQ 60-69 years, male 51.2
GTEX-14BIN-0011-R11a-SM-5SI79 50-59 years, female 50.5
GTEX-Y8DK-0011-R11A-SM-4SOK2 60-69 years, male 50.5
GTEX-15DCD-0011-R11a-SM-D4P1R 70-79 years, female 50.0
GTEX-X585-0011-R11B-SM-46MUZ 50-59 years, male 48.2
GTEX-T6MN-0011-R11A-SM-32QOX 50-59 years, male 44.2
GTEX-R55E-0011-R11A-SM-2TC6I 20-29 years, male 44.1
GTEX-N7MT-0011-R11A-SM-2I3DZ 60-69 years, female 42.9
GTEX-14C39-0011-R11b-SM-5YYAF 40-49 years, male 39.7
GTEX-13OVJ-0011-R11a-SM-5P9H8 50-59 years, female 38.5
GTEX-145MI-0011-R11a-SM-5P9JZ 60-69 years, female 33.1
Show allShow less
Brain - Cerebellum
Average nTPM: 62.6
Samples: 241

Max nTPM: 97.4
Min nTPM: 37.8
Std nTPM: 10.0
Median nTPM: 61.2
GTEX-1F48J-2726-SM-7P8PW 50-59 years, female 97.4
GTEX-XMD1-2826-SM-4AT5F 60-69 years, male 94.8
GTEX-T5JC-2326-SM-32PMR 20-29 years, male 91.7
GTEX-183WM-2726-SM-7KFRF 70-79 years, female 86.5
GTEX-ZYFD-2926-SM-5GID9 50-59 years, male 83.2
GTEX-13SLX-3226-SM-5YYA6 50-59 years, female 83.1
GTEX-1B996-2926-SM-7MXUH 60-69 years, male 83.0
GTEX-NPJ8-2626-SM-2D7W2 40-49 years, male 82.4
GTEX-1LSVX-2826-SM-EVR58 60-69 years, male 81.6
GTEX-ZDXO-2926-SM-4WKFM 60-69 years, male 81.3
GTEX-13OW5-3126-SM-5MR3Y 60-69 years, male 80.9
GTEX-Y111-2826-SM-4TT3O 50-59 years, male 79.9
GTEX-11O72-2826-SM-5HL6W 40-49 years, male 79.7
GTEX-1C6WA-3326-SM-7MKGN 60-69 years, male 79.4
GTEX-16YQH-2926-SM-6LPJE 30-39 years, male 79.1
GTEX-X4EP-3026-SM-3P5YP 60-69 years, female 78.2
GTEX-1EMGI-3126-SM-7MXUR 60-69 years, male 78.1
GTEX-X261-3126-SM-4PQZC 50-59 years, male 77.9
GTEX-Z93S-2826-SM-57WBL 50-59 years, male 77.6
GTEX-1J1OQ-3126-SM-D4P2O 40-49 years, female 77.0
GTEX-1H1ZS-2926-SM-9WPP2 70-79 years, male 76.9
GTEX-14BIM-3126-SM-5Q5C7 60-69 years, female 76.6
GTEX-ZAJG-3026-SM-5HL92 50-59 years, female 75.7
GTEX-ZF28-2926-SM-4WKG1 60-69 years, male 75.7
GTEX-1R9PO-2826-SM-E6CPV 60-69 years, female 75.4
GTEX-12WSM-2126-SM-5GCOC 60-69 years, male 75.2
GTEX-13JVG-3226-SM-5IJGJ 60-69 years, male 74.7
GTEX-17F97-2926-SM-7DUEQ 50-59 years, male 74.4
GTEX-UTHO-2926-SM-3P5Z9 60-69 years, male 74.4
GTEX-ZAK1-2926-SM-5HL9S 50-59 years, female 74.4
GTEX-13OVH-2926-SM-5IJFH 70-79 years, male 74.2
GTEX-1F75W-3126-SM-7P8SJ 60-69 years, male 74.2
GTEX-1IKOH-2826-SM-CNNRC 60-69 years, female 73.8
GTEX-132Q8-2926-SM-5IFFP 60-69 years, male 73.6
GTEX-13G51-3126-SM-5IJG7 60-69 years, male 73.6
GTEX-ZAB4-2926-SM-57WCV 40-49 years, male 73.6
GTEX-13OW7-2926-SM-5MR3Z 50-59 years, male 73.5
GTEX-1F6I4-3026-SM-7P8SI 60-69 years, male 73.5
GTEX-1JJ6O-3026-SM-C1YQH 60-69 years, male 73.5
GTEX-11DZ1-2926-SM-5A5KI 50-59 years, male 73.3
GTEX-TSE9-2926-SM-3DB77 60-69 years, female 73.3
GTEX-1GN73-3026-SM-7MXV8 60-69 years, male 73.2
GTEX-1B8L1-3226-SM-7P8OX 60-69 years, male 73.0
GTEX-1F75A-2926-SM-7MXVN 50-59 years, male 72.6
GTEX-15G19-2826-SM-6M48K 60-69 years, male 72.4
GTEX-WL46-2826-SM-3LK81 50-59 years, male 72.3
GTEX-11ZUS-2826-SM-5EQKW 30-39 years, male 71.5
GTEX-1RDX4-3226-SM-DPS14 50-59 years, female 71.1
GTEX-1128S-2826-SM-5N9DI 60-69 years, female 70.9
GTEX-13RTJ-3126-SM-5S2Q4 60-69 years, male 70.9
GTEX-14ABY-3026-SM-664NE 50-59 years, male 70.8
GTEX-1H1CY-3026-SM-9OSW7 60-69 years, female 70.8
GTEX-13NYB-3226-SM-5J2ND 40-49 years, male 70.5
GTEX-1GTWX-2926-SM-7MXV4 60-69 years, male 70.4
GTEX-1H3O1-1826-SM-A96TO 60-69 years, male 70.1
GTEX-N7MT-1226-SM-DKPOK 60-69 years, female 70.1
GTEX-1JMQJ-3126-SM-EV79G 50-59 years, male 70.0
GTEX-15ER7-3026-SM-6M47W 20-29 years, female 69.9
GTEX-11GSP-3126-SM-5A5LL 60-69 years, female 69.6
GTEX-13O3Q-3026-SM-5IJGD 50-59 years, male 69.6
GTEX-14C5O-2926-SM-5RQI1 60-69 years, male 69.5
GTEX-1GZHY-3026-SM-7MXVA 50-59 years, female 69.5
GTEX-13X6I-2926-SM-5Q5C3 60-69 years, male 69.4
GTEX-WWYW-3026-SM-3NB36 50-59 years, female 69.0
GTEX-1EX96-3126-SM-9JGGC 50-59 years, male 68.8
GTEX-1LG7Y-3126-SM-EV7AS 50-59 years, male 68.5
GTEX-1NV8Z-3026-SM-DTX8Z 60-69 years, male 68.5
GTEX-131XH-2926-SM-5LZU4 50-59 years, male 68.3
GTEX-14PN4-3026-SM-664O4 50-59 years, male 68.3
GTEX-1CB4H-3026-SM-79OLX 60-69 years, female 68.3
GTEX-1F52S-3026-SM-7P8PV 60-69 years, female 68.3
GTEX-T6MN-2526-SM-32PMN 50-59 years, male 67.7
GTEX-1MJK2-3026-SM-EV7A5 50-59 years, male 67.7
GTEX-11DXW-1026-SM-5H11K 40-49 years, male 67.6
GTEX-17HII-2926-SM-79OMK 50-59 years, male 67.6
GTEX-1CB4G-2926-SM-7MKFQ 60-69 years, male 67.5
GTEX-13O3O-3026-SM-5KM42 60-69 years, female 67.4
GTEX-12WSE-2926-SM-5RQJ9 20-29 years, male 67.2
GTEX-1JMLX-3026-SM-EV79Q 50-59 years, male 67.0
GTEX-ZZPT-2926-SM-5EQ5S 50-59 years, male 66.9
GTEX-1EKGG-3126-SM-9WPO5 60-69 years, male 66.9
GTEX-13N2G-3126-SM-5IJGL 60-69 years, male 66.6
GTEX-1I1CD-2926-SM-A96SJ 60-69 years, female 66.6
GTEX-1E1VI-2926-SM-7IGLT 50-59 years, male 66.4
GTEX-1192X-3226-SM-5987D 50-59 years, male 65.7
GTEX-1JMPZ-2826-SM-C1YRA 30-39 years, male 65.7
GTEX-11NUK-3026-SM-5986K 50-59 years, male 65.6
GTEX-13112-2926-SM-5DUWT 50-59 years, male 65.4
GTEX-WHSE-2926-SM-3NMBG 20-29 years, male 65.2
GTEX-1HBPH-3026-SM-9WPNY 40-49 years, female 64.8
GTEX-12ZZZ-3126-SM-5LZU6 60-69 years, male 64.4
GTEX-14E6D-2926-SM-664OP 50-59 years, male 64.2
GTEX-PWO3-1026-SM-2I5F2 60-69 years, female 63.7
GTEX-131YS-3026-SM-5EGHY 60-69 years, female 63.4
GTEX-1313W-3026-SM-5LZUZ 50-59 years, female 63.3
GTEX-1JMQK-2926-SM-D4P2T 60-69 years, male 63.3
GTEX-13FHO-2926-SM-5L3ES 60-69 years, male 63.1
GTEX-QVJO-1325-SM-2S1QX 60-69 years, female 63.1
GTEX-ZUA1-2926-SM-59HL3 40-49 years, male 63.0
GTEX-1399T-3126-SM-5IJFS 60-69 years, male 62.8
GTEX-13QIC-3026-SM-5LU58 60-69 years, female 62.8
GTEX-12WSH-3126-SM-5LZW8 50-59 years, male 62.6
GTEX-1HSKV-2926-SM-B2LWJ 60-69 years, male 62.6
GTEX-S7SE-2526-SM-2XCDL 50-59 years, male 62.5
GTEX-1HCVE-2926-SM-9WPPJ 50-59 years, male 62.4
GTEX-15EO6-2926-SM-6M48D 50-59 years, male 62.2
GTEX-QDT8-3026-SM-32PKB 30-39 years, female 62.1
GTEX-1HBPI-2726-SM-9WPPF 50-59 years, male 62.1
GTEX-1RNSC-3126-SM-EVR4V 60-69 years, male 62.1
GTEX-17EVQ-2726-SM-7EWDT 70-79 years, male 62.0
GTEX-17JCI-3026-SM-7EWDR 60-69 years, female 61.9
GTEX-1GZ2Q-3026-SM-9JGG3 40-49 years, male 61.7
GTEX-14ASI-2926-SM-5Q5DG 60-69 years, male 61.6
GTEX-17HHY-2926-SM-79OJW 50-59 years, male 61.6
GTEX-12WSD-3026-SM-5LZU7 60-69 years, female 61.5
GTEX-11TTK-2826-SM-5GU5K 60-69 years, female 61.4
GTEX-145MF-2826-SM-7EPGU 50-59 years, male 61.3
GTEX-145MH-2926-SM-5Q5D2 50-59 years, male 61.3
GTEX-13FHP-2926-SM-5IJG9 50-59 years, male 61.2
GTEX-145LU-2626-SM-5LU9Z 50-59 years, male 61.2
GTEX-XLM4-2926-SM-4AT59 60-69 years, male 61.2
GTEX-WVLH-2926-SM-3MJG5 50-59 years, male 61.1
GTEX-1QP6S-3026-SM-EAZ4N 40-49 years, male 61.0
GTEX-1POEN-2726-SM-E9U6B 30-39 years, female 60.8
GTEX-11EMC-3326-SM-5P9JH 60-69 years, female 60.7
GTEX-1IY9M-3126-SM-AHZ3A 60-69 years, male 60.6
GTEX-1HB9E-3126-SM-AHZ4M 50-59 years, male 60.5
GTEX-YJ89-2926-SM-5P9IT 60-69 years, male 60.4
GTEX-13FXS-3026-SM-5LZYO 50-59 years, male 60.3
GTEX-1B8SF-3026-SM-731DX 60-69 years, male 60.3
GTEX-1JJEA-2926-SM-C1YSK 60-69 years, male 60.3
GTEX-16Z82-2926-SM-6LPJJ 60-69 years, male 60.2
GTEX-11ZTS-3226-SM-5EGID 60-69 years, female 60.1
GTEX-12WSC-2926-SM-5BC5Z 50-59 years, male 60.1
GTEX-145LS-3026-SM-5O99S 60-69 years, female 60.1
GTEX-13VXU-3026-SM-5LU3K 50-59 years, male 59.9
GTEX-1C6VR-3026-SM-7IGLW 60-69 years, male 59.8
GTEX-14BIN-3326-SM-5Q5E6 50-59 years, female 59.7
GTEX-15SHU-3026-SM-6LPIB 40-49 years, female 59.7
GTEX-ZYY3-3026-SM-5GIEJ 60-69 years, female 59.6
GTEX-13OVL-3026-SM-5IJF1 50-59 years, male 59.5
GTEX-11ONC-3026-SM-5985W 60-69 years, male 59.4
GTEX-11EI6-2926-SM-5985U 60-69 years, male 59.3
GTEX-14PJM-3026-SM-6LLHM 50-59 years, female 59.3
GTEX-1R46S-3126-SM-DPRZ9 60-69 years, female 59.3
GTEX-1A3MX-2926-SM-718B7 60-69 years, male 59.1
GTEX-147F4-3026-SM-5Q5BJ 50-59 years, male 59.0
GTEX-Q2AG-2826-SM-2HMJQ 40-49 years, female 59.0
GTEX-1H4P4-2726-SM-9JGGB 50-59 years, male 59.0
GTEX-QVUS-2926-SM-3GIJB 60-69 years, female 58.8
GTEX-1JMOU-2826-SM-EV79R 60-69 years, female 58.8
GTEX-17EVP-2926-SM-793BU 40-49 years, male 58.6
GTEX-1H1DG-2826-SM-9JGHB 70-79 years, male 58.6
GTEX-1269C-3126-SM-5EGI6 60-69 years, female 58.5
GTEX-11GSO-3026-SM-5Q5AL 60-69 years, male 58.4
GTEX-N7MS-2526-SM-2D7W3 60-69 years, male 58.4
GTEX-14JIY-2326-SM-6AJAJ 60-69 years, male 58.3
GTEX-1I1HK-2726-SM-AHZ2M 60-69 years, male 58.3
GTEX-12ZZY-2926-SM-5DUXO 60-69 years, male 58.1
GTEX-1IL2V-3026-SM-CYPSA 70-79 years, male 58.1
GTEX-1HSMO-2926-SM-C1YR5 60-69 years, male 57.9
GTEX-13OW6-2926-SM-5KM29 50-59 years, male 57.8
GTEX-11NV4-2226-SM-5BC4T 60-69 years, male 57.7
GTEX-139TT-2626-SM-5LZUB 60-69 years, male 57.7
GTEX-13X6K-2826-SM-5O9DS 60-69 years, female 57.7
GTEX-13OW8-2926-SM-5L3FV 60-69 years, male 57.6
GTEX-1RQEC-3026-SM-DPRXM 60-69 years, male 57.4
GTEX-1B8SG-1926-SM-73KUB 50-59 years, male 57.3
GTEX-11DYG-2926-SM-5H132 60-69 years, male 57.2
GTEX-13S7M-3026-SM-5S2QQ 60-69 years, female 57.2
GTEX-147GR-3126-SM-5S2PM 60-69 years, male 57.1
GTEX-17HG3-2826-SM-7EPGO 30-39 years, female 57.1
GTEX-1KD4Q-3026-SM-EV7A7 40-49 years, male 57.1
GTEX-1PWST-3026-SM-EAZ3H 70-79 years, male 57.1
GTEX-11OC5-0626-SM-5HL6M 60-69 years, male 57.0
GTEX-15DYW-3026-SM-7KFRM 60-69 years, female 57.0
GTEX-T2IS-2926-SM-32QPO 20-29 years, female 57.0
GTEX-1IDJH-3126-SM-C1YQS 70-79 years, male 57.0
GTEX-11DXY-3126-SM-5N9BT 60-69 years, male 56.9
GTEX-1PIIG-2826-SM-DTX7O 30-39 years, male 56.9
GTEX-14E7W-2926-SM-5S2R8 70-79 years, male 56.8
GTEX-1GF9W-2726-SM-9JGGW 60-69 years, male 56.8
GTEX-12126-0926-SM-5FQTW 20-29 years, male 56.7
GTEX-111FC-3326-SM-5GZYV 60-69 years, male 56.5
GTEX-1B933-3026-SM-731DB 50-59 years, female 56.4
GTEX-X4XX-2926-SM-3NMB1 60-69 years, male 56.4
GTEX-117XS-3126-SM-5GIDP 60-69 years, male 56.1
GTEX-1EU9M-2926-SM-793DF 60-69 years, male 56.1
GTEX-13JUV-3026-SM-5K7WX 40-49 years, female 56.0
GTEX-14BMV-2926-SM-5TDEE 50-59 years, male 55.9
GTEX-1I1GV-3026-SM-CNNR9 60-69 years, male 55.6
GTEX-WZTO-2826-SM-3NM8P 40-49 years, male 55.5
GTEX-ZVT3-2926-SM-5GU6M 60-69 years, female 55.5
GTEX-1GF9V-3026-SM-7P8R8 60-69 years, male 55.4
GTEX-1P4AB-3026-SM-EXOJS 50-59 years, male 55.4
GTEX-139TS-3126-SM-5LZWX 60-69 years, male 55.3
GTEX-12ZZX-2826-SM-5BC6K 40-49 years, female 54.8
GTEX-18A6Q-2826-SM-7LTAO 60-69 years, male 54.3
GTEX-P44G-2526-SM-2I5EK 30-39 years, male 54.2
GTEX-16XZZ-2926-SM-6LPK4 60-69 years, male 54.1
GTEX-145MG-3126-SM-5Q5D3 50-59 years, male 54.0
GTEX-1C64N-3126-SM-79OO3 50-59 years, male 54.0
GTEX-1A8G6-3126-SM-731D8 60-69 years, male 53.7
GTEX-1F6IF-3026-SM-7P8QN 60-69 years, male 53.6
GTEX-RNOR-2226-SM-2TF5O 50-59 years, female 53.2
GTEX-14JG1-2926-SM-686ZK 40-49 years, male 53.0
GTEX-18465-2926-SM-7KFSE 50-59 years, male 52.7
GTEX-1QEPI-3026-SM-EXOIW 60-69 years, female 52.7
GTEX-1GZ4I-2926-SM-9JGGO 50-59 years, male 52.6
GTEX-14JFF-2826-SM-6871Q 60-69 years, male 52.2
GTEX-144GL-2926-SM-5O99F 50-59 years, male 52.0
GTEX-14DAQ-3026-SM-5S2QZ 60-69 years, female 51.6
GTEX-YFC4-3026-SM-5IFJK 40-49 years, female 51.5
GTEX-14C39-3026-SM-5S2QE 40-49 years, male 50.9
GTEX-13CF2-3026-SM-5IFFX 60-69 years, male 50.8
GTEX-NPJ7-2826-SM-2I3FU 60-69 years, female 50.7
GTEX-1A8G7-3026-SM-73KTT 60-69 years, male 50.6
GTEX-Y8DK-0726-SM-4TT3S 60-69 years, male 50.5
GTEX-1KWVE-2226-SM-CXZKN 30-39 years, male 50.2
GTEX-14A5I-2826-SM-5SIBF 50-59 years, female 50.1
GTEX-QMR6-1326-SM-32PLB 50-59 years, male 49.8
GTEX-1BAJH-3126-SM-7MGXY 70-79 years, male 49.6
GTEX-1KANB-3226-SM-D4P3G 50-59 years, male 49.3
GTEX-OHPN-2626-SM-2I5H1 60-69 years, female 49.0
GTEX-1EH9U-3126-SM-7MXU5 60-69 years, male 48.8
GTEX-P44H-2426-SM-2XCEJ 40-49 years, male 48.7
GTEX-1JN1M-3126-SM-AHZ4E 60-69 years, female 48.6
GTEX-R55E-2526-SM-2TC6H 20-29 years, male 48.2
GTEX-11PRG-2826-SM-5BC54 50-59 years, male 47.0
GTEX-13X6J-2926-SM-7EPGP 50-59 years, male 46.6
GTEX-1EWIQ-3026-SM-7IGOJ 70-79 years, female 46.0
GTEX-13PVQ-2926-SM-5L3HJ 50-59 years, male 45.4
GTEX-11ZVC-3026-SM-59HJM 50-59 years, female 44.8
GTEX-1H3VE-2826-SM-9WPOL 40-49 years, male 44.2
GTEX-RU72-2926-SM-2TF66 50-59 years, female 43.3
GTEX-PVOW-2626-SM-32PL8 40-49 years, male 42.9
GTEX-1E2YA-2926-SM-7MGWX 50-59 years, male 42.5
GTEX-1JJE9-3026-SM-CNNPA 70-79 years, male 42.2
GTEX-14PJO-2926-SM-686ZI 60-69 years, male 40.2
GTEX-13OVJ-2726-SM-5IJG6 50-59 years, female 38.1
GTEX-1H3NZ-2926-SM-9WPQ8 60-69 years, male 37.8
Show allShow less

CEREBELLUM - FANTOM5 CAGEi

RNA expression in human tissues obtained through Cap Analysis of Gene Expression (CAGE) generated by the FANTOM5 project are reported as Scaled Tags Per Million.

Max subtype Scaled Tags Per Millioni

Max subtype Scaled Tags Per Million is the value for the subtype with the largest average Scaled Tags Per Million across the subtype samples.

55.8
FANTOM5 sample id Sample description Scaled Tags Per Million
Cerebellum
Scaled Tags Per Million: 55.8
FF:10083-102B2 22-68 years, mixed 60.4
FF:10166-103B4 76 years, female 51.2

CEREBELLUM - Pig RNA-seqi

RNA-seq data obtained from pig brain is reported as nTPM .

Normal distribution across the dataset is visualized with box plots, shown as median and 25th and 75th percentiles. Points are displayed as outliers if they are above or below 1.5 times the interquartile range. nTPM values of the individual samples are presented next to the box plot.
Max subtype nTPMi

Max subtype nTPM is the value for the subtype with the largest average nTPM across the subtype samples.

60.4
Pig sample Sample description nTPM
Cerebellum
nTPM: 60.4
Samples: 4

Max nTPM: 88.3
Min nTPM: 49.3
Sample A Female 88.3
Sample B Female 52.7
Sample C Male 51.3
Sample D Male 49.3

CEREBELLUM - Mouse RNA-seqi

RNA-seq data obtained from mouse brain is reported as nTPM .

Normal distribution across the dataset is visualized with box plots, shown as median and 25th and 75th percentiles. Points are displayed as outliers if they are above or below 1.5 times the interquartile range. nTPM values of the individual samples are presented next to the box plot.
Max subtype nTPMi

Max subtype nTPM is the value for the subtype with the largest average nTPM across the subtype samples.

44.8
Mouse sample Sample description nTPM
Cerebellum
nTPM: 44.9
Samples: 4

Max nTPM: 49.3
Min nTPM: 39.6
Sample A Male 49.3
Sample B Male 46.6
Sample C Female 39.6
Sample D Female 43.9

CEREBELLUM - Allen Mouse ISHi

In situ hybridization (ISH) data generated by the Allen brain atlas from mouse brain is reported as expression energy. For more details about a particular experiment, click on the corresponding Allen experiment ID.

Max subtype Expression energyi

Max subtype Expression energy is the value for the subtype with the largest average Expression energy across the subtype samples.

4.0
Allen experiment id Experiment description Expression energy
Cerebellum
Expression energy: 4.0
68637706 Antisense, RP_050126_01_D09, Mouse strain C57BL/6J (56 days, male) 4.0

Contact

  • NEWS ARTICLES
  • PRESS ROOM

The Project

  • INTRODUCTION
  • ORGANIZATION
  • PUBLICATIONS

The Human Protein Atlas

  • DOWNLOADABLE DATA
  • LICENCE & CITATION
  • HELP & FAQ
The Human Protein Atlas project is funded
by the Knut & Alice Wallenberg Foundation.


contact@proteinatlas.org