We use cookies to enhance the usability of our website. If you continue, we'll assume that you are happy to receive all cookies. More information. Don't show this again.
STK26
HPA
RESOURCES
  • TISSUE
  • BRAIN
  • SINGLE CELL
  • SUBCELLULAR
  • CANCER
  • BLOOD
  • CELL LINE
  • STRUCTURE & INTERACTION
ABOUT
  • INTRODUCTION
  • HISTORY
  • ORGANIZATION
  • PUBLICATIONS
  • ANTIBODY SUBMISSION
  • ANTIBODY AVAILABILITY
  • ACKNOWLEDGMENTS
  • CONTACT
NEWS
  • NEWS ARTICLES
  • PRESS ROOM
LEARN
  • DICTIONARY
  • PROTEIN CLASSES
  • PROTEIN EVIDENCE
  • METHODS
  • EDUCATIONAL VIDEOS
DATA
  • DOWNLOADABLE DATA
  • PUBLICATION DATA
  • RELEASE HISTORY
HELP
  • ANTIBODY VALIDATION
  • ASSAYS & ANNOTATION
  • DISCLAIMER
  • HELP & FAQ
  • PRIVACY STATEMENT
  • LICENCE & CITATION
Fields »
Search result

Field
Term
Gene name
Class
Subclass
Class
Keyword
Chromosome
External id
Tissue
Cell type
Expression
Antibody panel
Tissue
Main location
Patient ID
Annotation
Tissue
Category
Tau score
Cluster
Reliability
Brain region
Category
Tau score
Brain region
Category
Tau score
Brain region
Category
Tau score
Cluster
Reliability
Tissue
Cell type
Enrichment
Cell type
Category
Tau score
Cell type
Category
Tau score
Cell type
Category
Tau score
Cell lineage
Category
Tau score
Cluster
Cluster
Location
Searches
Location
Cell line
Class
Type
Phase
Reliability
Cancer
Prognosis
Cancer
Category
Cancer
Category
Tau score
Cluster
Variants
Interacting gene (ensg_id)
Type
Number of interactions
Pathway
Category
Score
Score
Score
Validation
Validation
Validation
Validation
Antibodies
Data type
Column


  • SUMMARY

  • TISSUE

  • BRAIN

  • SINGLE CELL

  • SUBCELL

  • CANCER

  • BLOOD

  • CELL LINE

  • STRUCT & INT

  • STK26
TISSUE PRIMARY DATA ENDOMETRIUM Show tissue menu
ADIPOSE TISSUE ADRENAL GLAND AMYGDALA APPENDIX BASAL GANGLIA BONE MARROW BREAST BRONCHUS CEREBELLUM CEREBRAL CORTEX CERVIX CHOROID PLEXUS COLON DUODENUM
ENDOMETRIUM EPIDIDYMIS ESOPHAGUS FALLOPIAN TUBE GALLBLADDER HEART MUSCLE HIPPOCAMPAL FORMATION HYPOTHALAMUS KIDNEY LIVER LUNG LYMPH NODE MIDBRAIN NASOPHARYNX
ORAL MUCOSA OVARY PANCREAS PARATHYROID GLAND PITUITARY GLAND PLACENTA PROSTATE RECTUM RETINA SALIVARY GLAND SEMINAL VESICLE SKELETAL MUSCLE SKIN SMALL INTESTINE
SMOOTH MUSCLE SOFT TISSUE SPINAL CORD SPLEEN STOMACH TESTIS THYMUS THYROID GLAND TONGUE TONSIL URINARY BLADDER VAGINA
ANTIBODIES
AND
VALIDATION
Dictionary
Endometrium
Tissue proteome
Endometrium
ENDOMETRIUM - Expression summary
Protein expression
Endometriumi

On the top, protein expression in current human tissue, based on all annotated cell types, is reported with the units not detected (n), low (l), medium (m) and high (h). Underneath, protein expression in each annotated cell type are reported using the same units.

Protein expression data is based on knowledge-based annotation. For genes where more than one antibody has been used, a collective score is set.

If knowledge-based annotation could not be performed for a gene, no data is displayed here. View antibody staining data further down this page.

h
m
l
n
Cells in endometrial stroma: Not detected
Glandular cells: Not detected
RNA expressioni

A summary of mRNA expression data available for current tissue based on several datasets. The mRNA expression levels in human tissues are based on RNA-seq data generated by the Human Protein Atlas (HPA), Genotype-Tissue Expression (GTEx) portal and CAGE data generated by the FANTOM5 consortium. Consensus normalized expression levels for human tissues was created by combining the data from HPA and GTEx datasets.

The mRNA expression levels in pig are based on RNA-seq data generated by the Human Protein Atlas (HPA), and for mouse, HPA data and in situ hybridization generated by the Allen brain atlas are reported.

Scroll down to view mRNA expression data in more detail.
Consensus:45.1 nTPM
HPA:33.0 nTPM
GTEx:45.1 nTPM
FANTOM5:136.4 Scaled Tags Per Million

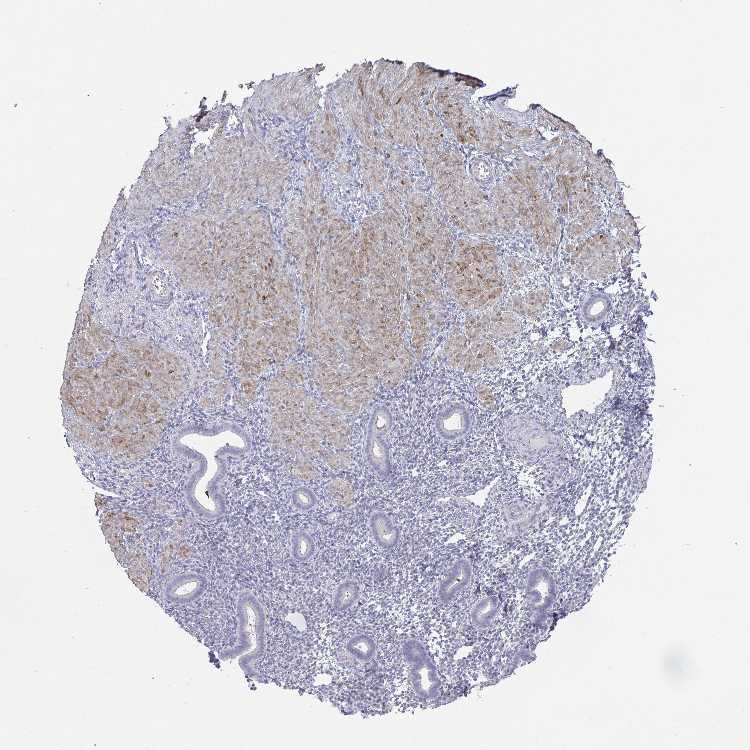
ENDOMETRIUM 1 - Antibody stainingi

Antibody staining in the annotated cell types in the current human tissue is reported as not detected, low, medium, or high, based on conventional immunohistochemistry profiling in selected tissues. This score is based on the combination of the staining intensity and fraction of stained cells.

Each image is clickable and will lead to virtual microscopy that enables deeper exploration of all samples and also displays staining intensity scores, fraction scores and subcellular localization as well as patient and tissue information for each sample.

Antibody HPA059921
Cells in endometrial stroma Not detected
Glandular cells Not detected


ENDOMETRIUM 2 - Antibody stainingi

Antibody staining in the annotated cell types in the current human tissue is reported as not detected, low, medium, or high, based on conventional immunohistochemistry profiling in selected tissues. This score is based on the combination of the staining intensity and fraction of stained cells.

Each image is clickable and will lead to virtual microscopy that enables deeper exploration of all samples and also displays staining intensity scores, fraction scores and subcellular localization as well as patient and tissue information for each sample.

Antibody HPA059921
Cells in endometrial stroma Not detected
Glandular cells Not detected



ENDOMETRIUM - HPA RNA-seqi

The RNA-seq details section shows detailed information about the individual samples used for the transcript profiling and results of the RNA-seq analysis.

Information about each individual sample is listed below, including gender, age, a tissue section image and estimated fractions of cell types. nTPM (normalized transcripts per million) values give a quantification of the gene abundance which is comparable between different genes and samples.
Average nTPMi

Max subtype nTPM is the value for the subtype with the largest average nTPM across the subtype samples.

33.0
overview
Female, age 34
Endometrium sample 113
nTPM: 22.7
Cell types%
Glandular cells:
5

Stromal cells:
25

Smooth muscle cells:
65

Other cell types:
5

overview
Female, age 56
Endometrium sample 114
nTPM: 56.2
Cell types%
Glandular cells:
5

Stromal cells:
15

Smooth muscle cells:
75

Other cell types:
5

overview
Female, age 40
Endometrium sample 268
nTPM: 27.6
Cell types%
Glandular cells:
5

Stromal cells:
20

Smooth muscle cells:
70

Other cell types:
5

overview
Female, age 60
Endometrium sample 297
nTPM: 31.1
Cell types%
Glandular cells:
5

Stromal cells:
20

Smooth muscle cells:
75

Other cell types:
0

overview
Female, age 83
Endometrium sample 301
nTPM: 27.5
Cell types%
Glandular cells:
5

Stromal cells:
10

Smooth muscle cells:
80

Other cell types:
5


ENDOMETRIUM - GTEx RNA-seqi

RNA-Seq data generated by the Genotype-Tissue Expression (GTEx) project from human tissues is reported as mean nTPM. More information can be found on the GTEx portal.

Distribution across the dataset is visualized with box plots, shown as median and 25th and 75th percentiles. Points are displayed as outliers if they are above or below 1.5 times the interquartile range. nTPM values of the individual samples are presented next to the box plot.
Max subtype nTPMi

Max subtype nTPM is the value for the subtype with the largest average nTPM across the subtype samples.

45.1
GTEx sample id Sample description nTPM
Uterus - Endometrium
Average nTPM: 45.1
Samples: 16

Max nTPM: 101.9
Min nTPM: 10.9
Std nTPM: 22.7
Median nTPM: 41.5
GTEX-PWN1-2026-SM-48TD9 40-49 years, female 101.9
GTEX-11EM3-1926-SM-5987U 20-29 years, female 79.8
GTEX-U3ZN-0726-SM-4DXT5 30-39 years, female 65.8
GTEX-T5JW-1526-SM-4DM5E 20-29 years, female 58.3
GTEX-ZVT2-0426-SM-5E44S 50-59 years, female 56.8
GTEX-13QBU-1626-SM-5LU4S 40-49 years, female 47.7
GTEX-T6MO-1526-SM-4DM57 40-49 years, female 43.8
GTEX-R55G-1626-SM-48FF4 40-49 years, female 43.2
GTEX-XUZC-0926-SM-4BOQF 30-39 years, female 39.7
GTEX-P78B-2526-SM-3P5ZY 40-49 years, female 39.3
GTEX-ZTPG-2026-SM-5O999 20-29 years, female 34.4
GTEX-PX3G-2026-SM-48U1H 20-29 years, female 32.8
GTEX-Y114-1826-SM-4TT87 50-59 years, female 26.5
GTEX-S32W-1426-SM-4AD66 50-59 years, female 23.9
GTEX-PWCY-1426-SM-48TCT 20-29 years, female 16.4
GTEX-XV7Q-1526-SM-4BRWB 40-49 years, female 10.9
Show allShow less

ENDOMETRIUM - FANTOM5 CAGEi

RNA expression in human tissues obtained through Cap Analysis of Gene Expression (CAGE) generated by the FANTOM5 project are reported as Scaled Tags Per Million.

Max subtype Scaled Tags Per Millioni

Max subtype Scaled Tags Per Million is the value for the subtype with the largest average Scaled Tags Per Million across the subtype samples.

136.4
FANTOM5 sample id Sample description Scaled Tags Per Million
Uterus
Scaled Tags Per Million: 136.4
FF:10100-102D1 23-63 years, female 136.4

Contact

  • NEWS ARTICLES
  • PRESS ROOM

The Project

  • INTRODUCTION
  • ORGANIZATION
  • PUBLICATIONS

The Human Protein Atlas

  • DOWNLOADABLE DATA
  • LICENCE & CITATION
  • HELP & FAQ
The Human Protein Atlas project is funded
by the Knut & Alice Wallenberg Foundation.


contact@proteinatlas.org