We use cookies to enhance the usability of our website. If you continue, we'll assume that you are happy to receive all cookies. More information. Don't show this again.
DSG1
HPA
RESOURCES
  • TISSUE
  • BRAIN
  • SINGLE CELL
  • SUBCELLULAR
  • CANCER
  • BLOOD
  • CELL LINE
  • STRUCTURE & INTERACTION
ABOUT
  • INTRODUCTION
  • HISTORY
  • ORGANIZATION
  • PUBLICATIONS
  • ANTIBODY SUBMISSION
  • ANTIBODY AVAILABILITY
  • ACKNOWLEDGMENTS
  • CONTACT
NEWS
  • NEWS ARTICLES
  • PRESS ROOM
LEARN
  • DICTIONARY
  • PROTEIN CLASSES
  • PROTEIN EVIDENCE
  • METHODS
  • EDUCATIONAL VIDEOS
DATA
  • DOWNLOADABLE DATA
  • PUBLICATION DATA
  • RELEASE HISTORY
HELP
  • ANTIBODY VALIDATION
  • ASSAYS & ANNOTATION
  • DISCLAIMER
  • HELP & FAQ
  • PRIVACY STATEMENT
  • LICENCE & CITATION
Fields »
Search result

Field
Term
Gene name
Class
Subclass
Class
Keyword
Chromosome
External id
Tissue
Cell type
Expression
Antibody panel
Tissue
Main location
Patient ID
Annotation
Tissue
Category
Tau score
Cluster
Reliability
Brain region
Category
Tau score
Brain region
Category
Tau score
Brain region
Category
Tau score
Cluster
Reliability
Tissue
Cell type
Enrichment
Cell type
Category
Tau score
Cell type
Category
Tau score
Cell type
Category
Tau score
Cell lineage
Category
Tau score
Cluster
Cluster
Location
Searches
Location
Cell line
Class
Type
Phase
Reliability
Cancer
Prognosis
Cancer
Category
Cancer
Category
Tau score
Cluster
Variants
Interacting gene (ensg_id)
Type
Number of interactions
Pathway
Category
Score
Score
Score
Validation
Validation
Validation
Validation
Antibodies
Data type
Column


  • SUMMARY

  • TISSUE

  • BRAIN

  • SINGLE CELL

  • SUBCELL

  • CANCER

  • BLOOD

  • CELL LINE

  • STRUCT & INT

  • DSG1
TISSUE PRIMARY DATA SKIN Show tissue menu
ADIPOSE TISSUE ADRENAL GLAND AMYGDALA APPENDIX BASAL GANGLIA BONE MARROW BREAST BRONCHUS CEREBELLUM CEREBRAL CORTEX CERVIX CHOROID PLEXUS COLON DUODENUM
ENDOMETRIUM EPIDIDYMIS ESOPHAGUS FALLOPIAN TUBE GALLBLADDER HEART MUSCLE HIPPOCAMPAL FORMATION HYPOTHALAMUS KIDNEY LIVER LUNG LYMPH NODE MIDBRAIN NASOPHARYNX
ORAL MUCOSA OVARY PANCREAS PARATHYROID GLAND PITUITARY GLAND PLACENTA PROSTATE RECTUM RETINA SALIVARY GLAND SEMINAL VESICLE SKELETAL MUSCLE SKIN SMALL INTESTINE
SMOOTH MUSCLE SOFT TISSUE SPINAL CORD SPLEEN STOMACH TESTIS THYMUS THYROID GLAND TONGUE TONSIL URINARY BLADDER VAGINA
ANTIBODIES
AND
VALIDATION
Dictionary
Skin
Tissue proteome
Skin
SKIN - Expression summary
Protein expression
Skini

On the top, protein expression in current human tissue, based on all annotated cell types, is reported with the units not detected (n), low (l), medium (m) and high (h). Underneath, protein expression in each annotated cell type are reported using the same units.

Protein expression data is based on knowledge-based annotation. For genes where more than one antibody has been used, a collective score is set.

If knowledge-based annotation could not be performed for a gene, no data is displayed here. View antibody staining data further down this page.

h
m
l
n
Cells in basal layer: Medium
Cells in corneal layer: High
Cells in granular layer: Medium
Cells in spinous layer: High
Endothelial cells: Not detected
Extracellular matrix: Not detected
Fibrohistiocytic cells: Not detected
Langerhans cells: High
Lymphocytes: Not detected
Melanocytes: Not detected
Vascular mural cells: Not detected
RNA expressioni

A summary of mRNA expression data available for current tissue based on several datasets. The mRNA expression levels in human tissues are based on RNA-seq data generated by the Human Protein Atlas (HPA), Genotype-Tissue Expression (GTEx) portal and CAGE data generated by the FANTOM5 consortium. Consensus normalized expression levels for human tissues was created by combining the data from HPA and GTEx datasets.

The mRNA expression levels in pig are based on RNA-seq data generated by the Human Protein Atlas (HPA), and for mouse, HPA data and in situ hybridization generated by the Allen brain atlas are reported.

Scroll down to view mRNA expression data in more detail.
Consensus:549.7 nTPM
HPA:549.7 nTPM
GTEx:272.7 nTPM

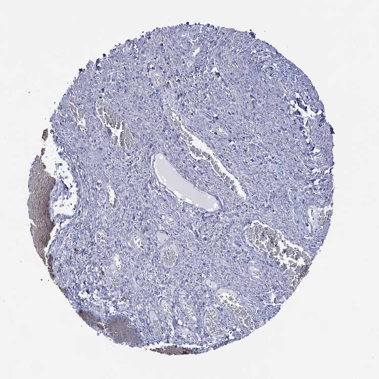
SKIN 1 - Antibody stainingi

Antibody staining in the annotated cell types in the current human tissue is reported as not detected, low, medium, or high, based on conventional immunohistochemistry profiling in selected tissues. This score is based on the combination of the staining intensity and fraction of stained cells.

Each image is clickable and will lead to virtual microscopy that enables deeper exploration of all samples and also displays staining intensity scores, fraction scores and subcellular localization as well as patient and tissue information for each sample.

Antibody HPA022128Antibody HPA074188
Langerhans -Not detected
Cells in basal layer Medium-
Cells in corneal layer High-
Cells in granular layer Medium-
Cells in spinous layer High-
Endothelial cells Not detected-
Extracellular matrix Not detected-
Fibroblasts -Not detected
Fibrohistiocytic cells Not detected-
Keratinocytes -High
Langerhans cells High-
Lymphocytes Not detected-
Melanocytes Not detectedNot detected
Vascular mural cells Not detected-



SKIN 2 - Antibody stainingi

Antibody staining in the annotated cell types in the current human tissue is reported as not detected, low, medium, or high, based on conventional immunohistochemistry profiling in selected tissues. This score is based on the combination of the staining intensity and fraction of stained cells.

Each image is clickable and will lead to virtual microscopy that enables deeper exploration of all samples and also displays staining intensity scores, fraction scores and subcellular localization as well as patient and tissue information for each sample.

Antibody HPA022128Antibody HPA074188
Cells in basal layer Medium-
Cells in corneal layer High-
Cells in granular layer Low-
Cells in spinous layer High-
Endothelial cells Not detected-
Epidermal cells -Medium
Extracellular matrix Not detected-
Fibrohistiocytic cells Not detected-
Langerhans cells High-
Lymphocytes Not detected-
Melanocytes Not detected-
Vascular mural cells Not detected-
  
  




SKIN - HPA RNA-seqi

The RNA-seq details section shows detailed information about the individual samples used for the transcript profiling and results of the RNA-seq analysis.

Information about each individual sample is listed below, including gender, age, a tissue section image and estimated fractions of cell types. nTPM (normalized transcripts per million) values give a quantification of the gene abundance which is comparable between different genes and samples.
Average nTPMi

Max subtype nTPM is the value for the subtype with the largest average nTPM across the subtype samples.

549.7
overview
Female, age 34
Skin sample 225
nTPM: 636.3
Cell types%
Keratinocytes:
60

Other cell types:
40

overview
Female, age 30
Skin sample 226
nTPM: 699.5
Cell types%
Keratinocytes:
55

Other cell types:
45

N/A
Male, age 57
Skin sample 227
nTPM: 313.2

SKIN - GTEx RNA-seqi

RNA-Seq data generated by the Genotype-Tissue Expression (GTEx) project from human tissues is reported as mean nTPM. More information can be found on the GTEx portal.

Distribution across the dataset is visualized with box plots, shown as median and 25th and 75th percentiles. Points are displayed as outliers if they are above or below 1.5 times the interquartile range. nTPM values of the individual samples are presented next to the box plot.
Max subtype nTPMi

Max subtype nTPM is the value for the subtype with the largest average nTPM across the subtype samples.

272.7
GTEx sample id Sample description nTPM
Skin - Not Sun Exposed (Suprapubic)
Average nTPM: 221.5
Samples: 604

Max nTPM: 558.8
Min nTPM: 18.6
Std nTPM: 89.8
Median nTPM: 212.6
GTEX-13PDP-0726-SM-5L3HP 60-69 years, male 558.8
GTEX-1KANB-2826-SM-CY8I6 50-59 years, male 473.6
GTEX-1HSKV-1226-SM-ADEI4 60-69 years, male 471.7
GTEX-1HT8W-0626-SM-A9G2H 30-39 years, male 448.4
GTEX-145MH-2826-SM-5RQJF 50-59 years, male 443.3
GTEX-15SKB-2826-SM-6PAMH 60-69 years, male 439.4
GTEX-111VG-1626-SM-5EGIO 60-69 years, male 436.8
GTEX-17HHE-1326-SM-7EWDZ 50-59 years, male 433.2
GTEX-1QP2A-1726-SM-E76QC 50-59 years, male 432.7
GTEX-1HCU7-0726-SM-A9SL1 50-59 years, male 431.9
GTEX-1F6RS-2026-SM-7RHHC 60-69 years, female 426.5
GTEX-1PBJJ-1026-SM-E76OS 30-39 years, male 423.0
GTEX-1NSGN-0726-SM-DTXEF 50-59 years, male 422.0
GTEX-144GL-0626-SM-5LU4D 50-59 years, male 419.8
GTEX-1EU9M-1426-SM-793AI 60-69 years, male 417.5
GTEX-15ER7-0626-SM-6PANF 20-29 years, female 412.5
GTEX-WHSB-1326-SM-3LK6W 50-59 years, male 411.6
GTEX-1C6VQ-1226-SM-73KYD 50-59 years, male 406.4
GTEX-1GN1V-2826-SM-9JGIA 60-69 years, male 405.8
GTEX-1HBPI-2126-SM-ARL9K 50-59 years, male 404.0
GTEX-ZE9C-2526-SM-5IJDR 60-69 years, male 402.9
GTEX-1J8EW-2726-SM-CY8HR 60-69 years, female 399.7
GTEX-1GPI6-1926-SM-9KNV7 60-69 years, male 396.1
GTEX-1HCVE-2726-SM-CL54F 50-59 years, male 392.9
GTEX-1AMFI-1326-SM-7939R 50-59 years, female 390.2
GTEX-1IE54-1126-SM-A9G2Z 40-49 years, female 389.4
GTEX-ZYFC-0426-SM-5GICQ 50-59 years, male 388.2
GTEX-1GN2E-0226-SM-9WG6K 60-69 years, male 385.8
GTEX-18A67-1626-SM-7LT9T 50-59 years, male 385.6
GTEX-11WQC-1826-SM-5GU59 60-69 years, male 383.4
GTEX-1EX96-1026-SM-7MKG2 50-59 years, male 383.1
GTEX-1H11D-1826-SM-9QEHM 40-49 years, male 382.9
GTEX-WHPG-2626-SM-3NMBR 50-59 years, male 376.8
GTEX-1LB8K-0726-SM-D5OV2 50-59 years, male 373.2
GTEX-17F98-1326-SM-7DUEP 40-49 years, female 372.9
GTEX-12WSK-2126-SM-5CVNC 40-49 years, female 372.8
GTEX-ZXG5-2126-SM-59HKD 60-69 years, male 372.4
GTEX-1I1GT-1026-SM-ARZLV 60-69 years, female 370.4
GTEX-1F5PL-0926-SM-7PC2W 40-49 years, female 369.1
GTEX-1HSMQ-2626-SM-A9SML 50-59 years, male 368.9
GTEX-1IKOE-1426-SM-CE6T7 30-39 years, female 367.8
GTEX-1B932-2326-SM-79OL5 40-49 years, female 366.1
GTEX-1NV5F-0626-SM-DTXEG 60-69 years, female 364.1
GTEX-1HR9M-2226-SM-CNPPY 60-69 years, male 363.7
GTEX-1IKJJ-2226-SM-CJI4C 60-69 years, male 363.1
GTEX-1QPFJ-1926-SM-EVYBD 30-39 years, female 362.7
GTEX-1HR98-2226-SM-ADEI2 60-69 years, male 362.1
GTEX-1C6VR-0126-SM-7RHGB 60-69 years, male 361.1
GTEX-1F75A-0726-SM-7RHHD 50-59 years, male 355.6
GTEX-1OJC4-2726-SM-E76PJ 50-59 years, female 353.4
GTEX-1JMPY-0226-SM-CKZOK 30-39 years, male 352.4
GTEX-UPJH-0226-SM-3GADV 50-59 years, male 351.3
GTEX-1B8SF-0126-SM-7DUG3 60-69 years, male 350.6
GTEX-1JJEA-1826-SM-ARU8P 60-69 years, male 350.3
GTEX-1GMRU-2126-SM-7P8RA 50-59 years, male 349.9
GTEX-17F9Y-0126-SM-79OKX 70-79 years, female 349.2
GTEX-1JK1U-0226-SM-ARZMX 60-69 years, male 349.1
GTEX-1GF9V-0826-SM-9KNUV 60-69 years, male 347.6
GTEX-ZF2S-1626-SM-57WES 50-59 years, female 346.4
GTEX-1GZ4I-2626-SM-9KNU3 50-59 years, male 345.5
GTEX-1RAZR-2126-SM-E9U6T 40-49 years, male 345.5
GTEX-1RAZS-2526-SM-E6CHT 50-59 years, male 345.1
GTEX-1C64N-2626-SM-7PC2N 50-59 years, male 345.0
GTEX-15RJ7-2126-SM-6PAMD 40-49 years, male 344.7
GTEX-1H3O1-1326-SM-9MQLD 60-69 years, male 340.1
GTEX-1313W-0626-SM-5EQ4H 50-59 years, female 339.7
GTEX-ZTX8-1326-SM-4YCEL 20-29 years, male 338.9
GTEX-11ZU8-0126-SM-5EQ58 60-69 years, male 337.7
GTEX-1JMQJ-0826-SM-CNPP7 50-59 years, male 337.4
GTEX-1HSMO-0626-SM-ACKXC 60-69 years, male 336.8
GTEX-11EQ8-0926-SM-5H12V 60-69 years, male 335.6
GTEX-139D8-1126-SM-5LU8W 30-39 years, female 335.2
GTEX-1LVAM-0726-SM-E6CIL 50-59 years, female 335.0
GTEX-147GR-2426-SM-5ZZWQ 60-69 years, male 333.6
GTEX-13PL6-1126-SM-5L3IE 40-49 years, female 333.0
GTEX-1S83E-1326-SM-E6CJM 40-49 years, male 333.0
GTEX-1I1GV-0626-SM-ARL7M 60-69 years, male 332.1
GTEX-1269C-0126-SM-5EQ5L 60-69 years, female 330.5
GTEX-12ZZX-2426-SM-5GCOE 40-49 years, female 330.2
GTEX-1CB4F-1026-SM-7DUH1 60-69 years, male 329.5
GTEX-1GN1U-0626-SM-9MQL9 50-59 years, female 328.8
GTEX-1BAJH-2426-SM-7IGP8 70-79 years, male 328.3
GTEX-1R7EU-1626-SM-DTXG3 60-69 years, male 326.9
GTEX-ZF29-0926-SM-4WKFZ 60-69 years, female 326.3
GTEX-1QMI2-2526-SM-E8VNZ 60-69 years, male 325.0
GTEX-145LU-1926-SM-79OJN 50-59 years, male 322.0
GTEX-1PPGY-1626-SM-EVYBL 60-69 years, male 320.9
GTEX-14A6H-2026-SM-5Q5DD 30-39 years, male 320.3
GTEX-139UW-0326-SM-5J1ML 60-69 years, male 319.8
GTEX-15EO6-2426-SM-6PALZ 50-59 years, male 316.6
GTEX-14PJ6-2626-SM-6EU2T 60-69 years, female 314.7
GTEX-1GF9X-1326-SM-7PC2Y 40-49 years, female 314.1
GTEX-1JKYR-0626-SM-ARL8R 20-29 years, male 314.1
GTEX-YECK-0326-SM-4W1YS 60-69 years, male 313.0
GTEX-17KNJ-2126-SM-718AM 50-59 years, male 312.4
GTEX-1GZHY-0626-SM-9KNVC 50-59 years, female 312.0
GTEX-1OJC3-1226-SM-DTXER 20-29 years, male 311.2
GTEX-1F52S-2926-SM-7MKGA 60-69 years, female 311.0
GTEX-148VJ-0626-SM-5LUAW 70-79 years, male 310.7
GTEX-13FTX-1526-SM-5K7VJ 20-29 years, female 309.5
GTEX-1QP28-1126-SM-EVYC4 50-59 years, female 309.5
GTEX-13IVO-0726-SM-5LZYV 70-79 years, male 308.5
GTEX-14LZ3-0126-SM-69LPM 60-69 years, female 308.4
GTEX-Y114-2126-SM-4TT8B 50-59 years, female 307.3
GTEX-18A7A-0126-SM-731AH 50-59 years, female 306.5
GTEX-15CHC-1126-SM-6LLHQ 60-69 years, female 306.0
GTEX-1122O-1026-SM-9WYSF 60-69 years, female 305.7
GTEX-12KS4-2126-SM-5FQUT 30-39 years, male 303.5
GTEX-1H2FU-0926-SM-9WPPT 60-69 years, female 303.4
GTEX-13SLW-0626-SM-5Q5ER 70-79 years, male 301.8
GTEX-1MCYP-0526-SM-E9U6Q 20-29 years, female 301.8
GTEX-ZYT6-2326-SM-5GZY3 30-39 years, male 301.7
GTEX-1EKGG-0626-SM-7DUGJ 60-69 years, male 300.3
GTEX-13NYB-0126-SM-5J1MD 40-49 years, male 299.9
GTEX-1EMGI-2326-SM-7PBYA 60-69 years, male 299.1
GTEX-14PII-0726-SM-6EU2B 60-69 years, male 298.3
GTEX-15FZZ-0526-SM-7KUGD 30-39 years, female 298.3
GTEX-ZE7O-2726-SM-51MT5 50-59 years, female 298.0
GTEX-1B8L1-2226-SM-7P8PT 60-69 years, male 297.6
GTEX-1JN76-0626-SM-CKZOQ 20-29 years, female 297.6
GTEX-13FTY-2126-SM-5IFFB 40-49 years, female 296.3
GTEX-1N2DV-1526-SM-DTXEP 40-49 years, male 295.4
GTEX-1PPH8-0126-SM-EWRN8 20-29 years, male 295.2
GTEX-WHWD-1826-SM-3LK6I 50-59 years, male 294.8
GTEX-1KWVE-1026-SM-D3L9O 30-39 years, male 293.3
GTEX-11P81-2226-SM-5PNYI 30-39 years, female 292.4
GTEX-12ZZY-0726-SM-5EQ66 60-69 years, male 291.8
GTEX-1H4P4-2126-SM-9WYSL 50-59 years, male 291.3
GTEX-ZC5H-1526-SM-5HL9Y 40-49 years, female 290.8
GTEX-13NZ8-1226-SM-5KM4A 60-69 years, female 289.9
GTEX-1QEPI-2626-SM-DTXF4 60-69 years, female 289.7
GTEX-11DXY-0126-SM-5H11Q 60-69 years, male 289.3
GTEX-17MFQ-1526-SM-7KFRR 20-29 years, male 288.6
GTEX-13X6J-0626-SM-5LU5F 50-59 years, male 288.4
GTEX-14AS3-1526-SM-5Q5ED 40-49 years, female 287.7
GTEX-18A6Q-0626-SM-7KFRP 60-69 years, male 287.6
GTEX-14B4R-1326-SM-5Q5EZ 30-39 years, male 287.2
GTEX-13FLV-0126-SM-5K7WT 50-59 years, male 286.1
GTEX-131XF-2626-SM-5EQ6K 60-69 years, male 285.5
GTEX-XBED-1926-SM-47JYP 60-69 years, male 285.3
GTEX-13X6K-0626-SM-5LU5D 60-69 years, female 284.0
GTEX-14PKU-0126-SM-6LLHV 40-49 years, female 283.5
GTEX-1LGRB-0926-SM-COH3K 50-59 years, female 283.3
GTEX-1PIIG-2326-SM-DTXFR 30-39 years, male 283.1
GTEX-14ICL-1626-SM-5YYAO 30-39 years, male 282.6
GTEX-ZP4G-1426-SM-4WWCL 20-29 years, female 282.4
GTEX-ZZPU-0826-SM-5GZX5 50-59 years, female 282.2
GTEX-1ICLY-0826-SM-CMKG1 50-59 years, male 282.0
GTEX-14PJN-1826-SM-6AJ98 30-39 years, male 281.6
GTEX-1C2JI-1026-SM-73KY1 50-59 years, male 280.5
GTEX-1399S-0126-SM-5IJCF 30-39 years, female 280.2
GTEX-1J8QM-2426-SM-A9SLS 60-69 years, female 280.2
GTEX-1399Q-2326-SM-5KM2X 40-49 years, male 280.0
GTEX-1CAMQ-1326-SM-7P8RV 40-49 years, male 279.5
GTEX-13OW5-2326-SM-5L3HO 60-69 years, male 278.4
GTEX-ZVT4-2426-SM-5GIEI 50-59 years, female 277.2
GTEX-1B933-2426-SM-7DHMD 50-59 years, female 275.9
GTEX-13OW7-0426-SM-5K7VK 50-59 years, male 275.7
GTEX-111CU-1126-SM-5EGIM 50-59 years, male 275.4
GTEX-13G51-1826-SM-5KLZH 60-69 years, male 275.3
GTEX-1A8G6-2726-SM-731AR 60-69 years, male 275.0
GTEX-12WSM-1926-SM-5BC65 60-69 years, male 274.8
GTEX-1GN73-0726-SM-7P8TJ 60-69 years, male 274.6
GTEX-13SLX-2226-SM-62LEP 50-59 years, female 274.4
GTEX-1CB4J-1326-SM-7P8RX 60-69 years, male 274.3
GTEX-1R9PM-1926-SM-EVR3O 20-29 years, male 274.3
GTEX-139YR-1026-SM-5LZYN 50-59 years, male 274.1
GTEX-1AX9I-2226-SM-73KUO 60-69 years, male 273.9
GTEX-183FY-1026-SM-7939A 20-29 years, male 272.9
GTEX-13FHO-0426-SM-5L3F5 60-69 years, male 272.6
GTEX-1HCU6-2526-SM-ADEHL 60-69 years, female 271.6
GTEX-12ZZZ-0726-SM-5GCNZ 60-69 years, male 269.7
GTEX-1LSNL-2726-SM-E9TKJ 50-59 years, male 269.0
GTEX-ZDTT-0426-SM-4WKFL 60-69 years, male 268.4
GTEX-1B97I-0626-SM-73KUZ 40-49 years, male 268.1
GTEX-14BIN-1126-SM-5RQJZ 50-59 years, female 267.8
GTEX-1I1GP-1326-SM-A9G28 50-59 years, male 267.8
GTEX-1IOXB-2726-SM-CM2RI 50-59 years, male 267.6
GTEX-1S3DN-2126-SM-E9TIN 50-59 years, male 267.1
GTEX-1H1DE-1326-SM-9KNUG 20-29 years, male 265.9
GTEX-11ZTT-2126-SM-5CVLO 60-69 years, female 265.8
GTEX-1GMR8-0626-SM-7RHI7 50-59 years, female 265.8
GTEX-1F75I-2226-SM-7SB8U 40-49 years, male 264.3
GTEX-1GN1W-2426-SM-9KNUU 50-59 years, female 263.6
GTEX-1HSGN-0826-SM-ACKW3 40-49 years, female 263.6
GTEX-17HII-1426-SM-7EPGG 50-59 years, male 263.5
GTEX-13OVK-1426-SM-6PAN7 40-49 years, male 263.1
GTEX-14PJ3-1126-SM-5ZZVX 50-59 years, male 263.1
GTEX-ZT9X-1526-SM-5DUXD 40-49 years, male 261.9
GTEX-12WSH-1526-SM-5BC5W 50-59 years, male 261.7
GTEX-ZDYS-2426-SM-4WKGI 50-59 years, male 261.6
GTEX-12WSD-0626-SM-5GCMW 60-69 years, female 259.7
GTEX-144GM-0526-SM-79OJO 20-29 years, male 259.5
GTEX-13YAN-0226-SM-5TDC6 60-69 years, male 257.9
GTEX-14PJ5-1526-SM-6LLIL 60-69 years, female 256.8
GTEX-11GS4-0226-SM-5HL77 60-69 years, male 256.6
GTEX-ZLV1-1526-SM-DO91J 60-69 years, female 256.6
GTEX-13VXT-1926-SM-5K7UO 20-29 years, female 255.5
GTEX-1KXAM-1626-SM-D3LAD 60-69 years, male 255.4
GTEX-1A8FM-0626-SM-7PC25 50-59 years, female 255.0
GTEX-1R46S-2426-SM-E76QA 60-69 years, female 255.0
GTEX-17HHY-0426-SM-7DHLC 50-59 years, male 254.2
GTEX-1KAFJ-0126-SM-DIPEK 50-59 years, male 254.0
GTEX-11DYG-1526-SM-5A5JS 60-69 years, male 253.3
GTEX-13QJC-0126-SM-5ZZWJ 60-69 years, female 252.6
GTEX-11P82-1426-SM-DTXFY 20-29 years, male 252.4
GTEX-11PRG-0726-SM-5EGL1 50-59 years, male 252.1
GTEX-15DDE-2926-SM-6LLJ3 50-59 years, female 252.1
GTEX-15G19-2426-SM-7KUMR 60-69 years, male 252.0
GTEX-W5X1-2526-SM-3GILC 40-49 years, female 252.0
GTEX-1F48J-0726-SM-7RHGS 50-59 years, female 251.8
GTEX-15RJE-2826-SM-7KUM9 40-49 years, male 250.8
GTEX-YFCO-1226-SM-5LUAT 40-49 years, male 250.2
GTEX-ZPCL-1126-SM-4WWFE 60-69 years, female 249.6
GTEX-ZPIC-0526-SM-DO91W 40-49 years, female 249.4
GTEX-1GF9W-1426-SM-7PBYM 60-69 years, male 249.3
GTEX-11DXX-2126-SM-5PNYR 60-69 years, female 248.8
GTEX-11DXZ-2026-SM-5987S 50-59 years, male 248.6
GTEX-1JN1M-2726-SM-CY8I4 60-69 years, female 248.6
GTEX-15RIG-0726-SM-7KUM7 40-49 years, male 247.7
GTEX-1I1CD-0626-SM-CE6SW 60-69 years, female 247.7
GTEX-145MI-0626-SM-5SI8S 60-69 years, female 247.5
GTEX-1CB4E-0926-SM-7EPHT 60-69 years, male 247.2
GTEX-1117F-2926-SM-5GZYI 60-69 years, female 247.1
GTEX-WXYG-2026-SM-4E3IY 50-59 years, female 246.4
GTEX-1IL2V-1926-SM-B2LW8 70-79 years, male 245.5
GTEX-1LSVX-2526-SM-DIPEU 60-69 years, male 245.2
GTEX-13VXU-0626-SM-5L3F9 50-59 years, male 244.9
GTEX-1I1HK-2326-SM-CKZOH 60-69 years, male 244.1
GTEX-1GZ4H-0526-SM-9KNU9 50-59 years, female 243.6
GTEX-1IY9M-2826-SM-ARU8H 60-69 years, male 243.1
GTEX-1HBPM-0726-SM-9YFL7 60-69 years, female 242.9
GTEX-12C56-1526-SM-5FQUQ 20-29 years, male 241.8
GTEX-1B8KE-1126-SM-7EPHI 50-59 years, male 241.6
GTEX-Y8E4-2026-SM-5IFJB 40-49 years, male 241.5
GTEX-18QFQ-1826-SM-72D52 30-39 years, male 240.9
GTEX-17F97-2626-SM-7IGM5 50-59 years, male 240.5
GTEX-14PHX-2226-SM-6EU2P 50-59 years, male 240.0
GTEX-1F88E-1626-SM-7SB8Z 60-69 years, female 239.9
GTEX-1EN7A-2426-SM-793DB 40-49 years, male 239.7
GTEX-139TT-2126-SM-5LZWC 60-69 years, male 239.5
GTEX-16NGA-0726-SM-731AO 40-49 years, female 239.4
GTEX-1PDJ9-1226-SM-EXUSX 20-29 years, male 238.4
GTEX-15DYW-2726-SM-6EU2I 60-69 years, female 238.2
GTEX-1R9K4-2826-SM-DTX8F 60-69 years, male 237.9
GTEX-1AMEY-0826-SM-72D65 30-39 years, female 237.8
GTEX-1H1DG-2426-SM-9QEHJ 70-79 years, male 237.6
GTEX-Y111-0626-SM-4SOIT 50-59 years, male 237.5
GTEX-1IDJV-0126-SM-COH3Y 60-69 years, male 237.1
GTEX-11ZUS-2626-SM-5FQUR 30-39 years, male 237.0
GTEX-1HB9E-0126-SM-CM2S5 50-59 years, male 236.6
GTEX-14JFF-0626-SM-5ZZVT 60-69 years, male 235.2
GTEX-ZAK1-0626-SM-5HL8E 50-59 years, female 234.5
GTEX-14C5O-0326-SM-5ZZUX 60-69 years, male 232.2
GTEX-1LKK1-2626-SM-DKPQE 50-59 years, female 232.0
GTEX-Y9LG-1126-SM-4VBQ7 30-39 years, male 230.9
GTEX-1LVA9-2626-SM-EVYD4 50-59 years, male 230.9
GTEX-139TU-0726-SM-5L3EK 60-69 years, male 230.4
GTEX-13O3Q-0126-SM-5KM34 50-59 years, male 230.4
GTEX-14PHY-1226-SM-5ZZWK 60-69 years, female 230.0
GTEX-1JMPZ-0726-SM-CY8HZ 30-39 years, male 229.5
GTEX-XYKS-1426-SM-4BRUO 60-69 years, female 228.7
GTEX-11GSP-2326-SM-5HL63 60-69 years, female 228.2
GTEX-14PJ4-0226-SM-5YY92 60-69 years, male 227.8
GTEX-1KD5A-0126-SM-E9U54 50-59 years, male 227.8
GTEX-13D11-0926-SM-5J2NC 50-59 years, female 227.1
GTEX-13O3O-2326-SM-5IJD6 60-69 years, female 226.7
GTEX-1EWIQ-0326-SM-7DHMQ 70-79 years, female 226.5
GTEX-144FL-0626-SM-5LU43 50-59 years, male 225.8
GTEX-1J8Q3-0526-SM-ARL8U 60-69 years, male 225.4
GTEX-147F4-0726-SM-5TDDD 50-59 years, male 225.2
GTEX-18A66-0626-SM-7LT8Z 60-69 years, male 225.2
GTEX-1HBPN-0126-SM-CGQEF 50-59 years, male 224.3
GTEX-ZVT2-0126-SM-5GIDQ 50-59 years, female 223.9
GTEX-12126-0826-SM-5FQTZ 20-29 years, male 223.7
GTEX-14E1K-2026-SM-7DUEI 50-59 years, male 223.2
GTEX-WFG7-2026-SM-5SI7P 20-29 years, male 223.2
GTEX-1PPH7-1126-SM-DTX9A 40-49 years, male 222.5
GTEX-14C39-1726-SM-5RQIL 40-49 years, male 222.4
GTEX-WYBS-0626-SM-3NMAS 60-69 years, female 221.9
GTEX-1F5PK-2226-SM-7SB6N 50-59 years, male 221.8
GTEX-17HGU-2326-SM-7DUFE 50-59 years, male 220.5
GTEX-1RAZQ-1326-SM-E9TK6 30-39 years, male 220.5
GTEX-1IDJU-1726-SM-CMKHU 60-69 years, female 220.2
GTEX-14DAQ-0626-SM-793DS 60-69 years, female 219.8
GTEX-131XG-0326-SM-5L3DX 50-59 years, female 219.5
GTEX-ZGAY-1826-SM-DO91Q 40-49 years, female 218.5
GTEX-ZYY3-2926-SM-5GIEB 60-69 years, female 218.0
GTEX-ZLWG-0826-SM-59888 50-59 years, female 217.8
GTEX-13JVG-0726-SM-5KM16 60-69 years, male 217.2
GTEX-11P7K-1126-SM-5HL4L 30-39 years, male 216.9
GTEX-13O61-1426-SM-5KM3D 60-69 years, male 216.2
GTEX-XAJ8-1426-SM-47JYM 40-49 years, male 216.1
GTEX-ZPU1-1126-SM-4YCF3 40-49 years, male 216.1
GTEX-15EU6-2226-SM-6EU2L 50-59 years, male 216.0
GTEX-1HGF4-0126-SM-CNPPX 60-69 years, male 215.9
GTEX-13W3W-0726-SM-5IJDQ 60-69 years, female 215.7
GTEX-147JS-0226-SM-5S2U9 60-69 years, male 215.0
GTEX-16AAH-0626-SM-793C9 50-59 years, male 214.9
GTEX-1C6WA-2626-SM-7MKGM 60-69 years, male 214.2
GTEX-178AV-1726-SM-7KUL8 40-49 years, male 213.3
GTEX-1GPI7-1826-SM-9KNU1 20-29 years, male 212.9
GTEX-14LLW-2626-SM-62LDZ 70-79 years, female 212.4
GTEX-1M4P7-0726-SM-E6CJ3 60-69 years, male 212.4
GTEX-145MF-0926-SM-5Q5EA 50-59 years, male 212.2
GTEX-1399U-1126-SM-5L3DB 50-59 years, female 212.1
GTEX-111YS-1526-SM-5GZYW 60-69 years, male 211.8
GTEX-1K2DU-1226-SM-CYPT4 20-29 years, male 211.3
GTEX-ZVZP-1226-SM-5GID7 50-59 years, male 211.1
GTEX-WY7C-2126-SM-3NB2R 50-59 years, male 210.6
GTEX-1N2EE-0626-SM-E76PW 60-69 years, male 210.1
GTEX-17EVP-2626-SM-7IGMA 40-49 years, male 209.8
GTEX-YJ8O-2526-SM-5HL85 40-49 years, female 209.8
GTEX-131XW-0626-SM-5PNVD 50-59 years, female 209.5
GTEX-14ABY-2026-SM-62LDL 50-59 years, male 209.5
GTEX-1MJK3-0726-SM-E6CJC 20-29 years, male 209.1
GTEX-1C475-1326-SM-7SB73 40-49 years, female 208.1
GTEX-11VI4-1126-SM-5EQMD 40-49 years, female 208.0
GTEX-147F3-1726-SM-5SIAW 50-59 years, female 207.8
GTEX-1F6I4-2326-SM-7RHGL 60-69 years, male 207.8
GTEX-183WM-0326-SM-72D5V 70-79 years, female 207.7
GTEX-15CHR-1126-SM-7EWF4 50-59 years, male 207.2
GTEX-13N11-2326-SM-5IJBF 50-59 years, female 206.3
GTEX-1497J-0226-SM-5QGPU 60-69 years, male 205.8
GTEX-1QCLY-0226-SM-EWRNH 30-39 years, male 205.8
GTEX-1B8KZ-0326-SM-73KY4 50-59 years, male 205.7
GTEX-16BQI-1326-SM-6M486 30-39 years, female 205.5
GTEX-11OF3-0126-SM-5PNYF 60-69 years, male 205.2
GTEX-1CAMR-1326-SM-7PC1F 20-29 years, male 205.0
GTEX-13FTW-0326-SM-5K7UW 40-49 years, male 204.8
GTEX-1I1GS-2626-SM-B2LY3 60-69 years, male 204.6
GTEX-1ICG6-1226-SM-A9SLN 70-79 years, female 204.2
GTEX-1CB4H-1126-SM-7MKGL 60-69 years, female 203.7
GTEX-13OW6-2726-SM-5J2OE 50-59 years, male 203.2
GTEX-1RLM8-2926-SM-E8VON 50-59 years, male 202.9
GTEX-1IDJH-0126-SM-D3L92 70-79 years, male 202.6
GTEX-1HC8U-1326-SM-9YFMJ 40-49 years, female 202.5
GTEX-1POEN-2326-SM-E9J2L 30-39 years, female 202.4
GTEX-146FQ-2126-SM-5RQHU 30-39 years, male 202.0
GTEX-16YQH-2226-SM-7IGM2 30-39 years, male 201.6
GTEX-11NUK-2726-SM-5A5MC 50-59 years, male 201.5
GTEX-1AYD5-2626-SM-7PBXY 50-59 years, male 200.0
GTEX-144GO-2026-SM-5O99P 60-69 years, male 199.8
GTEX-Y3I4-1726-SM-4TT89 50-59 years, male 199.3
GTEX-1HFI7-2326-SM-CGQFS 50-59 years, female 199.3
GTEX-15D1Q-2826-SM-6LLH7 40-49 years, male 199.2
GTEX-17F9E-2326-SM-79OKD 50-59 years, male 199.2
GTEX-X5EB-1926-SM-4E3IW 40-49 years, male 197.9
GTEX-Y5V5-0126-SM-5S2NW 60-69 years, female 197.5
GTEX-1HCUA-0826-SM-ADEHM 50-59 years, female 196.8
GTEX-139TS-2126-SM-5K7XC 60-69 years, male 196.2
GTEX-13OVL-0126-SM-5L3GJ 50-59 years, male 194.9
GTEX-13113-1626-SM-5EQ4I 60-69 years, female 194.8
GTEX-13PVQ-0626-SM-5LU47 50-59 years, male 194.8
GTEX-1E2YA-2126-SM-7MXUO 50-59 years, male 194.8
GTEX-1S82P-2126-SM-E6CI5 60-69 years, female 194.1
GTEX-14BMV-2826-SM-5TDED 50-59 years, male 193.8
GTEX-Y3IK-1626-SM-4YCF5 50-59 years, female 193.7
GTEX-1I1GU-0926-SM-ACKVS 40-49 years, male 193.4
GTEX-12WSC-2826-SM-5BC5Y 50-59 years, male 193.3
GTEX-VJYA-1526-SM-3GIJV 60-69 years, male 193.0
GTEX-145MN-1526-SM-5SI9T 30-39 years, male 192.8
GTEX-ZYVF-0926-SM-5E44J 50-59 years, female 192.5
GTEX-1IDJI-0126-SM-CMKHS 50-59 years, female 192.2
GTEX-1IDFM-0326-SM-ARL7V 60-69 years, male 191.9
GTEX-11EI6-2826-SM-5H11D 60-69 years, male 191.4
GTEX-1F88F-0126-SM-9WYSZ 60-69 years, female 190.7
GTEX-11EQ9-1626-SM-5PNY8 30-39 years, male 190.5
GTEX-14PJ2-0626-SM-6LLII 50-59 years, male 190.1
GTEX-1JMQI-1726-SM-ARL93 50-59 years, male 190.1
GTEX-1S82U-1026-SM-E6CJK 30-39 years, female 189.4
GTEX-17MF6-2626-SM-79OKQ 40-49 years, male 188.9
GTEX-ZAJG-1526-SM-5CVML 50-59 years, female 188.9
GTEX-133LE-2326-SM-5K7W3 20-29 years, female 188.7
GTEX-139T8-0626-SM-5KLZX 60-69 years, male 187.9
GTEX-13OW8-1026-SM-5J1NQ 60-69 years, male 187.9
GTEX-15G1A-1626-SM-7KUKN 30-39 years, male 187.8
GTEX-1I6K7-1926-SM-B2LXR 40-49 years, male 187.5
GTEX-16Z82-2626-SM-7KULU 60-69 years, male 187.3
GTEX-XBEW-1126-SM-4QARW 40-49 years, male 186.9
GTEX-YEC3-1326-SM-DO92X 50-59 years, male 186.1
GTEX-14JG1-1526-SM-5YY9X 40-49 years, male 186.0
GTEX-1QW4Y-1126-SM-DTXE3 30-39 years, male 185.7
GTEX-1F75B-0726-SM-7PC3R 50-59 years, male 185.1
GTEX-14753-0726-SM-5QGQO 60-69 years, male 184.9
GTEX-ZLFU-1826-SM-4WWBV 40-49 years, male 184.9
GTEX-131XH-0126-SM-5LZUY 50-59 years, male 184.7
GTEX-1A3MV-1826-SM-731CD 30-39 years, male 184.5
GTEX-Z93S-1626-SM-5CVMB 50-59 years, male 184.5
GTEX-131YS-2826-SM-5EQ47 60-69 years, female 183.4
GTEX-1MCC2-1826-SM-DIPEX 30-39 years, female 182.3
GTEX-13PVR-0426-SM-5RQK2 60-69 years, female 182.0
GTEX-1QP9N-1226-SM-E76QN 30-39 years, male 182.0
GTEX-1H1DF-1126-SM-9WG7G 40-49 years, female 181.5
GTEX-WEY5-2326-SM-3GIKK 40-49 years, female 181.4
GTEX-14PK6-0226-SM-62LF5 70-79 years, female 181.0
GTEX-13NYC-0126-SM-5L3F4 60-69 years, male 180.5
GTEX-XQ8I-0926-SM-4BOOF 50-59 years, male 180.4
GTEX-1HKZK-0726-SM-ACKW2 40-49 years, male 180.3
GTEX-1R9PN-0426-SM-DTXDT 40-49 years, female 180.1
GTEX-13112-0126-SM-5P9IU 50-59 years, male 179.9
GTEX-1S831-1826-SM-EWROF 20-29 years, male 179.9
GTEX-18D9U-0126-SM-731BM 40-49 years, male 179.7
GTEX-V1D1-2026-SM-3GAF4 50-59 years, male 179.2
GTEX-1J8Q2-2626-SM-ACKWQ 60-69 years, male 179.2
GTEX-145MO-2826-SM-5LU96 60-69 years, male 178.8
GTEX-VUSG-2326-SM-4KL1U 50-59 years, male 178.2
GTEX-X4EO-2926-SM-4E3JH 60-69 years, female 177.6
GTEX-11LCK-2226-SM-5HL4Q 30-39 years, male 177.5
GTEX-17HG3-2626-SM-7DUF2 30-39 years, female 177.4
GTEX-1GMR3-0126-SM-A9SLW 40-49 years, male 177.2
GTEX-XXEK-1626-SM-4BRUZ 50-59 years, male 176.5
GTEX-13N1W-2426-SM-5IJD1 70-79 years, male 175.8
GTEX-1EH9U-2826-SM-7DUGT 60-69 years, male 175.3
GTEX-1212Z-0126-SM-59HK4 60-69 years, male 175.1
GTEX-1PIGE-1826-SM-E8VOU 20-29 years, male 174.9
GTEX-145LS-0626-SM-7EPG7 60-69 years, female 174.8
GTEX-WYVS-1626-SM-3NM9R 40-49 years, female 174.8
GTEX-11DZ1-2426-SM-5GZZX 50-59 years, male 174.4
GTEX-1GTWX-2026-SM-9YFLM 60-69 years, male 174.4
GTEX-1CAMS-2226-SM-7PBXQ 40-49 years, female 174.3
GTEX-1LG7Y-2526-SM-EWRO7 50-59 years, male 174.2
GTEX-13OVH-0526-SM-5L3E6 70-79 years, male 173.8
GTEX-ZDTS-0826-SM-4WKHL 60-69 years, male 173.6
GTEX-18465-2826-SM-7LT9J 50-59 years, male 172.6
GTEX-ZA64-1026-SM-5HL8R 20-29 years, male 172.5
GTEX-16NPX-0726-SM-7KULC 50-59 years, male 172.4
GTEX-1H1CY-0126-SM-9YFLY 60-69 years, female 171.9
GTEX-1KANA-1326-SM-DIPFA 20-29 years, male 171.7
GTEX-1JMQK-1226-SM-D4P2S 60-69 years, male 171.2
GTEX-13OVJ-0826-SM-5J1OK 50-59 years, female 170.9
GTEX-ZVE2-2826-SM-5GU51 50-59 years, male 170.6
GTEX-1J1R8-2026-SM-CL53Y 40-49 years, male 170.6
GTEX-1A8G7-1326-SM-73KVM 60-69 years, male 169.8
GTEX-1QAET-0326-SM-EVR3U 50-59 years, male 169.7
GTEX-11TUW-0626-SM-5LU9M 60-69 years, male 169.5
GTEX-WK11-2726-SM-3NMAQ 50-59 years, male 169.3
GTEX-11O72-0626-SM-5PNYE 40-49 years, male 169.0
GTEX-1QP29-1826-SM-DTX9S 50-59 years, male 168.8
GTEX-1K9T9-1526-SM-DIPFR 50-59 years, female 167.5
GTEX-1J1OQ-0126-SM-D4P2N 40-49 years, female 165.8
GTEX-1RB15-1326-SM-E76Q9 60-69 years, male 165.6
GTEX-1HSMP-0926-SM-A9SKX 70-79 years, male 165.2
GTEX-11NSD-0626-SM-5A5LU 20-29 years, male 164.5
GTEX-14JG6-1426-SM-9WG7C 30-39 years, female 164.3
GTEX-1H3VE-0726-SM-9YFL5 40-49 years, male 163.1
GTEX-13X6H-0926-SM-5SIB2 50-59 years, female 162.9
GTEX-18D9A-1426-SM-7LT8M 30-39 years, female 162.0
GTEX-ZY6K-1426-SM-5GZX2 50-59 years, male 161.0
GTEX-1314G-1326-SM-5BC6E 30-39 years, male 160.9
GTEX-ZWKS-0626-SM-5GIDV 30-39 years, male 160.6
GTEX-1JJE9-2626-SM-ARZMT 70-79 years, male 160.6
GTEX-1LVAN-0626-SM-CNPOQ 50-59 years, female 159.9
GTEX-XMD2-2126-SM-4YCF8 60-69 years, female 159.4
GTEX-1N5O9-0926-SM-E9J3C 60-69 years, male 159.0
GTEX-ZVP2-0326-SM-57WBP 50-59 years, male 158.2
GTEX-13NYS-0626-SM-5L3F1 60-69 years, male 158.0
GTEX-11UD2-2526-SM-5CVNU 50-59 years, male 157.3
GTEX-1S5ZU-2526-SM-E6CIF 20-29 years, female 157.0
GTEX-1IDJF-2026-SM-CL53V 20-29 years, male 156.8
GTEX-12WSJ-1126-SM-5LZVJ 40-49 years, female 155.8
GTEX-WRHU-2826-SM-3MJG8 50-59 years, female 155.7
GTEX-14XAO-1226-SM-6EU1C 60-69 years, female 155.4
GTEX-1192X-2726-SM-5N9DN 50-59 years, male 155.3
GTEX-1477Z-0326-SM-7IGLA 60-69 years, male 155.1
GTEX-1IDJC-1526-SM-B2LW4 50-59 years, male 155.0
GTEX-1LBAC-0826-SM-CY8IJ 20-29 years, male 154.2
GTEX-15RIE-1926-SM-7KUKJ 60-69 years, male 152.3
GTEX-1H1E6-0426-SM-9WYUS 30-39 years, male 152.3
GTEX-WH7G-2026-SM-3NMBL 40-49 years, male 151.9
GTEX-1LGOU-1326-SM-D3L8M 20-29 years, female 151.9
GTEX-1KANC-1226-SM-CYPT7 50-59 years, female 151.8
GTEX-YEC4-1826-SM-4W1YP 40-49 years, male 150.1
GTEX-1GL5R-1326-SM-7RHHF 50-59 years, male 149.8
GTEX-14C38-0726-SM-5SI6M 50-59 years, male 149.3
GTEX-13QBU-1226-SM-5LU4G 40-49 years, female 149.1
GTEX-ZZ64-1026-SM-5GZXG 20-29 years, male 148.9
GTEX-1RMOY-1326-SM-E9TIH 50-59 years, male 148.0
GTEX-13N2G-0226-SM-5K7VF 60-69 years, male 147.8
GTEX-ZTTD-2826-SM-4YCFA 50-59 years, male 147.8
GTEX-1JMQL-2226-SM-CNPP4 50-59 years, female 147.2
GTEX-1JJ6O-2726-SM-CNPOG 60-69 years, male 145.9
GTEX-1CB4I-0126-SM-7RHGG 50-59 years, male 144.8
GTEX-WFON-1926-SM-3LK7L 40-49 years, male 143.3
GTEX-145ME-1726-SM-5Q5EU 40-49 years, female 142.7
GTEX-1RAZA-2226-SM-E9U4X 20-29 years, male 142.6
GTEX-13RTJ-0126-SM-5S2NN 60-69 years, male 140.1
GTEX-1HFI6-0126-SM-CNPPI 40-49 years, male 140.1
GTEX-XV7Q-1826-SM-4BRUV 40-49 years, female 139.9
GTEX-1C64O-1326-SM-7MGWR 60-69 years, male 139.7
GTEX-1ICLZ-0326-SM-ARL82 60-69 years, male 139.4
GTEX-1CAV2-0126-SM-7IGN7 40-49 years, female 139.1
GTEX-18A7B-2726-SM-7LG56 70-79 years, male 137.2
GTEX-11EM3-1226-SM-5N9DD 20-29 years, female 136.6
GTEX-15SHW-0226-SM-7LTAT 60-69 years, male 136.5
GTEX-ZVE1-0726-SM-51MRN 50-59 years, female 135.7
GTEX-ZAB4-2126-SM-5HL8U 40-49 years, male 133.0
GTEX-1IDJD-2326-SM-ACKWX 30-39 years, male 132.9
GTEX-1JMLX-0626-SM-ARL8T 50-59 years, male 132.5
GTEX-145MG-1526-SM-5Q5EM 50-59 years, male 132.0
GTEX-12584-0726-SM-5FQTK 40-49 years, male 131.0
GTEX-XUW1-0926-SM-4BONX 50-59 years, female 129.0
GTEX-16MTA-0926-SM-6M47Z 50-59 years, male 128.7
GTEX-15CHQ-0326-SM-69LQD 60-69 years, male 127.2
GTEX-1E1VI-0326-SM-793D1 50-59 years, male 126.4
GTEX-12696-0126-SM-5EQ4L 60-69 years, male 126.0
GTEX-X4EP-0626-SM-3P621 60-69 years, female 125.6
GTEX-1I6K6-1726-SM-CGQFD 30-39 years, male 125.5
GTEX-13NZ9-2626-SM-5L3FK 50-59 years, male 124.8
GTEX-14A5H-0826-SM-5QGPJ 60-69 years, male 124.7
GTEX-Y8LW-1526-SM-5IFHL 50-59 years, female 124.2
GTEX-13JUV-2026-SM-5K7UA 40-49 years, female 123.6
GTEX-16MT8-2926-SM-7DUFO 60-69 years, female 123.6
GTEX-14PJO-2526-SM-6AJBQ 60-69 years, male 123.3
GTEX-18D9B-0926-SM-7LG4U 60-69 years, male 123.1
GTEX-1QCLZ-2426-SM-EVYBW 60-69 years, female 122.6
GTEX-1HUB1-1426-SM-CGQF5 60-69 years, male 122.3
GTEX-XQ3S-1426-SM-4BOPR 20-29 years, male 121.7
GTEX-1A32A-0626-SM-731AQ 50-59 years, female 120.2
GTEX-ZF3C-0626-SM-DO92O 50-59 years, female 119.7
GTEX-1211K-1526-SM-5FQU4 60-69 years, female 119.6
GTEX-1O9I2-0226-SM-EYYXD 50-59 years, male 118.7
GTEX-1A3MW-0626-SM-731CB 60-69 years, female 117.9
GTEX-1HCU9-0426-SM-9WYSD 20-29 years, male 117.9
GTEX-1H3NZ-2726-SM-9WYTQ 60-69 years, male 117.7
GTEX-XBEC-0726-SM-4QARZ 50-59 years, male 117.6
GTEX-1H1ZS-2726-SM-9WG75 70-79 years, male 117.5
GTEX-1GZ2Q-0126-SM-9WG6M 40-49 years, male 116.8
GTEX-XOT4-0626-SM-4B66L 60-69 years, female 116.7
GTEX-1GMR2-0826-SM-7PC3V 50-59 years, male 115.8
GTEX-16XZZ-0726-SM-7KUF2 60-69 years, male 115.5
GTEX-X585-2426-SM-46MW2 50-59 years, male 115.4
GTEX-ZYFG-1526-SM-5GZYM 60-69 years, female 113.8
GTEX-117YX-1926-SM-5GIEC 50-59 years, male 113.7
GTEX-14E6E-0526-SM-793DN 30-39 years, male 113.7
GTEX-16MT9-0126-SM-7EPI8 60-69 years, female 113.7
GTEX-Y5V6-2326-SM-4VDSA 60-69 years, male 112.0
GTEX-14DAR-1226-SM-73KYV 50-59 years, male 111.7
GTEX-1K2DA-1026-SM-CGQGF 50-59 years, male 111.0
GTEX-13X6I-1826-SM-5SIAO 60-69 years, male 110.2
GTEX-UPK5-0426-SM-3GAEK 40-49 years, male 110.0
GTEX-WHSE-0126-SM-3NMBT 20-29 years, male 110.0
GTEX-17F96-0126-SM-7EWDU 70-79 years, male 109.9
GTEX-14BMU-1226-SM-5S2OR 20-29 years, female 107.8
GTEX-1LSNM-0826-SM-DIPG8 50-59 years, male 107.2
GTEX-ZYW4-0626-SM-59HJR 60-69 years, male 106.9
GTEX-13U4I-2226-SM-5LU5H 40-49 years, female 106.4
GTEX-U8XE-0226-SM-4E3J3 30-39 years, male 106.2
GTEX-XPVG-2126-SM-4B667 50-59 years, male 105.9
GTEX-1LVAO-2726-SM-E9TJ8 60-69 years, male 105.2
GTEX-11DXW-0826-SM-5H118 40-49 years, male 103.3
GTEX-1JKYN-0826-SM-ARU8S 30-39 years, male 102.8
GTEX-15UF6-1926-SM-7KUDV 70-79 years, female 102.3
GTEX-11WQK-1026-SM-5EQLX 50-59 years, male 101.7
GTEX-1A3MX-2626-SM-7PC24 60-69 years, male 99.4
GTEX-12WSA-0426-SM-5EQ5X 60-69 years, male 99.2
GTEX-YF7O-1526-SM-5IFI6 50-59 years, male 97.9
GTEX-ZDXO-3126-SM-5IJDF 60-69 years, male 96.8
GTEX-12WSF-1626-SM-7KUG5 70-79 years, male 95.9
GTEX-14PKV-1126-SM-6LLJ1 20-29 years, female 95.9
GTEX-1IDJE-1426-SM-ADEIW 50-59 years, female 95.6
GTEX-13FH7-1126-SM-5K7UG 50-59 years, female 93.7
GTEX-145LT-0526-SM-5LUB2 40-49 years, male 93.6
GTEX-ZTSS-1426-SM-5985P 40-49 years, male 92.4
GTEX-ZU9S-1826-SM-5NQ9E 30-39 years, male 91.9
GTEX-X8HC-0626-SM-4E3HQ 50-59 years, female 90.0
GTEX-1AX8Z-0726-SM-73KTS 60-69 years, male 88.6
GTEX-1QP66-1226-SM-DTX7U 50-59 years, male 85.9
GTEX-1F6IF-0926-SM-7SB7M 60-69 years, male 85.6
GTEX-1JMOU-1026-SM-CYPSS 60-69 years, female 85.0
GTEX-1J8JJ-0626-SM-ARZMQ 60-69 years, female 84.5
GTEX-132AR-0326-SM-5KM2C 50-59 years, female 84.1
GTEX-1JN6P-2926-SM-CL54D 60-69 years, male 83.1
GTEX-1I19N-0126-SM-CYPSF 70-79 years, male 82.5
GTEX-1B996-0426-SM-7EWF8 60-69 years, male 79.2
GTEX-ZYFD-0626-SM-5E44E 50-59 years, male 78.7
GTEX-X3Y1-2026-SM-3P5YM 40-49 years, male 77.9
GTEX-13OVG-1626-SM-5J1NF 60-69 years, male 77.6
GTEX-WYJK-0526-SM-3NM8Z 50-59 years, male 76.7
GTEX-1LG7Z-1626-SM-CXKYR 30-39 years, male 76.1
GTEX-1H23P-0626-SM-9WG6T 60-69 years, male 75.5
GTEX-12WSL-2026-SM-5GCML 50-59 years, male 74.7
GTEX-14E6C-2426-SM-5S2NF 40-49 years, male 73.6
GTEX-ZUA1-2626-SM-5NQ92 40-49 years, male 72.8
GTEX-1GF9U-2026-SM-7SB92 40-49 years, female 72.6
GTEX-1HCU8-2526-SM-CE6RX 60-69 years, female 71.6
GTEX-17JCI-2926-SM-7DUFF 60-69 years, female 71.2
GTEX-12BJ1-0926-SM-5EQ62 60-69 years, male 71.1
GTEX-1F75W-2726-SM-7SB8H 60-69 years, male 69.0
GTEX-YB5K-2026-SM-4VDT3 40-49 years, female 66.1
GTEX-1I4MK-0126-SM-CY8G6 50-59 years, female 64.8
GTEX-XK95-0226-SM-4AT58 40-49 years, male 62.5
GTEX-WI4N-2726-SM-3LK7Y 40-49 years, female 61.5
GTEX-WFG8-2126-SM-3GIKQ 20-29 years, male 60.6
GTEX-16GPK-0626-SM-7KFSF 60-69 years, male 60.1
GTEX-1AX9J-1326-SM-731BJ 60-69 years, male 56.8
GTEX-Y5LM-0926-SM-6LLJG 40-49 years, female 55.3
GTEX-ZT9W-1126-SM-57WDR 50-59 years, male 54.4
GTEX-1399R-1326-SM-5PNYS 30-39 years, male 40.2
GTEX-17EVQ-0126-SM-7IGLR 70-79 years, male 37.6
GTEX-11TT1-1826-SM-5EQLV 20-29 years, male 36.2
GTEX-1L5NE-1126-SM-D3L9P 50-59 years, male 30.7
GTEX-111FC-2526-SM-5GZXU 60-69 years, male 22.8
GTEX-ZVTK-0226-SM-51MRG 20-29 years, male 18.6
Show allShow less
Skin - Sun Exposed (Lower leg)
Average nTPM: 272.7
Samples: 701

Max nTPM: 887.3
Min nTPM: 2.8
Std nTPM: 132.1
Median nTPM: 254.9
GTEX-ZYT6-0226-SM-5NQ6T 30-39 years, male 887.3
GTEX-1C475-1826-SM-73KWA 40-49 years, female 866.5
GTEX-1HCU7-0226-SM-CL545 50-59 years, male 738.7
GTEX-1JJEA-0326-SM-CNPOT 60-69 years, male 737.0
GTEX-1LG7Z-1726-SM-D3LA4 30-39 years, male 656.9
GTEX-1R9PM-2026-SM-E76OY 20-29 years, male 644.4
GTEX-1PIIG-0226-SM-EWRN6 30-39 years, male 640.8
GTEX-1B8SF-1426-SM-7DUGL 60-69 years, male 630.6
GTEX-1C64N-0126-SM-793D7 50-59 years, male 630.5
GTEX-1B97I-1626-SM-73KYO 40-49 years, male 617.7
GTEX-13111-1626-SM-5EGJY 50-59 years, male 616.7
GTEX-15F5U-1526-SM-6PANO 40-49 years, male 611.2
GTEX-1EMGI-0126-SM-9KNUE 60-69 years, male 610.7
GTEX-1H4P4-0726-SM-9YFLR 50-59 years, male 604.5
GTEX-17JCI-0126-SM-7LG5G 60-69 years, female 589.4
GTEX-ZF2S-2326-SM-4WWCE 50-59 years, female 589.1
GTEX-1MJK2-0426-SM-DTXE5 50-59 years, male 585.3
GTEX-14BIN-0626-SM-793DP 50-59 years, female 582.0
GTEX-13FHP-0126-SM-5IJBG 50-59 years, male 579.2
GTEX-1PIGE-0126-SM-EVYBJ 20-29 years, male 568.4
GTEX-15ER7-0326-SM-7KUEV 20-29 years, female 567.3
GTEX-1KANC-1526-SM-D3LAB 50-59 years, female 565.6
GTEX-Y5V5-2326-SM-4V6GA 60-69 years, female 564.7
GTEX-1QMI2-0226-SM-EVYBX 60-69 years, male 558.6
GTEX-16GPK-0126-SM-7DHLE 60-69 years, male 552.6
GTEX-1I1GQ-0126-SM-COH3H 50-59 years, male 548.9
GTEX-ZV68-0126-SM-59HKS 50-59 years, female 544.2
GTEX-14PII-0226-SM-6EU1T 60-69 years, male 543.4
GTEX-1HSGN-0226-SM-CGQFV 40-49 years, female 536.6
GTEX-1EWIQ-0126-SM-7RHH2 70-79 years, female 521.5
GTEX-SNMC-1226-SM-2XCFP 20-29 years, male 519.3
GTEX-1KD4Q-0226-SM-E9TJ9 40-49 years, male 518.7
GTEX-ZGAY-0526-SM-4WWBB 40-49 years, female 516.5
GTEX-15ETS-0126-SM-7KUMW 40-49 years, female 515.8
GTEX-111FC-0126-SM-5N9DL 60-69 years, male 515.6
GTEX-1BAJH-0526-SM-793CQ 70-79 years, male 508.5
GTEX-13SLX-0526-SM-5S2ON 50-59 years, female 506.3
GTEX-12WSE-0526-SM-793B2 20-29 years, male 505.7
GTEX-1IKJJ-0126-SM-CNPQB 60-69 years, male 504.6
GTEX-1I4MK-2226-SM-ACKWD 50-59 years, female 504.4
GTEX-1CB4G-0226-SM-7PC3O 60-69 years, male 503.5
GTEX-1GF9V-0326-SM-7RHI5 60-69 years, male 500.0
GTEX-13NYB-2526-SM-5K7Z6 40-49 years, male 496.5
GTEX-1GN1U-0126-SM-7PBZK 50-59 years, female 496.2
GTEX-17F96-1626-SM-7DUFL 70-79 years, male 494.0
GTEX-14PJM-0226-SM-62LF1 50-59 years, female 491.4
GTEX-1HSKV-0226-SM-A9SKJ 60-69 years, male 489.8
GTEX-139UW-2826-SM-5L3E7 60-69 years, male 484.9
GTEX-1JMLX-0226-SM-CM2RO 50-59 years, male 484.8
GTEX-1K2DA-1826-SM-CGQGT 50-59 years, male 483.9
GTEX-1HBPI-1526-SM-C1YQ1 50-59 years, male 482.7
GTEX-11DXZ-2326-SM-5EGGV 50-59 years, male 475.8
GTEX-1GZHY-0326-SM-9QEHI 50-59 years, female 475.4
GTEX-XUYS-0126-SM-47JWZ 50-59 years, male 472.0
GTEX-1LB8K-0226-SM-EWRNW 50-59 years, male 471.2
GTEX-11DYG-0126-SM-59883 60-69 years, male 471.1
GTEX-13FXS-0226-SM-5IJCK 50-59 years, male 469.7
GTEX-PX3G-0126-SM-2I3EN 20-29 years, female 468.9
GTEX-15EU6-0426-SM-6PAN5 50-59 years, male 468.6
GTEX-T6MN-0126-SM-32PLP 50-59 years, male 464.4
GTEX-1C6VR-2426-SM-79OLD 60-69 years, male 464.1
GTEX-1LBAC-0126-SM-DIPEZ 20-29 years, male 460.7
GTEX-1H1CY-2826-SM-9MQM3 60-69 years, female 458.9
GTEX-1CB4E-2226-SM-793DC 60-69 years, male 454.4
GTEX-PVOW-0126-SM-2XCFA 40-49 years, male 453.1
GTEX-18D9A-1926-SM-7LG6P 30-39 years, female 452.4
GTEX-15G19-0126-SM-6PANQ 60-69 years, male 451.1
GTEX-1I1GR-0126-SM-CL55F 60-69 years, male 451.0
GTEX-11OF3-2626-SM-5GU7F 60-69 years, male 449.4
GTEX-1J8JJ-0226-SM-CL53I 60-69 years, female 449.2
GTEX-17EVP-0326-SM-7DHLG 40-49 years, male 448.1
GTEX-13CF2-2526-SM-5LZYX 60-69 years, male 447.5
GTEX-ZAK1-0126-SM-5IJD3 50-59 years, female 446.4
GTEX-1JMQJ-0526-SM-CYPSU 50-59 years, male 445.8
GTEX-1IL2U-0226-SM-CE6T8 60-69 years, male 445.2
GTEX-1399R-2726-SM-5IJBA 30-39 years, male 445.1
GTEX-1OJC3-0126-SM-E76QX 20-29 years, male 444.6
GTEX-1212Z-2526-SM-5EGKP 60-69 years, male 444.2
GTEX-145LS-0126-SM-5QGP1 60-69 years, female 441.2
GTEX-YJ89-0126-SM-4TT3X 60-69 years, male 440.5
GTEX-1JMPZ-0226-SM-CNPP1 30-39 years, male 438.8
GTEX-11EI6-0126-SM-5985R 60-69 years, male 438.1
GTEX-131XH-2226-SM-5DUXJ 50-59 years, male 437.1
GTEX-1E2YA-0126-SM-9KNUC 50-59 years, male 435.7
GTEX-1GMR3-1926-SM-9KNUZ 40-49 years, male 435.0
GTEX-ZVTK-0426-SM-51MRS 20-29 years, male 434.6
GTEX-12WSC-0126-SM-5EQ4P 50-59 years, male 433.0
GTEX-11P81-2326-SM-59875 30-39 years, female 425.2
GTEX-15DYW-0126-SM-7KULE 60-69 years, female 424.7
GTEX-1S83E-0126-SM-EWRO4 40-49 years, male 424.7
GTEX-1HCU6-0126-SM-CL54K 60-69 years, female 424.2
GTEX-13112-2826-SM-5DUWH 50-59 years, male 423.2
GTEX-17HG3-2226-SM-7938L 30-39 years, female 418.0
GTEX-13OW5-0126-SM-DTXFS 60-69 years, male 416.7
GTEX-Y8DK-0126-SM-4TT3L 60-69 years, male 414.4
GTEX-148VJ-0126-SM-5TDDN 70-79 years, male 413.4
GTEX-1F52S-0126-SM-9MQJU 60-69 years, female 413.4
GTEX-WFON-2126-SM-3LK7O 40-49 years, male 413.3
GTEX-P4QT-0126-SM-2I3FL 50-59 years, female 412.9
GTEX-1HT8W-0126-SM-CNPPP 30-39 years, male 411.5
GTEX-13OW6-0426-SM-5L3HM 50-59 years, male 411.3
GTEX-QESD-1426-SM-2S1R9 20-29 years, male 410.6
GTEX-1PDJ9-0326-SM-DTX95 20-29 years, male 410.2
GTEX-13X6J-0126-SM-5QGOU 50-59 years, male 409.8
GTEX-S7SE-0126-SM-2XCD5 50-59 years, male 409.2
GTEX-16BQI-0226-SM-7KUEX 30-39 years, female 403.7
GTEX-139D8-0226-SM-5KLZO 30-39 years, female 403.6
GTEX-RWSA-0126-SM-2XCBB 40-49 years, male 403.3
GTEX-Y8E4-0626-SM-4WWDL 40-49 years, male 400.5
GTEX-12ZZX-0126-SM-5EGK9 40-49 years, female 400.0
GTEX-144GL-0126-SM-5TDE2 50-59 years, male 398.1
GTEX-UPJH-0326-SM-3GADU 50-59 years, male 397.1
GTEX-1CAV2-2226-SM-7P8P2 40-49 years, female 395.2
GTEX-15SHU-0126-SM-7KUEH 40-49 years, female 394.6
GTEX-1O97I-0326-SM-EYYX7 60-69 years, male 394.5
GTEX-12ZZY-0226-SM-5LZVE 60-69 years, male 394.4
GTEX-1H3VE-0326-SM-9YFLH 40-49 years, male 393.9
GTEX-1JMQI-2226-SM-CM2SD 50-59 years, male 393.4
GTEX-1399T-2826-SM-5KLYZ 60-69 years, male 393.3
GTEX-131YS-0126-SM-5KM1M 60-69 years, female 392.0
GTEX-17KNJ-2326-SM-7DHLQ 50-59 years, male 391.2
GTEX-13G51-2526-SM-5LZYK 60-69 years, male 388.9
GTEX-13OVK-2026-SM-7KUEO 40-49 years, male 388.4
GTEX-Z9EW-1626-SM-5CVMN 40-49 years, male 388.4
GTEX-1GMRU-0126-SM-9YFLV 50-59 years, male 386.6
GTEX-SJXC-0126-SM-2XCFF 60-69 years, male 385.8
GTEX-13N2G-2626-SM-5J1OT 60-69 years, male 385.6
GTEX-1F5PL-0326-SM-7P8PQ 40-49 years, female 384.4
GTEX-13NYC-0326-SM-E9J4S 60-69 years, male 383.8
GTEX-1HFI6-0226-SM-ADEHZ 40-49 years, male 383.4
GTEX-XBEW-0626-SM-4QASP 40-49 years, male 382.5
GTEX-1S5ZA-0126-SM-EVYCV 20-29 years, male 382.2
GTEX-1B8KE-2126-SM-73KYX 50-59 years, male 382.1
GTEX-1GMR8-0126-SM-9WYTM 50-59 years, female 381.1
GTEX-1CB4I-0226-SM-79OLH 50-59 years, male 381.0
GTEX-1J8QM-2126-SM-CYPSJ 60-69 years, female 379.3
GTEX-16AAH-1726-SM-7939C 50-59 years, male 378.6
GTEX-1CAMQ-0226-SM-7IGPK 40-49 years, male 377.9
GTEX-TML8-1926-SM-32QOS 40-49 years, female 377.7
GTEX-ZTX8-1426-SM-5DUVO 20-29 years, male 376.3
GTEX-13JUV-2726-SM-5LZZ8 40-49 years, female 375.9
GTEX-1C4CL-0526-SM-73KVK 30-39 years, male 375.7
GTEX-1POEN-0126-SM-EYYXJ 30-39 years, female 373.8
GTEX-14LZ3-0226-SM-62LET 60-69 years, female 371.7
GTEX-1B8SG-0126-SM-73KZ3 50-59 years, male 371.1
GTEX-1CB4F-0426-SM-9KNV4 60-69 years, male 371.0
GTEX-1A8FM-0226-SM-7SB7Q 50-59 years, female 370.6
GTEX-14A5I-0126-SM-5TDEA 50-59 years, female 369.9
GTEX-145MI-0526-SM-5O9A8 60-69 years, female 369.5
GTEX-NFK9-0226-SM-2HMKQ 40-49 years, male 369.4
GTEX-13FTX-1826-SM-5J1NX 20-29 years, female 369.1
GTEX-1IL2V-0126-SM-CM2TX 70-79 years, male 368.8
GTEX-1R7EU-0226-SM-EVR4G 60-69 years, male 368.4
GTEX-12KS4-0326-SM-5EQ41 30-39 years, male 367.8
GTEX-1I1GT-0626-SM-CGQER 60-69 years, female 367.2
GTEX-1313W-0126-SM-5LZUN 50-59 years, female 366.9
GTEX-145LU-0126-SM-5TDCB 50-59 years, male 365.6
GTEX-139TT-0126-SM-5K7Y5 60-69 years, male 365.1
GTEX-1EU9M-0226-SM-7P8SP 60-69 years, male 362.5
GTEX-POMQ-2226-SM-2I5FK 20-29 years, female 361.8
GTEX-ZF3C-0126-SM-DO92D 50-59 years, female 361.4
GTEX-1MA7W-2026-SM-E9TJ6 20-29 years, female 360.7
GTEX-P44H-0226-SM-2XCEU 40-49 years, male 359.8
GTEX-WFG8-2226-SM-3GIL9 20-29 years, male 359.5
GTEX-T5JW-1626-SM-3GADZ 20-29 years, female 359.0
GTEX-1KANA-0726-SM-D3L9I 20-29 years, male 357.3
GTEX-14DAQ-0126-SM-5S2MQ 60-69 years, female 356.7
GTEX-145ME-1826-SM-5SI9G 40-49 years, female 356.0
GTEX-18A66-0226-SM-718BD 60-69 years, male 355.8
GTEX-1KAFJ-2026-SM-CY8ID 50-59 years, male 353.8
GTEX-1N2DW-0226-SM-E9TK2 50-59 years, male 353.4
GTEX-1JN6P-0126-SM-D3L98 60-69 years, male 352.7
GTEX-YB5K-2126-SM-4WWDJ 40-49 years, female 351.9
GTEX-1IDJH-0326-SM-A9SLQ 70-79 years, male 351.8
GTEX-1I1CD-0126-SM-CM2TK 60-69 years, female 349.3
GTEX-1J8EW-0126-SM-CJI4F 60-69 years, female 348.6
GTEX-15DDE-0126-SM-6LPKH 50-59 years, female 347.9
GTEX-139TS-2826-SM-5J1OO 60-69 years, male 347.3
GTEX-14BMV-0126-SM-5S2PO 50-59 years, male 347.2
GTEX-18A7A-0226-SM-718BH 50-59 years, female 345.6
GTEX-12584-0126-SM-5EGKQ 40-49 years, male 345.4
GTEX-14E6D-0126-SM-62LDV 50-59 years, male 345.3
GTEX-VJYA-1126-SM-3GIJU 60-69 years, male 345.3
GTEX-145MO-0326-SM-5Q5B3 60-69 years, male 344.7
GTEX-1H11D-0226-SM-9WG6Z 40-49 years, male 343.8
GTEX-1B996-0226-SM-7RHGO 60-69 years, male 343.7
GTEX-XYKS-2126-SM-4E3IB 60-69 years, female 343.4
GTEX-1GF9X-2026-SM-7PC3A 40-49 years, female 342.7
GTEX-15RIG-0226-SM-7KFTL 40-49 years, male 341.6
GTEX-1AX9J-0226-SM-73KXM 60-69 years, male 340.6
GTEX-11WQC-2526-SM-5CVLE 60-69 years, male 338.7
GTEX-139TU-0126-SM-5K7WH 60-69 years, male 337.5
GTEX-1F6RS-0126-SM-9MQKZ 60-69 years, female 337.0
GTEX-131XE-2326-SM-5PNZ2 50-59 years, male 335.2
GTEX-QCQG-1726-SM-3GIJ9 50-59 years, female 333.9
GTEX-1KXAM-2226-SM-CYPTC 60-69 years, male 333.8
GTEX-1E1VI-0126-SM-7DHMZ 50-59 years, male 333.0
GTEX-1HCU9-1526-SM-A9SL7 20-29 years, male 331.5
GTEX-1B8L1-2526-SM-9WYTF 60-69 years, male 329.7
GTEX-11XUK-2026-SM-5EQLF 40-49 years, female 329.5
GTEX-1GN73-0226-SM-9WG67 60-69 years, male 329.5
GTEX-1IOXB-0126-SM-ARL8G 50-59 years, male 326.9
GTEX-111VG-2426-SM-5GZXD 60-69 years, male 325.8
GTEX-1GF9W-0326-SM-9KNUN 60-69 years, male 325.8
GTEX-1I1GV-0526-SM-A9G29 60-69 years, male 325.4
GTEX-18A6Q-0126-SM-731BZ 60-69 years, male 325.0
GTEX-1F88F-2726-SM-7PBZZ 60-69 years, female 324.9
GTEX-1PPH8-0226-SM-E8VND 20-29 years, male 324.6
GTEX-1HSMQ-1226-SM-CGQFX 50-59 years, male 324.4
GTEX-13SLW-0126-SM-5SI6C 70-79 years, male 323.0
GTEX-1HFI7-1826-SM-ACKXH 50-59 years, female 323.0
GTEX-17HII-0226-SM-7LG4E 50-59 years, male 322.3
GTEX-WYJK-0126-SM-3NMAB 50-59 years, male 322.1
GTEX-QDVJ-1726-SM-2I5FX 50-59 years, male 321.8
GTEX-ZVT2-2526-SM-51MT1 50-59 years, female 321.4
GTEX-1M5QR-1226-SM-EWROB 40-49 years, male 320.6
GTEX-X261-0126-SM-3NMD6 50-59 years, male 320.3
GTEX-OXRN-0126-SM-48TDM 50-59 years, male 320.0
GTEX-13NZB-2526-SM-5J1OM 30-39 years, male 319.9
GTEX-1LVAN-0226-SM-COH3S 50-59 years, female 317.8
GTEX-UJHI-1526-SM-3DB99 50-59 years, female 317.1
GTEX-1H1DG-0126-SM-9WYU2 70-79 years, male 316.7
GTEX-131XW-0426-SM-5LZWP 50-59 years, female 316.5
GTEX-ZE9C-2726-SM-57WB5 60-69 years, male 316.3
GTEX-13OVH-0126-SM-5MR4B 70-79 years, male 314.9
GTEX-14PN4-0126-SM-6EU2V 50-59 years, male 314.5
GTEX-ZXG5-0126-SM-5GIEU 60-69 years, male 314.3
GTEX-1LGOU-2026-SM-DIPFF 20-29 years, female 314.3
GTEX-145MN-2226-SM-5SIAU 30-39 years, male 313.4
GTEX-1RDX4-0126-SM-E9J4P 50-59 years, female 313.2
GTEX-Z93T-0126-SM-5HL5N 50-59 years, male 313.0
GTEX-13VXU-0126-SM-5SI9F 50-59 years, male 309.8
GTEX-11ZTS-0126-SM-5EQ6M 60-69 years, female 309.7
GTEX-11ZVC-2526-SM-5FQTE 50-59 years, female 308.8
GTEX-WQUQ-0426-SM-3MJFU 60-69 years, male 308.4
GTEX-1IDJU-2626-SM-CM2RT 60-69 years, female 308.3
GTEX-1F75B-0126-SM-9KNVL 50-59 years, male 305.0
GTEX-1122O-2126-SM-5EGIR 60-69 years, female 304.0
GTEX-1GZ4H-1726-SM-7PBZJ 50-59 years, female 303.5
GTEX-1JMQK-0226-SM-CL543 60-69 years, male 303.2
GTEX-14ABY-0226-SM-5TDCQ 50-59 years, male 302.8
GTEX-1269C-2526-SM-5EGJ3 60-69 years, female 301.9
GTEX-YFC4-0126-SM-5CVLY 40-49 years, female 301.8
GTEX-R3RS-0126-SM-3GIJL 40-49 years, female 301.6
GTEX-16NGA-1726-SM-731B4 40-49 years, female 301.4
GTEX-ZF29-2326-SM-DO92K 60-69 years, female 301.0
GTEX-Y111-0126-SM-4SOIV 50-59 years, male 300.7
GTEX-11EQ9-2426-SM-5HL5T 30-39 years, male 300.0
GTEX-14C5O-0126-SM-5SI6N 60-69 years, male 299.4
GTEX-1QEPI-0126-SM-EWRMQ 60-69 years, female 299.2
GTEX-12WSK-2326-SM-5GCOH 40-49 years, female 297.6
GTEX-1S3DN-2226-SM-EVYCD 50-59 years, male 297.5
GTEX-OIZH-0126-SM-2HMIS 50-59 years, male 297.4
GTEX-147GR-0526-SM-5S2MY 60-69 years, male 297.3
GTEX-ZXES-1826-SM-5E43S 30-39 years, female 297.1
GTEX-1H2FU-0126-SM-9WYSI 60-69 years, female 297.1
GTEX-1IY9M-0126-SM-D3L8S 60-69 years, male 296.6
GTEX-1OFPY-2426-SM-DTXEJ 60-69 years, male 296.6
GTEX-ZQG8-1626-SM-DHXIT 60-69 years, female 296.6
GTEX-ZVE2-0226-SM-59HJB 50-59 years, male 296.5
GTEX-U3ZH-2026-SM-3DB78 30-39 years, male 296.3
GTEX-148VI-1626-SM-5SI6E 60-69 years, female 295.8
GTEX-ZU9S-0226-SM-5E441 30-39 years, male 295.8
GTEX-S32W-2126-SM-2XCB1 50-59 years, female 295.5
GTEX-1IKOH-0226-SM-COH4E 60-69 years, female 294.9
GTEX-1F5PK-2426-SM-7RHHY 50-59 years, male 294.2
GTEX-Y3IK-2426-SM-4WWDU 50-59 years, female 293.3
GTEX-PSDG-0226-SM-DKPOZ 50-59 years, male 293.3
GTEX-1HB9E-0226-SM-E9U4R 50-59 years, male 293.2
GTEX-13S7M-0126-SM-5SI6A 60-69 years, female 291.9
GTEX-11TUW-2726-SM-E9J4M 60-69 years, male 291.3
GTEX-1LGRB-2526-SM-CNPPQ 50-59 years, female 291.2
GTEX-Z93S-0126-SM-5HL7M 50-59 years, male 290.9
GTEX-113JC-2326-SM-5EQ4E 50-59 years, female 290.7
GTEX-T2YK-0526-SM-32QPJ 50-59 years, male 290.7
GTEX-XUZC-1726-SM-4BRWS 30-39 years, female 290.3
GTEX-1GN2E-0426-SM-9MQKX 60-69 years, male 289.6
GTEX-1GPI7-0126-SM-9MQL8 20-29 years, male 289.4
GTEX-ZY6K-1826-SM-5GZXK 50-59 years, male 289.2
GTEX-T8EM-1026-SM-3DB7M 40-49 years, male 288.8
GTEX-12ZZZ-0626-SM-5DUXI 60-69 years, male 288.7
GTEX-1M4P7-0226-SM-DIPEV 60-69 years, male 288.6
GTEX-14JG1-0426-SM-6ETZZ 40-49 years, male 288.5
GTEX-17EUY-0426-SM-793BD 20-29 years, male 288.5
GTEX-13FTW-2626-SM-5K7WL 40-49 years, male 288.4
GTEX-1GL5R-1826-SM-9KNUY 50-59 years, male 288.4
GTEX-1JK1U-2026-SM-CM2RZ 60-69 years, male 288.1
GTEX-ZDYS-2026-SM-5HL5L 50-59 years, male 287.9
GTEX-1S82Z-0826-SM-E6CHY 30-39 years, female 287.6
GTEX-17GQL-2026-SM-718BA 60-69 years, male 286.8
GTEX-RWS6-2026-SM-2XCB5 60-69 years, female 286.0
GTEX-1IDJF-0126-SM-CM2RS 20-29 years, male 285.8
GTEX-11H98-0126-SM-5EGHG 50-59 years, male 285.7
GTEX-RNOR-0126-SM-E9J4R 50-59 years, female 285.3
GTEX-15SB6-1726-SM-6PAME 50-59 years, female 284.9
GTEX-1QP9N-1426-SM-DTXFL 30-39 years, male 284.7
GTEX-11DZ1-0126-SM-5985Q 50-59 years, male 283.7
GTEX-11DXY-2626-SM-5GIE7 60-69 years, male 283.6
GTEX-1KANB-0526-SM-E6CJH 50-59 years, male 283.5
GTEX-OXRP-0126-SM-3NB32 60-69 years, female 283.4
GTEX-ZVZO-0126-SM-5A5L9 40-49 years, male 282.4
GTEX-1EN7A-0126-SM-7SB81 40-49 years, male 282.2
GTEX-14PJ6-2126-SM-6EU1V 60-69 years, female 281.9
GTEX-133LE-1826-SM-5J1MV 20-29 years, female 281.5
GTEX-VJWN-0126-SM-3GIK7 50-59 years, female 279.8
GTEX-1LSNM-1926-SM-E6CII 50-59 years, male 279.6
GTEX-13QJ3-0326-SM-5S2RA 50-59 years, male 279.2
GTEX-17HHE-2026-SM-79OKF 50-59 years, male 279.1
GTEX-OIZG-0726-SM-33HBL 50-59 years, male 279.0
GTEX-1AX9I-0126-SM-7SB74 60-69 years, male 278.3
GTEX-1QPFJ-0226-SM-E76PB 30-39 years, female 278.1
GTEX-13W46-0226-SM-5SIAG 50-59 years, male 277.8
GTEX-1J1OQ-0226-SM-CYPSH 40-49 years, female 277.8
GTEX-PLZ6-1426-SM-DKPOT 30-39 years, male 277.1
GTEX-YB5E-2026-SM-5IFIS 40-49 years, male 276.9
GTEX-ZYFD-0126-SM-5GIDL 50-59 years, male 276.2
GTEX-132NY-0326-SM-5IJBL 60-69 years, male 276.1
GTEX-13PVR-2326-SM-5QGR1 60-69 years, female 275.4
GTEX-T2IS-0126-SM-4DM6O 20-29 years, female 273.8
GTEX-ZDTS-0126-SM-4WAY5 60-69 years, male 271.7
GTEX-1K9T9-0126-SM-EVYCF 50-59 years, female 271.0
GTEX-1B8KZ-2026-SM-7DHMB 50-59 years, male 270.6
GTEX-1F6I4-0126-SM-9MQL2 60-69 years, male 270.5
GTEX-18465-0126-SM-731BN 50-59 years, male 269.9
GTEX-1KWVE-1426-SM-E9TJO 30-39 years, male 268.7
GTEX-ZWKS-0126-SM-5SIAA 30-39 years, male 268.5
GTEX-ZTSS-1926-SM-57WEW 40-49 years, male 267.6
GTEX-X4EO-0326-SM-3P5YO 60-69 years, female 267.5
GTEX-1HCU8-0626-SM-A9SM9 60-69 years, female 266.4
GTEX-1NV5F-0226-SM-E8VNY 60-69 years, female 265.6
GTEX-13U4I-0126-SM-5LU38 40-49 years, female 264.8
GTEX-1H3NZ-0126-SM-ACKX7 60-69 years, male 264.7
GTEX-1F48J-0126-SM-7P8TT 50-59 years, female 264.5
GTEX-16NPX-0226-SM-79OMT 50-59 years, male 264.4
GTEX-13OW8-1326-SM-5J1OW 60-69 years, male 263.4
GTEX-TMMY-0226-SM-33HBA 40-49 years, female 263.1
GTEX-ZVT4-0126-SM-DTXFN 50-59 years, female 263.1
GTEX-11ZU8-2526-SM-5EQKI 60-69 years, male 262.9
GTEX-18D9B-0526-SM-7LTAS 60-69 years, male 262.6
GTEX-11O72-0126-SM-59887 40-49 years, male 260.9
GTEX-1JMQL-0226-SM-CNPP5 50-59 years, female 260.9
GTEX-WXYG-2326-SM-4E3I6 50-59 years, female 260.5
GTEX-13D11-2426-SM-5KM1V 50-59 years, female 260.4
GTEX-11UD2-0226-SM-5EQKY 50-59 years, male 260.3
GTEX-Q2AH-1626-SM-3GAF8 40-49 years, male 259.1
GTEX-1CB4J-0626-SM-7DHMP 60-69 years, male 258.9
GTEX-1MCQQ-0826-SM-DLHC2 60-69 years, male 258.8
GTEX-1I6K6-0126-SM-A9SLE 30-39 years, male 256.9
GTEX-1IE54-0126-SM-CMKHW 40-49 years, female 256.6
GTEX-14PHX-2326-SM-62LEM 50-59 years, male 256.4
GTEX-OIZF-0126-SM-7SB8I 60-69 years, male 254.9
GTEX-13N1W-0126-SM-5K7VT 70-79 years, male 254.7
GTEX-1S82Y-2026-SM-EVYCM 40-49 years, male 254.3
GTEX-145MF-0626-SM-5LUAI 50-59 years, male 253.7
GTEX-XAJ8-0826-SM-47JY6 40-49 years, male 253.3
GTEX-X88G-0126-SM-47JZ3 30-39 years, male 252.2
GTEX-1RB15-2126-SM-E9TIM 60-69 years, male 252.2
GTEX-11VI4-1726-SM-5CVLH 40-49 years, female 252.1
GTEX-12WSG-2826-SM-E9J4H 50-59 years, female 251.8
GTEX-11NSD-2226-SM-5986V 20-29 years, male 250.8
GTEX-17HHY-0126-SM-7LG5D 50-59 years, male 250.6
GTEX-XBED-2226-SM-47JYQ 60-69 years, male 250.3
GTEX-1AMFI-2026-SM-731BH 50-59 years, female 250.2
GTEX-ZDTT-2726-SM-4WKF8 60-69 years, male 249.9
GTEX-18A67-0126-SM-7LG5P 50-59 years, male 249.4
GTEX-WYVS-2126-SM-3NMA3 40-49 years, female 249.1
GTEX-1JJE9-0326-SM-CL53Z 70-79 years, male 248.6
GTEX-17MFQ-1726-SM-793C7 20-29 years, male 248.2
GTEX-14E7W-0126-SM-6LLJ9 70-79 years, male 248.0
GTEX-ZV6S-2326-SM-4YCEY 40-49 years, female 247.5
GTEX-TKQ1-1026-SM-4GICL 30-39 years, male 247.4
GTEX-1H3O1-0426-SM-9YFKY 60-69 years, male 247.3
GTEX-1KD5A-0226-SM-D5OV3 50-59 years, male 247.1
GTEX-1L5NE-2526-SM-E6CIE 50-59 years, male 246.7
GTEX-1F7RK-0126-SM-7PC2S 20-29 years, female 245.6
GTEX-1RQEC-0426-SM-E6CHU 60-69 years, male 245.6
GTEX-ZVZP-2426-SM-59HKJ 50-59 years, male 245.5
GTEX-OXRK-0226-SM-3NB2G 50-59 years, female 245.3
GTEX-ZVT3-0126-SM-5GU6I 60-69 years, female 245.2
GTEX-1MUQO-0126-SM-EAZ58 60-69 years, male 245.1
GTEX-PW2O-1526-SM-7RHHB 20-29 years, male 244.6
GTEX-16YQH-0126-SM-7DUFJ 30-39 years, male 243.9
GTEX-13OVL-0226-SM-5L3E9 50-59 years, male 243.3
GTEX-14PN3-2426-SM-6LLHS 60-69 years, female 243.1
GTEX-13FTY-0526-SM-5L3EV 40-49 years, female 243.0
GTEX-13YAN-0326-SM-5O9DF 60-69 years, male 242.1
GTEX-1QCLY-0326-SM-E8VOG 30-39 years, male 242.0
GTEX-ZZ64-1726-SM-5GZYB 20-29 years, male 241.9
GTEX-Y114-2426-SM-4TT8A 50-59 years, female 241.6
GTEX-1HR98-0126-SM-B2LWI 60-69 years, male 241.5
GTEX-1JMPY-1326-SM-ARL8Y 30-39 years, male 239.7
GTEX-1JJ6O-0126-SM-E6CI8 60-69 years, male 238.4
GTEX-ZYFG-2326-SM-5E44B 60-69 years, female 237.8
GTEX-U412-0426-SM-3DB9O 60-69 years, male 237.3
GTEX-1A3MV-1926-SM-718BT 30-39 years, male 237.2
GTEX-TSE9-0126-SM-3DB83 60-69 years, female 237.2
GTEX-XMD2-0126-SM-4YCDU 60-69 years, female 236.6
GTEX-12126-0326-SM-5PNW3 20-29 years, male 236.5
GTEX-ZAJG-0126-SM-5HL94 50-59 years, female 236.3
GTEX-XPVG-2626-SM-4B669 50-59 years, male 235.9
GTEX-14E6E-1826-SM-5S2R7 30-39 years, male 235.6
GTEX-ZAB5-1826-SM-5HL7C 50-59 years, male 235.4
GTEX-183FY-0126-SM-7LT9P 20-29 years, male 235.3
GTEX-14E6C-0126-SM-5RQIP 40-49 years, male 235.1
GTEX-13O3P-0126-SM-5KM4S 50-59 years, male 234.9
GTEX-1JKYR-0126-SM-CNPOJ 20-29 years, male 234.7
GTEX-1JN76-0126-SM-CNPPE 20-29 years, female 234.6
GTEX-1QP2A-0126-SM-E9J43 50-59 years, male 234.3
GTEX-1QAET-0926-SM-E76QM 50-59 years, male 233.8
GTEX-W5WG-1826-SM-4KL2Y 50-59 years, female 232.4
GTEX-1HCUA-2426-SM-ADEIS 50-59 years, female 231.7
GTEX-1CB4H-0226-SM-7PBXM 60-69 years, female 231.2
GTEX-ZYFC-0226-SM-5NQ75 50-59 years, male 230.8
GTEX-15DCD-0126-SM-7KUEK 70-79 years, female 230.4
GTEX-1ICG6-2526-SM-CGQFZ 70-79 years, female 230.3
GTEX-18D9U-0226-SM-718BP 40-49 years, male 230.1
GTEX-14DAR-2026-SM-5S2O3 50-59 years, male 228.5
GTEX-1EX96-1626-SM-7PBXR 50-59 years, male 227.2
GTEX-13RTK-1426-SM-5QGQJ 20-29 years, male 227.0
GTEX-17HGU-0226-SM-7DHKV 50-59 years, male 226.7
GTEX-11GS4-2726-SM-5A5LE 60-69 years, male 226.3
GTEX-SSA3-0126-SM-32QPU 60-69 years, male 225.2
GTEX-17EVQ-0226-SM-7LG4P 70-79 years, male 223.9
GTEX-13X6H-2126-SM-7EWD5 50-59 years, female 223.5
GTEX-1QP66-1726-SM-E8VO1 50-59 years, male 223.5
GTEX-117XS-2726-SM-5N9BL 60-69 years, male 223.2
GTEX-1RAZA-0126-SM-E6CI3 20-29 years, male 222.6
GTEX-OOBJ-0126-SM-E6CJW 60-69 years, male 222.0
GTEX-11LCK-1026-SM-5A5KB 30-39 years, male 220.9
GTEX-ZPIC-1726-SM-DHXIU 40-49 years, female 220.0
GTEX-1J8Q2-0526-SM-CM2RW 60-69 years, male 219.8
GTEX-1MGNQ-0126-SM-EVYCJ 40-49 years, male 219.3
GTEX-QVJO-1626-SM-2S1QW 60-69 years, female 219.0
GTEX-S33H-1026-SM-EZ6L6 30-39 years, male 218.4
GTEX-145LT-1726-SM-5QGP3 40-49 years, male 217.9
GTEX-1F75A-0126-SM-7RHGM 50-59 years, male 217.7
GTEX-12WSL-2526-SM-5GCNJ 50-59 years, male 217.2
GTEX-13O1R-0126-SM-5L3EH 60-69 years, male 216.8
GTEX-1B933-0126-SM-7PC29 50-59 years, female 216.0
GTEX-14A5H-0426-SM-5QGQF 60-69 years, male 215.8
GTEX-145LV-2126-SM-5LU8N 50-59 years, male 214.7
GTEX-11EM3-2426-SM-59861 20-29 years, female 214.4
GTEX-1HBPN-0226-SM-9YFM1 50-59 years, male 214.4
GTEX-OHPL-0126-SM-2HMJ7 60-69 years, female 213.9
GTEX-14JG6-2226-SM-6EU2G 30-39 years, female 213.7
GTEX-1H3VY-0126-SM-ACKXD 50-59 years, male 213.5
GTEX-U8T8-0126-SM-3DB94 60-69 years, male 213.2
GTEX-1GZ2Q-0226-SM-7P8TL 40-49 years, male 213.2
GTEX-1N2EF-0226-SM-EYYXB 60-69 years, male 213.0
GTEX-13CF3-2426-SM-5IFGX 60-69 years, female 211.6
GTEX-XQ3S-1526-SM-4BOOC 20-29 years, male 211.4
GTEX-1IGQW-0126-SM-COH42 60-69 years, male 210.4
GTEX-11DXW-0226-SM-5H122 40-49 years, male 209.4
GTEX-OOBK-0126-SM-2YUND 40-49 years, male 209.0
GTEX-1K2DU-2326-SM-E9TIV 20-29 years, male 208.9
GTEX-11GSP-2526-SM-5N9BP 60-69 years, female 208.4
GTEX-1A32A-0126-SM-718B1 50-59 years, female 208.4
GTEX-V1D1-2226-SM-3NMAX 50-59 years, male 208.2
GTEX-1PFEY-1526-SM-E76PP 30-39 years, male 208.2
GTEX-13IVO-0126-SM-5J1NG 70-79 years, male 207.8
GTEX-12696-2426-SM-5EQ6H 60-69 years, male 207.3
GTEX-1J1R8-1726-SM-ARL8M 40-49 years, male 206.2
GTEX-14BIL-0126-SM-5SI92 50-59 years, male 205.4
GTEX-11GSO-2426-SM-5A5LY 60-69 years, male 205.1
GTEX-QEG4-0226-SM-2S1PY 30-39 years, male 204.7
GTEX-1MA7X-2226-SM-E6CIY 60-69 years, male 204.2
GTEX-13PDP-0126-SM-5L3HD 60-69 years, male 203.8
GTEX-VUSG-2526-SM-4KL1V 50-59 years, male 202.0
GTEX-144FL-0126-SM-5TDC8 50-59 years, male 201.6
GTEX-Q2AG-0126-SM-33HBV 40-49 years, female 201.1
GTEX-146FQ-0126-SM-5NQA9 30-39 years, male 200.9
GTEX-1314G-1526-SM-5EGK2 30-39 years, male 200.8
GTEX-1F6IF-0726-SM-7P8TW 60-69 years, male 200.1
GTEX-18QFQ-0126-SM-731BE 30-39 years, male 199.5
GTEX-1R46S-0626-SM-E9J41 60-69 years, female 198.9
GTEX-ZC5H-0226-SM-4WAY9 40-49 years, female 198.6
GTEX-11OC5-0126-SM-5HL6A 60-69 years, male 197.6
GTEX-13NZA-0226-SM-5K7Z7 60-69 years, male 197.4
GTEX-16XZY-2126-SM-79OK1 70-79 years, male 196.2
GTEX-13NYS-0126-SM-5MR3W 60-69 years, male 196.1
GTEX-1EKGG-0226-SM-9WYTH 60-69 years, male 196.0
GTEX-1192X-0226-SM-5H12D 50-59 years, male 195.0
GTEX-1ICLY-0126-SM-D4P36 50-59 years, male 194.7
GTEX-1CAMS-0426-SM-7P8T2 40-49 years, female 194.2
GTEX-169BO-1326-SM-9MQK2 50-59 years, male 193.8
GTEX-147F3-0526-SM-5SI98 50-59 years, female 193.7
GTEX-S95S-1226-SM-4GICG 60-69 years, male 193.6
GTEX-1HGF4-2426-SM-ACKXM 60-69 years, male 193.5
GTEX-1LH75-2426-SM-E9TJE 50-59 years, female 193.5
GTEX-OHPM-0126-SM-2YUN9 50-59 years, male 193.2
GTEX-14753-0426-SM-5NQAM 60-69 years, male 193.1
GTEX-1R9K4-0126-SM-DTX9X 60-69 years, male 193.1
GTEX-ZE7O-0126-SM-57WC1 50-59 years, female 192.9
GTEX-12C56-1726-SM-5EQ61 20-29 years, male 192.8
GTEX-1IDFM-0126-SM-COH2V 60-69 years, male 192.2
GTEX-15CHC-2126-SM-6EU21 60-69 years, female 192.1
GTEX-PWO3-1526-SM-48TCM 60-69 years, female 189.7
GTEX-1PWST-0226-SM-E76QJ 70-79 years, male 189.5
GTEX-T6MO-1626-SM-32QOM 40-49 years, female 189.2
GTEX-RM2N-1426-SM-2TF4H 50-59 years, male 189.1
GTEX-ZUA1-0126-SM-5GU76 40-49 years, male 189.1
GTEX-1GTWX-0126-SM-9YFLK 60-69 years, male 187.9
GTEX-17F97-0326-SM-7LG5B 50-59 years, male 187.7
GTEX-SUCS-1926-SM-32PM3 70-79 years, male 186.8
GTEX-14A6H-0126-SM-5QGPK 30-39 years, male 186.0
GTEX-146FH-0126-SM-5QGPP 50-59 years, female 185.7
GTEX-RU72-0926-SM-2TF6B 50-59 years, female 183.9
GTEX-X638-0126-SM-47JZ8 70-79 years, female 182.0
GTEX-1R7EV-2426-SM-EVYBG 40-49 years, male 181.2
GTEX-16MT8-0426-SM-7KUEY 60-69 years, female 180.5
GTEX-13NZ8-0826-SM-5MR3I 60-69 years, female 180.4
GTEX-WRHK-1426-SM-3MJF9 20-29 years, female 179.6
GTEX-1C2JI-1826-SM-73KXC 50-59 years, male 179.3
GTEX-117YX-2326-SM-5H12W 50-59 years, male 178.5
GTEX-X5EB-2226-SM-46MW4 40-49 years, male 177.5
GTEX-1ICLZ-0126-SM-CKZPO 60-69 years, male 176.4
GTEX-13OVI-1426-SM-5L3EY 60-69 years, female 176.2
GTEX-1AX9K-2326-SM-73KWU 50-59 years, male 175.1
GTEX-U3ZN-2326-SM-3DB7W 30-39 years, female 174.4
GTEX-1I1GP-2226-SM-CGQFK 50-59 years, male 174.2
GTEX-P4PP-0126-SM-3LK69 30-39 years, female 174.0
GTEX-QLQ7-1626-SM-2S1R8 60-69 years, male 174.0
GTEX-1C6VQ-0126-SM-7P8RI 50-59 years, male 173.7
GTEX-1H23P-0126-SM-ADEJ3 60-69 years, male 173.4
GTEX-14ICK-0226-SM-6EU25 40-49 years, male 172.5
GTEX-SIU8-0126-SM-2XCDT 50-59 years, male 172.4
GTEX-14PHW-0126-SM-6LLJI 60-69 years, female 172.2
GTEX-1H1ZS-0426-SM-9WG6G 70-79 years, male 172.2
GTEX-1GPI6-0126-SM-9WG69 60-69 years, male 171.2
GTEX-12WSD-0126-SM-59HKN 60-69 years, female 171.1
GTEX-W5X1-3026-SM-EAZAX 40-49 years, female 170.7
GTEX-U8XE-0326-SM-3DB8P 30-39 years, male 170.6
GTEX-11UD1-0126-SM-5PNYG 40-49 years, female 170.3
GTEX-14LLW-0126-SM-6LLIO 70-79 years, female 170.1
GTEX-1GF9U-2126-SM-7SB7L 40-49 years, female 169.8
GTEX-T5JC-0426-SM-32PLO 20-29 years, male 169.6
GTEX-QV44-1926-SM-2S1RF 50-59 years, male 169.4
GTEX-WVJS-0126-SM-4MVOT 50-59 years, male 169.1
GTEX-ZEX8-2426-SM-4WKG4 50-59 years, male 168.9
GTEX-13113-5016-SM-7EPIP 60-69 years, female 168.8
GTEX-X4XX-0126-SM-3NMC2 60-69 years, male 168.6
GTEX-1C6WA-0126-SM-7PC2B 60-69 years, male 168.6
GTEX-13OVG-1926-SM-5L3DK 60-69 years, male 168.3
GTEX-11DXX-2426-SM-5GZZW 60-69 years, female 168.2
GTEX-PLZ5-2026-SM-2S1O4 50-59 years, male 168.0
GTEX-1J8Q3-1626-SM-CMKGC 60-69 years, male 167.3
GTEX-1128S-2326-SM-5GZZY 60-69 years, female 165.6
GTEX-18A7B-0126-SM-7LG64 70-79 years, male 165.6
GTEX-11P82-1626-SM-59879 20-29 years, male 165.3
GTEX-12WSJ-1826-SM-5GCNY 40-49 years, female 164.9
GTEX-1211K-2026-SM-5EQ4Z 60-69 years, female 164.5
GTEX-1I19N-0326-SM-ACKVX 70-79 years, male 164.4
GTEX-14XAO-2326-SM-6EU1B 60-69 years, female 164.2
GTEX-13O3O-0126-SM-E9J49 60-69 years, female 164.2
GTEX-13O21-1426-SM-5K7XI 50-59 years, male 163.9
GTEX-15SDE-2226-SM-7IGLO 50-59 years, female 163.6
GTEX-12WSN-5019-SM-79OM6 40-49 years, male 163.4
GTEX-Y8LW-1826-SM-5S2MV 50-59 years, female 163.1
GTEX-15D1Q-0126-SM-7KUG6 40-49 years, male 162.8
GTEX-1I1GS-0126-SM-B2LVW 60-69 years, male 162.6
GTEX-17F98-0626-SM-79OMX 40-49 years, female 162.4
GTEX-1C64O-0126-SM-7SB8P 60-69 years, male 162.2
GTEX-13O3Q-2426-SM-5IJBR 50-59 years, male 161.9
GTEX-13FHO-0226-SM-5IFGY 60-69 years, male 161.5
GTEX-WZTO-0126-SM-3NM95 40-49 years, male 161.5
GTEX-13FH7-2026-SM-E9J4I 50-59 years, female 161.5
GTEX-1JKYN-1326-SM-CGQG9 30-39 years, male 160.3
GTEX-13VXT-0126-SM-5LU4I 20-29 years, female 160.0
GTEX-13W3W-2426-SM-5LU5B 60-69 years, female 159.3
GTEX-1A3MX-0126-SM-731BR 60-69 years, male 158.6
GTEX-11ZTT-2426-SM-5EQLS 60-69 years, female 158.5
GTEX-1192W-2626-SM-5Q5AF 60-69 years, male 158.2
GTEX-13X6I-0626-SM-5QGP9 60-69 years, male 158.2
GTEX-1H1E6-1726-SM-ACKVK 30-39 years, male 157.0
GTEX-ZYY3-0126-SM-5GZY5 60-69 years, female 156.9
GTEX-XXEK-2226-SM-4BRUM 50-59 years, male 156.6
GTEX-183WM-0126-SM-7LTAB 70-79 years, female 156.5
GTEX-13N11-2526-SM-5K7UE 50-59 years, female 155.8
GTEX-TMZS-0126-SM-3DB9Q 60-69 years, male 155.6
GTEX-15SHW-0326-SM-6PAML 60-69 years, male 154.8
GTEX-12WSA-0226-SM-5BC5V 60-69 years, male 154.6
GTEX-X4EP-0126-SM-3P5YV 60-69 years, female 153.9
GTEX-XUW1-0426-SM-4BOOT 50-59 years, female 153.5
GTEX-139T8-0126-SM-5K7XZ 60-69 years, male 153.1
GTEX-QLQW-1126-SM-2S1Q8 30-39 years, male 153.1
GTEX-1JN1M-0326-SM-CYPT3 60-69 years, female 152.9
GTEX-13RTL-0126-SM-7LG5S 40-49 years, male 152.8
GTEX-Y3I4-2126-SM-4TT7C 50-59 years, male 152.7
GTEX-YJ8A-0426-SM-5IFID 20-29 years, male 152.7
GTEX-11P7K-2126-SM-5GU7G 30-39 years, male 151.3
GTEX-14BMU-2226-SM-5TDE9 20-29 years, female 151.2
GTEX-S7PM-0126-SM-4AD6S 60-69 years, male 151.0
GTEX-14PJ3-1826-SM-62LEX 50-59 years, male 149.2
GTEX-1HSEH-0126-SM-ACKXN 60-69 years, male 148.7
GTEX-1IKK5-0626-SM-ARL8A 60-69 years, male 148.2
GTEX-11WQK-0526-SM-5EQLD 50-59 years, male 147.9
GTEX-WH7G-2326-SM-3NMBC 40-49 years, male 147.9
GTEX-XQ8I-0426-SM-4BOPO 50-59 years, male 147.2
GTEX-YEC4-2126-SM-5IFJH 40-49 years, male 147.2
GTEX-1GN1V-0126-SM-9WPOS 60-69 years, male 146.8
GTEX-13RTJ-2426-SM-5S2Q2 60-69 years, male 146.6
GTEX-1H1DE-2126-SM-9WG6R 20-29 years, male 146.2
GTEX-SN8G-0126-SM-32PLI 50-59 years, female 145.9
GTEX-1PPH7-2326-SM-EVYB8 40-49 years, male 145.5
GTEX-1I1HK-0126-SM-COH49 60-69 years, male 144.7
GTEX-O5YT-0126-SM-48TBW 20-29 years, male 144.1
GTEX-17MF6-0126-SM-7LG4F 40-49 years, male 141.9
GTEX-RVPV-0126-SM-EAZAW 60-69 years, male 141.5
GTEX-11NUK-0126-SM-5A5L3 50-59 years, male 140.9
GTEX-1QP29-0626-SM-EWRMX 50-59 years, male 139.9
GTEX-16XZZ-0126-SM-793DV 60-69 years, male 138.6
GTEX-13OW7-0126-SM-5MR3B 50-59 years, male 138.2
GTEX-1C6VS-0526-SM-7DUEN 60-69 years, male 137.4
GTEX-1AX8Z-0126-SM-7DHM6 60-69 years, male 137.0
GTEX-WY7C-2326-SM-3NB2U 50-59 years, male 136.9
GTEX-Q2AI-1326-SM-2S1PL 40-49 years, male 136.3
GTEX-131XF-5016-SM-7MGWE 60-69 years, male 135.2
GTEX-1AYD5-2426-SM-73KXR 50-59 years, male 133.4
GTEX-Y5V6-2426-SM-4VDSB 60-69 years, male 133.0
GTEX-1GN1W-0526-SM-9MQJQ 50-59 years, female 131.9
GTEX-ZTPG-0326-SM-5O9AX 20-29 years, female 131.6
GTEX-1HCVE-0126-SM-CGQEU 50-59 years, male 131.4
GTEX-1HUB1-0426-SM-E9U4U 60-69 years, male 129.2
GTEX-1CAMR-1926-SM-7EPI2 20-29 years, male 129.1
GTEX-147F4-0226-SM-5QGPW 50-59 years, male 127.4
GTEX-1I1GU-2226-SM-CGQFA 40-49 years, male 125.9
GTEX-1LG7Y-0526-SM-DKPQC 50-59 years, male 125.9
GTEX-1399U-2326-SM-5K7WY 50-59 years, female 125.4
GTEX-13OVJ-0126-SM-5KM36 50-59 years, female 125.4
GTEX-RN64-0126-SM-2TC68 50-59 years, male 125.4
GTEX-PLZ4-0126-SM-5SI8O 50-59 years, female 124.2
GTEX-RTLS-0126-SM-447CA 60-69 years, female 123.3
GTEX-ZAB4-0226-SM-5N9F5 40-49 years, male 122.0
GTEX-X8HC-0126-SM-4E3JW 50-59 years, female 121.5
GTEX-R45C-0126-SM-EAZ2R 60-69 years, female 118.7
GTEX-ZQUD-1426-SM-57WER 30-39 years, male 118.5
GTEX-PWCY-1826-SM-DHXIZ 20-29 years, female 117.5
GTEX-X585-0226-SM-4QAS2 50-59 years, male 117.3
GTEX-14PK6-1926-SM-6ETZU 70-79 years, female 116.6
GTEX-1LC47-0326-SM-E9TJP 60-69 years, male 115.8
GTEX-R55E-0126-SM-2TC5Y 20-29 years, male 115.3
GTEX-117YW-2626-SM-5GZZH 50-59 years, male 115.1
GTEX-R55G-2526-SM-2TC6D 40-49 years, female 115.1
GTEX-1NHNU-1026-SM-E9J2A 50-59 years, male 114.5
GTEX-15UF6-0826-SM-6PALJ 70-79 years, female 112.9
GTEX-O5YW-0126-SM-3LK6D 50-59 years, male 112.9
GTEX-ZDXO-3026-SM-5J1N5 60-69 years, male 111.5
GTEX-1AMEY-1326-SM-73KYK 30-39 years, female 111.3
GTEX-XV7Q-2526-SM-4BRV9 40-49 years, female 110.5
GTEX-1JMOU-1526-SM-CL54I 60-69 years, female 109.6
GTEX-NPJ8-0126-SM-2YUNR 40-49 years, male 109.1
GTEX-144GN-2326-SM-5LU4F 50-59 years, male 108.0
GTEX-QDVN-2026-SM-3GAEP 50-59 years, male 108.0
GTEX-1HBPM-0226-SM-ARL9F 60-69 years, female 106.4
GTEX-11EMC-2926-SM-5EQ4F 60-69 years, female 103.9
GTEX-Y5LM-1926-SM-5RQJH 40-49 years, female 103.7
GTEX-WI4N-1026-SM-3LK7N 40-49 years, female 96.9
GTEX-1HSMP-0126-SM-E6CJS 70-79 years, male 95.7
GTEX-1OJC4-0126-SM-E9J2E 50-59 years, female 95.4
GTEX-1HKZK-0326-SM-9WYUH 40-49 years, male 94.8
GTEX-P4PQ-0126-SM-2S1NM 60-69 years, male 94.3
GTEX-ZYW4-0126-SM-5E44A 60-69 years, male 91.7
GTEX-15EOM-0126-SM-7KUGG 20-29 years, female 91.6
GTEX-1F75I-0326-SM-9YFLU 40-49 years, male 91.0
GTEX-1497J-2426-SM-7IGNX 60-69 years, male 90.6
GTEX-14BIM-0226-SM-7IGLD 60-69 years, female 90.5
GTEX-1N2DV-0226-SM-E6CJ6 40-49 years, male 90.5
GTEX-131XG-2626-SM-5KM17 50-59 years, female 90.2
GTEX-U3ZM-1526-SM-3DB9D 40-49 years, male 89.5
GTEX-1MCYP-1926-SM-E9J2R 20-29 years, female 86.7
GTEX-15UKP-0426-SM-7KUFQ 20-29 years, male 83.1
GTEX-1PBJI-0526-SM-E8VNK 20-29 years, female 80.4
GTEX-1LNCM-1126-SM-E9U5E 50-59 years, female 79.0
GTEX-1HSMO-0126-SM-CL547 60-69 years, male 77.9
GTEX-QDT8-0126-SM-48TZ1 30-39 years, female 77.5
GTEX-11TT1-2526-SM-5EGIB 20-29 years, male 75.8
GTEX-11TTK-0126-SM-5987B 60-69 years, female 75.5
GTEX-X4XY-0226-SM-4E3IZ 60-69 years, male 74.6
GTEX-OXRO-0126-SM-2YUN4 60-69 years, female 74.4
GTEX-1AYCT-2426-SM-7IGQ3 50-59 years, male 71.2
GTEX-113IC-0126-SM-5HL6T 60-69 years, male 69.6
GTEX-ZF28-0126-SM-4WKGK 60-69 years, male 69.2
GTEX-WOFL-0126-SM-3MJG2 60-69 years, male 65.8
GTEX-1A3MW-0126-SM-73KXX 60-69 years, female 60.6
GTEX-1RLM8-2326-SM-EWRN4 50-59 years, male 57.0
GTEX-Q734-1926-SM-2I5EV 40-49 years, female 56.2
GTEX-ZZPT-0226-SM-5E43X 50-59 years, male 54.4
GTEX-RUSQ-1526-SM-2TF62 50-59 years, male 47.3
GTEX-1R9PO-2126-SM-E9J4O 60-69 years, female 45.0
GTEX-X62O-0126-SM-4E3JN 50-59 years, male 37.9
GTEX-139T4-0226-SM-5HL5S 50-59 years, female 34.0
GTEX-SE5C-1626-SM-2XCE3 40-49 years, female 32.3
GTEX-OXRL-0126-SM-2YUMP 50-59 years, male 27.3
GTEX-1QP67-1626-SM-EAZ3X 40-49 years, female 19.5
GTEX-11ZUS-0626-SM-59885 30-39 years, male 14.0
GTEX-1QW4Y-1526-SM-EAZ3Z 30-39 years, male 11.9
GTEX-U4B1-1826-SM-4DXSU 40-49 years, male 7.0
GTEX-1HBPH-0426-SM-B2LW5 40-49 years, female 5.0
GTEX-14JIY-0126-SM-6LLH6 60-69 years, male 4.6
GTEX-146FR-1326-SM-E9J48 60-69 years, female 4.3
GTEX-1RAZQ-0726-SM-EAZ43 30-39 years, male 2.8
Show allShow less

Contact

  • NEWS ARTICLES
  • PRESS ROOM

The Project

  • INTRODUCTION
  • ORGANIZATION
  • PUBLICATIONS

The Human Protein Atlas

  • DOWNLOADABLE DATA
  • LICENCE & CITATION
  • HELP & FAQ
The Human Protein Atlas project is funded
by the Knut & Alice Wallenberg Foundation.


contact@proteinatlas.org