We use cookies to enhance the usability of our website. If you continue, we'll assume that you are happy to receive all cookies. More information. Don't show this again.
SLC43A3
HPA
RESOURCES
  • TISSUE
  • BRAIN
  • SINGLE CELL
  • SUBCELLULAR
  • CANCER
  • BLOOD
  • CELL LINE
  • STRUCTURE & INTERACTION
ABOUT
  • INTRODUCTION
  • HISTORY
  • ORGANIZATION
  • PUBLICATIONS
  • ANTIBODY SUBMISSION
  • ANTIBODY AVAILABILITY
  • ACKNOWLEDGMENTS
  • CONTACT
NEWS
  • NEWS ARTICLES
  • PRESS ROOM
LEARN
  • DICTIONARY
  • PROTEIN CLASSES
  • PROTEIN EVIDENCE
  • METHODS
  • EDUCATIONAL VIDEOS
DATA
  • DOWNLOADABLE DATA
  • PUBLICATION DATA
  • RELEASE HISTORY
HELP
  • ANTIBODY VALIDATION
  • ASSAYS & ANNOTATION
  • DISCLAIMER
  • HELP & FAQ
  • PRIVACY STATEMENT
  • LICENCE & CITATION
Fields »
Search result

Field
Term
Gene name
Class
Subclass
Class
Keyword
Chromosome
External id
Tissue
Cell type
Expression
Antibody panel
Tissue
Main location
Patient ID
Annotation
Tissue
Category
Tau score
Cluster
Reliability
Brain region
Category
Tau score
Brain region
Category
Tau score
Brain region
Category
Tau score
Cluster
Reliability
Tissue
Cell type
Enrichment
Cell type
Category
Tau score
Cell type
Category
Tau score
Cell type
Category
Tau score
Cell lineage
Category
Tau score
Cluster
Cluster
Location
Searches
Location
Cell line
Class
Type
Phase
Reliability
Cancer
Prognosis
Cancer
Category
Cancer
Category
Tau score
Cluster
Variants
Interacting gene (ensg_id)
Type
Number of interactions
Pathway
Category
Score
Score
Score
Validation
Validation
Validation
Validation
Antibodies
Data type
Column


  • SUMMARY

  • TISSUE

  • BRAIN

  • SINGLE CELL

  • SUBCELL

  • CANCER

  • BLOOD

  • CELL LINE

  • STRUCT & INT

  • SLC43A3
TISSUE PRIMARY DATA ADIPOSE TISSUE Show tissue menu
ADIPOSE TISSUE ADRENAL GLAND AMYGDALA APPENDIX BASAL GANGLIA BONE MARROW BREAST BRONCHUS CEREBELLUM CEREBRAL CORTEX CERVIX CHOROID PLEXUS COLON DUODENUM
ENDOMETRIUM EPIDIDYMIS ESOPHAGUS FALLOPIAN TUBE GALLBLADDER HEART MUSCLE HIPPOCAMPAL FORMATION HYPOTHALAMUS KIDNEY LIVER LUNG LYMPH NODE MIDBRAIN NASOPHARYNX
ORAL MUCOSA OVARY PANCREAS PARATHYROID GLAND PITUITARY GLAND PLACENTA PROSTATE RECTUM RETINA SALIVARY GLAND SEMINAL VESICLE SKELETAL MUSCLE SKIN SMALL INTESTINE
SMOOTH MUSCLE SOFT TISSUE SPINAL CORD SPLEEN STOMACH TESTIS THYMUS THYROID GLAND TONGUE TONSIL URINARY BLADDER VAGINA
ANTIBODIES
AND
VALIDATION
Dictionary
Tissue proteome
Adipose tissue
ADIPOSE TISSUE - Expression summary
Protein expression
Adipose tissuei

On the top, protein expression in current human tissue, based on all annotated cell types, is reported with the units not detected (n), low (l), medium (m) and high (h). Underneath, protein expression in each annotated cell type are reported using the same units.

Protein expression data is based on knowledge-based annotation. For genes where more than one antibody has been used, a collective score is set.

If knowledge-based annotation could not be performed for a gene, no data is displayed here. View antibody staining data further down this page.

h
m
l
n
Adipocytes: Not detected
RNA expressioni

A summary of mRNA expression data available for current tissue based on several datasets. The mRNA expression levels in human tissues are based on RNA-seq data generated by the Human Protein Atlas (HPA), Genotype-Tissue Expression (GTEx) portal and CAGE data generated by the FANTOM5 consortium. Consensus normalized expression levels for human tissues was created by combining the data from HPA and GTEx datasets.

The mRNA expression levels in pig are based on RNA-seq data generated by the Human Protein Atlas (HPA), and for mouse, HPA data and in situ hybridization generated by the Allen brain atlas are reported.

Scroll down to view mRNA expression data in more detail.
Consensus:59.5 nTPM
HPA:32.2 nTPM
GTEx:59.5 nTPM
FANTOM5:104.7 Scaled Tags Per Million

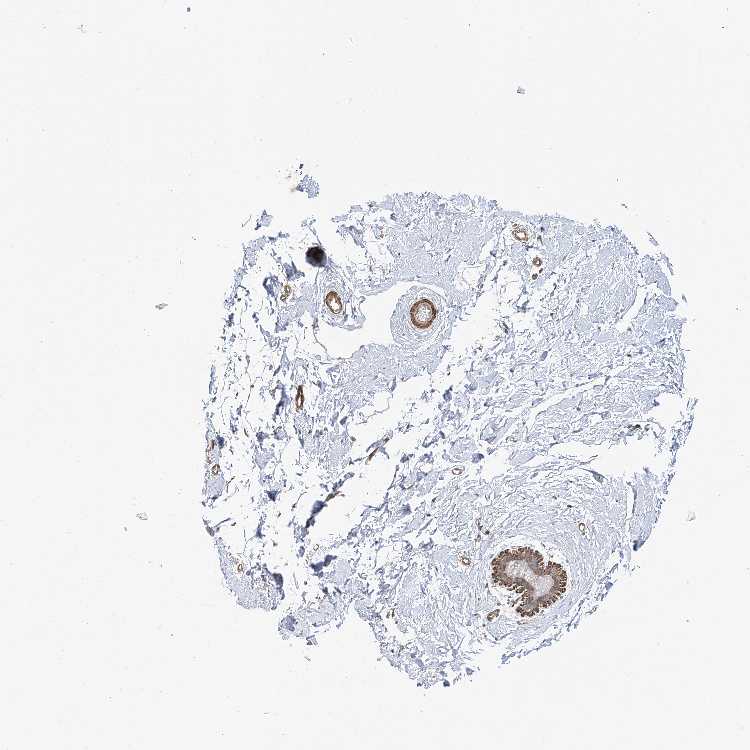
ADIPOSE TISSUE - Antibody stainingi

Antibody staining in the annotated cell types in the current human tissue is reported as not detected, low, medium, or high, based on conventional immunohistochemistry profiling in selected tissues. This score is based on the combination of the staining intensity and fraction of stained cells.

Each image is clickable and will lead to virtual microscopy that enables deeper exploration of all samples and also displays staining intensity scores, fraction scores and subcellular localization as well as patient and tissue information for each sample.

Antibody HPA030551
Adipocytes Not detected




ADIPOSE TISSUE - HPA RNA-seqi

The RNA-seq details section shows detailed information about the individual samples used for the transcript profiling and results of the RNA-seq analysis.

Information about each individual sample is listed below, including gender, age, a tissue section image and estimated fractions of cell types. nTPM (normalized transcripts per million) values give a quantification of the gene abundance which is comparable between different genes and samples.
Average nTPMi

Max subtype nTPM is the value for the subtype with the largest average nTPM across the subtype samples.

32.2
N/A
Female, age 80
Adipose tissue sample 86
nTPM: 30.7
Cell types%
Adipocytes:
95

Other cell types:
5

N/A
Female, age 45
Adipose tissue sample 115
nTPM: 13.8
N/A
Female, age 57
Adipose tissue sample 137
nTPM: 14.2
Cell types%
Adipocytes:
60

Fibroblasts:
20

Smooth muscle cells:
15

Other cell types:
5

overview
Female, age 74
Adipose tissue sample 329
nTPM: 71.1
Cell types%
Adipocytes:
50

Fibroblasts:
30

Smooth muscle cells:
15

Other cell types:
5

overview
Female, age 59
Adipose tissue sample 331
nTPM: 31.1
Cell types%
Adipocytes:
40

Fibroblasts:
40

Smooth muscle cells:
15

Other cell types:
5


ADIPOSE TISSUE - GTEx RNA-seqi

RNA-Seq data generated by the Genotype-Tissue Expression (GTEx) project from human tissues is reported as mean nTPM. More information can be found on the GTEx portal.

Distribution across the dataset is visualized with box plots, shown as median and 25th and 75th percentiles. Points are displayed as outliers if they are above or below 1.5 times the interquartile range. nTPM values of the individual samples are presented next to the box plot.
Max subtype nTPMi

Max subtype nTPM is the value for the subtype with the largest average nTPM across the subtype samples.

59.5
GTEx sample id Sample description nTPM
Adipose - Subcutaneous
Average nTPM: 59.5
Samples: 663

Max nTPM: 255.3
Min nTPM: 17.1
Std nTPM: 29.3
Median nTPM: 52.2
GTEX-POYW-0726-SM-2XCEO 60-69 years, male 255.3
GTEX-183WM-0226-SM-7LT8T 70-79 years, female 228.7
GTEX-TSE9-0226-SM-3DB84 60-69 years, female 203.9
GTEX-14E6C-0226-SM-5S2N3 40-49 years, male 200.3
GTEX-14E1K-2126-SM-793DU 50-59 years, male 190.0
GTEX-XK95-0426-SM-4AT4R 40-49 years, male 176.0
GTEX-1JN1M-0126-SM-D4P23 60-69 years, female 174.9
GTEX-1HSMO-0226-SM-CGQEZ 60-69 years, male 173.7
GTEX-OXRN-0226-SM-2I5EJ 50-59 years, male 169.8
GTEX-13NZ9-0526-SM-5J1OX 50-59 years, male 166.5
GTEX-1IDJD-1226-SM-CM2TP 30-39 years, male 162.0
GTEX-1LVAO-0226-SM-E9U6O 60-69 years, male 157.6
GTEX-145LS-0226-SM-5O9A5 60-69 years, female 151.0
GTEX-1117F-0226-SM-5GZZ7 60-69 years, female 150.6
GTEX-144GO-1626-SM-7EPG5 60-69 years, male 142.1
GTEX-1AYCT-2226-SM-7SB98 50-59 years, male 137.4
GTEX-VJWN-0226-SM-EZ6LF 50-59 years, female 134.8
GTEX-1A3MW-0226-SM-7939O 60-69 years, female 132.6
GTEX-UJHI-1626-SM-3DB9A 50-59 years, female 128.7
GTEX-1ICLY-0226-SM-ARL7R 50-59 years, male 126.3
GTEX-WI4N-1126-SM-3LK7Q 40-49 years, female 125.4
GTEX-1211K-2226-SM-5FQU6 60-69 years, female 124.7
GTEX-12WSL-2426-SM-5GCN7 50-59 years, male 124.1
GTEX-146FQ-0226-SM-5NQAL 30-39 years, male 117.4
GTEX-1JMQL-0326-SM-CNPP6 50-59 years, female 116.9
GTEX-131XE-2426-SM-5EQ5V 50-59 years, male 116.4
GTEX-1A3MX-0226-SM-731C4 60-69 years, male 115.5
GTEX-1HB9E-0426-SM-CNPPV 50-59 years, male 115.0
GTEX-X8HC-0226-SM-4E3K1 50-59 years, female 114.6
GTEX-1IDFM-0226-SM-CMKFX 60-69 years, male 114.6
GTEX-U8XE-0426-SM-3DB91 30-39 years, male 113.2
GTEX-ZE7O-0226-SM-5S2N1 50-59 years, female 110.5
GTEX-1H23P-0226-SM-9YFLO 60-69 years, male 109.9
GTEX-15G19-0226-SM-6PAL2 60-69 years, male 109.7
GTEX-NPJ8-0226-SM-48TBN 40-49 years, male 109.2
GTEX-1LBAC-0226-SM-DHXJZ 20-29 years, male 109.1
GTEX-Y5V5-2426-SM-5IFJA 60-69 years, female 107.8
GTEX-11EQ8-0226-SM-5EQ5G 60-69 years, male 106.5
GTEX-17F9Y-0326-SM-7IGLS 70-79 years, female 105.5
GTEX-1HCU7-0326-SM-CMKGI 50-59 years, male 105.1
GTEX-XYKS-2726-SM-4E3IC 60-69 years, female 104.1
GTEX-1GN1V-0226-SM-9WYTN 60-69 years, male 102.0
GTEX-1ICLZ-0226-SM-CKZPP 60-69 years, male 102.0
GTEX-ZYVF-0226-SM-5GIEG 50-59 years, female 101.2
GTEX-13YAN-0426-SM-5O9DR 60-69 years, male 101.0
GTEX-1H1DF-0226-SM-ARL9A 40-49 years, female 99.8
GTEX-1H3VY-0226-SM-9YFMF 50-59 years, male 99.8
GTEX-1HCU8-0726-SM-ADEIR 60-69 years, female 99.8
GTEX-13RTJ-2526-SM-5S2Q3 60-69 years, male 99.5
GTEX-1S82P-0226-SM-E6CI6 60-69 years, female 99.3
GTEX-14PK6-2026-SM-6LLHP 70-79 years, female 99.2
GTEX-ZEX8-2326-SM-5S2MN 50-59 years, male 99.2
GTEX-1R46S-0526-SM-EVYBZ 60-69 years, female 98.2
GTEX-ZF3C-0226-SM-4WWB3 50-59 years, female 98.1
GTEX-1I6K6-0226-SM-ADEID 30-39 years, male 98.0
GTEX-1CB4H-0326-SM-9WG5G 60-69 years, female 97.9
GTEX-14PJ2-0226-SM-6LLH4 50-59 years, male 97.8
GTEX-W5X1-2626-SM-4LMI8 40-49 years, female 97.0
GTEX-XMD2-0226-SM-4WWEE 60-69 years, female 97.0
GTEX-YFCO-2026-SM-4W21Q 40-49 years, male 95.9
GTEX-139D8-0326-SM-5IJCJ 30-39 years, female 95.7
GTEX-PLZ4-0226-SM-CYPR1 50-59 years, female 95.6
GTEX-111CU-1826-SM-5GZYN 50-59 years, male 95.5
GTEX-OOBK-0226-SM-2YUMF 40-49 years, male 94.3
GTEX-11UD1-0226-SM-5EQKL 40-49 years, female 93.7
GTEX-133LE-1926-SM-5N9FV 20-29 years, female 93.7
GTEX-14DAQ-0226-SM-664MQ 60-69 years, female 93.5
GTEX-13PDP-0226-SM-5K7W9 60-69 years, male 93.2
GTEX-1EX96-1426-SM-7PBZ5 50-59 years, male 92.7
GTEX-1I1GS-0226-SM-B2LVX 60-69 years, male 92.6
GTEX-11I78-2626-SM-5Q5AI 50-59 years, female 92.4
GTEX-11DZ1-0226-SM-5A5KF 50-59 years, male 92.3
GTEX-1HUB1-0326-SM-A9SKQ 60-69 years, male 92.1
GTEX-1CAMQ-0126-SM-7SB7S 40-49 years, male 91.7
GTEX-1KD5A-0326-SM-D5OVD 50-59 years, male 91.6
GTEX-12ZZZ-0526-SM-5DUX6 60-69 years, male 90.8
GTEX-ZVZP-2326-SM-59HL4 50-59 years, male 90.7
GTEX-X88G-0226-SM-4GIE4 30-39 years, male 90.6
GTEX-1R9K5-0226-SM-EWRNF 50-59 years, male 89.8
GTEX-13FHO-0326-SM-5IJBH 60-69 years, male 89.7
GTEX-132AR-0226-SM-5IJBE 50-59 years, female 89.5
GTEX-1N2EF-0626-SM-E9J32 60-69 years, male 89.4
GTEX-139YR-2426-SM-5J1OB 50-59 years, male 87.8
GTEX-1EH9U-0226-SM-7PBY8 60-69 years, male 87.7
GTEX-Y8E4-0726-SM-4WWFN 40-49 years, male 87.2
GTEX-11EMC-2826-SM-5PNY6 60-69 years, female 86.8
GTEX-13OVI-1326-SM-5IJBO 60-69 years, female 86.7
GTEX-145MI-0426-SM-5O99V 60-69 years, female 86.7
GTEX-1LH75-2526-SM-E9U5A 50-59 years, female 86.2
GTEX-1PWST-0326-SM-EAZ42 70-79 years, male 86.2
GTEX-13SLX-0426-SM-5QGRC 50-59 years, female 85.9
GTEX-XQ8I-0526-SM-4BOPS 50-59 years, male 85.8
GTEX-Y3IK-2526-SM-4WWDM 50-59 years, female 85.6
GTEX-11ONC-2526-SM-5986W 60-69 years, male 85.4
GTEX-13JUV-2826-SM-5LZWU 40-49 years, female 85.3
GTEX-SN8G-0226-SM-4DM6B 50-59 years, female 85.3
GTEX-13FTY-0626-SM-5L3F8 40-49 years, female 85.0
GTEX-1C6VQ-0226-SM-7P8S5 50-59 years, male 85.0
GTEX-1QP28-0226-SM-E9J2N 50-59 years, female 84.7
GTEX-1RDX4-0226-SM-DTXG1 50-59 years, female 84.7
GTEX-111VG-2326-SM-5N9BK 60-69 years, male 84.5
GTEX-14LLW-0226-SM-62LEL 70-79 years, female 84.3
GTEX-ZTPG-0226-SM-5O99I 20-29 years, female 83.8
GTEX-1A8FM-0126-SM-7SB7P 50-59 years, female 83.8
GTEX-1GN2E-0326-SM-COH3C 60-69 years, male 83.7
GTEX-ZAJG-0226-SM-5HL81 50-59 years, female 83.5
GTEX-1LVA9-0226-SM-E9U5N 50-59 years, male 83.1
GTEX-ZPU1-2426-SM-4WWFM 40-49 years, male 82.9
GTEX-14AS3-2026-SM-5TDD9 40-49 years, female 82.7
GTEX-VUSG-2426-SM-4KKZG 50-59 years, male 82.4
GTEX-13O1R-0226-SM-5K7U5 60-69 years, male 82.2
GTEX-11TUW-2626-SM-5EQKZ 60-69 years, male 81.7
GTEX-ZVP2-1826-SM-5GU62 50-59 years, male 81.6
GTEX-X4XY-0326-SM-46MVZ 60-69 years, male 81.5
GTEX-1212Z-2426-SM-5EQ5D 60-69 years, male 81.4
GTEX-15RIE-2326-SM-7KFSC 60-69 years, male 81.4
GTEX-17F97-0426-SM-7LT9U 50-59 years, male 81.4
GTEX-XXEK-2426-SM-4BRUS 50-59 years, male 81.2
GTEX-14E6E-1926-SM-664N4 30-39 years, male 80.3
GTEX-14753-0326-SM-5QGQB 60-69 years, male 80.2
GTEX-1GF9X-1926-SM-ADEIC 40-49 years, female 80.1
GTEX-X4LF-1726-SM-3NMBZ 50-59 years, male 79.9
GTEX-PLZ5-1826-SM-3NB22 50-59 years, male 79.8
GTEX-QEL4-0326-SM-3GAE5 50-59 years, male 79.1
GTEX-R45C-0226-SM-EVYAJ 60-69 years, female 79.1
GTEX-1N2DW-0326-SM-E9TK3 50-59 years, male 79.0
GTEX-1IL2V-0226-SM-CMKI2 70-79 years, male 78.9
GTEX-14PII-0326-SM-6LLIQ 60-69 years, male 78.7
GTEX-T5JW-1726-SM-3GADN 20-29 years, female 78.6
GTEX-ZV68-0226-SM-59HJF 50-59 years, female 78.5
GTEX-X15G-2326-SM-4PQZS 50-59 years, female 78.4
GTEX-VUSH-0226-SM-EXUQV 30-39 years, male 78.4
GTEX-1IY9M-0226-SM-CMKHP 60-69 years, male 78.3
GTEX-144GM-1926-SM-5LUAN 20-29 years, male 78.2
GTEX-ZVE2-0326-SM-57WFC 50-59 years, male 78.0
GTEX-Y3I4-2226-SM-4TT7O 50-59 years, male 77.3
GTEX-15DDE-0226-SM-6LLJ6 50-59 years, female 77.2
GTEX-XV7Q-2626-SM-4BRVA 40-49 years, female 76.6
GTEX-145LT-1826-SM-5QGP4 40-49 years, male 76.5
GTEX-1C6VS-0426-SM-79OJV 60-69 years, male 76.1
GTEX-1F88E-0526-SM-7SB8J 60-69 years, female 76.0
GTEX-1H1DE-2026-SM-9WG6Q 20-29 years, male 75.7
GTEX-YEC3-1226-SM-5IFI8 50-59 years, male 75.1
GTEX-ZYW4-0226-SM-5E44M 60-69 years, male 74.8
GTEX-14ICK-0326-SM-6LLIZ 40-49 years, male 74.5
GTEX-R3RS-0226-SM-EYYVE 40-49 years, female 74.3
GTEX-Y8LW-1926-SM-4WWFZ 50-59 years, female 74.2
GTEX-ZF29-2226-SM-4WWB9 60-69 years, female 74.1
GTEX-OXRO-0226-SM-3LK6F 60-69 years, female 73.9
GTEX-13111-1726-SM-5EGJZ 50-59 years, male 73.6
GTEX-13NZB-2426-SM-5K7UF 30-39 years, male 73.1
GTEX-1F52S-0226-SM-7SB7U 60-69 years, female 73.1
GTEX-WVJS-0226-SM-4MVOU 50-59 years, male 72.9
GTEX-1CB4E-1826-SM-7RHG8 60-69 years, male 72.9
GTEX-16MT8-0526-SM-6PAM6 60-69 years, female 72.7
GTEX-13IVO-0226-SM-5LZXU 70-79 years, male 72.5
GTEX-1QEPI-0226-SM-EWRMR 60-69 years, female 72.5
GTEX-148VI-1726-SM-5S2W9 60-69 years, female 72.2
GTEX-1HR9M-0226-SM-COH3E 60-69 years, male 71.8
GTEX-ZC5H-0126-SM-4WAYL 40-49 years, female 71.6
GTEX-ZDTS-0226-SM-5HL7Q 60-69 years, male 71.6
GTEX-1JMQI-2026-SM-CMKGP 50-59 years, male 71.6
GTEX-11ZU8-2426-SM-5EQMV 60-69 years, male 71.5
GTEX-13SLW-0226-SM-5S2NA 70-79 years, male 71.5
GTEX-11TT1-2426-SM-5EQMK 20-29 years, male 71.3
GTEX-14C39-2526-SM-5S2UH 40-49 years, male 71.3
GTEX-17HGU-0326-SM-7DUER 50-59 years, male 71.1
GTEX-1GMR2-2526-SM-9MQKW 50-59 years, male 71.1
GTEX-1QP66-1326-SM-DTXDQ 50-59 years, male 71.0
GTEX-ZLWG-2226-SM-DO92V 50-59 years, female 70.9
GTEX-13NZ8-0926-SM-5MR3U 60-69 years, female 70.5
GTEX-1GMR8-0226-SM-9YFL3 50-59 years, female 70.3
GTEX-12WSA-0326-SM-5BC6I 60-69 years, male 70.2
GTEX-14BMV-0226-SM-5S2N2 50-59 years, male 70.2
GTEX-P4PP-0226-SM-D4P1Z 30-39 years, female 69.9
GTEX-OIZH-0226-SM-2YUMH 50-59 years, male 69.4
GTEX-1F48J-0226-SM-7SB82 50-59 years, female 69.3
GTEX-139T4-0126-SM-5HL5G 50-59 years, female 69.2
GTEX-13NYS-0226-SM-5MR49 60-69 years, male 69.1
GTEX-QEG5-0326-SM-2S1PB 20-29 years, male 68.6
GTEX-1GZ4I-0226-SM-7RHHO 50-59 years, male 68.6
GTEX-131XW-0526-SM-5PNXZ 50-59 years, female 68.5
GTEX-X4EO-0426-SM-4QASA 60-69 years, female 68.5
GTEX-1HR98-0226-SM-CGQEK 60-69 years, male 68.5
GTEX-OOBJ-0226-SM-2YUMM 60-69 years, male 68.4
GTEX-1AX9K-2426-SM-73KZ4 50-59 years, male 68.3
GTEX-1OJC4-1726-SM-EXUSV 50-59 years, female 68.3
GTEX-1LSVX-0126-SM-EVYCY 60-69 years, male 67.7
GTEX-1H3VE-0226-SM-9WYST 40-49 years, male 67.6
GTEX-15DCD-0226-SM-6LPKC 70-79 years, female 67.3
GTEX-11H98-0226-SM-5NQ89 50-59 years, male 67.2
GTEX-RU72-1026-SM-46MUG 50-59 years, female 67.2
GTEX-RUSQ-1626-SM-EZ6L4 50-59 years, male 67.1
GTEX-OXRK-0326-SM-3NB3R 50-59 years, female 67.0
GTEX-1HBPM-0326-SM-CMKGR 60-69 years, female 67.0
GTEX-1JJ6O-0226-SM-E6CI9 60-69 years, male 66.9
GTEX-11ZVC-2626-SM-5FQTA 50-59 years, female 66.8
GTEX-146FH-0226-SM-5QGPQ 50-59 years, female 66.8
GTEX-1F75A-0226-SM-7PC2K 50-59 years, male 66.7
GTEX-11O72-0226-SM-59869 40-49 years, male 66.6
GTEX-13CF2-2626-SM-5LZZA 60-69 years, male 66.0
GTEX-Q734-1826-SM-2I3EL 40-49 years, female 65.9
GTEX-QMRM-1726-SM-2S1QG 50-59 years, male 65.9
GTEX-QDT8-0226-SM-32PL4 30-39 years, female 65.5
GTEX-1PPGY-0326-SM-DTXFD 60-69 years, male 65.5
GTEX-13JVG-0226-SM-5J1MW 60-69 years, male 65.4
GTEX-145MG-0126-SM-5TDDA 50-59 years, male 65.4
GTEX-1AX9J-0326-SM-73KXY 60-69 years, male 65.4
GTEX-1A8G6-0526-SM-7PC1E 60-69 years, male 65.4
GTEX-1HBPH-0526-SM-9YFMN 40-49 years, female 65.4
GTEX-1JKYR-0226-SM-CNPOK 20-29 years, male 65.2
GTEX-1LVAN-0126-SM-COH4H 50-59 years, female 65.2
GTEX-X5EB-2426-SM-4E3HX 40-49 years, male 65.1
GTEX-1MJK2-0526-SM-DTXE6 50-59 years, male 65.1
GTEX-1FIGZ-1626-SM-7SB8L 40-49 years, male 64.9
GTEX-15CHQ-0226-SM-6EU2S 60-69 years, male 64.8
GTEX-U4B1-1726-SM-3DB9F 40-49 years, male 64.4
GTEX-1399T-2726-SM-5K7XK 60-69 years, male 64.3
GTEX-OIZF-0226-SM-E9TI3 60-69 years, male 64.0
GTEX-1RQEC-0526-SM-E6CHV 60-69 years, male 63.7
GTEX-1CB4J-1126-SM-7PBY1 60-69 years, male 63.2
GTEX-13OW6-0526-SM-5L3HY 50-59 years, male 62.7
GTEX-X261-0226-SM-3NMD2 50-59 years, male 62.5
GTEX-WHPG-2126-SM-4M1ZM 50-59 years, male 62.3
GTEX-1I1GU-2326-SM-CGQFB 40-49 years, male 62.3
GTEX-1C64O-0226-SM-73KXB 60-69 years, male 62.2
GTEX-11UD2-0126-SM-5EQL2 50-59 years, male 62.1
GTEX-1JN6P-0226-SM-COH34 60-69 years, male 62.1
GTEX-1QP9N-1526-SM-DTXFK 30-39 years, male 61.9
GTEX-WVLH-0226-SM-3MJG6 50-59 years, male 61.8
GTEX-14BIN-0726-SM-793DQ 50-59 years, female 61.7
GTEX-XBEC-0326-SM-4AT4M 50-59 years, male 61.4
GTEX-1J8EW-0226-SM-CYPSW 60-69 years, female 61.4
GTEX-14JIY-0526-SM-62LFH 60-69 years, male 61.2
GTEX-18A67-0226-SM-7LG67 50-59 years, male 61.2
GTEX-P4QT-0226-SM-3LK68 50-59 years, female 61.2
GTEX-1RAZA-0226-SM-E9U4W 20-29 years, male 61.2
GTEX-U3ZN-2626-SM-3DB7T 30-39 years, female 61.1
GTEX-1I19N-0426-SM-ACKVY 70-79 years, male 61.1
GTEX-13QBU-2526-SM-5LU4X 40-49 years, female 61.0
GTEX-R53T-1626-SM-3GAEW 50-59 years, female 61.0
GTEX-169BO-1426-SM-9MQJT 50-59 years, male 61.0
GTEX-13FTW-2526-SM-5IJC8 40-49 years, male 60.9
GTEX-1AYD5-2326-SM-73KXF 50-59 years, male 60.9
GTEX-RTLS-0226-SM-2TF5E 60-69 years, female 60.8
GTEX-1128S-2126-SM-5H12U 60-69 years, female 60.6
GTEX-P4PQ-0226-SM-2S1NK 60-69 years, male 60.5
GTEX-UTHO-0426-SM-CE6QU 60-69 years, male 60.5
GTEX-1C6WA-0226-SM-7IGPO 60-69 years, male 60.3
GTEX-1IL2U-0326-SM-CE6T9 60-69 years, male 60.2
GTEX-17MF6-0226-SM-7LG4G 40-49 years, male 60.1
GTEX-1A8G7-0226-SM-731AS 60-69 years, male 60.1
GTEX-O5YV-0226-SM-48TBY 60-69 years, female 60.1
GTEX-1IE54-0226-SM-CMKHX 40-49 years, female 60.1
GTEX-1QP29-0726-SM-DTXFM 50-59 years, male 60.1
GTEX-SUCS-1826-SM-32PM1 70-79 years, male 59.9
GTEX-1J1R8-2226-SM-ARZMP 40-49 years, male 59.8
GTEX-12C56-1626-SM-5FQUO 20-29 years, male 59.7
GTEX-13NZA-0126-SM-5K7UH 60-69 years, male 59.5
GTEX-QV44-1825-SM-447CF 50-59 years, male 59.4
GTEX-13U4I-0226-SM-5SIB1 40-49 years, female 59.3
GTEX-XGQ4-2226-SM-4AT4Y 50-59 years, male 59.3
GTEX-YF7O-2426-SM-5IFJL 50-59 years, male 59.3
GTEX-1J1OQ-0326-SM-CYPTJ 40-49 years, female 59.3
GTEX-1314G-1626-SM-5EQ67 30-39 years, male 58.8
GTEX-1I1HK-0226-SM-COH4A 60-69 years, male 58.6
GTEX-16MTA-2126-SM-6PALC 50-59 years, male 58.4
GTEX-1JJE9-1226-SM-CNPOI 70-79 years, male 58.3
GTEX-13PLJ-0126-SM-5L3HU 60-69 years, female 58.2
GTEX-XUW1-0526-SM-4BOP3 50-59 years, female 57.9
GTEX-1CB4F-0526-SM-9KNW2 60-69 years, male 57.7
GTEX-13PVR-2426-SM-5RQHN 60-69 years, female 57.5
GTEX-1RAZR-0226-SM-EVYC6 40-49 years, male 57.5
GTEX-11P81-2426-SM-5GU65 30-39 years, female 57.4
GTEX-OHPN-0226-SM-48TBV 60-69 years, female 57.4
GTEX-1I6K7-0226-SM-CJI46 40-49 years, male 57.4
GTEX-P78B-0226-SM-3NB1Z 40-49 years, female 57.3
GTEX-1A32A-0226-SM-718B2 50-59 years, female 57.2
GTEX-ZE9C-2826-SM-5S2MO 60-69 years, male 57.2
GTEX-139T8-0226-SM-5L3EA 60-69 years, male 57.1
GTEX-18A6Q-0226-SM-718AS 60-69 years, male 57.1
GTEX-1HGF4-2526-SM-ADEIZ 60-69 years, male 57.1
GTEX-1B8SF-0526-SM-7939F 60-69 years, male 57.0
GTEX-ZXG5-0226-SM-59HJI 60-69 years, male 57.0
GTEX-1F5PK-2526-SM-9MQKN 50-59 years, male 57.0
GTEX-1GMR3-2026-SM-9MQLG 40-49 years, male 56.9
GTEX-S33H-1126-SM-2XCB6 30-39 years, male 56.8
GTEX-1HFI7-2026-SM-CGQFR 50-59 years, female 56.8
GTEX-1F6RS-0226-SM-9MQKO 60-69 years, female 56.4
GTEX-1C4CL-0426-SM-7939N 30-39 years, male 56.2
GTEX-1H4P4-0226-SM-9YFKT 50-59 years, male 56.2
GTEX-11TTK-0226-SM-5N9EC 60-69 years, female 56.1
GTEX-11NUK-0326-SM-5HL5K 50-59 years, male 56.1
GTEX-144GL-0226-SM-5QGOX 50-59 years, male 56.0
GTEX-11ZTS-0226-SM-5EQKD 60-69 years, female 55.9
GTEX-1PIGE-0526-SM-DTXFA 20-29 years, male 55.9
GTEX-16XZY-2526-SM-7DHL2 70-79 years, male 55.8
GTEX-POMQ-2326-SM-DHXIS 20-29 years, female 55.5
GTEX-1AMFI-2126-SM-731BT 50-59 years, female 55.4
GTEX-13OVJ-0326-SM-5L3GL 50-59 years, female 55.1
GTEX-Y114-2326-SM-4TT7X 50-59 years, female 55.1
GTEX-145MO-0426-SM-5QGP6 60-69 years, male 55.0
GTEX-ZF28-0226-SM-5S2OE 60-69 years, male 55.0
GTEX-11GSO-2326-SM-5A5LX 60-69 years, male 54.9
GTEX-WFON-2226-SM-3TW8W 40-49 years, male 54.9
GTEX-1B933-0526-SM-7EPHM 50-59 years, female 54.8
GTEX-1F6I4-0226-SM-9MQMA 60-69 years, male 54.8
GTEX-144FL-0226-SM-5Q5D4 50-59 years, male 54.7
GTEX-REY6-0326-SM-2TF5A 60-69 years, male 54.7
GTEX-1I1CD-0226-SM-CM2TL 60-69 years, female 54.6
GTEX-1B932-0226-SM-7PBYH 40-49 years, female 54.5
GTEX-1GZ2Q-0326-SM-9WG6N 40-49 years, male 54.4
GTEX-1HSMQ-1426-SM-ADEHT 50-59 years, male 54.3
GTEX-1JMLX-0126-SM-CMKG9 50-59 years, male 54.3
GTEX-1QP67-1726-SM-E8VOP 40-49 years, female 54.3
GTEX-1399R-2626-SM-5KLZ7 30-39 years, male 54.0
GTEX-YJ89-0226-SM-4TT3Y 60-69 years, male 54.0
GTEX-15SDE-2426-SM-7KFRC 50-59 years, female 53.8
GTEX-16BQI-0526-SM-6PAM8 30-39 years, female 53.8
GTEX-XOT4-0226-SM-4B66Z 60-69 years, female 53.7
GTEX-QESD-1526-SM-2S1QT 20-29 years, male 53.5
GTEX-1GZ4H-1826-SM-9MQLE 50-59 years, female 53.4
GTEX-17MFQ-1826-SM-7DHLS 20-29 years, male 53.3
GTEX-1GTWX-0226-SM-9YFLL 60-69 years, male 53.3
GTEX-Z9EW-1826-SM-5CVMA 40-49 years, male 53.2
GTEX-147GR-0426-SM-5S2OL 60-69 years, male 53.1
GTEX-1S83E-0226-SM-EVYCW 40-49 years, male 53.0
GTEX-ZZPU-2726-SM-5NQ8O 50-59 years, female 52.9
GTEX-1H1CY-2626-SM-9MQKJ 60-69 years, female 52.6
GTEX-1QPFJ-0126-SM-E9J4B 30-39 years, female 52.5
GTEX-1BAJH-0426-SM-73KWY 70-79 years, male 52.4
GTEX-13PVQ-0226-SM-5SIBG 50-59 years, male 52.2
GTEX-YFC4-0226-SM-57WD2 40-49 years, female 52.2
GTEX-14PJ4-2226-SM-6LLIS 60-69 years, male 52.0
GTEX-XUZC-1826-SM-4BRVO 30-39 years, female 52.0
GTEX-1QP2A-0226-SM-EVYBC 50-59 years, male 52.0
GTEX-OIZG-0826-SM-E9TI4 50-59 years, male 51.9
GTEX-13OVL-0326-SM-5IJCS 50-59 years, male 51.7
GTEX-P4QS-0226-SM-3NB1U 60-69 years, male 51.6
GTEX-1MUQO-0526-SM-E9J31 60-69 years, male 51.6
GTEX-1R9PM-2126-SM-E8VOB 20-29 years, male 51.4
GTEX-111FC-0226-SM-5N9B8 60-69 years, male 51.2
GTEX-XAJ8-0926-SM-47JXZ 40-49 years, male 51.2
GTEX-139T6-2126-SM-5KM37 50-59 years, male 51.1
GTEX-1JK1U-2126-SM-CNPOU 60-69 years, male 51.1
GTEX-13G51-2626-SM-5LZYW 60-69 years, male 51.0
GTEX-14DAR-1926-SM-5S2NQ 50-59 years, male 51.0
GTEX-ZVT2-2226-SM-5NQ6P 50-59 years, female 51.0
GTEX-1MA7X-2126-SM-E6CIX 60-69 years, male 50.9
GTEX-1KAFJ-2426-SM-D4P32 50-59 years, male 50.7
GTEX-1LB8K-0326-SM-E9TJC 50-59 years, male 50.7
GTEX-YECK-0226-SM-4W215 60-69 years, male 50.6
GTEX-1J8JJ-0326-SM-CMKG6 60-69 years, female 50.6
GTEX-ZP4G-2326-SM-57WEM 20-29 years, female 50.3
GTEX-12696-2526-SM-5EQLN 60-69 years, male 50.1
GTEX-XQ3S-1626-SM-4WAYN 20-29 years, male 50.1
GTEX-18QFQ-0226-SM-731BQ 30-39 years, male 50.1
GTEX-13O21-1526-SM-5K7W4 50-59 years, male 50.0
GTEX-OHPM-0226-SM-3LK61 50-59 years, male 49.8
GTEX-1KXAM-2326-SM-CYPTD 60-69 years, male 49.8
GTEX-11PRG-0626-SM-5BC56 50-59 years, male 49.7
GTEX-ZT9X-1926-SM-57WE7 40-49 years, male 49.7
GTEX-1K9T9-0226-SM-E9U6K 50-59 years, female 49.6
GTEX-1LSNM-2026-SM-E6CIJ 50-59 years, male 49.6
GTEX-13O3P-0226-SM-5KM3Z 50-59 years, male 49.4
GTEX-18A66-0326-SM-718BE 60-69 years, male 49.3
GTEX-1HSKV-0326-SM-ADEJC 60-69 years, male 49.3
GTEX-1PBJI-0426-SM-E8VNM 20-29 years, female 49.3
GTEX-13X6K-0226-SM-5QGPB 60-69 years, female 49.1
GTEX-1LSNL-0526-SM-DIPFI 50-59 years, male 49.1
GTEX-1HSEH-0226-SM-ACKVV 60-69 years, male 48.9
GTEX-1H3O1-0526-SM-9MQLS 60-69 years, male 48.8
GTEX-1JMQK-0126-SM-CM2S3 60-69 years, male 48.8
GTEX-12ZZX-0226-SM-5DUXU 40-49 years, female 48.7
GTEX-1RAZQ-0626-SM-E8VOR 30-39 years, male 48.7
GTEX-13N2G-2726-SM-5J1MG 60-69 years, male 48.5
GTEX-ZPCL-2126-SM-57WFZ 60-69 years, female 48.5
GTEX-12584-0226-SM-5EQL5 40-49 years, male 48.4
GTEX-13D11-2326-SM-5IJCY 50-59 years, female 48.3
GTEX-1F75W-0226-SM-9JGGP 60-69 years, male 48.0
GTEX-1IOXB-0226-SM-CMKHY 50-59 years, male 47.9
GTEX-ZLFU-2626-SM-DO91L 40-49 years, male 47.8
GTEX-14ABY-0326-SM-5TDDK 50-59 years, male 47.6
GTEX-17KNJ-2226-SM-DKPOU 50-59 years, male 47.6
GTEX-1M5QR-2126-SM-DKPQM 40-49 years, male 47.6
GTEX-N7MS-0326-SM-4E3K2 60-69 years, male 47.5
GTEX-QV31-1326-SM-2S1QE 30-39 years, male 47.5
GTEX-1QAET-1126-SM-E8VML 50-59 years, male 47.5
GTEX-ZVT4-0226-SM-51MSD 50-59 years, female 47.3
GTEX-1QP6S-0126-SM-E9J4K 40-49 years, male 47.3
GTEX-14ICL-2026-SM-62LDN 30-39 years, male 47.2
GTEX-1B8KZ-1926-SM-7DUG8 50-59 years, male 47.2
GTEX-T6MN-0226-SM-32PMD 50-59 years, male 47.2
GTEX-1EMGI-0226-SM-9MQL1 60-69 years, male 47.2
GTEX-11OF3-2426-SM-5Q5AS 60-69 years, male 47.1
GTEX-131YS-0226-SM-5IJEH 60-69 years, female 47.1
GTEX-SNOS-1426-SM-32PLY 40-49 years, male 47.1
GTEX-Y8E5-0226-SM-57WCM 60-69 years, male 47.1
GTEX-1GN1W-0626-SM-9MQK3 50-59 years, female 47.1
GTEX-QDVJ-1826-SM-2S1P3 50-59 years, male 47.0
GTEX-WL46-0326-SM-3LK6Y 50-59 years, male 47.0
GTEX-QLQ7-1526-SM-2S1QA 60-69 years, male 46.9
GTEX-PSDG-0326-SM-48TCP 50-59 years, male 46.8
GTEX-S32W-2226-SM-2XCAY 50-59 years, female 46.8
GTEX-YJ8A-0526-SM-5IFHT 20-29 years, male 46.8
GTEX-16XZZ-0226-SM-7MGVJ 60-69 years, male 46.8
GTEX-1GMRU-0226-SM-9YFLW 50-59 years, male 46.7
GTEX-132QS-2526-SM-62LFJ 60-69 years, male 46.6
GTEX-17HHE-1926-SM-7EPGW 50-59 years, male 46.6
GTEX-18465-0226-SM-7LG5M 50-59 years, male 46.6
GTEX-1KWVE-1326-SM-E6CJ1 30-39 years, male 46.6
GTEX-113IC-0226-SM-5HL5C 60-69 years, male 46.5
GTEX-11DXW-0326-SM-5H11W 40-49 years, male 46.4
GTEX-WH7G-2226-SM-3NMBN 40-49 years, male 46.4
GTEX-13NYB-2626-SM-9YFMI 40-49 years, male 46.4
GTEX-1S5ZU-0226-SM-E6CHW 20-29 years, female 46.2
GTEX-WFG8-2326-SM-DIPDX 20-29 years, male 46.1
GTEX-11LCK-1126-SM-5A5KC 30-39 years, male 46.0
GTEX-1F88F-2626-SM-9WG5K 60-69 years, female 46.0
GTEX-17EVP-0426-SM-79OKG 40-49 years, male 45.9
GTEX-1H2FU-0226-SM-9YFKO 60-69 years, female 45.9
GTEX-1IGQW-0226-SM-COH43 60-69 years, male 45.9
GTEX-1LG7Y-0426-SM-DKPQB 50-59 years, male 45.9
GTEX-145MN-2626-SM-5NQAH 30-39 years, male 45.8
GTEX-QCQG-1826-SM-2S1P2 50-59 years, female 45.6
GTEX-1HCVE-0226-SM-CGQEV 50-59 years, male 45.6
GTEX-147JS-0426-SM-5TDD2 60-69 years, male 45.4
GTEX-RM2N-1726-SM-2TF55 50-59 years, male 45.4
GTEX-1I1GT-0526-SM-CGQEQ 60-69 years, female 45.3
GTEX-14C5O-0226-SM-5SI6O 60-69 years, male 45.2
GTEX-1I1GV-0426-SM-ARZLX 60-69 years, male 45.2
GTEX-11P82-1726-SM-5Q5AT 20-29 years, male 45.0
GTEX-1LG7Z-2026-SM-DLHBP 30-39 years, male 45.0
GTEX-13VXU-0226-SM-5SI9R 50-59 years, male 44.9
GTEX-1GF9V-0226-SM-9MQKA 60-69 years, male 44.9
GTEX-1IKK5-0526-SM-CMKGG 60-69 years, male 44.9
GTEX-PX3G-0226-SM-DKPOF 20-29 years, female 44.9
GTEX-11ZUS-0726-SM-59886 30-39 years, male 44.8
GTEX-ZYFD-0226-SM-5NQ86 50-59 years, male 44.8
GTEX-14A5H-0526-SM-5TDCN 60-69 years, male 44.7
GTEX-18A7A-0326-SM-731AT 50-59 years, female 44.7
GTEX-Q2AI-1426-SM-2S1P5 40-49 years, male 44.7
GTEX-1C2JI-2226-SM-7IGPJ 50-59 years, male 44.5
GTEX-13QJ3-0426-SM-5RQHP 50-59 years, male 44.4
GTEX-1EU9M-0326-SM-7RHGF 60-69 years, male 44.4
GTEX-1HBPI-1426-SM-B2LW7 50-59 years, male 44.3
GTEX-ZVZO-0226-SM-5A5LA 40-49 years, male 44.2
GTEX-ZYY3-0226-SM-5E45M 60-69 years, female 44.1
GTEX-13X6J-0226-SM-7EPGC 50-59 years, male 44.0
GTEX-1IDJU-2526-SM-CMKGF 60-69 years, female 43.9
GTEX-R55D-0326-SM-48FES 50-59 years, male 43.8
GTEX-13O61-2426-SM-5J1NV 60-69 years, male 43.7
GTEX-17F98-1126-SM-79OJS 40-49 years, female 43.7
GTEX-11DXX-2326-SM-9YFKS 60-69 years, female 43.7
GTEX-1H1ZS-0526-SM-9WG5L 70-79 years, male 43.7
GTEX-ZLV1-1826-SM-5FQU5 60-69 years, female 43.5
GTEX-1LGRB-2426-SM-CNPP3 50-59 years, female 43.5
GTEX-14BIL-0226-SM-5SI9E 50-59 years, male 43.4
GTEX-1OFPY-2326-SM-E8VNU 60-69 years, male 43.4
GTEX-131XF-2226-SM-5EQKG 60-69 years, male 43.3
GTEX-13S7M-0226-SM-5S2UG 60-69 years, female 43.3
GTEX-139TU-0226-SM-5J1NM 60-69 years, male 43.2
GTEX-13O3Q-2326-SM-5KM3G 50-59 years, male 43.2
GTEX-13CF3-2326-SM-5IFGL 60-69 years, female 43.1
GTEX-11GS4-2626-SM-5A5LD 60-69 years, male 43.0
GTEX-1CB4G-0326-SM-7SB8R 60-69 years, male 42.9
GTEX-12WSD-0226-SM-59HKO 60-69 years, female 42.8
GTEX-U412-0526-SM-3DB9I 60-69 years, male 42.8
GTEX-ZPIC-1826-SM-57WFE 40-49 years, female 42.6
GTEX-13N11-2626-SM-5K7UQ 50-59 years, female 42.5
GTEX-T8EM-1126-SM-3DB7D 40-49 years, male 42.5
GTEX-183FY-0326-SM-793BY 20-29 years, male 42.4
GTEX-YB5E-2126-SM-5IFI7 40-49 years, male 42.2
GTEX-1H1E6-2026-SM-9KNVK 30-39 years, male 42.2
GTEX-17EUY-0526-SM-7EWDE 20-29 years, male 41.9
GTEX-Y5V6-2526-SM-5IFJV 60-69 years, male 41.9
GTEX-13OW7-0226-SM-5MR3N 50-59 years, male 41.8
GTEX-15ETS-0426-SM-6PANI 40-49 years, female 41.8
GTEX-ZTSS-2026-SM-5987K 40-49 years, male 41.8
GTEX-U3ZM-1026-SM-EZ6LD 40-49 years, male 41.8
GTEX-TML8-2026-SM-32QOP 40-49 years, female 41.7
GTEX-WFJO-1926-SM-3GILA 30-39 years, male 41.7
GTEX-1I1GQ-0226-SM-COH3I 50-59 years, male 41.6
GTEX-12ZZY-0326-SM-5LZVQ 60-69 years, male 41.5
GTEX-1313W-0226-SM-5LZV7 50-59 years, female 41.5
GTEX-1IDJF-0226-SM-CMKGE 20-29 years, male 41.5
GTEX-1399U-2426-SM-5K7XB 50-59 years, female 41.4
GTEX-ZYT6-0326-SM-7LG5R 30-39 years, male 41.1
GTEX-16NPX-0326-SM-7EWDI 50-59 years, male 41.0
GTEX-XMK1-2226-SM-4B673 40-49 years, male 41.0
GTEX-1497J-2326-SM-5NQBK 60-69 years, male 40.9
GTEX-Q2AG-0226-SM-2S1P4 40-49 years, female 40.9
GTEX-1J8Q3-1526-SM-CMKGB 60-69 years, male 40.9
GTEX-Y111-0226-SM-4SOIW 50-59 years, male 40.8
GTEX-1GN1U-0226-SM-9YFLQ 50-59 years, female 40.7
GTEX-13OW8-1226-SM-5K7XD 60-69 years, male 40.4
GTEX-145MF-0526-SM-5LUA6 50-59 years, male 40.3
GTEX-1QW4Y-1626-SM-EAZ41 30-39 years, male 40.3
GTEX-14PHX-2426-SM-62LEN 50-59 years, male 40.0
GTEX-16GPK-0226-SM-7DUFI 60-69 years, male 40.0
GTEX-17HHY-0226-SM-793BQ 50-59 years, male 40.0
GTEX-XLM4-0226-SM-4AT4N 60-69 years, male 40.0
GTEX-1EKGG-0126-SM-9YFLS 60-69 years, male 40.0
GTEX-1JJEA-0226-SM-COH2X 60-69 years, male 40.0
GTEX-1MGNQ-0226-SM-EVYCK 40-49 years, male 40.0
GTEX-1HSMP-0226-SM-CGQFI 70-79 years, male 39.9
GTEX-16YQH-0226-SM-6PALD 30-39 years, male 39.8
GTEX-RWSA-0226-SM-2XCBA 40-49 years, male 39.4
GTEX-1S831-0326-SM-EVYD3 20-29 years, male 39.4
GTEX-15UKP-0526-SM-7KFRO 20-29 years, male 39.2
GTEX-T5JC-0526-SM-32PM7 20-29 years, male 39.1
GTEX-13OVK-2126-SM-6PAN1 40-49 years, male 39.0
GTEX-17F96-1726-SM-7IGMB 70-79 years, male 38.9
GTEX-S95S-1326-SM-2XCDK 60-69 years, male 38.9
GTEX-1E2YA-0226-SM-9MQLY 50-59 years, male 38.9
GTEX-1E1VI-0226-SM-793CZ 50-59 years, male 38.8
GTEX-SIU8-0226-SM-2XCDS 50-59 years, male 38.8
GTEX-13FHP-0226-SM-5K7WD 50-59 years, male 38.6
GTEX-Q2AH-1726-SM-DIPDV 40-49 years, male 38.6
GTEX-YEC4-2426-SM-57WFO 40-49 years, male 38.4
GTEX-1GPI7-0226-SM-9MQKB 20-29 years, male 38.4
GTEX-1A3MV-2126-SM-718BV 30-39 years, male 38.3
GTEX-1CB4I-0426-SM-7IGPR 50-59 years, male 38.2
GTEX-1HT8W-0226-SM-CMKGT 30-39 years, male 38.2
GTEX-146FR-1826-SM-5QGPF 60-69 years, female 38.1
GTEX-RNOR-0226-SM-EZ6MF 50-59 years, female 38.1
GTEX-WEY5-1926-SM-3GIL8 40-49 years, female 38.0
GTEX-1B996-0126-SM-7PBYF 60-69 years, male 37.9
GTEX-1B8KE-2526-SM-73KYQ 50-59 years, male 37.8
GTEX-13113-1826-SM-5LZW4 60-69 years, female 37.7
GTEX-13N1W-0226-SM-5K7W6 70-79 years, male 37.7
GTEX-VJYA-1326-SM-3GIJC 60-69 years, male 37.7
GTEX-14H4A-1026-SM-62LDY 40-49 years, female 37.4
GTEX-R55C-1626-SM-48FEG 40-49 years, male 37.4
GTEX-11EI6-0226-SM-5EQ64 60-69 years, male 37.3
GTEX-1269C-2726-SM-5EGJ4 60-69 years, female 37.3
GTEX-16AAH-2026-SM-7LG5F 50-59 years, male 37.3
GTEX-1JKYN-1226-SM-CGQG8 30-39 years, male 37.2
GTEX-13W3W-2526-SM-5SI9P 60-69 years, female 37.1
GTEX-1GN73-0326-SM-9KNTW 60-69 years, male 37.1
GTEX-PWN1-0226-SM-DKPO9 40-49 years, female 37.0
GTEX-TMZS-0226-SM-3DB9N 60-69 years, male 36.8
GTEX-12WSM-0226-SM-5LZV6 60-69 years, male 36.7
GTEX-14JG1-0526-SM-6LLHW 40-49 years, male 36.7
GTEX-17HG3-2326-SM-79OKH 30-39 years, female 36.7
GTEX-17HII-0326-SM-7LG4X 50-59 years, male 36.7
GTEX-WY7C-2426-SM-3NB2V 50-59 years, male 36.6
GTEX-S4P3-1526-SM-E9J3W 50-59 years, female 36.5
GTEX-13VXT-0226-SM-5LU9Q 20-29 years, female 36.4
GTEX-ZDXO-2426-SM-5S2NJ 60-69 years, male 36.4
GTEX-R55G-2426-SM-2TC5I 40-49 years, female 36.3
GTEX-13FH7-2226-SM-5IJD4 50-59 years, female 36.1
GTEX-1NHNU-1126-SM-E9J2C 50-59 years, male 36.1
GTEX-1QCLY-0526-SM-EAZ47 30-39 years, male 36.0
GTEX-1PDJ9-0426-SM-E9J3E 20-29 years, male 35.9
GTEX-1I1GP-2326-SM-CGQFL 50-59 years, male 35.7
GTEX-1MA7W-1926-SM-E6CIO 20-29 years, female 35.7
GTEX-14PJ6-2226-SM-6LLIV 60-69 years, female 35.6
GTEX-RVPV-1526-SM-EXOHF 60-69 years, male 35.5
GTEX-11WQC-2426-SM-5EQKQ 60-69 years, male 35.4
GTEX-139TT-0226-SM-5K7YH 60-69 years, male 35.3
GTEX-XBEW-0726-SM-4QARX 40-49 years, male 35.3
GTEX-1I1GR-0226-SM-CMKHQ 60-69 years, male 34.9
GTEX-111YS-2426-SM-5GZZQ 60-69 years, male 34.8
GTEX-1ICG6-2626-SM-CGQG1 70-79 years, female 34.8
GTEX-14PJM-0326-SM-62LF2 50-59 years, female 34.6
GTEX-1MCC2-2326-SM-E9U5G 30-39 years, female 34.5
GTEX-1HSGN-0126-SM-CGQFU 40-49 years, female 34.2
GTEX-18D9A-2026-SM-718BL 30-39 years, female 34.1
GTEX-ZDTT-2626-SM-5S2OP 60-69 years, male 34.0
GTEX-ZXES-2026-SM-5NQ6R 30-39 years, female 34.0
GTEX-14E6D-0226-SM-62LDW 50-59 years, male 33.8
GTEX-1EWIQ-0226-SM-793D3 70-79 years, female 33.8
GTEX-W5WG-2526-SM-4SOJ2 50-59 years, female 33.8
GTEX-12WSC-0226-SM-5EQ52 50-59 years, male 33.7
GTEX-1I4MK-2026-SM-B2LVR 50-59 years, female 33.7
GTEX-1IKJJ-0226-SM-COH3T 60-69 years, male 33.7
GTEX-11EQ9-2526-SM-5HL66 30-39 years, male 33.6
GTEX-1B97I-1726-SM-7939V 40-49 years, male 33.6
GTEX-T2IS-0226-SM-32QPH 20-29 years, female 33.6
GTEX-WYJK-0226-SM-EYYV8 50-59 years, male 33.6
GTEX-Z93S-0226-SM-5HL7R 50-59 years, male 33.4
GTEX-14PJ3-1926-SM-62LEY 50-59 years, male 33.2
GTEX-SSA3-0226-SM-32QPN 60-69 years, male 33.1
GTEX-1JMPY-1426-SM-ARL8Z 30-39 years, male 33.1
GTEX-S7SE-0226-SM-2XCD4 50-59 years, male 33.0
GTEX-YJ8O-2426-SM-5HL7S 40-49 years, female 32.9
GTEX-1PFEY-1626-SM-E9J3M 30-39 years, male 32.9
GTEX-QLQW-1226-SM-2S1Q9 30-39 years, male 32.8
GTEX-16NGA-1826-SM-7LG5L 40-49 years, female 32.7
GTEX-X638-0226-SM-47JZ9 70-79 years, female 32.7
GTEX-1MCYP-1826-SM-E9J2Q 20-29 years, female 32.4
GTEX-15ER7-0426-SM-6PAM3 20-29 years, female 32.2
GTEX-13112-2726-SM-5DUW5 50-59 years, male 32.1
GTEX-1C475-1926-SM-7DUFV 40-49 years, female 32.1
GTEX-1PPH8-0626-SM-EWRN9 20-29 years, male 32.1
GTEX-14JG6-2326-SM-6LLH3 30-39 years, female 31.8
GTEX-SJXC-0226-SM-2XCDU 60-69 years, male 31.7
GTEX-1C6VR-2626-SM-7MGX2 60-69 years, male 31.6
GTEX-ZUA1-0226-SM-5NQ9Q 40-49 years, male 31.5
GTEX-1AMEY-1426-SM-7939I 30-39 years, female 31.4
GTEX-WFG7-2526-SM-EWRM5 20-29 years, male 31.4
GTEX-ZDYS-2126-SM-5S2P2 50-59 years, male 31.3
GTEX-TKQ1-1126-SM-4GIAZ 30-39 years, male 31.2
GTEX-ZYFC-0326-SM-5NQ7H 50-59 years, male 31.1
GTEX-11EM3-2326-SM-5H12B 20-29 years, female 31.0
GTEX-ZAK1-0226-SM-5CVMX 50-59 years, female 31.0
GTEX-QDVN-2126-SM-33HBS 50-59 years, male 30.9
GTEX-1HCUA-2226-SM-ADEHF 50-59 years, female 30.7
GTEX-117YX-2226-SM-5EGJJ 50-59 years, male 30.4
GTEX-1AX9I-0226-SM-7SB75 60-69 years, male 30.2
GTEX-Z93T-0226-SM-5HL5Z 50-59 years, male 30.1
GTEX-18D9U-0726-SM-7LG5J 40-49 years, male 30.0
GTEX-XBED-2326-SM-47JYR 60-69 years, male 30.0
GTEX-1122O-2026-SM-9YFMG 60-69 years, female 29.9
GTEX-YB5K-2226-SM-4WWG1 40-49 years, female 29.7
GTEX-XUYS-0226-SM-47JX1 50-59 years, male 29.6
GTEX-11XUK-2126-SM-5EQLR 40-49 years, female 29.5
GTEX-NFK9-0326-SM-3MJGV 40-49 years, male 29.5
GTEX-1R7EU-0326-SM-EWRNJ 60-69 years, male 29.4
GTEX-12KS4-0426-SM-5EQMC 30-39 years, male 29.2
GTEX-1B8SG-0226-SM-7939Q 50-59 years, male 29.1
GTEX-1F75I-0426-SM-7PC3S 40-49 years, male 29.1
GTEX-14BMU-2126-SM-5S2TS 20-29 years, female 29.0
GTEX-P44H-0326-SM-2XCES 40-49 years, male 28.5
GTEX-11ZTT-2526-SM-5EQM9 60-69 years, female 28.0
GTEX-ZVTK-0526-SM-5GZWT 20-29 years, male 28.0
GTEX-SNMC-1326-SM-2XCFK 20-29 years, male 27.7
GTEX-T6MO-1726-SM-33HB8 40-49 years, female 27.7
GTEX-OXRL-0226-SM-3NB18 50-59 years, male 27.6
GTEX-1CAMS-0326-SM-7PC35 40-49 years, female 27.5
GTEX-O5YT-0226-SM-32PK5 20-29 years, male 27.4
GTEX-145ME-1926-SM-5MR6T 40-49 years, female 27.3
GTEX-1L5NE-2626-SM-E9U6P 50-59 years, male 27.2
GTEX-12126-0426-SM-5Q5AP 20-29 years, male 27.1
GTEX-1B8L1-2626-SM-7SB77 60-69 years, male 27.1
GTEX-QEG4-0326-SM-DIPE3 30-39 years, male 27.0
GTEX-ZGAY-0626-SM-DO92E 40-49 years, female 27.0
GTEX-XPVG-2726-SM-4B66W 50-59 years, male 26.8
GTEX-147F3-0626-SM-5NQ9I 50-59 years, female 25.9
GTEX-11P7K-2026-SM-5GU74 30-39 years, male 25.5
GTEX-Y9LG-2026-SM-62LFS 30-39 years, male 25.4
GTEX-OIZI-0226-SM-2XCEE 40-49 years, male 25.2
GTEX-1POEN-0226-SM-EYYXE 30-39 years, female 25.2
GTEX-OXRP-0226-SM-3NB14 60-69 years, female 25.1
GTEX-ZZ64-1626-SM-5E43W 20-29 years, male 25.1
GTEX-OHPK-0226-SM-3MJH6 50-59 years, female 24.8
GTEX-PWCY-1926-SM-3NB25 20-29 years, female 24.7
GTEX-14PN3-2526-SM-6EU15 60-69 years, female 24.1
GTEX-1JN76-0226-SM-CMKGO 20-29 years, female 23.6
GTEX-1LGOU-2226-SM-E9U56 20-29 years, female 23.4
GTEX-1HFI6-0326-SM-ADEI5 40-49 years, male 23.1
GTEX-ZQG8-1526-SM-5HL65 60-69 years, female 22.7
GTEX-P44G-2326-SM-2XCCZ 30-39 years, male 22.4
GTEX-1J8QM-2326-SM-CYPSL 60-69 years, female 22.4
GTEX-1R7EV-1926-SM-EVYBF 40-49 years, male 22.4
GTEX-1PIIG-0326-SM-EVYBV 30-39 years, male 22.2
GTEX-ZTX8-1526-SM-5N9GI 20-29 years, male 20.6
GTEX-1CAMR-1826-SM-7MXUJ 20-29 years, male 19.2
GTEX-PLZ6-1326-SM-3NB24 30-39 years, male 18.4
GTEX-1KANA-0826-SM-D3L9J 20-29 years, male 17.6
GTEX-1K2DA-2126-SM-CGQGL 50-59 years, male 17.4
GTEX-1HCU6-0226-SM-CGQES 60-69 years, female 17.1
Show allShow less
Adipose - Visceral (Omentum)
Average nTPM: 57.6
Samples: 541

Max nTPM: 211.2
Min nTPM: 17.4
Std nTPM: 26.9
Median nTPM: 51.2
GTEX-ZYVF-1026-SM-5E44V 50-59 years, female 211.2
GTEX-1J1OQ-1526-SM-CJI4E 40-49 years, female 196.0
GTEX-1R9PO-0926-SM-E9U4Q 60-69 years, female 176.1
GTEX-13PVQ-2226-SM-5L3G9 50-59 years, male 168.6
GTEX-1117F-1326-SM-5EGHH 60-69 years, female 161.1
GTEX-X8HC-2326-SM-4QAS4 50-59 years, female 151.7
GTEX-1N2EF-0926-SM-E8VNW 60-69 years, male 150.2
GTEX-16XZZ-1626-SM-7KUEC 60-69 years, male 149.6
GTEX-1S5VW-2426-SM-EAZ52 60-69 years, male 140.5
GTEX-1CAV2-0226-SM-7IGPQ 40-49 years, female 137.3
GTEX-1A3MX-0826-SM-72D64 60-69 years, male 134.3
GTEX-1J8Q2-2226-SM-CM2TZ 60-69 years, male 131.2
GTEX-13YAN-1126-SM-5TDC7 60-69 years, male 129.5
GTEX-14PHW-1626-SM-6EU2H 60-69 years, female 126.9
GTEX-1LVAO-2126-SM-DIPGA 60-69 years, male 126.4
GTEX-1HGF4-0226-SM-CNNQL 60-69 years, male 125.7
GTEX-14C38-1026-SM-73KY7 50-59 years, male 125.1
GTEX-1I1CD-1026-SM-COH3G 60-69 years, female 124.0
GTEX-1HCU8-1126-SM-CM2SA 60-69 years, female 123.5
GTEX-1HSMO-1426-SM-CNNQN 60-69 years, male 120.5
GTEX-WI4N-1526-SM-EZ6LG 40-49 years, female 117.0
GTEX-1IKK5-0826-SM-ACKWN 60-69 years, male 116.3
GTEX-1ICLY-1426-SM-CJI48 50-59 years, male 115.1
GTEX-11WQK-1526-SM-5EGKN 50-59 years, male 113.9
GTEX-12WSF-1526-SM-6PAN6 70-79 years, male 113.5
GTEX-13OVH-1126-SM-5K7YP 70-79 years, male 112.9
GTEX-1NV5F-2526-SM-EXUSK 60-69 years, female 111.4
GTEX-14PJ4-0126-SM-62LEZ 60-69 years, male 110.6
GTEX-ZEX8-1226-SM-5S2OK 50-59 years, male 110.4
GTEX-1PBJI-1326-SM-E9J2V 20-29 years, female 109.1
GTEX-1F52S-1326-SM-7SB6Q 60-69 years, female 108.9
GTEX-1H1DF-1426-SM-9YFMC 40-49 years, female 107.4
GTEX-14E6C-1226-SM-5ZZUN 40-49 years, male 106.1
GTEX-1RB15-1126-SM-E8VMX 60-69 years, male 105.9
GTEX-1A32A-0926-SM-718AB 50-59 years, female 105.3
GTEX-XXEK-1426-SM-4BRW1 50-59 years, male 105.2
GTEX-14PK6-0926-SM-62LF4 70-79 years, female 104.5
GTEX-ZTPG-2326-SM-57WFL 20-29 years, female 104.2
GTEX-1R9K4-1426-SM-DPRY4 60-69 years, male 104.0
GTEX-1JN76-1026-SM-ARZNI 20-29 years, female 102.1
GTEX-145MI-0826-SM-5SI95 60-69 years, female 100.9
GTEX-1I1GT-1326-SM-ACKWB 60-69 years, female 100.3
GTEX-1H23P-1726-SM-A9SMN 60-69 years, male 100.1
GTEX-15EOM-2326-SM-7KUMV 20-29 years, female 97.9
GTEX-ZV7C-0826-SM-59HK8 50-59 years, male 97.6
GTEX-17F9Y-0726-SM-7LT9G 70-79 years, female 97.2
GTEX-15RIE-0126-SM-7KUF8 60-69 years, male 96.3
GTEX-1F75B-1226-SM-7MXTW 50-59 years, male 96.2
GTEX-1192X-1526-SM-5H11I 50-59 years, male 95.3
GTEX-ZPU1-1226-SM-5HL71 40-49 years, male 95.3
GTEX-13NZ9-2026-SM-5KM1U 50-59 years, male 95.0
GTEX-1JKYN-0526-SM-CGQG3 30-39 years, male 94.5
GTEX-1IE54-1426-SM-CL53C 40-49 years, female 94.4
GTEX-ZVE2-1826-SM-51MRZ 50-59 years, male 94.2
GTEX-1F75I-1026-SM-7SB8B 40-49 years, male 94.1
GTEX-ZYW4-2226-SM-5GZYG 60-69 years, male 93.7
GTEX-1GN1U-0726-SM-9MQKL 50-59 years, female 93.6
GTEX-1EMGI-0726-SM-7PBZ4 60-69 years, male 93.4
GTEX-U8XE-1926-SM-3DB98 30-39 years, male 91.5
GTEX-15SKB-1626-SM-6PAL6 60-69 years, male 91.2
GTEX-1HCU7-2026-SM-A9G2B 50-59 years, male 89.5
GTEX-13S86-0926-SM-5SI6I 40-49 years, male 89.3
GTEX-1445S-2426-SM-79ON2 60-69 years, male 88.5
GTEX-14PJN-0626-SM-6EU13 30-39 years, male 88.5
GTEX-131XE-2026-SM-5LZW1 50-59 years, male 88.0
GTEX-1A8FM-2126-SM-7PC27 50-59 years, female 88.0
GTEX-ZVT2-0226-SM-5GIE3 50-59 years, female 87.9
GTEX-15CHQ-1126-SM-686YY 60-69 years, male 87.8
GTEX-13QBU-1326-SM-5LU4K 40-49 years, female 87.4
GTEX-13X6H-1726-SM-5Q5EH 50-59 years, female 86.8
GTEX-16NPX-1026-SM-6PAM7 50-59 years, male 86.4
GTEX-YJ8A-1926-SM-EZ6LQ 20-29 years, male 86.3
GTEX-12WSG-0426-SM-5FQSE 50-59 years, female 85.3
GTEX-1GZ2Q-1226-SM-9MQM8 40-49 years, male 84.9
GTEX-1EH9U-1326-SM-79OM3 60-69 years, male 83.9
GTEX-1GMR3-0826-SM-9WYT4 40-49 years, male 83.2
GTEX-Y114-1326-SM-4TT9A 50-59 years, female 83.0
GTEX-1JJ6O-2826-SM-CNNP7 60-69 years, male 82.4
GTEX-144GM-0626-SM-79OKY 20-29 years, male 82.3
GTEX-1HCU9-0626-SM-ACKW6 20-29 years, male 82.2
GTEX-13IVO-2426-SM-5K7V9 70-79 years, male 81.8
GTEX-ZXES-0926-SM-5E43O 30-39 years, female 81.7
GTEX-1K2DU-0726-SM-DIPF7 20-29 years, male 81.6
GTEX-1H1DG-2026-SM-9QEIV 70-79 years, male 81.2
GTEX-1HR9M-1426-SM-A9SMB 60-69 years, male 81.2
GTEX-1128S-0926-SM-5GZZU 60-69 years, female 81.0
GTEX-1212Z-0526-SM-5FQSQ 60-69 years, male 80.8
GTEX-1C6VS-1826-SM-73KXN 60-69 years, male 80.3
GTEX-14C39-0826-SM-5TDDU 40-49 years, male 80.0
GTEX-13FTW-0426-SM-5K7X2 40-49 years, male 79.5
GTEX-13W46-1226-SM-5SIAS 50-59 years, male 79.2
GTEX-1399S-1426-SM-5PNYQ 30-39 years, female 78.9
GTEX-1LG7Z-0226-SM-E6CIG 30-39 years, male 78.7
GTEX-1K9T9-1626-SM-DIPFS 50-59 years, female 78.5
GTEX-11EM3-1126-SM-5A5KM 20-29 years, female 77.7
GTEX-17HGU-1726-SM-79OKM 50-59 years, male 77.7
GTEX-14753-2526-SM-5LU97 60-69 years, male 77.5
GTEX-X585-2526-SM-4QAS1 50-59 years, male 77.4
GTEX-1JN6P-1626-SM-CYPSV 60-69 years, male 77.3
GTEX-ZC5H-1626-SM-5HL7L 40-49 years, female 76.4
GTEX-ZA64-0926-SM-5HL7H 20-29 years, male 76.1
GTEX-1IKOE-1726-SM-CNNQ6 30-39 years, female 76.1
GTEX-1H1E6-1126-SM-9JGGV 30-39 years, male 75.9
GTEX-11I78-0226-SM-5HL6R 50-59 years, female 75.5
GTEX-ZAB4-1426-SM-5CVN6 40-49 years, male 75.3
GTEX-1KAFJ-0826-SM-CYPTF 50-59 years, male 75.3
GTEX-13FXS-1326-SM-62LFR 50-59 years, male 75.2
GTEX-17F9E-1326-SM-7DHL4 50-59 years, male 75.1
GTEX-1IL2U-2726-SM-C1YSG 60-69 years, male 74.5
GTEX-1JMQI-1026-SM-COH2U 50-59 years, male 73.4
GTEX-1F48J-1826-SM-7SB8T 50-59 years, female 73.3
GTEX-1HUB1-1526-SM-CGQF6 60-69 years, male 71.7
GTEX-1CB4I-0826-SM-7MGX1 50-59 years, male 71.6
GTEX-ZE9C-1326-SM-5S2OW 60-69 years, male 71.4
GTEX-1MCQQ-1426-SM-E6CJA 60-69 years, male 71.3
GTEX-13PL7-1226-SM-5SIAR 60-69 years, female 71.1
GTEX-12696-1826-SM-5EGJS 60-69 years, male 70.8
GTEX-1HB9E-0526-SM-ARZNM 50-59 years, male 70.7
GTEX-12WSA-1626-SM-5EGJV 60-69 years, male 70.6
GTEX-1GF9U-1226-SM-ARL9I 40-49 years, female 70.6
GTEX-1J8EW-1526-SM-CMKFZ 60-69 years, female 70.5
GTEX-14DAR-0426-SM-664MW 50-59 years, male 69.8
GTEX-17F97-1226-SM-79OJT 50-59 years, male 69.3
GTEX-1I1GU-0626-SM-CMKHR 40-49 years, male 69.2
GTEX-ZLWG-0726-SM-5S2N4 50-59 years, female 69.1
GTEX-1LBAC-1026-SM-CXKYA 20-29 years, male 68.8
GTEX-1HSMP-1126-SM-B2LXJ 70-79 years, male 68.4
GTEX-1QEPI-2226-SM-E8VN6 60-69 years, female 68.2
GTEX-11GSO-0226-SM-5A5LV 60-69 years, male 68.1
GTEX-14C5O-0926-SM-793DM 60-69 years, male 67.7
GTEX-13U4I-1726-SM-5J1MF 40-49 years, female 67.6
GTEX-1P4AB-1226-SM-DTXET 50-59 years, male 67.4
GTEX-1H2FU-1426-SM-9WPO6 60-69 years, female 66.9
GTEX-1H3VE-1926-SM-9YFL4 40-49 years, male 66.7
GTEX-13JUV-0626-SM-5J1MQ 40-49 years, female 66.5
GTEX-ZAJG-1626-SM-5HL7I 50-59 years, female 66.4
GTEX-1S831-1926-SM-EV79P 20-29 years, male 66.2
GTEX-12KS4-1526-SM-5EQ6E 30-39 years, male 66.0
GTEX-16BQI-1126-SM-7KULF 30-39 years, female 66.0
GTEX-1B8SG-1426-SM-7EWEM 50-59 years, male 65.8
GTEX-14AS3-0426-SM-5QGQK 40-49 years, female 65.5
GTEX-15DZA-0626-SM-6PANC 30-39 years, female 65.5
GTEX-1GF9W-1026-SM-7SB8X 60-69 years, male 65.4
GTEX-1N2DW-0726-SM-DTX97 50-59 years, male 65.2
GTEX-YJ89-1926-SM-5IFJ6 60-69 years, male 65.0
GTEX-1I1GS-0926-SM-A9SL5 60-69 years, male 64.8
GTEX-Y8E4-1226-SM-5IFIM 40-49 years, male 64.7
GTEX-1OKEX-0926-SM-E8VNJ 60-69 years, male 64.7
GTEX-ZT9X-0926-SM-5O9C4 40-49 years, male 64.5
GTEX-14PN4-1426-SM-6LLJ4 50-59 years, male 64.4
GTEX-18QFQ-1326-SM-731CF 30-39 years, male 64.3
GTEX-VUSG-1426-SM-3GIJN 50-59 years, male 64.2
GTEX-ZZPU-0326-SM-5N9BJ 50-59 years, female 64.2
GTEX-1QP28-0926-SM-EVR4D 50-59 years, female 64.2
GTEX-11GSP-1026-SM-9WYSH 60-69 years, female 64.0
GTEX-11ZTS-1326-SM-5EQMA 60-69 years, female 63.4
GTEX-17GQL-0826-SM-731AM 60-69 years, male 62.9
GTEX-13OW8-0326-SM-5L3FB 60-69 years, male 62.7
GTEX-14BIL-2426-SM-5QGQR 50-59 years, male 62.7
GTEX-1AYD5-0126-SM-7DUG5 50-59 years, male 62.4
GTEX-1KANA-1426-SM-CY8IF 20-29 years, male 62.3
GTEX-13N2G-1926-SM-5J1O3 60-69 years, male 62.1
GTEX-1IDJD-0926-SM-ACKWW 30-39 years, male 62.1
GTEX-1EU9M-1126-SM-793DE 60-69 years, male 61.9
GTEX-ZAB5-1126-SM-5Q5AD 50-59 years, male 61.6
GTEX-17HII-0826-SM-7DUFH 50-59 years, male 61.5
GTEX-1KD5A-1326-SM-CYPTB 50-59 years, male 61.5
GTEX-1I6K7-1826-SM-CGQFO 40-49 years, male 61.0
GTEX-1LSVX-1326-SM-DIPET 60-69 years, male 60.7
GTEX-1QP66-0626-SM-E76PD 50-59 years, male 60.7
GTEX-12WSI-1526-SM-5GCNM 50-59 years, male 60.5
GTEX-133LE-0926-SM-5P9J1 20-29 years, female 60.5
GTEX-17JCI-1626-SM-7EPGZ 60-69 years, female 59.7
GTEX-13W3W-1126-SM-5L3DO 60-69 years, female 59.5
GTEX-14E1K-0426-SM-5S2PF 50-59 years, male 59.4
GTEX-1H11D-1126-SM-9YFM5 40-49 years, male 59.2
GTEX-1IDJI-0926-SM-ACKWZ 50-59 years, female 59.2
GTEX-13PVR-0526-SM-5S2OB 60-69 years, female 59.0
GTEX-139T6-0526-SM-5IJC9 50-59 years, male 58.9
GTEX-18A67-1326-SM-7LT8V 50-59 years, male 58.8
GTEX-1I19N-1026-SM-A96TT 70-79 years, male 58.6
GTEX-1LVAM-1026-SM-DIPFK 50-59 years, female 58.6
GTEX-14PJO-1626-SM-69LPQ 60-69 years, male 58.5
GTEX-14PHY-1026-SM-62LEV 60-69 years, female 58.4
GTEX-1GZ4H-0926-SM-9WG6Y 50-59 years, female 58.4
GTEX-13PDP-1226-SM-5K7TW 60-69 years, male 58.3
GTEX-169BO-0426-SM-7EPI1 50-59 years, male 58.3
GTEX-16NPV-0626-SM-7IGOR 50-59 years, female 58.3
GTEX-YECK-1426-SM-5IFHE 60-69 years, male 58.2
GTEX-YFCO-1126-SM-5S2N9 40-49 years, male 58.2
GTEX-XBEW-1726-SM-4RGMA 40-49 years, male 58.0
GTEX-ZF3C-1026-SM-5S2OC 50-59 years, female 57.8
GTEX-1F5PL-1326-SM-7SB83 40-49 years, female 57.6
GTEX-1HKZK-1726-SM-ADEJ9 40-49 years, male 57.6
GTEX-1GF9X-0926-SM-7PC2X 40-49 years, female 57.4
GTEX-13CF3-1126-SM-5LZXB 60-69 years, female 57.3
GTEX-1MJK3-0626-SM-E6CJB 20-29 years, male 57.3
GTEX-1QAET-1226-SM-DTX9I 50-59 years, male 57.3
GTEX-15G19-1126-SM-7KUEL 60-69 years, male 57.2
GTEX-1CB4E-0826-SM-793CS 60-69 years, male 57.2
GTEX-XLM4-1026-SM-4AT51 60-69 years, male 57.2
GTEX-1HFI7-0726-SM-ACKVN 50-59 years, female 57.2
GTEX-XBEC-1826-SM-4QASN 50-59 years, male 57.1
GTEX-1JMLX-1026-SM-D3L8U 50-59 years, male 57.1
GTEX-XUZC-1126-SM-4BOPZ 30-39 years, female 57.0
GTEX-16AAH-1526-SM-7LT9W 50-59 years, male 56.9
GTEX-WFON-1226-SM-3TW8F 40-49 years, male 56.8
GTEX-11P82-0326-SM-5HL51 20-29 years, male 56.6
GTEX-132AR-0526-SM-5J2MJ 50-59 years, female 56.6
GTEX-Y9LG-1226-SM-4VBQA 30-39 years, male 56.6
GTEX-1GF9V-1126-SM-9MQM7 60-69 years, male 56.6
GTEX-13NZB-0826-SM-5K7X5 30-39 years, male 56.5
GTEX-145ME-0726-SM-5O9A3 40-49 years, female 56.4
GTEX-17MFQ-1126-SM-7LT9O 20-29 years, male 56.3
GTEX-UTHO-1826-SM-3GAFE 60-69 years, male 56.3
GTEX-14ICL-0926-SM-5S2TU 30-39 years, male 56.2
GTEX-14PJ2-1426-SM-62LFF 50-59 years, male 56.0
GTEX-1QMI2-1626-SM-EYYXK 60-69 years, male 55.9
GTEX-1B8KZ-1026-SM-73KYN 50-59 years, male 55.8
GTEX-1211K-1226-SM-5EQ4N 60-69 years, female 55.6
GTEX-131XF-0726-SM-5GIE5 60-69 years, male 55.6
GTEX-Y5V5-0226-SM-5S2N8 60-69 years, female 55.5
GTEX-17EVQ-0626-SM-7KFTB 70-79 years, male 55.4
GTEX-WWTW-1326-SM-4MVNT 50-59 years, male 55.1
GTEX-1O9I2-1326-SM-E6CQD 50-59 years, male 55.1
GTEX-1RLM8-1026-SM-EWROE 50-59 years, male 54.9
GTEX-VJYA-1626-SM-EXOHL 60-69 years, male 54.8
GTEX-1RAZR-1026-SM-E8VOJ 40-49 years, male 54.6
GTEX-146FH-2026-SM-5SI9I 50-59 years, female 54.5
GTEX-15CHC-0826-SM-686YW 60-69 years, female 54.5
GTEX-12ZZW-2326-SM-5DUW2 50-59 years, male 54.4
GTEX-13NYS-0726-SM-5J1OR 60-69 years, male 54.2
GTEX-1AX8Z-1626-SM-73KWD 60-69 years, male 54.1
GTEX-1MCC2-0626-SM-DKPQI 30-39 years, female 54.0
GTEX-12WSK-1026-SM-5CVNR 40-49 years, female 53.9
GTEX-1ICLZ-1626-SM-CE6SS 60-69 years, male 53.9
GTEX-1EN7A-1626-SM-79OLV 40-49 years, male 53.7
GTEX-1JJE9-1526-SM-CM2RR 70-79 years, male 53.6
GTEX-13X6I-1526-SM-5SIAC 60-69 years, male 53.5
GTEX-1JMQJ-1926-SM-D4P3A 50-59 years, male 53.5
GTEX-132Q8-1726-SM-5EGK8 60-69 years, male 53.4
GTEX-XGQ4-1026-SM-4AT4L 50-59 years, male 53.4
GTEX-VJWN-2326-SM-EVYAP 50-59 years, female 53.3
GTEX-13N1W-1226-SM-5K7UM 70-79 years, male 53.2
GTEX-ZGAY-1326-SM-5S2NS 40-49 years, female 53.2
GTEX-1JMQK-1326-SM-CNPOR 60-69 years, male 53.2
GTEX-11DXY-0326-SM-5H12F 60-69 years, male 53.1
GTEX-13FHO-2026-SM-5J1OA 60-69 years, male 53.1
GTEX-WH7G-1126-SM-3NMBK 40-49 years, male 53.0
GTEX-13D11-0526-SM-5LZYM 50-59 years, female 52.9
GTEX-183FY-1226-SM-7DHLK 20-29 years, male 52.8
GTEX-1B932-1726-SM-793A5 40-49 years, female 52.8
GTEX-13OVJ-0926-SM-5K7U1 50-59 years, female 52.7
GTEX-1KANB-2426-SM-EV7BE 50-59 years, male 52.7
GTEX-YEC3-0926-SM-5Q5AC 50-59 years, male 52.6
GTEX-ZV6S-1626-SM-5NQ81 40-49 years, female 52.6
GTEX-1F6IF-2026-SM-7P8SE 60-69 years, male 52.6
GTEX-1IDJU-0926-SM-ARL88 60-69 years, female 52.6
GTEX-1AYCT-1126-SM-79OO8 50-59 years, male 52.3
GTEX-1RAZQ-1526-SM-E6CJI 30-39 years, male 52.3
GTEX-1I6K6-1526-SM-CGQFC 30-39 years, male 52.2
GTEX-1S5ZA-1026-SM-EWRO2 20-29 years, male 52.1
GTEX-1PPH8-1026-SM-DPRXN 20-29 years, male 52.0
GTEX-1399T-1326-SM-5PNVH 60-69 years, male 51.8
GTEX-1B8KE-0826-SM-72D6S 50-59 years, male 51.6
GTEX-1LH75-1026-SM-EWROK 50-59 years, female 51.6
GTEX-13OVK-0326-SM-7KUEJ 40-49 years, male 51.5
GTEX-ZUA1-2126-SM-57YRB 40-49 years, male 51.5
GTEX-113JC-0726-SM-5GZZR 50-59 years, female 51.4
GTEX-1GTWX-1526-SM-9MQLF 60-69 years, male 51.3
GTEX-WHWD-0826-SM-3LK6R 50-59 years, male 51.2
GTEX-ZTSS-1026-SM-5985N 40-49 years, male 51.0
GTEX-ZF29-0826-SM-5S2O2 60-69 years, female 51.0
GTEX-Y5LM-0826-SM-4VDSW 40-49 years, female 50.9
GTEX-XBED-1326-SM-4AT4F 60-69 years, male 50.8
GTEX-13OW6-2426-SM-5K7WO 50-59 years, male 50.7
GTEX-14BIM-1626-SM-7EWD2 60-69 years, female 50.7
GTEX-14DAQ-2526-SM-5RQIO 60-69 years, female 50.7
GTEX-18D9A-0726-SM-7LTA7 30-39 years, female 50.7
GTEX-1KD4Q-1426-SM-D4P3K 40-49 years, male 50.7
GTEX-139TU-1426-SM-5LZY9 60-69 years, male 50.4
GTEX-11DXZ-1426-SM-5H12A 50-59 years, male 50.3
GTEX-1HSEH-1326-SM-ADEI1 60-69 years, male 50.1
GTEX-WK11-2426-SM-3NMAA 50-59 years, male 50.0
GTEX-ZVZP-1126-SM-5GICU 50-59 years, male 49.7
GTEX-1RNTQ-0826-SM-E9TK8 20-29 years, female 49.7
GTEX-1GN73-0626-SM-7PC3I 60-69 years, male 49.6
GTEX-11DXX-2026-SM-5EGJL 60-69 years, female 49.5
GTEX-145LT-1526-SM-5O98P 40-49 years, male 49.5
GTEX-1KXAM-0526-SM-DKPQN 60-69 years, male 49.5
GTEX-1PIGE-1226-SM-EVR3Q 20-29 years, male 49.4
GTEX-1LG7Y-1126-SM-CYPTE 50-59 years, male 49.2
GTEX-1CAMR-0326-SM-793AH 20-29 years, male 49.1
GTEX-1QCLY-1226-SM-EVYC3 30-39 years, male 49.1
GTEX-17EVP-1426-SM-79OMN 40-49 years, male 48.9
GTEX-XYKS-1826-SM-4E3JV 60-69 years, female 48.9
GTEX-1LGRB-0526-SM-COH3A 50-59 years, female 48.8
GTEX-13RTK-0726-SM-5Q5EN 20-29 years, male 48.7
GTEX-1QP6S-1626-SM-EVYC5 40-49 years, male 48.7
GTEX-1AMFI-1026-SM-73KYM 50-59 years, female 48.5
GTEX-11DYG-2026-SM-5EGGX 60-69 years, male 48.4
GTEX-14B4R-0526-SM-5QGQT 30-39 years, male 48.2
GTEX-WYBS-1026-SM-4ONCY 60-69 years, female 48.2
GTEX-1HCU6-1626-SM-CMKGW 60-69 years, female 48.1
GTEX-1IDJC-0226-SM-CMKG2 50-59 years, male 48.1
GTEX-13111-0626-SM-5LZVR 50-59 years, male 48.0
GTEX-ZF28-1426-SM-5S2OG 60-69 years, male 47.8
GTEX-1A8G6-2026-SM-73KYC 60-69 years, male 47.7
GTEX-1JMPY-0326-SM-CM2S2 30-39 years, male 47.7
GTEX-1QW4Y-0826-SM-DTXE1 30-39 years, male 47.7
GTEX-12BJ1-0826-SM-5EQ5P 60-69 years, male 47.6
GTEX-18465-1826-SM-731BB 50-59 years, male 47.4
GTEX-UPK5-1826-SM-3GAEB 40-49 years, male 47.4
GTEX-13PL6-0926-SM-5KLYY 40-49 years, female 47.3
GTEX-1GMRU-0726-SM-7PBZH 50-59 years, male 47.1
GTEX-18A7A-0926-SM-7LT8H 50-59 years, female 47.0
GTEX-1H1ZS-1326-SM-9WG74 70-79 years, male 46.9
GTEX-17F96-0726-SM-793CB 70-79 years, male 46.8
GTEX-14BMU-0626-SM-73KZ6 20-29 years, female 46.7
GTEX-131XG-0126-SM-5K7UJ 50-59 years, female 46.6
GTEX-14BIN-1226-SM-5S2OM 50-59 years, female 46.6
GTEX-14PJ3-0726-SM-69LQE 50-59 years, male 46.6
GTEX-144GN-0726-SM-5O98O 50-59 years, male 46.5
GTEX-1HBPH-2226-SM-9WYSO 40-49 years, female 46.5
GTEX-1QP29-1626-SM-EXUSZ 50-59 years, male 46.5
GTEX-117YW-0826-SM-5H11O 50-59 years, male 46.4
GTEX-1LKK1-1526-SM-EVYCO 50-59 years, female 46.2
GTEX-117YX-0726-SM-5GIET 50-59 years, male 46.1
GTEX-1C6VQ-1526-SM-73KU9 50-59 years, male 46.0
GTEX-WY7C-0926-SM-3NB34 50-59 years, male 46.0
GTEX-1LSNL-1426-SM-E6CJ9 50-59 years, male 46.0
GTEX-1L5NE-1726-SM-DHXKX 50-59 years, male 45.9
GTEX-ZDTT-0526-SM-5HL4M 60-69 years, male 45.5
GTEX-ZXG5-1626-SM-59HJK 60-69 years, male 45.5
GTEX-1GN1W-1226-SM-9MQLW 50-59 years, female 45.4
GTEX-18A7B-1226-SM-718AU 70-79 years, male 45.2
GTEX-WEY5-1326-SM-3GILS 40-49 years, female 45.2
GTEX-WYVS-0626-SM-4SOJY 40-49 years, female 45.2
GTEX-1I1GP-1426-SM-ACKVZ 50-59 years, male 45.1
GTEX-1QP9N-0426-SM-DTXFT 30-39 years, male 45.1
GTEX-XOT4-0826-SM-4B66Y 60-69 years, female 44.8
GTEX-1RMOY-0826-SM-E9TIF 50-59 years, male 44.8
GTEX-WFJO-1026-SM-3GIKL 30-39 years, male 44.7
GTEX-16GPK-1326-SM-7KUE4 60-69 years, male 44.5
GTEX-1I4MK-0726-SM-ACKWC 50-59 years, female 44.5
GTEX-1LSNM-0626-SM-DIPG7 50-59 years, male 44.4
GTEX-14ICK-1726-SM-6AJA5 40-49 years, male 44.2
GTEX-15EU6-1726-SM-6M48H 50-59 years, male 44.2
GTEX-1C475-0326-SM-7SB8O 40-49 years, female 44.2
GTEX-1B8SF-1726-SM-73KZ5 60-69 years, male 44.1
GTEX-1B97J-1126-SM-7SB79 50-59 years, female 44.1
GTEX-14PN3-0326-SM-6EU1X 60-69 years, female 43.7
GTEX-13O3Q-1126-SM-5K7YK 50-59 years, male 43.6
GTEX-XMK1-0926-SM-4B66X 40-49 years, male 43.5
GTEX-13OVL-0826-SM-5L3GV 50-59 years, male 43.4
GTEX-14PHX-1626-SM-69LQB 50-59 years, male 43.4
GTEX-ZPCL-1026-SM-5GCOX 60-69 years, female 43.4
GTEX-ZQG8-1026-SM-51MR9 60-69 years, female 43.4
GTEX-1HSMQ-1026-SM-ADEHU 50-59 years, male 43.4
GTEX-15UKP-1426-SM-7KUDX 20-29 years, male 43.3
GTEX-1RAZA-0926-SM-E6CQ8 20-29 years, male 43.2
GTEX-13FH7-1926-SM-5J2OL 50-59 years, female 42.9
GTEX-XQ3S-2426-SM-4WAYB 20-29 years, male 42.9
GTEX-1HBPI-1826-SM-ADEHE 50-59 years, male 42.8
GTEX-1MA7X-1026-SM-DKPQ8 60-69 years, male 42.8
GTEX-13X6K-0726-SM-5LU2Z 60-69 years, female 42.7
GTEX-WRHK-0826-SM-3MJFG 20-29 years, female 42.7
GTEX-ZLV1-0926-SM-5S2MR 60-69 years, female 42.7
GTEX-139D8-1626-SM-5IJFZ 30-39 years, female 42.6
GTEX-1S82P-0926-SM-EWRNP 60-69 years, female 42.6
GTEX-111YS-1326-SM-5EGGK 60-69 years, male 42.5
GTEX-132QS-0826-SM-5K7WV 60-69 years, male 42.5
GTEX-11PRG-1526-SM-5HL6Z 50-59 years, male 42.4
GTEX-13VXU-1026-SM-5KLZE 50-59 years, male 42.3
GTEX-1AX9I-1726-SM-731BX 60-69 years, male 42.3
GTEX-17MF6-1326-SM-79ONE 40-49 years, male 42.2
GTEX-13G51-0526-SM-5IJCQ 60-69 years, male 42.1
GTEX-11GS4-1026-SM-5N9DE 60-69 years, male 42.0
GTEX-ZE7O-1526-SM-5J1NH 50-59 years, female 41.8
GTEX-ZVP2-0226-SM-57WBD 50-59 years, male 41.8
GTEX-1HSGN-1926-SM-CMKGS 40-49 years, female 41.8
GTEX-11VI4-1226-SM-5EQMP 40-49 years, female 41.6
GTEX-17HHE-1526-SM-793AS 50-59 years, male 41.6
GTEX-1RQEC-2526-SM-EVYD2 60-69 years, male 41.6
GTEX-13X6J-1926-SM-5TDCU 50-59 years, male 41.5
GTEX-1GMR2-0226-SM-9JGHO 50-59 years, male 41.5
GTEX-145LU-1226-SM-5LU9B 50-59 years, male 41.3
GTEX-131XH-0826-SM-5GCN8 50-59 years, male 41.1
GTEX-1399U-2026-SM-9WPNN 50-59 years, female 41.0
GTEX-13O3P-0926-SM-5IFFI 50-59 years, male 40.7
GTEX-1N2EE-1526-SM-DTXE9 60-69 years, male 40.7
GTEX-W5X1-1426-SM-3GIKH 40-49 years, female 40.6
GTEX-1OFPY-0826-SM-DTX8P 60-69 years, male 40.6
GTEX-ZG7Y-1626-SM-5S2NO 50-59 years, male 40.3
GTEX-1GPI7-0826-SM-9JGG7 20-29 years, male 40.3
GTEX-14JG6-0526-SM-6LLIH 30-39 years, female 40.2
GTEX-18D9B-1726-SM-7LTAP 60-69 years, male 40.2
GTEX-Y5V6-0626-SM-4WWFY 60-69 years, male 40.2
GTEX-ZZ64-0626-SM-5GZWR 20-29 years, male 40.2
GTEX-13N11-1826-SM-5IJDS 50-59 years, female 40.1
GTEX-18D9U-0426-SM-731AN 40-49 years, male 40.1
GTEX-11P81-0726-SM-5PNYH 30-39 years, female 39.8
GTEX-139YR-0326-SM-5J1MC 50-59 years, male 39.8
GTEX-Y3I4-0726-SM-E9J3Y 50-59 years, male 39.8
GTEX-1IDJF-1726-SM-A9SLL 20-29 years, male 39.7
GTEX-WVLH-1626-SM-EXURN 50-59 years, male 39.7
GTEX-WL46-2026-SM-3LK7U 50-59 years, male 39.6
GTEX-XV7Q-1726-SM-4BRUU 40-49 years, female 39.6
GTEX-14E7W-2326-SM-69LQC 70-79 years, male 39.5
GTEX-1IDJH-1626-SM-A9SLP 70-79 years, male 39.5
GTEX-147JS-1026-SM-5S2MP 60-69 years, male 39.4
GTEX-11P7K-0826-SM-5BC5F 30-39 years, male 39.3
GTEX-132NY-1126-SM-5PNVE 60-69 years, male 39.3
GTEX-12WSM-0626-SM-5GCOK 60-69 years, male 39.2
GTEX-11TT1-1926-SM-5PNYN 20-29 years, male 39.1
GTEX-16MTA-1326-SM-6PALX 50-59 years, male 39.1
GTEX-1A8G7-1226-SM-73KYP 60-69 years, male 39.1
GTEX-1E1VI-1826-SM-9WG5J 50-59 years, male 39.1
GTEX-1J1R8-0526-SM-ACKWO 40-49 years, male 39.1
GTEX-1C2JI-0826-SM-7EPHB 50-59 years, male 39.0
GTEX-13OW7-1126-SM-5K7V6 50-59 years, male 38.9
GTEX-WYJK-1426-SM-3NM8V 50-59 years, male 38.9
GTEX-1AMEY-0526-SM-72D62 30-39 years, female 38.7
GTEX-WXYG-0926-SM-3NB2O 50-59 years, female 38.7
GTEX-1MUQO-0826-SM-EVYCZ 60-69 years, male 38.7
GTEX-11NUK-2026-SM-5PNVZ 50-59 years, male 38.6
GTEX-14ABY-1926-SM-62LDJ 50-59 years, male 38.4
GTEX-X3Y1-0926-SM-3P5YT 40-49 years, male 38.4
GTEX-1GL5R-0726-SM-9MQL5 50-59 years, male 38.3
GTEX-13113-1126-SM-5LZU9 60-69 years, female 38.0
GTEX-1EKGG-1426-SM-7PBY2 60-69 years, male 37.7
GTEX-1B8L1-0126-SM-9KNVS 60-69 years, male 37.6
GTEX-Y8LW-0926-SM-4VBQ8 50-59 years, female 37.5
GTEX-1F6I4-2126-SM-7PC2J 60-69 years, male 37.4
GTEX-17HHY-1026-SM-7LG5E 50-59 years, male 37.3
GTEX-14E6E-0226-SM-7DUEF 30-39 years, male 37.2
GTEX-WHPG-0626-SM-3NMBD 50-59 years, male 37.2
GTEX-178AV-0626-SM-6PAM1 40-49 years, male 37.1
GTEX-1HSKV-1926-SM-CNPPN 60-69 years, male 37.1
GTEX-13S7M-0826-SM-5QGQX 60-69 years, female 37.0
GTEX-18A6Q-1026-SM-7LT9S 60-69 years, male 37.0
GTEX-1KANC-0526-SM-D4P3T 50-59 years, female 37.0
GTEX-11XUK-1726-SM-5GU61 40-49 years, female 36.9
GTEX-146FR-0226-SM-5Q5F6 60-69 years, female 36.8
GTEX-ZT9W-1026-SM-57WG5 50-59 years, male 36.8
GTEX-1H1DE-0826-SM-ARU8V 20-29 years, male 36.8
GTEX-1339X-0726-SM-5L3FF 40-49 years, male 36.6
GTEX-15ER7-1026-SM-7KUMD 20-29 years, female 36.5
GTEX-17F98-0326-SM-7DHLH 40-49 years, female 36.4
GTEX-14JIY-1426-SM-6EU29 60-69 years, male 36.3
GTEX-18A66-1926-SM-7LTAG 60-69 years, male 36.2
GTEX-1B996-1226-SM-73KWZ 60-69 years, male 36.2
GTEX-1H1CY-0826-SM-9WYTU 60-69 years, female 35.8
GTEX-1PFEY-0726-SM-E76PO 30-39 years, male 35.8
GTEX-1CAMS-0926-SM-7SB7F 40-49 years, female 35.7
GTEX-1HBPN-1526-SM-9WYSB 50-59 years, male 35.6
GTEX-1S3DN-1626-SM-EVYCC 50-59 years, male 35.6
GTEX-1AX9J-2226-SM-731CW 60-69 years, male 35.5
GTEX-13O61-1926-SM-5KM1R 60-69 years, male 35.2
GTEX-13VXT-0926-SM-5LU5K 20-29 years, female 35.0
GTEX-14E6D-1326-SM-62LES 50-59 years, male 35.0
GTEX-1CB4G-2126-SM-7IGQ8 60-69 years, male 34.9
GTEX-ZDXO-2326-SM-5LU9W 60-69 years, male 34.9
GTEX-ZPIC-0726-SM-57WFM 40-49 years, female 34.8
GTEX-1IY9M-1226-SM-ACKX1 60-69 years, male 34.8
GTEX-11LCK-0326-SM-5A5M7 30-39 years, male 34.6
GTEX-11OF3-0826-SM-5BC51 60-69 years, male 34.3
GTEX-WOFM-0726-SM-3MJF8 20-29 years, male 34.0
GTEX-ZDYS-2226-SM-5S2MI 50-59 years, male 34.0
GTEX-1LGOU-0826-SM-DHXKL 20-29 years, female 33.9
GTEX-XPVG-1626-SM-EYYVK 50-59 years, male 33.8
GTEX-1B97I-0526-SM-73KXE 40-49 years, male 33.7
GTEX-145LV-1026-SM-5O9AE 50-59 years, male 33.5
GTEX-1CAMQ-1226-SM-7SB7E 40-49 years, male 33.5
GTEX-1GZ4I-2326-SM-9YFMO 50-59 years, male 33.4
GTEX-13FTX-0626-SM-5J2NS 20-29 years, female 33.3
GTEX-1QPFJ-2126-SM-EXOJV 30-39 years, female 33.2
GTEX-1N2DV-0626-SM-E9U5H 40-49 years, male 33.1
GTEX-14PJ5-0426-SM-5ZZW2 60-69 years, female 33.0
GTEX-13112-1126-SM-5GCMY 50-59 years, male 32.9
GTEX-1CB4F-1126-SM-79OLG 60-69 years, male 32.8
GTEX-1AX9K-0926-SM-7939G 50-59 years, male 32.7
GTEX-17KNJ-0426-SM-718AK 50-59 years, male 32.4
GTEX-1HT8W-0726-SM-A9SLB 30-39 years, male 32.2
GTEX-15DYW-1526-SM-7KUEP 60-69 years, female 32.0
GTEX-111CU-1026-SM-5EGIL 50-59 years, male 31.9
GTEX-12WSL-1126-SM-5CVNK 50-59 years, male 31.9
GTEX-1MA7W-0526-SM-E6CIN 20-29 years, female 31.9
GTEX-11NV4-1426-SM-5BC4W 60-69 years, male 31.8
GTEX-14BMV-1626-SM-73KVQ 50-59 years, male 31.7
GTEX-XAJ8-0226-SM-4GIB2 40-49 years, male 31.7
GTEX-12C56-0826-SM-5EGJ5 20-29 years, male 31.6
GTEX-1B933-1326-SM-7939U 50-59 years, female 31.6
GTEX-YEC4-0926-SM-5PNXY 40-49 years, male 31.6
GTEX-1LVAN-0926-SM-CNNQ2 50-59 years, female 31.6
GTEX-15D1Q-1326-SM-69LOA 40-49 years, male 31.4
GTEX-1C64N-1326-SM-7SB7D 50-59 years, male 31.2
GTEX-1HFI6-1726-SM-CGQFH 40-49 years, male 31.2
GTEX-14PJM-1226-SM-686Z7 50-59 years, female 31.1
GTEX-1HC8U-0926-SM-A9G3L 40-49 years, female 31.1
GTEX-1QP67-1126-SM-EAZ4C 40-49 years, female 30.7
GTEX-1EWIQ-2526-SM-7EPIJ 70-79 years, female 30.6
GTEX-ZQUD-0526-SM-57WG4 30-39 years, male 30.5
GTEX-131YS-1726-SM-5HL7G 60-69 years, female 30.3
GTEX-1H4P4-0326-SM-9WYTD 50-59 years, male 30.3
GTEX-ZYFC-1826-SM-5GZZA 50-59 years, male 30.2
GTEX-11ZUS-1826-SM-5FQTR 30-39 years, male 30.1
GTEX-1I1GQ-1026-SM-CNNQS 50-59 years, male 30.1
GTEX-XQ8I-1426-SM-4BOPW 50-59 years, male 30.0
GTEX-1HCUA-0926-SM-ADEIX 50-59 years, female 30.0
GTEX-1I1GR-1726-SM-COH39 60-69 years, male 30.0
GTEX-1BAJH-2126-SM-7EWFB 70-79 years, male 29.6
GTEX-12584-2126-SM-5FQUM 40-49 years, male 29.1
GTEX-1C6VR-1126-SM-7EPHD 60-69 years, male 29.0
GTEX-13O21-3126-SM-5J1OI 50-59 years, male 28.8
GTEX-ZTX8-0726-SM-59HL9 20-29 years, male 28.6
GTEX-145MF-1026-SM-5Q5EQ 50-59 years, male 28.5
GTEX-11EQ9-1126-SM-5987I 30-39 years, male 28.3
GTEX-15SHU-2326-SM-7KUMC 40-49 years, female 28.1
GTEX-13OVG-1326-SM-5K7Y3 60-69 years, male 28.0
GTEX-Z9EW-0826-SM-5HL9T 40-49 years, male 27.5
GTEX-12ZZX-1726-SM-5BC63 40-49 years, female 27.4
GTEX-ZDTS-1826-SM-5S2N6 60-69 years, male 27.4
GTEX-ZP4G-1326-SM-5EGIW 20-29 years, female 27.3
GTEX-12WSC-1726-SM-5GCN3 50-59 years, male 27.0
GTEX-1POEN-1626-SM-EVYC2 30-39 years, female 26.9
GTEX-ZYT6-2126-SM-5GZZ4 30-39 years, male 26.6
GTEX-ZF2S-1526-SM-5S2OO 50-59 years, female 26.0
GTEX-1JKYR-1226-SM-CM2S7 20-29 years, male 26.0
GTEX-1A3MV-0626-SM-731CH 30-39 years, male 25.6
GTEX-Y111-0926-SM-4SOIU 50-59 years, male 25.4
GTEX-1R7EV-1026-SM-DTX81 40-49 years, male 25.3
GTEX-1K2DA-1126-SM-CGQGG 50-59 years, male 24.3
GTEX-1KWVE-0226-SM-E9TKK 30-39 years, male 24.3
GTEX-ZYFG-1426-SM-5GICS 60-69 years, female 24.1
GTEX-16NGA-0526-SM-731AJ 40-49 years, female 23.6
GTEX-1313W-1626-SM-5J1OE 50-59 years, female 22.5
GTEX-1ICG6-1726-SM-ARU7K 70-79 years, female 22.0
GTEX-1OJC3-1326-SM-E9J3D 20-29 years, male 20.4
GTEX-1122O-0926-SM-9YFLC 60-69 years, female 17.5
GTEX-14PKU-0226-SM-6EU16 40-49 years, female 17.4
Show allShow less

ADIPOSE TISSUE - FANTOM5 CAGEi

RNA expression in human tissues obtained through Cap Analysis of Gene Expression (CAGE) generated by the FANTOM5 project are reported as Scaled Tags Per Million.

Max subtype Scaled Tags Per Millioni

Max subtype Scaled Tags Per Million is the value for the subtype with the largest average Scaled Tags Per Million across the subtype samples.

104.7
FANTOM5 sample id Sample description Scaled Tags Per Million
Adipose tissue
Scaled Tags Per Million: 104.7
FF:10010-101C1 65,65,76 years, mixed 104.7

Contact

  • NEWS ARTICLES
  • PRESS ROOM

The Project

  • INTRODUCTION
  • ORGANIZATION
  • PUBLICATIONS

The Human Protein Atlas

  • DOWNLOADABLE DATA
  • LICENCE & CITATION
  • HELP & FAQ
The Human Protein Atlas project is funded
by the Knut & Alice Wallenberg Foundation.


contact@proteinatlas.org