We use cookies to enhance the usability of our website. If you continue, we'll assume that you are happy to receive all cookies. More information. Don't show this again.
PDGFRA
HPA
RESOURCES
  • TISSUE
  • BRAIN
  • SINGLE CELL
  • SUBCELLULAR
  • CANCER
  • BLOOD
  • CELL LINE
  • STRUCTURE & INTERACTION
ABOUT
  • INTRODUCTION
  • HISTORY
  • ORGANIZATION
  • PUBLICATIONS
  • ANTIBODY SUBMISSION
  • ANTIBODY AVAILABILITY
  • ACKNOWLEDGMENTS
  • CONTACT
NEWS
  • NEWS ARTICLES
  • PRESS ROOM
LEARN
  • DICTIONARY
  • PROTEIN CLASSES
  • PROTEIN EVIDENCE
  • METHODS
  • EDUCATIONAL VIDEOS
DATA
  • DOWNLOADABLE DATA
  • PUBLICATION DATA
  • RELEASE HISTORY
HELP
  • ANTIBODY VALIDATION
  • ASSAYS & ANNOTATION
  • DISCLAIMER
  • HELP & FAQ
  • PRIVACY STATEMENT
  • LICENCE & CITATION
Fields »
Search result

Field
Term
Gene name
Class
Subclass
Class
Keyword
Chromosome
External id
Tissue
Cell type
Expression
Antibody panel
Tissue
Main location
Patient ID
Annotation
Tissue
Category
Tau score
Cluster
Reliability
Brain region
Category
Tau score
Brain region
Category
Tau score
Brain region
Category
Tau score
Cluster
Reliability
Tissue
Cell type
Enrichment
Cell type
Category
Tau score
Cell type
Category
Tau score
Cell type
Category
Tau score
Cell lineage
Category
Tau score
Cluster
Cluster
Location
Searches
Location
Cell line
Class
Type
Phase
Reliability
Cancer
Prognosis
Cancer
Category
Cancer
Category
Tau score
Cluster
Variants
Interacting gene (ensg_id)
Type
Number of interactions
Pathway
Category
Score
Score
Score
Validation
Validation
Validation
Validation
Antibodies
Data type
Column


  • SUMMARY

  • TISSUE

  • BRAIN

  • SINGLE CELL

  • SUBCELL

  • CANCER

  • BLOOD

  • CELL LINE

  • STRUCT & INT

  • PDGFRA
TISSUE PRIMARY DATA SKIN Show tissue menu
ADIPOSE TISSUE ADRENAL GLAND AMYGDALA APPENDIX BASAL GANGLIA BONE MARROW BREAST BRONCHUS CEREBELLUM CEREBRAL CORTEX CERVIX CHOROID PLEXUS COLON DUODENUM
ENDOMETRIUM EPIDIDYMIS ESOPHAGUS FALLOPIAN TUBE GALLBLADDER HEART MUSCLE HIPPOCAMPAL FORMATION HYPOTHALAMUS KIDNEY LIVER LUNG LYMPH NODE MIDBRAIN NASOPHARYNX
ORAL MUCOSA OVARY PANCREAS PARATHYROID GLAND PITUITARY GLAND PLACENTA PROSTATE RECTUM RETINA SALIVARY GLAND SEMINAL VESICLE SKELETAL MUSCLE SKIN SMALL INTESTINE
SMOOTH MUSCLE SOFT TISSUE SPINAL CORD SPLEEN STOMACH TESTIS THYMUS THYROID GLAND TONGUE TONSIL URINARY BLADDER VAGINA
ANTIBODIES
AND
VALIDATION
Dictionary
Skin
Tissue proteome
Skin
SKIN - Expression summary
Protein expression
Skini

On the top, protein expression in current human tissue, based on all annotated cell types, is reported with the units not detected (n), low (l), medium (m) and high (h). Underneath, protein expression in each annotated cell type are reported using the same units.

Protein expression data is based on knowledge-based annotation. For genes where more than one antibody has been used, a collective score is set.

If knowledge-based annotation could not be performed for a gene, no data is displayed here. View antibody staining data further down this page.

h
m
l
n
Cells in basal layer: Not detected
Cells in corneal layer: Not detected
Cells in granular layer: Not detected
Cells in spinous layer: Not detected
Endothelial cells: Not detected
Extracellular matrix: Not detected
Fibrohistiocytic cells: Medium
Hair follicles: Not detected
Langerhans cells: Not detected
Lymphocytes: Not detected
Melanocytes: Not detected
Vascular mural cells: Not detected
RNA expressioni

A summary of mRNA expression data available for current tissue based on several datasets. The mRNA expression levels in human tissues are based on RNA-seq data generated by the Human Protein Atlas (HPA), Genotype-Tissue Expression (GTEx) portal and CAGE data generated by the FANTOM5 consortium. Consensus normalized expression levels for human tissues was created by combining the data from HPA and GTEx datasets.

The mRNA expression levels in pig are based on RNA-seq data generated by the Human Protein Atlas (HPA), and for mouse, HPA data and in situ hybridization generated by the Allen brain atlas are reported.

Scroll down to view mRNA expression data in more detail.
Consensus:14.3 nTPM
HPA:12.1 nTPM
GTEx:14.3 nTPM

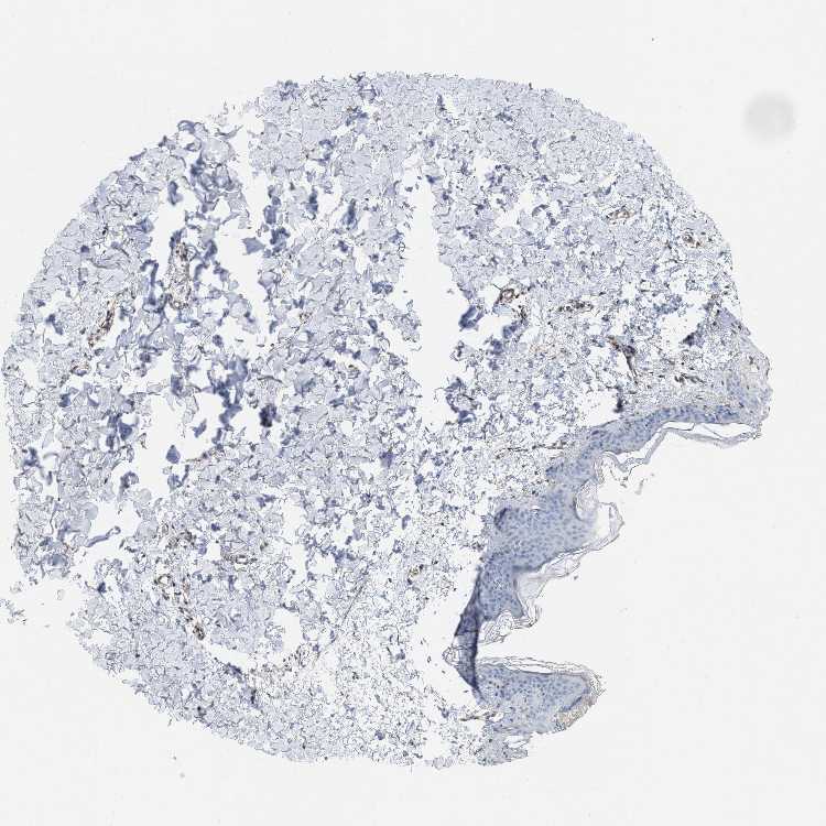
SKIN 1 - Antibody stainingi

Antibody staining in the annotated cell types in the current human tissue is reported as not detected, low, medium, or high, based on conventional immunohistochemistry profiling in selected tissues. This score is based on the combination of the staining intensity and fraction of stained cells.

Each image is clickable and will lead to virtual microscopy that enables deeper exploration of all samples and also displays staining intensity scores, fraction scores and subcellular localization as well as patient and tissue information for each sample.

Antibody CAB018143
Cells in basal layer Not detected
Cells in corneal layer Not detected
Cells in granular layer Not detected
Cells in spinous layer Not detected
Endothelial cells Not detected
Extracellular matrix Not detected
Fibrohistiocytic cells Medium
Hair follicles Not detected
Langerhans cells Not detected
Lymphocytes Not detected
Melanocytes Not detected
Vascular mural cells Not detected


SKIN 2 - Antibody stainingi

Antibody staining in the annotated cell types in the current human tissue is reported as not detected, low, medium, or high, based on conventional immunohistochemistry profiling in selected tissues. This score is based on the combination of the staining intensity and fraction of stained cells.

Each image is clickable and will lead to virtual microscopy that enables deeper exploration of all samples and also displays staining intensity scores, fraction scores and subcellular localization as well as patient and tissue information for each sample.

Antibody CAB018143
Cells in basal layer Not detected
Cells in corneal layer Not detected
Cells in granular layer Not detected
Cells in spinous layer Not detected
Endothelial cells Not detected
Extracellular matrix Not detected
Fibrohistiocytic cells Medium
Langerhans cells Not detected
Lymphocytes Not detected
Melanocytes Not detected
Vascular mural cells Not detected
 



SKIN - HPA RNA-seqi

The RNA-seq details section shows detailed information about the individual samples used for the transcript profiling and results of the RNA-seq analysis.

Information about each individual sample is listed below, including gender, age, a tissue section image and estimated fractions of cell types. nTPM (normalized transcripts per million) values give a quantification of the gene abundance which is comparable between different genes and samples.
Average nTPMi

Max subtype nTPM is the value for the subtype with the largest average nTPM across the subtype samples.

12.1
overview
Female, age 34
Skin sample 225
nTPM: 14.1
Cell types%
Keratinocytes:
60

Other cell types:
40

overview
Female, age 30
Skin sample 226
nTPM: 16.8
Cell types%
Keratinocytes:
55

Other cell types:
45

N/A
Male, age 57
Skin sample 227
nTPM: 5.4

SKIN - GTEx RNA-seqi

RNA-Seq data generated by the Genotype-Tissue Expression (GTEx) project from human tissues is reported as mean nTPM. More information can be found on the GTEx portal.

Distribution across the dataset is visualized with box plots, shown as median and 25th and 75th percentiles. Points are displayed as outliers if they are above or below 1.5 times the interquartile range. nTPM values of the individual samples are presented next to the box plot.
Max subtype nTPMi

Max subtype nTPM is the value for the subtype with the largest average nTPM across the subtype samples.

14.3
GTEx sample id Sample description nTPM
Skin - Not Sun Exposed (Suprapubic)
Average nTPM: 12.0
Samples: 604

Max nTPM: 49.6
Min nTPM: 1.8
Std nTPM: 6.2
Median nTPM: 10.7
GTEX-1L5NE-1126-SM-D3L9P 50-59 years, male 49.6
GTEX-1F48J-0726-SM-7RHGS 50-59 years, female 37.5
GTEX-1IDJC-1526-SM-B2LW4 50-59 years, male 37.3
GTEX-13FH7-1126-SM-5K7UG 50-59 years, female 37.1
GTEX-WYBS-0626-SM-3NMAS 60-69 years, female 36.1
GTEX-1QP29-1826-SM-DTX9S 50-59 years, male 35.7
GTEX-1497J-0226-SM-5QGPU 60-69 years, male 34.9
GTEX-Y8LW-1526-SM-5IFHL 50-59 years, female 29.6
GTEX-YF7O-1526-SM-5IFI6 50-59 years, male 29.5
GTEX-13113-1626-SM-5EQ4I 60-69 years, female 29.4
GTEX-U8XE-0226-SM-4E3J3 30-39 years, male 28.7
GTEX-ZT9W-1126-SM-57WDR 50-59 years, male 28.3
GTEX-WFG8-2126-SM-3GIKQ 20-29 years, male 27.9
GTEX-1JMOU-1026-SM-CYPSS 60-69 years, female 27.9
GTEX-18D9B-0926-SM-7LG4U 60-69 years, male 27.8
GTEX-1HC8U-1326-SM-9YFMJ 40-49 years, female 27.2
GTEX-12C56-1526-SM-5FQUQ 20-29 years, male 26.9
GTEX-1IDJE-1426-SM-ADEIW 50-59 years, female 26.8
GTEX-14E6C-2426-SM-5S2NF 40-49 years, male 26.5
GTEX-132AR-0326-SM-5KM2C 50-59 years, female 26.2
GTEX-12WSL-2026-SM-5GCML 50-59 years, male 26.1
GTEX-1IDJD-2326-SM-ACKWX 30-39 years, male 25.8
GTEX-1GF9U-2026-SM-7SB92 40-49 years, female 25.6
GTEX-15FZZ-0526-SM-7KUGD 30-39 years, female 25.1
GTEX-ZGAY-1826-SM-DO91Q 40-49 years, female 24.9
GTEX-1IDJF-2026-SM-CL53V 20-29 years, male 24.7
GTEX-ZYW4-0626-SM-59HJR 60-69 years, male 24.6
GTEX-146FQ-2126-SM-5RQHU 30-39 years, male 24.5
GTEX-WEY5-2326-SM-3GIKK 40-49 years, female 24.5
GTEX-ZLWG-0826-SM-59888 50-59 years, female 24.4
GTEX-1QP66-1226-SM-DTX7U 50-59 years, male 24.4
GTEX-13OVJ-0826-SM-5J1OK 50-59 years, female 24.3
GTEX-XK95-0226-SM-4AT58 40-49 years, male 24.2
GTEX-1H1DF-1126-SM-9WG7G 40-49 years, female 24.1
GTEX-15G1A-1626-SM-7KUKN 30-39 years, male 23.9
GTEX-1H3NZ-2726-SM-9WYTQ 60-69 years, male 23.7
GTEX-11ZTT-2126-SM-5CVLO 60-69 years, female 23.5
GTEX-YB5K-2026-SM-4VDT3 40-49 years, female 23.3
GTEX-14DAR-1226-SM-73KYV 50-59 years, male 23.1
GTEX-13N11-2326-SM-5IJBF 50-59 years, female 23.0
GTEX-WH7G-2026-SM-3NMBL 40-49 years, male 22.9
GTEX-1314G-1326-SM-5BC6E 30-39 years, male 22.7
GTEX-1GZHY-0626-SM-9KNVC 50-59 years, female 22.6
GTEX-1A3MW-0626-SM-731CB 60-69 years, female 22.1
GTEX-14JG6-1426-SM-9WG7C 30-39 years, female 22.1
GTEX-WHSE-0126-SM-3NMBT 20-29 years, male 21.8
GTEX-183FY-1026-SM-7939A 20-29 years, male 21.6
GTEX-WFON-1926-SM-3LK7L 40-49 years, male 21.6
GTEX-1KANA-1326-SM-DIPFA 20-29 years, male 21.6
GTEX-1RLM8-2926-SM-E8VON 50-59 years, male 21.4
GTEX-15EU6-2226-SM-6EU2L 50-59 years, male 21.0
GTEX-1A32A-0626-SM-731AQ 50-59 years, female 21.0
GTEX-1J8Q3-0526-SM-ARL8U 60-69 years, male 21.0
GTEX-1MJK3-0726-SM-E6CJC 20-29 years, male 20.7
GTEX-1QCLZ-2426-SM-EVYBW 60-69 years, female 20.7
GTEX-1GF9W-1426-SM-7PBYM 60-69 years, male 20.4
GTEX-117YX-1926-SM-5GIEC 50-59 years, male 20.3
GTEX-11EQ9-1626-SM-5PNY8 30-39 years, male 20.3
GTEX-18A66-0626-SM-7LT8Z 60-69 years, male 20.3
GTEX-VJYA-1526-SM-3GIJV 60-69 years, male 20.3
GTEX-1AX8Z-0726-SM-73KTS 60-69 years, male 20.2
GTEX-145ME-1726-SM-5Q5EU 40-49 years, female 20.0
GTEX-1LG7Z-1626-SM-CXKYR 30-39 years, male 19.8
GTEX-1JN1M-2726-SM-CY8I4 60-69 years, female 19.7
GTEX-1211K-1526-SM-5FQU4 60-69 years, female 19.6
GTEX-1C475-1326-SM-7SB73 40-49 years, female 19.6
GTEX-W5X1-2526-SM-3GILC 40-49 years, female 19.3
GTEX-ZYFG-1526-SM-5GZYM 60-69 years, female 19.3
GTEX-Y5V5-0126-SM-5S2NW 60-69 years, female 19.2
GTEX-1HUB1-1426-SM-CGQF5 60-69 years, male 19.2
GTEX-14BMU-1226-SM-5S2OR 20-29 years, female 19.1
GTEX-ZAJG-1526-SM-5CVML 50-59 years, female 19.1
GTEX-1CAMR-1326-SM-7PC1F 20-29 years, male 19.0
GTEX-1AX9J-1326-SM-731BJ 60-69 years, male 18.9
GTEX-1CAV2-0126-SM-7IGN7 40-49 years, female 18.9
GTEX-ZVE2-2826-SM-5GU51 50-59 years, male 18.9
GTEX-11EM3-1226-SM-5N9DD 20-29 years, female 18.8
GTEX-ZYFD-0626-SM-5E44E 50-59 years, male 18.8
GTEX-XBED-1926-SM-47JYP 60-69 years, male 18.7
GTEX-147JS-0226-SM-5S2U9 60-69 years, male 18.6
GTEX-14PK6-0226-SM-62LF5 70-79 years, female 18.5
GTEX-1JKYN-0826-SM-ARU8S 30-39 years, male 18.4
GTEX-1R9PN-0426-SM-DTXDT 40-49 years, female 18.4
GTEX-WY7C-2126-SM-3NB2R 50-59 years, male 18.2
GTEX-13OVG-1626-SM-5J1NF 60-69 years, male 18.1
GTEX-13RTJ-0126-SM-5S2NN 60-69 years, male 18.1
GTEX-1F75B-0726-SM-7PC3R 50-59 years, male 18.1
GTEX-11P7K-1126-SM-5HL4L 30-39 years, male 17.9
GTEX-12BJ1-0926-SM-5EQ62 60-69 years, male 17.9
GTEX-1LVAN-0626-SM-CNPOQ 50-59 years, female 17.8
GTEX-14PHX-2226-SM-6EU2P 50-59 years, male 17.6
GTEX-1I6K6-1726-SM-CGQFD 30-39 years, male 17.6
GTEX-1KANC-1226-SM-CYPT7 50-59 years, female 17.4
GTEX-1HCUA-0826-SM-ADEHM 50-59 years, female 17.3
GTEX-13OVK-1426-SM-6PAN7 40-49 years, male 17.1
GTEX-145LT-0526-SM-5LUB2 40-49 years, male 17.1
GTEX-X5EB-1926-SM-4E3IW 40-49 years, male 17.1
GTEX-11EI6-2826-SM-5H11D 60-69 years, male 17.0
GTEX-13QBU-1226-SM-5LU4G 40-49 years, female 17.0
GTEX-Y8E4-2026-SM-5IFJB 40-49 years, male 17.0
GTEX-1LGOU-1326-SM-D3L8M 20-29 years, female 17.0
GTEX-14AS3-1526-SM-5Q5ED 40-49 years, female 16.9
GTEX-ZLFU-1826-SM-4WWBV 40-49 years, male 16.9
GTEX-1HSMO-0626-SM-ACKXC 60-69 years, male 16.9
GTEX-1I4MK-0126-SM-CY8G6 50-59 years, female 16.9
GTEX-13X6H-0926-SM-5SIB2 50-59 years, female 16.8
GTEX-147F3-1726-SM-5SIAW 50-59 years, female 16.8
GTEX-ZZ64-1026-SM-5GZXG 20-29 years, male 16.8
GTEX-1F5PL-0926-SM-7PC2W 40-49 years, female 16.7
GTEX-1ICG6-1226-SM-A9SLN 70-79 years, female 16.7
GTEX-1399R-1326-SM-5PNYS 30-39 years, male 16.6
GTEX-145MO-2826-SM-5LU96 60-69 years, male 16.6
GTEX-1B996-0426-SM-7EWF8 60-69 years, male 16.6
GTEX-ZTSS-1426-SM-5985P 40-49 years, male 16.6
GTEX-1GZ4H-0526-SM-9KNU9 50-59 years, female 16.5
GTEX-13VXT-1926-SM-5K7UO 20-29 years, female 16.4
GTEX-139YR-1026-SM-5LZYN 50-59 years, male 16.3
GTEX-145MN-1526-SM-5SI9T 30-39 years, male 16.3
GTEX-15RJ7-2126-SM-6PAMD 40-49 years, male 16.3
GTEX-X3Y1-2026-SM-3P5YM 40-49 years, male 16.2
GTEX-1J8QM-2426-SM-A9SLS 60-69 years, female 16.1
GTEX-1RAZR-2126-SM-E9U6T 40-49 years, male 16.1
GTEX-13FTX-1526-SM-5K7VJ 20-29 years, female 16.0
GTEX-15D1Q-2826-SM-6LLH7 40-49 years, male 16.0
GTEX-X4EP-0626-SM-3P621 60-69 years, female 16.0
GTEX-XUW1-0926-SM-4BONX 50-59 years, female 15.9
GTEX-ZVP2-0326-SM-57WBP 50-59 years, male 15.9
GTEX-ZA64-1026-SM-5HL8R 20-29 years, male 15.8
GTEX-14PJO-2526-SM-6AJBQ 60-69 years, male 15.7
GTEX-16BQI-1326-SM-6M486 30-39 years, female 15.6
GTEX-Y5LM-0926-SM-6LLJG 40-49 years, female 15.6
GTEX-1I6K7-1926-SM-B2LXR 40-49 years, male 15.6
GTEX-11NSD-0626-SM-5A5LU 20-29 years, male 15.5
GTEX-1117F-2926-SM-5GZYI 60-69 years, female 15.4
GTEX-17F96-0126-SM-7EWDU 70-79 years, male 15.4
GTEX-18A7B-2726-SM-7LG56 70-79 years, male 15.4
GTEX-1EWIQ-0326-SM-7DHMQ 70-79 years, female 15.4
GTEX-18D9A-1426-SM-7LT8M 30-39 years, female 15.4
GTEX-1F75I-2226-SM-7SB8U 40-49 years, male 15.4
GTEX-1H1ZS-2726-SM-9WG75 70-79 years, male 15.4
GTEX-11VI4-1126-SM-5EQMD 40-49 years, female 15.3
GTEX-1A3MX-2626-SM-7PC24 60-69 years, male 15.3
GTEX-1HCU6-2526-SM-ADEHL 60-69 years, female 15.3
GTEX-16NGA-0726-SM-731AO 40-49 years, female 15.1
GTEX-18A7A-0126-SM-731AH 50-59 years, female 15.1
GTEX-UPK5-0426-SM-3GAEK 40-49 years, male 15.1
GTEX-1RAZA-2226-SM-E9U4X 20-29 years, male 15.1
GTEX-1HKZK-0726-SM-ACKW2 40-49 years, male 15.0
GTEX-ZZPU-0826-SM-5GZX5 50-59 years, female 14.9
GTEX-1HCU9-0426-SM-9WYSD 20-29 years, male 14.9
GTEX-1LSNM-0826-SM-DIPG8 50-59 years, male 14.9
GTEX-1F75A-0726-SM-7RHHD 50-59 years, male 14.8
GTEX-1GTWX-2026-SM-9YFLM 60-69 years, male 14.8
GTEX-1JMQL-2226-SM-CNPP4 50-59 years, female 14.8
GTEX-144GM-0526-SM-79OJO 20-29 years, male 14.7
GTEX-14PKU-0126-SM-6LLHV 40-49 years, female 14.7
GTEX-12696-0126-SM-5EQ4L 60-69 years, male 14.6
GTEX-14PJ5-1526-SM-6LLIL 60-69 years, female 14.6
GTEX-Y3I4-1726-SM-4TT89 50-59 years, male 14.6
GTEX-1JJ6O-2726-SM-CNPOG 60-69 years, male 14.4
GTEX-X8HC-0626-SM-4E3HQ 50-59 years, female 14.3
GTEX-ZDYS-2426-SM-4WKGI 50-59 years, male 14.3
GTEX-1H1CY-0126-SM-9YFLY 60-69 years, female 14.3
GTEX-17F98-1326-SM-7DUEP 40-49 years, female 14.2
GTEX-ZPU1-1126-SM-4YCF3 40-49 years, male 14.2
GTEX-1I1GS-2626-SM-B2LY3 60-69 years, male 14.2
GTEX-16MTA-0926-SM-6M47Z 50-59 years, male 14.1
GTEX-WXYG-2026-SM-4E3IY 50-59 years, female 14.1
GTEX-ZF2S-1626-SM-57WES 50-59 years, female 14.1
GTEX-11WQK-1026-SM-5EQLX 50-59 years, male 14.0
GTEX-14C38-0726-SM-5SI6M 50-59 years, male 14.0
GTEX-WYVS-1626-SM-3NM9R 40-49 years, female 14.0
GTEX-13YAN-0226-SM-5TDC6 60-69 years, male 13.9
GTEX-YEC4-1826-SM-4W1YP 40-49 years, male 13.9
GTEX-1QP28-1126-SM-EVYC4 50-59 years, female 13.9
GTEX-15ER7-0626-SM-6PANF 20-29 years, female 13.8
GTEX-1F52S-2926-SM-7MKGA 60-69 years, female 13.8
GTEX-Y114-2126-SM-4TT8B 50-59 years, female 13.8
GTEX-1GZ2Q-0126-SM-9WG6M 40-49 years, male 13.8
GTEX-1K2DA-1026-SM-CGQGF 50-59 years, male 13.8
GTEX-XV7Q-1826-SM-4BRUV 40-49 years, female 13.6
GTEX-1GMR2-0826-SM-7PC3V 50-59 years, male 13.6
GTEX-12ZZZ-0726-SM-5GCNZ 60-69 years, male 13.5
GTEX-14A5H-0826-SM-5QGPJ 60-69 years, male 13.5
GTEX-18D9U-0126-SM-731BM 40-49 years, male 13.5
GTEX-1AX9I-2226-SM-73KUO 60-69 years, male 13.5
GTEX-1H23P-0626-SM-9WG6T 60-69 years, male 13.5
GTEX-1PIGE-1826-SM-E8VOU 20-29 years, male 13.5
GTEX-12KS4-2126-SM-5FQUT 30-39 years, male 13.4
GTEX-14PKV-1126-SM-6LLJ1 20-29 years, female 13.4
GTEX-1LBAC-0826-SM-CY8IJ 20-29 years, male 13.4
GTEX-131XG-0326-SM-5L3DX 50-59 years, female 13.3
GTEX-131YS-2826-SM-5EQ47 60-69 years, female 13.3
GTEX-1F75W-2726-SM-7SB8H 60-69 years, male 13.3
GTEX-1J1R8-2026-SM-CL53Y 40-49 years, male 13.3
GTEX-1S5ZU-2526-SM-E6CIF 20-29 years, female 13.3
GTEX-ZPIC-0526-SM-DO91W 40-49 years, female 13.3
GTEX-13PVR-0426-SM-5RQK2 60-69 years, female 13.2
GTEX-14PJ6-2626-SM-6EU2T 60-69 years, female 13.2
GTEX-14PHY-1226-SM-5ZZWK 60-69 years, female 13.1
GTEX-17EVQ-0126-SM-7IGLR 70-79 years, male 13.1
GTEX-17HGU-2326-SM-7DUFE 50-59 years, male 13.1
GTEX-YJ8O-2526-SM-5HL85 40-49 years, female 13.1
GTEX-1F88E-1626-SM-7SB8Z 60-69 years, female 13.1
GTEX-12584-0726-SM-5FQTK 40-49 years, male 13.0
GTEX-1477Z-0326-SM-7IGLA 60-69 years, male 13.0
GTEX-1B97I-0626-SM-73KUZ 40-49 years, male 13.0
GTEX-1C6VQ-1226-SM-73KYD 50-59 years, male 13.0
GTEX-XXEK-1626-SM-4BRUZ 50-59 years, male 13.0
GTEX-1C64O-1326-SM-7MGWR 60-69 years, male 13.0
GTEX-145MG-1526-SM-5Q5EM 50-59 years, male 12.9
GTEX-17F9E-2326-SM-79OKD 50-59 years, male 12.9
GTEX-WI4N-2726-SM-3LK7Y 40-49 years, female 12.9
GTEX-1KXAM-1626-SM-D3LAD 60-69 years, male 12.9
GTEX-1N2DV-1526-SM-DTXEP 40-49 years, male 12.9
GTEX-12WSD-0626-SM-5GCMW 60-69 years, female 12.8
GTEX-WHWD-1826-SM-3LK6I 50-59 years, male 12.8
GTEX-1GN1U-0626-SM-9MQL9 50-59 years, female 12.8
GTEX-1S831-1826-SM-EWROF 20-29 years, male 12.8
GTEX-11DYG-1526-SM-5A5JS 60-69 years, male 12.7
GTEX-1B8KE-1126-SM-7EPHI 50-59 years, male 12.7
GTEX-YEC3-1326-SM-DO92X 50-59 years, male 12.7
GTEX-13JUV-2026-SM-5K7UA 40-49 years, female 12.6
GTEX-1EU9M-1426-SM-793AI 60-69 years, male 12.6
GTEX-1LVAO-2726-SM-E9TJ8 60-69 years, male 12.6
GTEX-WYJK-0526-SM-3NM8Z 50-59 years, male 12.5
GTEX-1F6IF-0926-SM-7SB7M 60-69 years, male 12.5
GTEX-1GN1W-2426-SM-9KNUU 50-59 years, female 12.4
GTEX-1IDJU-1726-SM-CMKHU 60-69 years, female 12.4
GTEX-1QP9N-1226-SM-E76QN 30-39 years, male 12.4
GTEX-13FTW-0326-SM-5K7UW 40-49 years, male 12.3
GTEX-XOT4-0626-SM-4B66L 60-69 years, female 12.3
GTEX-ZDXO-3126-SM-5IJDF 60-69 years, male 12.3
GTEX-ZLV1-1526-SM-DO91J 60-69 years, female 12.3
GTEX-Y3IK-1626-SM-4YCF5 50-59 years, female 12.2
GTEX-ZTX8-1326-SM-4YCEL 20-29 years, male 12.2
GTEX-1A8FM-0626-SM-7PC25 50-59 years, female 12.2
GTEX-1GMRU-2126-SM-7P8RA 50-59 years, male 12.2
GTEX-11EQ8-0926-SM-5H12V 60-69 years, male 12.1
GTEX-WHPG-2626-SM-3NMBR 50-59 years, male 12.1
GTEX-ZVTK-0226-SM-51MRG 20-29 years, male 12.1
GTEX-11P81-2226-SM-5PNYI 30-39 years, female 12.0
GTEX-XYKS-1426-SM-4BRUO 60-69 years, female 12.0
GTEX-1F6I4-2326-SM-7RHGL 60-69 years, male 12.0
GTEX-1HSGN-0826-SM-ACKW3 40-49 years, female 12.0
GTEX-1HSMQ-2626-SM-A9SML 50-59 years, male 12.0
GTEX-1MCC2-1826-SM-DIPEX 30-39 years, female 12.0
GTEX-178AV-1726-SM-7KUL8 40-49 years, male 11.9
GTEX-XBEW-1126-SM-4QARW 40-49 years, male 11.9
GTEX-1H1DE-1326-SM-9KNUG 20-29 years, male 11.9
GTEX-1H1DG-2426-SM-9QEHJ 70-79 years, male 11.9
GTEX-12WSK-2126-SM-5CVNC 40-49 years, female 11.8
GTEX-131XF-2626-SM-5EQ6K 60-69 years, male 11.8
GTEX-17HHY-0426-SM-7DHLC 50-59 years, male 11.8
GTEX-1LGRB-0926-SM-COH3K 50-59 years, female 11.8
GTEX-1R9K4-2826-SM-DTX8F 60-69 years, male 11.8
GTEX-11TT1-1826-SM-5EQLV 20-29 years, male 11.7
GTEX-13X6K-0626-SM-5LU5D 60-69 years, female 11.7
GTEX-15CHC-1126-SM-6LLHQ 60-69 years, female 11.7
GTEX-1IDJI-0126-SM-CMKHS 50-59 years, female 11.7
GTEX-13PVQ-0626-SM-5LU47 50-59 years, male 11.6
GTEX-15G19-2426-SM-7KUMR 60-69 years, male 11.6
GTEX-1GL5R-1326-SM-7RHHF 50-59 years, male 11.6
GTEX-1PDJ9-1226-SM-EXUSX 20-29 years, male 11.6
GTEX-13N1W-2426-SM-5IJD1 70-79 years, male 11.5
GTEX-13NZ9-2626-SM-5L3FK 50-59 years, male 11.5
GTEX-13O61-1426-SM-5KM3D 60-69 years, male 11.5
GTEX-13U4I-2226-SM-5LU5H 40-49 years, female 11.5
GTEX-XPVG-2126-SM-4B667 50-59 years, male 11.5
GTEX-1HBPI-2126-SM-ARL9K 50-59 years, male 11.5
GTEX-139D8-1126-SM-5LU8W 30-39 years, female 11.4
GTEX-15DYW-2726-SM-6EU2I 60-69 years, female 11.4
GTEX-11P82-1426-SM-DTXFY 20-29 years, male 11.4
GTEX-1CB4J-1326-SM-7P8RX 60-69 years, male 11.4
GTEX-1JKYR-0626-SM-ARL8R 20-29 years, male 11.4
GTEX-11O72-0626-SM-5PNYE 40-49 years, male 11.3
GTEX-11LCK-2226-SM-5HL4Q 30-39 years, male 11.2
GTEX-1399U-1126-SM-5L3DB 50-59 years, female 11.2
GTEX-1B933-2426-SM-7DHMD 50-59 years, female 11.2
GTEX-ZAB4-2126-SM-5HL8U 40-49 years, male 11.2
GTEX-ZU9S-1826-SM-5NQ9E 30-39 years, male 11.2
GTEX-1HFI7-2326-SM-CGQFS 50-59 years, female 11.2
GTEX-1RB15-1326-SM-E76Q9 60-69 years, male 11.2
GTEX-1CB4I-0126-SM-7RHGG 50-59 years, male 11.1
GTEX-14PJ3-1126-SM-5ZZVX 50-59 years, male 11.0
GTEX-16NPX-0726-SM-7KULC 50-59 years, male 11.0
GTEX-12WSF-1626-SM-7KUG5 70-79 years, male 10.9
GTEX-13W3W-0726-SM-5IJDQ 60-69 years, female 10.9
GTEX-1CAMS-2226-SM-7PBXQ 40-49 years, female 10.9
GTEX-ZF3C-0626-SM-DO92O 50-59 years, female 10.9
GTEX-111FC-2526-SM-5GZXU 60-69 years, male 10.8
GTEX-139TU-0726-SM-5L3EK 60-69 years, male 10.8
GTEX-13FHO-0426-SM-5L3F5 60-69 years, male 10.8
GTEX-16XZZ-0726-SM-7KUF2 60-69 years, male 10.8
GTEX-17MFQ-1526-SM-7KFRR 20-29 years, male 10.8
GTEX-1AMFI-1326-SM-7939R 50-59 years, female 10.8
GTEX-1IDJV-0126-SM-COH3Y 60-69 years, male 10.8
GTEX-1JMQK-1226-SM-D4P2S 60-69 years, male 10.8
GTEX-12126-0826-SM-5FQTZ 20-29 years, male 10.7
GTEX-133LE-2326-SM-5K7W3 20-29 years, female 10.7
GTEX-13O3O-2326-SM-5IJD6 60-69 years, female 10.7
GTEX-1EN7A-2426-SM-793DB 40-49 years, male 10.7
GTEX-1B8KZ-0326-SM-73KY4 50-59 years, male 10.6
GTEX-VUSG-2326-SM-4KL1U 50-59 years, male 10.6
GTEX-1KWVE-1026-SM-D3L9O 30-39 years, male 10.6
GTEX-1N5O9-0926-SM-E9J3C 60-69 years, male 10.6
GTEX-1S82P-2126-SM-E6CI5 60-69 years, female 10.6
GTEX-16MT8-2926-SM-7DUFO 60-69 years, female 10.5
GTEX-ZF29-0926-SM-4WKFZ 60-69 years, female 10.5
GTEX-11DXW-0826-SM-5H118 40-49 years, male 10.4
GTEX-11UD2-2526-SM-5CVNU 50-59 years, male 10.4
GTEX-1CB4E-0926-SM-7EPHT 60-69 years, male 10.4
GTEX-ZC5H-1526-SM-5HL9Y 40-49 years, female 10.4
GTEX-ZP4G-1426-SM-4WWCL 20-29 years, female 10.4
GTEX-1H1E6-0426-SM-9WYUS 30-39 years, male 10.4
GTEX-1I19N-0126-SM-CYPSF 70-79 years, male 10.4
GTEX-1PPH8-0126-SM-EWRN8 20-29 years, male 10.4
GTEX-17HG3-2626-SM-7DUF2 30-39 years, female 10.3
GTEX-17MF6-2626-SM-79OKQ 40-49 years, male 10.3
GTEX-1A3MV-1826-SM-731CD 30-39 years, male 10.3
GTEX-X4EO-2926-SM-4E3JH 60-69 years, female 10.3
GTEX-ZT9X-1526-SM-5DUXD 40-49 years, male 10.3
GTEX-1GPI7-1826-SM-9KNU1 20-29 years, male 10.3
GTEX-1HSKV-1226-SM-ADEI4 60-69 years, male 10.3
GTEX-18QFQ-1826-SM-72D52 30-39 years, male 10.2
GTEX-1S3DN-2126-SM-E9TIN 50-59 years, male 10.2
GTEX-1192X-2726-SM-5N9DN 50-59 years, male 10.1
GTEX-13OW5-2326-SM-5L3HO 60-69 years, male 10.1
GTEX-1EH9U-2826-SM-7DUGT 60-69 years, male 10.0
GTEX-1I1GU-0926-SM-ACKVS 40-49 years, male 10.0
GTEX-1R7EU-1626-SM-DTXG3 60-69 years, male 10.0
GTEX-11DZ1-2426-SM-5GZZX 50-59 years, male 9.9
GTEX-11GS4-0226-SM-5HL77 60-69 years, male 9.9
GTEX-14753-0726-SM-5QGQO 60-69 years, male 9.9
GTEX-15SKB-2826-SM-6PAMH 60-69 years, male 9.9
GTEX-16YQH-2226-SM-7IGM2 30-39 years, male 9.9
GTEX-1AMEY-0826-SM-72D65 30-39 years, female 9.9
GTEX-ZVT4-2426-SM-5GIEI 50-59 years, female 9.9
GTEX-1JMQI-1726-SM-ARL93 50-59 years, male 9.9
GTEX-1JN76-0626-SM-CKZOQ 20-29 years, female 9.9
GTEX-13X6J-0626-SM-5LU5F 50-59 years, male 9.8
GTEX-17JCI-2926-SM-7DUFF 60-69 years, female 9.8
GTEX-Z93S-1626-SM-5CVMB 50-59 years, male 9.8
GTEX-1IKOE-1426-SM-CE6T7 30-39 years, female 9.8
GTEX-12WSH-1526-SM-5BC5W 50-59 years, male 9.7
GTEX-1HCVE-2726-SM-CL54F 50-59 years, male 9.7
GTEX-ZE7O-2726-SM-51MT5 50-59 years, female 9.6
GTEX-1K2DU-1226-SM-CYPT4 20-29 years, male 9.6
GTEX-1KD5A-0126-SM-E9U54 50-59 years, male 9.6
GTEX-144GO-2026-SM-5O99P 60-69 years, male 9.5
GTEX-14PJ4-0226-SM-5YY92 60-69 years, male 9.5
GTEX-15UF6-1926-SM-7KUDV 70-79 years, female 9.5
GTEX-XQ8I-0926-SM-4BOOF 50-59 years, male 9.5
GTEX-ZAK1-0626-SM-5HL8E 50-59 years, female 9.5
GTEX-1122O-1026-SM-9WYSF 60-69 years, female 9.5
GTEX-1IY9M-2826-SM-ARU8H 60-69 years, male 9.5
GTEX-14XAO-1226-SM-6EU1C 60-69 years, female 9.4
GTEX-15RIE-1926-SM-7KUKJ 60-69 years, male 9.4
GTEX-15SHW-0226-SM-7LTAT 60-69 years, male 9.4
GTEX-17HHE-1326-SM-7EWDZ 50-59 years, male 9.4
GTEX-1C2JI-1026-SM-73KY1 50-59 years, male 9.4
GTEX-ZDTT-0426-SM-4WKFL 60-69 years, male 9.4
GTEX-ZXG5-2126-SM-59HKD 60-69 years, male 9.4
GTEX-1HBPN-0126-SM-CGQEF 50-59 years, male 9.4
GTEX-111CU-1126-SM-5EGIM 50-59 years, male 9.2
GTEX-111YS-1526-SM-5GZYW 60-69 years, male 9.2
GTEX-139UW-0326-SM-5J1ML 60-69 years, male 9.2
GTEX-13D11-0926-SM-5J2NC 50-59 years, female 9.2
GTEX-15EO6-2426-SM-6PALZ 50-59 years, male 9.2
GTEX-1B8SF-0126-SM-7DUG3 60-69 years, male 9.2
GTEX-1CB4H-1126-SM-7MKGL 60-69 years, female 9.2
GTEX-ZYFC-0426-SM-5GICQ 50-59 years, male 9.2
GTEX-1HB9E-0126-SM-CM2S5 50-59 years, male 9.2
GTEX-131XW-0626-SM-5PNVD 50-59 years, female 9.1
GTEX-14PII-0726-SM-6EU2B 60-69 years, male 9.1
GTEX-18A6Q-0626-SM-7KFRP 60-69 years, male 9.1
GTEX-11DXY-0126-SM-5H11Q 60-69 years, male 9.0
GTEX-ZTTD-2826-SM-4YCFA 50-59 years, male 9.0
GTEX-ZVE1-0726-SM-51MRN 50-59 years, female 9.0
GTEX-1NSGN-0726-SM-DTXEF 50-59 years, male 9.0
GTEX-1QMI2-2526-SM-E8VNZ 60-69 years, male 9.0
GTEX-11NUK-2726-SM-5A5MC 50-59 years, male 8.9
GTEX-12WSJ-1126-SM-5LZVJ 40-49 years, female 8.9
GTEX-16AAH-0626-SM-793C9 50-59 years, male 8.9
GTEX-1IE54-1126-SM-A9G2Z 40-49 years, female 8.9
GTEX-13OVL-0126-SM-5L3GJ 50-59 years, male 8.8
GTEX-14E6E-0526-SM-793DN 30-39 years, male 8.8
GTEX-15CHR-1126-SM-7EWF4 50-59 years, male 8.8
GTEX-1CB4F-1026-SM-7DUH1 60-69 years, male 8.8
GTEX-ZDTS-0826-SM-4WKHL 60-69 years, male 8.8
GTEX-ZWKS-0626-SM-5GIDV 30-39 years, male 8.8
GTEX-1ICLY-0826-SM-CMKG1 50-59 years, male 8.8
GTEX-1JMLX-0626-SM-ARL8T 50-59 years, male 8.8
GTEX-13N2G-0226-SM-5K7VF 60-69 years, male 8.7
GTEX-15RJE-2826-SM-7KUM9 40-49 years, male 8.7
GTEX-1GN73-0726-SM-7P8TJ 60-69 years, male 8.7
GTEX-1PBJJ-1026-SM-E76OS 30-39 years, male 8.7
GTEX-1QEPI-2626-SM-DTXF4 60-69 years, female 8.7
GTEX-131XH-0126-SM-5LZUY 50-59 years, male 8.6
GTEX-13OW7-0426-SM-5K7VK 50-59 years, male 8.6
GTEX-145MH-2826-SM-5RQJF 50-59 years, male 8.6
GTEX-1C6WA-2626-SM-7MKGM 60-69 years, male 8.6
GTEX-1I1GP-1326-SM-A9G28 50-59 years, male 8.6
GTEX-1IDJH-0126-SM-D3L92 70-79 years, male 8.6
GTEX-1JMPZ-0726-SM-CY8HZ 30-39 years, male 8.6
GTEX-14B4R-1326-SM-5Q5EZ 30-39 years, male 8.5
GTEX-1EX96-1026-SM-7MKG2 50-59 years, male 8.5
GTEX-XAJ8-1426-SM-47JYM 40-49 years, male 8.5
GTEX-Y5V6-2326-SM-4VDSA 60-69 years, male 8.5
GTEX-1ICLZ-0326-SM-ARL82 60-69 years, male 8.5
GTEX-1KAFJ-0126-SM-DIPEK 50-59 years, male 8.5
GTEX-1OJC3-1226-SM-DTXER 20-29 years, male 8.5
GTEX-1B932-2326-SM-79OL5 40-49 years, female 8.4
GTEX-YFCO-1226-SM-5LUAT 40-49 years, male 8.4
GTEX-1GMR8-0626-SM-7RHI7 50-59 years, female 8.4
GTEX-1LSVX-2526-SM-DIPEU 60-69 years, male 8.4
GTEX-13112-0126-SM-5P9IU 50-59 years, male 8.3
GTEX-WK11-2726-SM-3NMAQ 50-59 years, male 8.3
GTEX-WRHU-2826-SM-3MJG8 50-59 years, female 8.3
GTEX-X585-2426-SM-46MW2 50-59 years, male 8.3
GTEX-1HBPM-0726-SM-9YFL7 60-69 years, female 8.3
GTEX-1J8Q2-2626-SM-ACKWQ 60-69 years, male 8.3
GTEX-12WSA-0426-SM-5EQ5X 60-69 years, male 8.2
GTEX-144FL-0626-SM-5LU43 50-59 years, male 8.2
GTEX-17EVP-2626-SM-7IGMA 40-49 years, male 8.2
GTEX-XBEC-0726-SM-4QARZ 50-59 years, male 8.2
GTEX-11WQC-1826-SM-5GU59 60-69 years, male 8.1
GTEX-13PL6-1126-SM-5L3IE 40-49 years, female 8.1
GTEX-145MI-0626-SM-5SI8S 60-69 years, female 8.1
GTEX-11GSP-2326-SM-5HL63 60-69 years, female 8.0
GTEX-13NYS-0626-SM-5L3F1 60-69 years, male 8.0
GTEX-17F97-2626-SM-7IGM5 50-59 years, male 8.0
GTEX-1HSMP-0926-SM-A9SKX 70-79 years, male 8.0
GTEX-1QW4Y-1126-SM-DTXE3 30-39 years, male 8.0
GTEX-1S82U-1026-SM-E6CJK 30-39 years, female 8.0
GTEX-139T8-0626-SM-5KLZX 60-69 years, male 7.9
GTEX-13O3Q-0126-SM-5KM34 50-59 years, male 7.9
GTEX-15CHQ-0326-SM-69LQD 60-69 years, male 7.9
GTEX-1LVA9-2626-SM-EVYD4 50-59 years, male 7.9
GTEX-1M4P7-0726-SM-E6CJ3 60-69 years, male 7.9
GTEX-1POEN-2326-SM-E9J2L 30-39 years, female 7.9
GTEX-14C5O-0326-SM-5ZZUX 60-69 years, male 7.8
GTEX-14E1K-2026-SM-7DUEI 50-59 years, male 7.8
GTEX-14ICL-1626-SM-5YYAO 30-39 years, male 7.8
GTEX-16GPK-0626-SM-7KFSF 60-69 years, male 7.8
GTEX-WFG7-2026-SM-5SI7P 20-29 years, male 7.8
GTEX-ZVT2-0126-SM-5GIDQ 50-59 years, female 7.8
GTEX-1LG7Y-2526-SM-EWRO7 50-59 years, male 7.8
GTEX-12WSM-1926-SM-5BC65 60-69 years, male 7.7
GTEX-139TS-2126-SM-5K7XC 60-69 years, male 7.7
GTEX-145LS-0626-SM-7EPG7 60-69 years, female 7.7
GTEX-1J8JJ-0626-SM-ARZMQ 60-69 years, female 7.7
GTEX-13NYB-0126-SM-5J1MD 40-49 years, male 7.6
GTEX-1BAJH-2426-SM-7IGP8 70-79 years, male 7.6
GTEX-1IDFM-0326-SM-ARL7V 60-69 years, male 7.6
GTEX-11DXX-2126-SM-5PNYR 60-69 years, female 7.5
GTEX-17F9Y-0126-SM-79OKX 70-79 years, female 7.5
GTEX-ZPCL-1126-SM-4WWFE 60-69 years, female 7.5
GTEX-1JMQJ-0826-SM-CNPP7 50-59 years, male 7.5
GTEX-14LLW-2626-SM-62LDZ 70-79 years, female 7.4
GTEX-1EKGG-0626-SM-7DUGJ 60-69 years, male 7.4
GTEX-1HFI6-0126-SM-CNPPI 40-49 years, male 7.4
GTEX-1K9T9-1526-SM-DIPFR 50-59 years, female 7.4
GTEX-13NYC-0126-SM-5L3F4 60-69 years, male 7.3
GTEX-17HII-1426-SM-7EPGG 50-59 years, male 7.3
GTEX-XMD2-2126-SM-4YCF8 60-69 years, female 7.3
GTEX-1C64N-2626-SM-7PC2N 50-59 years, male 7.3
GTEX-1H4P4-2126-SM-9WYSL 50-59 years, male 7.3
GTEX-1IKJJ-2226-SM-CJI4C 60-69 years, male 7.3
GTEX-1O9I2-0226-SM-EYYXD 50-59 years, male 7.3
GTEX-11DXZ-2026-SM-5987S 50-59 years, male 7.2
GTEX-14LZ3-0126-SM-69LPM 60-69 years, female 7.2
GTEX-UPJH-0226-SM-3GADV 50-59 years, male 7.2
GTEX-1EMGI-2326-SM-7PBYA 60-69 years, male 7.2
GTEX-1F5PK-2226-SM-7SB6N 50-59 years, male 7.2
GTEX-13OW6-2726-SM-5J2OE 50-59 years, male 7.1
GTEX-13X6I-1826-SM-5SIAO 60-69 years, male 7.1
GTEX-147F4-0726-SM-5TDDD 50-59 years, male 7.1
GTEX-14PJN-1826-SM-6AJ98 30-39 years, male 7.1
GTEX-15RIG-0726-SM-7KUM7 40-49 years, male 7.1
GTEX-Y9LG-1126-SM-4VBQ7 30-39 years, male 7.1
GTEX-1PIIG-2326-SM-DTXFR 30-39 years, male 7.1
GTEX-12WSC-2826-SM-5BC5Y 50-59 years, male 7.0
GTEX-13FLV-0126-SM-5K7WT 50-59 years, male 7.0
GTEX-17KNJ-2126-SM-718AM 50-59 years, male 7.0
GTEX-ZUA1-2626-SM-5NQ92 40-49 years, male 7.0
GTEX-1I1GT-1026-SM-ARZLV 60-69 years, female 7.0
GTEX-1QPFJ-1926-SM-EVYBD 30-39 years, female 7.0
GTEX-144GL-0626-SM-5LU4D 50-59 years, male 6.9
GTEX-1A8G6-2726-SM-731AR 60-69 years, male 6.9
GTEX-ZYY3-2926-SM-5GIEB 60-69 years, female 6.9
GTEX-1CAMQ-1326-SM-7P8RV 40-49 years, male 6.9
GTEX-12ZZX-2426-SM-5GCOE 40-49 years, female 6.8
GTEX-1E1VI-0326-SM-793D1 50-59 years, male 6.8
GTEX-ZVZP-1226-SM-5GID7 50-59 years, male 6.8
GTEX-1B8L1-2226-SM-7P8PT 60-69 years, male 6.8
GTEX-1GMR3-0126-SM-A9SLW 40-49 years, male 6.8
GTEX-1H11D-1826-SM-9QEHM 40-49 years, male 6.8
GTEX-1JN6P-2926-SM-CL54D 60-69 years, male 6.8
GTEX-16Z82-2626-SM-7KULU 60-69 years, male 6.7
GTEX-1H3O1-1326-SM-9MQLD 60-69 years, male 6.7
GTEX-1HR98-2226-SM-ADEI2 60-69 years, male 6.7
GTEX-1LB8K-0726-SM-D5OV2 50-59 years, male 6.7
GTEX-14ABY-2026-SM-62LDL 50-59 years, male 6.6
GTEX-14DAQ-0626-SM-793DS 60-69 years, female 6.6
GTEX-18465-2826-SM-7LT9J 50-59 years, male 6.6
GTEX-1E2YA-2126-SM-7MXUO 50-59 years, male 6.6
GTEX-1GPI6-1926-SM-9KNV7 60-69 years, male 6.6
GTEX-11ZU8-0126-SM-5EQ58 60-69 years, male 6.5
GTEX-V1D1-2026-SM-3GAF4 50-59 years, male 6.5
GTEX-1JMPY-0226-SM-CKZOK 30-39 years, male 6.5
GTEX-13FTY-2126-SM-5IFFB 40-49 years, female 6.4
GTEX-1J8EW-2726-SM-CY8HR 60-69 years, female 6.4
GTEX-13OW8-1026-SM-5J1NQ 60-69 years, male 6.3
GTEX-14JG1-1526-SM-5YY9X 40-49 years, male 6.3
GTEX-1I1CD-0626-SM-CE6SW 60-69 years, female 6.3
GTEX-1JK1U-0226-SM-ARZMX 60-69 years, male 6.3
GTEX-12ZZY-0726-SM-5EQ66 60-69 years, male 6.2
GTEX-13PDP-0726-SM-5L3HP 60-69 years, male 6.2
GTEX-13SLX-2226-SM-62LEP 50-59 years, female 6.2
GTEX-145LU-1926-SM-79OJN 50-59 years, male 6.2
GTEX-1HCU8-2526-SM-CE6RX 60-69 years, female 6.2
GTEX-1QCLY-0226-SM-EWRNH 30-39 years, male 6.2
GTEX-1R9PM-1926-SM-EVR3O 20-29 years, male 6.2
GTEX-1PPH7-1126-SM-DTX9A 40-49 years, male 6.1
GTEX-1LSNL-2726-SM-E9TKJ 50-59 years, male 6.0
GTEX-139TT-2126-SM-5LZWC 60-69 years, male 5.9
GTEX-13OVH-0526-SM-5L3E6 70-79 years, male 5.9
GTEX-148VJ-0626-SM-5LUAW 70-79 years, male 5.9
GTEX-14PJ2-0626-SM-6LLII 50-59 years, male 5.9
GTEX-183WM-0326-SM-72D5V 70-79 years, female 5.9
GTEX-1A8G7-1326-SM-73KVM 60-69 years, male 5.8
GTEX-ZYVF-0926-SM-5E44J 50-59 years, female 5.8
GTEX-1F6RS-2026-SM-7RHHC 60-69 years, female 5.8
GTEX-1GZ4I-2626-SM-9KNU3 50-59 years, male 5.8
GTEX-1HGF4-0126-SM-CNPPX 60-69 years, male 5.8
GTEX-18A67-1626-SM-7LT9T 50-59 years, male 5.7
GTEX-1AYD5-2626-SM-7PBXY 50-59 years, male 5.7
GTEX-14BIN-1126-SM-5RQJZ 50-59 years, female 5.6
GTEX-XQ3S-1426-SM-4BOPR 20-29 years, male 5.6
GTEX-1F88F-0126-SM-9WYSZ 60-69 years, female 5.6
GTEX-13VXU-0626-SM-5L3F9 50-59 years, male 5.5
GTEX-14JFF-0626-SM-5ZZVT 60-69 years, male 5.5
GTEX-1GF9V-0826-SM-9KNUV 60-69 years, male 5.5
GTEX-1GN2E-0226-SM-9WG6K 60-69 years, male 5.5
GTEX-1RAZQ-1326-SM-E9TK6 30-39 years, male 5.5
GTEX-ZY6K-1426-SM-5GZX2 50-59 years, male 5.4
GTEX-1I1HK-2326-SM-CKZOH 60-69 years, male 5.4
GTEX-1HR9M-2226-SM-CNPPY 60-69 years, male 5.3
GTEX-1212Z-0126-SM-59HK4 60-69 years, male 5.2
GTEX-145MF-0926-SM-5Q5EA 50-59 years, male 5.2
GTEX-14A6H-2026-SM-5Q5DD 30-39 years, male 5.2
GTEX-Y111-0626-SM-4SOIT 50-59 years, male 5.2
GTEX-1HCU7-0726-SM-A9SL1 50-59 years, male 5.2
GTEX-1N2EE-0626-SM-E76PW 60-69 years, male 5.2
GTEX-1GF9X-1326-SM-7PC2Y 40-49 years, female 5.1
GTEX-1QP2A-1726-SM-E76QC 50-59 years, male 5.1
GTEX-1LVAM-0726-SM-E6CIL 50-59 years, female 5.0
GTEX-1PPGY-1626-SM-EVYBL 60-69 years, male 5.0
GTEX-1313W-0626-SM-5EQ4H 50-59 years, female 4.9
GTEX-1RMOY-1326-SM-E9TIH 50-59 years, male 4.9
GTEX-1269C-0126-SM-5EQ5L 60-69 years, female 4.8
GTEX-13IVO-0726-SM-5LZYV 70-79 years, male 4.8
GTEX-13JVG-0726-SM-5KM16 60-69 years, male 4.8
GTEX-1H3VE-0726-SM-9YFL5 40-49 years, male 4.8
GTEX-1QAET-0326-SM-EVR3U 50-59 years, male 4.8
GTEX-1R46S-2426-SM-E76QA 60-69 years, female 4.8
GTEX-11ZUS-2626-SM-5FQUR 30-39 years, male 4.7
GTEX-1JJEA-1826-SM-ARU8P 60-69 years, male 4.7
GTEX-14C39-1726-SM-5RQIL 40-49 years, male 4.6
GTEX-15DDE-2926-SM-6LLJ3 50-59 years, female 4.6
GTEX-YECK-0326-SM-4W1YS 60-69 years, male 4.6
GTEX-1I1GV-0626-SM-ARL7M 60-69 years, male 4.6
GTEX-111VG-1626-SM-5EGIO 60-69 years, male 4.5
GTEX-13QJC-0126-SM-5ZZWJ 60-69 years, female 4.5
GTEX-1IOXB-2726-SM-CM2RI 50-59 years, male 4.5
GTEX-1OJC4-2726-SM-E76PJ 50-59 years, female 4.4
GTEX-1399S-0126-SM-5IJCF 30-39 years, female 4.3
GTEX-13SLW-0626-SM-5Q5ER 70-79 years, male 4.3
GTEX-1C6VR-0126-SM-7RHGB 60-69 years, male 4.3
GTEX-11TUW-0626-SM-5LU9M 60-69 years, male 4.2
GTEX-13NZ8-1226-SM-5KM4A 60-69 years, female 4.2
GTEX-ZYT6-2326-SM-5GZY3 30-39 years, male 4.2
GTEX-1MCYP-0526-SM-E9U6Q 20-29 years, female 4.2
GTEX-1RAZS-2526-SM-E6CHT 50-59 years, male 4.2
GTEX-1S83E-1326-SM-E6CJM 40-49 years, male 4.2
GTEX-1HT8W-0626-SM-A9G2H 30-39 years, male 4.1
GTEX-14BMV-2826-SM-5TDED 50-59 years, male 4.0
GTEX-13G51-1826-SM-5KLZH 60-69 years, male 3.9
GTEX-WHSB-1326-SM-3LK6W 50-59 years, male 3.7
GTEX-11OF3-0126-SM-5PNYF 60-69 years, male 3.6
GTEX-16MT9-0126-SM-7EPI8 60-69 years, female 3.5
GTEX-1KANB-2826-SM-CY8I6 50-59 years, male 3.5
GTEX-1JJE9-2626-SM-ARZMT 70-79 years, male 3.4
GTEX-1H2FU-0926-SM-9WPPT 60-69 years, female 3.3
GTEX-1GN1V-2826-SM-9JGIA 60-69 years, male 3.2
GTEX-1LKK1-2626-SM-DKPQE 50-59 years, female 3.2
GTEX-1NV5F-0626-SM-DTXEG 60-69 years, female 3.1
GTEX-1J1OQ-0126-SM-D4P2N 40-49 years, female 2.9
GTEX-ZE9C-2526-SM-5IJDR 60-69 years, male 2.5
GTEX-147GR-2426-SM-5ZZWQ 60-69 years, male 2.4
GTEX-1IL2V-1926-SM-B2LW8 70-79 years, male 2.1
GTEX-1399Q-2326-SM-5KM2X 40-49 years, male 1.9
GTEX-11PRG-0726-SM-5EGL1 50-59 years, male 1.8
Show allShow less
Skin - Sun Exposed (Lower leg)
Average nTPM: 14.3
Samples: 701

Max nTPM: 69.6
Min nTPM: 1.4
Std nTPM: 8.2
Median nTPM: 12.8
GTEX-1JMOU-1526-SM-CL54I 60-69 years, female 69.6
GTEX-1F48J-0126-SM-7P8TT 50-59 years, female 62.8
GTEX-144GN-2326-SM-5LU4F 50-59 years, male 56.3
GTEX-1PWST-0226-SM-E76QJ 70-79 years, male 53.1
GTEX-13OVJ-0126-SM-5KM36 50-59 years, female 51.7
GTEX-14BIL-0126-SM-5SI92 50-59 years, male 44.4
GTEX-U4B1-1826-SM-4DXSU 40-49 years, male 43.8
GTEX-Y3I4-2126-SM-4TT7C 50-59 years, male 42.7
GTEX-QDVN-2026-SM-3GAEP 50-59 years, male 42.5
GTEX-ZYW4-0126-SM-5E44A 60-69 years, male 42.5
GTEX-1I1GU-2226-SM-CGQFA 40-49 years, male 42.5
GTEX-RUSQ-1526-SM-2TF62 50-59 years, male 40.7
GTEX-146FH-0126-SM-5QGPP 50-59 years, female 40.1
GTEX-15EOM-0126-SM-7KUGG 20-29 years, female 39.7
GTEX-13OVI-1426-SM-5L3EY 60-69 years, female 39.5
GTEX-13RTJ-2426-SM-5S2Q2 60-69 years, male 38.6
GTEX-12WSL-2526-SM-5GCNJ 50-59 years, male 37.7
GTEX-13O1R-0126-SM-5L3EH 60-69 years, male 37.6
GTEX-14LLW-0126-SM-6LLIO 70-79 years, female 37.3
GTEX-1QP67-1626-SM-EAZ3X 40-49 years, female 35.9
GTEX-ZTPG-0326-SM-5O9AX 20-29 years, female 35.7
GTEX-146FR-1326-SM-E9J48 60-69 years, female 35.0
GTEX-Q734-1926-SM-2I5EV 40-49 years, female 33.9
GTEX-12WSN-5019-SM-79OM6 40-49 years, male 33.7
GTEX-11ZTT-2426-SM-5EQLS 60-69 years, female 33.5
GTEX-ZQG8-1626-SM-DHXIT 60-69 years, female 33.4
GTEX-1HBPH-0426-SM-B2LW5 40-49 years, female 33.0
GTEX-1C6VQ-0126-SM-7P8RI 50-59 years, male 32.8
GTEX-1AX8Z-0126-SM-7DHM6 60-69 years, male 32.2
GTEX-12C56-1726-SM-5EQ61 20-29 years, male 31.1
GTEX-WI4N-1026-SM-3LK7N 40-49 years, female 31.0
GTEX-13OVG-1926-SM-5L3DK 60-69 years, male 30.7
GTEX-Q2AH-1626-SM-3GAF8 40-49 years, male 30.6
GTEX-ZF3C-0126-SM-DO92D 50-59 years, female 30.6
GTEX-OXRP-0126-SM-3NB32 60-69 years, female 29.1
GTEX-1HCU6-0126-SM-CL54K 60-69 years, female 28.8
GTEX-1A3MW-0126-SM-73KXX 60-69 years, female 28.7
GTEX-OXRO-0126-SM-2YUN4 60-69 years, female 28.5
GTEX-1CB4J-0626-SM-7DHMP 60-69 years, male 28.2
GTEX-1R9PO-2126-SM-E9J4O 60-69 years, female 28.1
GTEX-13FH7-2026-SM-E9J4I 50-59 years, female 27.8
GTEX-117YX-2326-SM-5H12W 50-59 years, male 27.0
GTEX-17HII-0226-SM-7LG4E 50-59 years, male 26.8
GTEX-1B8KE-2126-SM-73KYX 50-59 years, male 26.8
GTEX-13VXT-0126-SM-5LU4I 20-29 years, female 26.6
GTEX-1JKYN-1326-SM-CGQG9 30-39 years, male 26.6
GTEX-131XG-2626-SM-5KM17 50-59 years, female 26.5
GTEX-YJ8A-0426-SM-5IFID 20-29 years, male 26.3
GTEX-ZF29-2326-SM-DO92K 60-69 years, female 26.2
GTEX-14JIY-0126-SM-6LLH6 60-69 years, male 26.1
GTEX-1QW4Y-1526-SM-EAZ3Z 30-39 years, male 25.9
GTEX-18D9B-0526-SM-7LTAS 60-69 years, male 25.5
GTEX-14PK6-1926-SM-6ETZU 70-79 years, female 25.2
GTEX-XV7Q-2526-SM-4BRV9 40-49 years, female 25.1
GTEX-15G19-0126-SM-6PANQ 60-69 years, male 25.0
GTEX-13YAN-0326-SM-5O9DF 60-69 years, male 24.9
GTEX-13CF3-2426-SM-5IFGX 60-69 years, female 24.7
GTEX-1N2DV-0226-SM-E6CJ6 40-49 years, male 24.7
GTEX-1IDJF-0126-SM-CM2RS 20-29 years, male 24.5
GTEX-WOFL-0126-SM-3MJG2 60-69 years, male 24.4
GTEX-13FHO-0226-SM-5IFGY 60-69 years, male 24.0
GTEX-183FY-0126-SM-7LT9P 20-29 years, male 24.0
GTEX-Q2AG-0126-SM-33HBV 40-49 years, female 24.0
GTEX-R55E-0126-SM-2TC5Y 20-29 years, male 24.0
GTEX-11EMC-2926-SM-5EQ4F 60-69 years, female 23.9
GTEX-QDVJ-1726-SM-2I5FX 50-59 years, male 23.9
GTEX-ZAJG-0126-SM-5HL94 50-59 years, female 23.9
GTEX-1LNCM-1126-SM-E9U5E 50-59 years, female 23.9
GTEX-Y8LW-1826-SM-5S2MV 50-59 years, female 23.7
GTEX-1HSMQ-1226-SM-CGQFX 50-59 years, male 23.7
GTEX-O5YW-0126-SM-3LK6D 50-59 years, male 23.4
GTEX-ZDYS-2026-SM-5HL5L 50-59 years, male 23.4
GTEX-1JMQK-0226-SM-CL543 60-69 years, male 23.3
GTEX-11ZVC-2526-SM-5FQTE 50-59 years, female 23.2
GTEX-1NHNU-1026-SM-E9J2A 50-59 years, male 23.2
GTEX-1ICG6-2526-SM-CGQFZ 70-79 years, female 23.0
GTEX-1RLM8-2326-SM-EWRN4 50-59 years, male 23.0
GTEX-1C64O-0126-SM-7SB8P 60-69 years, male 22.9
GTEX-1C6VS-0526-SM-7DUEN 60-69 years, male 22.8
GTEX-ZDXO-3026-SM-5J1N5 60-69 years, male 22.8
GTEX-1J1R8-1726-SM-ARL8M 40-49 years, male 22.8
GTEX-1OJC4-0126-SM-E9J2E 50-59 years, female 22.6
GTEX-1QP66-1726-SM-E8VO1 50-59 years, male 22.6
GTEX-X4EO-0326-SM-3P5YO 60-69 years, female 22.5
GTEX-1HCUA-2426-SM-ADEIS 50-59 years, female 22.5
GTEX-16XZY-2126-SM-79OK1 70-79 years, male 22.4
GTEX-1PPH7-2326-SM-EVYB8 40-49 years, male 22.4
GTEX-13X6H-2126-SM-7EWD5 50-59 years, female 22.2
GTEX-QCQG-1726-SM-3GIJ9 50-59 years, female 22.2
GTEX-XXEK-2226-SM-4BRUM 50-59 years, male 22.1
GTEX-ZVT3-0126-SM-5GU6I 60-69 years, female 22.1
GTEX-1R9K4-0126-SM-DTX9X 60-69 years, male 21.9
GTEX-1MGNQ-0126-SM-EVYCJ 40-49 years, male 21.8
GTEX-1H1E6-1726-SM-ACKVK 30-39 years, male 21.7
GTEX-R55G-2526-SM-2TC6D 40-49 years, female 21.6
GTEX-13O3O-0126-SM-E9J49 60-69 years, female 21.6
GTEX-15UF6-0826-SM-6PALJ 70-79 years, female 21.4
GTEX-1AX9K-2326-SM-73KWU 50-59 years, male 21.4
GTEX-1H23P-0126-SM-ADEJ3 60-69 years, male 21.4
GTEX-13N11-2526-SM-5K7UE 50-59 years, female 21.3
GTEX-14PJ3-1826-SM-62LEX 50-59 years, male 21.3
GTEX-1GN1W-0526-SM-9MQJQ 50-59 years, female 21.3
GTEX-1C6WA-0126-SM-7PC2B 60-69 years, male 21.2
GTEX-ZDTT-2726-SM-4WKF8 60-69 years, male 21.1
GTEX-17EUY-0426-SM-793BD 20-29 years, male 21.0
GTEX-XUW1-0426-SM-4BOOT 50-59 years, female 20.9
GTEX-XBED-2226-SM-47JYQ 60-69 years, male 20.8
GTEX-ZEX8-2426-SM-4WKG4 50-59 years, male 20.7
GTEX-1K9T9-0126-SM-EVYCF 50-59 years, female 20.7
GTEX-X4XY-0226-SM-4E3IZ 60-69 years, male 20.6
GTEX-17EVQ-0226-SM-7LG4P 70-79 years, male 20.5
GTEX-1JN76-0126-SM-CNPPE 20-29 years, female 20.5
GTEX-11TTK-0126-SM-5987B 60-69 years, female 20.3
GTEX-14PN4-0126-SM-6EU2V 50-59 years, male 20.3
GTEX-ZF28-0126-SM-4WKGK 60-69 years, male 20.3
GTEX-PLZ4-0126-SM-5SI8O 50-59 years, female 20.0
GTEX-ZUA1-0126-SM-5GU76 40-49 years, male 20.0
GTEX-1IY9M-0126-SM-D3L8S 60-69 years, male 20.0
GTEX-148VI-1626-SM-5SI6E 60-69 years, female 19.9
GTEX-1R7EV-2426-SM-EVYBG 40-49 years, male 19.8
GTEX-1192X-0226-SM-5H12D 50-59 years, male 19.7
GTEX-15UKP-0426-SM-7KUFQ 20-29 years, male 19.7
GTEX-OOBK-0126-SM-2YUND 40-49 years, male 19.6
GTEX-SSA3-0126-SM-32QPU 60-69 years, male 19.6
GTEX-145LV-2126-SM-5LU8N 50-59 years, male 19.5
GTEX-18A66-0226-SM-718BD 60-69 years, male 19.5
GTEX-1AX9J-0226-SM-73KXM 60-69 years, male 19.5
GTEX-1C2JI-1826-SM-73KXC 50-59 years, male 19.5
GTEX-ZYFD-0126-SM-5GIDL 50-59 years, male 19.5
GTEX-12KS4-0326-SM-5EQ41 30-39 years, male 19.4
GTEX-13NYS-0126-SM-5MR3W 60-69 years, male 19.4
GTEX-Q2AI-1326-SM-2S1PL 40-49 years, male 19.4
GTEX-Y114-2426-SM-4TT8A 50-59 years, female 19.3
GTEX-1RAZQ-0726-SM-EAZ43 30-39 years, male 19.3
GTEX-148VJ-0126-SM-5TDDN 70-79 years, male 19.2
GTEX-16BQI-0226-SM-7KUEX 30-39 years, female 19.1
GTEX-16XZZ-0126-SM-793DV 60-69 years, male 19.1
GTEX-X5EB-2226-SM-46MW4 40-49 years, male 19.1
GTEX-146FQ-0126-SM-5NQA9 30-39 years, male 19.0
GTEX-X8HC-0126-SM-4E3JW 50-59 years, female 19.0
GTEX-1A3MX-0126-SM-731BR 60-69 years, male 18.9
GTEX-WY7C-2326-SM-3NB2U 50-59 years, male 18.9
GTEX-1HSMP-0126-SM-E6CJS 70-79 years, male 18.9
GTEX-1N2EF-0226-SM-EYYXB 60-69 years, male 18.8
GTEX-QLQ7-1626-SM-2S1R8 60-69 years, male 18.7
GTEX-WH7G-2326-SM-3NMBC 40-49 years, male 18.7
GTEX-13RTK-1426-SM-5QGQJ 20-29 years, male 18.6
GTEX-17HHE-2026-SM-79OKF 50-59 years, male 18.6
GTEX-18A67-0126-SM-7LG5P 50-59 years, male 18.5
GTEX-1GN1U-0126-SM-7PBZK 50-59 years, female 18.5
GTEX-U3ZM-1526-SM-3DB9D 40-49 years, male 18.4
GTEX-WFG8-2226-SM-3GIL9 20-29 years, male 18.4
GTEX-ZQUD-1426-SM-57WER 30-39 years, male 18.4
GTEX-15SDE-2226-SM-7IGLO 50-59 years, female 18.3
GTEX-WRHK-1426-SM-3MJF9 20-29 years, female 18.3
GTEX-1JK1U-2026-SM-CM2RZ 60-69 years, male 18.3
GTEX-14PHW-0126-SM-6LLJI 60-69 years, female 18.2
GTEX-PLZ5-2026-SM-2S1O4 50-59 years, male 18.2
GTEX-VUSG-2526-SM-4KL1V 50-59 years, male 18.2
GTEX-1H1DE-2126-SM-9WG6R 20-29 years, male 18.2
GTEX-1I1HK-0126-SM-COH49 60-69 years, male 18.2
GTEX-1IE54-0126-SM-CMKHW 40-49 years, female 18.2
GTEX-15DYW-0126-SM-7KULE 60-69 years, female 18.1
GTEX-NPJ8-0126-SM-2YUNR 40-49 years, male 18.1
GTEX-1CAV2-2226-SM-7P8P2 40-49 years, female 18.1
GTEX-1HSEH-0126-SM-ACKXN 60-69 years, male 18.1
GTEX-14DAR-2026-SM-5S2O3 50-59 years, male 18.0
GTEX-YEC4-2126-SM-5IFJH 40-49 years, male 18.0
GTEX-QLQW-1126-SM-2S1Q8 30-39 years, male 17.9
GTEX-U3ZH-2026-SM-3DB78 30-39 years, male 17.9
GTEX-1H3NZ-0126-SM-ACKX7 60-69 years, male 17.9
GTEX-145MI-0526-SM-5O9A8 60-69 years, female 17.8
GTEX-15SHW-0326-SM-6PAML 60-69 years, male 17.8
GTEX-183WM-0126-SM-7LTAB 70-79 years, female 17.8
GTEX-RM2N-1426-SM-2TF4H 50-59 years, male 17.8
GTEX-1HBPN-0226-SM-9YFM1 50-59 years, male 17.7
GTEX-1I6K6-0126-SM-A9SLE 30-39 years, male 17.7
GTEX-1KD5A-0226-SM-D5OV3 50-59 years, male 17.7
GTEX-1497J-2426-SM-7IGNX 60-69 years, male 17.6
GTEX-15DDE-0126-SM-6LPKH 50-59 years, female 17.6
GTEX-ZE7O-0126-SM-57WC1 50-59 years, female 17.6
GTEX-1F5PK-2426-SM-7RHHY 50-59 years, male 17.6
GTEX-ZPIC-1726-SM-DHXIU 40-49 years, female 17.6
GTEX-11DXX-2426-SM-5GZZW 60-69 years, female 17.5
GTEX-14PN3-2426-SM-6LLHS 60-69 years, female 17.5
GTEX-P44H-0226-SM-2XCEU 40-49 years, male 17.5
GTEX-ZAB4-0226-SM-5N9F5 40-49 years, male 17.5
GTEX-1I4MK-2226-SM-ACKWD 50-59 years, female 17.5
GTEX-Y5V5-2326-SM-4V6GA 60-69 years, female 17.4
GTEX-147F3-0526-SM-5SI98 50-59 years, female 17.3
GTEX-1CB4G-0226-SM-7PC3O 60-69 years, male 17.3
GTEX-OIZF-0126-SM-7SB8I 60-69 years, male 17.2
GTEX-1211K-2026-SM-5EQ4Z 60-69 years, female 17.1
GTEX-14C5O-0126-SM-5SI6N 60-69 years, male 17.1
GTEX-11DXZ-2326-SM-5EGGV 50-59 years, male 17.0
GTEX-12WSD-0126-SM-59HKN 60-69 years, female 17.0
GTEX-13W3W-2426-SM-5LU5B 60-69 years, female 16.9
GTEX-145MO-0326-SM-5Q5B3 60-69 years, male 16.8
GTEX-139T4-0226-SM-5HL5S 50-59 years, female 16.7
GTEX-13QJ3-0326-SM-5S2RA 50-59 years, male 16.7
GTEX-15D1Q-0126-SM-7KUG6 40-49 years, male 16.6
GTEX-1AX9I-0126-SM-7SB74 60-69 years, male 16.6
GTEX-11P7K-2126-SM-5GU7G 30-39 years, male 16.5
GTEX-1S5ZA-0126-SM-EVYCV 20-29 years, male 16.5
GTEX-12WSJ-1826-SM-5GCNY 40-49 years, female 16.4
GTEX-YB5K-2126-SM-4WWDJ 40-49 years, female 16.4
GTEX-1LH75-2426-SM-E9TJE 50-59 years, female 16.4
GTEX-11DZ1-0126-SM-5985Q 50-59 years, male 16.3
GTEX-1GZ4H-1726-SM-7PBZJ 50-59 years, female 16.3
GTEX-VJYA-1126-SM-3GIJU 60-69 years, male 16.2
GTEX-1CAMS-0426-SM-7P8T2 40-49 years, female 16.2
GTEX-1GF9X-2026-SM-7PC3A 40-49 years, female 16.2
GTEX-11WQC-2526-SM-5CVLE 60-69 years, male 16.1
GTEX-17HGU-0226-SM-7DHKV 50-59 years, male 16.1
GTEX-1HKZK-0326-SM-9WYUH 40-49 years, male 16.1
GTEX-113IC-0126-SM-5HL6T 60-69 years, male 16.0
GTEX-11GSP-2526-SM-5N9BP 60-69 years, female 15.9
GTEX-11H98-0126-SM-5EGHG 50-59 years, male 15.9
GTEX-13FTX-1826-SM-5J1NX 20-29 years, female 15.9
GTEX-13SLX-0526-SM-5S2ON 50-59 years, female 15.9
GTEX-OXRL-0126-SM-2YUMP 50-59 years, male 15.9
GTEX-RN64-0126-SM-2TC68 50-59 years, male 15.9
GTEX-14PJM-0226-SM-62LF1 50-59 years, female 15.8
GTEX-15SHU-0126-SM-7KUEH 40-49 years, female 15.8
GTEX-1HCVE-0126-SM-CGQEU 50-59 years, male 15.8
GTEX-1ICLY-0126-SM-D4P36 50-59 years, male 15.8
GTEX-11EM3-2426-SM-59861 20-29 years, female 15.7
GTEX-11LCK-1026-SM-5A5KB 30-39 years, male 15.7
GTEX-11XUK-2026-SM-5EQLF 40-49 years, female 15.7
GTEX-1H2FU-0126-SM-9WYSI 60-69 years, female 15.6
GTEX-12584-0126-SM-5EGKQ 40-49 years, male 15.5
GTEX-1314G-1526-SM-5EGK2 30-39 years, male 15.5
GTEX-13O21-1426-SM-5K7XI 50-59 years, male 15.5
GTEX-145LT-1726-SM-5QGP3 40-49 years, male 15.5
GTEX-RTLS-0126-SM-447CA 60-69 years, female 15.5
GTEX-1HB9E-0226-SM-E9U4R 50-59 years, male 15.5
GTEX-145MN-2226-SM-5SIAU 30-39 years, male 15.4
GTEX-14JG6-2226-SM-6EU2G 30-39 years, female 15.4
GTEX-1A3MV-1926-SM-718BT 30-39 years, male 15.4
GTEX-U8T8-0126-SM-3DB94 60-69 years, male 15.4
GTEX-U8XE-0326-SM-3DB8P 30-39 years, male 15.4
GTEX-ZXG5-0126-SM-5GIEU 60-69 years, male 15.4
GTEX-139TT-0126-SM-5K7Y5 60-69 years, male 15.3
GTEX-13CF2-2526-SM-5LZYX 60-69 years, male 15.3
GTEX-14ICK-0226-SM-6EU25 40-49 years, male 15.3
GTEX-14PHX-2326-SM-62LEM 50-59 years, male 15.3
GTEX-S95S-1226-SM-4GICG 60-69 years, male 15.3
GTEX-1H3VY-0126-SM-ACKXD 50-59 years, male 15.3
GTEX-1CAMR-1926-SM-7EPI2 20-29 years, male 15.2
GTEX-WQUQ-0426-SM-3MJFU 60-69 years, male 15.2
GTEX-X638-0126-SM-47JZ8 70-79 years, female 15.2
GTEX-YFC4-0126-SM-5CVLY 40-49 years, female 15.2
GTEX-1GN1V-0126-SM-9WPOS 60-69 years, male 15.2
GTEX-11VI4-1726-SM-5CVLH 40-49 years, female 15.1
GTEX-1EX96-1626-SM-7PBXR 50-59 years, male 15.1
GTEX-PWCY-1826-SM-DHXIZ 20-29 years, female 15.1
GTEX-144FL-0126-SM-5TDC8 50-59 years, male 15.0
GTEX-17HHY-0126-SM-7LG5D 50-59 years, male 15.0
GTEX-UPJH-0326-SM-3GADU 50-59 years, male 15.0
GTEX-1HGF4-2426-SM-ACKXM 60-69 years, male 15.0
GTEX-S33H-1026-SM-EZ6L6 30-39 years, male 15.0
GTEX-XAJ8-0826-SM-47JY6 40-49 years, male 14.9
GTEX-1H1DG-0126-SM-9WYU2 70-79 years, male 14.9
GTEX-1RAZA-0126-SM-E6CI3 20-29 years, male 14.9
GTEX-11P82-1626-SM-59879 20-29 years, male 14.8
GTEX-1GPI7-0126-SM-9MQL8 20-29 years, male 14.8
GTEX-18QFQ-0126-SM-731BE 30-39 years, male 14.7
GTEX-1MA7X-2226-SM-E6CIY 60-69 years, male 14.7
GTEX-147GR-0526-SM-5S2MY 60-69 years, male 14.6
GTEX-18A6Q-0126-SM-731BZ 60-69 years, male 14.6
GTEX-1CB4E-2226-SM-793DC 60-69 years, male 14.6
GTEX-1S82Z-0826-SM-E6CHY 30-39 years, female 14.6
GTEX-12WSK-2326-SM-5GCOH 40-49 years, female 14.5
GTEX-13N1W-0126-SM-5K7VT 70-79 years, male 14.5
GTEX-S7PM-0126-SM-4AD6S 60-69 years, male 14.5
GTEX-WXYG-2326-SM-4E3I6 50-59 years, female 14.5
GTEX-1K2DA-1826-SM-CGQGT 50-59 years, male 14.5
GTEX-1S82Y-2026-SM-EVYCM 40-49 years, male 14.5
GTEX-PSDG-0226-SM-DKPOZ 50-59 years, male 14.5
GTEX-XUYS-0126-SM-47JWZ 50-59 years, male 14.4
GTEX-1GN73-0226-SM-9WG67 60-69 years, male 14.4
GTEX-1HUB1-0426-SM-E9U4U 60-69 years, male 14.4
GTEX-1LG7Y-0526-SM-DKPQC 50-59 years, male 14.4
GTEX-1QP2A-0126-SM-E9J43 50-59 years, male 14.3
GTEX-1RB15-2126-SM-E9TIM 60-69 years, male 14.3
GTEX-13U4I-0126-SM-5LU38 40-49 years, female 14.2
GTEX-145ME-1826-SM-5SI9G 40-49 years, female 14.2
GTEX-15F5U-1526-SM-6PANO 40-49 years, male 14.2
GTEX-1AYCT-2426-SM-7IGQ3 50-59 years, male 14.2
GTEX-RWSA-0126-SM-2XCBB 40-49 years, male 14.2
GTEX-1R46S-0626-SM-E9J41 60-69 years, female 14.2
GTEX-113JC-2326-SM-5EQ4E 50-59 years, female 14.1
GTEX-NFK9-0226-SM-2HMKQ 40-49 years, male 14.1
GTEX-TML8-1926-SM-32QOS 40-49 years, female 14.1
GTEX-1A8FM-0226-SM-7SB7Q 50-59 years, female 14.1
GTEX-11NSD-2226-SM-5986V 20-29 years, male 14.0
GTEX-RWS6-2026-SM-2XCB5 60-69 years, female 14.0
GTEX-1ICLZ-0126-SM-CKZPO 60-69 years, male 14.0
GTEX-1MUQO-0126-SM-EAZ58 60-69 years, male 14.0
GTEX-1PFEY-1526-SM-E76PP 30-39 years, male 14.0
GTEX-QDT8-0126-SM-48TZ1 30-39 years, female 13.9
GTEX-1PPH8-0226-SM-E8VND 20-29 years, male 13.9
GTEX-R45C-0126-SM-EAZ2R 60-69 years, female 13.9
GTEX-11EI6-0126-SM-5985R 60-69 years, male 13.8
GTEX-14E6C-0126-SM-5RQIP 40-49 years, male 13.8
GTEX-18A7A-0226-SM-718BH 50-59 years, female 13.8
GTEX-ZTSS-1926-SM-57WEW 40-49 years, male 13.8
GTEX-ZYY3-0126-SM-5GZY5 60-69 years, female 13.8
GTEX-1B996-0226-SM-7RHGO 60-69 years, male 13.8
GTEX-1H3VE-0326-SM-9YFLH 40-49 years, male 13.8
GTEX-169BO-1326-SM-9MQK2 50-59 years, male 13.7
GTEX-1JN1M-0326-SM-CYPT3 60-69 years, female 13.7
GTEX-1QP29-0626-SM-EWRMX 50-59 years, male 13.7
GTEX-W5X1-3026-SM-EAZAX 40-49 years, female 13.7
GTEX-139T8-0126-SM-5K7XZ 60-69 years, male 13.6
GTEX-1B8KZ-2026-SM-7DHMB 50-59 years, male 13.6
GTEX-1C4CL-0526-SM-73KVK 30-39 years, male 13.6
GTEX-11WQK-0526-SM-5EQLD 50-59 years, male 13.5
GTEX-11ZUS-0626-SM-59885 30-39 years, male 13.5
GTEX-1A32A-0126-SM-718B1 50-59 years, female 13.5
GTEX-12WSG-2826-SM-E9J4H 50-59 years, female 13.5
GTEX-17F98-0626-SM-79OMX 40-49 years, female 13.4
GTEX-1F6I4-0126-SM-9MQL2 60-69 years, male 13.4
GTEX-1GTWX-0126-SM-9YFLK 60-69 years, male 13.4
GTEX-1HBPM-0226-SM-ARL9F 60-69 years, female 13.4
GTEX-13D11-2426-SM-5KM1V 50-59 years, female 13.3
GTEX-16YQH-0126-SM-7DUFJ 30-39 years, male 13.3
GTEX-17MFQ-1726-SM-793C7 20-29 years, male 13.3
GTEX-TMMY-0226-SM-33HBA 40-49 years, female 13.3
GTEX-ZAB5-1826-SM-5HL7C 50-59 years, male 13.3
GTEX-ZVE2-0226-SM-59HJB 50-59 years, male 13.3
GTEX-1B933-0126-SM-7PC29 50-59 years, female 13.3
GTEX-1LC47-0326-SM-E9TJP 60-69 years, male 13.3
GTEX-1PIGE-0126-SM-EVYBJ 20-29 years, male 13.3
GTEX-13X6I-0626-SM-5QGP9 60-69 years, male 13.2
GTEX-PVOW-0126-SM-2XCFA 40-49 years, male 13.2
GTEX-1HSMO-0126-SM-CL547 60-69 years, male 13.2
GTEX-1PBJI-0526-SM-E8VNK 20-29 years, female 13.2
GTEX-111VG-2426-SM-5GZXD 60-69 years, male 13.1
GTEX-11TT1-2526-SM-5EGIB 20-29 years, male 13.1
GTEX-18A7B-0126-SM-7LG64 70-79 years, male 13.1
GTEX-ZYFG-2326-SM-5E44B 60-69 years, female 13.1
GTEX-117YW-2626-SM-5GZZH 50-59 years, male 13.0
GTEX-13OVL-0226-SM-5L3E9 50-59 years, male 13.0
GTEX-16AAH-1726-SM-7939C 50-59 years, male 13.0
GTEX-13S7M-0126-SM-5SI6A 60-69 years, female 12.9
GTEX-SUCS-1926-SM-32PM3 70-79 years, male 12.9
GTEX-PW2O-1526-SM-7RHHB 20-29 years, male 12.9
GTEX-11NUK-0126-SM-5A5L3 50-59 years, male 12.8
GTEX-14753-0426-SM-5NQAM 60-69 years, male 12.8
GTEX-P4PQ-0126-SM-2S1NM 60-69 years, male 12.8
GTEX-RU72-0926-SM-2TF6B 50-59 years, female 12.8
GTEX-Y111-0126-SM-4SOIV 50-59 years, male 12.8
GTEX-ZVTK-0426-SM-51MRS 20-29 years, male 12.8
GTEX-1J8EW-0126-SM-CJI4F 60-69 years, female 12.8
GTEX-139D8-0226-SM-5KLZO 30-39 years, female 12.7
GTEX-13OW7-0126-SM-5MR3B 50-59 years, male 12.7
GTEX-QEG4-0226-SM-2S1PY 30-39 years, male 12.7
GTEX-ZZ64-1726-SM-5GZYB 20-29 years, male 12.7
GTEX-13RTL-0126-SM-7LG5S 40-49 years, male 12.6
GTEX-14XAO-2326-SM-6EU1B 60-69 years, female 12.6
GTEX-OXRK-0226-SM-3NB2G 50-59 years, female 12.6
GTEX-Y3IK-2426-SM-4WWDU 50-59 years, female 12.6
GTEX-ZY6K-1826-SM-5GZXK 50-59 years, male 12.6
GTEX-1F88F-2726-SM-7PBZZ 60-69 years, female 12.6
GTEX-1J8Q3-1626-SM-CMKGC 60-69 years, male 12.6
GTEX-12696-2426-SM-5EQ6H 60-69 years, male 12.5
GTEX-T8EM-1026-SM-3DB7M 40-49 years, male 12.5
GTEX-SNMC-1226-SM-2XCFP 20-29 years, male 12.4
GTEX-1HFI7-1826-SM-ACKXH 50-59 years, female 12.4
GTEX-11P81-2326-SM-59875 30-39 years, female 12.3
GTEX-131XE-2326-SM-5PNZ2 50-59 years, male 12.3
GTEX-X62O-0126-SM-4E3JN 50-59 years, male 12.3
GTEX-XYKS-2126-SM-4E3IB 60-69 years, female 12.3
GTEX-1S3DN-2226-SM-EVYCD 50-59 years, male 12.3
GTEX-11O72-0126-SM-59887 40-49 years, male 12.2
GTEX-132NY-0326-SM-5IJBL 60-69 years, male 12.2
GTEX-1GF9W-0326-SM-9KNUN 60-69 years, male 12.2
GTEX-1JKYR-0126-SM-CNPOJ 20-29 years, male 12.2
GTEX-1399U-2326-SM-5K7WY 50-59 years, female 12.1
GTEX-13OW5-0126-SM-DTXFS 60-69 years, male 12.1
GTEX-X4EP-0126-SM-3P5YV 60-69 years, female 12.0
GTEX-Z9EW-1626-SM-5CVMN 40-49 years, male 12.0
GTEX-1313W-0126-SM-5LZUN 50-59 years, female 11.9
GTEX-139TU-0126-SM-5K7WH 60-69 years, male 11.9
GTEX-14ABY-0226-SM-5TDCQ 50-59 years, male 11.9
GTEX-16MT8-0426-SM-7KUEY 60-69 years, female 11.9
GTEX-OHPM-0126-SM-2YUN9 50-59 years, male 11.9
GTEX-SN8G-0126-SM-32PLI 50-59 years, female 11.9
GTEX-1M4P7-0226-SM-DIPEV 60-69 years, male 11.9
GTEX-1POEN-0126-SM-EYYXJ 30-39 years, female 11.9
GTEX-1GMR8-0126-SM-9WYTM 50-59 years, female 11.8
GTEX-13W46-0226-SM-5SIAG 50-59 years, male 11.7
GTEX-14E7W-0126-SM-6LLJ9 70-79 years, male 11.7
GTEX-15ER7-0326-SM-7KUEV 20-29 years, female 11.7
GTEX-16NGA-1726-SM-731B4 40-49 years, female 11.7
GTEX-17F96-1626-SM-7DUFL 70-79 years, male 11.7
GTEX-VJWN-0126-SM-3GIK7 50-59 years, female 11.7
GTEX-ZV6S-2326-SM-4YCEY 40-49 years, female 11.7
GTEX-11ZU8-2526-SM-5EQKI 60-69 years, male 11.6
GTEX-O5YT-0126-SM-48TBW 20-29 years, male 11.6
GTEX-P4PP-0126-SM-3LK69 30-39 years, female 11.6
GTEX-TSE9-0126-SM-3DB83 60-69 years, female 11.6
GTEX-XMD2-0126-SM-4YCDU 60-69 years, female 11.6
GTEX-1HSGN-0226-SM-CGQFV 40-49 years, female 11.6
GTEX-13112-2826-SM-5DUWH 50-59 years, male 11.5
GTEX-13N2G-2626-SM-5J1OT 60-69 years, male 11.5
GTEX-1EKGG-0226-SM-9WYTH 60-69 years, male 11.5
GTEX-1GZ2Q-0226-SM-7P8TL 40-49 years, male 11.5
GTEX-1JMPY-1326-SM-ARL8Y 30-39 years, male 11.5
GTEX-14BIM-0226-SM-7IGLD 60-69 years, female 11.4
GTEX-17MF6-0126-SM-7LG4F 40-49 years, male 11.4
GTEX-1E1VI-0126-SM-7DHMZ 50-59 years, male 11.4
GTEX-1HBPI-1526-SM-C1YQ1 50-59 years, male 11.4
GTEX-147F4-0226-SM-5QGPW 50-59 years, male 11.3
GTEX-17F97-0326-SM-7LG5B 50-59 years, male 11.3
GTEX-18D9U-0226-SM-718BP 40-49 years, male 11.3
GTEX-1AMEY-1326-SM-73KYK 30-39 years, female 11.3
GTEX-TKQ1-1026-SM-4GICL 30-39 years, male 11.3
GTEX-W5WG-1826-SM-4KL2Y 50-59 years, female 11.3
GTEX-ZC5H-0226-SM-4WAY9 40-49 years, female 11.3
GTEX-OHPL-0126-SM-2HMJ7 60-69 years, female 11.2
GTEX-1I1GS-0126-SM-B2LVW 60-69 years, male 11.2
GTEX-OOBJ-0126-SM-E6CJW 60-69 years, male 11.2
GTEX-1AYD5-2426-SM-73KXR 50-59 years, male 11.1
GTEX-XQ8I-0426-SM-4BOPO 50-59 years, male 11.1
GTEX-ZVT2-2526-SM-51MT1 50-59 years, female 11.1
GTEX-1EU9M-0226-SM-7P8SP 60-69 years, male 11.1
GTEX-1H1ZS-0426-SM-9WG6G 70-79 years, male 11.1
GTEX-14PII-0226-SM-6EU1T 60-69 years, male 11.0
GTEX-ZGAY-0526-SM-4WWBB 40-49 years, female 11.0
GTEX-1H11D-0226-SM-9WG6Z 40-49 years, male 11.0
GTEX-1I1GT-0626-SM-CGQER 60-69 years, female 11.0
GTEX-11GS4-2726-SM-5A5LE 60-69 years, male 10.9
GTEX-13NZB-2526-SM-5J1OM 30-39 years, male 10.9
GTEX-13PVR-2326-SM-5QGR1 60-69 years, female 10.9
GTEX-13VXU-0126-SM-5SI9F 50-59 years, male 10.9
GTEX-T5JC-0426-SM-32PLO 20-29 years, male 10.9
GTEX-U3ZN-2326-SM-3DB7W 30-39 years, female 10.9
GTEX-1JJE9-0326-SM-CL53Z 70-79 years, male 10.9
GTEX-1K2DU-2326-SM-E9TIV 20-29 years, male 10.9
GTEX-13NZA-0226-SM-5K7Z7 60-69 years, male 10.8
GTEX-1JMQI-2226-SM-CM2SD 50-59 years, male 10.8
GTEX-1QEPI-0126-SM-EWRMQ 60-69 years, female 10.8
GTEX-11DXW-0226-SM-5H122 40-49 years, male 10.7
GTEX-11UD1-0126-SM-5PNYG 40-49 years, female 10.7
GTEX-ZVZP-2426-SM-59HKJ 50-59 years, male 10.7
GTEX-RNOR-0126-SM-E9J4R 50-59 years, female 10.7
GTEX-T6MO-1626-SM-32QOM 40-49 years, female 10.6
GTEX-WYJK-0126-SM-3NMAB 50-59 years, male 10.6
GTEX-X585-0226-SM-4QAS2 50-59 years, male 10.6
GTEX-1CB4H-0226-SM-7PBXM 60-69 years, female 10.6
GTEX-1EMGI-0126-SM-9KNUE 60-69 years, male 10.6
GTEX-11EQ9-2426-SM-5HL5T 30-39 years, male 10.5
GTEX-17HG3-2226-SM-7938L 30-39 years, female 10.5
GTEX-1GPI6-0126-SM-9WG69 60-69 years, male 10.5
GTEX-1J8Q2-0526-SM-CM2RW 60-69 years, male 10.5
GTEX-1QPFJ-0226-SM-E76PB 30-39 years, female 10.5
GTEX-1269C-2526-SM-5EGJ3 60-69 years, female 10.4
GTEX-14A5I-0126-SM-5TDEA 50-59 years, female 10.4
GTEX-X4XX-0126-SM-3NMC2 60-69 years, male 10.4
GTEX-ZYFC-0226-SM-5NQ75 50-59 years, male 10.4
GTEX-11GSO-2426-SM-5A5LY 60-69 years, male 10.3
GTEX-13O3P-0126-SM-5KM4S 50-59 years, male 10.3
GTEX-1B8L1-2526-SM-9WYTF 60-69 years, male 10.3
GTEX-1J1OQ-0226-SM-CYPSH 40-49 years, female 10.3
GTEX-1LGOU-2026-SM-DIPFF 20-29 years, female 10.3
GTEX-1QCLY-0326-SM-E8VOG 30-39 years, male 10.3
GTEX-1QP9N-1426-SM-DTXFL 30-39 years, male 10.3
GTEX-ZVT4-0126-SM-DTXFN 50-59 years, female 10.3
GTEX-15DCD-0126-SM-7KUEK 70-79 years, female 10.2
GTEX-17EVP-0326-SM-7DHLG 40-49 years, male 10.2
GTEX-P4QT-0126-SM-2I3FL 50-59 years, female 10.2
GTEX-1F6IF-0726-SM-7P8TW 60-69 years, male 10.2
GTEX-1LGRB-2526-SM-CNPPQ 50-59 years, female 10.2
GTEX-11DXY-2626-SM-5GIE7 60-69 years, male 10.1
GTEX-14DAQ-0126-SM-5S2MQ 60-69 years, female 10.1
GTEX-YB5E-2026-SM-5IFIS 40-49 years, male 10.1
GTEX-1IDJU-2626-SM-CM2RT 60-69 years, female 10.1
GTEX-1GF9U-2126-SM-7SB7L 40-49 years, female 10.0
GTEX-1IDFM-0126-SM-COH2V 60-69 years, male 10.0
GTEX-WYVS-2126-SM-3NMA3 40-49 years, female 9.9
GTEX-ZDTS-0126-SM-4WAY5 60-69 years, male 9.9
GTEX-1F7RK-0126-SM-7PC2S 20-29 years, female 9.9
GTEX-1I1GR-0126-SM-CL55F 60-69 years, male 9.9
GTEX-1192W-2626-SM-5Q5AF 60-69 years, male 9.8
GTEX-11DYG-0126-SM-59883 60-69 years, male 9.8
GTEX-U412-0426-SM-3DB9O 60-69 years, male 9.8
GTEX-1E2YA-0126-SM-9KNUC 50-59 years, male 9.8
GTEX-1GZHY-0326-SM-9QEHI 50-59 years, female 9.8
GTEX-1I1CD-0126-SM-CM2TK 60-69 years, female 9.8
GTEX-1JMQJ-0526-SM-CYPSU 50-59 years, male 9.8
GTEX-1128S-2326-SM-5GZZY 60-69 years, female 9.7
GTEX-15CHC-2126-SM-6EU21 60-69 years, female 9.7
GTEX-13NYC-0326-SM-E9J4S 60-69 years, male 9.7
GTEX-1MCYP-1926-SM-E9J2R 20-29 years, female 9.7
GTEX-139TS-2826-SM-5J1OO 60-69 years, male 9.6
GTEX-13IVO-0126-SM-5J1NG 70-79 years, male 9.6
GTEX-1B8SG-0126-SM-73KZ3 50-59 years, male 9.6
GTEX-TMZS-0126-SM-3DB9Q 60-69 years, male 9.6
GTEX-11OC5-0126-SM-5HL6A 60-69 years, male 9.5
GTEX-12ZZZ-0626-SM-5DUXI 60-69 years, male 9.5
GTEX-13G51-2526-SM-5LZYK 60-69 years, male 9.5
GTEX-ZVZO-0126-SM-5A5L9 40-49 years, male 9.5
GTEX-1EWIQ-0126-SM-7RHH2 70-79 years, female 9.5
GTEX-1HCU9-1526-SM-A9SL7 20-29 years, male 9.5
GTEX-131XW-0426-SM-5LZWP 50-59 years, female 9.4
GTEX-14BMU-2226-SM-5TDE9 20-29 years, female 9.4
GTEX-17GQL-2026-SM-718BA 60-69 years, male 9.4
GTEX-ZXES-1826-SM-5E43S 30-39 years, female 9.4
GTEX-11TUW-2726-SM-E9J4M 60-69 years, male 9.4
GTEX-1J8JJ-0226-SM-CL53I 60-69 years, female 9.4
GTEX-1KANC-1526-SM-D3LAB 50-59 years, female 9.4
GTEX-133LE-1826-SM-5J1MV 20-29 years, female 9.3
GTEX-13FTW-2626-SM-5K7WL 40-49 years, male 9.3
GTEX-X88G-0126-SM-47JZ3 30-39 years, male 9.3
GTEX-13NZ8-0826-SM-5MR3I 60-69 years, female 9.2
GTEX-13X6J-0126-SM-5QGOU 50-59 years, male 9.2
GTEX-QVJO-1626-SM-2S1QW 60-69 years, female 9.2
GTEX-ZU9S-0226-SM-5E441 30-39 years, male 9.2
GTEX-12ZZX-0126-SM-5EGK9 40-49 years, female 9.1
GTEX-13SLW-0126-SM-5SI6C 70-79 years, male 9.1
GTEX-T2IS-0126-SM-4DM6O 20-29 years, female 9.1
GTEX-ZZPT-0226-SM-5E43X 50-59 years, male 9.1
GTEX-1OFPY-2426-SM-DTXEJ 60-69 years, male 9.1
GTEX-12WSC-0126-SM-5EQ4P 50-59 years, male 9.0
GTEX-14A6H-0126-SM-5QGPK 30-39 years, male 9.0
GTEX-1IKOH-0226-SM-COH4E 60-69 years, female 9.0
GTEX-15ETS-0126-SM-7KUMW 40-49 years, female 8.9
GTEX-S32W-2126-SM-2XCB1 50-59 years, female 8.9
GTEX-1IKK5-0626-SM-ARL8A 60-69 years, male 8.9
GTEX-1JN6P-0126-SM-D3L98 60-69 years, male 8.9
GTEX-1KANB-0526-SM-E6CJH 50-59 years, male 8.9
GTEX-1LBAC-0126-SM-DIPEZ 20-29 years, male 8.9
GTEX-1LVAN-0226-SM-COH3S 50-59 years, female 8.9
GTEX-14E6E-1826-SM-5S2R7 30-39 years, male 8.8
GTEX-1N2DW-0226-SM-E9TK2 50-59 years, male 8.8
GTEX-18465-0126-SM-731BN 50-59 years, male 8.7
GTEX-1F75I-0326-SM-9YFLU 40-49 years, male 8.7
GTEX-1HCU7-0226-SM-CL545 50-59 years, male 8.7
GTEX-1MCQQ-0826-SM-DLHC2 60-69 years, male 8.7
GTEX-WZTO-0126-SM-3NM95 40-49 years, male 8.6
GTEX-Z93S-0126-SM-5HL7M 50-59 years, male 8.5
GTEX-1KD4Q-0226-SM-E9TJ9 40-49 years, male 8.5
GTEX-13FTY-0526-SM-5L3EV 40-49 years, female 8.4
GTEX-1GMRU-0126-SM-9YFLV 50-59 years, male 8.4
GTEX-1HR98-0126-SM-B2LWI 60-69 years, male 8.4
GTEX-PLZ6-1426-SM-DKPOT 30-39 years, male 8.4
GTEX-15SB6-1726-SM-6PAME 50-59 years, female 8.3
GTEX-1F5PL-0326-SM-7P8PQ 40-49 years, female 8.3
GTEX-OXRN-0126-SM-48TDM 50-59 years, male 8.2
GTEX-QESD-1426-SM-2S1R9 20-29 years, male 8.2
GTEX-Y5V6-2426-SM-4VDSB 60-69 years, male 8.2
GTEX-1CAMQ-0226-SM-7IGPK 40-49 years, male 8.1
GTEX-Z93T-0126-SM-5HL5N 50-59 years, male 8.1
GTEX-1F52S-0126-SM-9MQJU 60-69 years, female 8.1
GTEX-1I1GP-2226-SM-CGQFK 50-59 years, male 8.1
GTEX-1LG7Z-1726-SM-D3LA4 30-39 years, male 8.1
GTEX-1OJC3-0126-SM-E76QX 20-29 years, male 8.1
GTEX-131XH-2226-SM-5DUXJ 50-59 years, male 8.0
GTEX-14BIN-0626-SM-793DP 50-59 years, female 8.0
GTEX-1EN7A-0126-SM-7SB81 40-49 years, male 8.0
GTEX-131YS-0126-SM-5KM1M 60-69 years, female 7.9
GTEX-1F75A-0126-SM-7RHGM 50-59 years, male 7.9
GTEX-1R7EU-0226-SM-EVR4G 60-69 years, male 7.9
GTEX-11UD2-0226-SM-5EQKY 50-59 years, male 7.8
GTEX-1M5QR-1226-SM-EWROB 40-49 years, male 7.8
GTEX-1NV5F-0226-SM-E8VNY 60-69 years, female 7.8
GTEX-11ZTS-0126-SM-5EQ6M 60-69 years, female 7.7
GTEX-QV44-1926-SM-2S1RF 50-59 years, male 7.7
GTEX-SIU8-0126-SM-2XCDT 50-59 years, male 7.7
GTEX-Y5LM-1926-SM-5RQJH 40-49 years, female 7.7
GTEX-1HT8W-0126-SM-CNPPP 30-39 years, male 7.7
GTEX-1JMPZ-0226-SM-CNPP1 30-39 years, male 7.7
GTEX-13PDP-0126-SM-5L3HD 60-69 years, male 7.6
GTEX-14PJ6-2126-SM-6EU1V 60-69 years, female 7.6
GTEX-OIZG-0726-SM-33HBL 50-59 years, male 7.6
GTEX-1RDX4-0126-SM-E9J4P 50-59 years, female 7.6
GTEX-ZWKS-0126-SM-5SIAA 30-39 years, male 7.5
GTEX-1F75B-0126-SM-9KNVL 50-59 years, male 7.5
GTEX-13OW6-0426-SM-5L3HM 50-59 years, male 7.4
GTEX-16GPK-0126-SM-7DHLE 60-69 years, male 7.4
GTEX-1MA7W-2026-SM-E9TJ6 20-29 years, female 7.4
GTEX-XBEW-0626-SM-4QASP 40-49 years, male 7.3
GTEX-1HCU8-0626-SM-A9SM9 60-69 years, female 7.3
GTEX-12ZZY-0226-SM-5LZVE 60-69 years, male 7.2
GTEX-13FXS-0226-SM-5IJCK 50-59 years, male 7.2
GTEX-1AMFI-2026-SM-731BH 50-59 years, female 7.2
GTEX-1C475-1826-SM-73KWA 40-49 years, female 7.2
GTEX-R3RS-0126-SM-3GIJL 40-49 years, female 7.2
GTEX-1GN2E-0426-SM-9MQKX 60-69 years, male 7.2
GTEX-1HSKV-0226-SM-A9SKJ 60-69 years, male 7.2
GTEX-1JMLX-0226-SM-CM2RO 50-59 years, male 7.1
GTEX-1KAFJ-2026-SM-CY8ID 50-59 years, male 7.1
GTEX-1J8QM-2126-SM-CYPSJ 60-69 years, female 7.0
GTEX-1KANA-0726-SM-D3L9I 20-29 years, male 7.0
GTEX-15RIG-0226-SM-7KFTL 40-49 years, male 6.9
GTEX-Y8E4-0626-SM-4WWDL 40-49 years, male 6.9
GTEX-1I19N-0326-SM-ACKVX 70-79 years, male 6.9
GTEX-16NPX-0226-SM-79OMT 50-59 years, male 6.8
GTEX-1F6RS-0126-SM-9MQKZ 60-69 years, female 6.8
GTEX-1RQEC-0426-SM-E6CHU 60-69 years, male 6.8
GTEX-13OW8-1326-SM-5J1OW 60-69 years, male 6.7
GTEX-XQ3S-1526-SM-4BOOC 20-29 years, male 6.7
GTEX-1IL2U-0226-SM-CE6T8 60-69 years, male 6.7
GTEX-1B97I-1626-SM-73KYO 40-49 years, male 6.6
GTEX-V1D1-2226-SM-3NMAX 50-59 years, male 6.6
GTEX-131XF-5016-SM-7MGWE 60-69 years, male 6.6
GTEX-1HFI6-0226-SM-ADEHZ 40-49 years, male 6.6
GTEX-1KXAM-2226-SM-CYPTC 60-69 years, male 6.6
GTEX-1C6VR-2426-SM-79OLD 60-69 years, male 6.5
GTEX-1LSNM-1926-SM-E6CII 50-59 years, male 6.5
GTEX-1O97I-0326-SM-EYYX7 60-69 years, male 6.5
GTEX-11OF3-2626-SM-5GU7F 60-69 years, male 6.4
GTEX-12126-0326-SM-5PNW3 20-29 years, male 6.4
GTEX-PWO3-1526-SM-48TCM 60-69 years, female 6.4
GTEX-UJHI-1526-SM-3DB99 50-59 years, female 6.4
GTEX-ZAK1-0126-SM-5IJD3 50-59 years, female 6.4
GTEX-ZYT6-0226-SM-5NQ6T 30-39 years, male 6.4
GTEX-1IGQW-0126-SM-COH42 60-69 years, male 6.4
GTEX-OIZH-0126-SM-2HMIS 50-59 years, male 6.3
GTEX-1PDJ9-0326-SM-DTX95 20-29 years, male 6.3
GTEX-S7SE-0126-SM-2XCD5 50-59 years, male 6.2
GTEX-ZV68-0126-SM-59HKS 50-59 years, female 6.2
GTEX-1IKJJ-0126-SM-CNPQB 60-69 years, male 6.2
GTEX-1IL2V-0126-SM-CM2TX 70-79 years, male 6.2
GTEX-13OVH-0126-SM-5MR4B 70-79 years, male 6.1
GTEX-15EU6-0426-SM-6PAN5 50-59 years, male 6.1
GTEX-Y8DK-0126-SM-4TT3L 60-69 years, male 6.1
GTEX-13111-1626-SM-5EGJY 50-59 years, male 6.0
GTEX-14E6D-0126-SM-62LDV 50-59 years, male 6.0
GTEX-ZTX8-1426-SM-5DUVO 20-29 years, male 6.0
GTEX-1I1GQ-0126-SM-COH3H 50-59 years, male 6.0
GTEX-1QMI2-0226-SM-EVYBX 60-69 years, male 6.0
GTEX-1122O-2126-SM-5EGIR 60-69 years, female 5.9
GTEX-145LU-0126-SM-5TDCB 50-59 years, male 5.9
GTEX-14A5H-0426-SM-5QGQF 60-69 years, male 5.9
GTEX-SJXC-0126-SM-2XCFF 60-69 years, male 5.9
GTEX-139UW-2826-SM-5L3E7 60-69 years, male 5.8
GTEX-18D9A-1926-SM-7LG6P 30-39 years, female 5.8
GTEX-XPVG-2626-SM-4B669 50-59 years, male 5.8
GTEX-1H3O1-0426-SM-9YFKY 60-69 years, male 5.8
GTEX-1IDJH-0326-SM-A9SLQ 70-79 years, male 5.8
GTEX-1212Z-2526-SM-5EGKP 60-69 years, male 5.7
GTEX-13113-5016-SM-7EPIP 60-69 years, female 5.6
GTEX-X261-0126-SM-3NMD6 50-59 years, male 5.5
GTEX-1GF9V-0326-SM-7RHI5 60-69 years, male 5.5
GTEX-117XS-2726-SM-5N9BL 60-69 years, male 5.4
GTEX-12WSA-0226-SM-5BC5V 60-69 years, male 5.4
GTEX-POMQ-2226-SM-2I5FK 20-29 years, female 5.4
GTEX-1GL5R-1826-SM-9KNUY 50-59 years, male 5.4
GTEX-1LB8K-0226-SM-EWRNW 50-59 years, male 5.4
GTEX-RVPV-0126-SM-EAZAW 60-69 years, male 5.4
GTEX-SE5C-1626-SM-2XCE3 40-49 years, female 5.4
GTEX-14BMV-0126-SM-5S2PO 50-59 years, male 5.3
GTEX-14LZ3-0226-SM-62LET 60-69 years, female 5.3
GTEX-1CB4I-0226-SM-79OLH 50-59 years, male 5.3
GTEX-1S83E-0126-SM-EWRO4 40-49 years, male 5.1
GTEX-14JG1-0426-SM-6ETZZ 40-49 years, male 5.0
GTEX-1B8SF-1426-SM-7DUGL 60-69 years, male 5.0
GTEX-1BAJH-0526-SM-793CQ 70-79 years, male 4.9
GTEX-T6MN-0126-SM-32PLP 50-59 years, male 4.9
GTEX-1H1CY-2826-SM-9MQM3 60-69 years, female 4.9
GTEX-1MJK2-0426-SM-DTXE5 50-59 years, male 4.9
GTEX-111FC-0126-SM-5N9DL 60-69 years, male 4.8
GTEX-144GL-0126-SM-5TDE2 50-59 years, male 4.8
GTEX-17KNJ-2326-SM-7DHLQ 50-59 years, male 4.8
GTEX-ZE9C-2726-SM-57WB5 60-69 years, male 4.8
GTEX-T5JW-1626-SM-3GADZ 20-29 years, female 4.7
GTEX-WFON-2126-SM-3LK7O 40-49 years, male 4.7
GTEX-1IOXB-0126-SM-ARL8G 50-59 years, male 4.7
GTEX-1KWVE-1426-SM-E9TJO 30-39 years, male 4.7
GTEX-13FHP-0126-SM-5IJBG 50-59 years, male 4.6
GTEX-WVJS-0126-SM-4MVOT 50-59 years, male 4.6
GTEX-ZF2S-2326-SM-4WWCE 50-59 years, female 4.6
GTEX-1JJ6O-0126-SM-E6CI8 60-69 years, male 4.6
GTEX-1399R-2726-SM-5IJBA 30-39 years, male 4.5
GTEX-13O3Q-2426-SM-5IJBR 50-59 years, male 4.5
GTEX-13JUV-2726-SM-5LZZ8 40-49 years, female 4.3
GTEX-13OVK-2026-SM-7KUEO 40-49 years, male 4.3
GTEX-1399T-2826-SM-5KLYZ 60-69 years, male 4.2
GTEX-145LS-0126-SM-5QGP1 60-69 years, female 4.1
GTEX-XUZC-1726-SM-4BRWS 30-39 years, female 4.1
GTEX-1I1GV-0526-SM-A9G29 60-69 years, male 3.9
GTEX-PX3G-0126-SM-2I3EN 20-29 years, female 3.7
GTEX-T2YK-0526-SM-32QPJ 50-59 years, male 3.6
GTEX-1JMQL-0226-SM-CNPP5 50-59 years, female 3.6
GTEX-1QAET-0926-SM-E76QM 50-59 years, male 3.4
GTEX-13NYB-2526-SM-5K7Z6 40-49 years, male 3.2
GTEX-1R9PM-2026-SM-E76OY 20-29 years, male 3.2
GTEX-YJ89-0126-SM-4TT3X 60-69 years, male 3.1
GTEX-1H4P4-0726-SM-9YFLR 50-59 years, male 3.1
GTEX-145MF-0626-SM-5LUAI 50-59 years, male 2.8
GTEX-1CB4F-0426-SM-9KNV4 60-69 years, male 2.8
GTEX-1GMR3-1926-SM-9KNUZ 40-49 years, male 2.6
GTEX-1JJEA-0326-SM-CNPOT 60-69 years, male 2.6
GTEX-12WSE-0526-SM-793B2 20-29 years, male 2.5
GTEX-1C64N-0126-SM-793D7 50-59 years, male 2.4
GTEX-1L5NE-2526-SM-E6CIE 50-59 years, male 2.4
GTEX-17JCI-0126-SM-7LG5G 60-69 years, female 1.8
GTEX-1PIIG-0226-SM-EWRN6 30-39 years, male 1.4
Show allShow less

Contact

  • NEWS ARTICLES
  • PRESS ROOM

The Project

  • INTRODUCTION
  • ORGANIZATION
  • PUBLICATIONS

The Human Protein Atlas

  • DOWNLOADABLE DATA
  • LICENCE & CITATION
  • HELP & FAQ
The Human Protein Atlas project is funded
by the Knut & Alice Wallenberg Foundation.


contact@proteinatlas.org