We use cookies to enhance the usability of our website. If you continue, we'll assume that you are happy to receive all cookies. More information. Don't show this again.
CTSL
HPA
RESOURCES
  • TISSUE
  • BRAIN
  • SINGLE CELL
  • SUBCELLULAR
  • CANCER
  • BLOOD
  • CELL LINE
  • STRUCTURE & INTERACTION
ABOUT
  • INTRODUCTION
  • HISTORY
  • ORGANIZATION
  • PUBLICATIONS
  • ANTIBODY SUBMISSION
  • ANTIBODY AVAILABILITY
  • ACKNOWLEDGMENTS
  • CONTACT
NEWS
  • NEWS ARTICLES
  • PRESS ROOM
LEARN
  • DICTIONARY
  • PROTEIN CLASSES
  • PROTEIN EVIDENCE
  • METHODS
  • EDUCATIONAL VIDEOS
DATA
  • DOWNLOADABLE DATA
  • PUBLICATION DATA
  • RELEASE HISTORY
HELP
  • ANTIBODY VALIDATION
  • ASSAYS & ANNOTATION
  • DISCLAIMER
  • HELP & FAQ
  • PRIVACY STATEMENT
  • LICENCE & CITATION
Fields »
Search result

Field
Term
Gene name
Class
Subclass
Class
Keyword
Chromosome
External id
Tissue
Cell type
Expression
Antibody panel
Tissue
Main location
Patient ID
Annotation
Tissue
Category
Tau score
Cluster
Reliability
Brain region
Category
Tau score
Brain region
Category
Tau score
Brain region
Category
Tau score
Cluster
Reliability
Tissue
Cell type
Enrichment
Cell type
Category
Tau score
Cell type
Category
Tau score
Cell type
Category
Tau score
Cell lineage
Category
Tau score
Cluster
Cluster
Location
Searches
Location
Cell line
Class
Type
Phase
Reliability
Cancer
Prognosis
Cancer
Category
Cancer
Category
Tau score
Cluster
Variants
Interacting gene (ensg_id)
Type
Number of interactions
Pathway
Category
Score
Score
Score
Validation
Validation
Validation
Validation
Antibodies
Data type
Column


  • SUMMARY

  • TISSUE

  • BRAIN

  • SINGLE CELL

  • SUBCELL

  • CANCER

  • BLOOD

  • CELL LINE

  • STRUCT & INT

  • CTSL
TISSUE PRIMARY DATA STOMACH Show tissue menu
ADIPOSE TISSUE ADRENAL GLAND AMYGDALA APPENDIX BASAL GANGLIA BONE MARROW BREAST BRONCHUS CEREBELLUM CEREBRAL CORTEX CERVIX CHOROID PLEXUS COLON DUODENUM
ENDOMETRIUM EPIDIDYMIS ESOPHAGUS FALLOPIAN TUBE GALLBLADDER HEART MUSCLE HIPPOCAMPAL FORMATION HYPOTHALAMUS KIDNEY LIVER LUNG LYMPH NODE MIDBRAIN NASOPHARYNX
ORAL MUCOSA OVARY PANCREAS PARATHYROID GLAND PITUITARY GLAND PLACENTA PROSTATE RECTUM RETINA SALIVARY GLAND SEMINAL VESICLE SKELETAL MUSCLE SKIN SMALL INTESTINE
SMOOTH MUSCLE SOFT TISSUE SPINAL CORD SPLEEN STOMACH TESTIS THYMUS THYROID GLAND TONGUE TONSIL URINARY BLADDER VAGINA
ANTIBODIES
AND
VALIDATION
Dictionary
Tissue proteome
Stomach
STOMACH - Expression summary
Protein expression
Stomachi

On the top, protein expression in current human tissue, based on all annotated cell types, is reported with the units not detected (n), low (l), medium (m) and high (h). Underneath, protein expression in each annotated cell type are reported using the same units.

Protein expression data is based on knowledge-based annotation. For genes where more than one antibody has been used, a collective score is set.

If knowledge-based annotation could not be performed for a gene, no data is displayed here. View antibody staining data further down this page.

h
m
l
n
Glandular cells: Medium
RNA expressioni

A summary of mRNA expression data available for current tissue based on several datasets. The mRNA expression levels in human tissues are based on RNA-seq data generated by the Human Protein Atlas (HPA), Genotype-Tissue Expression (GTEx) portal and CAGE data generated by the FANTOM5 consortium. Consensus normalized expression levels for human tissues was created by combining the data from HPA and GTEx datasets.

The mRNA expression levels in pig are based on RNA-seq data generated by the Human Protein Atlas (HPA), and for mouse, HPA data and in situ hybridization generated by the Allen brain atlas are reported.

Scroll down to view mRNA expression data in more detail.
Consensus:69.1 nTPM
HPA:30.1 nTPM
GTEx:69.1 nTPM

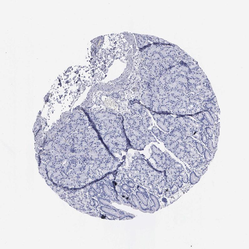
STOMACH 1 - Antibody stainingi

Antibody staining in the annotated cell types in the current human tissue is reported as not detected, low, medium, or high, based on conventional immunohistochemistry profiling in selected tissues. This score is based on the combination of the staining intensity and fraction of stained cells.

Each image is clickable and will lead to virtual microscopy that enables deeper exploration of all samples and also displays staining intensity scores, fraction scores and subcellular localization as well as patient and tissue information for each sample.

Antibody HPA070413Antibody CAB000459
Glandular cells MediumNot detected




STOMACH 2 - Antibody stainingi

Antibody staining in the annotated cell types in the current human tissue is reported as not detected, low, medium, or high, based on conventional immunohistochemistry profiling in selected tissues. This score is based on the combination of the staining intensity and fraction of stained cells.

Each image is clickable and will lead to virtual microscopy that enables deeper exploration of all samples and also displays staining intensity scores, fraction scores and subcellular localization as well as patient and tissue information for each sample.

Antibody HPA070413Antibody CAB000459
Glandular cells MediumNot detected





STOMACH - HPA RNA-seqi

The RNA-seq details section shows detailed information about the individual samples used for the transcript profiling and results of the RNA-seq analysis.

Information about each individual sample is listed below, including gender, age, a tissue section image and estimated fractions of cell types. nTPM (normalized transcripts per million) values give a quantification of the gene abundance which is comparable between different genes and samples.
Average nTPMi

Max subtype nTPM is the value for the subtype with the largest average nTPM across the subtype samples.

30.1
overview
Female, age 33
Stomach sample 61
nTPM: 28.2
Cell types%
Glandular cells:
60

Smooth muscle cells:
5

Other cell types:
35

N/A
Male, age 82
Stomach sample 240
nTPM: 26.4
Cell types%
Glandular cells:
65

Smooth muscle cells:
5

Other cell types:
30

overview
Male, age 71
Stomach sample 241
nTPM: 34.8
Cell types%
Glandular cells:
50

Smooth muscle cells:
5

Other cell types:
45

overview
Female, age 66
Stomach sample 369
nTPM: 31.2
Cell types%
Glandular cells:
50

Smooth muscle cells:
10

Other cell types:
40


STOMACH - GTEx RNA-seqi

RNA-Seq data generated by the Genotype-Tissue Expression (GTEx) project from human tissues is reported as mean nTPM. More information can be found on the GTEx portal.

Distribution across the dataset is visualized with box plots, shown as median and 25th and 75th percentiles. Points are displayed as outliers if they are above or below 1.5 times the interquartile range. nTPM values of the individual samples are presented next to the box plot.
Max subtype nTPMi

Max subtype nTPM is the value for the subtype with the largest average nTPM across the subtype samples.

69.1
GTEx sample id Sample description nTPM
Stomach
Average nTPM: 69.1
Samples: 359

Max nTPM: 616.3
Min nTPM: 17.7
Std nTPM: 61.7
Median nTPM: 42.0
GTEX-1L5NE-1526-SM-DIPFW 50-59 years, male 616.3
GTEX-1JMPY-0926-SM-ARL92 30-39 years, male 447.6
GTEX-17EUY-1526-SM-793CA 20-29 years, male 324.7
GTEX-1PIGE-1126-SM-EWRMV 20-29 years, male 270.5
GTEX-12WSJ-0926-SM-5P9JD 40-49 years, female 227.4
GTEX-ZYVF-2726-SM-5GID4 50-59 years, female 226.3
GTEX-1JN1M-2926-SM-CNNPJ 60-69 years, female 224.0
GTEX-Y114-1226-SM-4TT88 50-59 years, female 220.8
GTEX-1S831-1126-SM-EWROI 20-29 years, male 195.6
GTEX-15G19-1526-SM-6LPKP 60-69 years, male 192.8
GTEX-11EQ9-1226-SM-5987E 30-39 years, male 192.6
GTEX-R55G-1126-SM-48FDG 40-49 years, female 188.9
GTEX-13X6H-1626-SM-5Q5CT 50-59 years, female 183.6
GTEX-XPVG-1526-SM-4B66C 50-59 years, male 181.3
GTEX-15G1A-1226-SM-7KUF3 30-39 years, male 178.6
GTEX-13N1W-2026-SM-5K7YU 70-79 years, male 174.4
GTEX-1MCYP-1126-SM-E9J2P 20-29 years, female 172.6
GTEX-1211K-1426-SM-5FQTF 60-69 years, female 169.2
GTEX-13O61-1126-SM-5L3FI 60-69 years, male 164.9
GTEX-14E1K-1526-SM-664MN 50-59 years, male 164.7
GTEX-WFJO-1126-SM-4LVLZ 30-39 years, male 163.9
GTEX-1NSGN-1926-SM-E9J36 50-59 years, male 163.7
GTEX-1IL2V-2026-SM-ARZMA 70-79 years, male 163.6
GTEX-15RIF-1126-SM-7KUG2 20-29 years, male 159.9
GTEX-14PKU-1126-SM-69LOU 40-49 years, female 159.7
GTEX-R55C-1026-SM-48FCM 40-49 years, male 159.0
GTEX-12C56-0526-SM-5FQST 20-29 years, male 158.4
GTEX-15EU6-2526-SM-7KUGB 50-59 years, male 157.6
GTEX-15SHW-2126-SM-6M46Y 60-69 years, male 156.7
GTEX-11P82-0726-SM-5PNYL 20-29 years, male 156.0
GTEX-S4P3-0726-SM-4AD57 50-59 years, female 151.5
GTEX-ZV6S-0926-SM-57WGB 40-49 years, female 150.6
GTEX-117YW-2226-SM-5N9DB 50-59 years, male 150.5
GTEX-TKQ2-0926-SM-4DXU5 50-59 years, male 146.5
GTEX-14PHY-0926-SM-5ZZWL 60-69 years, female 145.8
GTEX-TKQ1-0526-SM-4DXTG 30-39 years, male 145.7
GTEX-146FH-2126-SM-5SI9U 50-59 years, female 145.6
GTEX-11WQK-2626-SM-5EQ4K 50-59 years, male 144.1
GTEX-1B8L1-1526-SM-79OLK 60-69 years, male 142.5
GTEX-1N2DV-0926-SM-E9TJT 40-49 years, male 141.5
GTEX-1GPI7-1326-SM-9KNVA 20-29 years, male 140.4
GTEX-11VI4-0326-SM-5EQ6L 40-49 years, female 139.7
GTEX-PLZ6-0826-SM-3P61K 30-39 years, male 139.7
GTEX-R55D-1526-SM-48FEJ 50-59 years, male 138.9
GTEX-1CB4E-1326-SM-7DUGD 60-69 years, male 137.6
GTEX-13111-1226-SM-5GCNC 50-59 years, male 137.4
GTEX-1LVAM-1426-SM-E9TJ4 50-59 years, female 136.0
GTEX-P4QT-1526-SM-3NMCT 50-59 years, female 132.9
GTEX-Y5LM-1326-SM-5RQIS 40-49 years, female 130.5
GTEX-1399U-1626-SM-5P9J3 50-59 years, female 129.1
GTEX-1C64O-2226-SM-73KTV 60-69 years, male 129.0
GTEX-1JN76-0926-SM-ARZNH 20-29 years, female 128.9
GTEX-QDT8-2026-SM-EZ6LS 30-39 years, female 126.9
GTEX-1S82Z-1726-SM-E6CHZ 30-39 years, female 126.1
GTEX-14PN3-1326-SM-6AJ9U 60-69 years, female 125.0
GTEX-YJ8A-1526-SM-5P9FT 20-29 years, male 123.7
GTEX-146FR-2026-SM-5NQAI 60-69 years, female 123.2
GTEX-18D9B-2226-SM-718BM 60-69 years, male 121.5
GTEX-1339X-1426-SM-5K7YO 40-49 years, male 121.1
GTEX-13X6J-2126-SM-5TDCV 50-59 years, male 119.6
GTEX-YEC3-1426-SM-D4P1S 50-59 years, male 118.3
GTEX-1F5PK-1826-SM-7RHHX 50-59 years, male 117.1
GTEX-1H3NZ-2226-SM-9WYUT 60-69 years, male 115.9
GTEX-11EI6-2426-SM-5PNVS 60-69 years, male 115.7
GTEX-1QW4Y-0726-SM-DTX8E 30-39 years, male 115.6
GTEX-S7SF-0626-SM-4AD4V 20-29 years, female 115.5
GTEX-1PPH8-1326-SM-DTXFO 20-29 years, male 115.5
GTEX-S4Z8-1226-SM-4AD6W 60-69 years, male 114.1
GTEX-11P7K-1726-SM-5GU6F 30-39 years, male 113.7
GTEX-13PVQ-2126-SM-5L3FW 50-59 years, male 113.1
GTEX-UJHI-1026-SM-4IHJP 50-59 years, female 113.0
GTEX-1E2YA-2426-SM-7EPIG 50-59 years, male 112.7
GTEX-1EH9U-2226-SM-7PBXX 60-69 years, male 112.7
GTEX-1IDJF-1426-SM-ACKWK 20-29 years, male 112.7
GTEX-1H1DE-1226-SM-9JGHH 20-29 years, male 112.6
GTEX-11NUK-2426-SM-5BC4U 50-59 years, male 111.7
GTEX-1QP67-1026-SM-EVR47 40-49 years, female 111.5
GTEX-P4PQ-1526-SM-3NMCK 60-69 years, male 110.8
GTEX-1I4MK-0926-SM-A9SLD 50-59 years, female 108.4
GTEX-OIZH-1526-SM-3NB1J 50-59 years, male 107.9
GTEX-RU1J-0526-SM-46MUT 20-29 years, female 107.4
GTEX-RUSQ-1126-SM-EAZAU 50-59 years, male 107.2
GTEX-1CB4H-2426-SM-7PBYR 60-69 years, female 106.9
GTEX-1KD5A-1426-SM-D4P3V 50-59 years, male 104.0
GTEX-1S3DN-1526-SM-EVYCB 50-59 years, male 103.7
GTEX-1HR9M-2326-SM-CNPPZ 60-69 years, male 102.7
GTEX-ZE7O-3026-SM-51MS4 50-59 years, female 101.5
GTEX-T5JC-1926-SM-4DM6Q 20-29 years, male 101.3
GTEX-WH7G-1526-SM-4LVMX 40-49 years, male 99.0
GTEX-131XE-2226-SM-5PNYX 50-59 years, male 98.4
GTEX-1K2DA-0826-SM-CGQGD 50-59 years, male 96.4
GTEX-ZPIC-2026-SM-57WG3 40-49 years, female 96.3
GTEX-16NGA-1526-SM-72D56 40-49 years, female 95.5
GTEX-1HSEH-1526-SM-B2LXG 60-69 years, male 95.2
GTEX-1HT8W-2326-SM-A9SLA 30-39 years, male 95.2
GTEX-1HSMQ-2426-SM-CE6RY 50-59 years, male 94.8
GTEX-Y3I4-1626-SM-4TT7W 50-59 years, male 94.2
GTEX-1JMPZ-1826-SM-CXZJT 30-39 years, male 92.8
GTEX-ZTX8-0426-SM-59HLG 20-29 years, male 92.2
GTEX-UPK5-2126-SM-4JBJK 40-49 years, male 90.2
GTEX-17KNJ-1526-SM-7LTA9 50-59 years, male 89.7
GTEX-13OVI-2426-SM-5KM4J 60-69 years, female 88.8
GTEX-XAJ8-0326-SM-47JYI 40-49 years, male 87.5
GTEX-1HCUA-1626-SM-A9SMG 50-59 years, female 85.6
GTEX-1RQEC-2126-SM-DPS15 60-69 years, male 85.2
GTEX-13O3Q-2126-SM-5KM4C 50-59 years, male 84.8
GTEX-SNOS-0826-SM-4DM5N 40-49 years, male 84.3
GTEX-1E1VI-2826-SM-7MGWU 50-59 years, male 83.3
GTEX-1QMI2-2126-SM-DPRXQ 60-69 years, male 81.7
GTEX-RTLS-2626-SM-46MUJ 60-69 years, female 81.6
GTEX-1JMLX-2426-SM-CXZJQ 50-59 years, male 79.2
GTEX-1AMEY-1226-SM-731DU 30-39 years, female 76.9
GTEX-NFK9-1526-SM-3LK7B 40-49 years, male 75.5
GTEX-XBEW-1826-SM-4RTWX 40-49 years, male 74.9
GTEX-1QP28-2126-SM-DTX8B 50-59 years, female 74.9
GTEX-QXCU-1926-SM-48FE4 50-59 years, male 74.7
GTEX-17JCI-2226-SM-7LTA1 60-69 years, female 74.4
GTEX-1QPFJ-1526-SM-DPRXT 30-39 years, female 73.0
GTEX-1AX9J-2626-SM-731EK 60-69 years, male 72.1
GTEX-WEY5-1226-SM-4LMIQ 40-49 years, female 71.6
GTEX-O5YV-1926-SM-EV797 60-69 years, female 71.4
GTEX-13FH7-1026-SM-5IJGF 50-59 years, female 69.2
GTEX-PLZ5-1226-SM-EXOHA 50-59 years, male 68.7
GTEX-1QP29-2326-SM-EXOJO 50-59 years, male 67.8
GTEX-1J8EW-2226-SM-AHZ3T 60-69 years, female 66.4
GTEX-1C475-1026-SM-7MKFJ 40-49 years, female 66.1
GTEX-11TT1-0726-SM-5GU5A 20-29 years, male 65.6
GTEX-1LSNM-1026-SM-DHXL2 50-59 years, male 63.7
GTEX-1A3MX-1926-SM-72D7F 60-69 years, male 63.1
GTEX-U4B1-1026-SM-4DXT1 40-49 years, male 61.2
GTEX-13QBU-1126-SM-5LU44 40-49 years, female 60.7
GTEX-ZZPU-1426-SM-5GZZ6 50-59 years, female 60.1
GTEX-13QJ3-2726-SM-5SI6L 50-59 years, male 59.6
GTEX-14PJ4-1626-SM-664OB 60-69 years, male 58.9
GTEX-17MF6-2126-SM-7KFS7 40-49 years, male 58.5
GTEX-Y8E4-1526-SM-4WWDI 40-49 years, male 58.4
GTEX-14B4R-0726-SM-5TDDR 30-39 years, male 58.3
GTEX-145MO-2226-SM-5Q5BN 60-69 years, male 57.8
GTEX-132AR-2426-SM-5IFFD 50-59 years, female 57.3
GTEX-1JMQJ-1326-SM-D4P3B 50-59 years, male 56.7
GTEX-T8EM-1226-SM-4DM5J 40-49 years, male 56.6
GTEX-14DAQ-2826-SM-664MU 60-69 years, female 56.3
GTEX-1QCLZ-1826-SM-DPRXP 60-69 years, female 56.2
GTEX-1R7EU-1126-SM-EAZ4M 60-69 years, male 56.2
GTEX-1I1GT-1726-SM-C1YS3 60-69 years, female 56.0
GTEX-18A7A-2726-SM-7LG6U 50-59 years, female 54.9
GTEX-18D9A-0626-SM-7KFTY 30-39 years, female 54.9
GTEX-13CF3-1926-SM-5K7WF 60-69 years, female 52.9
GTEX-WYVS-1326-SM-4ONCQ 40-49 years, female 52.6
GTEX-1H23P-2726-SM-9JGHN 60-69 years, male 52.4
GTEX-1GMRU-2526-SM-9WG7T 50-59 years, male 51.8
GTEX-12BJ1-1726-SM-5HL9B 60-69 years, male 50.0
GTEX-ZVT3-2126-SM-59HL2 60-69 years, female 49.2
GTEX-11GSP-2126-SM-5HL5E 60-69 years, female 49.1
GTEX-13RTK-0226-SM-5RQHR 20-29 years, male 48.9
GTEX-O5YW-1526-SM-3MJGL 50-59 years, male 48.4
GTEX-12WSD-2326-SM-59HKQ 60-69 years, female 48.3
GTEX-14BMV-2226-SM-5RQHX 50-59 years, male 48.2
GTEX-1IDJD-2426-SM-C1YS6 30-39 years, male 48.2
GTEX-SUCS-0926-SM-4DM4Z 70-79 years, male 48.1
GTEX-WHPG-0426-SM-4M1XW 50-59 years, male 48.0
GTEX-WZTO-2126-SM-4PQYW 40-49 years, male 48.0
GTEX-S4Q7-0726-SM-4AD5F 20-29 years, male 47.8
GTEX-1HCU8-1326-SM-C1YQQ 60-69 years, female 46.9
GTEX-14JG6-1226-SM-664O6 30-39 years, female 46.8
GTEX-ZY6K-0726-SM-5A5L8 50-59 years, male 46.3
GTEX-145LT-1426-SM-5O9B3 40-49 years, male 46.2
GTEX-1H11D-2226-SM-9OSXN 40-49 years, male 45.7
GTEX-1JKYN-1726-SM-AHZ48 30-39 years, male 45.3
GTEX-OXRL-1526-SM-E6CHQ 50-59 years, male 45.2
GTEX-17F98-1526-SM-7EWD8 40-49 years, female 44.8
GTEX-ZYY3-1726-SM-5EGH3 60-69 years, female 44.6
GTEX-14DAR-0926-SM-73KUQ 50-59 years, male 44.1
GTEX-1F5PL-1426-SM-7MKFH 40-49 years, female 44.1
GTEX-1GN1W-2126-SM-9JGI7 50-59 years, female 43.7
GTEX-139D8-2326-SM-5IFGE 30-39 years, female 43.3
GTEX-1H1DG-2126-SM-9WPPB 70-79 years, male 42.9
GTEX-WHWD-1426-SM-4OORU 50-59 years, male 42.7
GTEX-1A3MV-1226-SM-718BW 30-39 years, male 42.0
GTEX-XBED-1226-SM-4AT5V 60-69 years, male 42.0
GTEX-ZT9W-1526-SM-4YCDE 50-59 years, male 41.6
GTEX-13OW6-2526-SM-5IJEC 50-59 years, male 41.5
GTEX-133LE-1326-SM-5IFGO 20-29 years, female 40.2
GTEX-11EM3-1026-SM-5A5KL 20-29 years, female 40.1
GTEX-1B8KE-1326-SM-73KVI 50-59 years, male 40.1
GTEX-OHPK-1526-SM-3MJGM 50-59 years, female 40.0
GTEX-1GF9U-1126-SM-AHZ4H 40-49 years, female 39.9
GTEX-QDVJ-1426-SM-48U1Y 50-59 years, male 39.6
GTEX-1JK1U-1326-SM-AHZ45 60-69 years, male 39.3
GTEX-OHPM-1526-SM-EV796 50-59 years, male 39.3
GTEX-1H1E6-1626-SM-9OSWC 30-39 years, male 39.2
GTEX-Q2AI-0826-SM-48TZO 40-49 years, male 39.1
GTEX-R53T-1226-SM-48FCT 50-59 years, female 38.8
GTEX-13S7M-1826-SM-5RQK6 60-69 years, female 38.7
GTEX-ZQUD-0826-SM-57WDQ 30-39 years, male 38.1
GTEX-PWN1-1526-SM-48TDA 40-49 years, female 38.0
GTEX-ZLFU-1326-SM-DO11R 40-49 years, male 38.0
GTEX-XMK1-1526-SM-EYYVO 40-49 years, male 37.9
GTEX-S3XE-1026-SM-4AD4O 50-59 years, male 37.8
GTEX-1HBPI-0726-SM-9WG7Z 50-59 years, male 37.7
GTEX-XXEK-0826-SM-4BRWG 50-59 years, male 37.6
GTEX-ZGAY-1626-SM-DNZZ3 40-49 years, female 37.5
GTEX-13PVR-2126-SM-73KVR 60-69 years, female 37.3
GTEX-1IDJU-1526-SM-CNNR3 60-69 years, female 36.9
GTEX-1J8QM-1126-SM-C1YQB 60-69 years, female 36.7
GTEX-139YR-1926-SM-5LZXM 50-59 years, male 36.6
GTEX-ZDYS-1926-SM-5HL59 50-59 years, male 36.5
GTEX-144GM-1726-SM-5O9AS 20-29 years, male 36.4
GTEX-12696-1726-SM-5EQLH 60-69 years, male 36.2
GTEX-QDVN-1226-SM-48TZ5 50-59 years, male 36.1
GTEX-QV31-0626-SM-447C5 30-39 years, male 35.7
GTEX-ZA64-0826-SM-5HL9U 20-29 years, male 35.5
GTEX-1LGRB-1726-SM-CNNRA 50-59 years, female 35.5
GTEX-131XF-1226-SM-5HL8V 60-69 years, male 35.2
GTEX-14E6E-0926-SM-664N8 30-39 years, male 35.2
GTEX-1A8G6-1426-SM-731EZ 60-69 years, male 35.2
GTEX-W5WG-1726-SM-4LMI5 50-59 years, female 35.2
GTEX-ZEX8-1626-SM-4WKG7 50-59 years, male 35.1
GTEX-XV7Q-1326-SM-4BRWM 40-49 years, female 34.9
GTEX-1I1HK-2026-SM-CNNRB 60-69 years, male 34.9
GTEX-13D11-2126-SM-5IFH2 50-59 years, female 34.7
GTEX-QCQG-0526-SM-48U2A 50-59 years, female 34.4
GTEX-WY7C-1726-SM-4ONCC 50-59 years, male 34.2
GTEX-ZVZP-1726-SM-5GZWY 50-59 years, male 34.0
GTEX-POMQ-0826-SM-3P61H 20-29 years, female 33.6
GTEX-ZVT2-1626-SM-51MRC 50-59 years, female 33.6
GTEX-1HBPN-1626-SM-9WPNP 50-59 years, male 33.6
GTEX-17HII-2426-SM-7KFTT 50-59 years, male 33.5
GTEX-ZV7C-1626-SM-5NQ7E 50-59 years, male 33.3
GTEX-131XG-1226-SM-5EGH9 50-59 years, female 33.2
GTEX-132QS-1826-SM-5IFFN 60-69 years, male 33.1
GTEX-14PJ3-1426-SM-664O8 50-59 years, male 32.8
GTEX-T6MO-0726-SM-4DM58 40-49 years, female 32.8
GTEX-1LGOU-1526-SM-D3LAJ 20-29 years, female 32.8
GTEX-111YS-1126-SM-5GZYQ 60-69 years, male 32.7
GTEX-14ICL-0826-SM-5YY9W 30-39 years, male 32.7
GTEX-QMRM-1126-SM-447BN 50-59 years, male 32.7
GTEX-18QFQ-1226-SM-718AE 30-39 years, male 32.2
GTEX-WRHK-0626-SM-4MVOE 20-29 years, female 32.1
GTEX-1B97I-1226-SM-7MGWQ 40-49 years, male 32.1
GTEX-14PKV-1826-SM-69LO9 20-29 years, female 31.9
GTEX-1MGNQ-1826-SM-DPRYI 40-49 years, male 31.8
GTEX-RM2N-0826-SM-48FD3 50-59 years, male 31.7
GTEX-1RAZR-1526-SM-EAZ4U 40-49 years, male 31.7
GTEX-V955-1326-SM-4JBHR 60-69 years, male 31.6
GTEX-ZF2S-1426-SM-57WET 50-59 years, female 31.6
GTEX-117YX-1026-SM-5H11V 50-59 years, male 31.5
GTEX-WFG7-1326-SM-4LMK1 20-29 years, male 31.5
GTEX-ZZ64-0426-SM-5E43F 20-29 years, male 31.5
GTEX-13113-0726-SM-5LZUF 60-69 years, female 31.4
GTEX-OXRK-1626-SM-3NB17 50-59 years, female 31.3
GTEX-18A66-2226-SM-7189E 60-69 years, male 31.2
GTEX-1J8Q3-1926-SM-C1YSJ 60-69 years, male 31.1
GTEX-13FTW-1726-SM-5KM2B 40-49 years, male 31.0
GTEX-1KXAM-0926-SM-CXZKA 60-69 years, male 31.0
GTEX-1F75I-1826-SM-7MKGX 40-49 years, male 30.7
GTEX-QLQW-0726-SM-447AA 30-39 years, male 30.7
GTEX-ZP4G-1226-SM-4WWCJ 20-29 years, female 30.7
GTEX-QLQ7-0826-SM-447B3 60-69 years, male 30.6
GTEX-Y8LW-0826-SM-4WWDO 50-59 years, female 30.5
GTEX-YEC4-1426-SM-5IFHS 40-49 years, male 30.5
GTEX-1ICG6-1826-SM-AHZ2O 70-79 years, female 30.4
GTEX-1J8JJ-1726-SM-C1YQG 60-69 years, female 30.4
GTEX-Q734-1026-SM-48U16 40-49 years, female 30.3
GTEX-YB5E-1126-SM-664NU 40-49 years, male 30.3
GTEX-T5JW-0926-SM-4DM5K 20-29 years, female 30.2
GTEX-ZAB4-1526-SM-5CVN7 40-49 years, male 30.2
GTEX-ZLWG-1526-SM-DO12F 50-59 years, female 30.2
GTEX-X15G-1126-SM-4PQZG 50-59 years, female 30.0
GTEX-14BMU-1126-SM-5RQJ8 20-29 years, female 29.9
GTEX-12WSK-1426-SM-5CVNN 40-49 years, female 29.8
GTEX-ZF29-1526-SM-4WKF7 60-69 years, female 29.8
GTEX-1GL5R-1926-SM-9WG7U 50-59 years, male 29.8
GTEX-Y5V6-1326-SM-4VDTF 60-69 years, male 29.5
GTEX-ZLV1-0826-SM-DO11P 60-69 years, female 29.4
GTEX-11DXX-1326-SM-5GIDZ 60-69 years, female 29.3
GTEX-15RIE-1026-SM-6LPJQ 60-69 years, male 29.3
GTEX-WHSB-1226-SM-4M1XR 50-59 years, male 29.3
GTEX-1RMOY-1126-SM-EV79E 50-59 years, male 29.3
GTEX-15DCE-1626-SM-6LPJM 20-29 years, male 29.2
GTEX-144GN-1226-SM-5O991 50-59 years, male 29.1
GTEX-ZXES-1426-SM-5NQ8S 30-39 years, female 29.1
GTEX-1HKZK-1526-SM-B2LWG 40-49 years, male 29.1
GTEX-OOBJ-1526-SM-3NB1Q 60-69 years, male 29.0
GTEX-14PHX-1026-SM-664OL 50-59 years, male 28.9
GTEX-XQ8I-2026-SM-4BOOL 50-59 years, male 28.9
GTEX-1MJIX-1126-SM-EV7AO 40-49 years, male 28.9
GTEX-1122O-1926-SM-5EGIQ 60-69 years, female 28.8
GTEX-1R9K5-1026-SM-EAZ4F 50-59 years, male 28.8
GTEX-13O21-0926-SM-5IFGT 50-59 years, male 28.7
GTEX-1CAMR-0726-SM-7EPIE 20-29 years, male 28.6
GTEX-1I6K7-1726-SM-B2LXQ 40-49 years, male 28.6
GTEX-111CU-0926-SM-5EGIK 50-59 years, male 28.5
GTEX-1399S-1626-SM-5P9GI 30-39 years, female 28.5
GTEX-S95S-0826-SM-4B64N 60-69 years, male 28.3
GTEX-S4UY-1626-SM-4AD55 40-49 years, female 28.2
GTEX-1QP2A-2126-SM-DPRZ7 50-59 years, male 28.0
GTEX-14PJ6-0826-SM-686Z9 60-69 years, female 27.8
GTEX-SNMC-0626-SM-4DM6H 20-29 years, male 27.8
GTEX-12WSG-2026-SM-5FQUU 50-59 years, female 27.7
GTEX-16AAH-1226-SM-79OO9 50-59 years, male 27.6
GTEX-WFON-1126-SM-4LVMA 40-49 years, male 27.4
GTEX-17HGU-2126-SM-7IGOV 50-59 years, male 27.3
GTEX-13U4I-2526-SM-5SI8Z 40-49 years, female 27.2
GTEX-TMMY-1626-SM-4DXTY 40-49 years, female 27.2
GTEX-18A67-2626-SM-718AD 50-59 years, male 27.0
GTEX-QV44-1226-SM-CJI1S 50-59 years, male 26.9
GTEX-VJYA-1026-SM-4KL21 60-69 years, male 26.8
GTEX-1HFI7-1526-SM-9WG7W 50-59 years, female 26.8
GTEX-145MN-1326-SM-5NQ9S 30-39 years, male 26.7
GTEX-14BIL-1926-SM-73KYI 50-59 years, male 26.6
GTEX-PWCY-0926-SM-48TD7 20-29 years, female 26.6
GTEX-1AYCT-1326-SM-7MKHB 50-59 years, male 26.5
GTEX-1B97J-1826-SM-7IGPP 50-59 years, female 26.5
GTEX-Q2AH-1126-SM-48TZM 40-49 years, male 26.5
GTEX-11I78-1726-SM-5A5M3 50-59 years, female 26.3
GTEX-17GQL-1226-SM-7KFTS 60-69 years, male 26.3
GTEX-1QCLY-1126-SM-EAZ4J 30-39 years, male 26.3
GTEX-1AMFI-1226-SM-731CZ 50-59 years, female 26.2
GTEX-WYJK-2526-SM-4ONDF 50-59 years, male 26.1
GTEX-Y9LG-1026-SM-5IFJN 30-39 years, male 26.1
GTEX-ZPU1-1626-SM-4WWB2 40-49 years, male 26.1
GTEX-15UF7-1226-SM-6M46G 40-49 years, male 25.9
GTEX-1LG7Z-1226-SM-DHXK4 30-39 years, male 25.8
GTEX-1H3VY-2326-SM-9WG81 50-59 years, male 25.5
GTEX-V1D1-1726-SM-4JBHB 50-59 years, male 25.4
GTEX-OIZF-1526-SM-2I5GR 60-69 years, male 25.4
GTEX-S341-0626-SM-4AD5T 40-49 years, female 25.0
GTEX-ZVP2-1626-SM-5GU5D 50-59 years, male 25.0
GTEX-1RB15-1026-SM-E9U6V 60-69 years, male 24.9
GTEX-YFCO-0826-SM-5LUAG 40-49 years, male 24.8
GTEX-P4PP-1526-SM-3P61M 30-39 years, female 24.7
GTEX-1KANA-1126-SM-D3L9M 20-29 years, male 24.5
GTEX-1MUQO-1926-SM-EAZ59 60-69 years, male 24.4
GTEX-PW2O-1226-SM-48TCH 20-29 years, male 24.2
GTEX-XUZC-0726-SM-4BOPH 30-39 years, female 24.2
GTEX-14PJ5-0826-SM-6AJAR 60-69 years, female 23.9
GTEX-UJMC-1226-SM-4IHLI 50-59 years, male 23.9
GTEX-ZYFG-1326-SM-5GICJ 60-69 years, female 23.6
GTEX-1399R-1126-SM-5IFIO 30-39 years, male 23.3
GTEX-U3ZN-2026-SM-4DXUC 30-39 years, female 23.1
GTEX-15DZA-1126-SM-6LPK8 30-39 years, female 22.8
GTEX-17HHE-1026-SM-79ON6 50-59 years, male 22.8
GTEX-RWS6-0926-SM-47JXE 60-69 years, female 22.8
GTEX-P78B-1826-SM-3P5YX 40-49 years, female 22.2
GTEX-PX3G-1526-SM-48U11 20-29 years, female 22.1
GTEX-1GZ4H-1026-SM-9OSXL 50-59 years, female 21.9
GTEX-11NSD-1426-SM-5HL67 20-29 years, male 21.7
GTEX-13FTX-0726-SM-5N9BI 20-29 years, female 21.7
GTEX-WXYG-1626-SM-4ONCR 50-59 years, female 21.3
GTEX-17F9E-2226-SM-7IGNC 50-59 years, male 20.8
GTEX-1LBAC-1426-SM-CXZKT 20-29 years, male 20.8
GTEX-145ME-1026-SM-5O9B4 40-49 years, female 20.7
GTEX-1LVAN-2426-SM-CNNPZ 50-59 years, female 19.3
GTEX-15CHR-1326-SM-79OLT 50-59 years, male 18.8
GTEX-1B8KZ-1226-SM-793CP 50-59 years, male 18.5
GTEX-Y3IK-1426-SM-4YCES 50-59 years, female 18.3
GTEX-WFG8-1326-SM-4LVN3 20-29 years, male 18.0
GTEX-13OVK-0926-SM-7KUFX 40-49 years, male 17.7
Show allShow less

Contact

  • NEWS ARTICLES
  • PRESS ROOM

The Project

  • INTRODUCTION
  • ORGANIZATION
  • PUBLICATIONS

The Human Protein Atlas

  • DOWNLOADABLE DATA
  • LICENCE & CITATION
  • HELP & FAQ
The Human Protein Atlas project is funded
by the Knut & Alice Wallenberg Foundation.


contact@proteinatlas.org