We use cookies to enhance the usability of our website. If you continue, we'll assume that you are happy to receive all cookies. More information. Don't show this again.
BICDL1
HPA
RESOURCES
  • TISSUE
  • BRAIN
  • SINGLE CELL
  • SUBCELLULAR
  • CANCER
  • BLOOD
  • CELL LINE
  • STRUCTURE & INTERACTION
ABOUT
  • INTRODUCTION
  • HISTORY
  • ORGANIZATION
  • PUBLICATIONS
  • ANTIBODY SUBMISSION
  • ANTIBODY AVAILABILITY
  • ACKNOWLEDGMENTS
  • CONTACT
NEWS
  • NEWS ARTICLES
  • PRESS ROOM
LEARN
  • DICTIONARY
  • PROTEIN CLASSES
  • PROTEIN EVIDENCE
  • METHODS
  • EDUCATIONAL VIDEOS
DATA
  • DOWNLOADABLE DATA
  • PUBLICATION DATA
  • RELEASE HISTORY
HELP
  • ANTIBODY VALIDATION
  • ASSAYS & ANNOTATION
  • DISCLAIMER
  • HELP & FAQ
  • PRIVACY STATEMENT
  • LICENCE & CITATION
Fields »
Search result

Field
Term
Gene name
Class
Subclass
Class
Keyword
Chromosome
External id
Tissue
Cell type
Expression
Antibody panel
Tissue
Main location
Patient ID
Annotation
Tissue
Category
Tau score
Cluster
Reliability
Brain region
Category
Tau score
Brain region
Category
Tau score
Brain region
Category
Tau score
Cluster
Reliability
Tissue
Cell type
Enrichment
Cell type
Category
Tau score
Cell type
Category
Tau score
Cell type
Category
Tau score
Cell lineage
Category
Tau score
Cluster
Cluster
Location
Searches
Location
Cell line
Class
Type
Phase
Reliability
Cancer
Prognosis
Cancer
Category
Cancer
Category
Tau score
Cluster
Variants
Interacting gene (ensg_id)
Type
Number of interactions
Pathway
Category
Score
Score
Score
Validation
Validation
Validation
Validation
Antibodies
Data type
Column


  • SUMMARY

  • TISSUE

  • BRAIN

  • SINGLE CELL

  • SUBCELL

  • CANCER

  • BLOOD

  • CELL LINE

  • STRUCT & INT

  • BICDL1
TISSUE PRIMARY DATA SKIN Show tissue menu
ADIPOSE TISSUE ADRENAL GLAND AMYGDALA APPENDIX BASAL GANGLIA BONE MARROW BREAST BRONCHUS CEREBELLUM CEREBRAL CORTEX CERVIX CHOROID PLEXUS COLON DUODENUM
ENDOMETRIUM EPIDIDYMIS ESOPHAGUS FALLOPIAN TUBE GALLBLADDER HEART MUSCLE HIPPOCAMPAL FORMATION HYPOTHALAMUS KIDNEY LIVER LUNG LYMPH NODE MIDBRAIN NASOPHARYNX
ORAL MUCOSA OVARY PANCREAS PARATHYROID GLAND PITUITARY GLAND PLACENTA PROSTATE RECTUM RETINA SALIVARY GLAND SEMINAL VESICLE SKELETAL MUSCLE SKIN SMALL INTESTINE
SMOOTH MUSCLE SOFT TISSUE SPINAL CORD SPLEEN STOMACH TESTIS THYMUS THYROID GLAND TONGUE TONSIL URINARY BLADDER VAGINA
ANTIBODIES
AND
VALIDATION
Dictionary
Skin
Tissue proteome
Skin
SKIN - Expression summary
Protein expression
Skini

On the top, protein expression in current human tissue, based on all annotated cell types, is reported with the units not detected (n), low (l), medium (m) and high (h). Underneath, protein expression in each annotated cell type are reported using the same units.

Protein expression data is based on knowledge-based annotation. For genes where more than one antibody has been used, a collective score is set.

If knowledge-based annotation could not be performed for a gene, no data is displayed here. View antibody staining data further down this page.

h
m
l
n
Epidermal cells: Not detected
Fibroblasts: Not detected
Keratinocytes: Not detected
Langerhans: Not detected
Melanocytes: Not detected
RNA expressioni

A summary of mRNA expression data available for current tissue based on several datasets. The mRNA expression levels in human tissues are based on RNA-seq data generated by the Human Protein Atlas (HPA), Genotype-Tissue Expression (GTEx) portal and CAGE data generated by the FANTOM5 consortium. Consensus normalized expression levels for human tissues was created by combining the data from HPA and GTEx datasets.

The mRNA expression levels in pig are based on RNA-seq data generated by the Human Protein Atlas (HPA), and for mouse, HPA data and in situ hybridization generated by the Allen brain atlas are reported.

Scroll down to view mRNA expression data in more detail.
Consensus:62.3 nTPM
HPA:36.7 nTPM
GTEx:62.3 nTPM

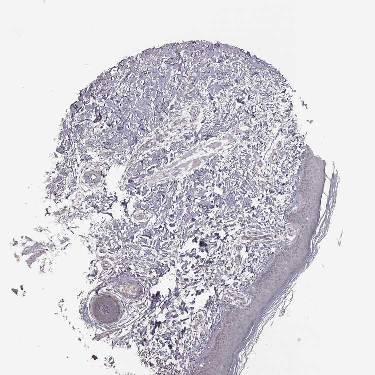
SKIN 1 - Antibody stainingi

Antibody staining in the annotated cell types in the current human tissue is reported as not detected, low, medium, or high, based on conventional immunohistochemistry profiling in selected tissues. This score is based on the combination of the staining intensity and fraction of stained cells.

Each image is clickable and will lead to virtual microscopy that enables deeper exploration of all samples and also displays staining intensity scores, fraction scores and subcellular localization as well as patient and tissue information for each sample.

Antibody HPA061116
Langerhans Not detected
Fibroblasts Not detected
Keratinocytes Not detected
Melanocytes Not detected


SKIN 2 - Antibody stainingi

Antibody staining in the annotated cell types in the current human tissue is reported as not detected, low, medium, or high, based on conventional immunohistochemistry profiling in selected tissues. This score is based on the combination of the staining intensity and fraction of stained cells.

Each image is clickable and will lead to virtual microscopy that enables deeper exploration of all samples and also displays staining intensity scores, fraction scores and subcellular localization as well as patient and tissue information for each sample.

Antibody HPA061116
Epidermal cells Not detected
 
 
 



SKIN - HPA RNA-seqi

The RNA-seq details section shows detailed information about the individual samples used for the transcript profiling and results of the RNA-seq analysis.

Information about each individual sample is listed below, including gender, age, a tissue section image and estimated fractions of cell types. nTPM (normalized transcripts per million) values give a quantification of the gene abundance which is comparable between different genes and samples.
Average nTPMi

Max subtype nTPM is the value for the subtype with the largest average nTPM across the subtype samples.

36.7
overview
Female, age 34
Skin sample 225
nTPM: 30.1
Cell types%
Keratinocytes:
60

Other cell types:
40

overview
Female, age 30
Skin sample 226
nTPM: 25
Cell types%
Keratinocytes:
55

Other cell types:
45

N/A
Male, age 57
Skin sample 227
nTPM: 55.1

SKIN - GTEx RNA-seqi

RNA-Seq data generated by the Genotype-Tissue Expression (GTEx) project from human tissues is reported as mean nTPM. More information can be found on the GTEx portal.

Distribution across the dataset is visualized with box plots, shown as median and 25th and 75th percentiles. Points are displayed as outliers if they are above or below 1.5 times the interquartile range. nTPM values of the individual samples are presented next to the box plot.
Max subtype nTPMi

Max subtype nTPM is the value for the subtype with the largest average nTPM across the subtype samples.

62.3
GTEx sample id Sample description nTPM
Skin - Not Sun Exposed (Suprapubic)
Average nTPM: 62.3
Samples: 604

Max nTPM: 200.7
Min nTPM: 5.5
Std nTPM: 28.7
Median nTPM: 58.3
GTEX-1399S-0126-SM-5IJCF 30-39 years, female 200.7
GTEX-ZVT2-0126-SM-5GIDQ 50-59 years, female 177.0
GTEX-1AMEY-0826-SM-72D65 30-39 years, female 156.0
GTEX-1QPFJ-1926-SM-EVYBD 30-39 years, female 154.9
GTEX-ZVZP-1226-SM-5GID7 50-59 years, male 152.7
GTEX-1S82P-2126-SM-E6CI5 60-69 years, female 149.9
GTEX-14PJ4-0226-SM-5YY92 60-69 years, male 146.4
GTEX-1IKOE-1426-SM-CE6T7 30-39 years, female 145.9
GTEX-1MCYP-0526-SM-E9U6Q 20-29 years, female 143.7
GTEX-1QP2A-1726-SM-E76QC 50-59 years, male 143.7
GTEX-1I1GT-1026-SM-ARZLV 60-69 years, female 140.8
GTEX-1PPH8-0126-SM-EWRN8 20-29 years, male 140.4
GTEX-ZPCL-1126-SM-4WWFE 60-69 years, female 139.5
GTEX-1S83E-1326-SM-E6CJM 40-49 years, male 138.9
GTEX-1RMOY-1326-SM-E9TIH 50-59 years, male 138.5
GTEX-XQ8I-0926-SM-4BOOF 50-59 years, male 137.8
GTEX-1MJK3-0726-SM-E6CJC 20-29 years, male 134.1
GTEX-1S5ZU-2526-SM-E6CIF 20-29 years, female 133.6
GTEX-1LVAN-0626-SM-CNPOQ 50-59 years, female 132.5
GTEX-1LKK1-2626-SM-DKPQE 50-59 years, female 131.1
GTEX-1LGRB-0926-SM-COH3K 50-59 years, female 130.7
GTEX-1RAZQ-1326-SM-E9TK6 30-39 years, male 127.5
GTEX-ZLV1-1526-SM-DO91J 60-69 years, female 127.4
GTEX-1GZ4H-0526-SM-9KNU9 50-59 years, female 126.2
GTEX-ZTSS-1426-SM-5985P 40-49 years, male 125.5
GTEX-1LVAM-0726-SM-E6CIL 50-59 years, female 124.5
GTEX-1R46S-2426-SM-E76QA 60-69 years, female 124.0
GTEX-1GF9X-1326-SM-7PC2Y 40-49 years, female 123.9
GTEX-Y9LG-1126-SM-4VBQ7 30-39 years, male 119.9
GTEX-1C2JI-1026-SM-73KY1 50-59 years, male 118.3
GTEX-ZP4G-1426-SM-4WWCL 20-29 years, female 115.6
GTEX-1QP28-1126-SM-EVYC4 50-59 years, female 115.6
GTEX-14PJ6-2626-SM-6EU2T 60-69 years, female 115.5
GTEX-XAJ8-1426-SM-47JYM 40-49 years, male 115.5
GTEX-WFG7-2026-SM-5SI7P 20-29 years, male 115.4
GTEX-16MTA-0926-SM-6M47Z 50-59 years, male 115.0
GTEX-1CAMS-2226-SM-7PBXQ 40-49 years, female 114.8
GTEX-1JK1U-0226-SM-ARZMX 60-69 years, male 114.0
GTEX-13NYS-0626-SM-5L3F1 60-69 years, male 113.9
GTEX-1NV5F-0626-SM-DTXEG 60-69 years, female 113.4
GTEX-WHSB-1326-SM-3LK6W 50-59 years, male 113.0
GTEX-13FTW-0326-SM-5K7UW 40-49 years, male 112.8
GTEX-111CU-1126-SM-5EGIM 50-59 years, male 111.2
GTEX-14PJN-1826-SM-6AJ98 30-39 years, male 109.9
GTEX-16AAH-0626-SM-793C9 50-59 years, male 109.3
GTEX-1GPI7-1826-SM-9KNU1 20-29 years, male 108.8
GTEX-1IDJU-1726-SM-CMKHU 60-69 years, female 108.6
GTEX-14C5O-0326-SM-5ZZUX 60-69 years, male 108.1
GTEX-1S82U-1026-SM-E6CJK 30-39 years, female 106.3
GTEX-13PDP-0726-SM-5L3HP 60-69 years, male 105.8
GTEX-1313W-0626-SM-5EQ4H 50-59 years, female 105.2
GTEX-1AMFI-1326-SM-7939R 50-59 years, female 105.2
GTEX-ZDTT-0426-SM-4WKFL 60-69 years, male 104.1
GTEX-YFCO-1226-SM-5LUAT 40-49 years, male 103.2
GTEX-1R9PM-1926-SM-EVR3O 20-29 years, male 102.6
GTEX-15RIG-0726-SM-7KUM7 40-49 years, male 101.6
GTEX-XBEW-1126-SM-4QARW 40-49 years, male 101.5
GTEX-1399U-1126-SM-5L3DB 50-59 years, female 101.0
GTEX-13FTX-1526-SM-5K7VJ 20-29 years, female 101.0
GTEX-1IDJV-0126-SM-COH3Y 60-69 years, male 101.0
GTEX-1J1OQ-0126-SM-D4P2N 40-49 years, female 100.8
GTEX-1LBAC-0826-SM-CY8IJ 20-29 years, male 100.7
GTEX-1R7EU-1626-SM-DTXG3 60-69 years, male 99.3
GTEX-ZWKS-0626-SM-5GIDV 30-39 years, male 99.0
GTEX-1H11D-1826-SM-9QEHM 40-49 years, male 98.5
GTEX-1HBPN-0126-SM-CGQEF 50-59 years, male 98.0
GTEX-ZF29-0926-SM-4WKFZ 60-69 years, female 97.6
GTEX-1HB9E-0126-SM-CM2S5 50-59 years, male 96.2
GTEX-15CHR-1126-SM-7EWF4 50-59 years, male 96.0
GTEX-13O61-1426-SM-5KM3D 60-69 years, male 95.7
GTEX-1JMPY-0226-SM-CKZOK 30-39 years, male 95.7
GTEX-ZLFU-1826-SM-4WWBV 40-49 years, male 95.1
GTEX-Y111-0626-SM-4SOIT 50-59 years, male 94.7
GTEX-1B8KE-1126-SM-7EPHI 50-59 years, male 93.5
GTEX-XUW1-0926-SM-4BONX 50-59 years, female 93.3
GTEX-ZTX8-1326-SM-4YCEL 20-29 years, male 93.1
GTEX-1J8EW-2726-SM-CY8HR 60-69 years, female 93.1
GTEX-14PKU-0126-SM-6LLHV 40-49 years, female 92.8
GTEX-17HHE-1326-SM-7EWDZ 50-59 years, male 92.6
GTEX-1PPH7-1126-SM-DTX9A 40-49 years, male 92.4
GTEX-14PJ3-1126-SM-5ZZVX 50-59 years, male 92.1
GTEX-1GN73-0726-SM-7P8TJ 60-69 years, male 92.1
GTEX-17HII-1426-SM-7EPGG 50-59 years, male 91.4
GTEX-1KXAM-1626-SM-D3LAD 60-69 years, male 90.9
GTEX-1K9T9-1526-SM-DIPFR 50-59 years, female 89.7
GTEX-14PK6-0226-SM-62LF5 70-79 years, female 89.5
GTEX-1F5PK-2226-SM-7SB6N 50-59 years, male 89.0
GTEX-1KAFJ-0126-SM-DIPEK 50-59 years, male 89.0
GTEX-1GL5R-1326-SM-7RHHF 50-59 years, male 88.4
GTEX-1HSMQ-2626-SM-A9SML 50-59 years, male 88.0
GTEX-1CB4H-1126-SM-7MKGL 60-69 years, female 87.8
GTEX-13IVO-0726-SM-5LZYV 70-79 years, male 87.6
GTEX-17F9Y-0126-SM-79OKX 70-79 years, female 87.5
GTEX-1HBPM-0726-SM-9YFL7 60-69 years, female 87.2
GTEX-ZZPU-0826-SM-5GZX5 50-59 years, female 86.9
GTEX-11P81-2226-SM-5PNYI 30-39 years, female 86.6
GTEX-Y114-2126-SM-4TT8B 50-59 years, female 86.5
GTEX-ZT9X-1526-SM-5DUXD 40-49 years, male 86.3
GTEX-1122O-1026-SM-9WYSF 60-69 years, female 86.0
GTEX-1HSGN-0826-SM-ACKW3 40-49 years, female 85.2
GTEX-1H2FU-0926-SM-9WPPT 60-69 years, female 85.1
GTEX-12WSJ-1126-SM-5LZVJ 40-49 years, female 84.8
GTEX-14ICL-1626-SM-5YYAO 30-39 years, male 84.8
GTEX-ZVP2-0326-SM-57WBP 50-59 years, male 84.8
GTEX-1192X-2726-SM-5N9DN 50-59 years, male 84.7
GTEX-13NZ8-1226-SM-5KM4A 60-69 years, female 84.5
GTEX-WY7C-2126-SM-3NB2R 50-59 years, male 84.4
GTEX-11EQ8-0926-SM-5H12V 60-69 years, male 83.9
GTEX-18QFQ-1826-SM-72D52 30-39 years, male 83.8
GTEX-1NSGN-0726-SM-DTXEF 50-59 years, male 83.6
GTEX-1K2DA-1026-SM-CGQGF 50-59 years, male 82.4
GTEX-13VXT-1926-SM-5K7UO 20-29 years, female 82.1
GTEX-1POEN-2326-SM-E9J2L 30-39 years, female 82.1
GTEX-1S831-1826-SM-EWROF 20-29 years, male 82.1
GTEX-1B97I-0626-SM-73KUZ 40-49 years, male 81.9
GTEX-11VI4-1126-SM-5EQMD 40-49 years, female 81.8
GTEX-12ZZZ-0726-SM-5GCNZ 60-69 years, male 81.7
GTEX-X585-2426-SM-46MW2 50-59 years, male 81.5
GTEX-1LB8K-0726-SM-D5OV2 50-59 years, male 81.2
GTEX-13QJC-0126-SM-5ZZWJ 60-69 years, female 80.8
GTEX-1H1E6-0426-SM-9WYUS 30-39 years, male 80.6
GTEX-1HCU7-0726-SM-A9SL1 50-59 years, male 80.6
GTEX-1J1R8-2026-SM-CL53Y 40-49 years, male 80.5
GTEX-12WSH-1526-SM-5BC5W 50-59 years, male 80.4
GTEX-1A8G7-1326-SM-73KVM 60-69 years, male 80.4
GTEX-XPVG-2126-SM-4B667 50-59 years, male 79.9
GTEX-1HKZK-0726-SM-ACKW2 40-49 years, male 79.0
GTEX-VUSG-2326-SM-4KL1U 50-59 years, male 78.8
GTEX-11ZU8-0126-SM-5EQ58 60-69 years, male 78.7
GTEX-1F5PL-0926-SM-7PC2W 40-49 years, female 78.7
GTEX-1CB4J-1326-SM-7P8RX 60-69 years, male 78.5
GTEX-1JMQJ-0826-SM-CNPP7 50-59 years, male 78.5
GTEX-1N2DV-1526-SM-DTXEP 40-49 years, male 78.4
GTEX-1F6RS-2026-SM-7RHHC 60-69 years, female 78.0
GTEX-1QP9N-1226-SM-E76QN 30-39 years, male 78.0
GTEX-1F88F-0126-SM-9WYSZ 60-69 years, female 77.9
GTEX-11GS4-0226-SM-5HL77 60-69 years, male 77.8
GTEX-1GF9V-0826-SM-9KNUV 60-69 years, male 77.8
GTEX-U8XE-0226-SM-4E3J3 30-39 years, male 77.7
GTEX-1OJC3-1226-SM-DTXER 20-29 years, male 77.7
GTEX-17F98-1326-SM-7DUEP 40-49 years, female 77.2
GTEX-ZYY3-2926-SM-5GIEB 60-69 years, female 77.1
GTEX-1JKYN-0826-SM-ARU8S 30-39 years, male 77.0
GTEX-111VG-1626-SM-5EGIO 60-69 years, male 76.9
GTEX-1HGF4-0126-SM-CNPPX 60-69 years, male 76.9
GTEX-15RJE-2826-SM-7KUM9 40-49 years, male 76.8
GTEX-14PHY-1226-SM-5ZZWK 60-69 years, female 76.6
GTEX-1N2EE-0626-SM-E76PW 60-69 years, male 76.5
GTEX-1PIIG-2326-SM-DTXFR 30-39 years, male 76.5
GTEX-13FTY-2126-SM-5IFFB 40-49 years, female 76.3
GTEX-1GN1W-2426-SM-9KNUU 50-59 years, female 76.1
GTEX-1HCUA-0826-SM-ADEHM 50-59 years, female 76.1
GTEX-1F52S-2926-SM-7MKGA 60-69 years, female 76.0
GTEX-139T8-0626-SM-5KLZX 60-69 years, male 75.7
GTEX-14B4R-1326-SM-5Q5EZ 30-39 years, male 75.5
GTEX-144GM-0526-SM-79OJO 20-29 years, male 75.4
GTEX-XV7Q-1826-SM-4BRUV 40-49 years, female 75.4
GTEX-13OVK-1426-SM-6PAN7 40-49 years, male 75.3
GTEX-11OF3-0126-SM-5PNYF 60-69 years, male 75.1
GTEX-13W3W-0726-SM-5IJDQ 60-69 years, female 75.1
GTEX-1CAMR-1326-SM-7PC1F 20-29 years, male 75.1
GTEX-16MT9-0126-SM-7EPI8 60-69 years, female 75.0
GTEX-14PJ5-1526-SM-6LLIL 60-69 years, female 74.9
GTEX-145MH-2826-SM-5RQJF 50-59 years, male 74.8
GTEX-ZVE1-0726-SM-51MRN 50-59 years, female 74.8
GTEX-11DXX-2126-SM-5PNYR 60-69 years, female 74.7
GTEX-1J8Q2-2626-SM-ACKWQ 60-69 years, male 74.3
GTEX-1K2DU-1226-SM-CYPT4 20-29 years, male 74.2
GTEX-14C39-1726-SM-5RQIL 40-49 years, male 74.1
GTEX-1JJE9-2626-SM-ARZMT 70-79 years, male 74.1
GTEX-1HT8W-0626-SM-A9G2H 30-39 years, male 74.0
GTEX-1I1GU-0926-SM-ACKVS 40-49 years, male 73.8
GTEX-14PKV-1126-SM-6LLJ1 20-29 years, female 73.5
GTEX-18D9A-1426-SM-7LT8M 30-39 years, female 73.5
GTEX-131XG-0326-SM-5L3DX 50-59 years, female 73.4
GTEX-12ZZX-2426-SM-5GCOE 40-49 years, female 73.1
GTEX-15EO6-2426-SM-6PALZ 50-59 years, male 73.1
GTEX-1CB4E-0926-SM-7EPHT 60-69 years, male 73.1
GTEX-13FHO-0426-SM-5L3F5 60-69 years, male 72.8
GTEX-1269C-0126-SM-5EQ5L 60-69 years, female 72.7
GTEX-111YS-1526-SM-5GZYW 60-69 years, male 72.6
GTEX-UPJH-0226-SM-3GADV 50-59 years, male 72.6
GTEX-ZGAY-1826-SM-DO91Q 40-49 years, female 72.6
GTEX-17EVP-2626-SM-7IGMA 40-49 years, male 71.9
GTEX-1OJC4-2726-SM-E76PJ 50-59 years, female 71.8
GTEX-1HFI7-2326-SM-CGQFS 50-59 years, female 71.7
GTEX-13NYC-0126-SM-5L3F4 60-69 years, male 71.5
GTEX-ZE7O-2726-SM-51MT5 50-59 years, female 71.5
GTEX-1S3DN-2126-SM-E9TIN 50-59 years, male 71.5
GTEX-WI4N-2726-SM-3LK7Y 40-49 years, female 71.4
GTEX-13SLW-0626-SM-5Q5ER 70-79 years, male 71.1
GTEX-WXYG-2026-SM-4E3IY 50-59 years, female 70.7
GTEX-XBEC-0726-SM-4QARZ 50-59 years, male 70.7
GTEX-11DXZ-2026-SM-5987S 50-59 years, male 70.6
GTEX-Y3I4-1726-SM-4TT89 50-59 years, male 70.6
GTEX-1PPGY-1626-SM-EVYBL 60-69 years, male 70.5
GTEX-14PHX-2226-SM-6EU2P 50-59 years, male 70.2
GTEX-17KNJ-2126-SM-718AM 50-59 years, male 70.2
GTEX-1F75I-2226-SM-7SB8U 40-49 years, male 70.2
GTEX-15ER7-0626-SM-6PANF 20-29 years, female 70.1
GTEX-11TUW-0626-SM-5LU9M 60-69 years, male 69.8
GTEX-15G1A-1626-SM-7KUKN 30-39 years, male 69.7
GTEX-1R9PN-0426-SM-DTXDT 40-49 years, female 69.7
GTEX-ZVT4-2426-SM-5GIEI 50-59 years, female 69.4
GTEX-1EMGI-2326-SM-7PBYA 60-69 years, male 69.3
GTEX-1399Q-2326-SM-5KM2X 40-49 years, male 69.2
GTEX-14PII-0726-SM-6EU2B 60-69 years, male 69.2
GTEX-1RAZS-2526-SM-E6CHT 50-59 years, male 69.2
GTEX-12WSA-0426-SM-5EQ5X 60-69 years, male 68.9
GTEX-14XAO-1226-SM-6EU1C 60-69 years, female 68.9
GTEX-1JJ6O-2726-SM-CNPOG 60-69 years, male 68.8
GTEX-11PRG-0726-SM-5EGL1 50-59 years, male 68.5
GTEX-17F97-2626-SM-7IGM5 50-59 years, male 68.5
GTEX-18A67-1626-SM-7LT9T 50-59 years, male 68.4
GTEX-14E6E-0526-SM-793DN 30-39 years, male 68.3
GTEX-1PDJ9-1226-SM-EXUSX 20-29 years, male 68.0
GTEX-X4EP-0626-SM-3P621 60-69 years, female 67.9
GTEX-145MF-0926-SM-5Q5EA 50-59 years, male 67.8
GTEX-1JKYR-0626-SM-ARL8R 20-29 years, male 67.8
GTEX-1MCC2-1826-SM-DIPEX 30-39 years, female 67.7
GTEX-X5EB-1926-SM-4E3IW 40-49 years, male 67.6
GTEX-1PBJJ-1026-SM-E76OS 30-39 years, male 67.6
GTEX-ZE9C-2526-SM-5IJDR 60-69 years, male 67.3
GTEX-13X6I-1826-SM-5SIAO 60-69 years, male 67.2
GTEX-1IE54-1126-SM-A9G2Z 40-49 years, female 67.2
GTEX-1C6VR-0126-SM-7RHGB 60-69 years, male 67.1
GTEX-11ZTT-2126-SM-5CVLO 60-69 years, female 67.0
GTEX-1C6WA-2626-SM-7MKGM 60-69 years, male 67.0
GTEX-WHWD-1826-SM-3LK6I 50-59 years, male 66.9
GTEX-1GN2E-0226-SM-9WG6K 60-69 years, male 66.9
GTEX-12WSK-2126-SM-5CVNC 40-49 years, female 66.2
GTEX-1KANA-1326-SM-DIPFA 20-29 years, male 66.2
GTEX-15CHC-1126-SM-6LLHQ 60-69 years, female 66.1
GTEX-1LSNM-0826-SM-DIPG8 50-59 years, male 66.0
GTEX-1B8SF-0126-SM-7DUG3 60-69 years, male 65.7
GTEX-13JVG-0726-SM-5KM16 60-69 years, male 65.6
GTEX-14E1K-2026-SM-7DUEI 50-59 years, male 65.6
GTEX-XXEK-1626-SM-4BRUZ 50-59 years, male 65.4
GTEX-ZAB4-2126-SM-5HL8U 40-49 years, male 65.4
GTEX-13O3Q-0126-SM-5KM34 50-59 years, male 65.2
GTEX-14BIN-1126-SM-5RQJZ 50-59 years, female 65.2
GTEX-145LU-1926-SM-79OJN 50-59 years, male 65.1
GTEX-1EKGG-0626-SM-7DUGJ 60-69 years, male 65.1
GTEX-14C38-0726-SM-5SI6M 50-59 years, male 65.0
GTEX-1LG7Y-2526-SM-EWRO7 50-59 years, male 64.8
GTEX-YECK-0326-SM-4W1YS 60-69 years, male 64.6
GTEX-ZYT6-2326-SM-5GZY3 30-39 years, male 64.5
GTEX-1CAMQ-1326-SM-7P8RV 40-49 years, male 64.2
GTEX-1QW4Y-1126-SM-DTXE3 30-39 years, male 63.9
GTEX-1R9K4-2826-SM-DTX8F 60-69 years, male 63.8
GTEX-13OVH-0526-SM-5L3E6 70-79 years, male 63.3
GTEX-14A6H-2026-SM-5Q5DD 30-39 years, male 63.3
GTEX-13OW6-2726-SM-5J2OE 50-59 years, male 62.9
GTEX-1GZHY-0626-SM-9KNVC 50-59 years, female 62.8
GTEX-1EN7A-2426-SM-793DB 40-49 years, male 62.7
GTEX-1HSKV-1226-SM-ADEI4 60-69 years, male 62.7
GTEX-ZA64-1026-SM-5HL8R 20-29 years, male 62.6
GTEX-ZF3C-0626-SM-DO92O 50-59 years, female 62.5
GTEX-13X6H-0926-SM-5SIB2 50-59 years, female 62.4
GTEX-145LS-0626-SM-7EPG7 60-69 years, female 62.2
GTEX-17F9E-2326-SM-79OKD 50-59 years, male 62.1
GTEX-17HGU-2326-SM-7DUFE 50-59 years, male 62.0
GTEX-1477Z-0326-SM-7IGLA 60-69 years, male 61.8
GTEX-1JMQL-2226-SM-CNPP4 50-59 years, female 61.8
GTEX-XBED-1926-SM-47JYP 60-69 years, male 61.6
GTEX-1GN1U-0626-SM-9MQL9 50-59 years, female 61.6
GTEX-13FLV-0126-SM-5K7WT 50-59 years, male 61.5
GTEX-145ME-1726-SM-5Q5EU 40-49 years, female 61.3
GTEX-V1D1-2026-SM-3GAF4 50-59 years, male 61.3
GTEX-ZY6K-1426-SM-5GZX2 50-59 years, male 61.3
GTEX-1GMR8-0626-SM-7RHI7 50-59 years, female 61.2
GTEX-1LVAO-2726-SM-E9TJ8 60-69 years, male 61.2
GTEX-ZC5H-1526-SM-5HL9Y 40-49 years, female 61.1
GTEX-1HCVE-2726-SM-CL54F 50-59 years, male 61.1
GTEX-16BQI-1326-SM-6M486 30-39 years, female 60.9
GTEX-ZPIC-0526-SM-DO91W 40-49 years, female 60.9
GTEX-1RLM8-2926-SM-E8VON 50-59 years, male 60.6
GTEX-133LE-2326-SM-5K7W3 20-29 years, female 60.5
GTEX-1JJEA-1826-SM-ARU8P 60-69 years, male 60.5
GTEX-14LLW-2626-SM-62LDZ 70-79 years, female 60.4
GTEX-1EH9U-2826-SM-7DUGT 60-69 years, male 60.2
GTEX-1QAET-0326-SM-EVR3U 50-59 years, male 60.0
GTEX-11WQK-1026-SM-5EQLX 50-59 years, male 59.9
GTEX-147GR-2426-SM-5ZZWQ 60-69 years, male 59.9
GTEX-1ICLY-0826-SM-CMKG1 50-59 years, male 59.9
GTEX-1CB4F-1026-SM-7DUH1 60-69 years, male 59.8
GTEX-11P82-1426-SM-DTXFY 20-29 years, male 59.8
GTEX-1PIGE-1826-SM-E8VOU 20-29 years, male 59.7
GTEX-1IDJI-0126-SM-CMKHS 50-59 years, female 59.6
GTEX-1J8QM-2426-SM-A9SLS 60-69 years, female 59.6
GTEX-11LCK-2226-SM-5HL4Q 30-39 years, male 59.0
GTEX-139YR-1026-SM-5LZYN 50-59 years, male 58.9
GTEX-13D11-0926-SM-5J2NC 50-59 years, female 58.9
GTEX-XOT4-0626-SM-4B66L 60-69 years, female 58.9
GTEX-1H1DF-1126-SM-9WG7G 40-49 years, female 58.9
GTEX-131XF-2626-SM-5EQ6K 60-69 years, male 58.8
GTEX-1QP29-1826-SM-DTX9S 50-59 years, male 58.7
GTEX-1H3O1-1326-SM-9MQLD 60-69 years, male 58.6
GTEX-13OVJ-0826-SM-5J1OK 50-59 years, female 58.4
GTEX-145LT-0526-SM-5LUB2 40-49 years, male 58.4
GTEX-ZF2S-1626-SM-57WES 50-59 years, female 58.4
GTEX-ZDYS-2426-SM-4WKGI 50-59 years, male 58.3
GTEX-1IDJH-0126-SM-D3L92 70-79 years, male 58.3
GTEX-14AS3-1526-SM-5Q5ED 40-49 years, female 58.0
GTEX-13PVR-0426-SM-5RQK2 60-69 years, female 57.9
GTEX-18D9U-0126-SM-731BM 40-49 years, male 57.8
GTEX-1C6VQ-1226-SM-73KYD 50-59 years, male 57.8
GTEX-1KANB-2826-SM-CY8I6 50-59 years, male 57.6
GTEX-YEC3-1326-SM-DO92X 50-59 years, male 57.6
GTEX-17MFQ-1526-SM-7KFRR 20-29 years, male 57.3
GTEX-1212Z-0126-SM-59HK4 60-69 years, male 56.9
GTEX-145MI-0626-SM-5SI8S 60-69 years, female 56.9
GTEX-131XH-0126-SM-5LZUY 50-59 years, male 56.7
GTEX-12ZZY-0726-SM-5EQ66 60-69 years, male 56.6
GTEX-1JN76-0626-SM-CKZOQ 20-29 years, female 56.6
GTEX-1GZ2Q-0126-SM-9WG6M 40-49 years, male 56.5
GTEX-117YX-1926-SM-5GIEC 50-59 years, male 56.4
GTEX-13SLX-2226-SM-62LEP 50-59 years, female 56.4
GTEX-WHPG-2626-SM-3NMBR 50-59 years, male 56.3
GTEX-15FZZ-0526-SM-7KUGD 30-39 years, female 56.2
GTEX-1QCLY-0226-SM-EWRNH 30-39 years, male 56.1
GTEX-12WSM-1926-SM-5BC65 60-69 years, male 56.0
GTEX-13OW5-2326-SM-5L3HO 60-69 years, male 56.0
GTEX-1GZ4I-2626-SM-9KNU3 50-59 years, male 56.0
GTEX-1I1GV-0626-SM-ARL7M 60-69 years, male 56.0
GTEX-1B8L1-2226-SM-7P8PT 60-69 years, male 55.8
GTEX-15D1Q-2826-SM-6LLH7 40-49 years, male 55.7
GTEX-15RIE-1926-SM-7KUKJ 60-69 years, male 55.7
GTEX-1JMLX-0626-SM-ARL8T 50-59 years, male 55.6
GTEX-13OW8-1026-SM-5J1NQ 60-69 years, male 55.4
GTEX-1A8G6-2726-SM-731AR 60-69 years, male 55.4
GTEX-1JMOU-1026-SM-CYPSS 60-69 years, female 55.4
GTEX-11GSP-2326-SM-5HL63 60-69 years, female 55.2
GTEX-1LSNL-2726-SM-E9TKJ 50-59 years, male 55.1
GTEX-1B932-2326-SM-79OL5 40-49 years, female 55.0
GTEX-1HR9M-2226-SM-CNPPY 60-69 years, male 55.0
GTEX-15EU6-2226-SM-6EU2L 50-59 years, male 54.6
GTEX-XYKS-1426-SM-4BRUO 60-69 years, female 54.6
GTEX-YEC4-1826-SM-4W1YP 40-49 years, male 54.5
GTEX-WEY5-2326-SM-3GIKK 40-49 years, female 54.4
GTEX-1C64N-2626-SM-7PC2N 50-59 years, male 54.4
GTEX-11UD2-2526-SM-5CVNU 50-59 years, male 54.3
GTEX-XQ3S-1426-SM-4BOPR 20-29 years, male 54.3
GTEX-1314G-1326-SM-5BC6E 30-39 years, male 54.2
GTEX-ZAK1-0626-SM-5HL8E 50-59 years, female 53.9
GTEX-1IOXB-2726-SM-CM2RI 50-59 years, male 53.8
GTEX-12BJ1-0926-SM-5EQ62 60-69 years, male 53.7
GTEX-1CB4I-0126-SM-7RHGG 50-59 years, male 53.7
GTEX-11ZUS-2626-SM-5FQUR 30-39 years, male 53.6
GTEX-1GMRU-2126-SM-7P8RA 50-59 years, male 53.4
GTEX-Y5V6-2326-SM-4VDSA 60-69 years, male 53.3
GTEX-1I6K6-1726-SM-CGQFD 30-39 years, male 53.3
GTEX-1I1CD-0626-SM-CE6SW 60-69 years, female 53.2
GTEX-139TU-0726-SM-5L3EK 60-69 years, male 53.1
GTEX-145MN-1526-SM-5SI9T 30-39 years, male 53.1
GTEX-16YQH-2226-SM-7IGM2 30-39 years, male 53.1
GTEX-1HCU9-0426-SM-9WYSD 20-29 years, male 53.1
GTEX-1I1HK-2326-SM-CKZOH 60-69 years, male 53.1
GTEX-13PL6-1126-SM-5L3IE 40-49 years, female 52.9
GTEX-WYVS-1626-SM-3NM9R 40-49 years, female 52.9
GTEX-11P7K-1126-SM-5HL4L 30-39 years, male 52.7
GTEX-1GTWX-2026-SM-9YFLM 60-69 years, male 52.6
GTEX-14753-0726-SM-5QGQO 60-69 years, male 52.4
GTEX-WFON-1926-SM-3LK7L 40-49 years, male 52.4
GTEX-14ABY-2026-SM-62LDL 50-59 years, male 52.3
GTEX-1IKJJ-2226-SM-CJI4C 60-69 years, male 52.2
GTEX-13OW7-0426-SM-5K7VK 50-59 years, male 52.1
GTEX-ZTTD-2826-SM-4YCFA 50-59 years, male 52.0
GTEX-1JMQK-1226-SM-D4P2S 60-69 years, male 51.9
GTEX-1I1GS-2626-SM-B2LY3 60-69 years, male 51.7
GTEX-139D8-1126-SM-5LU8W 30-39 years, female 51.5
GTEX-1H3VE-0726-SM-9YFL5 40-49 years, male 51.5
GTEX-1H4P4-2126-SM-9WYSL 50-59 years, male 51.4
GTEX-1AX9I-2226-SM-73KUO 60-69 years, male 51.2
GTEX-1I4MK-0126-SM-CY8G6 50-59 years, female 51.2
GTEX-1A3MV-1826-SM-731CD 30-39 years, male 51.0
GTEX-1H1DE-1326-SM-9KNUG 20-29 years, male 51.0
GTEX-13O3O-2326-SM-5IJD6 60-69 years, female 50.8
GTEX-16NGA-0726-SM-731AO 40-49 years, female 50.4
GTEX-1O9I2-0226-SM-EYYXD 50-59 years, male 50.3
GTEX-1QMI2-2526-SM-E8VNZ 60-69 years, male 50.2
GTEX-1A3MX-2626-SM-7PC24 60-69 years, male 50.1
GTEX-11EQ9-1626-SM-5PNY8 30-39 years, male 50.0
GTEX-14LZ3-0126-SM-69LPM 60-69 years, female 49.8
GTEX-15G19-2426-SM-7KUMR 60-69 years, male 49.7
GTEX-1EWIQ-0326-SM-7DHMQ 70-79 years, female 49.6
GTEX-WRHU-2826-SM-3MJG8 50-59 years, female 49.4
GTEX-147F3-1726-SM-5SIAW 50-59 years, female 49.0
GTEX-147F4-0726-SM-5TDDD 50-59 years, male 49.0
GTEX-13VXU-0626-SM-5L3F9 50-59 years, male 48.8
GTEX-17F96-0126-SM-7EWDU 70-79 years, male 48.8
GTEX-183WM-0326-SM-72D5V 70-79 years, female 48.8
GTEX-1B996-0426-SM-7EWF8 60-69 years, male 48.8
GTEX-1EU9M-1426-SM-793AI 60-69 years, male 48.7
GTEX-1GPI6-1926-SM-9KNV7 60-69 years, male 48.5
GTEX-1GMR2-0826-SM-7PC3V 50-59 years, male 48.2
GTEX-1IL2V-1926-SM-B2LW8 70-79 years, male 48.2
GTEX-1GN1V-2826-SM-9JGIA 60-69 years, male 48.0
GTEX-11DZ1-2426-SM-5GZZX 50-59 years, male 47.8
GTEX-12584-0726-SM-5FQTK 40-49 years, male 47.8
GTEX-15DYW-2726-SM-6EU2I 60-69 years, female 47.7
GTEX-WHSE-0126-SM-3NMBT 20-29 years, male 47.6
GTEX-131YS-2826-SM-5EQ47 60-69 years, female 47.4
GTEX-ZYFD-0626-SM-5E44E 50-59 years, male 47.4
GTEX-1C475-1326-SM-7SB73 40-49 years, female 47.4
GTEX-ZZ64-1026-SM-5GZXG 20-29 years, male 47.2
GTEX-1HR98-2226-SM-ADEI2 60-69 years, male 47.0
GTEX-1RAZR-2126-SM-E9U6T 40-49 years, male 47.0
GTEX-1IDJD-2326-SM-ACKWX 30-39 years, male 46.8
GTEX-1JN1M-2726-SM-CY8I4 60-69 years, female 46.7
GTEX-14JG6-1426-SM-9WG7C 30-39 years, female 46.6
GTEX-11NUK-2726-SM-5A5MC 50-59 years, male 46.4
GTEX-1LG7Z-1626-SM-CXKYR 30-39 years, male 46.4
GTEX-ZXG5-2126-SM-59HKD 60-69 years, male 46.2
GTEX-1KD5A-0126-SM-E9U54 50-59 years, male 46.2
GTEX-1JMPZ-0726-SM-CY8HZ 30-39 years, male 46.1
GTEX-12WSC-2826-SM-5BC5Y 50-59 years, male 46.0
GTEX-13PVQ-0626-SM-5LU47 50-59 years, male 45.9
GTEX-X3Y1-2026-SM-3P5YM 40-49 years, male 45.6
GTEX-1N5O9-0926-SM-E9J3C 60-69 years, male 45.5
GTEX-144GO-2026-SM-5O99P 60-69 years, male 45.3
GTEX-16Z82-2626-SM-7KULU 60-69 years, male 45.3
GTEX-1GMR3-0126-SM-A9SLW 40-49 years, male 45.3
GTEX-12126-0826-SM-5FQTZ 20-29 years, male 45.1
GTEX-1H1DG-2426-SM-9QEHJ 70-79 years, male 45.1
GTEX-13RTJ-0126-SM-5S2NN 60-69 years, male 44.9
GTEX-178AV-1726-SM-7KUL8 40-49 years, male 44.9
GTEX-1C64O-1326-SM-7MGWR 60-69 years, male 44.9
GTEX-1F75A-0726-SM-7RHHD 50-59 years, male 44.9
GTEX-Z93S-1626-SM-5CVMB 50-59 years, male 44.7
GTEX-17HHY-0426-SM-7DHLC 50-59 years, male 44.4
GTEX-11O72-0626-SM-5PNYE 40-49 years, male 44.2
GTEX-1HSMP-0926-SM-A9SKX 70-79 years, male 44.1
GTEX-13NYB-0126-SM-5J1MD 40-49 years, male 43.9
GTEX-15DDE-2926-SM-6LLJ3 50-59 years, female 43.9
GTEX-1LSVX-2526-SM-DIPEU 60-69 years, male 43.6
GTEX-ZYVF-0926-SM-5E44J 50-59 years, female 43.5
GTEX-1QEPI-2626-SM-DTXF4 60-69 years, female 43.5
GTEX-1F48J-0726-SM-7RHGS 50-59 years, female 43.4
GTEX-139TT-2126-SM-5LZWC 60-69 years, male 43.2
GTEX-1ICLZ-0326-SM-ARL82 60-69 years, male 43.1
GTEX-Y5V5-0126-SM-5S2NW 60-69 years, female 42.9
GTEX-ZU9S-1826-SM-5NQ9E 30-39 years, male 42.7
GTEX-1KWVE-1026-SM-D3L9O 30-39 years, male 42.7
GTEX-1JN6P-2926-SM-CL54D 60-69 years, male 42.5
GTEX-13113-1626-SM-5EQ4I 60-69 years, female 42.3
GTEX-ZDXO-3126-SM-5IJDF 60-69 years, male 42.1
GTEX-1IY9M-2826-SM-ARU8H 60-69 years, male 42.1
GTEX-11DXY-0126-SM-5H11Q 60-69 years, male 42.0
GTEX-W5X1-2526-SM-3GILC 40-49 years, female 42.0
GTEX-14JFF-0626-SM-5ZZVT 60-69 years, male 41.9
GTEX-11NSD-0626-SM-5A5LU 20-29 years, male 41.8
GTEX-139TS-2126-SM-5K7XC 60-69 years, male 41.8
GTEX-Y8LW-1526-SM-5IFHL 50-59 years, female 41.7
GTEX-1HCU8-2526-SM-CE6RX 60-69 years, female 41.6
GTEX-ZPU1-1126-SM-4YCF3 40-49 years, male 41.5
GTEX-1B8KZ-0326-SM-73KY4 50-59 years, male 41.4
GTEX-1117F-2926-SM-5GZYI 60-69 years, female 41.3
GTEX-13N1W-2426-SM-5IJD1 70-79 years, male 41.3
GTEX-1A3MW-0626-SM-731CB 60-69 years, female 41.3
GTEX-1IDFM-0326-SM-ARL7V 60-69 years, male 41.3
GTEX-1IDJF-2026-SM-CL53V 20-29 years, male 41.2
GTEX-ZYFC-0426-SM-5GICQ 50-59 years, male 41.1
GTEX-1E2YA-2126-SM-7MXUO 50-59 years, male 41.0
GTEX-1M4P7-0726-SM-E6CJ3 60-69 years, male 41.0
GTEX-13G51-1826-SM-5KLZH 60-69 years, male 40.9
GTEX-WH7G-2026-SM-3NMBL 40-49 years, male 40.9
GTEX-144GL-0626-SM-5LU4D 50-59 years, male 40.8
GTEX-146FQ-2126-SM-5RQHU 30-39 years, male 40.8
GTEX-ZYFG-1526-SM-5GZYM 60-69 years, female 40.7
GTEX-14BMU-1226-SM-5S2OR 20-29 years, female 40.6
GTEX-1BAJH-2426-SM-7IGP8 70-79 years, male 40.4
GTEX-1HSMO-0626-SM-ACKXC 60-69 years, male 40.3
GTEX-16XZZ-0726-SM-7KUF2 60-69 years, male 40.2
GTEX-1AYD5-2626-SM-7PBXY 50-59 years, male 40.2
GTEX-14DAQ-0626-SM-793DS 60-69 years, female 40.1
GTEX-WYJK-0526-SM-3NM8Z 50-59 years, male 40.1
GTEX-16MT8-2926-SM-7DUFO 60-69 years, female 40.0
GTEX-13OVG-1626-SM-5J1NF 60-69 years, male 39.8
GTEX-11WQC-1826-SM-5GU59 60-69 years, male 39.7
GTEX-132AR-0326-SM-5KM2C 50-59 years, female 39.7
GTEX-13OVL-0126-SM-5L3GJ 50-59 years, male 39.4
GTEX-18465-2826-SM-7LT9J 50-59 years, male 39.0
GTEX-18A7A-0126-SM-731AH 50-59 years, female 39.0
GTEX-12C56-1526-SM-5FQUQ 20-29 years, male 38.8
GTEX-1F75B-0726-SM-7PC3R 50-59 years, male 38.7
GTEX-1HC8U-1326-SM-9YFMJ 40-49 years, female 38.7
GTEX-14A5H-0826-SM-5QGPJ 60-69 years, male 38.6
GTEX-15CHQ-0326-SM-69LQD 60-69 years, male 38.6
GTEX-1J8Q3-0526-SM-ARL8U 60-69 years, male 38.6
GTEX-131XW-0626-SM-5PNVD 50-59 years, female 38.5
GTEX-139UW-0326-SM-5J1ML 60-69 years, male 38.5
GTEX-ZYW4-0626-SM-59HJR 60-69 years, male 38.3
GTEX-1LVA9-2626-SM-EVYD4 50-59 years, male 38.3
GTEX-ZLWG-0826-SM-59888 50-59 years, female 38.1
GTEX-147JS-0226-SM-5S2U9 60-69 years, male 38.0
GTEX-18D9B-0926-SM-7LG4U 60-69 years, male 37.6
GTEX-13QBU-1226-SM-5LU4G 40-49 years, female 37.4
GTEX-13X6J-0626-SM-5LU5F 50-59 years, male 37.3
GTEX-14DAR-1226-SM-73KYV 50-59 years, male 37.3
GTEX-WYBS-0626-SM-3NMAS 60-69 years, female 37.3
GTEX-YJ8O-2526-SM-5HL85 40-49 years, female 37.2
GTEX-15RJ7-2126-SM-6PAMD 40-49 years, male 37.1
GTEX-ZDTS-0826-SM-4WKHL 60-69 years, male 37.1
GTEX-X4EO-2926-SM-4E3JH 60-69 years, female 37.0
GTEX-1HCU6-2526-SM-ADEHL 60-69 years, female 37.0
GTEX-1B933-2426-SM-7DHMD 50-59 years, female 36.6
GTEX-1HFI6-0126-SM-CNPPI 40-49 years, male 36.5
GTEX-183FY-1026-SM-7939A 20-29 years, male 36.4
GTEX-Y8E4-2026-SM-5IFJB 40-49 years, male 36.2
GTEX-1H23P-0626-SM-9WG6T 60-69 years, male 36.1
GTEX-12WSD-0626-SM-5GCMW 60-69 years, female 36.0
GTEX-Y3IK-1626-SM-4YCF5 50-59 years, female 35.9
GTEX-XK95-0226-SM-4AT58 40-49 years, male 35.7
GTEX-12696-0126-SM-5EQ4L 60-69 years, male 35.6
GTEX-1ICG6-1226-SM-A9SLN 70-79 years, female 35.4
GTEX-144FL-0626-SM-5LU43 50-59 years, male 35.2
GTEX-13N2G-0226-SM-5K7VF 60-69 years, male 35.1
GTEX-ZVE2-2826-SM-5GU51 50-59 years, male 35.1
GTEX-145MO-2826-SM-5LU96 60-69 years, male 35.0
GTEX-1GF9W-1426-SM-7PBYM 60-69 years, male 34.9
GTEX-12WSL-2026-SM-5GCML 50-59 years, male 34.7
GTEX-13FH7-1126-SM-5K7UG 50-59 years, female 34.7
GTEX-1RB15-1326-SM-E76Q9 60-69 years, male 34.5
GTEX-16NPX-0726-SM-7KULC 50-59 years, male 34.3
GTEX-WK11-2726-SM-3NMAQ 50-59 years, male 34.3
GTEX-15UF6-1926-SM-7KUDV 70-79 years, female 34.2
GTEX-1F88E-1626-SM-7SB8Z 60-69 years, female 34.2
GTEX-XMD2-2126-SM-4YCF8 60-69 years, female 34.0
GTEX-1JMQI-1726-SM-ARL93 50-59 years, male 33.8
GTEX-1QCLZ-2426-SM-EVYBW 60-69 years, female 33.7
GTEX-ZAJG-1526-SM-5CVML 50-59 years, female 33.6
GTEX-13112-0126-SM-5P9IU 50-59 years, male 33.4
GTEX-UPK5-0426-SM-3GAEK 40-49 years, male 33.2
GTEX-12WSF-1626-SM-7KUG5 70-79 years, male 33.1
GTEX-1F6I4-2326-SM-7RHGL 60-69 years, male 32.7
GTEX-1IDJE-1426-SM-ADEIW 50-59 years, female 32.6
GTEX-11EI6-2826-SM-5H11D 60-69 years, male 32.5
GTEX-1211K-1526-SM-5FQU4 60-69 years, female 32.4
GTEX-11EM3-1226-SM-5N9DD 20-29 years, female 32.0
GTEX-17MF6-2626-SM-79OKQ 40-49 years, male 32.0
GTEX-1I1GP-1326-SM-A9G28 50-59 years, male 31.8
GTEX-Y5LM-0926-SM-6LLJG 40-49 years, female 31.4
GTEX-14BMV-2826-SM-5TDED 50-59 years, male 31.0
GTEX-148VJ-0626-SM-5LUAW 70-79 years, male 30.8
GTEX-13U4I-2226-SM-5LU5H 40-49 years, female 30.3
GTEX-1AX8Z-0726-SM-73KTS 60-69 years, male 29.8
GTEX-15SKB-2826-SM-6PAMH 60-69 years, male 29.7
GTEX-1CAV2-0126-SM-7IGN7 40-49 years, female 29.5
GTEX-1I6K7-1926-SM-B2LXR 40-49 years, male 29.5
GTEX-1HBPI-2126-SM-ARL9K 50-59 years, male 29.4
GTEX-11TT1-1826-SM-5EQLV 20-29 years, male 29.2
GTEX-1LGOU-1326-SM-D3L8M 20-29 years, female 29.1
GTEX-1EX96-1026-SM-7MKG2 50-59 years, male 29.0
GTEX-1H1ZS-2726-SM-9WG75 70-79 years, male 28.8
GTEX-13YAN-0226-SM-5TDC6 60-69 years, male 28.7
GTEX-1KANC-1226-SM-CYPT7 50-59 years, female 27.8
GTEX-17HG3-2626-SM-7DUF2 30-39 years, female 27.6
GTEX-18A6Q-0626-SM-7KFRP 60-69 years, male 27.5
GTEX-1RAZA-2226-SM-E9U4X 20-29 years, male 26.4
GTEX-18A66-0626-SM-7LT8Z 60-69 years, male 26.1
GTEX-1HUB1-1426-SM-CGQF5 60-69 years, male 26.1
GTEX-12KS4-2126-SM-5FQUT 30-39 years, male 25.9
GTEX-1A32A-0626-SM-731AQ 50-59 years, female 25.9
GTEX-14PJO-2526-SM-6AJBQ 60-69 years, male 25.8
GTEX-VJYA-1526-SM-3GIJV 60-69 years, male 25.4
GTEX-14JG1-1526-SM-5YY9X 40-49 years, male 25.1
GTEX-ZT9W-1126-SM-57WDR 50-59 years, male 25.1
GTEX-15SHW-0226-SM-7LTAT 60-69 years, male 25.0
GTEX-1IDJC-1526-SM-B2LW4 50-59 years, male 24.9
GTEX-1H3NZ-2726-SM-9WYTQ 60-69 years, male 24.7
GTEX-1J8JJ-0626-SM-ARZMQ 60-69 years, female 24.7
GTEX-X8HC-0626-SM-4E3HQ 50-59 years, female 24.4
GTEX-13N11-2326-SM-5IJBF 50-59 years, female 23.7
GTEX-145MG-1526-SM-5Q5EM 50-59 years, male 23.6
GTEX-11DYG-1526-SM-5A5JS 60-69 years, male 23.2
GTEX-YB5K-2026-SM-4VDT3 40-49 years, female 22.9
GTEX-WFG8-2126-SM-3GIKQ 20-29 years, male 22.6
GTEX-14PJ2-0626-SM-6LLII 50-59 years, male 22.3
GTEX-13NZ9-2626-SM-5L3FK 50-59 years, male 21.7
GTEX-17JCI-2926-SM-7DUFF 60-69 years, female 21.7
GTEX-1497J-0226-SM-5QGPU 60-69 years, male 21.2
GTEX-11DXW-0826-SM-5H118 40-49 years, male 21.0
GTEX-18A7B-2726-SM-7LG56 70-79 years, male 20.9
GTEX-1E1VI-0326-SM-793D1 50-59 years, male 18.6
GTEX-1A8FM-0626-SM-7PC25 50-59 years, female 18.5
GTEX-13X6K-0626-SM-5LU5D 60-69 years, female 18.3
GTEX-1QP66-1226-SM-DTX7U 50-59 years, male 17.9
GTEX-17EVQ-0126-SM-7IGLR 70-79 years, male 17.3
GTEX-13JUV-2026-SM-5K7UA 40-49 years, female 17.0
GTEX-1H1CY-0126-SM-9YFLY 60-69 years, female 16.6
GTEX-1F6IF-0926-SM-7SB7M 60-69 years, male 16.3
GTEX-111FC-2526-SM-5GZXU 60-69 years, male 15.7
GTEX-1I19N-0126-SM-CYPSF 70-79 years, male 14.9
GTEX-1F75W-2726-SM-7SB8H 60-69 years, male 14.1
GTEX-1AX9J-1326-SM-731BJ 60-69 years, male 13.9
GTEX-1399R-1326-SM-5PNYS 30-39 years, male 11.7
GTEX-ZVTK-0226-SM-51MRG 20-29 years, male 11.5
GTEX-14E6C-2426-SM-5S2NF 40-49 years, male 11.0
GTEX-ZUA1-2626-SM-5NQ92 40-49 years, male 10.1
GTEX-YF7O-1526-SM-5IFI6 50-59 years, male 9.6
GTEX-16GPK-0626-SM-7KFSF 60-69 years, male 8.4
GTEX-1L5NE-1126-SM-D3L9P 50-59 years, male 6.8
GTEX-1GF9U-2026-SM-7SB92 40-49 years, female 5.5
Show allShow less
Skin - Sun Exposed (Lower leg)
Average nTPM: 51.9
Samples: 701

Max nTPM: 180.6
Min nTPM: 1.1
Std nTPM: 22.8
Median nTPM: 49.3
GTEX-ZXES-1826-SM-5E43S 30-39 years, female 180.6
GTEX-1LVAN-0226-SM-COH3S 50-59 years, female 164.9
GTEX-1L5NE-2526-SM-E6CIE 50-59 years, male 158.4
GTEX-ZWKS-0126-SM-5SIAA 30-39 years, male 150.1
GTEX-1QPFJ-0226-SM-E76PB 30-39 years, female 133.9
GTEX-XUZC-1726-SM-4BRWS 30-39 years, female 131.4
GTEX-1R9PM-2026-SM-E76OY 20-29 years, male 125.8
GTEX-1JJ6O-0126-SM-E6CI8 60-69 years, male 123.0
GTEX-1F5PL-0326-SM-7P8PQ 40-49 years, female 122.9
GTEX-T5JW-1626-SM-3GADZ 20-29 years, female 120.5
GTEX-WFON-2126-SM-3LK7O 40-49 years, male 120.2
GTEX-18D9A-1926-SM-7LG6P 30-39 years, female 113.2
GTEX-1J1OQ-0226-SM-CYPSH 40-49 years, female 113.0
GTEX-1QP9N-1426-SM-DTXFL 30-39 years, male 109.7
GTEX-1S83E-0126-SM-EWRO4 40-49 years, male 105.4
GTEX-14PJ6-2126-SM-6EU1V 60-69 years, female 103.8
GTEX-11EQ9-2426-SM-5HL5T 30-39 years, male 103.7
GTEX-ZGAY-0526-SM-4WWBB 40-49 years, female 103.0
GTEX-1I1GT-0626-SM-CGQER 60-69 years, female 102.2
GTEX-1122O-2126-SM-5EGIR 60-69 years, female 101.1
GTEX-ZV6S-2326-SM-4YCEY 40-49 years, female 100.5
GTEX-1LSNM-1926-SM-E6CII 50-59 years, male 100.2
GTEX-13FTW-2626-SM-5K7WL 40-49 years, male 98.9
GTEX-ZVZP-2426-SM-59HKJ 50-59 years, male 98.9
GTEX-1LGRB-2526-SM-CNPPQ 50-59 years, female 96.2
GTEX-1LG7Z-1726-SM-D3LA4 30-39 years, male 95.6
GTEX-YB5E-2026-SM-5IFIS 40-49 years, male 94.3
GTEX-1OFPY-2426-SM-DTXEJ 60-69 years, male 93.7
GTEX-1M5QR-1226-SM-EWROB 40-49 years, male 93.1
GTEX-1MA7W-2026-SM-E9TJ6 20-29 years, female 92.9
GTEX-OHPL-0126-SM-2HMJ7 60-69 years, female 92.7
GTEX-ZYFG-2326-SM-5E44B 60-69 years, female 92.1
GTEX-P4QT-0126-SM-2I3FL 50-59 years, female 91.8
GTEX-1HCU9-1526-SM-A9SL7 20-29 years, male 91.5
GTEX-1IDJU-2626-SM-CM2RT 60-69 years, female 91.1
GTEX-PSDG-0226-SM-DKPOZ 50-59 years, male 90.3
GTEX-1HSEH-0126-SM-ACKXN 60-69 years, male 89.8
GTEX-1GF9X-2026-SM-7PC3A 40-49 years, female 89.5
GTEX-1K2DA-1826-SM-CGQGT 50-59 years, male 88.0
GTEX-1GL5R-1826-SM-9KNUY 50-59 years, male 87.9
GTEX-1AMFI-2026-SM-731BH 50-59 years, female 87.8
GTEX-1F52S-0126-SM-9MQJU 60-69 years, female 87.6
GTEX-117XS-2726-SM-5N9BL 60-69 years, male 87.2
GTEX-15RIG-0226-SM-7KFTL 40-49 years, male 87.1
GTEX-1128S-2326-SM-5GZZY 60-69 years, female 86.5
GTEX-UJHI-1526-SM-3DB99 50-59 years, female 85.7
GTEX-1S82Z-0826-SM-E6CHY 30-39 years, female 85.7
GTEX-1B97I-1626-SM-73KYO 40-49 years, male 85.4
GTEX-1F6RS-0126-SM-9MQKZ 60-69 years, female 85.4
GTEX-ZVT2-2526-SM-51MT1 50-59 years, female 84.9
GTEX-1H11D-0226-SM-9WG6Z 40-49 years, male 84.2
GTEX-18D9U-0226-SM-718BP 40-49 years, male 84.0
GTEX-145ME-1826-SM-5SI9G 40-49 years, female 83.9
GTEX-XPVG-2626-SM-4B669 50-59 years, male 83.5
GTEX-1KANA-0726-SM-D3L9I 20-29 years, male 83.4
GTEX-OIZH-0126-SM-2HMIS 50-59 years, male 83.2
GTEX-13RTK-1426-SM-5QGQJ 20-29 years, male 82.9
GTEX-1KAFJ-2026-SM-CY8ID 50-59 years, male 82.9
GTEX-18A67-0126-SM-7LG5P 50-59 years, male 82.6
GTEX-1R7EU-0226-SM-EVR4G 60-69 years, male 82.6
GTEX-1GMR3-1926-SM-9KNUZ 40-49 years, male 82.1
GTEX-1PDJ9-0326-SM-DTX95 20-29 years, male 81.6
GTEX-X4XX-0126-SM-3NMC2 60-69 years, male 81.4
GTEX-1MUQO-0126-SM-EAZ58 60-69 years, male 81.3
GTEX-17JCI-0126-SM-7LG5G 60-69 years, female 80.9
GTEX-13O3P-0126-SM-5KM4S 50-59 years, male 80.7
GTEX-145LS-0126-SM-5QGP1 60-69 years, female 80.2
GTEX-13NZB-2526-SM-5J1OM 30-39 years, male 79.9
GTEX-T6MO-1626-SM-32QOM 40-49 years, female 79.7
GTEX-1JMQL-0226-SM-CNPP5 50-59 years, female 79.7
GTEX-1LBAC-0126-SM-DIPEZ 20-29 years, male 79.2
GTEX-XQ8I-0426-SM-4BOPO 50-59 years, male 78.5
GTEX-ZTSS-1926-SM-57WEW 40-49 years, male 78.5
GTEX-ZTX8-1426-SM-5DUVO 20-29 years, male 78.5
GTEX-X4EP-0126-SM-3P5YV 60-69 years, female 78.4
GTEX-U3ZN-2326-SM-3DB7W 30-39 years, female 78.1
GTEX-14ICK-0226-SM-6EU25 40-49 years, male 78.0
GTEX-WYJK-0126-SM-3NMAB 50-59 years, male 77.7
GTEX-1CB4H-0226-SM-7PBXM 60-69 years, female 77.4
GTEX-1K2DU-2326-SM-E9TIV 20-29 years, male 77.3
GTEX-1KXAM-2226-SM-CYPTC 60-69 years, male 77.2
GTEX-1C475-1826-SM-73KWA 40-49 years, female 77.1
GTEX-1399R-2726-SM-5IJBA 30-39 years, male 77.0
GTEX-111FC-0126-SM-5N9DL 60-69 years, male 76.9
GTEX-1PIGE-0126-SM-EVYBJ 20-29 years, male 76.8
GTEX-14A5H-0426-SM-5QGQF 60-69 years, male 76.6
GTEX-14LZ3-0226-SM-62LET 60-69 years, female 76.6
GTEX-11VI4-1726-SM-5CVLH 40-49 years, female 76.5
GTEX-13FTY-0526-SM-5L3EV 40-49 years, female 76.3
GTEX-12ZZZ-0626-SM-5DUXI 60-69 years, male 75.9
GTEX-S32W-2126-SM-2XCB1 50-59 years, female 75.9
GTEX-1399U-2326-SM-5K7WY 50-59 years, female 75.7
GTEX-1E2YA-0126-SM-9KNUC 50-59 years, male 75.7
GTEX-1LGOU-2026-SM-DIPFF 20-29 years, female 75.5
GTEX-1OJC3-0126-SM-E76QX 20-29 years, male 75.3
GTEX-1MCYP-1926-SM-E9J2R 20-29 years, female 75.1
GTEX-17EUY-0426-SM-793BD 20-29 years, male 74.7
GTEX-13FH7-2026-SM-E9J4I 50-59 years, female 74.3
GTEX-1212Z-2526-SM-5EGKP 60-69 years, male 74.2
GTEX-14JG6-2226-SM-6EU2G 30-39 years, female 74.2
GTEX-1CB4E-2226-SM-793DC 60-69 years, male 74.1
GTEX-13OVH-0126-SM-5MR4B 70-79 years, male 73.5
GTEX-17F96-1626-SM-7DUFL 70-79 years, male 73.4
GTEX-WY7C-2326-SM-3NB2U 50-59 years, male 73.1
GTEX-1J8QM-2126-SM-CYPSJ 60-69 years, female 73.1
GTEX-1GZ4H-1726-SM-7PBZJ 50-59 years, female 72.9
GTEX-ZF3C-0126-SM-DO92D 50-59 years, female 72.9
GTEX-OXRN-0126-SM-48TDM 50-59 years, male 72.5
GTEX-1S3DN-2226-SM-EVYCD 50-59 years, male 72.5
GTEX-1RAZA-0126-SM-E6CI3 20-29 years, male 72.3
GTEX-U412-0426-SM-3DB9O 60-69 years, male 72.2
GTEX-133LE-1826-SM-5J1MV 20-29 years, female 72.1
GTEX-1JMLX-0226-SM-CM2RO 50-59 years, male 72.1
GTEX-1KWVE-1426-SM-E9TJO 30-39 years, male 72.1
GTEX-1H4P4-0726-SM-9YFLR 50-59 years, male 71.9
GTEX-SUCS-1926-SM-32PM3 70-79 years, male 71.8
GTEX-12WSA-0226-SM-5BC5V 60-69 years, male 71.7
GTEX-YEC4-2126-SM-5IFJH 40-49 years, male 71.4
GTEX-1LH75-2426-SM-E9TJE 50-59 years, female 71.4
GTEX-1PFEY-1526-SM-E76PP 30-39 years, male 71.4
GTEX-PLZ5-2026-SM-2S1O4 50-59 years, male 71.3
GTEX-ZDTT-2726-SM-4WKF8 60-69 years, male 71.3
GTEX-O5YT-0126-SM-48TBW 20-29 years, male 71.1
GTEX-WXYG-2326-SM-4E3I6 50-59 years, female 70.8
GTEX-14C5O-0126-SM-5SI6N 60-69 years, male 70.7
GTEX-1HCU7-0226-SM-CL545 50-59 years, male 70.4
GTEX-1JK1U-2026-SM-CM2RZ 60-69 years, male 70.2
GTEX-TKQ1-1026-SM-4GICL 30-39 years, male 69.8
GTEX-X261-0126-SM-3NMD6 50-59 years, male 69.7
GTEX-VUSG-2526-SM-4KL1V 50-59 years, male 69.6
GTEX-1PPH8-0226-SM-E8VND 20-29 years, male 69.5
GTEX-15UKP-0426-SM-7KUFQ 20-29 years, male 69.3
GTEX-1AX9J-0226-SM-73KXM 60-69 years, male 69.3
GTEX-13PDP-0126-SM-5L3HD 60-69 years, male 68.8
GTEX-PWO3-1526-SM-48TCM 60-69 years, female 68.8
GTEX-ZV68-0126-SM-59HKS 50-59 years, female 68.6
GTEX-ZYT6-0226-SM-5NQ6T 30-39 years, male 68.6
GTEX-TMMY-0226-SM-33HBA 40-49 years, female 68.5
GTEX-13OW6-0426-SM-5L3HM 50-59 years, male 68.4
GTEX-X88G-0126-SM-47JZ3 30-39 years, male 68.4
GTEX-T5JC-0426-SM-32PLO 20-29 years, male 68.1
GTEX-13OW5-0126-SM-DTXFS 60-69 years, male 67.7
GTEX-1HCVE-0126-SM-CGQEU 50-59 years, male 67.7
GTEX-1CAMQ-0226-SM-7IGPK 40-49 years, male 67.6
GTEX-Z93S-0126-SM-5HL7M 50-59 years, male 67.6
GTEX-1IL2U-0226-SM-CE6T8 60-69 years, male 67.6
GTEX-ZPIC-1726-SM-DHXIU 40-49 years, female 67.5
GTEX-145MF-0626-SM-5LUAI 50-59 years, male 67.4
GTEX-W5WG-1826-SM-4KL2Y 50-59 years, female 67.4
GTEX-1N2EF-0226-SM-EYYXB 60-69 years, male 67.4
GTEX-XBEW-0626-SM-4QASP 40-49 years, male 67.3
GTEX-13NYB-2526-SM-5K7Z6 40-49 years, male 67.2
GTEX-ZZ64-1726-SM-5GZYB 20-29 years, male 67.2
GTEX-14E6E-1826-SM-5S2R7 30-39 years, male 67.1
GTEX-13113-5016-SM-7EPIP 60-69 years, female 67.0
GTEX-14PHX-2326-SM-62LEM 50-59 years, male 66.8
GTEX-1I6K6-0126-SM-A9SLE 30-39 years, male 66.8
GTEX-1RB15-2126-SM-E9TIM 60-69 years, male 66.8
GTEX-P4PP-0126-SM-3LK69 30-39 years, female 66.5
GTEX-ZVZO-0126-SM-5A5L9 40-49 years, male 66.4
GTEX-1MJK2-0426-SM-DTXE5 50-59 years, male 66.1
GTEX-YB5K-2126-SM-4WWDJ 40-49 years, female 66.0
GTEX-1CAMS-0426-SM-7P8T2 40-49 years, female 66.0
GTEX-1R46S-0626-SM-E9J41 60-69 years, female 66.0
GTEX-1K9T9-0126-SM-EVYCF 50-59 years, female 65.9
GTEX-13111-1626-SM-5EGJY 50-59 years, male 65.6
GTEX-NFK9-0226-SM-2HMKQ 40-49 years, male 65.6
GTEX-11ZTS-0126-SM-5EQ6M 60-69 years, female 65.5
GTEX-ZXG5-0126-SM-5GIEU 60-69 years, male 65.5
GTEX-17KNJ-2326-SM-7DHLQ 50-59 years, male 65.4
GTEX-13SLW-0126-SM-5SI6C 70-79 years, male 65.3
GTEX-145LV-2126-SM-5LU8N 50-59 years, male 65.3
GTEX-11NSD-2226-SM-5986V 20-29 years, male 64.8
GTEX-1GN2E-0426-SM-9MQKX 60-69 years, male 64.4
GTEX-1PIIG-0226-SM-EWRN6 30-39 years, male 64.3
GTEX-T2YK-0526-SM-32QPJ 50-59 years, male 64.2
GTEX-15F5U-1526-SM-6PANO 40-49 years, male 64.0
GTEX-T6MN-0126-SM-32PLP 50-59 years, male 63.8
GTEX-Z93T-0126-SM-5HL5N 50-59 years, male 63.8
GTEX-ZAB5-1826-SM-5HL7C 50-59 years, male 63.8
GTEX-11UD2-0226-SM-5EQKY 50-59 years, male 63.6
GTEX-1QMI2-0226-SM-EVYBX 60-69 years, male 63.6
GTEX-WI4N-1026-SM-3LK7N 40-49 years, female 63.5
GTEX-14JG1-0426-SM-6ETZZ 40-49 years, male 63.3
GTEX-RWS6-2026-SM-2XCB5 60-69 years, female 63.2
GTEX-1QP29-0626-SM-EWRMX 50-59 years, male 63.1
GTEX-1GF9V-0326-SM-7RHI5 60-69 years, male 63.0
GTEX-T8EM-1026-SM-3DB7M 40-49 years, male 62.9
GTEX-1S5ZA-0126-SM-EVYCV 20-29 years, male 62.8
GTEX-TSE9-0126-SM-3DB83 60-69 years, female 62.7
GTEX-Y8E4-0626-SM-4WWDL 40-49 years, male 62.7
GTEX-13CF3-2426-SM-5IFGX 60-69 years, female 62.6
GTEX-1J8EW-0126-SM-CJI4F 60-69 years, female 62.4
GTEX-QESD-1426-SM-2S1R9 20-29 years, male 62.3
GTEX-1HCU8-0626-SM-A9SM9 60-69 years, female 62.2
GTEX-16GPK-0126-SM-7DHLE 60-69 years, male 62.0
GTEX-XUW1-0426-SM-4BOOT 50-59 years, female 62.0
GTEX-1IKJJ-0126-SM-CNPQB 60-69 years, male 62.0
GTEX-1NV5F-0226-SM-E8VNY 60-69 years, female 62.0
GTEX-1O97I-0326-SM-EYYX7 60-69 years, male 62.0
GTEX-13N2G-2626-SM-5J1OT 60-69 years, male 61.9
GTEX-XAJ8-0826-SM-47JY6 40-49 years, male 61.9
GTEX-13PVR-2326-SM-5QGR1 60-69 years, female 61.8
GTEX-16NGA-1726-SM-731B4 40-49 years, female 61.8
GTEX-ZVTK-0426-SM-51MRS 20-29 years, male 61.7
GTEX-RVPV-0126-SM-EAZAW 60-69 years, male 61.7
GTEX-ZQG8-1626-SM-DHXIT 60-69 years, female 61.7
GTEX-1GMR8-0126-SM-9WYTM 50-59 years, female 61.4
GTEX-12WSK-2326-SM-5GCOH 40-49 years, female 61.3
GTEX-1CB4I-0226-SM-79OLH 50-59 years, male 61.2
GTEX-O5YW-0126-SM-3LK6D 50-59 years, male 61.1
GTEX-15ETS-0126-SM-7KUMW 40-49 years, female 61.0
GTEX-13X6I-0626-SM-5QGP9 60-69 years, male 60.9
GTEX-1J8Q2-0526-SM-CM2RW 60-69 years, male 60.9
GTEX-WRHK-1426-SM-3MJF9 20-29 years, female 60.8
GTEX-ZF2S-2326-SM-4WWCE 50-59 years, female 60.5
GTEX-1QCLY-0326-SM-E8VOG 30-39 years, male 60.5
GTEX-Y5LM-1926-SM-5RQJH 40-49 years, female 60.2
GTEX-1C64N-0126-SM-793D7 50-59 years, male 60.0
GTEX-15ER7-0326-SM-7KUEV 20-29 years, female 59.6
GTEX-1C2JI-1826-SM-73KXC 50-59 years, male 59.6
GTEX-S95S-1226-SM-4GICG 60-69 years, male 59.6
GTEX-Z9EW-1626-SM-5CVMN 40-49 years, male 59.5
GTEX-139D8-0226-SM-5KLZO 30-39 years, female 59.4
GTEX-1I1GV-0526-SM-A9G29 60-69 years, male 59.3
GTEX-145MN-2226-SM-5SIAU 30-39 years, male 58.9
GTEX-RNOR-0126-SM-E9J4R 50-59 years, female 58.8
GTEX-12ZZY-0226-SM-5LZVE 60-69 years, male 58.7
GTEX-1AMEY-1326-SM-73KYK 30-39 years, female 58.7
GTEX-1F5PK-2426-SM-7RHHY 50-59 years, male 58.7
GTEX-1JN1M-0326-SM-CYPT3 60-69 years, female 58.7
GTEX-13IVO-0126-SM-5J1NG 70-79 years, male 58.6
GTEX-XXEK-2226-SM-4BRUM 50-59 years, male 58.6
GTEX-1LB8K-0226-SM-EWRNW 50-59 years, male 58.5
GTEX-U3ZM-1526-SM-3DB9D 40-49 years, male 58.2
GTEX-145MI-0526-SM-5O9A8 60-69 years, female 57.9
GTEX-17MFQ-1726-SM-793C7 20-29 years, male 57.6
GTEX-ZAK1-0126-SM-5IJD3 50-59 years, female 57.6
GTEX-15SHU-0126-SM-7KUEH 40-49 years, female 57.5
GTEX-11DXX-2426-SM-5GZZW 60-69 years, female 57.4
GTEX-13QJ3-0326-SM-5S2RA 50-59 years, male 57.4
GTEX-17GQL-2026-SM-718BA 60-69 years, male 57.4
GTEX-17F98-0626-SM-79OMX 40-49 years, female 57.3
GTEX-1C4CL-0526-SM-73KVK 30-39 years, male 57.3
GTEX-1MCQQ-0826-SM-DLHC2 60-69 years, male 57.3
GTEX-15EU6-0426-SM-6PAN5 50-59 years, male 57.2
GTEX-Y5V6-2426-SM-4VDSB 60-69 years, male 57.2
GTEX-13D11-2426-SM-5KM1V 50-59 years, female 57.1
GTEX-14BIN-0626-SM-793DP 50-59 years, female 57.1
GTEX-TMZS-0126-SM-3DB9Q 60-69 years, male 57.0
GTEX-1GPI7-0126-SM-9MQL8 20-29 years, male 57.0
GTEX-1JJEA-0326-SM-CNPOT 60-69 years, male 57.0
GTEX-14LLW-0126-SM-6LLIO 70-79 years, female 56.7
GTEX-16AAH-1726-SM-7939C 50-59 years, male 56.5
GTEX-1CAMR-1926-SM-7EPI2 20-29 years, male 56.4
GTEX-1HCUA-2426-SM-ADEIS 50-59 years, female 56.4
GTEX-11EI6-0126-SM-5985R 60-69 years, male 56.3
GTEX-131YS-0126-SM-5KM1M 60-69 years, female 56.3
GTEX-XQ3S-1526-SM-4BOOC 20-29 years, male 56.3
GTEX-NPJ8-0126-SM-2YUNR 40-49 years, male 56.1
GTEX-1IDJH-0326-SM-A9SLQ 70-79 years, male 56.1
GTEX-16BQI-0226-SM-7KUEX 30-39 years, female 56.0
GTEX-OHPM-0126-SM-2YUN9 50-59 years, male 55.6
GTEX-131XF-5016-SM-7MGWE 60-69 years, male 55.4
GTEX-13NYC-0326-SM-E9J4S 60-69 years, male 55.4
GTEX-Y114-2426-SM-4TT8A 50-59 years, female 55.3
GTEX-ZU9S-0226-SM-5E441 30-39 years, male 55.3
GTEX-1JKYR-0126-SM-CNPOJ 20-29 years, male 55.3
GTEX-QV44-1926-SM-2S1RF 50-59 years, male 55.0
GTEX-SNMC-1226-SM-2XCFP 20-29 years, male 55.0
GTEX-OOBJ-0126-SM-E6CJW 60-69 years, male 54.9
GTEX-ZF29-2326-SM-DO92K 60-69 years, female 54.9
GTEX-T2IS-0126-SM-4DM6O 20-29 years, female 54.8
GTEX-12WSC-0126-SM-5EQ4P 50-59 years, male 54.6
GTEX-1E1VI-0126-SM-7DHMZ 50-59 years, male 54.6
GTEX-12WSE-0526-SM-793B2 20-29 years, male 54.5
GTEX-13NYS-0126-SM-5MR3W 60-69 years, male 54.2
GTEX-1KANB-0526-SM-E6CJH 50-59 years, male 54.2
GTEX-1314G-1526-SM-5EGK2 30-39 years, male 54.0
GTEX-13OW8-1326-SM-5J1OW 60-69 years, male 53.9
GTEX-13RTJ-2426-SM-5S2Q2 60-69 years, male 53.9
GTEX-14PN4-0126-SM-6EU2V 50-59 years, male 53.9
GTEX-13S7M-0126-SM-5SI6A 60-69 years, female 53.8
GTEX-1HBPM-0226-SM-ARL9F 60-69 years, female 53.7
GTEX-1HSKV-0226-SM-A9SKJ 60-69 years, male 53.7
GTEX-X585-0226-SM-4QAS2 50-59 years, male 53.6
GTEX-ZC5H-0226-SM-4WAY9 40-49 years, female 53.6
GTEX-ZYFD-0126-SM-5GIDL 50-59 years, male 53.6
GTEX-1QP66-1726-SM-E8VO1 50-59 years, male 53.6
GTEX-1192X-0226-SM-5H12D 50-59 years, male 53.5
GTEX-1399T-2826-SM-5KLYZ 60-69 years, male 53.4
GTEX-13OVK-2026-SM-7KUEO 40-49 years, male 53.4
GTEX-1GF9U-2126-SM-7SB7L 40-49 years, female 53.4
GTEX-1HSGN-0226-SM-CGQFV 40-49 years, female 53.4
GTEX-ZY6K-1826-SM-5GZXK 50-59 years, male 53.3
GTEX-1I1GQ-0126-SM-COH3H 50-59 years, male 53.3
GTEX-U8XE-0326-SM-3DB8P 30-39 years, male 53.2
GTEX-1GN1U-0126-SM-7PBZK 50-59 years, female 53.1
GTEX-1J1R8-1726-SM-ARL8M 40-49 years, male 53.1
GTEX-1RDX4-0126-SM-E9J4P 50-59 years, female 53.1
GTEX-13FHP-0126-SM-5IJBG 50-59 years, male 53.0
GTEX-ZDTS-0126-SM-4WAY5 60-69 years, male 53.0
GTEX-1JJE9-0326-SM-CL53Z 70-79 years, male 53.0
GTEX-11DYG-0126-SM-59883 60-69 years, male 52.9
GTEX-RM2N-1426-SM-2TF4H 50-59 years, male 52.9
GTEX-ZEX8-2426-SM-4WKG4 50-59 years, male 52.9
GTEX-18A7B-0126-SM-7LG64 70-79 years, male 52.8
GTEX-1IOXB-0126-SM-ARL8G 50-59 years, male 52.8
GTEX-1ICLY-0126-SM-D4P36 50-59 years, male 52.7
GTEX-1GZHY-0326-SM-9QEHI 50-59 years, female 52.6
GTEX-1BAJH-0526-SM-793CQ 70-79 years, male 52.5
GTEX-15CHC-2126-SM-6EU21 60-69 years, female 52.4
GTEX-18QFQ-0126-SM-731BE 30-39 years, male 52.3
GTEX-1CAV2-2226-SM-7P8P2 40-49 years, female 52.2
GTEX-1IL2V-0126-SM-CM2TX 70-79 years, male 52.2
GTEX-ZDYS-2026-SM-5HL5L 50-59 years, male 52.1
GTEX-1RQEC-0426-SM-E6CHU 60-69 years, male 52.1
GTEX-ZYY3-0126-SM-5GZY5 60-69 years, female 52.0
GTEX-1GF9W-0326-SM-9KNUN 60-69 years, male 52.0
GTEX-PX3G-0126-SM-2I3EN 20-29 years, female 51.9
GTEX-Y5V5-2326-SM-4V6GA 60-69 years, female 51.7
GTEX-14DAR-2026-SM-5S2O3 50-59 years, male 51.5
GTEX-11TUW-2726-SM-E9J4M 60-69 years, male 51.3
GTEX-12WSG-2826-SM-E9J4H 50-59 years, female 51.2
GTEX-Y8DK-0126-SM-4TT3L 60-69 years, male 51.1
GTEX-13SLX-0526-SM-5S2ON 50-59 years, female 50.9
GTEX-145LU-0126-SM-5TDCB 50-59 years, male 50.8
GTEX-YJ89-0126-SM-4TT3X 60-69 years, male 50.8
GTEX-S7SE-0126-SM-2XCD5 50-59 years, male 50.7
GTEX-ZQUD-1426-SM-57WER 30-39 years, male 50.7
GTEX-ZAJG-0126-SM-5HL94 50-59 years, female 50.6
GTEX-13NZ8-0826-SM-5MR3I 60-69 years, female 50.5
GTEX-1MGNQ-0126-SM-EVYCJ 40-49 years, male 50.5
GTEX-14BMU-2226-SM-5TDE9 20-29 years, female 50.4
GTEX-1JMPY-1326-SM-ARL8Y 30-39 years, male 50.4
GTEX-1HT8W-0126-SM-CNPPP 30-39 years, male 50.3
GTEX-WFG8-2226-SM-3GIL9 20-29 years, male 50.2
GTEX-11DXZ-2326-SM-5EGGV 50-59 years, male 50.1
GTEX-11WQK-0526-SM-5EQLD 50-59 years, male 50.1
GTEX-1269C-2526-SM-5EGJ3 60-69 years, female 50.1
GTEX-1JMQI-2226-SM-CM2SD 50-59 years, male 50.1
GTEX-U8T8-0126-SM-3DB94 60-69 years, male 50.0
GTEX-1211K-2026-SM-5EQ4Z 60-69 years, female 49.9
GTEX-13JUV-2726-SM-5LZZ8 40-49 years, female 49.9
GTEX-139TS-2826-SM-5J1OO 60-69 years, male 49.7
GTEX-14E6D-0126-SM-62LDV 50-59 years, male 49.6
GTEX-14BMV-0126-SM-5S2PO 50-59 years, male 49.5
GTEX-17F97-0326-SM-7LG5B 50-59 years, male 49.4
GTEX-12696-2426-SM-5EQ6H 60-69 years, male 49.3
GTEX-1313W-0126-SM-5LZUN 50-59 years, female 49.3
GTEX-17EVP-0326-SM-7DHLG 40-49 years, male 49.3
GTEX-13O3O-0126-SM-E9J49 60-69 years, female 49.0
GTEX-1B996-0226-SM-7RHGO 60-69 years, male 49.0
GTEX-12ZZX-0126-SM-5EGK9 40-49 years, female 48.9
GTEX-169BO-1326-SM-9MQK2 50-59 years, male 48.8
GTEX-1QAET-0926-SM-E76QM 50-59 years, male 48.8
GTEX-132NY-0326-SM-5IJBL 60-69 years, male 48.7
GTEX-YFC4-0126-SM-5CVLY 40-49 years, female 48.7
GTEX-144FL-0126-SM-5TDC8 50-59 years, male 48.6
GTEX-PWCY-1826-SM-DHXIZ 20-29 years, female 48.5
GTEX-SIU8-0126-SM-2XCDT 50-59 years, male 48.4
GTEX-1H3NZ-0126-SM-ACKX7 60-69 years, male 48.2
GTEX-14PII-0226-SM-6EU1T 60-69 years, male 48.1
GTEX-11EM3-2426-SM-59861 20-29 years, female 48.0
GTEX-1H1DG-0126-SM-9WYU2 70-79 years, male 48.0
GTEX-1JMQJ-0526-SM-CYPSU 50-59 years, male 48.0
GTEX-1KANC-1526-SM-D3LAB 50-59 years, female 47.9
GTEX-117YX-2326-SM-5H12W 50-59 years, male 47.8
GTEX-11P81-2326-SM-59875 30-39 years, female 47.8
GTEX-12WSJ-1826-SM-5GCNY 40-49 years, female 47.8
GTEX-13W3W-2426-SM-5LU5B 60-69 years, female 47.8
GTEX-1B8SF-1426-SM-7DUGL 60-69 years, male 47.8
GTEX-14XAO-2326-SM-6EU1B 60-69 years, female 47.7
GTEX-16YQH-0126-SM-7DUFJ 30-39 years, male 47.6
GTEX-1HFI7-1826-SM-ACKXH 50-59 years, female 47.6
GTEX-111VG-2426-SM-5GZXD 60-69 years, male 47.5
GTEX-1S82Y-2026-SM-EVYCM 40-49 years, male 47.5
GTEX-1C6VR-2426-SM-79OLD 60-69 years, male 47.4
GTEX-1B8KE-2126-SM-73KYX 50-59 years, male 47.2
GTEX-139TU-0126-SM-5K7WH 60-69 years, male 47.1
GTEX-1HGF4-2426-SM-ACKXM 60-69 years, male 47.1
GTEX-QVJO-1626-SM-2S1QW 60-69 years, female 46.9
GTEX-XUYS-0126-SM-47JWZ 50-59 years, male 46.9
GTEX-1I4MK-2226-SM-ACKWD 50-59 years, female 46.9
GTEX-X8HC-0126-SM-4E3JW 50-59 years, female 46.8
GTEX-RWSA-0126-SM-2XCBB 40-49 years, male 46.7
GTEX-WQUQ-0426-SM-3MJFU 60-69 years, male 46.7
GTEX-1KD4Q-0226-SM-E9TJ9 40-49 years, male 46.6
GTEX-Q2AI-1326-SM-2S1PL 40-49 years, male 46.4
GTEX-WVJS-0126-SM-4MVOT 50-59 years, male 46.4
GTEX-1JN6P-0126-SM-D3L98 60-69 years, male 46.2
GTEX-18465-0126-SM-731BN 50-59 years, male 46.1
GTEX-OIZG-0726-SM-33HBL 50-59 years, male 46.1
GTEX-139UW-2826-SM-5L3E7 60-69 years, male 45.8
GTEX-13FTX-1826-SM-5J1NX 20-29 years, female 45.8
GTEX-14PN3-2426-SM-6LLHS 60-69 years, female 45.7
GTEX-1HKZK-0326-SM-9WYUH 40-49 years, male 45.5
GTEX-1EWIQ-0126-SM-7RHH2 70-79 years, female 45.4
GTEX-1GN1V-0126-SM-9WPOS 60-69 years, male 45.4
GTEX-11P7K-2126-SM-5GU7G 30-39 years, male 45.3
GTEX-11XUK-2026-SM-5EQLF 40-49 years, female 45.2
GTEX-W5X1-3026-SM-EAZAX 40-49 years, female 45.1
GTEX-13VXU-0126-SM-5SI9F 50-59 years, male 44.9
GTEX-14A5I-0126-SM-5TDEA 50-59 years, female 44.8
GTEX-1JMPZ-0226-SM-CNPP1 30-39 years, male 44.7
GTEX-16NPX-0226-SM-79OMT 50-59 years, male 44.5
GTEX-Y3IK-2426-SM-4WWDU 50-59 years, female 44.5
GTEX-144GL-0126-SM-5TDE2 50-59 years, male 44.4
GTEX-14753-0426-SM-5NQAM 60-69 years, male 44.4
GTEX-R3RS-0126-SM-3GIJL 40-49 years, female 44.4
GTEX-1GZ2Q-0226-SM-7P8TL 40-49 years, male 44.4
GTEX-1J8Q3-1626-SM-CMKGC 60-69 years, male 44.3
GTEX-OOBK-0126-SM-2YUND 40-49 years, male 44.1
GTEX-1HSMP-0126-SM-E6CJS 70-79 years, male 44.1
GTEX-13112-2826-SM-5DUWH 50-59 years, male 43.9
GTEX-1A3MX-0126-SM-731BR 60-69 years, male 43.9
GTEX-PLZ6-1426-SM-DKPOT 30-39 years, male 43.9
GTEX-17HGU-0226-SM-7DHKV 50-59 years, male 43.8
GTEX-1B8L1-2526-SM-9WYTF 60-69 years, male 43.8
GTEX-14PK6-1926-SM-6ETZU 70-79 years, female 43.7
GTEX-Y8LW-1826-SM-5S2MV 50-59 years, female 43.7
GTEX-11GSO-2426-SM-5A5LY 60-69 years, male 43.6
GTEX-1HR98-0126-SM-B2LWI 60-69 years, male 43.6
GTEX-131XG-2626-SM-5KM17 50-59 years, female 43.5
GTEX-17HHE-2026-SM-79OKF 50-59 years, male 43.4
GTEX-ZE7O-0126-SM-57WC1 50-59 years, female 43.4
GTEX-11OC5-0126-SM-5HL6A 60-69 years, male 43.3
GTEX-131XE-2326-SM-5PNZ2 50-59 years, male 43.3
GTEX-1GTWX-0126-SM-9YFLK 60-69 years, male 43.3
GTEX-1H2FU-0126-SM-9WYSI 60-69 years, female 43.2
GTEX-PW2O-1526-SM-7RHHB 20-29 years, male 43.2
GTEX-P44H-0226-SM-2XCEU 40-49 years, male 43.0
GTEX-131XH-2226-SM-5DUXJ 50-59 years, male 42.9
GTEX-1R7EV-2426-SM-EVYBG 40-49 years, male 42.9
GTEX-12KS4-0326-SM-5EQ41 30-39 years, male 42.6
GTEX-14PJM-0226-SM-62LF1 50-59 years, female 42.6
GTEX-1HCU6-0126-SM-CL54K 60-69 years, female 42.6
GTEX-13CF2-2526-SM-5LZYX 60-69 years, male 42.5
GTEX-POMQ-2226-SM-2I5FK 20-29 years, female 42.5
GTEX-WZTO-0126-SM-3NM95 40-49 years, male 42.5
GTEX-Y111-0126-SM-4SOIV 50-59 years, male 42.5
GTEX-12WSL-2526-SM-5GCNJ 50-59 years, male 42.4
GTEX-13X6J-0126-SM-5QGOU 50-59 years, male 42.4
GTEX-PLZ4-0126-SM-5SI8O 50-59 years, female 42.4
GTEX-11DZ1-0126-SM-5985Q 50-59 years, male 42.3
GTEX-1PWST-0226-SM-E76QJ 70-79 years, male 42.2
GTEX-X5EB-2226-SM-46MW4 40-49 years, male 42.1
GTEX-1C64O-0126-SM-7SB8P 60-69 years, male 42.0
GTEX-1HSMQ-1226-SM-CGQFX 50-59 years, male 41.9
GTEX-SJXC-0126-SM-2XCFF 60-69 years, male 41.8
GTEX-145LT-1726-SM-5QGP3 40-49 years, male 41.7
GTEX-QEG4-0226-SM-2S1PY 30-39 years, male 41.7
GTEX-1IKOH-0226-SM-COH4E 60-69 years, female 41.7
GTEX-1CB4F-0426-SM-9KNV4 60-69 years, male 41.5
GTEX-139T8-0126-SM-5K7XZ 60-69 years, male 41.4
GTEX-1CB4J-0626-SM-7DHMP 60-69 years, male 41.3
GTEX-XMD2-0126-SM-4YCDU 60-69 years, female 41.2
GTEX-11DXY-2626-SM-5GIE7 60-69 years, male 41.1
GTEX-15DCD-0126-SM-7KUEK 70-79 years, female 41.1
GTEX-17HHY-0126-SM-7LG5D 50-59 years, male 41.1
GTEX-R55G-2526-SM-2TC6D 40-49 years, female 41.1
GTEX-ZYFC-0226-SM-5NQ75 50-59 years, male 41.1
GTEX-WH7G-2326-SM-3NMBC 40-49 years, male 41.0
GTEX-VJYA-1126-SM-3GIJU 60-69 years, male 40.9
GTEX-1F7RK-0126-SM-7PC2S 20-29 years, female 40.9
GTEX-1GN73-0226-SM-9WG67 60-69 years, male 40.9
GTEX-1H3VE-0326-SM-9YFLH 40-49 years, male 40.9
GTEX-13X6H-2126-SM-7EWD5 50-59 years, female 40.8
GTEX-1EMGI-0126-SM-9KNUE 60-69 years, male 40.8
GTEX-113JC-2326-SM-5EQ4E 50-59 years, female 40.7
GTEX-11TT1-2526-SM-5EGIB 20-29 years, male 40.7
GTEX-ZVT4-0126-SM-DTXFN 50-59 years, female 40.7
GTEX-13FXS-0226-SM-5IJCK 50-59 years, male 40.6
GTEX-16XZZ-0126-SM-793DV 60-69 years, male 40.5
GTEX-13O21-1426-SM-5K7XI 50-59 years, male 40.4
GTEX-13O3Q-2426-SM-5IJBR 50-59 years, male 40.3
GTEX-13FHO-0226-SM-5IFGY 60-69 years, male 40.1
GTEX-16MT8-0426-SM-7KUEY 60-69 years, female 40.1
GTEX-R45C-0126-SM-EAZ2R 60-69 years, female 40.1
GTEX-14DAQ-0126-SM-5S2MQ 60-69 years, female 40.0
GTEX-1A3MV-1926-SM-718BT 30-39 years, male 40.0
GTEX-1EX96-1626-SM-7PBXR 50-59 years, male 40.0
GTEX-TML8-1926-SM-32QOS 40-49 years, female 39.8
GTEX-18A7A-0226-SM-718BH 50-59 years, female 39.7
GTEX-15G19-0126-SM-6PANQ 60-69 years, male 39.6
GTEX-144GN-2326-SM-5LU4F 50-59 years, male 39.4
GTEX-147GR-0526-SM-5S2MY 60-69 years, male 39.4
GTEX-XBED-2226-SM-47JYQ 60-69 years, male 39.4
GTEX-13W46-0226-SM-5SIAG 50-59 years, male 39.2
GTEX-17HG3-2226-SM-7938L 30-39 years, female 39.2
GTEX-QLQ7-1626-SM-2S1R8 60-69 years, male 39.2
GTEX-12126-0326-SM-5PNW3 20-29 years, male 38.9
GTEX-1HBPI-1526-SM-C1YQ1 50-59 years, male 38.9
GTEX-15SB6-1726-SM-6PAME 50-59 years, female 38.7
GTEX-1GN1W-0526-SM-9MQJQ 50-59 years, female 38.6
GTEX-18D9B-0526-SM-7LTAS 60-69 years, male 38.5
GTEX-1IGQW-0126-SM-COH42 60-69 years, male 38.5
GTEX-139TT-0126-SM-5K7Y5 60-69 years, male 38.4
GTEX-1EU9M-0226-SM-7P8SP 60-69 years, male 38.3
GTEX-1HBPN-0226-SM-9YFM1 50-59 years, male 38.3
GTEX-YJ8A-0426-SM-5IFID 20-29 years, male 38.2
GTEX-ZDXO-3026-SM-5J1N5 60-69 years, male 37.9
GTEX-1B8KZ-2026-SM-7DHMB 50-59 years, male 37.8
GTEX-14BIM-0226-SM-7IGLD 60-69 years, female 37.7
GTEX-Q734-1926-SM-2I5EV 40-49 years, female 37.7
GTEX-1EN7A-0126-SM-7SB81 40-49 years, male 37.7
GTEX-1I1GU-2226-SM-CGQFA 40-49 years, male 37.6
GTEX-14PJ3-1826-SM-62LEX 50-59 years, male 37.5
GTEX-QDVJ-1726-SM-2I5FX 50-59 years, male 37.5
GTEX-146FQ-0126-SM-5NQA9 30-39 years, male 37.4
GTEX-15UF6-0826-SM-6PALJ 70-79 years, female 37.4
GTEX-1192W-2626-SM-5Q5AF 60-69 years, male 37.3
GTEX-1B8SG-0126-SM-73KZ3 50-59 years, male 37.3
GTEX-1IE54-0126-SM-CMKHW 40-49 years, female 37.3
GTEX-OXRP-0126-SM-3NB32 60-69 years, female 37.1
GTEX-18A6Q-0126-SM-731BZ 60-69 years, male 36.9
GTEX-1LG7Y-0526-SM-DKPQC 50-59 years, male 36.9
GTEX-XYKS-2126-SM-4E3IB 60-69 years, female 36.8
GTEX-1IDJF-0126-SM-CM2RS 20-29 years, male 36.8
GTEX-18A66-0226-SM-718BD 60-69 years, male 36.7
GTEX-145MO-0326-SM-5Q5B3 60-69 years, male 36.6
GTEX-1N2DV-0226-SM-E6CJ6 40-49 years, male 36.6
GTEX-1497J-2426-SM-7IGNX 60-69 years, male 36.5
GTEX-ZVE2-0226-SM-59HJB 50-59 years, male 36.5
GTEX-11LCK-1026-SM-5A5KB 30-39 years, male 36.4
GTEX-1H3VY-0126-SM-ACKXD 50-59 years, male 36.4
GTEX-1A32A-0126-SM-718B1 50-59 years, female 36.2
GTEX-1AX9K-2326-SM-73KWU 50-59 years, male 36.1
GTEX-1HFI6-0226-SM-ADEHZ 40-49 years, male 36.1
GTEX-1I1GS-0126-SM-B2LVW 60-69 years, male 36.1
GTEX-1GMRU-0126-SM-9YFLV 50-59 years, male 36.0
GTEX-1B933-0126-SM-7PC29 50-59 years, female 35.9
GTEX-11H98-0126-SM-5EGHG 50-59 years, male 35.8
GTEX-U3ZH-2026-SM-3DB78 30-39 years, male 35.8
GTEX-1F75B-0126-SM-9KNVL 50-59 years, male 35.8
GTEX-15SDE-2226-SM-7IGLO 50-59 years, female 35.6
GTEX-1C6VS-0526-SM-7DUEN 60-69 years, male 35.6
GTEX-Q2AH-1626-SM-3GAF8 40-49 years, male 35.6
GTEX-1CB4G-0226-SM-7PC3O 60-69 years, male 35.6
GTEX-1JMQK-0226-SM-CL543 60-69 years, male 35.6
GTEX-S33H-1026-SM-EZ6L6 30-39 years, male 35.5
GTEX-11OF3-2626-SM-5GU7F 60-69 years, male 35.4
GTEX-1QP2A-0126-SM-E9J43 50-59 years, male 35.4
GTEX-QCQG-1726-SM-3GIJ9 50-59 years, female 35.3
GTEX-QDVN-2026-SM-3GAEP 50-59 years, male 35.2
GTEX-13NZA-0226-SM-5K7Z7 60-69 years, male 35.0
GTEX-PVOW-0126-SM-2XCFA 40-49 years, male 35.0
GTEX-147F3-0526-SM-5SI98 50-59 years, female 34.8
GTEX-1JN76-0126-SM-CNPPE 20-29 years, female 34.8
GTEX-15DYW-0126-SM-7KULE 60-69 years, female 34.7
GTEX-11DXW-0226-SM-5H122 40-49 years, male 34.5
GTEX-13OVJ-0126-SM-5KM36 50-59 years, female 34.5
GTEX-ZF28-0126-SM-4WKGK 60-69 years, male 34.5
GTEX-183FY-0126-SM-7LT9P 20-29 years, male 34.3
GTEX-1H23P-0126-SM-ADEJ3 60-69 years, male 34.2
GTEX-1ICG6-2526-SM-CGQFZ 70-79 years, female 34.2
GTEX-1ICLZ-0126-SM-CKZPO 60-69 years, male 34.2
GTEX-SN8G-0126-SM-32PLI 50-59 years, female 34.1
GTEX-1H1E6-1726-SM-ACKVK 30-39 years, male 34.0
GTEX-11UD1-0126-SM-5PNYG 40-49 years, female 33.8
GTEX-WYVS-2126-SM-3NMA3 40-49 years, female 33.8
GTEX-13OVG-1926-SM-5L3DK 60-69 years, male 33.7
GTEX-XV7Q-2526-SM-4BRV9 40-49 years, female 33.7
GTEX-11P82-1626-SM-59879 20-29 years, male 33.6
GTEX-OXRL-0126-SM-2YUMP 50-59 years, male 33.6
GTEX-1JKYN-1326-SM-CGQG9 30-39 years, male 33.6
GTEX-1C6WA-0126-SM-7PC2B 60-69 years, male 33.5
GTEX-11GS4-2726-SM-5A5LE 60-69 years, male 33.4
GTEX-1I1GR-0126-SM-CL55F 60-69 years, male 33.4
GTEX-13VXT-0126-SM-5LU4I 20-29 years, female 33.3
GTEX-13YAN-0326-SM-5O9DF 60-69 years, male 33.3
GTEX-1EKGG-0226-SM-9WYTH 60-69 years, male 33.3
GTEX-1KD5A-0226-SM-D5OV3 50-59 years, male 33.2
GTEX-13OVL-0226-SM-5L3E9 50-59 years, male 32.7
GTEX-P4PQ-0126-SM-2S1NM 60-69 years, male 32.7
GTEX-1IKK5-0626-SM-ARL8A 60-69 years, male 32.6
GTEX-147F4-0226-SM-5QGPW 50-59 years, male 32.4
GTEX-1A8FM-0226-SM-7SB7Q 50-59 years, female 32.4
GTEX-13N11-2526-SM-5K7UE 50-59 years, female 32.0
GTEX-13RTL-0126-SM-7LG5S 40-49 years, male 32.0
GTEX-12WSD-0126-SM-59HKN 60-69 years, female 31.9
GTEX-UPJH-0326-SM-3GADU 50-59 years, male 31.7
GTEX-1H1ZS-0426-SM-9WG6G 70-79 years, male 31.7
GTEX-11ZTT-2426-SM-5EQLS 60-69 years, female 31.4
GTEX-11ZU8-2526-SM-5EQKI 60-69 years, male 31.4
GTEX-ZE9C-2726-SM-57WB5 60-69 years, male 31.4
GTEX-1MA7X-2226-SM-E6CIY 60-69 years, male 31.4
GTEX-1A3MW-0126-SM-73KXX 60-69 years, female 31.3
GTEX-X4EO-0326-SM-3P5YO 60-69 years, female 31.3
GTEX-1LNCM-1126-SM-E9U5E 50-59 years, female 31.3
GTEX-RTLS-0126-SM-447CA 60-69 years, female 31.2
GTEX-12C56-1726-SM-5EQ61 20-29 years, male 31.0
GTEX-WOFL-0126-SM-3MJG2 60-69 years, male 31.0
GTEX-13N1W-0126-SM-5K7VT 70-79 years, male 30.9
GTEX-ZVT3-0126-SM-5GU6I 60-69 years, female 30.9
GTEX-12WSN-5019-SM-79OM6 40-49 years, male 30.8
GTEX-1AX9I-0126-SM-7SB74 60-69 years, male 30.8
GTEX-R55E-0126-SM-2TC5Y 20-29 years, male 30.7
GTEX-OXRK-0226-SM-3NB2G 50-59 years, female 30.6
GTEX-1H1CY-2826-SM-9MQM3 60-69 years, female 30.5
GTEX-RU72-0926-SM-2TF6B 50-59 years, female 30.4
GTEX-1POEN-0126-SM-EYYXJ 30-39 years, female 30.4
GTEX-148VI-1626-SM-5SI6E 60-69 years, female 30.3
GTEX-1HB9E-0226-SM-E9U4R 50-59 years, male 30.2
GTEX-14ABY-0226-SM-5TDCQ 50-59 years, male 30.1
GTEX-S7PM-0126-SM-4AD6S 60-69 years, male 30.0
GTEX-1LC47-0326-SM-E9TJP 60-69 years, male 29.9
GTEX-OIZF-0126-SM-7SB8I 60-69 years, male 29.9
GTEX-QLQW-1126-SM-2S1Q8 30-39 years, male 29.8
GTEX-1QEPI-0126-SM-EWRMQ 60-69 years, female 29.8
GTEX-Q2AG-0126-SM-33HBV 40-49 years, female 29.7
GTEX-1H1DE-2126-SM-9WG6R 20-29 years, male 29.7
GTEX-11ZVC-2526-SM-5FQTE 50-59 years, female 29.3
GTEX-RUSQ-1526-SM-2TF62 50-59 years, male 29.3
GTEX-13G51-2526-SM-5LZYK 60-69 years, male 29.2
GTEX-1H3O1-0426-SM-9YFKY 60-69 years, male 29.2
GTEX-1I1GP-2226-SM-CGQFK 50-59 years, male 29.2
GTEX-1J8JJ-0226-SM-CL53I 60-69 years, female 29.2
GTEX-15DDE-0126-SM-6LPKH 50-59 years, female 29.1
GTEX-11GSP-2526-SM-5N9BP 60-69 years, female 29.0
GTEX-1NHNU-1026-SM-E9J2A 50-59 years, male 29.0
GTEX-Y3I4-2126-SM-4TT7C 50-59 years, male 28.9
GTEX-1F88F-2726-SM-7PBZZ 60-69 years, female 28.5
GTEX-1I1CD-0126-SM-CM2TK 60-69 years, female 28.5
GTEX-14PHW-0126-SM-6LLJI 60-69 years, female 28.4
GTEX-1IDFM-0126-SM-COH2V 60-69 years, male 28.4
GTEX-17EVQ-0226-SM-7LG4P 70-79 years, male 28.3
GTEX-X638-0126-SM-47JZ8 70-79 years, female 28.3
GTEX-12584-0126-SM-5EGKQ 40-49 years, male 28.2
GTEX-QDT8-0126-SM-48TZ1 30-39 years, female 27.9
GTEX-11EMC-2926-SM-5EQ4F 60-69 years, female 27.8
GTEX-14E7W-0126-SM-6LLJ9 70-79 years, male 27.8
GTEX-15EOM-0126-SM-7KUGG 20-29 years, female 27.4
GTEX-OXRO-0126-SM-2YUN4 60-69 years, female 27.1
GTEX-ZZPT-0226-SM-5E43X 50-59 years, male 27.1
GTEX-1C6VQ-0126-SM-7P8RI 50-59 years, male 27.1
GTEX-1GPI6-0126-SM-9WG69 60-69 years, male 26.9
GTEX-ZYW4-0126-SM-5E44A 60-69 years, male 26.7
GTEX-11NUK-0126-SM-5A5L3 50-59 years, male 26.6
GTEX-11O72-0126-SM-59887 40-49 years, male 26.5
GTEX-1N2DW-0226-SM-E9TK2 50-59 years, male 26.5
GTEX-VJWN-0126-SM-3GIK7 50-59 years, female 26.3
GTEX-1F6I4-0126-SM-9MQL2 60-69 years, male 26.2
GTEX-1I19N-0326-SM-ACKVX 70-79 years, male 26.1
GTEX-V1D1-2226-SM-3NMAX 50-59 years, male 25.6
GTEX-RN64-0126-SM-2TC68 50-59 years, male 25.4
GTEX-14A6H-0126-SM-5QGPK 30-39 years, male 25.2
GTEX-ZAB4-0226-SM-5N9F5 40-49 years, male 25.2
GTEX-ZTPG-0326-SM-5O9AX 20-29 years, female 25.2
GTEX-13U4I-0126-SM-5LU38 40-49 years, female 24.9
GTEX-SSA3-0126-SM-32QPU 60-69 years, male 24.9
GTEX-183WM-0126-SM-7LTAB 70-79 years, female 24.2
GTEX-131XW-0426-SM-5LZWP 50-59 years, female 24.1
GTEX-1F75A-0126-SM-7RHGM 50-59 years, male 24.0
GTEX-1R9K4-0126-SM-DTX9X 60-69 years, male 24.0
GTEX-1I1HK-0126-SM-COH49 60-69 years, male 23.9
GTEX-1IY9M-0126-SM-D3L8S 60-69 years, male 23.6
GTEX-13OVI-1426-SM-5L3EY 60-69 years, female 23.2
GTEX-11TTK-0126-SM-5987B 60-69 years, female 23.1
GTEX-1AYD5-2426-SM-73KXR 50-59 years, male 22.9
GTEX-148VJ-0126-SM-5TDDN 70-79 years, male 22.8
GTEX-17MF6-0126-SM-7LG4F 40-49 years, male 22.7
GTEX-13O1R-0126-SM-5L3EH 60-69 years, male 22.3
GTEX-1F6IF-0726-SM-7P8TW 60-69 years, male 21.9
GTEX-1PPH7-2326-SM-EVYB8 40-49 years, male 21.8
GTEX-117YW-2626-SM-5GZZH 50-59 years, male 21.4
GTEX-146FH-0126-SM-5QGPP 50-59 years, female 21.4
GTEX-17HII-0226-SM-7LG4E 50-59 years, male 21.1
GTEX-ZUA1-0126-SM-5GU76 40-49 years, male 21.0
GTEX-1AYCT-2426-SM-7IGQ3 50-59 years, male 20.8
GTEX-X4XY-0226-SM-4E3IZ 60-69 years, male 19.9
GTEX-13OW7-0126-SM-5MR3B 50-59 years, male 19.8
GTEX-1AX8Z-0126-SM-7DHM6 60-69 years, male 19.8
GTEX-1F48J-0126-SM-7P8TT 50-59 years, female 19.4
GTEX-1M4P7-0226-SM-DIPEV 60-69 years, male 19.2
GTEX-16XZY-2126-SM-79OK1 70-79 years, male 18.8
GTEX-11WQC-2526-SM-5CVLE 60-69 years, male 17.7
GTEX-1F75I-0326-SM-9YFLU 40-49 years, male 17.4
GTEX-15D1Q-0126-SM-7KUG6 40-49 years, male 16.9
GTEX-1HUB1-0426-SM-E9U4U 60-69 years, male 16.5
GTEX-1OJC4-0126-SM-E9J2E 50-59 years, female 16.5
GTEX-1RLM8-2326-SM-EWRN4 50-59 years, male 15.9
GTEX-14E6C-0126-SM-5RQIP 40-49 years, male 15.5
GTEX-15SHW-0326-SM-6PAML 60-69 years, male 15.5
GTEX-1JMOU-1526-SM-CL54I 60-69 years, female 15.5
GTEX-1PBJI-0526-SM-E8VNK 20-29 years, female 13.6
GTEX-113IC-0126-SM-5HL6T 60-69 years, male 12.6
GTEX-1HSMO-0126-SM-CL547 60-69 years, male 12.0
GTEX-139T4-0226-SM-5HL5S 50-59 years, female 11.6
GTEX-X62O-0126-SM-4E3JN 50-59 years, male 10.6
GTEX-SE5C-1626-SM-2XCE3 40-49 years, female 9.8
GTEX-14BIL-0126-SM-5SI92 50-59 years, male 9.2
GTEX-1R9PO-2126-SM-E9J4O 60-69 years, female 5.2
GTEX-U4B1-1826-SM-4DXSU 40-49 years, male 3.6
GTEX-11ZUS-0626-SM-59885 30-39 years, male 3.5
GTEX-1QW4Y-1526-SM-EAZ3Z 30-39 years, male 2.1
GTEX-1RAZQ-0726-SM-EAZ43 30-39 years, male 1.8
GTEX-14JIY-0126-SM-6LLH6 60-69 years, male 1.5
GTEX-1QP67-1626-SM-EAZ3X 40-49 years, female 1.4
GTEX-1HBPH-0426-SM-B2LW5 40-49 years, female 1.2
GTEX-146FR-1326-SM-E9J48 60-69 years, female 1.1
Show allShow less

Contact

  • NEWS ARTICLES
  • PRESS ROOM

The Project

  • INTRODUCTION
  • ORGANIZATION
  • PUBLICATIONS

The Human Protein Atlas

  • DOWNLOADABLE DATA
  • LICENCE & CITATION
  • HELP & FAQ
The Human Protein Atlas project is funded
by the Knut & Alice Wallenberg Foundation.


contact@proteinatlas.org