We use cookies to enhance the usability of our website. If you continue, we'll assume that you are happy to receive all cookies. More information. Don't show this again.
TSPAN31
HPA
RESOURCES
  • TISSUE
  • BRAIN
  • SINGLE CELL
  • SUBCELLULAR
  • CANCER
  • BLOOD
  • CELL LINE
  • STRUCTURE & INTERACTION
ABOUT
  • INTRODUCTION
  • HISTORY
  • ORGANIZATION
  • PUBLICATIONS
  • ANTIBODY SUBMISSION
  • ANTIBODY AVAILABILITY
  • ACKNOWLEDGMENTS
  • CONTACT
NEWS
  • NEWS ARTICLES
  • PRESS ROOM
LEARN
  • DICTIONARY
  • PROTEIN CLASSES
  • PROTEIN EVIDENCE
  • METHODS
  • EDUCATIONAL VIDEOS
DATA
  • DOWNLOADABLE DATA
  • PUBLICATION DATA
  • RELEASE HISTORY
HELP
  • ANTIBODY VALIDATION
  • ASSAYS & ANNOTATION
  • DISCLAIMER
  • HELP & FAQ
  • PRIVACY STATEMENT
  • LICENCE & CITATION
Fields »
Search result

Field
Term
Gene name
Class
Subclass
Class
Keyword
Chromosome
External id
Tissue
Cell type
Expression
Antibody panel
Tissue
Main location
Patient ID
Annotation
Tissue
Category
Tau score
Cluster
Reliability
Brain region
Category
Tau score
Brain region
Category
Tau score
Brain region
Category
Tau score
Cluster
Reliability
Tissue
Cell type
Enrichment
Cell type
Category
Tau score
Cell type
Category
Tau score
Cell type
Category
Tau score
Cell lineage
Category
Tau score
Cluster
Cluster
Location
Searches
Location
Cell line
Class
Type
Phase
Reliability
Cancer
Prognosis
Cancer
Category
Cancer
Category
Tau score
Cluster
Variants
Interacting gene (ensg_id)
Type
Number of interactions
Pathway
Category
Score
Score
Score
Validation
Validation
Validation
Validation
Antibodies
Data type
Column


  • SUMMARY

  • TISSUE

  • BRAIN

  • SINGLE CELL

  • SUBCELL

  • CANCER

  • BLOOD

  • CELL LINE

  • STRUCT & INT

  • TSPAN31
TISSUE PRIMARY DATA COLON Show tissue menu
ADIPOSE TISSUE ADRENAL GLAND AMYGDALA APPENDIX BASAL GANGLIA BONE MARROW BREAST BRONCHUS CEREBELLUM CEREBRAL CORTEX CERVIX CHOROID PLEXUS COLON DUODENUM
ENDOMETRIUM EPIDIDYMIS ESOPHAGUS FALLOPIAN TUBE GALLBLADDER HEART MUSCLE HIPPOCAMPAL FORMATION HYPOTHALAMUS KIDNEY LIVER LUNG LYMPH NODE MIDBRAIN NASOPHARYNX
ORAL MUCOSA OVARY PANCREAS PARATHYROID GLAND PITUITARY GLAND PLACENTA PROSTATE RECTUM RETINA SALIVARY GLAND SEMINAL VESICLE SKELETAL MUSCLE SKIN SMALL INTESTINE
SMOOTH MUSCLE SOFT TISSUE SPINAL CORD SPLEEN STOMACH TESTIS THYMUS THYROID GLAND TONGUE TONSIL URINARY BLADDER VAGINA
ANTIBODIES
AND
VALIDATION
Dictionary
Colon
Tissue proteome
Intestine
COLON - Expression summary
Protein expression
Coloni

On the top, protein expression in current human tissue, based on all annotated cell types, is reported with the units not detected (n), low (l), medium (m) and high (h). Underneath, protein expression in each annotated cell type are reported using the same units.

Protein expression data is based on knowledge-based annotation. For genes where more than one antibody has been used, a collective score is set.

If knowledge-based annotation could not be performed for a gene, no data is displayed here. View antibody staining data further down this page.

h
m
l
n
Endothelial cells: Not detected
Glandular cells: Medium
RNA expressioni

A summary of mRNA expression data available for current tissue based on several datasets. The mRNA expression levels in human tissues are based on RNA-seq data generated by the Human Protein Atlas (HPA), Genotype-Tissue Expression (GTEx) portal and CAGE data generated by the FANTOM5 consortium. Consensus normalized expression levels for human tissues was created by combining the data from HPA and GTEx datasets.

The mRNA expression levels in pig are based on RNA-seq data generated by the Human Protein Atlas (HPA), and for mouse, HPA data and in situ hybridization generated by the Allen brain atlas are reported.

Scroll down to view mRNA expression data in more detail.
Consensus:19.9 nTPM
HPA:16.9 nTPM
GTEx:19.9 nTPM
FANTOM5:39.6 Scaled Tags Per Million

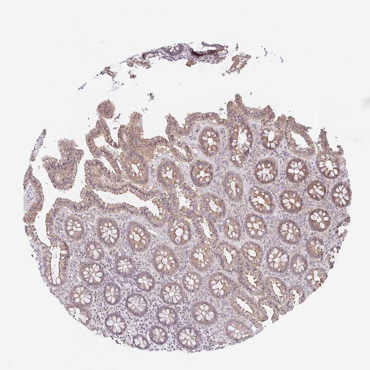
COLON - Antibody stainingi

Antibody staining in the annotated cell types in the current human tissue is reported as not detected, low, medium, or high, based on conventional immunohistochemistry profiling in selected tissues. This score is based on the combination of the staining intensity and fraction of stained cells.

Each image is clickable and will lead to virtual microscopy that enables deeper exploration of all samples and also displays staining intensity scores, fraction scores and subcellular localization as well as patient and tissue information for each sample.

Antibody HPA057489
Endothelial cells Not detected
Glandular cells Medium


COLON - HPA RNA-seqi

The RNA-seq details section shows detailed information about the individual samples used for the transcript profiling and results of the RNA-seq analysis.

Information about each individual sample is listed below, including gender, age, a tissue section image and estimated fractions of cell types. nTPM (normalized transcripts per million) values give a quantification of the gene abundance which is comparable between different genes and samples.
Average nTPMi

Max subtype nTPM is the value for the subtype with the largest average nTPM across the subtype samples.

16.9
overview
Male, age 54
Colon sample 67
nTPM: 17.1
Cell types%
Glandular cells:
65

Smooth muscle cells:
10

Other cell types:
25

overview
Female, age 57
Colon sample 68
nTPM: 37.9
Cell types%
Glandular cells:
40

Smooth muscle cells:
5

Other cell types:
55

overview
Male, age 80
Colon sample 69
nTPM: 23.8
Cell types%
Glandular cells:
55

Smooth muscle cells:
5

Other cell types:
40

overview
Male, age 68
Colon sample 70
nTPM: 11.9
Cell types%
Glandular cells:
35

Smooth muscle cells:
10

Other cell types:
55

overview
Female, age 68
Colon sample 76
nTPM: 35.8
Cell types%
Glandular cells:
25

Smooth muscle cells:
5

Other cell types:
70

overview
Female, age 61
Colon sample 299
nTPM: 12.2
Cell types%
Glandular cells:
5

Smooth muscle cells:
65

Other cell types:
30

overview
Male, age 80
Colon sample 300
nTPM: 9
Cell types%
Glandular cells:
15

Smooth muscle cells:
20

Other cell types:
65

overview
Female, age 78
Colon sample 368
nTPM: 11.6
Cell types%
Glandular cells:
45

Smooth muscle cells:
5

Other cell types:
50

overview
Male, age 84
Colon sample 381
nTPM: 11.6
Cell types%
Glandular cells:
50

Smooth muscle cells:
15

Other cell types:
35

overview
Male, age 80
Colon sample 384
nTPM: 11.5
Cell types%
Glandular cells:
20

Smooth muscle cells:
35

Other cell types:
45

overview
Female, age 78
Colon sample 389
nTPM: 14.8
Cell types%
Glandular cells:
35

Smooth muscle cells:
10

Other cell types:
55

overview
Female, age 69
Colon sample 391
nTPM: 10.5
Cell types%
Glandular cells:
10

Smooth muscle cells:
45

Other cell types:
45

overview
Female, age 72
Colon sample 403
nTPM: 11.9
Cell types%
Glandular cells:
20

Smooth muscle cells:
15

Other cell types:
65


COLON - GTEx RNA-seqi

RNA-Seq data generated by the Genotype-Tissue Expression (GTEx) project from human tissues is reported as mean nTPM. More information can be found on the GTEx portal.

Distribution across the dataset is visualized with box plots, shown as median and 25th and 75th percentiles. Points are displayed as outliers if they are above or below 1.5 times the interquartile range. nTPM values of the individual samples are presented next to the box plot.
Max subtype nTPMi

Max subtype nTPM is the value for the subtype with the largest average nTPM across the subtype samples.

19.9
GTEx sample id Sample description nTPM
Colon - Sigmoid
Average nTPM: 18.8
Samples: 373

Max nTPM: 42.4
Min nTPM: 7.3
Std nTPM: 3.8
Median nTPM: 18.5
GTEX-15RJ7-1726-SM-6PAL3 40-49 years, male 42.4
GTEX-13OVK-1026-SM-7KFTC 40-49 years, male 30.0
GTEX-14E1K-1626-SM-664MO 50-59 years, male 29.9
GTEX-ZLV1-1326-SM-DO11Q 60-69 years, female 28.9
GTEX-VJYA-2126-SM-4KL1O 60-69 years, male 28.3
GTEX-15G19-2726-SM-6LPKG 60-69 years, male 27.5
GTEX-17KNJ-1826-SM-7LT9N 50-59 years, male 26.8
GTEX-1IL2U-2526-SM-C1YQV 60-69 years, male 26.8
GTEX-1PIEJ-1826-SM-EWRMN 20-29 years, female 26.5
GTEX-1PIGE-1526-SM-DTXFC 20-29 years, male 26.0
GTEX-Y5V6-1626-SM-4VDT2 60-69 years, male 25.7
GTEX-15G1A-1926-SM-7KUFF 30-39 years, male 25.7
GTEX-13113-1426-SM-5EGHU 60-69 years, female 25.5
GTEX-1399U-2226-SM-5KLZI 50-59 years, female 25.5
GTEX-14C39-1626-SM-5S2P4 40-49 years, male 25.5
GTEX-1S5ZA-1426-SM-E6CJQ 20-29 years, male 25.4
GTEX-ZTTD-2626-SM-57WEX 50-59 years, male 25.2
GTEX-11EM3-1626-SM-5N9CO 20-29 years, female 25.1
GTEX-14BMU-1326-SM-5RQIH 20-29 years, female 25.1
GTEX-1JMLX-2526-SM-CY8HX 50-59 years, male 25.0
GTEX-1N2DV-1826-SM-E6CJ5 40-49 years, male 25.0
GTEX-ZF28-2526-SM-57WFH 60-69 years, male 24.9
GTEX-11P7K-1826-SM-5HL5A 30-39 years, male 24.6
GTEX-12WSD-2626-SM-5EGJE 60-69 years, female 24.3
GTEX-1HFI7-1626-SM-9WYTR 50-59 years, female 24.3
GTEX-12WSJ-1426-SM-5GCON 40-49 years, female 24.1
GTEX-139D8-2926-SM-5IJBM 30-39 years, female 24.1
GTEX-1B932-2126-SM-7IGMU 40-49 years, female 24.1
GTEX-W5WG-2026-SM-4LMIB 50-59 years, female 24.1
GTEX-WQUQ-2626-SM-4MVNP 60-69 years, male 24.0
GTEX-ZYFD-2226-SM-5E43P 50-59 years, male 24.0
GTEX-YEC3-2026-SM-DKPOL 50-59 years, male 23.9
GTEX-1AMFI-1826-SM-73KWB 50-59 years, female 23.8
GTEX-1JKYR-2026-SM-CNPON 20-29 years, male 23.8
GTEX-16NGA-0926-SM-718AG 40-49 years, female 23.7
GTEX-1PBJI-2526-SM-E6CP4 20-29 years, female 23.7
GTEX-117YX-0526-SM-5EGJH 50-59 years, male 23.6
GTEX-1QCLY-2026-SM-EVR4C 30-39 years, male 23.6
GTEX-131XE-1026-SM-5EGKE 50-59 years, male 23.5
GTEX-11P81-1426-SM-5P9JN 30-39 years, female 23.4
GTEX-ZAJG-2626-SM-5S2NU 50-59 years, female 23.3
GTEX-1CAMS-2626-SM-7PBY3 40-49 years, female 23.3
GTEX-111CU-1226-SM-5EGIN 50-59 years, male 23.1
GTEX-XBED-1726-SM-47JYO 60-69 years, male 23.1
GTEX-ZF2S-1826-SM-4WKFF 50-59 years, female 23.1
GTEX-1RMOY-1726-SM-EVYC9 50-59 years, male 23.1
GTEX-ZLWG-1826-SM-DO11I 50-59 years, female 23.1
GTEX-WXYG-1726-SM-4ONCU 50-59 years, female 23.0
GTEX-1IDJI-2226-SM-CKZPM 50-59 years, female 23.0
GTEX-14E6E-1726-SM-5S2R6 30-39 years, male 22.9
GTEX-17F96-2126-SM-7KFSM 70-79 years, male 22.9
GTEX-1ICG6-2226-SM-B2LY7 70-79 years, female 22.9
GTEX-11TT1-0926-SM-5GU5M 20-29 years, male 22.8
GTEX-XV7Q-2226-SM-4BRVY 40-49 years, female 22.8
GTEX-ZQG8-2426-SM-57WEE 60-69 years, female 22.8
GTEX-12WSG-2426-SM-5EQLZ 50-59 years, female 22.7
GTEX-1K9T9-2926-SM-E9TKD 50-59 years, female 22.7
GTEX-ZQUD-1026-SM-4YCEZ 30-39 years, male 22.6
GTEX-15RIF-1426-SM-7KUKQ 20-29 years, male 22.5
GTEX-1RLM8-1726-SM-E9TKF 50-59 years, male 22.5
GTEX-11DXX-1926-SM-5EGJK 60-69 years, female 22.4
GTEX-144GM-1126-SM-79OJK 20-29 years, male 22.4
GTEX-183WM-2526-SM-731BP 70-79 years, female 22.4
GTEX-1HBPN-2026-SM-B2LWA 50-59 years, male 22.4
GTEX-1J8QM-1226-SM-CY8HI 60-69 years, female 22.4
GTEX-1CB4F-1926-SM-7MKFN 60-69 years, male 22.3
GTEX-XAJ8-0726-SM-47JY5 40-49 years, male 22.3
GTEX-15FZZ-1826-SM-6LLJP 30-39 years, female 22.2
GTEX-1B97I-1526-SM-73KUK 40-49 years, male 22.2
GTEX-1QP67-1426-SM-E8VOO 40-49 years, female 22.1
GTEX-XQ8I-2326-SM-4BOQC 50-59 years, male 22.0
GTEX-1AX9K-1626-SM-73KUS 50-59 years, male 21.9
GTEX-X15G-1526-SM-4PQZM 50-59 years, female 21.9
GTEX-1B8L1-1926-SM-7IGND 60-69 years, male 21.8
GTEX-1HB9E-2526-SM-D4P35 50-59 years, male 21.8
GTEX-11EI6-2626-SM-5PNVT 60-69 years, male 21.7
GTEX-ZDTS-2726-SM-5L3E2 60-69 years, male 21.7
GTEX-1GF9X-1426-SM-7RHGX 40-49 years, female 21.7
GTEX-1LKK1-2426-SM-DIPES 50-59 years, female 21.7
GTEX-13CF3-1326-SM-5LZXZ 60-69 years, female 21.5
GTEX-15RIE-2026-SM-7KFRW 60-69 years, male 21.5
GTEX-1K2DA-1626-SM-CGQGB 50-59 years, male 21.5
GTEX-1S831-1726-SM-EWROJ 20-29 years, male 21.5
GTEX-WOFM-1926-SM-4OOSP 20-29 years, male 21.4
GTEX-131XG-1526-SM-5GCNQ 50-59 years, female 21.3
GTEX-132NY-2726-SM-5PNY2 60-69 years, male 21.3
GTEX-17F9Y-2626-SM-7IGN9 70-79 years, female 21.3
GTEX-V955-1726-SM-4JBHF 60-69 years, male 21.3
GTEX-1LGRB-2026-SM-COH47 50-59 years, female 21.3
GTEX-16Z82-2426-SM-7KUMS 60-69 years, male 21.2
GTEX-1H3VY-2526-SM-9KNW1 50-59 years, male 21.2
GTEX-1OFPY-1226-SM-E76OM 60-69 years, male 21.2
GTEX-WI4N-2226-SM-4OOS9 40-49 years, female 21.1
GTEX-ZE9C-2126-SM-4WKGY 60-69 years, male 21.1
GTEX-13PL7-2426-SM-5J2N3 60-69 years, female 21.0
GTEX-1J1OQ-2826-SM-D3L88 40-49 years, female 21.0
GTEX-11GS4-1826-SM-5HL4T 60-69 years, male 20.9
GTEX-13D11-0626-SM-5LZYY 50-59 years, female 20.9
GTEX-17GQL-1626-SM-7LG69 60-69 years, male 20.9
GTEX-WFG7-1626-SM-4LVMF 20-29 years, male 20.9
GTEX-ZYY3-2226-SM-5E45A 60-69 years, female 20.9
GTEX-1L5NE-1926-SM-D3L9R 50-59 years, male 20.9
GTEX-1RDX4-1926-SM-E6CJJ 50-59 years, female 20.8
GTEX-11I78-1326-SM-5PNY9 50-59 years, female 20.7
GTEX-17HHE-1626-SM-7DHLN 50-59 years, male 20.7
GTEX-1RQEC-2626-SM-EVR3Z 60-69 years, male 20.7
GTEX-12ZZW-2426-SM-5DUWE 50-59 years, male 20.6
GTEX-13SLW-2826-SM-5Q5ES 70-79 years, male 20.6
GTEX-1I1GR-2226-SM-ARL7F 60-69 years, male 20.6
GTEX-1QP9N-0826-SM-DTX9O 30-39 years, male 20.6
GTEX-1F5PK-1726-SM-7RHHW 50-59 years, male 20.5
GTEX-1JK1U-1426-SM-CNPOW 60-69 years, male 20.5
GTEX-1KXAM-1926-SM-D3LAG 60-69 years, male 20.5
GTEX-1LVAO-2826-SM-E9TJH 60-69 years, male 20.5
GTEX-1RAZR-2026-SM-E9TKE 40-49 years, male 20.5
GTEX-11EMC-1426-SM-5N9E4 60-69 years, female 20.4
GTEX-14DAQ-2926-SM-664MV 60-69 years, female 20.4
GTEX-1C6VQ-2626-SM-7IGMQ 50-59 years, male 20.4
GTEX-1PFEY-1726-SM-DPRZ4 30-39 years, male 20.4
GTEX-1QW4Y-1426-SM-E76P3 30-39 years, male 20.4
GTEX-14AS3-1026-SM-5TDD7 40-49 years, female 20.3
GTEX-18QFQ-1726-SM-731C9 30-39 years, male 20.3
GTEX-1EU9M-2726-SM-7P8QD 60-69 years, male 20.3
GTEX-1I1CD-2826-SM-A9SL4 60-69 years, female 20.3
GTEX-13PVR-1726-SM-5Q5EC 60-69 years, female 20.2
GTEX-17JCI-2826-SM-7IGNA 60-69 years, female 20.2
GTEX-1HBPI-2226-SM-9WYTY 50-59 years, male 20.2
GTEX-1LG7Y-2226-SM-E9U5K 50-59 years, male 20.2
GTEX-1MGNQ-2126-SM-EV7AC 40-49 years, male 20.2
GTEX-14PJ4-1826-SM-5YY97 60-69 years, male 20.1
GTEX-ZC5H-2426-SM-4WAZ6 40-49 years, female 20.1
GTEX-17MFQ-1226-SM-7KFSA 20-29 years, male 20.0
GTEX-1H3NZ-2526-SM-9KNVO 60-69 years, male 20.0
GTEX-1JKYN-2226-SM-ARZNE 30-39 years, male 20.0
GTEX-1339X-1726-SM-5P9J9 40-49 years, male 19.9
GTEX-13OVJ-1826-SM-5KM2D 50-59 years, female 19.9
GTEX-1AYCT-1926-SM-793AE 50-59 years, male 19.9
GTEX-1QP29-2526-SM-E6CQ3 50-59 years, male 19.9
GTEX-12KS4-2326-SM-5EGJB 30-39 years, male 19.8
GTEX-13G51-2126-SM-5IJD9 60-69 years, male 19.8
GTEX-WFON-1326-SM-4LVMN 40-49 years, male 19.7
GTEX-ZAB5-1426-SM-5HL9D 50-59 years, male 19.7
GTEX-1GTWX-2626-SM-9WPOT 60-69 years, male 19.7
GTEX-1HSMQ-2526-SM-A9SMK 50-59 years, male 19.7
GTEX-12WSL-1826-SM-5LZW9 50-59 years, male 19.6
GTEX-WYVS-1126-SM-4SOJX 40-49 years, female 19.6
GTEX-ZE7O-2626-SM-51MSS 50-59 years, female 19.6
GTEX-1HSMO-2526-SM-A9SKP 60-69 years, male 19.6
GTEX-1JMQK-2326-SM-ARZN4 60-69 years, male 19.6
GTEX-12WSM-1426-SM-5GCPA 60-69 years, male 19.5
GTEX-1GN73-2726-SM-9WYUB 60-69 years, male 19.5
GTEX-1HBPM-2626-SM-9WYU5 60-69 years, female 19.5
GTEX-11ZTT-1626-SM-5EQKR 60-69 years, female 19.4
GTEX-13U4I-2626-SM-5SI9C 40-49 years, female 19.4
GTEX-ZY6K-1326-SM-5GZWP 50-59 years, male 19.4
GTEX-Y8E4-2326-SM-EAZAZ 40-49 years, male 19.4
GTEX-13OW5-2826-SM-5KM1G 60-69 years, male 19.3
GTEX-145ME-1126-SM-5SIAT 40-49 years, female 19.3
GTEX-1GMR8-2926-SM-9KNW5 50-59 years, female 19.3
GTEX-Y3I4-1126-SM-4TT7Y 50-59 years, male 19.2
GTEX-1HCU7-2726-SM-A9G3D 50-59 years, male 19.2
GTEX-14PHX-1126-SM-5YYA5 50-59 years, male 19.1
GTEX-15DZA-1026-SM-6PAND 30-39 years, female 19.1
GTEX-1GMRU-2626-SM-9WPPM 50-59 years, male 19.1
GTEX-15UF7-1326-SM-7KUKV 40-49 years, male 19.0
GTEX-WHPG-1626-SM-4M1ZL 50-59 years, male 19.0
GTEX-1OJC3-1826-SM-DTX93 20-29 years, male 19.0
GTEX-1P4AB-2626-SM-DTXEU 50-59 years, male 19.0
GTEX-15ETS-2326-SM-7KUGC 40-49 years, female 18.9
GTEX-1AMEY-1826-SM-72D5L 30-39 years, female 18.9
GTEX-ZG7Y-1826-SM-4WWD3 50-59 years, male 18.9
GTEX-ZYFG-1826-SM-5GZWX 60-69 years, female 18.9
GTEX-1LG7Z-1326-SM-DIPF3 30-39 years, male 18.9
GTEX-ZLFU-1426-SM-4WWEU 40-49 years, male 18.8
GTEX-15CHQ-2626-SM-686YZ 60-69 years, male 18.7
GTEX-WYJK-2326-SM-4ONDN 50-59 years, male 18.7
GTEX-11DXZ-1626-SM-5GIDI 50-59 years, male 18.6
GTEX-1AX9J-2526-SM-73KUY 60-69 years, male 18.6
GTEX-WH7G-1426-SM-4LVMU 40-49 years, male 18.6
GTEX-WHWD-1526-SM-4OORV 50-59 years, male 18.6
GTEX-1LSNM-1426-SM-E6CIH 50-59 years, male 18.6
GTEX-13RTJ-1926-SM-5YYA2 60-69 years, male 18.5
GTEX-14JG6-1626-SM-5YYBC 30-39 years, female 18.5
GTEX-15F5U-1426-SM-7KUN2 40-49 years, male 18.5
GTEX-ZP4G-1526-SM-57WE5 20-29 years, female 18.5
GTEX-ZPIC-2626-SM-57WE2 40-49 years, female 18.5
GTEX-1H23P-2626-SM-9KNVN 60-69 years, male 18.5
GTEX-1HCUA-1926-SM-B2LWE 50-59 years, female 18.5
GTEX-1J1R8-1426-SM-CL55O 40-49 years, male 18.5
GTEX-13N2G-2226-SM-5IJCU 60-69 years, male 18.4
GTEX-146FH-2426-SM-5Q5EW 50-59 years, female 18.4
GTEX-1C2JI-1726-SM-73KUW 50-59 years, male 18.4
GTEX-ZPCL-1626-SM-57WGC 60-69 years, female 18.4
GTEX-1QCLZ-2026-SM-EAZ4A 60-69 years, female 18.4
GTEX-14PJ3-1226-SM-5ZZVY 50-59 years, male 18.3
GTEX-18A66-2626-SM-72D67 60-69 years, male 18.3
GTEX-11ONC-1926-SM-5GU75 60-69 years, male 18.2
GTEX-13OW6-2226-SM-5N9FL 50-59 years, male 18.2
GTEX-13X6I-2726-SM-5Q5ET 60-69 years, male 18.2
GTEX-15DYW-2426-SM-7KUG8 60-69 years, female 18.2
GTEX-183FY-1426-SM-7DHLM 20-29 years, male 18.2
GTEX-YJ8O-1426-SM-5PNV9 40-49 years, female 18.2
GTEX-1C64O-2426-SM-7P8R3 60-69 years, male 18.2
GTEX-1JN76-1326-SM-ARU94 20-29 years, female 18.2
GTEX-13FHO-2726-SM-5K7VG 60-69 years, male 18.1
GTEX-1H1E6-1826-SM-A9G21 30-39 years, male 18.1
GTEX-1LBAC-1726-SM-D3L9W 20-29 years, male 18.1
GTEX-117XS-2226-SM-5GIE1 60-69 years, male 18.0
GTEX-139T6-1426-SM-5P9J7 50-59 years, male 18.0
GTEX-13X6K-2726-SM-5O9DG 60-69 years, female 18.0
GTEX-17HG3-1126-SM-7DUFC 30-39 years, female 18.0
GTEX-YJ8A-1726-SM-5P9IQ 20-29 years, male 18.0
GTEX-1KANA-1726-SM-CY8IG 20-29 years, male 18.0
GTEX-13FTW-2126-SM-5K7YG 40-49 years, male 17.9
GTEX-13W3W-2226-SM-5LU4M 60-69 years, female 17.9
GTEX-XXEK-1826-SM-4BRVC 50-59 years, male 17.9
GTEX-1F75W-2126-SM-7RHIA 60-69 years, male 17.9
GTEX-1212Z-1826-SM-5FQSH 60-69 years, male 17.8
GTEX-15ER7-2826-SM-6PAN2 20-29 years, female 17.8
GTEX-18A6Q-2226-SM-7LG61 60-69 years, male 17.8
GTEX-X5EB-1126-SM-46MVV 40-49 years, male 17.7
GTEX-1J8EW-2426-SM-CE6T5 60-69 years, female 17.7
GTEX-1S82P-2026-SM-E9TIQ 60-69 years, female 17.7
GTEX-1CB4G-2726-SM-79OO4 60-69 years, male 17.6
GTEX-YFCO-1526-SM-5YYB8 40-49 years, male 17.6
GTEX-1H3VE-2326-SM-9KNVU 40-49 years, male 17.6
GTEX-13CF2-1826-SM-5N9GK 60-69 years, male 17.5
GTEX-XUZC-1526-SM-4BRV4 30-39 years, female 17.5
GTEX-Y9LG-1326-SM-4VBQB 30-39 years, male 17.5
GTEX-ZA64-1426-SM-5CVMC 20-29 years, male 17.5
GTEX-1GZ4H-1326-SM-7P8TE 50-59 years, female 17.5
GTEX-1I1GP-2826-SM-A9SKZ 50-59 years, male 17.5
GTEX-12ZZY-2726-SM-5EQ45 60-69 years, male 17.4
GTEX-13O61-1526-SM-5KM3P 60-69 years, male 17.4
GTEX-16BQI-2026-SM-7KULQ 30-39 years, female 17.4
GTEX-ZZ64-0826-SM-5E449 20-29 years, male 17.4
GTEX-1JJEA-2526-SM-CY8HJ 60-69 years, male 17.4
GTEX-1R7EU-1826-SM-DTX9L 60-69 years, male 17.4
GTEX-145LS-2926-SM-5O99G 60-69 years, female 17.3
GTEX-15EO6-2326-SM-6LPKK 50-59 years, male 17.3
GTEX-18D9A-1326-SM-7LT8P 30-39 years, female 17.3
GTEX-ZT9W-1726-SM-51MS3 50-59 years, male 17.3
GTEX-1122O-1426-SM-5H11R 60-69 years, female 17.1
GTEX-13111-1926-SM-5GCOL 50-59 years, male 17.1
GTEX-1R9JW-2126-SM-E76QT 30-39 years, female 17.1
GTEX-13VXT-2026-SM-5L3EW 20-29 years, female 17.0
GTEX-14A5I-2426-SM-5Q5CP 50-59 years, female 17.0
GTEX-1F5PL-1926-SM-7MXTP 40-49 years, female 17.0
GTEX-1GMR2-1826-SM-9KNUP 50-59 years, male 17.0
GTEX-1HBPH-2526-SM-ACKXK 40-49 years, female 17.0
GTEX-1QP2A-2226-SM-DTXF6 50-59 years, male 17.0
GTEX-1R9PO-2026-SM-E9J4N 60-69 years, female 17.0
GTEX-11VI4-1426-SM-5GU6O 40-49 years, female 16.9
GTEX-145MH-2726-SM-5QGQ6 50-59 years, male 16.9
GTEX-147GR-2826-SM-5RQK8 60-69 years, male 16.9
GTEX-17HGU-2626-SM-79OKN 50-59 years, male 16.9
GTEX-1C4CL-1626-SM-7DUF3 30-39 years, male 16.9
GTEX-11ZTS-1526-SM-5N9G7 60-69 years, female 16.8
GTEX-13FH7-1626-SM-5J2O9 50-59 years, female 16.8
GTEX-17EUY-1726-SM-79OK4 20-29 years, male 16.8
GTEX-ZAB4-2426-SM-5HL8A 40-49 years, male 16.7
GTEX-1IDJH-2826-SM-CJI49 70-79 years, male 16.7
GTEX-1LSVX-2026-SM-E9TJD 60-69 years, male 16.7
GTEX-145MO-2626-SM-5QGPD 60-69 years, male 16.6
GTEX-11PRG-2026-SM-5GU5F 50-59 years, male 16.5
GTEX-1399R-2126-SM-5K7WZ 30-39 years, male 16.5
GTEX-1CAMR-1026-SM-7P8QI 20-29 years, male 16.5
GTEX-1IKOE-2126-SM-A96T5 30-39 years, female 16.5
GTEX-WRHK-1126-SM-4MVOJ 20-29 years, female 16.4
GTEX-WY7C-1926-SM-4ONCI 50-59 years, male 16.4
GTEX-Y8LW-1126-SM-4VDS4 50-59 years, female 16.4
GTEX-11DXY-2026-SM-5N9CZ 60-69 years, male 16.3
GTEX-Y5LM-1426-SM-5RQJL 40-49 years, female 16.3
GTEX-1HCVE-2326-SM-9WYUD 50-59 years, male 16.3
GTEX-1LGOU-1726-SM-D3L8P 20-29 years, female 16.3
GTEX-131YS-2926-SM-5EGKI 60-69 years, female 16.2
GTEX-145LT-0826-SM-5S2QL 40-49 years, male 16.2
GTEX-1PDJ9-2026-SM-E76PT 20-29 years, male 16.2
GTEX-1QPFJ-2426-SM-EVR3L 30-39 years, female 16.2
GTEX-1R9K5-2226-SM-DTX9G 50-59 years, male 16.2
GTEX-12BJ1-2026-SM-5FQUH 60-69 years, male 16.1
GTEX-1JMQJ-2626-SM-CY8HQ 50-59 years, male 16.1
GTEX-1LB8K-2526-SM-DIPEQ 50-59 years, male 16.1
GTEX-12ZZX-2726-SM-5N9FT 40-49 years, female 16.0
GTEX-14PN3-1926-SM-6EU1Y 60-69 years, female 16.0
GTEX-1B996-2726-SM-7DUGG 60-69 years, male 16.0
GTEX-ZYT6-2826-SM-5GICX 30-39 years, male 16.0
GTEX-1HKZK-2026-SM-9WYUF 40-49 years, male 16.0
GTEX-1PBJJ-2026-SM-DTX8U 30-39 years, male 16.0
GTEX-XUW1-1826-SM-4BOQD 50-59 years, female 15.9
GTEX-ZTSS-1226-SM-51MSZ 40-49 years, male 15.9
GTEX-ZVZQ-2626-SM-59HLB 60-69 years, female 15.9
GTEX-1LVAM-1726-SM-DHXKQ 50-59 years, female 15.9
GTEX-139TS-2226-SM-5J2N1 60-69 years, male 15.8
GTEX-14BIN-2426-SM-5TDCF 50-59 years, female 15.8
GTEX-15UF6-2726-SM-7KULY 70-79 years, female 15.8
GTEX-YF7O-1626-SM-5IFII 50-59 years, male 15.8
GTEX-1GPI7-1926-SM-9KNUH 20-29 years, male 15.8
GTEX-1RAZQ-2026-SM-E76P7 30-39 years, male 15.7
GTEX-18465-2726-SM-7LT9I 50-59 years, male 15.5
GTEX-1A3MV-1026-SM-72D5U 30-39 years, male 15.5
GTEX-Z93S-2626-SM-57WBX 50-59 years, male 15.5
GTEX-1H1DE-1626-SM-9KNU5 20-29 years, male 15.5
GTEX-18A67-2226-SM-7LT9Z 50-59 years, male 15.4
GTEX-ZV6S-1126-SM-57WE9 40-49 years, female 15.4
GTEX-ZVT4-2626-SM-5N9GJ 50-59 years, female 15.4
GTEX-1HSGN-2226-SM-A9SL6 40-49 years, female 15.3
GTEX-1I1GT-2026-SM-CKZPK 60-69 years, female 15.3
GTEX-1C475-1526-SM-7DHM3 40-49 years, female 15.2
GTEX-13X6J-2826-SM-7EPGA 50-59 years, male 15.0
GTEX-147JS-2626-SM-5S2UX 60-69 years, male 15.0
GTEX-1I6K6-1926-SM-A96SN 30-39 years, male 15.0
GTEX-1QP28-2226-SM-DTX8C 50-59 years, female 15.0
GTEX-11EQ9-1526-SM-5PNY7 30-39 years, male 14.9
GTEX-14C5O-2626-SM-5RQI5 60-69 years, male 14.9
GTEX-14PK6-1826-SM-69LOM 70-79 years, female 14.9
GTEX-1E2YA-2526-SM-7IGOU 50-59 years, male 14.9
GTEX-Y114-1626-SM-4TT7I 50-59 years, female 14.9
GTEX-ZVT3-2826-SM-5GU6A 60-69 years, female 14.9
GTEX-1HSEH-1926-SM-A96SB 60-69 years, male 14.9
GTEX-1HSKV-2326-SM-A9SL9 60-69 years, male 14.9
GTEX-1J8JJ-2426-SM-D4P4A 60-69 years, female 14.9
GTEX-11ZU8-1126-SM-5EQ5K 60-69 years, male 14.8
GTEX-132AR-2826-SM-5IJFV 50-59 years, female 14.8
GTEX-1JMPY-1026-SM-ARZN1 30-39 years, male 14.8
GTEX-13OW8-2726-SM-5L3FZ 60-69 years, male 14.7
GTEX-1PIIG-2126-SM-EXUSD 30-39 years, male 14.7
GTEX-13O1R-2426-SM-5KLZZ 60-69 years, male 14.6
GTEX-16MTA-1626-SM-6M47N 50-59 years, male 14.6
GTEX-1GL5R-1726-SM-9KNUX 50-59 years, male 14.6
GTEX-1211K-1826-SM-5EGJ2 60-69 years, female 14.5
GTEX-WFG8-1726-SM-4LVM6 20-29 years, male 14.4
GTEX-X4EO-2726-SM-4E3HS 60-69 years, female 14.4
GTEX-ZPU1-1726-SM-4WWFV 40-49 years, male 14.4
GTEX-1IDJU-1926-SM-CL53W 60-69 years, female 14.4
GTEX-1LVAN-2626-SM-CNPQF 50-59 years, female 14.4
GTEX-1477Z-2126-SM-5Q5CM 60-69 years, male 14.3
GTEX-YECK-2826-SM-5IFHF 60-69 years, male 14.3
GTEX-1N2EF-1726-SM-EXUSI 60-69 years, male 14.3
GTEX-ZVT2-1726-SM-51MRO 50-59 years, female 14.2
GTEX-14A5H-1626-SM-5SIAN 60-69 years, male 14.1
GTEX-1C64N-2226-SM-7SB7C 50-59 years, male 14.0
GTEX-1LSNL-1626-SM-E9TJY 50-59 years, male 13.9
GTEX-13PVQ-2726-SM-5L3H7 50-59 years, male 13.6
GTEX-148VJ-2426-SM-5NQ9Y 70-79 years, male 13.6
GTEX-1B8KE-1526-SM-7DUG2 50-59 years, male 13.5
GTEX-1JJE9-2526-SM-ARU8K 70-79 years, male 13.5
GTEX-1A3MX-2326-SM-718B4 60-69 years, male 13.4
GTEX-ZF29-1826-SM-4WKG8 60-69 years, female 13.4
GTEX-1J8Q3-2426-SM-CL53S 60-69 years, male 13.4
GTEX-13QBU-2026-SM-5KLZB 40-49 years, female 13.3
GTEX-1BAJH-2726-SM-7IGNJ 70-79 years, male 13.3
GTEX-111YS-1826-SM-5GIEP 60-69 years, male 13.2
GTEX-1PPH8-2226-SM-EWRN7 20-29 years, male 13.2
GTEX-1A32A-2626-SM-73KX9 50-59 years, female 13.1
GTEX-16XZZ-2726-SM-7EWDO 60-69 years, male 12.9
GTEX-1JMPZ-2626-SM-ARU8Z 30-39 years, male 12.9
GTEX-15RJE-2226-SM-6M46A 40-49 years, male 12.7
GTEX-1H1ZS-2626-SM-9QEIX 70-79 years, male 12.6
GTEX-1EH9U-1926-SM-7P8QM 60-69 years, male 12.5
GTEX-139UW-2326-SM-5KM1Y 60-69 years, male 12.4
GTEX-1GMR3-2526-SM-7P8QS 40-49 years, male 12.4
GTEX-12696-1926-SM-5EGJT 60-69 years, male 12.3
GTEX-1HCU6-2926-SM-B2LWV 60-69 years, female 12.2
GTEX-1EMGI-2626-SM-7IGNR 60-69 years, male 12.0
GTEX-14PKV-1926-SM-686YU 20-29 years, female 11.7
GTEX-13OVI-2126-SM-5KM3U 60-69 years, female 10.8
GTEX-11EQ8-2626-SM-5N9BO 60-69 years, male 10.6
GTEX-11TUW-2326-SM-5EQMO 60-69 years, male 10.6
GTEX-ZXES-1726-SM-5E43G 30-39 years, female 10.6
GTEX-WHSE-2726-SM-EZ6ML 20-29 years, male 9.5
GTEX-14E6C-2226-SM-5QGQG 40-49 years, male 7.5
GTEX-1JN6P-2126-SM-ARL98 60-69 years, male 7.3
Show allShow less
Colon - Transverse
Average nTPM: 19.9
Samples: 406

Max nTPM: 39.3
Min nTPM: 8.6
Std nTPM: 3.9
Median nTPM: 19.5
GTEX-14E6E-1526-SM-5RQIG 30-39 years, male 39.3
GTEX-1HSMP-2326-SM-D3L8R 70-79 years, male 33.4
GTEX-14PJ4-1926-SM-6LLHG 60-69 years, male 31.4
GTEX-145MN-1726-SM-5SIA6 30-39 years, male 31.3
GTEX-Y3IK-1826-SM-4WWDS 50-59 years, female 30.4
GTEX-16AAH-1326-SM-7KFRG 50-59 years, male 30.2
GTEX-XV7Q-2126-SM-4BRVX 40-49 years, female 30.1
GTEX-ZPIC-2226-SM-57WDX 40-49 years, female 29.8
GTEX-14XAO-2026-SM-69LOI 60-69 years, female 29.7
GTEX-UJHI-1126-SM-4IHLN 50-59 years, female 28.5
GTEX-S4Q7-0826-SM-4AD5E 20-29 years, male 28.1
GTEX-111CU-1426-SM-5GZYP 50-59 years, male 27.9
GTEX-R55G-1226-SM-48FDC 40-49 years, female 27.7
GTEX-Y5LM-1526-SM-4VDTA 40-49 years, female 27.6
GTEX-1LG7Z-1426-SM-CXKYV 30-39 years, male 27.3
GTEX-1K2DA-2026-SM-CGQGK 50-59 years, male 27.1
GTEX-12BJ1-2126-SM-5BC5O 60-69 years, male 27.0
GTEX-13D11-0826-SM-5KLZJ 50-59 years, female 27.0
GTEX-14PJ3-0926-SM-69LQG 50-59 years, male 26.9
GTEX-14PK6-1726-SM-6871J 70-79 years, female 26.9
GTEX-12WSJ-1526-SM-5GCNI 40-49 years, female 26.8
GTEX-13PL7-2526-SM-5IFGR 60-69 years, female 26.8
GTEX-PLZ5-1126-SM-3P613 50-59 years, male 26.7
GTEX-1KANC-0926-SM-D3LA9 50-59 years, female 26.6
GTEX-Q2AI-0926-SM-48U1F 40-49 years, male 26.1
GTEX-11DXX-1826-SM-5H126 60-69 years, female 26.0
GTEX-1F5PK-1926-SM-7MXT7 50-59 years, male 25.9
GTEX-11P82-1026-SM-5BC5J 20-29 years, male 25.7
GTEX-1LGRB-1426-SM-CNNPT 50-59 years, female 25.7
GTEX-1211K-1726-SM-5FQUJ 60-69 years, female 25.6
GTEX-OHPM-1426-SM-3TW8Y 50-59 years, male 25.3
GTEX-XYKS-2226-SM-4E3IU 60-69 years, female 25.2
GTEX-ZYVF-2826-SM-5GIDK 50-59 years, female 25.2
GTEX-17KNJ-1726-SM-7LG6A 50-59 years, male 25.1
GTEX-Y3I4-1426-SM-4TT9C 50-59 years, male 25.1
GTEX-ZVP2-1526-SM-5NQ82 50-59 years, male 24.9
GTEX-1QP9N-1026-SM-E6CPX 30-39 years, male 24.8
GTEX-R55D-1826-SM-48FEF 50-59 years, male 24.7
GTEX-T5JW-1126-SM-4DM5V 20-29 years, female 24.7
GTEX-SJXC-2226-SM-EVYAK 60-69 years, male 24.7
GTEX-ZG7Y-2126-SM-DO117 50-59 years, male 24.7
GTEX-1H1E6-1926-SM-9OSWD 30-39 years, male 24.6
GTEX-1QP67-1326-SM-EAZ4D 40-49 years, female 24.6
GTEX-W5WG-2426-SM-4LMI6 50-59 years, female 24.5
GTEX-OOBJ-1426-SM-E6CHH 60-69 years, male 24.4
GTEX-14DAR-1526-SM-5RQIX 50-59 years, male 24.3
GTEX-17F98-1026-SM-7IGO8 40-49 years, female 24.3
GTEX-WOFM-2026-SM-4OOSQ 20-29 years, male 24.3
GTEX-1122O-1526-SM-5N9CL 60-69 years, female 24.2
GTEX-13W3W-2126-SM-5K7UX 60-69 years, female 24.2
GTEX-1C6VQ-2726-SM-73KUL 50-59 years, male 24.2
GTEX-15CHR-1426-SM-7DUGV 50-59 years, male 24.0
GTEX-15G1A-1826-SM-7KUKO 30-39 years, male 24.0
GTEX-VJYA-2026-SM-4KL1K 60-69 years, male 24.0
GTEX-1EMGI-2726-SM-7P8S4 60-69 years, male 24.0
GTEX-131XG-1826-SM-5LZV4 50-59 years, female 23.9
GTEX-Y8E4-2426-SM-4WWDN 40-49 years, male 23.9
GTEX-ZPCL-1826-SM-57WF1 60-69 years, female 23.9
GTEX-1JN76-1226-SM-C1YRM 20-29 years, female 23.9
GTEX-ZF2S-1926-SM-4WWAN 50-59 years, female 23.7
GTEX-1OKEX-1226-SM-DTXEC 60-69 years, male 23.7
GTEX-1CB4I-2226-SM-7P8SL 50-59 years, male 23.6
GTEX-16NGA-1026-SM-7KFS3 40-49 years, female 23.5
GTEX-1AYCT-1826-SM-731EG 50-59 years, male 23.5
GTEX-1399R-2226-SM-5P9JB 30-39 years, male 23.4
GTEX-1399S-1926-SM-5J2M5 30-39 years, female 23.4
GTEX-WYVS-1826-SM-4OND6 40-49 years, female 23.4
GTEX-1N2DV-1426-SM-DPRYQ 40-49 years, male 23.4
GTEX-17JCI-2626-SM-7EWE6 60-69 years, female 23.3
GTEX-11I78-1226-SM-5A5K6 50-59 years, female 23.2
GTEX-145LS-2726-SM-5Q5D8 60-69 years, female 23.1
GTEX-15RIF-1326-SM-6LPKO 20-29 years, male 23.1
GTEX-1RMOY-1626-SM-EVYC8 50-59 years, male 23.1
GTEX-ZDTT-1926-SM-5HL5W 60-69 years, male 23.1
GTEX-13CF3-1426-SM-5K7YY 60-69 years, female 23.0
GTEX-XBED-1526-SM-4AT5W 60-69 years, male 23.0
GTEX-1GMR2-1726-SM-9JGI2 50-59 years, male 22.9
GTEX-OXRN-2026-SM-E6CHK 50-59 years, male 22.9
GTEX-11DXZ-1726-SM-5H12M 50-59 years, male 22.8
GTEX-13OW6-2126-SM-5N9GL 50-59 years, male 22.8
GTEX-14E1K-1826-SM-793DT 50-59 years, male 22.8
GTEX-14PHX-1526-SM-68717 50-59 years, male 22.8
GTEX-WFON-1426-SM-4LVMT 40-49 years, male 22.8
GTEX-1R9K5-2126-SM-E8VN1 50-59 years, male 22.8
GTEX-11TTK-2426-SM-5PNYO 60-69 years, female 22.7
GTEX-133LE-1526-SM-5IFEN 20-29 years, female 22.7
GTEX-O5YT-1426-SM-3MJHC 20-29 years, male 22.7
GTEX-1J1R8-1126-SM-CNPQ3 40-49 years, male 22.7
GTEX-1PFEY-1426-SM-E9U6U 30-39 years, male 22.7
GTEX-1S3DN-1826-SM-EV79K 50-59 years, male 22.7
GTEX-ZLWG-1726-SM-DNZZ2 50-59 years, female 22.6
GTEX-144GM-1226-SM-5LU52 20-29 years, male 22.5
GTEX-TKQ1-0626-SM-4DXTS 30-39 years, male 22.5
GTEX-R45C-2126-SM-EZ6KZ 60-69 years, female 22.5
GTEX-OIZH-1426-SM-3NB1O 50-59 years, male 22.4
GTEX-U3ZN-2126-SM-4DXU1 30-39 years, female 22.4
GTEX-1H11D-2626-SM-9JGH4 40-49 years, male 22.4
GTEX-1RAZR-1926-SM-E6CRF 40-49 years, male 22.4
GTEX-QV31-0826-SM-CKZNC 30-39 years, male 22.4
GTEX-13FTW-1826-SM-5IJEN 40-49 years, male 22.3
GTEX-14BMV-2426-SM-5S2PP 50-59 years, male 22.3
GTEX-QCQG-1626-SM-48U26 50-59 years, female 22.3
GTEX-1MCC2-1626-SM-DIPEW 30-39 years, female 22.3
GTEX-11P7K-1526-SM-5EGI7 30-39 years, male 22.2
GTEX-11TT1-1026-SM-5PNW7 20-29 years, male 22.2
GTEX-13PVR-1626-SM-73KVF 60-69 years, female 22.2
GTEX-147F3-1926-SM-5SIB9 50-59 years, female 22.2
GTEX-14PKV-2126-SM-664O3 20-29 years, female 22.2
GTEX-Y8LW-1226-SM-4WWDP 50-59 years, female 22.2
GTEX-1IDJF-1826-SM-CKZOE 20-29 years, male 22.2
GTEX-14H4A-1926-SM-5ZZWN 40-49 years, female 22.1
GTEX-13OVG-1426-SM-5K7VP 60-69 years, male 22.0
GTEX-145LT-0926-SM-5LU9C 40-49 years, male 22.0
GTEX-Q2AH-1226-SM-48TZL 40-49 years, male 22.0
GTEX-13OVK-0826-SM-7KULZ 40-49 years, male 21.9
GTEX-17EVQ-1826-SM-7IGPH 70-79 years, male 21.9
GTEX-1A3MV-1126-SM-718BS 30-39 years, male 21.9
GTEX-1LGOU-1626-SM-D3LAK 20-29 years, female 21.9
GTEX-1MGNQ-2026-SM-EAZ51 40-49 years, male 21.9
GTEX-13U4I-2426-SM-5LU34 40-49 years, female 21.8
GTEX-1B932-2826-SM-73KUD 40-49 years, female 21.8
GTEX-ZXES-1626-SM-5NQ7L 30-39 years, female 21.8
GTEX-1H1DG-2226-SM-9WPPC 70-79 years, male 21.8
GTEX-1JKYN-2326-SM-CGQG7 30-39 years, male 21.8
GTEX-1QCLZ-1926-SM-E6CR3 60-69 years, female 21.8
GTEX-1399U-1926-SM-5IFH7 50-59 years, female 21.7
GTEX-11ONC-2026-SM-5HL61 60-69 years, male 21.6
GTEX-11VI4-1526-SM-5EQKC 40-49 years, female 21.6
GTEX-X5EB-0926-SM-46MVT 40-49 years, male 21.6
GTEX-ZLV1-1226-SM-4WWBX 60-69 years, female 21.6
GTEX-1F5PL-2126-SM-7PC2O 40-49 years, female 21.6
GTEX-11EM3-1526-SM-5A5KN 20-29 years, female 21.5
GTEX-14BMU-1526-SM-5TDE6 20-29 years, female 21.5
GTEX-15UF6-2626-SM-6M466 70-79 years, female 21.5
GTEX-V955-1626-SM-4JBHJ 60-69 years, male 21.5
GTEX-1GZ4H-1226-SM-9KNUA 50-59 years, female 21.5
GTEX-1MUQO-2626-SM-EWRO3 60-69 years, male 21.5
GTEX-14AS3-1126-SM-5Q5CR 40-49 years, female 21.4
GTEX-17F96-2026-SM-79ON4 70-79 years, male 21.4
GTEX-ZV7C-1526-SM-5NQ72 50-59 years, male 21.4
GTEX-1RAZA-1726-SM-DPS13 20-29 years, male 21.4
GTEX-13O21-2426-SM-5MR4A 50-59 years, male 21.3
GTEX-13O61-1626-SM-5KM3T 60-69 years, male 21.3
GTEX-132AR-2726-SM-5PNVN 50-59 years, female 21.2
GTEX-1AX8Z-2726-SM-73KUC 60-69 years, male 21.2
GTEX-1R9JW-2026-SM-EAZ4O 30-39 years, female 21.2
GTEX-18A66-2426-SM-7KFSQ 60-69 years, male 21.1
GTEX-WEY5-1426-SM-4LMJ3 40-49 years, female 21.1
GTEX-1NHNU-2326-SM-E6CQE 50-59 years, male 21.1
GTEX-1S82U-0726-SM-E9TKI 30-39 years, female 21.1
GTEX-147GR-2726-SM-664OO 60-69 years, male 21.0
GTEX-1JKYR-1926-SM-C1YR7 20-29 years, male 21.0
GTEX-1HSEH-1726-SM-B2LXH 60-69 years, male 20.9
GTEX-1ICLZ-2426-SM-CKZOD 60-69 years, male 20.9
GTEX-ZT9W-1826-SM-51MQX 50-59 years, male 20.8
GTEX-1CAMR-0926-SM-7MXTD 20-29 years, male 20.8
GTEX-1PIGE-1426-SM-E9U61 20-29 years, male 20.8
GTEX-17HHE-1826-SM-79OKE 50-59 years, male 20.7
GTEX-1AMFI-1726-SM-7189L 50-59 years, female 20.7
GTEX-U4B1-1126-SM-4DXV3 40-49 years, male 20.7
GTEX-1HFI7-1726-SM-A9G22 50-59 years, female 20.7
GTEX-14DAQ-2726-SM-5S2QY 60-69 years, female 20.6
GTEX-RM2N-0926-SM-48FD1 50-59 years, male 20.6
GTEX-11LCK-2026-SM-5A5MA 30-39 years, male 20.5
GTEX-1339X-1626-SM-5IJDN 40-49 years, male 20.5
GTEX-QLQW-0426-SM-447A7 30-39 years, male 20.5
GTEX-1JJ6O-2426-SM-ARU8J 60-69 years, male 20.5
GTEX-1LSVX-1726-SM-DHXJP 60-69 years, male 20.5
GTEX-1NV5F-2226-SM-DTX8O 60-69 years, female 20.5
GTEX-1S83E-1626-SM-EV7B9 40-49 years, male 20.5
GTEX-15RIE-1826-SM-6M48P 60-69 years, male 20.4
GTEX-XBEW-1926-SM-4SOJO 40-49 years, male 20.4
GTEX-1NSGN-2326-SM-E9U5X 50-59 years, male 20.4
GTEX-1QCLY-1726-SM-DPRXY 30-39 years, male 20.4
GTEX-RU1J-1326-SM-46MUL 20-29 years, female 20.3
GTEX-XMK1-1726-SM-4B64Z 40-49 years, male 20.3
GTEX-139TS-1926-SM-5IJFO 60-69 years, male 20.2
GTEX-S4P3-1226-SM-4AD4Y 50-59 years, female 20.2
GTEX-ZP4G-1726-SM-4WWCM 20-29 years, female 20.2
GTEX-1LVAM-1626-SM-EV79Y 50-59 years, female 20.2
GTEX-1MA7W-0626-SM-EV79Z 20-29 years, female 20.2
GTEX-144GL-2526-SM-5TDDL 50-59 years, male 20.1
GTEX-1AMEY-1926-SM-73KVT 30-39 years, female 20.1
GTEX-S4UY-0826-SM-4AD4Z 40-49 years, female 20.1
GTEX-14JG6-1726-SM-69LPL 30-39 years, female 20.0
GTEX-OXRL-1426-SM-3NM9E 50-59 years, male 20.0
GTEX-1J1OQ-2726-SM-AHZ3R 40-49 years, female 20.0
GTEX-1KANB-1526-SM-CXZK4 50-59 years, male 20.0
GTEX-12WSL-1626-SM-5GCMU 50-59 years, male 19.9
GTEX-X3Y1-1726-SM-4PQZL 40-49 years, male 19.9
GTEX-1RAZQ-2126-SM-DTX9V 30-39 years, male 19.9
GTEX-QLQ7-1126-SM-CYPRB 60-69 years, male 19.9
GTEX-15DYW-2326-SM-6PAMU 60-69 years, female 19.8
GTEX-PLZ6-0926-SM-3P5ZQ 30-39 years, male 19.8
GTEX-117YX-0826-SM-5H11J 50-59 years, male 19.7
GTEX-14PJ5-0926-SM-6LLIK 60-69 years, female 19.7
GTEX-1JJE9-2426-SM-D3L8T 70-79 years, male 19.7
GTEX-1KXAM-2126-SM-CY8I9 60-69 years, male 19.7
GTEX-12ZZZ-2426-SM-5GCNN 60-69 years, male 19.6
GTEX-P4QT-1426-SM-3NMCX 50-59 years, female 19.6
GTEX-SNOS-1226-SM-4DM5H 40-49 years, male 19.6
GTEX-13O3P-2326-SM-5KM55 50-59 years, male 19.5
GTEX-18D9U-1926-SM-7KFTM 40-49 years, male 19.5
GTEX-SE5C-1526-SM-4BRWU 40-49 years, female 19.5
GTEX-TML8-1326-SM-4DXTO 40-49 years, female 19.5
GTEX-1QW4Y-1326-SM-EWRMZ 30-39 years, male 19.5
GTEX-QEL4-1926-SM-D3L8D 50-59 years, male 19.5
GTEX-13QBU-1826-SM-5IJG3 40-49 years, female 19.4
GTEX-145ME-0826-SM-5O9AF 40-49 years, female 19.4
GTEX-146FQ-1926-SM-5NQBY 30-39 years, male 19.4
GTEX-1IDJC-1326-SM-CL53H 50-59 years, male 19.4
GTEX-1L5NE-2026-SM-CXZKR 50-59 years, male 19.4
GTEX-111VG-2226-SM-5N9DU 60-69 years, male 19.3
GTEX-13111-0726-SM-5DUVE 50-59 years, male 19.3
GTEX-1B8KZ-1326-SM-7DUG6 50-59 years, male 19.3
GTEX-XQ8I-2126-SM-4BOOM 50-59 years, male 19.3
GTEX-1HKZK-2126-SM-A9SL3 40-49 years, male 19.3
GTEX-X4EO-2526-SM-EWRM8 60-69 years, female 19.3
GTEX-11O72-2226-SM-5PNW2 40-49 years, male 19.2
GTEX-14ICL-1226-SM-5S2RD 30-39 years, male 19.2
GTEX-15SHU-2526-SM-6M47D 40-49 years, female 19.2
GTEX-1B8KE-1926-SM-731EE 50-59 years, male 19.2
GTEX-O5YW-1426-SM-3MJHF 50-59 years, male 19.2
GTEX-S341-1426-SM-4AD6U 40-49 years, female 19.2
GTEX-S7SF-1926-SM-4AT5B 20-29 years, female 19.2
GTEX-WQUQ-2526-SM-4MVNO 60-69 years, male 19.2
GTEX-ZPU1-1926-SM-57WDT 40-49 years, male 19.2
GTEX-1HCU9-1326-SM-B2LXT 20-29 years, male 19.2
GTEX-13FH7-1526-SM-5J2N6 50-59 years, female 19.1
GTEX-178AV-1326-SM-6LPJX 40-49 years, male 19.1
GTEX-18D9A-1126-SM-7KFRJ 30-39 years, female 19.1
GTEX-QDVJ-1326-SM-48U1X 50-59 years, male 19.1
GTEX-WY7C-1626-SM-4ONC8 50-59 years, male 19.1
GTEX-1HSGN-2626-SM-CE6S1 40-49 years, female 19.1
GTEX-U412-1726-SM-EZ6KX 60-69 years, male 19.1
GTEX-13OW5-2626-SM-5MR3M 60-69 years, male 19.0
GTEX-14PJM-2626-SM-686ZD 50-59 years, female 19.0
GTEX-P4PP-1426-SM-3NM9L 30-39 years, female 19.0
GTEX-ZEX8-1926-SM-4WKFR 50-59 years, male 19.0
GTEX-YEC3-2426-SM-DO11A 50-59 years, male 19.0
GTEX-13X6H-1926-SM-7EWD3 50-59 years, female 18.9
GTEX-14ICK-1026-SM-6AJA4 40-49 years, male 18.9
GTEX-1CAMS-2526-SM-7EPH7 40-49 years, female 18.9
GTEX-WHWD-1226-SM-4OOS1 50-59 years, male 18.8
GTEX-WYJK-2226-SM-4ONDJ 50-59 years, male 18.8
GTEX-1AYD5-1726-SM-7RHFW 50-59 years, male 18.8
GTEX-1KANA-1926-SM-DHXKF 20-29 years, male 18.8
GTEX-15DZA-0926-SM-69LQ3 30-39 years, female 18.7
GTEX-1PIEJ-2026-SM-E6CPA 20-29 years, female 18.7
GTEX-R53T-1326-SM-48FCQ 50-59 years, female 18.6
GTEX-ZTSS-1126-SM-5985O 40-49 years, male 18.6
GTEX-OIZF-1426-SM-2HML2 60-69 years, male 18.6
GTEX-18QFQ-1526-SM-72D57 30-39 years, male 18.5
GTEX-QMRM-1226-SM-447C6 50-59 years, male 18.5
GTEX-U3ZM-1126-SM-4DXUB 40-49 years, male 18.5
GTEX-1HCU7-2626-SM-C1YQO 50-59 years, male 18.5
GTEX-14C5O-2526-SM-73KU2 60-69 years, male 18.4
GTEX-R55C-1126-SM-48FCJ 40-49 years, male 18.4
GTEX-WHSB-0926-SM-4M1XJ 50-59 years, male 18.4
GTEX-13QJ3-2626-SM-9OSXQ 50-59 years, male 18.4
GTEX-1GZ4I-2426-SM-9WPPP 50-59 years, male 18.4
GTEX-1I1GR-2526-SM-CNNQF 60-69 years, male 18.4
GTEX-1IGQW-2326-SM-CE6RV 60-69 years, male 18.4
GTEX-1LG7Y-2126-SM-DIPER 50-59 years, male 18.4
GTEX-QDVN-1326-SM-48TZ3 50-59 years, male 18.3
GTEX-XUW1-1926-SM-4BOP1 50-59 years, female 18.3
GTEX-ZDYS-2326-SM-4WKG6 50-59 years, male 18.3
GTEX-1GF9U-1526-SM-7MXUW 40-49 years, female 18.3
GTEX-1GN73-2626-SM-9KNUQ 60-69 years, male 18.3
GTEX-131XE-0826-SM-5HL9W 50-59 years, male 18.2
GTEX-X15G-1326-SM-4PQZJ 50-59 years, female 18.2
GTEX-1GF9X-1526-SM-7P8QP 40-49 years, female 18.2
GTEX-117YW-1826-SM-5PNY5 50-59 years, male 18.1
GTEX-Q734-1126-SM-48TZY 40-49 years, female 18.1
GTEX-16NPV-2626-SM-6M484 50-59 years, female 18.0
GTEX-16Z82-2226-SM-6LPJ7 60-69 years, male 18.0
GTEX-ZGAY-2126-SM-4YCFB 40-49 years, female 18.0
GTEX-1N2EF-1926-SM-DTX8M 60-69 years, male 18.0
GTEX-1E2YA-2626-SM-7MGWW 50-59 years, male 17.9
GTEX-15ER7-2926-SM-7KUFK 20-29 years, female 17.8
GTEX-16XZZ-2626-SM-6M47S 60-69 years, male 17.8
GTEX-18D9B-2526-SM-718BN 60-69 years, male 17.8
GTEX-T6MO-0826-SM-4DM51 40-49 years, female 17.8
GTEX-YB5E-1626-SM-5IFIQ 40-49 years, male 17.8
GTEX-ZYFC-2626-SM-5NQ6S 50-59 years, male 17.8
GTEX-1JMLX-2726-SM-CM2SB 50-59 years, male 17.8
GTEX-RWS6-1826-SM-47JXX 60-69 years, female 17.7
GTEX-XGQ4-1226-SM-4AT67 50-59 years, male 17.7
GTEX-XPVG-1826-SM-4B64X 50-59 years, male 17.7
GTEX-YF7O-1726-SM-5IFJ9 50-59 years, male 17.7
GTEX-1F75B-2726-SM-7P8QO 50-59 years, male 17.7
GTEX-1N5O9-2726-SM-E76QH 60-69 years, male 17.7
GTEX-111YS-1626-SM-5GZZ9 60-69 years, male 17.6
GTEX-11NSD-1626-SM-5986U 20-29 years, male 17.6
GTEX-11ZVC-2126-SM-5EGJ1 50-59 years, female 17.6
GTEX-1CB4F-2026-SM-79OLU 60-69 years, male 17.6
GTEX-1PPGY-2826-SM-DTX9H 60-69 years, male 17.6
GTEX-1QMI2-2626-SM-E6CR4 60-69 years, male 17.6
GTEX-12KS4-2426-SM-5LU8P 30-39 years, male 17.5
GTEX-13VXT-2426-SM-5LU46 20-29 years, female 17.5
GTEX-WH7G-1326-SM-4LVMS 40-49 years, male 17.5
GTEX-1I1GT-1926-SM-ARU7D 60-69 years, female 17.5
GTEX-1JK1U-1526-SM-AHZ46 60-69 years, male 17.5
GTEX-144GN-1126-SM-5LU33 50-59 years, male 17.4
GTEX-1C64O-2326-SM-73KU8 60-69 years, male 17.4
GTEX-1S5VW-2926-SM-E9U6H 60-69 years, male 17.4
GTEX-1BAJH-2326-SM-7IGMO 70-79 years, male 17.3
GTEX-WFG7-1526-SM-4LVMG 20-29 years, male 17.3
GTEX-OHPN-2026-SM-E9TIA 60-69 years, female 17.3
GTEX-PWCY-1026-SM-48TD4 20-29 years, female 17.2
GTEX-SNMC-1126-SM-4DM5M 20-29 years, male 17.2
GTEX-WVJS-2426-SM-EZ6LI 50-59 years, male 17.2
GTEX-145MO-2426-SM-5NQ9W 60-69 years, male 17.1
GTEX-TKQ2-1326-SM-4DXT9 50-59 years, male 17.1
GTEX-ZVT2-1926-SM-5GU5T 50-59 years, female 17.1
GTEX-147JS-2526-SM-5S2Q8 60-69 years, male 17.0
GTEX-XXEK-1926-SM-4BRVD 50-59 years, male 17.0
GTEX-ZY6K-1226-SM-5GZYL 50-59 years, male 17.0
GTEX-13OVJ-1726-SM-5IJDZ 50-59 years, female 16.9
GTEX-14BIN-3026-SM-5ZZUS 50-59 years, female 16.9
GTEX-UJMC-1326-SM-4IHLS 50-59 years, male 16.9
GTEX-1H1DE-1526-SM-ARL9B 20-29 years, male 16.9
GTEX-1H3VY-2426-SM-9WPPD 50-59 years, male 16.9
GTEX-S3XE-1126-SM-4AD4N 50-59 years, male 16.8
GTEX-1IKOE-2026-SM-AHZ31 30-39 years, female 16.8
GTEX-139T6-1326-SM-5IFFO 50-59 years, male 16.7
GTEX-1LH75-2126-SM-EVR5F 50-59 years, female 16.7
GTEX-11EQ9-1426-SM-5987G 30-39 years, male 16.6
GTEX-15SB6-1226-SM-7KUMP 50-59 years, female 16.6
GTEX-1I4MK-1126-SM-B2LWS 50-59 years, female 16.6
GTEX-1IDJD-2226-SM-A96TD 30-39 years, male 16.6
GTEX-14JIY-3326-SM-6871E 60-69 years, male 16.5
GTEX-18A7A-2226-SM-7LT8K 50-59 years, female 16.5
GTEX-XAJ8-0426-SM-47JYJ 40-49 years, male 16.5
GTEX-1IKK5-2726-SM-CNPQ6 60-69 years, male 16.5
GTEX-1RDX4-1826-SM-EVR54 50-59 years, female 16.5
GTEX-1128S-1626-SM-5H12O 60-69 years, female 16.4
GTEX-11P81-1126-SM-5GU5G 30-39 years, female 16.4
GTEX-1HSMQ-2726-SM-C1YRE 50-59 years, male 16.4
GTEX-1LBAC-1626-SM-CXZKV 20-29 years, male 16.4
GTEX-15CHC-1626-SM-5ZZWS 60-69 years, female 16.3
GTEX-1C475-1626-SM-731FP 40-49 years, female 16.3
GTEX-YEC4-1926-SM-5IFHJ 40-49 years, male 16.3
GTEX-PWN1-1426-SM-48TDF 40-49 years, female 16.2
GTEX-Y9LG-1526-SM-4WWDR 30-39 years, male 16.2
GTEX-1QPFJ-2326-SM-E6CR7 30-39 years, female 16.2
GTEX-18A7B-2026-SM-72D71 70-79 years, male 16.1
GTEX-ZF29-1726-SM-4WKFV 60-69 years, female 16.1
GTEX-1JMPZ-2426-SM-C1YQP 30-39 years, male 16.1
GTEX-1JN1M-2626-SM-CY8I3 60-69 years, female 16.1
GTEX-1R7EU-1926-SM-E9U62 60-69 years, male 16.1
GTEX-12C56-0626-SM-5EGGC 20-29 years, male 16.0
GTEX-17HGU-2426-SM-7EWDP 50-59 years, male 16.0
GTEX-ZV6S-1226-SM-59HLH 40-49 years, female 16.0
GTEX-1PWST-2426-SM-EWRMP 70-79 years, male 16.0
GTEX-13OVI-2026-SM-5J1MU 60-69 years, female 15.9
GTEX-1AX9I-2626-SM-73KU5 60-69 years, male 15.9
GTEX-1GL5R-2426-SM-7MXV1 50-59 years, male 15.9
GTEX-1HCVE-2526-SM-A9G2G 50-59 years, male 15.9
GTEX-XUZC-1326-SM-4BRV2 30-39 years, female 15.8
GTEX-OXRK-1726-SM-3NB16 50-59 years, female 15.7
GTEX-1GMR3-2826-SM-9WPOG 40-49 years, male 15.7
GTEX-15CHQ-2526-SM-6EU24 60-69 years, male 15.6
GTEX-1F75I-2426-SM-9WPOY 40-49 years, male 15.6
GTEX-1GPI7-1726-SM-7P8R1 20-29 years, male 15.6
GTEX-P78B-1726-SM-3P5ZV 40-49 years, female 15.5
GTEX-OXRO-0726-SM-E9U4C 60-69 years, female 15.5
GTEX-1C4CL-2126-SM-7IGQC 30-39 years, male 15.4
GTEX-13S86-1626-SM-5Q5C5 40-49 years, male 15.3
GTEX-1IDJU-2026-SM-A9SLM 60-69 years, female 15.3
GTEX-139YR-2126-SM-5KM11 50-59 years, male 15.2
GTEX-ZAB4-2226-SM-5HL97 40-49 years, male 15.0
GTEX-ZYFG-1926-SM-5GID5 60-69 years, female 15.0
GTEX-ZZ64-0726-SM-5GZX4 20-29 years, male 15.0
GTEX-1IOXB-2626-SM-CJI2N 50-59 years, male 15.0
GTEX-1POEN-2026-SM-E6CRL 30-39 years, female 15.0
GTEX-1LVAN-2526-SM-CNPPC 50-59 years, female 14.9
GTEX-17GQL-1526-SM-7LTAC 60-69 years, male 14.8
GTEX-PSDG-1826-SM-EAZ2S 50-59 years, male 14.8
GTEX-1MJK3-0926-SM-EV7AY 20-29 years, male 14.6
GTEX-11GSP-1626-SM-5986N 60-69 years, female 14.5
GTEX-17F9E-1826-SM-7IGMC 50-59 years, male 14.5
GTEX-1EH9U-2026-SM-7PBYS 60-69 years, male 14.3
GTEX-U3ZH-1326-SM-4DXSF 30-39 years, male 14.2
GTEX-14C39-1926-SM-5ZZW5 40-49 years, male 14.1
GTEX-1JMPY-0426-SM-C1YQ3 30-39 years, male 14.1
GTEX-13FHP-2426-SM-5KLZ5 50-59 years, male 14.0
GTEX-1C2JI-1626-SM-7EPHC 50-59 years, male 14.0
GTEX-13O3O-2526-SM-5L3DR 60-69 years, female 13.8
GTEX-1B996-2626-SM-73KZ1 60-69 years, male 13.8
GTEX-PX3G-1426-SM-48U1J 20-29 years, female 13.7
GTEX-1HCU6-2726-SM-A9SKV 60-69 years, female 13.6
GTEX-Y114-1526-SM-4TT79 50-59 years, female 13.4
GTEX-Z93S-2426-SM-5HL8N 50-59 years, male 13.3
GTEX-1R9PM-1526-SM-DPRY8 20-29 years, male 13.3
GTEX-NFK9-2026-SM-3LK5K 40-49 years, male 13.0
GTEX-1K9T9-2826-SM-D4P3F 50-59 years, female 12.8
GTEX-1PPH8-2026-SM-DTX7P 20-29 years, male 12.8
GTEX-15DCE-2026-SM-7KUFE 20-29 years, male 12.7
GTEX-17EUY-1826-SM-7DUEZ 20-29 years, male 12.6
GTEX-17MF6-2426-SM-7LTAM 40-49 years, male 10.9
GTEX-16MT8-2726-SM-7IGLJ 60-69 years, female 10.7
GTEX-1I6K6-1826-SM-B2LX5 30-39 years, male 10.3
GTEX-17HII-2726-SM-7MGVM 50-59 years, male 9.3
GTEX-148VJ-2626-SM-5QGPI 70-79 years, male 9.1
GTEX-11TUW-2026-SM-5EQL8 60-69 years, male 8.6
Show allShow less

COLON - FANTOM5 CAGEi

RNA expression in human tissues obtained through Cap Analysis of Gene Expression (CAGE) generated by the FANTOM5 project are reported as Scaled Tags Per Million.

Max subtype Scaled Tags Per Millioni

Max subtype Scaled Tags Per Million is the value for the subtype with the largest average Scaled Tags Per Million across the subtype samples.

39.6
FANTOM5 sample id Sample description Scaled Tags Per Million
Colon
Scaled Tags Per Million: 39.6
FF:10014-101C5 62,83,84 years, mixed 39.6

Contact

  • NEWS ARTICLES
  • PRESS ROOM

The Project

  • INTRODUCTION
  • ORGANIZATION
  • PUBLICATIONS

The Human Protein Atlas

  • DOWNLOADABLE DATA
  • LICENCE & CITATION
  • HELP & FAQ
The Human Protein Atlas project is funded
by the Knut & Alice Wallenberg Foundation.


contact@proteinatlas.org