We use cookies to enhance the usability of our website. If you continue, we'll assume that you are happy to receive all cookies. More information. Don't show this again.
KRT7
HPA
RESOURCES
  • TISSUE
  • BRAIN
  • SINGLE CELL
  • SUBCELLULAR
  • CANCER
  • BLOOD
  • CELL LINE
  • STRUCTURE & INTERACTION
ABOUT
  • INTRODUCTION
  • HISTORY
  • ORGANIZATION
  • PUBLICATIONS
  • ANTIBODY SUBMISSION
  • ANTIBODY AVAILABILITY
  • ACKNOWLEDGMENTS
  • CONTACT
NEWS
  • NEWS ARTICLES
  • PRESS ROOM
LEARN
  • DICTIONARY
  • PROTEIN CLASSES
  • PROTEIN EVIDENCE
  • METHODS
  • EDUCATIONAL VIDEOS
DATA
  • DOWNLOADABLE DATA
  • PUBLICATION DATA
  • RELEASE HISTORY
HELP
  • ANTIBODY VALIDATION
  • ASSAYS & ANNOTATION
  • DISCLAIMER
  • HELP & FAQ
  • PRIVACY STATEMENT
  • LICENCE & CITATION
Fields »
Search result

Field
Term
Gene name
Class
Subclass
Class
Keyword
Chromosome
External id
Tissue
Cell type
Expression
Antibody panel
Tissue
Main location
Patient ID
Annotation
Tissue
Category
Tau score
Cluster
Reliability
Brain region
Category
Tau score
Brain region
Category
Tau score
Brain region
Category
Tau score
Cluster
Reliability
Tissue
Cell type
Enrichment
Cell type
Category
Tau score
Cell type
Category
Tau score
Cell type
Category
Tau score
Cell lineage
Category
Tau score
Cluster
Cluster
Location
Searches
Location
Cell line
Class
Type
Phase
Reliability
Cancer
Prognosis
Cancer
Category
Cancer
Category
Tau score
Cluster
Variants
Interacting gene (ensg_id)
Type
Number of interactions
Pathway
Category
Score
Score
Score
Validation
Validation
Validation
Validation
Antibodies
Data type
Column


  • SUMMARY

  • TISSUE

  • BRAIN

  • SINGLE CELL

  • SUBCELL

  • CANCER

  • BLOOD

  • CELL LINE

  • STRUCT & INT

  • KRT7
TISSUE PRIMARY DATA SKIN Show tissue menu
ADIPOSE TISSUE ADRENAL GLAND AMYGDALA APPENDIX BASAL GANGLIA BONE MARROW BREAST BRONCHUS CEREBELLUM CEREBRAL CORTEX CERVIX CHOROID PLEXUS COLON DUODENUM
ENDOMETRIUM EPIDIDYMIS ESOPHAGUS FALLOPIAN TUBE GALLBLADDER HEART MUSCLE HIPPOCAMPAL FORMATION HYPOTHALAMUS KIDNEY LIVER LUNG LYMPH NODE MIDBRAIN NASOPHARYNX
ORAL MUCOSA OVARY PANCREAS PARATHYROID GLAND PITUITARY GLAND PLACENTA PROSTATE RECTUM RETINA SALIVARY GLAND SEMINAL VESICLE SKELETAL MUSCLE SKIN SMALL INTESTINE
SMOOTH MUSCLE SOFT TISSUE SPINAL CORD SPLEEN STOMACH TESTIS THYMUS THYROID GLAND TONGUE TONSIL URINARY BLADDER VAGINA
ANTIBODIES
AND
VALIDATION
Dictionary
Skin
Tissue proteome
Skin
SKIN - Expression summary
Protein expression
Skini

On the top, protein expression in current human tissue, based on all annotated cell types, is reported with the units not detected (n), low (l), medium (m) and high (h). Underneath, protein expression in each annotated cell type are reported using the same units.

Protein expression data is based on knowledge-based annotation. For genes where more than one antibody has been used, a collective score is set.

If knowledge-based annotation could not be performed for a gene, no data is displayed here. View antibody staining data further down this page.

h
m
l
n
Cells in basal layer: Not detected
Cells in corneal layer: Not detected
Cells in granular layer: Not detected
Cells in spinous layer: Not detected
Endothelial cells: Not detected
Extracellular matrix: Not detected
Fibrohistiocytic cells: Not detected
Hair follicles: Not detected
Langerhans cells: Not detected
Lymphocytes: Not detected
Melanocytes: Not detected
Sebaceous glands: High
Vascular mural cells: Not detected
RNA expressioni

A summary of mRNA expression data available for current tissue based on several datasets. The mRNA expression levels in human tissues are based on RNA-seq data generated by the Human Protein Atlas (HPA), Genotype-Tissue Expression (GTEx) portal and CAGE data generated by the FANTOM5 consortium. Consensus normalized expression levels for human tissues was created by combining the data from HPA and GTEx datasets.

The mRNA expression levels in pig are based on RNA-seq data generated by the Human Protein Atlas (HPA), and for mouse, HPA data and in situ hybridization generated by the Allen brain atlas are reported.

Scroll down to view mRNA expression data in more detail.
Consensus:73.5 nTPM
HPA:0.2 nTPM
GTEx:73.5 nTPM

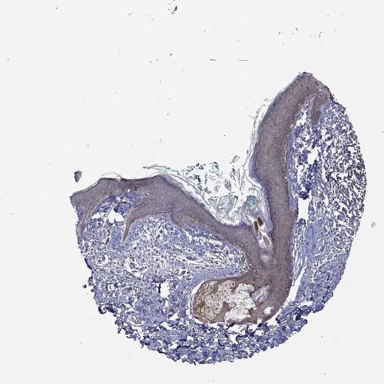
SKIN 1 - Antibody stainingi

Antibody staining in the annotated cell types in the current human tissue is reported as not detected, low, medium, or high, based on conventional immunohistochemistry profiling in selected tissues. This score is based on the combination of the staining intensity and fraction of stained cells.

Each image is clickable and will lead to virtual microscopy that enables deeper exploration of all samples and also displays staining intensity scores, fraction scores and subcellular localization as well as patient and tissue information for each sample.

Antibody HPA007272Antibody CAB000028Antibody CAB079970Antibody CAB080115
Langerhans High-HighNot detected
Cells in basal layer -Not detected--
Cells in corneal layer -Not detected--
Cells in granular layer -Not detected--
Cells in spinous layer -Not detected--
Endothelial cells -Not detected--
Extracellular matrix -Not detected--
Fibroblasts Not detected-Not detectedNot detected
Fibrohistiocytic cells -Not detected--
Hair follicles -Not detected--
Keratinocytes High-HighNot detected
Langerhans cells -Not detected--
Lymphocytes -Not detected--
Melanocytes HighNot detectedHighMedium
Sebaceous glands -High--
Vascular mural cells -Not detected--





SKIN 2 - Antibody stainingi

Antibody staining in the annotated cell types in the current human tissue is reported as not detected, low, medium, or high, based on conventional immunohistochemistry profiling in selected tissues. This score is based on the combination of the staining intensity and fraction of stained cells.

Each image is clickable and will lead to virtual microscopy that enables deeper exploration of all samples and also displays staining intensity scores, fraction scores and subcellular localization as well as patient and tissue information for each sample.

Antibody HPA007272Antibody CAB000028Antibody CAB079970Antibody CAB080115
Cells in basal layer -Not detected--
Cells in corneal layer -Not detected--
Cells in granular layer -Not detected--
Cells in spinous layer -Not detected--
Endothelial cells -Not detected--
Epidermal cells High-HighNot detected
Extracellular matrix -Not detected--
Fibrohistiocytic cells -Not detected--
Hair follicles -Not detected--
Langerhans cells -Not detected--
Lymphocytes -Not detected--
Melanocytes -Not detected--
Vascular mural cells -Not detected--
    
    
    







SKIN - HPA RNA-seqi

The RNA-seq details section shows detailed information about the individual samples used for the transcript profiling and results of the RNA-seq analysis.

Information about each individual sample is listed below, including gender, age, a tissue section image and estimated fractions of cell types. nTPM (normalized transcripts per million) values give a quantification of the gene abundance which is comparable between different genes and samples.
Average nTPMi

Max subtype nTPM is the value for the subtype with the largest average nTPM across the subtype samples.

0.2
overview
Female, age 34
Skin sample 225
nTPM: 0.2
Cell types%
Keratinocytes:
60

Other cell types:
40

overview
Female, age 30
Skin sample 226
nTPM: 0.1
Cell types%
Keratinocytes:
55

Other cell types:
45

N/A
Male, age 57
Skin sample 227
nTPM: 0.4

SKIN - GTEx RNA-seqi

RNA-Seq data generated by the Genotype-Tissue Expression (GTEx) project from human tissues is reported as mean nTPM. More information can be found on the GTEx portal.

Distribution across the dataset is visualized with box plots, shown as median and 25th and 75th percentiles. Points are displayed as outliers if they are above or below 1.5 times the interquartile range. nTPM values of the individual samples are presented next to the box plot.
Max subtype nTPMi

Max subtype nTPM is the value for the subtype with the largest average nTPM across the subtype samples.

73.5
GTEx sample id Sample description nTPM
Skin - Not Sun Exposed (Suprapubic)
Average nTPM: 59.7
Samples: 604

Max nTPM: 449.0
Min nTPM: 0.0
Std nTPM: 64.0
Median nTPM: 40.6
GTEX-1F75I-2226-SM-7SB8U 40-49 years, male 449.0
GTEX-11TT1-1826-SM-5EQLV 20-29 years, male 351.1
GTEX-117YX-1926-SM-5GIEC 50-59 years, male 332.6
GTEX-1C64O-1326-SM-7MGWR 60-69 years, male 307.0
GTEX-13RTJ-0126-SM-5S2NN 60-69 years, male 300.8
GTEX-12BJ1-0926-SM-5EQ62 60-69 years, male 289.1
GTEX-1CAV2-0126-SM-7IGN7 40-49 years, female 279.5
GTEX-1LGOU-1326-SM-D3L8M 20-29 years, female 267.1
GTEX-16NGA-0726-SM-731AO 40-49 years, female 265.9
GTEX-YF7O-1526-SM-5IFI6 50-59 years, male 257.6
GTEX-ZAJG-1526-SM-5CVML 50-59 years, female 255.7
GTEX-WH7G-2026-SM-3NMBL 40-49 years, male 246.6
GTEX-1L5NE-1126-SM-D3L9P 50-59 years, male 244.9
GTEX-1R9K4-2826-SM-DTX8F 60-69 years, male 244.2
GTEX-12WSL-2026-SM-5GCML 50-59 years, male 242.8
GTEX-1H1E6-0426-SM-9WYUS 30-39 years, male 233.2
GTEX-ZT9W-1126-SM-57WDR 50-59 years, male 233.1
GTEX-ZLWG-0826-SM-59888 50-59 years, female 232.8
GTEX-18A7B-2726-SM-7LG56 70-79 years, male 226.1
GTEX-1RAZA-2226-SM-E9U4X 20-29 years, male 223.8
GTEX-WFG8-2126-SM-3GIKQ 20-29 years, male 219.4
GTEX-1B996-0426-SM-7EWF8 60-69 years, male 217.6
GTEX-1KANA-1326-SM-DIPFA 20-29 years, male 217.4
GTEX-ZDXO-3126-SM-5IJDF 60-69 years, male 214.4
GTEX-1HSMP-0926-SM-A9SKX 70-79 years, male 211.2
GTEX-ZWKS-0626-SM-5GIDV 30-39 years, male 209.5
GTEX-ZVP2-0326-SM-57WBP 50-59 years, male 205.6
GTEX-1QP66-1226-SM-DTX7U 50-59 years, male 204.2
GTEX-1KANC-1226-SM-CYPT7 50-59 years, female 202.9
GTEX-XOT4-0626-SM-4B66L 60-69 years, female 201.6
GTEX-ZYW4-0626-SM-59HJR 60-69 years, male 201.0
GTEX-11EM3-1226-SM-5N9DD 20-29 years, female 199.2
GTEX-1A32A-0626-SM-731AQ 50-59 years, female 194.7
GTEX-1192X-2726-SM-5N9DN 50-59 years, male 193.8
GTEX-1F75B-0726-SM-7PC3R 50-59 years, male 192.2
GTEX-1GMR2-0826-SM-7PC3V 50-59 years, male 190.7
GTEX-17F96-0126-SM-7EWDU 70-79 years, male 187.9
GTEX-WY7C-2126-SM-3NB2R 50-59 years, male 183.2
GTEX-14E6C-2426-SM-5S2NF 40-49 years, male 182.7
GTEX-1IDJC-1526-SM-B2LW4 50-59 years, male 178.7
GTEX-13JUV-2026-SM-5K7UA 40-49 years, female 178.1
GTEX-YB5K-2026-SM-4VDT3 40-49 years, female 175.2
GTEX-1QP9N-1226-SM-E76QN 30-39 years, male 175.0
GTEX-14BMU-1226-SM-5S2OR 20-29 years, female 174.1
GTEX-Y5V6-2326-SM-4VDSA 60-69 years, male 171.4
GTEX-111FC-2526-SM-5GZXU 60-69 years, male 170.0
GTEX-13FH7-1126-SM-5K7UG 50-59 years, female 168.7
GTEX-12696-0126-SM-5EQ4L 60-69 years, male 168.4
GTEX-1S82P-2126-SM-E6CI5 60-69 years, female 167.1
GTEX-1HCU9-0426-SM-9WYSD 20-29 years, male 166.6
GTEX-1LG7Z-1626-SM-CXKYR 30-39 years, male 164.8
GTEX-1GN1W-2426-SM-9KNUU 50-59 years, female 162.5
GTEX-14PJO-2526-SM-6AJBQ 60-69 years, male 158.5
GTEX-145MO-2826-SM-5LU96 60-69 years, male 156.9
GTEX-ZYFG-1526-SM-5GZYM 60-69 years, female 156.9
GTEX-ZYFD-0626-SM-5E44E 50-59 years, male 156.4
GTEX-13OVH-0526-SM-5L3E6 70-79 years, male 154.1
GTEX-183FY-1026-SM-7939A 20-29 years, male 150.6
GTEX-139TS-2126-SM-5K7XC 60-69 years, male 149.7
GTEX-131XH-0126-SM-5LZUY 50-59 years, male 149.0
GTEX-1QEPI-2626-SM-DTXF4 60-69 years, female 148.2
GTEX-13OVG-1626-SM-5J1NF 60-69 years, male 148.1
GTEX-11EQ9-1626-SM-5PNY8 30-39 years, male 147.2
GTEX-1497J-0226-SM-5QGPU 60-69 years, male 144.6
GTEX-1F88E-1626-SM-7SB8Z 60-69 years, female 143.3
GTEX-11P7K-1126-SM-5HL4L 30-39 years, male 141.5
GTEX-1QCLY-0226-SM-EWRNH 30-39 years, male 138.0
GTEX-11ZUS-2626-SM-5FQUR 30-39 years, male 135.8
GTEX-1C475-1326-SM-7SB73 40-49 years, female 135.5
GTEX-1ICG6-1226-SM-A9SLN 70-79 years, female 134.1
GTEX-1H1CY-0126-SM-9YFLY 60-69 years, female 130.5
GTEX-12C56-1526-SM-5FQUQ 20-29 years, male 130.4
GTEX-1I19N-0126-SM-CYPSF 70-79 years, male 129.8
GTEX-1J8Q2-2626-SM-ACKWQ 60-69 years, male 128.7
GTEX-15EU6-2226-SM-6EU2L 50-59 years, male 128.3
GTEX-1K2DA-1026-SM-CGQGF 50-59 years, male 127.3
GTEX-1LSNM-0826-SM-DIPG8 50-59 years, male 127.3
GTEX-ZDTT-0426-SM-4WKFL 60-69 years, male 126.7
GTEX-14DAQ-0626-SM-793DS 60-69 years, female 126.3
GTEX-18D9B-0926-SM-7LG4U 60-69 years, male 125.8
GTEX-Y5LM-0926-SM-6LLJG 40-49 years, female 125.6
GTEX-1A3MV-1826-SM-731CD 30-39 years, male 123.1
GTEX-ZUA1-2626-SM-5NQ92 40-49 years, male 122.6
GTEX-145LT-0526-SM-5LUB2 40-49 years, male 121.6
GTEX-1IDJE-1426-SM-ADEIW 50-59 years, female 120.5
GTEX-12WSC-2826-SM-5BC5Y 50-59 years, male 120.4
GTEX-1PIGE-1826-SM-E8VOU 20-29 years, male 119.9
GTEX-11NSD-0626-SM-5A5LU 20-29 years, male 119.1
GTEX-12WSD-0626-SM-5GCMW 60-69 years, female 119.1
GTEX-13NZ9-2626-SM-5L3FK 50-59 years, male 115.4
GTEX-UPK5-0426-SM-3GAEK 40-49 years, male 112.5
GTEX-12WSF-1626-SM-7KUG5 70-79 years, male 110.2
GTEX-14JFF-0626-SM-5ZZVT 60-69 years, male 110.0
GTEX-1F52S-2926-SM-7MKGA 60-69 years, female 109.2
GTEX-1I6K6-1726-SM-CGQFD 30-39 years, male 108.4
GTEX-1NSGN-0726-SM-DTXEF 50-59 years, male 108.1
GTEX-YEC3-1326-SM-DO92X 50-59 years, male 106.7
GTEX-WHSE-0126-SM-3NMBT 20-29 years, male 105.0
GTEX-14PHY-1226-SM-5ZZWK 60-69 years, female 104.9
GTEX-1H3NZ-2726-SM-9WYTQ 60-69 years, male 104.6
GTEX-18A6Q-0626-SM-7KFRP 60-69 years, male 104.3
GTEX-1K9T9-1526-SM-DIPFR 50-59 years, female 104.3
GTEX-14DAR-1226-SM-73KYV 50-59 years, male 103.9
GTEX-XMD2-2126-SM-4YCF8 60-69 years, female 103.0
GTEX-WEY5-2326-SM-3GIKK 40-49 years, female 102.8
GTEX-16MT8-2926-SM-7DUFO 60-69 years, female 102.3
GTEX-ZVE1-0726-SM-51MRN 50-59 years, female 102.3
GTEX-17JCI-2926-SM-7DUFF 60-69 years, female 101.7
GTEX-VJYA-1526-SM-3GIJV 60-69 years, male 100.4
GTEX-1CB4I-0126-SM-7RHGG 50-59 years, male 99.3
GTEX-1HR98-2226-SM-ADEI2 60-69 years, male 98.3
GTEX-1S831-1826-SM-EWROF 20-29 years, male 98.0
GTEX-ZDYS-2426-SM-4WKGI 50-59 years, male 96.7
GTEX-139TU-0726-SM-5L3EK 60-69 years, male 95.6
GTEX-X585-2426-SM-46MW2 50-59 years, male 95.3
GTEX-13OVL-0126-SM-5L3GJ 50-59 years, male 95.1
GTEX-1N5O9-0926-SM-E9J3C 60-69 years, male 95.1
GTEX-1GZ2Q-0126-SM-9WG6M 40-49 years, male 94.5
GTEX-1GTWX-2026-SM-9YFLM 60-69 years, male 94.4
GTEX-WHWD-1826-SM-3LK6I 50-59 years, male 94.3
GTEX-Y8E4-2026-SM-5IFJB 40-49 years, male 93.9
GTEX-1O9I2-0226-SM-EYYXD 50-59 years, male 93.8
GTEX-WYJK-0526-SM-3NM8Z 50-59 years, male 93.4
GTEX-1LVAM-0726-SM-E6CIL 50-59 years, female 92.9
GTEX-1GZ4I-2626-SM-9KNU3 50-59 years, male 92.8
GTEX-1LBAC-0826-SM-CY8IJ 20-29 years, male 92.6
GTEX-1I6K7-1926-SM-B2LXR 40-49 years, male 92.5
GTEX-1QCLZ-2426-SM-EVYBW 60-69 years, female 92.3
GTEX-12584-0726-SM-5FQTK 40-49 years, male 91.3
GTEX-1H2FU-0926-SM-9WPPT 60-69 years, female 90.7
GTEX-1MJK3-0726-SM-E6CJC 20-29 years, male 90.1
GTEX-1HCU6-2526-SM-ADEHL 60-69 years, female 89.9
GTEX-14BMV-2826-SM-5TDED 50-59 years, male 88.7
GTEX-1IY9M-2826-SM-ARU8H 60-69 years, male 88.7
GTEX-15RJE-2826-SM-7KUM9 40-49 years, male 88.2
GTEX-14E1K-2026-SM-7DUEI 50-59 years, male 87.3
GTEX-148VJ-0626-SM-5LUAW 70-79 years, male 87.2
GTEX-16XZZ-0726-SM-7KUF2 60-69 years, male 86.7
GTEX-18A66-0626-SM-7LT8Z 60-69 years, male 86.5
GTEX-131XW-0626-SM-5PNVD 50-59 years, female 85.9
GTEX-14PJ2-0626-SM-6LLII 50-59 years, male 85.0
GTEX-1F5PL-0926-SM-7PC2W 40-49 years, female 84.5
GTEX-1JJ6O-2726-SM-CNPOG 60-69 years, male 83.7
GTEX-1LVAN-0626-SM-CNPOQ 50-59 years, female 83.6
GTEX-147F4-0726-SM-5TDDD 50-59 years, male 83.4
GTEX-11WQC-1826-SM-5GU59 60-69 years, male 82.4
GTEX-139TT-2126-SM-5LZWC 60-69 years, male 82.2
GTEX-1RAZQ-1326-SM-E9TK6 30-39 years, male 81.6
GTEX-14PJ3-1126-SM-5ZZVX 50-59 years, male 81.3
GTEX-XXEK-1626-SM-4BRUZ 50-59 years, male 81.1
GTEX-1N2DV-1526-SM-DTXEP 40-49 years, male 80.7
GTEX-15DDE-2926-SM-6LLJ3 50-59 years, female 80.4
GTEX-ZDTS-0826-SM-4WKHL 60-69 years, male 80.4
GTEX-1RAZS-2526-SM-E6CHT 50-59 years, male 80.3
GTEX-1CAMR-1326-SM-7PC1F 20-29 years, male 80.1
GTEX-15SHW-0226-SM-7LTAT 60-69 years, male 79.2
GTEX-11P82-1426-SM-DTXFY 20-29 years, male 79.0
GTEX-132AR-0326-SM-5KM2C 50-59 years, female 78.4
GTEX-13N11-2326-SM-5IJBF 50-59 years, female 78.0
GTEX-ZU9S-1826-SM-5NQ9E 30-39 years, male 78.0
GTEX-XBED-1926-SM-47JYP 60-69 years, male 77.9
GTEX-13W3W-0726-SM-5IJDQ 60-69 years, female 77.8
GTEX-11DYG-1526-SM-5A5JS 60-69 years, male 77.7
GTEX-1JMPZ-0726-SM-CY8HZ 30-39 years, male 77.3
GTEX-15CHQ-0326-SM-69LQD 60-69 years, male 77.0
GTEX-1JKYN-0826-SM-ARU8S 30-39 years, male 76.6
GTEX-17F9E-2326-SM-79OKD 50-59 years, male 76.4
GTEX-YFCO-1226-SM-5LUAT 40-49 years, male 75.8
GTEX-1212Z-0126-SM-59HK4 60-69 years, male 75.6
GTEX-12ZZX-2426-SM-5GCOE 40-49 years, female 75.6
GTEX-16GPK-0626-SM-7KFSF 60-69 years, male 75.6
GTEX-1GL5R-1326-SM-7RHHF 50-59 years, male 75.6
GTEX-15G1A-1626-SM-7KUKN 30-39 years, male 75.3
GTEX-1AX8Z-0726-SM-73KTS 60-69 years, male 75.1
GTEX-X3Y1-2026-SM-3P5YM 40-49 years, male 74.6
GTEX-13112-0126-SM-5P9IU 50-59 years, male 74.4
GTEX-WHPG-2626-SM-3NMBR 50-59 years, male 74.2
GTEX-1JMLX-0626-SM-ARL8T 50-59 years, male 73.5
GTEX-145LS-0626-SM-7EPG7 60-69 years, female 73.1
GTEX-1KWVE-1026-SM-D3L9O 30-39 years, male 72.8
GTEX-17EVQ-0126-SM-7IGLR 70-79 years, male 72.7
GTEX-Y8LW-1526-SM-5IFHL 50-59 years, female 72.5
GTEX-13SLX-2226-SM-62LEP 50-59 years, female 71.6
GTEX-1E1VI-0326-SM-793D1 50-59 years, male 70.4
GTEX-18D9U-0126-SM-731BM 40-49 years, male 70.2
GTEX-12126-0826-SM-5FQTZ 20-29 years, male 70.1
GTEX-XYKS-1426-SM-4BRUO 60-69 years, female 69.4
GTEX-1QW4Y-1126-SM-DTXE3 30-39 years, male 69.2
GTEX-147GR-2426-SM-5ZZWQ 60-69 years, male 68.7
GTEX-WK11-2726-SM-3NMAQ 50-59 years, male 68.6
GTEX-1IDJU-1726-SM-CMKHU 60-69 years, female 68.6
GTEX-12WSM-1926-SM-5BC65 60-69 years, male 68.5
GTEX-1LSVX-2526-SM-DIPEU 60-69 years, male 68.5
GTEX-1F75W-2726-SM-7SB8H 60-69 years, male 68.1
GTEX-1IDJF-2026-SM-CL53V 20-29 years, male 66.7
GTEX-XK95-0226-SM-4AT58 40-49 years, male 66.2
GTEX-145MG-1526-SM-5Q5EM 50-59 years, male 65.9
GTEX-1HCVE-2726-SM-CL54F 50-59 years, male 65.9
GTEX-12WSA-0426-SM-5EQ5X 60-69 years, male 65.6
GTEX-14PKV-1126-SM-6LLJ1 20-29 years, female 65.6
GTEX-14PHX-2226-SM-6EU2P 50-59 years, male 64.4
GTEX-18D9A-1426-SM-7LT8M 30-39 years, female 64.2
GTEX-1HSMO-0626-SM-ACKXC 60-69 years, male 64.0
GTEX-WYBS-0626-SM-3NMAS 60-69 years, female 63.7
GTEX-131YS-2826-SM-5EQ47 60-69 years, female 63.6
GTEX-ZPU1-1126-SM-4YCF3 40-49 years, male 63.5
GTEX-14PII-0726-SM-6EU2B 60-69 years, male 62.7
GTEX-1GF9U-2026-SM-7SB92 40-49 years, female 62.7
GTEX-12ZZY-0726-SM-5EQ66 60-69 years, male 62.1
GTEX-146FQ-2126-SM-5RQHU 30-39 years, male 61.8
GTEX-1CAMQ-1326-SM-7P8RV 40-49 years, male 61.5
GTEX-15D1Q-2826-SM-6LLH7 40-49 years, male 61.3
GTEX-13D11-0926-SM-5J2NC 50-59 years, female 61.1
GTEX-11NUK-2726-SM-5A5MC 50-59 years, male 61.0
GTEX-13X6I-1826-SM-5SIAO 60-69 years, male 60.9
GTEX-1HB9E-0126-SM-CM2S5 50-59 years, male 60.9
GTEX-1IL2V-1926-SM-B2LW8 70-79 years, male 60.7
GTEX-1211K-1526-SM-5FQU4 60-69 years, female 60.6
GTEX-1HFI7-2326-SM-CGQFS 50-59 years, female 59.8
GTEX-145MF-0926-SM-5Q5EA 50-59 years, male 59.2
GTEX-1B8KE-1126-SM-7EPHI 50-59 years, male 58.5
GTEX-11DXX-2126-SM-5PNYR 60-69 years, female 58.3
GTEX-1PPH7-1126-SM-DTX9A 40-49 years, male 57.7
GTEX-1IDJV-0126-SM-COH3Y 60-69 years, male 57.2
GTEX-1A3MX-2626-SM-7PC24 60-69 years, male 57.1
GTEX-1IDJH-0126-SM-D3L92 70-79 years, male 55.8
GTEX-13OVJ-0826-SM-5J1OK 50-59 years, female 55.7
GTEX-13FLV-0126-SM-5K7WT 50-59 years, male 55.6
GTEX-18QFQ-1826-SM-72D52 30-39 years, male 55.6
GTEX-1GMR3-0126-SM-A9SLW 40-49 years, male 55.6
GTEX-1JKYR-0626-SM-ARL8R 20-29 years, male 55.5
GTEX-1C6WA-2626-SM-7MKGM 60-69 years, male 55.2
GTEX-1RMOY-1326-SM-E9TIH 50-59 years, male 55.0
GTEX-13NZ8-1226-SM-5KM4A 60-69 years, female 54.8
GTEX-1KD5A-0126-SM-E9U54 50-59 years, male 54.8
GTEX-17MFQ-1526-SM-7KFRR 20-29 years, male 54.6
GTEX-1HSGN-0826-SM-ACKW3 40-49 years, female 54.5
GTEX-ZTSS-1426-SM-5985P 40-49 years, male 54.3
GTEX-14LLW-2626-SM-62LDZ 70-79 years, female 54.2
GTEX-1E2YA-2126-SM-7MXUO 50-59 years, male 54.1
GTEX-ZZPU-0826-SM-5GZX5 50-59 years, female 54.0
GTEX-16NPX-0726-SM-7KULC 50-59 years, male 53.8
GTEX-ZLFU-1826-SM-4WWBV 40-49 years, male 53.8
GTEX-17F97-2626-SM-7IGM5 50-59 years, male 53.7
GTEX-1F6I4-2326-SM-7RHGL 60-69 years, male 53.7
GTEX-13PVR-0426-SM-5RQK2 60-69 years, female 53.5
GTEX-ZVTK-0226-SM-51MRG 20-29 years, male 53.4
GTEX-X4EO-2926-SM-4E3JH 60-69 years, female 53.3
GTEX-14753-0726-SM-5QGQO 60-69 years, male 53.2
GTEX-ZZ64-1026-SM-5GZXG 20-29 years, male 53.1
GTEX-1KANB-2826-SM-CY8I6 50-59 years, male 53.1
GTEX-11DXW-0826-SM-5H118 40-49 years, male 52.9
GTEX-1GPI7-1826-SM-9KNU1 20-29 years, male 52.7
GTEX-12KS4-2126-SM-5FQUT 30-39 years, male 52.6
GTEX-15CHC-1126-SM-6LLHQ 60-69 years, female 52.4
GTEX-ZYVF-0926-SM-5E44J 50-59 years, female 52.0
GTEX-14JG6-1426-SM-9WG7C 30-39 years, female 51.8
GTEX-XPVG-2126-SM-4B667 50-59 years, male 51.7
GTEX-11TUW-0626-SM-5LU9M 60-69 years, male 51.6
GTEX-1JMQK-1226-SM-D4P2S 60-69 years, male 51.4
GTEX-ZF3C-0626-SM-DO92O 50-59 years, female 51.0
GTEX-1M4P7-0726-SM-E6CJ3 60-69 years, male 50.0
GTEX-15RIE-1926-SM-7KUKJ 60-69 years, male 49.8
GTEX-1J8JJ-0626-SM-ARZMQ 60-69 years, female 49.7
GTEX-145MN-1526-SM-5SI9T 30-39 years, male 49.6
GTEX-1H1DF-1126-SM-9WG7G 40-49 years, female 49.5
GTEX-139T8-0626-SM-5KLZX 60-69 years, male 49.3
GTEX-145ME-1726-SM-5Q5EU 40-49 years, female 48.9
GTEX-1I4MK-0126-SM-CY8G6 50-59 years, female 48.8
GTEX-1GMR8-0626-SM-7RHI7 50-59 years, female 48.5
GTEX-1A3MW-0626-SM-731CB 60-69 years, female 48.4
GTEX-1B97I-0626-SM-73KUZ 40-49 years, male 47.4
GTEX-ZTTD-2826-SM-4YCFA 50-59 years, male 47.4
GTEX-11EI6-2826-SM-5H11D 60-69 years, male 47.1
GTEX-1LSNL-2726-SM-E9TKJ 50-59 years, male 47.0
GTEX-15G19-2426-SM-7KUMR 60-69 years, male 46.9
GTEX-ZXG5-2126-SM-59HKD 60-69 years, male 46.9
GTEX-1314G-1326-SM-5BC6E 30-39 years, male 46.2
GTEX-1JN1M-2726-SM-CY8I4 60-69 years, female 46.2
GTEX-1LVAO-2726-SM-E9TJ8 60-69 years, male 45.7
GTEX-11DXY-0126-SM-5H11Q 60-69 years, male 45.4
GTEX-18465-2826-SM-7LT9J 50-59 years, male 45.4
GTEX-ZA64-1026-SM-5HL8R 20-29 years, male 45.0
GTEX-16Z82-2626-SM-7KULU 60-69 years, male 44.7
GTEX-1IKOE-1426-SM-CE6T7 30-39 years, female 44.6
GTEX-ZP4G-1426-SM-4WWCL 20-29 years, female 44.4
GTEX-1GF9W-1426-SM-7PBYM 60-69 years, male 44.4
GTEX-13N2G-0226-SM-5K7VF 60-69 years, male 44.3
GTEX-X8HC-0626-SM-4E3HQ 50-59 years, female 44.3
GTEX-1F6RS-2026-SM-7RHHC 60-69 years, female 43.7
GTEX-1HBPN-0126-SM-CGQEF 50-59 years, male 43.7
GTEX-139YR-1026-SM-5LZYN 50-59 years, male 43.5
GTEX-13OW6-2726-SM-5J2OE 50-59 years, male 43.4
GTEX-144GO-2026-SM-5O99P 60-69 years, male 43.2
GTEX-XQ8I-0926-SM-4BOOF 50-59 years, male 43.2
GTEX-13N1W-2426-SM-5IJD1 70-79 years, male 43.1
GTEX-1LKK1-2626-SM-DKPQE 50-59 years, female 43.1
GTEX-15UF6-1926-SM-7KUDV 70-79 years, female 42.8
GTEX-1HUB1-1426-SM-CGQF5 60-69 years, male 42.1
GTEX-11OF3-0126-SM-5PNYF 60-69 years, male 41.7
GTEX-XBEC-0726-SM-4QARZ 50-59 years, male 40.7
GTEX-1RLM8-2926-SM-E8VON 50-59 years, male 40.7
GTEX-147F3-1726-SM-5SIAW 50-59 years, female 40.5
GTEX-1RAZR-2126-SM-E9U6T 40-49 years, male 40.4
GTEX-1HC8U-1326-SM-9YFMJ 40-49 years, female 40.2
GTEX-1S3DN-2126-SM-E9TIN 50-59 years, male 39.9
GTEX-1AMEY-0826-SM-72D65 30-39 years, female 39.3
GTEX-1B933-2426-SM-7DHMD 50-59 years, female 39.3
GTEX-13FTY-2126-SM-5IFFB 40-49 years, female 38.8
GTEX-17MF6-2626-SM-79OKQ 40-49 years, male 38.6
GTEX-1H1ZS-2726-SM-9WG75 70-79 years, male 38.3
GTEX-YECK-0326-SM-4W1YS 60-69 years, male 38.2
GTEX-14BIN-1126-SM-5RQJZ 50-59 years, female 38.1
GTEX-1RB15-1326-SM-E76Q9 60-69 years, male 37.8
GTEX-1S83E-1326-SM-E6CJM 40-49 years, male 37.8
GTEX-11GSP-2326-SM-5HL63 60-69 years, female 37.5
GTEX-XQ3S-1426-SM-4BOPR 20-29 years, male 37.2
GTEX-1F6IF-0926-SM-7SB7M 60-69 years, male 36.9
GTEX-1JMQI-1726-SM-ARL93 50-59 years, male 36.9
GTEX-1LG7Y-2526-SM-EWRO7 50-59 years, male 36.9
GTEX-11DZ1-2426-SM-5GZZX 50-59 years, male 36.5
GTEX-1F75A-0726-SM-7RHHD 50-59 years, male 36.5
GTEX-18A7A-0126-SM-731AH 50-59 years, female 35.9
GTEX-1HGF4-0126-SM-CNPPX 60-69 years, male 35.9
GTEX-1OJC3-1226-SM-DTXER 20-29 years, male 35.6
GTEX-183WM-0326-SM-72D5V 70-79 years, female 35.5
GTEX-1C64N-2626-SM-7PC2N 50-59 years, male 35.3
GTEX-13PVQ-0626-SM-5LU47 50-59 years, male 35.2
GTEX-VUSG-2326-SM-4KL1U 50-59 years, male 35.1
GTEX-1AMFI-1326-SM-7939R 50-59 years, female 34.8
GTEX-WI4N-2726-SM-3LK7Y 40-49 years, female 34.6
GTEX-ZAK1-0626-SM-5HL8E 50-59 years, female 34.3
GTEX-11DXZ-2026-SM-5987S 50-59 years, male 34.2
GTEX-1JN6P-2926-SM-CL54D 60-69 years, male 34.0
GTEX-13G51-1826-SM-5KLZH 60-69 years, male 33.9
GTEX-1IDFM-0326-SM-ARL7V 60-69 years, male 33.8
GTEX-17HG3-2626-SM-7DUF2 30-39 years, female 33.6
GTEX-14ABY-2026-SM-62LDL 50-59 years, male 33.5
GTEX-17KNJ-2126-SM-718AM 50-59 years, male 32.9
GTEX-1J1R8-2026-SM-CL53Y 40-49 years, male 32.8
GTEX-1I1GP-1326-SM-A9G28 50-59 years, male 32.7
GTEX-1A8FM-0626-SM-7PC25 50-59 years, female 32.2
GTEX-14JG1-1526-SM-5YY9X 40-49 years, male 32.1
GTEX-ZVE2-2826-SM-5GU51 50-59 years, male 32.1
GTEX-1JJE9-2626-SM-ARZMT 70-79 years, male 32.1
GTEX-Z93S-1626-SM-5CVMB 50-59 years, male 32.0
GTEX-16YQH-2226-SM-7IGM2 30-39 years, male 31.9
GTEX-15RIG-0726-SM-7KUM7 40-49 years, male 31.8
GTEX-1PPH8-0126-SM-EWRN8 20-29 years, male 31.8
GTEX-U8XE-0226-SM-4E3J3 30-39 years, male 31.4
GTEX-ZYFC-0426-SM-5GICQ 50-59 years, male 31.4
GTEX-18A67-1626-SM-7LT9T 50-59 years, male 31.1
GTEX-178AV-1726-SM-7KUL8 40-49 years, male 31.0
GTEX-1EH9U-2826-SM-7DUGT 60-69 years, male 30.8
GTEX-1QMI2-2526-SM-E8VNZ 60-69 years, male 30.7
GTEX-13113-1626-SM-5EQ4I 60-69 years, female 30.5
GTEX-X4EP-0626-SM-3P621 60-69 years, female 30.2
GTEX-11EQ8-0926-SM-5H12V 60-69 years, male 30.1
GTEX-ZE9C-2526-SM-5IJDR 60-69 years, male 29.6
GTEX-14AS3-1526-SM-5Q5ED 40-49 years, female 29.5
GTEX-1GF9X-1326-SM-7PC2Y 40-49 years, female 29.5
GTEX-1H1DG-2426-SM-9QEHJ 70-79 years, male 29.4
GTEX-111CU-1126-SM-5EGIM 50-59 years, male 29.1
GTEX-1B932-2326-SM-79OL5 40-49 years, female 28.5
GTEX-1CB4E-0926-SM-7EPHT 60-69 years, male 28.5
GTEX-YEC4-1826-SM-4W1YP 40-49 years, male 28.3
GTEX-YJ8O-2526-SM-5HL85 40-49 years, female 28.0
GTEX-WXYG-2026-SM-4E3IY 50-59 years, female 27.9
GTEX-14XAO-1226-SM-6EU1C 60-69 years, female 27.8
GTEX-1MCC2-1826-SM-DIPEX 30-39 years, female 27.8
GTEX-131XF-2626-SM-5EQ6K 60-69 years, male 27.3
GTEX-Y114-2126-SM-4TT8B 50-59 years, female 27.3
GTEX-1R7EU-1626-SM-DTXG3 60-69 years, male 27.3
GTEX-13FTX-1526-SM-5K7VJ 20-29 years, female 27.0
GTEX-13X6H-0926-SM-5SIB2 50-59 years, female 27.0
GTEX-1LGRB-0926-SM-COH3K 50-59 years, female 26.9
GTEX-1477Z-0326-SM-7IGLA 60-69 years, male 26.8
GTEX-WRHU-2826-SM-3MJG8 50-59 years, female 26.6
GTEX-1I1CD-0626-SM-CE6SW 60-69 years, female 26.6
GTEX-13OW8-1026-SM-5J1NQ 60-69 years, male 26.4
GTEX-ZYT6-2326-SM-5GZY3 30-39 years, male 26.3
GTEX-1IDJD-2326-SM-ACKWX 30-39 years, male 26.2
GTEX-ZPIC-0526-SM-DO91W 40-49 years, female 26.2
GTEX-1GN1U-0626-SM-9MQL9 50-59 years, female 25.8
GTEX-12WSK-2126-SM-5CVNC 40-49 years, female 25.7
GTEX-13U4I-2226-SM-5LU5H 40-49 years, female 25.7
GTEX-16AAH-0626-SM-793C9 50-59 years, male 25.7
GTEX-1PPGY-1626-SM-EVYBL 60-69 years, male 25.7
GTEX-1R9PM-1926-SM-EVR3O 20-29 years, male 25.7
GTEX-13O3O-2326-SM-5IJD6 60-69 years, female 25.3
GTEX-1CAMS-2226-SM-7PBXQ 40-49 years, female 24.8
GTEX-17HGU-2326-SM-7DUFE 50-59 years, male 24.4
GTEX-1EWIQ-0326-SM-7DHMQ 70-79 years, female 24.4
GTEX-Y3IK-1626-SM-4YCF5 50-59 years, female 24.2
GTEX-1H23P-0626-SM-9WG6T 60-69 years, male 23.8
GTEX-V1D1-2026-SM-3GAF4 50-59 years, male 23.7
GTEX-1I1GS-2626-SM-B2LY3 60-69 years, male 23.7
GTEX-111YS-1526-SM-5GZYW 60-69 years, male 23.4
GTEX-14PK6-0226-SM-62LF5 70-79 years, female 23.4
GTEX-17HHY-0426-SM-7DHLC 50-59 years, male 23.3
GTEX-ZVZP-1226-SM-5GID7 50-59 years, male 23.2
GTEX-13OW5-2326-SM-5L3HO 60-69 years, male 22.4
GTEX-UPJH-0226-SM-3GADV 50-59 years, male 22.3
GTEX-14A5H-0826-SM-5QGPJ 60-69 years, male 22.1
GTEX-14PJ6-2626-SM-6EU2T 60-69 years, female 21.9
GTEX-15DYW-2726-SM-6EU2I 60-69 years, female 21.7
GTEX-1HSMQ-2626-SM-A9SML 50-59 years, male 21.7
GTEX-1C2JI-1026-SM-73KY1 50-59 years, male 21.6
GTEX-1F88F-0126-SM-9WYSZ 60-69 years, female 21.4
GTEX-XUW1-0926-SM-4BONX 50-59 years, female 21.2
GTEX-1JN76-0626-SM-CKZOQ 20-29 years, female 20.2
GTEX-1PBJJ-1026-SM-E76OS 30-39 years, male 20.0
GTEX-1QAET-0326-SM-EVR3U 50-59 years, male 19.8
GTEX-13NYS-0626-SM-5L3F1 60-69 years, male 19.7
GTEX-XAJ8-1426-SM-47JYM 40-49 years, male 19.7
GTEX-131XG-0326-SM-5L3DX 50-59 years, female 19.5
GTEX-13NYB-0126-SM-5J1MD 40-49 years, male 19.5
GTEX-Y5V5-0126-SM-5S2NW 60-69 years, female 19.5
GTEX-14LZ3-0126-SM-69LPM 60-69 years, female 19.2
GTEX-1PDJ9-1226-SM-EXUSX 20-29 years, male 19.2
GTEX-1POEN-2326-SM-E9J2L 30-39 years, female 18.8
GTEX-1H1DE-1326-SM-9KNUG 20-29 years, male 18.6
GTEX-1R9PN-0426-SM-DTXDT 40-49 years, female 18.6
GTEX-1CB4F-1026-SM-7DUH1 60-69 years, male 18.5
GTEX-1B8KZ-0326-SM-73KY4 50-59 years, male 18.2
GTEX-1F48J-0726-SM-7RHGS 50-59 years, female 18.1
GTEX-ZF2S-1626-SM-57WES 50-59 years, female 18.0
GTEX-11VI4-1126-SM-5EQMD 40-49 years, female 17.8
GTEX-ZGAY-1826-SM-DO91Q 40-49 years, female 17.8
GTEX-WFON-1926-SM-3LK7L 40-49 years, male 17.5
GTEX-ZC5H-1526-SM-5HL9Y 40-49 years, female 17.5
GTEX-13FTW-0326-SM-5K7UW 40-49 years, male 17.4
GTEX-1399R-1326-SM-5PNYS 30-39 years, male 17.3
GTEX-13O61-1426-SM-5KM3D 60-69 years, male 17.0
GTEX-1JMOU-1026-SM-CYPSS 60-69 years, female 17.0
GTEX-1IOXB-2726-SM-CM2RI 50-59 years, male 16.9
GTEX-1B8SF-0126-SM-7DUG3 60-69 years, male 16.7
GTEX-17HHE-1326-SM-7EWDZ 50-59 years, male 16.6
GTEX-1HFI6-0126-SM-CNPPI 40-49 years, male 16.5
GTEX-13X6K-0626-SM-5LU5D 60-69 years, female 16.2
GTEX-Y111-0626-SM-4SOIT 50-59 years, male 16.2
GTEX-13OW7-0426-SM-5K7VK 50-59 years, male 16.1
GTEX-1H4P4-2126-SM-9WYSL 50-59 years, male 16.1
GTEX-145MI-0626-SM-5SI8S 60-69 years, female 15.8
GTEX-14ICL-1626-SM-5YYAO 30-39 years, male 15.7
GTEX-133LE-2326-SM-5K7W3 20-29 years, female 15.6
GTEX-13YAN-0226-SM-5TDC6 60-69 years, male 15.6
GTEX-15EO6-2426-SM-6PALZ 50-59 years, male 15.5
GTEX-11O72-0626-SM-5PNYE 40-49 years, male 15.4
GTEX-11UD2-2526-SM-5CVNU 50-59 years, male 15.0
GTEX-1399U-1126-SM-5L3DB 50-59 years, female 15.0
GTEX-11LCK-2226-SM-5HL4Q 30-39 years, male 14.7
GTEX-1IE54-1126-SM-A9G2Z 40-49 years, female 14.7
GTEX-1S5ZU-2526-SM-E6CIF 20-29 years, female 14.6
GTEX-1F5PK-2226-SM-7SB6N 50-59 years, male 14.5
GTEX-1I1GV-0626-SM-ARL7M 60-69 years, male 14.4
GTEX-1HBPI-2126-SM-ARL9K 50-59 years, male 13.7
GTEX-ZVT4-2426-SM-5GIEI 50-59 years, female 13.4
GTEX-1117F-2926-SM-5GZYI 60-69 years, female 13.2
GTEX-13NYC-0126-SM-5L3F4 60-69 years, male 13.1
GTEX-1HCU7-0726-SM-A9SL1 50-59 years, male 13.0
GTEX-1K2DU-1226-SM-CYPT4 20-29 years, male 12.9
GTEX-14B4R-1326-SM-5Q5EZ 30-39 years, male 12.7
GTEX-14PJ5-1526-SM-6LLIL 60-69 years, female 12.7
GTEX-17F9Y-0126-SM-79OKX 70-79 years, female 12.4
GTEX-1S82U-1026-SM-E6CJK 30-39 years, female 11.9
GTEX-1399Q-2326-SM-5KM2X 40-49 years, male 11.8
GTEX-144FL-0626-SM-5LU43 50-59 years, male 11.4
GTEX-1B8L1-2226-SM-7P8PT 60-69 years, male 11.4
GTEX-1LVA9-2626-SM-EVYD4 50-59 years, male 11.4
GTEX-13VXU-0626-SM-5L3F9 50-59 years, male 11.1
GTEX-1HSKV-1226-SM-ADEI4 60-69 years, male 11.1
GTEX-16BQI-1326-SM-6M486 30-39 years, female 11.0
GTEX-15CHR-1126-SM-7EWF4 50-59 years, male 10.6
GTEX-1A8G7-1326-SM-73KVM 60-69 years, male 10.0
GTEX-1JMQJ-0826-SM-CNPP7 50-59 years, male 9.8
GTEX-12WSH-1526-SM-5BC5W 50-59 years, male 9.5
GTEX-ZPCL-1126-SM-4WWFE 60-69 years, female 9.5
GTEX-11P81-2226-SM-5PNYI 30-39 years, female 9.4
GTEX-1BAJH-2426-SM-7IGP8 70-79 years, male 9.2
GTEX-1HR9M-2226-SM-CNPPY 60-69 years, male 9.0
GTEX-1QP28-1126-SM-EVYC4 50-59 years, female 8.8
GTEX-139UW-0326-SM-5J1ML 60-69 years, male 8.6
GTEX-1EN7A-2426-SM-793DB 40-49 years, male 8.4
GTEX-1HCU8-2526-SM-CE6RX 60-69 years, female 8.3
GTEX-WYVS-1626-SM-3NM9R 40-49 years, female 8.0
GTEX-1HKZK-0726-SM-ACKW2 40-49 years, male 8.0
GTEX-1J1OQ-0126-SM-D4P2N 40-49 years, female 8.0
GTEX-1C6VR-0126-SM-7RHGB 60-69 years, male 7.9
GTEX-13QJC-0126-SM-5ZZWJ 60-69 years, female 7.6
GTEX-1AX9I-2226-SM-73KUO 60-69 years, male 7.6
GTEX-ZF29-0926-SM-4WKFZ 60-69 years, female 7.6
GTEX-1PIIG-2326-SM-DTXFR 30-39 years, male 7.3
GTEX-1JK1U-0226-SM-ARZMX 60-69 years, male 7.2
GTEX-13O3Q-0126-SM-5KM34 50-59 years, male 7.1
GTEX-144GM-0526-SM-79OJO 20-29 years, male 7.0
GTEX-1ICLY-0826-SM-CMKG1 50-59 years, male 6.9
GTEX-1AX9J-1326-SM-731BJ 60-69 years, male 6.8
GTEX-13OVK-1426-SM-6PAN7 40-49 years, male 6.7
GTEX-1HT8W-0626-SM-A9G2H 30-39 years, male 6.6
GTEX-1MCYP-0526-SM-E9U6Q 20-29 years, female 6.6
GTEX-13IVO-0726-SM-5LZYV 70-79 years, male 6.2
GTEX-X5EB-1926-SM-4E3IW 40-49 years, male 6.2
GTEX-139D8-1126-SM-5LU8W 30-39 years, female 5.9
GTEX-1N2EE-0626-SM-E76PW 60-69 years, male 5.8
GTEX-1A8G6-2726-SM-731AR 60-69 years, male 5.7
GTEX-1CB4H-1126-SM-7MKGL 60-69 years, female 5.4
GTEX-1I1GU-0926-SM-ACKVS 40-49 years, male 5.2
GTEX-15RJ7-2126-SM-6PAMD 40-49 years, male 5.1
GTEX-1GF9V-0826-SM-9KNUV 60-69 years, male 4.9
GTEX-14A6H-2026-SM-5Q5DD 30-39 years, male 4.8
GTEX-1I1HK-2326-SM-CKZOH 60-69 years, male 4.8
GTEX-1KAFJ-0126-SM-DIPEK 50-59 years, male 4.6
GTEX-ZYY3-2926-SM-5GIEB 60-69 years, female 4.4
GTEX-17F98-1326-SM-7DUEP 40-49 years, female 4.3
GTEX-145LU-1926-SM-79OJN 50-59 years, male 4.2
GTEX-17EVP-2626-SM-7IGMA 40-49 years, male 3.5
GTEX-13QBU-1226-SM-5LU4G 40-49 years, female 3.4
GTEX-15ER7-0626-SM-6PANF 20-29 years, female 3.4
GTEX-W5X1-2526-SM-3GILC 40-49 years, female 3.4
GTEX-1GN73-0726-SM-7P8TJ 60-69 years, male 3.4
GTEX-17HII-1426-SM-7EPGG 50-59 years, male 3.3
GTEX-1GZ4H-0526-SM-9KNU9 50-59 years, female 3.3
GTEX-1IKJJ-2226-SM-CJI4C 60-69 years, male 3.3
GTEX-1OJC4-2726-SM-E76PJ 50-59 years, female 3.3
GTEX-1GMRU-2126-SM-7P8RA 50-59 years, male 3.1
GTEX-1269C-0126-SM-5EQ5L 60-69 years, female 2.9
GTEX-14PJN-1826-SM-6AJ98 30-39 years, male 2.9
GTEX-111VG-1626-SM-5EGIO 60-69 years, male 2.7
GTEX-14E6E-0526-SM-793DN 30-39 years, male 2.7
GTEX-1122O-1026-SM-9WYSF 60-69 years, female 2.7
GTEX-1GN2E-0226-SM-9WG6K 60-69 years, male 2.6
GTEX-1KXAM-1626-SM-D3LAD 60-69 years, male 2.6
GTEX-11WQK-1026-SM-5EQLX 50-59 years, male 2.5
GTEX-13PDP-0726-SM-5L3HP 60-69 years, male 2.4
GTEX-1JMPY-0226-SM-CKZOK 30-39 years, male 2.4
GTEX-1EKGG-0626-SM-7DUGJ 60-69 years, male 2.1
GTEX-WFG7-2026-SM-5SI7P 20-29 years, male 2.1
GTEX-ZE7O-2726-SM-51MT5 50-59 years, female 2.1
GTEX-11PRG-0726-SM-5EGL1 50-59 years, male 2.0
GTEX-13X6J-0626-SM-5LU5F 50-59 years, male 2.0
GTEX-1EU9M-1426-SM-793AI 60-69 years, male 2.0
GTEX-ZT9X-1526-SM-5DUXD 40-49 years, male 2.0
GTEX-11ZTT-2126-SM-5CVLO 60-69 years, female 1.9
GTEX-WHSB-1326-SM-3LK6W 50-59 years, male 1.8
GTEX-ZVT2-0126-SM-5GIDQ 50-59 years, female 1.8
GTEX-1AYD5-2626-SM-7PBXY 50-59 years, male 1.6
GTEX-1H3VE-0726-SM-9YFL5 40-49 years, male 1.6
GTEX-1QP29-1826-SM-DTX9S 50-59 years, male 1.6
GTEX-1ICLZ-0326-SM-ARL82 60-69 years, male 1.5
GTEX-16MTA-0926-SM-6M47Z 50-59 years, male 1.4
GTEX-1QPFJ-1926-SM-EVYBD 30-39 years, female 1.4
GTEX-ZTX8-1326-SM-4YCEL 20-29 years, male 1.3
GTEX-1HCUA-0826-SM-ADEHM 50-59 years, female 1.1
GTEX-147JS-0226-SM-5S2U9 60-69 years, male 1.0
GTEX-ZLV1-1526-SM-DO91J 60-69 years, female 0.9
GTEX-14PKU-0126-SM-6LLHV 40-49 years, female 0.8
GTEX-Y3I4-1726-SM-4TT89 50-59 years, male 0.8
GTEX-Y9LG-1126-SM-4VBQ7 30-39 years, male 0.8
GTEX-XV7Q-1826-SM-4BRUV 40-49 years, female 0.7
GTEX-1GPI6-1926-SM-9KNV7 60-69 years, male 0.7
GTEX-14C5O-0326-SM-5ZZUX 60-69 years, male 0.6
GTEX-1GZHY-0626-SM-9KNVC 50-59 years, female 0.6
GTEX-1J8EW-2726-SM-CY8HR 60-69 years, female 0.6
GTEX-11GS4-0226-SM-5HL77 60-69 years, male 0.5
GTEX-12WSJ-1126-SM-5LZVJ 40-49 years, female 0.5
GTEX-1313W-0626-SM-5EQ4H 50-59 years, female 0.5
GTEX-1399S-0126-SM-5IJCF 30-39 years, female 0.5
GTEX-13JVG-0726-SM-5KM16 60-69 years, male 0.5
GTEX-13SLW-0626-SM-5Q5ER 70-79 years, male 0.5
GTEX-14C39-1726-SM-5RQIL 40-49 years, male 0.5
GTEX-ZY6K-1426-SM-5GZX2 50-59 years, male 0.5
GTEX-1CB4J-1326-SM-7P8RX 60-69 years, male 0.5
GTEX-1J8Q3-0526-SM-ARL8U 60-69 years, male 0.5
GTEX-13FHO-0426-SM-5L3F5 60-69 years, male 0.4
GTEX-1C6VQ-1226-SM-73KYD 50-59 years, male 0.4
GTEX-1LB8K-0726-SM-D5OV2 50-59 years, male 0.4
GTEX-15FZZ-0526-SM-7KUGD 30-39 years, female 0.3
GTEX-1GN1V-2826-SM-9JGIA 60-69 years, male 0.3
GTEX-1H11D-1826-SM-9QEHM 40-49 years, male 0.3
GTEX-1HBPM-0726-SM-9YFL7 60-69 years, female 0.3
GTEX-1J8QM-2426-SM-A9SLS 60-69 years, female 0.3
GTEX-1JMQL-2226-SM-CNPP4 50-59 years, female 0.3
GTEX-1R46S-2426-SM-E76QA 60-69 years, female 0.3
GTEX-11ZU8-0126-SM-5EQ58 60-69 years, male 0.2
GTEX-12ZZZ-0726-SM-5GCNZ 60-69 years, male 0.2
GTEX-13PL6-1126-SM-5L3IE 40-49 years, female 0.2
GTEX-13VXT-1926-SM-5K7UO 20-29 years, female 0.2
GTEX-145MH-2826-SM-5RQJF 50-59 years, male 0.2
GTEX-14PJ4-0226-SM-5YY92 60-69 years, male 0.2
GTEX-15SKB-2826-SM-6PAMH 60-69 years, male 0.2
GTEX-16MT9-0126-SM-7EPI8 60-69 years, female 0.2
GTEX-1EX96-1026-SM-7MKG2 50-59 years, male 0.2
GTEX-XBEW-1126-SM-4QARW 40-49 years, male 0.2
GTEX-1H3O1-1326-SM-9MQLD 60-69 years, male 0.2
GTEX-1NV5F-0626-SM-DTXEG 60-69 years, female 0.2
GTEX-1QP2A-1726-SM-E76QC 50-59 years, male 0.2
GTEX-144GL-0626-SM-5LU4D 50-59 years, male 0.1
GTEX-14C38-0726-SM-5SI6M 50-59 years, male 0.1
GTEX-ZAB4-2126-SM-5HL8U 40-49 years, male 0.1
GTEX-1I1GT-1026-SM-ARZLV 60-69 years, female 0.1
GTEX-1IDJI-0126-SM-CMKHS 50-59 years, female 0.1
GTEX-1JJEA-1826-SM-ARU8P 60-69 years, male 0.1
GTEX-1EMGI-2326-SM-7PBYA 60-69 years, male 0.0
Show allShow less
Skin - Sun Exposed (Lower leg)
Average nTPM: 73.5
Samples: 701

Max nTPM: 635.2
Min nTPM: 0.0
Std nTPM: 69.0
Median nTPM: 54.1
GTEX-1F75I-0326-SM-9YFLU 40-49 years, male 635.2
GTEX-14ICK-0226-SM-6EU25 40-49 years, male 572.0
GTEX-S7PM-0126-SM-4AD6S 60-69 years, male 491.8
GTEX-1NHNU-1026-SM-E9J2A 50-59 years, male 448.7
GTEX-11P7K-2126-SM-5GU7G 30-39 years, male 384.1
GTEX-13RTJ-2426-SM-5S2Q2 60-69 years, male 363.3
GTEX-14JIY-0126-SM-6LLH6 60-69 years, male 294.1
GTEX-OHPM-0126-SM-2YUN9 50-59 years, male 290.5
GTEX-OXRO-0126-SM-2YUN4 60-69 years, female 278.0
GTEX-1PPH7-2326-SM-EVYB8 40-49 years, male 274.3
GTEX-U4B1-1826-SM-4DXSU 40-49 years, male 250.5
GTEX-U3ZM-1526-SM-3DB9D 40-49 years, male 245.9
GTEX-ZQUD-1426-SM-57WER 30-39 years, male 243.7
GTEX-1R9PO-2126-SM-E9J4O 60-69 years, female 242.8
GTEX-1IKK5-0626-SM-ARL8A 60-69 years, male 238.1
GTEX-1N2DV-0226-SM-E6CJ6 40-49 years, male 237.2
GTEX-1B996-0226-SM-7RHGO 60-69 years, male 234.8
GTEX-XQ8I-0426-SM-4BOPO 50-59 years, male 233.3
GTEX-WRHK-1426-SM-3MJF9 20-29 years, female 232.4
GTEX-1C6WA-0126-SM-7PC2B 60-69 years, male 232.4
GTEX-1ICG6-2526-SM-CGQFZ 70-79 years, female 232.4
GTEX-1RLM8-2326-SM-EWRN4 50-59 years, male 232.3
GTEX-1GN1W-0526-SM-9MQJQ 50-59 years, female 229.7
GTEX-ZVZP-2426-SM-59HKJ 50-59 years, male 229.1
GTEX-OXRL-0126-SM-2YUMP 50-59 years, male 226.9
GTEX-1HSMP-0126-SM-E6CJS 70-79 years, male 226.7
GTEX-139T8-0126-SM-5K7XZ 60-69 years, male 224.7
GTEX-ZYFD-0126-SM-5GIDL 50-59 years, male 223.8
GTEX-18D9B-0526-SM-7LTAS 60-69 years, male 220.4
GTEX-1QP2A-0126-SM-E9J43 50-59 years, male 213.4
GTEX-12126-0326-SM-5PNW3 20-29 years, male 205.6
GTEX-11ZTT-2426-SM-5EQLS 60-69 years, female 205.3
GTEX-1J8QM-2126-SM-CYPSJ 60-69 years, female 204.7
GTEX-12WSD-0126-SM-59HKN 60-69 years, female 203.6
GTEX-OHPL-0126-SM-2HMJ7 60-69 years, female 202.2
GTEX-15EU6-0426-SM-6PAN5 50-59 years, male 200.7
GTEX-11UD1-0126-SM-5PNYG 40-49 years, female 200.2
GTEX-1AMEY-1326-SM-73KYK 30-39 years, female 196.0
GTEX-1GPI6-0126-SM-9WG69 60-69 years, male 195.3
GTEX-13O1R-0126-SM-5L3EH 60-69 years, male 193.1
GTEX-O5YW-0126-SM-3LK6D 50-59 years, male 188.9
GTEX-R55G-2526-SM-2TC6D 40-49 years, female 188.8
GTEX-1211K-2026-SM-5EQ4Z 60-69 years, female 188.1
GTEX-1F75B-0126-SM-9KNVL 50-59 years, male 187.1
GTEX-P4PQ-0126-SM-2S1NM 60-69 years, male 186.9
GTEX-1RAZQ-0726-SM-EAZ43 30-39 years, male 182.7
GTEX-183FY-0126-SM-7LT9P 20-29 years, male 182.0
GTEX-15D1Q-0126-SM-7KUG6 40-49 years, male 181.3
GTEX-RM2N-1426-SM-2TF4H 50-59 years, male 180.8
GTEX-117YX-2326-SM-5H12W 50-59 years, male 178.9
GTEX-139T4-0226-SM-5HL5S 50-59 years, female 178.4
GTEX-RVPV-0126-SM-EAZAW 60-69 years, male 178.0
GTEX-1C2JI-1826-SM-73KXC 50-59 years, male 177.6
GTEX-1AX8Z-0126-SM-7DHM6 60-69 years, male 175.6
GTEX-11ZUS-0626-SM-59885 30-39 years, male 175.5
GTEX-1LSNM-1926-SM-E6CII 50-59 years, male 174.5
GTEX-1HSEH-0126-SM-ACKXN 60-69 years, male 171.0
GTEX-1AX9I-0126-SM-7SB74 60-69 years, male 170.4
GTEX-1CAV2-2226-SM-7P8P2 40-49 years, female 170.3
GTEX-131XF-5016-SM-7MGWE 60-69 years, male 168.9
GTEX-1QW4Y-1526-SM-EAZ3Z 30-39 years, male 168.4
GTEX-YEC4-2126-SM-5IFJH 40-49 years, male 167.2
GTEX-1B933-0126-SM-7PC29 50-59 years, female 167.2
GTEX-13113-5016-SM-7EPIP 60-69 years, female 165.7
GTEX-1AMFI-2026-SM-731BH 50-59 years, female 164.2
GTEX-1H2FU-0126-SM-9WYSI 60-69 years, female 164.1
GTEX-17EUY-0426-SM-793BD 20-29 years, male 162.3
GTEX-13VXT-0126-SM-5LU4I 20-29 years, female 159.1
GTEX-YB5K-2126-SM-4WWDJ 40-49 years, female 158.4
GTEX-1H1DE-2126-SM-9WG6R 20-29 years, male 158.2
GTEX-14BIM-0226-SM-7IGLD 60-69 years, female 157.0
GTEX-ZVT2-2526-SM-51MT1 50-59 years, female 155.8
GTEX-1H23P-0126-SM-ADEJ3 60-69 years, male 155.6
GTEX-13W3W-2426-SM-5LU5B 60-69 years, female 154.7
GTEX-1H1CY-2826-SM-9MQM3 60-69 years, female 154.2
GTEX-13FTW-2626-SM-5K7WL 40-49 years, male 153.8
GTEX-1AX9K-2326-SM-73KWU 50-59 years, male 152.6
GTEX-X62O-0126-SM-4E3JN 50-59 years, male 152.4
GTEX-15SB6-1726-SM-6PAME 50-59 years, female 152.2
GTEX-131XW-0426-SM-5LZWP 50-59 years, female 151.0
GTEX-12WSN-5019-SM-79OM6 40-49 years, male 150.4
GTEX-1JMQI-2226-SM-CM2SD 50-59 years, male 149.1
GTEX-Y3I4-2126-SM-4TT7C 50-59 years, male 148.8
GTEX-1128S-2326-SM-5GZZY 60-69 years, female 148.7
GTEX-1I1GU-2226-SM-CGQFA 40-49 years, male 147.8
GTEX-16XZZ-0126-SM-793DV 60-69 years, male 147.0
GTEX-S95S-1226-SM-4GICG 60-69 years, male 146.5
GTEX-1N2EF-0226-SM-EYYXB 60-69 years, male 145.8
GTEX-1F75A-0126-SM-7RHGM 50-59 years, male 144.6
GTEX-1C64O-0126-SM-7SB8P 60-69 years, male 144.0
GTEX-1NV5F-0226-SM-E8VNY 60-69 years, female 142.4
GTEX-1HSMQ-1226-SM-CGQFX 50-59 years, male 140.8
GTEX-14PN3-2426-SM-6LLHS 60-69 years, female 138.5
GTEX-W5WG-1826-SM-4KL2Y 50-59 years, female 138.1
GTEX-1QCLY-0326-SM-E8VOG 30-39 years, male 138.0
GTEX-OXRP-0126-SM-3NB32 60-69 years, female 136.9
GTEX-13IVO-0126-SM-5J1NG 70-79 years, male 136.5
GTEX-13FHO-0226-SM-5IFGY 60-69 years, male 135.7
GTEX-1CAMR-1926-SM-7EPI2 20-29 years, male 135.5
GTEX-14PJ3-1826-SM-62LEX 50-59 years, male 134.3
GTEX-Y5V6-2426-SM-4VDSB 60-69 years, male 133.4
GTEX-X4XY-0226-SM-4E3IZ 60-69 years, male 132.1
GTEX-17HHE-2026-SM-79OKF 50-59 years, male 132.0
GTEX-1J8Q3-1626-SM-CMKGC 60-69 years, male 131.8
GTEX-1MCYP-1926-SM-E9J2R 20-29 years, female 131.7
GTEX-OXRK-0226-SM-3NB2G 50-59 years, female 130.8
GTEX-1QP9N-1426-SM-DTXFL 30-39 years, male 130.8
GTEX-1J8Q2-0526-SM-CM2RW 60-69 years, male 130.0
GTEX-14BIL-0126-SM-5SI92 50-59 years, male 129.7
GTEX-144GN-2326-SM-5LU4F 50-59 years, male 128.2
GTEX-W5X1-3026-SM-EAZAX 40-49 years, female 127.4
GTEX-1H1E6-1726-SM-ACKVK 30-39 years, male 127.2
GTEX-11ZU8-2526-SM-5EQKI 60-69 years, male 127.1
GTEX-ZE9C-2726-SM-57WB5 60-69 years, male 127.1
GTEX-1QP29-0626-SM-EWRMX 50-59 years, male 126.7
GTEX-SUCS-1926-SM-32PM3 70-79 years, male 126.2
GTEX-1PBJI-0526-SM-E8VNK 20-29 years, female 126.2
GTEX-13FH7-2026-SM-E9J4I 50-59 years, female 125.9
GTEX-WY7C-2326-SM-3NB2U 50-59 years, male 125.5
GTEX-1PPH8-0226-SM-E8VND 20-29 years, male 125.0
GTEX-1497J-2426-SM-7IGNX 60-69 years, male 124.8
GTEX-1H3VY-0126-SM-ACKXD 50-59 years, male 124.6
GTEX-1MA7X-2226-SM-E6CIY 60-69 years, male 122.4
GTEX-146FR-1326-SM-E9J48 60-69 years, female 122.1
GTEX-1GL5R-1826-SM-9KNUY 50-59 years, male 121.5
GTEX-1A3MV-1926-SM-718BT 30-39 years, male 121.2
GTEX-1GPI7-0126-SM-9MQL8 20-29 years, male 121.1
GTEX-1HKZK-0326-SM-9WYUH 40-49 years, male 119.3
GTEX-1IDFM-0126-SM-COH2V 60-69 years, male 119.0
GTEX-11GS4-2726-SM-5A5LE 60-69 years, male 118.1
GTEX-WOFL-0126-SM-3MJG2 60-69 years, male 118.0
GTEX-1I6K6-0126-SM-A9SLE 30-39 years, male 117.7
GTEX-11EM3-2426-SM-59861 20-29 years, female 117.3
GTEX-13O21-1426-SM-5K7XI 50-59 years, male 117.0
GTEX-1JJE9-0326-SM-CL53Z 70-79 years, male 117.0
GTEX-RU72-0926-SM-2TF6B 50-59 years, female 116.5
GTEX-1JKYN-1326-SM-CGQG9 30-39 years, male 116.0
GTEX-XMD2-0126-SM-4YCDU 60-69 years, female 115.8
GTEX-1A3MX-0126-SM-731BR 60-69 years, male 114.5
GTEX-1I19N-0326-SM-ACKVX 70-79 years, male 113.9
GTEX-13RTK-1426-SM-5QGQJ 20-29 years, male 113.6
GTEX-1CB4J-0626-SM-7DHMP 60-69 years, male 113.2
GTEX-12WSK-2326-SM-5GCOH 40-49 years, female 112.9
GTEX-15SHW-0326-SM-6PAML 60-69 years, male 111.9
GTEX-16XZY-2126-SM-79OK1 70-79 years, male 111.4
GTEX-1MGNQ-0126-SM-EVYCJ 40-49 years, male 111.1
GTEX-WH7G-2326-SM-3NMBC 40-49 years, male 109.7
GTEX-18465-0126-SM-731BN 50-59 years, male 109.3
GTEX-T2YK-0526-SM-32QPJ 50-59 years, male 109.3
GTEX-1KD5A-0226-SM-D5OV3 50-59 years, male 107.9
GTEX-T6MO-1626-SM-32QOM 40-49 years, female 107.5
GTEX-1HFI6-0226-SM-ADEHZ 40-49 years, male 107.2
GTEX-1R7EV-2426-SM-EVYBG 40-49 years, male 107.1
GTEX-XBED-2226-SM-47JYQ 60-69 years, male 106.2
GTEX-16AAH-1726-SM-7939C 50-59 years, male 106.1
GTEX-17F96-1626-SM-7DUFL 70-79 years, male 105.8
GTEX-QEG4-0226-SM-2S1PY 30-39 years, male 104.8
GTEX-1ICLY-0126-SM-D4P36 50-59 years, male 104.0
GTEX-X4XX-0126-SM-3NMC2 60-69 years, male 103.7
GTEX-17F98-0626-SM-79OMX 40-49 years, female 103.6
GTEX-1GTWX-0126-SM-9YFLK 60-69 years, male 103.4
GTEX-UPJH-0326-SM-3GADU 50-59 years, male 103.2
GTEX-XQ3S-1526-SM-4BOOC 20-29 years, male 103.0
GTEX-1K2DA-1826-SM-CGQGT 50-59 years, male 101.8
GTEX-U412-0426-SM-3DB9O 60-69 years, male 101.7
GTEX-PWCY-1826-SM-DHXIZ 20-29 years, female 101.4
GTEX-11WQC-2526-SM-5CVLE 60-69 years, male 101.3
GTEX-18D9U-0226-SM-718BP 40-49 years, male 101.3
GTEX-18A7A-0226-SM-718BH 50-59 years, female 100.5
GTEX-13G51-2526-SM-5LZYK 60-69 years, male 99.9
GTEX-XYKS-2126-SM-4E3IB 60-69 years, female 99.9
GTEX-1LG7Y-0526-SM-DKPQC 50-59 years, male 99.8
GTEX-PWO3-1526-SM-48TCM 60-69 years, female 99.7
GTEX-1KANA-0726-SM-D3L9I 20-29 years, male 99.6
GTEX-1RDX4-0126-SM-E9J4P 50-59 years, female 99.6
GTEX-14DAR-2026-SM-5S2O3 50-59 years, male 97.5
GTEX-131XH-2226-SM-5DUXJ 50-59 years, male 97.4
GTEX-WQUQ-0426-SM-3MJFU 60-69 years, male 97.3
GTEX-T5JC-0426-SM-32PLO 20-29 years, male 96.2
GTEX-16NGA-1726-SM-731B4 40-49 years, female 96.1
GTEX-14E7W-0126-SM-6LLJ9 70-79 years, male 96.0
GTEX-1OFPY-2426-SM-DTXEJ 60-69 years, male 95.9
GTEX-1F6I4-0126-SM-9MQL2 60-69 years, male 95.7
GTEX-146FH-0126-SM-5QGPP 50-59 years, female 95.6
GTEX-11TTK-0126-SM-5987B 60-69 years, female 94.6
GTEX-VJWN-0126-SM-3GIK7 50-59 years, female 93.6
GTEX-14PHX-2326-SM-62LEM 50-59 years, male 93.5
GTEX-13FTX-1826-SM-5J1NX 20-29 years, female 93.4
GTEX-1PFEY-1526-SM-E76PP 30-39 years, male 93.0
GTEX-QVJO-1626-SM-2S1QW 60-69 years, female 92.9
GTEX-1I1GP-2226-SM-CGQFK 50-59 years, male 92.1
GTEX-147F4-0226-SM-5QGPW 50-59 years, male 92.0
GTEX-WVJS-0126-SM-4MVOT 50-59 years, male 91.5
GTEX-1JKYR-0126-SM-CNPOJ 20-29 years, male 91.4
GTEX-QLQ7-1626-SM-2S1R8 60-69 years, male 90.7
GTEX-UJHI-1526-SM-3DB99 50-59 years, female 90.5
GTEX-1J1R8-1726-SM-ARL8M 40-49 years, male 90.5
GTEX-14A5I-0126-SM-5TDEA 50-59 years, female 90.1
GTEX-1S82Z-0826-SM-E6CHY 30-39 years, female 90.0
GTEX-14DAQ-0126-SM-5S2MQ 60-69 years, female 89.5
GTEX-11DXX-2426-SM-5GZZW 60-69 years, female 89.4
GTEX-1HBPN-0226-SM-9YFM1 50-59 years, male 88.9
GTEX-WXYG-2326-SM-4E3I6 50-59 years, female 88.8
GTEX-ZE7O-0126-SM-57WC1 50-59 years, female 88.2
GTEX-1RB15-2126-SM-E9TIM 60-69 years, male 87.9
GTEX-1IDJF-0126-SM-CM2RS 20-29 years, male 87.8
GTEX-1IE54-0126-SM-CMKHW 40-49 years, female 87.6
GTEX-Q2AI-1326-SM-2S1PL 40-49 years, male 87.5
GTEX-11TT1-2526-SM-5EGIB 20-29 years, male 87.2
GTEX-X261-0126-SM-3NMD6 50-59 years, male 86.1
GTEX-Z93T-0126-SM-5HL5N 50-59 years, male 85.6
GTEX-1GZ2Q-0226-SM-7P8TL 40-49 years, male 85.5
GTEX-16NPX-0226-SM-79OMT 50-59 years, male 85.4
GTEX-XXEK-2226-SM-4BRUM 50-59 years, male 84.9
GTEX-14BMU-2226-SM-5TDE9 20-29 years, female 84.5
GTEX-XAJ8-0826-SM-47JY6 40-49 years, male 83.9
GTEX-18QFQ-0126-SM-731BE 30-39 years, male 82.8
GTEX-R55E-0126-SM-2TC5Y 20-29 years, male 82.4
GTEX-1F6RS-0126-SM-9MQKZ 60-69 years, female 82.1
GTEX-ZDTS-0126-SM-4WAY5 60-69 years, male 81.6
GTEX-U8T8-0126-SM-3DB94 60-69 years, male 81.5
GTEX-148VI-1626-SM-5SI6E 60-69 years, female 81.4
GTEX-WYJK-0126-SM-3NMAB 50-59 years, male 81.4
GTEX-O5YT-0126-SM-48TBW 20-29 years, male 81.3
GTEX-1MUQO-0126-SM-EAZ58 60-69 years, male 81.3
GTEX-13YAN-0326-SM-5O9DF 60-69 years, male 81.0
GTEX-13PVR-2326-SM-5QGR1 60-69 years, female 80.9
GTEX-16MT8-0426-SM-7KUEY 60-69 years, female 80.6
GTEX-1HBPH-0426-SM-B2LW5 40-49 years, female 80.3
GTEX-ZDXO-3026-SM-5J1N5 60-69 years, male 79.9
GTEX-15SHU-0126-SM-7KUEH 40-49 years, female 79.7
GTEX-13OW6-0426-SM-5L3HM 50-59 years, male 79.4
GTEX-PLZ4-0126-SM-5SI8O 50-59 years, female 79.2
GTEX-1KANB-0526-SM-E6CJH 50-59 years, male 78.9
GTEX-1AYCT-2426-SM-7IGQ3 50-59 years, male 78.3
GTEX-TMMY-0226-SM-33HBA 40-49 years, female 78.2
GTEX-1F5PL-0326-SM-7P8PQ 40-49 years, female 78.1
GTEX-1GN1V-0126-SM-9WPOS 60-69 years, male 78.1
GTEX-YB5E-2026-SM-5IFIS 40-49 years, male 77.2
GTEX-1HSMO-0126-SM-CL547 60-69 years, male 76.4
GTEX-1C4CL-0526-SM-73KVK 30-39 years, male 76.3
GTEX-131YS-0126-SM-5KM1M 60-69 years, female 76.1
GTEX-1JN1M-0326-SM-CYPT3 60-69 years, female 76.1
GTEX-12C56-1726-SM-5EQ61 20-29 years, male 75.8
GTEX-1AYD5-2426-SM-73KXR 50-59 years, male 75.6
GTEX-PLZ6-1426-SM-DKPOT 30-39 years, male 75.3
GTEX-12ZZX-0126-SM-5EGK9 40-49 years, female 75.2
GTEX-RTLS-0126-SM-447CA 60-69 years, female 75.2
GTEX-145LT-1726-SM-5QGP3 40-49 years, male 75.0
GTEX-11TUW-2726-SM-E9J4M 60-69 years, male 74.8
GTEX-113JC-2326-SM-5EQ4E 50-59 years, female 74.0
GTEX-ZZ64-1726-SM-5GZYB 20-29 years, male 74.0
GTEX-1IKOH-0226-SM-COH4E 60-69 years, female 73.5
GTEX-13RTL-0126-SM-7LG5S 40-49 years, male 73.2
GTEX-TMZS-0126-SM-3DB9Q 60-69 years, male 73.2
GTEX-1MCQQ-0826-SM-DLHC2 60-69 years, male 72.9
GTEX-1QP67-1626-SM-EAZ3X 40-49 years, female 72.6
GTEX-18A7B-0126-SM-7LG64 70-79 years, male 72.1
GTEX-SIU8-0126-SM-2XCDT 50-59 years, male 71.7
GTEX-1PDJ9-0326-SM-DTX95 20-29 years, male 71.4
GTEX-1PIGE-0126-SM-EVYBJ 20-29 years, male 71.4
GTEX-1QP66-1726-SM-E8VO1 50-59 years, male 71.4
GTEX-1I1CD-0126-SM-CM2TK 60-69 years, female 71.0
GTEX-15DDE-0126-SM-6LPKH 50-59 years, female 70.7
GTEX-15UKP-0426-SM-7KUFQ 20-29 years, male 69.8
GTEX-1IL2U-0226-SM-CE6T8 60-69 years, male 69.8
GTEX-144FL-0126-SM-5TDC8 50-59 years, male 69.6
GTEX-1IDJU-2626-SM-CM2RT 60-69 years, female 69.2
GTEX-117YW-2626-SM-5GZZH 50-59 years, male 69.1
GTEX-17HGU-0226-SM-7DHKV 50-59 years, male 68.5
GTEX-ZYW4-0126-SM-5E44A 60-69 years, male 68.5
GTEX-145LV-2126-SM-5LU8N 50-59 years, male 68.2
GTEX-1JMOU-1526-SM-CL54I 60-69 years, female 68.2
GTEX-1I1GV-0526-SM-A9G29 60-69 years, male 68.1
GTEX-1B8KE-2126-SM-73KYX 50-59 years, male 67.7
GTEX-1S5ZA-0126-SM-EVYCV 20-29 years, male 67.3
GTEX-11NSD-2226-SM-5986V 20-29 years, male 67.2
GTEX-13O3Q-2426-SM-5IJBR 50-59 years, male 67.1
GTEX-14PK6-1926-SM-6ETZU 70-79 years, female 67.1
GTEX-15CHC-2126-SM-6EU21 60-69 years, female 66.8
GTEX-1CB4I-0226-SM-79OLH 50-59 years, male 66.8
GTEX-QDVJ-1726-SM-2I5FX 50-59 years, male 66.4
GTEX-ZZPT-0226-SM-5E43X 50-59 years, male 66.3
GTEX-1I4MK-2226-SM-ACKWD 50-59 years, female 66.2
GTEX-1JJ6O-0126-SM-E6CI8 60-69 years, male 65.9
GTEX-13NZ8-0826-SM-5MR3I 60-69 years, female 65.8
GTEX-1192X-0226-SM-5H12D 50-59 years, male 65.6
GTEX-ZGAY-0526-SM-4WWBB 40-49 years, female 65.1
GTEX-1I1GS-0126-SM-B2LVW 60-69 years, male 65.0
GTEX-17HG3-2226-SM-7938L 30-39 years, female 64.5
GTEX-SJXC-0126-SM-2XCFF 60-69 years, male 63.9
GTEX-145MN-2226-SM-5SIAU 30-39 years, male 63.5
GTEX-1IL2V-0126-SM-CM2TX 70-79 years, male 63.4
GTEX-11UD2-0226-SM-5EQKY 50-59 years, male 63.2
GTEX-1HGF4-2426-SM-ACKXM 60-69 years, male 63.2
GTEX-1IGQW-0126-SM-COH42 60-69 years, male 62.8
GTEX-11ZVC-2526-SM-5FQTE 50-59 years, female 62.6
GTEX-169BO-1326-SM-9MQK2 50-59 years, male 62.5
GTEX-ZF3C-0126-SM-DO92D 50-59 years, female 62.2
GTEX-17F97-0326-SM-7LG5B 50-59 years, male 61.8
GTEX-145MO-0326-SM-5Q5B3 60-69 years, male 61.7
GTEX-QDVN-2026-SM-3GAEP 50-59 years, male 61.7
GTEX-14PHW-0126-SM-6LLJI 60-69 years, female 61.6
GTEX-Q2AH-1626-SM-3GAF8 40-49 years, male 61.5
GTEX-14E6C-0126-SM-5RQIP 40-49 years, male 61.3
GTEX-11OF3-2626-SM-5GU7F 60-69 years, male 61.2
GTEX-14PJM-0226-SM-62LF1 50-59 years, female 61.1
GTEX-132NY-0326-SM-5IJBL 60-69 years, male 60.9
GTEX-T8EM-1026-SM-3DB7M 40-49 years, male 60.9
GTEX-14753-0426-SM-5NQAM 60-69 years, male 60.8
GTEX-17EVQ-0226-SM-7LG4P 70-79 years, male 60.7
GTEX-131XG-2626-SM-5KM17 50-59 years, female 60.6
GTEX-13QJ3-0326-SM-5S2RA 50-59 years, male 60.6
GTEX-X8HC-0126-SM-4E3JW 50-59 years, female 60.6
GTEX-13NYS-0126-SM-5MR3W 60-69 years, male 60.4
GTEX-13OVI-1426-SM-5L3EY 60-69 years, female 59.5
GTEX-14PN4-0126-SM-6EU2V 50-59 years, male 59.5
GTEX-1H3O1-0426-SM-9YFKY 60-69 years, male 59.5
GTEX-1HCUA-2426-SM-ADEIS 50-59 years, female 59.5
GTEX-146FQ-0126-SM-5NQA9 30-39 years, male 59.4
GTEX-ZQG8-1626-SM-DHXIT 60-69 years, female 59.4
GTEX-1F52S-0126-SM-9MQJU 60-69 years, female 59.2
GTEX-1GF9X-2026-SM-7PC3A 40-49 years, female 59.1
GTEX-RN64-0126-SM-2TC68 50-59 years, male 59.0
GTEX-1A32A-0126-SM-718B1 50-59 years, female 58.2
GTEX-ZU9S-0226-SM-5E441 30-39 years, male 58.2
GTEX-13FHP-0126-SM-5IJBG 50-59 years, male 58.0
GTEX-ZVT4-0126-SM-DTXFN 50-59 years, female 57.9
GTEX-18A6Q-0126-SM-731BZ 60-69 years, male 57.6
GTEX-PW2O-1526-SM-7RHHB 20-29 years, male 57.6
GTEX-13NZA-0226-SM-5K7Z7 60-69 years, male 57.5
GTEX-11XUK-2026-SM-5EQLF 40-49 years, female 57.4
GTEX-145MF-0626-SM-5LUAI 50-59 years, male 57.4
GTEX-148VJ-0126-SM-5TDDN 70-79 years, male 57.1
GTEX-1GZ4H-1726-SM-7PBZJ 50-59 years, female 57.0
GTEX-X5EB-2226-SM-46MW4 40-49 years, male 56.9
GTEX-V1D1-2226-SM-3NMAX 50-59 years, male 56.8
GTEX-1IY9M-0126-SM-D3L8S 60-69 years, male 56.6
GTEX-111FC-0126-SM-5N9DL 60-69 years, male 56.4
GTEX-1RAZA-0126-SM-E6CI3 20-29 years, male 56.3
GTEX-13S7M-0126-SM-5SI6A 60-69 years, female 56.2
GTEX-13VXU-0126-SM-5SI9F 50-59 years, male 56.2
GTEX-14A5H-0426-SM-5QGQF 60-69 years, male 56.0
GTEX-1HUB1-0426-SM-E9U4U 60-69 years, male 56.0
GTEX-ZTPG-0326-SM-5O9AX 20-29 years, female 55.9
GTEX-YJ8A-0426-SM-5IFID 20-29 years, male 55.5
GTEX-S7SE-0126-SM-2XCD5 50-59 years, male 55.4
GTEX-13JUV-2726-SM-5LZZ8 40-49 years, female 55.2
GTEX-1EMGI-0126-SM-9KNUE 60-69 years, male 54.8
GTEX-ZAB4-0226-SM-5N9F5 40-49 years, male 54.5
GTEX-1B8KZ-2026-SM-7DHMB 50-59 years, male 54.1
GTEX-17GQL-2026-SM-718BA 60-69 years, male 53.7
GTEX-QV44-1926-SM-2S1RF 50-59 years, male 53.6
GTEX-OOBJ-0126-SM-E6CJW 60-69 years, male 53.6
GTEX-1313W-0126-SM-5LZUN 50-59 years, female 53.5
GTEX-13W46-0226-SM-5SIAG 50-59 years, male 53.5
GTEX-QLQW-1126-SM-2S1Q8 30-39 years, male 53.1
GTEX-145MI-0526-SM-5O9A8 60-69 years, female 52.8
GTEX-1S3DN-2226-SM-EVYCD 50-59 years, male 52.8
GTEX-1OJC3-0126-SM-E76QX 20-29 years, male 51.8
GTEX-111VG-2426-SM-5GZXD 60-69 years, male 51.7
GTEX-11NUK-0126-SM-5A5L3 50-59 years, male 51.7
GTEX-13OW7-0126-SM-5MR3B 50-59 years, male 51.5
GTEX-X4EO-0326-SM-3P5YO 60-69 years, female 51.5
GTEX-1HSGN-0226-SM-CGQFV 40-49 years, female 51.5
GTEX-1LC47-0326-SM-E9TJP 60-69 years, male 51.5
GTEX-11GSO-2426-SM-5A5LY 60-69 years, male 50.9
GTEX-WZTO-0126-SM-3NM95 40-49 years, male 50.7
GTEX-139TT-0126-SM-5K7Y5 60-69 years, male 50.4
GTEX-1R7EU-0226-SM-EVR4G 60-69 years, male 50.4
GTEX-139TU-0126-SM-5K7WH 60-69 years, male 50.3
GTEX-15F5U-1526-SM-6PANO 40-49 years, male 50.3
GTEX-1HBPI-1526-SM-C1YQ1 50-59 years, male 50.2
GTEX-OIZG-0726-SM-33HBL 50-59 years, male 50.1
GTEX-13O3P-0126-SM-5KM4S 50-59 years, male 50.0
GTEX-12WSA-0226-SM-5BC5V 60-69 years, male 49.9
GTEX-NFK9-0226-SM-2HMKQ 40-49 years, male 49.8
GTEX-1C6VQ-0126-SM-7P8RI 50-59 years, male 49.7
GTEX-17MF6-0126-SM-7LG4F 40-49 years, male 49.5
GTEX-Q2AG-0126-SM-33HBV 40-49 years, female 49.4
GTEX-XUW1-0426-SM-4BOOT 50-59 years, female 49.4
GTEX-1JMPY-1326-SM-ARL8Y 30-39 years, male 48.4
GTEX-Y5LM-1926-SM-5RQJH 40-49 years, female 48.2
GTEX-1HCU9-1526-SM-A9SL7 20-29 years, male 48.2
GTEX-15DCD-0126-SM-7KUEK 70-79 years, female 48.1
GTEX-15UF6-0826-SM-6PALJ 70-79 years, female 47.8
GTEX-13O3O-0126-SM-E9J49 60-69 years, female 47.8
GTEX-13CF2-2526-SM-5LZYX 60-69 years, male 47.6
GTEX-Y3IK-2426-SM-4WWDU 50-59 years, female 47.6
GTEX-14C5O-0126-SM-5SI6N 60-69 years, male 47.5
GTEX-1I1GR-0126-SM-CL55F 60-69 years, male 47.4
GTEX-1I1GT-0626-SM-CGQER 60-69 years, female 47.4
GTEX-X4EP-0126-SM-3P5YV 60-69 years, female 47.0
GTEX-1399U-2326-SM-5K7WY 50-59 years, female 46.9
GTEX-11P82-1626-SM-59879 20-29 years, male 46.8
GTEX-Y111-0126-SM-4SOIV 50-59 years, male 46.8
GTEX-1CAMS-0426-SM-7P8T2 40-49 years, female 46.7
GTEX-11OC5-0126-SM-5HL6A 60-69 years, male 46.1
GTEX-1EU9M-0226-SM-7P8SP 60-69 years, male 45.7
GTEX-1LGRB-2526-SM-CNPPQ 50-59 years, female 45.7
GTEX-1HCU6-0126-SM-CL54K 60-69 years, female 45.5
GTEX-13OVH-0126-SM-5MR4B 70-79 years, male 45.4
GTEX-11LCK-1026-SM-5A5KB 30-39 years, male 45.3
GTEX-13OVG-1926-SM-5L3DK 60-69 years, male 45.3
GTEX-113IC-0126-SM-5HL6T 60-69 years, male 45.2
GTEX-17MFQ-1726-SM-793C7 20-29 years, male 45.2
GTEX-Y8E4-0626-SM-4WWDL 40-49 years, male 45.1
GTEX-1HFI7-1826-SM-ACKXH 50-59 years, female 45.1
GTEX-1C6VS-0526-SM-7DUEN 60-69 years, male 44.9
GTEX-1CB4F-0426-SM-9KNV4 60-69 years, male 44.7
GTEX-1F48J-0126-SM-7P8TT 50-59 years, female 44.6
GTEX-1K2DU-2326-SM-E9TIV 20-29 years, male 44.6
GTEX-11ZTS-0126-SM-5EQ6M 60-69 years, female 44.5
GTEX-11DZ1-0126-SM-5985Q 50-59 years, male 44.4
GTEX-1314G-1526-SM-5EGK2 30-39 years, male 44.4
GTEX-139UW-2826-SM-5L3E7 60-69 years, male 44.4
GTEX-1E1VI-0126-SM-7DHMZ 50-59 years, male 44.4
GTEX-1R46S-0626-SM-E9J41 60-69 years, female 44.1
GTEX-12ZZZ-0626-SM-5DUXI 60-69 years, male 43.7
GTEX-12WSL-2526-SM-5GCNJ 50-59 years, male 43.6
GTEX-1K9T9-0126-SM-EVYCF 50-59 years, female 43.6
GTEX-P44H-0226-SM-2XCEU 40-49 years, male 43.2
GTEX-S32W-2126-SM-2XCB1 50-59 years, female 43.1
GTEX-1S82Y-2026-SM-EVYCM 40-49 years, male 43.1
GTEX-ZAB5-1826-SM-5HL7C 50-59 years, male 43.0
GTEX-14XAO-2326-SM-6EU1B 60-69 years, female 42.6
GTEX-13FTY-0526-SM-5L3EV 40-49 years, female 42.4
GTEX-U3ZH-2026-SM-3DB78 30-39 years, male 42.4
GTEX-X585-0226-SM-4QAS2 50-59 years, male 42.3
GTEX-RNOR-0126-SM-E9J4R 50-59 years, female 42.1
GTEX-1CB4G-0226-SM-7PC3O 60-69 years, male 41.9
GTEX-WI4N-1026-SM-3LK7N 40-49 years, female 41.6
GTEX-14ABY-0226-SM-5TDCQ 50-59 years, male 41.4
GTEX-1GF9W-0326-SM-9KNUN 60-69 years, male 41.1
GTEX-ZF28-0126-SM-4WKGK 60-69 years, male 41.0
GTEX-11P81-2326-SM-59875 30-39 years, female 40.8
GTEX-TML8-1926-SM-32QOS 40-49 years, female 40.7
GTEX-14E6D-0126-SM-62LDV 50-59 years, male 40.6
GTEX-U8XE-0326-SM-3DB8P 30-39 years, male 40.6
GTEX-13OVL-0226-SM-5L3E9 50-59 years, male 40.4
GTEX-QDT8-0126-SM-48TZ1 30-39 years, female 40.3
GTEX-RWSA-0126-SM-2XCBB 40-49 years, male 40.2
GTEX-XUYS-0126-SM-47JWZ 50-59 years, male 40.2
GTEX-15G19-0126-SM-6PANQ 60-69 years, male 40.1
GTEX-TKQ1-1026-SM-4GICL 30-39 years, male 39.9
GTEX-1KD4Q-0226-SM-E9TJ9 40-49 years, male 39.9
GTEX-1LGOU-2026-SM-DIPFF 20-29 years, female 39.8
GTEX-12584-0126-SM-5EGKQ 40-49 years, male 39.7
GTEX-1B8SG-0126-SM-73KZ3 50-59 years, male 39.5
GTEX-Q734-1926-SM-2I5EV 40-49 years, female 39.3
GTEX-Z93S-0126-SM-5HL7M 50-59 years, male 39.2
GTEX-1JN6P-0126-SM-D3L98 60-69 years, male 39.1
GTEX-17HII-0226-SM-7LG4E 50-59 years, male 38.8
GTEX-ZPIC-1726-SM-DHXIU 40-49 years, female 38.7
GTEX-13U4I-0126-SM-5LU38 40-49 years, female 38.6
GTEX-1F7RK-0126-SM-7PC2S 20-29 years, female 38.3
GTEX-1EWIQ-0126-SM-7RHH2 70-79 years, female 38.1
GTEX-1F88F-2726-SM-7PBZZ 60-69 years, female 38.1
GTEX-ZDTT-2726-SM-4WKF8 60-69 years, male 38.0
GTEX-1JN76-0126-SM-CNPPE 20-29 years, female 37.9
GTEX-NPJ8-0126-SM-2YUNR 40-49 years, male 37.8
GTEX-WFG8-2226-SM-3GIL9 20-29 years, male 37.8
GTEX-1HCU8-0626-SM-A9SM9 60-69 years, female 37.6
GTEX-1J8JJ-0226-SM-CL53I 60-69 years, female 37.6
GTEX-1JMQJ-0526-SM-CYPSU 50-59 years, male 37.4
GTEX-14A6H-0126-SM-5QGPK 30-39 years, male 37.2
GTEX-1RQEC-0426-SM-E6CHU 60-69 years, male 37.2
GTEX-13D11-2426-SM-5KM1V 50-59 years, female 37.1
GTEX-Y114-2426-SM-4TT8A 50-59 years, female 37.0
GTEX-PSDG-0226-SM-DKPOZ 50-59 years, male 37.0
GTEX-13NYC-0326-SM-E9J4S 60-69 years, male 36.9
GTEX-145ME-1826-SM-5SI9G 40-49 years, female 36.7
GTEX-SSA3-0126-SM-32QPU 60-69 years, male 36.5
GTEX-1IDJH-0326-SM-A9SLQ 70-79 years, male 36.5
GTEX-13FXS-0226-SM-5IJCK 50-59 years, male 36.4
GTEX-ZYY3-0126-SM-5GZY5 60-69 years, female 36.4
GTEX-1HCVE-0126-SM-CGQEU 50-59 years, male 36.3
GTEX-1S83E-0126-SM-EWRO4 40-49 years, male 36.3
GTEX-11DXY-2626-SM-5GIE7 60-69 years, male 36.0
GTEX-ZVT3-0126-SM-5GU6I 60-69 years, female 35.9
GTEX-OIZF-0126-SM-7SB8I 60-69 years, male 35.8
GTEX-15ETS-0126-SM-7KUMW 40-49 years, female 35.7
GTEX-1122O-2126-SM-5EGIR 60-69 years, female 35.6
GTEX-14E6E-1826-SM-5S2R7 30-39 years, male 35.4
GTEX-16BQI-0226-SM-7KUEX 30-39 years, female 35.2
GTEX-SN8G-0126-SM-32PLI 50-59 years, female 35.1
GTEX-11EMC-2926-SM-5EQ4F 60-69 years, female 35.0
GTEX-PVOW-0126-SM-2XCFA 40-49 years, male 35.0
GTEX-12WSJ-1826-SM-5GCNY 40-49 years, female 34.7
GTEX-14BIN-0626-SM-793DP 50-59 years, female 34.7
GTEX-1I1HK-0126-SM-COH49 60-69 years, male 34.6
GTEX-133LE-1826-SM-5J1MV 20-29 years, female 34.5
GTEX-11VI4-1726-SM-5CVLH 40-49 years, female 34.4
GTEX-13SLX-0526-SM-5S2ON 50-59 years, female 34.1
GTEX-14LZ3-0226-SM-62LET 60-69 years, female 34.0
GTEX-1GN2E-0426-SM-9MQKX 60-69 years, male 34.0
GTEX-1IOXB-0126-SM-ARL8G 50-59 years, male 34.0
GTEX-ZV6S-2326-SM-4YCEY 40-49 years, female 33.9
GTEX-1QEPI-0126-SM-EWRMQ 60-69 years, female 33.9
GTEX-147GR-0526-SM-5S2MY 60-69 years, male 33.7
GTEX-RUSQ-1526-SM-2TF62 50-59 years, male 33.7
GTEX-13X6H-2126-SM-7EWD5 50-59 years, female 33.6
GTEX-14PII-0226-SM-6EU1T 60-69 years, male 33.6
GTEX-14BMV-0126-SM-5S2PO 50-59 years, male 33.2
GTEX-18D9A-1926-SM-7LG6P 30-39 years, female 33.2
GTEX-1A3MW-0126-SM-73KXX 60-69 years, female 33.2
GTEX-TSE9-0126-SM-3DB83 60-69 years, female 33.0
GTEX-1B8L1-2526-SM-9WYTF 60-69 years, male 33.0
GTEX-RWS6-2026-SM-2XCB5 60-69 years, female 32.8
GTEX-1GMRU-0126-SM-9YFLV 50-59 years, male 32.6
GTEX-1F5PK-2426-SM-7RHHY 50-59 years, male 32.3
GTEX-12KS4-0326-SM-5EQ41 30-39 years, male 32.1
GTEX-1A8FM-0226-SM-7SB7Q 50-59 years, female 32.1
GTEX-1KWVE-1426-SM-E9TJO 30-39 years, male 31.5
GTEX-14JG6-2226-SM-6EU2G 30-39 years, female 31.3
GTEX-13X6J-0126-SM-5QGOU 50-59 years, male 30.8
GTEX-13N1W-0126-SM-5K7VT 70-79 years, male 30.5
GTEX-14LLW-0126-SM-6LLIO 70-79 years, female 30.5
GTEX-S33H-1026-SM-EZ6L6 30-39 years, male 30.3
GTEX-139D8-0226-SM-5KLZO 30-39 years, female 30.2
GTEX-1399R-2726-SM-5IJBA 30-39 years, male 30.1
GTEX-X638-0126-SM-47JZ8 70-79 years, female 30.0
GTEX-1JMPZ-0226-SM-CNPP1 30-39 years, male 29.9
GTEX-13OVK-2026-SM-7KUEO 40-49 years, male 29.7
GTEX-13X6I-0626-SM-5QGP9 60-69 years, male 29.7
GTEX-17HHY-0126-SM-7LG5D 50-59 years, male 29.6
GTEX-OIZH-0126-SM-2HMIS 50-59 years, male 29.3
GTEX-Y8DK-0126-SM-4TT3L 60-69 years, male 29.3
GTEX-1KXAM-2226-SM-CYPTC 60-69 years, male 29.2
GTEX-13N11-2526-SM-5K7UE 50-59 years, female 29.1
GTEX-14JG1-0426-SM-6ETZZ 40-49 years, male 28.9
GTEX-13NZB-2526-SM-5J1OM 30-39 years, male 28.8
GTEX-ZF29-2326-SM-DO92K 60-69 years, female 28.8
GTEX-11EQ9-2426-SM-5HL5T 30-39 years, male 28.7
GTEX-13SLW-0126-SM-5SI6C 70-79 years, male 28.4
GTEX-1GN1U-0126-SM-7PBZK 50-59 years, female 28.4
GTEX-1LB8K-0226-SM-EWRNW 50-59 years, male 28.3
GTEX-ZAJG-0126-SM-5HL94 50-59 years, female 28.2
GTEX-16GPK-0126-SM-7DHLE 60-69 years, male 28.1
GTEX-12WSE-0526-SM-793B2 20-29 years, male 27.6
GTEX-13OVJ-0126-SM-5KM36 50-59 years, female 27.6
GTEX-147F3-0526-SM-5SI98 50-59 years, female 27.3
GTEX-1LNCM-1126-SM-E9U5E 50-59 years, female 27.1
GTEX-1CAMQ-0226-SM-7IGPK 40-49 years, male 26.9
GTEX-QESD-1426-SM-2S1R9 20-29 years, male 26.9
GTEX-1JMQL-0226-SM-CNPP5 50-59 years, female 26.9
GTEX-1POEN-0126-SM-EYYXJ 30-39 years, female 26.9
GTEX-OOBK-0126-SM-2YUND 40-49 years, male 26.8
GTEX-1AX9J-0226-SM-73KXM 60-69 years, male 26.7
GTEX-1JMQK-0226-SM-CL543 60-69 years, male 26.7
GTEX-18A67-0126-SM-7LG5P 50-59 years, male 26.6
GTEX-15ER7-0326-SM-7KUEV 20-29 years, female 26.5
GTEX-ZDYS-2026-SM-5HL5L 50-59 years, male 26.4
GTEX-1J8EW-0126-SM-CJI4F 60-69 years, female 26.3
GTEX-13PDP-0126-SM-5L3HD 60-69 years, male 25.9
GTEX-1EKGG-0226-SM-9WYTH 60-69 years, male 25.4
GTEX-U3ZN-2326-SM-3DB7W 30-39 years, female 25.3
GTEX-144GL-0126-SM-5TDE2 50-59 years, male 25.0
GTEX-12ZZY-0226-SM-5LZVE 60-69 years, male 24.9
GTEX-1GN73-0226-SM-9WG67 60-69 years, male 24.9
GTEX-X88G-0126-SM-47JZ3 30-39 years, male 24.3
GTEX-1H3NZ-0126-SM-ACKX7 60-69 years, male 24.3
GTEX-1C6VR-2426-SM-79OLD 60-69 years, male 24.1
GTEX-12696-2426-SM-5EQ6H 60-69 years, male 23.9
GTEX-15RIG-0226-SM-7KFTL 40-49 years, male 23.7
GTEX-XPVG-2626-SM-4B669 50-59 years, male 23.7
GTEX-SNMC-1226-SM-2XCFP 20-29 years, male 23.5
GTEX-18A66-0226-SM-718BD 60-69 years, male 23.4
GTEX-VUSG-2526-SM-4KL1V 50-59 years, male 23.3
GTEX-15DYW-0126-SM-7KULE 60-69 years, female 23.1
GTEX-PX3G-0126-SM-2I3EN 20-29 years, female 23.0
GTEX-17EVP-0326-SM-7DHLG 40-49 years, male 22.8
GTEX-VJYA-1126-SM-3GIJU 60-69 years, male 22.7
GTEX-YFC4-0126-SM-5CVLY 40-49 years, female 22.6
GTEX-1I1GQ-0126-SM-COH3H 50-59 years, male 22.5
GTEX-1H1DG-0126-SM-9WYU2 70-79 years, male 22.3
GTEX-T2IS-0126-SM-4DM6O 20-29 years, female 22.1
GTEX-P4PP-0126-SM-3LK69 30-39 years, female 22.0
GTEX-13CF3-2426-SM-5IFGX 60-69 years, female 21.9
GTEX-1IKJJ-0126-SM-CNPQB 60-69 years, male 21.8
GTEX-1KANC-1526-SM-D3LAB 50-59 years, female 21.8
GTEX-T5JW-1626-SM-3GADZ 20-29 years, female 21.4
GTEX-ZAK1-0126-SM-5IJD3 50-59 years, female 21.3
GTEX-1H1ZS-0426-SM-9WG6G 70-79 years, male 21.1
GTEX-11O72-0126-SM-59887 40-49 years, male 20.9
GTEX-QCQG-1726-SM-3GIJ9 50-59 years, female 20.8
GTEX-WYVS-2126-SM-3NMA3 40-49 years, female 20.7
GTEX-1EN7A-0126-SM-7SB81 40-49 years, male 20.7
GTEX-1GMR8-0126-SM-9WYTM 50-59 years, female 20.6
GTEX-139TS-2826-SM-5J1OO 60-69 years, male 20.2
GTEX-1269C-2526-SM-5EGJ3 60-69 years, female 20.1
GTEX-1HBPM-0226-SM-ARL9F 60-69 years, female 20.1
GTEX-15SDE-2226-SM-7IGLO 50-59 years, female 20.0
GTEX-Y5V5-2326-SM-4V6GA 60-69 years, female 19.9
GTEX-13NYB-2526-SM-5K7Z6 40-49 years, male 19.8
GTEX-R3RS-0126-SM-3GIJL 40-49 years, female 19.8
GTEX-1BAJH-0526-SM-793CQ 70-79 years, male 19.5
GTEX-1M4P7-0226-SM-DIPEV 60-69 years, male 19.1
GTEX-1R9K4-0126-SM-DTX9X 60-69 years, male 19.1
GTEX-1GF9U-2126-SM-7SB7L 40-49 years, female 18.9
GTEX-13N2G-2626-SM-5J1OT 60-69 years, male 18.7
GTEX-XV7Q-2526-SM-4BRV9 40-49 years, female 18.1
GTEX-1CB4H-0226-SM-7PBXM 60-69 years, female 18.1
GTEX-1GZHY-0326-SM-9QEHI 50-59 years, female 18.1
GTEX-12WSG-2826-SM-E9J4H 50-59 years, female 18.0
GTEX-ZC5H-0226-SM-4WAY9 40-49 years, female 17.8
GTEX-ZUA1-0126-SM-5GU76 40-49 years, male 17.7
GTEX-OXRN-0126-SM-48TDM 50-59 years, male 17.3
GTEX-13112-2826-SM-5DUWH 50-59 years, male 17.2
GTEX-ZVE2-0226-SM-59HJB 50-59 years, male 16.8
GTEX-11H98-0126-SM-5EGHG 50-59 years, male 16.6
GTEX-1ICLZ-0126-SM-CKZPO 60-69 years, male 16.4
GTEX-145LU-0126-SM-5TDCB 50-59 years, male 16.3
GTEX-1O97I-0326-SM-EYYX7 60-69 years, male 16.3
GTEX-Y8LW-1826-SM-5S2MV 50-59 years, female 16.1
GTEX-17JCI-0126-SM-7LG5G 60-69 years, female 15.5
GTEX-1R9PM-2026-SM-E76OY 20-29 years, male 15.5
GTEX-1JK1U-2026-SM-CM2RZ 60-69 years, male 14.7
GTEX-11GSP-2526-SM-5N9BP 60-69 years, female 14.4
GTEX-16YQH-0126-SM-7DUFJ 30-39 years, male 14.4
GTEX-1OJC4-0126-SM-E9J2E 50-59 years, female 14.4
GTEX-POMQ-2226-SM-2I5FK 20-29 years, female 14.2
GTEX-SE5C-1626-SM-2XCE3 40-49 years, female 14.1
GTEX-1KAFJ-2026-SM-CY8ID 50-59 years, male 14.0
GTEX-1QAET-0926-SM-E76QM 50-59 years, male 14.0
GTEX-R45C-0126-SM-EAZ2R 60-69 years, female 14.0
GTEX-17KNJ-2326-SM-7DHLQ 50-59 years, male 13.9
GTEX-1N2DW-0226-SM-E9TK2 50-59 years, male 13.9
GTEX-11WQK-0526-SM-5EQLD 50-59 years, male 13.5
GTEX-1MA7W-2026-SM-E9TJ6 20-29 years, female 13.3
GTEX-ZEX8-2426-SM-4WKG4 50-59 years, male 12.8
GTEX-1HCU7-0226-SM-CL545 50-59 years, male 12.6
GTEX-15EOM-0126-SM-7KUGG 20-29 years, female 12.5
GTEX-1E2YA-0126-SM-9KNUC 50-59 years, male 12.4
GTEX-1QPFJ-0226-SM-E76PB 30-39 years, female 12.3
GTEX-T6MN-0126-SM-32PLP 50-59 years, male 12.0
GTEX-1C475-1826-SM-73KWA 40-49 years, female 11.8
GTEX-1LH75-2426-SM-E9TJE 50-59 years, female 11.7
GTEX-1LG7Z-1726-SM-D3LA4 30-39 years, male 11.6
GTEX-1MJK2-0426-SM-DTXE5 50-59 years, male 11.4
GTEX-ZYFG-2326-SM-5E44B 60-69 years, female 11.3
GTEX-1399T-2826-SM-5KLYZ 60-69 years, male 11.2
GTEX-1J1OQ-0226-SM-CYPSH 40-49 years, female 10.9
GTEX-1EX96-1626-SM-7PBXR 50-59 years, male 10.3
GTEX-1HR98-0126-SM-B2LWI 60-69 years, male 10.2
GTEX-13OW5-0126-SM-DTXFS 60-69 years, male 10.1
GTEX-1M5QR-1226-SM-EWROB 40-49 years, male 9.8
GTEX-1C64N-0126-SM-793D7 50-59 years, male 9.6
GTEX-ZVZO-0126-SM-5A5L9 40-49 years, male 9.6
GTEX-YJ89-0126-SM-4TT3X 60-69 years, male 9.3
GTEX-1PWST-0226-SM-E76QJ 70-79 years, male 9.2
GTEX-1192W-2626-SM-5Q5AF 60-69 years, male 9.1
GTEX-13OW8-1326-SM-5J1OW 60-69 years, male 8.9
GTEX-183WM-0126-SM-7LTAB 70-79 years, female 8.5
GTEX-14PJ6-2126-SM-6EU1V 60-69 years, female 8.2
GTEX-ZWKS-0126-SM-5SIAA 30-39 years, male 8.2
GTEX-145LS-0126-SM-5QGP1 60-69 years, female 8.0
GTEX-Z9EW-1626-SM-5CVMN 40-49 years, male 7.6
GTEX-1HT8W-0126-SM-CNPPP 30-39 years, male 7.4
GTEX-11DXW-0226-SM-5H122 40-49 years, male 6.1
GTEX-PLZ5-2026-SM-2S1O4 50-59 years, male 5.7
GTEX-ZYT6-0226-SM-5NQ6T 30-39 years, male 4.7
GTEX-1JMLX-0226-SM-CM2RO 50-59 years, male 3.6
GTEX-1B8SF-1426-SM-7DUGL 60-69 years, male 3.2
GTEX-1GMR3-1926-SM-9KNUZ 40-49 years, male 3.2
GTEX-ZY6K-1826-SM-5GZXK 50-59 years, male 2.7
GTEX-1PIIG-0226-SM-EWRN6 30-39 years, male 2.6
GTEX-XBEW-0626-SM-4QASP 40-49 years, male 2.5
GTEX-1H11D-0226-SM-9WG6Z 40-49 years, male 2.4
GTEX-11EI6-0126-SM-5985R 60-69 years, male 2.1
GTEX-1CB4E-2226-SM-793DC 60-69 years, male 2.0
GTEX-11DXZ-2326-SM-5EGGV 50-59 years, male 1.5
GTEX-1B97I-1626-SM-73KYO 40-49 years, male 1.5
GTEX-1H3VE-0326-SM-9YFLH 40-49 years, male 1.1
GTEX-ZVTK-0426-SM-51MRS 20-29 years, male 0.9
GTEX-1F6IF-0726-SM-7P8TW 60-69 years, male 0.9
GTEX-1HSKV-0226-SM-A9SKJ 60-69 years, male 0.9
GTEX-11DYG-0126-SM-59883 60-69 years, male 0.8
GTEX-WFON-2126-SM-3LK7O 40-49 years, male 0.8
GTEX-ZTX8-1426-SM-5DUVO 20-29 years, male 0.8
GTEX-ZXG5-0126-SM-5GIEU 60-69 years, male 0.8
GTEX-13111-1626-SM-5EGJY 50-59 years, male 0.7
GTEX-1HB9E-0226-SM-E9U4R 50-59 years, male 0.7
GTEX-1LBAC-0126-SM-DIPEZ 20-29 years, male 0.7
GTEX-ZF2S-2326-SM-4WWCE 50-59 years, female 0.6
GTEX-ZTSS-1926-SM-57WEW 40-49 years, male 0.6
GTEX-ZV68-0126-SM-59HKS 50-59 years, female 0.6
GTEX-ZXES-1826-SM-5E43S 30-39 years, female 0.6
GTEX-P4QT-0126-SM-2I3FL 50-59 years, female 0.5
GTEX-XUZC-1726-SM-4BRWS 30-39 years, female 0.5
GTEX-1QMI2-0226-SM-EVYBX 60-69 years, male 0.5
GTEX-1212Z-2526-SM-5EGKP 60-69 years, male 0.4
GTEX-1GF9V-0326-SM-7RHI5 60-69 years, male 0.4
GTEX-1JJEA-0326-SM-CNPOT 60-69 years, male 0.4
GTEX-12WSC-0126-SM-5EQ4P 50-59 years, male 0.3
GTEX-131XE-2326-SM-5PNZ2 50-59 years, male 0.3
GTEX-1LVAN-0226-SM-COH3S 50-59 years, female 0.3
GTEX-ZYFC-0226-SM-5NQ75 50-59 years, male 0.2
GTEX-1H4P4-0726-SM-9YFLR 50-59 years, male 0.2
GTEX-1L5NE-2526-SM-E6CIE 50-59 years, male 0.1
GTEX-117XS-2726-SM-5N9BL 60-69 years, male 0.0
Show allShow less

Contact

  • NEWS ARTICLES
  • PRESS ROOM

The Project

  • INTRODUCTION
  • ORGANIZATION
  • PUBLICATIONS

The Human Protein Atlas

  • DOWNLOADABLE DATA
  • LICENCE & CITATION
  • HELP & FAQ
The Human Protein Atlas project is funded
by the Knut & Alice Wallenberg Foundation.


contact@proteinatlas.org