We use cookies to enhance the usability of our website. If you continue, we'll assume that you are happy to receive all cookies. More information. Don't show this again.
CAB39
HPA
RESOURCES
  • TISSUE
  • BRAIN
  • SINGLE CELL
  • SUBCELLULAR
  • CANCER
  • BLOOD
  • CELL LINE
  • STRUCTURE & INTERACTION
ABOUT
  • INTRODUCTION
  • HISTORY
  • ORGANIZATION
  • PUBLICATIONS
  • ANTIBODY SUBMISSION
  • ANTIBODY AVAILABILITY
  • ACKNOWLEDGMENTS
  • CONTACT
NEWS
  • NEWS ARTICLES
  • PRESS ROOM
LEARN
  • DICTIONARY
  • PROTEIN CLASSES
  • PROTEIN EVIDENCE
  • METHODS
  • EDUCATIONAL VIDEOS
DATA
  • DOWNLOADABLE DATA
  • PUBLICATION DATA
  • RELEASE HISTORY
HELP
  • ANTIBODY VALIDATION
  • ASSAYS & ANNOTATION
  • DISCLAIMER
  • HELP & FAQ
  • PRIVACY STATEMENT
  • LICENCE & CITATION
Fields »
Search result

Field
Term
Gene name
Class
Subclass
Class
Keyword
Chromosome
External id
Tissue
Cell type
Expression
Antibody panel
Tissue
Main location
Patient ID
Annotation
Tissue
Category
Tau score
Cluster
Reliability
Brain region
Category
Tau score
Brain region
Category
Tau score
Brain region
Category
Tau score
Cluster
Reliability
Tissue
Cell type
Enrichment
Cell type
Category
Tau score
Cell type
Category
Tau score
Cell type
Category
Tau score
Cell lineage
Category
Tau score
Cluster
Cluster
Location
Searches
Location
Cell line
Class
Type
Phase
Reliability
Cancer
Prognosis
Cancer
Category
Cancer
Category
Tau score
Cluster
Variants
Interacting gene (ensg_id)
Type
Number of interactions
Pathway
Category
Score
Score
Score
Validation
Validation
Validation
Validation
Antibodies
Data type
Column


  • SUMMARY

  • TISSUE

  • BRAIN

  • SINGLE CELL

  • SUBCELL

  • CANCER

  • BLOOD

  • CELL LINE

  • STRUCT & INT

  • CAB39
TISSUE PRIMARY DATA LUNG Show tissue menu
ADIPOSE TISSUE ADRENAL GLAND AMYGDALA APPENDIX BASAL GANGLIA BONE MARROW BREAST BRONCHUS CEREBELLUM CEREBRAL CORTEX CERVIX CHOROID PLEXUS COLON DUODENUM
ENDOMETRIUM EPIDIDYMIS ESOPHAGUS FALLOPIAN TUBE GALLBLADDER HEART MUSCLE HIPPOCAMPAL FORMATION HYPOTHALAMUS KIDNEY LIVER LUNG LYMPH NODE MIDBRAIN NASOPHARYNX
ORAL MUCOSA OVARY PANCREAS PARATHYROID GLAND PITUITARY GLAND PLACENTA PROSTATE RECTUM RETINA SALIVARY GLAND SEMINAL VESICLE SKELETAL MUSCLE SKIN SMALL INTESTINE
SMOOTH MUSCLE SOFT TISSUE SPINAL CORD SPLEEN STOMACH TESTIS THYMUS THYROID GLAND TONGUE TONSIL URINARY BLADDER VAGINA
ANTIBODIES
AND
VALIDATION
Dictionary
Lung
Tissue proteome
Lung
LUNG - Expression summary
Protein expression
Lungi

On the top, protein expression in current human tissue, based on all annotated cell types, is reported with the units not detected (n), low (l), medium (m) and high (h). Underneath, protein expression in each annotated cell type are reported using the same units.

Protein expression data is based on knowledge-based annotation. For genes where more than one antibody has been used, a collective score is set.

If knowledge-based annotation could not be performed for a gene, no data is displayed here. View antibody staining data further down this page.

h
m
l
n
Alveolar cells: Medium
Macrophages: Medium
RNA expressioni

A summary of mRNA expression data available for current tissue based on several datasets. The mRNA expression levels in human tissues are based on RNA-seq data generated by the Human Protein Atlas (HPA), Genotype-Tissue Expression (GTEx) portal and CAGE data generated by the FANTOM5 consortium. Consensus normalized expression levels for human tissues was created by combining the data from HPA and GTEx datasets.

The mRNA expression levels in pig are based on RNA-seq data generated by the Human Protein Atlas (HPA), and for mouse, HPA data and in situ hybridization generated by the Allen brain atlas are reported.

Scroll down to view mRNA expression data in more detail.
Consensus:37.3 nTPM
HPA:37.3 nTPM
GTEx:29.9 nTPM
FANTOM5:84.8 Scaled Tags Per Million

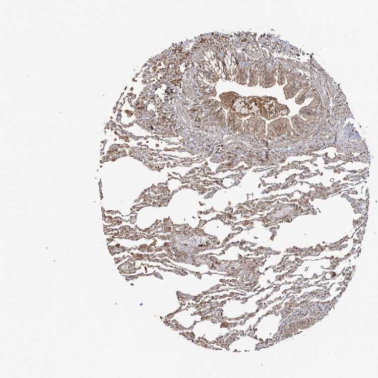
LUNG - Antibody stainingi

Antibody staining in the annotated cell types in the current human tissue is reported as not detected, low, medium, or high, based on conventional immunohistochemistry profiling in selected tissues. This score is based on the combination of the staining intensity and fraction of stained cells.

Each image is clickable and will lead to virtual microscopy that enables deeper exploration of all samples and also displays staining intensity scores, fraction scores and subcellular localization as well as patient and tissue information for each sample.

Antibody HPA076632Antibody CAB037112
Alveolar cells MediumMedium
Macrophages HighMedium





LUNG - HPA RNA-seqi

The RNA-seq details section shows detailed information about the individual samples used for the transcript profiling and results of the RNA-seq analysis.

Information about each individual sample is listed below, including gender, age, a tissue section image and estimated fractions of cell types. nTPM (normalized transcripts per million) values give a quantification of the gene abundance which is comparable between different genes and samples.
Average nTPMi

Max subtype nTPM is the value for the subtype with the largest average nTPM across the subtype samples.

37.3
overview
Female, age 71
Lung sample 164
nTPM: 32
Cell types%
Alveolar cells:
40

Bronchial epithelium:
5

Endothelial cells:
25

Macrophages:
10

Other cell types:
20

overview
Male, age 57
Lung sample 165
nTPM: 36.3
Cell types%
Alveolar cells:
35

Bronchial epithelium:
5

Endothelial cells:
30

Macrophages:
10

Other cell types:
20

overview
Female, age 71
Lung sample 166
nTPM: 36.3
Cell types%
Alveolar cells:
35

Bronchial epithelium:
10

Endothelial cells:
25

Macrophages:
10

Other cell types:
20

overview
Female, age 74
Lung sample 167
nTPM: 42.4
Cell types%
Alveolar cells:
40

Bronchial epithelium:
0

Endothelial cells:
30

Macrophages:
15

Other cell types:
15

overview
Female, age 73
Lung sample 168
nTPM: 37.6
Cell types%
Alveolar cells:
30

Bronchial epithelium:
5

Endothelial cells:
30

Macrophages:
10

Other cell types:
25

overview
Male, age 74
Lung sample 376
nTPM: 36.5
Cell types%
Alveolar cells:
25

Bronchial epithelium:
0

Endothelial cells:
35

Macrophages:
5

Other cell types:
35

overview
Female, age 70
Lung sample 379
nTPM: 38.2
Cell types%
Alveolar cells:
35

Bronchial epithelium:
5

Endothelial cells:
35

Macrophages:
5

Other cell types:
20

overview
Female, age 75
Lung sample 387
nTPM: 39.6
Cell types%
Alveolar cells:
20

Bronchial epithelium:
10

Endothelial cells:
20

Macrophages:
10

Other cell types:
40

overview
Male, age 63
Lung sample 406
nTPM: 37.3
Cell types%
Alveolar cells:
25

Bronchial epithelium:
5

Endothelial cells:
25

Macrophages:
15

Other cell types:
30


LUNG - GTEx RNA-seqi

RNA-Seq data generated by the Genotype-Tissue Expression (GTEx) project from human tissues is reported as mean nTPM. More information can be found on the GTEx portal.

Distribution across the dataset is visualized with box plots, shown as median and 25th and 75th percentiles. Points are displayed as outliers if they are above or below 1.5 times the interquartile range. nTPM values of the individual samples are presented next to the box plot.
Max subtype nTPMi

Max subtype nTPM is the value for the subtype with the largest average nTPM across the subtype samples.

29.9
GTEx sample id Sample description nTPM
Lung
Average nTPM: 29.9
Samples: 578

Max nTPM: 58.0
Min nTPM: 17.6
Std nTPM: 5.8
Median nTPM: 29.3
GTEX-17MF6-0826-SM-7LT8F 40-49 years, male 58.0
GTEX-1GN73-1026-SM-9KNV9 60-69 years, male 55.2
GTEX-1E2YA-0926-SM-7MXUK 50-59 years, male 53.1
GTEX-11OF3-1126-SM-5986C 60-69 years, male 49.0
GTEX-144GO-0226-SM-5LUB1 60-69 years, male 48.2
GTEX-1EX96-0226-SM-7RHHR 50-59 years, male 48.2
GTEX-1GMR3-0226-SM-7RHIB 40-49 years, male 46.9
GTEX-13O3O-0726-SM-5J1N7 60-69 years, female 46.4
GTEX-13NZ8-0326-SM-5L3DF 60-69 years, female 45.3
GTEX-139TT-0726-SM-5K7XW 60-69 years, male 44.0
GTEX-1H2FU-1226-SM-9KNVY 60-69 years, female 43.8
GTEX-1H1DG-1026-SM-9MQJS 70-79 years, male 43.7
GTEX-1IKK5-1926-SM-A9G2V 60-69 years, male 43.4
GTEX-1F88F-0926-SM-7RHH8 60-69 years, female 43.3
GTEX-148VJ-0826-SM-5LU8V 70-79 years, male 43.2
GTEX-QXCU-0626-SM-2TC69 50-59 years, male 43.1
GTEX-VUSG-0926-SM-3GIK6 50-59 years, male 42.7
GTEX-145LS-1226-SM-5Q5D9 60-69 years, female 42.3
GTEX-OXRN-0526-SM-2I5EN 50-59 years, male 42.3
GTEX-1PIIG-1826-SM-DTX7N 30-39 years, male 42.3
GTEX-12BJ1-1026-SM-5EGJA 60-69 years, male 42.0
GTEX-OHPM-0526-SM-2YUMJ 50-59 years, male 41.7
GTEX-RWSA-1126-SM-2XCAZ 40-49 years, male 41.7
GTEX-1LC47-1126-SM-D4P43 60-69 years, male 41.7
GTEX-13G51-0426-SM-5K7Z5 60-69 years, male 41.3
GTEX-1JMLX-0926-SM-CNNPQ 50-59 years, male 41.3
GTEX-1A32A-0726-SM-731D4 50-59 years, female 41.2
GTEX-1HB9E-0726-SM-AHZ4L 50-59 years, male 41.2
GTEX-145MO-1326-SM-5Q5EF 60-69 years, male 41.0
GTEX-13S7M-2126-SM-5S2QR 60-69 years, female 40.9
GTEX-1A8G6-0726-SM-73KV5 60-69 years, male 40.9
GTEX-RNOR-0726-SM-2TF5I 50-59 years, female 40.9
GTEX-1313W-0926-SM-5EQ56 50-59 years, female 40.6
GTEX-1GMR8-1426-SM-7RHHL 50-59 years, female 40.6
GTEX-13OW6-0826-SM-5L3GA 50-59 years, male 40.4
GTEX-1B996-0726-SM-7IGPI 60-69 years, male 40.4
GTEX-1C6VR-0626-SM-79OOY 60-69 years, male 40.2
GTEX-1128S-0726-SM-5N9D6 60-69 years, female 39.9
GTEX-139UW-0226-SM-5K7WU 60-69 years, male 39.6
GTEX-17F96-0626-SM-793CC 70-79 years, male 39.3
GTEX-14ABY-1126-SM-5Q5F8 50-59 years, male 39.1
GTEX-1EMGI-1426-SM-7IGNQ 60-69 years, male 38.9
GTEX-1E1VI-0926-SM-7P8T3 50-59 years, male 38.9
GTEX-14BIL-1226-SM-79OME 50-59 years, male 38.6
GTEX-ZVT3-0926-SM-5GICK 60-69 years, female 38.5
GTEX-14BMU-0526-SM-73KW4 20-29 years, female 38.3
GTEX-1I1GQ-1126-SM-CNNQT 50-59 years, male 38.2
GTEX-1B8L1-0626-SM-7EPHL 60-69 years, male 38.1
GTEX-1GPI7-1526-SM-9JGG8 20-29 years, male 38.1
GTEX-12WSN-5004-SM-793CE 40-49 years, male 37.8
GTEX-1H23P-1026-SM-9QEHQ 60-69 years, male 37.8
GTEX-14C39-0326-SM-5TDDX 40-49 years, male 37.4
GTEX-P44H-1126-SM-48TBU 40-49 years, male 37.4
GTEX-Q2AG-1026-SM-33HBW 40-49 years, female 37.4
GTEX-ZT9W-0726-SM-9JGG2 50-59 years, male 37.4
GTEX-14C5O-1126-SM-5TDEH 60-69 years, male 37.3
GTEX-ZTPG-0926-SM-5O99H 20-29 years, female 37.3
GTEX-1QP2A-1226-SM-EVR3I 50-59 years, male 37.3
GTEX-12584-1426-SM-5EGJ9 40-49 years, male 37.2
GTEX-1H3O1-0326-SM-9WPO8 60-69 years, male 37.2
GTEX-1HSKV-1126-SM-ADEIA 60-69 years, male 37.1
GTEX-OXRO-0326-SM-33HBM 60-69 years, female 37.0
GTEX-11NV4-1126-SM-5HL6J 60-69 years, male 36.9
GTEX-13FLV-0426-SM-5KLZA 50-59 years, male 36.9
GTEX-144GM-0126-SM-5Q5AX 20-29 years, male 36.9
GTEX-147F4-0926-SM-5Q5EO 50-59 years, male 36.9
GTEX-1F75W-0626-SM-7PC13 60-69 years, male 36.9
GTEX-1KD5A-1126-SM-CXZK6 50-59 years, male 36.9
GTEX-1LGRB-0226-SM-CNPQK 50-59 years, female 36.9
GTEX-111YS-0626-SM-5GZXV 60-69 years, male 36.8
GTEX-1AX9J-1626-SM-73KUI 60-69 years, male 36.6
GTEX-ZYY3-0926-SM-5E454 60-69 years, female 36.6
GTEX-11ZTS-1226-SM-5EQMQ 60-69 years, female 36.5
GTEX-14PJM-0926-SM-6AJ9Y 50-59 years, female 36.4
GTEX-18A7A-1026-SM-7LT8B 50-59 years, female 36.3
GTEX-1CAMQ-1026-SM-7EPIC 40-49 years, male 36.3
GTEX-S3LF-1126-SM-EVR33 70-79 years, male 36.3
GTEX-12WSA-1026-SM-5EGHN 60-69 years, male 36.2
GTEX-TSE9-0726-SM-3DB8C 60-69 years, female 36.2
GTEX-WRHU-0226-SM-3MJFV 50-59 years, female 36.2
GTEX-YEC4-0526-SM-4W21U 40-49 years, male 36.2
GTEX-11ZVC-0226-SM-731E8 50-59 years, female 36.1
GTEX-14DAQ-0926-SM-793AZ 60-69 years, female 36.1
GTEX-1HFI6-0926-SM-9WPPV 40-49 years, male 36.1
GTEX-1I6K7-1226-SM-B2LVS 40-49 years, male 36.1
GTEX-12WSG-5004-SM-7EPG9 50-59 years, female 36.0
GTEX-WFG7-0526-SM-3GIKI 20-29 years, male 36.0
GTEX-1BAJH-1326-SM-7RHFS 70-79 years, male 36.0
GTEX-13QJC-0526-SM-5RQKB 60-69 years, female 35.9
GTEX-1PWST-0826-SM-DTXF1 70-79 years, male 35.8
GTEX-T8EM-0326-SM-3DB7F 40-49 years, male 35.5
GTEX-1F75B-1026-SM-9JGFS 50-59 years, male 35.5
GTEX-1JKYN-2126-SM-ARU8W 30-39 years, male 35.5
GTEX-11O72-1326-SM-5BC5A 40-49 years, male 35.4
GTEX-13OVH-1026-SM-5J2NP 70-79 years, male 35.4
GTEX-145MF-0726-SM-5Q5BT 50-59 years, male 35.4
GTEX-U8XE-1426-SM-3DB8Q 30-39 years, male 35.3
GTEX-1I1GP-0526-SM-ARL7G 50-59 years, male 35.3
GTEX-12WSH-0126-SM-5GCO3 50-59 years, male 35.2
GTEX-1LVAN-1126-SM-CNNRE 50-59 years, female 35.0
GTEX-132NY-1226-SM-5PNVF 60-69 years, male 34.9
GTEX-UPJH-0826-SM-4WKFD 50-59 years, male 34.8
GTEX-1497J-0326-SM-5Q5CN 60-69 years, male 34.7
GTEX-11TUW-0526-SM-5LU9A 60-69 years, male 34.6
GTEX-1AX9K-0826-SM-731F9 50-59 years, male 34.6
GTEX-1HSMQ-0726-SM-B2LXY 50-59 years, male 34.6
GTEX-1I6K6-0926-SM-AHZ2N 30-39 years, male 34.6
GTEX-1B8SF-0826-SM-73KW8 60-69 years, male 34.5
GTEX-ZZPU-0526-SM-5E44U 50-59 years, female 34.5
GTEX-SIU8-0926-SM-COH1X 50-59 years, male 34.5
GTEX-18465-0626-SM-7LT8X 50-59 years, male 34.4
GTEX-1JMQL-1126-SM-CKZOP 50-59 years, female 34.4
GTEX-PVOW-1026-SM-2XCF9 40-49 years, male 34.3
GTEX-1F6RS-0826-SM-7P8T9 60-69 years, female 34.3
GTEX-1HCUA-0226-SM-A8N88 50-59 years, female 34.3
GTEX-QMR6-1926-SM-32PL9 50-59 years, male 34.2
GTEX-1IDJH-0726-SM-ARU7U 70-79 years, male 34.2
GTEX-12WSJ-0226-SM-5GCP7 40-49 years, female 34.1
GTEX-1I1CD-0926-SM-CL55I 60-69 years, female 34.1
GTEX-1NV5F-0926-SM-DTX8N 60-69 years, female 34.1
GTEX-17HII-0926-SM-79ON7 50-59 years, male 34.0
GTEX-ZZPT-1326-SM-5E43H 50-59 years, male 34.0
GTEX-133LE-0526-SM-5N9EJ 20-29 years, female 33.8
GTEX-14E7W-1326-SM-5RQIV 70-79 years, male 33.8
GTEX-14JG1-0926-SM-5YY8W 40-49 years, male 33.8
GTEX-Y5V5-0826-SM-4VBQD 60-69 years, female 33.7
GTEX-ZC5H-0926-SM-5CVMZ 40-49 years, female 33.6
GTEX-ZVZQ-1526-SM-5N9G6 60-69 years, female 33.6
GTEX-1HBPH-1326-SM-9WYSN 40-49 years, female 33.6
GTEX-111CU-0326-SM-5GZXO 50-59 years, male 33.5
GTEX-14E1K-0226-SM-62LDT 50-59 years, male 33.5
GTEX-POYW-1226-SM-2XCEP 60-69 years, male 33.5
GTEX-1LB8K-0826-SM-D4P41 50-59 years, male 33.5
GTEX-1S5VW-0926-SM-EWRNU 60-69 years, male 33.5
GTEX-139YR-0926-SM-5LZYB 50-59 years, male 33.4
GTEX-13CF3-0426-SM-5IJEU 60-69 years, female 33.4
GTEX-145LU-0526-SM-5O9AT 50-59 years, male 33.4
GTEX-RM2N-0426-SM-2TF4T 50-59 years, male 33.4
GTEX-1HCVE-0626-SM-A9SL2 50-59 years, male 33.4
GTEX-11EMC-0126-SM-5EGKV 60-69 years, female 33.3
GTEX-T5JC-0826-SM-32PMC 20-29 years, male 33.2
GTEX-U3ZM-0426-SM-3DB73 40-49 years, male 33.2
GTEX-X585-1026-SM-46MW6 50-59 years, male 33.2
GTEX-1RAZR-0726-SM-EV7BA 40-49 years, male 33.2
GTEX-147GR-1226-SM-5TDCL 60-69 years, male 33.1
GTEX-1I1GS-1426-SM-COH3W 60-69 years, male 33.1
GTEX-117YX-1326-SM-5H125 50-59 years, male 33.0
GTEX-WWYW-0926-SM-3NB2Z 50-59 years, female 33.0
GTEX-17EVP-0726-SM-7EWDX 40-49 years, male 32.9
GTEX-1GZHY-0826-SM-9OSXT 50-59 years, female 32.9
GTEX-11GSP-0726-SM-5986L 60-69 years, female 32.8
GTEX-1477Z-0626-SM-5NQB7 60-69 years, male 32.8
GTEX-1FIGZ-0326-SM-7RHGT 40-49 years, male 32.8
GTEX-1269C-0926-SM-5FQSR 60-69 years, female 32.7
GTEX-132QS-0726-SM-5IJE9 60-69 years, male 32.7
GTEX-14PK6-0326-SM-6AJ9S 70-79 years, female 32.7
GTEX-SN8G-0926-SM-4DM5I 50-59 years, female 32.7
GTEX-U3ZN-0626-SM-3DB7U 30-39 years, female 32.7
GTEX-XXEK-0626-SM-4BRWE 50-59 years, male 32.7
GTEX-ZLV1-0426-SM-4WWC2 60-69 years, female 32.7
GTEX-14DAR-0226-SM-5S2PR 50-59 years, male 32.6
GTEX-16Z82-1026-SM-6M48A 60-69 years, male 32.6
GTEX-17F98-0226-SM-793BV 40-49 years, female 32.5
GTEX-13OW8-1726-SM-5L3GO 60-69 years, male 32.3
GTEX-13RTJ-1126-SM-5S2UJ 60-69 years, male 32.3
GTEX-VJWN-1326-SM-EVR2Z 50-59 years, female 32.3
GTEX-131YS-0926-SM-5IJB9 60-69 years, female 32.2
GTEX-13VXU-2726-SM-5LU4N 50-59 years, male 32.2
GTEX-P4PP-0526-SM-2HMKE 30-39 years, female 32.2
GTEX-QESD-0626-SM-2I5G4 20-29 years, male 32.2
GTEX-1GZ4I-0726-SM-9QEHL 50-59 years, male 32.2
GTEX-15G1A-0426-SM-6M468 30-39 years, male 32.1
GTEX-1C6VS-1226-SM-79OO2 60-69 years, male 32.1
GTEX-O5YT-0526-SM-32PK8 20-29 years, male 32.1
GTEX-XBED-0826-SM-47JYC 60-69 years, male 32.1
GTEX-ZA64-0326-SM-5HL8T 20-29 years, male 32.1
GTEX-1JMQJ-2126-SM-CNPPA 50-59 years, male 32.1
GTEX-1QAET-0426-SM-EXUSM 50-59 years, male 32.1
GTEX-147JS-1226-SM-5RQK4 60-69 years, male 32.0
GTEX-1MJK2-1126-SM-E9TJ7 50-59 years, male 32.0
GTEX-13NYS-1626-SM-5J2MU 60-69 years, male 31.9
GTEX-1RQED-1026-SM-EVYCT 60-69 years, male 31.9
GTEX-15D1Q-0526-SM-6AJAY 40-49 years, male 31.8
GTEX-15RJE-1026-SM-6M46X 40-49 years, male 31.8
GTEX-1IY9M-1126-SM-A9SLV 60-69 years, male 31.8
GTEX-1JK1U-1126-SM-CY8HK 60-69 years, male 31.8
GTEX-1L5NE-0726-SM-CXZKQ 50-59 years, male 31.8
GTEX-131XF-1026-SM-5BC6A 60-69 years, male 31.7
GTEX-1LG7Y-0826-SM-E9TJX 50-59 years, male 31.6
GTEX-14JG6-0326-SM-6AJBT 30-39 years, female 31.5
GTEX-1B97I-0226-SM-73KVO 40-49 years, male 31.5
GTEX-1GMR2-0126-SM-9JGHC 50-59 years, male 31.5
GTEX-1IDJU-0226-SM-CKZOF 60-69 years, female 31.5
GTEX-14E6C-1426-SM-5ZZWH 40-49 years, male 31.4
GTEX-Y8LW-0326-SM-4VBQ9 50-59 years, female 31.4
GTEX-11WQK-1226-SM-5GU5Z 50-59 years, male 31.3
GTEX-R3RS-1026-SM-3GADF 40-49 years, female 31.3
GTEX-X4XX-1026-SM-4QARO 60-69 years, male 31.3
GTEX-ZYW4-1526-SM-5SIBA 60-69 years, male 31.3
GTEX-1I1GU-0526-SM-B2LX2 40-49 years, male 31.3
GTEX-1B933-0926-SM-9OSVH 50-59 years, female 31.2
GTEX-1J1R8-0226-SM-AHZ3C 40-49 years, male 31.2
GTEX-1C6WA-0726-SM-7IGQ5 60-69 years, male 31.1
GTEX-1PPGY-1826-SM-EXOJ8 60-69 years, male 31.1
GTEX-11LCK-0426-SM-5A5M8 30-39 years, male 31.0
GTEX-11TT1-1626-SM-5EQL7 20-29 years, male 31.0
GTEX-145ME-0226-SM-5S2QN 40-49 years, female 31.0
GTEX-S32W-0326-SM-2XCBI 50-59 years, female 31.0
GTEX-WOFM-0126-SM-3MJFE 20-29 years, male 31.0
GTEX-ZF29-1026-SM-4WKGC 60-69 years, female 31.0
GTEX-1AX8Z-5010-SM-AHZ33 60-69 years, male 31.0
GTEX-11EQ9-0226-SM-5A5JX 30-39 years, male 30.9
GTEX-14LZ3-0726-SM-5YYAB 60-69 years, female 30.9
GTEX-16XZZ-0926-SM-7DHLI 60-69 years, male 30.9
GTEX-N7MS-0926-SM-2HMIZ 60-69 years, male 30.9
GTEX-WZTO-0426-SM-3NM99 40-49 years, male 30.9
GTEX-12WSI-0826-SM-5EGKD 50-59 years, male 30.8
GTEX-13O3P-1026-SM-5N9E7 50-59 years, male 30.8
GTEX-OXRP-0526-SM-2I3EW 60-69 years, female 30.8
GTEX-QDT8-0926-SM-32PL2 30-39 years, female 30.8
GTEX-XPVG-1026-SM-4B64Y 50-59 years, male 30.8
GTEX-XV7Q-0426-SM-4BRVN 40-49 years, female 30.8
GTEX-Y5LM-0726-SM-4VBRP 40-49 years, female 30.8
GTEX-1C64O-1226-SM-79OOC 60-69 years, male 30.7
GTEX-1122O-0126-SM-5GICA 60-69 years, female 30.6
GTEX-13JUV-0526-SM-5K7XE 40-49 years, female 30.6
GTEX-X4EO-0926-SM-3P5Z2 60-69 years, female 30.6
GTEX-1IKJJ-0926-SM-A9G2L 60-69 years, male 30.6
GTEX-1211K-0826-SM-5FQUP 60-69 years, female 30.5
GTEX-OIZH-0526-SM-2HMKV 50-59 years, male 30.5
GTEX-1GN2E-1526-SM-7P8TD 60-69 years, male 30.5
GTEX-1J8JJ-1126-SM-CL55P 60-69 years, female 30.5
GTEX-1J8QM-0526-SM-AHZ3Y 60-69 years, female 30.5
GTEX-1QP29-1226-SM-E6CQ1 50-59 years, male 30.5
GTEX-13113-5004-SM-79ONL 60-69 years, female 30.4
GTEX-18D9A-0226-SM-7KFSJ 30-39 years, female 30.4
GTEX-ZDTT-0926-SM-5J2MS 60-69 years, male 30.4
GTEX-15EOM-5010-SM-7P8PA 20-29 years, female 30.4
GTEX-1GF9X-0326-SM-7P8R9 40-49 years, female 30.4
GTEX-13OVG-0326-SM-5KM57 60-69 years, male 30.3
GTEX-13PVQ-0926-SM-5IJFD 50-59 years, male 30.3
GTEX-16NGA-0226-SM-718AI 40-49 years, female 30.3
GTEX-1A8FM-0826-SM-793D5 50-59 years, female 30.3
GTEX-ZT9X-0326-SM-51MTE 40-49 years, male 30.3
GTEX-1F6I4-1026-SM-7P8PS 60-69 years, male 30.3
GTEX-1ICLY-0926-SM-CM2RJ 50-59 years, male 30.3
GTEX-13OW7-0926-SM-5L3EX 50-59 years, male 30.2
GTEX-WYJK-0826-SM-3NM8Y 50-59 years, male 30.2
GTEX-ZPU1-0926-SM-57WDO 40-49 years, male 30.2
GTEX-1HBPM-0826-SM-9WYSP 60-69 years, female 30.2
GTEX-1JMOU-0526-SM-CNNPE 60-69 years, female 30.2
GTEX-11DXX-0626-SM-5Q5AG 60-69 years, female 30.1
GTEX-1212Z-1026-SM-5EGJ8 60-69 years, male 30.1
GTEX-1399S-1726-SM-5L3DI 30-39 years, female 30.1
GTEX-14PJ4-0626-SM-6AJBS 60-69 years, male 30.1
GTEX-WFJO-0326-SM-3GIL3 30-39 years, male 30.1
GTEX-1KWVE-0426-SM-DHXJX 30-39 years, male 30.1
GTEX-11EI6-0826-SM-5985V 60-69 years, male 29.9
GTEX-POMQ-0526-SM-3GADD 20-29 years, female 29.9
GTEX-13N1W-0726-SM-5MR57 70-79 years, male 29.8
GTEX-RWS6-0226-SM-2XCA9 60-69 years, female 29.8
GTEX-SNOS-0426-SM-32PMH 40-49 years, male 29.8
GTEX-1I19N-0526-SM-A9G27 70-79 years, male 29.8
GTEX-1K9T9-0926-SM-D3L9C 50-59 years, female 29.8
GTEX-11DZ1-0426-SM-5H11A 50-59 years, male 29.7
GTEX-13OVJ-0726-SM-5KM1W 50-59 years, female 29.7
GTEX-14PQA-1126-SM-7KUM4 50-59 years, female 29.7
GTEX-131XH-0426-SM-5DUWU 50-59 years, male 29.6
GTEX-13OW5-0726-SM-5KLZK 60-69 years, male 29.6
GTEX-15EU6-1226-SM-6AJBE 50-59 years, male 29.6
GTEX-PLZ5-0726-SM-2I5F9 50-59 years, male 29.6
GTEX-VJYA-0326-SM-3GAEX 60-69 years, male 29.6
GTEX-1GMRU-1426-SM-9WPPL 50-59 years, male 29.6
GTEX-1I1GR-0726-SM-B2LWL 60-69 years, male 29.6
GTEX-1QMI2-0926-SM-DTX7S 60-69 years, male 29.6
GTEX-1RAZQ-1026-SM-EAZ4R 30-39 years, male 29.6
GTEX-12KS4-0726-SM-5FQSX 30-39 years, male 29.5
GTEX-17HGU-0926-SM-79OKO 50-59 years, male 29.5
GTEX-OHPL-0526-SM-3NM8U 60-69 years, female 29.5
GTEX-1GZ4H-0426-SM-7MXV5 50-59 years, female 29.5
GTEX-1RAZS-2226-SM-E8VMU 50-59 years, male 29.5
GTEX-RVPV-1726-SM-2NKAQ 60-69 years, male 29.5
GTEX-13FHP-0726-SM-5K7YI 50-59 years, male 29.4
GTEX-13S86-0626-SM-5Q5E7 40-49 years, male 29.4
GTEX-O5YV-0526-SM-2I5GE 60-69 years, female 29.4
GTEX-OXRK-0926-SM-2HMKP 50-59 years, female 29.4
GTEX-QMRM-0826-SM-3NB33 50-59 years, male 29.4
GTEX-1S82P-0826-SM-EVR4P 60-69 years, female 29.4
GTEX-13N2G-0826-SM-5IJE6 60-69 years, male 29.3
GTEX-15UKP-1926-SM-6LPI9 20-29 years, male 29.3
GTEX-S33H-0626-SM-2XCBJ 30-39 years, male 29.3
GTEX-11ZTT-0626-SM-5EQLM 60-69 years, female 29.2
GTEX-13FTY-0126-SM-5J2NZ 40-49 years, female 29.2
GTEX-U412-0826-SM-3DB9K 60-69 years, male 29.2
GTEX-ZDTS-1026-SM-4WAXS 60-69 years, male 29.2
GTEX-1NSGN-1626-SM-EXOJF 50-59 years, male 29.2
GTEX-ZPCL-0926-SM-DNZZ8 60-69 years, female 29.2
GTEX-13NZA-1426-SM-5KM4Y 60-69 years, male 29.1
GTEX-14PJ5-0226-SM-5YY99 60-69 years, female 29.1
GTEX-PLZ4-0726-SM-2TC6Q 50-59 years, female 29.1
GTEX-PSDG-1126-SM-2S1ON 50-59 years, male 29.1
GTEX-12ZZW-0926-SM-5LZUD 50-59 years, male 29.0
GTEX-17HHE-0626-SM-7DHL6 50-59 years, male 29.0
GTEX-18A67-1126-SM-7KFSB 50-59 years, male 28.9
GTEX-ZXG5-0826-SM-5GID6 60-69 years, male 28.9
GTEX-ZYVF-1726-SM-5E443 50-59 years, female 28.9
GTEX-1GL5R-0526-SM-9WPOQ 50-59 years, male 28.9
GTEX-1LVAO-1226-SM-DIPGB 60-69 years, male 28.9
GTEX-13QBU-0726-SM-5J2OA 40-49 years, female 28.8
GTEX-145LT-0326-SM-5LUAD 40-49 years, male 28.8
GTEX-RU1J-0126-SM-2TF6Y 20-29 years, female 28.8
GTEX-ZAB5-0626-SM-5PNVB 50-59 years, male 28.8
GTEX-ZF2S-0626-SM-4WKH2 50-59 years, female 28.8
GTEX-14E6E-0426-SM-73KUE 30-39 years, male 28.7
GTEX-17JCI-1526-SM-7IGOQ 60-69 years, female 28.7
GTEX-OIZI-1026-SM-3NB1K 40-49 years, male 28.7
GTEX-WFON-0426-SM-3GIL4 40-49 years, male 28.7
GTEX-ZPIC-0626-SM-57WDY 40-49 years, female 28.7
GTEX-139T6-0426-SM-5IJEM 50-59 years, male 28.6
GTEX-13QJ3-1026-SM-5QGQU 50-59 years, male 28.6
GTEX-O5YW-0526-SM-2YUMX 50-59 years, male 28.6
GTEX-W5X1-0526-SM-3GILH 40-49 years, female 28.6
GTEX-WHSB-0326-SM-5FQSD 50-59 years, male 28.6
GTEX-XOT4-1426-SM-4B65T 60-69 years, female 28.6
GTEX-YB5E-0726-SM-4VDSH 40-49 years, male 28.6
GTEX-1CAV2-0626-SM-7P8QE 40-49 years, female 28.6
GTEX-QDVN-0726-SM-4B64L 50-59 years, male 28.5
GTEX-T6MN-0826-SM-32PM4 50-59 years, male 28.5
GTEX-11P7K-0326-SM-59871 30-39 years, male 28.4
GTEX-14BMV-0826-SM-73KXU 50-59 years, male 28.3
GTEX-1A3MV-0526-SM-72D5A 30-39 years, male 28.3
GTEX-1AYCT-0726-SM-7IGNG 50-59 years, male 28.3
GTEX-U8T8-2226-SM-3DB95 60-69 years, male 28.3
GTEX-1H1E6-0726-SM-9WPQ4 30-39 years, male 28.3
GTEX-146FH-1226-SM-5NQB6 50-59 years, female 28.2
GTEX-16MT8-1026-SM-6LPK1 60-69 years, female 28.2
GTEX-1EN7A-0826-SM-7MKFV 40-49 years, male 28.1
GTEX-REY6-0426-SM-2TF5G 60-69 years, male 28.1
GTEX-WY7C-0426-SM-3NB3C 50-59 years, male 28.1
GTEX-YF7O-0626-SM-4W21R 50-59 years, male 28.1
GTEX-11WQC-0626-SM-5EQMF 60-69 years, male 28.0
GTEX-147F3-0726-SM-5NQ9U 50-59 years, female 28.0
GTEX-15SB6-0426-SM-6LPJ5 50-59 years, female 28.0
GTEX-P78B-0926-SM-2I5FA 40-49 years, female 28.0
GTEX-R55G-0826-SM-2TC5U 40-49 years, female 28.0
GTEX-1I4MK-0326-SM-B2LWP 50-59 years, female 28.0
GTEX-13NYB-0626-SM-5MR47 40-49 years, male 27.9
GTEX-16MTA-1226-SM-7KULL 50-59 years, male 27.9
GTEX-1B932-0726-SM-731EY 40-49 years, female 27.9
GTEX-QEG5-1126-SM-33HC2 20-29 years, male 27.9
GTEX-1F48J-0826-SM-9WPOD 50-59 years, female 27.9
GTEX-1J8EW-1026-SM-A96T7 60-69 years, female 27.9
GTEX-SJXC-1026-SM-EYYVA 60-69 years, male 27.9
GTEX-11NUK-0826-SM-5HL4U 50-59 years, male 27.8
GTEX-ZG7Y-1026-SM-4WWDG 50-59 years, male 27.8
GTEX-ZUA1-1026-SM-4YCEA 40-49 years, male 27.8
GTEX-1JN6P-0726-SM-ARZN7 60-69 years, male 27.8
GTEX-1GF9V-1026-SM-9KNW3 60-69 years, male 27.7
GTEX-1RNSC-1226-SM-E9U52 60-69 years, male 27.7
GTEX-OIZF-0526-SM-7MXVM 60-69 years, male 27.7
GTEX-11PRG-0926-SM-5EGI8 50-59 years, male 27.6
GTEX-131XE-0726-SM-5HL9K 50-59 years, male 27.6
GTEX-RUSQ-0626-SM-2TF5V 50-59 years, male 27.6
GTEX-ZLWG-0626-SM-4WWFR 50-59 years, female 27.6
GTEX-ZY6K-0326-SM-5SIBB 50-59 years, male 27.6
GTEX-1QCLY-1026-SM-EWRNI 30-39 years, male 27.6
GTEX-1N2DW-1126-SM-EVR59 50-59 years, male 27.5
GTEX-111VG-0726-SM-5GIDC 60-69 years, male 27.4
GTEX-13YAN-1026-SM-5O9CF 60-69 years, male 27.4
GTEX-18D9U-0526-SM-72D7C 40-49 years, male 27.4
GTEX-1EWIQ-0926-SM-7RHG7 70-79 years, female 27.4
GTEX-WFG8-0926-SM-3GIKJ 20-29 years, male 27.3
GTEX-WYBS-1126-SM-3NMAM 60-69 years, female 27.3
GTEX-XBEC-1026-SM-4QASM 50-59 years, male 27.3
GTEX-1CB4I-2126-SM-793AG 50-59 years, male 27.2
GTEX-ZDXO-1326-SM-57WBS 60-69 years, male 27.2
GTEX-P4QT-0526-SM-2I3EX 50-59 years, female 27.1
GTEX-X4LF-0526-SM-3NMB6 50-59 years, male 27.1
GTEX-ZDYS-0426-SM-5IJEQ 50-59 years, male 27.1
GTEX-1HCU7-0926-SM-A96TK 50-59 years, male 27.1
GTEX-12696-1026-SM-5FQUV 60-69 years, male 27.0
GTEX-12WSL-1026-SM-5CVNJ 50-59 years, male 27.0
GTEX-13FTZ-0526-SM-5IJCW 60-69 years, male 27.0
GTEX-13NZ9-0926-SM-5KM12 50-59 years, male 27.0
GTEX-WH7G-0726-SM-3NMBM 40-49 years, male 27.0
GTEX-YFC4-1126-SM-5RQJN 40-49 years, female 27.0
GTEX-YJ8O-1826-SM-5HL82 40-49 years, female 27.0
GTEX-1KANB-1026-SM-D3L9F 50-59 years, male 27.0
GTEX-14XAO-0526-SM-6AJB7 60-69 years, female 26.9
GTEX-15RIE-0326-SM-6PAMC 60-69 years, male 26.9
GTEX-1B8KZ-0526-SM-73KW2 50-59 years, male 26.9
GTEX-R55D-0926-SM-3GAEU 50-59 years, male 26.9
GTEX-WHPG-1426-SM-3NMBB 50-59 years, male 26.9
GTEX-1HSMO-0926-SM-A96S7 60-69 years, male 26.9
GTEX-11NSD-0326-SM-5A5LS 20-29 years, male 26.8
GTEX-13O3Q-0526-SM-5KM18 50-59 years, male 26.8
GTEX-PLZ6-0426-SM-5IJDW 30-39 years, male 26.8
GTEX-ZYT6-0526-SM-5GIEA 30-39 years, male 26.8
GTEX-1K2DU-0526-SM-D4P2Y 20-29 years, male 26.8
GTEX-1RLM8-0626-SM-E76OW 50-59 years, male 26.8
GTEX-131XW-1126-SM-5EGK4 50-59 years, female 26.7
GTEX-178AV-0326-SM-6LPJF 40-49 years, male 26.7
GTEX-13PL7-1726-SM-5J2NX 60-69 years, female 26.6
GTEX-14JIY-1326-SM-6AJB3 60-69 years, male 26.6
GTEX-1CB4J-1726-SM-79OOL 60-69 years, male 26.6
GTEX-QEG4-0526-SM-48TZD 30-39 years, male 26.6
GTEX-SUCS-0626-SM-32PM5 70-79 years, male 26.6
GTEX-TMMY-0926-SM-4TT1Z 40-49 years, female 26.6
GTEX-ZF28-0726-SM-4WKFU 60-69 years, male 26.6
GTEX-1IL2U-0926-SM-CKZOB 60-69 years, male 26.6
GTEX-T6MO-0426-SM-32QOI 40-49 years, female 26.5
GTEX-YFCO-0426-SM-4W1Z7 40-49 years, male 26.5
GTEX-1LSVX-0626-SM-E9U59 60-69 years, male 26.5
GTEX-S7SE-0926-SM-2XCD6 50-59 years, male 26.4
GTEX-X261-1026-SM-3NMDL 50-59 years, male 26.4
GTEX-1EKGG-1326-SM-7MXUM 60-69 years, male 26.4
GTEX-1RDX4-1626-SM-EVR53 50-59 years, female 26.4
GTEX-13JVG-1426-SM-5MR4W 60-69 years, male 26.3
GTEX-OXRL-0526-SM-2I3EZ 50-59 years, male 26.3
GTEX-UJMC-0726-SM-3GADX 50-59 years, male 26.3
GTEX-1H3VY-1426-SM-9WPOB 50-59 years, male 26.3
GTEX-1MCC2-0726-SM-EV7AL 30-39 years, female 26.3
GTEX-Q734-0626-SM-2I3EF 40-49 years, female 26.2
GTEX-SE5C-0526-SM-2XCE1 40-49 years, female 26.2
GTEX-18D9B-1026-SM-CNPO5 60-69 years, male 26.2
GTEX-X15G-0626-SM-EVR32 50-59 years, female 26.2
GTEX-111FC-1126-SM-5GZWU 60-69 years, male 26.1
GTEX-13FHO-1026-SM-5KM1Q 60-69 years, male 26.1
GTEX-13O61-0726-SM-5J2MD 60-69 years, male 26.1
GTEX-14LLW-0726-SM-5ZZVV 70-79 years, female 26.1
GTEX-R55C-0526-SM-3GIKA 40-49 years, male 26.1
GTEX-WYVS-0526-SM-3NM9W 40-49 years, female 26.1
GTEX-14A6H-0526-SM-5NQAZ 30-39 years, male 26.0
GTEX-ZTTD-1126-SM-51MRP 50-59 years, male 26.0
GTEX-144GN-0426-SM-5O9AP 50-59 years, male 25.9
GTEX-RTLS-0926-SM-2TF5X 60-69 years, female 25.9
GTEX-TML8-0326-SM-4GICN 40-49 years, female 25.8
GTEX-XMD2-1026-SM-4WWE8 60-69 years, female 25.8
GTEX-1GTWX-0626-SM-9WYU1 60-69 years, male 25.8
GTEX-1R9PM-0426-SM-EVR3P 20-29 years, male 25.8
GTEX-11UD2-0726-SM-5EQ69 50-59 years, male 25.7
GTEX-13VXT-1426-SM-5LU4B 20-29 years, female 25.7
GTEX-OOBJ-0526-SM-48TDK 60-69 years, male 25.7
GTEX-X4EP-0526-SM-3P5YW 60-69 years, female 25.7
GTEX-Y111-1026-SM-4TT22 50-59 years, male 25.7
GTEX-Y9LG-0526-SM-4VBRY 30-39 years, male 25.7
GTEX-1JJE9-0926-SM-CNNP9 70-79 years, male 25.7
GTEX-13D11-0326-SM-5LZXX 50-59 years, female 25.6
GTEX-T2IS-0526-SM-32QP9 20-29 years, female 25.6
GTEX-XQ8I-1126-SM-4BOO2 50-59 years, male 25.6
GTEX-13OVL-0626-SM-5KM13 50-59 years, male 25.5
GTEX-15SHV-0326-SM-6M475 60-69 years, male 25.5
GTEX-NFK9-1026-SM-2HMK1 40-49 years, male 25.5
GTEX-1KXAM-0426-SM-DHXKG 60-69 years, male 25.5
GTEX-17KNJ-0926-SM-7IGP2 50-59 years, male 25.4
GTEX-ZQG8-0326-SM-51MSE 60-69 years, female 25.4
GTEX-1F5PK-0526-SM-7MXUA 50-59 years, male 25.4
GTEX-1MA7X-0626-SM-E9TJI 60-69 years, male 25.4
GTEX-1QEPI-0826-SM-DTX9B 60-69 years, female 25.4
GTEX-14AS3-0926-SM-5TDD6 40-49 years, female 25.3
GTEX-P4QS-0526-SM-2I3ET 60-69 years, male 25.3
GTEX-117YW-0526-SM-5H11C 50-59 years, male 25.2
GTEX-12WSK-0826-SM-5CVNP 40-49 years, female 25.2
GTEX-13X6K-1626-SM-7EWCX 60-69 years, female 25.2
GTEX-16AAH-0426-SM-7DUFM 50-59 years, male 25.2
GTEX-QDVJ-0926-SM-2I5FU 50-59 years, male 25.2
GTEX-RN64-1226-SM-2TC6E 50-59 years, male 25.2
GTEX-13FH7-1726-SM-5IJE7 50-59 years, female 25.1
GTEX-1GN1W-1026-SM-9OSW2 50-59 years, female 25.1
GTEX-1OJC3-0726-SM-DTX92 20-29 years, male 25.1
GTEX-17F9Y-1026-SM-7IGO4 70-79 years, female 25.0
GTEX-14PJO-0926-SM-686YT 60-69 years, male 24.9
GTEX-V1D1-0826-SM-3P5ZA 50-59 years, male 24.9
GTEX-WVJS-0826-SM-4MVNR 50-59 years, male 24.9
GTEX-1H11D-0726-SM-9OSWA 40-49 years, male 24.9
GTEX-1JN76-0826-SM-C1YRK 20-29 years, female 24.9
GTEX-XGQ4-0826-SM-4AT4T 50-59 years, male 24.8
GTEX-UPK5-1126-SM-3GAEJ 40-49 years, male 24.7
GTEX-11P81-0226-SM-5HL5M 30-39 years, female 24.6
GTEX-15RJ7-0626-SM-6M47V 40-49 years, male 24.6
GTEX-UJHI-0726-SM-3DB92 50-59 years, female 24.6
GTEX-ZEX8-0526-SM-DO115 50-59 years, male 24.6
GTEX-1AX9I-0826-SM-73KUT 60-69 years, male 24.5
GTEX-1GZ2Q-0726-SM-9KNVV 40-49 years, male 24.5
GTEX-15FZZ-0326-SM-6M48O 30-39 years, female 24.4
GTEX-1PPH7-0226-SM-E76Q1 40-49 years, male 24.4
GTEX-ZYFG-0226-SM-5GIDT 60-69 years, female 24.3
GTEX-YEC3-0226-SM-DO11B 50-59 years, male 24.3
GTEX-RU72-0526-SM-2TF5Z 50-59 years, female 24.2
GTEX-14E6D-1026-SM-5S2RS 50-59 years, male 24.1
GTEX-OOBK-0526-SM-2HMJJ 40-49 years, male 24.1
GTEX-1P4AB-1026-SM-DTXES 50-59 years, male 24.1
GTEX-148VI-0226-SM-5RQKA 60-69 years, female 24.0
GTEX-18QFQ-0926-SM-7LG4V 30-39 years, male 24.0
GTEX-N7MT-0126-SM-2D7VT 60-69 years, female 24.0
GTEX-S341-0326-SM-2XCAU 40-49 years, female 24.0
GTEX-12WSD-0826-SM-5GCNE 60-69 years, female 23.9
GTEX-12ZZY-0926-SM-5EQ6I 60-69 years, male 23.9
GTEX-17HG3-0326-SM-7IGP4 30-39 years, female 23.9
GTEX-Y5V6-0226-SM-4V6G7 60-69 years, male 23.9
GTEX-13W3W-0326-SM-731DS 60-69 years, female 23.8
GTEX-17EVQ-1526-SM-79ONG 70-79 years, male 23.8
GTEX-XBEW-0226-SM-4AT6A 40-49 years, male 23.8
GTEX-XQ3S-0926-SM-4BOPI 20-29 years, male 23.7
GTEX-1C4CL-0826-SM-7EWEZ 30-39 years, male 23.6
GTEX-P4PQ-0526-SM-2HMKR 60-69 years, male 23.6
GTEX-QEL4-0826-SM-3GAF2 50-59 years, male 23.6
GTEX-1JJEA-1126-SM-CKZOC 60-69 years, male 23.6
GTEX-183FY-0726-SM-793C3 20-29 years, male 23.5
GTEX-1KAFJ-0326-SM-DHXJG 50-59 years, male 23.5
GTEX-Y8E4-0526-SM-4V6GC 40-49 years, male 23.4
GTEX-1KD4Q-0926-SM-CXZKI 40-49 years, male 23.4
GTEX-13O21-3026-SM-5J2NI 50-59 years, male 23.2
GTEX-1CB4F-0926-SM-7DHMJ 60-69 years, male 23.2
GTEX-Q2AH-0426-SM-2I3EP 40-49 years, male 23.2
GTEX-QV44-0926-SM-2S1RH 50-59 years, male 23.2
GTEX-Y3IK-0626-SM-4WWE4 50-59 years, female 23.2
GTEX-1ICLZ-0926-SM-CKZPQ 60-69 years, male 23.2
GTEX-13111-0426-SM-5DUXR 50-59 years, male 23.1
GTEX-1399U-0826-SM-5KM1P 50-59 years, female 23.1
GTEX-1I1GV-0926-SM-B2LXM 60-69 years, male 23.1
GTEX-18A6Q-0826-SM-7KFRD 60-69 years, male 23.0
GTEX-X3Y1-0626-SM-3P5YS 40-49 years, male 23.0
GTEX-Y3I4-0426-SM-4TT29 50-59 years, male 23.0
GTEX-ZE7O-0826-SM-57WCP 50-59 years, female 23.0
GTEX-1JMPZ-1126-SM-ARU8X 30-39 years, male 23.0
GTEX-ZF3C-0926-SM-DO92P 50-59 years, female 22.9
GTEX-17GQL-0726-SM-731BL 60-69 years, male 22.8
GTEX-1339X-0626-SM-5IJER 40-49 years, male 22.7
GTEX-169BO-0226-SM-79OL1 50-59 years, male 22.6
GTEX-18A66-0926-SM-718BG 60-69 years, male 22.5
GTEX-U3ZH-0526-SM-3DB75 30-39 years, male 22.5
GTEX-YECK-0926-SM-4W214 60-69 years, male 22.5
GTEX-1IDJI-0626-SM-C1YQD 50-59 years, female 22.5
GTEX-QVUS-2026-SM-EYYW9 60-69 years, female 22.5
GTEX-X4XY-1026-SM-46MVX 60-69 years, male 22.4
GTEX-13U4I-1426-SM-5J2M3 40-49 years, female 22.3
GTEX-15CHR-0726-SM-7EPHG 50-59 years, male 22.3
GTEX-1GN1U-1026-SM-9WYUP 50-59 years, female 22.3
GTEX-1H1ZS-0826-SM-A9SMD 70-79 years, male 22.3
GTEX-1HSMP-1326-SM-A96TR 70-79 years, male 22.3
GTEX-1M4P7-0826-SM-E9TJR 60-69 years, male 22.2
GTEX-1H1CY-0626-SM-9KNVE 60-69 years, female 22.1
GTEX-1JMQI-1126-SM-ARZN2 50-59 years, male 22.1
GTEX-146FQ-0926-SM-5LUAV 30-39 years, male 22.0
GTEX-ZAB4-0626-SM-5CVN3 40-49 years, male 22.0
GTEX-QCQG-0326-SM-2I3ES 50-59 years, female 21.9
GTEX-1MGNQ-0826-SM-EVR41 40-49 years, male 21.9
GTEX-16GPK-1826-SM-7MGW5 60-69 years, male 21.8
GTEX-145MN-0926-SM-5NQBT 30-39 years, male 21.7
GTEX-WK11-0526-SM-3NB3O 50-59 years, male 21.5
GTEX-1F7RK-0826-SM-7SB8V 20-29 years, female 21.5
GTEX-13FTX-0326-SM-5J2NG 20-29 years, female 21.4
GTEX-1OJC4-0626-SM-DTXEY 50-59 years, female 21.4
GTEX-PW2O-0526-SM-2I3DX 20-29 years, male 21.2
GTEX-145MH-0626-SM-5NQAK 50-59 years, male 21.1
GTEX-1HT8W-1426-SM-CE6S2 30-39 years, male 21.1
GTEX-1J1OQ-0926-SM-CJI34 40-49 years, female 21.1
GTEX-1MJIX-0626-SM-DTX8V 40-49 years, male 21.1
GTEX-11I78-0126-SM-5HL6F 50-59 years, female 20.9
GTEX-13N11-0326-SM-5LUA3 50-59 years, female 20.9
GTEX-11DXZ-0726-SM-5N9C4 50-59 years, male 20.8
GTEX-15ER7-0926-SM-7KUMG 20-29 years, female 20.8
GTEX-1IOXB-1126-SM-CNNQ5 50-59 years, male 20.6
GTEX-14PHY-0526-SM-664NM 60-69 years, female 20.3
GTEX-15CHC-0226-SM-5YYBB 60-69 years, female 20.3
GTEX-1AYD5-1226-SM-7EWEP 50-59 years, male 20.3
GTEX-12WSE-0826-SM-5S2VL 20-29 years, male 20.1
GTEX-15SKB-0826-SM-7KUFB 60-69 years, male 20.1
GTEX-13SLW-1226-SM-5S2Q7 70-79 years, male 19.9
GTEX-11ZUS-0126-SM-5EQM5 30-39 years, male 19.8
GTEX-X5EB-0426-SM-46MVY 40-49 years, male 19.8
GTEX-1IL2V-0726-SM-ARZMB 70-79 years, male 19.4
GTEX-OIZG-0526-SM-2HMLF 50-59 years, male 18.5
GTEX-PX3G-0526-SM-2I3EM 20-29 years, female 18.2
GTEX-NPJ8-0326-SM-2D7VV 40-49 years, male 18.1
GTEX-XYKS-0526-SM-4BRW2 60-69 years, female 18.0
GTEX-15SHW-0926-SM-6LPIO 60-69 years, male 17.6
Show allShow less

LUNG - FANTOM5 CAGEi

RNA expression in human tissues obtained through Cap Analysis of Gene Expression (CAGE) generated by the FANTOM5 project are reported as Scaled Tags Per Million.

Max subtype Scaled Tags Per Millioni

Max subtype Scaled Tags Per Million is the value for the subtype with the largest average Scaled Tags Per Million across the subtype samples.

84.8
FANTOM5 sample id Sample description Scaled Tags Per Million
Lung
Scaled Tags Per Million: 84.3
FF:10019-101D1 46,65,94 years, mixed 84.3
Lung - right lower lobe
Scaled Tags Per Million: 84.8
FF:10075-102A3 29 years, male 84.8

Contact

  • NEWS ARTICLES
  • PRESS ROOM

The Project

  • INTRODUCTION
  • ORGANIZATION
  • PUBLICATIONS

The Human Protein Atlas

  • DOWNLOADABLE DATA
  • LICENCE & CITATION
  • HELP & FAQ
The Human Protein Atlas project is funded
by the Knut & Alice Wallenberg Foundation.


contact@proteinatlas.org